Аднексит — Клиника Мануфактура
Аднексит — это острое или хроническое воспалительное заболевание придатков матки (яичников и фаллопиевых труб). Возникает эта патология чаще у молодых женщин, ведущих активную половую жизнь, и причинами являются восходящие инфекции из влагалища, такие как стрептококки, гонококки, кишечная палочка, хламидии и другие. К другим факторам развития аднексита относят переохлаждение, гормональный сбой, перенесенные воспалительные заболевания половых органов и почек в прошлом, стресс, новообразования органов малого таза и, самое главное — не защищены половые контакты. В процесс может вовлекаться как одна сторона, так и две.
Острый аднексит можно распознать по следующим признакам:
- неприятные ощущения при половом контакте
- боль в нижней части живота, возможно напряжение передней брюшной стенки
- повышение температуры тела до 38-39C.
- К этим симптомам могут присоединяться вздутие живота, тошнота и рвота, боли при мочеиспускании, острая режущая боль в области яичников, гнойные выделения из половых путей.

Хронический аднексит часто не дает никаких жалоб, и чаще всего его обнаруживают при обращении женщины по бесплодие, нарушение менструальной функции, тупого тянущего боли при половом акте и после него.
Диагностика аднексита
Диагноз аднексит устанавливается после проведения комплекса обследовательских мероприятий, а именно:
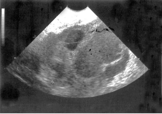
- УЗИ внутренних половых органов. Что помогает выявить воспалительные изменения маточных труб и яичников и диагностировать другие осложнения, которые возможны при аднексите.
- Бимануальное исследования врачом. Врач выявляет болезненность яичников при пальпации, определяет их размер, наличие спаечных процессов.
- Лабораторное исследование выделений из уретры, влагалища и цервикального канала. Это четкое выявление возбудителя воспаления, что позволяет подобрать правильное медикментозне лечения, действует на него.
Мы настоятельно рекомендуем проводить осмотр и лабораторно-инструментальное обследование сразу после появления первых симптомов, а также обязательно после проведенного лечения для оценки его эффективности и исключения других структурно-функциональных изменений половых органов, которые возникают как осложнение после перенесенного аднексита.
Лечение аднексита
Лечение проводят консервативно. Лечение нацелено на уничтожение инфекции, преодоление воспаление избежание осложнений, которые подвергаются сложном лечению и приводят часто к необратимым функциональных изменений половых органов. Итак, лечение аднексита включает:
- антибактериальную терапию.
- противовоспалительную терапию, включая анальгетики, иммуностимуляторы и витамины.
- местное лечение для восстановления микробиомы влагалища, которая будет регулировать здоровое состояние слизистой.
- физиотерапевтические процедуры, в том числе санаторно-курортное лечение, для укрепления иммунитета после перенесенного воспаления и восстановления физиологических функций половых органов.
Мы советуем не затягивать с визитом к врачу и регулярно проходить гинекологическое обследование с профилактической целью. Помните, что большинство хронических заболеваний (таких, что не были пролечены в остром состоянии) протекают скрыто и без явной симптоматики, но последствия такой болезни, часто необратимые и оказывают прямое влияние не только на репродуктивную функцию, но и на состояние здоровья женщины в целом.
Берегите себя и будьте здоровы!
Аднексит: причины, симптомы и диагностика
Причины заболевания
Воспаление придатков всегда вызывают патогенные микроорганизмы – стафилококковая, стрептококковая, кишечная, грибковая, туберкулезная инфекции и любые ИППП (инфекции, передающиеся половым путем).
Инфицирование может происходить извне – при незащищенных половых контактах, купании в грязной воде, неаккуратном выполнении интимных гигиенических процедур. В этом случае мы говорим о восходящем пути передачи инфекции – то есть из влагалища к внутренним половым органам.
Сами по себе половые органы внешние и внутренние не являются стерильными – в них присутствует собственная микрофлора, которая может содержать и условно патогенный бактерии, например стафиллококк. При нормальной работе иммунной системы организм поддерживает баланс микрофлоры, когда количество «хороших» микроорганизмов превышает число болезнетворных.
Однако при ослаблении иммунитета патологическая флора начинает усиленно размножаться, вызывая воспаление. Провоцировать снижение иммунного ответа могут различные неблагоприятные факторы – ОРВИ, системные заболевания, переохлаждение, стрессы. Недаром в народе знают, что сидение на холодном приводит к «женским болезням». Безусловно, заболевание вызывает не холод, а иммунный сбой, вызванный переохлаждением.
Микробы и вирусы могут попадать во внутренние половые органы женщины из других систем организма, в которых присутствует очаг инфекции. Это могут быть почки, мочевой пузырь, миндалины, и любой другой орган. Микроорганизмы разносятся из больного органа по кровеносной и лимфатической системе, попадая в маточные трубы, и провоцируя воспаление внутренних
Какие факторы могут приводить к заболеванию сальпингоофоритом:
- Раннее начало половой жизни.

- Беспорядочные половые связи без барьерного предохранения.
- Несоблюдение требований гигиены.
- Половая жизнь во время месячных.
- Несвоевременная замена внутриматочной спирали. Сама ВМС является фактором риска для проникновения патогенов из шейки матки в ее полость, а потом в трубы. А если период пользования этим контрацептивом превышает установленный срок, это может приводить не только к аднекситу, но также к абсцессу яичника и трубы, и даже перитониту.
- Состояния сниженного иммунитета. Это могут быть системные заболевания, онкологические процессы, эндокринные патологии, туберкулез, ВИЧ.
- Стресс. Сильный или длительно протекающий стресс ведет к истощению иммунитета и развитию воспалений.
- Гинекологические инвазивные вмешательства. Аборты, диагностические выскабливания, послеродовая травматизация.
- Острые и хронические бактериальные и вирусные инфекции. Ангины, пиелонефриты, ОРВИ (в том числе грипп) и т.
д. - Переохлаждение. Работа в неблагоприятных условиях, одежда не по погоде, купание в холодной воде.
Симптомы и лечение аднексита зависят от его вида.
Классификация аднекситов
По характеру протекания сальпингоофориты делятся на такие виды:
- Острый. Характерен выраженной клинической картиной – повышением температуры, болями внизу живота.
- Подострый – симптоматика смазана.
- Хронический – протекает длительно, с ремиссиями и рецидивами.
По расположению очага воспаления:
- Первичный – очаг воспаления изначально возникает в придатках.
- Вторичный – воспалительный процесс переходит на придатки из других органов малого таза – прямой кишки, мочевого пузыря, аппендикса.
По локализации болезни. Одно- или двухсторонний – когда в воспаление включены придатки только справа или слева, или же с обеих сторон.
Симптомы сальпингоофорита
Острый аднексит протекает с выраженными симптомами:
- Значительное повышение температуры – от 37,5С до 39С.
- Сильная боль внизу живота. Носит режущий, колющий характер. Как правило иррадиирует (отдает) в бедро, прямую кишку, крестец. Интенсивность и характер боли не меняется в любом положении.
- Патологические выделения из влагалища. Они могут быть зеленого цвета, пенистые, с неприятным запахом. Подобные выделения из влагалища нередко свидетельствуют о том, что возбудителем заболевания является ИППП. В этом случае чаще наблюдается двусторонний аднексит.
- Частые позывы к мочеиспусканию или дефекации.
- Рези во время мочеиспускания.
- Симптомы интоксикации. Озноб, слабость, апатия, тошнота (может быть до рвоты), головная боль.
Наличие острых симптомов хоть довольно мучительно, но неплохо для прогноза заболевания – у женщины есть шанс немедленно обратиться за врачебной помощью и получить адекватное лечение.
Вовремя и качественно пролеченный аднексит может уйти без последствий.
Подострое течение:
- Боль средней интенсивности, которая усиливается при ходьбе или физической активности.
- Субфебрильная температура.
- Общее самочувствие удовлетворительно.
Если женщина при наличии острых симптомов занялась самолечением или не закончила курс, назначенный врачом, болезнь переходит в хроническую фазу. Это же может случиться при подостром течении, если женщина игнорирует недомогания, которые кажутся незначительными, и долго не обращается к врачу. Хуже всего бессимптомный аднексит, когда женщина не знает, что больна. Тем временем воспаление «тлеет» в организме, приводя к серьезным нарушениям репродуктивного здоровья.
Симптомы хронического воспаления придатков:
- Нарушения менструального цикла.
- Болезненные месячные.
- Субфебрильная температура при обострении.
- Тянущая, ноющая боль внизу живота.
- Болезненность при половом акте.
- Снижение либидо.
- Характерно угнетенное психическое состояние.
Женщине очень важно быть внимательной к своему здоровью и не игнорировать даже незначительные симптомы, если они длятся долго или регулярно возникают.
Осложнения аднексита
Спаечная болезнь
Наиболее частое осложнение сальпингоофорита – спайки. Около 20-30% случаев женского бесплодия бывает вызвано именно ими.
Каков же механизм образования спаек?
Воспалительный процесс приводит к тому, что возникающие микротравмы в тканях яичников и труб начинают покрываться нитевидным белком – фибрином. Он носит защитную и противовоспалительную функцию, но при этом способствует образованию рубцов.
Через несколько дней фибриновые нити преобразуются в плотные соединительные волокна, которые разрастаются внутри органа, а также «склеивают» между собой органы соседние.
Таким образом их подвижность снижается, и даже искажается форма. Это приводит к серьезным нарушениям работы репродуктивной системы.
Маточные трубы уменьшаются в диаметре, и даже могут спаиваться с яичниками. Также в результате спаек и воспаления нередко возникает гидросальпинкс – скопление жидкости в трубах. Это делает невозможным зачатие плода – яйцеклетка не может попасть в фаллопиеву трубу, затрудняется передвижение по ней сперматозоидов, зародыш не может попасть в полость матки. Также спайки провоцируют внематочную беременность и гибель плода на ранних сроках.
Процесс образования спаек продолжается еще около месяца после купирования воспалительного процесса. Чем позже начато лечение, тем сложнее они рассасываются.
Нарушение работы яичников
Длительное воспаление приводит к аутоиммунным реакциям, когда иммунитет начинает бороться не только инфекцией в придатках, но и против самих придатков, принимая их клетки за чужеродные.
Таким образом происходит разрушение ткани яичников и, как следствие, их дисфункция.
Это носит такие проявления:
- Сбои месячного цикла.
- Маточные кровотечения.
- Гипофункция яичников.
- Ранний климакс.
- Формирование кист яичников.
Гнойные осложнения
В результате воспаления могут возникнуть скопления гноя в яичниках (абсцесс яичников) и в полости маточных труб (пиосальпинкс).
Это заболевания характерны тяжелым состояниями пациентки – высокой температурой, лихорадкой, острой болью в животе. Это грозные осложнения, угрожающие жизни женщины, которые требуют немедленного оперативного вмешательства.
Диагностика
Предварительно поставить диагноз «аднексит» гинеколог может на основании симптомов и гинекологического осмотра – надавливание на область яичников вызывает у женщины боль.
Для точного установления диагноза назначается такие исследования:
- Общеклинический анализ крови.
При воспалительном процессе повышаются показатели СОЭ и лейкоцитов. - УЗИ органов малого таза. Диагностическим критерием является наличие жидкости в области малого таза и внутри маточных труб, нечеткость контура яичника, кисты, признаки спаек, и болезные ощущения у пациентки при работе узиста датчиком.
- Микробиологический анализ выделений из влагалища для определения возбудителя болезни.
Дополнительно могут быть использованы другие методы – лапароскопия, бакпосев, термометрия.
Лечение
Терапия аднексита зависит от формы заболевания. Но это всегда комплексный подход, направленный на уничтожение инфекции, восстановление иммунитета пациентки, предупреждение или терапию спаек.
В обязательном порядке назначается антибактериальная терапия – макролиды, цефалоспорины, пенициллины.
В острый период может быть назначено два и более препарата. Сначала их применяют внутримышечно или внутривенно, а затем переходят на таблетированный прием.
Желательно, чтобы препараты назначались по результатам посевов микрофлоры и проверки чувствительности возбудителя к антибиотикам.
Также назначают такие препараты:
- Витаминные комплексы для укрепления иммунитета.
- Нестероидные противовоспалительные.
- Иммуномодулирующие.
- Противоаллергические для снятия отека.
Местно назначают свечи и кремы с антибактериальным и противомикробным действием.
Обязательно применяются препараты, угнетающие размножение грибков.
Спайки лечат на ранней стадии их формирования рассасывающими препаратами, а также при помощи специфических ферментов, которые расщепляют патологическую фиброзную ткань.
После снятия острой фазы и перехода ее в подострую осторожно подключают физиопроцедуры – магнит, УВЧ, электрофорез, ультразвук.
Внимание! В острый период категорически противопоказаны тепловые процедуры, так как они могут привести к развитию гнойных процессов.
Поэтому народные рецепты типа «посидеть в горячем травяном отваре» могут быть опасны для жизни.
Острый аднексит требует госпитализации. При лечении обострений хронического аднексита или подострого его течения можно обойтись дневным стационаром или амбулаторным лечением.
При хроническом аднексите также назначают антибиотики. Более широко используется физиопроцедуры и иммунокорректирующие схемы. В период ремиссии хороший результат дают грязи и ванны.
Оперативное вмешательство – крайняя мера при аднексите. Применяют его при абсцессах яичников и пиосальпинксах. Также для восстановления репродуктивной функции при спаечной болезни.
Профилактика
Чтобы уберечься от аднексита нужно соблюдать ряд правил:
- Заботиться о гигиене половых органов
- Избегать беспорядочных половых связей и незащищенного секса.
- Вести здоровый образ жизни, чтобы сохранять высокий иммунитет.

- Избегать переохлаждений.
И очень важно регулярно проходить профилактическое обследование у гинеколога.
симптомы и признаки хронического, острого
Изучаем симптомы аднексита: на что нужно обязательно обратить внимание. Профилактика заболевания.
Аднексит — воспаление придатков вследствие попадания во влагалище инфекции. Различают острую и хроническую форму заболевания. Симптомы воспаления придатков матки при остром аднексите сопровождаются:
- болями внизу живота с повышением температуры тела;
- нарушениями мочеполовой системы;
- мышечной дрожью и ознобом;
- тошнотой, рвотными позывами и специфическими выделениями из половых органов.
Во время прощупывания у пациентки возникают сильные боли в нижней части живота. При хронической форме симптомы по болевому порогу не такие яркие, как при остром аднексите. Симптомы аднексита в хронической форме могут периодически исчезать и появляться, например, после или во время менструации или после переохлаждения.
Некоторые симптомы также похожи на симптомы эндометрита или на воспаление слизистой влагалища.
В медицинском центре «ОН Клиник» опытные специалисты каждой пациентке помогут выявить хронический аднексит и симптомы острой формы заболевания, а также выявить причину аднексита. Эффективная методика лечения воспаления придатков поможет быстро вернуться к здоровой жизни и прекрасному самочувствию. Комфортное обследование и база для физиотерапии поможет убрать болевые ощущения и сделать лечение менее болезненным.
Основные признаки воспаления придатков: какие они?
Признаки воспаления придатков у женщин обычно начинаются с болезненных менструаций и болей внизу живота. Это характерно и отдельно для таких болезней, как воспаление маточных труб или двустороннее воспаление яичников, которые являются составляющими частями. Характерными проявлениями воспаления есть и изменение цвета и запаха выделений из влагалища. Игнорировать симптомы воспаления придатков матки опасно для здоровья.
При запущенных формах воспаления женщина может столкнуться с бесплодием или заболеваниями других внутренних органов.
Опытные специалисты «ОН Клиник» помогут вовремя выявить воспаление придатков и признаки их появления. Своевременный гинекологический осмотр поможет избежать осложнений (спайки маточных труб, сальпингоофорита и др.) и вернет вас к полноценной жизни. Врачебный контроль позволит следить за малейшими изменениями в организме. Обширный комплекс физиопроцедур поможет восстановить организм и привести в норму половую систему.
В «ОН Клиник» вы сможете справиться с острым или хроническим аднекситом за минимальный период времени. Каждой пациентке при желании гарантируется конфиденциальность лечения.
Профилактика аднексита: как уберечься?
Симптомы и лечение воспаления придатков разделяют в зависимости от формы воспаления. Их профилактика также имеет некоторые особенности. При остром воспалении достаточно соблюдать такие меры предосторожности:
- обеспечивать организм витаминизированным и рациональным питанием;
- использовать во время полового акта контрацептивы;
- периодически употреблять витаминные препараты;
- избегать переохлаждения, стресса и одеваться по погоде.

Хроническое воспаление придатков и симптомы имеют периодический характер. Яркий характер оно проявляет во время смены сезонов. Поэтому в этот период наряду с профилактикой острого воспаления нужно:
- проходить санаторно-курортное лечение;
- пройти физиотерапевтические процедуры по назначению врача;
- принимать грязевые и минеральные ванны.
В «ОН Клиник» каждая женщина сможет пройти обследование на аднексит симптомы и лечение которого помогут найти правильное решение проблемы. Симптомы хронического и острого аднексита у каждой пациентки могут проявляться по-разному. Опытные врачи помогут установить диагноз и подобрать эффективную индивидуальную методику лечения. В спектр услуг входят физиотерапевтические процедуры, которые помогут восстановить организм и женское здоровье. Победим аднексит вместе!
Рейтинг статьи:
5 из 5 на основе 1 оценка
Автор: Он клиник
🤒🧬 Хронический аднексит или воспаление придатков, симптомы и лечение
<div>
<div>
<div>Симптомы</div>
<div>Формы</div>
<div>Причины</div>
<div>Диагностика</div>
<div>Лечение</div>
</div>
<div>
<div>
<p>Симптоматика воспаления придатков может проявляться местно или давать общие признаки заболевания.
</p>
<h4>Местные симптомы воспаления придатков:</h4>
<ul>
<li>Ноющие, режущие боли средней продолжительности в области живота;</li>
<li>Болезненные месячные, тупые боли во время близости;</li>
<li>Слизистые или гнойного характера бели, прозрачные выделения, часто сопровождающиеся зудом и раздражением на коже;</li>
<li>Изменение сроков, длительности месячных, смещение цикла.</li>
</ul>
<p>Если Вы отметили хотя бы один симптом, обратитесь для диагностики к специалистам GMS Clinic. Вылечить заболевание на ранних этапах намного проще, а вероятность избежать осложнений и последствий – выше.</p>
<h4>Общие симптомы воспаления придатков:</h4>
<ul>
<li>Боли внизу живота, сопровождающиеся общим недомоганием, повышением температуры и слабостью;</li>
<li>Сухость во рту, тошнота, головные боли;</li>
<li>Изменение картины крови: повышение СОЭ, лейкоцитоз.
</li>
<li>Тахикардии – сильное сердцебиение, сопровождающееся головокружением и звоном в ушах.</li>
</ul>
<p>Общие симптомы воспаления могут относиться не только к проблемам в женской половой сфере, но и к любым другим воспалительным процессам, протекающим в организме. При обнаружении любого симптома общего характера в совокупности с местными симптомами нужно срочно обращаться к врачу. Мы советуем записаться на прием к специалистам GMS Clinic, чтобы получить квалифицированную консультацию и помощь.</p>
</div>
<div>
<h3>Формы заболевания. Симптомы, характерные для каждой формы</h3>
<p>Воспаление придатков может протекать в нескольких формах. Чтобы быть во всеоружии и знать, когда начинать бить тревогу, мы расскажем наиболее частые симптомы разных форм воспаления придатков.</p>
<ul>
<li>Вопреки ожиданиям, наиболее опасной считается <span>латентная, или скрытая, форма воспаления придатков</span>.
Чаще всего женщины не замечают симптомов воспалительного процесса, протекающего в организме, или списывают все на стрессы и усталость (головная боль, головокружение, боли в животе). Скрытая форма опасна тем, что ее часто обнаруживают уже на последних стадиях, когда образовались спайки и воспалительный процесс необратимо развивается. Именно поэтому мы советуем всем женщинам, даже тем, у которых нет жалоб на здоровье, ежеквартально посещать гинеколога.</li>
<li><span>Острая форма</span> обнаруживается очень легко, характерные симптомы: нарушение цикла, обильные выделения в форме белей, повышение температуры, тянущие боли внизу живота, отдающие в поясницу. При обнаружении этих симптомов нужно срочно обращаться к специалисту для назначения лечения.</li>
<li><span>Хроническая форма</span> воспаления придатков чаще всего развивается из недолеченной острой или латентной формы. Типичный симптом хронической формы – постоянная температура около 37 градусов, вялость, головокружения, периодические боли внизу живота, выделения.
</li>
</ul>
</div>
<div>
<h3>Причины воспаления придатков</h3>
<p>В норме в придатках матки не живут никакие бактерии: ни полезных, ни вредных. Однако при различных заболеваниях, их осложнениях и даже при нарушении правил элементарной гигиены бактерии могут попадать внутрь и приводить к развитию воспаления.</p>
<p>Возможна передача возбудителей и половым путем. Чаще всего это происходит со скрытыми инфекциями, которые в течение долгого времени невозможно заметить без сдачи анализов. Именно скрытые инфекции – самые опасные. Попадая в кислую среду влагалища, микроорганизмы-носители заболеваний или погибают (при нормальном иммунитете), или перемещаются в придатки матки (при ослабленном иммунитете).</p>
<h4>Факторы риска возникновения воспаления придатков:</h4>
<ul>
<li>Беспорядочные половые связи без использования средств защиты</li>
<li>Внутриматочные вмешательства, операции, проводимые без должного уровня антисептики</li>
<li>Не до конца вылеченные или перешедшие в хронические формы заболевания женских половых органов воспалительного характера</li>
<li>Переохлаждение</li>
</ul>
<p>Важно понимать, что лучше один раз вылечить заболевание до конца, чем перевести его в хроническую форму, бросив лечение, или бороться с осложнениями заболевания, которые могут привести к бесплодию.
</p>
</div>
<div>
<h3>Диагностика заболевания</h3>
<p>Для того чтобы Вы сами могли контролировать процесс диагностики и знали, из каких этапов должно состоять исследование, мы решили рассказать, из каких этапов состоит диагностика воспаления придатков в GMS Clinic.</p>
<ul>
<li>Сбор крови для проведения <span>общего анализа крови</span>. По результатам особое внимание, как уже отмечалось выше, отдается уровню лейкоцитов и СОЭ.</li>
<li>Гинеколог проводит сначала <span>опрос на выявление возможных симптомов воспаления придатков</span>, а затем проводит <span>осмотр</span>. Первое, на что обращает внимание специалист – болезненность яичников и шейки матки при осмотре и в анамнезе.</li>
<li>В процессе осмотра специалист обязательно берет <span>мазок для посева флоры</span> и проведения дальнейшего анализа для выявления точного возбудителя заболевания, если оно будет обнаружено.
</li>
<li>В случае необходимости врач может предложить провести <span>ультразвуковую диагностику</span>. Это совершенно безболезненная процедура, которую проводят вагинальным датчиком. Ультразвуковая диагностика позволит собрать больше информации о состоянии организма и подобрать наиболее оптимальную схему лечения.</li>
</ul>
<p>Правильная диагностика воспаления придатков гарантирует выбор наиболее оптимальной схемы лечения. Если все же специалист диагностировал воспаление придатков – не стоит думать, что заболевание пройдет само. Чем быстрее начать лечение, тем больше шансов избежать последствий и начать здоровую жизнь без боли!</p>
</div>
<div>
<h3>Лечение воспаления придатков (аднексита)</h3>
<p>Лечение воспаления матки и яичников проводится сразу по нескольким направлениям. Первое направление – борьба с самим воспалительным процессом, второе – антимикробная терапия, и третье – мероприятия восстановительной терапии.
</p>
<p>После начала лечения симптомы острого воспаления пропадают через несколько дней, но это вовсе не значит, что заболевание отступило.</p>
<p>Специалисты Центра акушерства и гинекологии GMS Clinic подбирают наиболее оптимальную схему лечения аднексита в каждом отдельном случае, ведь каждый организм уникален, и ему требуется особый подход.</p>
<h4>Основные мероприятия, входящие в лечение воспаления придатков:</h4>
<ul>
<li>Назначение антибиотиков;</li>
<li>Проведение физиотерапевтических процедур;</li>
<li>Восстановительная терапия;</li>
<li>При необходимости – проведение эндоскопической операции;</li>
<li>Санитарно-курортное лечение.</li>
</ul>
<p>Как и у любого другого заболевания, у воспаления придатков есть профилактические мероприятия, направленные на снижение риска развития инфекции.</p>
<h4>Профилактика воспаления придатков:</h4>
<ul>
<li>Своевременное проведение гигиенических процедур, защищающих от попадания инфекции во внутренние полости;</li>
<li>По возможности – избегать незащищенных половых контактов;</li>
<li>Оградить себя от хирургического прерывания беременности.
Проще всего это сделать, используя барьерные методы контрацепции;</li>
<li>Регулярное посещение гинеколога и сдача мазка на анализ внутренней флоры.</li>
</ul>
<p>Чаще всего именно посещение специалиста помогает выявить заболевание и вовремя предотвратить его развитие. Кроме того, можно обратиться к фитотерапевту, который составит для Вас персональный сбор трав, защищающих организм и помогающих ему бороться с инфекциями.</p>
</div>
</div>
</div>
цены на лечение хронического аднексита матки у женщин в клинике в Москве
Риск испытать на себе все проявления воспаления придатков существенно увеличивается при проведении любых внутриматочных вмешательств, таких как постановка спирали, аборт и т. д. Игнорирование симптомов аднексита, попытки стерпеть боль и самостоятельно справиться с болезнью при помощи наспех найденных антибиотиков могут привести к хронизации воспалительного процесса и ряду серьезных осложнений, включая бесплодие.
Симптомы аднексита
Клиническая картина при воспалении придатков бывает разной. Симптомы могут варьироваться от ярко выраженных до практически незаметных. Кроме того, под маской аднексита могут прятаться и другие болезни, поэтому только врач в силах поставить правильный диагноз. Аднексит – это не та болезнь, с которой можно шутить, проверяя на себе эффективность найденных в сети рецептов народной медицины.
Итак, вам необходимо записаться на прием к гинекологу, если появились следующие симптомы:
- тупая и ноющая или интенсивная, резкая, отдающая в крестец боль внизу живота;
- общая слабость;
- боль при половом акте или дефекации;
- нарушения менструального цикла;
- слизистые или гнойные выделения из влагалища;
- повышенная температура.
Острый аднексит характеризуется резким ухудшением состояния, появляются головные боли, лихорадка, упадок сил. Симптомы хронического аднексита менее выражены: основным симптомом является ноющая, тянущая боль внизу живота, не настолько интенсивная, как при остром воспалении придатков.
Возникает боль периодически, чаще перед менструацией или сразу после нее. Также признаком хронического сальпингоофорита является болезненность при половом акте (диспареуния).
Симптомы аднексита часто схожи с клиническими проявлениями других заболеваний половой системы. Поэтому без консультации гинеколога нельзя прогревать низ живота, накладывать аппликации и принимать какие-либо препараты – это рискованно не только для репродуктивного здоровья, но и для жизни. Если не провести своевременное лечение, аднексит приобретет хроническую форму, характеризующуюся частыми обострениями.
Диагностика и лечение
Заподозрить аднексит гинеколог может на основании жалоб женщины, а также при обычном гинекологическом осмотре. Для уточнения диагноза специалист обычно назначает:
- общий анализ крови (при аднексите повышен уровень лейкоцитов и СОЭ),
- УЗИ малого таза,
- мазок на микрофлору.
Также может назначаться термометрия и пункция заднего свода влагалища (для забора и дальнейшего исследования жидкости в брюшной полости).
В редких случаях проводится диагностическая лапароскопия.
Лечение аднексита напрямую зависит от формы, стадии, остроты воспалительного процесса и обнаруженного возбудителя. Поскольку возбудителем болезни является патогенная микрофлора, лечение аднексита требует применения антибиотиков, к которым чувствителен микроорганизм. Кроме антимикробной терапии проводится симптоматическое лечение противовоспалительными, обезболивающими и антигистаминными препаратами. Также назначаются:
- иммуностимуляторы – для повышения общей сопротивляемости организма;
- витамины, успокоительные препараты, энзимы.
Лечение аднексита – довольно длительный процесс, требующий ответственного и серьезного подхода. Мнимое благополучие не служит поводом для досрочного прекращения терапии! При лечении важно помнить, что здоровье – самое главное богатство любой женщины!
В комплексе с антибиотикотерапией часто назначается физиотерапия – электрофорез, парафинолечение и т.
д. Особенно эффективен такой подход при лечении хронического аднексита. Показан постельный режим, обильное питье и сбалансированная диета. В тяжелых случаях для лечения осложненного аднексита прибегают к оперативному вмешательству.
Осложнения аднексита
Постоянно «тлеющее» в придатках матки воспаление без грамотного, своевременного лечения может привести к развитию таких тяжелых осложнений, как:
- гнойное воспаление яичников;
- нарушения менструального цикла;
- распространение инфекции на смежные органы;
- внематочная беременность;
- гормональные нарушения;
- образование спаек в маточных трубах;
- изменение структуры тканей яичников;
- эндоцервит, цервицит;
- бесплодие.
Аднексит существенно затрудняет половую жизнь, влияет на общее самочувствие женщины, ее психологический комфорт. Без грамотного лечения данное заболевание способно нанести серьезный ущерб качеству вашей жизни.
Поэтому при возникновении первого же признака болезни следует немедленно идти на прием к специалисту.
Помните, женское счастье без здоровья невозможно! Всегда заботьтесь о себе, внимательно прислушивайтесь к организму и обращайтесь к хорошим врачам. Специалисты Клиники Современной Медицины используют в работе самые современные методы диагностики и лечения аднексита, что позволяет гарантировать максимальный результат даже в наиболее тяжелых случаях.
Наш медицинский центр оказывает самый широкий спектр услуг. Вы всегда можете обратится к нам по вопросам лечения гинекологических заболеваний. Мы готовы оказать вам услуги лечения бактериального вагиноза и лечения цервицита.
Профилактика женских гинекологических заболеваний в Краснодаре
Маточные (фаллопиевы) трубы — это парный орган. Обе трубы отходят от яичников и другим своим концом примыкают к матке. При овуляции яйцеклетка выходит из яичника и попадает в трубу, где и происходит её оплодотворение.
Затем оплодотворенная яйцеклетка спускается по трубе в матку и там прикрепляется. Начинается беременность.
Иногда сперматозоиды не могут добраться до яйцеклетки, потому что одна или обе трубы непроходимы. Так возникает трубное бесплодие.
Если же яйцеклетку удалось оплодотворить, зародыш, опускаясь в матку, может застрять в трубе и прикрепиться прямо там. Это называется внематочной (трубной) беременностью.
Такая беременность не имеет будущего, так как труба слишком мала для развития зародыша. По мере его роста трубу может просто разорвать. Поэтому внематочная беременность может угрожать жизни женщины.
Только на приеме врач может оценить степень проходимости труб с помощью процедуры гистеросальпингографии (рентген с предварительным введением в полость матки особого вещества для визуализации труб) или соногистеросальпингоскопии (УЗИ).
Чтобы вылечить частичную непроходимость, нужно провести удаление спаек в маточных трубах. Такая операция называется лапароскопией.
В брюшную полость под общим наркозом через небольшой разрез вводится лапароскоп, и врач может определить причину закупорки трубы и устранить её. Спайки разрушают специальным инструментом, который вводится в два дополнительных микроразреза на животе.
Полная непроходимость труб, к сожалению, не лечится. Забеременеть при полной непроходимости маточных труб можно только путем ЭКО.
Трубное бесплодие является прямым показанием к ЭКО, поэтому при этом диагнозе женщина может рассчитывать на получение ЭКО по полису ОМС.
Точный диагноз может установить только врач-гинеколог. Не занимайтесь самолечением, доверьте своё здоровье квалифицированным специалистам Клиники Екатерининская.
ПодробнееХронический аднексит — причины, симптомы, диагностика и лечение
Всемирная организация здравоохранения всерьез обеспокоена ростом числа заболеваний репродуктивной системы у женщин.
Одну из лидирующих позиций занимает такой недуг, как хронический аднексит (сальпингоофорит), то есть воспаление придатков с одной или сразу с двух сторон. К сожалению, определенных симптомов, которые могли бы с точностью указать именно на сальпингоофорит нет. Поэтому выявить заболевание можно только при помощи детальной диагностики – сдачи мазков для лабораторного исследования, а также УЗИ, рентген маточных труб с контрастом или же магнитно-резонансная томография.
Каждая половозрелая девушка обязана ежегодно проходить профилактический осмотр у гинеколога. Такой ответственный подход к своему здоровью способствует обнаружению аднексита, протекающего в острой форме. Но если патология будет упущена, то сальпингоофорит перерастет в хронический тип. В этом случае пациентке потребуется комплексное лечение, включающее в себя не только прием медикаментозных препаратов (антибиотиков, антибактериальных средств местного действия), но и остеопатическая терапия. Только мануальным воздействием можно достичь полного излечения от аднексита хронического и острого, свести риск рецидивов к нулю.
В редких случаях пациентки пренебрегают остеопатией, думая, что таблетки и свечи смогут полностью купировать недуг. Но это в корне неверно. Ведь ни одна пилюля не способна наладить микроциркуляцию и анатомическую подвижность репродуктивной системы, убрать спайки – главную причину бесплодия. Если же не обращаться за мануальным лечением, то рецидив сальпингоофорита хронического типа будет наступать при малейшем послаблении иммунной системы. То есть после перенесенных вирусных и бактериальных инфекций (ОРВИ, грипп, ротавирус), гельминтоза, банальной простуды и переохлаждения.
Если в вашем анамнезе значится хронический сальпингоофорит, то обязательно прочтите данную статью. Из нее вы узнаете о причинах и профилактических мерах хронического аднексита, какие симптомы характерны для разных форм воспаления придатков, о современном лечении патологии и ее последствий – спаек в маточных трубах, бесплодия, а также о том, как воздействует остеопатическая терапия на функцию репродуктивной системы у женщин.
Ее неоспоримые преимущества, список противопоказаний, продолжительность курса для хронического аднексита, а также подострой и острой формы.
Этиология хронической формы заболевания
Итак, хронический аднексит – это следствие отсутствия лечения острой или же подострой формы воспаления придатков (матки, яичников). Хронический сальпингоофорит имеет свойство обостряться. В таком случае симптомы заболевания усиливаются. Этиологией острой, подострой форм выступают разнообразные бактерии и вирусы, занесенные в организм женщины, чаще всего, ввиду незащищенного полового акта с инфицированным партнером. Обычно патогенные микроорганизмы долгое время никак себя не выдают, при этом, пагубно воздействуя на стенки эпителия, разрушая их, а также выделяя токсичные продукты своей жизнедеятельности. Из-за этого процесса и возникает хронический аднексит. Итак, хронический и острый аднексит могут провоцировать следующие микроорганизмы:
- трихомониаз;
- хламидии;
- стрептококк;
- цитомегалавирус;
- кишечная палочка;
- папилломавирус;
- гонорея;
- уреоплазма;
- энтерококк;
- генитальный герпес и т.
д.
Помимо этого существует множество факторов, которые влияют на скорейшее развитие аднексита хронической формы. Во-первых, это снижение защитных функций организма, то есть иммунитета. Это может случиться из-за разных причин, таких как перенесенные ОРВИ, простуды или банальное переохлаждение. Во-вторых, это аборты на больших сроках беременности (хирургические). Их негативное воздействие выступает отличным подспорьем для дисфункции кровообращения в органах малого таза, значительное понижение резистентности к патогенным микроорганизмам. Случается все это ввиду того, что выскабливанием повреждается слизистая оболочка.
В-третьих, хронический аднексит, симптомы и лечение которого напрямую зависят от запущенности самого заболевания, может быстрее развиваться при родовых травмах, которые еще носят название разрывы. Женщинам с такими последствиями от родоразрешения необходимо посещать гинеколога дважды в год и сдавать мазки на анализы. В-четвертых, хронический сальпингоофорит может проявляться при неправильной постановке или удалении внутриматочной спирали.
Также факторами, влияющими на скорейшее развитие тяжелой формы хронического аднексита, лечение которого займет массу времени, выступают следующие:
- Любые заболевания мочевыделительной системы.
- Несоблюдение элементарных правил гигиенических процедур интимной зоны.
- Незащищенные половые акты с непостоянными партнерами.
При отсутствии реакции пациентки на хронический аднексит, симптомы которого будут ярко выражены, болезнь может пагубно сказаться не только на репродуктивной функции, но и на здоровье в целом. Дело в том, что в полости органов малого таза вполне вероятно скопится гной (если лечение не проводится на протяжении нескольких лет). Когда он не будет вовремя откачан, органы могут разрываться, что грозит женщине перитонитом. Такое состояние опасно для всего организма, так что нужно срочно обращаться в медучреждение или вызывать карету скорой помощи.
Ввиду того, что хронический сальпингоофорит лечение которого требует много времени и сил, а также наносят существенный вред репродуктивной системе, должны заставить женщину в качестве профилактического осмотра ежегодно посещать кабинет гинеколога, сдавать ряд лабораторных исследований – мазок на цитологию, анализ крови на хламидиоз, цитомегалавирус, папилломавирус.
Терапия хронического аднексита посредством остеопатии
Сразу же стоит отметить, что лечение хронической формы сальпингоофорита невозможно осуществить исключительно посредством медикаментов. Так, для острой и подострой формы характерен прием препаратов, направленных на борьбу с патогенными микроорганизмами, но он должен быть совмещен с остеопатией. А вот хронический аднексит полностью излечивается только мануальной терапией – остеопатией. Ее преимущество не может заменить ни одно другое лечение, например, физиотерапевтическое или медикаментозное.
Итак, неоспоримые преимущества остеопатии заключаются в следующем:
- Нормализация кровотока в органах малого таза.
- Восстановление анатомической подвижности репродуктивной системы.
- Купирование спаечных процессов.
- Абсолютная безболезненность.

- Успешное устранение бесплодия.
- Минимум противопоказаний и возрастных ограничений.
- Доказанная эффективность в борьбе с аднекситом любой формы.
- Во время терапии одновременно устраняются и другие проблемы с репродуктивной системой, желудочно-кишечным трактом.
Под термином остеопатии подразумевается диагностика, а также последующее лечение заболеваний посредством рук врача. То есть никаких уколов, инъекций и других агрессивных воздействий на организм не производится. Суть терапии заключается в восстановлении структурно-анатомических отношений среди различных органов, костно-мышечной ткани. Остеопат обязан обладать широкими знаниями во многих областях медицины. Врач данного направления специализируется на патологиях таких систем и органов как:
- репродуктивна система женского и мужского организма;
- желудочно-кишечный тракт;
- сердечнососудистая система;
- эндокринная система;
- опорно-двигательный аппарат;
- мочевыделительная система;
- нервная система.

Хронический аднексит требует от врача индивидуального подхода, так что описать единственно верное лечение такой болезни невозможно. Все зависит от клинической картины, тяжести течения недуга, ряда последствий, которые уже успел вызвать хронический сальпингоофорит. Следует учитывать, что первично попав на прием к остеопату, он займется диагностикой не только репродуктивной, но и мочевыделительной системы, желудочно-кишечного тракта. Ведь хронический аднексит мог вызвать отклонения от нормальной работы данных органов и системы организма.
Подытожив все вышеописанное, можно сделать вывод, что лечение хронического сальпингоофорита будет включать в себя несколько пунктов – устранение воспаления придатков, купирование спаечных процессов, восстановление биомеханики репродуктивных органов, подавление болезненной симптоматики, восстановление менструального цикла. Если вы следите за своим женским здоровьем, то обязательно обратитесь к остеопату, который подробно расскажет об аднексите симптомы и лечение которого потребуют особого внимания от врача, продолжительности терапии, а также профилактических мерах, которые сведут к нулю риск возникновения рецидива воспаления придатков.
симптомы
процедуры связанные с заболеванием
Лечение и лечение воспалительных заболеваний органов малого таза: подходы, консультации, профилактика
Wiesenfeld HC, Hillier SL, Meyn LA, Amortegui AJ, Sweet RL. Субклинические воспалительные заболевания органов малого таза и бесплодие. Акушерский гинекол . 2012 июл.120 (1): 37-43. [Медлайн].
Ривлин М.Е., Хант Я.А. Разрыв тубовариального абсцесса. Необходима ли гистерэктомия? Акушерский гинекол . 1977 Ноябрь 50 (5): 518-22. [Медлайн].
Laohaburanakit P, Treevijitsilp P, Tantawichian T, Bunyavejchevin S.Разрыв тубовариального абсцесса на поздних сроках беременности.
Отчет о болезни. Дж Репрод Мед . 1999 июн. 44 (6): 551-5. [Медлайн].
De Temmerman G, Villeirs GM, Verstraete KL. Разрыв тубовариального абсцесса, вызывающий перитонит у женщины в постменопаузе. Сложный диагноз при визуализации. JBR-BTR . 2003 март-апрель. 86 (2): 72-3. [Медлайн].
Пауэрс К., Лазару Г., Грестон В. М., Михаил М. Разрыв тубовариального абсцесса передней брюшной стенки: клинический случай. Дж Репрод Мед . 2007 марта 52 (3): 235-7. [Медлайн].
[Рекомендации] Workowski KA, Bachmann LH, Chan PA, et al. Руководство по лечению инфекций, передаваемых половым путем, 2021 г. MMWR Recomm Rep . 2021 г. 23 июля. 70 (4): 1-187. [Медлайн]. [Полный текст].
Бернетт AM, Андерсон CP, Цванк Мэриленд. Лабораторно подтвержденная частота гонореи и / или хламидиоза при клинически диагностированных воспалительных заболеваниях органов малого таза и цервиците.
Am J Emerg Med .2012 Сентябрь 30 (7): 1114-7. [Медлайн].
Patton DL, Wolner-Hanssen P, Zeng W., Lampe M, Wong K, Stamm WE, et al. Роль сперматозоидов в патогенезе сальпингита Chlamydia trachomatis на модели приматов. Секс Трансмиссия . 1993 июль-август. 20 (4): 214-9. [Медлайн].
Паавонен Дж. Chlamydia trachomatis Инфекции женских половых путей: современное состояние. Энн Мед . 2012 Февраль 44 (1): 18–28. [Медлайн].
Тейлор Б.Д., Дарвилл Т., Феррелл Р.Э., Каммерер К.М., Несс Р.Б., Хаггерти К.Л.Варианты генов toll-подобных рецепторов 1 и 4 связаны с Chlamydia trachomatis у женщин с воспалительными заболеваниями органов малого таза. J Заразить Dis . 2012 15 февраля. 205 (4): 603-9. [Медлайн]. [Полный текст].
den Hartog JE, Ouburg S, Land JA, et al.
Играют ли генетические черты хозяина в бактериальной сенсорной системе роль в развитии патологии маточных труб, ассоциированной с Chlamydia trachomatis, у женщин с субфертильными формами? BMC Infect Dis . 21 июля 2006 г. 6: 122.
[Рекомендации] Королевский колледж акушеров и гинекологов (RCOG). Ведение острых воспалительных заболеваний органов малого таза . Лондон (Великобритания): Королевский колледж акушеров и гинекологов (RCOG); 2008 Ноябрь [Полный текст].
Herzog SA, Althaus CL, Heijne JC, Oakeshott P, Kerry S, Hay P и др. Время прогрессирования от инфекции Chlamydia trachomatis до воспалительного заболевания органов малого таза: исследование с математическим моделированием. BMC Infect Dis . 2012 11 августа, 12:18. [Медлайн]. [Полный текст].
Hillis SD, Wasserheit JN.Скрининг на хламидиоз — ключ к профилактике воспалительных заболеваний органов малого таза.
N Engl J Med . 1996 г. 23 мая. 334 (21): 1399-401. [Медлайн].
Крючок EW, Handsfield HH. Гонококковые инфекции у взрослых. Холмс К.К., Спарлинг П.Ф., Штамм В.Е. и др. ред. Болезни, передаваемые половым путем . 4-е издание. Нью-Йорк: McGraw Hill, Inc; 2008. 627-645.
Mylonas I. Инфекция женских половых органов, вызванная Chlamydia trachomatis: куда мы направляемся ?. Arch Gynecol Obstet . 2012 май. 285 (5): 1271-85. [Медлайн].
Росс JD. Является ли Mycoplasma genitalium причиной воспалительного заболевания органов малого таза? Инфекция Dis Clin North Am . 2005 июня 19 (2): 407-13. [Медлайн].
Бьяртлинг С., Оссер С., Перссон К. Mycoplasma genitalium при цервиците и воспалительных заболеваниях органов малого таза у женщин в гинекологической амбулатории.
Am J Obstet Gynecol . 2012 Июнь 206 (6): 476.е1-8. [Медлайн].
Бравендер Т, Матсон, Южная Каролина. Подростки, ВМС, ВЗОМТ и энтерококк: отчет о двух случаях. J Педиатр Adolesc Gynecol . 2012 июн.25 (3): e73-4. [Медлайн].
Ness RB, Hillier SL, Kip KE, Soper DE, Stamm CA, McGregor JA, et al. Бактериальный вагиноз и риск воспалительных заболеваний органов малого таза. Акушерский гинекол . 2004 Октябрь 104 (4): 761-9. [Медлайн].
Аван Б.И., Фатми З., Рашид С.Сравнение клинических и лапароскопических особенностей бесплодных женщин, страдающих генитальным туберкулезом (ТБ), воспалительными заболеваниями органов малого таза (ВЗОМТ) или эндометриозом. Дж. Пак Мед Ассо . 2001 ноябрь 51 (11): 393-9. [Медлайн].
Черпес Т.
Л., Визенфельд Х.С., Мелан М.А., Кент Дж. А. и др. Связь между воспалительным заболеванием органов малого таза, инфекцией Trichomonas vaginalis и положительной серологией на вирус простого герпеса 2 типа. Секс Трансмиссия . 2006. 33: 747-52.
Джарвис, Джорджия, Чанг, TL. Модуляция передачи ВИЧ Neisseria gonorrhoeae: молекулярные и иммунологические аспекты. Curr HIV Res . 2012 Апрель 10 (3): 211-7. [Медлайн].
Brunham RC, Kimani J, Bwayo J, Maitha G, Maclean I, Yang C и др. Эпидемиология Chlamydia trachomatis в основной группе болезней, передающихся половым путем. J Заразить Dis . 1996 Апрель 173 (4): 950-6. [Медлайн].
Бьяртлинг К., Оссер С., Джонссон А., Перссон К.Клинические проявления и эпидемиология нового генетического варианта Chlamydia trachomatis. Секс Трансмиссия .
2009 Сентябрь, 36 (9): 529-35. [Медлайн].
Киннунен А., Моландер П., Моррисон Р., Лехтинен М., Карттунен Р., Тийтинен А. и др. Хламидийный белок теплового шока 60 — специфические Т-клетки в воспаленной сальпингеальной ткани. Fertil Steril . 2002, январь 77 (1): 162-6. [Медлайн].
Makepeace BL, Watt PJ, Heckels JE, Christodoulides M.Взаимодействие Neisseria gonorrhoeae со зрелыми белками непрозрачности макрофагов человека влияет на выработку провоспалительных цитокинов. Заражение иммунной . 2001 Mar.69 (3): 1909-13. [Медлайн]. [Полный текст].
Haggerty CL, Totten PA, Tang G, Astete SG, Ferris MJ, Norori J, et al. Выявление новых микробов, связанных с воспалительными заболеваниями органов малого таза и бесплодием. Заражение, передающееся половым путем . 2016 Сентябрь 92 (6): 441-6.
[Медлайн].
Балтик С.Новые микробы, связанные с воспалительными заболеваниями органов малого таза, бесплодием. Информация о здоровье Reuters. Доступно на http://www.medscape.com/viewarticle/859843. 4 марта 2016 г .; Доступ: 9 января 2017 г.
Чемпион JD, Пайпер Дж., Шаин Р.Н., Пердью СТ, Ньютон Э.Р. Женщины из числа меньшинств с заболеваниями, передающимися половым путем: сексуальное насилие и риск воспалительных заболеваний органов малого таза. Res Nurs Health . 2001 24 февраля (1): 38-43. [Медлайн].
Ness RB, Soper DE, Holley RL, Peipert J, Randall H, Sweet RL и др.Спринцевание и эндометрит: результаты исследования PID Assessment and Clinical Health (PEACH). Секс Трансмиссия . 2001 апр. 28 (4): 240-5. [Медлайн].
Ness RB, Hillier SL, Kip KE, Richter HE, Soper DE, Stamm CA, et al.
Спринцевание, воспалительное заболевание органов малого таза и возникновение гонококковой и хламидийной генитальной инфекции в когорте женщин из группы высокого риска. Am J Epidemiol . 2005 15 января. 161 (2): 186-95. [Медлайн].
Куманс Э. Х., Кендрик Дж. С..Предотвращение неблагоприятных последствий бактериального вагиноза: программа общественного здравоохранения и повестка дня исследований. Секс Трансмиссия . 2001 Май. 28 (5): 292-7. [Медлайн].
Ness RB, Hillier SL, Kip KE, Soper DE, Stamm CA, McGregor JA, et al. Бактериальный вагиноз и риск воспалительных заболеваний органов малого таза. Акушерский гинекол . 2004 Октябрь 104 (4): 761-9. [Медлайн].
Ness RB, Soper DE, Holley RL, Peipert J, Randall H, Sweet RL и др. Гормональная и барьерная контрацепция и риск заболеваний верхних отделов половых путей в исследовании PID Evaluation and Clinical Health (PEACH).
Am J Obstet Gynecol . 2001 июл.185 (1): 121-7. [Медлайн].
Shelton JD. Риск клинического воспалительного заболевания органов малого таза, связанного с внутриматочной спиралью. Ланцет . 2001, 10 февраля. 357 (9254): 443. [Медлайн].
[Рекомендации] CDC, Workowski KA, Berman SM. Руководство по лечению болезней, передающихся половым путем, 2006. MMWR Recomm Rep . 4 августа 2006 г. 55 (RR-11): 1-94.
Келли Е.К., Рудинский SW.Внутриматочная контрацепция: современные научно обоснованные рекомендации. J Здравоохранение женщин-акушерок . 2007 сентябрь-октябрь. 52 (5): 505-7. [Медлайн].
Мейрик О. Внутриматочные спирали — инфекции верхних и нижних половых путей. Контрацепция . 2007. 06; 75 (6 Suppl /): S41-7.
Центры по контролю и профилактике заболеваний. Воспалительные заболевания органов малого таза — ВЗОМТ. Информационный бюллетень CDC. Доступно по адресу http://www.cdc.gov/std/pid/stdfact-pid.htm.Доступ: 9 декабря 2012 г.
Sufrin CB, Postlethwaite D, Armstrong MA, Merchant M, Wendt JM, Steinauer JE. Скрининг Neisseria gonorrhea и Chlamydia trachomatis при введении внутриматочной спирали и воспалительных заболеваниях органов малого таза. Акушерский гинекол . 2012 декабрь 120 (6): 1314-21. [Медлайн].
Viberga I, Odlind V, Lazdane G, Kroica J, Berglund L, Olofsson S. Микробиологический профиль женщин с воспалительными заболеваниями органов малого таза в связи с использованием ВМС. Infect Dis Obstet Gynecol . 2005 декабрь 13 (4): 183-90. [Медлайн]. [Полный текст].
Несс РБ, Смит К.Дж., Чанг СС, Шистерман Э.Ф., Бас DC. Прогнозирование воспалительных заболеваний органов малого таза у молодых, одиноких, сексуально активных женщин. Секс Трансмиссия . 2006 марта 33 (3): 137-42.[Медлайн].
Sorbye IK, Jerve F, Staff AC. Уменьшение числа госпитализированных женщин с воспалительными заболеваниями органов малого таза в Осло за последнее десятилетие. Acta Obstet Gynecol Scand . 2005 Март 84 (3): 290-6. [Медлайн].
Всемирная организация здравоохранения. Инфекции, передающиеся половым путем. Доступно на http://www.who.int/mediacentre/factsheets/fs110/en/. Доступ: 2 февраля 2010 г.
Low N, Broutet N, Adu-Sarkodie Y, Barton P, Hossain M, Hawkes S.Глобальный контроль инфекций, передаваемых половым путем. Ланцет . 2006 декабрь 2. 368 (9551): 2001–16. [Медлайн].
Камвендо Ф., Форслин Л., Бодин Л., Даниэльссон Д. Программы уменьшения воспалительных заболеваний органов малого таза — опыт Швеции. Ланцет . 1998. 351 Suppl 3: 25-8. [Медлайн].
Kamwendo F, Forslin L, Bodin L, Danielsson D. Снижение заболеваемости острыми воспалительными заболеваниями органов малого таза, связанными с гонореей и хламидиозом.25-летнее исследование, проведенное в центральной части Швеции. Секс Трансмиссия . 1996 сентябрь-октябрь. 23 (5): 384-91. [Медлайн].
Заключительная рекомендация Хламидиоз и гонорея: скрининг. Целевая группа по профилактическим услугам США.
Доступно по адресу https://www.uspreventiveservicestaskforce.org/Page/Document/RecommendationStatementFinal/chlamydia-and-gonorrhea-screening. Сентябрь 2014 г .; Дата обращения: 27 февраля 2019 г.
Баникарим C, Чако MR.Воспалительные заболевания органов малого таза у подростков. Адолеск Мед Клин . 2004 июн. 15 (2): 273-85, viii. [Медлайн].
Зегер В., Холт К. Гинекологические инфекции. Emerg Med Clin North Am . 2003 21 августа (3): 631-48. [Медлайн].
Liou TH, Wu CW, Hao WR, Hsu MI, Liu JC, Lin HW. Риск инфаркта миокарда у женщин с воспалительными заболеваниями органов малого таза. Инт Дж. Кардиол . 2012 20 января. [Medline].
Chen PC, Tseng TC, Hsieh JY, Lin HW.Связь между инсультом и пациентами с воспалительными заболеваниями органов малого таза: общенациональное популяционное исследование, проведенное на Тайване.
Инсульт . 2011 июл.42 (7): 2074-6. [Медлайн].
Lin HW, Tu YY, Lin SY, Su WJ, Lin WL, Lin WZ, et al. Риск рака яичников у женщин с воспалительными заболеваниями органов малого таза: популяционное исследование. Ланцет Онкол . 2011 Сентябрь 12 (9): 900-4. [Медлайн].
Trabert B, Waterboer T, Idahl A, Brenner N, Brinton LA, Butt J, et al.Антитела против Chlamydia trachomatis и риск рака яичников в двух независимых популяциях. Национальный институт рака . 2018 21 мая. [Medline].
Simms I, Stephenson JM, Mallinson H, Peeling RW, Thomas K, Gokhale R, et al. Факторы риска, связанные с воспалительными заболеваниями органов малого таза. Заражение, передающееся половым путем . 2006 декабрь 82 (6): 452-7. [Медлайн]. [Полный текст].
Peipert JF, Ness RB, Blume J, Soper DE, Holley R, Randall H и др. Клинические предикторы эндометрита у женщин с симптомами и признаками воспалительного заболевания органов малого таза. Am J Obstet Gynecol . 2001 Apr, 184 (5): 856-63; обсуждение 863-4. [Медлайн].
Peipert JF, Ness RB, Blume J, Soper DE, Holley R, Randall H и др.Клинические предикторы эндометрита у женщин с симптомами и признаками воспалительного заболевания органов малого таза. Am J Obstet Gynecol . 2001 Apr, 184 (5): 856-63; обсуждение 863-4. [Медлайн].
Molander P, Finne P, Sjoberg J, Sellors J, Paavonen J.
Согласие наблюдателя с лапароскопической диагностикой воспалительных заболеваний органов малого таза с использованием фотографий. Акушерский гинекол . 2003 май. 101 (5, п.1): 875-80. [Медлайн].
Risser WL, Risser JM, Benjamins LJ, Feldmann JM.Заболеваемость синдромом Фитц-Хью-Кертиса у подростков с воспалительными заболеваниями органов малого таза. J Педиатр Adolesc Gynecol . 2007 июн.20 (3): 179-80. [Медлайн].
Sanfilippo JS. Тихая эпидемия хламидиоза: чего нам здесь не хватает ?. J Педиатр Adolesc Gynecol . 2008 21 октября (5): 231-2. [Медлайн].
Haggerty CL, Ness RB. Новейшие подходы к лечению воспалительных заболеваний органов малого таза: обзор недавних рандомизированных клинических исследований. Clin Infect Dis . 2007 г., 1. 44 (7): 953-60. [Медлайн].
Бернетт AM, Андерсон CP, Цванк Мэриленд. Лабораторно подтвержденная частота гонореи и / или хламидиоза при клинически диагностированных воспалительных заболеваниях органов малого таза и цервиците. Am J Emerg Med . 2012 Сентябрь 30 (7): 1114-7. [Медлайн].
Шуман С.А., Стюарт С.М., Бут Р.А., Смит С.Д., Уилкокс М.Х., Уилсон Дж. Д.. Оценка наилучшего единственного образца для обнаружения хламидиоза у женщин с симптомами и без: диагностическое тестовое исследование. BMJ . 12 декабря 2012 г. 345: e8013. [Медлайн]. [Полный текст].
Тейлор-Робинсон Д.
, Стейси К.М., Дженсен Дж. С., Томас Б.Дж., Мандей ЧП. Дальнейшие наблюдения, в основном серологические, за группой женщин с воспалительными заболеваниями органов малого таза или без них. Int J ЗППП, СПИД . 2009 20 октября (10): 712-8. [Медлайн].
Бьяртлинг С., Оссер С., Перссон К. Mycoplasma genitalium при цервиците и воспалительных заболеваниях органов малого таза у женщин в гинекологической амбулатории. Am J Obstet Gynecol . 2012 июн. 206 (6): 476.e1-8. [Медлайн].
Thomassin-Naggara I, Darai E, Bazot M. Гинекологическая инфекция органов малого таза: какова роль визуализации ?. Диагностика интервалов изображений . 2012 июн.93 (6): 491-9. [Медлайн].
Хорроу ММ. УЗИ воспалительных заболеваний органов малого таза. Ультразвук Q . 2004 г. 20 (4): 171-9. [Медлайн].
Goharkhay N, Verma U, Maggiorotto F. Сравнение дренажа под контролем КТ или УЗИ с сопутствующим внутривенным введением антибиотиков и только внутривенным введением антибиотиков при лечении тубо-яичниковых абсцессов. Ультразвуковой акушерский гинеколь . 2007 29 января (1): 65-9. [Медлайн].
Del Frate C, Girometti R, Pittino M, et al.Эндометриоз глубокого забрюшинного таза: внешний вид МРТ с лапароскопической корреляцией. Радиография . 2006. 26 (6): 1705-18.
Ромеро Р., Эспиноза Дж., Мазор М. Может ли инфекция / воспаление эндометрия объяснить неудачу имплантации, самопроизвольный аборт и преждевременные роды после экстракорпорального оплодотворения ?. Fertil Steril . 2004 Октябрь 82 (4): 799-804. [Медлайн].
Лю Б., Донован Б., Хокинг Дж. С., Нокс Дж., Сильвер Б., Гай Р.Улучшение соблюдения рекомендаций по диагностике и лечению воспалительных заболеваний органов малого таза: систематический обзор. Infect Dis Obstet Gynecol . 2012. 2012: 325108. [Медлайн]. [Полный текст].
Симмс И., Викерс М.Р., Стивенсон Дж., Роджерс П.А., Николл А. Национальная оценка диагностики, лечения и ведения ВЗОМТ в общей практике: Англия и Уэльс. Int J ЗППП, СПИД . 2000 июл.11 (7): 440-4. [Медлайн].
Shih TY, Gaydos CA, Rothman RE, Hsieh YH.Плохое соблюдение провайдером рекомендаций по лечению Центров по контролю и профилактике заболеваний при посещении отделений неотложной помощи США с диагнозом воспалительного заболевания органов малого таза. Секс Трансмиссия . 2011 Апрель 38 (4): 299-305. [Медлайн].
Скоулз Д., Стергачис А., Гейдрих Ф. Э., Андрилла Х, Холмс К. К., Штамм В. Е.. Профилактика воспалительных заболеваний органов малого таза путем скрининга на хламидийную инфекцию шейки матки. N Engl J Med . 1996 г. 23 мая. 334 (21): 1362-6. [Медлайн].
Трент М., Хаггерти К.Л., Дженнингс Дж.М., Ли С., Басс Д.К., Несс Р. Неблагоприятные исходы для репродуктивного здоровья подростков после воспалительного заболевания органов малого таза. Arch Pediatr Adolesc Med . 2011 Январь 165 (1): 49-54. [Медлайн].
Anschuetz GL, Asbel L, Spain CV, et al. Связь между усиленным скринингом на Chlamydia trachomatis и Neisseria gonorrhoeae и сокращением последствий среди женщин. J Здоровье подростков . 2012 июл.51 (1): 80-5. [Медлайн].
Целевая группа профилактических услуг США. Можно купить в . Скрининг на хламидийную инфекцию. Доступно на http://www.ahrq.gov/clinic/uspstf/uspschlm.htm. Доступ: 26 марта 2010 г.
Gift TL, Gaydos CA, Kent CK, Marrazzo JM, Rietmeijer CA, Schillinger JA, et al. Стоимость программы и экономическая эффективность скрининга мужчин на хламидиоз для предотвращения воспалительных заболеваний органов малого таза у женщин. Секс Трансмиссия . 2008 ноя.35 (11 доп.): С66-75. [Медлайн].
Рекомендации по лечению заболеваний, передаваемых половым путем: воспалительные заболевания органов малого таза (ВЗОМТ). Центры по контролю и профилактике заболеваний. Доступно по адресу https://www.cdc.gov/std/tg2015/pid.htm. 4 июня 2015 г .; Дата обращения: 27 февраля 2019 г.
Ирвин К.Л., Мурман А.С., О’Салливан М.Дж., Сперлинг Р., Кестлер М.Э., Сото И. и др. Влияние инфекции вируса иммунодефицита человека на воспалительные заболевания органов малого таза. Акушерский гинекол .2000 апр. 95 (4): 525-34. [Медлайн].
Mugo NR, Kiehlbauch JA, Nguti R, Meier A, Gichuhi JW, Stamm WE, et al. Влияние инфекции вируса иммунодефицита человека-1 на исход лечения острого сальпингита. Акушерский гинекол . 2006 апр. 107 (4): 807-12. [Медлайн].
Трент М., Эллен Дж. М., Уокер А. Воспалительные заболевания органов малого таза у подростков: оказание помощи в педиатрических амбулаторных условиях. Скорая педиатрическая помощь . 2005 июл.21 (7): 431-6. [Медлайн].
Ness RB, Soper DE, Holley RL, et al. для исследователей исследования тазовых воспалительных заболеваний и клинического здоровья (PEACH). Эффективность стратегий стационарного и амбулаторного лечения женщин с воспалительными заболеваниями органов малого таза: результаты рандомизированного исследования оценки воспалительных заболеваний органов малого таза и клинического состояния здоровья (PEACH). Am J Obstet Gynecol . 2001. 186: 929-37.
Savaris RF, Teixeira LM, Torres TG, Edelweiss MI, Moncada J, Schachter J.Сравнение цефтриаксона с азитромицином или доксициклином при воспалительных заболеваниях органов малого таза: рандомизированное контролируемое исследование. Акушерский гинекол . 2007 июл.110 (1): 53-60. [Медлайн].
Баккен И.Дж., Гадери С. Заболеваемость воспалительными заболеваниями органов малого таза в большой группе женщин, протестированных на Chlamydia trachomatis: последующее историческое исследование. BMC Infect Dis . 14 августа 2009 г. 9 (1): 130.
Bevan CD, Ridgway GL, Rothermel CD. Эффективность и безопасность азитромицина в качестве монотерапии или в сочетании с метронидазолом по сравнению с двумя стандартными схемами лечения множественными лекарственными препаратами для лечения острого воспалительного заболевания органов малого таза. J Int Med Res . 2003 янв-фев. 31 (1): 45-54. [Медлайн].
Bradshaw CS, Chen MY, Fairley CK. Сохранение Mycoplasma genitalium после терапии азитромицином. PLoS One . 2008. 3 (11): e3618. [Медлайн]. [Полный текст].
[Рекомендации] CDC. Обновление рекомендаций CDC по лечению заболеваний, передающихся половым путем, 2006 г. Фторхинолоны больше не рекомендуются для лечения гонококковых инфекций. MMWR Morb Mortal Wkly Rep .13 апреля 2007 г. 56 (14): 332-6.
[Рекомендации] Центры по контролю и профилактике заболеваний (CDC). Обновление рекомендаций CDC по лечению заболеваний, передающихся половым путем, 2010 г .: оральные цефалоспорины больше не рекомендуются для лечения гонококковых инфекций. MMWR Morb Mortal Wkly Rep . 2012 10 августа; 61 (31) :. 590-4. [Медлайн]. [Полный текст].
[Рекомендации] Шарвериат А., Фритель Х. [Диагностика воспалительных заболеваний органов малого таза: клинические, параклинические, визуализирующие и лапароскопические критерии.Рекомендации CNGOF и SPILF по воспалительным заболеваниям органов малого таза. Gynecol Obstet Fertil Senol . 2019 13 марта [Medline].
[Рекомендации] Казанав С., де Барбейрак Б. [Воспалительные заболевания органов малого таза: микробиологический диагноз — Рекомендации по воспалительным заболеваниям органов малого таза CNGOF и SPILF]. Gynecol Obstet Fertil Senol . 2019 13 марта [Medline].
[Рекомендации] Ах-Кит Х, Хоарау Л., Грэсслин О., Брун Дж. [Последующее наблюдение и консультирование после воспалительных заболеваний органов малого таза: Руководство по воспалительным заболеваниям тазовых органов CNGOF и SPILF]. Gynecol Obstet Fertil Senol . 2019 13 марта [Medline].
определение аднексита по Медицинскому словарю
Также были зарегистрированы инфекции центральной нервной системы, аднексит, связанный с воспалительными заболеваниями органов малого таза, перитонит, инфекция кардиостимулятора, цирроз и гангрена. Обычно яичник и маточная труба клинически объединены термином adnexa uteri и используются в таких терминах, как аднексит и аднексэктомия, хотя чуждо анатомической терминологии. от АТ следует дифференцировать ОКР, внематочную беременность, аднексит, острый аппендицит, гастроэнтерит и почечную колику (11).Первоначальная популяция исследования состояла из носителей мутации гена BRCA1, представленных в отделении гинекологической хирургии и гинекологической онкологии взрослых и подростков для профилактической двусторонней сальпингоофорэктомии, и пациенток с наиболее частыми патологиями половых органов (гинекологические опухоли, доброкачественные кисты яичников, маточные миомы, аднексит и метастатические опухоли яичников).
При анализе всех пациенток, независимо от их гормонального статуса, средние уровни HE4 в сыворотке у носителей BRCA1 были значительно ниже, чем в остальных группах (миома матки P = 0.0138; нераковые кисты яичников P = 0,0001; аднексит P = 0,0079; рак эндометрия P = 0,0000; другие гинекологические раковые заболевания P = 0,0000; полипы эндометрия P = 0,0023; метастатические опухоли P = 0,000579; рак яичников P = 0,0000), за исключением доброкачественных эпителиальных опухолей яичников (P = 0,1834).
Среди этих пациентов был разрыв кисты яичника у четырех пациентов, острый аднексит у двух пациентов, ишемический колит и перфорация язвы двенадцатиперстной кишки у одного пациента, в то время как 19 пациентов были сочтены имеющими острую неспецифическую боль в животе, поскольку не было признаков, указывающих на другие причины болей в животе.Если клинические данные не приводят к четкому диагнозу, особенно у молодых женщин, которые могут страдать либо от аппендицита, либо от аднексита, (8) лапароскопия является хорошим вариантом, который следует рассмотреть, если пациент хочет избежать радиационного облучения, связанного с КТ. .
случаев аппендицита 45 спаек 5 аппендицита + спаек 5 нормальное исследование 5 аппендицита + аднексита 3 мезентериального лимфаденита 2 аппендицита + мезентериального лимфаденита 1 правого аднексита + спаек 1 аднексита 1 гидросальпинкса 1 мезентериального панникулита 1 адгезивного спайки 1 общего мезентериального туберкулеза РЕЗУЛЬТАТЫ
trachomatis может вызывать у женщин уретрит, цервицит, аднексит, воспалительные заболевания органов малого таза или внематочную беременность (8). Субфертильность (9) и бесплодие (10).Темы включают в себя лечение в клинике Парацельса РА, язвенного колита, остеоартрита, подагры, тендинита, астмы, восприимчивости к инфекциям, хронического простатита и хронического аднексита. КОНТАКТ: 508-748-0816; факс 508-748-1976; [email protected]; http: //www.pbmn.orgAdnexitis; генитальные заболевания, женские; гинекология; Боль в животе. Адъювантные свойства системной ферментативной поддержки также наблюдались и документировались для ряда случаев, включая аднексит, артрит, папилломы и различные формы рака.Хронический или острый аднексит — как лечить болезнь?
Аднексит — заболевание, поражающее женскую половую сферу. При аднексите возникает воспаление придатков и маточных труб, которое возникает в результате проникновения патологических микроорганизмов. По характеру течения можно определить острый аднексит, хронический аднексит. Опасность аднексита в том, что часто при легких симптомах женщины не спешат к врачу, а снимают симптомы с помощью таблеток. В этом случае аднексит переходит в хроническую форму, грозящую острыми рецидивами.Наиболее опасен двусторонний хронический аднексит. Обычно аднексит протекает по-разному. Это зависит от того, что спровоцировало воспалительный процесс, в каких органах произошло воспаление, каковы защитные силы организма и как они работают в этой ситуации.
Симптомы заболевания
Острый аднексит имеет симптомы, хорошо известные гинекологам, поэтому диагностировать заболевание несложно. Острый аднексит имеет такие симптомы:
- Повышение температуры тела.Обычно температура тела резко повышается, и тяжесть процесса прямо пропорциональна повышению температуры. При развитии хронического аднексита симптомы гипертермии могут отсутствовать.
- Общая слабость. Заболевание похоже на простуду — тошнота, ощущение «ватных» ног, озноб, головная боль — типичное опьянение.
- Боль. Такое чувство женщина может испытывать в разной степени. Обычно очаг боли располагается внизу живота, но может иррадиировать в поясницу или даже бедро.
- Выделения. Выделения из влагалища при аднексите специфические, не такие, как у здоровых женщин. Они имеют грязно-желтый цвет и вызывают жжение и зуд половых органов. Они могут быть разной по интенсивности на разных этапах процесса.
Если аднексит хронический, то можно смазать аналогичные симптомы — одни проявляются больше, другие — меньше, а другие полностью отсутствуют. Хронический аднексит склонен к рецидивам. Общее состояние женщины ухудшается, как при остром аднексите, но степень боли увеличивается при определенных факторах — после подъема тяжестей, полового акта, переохлаждения.Нередко врачи констатируют такие последствия нелеченного острого аднексита, как дисбактериоз влагалища, сбои в половой сфере, сбои менструального цикла. Если аднексит хронический, воспалительный процесс может вызвать спайки в маточных трубах и бесплодие. Инфекция через половые органы может проникнуть в мочеточник и вызвать цистит, пиелонефрит.
Причины заболевания
Причины аднексита кроются в поражении женских половых органов гонококками, стрептококками, E.coli и стафилококки. Обычно сильный иммунитет справляется с этими возбудителями самостоятельно, но при ослаблении иммунитета кокки могут стать причиной заболевания. Помимо этих факторов, «кокки» помогают переохлаждению, стрессу и переутомлению, половому акту во время менструации и некоторым гинекологическим манипуляциям.
В организм женщины кокки попадают несколькими путями — через влагалище, брюшину, с током крови и с током лимфы.
Диагностика
Наличие аднексита устанавливается на основании обычного гинекологического осмотра, результата мазка из влагалища на флору, результата анализа крови, УЗИ и при необходимости лапароскопического исследования маточных труб.
Лечение аднексита
Если аднексит острый, то действия врача направлены, прежде всего, на снятие боли и антибактериальную терапию. После этого показан ряд физиотерапевтических восстановительных процедур. При наличии спаек, если аднексит хронический, показания к лечению те же, но добавляется лапароскопическое вмешательство для разделения спаек и дальнейшего восстановления проходимости маточных труб.
Уровни иммуноглобулинов при хроническом аднексите (судебное разбирательство)
Связанные понятия
АднекситIgA2 ПолиглобинIgM2 Иммуноглобулины
Трендовые корма
COVID-19
вирусы, вызывающие более серьезные заболевания, которые также вызывают более серьезные заболевания, вызывающие простуду, среди которых есть более серьезные вирусы, вызывающие коронавирус таких как продолжающаяся вспышка коронавирусной болезни 2019 г. (COVID-19; формально известная как 2019-nCoV).Коронавирусы могут передаваться от животных человеку; симптомы включают жар, кашель, одышку и затрудненное дыхание; в более тяжелых случаях заражение может привести к летальному исходу. Этот канал охватывает недавние исследования COVID-19.
Бластомикоз
Бластомикоз Грибковые инфекции распространяются при вдыхании спор Blastomyces dermatitidis. Ознакомьтесь с последними исследованиями грибковых инфекций бластомикоза здесь.
Комплекс ядерных пор в ALS / FTD
Изменения в ядерно-цитоплазматическом транспорте, контролируемом комплексом ядерных пор, могут быть вовлечены в патомеханизм, лежащий в основе множественных нейродегенеративных заболеваний, включая боковой амиотрофический склероз и лобно-височную деменцию.Вот последние исследования комплекса ядерных пор при ALS и FTD.
Применение молекулярного штрих-кодирования
Концепция молекулярного штрих-кодирования заключается в том, что каждая исходная молекула ДНК или РНК прикрепляется к уникальному штрих-коду последовательности. Считывания последовательностей с разными штрих-кодами представляют разные исходные молекулы, в то время как считывания последовательностей с одинаковым штрих-кодом являются результатом дублирования ПЦР с одной исходной молекулы. Ознакомьтесь с последними исследованиями в области молекулярного штрих-кодирования здесь.
Синдром хронической усталости
Синдром хронической усталости — заболевание, характеризующееся необъяснимой инвалидизирующей усталостью; патология которого не до конца изучена.Узнайте о последних исследованиях синдрома хронической усталости здесь.
Развитие плюрипотентности
Плюрипотентность относится к способности клетки развиваться в три первичных слоя зародышевых клеток эмбриона. Этот канал посвящен механизмам, лежащим в основе эволюции плюрипотентности. Вот последнее исследование.
Вариагация эффекта положения
Вариагация эффекта положения Возникает, когда ген инактивирован из-за его расположения рядом с гетерохроматическими областями в хромосоме.Ознакомьтесь с последними исследованиями вариагации эффекта позиции здесь.
Агонисты рецепторов STING
Стимуляторы генов IFN (STING) представляют собой группу трансмембранных белков, которые участвуют в индукции интерферона I типа, важного для врожденного иммунного ответа. Стимуляция STING была активной областью исследований в лечении рака и инфекционных заболеваний. Вот последние исследования агонистов рецепторов STING.
Микробициды
Микробициды — это продукты, которые можно наносить на поверхности слизистой оболочки влагалища или прямой кишки с целью предотвращения или, по крайней мере, значительного снижения передачи инфекций, передаваемых половым путем.Вот последние исследования микробицидов.
Связанные материалы
Ceskoslovenska gynekologie
D KuzelM Sindlár
Ceskoslovenska gynekologie
М SindlárD Кузел
Ceskoslovenska gynekologie
К Soukup, J ОКО
Ceskoslovenska gynekologie
J Stehlíková, Н Hlava
Harefuah
M Atlas, J Menczer
Воспалительные заболевания органов малого таза (ВЗОМТ)
- Из-за сложности диагностики и потенциального повреждения репродуктивного тракта медицинские работники должны иметь низкий порог диагностики и лечения ВЗОМТ.
- Эмпирическое лечение ВЗОМТ следует назначать сексуально активным женщинам с болями в области таза и внизу живота, у которых нет другой причины их заболевания и которые соответствуют одному или нескольким из следующих минимальных критериев:
- Движение шейки матки, болезненность матки или придатков
- Температура> 38 ° C
- Аномальные выделения из шейки матки или рыхлость
- Положительный тест на гонорею, хламидиоз или M. genitalium.
- Начать лечение рано.Несвоевременное лечение связано со значительно повышенным риском трубного бесплодия или внематочной беременности.
- Посоветуйте отдыхать и принимать нестероидные противовоспалительные препараты для снятия боли.
- Предотвратить заражение Candida пессариями в период лечения.
- Рассмотреть возможность госпитализации, если:
- Диагноз сомнительный.
- Нельзя исключить неотложную хирургическую помощь, такую как аппендицит или внематочная беременность.
- Подозрение или диагноз тазового абсцесса / тубовариального абсцесса.
- Тяжелое заболевание, тошнота или рвота, высокая температура или отсутствие реакции на амбулаторное лечение
- Пациент не может принимать пероральные препараты.
- Беременность.
- Посоветуйте пациенту избегать половых сношений, пока они не станут незаразными и симптоматически не улучшатся.
- Удалите внутриматочную спираль (ВМС), если нет ответа на лечение в течение 48-72 часов.
Немедленное лечение
- Цефтриаксон 500 мг в 2 мл 1% раствора лигнокаина внутримышечно однократно
PLUS
- Доксициклин 100 мг перорально два раза в день в течение 14 дней (для пациентов, которые могут не придерживаться доксициклина, рассмотрите возможность замены азитромицина 1 г перорально в качестве дополнительной однократной дозы через 1 неделю)
PLUS
- Метронидазол 400 мг перорально два раза в день в течение 14 дней
- Цефтриаксон 500 мг в 2 мл 1% раствора лигнокаина внутримышечно однократно
PLUS
- Метронидазол 400 мг перорально два раза в день в течение 14 дней
- Цефтриаксон 2 г, вводимый внутривенно, ежедневно
ИЛИ
- Цефотаксим 2г, вводимый внутривенно трижды в день
PLUS
- Азитромицин 500 мг, внутривенно, ежедневно
PLUS
- Метронизадол 500 мг, внутривенно два раза в день
Особые лечебные ситуации
При подтверждении M. Genitalium, 2 недели приема моксифлоксацина 400 мг ежедневно в течение 14 дней.
Если требуется моксифлоксацин, обратитесь за консультацией к специалисту, поскольку он требует личного рецепта, не может использоваться во время беременности, является дорогостоящим и связан с диареей, случайной тендинопатией и редкими неврологическими и сердечными событиями.
Если вы беременны или кормите грудью, замените доксициклин
Обратитесь за консультацией к специалисту в случае осложненной инфекции или при наличии аллергии на основное лечение.
Ссылки по теме
Воспалительные заболевания органов малого таза | Медицинский центр KindCare
Воспалительные заболевания женских половых органов занимают первое место (55-70%) в структуре гинекологических заболеваний и являются одной из причин нарушения многих функций органов и систем женского организма.
Классификация
Гинекологическая боль-воспалительное заболевание таза В зависимости от возбудителя воспалительные заболевания половых органов могут быть специфическими и неспецифическими.
По клиническому течению воспалительные процессы делятся на острые с тяжелыми клиническими проявлениями, подострые со стертыми проявлениями и хронические.
По локализации патологического процесса воспалительные заболевания нижнего (вульвит, бартолинит, кольпит, эндоцервицит, цервицит) и верхних отделов (эндомиометрит, скальпинговый оофорит, тазовый перитонит, параметрит) половых органов, граница которых — внутреннее устье матки, различают.
Неспецифические воспалительные заболевания нижних отделов половых путей
Вульвит проявляется гиперемией и отеком вульвы, гнойными или серозно-гнойными выделениями, увеличением паховых лимфатических узлов. В хронической стадии стихают клинические проявления, периодически зуд, жжение. Диагноз ставится на основании жалоб, анамнеза, гинекологического осмотра. Дополнительные методы включают бактериоскопическое и бактериологическое исследование отделяемых наружных половых органов для выявления возбудителя заболевания.Лечение проводится антибактериальными препаратами общего и местного действия с учетом возбудителя заболевания.
Бартолинит — воспаление преддверия большой железы. Воспалительный процесс в цилиндрическом эпителии, выстилающем железу и окружающие ткани, быстро приводит к закупорке ее выводного протока с развитием абсцесса. Пациент жалуется на боли в месте воспаления. Определяется гиперемия и отек выводного протока железы, гнойные выделения при надавливании.Образование абсцесса приводит к ухудшению состояния. Появляются слабость, недомогание, головная боль, озноб, повышение температуры тела до 39 ° С, боли в области бартолиновой железы становятся резкими, пульсирующими. При осмотре обнаруживается припухлость и гиперемия в средней и нижней трети больших половых губ на пораженной стороне, болезненное опухолевидное образование, закрывающее вход во влагалище. Лечение бартолинита сводится к назначению антибиотиков с учетом возбудителя болезни, симптоматических средств.При формировании абсцесса бартолиновой железы показано хирургическое лечение — вскрытие абсцесса с образованием искусственного протока путем опиливания краев слизистой оболочки железы к краям кожного разреза (марсупиализация). После операции швы обрабатывают растворами антисептиков в течение нескольких дней.
Кольпит — воспаление слизистой оболочки влагалища, одно из наиболее частых заболеваний у пациенток репродуктивного периода, вызываемое различными микроорганизмами, может возникать в результате химических, аллергических, термических, механических факторов.В острой стадии заболевания пациенты жалуются на зуд, жжение во влагалище, гнойные или серозно-гнойные выделения из половых путей, боли во влагалище при половом акте (диспареуния). Кольпит часто сочетается с вульвитом, эндоцервицитом, уретритом. Диагностика колита основывается на жалобах, анамнезе, гинекологическом осмотре. Для выявления возбудителя заболевания используют бактериологическое и бактериоскопическое исследование выделений из влагалища, уретры, цервикального канала.
Лечение колита должно быть комплексным, направленным, на борьбу с инфекцией, устранение сопутствующих заболеваний. Применяется как местная, так и общая терапия. Местное лечение часто сочетают с общей антибактериальной терапией с учетом возбудителя. После антибактериальной терапии назначают эубиотики (бифидобактерии, лактобактерин, биовестин), восстанавливающие естественную микрофлору и кислотность влагалища.
Эндоцервицит — это воспаление слизистой оболочки цервикального канала, возникшее в результате травмы шейки матки во время родов, аборта, диагностического выскабливания и других внутриматочных процедур.Эндоцервицит часто сопровождает другие гинекологические заболевания как воспалительной (кольпевидный, эндометрит, аднексит), так и невоспалительной этиологии (эктопия шейки матки, эрозированный эктропион). В острой стадии воспалительного процесса пациенты жалуются на слизисто-гнойные или гнойные выделения из половых путей, реже на тупые боли внизу живота. Бактериологическое и бактериоскопическое исследование выделений из цервикального канала с целью подбора терапии, а также цитологическое исследование мазков из шейки матки, которое выявляет клетки цилиндрического и многослойного плоского эпителия без атипичных признаков, воспалительную лейкоцитарную реакцию, помогает диагностировать эндоцервицит.Лечение эндоцервицита в острой фазе заключается в назначении антибактериальных средств с учетом чувствительности возбудителей болезни. В хронической стадии при фоновых заболеваниях шейки матки после санации половых путей применяются хирургические методы — криодеструкция, радиохирургия, лазеротерапия, диатермокоагуляция, конизация шейки матки.
Неспецифические воспалительные заболевания верхних отделов половых путей
Эндометрит — это воспаление слизистой оболочки матки с повреждением как функционального, так и базального слоя.Острый эндометрит, как правило, возникает после различных внутриматочных манипуляций — абортов, соскоба, введения внутриматочных контрацептивов, а также после родов. Воспалительный процесс может быстро распространиться на мышечный слой (эндомиометрит), а в тяжелых случаях — на всю стенку матки (панметрит). Реже встречается генерализация процесса с развитием осложнений (параметрит, перитонит, абсцессы таза, тромбофлебит вен таза, сепсис) или воспаление становится подострым и хроническим.
Хронический эндометрит чаще возникает из-за неадекватного лечения острого эндометрита, чему способствует повторное выскабливание матки при кровотечении, шовный материал после кесарева сечения, внутриматочные контрацептивы. Клиническое течение — латентное. К основным симптомам хронического эндометрита относятся нарушения менструального цикла — обильные, продолжительные менструации (гиперполименорея) или метроррагия из-за нарушения регенерации слизистой оболочки и снижения сократимости матки.Больных беспокоят ноющие, ноющие боли внизу живота, серозно-гнойные выделения из половых путей. Заподозрить хронический эндометрит можно на основании анамнеза, клиники, гинекологического осмотра (небольшое увеличение и уплотнение матки, серозно-гнойные выделения из половых путей).
Сальпингоофорит (аднексит) — воспаление придатков матки (трубы, яичника, связок), возникающее по восходящей или нисходящей, вторично с воспалительными изменениями органов брюшной полости (например, при аппендиците) или гематогенно.При восходящей инфекции инфекция проникает из матки в просвет маточной трубы, вовлекая в воспалительный процесс все слои (сальпингит), а затем у половины пациенток яичник (оофорит) вместе со связочным аппаратом (сальпингоофорит) . Воспалительный экссудат, скапливающийся в просвете маточной трубы, может привести к спаечному процессу и закрытию фимбриальной области. Образуется мешковидное образование маточных труб (сактосальпинксы). Скопление гноя в трубе приводит к образованию пиосальпинкса, серозного экссудата — к образованию гидросальпинкса.
При проникновении микроорганизмов в ткань яичника в ней могут образовываться гнойные полости (абсцесс яичника), при сращении которых ткань яичника тает. Яичник превращается в мешковидное образование, заполненное гноем (пиовар).
Клиника острого сальпингоофорита (аднексита) включает боли внизу живота разной интенсивности, повышение температуры тела до 38–40 ° С, озноб, тошноту, иногда рвоту, гнойные выделения из половых путей, дизурические явления.Выраженность клинических симптомов обусловлена, с одной стороны, вирулентностью патогенов, а с другой — реактивностью макроорганизма.
Хронический аднексит — следствие острого или подострого воспаления матки. К причинам хронизации воспалительного процесса можно отнести неадекватное лечение острого аднексита, снижение реактивности организма, свойств возбудителя. Хронический сальпингоофорит сопровождается развитием воспалительных инфильтратов, соединительной ткани в стенке маточных труб и образованием гидросальпинксов.В ткани яичников возникают дистрофические изменения, нарушается микроциркуляция из-за сужения просвета сосудов, в результате чего снижается синтез половых стероидных гормонов. Заболевание имеет затяжное течение с эпизодическими обострениями.
Лечение воспалительных заболеваний внутренних половых органов проводится в условиях стационара.
Характер и интенсивность комплексной терапии зависит от стадии и тяжести воспалительного процесса, вида возбудителя, иммунобиологической резистентности макроорганизма и др.Для лечения острых воспалительных процессов внутренних половых органов используются антибиотики пенициллинового ряда, цефалоспорины, фторхиполоны, аминогликозиды, линкозамины, макролиды, тетрациклины.
Антибиотики группы пенициллина (оксациллин, ампициллин, амоксициллин, карбенициллин, тикарциллин, пиперациллин) считаются наименее токсичными и активны в отношении грамположительных и грамотрицательных анаэробов. Однако у многих микроорганизмов выработалась устойчивость к пенициллинам в результате синтеза бета-лактамазы, разрушающей бета-лактамное кольцо пенициллинов.В этом смысле предпочтительны комбинации пенициллина с ингибиторами бета-лактамаз (защищенные ингибиторами пенициллины) — амоксициллин / клавуланат, тикарциллин / клавуланат, пиперациллин / тазобактам, ампициллин / сульбактам.
Цефалоспорины также малотоксичны и эффективны против многих возбудителей воспалительных заболеваний внутренних половых органов, но неактивны или неактивны в отношении энтерококков, метициллин-резистентных стафилококков, хламидий, микоплазм и некоторых анаэробов. В настоящее время цефалоспорины третьего поколения (цефтриаксон, цефотаксим, цефоперазон) используются для лечения острого эндомиометрита, особенно осложненного аднексита.
Фторхинолоновые антибиотики обладают широким спектром антимикробной активности. Они наиболее эффективны против грамотрицательных бактерий, менее активны против стафилококков и мало влияют на анаэробы. Чаще всего используется ципрофлоксацин, офлоксацин.
Из других антибиотиков назначают гентамицин, нетилмицин, амикацин (аминогликозиды), линкомицин, клиндамицин (линкозамины), спирамицин, азитромицин, эритромицин (макролиды), доксициклин (тетрациклины).
Рекомендуется комбинировать антибиотики с производными нитроимидазола (метронидазол), которые обладают высокой активностью при лечении анаэробных инфекций.
Таким образом, для лечения острых воспалительных заболеваний внутренних половых органов предпочтительны комбинации защищенных ингибиторами пенициллинов с доксициклином или макролидами; Цефалоспорины III поколения с доксициклином или макролидами и метронидазолом; линкозамины с аминогликозидами и доксициклином или макролидами.
Аднексит хронический — что это такое? Симптомы, лечение. Хронический аднексит и беременность
Заболевания женской мочеполовой системы могут иметь серьезные последствия.К тому же у них очень неприятные симптомы. Одно из таких заболеваний — хронический аднексит. Что это такое и какие особенности есть, вы узнаете дальше.
общее описание
Итак, данная патология представляет собой воспалительный процесс, локализующийся в маточных трубах и яичниках. В этом случае в просветах придатков скапливается гнойный экссудат.
Следует отметить, что такое воспаление может быть односторонним или двусторонним. Кроме того, он имеет две формы: острую и хроническую.Каждому из них свойственны свои признаки и характер течения.
Аднексит хронический (что это такое, вы уже поняли) может возникать под воздействием вредоносных микроорганизмов и бактерий. Например, возбудителем патологии может быть кишечная палочка, хламидиоз и т. Д. Следует понимать, что под воздействием этих микроорганизмов стенки пораженного органа разрушаются и воспаляются.
Причины патологии
Аднексит хронический (что это такое, подробно описано ниже) могут спровоцировать такие факторы:
1.Операции на внутренних половых органах, в том числе аборт.
2. Переохлаждение.
3. Несоблюдение правил гигиены.
4. Аллергические реакции на средства защиты (презервативы).
5. Стресс или нервное перенапряжение.
6. Травма внутренних органов.
7. Прием лекарств, снижающих иммунитет и нарушающих баланс микроорганизмов.
8. Случайный секс и инфекционные болезни.
9. Комплексная доставка.
Симптоматика хронической формы патологии
Аднексит хронический (что это такое, вы, наверное, уже поняли) имеет определенный набор характеристик, по которым его можно отличить от острой формы. Есть такие симптомы данной патологии:
— Постоянная тупая боль внизу живота. Следует отметить, что его усиление происходит при перегрузках организма, переохлаждении.
— Нарушения месячного цикла: выделений становится меньше.
— Может наблюдаться повышение температуры тела, и это может длиться более недели.
— Снижение половой функции.
Как видите, признаки хронического аднексита неспецифичны, их легко спутать с другими заболеваниями. Может поэтому женщины часто опаздывают к врачу. В некоторых случаях ситуацию не исправить.
Симптомы острой формы
Выше мы рассмотрели, как выглядит хронический аднексит. Лечение (в большинстве случаев назначаются препараты) следует начинать после тщательного обследования пациента. Однако нам еще нужно учитывать признаки острой формы патологии.Для него характерны следующие симптомы:
1. Повышение температуры тела до 39 градусов.
2. Возникновение озноба.
3. Сильная боль в паховой области.
4. Сильное увеличение придатков с одной или с обеих сторон. При прощупывании этих участков у врача женщина ощущает резкую боль.
5. Кровянистые или гнойные выделения из шейки матки.
6. Тошнота и даже рвота.
Если острая форма не лечить быстро и эффективно, она переходит в хронический аднексит.Лечение (препараты, которые при этом используются, мы расскажем ниже) в этом случае долгое и сложное. Поэтому старайтесь обращаться к специалистам при первых симптомах заболевания.
Особенности диагностики патологии
Итак, как уже было сказано, перед назначением любой терапии женщине необходимо полное обследование. В него вошли такие процедуры:
— Внешний осмотр пациентки гинекологом: пальпация. Кроме того, пациентке необходимо сделать тест на беременность, ведь такие симптомы могут возникать при ее внематочной форме.
— Сдача анализов мочи и выделений из влагалища, общий анализ крови. Мазок микрофлоры может показать наличие тех микроорганизмов, которые характерны для представленного заболевания.
— Ультразвук. Причем проводится эта процедура интравагинально. Благодаря такому исследованию врач сможет оценить состояние придатков матки и приблизиться к степени тяжести заболевания.
— Лапароскопия. Это исследование следует проводить в тех случаях, если есть сомнения в достоверности диагноза.
— Гистеросальпингография. Благодаря этому анализу специалисты узнают степень проходимости маточных труб.
Хронический двусторонний аднексит — сложное заболевание, которое грозит женщине множественными осложнениями. Поэтому тщательная диагностика поможет не только установить патологию, но и определиться с методами ее устранения.
Особенности медикаментозного лечения патологии
Обострение хронического аднексита (усиление симптомов) может происходить довольно часто.Чтобы этого не произошло, необходимо своевременно пройти медикаментозную терапию. Как уже было сказано, лечение должно быть комплексным и комплексным. Лучше всего, если борьба с патологией будет проходить в условиях стационара, поскольку предполагает постельный режим. В него входит прием таких препаратов:
— Антибиотики: «Азитромицин», «Эритромицин», «Метронидазол». Курс приема этих лекарств — не менее недели. Если вы сами откажетесь от них или измените схему приема, то лечение может затянуться, и эффект исчезнет.
— Дезинтоксиканты: «Неогемодез», «Реополиглюкин». Эти препараты используются для очищения организма женщины от продуктов жизнедеятельности вредоносных микробов и бактерий. При этом следует учитывать вес пациента и ее общее физическое состояние.
— Препараты для улучшения кровообращения в сосудах: «Гепарин».
— Нестероидные противовоспалительные средства, обладающие обезболивающим действием: Диклофенак, Ибупрофен.
— Антибактериальные препараты: Пефлоксацин.
Кроме того, пациенту потребуется общеукрепляющая терапия, которая поможет ей укрепить иммунитет.
Физиотерапия и болезни
Хронический аднексит яичников также следует лечить с помощью физиотерапевтических процедур. Например, хороший эффект могут оказывать ванночки и спринцевания с использованием димексида и фурацилина. Кроме того, может применяться такой метод, как дозированная гипотермия. То есть на пораженное место можно прикладывать лед 3 раза в день, но не более 10 минут.
Кроме этих методов, существуют также аппаратные методы лечения: динамические токи, ультрафиолетовое облучение, магнитотерапия. Хороший эффект дают микроклизмы с теплым раствором новокаина и йодида калия. Еще можно применить такие процедуры:
— Электрофорез.
— Иглоукалывание.
— Витаминотерапия.
— Лазерная стимуляция.
Нужна ли операция?
Острый хронический аднексит в некоторых случаях требует хирургического вмешательства.Естественно, эта радикальная мера крайняя, но иногда только она может восстановить проходимость труб.
Операция необходима при наличии таких угрожающих условий:
1. Разрыв пиосальпинкса.
2. Отсутствие видимого эффекта после лапароскопического вмешательства в течение дня, то есть когда дренирование брюшной полости было бесполезно. В этом случае операцию нужно провести в ближайшие 24 часа.
3. Диффузное воспаление брюшной стенки.
Если при прогрессировании патологии придатки матки были сильно повреждены или изменены, их следует удалить. При назначении такой процедуры следует учитывать общее физическое состояние пациента, возраст, характер и степень деструктивного процесса. Естественно, также необходимо обращать внимание на возможность онкологических изменений.
Если у женщины уже есть дети, то врач может решить полностью удалить матку вместе с придатками.
Народная медицина в борьбе с болезнью
Как лечить хронический аднексит медикаментами и другими способами, вы уже знаете. Теперь нам нужно выяснить, можно ли помочь больной женщине с помощью народных рецептов. Ответ положительный. Но травы следует применять в сочетании с другими формами лечения.
Полезными для вас будут такие рецепты:
1. Попробуйте ежедневный душ с теплыми растворами настоев таких трав, как подорожник, алоэ, ромашка, кора дуба.
2. Молоко пригодится. Его следует нагреть почти до кипения. Затем вылейте жидкость в таз и сядьте над ним, чтобы горячий пар мог проникнуть во влагалище.
3. Картофельный сок действует изнутри. Просто пить его нужно натощак каждый день.
4. Соберите такой состав трав: листья земляники и березы, тысячелистник, рыльце кукурузы, череда. Всего этого нужно взять по 10 грамм. Далее хорошо перемешайте все растения. Возьмите две большие ложки состава и украдите 1.5 литров свежекипяченой воды. Учтите, что полученную жидкость необходимо настаивать не менее пяти дней. Далее можно принимать отвар по полстакана трижды в день. Курс лечения 30 дней.
5. Тампоны с медом и прополисом хороши при борьбе с болезнями. Для этого ингредиенты берутся в равных частях. Мед и прополис нужно хорошо прогреть на водяной бане, но не давать им закипеть, иначе все полезные качества будут уничтожены. Во время нагрева постоянно помешивайте пищу.Затем возьмите тампон и смочите его смесью. После того, как он остынет, вы можете ввести его во влагалище и оставить там на всю ночь.
Аднексит и беременность
Этот вопрос очень важен для молодых девушек, страдающих данной патологией. Сразу следует отметить, что хронический аднексит и беременность — понятия противоположные. Невозможно исключить возможность долгожданного зачатия, особенно при правильном лечении заболевания. Однако это может произойти не скоро и не так просто, как хотелось бы.Естественно, что до предполагаемого зачатия необходимо вылечить болезнь и убедиться, что трубы проходимы. Учтите, что зачатие следует проводить после консультации с врачом, чтобы исключить возможность внематочной беременности.
Если процесс обострился уже во время беременности, то женщине необходимо повышенное внимание врача. Дело в том, что воспаление может привести к прерыванию беременности. Кроме того, лечение следует подбирать так, чтобы оно не навредило будущему малышу.
Осложнения болезни
Следует отметить, что к представленной патологии могут быть добавлены и другие заболевания. Часто женщине вместе с аднекситом приходится лечить и инфекционные патологии.
Осложнением может стать и трудность зачатия ребенка. В некоторых случаях болезнь может спровоцировать полное бесплодие женщины. Это может произойти из-за непроходимости маточных труб, а также отсутствия овуляции. А еще у пациентки может быть внематочная беременность, которая также чревата удалением матки и придатков.
Аднексит также способен спровоцировать развитие спаечного процесса, который, в свою очередь, может «застраховать» вас от кишечной непроходимости. Заболевание способствует распространению воспаления на другие внутренние органы. Сопутствующей патологией может быть цистит или пиелонефрит.
Прогноз
Его можно назвать относительно позитивным. Само по себе заболевание нельзя назвать смертельным. Однако это приводит к серьезным последствиям. При эффективном и своевременном лечении специалистам удается не только устранить и остановить воспалительный процесс, но и полностью восстановить здоровье женщины.


д.
При воспалительном процессе повышаются показатели СОЭ и лейкоцитов.
д.
