Комплексная работа ЛОРа и стоматолога
Гайморит (одонтогенный верхнечелюстной синусит) и киста верхнечелюстной пазухи — это распространенные заболевания, лечение которых находится в компетенции двух специалистов: лор-врача и стоматолога. От их эффективного взаимодействия зависит успешность лечения.
В некоторых случаях причиной затяжного гайморита могут являться стоматологические проблемы, такие как разрушенные зубы на верхней челюсти, они так же могут привести к образованию кист. Данную проблему можно решить хирургическим путем. Специалисты клиники «ДомоденТ» успешно решают подобные проблемы. Более того, лечение проводится таким образом, чтобы после его завершения у пациента была возможность установить имплантаты и восстановить не только здоровье гайморовой пазухи, но и утраченные зубы.
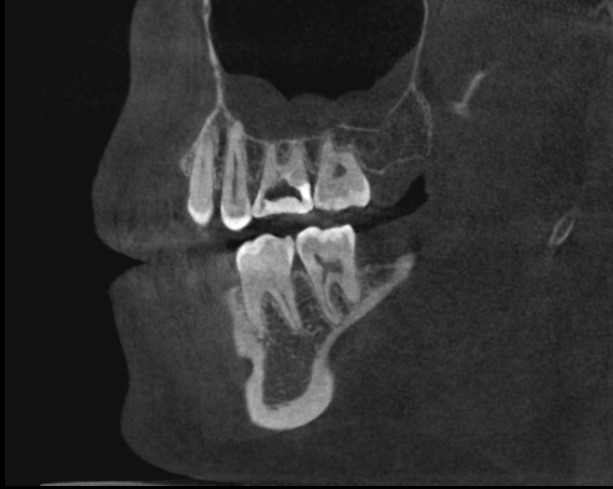
Пациент обратился к нам в клинику после длительного и малоэффективного лечения у лор-врача по поводу гайморита.
Рис.1 Выраженный воспалительный процесс в верхнечелюстном синусе вызванный разрушенными зубами
При обследовании в клинике ДомоденТ лор-врачом и стоматологом с помощью конусно-лучевой компьютерной томографии выявлен воспалительный процесс, который охватывал всю правую верхнечелюстную пазуху. В полости рта со стороны пазухи обнаружили два разрушенных зуба. (рис.1) Наши специалисты определили, что именно зубы явились причиной гайморита. Объясним, как это связано: Корни верхних боковых зубов находятся близко к гайморовой пазухе, поэтому воспалительный процесс из корневого канала может распространяться на гайморову пазуху.
Рис.2 После удаления зубов, выявлена киста синуса
После удаления зубов воспаление в пазухе значительно уменьшилось, на контрольной томограмме выявился четкий контур кисты (рис.
Рис.3 Киста гайморовой пазухи удалена
Лечение кист хирургическое. Одна из методик, применяемых в клинике ДомоденТ, — это удаление кисты через переднюю стенку синуса с помощью эндоскопической техники с восстановлением целостности костной стенки синуса. Как правило, операция проводится двумя специалистами — стоматологом и лор врачом. Во время операции не только удаляется киста (рис.3), но и восстанавливается целостность передней стенки синуса (рис.4), через которую проводили операцию, что имеет большое значение для дальнейшей подготовки к установке имплантатов.
Рис.4 Восстановлена костная стенка синуса после удаления кисты
Итак, мы вылечили гайморит, удалили кисту гайморовой пазухи, осталось «вернуть на место зубы», которые были удалены.
Это уже отдельная стоматологическая история, которую мы расскажем позже.
Выводы:
Гайморит может возникнуть из-за наличия зубов с хроническими воспалительными процессами.
Если гайморит не поддается лечению, проконсультироваться со стоматологом будет не лишним.
Кисты в гайморовой пазухе могут затруднять лечение гайморита.
Кисты в верхнечелюстном синусе лечат хирургически.
Имеются особенные методики оперативного лечения кист, которые позволяют в дальнейшем, после операции провести имплантацию зубов.
Слаженная работа ЛОР и стоматолога позволяет эффективно лечить многие патологические процессы, возникающие в верхнечелюстном синусе.
Система комментирования SigCommentsпричины, симптомы, диагностика и лечение в Москве в Центре Хирургии «СМ-Клиника»
При случайном выявлении кист небольших размеров, которые развиваются бессимптомно, применяют наблюдательную тактику.
Пациент периодически проходит обследования. По их результатам отслеживают динамику и скорость роста образования.
Если киста крупная, быстро растет, является причиной рецидивирующего синусита или устойчивой головной боли, применяют радикальный метод лечения (хирургическое вмешательство).
Консервативное лечение
Консервативная терапия актуальна, если кисту обнаружили в процессе обследования по поводу синусита. В таком случае проводят медикаментозное лечение, а в дальнейшем за патологическим образованием наблюдают.
Медикаментозную терапию применяют в рамках подготовки к операции. Перед вмешательством важно устранить местные воспалительные процессы и купировать обострившиеся хронические патологии.
Хирургическое лечение
Операция в области лобной пазухи называется фронтотомия. Отоларинголог формирует доступ к полости синуса, из кисты аспирируется жидкость, а затем убирается капсула. На завершающем этапе в полость вводят раствор с антимикробными свойствами.
На некоторое время в пазухе может оставаться дренаж.
Подобная операция открытым способом проводится редко – только тогда, когда менее травматичные способы технически невозможны. «Золотым стандартом» лечения кист является эндоназальная эндоскопическая хирургия. В данном случае доступ к пазухе формируется через полость носа и естественные отверстия. Эндоскоп оснащен оптической системой, с помощью которой изображение операционного поля выводится на монитор. Таким образом, хирург полностью контролирует свои действия, может полностью удалить ткани, подверженные патологическим изменениям и не затронуть здоровые. Все манипуляции проводят с помощью микрохирургических инструментов.
Операция не требует накладывания швов, что существенно сокращает период реабилитации и делает его более комфортным для пациента, при этом на лице не остается никаких шрамов.
Кисты околоносовых пазух
Кисты околоносовых пазух (ОНП) наиболее распространенное негнойное заболевание пазух.
У 8–10% практически здоровых лиц выявляются кисты.
Киста доброкачественное образование, представляет собой тонкостенный мешок, заполненный жидкостью. Чаще всего кисты образуются в верхнечелюстной (гайморовой) пазухе. Значительно реже встречаются кисты лобных и клиновидных пазух.
Часто кисты существуют бессимптомно и являются случайной находкой при выполнении компьютерной или магниторезонансной томографии черепа, при подготовке пациентов к протезированию зубов.
Наиболее частым симптомом является головная боль. Наиболее характерна боль в проекции верхнечелюстной пазухи, которая может усиливаться или появляться на фоне респираторных заболеваний. Головная боль возникает в результате механического давления кистозной жидкости на нервные волокна слизистой оболочки пазухи. Выраженность ее не зависит от размеров кисты. Чаще всего это тупая распирающая боль или ощущение тяжести в проекции пазухи или зубов верхней челюсти. Она может усиливаться на фоне простудных заболеваний.
Характерна локализация боли при кистах лобных пазух —в области лба, клиновидных пазух — затылок или опоясывающие. Реже отмечается заложенность носа на стороне кисты. В ряде случаев из стенки кисты вырастает полип, который выходит в полость носа и блокирует носовое дыхание. Редко на фоне больших кист происходит истончение и разрушение стенок пазухи и присоединение симптомов раздражения ветвей тройничного нерва (невралгия), слезотечения.
На формирование кист оказывает влияние ряд факторов, таких как аллергия, воспаление, проблемы с зубами верхней челюсти.
Диагностика
Диагностика кист на современном этапе не представляет сложностей. Классически выполняется компьютерная томография, которая может быть дополнена магниторезонансной томографией, ультразвуковым исследованием пазух, а также эндоскопическим осмотром полости носа, который выполняется с помощью жесткого или гибкого эндоскопа.
Компьютерная томограмма в диагностике кист должна быть минимум в двух проекциях.
Лечение
Лечение кист только хирургическое.
Операция показана при наличии жалоб. Киста, являющаяся случайной находкой, подлежит наблюдению и рентгенологическому контролю. Отдельную категорию представляют пациенты, которым предстоит протезирование зубов верхней челюсти, особенно при подготовке ортодонтических операций, таких как синуслифтинг,имплантация. При формировании полипа из стенки кисты показано не только удаление полипа, но и кисты из пазухи. В противном случае будет быстрый рецидив полипа и повторные операции.
У больных со стойкими головными болями, которым диагностирована киста пазухи, решение о тактике лечения принимается совместно ЛОР врачом и неврологом.
Существует несколько подходов к удалению кист.
Классический — из-под губы, через переднюю стенку пазухи с наложением большего или меньшего, щадящего, отверстия и удаления кисты с сохранением слизистой пазухи. Проведение «радикальной» операции с удалением слизистой оболочки пазухи при кистах не является обоснованным. Наиболее физиологическим и щадящим является эндоскопический. При этом подходе киста удаляется через естественное соустье без внешних разрезов. При определенных локализациях кист используется дополнительное отверстие, которое формируется с помощью троакара без долота и молотка в передней стенке пазухи или в нижнем носовом ходе.
Эндоскопический подход позволяет избежать таких серьезных послеоперационных осложнений как невралгия тройничного нерва, минимизировать операционную травму, реактивный отек мягких тканей щеки, сократить время пребывания больного в стационаре. А также, что немаловажно, сохранить физиологию полости носа и околоносовых пазух.
После операции больные проводят в стационаре 1–2 ночевки. В послеоперационном периоде, учитывая, что кисты нередко развиваются на фоне аллергии, пациентам рекомендуется курс внутриносовых местных гормонов продолжительностью 1–3 месяца.
Консультации
На консультацию к профессору А.С. Лопатину можно записаться по телефону: 8 499 241-13-63, поликлиника № 1 УД Президента РФ, г. Москва, пер. Сивцев Вражек, д. 26/28 (ближайшие станции метро: «Смоленская», «Арбатская», «Кропоткинская»).
Отделение ЛОР-хирургии в Краснодаре | Клиника высоких технологий WMT
Оперативное лечение лор-заболеваний в клинике WMT – возможность быстро и надежно вернуть себе свободное дыхание и хорошее самочувствие.
- Оснащенный хирургический комплекс
- Оперативное лечение любой сложности
- Малоинвазивные операции без разрезов
Приём ведёт:
Хирурги клиники WMT проводят оперативное лечение лор-заболеваний любого объема от простых манипуляций до редких и сложных операций. Главный приоритет врачей – безопасность и быстрое восстановление пациента, поэтому операции проводятся с использованием малоинвазивных технологий – щадящих методик, которые позволяют пациенту за несколько дней вернуться к комфортному образу жизни.
ЛОР-ХИРУРГИЯ В WMT
- Хирурги с практическим опытом от 10 лет
- Высокоточное эндоскопическое оборудование
- Более 60 видов амбулаторных манипуляций
- Малотравматичные операции с быстрым восстановлением
- Детская хирургия
ВОЗМОЖНОСТИ ЛОР-ХИРУРГИИ
В клинике WMT проблема каждого пациента – это неповторимая история, которую хирурги изучают со всех сторон. Учитывая детали, противопоказания и сопутствующие заболевания врач подбирает ту операцию, которая поможет быстро достичь результата и улучшить состояние человека.
Опыт хирургов и экспертное оборудование позволяют выполнять все виды лор-операций:
- Септопластика – малоинвазивная операция по исправлению носовой перегородки. Помогает пациентам с хронической заложенностью носа, храпом и проблемами с дыханием.
- Тонзиллэктомия – полное удаление миндалин при рецидивирующей ангине и неэффективности терапевтического лечения хронического тонзиллита.

- Гайморотомия – лор-операция, предназначенная для лечения хронического гайморита, устранения кист и полипов, инородных тел гайморовой пазухи. Гайморотомия не требует разрезов, проводится через естественное отверстие гайморовой пазухи в полости носа.
- Полисинусотомия – эндоскопическая операция для одновременного хирургического лечения околоносовых пазух с двух сторон. Проводится при образовании полипов в полости носа и прилегающих пазухах.
- Миринготомия – амбулаторная операция, по удалению жидкости в ухе, которая ухудшает слух и увеличивает риск развития инфекции.
- Отопластика – реконструктивная операция, которая проводится для коррекции слухового прохода, восстановления ушной раковины после травмы.
- Оперативное лечение апноэ сна – операция по удалению части тканей мягкого неба и миндалин, которая позволяет пациенту избавиться от храпа и возобновить нормальное поступление кислорода в мозг во время сна.
- Полипотомия – удаление полипов на слизистой оболочке носа, которые могут перерасти в злокачественное новообразование.

- Вазотомия – уменьшение увеличенных носовых раковин. Применяется как операция по улучшению носового дыхания.
ОБОРУДОВАНИЕ НОВОГО ПОКОЛЕНИЯ
Успешный результат операции зависит не только от опыта и мастерства хирурга, но и от оборудования, которое применяет врач. Технологичные инструменты позволяют ускорить операцию, повысить безопасность пациента, максимально исключить риск осложнений.
В клинике WMT все операции проводятся с применением экспертного оборудования европейского производства:
Многофункциональный ЛОР-комбайн Atmos (Германия)
Позволяет выполнять манипуляции и операции без госпитализации. ЛОР-комбайн включает лучший в своем классе микроскоп. Наличие идеальной оптики, светодиодной подсветки, 3D-эффекта и HD-стереоизображения позволяет хирургу детально изучить патологический очаг и приступить к лечению. При этом, зона поражения может быть сфотографирована и задокументирована.
Эндоскопы Olympus (Германия)
Эндоскопы представляют собой мягкие резиновые трубки диаметром 5-9 миллиметров с камерой для осмотра гортани, горла, носоглотки. Эндоскопическое обследование позволяет достоверно оценить исследуемые полости и сразу удалить патологические новообразования.
Дентальный компьютерный томограф Planmeca ProMax 3D Plus (Финляндия)
Аппарат позволяет сделать 3D-снимки среднего уха, дыхательных путей, височных костей, позвонков и других изучаемых органов. Прибор оснащен новейшей системой трехмерного сканирования лица ProFace. Изображения получаются высокого качества, что позволяет точно определять область поражения органов.
Верхнечелюстная пазуха – обзор
Верхнечелюстная пазуха
Верхнечелюстная пазуха (также называемая верхнечелюстной пазухой) представляет собой полость пирамиды (см. рис. 33-1 C, 33-2 D, и 33-3 A ) объемом примерно 15 см 3 (3,7 × 2,5 × 3,0 см).
Основание пирамиды составляет медиальная стенка, отделяющая верхнечелюстную пазуху от полости носа, а вершина находится в области скулового отростка. Вверху дно орбиты образует крышу антрального отдела.Спереди лицевая стенка располагается за щекой и изгибается внутрь в синус. Сзади подвисочная стенка граничит с подвисочной и крылонебной ямками. Дно верхнечелюстной пазухи ниже дна носовой полости, особенно у пациентов с полной адентией. 15 Секрет верхнечелюстной пазухи отводится в полость носа через отверстия в среднем носовом ходу. Медиальная стенка пазухи из всех ее границ наиболее сложна. Он образует нижнюю часть боковой стенки носа.В нем находится носослезный проток. Выход этого протока находится примерно в 1 см от грушевидного края. Устье антрального отдела верхней челюсти традиционно описывается впадающим в заднюю часть полулунной щели. Корни второго премоляра и первых двух моляров проникают в костное дно верхнечелюстной пазухи.
Анатомические отношения верхнечелюстной пазухи обеспечивают механизм проявления многообразных болезненных процессов, поражающих пазухи.
Отношение дна пазухи к верхнечелюстным зубам и своду полости рта уже было описано.Боковая и передняя стенки связаны с мягкими тканями средней трети лица. Жировая ткань Биша прилегает к латеральной стенке пазухи и задне-верхне переходит в подвисочную ямку. Он покрыт лицевым слоем и особенно заметен у младенцев. Считается, что этот выступ помогает младенцу сосать, и его иногда называют присосочной подушечкой. Подкожный жир, немногочисленные мимические мышцы лица и кожа лица образуют напоминание о непосредственных отношениях этой стены.
Задняя стенка связана с вышележащими крыловидными пластинками снизу и сзади вверху от крыловидно-верхнечелюстного пространства. Медиальная и латеральная крыловидные мышцы берут начало на крыловидных пластинках и тесно связаны с задней стенкой пазухи. Внутренняя верхнечелюстная артерия проходит через обе головки латеральной крыловидной мышцы и входит в крыловидно-верхнечелюстное пространство. Верхнечелюстная ветвь тройничного нерва проникает в пространство через круглое отверстие, отходящее от дна средней черепной ямки.
Медиальнее и ниже его видиев нерв входит в это пространство через крыловидный канал, отверстие в клиновидной кости, пересекающее переднюю стенку рваного отверстия. Этот нерв несет парасимпатические волокна от большого поверхностного каменистого нерва и симпатические волокна от сплетения внутренней сонной артерии. Его парасимпатические волокна синапсируются внутри клиновидно-небного ганглия, который стягивается к верхнечелюстному нерву. Нерв за пределами этой точки становится смешанным нервом, несущим чувствительные и вегетативные волокна к носовым полостям, носу, придаткам глаза и лицу.
Верхняя стенка пазухи связана с глазным яблоком. Крыша антрального отдела — и, следовательно, дно орбиты — является самой тонкой стенкой глазницы и наиболее уязвимой для травм. В латеральной трети его косо пересекает подглазничный канал, содержащий подглазничный нерв. Медиальная часть крыши представляет собой дно одной или нескольких решетчатых ячеек. Вклад в эти клетки шире сзади, чем спереди.
Симптомы и лечение рака пазухи
Рак придаточных пазух носа — это рост злокачественных (раковых) клеток в любой из придаточных пазух носа — полых, заполненных воздухом пространствах в костях около носа или носовой полости.
У вас четыре типа придаточных пазух носа:
- Решетчатые пазухи: около верхней части носа, между глазами
- Лобные пазухи: в нижней части лба, над носом
- Верхнечелюстные пазухи: В скулах по обеим сторонам носа
- Клиновидные пазухи: за носом, в центре черепа
Симптомы рака носовых пазух
Большинство случаев рака носовых пазух обнаруживается в скуловых пазухах. Рак носовых пазух чаще всего встречается у людей старше 40 лет, хотя может возникнуть в любом возрасте.
Симптомы рака пазухи и рака верхнечелюстной пазухи включают:
- Заложенные носовые пазухи
- Изменения зрения, такие как двоение в глазах
- Хронические головные боли
- Припухлость на лице или нёбе
- Припухлость или рана в носу
- Носовое кровотечение, особенно из одной ноздри
- Боль в верхних зубах или шатание зубов
- Боль или давление в ухе
- Насморк, особенно с одной стороны
- Боль или давление в пазухах
- Покалывание или онемение лица
Факторы риска рака носовых пазух включают:
- Курение
- Воздействие определенных химических веществ или пыли на таких работах, как лесопильное производство, дубление кожи, деревообработка, работа на мукомольном заводе или в пекарне, а также сварка или пайка.

Диагностика рака носовых пазух
Сначала вы встретитесь со своим врачом для физического осмотра. Если ваш врач обнаружит возможные признаки рака носовых пазух, он назначит дополнительные анализы, в том числе:
- Визуализирующие исследования: Сканирование, включая КТ, МРТ, ПЭТ и рентген, помогает подтвердить наличие опухоли и ее распространение на другие области.
- Эндоскопия пазух: В нос вводится тонкая трубка с подсветкой (назоскоп). Это позволяет вашему врачу искать возможные аномальные ткани внутри ваших пазух.
- Биопсия: Удаление небольшого кусочка ткани с подозрением на рак.
Варианты лечения рака носовых пазух
Специалисты по голове и шее в Aurora будут работать с вами, чтобы определить наилучшие варианты лечения. Это будет зависеть от стадии и степени рака, степени его распространения и вашего общего состояния здоровья.
Лечение может включать:
Определение и лечение одонтогенного гайморита | Челюстно-лицевая пластическая и реконструктивная хирургия
Мы провели поиск в недавно обновленных базах данных, включая MEDLINE (PubMed), Embase, Кокрановскую библиотеку и другие онлайн-инструменты, используя комбинации ключевых слов «одонтогенный», «одонтогенная инфекция», « стоматологическое происхождение», «происхождение зуба», «гайморит», «верхнечелюстная пазуха», «гайморит», «одонтогенный гайморит», «процедура Колдуэлла-Люка (CLP)», «риносинусит», «функциональная эндоскопическая хирургия пазух (FESS) », «модифицированная эндоскопическая хирургия верхнечелюстных пазух (MESS)» и «параназальные пазухи.
«Результаты обобщены на основе нашего разнообразного клинического опыта.
Заявление об утверждении этики было предоставлено отделением челюстно-лицевой хирургии Стоматологической больницы Сеульского национального университета с одобрением Институционального наблюдательного совета Сеульского национального университета (S-D20170005).
Хронический и острый риносинусит
Невозможно переоценить важность правильной диагностики и лечения хронического или острого риносинусита, поскольку проблемы с носом или околоносовыми пазухами, включая заложенность носа, обструкцию носовых дыхательных путей, выделения из носа и постназальное затекание, очень распространены [1, 2,3].
Классификация риносинусита
Ринит путают с риносинуситом и описывают с использованием терминологии, которая является более точным определением для описания воспалений внутренней полости носа с вовлечением околоносовых пазух. Диагноз риносинусита требует наличия двух из следующих симптомов: заложенность носа, боль в средней части лица, слизисто-гнойные выделения и снижение обоняния с дополнительным наблюдением за воспалением слизистой оболочки, необходимым для окончательного сводного диагноза.
Лечение риносинусита варьируется в зависимости от этиологии, и первоначальную дифференциацию между острой и хронической формами следует проводить с учетом анамнеза пациента, имеющихся симптомов и результатов эндоскопического исследования носа или тщательного интраорального осмотра. Терапия, основанная на доказательствах, может первоначально проводиться врачами в случаях острого или хронического риносинусита, а более тяжелые симптомы, которые не поддаются предотвращению, могут быть направлены к аллергологу для дальнейшей иммунотерапии [4].Острый риносинусит (ОРС) определяется в зависимости от продолжительности симптомов следующим образом: инфекционный ОБРС с гнойными выделениями из носа, обструкцией и болью с ощущением распирания в течение 4 недель; подострый риносинусит (SRS) между 4 и 8 неделями; и СВК с симптомами, длящимися более 8 недель, несмотря на медикаментозное лечение. Риносинусит также подразделяют на аллергический или неаллергический, профессиональный и другие типы ринитных синдромов.
Функции мукоцилиарного клиренса SM
Псевдомногослойный реснитчатый цилиндрический эпителий, известный как SM, выстилает внутреннюю слизистую оболочку дыхательных путей верхнечелюстных пазух.SM вырабатывает слизь, которая движется к устью для дренирования в полость носа против нормальной силы тяжести, при этом движение ресничек вокруг верхнечелюстной пазухи происходит синхронно (рис. 1). Эта слизь, переходя из полости носа в носоглотку, заглатывается и проходит в пищевод и желудок. Любое прерывание этих основных движений слизи из-за снижения цилиарной активности или обструкции устьев может привести к заболеванию пазух и симптомам. Каждое устье передней решетчатой пазухи, лобной пазухи и верхнечелюстной пазухи тесно сближено в среднем носовом ходу, и вместе они составляют костно-меатальную единицу (OMU).Таким образом, любое воспаление или закупорка OMU вызовет синусит, включая случаи с вовлечением нескольких пазух, называемые пансинуситом.
Рис.
1 Коронковое схематическое изображение задних зубов верхней челюсти с синоназальным комплексом. Нормальная активность мукоцилиарного клиренса через верхнечелюстную пазуху до костно-меатальной единицы показана стрелками, репрезентативные антрохоанальные полипы на верхней и медиальной стенках пазухи выглядят темными, а решетчатые полипы показаны серыми звездочками ( a ).Костно-меатальная единица, показывающая среднюю и нижнюю носовые раковины, крючковидный отросток и решетчатую буллу ( b )
Эпителиальные клетки SM играют важную роль в мукоцилиарном клиренсе (MCC) и поддержании чистоты верхних дыхательных путей за счет непрерывного движения ресничек. биение для продвижения вдыхаемых инородных тел, бактерий, грибков и вирусов к ротоглоточным дыхательным путям. Этим основным защитным функциям помогает эпителий дыхательных путей с выделениями муцина, которые создают перенос ионов или жидкости для поддержания вязкости слизи.Некоторые хемокины секретируются в зависимости от уровня воздействия патогена для активации воспалительных или защитных иммунных путей путем привлечения макрофагов, дендритных клеток, эозинофилов, нейтрофилов, Т-клеток и NK-клеток (рис.
2) [4, 5]. Также высвобождается несколько цитокинов, включая IL-1β, IL-6, TNFα, IL-8 и хемотаксический белок 1 моноцитов. Эти эпителиальные клетки СМ соединены плотными контактами, образуя физическую защитную стенку, а мукоцилиарный транспорт регулируется образованием активных форм кислорода и азота посредством контроля противомикробных пептидов, таких как лактотрансферрин, лизоцим и дефенсины (рис.2).
Схематическое изображение мукоцилиарного клиренса, связанного с иммунитетом, в псевдомногослойном реснитчатом цилиндрическом эпителии верхнечелюстной пазухи. Сокращения: MCC мукоцилиарный клиренс, MCP-1 моноцитарный хемотаксический белок 1, MIP-1 макрофагальный воспалительный белок-1, IL интерлейкин, TNF фактор некроза опухоли
Определение и течение ОБРС
окружающего воздуха через верхние отделы пищеварительного тракта.Таким образом, первой целью лечения ОБРС является уменьшение числа бактериальных инфекций, сопровождающееся симптоматическим улучшением.
Большинство случаев воспалительного синусита, включая ОБРС, возникает в течение 7–10 дней после вирусной инфекции верхних дыхательных путей. Пациенты с ОБРС могут выздоравливать от вирусных инфекций, но могут иметь постоянные симптомы, такие как лицевая боль и заложенность носа с ринореей. Носовой или синусовый стаз может возникать из-за снижения активности MCC и высокого анатомического положения устья. Иногда этмоидальные или антрохоанальные полипы, известные анатомические варианты, усугубляют застой, блокируя физиологический дренаж через средний носовой ход (рис.1). Из-за различий в патофизиологических проявлениях СОМ точное лечение первоначальных стоматологических проблем должно следовать за облегчением симптомов ОБРС. Амоксициллин обычно можно назначать пациентам с ОБРС в зависимости от индивидуального клинического течения и сопутствующих заболеваний, в то время как компьютерная томография полезна для объективной диагностики сложных симптомов или других тяжелых осложнений, таких как внутричерепное распространение [6].
Определение и течение СВК
Типичный СВК определяется как наличие более двух из следующих симптомов в течение более 12 недель: лицевая давящая боль, снижение обоняния, заложенность носа, ринорея или постназальный синдром.Лицевая давящая боль обычно описывается как тупая и локализующаяся давящая боль в верхней части щеки с постоянной головной болью на той же стороне лба. Снижение обоняния можно разделить на частичную гипосомию и полную аносмию, которые связаны с помутнением слизистой оболочки переднего отдела решетчатой кости. Иногда такие больные жалуются на снижение вкусовых ощущений, известное как агевзия. Заложенность носа также выражается в жесткости или полноте носа и закупорке носовой полости. Передняя или задняя ринорея определяется как густые выделения желтой или коричневой слизи, которые чаще встречаются при ОБРС, чем у пациентов с ХРС.
Этиология ХРС связана с разнообразными анатомическими вариациями и вдыханием инородных тел. Также известно, что курение сигарет или аллергический ринит влияют на СВК наряду с социально-экономическим статусом.
Анатомические вариации, такие как искривление перегородки или средней носовой раковины, аномальный размер клеток Галлера или клеток аггера носа, могут вызывать обструкцию OMU и, следовательно, индукцию CRS. Было показано, что несколько известных раздражителей воздуха из окружающей среды, таких как диоксид серы, озон и формальдегид, также влияют на функцию MCC.В основе аллергического риносинусита лежат генетические или иммунные факторы, связанные с развитием СВК [4, 5].
CRS классифицируется как CRS без полипов или аллергического грибкового синусита в соответствии с полипозом или грибковыми инфекциями. Совсем недавно было показано, что патогенез СВК включает изменения иммунного ответа. Полипы или кистозный фиброз приводят к аномальным изменениям синоназального эпителия, которые изменяют функцию MCC [5,6,7]. Ингаляционное воздействие раздражителей, таких как бактерии, включая Staphylococcus aureus ( S.aureus ), грибки, вирусы и протеазы, ухудшает функции дыхательных эпителиальных барьеров.
Нарушенные регуляции эпителиальных клеток могут высвобождать воспалительные молекулы, такие как стромальный лимфопоэтин тимуса, которые могут усугубить развитие иммунных индукторных реакций 2-го типа при ХРС у пациентов с назальными полипами. Клетки врожденного иммунитета, такие как врожденные лимфоидные, тучные клетки и эозинофилы, увеличиваются, и эти клетки могут высвобождать цитокины типа 2, включая IL-4, IL-5 и IL-13, которые еще больше усиливают продолжающуюся воспалительную реакцию [5,6]. ,7].Напротив, адаптивные иммунные клетки, такие как дендритные, Т-хелперы 2 типа, нативные В и активированные плазматические клетки, также увеличиваются при ХРС с назальными полипами и, таким образом, способствуют увеличению локальной продукции антител в синоназальной ткани [6, 7]. Также считается, что цитокины типа 2 способствуют снижению уровня тканевого активатора плазминогена и повышению уровня фактора XIIIa, что, в свою очередь, приводит к усилению отложения фибрина и образованию поперечных связей в полипах носа (рис.
2).
Лечение СВК зависит от тяжести и этиологии.Кортикостероиды и дополнительные антибиотики могут быть полезны в сочетании с промыванием носовой полости физиологическим раствором. Различие между различными причинами CRS при исключении других симптомов имеет важное значение для обеспечения хороших результатов после лечения CRS [8]. Однако все возможности клинического лечения ХРС приводят к ограниченным результатам из-за гетерогенной патологии ХРС.
Одонтогенный верхнечелюстной синусит
Частота СОМ, вероятно, занижена, при этом 10–12% случаев СОМ связаны с одонтогенными инфекциями [9,10,11,12] в оториноларингологической литературе.Более поздние исследования предполагают гораздо более высокую заболеваемость, чем сообщалось ранее, при этом хронический верхнечелюстной синусит (CMS) составляет 30–40% всех случаев CMS [13].
Развитие и рост верхнечелюстной пазухи
Верхнечелюстная пазуха может иногда отсутствовать или быть гипоплазированной во время развития и демонстрировать всплески роста в возрасте 0–3 и 7–12 лет, что соответствует развитию и прорезыванию постоянных зубов и пубертатному росту лица [14, 15].
Процесс пневматизации продолжается с ростом верхнечелюстной пазухи на протяжении всей жизни, пока дно пазухи не окажется на уровне ниже дна носа после потери пораженных зубов.Первый и второй моляры расположены близко к нижней стенке верхнечелюстной пазухи, премоляры в меньшей степени, а эктопированные клыки лишь изредка примыкают друг к другу. OMU расположен выше на медиальной стенке и имеет средний диаметр 2,4 мм, в то время как костное окно намного больше [14,15,16]. Эффективное открытие устья может быть уменьшено проекцией крючковидного отростка, который является продолжением нижней носовой раковины и окружающих мягких тканей (рис. 1).
Костная стенка, отделяющая верхнечелюстную пазуху от корней зубов, варьируется от полной утраты, при которой корни покрыты только СМ, до толщины более 12 мм.Среднее расстояние между корнями моляров и премоляров верхней челюсти и верхнечелюстной пазухой составляет 1,97 мм, что позволяет предположить, что кончики корней могут выступать в дно пазухи, вызывая небольшие возвышения или выступы вдоль СМ [17, 18].
Эти тесные анатомические отношения верхних моляров с верхнечелюстной пазухой способствуют развитию периапикальной или периодонтальной одонтогенной инфекции внутри верхнечелюстной пазухи [19] (рис. 3).
Схематическое изображение нарушения функции мукоцилиарного клиренса (MCC) из-за одонтогенной инфекции.Нарушенный эпителиальный барьер слизистой оболочки расширяется в зависимости от тяжести и продолжительности инфекции
Определение и этиология OMS
Различные одонтогенные заболевания поражают верхнечелюстную пазуху, от слизистой оболочки пазухи до прилегающих придаточных пазух носа и тканей зубов, или от соседняя кость с расширением в пазуху (рис. 3). OMS, связанный с удалением зуба, является наиболее распространенной причиной (рис. 4), наряду с другими денто-альвеолярными поражениями, включая зубные кисты (рис.5), корешковые поражения (рис. 6), кариес зубов (рис. 7), ретенированные зубы и корневые инфекции наружных резорбированных моляров (рис.
8). Область моляров имеет частоту поражения 47,68%, за ней следуют первый моляр (22,51%), третий моляр (17,21%) и второй моляр (3,97%). Премолярная область поражается в 5,96%, клык — в 0,66% [20, 21].
Хронический рото-носовой свищ после удаления второго моляра с несколькими точками резорбции альвеолярной кости указывает на одонтогенный верхнечелюстной синусит.Предоперационная панорамная ( a ), Water’s ( b ), коронарная КТ ( c ) и аксиальная КТ ( d ) проекции
Рис. 5Случай одонтогенного гайморита зуб с огромной кистой в правой верхнечелюстной пазухе. Предоперационный панорамный вид ( a ), вид Water’s ( b ), корональный вид КТ, показывающий костную расширяющуюся кистозную массу с обструкцией устья ( c ), и аксиальный вид КТ, показывающий заднюю расширяющуюся массу ( d ) )
Рис.6 Типичный случай одонтогенного гайморита, возникшего из-за апикального поражения второго верхнего правого моляра.
Предоперационная панорамная ( a ), Water’s ( b ), аксиальная конусно-лучевая КТ ( c ) и коронарная конусно-лучевая КТ ( d ) проекции
Хронический гайморит исходящие из правого второго премоляра, коронка которого подвергалась анализу или нагрузке непрерывного протеза. Предоперационный панорамный вид ( a ), вид Water’s ( b ) и аксиальный вид КТ, показывающий рентгеноконтрастность в середине синусита с подозрением на грибковый шарик ( c ), и корональный вид КТ, показывающий определенный грибковый верхнечелюстной синусит с обструкцией устья ( d )
Рис.8 Одонтогенный верхнечелюстной синусит, возникающий как из-за ретинированного третьего моляра, так и из-за инфекции корня наружного резорбированного первого моляра в правой верхнечелюстной пазухе. Предоперационный панорамный вид ( a ), вид воды ( b ) и аксиальный вид КТ, показывающий пузырек воздуха и включая новообразование пазухи ( c ).
Корональная проекция КТ, показывающая прямое поражение правого первого моляра ( d ), и сагиттальная проекция КТ, показывающая прямое поражение трех моляров ( e )
Оториноларингологи и врачи определили OMS как ятрогенное заболевание зубов, но эти объяснения неточны из-за недостатка знаний об анатомии и физиологии верхнечелюстной пазухи.Ороантральная фистула (ОАФ) с удалением зуба или без него, остаточные корневые инфекции, периодонтит и другие связанные одонтогенные патологии (рис. 3) являются наиболее распространенными причинами ОМС. Подъем нижней части верхнечелюстной пазухи после процедур костной пластики, перфорация дна пазухи или неправильное положение во время установки фиксатора зубного имплантата, экструдированные эндодонтические обструктивные материалы, наличие инородных тел после апикоэктомии и хирургическое удаление ретенированного третьего моляра — все это может считаться ятрогенными причинами OMS.Однако все эти процедуры можно сделать более безопасными, если клиницисты используют безопасные и точные доступы даже у пациентов с сильно пневматизированными верхнечелюстными пазухами.
Диагностика ОМС
Наиболее частые клинические проявления ОМС можно разделить на стоматологические и синоназальные симптомы. Стоматологические симптомы, в том числе связанная зубная боль и гиперчувствительность, нелегко идентифицировать как одонтогенные причины, но нечастый стоматологический дискомфорт может возникать после сохранения проходимости OMU с непрерывным прогрессированием симптомов верхнечелюстной пазухи [11, 22, 23].Характерными синоназальными симптомами являются односторонняя боль в щеке с заложенностью носа, гнойная ринорея, неприятный запах, неприятный вкус, головные боли, болезненность в передней части верхней челюсти и постназальное затекание. Эти симптомы нельзя отличить от других причин ринита, а какой-либо типичный симптом нельзя считать преобладающим при СОМ [20, 21].
Односторонняя заложенность носа с лицевой болью и давлением также является частым симптомом СОМ, а неприятный запах с тухлым вкусом в сочетании с зубной болью, по-видимому, клинически дифференцирует СМС и СОМ [22, 23].
Наиболее распространенными стоматологическими причинами являются периапикальный абсцесс, заболевания пародонта, постэкстракция зубов, OAF и необнаруженные инородные тела в пазухах. OMS также может развиваться вследствие остеомиелита верхней челюсти, корешковых кист, механического повреждения слизистой оболочки пазухи при лечении корневых каналов, переполнения корневых каналов эндодонтическим материалом, неправильной установки дентальных имплантатов, неправильно выполненной аугментации пазухи [24,25,26].
Патогенез OMS
За исключением близких анатомических взаимоотношений, которые можно рассматривать как способствующие распространению воспаления от моляров и премоляров верхней челюсти к стенке нижней верхнечелюстной пазухи, многие другие состояния могут способствовать патогенезу OMS.Эндо-антральный синдром был представлен Селденом [27, 28, 29] как распространяющееся заболевание пульпы, характеризующееся поражением пульпы, периапикальной рентгенопрозрачностью или потерей пластинки твердой мозговой оболочки на рентгенограммах, слабо рентгеноконтрастным образованием, выпячивающимся в стенку пазухи, и переменной рентгеноконтрастностью в нижних отделах.
стенки синуса. Быстрое распространение стоматологических инфекций может также привести к инфраорбитальному целлюлиту, транзиторной слепоте и даже опасному для жизни тромбозу кавернозного синуса [23, 27].
Распространенность ОМС со вторичными периапикальными поражениями составляет 16–65% [28, 29, 30], и его лечение сложнее, чем при наличии только первичных поражений [31].Эндодонтические поражения, распространяющиеся в пазуху, характеризуются эпителиальными клетками, окруженными соединительной воспалительной тканью [32,33,34]. Эндодонтические поражения могут развиваться с течением времени в острой или инвазивной фазе, а также в хронической фазе. Острая фаза гораздо более инвазивна и может вызвать распространение бактерий непосредственно в полость пазухи и СМ, вызывая гипертрофические реакции. Кроме того, если эндодонтическое лечение не устраняет вызывающие микроорганизмы, эти гипертрофические реакции могут привести к рецидивирующему пародонтиту или вторичным периапикальным поражениям [31, 35].
Другими причинами OMS являются отек слизистой оболочки SM с воспалительными клеточными инфильтратами, одонтогенные или слизисто-ретенционные кистозные образования, гипертрофические рубцы или грануляции, гиалинизация и некротические одонтогенные инфекции [14]. Апикальные поражения могут привести к воспалению и утолщению СМ, прилегающей к пораженным корням зубов, и, как следствие, к периапикальному оститу с гиперплазией слизистой оболочки пазухи [36, 37].
Гипотезы микробиологии и биопленки
OMS имеет основные полимикробные характеристики с преобладанием анаэробных бактерий как в ротовой полости, так и в верхних дыхательных путях.Аэробные Staphylococcus aureus и Streptococcus pneumonia ( S. pneumonia ) и анаэробные Peptostreptococcus и Prevotella spp. обнаруживаются более чем в 75% случаев, в то время как метициллин-резистентный Staphylococcus aureus обнаруживается у 10–12% пациентов с СОМ [38, 39]. Роды и виды внутрикорневых бактерий и грибков, такие как Streptococcus , Propionibacterium и Candida albicans , могут вызывать вторичные периапикальные поражения, и более 158 видов бактерий и 3 вида грибов могут быть также вовлечены в этиологию вторичных периапикальных инфекций с наиболее распространенными являются бактерии Enterococcus faecalis [40, 41].
Периапикальные поражения, связанные с OMS, имеют гранулы биопленки, связанные с гранулематозными поражениями [42]. Недавно была предложена гипотеза бактериальной биопленки (BB) OMS, вовлекающая динамические полимикробные сообщества с медленно реплицирующими штаммами, встроенными во внеклеточный полимерный матрикс, включая экзополисахариды, белки и нуклеиновые кислоты [38]. Эти матриксные вещества располагаются дискретными слоями между метаболически активными штаммами в активных внешних оболочках, подвергающихся воздействию более высоких концентраций кислорода и питательных веществ, с покоящимися бактериями в более глубоком и неактивном анаэробном ядре [39].Более глубокие слои относительно защищены от антибиотиков, детергентов и других противомикробных соединений при гуморальном или клеточном иммунитете [39], что делает их ответственными за резистентные хронические инфекции.
BB имеет уровень обнаружения 70% в 25–100% образцов CRS [43,44,45,46,47]. ББ также может выступать в качестве механизма при OMS с хроническим воспалением придаточных пазух носа и биопленкой слизистой оболочки дыхательных путей [48, 49].
Основными возбудителями, участвующими в OMS BB, являются S. aureus , Haemophilus influenza ( H.influenza ), P. aeruginosa ( P. aeruginosa ), коагулазонегативные стафилококки, Moraxella catarrhalis , S. pneumoniae , виды грибов [40, 41], а также анаэробные виды. Иногда смещение имплантатов или эндодонтических материалов внутри верхнечелюстной пазухи не приводит к появлению признаков верхнечелюстного синусита, несмотря на то, что одонтогенные инфекции в большинстве случаев являются причиной верхнечелюстного синусита. Исключая сопутствующую назальную патологию, включая статус OMU, наличие ББ следует определять при развитии OMS [43, 44, 50, 51].
Актиномицеты в верхнечелюстной пазухе
Actinomyces spp., в том числе A. israelii и A. radicidentis , могут быть обнаружены на экстракорневых гранулах внутри верхнечелюстной пазухи из-за их специфических поверхностных структур, которые позволяют эпителию прикрепляться к воспалительным клеткам и оральным бактериям [52, 53].
]. Внекорневые поражения, вызванные актиномикозом, устойчивы к реакциям иммунной системы хозяина, антибиотикам и ортоградному лечению, потому что ортоградное эндодонтическое лечение само по себе не воздействует на внекорневые бактерии [26].Сложность лечения инфекций верхнечелюстной пазухи, связанных с Actinomyces , указывает на то, что для успешного лечения OMS, связанного с Actinomyces , могут потребоваться альтернативные средства лечения апикального периодонтита или апикальная хирургия [24]. Несмотря на трудности в различении апикального периодонтита, вызванного внекорневыми или внутрикорневыми микроорганизмами, на основании клинических признаков и рентгенографии, актиномикоз можно рассматривать как связанный со специфическими клиническими признаками и симптомами OMS [25].
Грибковый синусит
У пациентов с ОМС с ослабленным иммунитетом, в том числе с плохо контролируемым сахарным диабетом, ВИЧ-инфекцией или проходящих химиотерапию, грибковые инфекции также наблюдаются в верхнечелюстной пазухе.
Аспергиллез или мукомикоз могут распространяться на стенку глазницы, височную ямку и даже на головной мозг, вызывая признаки и симптомы, указывающие на злокачественное заболевание [54]. Большинство этих грибковых видов вдыхаются через дыхательные пути и сохраняются на слизистой оболочке носовых пазух, образуя плесень и споры.Очаги инфекции могут приводить к дистрофическому обызвествлению и образованию ринолитов, которые можно увидеть на рентгенограммах зубов, с крупными ринолитами, известными как грибковые шарики. Когда грибковая инфекция возникает в связи с инородными материалами зубов, инфекция обычно локализуется в пределах верхнечелюстной пазухи (рис. 9) [55].
Пансинусит обеих околоносовых пазух, возникший в результате инфекции корня правого первого моляра. Предоперационный панорамный вид ( a ), вид Water’s ( b ), аксиальный вид КТ, показывающий синусит обеих верхнечелюстных пазух ( c ), коронарный вид КТ, показывающий весь синусит, включая как решетчатую, так и лобную пазухи ( d ), и сагиттальная проекция КТ, показывающая вовлечение патологического поражения корня правого первого моляра ( e )
Для радикального устранения любых предрасполагающих причин и восстановления нормальной функции MCC следует рассматривать основное лечение хирургическими доступами.
Поскольку большинство этих пациентов будут иметь клинический иммунодефицит или будут госпитализированы, требуется более деликатное внимание для выявления ранних признаков или симптомов.
Лечение одонтогенного верхнечелюстного синусита
Ранняя диагностика с лечением
Хотя хронический синусит, включая ХРС и OMS, является распространенным явлением, для успешного лечения необходима точная и ранняя диагностика. Как правило, ХРС изначально не вызывает лицевой боли, и стоматолог может пропустить ХРС у пациентов с орофациальной болью.Начальное лечение, такое как промывание носа в сочетании с применением назальных деконгестантов, должно начинаться после установления наличия обструкции носа или полипов при эндоскопическом исследовании или с помощью компьютерной томографии. При наличии полипов сначала следует назначить местные или системные стероиды, а также может быть рекомендовано очень ограниченное использование назальных деконгестантов. Для хирургических соображений CSD или рецидивирующего заболевания синуса в первую очередь должно быть продемонстрировано восстановление нормальной функции MCC и четкое открытие OMU [56].
Некоторые аномальные состояния, такие как искривление перегородки, заблокированный полип или носовая раковина, увеличенный размер устья и гипертрофия тканей среднего носового хода, должны лечиться оториноларингологом с использованием эндоскопических изображений. После этого начального лечения стоматолог или челюстно-лицевой хирург должны исследовать одонтогенные причины.
Слизистые ретенционные кисты часто обнаруживаются на панорамных изображениях и КТ дна верхнечелюстной пазухи и часто путаются с одонтогенными воспалительными кистами (рис.5 и 6). Несмотря на то, что часто лечение не рекомендуется, ретенционные кисты могут быть легко удалены с помощью эндоскопического доступа из-за их характеристик увеличения и отсутствия саморемиссии. Мукоцеле часто обнаруживают в верхнечелюстной пазухе и в основном локализуются в лобной пазухе, когда дренаж пазухи заблокирован. Они возникают, когда секретируемая слизь накапливается и приводит к расширению костей с сильным эффектом давления [57].
CRS, возникающий после получения высоких доз облучения или у пациентов с муковисцидозом, также может потребовать раннего лечения из-за густых муцинозных выделений с рецидивирующим рубцеванием [5, 6].
Своевременное лечение
Односторонний постоянный или стойкий дискомфорт с неприятным запахом или без него является обычным явлением при OMS, но комплексная диагностика OMS стоматологами затруднена. За исключением КТ или конусно-лучевой КТ, панорамная проекция и проекция Уотера могут быть использованы для выявления синусита стоматологического происхождения, и, таким образом, только стоматологическое лечение может быть достаточным для разрешения OMS сначала, с последующими хирургическими подходами, включая FESS или CLP. Лицевая боль с головной болью напряжения и поражением височно-нижнечелюстного сустава после инфекции верхних дыхательных путей иногда может быть ошибочно принята за OMS, но для точной идентификации следует оценить происхождение боли из пазухи или полости носа [58].
Существует несколько классических хирургических стратегий доступа к верхнечелюстной пазухе, таких как CLP и ESS, и эти методы по-прежнему выбирают многие хирурги, хотя они и сопровождаются многими осложнениями. CLP, ошибочно называемая операцией Caldwell Luc, широко используется из-за легкого доступа и быстрого облегчения симптомов. Однако два типичных осложнения, такие как формирование послеоперационных кист верхней челюсти (ПОМК) и высокие показатели блокады нижней остеотомии, часто неизбежны.Кроме того, после классической CLP возникают высокие частоты послеоперационного отека лица из-за интраоперационного кровотечения, парестезии лица или зубов из-за вовлечения подглазничного нерва и склероза стенки верхнечелюстной пазухи [59, 60, 61] (рис. 10a). Кроме того, такое лечение непредвиденных ситуаций затрудняет реконструкцию альвеолярного гребня для имплантации или протезирования.
Рис. 10 Схематические рисунки хирургических доступов у пациентов с одонтогенным верхнечелюстным синуситом, показывающих обычные CLP ( a ), FESS ( b ) и MESS ( c , d , 0 1) Ринологи рекомендуют FESS из-за его нескольких преимуществ, включая широкие и гибкие доступы к околоносовым пазухам (PNS) без ограничения верхнечелюстной пазухи.
Анатомическое расширение среднего носового хода с полным удалением пораженных тканей и возбудителей может привести к восстановлению функции пазухи с низкой болезненностью и сохранению слизистой оболочки внутренней пазухи и оставшейся СМ (рис. 10б). FESS постепенно заменил CLP в течение последних нескольких лет, но связан с осложнениями [62]. Однако избыточное удаление внутренних физиологических тканей полости носа и неполное решение одонтогенных проблем являются недостатками, связанными с хирургическими вариантами лечения OMS.
Консолидированное ведение
Несмотря на разработку FESS для CRS, консолидированное ведение OMS должно гарантировать отсутствие инфекции у пациента и отсутствие рецидивов. Полное удаление одонтогенных очагов, таких как удаление вовлеченного зуба или апикоэктомия с эндодонтическим лечением, имеет важное значение для предотвращения осложнений OMS [15, 63, 64]. Кроме того, из-за высокой частоты OMS у пожилых людей для будущей ортопедической реабилитации необходимо дальнейшее рассмотрение костной реконструкции в задней части альвеолярного отростка верхней челюсти под верхнечелюстной пазухой [15, 16].
Для консолидированного лечения OMS можно использовать три основных подхода: внутриротовой доступ через место возникновения зуба, эндоскопический доступ через нос и OMU и предполагаемый доступ к верхней челюсти после создания костного окна. Недавно была применена модифицированная эндоскопическая хирургия верхнечелюстной пазухи (MESS) для внутриротовой репозиции взрывных переломов орбиты [65], удаления патологий пазухи [66] и удаления мигрировавших имплантатов из-под зрительного канала [67]. MESS — это новая, инновационная хирургическая процедура с доступом к пазухам, которая эффективна, проста и менее сложна, чем другие доступы к пазухам (рис.10) Благодаря способности поддерживать физиологию пазухи и средний носовой ход, не вызывая POMC или рубца пазухи после CLP, увеличение OMU можно использовать для вентиляции PNS в полость носа.
Профилактика ожидаемых осложнений
ОФП является наиболее частым осложнением, связанным с СОМ. Основной причиной ФП является удаление заднего зуба верхней челюсти, что составляет более 80% всех случаев ФП [68,69,70].
Эта форма OAF также называется ороназальной фистулой или ороантральной коммуникацией, при которой CRS может, следовательно, возникать из-за пенетрации слизистой оболочки полости рта между задней верхнечелюстной альвеолой и нижнелатеральной стенкой верхнечелюстной пазухи.Основным симптомом хронического незаживающего ОФП является гнойное отделяемое через свищ, особенно когда больной пьет или высморкается через нос из ОФП в полость рта или наоборот.
Что касается закрытия ОФП, то для успешного ведения важно учитывать размер и глубину свища. ОФП может самостоятельно покрываться ротовым эпителием и грануляционной тканью или полипозом слизистой оболочки пазухи, но в случаях неудачного самостоятельного закрытия гиперплазия слизистой оболочки пазухи может вызвать образование очень тяжелого постоянного свищевого канала между полостью рта и нос.За исключением предотвращения образования OAF, первым решением для OAF будет CLP или FESS. Первичное закрытие ОФП определяется в зависимости от размера дефекта и состояния слизистой оболочки полости рта.
Прямое закрытие или расширенные хирургические лоскуты, включая щечное продвижение, небный островок или лоскуты на ножке, могут рассматриваться для лечения ОФП (рис. 11). Кроме того, в тяжелых случаях ОФП можно рассмотреть использование рассасывающейся барьерной мембраны, золотой фольги или буккального жирового слоя [71]. В каждом случае ОФП поддержание здоровой оболочки верхнечелюстной пазухи без инфекционных микроорганизмов также важно для функционального восстановления верхнечелюстной пазухи [70,71,72].
Схематическое изображение закрытия ороантрального свища в полости рта. Прямое закрытие (1), щечный лоскут (2), небный отделяемый лоскут (3) и небный ротационный лоскут на ножке (4)
%PDF-1.4 % 173 0 объект > эндообъект внешняя ссылка 173 97 0000000016 00000 н 0000002291 00000 н 0000002534 00000 н 0000002598 00000 н 0000002629 00000 н 0000002694 00000 н 0000003273 00000 н 0000003745 00000 н 0000003811 00000 н 0000004044 00000 н 0000004181 00000 н 0000004276 00000 н 0000004392 00000 н 0000004511 00000 н 0000004618 00000 н 0000004728 00000 н 0000004816 00000 н 0000004956 00000 н 0000005098 00000 н 0000005240 00000 н 0000005382 00000 н 0000005478 00000 н 0000005574 00000 н 0000005669 00000 н 0000005765 00000 н 0000005861 00000 н 0000005956 00000 н 0000006051 00000 н 0000006146 00000 н 0000006241 00000 н 0000006336 00000 н 0000006432 00000 н 0000006528 00000 н 0000006623 00000 н 0000006718 00000 н 0000006813 00000 н 0000006908 00000 н 0000007002 00000 н 0000007096 00000 н 0000007192 00000 н 0000007289 00000 н 0000007385 00000 н 0000007480 00000 н 0000007576 00000 н 0000007672 00000 н 0000007768 00000 н 0000007865 00000 н 0000007962 00000 н 0000008058 00000 н 0000008154 00000 н 0000008250 00000 н 0000008346 00000 н 0000008443 00000 н 0000008540 00000 н 0000008637 00000 н 0000008733 00000 н 0000008829 00000 н 0000008925 00000 н 0000009092 00000 н 0000009292 00000 н 0000009908 00000 н 0000010382 00000 н 0000010404 00000 н 0000011272 00000 н 0000011453 00000 н 0000012243 00000 н 0000012842 00000 н 0000013294 00000 н 0000013920 00000 н 0000014164 00000 н 0000014186 00000 н 0000015033 00000 н 0000015547 00000 н 0000015949 00000 н 0000015971 00000 н 0000016700 00000 н 0000016722 00000 н 0000017515 00000 н 0000017688 00000 н 0000017934 00000 н 0000018285 00000 н 0000018351 00000 н 0000018373 00000 н 0000019222 00000 н 0000019244 00000 н 0000020044 00000 н 0000020066 00000 н 0000020877 00000 н 0000020899 00000 н 0000021516 00000 н 0000022419 00000 н 0000025519 00000 н 0000030101 00000 н 0000035135 00000 н 0000035229 00000 н 0000002734 00000 н 0000003251 00000 н трейлер ] >> startxref 0 %%EOF 174 0 объект > эндообъект 175 0 объект > эндообъект 176 0 объект [ 177 0 Р ] эндообъект 177 0 объект > >> эндообъект 178 0 объект > эндообъект 268 0 объект > ручей Hb«`e`Z l À
Контуры патологии — Хирургическая реснитчатая киста
Неодонтогенные кисты
Хирургическая реснитчатая киста
Член редколлегии: Kelly Magliocca, D.
Д.С., М.П.Х.
главный редактор: Debra L. Zynger, MD
Тема
Тема Завершена: 30 января 2019
Незначительные изменения: 10 мая 2021
Авторские права: 2002-2019 гг., PathologyOutlines.com Inc.
Поиск в PubMed: Хирургическая реснитчатая киста И бесплатный полный текст[sb]
Просмотров страниц в 2021 году: 3 910
Просмотров страниц в 2022 году на сегодняшний день: 359
Процитируйте эту страницу: Chi A.Хирургическая реснитчатая киста. Сайт PathologyOutlines.com. https://www.pathologyoutlines.com/topic/mandiblemaxillasurgicalciliatedcyst.html. По состоянию на 1 февраля 2022 г.
Основные характеристики
- Перенесенные хирургические вмешательства или травмы
- Клетки выстилки кистозного эпителия респираторного типа с ресничками
Терминология
- Послеоперационная киста верхней челюсти
- Послеоперационная околоносовая киста
- Имплантационная киста
Код МКБ
- J34.
1: киста и мукоцеле носа и носовых пазух
Патофизиология
- Ущемление слизистой оболочки верхнечелюстной пазухи в ране хирургическим вмешательством (например, процедура Колдуэлла-Люка, остеотомия по Ле Фор I)
- Последующий воспалительный процесс, вызывающий кистозные изменения защемленной слизистой оболочки дыхательных путей
- Расширение кисты за счет осмотического отличия от окружающей ткани (J Prosthet Dent 1990;64:466, J Oral Maxillofac Surg 2014;72:1736)
Диагноз
- Гистоморфология не совсем специфична; окончательный диагноз должен быть поставлен только при наличии, что наиболее важно, задокументированного анамнеза операции, а также совместных рентгенологических данных.
- Если ткань биопсии ограничена и не выглядит кистозной, может потребоваться рассмотреть возможность забора нормальной слизистой оболочки носовых пазух
- В таком случае может потребоваться общение с направляющими хирургами
Общее описание
- Кисты, часто содержащие слизистую кистозную жидкость
Микроскопическое (гистологическое) описание
- Просвет кисты выстлан псевдомногослойным реснитчатым цилиндрическим эпителием с редкими слизистыми бокаловидными клетками (характерно для слизистой оболочки верхнечелюстной пазухи)
- Отдельные участки плоскоклеточной метаплазии и вторичного воспаления
Микроскопические (гистологические) изображения
Предоставлено Энтони Чи, М.
Д., к.т.н. Кистозное поражение верхней челюсти, внутрикостное
Столбчатая эпителиальная выстилка
Выдающиеся реснички
Киста верхней челюсти с тонкой стенкой, внутрикостная
Ресничная оболочка кисты
Нет цитологической атипии
Иммуногистохимия
- Не часто используется для диагностики
Молекулярное/цитогенетическое описание
- Молекулярное тестирование не проводилось
Образец отчета о патологии
- Правая верхняя челюсть, киста, кюретаж:
- Респираторная киста, соответствующая хирургической реснитчатой кисте (см. комментарий)
- Комментарий: Визуализация выявила четко очерченную однокамерную кистозную опухоль размером 3 х 2 см на правой верхней челюсти.При микроскопическом исследовании определяется кистозное образование, стенка которого выстлана реснитчатым эпителием респираторного типа. Стенка кисты вариабельно фиброзирована с редким хроническим воспалением.
Цитологической атипии не наблюдается. У этого пациента с задокументированной историей операции по Ле Фор результаты согласуются с хирургической реснитчатой кистой.
- Комментарий: Визуализация выявила четко очерченную однокамерную кистозную опухоль размером 3 х 2 см на правой верхней челюсти.При микроскопическом исследовании определяется кистозное образование, стенка которого выстлана реснитчатым эпителием респираторного типа. Стенка кисты вариабельно фиброзирована с редким хроническим воспалением.
- Респираторная киста, соответствующая хирургической реснитчатой кисте (см. комментарий)
Дифференциальный диагноз
- Железистая одонтогенная киста
- Микрокисты или протокоподобные пространства (хорошие признаки для отделения от хирургических реснитчатых кист)
- Выстланы многослойными эозинофильными кубовидными клетками
- Апокриновое выпячивание клеток шиповатого ногтя
- Эпителиальные сферы или бляшковидные утолщения
- Может иметь реснички
- Могут присутствовать бокаловидные клетки слизистой
- Высокая частота рецидивов (до 50%)
- Стоматологическая киста
- Связь с ретинированным или непрорезавшимся зубом (хорошие признаки для отделения от хирургических реснитчатых кист)
- Выстлана неороговевающим многослойным плоским эпителием
- Первичная одонтогенная киста
- Развивающаяся одонтогенная киста
- Выстлан простым многослойным плоским эпителием
- Могут присутствовать слизистые или реснитчатые клетки
Вопрос № 1 в стиле обзора комиссии
- Что является наиболее важным фактором при постановке правильного диагноза этого кистозного поражения верхней челюсти?
- Возраст
- Гонка
- Секс
- Хирургический анамнез
Ответ № 1 в стиле проверки совета директоров
D .
Это изображение представляет собой хирургическую реснитчатую кисту. Это поражение встречается в широком возрастном диапазоне, хотя многим пациентам от 30 до 40 лет. Половой предрасположенности нет. Хотя хирургические реснитчатые кисты чаще встречаются у азиатских пациентов и относительно реже у неазиатских популяций, хирургический анамнез является наиболее важным фактором при постановке диагноза, учитывая его патофизиологию/этиологию.комментарий здесь
Артикул: Хирургическая реснитчатая киста
Вопрос в стиле обзора совета № 2
- Что верно при сравнении хирургической реснитчатой кисты и железистой одонтогенной кисты?
- Обе сущности никогда не повторяются
- Реснички видны только в хирургической реснитчатой кисте
- Бокаловидные клетки слизистой можно увидеть только в железистой одонтогенной кисте
- Киста с микрокистозными/протоковыми пространствами является отличительным признаком
Ответ #2 в стиле обзора совета директоров
D .
Хотя рецидивы хирургической реснитчатой кисты редки, они случаются, особенно если киста удалена не полностью. Железистая одонтогенная киста имеет частоту рецидивов 20-50%. Реснички иногда можно увидеть в железистых одонтогенных кистах. Слизистые бокаловидные клетки иногда можно увидеть в хирургических реснитчатых кистах. Микрокистозные/протокоподобные пространства в слизистой оболочке кисты характерны для железистых одонтогенных кист, но не для хирургических реснитчатых кист.комментарий здесь
Артикул: Хирургическая реснитчатая киста
Back to topРак верхнечелюстной пазухи количество стадий
Различное количество стадий рака верхнечелюстной пазухи и возможное лечение.
Что такое постановка?
Стадия рака означает, насколько он велик и распространился ли он. Это важно, потому что стадия часто решает лечение. Тесты и сканирование, необходимые для диагностики рака, дают некоторую информацию о стадии, но ваш врач может не сказать вам точную стадию, пока вам не сделают операцию.
Номер стадии
Различают 5 стадий рака верхнечелюстной пазухи.
Стадия 0 или карцинома in situ (СНГ)
Если у вас CIS или рак 0 стадии верхнечелюстной пазухи, у вас очень ранняя стадия рака.Некоторые врачи предпочитают называть это преинвазивным раком, потому что раковые клетки есть только в верхнем слое клеток, выстилающих внутреннюю часть верхнечелюстной пазухи, и он не прорастает глубже. Это означает, что раковые клетки содержатся там и не могут распространяться.
Если предраковое состояние не лечить, высока вероятность того, что это состояние перерастет в инвазивный рак.
Этап 1
Если у вас 1 стадия рака верхнечелюстной пазухи, опухоль проросла глубже, но находится только в тканях, выстилающих пазуху (слизистой оболочке).
Он не врос в кость.
Рак не распространился на лимфатические узлы или другие части тела.
Этап 2
Если у вас 2 стадия рака верхнечелюстной пазухи, опухоль начала прорастать в кость, окружающую верхнечелюстную пазуху, но не в кость задней части пазухи.
Рак не распространился на лимфатические узлы или другие части тела.
Этап 3
Наличие рака верхнечелюстной пазухи 3 стадии может означать:
- опухоль проросла в заднюю (заднюю) стенку или в решетчатую пазуху, подкожные ткани, дно или боковую часть глазницы.Рак не распространился на лимфатические узлы или другие части тела.
- опухоль любого размера, кроме Т4, и есть раковые клетки в одном лимфатическом узле на той же стороне шеи, что и опухоль, но размер узла составляет 3 см в поперечнике или меньше.

Этап 4
Это означает, что рак прогрессирует.Все опухоли T4 относятся к стадии 4, даже если они не распространились на лимфатические узлы или другие части тела. Этап 4 разделен на A, B и C.
Этап 4а:
- опухоль проросла в кожу щеки, переднюю часть глазницы, кость, отделяющую нос от головного мозга (решетчатая пластинка), клиновидную пазуху, лобную пазуху или кости (крыловидные пластинки) или другие отделы (подвисочная ямка) на лице. В близлежащих лимфатических узлах нет раковых клеток, или есть рак в одном лимфатическом узле на той же стороне шеи, что и опухоль, но размер узла составляет 3 см в поперечнике или меньше.Он не распространился на другие органы.
- опухоль любого размера, кроме 4b. Рак в одном лимфатическом узле на той же стороне шеи диаметром более 3 см, но не более 6 см, или рак более чем в одном лимфатическом узле на той же стороне шеи, но ни в одном из них более 6 см в поперечнике, или имеется рак по крайней мере в одном лимфатическом узле на другой стороне шеи (или с обеих сторон), но ни один из них не превышает 6 см в поперечнике.
Он не распространился на другие органы.
Этап 4b:
- опухоль любого размера.Один или несколько узлов содержат рак, и по крайней мере один узел имеет диаметр более 6 см, или он распространился на лимфатический узел и разросся за пределы лимфатического узла. Он не распространился на другие органы.
- опухоль проросла в область, соединяющую спинку носа с задней частью рта (носоглоткой), заднюю часть глазницы, головной мозг, слой ткани, покрывающий мозг (твердую мозговую оболочку), некоторые отделы основание черепа или определенные нервы, соединяющие мозг с телом (черепные нервы).Лимфатические узлы могут быть поражены или нет. Он не распространился на другие органы.
Этап 4c:
- опухоль любого размера. Лимфатические узлы могут быть поражены или нет. Рак распространился на другие части тела, такие как легкие, мозг или печень.
Лечение
Ваше лечение очень индивидуально и будет зависеть от многих факторов:
- тип опухоли
- где находится опухоль (ее стадия)
- на ваш выбор
- насколько вы здоровы с медицинской точки зрения
Хирургия
При плоскоклеточном раке, наиболее распространенном типе рака верхнечелюстной пазухи, вам может быть назначена операция, если ваша команда считает, что можно удалить всю опухоль.
Ваш хирург будет использовать органосохраняющую эндоскопическую хирургию, где это возможно. Этот тип операции менее инвазивен и вызывает меньше повреждений близлежащих структур.
При раке на поздних стадиях может потребоваться более масштабная операция. Внешний вид после операции (косметический результат) и возможность реконструкции являются важными факторами при принятии окончательного решения о лечении.
Лучевая терапия и химиотерапия
Возможно, вам назначена лучевая или химиотерапия с лучевой терапией (химиолучевая терапия):
- вместо операции, если опухоль не может быть удалена полностью
- , если операция будет слишком повреждающей здоровые структуры
- после успешной операции по уменьшению вероятности рецидива рака
Иногда вам может быть назначена только химиотерапия, чтобы попытаться уменьшить опухоль.Это может позволить хирургу сделать операцию. Вам может быть назначена лучевая терапия после операции и, возможно, дополнительная химиотерапия.
Протонная лучевая терапия
Возможно, вам подойдет протонная лучевая терапия вместо стандартной лучевой терапии. Это может быть частью исследования или потому, что опухоль находится в трудно поддающемся лечению месте. Поговорите со своим врачом об этом варианте лечения.
При других видах рака верхнечелюстной пазухи поговорите со своим лечащим врачом, чтобы узнать больше о лечении по стадиям.
Лечение рака придаточных пазух носа и полости носа (у взрослых) (PDQ®) – Версия для пациентов База данных PDQ содержит сводки последней опубликованной информации о профилактике рака, обнаружении, генетике, лечении, поддерживающей терапии, а также дополнительной и альтернативной медицине. Большинство резюме представлено в двух версиях. Версии для медицинских работников содержат подробную информацию, написанную техническим языком.Версии для пациентов написаны простым для понимания, нетехническим языком. Обе версии содержат точную и актуальную информацию о раке, и большинство версий также доступны на испанском языке.

PDQ — это служба NCI. NCI является частью Национального института здоровья (NIH). NIH — центр биомедицинских исследований федерального правительства. Резюме PDQ основаны на независимом обзоре медицинской литературы. Они не являются программными заявлениями NCI или NIH.
Цель этого обзора
Этот обзор информации о раке PDQ содержит текущую информацию о лечении рака придаточных пазух носа и полости носа у взрослых.Он предназначен для информирования и помощи пациентам, семьям и лицам, осуществляющим уход. Он не дает формальных руководств или рекомендаций для принятия решений о медицинском обслуживании.
Рецензенты и обновления
Редакционные коллегии составляют сводки информации о раке PDQ и поддерживают их в актуальном состоянии. Эти советы состоят из экспертов в области лечения рака и других специальностей, связанных с раком. Сводки регулярно пересматриваются, и по мере поступления новой информации в них вносятся изменения.
Дата в каждой сводке («Обновлено») — это дата последнего изменения.
Информация в этой сводке пациентов была взята из версии для медицинских работников, которая регулярно пересматривается и обновляется по мере необходимости редакционным советом PDQ Adult Treatment.
Информация о клинических испытаниях
Клинические испытания — это исследования, направленные на получение ответа на научный вопрос, например, является ли одно лечение лучше другого. Испытания основаны на прошлых исследованиях и на том, что было изучено в лаборатории. Каждое испытание отвечает на определенные научные вопросы, чтобы найти новые и лучшие способы помочь больным раком.Во время клинических испытаний собирается информация об эффектах нового лечения и о том, насколько хорошо оно работает. Если клиническое испытание показывает, что новое лечение лучше, чем используемое в настоящее время, новое лечение может стать «стандартным». Пациенты могут подумать об участии в клиническом испытании.
Некоторые клинические испытания открыты только для пациентов, которые еще не начали лечение.
Клинические испытания можно найти в Интернете на веб-сайте NCI. Для получения дополнительной информации позвоните в Информационную службу рака (CIS), контактный центр NCI, по телефону 1-800-4-CANCER (1-800-422-6237).
Разрешение на использование этой сводки
PDQ является зарегистрированным товарным знаком. Содержимое документов PDQ можно свободно использовать в виде текста. Его нельзя идентифицировать как сводку информации о раке NCI PDQ, если не отображается вся сводка и она не обновляется регулярно. Однако пользователю будет разрешено написать такое предложение, как «В сводке информации о раке NCI PDQ о профилактике рака груди риски указаны следующим образом: [включить выдержку из сводки]».
Лучший способ процитировать это краткое изложение PDQ:
Редакционная коллегия PDQ® Adult Treatment.PDQ Лечение рака придаточных пазух носа и полости носа (для взрослых).
Bethesda, MD: Национальный институт рака. Обновлено <ММ/ДД/ГГГГ>. Доступно по адресу: https://www.cancer.gov/types/head-and-neck/patient/adult/paranasal-sinus-treatment-pdq. Доступ к <ММ/ДД/ГГГГ>. [PMID: 26389439]
Изображения в этой сводке используются с разрешения автора(ов), художника и/или издателя только для использования в сводках PDQ. Если вы хотите использовать изображение из сводки PDQ, но не используете всю сводку, вы должны получить разрешение от владельца.Он не может быть предоставлен Национальным институтом рака. Информацию об использовании изображений в этом обзоре, а также многих других изображений, связанных с раком, можно найти в Visuals Online. Visuals Online — это коллекция из более чем 3000 научных изображений.
Заявление об отказе от ответственности
Информация в этих сводках не должна использоваться для принятия решений о страховом возмещении. Дополнительную информацию о страховом покрытии можно найти на веб-сайте Cancer.



1: киста и мукоцеле носа и носовых пазух
Цитологической атипии не наблюдается. У этого пациента с задокументированной историей операции по Ле Фор результаты согласуются с хирургической реснитчатой кистой.
Он не распространился на другие органы.