кто виноват, и как лечить заболевание
Опасное заболевание: кто виноват, и что делать
Киста после удаления зуба не является частым осложнением, но и говорить, что она встречается в исключительных случаях, не правильно. Стоит ли опасаться этой патологии или можно подождать, пока проблема разрешится самостоятельно? Первое и самое важное, что нужно усвоить: если после удаления зуба образовалась киста, нужно незамедлительно обратиться за помощью в стоматологическую клинику. Отсутствие лечения может привести к серьезным последствиям, которые негативно скажутся как на зубочелюстной системе, так и на организме в целом.
Ниже в статье речь пойдет о том, что собой представляет киста, почему она может возникнуть после удаления зуба, как обнаружить патологию и что с ней делать. Также в материале вы найдете полезные советы о том, как защитить себя от этого неприятного осложнения.
Что называют кистой зуба
Кистой зуба называют новообразование (внешне похожее на мешочек или капсулу), покрытое фиброзной и эпителиальной тканью, внутри которого может находиться гной и отмершие клетки. Посмотрите на фото ниже, чтобы понять, как выглядит киста. Как правило, патология является следствием затяжного воспалительного процесса в полости рта: глубокого кариеса, запущенного пульпита, периодонтита. Для того, чтобы изолировать очаг инфекции, организм формирует защитную капсулу – кисту.

Так выглядит патология
Важно! Отсутствие лечения новообразования может привести к летальному исходу. Разрастающаяся гнойная опухоль плохо влияет на весь организм человека, т.к. опасная инфекция через кровь может разноситься во все органы. Нередко осложнением кисты становится гнойный абсцесс.
Так как воспалительный процесс, повлекший за собой это заболевание, возникает из-за проникшей в полость рта инфекции, то причиной патологии вполне могут стать некачественные стоматологические услуги: например, негерметичная пломбировка корневых каналов. Сопутствующими факторами возникновения патологии могут быть травма зуба (он становится уязвимым для проникновения патогенных микроорганизмов), снижение иммунитета или перенесенное инфекционное заболевание (ангина, отит, гайморит). В некоторых случаях она формируется при сложном прорезывании зубов мудрости.
Причины образования кисты после удаления зуба
Подробнее рассмотрим причины, из-за которых патология развивается именно после процедуры удаления:
- невнимательность и некачественные действия стоматолога при удалении зуба с уже имеющейся корневой кистой: такое происходит, когда проблемную единицу удалили, а киста осталась. Из-за того, что врач не смог диагностировать патологию или и вовсе опустил проведение диагностических мероприятий, или не окончательно от нее избавился, оставив очаг инфекции. В результате чего болезнь будет прогрессировать. Такое новообразование получило название остаточная или резидуальная киста,
- использование нестерильного стоматологического инструмента, а также ошибки врача в ходе хирургического вмешательства, которые привели к глубоким повреждениям тканей: все это способствует занесению инфекции приводящей к развитию воспалительного процесса,
- нарушение процесса заживления образовавшейся ранки: в норме в лунке, оставшейся от изъятого зуба должен образоваться кровяной сгусток, который защищает ранку и ускоряет ее регенерацию. Однако, если по каким-либо причинам сгусток крови не образовался или был вымыт, например, из-за того, что пациент усиленно полоскал рот после операции, лунка остается сухой. Это является отличной средой для развития болезнетворных бактерий, которые пробираются вглубь незащищенных тканей, вызывая образование гранулемы и кисты в лунке,

Неправильное заживление приводит к возникновению проблемы
- халатность в процессе имплантации и костной пластики: если имплантат, занимающий образовавшуюся дырку в зубном ряду, был установлен или подобран неправильно (такое часто случается при отсутствии подготовительного этапа к процедуре), это тоже приводит к развитию заболевания. Данная причина актуальна для методик одномоментной имплантации, когда искусственный корень ставится сразу же после удаления живого,
- безответственность пациента к выполнению рекомендаций врача в период реабилитации: например, отказ от приема антибиотиков и препаратов с антисептическим действием, несоблюдение гигиенических процедур неправильный образ жизни.
Как понять, что что-то пошло не так
Проблема этого заболевания заключается в том, что некоторое время, оно может никак себя не проявлять. Увидеть кисту при визуальном осмотре, можно лишь тогда, когда патологический процесс распространился на мягкие ткани. Посмотрев на фото кисты десны после неправильного удаления зуба, вы поймете, что не заметить ее невозможно. В иных случаях новообразование можно обнаружить лишь при помощи рентгена.

На фото показана киста, которая возникла после удаления зуба
И все же есть симптомы, которые должны насторожить и явиться поводом для посещения специалиста:
- ощущение тяжести, распирания в месте удаленного зуба: возникает чувство что там что-то мешает,
- боль ноющего характера, которая отдает в виски, лоб, подбородок, темечко, уши, горло и усиливается по мере развития заболевания, а на поздних стадиях и вовсе становится невыносимой,
- дискомфорт и болезненность при приеме пищи: в частности, при надкусывании продуктов больной стороной,
- гайморит: кистозный патологический процесс, сопровождаемый образованием гноя, вполне может спровоцировать гайморит, в особенности если новообразование находится очень близко к верхнечелюстной гайморовой пазухе,
- общее недомогание, вялость, несущественное повышение температуры.
Диагностические мероприятия
Как уже было сказано выше, определить патологию на начальной стадии в ходе простого осмотра невозможно. В таком случае на помощь специалисту приходит рентген. Так, контактная рентгенография, проводится прямо в ротовой полости и позволяет получить всю необходимую информацию для постановки правильного диагноза. Например, по полученным снимкам доктор может оценить состояние канала поврежденного корня и степень влияния кисты на соседние корни, а также исключить наличие обломков стоматологического инструмента, оставшихся после удаления зуба.
В некоторых случаях диагностировать проблему можно только по рентген-снимку
Внимание! После того, как врач поставит правильный диагноз, новообразование нужно будет подвергнуть цитологическому и гистологическому исследованию. Это нужно, чтобы выяснить, является киста доброкачественной или злокачественной.
Врач может использовать комплекс диагностических методов, чтобы получить наиболее полную картину проблемы. Компьютерная томография, например, поможет увидеть и дать оценку всей челюсти в трехмерной проекции. Общий рентген черепа в носо-подбородочной проекции, даст информацию о том, что происходит в верхнечелюстных пазухах. А благодаря результатам электроодонтодиагностики можно понять, как болезнь повлияла на рядом стоящие зубы и нужно ли их лечить.
Варианты лечения
После постановки диагноза в зависимости от характера патологии, ее стадии, а также влияния на близлежащие ткани, врач назначает лечение. Кисту могут удалить при помощи хирургического вмешательства и лазера, также используют медикаментозное лечение. Остановимся подробнее на каждом варианте возможного лечения.
1. Хирургическое вмешательство
Этот метод хорошо себя зарекомендовал и применяется, когда размеры новообразования превышают один сантиметр. Есть два варианта проведения операции: цистотомия и цистэктомия. Цистотомия проводится, если патология негативно влияет на соседние зубы и костные ткани челюсти, а также, если имеются противопоказания к другим видам лечения. Врач надрезает десну и через образовавшийся надрез удаляет оболочку кисты, а затем выкачивает образовавшийся внутри гной при помощи дренажа. После ранку обрабатывают антибактериальными препаратами и ушивают. В период реабилитации пациент должен будет несколько раз в день осуществлять полоскания антисептическими растворами и посещать стоматолога, который будет контролировать процесс заживления.

На фото показана операция по удалению кисты
Цистэктомия – более серьезная операция. В ходе операции врач рассекает десну, высверливает стенку челюсти, чтобы получить доступ к очагу воспаления, а затем полностью удаляет новообразование, очищает прилегающие ткани. В завершение вмешательства рану ушивают.
2. Использование лазера
Так проходит лечение с помощью лазера
Наиболее предпочтительная методика, т.к. является более щадящей и позволяет эффективно избавиться от очага инфекции, продезинфицировать рану, снизить болевые ощущения, облегчить и ускорить реабилитационный период.
Лазерным лучом воздействуют непосредственно на область, где находится воспаление. Таким образом уничтожается кистозный эпителий, а также погибают болезнетворные микроорганизмы, которые размножались внутри кистозной капсулы. Неоспоримые плюсы: пораженная область быстро восстанавливается, а в счет прижигания ранки лазером исключается вариант повторного инфицирования.
3. Терапия медикаментами
Сразу стоит отметить, что вылечить заболевание при помощи медицинских препаратов представляется возможным лишь на начальной стадии, т.е. когда киста только появилась. Это не просто, т.к. в этом случае кисту сложно диагностировать. Лечение заключается в угнетении воспалительного процесса. Для начала доктор удалит образовавшийся внутри кисты гной, затем назначает полоскания (около 10 дней) специальными антисептическими растворами.
Лечение патологии на ранней стадии проводится и с помощью антибиотиков. Антибиотики также могут назначить после хирургического вмешательства, чтобы подавить риск возникновение повторного воспаления. Необходимые препараты может назначить только врач. Как правило, используют «Амоксициллин», «Цифроплоксацин», «Тетрациклин». Иногда используются мази и гели местного действия, которые наносятся непосредственно на пораженный участок.
Профилактические рекомендации
Как мы уже выяснили, возникнет заболевание после удаления зуба или нет, во многом зависит и от компетентности специалиста. Поэтому перед тем, как обратиться за стоматологической помощью, ознакомьтесь с отзывами и рекомендациями о выбранной клинике и ее персонале. К счастью в эру интернета найти такую информацию будет несложно.
Однако, пациент тоже должен проявить ответственность. Во-первых, после удаления соблюдать все рекомендации врача и осуществлять регулярную добросовестную гигиену полости рта. Во-вторых, укреплять иммунитет и вести здоровый образ жизни. И конечно же, очень важно соблюдать график профилактических визитов к стоматологу. Это позволит доктору своевременно обнаружить проблему и начать лечение, что убережет вас от нежелательных осложнений.
- Дмитриева Л.А., Максимовский Ю.М. Терапевтическая стоматология: национальное руководство, 2009.
anzub.ru
Последствия удаления зуба мудрости | Осложнения после удаления зуба мудрости
Осложнения после удаления зуба мудрости
Удаление зуба мудрости может иметь осложнения, которые чаще всего проявляются в виде болевых ощущений, отечности мягких тканей, а также развития воспалительного процесса из-за травматичности слизистой или костной ткани.
Самые распространенные осложнения после удаления зуба мудрости:
- Альвеолит. Воспалительный процесс, который локализуется в лунке удаленного зуба мудрости. Симптомы: отек и покраснение десны, выраженная боль, опухоль щеки, головная боль, озноб, повышенная температура, общее недомогание. В запущенных случаях инфекция может спровоцировать развитие остеомиелитического процесса, который выражается высокой температурой, плохим самочувствием, сильными головными болями.
- Гематома. Возникает в результате повреждения сосуда, а также повышенной ломкости капилляров, наличии у пациента гипертонии. Симптомы: увеличение десны, ее отечность, повышение температуры, боль.
- Кровотечение. Причинами возникновения этого осложнения являются повреждение сосуда в процессе удаления зуба мудрости, а также ломкость капилляров, гипертония у пациента.
- Киста. Представляет собой фиброзное новообразование, наполненное жидкостью.
- Флюс. Возникает в том случае, когда после проведения операции по удалению зуба десна подверглась инфицированию, и инфекция достигла надкостницы, вызвав ее воспаление. Симптомы: покраснение и отек десен, сильная боль, повышение температуры, припухлость щеки.
Среди других осложнений можно отметить стоматит, повреждение нервов (парестезия), остеомиелит, травму челюсти, а также перфорацию (разрыв) дна верхнечелюстной пазухи.
[5], [6]
Боль после удаления зуба мудрости
Удаление зуба мудрости – это, по сути, настоящая хирургическая операция, которая не обходится без крови и боли. Ощущение дискомфорта и боль ‒ нормальная реакция организма на травму, полученную от проведенной операции. Болевые ощущения возникают также после выхода анестезии. Обычно такие боли беспокоят пациента несколько часов, но бывает и дольше – несколько дней. В любом случае при необходимости врач назначает пациентам, перенесшим сложное удаление зуба мудрости, обезболивающий препарат, оптимально подходящий в каждом конкретном случае.
Боль после удаления зуба мудрости постепенно стихнет, что, в свою очередь, будет сигнализировать о процессе заживления раны. Если же болевые ощущения наблюдаются в течение долгого периода времени (более 5-ти дней) или усиливаются, пациенту необходимо обратиться к специалисту. Интенсивная, приступообразная боль, сопровождающаяся отеком и повышенной температурой, может свидетельствовать об инфекционном воспалении.
Иногда после проведения операции по удалению «восьмерки» в лунке отсутствует кровяной сгусток, который необходим для нормального заживления раны. Это чревато таким последствием, как оголение костной ткани, которое всегда сопровождается изнурительными болями. В таких случаях иногда необходимо срочное вмешательство, особенно когда пациента тревожат другие симптомы, к примеру, резкое повышение температуры.
Своевременное обращение к врачу-стоматологу при сильной боли избавит пациента от возможных осложнений, особенно если операция по удалению зуба мудрости была сложной, и изъятие зуба происходило по частям. Остаток зуба в десне или костной ткани при некачественном проведении операции также может вызвать воспаление и боль. В таком случае причина определяется с помощью рентгенограммы.
Отек после удаления зуба мудрости
Удаление зуба мудрости может иметь весьма болезненные последствия, которые объясняются травмированием слизистой и десен при проведении операции. Часто после процедуры удаления зуба у пациента наблюдается припухание и отечность щеки. Эти симптомы могут сопровождаться затрудненным глотанием и увеличением лимфатических узлов и чаще всего возникают в результате строения особенностей подкожно-жировой клетчатки, которая при травмировании быстро отекает. Обычно через пару дней все проходит.
Отек после удаления зуба мудрости может сигнализировать и о более серьезных последствиях. Если состояние пациента с каждым днем усугубляется, при этом ему трудно дышать, у него повышается температура, на теле появляются пятна и высыпания, такой отек носит аллергический характер и может иметь опасные последствия в виде анафилактического шока. В таком случае пациенту необходимо немедленно вызвать скорую помощь.
Отек может быть спровоцирован резким развитием в лунке воспалительного процесса, который сопровождается сильной болью, покраснением щеки и десен, затрудненным дыханием, судорожным сглатыванием, а также повышением температуры. В такой ситуации пациенту следует срочно обратиться за медицинской помощью.
[7], [8]
Опухоль после удаления зуба мудрости
Удаление зуба мудрости чревато неприятными последствиями в виде отеков и опухолей. Боль, дискомфорт, затрудненность при глотании, жевании и открывании рта, слегка повышенная температура – все эти неприятные ощущения какое-то время будут беспокоить пациента.
Опухоль после удаления зуба мудрости является нормальным явлением и, по сути, не должна вызывать беспокойство, если не увеличивается в размерах и не сопровождается какими-нибудь другими неприятными симптомами: кровоточивостью из лунки, резким повышением температуры, усиливающимися болями, общим недомоганием.
Обычно опухоль щеки наблюдается у тех пациентов, которые имеют проблемы с повышенным давлением (гипертензией). В таком случае перед проведением операции им рекомендуется принять успокоительные препараты. Снять отек со щеки и снизить риск развития воспалительного процесса помогают холодные компрессы, а также мази и гели, специально предназначенные для таких целей.
Как правило, опухоль после удаления зуба мудрости всегда сопровождается болью в лунке. Это обычное явление после проведения такой операции. Пациенту рекомендуется не нагружать себя работой и дать организму восстановить силы. Если боли интенсивные, врач припишет анальгетик.
Запах после удаления зуба мудрости
Такая стоматологическая процедура, как удаление зуба мудрости, требует квалифицированного подхода врача-специалиста во избежание последующих осложнений. Кроме болевого синдрома, вызванного наличием раны в лунке, после проведенной операции у пациента могут наблюдаться и другие последствия.
Запах после удаления зуба мудрости – сигнал о развитии в полости рта воспалительного процесса, спровоцированного инфицированием тканей поврежденной десны. Чаще всего такой неприятный запах возникает в первые дни после удаления третьего моляра. В таком случае пациенту необходимо сразу же обратиться к врачу за медицинской помощью. Если не начать лечение вовремя, лунка может покраснеть, покрыться серым налетом, а болевые ощущения усилятся.
Среди основных причин инфицирования послеоперационной раны можно выделить:
- несоблюдение пациентом рекомендаций и предписаний врача-стоматолога;
- образование т. наз. «сухой лунки» ‒ полости без «защитного» кровяного сгустка, подверженной заражению;
- пародонтит;
- воспаление зубных тканей;
- наличие зубного осколка в тканях десны.
Если неприятный запах из полости рта наблюдается долгое время, а пациент так и не обратился за помощью к специалисту, это чревато более серьезными осложнениями – развитием альвеолита, абсцесса и воспаления надкостницы.
Воспаление после удаления зуба мудрости
Удаление зуба мудрости не всегда проходит гладко. Иногда пациента беспокоят послеоперационные последствия, которые в большей степени связаны с несоблюдением гигиенических рекомендаций врача, сниженным иммунитетом и особенностями заживления раны.
Воспаление после удаления зуба мудрости имеет название «альвеолит». Обычно причиной развития данного воспалительного процесса становится отсутствие или выпадение из лунки сгустка крови, который образуется в ране после операции и выполняет защитные функции. Таким образом, лунка остается полностью открытой, и в нее могут беспрепятственно проникнуть болезнетворные бактерии и микроорганизмы, провоцирующие воспаление.
Главными симптомами альвеолита являются увеличение отека и покраснение лунки, интенсивные боли, повышенная температура, неприятный запах из ротовой полости. Воспалительный процесс может осложняться нагноением, которое может вызвать фрагмент зуба, оставшийся в лунке. Ситуация усугубляется, если у пациента имеется заболевание десен или кариес.
Если воспаление после удаления зуба мудрости вовремя не лечить, пострадают соседние зубы и ткань десны, а также могут поддаться инфицированию надкостница и кость.
Флюс после удаления зуба мудрости
Удаление зуба мудрости может вызвать т. наз. «одонтогенный периостит» или, проще говоря, флюс. Это заболевание локализируется в надкостнице – ткани, окружающей кость. Его симптомы: отек слизистой, припухание щеки, а также постоянная боль, усиливающаяся при жевании. Иногда наблюдается пульсирование пораженного участка.
Флюс после удаления зуба мудрости чаще всего возникает по причине воспалительного процесса, происходящего в десне, а также инфицирования лунки, в которую попадают остатки пищи, а затем происходит накапливание частиц гнилостного распада. Из-за нагноения возникает опухоль щеки, повышается температура. В таком случае пациенту необходимо немедленно обратиться к врачу, который проведет тщательное обследование раны и предпримет все необходимые меры для устранения очага инфекции. После тщательного очищения раны антисептическими средствами больному понадобится консервативное лечение: прием противовоспалительных и антибактериальных средств, курс уколов и обезболивающих препаратов. В некоторых случаях назначается иммуностимулятор и витаминный комплекс.
Чем опасен флюс? Прежде всего, осложнениями в виде гнойного абсцесса или флегмоны. Поэтому во избежание серьезных последствий при наличии флюса пациент должен незамедлительно обратиться в больницу.
Онемение после удаления зуба мудрости
Удаление зуба мудрости является, по сути, хирургическим вмешательством, которое может иметь всевозможные осложнения.
Онемение после удаления зуба мудрости (медицинский термин – «парестезия») – одно из таких осложнений, проявляющихся в виде ощущений онемения на лице, в зоне удаленного зуба. Такое онемение напоминает местное обезболивание.
Онемение языка, кожи губ, щек и шеи сразу же после удаления «восьмерки» наблюдается у многих пациентов. Интенсивнее онемение ощущается после экстракции нижних зубов мудрости. Причиной такого состояния является повреждение ветвей тройничного нерва, близлежащих к зубу мудрости. Обычно такой симптом носит временный характер и проходит самостоятельно. Чувствительность у пациентов возобновляется по-разному: у кого-то – через несколько дней или недель, а кому-то может понадобиться даже несколько месяцев.
Онемение после удаления зуба мудрости иногда рассматривается как последствие анестезии. Это совершенно нормальная реакция организма на анестетик, и относиться к ней нужно спокойно, без лишнего беспокойства. Обычно такое ощущение держится несколько часов после проведения операции, пока эффект анестезии полностью не пройдет.
Если же онемение не проходит на протяжении довольно долгого периода времени, и при этом отмечается его устойчивость, пациенту рекомендуется обратиться за квалифицированной консультацией и медицинской помощью к невропатологу или нейростоматологу.
Гной после удаления зуба мудрости
Удаление зуба мудрости чаще всего имеет осложнения в виде развития воспалительного процесса в лунке удаленного зуба. Если в рану попадает инфекция, происходит воспаление десенных тканей и их нагноение. В такой ситуации пациенту необходимо как можно скорее обратиться к врачу, поскольку присутствие гноя – тревожный симптом, который указывает на то, что процесс заживления проходит, мягко говоря, не очень успешно.
Гной после удаления зуба мудрости может стать предвестником серьезных заболеваний –остеомиелита (нагноения костной ткани) или флегмоны (обширного гнойного поражения мышечных тканей), если воспалительный процесс вовремя не остановить и не очистить инфицированную рану. В домашних условиях сделать это невозможно, поскольку существует риск повторного заражения. Все процедуры по очищению раны должны осуществляться в условиях медицинского учреждения, где соблюдены все гигиенические правила и нормы.
Зачастую основная причина нагноения раны после удаления зуба мудрости кроется в несоблюдении пациентом гигиенических рекомендаций врача-стоматолога. Нельзя пытаться вылечить нагноение самостоятельно, ‒ это чревато развитием еще более опасных осложнений, в том числе заражения крови. В любом случае выход из ситуации один – срочно обратиться к медицинскому специалисту.
Кровотечение после удаления зуба мудрости
Удаление зуба мудрости – это небольшая хирургическая операция, поэтому наличие крови – естественный фактор, который сопровождает как процесс изъятия зуба, так и послеоперационный период. Обычно сворачивание крови в лунке удаленного зуба происходит в течение 1-2 минут, а незначительные кровяные выделения могут наблюдаться в течение 1-3 суток после хирургического вмешательства. По сути, кровотечение должно остановиться самостоятельно, однако бывают случаи, когда кровотечение из раны не прекращается. Причиной такого осложнения может стать повреждение крупного кровяного сосуда. В таком случае хирург-стоматолог ушивает рану или накладывает специальную гемостатическую губку, способствующую остановке кровотечения.
Кровотечение после удаления зуба мудрости также может развиться у пациента-гипертоника. В такой ситуации больному целесообразно измерить артериальное давление, и в случае его повышения необходимо принять соответствующий лекарственный препарат. Как бы там ни было, врач не должен отпускать пациента домой, пока окончательно не убедится в остановке кровотечения. Если же кровотечение развилось позже, пациенту необходимо обратиться за медицинской помощью.
[9]
Гематома после удаления зуба мудрости
Удаление зуба мудрости может иметь последствия в виде образования гематомы. В целом это нормальное явление, которое связано с травмированием сосуда в мягких тканях при введении анестетика или во время проведения операции.
Гематома после удаления зуба мудрости обычно сопровождается некоторой синюшностью, которая проходит спустя несколько дней. Однако бывают случаи, когда возникновение гематомы сопровождается болями, нарастающей отечностью десны (щеки), повышением температуры. В такой ситуации пациенту необходима квалифицированная медицинская помощь. Обычно врач осуществляет небольшой разрез десны, промывает рану антисептиком, при необходимости ставит дренаж, а также назначает пациенту антисептические полоскания и курс антибиотиков.
В группу риска входят люди, страдающие сахарным диабетом и повышенным давлением. У них наблюдается ломкость капилляров, которая приводит к образованию гематом даже при малейшем повреждении сосудов.
Осложнением гематомы является ее нагноение. При этом у пациента наблюдается асимметрия лица и болезненная припухлость половины лица. Такое состояние чревато развитием опасных заболеваний – флегмоны и абсцесса, поэтому требует своевременного медицинского вмешательства.
Киста после удаления зуба мудрости
Удаление зуба мудрости может спровоцировать развитие кисты – небольшой полости, размещенной у корня зуба и наполненной жидкостью. Кистозное образование связано с защитной функцией организма изолировать инфицированные клетки от здоровой ткани. Таким «изолятором» и выступает киста, которая, если ее не лечить, постепенно увеличивается в размерах и распространяется на другие ткани, провоцируя развитие иного осложнения – флюса.
Киста после удаления зуба мудрости может образоваться, даже если были соблюдены идеальные условия проведения операции, поэтому от такого исхода никто не застрахован. С целью предупреждения развития инфекции пациенту может быть назначен курс антибиотиков.
Киста удаляется с помощью надреза десны и удаления из нее скопившегося гноя. Врач может поставить дренаж для постоянной очистки раны. Весьма действенным и абсолютно безболезненным в наше время является лазерный метод удаления кисты. Лазер способен не только осуществить бескровную операцию по устранению кистозного образования, но и дезинфицировать пораженную зону с тем, чтобы исключить дальнейшее размножение гнойных бактерий. Кроме того, после проведения лазерного удаления кисты происходит быстрое заживление раны.
[10], [11]
Температура после удаление зуба мудрости
Удаление зуба мудрости – процесс не из приятных, т.к. сопровождается болью, кровотечением, повышением температуры и другими неприятными ощущениями. Нередко после проведения операции у пациента наблюдается повышение температуры до 37,5 °С. Это нормальная реакция организма на хирургическое вмешательство.
Температура после удаление зуба мудрости обычно спадает на следующий день после проведения операции. Иногда в течение 2-3 дней после удаления зуба температурный показатель может изменяться: утром он обычно ниже, а к вечеру повышается. Это нормальное явление, которое сигнализирует о заживлении раны. Однако если наблюдается обратный эффект – постепенное повышение температуры, то, возможно, в полости рта развился воспалительный процесс в результате инфицирования раны. В таком случае необходимо своевременно обратиться к стоматологу за оказанием медицинской помощи. Чтобы облегчить состояние, можно принять «Парацетамол».
Если температура продолжает повышаться и сопровождается такими симптомами, как покраснение и увеличение отечности десны, головная боль, отсутствие «защитного» кровяного сгустка в лунке удаленного зуба, боль в ране нарастающего характера, вполне возможно, что в лунке или тканях десны происходит воспалительный процесс, который необходимо лечить. В большинстве случаев у пациента могут развиться гематома или альвеолит. Однако окончательный диагноз поставит только квалифицированный врач.
Нагноение после удаления зуба мудрости
Удаление зуба мудрости может повлечь за собой развитие инфекционного процесса на фоне ослабленного иммунитета или неправильного ухода за раной в послеоперационный период. Одним из главных признаков проникновения инфекции в послеоперационную рану является нагноение.
Среди основных симптомов нагноения раны впоследствии удаления третьего моляра можно отметить:
- отек тканей десен, не прекращающийся на протяжении нескольких дней;
- интенсивные выделения гнойного характера из полости изъятого зуба;
- выраженный болевой синдром;
- неприятный («гнилостный») запах из полости рта.
Нагноение после удаления зуба мудрости часто возникает из-за отсутствия в лунке удаленного зуба особого кровяного сгустка (фибрина), который надежно защищает рану от пагубного воздействия болезнетворных микробов. По этой причине рана воспаляется, и в ней появляется гной. Естественно, такая проблема не должна быть оставлена без внимания, поскольку нагноение может спровоцировать развитие серьезных осложнений, таких, к примеру, как остеомиелит. Это нагноение костной ткани, которое характеризуется резким повышением температуры, интенсивными приступообразными болями и общим недомоганием больного. Остеомиелит опасен тем, что может спровоцировать заражение крови. Поэтому так важно при возникновении малейшего воспалительного процесса, связанного с удалением зуба мудрости, вовремя обратиться к врачу.
Последствия после удаления зуба мудрости целиком зависят от индивидуальных особенностей человеческого организма. В любом случае при наблюдении симптомов, сигнализирующих о развитии осложнений (болевом синдроме, опухоли щеки, повышении температуры, отеке десны и пр.), пациент должен как можно скорее обратиться к врачу. Подобные симптомы могут быть признаками развития воспалительного (гнойного) процесса. Чтобы предотвратить развитие осложнений, пациенту необходимо строго придерживаться правил гигиены полости рта, а также соблюдать осторожность во время чистки зубов во избежание травмирования поврежденных тканей десны.
ilive.com.ua
Удаление зуба с кистой, особенности операции и реабилитационного периода
Одним из сложных видов экстракции считается удаление зуба вместе с кистой. Если от нее не избавиться вовремя, возможно развитие осложнений: абсцесса, флегмоны, периостита, сепсиса. Операция проводится в крайних случаях, когда невозможно вылечить образование другими способами.
Признаки кисты
Кистa – капсула с фиброзными стенками, заполненная гноем. Она появляется на фоне воспалительного процесса. Новообразование представляет собой защитный механизм организма: так ограничивается распространение микробов и бактерий.
На рентгене новообразование выглядит как затемненный участок рядом с корнем. Ее предшественник – гранулема. Она сопровождается воспалением тканей периодонта.
Развитию инфекции способствуют:
- глубокие кариозные поражения;
- пульпит;
- периодонтит;
- недостаточная антисептическая обработка каналов при лечении;
- переломы;
- на верхней челюсти – заболевания носоглотки: гайморит, синусит.

Патология часто протекает бессимптомно.
Провоцирующими факторами считаются простудные заболевания, стресс, переутомление, ослабление иммунитета.
Важно! Патология долгое время протекает бессимптомно. Только когда костная ткань значительно разрушена, появляются периодические ноющие болезненные ощущения, воспаление десен, температура, головные боли.
Показания и противопоказания
Удаление зуба с кистой на корне – крайняя мера. К ней прибегают, когда:
- образование в диаметре превышает 1 см;
- капсула проросла в носовую полость;
- невозможно сохранить корневую систему;
- есть существенные поражения костной ткани;
- произошло срастание корня с кистой.
По ряду причин операцию откладывают на более благополучный период. К ним относят:
- первый и последний триместр беременности;
- менструацию;
- острые респираторные заболевания;
- аномалии свертываемости крови;
- тяжелые сердечно-сосудистые патологии;
- онкологию.

Зуб удаляют, если консервативная терапия не дала результатов.
Это относительные противопоказания. Если существует риск проникновения инфекции в другие структуры и органы, процедуру проводят под наблюдением профильного специалиста.
Как проходит экстракция зуба с кистой?
Удаление зуба с кистой напоминает обычную экстракцию. Однако у операции есть особенности. Процедура проводится в несколько этапов:
- обезболивание участка инфильтрационной или проводниковой анестезией;
- отслаивание десны от стенок распатором;
- расшатывание и вывихивание единицы щипцами, элеватором;
- извлечение резца, клыка или моляра из лунки.
Важно! При сложной экстракции жевательную единицу предварительно распиливают бормашиной на несколько частей, а затем последовательно извлекают каждую из них.

Перед удалением обязательно делается снимок.
После основных действий стоматолог должен провести ревизию удаленного зуба и лунки. Корень редко извлекается вместе с кистой, ее необходимо вылущивать. Из-за этого остается обширная рана. Она заживает дольше, чем при обычной экстракции.
Так как невозможно полностью избавиться от очага воспаления, отверстие обрабатывают антисептиками. Обязательно накладывают швы. Они предотвратят развитие осложнений и ускорят заживление.
Также делают контрольный рентген-снимок. Он нужен, чтобы исключить остатки капсулы, осколков, фрагментов зуба.
Особенности реабилитации
После экстракции зуба с кистой возможно появление отека, поднятие температуры до субфебрильных значений (37,5°), зубной и головной боли. Чтобы облегчить состояние и избежать осложнений, рекомендуют:
- избегать физических нагрузок;
- не принимать ванную и не посещать сауну;
- следить, чтобы кровяной сгусток не вымылся из лунки: запрещено полоскать рот 2 – 3 дня, курить, употреблять алкоголь как минимум сутки;
- пить назначенные стоматологом препараты: чаще всего выписывают обезболивающие и противовоспалительные средства.

Чтобы избежать осложнений, назначаются антибиотики.
Важно! Образование часто рецидивирует. Поэтому назначают антибиотики широкого спектра действия: «Амоксициллин», «Амоксиклав», «Линкомицин».
Альтернативные методы лечения
Зубы с кистами должны удаляться, когда невозможно избавиться от образования другими методами. Современная стоматология может вылечить заболевание терапевтическими или оперативными способами.
Консервативное лечение
Проводится на ранних стадиях заболевания, когда размер капсулы не превышает 0,8 мм. Чтобы обеспечить доступ к образованию, каналы распломбировывают. Из полости выкачивают гной, проводят антисептическую обработку и заполняют остеоиндуктивными материалами.
После устанавливают временную пломбу. Через несколько недель процедуру повторяют. Лекарства меняют до тех пор, пока образование не будет представлять угрозы.
Этот способ самый щадящий. Но лечение занимает несколько месяцев. Также часто возникают рецидивы.
Восстановительный период после лечения лазером проходит легко.
Важно! Альтернативный физиотерапевтический метод – введение медно-кальциевой суспензии и последующее воздействие электрическими импульсами.
Лазерная терапия
Наиболее прогрессивный метод. В раскрытый корневой канал вводят лазер и воздействуют на капсулу излучением. Оно удаляет образование и обеззараживает полость.
Восстановительный период после лечения лазером проходит легко. Осложнения, рецидивы появляются очень редко.
Лазерная терапия также применяется, когда капсула не превышает 0,8 мм. Однако не каждая клиника оборудована необходимой аппаратурой.
Цистэктомия
Вид оперативного вмешательства. Доступ к образованию обеспечивают через разрез в десне. Капсулу полностью удаляют вместе с пораженной верхушкой корня. После рану зашивают, назначают антибактериальную и антисептическую терапию.
Цистотомия

Удаление зуба с кистой -крайняя мера.
Также представляет собой хирургическое вмешательство. Переднюю стенку образования удаляют, сообщают с ротовой полостью. Процедуру проводят, когда образовалась крупная киста на нижней челюсти или на верхнем ряду с проникновением в носовую полость.
Гемисекция
Считается наиболее надежным зубосохраняющим методом. Проводится только на молярах. Капсула удаляется вместе с одним из корней и частью коронки. В последующем осуществляют протезирование зуба.
Экстракция зуба с кистой проводится, когда невозможно сохранить корневую систему или при серьезных повреждениях костных тканей. Операция напоминает обычное удаление. Но после извлечения обязательно проводят вылущивание, обработку лунки антисептиками, антибактериальную терапию, накладывание швов.
skzub.ru
Диагноз «Киста зуба мудрости»: какая участь ждет восьмерку
Зубы мудрости не случайно называют «бомбой замедленного действия»: до определенной поры ведут себя незаметно, а потом дают о себе знать серьезными проблемами. Частая «спутница» третьего моляра – киста, о которой рассказывают эксперты стоматологии 32 Dent.
Зубы мудрости – самые загадочные из 32 человеческих зубов. Мало того, что появляются на 10–15 лет позже остальных зубов, так еще их прорезывание связано с массой неожиданностей, чаще неприятных. Более того, иногда восьмерка не прорезается, а на десне образуется заметная капсула – фолликулярная киста зуба мудрости. Это серьезное заболевание, которое не проходит само по себе, нужна профессиональная стоматологическая помощь.

Как выглядит киста: симптомы болезни
В 40% случаев зубы мудрости растут не вертикально, а под наклоном, травмируя мягкие ткани или соседние зубы. Это главная причина появления кисты – полости, прикрепленной к верхушке корня. Внутри полость заполнена гноем или экссудатом.
Кистозная жидкость накапливается, капсула постепенно увеличивается. Стоматологи отмечают, что на верхних зубах новообразование растет быстрее из-за того, что челюстная кость мягче, более пористая, поэтому инфекция распространяется легче.
До поры человек даже не подозревает, какой неприятный сюрприз готовит ему зуб мудрости. Однако кистозная жидкость накапливается, капсула постепенно увеличивается в размерах и проявляется следующими симптомами:
- отеком десны, иногда щеки, в области больного зуба;
- резкой болью при жевании или прикосновении к зубу;
- периодической болью, которая усиливается при употреблении горячей или холодной пищи;
- повышением температуры тела, общей слабостью, снижением иммунитета.
Для внимательных пациентов поводом для беспокойства и обращения к врачу должны стать:
- потемнение зубной эмали;
- неприятные ощущения при жевании;
- головная боль со стороны зуба мудрости;
- ощущение смещения зубов.
Осложнения, которыми опасна киста
До поры киста не представляет опасности, но когда капсула увеличивается до 1 см в диаметре, то начинает давить на нервные окончания, что чревато неприятными ощущениями, онемением и асимметрией лица.
Рост и разрыв кисты приводят к осложнениям в виде гайморита, остеомиелита, периостатита.
Что делать с новообразованием
Сохранить зуб – главная задача врача, обнаружившего кисту верхушки корня. Однако с зубами мудрости тактика иная. Доступ к крайним молярам затруднен, корни часто искривлены. Даже если киста удаляется, возможен рецидив заболевания.
Поэтому в большинстве случаев показано удаление кисты вместе с восьмеркой. Экстракция считается сложной, поэтому проводится только хирургом-стоматологом. Пациенту вводят местную анестезию, после зуб разделяют на несколько частей и извлекают по очереди.
Пустая лунка обрабатывается антисептиком, края слизистой ушиваются. Восстановительный период после операции занимает 2–4 недели.
Удаление новообразования хирургическим путем – метод, который гарантирует 100% избавления от кисты.
Нашли ошибку в тексте? Выделите ее и нажмите Ctrl + Enter.
spravka03.net
Киста после удаления зуба как осложнение в хирургической стоматологии
После удаления зуба иногда случаются осложнения. Среди них одним из самых распространенных считается киста. Вовремя распознанная и обезвреженная, она не несет опасности. Но промедление с диагностикой часто влечет за собой осложнения.

Что такое киста
Киста – это замкнутое полое образование в мягких тканях, наполненное инфекционным содержимым. Кисты могут образоваться во многих органах и тканях, а после удаления зуба их местоположение – рядом с ложем, где недавно был зуб.
Патогенный фактор в кисте заключен в плотную оболочку. Пока капсула не повреждена, организму ничто не угрожает.
Причины появления кисты
Основной предрасполагающий фактор возникновения проблемы в верхней или нижней челюсти – попадание микробов в толщу мягких тканей. Но не всегда это единственная причина. Полость рта никогда не бывает стерильной, в ней всегда присутствуют микробы, а слизистые часто повреждены микротравмами. И такое положение дел не приводит к образованию кист. Для организма с правильной реакцией иммунной системы сам факт попадания инфекции недостаточен.
В случае удаления зуба дополнительными моментами, способствующими закреплению инфекции, становятся:
- обширное осеменение из воспаленного корня и высокая поражающая способность микробов – случается при разрушении сгустка крови в лунке после удаления зуба;
- неполная экстракция корней – наличие обломков в челюсти;
- нарушение санитарно-эпидемических норм во время операции по удалению зуба;
- переориентация защитных сил организма на заживление лунки после удаления зуба.
Важно! Инфекция может попасть в челюсть не только экзогенным путем – извне, но и поступить с током крови из уже существующих в организме очагов воспаления – экзогенно.
Симптомы и признаки
Киста не всегда развивается быстро. При небольшом начальном количестве болезнетворных бактерий они капсулируются в маленькую полость, и это событие никак не отражается на самочувствии носителя. В большинстве случаев этим и ограничивается инфекционное воздействие на организм. Не имея достаточной питательной среды, не слишком сильные микробы перестают размножаться, образование постепенно уменьшается в размерах, а со временем рассасывается полностью.
При одномоментном значительном количестве патогенной флоры и ее повышенной агрессивности шаровидное тело, заключившее инфекцию, постепенно увеличивается в размерах. Одновременно происходит расплавление стенок кисты, их прободение, проникновение гноеродных элементов в надкостницу челюсти и кость.
Эти процессы проявляют себя симптомами острого одонтогенного остеомиелита:
- боль в области удаленного зуба;
- местное повышение температуры;
- отек и пульсация тканей в зоне воспаления.
Важно! При появлении признаков воспаления необходимо срочно обратиться к врачу: отсутствие лечения и попытки самостоятельно справиться с проблемой усугубляют ситуацию и вызывают тяжелые осложнения.

Лечение
К доктору желательно обращаться еще на предвоспалительном этапе, когда на челюсти появляется безболезненная припухлость. В это время возможно излечение консервативными методами при помощи приема медикаментов. Но практика показывает, что редкий пациент идет к врачу при отсутствии болей.
Первая помощь
Если по каким-либо причинам срочный визит в больницу невозможен, можно принять меры для облегчения состояния при воспалении:
- полоскание полости рта теплым раствором фурацилина (или соды) несколько раз в день;
- прием обезболивающих препаратов – не более 4 раз в сутки;
- холод на зону болезненности.
Доврачебный период необходимо как можно больше сократить. Без медицинской помощи очень скоро развиваются грозные осложнения кисты:
- флегмона – после расплавления стенок и проникновения содержимого кисты в ткани;
- абсцесс – локальное нагноение;
- разрушение целостности челюсти, особенно нижней;
- распространение инфекции через гайморовы пазухи в носоглотку, бронхи, легкие и воспаление в этих органах;
- генерализация инфекции – сепсис.

Устранение патологии
Медицинская помощь заключается в определении очага инфекции, которое проводится при помощи рентгена, медикаментозном и хирургическом лечении.
Если киста не проявляет признаков воспаления, а размеры ее невелики, назначают антибиотики и физиопроцедуры. Часто этих действий бывает достаточно для дезактивации микробов и усыхания кисты.
При развитии воспаления, а тем более осложнений, капсула кисты подлежит вскрытию, дренированию или полному удалению. Это серьезные стоматологические вмешательства, которые останавливают процесс разрушения. Мягкие ткани при этом ушивают, а челюсть иногда приходится восстанавливать с помощью накладывания шины.
Таким образом, прогноз при возникновении кисты после удаления зуба может быть вполне благоприятным, если вовремя обратиться к врачу.
Важное видео: Лечение кисты зуба
posleudaleniya.ru
Осложнения после удаления зуба | Компетентно о здоровье на iLive
Лечение осложнений после удаления зуба
Процесс удаления зуба – это сложная медицинская операция, которая сопровождается травмированием прилегающих тканей. Организм на любую травму реагирует болью, отечностью, кровотечением – это физиологический процесс и особого лечения не требует. При нормальном заживлении лунки после удаления зуба боль и отечность проходят через 2 – 3 дня. В том случае, если отечность не спадает, становится больше, усиливается боль, повышается температура, начались осложнения после удаления зуба и необходимо как можно быстрее обратиться к врачу.
Небольшая температура тела, которая может наблюдаться в первые несколько дней после операции по удалению зуба является нормальным физиологическим процессом, если температура не выше 38 градусов, нет необходимости принимать жаропонижающие средства. Но длительно держащаяся температура должна насторожить человека, поскольку она свидетельствует о воспалительном процессе в организме.
Боль после удаления зуба возникает в результате травмы мягких тканей, повреждения нервных окончаний. Появляется болезненность не только непосредственно в месте удаления, а и в расположенных рядом зубах, лимфоузлах, горле и пр. В этом случае лечение заключается в приеме безрецептурных обезболивающих средств.
Если боль не проходит несколько дней, не уменьшается после приема лекарств, сопровождается отечностью, температурой – нужно срочно проконсультироваться с врачом. Иногда это может быть вызвано местной аллергической реакцией на использованные анестезирующие препараты, которая требует медикаментозного лечения.
Самым распространенным осложнением, которое развивается после удаления зуба – это альвеолит (воспалительный процесс в лунке), нагноение в результате инфицирования. Все эти осложнения кроме болезненности и отечности могут вызвать неприятный запах в ротовой полости, общую слабость. Если своевременно не приступить к лечению, могут появиться просветы на десне, кисты, абсцесс, флегмона.
Лечение зависит от стадии воспаления и состояния пациента. Иногда врач применяет вскрытие гнойного очага, выскабливание лунки, дренирование тканей и пр. Также врач, в зависимости от состояния пациента и тяжести воспаления, может назначить курс антибактериальной терапии, противовоспалительные препараты, витамины и т.п.
После удаление, в течение первых дней рекомендуется не полоскать ротовую полость. В этом случае полоскание может спровоцировать вымывание кровяного сгустка из лунки, а это может привести к тяжелым осложнениям, в частности, вызванные сухой лункой. Лечение в этом случае заключается в снижении воспаления, как местными, так и общими средствами. В некоторых случаях тщательного промывания лунки специальными антисептическими растворами с последующей обработкой мазью либо пастой. После этого назначается общее противовоспалительное и общеукрепляющее лечение.
Парестезия, сопровождающаяся онемением всей ротовой полости либо отдельных частей. Лечение проводится витаминными препаратами группы В и С, инъекциями галантамина, дибазола.
Вывихи и переломы, которые в редких случаях возникают при удалении зуба, в большинстве случаев не диагностируются своевременно. В первую очередь этому препятствует используемая при операции анестезия. Появляющиеся со временем симптомы часто связывают с инфекцией и воспалением в ротовой полости. При выявлении перелома либо вывиха нижней челюсти проводится фиксация и профилактика инфекционно-воспалительного процесса (антибиотики, противовоспалительные, витаминные препараты).
Появление просвета между гайморовой пазухой и верхней челюстью препятствует образованию кровяного сгустка, в этом случае проводится операция по сшиванию краев десны и с дальнейшей противовоспалительной терапией.
Осложнения после удаления зуба могут развиться не только по вине пациента (несоблюдение рекомендаций, режима), но и по вине стоматолога, который может слишком травматично провести операцию по удалению зуба. Чем больше повреждено прилегающих тканей при удалении зуба, тем выше риск развития осложнений, поскольку в этом случае защитные свойства ухудшаются, и бактерии легче проникают внутрь поврежденного участка, вызывая тяжелые воспалительные процессы. Крайне важно, при появлении малейших признаков воспаления (температура, которая не спадает долгое время, увеличивающаяся отечность, боль и т.п.) необходимо обратиться к стоматологу. Чем раньше приступить к лечению, тем меньше будут последствия и быстрее наступить полное выздоровление.
ilive.com.ua
Ситуация после удаления зуба: на снимке это киста? — Стоматология
анонимно
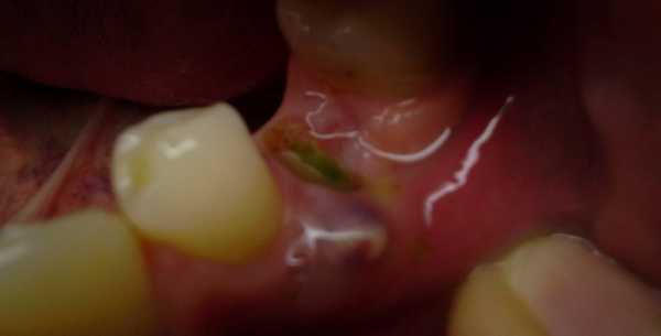
Здравствуйте. 5 недель назад удалил 26 зуб. Зуб был давно депульпирован (около 7 лет), каналы прорезорцинены. Последние 3-4 года мучали периодические гаймориты. А за месяц до удаления появились боли в месте перехода десны в небо над этим зубом, которые распространились назад до горла. На ортопантомограмме стоматолог увидел на этом зубе кистгранулему (и даже мне пытался показать, но я не увидел- снимок мелкий), а также предположил, что корни лежат в пазухе. Отправил меня к хирургу на удаление. Зуб вытянули быстро без проблем за 1 раз, сгусток сформировался. Первые 2 суток место удаления сильно болело, пил кетанов. А потом ЛОР (попутно посещал и его) назначил противоотечные препараты (от гайморита) и боль как-то постепенно прошла. Месяц рана не заживала. Неделю назад поехал к хирургу, он сделал кюретаж. Рана все равно заживает медленно, воспален один край со стороны неба. Сегодня опять был у хирурга, сделал снимок (наконец-то!). На снимке интересная полость. Снимок прилагаю, простите за плохое качество. ссылка на снимок http://s47.radikal.ru/i118/1212/b2/4f3b909cefd4.jpg Хирург миммоходом сказал, что это просто смазано на пленке. По моему настоянию посмотрел внимательно и сказал, что это возможно киста, но тогда по его словам были бы проявления гайморита (хотя знает, что я пью антибиотик). Велел неделю делать повязки-компрессы с Холисалом. Сказал, если будет и дальше плохо заживать, нужен повторный кюретаж. После удаления и первого кюретажа я не наблюдал никакого оттока жидкости из раны (кроме крови). У меня вопросы: — что это за полость? Действительно ли киста? — может ли она быть уже пустой? Если я правильно понимаю, она образовалась на корне и именно он не давал оттока, теперь же когда зуба нет, за эти 5 недель содержимое через рану могло просочиться наружу и оставить пустоту. — так ли нужен повторный кюретаж и единственный ли это метод? Ведь его уже делали, но до полости не достали (иначе, знали бы что она там есть и думаю, не сказали бы, что это смазан снимок). Возможно до полости не достанут и во второй раз… Может должны эту полость как-то вскрыть и обработать? Или вообще извлечь то, что там внутри… Или может рана потому и не заживает, что через нее вытекает содержимое (хотя я никакого явного отттока не вижу, рана постоянно покрыта слюной)? Сейчас принимаю антибиотик Далацин (кстати, принимаю уже неделю 300 мг/4 раза в сутки, а воспаление края десны возле раны и боль в небе остаются). Помогите, пожалуйста. У меня ощущение, что хирург как-то не очень уверен в своих словах и действиях, кроме кюретажа ложкой делать ничего не будет… Боюсь, что когда через 4 дня перестану пить антибиотик начнется сильное нагноение. Сейчас беспокоит саднящая боль на десне со стороны неба и перидически болит на шее место где считают пульс (может это лимфоузел?). Хотя ничего на шее не увеличено и болит не при надавливании, а само по себе. Сможет ли зажить лунка, при такой картине? (уже полтора месяца с временной пломбой на другом зубе, пломбу сказали менять когда заживет этот). Если нужно операция, то как срочно ее надо делать? Какого специалиста искать: лора, стоматолога или ЧЛХ? Операцию делают в стационаре или амбулаторно? Какова приблизительная стоимость операции? Помогите пожалуйста
К вопросу приложено фото
health.mail.ru

