Кисты поджелудочной железы КТ, МРТ, диагностика. Киста или рак. Псевдокиста
СТРОЕНИЕ ПОДЖЕЛУДОЧНОЙ ЖЕЛЕЗЫ
Поджелудочная железа представляет собой паренхиматозный орган длиной 15–16 см, расположенный ниже желудка, спереди от позвоночного столба и брюшного отдела аорты. В железе выделяют три отдела: головку, расположенную справа от средней линии и вплотную прилежащую к двенадцатиперстной кишке; хвост, находящийся слева и направляющийся к селезенке, и тело – часть железы между хвостом и головкой.
В поджелудочной железе выделяют две функциональные части: экзокринную и эндокринную. Наибольший объем занимает экзокринная часть, образованная клетками, продуцирующими панкреатический сок, содержащий пищеварительные ферменты. Сок выделяется в боковые протоки, открывающиеся в главный панкреатический проток, который, в свою очередь, открывается в просвет двенадцатиперстной кишки в области Фатерова сосочка, предварительно приняв в себя общий желчный проток.
К эндокринной части поджелудочной железы относятся небольшие скопления клеток, расположенные преимущественно в ее головке, т. н. островки Лангерганса. Эндокринные клетки поджелудочной железы продуцируют инсулин, глюкагон и соматостатин, попадающие в кровь и регулирующие обмен глюкозы и других сахаров.
ЧТО ТАКОЕ КИСТЫ ПОДЖЕЛУДОЧНОЙ ЖЕЛЕЗЫ?
Кисты, представляющие собой отграниченные скопления жидкости, могут формироваться в любом отделе железы. Истинные кисты не обусловлены воспалительным процессом и имеют выстилку, состоящую из клеток, продуцирующих жидкость. Часть этих кист имеет опухолевую природу, поэтому их обнаружение требует самого внимательного отношения со стороны хирургов и диагностов! Псевдокисты имеют воспалительную природу и не содержат специальной клеточной выстилки. В большинстве случаев их содержимым является панкреатический сок, т. к. кисты сообщаются с панкреатическими протоками. В некоторых случаях псевдокисты могут достигать нескольких сантиметров в размерах.

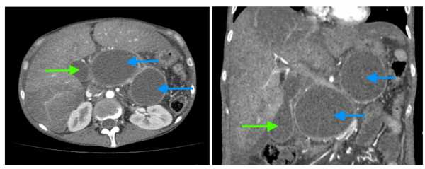
Как выглядят кисты поджелудочной железы? На компьютерных томограммах (КТ) у молодой женщины, злоупотребляющей алкоголем, с множественными эпизодами острого панкреатита в анамнезе, видны две большие псевдокисты (синие стрелки) головки, тела и хвоста поджелудочной железы, сдавливающие на окружающие ткани. Желчный пузырь (зеленая стрелка) увеличен из-за сдавления пузырного протока псевдокистой. Обратите также внимание на признаки алкогольного гепатита: увеличение печени и неравномерное накопление ею контраста, жидкость вблизи ее края.
Жидкостное содержимое кист может иметь различный характер. Так, псевдокисты содержат жидкость, богатую пищеварительными ферментами, например, амилазой. Муцинозные кисты содержат вязкую жидкость, содержащую большое количество белка, продуцируемую внутренней выстилкой кисты. Серозные кисты содержат менее вязкую жидкость и обычно не являются злокачественными.
Классификация кист поджелудочной железы:
Простая панкреатическая киста
Псевдокиста
Серозная цистаденома
Муцинозная цистаденома
Муцинозная цистаденома и цистаденокарцинома
Внутрипротоковая (интрадуктальная) папиллярная муцинозная опухоль (IPMN)
Эхинококк
Рак поджелудочной железы с кистозным компонентом
Кисты как проявления других заболевания: болезнь Гиппеля-Линдау, туберозный склероз, муковисцидоз
СИМПТОМЫ КИСТ ПОДЖЕЛУДОЧНОЙ ЖЕЛЕЗЫ
Клинические проявления кисты зависят от ее размера и расположения. Образования размером меньше двух сантиметров чаще всего протекают бессимптомно, в то время как кисты большего размера оказывают объемное воздействие на ближайшие структуры и приводят к появлению боли в животе и спине. В результате обструкции общего желчного протока кистой головки поджелудочной железы может возникнуть желтуха. При инфицировании кисты возникает лихорадка, озноб, признаки сепсиса. Редко кисты могут достигать огромных размеров, сдавливая двенадцатиперстную кишку или желудок, и приводя к возникновению непроходимости, проявляющейся болью в животе, рвотой. Кистозный рак может приводить к появлению боли вверху живота с иррадиацией в спину.
ВАРИАНТЫ КИСТ ПОДЖЕЛУДОЧНОЙ ЖЕЛЕЗЫ
Серозная цистаденома: чаще всего является доброкачественной, возникает преимущественно у женщин среднего возраста, локализуется в теле или хвосте поджелудочной железы. Обычно имеет малые размеры и не приводит к появлению какой-либо симптоматики.

На МРТ (Т2 ВИ, аксиальная и корональная томограммы) определяется многокамерное объемное образование с множественными перегородками и содержимым с гиперинтенсивным сигналом. Это патоморфологически подтвержденная серозная цистаденома поджелудочной железы. Источник: http://www.radiographia.ru/node/5568
Муцинозная цистаденома: в 30% содержит рак, в остальных случаях рассматривается как предзлокачественное состояние. Так же, как и серозная цистаденома, чаще обнаруживается у женщин среднего возраста, имеет схожую локализацию.
Пример, когда «киста» поджелудочной железы представляет собой на самом деле опухоль — муцинозную. цистаденому. На КТ (слева) видно крупное кистозное образование в хвосте и теле поджелудочной железы с перегородками и простым жидкостным содержимым. На МРТ у этого же пациента определяется сигнал высокой интенсивности в кисте, видны также множественные перегородки с низкой интенсивностью сигнала. Источник: https://radiopaedia.org/articles/mucinous-cystadenoma-of-the-pancreas-1
Внутрипротоковая папиллярная муцинозная опухоль (ВПМО): кистозное образование, в котором часто обнаруживается рак, с высокой вероятностью озлокачествления. На момент установления диагноза в 45–65% случаев в ВПМО обнаруживается рак. Чаще всего ВПМО обнаруживаются у мужчин. Опухоль располагается в головке поджелудочной железы, вследствие чего чаще приводит к возникновению симптоматики, обусловленной обструкцией панкреатического и желчного протоков.

На КТ (слева) в области головки поджелудочной железы визуализируется кистозное образование, обуславливающее расширение панкреатического протока. На аксиальной МРТ (справа) в образовании определяется гиперинтенсивный сигнал. При патоморфологическом исследовании подтвердилась внутрипротоковая папиллярная муцинозная опухоль (IPMN). Источник: https://radiopaedia.org/cases/intraductal-papillary-mucinous-neoplasm-large-2
Солидная псевдопапиллярная опухоль: редкое новообразование поджелудочной железы, состоящее как из кистозного, так и солидного компонента, распространенное преимущественно среди молодых женщин с темной кожей, а также женщин азиатского происхождения. Может достигать больших размеров и озлокачествляться.

На КТ (слева) визуализируется большая опухоль смешанной (кистозно-солидной структуры) с преобладанием мягкотканного компонента. На МРТ (Т2 ВИ) слева определяется гипоинтенсивный сигнал в большей части образования. Патоморфологически подтвердилась солидная псевдопапиллярная опухоль. Источник: https://radiopaedia.org/cases/solid-pseudopapillary-tumour-of-the-pancreas-3
ПАНКРЕАТИЧЕСКАЯ ПСЕВДОКИСТА
Псевдокисты являются следствием алкогольного, желчекаменного, травматического или постоперационного панкреатита. Содержимое псевдокисты представляет собой омертвевшую ткань железы, подвергшуюся разжижению, воспалительные клетки, а также пищеварительные ферменты в большом количестве, поскольку подавляющее число псевдокист сообщаются с панкреатическими протоками.
ДИАГНОСТИКА КИСТ ПОДЖЕЛУДОЧНОЙ ЖЕЛЕЗЫ
Основные методы диагностики кистозных образований — это УЗИ, КТ и МРТ. Поскольку большинство кист не приводит к появлению симптоматики, они часто являются случайной находкой при исследованиях, выполняемых по другому поводу.
КТ и МРТ брюшной полости позволяют наиболее точно обнаружить кистозное образование поджелудочной железы, а также охарактеризовать его структуру, обнаружив признаки, свидетельствующие об опухолевой природе и потенциальной злокачественности процесса. С помощью КТ и МРТ точно видны размеры образования, его границы и распространенность, вовлеченность сосудов, лимфатических узлов и окружающих органов.
Все большее распространение в дифференциальной диагностике вероятно доброкачественных, предраковых или злокачественных кист получает эндоскопическая ультрасонография. Во время процедуры гибкий эндоскоп с небольшим УЗ-датчиком проводится через рот, пищевод и желудок в двенадцатиперстнцю кишку, располагаясь в непосредственной близости к поджелудочной железе, печени и желчному пузырю. Под контролем эндоскопической ультрасонографии появляется возможность выполнить биопсию содержимого кисты с целью ее дальнейшего анализа на опухолевые клетки, амилазу, онкомаркеры. Высокий уровень ракового эмбрионального антигена и наличие клеток опухоли указывает на злокачественный характер кисты.
ИСТИННАЯ КИСТА ИЛИ ОПУХОЛЬ?
Помните, что понятие «киста» применительно к поджелудочной железе может относиться и к опухолям, в том числе, злокачественным! Хотя в большинстве случаев окончательное решение вопроса о доброкачественности или злокачественности кисты возможно только после биопсии, результаты КТ и МРТ зачастую требуют пересмотра опытными диагностами с целью более точной их оценки. Перепроверка результатов исследований врачами экспертного уровня нередко помогает исключить или подтвердить рак уже на начальном этапе диагностики. Заказать такую проверку можно в Национальной телерадиологической сети – службе удаленных врачебных консультаций по сложным и спорным случаям.
ЛЕЧЕНИЕ КИСТ ПОДЖЕЛУДОЧНОЙ ЖЕЛЕЗЫ
В большинстве случаев небольшие кисты не требуют никакого лечения, особенно если отсутствуют КТ- или МРТ-признаки их злокачественности. Подозрительные кисты подвергаются динамическому наблюдению с использованием УЗИ, КТ или МРТ; при увеличении размеров кисты и (или) изменении ее структуры выполняется аспирационная биопсия (под контролем ультрасонографии), а затем оперативное вмешательство. В настоящее время только операция позволяет добиться полного излечения. Оперативное лечение показано не только при злокачественных опухолях, но и в случае доброкачественных кист, обуславливающих выраженную симптоматику. Варианты оперативных вмешательств: резекция кисты, панкреатэктомия, панкреатодуоденэктомия (операция Уиппла), возможно, в сочетании с химиотерапией. Помните, что для проведения правильного лечения необходим точный диагноз, а поставить его помогает экспертная оценка результатов КТ и МРТ.
Василий Вишняков, врач-радиолог
Читать подробнее о Втором мнении
Читать подробнее о телемедицине
Кандидат медицинских наук, член Европейского общества радиологов
teleradiologia.ru
Кисты хвоста поджелудочной железы и их лечение
Объективные данные, указывающие на локализацию кисты в хвосте поджелудочной железы, довольно типичные: болевой синдром в левом подреберье, пальпируемое опухолевидное образование с нечеткими границами. Чем больше киста, тем лучше она пальпируется в виде округлого образования.Принципы хирургического лечения остаются такими же, как и при кистах тела поджелудочной железы, однако большинство хирургов склонно активно использовать радикальные методы — резекцию хвоста железы вместе с кистой в пределах здоровых тканей в области железы.
Пункция кисты, наружное дренирование и внутреннее дренирование остаются в арсенале хирургического лечения. Всегда следует помнить о возможности трансформации кисты и быстром ее метастазировании. Нагноение кисты и кровотечения наблюдаются также часто, как и при другой локализации кист. Особенность анатомического расположения обусловливает резекцию хвоста железы вместе с кистой. Однако всегда встает вопрос о спленэктомии.
Пункция кисты хвоста поджелудочной железы. Высокая технологичность эндоскопических исследований позволяет практически во всех случаях произвести пункцию (и неоднократную) при хирургическом лечении кисты хвоста поджелудочной железы. Однако эффективность такого лечения сомнительна и дает высокую частоту (почти 95-98%) рецидивов. Поэтому предпочтительнее наружное дренирование.
Наружное постоянное дренирование проводится под контролем УЗИ в левом подреберье с последующей катетеризацией полости кисты. Опасность проведения наружного дренирования закрытым способом больше склоняет хирургов к выполнению его под эндоскопическим контролем. Как правило, кисты хвоста поджелудочной железы изолированы от вирсунгова протока, поэтому его повреждение всегда возможно только в пределах неизмененных тканей.
Очень распространено внутреннее дренирование, однако гастроцистопанкреатикоанастомозирование, особенно через просвет желудка, представляет определенные технические трудности, поэтому мы отказались от этого вида дренирования. В одном случае хирург сделал такую попытку и она оказалась неудачной. Во время лапаротомии киста находилась в стороне от задней стенки желудка и создание анастомоза затруднялось выраженным натяжением тканей.
Поэтому рана в желудке зашита двухрядным швом, а киста дренирована наружу. Послеоперационный период протекал гладко. У пациентки (28 лет) наступила малигнизация кисты. Больная поступила повторно через год в иноперабельном состоянии. Весь арсенал лечения не дал успеха и она довольно быстро умерла от метастазов. После этого случая в подобных ситуациях мы склонны выполнять резекцию хвоста поджелудочной железы в пределах здоровых тканей вместе с кистой.
Резекция кисты хвоста поджелудочной железы. Операция неоднозначная. Всегда приходится решать вопрос о спленэктомии. Данные литературы свидетельствуют о том, что оставление селезенки при резекции кисты в хвосте поджелудочной железы является проблематичным. Плотное сращение тканей в результате воспалительного процесса, анатомическое неблагоприятное расположение кровеносных сосудов склоняет хирургов производить резекцию хвоста поджелудочной железы вместе с кистой, удаляя при этом и селезенку.
Поэтому такое вмешательство часто вполне обоснованно. Однако если киста небольших размеров и располагается по нижнему краю поджелудочной железы, а кровеносные сосуды доступны к их препарированию, то селезенка может не удаляться. Практически всегда производится спленэктомия, особенно в случае, когда имеются цистоплевральные свищи. Последние проходят параэзофагеально левее пищевода. В этих ситуациях спленэктомия просто необходима.
Перипроцесс в области селезенки требует тщательной хирургической техники (рис. 156). В настоящее время для этого используются аппараты ультразвуковой коагуляции, ушивание ткани и их рассечение аппаратом Liga-Suer, лазерная коагуляция, электрокоагуляция. Благодаря этому удается выполнить практически бескровно спленэктомию. Большое внимание придается укрытию проксимального участка поджелудочной железы. Если вирсунгов проток в проксимальном направлении проходим, то вполне обоснованно его ушивание.
Рис. 156. Схемы двух методик резекции хвоста поджелудочной железы вместе с кистой:
а — с удалением селезенки; б — без спленэктомии; 1 — тело поджелудочной железы; 2 — вирсунгов проток; 3 — красная линия — пересечение поджелудочной железы; 4 — киста хвоста поджелудочной железы; 5-а. lienalis; 6-v. lienalis; 7 — селезенка; 8 — хвост поджелудочной железы
Для этого важно проделать следующую пробу. В просвет осторожно вводится хлорвиниловая трубка, через которую под небольшим давлением нагнетается 0,25% раствор новокаина. Если он проходит свободно в проксимальном направлении, то вирсунгов проток функционирует. Если же вирсунгов проток непроходим, и раствор новокаина вытекает наружу, то достаточно культю (проксимальную) ушить швами, соблюдая при этом определенные требования. Она пересекается в виде лодочки (рис. 157), что позволяет укрыть поверхность проксимальной культи отдельными швами. В любом случае к культе необходимо подводить наружный дренаж (рис. 158).

Рис. 157. Схема укрытия культи (проксимального конца) поджелудочной железы: а — укрытие при хорошей проходимости вирсунгова протока; 6 — при непроходимом вирсунговом протоке

Рис. 158. Клиновидное иссечение кисты хвоста поджелудочной железы: а — типичное клиновидное иссечение хвоста вместе с кистой поджелудочной железы; 6 — укрытие раневой поверхности прядью сальника; в — подведение пряди сальника между узловыми швами ткани железы; 1 — хвост поджелудочной железы; 2 — клиновидное иссечение ткани вместе с кистой; 3 — киста; 4 — узловые швы на края раны; 5 — прядь большого сальника; 6 — швы края иссечения ткани с захватом сальника; 7 — дренажная трубка для постоянной аспирации
Следует отметить, что непосредственные и отдаленные результаты резекции хвоста поджелудочной железы вполне благоприятны. Каким бы методом не проводилось лечение кист хвоста поджелудочной железы, оно базируется на методиках профилактики образования лечения панкреатических свищей.
И.Н. Гришин, В.Н. Гриц, С.Н. Лагодич
medbe.ru
виды, расположение и размеры, причины, симптомы, диагностика, лечение (диета), осложнения, профилактика и прогноз жизни
Киста поджелудочной железы представляет собой полость во внутренней или наружной ткани органа пищеварительной системы, это патологическое образование заполнено панкреатическим секретом. Заболеванию, имеющему код в МКБ 10 (Международной классификации болезней) К86-2, подвержены чаще молодые люди.

Специалисты, изучив все образования на поджелудочной железе, выделяют следующие их виды: врожденные (дизонтогенетические) и приобретенные.
Классификация
Специалисты, изучив все образования на поджелудочной железе, выделяют следующие их виды: врожденные (дизонтогенетические) и приобретенные.
Первые появляются из-за нарушения протоковой системы органа или при развитии пороков его ткани. Существует несколько разновидностей приобретенных кист:
- Дегенеративные (возникают при деструктивном панкреатите поджелудочной, когда начинается некроз ее тканей, и при травмах органа).
- Ретенционные (застойные) — развиваются после того, как конкременты закупорили выводные протоки железы.
- Полиферационные (близки по своему строению к опухолям и бывают как доброкачественными, так и злокачественными).
В зависимости от особенностей кист поджелудочной, симптомов и причин появления, их классифицируют на истинные (к ним относятся все врожденные образования и 2 вида приобретенных: полиферационные и ретенционные) и ложные.
Врожденная
Врожденная истинная киста всегда имеет эпителиальную ткань, которая выстилает всю ее внутренность.
У остальных образований поджелудочной железы такая выстилка отсутствует.
Также она отличается небольшими размерами и часто обнаруживается во время операций на пищеварительном органе. Встречается это образование в 5 раз реже, чем опухоли и дегенеративные кисты.
Лечение постнекротических кист поджелудочной железы.
ПРИОСТАНОВИТЬ РОСТ КИСТЫ ПОМОЖЕТ СОК И КОРЕНЬ ЛОПУХА
Псевдокиста
Ложная киста — наиболее распространенный вид образований железы (80% всех выявленных случаев). Она похожа на цистаденому (доброкачественную опухоль поджелудочной) и плохо поддается лечению, поэтому часто перерождается в муцинозное раковое образование. Выстланная грануляционной тканью постнекротическая киста содержит внутри отмершие частицы тканей, серозную жидкость и может быть удалена хирургическим путем.
Расположение и размеры
Истинные новообразования бывают от 2-3 до 27 мм.
Что касается псевдокист поджелудочной, то они намного больше (среди них встречаются гигантские, по 15 см, опухоли). Количество жидкости, которой они заполнены, может доходить до 2 л.
Эти образования могут располагаться в любом месте железы и смещать другие органы желудочно-кишечного тракта (ЖКТ), давя на них.
Например, если патология локализуется рядом с сальниковой сумкой (щелью в брюшной полости позади желудка), то она оттесняет желудок вниз, а печень — вверх. Если образование поджелудочной железы распространяется в нижнюю часть брюшной полости, то тонкий кишечник отодвигается еще ниже, а поперечная ободочная кишка поднимается выше.
Чем опасна киста в поджелудочной железе
Оттесняя в сторону органы ЖКТ, киста нарушает их функционирование, приводит к сбою в работе и со временем провоцирует заболевания в них. Опухоль на поджелудочной может стать злокачественной и явиться причиной смерти больного, т. к. метастазы от нее на окружающие ткани распространяются быстро.
Появившиеся при хроническом панкреатите псевдокисты могут провоцировать свищи, разрываться. Если их содержимое выльется в брюшную полость, то способны возникнуть некроз и абсцесс тканей и начнется нагноение поджелудочного образования. Велика опасность развития перитонита (воспаления брюшины) и отравления организма.
Причины возникновения
На возникновение опухоли влияют разные факторы. Чаще всего болезнь развивается из-за воспаления железы — панкреатита. Если он приобретает хронический характер, кисты являются его спутницами в 40-70% выявленных случаев (при острой форме воспаления вероятность развития опухолей составляет 5- 20%). Распространенными образованиями являются кисты тела органа. Они также поражают головку поджелудочной железы, локализуются в ее хвосте. На пищеварительном органе может образоваться несколько опухолей.
Другими причинами новообразования являются: желчнокаменная болезнь, кровоизлияния в область паренхимы (ткани) железы. Послеоперационная киста может развиться в результате случайного травмирования хирургом поджелудочного органа.
Первым этапом возникновения новообразования является большое скопление в одном месте лимфоцитов и лейкоцитов-нейтрофилов.
Затем развивается воспаление, которое не перекидывается на другие участки паренхимы. В воспаленной области соединительная ткань разрастается, а остальные ее клетки разрушаются иммунной системой, и на их месте образуется полость. В нее из протоков поджелудочной железы поступает панкреатический сок.
Здесь же накапливается серозная жидкость и частицы крови, появившиеся из-за повреждения мелких сосудов. При нарушении прохода желчи по протоку формируются образования с эпителиальными стенками. Давление внутри опухоли повышается в 3 раза.

Распространенными образованиями являются кисты тела органа.
Симптомы
Если кисты имеют небольшие размеры, то больной не догадывается об их наличии на поджелудочной или внутри нее, т. к. заболевание протекает бессимптомно.
Проявление патологии свидетельствует о том, что она уже развилась в организме, а в полости опухоли скопилось много панкреатического сока. Человек может жаловаться на несильные боли в брюшной полости (в правом или чаще левом подреберье), иногда болезненные ощущения приобретают острый характер. Это может быть признаком разрыва кисты поджелудочного органа. Среди распространенных симптомов: тошнота, снижение аппетита, слабость и похудение, повышенная температура тела, озноб, реже — рвота.
Диагностика
Почувствовав первые признаки нездоровья, человек должен немедленно обратиться к врачу для установки диагноза. Гастроэнтеролог, услышав о симптомах заболевания поджелудочной железы, проведет визуальный осмотр живота с пальпацией. Бывает, что в месте локализации образования живот слегка выпячен и контраст между ним и остальной частью брюшной полости является выраженным. При пальпации боль становится сильнее.
В диагностике опухоли железы анализы крови и мочи помогут мало. Иногда могут быть повышены уровни лейкоцитов и билирубина, выявляется увеличение СОЭ.
Достоверными методами диагностики кисты поджелудочной в этом случае являются: эндоскопическая холангиопанкреатография (ЭРХПГ), компьютерная томография (КТ), УЗИ и МРТ.

Достоверными методами диагностики кисты поджелудочной в этом случае являются: эндоскопическая холангиопанкреатография (ЭРХПГ), компьютерная томография (КТ), УЗИ и МРТ.
Ультразвуковое исследование позволяет выявить ограниченное скопление жидкости и определить размер кисты. Если образование начало гноиться, эхосигнал на фоне его полости будет неравномерным. А если в просвете этой полости есть ограниченная структура (опухоль), это может быть рак.
При КТ можно точно выявить локализацию образования, но нельзя определить его вид. МРТ помогает обнаружить связь кисты с протоком поджелудочной железы.
Самым лучшим методом считается ЭРХПГ, при этом исследовании четко видна связь опухоли с протоками органа, что позволяет хирургам определиться с тактикой лечения. Но при данном методе диагностики можно занести инфекцию внутрь организма, поэтому он используется только для решения вопроса о способе операционного вмешательства.
Лечение
Врачи лечат заболевание хирургическим путем. Вид операции зависит от изменений ткани поджелудочного органа, размера кисты, ее локализации. В медицинской практике используется наружное или внутреннее дренирование. Последнее получило хорошие рекомендации, т. к. риск рецидива после него низок, а боль в животе проходит. В тяжелых случаях патологии проводится резекция (удаление) новообразования вместе с тем отрезком поджелудочной, который является его локализацией.
Диета
Важным условием лечения при кисте пищеварительного органа является правильный режим питания и соблюдение диеты. Доктора назначают своим пациентам панкреатическую диету №5. Из ежедневного меню следует исключить блюда жирные, копченые и острые. Еду нужно готовить не на мясных бульонах, а на воде. Лучшими способами готовки считаются: варка, запекание, обработка на пару. Хорошо готовить пищу в мультиварке. Больным кистой поджелудочной железы необходимо питаться часто, еду хорошо измельчать. Холодные и горячие блюда стоит заменить теплыми (до 37°С).

В медицинской практике используется наружное или внутреннее дренирование. Последнее получило хорошие рекомендации, т. к. риск рецидива после него низок, а боль в животе проходит.
Разрешенные в этой диете мясные продукты — отварная нежирная рыба, птица без кожи, телятина, которые перед употреблением мелко нарезают, разминают или протирают. Первыми блюдами являются постные борщи и щи, протертые супы из тыквы, картофеля, моркови с добавлением сметаны, супы перловые и молочные с макаронами. Из круп можно есть коричневый рис, овсяную и гречневую каши.
В меню людей с опухолью поджелудочной железы входит ржаной хлеб и отруби, вареный или запеченный яичный белок, допускается употребление пресного сыра и нежирного творога.
Из кондитерских и сладких изделий можно есть пресное печенье, пряники без шоколада, мармелад. Пить следует компоты из сухофруктов, кисели, соки, разбавленные водой, чаи с лимоном или молоком. Из фруктов можно употреблять в пищу бананы, сладкие яблоки, арбуз и дыню в небольшом количестве.
Осложнения
Опасными осложнениями опухоли поджелудочного органа являются разрывы, крупные образования и поликистоз, а также протоковая киста.
Разрыв
При разрыве опухоли ее содержимое может вылиться либо в пищеварительный орган, либо в брюшную полость, что приведет или к асциту (водянке), или к перитониту. При несвоевременном обращении к врачу человек может умереть.

Важным условием лечения при кисте пищеварительного органа является правильный режим питания и соблюдение диеты. Доктора назначают своим пациентам панкреатическую диету №5.
Протоковая киста
Опухоль может соединиться с протокой поджелудочной железы, если она образуется внутри органа. В этом случае она носит название папиллярно-муцинозной. Редкое новообразование может развиваться годами.
Бывает, что при постановке диагноза доктора ошибаются и считают, что у пациента панкреатит.
Это заболевание поджелудочной перерождается в злокачественное и не всегда поддается лечению, поскольку внутрипротоковая киста нередко обнаруживается у пожилых людей.
Крупные кистозные образования
Особенностью крупных новообразований является их способность содержать в себе до 2 л секреции (сока).Растягиваясь и давя на окружающие органы, эти кисты могут пропотевать (просачиваться) сквозь них. Некоторые опухоли поджелудочной железы достигают мошонки и средостения (области, в которой расположены легкие и сердце). Таким образом, они могут спровоцировать заболевания этих органов и пациенту придется лечиться от нескольких патологий.

При разрыве опухоли ее содержимое может вылиться либо в пищеварительный орган, либо в брюшную полость, что приведет или к асциту (водянке), или к перитониту. При несвоевременном обращении к врачу человек может умереть.
Поликистоз
При этом осложнении в организме человека образуется не одна, а много кист, каждая из которых заполнена панкреатическим соком пожделудочной. Это явление может спровоцировать стеаторею (повышенное выделение жира с каловыми массами) и легочные заболевания.
Профилактика
Не допустить появление патологии можно, соблюдая здоровый образ жизни, забыв об алкоголе, правильно питаясь.
Стоит внимательно относиться к своему организму, при появлении дискомфорта в нем обращаться в поликлинику и проходить обследование поджелудочной железы и других органов.
Может ли рассосаться киста поджелудочной железы?
Вовремя обнаруженные несформировавшиеся до конца опухоли (менее 3 см) могут рассосаться и исчезнуть, если применить к ним консервативное лечение препаратами или средствами народной медицины. Воспаление купируется и проходит. Крупные кисты сами не рассасываются, их устраняют хирургическим путем.

Вовремя обнаруженные несформировавшиеся до конца опухоли (менее 3 см) могут рассосаться и исчезнуть, если применить к ним консервативное лечение препаратами или средствами народной медицины.
Прогноз жизни
Если кисту поджелудочной железы обнаружили на ранней стадии ее образования и она имеет небольшие размеры, заболевание можно вылечить и исключить опасность рецидива. При старых образованиях больших размеров прогноз жизни менее благоприятен. В 30-50% могут возникать осложнения, не всегда излечимые. Поэтому здоровье человека зависит от него самого.
podzhelud.info
Врожденная киста поджелудочной железы (Q45.2) > Справочник заболеваний MedElement > MedElement
С точки зрения дифференциальной диагностики обычно приходится исключать опухоли и кисты печени, различные виды спленомегалии, гидронефроз и опухоли почек, опухоли и кисты брыжейки, забрюшинного пространства и яичника, аневризму аорты и осумкованные гнойники брюшной полости.
1. Системные заболевания. Кистозный фиброз (муковисцидоз), см. пункт E84.
2. Паразитарные кисты. Эхинококкоз, см. пункт B67.
3. Ложные кисты (псевдокисты) или кистоиды, наиболее часто обнаруживаются в области хвоста поджелудочной железы, реже — в области тела. Они возникают на месте кровоизлияний, некрозов, травм после рассасывания омертвевших тканей и крови.
Кистоиды не связаны с системой выводных протоков. Их размеры зависят от объема первоначального некроза и последующей транссудации в их полость. В результате обильного скопления транссудата ложные кисты могут находиться далеко за пределами поджелудочной железы — между желудком и поперечной ободочной кишкой или желудком и печенью.
Ложные кисты имеют различное содержимое: кашицеобразное, кровянистое, гноевидное, иногда бурого цвета, реже в виде серозной бесцветной жидкости. Иногда в содержимом присутствуют диастатический и липолитический ферменты. Стенки полостей не имеют эпителиальной выстилки и представляют собой грануляционную или в различной степени склерозированную соединительную ткань.
Возможные причины кровоизлияний: очаги геморрагического некроза поджелудочной железы, травмы (травматические кисты), атеросклероз и воспалительные процессы.
По мнению некоторых авторов, кровоизлияния в основном возникают при хроническом панкреатите. Вследствие застоя секрета в дольках железы происходит самопереваривание ткани и, в частности, нарушение целостности стенок сосудов. В результате инкапсуляции образующаяся гематома поджелудочной железы превращается в кисту.
4. Ретенционные кисты выявляются, как правило, в виде единичных образований, достигающих значительной величины. Более редко они мелкие и множественные; выстланы одним слоем кубического, иногда уплощенного эпителия, в котором может наблюдаться плоскоклеточная метаплазия.
В крупных кистах обычно содержится серозная жидкость, в мелких — коллоидные или известковые массы.
Ретенционные кисты формируются из протоков поджелудочной железы вследствие затруднения или полного прекращения оттока секрета, причинами которых могут быть камни протоков, опухоли железы и хронические рубцующие воспалительные процессы.
Однако, экспериментально установлено, что полное закрытие выводного протока само по себе еще не обусловливает появления ретенционной кисты. Киста не успевает сформироваться поскольку секрет, скопившийся в диффузно расширившемся дистальном отделе протока и всех его разветвлениях, рассасывается за короткий срок. Из этого следует, что для развития кист требуются такие добавочные условия, как препятствие к всасыванию секрета через лимфатические пути и нарушение нормального строения стенки протока. Подобные условия имеют место при хроническом интерстициальном панкреатите. Величина кист во многом зависит от размеров поперечного сечения пострадавшего протока.
5. Опухоли поджелудочной железы. В поджелудочной железе крайне редко встречаются доброкачественные опухоли соединительнотканного происхождения (фибромы, липомы, миксомы, хондромы и лимфангиомы). Лимфангиомы иногда образуют лимфатические кисты.
Среди доброкачественных новообразований поджелудочной железы эпителиального происхождения выделяют экскреторные аденомы, которые формируются из эпителия выводных протоков и встречаются сравнительно редко. Чаще они возникают в очагах склероза поджелудочной железы, однако, могут развиваться в любом ее отделе.
Гистологически экскреторные аденомы представляют собой очаговое разрастание высокого однослойного эпителия, выстилающего выводные протоки. Иногда опухоль имеет папилломатозный характер. Зачастую в аденомах наблюдаются кисты различной величины, выстланные уплощенным эпителием.
При количественном преобладании кист опухоль имеет вид цистоаденомы. Мелкие кисты обычно отделены друг от друга тонкими соединительнотканными перегородками; участки с крупными кистами богаты толстыми соединительнотканными прослойками. Такого вида кисты обычно выстланы кубическим эпителием.
Цистаденокарцинома представляет собой очень злокачественную опухоль, нередко развивающуюся у молодых людей. Она чрезвычайно быстро пролиферирует, переходит на окружающие органы на ранней стадии. Опухоль обычно уже неоперабельна к тому времени, когда больной попадает на операцию.
diseases.medelement.com
киста головки, хвоста, симптомы и лечение
Заболеваний поджелудочной железы много. Любая боль в области ее расположения требует немедленного визита к врачу. Зачастую по характеру боли диагноз врач не поставит. В такой ситуации ясно одно, проявилась какая-то патология.
Это может быть панкреатит, панкреолитиаз, опухоли, образования, среди которых часто встречается киста поджелудочной железы. Для определения заболевания нужно тщательное обследование органов брюшины.

Этиология образования
Киста представляет собою опухолевидное формирование в тканях самой железы или на ее поверхности, наполненное специфической жидкостью, состоящей из пищеварительного секрета или отмерших некротизированных тканей. По этиологии они бывают:
- Истинными, значит, врожденными. Возникают в связи с патологией развития органа. Размеры образования незначительны и выявляются обследованиями других органов. Изнутри выстилается эпителием.
- Ложными, т. е. приобретенными. У них образования внутри выстланы рубцовой и замещающей тканью. Провокаторами образования кисты поджелудочной железы являются воспалительные процессы панкреатиты, панкреолитиаз — камни, травмы железы.
Места образования бывают:
- на головке;
- на теле;
- на хвосте.
Согласно сведениям врачебной статистики 15% образований возникают в головке, 85% охватывают хвостовую часть и тело.

Клиника болезни
Болевой синдром проявляется в зависимости от места образования кисты в подреберье: левом или правом, в области пупка, охватывает левую часть тела или носит круговой характер. Его интенсивность зависит от осложнений, вызванных болезнью, в близлежащих органах:
- желтуха кожи и глазного яблока вследствие пережатия общего желчного протока;
- нарушение пищеварения, диарея в случае перекрытия протока поджелудочной железы;
- повышение температуры, озноб, слабость как итог инфицирования содержимого кисты, ее нагноение;
- перитонит случается при разрыве кисты и выходом ее состава в брюшину.
Киста на поджелудочной железе лечение, неполноценное или его отсутствие, спровоцирует осложнения, опасные для жизни пациента
Диагностика
Когда человек обращается за помощью к доктору, кроме визуального осмотра, всегда назначается комплексная диагностика. Видов исследований больше, чем точнее надо установить диагноз:
Доступный и быстрый метод, с помощью которого диагностируется ложная киста поджелудочной железы, УЗИ. Врач-диагност обследует органы брюшины, устанавливает отклонения в поджелудочной железе. Если это ее образование, то определяется его место, форма и размеры. Это может быть киста головки поджелудочной железы, хвоста или ее тела.
Чтобы понять образование является кистой, злокачественной опухолью, или образованиями соседних органов, проводится исследование МРТ (магнитно-резонансная томография).
Исследование биохимическое, цитологическое, микробиологическое позволит определить образование на его этиологию, используя пункцию из содержимого кисты.
Аппаратные и процедурные исследования дополняются лабораторными исследованиями крови и мочи
Обследование позволит установить киста на поджелудочной железе злокачественная, предраковая или доброкачественная, соответственно назначается и лечение.
Лечение
С точным диагнозом на руках пациент может ознакомиться с методами лечения его конкретного случая.
Консервативная терапия
Консервативная терапия используется в случае неосложненных форм образований:
- небольшие размеры,
- интенсивный процесс воспаления в ПЖ,
- стадия формирования.
При отсутствии жалоб пациента на плохое самочувствие и размера опухоли до 3 см рекомендуется наблюдение за развитием болезни и щадящая диета
Ложная киста нуждается в хирургическом лечении. Его виды:
- дренажные операции;
- удаление частей железы вместе с кистой.
Применения метода зависит от признаков и показаний анализов:
- причины, сформировавшие образование;
- размеры образования;
- качество изменения ткани железы;
- состояние проток системы;
- осложненные формы: нагноения, кровотечение, перитонит, свищи, перфорация.
Хирургическое

Хирургическое вмешательство часто сопровождается ущербом для близлежащих органов, по роду деятельности связанных с железой. В сути лечения хирургическим путем лежит опорожнение полости образования. Существует несколько хирургических методов удаления образований поджелудочной железы:
Цистоэнтеростомия
Это аутопсия, т. е. вскрытие внутренности кисты, обработка ее полости различными антибактериальными средствами. После этого ее стенка и кишечник сшивают, формируя канал для вывода желудочного сока в ЖКТ.
Цистогастростомия
Киста хвоста поджелудочной железы чаще всего располагает к такой операции. Она больше всего примыкает к желудку. Полость прокалывается и опорожняется от секрета, затем сшивается с рассеченной задней стенкой желудка. Это обеспечивает быстрое зарастание полости.
Цистодуоденостомия
Операция из разряда дренирования. Полость образования псевдокисты и двенадцатиперстная кишка объединяются внутренним каналом-соустьем — длиной до 4 см. Происходит внутреннее выведение жидкости в кишку.
Чаще всего к процедуре располагает головка Недостаток операции в возможности заброса из кишки в полость ее содержимого, чреватого осложнениями в виде нагноений, язв и других нарушений деятельности органа.
Лапароскопия
Метод часто используют для отсасывания жидкости одиночных образований с помощью пункционной иглы.
Полостная операция по удалению опухоли, часто сопровождается удалением части самой железы и поврежденных близлежащих органов.
Марсупиализация
Разновидность наружного дренирования применяется в случае больших образований, когда невозможно ни удалить, ни использовать внутренние дренажи. Полость широко разрезается, края разреза подшиваются к передней стенке, соединяясь с кожей. Это временная мера излечения, которая имеет много осложнений и дает рецидив образования.
Внеорганная методика
Ее суть в проколе кожи и проведении дренажа снаружи тела, захватывая мягкие ткани, сопутствующие части брюшины желудочно-селезеночные, желудочно-ободочные связки. Возможно, прокол сделать в поясничной области.
Дренажируют полость, если она не объединяется с панкреатическими протоками. Активность заживление контролируется количеством жидкость, отходящим из полости, по наружной трубке. Таким образом, внутренняя часть полости уменьшается и гранулируется. Процесс может длиться от нескольких недель до нескольких месяцев. Для снятия дренажа должны быть показания успешности проведенной процедуры.
Заключение
В настоящее время лечить панкреатические кисты методами дренажей дает эффективный результат. Ведь они практически не излечиваются консервативной терапией. Используя хирургические методы, до 80% пациентов становятся здоровыми. В остальных случаях дренажи дают положительный терапевтический эффект, невзирая на то, что полностью от кисты не освободишься.
Киста поджелудочной железы симптомы и лечение, важные составляющие процесса оздоровления организма. Выбор метода прерогатива лечащего врача. На удачно проведенной операции нельзя останавливаться. Послеоперационный период немаловажен в полном исцелении.
Неукоснительно надо соблюдать рекомендации врача, вести правильный образ жизни, изменить меню питания в сторону диеты, чтобы исключить рецидивы. Регулярно проводить УЗИ, наблюдая за очагом поражения.
pankreatsindrom.ru
симптомы и лечение, где находится и как болит
Роль поджелудочной железы в правильном функционировании организма чрезвычайно велика, но люди, не имеющие специального медицинского образования, понимают ее значение, только если непосредственно сталкиваются с нарушениями ее функций. Только тогда они точно узнают, зачем нужна поджелудочная железа, где находится и как болит. Думается, лучше получить базовые знания о функционировании этого органа и возможных заболеваниях — а главное, об их профилактике — заранее.
Назначение железы
Поджелудочная железа, среди прочих органов, входит в состав пищеварительного тракта человека. Название этой железы говорит о том, что расположена она под желудком, но это если судить об этом, когда человек находится в положении лежа. В положении человека стоя она находится скорее позади желудка, в левом подреберье, выше пупка. Строение ее таково, что в ней выделяют три раздела: головку, тело и хвост. Это не самый большой орган. У взрослого человека он достигает длины 15-20 см, а ширины и толщины — не менее 3 см. Множество долек, из которых состоит поджелудочная железа, в свою очередь, построены из клеток двух видов.

Одни из них — и их большинство — имеют протоки и выделяют панкреатический сок, а другие протоков не имеют и продуцируют гормоны, в основном инсулин и глюкагон, влияющие на уровень сахара в крови. То есть этот орган совмещает задачи, одновременно участвуя в пищеварении и выполняя эндокринные функции. Пищеварительная функция осуществляется посредством выработки ферментов: амилаза превращает сложные углеводы в глюкозу, трипсин расщепляет белок, липаза — жиры. Работать эти ферменты начинают, только попадая в кишечник, в самой железе же они не активны, иначе орган начал бы переваривать сам себя. Как видим, хотя процесс пищеварения начинается еще в ротовой полости, за успешное расщепление и усвоение организмом основных питательных веществ несет ответственность именно поджелудочная железа. Где находится и как болит этот орган — знать потому просто необходимо, тем более что в целом железа имеет колоссальное влияние на обмен веществ.

Характерные патологии поджелудочной железы
Известен ряд заболеваний, поражающих поджелудочную железу. Причинами тому в основном бывают неадекватное и нерегулярное питание, стрессы и вредные привычки, а также генетическая предрасположенность. Чаще всего диагностируются панкреатиты — острый или хронический, сахарный диабет, злокачественные опухоли. Реже встречается и гораздо сложнее распознается такое заболевание, как киста поджелудочной железы, симптомы и лечение которого будут подробно рассмотрены ниже.

Данное заболевание характеризуется тем, что внутри поджелудочной железы или на ее поверхности образуются полости — мешочки, которые заполнены жидкостью. Эти мешочки могут, увеличиваясь в размерах, сдавливать другие органы. В случае нагноения или разрыва кисты последствия могут быть еще серьезнее, вплоть до летального исхода. Располагаться кисты могут в любом месте железы, от головки до хвоста.

Подробнее о кистах
Все кисты по их происхождению можно разделить на два вида: есть кисты истинные, а есть псевдокисты. Истинные кисты в свою очередь могут быть врожденными, посттравматическими, являться следствием нарушения проходимости протока поджелудочной железы, паразитарными (при заражении эхинококком от домашних животных или описторхозом от речной рыбы), неопластическими. Последние возникают в результате опухолевых процессов. Псевдокисты, или ложные кисты — это, как правило, результат перенесенного панкреатита или травмы. При этом истинные кисты выстланы эпителием внутри, в отличие от ложных.
Диагностировать кисту на поджелудочной железе при внешнем осмотре можно, если она достигла достаточно большого размера. Точно же определить ее наличие можно с помощью ультразвукового обследования или компьютерной томографии. Болезнь может протекать вообще безо всяких симптомов, особенно когда киста врожденная и небольшого размера. Такие кисты чаще всего не тревожат их обладателя, и обнаруживаются совершенно случайно.
Симптомы заболевания
Что касается признаков того, что на поджелудочной железе образовалась киста, то обычно человека беспокоит боль в подреберье — как левом, так и правом, а также в подложечной области. При этом боль может иметь различный характер: тупой и острый, постоянный или приступообразный, бывает опоясывающей, отдавать в спину. Кроме того, человек худеет, быстро утомляется, жалуется на расстройства пищеварения. Вообще же, если появилась киста поджелудочной железы, симптомы и лечение напрямую зависят от ее размеров, от того, где именно она локализована, и какие органы ею сдавлены.

Киста головки поджелудочной железы, как правило, приводит к сдавливанию желчевыводящих протоков, вплоть до полной их блокады, а потому очень часто развивается желтуха. При такой локализации кисты ее можно прощупать выше пупка. Киста хвоста поджелудочной железы может прощупываться в левом подреберье.
Варианты лечения кист на поджелудочной железе
Что до лечения, то в случае маленьких, бессимптомных единичных кист его может и не потребоваться. Достаточно будет регулярно наблюдать за их ростом и состоянием, а также за тем, как они влияют на соседние органы. Если же киста достаточно крупная, более 5 см в диаметре, или стремительно растет, или нагнаивается; если из-за нее возникает непроходимость желчных путей или кишечника, если произошел разрыв кисты — оперативное вмешательство неизбежно. Но действительно удаление кисты осуществляется редко, только по строгим показаниям, когда речь идет о жизни пациента, так как это технически является крайне сложным и ответственным процессом, требуя определенного опыта и компетенции хирурга. Такую операцию проводят, если киста очень большая, или обнаружено ее злокачественное перерождение.
В среде медиков поджелудочная железа имеет славу одного из самых сложных и непредсказуемых органов. Если диагностирована киста поджелудочной железы, операция осложняется еще и особенностями ее расположения. Она расположена позади желудка, да еще и в непосредственной близости ко многим жизненно важным органам. Помимо этого, ткань самого органа очень хрупкая, на нее сложно накладывать швы. Операции на поджелудочной железе чреваты опасными осложнениями.
Способы оперативного вмешательства в случае кист
Чаще осуществляют не удаление кисты, а ее дренирование, то есть опорожнение — внутреннее или через кожу, посредством тонкой иглы. После опустошения полости кисты, иногда неоднократного, есть предпосылки для того, чтобы это новообразование было замещено соединительной тканью. При больших кистах такая процедура не поможет, и используется как подготовительный этап к операции. Если полость кисты соединена с протоком железы — а это определяют посредством пункции, то с помощью специальной тонкой трубки ее соединяют или с желудком, если киста расположена в хвостовом районе поджелудочной железы, или с двенадцатиперстной кишкой, если место ее дислокации – голова железы. Если не подтвердилась сообщение кисты и протока железы, то в капсулу кисты вводят специальное вещество, вызывающее смыкание ее стенок. Если киста расположена в хвосте органа, то возможно также ее иссечение.
Вообще же в случае такого заболевания, как киста поджелудочной железы, прогноз на полное исцеление вполне благоприятный даже при оперативном вмешательстве, при условии, что эта патология не является очень запущенной. Понятно, как важна своевременная диагностика любого новообразования и определение его характера.
Альтернативные способы лечения
Практически каждое заболевание, способное поразить организм человека, так или иначе лечится не только возможностями традиционной медицины, но и методами народного врачевания. К этому можно относиться по-разному. Не стоит полностью отдавать предпочтение одному из этих направлений, полностью игнорируя другое. Но природа подсказывает человеку множество способов облегчения состояния при болезнях. Не обошла она вниманием и такое заболевание, как киста поджелудочной железы. Симптомы и лечение – все это описано народными лекарями. Возможно, не лишним будет прислушаться к некоторым рецептам, тем более что противопоказаний к их применению не находит даже традиционная медицина — вреда точно не будет.

Травы
Итак, какие же рецепты предполагает народное лечение кисты поджелудочной железы? Прежде всего это травяные сборы. Растительные природные средства – это, пожалуй, основное, на чем стоит нетрадиционная медицина. В случае кист предлагается употребление в течение месяца смеси из цветков календулы, травы тысячелистника и чистотела. С чистотелом следует быть особенно осторожным – его передозировка способна привести к отравлениям. Компоненты смешиваются в равном количестве, чайную ложку сбора заливают кружкой кипятка, настаивают в тепле около часа. Пить настой надо до еды, небольшими порциями примерно в четверть стакана, выпивая за день 200-250 мл. Такой чай имеет желчегонный, противовоспалительный и ранозаживляющий эффект.
Еще для терапии кист на поджелудочной железе рекомендуется использовать такие травы, как пижма, бессмертник, подорожник, зверобой, ромашка, алоэ и другие. В некоторых источниках упоминаются листья брусники, черники, земляники, смородины.
Мумие и другие средства
Этот природный минерально-органический продукт славится своими рассасывающими и заживляющими качествами. Не исключено его употребление и в случае такой проблемы, как образование кисты на поджелудочной железе. Предлагается в течение двух недель рассасывать кусочек мумие размером со спичечную головку.
Полезно в случае любых патологий поджелудочной железы, и появления кисты в том числе, пить теплую щелочную минеральную воду. Несмотря на помощь природных средств, киста поджелудочной железы, симптомы и лечение ее, во избежание возможных осложнений, должны регулярно контролироваться врачом.

Профилактика
Во избежание проблем с таким органом, как поджелудочная железа, прежде всего необходим отказ от вредных привычек — алкоголя и курения. Необходимо принять все возможные меры для снижения нагрузки на этот орган. А это подразумевает соблюдение диеты, требования которой достаточно стандартны: исключается жирная, жареная и острая, копченая и маринованная пища. В случае нарушения функций поджелудочной железы не будут полезны бобовые, а также продукты, богатые грубой клетчаткой, такие как капуста, редька, редис, некоторые фрукты.
fb.ru
Киста поджелудочной железы (головки и хвоста), симптомы, прогнозы на лечение опухоли, фото
Опубликовано: 15 октября 2014 в 10:28Киста представляет собой замкнутый мешочек на поджелудочной железе, который наполнен ферментативными веществами. В случае ее разрыва могут серьезно повредиться окружающие ткани. Это заболевание довольно распространенно, оно одинаково часто поражает как мужчин, так и женщин.
Причины кисты поджелудочной железы
Данное образование может быть как врожденным (истинным), так и приобретенным (ложным). Стоит отметить, что врожденная патология редко диагностируется, так как чаще всего имеет довольно незначительные размеры и не давит на окружающие органы. Она может быть обнаружена чисто случайно, когда больной приходит на УЗИ по совершенно другому поводу.
В некоторых случаях врожденная киста может появиться в результате врожденной закупорки протоков органа. Это состояние опасно хроническим воспалением, которое может привести к кистозному фиброзу органа.
Что касается ложной кисты, то основными причинами ее развития являются следующие факторы: воспалительные заболевания (панкреонекроз, панкреатит), травмирование органа и камни, образовавшиеся в железе.
Согласно статистике около 90% приобретенных кист, образовалось в результате перенесенного острого панкреатита. Как правило, 10% появляются в результате травмирования органа.
Важно знать, что чрезмерное употребление жаренной, острой и жирной пищи, а также злоупотребление алкогольными напитками повышает риск возникновения этой патологии.
Симптомы и признаки кисты поджелудочной железы
Киста небольших размеров может протекать вообще бессимптомно. Как правило, симптомы появляются только тогда, когда она достигает внушительных размеров и сдавливает соседние органы. Можно выделить основные признаки этого заболевания:
- постоянная боль в животе;
- слабость;
- тошнота и рвота;
- расстройство пищеварения;
- похудение;
- высокая температура;
- при пальпации удается обнаружить в животе опухолевидное образование.
Стоит отметить, что иногда даже при наличии патологии большого размера симптомы заболевания могут быть выражены незначительно. Больной может жаловаться лишь на чувство давления в эпигастральной области. Сильные боли могут возникать, если она будет оказывать давление на чревное и солнечное сплетение.
Что такое киста поджелудочной железы, опухоль или нет?
Кисты поджелудочной железы могут быть злокачественными, предраковыми и доброкачественными. В том случае, если она окажется злокачественной, то ее нужно немедленно удалять хирургическим путем, так как высок риск метастазирования.
Как правило, к злокачественным опухолям относят неопластические кисты, потому что они имеют склонность к метастазированию и быстро увеличиваются в размерах. Они обычно бывают плотной структуры с неровной поверхностью и неправильной формой.
При выборе лечения в случае обнаружения злокачественного вида врачам необходимо определиться сможет ли больной перенести операцию. Каждый случай болезни уникален, поэтому требуется индивидуальный подход к каждому пациенту. Несмотря на достижения современной медицины, операции на поджелудочной железе всегда очень сложны и опасны. У пациента могут возникнуть серьезные осложнения.
Размеры кисты поджелудочной железы
Размеры кист поджелудочной железы могут быть самыми разными — от нескольких сантиметров до размеров головы новорожденного ребенка. Стоит отметить, что они могут быть не только одиночными, но и множественными, они обычно связанны между собой. Как правило, за патологиями маленького размера необходимо постоянное наблюдение. Большие образования необходимо удалять, потому что они могут разорваться при кашле или при малейшем ударе.
Лечение кисты поджелудочной железы
Если у больного обнаружена киста меньше трех сантиметров и отсутствуют жалобы на ухудшение состояния, то необходимо раз в год проводить обследование, чтобы контролировать ее рост. В том случае, если в результате диагностики подтвердился злокачественный характер этой болезни, то необходимо немедленно удалить это образование, пока метастазы не распространились на другие органы.
На сегодняшний день имеется несколько методов удаления кисты поджелудочной железы. Рассмотрим каждый из них в отдельности:
- Цистоэнтэростомией называют вскрытие полости кисты с последующей обработкой разнообразными антибактериальными растворами. Затем сшивают ее стенки со стенкой кишечника, чтобы сформировать, таким образом, канал для отвода желудочного сока в кишечно-желудочный тракт.
- Лапароскопия наиболее щадящий метод, который позволяет пациента уберечь от большой операционной травмы. Данный метод в основном подходит для одиночных кист большого размера. При помощи специальной пункционной иглы через брюшную полость отсасывают содержимое. Это незначительное хирургическое вмешательство, как правило, проводится при помощи иглы.
- Резекцией называется частичное удаление пораженной части органа.
Метод лечения обычно назначается врачом. После операции необходимо регулярное наблюдение пациента с помощью ультразвукового исследования. После выписки больному необходимо соблюдать все предписания врача, изменить образ жизни и рацион питания, чтобы свести возможные рецидивы к минимуму.
История болезни кисты поджелудочной железы
В истории болезни больного описываются общие сведения о пациенте (ФИО, пол, возраст, образование и так далее). Затем врач должен выслушать его жалобы, провести осмотр больного и назначить соответствующее обследование. После чего на основании полученных результатов ставится заключительный диагноз. Назначается соответствующее лечение и делается прогноз.
Киста поджелудочной железы — прогноз, чем опасна?
На самом деле – это довольно опасное заболевание. Особенно, если выявлен злокачественный характер этой болезни. Метастазы могут распространиться на другие органы, и тогда прогноз будет неутешительным — больному будет очень сложно помочь. Даже если опухоль не злокачественная, то она может достигнуть большого размера, а затем разорваться при малейшем неловком движении или ударе, что приведет к тяжелым последствиям. Если больному в случае разрыва, не будет во время оказана квалифицированная медицинская помощь, то может возникнуть перитонит и сепсис, в результате чего возможен летальный исход.
Киста головки, тела, хвоста поджелудочной железы
Обычно симптомы данного заболевания зависят от локализации и размера кист. Они могут располагаться на теле, головке или хвосте органа. Если киста находится в головке, то в этом случае чаще всего наблюдается компрессионный симптом, то есть может появиться механическая желтуха, стеноз кишечника, а также тошнота и рвота. Также может возникнуть приступ острого панкреатита, который характеризуется сильной опоясывающей болью и рвотой.
Киста головки поджелудочной железы может быть пальпирована в области пупка. В том случае если она располагается на теле или хвосте органа, то прощупываться может в левом подреберье. Если она на ножке, то ее можно обнаружить в различных отделах живота. Обычно она бывает овальной или круглой формы, гладкая, безболезненная на ощупь и малоподвижная.
Киста, находящаяся в хвосте поджелудочной железы, как правило, давит на почки и мочеточники, поэтому может деформировать лоханки и чашечки почек. Если данное образование находится на теле органа, то оттесняет желудок и ободочную кишку. Врач в зависимости от расположения и размера должен сам выбрать наиболее подходящий метод лечения.
Кисты и свищи поджелудочной железы
Свищ обычно представляет собой патологическое сообщение протоков органа с внешней средой или внутренними органами. Кисту и свищ обычно следует рассматривать в полной взаимосвязи.
Наружный свищ в поджелудочной железе, как правило, образовывается в результате открытой травмы или после перенесенной операции на органе, в результате которой происходит вскрытие протоков.
Внутренний свищ обычно появляется при каких-нибудь деструктивных изменениях в органе, например, в результате острого панкреатита или прободения кисты в поджелудочной железе. Свищ может быть как полным, так и неполным. В первом случае обычно назначается консервативное лечение, а во втором, без оперативного вмешательства вряд ли удастся обойтись. В любом случае, лечение должен назначать врач.
Кистозный панкреатит
Кистозный панкреатит, как правило, характеризуется большим количеством мелких образований на поджелудочной железе. Они обычно бывают не больше 15 мм. Диагноз может быть поставлен на основании ультразвукового исследования. У больного отмечается увеличение поджелудочной железы, а также видны неровные контуры с небольшими полосными структурами, которые заполнены жидкостью.
У некоторых пациентов можно наблюдать расширенные крупные протоки поджелудочной железы. Кистозный панкреатит диагностируют примерно у 10% больных, у 60% из них обычно развиваются осложнения. При пальпации можно нащупать чувствительную и болезненную поджелудочную железу. В период ремиссии болевой синдром может отсутствовать.
Из всего вышесказанного становится понятно, что заболевания поджелудочной железы всегда очень опасны. Для профилактики этих болезней рекомендуется ограничить потребление жирной, жаренной и острой пищи, а также алкогольных напитков. Следует включить в свой рацион как можно больше овощей и фруктов, особенно полезен свежий виноград. Он улучшает работу поджелудочной железы. Необходимо хотя бы раз в год проходить обследование у врача.
zhkt.guru