Как избавиться от свища на десне
Свищ на десне зуба
Свищ на десне зуба – это патологические образование, представленное небольшим ходом через десну к очагу поражения. Чаще всего свищ идет от корня больного зуба. По такому каналу отводится серозный или гнойный экссудат. Увидеть свищ можно в месте проекции зуба, в верхней его части. Он выглядит как воспаленная точка. Свищ не формируется рядом со здоровыми зубами. Поэтому около него всегда имеется кариес, либо пломба, коронка, мост или иная реставрация.
Свищ можно обнаружить самостоятельно. Его появлению предшествует набухание десны, в тканях скапливается гной. Когда гнойное содержимое прорывается и начинает выходить наружу, боль несколько стихает. На десне формируется незаживающее отверстие, из которого постоянно сочится экссудат. Это и есть свищ.
Свищ на десне может сформироваться практически у каждого человека, независимо от возраста и пола. Дети не являются исключением, так как свищ способен развиваться даже при молочных зубах.
Игнорировать наличие фистулы на десне не следует, так как эта патология способна привести к серьезным проблемам со здоровьем. В открытую рану будут беспрепятственно проникать патогенные бактерии, что способствует усилению воспаления, интоксикации организма, потере зуба. Поэтому при обнаружении формирования на десне необходимо обращаться к стоматологу. Впрочем, визит к доктору невозможно будет откладывать надолго, так как свищ будет провоцировать боль, что значительно ухудшит качество жизни человека.
Содержание статьи:
Симптомы свища на десне
Симптомы свища на десне следующие:
Зубная боль, которая может быть достаточно интенсивной. Ее характер варьируется от острой и стреляющей, до ноющей и монотонной. Боль имеет тенденцию к усилению при надавливании на пораженный зуб, например, во время пережевывания пищи.
Зуб приобретает патологическую подвижность, расшатывается.
Вокруг десны формируется воспаление, кожа становится отечной и гиперемированной.
Из свища выделяется гнойное содержимое.
Изо рта будет исходить неприятный запах, который характеризует процесс гниения и не устраняется путем гигиены ротовой полости.
Боли будут максимально интенсивными в то время, когда гнойный экссудат только накапливается в области воспаленного зуба и в тканях десны. После того, как гной прорывается наружу и формируется свищевой канал, боли стихают.
Когда свищ развивается по причине нарушения техники лечения зубов, фистула возникает не сразу. На протяжении какого-то времени процесс будет иметь скрытое бессимптомное течение. Ошибка врача-стоматолога должна быть как можно быстрее скорректирована.
Причины свища на десне
Как самостоятельная патология свищ на десне не формируется.
Для этого должны быть соответствующие причины:
Нелеченый кариес или его некачественное лечение. Со временем кариес может перейти в пульпит, а затем в периодонтит. Инфекция распространяется, поражает верхнюю часть корня, возникает гнойный абсцесс, а затем формируется свищ.
Нарушение техники пломбировки зубного канала. Когда врач пломбирует канал зуба, он затем отправляет пациента на прохождение контрольного рентгенологического обследования. Это позволяет убедиться в том, что пломбировка была качественной. В противном случае возможно развитие абсцесса, а затем свища. Причем, в 60% случаев свищ формируется из-за некачественной пломбировки канала.
Повреждение корня зуба. Когда врач работает с каналом, используя травмирующие инструменты, он должен быть максимально осторожным, так как имеется риск повреждения. Если вдруг стоматолог допустил перфорацию канала и случился разрыв, то развитие гнойного воспаления в дальнейшем обеспечено.
Прорезывание зубов мудрости может привести к формированию свища. Мало у кого они прорезываются без боли и дискомфорта. В наиболее сложных случаях процесс затягивается на долгое время, десна воспаляется и отекает. Зуб травмирует ее с внутренней стороны по мере своего роста. В этом месте начинает скапливаться гной, который находит свой выход посредством свищевого канала.
Длительное прорезывание молочных зубов у детей. В этом случае механизм формирования свища на десне аналогичен тому, который происходит при прорезывании зуба мудрости.
Кистозные формирования в полости десны могут быть причиной свища. Фистулы образуются на фоне воспаления кисты.
Наличие гранулемы зуба, при которой гной скапливается в мягких тканях вокруг. Если этот очаг инфекции вовремя не санировать, то сформируется свищ.
Существуют также факторы риска, которые способны дать старт для заболеваний, способствующих формированию свищей, среди них:
Резкое переохлаждение организма, либо его перегрев;
Нарушения в работе иммунитета;
Заболевания инфекционной природы как организма в целом, так и ротовой полости в частности.
Опасности свища десны
При обнаружении свища на десне необходимо как можно быстрее обращаться за помощью к стоматологу. Ведь последствия этой патологии могут быть весьма серьезными.
Если длительное время игнорировать имеющееся воспаление, возможна потеря зуба. Это обусловлено не только его повышенной подвижностью, но и поражением здоровых тканей, расположенных рядом. Чем обширнее процесс, тем выше вероятность того, что зуб придется удалять хирургическим путем.
Кроме того, в воспаление может вовлекаться надкостница, в которой имеются сосуды, отвечающие за питание других, здоровых зубов. Инфицированная надкостница подвергается дегенеративным процессам, что в дальнейшем приведет к потере не одного, а сразу нескольких зубов. В этом случае требуется массивное хирургическое вмешательство, которое будет направлено на удаление всей больной части надкостницы.
Если гноя становится очень много, то он может поражать мягкие ткани лица. Когда это происходит, то их тоже приходится удалять во время операции.
Столь серьезные последствия обязательно должны заставить человека обратиться за консультацией к стоматологу при обнаружении свища на десне.
Диагностика свища на десне
Для постановки диагноза врачу будет достаточно визуального осмотра пациента. Чтобы уточнить, в каком состоянии находится больной зуб, и точно выявить очаг воспаления, может потребоваться проведение рентгенологического обследования.
С его помощью удастся определить глубину свища, степень разрастания гранулемы или кисты, масштабы поражения надкостницы и пр.
Врач должен выставить дифференциальный диагноз с такими заболеваниями, как киста десны, жировик, гнойное воспаление тканей. Самодиагностика свища недопустима.
Лечение свища десны
После проведения обследования врач назначит пациенту лечение. Оно может быть двух видов: медикаментозным и оперативным.
Обычно используется комбинированная схема:
Вскрытие зуба для получения доступа к корневым каналам.
Откачка гнойных масс, удаление омертвевших тканей.
Антисептическая обработка очага воспаления.
Введение в зубную полость лечебного состава на определенное время. После этого пациента отправляют домой, назначив ему дату следующего приема.
Во время повторного визита к доктору он удалит из зуба временную пломбу и оценит, в каком состоянии находится полость зуба.
При необходимости врач снова обработает зуб лекарственным составом. Не исключено назначение физиотерапевтических процедур.
После того, как воспаление будет качественно купировано, стоматолог установит постоянную пломбу.
Если свищ сформировался из-за повреждения каналов, то в ряде случаев доктор может не удалять пломбу с зуба. Доступ к очагу воспаления может быть получен через десну.
При наличии коронки или штифта распломбировка зуба является очень сложным процессом, поэтому чаще всего доктор рекомендует хирургическое удаление верхушки зуба.
Чтобы завершить процесс лечения свища, потребуется реабилитационный курс. Пораженный участок облучают с помощью ультразвука или обрабатывают лазером. Возможно лечение свища с помощью диаметрического тока.
При необходимости врач назначает пациенту пероральный прием антибиотиков, если местного лечения оказывается недостаточно. Курс антибактериальной терапии составляет от 7 до 10 дней. Препаратами выбора являются антибиотики широкого спектра действия, например, Аугментин, Ципролет, Офлоксацин, Сумамед.
Способствовать скорейшему затягиванию свища будет наложение профессиональных стоматологических гелей и паст на его поверхность.
Что касается симптоматического лечения, то возможно назначение антигистаминных препаратов для уменьшения отечности десны, прием обезболивающих лекарственных средств.
В домашних условиях врач может рекомендовать больному полоскать рот антисептическими растворами: Хлоргексидином, Мирамистином, Фурацилином. Не исключено использование лекарственных трав, например, ромашки.
Что касается оперативного лечения, то оно показано в трех случаях:
В процесс воспаления вовлечены большие площади мягких тканей.
Зуб покрыт коронкой или в нем имеются штифты.
Надкостница зуба подверглась дегенеративным процессам.
Пораженные ткани удаляются механическим путем, с помощью выскабливания. В дальнейшем канал зуба обрабатывают лазером. Поверхность зуба пломбируют. Это основные манипуляции, которые производит врач в ротовой полости пациента. Затем он отпускает его домой, дав соответствующие рекомендации. В обязательном порядке назначают системные антибиотики и антисептическую обработку зоны поражения.
Свищ на десне не может пройти самостоятельно, поэтому тянуть время и откладывать визит к стоматологу не следует. Возможно угасание болей, но не купирование воспалительного процесса. Поэтому чем раньше будет начато профессиональное лечение, тем быстрее удастся добиться полного выздоровления.
Как лечить свищ на десне в домашних условиях – важные рекомендации
Свищ на десне выглядит как отверстие или мешочек с белесоватой головкой. Он представляет собой канал, который соединяет поверхность десны и очаг гнойного воспаления у верхушки корня зуба. Пациент ощущает сильную боль, ткани в области поражения воспалены. Это явление возникает из-за жизнедеятельности бактерий при кариесе или пульпите. При соблюдении всех медицинских рекомендаций лечить свищ на десне можно дома.
Причины образования свища и рекомендации перед домашним лечением
Лечение свища на десне в домашних условиях требует понимания патогенеза. Свищ, или фистула – это воспалительное заболевание, которое проявляется отёчностью и покраснением десны, а также выделением гноя. Разрастается соединительная ткань. Образование канала объясняется тем, что организм должен выводить гной из поражённого участка на поверхность.
Возникновение свища – не самостоятельный процесс, а осложнение кариеса, пульпита, периодонтита и других заболеваний, связанных с активностью микроорганизмов. Часто он проявляется уже после стоматологического вмешательства – неудачного лечения кариеса или некачественной пломбировки корневых каналов.
Во время лечения врач может не до конца уничтожить поражённые структуры. Оставшиеся микробы продолжают размножаться. Инфекция распространяется по тканям, окружающим зуб, и образуется свищ. При лечении корневых каналов ошибкой становится пломбировка не на всю длину корня, а также повреждение стенки корня и образование в нём отверстия. Незаполненные пустоты – излюбленные места для бактериальных колоний.
Кроме того, фистула развивается из-за:
- воспаления кисты около корня зуба;
- прорезывания зуба мудрости;
- травмы зуба.
Перед домашним лечением фистулы визит к врачу обязателен. Хирургическое лечение проводит только стоматолог. Он вскрывает свищ и ликвидирует источник инфекции. Иногда требуется удаление зуба.
Чем лечить свищ на десне дома
У взрослых лечение свища на десне в домашних условиях включает медикаментозную терапию и народные средства. Задача пациента – соблюдать последовательность действий на протяжении послеоперационного периода, не пропускать приём лекарственных препаратов и не прерывать лечение раньше положенного времени.
Медикаментозная терапия
После стоматологических процедур пациенту назначают курс лечения антибактериальными препаратами группы пенициллинов, цефалоспоринов или фторхинолонов, например, «Аугментин», «Ципрофлоксацин». Препарат и длительность приёма определяет врач. Чаще всего длительность составляет 7-10 дней.
«Аугментин» и «Ципрофлоксацин»
Важно не прерывать приём при исчезновении видимых симптомов заболевания! Антибактериальные препараты создают в организме концентрацию вещества, необходимую для подавления микрофлоры. Преждевременное прекращение приёма не уничтожает бактерии до конца. Оставшиеся микроорганизмы вырабатывают устойчивость к лекарству и в будущем не смогут быть вновь уничтожены тем же препаратом.
Помимо антибактериальных лекарств пациенту обязательно назначаются антигистаминные препараты – «Тавегил», «Цетрин», «Супрастин», «Эриус». Они тормозят развитие отёка слизистых оболочек и прочие проявления воспалительной реакции. Для снятия боли и воспаления используются и нестероидные противовоспалительные средства – «Ибупрофен», «Диклофенак», «Нимесулид». Эти препараты вызывают ряд побочных эффектов. НПВС (нестероидные противовоспалительные препараты) снижают продукцию защитной слизи в желудке, нарушают его кровообращение и сужают бронхи, поэтому принимаются только по показаниям врача.
Полоскания при свище
Окончательно избавиться от свища на десне можно с помощью полосканий. Допустимо использовать любой антисептик – «Хлоргексидин», «Повидон-йод», «Фурацилин» или «Мирамистин», а также травяные спиртово-масляные растворы – «Стоматофит» и «Хлорофиллипт». Полоскать свищ нужно после еды. Можно наносить средство на кусочек чистой ваты и прикладывать к фистуле на несколько минут. Антисептические растворы допустимо использовать до вскрытия свища.
«Хлоргексидин» и «Мирамистин»
Классический способ лечения – это полоскание полости рта раствором морской соли и соды. В стакан горячей кипячёной воды добавляют 1 ч. л. соли, 1 ч. л. соды, а также 2 капли йода. Остывшим раствором полощут ротовую полость в течение дня. Его также можно применять и до стоматологического вмешательства. Благодаря осмотическим свойствам средство вытягивает гной и активно выводит его по свищевому каналу наружу.
Народная медицина
Медицина не стоит на месте, но некоторые народные рецепты будут актуальны всегда. Лечить свищ на дёснах в домашних условиях можно с помощью лекарственных растений.
Противовоспалительные свойства ромашки аптечной позволяют использовать её на тканях пародонта. Приготовить раствор для полоскания рта просто:
- В 1 стакан кипятка нужно добавить 2 ч. л. ромашки. Сухую ромашку можно приобрести в аптеке.
- Сосуд необходимо плотно закрыть, затем оставить на полчаса.
- После того как раствор остынет до комнатной температуры, его можно использовать. Полоскать полость рта нужно каждые 2-3 часа до уменьшения симптомов воспаления.
В домашнем лечении будет эффективен компресс из календулы, пижмы и тысячелистника:
- Измельчённые травы смешиваются в равных пропорциях, после этого в смесь добавляется немного мази Вишневского.
- Средство наносится на поражённый участок 3-4 раза в день.
Отлично помогает мазь из эвкалипта :
- 40 г измельчённых эвкалиптовых листьев соединяют со 1 ст. л. подсолнечного масла.
- Заготовку настаивают 24 часа, после добавляют к ней рубленую луковицу.
- Ингредиенты перемешивают, помещают в стерильную марлю и прикладывают в область фистулы на 20 минут 1 раз в день.
Для промывания десны готовят настой древесной золы :
- В 3,5 л кипятка добавляют 100 г золы и варят на медленном огне в течение получаса.
- Полученную смесь процеживают, после этого её можно использовать для обработки дёсен. Зола снимает воспаление и укрепляет ткани пародонта. Настой применяют несколько раз в день до облегчения симптомов.
После полосканий и компрессов рекомендуется не есть и не пить в течение часа.
Мази и гели
Среди назначенных стоматологом препаратов присутствуют мази и гели, способствующие заживлению слизистой оболочки. К ним относятся:
- «Солкосерил». Гель улучшает трофику и регенерацию тканей. Он подходит как для кожных покровов, так и для слизистой полости рта. Средство быстро заживляет дефект после вскрытия гнойника.
- «Левомеколь». Препарат ускоряет заживление десны и содержит антибиотик.
- «Метрогил Дента». Лекарство эффективно борется с дискомфортом на любой стадии заболевания.
«Метрогил Дента» и «Солкосерил»
Универсальным и простым средством скорой помощи является обычный лёд. Холод быстро притупляет боль. Кубик льда, приложенный к десне, помогает переждать время до стоматологического приёма.
Домашняя терапия должна обязательно сопровождаться визитом к стоматологу. Однако бывают случаи, когда вылечить гнойный свищ на десне возможно лишь в несколько посещений или даже в условиях стационара. Иногда пациент откладывает посещение врача до тех пор, пока инфекционный процесс не перейдёт на слизистую оболочку всей полости рта или не приведёт к потере больного зуба. Фистула может необратимо поражать даже мягкие ткани лица! Кроме того, этот процесс снижает иммунные силы организма. Человек становится более подвержен инфекционным заболеваниям. Повышается риск обострения уже имеющихся хронических патологий.
Успех лечения фистулы в десне зависит от своевременности обращения за помощью, а также от интенсивности домашней терапии. Официальная медицина и народные средства помогают за короткие сроки ликвидировать воспалительный процесс. Важно помнить, что фистула – это осложнение, которому предшествуют ряд стоматологических проблем. Грамотная профилактика и лечение заболеваний – лучший способ предотвратить появление свища на десне.
Свищ на десне — как распознать и вылечить в домашних условиях
Врач-Стоматолог терапевт, ортопед
Статья проверена доктором
Добрый день постоянным читателям и тем, кто случайно попал на нашу страничку. Тема, которая будет затронута сегодня, к сожалению, возникает у многих. Она пугает, вызывает боль и дискомфорт и называется в обиходе свищ на десне. После прочтения статьи вы получите ответы на вопросы что это и что делать, если определили у себя этот неприятный симптом.
Важные нюансы вопроса
Упустим сложные медицинские термины и попробуем разобраться во всем этом на языке, понятном большинству.
Свищ – это своего рода соединительный канал между разразившимся очагом инфекции и поверхностью десны.
Что собой представляет свищ на десне
По мере роста воспаления в очаге накапливается большое количество бактерий. Самих их не видно, но мы можем наблюдать продукт их жизнедеятельности – гной. Микробы живут, размножаются, продуцируя большое количество гноя, который всегда ищет выход наружу. Как только гной подобрался к десне, мы понимаем, что у нас свищ, и начинаем искать пути его излечения. Но об этом чуть позже, а сперва стоит разобраться, откуда он вообще берется и как его можно распознать в домашних условиях, не посещая кабинет стоматолога.
Свищ на десне ребенка
Как распознать образовавшийся свищ на десне?
Для того чтобы определить проблему и начать с ней бороться, нужно ее идентифицировать. Предшественниками этого заболевания могут быть следующие симптомы.
- Внезапная ноющая боль в области зуба. По интенсивности она может варьироваться от слабой до нетерпимой. При жевании или прикосновении к больному месту боль будет усиливаться. Локализовать больной зуб можно легким постукиванием. С этим можно справиться в домашних условиях. Стоматолог проведет аналогичную процедуру при осмотре.
Гнойник на десне
При обнаружении одного или нескольких подобных симптомов можно понять, что у вас свищ на десне и нужно искать его причины. Стоматологу может понадобиться дополнительная диагностика в виде рентгенографии, но в большинстве случаев поверхностного осмотра будет вполне достаточно.
Почему возникает свищ?
Причин проявления свища может быть много, но все они сводятся к воспалительным процессам, возникающим в непосредственной близости от корня зуба с образованием гноя. У здорового зуба свищ не образуется. Но эту фразу не стоит рассматривать однозначно. С одной стороны, естественно возникновение свища в районе пораженного зуба. Но гораздо чаще мы думаем, что зуб вылечили, стоматолог проблем не обнаружил, а по прошествии времени запустился воспалительный процесс и образовался гнойный свищ.
Свищ на десне из-за воспаление у корня зуба
Свищ не появляется сам по себе. Его как магнитом тянет кариозный зуб. Даже если кариес был вылечен и запломбирован или покрыт коронкой, он впоследствии может стать причиной воспалительного процесса.
Свищ на десне может возникнуть в результате:
- несвоевременно обнаруженного или вовремя не пролеченного кариеса или пульпита;
- ошибки врача, который производил чистку и пломбировку корней зуба;
- начавшейся перфорации корня зуба.
Перфорации в апикальной трети канала
Стоит подробно остановиться на каждом из симптомов.
Недостаточная гигиена, кариес, пульпит…
Подавляющее большинство стоматологических проблем возникает из-за недостаточного ухода за ротовой полостью. Самое распространенное заболевание – кариес, может не привлекать к себе достаточного внимания пациента и игнорируется им. Если кариес не лечить или обратиться к врачу на запущенной стадии, велика вероятность развития более сложного заболевания – пульпита , который уже сопровождается повреждением зубного нерва.
Игнорирование и этого заболевания приводит к отмиранию нерва, появлению некрозных тканей, сильного воспаления и нагноения, которое ищет выход наружу. Теперь уже без помощи стоматолога обойтись будет сложно, ведь лечить придется периодонтит, который наверняка будет сопровождаться свищом.
Свищ на десне, как правило, возникает не сразу. Ему предшествует сильная зубная боль , независимо от надавливания, и ярко выраженное воспаление десны. Боль будет продолжаться до тех пор, пока гной не пробьется через стенку десны и не выйдет наружу. Без лечения на данном этапе можно просто потерять зуб. Для предотвращения этого необходимо обратиться к стоматологу для проведения процедуры чистки зубных каналов, удаления пораженных тканей и качественной их пломбировки. Но не всегда эта процедура проходит гладко.
Как проводится чистка каналов зуба
Неудачно запломбированные каналы
В стоматологической практике необходимость вскрытия и последующего пломбирования каналов возникает при:
Грустная статистика говорит, что почти в 70% случаев пломбировка каналов происходит не самым надлежащим образом. Стоматолог производит эту процедуру практически вслепую, часто прочищая корень и пломбируя его не на всю длину. Бывает, что запломбированный канал недостаточно заполнен материалом, в котором со временем образуются полости – места скопления бактерий. Как следствие одного и второго — воспаление верхушки корня.
Фото до и после пломбирования
Из-за отсутствия нерва пациент не сразу почувствует боль. И только когда инфекция распространится на окружающие ткани, вызывая воспаление, мы начинаем бить тревогу.
Опытный врач всегда перестрахуется и сделает снимок запломбированных каналов. Он отчетливо покажет качество проведенной процедуры.
Рентгеновский снимок зуба
Последствия некачественного лечения устранять будет намного сложнее, чем не допустить. Врачу придется повторно раскрывать каналы, расширять, чистить их, проводя медикаментозное лечение зуба. Такое лечение может затянуться на месяцы. В сложных случаях даже проводят оперативное вмешательство, направленное на удаление верхушки корня как источника воспаления.
Перфорированный корень
Очередная ошибка стоматолога, приводящая к появлению свища. В ряде случаев в процессе работы доктор нарушает целостность стенки корня зуба. Если в самом скором времени эту ошибку не исправить, то в отверстиях корня поселяется инфекция, вызревает и пациент получает все тот же свищ с обширным воспалением.
Перфорированный боковой резец
Опасен такой свищ тем, что может выйти не только к десне, но и поразить надкостницу зуба. В такой ситуации лечение требует не только похода к стоматологу, но и назначения комплексной лечебной терапии с применением лекарственных антибактериальных препаратов, смесей для полоскания и физ. процедур.
Избавляемся от свища дома
Надеюсь, мои дорогие читатели, вы поняли, сколько существует факторов, предшествующих возникновению свищей на деснах. Многие из вас наверняка задались вопросом: можно ли справиться с этой проблемой дома? Попробую ответить и на этот вопрос.
Скорее всего, посещением стоматолога пренебрегать не следует. Ведь только он сможет установить истинную причину возникновения и подскажет, как вылечить болезнь. Он проведет доскональный осмотр, может назначить диагностическую рентгенограмму или КТ-исследование челюсти для исключения возможных осложнений и составления плана лечения.
КТ двух челюстей
В случае когда свищ на десне связан с внутренними воспалительными процессами зуба, нерва или мягких тканей, придется прибегнуть к консервативному лечению, которое предусматривает вскрытие корневых каналов, тщательную чистку с возможным лечением и последующей пломбировкой. Но залечивать свищ и заживлять гнойный канал придется вам как пациенту. Ликвидировав причину, после лечения инфекции антибиотиками или противовоспалительными средствами можно приступать к местному избавлению от свища.
На сегодняшний день в любой аптеке вы сможете найти обширный ассортимент мазей, гелей для смазывания десен, средств для полоскания, обладающих дезинфицирующими и заживляющими свойствами. Не забудьте перед их использованием заглянуть в кабинет к доктору и проконсультироваться. Он расскажет, чем мазать и чем полоскать.
Регенерирующие и обезболивающие средства для десен
На этапе восстановления мягких тканей десны стоит вспомнить о народных методах и целебных силах природной аптеки. Полоскание травами не только не повредит, но и ускорит заживление.
Соль, сода и народные рецепты
Соленый содовый раствор – это первое, чем следует полоскать свищ на десне на всех его этапах проявления. Он снимет воспаление с десны, смягчит ткани и будет способствовать скорейшему выходу гноя через канал.
Полоскание содой с солью
А вот и парочка рецептов от природы, которые можно комбинировать с традиционным лечением.
- Три волшебные травы — ромашка календула и шалфей — легкодоступны в продаже в любой аптеке. Взять каждой по десертной ложке, залить кипящей водой, подержать на водяной бане 15-20 минут, дать остыть и процедить. Этого отвара хватит на два полоскания. Рекомендовано полоскать до четырех раз в день (проверено автором лично и одобрено).
- В качестве компресса использовать можно эвкалипт с растительным маслом. Для этого чайную ложку с горкой листьев измельчить и смешать с ложкой масла. Оставить на сутки, добавить натертый лук, выложить на бинтовую салфетку и приложить к десне
- Еще один проверенный вариант компресса для тех, кто не любит лук. Сорвать три листочка каланхоэ и три листочка алоэ, измельчить с зубчиком чеснока до однородной массы. Массу переложить в марлю и прикладывать ежедневно по три раза. При этом держать компресс следует не более десяти минут.
В завершение совет: берегите зубы, не игнорируйте походы к стоматологу и чаще улыбайтесь!
Предупредить возникновение проблемы в разы проще и дешевле ее лечения. С нетерпением жду ваших отзывов!
Видео — Свищ
Источники:
http://www.ayzdorov.ru/lechenie_svish_desne.php
http://runet.dental/desny/lechenie-svishcha-na-desne-v-domashnih-usloviyah
http://expertdent.net/lechenie-desen/svisch-na-desne.html
www.stomat-info.ru
лечение в домашних условиях, препараты, профилактика
Свищ на десне – это небольшой прыщ в ротовой полости, если можно так выразиться, на верхушке которого находится отверстие. Он выполняет функцию своеобразного тоннеля для гноя, которые выходит наружу. Зачастую это образование появляется возле больного зуба (кариозного, покрытого коронкой или пломбированного). Появление свища говорит о развитии воспалительного процесса в ротовой полости, поэтому лечение нельзя откладывать на потом. Подробнее о лечении свища в домашних условиях и пойдет речь в данной статье.

Свищ на десне: лечение в домашних условиях
Причины возникновения
Содержание статьи
Свищ появляется в результате нагноения в мягких тканях десны. Среди всех факторов, влияющих на развитие заболевания, стоматологи отмечают следующие:
- появление гранулирующего периодонтита;
- прорезывание третьих моляров с задержкой;
- воспаление кисты;
- перфорация зуба, возникшая в результате кариеса или полученной травмы;
- несоблюдение инструкции при пломбировании корневых каналов;
- неправильное или несвоевременное лечение пульпита, тяжелая форма кариеса.

Свищ на десне
Практически все патологические процессы, протекающие в полости рта пациента, не возникают из-за одной проблемы. Как правило, такое состояние является плавным переходом из одной патологии в другую. Воспалительные процессы в деснах нередко сопровождаются гнойными накоплениями и отеком десневых тканей. В процессе развития болезни инфекция распространяется, постепенно перемещаясь к верхушке зубного корня. Как результат — накопившийся гной выходит через отверстие в десне пациента.

Схема расположения свища
Существуют факторы, способствующие увеличению образовавшегося свища:
- перегрев организма;
- слабая иммунная система;
- общая слабость и усталость;
- наличие инфекционных заболеваний;
- сильное переохлаждение.

Есть много причин появления свища на десне
На заметку! Нередко к возникновению свища могут приводить молочные зубы, растущие достаточно медленно и с некоторыми дефектами. В таком случае оболочка, окружающая этот зуб, воспаляется, а скапливающийся гной ищет дорогу наружу. В результате этого и появляется болезнь.
Характерные симптомы свища
Патология сопровождается несколькими явными признаками, но диагностировать свищ на десне сможет только опытный специалист. Наличие отдельных симптомов пока еще не говорит о том, что у пациента появился свищ, но сочетание нескольких из них может свидетельствовать о его наличии.

Гнойная шишка на десне
К наиболее распространенным симптомам свища можно отнести:
- болевые ощущения в десне при нажатии пальцем или другим предметом. В первую очередь, это говорит о развитии воспалительного процесса в деснах, если только перед этим не было никаких травм;
- покраснение пораженного участка десны. В редких случаях из него может выделяться жидкость;
- расшатанность зуба, возле которого появился свищ;
- повышение температуры тела из-за воспалительного процесса в организме. Как правило, она может достигать +38°C.

Боль в десне при нажатии
При появлении свища в районе зубного корня врач вынужден сделать рентгеновский снимок, чтобы подтвердить наличие заболевания.
Особенности лечения
Терапия свища заключается в восстановлении тканей десны, устранении инфекции, снятии воспаления и неприятных ощущений, сопровождающих этот недуг. Для лечения применяются различные антисептические препараты, компрессы, ротовые ванночки и растворы для полоскания. При применении народных средств требуются такие средства, как йод, натуральное масло, лекарственные растения и так далее.

Лечение свища на десне
Если препараты традиционной медицины дают необходимый результат практически сразу, то при использовании народных средств придется немного подождать. Как правило, для появления первых результатов лечение нужно ждать 1-2 недели, но при этом полностью устранить симптомы свища не удается. Другое дело, если сочетать методы традиционной и народной медицины. Это позволит повысить эффективность терапии. Нередко врачи рекомендуют пациентам применять назначенные медикаменты вместе с некоторыми народными средствами. Теперь рассмотрим каждый метод лечения свища на десне отдельно.

У стоматолога
Аптечные средства
При серьезных осложнениях заболевания одна только прочистка зубных каналов не сможет помочь, поэтому врачи назначают сильные антибактериальные препараты, позволяющие уничтожить бактерии и снять воспаление в десне. Длительность лечебного курса составляет 7-10 дней.
Зачастую антибиотики выписываются в форме таблеток или инъекций, вводимых внутримышечно. Среди таких препаратов стоит выделить Гентамицин, так как он считается самым эффективным. Также могут назначаться и его качественные аналоги. Чтобы снять воспаление, нужно не более двух ампул препарата в неделю. Назначением препарата занимается исключительно врач. Делается это после диагностирования, проведения необходимых анализов крови.

Гентамицин
Усиление эффекта от применения антибиотиков включает в себя некоторые реабилитационные мероприятия, среди которых воздействие ультразвуком или применение лазера. Использование лазера позволяет обработать поврежденные ткани пародонта, прижигая их.

Как лечится свищ на десне
Народная медицина
Многие пациенты предпочитают использовать для лечения народные средства, что позволяет остановить распространение инфекции в организме и облегчить симптомы свища. Но даже применение безобидных средств должно происходить только после консультации у врача. Народная медицина должна применяться параллельно с традиционным лечением, назначенным специалистом.

Народные средства для лечения свища в домашних условиях
В природе существует очень много лекарственных растений, используемых для лечения разных заболеваний, но далеко не все они помогут избавиться от свища. Ниже представлены самые эффективные рецепты народной медицины для лечения этого недуга.
Таблица. Лечение свища на десне народными средствами.
Название средства | Применение |
---|---|
Отвар зверобоя | Залейте 300 мл чистой воды 30 г травы и доведите до кипения. Приготовленную смесь выложите на полиэтилен и приложите компресс к пораженному участку. Повторяйте процедуру ежедневно до полного устранения симптомов. |
Настойка календулы | Для приготовления средства для полоскания нужно заварить в 200 мл кипятка 10 г растения и настаивать 30 минут. После этого процедите настой и полощите им рот 2 раза в день. |
Отвар из ромашки | Ромашка аптечная очень часто используется в народной медицине из-за своих противовоспалительных свойств. Чтобы приготовить лечебный отвар, залейте 200 мл кипятка 10 г цветков ромашки, настаивайте 40-50 минут. Готовый отвар процеживается через марлю, затем используется для промывания свища. |
Лечение эвкалиптом | Смешайте 1 ст. л. подсолнечного масла и 40 г измельченной травы. После этого оставьте приготовленную смесь настаиваться на сутки в темном помещении. Настоявшееся средство смешайте с одной порезанной луковицей, тщательно перемешайте все ингредиенты и приготовьте компресс. Ежедневно прикладывайте компресс к пораженному участку десны на 15-20 минут. Это позволит вытянуть инфекцию из образовавшегося свища. |
Настой золы | Смешайте 3,5 л кипятка и 100 г древесной золы и поставьте вариться на слабом огне на протяжении 30 минут. Готовую смесь процедите, затем используйте для промывания раны. Также настой золы можно понемногу добавлять в ванну. |
Сок алоэ | Для снятия неприятных симптомов можно использовать сок алоэ. Для этого почистите большой лист 2-летнего растения, затем выжмите из него сок. Смочите в нем ватный тампон и приложите к свищу на десне. Повторяйте эту процедуру ежедневно. |
На заметку! Неплохо помогает лечебная мазь, приготовленная из сборных компонентов. Для этого потребуется масло календулы, пижмы, донника, тысячелистника и календулы. Использование такого сбора позволит вытянуть из свища весь гной.
Другие методы снятия симптомов
Устранить симптомы этого неприятного заболевания можно и другими способами. Ниже представлена пошаговая инструкция, помогающая вылечить многие заболевания десен.
Шаг 1. Избегайте стрессовых ситуаций. Ученые уже давно доказали наличие связи между нервной системой и состоянием зубов, поэтому для профилактики многих заболеваний лишние стрессы вам ни к чему.

Избегайте стрессов
Шаг 2. Регулярно полощите ротовую полость раствором морской соли. Для этого смешайте стакан теплой воды и 1 ч. л. соли, затем полощите рот на протяжении 20 секунд.

Солевой раствор для полоскания рта
Шаг 3. Смазывайте пораженные участки десен свежим медом. Не секрет, что этот продукт обладает противовоспалительными и антибактериальными свойствами, но старайтесь избегать контакта меда с зубной эмалью. Связано это с высоким содержанием сахара.

Десны смазываются медом
Шаг 4. Регулярно пейте свежевыжатый клюквенный сок. Это позволит создать защитный барьер на поверхности десен, предотвращающий прилипание к ним бактерий.

Клюквенный сок
Шаг 5. Добавьте в свой рацион больше продуктов, содержащих витамин С. В первую очередь, это касается клубники, манго, киви, винограда и апельсинов. Эти продукты способствуют регенерации тканей пародонта и улучшению кровообращения в деснах.

Ешьте побольше фруктов
Шаг 6. Откажитесь от привычек, пагубно влияющих на здоровье десен и зубов. Известно, что курение ослабляет иммунную систему человека, из-за чего организм становится более уязвимым к внешним факторам. Также табак может спровоцировать различные заболевания десен, в том числе и нагноение.

Откажитесь от вредных привычек
Меры профилактики
Лечение свища – это всегда неприятный процесс, который может затянуться на несколько недель, поэтому лучше заниматься мерами профилактики, позволяющими предотвратить это заболевание. Только правильное соблюдение правил гигиены ротовой полости позволит оградить себя от рецидива. Не забывайте чистить зубы как минимум 2 раза в день, выделяя на каждую процедуру по 2-3 минуты. По возможности используйте зубную нить, которая позволит удалить остатки пищи или налет в межзубных промежутках, где обычная зубная щетка бессильна.

Чистка зубов
Многие люди недооценивают полезность ополаскивателей для рта, но если использовать их после каждого приема пищи, то можно не только освежить дыхание, но и уничтожить практически все бактерии во рту.

Ополаскиватель для рта
Каждые 6 месяцев обязательно посещайте стоматолога для профилактического осмотра. Делать это нужно даже в тех случаях, если какие-либо проблемы с деснами или зубами отсутствуют. Такие осмотры позволяют своевременно выявить патологии полости рта и заняться их лечением еще на ранних этапах развития, что увеличивает шансы на быстрое и эффективное лечение.
Видео – Удаление гноя из десны
expertdent.net
Свищ на десне: лечение в домашних условиях
Содержание статьи
Свищ на десне – это патологический процесс, который в стоматологической практике частое явление. Возникает он над зубами, которые были поражены кариесом. Основной причиной развития недуга являются пульпита и кариеса, которые не вылечили своевременно.Что такое свищ на десне
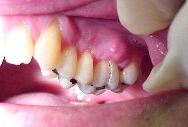
Внешне свищ выглядит, как красная воспаленная точка над или под десной. Он не образуется на здоровых зубах. Нарывы происходят в том месте, где есть кариес или под пломбой, коронкой. Если лечение отсутствует, то он перерастает в пульпит, а дальше в пародонтит. Воспалительный процесс распространяется с пульпы на каналы в корне зуба. Инфильтрат выходит именно через свищ.

Обнаружить симптомы патологического процесса можно самостоятельно. Перед тем, как он образуется, десна начинает припухать, формируется мешочек, где скапливается гной. После этого возникает боль, так как гнойное содержимое выходит наружу. Формируется красная точка, через которую будут сочиться выделения.
Причины
Характер и факторы, повлекшие развитие воспалительного процесса, могут быть разными. Но в любом случае предшествует этому образование гнойной области на корни зуба. В дальнейшем гнойник прорывается на поверхность десны и формирует фистулы.
Даже если внешне зуб выглядит абсолютно здоровым или был недавно подвергнут лечению, наличие свища указывает на развитие определённого воспаления внутри десны.
Выделяют следующие причины патологического процесса:
- кариес или пульпит в запущенной форме, несвоевременное или неправильное их лечение;
- некачественное пломбирование зубных каналов;
- перфорированный корень зуба;
- воспаленная киста;
- длительное прорезывание зуба мудрости;
- гранулема.

Классификация заболевания
Наружной формы
Обнаружить эту форму свища пациент сможет самостоятельно. Именно это часто и становится причиной посещения стоматологического кабинета. На десне пораженного зуба образуется красная точка, из которой выделяется гнойное содержимое.
Внутренний
Эту форму воспаления можно определить только при рентгенографии. Формируется очаг инфекции у корня зуба до достижения свищевой трубкой поверхности десны.
Лечение свища на десне
Хирургический метод
Если воспаление находится в запущенной форме, то медикаментозное лечение не даст должного результата и нагноение затронет надкостницу.
Медлить нельзя, нужно предпринять срочные меры для быстрого удаления гноя в целях сохранения соседних зубов.
Назначают хирургическую операцию при случайной перфорации корня зуба в результате чистки инструментами или при наличии свища на зубе, который находится под коронкой. Разобрать установленную конструкцию сложно, чем удалить фистулу через вскрытую десну.
Воспаленные ткани удаляют методом выскабливания, а дальше канал обрабатывается лазером. Но на этом лечение не окончено, дальше пациенту назначают препараты, которые ему предстоит использовать в домашних условиях, чтобы окончательно избавиться от инфекции.
Лечение антибиотиками в домашних условиях
Антибиотикотерапия при лечении свища – это дополнительная мера, которая позволит устранить патогенную микрофлору и ускорить выздоровление.
Вместе с антибиотиками на воспаленную область рта стоит воздействовать антисептиками. Длительность антибактериального курса составит 5-10 дней, все зависит от сложности воспалительного процесса.
Аугментин
Это комбинированный антибиотик, для которого характерен широкий спектр действия. Взрослым и детям старше 12 лет прием вести по 1 таблетке 3 раза в сутки. Препарат имеет следующие противопоказания:
- желтуха или нарушенная работа печени;
- индивидуальная непереносимость бета-лактамных антибиотиков.

Ципролет
Этот препарат используют для лечения, направленного на уничтожения возбудителя воспалительного процесса. В роли действующего компонента выступает ципрофлоксацин. После его приема он хорошо и быстро всасывается. Принимать могут взрослые и дети старше 15 лет. Дозировка 250-500 мг 2 раза в сутки.
Офлоксацин
Этот препарат используется для этиотропного лечения. Выпускается в виде таблеток, которые не разжевывают, а запивают достаточным количеством воды. Длительность и курс использования медикамента определяется с учетом возбудителя. Средняя дозировка составляет 200-800 мг 2 раза в сутки.
Доксициклин
Этот препарат относится к антибиотикам тетрациклинового ряда. Его действие сводится к подавлению синтеза белка многих возбудителей, куда входят стафилококки и стрептококки. Выпускают средство в виде капсул по 100 мг. В первый день дозировка составит 200 мг, и употребить ее за один прием. Во второй и последующие дни норма 100-200 мг, которую принять за 2 раза.
Препарат для лечения свища у детей назначают только после 8 лет, если масса их тела – 40 кг. Суточная дозировка определяется по формуле: 4 мг на 1 кг массы тела.
Ципрофлоксацин
Препарат относится к группе фторхинолонов. Бактерицидное и противомикробное средство имеет широкий спектр влияния. Имеет такие противопоказания:
- кормление грудью;
- беременность;
- дети до 18 лет,
- псевдомембранозный колит.
При лечении свища назначают по 250 или 500 мг 2 раза в сутки. Прием вести на голодный желудок.
Дозировка и длительность терапии определяется с учетом тяжести патологического процесса.
Антигистаминные препараты
Тавегил
Лекарство обладает противоаллергическим эффектом, снижает проницаемость капилляров и сосудов, останавливает экссудацию и образование отека. Взрослые принимают по 2 мг препарата 2 раза в сутки.
Эриус
Антигистаминный медикамент, характеризующийся длительным действием. Положительный эффект достигается уже через 30 минут после приема внутрь и длится в течение суток. Взрослые и дети старше 12 лет принимают по 5 мг раз в день.

Средства для полоскания
Хлоргексидин
Популярное лекарственное средство, которое выступает в качестве местного антисептика. Его успешно применяют как универсальное дезинфицирующее и антимикробное лекарство. Перед тем, как проводить процедуру, полость рта ополоснуть теплой водой.
Далее взять 10-15 мл раствора и прополоскать рот в течение 30 секунд. После процедуры в течение часа нельзя принимать еду и пить напитки. Для приготовления средства разводить Хлоргексидин не стоит, подойдет 0,05% раствор.
Мирамистин
Этот медикамент относится к группе катионных антисептиков. Он характеризуется противовоспалительным, противомикробным и местным иммуно-адъювантном эффектом. Антисептический раствор оказывает пагубное воздействие на различные патогенные микроорганизмы. Полоскание ротовой полости проводить 3-4 раза в сутки, используя 10-15 мл препарата.

Как лечить народными средствами
Мумие
Залить пластину средства кипяченой водой, чтобы она растворилась. В результате должна получиться жидкость темного цвета. Пропитать ватный диск и приложить на больное место. Время воздействия 20 минут, проводить подобные мероприятия 4-5 раз в день.
Алоэ
Несколько листиков растения очистить от кожицы, мелко нарубить. Полученную кашицу уложить на ватный диск и приложить на область нагноения на 15 минут. Применять такие аппликации 2 раза в день.

Зверобой
Взять 20 г сухой травы и залить стаканом кипятка. Томить на огне в течение 2-х минут. Отфильтровать и охладить. Применять для полосканий полости рта 3-4 раза в сутки.
Настойка ромашки
Взять 20 г цветков и залить стаканом кипятка. Прикрыть емкость крышкой и подождать 15 минут. Отфильтровать и охладить. Использовать для полосканий 3 раза в сутки.
Настойка календулы
Процесс ее приготовления аналогичен тому, что используется для получения настойки ромашки. А вот добиться максимального эффекта от применяемого лечения можно, если совместить эти две настойки. Ромашка и календула обладают противовоспалительным эффектом, так что в тандеме они максимально быстро и эффективно справятся с воспалительным процессом.

Мазь эвкалипта
Листики растения мелко порубить, залить подсолнечным маслом. Подождать 1 сутки, а дальше внести измельченный лук. Все компоненты брать в равной пропорции. Полученную мазь уложить в стерильный бинт, сложенный в несколько слоев. Приложить его к пораженному место. Это позволит вытянуть гной и затянуть рану.
Прополис
Этот продукт известен своими обеззараживающими свойствами. Чтобы ускорить процесс заживления после хирургического вмешательства, прополис разжевывать или держать под языком для очищения ротовой полости от бактерий.
Использование средств нетрадиционной медицины даст положительный эффект только при лечении недуга в стадии воспаления. Это вспомогательные методы терапии, основная задача которых купировать воспалительный процесс и неприятную симптоматику.
Возможные осложнения
Свищ – это довольно опасный и болезненный недуг. Если не осуществить своевременное лечение, то можно лишиться зуба. Хотя это не самое страшное осложнения. Последствия свища могут быть более опасными:
- поражение здоровых зубов;
- разрушение костной ткани;
- поражение нервов и слуховых ходов;
- удаление зуба.
Если в десне присутствует штифт, то на время терапии его придется удалить. Бывают ситуации, когда требуется распломбирование каналов. Если этого не сделать, то инфекционный процесс затронет не только мягкие ткани, но и костную.
Профилактические меры
Профилактика, свища на десне – это мероприятия, которые будут поддерживать здоровую атмосферу в полости рта. Для этих целей предстоит не только соблюдать гигиену рта, но и регулярно посещать кабинет стоматолога, выполнять очистку зубов от налета и зубных камней.
Больше 75% всех заболеваний свищем развиваются именно по причине неполноценного ухода за полостью рта и несвоевременного обращения за врачебной помощью.
Отличной профилактикой свища станут ванночки из таких трав, как ромашка, тысячелистник, эвкалипт, для которых свойственен антибактериальный эффект.
Заключение
Свищ на десне – это неприятное и опасное заболевание, которое может поразить человека в любом возрасте. Основная причина его развития – некачественная гигиена полости рта и невылеченные стоматологические болезни. Лечение свища носит комплексный характер, так как после оперативного вмешательства назначают ряд препаратов с противовоспалительным, антисептическим и ранозаживляющим эффектом.
denta.guru
Свищ в десне — лечение в домашних условиях народными средствами
Лечение свища на десне в домашних условиях подразумевает использование народных средств и полосканий. Это является довольно эффективным методом и основывается исключительно на средствах, приготовленных на основе лекарственных трав.
Содержание статьи:
Что такое свищ
Свищ на десне приставляет собой отверстие, через которое идёт выделение гноя со стороны поражения у корня зуба. Как правило, сам воспалительный процесс протекает в корне зуба, а отверстие образуется на его верхушке — в десне рядом с коронковой частью. Свищ на десне ещё называют дёсенной фистулой.
На первый взгляд, свищ на десне может показаться незначительной проблемой, но при несвоевременном лечении могут возникнуть достаточно серьёзные осложнения. Именно поэтому при первых симптомах нагноения необходимо обратиться к стоматологу и уже потом начинать лечение народными средствами.
Чаще всего свищ на десне возникает после хронического периодонтита в качестве его осложнения, и его лечение занимает продолжительное время. Лечение свища на десне народными средствами поможет снять воспалительный процесс, очистить канал от гноя и значительно ускорить процесс заживления.
Но перед тем как начать лечить свищ на десне средствами народной медицины, следует подробнее ознакомиться с причинами его возникновения и симптомами появления.
Причины и симптомы появления
Как правило, основными причинами, влияющими на развитие гнойного канала на десне, являются:
- пульпит;
- недолеченный кариес;
- периодонтит, который не поддаётся лечению;
- периостит.
Воспалительный процесс изначально развивается в периодонте, а затем постепенно переходит на окружающие ткани дёсны. Вследствие формирования гнойного канала возникают следующие симптомы и признаки:
Свищевой ход в десне.
- болезненные ощущения при надавливании;
- отёк десны;
- образование на области десны, визуально похожее на маленький прыщ, из которого выделяется гной;
- повышение температуры тела;
- подвижность зуба.
Лечение средствами народной медицины
Чтобы избавиться от свища на десне, можно прибегнуть к проверенным рецептам народной медицины. Средства основаны на натуральных компонентах, и каждый из них достаточно легко изготовить в домашних условиях. Особенно эффективны такие средства будут в качестве вспомогательных и помогут значительно ускорить процесс заживления после посещения стоматологического кабинета.
Эффективное средство можно приготовить из цветков календулы и пижмы, корня щавеля и одуванчика, травы тысячелистника и донника. Все ингредиенты необходимо взять в равных пропорциях, предварительно измельчить и превратить в кашицу, добавив мазь Вишневского или мазь с экстрактом календулы.
Полученное средство нужно наносить на воспалённую десну трижды в день.
Лечебный состав можно приготовить из лука, оливкового масла и мумиё. Мумиё в таблетках можно приобрести в любой аптеке. Понадобится тщательно измельчить маленькую луковицу и смешать её с 10 таблетками мумиё, предварительно измельчёнными в порошок.
Далее, в средство необходимо добавить 1 ст. л. масла оливы и хорошенько смешать все ингредиенты. Готовое средство следует завернуть в бинт и приложить к воспалённому участку на десне примерно на 5 минут. Данную процедуру желательно повторять 3 раза в день.
Чтобы приготовить ещё одно лекарство, хорошо помогающее провести лечение свища на десне народными средствами, понадобится взять 50 г эвкалипта, предварительно измельчённую маленькую луковицу и 1 ст. л. подсолнечного масла.
Ингредиенты (все, кроме лука) необходимо смешать и убрать в ёмкость с получившейся массой в тёмное место на 24 часа. Спустя сутки к средству нужно добавить лук и, завернув его в стерильный бинт, приложить к свищу на десне на 15 минут.
На основе календулы и земляничных листьев также можно приготовить действенное лекарственное средство. Каждого ингредиента необходимо взять примерно по 10 г и заварить их 250 мл кипятка. Настойку нужно убрать в тёмное место на пару часов, а после, смочив в нём кусочек ваты, приложить к воспалённому участку на десне на 60 минут. Через час компресс необходимо поменять и повторять процедуру до полного исчезновения боли.
Лариса Копылова
Стоматолог-терапевт
Не менее эффективно будет средство на основе чеснока, каланхоэ и алоэ. Для приготовления понадобится взять 3 листа каждого лекарственного растения и перемолоть их через мясорубку. В получившуюся кашицу нужно добавить измельчённый зубчик чеснока и, завернув средство в кусочек марли или бинта, приложить к воспалённой десне на несколько минут.
Алоэ можно использовать отдельно как средство для приёма внутрь. Необходимо взять примерно 10 листочков алоэ, которому не менее 2 лет, хорошенько их помыть и, превратив в кашицу (при помощи мясорубки), переместить в ёмкость, залив мёдом. Получившееся средство нужно убрать на неделю в тёмное место, чтобы оно как следует настоялось. Необходимо при этом каждый день его помешивать. Как только истечёт положенный срок, средство необходимо процедить и употреблять по 1 ч. л. трижды в сутки.
Поскольку алоэ обладает антисептическими, противовоспалительными и ранозаживляющими эффектами, то его сок можно также применять и для приготовления примочек. Понадобится взять пару листов этого лекарственного растения и положить их в холодильник на неделю. По истечении отведённого срока листья необходимо хорошенько помыть и перекрутить через мясорубку, чтобы получить сок. Примочки из сока нужно делать ежедневно сразу после пробуждения и перед сном.
Проверенным средством в лечении свища на десне является мумиё, растворенное в медицинском спирте. Чтобы избежать ожога десны, необходимо наполовину разбавить раствор простой негорячей водой. В готовом растворе нужно смочить ватный диск или кусочек марли и приложить к воспалённому участку.
В идеале не доводить пока флюс превратиться в свищевой ход. Видео ниже поможет узнать, как этого не допустить народными средствами:
Отличное бактерицидное средство можно изготовить из грецкого ореха. Понадобится взять незрелые плоды, тщательно измельчить их и прокипятить в воде. Как только средство остынет до комнатной температуры, его необходимо залить растительным маслом и убрать в укромное место на 10–12 дней. По истечении этого срока средство нужно подержать 3 часа на водяной бане, а после процедить и добавить в него пчелиный воск. Готовой мазью нужно ежедневно смазывать десна.
Избавиться от свищей на десне поможет вероника лекарственная. Для приготовления средства необходимо взять 3 ст. л. засушенной травы и заварить их кипятком. Средство нужно перелить в термос и убрать на несколько часов в тёмное место, чтобы оно настоялось. Готовое средство можно использовать в качестве примочек и прикладывать к воспалённой десне.
Средства для полосканий
Для полосканий можно приготовить раствор из зверобоя и мёда. Нужно взять 10 г сухой травы и заваривается в половине стакана кипятка. Раствор настаивают и добавляют в него 1 ч.л. мёда, чтобы перебить горький привкус. Готовым раствором необходимо прополоскать рот 3 раза в сутки.
Аналогичный раствор готовят из ромашки, коры дуба и шалфея. Каждый ингредиент берётся по 15 г и заваривается 1 стаканом крутого кипятка. Настаивать такой раствор необходимо 1 час, а полоскать им ротовую полость около 7 раз в день до полного исчезновения симптомов.
Эффективным в лечении свища на десне будет ромашковый отвар. Необходимо взять засушенные цветки ромашки в количестве 1 ст. л. и заварить их 500 мл крутого кипятка. Средству нужно дать настояться примерно пару часов, а после процедить, смочить в нём ватный тампон и протирать свищ.
Этот отвар можно использовать не только как примочку, но и полоскать им рот. При полоскании необходимо набрать в рот немного отвара и подержать его возле больного участка. Данную процедуру нужно повторить пару раз в сутки.
Вместо ромашки можно взять цветки календулы и приготовить из них аналогичный отвар. Эти два лекарственных растения можно соединить и сделать на их основе целебное средство, которое используют не только для полосканий, но и для приёма внутрь, заменив таким фиточаем употребление обычного черного.
Действенный раствор для полоскания, который поможет избавиться от нагноений в области десны, можно приготовить из соды, соли и йода. Необходимо добавить в стакан кипятка 1 ч. л. пищевой соды, соли и пару капель йода. Как только раствор станет комнатной температуры, им можно полоскать рот после окончания трапезы.
Рецепты народной медицины помогут избавиться от воспаления, но убрать очаг инфекции неспособны, поэтому при появлении свища на десне необходимо записаться к стоматологу.
zub.dental
Как лечить свищ на десне лечение в домашних условиях у взрослого и ребенка?
По мнению стоматологов, свищ, возникающий на десне, – это очень опасная патология. Ведь в случае отсутствия своевременного медицинского вмешательства, она может спровоцировать появления ряда серьезных осложнений – как у взрослого человека, так и у ребенка. Впрочем, давайте для начала разберемся, что же такое свищ. По сути, это канал, соединяющий поверхность десны и очаг инфекции.
Читайте также: Симптомы и лечение пузыря на десне
Наиболее распространенными причинами его возникновения являются:
- запущенный кариес;
- перфорация зуба;
- некачественно запломбированный корень.
Впрочем, в любом случае здесь есть один основной фактор. Речь идет о появлении в непосредственной близости от зубного корня воспалительного процесса с образованием гноя. Следует отметить, что сам по себе свищ появиться не может. Для этого нужны какие-то провоцирующие факторы.
Свищ на десне – лечение у стоматолога и в домашних условиях
Для того чтобы устранить проблему, без вмешательства специалиста не обойтись. Все дело в том, что при данной патологии обязательно нужно установить спровоцировавшую ее первопричину. Согласитесь, рядовому обывателю сделать это в домашних условиях просто невозможно. Здесь понадобится профессиональный осмотр, включающий в себя рентгеновское обследование и компьютерную томографию. Последние две процедуры нужны не только лишь для того, чтобы стоматолог видел всю картину происходящего. С их помощью также можно предотвратить появление нежелательных осложнений.
Давайте пошагово рассмотрим весь процесс лечения свища, образовавшегося на десне. Если его появление связано с воспалительными процессами, зародившимися в корне зуба, мягких тканях или нерве, то избавиться от проблемы вполне реально с помощью консервативной терапии. В данной ситуации нужно будет вскрыть корневые каналы, и провести там тщательную чистку. Только после этого можно приступать к лечению. Естественно, скрытые каналы потом должны быть запломбированы. При этом заниматься лечением свища, равно как и заживлением гнойного канала – это задача в первую очередь самого пациента.
Однако перед этим врач обязательно должен ликвидировать первопричину проблемы. Лечение инфекции, в зависимости от ситуации, осуществляется либо антибиотиками, либо с помощью противовоспалительных средств. Также стоматолог должен дать пациенту подробную консуль
zubylechim.ru
Свищ на десне — как лечить: традиционные и народные методы
Десенный свищ (в медицинской терминологии – фистула) – глубокое отверстие, образовавшееся вследствие воспалительного очага, являющееся своеобразным протоком для выведения гнойных масс из источника поражения. Место его локализации – верхняя зубная прикорневая часть.
Чаще всего фистула является осложнением на фоне периодонтита в стадии ремиссии. Лечебная терапия заболевания – процесс долговременный, к которому приступать следует только после диагностики истинных причин его возникновения.
Свищ классифицируется как достаточно серьезное показание к его устранению только в профильных медицинских учреждениях. Самолечение заболевания способно спровоцировать инфицирование ротовой полости и образование абсцесса.
Содержание статьи
Причины появления
Факторы, способные привести к появлению фистулы в десенной области:
- запущенный кариес – микробы стремительно перемещаются в пульпу и поражают зубные нервные окончания. Как результат – появление пульпита, в короткие сроки поражающего корневую часть. Очаг воспаления увеличивается, гнойные массы накапливаются, и появляется свищ.
По тому же принципу происходит развитие болезни и в ситуации, когда кариес вылечен не полностью, но уже присутствует пломба;
- челюстная киста – образование гнойного канала на десне начинается с появления микробов во внутренней части челюстного ряда. Такое случается при механических повреждениях и травмах, инфекциях носоглотки, аномалии в развитии лицевой кости;
- искусственное появление отверстия – относится к разряду непредвиденных причин, когда доктор случайно создает участок для скопления паразитарных бактерий;
- периодонтит – заболевание сопровождается поражением и инфицированием на клеточном уровне, что впоследствии приводит к образованию гнойного канала;
- непрофессиональные пломбировочные услуги – в ситуации, когда пломбировочный материал не полностью заполняет пустоты, создаются благоприятные условия для внутреннего размножения бактерий, и внутри санированного органа начнется воспаление;
- прорезывание и рост зубов мудрости – если процесс сопряжен с патологией или затрудненным прорезыванием мягкой ткани десны. Возникает отек, в котором скапливаются гнойные массы и, как итог, отверстие.
Симптомы
Основной признак, по которому можно безошибочно диагностировать свищ – открытие канала в десне, где происходит соединение воспаления с полостью рта.
Плохо видимый на фоне возникшей отечности ткани, он имеет ряд базовых симптомов:
- болевые ощущения в области очага воспаления, интенсивность которых резко возрастает при механическом надавливании на зуб;
- отмечается расшатанность челюстного ряда;
- в радиусе пораженного участка можно заметить покраснение слизистой;
- наличие выраженных гнойных выделений;
- незначительное повышение общей температуры тела.
При сомнительном диагнозе показано рентгеновское обследование. Это даст возможность более точно диагностировать степень поражения и стадию развития заболевания, а также исключить возможность нагноения надкостницы.
Терапия
Точечная боль нарастает по мере созревания отверстия. В тот момент, когда канал открывается, давая возможность скопившемуся гною выйти наружу, боль утихает, отечность становится меньше.
Сущность терапии состоит в необходимости предотвращения инфицирования и недопущении повторных скоплений гнойных масс.
В стоматологии
Терапия в условиях стоматологической клиники проводится в несколько этапов:
- рентгеновская диагностика – определяется степень пораженности, наличие побочных осложнений, чтобы во время лечения максимально полно обеспечить отток жидкости, убрать кисту, если таковая имеется, и повторно запломбировать зубную полость;
- наружное вскрытие – процедура проводится с внешней стороны воспаленного участка десны путем надреза мягкой ткани;
- если свищ расположен внутри и достать его невозможно, доктор принимает решение о распломбировке или искусственном создании дополнительных каналов для облегчения выхода нагноений;
- в осложненных ситуациях возможно полное удаление зуба. Если альтернативы нет, то, удалив поврежденный сегмент челюстного ряда, стоматолог приступает к лечению по описанной выше схеме.
Вскрыв очаг воспаления, его оставляют свободным к доступу и осуществляют обеззараживающие, противомикробные манипуляции и полоскания. Это способствует окончательному оттоку жидкости и локализует абсцесс.
Иногда показаны дополнительные меры – канал орошают дезинфицирующим составом для ликвидации патогенных микроорганизмов. Как альтернатива – использование паст антибактериального спектра действия.
Кроме этого, доктор, скорее всего, назначит дополнительно прием курса противовирусных средств, а по необходимости – лечение антибиотиками.
Спустя неделю, когда боль утихнет, спадет отек и покраснение слизистой, отверстие начнет самостоятельно затягиваться. На этом этапе ставится временная пломба. Еще через неделю (при отсутствии осложнений) – ее заменят на постоянную.
В домашних условиях
Важно понимать, что лечение свища в домашних условиях – это не способ, а всего лишь дополнительные мероприятия, осуществляющиеся на фоне амбулаторной терапии, описанной в статье ранее.
Устранив критическую фазу заболевания, в качестве «закрепления» результата пациенту показано противовирусное лечение медицинскими препаратами, выбор и схема приема которых должны оставаться за доктором.
Самостоятельно подбирать противомикробные средства не стоит — бесконтрольное или неоправданное их применение может дать прямо противоположный результат.
Чаще всего в таких случаях показано назначение таких препаратов, как супрастин, тавегил или их производных.
Применение народных рецептов
Обратите внимание! Народная медицина не избавляет, а только помогает в лечении заболевания, и здесь без визита к стоматологу не обойтись.
В качестве дополнения хороший профилактический эффект дают следующие средства.
Эвкалипт
Растение богато противомикробными компонентами, быстро вытягивает вредные микроорганизмы.
Приготовление: 40 граммов средства смешивают со столовой ложкой растительного масла, выдерживают сутки. Добавляют мелко изрубленную головку лука и тщательно перемешивают. Помещают в марлевую ткань и накладывают на поврежденный участок ежедневно на 15 — 20 минут.
Древесная зола
Состав хорошо зарубцовывает раны уже через несколько дней после начала лечения. На две горсти золы добавить 6 — 7 литров воды, кипятить в течение получаса.
После процедить и хорошо отстоять. Полученным раствором полощут полость рта 3 раза в день.
Аптечная ромашка
Эффективна при промывании канала отверстия. Используют наружно в качестве отвара. Чайная ложка соцветий на 250 мл крутого кипятка настаивается 1 час.
Перед промыванием процедить через двойной слой марлевой ткани.
Цветы календулы
Также подходят для наружного промывания, эффективны в качестве компрессов и лечебных ванночек. Способ приготовления и дозировка аналогичны рецепту из ромашки.
Зверобой
Лекарственное растение ускоряет созревание свища и стимулирует его прорыв.
3 ст. ложки сухой травы залить 400 мл воды и кипятить 5 минут. Травяную кашицу собрать в компресс и прикладывать к больному месту.
Манипуляции проводят ежедневно, не прекращая даже после прорыва канала и выхода гнойных масс. Так ранка максимально очистится и удастся избежать осложнений.
Мумие
Эффективен только на стадии формирования гнойника!
Следует взять маленький кусочек средства, тщательно растворить в кипяченой воде, смочить получившимся составом тампон и прикладывать к месту локализации. Чтобы не допустить ожога слизистой, процедуру следует проводить не более 5 минут.
При повышенной чувствительности полости рта в смесь можно добавить немного рафинированного масла – это окажет смягчающий эффект на мягкие ткани.
Алоэ (каланхоэ)
Процедура долгосрочная, курс лечения – не менее 30 дней. При регулярном применении оказывает стойкое дезинфицирующее и противомикробное действие.
Приготовление: взять 12 верхних листков растения возрастом не менее 3 лет, промыть, мелко порезать, добавить литр меда, распаренного на водяной бане до теплой консистенции. Хранить в холодильнике. Употреблять внутрь по 1 ложке 2 — 3 раза в сутки.
Полоскание содой и йодом
Требует регулярного применения. Дезинфицирует свищевой канал, препятствует проникновению инфекции внутрь челюсти.
Процедуру проводят несколько раз в день, после каждого приема пищи. Дозировка: на 250 мл теплой воды – 3 капли йода и 1 ч. ложка соды.
Солевые ванночки
Используются как в период формирования, так и после прорыва отверстия. Вытягивают гной, обеззараживают.
Смешивают соль и соду в равных пропорциях (по 1 ложке), добавляют 1 — 2 капли йода. Вода должна быть хорошо теплой.
Прополис
Благодаря содержащимся в нем компонентам обладает мощным обеззараживающим эффектом.
Шарики прополиса следует медленно рассасывать, после чего не есть и не пить в течение 30 минут. Повторять несколько раз в день.
Смесь трав на основе мази Вишневского
Взять в одинаковых количествах сухие травы одуванчика, пижмы, календулы и тысячелистника. Смешать в равных пропорциях с мазью Вишневского и маслом календулы до образования вязкой однородной массы.
Аккуратно обрабатывать очаг вокруг ранки.
Отличается противовирусным действием, благодаря наличию дубильных веществ способствует скорейшему заживлению.
Нюансы терапии у беременных
Так как организм беременной женщины более восприимчив к инфекциям, то свищ как воспалительное явление входит в список сопутствующих заболеваний данной группы пациенток.
В данной ситуации налицо существенный фактор, усложняющий лечение – противопоказания к приему антибиотиков. Однако при грамотном подходе и своевременно оказанной помощи стоматолога ситуация вполне контролируема.
Стоит отметить внимательное отношение к домашней терапии — не все лекарственные растения показаны беременным женщинам, главное правило в данной ситуации – каждое свое действие согласовывать с врачом.
Избавление от проблемы у детей
Чаще всего такое заболевание напрямую связано с присутствием аномалий в росте и развитии молочных зубов, когда даже самые незначительные отклонения способны привести к воспалению и нагноению в области мягких тканей.
Для детского организма это крайне неприятная ситуация, и посещение специалиста – обязательное мероприятие. Самостоятельные действия могут привести к ослаблению защитных функций маленького организма.
Лечение может осуществляться двумя методами:
- медикаментозный – прием антивирусных препаратов и антибиотиков;
- хирургическое вмешательство – удаление проблемного зуба и устранения очага нагноения.
Профилактика
Любое заболевание легче предупредить, чем принимать меры по его лечению. И данное заболевание не исключение.
Основные правила профилактики образования фистулы (десенного свища):
- ежедневное соблюдение правил личной гигиены по уходу за полостью рта;
- регулярные, не реже 2 — 3 раз в год посещения стоматолога в профилактических целях;
- тщательная очистка внешнего слоя эмали от налета и каменистых отложений;
- проведение процедуры стоматологической чистки зубов, восстановление цвета, целостности челюстного ряда;
- при склонности полости рта к образованию очагов воспаления пользоваться специальными средствами для дезинфекции и ополаскивания полости рта после каждого приема пищи;
- укрепление защитных сил организма, повышение иммунитета;
- сбалансированное питание, богатое витаминами и минералами.
Отзывы
Чтобы избежать проблем, связанных с болезнями ротовой полости, нужно всего лишь придерживаться элементарных правил личной гигиены, правильно питаться, следить за общим состоянием здоровья, не переохлаждаться и регулярно наносить визиты стоматологу.
Оставить свои отзывы о проблемах, обсуждаемых в данной статье, рассказать свою историю можно ниже — в разделе «комментарии».
О том, что такое свищ на десне и о возможных причинах его появления, рассказывается в видео.
Если вы нашли ошибку, пожалуйста, выделите фрагмент текста и нажмите Ctrl+Enter.
dr-zubov.ru
лечение в домашних условиях народными средствами
Любые патологические процессы в ротовой полости, сопровождающиеся воспалением слизистой оболочки десен и поверхности языка, необходимо своевременно лечить у стоматолога. Регулярная санация полости рта позволяет избежать развития гнойных заболеваний, которые провоцируют заражение стафилококковой или стрептококковой инфекцией других органов в организме.
Одним из видов осложнения кариеса, язвенных образований на слизистых оболочках и других заболеваний является образование свищей. Что такое свищ и как снять симптомы заболевания в домашних условиях – ответы можно найти в данной статье.
Как выглядит зубной свищ — фото
Зубной свищ – заболевание ротовой полости, характеризующееся воспалением десны с последующим выделением гнойного экссудата. На вид свищ представляет собой некий канал, заполненный гноем, который соединяет очаг воспалительного процесса и поверхность десны. Зубной свищ является своеобразной выводящей трубкой, по которой передвигаются продукты жизнедеятельности патогенных микроорганизмов, лейкоциты и частицы распада тканей.
Различают два вида свищей:
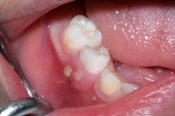
Внешний – возникает в результате накопления гнойной массы в прикорневой области зуба. Диагностировать данную форму заболевания достаточно просто, на поверхности десны можно увидеть воспаление и образование скопления гноя белого или серого цвета (см. фото).
- Внутренний – образуется, когда эпицентр воспалительного процесса располагается глубоко в тканях и не соединяется с наружным слоем эпителия в ротовой полости. Диагностировать внутреннее гнойное образование может только специалист, используя метод рентгенографии.
Причины появления зубного свища
Дорогой читатель!
Эта статья рассказывает о типовых способах решения Ваших вопросов, но каждый случай уникален! Если Вы хотите узнать, как решить именно Вашу проблему — задайте свой вопрос. Это быстро и бесплатно!
Так как свищ появляется в результате воспалительных поражений тканей около корня зуба, необходимо выяснить факторы, провоцирующие данные воспаления. К ним относят:
- Несвоевременная терапия и прогрессирование кариеса, пульпита или периодонтита. В результате, инфицированию подвергается не только поверхность зуба, но и верхушка корня, где развивается гнойный очаг воспаления.
- Пломбирование корневого канала зуба с нарушением технологии проведения процедуры. В результате некачественного пломбирования, когда материал заливается не до конца верхушки корня, начинаются воспалительные процессы, вызванные размножением инфекции на недопломбированных участках. Как следствие, развивается гнойный абсцесс с образованием внутренних или наружных свищей.
- Киста, образованная на поверхности корня зуба (рекомендуем прочитать: лечение кисты корня зуба в домашних условиях). Из-за снижения иммунной защиты организма киста воспаляется и происходит образование и накопление гноя.
- Травмирование десны во время прорезывания зуба мудрости.
Симптомы образования свища
Появление наружной формы свища сопровождается образованием отверстия в поверхности десны, из которого выделяется жидкость и гной. Прикрыто данное отверстие тонким слоем эпителия. К симптомам, которые сопровождают воспалительный процесс можно отнести:
резкая или периодическая боль в области пораженного зуба, которая возникает во время приема пищи и чистки зубов;
- отек и покраснение десны возле очага инфицирования;
- выделение жидкости или гноя (возможны кровяные выделения) из образованного канала;
- пораженный зуб становиться подвижным;
- повышение температуры тела до 37-38 С;
- появляется гнилостный запах из ротовой полости, который не пропадает в результате полоскания и чистки зубов.
Чем лечить?
Чтобы избавиться от свища на десне, необходимо обратиться к стоматологу. В домашних условиях можно уменьшить симптомы воспалительного процесса, снизить болевые ощущения.
Однако следует помнить, что применение наружных мазей или гелей по лечению свища не принесут должного эффекта без комплексного воздействия на организм. Для того чтобы избавиться от данного недуга с помощью народных средств, необходимо вылечить заболевание, которое спровоцировало развитие воспалительного процесса в полости зуба и в соседних тканях.Что можно принимать дома до посещения стоматолога, чтобы снять неприятные симптомы? Временно облегчить состояние вам помогут следующие медикаментозные препараты:
- противовоспалительные препараты группы НПВС;
- таблетированные антибиотики широкого спектра действия;
- антигистаминные препараты;
- противомикробные растворы для полоскания ротовой полости;
- стоматологические гели, снижающие боль и обладающие антисептическим и регенеративным действием.
Для снятия воспаления, отека и болевого ощущения можно использовать средства НПВС – Нимесулид, Диклофенак, Ибупрофен. Стоит отметить, что данные препараты обладают отрицательным воздействием на желудочно-кишечный тракт, вызывая боли и раздражение слизистой оболочки.
Так как гной, образовавшийся в полости десны, возникает в результате жизнедеятельности болезнетворных бактерий, следует принимать антибактериальные препараты – Амоксициллин, Азитромицин, Пенициллин. Попадая в кровоток, антибиотики воздействуют на причину воспаления, губительно влияя на патогенные микроорганизмы.
Снять отек, зуд и припухлость десны помогут противоаллергические препараты. Среди широкого ассортимента антигистаминных лекарственных средств следует отметить Кларитин и Супрастинекс – препараты, которые эффективно справляются с отечностью без возникновения сонливости и рассеянности.
Стоматологические гели временно снижают болевые ощущения, обладают противовоспалительным эффектом, губительно действуют на патогенную микрофлору. Чаще всего назначают Солкосерил, Метрогил Дента, Камистад, Асепта.
Полоскания
Обеззаразить ротовую полость, замедлить воспалительный процесс, снять отечность десны и внутренней стороны щеки помогут полоскания. Использовать можно как медикаментозные растворы, так и отвары, приготовленные из лечебных трав и подручных ингредиентов.
К аптечным растворам для полоскания относятся следующие препараты:
- Мирамистин;
- Тантум Верде;
- Ромазулан;
- Ротокан.
Невероятной эффективностью в отношении обеззараживания обладает полоскание солевым раствором. Ежедневное использование данного метода лечения позволяет не только замедлить размножение микроорганизмов, но и способствует быстрому опорожнению свищей от гнойных масс. Для результативного лечения следует полоскать ротовую полость два – три раза в день. Рецепт приготовления раствора невероятно прост – необходимо растворить в 250 мл воды чайную ложку соли.
Также для снятия неприятных симптомов во рту, снижения неприятного запаха и для быстрого затягивания раневого отверстия свища можно использовать народные рецепты полоскания отварами из лекарственных трав:
цветки ромашки аптечной;
- цветки календулы;
- трава зверобоя;
- кора дуба;
- листья шалфея.
В готовый остывший отвар из лекарственных растений можно добавить несколько капель сока алоэ, каланхоэ или немного меда. Это способствует улучшению регенерации клеток и усилению бактерицидного эффекта.
Компрессы
Если расположение свища позволяет применить лечебный компресс, то следует использовать следующие рецепты:
- Необходимо измельчить в порошок следующее сырье в пропорции (1: 1: 1) — календула, пижма, тысячелистник. Смешать порошкообразную смесь с небольшим количеством мази Вишневского. Наносить на пораженную область не менее трех раз в день.
- Измельчить в порошок 10 таблеток БАДа «Мумие» и добавить кашицу, приготовленную из одной небольшой луковицы. Затем следует добавить столовую ложку оливкового масла и перемешать. Наносить смесь на воспаленный участок максимум на 5 минут три раза в день.
Лед
Если образование гноя сопровождается сильными болевыми ощущениями, а под рукой нет обезболивающих препаратов, можно использовать обычный лед. Для этого следует приложить небольшой кусочек льда на воспаленную область. Данное средство действует эффективно, но не продолжительно. Не рекомендуется использовать данный способ для устранения боли у детей.
Профессиональная помощь
Самый лучший вариант лечения свища – обратиться за профессиональной помощью к стоматологу (подробнее в статье: зубной свищ (причины и лечение)). Если появление свища связано с образованием кариеса на зубах, то стоматолог обрабатывает коронку зуба с помощью бормашины. Если же свищ образовался в результате поражения запломбированного зуба, то действия стоматолога имеют следующую последовательность:
- выполняется рентгеноскопия пораженного участка;
- проводится очистка каналов;
- удаляется омертвевший эпителий и образовавшиеся гнойные массы;
- обрабатывается поверхность противомикробными (антисептическими) средствами;
- временное пломбирование зуба с использованием специальных паст с противовоспалительным действием.
В случае развития прогрессирующего воспаления, которое затрагивает большую часть ротовой полости, специалист обрабатывает свищ с помощью хирургической процедуры. Она заключается в выскабливании или выжигании каналов. В последнем случае специалист использует лазер.
Осложнения и последствия
Если своевременно диагностировать и начать лечение свища, то результат терапии будет иметь благоприятный исход. Однако если воспалительный процесс прогрессирует, он может спровоцировать появление следующих негативных последствий:
- выпадение пораженного зуба;
- распространение воспалительного процесса по слизистой оболочки всей ротовой полости;
- снижение иммунной защиты организма и учащение рецидивов инфекционных заболеваний;
- кариозное поражение соседних зубов.
В результате большого скопления гноя, свищ может выйти на внешнюю поверхность лица. Данный процесс может привести к внешним дефектам и инфицированию кожного покрова.
Что делать, если свищ у ребенка?
При первых симптомах появления свища у ребенка необходимо незамедлительно обратиться к детскому стоматологу. Чтобы как можно быстрее избавить малыша от нарастающей боли, молочный зуб следует удалить.
Стоматолог прочищает полость десны от гноя и накладывает антисептическую мазь с добавлением антибиотика. Обычно после удаления гнойной массы болевые ощущения снижаются.Если ребенок умеет полоскать рот, то можно использовать полоскание солевым раствором. Однако нужно внимательно следить, чтобы малыш не проглотил раствор с гноем, что может привести к инфицированию всего организма.
Поделитесь с друьями!
pro-zuby.com