Какой кашель бывает при туберкулезе на различных стадиях заболеваний.
По статистике Всемирной организации здравоохранения, ежегодно туберкулёзом заболевает около 9 млн. человек, из них около 3 млн. умирает от осложнений общего инфицирования лёгочной системы.
Помимо прочих опасных симптоматических признаков первым симптомом заболевания является кашель. Какой кашель при туберкулёзе бывает на различных стадиях заболеваний органов дыхания – это тема нашего разговора. Мы посетили Московский городской научно-практический центр борьбы с туберкулёзом и встретились с ведущим специалистом медицинского учреждения Туктаровой Людмилой Михайловной, чтобы задать ей вопросы, интересующие читателей нашего сайта.
– Здравствуйте, Людмила Михайловна! Перед тем как начать нашу беседу, хотелось бы знать, что такое туберкулёз и чем он опасен для человека?
Л. М.: – Здравствуйте, уважаемые читатели! Действительно, туберкулёз — это одно из самых опасных заболеваний органов дыхания, инфекционным возбудителем которого является палочка Коха. В 1882 году в одной из берлинских клиник ему удалось выделить бактерию, которая вызывает эту инфекцию. Туберкулёз лёгких или чахотка – это очень опасное заболевание, которое до XX столетия считалось неизлечимым. До сих пор у фтизиатров вызывает тревогу большое количество летальных исходов от этого заболевания. Основной причиной тому является позднее обращение к специалистам, когда инфекционное поражение лёгочной системы достигает своего пика. Первым признаком заболевания, который должен стать тревожным сигналом для человека, является постоянный надсадный кашель.

Важно! Следует помнить, что любой кашляющий человек представляет потенциальную угрозу для окружающих.
– Людмила Михайловна, а как определить степень заболевания, и какой кашель при туберкулёзе на ранней стадии бывает?
Л.М.: – У человека наблюдается потливость, небольшая температура и постоянный кашель. Кроме того, пациенты при начальной стадии заболевания жалуются на головную боль, отсутствие аппетита и потерю веса. По первоначальным признакам, кашель при туберкулёзе в начале инфицирования очень напоминает кашлевой рефлекс при бронхите.

Первичное инфицирование: основные симптомы и признаки
Очень большое значение имеет первичная локализация очага инфицирования. Туберкулез лёгких на ранней стадии заболевания протекает бессимптомно. Болезнь маскируется под различные виды заболеваний дыхательной и респираторной системы. Однако существуют особые отличительные признаки, которые должны настораживать больного человека и его окружение:
- Появление субфебрильной температуры, когда у человека на протяжении длительного периода держится температура тела в пределах 37-38ºC. Щёки при этом покрываются румянцем, а глаза блестят от постоянно выделяющихся слёз.
- Человек стремительно теряет массу тела независимо от аппетита.
- Боль в грудной клетке или спине, сопровождающаяся лёгким покалыванием при вздохе или кашле.
- Ночная потливость – это ещё одна особенность патологического поражения органов дыхания, инфицированных бактериями.
- Разбитость организма и постоянная усталость даже при минимальной физической активности.
- Продуктивный кашель с незначительным выделением слизи.

Приступы кашля становятся всё чаще из-за нарушения газообмена в альвеолах и накапливающейся слизи в бронхах, затрудняющей вентиляцию лёгких.
– Людмила Михайловна, какой кашель при туберкулёзе лёгких самый опасный? Правда ли, что процесс инфицирования имеет необратимое действие?
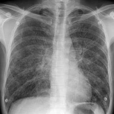
Л. М.: – Естественно, что кашель с отхождением мокрот — это не всегда явный признак туберкулёза. Необходимо провести диагностику заболевания. Для этого используется рентгенологическое сканирование лёгких, микроскопическое исследование отходящих при кашле мокрот и прочие клинические обследования.
Внимание! Кашель с кровяными выделениями – это свидетельство серьёзной патологии, однако при своевременном обращении к врачу можно значительно снизить риск дальнейшего развития заболевания.

Формы клинического проявления туберкулёза
Важно знать, какой кашель при туберкулезе у взрослых проявляется при различных формах поражения органов дыхательной системы, и чем он опасен для окружающих:
- При латентном туберкулёзе (скрытая форма), характерны незначительные изменения в тканевой структуре лёгких. Кашель при микобактериальном инфицировании по такому типу не представляет угрозы для окружающих.
- Инфильтративный туберкулез выражается в скоплении большого количества клеточных элементов с кровяной примесью. Скопившийся инфильтрат в лёгких частично выходит с кашлем в виде кровяной мокроты, что является опасным для окружающих.
- Кавернозная форма лёгочного поражения при туберкулёзе характерна рядом симптоматических признаков (кровохарканье, глухой хрип в лёгких). Поражение крупных сосудов лёгочной системы приводит к внутреннему кровотечению, что влечет за собой гнойные и кровянистые выделения при кашле.
- Тотальное поражение происходит при цирротическом туберкулёзе, когда лёгкое полностью разрушается. Кашель при такой форме заболевания доставляет больному человеку нестерпимые страдания.
Диагностика лёгочного поражения туберкулёзом основана на анализе отходящих при кашле мокрот. У больного человека берется мазок с ротовой полости и путём полимеразной цепной реакцией, устанавливается степень концентрации биологического материала.

– Людмила Михайловна, как определяются симптомы заболевания у самых маленьких пациентов, и какой кашель при туберкулёзе у детей.
Л. М.: – Прежде всего, следует обратить внимание на длительность кашля у ребенка. Если кашель длится больше 3 недель, при этом не наблюдается сопутствующих заболеваний, температура стабильно держится в субфебрильных пределах, то это свидетельствует о возможных патологиях лёгочной системы. Такого ребенка следует немедленно показать врачу.
Что такое туберкулёзный бронхоаденит?
Туберкулёзное поражение внутригрудных узлов лимфатической системы в корне лёгкого чаще всего возникает при первичной форме туберкулёза. Отличием туберкулёзного бронхоаденита от системного поражения в лёгочной ткани при туберкулёзе являются минимальные его пневмонические изменения. Такая форма туберкулёза наиболее часто встречается у детей школьного возраста. Течение болезни проходит бессимптомно, однако, существуют и различные интоксикации:
- непродуктивный приступообразный кашель без мокроты;
- температура тела держится в субфебрильных границах;
- за счёт увеличения лимфатических узлов происходит сдавливание бронхов, вызывающее хрипы в грудной клетке.
Подтверждение диагноза происходит путем флюорографического и лабораторного исследования. Туберкулёзный бронхоаденит – это один из множественных признаков и симптомов развития туберкулёза у детей. При таком заболевании лёгочной системы предусмотрено лечение препаратами антибактериального действия и фармакологическими комбинациями, способствующими укреплению иммунитета. Кроме интенсивной патологической и специфической терапии рекомендовано санаторно-курортное лечение.

– Людмила Михайловна, существуют ли методы лечения кашля при туберкулёзе народными средствами?
Л. М.: – Так как кашель при туберкулёзе не является единственным симптомом, то лечить заболевание необходимо комплексно. Лечение туберкулёза народными средствами в домашних условиях не должно быть определяющим фактором. Народная медицина – это лишь вспомогательный способ многомесячного излечения бактериальной инфекции различными фармакологическими препаратами. Однако такое лечение нельзя исключать в комплексной противотуберкулёзной терапии.
Кашель при туберкулёзе: лечение народными средствами
Известно, что возбудителями туберкулёзной инфекции являются микобактерии.
Внимание! Воздушно-капельный путь очагового инфицирования лёгких – это основной тип передачи туберкулёза. Поэтому блокировка кашля при инфицировании, как самого распространенного пути заражения, имеет большое значение.
Используя средства народной медицины, можно не только укрепить иммунную систему организма, но и значительно уменьшить неблагоприятное воздействие микобактерий на лёгочную и респираторную систему.
Лечение кашля при туберкулёзе чесноком
Сок и/или экстракт чеснока обладает угнетающим антибактериальным действием на палочку Коха, останавливая его развитие. Для людей, страдающих инфекционным поражением лёгочной системы, в рационе обязательно должен быть чеснок. Рекомендуется к употреблению 2-3 зубчика чеснока каждые 3-4 часа.

Несколько рецептов приготовления «чесночного» лекарства:
- Перед сном мелко измельчаются 2 зубчика чеснока и заливаются стаканом тёплой кипяченой воды. После 12 часового настаивания лекарство от кашля при туберкулёзе готово. Принимается ежедневно по утрам на протяжении всего лечения.
- Растереть 100 г чеснока в кашеобразную массу с добавлением сливочного масла (100 г) и натурального пчелиного мёда (100 г). Вся целебная смесь настаивается на водяной бане в течение 10 минут. Применять ежедневно по 50 г перед употреблением пищи.
Алоэ при туберкулёзе
Существует множество различных лекарственных рецептов домашнего приготовления, помогающих в лечении кашля при туберкулёзе. Помимо важнейших защитных свойств этого растения для организма, алоэ спасает больных туберкулёзом от стремительного истощения. Вот некоторые рецепты:
- Для приготовления целительной настойки понадобятся следующие ингредиенты: барсучий жир (150 г), чеснок, почки березовые (по 50 г), 100 мл коньяка и 200 г алоэ. Все лекарственные компоненты перемешиваются и настаиваются в тёмном сухом месте для настаивания в течение 7 дней. По окончании срока, всё содержимое процеживается и переливается в чистую стеклянную посуду. Принимать по 2 ст.л. 3 раза в день за полчаса до еды.
- Смешать 200 г цветочного мёда со стаканом измельченных листьев алоэ. Целебная смесь разогревается на медленном огне до жидкого состояния. После остывания в отвар добавляется 1 ст.л. оливкового масла, всё тщательно перемешивается и отправляется в холодильник. Принимать по столовой ложке за 30 минут до еды.

Медвежий жир от кашля при туберкулёзе
Это лекарственное средство при лечении туберкулёза обладает уникальными природными компонентами и редкими биологически активными веществами. Для эффективного лечения рекомендуется применять натуральный жир, который не продается в аптеках.
antirodinka.ru
Какой кашель при туберкулезе: характерные признаки заболевания
Туберкулез — одно из наиболее опасных инфекционных заболеваний. Для того чтобы предотвратить болезнь на ранних стадиях заражения, следует знать, какой кашель наблюдается при туберкулезе, и как от него избавиться.
Причины появления заболевания
Туберкулез легких развивается, если произошло заражение организма микроорганизмами Mycobacterium tuberculosis. При нормальной работе иммунной системы организма риск заражения минимален даже при тесном контакте с носителем заболевания.
Распространению болезни способствуют различные факторы, подавляющие иммунитет:
- злоупотребление алкогольными напитками и табачными изделиями;
- употребление наркотических веществ любой формы;
- врожденный или приобретенный иммунодефицит, в том числе ВИЧ-инфекция;
- пренебрежение санитарно-гигиеническими нормами;
- плохие социальные условия;
- хронические заболевания дыхательной системы — астма, обструктивный бронхит;
- длительный прием препаратов, угнетающих иммунитет;
- проведение химиотерапии;
- нехватка витаминов и микроэлементов в рационе.
При сочетании нескольких факторов риск заражения повышается в несколько раз.
Заболевание может возникнуть не только у людей, но и у животных.
Факторы, предрасполагающие к развитию туберкулезаХарактерные признаки заболевания
Туберкулез может протекать в нескольких формах, однако механизм развития болезни имеет определенную последовательность:
- Заражение происходит при непосредственном контакте с бактерией. Далее патогенные агенты с кровью разносятся по организму, поражая различные ткани и проникая в клеточную структуру.
- Скрытый период или носительство — бактерия обнаруживается в крови, но никак себя не проявляет. Продолжительность составляет от нескольких месяцев до нескольких лет.
- Клинический период — болезнь прогрессирует, появляются симптомы.
Из-за отсутствия признаков болезни на ранних стадиях туберкулез трудно диагностировать и больной может не подозревать об опасности. Заподозрить заражение можно по следующим признакам:
- частое или постоянное головокружение;
- слабость, высокая утомляемость;
- постоянная сонливость;
- резкое беспричинное похудение, нарушение аппетита, отвращение к пище;
- бледность кожных покровов, сопровождающаяся неестественным румянцем;
- повышенная потливость;
- незначительно повышенная температура 37,2–37,5, которая держится в течение длительного времени.
На ранних стадиях кашель отсутствует. Он появляется позже, когда значительная часть легочной ткани поражена болезнетворными бактериями.
Чаще всего, туберкулезом заболевают представительницы слабого пола в возрасте 15–44 лет.
Отсутствие аппетитаКакой бывает кашель при туберкулезе?
При легочной форме наблюдается характерный «кашель туберкулезника» — частый, сухой и отрывистый (кашель стаккато). Если болезнь не лечить, кашель усиливается, становится мокрым и сопровождается хрипами.
При кавернозной форме во время кашля отделяется большое количество мокроты с кровавыми прожилками. В мокроте попадаются творожистые включения.
Может ли быть туберкулез без кашля?
При ослабленном иммунитете и общем истощении может развиваться стертая форма заболевания. Протекает латентный туберкулез без кашля и заметных симптомов, инфекция при этом может накапливаться в костной ткани или лимфатических сосудах.
Категории людей, рискующие заразиться болезнью
В группу риска попадают люди со слабым иммунитетом и хроническими нарушениями обмена веществ.
У детей иммунитет еще не развит полностью, поэтому риск заражения выше. В группу риска попадают новорожденные, особенно недоношенные, либо родившиеся с дефицитом массы тела.
В период полового созревания под влиянием гормонов иммунитет перестраивается. Туберкулез может развиться, если в крови ребенка присутствовал возбудитель заболевания.
У взрослых риск заражения меньше, однако некоторые группы люди все-таки могут заболеть. К ним относятся:
- беременные женщины;
- пожилые люди;
- лица, злоупотребляющие алкоголем, либо принимающие наркотические препараты;
- люди, проживающие в плохих санитарных условиях;
- пациенты с дефицитом массы тела более 10%.
Хронический стресс и чрезмерные физические нагрузки повышают риск развития болезни.
По официальным данным ВОЗ ежегодно туберкулезом заболевает около 9 млн людей. При этом 3 млн больных обратились в больницу уже с запущенной стадией заболевания. По статистике ежегодно от туберкулеза умирает около 1,3 млн людей.
Типы людей, входящих в группу рискаКак отличить обычный кашель от туберкулезного?
На ранних стадиях заболевания кашель трудно отличить от кашля другой природы. Опасение может вызвать кашель, не проходящий в течение нескольких недель.
На поздних стадиях болезни кашель становится приступообразным, сопровождается одышкой, изменением тембра голоса.
Диагностические мероприятия
Для предотвращения распространения инфекции проводится профилактическая диагностика: детям выполняют пробу с туберкулином.
Для взрослых основным методом диагностики является флюорография, которая проводится ежегодно в поликлинике по месту жительства.
При подозрении на туберкулез используются различные методы диагностики:
- серологический анализ;
- общий анализ крови и мочи;
- рентгенография;
- компьютерная или магнитно-резонансная томография.
Пациенты, имеющие туберкулез в анамнезе или контактирующие с носителем болезни проходят регулярный осмотр у фтизиатра.
Диагностика заболеванияЛечение кашля при туберкулезе
Лечение туберкулеза осуществляется комплексно, с применением медикаментов нескольких групп. В первую очередь пациенту назначают антибактериальные препараты — Рифампицин и Пиразинамид. Они уничтожают патогенные микроорганизмы. Для улучшения самочувствия больного применяются: иммуностимуляторы, витамины, таблетки от кашля и жаропонижающие препараты.
Медикаментозное лечение дополняется физиопроцедурами, дыхательной гимнастикой. Для улучшения общего состояния организма корректируется рацион питания.
Важно полностью завершить курс медикаментозной терапии. Это увеличивает шанс на полное уничтожение бактерий. Если лечение прервать, то у патогенным микроорганизмов может выработаться иммунитет к лекарственным препаратам.
Возможные осложнения и прогнозы
Если лечение начато на ранних стадиях, прогноз, как правило, благоприятен. Современные методы лечения позволяют добиться полного выздоровления.
Лечение запущенного туберкулеза так же возможно, однако длительно протекающий туберкулез приводит к разрушению легочной ткани. При необходимости пораженные участки удаляются хирургическим путем.
Чтобы избежать осложнений, достаточно своевременно проходить обследование и следить за соблюдением санитарных норм.
kashlynet.ru
Виды кашля при туберкулезе особенности заболевания
Туберкулез — инфекционное заболевание с воспалительным течением в легких, поражением бронхиального дерева палочкой Коха. По мере развития воспаления патологическим видоизменениям подлежат клеточные структуры бронхов, по мере развития разрушается и начинает неправильно функционировать дыхательная система в целом.
Путь передачи туберкулиновый палочки: воздушно-капельный. Заражение может произойти при контактах с инфицированным человеком в момент разговора, чихания, кашля. Многие пациенты задаются вопросом, какой кашель при туберкулезе? Ведь важно выявить болезнь на начальном этапе, пока шансов на выздоровление и благоприятный прогноз гораздо больше.
Какой бывает кашель при туберкулезе?
Кашель при туберкулезе появляется не сразу. На первом этапе, на ранней стадии практически отсутствует. По характеру бывает:
- сухой, приступообразный, причины: увеличение лимфоузлов, сдавливание бронхиального дерева, излияние патологической жидкости в просвет бронхов или полость плевры;
- усиленный, продуктивный на фоне прогрессирования болезни, присоединения неспецифического бронхита, сильного разрушения легких.

Кашель начинает забивать бронхи, беспокоить приступами при скоплении болезнетворных бактерий, приводящих к раздражению дыхательных рецепторов.
Симптомы и позывы кашля могут быть довольно продолжительными, пока накопленная слизь не будет выведена полностью наружу. По мере накопления серозной жидкости может проявляться приступообразный кашель с продолжительностью в 3-10 минут, особенно с утра при принятии горизонтального положения после сна. Слизь за ночь застаивается, на утро – вновь разливаться по бронхиальной полости, приводя к нарушению нормального дыхания, позывам к влажному отхаркиванию по причине быстрой реакции организма на ситуацию.
Появление кашля после сна, принятия вертикального положения — явный признак развития болезни. За ночь слизь скапливается в полости плевры, утром выплескивается наружу, вызывая продолжительный кашель (до нескольких часов), пока очищение легких не произойдет в полном объеме.
У детей чаще отмечается сухой кашель при туберкулезе. Сравнить можно с металлическим звуком в моменты поступления кислорода в органы дыхания. В случае поражения гортани голосовая щель начинает закрываться не полностью. Присутствует чувство забитости, кома в горле. Кашель становится хриплым, приглушенным.
Может ли быть туберкулез без кашля?
При ответе на вопрос: бывает ли туберкулез без кашля стоит сказать, что может на начальном этапе. Скрытая форма болезни нередко приводит к тому, что пациент узнает о своем диагнозе слишком поздно, когда инфицирование легких находится уже на стадии осложнений.
Основные случаи, когда туберкулез может протекать без кашля, температуры:
- слабость иммунной системой;
- закрытая, хроническая форма болезни с замедленным прогрессированием;
- развитие очага воспаления вне легких: в печени, головном мозге, костях, кишечнике, половых органах.

Опасность внелегочного туберкулеза – распространение инфекции на головной мозг, развитие менингита со смертельным исходом. В частности кашель отсутствует на начальном этапе развития 2-ух форм туберкулеза: очаговый и туберкулома. Кроме того, заболевание клинически схоже с обычной простудой, гриппом, особенно у детей. Родителям стоит быть бдительными, если ребенок слишком долго кашляет.
Симптом – сухой, надрывной, судорожный, приступообразный кашель в сопровождении с одышкой схожий по звучанию с металлическим скрежетом в утренние (ночные) часы.
Кашель отсутствует на начальном этапе развития болезни. Это и представляет трудности при распознавании. Нельзя путать туберкулез с простудными болезнями, при которых дети начинают кашлять практически сразу.
Симптомы кашля при туберкулезе
Туберкулез имеет рецидивирующее течение. Воспалительный процесс то обостряется, то медленно идёт на спад. По мере интоксикации, заполнения легких и плевры инфекция начинает проявляться множество признаков, симптомы у взрослых совместно с кашлем и температурой :
- лихорадка с повышением температуры до 37 градусов;
- резкое снижение веса, до 20 кг за 2 месяца;
- повышение потливости в ночные часы;
- быстрая утомляемость;
- слабость;
- раздражительность.

Не всегда воспалительное течение в легких сопровождается кашлем. Врачами отмечены случаи, когда патология начинает развитие сразу с острой стадии. Диагностируется деструктивная форма с диссеминированным течением или милиарный легочный туберкулез.
На начальном этапе отличительные особенности патологии: непродолжительный кашель, быстрый переход из сухого во влажный, повышение температуры (37, 37,5гр) в ночные часы.
Дополнительные признаки:
- легкий дискомфорт в груди с усилением на вдохе, в моменты сжимания, уменьшения легочной ткани в объеме;
- сдавливающая боль с усилением на вдохе;
- увеличение лимфоузлов под мышками, ключице;
- сухой ненавязчивый кашель в ночные часы, быстро переходящий во влажный;
- отхождение частиц крови;
- слабость;
- снижение концентрации внимания;
- слезотечение;
- светобоязнь;
- коньюктивит глаз;
- бледность покровов кожи;
- появление неестественного румянца на щеках, блеска в глазах;
- апатия;
- головокружение;
- хрипы разной интенсивности;
- тахикардия;
- чувство нехватки воздуха.
По мере развития болезни туберкулезный кашель начинает отходить в сопровождении с мокротой из гноя и слизи. Кашляющий пациент пытается периодически откашливаться. Скопления выходят из легких сначала бесцветные. Затем видоизменяются по цвету, начинают отходить с частицами крови. Истончение сосудистых стенок приводит к кровохарканью.
Характеристики
При туберкулезе появляется кашель – сухой, навязчивый, не неподдающийся устранению на протяжении 3-4 недель. Усиливается в ночные часы, забивает легкие, приводит к бессоннице, расстройствам нервной системы.
Особенности кашля зависят от формы течения заболевания:
- Милиарная форма, кашель – надрывный, сильный с отхождением белой густой мокроты;
- Очаговая форма, кашель – и редкий слабый, когда распознать патологию бывает затруднительно;
- Деструктивная форма, кашель – приглушенный, приступообразный в сопровождении с болью в гортани, но хрипы отсутствуют;
- Опухолевидная форма с появлением судорожного кашля, отхождением металлического отзвука из гортани;
- Гортанная форма с появлением беззвучного кашля, хриплого голоса в случае недостаточного прикрытия голосовой щели;
- Инфильтративная форма — слабый, периодический кашель с постепенный сменой на приступообразный с отхождением вязкого секрета небольшими объемами, кровохарканье.

Металлический отзвук бывает при деструктивной форме туберкулеза, когда наблюдается распад лёгких, заполнение кавернами.
Кровохарканье
Кровохарканье — признак развития инфильтративной формы туберкулеза. Наблюдается отхождение мокроты с частицами крови. Это опасное явление, поскольку высока вероятность развития кровотечения в легких.
Туберкулез — замаскированная болезнь. Симптомы можно спутать с другими заболеваниями: рак легкого, сердечная недостаточность. Опасность представляет кровохарканье при туберкулезе с появлением приступообразного кашля, вылетом изо рта мокроты с частицами свежей крови. Развития легочного кровотечения — нередкая причина летального исхода.
При появлении подобных признаков нужно срочно обратиться к пульмонологу (фтизиатру), пройти полное обследование. Сдать мокроту на анализ и рентгенографию, детям – пробу Манту. Игнорировать кровохарканье уже нельзя.
Лечение кашля
Цель терапии — добиться снятия приступообразного кашля, приостановки развития воспалительного течения. При туберкулезе применимо такое понятие, как заглушить болезнь, достичь устойчивой ремиссии. К сожалению, хроническая форма болезни – неизлечима. В ряде запущенных случаев врачи прибегают к проведению операцию по удалению пораженного легкого (частично, полностью).
Лечение – длительное, 2-6 месяцев. От больных требуется соблюдение в строгости все предписания, указания лечащего врача. Если не пролечиться полностью, то симптомы могут с новой силой через 6-8 месяцев вспыхнуть вновь. На раннем этапе пациентам назначается симптоматическая терапия — противотуберкулезные препараты курсовыми приемами, длительностью при интенсивной фазе — 2 месяца. Если самочувствие улучшится, то возможен перевод на поддерживающую терапию с назначением лекарств (Изониазид, Рифампицин).
Важно не допустить устойчивости палочки Коха к принимаемым лекарствам, поэтому лечить бывает туберкулез затруднительно. Это и представляет трудности при разработке лечебной программы, когда антибиотики становятся бессильными. Врачи назначают препараты усиленными дозами. Пациентам важно соблюдать дозы, не пропускать прием препаратов, не прерывать лечение на протяжении 0,6 года.

Иногда врачам приходится подбирать терапию с включением для одновременного приема сразу 6-7 наименований лекарств. Лечение сравнимо с химиотерапий, когда быстро подавляется иммунитет и требуется комплексное воздействие на патогенную микрофлору в легких. Дополнительно пациентам рекомендуются:
- физиопроцедуры;
- дыхательная гимнастика;
- специальная диета.
Кашель — защитный рефлекс, способен очищать дыхательные пути от инородных накоплений слизи. Мокрота по характеру при туберкулезе бывает разной. Многое зависит от провоцирующих факторов ее появления. Так кашель при бронхиальной астме – приступообразный, малопродуктивный, сухой. При воспалении легких — влажный с обильным отхождением мокроты, гноя. Кашель у туберкулезника без провоцирующих факторов имеет некие особенности: откашливание с выделением чистой мокроты или в случае запущенного туберкулеза, с добавлением частиц крови.
Туберкулез заразен, симптомы – значительно снижающие качество жизни. При малейшем подозрении на воспалительно-инфекционное течение в легких необходимо обратится к врачам, и пройти обследование.
chahotkinet.ru
какой он у детей, на ранней стадии, характер, сухой
Кашель при туберкулезе носит особенный характер. Он появляется в результате раздражения легочной ткани патогенными микроорганизмами. Тип кашля зависит от стадии развития болезни и площади поражения органов дыхания. Он мучает больного постоянно или появляется очень редко, может быть сухим или влажным, сопровождается выделением большого количества вязкой мокроты.
Туберкулез без кашля
Заболевание имеет неприятные симптомы, иногда протекает в виде острого респираторного процесса или пневмонии. Кашель при туберкулезе у детей продолжается длительно и является постоянным признаком болезни. Наличие патологического процесса подтверждает рентген легких в том случае, если воспаление не проходит в течение нескольких месяцев.

У маленьких детей туберкулез без кашля встречается в начальной фазе болезни. Иногда он маскирует воспаление легких.
Обращаясь к врачу с вопросом о том, может ли болезнь протекать без кашля, изучают состояние иммунной системы, наличие очагов хронической инфекции, условия жизни больного.
У ВИЧ-инфицированного ребенка патологический процесс протекает без характерных симптомов и нередко приводит к летальному исходу. Если у пациента возникла одышка, пешие прогулки стали утомительны, появилась сонливость — это может быть туберкулез, а не воспаление легких.
При первых признаках заболевания необходимо получить консультацию врача. Опасность болезни без кашля заключается в том, что патологический процесс охватывает часть легкого, а отсутствие своевременного лечения приводит к некрозу ткани. Функция пораженного органа полностью не восстанавливается после выздоровления ребенка.
Характеристика кашля
В начальной стадии патологического процесса перхота (кашель) сопровождается небольшой температурой. Он проходит после лечения антибиотиками и противовоспалительными препаратами. Если состояние пациента ухудшилось, появляется приступообразный кашель, который быстро становится влажным. В просвете бронхов скапливается большое количество слизи, которую больной с трудом отхаркивает.

Затяжной кашель при туберкулезе легких провоцирует давление диафрагмы на легкие. Их вентиляция значительно ухудшается, ребенок дышит с большим трудом, а кашель усиливается. Во время приступа выделяется большое количество прозрачной мокроты. В последней стадии болезни развивается гемофтизия — кашель с кровью.
В положении лежа ребенок с большим трудом отхаркивает мокроту. Состояние больного ухудшается в ночное время, а пациент жалуется на постоянные позывы к кашлю.
Очаговая форма легочной патологии сопровождается редким покашливанием, которое не доставляет неудобства пациенту. Сухой кашель возникает без причины при милиарной форме болезни. Неприятные ощущения в горле сопровождают деструктивный патологический процесс в легких. Приступы возникают рано утром и продолжаются до тех пор, пока бронхи полностью не освободятся от слизи.
Ранняя стадия болезни
У маленького ребенка на начальном этапе развития туберкулеза кашель отсутствует, а болезнь маскируется под обычную простуду. На ранней стадии ее можно спутать с симптомами гриппа. У пациента появляются болезненная перхота, боль за грудиной, сухость слизистых оболочек носовой полости и глотки.
Повышенная температура, недомогание, слабость являются постоянными спутниками заражения микобактерией туберкулеза — кашель отмечается во многих случаях, и, как правило, служит признаком инфекции.
У маленького ребенка появляются симптомы инфекции:
- головная боль;
- кашель;
- удушье;
- слабость;
- вялость.
В тяжелой форме болезнь протекает у детей, находящихся на грудном вскармливании. Кашель носит постоянный характер, мешает спать пациенту.
Симптомы поражения легких ярко выражены у ребенка 4-7 лет. Кашель и одышка появляются гораздо позднее, в начале болезни пациент жалуется на потерю аппетита и недомогание. Особенности характера кашля при туберкулезе у детей от 8 до 14 лет состоят в том, что он появляется одновременно с общими симптомами болезни, носит постоянный характер, одышка возникает в состоянии покоя.
Симптомы у дошкольников
На начальном этапе заболевание у детей сопровождается редким влажным кашлем и увеличением внутригрудных лимфатических узлов. Через 4-12 месяцев после инфицирования кашель усиливается, но остается сухим. Он назойливый, частый, изматывает больного.
В ночное время ребенок не может уснуть, т. к. его беспокоят удушье и позывы к кашлю, который носит особенный характер. Издаваемый звук напоминает скрежет металла.
Какой кашель при туберкулезе у ребенка, родителям объясняет врач. При поражении гортани преобладает покашливание, сопровождающееся осиплостью голоса. Пациент жалуется на боль в горле при глотании. При развитии патологии бронхов появляется надсадный звонкий кашель.
Во всех случаях поражения функционально-активных эпителиальных клеток органа дыхания у больного возникает легкое покашливание. Распад легочной ткани с образованием каверн сопровождается появлением желто-зеленой гнойной мокроты и глухим влажным перханием.
Эта разновидность туберкулеза требует сложного и длительного лечения в специальном медицинском учреждении. Родители обязаны обращать внимание на кашель у ребенка первого года жизни. Больной во время приступа синеет, тяжело дышит. Нередко возникает однократная рвота.
Инфильтративный процесс
Подростки, имеющие наркотическую или никотиновую зависимость, больные СПИДом, пациенты, страдающие хроническим бронхитом, могут заболеть опасной формой туберкулеза.
Кашляющий ребенок должен быть обследован в медицинском учреждении для выявления причины заболевания. Во многих случаях начальная стадия туберкулеза протекает бессимптомно. У пациента появляется незначительный кашель с небольшим количеством мокроты.
После формирования устойчивого воспалительного очага в легких пациент жалуется на затрудненное дыхание, субфебрильную температуру. Ребенок часто болеет вирусной инфекцией, особенно в зимнее время.
Лечить инфильтративный процесс необходимо на ранних стадиях, подбирая индивидуальный курс терапии. Врач помогает пациенту справиться с воспалением, предотвратить разрыв мелких сосудов, приводящий к кровохарканью, появлению боли в мышцах брюшной стенки и в области ребер. Колебания грудного давления вредны для работы сердца и головного мозга.
Пациент проходит курс лечения в противотуберкулезном диспансере, т. к. может заразить окружающих. Перхота по утрам и температура в вечернее время в пределах 37-37,5 °С появляются у ослабленного ребенка. Если выделяемая слизь имеет необычный цвет, запах или консистенцию, проводят рентгеновскую диагностику.
Во многих случаях для подавления размножения микобактерий назначают лечение противотуберкулезными и антиретровирусными препаратами.
Воспаление при закрытой форме патологического процесса
Заболевание у ребенка прогрессирует очень быстро, сопровождается развитием тяжелых осложнений. Туберкулез в закрытой форме определить непросто, т. к. нередко отсутствуют его явные признаки.
Первые симптомы болезни характерны и для других патологических процессов, например, обструктивного бронхита.
При закрытой форме у ребенка бывает перхота, не приносящая облегчения. Приступы продолжаются длительно, развиваются одышка, сухие хрипы, которые слышны на расстоянии.
Туберкулезный кашель сопровождается выделением вязкой мокроты с прожилками крови. Отделяемое вещество имеет зеленоватый или коричневый цвет, консистенцию, напоминающую сливки. Ребенок жалуется на дискомфорт в горле, сопровождающийся сухостью слизистой оболочки глотки и першением.
Заболевание проявляется болью в грудной клетке. Кашель усиливается на фоне бронхообструктивного синдрома — мокрота гнойная, содержит большое количество бактерий. У больного появляется затрудненное дыхание, сопровождающееся сухой перхотой и свистящими хрипами в легких.
Изменения при первичной каверне
При деструктивной форме заболевания в легких образуется полость распада. Заболевание сопровождается маловыраженными симптомами и туберкулезной интоксикацией:
- утомляемостью;
- пониженным аппетитом;
- внезапным кровохарканьем.
У детей с поражением внутригрудных лимфоузлов каверны встречаются редко. Если терапия других форм патологического процесса оказалась неэффективной, у ребенка появляется кашель с мокротой и кровохарканье. Над кавернозной полостью выслушивают влажные хрипы. Больной жалуется на похудение, вялость, апатию. На фоне удовлетворительного самочувствия возникает легочное кровотечение.
Кавернозный туберкулез длиться не более 2 лет. Для него характерно волнообразное течение заболевания. При прогрессировании различных форм чахотки развивается фибринозно-кавернозная форма болезни. Кашель с трудом поддается лечению.
При первых признаках туберкулеза следует показать ребенка врачу.
tuberkulez.pro
Какой кашель при туберкулезе

Туберкулез – заболевание, требующее немедленного лечения для предотвращения тяжелых последствий. Чтобы начать своевременную терапию, необходимо вовремя распознать симптомы, провести диагностику. Кашель является наиболее распространенным признаком болезни, он специфический, отличается от простудного. Какой кашель при туберкулезе и как его лечить?
Содержание:
Статьи по теме:Отличия туберкулезного кашля
Кашель при туберкулезе имеет свои особенности, зависящие от формы самого заболевания:
- Очаговый туберкулез. Кашель периодический, приступообразный, при его проявлении может возникать одышка, затрудненное дыхание. Однако приступы встречаются редко – несколько раз в день, поэтому часто остаются без внимания.
- Милиарный. Для данной формы характерен сухой кашель. При этом появляются болезненные ощущения в горле, першение, дискомфорт. Может отхаркиваться мокрота, как при влажном кашле, но происходит это редко. Иногда в ней обнаруживаются прожилки крови. Затем возникает временное ощущение облегчения. При вовлечении в процесс плевры кашель сопровождается сильной болью в грудной клетке.
- Деструктивный. При этой форме в легких формируются каверны, кашель глухой, очень болезненный. Возникает специфический звук с металлическим тембром. По окончанию приступа обычно появляется осиплость, другие проблемы с голосом.
Важно! Деструктивный туберкулез – частое следствие нелеченой очаговой формы.
Кашель на ранней стадии
Первичная стадия туберкулеза, во время которой активно развиваются, размножаются бактерии, проходит практически бессимптомно. Обнаружить болезнь в этот период можно только при проведении рентгенографии или компьютерной томографии. Следующая стадия туберкулеза – активная, для этого периода характерен кашель.

Кашель на ранней стадии активной формы туберкулеза иногда путают с хроническим бронхитом курильщика. Случается он чаще по утрам, сразу после пробуждения. Стоит только человеку немного напрячься, попытаться занять вертикальное положение, встав с кровати – сразу провоцируется кашлевой рефлекс.
Важно! Иногда уже на ранней стадии туберкулеза приступ утреннего кашля может затягиваться на час. Именно этот симптом побуждает многих обращаться в больницу.
Ночью также могут случаться приступы кашля, некоторые из-за этого начинают спать в полусидячем положении. Мокрота первое время отхаркивается редко, она светлая, отходит легко. Со временем она становится более густой, могут замечаться кровяные сгустки, гной.
Причины возникновения кашля при туберкулезе
Кашель при туберкулезе легких возникает часто. Возбудителем болезни являются бактерии, попадающие в организм, иммунная система ослаблена, защитная реакция отсутствует. Путей проникновения этих микроорганизмов может быть много: воздушно-капельный, пищевой, контактный, внутриутробное заражение.
При ослабленном иммунитете организм восприимчив к заражению. Как только в дыхательные пути попадают микобактерии, они активизируются. Затем они проникают в лимфатические узлы, по сосудам распространяются по всему организму. Легкие представляют собой орган с хорошим кровоснабжением, поэтому в них локализуется наибольшее количество возбудителей туберкулеза. Бактерии, поразившие легкие, активно размножаются, препятствуя нормальной работе органа, что провоцирует кашель. Это и является основной причиной его появления при туберкулезе.
Интересно! Если иммунная система в хорошем состоянии, она угнетает рост и размножение микроорганизмов, их распространение. Человек может иметь туберкулезную инфекцию, быть ее носителем, но не болеть – он абсолютно безопасен для общества.
Туберкулез без кашля
В некоторых случаях туберкулез может протекать без кашля. Такое бывает, несмотря на то, что у 80–90% больных он присутствует. Иногда это может быть связано с ранней стадией заболевания, которая протекает без ярких симптомов. У некоторых кашель возникает сразу после попадания возбудителя в дыхательные пути, у других спустя время.

Интересно! Ранняя форма туберкулеза может длиться месяцами. В это время бактерии распространяются по всему организму, но происходит это медленно.
Также кашель может отсутствовать при начале деструктивного процесса в легком. Как уже говорилось, часто это форма заболевания появляется из-за отсутствия должного лечения предыдущей. Если происходит закупорка бронха, кашлевой рефлекс подавляется. При этом риск осложнений значительно возрастает, распознать и вылечить болезнь намного сложнее.
Диагностика и лечение
После обращения к врачу назначается комплексное обследование, подтвердить диагноз без которого невозможно. Осмотр, опрос помогают только предварительно установить заболевание. Часто назначают такие обследования:
- Реакция Манту. Туберкулез – инфекционная болезнь, такой анализ направлен на обнаружение возбудителя в организме. Для его проведения внутрикожно вводится специальное вещество – туберкулин. Он позволяет определить, был ли контакт с инфекцией. При положительном результате проводят дополнительное обследование. При иммунодефицитах реакция Манту может быть отрицательная, это не исключает туберкулез.
- Микроскопия мазка. Для проведения исследования берется мокрота, отделяемая при кашле. Дополнительно выполняют бакпосев – для подтверждения диагноза и определения чувствительности микробов к противотуберкулезным антибиотикам.
- ПЦР. Считается наиболее точным методом диагностики. Его результаты позволяют определить присутствие ДНК бактерий туберкулеза, для этого используются различные биологические жидкости (мокрота, кровь, моча, спинномозговая жидкость).

Началом обследования является проведение флюорографии, рентгенографии, позволяющее определить воспалительный процесс в легких. У большинства пациентов заболевание излечимо. Основным правилом успешной терапии является полное соблюдение режима приема препаратов, выполнение других назначений врача.
Важно! Наиболее распространенная причина неэффективного лечения заболевания – прерывание курса терапии. Если больной прекратит прием противотуберкулезных средств даже на пару дней, бактерии быстро активизируются, придется начинать терапию сначала. При этом с большой долей вероятности у микроорганизмов разовьется устойчивость к лекарствам.
Для лечения врач подбирает ряд противотуберкулезных препаратов, все они являются антибиотиками. Обычно назначается не менее четырех средств, принимающихся ежедневно, на протяжении минимум полугода. Наиболее распространенными препаратами являются:
- Изониазид;
- Рифампицин;
- Стрептомицин;
- Пиразинамид.
Прием этих медикаментов обязательно дополняется дыхательной гимнастикой, физиотерапией, диетотерапией, соблюдением режима и гигиены. Также могут назначаться витаминные комплексы. При туберкулезе у детей часто требуется госпитализация, чтобы ребенок находился под постоянным наблюдением.
Лечение народными средствами
Врачи категорически не рекомендуют заменять народными средствами медикаментозное лечение. Однако некоторые успешно применяют их в качестве вспомогательных средств комплексной терапии. Популярностью пользуются такие рецепты:
- Чеснок. Взять два зубчика, измельчить, залить стаканом воды комнатной температуры. Настаивать средство до следующего утра, выпить натощак. Применять рецепт рекомендуется на протяжении нескольких месяцев каждое утро.
- Алоэ. Растение обладает многими лечебными свойствами: противовоспалительным, антибактериальным, регенерирующим. Можно готовить смесь, добавляя к листочкам алоэ мед, принимать ее внутрь по 1 ч. л. натощак. Некоторые успешно применяют другие рецепты с добавлением прополиса, лекарственных трав.
- Укроп. Взять 1 ст. л. семян растения, залить 0,5 л воды, довести до кипения, варить 5 минут. Принимается средство на протяжении одного дня за 5–6 приемов. Использовать рецепт необходимо 6 месяцев.
Существуют другие народные средства, считающиеся эффективными: барсучий жир, сосновая пыльца, исландский мох, уксус. Перед применением любого из них необходимо посоветоваться с лечащим врачом. Средства народной медицины могут облегчать самочувствие и создавать иллюзию выздоровления. Но патологический процесс при этом продолжает прогрессировать.
Туберкулез – распространенное заболевание у взрослых и детей, характерным симптомом которого является кашель. Он может быть разным – в зависимости от формы болезни. Для подтверждения диагноза проводится комплексная диагностика. Лечение подразумевает одновременный прием четырех и более противотуберкулезных антибиотиков. Основное правило успешной терапии – беспрерывный прием назначенных средств.
lechim-prosto.ru
Кашель при туберкулезе: причины, разновидности, народные средства
Течение кашля при туберкулёзе лёгких
Возбудителями недуга выступают микобактерии. Эти патогенные микроорганизмы быстро проникают в ткани, насыщенные кровью и кислородом. Именно по этой причине туберкулез поражает преимущественно легкие. В настоящее время заболевание встречается довольно часто. Это обусловлено возникновением разнообразных штаммов туберкулеза, которые обладают устойчивостью к воздействию антибиотиков.
Существуют две формы заболевания: закрытая и открытая. При закрытой форме недуга больной не представляет опасности для окружающих. Это связано с тем, что активность вредоносных микроорганизмов подавляется иммунной системой. При отсутствии надлежащего лечения патология нередко переходит в открытую форму, при которой человек может передать болезнь окружающим. В большинстве случаев заражение осуществляется воздушно-капельным путем.
Кто входит в группу повышенного риска?
Чаще всего заболевание диагностируется у следующих категорий пациентов:
- людей с ослабленной иммунной системой;
- пациентов с ВИЧ-инфекцией;
- медицинских работников, которые находятся в тесном контакте с зараженными туберкулезом людьми;
- лиц с зависимостью к никотину;
- пациентов с низкой массой тела;
людей, у которых имеется зависимость от спиртного или наркотиков; - больных, принимающих медикаментозные препараты для устранения симптомов депрессии.
Основная причина появления кашля
При ослаблении иммунитета организм больного не может подавлять атаку вредоносных бактерий. Вследствие этого возникает воспалительный процесс в области тканей дыхательных путей. Именно поэтому у больного появляется кашель при туберкулезе легких, который является основным признаком заболевания.
Диагностические мероприятия
При подозрении на то, что кашель является основным проявлением туберкулеза, применяются разнообразные диагностические методы:
- рентгеновские методики;
- проведение пробы Манту;
- квантифероновый тест;
- диаскинтест.
К рентгеновским методам следует отнести:
- рентгеноскопию;
- томографию;
- рентгенографию.
Проба Манту предполагает введение в организм туберкулина для оценки реакции организма. Данная диагностическая манипуляция предназначена для обнаружения туберкулеза у детей.
Точность результатов исследования может снизиться в следующих случаях:
- имеется нарушение техники проведения пробы Манту в медицинском учреждении;
- ребенок недавно перенес инфекционное заболевание;
- пациенту был введен некачественный препарат;
- в организме ребенка имеются вредоносные организмы, схожие с возбудителями туберкулеза.
Одним из самых распространенных методов диагностики заболевания выступает квантифероновый тест. Исследование позволяет обнаружить различные формы недуга: как открытую, так и закрытую. Недавно перенесенные инфекционные заболевания не влияют на точность результатов соответствующего теста.
Разновидности кашля при туберкулезе
Заболевание может сопровождаться затяжным кашлем. Он обусловлен наличием постоянного воспалительного процесса в области бронхов и их ответвлений, что вызывает усиленное выделение мокроты. Вследствие этого происходит нарушение процесса естественной вентиляции легких и неуклонному прогрессированию болезни. У больного нередко появляются проблемы с дыханием. В области легких зачастую скапливается гной.
При туберкулезе могут наблюдаться различные типы кашля:
- сухой. Он не сопровождается выделением мокроты;
- влажный. При наличии этого типа кашля происходит выделение мокроты, скапливающейся в верхних отделах дыхательных путей;
- смешанный. При этой разновидности кашля наблюдается периодическое выделение мокроты.

Другие симптомы недуга
Помимо кашля, при туберкулезе на ранних стадиях могут возникнуть такие симптомы:
- головокружение;
- вялость;
- нарушение сна;
- усиленное потоотделение;
- бледность кожи;
- стремительное уменьшение массы тела;
- ухудшение аппетита;
- незначительное повышение температуры.
На более поздних стадиях болезни могут наблюдаться такие неблагоприятные признаки:
- появление сильного кашля: как сухого, так и сопровождающегося выделением мокроты;
- возникновение ощущения нехватки воздуха;
- появление хрипов в горле;
- тахикардия;
- появление кровянистых вкраплений при отхаркивании;
- возникновение болезненных ощущений в районе груди.
Проведение исследования мокроты
При наличии туберкулеза проводят анализ секрета, который выделяется при кашле. Специалистами лаборатории проводится тщательное изучение биологического материала. В рамках исследования определяют:
- состав секрета, выделяемого при кашле;
- наличие в мокроте кровянистых примесей или гноя;
- количество микобактерий, которые провоцируют появление туберкулеза.
На поздней стадии недуга мокрота может окрашиваться в алый оттенок. Это обусловлено тем, что сильный, изнуряющий кашель может спровоцировать постепенное разрушение капилляров, расположенных в районе легких.
Народные методы против кашля
Алое — народное средство для лечения туберкулезаСуществует масса действенных народных рецептов, которые позволяют улучшить самочувствие больного. Эффективные средства, помогающие от кашля при туберкулезе, представлены в таблице.
| Название средства | Схема приготовления | Способ применения |
|---|---|---|
| Напитки на основе сосновой пыльцы | В сосновой пыльце в высокой концентрации содержатся разнообразные полезные вещества. Средство активно применяется при лечении туберкулеза легких. Из сосновой пыльцы можно приготовить вкусный десерт. Для этого в отдельной стеклянной ёмкости соединяют 10 граммов растительного сырья и 150 мл меда жидкой консистенции. Полученную смесь хранят в прохладном месте. Продолжительность лечебного курса в большинстве случаев составляет два месяца | Принимают по одной десертной ложке напитка три раза в сутки. Смесь рекомендуется употреблять перед приемом пищи |
| Для ускорения процесса выведения мокроты можно приготовить лечебный чай. Для приготовления напитка понадобятся следующие компоненты: по 1 столовой ложке сосновой пыльцы, корня алтея, нарезанного аккуратными кусочками, предварительно высушенной ромашки. Указанные компоненты заливают 0,2 л горячей воды. Средство надо настаивать на протяжении 30 минут | Напиток употребляют маленькими глотками в течение дня | |
| Средства с чесноком | Овощ наделён выраженными антибактериальными свойствами. Для приготовления лечебного настоя 2 предварительно очищенных чесночных зубчика заливают 0,2 л воды. Средство настаивают на протяжении 24 часов | Стакан напитка рекомендуется употреблять перед завтраком. Длительность лечебного курса — 2 месяц |
| При наличии у больного туберкулеза готовят и чесночный джем. Для этого нужно измельчить по 0,2 кг хрена и чеснока. Полученную смесь соединяют с 0,4 г сливочного масла и 2 кг меда. Образовавшуюся массу подогревают на водяной бане на протяжении 10 минут | 50 граммов смеси намазывают на ломтик хлеба. Средство употребляют трижды в день, перед едой. Длительность лечебного курса — 2 месяца | |
| Отвар из алоэ и какао-порошка | В алоэ содержится большое количество биологически активных веществ. Лекарственное растение обладает антисептическими, регенерирующими свойствами, улучшает состояние иммунной системы. Средства на основе алоэ освобождают легкие от продукта распада, облегчают проявления кашля, насыщают организм питательными веществами В отдельной кастрюле нужно смешать 100 граммов меда, упаковку сливочного масла и 40 граммов какао-порошка. Ёмкость ставят на небольшой огонь. В кастрюлю добавляют сок, выжатый из одного листа алоэ. Смесь выдерживают на газовой плите до того полного растапливания масла. Получившееся средство остужают и переливают в стеклянную посуду и хранят в холодном месте | Средство принимают дважды в день по 10 граммов. Перед употреблением отвар растворяют в 200 мл горячего чая. Длительность лечебного курса — 6 месяцев |
Препараты для лечения кашля при туберкулезе
При лечении туберкулеза применяются препараты, принадлежащие к классу антибиотиков. В комплексной терапии заболевания используются следующие медикаменты:
- «Изониацид»;
- «Стрептомицин»;
- «Рифампицин».
Для облегчения кашля при туберкулезе могут применяться такие медикаменты:
препараты, принадлежащие к муколитикам:
- «Бромгексин»,
- «Амброксол»;
- отхаркивающие медикаменты: корень солодки;
- лекарства с комбинированным эффектом (отхаркивающим и муколитическим): «Доктор Мом»;
- средства от кашля центрального действия: «Синекод».
Наряду с медикаментозными средствами, в комплексной терапии недуга применяются:
- дыхательная гимнастика;
- физиотерапевтические сеансы;
- диетотерапия;
- витаминно-минеральные комплексы.
Осложнения со стороны легких
При туберкулезе легких наблюдается не только кашель, но и другие осложнения:
- кровохаркание. При попадании крови в легких могут наблюдаться симптомы аспирационной пневмонии, сопровождающейся повышением температуры тела;
- легочное кровотечение. Оно может привести к возникновению геморрагического шока;
- одышка. Данная патология нередко возникает при выдохе. Возникновение одышки вызвано уменьшением объема легочной ткани, снижением проходимости бронхов и ухудшением функций дыхательного центра, расположенного в мозге;
- увеличение лимфатических узлов в размерах.
Особенности кашля на поздних стадиях недуга
На третьей стадии туберкулеза обычно возникает кашель с мокротой, в которой присутствуют примеси гноя и кровянистые вкрапления. На четвертой стадии болезни наблюдается отмирание тканей легких, у больного может развиться менингит. Пациент нередко предъявляет жалобы на кровохарканье, повышенную температуру тела.
Так какой кашель при туберкулезе и как его отличить от недомогания при острой респираторной инфекции у детей?
Недомогание при туберкулезе у детей сопровождается такими симптомами:
- у ребенка, как правило, наблюдается сильный сухой кашель;
- недомогание усиливается в ночное время суток;
- кашель продолжается длительное время;
- по мере прогрессирования заболевания кашель становится влажным с выделением кровяной или гнойной массы;
- недомогание сопровождается рассеянностью, снижением работоспособности, слабостью.
Кашель при острой респираторной инфекции обычно проходит через 2-5 суток. Он отличается динамическим характером: за непродолжительный период времени переходит из сухого во влажный. При приеме противовирусных лекарств и обильном питье состояние ребенка значительно ухудшается.
Туберкулома легкого
Туберкулома диагностируется у пациентов, в прошлом переживших туберкулез. Опасность ее возникновения повышается при ослаблении иммунной системы.
Туберкулома является казезно-некротическим образованием, окруженным 2 слоями:
- туберкулезными грануляциями;
- фиброзными волокнами.
Патология отличается бессимптомным течением. В некоторых случаях у человека возникают такие неблагоприятные признаки:
- ухудшение аппетита;
- снижение работоспособности;
- усиленная потливость;
- появление сухого кашля;
- болевые ощущения ноющего характера в районе груди.
При распаде новообразования могут отмечаться такие негативные последствия:
- интоксикация организма;
- повышение температуры тела;
- появление влажного кашля с примесями крови.
Степень выраженности симптомов во многом зависит от состояния иммунной системы больного. При наличии туберкуломы обычно проводится хирургическое вмешательство.
Существует несколько разновидностей операций:
- торакопластика;
- резекция;
- плеврэктомия.
Профилактические меры
Для того чтобы снизить вероятность возникновения туберкулеза, нужно соблюдать следующие рекомендации:
- необходимо укреплять иммунную систему при помощи витаминно-минеральных комплексов;
- следует отказаться от пагубных привычек;
- надо избегать стрессов и переохлаждения;
- при возникновении сильного кашля, который продолжается более двух недель, следует обратиться в медицинское учреждение;
- следует регулярно проходить профилактический осмотр по месту жительства.
tuberculosis.su
Какой кашель при туберкулезе: рассмотрим подробно

Кашель бывает разным
Кашель – это защитный рефлекторный акт, призванный очистить дыхательные пути от инородных тел, скопившейся слизи или мокроты. В зависимости от вызвавшей его причины он может различаться.
Так, при бронхиальной астме он сухой, малопродуктивный и приступообразный, при воспалении лёгких сопровождается выделением обильной гнойной мокроты. А какой кашель при туберкулезе легких? В нашем обзоре и видео в этой статье попробуем выделить особенности симптома, на которые следует обратить внимание.
Содержание статьи
Почему при туберкулёзе развивается кашель
Туберкулёз – это инфекционное заболевание, вызываемое патогенными микроорганизмами – Mycobacterium tuberculosis (МБТ, палочки Коха). Чаще всего оно сопровождается поражением лёгких и сопровождается появлением в них очагов специфического воспаления.

В патогенезе туберкулеза выделяют несколько ключевых моментов
Обратите внимание! Согласно данным ВОЗ, около 2 млрд. человек в мире инфицированы палочками Коха. Только в России от этого опасного заболевания ежегодно умирает 25 000 человек.
Инфекция передается от больного человека здоровому преимущественно воздушно-капельным путем. Особую опасность представляют пациенты с открытой формой туберкулёза, которые без соблюдения мер противоэпидемиологической защиты ежегодно способны заразить до 10-20 здоровых человек.

С частичками слюны при кашле выделяются миллионы микобактерий
Размножение микобактерий и развитие специфического продуктивного воспаления в лёгких приводит к прогрессирующему разрушению и склерозу тканей, а также образованию слизисто-гнойного экссудата. Если болезнь не лечить, она приводит к появлению очагов деструкции (некроза), формированию стойкой дыхательной недостаточности и летальному исходу.
Характеристика кашля при инфицировании МБТ
Чтобы ответить на вопрос, какой при туберкулезе кашель, следует подробнее остановиться на клинико-морфологических формах заболевания. В зависимости от вида воспаления этот симптом может проявлять себя по-разному.
Таблица: Кашель при различных формах туберкулёза:
| Форма | Описание | Характер кашля |
![]() Очаговая | Характеризуется наличием 2-10 очагов продуктивного воспаления в лёгких, чей диаметр не превышает 1 см, как на фото. | Кашля практически нет (или он редкий). Симптомы болезни не доставляют человеку особого дискомфорта. |
![]() Милиарная | Протекает остро, с образованием множества мелких туберкулёзных бугорков по всей поверхности легких | Милиарный туберкулёз – основная причина, при которой возникает сильный и ничем не спровоцированный сухой кашель при туберкулезе. |
![]() Деструктивная | Описывается наличием участков распада (разрушения тканей лёгкого) | Кашель глухой, сопровождается выделением мокроты (часто с неприятным запахом), режущими болями в груди и характерным «металлическим» звуком. На поздних стадиях опасным проявлением болезни становится кровохарканье – выделение с мокротой прожилок крови или массивное легочное кровотечение. |
Обратите внимание! Особое «металлическое» звучание кашля при деструктивных формах туберкулёза возникает вследствие резонанса каверны – полости распада.
Независимо от формы патологии, кашель при инфицировании МБТ имеет одну любопытную особенность: он усиливается в утренние часы. Обычно резкие приступы кашля начинают одолевать больного сразу после пробуждения и могут продолжаться до 30-60 минут.
Связано это с тем, что во время длительного нахождения пациента в горизонтальном положении слизь скапливается в бронхиальном дереве, и после резкого изменения положения тела начинает активно выделяться с каждым кашлевым толчком. Приступ не прекратится до тех пор, пока вся мокрота не будет удалена из лёгких.

Часто кашель беспокоит больных сразу после пробуждения
Стандартная инструкция требует от медработника настороженности в отношении любого кашля, продолжающегося 2 недели и более. Обязательно обратитесь в поликлинику, если этот неприятный симптом не только не проходит, но и усиливается: врач составит полный план обследования, позволяющий исключить туберкулёз или диагностировать болезнь на ранней стадии.
Нетипичное течение туберкулёза
А может ли туберкулез быть без кашля?
К сожалению, бессимптомное течение начального этапа заболевания – совсем не редкость. Часто человек узнает о поражении лёгких случайно во время профилактического осмотра или сталкивается с проявлениями инфекции уже при развитии серьезных осложнений.

Часто болезнь диагностируется слишком поздно
Кроме того туберкулез без кашля и температуры часто развивается у лиц со сниженным иммунитетом, а также при внелегочных формах патологии (например, при развитии очагов специфического воспаления в костях, печени, головном мозге). При этом говорят о медленнопрогрессирующем течении хронической патологии: воспаление то активизируется, то вновь затухает.
Обратите внимание! Больные с внелегочными формами туберкулёза не представляют эпидемиологической опасности.
Может ли туберкулез протекать без кашля при поражении лёгких? Да, если болезнь только начинает развиваться. Так, формирование первичного туберкулёзного комплекса, очагового туберкулёза или туберкуломы практически не имеет клинических проявлений.
Особенности кашля при туберкулёзе у детей
Особое внимание следует обращать на кашель в детском возрасте. Хотя малыши часто болеют ОРВИ с поражением нижних отделов дыхательной системы, длительный и непрекращающийся кашель должен насторожить и родителей, и лечащего врача крохи. А какой кашель у детей при туберкулезе?

Если малыш долго кашляет, обязательно проконсультируйтесь с врачом
Туберкулёз у ребенка обычно сопровождается появлением сухого надрывного кашля. При развитии специфического бронхоаденита он приобретает судорожный характер и по звучанию становится похожим на металлический скрежет. Увеличение крупных бронхиальных узлов при этом сопровождается проблемами с дыханием: у малыша (часто в ночное или утреннее время) появляется одышка и приступ сильного кашля.
Но бывает и так, что специфическая инфекция не имеет клинических проявлений и у маленьких пациентов. Почему нет кашля при туберкулезе у детей? На начальном этапе заболевание, как и у взрослых, может протекать бессимптомно или имитировать обычный грипп или простуду.
Важно. У 50% детей, которым был выставлен диагноз «туберкулез», специфические проявления болезни отсутствовали или были настолько незначительны, что не обращали на себя внимание родителей.
Дополнительные симптомы, на которые стоит обратить внимание
Кроме кашля на туберкулёз может указывать ряд дополнительных симптомов:
- бледность кожи и слизистых;
- потеря веса, осунувшийся вид;
- неестественный румянец на щеках;
- «нездоровый» блеск в глазах;
- длительно (в течение месяца и более) сохраняющийся субфебрилитет – температура на уровне 37-37,5 °С;
- дискомфорт в груди, усиливающийся при глубоком вдохе.

Потеря веса и резкая слабость – распространенные дополнительные признаки туберкулеза
Туберкулёз – специфический инфекционный процесс, который вызывает множественные патологические изменения в организме и приводит к появлению серьезных осложнений. К сожалению, на начальных этапах, когда лечение максимально простое и эффективное, болезнь практически не имеет клинических проявлений.
Чтобы диагностировать ее вовремя и уберечься от проблем со здоровьем, важно регулярно проходить профилактическое обследование (флюорографию, туберкулинодиагностику) и посещать лечащего врача.
upulmanologa.ru


