ΠΠ°ΠΊΠΈΠ΅ ΠΊΠΎΡΠΎΠ½ΠΊΠΈ Π½Π° Π·ΡΠ±Ρ Π»ΡΡΡΠ΅ ΡΡΡΠ°Π½Π°Π²Π»ΠΈΠ²Π°ΡΡ?
ΠΡΠ²Π΅Ρ Π½Π° Π²ΠΎΠΏΡΠΎΡ Β«ΠΊΠ°ΠΊΠΈΠ΅ ΠΊΠΎΡΠΎΠ½ΠΊΠΈ Π»ΡΡΡΠ΅ ΡΡΠ°Π²ΠΈΡΡ?Β» Π·Π°Π²ΠΈΡΠΈΡ ΠΎΡ Π³ΡΡΠΏΠΏΡ ΠΏΡΠΎΡΠ΅Π·ΠΈΡΡΠ΅ΠΌΡΡ Π·ΡΠ±ΠΎΠ² ΠΈ ΠΎΡ ΡΡΠ΅Π±ΠΎΠ²Π°Π½ΠΈΡ ΠΊ ΡΡΠΎΠΈΠΌΠΎΡΡΠΈ Π»Π΅ΡΠ΅Π½ΠΈΡ, ΠΊΠΎΡΠΎΡΡΠ΅ Π²ΡΡΡΠ°Π²Π»ΡΠ΅Ρ ΠΏΠ°ΡΠΈΠ΅Π½Ρ.
ΠΠ°ΠΊΠΈΠ΅ ΠΊΠΎΡΠΎΠ½ΠΊΠΈ Π»ΡΡΡΠ΅ ΡΡΡΠ°Π½Π°Π²Π»ΠΈΠ²Π°ΡΡ Π½Π° ΠΏΠ΅ΡΠ΅Π΄Π½ΠΈΠ΅ Π·ΡΠ±Ρ
Π€ΡΠΎΠ½ΡΠ°Π»ΡΠ½ΡΠ΅ Π·ΡΠ±Ρ β ΡΡΠΎ ΡΠΎ, ΡΡΠΎ Π²ΠΈΠ΄ΡΡ ΠΎΠΊΡΡΠΆΠ°ΡΡΠΈΠ΅ ΠΏΡΠΈ ΠΎΠ±ΡΠ΅Π½ΠΈΠΈ Ρ Π²Π°ΠΌΠΈ. ΠΡΠΈ ΡΠ°Π·Π³ΠΎΠ²ΠΎΡΠ΅ ΠΊΠ°ΠΆΠ΄ΡΠΉ ΡΠ΅Π»ΠΎΠ²Π΅ΠΊ Π½Π΅ΠΏΡΠΎΠΈΠ·Π²ΠΎΠ»ΡΠ½ΠΎ ΠΎΠ±Π½Π°ΠΆΠ°Π΅Ρ ΠΏΠ΅ΡΠ΅Π΄Π½ΠΈΠ΅ Π·ΡΠ±Ρ. ΠΡ ΠΊΡΠ°ΡΠΎΡΠ° ΠΈ Π·Π΄ΠΎΡΠΎΠ²ΡΠ΅ ΡΠ°ΡΠΏΠΎΠ»Π°Π³Π°ΡΡ ΠΊ ΡΠ΅Π±Π΅ ΡΠΎΠ±Π΅ΡΠ΅Π΄Π½ΠΈΠΊΠ°, Π° Π±ΠΎΠ»Π΅Π·Π½Π΅Π½Π½ΡΠ΅, ΡΠ΅ΡΠ½ΡΠ΅, ΡΠ°ΡΡΠ°ΡΠ°Π½Π½ΡΠ΅ Π·ΡΠ±Ρ ΠΌΠΎΠ³ΡΡ Π΅Π³ΠΎ ΠΎΡΡΠΎΠ»ΠΊΠ½ΡΡΡ. Π§Π°ΡΡΠΎ, ΠΊΡΠ°ΡΠΈΠ²ΡΠ΅ Π·ΡΠ±Ρ β Π·Π°Π»ΠΎΠ³ ΡΡΠΏΠ΅Ρ Π°. ΠΠΎΡ ΠΏΠΎΡΠ΅ΠΌΡ, ΠΏΡΠΈ Π²ΡΠ±ΠΎΡΠ΅ ΠΊΠΎΡΠΎΠ½ΠΎΠΊ Π½Π° ΠΏΠ΅ΡΠ΅Π΄Π½ΠΈΠ΅ Π·ΡΠ±Ρ ΡΠ»Π΅Π΄ΡΠ΅Ρ ΠΎΡΠΎΠ±ΡΠΉ Π°ΠΊΡΠ΅Π½Ρ ΡΡΠ°Π²ΠΈΡΡ Π½Π° ΡΡΡΠ΅ΡΠΈΡΠ½ΡΠΉ Π²Π½Π΅ΡΠ½ΠΈΠΉ Π²ΠΈΠ΄ Β«Π½ΠΎΠ²ΡΡ Β» Π·ΡΠ±ΠΎΠ². ΠΠΎΠΆΠ½ΠΎ ΡΠΊΠ°Π·Π°ΡΡ, ΡΡΠΎ Π²ΡΠ±ΠΎΡ ΠΏΠ°ΡΠΈΠ΅Π½ΡΠ° ΠΊΠ°ΠΊΠΈΠ΅ ΠΊΠΎΡΠΎΠ½ΠΊΠΈ Π»ΡΡΡΠ΅ ΡΡΡΠ°Π½Π°Π²Π»ΠΈΠ²Π°ΡΡ Π½Π° ΠΏΠ΅ΡΠ΅Π΄Π½ΠΈΠ΅ Π·ΡΠ±Ρ Π·Π°Π²ΠΈΡΠΈΡ Π² ΠΎΡΠ½ΠΎΠ²Π½ΠΎΠΌ ΠΈ ΠΎΡ Π΅Π³ΠΎ ΡΠΈΠ½Π°Π½ΡΠΎΠ²ΡΡ ΡΡΠ΅Π±ΠΎΠ²Π°Π½ΠΈΠΉ.
Π Π°Π½ΡΡΠ΅, ΠΏΡΠΈ Π΄ΠΎΡΠΎΠ³ΠΎΡΡΠΎΡΡΠ΅ΠΌ Π»Π΅ΡΠ΅Π½ΠΈΠΈ, Π½Π° ΠΏΠ΅ΡΠ΅Π΄Π½ΠΈΠ΅ Π·ΡΠ±Ρ ΠΏΡΠΈΠ½ΡΡΠΎ Π±ΡΠ»ΠΎ ΡΡΠ°Π²ΠΈΡΡ ΡΠ΅Π»ΡΠ½ΠΎΠΊΠ΅ΡΠ°ΠΌΠΈΡΠ΅ΡΠΊΠΈΠ΅ ΠΊΠΎΡΠΎΠ½ΠΊΠΈ. ΠΠ½Π΅ΡΠ½ΠΈΠΉ Π²ΠΈΠ΄ ΡΠ΅Π»ΡΠ½ΠΎΠΊΠ΅ΡΠ°ΠΌΠΈΡΠ΅ΡΠΊΠΈΡ Impress ΠΈΠ»ΠΈ E.max ΠΊΠΎΡΠΎΠ½ΠΎΠΊ ΠΏΡΠΈΠ±Π»ΠΈΠΆΠ΅Π½ ΠΊ Π΅ΡΡΠ΅ΡΡΠ²Π΅Π½Π½ΠΎΠΌΡ Π²ΠΈΠ΄Ρ Π·ΡΠ±ΠΎΠ². ΠΡΠ½ΠΎΠ²Π½Π°Ρ ΠΏΡΠΎΠ±Π»Π΅ΠΌΠ° ΡΠ΅Π»ΡΠ½ΠΎΠΊΠ΅ΡΠ°ΠΌΠΈΡΠ΅ΡΠΊΠΈΡ ΠΊΠΎΡΠΎΠ½ΠΎΠΊ β Π½Π΅ΠΎΠ±Ρ ΠΎΠ΄ΠΈΠΌΠΎΡΡΡ Π²ΡΡΠΎΠΊΠΎΠΉ ΠΊΠ²Π°Π»ΠΈΡΠΈΠΊΠ°ΡΠΈΠΈ ΠΈΠ·Π³ΠΎΡΠ°Π²Π»ΠΈΠ²Π°ΡΡΠ΅Π³ΠΎ ΠΈΡ Π·ΡΠ±Π½ΠΎΠ³ΠΎ ΡΠ΅Ρ Π½ΠΈΠΊΠ°, ΠΏΠΎ ΡΡΠ°Π²Π½Π΅Π½ΠΈΡ Ρ ΠΊΠΎΡΠΎΠ½ΠΊΠ°ΠΌΠΈ ΠΈΠ· Π΄ΠΈΠΎΠΊΡΠΈΠ΄Π° ΡΠΈΡΠΊΠΎΠ½ΠΈΡ, ΠΊΠΎΡΠΎΡΡΠ΅ ΠΈΠ·Π³ΠΎΡΠ°Π²Π»ΠΈΠ²Π°ΡΡΡΡ ΠΌΠ°ΡΠΈΠ½Π½ΡΠΌ ΠΌΠ΅ΡΠΎΠ΄ΠΎΠΌ.
Π‘Π΅ΠΉΡΠ°Ρ, Π΄ΠΈΠΎΠΊΡΠΈΠ΄ ΡΠΈΡΠΊΠΎΠ½ΠΈΡ ΡΡΠ°Π½ΠΎΠ²ΠΈΡΡΡ Π±ΠΎΠ»Π΅Π΅ Ρ ΠΎΠ΄ΠΎΠ²ΡΠΌ ΠΌΠ°ΡΠ΅ΡΠΈΠ°Π»ΠΎΠΌ ΠΏΡΠΈ ΠΏΡΠΎΡΠ΅Π·ΠΈΡΠΎΠ²Π°Π½ΠΈΠΈ ΠΏΠ΅ΡΠ΅Π΄Π½ΠΈΡ Π·ΡΠ±ΠΎΠ², ΡΠ΅ΠΌ ΠΌΠ΅ΡΠ°Π»Π»ΠΎΠΊΠ΅ΡΠ°ΠΌΠΈΠΊΠ°. ΠΠ½ ΡΠ΅ΠΊΠΎΠΌΠ΅Π½Π΄ΡΡΡΡΡ Π±ΠΎΠ»ΡΡΠΈΠ½ΡΡΠ²ΠΎΠΌ ΡΡΠΎΠΌΠ°ΡΠΎΠ»ΠΎΠ³ΠΎΠ². ΠΠ»ΡΡΡ: ΠΏΡΠΎΡΠ½ΠΎΡΡΡ, Π΄Π»ΠΈΡΠ΅Π»ΡΠ½ΡΠΉ ΡΡΠΎΠΊ ΡΠ»ΡΠΆΠ±Ρ, Π½Π°ΡΡΡΠ°Π»ΡΠ½ΠΎΡΡΡ, ΠΎΡΡΡΡΡΡΠ²ΠΈΠ΅ ΠΌΠ΅ΡΠ°Π»Π»Π°, ΡΠΎΠ²ΠΌΠ΅ΡΡΠΈΠΌΠΎΡΡΡ Ρ ΠΎΡΠ³Π°Π½ΠΈΠ·ΠΌΠΎΠΌ ΡΠ΅Π»ΠΎΠ²Π΅ΠΊΠ°, Π³ΠΈΠΏΠΎΠ°Π»Π»Π΅ΡΠ³Π΅Π½Π½ΠΎΡΡΡ, ΠΌΠΈΠ½ΠΈΠΌΠ°Π»ΡΠ½ΠΎΠ΅ ΠΎΠ±ΡΠ°ΡΠΈΠ²Π°Π½ΠΈΠ΅ Π·ΡΠ±ΠΎΠ², Π½Π΅Ρ Π²ΠΈΠ΄ΠΎΠΈΠ·ΠΌΠ΅Π½Π΅Π½ΠΈΡ ΠΎΠΊΡΠ°ΡΠ° ΠΈ ΡΠΎΡΠΌΡ Π² ΠΏΠ΅ΡΠΈΠΎΠ΄ ΠΏΡΠΈΠΌΠ΅Π½Π΅Π½ΠΈΡ.
ΠΠ°ΠΊΠΈΠ΅ ΠΊΠΎΡΠΎΠ½ΠΊΠΈ Π»ΡΡΡΠ΅ ΡΡΡΠ°Π½Π°Π²Π»ΠΈΠ²Π°ΡΡ Π½Π° ΠΆΠ΅Π²Π°ΡΠ΅Π»ΡΠ½ΡΠ΅ Π·ΡΠ±Ρ
ΠΠ»Ρ Π²ΠΎΡΡΡΠ°Π½ΠΎΠ²Π»Π΅Π½ΠΈΡ ΠΆΠ΅Π²Π°ΡΠ΅Π»ΡΠ½ΡΡ Π·ΡΠ±ΠΎΠ² ΠΎΠ΄ΠΈΠ½ΠΎΡΠ½ΡΠΌΠΈ ΠΊΠΎΡΠΎΠ½ΠΊΠ°ΠΌΠΈ ΠΈ ΠΈΠ·Π³ΠΎΡΠΎΠ²Π»Π΅Π½ΠΈΡ ΠΌΠΎΡΡΠΎΠ²ΠΈΠ΄Π½ΡΡ ΠΏΡΠΎΡΠ΅Π·ΠΎΠ² Π½Π° ΡΠΎΡ ΡΠ°Π½ΠΈΠ²ΡΠΈΡ ΡΡ, ΠΈΡΠΏΠΎΠ»ΡΠ·ΡΡΡ ΠΊΠΎΡΠΎΠ½ΠΊΠΈ ΡΠ°Π·Π»ΠΈΡΠ½ΡΡ Π²ΠΈΠ΄ΠΎΠ²: Π»ΠΈΡΡΠ΅ ΠΌΠ΅ΡΠ°Π»Π»ΠΈΡΠ΅ΡΠΊΠΈΠ΅, ΠΌΠ΅ΡΠ°Π»Π»ΠΎΠΊΠ΅ΡΠ°ΠΌΠΈΡΠ΅ΡΠΊΠΈΠ΅ ΠΈΠ»ΠΈ ΠΌΠ΅ΡΠ°Π»Π»ΠΎΠΊΠΎΠΌΠΏΠΎΠ·ΠΈΡΠ½ΡΠ΅; ΠΊΠ΅ΡΠ°ΠΌΠΈΡΠ΅ΡΠΊΠΈΠ΅ Π½Π° ΠΊΠ°ΡΠΊΠ°ΡΠ΅ ΠΈΠ· Π΄ΠΎΠΊΡΠΈΠ΄Π° ΡΠΈΡΠΊΠΎΠ½ΠΈΡ, ΠΈΠ·Π³ΠΎΡΠΎΠ²Π»Π΅Π½Π½ΡΠ΅ ΠΌΠ΅ΡΠΎΠ΄ΠΎΠΌ CAM-CAD ΠΌΠΎΠ΄Π΅Π»ΠΈΡΠΎΠ²Π°Π½ΠΈΡ.
Π‘ ΡΡΠ΅ΡΠΎΠΌ ΡΡΠ΅Π±ΠΎΠ²Π°Π½ΠΈΠΉ ΡΡΡΠ΅ΡΠΈΠΊΠΈ/ΠΈΠ·Π½ΠΎΡΠΎΡΡΠΎΠΉΠΊΠΎΡΡΠΈ Π΄Π»Ρ ΠΊΠΎΡΠΎΠ½ΠΎΠΊ ΠΆΠ΅Π²Π°ΡΠ΅Π»ΡΠ½ΡΡ Π·ΡΠ±ΠΎΠ² ΡΡΠΎΠΌΠ°ΡΠΎΠ»ΠΎΠ³ΠΈ ΠΏΡΠΈΠΌΠ΅Π½ΡΡΡ ΠΌΠ΅ΡΠ°Π»Π»ΠΎΠΊΠ΅ΡΠ°ΠΌΠΈΠΊΡ ΠΈΠ»ΠΈ ΠΊΠ΅ΡΠ°ΠΌΠΈΠΊΡ Π½Π° ΠΊΠ°ΡΠΊΠ°ΡΠ΅ ΠΈΠ· Π΄ΠΈΠΎΠΊΡΠΈΠ΄Π° ΡΠΈΡΠΊΠΎΠ½ΠΈΡ.
ΠΠΏΡΡ ΡΠ°Π±ΠΎΡΡ ΠΏΠΎΠΊΠ°Π·ΡΠ²Π°Π΅Ρ, ΡΡΠΎ Π»ΡΡΡΠ΅ Π²ΡΠ΅Π³ΠΎ Π²ΡΠΏΠΎΠ»Π½ΡΡΡ ΡΡΠ½ΠΊΡΠΈΠΈ ΠΆΠ΅Π²Π°Π½ΠΈΡ ΠΈ Π²ΠΎΡΠΏΠΎΠ»Π½ΡΡΡ ΡΡΡΠ΅ΡΠΈΠΊΡ ΠΊΠΎΡΠΎΠ½ΠΊΠΈ ΠΈΠ· Π΄ΠΎΠΊΡΠΈΠ΄Π° ΡΠΈΡΠΊΠΎΠ½ΠΈΡ. ΠΠ· Π½Π΅Π³ΠΎ ΠΆΠ΅ ΠΏΡΠ΅ΠΊΡΠ°ΡΠ½ΠΎ ΠΈΠ·Π³ΠΎΡΠ°Π²Π»ΠΈΠ²Π°ΡΡ ΠΈ Π²ΠΊΠ»Π°Π΄ΠΊΠΈ on-lay, in-lay, over-lay.
ΠΠ°ΠΊΠΈΠ΅ ΠΊΠΎΡΠΎΠ½ΠΊΠΈ ΠΏΠΎΠ΄ΠΎΠΉΠ΄ΡΡ Π²Π°ΠΌ?
ΠΡΠ°ΠΊ, ΠΊΠΎΡΠΎΠ½ΠΊΠΈ Π½Π° ΠΊΠ°ΡΠΊΠ°ΡΠ΅ ΠΈΠ· Π΄ΠΈΠΎΠΊΡΠΈΠ΄Π° ΡΠΈΡΠΊΠΎΠ½ΠΈΡ Ρ ΠΎΡΠΎΡΠΈ Π΄Π»Ρ ΠΏΡΠΎΡΠ΅Π·ΠΈΡΠΎΠ²Π°Π½ΠΈΡ ΠΈ ΠΏΠ΅ΡΠ΅Π΄Π½ΠΈΡ , ΠΈ ΠΆΠ΅Π²Π°ΡΠ΅Π»ΡΠ½ΡΡ Π·ΡΠ±ΠΎΠ². ΠΠ°ΡΠ΅ΡΠΈΠ°Π» ΠΏΡΠΎΡΠ½ΡΠΉ ΠΈ Π²ΡΠ΄Π΅ΡΠΆΠΈΠ²Π°Π΅Ρ Π²ΡΠ΅ Π²ΠΎΠ·ΠΌΠΎΠΆΠ½ΡΠ΅ Π½Π°Π³ΡΡΠ·ΠΊΠΈ. ΠΠ΄ΠΈΠ½ΡΡΠ²Π΅Π½Π½ΡΠΉ Π²ΠΎΠΏΡΠΎΡ β ΡΡΠΎ ΡΡΠΎΠΈΠΌΠΎΡΡΡ ΠΈΠ·Π΄Π΅Π»ΠΈΡ, ΠΊΠΎΡΠΎΡΠ°Ρ Π²ΡΡΠ΅ ΠΌΠ΅ΡΠ°Π»Π»ΠΎΠΊΠ΅ΡΠ°ΠΌΠΈΡΠ΅ΡΠΊΠΈΡ .
ΠΡΠΎΠ±Π΅Π½Π½ΠΎΡΡΡ ΠΌΠ΅ΡΠ°Π»Π»ΠΎΠΊΠ΅ΡΠ°ΠΌΠΈΡΠ΅ΡΠΊΠΈΡ ΠΊΠΎΡΠΎΠ½ΠΎΠΊ — ΠΌΠ΅ΡΠ°Π»Π»ΠΈΡΠ΅ΡΠΊΠΈΠΉ ΠΊΠ°ΡΠΊΠ°Ρ, ΠΊΠΎΡΠΎΡΡΠΉ ΠΌΠΎΠΆΠ΅Ρ ΠΏΡΠΎΡΠ²Π΅ΡΠΈΠ²Π°ΡΡ ΡΠ΅ΡΠ΅Π· ΠΊΠ΅ΡΠ°ΠΌΠΈΠΊΡ ΡΡΠΎ Π±ΡΠ΄Π΅Ρ Π·Π°ΠΌΠ΅ΡΠ½ΠΎ ΠΏΡΠΈ ΡΠ»ΡΠ±ΠΊΠ΅, ΠΏΡΠΈ ΠΎΠΏΡΠ΅Π΄Π΅Π»Π΅Π½Π½ΠΎΠΌ ΠΎΡΠ²Π΅ΡΠ΅Π½ΠΈΠΈ. ΠΡΠΎΠΌΠ΅ ΡΠΎΠ³ΠΎ, Π΅ΡΠ»ΠΈ Π±ΡΠ»Π° ΠΏΡΠΈΠΌΠ΅Π½Π΅Π½Π° ΠΊΡΠ»ΡΡΠ΅Π²Π°Ρ Π²ΠΊΠ»Π°Π΄ΠΊΠ°, Π΅ΡΡΡ Π²Π΅ΡΠΎΡΡΠ½ΠΎΡΡΡ ΡΠΎΠ³ΠΎ, ΡΡΠΎ ΠΎΠ½Π° Π±ΡΠ΄Π΅Ρ ΠΏΡΠΎΡΠ²Π»ΡΡΡΡΡ ΡΠΈΠ½Π΅ΠΉ ΠΊΠ°ΠΉΠΌΠΎΠΉ ΡΠ΅ΡΠ΅Π· Π΄Π΅ΡΠ½Ρ Π²ΠΎ Π²ΡΠ΅ΠΌΡ ΡΠ»ΡΠ±ΠΊΠΈ. ΠΡΠΊΠ»ΡΡΠ΅Π½ΠΈΠ΅ β ΠΌΠ΅ΡΠ°Π»Π»ΠΎΠΊΠ΅ΡΠ°ΠΌΠΈΠΊΠ° Π½Π° Π·ΠΎΠ»ΠΎΡΡΡ ΠΈΠ»ΠΈ ΠΏΠ»Π°ΡΠΈΠ½ΠΎΠ²ΡΡ ΡΠΏΠ»Π°Π²Π°Ρ .
Π¦Π΅Π»ΡΠ½ΠΎΠΊΠ΅ΡΠ°ΠΌΠΈΡΠ΅ΡΠΊΠΈΠ΅ ΠΊΠΎΡΠΎΠ½ΠΊΠΈ ΠΏΡΠΈΠΌΠ΅Π½ΡΡΡΡΡ Π΄Π»Ρ ΠΏΡΠΎΡΠ΅Π·ΠΈΡΠΎΠ²Π°Π½ΠΈΡ ΠΏΠ΅ΡΠ΅Π΄Π½ΠΈΡ Π·ΡΠ±ΠΎΠ². ΠΠ½ΠΈ ΡΠ°ΠΌΡΠ΅ ΠΊΡΠ°ΡΠΈΠ²ΡΠ΅ ΠΈ Π΄ΠΎΡΠΎΠ³ΠΈΠ΅, Π½ΠΎ ΠΏΡΠΎΡΠ½ΠΎΡΡΡ Ρ ΡΠΆΠ΅ Π² ΠΎΡΠ»ΠΈΡΠΈΠ΅ ΠΎΡ ΠΌΠ΅ΡΠ°Π»Π»ΠΎΠΊΠ΅ΡΠ°ΠΌΠΈΠΊΠΈ ΠΈ Π΄ΠΈΠΎΠΊΡΠΈΠ΄Π° ΡΠΈΡΠΊΠΎΠ½ΠΈΡ.
ΠΡΡΠ³ΠΈΠ΅ Π²ΠΈΠ΄Ρ ΠΊΠΎΡΠΎΠ½ΠΎΠΊ Π½ΡΠ½Π΅ΡΠ½ΡΡ ΡΡΠΎΠΌΠ°ΡΠΎΠ»ΠΎΠ³ΠΈΡ ΠΏΡΠΈΠΌΠ΅Π½ΡΠ΅Ρ ΡΠ΅Π΄ΠΊΠΎ, ΡΠΎΠ»ΡΠΊΠΎ Π² ΡΠ΅Π΄ΠΊΠΈΡ ΡΠ»ΡΡΠ°ΡΡ , Π½Π°ΠΏΡΠΈΠΌΠ΅Ρ, ΠΊΠΎΠ³Π΄Π° Π»Π΅ΡΠ΅Π½ΠΈΠ΅ Π΄Π»ΠΈΡΡΡ Π΄ΠΎΠ»Π³ΠΎΠ΅ Π²ΡΠ΅ΠΌΡ ΠΈΠ»ΠΈ Π΅ΡΡΡ ΠΎΠΏΡΠ΅Π΄Π΅Π»Π΅Π½Π½ΡΠ΅ ΡΡΠ΅Π±ΠΎΠ²Π°Π½ΠΈΡ, ΠΎΠ³ΡΠ°Π½ΠΈΡΠΈΠ²Π°ΡΡΠΈΠ΅ Π΅Π³ΠΎ ΠΎΠ±ΡΡΡ ΡΡΠΎΠΈΠΌΠΎΡΡΡ.
Π Π΅ΠΊΠΎΠΌΠ΅Π½Π΄ΡΡΡ Π½Π°ΡΠΈΠ½Π°ΡΡ Π²ΡΠ±ΠΎΡ Π·ΡΠ±Π½ΠΎΠΉ ΠΊΠΎΡΠΎΠ½ΠΊΠΈ Ρ ΠΌΠ΅Π΄ΠΈΡΠΈΠ½ΡΠΊΠΈΡ ΠΏΠΎΠΊΠ°Π·Π°Π½ΠΈΠΉ. ΠΡΠ»ΠΈ Ρ ΠΏΠ°ΡΠΈΠ΅Π½ΡΠ° Π½Π΅Ρ Π½ΠΈΠΊΠ°ΠΊΠΈΡ Π°Π»Π»Π΅ΡΠ³ΠΈΡΠ΅ΡΠΊΠΈΡ ΡΠ΅Π°ΠΊΡΠΈΠΉ, ΡΠΎ ΠΎΠ½ ΠΌΠΎΠΆΠ΅Ρ Π²ΡΠ±ΡΠ°ΡΡ Π»ΡΠ±ΠΎΠΉ Π²ΠΈΠ΄ ΠΊΠΎΡΠΎΠ½ΠΊΠΈ. ΠΡΠΈ Π½Π°Π»ΠΈΡΠΈΠΈ Π°Π»Π»Π΅ΡΠ³ΠΈΠΈ, Π²ΡΠ±ΠΎΡ ΠΏΠ°ΡΠΈΠ΅Π½ΡΠ° ΡΡΠΆΠ°Π΅ΡΡΡ. ΠΠΎΠ·ΠΌΠΎΠΆΠ½Ρ ΠΎΠΏΡΠ΅Π΄Π΅Π»Π΅Π½Π½ΡΠ΅ ΡΡΠ°ΠΏΡ Π»Π΅ΡΠ΅Π½ΠΈΡ, ΡΠΎΠ³Π΄Π° Π²ΡΠ±ΠΎΡ Π΅ΡΠ΅ Π±ΠΎΠ»ΡΡΠ΅ ΠΎΠ³ΡΠ°Π½ΠΈΡΠΈΠ²Π°Π΅ΡΡΡ.
ΠΠΎΡΠ»Π΅ ΡΠΎΠ³ΠΎ, ΠΊΠ°ΠΊ ΠΏΠΎΡΠ²ΠΈΠ»Π°ΡΡ ΠΎΠΏΡΠ΅Π΄Π΅Π»Π΅Π½Π½ΠΎΡΡΡ Ρ ΠΌΠ΅Π΄ΠΈΡΠΈΠ½ΡΠΊΠΈΠΌΠΈ ΠΏΠΎΠΊΠ°Π·Π°ΡΠ΅Π»ΡΠΌΠΈ, ΡΠ΅ΡΠ°ΡΡΡΡ ΡΠΎΠ»Ρ ΠΈΠ³ΡΠ°Π΅Ρ Π±Π°Π»Π°Π½Ρ ΠΌΠ΅ΠΆΠ΄Ρ ΡΡΡΠ΅ΡΠΈΡΠ΅ΡΠΊΠΈΠΌΠΈ ΡΡΠ΅Π±ΠΎΠ²Π°Π½ΠΈΡΠΌΠΈ ΠΏΠ°ΡΠΈΠ΅Π½ΡΠ° ΠΈ ΡΡΠΎΠΈΠΌΠΎΡΡΡΡ. ΠΡΠ΅Π²ΠΈΠ΄Π½ΠΎ, ΡΡΠΎ Π΄Π»Ρ Π»ΡΠ΄Π΅ΠΉ ΠΎΠΏΡΠ΅Π΄Π΅Π»Π΅Π½Π½ΡΡ ΠΏΡΠΎΡΠ΅ΡΡΠΈΠΉ, Π½Π°ΠΏΡΠΈΠΌΠ΅Ρ, ΡΠ΅Π»Π΅Π²Π΅Π΄ΡΡΠΈΡ , Π°ΡΡΠΈΡΡΠΎΠ² ΠΈΠ»ΠΈ Π»ΡΠ±ΠΎΠ³ΠΎ, Π΄Π»Ρ ΠΊΠΎΠ³ΠΎ Π²Π°ΠΆΠ΅Π½ Π±Π΅Π·ΡΠΏΡΠ΅ΡΠ½ΡΠΉ Π²ΠΈΠ΄ ΡΠ»ΡΠ±ΠΊΠΈ ΠΎΡΠ½ΠΎΠ²Π½ΡΠΌ ΡΠ°ΠΊΡΠΎΡΠΎΠΌ ΡΠ²Π»ΡΠ΅ΡΡΡ ΡΡΡΠ΅ΡΠΈΠΊΠ°, ΠΏΡΠΈ ΡΡΠΎΠΌ, Π½Π΅ΠΊΠΎΡΠΎΡΡΠ΅ ΠΊΠ»ΠΈΠ½ΠΈΠΊΠΈ ΠΏΡΠ΅Π΄ΠΎΡΡΠ°Π²Π»ΡΡΡ Π²ΠΎΠ·ΠΌΠΎΠΆΠ½ΠΎΡΡΡ Π·Π°ΠΊΠ°Π·Π°ΡΡ ΡΠΊΡΠΊΠ»ΡΠ·ΠΈΠ²Π½ΡΠ΅ ΠΊΠΎΡΠΎΠ½ΠΊΠΈ, ΠΊΠΎΡΠΎΡΡΠ΅ Π²ΠΈΠ·ΡΠ°Π»ΡΠ½ΠΎ Π½Π΅ ΠΎΡΠ»ΠΈΡΠΈΡΡ ΠΎΡ Π·ΡΠ±ΠΎΠ² β ΡΠ΅Ρ Π½ΠΈΠΊ ΠΌΠΎΠ΄Π΅Π»ΠΈΡΡΠ΅Ρ Π² Ρ.Ρ. ΠΈ ΠΌΠ΅Π»ΠΊΠΈΠ΅ Π΄Π΅ΡΠ΅ΠΊΡΡ Π·ΡΠ±Π½ΠΎΠΉ ΡΠΌΠ°Π»ΠΈ. Π’Π°ΠΊΠΈΠ΅ ΠΊΠΎΡΠΎΠ½ΠΊΠΈ ΡΠ²Π»ΡΡΡΡΡ Π½Π°ΡΡΠΎΡΡΠΈΠΌΠΈ Ρ ΡΠ΄ΠΎΠΆΠ΅ΡΡΠ²Π΅Π½Π½ΡΠΌΠΈ ΠΏΡΠΎΠΈΠ·Π²Π΅Π΄Π΅Π½ΠΈΡΠΌΠΈ.
Π Π»ΡΠ±ΠΎΠΌ ΡΠ»ΡΡΠ°Π΅, ΠΏΠ΅ΡΠ΅Π΄ ΡΠ΅ΠΌ, ΠΊΠ°ΠΊ ΠΏΡΠΈΠ½ΡΡΡ ΡΠ΅ΡΠ΅Π½ΠΈΠ΅ ΠΊΠ°ΠΊΠΈΠ΅ ΠΊΠΎΡΠΎΠ½ΠΊΠΈ Π½Π° Π·ΡΠ±Ρ Π»ΡΡΡΠ΅ ΡΡΠ°Π²ΠΈΡΡ, ΡΠ΅Π»Π΅ΡΠΎΠΎΠ±ΡΠ°Π·Π½ΠΎ ΡΠ½Π°ΡΠ°Π»Π° Π²ΡΠ±ΡΠ°ΡΡ ΡΡΠΎΠΌΠ°ΡΠΎΠ»ΠΎΠ³ΠΈΡ, ΠΏΡΠΎΡΠΈΡΠ°ΡΡ ΠΎΡΠ·ΡΠ²Ρ Π΅Π΅ ΠΏΠ°ΡΠΈΠ΅Π½ΡΠΎΠ², ΠΈΠ·ΡΡΠΈΡΡ ΡΠΎΡΠΎΠ³ΡΠ°ΡΠΈΠΈ Π°Π½Π°Π»ΠΎΠ³ΠΈΡΠ½ΡΡ ΡΠ°Π±ΠΎΡ. ΠΡΠ΅Π½ΠΈΡΡ Π²ΠΎΠ·ΠΌΠΎΠΆΠ½ΡΠΉ Π±ΡΠ΄ΠΆΠ΅Ρ Π² Π½Π΅ΡΠΊΠΎΠ»ΡΠΊΠΈΡ ΡΡΠΎΠΌΠ°ΡΠΎΠ»ΠΎΠ³ΠΈΡΡ . ΠΡΠΎ ΠΏΠΎΠΌΠΎΠΆΠ΅Ρ ΡΠ΄Π΅Π»Π°ΡΡ ΠΏΡΠ°Π²ΠΈΠ»ΡΠ½ΡΠΉ Π²ΡΠ±ΠΎΡ, ΠΊΠΎΡΠΎΡΡΠΉ Π»ΡΡΡΠ΅ Π²ΡΠ΅Π³ΠΎ ΠΏΠΎΠ΄ΠΎΠΉΠ΄ΡΡ Π΄Π»Ρ Π²Π°ΡΠΈΡ Π½ΡΠΆΠ΄ ΠΈ ΠΎΠ±ΡΡΠΎΡΡΠ΅Π»ΡΡΡΠ².
ΠΠΎΡΠ»Π΅ Π²ΡΠ±ΠΎΡΠ° ΡΡΠΎΠΌΠ°ΡΠΎΠ»ΠΎΠ³ΠΈΠΈ, Π²ΡΠ±ΠΈΡΠ°ΡΡ ΠΌΠ΅ΡΠΎΠ΄ ΠΏΡΠΎΡΠ΅Π·ΠΈΡΠΎΠ²Π°Π½ΠΈΡ Π²Ρ Π±ΡΠ΄Π΅ΡΠ΅ Π²ΠΌΠ΅ΡΡΠ΅ Ρ Π²Π°ΡΠΈΠΌ ΡΡΠΎΠΌΠ°ΡΠΎΠ»ΠΎΠ³ΠΎΠΌ.
dentalmir.ru
ΠΊΠ°ΠΊΠΈΠ΅ Π±ΡΠ²Π°ΡΡ Π²ΠΈΠ΄Ρ, ΠΏΠ»ΡΡΡ ΠΈ ΠΌΠΈΠ½ΡΡΡ
ΠΡΠΊΡΡΡΡΠ²Π΅Π½Π½Π°Ρ Π·ΡΠ±Π½Π°Ρ ΠΊΠΎΡΠΎΠ½ΠΊΠ° ΠΌΠΎΠΆΠ΅Ρ Π±ΡΡΡ ΠΎΠΏΠΎΡΠ½ΠΎΠΉ ΠΈ Π²ΠΎΡΡΡΠ°Π½ΠΎΠ²ΠΈΡΠ΅Π»ΡΠ½ΠΎΠΉ, ΠΎΠ½Π° ΠΈΠΌΠ΅Π΅Ρ ΡΠΎΠΎΡΠ²Π΅ΡΡΡΠ²ΡΡΡΠΈΠΉ Π½Π°ΡΡΡΠ°Π»ΡΠ½ΠΎΠΌΡ Π·ΡΠ±Ρ ΡΠ²Π΅Ρ ΠΈ ΡΠΎΡΠΌΡ. ΠΡΠΎΡ Π²ΠΈΠ΄ ΠΏΡΠΎΡΠ΅Π·ΠΈΡΠΎΠ²Π°Π½ΠΈΡ ΠΏΡΠΈΠΌΠ΅Π½ΡΠ΅ΡΡΡ Π΄Π»Ρ Π²ΠΎΡΡΡΠ°Π½ΠΎΠ²Π»Π΅Π½ΠΈΡ ΠΎΠ΄ΠΈΠ½ΠΎΡΠ½ΠΎΠ³ΠΎ Π΄Π΅ΡΠ΅ΠΊΡΠ° Π·ΡΠ±Π½ΠΎΠ³ΠΎ ΡΡΠ΄Π° ΠΈΠ»ΠΈ ΠΏΡΠΈ ΠΎΡΡΡΡΡΡΠ²ΠΈΠΈ Π½Π΅ΡΠΊΠΎΠ»ΡΠΊΠΈΡ ΡΡΠ΄ΠΎΠΌ ΡΡΠΎΡΡΠΈΡ Π·ΡΠ±ΠΎΠ² β ΠΌΠΎΡΡΠΎΠ²ΠΈΠ΄Π½ΡΠ΅ ΠΊΠΎΠ½ΡΡΡΡΠΊΡΠΈΠΈ. ΠΠΎΡΡΡΠ°Π½ΠΎΠ²ΠΈΡΠ΅Π»ΡΠ½Π°Ρ ΠΈΡΠΊΡΡΡΡΠ²Π΅Π½Π½Π°Ρ ΠΊΠΎΡΠΎΠ½ΠΊΠ° Π½Π° Π·ΡΠ± ΡΠ»ΡΠΆΠΈΡ Π΄Π»Ρ ΡΠ΅ΡΡΠ°Π²ΡΠ°ΡΠΈΠΈ Π°Π½Π°ΡΠΎΠΌΠΈΡΠ΅ΡΠΊΠΎΠΉ ΡΠΎΡΠΌΡ ΠΈ Π²ΠΎΡΠΏΠΎΠ»Π½Π΅Π½ΠΈΡ Π½ΠΎΡΠΌΠ°Π»ΡΠ½ΠΎΠΉ ΠΆΠ΅Π²Π°ΡΠ΅Π»ΡΠ½ΠΎΠΉ ΡΡΠ½ΠΊΡΠΈΠΈ. ΠΠΏΠΎΡΠ½ΡΠ΅ Π·ΡΠ±Π½ΡΠ΅ ΠΊΠΎΡΠΎΠ½ΠΊΠΈ Π²ΡΠ°Ρ ΡΡΠ°Π²ΠΈΡ Π² ΡΠΎΠΌ ΡΠ»ΡΡΠ°Π΅, ΠΊΠΎΠ³Π΄Π° Π½ΡΠΆΠ½ΠΎ ΡΠΎΠ·Π΄Π°ΡΡ ΠΎΠΏΠΎΡΡ Π΄Π»Ρ ΠΌΠΎΡΡΠΎΠ²ΠΈΠ΄Π½ΠΎΠΉ ΠΊΠΎΠ½ΡΡΡΡΠΊΡΠΈΠΈ. ΠΠΎΡΡ ΡΠΈΠΊΡΠΈΡΡΠ΅ΡΡΡ Π½Π° ΠΈΡΠΊΡΡΡΡΠ²Π΅Π½Π½ΡΡ ΠΎΠΏΠΎΡΡ, ΠΊΠΎΠ³Π΄Π° ΠΏΠΎΠ²ΡΠ΅ΠΆΠ΄Π΅Π½Ρ Π΅ΡΡΠ΅ΡΡΠ²Π΅Π½Π½ΡΠ΅ Π·ΡΠ±Ρ.

ΠΡΡΡ ΡΡΠ°Π½Π΄Π°ΡΡΠ½ΡΠ΅ ΡΠΎΡΠΌΡ ΠΈ ΡΠ²Π΅ΡΠ° ΠΏΠΎΡΡΠΎΡΠ½Π½ΠΎΠ³ΠΎ ΠΏΡΠΎΡΠ΅Π·Π°, ΠΈΡ ΠΊΠ»Π°ΡΡΠΈΡΠΈΡΠΈΡΡΡΡ Π·Π°Π²ΠΈΡΠΈΠΌΠΎ ΠΎΡ ΠΌΠ°ΡΠ΅ΡΠΈΠ°Π»Π° ΠΈΠ·Π³ΠΎΡΠΎΠ²Π»Π΅Π½ΠΈΡ, ΡΡΠΎ ΠΈΠΌΠ΅Π΅Ρ Π±ΠΎΠ»ΡΡΠΎΠ΅ Π·Π½Π°ΡΠ΅Π½ΠΈΠ΅ ΠΏΡΠΈ Π²ΡΠ±ΠΎΡΠ΅ ΠΌΠ΅ΡΠΎΠ΄Π° ΠΏΡΠΎΡΠ΅Π·ΠΈΡΠΎΠ²Π°Π½ΠΈΡ.
ΠΠ°ΠΆΠ΄ΡΠΉ ΠΌΠ°ΡΠ΅ΡΠΈΠ°Π» ΠΈΠΌΠ΅Π΅Ρ ΡΠ²ΠΎΠΈ ΠΏΠ»ΡΡΡ ΠΈ ΠΌΠΈΠ½ΡΡΡ, Π²ΡΠ°Ρ Π²ΠΎ Π²ΡΠ΅ΠΌΡ ΠΏΠΎΠ΄Π³ΠΎΡΠΎΠ²ΠΊΠΈ ΠΊ ΠΏΡΠΎΡΠ΅Π·ΠΈΡΠΎΠ²Π°Π½ΠΈΡ ΠΎΡΠ΅Π½ΠΈΠ²Π°Π΅Ρ ΡΠΎΡΡΠΎΡΠ½ΠΈΠ΅ ΠΏΠΎΠ»ΠΎΡΡΠΈ ΡΡΠ°, Π²ΡΠ±ΠΈΡΠ°Π΅Ρ Π²ΠΌΠ΅ΡΡΠ΅ Ρ ΠΏΠ°ΡΠΈΠ΅Π½ΡΠΎΠΌ, ΠΊΠ°ΠΊΠΎΠΉ ΠΌΠ°ΡΠ΅ΡΠΈΠ°Π» Π»ΡΡΡΠ΅ ΠΈΡΠΏΠΎΠ»ΡΠ·ΠΎΠ²Π°ΡΡ, ΡΡΠΎΠ±Ρ ΠΏΡΠΎΡΠ΅Π· ΠΏΡΠΎΡΠ»ΡΠΆΠΈΠ» ΠΊΠ°ΠΊ ΠΌΠΎΠΆΠ½ΠΎ Π΄ΠΎΠ»ΡΡΠ΅ ΠΈ Π½Π΅ ΠΏΡΠΈΠ½ΠΎΡΠΈΠ» Π΄ΠΈΡΠΊΠΎΠΌΡΠΎΡΡΠ°.
ΠΠΈΠ΄Ρ ΠΏΠΎΡΡΠΎΡΠ½Π½ΡΡ ΠΏΡΠΎΡΠ΅Π·ΠΎΠ²
ΠΠ°ΠΊΠΈΠ΅ Π±ΡΠ²Π°ΡΡ ΠΊΠΎΡΠΎΠ½ΠΊΠΈ Π½Π° Π·ΡΠ±Ρ?
- ΠΠ΅ΡΠ°Π»Π»ΠΈΡΠ΅ΡΠΊΠΈΠ΅ ΠΈΠ»ΠΈ ΡΠ΅Π»ΡΠ½ΠΎΠΌΠ΅ΡΠ°Π»Π»ΠΈΡΠ΅ΡΠΊΠΈΠ΅ β Π·Π° ΠΎΡΠ½ΠΎΠ²Ρ ΠΎΠ½ΠΈ ΠΈΠΌΠ΅ΡΡ ΡΠΏΠ»Π°Π² Π±Π»Π°Π³ΠΎΡΠΎΠ΄Π½ΡΡ ΠΈΠ»ΠΈ Π½Π΅Π±Π»Π°Π³ΠΎΡΠΎΠ΄Π½ΡΡ ΠΌΠ΅ΡΠ°Π»Π»ΠΎΠ², ΠΌΠΎΠ³ΡΡ Π±ΡΡΡ Π»ΠΈΡΡΠΌΠΈ ΠΈΠ»ΠΈ ΡΡΠ°ΠΌΠΏΠΎΠ²Π°Π½Π½ΡΠΌΠΈ. Π§ΠΈΡΡΠΎ ΠΌΠ΅ΡΠ°Π»Π»ΠΈΡΠ΅ΡΠΊΠΈΠ΅ ΡΠ΅Π³ΠΎΠ΄Π½Ρ ΠΈΠΌΠ΅ΡΡ ΠΌΠ΅Π½ΡΡΠΈΠΉ ΡΠΏΡΠΎΡ, Π²ΡΠ°Ρ ΠΈΡ ΡΡΠ°Π²ΠΈΡ, ΠΊΠΎΠ³Π΄Π° Π½Π΅ Π²Π°ΠΆΠ½Π° ΡΡΡΠ΅ΡΠΈΠΊΠ°, ΡΠ°ΠΊ ΠΊΠ°ΠΊ Π²ΡΠ±ΠΎΡ ΡΠ²Π΅ΡΠ° Π½Π΅Π²ΠΎΠ·ΠΌΠΎΠΆΠ΅Π½;
- ΠΠ΅ΠΌΠ΅ΡΠ°Π»Π»ΠΈΡΠ΅ΡΠΊΠΈΠ΅ β ΡΡΠΎ ΠΏΠ»Π°ΡΡΠΌΠ°ΡΡΠΎΠ²ΡΠ΅, ΠΊΠ΅ΡΠ°ΠΌΠΈΡΠ΅ΡΠΊΠΈΠ΅, ΡΠ°ΡΡΠΎΡΠΎΠ²ΡΠ΅ Π·ΡΠ±Π½ΡΠ΅ ΠΊΠΎΡΠΎΠ½ΠΊΠΈ. ΠΡ ΡΠΎΡΠΌΠ° ΠΏΠΎΠ»Π½ΠΎΡΡΡΡ ΡΠΎΠΎΡΠ²Π΅ΡΡΡΠ²ΡΠ΅Ρ Π½Π°ΡΡΡΠ°Π»ΡΠ½ΠΎΠΌΡ ΠΎΡΠ³Π°Π½Ρ, Π΅ΡΡΡ Π²ΠΎΠ·ΠΌΠΎΠΆΠ½ΠΎΡΡΡ ΡΠ»ΡΡΡΠ΅Π½ΠΈΡ ΡΠ²Π΅ΡΠ°, Π²ΡΠ°Ρ ΡΡΠ°Π²ΠΈΡ ΡΠ°ΠΊΠΈΠ΅ Π½Π° ΡΡΠΎΠ½ΡΠ°Π»ΡΠ½ΡΡ Π³ΡΡΠΏΠΏΡ ΠΈ Π½Π° ΠΆΠ΅Π²Π°ΡΠ΅Π»ΡΠ½ΡΡ;
- Π€Π°ΡΡΠΎΡΠΎΠ²ΡΠ΅ ΠΏΡΠΎΡΠ΅Π·Ρ ΠΏΡΠ°Π²ΠΈΠ»ΡΠ½ΠΎΠ³ΠΎ ΡΠ²Π΅ΡΠ° ΠΈ ΡΠΎΡΠΌΡ Π»ΡΡΡΠ΅ ΠΏΠΎΠ΄Ρ ΠΎΠ΄ΡΡ Π΄Π»Ρ Π²ΠΎΡΡΡΠ°Π½ΠΎΠ²Π»Π΅Π½ΠΈΡ Π·ΠΎΠ½Ρ ΡΠ»ΡΠ±ΠΊΠΈ, ΠΊΠΎΠ³Π΄Π° ΠΌΠΈΠΊΡΠΎΠΏΡΠΎΡΠ΅Π·ΠΈΡΠΎΠ²Π°Π½ΠΈΠ΅ Π² ΠΊΠΎΠ½ΠΊΡΠ΅ΡΠ½ΠΎΠΌ ΡΠ»ΡΡΠ°Π΅ ΠΈΠΌΠ΅Π΅Ρ ΠΌΠΈΠ½ΡΡΡ. Π’Π°ΠΊΠΈΠ΅ Π·ΡΠ±Π½ΡΠ΅ ΠΊΠΎΡΠΎΠ½ΠΊΠΈ ΠΈΠΌΠ΅ΡΡ Π½Π΅Π΄ΠΎΡΡΠ°ΡΠΊΠΈ, Π²Π½Π΅ΡΠ½Π΅ ΠΎΠ½ΠΈ ΠΏΡΠΈΠ²Π»Π΅ΠΊΠ°ΡΠ΅Π»ΡΠ½ΡΠ΅, Π½Π° ΡΠ°ΡΡΠΎΡ ΡΠ»ΠΈΡΠΊΠΎΠΌ Ρ ΡΡΠΏΠΊΠΈΠΉ, Π±ΡΡΡΡΠΎ ΠΈΠ·Π½Π°ΡΠΈΠ²Π°Π΅ΡΡΡ;
- ΠΠΎΠΌΠ±ΠΈΠ½ΠΈΡΠΎΠ²Π°Π½Π½ΡΠ΅ β ΡΠ°ΠΊΠΈΠ΅ Π·ΡΠ±Π½ΡΠ΅ ΠΊΠΎΡΠΎΠ½ΠΊΠΈ ΡΡΡΠ°Π½Π°Π²Π»ΠΈΠ²Π°ΡΡΡΡ, ΠΊΠΎΠ³Π΄Π° Π½Π΅ΠΎΠ±Ρ ΠΎΠ΄ΠΈΠΌΠΎ ΡΠΎΠΎΡΠ²Π΅ΡΡΡΠ²ΠΈΠ΅ ΡΠ²Π΅ΡΠ°, ΡΠΎΡΠΌΡ ΠΈ ΠΏΡΠΎΡΠ½ΠΎΡΡΠΈ. ΠΡΠΎ ΠΌΠ΅ΡΠ°Π»Π»ΠΎΠΏΠ»Π°ΡΡΠΌΠ°ΡΡΠΎΠ²ΡΠ΅, ΠΌΠ΅ΡΠ°Π»Π»ΠΎΠΊΠ΅ΡΠ°ΠΌΠΈΡΠ΅ΡΠΊΠΈΠ΅, Π° ΡΠ°ΠΊΠΆΠ΅ ΡΠ°ΡΡΠΎΡΠΎΠ²ΡΠ΅ Π²ΠΈΠ΄Ρ Π·ΡΠ±Π½ΡΡ ΠΊΠΎΡΠΎΠ½ΠΎΠΊ. ΠΠ°ΠΈΠ±ΠΎΠ»ΡΡΡΡ ΠΏΠΎΠΏΡΠ»ΡΡΠ½ΠΎΡΡΡ ΠΈΠΌΠ΅Π΅Ρ ΠΌΠ΅ΡΠ°Π»Π»ΠΎΠΊΠ΅ΡΠ°ΠΌΠΈΠΊΠ°.

ΠΠΎΠ½ΡΡΡΡΠΊΡΠΈΡ ΠΈΡΠΊΡΡΡΡΠ²Π΅Π½Π½ΠΎΠ³ΠΎ Π·ΡΠ±Π°
ΠΠ°Π²ΠΈΡΠΈΠΌΠΎ ΠΎΡ ΠΊΠΎΠ½ΡΡΡΡΠΊΡΠΈΠΈ Π±ΡΠ²Π°ΡΡ ΡΠ»Π΅Π΄ΡΡΡΠΈΠ΅ Π²ΠΈΠ΄Ρ ΠΊΠΎΡΠΎΠ½ΠΎΠΊ:
- ΠΏΠΎΠ»Π½ΡΠ΅ β ΠΎΠ½ΠΈ ΠΏΠΎΠ»Π½ΠΎΡΡΡΡ Π²ΠΎΡΡΡΠ°Π½Π°Π²Π»ΠΈΠ²Π°ΡΡ Π°Π½Π°ΡΠΎΠΌΠΈΡΠ΅ΡΠΊΡΡ ΡΠΎΡΠΌΠ°, Π²ΡΠ°Ρ ΡΡΠ°Π²ΠΈΡ ΡΠ°ΠΊΠΎΠΉ ΠΏΡΠΎΡΠ΅Π· Π² ΡΠ»ΡΡΠ°Π΅ ΠΏΠΎΠ»Π½ΠΎΠ³ΠΎ ΡΠ°Π·ΡΡΡΠ΅Π½ΠΈΡ ΠΎΡΠ³Π°Π½Π° ΠΈΠ»ΠΈ ΠΏΡΠΈ Π΅Π³ΠΎ ΠΎΡΡΡΡΡΡΠ²ΠΈΠΈ;
- ΠΏΠΎΠ»ΡΠΊΠΎΡΠΎΠ½ΠΊΠΈ β ΠΏΡΠΈ ΡΡΠΎΠΌ Π²ΠΎΡΡΡΠ°Π½Π°Π²Π»ΠΈΠ²Π°Π΅ΡΡΡ ΡΠΎΡΠΌΠ° ΡΠΎ Π²ΡΠ΅Ρ ΡΡΠΎΡΠΎΠ½, Π·Π° ΠΈΡΠΊΠ»ΡΡΠ΅Π½ΠΈΠ΅ΠΌ ΡΠ·ΡΡΠ½ΠΎΠΉ. Π’Π°ΠΊΠΎΠΉ ΠΏΡΠΎΡΠ΅Π· ΠΈΠΌΠ΅Π΅Ρ Π½Π΅ΡΠΊΠΎΠ»ΡΠΊΠΎ ΠΏΠΎΠΊΠ°Π·Π°Π½ΠΈΠΉ ΠΊ ΡΡΡΠ°Π½ΠΎΠ²ΠΊΠ΅, Π²ΠΊΠ»ΡΡΠ°Ρ ΡΠΎΠ·Π΄Π°Π½ΠΈΠ΅ ΠΎΠΏΠΎΡΡ ΠΏΠΎΠ΄ ΠΌΠΎΡΡΠΎΠ²ΠΈΠ΄Π½ΡΠ΅ ΠΈΠ»ΠΈ ΠΊΠΎΠ½ΡΠΎΠ»ΡΠ½ΡΠ΅ ΠΊΠΎΠ½ΡΡΡΡΠΊΡΠΈΠΈ;
- ΡΠΊΠ²Π°ΡΠΎΡΠ½ΡΠ΅ β ΠΈΡΠΏΠΎΠ»ΡΠ·ΡΡΡΡΡ ΠΏΡΠΈ ΡΠΈΠ½ΠΈΡΠΎΠ²Π°Π½ΠΈΠΈ, ΠΈΠ·Π³ΠΎΡΠ°Π²Π»ΠΈΠ²Π°ΡΡΡΡ ΠΈΠ· ΠΌΠ΅ΡΠ°Π»Π»Π°, ΠΏΠΎΡΠΎΠΌΡ Π½Π΅ ΠΏΠΎΠ΄Ρ ΠΎΠ΄ΡΡ Π΄Π»Ρ Π²ΠΎΡΡΡΠ°Π½ΠΎΠ²Π»Π΅Π½ΠΈΡ ΡΠΎΡΠΌΡ, ΡΠ²Π΅ΡΠ°;
- ΠΊΡΠ»ΡΡΠ΅Π²ΡΠ΅ β ΡΡΡΠ΅ΡΠΈΡΠ½ΡΠ΅ ΠΏΡΠΎΡΠ΅Π·Ρ, Π½Π΅ΠΎΠ±Ρ ΠΎΠ΄ΠΈΠΌΡΠ΅ Π΄Π»Ρ Π²ΠΎΡΡΡΠ°Π½ΠΎΠ²Π»Π΅Π½ΠΈΡ ΡΠΎΡΠΌΡ ΠΈ ΡΠ²Π΅ΡΠ° ΡΠΈΠ»ΡΠ½ΠΎ ΡΠ°Π·ΡΡΡΠ΅Π½Π½ΠΎΠΉ Π½Π°ΡΡΡΠ°Π»ΡΠ½ΠΎΠΉ ΠΊΠΎΡΠΎΠ½ΠΊΠΈ;
- ΡΠ΅Π»Π΅ΡΠΊΠΎΠΏΠΈΡΠ΅ΡΠΊΠΈΠ΅ β ΡΡΡΠ°Π½Π°Π²Π»ΠΈΠ²Π°ΡΡΡΡ Π½Π° Π½Π°ΡΡΡΠ°Π»ΡΠ½ΡΠΉ ΠΎΡΠ³Π°Π½ Π΄Π»Ρ Π²ΠΎΡΡΡΠ°Π½ΠΎΠ²Π»Π΅Π½ΠΈΡ ΡΠΎΡΠΌΡ ΠΈ Π²ΡΡΠΎΡΡ, ΠΈΡΠΏΠΎΠ»ΡΠ·ΡΡΡΡΡ ΠΏΡΠΈ ΡΠ°ΡΡΠΈΡΠ½ΠΎΠΌ ΡΡΠ΅ΠΌΠ½ΠΎΠΌ ΠΏΡΠΎΡΠ΅Π·ΠΈΡΠΎΠ²Π°Π½ΠΈΠΈ.

ΠΠΎΠΊΠ°Π·Π°Π½ΠΈΡ ΠΊ ΡΡΡΠ°Π½ΠΎΠ²ΠΊΠ΅
ΠΡΠΊΡΡΡΡΠ²Π΅Π½Π½Π°Ρ Π·ΡΠ±Π½Π°Ρ ΠΊΠΎΡΠΎΠ½ΠΊΠ° ΠΈΠΌΠ΅Π΅Ρ ΡΠ»Π΅Π΄ΡΡΡΠΈΠ΅ ΠΏΠΎΠΊΠ°Π·Π°Π½ΠΈΡ ΠΊ ΡΡΡΠ°Π½ΠΎΠ²ΠΊΠ΅:
- Π²ΡΠ°Ρ ΡΡΠ°Π²ΠΈΡ ΠΎΠ΄ΠΈΠ½ΠΎΡΠ½ΡΡ ΠΊΠΎΠ½ΡΡΡΡΠΊΡΠΈΡ Π΄Π»Ρ Π²ΠΎΡΡΡΠ°Π½ΠΎΠ²Π»Π΅Π½ΠΈΡ ΡΠ°Π·ΡΡΡΠ΅Π½Π½ΠΎΠ³ΠΎ ΠΎΡΠ³Π°Π½Π° Π±ΠΎΠ»Π΅Π΅ ΡΠ΅ΠΌ Π½Π° 50%;
- ΠΏΠΎΠ²ΡΡΠ΅Π½Π½Π°Ρ ΡΡΠΈΡΠ°Π΅ΠΌΠΎΡΡΡ ΡΠΌΠ°Π»ΠΈ;
- Π²ΠΎΡΡΡΠ°Π½ΠΎΠ²Π»Π΅Π½ΠΈΠ΅ ΡΡΡΠ°ΡΠ΅Π½Π½ΠΎΠ³ΠΎ Π·ΡΠ±Π°, ΠΊΠΎΠ³Π΄Π° Π»ΡΡΡΠΈΠΌ Π²Π°ΡΠΈΠ°Π½ΡΠΎΠΌ Π±ΡΠ΄Π΅Ρ ΠΏΡΠΎΡΠ΅Π· Π½Π° ΠΈΠΌΠΏΠ»Π°Π½ΡΠ΅;
- Π²ΠΎΡΡΡΠ°Π½ΠΎΠ²Π»Π΅Π½ΠΈΠ΅ ΡΠ²Π΅ΡΠ° ΠΏΠ΅ΡΠ΅Π΄Π½Π΅ΠΉ, ΠΆΠ΅Π²Π°ΡΠ΅Π»ΡΠ½ΠΎΠΉ Π³ΡΡΠΏΠΏΡ Π·ΡΠ±ΠΎΠ²;
- ΠΈΡΠΏΡΠ°Π²Π»Π΅Π½ΠΈΠ΅ Π°Π½ΠΎΠΌΠ°Π»ΠΈΠΉ Π½Π΅ΠΏΡΠ°Π²ΠΈΠ»ΡΠ½ΠΎΠ³ΠΎ ΠΏΠΎΠ»ΠΎΠΆΠ΅Π½ΠΈΡ, ΡΡΡΠ΅ΡΠΈΠΊΠΈ;
- ΡΠ»ΡΠΎΡΠΎΠ·, ΠΊΠΎΠ³Π΄Π° ΠΏΡΠΎΠΈΡΡ ΠΎΠ΄ΠΈΡ ΠΈΠ·ΠΌΠ΅Π½Π΅Π½ΠΈΠ΅ ΡΠ²Π΅ΡΠ° ΠΈ ΠΏΠΎΡΠ²Π»ΡΠ΅ΡΡΡ ΠΏΡΠ΅Π΄ΡΠ°ΡΠΏΠΎΠ»ΠΎΠΆΠ΅Π½Π½ΠΎΡΡΡ ΠΊ ΠΊΠ°ΡΠΈΠΎΠ·Π½ΡΠΌ ΠΏΡΠΎΡΠ΅ΡΡΠ°ΠΌ;
- Π½Π΅ΠΎΠ±Ρ ΠΎΠ΄ΠΈΠΌΠΎΡΡΡ Π²ΡΡΠ°Π²Π½ΠΈΠ²Π°Π½ΠΈΡ Π·ΡΠ±Π½ΠΎΠ³ΠΎ ΡΡΠ΄Π°;
- ΠΏΡΠΎΡΠ΅Π·ΠΈΡΠΎΠ²Π°Π½ΠΈΠ΅ ΠΌΠΎΡΡΠΎΠ²ΠΈΠ΄Π½ΡΠΌΠΈ ΠΊΠΎΠ½ΡΡΡΡΠΊΡΠΈΡΠΌΠΈ, ΠΊΠΎΠ³Π΄Π° Π½ΡΠΆΠ½ΠΎ ΡΠΎΠ·Π΄Π°ΡΡ ΠΎΠΏΠΎΡΡ.

ΠΡΠΊΡΡΡΡΠ²Π΅Π½Π½ΡΠΉ Π·ΡΠ± ΠΈΠΌΠ΅Π΅Ρ ΠΈ ΠΏΡΠΎΡΠΈΠ²ΠΎΠΏΠΎΠΊΠ°Π·Π°Π½ΠΈΡ:
- Π½Π°ΡΡΡΠ΅Π½ΠΈΠ΅ ΠΎΠΊΠΎΠ»ΠΎΠ·ΡΠ±Π½ΠΎΠΉ ΡΠ²ΡΠ·ΠΊΠΈ;
- Π½Π΅ΠΏΡΠ°Π²ΠΈΠ»ΡΠ½ΡΠΉ ΠΏΡΠΈΠΊΡΡ;
- ΠΏΠ°ΡΠΎΠ»ΠΎΠ³ΠΈΠΈ ΠΏΠ°ΡΠΎΠ΄ΠΎΠ½ΡΠ°;
- Π²ΠΎΠ·ΡΠ°ΡΡ Π΄ΠΎ 16 Π»Π΅Ρ;
- Π°Π»Π»Π΅ΡΠ³ΠΈΡ Π½Π° ΠΌΠ°ΡΠ΅ΡΠΈΠ°Π»Ρ;
- Π²ΠΎΠ·ΠΌΠΎΠΆΠ½ΠΎΡΡΡ Π²ΠΎΡΡΡΠ°Π½ΠΎΠ²Π»Π΅Π½ΠΈΡ ΡΠ²Π΅ΡΠ° ΠΈ ΡΠΎΡΠΌΡ ΠΌΠ΅ΡΠΎΠ΄ΠΎΠΌ ΠΏΡΡΠΌΠΎΠΉ ΡΠ΅ΡΡΠ°Π²ΡΠ°ΡΠΈΠΈ.
ΠΡΠ΅ΠΈΠΌΡΡΠ΅ΡΡΠ²Π° ΠΈ Π½Π΅Π΄ΠΎΡΡΠ°ΡΠΊΠΈ
Π£ΡΡΡΠ°Π½Π΅Π½ΠΈΠ΅ Π΄Π΅ΡΠ΅ΠΊΡΠ° ΠΈΡΠΊΡΡΡΡΠ²Π΅Π½Π½ΡΠΌ Π·ΡΠ±ΠΎΠΌ ΠΈΠΌΠ΅Π΅Ρ ΡΠ»Π΅Π΄ΡΡΡΠΈΠ΅ ΠΏΠ»ΡΡΡ:
- Π²ΡΠ°Ρ ΠΈΠΌΠ΅Π΅Ρ Π²ΠΎΠ·ΠΌΠΎΠΆΠ½ΠΎΡΡΡ ΠΌΠΎΠ΄Π΅Π»ΠΈΡΠΎΠ²Π°Π½ΠΈΡ ΠΊΠΎΠ½ΡΡΡΡΠΊΡΠΈΠΈ Ρ ΡΡΠ΅ΡΠΎΠΌ Π²ΡΠ΅Ρ ΠΎΡΠΎΠ±Π΅Π½Π½ΠΎΡΡΠ΅ΠΉ ΠΏΡΠΈΠΊΡΡΠ°;
- ΠΎΠ½ΠΈ ΠΈΠΌΠ΅ΡΡ ΠΈΠ΄Π΅Π½ΡΠΈΡΠ½ΡΠΉ ΡΠ²Π΅Ρ ΠΈ ΡΠΎΡΠΌΡ, Π½ΠΎ Π΅ΡΠ»ΠΈ Π²Π°ΠΆΠ½Ρ ΡΠΎΠ»ΡΠΊΠΎ ΡΡΠΈ Ρ Π°ΡΠ°ΠΊΡΠ΅ΡΠΈΡΡΠΈΠΊΠΈ, ΡΠΎ Π»ΡΡΡΠ΅ Π²ΠΎΡΠΏΠΎΠ»ΡΠ·ΠΎΠ²Π°ΡΡΡΡ ΠΏΡΡΠΌΠΎΠΉ ΡΠ΅ΡΡΠ°Π²ΡΠ°ΡΠΈΠ΅ΠΉ;
- ΠΎΠ½ΠΈ Π΄ΠΎΡΡΡΠΏΠ½Ρ ΠΏΠΎ ΡΠ°Π·Π½ΠΎΠΉ ΡΠ΅Π½Π΅, ΠΏΠ°ΡΠΈΠ΅Π½Ρ Π²ΡΠ΅Π³Π΄Π° ΠΈΠΌΠ΅Π΅Ρ Π²ΡΠ±ΠΎΡ ΠΈΠ· Π½Π΅ΡΠΊΠΎΠ»ΡΠΊΠΈΡ ΠΌΠ°ΡΠ΅ΡΠΈΠ°Π»ΠΎΠ², ΠΈ Π²ΡΠ±ΠΈΡΠ°Π΅Ρ ΡΠΎ, ΡΡΠΎ Π΅ΠΌΡ Π»ΡΡΡΠ΅ ΠΏΠΎΠ΄Ρ ΠΎΠ΄ΠΈΡ ΠΏΠΎ ΡΠ΅Π½Π΅ ΠΈ ΠΊΠ°ΡΠ΅ΡΡΠ²Ρ;
- ΡΠΈΠΊΡΠ°ΡΠΈΡ Π½Π° Π΄Π΅ΠΏΡΠ»ΡΠΏΠΈΡΠΎΠ²Π°Π½Π½ΡΠΉ Π·ΡΠ± ΠΏΡΠΎΠ΄Π»Π΅Π²Π°Π΅Ρ Π΅Π³ΠΎ ΠΆΠΈΠ·Π½Ρ ΠΈ ΡΡΠ½ΠΊΡΠΈΠΎΠ½Π°Π»ΡΠ½ΠΎΡΡΡ;
- ΡΡΠ΅Π±ΡΠ΅Ρ ΠΌΠΈΠ½ΠΈΠΌΠ°Π»ΡΠ½ΠΎΠΉ ΠΎΠ±ΡΠΎΡΠΊΠΈ ΡΠΌΠ°Π»ΠΈ;
- ΠΊΠ΅ΡΠ°ΠΌΠΈΡΠ΅ΡΠΊΠΈΠ΅ ΠΊΠΎΠ½ΡΡΡΡΠΊΡΠΈΠΈ Π»ΡΡΡΠ΅ Π²ΡΠ΅Π³ΠΎ ΠΏΠΎΠ΄Ρ ΠΎΠ΄ΡΡ Π΄Π»Ρ ΠΏΡΠΎΡΠ΅Π·ΠΈΡΠΎΠ²Π°Π½ΠΈΡ ΠΏΠ΅ΡΠ΅Π΄Π½Π΅ΠΉ Π³ΡΡΠΏΠΏΡ, Π·ΠΎΠ½Ρ ΡΠ»ΡΠ±ΠΊΠΈ, ΠΊΠΎΠ³Π΄Π° Π΅ΡΡΡ ΡΠ΅ΡΡΠ΅Π·Π½ΠΎΠ΅ ΡΠ°Π·ΡΡΡΠ΅Π½ΠΈΡ ΡΠ²Π΅ΡΠ΄ΡΡ ΡΠΊΠ°Π½Π΅ΠΉ;
- ΡΠΎΠ²ΡΠ΅ΠΌΠ΅Π½Π½ΡΠ΅ ΠΌΠ°ΡΠ΅ΡΠΈΠ°Π»Ρ ΠΏΠΎΠ·Π²ΠΎΠ»ΡΡΡ Π²ΠΎΡΡΡΠ°Π½Π°Π²Π»ΠΈΠ²Π°ΡΡ ΡΡΠ½ΠΊΡΠΈΡ Π·ΡΠ±Π½ΠΎΠ³ΠΎ ΡΡΠ΄Π° Π½Π° Π΄Π»ΠΈΡΠ΅Π»ΡΠ½ΡΠΉ ΡΡΠΎΠΊ.
Π’Π°ΠΊΠΆΠ΅ ΡΠ»Π΅Π΄ΡΠ΅Ρ Π²ΡΠ΄Π΅Π»ΠΈΡΡ ΡΠ°ΠΊΠΈΠ΅ ΠΏΠ»ΡΡΡ, ΠΊΠ°ΠΊ Π±ΠΎΠ»ΡΡΠΎΠΉ Π²ΡΠ±ΠΎΡ ΠΌΠ°ΡΠ΅ΡΠΈΠ°Π»ΠΎΠ² Π΄Π»Ρ ΠΈΠ·Π³ΠΎΡΠΎΠ²Π»Π΅Π½ΠΈΡ, ΠΏΠΎΠ»Π½ΠΎΠ΅ ΡΠΎΠΎΡΠ²Π΅ΡΡΡΠ²ΠΈΠ΅ Π·Π΄ΠΎΡΠΎΠ²ΠΎΠΌΡ ΠΎΡΠ³Π°Π½Ρ ΠΈ Π²ΠΎΠ·ΠΌΠΎΠΆΠ½ΠΎΡΡΡ Π²ΠΎΡΡΡΠ°Π½ΠΎΠ²Π»Π΅Π½ΠΈΡ ΠΎΠ΄ΠΈΠ½ΠΎΡΠ½ΠΎΠ³ΠΎ Π΄Π΅ΡΠ΅ΠΊΡΠ° Π±Π΅Π· ΠΎΠ±ΡΠ°ΡΠΈΠ²Π°Π½ΠΈΡ ΡΠΌΠ°Π»ΠΈ ΡΠΎΡΠ΅Π΄Π½ΠΈΡ ΠΎΡΠ³Π°Π½ΠΎΠ² (ΠΊΠΎΡΠΎΠ½ΠΊΠ° Π½Π° ΠΈΠΌΠΏΠ»Π°Π½ΡΠ΅).

ΠΠ΅ΡΠ΅Π΄ ΡΠ΅ΠΌ ΠΊΠ°ΠΊ ΡΡΡΠ°Π½ΠΎΠ²ΠΈΡΡ Π·ΡΠ±Π½ΡΠ΅ ΠΊΠΎΡΠΎΠ½ΠΊΠΈ Π²ΡΠ°Ρ ΠΏΠ΅ΡΠ΅ΡΠΈΡΠ»ΠΈΡ ΠΈ ΠΈΡ ΠΌΠΈΠ½ΡΡΡ. Π‘ΡΠ΅Π΄ΠΈ ΠΎΡΠ½ΠΎΠ²Π½ΡΡ Π½Π΅Π΄ΠΎΡΡΠ°ΡΠΊΠΎΠ² ΠΌΠΎΠΆΠ½ΠΎ Π²ΡΠ΄Π΅Π»ΠΈΡΡ ΡΡΠ°Π²ΠΌΠ°ΡΠΈΠ·Π°ΡΠΈΡ Π·Π΄ΠΎΡΠΎΠ²ΠΎΠ³ΠΎ ΠΎΡΠ³Π°Π½Π°, Π½ΠΈΠ·ΠΊΡΡ ΡΡΡΠ΅ΡΠΈΡΠ½ΠΎΡΡΡ ΠΌΠ΅ΡΠ°Π»Π»ΠΈΡΠ΅ΡΠΊΠΈΡ ΠΏΡΠΎΡΠ΅Π·ΠΎΠ² ΠΈ Ρ ΡΡΠΏΠΊΠΎΡΡΡ ΠΊΠ΅ΡΠ°ΠΌΠΈΡΠ΅ΡΠΊΠΈΡ ΠΊΠΎΠ½ΡΡΡΡΠΊΡΠΈΠΉ.
ΠΠ°ΠΊΠΈΠ΅ ΠΏΡΠΎΡΠ΅Π·Ρ Π»ΡΡΡΠ΅?
ΠΡΠΈ Π²ΡΠ±ΠΎΡΠ΅ ΠΏΡΠΎΡΠ΅Π·Π° Π½Π΅ΠΎΠ±Ρ ΠΎΠ΄ΠΈΠΌΠΎ ΠΎΠ±ΡΠ°ΡΠ°ΡΡ Π²Π½ΠΈΠΌΠ°Π½ΠΈΠ΅ Π½Π° ΡΠ°ΠΊΠΈΠ΅ ΡΠ°ΠΊΡΠΎΡΡ ΠΊΠ°ΠΊ ΠΌΠ°ΡΠ΅ΡΠΈΠ°Π», ΡΠΏΠΎΡΠΎΠ± ΡΠΈΠΊΡΠ°ΡΠΈΠΈ ΠΈ ΡΡΠΎΠΊ ΡΠ»ΡΠΆΠ±Ρ. Π§ΡΠΎΠ±Ρ Π²ΠΎΡΡΡΠ°Π½ΠΎΠ²ΠΈΡΡ ΠΆΠ΅Π²Π°ΡΠ΅Π»ΡΠ½ΡΡ ΡΡΠ½ΠΊΡΠΈΡ, Π»ΡΡΡΠ΅ Π²ΡΠ±ΠΈΡΠ°ΡΡ Π»ΠΈΡΡΠ΅ ΠΌΠ΅ΡΠ°Π»Π»ΠΈΡΠ΅ΡΠΊΠΈΠ΅ ΠΏΡΠΎΡΠ΅Π·Ρ, Π½ΠΎ ΠΎΠ½ΠΈ Π½Π΅ ΡΡΡΠ΅ΡΠΈΡΠ½Ρ. ΠΡΠ°Ρ ΡΡΠ°Π²ΠΈΡ ΠΌΠ΅ΡΠ°Π»Π»ΠΈΡΠ΅ΡΠΊΠΈΠΉ ΠΏΡΠΎΡΠ΅Π·, ΠΊΠΎΠ³Π΄Π° Π½ΡΠΆΠ½Π° ΠΎΠΏΠΎΡΠ° ΠΏΠΎΠ΄ ΠΌΠΎΡΡ ΠΈ Π½Π΅ Π²Π°ΠΆΠ΅Π½ ΡΠ²Π΅Ρ.
ΠΠ΅ΡΠ°Π»Π»ΠΎΠΊΠ΅ΡΠ°ΠΌΠΈΡΠ΅ΡΠΊΠΈΠ΅ Π²ΡΠ³Π»ΡΠ΄ΡΡ Π½Π°ΠΈΠ±ΠΎΠ»Π΅Π΅ Π΅ΡΡΠ΅ΡΡΠ²Π΅Π½Π½ΠΎ, ΠΈ ΠΎΠ½ΠΈ ΠΏΡΠΎΡΠ½Ρ. ΠΠΎ Π²Π½Π΅ΡΠ½Π΅ΠΌΡ Π²ΠΈΠ΄Ρ ΠΎΠ½ΠΈ ΡΡΡΡΠΏΠ°ΡΡ ΠΊΠ΅ΡΠ°ΠΌΠΈΡΠ΅ΡΠΊΠΈΠΌ ΠΏΡΠΎΡΠ΅Π·Π°ΠΌ, ΠΊΠΎΡΠΎΡΡΠ΅ ΡΡΡΠ°Π½Π°Π²Π»ΠΈΠ²Π°ΡΡΡΡ Π½Π° ΠΏΠ΅ΡΠ΅Π΄Π½ΡΡ Π³ΡΡΠΏΠΏΡ Π·ΡΠ±ΠΎΠ².
Π‘Π΅ΡΡΠ΅Π·Π½ΡΠΌ Π½Π΅Π΄ΠΎΡΡΠ°ΡΠΊΠΎΠΌ ΠΌΠ΅ΡΠ°Π»Π»ΠΎΠΊΠ΅ΡΠ°ΠΌΠΈΡΠ΅ΡΠΊΠΈΡ ΠΊΠΎΠ½ΡΡΡΡΠΊΡΠΈΠΉ ΡΠ²Π»ΡΠ΅ΡΡΡ ΡΠΎ, ΡΡΠΎ Π΄Π°ΠΆΠ΅ Π½Π΅Π·Π½Π°ΡΠΈΡΠ΅Π»ΡΠ½ΠΎΠ΅ ΡΠ±ΡΠ²Π°Π½ΠΈΠ΅ Π΄Π΅ΡΠ½Ρ ΠΎΡΠΊΡΡΠ²Π°Π΅Ρ Π·Π°Π·ΠΎΡ ΠΌΠ΅ΠΆΠ΄Ρ Π΅ΡΡΠ΅ΡΡΠ²Π΅Π½Π½ΡΠΌ Π·ΡΠ±ΠΎΠΌ ΠΈ ΠΊΠΎΡΠΎΠ½ΠΊΠΎΠΉ, ΠΌΠ΅ΡΠ°Π»Π»ΠΈΡΠ΅ΡΠΊΠΈΠΉ ΠΎΠ±ΠΎΠ΄ΠΎΠΊ ΡΡΠ°Π½ΠΎΠ²ΠΈΡΡΡ Π·Π°ΠΌΠ΅ΡΠ½ΡΠΌ. Π‘Π°ΠΌΡΠΌ ΠΏΡΠΈΠ±Π»ΠΈΠΆΠ΅Π½Π½ΡΠΌ Π²Π°ΡΠΈΠ°Π½ΡΠΎΠΌ ΠΊ Π΅ΡΡΠ΅ΡΡΠ²Π΅Π½Π½ΠΎΠΌΡ Π·ΡΠ±Ρ ΡΠ²Π»ΡΠ΅ΡΡΡ ΡΠ΅Π»ΡΠ½ΠΎΠΊΠ΅ΡΠ°ΠΌΠΈΡΠ΅ΡΠΊΠ°Ρ ΠΊΠΎΡΠΎΠ½ΠΊΠ°, ΠΎΠ½Π° Π²ΡΠ½ΠΎΡΠ»ΠΈΠ²Π°Ρ ΠΈ ΠΎΡΠ»ΠΈΡΠ°ΡΡΡΡ Π²ΡΡΠΎΠΊΠΎΠΉ Π±ΠΈΠΎΡΠΎΠ²ΠΌΠ΅ΡΡΠΈΠΌΠΎΡΡΡΡ.
ΠΡΠ°ΠΏΡ ΡΡΡΠ°Π½ΠΎΠ²ΠΊΠΈ
ΠΠ΄ΠΈΠ½ΠΎΡΠ½Π°Ρ ΠΊΠΎΠ½ΡΡΡΡΠΊΡΠΈΡ ΡΡΡΠ°Π½Π°Π²Π»ΠΈΠ²Π°Π΅ΡΡΡ ΠΏΠΎΡΠ»Π΅ ΠΎΠ±ΡΠ»Π΅Π΄ΠΎΠ²Π°Π½ΠΈΡ ΠΏΠ°ΡΠΈΠ΅Π½ΡΠ° ΠΈ ΠΏΠΎΠ΄Π³ΠΎΡΠΎΠ²ΠΊΠΈ ΠΊ Π·ΡΠ±ΠΎΠΏΡΠΎΡΠ΅Π·ΠΈΡΠΎΠ²Π°Π½ΠΈΡ.

ΠΡΠΎ ΠΏΡΠΎΡ ΠΎΠ΄ΠΈΡ Π² ΡΠ»Π΅Π΄ΡΡΡΠΈΠ΅ ΡΡΠ°ΠΏΡ:
- ΠΎΠ±ΡΠ»Π΅Π΄ΠΎΠ²Π°Π½ΠΈΠ΅ ΡΠΎΡΠΎΠ²ΠΎΠΉ ΠΏΠΎΠ»ΠΎΡΡΠΈ, ΡΠ΅Π½ΡΠ³Π΅Π½ ΡΠ΅Π»ΡΡΡΠΈ, ΡΠ°Π½Π°ΡΠΈΡ;
- ΠΏΡΠ΅ΠΏΠ°ΡΠΈΡΠΎΠ²Π°Π½ΠΈΠ΅ ΡΠ²Π΅ΡΠ΄ΡΡ ΡΠΊΠ°Π½Π΅ΠΉ ΠΏΠΎΠ΄ Π°Π½Π΅ΡΡΠ΅Π·ΠΈΠ΅ΠΉ;
- ΠΏΡΠΈ Π½Π΅ΠΎΠ±Ρ ΠΎΠ΄ΠΈΠΌΠΎΡΡΠΈ ΠΏΡΠΎΠ²ΠΎΠ΄ΠΈΡΡΡ Π΄Π΅ΠΏΡΠ»ΡΠΏΠ°ΡΠΈΡ;
- Π² ΡΠ»ΡΡΠ°Π΅ ΠΎΡΡΡΡΡΡΠ²ΠΈΡ ΡΠ°ΡΡΠΈ Π΅ΡΡΠ΅ΡΡΠ²Π΅Π½Π½ΠΎΠ³ΠΎ ΠΎΡΠ³Π°Π½Π° Π² ΠΊΠΎΡΠ΅Π½Ρ Π²ΡΠ°Ρ ΡΡΠ°Π²ΠΈΡ ΡΡΠΈΡΡ, Π½Π° ΠΊΠΎΡΠΎΡΡΠΉ Π±ΡΠ΄Π΅Ρ ΡΠΈΠΊΡΠΈΡΠΎΠ²Π°ΡΡΡΡ ΠΊΠΎΠ½ΡΡΡΡΠΊΡΠΈΡ;
- ΡΠ½ΠΈΠΌΠ°ΡΡΡΡ ΡΠ»Π΅ΠΏΠΊΠΈ ΠΈ ΠΎΡΠ½ΠΎΡΡΡΡΡ Π² Π·ΡΠ±ΠΎΡΠ΅Ρ Π½ΠΈΡΠ΅ΡΠΊΡΡ Π»Π°Π±ΠΎΡΠ°ΡΠΎΡΠΈΡ;
- Π² Π»Π°Π±ΠΎΡΠ°ΡΠΎΡΠΈΠΈ ΠΊΠΎΠ½ΡΡΡΡΠΊΡΠΈΡ ΠΏΠΎΠ»Π½ΠΎΡΡΡΡ ΠΏΠΎΠ΄Π³ΠΎΠ½ΡΠ΅ΡΡΡ ΠΈΠ½Π΄ΠΈΠ²ΠΈΠ΄ΡΠ°Π»ΡΠ½ΠΎ Π΄Π»Ρ ΠΊΠ°ΠΆΠ΄ΠΎΠ³ΠΎ ΡΠ»ΡΡΠ°Ρ;
- Π³ΠΎΡΠΎΠ²Π°Ρ ΠΊΠΎΠ½ΡΡΡΡΠΊΡΠΈΡ ΠΏΡΠΈΠΌΠ΅ΡΡΠ΅ΡΡΡ ΠΈ Π²ΡΠ±ΠΈΡΠ°Π΅ΡΡΡ ΡΠ²Π΅Ρ;
- ΡΠΈΠΊΡΠΈΡΡΠ΅ΡΡΡ Π²ΡΠ΅ΠΌΠ΅Π½Π½ΡΠΌ ΠΈΠ»ΠΈ ΠΏΠΎΡΡΠΎΡΠ½Π½ΡΠΌ ΡΠ΅ΠΌΠ΅Π½ΡΠΎΠΌ.
Π‘ΡΠΎΠΊ ΡΠ»ΡΠΆΠ±Ρ Π·ΡΠ±Π½ΠΎΠΉ ΠΊΠΎΡΠΎΠ½ΠΊΠΈ Π²Π°ΡΡΠΈΡΡΠ΅ΡΡΡ ΠΎΡ 5 Π΄ΠΎ 25 Π»Π΅Ρ. ΠΠ΅Π·ΠΌΠ΅ΡΠ°Π»Π»ΠΎΠ²ΡΠ΅ ΠΊΠΎΠ½ΡΡΡΡΠΊΡΠΈΠΈ ΡΠ»ΡΠΆΠ°Ρ Π½Π΅ Π±ΠΎΠ»Π΅Π΅ 10 Π»Π΅Ρ, ΠΌΠ΅ΡΠ°Π»Π»ΠΈΡΠ΅ΡΠΊΠΈΠ΅ β ΠΎΡ 20 Π»Π΅Ρ ΠΈ Π±ΠΎΠ»Π΅Π΅.
dentalix.ru
ΡΡΠΎ ΡΡΠΎ ΡΠ°ΠΊΠΎΠ΅, Π²ΠΈΠ΄Ρ Π·ΡΠ±Π½ΡΡ ΠΊΠΎΡΠΎΠ½ΠΎΠΊ, ΠΊΠ°ΠΊ ΡΡΡΠ°Π½Π°Π²Π»ΠΈΠ²Π°ΡΡ, ΡΡΠΎΠΈΠΌΠΎΡΡΡ Π·ΡΠ±Π½ΠΎΠΉ ΠΊΠΎΡΠΎΠ½ΠΊΠΈ. ΠΠ°ΠΊΠΈΠ΅ Π·ΡΠ±Π½ΡΠ΅ ΠΊΠΎΡΠΎΠ½ΠΊΠΈ Π»ΡΡΡΠ΅?
ΠΡΠ½ΠΎΠ²Π½Π°Ρ ΡΠ΅Π»Ρ ΠΏΠΎΡΡΠ°Π½ΠΎΠ²ΠΊΠΈ ΠΊΠΎΡΠΎΠ½ΠΎΠΊ β Π²ΠΎΡΡΡΠ°Π½ΠΎΠ²ΠΈΡΡ Π·Π½Π°ΡΠΈΡΠ΅Π»ΡΠ½ΠΎ ΡΠ°Π·ΡΡΡΠ΅Π½Π½ΡΠΉ Π·ΡΠ±, ΠΊΠΎΠ³Π΄Π°, ΠΊΠ°Π·Π°Π»ΠΎΡΡ Π±Ρ, Π½Π΅Ρ Π½Π°Π΄Π΅ΠΆΠ΄Ρ Π½Π° Π²ΠΎΡΡΡΠ°Π½ΠΎΠ²Π»Π΅Π½ΠΈΠ΅. ΠΠΎΡΠΎΠ½ΠΊΠ° Π½Π΅ ΡΠΎΠ»ΡΠΊΠΎ Π²ΠΎΡΡΡΠ°Π½ΠΎΠ²ΠΈΡ ΡΡΡΠ°ΡΠ΅Π½Π½ΡΡ ΡΠΎΡΠΌΡ ΠΈ ΡΡΠ½ΠΊΡΠΈΡ Π·ΡΠ±Π°, Π½ΠΎ ΠΈ ΠΏΠΎΡΠ»Π΅ Π·Π°ΡΠΈΡΠΈΡ Π·ΡΠ± ΠΎΡ ΠΊΠ°ΡΠΈΠ΅ΡΠ°.
Π‘Π΅Π³ΠΎΠ΄Π½ΡΡΠ½ΠΈΠ΅ ΠΌΠ°ΡΠ΅ΡΠΈΠ°Π»Ρ Π΄Π»Ρ Β«ΠΊΠΎΡΠΎΠ½Π°ΡΠΈΠΈΒ» Π·ΡΠ±ΠΎΠ² Π½Π΅ ΡΠΎΠ»ΡΠΊΠΎ Π²ΠΎΡΡΡΠ°Π½Π°Π²Π»ΠΈΠ²Π°ΡΡ Π°Π½Π°ΡΠΎΠΌΠΈΡΠ΅ΡΠΊΡΡ ΡΠΎΡΠΌΡ, Π½ΠΎ ΠΈ ΠΎΡΠ²Π΅ΡΠ°Π΅Ρ Π²ΡΠ΅ΠΌ ΡΡΡΠ΅ΡΠΈΡΠ΅ΡΠΊΠΈΠΌ ΡΡΠ΅Π±ΠΎΠ²Π°Π½ΠΈΡΠΌ.
ΠΠΎΡΠΎΠ½ΠΊΠ° Π½Π° Π·ΡΠ±Ρ: ΡΡΠΎ ΡΡΠΎ ΡΠ°ΠΊΠΎΠ΅?
ΠΡΠ±Π½ΡΠ΅ ΠΊΠΎΡΠΎΠ½ΠΊΠΈ ΡΡΠΎ Π½Π΅ΡΡΠ΅ΠΌΠ½ΡΠ΅ Π·ΡΠ±Π½ΡΠ΅ ΠΏΡΠΎΡΠ΅Π·Ρ, Π²ΡΠΏΠΎΠ»Π½Π΅Π½Π½ΡΠ΅ Π² Π²ΠΈΠ΄Π΅ ΠΎΠ΄ΠΈΠ½ΠΎΡΠ½ΠΎΠ³ΠΎ ΡΠ»Π΅ΠΌΠ΅Π½ΡΠ°, ΠΌΠΎΠΆΠ½ΠΎ ΡΠΊΠ°Π·Π°ΡΡ ΡΡΠΎ Π½Π΅ΠΊΠΈΠΉ ΠΊΠΎΠ»ΠΏΠ°ΡΠΎΠΊ Π½Π° ΡΠ°Π·ΡΡΡΠ΅Π½Π½ΡΠΉ Π·ΡΠ±, ΠΈΠ·Π³ΠΎΡΠ°Π²Π»ΠΈΠ²Π°Π΅ΠΌΡΠΉ ΡΡΡΠΎΠ³ΠΎ ΠΈΠ½Π΄ΠΈΠ²ΠΈΠ΄ΡΠ°Π»ΡΠ½ΠΎ, ΠΏΠΎΡΠ»Π΅ ΡΠ½ΡΡΠΈΡ ΡΠ»Π΅ΠΏΠΊΠΎΠ² Π² Π·ΡΠ±ΠΎΡΠ΅Ρ Π½ΠΈΡΠ΅ΡΠΊΠΎΠΉ Π»Π°Π±ΠΎΡΠ°ΡΠΎΡΠΈΠΈ.
ΠΡΠΈ ΠΏΠΎΠΌΠΎΡΠΈ ΠΊΠΎΡΠΎΠ½ΠΎΠΊ ΠΌΠΎΠΆΠ½ΠΎ Π²ΠΎΡΡΡΠ°Π½ΠΎΠ²ΠΈΡΡ ΠΊΠΎΡΠΎΠ½ΠΊΠΎΠ²ΡΡ, Ρ.Π΅. Π²ΠΈΠ΄ΠΈΠΌΡΡ ΡΠ°ΡΡΡ Π·ΡΠ±Π°, Π΅ΡΠ»ΠΈ ΠΈΠΌΠ΅Π΅ΡΡΡ Π·Π½Π°ΡΠΈΡΠ΅Π»ΡΠ½Π°Ρ Π΄Π΅ΡΡΡΡΠΊΡΠΈΡ ΠΈΠ»ΠΈ ΠΆΠ΅ ΠΈΠΌΠ΅Π΅ΡΡΡ ΡΠ΅ΡΡΠ΅Π·Π½ΡΠΉ ΡΡΡΠ΅ΡΠΈΡΠ΅ΡΠΊΠΈΠΉ Π΄Π΅ΡΠ΅ΠΊΡ.
Π’Π°ΠΊ ΠΆΠ΅ ΠΊΠΎΡΠΎΠ½ΠΊΠΈ ΠΌΠΎΠ³ΡΡ Π±ΡΡΡ ΠΈΡΠΏΠΎΠ»ΡΠ·ΠΎΠ²Π°Π½Ρ Π΄Π»Ρ ΡΠΈΠΊΡΠ°ΡΠΈΠΈ ΡΠ°Π·Π»ΠΈΡΠ½ΡΡ Π²ΠΈΠ΄ΠΎΠ² ΠΏΡΠΎΡΠ΅Π·ΠΎΠ² β ΠΌΠΎΡΡΠΎΠ²ΠΈΠ΄Π½ΡΡ ΠΈΠ»ΠΈ Π±ΡΠ³Π΅Π»ΡΠ½ΡΡ . ΠΠΎΡΠΎΠ½ΠΊΠΈ ΡΡΠ°Π²ΡΡΡΡ Π½Π΅ ΡΠΎΠ»ΡΠΊΠΎ Π½Π° Β«ΠΆΠΈΠ²ΡΠ΅Β» ΡΠ°Π·ΡΡΡΠ΅Π½Π½ΡΠ΅ Π·ΡΠ±Ρ, Π½ΠΎ ΠΈ Π½Π° ΠΈΠΌΠΏΠ»Π°Π½ΡΡ β ΠΏΡΠΎΡΠ΅Π·ΠΈΡΠΎΠ²Π°Π½ΠΈΠ΅ Π½Π° ΠΈΠΌΠΏΠ»Π°Π½ΡΠ°Ρ .
ΠΡΠ½ΠΎΠ²Π½ΡΠ΅ ΠΏΠΎΠΊΠ°Π·Π°Π½ΠΈΡ ΠΊ ΠΏΠΎΡΡΠ°Π½ΠΎΠ²ΠΊΠ΅ ΠΊΠΎΡΠΎΠ½ΠΊΠΈ β ΡΠ°Π·ΡΡΡΠ΅Π½ΠΈΠ΅ ΠΊΠΎΡΠΎΠ½ΠΊΠΎΠ²ΠΎΠΉ ΡΠ°ΡΡΠΈ Π±ΠΎΠ»Π΅Π΅ ΡΠ΅ΠΌ Π½Π° 70%. ΠΠΈ ΠΎΠ΄ΠΈΠ½ Π΄ΡΡΠ³ΠΎΠΉ Π²ΠΈΠ΄ ΠΏΡΠΎΡΠ΅Π·ΠΈΡΠΎΠ²Π°Π½ΠΈΡ Π½Π΅ Π±ΡΠ΄Π΅Ρ ΠΎΡΠ²Π΅ΡΠ°ΡΡ Π²ΡΠ΅ΠΌ ΡΡΠ΅Π±ΠΎΠ²Π°Π½ΠΈΡΠΌ Π±Π΅Π·ΠΎΠΏΠ°ΡΠ½ΠΎΡΡΠΈ, ΠΈ Π·Π°ΡΠΈΡΠΈΡ Π·ΡΠ± ΠΎΡ Π΄Π°Π»ΡΠ½Π΅ΠΉΡΠ΅Π³ΠΎ ΡΠ°Π·ΡΡΡΠ΅Π½ΠΈΡ.
ΠΠ΄ΠΈΠ½ΡΡΠ²Π΅Π½Π½ΡΠΌ ΠΈΡΠΊΠ»ΡΡΠ΅Π½ΠΈΠ΅ΠΌ ΡΠ²Π»ΡΠ΅ΡΡΡ ΡΠΎΡΠ΅ΡΠ°Π½ΠΈΠ΅ Π½Π΅ΡΠΊΠΎΠ»ΡΠΊΠΈΡ Π²ΠΈΠ΄ΠΎΠ² ΠΏΡΠΎΡΠ΅Π·ΠΈΡΠΎΠ²Π°Π½ΠΈΡ, Π½Π°ΠΏΡΠΈΠΌΠ΅Ρ Π²ΠΊΠ»Π°Π΄ΠΊΠ° ΠΏΠΎΠ΄ ΠΊΠΎΡΠΎΠ½ΠΊΡ.
ΠΠΈΠ΄Ρ Π·ΡΠ±Π½ΡΡ ΠΊΠΎΡΠΎΠ½ΠΎΠΊ
ΠΠ»Π°ΡΡΠΈΡΠΈΠΊΠ°ΡΠΈΡ ΠΊΠΎΡΠΎΠ½ΠΎΠΊ ΠΏΠΎΠ΄ΡΠ°Π·ΡΠΌΠ΅Π²Π°Π΅Ρ ΠΈΡ Π΄Π΅Π»Π΅Π½ΠΈΠ΅ ΠΏΠΎ ΠΌΠ°ΡΠ΅ΡΠΈΠ°Π»Ρ ΠΈΠ·Π³ΠΎΡΠΎΠ²Π»Π΅Π½ΠΈΡ.
ΠΠ°ΠΊ ΠΏΡΠ°Π²ΠΈΠ»ΠΎ, ΡΡΠΎ ΠΌΠ΅ΡΠ°Π»Π»ΠΈΡΠ΅ΡΠΊΠΈΠ΅, ΠΊΠ΅ΡΠ°ΠΌΠΈΡΠ΅ΡΠΊΠΈΠ΅, ΡΠ°ΡΡΠΎΡΠΎΠ²ΡΠ΅, ΠΏΠ»Π°ΡΡΠΌΠ°ΡΡΠΎΠ²ΡΠ΅ ΠΈ ΠΊΠΎΠΌΠ±ΠΈΠ½ΠΈΡΠΎΠ²Π°Π½Π½ΡΠ΅. Π ΡΠΈΡΠ»Ρ Π²ΡΠ΅ΠΌΠ΅Π½Π½ΡΡ ΠΊΠΎΡΠΎΠ½ΠΎΠΊ ΠΎΡΠ½ΠΎΡΡΡΡΡ ΠΌΠ΅ΡΠ°Π»Π»ΠΎΠΏΠ»Π°ΡΡΠΌΠ°ΡΡΠΎΠ²ΡΠ΅ ΠΈ ΠΏΠ»Π°ΡΡΠΌΠ°ΡΡΠΎΠ²ΡΠ΅.
Π ΠΏΠΎΡΠ»Π΅Π΄Π½Π΅Π΅ Π²ΡΠ΅ΠΌΡ, Π½Π°Π±ΠΈΡΠ°ΡΡ ΠΎΠ±ΠΎΡΠΎΡΡ ΠΏΠΎΠΏΡΠ»ΡΡΠ½ΠΎΡΡΠΈ ΡΠΈΡΠΊΠΎΠ½ΠΈΠ΅Π²ΡΠ΅ ΠΊΠΎΡΠΎΠ½ΠΊΠΈ.
ΠΠ΅ΡΠ°Π» β ΡΡΠΎ ΡΠ°ΠΌΡΠΉ ΠΏΠ΅ΡΠ²ΡΠΉ ΠΌΠ°ΡΠ΅ΡΠΈΠ°Π», ΠΈΠ· ΠΊΠΎΡΠΎΡΠΎΠ³ΠΎ Π½Π°ΡΠ°Π»ΠΈ Π΄Π΅Π»Π°ΡΡ ΠΊΠΎΡΠΎΠ½ΠΊΠΈ, Π½ΠΎ, Π½Π΅ ΡΠΌΠΎΡΡΡ Π½Π° ΠΏΡΠΎΠ³ΡΠ΅ΡΡ Π² ΡΡΠΎΠΌΠ°ΡΠΎΠ»ΠΎΠ³ΠΈΠΈ, ΠΌΠ΅ΡΠ°Π»Π»ΠΈΡΠ΅ΡΠΊΠΈΠ΅ ΠΊΠΎΡΠΎΠ½ΠΊΠΈ Π΄ΠΎ ΡΠΈΡ ΠΏΠΎΡ ΠΈΠΌΠ΅ΡΡ ΡΠ²ΠΎΡ ΠΏΠΎΠΏΡΠ»ΡΡΠ½ΠΎΡΡΡ.
ΠΠ·Π³ΠΎΡΠ°Π²Π»ΠΈΠ²Π°ΡΡ ΡΠ°ΠΊΠΈΠ΅ ΠΊΠΎΡΠΎΠ½ΠΊΠΈ ΠΈΠ· ΡΠ°Π·Π»ΠΈΡΠ½ΡΡ Π²ΠΈΠ΄ΠΎΠ² ΠΌΠ΅ΡΠ°Π»Π»Π° β ΡΠΈΡΠ°Π½Π°, Ρ ΡΠΎΠΌΠΎΠΊΠΎΠ±Π°Π»ΡΡΠ°. Π Π°Π½Π΅Π΅ Π±ΡΠ»ΠΈ ΠΏΠΎΠΏΡΠ»ΡΡΠ½Ρ ΠΊΠΎΡΠΎΠ½ΠΊΠΈ ΠΈΠ· Π·ΠΎΠ»ΠΎΡΠ° ΠΈ ΠΏΠ»Π°ΡΠΈΠ½Ρ β Π½Π° ΡΠ΅Π³ΠΎΠ΄Π½ΡΡΠ½ΠΈΠΉ Π΄Π΅Π½Ρ ΡΡΠΎ ΡΠΊΡΠΊΠ»ΡΠ·ΠΈΠ², Π²ΠΈΠ½ΡΠ°ΠΆ.
ΠΠΎΡΠΎΠ½ΠΊΠΈ ΠΌΠΎΠ³ΡΡ Π±ΡΡΡ ΠΈΠ·Π³ΠΎΡΠΎΠ²Π»Π΅Π½Ρ ΠΏΠΎΠ»Π½ΠΎΡΡΡΡ ΠΈΠ· Π΄ΡΠ°Π³ΠΎΡΠ΅Π½Π½ΡΡ ΠΌΠ΅ΡΠ°Π»Π»ΠΎΠ², ΠΈΠ»ΠΈ ΠΆΠ΅ Ρ Π½Π°ΠΏΡΠ»Π΅Π½ΠΈΠ΅ΠΌ.
ΠΠΎ ΠΎΠ½ΠΈ Π½Π΅ ΠΎΡΠ²Π΅ΡΠ°ΡΡ ΡΡΡΠ΅ΡΠΈΡΠ΅ΡΠΊΠΈΠΌ ΡΡΠ΅Π±ΠΎΠ²Π°Π½ΠΈΡΠΌ ΠΈ ΠΏΠΎΡΡΠΎΠΌΡ ΡΠΊΠ°ΡΠΈΠ»ΠΈΡΡ Π²Π½ΠΈΠ· ΠΏΠΎ Π»Π΅ΡΡΠ½ΠΈΡΠ΅ ΠΏΠΎΠΏΡΠ»ΡΡΠ½ΠΎΡΡΠΈ.
ΠΠ΅ΡΠ°Π»Π»ΠΎΠΊΠ΅ΡΠ°ΠΌΠΈΠΊΠ° ΡΠ²Π»ΡΠ΅ΡΡΡ Π½Π΅ΠΊΠΈΠΌ ΠΏΡΠΎΠΌΠ΅ΠΆΡΡΠΎΡΠ½ΡΠΌ Π²Π°ΡΠΈΠ°Π½ΡΠΎΠΌ, ΠΊΠΎΡΠΎΡΡΠΉ ΡΠΎΡΠ΅ΡΠ°Π΅Ρ Π² ΡΠ΅Π±Π΅ ΠΏΡΠΎΡΠ½ΠΎΡΡΡ ΠΌΠ΅ΡΠ°Π»Π»Π° ΠΈ ΡΡΡΠ΅ΡΠΈΡΠ΅ΡΠΊΠΈΠ΅ ΠΊΠ°ΡΠ΅ΡΡΠ²Π° ΠΊΠ΅ΡΠ°ΠΌΠΈΠΊΠΈ.
ΠΠ΅ΡΠ°Π»Π»ΠΎΠΊΠ΅ΡΠ°ΠΌΠΈΡΠ΅ΡΠΊΠ°Ρ ΠΊΠΎΡΠΎΠ½ΠΊΠ° β Π΄Π²ΡΡ ΡΠ»ΠΎΠΉΠ½Π°Ρ, ΠΏΠ΅ΡΠ²ΡΠΉ ΡΠ»ΠΎΠΉ β ΠΌΠ΅ΡΠ°Π»Π», ΠΊΠΎΡΠΎΡΡΠΉ ΠΈ ΠΎΠ±Π΅ΡΠΏΠ΅ΡΠΈΠ²Π°Π΅Ρ ΠΏΡΠΎΡΠ½ΠΎΡΡΡ, Π²Π½Π΅ΡΠ½ΡΡ ΡΡΠΎΡΠΎΠ½Π° β ΠΊΠ΅ΡΠ°ΠΌΠΈΠΊΠ°.
Π ΡΠΈΡΠ»Ρ ΡΠ²Π½ΡΡ ΠΏΡΠ΅ΠΈΠΌΡΡΠ΅ΡΡΠ² ΠΎΡΠ½ΠΎΡΠΈΡΡΡ Π²ΡΡΠΎΠΊΠ°Ρ ΠΏΡΠΎΡΠ½ΠΎΡΡΡ ΠΊΠΎΠ½ΡΡΡΡΠΊΡΠΈΠΈ, ΠΏΡΠΈΠ΅ΠΌΠ»Π΅ΠΌΠ°Ρ ΡΠ΅Π½Π°, ΠΈ ΡΠΎΠΎΡΠ²Π΅ΡΡΡΠ²ΠΈΠ΅ Π²ΡΠ΅ΠΌ ΡΡΡΠ΅ΡΠΈΡΠ΅ΡΠΊΠΈΠΌ ΡΡΠ΅Π±ΠΎΠ²Π°Π½ΠΈΡΠΌ.
ΠΠΎ Π²ΡΠ΅ ΠΆΠ΅, ΠΌΠ΅ΡΠ°Π»Π»ΠΎΠΊΠ΅ΡΠ°ΠΌΠΈΠΊΠ° ΡΡΡΡΠΏΠ°Π΅Ρ ΠΏΠΎ Π½Π΅ΠΊΠΎΡΠΎΡΡΠΌ ΠΏΠΎΠΊΠ°Π·Π°ΡΠ΅Π»ΡΠΌ ΡΠ΅Π»ΡΠ½ΠΎΠΊΠ΅ΡΠ°ΠΌΠΈΡΠ΅ΡΠΊΠΎΠΉ ΠΊΠΎΡΠΎΠ½ΠΊΠ΅. ΠΠ°ΠΆΠ΅ ΠΏΡΠΈ Π½Π΅Π·Π½Π°ΡΠΈΡΠ΅Π»ΡΠ½ΠΎΠΉ ΡΠ±ΡΠ»ΠΈ Π΄Π΅ΡΠ½Ρ (ΡΠ΅ΡΠ΅ΡΡΠΈΠΈ) ΡΡΠ°Π½ΠΎΠ²ΠΈΡΡΡΡ Π·Π°ΠΌΠ΅ΡΠ΅Π½ ΠΌΠ΅ΡΠ°Π»Π»ΠΈΡΠ΅ΡΠΊΠΈΠΉ ΠΎΠ±ΠΎΠ΄ ΠΊΠΎΡΠΎΠ½ΠΊΠΈ.
Π Π΅ΡΠ΅Π½ΠΈΠ΅ ΡΡΠΎΠΉ ΠΏΡΠΎΠ±Π»Π΅ΠΌΡ Π΅ΡΡΡ: ΠΈΠ·Π³ΠΎΡΠΎΠ²ΠΈΡΡ ΠΊΠΎΡΠΎΠ½ΠΊΡ Ρ ΡΡΡΡΠΏΠΎΠΌ ΠΈΠ»ΠΈ ΠΆΠ΅ Π² ΠΊΠ°ΡΠ΅ΡΡΠ²Π΅ ΠΌΠ΅ΡΠ°Π»Π»ΠΈΡΠ΅ΡΠΊΠΎΠ³ΠΎ ΠΊΠ°ΡΠΊΠ°ΡΠ° Π±ΡΠ°ΡΡ Π΄ΠΈΠΎΠΊΡΠΈΠ΄ ΡΠΈΡΠΊΠΎΠ½ΠΈΡ, ΠΊΠΎΡΠΎΡΡΠΉ ΠΈΠΌΠ΅Π΅Ρ Π±Π΅Π»ΡΠΉ ΡΠ²Π΅Ρ.
ΠΡΠΎΠΌΠ΅ ΡΠΎΠ³ΠΎ, Π΄Π»Ρ ΠΏΠΎΡΡΠ°Π½ΠΎΠ²ΠΊΠΈ ΠΊΠΎΡΠΎΠ½ΠΊΠΈ Π½Π΅ΠΎΠ±Ρ ΠΎΠ΄ΠΈΠΌΠΎ Π·Π½Π°ΡΠΈΡΠ΅Π»ΡΠ½ΠΎ ΡΠ±ΠΈΡΠ°ΡΡ ΡΠ²Π΅ΡΠ΄ΡΠ΅ ΡΠΊΠ°Π½ΠΈ Π·ΡΠ±Π°, ΠΏΡΠΈΠΌΠ΅ΡΠ½ΠΎ ΠΏΠΎ 1,5 β 2 ΠΌΠΌ Ρ ΠΊΠ°ΠΆΠ΄ΠΎΠΉ ΡΡΠΎΡΠΎΠ½Ρ, ΠΈ Π½Π΅ΠΎΠ±Ρ ΠΎΠ΄ΠΈΠΌΠΎ Π΄Π΅ΠΏΡΠ»ΡΠΏΠΈΡΠΎΠ²Π°ΡΡ (ΡΠ΄Π°Π»ΡΡΡ Π½Π΅ΡΠ²) Π·ΡΠ±.
Π¦Π΅Π»ΡΠ½ΠΎΠΊΠ΅ΡΠ°ΠΌΠΈΡΠ΅ΡΠΊΠΈΠ΅ ΠΊΠΎΡΠΎΠ½ΠΊΠΈ ΠΎΡΠ½ΠΎΡΡΡΡΡ ΠΊ ΠΊΠ»Π°ΡΡΡ ΡΠ°ΠΌΡΡ ΡΠΎΠ²ΡΠ΅ΠΌΠ΅Π½Π½ΡΡ , Π΄ΠΎΡΠΎΠ³ΠΈΡ ΠΈ Π² Π½Π°ΠΈΠ±ΠΎΠ»ΡΡΠ΅ΠΉ ΡΡΠ΅ΠΏΠ΅Π½ΠΈ ΠΎΡΠ²Π΅ΡΠ°ΡΡΠΈΡ ΡΡΡΠ΅ΡΠΈΡΠ΅ΡΠΊΠΈΠΌ ΡΡΠ΅Π±ΠΎΠ²Π°Π½ΠΈΡΠΌ.
ΠΠ°Π»ΠΎ ΡΠΎΠ³ΠΎ, ΡΡΠΎ ΠΊΠ΅ΡΠ°ΠΌΠΈΠΊΠ° ΠΏΠΎΠ·Π²ΠΎΠ»ΡΠ΅Ρ ΡΠ΄Π΅Π»Π°ΡΡ ΠΈΡΠΊΡΡΡΡΠ²Π΅Π½Π½ΡΠΉ Π·ΡΠ± Ρ ΡΠ°ΠΊΠΎΠΉ ΠΆΠ΅ ΠΏΡΠΎΠ·ΡΠ°ΡΠ½ΠΎΡΡΡΡ ΠΈ ΡΠ²Π΅ΡΠΎΠΌ ΡΡΠΎ ΠΈ Π½Π°ΡΡΡΠ°Π»ΡΠ½ΡΠΉ, ΡΠ°ΠΊ Π΅ΡΠ΅ ΠΊΠ΅ΡΠ°ΠΌΠΈΠΊΠ° ΡΠ²Π»ΡΠ΅ΡΡΡ Π΅ΡΠ΅ ΠΈ Π½Π°ΠΈΠ±ΠΎΠ»Π΅Π΅ Π±ΠΈΠΎΡΠΎΠ²ΠΌΠ΅ΡΡΠΈΠΌΡΠΌ ΠΌΠ°ΡΠ΅ΡΠΈΠ°Π»ΠΎΠΌ Ρ Π½Π°ΡΡΡΠ°Π»ΡΠ½ΡΠΌΠΈ ΡΠΊΠ°Π½ΡΠΌΠΈ Π·ΡΠ±Π°.
Π‘ΡΠΎΠΌΠ°ΡΠΎΠ»ΠΎΠ³ΠΈ ΡΠ΅ΠΊΠΎΠΌΠ΅Π½Π΄ΡΡΡ ΠΈΡΠΏΠΎΠ»ΡΠ·ΠΎΠ²Π°ΡΡ ΠΊΠ΅ΡΠ°ΠΌΠΈΠΊΡ ΠΏΡΠΈ ΠΏΡΠΎΡΠ΅Π·ΠΈΡΠΎΠ²Π°Π½ΠΈΠΈ Π·ΡΠ±ΠΎΠ² Π½Π°Ρ ΠΎΠ΄ΡΡΠΈΡ ΡΡ Π² Π»ΠΈΠ½ΠΈΠΈ ΡΠ»ΡΠ±ΠΊΠΈ, Π½ΠΎ ΠΊΡΠ°ΠΉΠ½Π΅ Π½Π΅ ΠΆΠ΅Π»Π°ΡΠ΅Π»ΡΠ½ΠΎ ΠΈΡΠΏΠΎΠ»ΡΠ·ΠΎΠ²Π°ΡΡ ΡΠΈΡΡΡΡ ΠΊΠ΅ΡΠ°ΠΌΠΈΠΊΡ ΠΏΡΠΈ ΠΏΡΠΎΡΠ΅Π·ΠΈΡΠΎΠ²Π°Π½ΠΈΠΈ ΠΆΠ΅Π²Π°ΡΠ΅Π»ΡΠ½ΠΎΠΉ Π³ΡΡΠΏΠΏΡ Π·ΡΠ±ΠΎΠ² β Π½Π΅ ΡΠΎΠ²ΡΠ΅ΠΌ ΠΏΡΠΎΡΠ½ΡΠΉ ΠΌΠ°ΡΠ΅ΡΠΈΠ°Π».
ΠΡΠΎΠΌΠ΅ ΠΊΠ΅ΡΠ°ΠΌΠΈΠΊΠΈ ΠΈΡΠΏΠΎΠ»ΡΠ·ΡΠ΅ΡΡΡ ΠΈ ΡΠ°ΡΡΠΎΡ, ΠΊΠΎΡΠΎΡΡΠΉ ΠΏΠΎ ΡΠΈΠ·ΠΈΠΊΠΎ-ΠΎΠΏΡΠΈΡΠ΅ΡΠΊΠΈΠΌ ΡΠ²ΠΎΠΉΡΡΠ²Π°ΠΌ ΠΎΡΠ΅Π½Ρ ΠΏΠΎΡ ΠΎΠΆ Π½Π° Π½Π°ΡΡΡΠ°Π»ΡΠ½ΡΠ΅ ΡΠΊΠ°Π½ΠΈ Π·ΡΠ±Π°.
ΠΠΎΡΡΠΎΠΌΡ, ΡΠ°ΡΡΠΎΡ Π±ΡΠ΄Π΅Ρ ΠΎΡΠ²Π΅ΡΠ°ΡΡ Π²ΡΠ΅ΠΌ ΡΡΡΠ΅ΡΠΈΡΠ΅ΡΠΊΠΈΠΌ ΡΡΠ΅Π±ΠΎΠ²Π°Π½ΠΈΡΠΌ β ΠΏΠ΅ΡΠ΅Π΄Π°Π²Π°ΡΡ ΡΠ²Π΅Ρ ΠΈ ΠΎΡΡΠ΅Π½ΠΊΠΈ, ΠΈ ΠΏΠΎΠ»ΡΠΏΡΠΎΠ·ΡΠ°ΡΠ½ΠΎΡΡΡ Π·ΡΠ±Π°.
ΠΡΠΎΠΌΠ΅ ΡΠΎΠ³ΠΎ, ΡΠ°ΡΡΠΎΡ Ρ ΠΎΡΠΎΡΠΎ ΠΏΠ΅ΡΠ΅Π½ΠΎΡΠΈΡ Π°Π³ΡΠ΅ΡΡΠΈΠ²Π½ΠΎΠ΅ Π²ΠΎΠ·Π΄Π΅ΠΉΡΡΠ²ΠΈΠ΅ ΠΎΠΊΡΡΠΆΠ°ΡΡΠΈΡ ΡΠ°ΠΊΡΠΎΡΠΎΠ² β Π½Π΅ ΠΏΠΎΡΠ΅ΡΡΠ΅Ρ ΡΠ²Π΅Ρ Π΄Π»ΠΈΡΠ΅Π»ΡΠ½ΠΎΠ΅ Π²ΡΠ΅ΠΌΡ.
Π Π½Π΅Π΄ΠΎΡΡΠ°ΡΠΊΠ°ΠΌ ΡΠ°ΡΡΠΎΡΠ° ΠΎΡΠ½ΠΎΡΡΡ Π²ΡΡΠΎΠΊΡΡ ΡΡΠΎΠΈΠΌΠΎΡΡΡ ΠΈ Π²ΠΎΠ·ΠΌΠΎΠΆΠ½ΠΎΡΡΡ Π΅Π³ΠΎ ΠΈΡΠΏΠΎΠ»ΡΠ·ΠΎΠ²Π°Π½ΠΈΡ ΡΠΎΠ»ΡΠΊΠΎ Π² ΠΊΠ°ΡΠ΅ΡΡΠ²Π΅ ΠΎΠ΄ΠΈΠ½ΠΎΡΠ½ΠΎΠ³ΠΎ ΡΠ»Π΅ΠΌΠ΅Π½ΡΠ°, ΠΌΠΎΡΡΠΎΠ²ΠΈΠ΄Π½ΡΠ΅ ΠΏΡΠΎΡΠ΅Π·Ρ Π½Π΅ ΠΈΠ·Π³ΠΎΡΠ°Π²Π»ΠΈΠ²Π°ΡΡ ΠΈΠ· ΡΠ°ΡΡΠΎΡΠ°.
ΠΠ΅ΡΠ°Π»Π»ΠΎΠΏΠ»Π°ΡΡΠΌΠ°ΡΡΠ° β ΡΠ°ΡΠ΅ Π²ΡΠ΅Π³ΠΎ ΠΈΡΠΏΠΎΠ»ΡΠ·ΡΠ΅ΡΡΡ ΠΏΡΠΈ ΠΏΡΠΎΡΠ΅Π·ΠΈΡΠΎΠ²Π°Π½ΠΈΠΈ Π½Π° ΠΈΠΌΠΏΠ»Π°Π½ΡΠ°Ρ , Π½ΠΎ ΡΠ°ΠΊ ΠΆΠ΅ ΠΌΠΎΠ³ΡΡ Π±ΡΡΡ ΠΈΡΠΏΠΎΠ»ΡΠ·ΠΎΠ²Π°Π½Ρ ΠΏΡΠΈ ΠΏΡΠΎΡΠ΅Π·ΠΈΡΠΎΠ²Π°Π½ΠΈΠΈ Π½Π° ΠΎΠ΄ΠΈΠ½ΠΎΡΠ½ΡΠ΅ Π·ΡΠ±Ρ ΠΈΠ»ΠΈ ΠΆΠ΅ ΠΏΡΠΈ ΠΏΡΠΎΡΠ΅Π·ΠΈΡΠΎΠ²Π°Π½ΠΈΠΈ ΠΌΠΎΡΡΠΎΠ²ΠΈΠ΄Π½ΡΠΌΠΈ ΠΊΠΎΠ½ΡΡΡΡΠΊΡΠΈΡΠΌΠΈ.
ΠΠΎ Π²ΡΠ΅ ΠΆΠ΅, Π·Π° ΡΡΠ΅Ρ ΡΠΈΠ·ΠΈΡΠ΅ΡΠΊΠΈΡ ΠΊΠ°ΡΠ΅ΡΡΠ² ΠΏΠ»Π°ΡΡΠΌΠ°ΡΡΡ, Π΅Π΅ ΡΡΡΠ°Π½ΠΎΠ²ΠΊΠ° ΡΠ²Π»ΡΠ΅ΡΡΡ Π²ΡΠ΅ΠΌΠ΅Π½Π½ΠΎΠΉ ΠΌΠ΅ΡΠΎΠΉ.
Π‘ΡΠ΅Π΄ΠΈ ΠΏΠΎΠ»ΠΎΠΆΠΈΡΠ΅Π»ΡΠ½ΡΡ ΠΊΠ°ΡΠ΅ΡΡΠ² β Π½ΠΈΠ·ΠΊΠ°Ρ ΡΡΠΎΠΈΠΌΠΎΡΡΡ ΠΊΠΎΠ½ΡΡΡΡΠΊΡΠΈΠΈ, Π° Π²ΠΎΡ Π½Π΅Π΄ΠΎΡΡΠ°ΡΠΊΠΎΠ² Π³ΠΎΡΠ°Π·Π΄ΠΎ Π±ΠΎΠ»ΡΡΠ΅ β Π±ΡΡΡΡΠ°Ρ ΠΏΠΎΡΠ΅ΡΡ ΡΠ²Π΅ΡΠ°, ΠΊΠΎΡΠΎΡΠΊΠΈΠΉ ΡΡΠΎΠΊ ΡΠ»ΡΠΆΠ±Ρ, ΠΏΡΠΎΡΠ²Π΅ΡΠΈΠ²Π°Π½ΠΈΠ΅ ΠΌΠ΅ΡΠ°Π»Π»Π° ΡΠ΅ΡΠ΅Π· ΠΏΠ»Π°ΡΡΠΌΠ°ΡΡΠΎΠ²ΡΠΉ ΠΊΠ°ΡΠΊΠ°Ρ, Π½ΠΈΠ·ΠΊΠΈΠ΅ ΡΡΡΠ΅ΡΠΈΡΠ΅ΡΠΊΠΈΠ΅ ΠΊΠ°ΡΠ΅ΡΡΠ²Π°.
ΠΠ»Π°ΡΡΠΌΠ°ΡΡΠΎΠ²ΡΠ΅ ΠΊΠΎΡΠΎΠ½ΠΊΠΈ ΠΎΡΠ½ΠΎΡΡΡΡΡ ΠΊ ΡΠΈΡΠ»Ρ Π²ΡΠ΅ΠΌΠ΅Π½Π½ΡΡ , ΠΈ ΠΌΠΎΠ³ΡΡ Π±ΡΡΡ ΠΈΡΠΏΠΎΠ»ΡΠ·ΠΎΠ²Π°Π½Ρ Π΄Π»Ρ ΡΠ½ΠΈΠΆΠ΅Π½ΠΈΡ Π½Π΅ΠΏΡΠΈΡΡΠ½ΡΡ ΠΎΡΡΡΠ΅Π½ΠΈΠΉ Ρ ΠΎΠ±ΡΠΎΡΠ΅Π½Π½ΡΡ Π·ΡΠ±ΠΎΠ², ΠΏΡΠΈ ΠΏΡΠΎΡΠ΅Π·ΠΈΡΠΎΠ²Π°Π½ΠΈΠΈ Π½Π° ΠΈΠΌΠΏΠ»Π°Π½ΡΠ°Ρ , Π½Π° Π²ΡΠ΅ΠΌΡ Π΅Π³ΠΎ ΠΏΡΠΈΠΆΠΈΠ²Π»Π΅Π½ΠΈΡ.
ΠΡΠΏΠΎΠ»ΡΠ·ΠΎΠ²Π°Π½ΠΈΠ΅ ΡΠΎΠ²ΡΠ΅ΠΌΠ΅Π½Π½ΡΡ ΡΠ΅Ρ Π½ΠΎΠ»ΠΎΠ³ΠΈΠΉ ΠΈ ΠΎΠ±ΠΎΡΡΠ΄ΠΎΠ²Π°Π½ΠΈΡ ΠΏΠΎΠ·Π²ΠΎΠ»ΡΡΡ ΠΈΠ·Π³ΠΎΡΠ°Π²Π»ΠΈΠ²Π°ΡΡ ΠΊΠΎΡΠΎΠ½ΠΊΠΈ, ΠΊΠΎΡΠΎΡΡΠ΅ Π±ΡΠ΄Π΅Ρ ΡΡΡΠ΄Π½ΠΎ ΠΎΡΠ»ΠΈΡΠΈΡΡ ΠΎΡ Π½Π°ΡΡΡΠ°Π»ΡΠ½ΡΡ Π·ΡΠ±ΠΎΠ², Π½ΠΎ ΡΠ΅ΡΡ ΠΈΠ΄Π΅Ρ ΠΈΡΠΊΠ»ΡΡΠΈΡΠ΅Π»ΡΠ½ΠΎ ΠΎΠ± ΠΈΠ·Π³ΠΎΡΠΎΠ²Π»Π΅Π½ΠΈΠΈ ΠΊΠ΅ΡΠ°ΠΌΠΈΡΠ΅ΡΠΊΠΈΡ , ΠΌΠ΅ΡΠ°Π»Π»ΠΎΠΊΠ΅ΡΠ°ΠΌΠΈΡΠ΅ΡΠΊΠΈΡ ΠΈ ΠΏΠ»Π°ΡΡΠΌΠ°ΡΡΠΎΠ²ΡΡ ΠΊΠΎΡΠΎΠ½ΠΎΠΊ, Π½ΠΎ Π½Π΅ ΠΎ ΠΌΠ΅ΡΠ°Π»Π»ΠΈΡΠ΅ΡΠΊΠΈΡ .
ΠΠ΅ΡΠ°ΠΌΠΈΠΊΠ°, ΠΊΠΎΡΠΎΡΠ°Ρ ΠΈΡΠΏΠΎΠ»ΡΠ·ΡΡΡΡΡ Π² ΡΡΠΎΠΌΠ°ΡΠΎΠ»ΠΎΠ³ΠΈΠΈ, ΠΌΠΎΠΆΠ΅Ρ Ρ ΠΈΠ΄Π΅Π°Π»ΡΠ½ΠΎΠΉ ΡΠΎΡΠ½ΠΎΡΡΡΡ ΠΏΠ΅ΡΠ΅Π΄Π°Π²Π°ΡΡ ΡΠ²Π΅Ρ ΠΈ ΠΏΡΠΎΠ·ΡΠ°ΡΠ½ΠΎΡΡΡ ΡΠΌΠ°Π»ΠΈ ΡΠΎΡΠ΅Π΄Π½ΠΈΡ Π·ΡΠ±ΠΎΠ².
Π¦Π²Π΅Ρ ΠΈ ΠΎΡΡΠ΅Π½ΠΎΠΊ Π±ΡΠ΄ΡΡΠ΅ΠΉ ΠΊΠΎΠ½ΡΡΡΡΠΊΡΠΈΠΈ ΠΏΠΎΠ΄Π±ΠΈΡΠ°Π΅ΡΡΡ ΠΏΠΎ ΡΠΊΠ°Π»Π΅ ΠΠΈΡΠ°, ΠΊΠΎΡΠΎΡΠ°Ρ ΡΠΎΡΠ΅ΡΠ°Π΅Ρ Π² ΡΠ΅Π±Π΅ Π±ΠΎΠ»ΡΡΠΈΠ½ΡΡΠ²ΠΎ Π½Π°ΡΡΡΠ°Π»ΡΠ½ΡΡ ΠΎΡΡΠ΅Π½ΠΊΠΎΠ².
ΠΠ°ΠΊ ΡΡΡΠ°Π½Π°Π²Π»ΠΈΠ²Π°ΡΡ ΠΊΠΎΡΠΎΠ½ΠΊΠΈ Π½Π° Π·ΡΠ±Ρ?
ΠΡΠΎΡΠ΅Π΄ΡΡΠ° ΠΏΠΎΡΡΠ°Π½ΠΎΠ²ΠΊΠΈ Π·ΡΠ±Π½ΠΎΠ³ΠΎ ΠΈΠΌΠΏΠ»Π°Π½ΡΠ° ΠΏΡΠΎΡ ΠΎΠ΄ΠΈΡ Π² Π½Π΅ΡΠΊΠΎΠ»ΡΠΊΠΎ ΡΡΠ°ΠΏΠΎΠ².
ΠΡΠΌΠΎΡΡ ΠΈ ΡΠ΅Π½ΡΠ³Π΅Π½ΠΎΡΠΊΠΎΠΏΠΈΡ Π·ΡΠ±Π° ΠΏΠΎΠ·Π²ΠΎΠ»ΠΈΡ ΠΎΡΠ΅Π½ΠΈΡΡ Π΅Π³ΠΎ ΡΠΎΡΡΠΎΡΠ½ΠΈΠ΅, Π΅Π³ΠΎ ΠΎΠΏΠΎΡΠ½ΠΎΠ³ΠΎ Π°ΠΏΠΏΠ°ΡΠ°ΡΠ°, Π²ΡΡΠ²ΠΈΡΡ Π½Π°Π»ΠΈΡΠΈΠ΅ ΠΎΡΠ»ΠΎΠΆΠ½Π΅Π½ΠΈΠΉ ΠΊΠ°ΡΠΈΠ΅ΡΠ° ΠΏΡΠΎΡΠ΅ΠΊΠ°ΡΡΠΈΡ ΡΠΊΡΡΡΠΎ. Π ΡΠ»ΡΡΠ°Π΅ Π²ΡΡΠ²Π»Π΅Π½ΠΈΡ Π·Π°Π±ΠΎΠ»Π΅Π²Π°Π½ΠΈΠΉ Π½Π΅ΠΎΠ±Ρ ΠΎΠ΄ΠΈΠΌΠΎ Π»Π΅ΡΠ΅Π½ΠΈΠ΅ Π·ΡΠ±ΠΎΠ² ΠΈ ΡΠ°Π½Π°ΡΠΈΡ Π²ΡΠ΅ΠΉ ΠΏΠΎΠ»ΠΎΡΡΠΈ ΡΡΠ°.
Π Π΄Π°Π»ΡΠ½Π΅ΠΉΡΠ΅ΠΌ Π½Π°ΡΠΈΠ½Π°Π΅ΡΡΡ ΡΡΠ°ΠΏ ΠΏΠΎΠ΄Π³ΠΎΡΠΎΠ²ΠΊΠΈ β ΠΏΡΠ΅ΠΏΠ°ΡΠΈΡΠΎΠ²Π°Π½ΠΈΠ΅ Π·ΡΠ±Π° ΠΏΠΎΠ΄ ΠΊΠΎΡΠΎΠ½ΠΊΡ, ΠΏΠΎΠ΄ ΡΠ°Π·Π»ΠΈΡΠ½ΡΠ΅ Π²ΠΈΠ΄Ρ ΠΊΠΎΡΠΎΠ½ΠΎΠΊ ΡΡΡΠ΅ΡΡΠ²ΡΡΡ ΡΠ²ΠΎΠΈ ΡΡΠ΅Π±ΠΎΠ²Π°Π½ΠΈΡ ΠΏΠΎ ΠΊΠΎΠ»ΠΈΡΠ΅ΡΡΠ²Ρ ΡΠ±ΡΠ°Π½Π½ΡΡ ΡΠΊΠ°Π½Π΅ΠΉ, Π½Π°Π»ΠΈΡΠΈΡ ΡΡΡΠΏΠ΅Π½Π΅ΠΊ ΠΈ ΠΏΡΠΎΡΠ΅Π΅.
Π’ΠΎΠ»ΡΠΊΠΎ ΠΏΠΎΡΠ»Π΅ Π²ΡΠ΅Ρ ΠΏΠΎΠ΄Π³ΠΎΡΠΎΠ²ΠΈΡΠ΅Π»ΡΠ½ΡΡ ΠΌΠ΅ΡΠΎΠΏΡΠΈΡΡΠΈΠΉ, ΡΠ½ΠΈΠΌΠ°ΡΡΡΡ ΡΠ»Π΅ΠΏΠΊΠΈ β Ρ ΠΎΠ±Π΅ΠΈΡ ΡΠ΅Π»ΡΡΡΠ΅ΠΉ, ΠΏΠΎΡΠ»Π΅ ΡΠ΅Π³ΠΎ ΠΎΡΠΏΡΠ°Π²Π»ΡΡΡΡΡ Π² ΡΡΠΊΠΈ Π·ΡΠ±Π½ΠΎΠΌΡ ΡΠ΅Ρ Π½ΠΈΠΊΡ, ΠΊΠΎΡΠΎΡΡΠΉ ΠΈ Π±ΡΠ΄Π΅Ρ ΠΈΠ·Π³ΠΎΡΠ°Π²Π»ΠΈΠ²Π°ΡΡ ΠΊΠΎΡΠΎΠ½ΠΊΡ ΠΏΠΎ ΡΠ»Π΅ΠΏΠΊΡ.
ΠΠΎΡΠ»Π΅, Π΄ΠΎΠΊΡΠΎΡ, Π±ΡΠ΄Π΅Ρ ΠΏΡΠΈΠΏΠ°ΡΠΎΠ²ΡΠ²Π°ΡΡ ΠΊΠΎΡΠΎΠ½ΠΊΡ Π² ΠΏΠΎΠ»ΠΎΡΡΠΈ ΡΡΠ° ΠΈ ΠΎΠΊΠΎΠ½ΡΠ°ΡΠ΅Π»ΡΠ½ΠΎ Π΅Π΅ ΡΡΡΠ°Π½Π°Π²Π»ΠΈΠ²Π°ΡΡ.
ΠΠ½ΠΎΠ³ΠΈΡ ΠΏΠ°ΡΠΈΠ΅Π½ΡΠΎΠ² ΠΈΠ½ΡΠ΅ΡΠ΅ΡΡΠ΅Ρ Π²ΠΎΠΏΡΠΎΡ β ΠΊΠ°ΠΊ ΠΈΠΌΠ΅Π½Π½ΠΎ ΠΏΡΠΈΠΊΡΠ΅ΠΏΠ»ΡΡΡΡΡ ΠΊΠΎΡΠΎΠ½ΠΊΠΈ?
ΠΠ»Π΅ΠΉ Π΄Π»Ρ ΠΊΠΎΡΠΎΠ½ΠΎΠΊ β ΡΠΏΠ΅ΡΠΈΠ°Π»ΡΠ½ΡΠΉ ΡΡΠΎΠΌΠ°ΡΠΎΠ»ΠΎΠ³ΠΈΡΠ΅ΡΠΊΠΈΠΉ ΡΠ΅ΠΌΠ΅Π½Ρ, ΠΊΠΎΡΠΎΡΡΠΉ ΠΏΠΎΠ·Π²ΠΎΠ»ΡΠ΅Ρ ΠΊΠΎΡΠΎΠ½ΠΊΠ΅ Π΄Π»ΠΈΡΠ΅Π»ΡΠ½ΠΎ ΠΈ Π΄ΠΎΠ»Π³ΠΎ Π΄Π΅ΡΠΆΠ°ΡΡΡΡ. ΠΠΎΡΡΠ°Π½ΠΎΠ²ΠΊΠ° ΠΊΠΎΡΠΎΠ½ΠΊΠΈ ΡΡΠΎ Π΄Π»ΠΈΡΠ΅Π»ΡΠ½Π°Ρ ΠΏΡΠΎΡΠ΅Π΄ΡΡΠ°, ΠΊΠ°ΠΊ ΠΏΡΠ°Π²ΠΈΠ»ΠΎ, Π²ΡΠΏΠΎΠ»Π½ΡΠ΅ΡΡΡ Π½Π΅ Π² ΠΎΠ΄Π½ΠΎ ΠΏΠΎΡΠ΅ΡΠ΅Π½ΠΈΠ΅.
ΠΠ°ΠΊΠΈΠ΅ Π·ΡΠ±Π½ΡΠ΅ ΠΊΠΎΡΠΎΠ½ΠΊΠΈ Π»ΡΡΡΠ΅?
ΠΠ°ΠΆΠ΄ΡΠΉ ΠΏΠ°ΡΠΈΠ΅Π½Ρ ΠΏΠ΅ΡΠ΅Π΄ ΠΏΡΠΎΡΠ΅Π·ΠΈΡΠΎΠ²Π°Π½ΠΈΠ΅ΠΌ, Π·Π°Π΄ΡΠΌΡΠ²Π°Π΅ΡΡΡ ΠΎ ΡΠΎΠΌ: ΠΠ°ΠΊΠΈΠ΅ Π·ΡΠ±Π½ΡΠ΅ ΠΊΠΎΡΠΎΠ½ΠΊΠΈ Π»ΡΡΡΠ΅? Π Π΅ΡΠ΅Π½ΠΈΠ΅ ΠΎ ΡΠΎΠΌ, ΠΊΠ°ΠΊΠ°Ρ ΠΊΠΎΡΠΎΠ½ΠΊΠ° Π±ΡΠ΄Π΅Ρ Π»ΡΡΡΠ΅, ΠΏΡΠΈΠ½ΠΈΠΌΠ°Π΅Ρ ΡΡΠΎΠΌΠ°ΡΠΎΠ»ΠΎΠ³ ΠΈ ΠΏΠ°ΡΠΈΠ΅Π½Ρ, Π² Π·Π°Π²ΠΈΡΠΈΠΌΠΎΡΡΠΈ ΠΎΡ ΠΊΠΎΠ½ΠΊΡΠ΅ΡΠ½ΠΎΠΉ ΡΠΈΡΡΠ°ΡΠΈΠΈ β Π·Π΄ΠΎΡΠΎΠ²ΡΠ΅ ΠΏΠΎΠ»ΠΎΡΡΠΈ ΡΡΠ°, ΠΊΠΎΠ½ΠΊΡΠ΅ΡΠ½ΡΠΉ Π·ΡΠ± (ΠΆΠ΅Π²Π°ΡΠ΅Π»ΡΠ½ΡΠΉ ΠΈΠ»ΠΈ ΠΏΠ΅ΡΠ΅Π΄Π½ΠΈΠΉ) ΠΈ Π΄Ρ.
ΠΠ΅Π»ΡΠ·Ρ ΡΠΊΠ°Π·Π°ΡΡ, ΡΡΠΎ ΠΊΠ΅ΡΠ°ΠΌΠΈΡΠ΅ΡΠΊΠΈΠ΅ ΠΊΠΎΡΠΎΠ½ΠΊΠΈ Π±ΡΠ΄ΡΡ Π»ΡΡΡΠ΅ Π²ΡΠ΅Π³Π΄Π° ΠΈ Π²ΠΎ Π²ΡΠ΅ΠΌ β ΡΠΎΠ»ΡΠΊΠΎ Π½Π° ΡΡΠΎΠ½ΡΠ°Π»ΡΠ½ΡΡ Π³ΡΡΠΏΠΏΡ Π·ΡΠ±ΠΎΠ², Π½ΠΎ Π½Π΅ ΠΆΠ΅Π²Π°ΡΠ΅Π»ΡΠ½ΡΡ.
ΠΡΡΡΠ΅ΠΉ Π±ΡΠ΄Π΅Ρ ΡΠ° ΠΊΠΎΡΠΎΠ½ΠΊΠ°, ΠΊΠΎΡΠΎΡΠ°Ρ Π±ΡΠ΄Π΅Ρ ΠΎΡΠ²Π΅ΡΠ°ΡΡ Π²ΡΠ΅ΠΌ ΡΡΠ΅Π±ΠΎΠ²Π°Π½ΠΈΡΠΌ ΠΈ ΠΎΡΠΎΠ±Π΅Π½Π½ΠΎΡΡΡΠΌ ΠΏΠΎΠ»ΠΎΡΡΠΈ ΡΡΠ°. ΠΡΠ»ΠΈ Π³ΠΎΠ²ΠΎΡΠΈΡΡ ΠΎ Π»ΡΡΡΠΈΡ ΠΊΠΎΡΠΎΠ½ΠΊΠ°Ρ ΡΡΠ΅Π΄ΠΈ ΠΌΠ΅ΡΠ°Π»Π»ΠΈΡΠ΅ΡΠΊΠΈΡ , ΡΠΎ ΠΏΡΠ΅Π΄ΠΏΠΎΡΡΠ΅Π½ΠΈΠ΅ ΠΎΡΠ΄Π°Π΅ΡΡΡ ΡΠΈΡΠΊΠΎΠ½ΠΈΠ΅Π²ΡΠΌ, ΠΊΠΎΡΠΎΡΡΠ΅ ΠΈΠ·Π½Π°ΡΠ°Π»ΡΠ½ΠΎ ΠΈΠΌΠ΅ΡΡ Π±Π΅Π»ΡΠΉ ΡΠ²Π΅Ρ.
Π‘ΡΠΎΠΈΠΌΠΎΡΡΡ Π·ΡΠ±Π½ΠΎΠΉ ΠΊΠΎΡΠΎΠ½ΠΊΠΈ Π±ΡΠ΄Π΅Ρ Π·Π°Π²ΠΈΡΠ΅ΡΡ ΠΎΡ ΠΈΡΠΏΠΎΠ»ΡΠ·ΡΠ΅ΠΌΠΎΠ³ΠΎ ΠΌΠ°ΡΠ΅ΡΠΈΠ°Π»Π°, ΠΊΠ°ΠΊ ΠΈΠΌΠ΅Π½Π½ΠΎ ΠΎΠ½Π° Π±ΡΠ΄Π΅Ρ ΠΈΠ·Π³ΠΎΡΠ°Π²Π»ΠΈΠ²Π°ΡΡΡΡ, ΠΎΡ ΠΊΠ°ΡΠ΅Π³ΠΎΡΠΈΠΈ ΠΊΠ»ΠΈΠ½ΠΈΠΊΠΈ ΠΈ ΡΠΏΠ΅ΡΠΈΠ°Π»ΠΈΡΡΠ° ΠΈ Π΄Ρ.
ΠΠ½Π°Π»ΠΈΠ·ΠΈΡΡΡ ΠΎΠ³ΡΠΎΠΌΠ½ΠΎΠ΅ ΡΠ°Π·Π½ΠΎΠΎΠ±ΡΠ°Π·ΠΈΠ΅ Π·ΡΠ±Π½ΡΡ ΠΊΠΎΡΠΎΠ½ΠΎΠΊ, ΠΏΠ°ΡΠΈΠ΅Π½ΡΡ Π΄ΠΎΠ²ΠΎΠ»ΡΠ½ΠΎ ΡΡΠΆΠ΅Π»ΠΎ ΡΠ°Π·ΠΎΠ±ΡΠ°ΡΡΡΡ Π² Π½ΠΈΡ , ΠΈ Π²ΡΠ±ΡΠ°ΡΡ Π»ΡΡΡΡΡ.
ΠΠΊΠΎΠ½ΡΠ°ΡΠ΅Π»ΡΠ½ΡΠΉ ΠΎΡΠ²Π΅Ρ ΠΎ ΡΠΎΠΌ, ΠΊΠ°ΠΊΠΎΠΉ ΠΈΠΌΠ΅Π½Π½ΠΎ ΠΊΠΎΡΠΎΠ½ΠΊΠ΅ ΠΎΡΠ΄Π°ΡΡ ΠΏΡΠ΅Π΄ΠΏΠΎΡΡΠ΅Π½ΠΈΠ΅ Π΄ΠΎΠ»ΠΆΠ΅Π½ ΠΏΡΠΈΠ½ΠΈΠΌΠ°ΡΡΡΡ ΡΠΎΠ»ΡΠΊΠΎ Ρ Π²Π΅Π΄ΡΡΠΈΠΌ ΠΎΡΡΠΎΠΏΠ΅Π΄ΠΎΠΌ, ΠΏΠΎΡΠ»Π΅ Π΄Π»ΠΈΡΠ΅Π»ΡΠ½ΠΎΠΉ Π±Π΅ΡΠ΅Π΄Ρ, Π² ΠΊΠΎΡΠΎΡΠΎΠΉ ΡΡΠΎΠΌΠ°ΡΠΎΠ»ΠΎΠ³ ΡΠ°ΡΡΠΊΠ°ΠΆΠ΅Ρ ΠΎ Π²ΠΎΠ·ΠΌΠΎΠΆΠ½ΡΡ Π²Π°ΡΠΈΠ°Π½ΡΠ°Ρ Π»Π΅ΡΠ΅Π½ΠΈΡ, ΠΏΡΠ΅ΠΈΠΌΡΡΠ΅ΡΡΠ²Π°Ρ ΠΈ Π½Π΅Π΄ΠΎΡΡΠ°ΡΠΊΠ°Ρ ΠΊΠ°ΠΆΠ΄ΠΎΠ³ΠΎ Π²ΠΈΠ΄Π° ΠΊΠΎΡΠΎΠ½ΠΎΠΊ.
www.mapapama.ru
ΡΠΎΡΠΎ Π΄ΠΎ ΠΈ ΠΏΠΎΡΠ»Π΅ ΡΡΡΠ°Π½ΠΎΠ²ΠΊΠΈ
Π£ΡΡΠ°Π½ΠΎΠ²ΠΊΠ° Π·ΡΠ±Π½ΠΎΠΉ ΠΊΠΎΡΠΎΠ½ΠΊΠΈ β ΡΠΏΠΎΡΠΎΠ± Π²ΠΎΡΡΡΠ°Π½ΠΎΠ²ΠΈΡΡ ΠΏΡΠ°ΠΊΡΠΈΡΠ΅ΡΠΊΠΈ ΡΠ°Π·ΡΡΡΠ΅Π½Π½ΡΠΉ Π·ΡΠ±, Π²Π΅ΡΠ½ΡΡΡ Π΅ΠΌΡ ΡΡΠ½ΠΊΡΠΈΠΎΠ½Π°Π»ΡΠ½ΡΠ΅ ΡΠΏΠΎΡΠΎΠ±Π½ΠΎΡΡΠΈ, Π·Π°ΡΠΈΡΠΈΡΡ ΠΎΡ ΡΠ°Π·Π»ΠΈΡΠ½ΡΡ Π·Π°Π±ΠΎΠ»Π΅Π²Π°Π½ΠΈΠΉ, Π² ΡΠΎΠΌ ΡΠΈΡΠ»Π΅, ΠΎΡ ΠΊΠ°ΡΠΈΠ΅ΡΠ°. Π£ΡΡΡΠΎΠΉΡΡΠ²ΠΎ ΠΏΡΠ΅Π΄ΡΡΠ°Π²Π»ΡΠ΅Ρ ΡΠΎΠ±ΠΎΠΉ Π½Π΅ΡΡΠ΅ΠΌΠ½ΡΠΉ ΠΏΡΠΎΡΠ΅Π·, ΠΈΠ·Π³ΠΎΡΠ°Π²Π»ΠΈΠ²Π°Π΅ΠΌΡΠΉ ΠΏΠΎ ΡΠ»Π΅ΠΏΠΊΠ°ΠΌ Π² Π·ΡΠ±ΠΎΡΠ΅Ρ Π½ΠΈΡΠ΅ΡΠΊΠΎΠΉ Π»Π°Π±ΠΎΡΠ°ΡΠΎΡΠΈΠΈ. ΠΠΎΡΠΎΠ½ΠΊΠ° β ΠΎΡΠ΄Π΅Π»ΡΠ½ΡΠΉ ΡΠ»Π΅ΠΌΠ΅Π½Ρ, ΠΎΠ½Π° ΠΌΠΎΠΆΠ΅Ρ Π²ΡΠΏΠΎΠ»Π½ΡΡΡ Π½Π΅ΡΠΊΠΎΠ»ΡΠΊΠΎ ΡΡΠ½ΠΊΡΠΈΠΉ, ΠΊΠΎΠ½ΡΡΡΡΠΊΡΠΈΡ ΡΡΡΠ°Π½Π°Π²Π»ΠΈΠ²Π°Π΅ΡΡΡ Π½Π΅ ΡΠΎΠ»ΡΠΊΠΎ Π΄Π»Ρ ΠΏΡΠ΅Π΄ΠΎΡΠ²ΡΠ°ΡΠ΅Π½ΠΈΡ Π΄Π°Π»ΡΠ½Π΅ΠΉΡΠ΅Π³ΠΎ ΡΠ°Π·ΡΡΡΠ΅Π½ΠΈΡ, Π½ΠΎ ΠΈ Π΄Π»Ρ ΡΠΈΠΊΡΠ°ΡΠΈΠΈ ΠΌΠΎΡΡΠΎΠ²ΠΈΠ΄Π½ΠΎΠ³ΠΎ ΠΈΠ»ΠΈ Π±ΡΠ³Π΅Π»ΡΠ½ΠΎΠ³ΠΎ ΠΏΡΠΎΡΠ΅Π·Π°, ΠΏΡΠΈ ΠΏΠΎΠ»Π½ΠΎΠΌ ΠΎΡΡΡΡΡΡΠ²ΠΈΠΈ Π·ΡΠ±Π°, Π² ΡΡΠΎΠΌ ΡΠ»ΡΡΠ°Π΅ ΡΠ΅Ρ Π½ΠΈΠΊΠ° ΡΡΡΠ°Π½ΠΎΠ²ΠΊΠΈ ΠΌΠ΅Π½ΡΠ΅ΡΡΡ. Π ΠΏΠ΅ΡΠ²ΠΎΠΌ ΡΠ»ΡΡΠ°Π΅ ΠΏΠΎΠΊΠ°Π·Π°Π½ΠΈΡ ΠΊ ΠΏΡΠΈΠΌΠ΅Π½Π΅Π½ΠΈΡ ΠΎΠ΄Π½ΠΎΠ·Π½Π°ΡΠ½Ρ β ΡΠ°Π·ΡΡΡΠ΅Π½ΠΈΠ΅ Π·ΡΠ±Π° Π±ΠΎΠ»Π΅Π΅, ΡΠ΅ΠΌ Π½Π° Π΄Π²Π΅ ΡΡΠ΅ΡΠΈ, ΠΊΠΎΠ³Π΄Π° Π΄ΡΡΠ³ΠΎΠ΅ Π»Π΅ΡΠ΅Π½ΠΈΠ΅ ΡΠΆΠ΅ Π½Π΅ ΠΌΠΎΠΆΠ΅Ρ ΡΠΏΠΎΡΠΎΠ±ΡΡΠ²ΠΎΠ²Π°ΡΡ ΠΏΡΠ°Π²ΠΈΠ»ΡΠ½ΠΎΠΌΡ ΡΠ°ΡΠΏΡΠ΅Π΄Π΅Π»Π΅Π½ΠΈΡ ΠΆΠ΅Π²Π°ΡΠ΅Π»ΡΠ½ΠΎΠΉ Π½Π°Π³ΡΡΠ·ΠΊΠΈ.
ΠΠ»Π°ΡΡΠΈΡΠΈΠΊΠ°ΡΠΈΡ
ΠΠ»Π°ΡΡΠΈΡΠΈΠΊΠ°ΡΠΈΡ ΠΏΡΠΎΡΠ΅Π·ΠΎΠ² Π² ΠΌΠ΅Π΄ΠΈΡΠΈΠ½ΡΠΊΠΎΠΌ ΡΠΎΠΎΠ±ΡΠ΅ΡΡΠ²Π΅ ΠΏΡΠΎΡ ΠΎΠ΄ΠΈΡ ΠΏΠΎ ΠΏΡΠΈΠ·Π½Π°ΠΊΡ ΠΏΡΠΈΠΌΠ΅Π½ΡΠ΅ΠΌΠΎΠ³ΠΎ Π΄Π»Ρ ΠΈΠ·Π³ΠΎΡΠΎΠ²Π»Π΅Π½ΠΈΡ ΠΌΠ°ΡΠ΅ΡΠΈΠ°Π»Π°. ΠΠ°ΠΊΠΈΠ΅ ΠΊΠΎΡΠΎΠ½ΠΊΠΈ Π½Π° Π·ΡΠ±Ρ Π»ΡΡΡΠ΅ ΠΏΠΎ ΡΠΎΡΠΎ, ΡΠ½ΠΈΠΌΠΊΠ°ΠΌ, ΠΈΡΡΠΎΡΠΈΠΈ Π±ΠΎΠ»Π΅Π·Π½ΠΈ ΠΈ Π°Π½Π°ΠΌΠ½Π΅Π·Ρ Π½Π΅ ΠΎΠΏΡΠ΅Π΄Π΅Π»ΠΈΡΡ, ΠΎΠ±ΡΠ·Π°ΡΠ΅Π»ΡΠ½Π° ΠΊΠΎΠ½ΡΡΠ»ΡΡΠ°ΡΠΈΡ ΡΠΏΠ΅ΡΠΈΠ°Π»ΠΈΡΡΠ°. ΠΠ½ ΠΏΠΎΠ΄ΡΠΊΠ°ΠΆΠ΅Ρ, ΠΊΠ°ΠΊ Π²ΡΠ±ΡΠ°ΡΡ ΠΊΠΎΡΠΎΠ½ΠΊΠΈ Π½Π° Π·ΡΠ±Ρ, ΠΎΡΠ½ΠΎΠ²ΡΠ²Π°ΡΡΡ Π½Π° ΠΌΠ΅Π΄ΠΈΡΠΈΠ½ΡΠΊΠΈΡ Π΄Π°Π½Π½ΡΡ , ΡΠ΅Π½Π°Ρ , ΠΏΡΠ΅Π΄ΠΏΠΎΡΡΠ΅Π½ΡΡ ΠΈ Π²ΠΎΠ·ΠΌΠΎΠΆΠ½ΠΎΡΡΡΡ Π±ΠΎΠ»ΡΠ½ΠΎΠ³ΠΎ.
ΠΡΠΎΡΠ΅Π·Ρ Π±ΡΠ²Π°ΡΡ:
- ΠΠ΅ΡΠ°Π»Π»ΠΈΡΠ΅ΡΠΊΠΈΠ΅;

ΠΠ΅ΡΠ°Π»Π»ΠΈΡΠ΅ΡΠΊΠ°Ρ ΠΊΠΎΡΠΎΠ½ΠΊΠ°
- ΠΠ΅ΡΠ°ΠΌΠΈΡΡΠ΅ΠΊΠΈΠ΅;
- ΠΠ΅ΡΠ°Π»Π»ΠΎΠΊΠ΅ΡΠ°ΠΌΠΈΡΠ΅ΡΠΊΠΈΠ΅;
- ΠΠ΅ΡΠ°Π»Π»ΠΎΠΏΠ»Π°ΡΡΠΌΠ°ΡΡΠΎΠ²ΡΠ΅;
- ΠΠ»Π°ΡΡΠΌΠ°ΡΡΠΎΠ²ΡΠ΅.
ΠΠ΅ΡΠ°Π»Π»ΠΈΡΠ΅ΡΠΊΠΈΠ΅ ΠΈ Π·ΠΎΠ»ΠΎΡΡΠ΅
ΠΠ½ΠΈ ΠΏΠΎΡΠ²ΠΈΠ»ΠΈΡΡ ΡΠ°ΠΌΡΠΌΠΈ ΠΏΠ΅ΡΠ²ΡΠΌΠΈ, Π½Π΅ΡΠ΅Π΄ΠΊΠΎ Π΄Π»Ρ ΠΈΡ ΠΈΠ·Π³ΠΎΡΠΎΠ²Π»Π΅Π½ΠΈΡ ΠΏΡΠΈΠΌΠ΅Π½ΡΠ»ΠΈ Π·ΠΎΠ»ΠΎΡΠΎ ΠΈΠ»ΠΈ ΡΠΏΠ΅ΡΠΈΠ°Π»ΡΠ½ΡΠΉ ΠΌΠ΅Π΄ΠΈΡΠΈΠ½ΡΠΊΠΈΠΉ ΡΠΏΠ»Π°Π² Π½Π° Π΅Π³ΠΎ ΠΎΡΠ½ΠΎΠ²Π΅. ΠΡΠΎ ΠΎΠ±ΡΡΡΠ½ΡΠ΅ΡΡΡ ΠΎΡΠΎΠ±ΡΠΌΠΈ ΡΠ²ΠΎΠΉΡΡΠ²Π°ΠΌΠΈ Π·ΠΎΠ»ΠΎΡΠ°, ΡΡΠΎΡ ΠΌΠ΅ΡΠ°Π»Π» Ρ ΠΎΡΠΎΡΠΎ Π²ΠΎΡΠΏΡΠΈΠ½ΠΈΠΌΠ°Π΅ΡΡΡ ΠΎΡΠ³Π°Π½ΠΈΠ·ΠΌΠΎΠΌ. ΠΠ΄Π½Π°ΠΊΠΎ, Π΅ΡΠ»ΠΈ ΡΠ°Π½Π΅Π΅ Π·ΠΎΠ»ΠΎΡΠΎΠΉ Π·ΡΠ± Π±ΡΠ» ΠΏΡΠΈΠ·Π½Π°ΠΊΠΎΠΌ Π΄ΠΎΡΡΠ°ΡΠΊΠ°, ΡΠΎ ΡΠ΅ΠΏΠ΅ΡΡ Π² ΠΌΠ΅Π΄ΠΈΡΠΈΠ½ΡΠΊΠΎΠΌ ΡΠΎΠΎΠ±ΡΠ΅ΡΡΠ²Π΅ ΠΏΡΠΈΠ½ΡΡΠΎ ΡΡΠΈΡΠ°ΡΡ, ΡΡΠΎ ΡΡΡΠ΅ΡΠΈΡΠ΅ΡΠΊΠΈ ΡΠ°ΠΊΠΎΠΉ Π²ΡΠ±ΠΎΡ Π½Π΅ ΠΎΠΏΡΠ°Π²Π΄Π°Π½. Π₯ΠΎΡΡ, ΡΡΠΎ ΡΠ°ΠΊΠΎΠ΅ ΠΊΠΎΡΠΎΠ½ΠΊΠ° Π½Π° Π·ΡΠ±, ΠΏΠΎ ΡΠΎΡΠΎ Π·ΠΎΠ»ΠΎΡΠΎΠ³ΠΎ ΠΏΡΠΎΡΠ΅Π·Π° ΠΌΠ½ΠΎΠ³ΠΈΠ΅ Ρ ΠΎΡΠΎΡΠΎ ΠΌΠΎΠ³ΡΡ ΠΎΠΏΡΠ΅Π΄Π΅Π»ΠΈΡΡ ΠΈ ΠΏΡΠ΅Π΄ΡΡΠ°Π²ΠΈΡΡ ΡΠ΅Π±Π΅ ΡΡΠ½ΠΊΡΠΈΠΈ ΡΠ°ΠΊΠΎΠ³ΠΎ ΠΏΡΠΎΡΠ΅Π·Π°.

ΠΠΎΠ»ΠΎΡΠ°Ρ ΠΊΠΎΡΠΎΠ½ΠΊΠ°
ΠΠΎ ΠΌΠ΅ΡΠ°Π»Π»ΠΈΡΠ΅ΡΠΊΠΈΠ΅ ΠΊΠΎΡΠΎΠ½ΠΊΠΈ ΠΏΡΠΈΠΌΠ΅Π½ΡΡΡΡΡ ΠΈ ΡΠ΅ΠΉΡΠ°Ρ. Π Π½Π°ΡΡΠΎΡΡΠ΅Π΅ Π²ΡΠ΅ΠΌΡ Π΄Π»Ρ ΠΈΠ·Π³ΠΎΡΠΎΠ²Π»Π΅Π½ΠΈΡ ΠΈΡΠΏΠΎΠ»ΡΠ·ΡΡΡΡΡ ΡΠ°Π·Π»ΠΈΡΠ½ΡΠ΅ ΡΠΏΠ»Π°Π²Ρ ΡΠΈΡΠ°Π½Π°, Π½Π΅ΡΠΆΠ°Π²Π΅ΡΡΠ΅ΠΉ ΡΡΠ°Π»ΠΈ. ΠΡΠ°Π³ΠΎΡΠ΅Π½Π½ΡΠ΅ ΠΌΠ΅ΡΠ°Π»Π»Ρ ΡΠ°ΠΊΠΆΠ΅ ΠΈΠ½ΠΎΠ³Π΄Π° ΠΏΡΠΈΠΌΠ΅Π½ΡΡΡ, Π½ΠΎ ΠΎΡΠ΄Π°ΡΡ ΠΏΡΠ΅Π΄ΠΏΠΎΡΡΠ΅Π½ΠΈΠ΅ ΠΏΠ»Π°ΡΠΈΠ½Π΅ ΠΈΠ»ΠΈ ΡΠΏΠ΅ΡΠΈΠ°Π»ΡΠ½ΠΎΠΌΡ Π½Π°ΠΏΡΠ»Π΅Π½ΠΈΡ.
ΠΠΌΠ΅Π½Π½ΠΎ ΡΠ°ΠΊΠΈΠ΅ ΠΊΠΎΠ½ΡΡΡΡΠΊΡΠΈΠΈ Π΄ΠΎΡΡΠ°ΡΠΎΡΠ½ΠΎ Π½Π΅Π΄ΠΎΡΠΎΠ³ΠΈΠ΅, ΠΎΠ±Π΅ΡΠΏΠ΅ΡΠΈΠ²Π°ΡΡ ΠΏΠΎΠ»Π½ΠΎΠ΅ Π²ΠΎΡΡΡΠ°Π½ΠΎΠ²Π»Π΅Π½ΠΈΠ΅ ΡΡΠ½ΠΊΡΠΈΠΎΠ½Π°Π»ΡΠ½ΠΎΠΉ ΡΠΏΠΎΡΠΎΠ±Π½ΠΎΡΡΠΈ Π·ΡΠ±Π°. ΠΠΎ Π½Π΅ΡΡΡΠ΅ΡΠΈΡΠ½ΡΠΉ Π²Π½Π΅ΡΠ½ΠΈΠΉ Π²ΠΈΠ΄ ΠΏΠΎ-ΠΏΡΠ΅ΠΆΠ½Π΅ΠΌΡ Π²ΡΠ·ΡΠ²Π°Π΅Ρ Π½Π°ΡΠ΅ΠΊΠ°Π½ΠΈΡ.
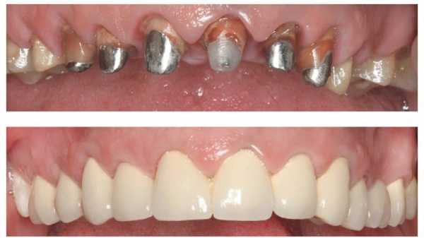
ΠΠ΅ΡΠ°Π»Π»ΠΎΠΊΠ΅ΡΠ°ΠΌΠΈΡΠ΅ΡΠΊΠΈΠ΅ Π·ΡΠ±Π½ΡΠ΅ ΠΏΡΠΎΡΠ΅Π·Ρ
Π’Π°ΠΊΠΈΠ΅ ΠΏΡΠΎΡΠ΅Π·Ρ ΡΠ²Π»ΡΡΡΡΡ ΡΡΠ΅Π΄Π½ΠΈΠΌ Π²Π°ΡΠΈΠ°Π½ΡΠΎΠΌ. ΠΠ½ΠΈ Π΄ΠΎΡΡΠ°ΡΠΎΡΠ½ΠΎ ΠΏΡΠΎΡΠ½Ρ, Π½Π΅Π΄ΠΎΡΠΎΠ³ΠΈ, ΠΎΠ±Π΅ΡΠΏΠ΅ΡΠΈΠ²Π°ΡΡ Π΄ΠΎΡΡΠΈΠΆΠ΅Π½ΠΈΠ΅ ΠΎΠΏΡΠΈΠΌΠ°Π»ΡΠ½ΠΎΠ³ΠΎ ΡΡΡΠ΅ΡΠΈΡΠ΅ΡΠΊΠΎΠ³ΠΎ ΡΠ΅Π·ΡΠ»ΡΡΠ°ΡΠ°. Π Π΅Π·ΡΠ»ΡΡΠ°Ρ Ρ ΠΎΡΠΎΡΠΎ Π²ΠΈΠ΄Π΅Π½, Π΅ΡΠ»ΠΈ ΡΡΠ°Π²Π½ΠΈΡΡ Π½Π° ΡΠΎΡΠΎ Π΄ΠΎ ΠΈ ΠΏΠΎΡΠ»Π΅ ΠΊΠΎΡΠΎΠ½ΠΊΠΈ Π½Π° Π·ΡΠ±Ρ ΠΈΠ· ΠΌΠ΅ΡΠ°Π»Π»ΠΎΠΊΠ΅ΡΠ°ΠΌΠΈΠΊΠΈ. ΠΠΎΠ½ΡΡΡΡΠΊΡΠΈΡ ΡΠΏΠ΅ΡΠΈΡΠΈΡΠ½Π°Ρ, ΠΌΠ΅ΡΠ°Π»Π»ΠΈΡΠ΅ΡΠΊΠΎΠΉ ΡΠ²Π»ΡΠ΅ΡΡΡ ΡΠΎΠ»ΡΠΊΠΎ ΠΎΡΠ½ΠΎΠ²Π°.

ΠΠ΅ΡΠ°Π»Π»ΠΎΠΊΠ΅ΡΠ°ΠΌΠΈΡΠ΅ΡΠΊΠΈΠ΅ Π·ΡΠ±Π½ΡΠ΅ ΠΏΡΠΎΡΠ΅Π·Ρ Π΄ΠΎ ΠΈ ΠΏΠΎΡΠ»Π΅ ΡΡΡΠ°Π½ΠΎΠ²ΠΊΠΈ
ΠΠ»ΡΡΡ ΡΡΡΠ°Π½ΠΎΠ²ΠΊΠΈ ΡΠ°ΠΊΠΎΠ³ΠΎ ΠΏΡΠΎΡΠ΅Π·Π° Π·Π½Π°ΡΠΈΡΠ΅Π»ΡΠ½ΡΠ΅, Π½ΠΎ ΡΡΠΎΠΌΠ°ΡΠΎΠ»ΠΎΠ³ΠΈ ΠΎΡΠΌΠ΅ΡΠ°ΡΡ, ΡΡΠΎ ΠΎΠ½ΠΈ ΡΡΡΡΠΏΠ°ΡΡ ΡΠ΅Π»ΡΠ½ΠΎΠΊΠ΅ΡΠ°ΠΌΠΈΡΠ΅ΡΠΊΠΈΠΌ ΠΊΠΎΡΠΎΠ½ΠΊΠ°ΠΌ Π² ΠΎΠ΄Π½ΠΎΠΌ. ΠΡΠΈ ΠΎΠ±Π½Π°ΠΆΠ΅Π½ΠΈΠΈ ΠΊΠΎΡΠ½Ρ Π·ΡΠ±Π°, ΠΏΡΡΡΡ ΠΈ ΠΌΠΈΠ½ΠΈΠΌΠ°Π»ΡΠ½ΠΎΠΌ, Π²ΠΈΠ΄Π½Π° ΠΌΠ΅ΡΠ°Π»Π»ΠΈΡΠ΅ΡΠΊΠ°Ρ ΠΎΡΠ½ΠΎΠ²Π°. ΠΠΎ Π΅ΡΠ»ΠΈ ΠΈΡΠΏΠΎΠ»ΡΠ·ΠΎΠ²Π°ΡΡ ΠΏΡΠΈ ΠΈΠ·Π³ΠΎΡΠΎΠ²Π»Π΅Π½ΠΈΠΈ ΡΠΏΠ΅ΡΠΈΠ°Π»ΡΠ½ΡΠΉ ΠΌΠ΅ΡΠ°Π»Π» ΡΠΏΠ΅ΡΠΈΡΠΈΡΠ΅ΡΠΊΠΎΠ³ΠΎ ΠΎΡΡΠ΅Π½ΠΊΠ°, ΠΏΡΠΎΠ±Π»Π΅ΠΌΠ° ΡΡΠ°Π½ΠΎΠ²ΠΈΡΡΡ Π»Π΅Π³ΠΊΠΎ ΡΠ΅ΡΠ°Π΅ΠΌΠΎΠΉ.
ΠΠ΅ΡΠ°ΠΌΠΈΡΠ΅ΡΠΊΠΈΠ΅ ΠΊΠΎΡΠΎΠ½ΠΊΠΈ
ΠΡΠΎ ΡΠ°ΠΌΡΠΉ Π΄ΠΎΡΠΎΠ³ΠΎΠΉ Π²ΠΈΠ΄ ΠΏΡΠΎΡΠ΅Π·ΠΎΠ². ΠΠΎ ΡΠ°ΠΊΠΈΠ΅ ΠΊΠΎΡΠΎΠ½ΠΊΠΈ ΡΠ°ΠΊΠΆΠ΅ Π½Π°ΠΈΠ±ΠΎΠ»Π΅Π΅ Π²ΡΠ³ΠΎΠ΄Π½ΠΎ Π²ΡΠ³Π»ΡΠ΄ΡΡ Ρ ΡΠΎΡΠΊΠΈ Π·ΡΠ΅Π½ΠΈΡ ΡΡΡΠ΅ΡΠΈΠΊΠΈ. ΠΠΈΠΎΡΠΎΠ²ΠΌΠ΅ΡΡΠΈΠΌΠΎΡΡΡ ΡΡΠΎΠ³ΠΎ ΠΌΠ°ΡΠ΅ΡΠΈΠ°Π»Π° Π³ΠΎΡΠ°Π·Π΄ΠΎ Π²ΡΡΠ΅, ΡΠ΅ΠΌ Ρ Π²ΡΠ΅Ρ Π²ΡΡΠ΅ΠΏΡΠΈΠ²Π΅Π΄Π΅Π½Π½ΡΡ . Π₯Π°ΡΠ°ΠΊΡΠ΅ΡΠΈΡΡΠΈΠΊΠΈ ΠΌΠ°ΡΠ΅ΡΠΈΠ°Π»Π° ΡΠ°ΠΊΠΆΠ΅ ΠΏΠΎΠ·Π²ΠΎΠ»ΡΡΡ ΠΈΠ·Π³ΠΎΡΠΎΠ²ΠΈΡΡ ΠΏΡΠΎΡΠ΅Π· ΠΏΡΠ°ΠΊΡΠΈΡΠ΅ΡΠΊΠΈ ΠΈΠ΄Π΅Π½ΡΠΈΡΠ½ΡΠΉ ΠΏΠΎ Π²Π½Π΅ΡΠ½ΠΈΠΌ ΠΏΠΎΠΊΠ°Π·Π°ΡΠ΅Π»ΡΠΌ ΠΎΠ±ΡΡΠ½ΠΎΠΌΡ Π·ΡΠ±Ρ, ΡΠΎ Π΅ΡΡΡ ΠΏΠΎΠ»Π½ΠΎΡΡΡΡ Π²ΠΎΡΠΏΡΠΎΠΈΠ·Π²Π΅ΡΡΠΈ ΠΏΡΠΎΠ·ΡΠ°ΡΠ½ΠΎΡΡΡ ΡΠΌΠ°Π»ΠΈ, ΡΠ²Π΅ΡΠΎΠ²ΡΠ΅ Ρ Π°ΡΠ°ΠΊΡΠ΅ΡΠΈΡΡΠΈΠΊΠΈ.
Π’Π°ΠΊΠΎΠΉ ΠΌΠ°ΡΠ΅ΡΠΈΠ» ΡΠ°ΡΡΠΎ Π²ΡΠ±ΠΈΡΠ°ΡΡ Π΄Π»Ρ ΠΏΡΠΎΡΠ΅Π·ΠΈΡΠΎΠ²Π°Π½ΠΈΡ ΠΏΠ΅ΡΠ΅Π΄Π½ΠΈΡ Π·ΡΠ±ΠΎΠ², ΡΡΠΎ ΠΈΠ΄Π΅Π°Π»ΡΠ½ΡΠΉ Π²Π°ΡΠΈΠ°Π½Ρ Π΄Π»Ρ ΡΠΎΠ·Π΄Π°Π½ΠΈΡ ΠΊΡΠ°ΡΠΈΠ²ΠΎΠΉ ΡΠ»ΡΠ±ΠΊΠΈ.
ΠΠΎ Π΄Π»Ρ Π²ΠΎΡΡΡΠ°Π½ΠΎΠ²Π»Π΅Π½ΠΈΡ ΠΆΠ΅Π²Π°ΡΠ΅Π»ΡΠ½ΡΡ ΠΏΠΎΠ²Π΅ΡΡ Π½ΠΎΡΡΠ΅ΠΉ ΠΎΠ½ΠΈ Π½Π΅ ΠΏΠΎΠ΄Ρ ΠΎΠ΄ΡΡ ΠΈΠ·-Π·Π° Π½Π΅Π΄ΠΎΡΡΠ°ΡΠΎΡΠ½ΠΎΠΉ ΠΊΡΠ΅ΠΏΠΎΡΡΠΈ ΠΈ ΠΏΡΠΎΠ±Π»Π΅ΠΌ Ρ ΠΏΡΠΎΠ·ΡΠ°ΡΠ½ΠΎΡΡΡΡ.
ΠΠ»Π°ΡΡΠΌΠ°ΡΡΠΎΠ²ΡΠ΅ ΠΏΡΠΎΡΠ΅Π·Ρ
ΠΠ°ΠΊΠΈΠ΅ Π΅ΡΠ΅ Π±ΡΠ²Π°ΡΡ ΠΊΠΎΡΠΎΠ½ΠΊΠΈ Π½Π° Π·ΡΠ±Ρ? Π Π½Π°ΡΡΠΎΡΡΠΈΠΉ ΠΌΠΎΠΌΠ΅Π½Ρ Π΄ΠΎΡΡΠ°ΡΠΎΡΠ½ΠΎ ΡΠΈΡΠΎΠΊΠΎ ΠΈΡΠΏΠΎΠ»ΡΠ·ΡΠ΅ΡΡΡ ΡΠ°ΠΊΠΎΠΉ ΠΌΠ°ΡΠ΅ΡΠΈΠ°Π», ΠΊΠ°ΠΊ ΠΏΠ»Π°ΡΡΠΌΠ°ΡΡΠ°. ΠΠ½ Π΄ΠΎΡΡΡΠΏΠ½Π΅Π΅, Π½ΠΎ Π½Π΅Π΄ΠΎΡΡΠ°ΡΠΎΡΠ½ΠΎ ΠΏΡΠΎΡΠ΅Π½. ΠΠΎΡΡΠΎΠΌΡ ΡΠ°ΠΊΠΈΠ΅ ΠΊΠΎΡΠΎΠ½ΠΊΠΈ ΡΡΡΠ°Π½Π°Π²Π»ΠΈΠ²Π°ΡΡΡΡ Π»ΠΈΡΡ Π½Π° ΠΎΠΏΡΠ΅Π΄Π΅Π»Π΅Π½Π½ΠΎΠ΅ Π²ΡΠ΅ΠΌΡ. Π§Π°ΡΠ΅ Π²ΡΠ΅Π³ΠΎ ΠΎΠ½ΠΈ ΠΏΡΠΈΠΌΠ΅Π½ΡΡΡΡΡ Π΄Π»Ρ ΠΊΡΠ΅ΠΏΠ»Π΅Π½ΠΈΡ ΠΈΠΌΠΏΠ»Π°Π½ΡΠΎΠ², Π½ΠΎ Π±ΡΠ²Π°Π΅Ρ, ΡΡΠΎ ΠΈΡΠΏΠΎΠ»ΡΠ·ΡΡΡΡΡ ΠΈ Π² ΠΊΠ°ΡΠ΅ΡΡΠ²Π΅ ΠΎΠ΄ΠΈΠ½ΠΎΡΠ½ΠΎΠ³ΠΎ ΡΠ»Π΅ΠΌΠ΅Π½ΡΠ°, Π΄Π»Ρ ΡΠΈΠΊΡΠ°ΡΠΈΠΈ ΠΌΠΎΡΡΠΎΠ²ΠΈΠ΄Π½ΠΎΠ³ΠΎ ΠΏΡΠΎΡΠ΅Π·Π°. Π‘ΡΠΎΠΊ ΡΠ»ΡΠΆΠ±Ρ ΡΠΎΡΡΠ°Π²Π»ΡΠ΅Ρ ΠΎΡ ΠΎΠ΄Π½ΠΎΠ³ΠΎ Π΄ΠΎ ΡΡΠ΅Ρ Π»Π΅Ρ. ΠΠ°ΡΠ΅ΡΠΈΠ°Π» ΠΎΠ±Π»Π°Π΄Π°Π΅Ρ ΠΎΠ΄Π½ΠΈΠΌ ΠΏΡΠ΅ΠΈΠΌΡΡΠ΅ΡΡΠ²ΠΎΠΌ β Π΄ΠΎΡΡΡΠΏΠ½ΠΎΠΉ ΡΡΠΎΠΈΠΌΠΎΡΡΡΡ. ΠΠΎ ΠΏΠ΅ΡΠ΅ΡΠ΅Π½Ρ Π½Π΅Π΄ΠΎΡΡΠ°ΡΠΊΠΎΠ² Π³ΠΎΡΠ°Π·Π΄ΠΎ Π±ΠΎΠ»Π΅Π΅ Π·Π½Π°ΡΠΈΡΠ΅Π»ΡΠ½ΡΠΉ. ΠΠ΅Π΄ΠΎΠ»Π³ΠΎΠ²Π΅ΡΠ½ΠΎΡΡΡ ΡΠΆΠ΅ ΡΠΏΠΎΠΌΠΈΠ½Π°Π»Π°ΡΡ, ΡΠ°ΠΊΠΆΠ΅ ΠΊΠΎΡΠΎΠ½ΠΊΠΈ Π±ΡΡΡΡΠΎ ΡΡΡΠ°ΡΠΈΠ²Π°ΡΡ ΡΠ²Π΅Ρ, ΠΈΠ·-Π·Π° ΡΠ΅Π³ΠΎ ΠΌΠ΅ΡΠ°Π»Π»ΠΈΡΠ΅ΡΠΊΠΎΠ΅ ΠΎΡΠ½ΠΎΠ²Π°Π½ΠΈΠ΅ ΡΡΠ°Π½ΠΎΠ²ΠΈΡΡΡ Π·Π°ΠΌΠ΅ΡΠ½ΠΎ. ΠΠ΅ΠΆΠ΄Ρ ΠΌΠ΅ΡΠ°Π»Π»ΠΈΡΠ΅ΡΠΊΠΈΠΌ ΠΎΡΠ½ΠΎΠ²Π°Π½ΠΈΠ΅ΠΌ ΠΈ ΠΏΠ»Π°ΡΡΠΌΠ°ΡΡΠΎΠ²ΠΎΠΉ ΡΠ°ΡΡΡΡ ΡΠ°ΡΡΠΎ Π½Π΅Π²ΠΎΠ·ΠΌΠΎΠΆΠ½ΠΎ Π΄ΠΎΡΡΠΈΡΡ Π΄ΠΎΠ»ΠΆΠ½ΠΎΠΉ ΡΡΠ΅ΠΏΠ΅Π½ΠΈ ΠΏΡΠΈΠ»Π΅Π³Π°Π½ΠΈΡ.

ΠΠ»Π°ΡΡΠΌΠ°ΡΡΠΎΠ²ΡΠ΅ ΠΊΠΎΡΠΎΠ½ΠΊΠΈ
ΠΠ·Π³ΠΎΡΠΎΠ²Π»Π΅Π½Π½ΡΠ΅ ΡΠΎΠ»ΡΠΊΠΎ ΠΈΠ· ΠΏΠ»Π°ΡΡΠΌΠ°ΡΡΡ ΡΡΡΡΠΎΠΉΡΡΠ²Π° ΠΏΡΠΈΠΌΠ΅Π½ΡΡΡΡΡ ΡΠΎΠ»ΡΠΊΠΎ ΠΊΠ°ΠΊ Π²ΡΠ΅ΠΌΠ΅Π½Π½ΡΠ΅ ΠΊΠΎΠ½ΡΡΡΡΠΊΡΠΈΠΈ. Π‘ΡΠΎΠΊ ΠΈΡ ΡΠ»ΡΠΆΠ±Ρ Π½Π΅Π·Π½Π°ΡΠΈΡΠ΅Π»Π΅Π½, ΠΈΡ ΠΎΠΏΡΠΈΠΌΠ°Π»ΡΠ½ΠΎ ΠΏΡΠΈΠΌΠ΅Π½ΡΡΡ Π½Π° Π²ΡΠ΅ΠΌΡ ΠΏΡΠΈΠΆΠΈΠ²Π»Π΅Π½ΠΈΡ ΠΈΠΌΠΏΠ°Π»Π½ΡΠΎΠ², ΠΏΡΠΈ ΠΈΠ·Π³ΠΎΡΠΎΠ²Π»Π΅Π½ΠΈΠΈ ΠΏΠΎΡΡΠΎΡΠ½Π½ΠΎΠΉ ΠΊΠΎΠ½ΡΡΡΡΠΊΡΠΈΠΈ.
ΠΠ°ΠΊΠΈΠ΅ ΠΊΠΎΡΠΎΠ½ΠΊΠΈ Π»ΡΡΡΠ΅ ΠΏΡΠΈΠΌΠ΅Π½ΡΡΡ
ΠΠ°ΠΊΠΈΠ΅ Π±ΡΠ²Π°ΡΡ Π·ΡΠ±Π½ΡΠ΅ ΠΊΠΎΡΠΎΠ½ΠΊΠΈ ΡΠΆΠ΅ ΡΡΠ½ΠΎ. ΠΠ°ΠΊΠΈΠ΅ ΠΈΠ· Π½ΠΈΡ ΠΏΠΎΠ΄Ρ ΠΎΠ΄ΡΡ, ΡΡΡΠ°Π½Π°Π²Π»ΠΈΠ²Π°Π΅Ρ ΡΠΏΠ΅ΡΠΈΠ°Π»ΠΈΡΡ ΠΏΠΎ ΠΌΠ΅Π΄ΠΈΡΠΈΠ½ΡΠΊΠΈΠΌ ΠΏΠΎΠΊΠ°Π·Π°Π½ΠΈΡΠΌ Ρ ΡΡΠ΅ΡΠΎΠΌ Π²ΡΠ΅Ρ Π½ΡΠ°Π½ΡΠΎΠ² ΠΈ ΠΏΠΎΠΆΠ΅Π»Π°Π½ΠΈΠΉ ΠΏΠ°ΡΠΈΠ΅Π½ΡΠ°. ΠΠΎΠΆΠ½ΠΎ Ρ ΡΠ²Π΅ΡΠ΅Π½Π½ΠΎΡΡΡΡ ΡΠΊΠ°Π·Π°ΡΡ, ΡΡΠΎ Π»Π΅ΡΠ°ΡΠΈΠΉ Π²ΡΠ°Ρ ΠΎΠΏΡΠ΅Π΄Π΅Π»ΡΠ΅Ρ Π»ΡΡΡΠΈΠ΅ ΠΊΠΎΡΠΎΠ½ΠΊΠΈ Π² ΠΊΠ°ΠΆΠ΄ΠΎΠΌ ΠΊΠΎΠ½ΠΊΡΠ΅ΡΠ½ΠΎΠΌ ΡΠ»ΡΡΠ°Π΅. ΠΡΠΆΠ½ΠΎ ΡΡΠΈΡΡΠ²Π°ΡΡ ΠΈ ΡΡΠΎΠΈΠΌΠΎΡΡΡ ΠΊΠΎΠ½ΡΡΡΡΠΊΡΠΈΠΉ, ΡΡΠΎΠΊ Π΅Π΅ ΡΠ»ΡΠΆΠ±Ρ.
ΠΠΎΡΠΎΠ½ΠΊΠΈ ΠΈΠΌΠ΅ΡΡ ΡΠ²ΠΎΠΉ ΡΡΠΎΠΊ ΡΠ»ΡΠΆΠ±Ρ, ΠΈΡ Π½Π΅ΠΎΠ±Ρ ΠΎΠ΄ΠΈΠΌΠΎ ΠΌΠ΅Π½ΡΡΡ Π½Π° Π½ΠΎΠ²ΡΠ΅ ΠΊΠ°ΠΆΠ΄ΡΠ΅ Π΄Π΅ΡΡΡΡ Π»Π΅Ρ.
ΠΠ½Π°ΡΠ΅ Π²ΠΎΠ·ΠΌΠΎΠΆΠ½ΠΎ Π²ΠΎΠ·Π½ΠΈΠΊΠ½ΠΎΠ²Π΅Π½ΠΈΠ΅ Π·ΡΠ±Π½ΠΎΠΉ Π±ΠΎΠ»ΠΈ, ΠΊΠ°ΡΠΈΠ΅ΡΠ° ΠΏΠΎΠ΄ ΠΊΠΎΡΠΎΠ½ΠΊΠ°ΠΌΠΈ.

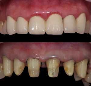
Π¦Π΅Π»ΡΠ½ΠΎΠΊΠ΅ΡΠ°ΠΌΠΈΡΠ΅ΡΠΊΠ°Ρ ΠΊΠΎΡΠΎΠ½ΠΊΠ° Π΄ΠΎ ΠΈ ΠΏΠΎΡΠ»Π΅ ΡΡΡΠ°Π½ΠΎΠ²ΠΊΠΈ
ΠΡΡΡΠΈΠ΅ ΠΏΠΎΠΊΠ°Π·Π°ΡΠ΅Π»ΠΈ Ρ ΡΠ΅Π»ΡΠ½ΠΎΠΊΠ΅ΡΠ°ΠΌΠΈΡΠ΅ΡΠΊΠΈΡ ΠΏΡΠΎΡΠ΅Π·ΠΎΠ², ΠΎΠ½ΠΈ ΠΏΡΠΎΡΠ½ΡΠ΅ ΠΈ Π²ΡΠ³Π»ΡΠ΄Ρ ΡΡΡΠ΅ΡΠΈΡΠ½ΠΎ, Π½ΠΎ ΠΎΠ½ΠΈ ΠΈ ΡΠ°ΠΌΡΠ΅ Π΄ΠΎΡΠΎΠ³ΠΎΡΡΠΎΡΡΠΈΠ΅. ΠΡΠΈΠ½ΡΠΈΠΏΠΈΠ°Π»ΡΠ½ΠΎ ΠΌΠΎΠΆΠ½ΠΎ ΡΡΠ²Π΅ΡΠΆΠ΄Π°ΡΡ, ΡΡΠΎ Π΄Π»Ρ ΠΏΠ΅ΡΠ΅Π΄Π½ΠΈΡ Π·ΡΠ±ΠΎΠ² ΠΎΠ½ΠΈ ΠΏΠΎΠ΄Ρ ΠΎΠ΄ΡΡ Π±ΠΎΠ»Π΅Π΅ Π²ΡΠ΅Ρ ΠΎΡΡΠ°Π»ΡΠ½ΡΡ , Π΄Π»Ρ ΠΆΠ΅Π²Π°ΡΠ΅Π»ΡΠ½ΡΡ Π·ΡΠ±ΠΎΠ² ΠΌΠΎΠΆΠ½ΠΎ ΠΏΠΎΠ΄ΠΎΠ±ΡΠ°ΡΡ Π΄ΡΡΠ³ΠΎΠΉ Π²Π°ΡΠΈΠ°Π½Ρ, Π΄ΠΎΡΡΡΠΏΠ½ΡΠΉ ΠΏΠΎ ΡΠ΅Π½Π΅. ΠΡΠ»ΠΈ ΠΏΠΎΡΠΌΠΎΡΡΠ΅ΡΡ Π½Π°Β ΡΠΎΡΠΎ Π΄ΠΎ ΠΈ ΠΏΠΎΡΠ»Π΅ ΠΊΠΎΡΠΎΠ½ΠΎΠΊ Π½Π° Π·ΡΠ±Ρ, ΠΌΠΎΠΆΠ½ΠΎ ΡΠ²ΠΈΠ΄Π΅ΡΡ, ΡΡΠΎ ΡΠ΅Π»ΡΠ½ΠΎΠΊΠ΅ΡΠ°ΠΌΠΈΡΠ΅ΡΠΊΠΈΠ΅ ΠΏΡΠΎΡΠ΅Π·Ρ Π±ΠΎΠ»Π΅Π΅ Π²ΡΠ³ΠΎΠ΄Π½ΠΎ ΡΠΌΠΎΡΡΡΡΡΡ, ΠΏΠΎΠ·Π²ΠΎΠ»ΡΡΡ Π²ΠΎΡΡΠΎΠ·Π΄Π°ΡΡ Π΅ΡΡΠ΅ΡΡΠ²Π΅Π½Π½ΡΠΉ Π²Π½Π΅ΡΠ½ΠΈΠΉ Π²ΠΈΠ΄ Π·ΡΠ±Π½ΠΎΠ³ΠΎ ΡΡΠ΄Π°.
[tube] https://www.youtube.com/watch?v=8HxaIL7Nnew Β«>
vashyzuby.ru
ΠΠ°ΠΊ Π²ΡΠ³Π»ΡΠ΄ΡΡ ΠΊΠΎΡΠΎΠ½ΠΊΠΈ Π½Π° Π·ΡΠ±Ρ Π΄ΠΎ ΠΈ ΠΏΠΎΡΠ»Π΅ ΡΠΎΡΠΎ, Π²ΠΈΠ΄Ρ ΠΊΠΎΡΠΎΠ½ΠΎΠΊ
Β
ΠΠΎΡΠΎΠ½ΠΊΠ° β Π½Π΅ΡΡΠ΅ΠΌΠ½Π°Ρ ΠΊΠΎΠ½ΡΡΡΡΠΊΡΠΈΡ, ΠΊΠΎΡΠΎΡΠ°Ρ Π΄Π°Π΅Ρ Π²ΠΎΠ·ΠΌΠΎΠΆΠ½ΠΎΡΡΡ Π²ΠΎΡΡΡΠ°Π½ΠΎΠ²ΠΈΡΡ ΡΠ°Π·ΠΌΠ΅Ρ ΠΈ ΡΠΎΡΠΌΡ Π·ΡΠ±Π°, Π° ΡΠ°ΠΊΠΆΠ΅ Π²Π΅ΡΠ½ΡΡΡ Π΅ΠΌΡ ΠΏΡΠΎΡΠ½ΠΎΡΡΡ ΠΈ Π²ΠΎΠ·ΠΌΠΎΠΆΠ½ΠΎΡΡΡ ΠΏΠ΅ΡΠ΅ΠΆΠ΅Π²ΡΠ²Π°ΡΡ ΠΏΠΈΡΡ. ΠΠΎΡΠΎΠ½ΠΊΠΈ Π·Π°ΡΠΈΡΠ°ΡΡ ΠΏΠΎΠ²ΡΠ΅ΠΆΠ΄Π΅Π½Π½ΡΠ΅ Π·ΡΠ±Ρ ΠΎΡ Π΄Π°Π»ΡΠ½Π΅ΠΉΡΠ΅Π³ΠΎ ΠΈΡ ΡΠ°Π·ΡΡΡΠ΅Π½ΠΈΡ. ΠΠ·Π΄Π΅Π»ΠΈΡ ΡΠ°ΠΊΠΆΠ΅ ΠΌΠΎΠ³ΡΡ Π±ΡΡΡ ΡΡΡΠ°Π½ΠΎΠ²Π»Π΅Π½Ρ Π΄Π»Ρ ΡΠΈΠΊΡΠ°ΡΠΈΠΈ ΠΌΠΎΡΡΠΎΠ²ΠΈΠ΄Π½ΡΡ ΠΏΡΠΎΡΠ΅Π·ΠΎΠ².
Π‘ΠΎΠ΄Π΅ΡΠΆΠ°Π½ΠΈΠ΅
ΠΠΎΠΊΠ°Π·Π°Π½ΠΈΡ ΠΈ ΠΏΡΠΎΡΠΈΠ²ΠΎΠΏΠΎΠΊΠ°Π·Π°Π½ΠΈΡ ΠΊ ΡΡΡΠ°Π½ΠΎΠ²ΠΊΠ΅
ΠΠ°ΠΊ Π²ΡΠ³Π»ΡΠ΄ΠΈΡ ΠΊΠΎΡΠΎΠ½ΠΊΠ° Π½Π° Π·ΡΠ± (ΡΠΎΡΠΎ)? ΠΠ½Π° Π½Π°ΠΏΠΎΠΌΠΈΠ½Π°Π΅Ρ ΠΊΠΎΠ»ΠΏΠ°ΡΠΎΠΊ, ΠΊΠΎΡΠΎΡΡΠΉ Π·Π°ΡΠ΅ΠΌ Π½Π°Π΄Π΅Π²Π°Π΅ΡΡΡ Π½Π° ΠΏΠΎΠ΄Π³ΠΎΡΠΎΠ²Π»Π΅Π½Π½ΡΠΉ Π·ΡΠ±. ΠΠ·Π΄Π΅Π»ΠΈΠ΅ ΠΌΠΎΠΆΠ΅Ρ Π±ΡΡΡ ΠΎΠ΄ΠΈΠ½ΠΎΡΠ½ΡΠΌ, Π° ΠΌΠΎΠΆΠ΅Ρ Π±ΡΡΡ ΡΠΎΡΡΠ°Π²Π»ΡΡΡΠ΅ΠΉ ΠΌΠΎΡΡΠΎΠ²ΠΈΠ΄Π½ΠΎΠ³ΠΎ ΠΏΡΠΎΡΠ΅Π·Π°.
ΠΠΎΡΠΎΠ½ΠΊΠΈ ΠΈΡΠΏΠΎΠ»ΡΠ·ΡΡΡΡΡ Π² ΡΠ»Π΅Π΄ΡΡΡΠΈΡ ΡΠ»ΡΡΠ°ΡΡ :
- Π΅ΡΠ»ΠΈ ΠΊΠΎΡΠΎΠ½ΠΊΠΎΠ²Π°Ρ ΡΠ°ΡΡΡ ΡΠ°Π·ΡΡΡΠ΅Π½Π° Π±ΠΎΠ»Π΅Π΅ ΡΠ΅ΠΌ Π½Π° ΠΏΠΎΠ»ΠΎΠ²ΠΈΠ½Ρ,
- Ρ ΡΠ΅Π»ΡΡ Π²ΠΎΡΡΡΠ°Π½ΠΎΠ²Π»Π΅Π½ΠΈΡ ΡΠΎΡΠΌΡ ΠΈ ΠΎΡΠ½ΠΎΠ²Π½ΡΡ ΡΡΠ½ΠΊΡΠΈΠΉ,
- ΡΠ°Π·Π»ΠΈΡΠ½ΡΠ΅ Π²ΡΠΎΠΆΠ΄Π΅Π½Π½ΡΠ΅ Π°Π½ΠΎΠΌΠ°Π»ΠΈΠΈ ΡΡΡΠΎΠ΅Π½ΠΈΡ ΠΈ ΡΠΎΡΠΌΡ,
- ΡΠ»ΡΠΎΡΠΎΠ·,
- ΠΏΡΠΈ ΠΏΡΠΎΡΠ΅Π·ΠΈΡΠΎΠ²Π°Π½ΠΈΠΈ ΠΈΠΌΠΏΠ»Π°Π½ΡΠ°ΠΌΠΈ,
- ΠΏΠΎΠ΄Π΄Π΅ΡΠΆΠ°ΡΡ Π·ΡΠ± Ρ Π±ΠΎΠ»ΡΡΠΎΠΉ ΠΏΠ»ΠΎΠΌΠ±ΠΎΠΉ,
- Π·Π°ΠΊΡΡΡΡ Π·ΡΠ±, ΠΊΠΎΡΠΎΡΡΠΉ Π·Π°ΠΌΠ΅ΡΠ½ΠΎ ΠΈΠ·ΠΌΠ΅Π½ΠΈΠ» ΡΠ²ΠΎΠΉ ΡΠ²Π΅Ρ,
- Π²ΠΎΡΡΡΠ°Π½ΠΎΠ²Π»Π΅Π½ΠΈΠ΅ ΡΠ°Π·ΡΡΡΠ΅Π½ΠΈΠΉ Π² ΡΠ΅Π·ΡΠ»ΡΡΠ°ΡΠ΅ ΡΡΠ΅ΡΠΈΠ½ ΠΈΠ»ΠΈ ΡΠΊΠΎΠ»ΠΎΠ²,
- ΡΡΠΎΠ±Ρ Π²ΠΎΡΡΡΠ°Π½ΠΎΠ²ΠΈΡΡ ΡΡΡΠ΅ΡΠΈΡΠ΅ΡΠΊΠΈΠΉ Π²Π½Π΅ΡΠ½ΠΈΠΉ Π²ΠΈΠ΄.
ΠΠ½Π΅Π½ΠΈΠ΅ ΡΠΊΡΠΏΠ΅ΡΡΠ°. ΠΡΠ°Ρ-ΡΡΠΎΠΌΠ°ΡΠΎΠ»ΠΎΠ³ ΠΠ°ΡΠ²ΠΈΠΉΡΡΠΊ. Π.Π. : Β«ΠΠΎΡΠΎΠ½ΠΊΠΈ ΡΠ°ΠΊΠΆΠ΅ ΡΠΈΡΠΎΠΊΠΎ ΠΈΡΠΏΠΎΠ»ΡΠ·ΡΡΡΡΡ Π² Π΄Π΅ΡΡΠΊΠΎΠΉ ΡΡΠΎΠΌΠ°ΡΠΎΠ»ΠΎΠ³ΠΈΠΈ,Β ΡΡΠΎΠ±Ρ ΡΠΎΡ ΡΠ°Π½ΠΈΡΡ Π·ΡΠ±, ΠΊΠΎΡΠΎΡΡΠΉ ΠΏΠΎΠ²ΡΠ΅ΠΆΠ΄Π΅Π½ ΠΊΠ°ΡΠΈΠ΅ΡΠΎΠΌ Π½Π°ΡΡΠΎΠ»ΡΠΊΠΎ, ΡΡΠΎ Π² Π½Π΅ΠΌ Π½Π΅ Π΄Π΅ΡΠΆΠΈΡΡΡ ΠΏΠ»ΠΎΠΌΠ±Π°. Π’Π°ΠΊΠΆΠ΅ ΠΎΠ½ΠΈ ΠΏΡΠΈΠΌΠ΅Π½ΡΡΡΡΡΒ Π΄Π»Ρ Π·Π°ΡΠΈΡΡ ΠΎΡ ΠΊΠ°ΡΠΈΠ΅ΡΠ° Π² ΡΠ»ΡΡΠ°ΡΡ , ΠΊΠΎΠ³Π΄Π° ΡΠ΅Π±Π΅Π½ΠΎΠΊ Π½Π΅ ΠΌΠΎΠΆΠ΅Ρ ΠΏΠΎΠ΄Π΄Π΅ΡΠΆΠΈΠ²Π°ΡΡ Π½Π°Π΄Π»Π΅ΠΆΠ°ΡΠΈΠΉ ΡΡ ΠΎΠ΄ Π·Π° ΡΠΎΡΠΎΠ²ΠΎΠΉ ΠΏΠΎΠ»ΠΎΡΡΡΡΒ».
Π Π½Π΅ΠΊΠΎΡΠΎΡΡΡ ΡΠ»ΡΡΠ°ΡΡ ΡΡΡΠ°Π½ΠΎΠ²ΠΊΠ° ΠΊΠΎΡΠΎΠ½ΠΎΠΊ ΠΏΡΠΎΡΠΈΠ²ΠΎΠΏΠΎΠΊΠ°Π·Π°Π½Π°:
- Π°Π»Π»Π΅ΡΠ³ΠΈΡ Π½Π° ΠΌΠ°ΡΠ΅ΡΠΈΠ°Π», ΠΈΠ· ΠΊΠΎΡΠΎΡΠΎΠ³ΠΎ ΠΈΠ·Π³ΠΎΡΠΎΠ²Π»Π΅Π½Π° ΠΊΠΎΡΠΎΠ½ΠΊΠ°,

ΠΠ°ΡΠΊΠ°Ρ ΠΌΠ΅ΡΠ°Π»Π»ΠΎΠΊΠ΅ΡΠ°ΠΌΠΈΡΠ΅ΡΠΊΠΎΠΉ ΠΊΠΎΡΠΎΠ½ΠΊΠΈ Π²ΡΠΏΠΎΠ»Π½Π΅Π½ ΠΈΠ· ΠΌΠ΅ΡΠ°Π»Π»Π°.
- ΠΏΠΎΠ²ΡΡΠ΅Π½Π½Π°Ρ ΠΏΠΎΠ΄Π²ΠΈΠΆΠ½ΠΎΡΡΡ Π·ΡΠ±ΠΎΠ²,
- ΡΠ°Π·Π»ΠΈΡΠ½ΡΠ΅ Π°Π½ΠΎΠΌΠ°Π»ΠΈΠΈ ΠΏΡΠΈΠΊΡΡΠ°,
- Π΅ΡΠ»ΠΈ Π²ΡΡΠΎΡΠ° ΡΠΎΡ ΡΠ°Π½ΠΈΠ²ΡΠ΅ΠΉΡΡ ΡΠ°ΡΡΠΈ ΠΊΠΎΡΠΎΠ½ΠΊΠΎΠ²ΠΎΠΉ ΡΠ°ΡΡΠΈ Π·ΡΠ±Π° Π½Π΅Π΄ΠΎΡΡΠ°ΡΠΎΡΠ½Π° Π΄Π»Ρ ΡΡΡΠ°Π½ΠΎΠ²ΠΊΠΈ ΠΊΠΎΠ½ΡΡΡΡΠΊΡΠΈΠΈ,
- Π²ΠΎΠ·ΡΠ°ΡΡ Π΄ΠΎ 16 Π»Π΅Ρ,
- Π·Π°Π±ΠΎΠ»Π΅Π²Π°Π½ΠΈΡ ΡΠΊΠ°Π½Π΅ΠΉ ΠΏΠ°ΡΠΎΠ΄ΠΎΠ½ΡΠ°,
- ΡΠΎΠ½ΠΊΠΈΠ΅ ΡΡΠ΅Π½ΠΊΠΈ ΡΠΌΠ°Π»ΠΈ.
Π§ΠΈΡΠ°ΠΉΡΠ΅ ΡΠ°ΠΊΠΆΠ΅:
ΠΠΈΠ΄Ρ
ΠΠΈΠ΄Ρ Π·ΡΠ±Π½ΡΡ ΠΊΠΎΡΠΎΠ½ΠΎΠΊ:
- ΠΠ΅ΡΠ°Π»Π»ΠΈΡΠ΅ΡΠΊΠΈΠ΅: Π»ΠΈΡΡΠ΅ ΠΈ ΡΡΠ°ΠΌΠΏΠΎΠ²Π°Π½Π½ΡΠ΅

Π’Π°ΠΊ Π²ΡΠ³Π»ΡΠ΄ΡΡ ΠΊΠΎΡΠΎΠ½ΠΊΠΈ ΠΈΠ· Π΄ΠΈΠΎΠΊΡΠΈΠ΄Π° ΡΠΈΡΠΊΠΎΠ½ΠΈΡ.
Π¨ΡΠ°ΠΌΠΏΠΎΠ²Π°Π½Π½ΡΠ΅ ΠΈΠ·Π΄Π΅Π»ΠΈΡ ΡΠΆΠ΅ ΠΏΡΠ°ΠΊΡΠΈΡΠ΅ΡΠΊΠΈ Π½Π΅ ΠΏΡΠΈΠΌΠ΅Π½ΡΡΡΡΡ Π² ΡΡΠΎΠΌΠ°ΡΠΎΠ»ΠΎΠ³ΠΈΠΈ, ΡΠ°ΠΊ ΠΊΠ°ΠΊ ΠΈΠΌΠ΅ΡΡ ΠΌΠ½ΠΎΠΆΠ΅ΡΡΠ²ΠΎ Π½Π΅Π΄ΠΎΡΡΠ°ΡΠΊΠΎΠ². ΠΠΎΠ½ΡΡΡΡΠΊΡΠΈΡ Π½Π΅ΠΏΠ»ΠΎΡΠ½ΠΎ ΠΎΠ±Ρ Π²Π°ΡΡΠ²Π°Π΅Ρ Π·ΡΠ±, Π² ΡΠ΅Π·ΡΠ»ΡΡΠ°ΡΠ΅ ΡΠ΅Π³ΠΎ Π² ΠΏΡΠΎΡΠ²Π΅ΡΠ΅ ΡΠΊΠ°ΠΏΠ»ΠΈΠ²Π°Π΅ΡΡΡ Π½Π°Π»Π΅Ρ ΠΈ ΠΎΡΡΠ°ΡΠΊΠΈ Π΅Π΄Ρ. ΠΡΠΎΠΌΠ΅ ΡΠΎΠ³ΠΎ, ΡΡΠ°ΠΌΠΏΠΎΠ²Π°Π½Π½ΡΠ΅ ΠΊΠΎΡΠΎΠ½ΠΊΠΈΒ ΠΈΠΌΠ΅ΡΡ Π½Π΅ ΠΎΡΠ΅Π½Ρ ΡΡΡΠ΅ΡΠΈΡΠ½ΡΠΉ Π²Π½Π΅ΡΠ½ΠΈΠΉ Π²ΠΈΠ΄ ΠΈ Π±ΡΡΡΡΠΎ ΠΈΠ·Π½Π°ΡΠΈΠ²Π°ΡΡΡΡ.
- ΠΠ΅ΡΠ°Π»Π»ΠΎΠΊΠ΅ΡΠ°ΠΌΠΈΡΠ΅ΡΠΊΠΈΠ΅
ΠΠ½ΡΡΡΠΈ ΡΠ°ΠΊΠΎΠ΅ ΠΈΠ·Π΄Π΅Π»ΠΈΠ΅ β ΡΡΠΎ ΠΌΠ΅ΡΠ°Π»Π»ΠΈΡΠ΅ΡΠΊΠΈΠΉ ΠΊΠ°ΡΠΊΠ°Ρ ΡΠΎΠ»ΡΠΈΠ½ΠΎΠΉ 0,3-0,5 ΠΌΠΌ. Π‘Π½Π°ΡΡΠΆΠΈ β ΡΡΠΎ ΠΊΠ΅ΡΠ°ΠΌΠΈΡΠ΅ΡΠΊΠ°Ρ ΠΎΠ±Π»ΠΈΡΠΎΠ²ΠΊΠ°. ΠΠ°ΡΠΊΠ°Ρ ΠΌΠΎΠΆΠ΅Ρ ΠΎΡΠ»ΠΈΠ²Π°ΡΡΡΡ ΠΊΠ°ΠΊ ΠΈΠ· ΡΠ°Π·Π»ΠΈΡΠ½ΡΡ ΡΠΏΠ»Π°Π²ΠΎΠ² ΠΌΠ΅ΡΠ°Π»Π»ΠΎΠ², ΡΠ°ΠΊ ΠΈ ΠΈΠ· ΡΠΈΡΡΡΡ Π΄ΡΠ°Π³ΠΎΡΠ΅Π½Π½ΡΡ ΠΌΠ΅ΡΠ°Π»Π»ΠΎΠ² (Π·ΠΎΠ»ΠΎΡΠΎ, ΠΏΠ»Π°ΡΠΈΠ½Π°, ΠΏΠ°Π»Π»Π°Π΄ΠΈΠΉ).
ΠΠ΅ΡΠ°Π»Π»ΠΎΠΊΠ΅ΡΠ°ΠΌΠΈΡΠ΅ΡΠΊΠΈΠ΅ ΠΊΠΎΡΠΎΠ½ΠΊΠΈ ΠΏΡΠΎΡΠ½ΡΠ΅, Π½Π°Π΄Π΅ΠΆΠ½ΡΠ΅ ΠΈ ΠΈΠΌΠ΅ΡΡ Π½Π΅ΠΏΠ»ΠΎΡ ΠΈΠ΅ ΡΡΡΠ΅ΡΠΈΡΠ΅ΡΠΊΠΈΠ΅ ΠΊΠ°ΡΠ΅ΡΡΠ²Π°. ΠΠΎ ΡΡΡΠΈΡΠ΅, ΡΡΠΎ Π΄Π»Ρ ΡΡΡΠ°Π½ΠΎΠ²ΠΊΠΈ ΡΠ°ΠΊΠΎΠ³ΠΎ ΠΈΠ·Π΄Π΅Π»ΠΈΡ Π½Π΅ΠΎΠ±Ρ ΠΎΠ΄ΠΈΠΌΠΎ Π΄Π΅ΠΏΡΠ»ΡΠΏΠΈΡΠΎΠ²Π°ΡΡ Π·ΡΠ±, Π° ΡΠ°ΠΊΠΆΠ΅ ΡΡΠ°ΡΠΈΠ²Π°ΡΡ Π΅Π³ΠΎ ΠΏΡΠΈΠΌΠ΅ΡΠ½ΠΎ Π½Π° 1,5-2 ΠΌΠΌ.
- ΠΠ΅ΡΠ°ΠΌΠΈΡΠ΅ΡΠΊΠΈΠ΅
ΠΠ΅ΡΠ°ΠΌΠΈΡΠ΅ΡΠΊΠ°Ρ ΠΊΠΎΡΠΎΠ½ΠΊΠ° Π½Π° Π·ΡΠ± (ΡΠΎΡΠΎ) ΠΈΠ·Π³ΠΎΡΠ°Π²Π»ΠΈΠ²Π°Π΅ΡΡΡ ΠΏΠΎΠ»Π½ΠΎΡΡΡΡ ΠΈΠ· ΠΊΠ΅ΡΠ°ΠΌΠΈΠΊΠΈ. ΠΠ½ΠΈ ΠΎΡΠ»ΠΈΡΠ°ΡΡΡΡ Π²ΡΡΠΎΠΊΠΈΠΌΠΈ ΡΡΡΠ΅ΡΠΈΡΠ΅ΡΠΊΠΈΠΌΠΈ ΠΊΠ°ΡΠ΅ΡΡΠ²Π°ΠΌΠΈ ΠΈ ΠΏΡΠ°ΠΊΡΠΈΡΠ΅ΡΠΊΠΈ Π½ΠΈΡΠ΅ΠΌ Π½Π΅ ΠΎΡΠ»ΠΈΡΠ°ΡΡΡΡ ΠΏΠΎ Π²Π½Π΅ΡΠ½Π΅ΠΌΡ Π²ΠΈΠ΄Ρ ΠΎΡ Π½Π°ΡΡΠΎΡΡΠ΅ΠΉ ΡΠΌΠ°Π»ΠΈ.
Π Π±ΠΎΠ»ΡΡΠΈΠ½ΡΡΠ²Π΅ ΡΠ»ΡΡΠ°Π΅Π² Π΄Π»Ρ ΠΈΠ·Π³ΠΎΡΠΎΠ²Π»Π΅Π½ΠΈΡ ΠΊΠ΅ΡΠ°ΠΌΠΈΡΠ΅ΡΠΊΠΈΡ ΠΊΠΎΡΠΎΠ½ΠΎΠΊ ΠΏΡΠΈΠΌΠ΅Π½ΡΠ΅ΡΡΡ ΡΠ°ΡΡΠΎΡ ΠΈΠ»ΠΈ Π΄ΠΈΠΎΠΊΡΠΈΠ΄ ΡΠΈΡΠΊΠΎΠ½ΠΈΡ.
- Π€Π°ΡΡΠΎΡΠΎΠ²ΡΠ΅
ΠΠ· ΡΠ°ΡΡΠΎΡΠ° ΠΈΠ·Π³ΠΎΡΠ°Π²Π»ΠΈΠ²Π°ΡΡΡΡ ΠΈΡΠΊΠ»ΡΡΠΈΡΠ΅Π»ΡΠ½ΠΎ ΠΎΠ΄ΠΈΠ½ΠΎΡΠ½ΡΠ΅ ΠΊΠΎΡΠΎΠ½ΠΊΠΈ. ΠΠΎ ΠΎΠ½ΠΈ Π½Π΅ ΠΏΠΎΠ΄Ρ ΠΎΠ΄ΡΡ Π΄Π»Ρ ΡΡΡΠ°Π½ΠΎΠ²ΠΊΠΈ ΠΌΠΎΡΡΠΎΠ²ΠΈΠ΄Π½ΡΡ ΠΏΡΠΎΡΠ΅Π·ΠΎΠ² ΠΈ ΡΡΠΎΡΡ Π΄ΠΎΡΡΠ°ΡΠΎΡΠ½ΠΎ Π΄ΠΎΡΠΎΠ³ΠΎ.
- ΠΠΈΠΎΠΊΡΠΈΠ΄ ΡΠΈΡΠΊΠΎΠ½ΠΈΡ
Π’Π°ΠΊΠΎΠ΅ ΠΈΠ·Π΄Π΅Π»ΠΈΠ΅ ΡΠΎΡΡΠΎΠΈΡ ΠΈΠ· ΠΊΠ°ΡΠΊΠ°ΡΠ° (Π΄ΠΈΠΎΠΊΡΠΈΠ΄ ΡΠΈΡΠΊΠΎΠ½ΠΈΡ) ΠΈ ΠΎΠ±Π»ΠΈΡΠΎΠ²ΠΊΠΈ ΠΈΠ· ΡΠ°ΡΡΠΎΡΠ°. Π¦ΠΈΡΠΊΠΎΠ½ΠΈΠ΅Π²ΡΠΉ ΠΊΠ°ΡΠΊΠ°Ρ ΠΏΡΠΎΠΏΡΡΠΊΠ°Π΅Ρ ΡΠ²Π΅Ρ Π² ΠΎΡΠ»ΠΈΡΠΈΠ΅ ΠΎΡ ΠΌΠ΅ΡΠ°Π»Π»ΠΈΡΠ΅ΡΠΊΠΎΠ³ΠΎ. ΠΠΈΠΎΠΊΡΠΈΠ΄ ΡΠΈΡΠΊΠΎΠ½ΠΈΡ β ΠΏΡΠΎΡΠ½ΡΠΉ, Π΄ΠΎΠ»Π³ΠΎΠ²Π΅ΡΠ½ΡΠΉ ΠΌΠ°ΡΠ΅ΡΠΈΠ°Π», ΠΊΠΎΡΠΎΡΡΠΉ ΠΎΡΠ»ΠΈΡΠ°Π΅ΡΡΡ Π²ΡΡΠΎΠΊΠΈΠΌΠΈ ΡΡΡΠ΅ΡΠΈΡΠ΅ΡΠΊΠΈΠΌΠΈ ΠΊΠ°ΡΠ΅ΡΡΠ²Π°ΠΌΠΈ.
- ΠΠ΅ΡΠ°Π»Π»ΠΎΠΊΠΎΠΌΠΏΠΎΠ·ΠΈΡΠ½ΡΠ΅ (ΠΌΠ΅ΡΠ°Π»Π»ΠΎΠΏΠ»Π°ΡΡΠΌΠ°ΡΡΠΎΠ²ΡΠ΅)
ΠΡΠΎ ΠΊΠΎΠΌΠ±ΠΈΠ½ΠΈΡΠΎΠ²Π°Π½Π½ΠΎΠ΅ ΠΈΠ·Π΄Π΅Π»ΠΈΠ΅, ΠΊΠΎΡΠΎΡΠΎΠ΅ ΠΈΠ·Π³ΠΎΡΠ°Π²Π»ΠΈΠ²Π°Π΅ΡΡΡ ΠΌΠ΅ΡΠΎΠ΄ΠΎΠΌ Π»ΠΈΡΡΡ, Π° Π·Π°ΡΠ΅ΠΌ ΠΎΠ±Π»ΠΈΡΠΎΠ²ΡΠ²Π°Π΅ΡΡΡ ΠΏΠ»Π°ΡΡΠΌΠ°ΡΡΠΎΠΉ. ΠΠ½ΠΈ ΠΈΠΌΠ΅ΡΡ Π½Π΅ΠΏΠ»ΠΎΡ ΠΈΠ΅ ΡΡΡΠ΅ΡΠΈΡΠ΅ΡΠΊΠΈΠ΅ ΠΊΠ°ΡΠ΅ΡΡΠ²Π°, Π½ΠΎ ΡΠΎ Π²ΡΠ΅ΠΌΠ΅Π½Π΅ΠΌ ΠΏΠ»Π°ΡΡΠΌΠ°ΡΡΠΎΠ²Π°Ρ ΡΠ°ΡΡΡ ΡΠ΅ΡΡΠ΅Ρ ΡΠ²ΠΎΠΉ ΠΈΠ·Π½Π°ΡΠ°Π»ΡΠ½ΡΠΉ Π²Π½Π΅ΡΠ½ΠΈΠΉ Π²ΠΈΠ΄ ΠΈ ΡΠ²Π΅Ρ.
ΠΡΠΎΠΌΠ΅ ΡΠΎΠ³ΠΎ, ΠΏΠ»Π°ΡΡΠΌΠ°ΡΡΠ° Π½Π΅ Π²ΡΠ΄Π΅ΡΠΆΠΈΠ²Π°Π΅Ρ Π²ΡΡΠΎΠΊΠΈΠ΅ ΠΆΠ΅Π²Π°ΡΠ΅Π»ΡΠ½ΡΠ΅ Π½Π°Π³ΡΡΠ·ΠΊΠΈ ΠΈ Π²ΠΏΠΈΡΡΠ²Π°Π΅Ρ Π½Π΅ΠΏΡΠΈΡΡΠ½ΡΠ΅ Π·Π°ΠΏΠ°Ρ ΠΈ. Π’Π°ΠΊΠΈΠ΅ ΠΈΠ·Π΄Π΅Π»ΠΈΡ ΡΠ°ΡΠ΅ Π²ΡΠ΅Π³ΠΎ ΠΈΡΠΏΠΎΠ»ΡΠ·ΡΡΡΡΡ Π² ΠΊΠ°ΡΠ΅ΡΡΠ²Π΅ Π²ΡΠ΅ΠΌΠ΅Π½Π½ΡΡ .
- ΠΠΎΠ»ΠΎΡΡΠ΅
ΠΠΎΠ½ΡΡΡΡΠΊΡΠΈΠΈ ΠΈΠ· ΡΡΠΎΠ³ΠΎ Π΄ΡΠ°Π³ΠΎΡΠ΅Π½Π½ΠΎΠ³ΠΎ ΠΌΠ΅ΡΠ°Π»Π»Π° Π΄ΠΎ ΡΠΈΡ ΠΏΠΎΡ ΠΏΠΎΠΏΡΠ»ΡΡΠ½Ρ Π±Π»Π°Π³ΠΎΠ΄Π°ΡΡ ΠΏΡΠ΅ΠΈΠΌΡΡΠ΅ΡΡΠ²Π°ΠΌ:
- ΠΈΠ·Π΄Π΅Π»ΠΈΠ΅ ΠΏΠΎΡΡΠΈ Π½Π΅ ΡΠΎΠ΄Π΅ΡΠΆΠΈΡ ΠΏΡΠΈΠΌΠ΅ΡΠ΅ΠΉ,

ΠΠΎΠ»ΠΎΡΡΠ΅ ΠΊΠΎΡΠΎΠ½ΠΊΠΈ Π°ΠΊΡΡΠ°Π»ΡΠ½Ρ Π΄ΠΎ ΡΠΈΡ ΠΏΠΎΡ.
- ΠΎΡΠ»ΠΈΡΠ½Π°Ρ Π±ΠΈΠΎΡΠΎΠ²ΠΌΠ΅ΡΡΠΈΠΌΠΎΡΡΡ Ρ ΡΠΊΠ°Π½ΡΠΌΠΈ ΡΠΎΡΠΎΠ²ΠΎΠΉ ΠΏΠΎΠ»ΠΎΡΡΠΈ,
- Π·ΠΎΠ»ΠΎΡΠΎ Π½Π΅ ΠΏΠΎΠ΄Π²Π΅ΡΠ³Π°Π΅ΡΡΡ ΠΊΠΎΡΡΠΎΠ·ΠΈΠΈ,
- Π½ΠΈΠ·ΠΊΠΈΠ΅ ΠΏΠΎΠΊΠ°Π·Π°ΡΠ΅Π»ΠΈ ΠΈΡΡΠΈΡΠ°Π΅ΠΌΠΎΡΡΠΈ,
- ΠΎΡΠ½ΠΎΠ²Π° Π·ΠΎΠ»ΠΎΡΠΎΠΉ ΠΊΠΎΡΠΎΠ½ΠΊΠΈ ΠΏΠ»ΠΎΡΠ½ΠΎ ΠΎΡ Π²Π°ΡΡΠ²Π°Π΅Ρ ΡΠ΅ΠΉΠΊΡ Π·ΡΠ±Π°.
ΠΡΠΎΠΌΠ΅ ΡΠΎΠ³ΠΎ, ΠΊΠΎΡΠΎΠ½ΠΊΠΈ ΡΠ°Π·Π»ΠΈΡΠ°ΡΡ Π² Π·Π°Π²ΠΈΡΠΈΠΌΠΎΡΡΠΈ ΠΎΡ ΠΈΡ ΠΊΠΎΠ½ΡΡΡΡΠΊΡΠΈΠΈ:
- ΠΏΠΎΠ»Π½ΡΠ΅ Π·Π°ΠΌΠ΅ΡΠ°ΡΡ Π²Π΅ΡΡ Π·ΡΠ±,
- ΡΠΊΠ²Π°ΡΠΎΡΠ½ΡΠ΅ ΠΈΠ·Π³ΠΎΡΠ°Π²Π»ΠΈΠ²Π°ΡΡΡΡ ΠΈΠ· ΠΌΠ΅ΡΠ°Π»Π»Π° ΠΈ ΠΏΡΠΈΠΌΠ΅Π½ΡΡΡΡΡ ΠΏΡΠΈ ΡΠΈΠ½ΠΈΡΠΎΠ²Π°Π½ΠΈΠΈ,
- ΠΊΡΠ»ΡΡΠ΅Π²ΡΠ΅ ΠΏΡΠΈΠΌΠ΅Π½ΡΡΡΡΡ Π΄Π»Ρ ΡΠΈΠ»ΡΠ½ΠΎ ΡΠ°Π·ΡΡΡΠ΅Π½Π½ΡΡ Π·ΡΠ±ΠΎΠ²,
- ΠΏΠΎΠ»ΡΠΊΠΎΡΠΎΠ½ΠΊΠ° ΠΏΠΎΠΊΡΡΠ²Π°Π΅Ρ Π·ΡΠ± ΡΠΎ Π²ΡΠ΅Ρ ΡΡΠΎΡΠΎΠ½, ΠΊΡΠΎΠΌΠ΅ Π΅Π³ΠΎ ΡΠ·ΡΡΠ½ΠΎΠΉ ΡΠ°ΡΡΠΈ,
- ΡΠ΅Π»Π΅ΡΠΊΠΎΠΏΠΈΡΠ΅ΡΠΊΠΈΠ΅,
- ΡΠΎ ΡΡΠΈΡΡΠΎΠΌ.
ΠΠΎΡΡΠΎΠΈΠ½ΡΡΠ²Π° ΠΈ Π½Π΅Π΄ΠΎΡΡΠ°ΡΠΊΠΈ
ΠΠΎΡΠΎΠ½ΠΊΠΈ Π½Π° Π·ΡΠ±Ρ (Π΄ΠΎ ΠΈ ΠΏΠΎΡΠ»Π΅ ΡΠΎΡΠΎ) ΠΈΠΌΠ΅ΡΡ ΠΌΠ½ΠΎΠΆΠ΅ΡΡΠ²ΠΎ ΠΏΡΠ΅ΠΈΠΌΡΡΠ΅ΡΡΠ²:
- Π²ΡΡΠΎΠΊΠΈΠ΅ ΡΡΡΠ΅ΡΠΈΡΠ΅ΡΠΊΠΈΠ΅ ΠΊΠ°ΡΠ΅ΡΡΠ²Π°,
- Π΄ΠΎΠ»Π³ΠΎΠ²Π΅ΡΠ½ΠΎΡΡΡ ΠΈ ΠΏΡΠΎΡΠ½ΠΎΡΡΡ,
- ΡΠΎΠ²ΡΠ΅ΠΌΠ΅Π½Π½ΡΠ΅ ΠΌΠ°ΡΠ΅ΡΠΈΠ°Π»Ρ ΠΏΠΎΠ·Π²ΠΎΠ»ΡΡΡ ΠΏΡΠΎΠ²ΠΎΠ΄ΠΈΡΡ ΠΏΡΠΎΡΠ΅Π·ΠΈΡΠΎΠ²Π°Π½ΠΈΠ΅ ΠΏΠ΅ΡΠ΅Π΄Π½ΠΈΡ Π·ΡΠ±ΠΎΠ² Π½Π° Π²ΡΡΠΎΠΊΠΎΠΌ ΡΡΠΎΠ²Π½Π΅,
- ΡΡΡΠ°Π½ΠΎΠ²ΠΊΠ° ΠΊΠΎΡΠΎΠ½ΠΊΠΈ Π½Π° Π΄Π΅ΠΏΡΠ»ΡΠΏΠΈΡΠΎΠ²Π°Π½Π½ΡΠΉ Π·ΡΠ± Π·Π½Π°ΡΠΈΡΠ΅Π»ΡΠ½ΠΎ ΠΏΡΠΎΠ΄Π»Π΅Π²Π°Π΅Ρ ΡΡΠΎΠΊ Π΅Π³ΠΎ ΠΆΠΈΠ·Π½ΠΈ.
ΠΠΎ Π΄Π°Π½Π½ΡΠΉ Π²ΠΈΠ΄ Π½Π΅ΡΡΠ΅ΠΌΠ½ΠΎΠ³ΠΎ ΠΏΡΠΎΡΠ΅Π·ΠΈΡΠΎΠ²Π°Π½ΠΈΡ ΠΈΠΌΠ΅Π΅Ρ Π½Π΅ΠΊΠΎΡΠΎΡΡΠ΅ ΠΌΠΈΠ½ΡΡΡ, ΠΊΠΎΡΠΎΡΡΠ΅ Π½Π΅ΠΎΠ±Ρ ΠΎΠ΄ΠΈΠΌΠΎ ΡΡΠΈΡΡΠ²Π°ΡΡ:
- Π΅ΡΠ»ΠΈ ΠΊΠΎΡΠΎΠ½ΠΊΠΈ ΠΏΡΠΈΠΌΠ΅Π½ΡΡΡΡΡ ΠΏΡΠΈ ΡΡΡΠ°Π½ΠΎΠ²ΠΊΠ΅ ΠΌΠΎΡΡΠΎΠ²ΠΈΠ΄Π½ΠΎΠ³ΠΎ ΠΏΡΠΎΡΠ΅Π·Π°, ΠΎΠΏΠΎΡΠ½ΡΠ΅ Π·ΡΠ±Ρ ΠΏΡΠΈ ΡΡΠΎΠΌ ΠΏΠΎΠ΄Π»Π΅ΠΆΠ°Ρ ΠΎΠ±ΡΠΎΡΠΊΠ΅ (ΠΏΡΠ΅ΠΏΠ°ΡΠΈΡΠΎΠ²Π°Π½ΠΈΡ),
- ΠΌΠ΅ΡΠ°Π»Π»ΠΈΡΠ΅ΡΠΊΠΈΠ΅ ΠΈΠ·Π΄Π΅Π»ΠΈΡ ΠΈΠΌΠ΅ΡΡ Π½Π΅ΡΡΡΠ΅ΡΠΈΡΠ½ΡΠΉ Π²Π½Π΅ΡΠ½ΠΈΠΉ Π²ΠΈΠ΄,
- ΠΊΠ΅ΡΠ°ΠΌΠΈΡΠ΅ΡΠΊΠΈΠ΅ ΠΊΠΎΡΠΎΠ½ΠΊΠΈ Π½Π΅ ΠΎΡΠ΅Π½Ρ ΠΏΡΠΎΡΠ½ΡΠ΅,
- Π΅ΡΠ»ΠΈ Π·ΡΠ± ΠΏΠΎΠ΄Π»Π΅ΠΆΠΈΡ Π΄Π΅ΠΏΡΠ»ΡΠΏΠΈΡΠΎΠ²Π°Π½ΠΈΡ ΠΏΠ΅ΡΠ΅Π΄ ΠΏΡΠΎΡΠ΅Π·ΠΈΡΠΎΠ²Π°Π½ΠΈΠ΅ΠΌ, Π²ΠΎΠ·ΡΠ°ΡΡΠ°Π΅Ρ ΡΠΈΡΠΊ ΡΠ°Π·Π²ΠΈΡΠΈΡ Π²ΠΎΡΠΏΠ°Π»ΠΈΡΠ΅Π»ΡΠ½ΠΎΠ³ΠΎ ΠΏΡΠΎΡΠ΅ΡΡΠ°.
ΠΡΠ°ΠΏΡ ΡΡΡΠ°Π½ΠΎΠ²ΠΊΠΈ

Π€ΠΎΡΠΎ Π·ΡΠ±ΠΎΠ² Π±Π΅Π· ΠΊΠΎΡΠΎΠ½ΠΎΠΊ ΠΈ ΠΏΠΎΡΠ»Π΅ ΠΏΡΠΎΡΠ΅Π·ΠΈΡΠΎΠ²Π°Π½ΠΈΡ.
ΠΠ»Ρ ΡΡΡΠ°Π½ΠΎΠ²ΠΊΠΈ ΠΊΠΎΡΠΎΠ½ΠΊΠΈ Π½Π΅ΠΎΠ±Ρ ΠΎΠ΄ΠΈΠΌΠΎ Π±ΡΠ΄Π΅Ρ ΠΏΠΎΡΠ΅ΡΠΈΡΡ ΡΡΠΎΠΌΠ°ΡΠΎΠ»ΠΎΠ³Π° Π΄Π²Π°ΠΆΠ΄Ρ. Π ΠΏΠ΅ΡΠ²ΠΎΠ΅ ΠΏΠΎΡΠ΅ΡΠ΅Π½ΠΈΠ΅ Π²ΡΠ°Ρ ΠΏΡΠΎΠ²Π΅Π΄Π΅Ρ ΠΎΡΠΌΠΎΡΡ, ΡΠ½ΠΈΠΌΠ΅Ρ ΡΠ»Π΅ΠΏΠΊΠΈ ΠΈ ΠΏΠΎΠ΄Π³ΠΎΡΠΎΠ²ΠΈΡ Π·ΡΠ±, Π° Π²ΠΎ Π²ΡΠΎΡΠΎΠ΅ Π½Π΅ΠΏΠΎΡΡΠ΅Π΄ΡΡΠ²Π΅Π½Π½ΠΎ ΡΡΡΠ°Π½ΠΎΠ²ΠΈΡ ΠΊΠΎΡΠΎΠ½ΠΊΡ.
ΠΠ΅ΡΠ΅Π΄ Π½Π°ΡΠ°Π»ΠΎΠΌ ΠΏΡΠΎΡΠ΅Π·ΠΈΡΠΎΠ²Π°Π½ΠΈΡ ΡΡΠΎΠΌΠ°ΡΠΎΠ»ΠΎΠ³ ΠΏΡΠΎΠ²ΠΎΠ΄ΠΈΡ Π²ΠΈΠ·ΡΠ°Π»ΡΠ½ΡΠΉ ΠΎΡΠΌΠΎΡΡ Π·ΡΠ±Π°,Β Π° ΡΠ°ΠΊΠΆΠ΅ Π½Π°ΠΏΡΠ°Π²Π»ΡΠ΅Ρ ΠΏΠ°ΡΠΈΠ΅Π½ΡΠ° ΡΠ΄Π΅Π»Π°ΡΡ ΡΠ΅Π½ΡΠ³Π΅Π½ΠΎΠ²ΡΠΊΠΈΠΉ ΡΠ½ΠΈΠΌΠΎΠΊ. ΠΒ ΡΠ»ΡΡΠ°Π΅ Π½Π΅ΠΎΠ±Ρ ΠΎΠ΄ΠΈΠΌΠΎΡΡΠΈ ΠΏΡΠΎΠ²ΠΎΠ΄ΠΈΡΡΡ Π»Π΅ΡΠ΅Π½ΠΈΠ΅, Π° ΡΠ°ΠΊΠΆΠ΅ ΠΏΠ»ΠΎΠΌΠ±ΠΈΡΠΎΠ²ΠΊΠ° ΠΊΠΎΡΠ½Π΅Π²ΡΡ ΠΊΠ°Π½Π°Π»ΠΎΠ² (ΠΏΠΎΠ΄ΡΠΎΠ±Π½Π΅Π΅ ΠΎΠ± ΡΡΠΎΠΉ ΠΏΡΠΎΡΠ΅Π΄ΡΡΠ΅ ΡΠΈΡΠ°ΠΉΡΠ΅ Π·Π΄Π΅ΡΡ).
ΠΠ°ΡΠ΅ΠΌ ΠΏΠΎΠ΄ ΠΌΠ΅ΡΡΠ½ΠΎΠΉ Π°Π½Π΅ΡΡΠ΅Π·ΠΈΠ΅ΠΉ ΡΠ²Π΅ΡΠ΄ΡΠ΅ ΡΠΊΠ°Π½ΠΈ ΠΎΠ±ΡΠ°ΡΠΈΠ²Π°ΡΡ Π½Π° ΡΠΎΠ»ΡΠΈΠ½Ρ ΠΊΠΎΠ½ΡΡΡΡΠΊΡΠΈΠΈ. Π’ΠΎΠ»ΡΠΈΠ½Π° ΡΠΊΠ°Π½Π΅ΠΉ, ΠΊΠΎΡΠΎΡΡΠ΅ Π½Π΅ΠΎΠ±Ρ ΠΎΠ΄ΠΈΠΌΠΎ ΡΠ½ΡΡΡ ΠΏΠ΅ΡΠ΅Π΄ ΡΡΡΠ°Π½ΠΎΠ²ΠΊΠΎΠΉ, Π·Π°Π²ΠΈΡΠΈΡ ΠΎΡ Π²ΠΈΠ΄Π° ΠΈΠ·Π΄Π΅Π»ΠΈΡ.
Π£ΡΡΠΈΡΠ΅, ΡΡΠΎ Π΄Π»Ρ ΡΡΡΠ°Π½ΠΎΠ²ΠΊΠΈ ΠΌΠ΅ΡΠ°Π»Π»ΠΎΠΊΠ΅ΡΠ°ΠΌΠΈΠΊΠΈ Π·ΡΠ± ΠΎΠ±ΡΠ°ΡΠΈΠ²Π°Π΅ΡΡΡ ΡΠΈΠ»ΡΠ½Π΅Π΅, ΡΠ΅ΠΌ Π΄Π»Ρ ΡΠΈΠΊΡΠ°ΡΠΈΠΈ ΠΌΠ΅ΡΠ°Π»Π»ΠΈΡΠ΅ΡΠΊΠΎΠ³ΠΎ ΠΈ ΠΊΠ΅ΡΠ°ΠΌΠΈΡΠ΅ΡΠΊΠΎΠ³ΠΎ ΠΈΠ·Π΄Π΅Π»ΠΈΡ. ΠΡΠ΅ΠΏΠ°ΡΠΈΡΡΡΡ ΡΠΊΠ°Π½ΠΈ ΡΠ°ΠΊΠΈΠΌ ΠΎΠ±ΡΠ°Π·ΠΎΠΌ, ΡΡΠΎΠ±Ρ Π·ΡΠ± ΡΡ ΠΎΠ΄ΠΈΠ»ΡΡ ΠΊΠ²Π΅ΡΡ Ρ. ΠΡΠΎ Π½ΡΠΆΠ½ΠΎ Π΄Π»Ρ ΡΠΎΠ³ΠΎ ΡΡΠΎΠ±Ρ Π½Π° Π½Π΅Π³ΠΎ Π»Π΅Π³ΠΊΠΎ ΠΌΠΎΠΆΠ½ΠΎ Π±ΡΠ»ΠΎ Π½Π°Π΄Π΅ΡΡ ΠΊΠΎΡΠΎΠ½ΠΊΡ.
Π ΠΏΡΠΈΡΠ΅Π΅ΡΠ½ΠΎΠΉ ΡΠ°ΡΡΠΈ Π²ΡΠ°Ρ Π΄Π΅Π»Π°Π΅Ρ Π½Π΅Π±ΠΎΠ»ΡΡΠΈΠ΅ Π²ΡΡΡΡΠΏΡ Π΄Π»Ρ Π»ΡΡΡΠ΅ΠΉ ΡΠΈΠΊΡΠ°ΡΠΈΠΈ ΠΈΠ·Π΄Π΅Π»ΠΈΡ. ΠΡΠ»ΠΈ Π±ΠΎΠ»ΡΡΠ°Ρ ΡΠ°ΡΡΡ Π·ΡΠ±Π° ΡΠ²Π΅ΡΡ
Ρ ΡΠ°Π·ΡΡΡΠ΅Π½Π°, ΡΡΡΠ°Π½Π°Π²Π»ΠΈΠ²Π°Π΅ΡΡΡ ΠΊΡΠ»ΡΡΠ΅Π²Π°Ρ Π²ΠΊΠ»Π°Π΄ΠΊΠ° ΠΈΠ· ΠΌΠ΅ΡΠ°Π»Π»Π°, ΠΊΠΎΡΠΎΡΠ°Ρ ΠΏΠΎΠΌΠΎΠΆΠ΅Ρ Π²ΡΠ°ΡΡ Π½Π°Π΄Π΅ΠΆΠ½ΠΎ Π·Π°ΠΊΡΠ΅ΠΏΠΈΡΡ ΠΊΠΎΡΠΎΠ½ΠΊΡ.Β ΠΠ°ΡΠ΅ΠΌ ΡΡΠΎΠΌΠ°ΡΠΎΠ»ΠΎΠ³ ΡΠ½ΠΈΠΌΠ°Π΅Ρ ΡΠ»Π΅ΠΏΠΊΠΈ Ρ Π·ΡΠ±Π° ΠΈ ΠΎΡΠΏΡΠ°Π²Π»ΡΠ΅Ρ ΠΈΡ
Π² Π»Π°Π±ΠΎΡΠ°ΡΠΎΡΠΈΡ. ΠΠΎΡΠ»Π΅ ΠΈΠ·Π³ΠΎΡΠΎΠ²Π»Π΅Π½ΠΈΡ ΠΊΠΎΠ½ΡΡΡΡΠΊΡΠΈΡ ΠΏΡΠΈΠΌΠ΅ΡΡΡΡ, Π° Π·Π°ΡΠ΅ΠΌ ΡΠΈΠΊΡΠΈΡΡΡΡ Ρ ΠΏΠΎΠΌΠΎΡΡΡ ΡΠΏΠ΅ΡΠΈΠ°Π»ΡΠ½ΠΎΠ³ΠΎ ΡΠ΅ΠΌΠ΅Π½ΡΠ°.
ΠΡΠ»ΠΎΠΆΠ½Π΅Π½ΠΈΡ
Π£ΡΡΠΈΡΠ΅, ΠΏΠΎΡΠ»Π΅ ΡΡΡΠ°Π½ΠΎΠ²ΠΊΠΈ ΠΊΠΎΡΠΎΠ½ΠΊΠΈ ΠΈΠ½ΠΎΠ³Π΄Π° Π²ΠΎΠ·Π½ΠΈΠΊΠ°ΡΡ ΠΎΡΠ»ΠΎΠΆΠ½Π΅Π½ΠΈΡ:
- ΡΠ°ΡΠΊΠΎΠ» ΠΈΠ·Π΄Π΅Π»ΠΈΡ ΡΠ»ΡΡΠ°Π΅ΡΡΡ ΡΠ°ΡΠ΅ Π²ΡΠ΅Π³ΠΎ Ρ ΡΠ°ΡΡΠΎΡΠΎΠΌ. ΠΡΠΎΡ Π΄Π΅ΡΠ΅ΠΊΡ ΠΌΠΎΠΆΠ½ΠΎ ΡΡΡΡΠ°Π½ΠΈΡΡ Π² ΠΊΠ°Π±ΠΈΠ½Π΅ΡΠ΅ ΡΡΠΎΠΌΠ°ΡΠΎΠ»ΠΎΠ³Π°,
- Π±ΡΠ²Π°Π΅Ρ ΡΠ°ΠΊ, ΡΡΠΎ ΡΡΠΎΠΌΠ°ΡΠΎΠ»ΠΎΠ³ΠΈΡΠ΅ΡΠΊΠΈΠΉ ΡΠ΅ΠΌΠ΅Π½Ρ Π²ΡΠΌΡΠ²Π°Π΅ΡΡΡ ΠΈΠ·-ΠΏΠΎΠ΄ ΠΊΠΎΡΠΎΠ½ΠΊΠΈ, Π² ΡΠ΅Π·ΡΠ»ΡΡΠ°ΡΠ΅ ΡΠ΅Π³ΠΎ ΠΎΠ½Π° Π½Π°ΡΠΈΠ½Π°Π΅Ρ ΡΠ°ΡΡΠ°ΡΡΠ²Π°ΡΡΡΡ. ΠΡΠΎ ΠΎΠΏΠ°ΡΠ½ΠΎ, ΡΠ°ΠΊ ΠΊΠ°ΠΊ ΠΏΠΎΠ΄ Π½Π΅ΠΉ Π½Π°ΡΠΈΠ½Π°Π΅Ρ ΡΠΊΠ°ΠΏΠ»ΠΈΠ²Π°ΡΡΡΡ Π½Π°Π»Π΅Ρ, ΠΊΠΎΡΠΎΡΡΠΉ ΠΌΠΎΠΆΠ΅Ρ ΡΡΠ°ΡΡ ΠΏΡΠΈΡΠΈΠ½ΠΎΠΉ ΡΠ°Π·Π²ΠΈΡΠΈΡ Π²ΠΎΡΠΏΠ°Π»ΠΈΡΠ΅Π»ΡΠ½ΠΎΠ³ΠΎ ΠΏΡΠΎΡΠ΅ΡΡΠ°. ΠΡΠ»ΠΈ Π²Ρ ΠΏΠΎΡΡΠ²ΡΡΠ²ΠΎΠ²Π°Π»ΠΈ, ΡΡΠΎ ΠΈΠ·Π΄Π΅Π»ΠΈΠ΅ Π½Π°ΡΠ°Π»ΠΎ ΡΠ°ΡΠ°ΡΡΡΡ, Π½Π΅ΠΌΠ΅Π΄Π»Π΅Π½Π½ΠΎ ΠΎΠ±ΡΠ°ΡΠΈΡΠ΅ΡΡ ΠΊ ΡΡΠΎΠΌΠ°ΡΠΎΠ»ΠΎΠ³Ρ,
Π΅ΡΠ»ΠΈ ΠΊΠΎΡΠΎΠ½ΠΊΠ° Π²ΡΠΏΠ°Π»Π°, ΠΊΠ°ΠΊ ΠΌΠΎΠΆΠ½ΠΎ ΡΠΊΠΎΡΠ΅Π΅ ΠΎΠ±ΡΠ°ΡΠΈΡΠ΅ΡΡ ΠΊ ΡΡΠΎΠΌΠ°ΡΠΎΠ»ΠΎΠ³Ρ, ΡΡΠΎΠ±Ρ ΠΎΠ½ ΡΠ°Π·ΠΎΠ±ΡΠ°Π»ΡΡ, Π² ΡΠ΅ΠΌ ΠΏΡΠΈΡΠΈΠ½Π° ΡΠ°ΠΊΠΎΠ³ΠΎ ΠΎΡΠ»ΠΎΠΆΠ½Π΅Π½ΠΈΡ. ΠΡΠ»ΠΈ Π½Π΅Ρ Π²ΠΎΠ·ΠΌΠΎΠΆΠ½ΠΎΡΡΠΈ Π² ΡΡΠΎΡ ΠΆΠ΅ Π΄Π΅Π½Ρ ΠΏΠΎΡΠ΅ΡΠΈΡΡ Π²ΡΠ°ΡΠ°, ΠΏΡΠΎΠΊΠΎΠ½ΡΡΠ»ΡΡΠΈΡΡΠΉΡΠ΅ΡΡ ΠΏΠΎ ΡΠ΅Π»Π΅ΡΠΎΠ½Ρ, ΡΡΠΎ Π½ΡΠΆΠ½ΠΎ Π΄Π΅Π»Π°ΡΡ Π² ΡΠ°ΠΊΠΎΠΌ ΡΠ»ΡΡΠ°Π΅ Ρ ΠΊΠΎΡΠΎΠ½ΠΊΠΎΠΉ ΠΈ Π·ΡΠ±ΠΎΠΌ,
- ΡΠΌΠ°Π»Ρ ΠΌΠΎΠΆΠ΅Ρ ΠΏΠΎΡΠ΅ΡΠ½Π΅ΡΡ Π² ΠΌΠ΅ΡΡΠ΅ ΡΠΎΠ΅Π΄ΠΈΠ½Π΅Π½ΠΈΡ Π΄Π΅ΡΠ½Ρ Ρ ΠΈΠ·Π΄Π΅Π»ΠΈΠ΅ΠΌ. ΠΠ°Π½Π½ΠΎΠ΅ ΠΎΡΠ»ΠΎΠΆΠ½Π΅Π½ΠΈΠ΅ ΡΠ°ΡΡΠΎ Π²ΠΎΠ·Π½ΠΈΠΊΠ°Π΅Ρ Ρ ΠΌΠ΅ΡΠ°Π»Π»ΠΎΠΊΠ΅ΡΠ°ΠΌΠΈΡΠ΅ΡΠΊΠΈΠΌΠΈ ΠΊΠΎΡΠΎΠ½ΠΊΠ°ΠΌΠΈ, ΡΠ΅ΠΌΠ½Π°Ρ Π»ΠΈΠ½ΠΈΡ β ΡΡΠΎ ΠΌΠ΅ΡΠ°Π»Π»ΠΈΡΠ΅ΡΠΊΠ°Ρ ΡΠ°ΡΡΡ ΠΊΠΎΠ½ΡΡΡΡΠΊΡΠΈΠΈ, ΠΊΠΎΡΠΎΡΠ°Ρ ΠΏΡΠΎΡΡΡΠΏΠ°Π΅Ρ ΡΠΊΠ²ΠΎΠ·Ρ ΡΠ»ΠΈΠ·ΠΈΡΡΡΡ,
- Π°Π»Π»Π΅ΡΠ³ΠΈΡ ΠΌΠΎΠΆΠ΅Ρ ΡΠ°Π·Π²ΠΈΠ²Π°ΡΡΡΡ Π½Π° ΠΌΠ΅ΡΠ°Π»Π»ΠΈΡΠ΅ΡΠΊΠΈΠ΅ ΡΠ°ΡΡΠΈ ΠΈΠ·Π΄Π΅Π»ΠΈΡ. Π ΡΠ°ΠΊΠΎΠΌ ΡΠ»ΡΡΠ°Π΅ Π΅Π³ΠΎ Π½ΡΠΆΠ½ΠΎ Π·Π°ΠΌΠ΅Π½ΠΈΡΡ,
- ΠΊΡΠΎΠΌΠ΅ ΡΠΎΠ³ΠΎ, ΠΌΠΎΠΆΠ΅Ρ Π²ΠΎΠ·Π½ΠΈΠΊΠ°ΡΡ ΡΡΠ²ΡΡΠ²ΠΈΡΠ΅Π»ΡΠ½ΠΎΡΡΡ Π·ΡΠ±Π°, ΠΈΠ· ΠΊΠΎΡΠΎΡΠΎΠ³ΠΎ Π½Π΅ ΡΠ΄Π°Π»ΠΈΠ»ΠΈ Π½Π΅ΡΠ². Π ΡΠ°ΠΊΠΎΠΌ ΡΠ»ΡΡΠ°Π΅ Π½ΡΠΆΠ½ΠΎ ΠΎΠ±ΡΠ°ΡΠΈΡΡΡΡ ΠΊ ΡΡΠΎΠΌΠ°ΡΠΎΠ»ΠΎΠ³Ρ, ΡΡΠΎΠ±Ρ ΡΡΡΠ°Π½ΠΎΠ²ΠΈΡΡ ΠΏΡΠΈΡΠΈΠ½Ρ ΡΠ°ΠΊΠΎΠ³ΠΎ ΠΎΡΠ»ΠΎΠΆΠ½Π΅Π½ΠΈΡ.
detstoma.ru
ΠΠΎΡΠΎΠ½ΠΊΠΈ Π½Π° Π·ΡΠ±Ρ ΠΊΠ°ΠΊΠΈΠ΅ Π»ΡΡΡΠ΅
ΠΠ°ΠΊΠΈΠ΅ ΠΊΠΎΡΠΎΠ½ΠΊΠΈ Π½Π° Π·ΡΠ±Ρ Π»ΡΡΡΠ΅ Π²ΡΠ΅Π³ΠΎ
Π‘Π΅ΠΉΡΠ°Ρ ΡΡΠΎΠΌΠ°ΡΠΎΠ»ΠΎΠ³ΠΈΡ ΠΏΡΠ΅Π΄Π»Π°Π³Π°Π΅Ρ Π±ΠΎΠ»ΡΡΠ΅ Π²ΠΎΠ·ΠΌΠΎΠΆΠ½ΠΎΡΡΠ΅ΠΉ, ΡΠ΅ΠΌ ΠΊΠΎΠ³Π΄Π°-Π»ΠΈΠ±ΠΎ ΠΏΡΠ΅ΠΆΠ΄Π΅ ΠΊΠΎΠ³Π΄Π° Π΄Π΅Π»ΠΎ Π΄ΠΎΡ ΠΎΠ΄ΠΈΡ Π΄ΠΎ ΡΠ΅ΡΡΠ°Π²ΡΠ°ΡΠΈΠΈ Π·ΡΠ±ΠΎΠ².Β ΠΡΠΎΠΈΠ·ΠΎΡΠ»ΠΈ ΡΠ»ΡΡΡΠ΅Π½ΠΈΡ Π² ΠΊΡΠ°ΡΠΎΡΠ΅, ΠΏΡΠΎΡΠ½ΠΎΡΡΠΈ ΠΈ Π΄ΠΎΠ»Π³ΠΎΠ²Π΅ΡΠ½ΠΎΡΡΠΈ ΠΌΠ°ΡΠ΅ΡΠΈΠ°Π»ΠΎΠ², ΡΠ°ΠΊΠΈΡ ΠΊΠ°ΠΊ ΡΠ°ΡΡΠΎΡ ΠΈ ΡΠΈΡΠΊΠΎΠ½ΠΈΠΉ, ΡΡΠΎ ΡΠ΄Π΅Π»Π°Π»ΠΎ ΠΊΠΎΡΠΌΠ΅ΡΠΈΡΠ΅ΡΠΊΠΈΠ΅ ΡΠ΅ΡΡΠ°Π²ΡΠ°ΡΠΈΠΈ Π±ΠΎΠ»Π΅Π΅ Π½Π°ΡΡΡΠ°Π»ΡΠ½ΡΠΌΠΈ ΠΈ ΠΆΠΈΠ·Π½Π΅Π½Π½ΡΠΌΠΈ, Π² ΠΎΡΠ»ΠΈΡΠΈΠΈ ΠΎΡ Π½Π΅ΠΊΠΎΡΠΎΡΡΠ΅ ΠΈΠ· Π»ΡΡΡΠΈΡ ΠΌΠ°ΡΠ΅ΡΠΈΠ°Π»ΠΎΠ², ΠΈΡΠΏΠΎΠ»ΡΠ·ΡΠ΅ΠΌΡΡ 10 ΠΈΠ»ΠΈ 15 Π»Π΅Ρ Π½Π°Π·Π°Π΄.Β ΠΠΎΡΡΠΎΠΌΡ Π²ΠΎΠ·Π½ΠΈΠΊΠ°Π΅Ρ Π²ΠΎΠΏΡΠΎΡ ΠΊΠ°ΠΊΠΈΠ΅ Π·ΡΠ±Π½ΡΠ΅ ΠΊΠΎΡΠΎΠ½ΠΊΠΈ Π»ΡΡΡΠ΅ Π²ΡΠ±ΡΠ°ΡΡ.

ΠΠΎ Π½Π΅ ΠΊΠ°ΠΆΠ΄ΡΠΉ Π·ΡΠ± ΠΈΠ»ΠΈ Π±ΠΎΠ»ΡΠ½ΠΎΠΉ Π·ΡΠ± Π»ΡΡΡΠ΅ Π²ΡΠ΅Π³ΠΎ Π»Π΅ΡΠΈΡΡ Π½Π°ΡΠΈΠ½Π°Ρ Ρ ΠΏΠΎΠ»Π½ΠΎΠ³ΠΎ Π²ΠΎΡΡΡΠ°Π½ΠΎΠ²Π»Π΅Π½ΠΈΡ ΡΠ°ΡΡΠΎΡΠΎΠΌ.Β ΠΡΡΡ Π΅ΡΡ ΠΌΠ½ΠΎΠ³ΠΎ ΠΏΡΠΈΡΠΈΠ½, ΠΏΠΎ ΠΊΠΎΡΠΎΡΡΠΌ ΠΌΠΎΠΆΠ½ΠΎ ΠΈΡΠΏΠΎΠ»ΡΠ·ΠΎΠ²Π°ΡΡ Π΄ΡΡΠ³ΠΎΠΉ ΠΌΠ°ΡΠ΅ΡΠΈΠ°Π», Π½Π°ΠΏΡΠΈΠΌΠ΅Ρ Π·ΠΎΠ»ΠΎΡΠΎ, ΠΈΠ»ΠΈ Π΄Π°ΠΆΠ΅ ΠΊΠΎΠΌΠΏΠΎΠ·ΠΈΡΠ½ΡΠ΅ ΠΌΠ°ΡΠ΅ΡΠΈΠ°Π»Ρ, ΠΎΠ½ΠΈ ΠΌΠΎΠ³ΡΡ Π±ΡΡΡ Π»ΡΡΡΠΈΠΌ Π²ΡΠ±ΠΎΡΠΎΠΌ ΠΈΠΌΠ΅Π½Π½ΠΎ Π΄Π»Ρ Π²Π°Ρ.
ΠΠ΅ ΡΡΡΠ΅ΡΡΠ²ΡΠ΅Ρ Π½ΠΈ ΠΎΠ΄Π½ΠΎΠ³ΠΎ ΡΠΈΠΏΠ° ΠΊΠΎΡΠΎΠ½ΠΎΠΊ, ΠΊΠΎΡΠΎΡΡΠΉ Π±ΡΠ» Π±Ρ Π»ΡΡΡΠΈΠΌ ΡΠ΅ΡΠ΅Π½ΠΈΠ΅ΠΌ Π΄Π»Ρ Π²ΡΠ΅Ρ
ΡΠΈΡΡΠ°ΡΠΈΠΉ ΡΠ²ΡΠ·Π°Π½Π½ΡΡ
Ρ Π·ΡΠ±Π°ΠΌΠΈ.Β ΠΠ΅ΡΠ΅Π΄ ΡΠ΅ΠΌ, ΠΊΠ°ΠΊ ΠΏΡΠΈΠ½ΡΡΡ ΡΠ΅ΡΠ΅Π½ΠΈΠ΅, ΠΏΠΎΡΠΌΠΎΡΡΠΈΡΠ΅ Π²ΡΠ΅ Π²ΠΈΠ΄Ρ ΠΊΠΎΡΠΎΠ½ΠΎΠΊ.Β ΠΡΠΎ ΠΏΠΎΠΌΠΎΠΆΠ΅Ρ Π²Π°ΠΌ ΡΠ΄Π΅Π»Π°ΡΡ ΠΏΡΠ°Π²ΠΈΠ»ΡΠ½ΡΠΉ Π²ΡΠ±ΠΎΡ, ΠΊΠΎΡΠΎΡΡΠΉ Π»ΡΡΡΠ΅ Π²ΡΠ΅Π³ΠΎ ΠΏΠΎΠ΄ΠΎΠΉΠ΄ΡΡ Π΄Π»Ρ Π²Π°ΡΠΈΡ
Π½ΡΠΆΠ΄ ΠΈ ΠΎΠ±ΡΡΠΎΡΡΠ΅Π»ΡΡΡΠ².
ΠΠ°Π²Π°ΠΉΡΠ΅ ΡΠ°ΡΡΠΌΠΎΡΡΠΈΠΌ ΠΏΠ»ΡΡΡ ΠΈ ΠΌΠΈΠ½ΡΡΡ ΡΠ°ΠΌΡΡ
ΠΏΠΎΡΠ»Π΅Π΄Π½ΠΈΡ
ΠΌΠ°ΡΠ΅ΡΠΈΠ°Π»ΠΎΠ² Π΄ΠΎΡΡΡΠΏΠ½ΡΡ
Π΄Π»Ρ ΠΊΠΎΡΠΎΠ½ΠΎΠΊ ΠΈ ΠΌΠΎΡΡΠΎΠ²ΠΈΠ΄Π½ΡΡ
ΠΏΡΠΎΡΠ΅Π·ΠΎΠ². ΠΠΎ Π΄Π»Ρ Π½Π°ΡΠ°Π»Π° ΡΠ·Π½Π°Π΅ΠΌ ΠΎΠΏΡΠ΅Π΄Π΅Π»Π΅Π½ΠΈΠ΅ ΡΠ»ΠΎΠ²Π° ΠΊΠΎΡΠΎΠ½ΠΊΠ°.
Π§ΡΠΎ ΡΠ°ΠΊΠΎΠ΅ Π·ΡΠ±Π½Π°Ρ ΠΊΠΎΡΠΎΠ½ΠΊΠ°
Π’Π΅ΡΠΌΠΈΠ½ Β«ΠΊΠΎΡΠΎΠ½ΠΊΠ°Β» ΠΎΡΠ½ΠΎΡΠΈΡΡΡΡ ΠΊ ΠΎΠ΄Π½ΠΎΠΌΡ ΠΈΠ· Π΄Π²ΡΡ ΠΎΠΏΡΠ΅Π΄Π΅Π»Π΅Π½ΠΈΠΉ:
- Π ΠΎΠ±ΡΠ΅ΠΉ Π·ΡΠ±Π½ΠΎΠΉ Π°Π½Π°ΡΠΎΠΌΠΈΠΈ, ΡΡΠΎ ΡΠ°ΡΡΡ Π·ΡΠ±Π° ΠΏΠΎΠΊΡΡΡΠ°Ρ ΡΠΌΠ°Π»ΡΡ Π²ΠΈΠ΄ΠΈΠΌΠ°Ρ Π²ΠΎ ΡΡΡ.Β ΠΠΎΡΠ΅Π½Ρ β Π΄ΡΡΠ³Π°Ρ ΡΠ°ΡΡΡΒ Π·ΡΠ±Π°, ΡΠ΄Π΅ΡΠΆΠΈΠ²Π°Π΅Ρ Π·ΡΠ± Π½Π° ΡΡΡΡΠ΅ Π΅Π³ΠΎ ΠΊΡΠ΅ΠΏΠ»Π΅Π½ΠΈΡ Ρ ΠΏΠ°ΡΠΎΠ΄ΠΎΠ½ΡΡ ΠΈ ΡΠ΅Π»ΡΡΡΠ½ΠΎΠΉ ΠΊΠΎΡΡΠΈ.Β ΠΠ΅ΠΌΠ°ΡΠΊΠ°ΡΠΈΠΎΠ½Π½Π°Ρ Π»ΠΈΠ½ΠΈΡ ΠΌΠ΅ΠΆΠ΄Ρ ΠΊΠΎΡΠΎΠ½ΠΊΠΎΠΉ ΠΈ ΠΊΠΎΡΠ½Π΅ΠΌ Π½Π°Π·ΡΠ²Π°Π΅ΡΡΡ ΡΠ΅ΠΌΠ΅Π½ΡΠ½ΡΠΌ ΡΠ·Π»ΠΎΠΌ.
- Π ΡΠ΅ΡΡΠ°Π²ΡΠ°ΡΠΈΠΎΠ½Π½ΠΎΠΉ ΡΡΠΎΠΌΠ°ΡΠΎΠ»ΠΎΠ³ΠΈΠΈ ΠΊΠΎΡΠΎΠ½ΠΊΠ° β ΡΡΠΎ Π²ΠΎΡΡΡΠ°Π½ΠΎΠ²Π»Π΅Π½ΠΈΠ΅, ΠΊΠΎΡΠΎΡΠΎΠ΅ ΠΎΡ Π²Π°ΡΡΠ²Π°Π΅Ρ Π°Π½Π°ΡΠΎΠΌΠΈΡΠ΅ΡΠΊΡΡ ΠΊΠΎΡΠΎΠ½ΠΊΡ Π·ΡΠ±Π°, ΡΡΠΎΠ±Ρ Π²ΠΎΡΡΡΠ°Π½ΠΎΠ²ΠΈΡΡ Π΅Ρ Π½ΠΎΡΠΌΠ°Π»ΡΠ½ΡΡ ΡΠΎΡΠΌΡ ΠΈ ΡΡΠ½ΠΊΡΠΈΠΈ.
ΠΠΈΠ΄Ρ Π·ΡΠ±Π½ΡΡ ΠΊΠΎΡΠΎΠ½ΠΎΠΊ
ΠΠΎΡΠΎΠ½ΠΊΠΈ ΠΈΠ·Π³ΠΎΡΠ°Π²Π»ΠΈΠ²Π°ΡΡΡΡ ΠΈΠ· ΡΠ°Π·Π»ΠΈΡΠ½ΡΡ Π²ΠΈΠ΄ΠΎΠ² ΠΌΠ°ΡΠ΅ΡΠΈΠ°Π»ΠΎΠ².Β Π Π·Π°Π²ΠΈΡΠΈΠΌΠΎΡΡΠΈ ΠΎΡ Π·ΡΠ±Π° Π½ΡΠΆΠ΄Π°ΡΡΠ΅Π³ΠΎΡΡ Π² ΠΊΠΎΡΠΎΠ½ΠΊΠ΅, ΡΡΠΎΠΌΠ°ΡΠΎΠ»ΠΎΠ³ ΠΏΡΠ΅Π΄Π»ΠΎΠΆΠΈΡ Π²Π°ΠΌ ΠΌΠ°ΡΠ΅ΡΠΈΠ°Π», ΠΈΠ»ΠΈ ΠΊΠΎΠΌΠ±ΠΈΠ½Π°ΡΠΈΡ ΠΌΠ°ΡΠ΅ΡΠΈΠ°Π»ΠΎΠ², Π±ΠΎΠ»Π΅Π΅ Π»ΡΡΡΠΈΡ Π΄Π»Ρ ΠΠ°Ρ ΠΈ Π²Π°ΡΠ΅ΠΉ ΡΠΈΡΡΠ°ΡΠΈΠΈ.
ΠΡΠ΅ΠΌΠ΅Π½Π½ΡΠ΅ ΠΊΠΎΡΠΎΠ½ΠΊΠΈ.Β
Π Π½ΠΈΠΌ Π² ΠΎΡΠ½ΠΎΠ²Π½ΠΎΠΌ ΠΎΡΠ½ΠΎΡΡΡΡΡ ΠΏΠ»Π°ΡΡΠΌΠ°ΡΡΠΎΠ²ΡΠ΅ ΠΊΠΎΡΠΎΠ½ΠΊΠΈ ΠΈΡ
ΠΈΡΠΏΠΎΠ»ΡΠ·ΡΡ Π²ΡΠ΅ΠΌΠ΅Π½Π½ΠΎ, ΠΎΠ±ΡΡΠ½ΠΎ Π² ΠΏΠ΅ΡΠΈΠΎΠ΄ ΠΈΠ·Π³ΠΎΡΠΎΠ²Π»Π΅Π½ΠΈΡ Π·ΡΠ±Π½ΡΡ
ΠΊΠΎΡΠΎΠ½ΠΎΠΊ Π² ΠΊΠ»ΠΈΠ½ΠΈΠΊΠ΅. ΠΠΎΠ³ΡΡ Π±ΡΡΡ ΡΠ΄Π΅Π»Π°Π½Ρ Π½Π° Β«ΠΊΠΎΠ»Π΅Π½ΠΊΠ΅Β» Ρ ΡΡΠΎΠΌΠ°ΡΠΎΠ»ΠΎΠ³Π° Π² ΠΊΠ°Π±ΠΈΠ½Π΅ΡΠ΅. Π’Π°ΠΊΠΆΠ΅ ΠΈΡ
ΠΈΡΠΏΠΎΠ»ΡΠ·ΡΡΡ ΠΈΠ·-Π·Π° ΡΡΡΠ΅ΡΠΈΡΠ΅ΡΠΊΠΎΠ³ΠΎ Π°ΡΠΏΠ΅ΠΊΡΠ°, Π²Π΅Π΄Ρ Π½ΠΈΠΊΡΠΎ Π½Π΅ Ρ
ΠΎΡΠ΅Ρ ΠΏΠΎΠΊΠ°Π·ΡΠ²Π°ΡΡ ΡΠ²ΠΎΡ ΡΠ»ΡΠ±ΠΊΡ Π±Π΅Π· Π·ΡΠ±ΠΎΠ².
ΠΠΎΡΠΎΠ½ΠΊΠΈ ΠΏΠ»Π°ΡΡΠΌΠ°ΡΡΠΎΠ²ΡΠ΅ ΠΏΠΎΡΡΠΎΡΠ½Π½ΡΠ΅.

ΠΡΡΠ΅Π²ΠΎ ΠΈΠ·Π³ΠΎΡΠ°Π²Π»ΠΈΠ²Π°ΡΡΡΡ, Π½ΠΎ ΠΊΠ°ΠΊ ΠΈΠ·Π²Π΅ΡΡΠ½ΠΎ β ΠΏΠ»Π°ΡΡΠΌΠ°ΡΡΠ° Π²ΡΠ΅Π΄Π½Π°, ΠΎΡΠΎΠ±Π΅Π½Π½ΠΎ ΠΏΡΠΈ Π½Π°Π³ΡΠ΅Π²Π°Π½ΠΈΠΈ. ΠΠ½Π° Π½Π°ΡΠΈΠ½Π°Π΅Ρ Π²ΡΠ΄Π΅Π»ΡΡΡ Π²ΡΠ΅Π΄Π½ΡΠ΅ Π²Π΅ΡΠ΅ΡΡΠ²Π°. Π‘ΠΎΠ²Π΅ΡΡΠ΅ΠΌ Π²ΡΠ±ΡΠ°ΡΡ Π΄ΡΡΠ³ΠΈΠ΅.
ΠΠ΅ΡΠ°Π»Π»ΠΈΡΠ΅ΡΠΊΠΈΠ΅ ΠΊΠΎΡΠΎΠ½ΠΊΠΈ Π±ΡΠ²Π°ΡΡ ΡΠ»Π΅Π΄ΡΡΡΠΈΡ
ΡΠΈΠΏΠΎΠ² ΡΠΏΠ»Π°Π²ΠΎΠ²: ΠΈΠ· Π·ΠΎΠ»ΠΎΡΠ°, ΠΏΠ°Π»Π»Π°Π΄ΠΈΡ, Π½ΠΈΠΊΠ΅Π»Ρ ΠΈΠ»ΠΈΒ Ρ
ΡΠΎΠΌΠ°.Β ΠΠΎ ΡΡΠ°Π²Π½Π΅Π½ΠΈΡ Ρ Π΄ΡΡΠ³ΠΈΠΌΠΈ ΡΠΈΠΏΠ°ΠΌΠΈ ΠΊΠΎΡΠΎΠ½ΠΎΠΊ, ΠΈΡ
ΡΡΡΡΠΊΡΡΡΠ° ΠΏΠΎΠ΄Π²Π΅ΡΠΆΠ΅Π½Π° ΠΌΠ΅Π½ΡΡΠ΅ΠΌΡ ΠΈΠ·Π½ΠΎΡΡ ΠΎΡ ΠΏΡΠΎΡΠΈΠ²ΠΎΠΏΠΎΠ»ΠΎΠΆΠ½ΡΡ
Π·ΡΠ±ΠΎΠ² ΠΈ ΡΠ²Π΅Π΄Π΅Π½Π° ΠΊ ΠΌΠΈΠ½ΠΈΠΌΡΠΌΡ ΠΏΠΎΠ²ΡΠ΅ΠΆΠ΄Π΅Π½ΠΈΠΉ.Β ΠΠ΅ΡΠ°Π»Π»ΠΈΡΠ΅ΡΠΊΠΈΠ΅ ΠΊΠΎΡΠΎΠ½ΠΊΠΈ Π²ΡΠ΄Π΅ΡΠΆΠΈΠ²Π°ΡΡ ΡΠΈΠ»ΡΠ½ΡΠ΅ ΠΏΡΠΈΠΊΡΡΡ ΠΈ ΠΆΠ΅Π²Π°Π½ΠΈΡ.Β ΠΠ»ΡΡΠΎΠΌ ΠΌΠ΅ΡΠ°Π»Π»ΠΈΡΠ΅ΡΠΊΠΈΡ
ΠΊΠΎΡΠΎΠ½ΠΎΠΊ ΡΠ²Π»ΡΠ΅ΡΡΡ ΡΠΎ, ΡΡΠΎ ΠΎΠ½ΠΈ ΠΎΡΠ΅Π½Ρ ΡΠ΅Π΄ΠΊΠΎ Π»ΠΎΠΌΠ°ΡΡΡΡ.Β ΠΠΎΠ»ΡΡΠΎΠΉ ΠΎΡΠ½ΠΎΠ²Π½ΠΎΠΉ ΠΌΠΈΠ½ΡΡ ΡΡΠΎ ΠΈΡ
ΡΠ²Π΅Ρ.Β ΠΠ΅ΡΠ°Π»Π»ΠΈΡΠ΅ΡΠΊΠΈΠ΅ ΠΊΠΎΡΠΎΠ½ΠΊΠΈ Ρ
ΠΎΡΠΎΡΠΈΠΉ Π²ΡΠ±ΠΎΡ Π΄Π»Ρ ΠΌΠΎΠ»ΡΡΠΎΠ². (ΡΡΡΠΊΠ°=))
ΠΠΎΠ»ΠΎΡΡΠ΅ ΠΊΠΎΡΠΎΠ½ΠΊΠΈ ΠΈΠ·Π³ΠΎΡΠ°Π²Π»ΠΈΠ²Π°ΡΡΡΡ ΠΈΠ· Π·ΠΎΠ»ΠΎΡΠ°.Β ΠΠ°ΠΊ ΠΏΡΠ°Π²ΠΈΠ»ΠΎ, ΠΎΠ½ΠΈ ΡΠ»ΡΠΆΠ°Ρ Π΄ΠΎΠ»Π³ΠΎΠ΅ Π²ΡΠ΅ΠΌΡ ΠΈ Π½Π΅ Π±ΡΠ΄ΡΡ Π»ΠΎΠΌΠ°ΡΡΡΡ ΠΈΠ»ΠΈ ΡΠ°Π·ΡΡΡΠ°ΡΡΡΡ.Β ΠΡΠΎΠΌΠ΅ ΡΠΎΠ³ΠΎ, ΠΎΠ½ΠΈ Π½Π΅ ΡΡΠ΅ΡΠΊΠ°ΡΡΡΡ ΠΈ Π½Π΅ Π»ΠΎΠΌΠ°ΡΡΡΡ.Β Π’Π΅ΠΌ Π½Π΅ ΠΌΠ΅Π½Π΅Π΅, Π·ΠΎΠ»ΠΎΡΠΎΠΉ ΡΠ²Π΅Ρ Π½Π΅ Π²ΡΠ³Π»ΡΠ΄ΠΈΡ Π΅ΡΡΠ΅ΡΡΠ²Π΅Π½Π½ΡΠΌ, ΠΎΡΠΎΠ±Π΅Π½Π½ΠΎ Π½Π° ΠΏΠ΅ΡΠ΅Π΄Π½ΠΈΡ Π·ΡΠ±Π°Ρ .
ΠΠΎΠΌΠΏΠΎΠ·ΠΈΡΠ½ΡΠ΅ ΠΊΠΎΡΠΎΠ½ΠΊΠΈΒ Π²ΡΠ³Π»ΡΠ΄ΡΡ Π΅ΡΡΠ΅ΡΡΠ²Π΅Π½Π½ΠΎ.Β ΠΠ½ΠΈ Π½Π΅ Π±ΡΠ΄ΡΡ Π»ΠΎΠΌΠ°ΡΡΡΡ ΡΠ°ΠΊ ΠΆΠ΅ Π»Π΅Π³ΠΊΠΎ, ΠΊΠ°ΠΊ ΡΠ°ΡΡΠΎΡΠΎΠ²ΡΠ΅ ΠΊΠΎΡΠΎΠ½ΠΊΠΈ, Π½ΠΎ ΠΎΠ½ΠΈ ΠΊΠ°ΠΊ ΠΏΡΠ°Π²ΠΈΠ»ΠΎ, ΠΈΠ·Π½Π°ΡΠΈΠ²Π°ΡΡΡΡ Π±ΡΡΡΡΠ΅Π΅ ΠΎΡ ΠΆΠ΅Π²Π°Π½ΠΈΡ.Β Π§ΠΈΡΡΠΊΠ° Π·ΡΠ±ΠΎΠ² ΠΊΠ°ΠΊ ΠΏΡΠ°Π²ΠΈΠ»ΠΎ, ΡΠ΄Π°Π»ΡΠ΅Ρ ΠΏΠΎΠ»ΠΈΡΠΎΠ²Π°Π½Π½ΡΡ ΠΏΠΎΠ²Π΅ΡΡ Π½ΠΎΡΡΡ ΠΊΠΎΠΌΠΏΠΎΠ·ΠΈΡΠ½ΡΡ ΠΊΠΎΡΠΎΠ½ΠΎΠΊ ΠΈ ΡΡΠΎ ΠΏΡΠΈΠ²ΠΎΠ΄ΠΈΡ ΠΊ ΠΈΡ Π±ΠΎΠ»Π΅Π΅ Π»ΡΠ³ΠΊΠΎΠΌΡ ΡΡΠΈΡΠ°Π½ΠΈΡ.
Π€Π°ΡΡΠΎΡΠΎΠ²ΡΠ΅ ΠΊΠΎΡΠΎΠ½ΠΊΠΈΒ Π²ΡΠ³Π»ΡΠ΄ΡΡ Π½Π°ΠΈΠ±ΠΎΠ»Π΅Π΅ Π΅ΡΡΠ΅ΡΡΠ²Π΅Π½Π½ΠΎ, ΠΊΠ°ΠΊ Π½ΠΎΡΠΌΠ°Π»ΡΠ½ΡΠ΅ Π·ΡΠ±Ρ.Β ΠΠ½ΠΈ Π±ΠΎΠ»Π΅Π΅ Ρ ΡΡΠΏΠΊΠΈΠ΅, ΡΠ΅ΠΌ ΠΌΠ΅ΡΠ°Π»Π»ΠΈΡΠ΅ΡΠΊΠΈΠ΅ ΠΈΠ»ΠΈ ΠΊΠΎΠΌΠΏΠΎΠ·ΠΈΡΠ½ΡΠ΅ ΠΈ ΠΌΠΎΠ³ΡΡ Π»Π΅Π³ΠΊΠΎ ΠΎΡΠΊΠΎΠ»ΠΎΡΡΡΡ.Β ΠΠ·-Π·Π° ΡΡΠΎΠ³ΠΎ, ΠΎΠ½ΠΈ ΠΎΠ±ΡΡΠ½ΠΎ Π½Π΅ ΡΠ°Π·ΠΌΠ΅ΡΠ°ΡΡΡΡ Π½Π° Π·Π°Π΄Π½ΠΈΡ Π·ΡΠ±Π°Ρ . Π ΡΠΎΠΌΡ ΠΆΠ΅, ΡΡΠΎΠ±Ρ ΡΠ΄Π΅Π»Π°ΡΡ ΠΈΡ Π±ΠΎΠ»Π΅Π΅ ΠΏΡΠΎΡΠ½ΡΠΌΠΈ Π½ΡΠΆΠ½ΠΎ Π±ΡΠ΄Π΅Ρ ΡΠΈΠ»ΡΠ½ΠΎ ΠΎΠ±ΡΠΎΡΠΈΡΡ Π·ΡΠ±.
ΠΠΎΡΠΎΠ½ΠΊΠΈ ΠΈΠ· ΡΠ°ΡΡΠΎΡΠ° Ρ ΠΌΠ΅ΡΠ°Π»Π»ΠΎΠΌΒ Π²ΡΠ³Π»ΡΠ΄ΡΡ Π΅ΡΡΠ΅ΡΡΠ²Π΅Π½Π½ΠΎ ΠΈ ΠΎΠ½ΠΈ ΡΠΈΠ»ΡΠ½Π΅Π΅, ΡΠ΅ΠΌ ΠΏΡΠΎΡΡΡΠ΅ ΡΠ°ΡΡΠΎΡΠΎΠ²ΡΠ΅ ΠΈΠ»ΠΈ ΠΊΠΎΠΌΠΏΠΎΠ·ΠΈΡΠ½ΡΠ΅ ΠΊΠΎΡΠΎΠ½ΠΊΠΈ.Β ΠΠ½ΠΈ Π½Π΅ Π±ΡΠ΄ΡΡ Π±ΠΈΡΡΡΡ ΡΠ°ΠΊ ΠΆΠ΅ Π»Π΅Π³ΠΊΠΎ, ΠΊΠ°ΠΊ ΡΠ°ΡΡΠΎΡ ΠΈΠ»ΠΈ ΠΊΠ΅ΡΠ°ΠΌΠΈΡΠ΅ΡΠΊΠΈΠ΅ ΠΊΠΎΡΠΎΠ½ΠΊΠΈ.Β ΠΠ΄Π½Π°ΠΊΠΎ Π²ΡΡ Π·Π°Π²ΠΈΡΠΈΡ ΠΎΡ ΠΈΡ ΠΊΠΎΠ½ΡΡΡΡΠΊΡΠΈΠΈ ΠΌΠ΅ΡΠ°Π»Π»Π°. Π ΠΎΡΠ½ΠΎΠ²Π½ΠΎΠΌ ΠΈΡΠΏΠΎΠ»ΡΠ·ΡΡΡ ΡΠ°ΡΡΠΎΡΠΎΠ²ΡΠ΅ ΠΊΠΎΡΠΎΠ½ΠΊΠΈ Ρ Π·ΠΎΠ»ΠΎΡΠΎΠΌ Π² ΠΎΡΠ½ΠΎΠ²Π΅ ΠΊΠΎΡΠΎΡΡΡ Π·ΠΎΠ»ΠΎΡΠ°Ρ ΠΊΠΎΡΠΎΠ½ΠΊΠ° ΠΏΠΎΠΊΡΡΡΠ°Ρ ΡΠ°ΡΡΠΎΡΠΎΠΌ.
ΠΠ»ΡΡΡ Π² ΠΏΡΠΎΡΠ½ΠΎΡΡΠΈ, ΠΈ Π΄Π²ΠΎΠΉΠ½ΠΎΠΉ Π·Π°ΡΠΈΡΠ΅ Π·ΡΠ±Π° Π² ΡΠ»ΡΡΠ°Π΅ ΡΡΠ΅ΡΠΈΠ½ ΠΈΠ»ΠΈ ΠΏΠΎΠ»ΠΎΠΌΠΊΠΈ. ΠΠΈΠ½ΡΡΡ Π² Π½Π΅ ΠΏΡΠΎΠ½ΠΈΠΊΠ½ΠΎΠ²Π΅Π½ΠΈΠΈ ΡΠ²Π΅ΡΠ° ΡΠ΅ΡΠ΅Π· Π½ΠΈΡ . Π€Π°ΡΡΠΎΡΠΎΠ²ΡΠ΅ ΠΊΠΎΡΠΎΠ½ΠΊΠΈ Ρ ΡΠΈΡΠΊΠΎΠ½ΠΈΠ΅Π²ΠΎΠΉ ΠΎΡΠ½ΠΎΠ²ΠΎΠΉ Π°Π½Π°Π»ΠΎΠ³ΠΈΡΠ½ΡΠ΅ Π·ΠΎΠ»ΠΎΡΠΎΠΉ ΠΎΡΠ½ΠΎΠ²Π΅, Π½ΠΎ Π±ΠΎΠ»Π΅Π΅ Π»ΡΡΡΠΈΠ΅ ΡΠ΅ΠΌ Ρ Π·ΠΎΠ»ΠΎΡΠΎΠΉ ΠΎΡΠ½ΠΎΠ²ΠΎΠΉ.
ΠΠ΅ΡΠ°Π»Π»ΠΎΠΊΠ΅ΡΠ°ΠΌΠΈΡΠ΅ΡΠΊΠΈΠ΅ ΠΊΠΎΡΠΎΠ½ΠΊΠΈ ΡΠΎΡΡΠΎΡΡ ΠΈΠ· ΠΌΠ΅ΡΠ°Π»Π»Π° ΠΏΠΎΠΊΡΡΡΠΎΠ³ΠΎ ΠΊΠ΅ΡΠ°ΠΌΠΈΠΊΠΎΠΉ. ΠΠ΅ΡΠ°Π»Π»ΠΈΡΠ΅ΡΠΊΠ°Ρ ΠΎΡΠ½ΠΎΠ²Π° Π΄Π»Ρ ΠΊΠΎΡΠΎΠ½ΠΊΠΈ ΠΌΠΎΠΆΠ΅Ρ Π±ΡΡΡ ΠΏΠΎΠ»ΡΡΠ΅Π½Π° ΠΈΠ· ΡΠ°Π·Π»ΠΈΡΠ½ΡΡ ΠΌΠ΅ΡΠ°Π»Π»ΠΎΠ² ΠΈ ΡΠΏΠ»Π°Π²ΠΎΠ² β ΡΡΠΎ ΠΈΠΌΠ΅Π½Π½ΠΎ ΡΠΎ, ΡΡΠΎ Π΄Π΅Π»Π°Π΅Ρ ΠΈΡ ΠΎΡΠ΅Π½Ρ ΠΏΡΠΎΡΠ½ΡΠΌΠΈ. ΠΡΠΎ ΡΡΠΎ ΠΌΡ ΡΠΆΠ΅ Π½Π°ΠΏΠΈΡΠ°Π»ΠΈ ΠΏΡΠ΅Π΄ΡΠ΄ΡΡΠ΅ΠΌ Π°Π±Π·Π°ΡΠ΅.
ΠΠ΅ΡΠ°ΠΌΠΈΡΠ΅ΡΠΊΠΈΠ΅ ΠΊΠΎΡΠΎΠ½ΠΊΠΈ ΠΎΠ±Π΅ΡΠΏΠ΅ΡΠ°Ρ Π²Π°ΠΌ Π»ΡΡΡΠΈΠΉ Π΅ΡΡΠ΅ΡΡΠ²Π΅Π½Π½ΡΠΉ ΡΠ²Π΅Ρ Π·ΡΠ±ΠΎΠ², ΡΠ΅ΠΌ Π»ΡΠ±ΡΠ΅ Π΄ΡΡΠ³ΠΈΠ΅ ΡΠΈΠΏΡ ΠΊΠΎΡΠΎΠ½ΠΎΠΊ. ΠΠ½ΠΈ Π±ΠΎΠ»ΡΡΠ΅ ΠΏΠΎΠ΄Ρ ΠΎΠ΄ΡΡ Π΄Π»Ρ Π»ΡΠ΄Π΅ΠΉ ΡΒ Π°Π»Π»Π΅ΡΠ³ΠΈΠ΅ΠΉ Π½Π° ΠΌΠ΅ΡΠ°Π»Π»Ρ.Β Π’Π΅ΠΌ Π½Π΅ ΠΌΠ΅Π½Π΅Π΅, ΠΎΠ½ΠΈ Π½Π΅ ΡΠ°ΠΊ ΡΠΈΠ»ΡΠ½Ρ, ΠΊΠ°ΠΊ ΡΠ°ΡΡΠΎΡΠΎΠ²ΡΠ΅ ΡΠ»ΠΈΠ²ΡΠΈΠ΅ΡΡ Ρ ΠΌΠ΅ΡΠ°Π»Π»ΠΎΠΌ. ΠΠ΅ΡΠ°ΠΌΠΈΡΠ΅ΡΠΊΠΈΠ΅ ΠΊΠΎΡΠΎΠ½ΠΊΠΈ ΡΡΠΎ Ρ ΠΎΡΠΎΡΠΈΠΉ Π²ΡΠ±ΠΎΡ Π΄Π»Ρ ΠΏΠ΅ΡΠ΅Π΄Π½ΠΈΡ Π·ΡΠ±ΠΎΠ².
ΠΠ½ΠΈ ΠΈΠ·Π³ΠΎΡΠΎΠ²Π»Π΅Π½Ρ ΠΈΠ· Π±ΠΎΠ»Π΅Π΅ ΡΠΎΠ½ΠΊΠΎΠ³ΠΎ ΠΌΠ°ΡΠ΅ΡΠΈΠ°Π»Π°, ΡΡΠΎ Π΄Π΅Π»Π°Π΅Ρ ΠΈΡ Π±ΠΎΠ»Π΅Π΅ ΡΠ²Π΅ΡΠ»ΡΠΌΠΈ. ΠΠ»ΡΡ ΠΈΡΠΏΠΎΠ»ΡΠ·ΡΠ΅ΠΌΡΠΉ ΠΌΠ°ΡΠ΅ΡΠΈΠ°Π» Β«Π±ΠΈΠΎΡΠΎΠ²ΠΌΠ΅ΡΡΠΈΠΌΡΠΉΒ», ΠΎΠ½ ΡΠ²Π»ΡΠ΅ΡΡΡ ΡΠ²ΠΎΠ΅Π³ΠΎ ΡΠΎΠ΄Π° Π°Π½Π°Π»ΠΎΠ³ΠΎΠΌ Π΅ΡΡΠ΅ΡΡΠ²Π΅Π½Π½ΠΎΠΉ ΡΠΊΠ°Π½ΠΈ Π΄ΡΡΠ΅Π½ ΠΈ ΠΏΠΎΠ·Π²ΠΎΠ»ΡΠ΅Ρ ΠΈΠΌ ΡΠ°ΡΡΠΈ Π²ΠΌΠ΅ΡΡΠ΅ Ρ ΠΊΠΎΡΠΎΠ½ΠΊΠΎΠΉ.
ΠΠ΅ΡΠ°ΠΌΠΈΡΠ΅ΡΠΊΠΈΠ΅ ΠΊΠΎΡΠΎΠ½ΠΊΠΈ ΠΏΡΠΎΠΈΠ·Π²ΠΎΠ΄ΡΡΡΡ ΠΈΠ· ΡΠΈΡΡΠΎΠΉ ΠΊΠ΅ΡΠ°ΠΌΠΈΠΊΠΈ ΠΈ Π½ΠΈΠΊΠ°ΠΊΠΈΡ Π΄ΡΡΠ³ΠΈΡ ΠΌΠ°ΡΠ΅ΡΠΈΠ°Π»ΠΎΠ², Π² ΠΎΡΠ»ΠΈΡΠΈΠ΅ ΠΎΡ Π΄ΡΡΠ³ΠΈΡ ΠΊΠΎΡΠΎΠ½ΠΎΠΊ, ΠΊΠΎΡΠΎΡΡΠ΅ Π΄Π΅Π»Π°ΡΡΡΡ ΠΈΠ· ΡΠΏΠ»Π°Π²ΠΎΠ² Ρ ΠΌΠ΅ΡΠ°Π»Π»Π°ΠΌΠΈ.Β ΠΡΠΎ ΠΊΠ°ΠΊ ΠΏΡΠ°Π²ΠΈΠ»ΠΎ ΠΏΠΎΠ·Π²ΠΎΠ»ΡΠ΅Ρ ΡΠ΄Π΅Π»Π°ΡΡ ΠΏΠΎΠ»ΡΠΏΡΠΎΠ·ΡΠ°ΡΠ½ΡΠΉ ΠΌΠ°ΡΠ΅ΡΠΈΠ°Π», ΠΊΠΎΡΠΎΡΡΠΉ ΠΈΠΌΠ΅Π΅Ρ ΠΏΡΠΈΠ²Π»Π΅ΠΊΠ°ΡΠ΅Π»ΡΠ½ΡΠΉ Π²Π½Π΅ΡΠ½ΠΈΠΉ Π²ΠΈΠ΄ ΠΈ Ρ ΠΎΡΠΎΡΠΎ ΡΠΎΡΠ΅ΡΠ°Π΅ΡΡΡ Ρ Π΅ΡΡΠ΅ΡΡΠ²Π΅Π½Π½ΡΠΌΠΈ Π·ΡΠ±Π°ΠΌΠΈ.Β ΠΡΠΎΡ ΡΠΈΠΏ ΠΊΠΎΡΠΎΠ½ΠΎΠΊ ΠΌΠΎΠΆΠ΅Ρ ΠΏΡΠΎΡΠ»ΡΠΆΠΈΡΡ Π² ΡΠ΅ΡΠ΅Π½ΠΈΠ΅ Π½Π΅ΡΠΊΠΎΠ»ΡΠΊΠΈΡ Π»Π΅Ρ.
ΠΠ΅ΡΠΌΠΎΡΡΡ Π½Π° ΠΏΡΠ΅ΠΈΠΌΡΡΠ΅ΡΡΠ²Π° ΡΡΠΈΡ ΠΊΠΎΡΠΎΠ½ΠΎΠΊ Π±ΡΠ»ΠΎ Π±Ρ ΡΠΏΡΠ°Π²Π΅Π΄Π»ΠΈΠ²ΠΎ Π²ΡΠ΄Π΅Π»ΠΈΡΡ ΠΈ Π½Π΅Π΄ΠΎΡΡΠ°ΡΠΊΠΈ. ΠΡΡΡ ΠΊΠΎΠΌΠΏΡΠΎΠΌΠΈΡΡ ΠΌΠ΅ΠΆΠ΄Ρ ΡΡΡΠ΅ΡΠΈΠΊΠΎΠΉ ΠΈ ΠΏΡΠΎΡΠ½ΠΎΡΡΡΡ: ΡΡΠΎΡ ΡΠΈΠΏ ΠΊΠΎΡΠΎΠ½ΠΎΠΊ ΡΠ΅Π°Π»ΠΈΡΡΠΈΡΠ½ΡΠΉ ΠΈ Π½Π° Π½ΠΈΡ ΠΏΡΠΈΡΡΠ½ΠΎ ΡΠΌΠΎΡΡΠ΅ΡΡ, Π½ΠΎ Π΅ΡΡΡ ΠΈ ΠΎΠ±ΡΠ°ΡΠ½Π°Ρ ΡΡΠΎΡΠΎΠ½Π°. ΠΠ½ΠΈ ΠΌΠ΅Π½Π΅Π΅ Π΄ΠΎΠ»Π³ΠΎΠ²Π΅ΡΠ½Ρ, ΡΠ΅ΠΌ Π΄ΡΡΠ³ΠΈΠ΅ Π²ΠΈΠ΄Ρ ΠΊΠΎΡΠΎΠ½ΠΎΠΊ, ΠΎΠ½ΠΈ Π±ΠΎΠ»Π΅Π΅ ΡΠΊΠ»ΠΎΠ½Π½Ρ ΠΊ ΠΏΠΎΡΡΠ΅ΡΠΊΠΈΠ²Π°Π½ΠΈΡ ΠΈ Π½Π°ΡΡΡΠ΅Π½ΠΈΡΠΌ.
ΠΠΎΡΠΎΠ½ΠΊΠΈ ΠΈΠ· Π΄ΠΈΠΎΠΊΡΠΈΠ΄Π° ΡΠΈΡΠΊΠΎΠ½ΠΈΡ
Π¦ΠΈΡΠΊΠΎΠ½ΠΈΠΉ ΡΡΠ°Π½ΠΎΠ²ΠΈΡΡΡ ΠΎΠ΄Π½ΠΈΠΌ ΠΈΠ· ΡΠ°ΠΌΡΡ ΠΏΠΎΠΏΡΠ»ΡΡΠ½ΡΡ ΠΌΠ°ΡΠ΅ΡΠΈΠ°Π»ΠΎΠ² Π΄Π»Ρ Π·ΡΠ±Π½ΡΡ ΠΊΠΎΡΠΎΠ½ΠΎΠΊ.
ΠΠ³ΠΎ ΠΏΡΠ΅ΠΈΠΌΡΡΠ΅ΡΡΠ²Π°:
- Π§ΡΠ΅Π·Π²ΡΡΠ°ΠΉΠ½ΠΎ ΠΏΡΠΎΡΠ½ΡΠΉ.
- ΠΠΎΠ»Π³ΠΎ Π²ΡΠ΄Π΅ΡΠΆΠΈΠ²Π°Π΅Ρ ΠΈΠ·Π½ΠΎΡ.
- ΠΠΎΡΡΠ°ΡΠΎΡΠ½ΠΎ ΠΏΡΠΎΠ·ΡΠ°ΡΠ½ΡΠΉ ΠΈ ΠΏΠΎΡ ΠΎΠΆ Π½Π° Π΅ΡΡΠ΅ΡΡΠ²Π΅Π½Π½ΡΠ΅ Π·ΡΠ±Ρ.
- ΠΠ΅Π½ΡΡΠ΅Π΅ ΠΎΠ±ΡΠ°ΡΠΈΠ²Π°Π½ΠΈΠ΅ Π·ΡΠ±Π°.
- ΠΠ΅ ΡΠΎΠ΄Π΅ΡΠΆΠΈΡ ΠΌΠ΅ΡΠ°Π»Π»Π°.
- ΠΠΎΠΆΠ½ΠΎ Π·Π°Π΄Π°ΡΡ ΡΠ°Π·ΠΌΠ΅ΡΡ, ΡΠΎΡΠΌΡ ΠΈ ΡΠ²Π΅Ρ.
- ΠΠΈΠΎΡΠΎΠ²ΠΌΠ΅ΡΡΠΈΠΌΡΠΉ.
Π¦ΠΈΡΠΊΠΎΠ½ΠΈΠΉ ΡΠ²Π»ΡΠ΅ΡΡΡ ΠΎΠ΄Π½ΠΈΠΌ ΠΈΠ· ΡΠΈΠΏΠΎΠ² Π΄ΠΎΠ»Π³ΠΎΠ²Π΅ΡΠ½ΡΡ
ΠΊΡΠΈΡΡΠ°Π»Π»ΠΎΠ² ΠΈ Π½Π΅ ΠΏΠΎΠ΄Π΄Π°ΡΡΡΡ ΡΠ°Π·ΡΡΡΠ΅Π½ΠΈΡ.
ΠΠ»ΡΡ Π½Π΅Ρ Π½ΠΈΠΊΠ°ΠΊΠΎΠ³ΠΎ ΡΡΡΠ°Ρ
Π°, ΡΡΠΎ ΠΎΡΠ³Π°Π½ΠΈΠ·ΠΌ Π±ΡΠ΄Π΅Ρ ΠΎΡΠ²Π΅ΡΠ³Π°ΡΡ ΡΠΈΡΠΊΠΎΠ½ΠΈΠΉ ΠΈΠ»ΠΈ ΠΏΠΎΡΠ²ΠΈΡΡΡ Π°Π»Π»Π΅ΡΠ³ΠΈΡΠ΅ΡΠΊΠ°Ρ ΡΠ΅Π°ΠΊΡΠΈΡ Π½Π° Π½Π΅Π³ΠΎ.Β ΠΠ½ Π±Π΅Π·ΠΎΠΏΠ°ΡΠ΅Π½ Π΄Π»Ρ ΠΈΡΠΏΠΎΠ»ΡΠ·ΠΎΠ²Π°Π½ΠΈΡ ΠΈ Π΅Π³ΠΎ ΠΏΡΠ΅Π΄ΠΏΠΎΡΠΈΡΠ°ΡΡ ΠΌΠ½ΠΎΠ³ΠΈΠ΅ Π»ΡΠ΄ΠΈ.
ΠΠΎΡΡΠΎΡΠ½Π½ΡΠ΅ ΠΊΠΎΡΠΎΠ½ΠΊΠΈ ΠΈΠ·Π³ΠΎΡΠ°Π²Π»ΠΈΠ²Π°ΡΡΡΡ ΠΈΠ· Π½Π΅ΡΠΆΠ°Π²Π΅ΡΡΠ΅ΠΉ ΡΡΠ°Π»ΠΈ Π²ΡΠ΅Ρ ΠΌΠ΅ΡΠ°Π»Π»ΠΎΠ² (Π½Π°ΠΏΡΠΈΠΌΠ΅Ρ ΠΈΠ· Π·ΠΎΠ»ΠΎΡΠ°, ΡΠΈΡΠΊΠΎΠ½ΠΈΡ ΠΈΠ»ΠΈ Π»ΡΠ±ΡΡ Π΄ΡΡΠ³ΠΈΡ ΡΠΏΠ»Π°Π²ΠΎΠ²). ΠΠ°ΡΠ΅ΠΌ ΠΏΠΎΠΊΡΡΠ²Π°ΡΡΡΡ ΡΠ°ΡΡΠΎΡΠΎΠΌ ΠΈΠ»ΠΈ ΠΊΠ΅ΡΠ°ΠΌΠΈΠΊΠΎΠΉ. ΠΠ·Π³ΠΎΡΠ°Π²Π»ΠΈΠ²Π°ΡΡΡΡ Π² Π·ΡΠ±ΠΎΡΠ΅Ρ Π½ΠΈΡΠ΅ΡΠΊΠΎΠΉ Π»Π°Π±ΠΎΡΠ°ΡΠΎΡΠΈΠΈ Π½Π° ΡΠΏΠ΅ΡΠΈΠ°Π»ΡΠ½ΠΎΠΌ ΠΎΠ±ΠΎΡΡΠ΄ΠΎΠ²Π°Π½ΠΈΠΈ.
Π§ΡΠΎ Π΅ΡΡ ΠΌΠ½Π΅ Π½Π΅ΠΎΠ±Ρ
ΠΎΠ΄ΠΈΠΌΠΎ Π·Π½Π°ΡΡ?
ΠΠΎΡΠΎΠ½ΠΊΠΈ ΡΠΈΠ»ΡΠ½Ρ ΠΈ ΠΎΠ±ΡΡΠ½ΠΎ Π΄Π΅ΡΠΆΠ°ΡΡΡ Π² ΡΠ΅ΡΠ΅Π½ΠΈΠ΅ ΠΏΡΠΈΠ±Π»ΠΈΠ·ΠΈΡΠ΅Π»ΡΠ½ΠΎ 10 Π»Π΅Ρ ΠΈΠ»ΠΈ Π±ΠΎΠ»ΡΡΠ΅, Π΅ΡΠ»ΠΈ Π²Ρ Ρ
ΠΎΡΠΎΡΠΎ Π±ΡΠ΄Π΅ΡΠ΅ Π·Π°Π±ΠΎΡΠΈΡΡΡΡ ΠΎ Π½ΠΈΡ
. ΠΠΆΠ΅Π΄Π½Π΅Π²Π½ΠΎ ΡΠΈΡΡΠΈΡΠ΅ ΡΠ²ΠΎΠΈ Π΅ΡΡΠ΅ΡΡΠ²Π΅Π½Π½ΡΠ΅ Π·ΡΠ±Ρ.Β ΠΠΎΡΠΎΠ½ΠΊΠΈ ΠΌΠΎΠ³ΡΡ Π±ΡΡΡ Π½Π΅ ΡΡΠΎΠ»Ρ ΡΠΈΠ»ΡΠ½ΡΠΌ, ΠΊΠ°ΠΊ Π΅ΡΡΠ΅ΡΡΠ²Π΅Π½Π½ΡΠ΅ Π·ΡΠ±Ρ.
Π£ΡΡΠ°Π½ΠΎΠ²ΠΊΠ° Π·ΡΠ±Π½ΡΡ ΠΊΠΎΡΠΎΠ½ΠΎΠΊ
ΠΡΠ»ΠΈ ΠΎΠ΄Π½ΠΎΠ³ΠΎ Π·ΡΠ±Π° Π½Π΅Ρ Π½Π° ΡΠΎΡΠ΅Π΄Π½ΠΈΠ΅ ΡΡΠ°Π²ΡΡΡΡ ΠΊΠΎΡΠΎΠ½ΠΊΠΈ, ΠΏΠΎΡΠ΅ΡΠ΅Π΄ΠΈΠ½Π΅ Π±ΡΠ΄Π΅Ρ ΠΌΠΎΡΡ. Π ΠΏΠ΅ΡΠ²ΡΠΉ Π΄Π΅Π½Ρ Π²Π°ΠΌ Π΄Π΅Π»Π°ΡΡ ΠΎΡΠΌΠΎΡΡ, Π΅ΡΠ»ΠΈ Π½ΡΠΆΠ½ΠΎ Π΄Π΅Π»Π°ΡΡ Π»Π΅ΡΠ΅Π½ΠΈΠ΅ ΡΠ°Π½Π°ΡΠΈΡ, Π΅ΡΠ»ΠΈ Π·ΡΠ±Ρ Π² Ρ ΠΎΡΠΎΡΠ΅ΠΌ ΡΠΎΡΡΠΎΡΠ½ΠΈΠΈ: Π½ΠΈΠΊΠΎΠ³Π΄Π° Π½Π΅ ΠΏΠΎΠ΄Π²Π΅ΡΠ³Π°Π»ΠΈΡΡ Π»Π΅ΡΠ΅Π½ΠΈΡ ΠΈ Π½ΠΈΠΊΠΎΠ³Π΄Π° Π½Π΅ Π±Π΅ΡΠΏΠΎΠΊΠΎΠΈΠ»ΠΈ Π²Π°Ρ, ΠΈ Π½Π΅ ΡΠ΄Π»ΠΈΠ½ΡΠ½Π½ΡΠ΅, (ΡΡΠΎΠ±Ρ ΡΠΈΠ»ΡΠ½ΠΎ Π½Π΅ Π·Π°ΡΠ»ΠΈΡΠΎΠ²ΡΠ²Π°ΡΡ) Π² ΡΠ°ΠΊΠΎΠΌ ΡΠ»ΡΡΠ°Π΅ Π½Π° ΠΆΠΈΠ²ΠΎΠΉ Π·ΡΠ± ΡΡΠ°Π²ΠΈΡΡΡ ΠΊΠΎΡΠΎΠ½ΠΊΠ°.
ΠΠΈΠ·ΡΠ°Π»ΡΠ½ΠΎ ΠΌΠΎΠΆΠ΅ΡΠ΅ ΠΏΠΎΡΠΌΠΎΡΡΠ΅ΡΡ Π½Π° Π²ΠΈΠ΄Π΅ΠΎ Π½ΠΈΠΆΠ΅.
ΠΠΎΠ³Π΄Π° Π½Π΅ΠΎΠ±Ρ ΠΎΠ΄ΠΈΠΌΠΎ ΡΡΠ°Π²ΠΈΡΡ ΠΊΠΎΡΠΎΠ½ΠΊΡ Π½Π° Π·ΡΠ±
- ΠΡΠ»ΠΈ Π·ΡΠ± ΠΏΠΎΠ²ΡΠ΅ΠΆΠ΄ΡΠ½ ΠΈ Π½Π΅ΠΎΠ±Ρ ΠΎΠ΄ΠΈΠΌΠ° Π·Π°ΡΠΈΡΠ° ΠΎΡ ΡΠ°Π·ΡΡΡΠ΅Π½ΠΈΡ.
- ΠΡΠ»ΠΈ Π½ΡΠΆΠ½ΠΎ Π²ΠΎΡΡΡΠ°Π½ΠΎΠ²ΠΈΡΡ ΡΠ»ΠΎΠΌΠ°Π½Π½ΡΠΉ Π·ΡΠ±.
- ΠΡΠ»ΠΈ Π½ΡΠΆΠ½ΠΎ ΠΏΡΠΎΠ²Π΅ΡΡΠΈ ΠΌΠΎΡΡ.
- ΠΡΠ»ΠΈ Π½Π΅ΠΎΠ±Ρ ΠΎΠ΄ΠΈΠΌΠΎ ΠΏΠΎΠΊΡΡΡΡ Π·ΡΠ±Π½ΠΎΠΉ ΠΈΠΌΠΏΠ»Π°Π½ΡΠ°Π½Ρ.
Π‘ΠΊΠΎΠ»ΡΠΊΠΎ ΡΡΠΎΠΈΡ Π·ΡΠ±Π½Π°Ρ ΠΊΠΎΡΠΎΠ½ΠΊΠ°
| ΠΠΈΠ΄ ΠΊΠΎΡΠΎΠ½ΠΊΠΈ | Π‘ΡΠΌΠΌΠ° Π² ΡΡΠ±Π»ΡΡ Π·Π° Π΅Π΄. |
| ΠΠΎΠ»ΠΎΡΠ°Ρ | ΠΡ 15 000β25 000 |
| ΠΠ΅ΡΠ°Π»Π»ΠΎΠΊΠ΅ΡΠ°ΠΌΠΈΡΠ΅ΡΠΊΠ°Ρ | ΠΡ 7000β10 000 |
| ΠΠ΅ΡΠ°ΠΌΠΈΡΠ΅ΡΠΊΠ°Ρ | ΠΡ 12 000β30 000 |
| ΠΡΠ»ΡΡΠ΅ ΠΈ Π±Π΅Π»ΡΠ΅ | ΠΡ 4000 Π΄ΠΎ 7000 |
| Π¦ΠΈΡΠΊΠΎΠ½ΠΈΠΉ | ΠΡ 12 000 Π΄ΠΎ 25 000 |
| Π€Π°ΡΡΠΎΡΠΎΠ²ΡΠ΅ | ΠΡ 10 000 Π΄ΠΎ 20 000 |
| ΠΠ»Π°ΡΡΠΌΠ°ΡΡΠΎΠ²ΡΠ΅ | ΠΡ 1500 Π΄ΠΎ 5500 |
| Π‘ΡΠΎΠΈΠΌΠΎΡΡΡ ΠΈΠΌΠΏΠ»Π°Π½ΡΠ°Π½ΡΠ° | ΠΡ 10 000 Π΄ΠΎ 35 000 ΠΈ Π²ΡΡΠ΅ |
ΠΠ°ΠΊΠ»ΡΡΠΈΡΠ΅Π»ΡΠ½ΡΠΉ ΡΠΎΠ²Π΅Ρ
ΠΠ°ΠΊ Π²ΡΠ΅Π³Π΄Π°, ΠΏΡΠΈ ΡΠ°ΡΡΠΌΠΎΡΡΠ΅Π½ΠΈΠΈ Π»ΡΠ±ΠΎΠ³ΠΎ ΡΡΠΎΠΌΠ°ΡΠΎΠ»ΠΎΠ³ΠΈΡΠ΅ΡΠΊΠΎΠ³ΠΎ Π»Π΅ΡΠ΅Π½ΠΈΡ ΠΈ Π²ΠΎΠΏΡΠΎΡΠ° ΠΎ ΡΠΎΠΌ ΠΊΠ°ΠΊΠΈΠ΅ ΠΊΠΎΡΠΎΠ½ΠΊΠΈ Π½Π° Π·ΡΠ±Ρ Π»ΡΡΡΠ΅ Π²ΡΠ΅Π³ΠΎ Π²ΡΠ±ΡΠ°ΡΡ, Π½Π°ΠΈΠ±ΠΎΠ»Π΅Π΅ Π²Π°ΠΆΠ½ΡΠΌ ΡΠ°Π·Π³ΠΎΠ²ΠΎΡΠΎΠΌ Π±ΡΠ΄Π΅Ρ ΡΠ²Π»ΡΠ΅ΡΡΡ Π²Π°Ρ ΡΠ°Π·Π³ΠΎΠ²ΠΎΡ ΡΠΎ ΡΡΠΎΠΌΠ°ΡΠΎΠ»ΠΎΠ³ΠΎΠΌ, ΠΊΠΎΡΠΎΡΡΠΉ Π±ΡΠ΄Π΅Ρ ΠΎΡΡΡΠ΅ΡΡΠ²Π»ΡΡΡ Π²Π°ΡΠ΅ Π»Π΅ΡΠ΅Π½ΠΈΠ΅.Β ΠΡΠ° ΡΡΠ°ΡΡ ΠΏΡΠ΅Π΄Π½Π°Π·Π½Π°ΡΠ΅Π½Π° ΡΠΎΠ»ΡΠΊΠΎ, ΡΡΠΎΠ±Ρ ΠΏΠΎΠΌΠΎΡΡ Π²Π°ΠΌ Π»ΡΡΡΠ΅ ΠΏΠΎΠ½ΡΡΡ ΠΎΡΠ½ΠΎΠ²Π½ΡΠ΅ ΠΏΠ»ΡΡΡ ΠΈ ΠΌΠΈΠ½ΡΡΡ ΡΠ°ΠΌΡΡ ΠΏΡΠΎΠ²Π΅ΡΠ΅Π½Π½ΡΡ ΠΈ ΠΏΡΠΈΠ½ΡΡΡΡ ΠΌΠ°ΡΠ΅ΡΠΈΠ°Π»ΠΎΠ² Π΄Π»Ρ ΠΊΠΎΡΠΎΠ½ΠΎΠΊ Π² Π½Π°ΡΡΠΎΡΡΠ΅Π΅ Π²ΡΠ΅ΠΌΡ.
ΠΠ°ΠΆΠ΄ΡΠΉ ΠΎΡΠ΄Π΅Π»ΡΠ½ΡΠΉ ΠΏΠ°ΡΠΈΠ΅Π½Ρ ΠΌΠΎΠΆΠ΅Ρ ΠΈΠΌΠ΅ΡΡ ΡΠΏΠ΅ΡΠΈΡΠΈΡΠ΅ΡΠΊΠΎΠ΅ ΡΠΎΡΡΠΎΡΠ½ΠΈΡ Π·Π΄ΠΎΡΠΎΠ²ΡΡ ΠΈΠ»ΠΈ Π°Π½Π°ΡΠΎΠΌΠΈΡΠ΅ΡΠΊΠΈΠ΅ Π΄Π°Π½Π½ΡΠ΅, ΠΊΠΎΡΠΎΡΡΠ΅ ΠΌΠΎΠ³ΡΡ ΠΎΠΊΠ°Π·Π°ΡΡ Π±ΠΎΠ»ΡΡΠ΅Π΅ Π²Π»ΠΈΡΠ½ΠΈΠ΅ Π½Π° ΠΏΡΠΈΠ½ΡΡΠΈΠ΅ ΡΠ΅ΡΠ΅Π½ΠΈΠΉ ΠΎ Π»Π΅ΡΠ΅Π½ΠΈΠΈ, ΡΠ΅ΠΌ ΠΊΠ°ΠΊΠ°Ρ-Π»ΠΈΠ±ΠΎ ΠΈΠ½ΡΠΎΡΠΌΠ°ΡΠΈΠΈ ΠΏΡΠ΅Π΄ΡΡΠ°Π²Π»Π΅Π½Π½Π°Ρ Π·Π΄Π΅ΡΡ.
ΠΠΎΠΌΠ½ΠΈΡΠ΅, ΡΡΠΎ Π²ΡΠ΅ Π²ΠΈΠ΄Ρ Π·ΡΠ±Π½ΡΡ ΠΊΠΎΡΠΎΠ½ΠΎΠΊ ΠΈΠΌΠ΅ΡΡ ΠΏΠΎΡΠ΅Π½ΡΠΈΠ°Π» Π΄Π»Ρ ΡΠ°Π·ΡΡΡΠ΅Π½ΠΈΡ ΠΈ Π²ΠΎΠ·ΠΌΠΎΠΆΠ½ΠΎ, ΠΏΠΎΡΡΠ΅Π±ΡΠ΅ΡΡΡ ΠΈΡ Π·Π°Π½ΠΎΠ²ΠΎ ΡΠΊΡΠ΅ΠΏΠ»ΡΡΡ ΠΈΠ»ΠΈ ΡΡΡΠ°Π½Π°Π²Π»ΠΈΠ²Π°ΡΡ Π²ΡΠ΅ΠΌΡ ΠΎΡ Π²ΡΠ΅ΠΌΠ΅Π½ΠΈ.Β ΠΡΠ±ΠΎΠΉ Π·ΡΠ±, Π½Π° ΠΊΠΎΡΠΎΡΡΠΉ ΡΡΡΠ°Π½ΠΎΠ²Π»Π΅Π½Π° ΠΊΠΎΡΠΎΠ½ΠΊΠ° ΠΌΠΎΠΆΠ΅Ρ ΡΠ°ΠΊΠΆΠ΅ ΠΏΠΎ-ΠΏΡΠ΅ΠΆΠ½Π΅ΠΌΡ ΡΠ°Π·ΡΡΡΠ°ΡΡΡΡ ΠΈ Π½ΡΠΆΠ΄Π°ΡΡΡΡ Π² Π½Π΅ΠΎΠ±Ρ ΠΎΠ΄ΠΈΠΌΠΎΠΌ Π»Π΅ΡΠ΅Π½ΠΈΠΈ ΠΊΠΎΡΠ½Π΅Π²ΠΎΠ³ΠΎ ΠΊΠ°Π½Π°Π»Π°.
ΠΡ ΠΏΡΠΈΠ·ΡΠ²Π°Π΅ΠΌ Π²Π°Ρ, ΡΡΠΎΠ±Ρ Π²Ρ ΠΏΠΎΠ»ΡΡΠΈΠ»ΠΈ ΠΊΠ°ΠΊ ΠΌΠΎΠΆΠ½ΠΎ Π±ΠΎΠ»ΡΡΠ΅ ΠΈΠ½ΡΠΎΡΠΌΠ°ΡΠΈΠΈ ΠΎ Π²Π°ΡΠΈΡ Π²Π°ΡΠΈΠ°Π½ΡΠ°Ρ Π»Π΅ΡΠ΅Π½ΠΈΡ Π·ΡΠ±ΠΎΠ², ΡΠ°ΠΊΠΈΡ ΠΊΠ°ΠΊΠΈΠ΅ Π²Ρ ΡΡΠΈΡΠ°Π΅ΡΠ΅ Π½Π΅ΠΎΠ±Ρ ΠΎΠ΄ΠΈΠΌΡΠΌΠΈ Π΄Π»Ρ ΡΠ΅Π±Ρ, Π° Π·Π°ΡΠ΅ΠΌ ΠΎΠ±ΡΡΠ΄ΠΈΡΡ ΡΡΡ ΠΈΠ½ΡΠΎΡΠΌΠ°ΡΠΈΡ ΠΎ Π²Π°ΡΠ΅ΠΌ ΡΠΎΡΡΠΎΡΠ½ΠΈΠΈ Π·ΡΠ±ΠΎΠ² ΡΠΏΠ΅ΡΠΈΠ°Π»ΡΠ½ΠΎ Π½Π° Π²ΡΡΡΠ΅ΡΠ΅ ΡΠΎ ΡΡΠΎΠΌΠ°ΡΠΎΠ»ΠΎΠ³ΠΎΠΌ.
ΠΡΠ΄Π΅ΠΌ ΠΠ»Π°Π³ΠΎΠΠ°Ρ’Π½Ρ ΠΈ ΠΏΡΠΈΠ·Π½Π°ΡΠ΅Π»ΡΠ½Ρ, Π΅ΡΠ»ΠΈ ΠΏΠΎΠ΄Π΅Π»ΠΈΡΠ΅ΡΡ Π΄Π°Π½Π½ΠΎΠΉ ΡΡΠ°ΡΡΡΠΉ Ρ Π΄ΡΡΠ·ΡΡΠΌΠΈ ΠΈ Π±Π»ΠΈΠ·ΠΊΠΈΠΌΠΈ. ΠΠ»Ρ Π½Π°Ρ ΡΡΠΎ ΠΎΡΠ΅Π½Ρ Π²Π°ΠΆΠ½ΠΎ!..
ΠΠ»ΠΈ Π»Π°ΠΉΠΊΠ½ΠΈΡΠ΅:
Β
myzoj.com
ΠΠ°ΠΊΠΈΠ΅ Π±ΡΠ²Π°ΡΡ ΠΊΠΎΡΠΎΠ½ΠΊΠΈ Π½Π° Π·ΡΠ±Ρ
ΠΡΠΊΡΡΡΡΠ²Π΅Π½Π½Π°Ρ ΠΊΠΎΡΠΎΠ½ΠΊΠ° β ΡΡΠΎ ΡΠ²ΠΎΠ΅ΠΎΠ±ΡΠ°Π·Π½ΡΠΉ Π·ΡΠ±Π½ΠΎΠΉ ΠΏΡΠΎΡΠ΅Π·, ΠΊΠΎΡΠΎΡΡΠΉ ΡΡΡΠ°Π½Π°Π²Π»ΠΈΠ²Π°Π΅ΡΡΡ Π½Π° ΡΠ°ΡΡΠΈΡΠ½ΠΎ ΠΈΠ»ΠΈ ΠΏΠΎΠ»Π½ΠΎΡΡΡΡ ΡΠ°Π·ΡΡΡΠ΅Π½Π½ΡΠΉ Π·ΡΠ± ΠΈ ΡΡΠΎ ΠΏΠΎΠ·Π²ΠΎΠ»ΠΈΡ Π²ΠΎΡΡΡΠ°Π½ΠΎΠ²ΠΈΡΡ ΡΡΡΠ°ΡΠ΅Π½Π½ΡΠ΅ ΠΆΠ΅Π²Π°ΡΠ΅Π»ΡΠ½ΡΠ΅ ΡΡΠ½ΠΊΡΠΈΠΈ.
ΠΠ½ΠΎΠ³ΠΈΠ΅ Π»ΡΠ΄ΠΈ ΠΈΠ½ΡΠ΅ΡΠ΅ΡΡΡΡΡΡ: ΠΊΠ°ΠΊΠΈΠ΅ Π±ΡΠ²Π°ΡΡ ΠΊΠΎΡΠΎΠ½ΠΊΠΈ Π½Π° Π·ΡΠ±Ρ, Π²Π΅Π΄Ρ ΡΡΠ΅Π΄ΠΈ Π²ΡΠ΅Π³ΠΎ ΠΈΡ ΡΠ°Π·Π½ΠΎΠΎΠ±ΡΠ°Π·ΠΈΡ ΠΏΠΎΡΠΎΠΉ ΡΡΡΠ΄Π½ΠΎ Π²ΡΠ±ΡΠ°ΡΡ Π΄Π»Ρ ΡΠ΅Π±Ρ ΠΏΠΎΠ΄Ρ ΠΎΠ΄ΡΡΠΈΠΉ Π²Π°ΡΠΈΠ°Π½Ρ.
Π Π°Π·Π½ΠΎΠ²ΠΈΠ΄Π½ΠΎΡΡΠΈ Π·ΡΠ±Π½ΡΡ ΠΊΠΎΡΠΎΠ½ΠΎΠΊ
ΠΠΎΡΠΎΠ½ΠΊΠΈ ΠΎΡΠ»ΠΈΡΠ°ΡΡΡΡ ΠΌΠ΅ΠΆΠ΄Ρ ΡΠΎΠ±ΠΎΠΉ ΠΏΠΎ ΠΌΠ°ΡΠ΅ΡΠΈΠ°Π»Π°ΠΌ, ΠΈΠ· ΠΊΠΎΡΠΎΡΡΡ ΠΎΠ½ΠΈ ΠΈΠ·Π³ΠΎΡΠΎΠ²Π»Π΅Π½Ρ ΠΈ ΠΌΠΎΠ³ΡΡ Π±ΡΡΡ ΡΠ°ΠΊΠΈΠΌΠΈ:
ΠΠ΅ΡΠ°Π»Π»ΠΎΠΊΠ΅ΡΠ°ΠΌΠΈΡΠ΅ΡΠΊΠΈΠ΅. ΠΠ½ΠΈ ΡΡΡΠ΅ΡΠΈΡΠ½Ρ, Π½Π°Π΄Π΅ΠΆΠ½ΡΠ΅ ΠΈ ΠΏΡΠΎΡΠ½ΡΠ΅, Π²Π½ΡΡΡΠ΅Π½Π½ΠΈΠΉ ΡΠ»ΠΎΠΉ ΡΡΠΎΠΉ ΠΊΠΎΡΠΎΠ½ΠΊΠΈ ΡΠΎΡΡΠΎΠΈΡ ΠΈΠ· ΠΌΠ΅ΡΠ°Π»Π»ΠΈΡΠ΅ΡΠΊΠΎΠ³ΠΎ ΠΊΠ°ΡΠΊΠ°ΡΠ° ΠΈΠ»ΠΈ ΠΈΠ· ΡΠΏΠ»Π°Π²ΠΎΠ² ΠΌΠ΅ΡΠ°Π»Π»Π°, Π° ΡΠ½Π°ΡΡΠΆΠΈ ΠΊΠ°ΡΠΊΠ°Ρ ΠΎΠ±Π»ΠΈΡΠΎΠ²Π°Π½ ΠΊΠ΅ΡΠ°ΠΌΠΈΠΊΠΎΠΉ.
ΠΠΎ ΠΏΡΠΈ ΡΡΡΠ°Π½ΠΎΠ²ΠΊΠ΅ ΠΌΠ΅ΡΠ°Π»Π»ΠΎΠΊΠ΅ΡΠ°ΠΌΠΈΠΊΠΈ ΠΎΠ±ΡΠ·Π°ΡΠ΅Π»ΡΠ½ΠΎ ΡΠ΄Π°Π»ΡΡΡ Π·ΡΠ±Π½ΠΎΠΉ Π½Π΅ΡΠ² ΠΈ Ρ ΠΊΠ°ΠΆΠ΄ΠΎΠΉ ΡΡΠΎΡΠΎΠ½Ρ Π·ΡΠ±Π° ΠΎΡΡΠ»ΠΈΡΠΎΠ²ΡΠ²Π°ΡΡ ΠΏΠΎ 2 ΠΌΠΌ ΡΠ²Π΅ΡΠ΄ΠΎΠΉ ΡΠΊΠ°Π½ΠΈ;
ΠΠ΅ΡΠ°ΠΌΠΈΡΠ΅ΡΠΊΠΈΠ΅. Π£ Π½ΠΈΡ Π½Π΅Ρ ΠΌΠ΅ΡΠ°Π»Π»ΠΈΡΠ΅ΡΠΊΠΎΠ³ΠΎ ΠΊΠ°ΡΠΊΠ°ΡΠ° ΠΈ ΡΠ΄Π΅Π»Π°Π½Ρ ΡΡΠΈ ΠΊΠΎΡΠΎΠ½ΠΊΠΈ ΠΏΠΎΠ»Π½ΠΎΡΡΡΡ ΠΈΠ· ΠΊΠ΅ΡΠ°ΠΌΠΈΠΊΠΈ. ΠΡ Π½Π΅ ΠΎΡΠ»ΠΈΡΠΈΡΡ ΠΎΡ Π½Π°ΡΡΠΎΡΡΠΈΡ Π·ΡΠ±ΠΎΠ² ΠΈ ΡΠ°ΡΠ΅ Π²ΡΠ΅Π³ΠΎ ΠΊΠ΅ΡΠ°ΠΌΠΈΡΠ΅ΡΠΊΠΈΠ΅ ΠΊΠΎΠ½ΡΡΡΡΠΊΡΠΈΠΈ Π΄Π΅Π»Π°ΡΡ ΠΈΠ· ΡΠ°ΡΡΠΎΡΠ° ΠΈ Π΄ΠΈΠΎΠΊΡΠΈΠ΄Π° ΡΠΈΡΠΊΠΎΠ½ΠΈΡ.
ΠΠΎ ΡΠ°ΡΡΠΎΡΠΎΠ²ΡΠ΅ ΠΏΡΠΎΡΠ΅Π·Ρ ΡΡΠΎΡΡ ΠΎΡΠ΅Π½Ρ Π΄ΠΎΡΠΎΠ³ΠΎ ΠΈ Π΄Π΅Π»Π°ΡΡ Π»ΠΈΡΡ ΠΎΠ΄ΠΈΠ½ΠΎΡΠ½ΡΠ΅ ΠΊΠΎΡΠΎΠ½ΠΊΠΈ. ΠΠΎΡΠΎΠ½ΠΊΠΈ ΠΈΠ· Π΄ΠΈΠΎΠΊΡΠΈΠ΄ ΡΠΈΡΠΊΠΎΠ½ΠΈΡ ΡΠΎΠΆΠ΅ Π΄ΠΎΡΠΎΠ³ΠΈΠ΅, Π½ΠΎ ΠΎΠ½ΠΈ ΠΎΡΠ΅Π½Ρ Π½Π°Π΄Π΅ΠΆΠ½ΡΠ΅, ΡΠΎΡΠ½ΠΎ ΠΏΡΠΈΠ»Π΅Π³Π°ΡΡ ΠΊ Π·ΡΠ±Π°ΠΌ ΠΈ ΡΠ»ΡΠΆΠ°Ρ ΠΎΡΠ΅Π½Ρ Π΄ΠΎΠ»Π³ΠΎ;
ΠΠ΅ΡΠ°Π»Π»ΠΈΡΠ΅ΡΠΊΠΈΠ΅. Π¦Π΅Π»ΡΠ½ΠΎΠ»ΠΈΡΡΠ΅ ΠΊΠΎΡΠΎΠ½ΠΊΠΈ ΠΈΠ· ΠΌΠ΅ΡΠ°Π»Π»Π° ΠΈΠ·Π³ΠΎΡΠ°Π²Π»ΠΈΠ²Π°ΡΡ ΠΏΠΎ ΡΠΎΡΠ½ΠΎΠΉ ΠΌΠΎΠ΄Π΅Π»ΠΈ Π·ΡΠ±ΠΎΠ², ΠΎΠ½ΠΈ ΠΎΡΠ΅Π½Ρ ΠΏΡΠΎΡΠ½ΡΠ΅, ΡΠ»ΡΠΆΠ°Ρ Π΄ΠΎΠ»Π³ΠΎ ΠΈ Π½Π΅ ΠΎΡΠ΅Π½Ρ Π΄ΠΎΡΠΎΠ³ΠΈΠ΅. Π¨ΡΠ°ΠΌΠΏΠΎΠ²Π°Π½Π½ΡΠ΅ ΠΌΠ΅ΡΠ°Π»Π»ΠΈΡΠ΅ΡΠΊΠΈΠ΅ ΠΊΠΎΡΠΎΠ½ΠΊΠΈ ΠΈΠ·Π³ΠΎΡΠ°Π²Π»ΠΈΠ²Π°Π»ΠΈ ΡΠ°Π½ΡΡΠ΅, ΠΈΡ Π΄Π΅Π»Π°Π»ΠΈ ΠΈΠ· ΡΡΠ°Π»ΡΠ½ΡΡ Π³ΠΈΠ»ΡΠ·, Π° Π·Π°ΡΠ΅ΠΌ ΠΏΡΠΎΠΈΡΡ ΠΎΠ΄ΠΈΠ»ΠΎ Π½Π°ΠΏΡΠ»Π΅Π½ΠΈΠ΅ Π·ΠΎΠ»ΠΎΡΠΎΠΌ.
ΠΠΎ ΠΈ ΡΠ΅ΠΉΡΠ°Ρ Π΅ΡΠ΅ Π΄Π΅Π»Π°ΡΡ ΡΠ°ΠΊΠΈΠ΅ ΠΊΠΎΡΠΎΠ½ΠΊΠΈ, ΡΠ°ΠΊ ΠΊΠ°ΠΊ ΠΏΡΠΈ ΠΈΡ ΡΡΡΠ°Π½ΠΎΠ²ΠΊΠ΅ ΡΡΠ΅Π±ΡΠ΅ΡΡΡ ΠΌΠΈΠ½ΠΈΠΌΠ°Π»ΡΠ½Π°Ρ ΠΎΠ±ΡΠΎΡΠΊΠ° Π·ΡΠ±Π° ΠΈ ΡΡΠΎΡΡ ΠΎΠ½ΠΈ Π½Π΅Π΄ΠΎΡΠΎΠ³ΠΎ.
ΠΠ°ΠΊΠΈΠ΅ Π΅ΡΠ΅ Π±ΡΠ²Π°ΡΡ ΠΊΠΎΡΠΎΠ½ΠΊΠΈ?
- ΠΠΎΠ»ΠΎΡΡΠ΅ ΠΊΠΎΡΠΎΠ½ΠΊΠΈ. Π‘ ΡΠ°Π·Π²ΠΈΡΠΈΠ΅ΠΌ ΠΏΡΠΎΡΠ΅Π·ΠΈΡΠΎΠ²Π°Π½ΠΈΡ Π·ΡΠ±ΠΎΠ² Ρ ΠΎΡΡ ΠΈ ΠΏΠΎΡΠ²ΠΈΠ»ΠΈΡΡ Π½ΠΎΠ²ΡΠ΅ Π²ΠΈΠ΄Ρ ΠΊΠΎΡΠΎΠ½ΠΎΠΊ, Π½ΠΎ Π·ΠΎΠ»ΠΎΡΡΠ΅ ΠΊΠΎΠ½ΡΡΡΡΠΊΡΠΈΠΈ ΠΎΡΡΠ°ΡΡΡΡ Π΄ΠΎΠ²ΠΎΠ»ΡΠ½ΠΎ ΠΏΠΎΠΏΡΠ»ΡΡΠ½ΡΠΌΠΈ. ΠΠΎΠ»ΠΎΡΠΎ Π½Π΅ ΠΏΠΎΠ΄Π²Π΅ΡΠ³Π½Π΅ΡΡΡ ΠΊΠΎΡΡΠΎΠ·ΠΈΠΈ, ΠΈ ΠΎΡΠ½ΠΎΠ²Π° Π΄Π»Ρ ΠΊΠΎΡΠΎΠ½ΠΊΠΈ ΠΈΠ· ΡΡΠΎΠ³ΠΎ ΠΌΠ΅ΡΠ°Π»Π»Π° ΠΈΠ΄Π΅Π°Π»ΡΠ½ΠΎ ΠΏΠΎΠ²ΡΠΎΡΡΠ΅Ρ ΠΊΠΎΠ½ΡΡΡΡ Π·ΡΠ±Π°.
- ΠΠ΅ΡΠ°Π»Π»ΠΎΠΊΠΎΠΌΠΏΠΎΠ·ΠΈΡΠ½ΡΠ΅ ΠΊΠΎΡΠΎΠ½ΠΊΠΈ. Π’Π°ΠΊΠΈΠ΅ ΠΊΠΎΠΌΠ±ΠΈΠ½ΠΈΡΠΎΠ²Π°Π½Π½ΡΠ΅ ΠΊΠΎΠ½ΡΡΡΡΠΊΡΠΈΠΈ ΠΈΠ·Π³ΠΎΡΠΎΠ²Π»Π΅Π½Ρ ΠΏΡΡΠ΅ΠΌ Π»ΠΈΡΡΡ Ρ Π΄Π°Π»ΡΠ½Π΅ΠΉΡΠ΅ΠΉ ΠΎΠ±Π»ΠΈΡΠΎΠ²ΠΊΠΎΠΉ ΠΏΠ»Π°ΡΡΠΌΠ°ΡΡΠΎΠΉ ΠΏΠ΅ΡΠ΅Π΄Π½Π΅ΠΉ ΠΏΠΎΠ²Π΅ΡΡ Π½ΠΎΡΡΠΈ Π·ΡΠ±Π°. ΠΠ΅ΠΏΠ»ΠΎΡ ΠΎ ΡΠΌΠΎΡΡΡΡΡΡ, Π½ΠΎ ΠΏΠ»Π°ΡΡΠΌΠ°ΡΡΠ° Π±ΡΡΡΡΠΎ ΡΠ΅ΡΡΠ΅Ρ ΠΏΡΠΈΠ²Π»Π΅ΠΊΠ°ΡΠ΅Π»ΡΠ½ΡΠΉ Π²ΠΈΠ΄, ΠΈ ΡΠ°ΠΊΠΈΠ΅ ΠΊΠΎΡΠΎΠ½ΠΊΠΈ ΡΡΠ°Π½ΠΎΠ²ΡΡΡΡ ΡΠ΅ΡΡΠΌΠΈ.
- ΠΠΎΡΠΎΠ½ΠΊΠ° Ρ ΠΎΠΏΠΎΡΠΎΠΉ Π½Π° ΠΈΠΌΠΏΠ»Π°Π½ΡΡ. Π’Π°ΠΊΠΎΠΉ Π²ΠΈΠ΄ ΠΏΡΠΎΡΠ΅Π·ΠΈΡΠΎΠ²Π°Π½ΠΈΡ ΠΏΠΎΠ΄Ρ ΠΎΠ΄ΠΈΡ Π΄Π»Ρ ΠΏΠ΅ΡΠ΅Π΄Π½ΠΈΡ Π·ΡΠ±ΠΎΠ².
ΠΠΎΠΌΠ±ΠΈΠ½ΠΈΡΠΎΠ²Π°Π½Π½ΡΠ΅ ΠΊΠΎΡΠΎΠ½ΠΊΠΈ
Π’Π°ΠΊΠΈΠ΅ ΠΊΠΎΡΠΎΠ½ΠΊΠΈ ΡΠΎΡΡΠΎΡΡ ΠΈΠ· Π΄Π²ΡΡ ΡΠ»ΠΎΠ΅Π² β ΠΌΠ΅ΡΠ°Π»Π»ΠΈΡΠ΅ΡΠΊΠΎΠ³ΠΎ ΠΈ Π²Π½Π΅ΡΠ½Π΅Π³ΠΎ ΡΠ»ΠΎΡ. ΠΠ½Π΅ΡΠ½ΠΈΠΉ ΠΎΠ±Π»ΠΈΡΠΎΠ²ΠΎΡΠ½ΡΠΉ ΡΠ»ΠΎΠΉ ΠΌΠΎΠΆΠ΅Ρ Π±ΡΡΡ Π²ΡΠΏΠΎΠ»Π½Π΅Π½ ΠΈΠ· ΡΠ°Π·Π»ΠΈΡΠ½ΡΡ ΠΌΠ°ΡΠ΅ΡΠΈΠ°Π»ΠΎΠ²: ΠΊΠ΅ΡΠ°ΠΌΠΈΠΊΠΈ, ΠΊΠΎΠΌΠΏΠΎΠ·ΠΈΡΠ½ΡΡ ΠΌΠ°ΡΠ΅ΡΠΈΠ°Π»ΠΎΠ², ΡΠ°ΡΡΠΎΡΠ° ΠΈ Π΄Π°ΠΆΠ΅ ΠΈΠ· ΠΏΠ»Π°ΡΡΠΌΠ°ΡΡΡ.
ΠΠ°ΡΠΊΠ°Ρ Π΄Π΅Π»Π°ΡΡ ΠΈΠ· ΡΠΏΠ»Π°Π²ΠΎΠ² ΠΊΠΎΠ±Π°Π»ΡΡΠ° Ρ Ρ ΡΠΎΠΌΠΎΠΌ, Ρ Π½ΠΈΠΊΠ΅Π»Π΅ΠΌ, ΡΠ°ΠΊΠΆΠ΅ ΠΈΡΠΏΠΎΠ»ΡΠ·ΡΠ΅ΡΡΡ ΠΏΠ°Π»Π»Π°Π΄ΠΈΠΉ, Π·ΠΎΠ»ΠΎΡΠΎ ΠΈ ΠΏΠ»Π°ΡΠΈΠ½Π°.
ΠΠΎ Π½Π΅Π΄ΠΎΡΡΠ°ΡΠΊΠΎΠΌ ΡΡΠΎΠ³ΠΎ ΠΏΡΠΎΡΠ΅Π·ΠΈΡΠΎΠ²Π°Π½ΠΈΡ ΡΠ²Π»ΡΠ΅ΡΡΡ ΠΎΠ±ΡΠ·Π°ΡΠ΅Π»ΡΠ½Π°Ρ ΠΎΠ±ΡΠΎΡΠΊΠ° Π·ΡΠ±ΠΎΠ², ΠΎΠ΄Π½Π°ΠΊΠΎ ΡΠ°ΠΊΠΈΠ΅ Π·ΡΠ±Π½ΡΠ΅ ΠΏΡΠΎΡΠ΅Π·Ρ ΡΡΠΈΡΠ°ΡΡΡΡ ΠΎΠΏΡΠΈΠΌΠ°Π»ΡΠ½ΡΠΌ ΡΠΎΠΎΡΠ½ΠΎΡΠ΅Π½ΠΈΠ΅ΠΌ ΠΊΠ°ΡΠ΅ΡΡΠ²Π° ΠΈ ΡΡΠΎΠΈΠΌΠΎΡΡΠΈ.
zub-ne-bolit.ru


