Гранулема зуба – причины заболевания и лечение
Причины и признаки заболевания
Частая причина гранулемы зуба — периодонтит. Это воспаление мягких тканей десны, которые удерживают зуб в лунке. Если его вовремя не вылечить, осложнением становится гранулема. В свою очередь, периодонтит вытекает из пульпита, а тот — из кариеса. Другие причины:
- переохлаждение организма;
- не долечивание вирусных заболеваний;
- ослабление иммунитета;
- нарушение работы эндокринной системы.
Обнаружить гранулему на корне зуба непросто, так как часто она протекает бессимптомно даже в запущенной стадии и проявляется только на рентгене. Заболевание можно выявить по косвенным признакам:
- покраснение десны, увеличение в размерах;
выделения из дёсневого кармана;- пульсирующая боль в районе поражённого зуба;
- головные боли;
-
редко — увеличение лимфатических узлов.

При появлении хотя бы одного из симптомов гранулемы зуба обращайтесь к врачу. Несвоевременная медицинская помощь может стать причиной абсцесса или даже менингита.
Как лечить гранулему корня зуба
Порядок лечения зависит от распространённости воспаления на соседние ткани, размера узла, степени поражения зуба. Применяют три способа:
- С помощью медикаментов. Этот способ применяют на начальных стадиях заболевания, когда воспаление не затронуло другие ткани. В основе лечения — приём курса антибиотиков для купирования воспалительного процесса. Также понадобится санация полости зуба. Для этого необходимо тщательно очистить все каналы, затем заложить лекарство, которое будет воздействовать на гранулему изнутри.
-
Терапевтический метод. Предполагает использование депофореза или лазера.
В первом случае в канал зуба вводят лекарственный препарат, который купирует воспаление и препятствует повторному появлению заболевания. Во втором случае на корень зуба воздействуют лазером, который убивает бактерии и оказывает антисептическое действие. - Хирургическое вмешательство. Применяют при запущенной форме болезни. Гранулему лечат не через каналы, а с помощью надреза в десне. В образовавшееся отверстие вводят прибор для откачивания гноя, после чего извлекают поражённые ткани. Врач либо удаляет часть корня, либо весь зуб в зависимости от степени воспаления.
Чем чревато развитие заболевания
Если к лечению гранулемы корня зуба не приступить своевременно, то для начала вы рискуете потерять зуб. Но есть и другие негативные последствия:
- киста зуба — образование капсулы, наполненной отмершими клетками и бактериями;
- периостит или флюс — воспаление надкостницы с образованием гнойного мешочка;
- свищ — отверстие или канал в десне;
-
абсцесс — воспаление в результате разрыва гнойного образования в мягких тканях.

Гнойное воспаление — это опасное состояние, при котором самолечение может привести к ещё большим проблемам — менингиту, сепсису и другим. При появлении первых признаков необходимо срочно обращаться к врачу. Диагностика и удаление гранулемы зуба требует высокого профессионализма врача. В этом вам с радостью помогут специалисты клиники «Стоматология Комфорта».
Гранулема зуба — лечение, симптомы, стоимость удаления в стоматологии Денталь
/ Гранулема зуба
Гранулема на корне зуба – кистозное образование, возникающее в результате ограниченного воспаления периодонта. Если гранулему не устранить вовремя, она превращается в кисту, возникает боль, припухлость, покраснение. Диагностировать гранулему можно при помощи рентгеновского снимка.
Неприятная особенность – часто бессимптомное течение. Несколько месяцев и даже лет образование может оставаться полностью незамеченным и проявить себя только при определенных условиях, когда ситуация станет более серьезной. Очень часто уже запущенные гранулемы обнаруживаются случайно на снимках при лечении соседних зубов. При небольших размерах гранулемы могут вызывать серьезные осложнения, поэтому ранняя диагностика играет решающую роль в лечении этой патологии.
Лечение за одно
посещение
микроскопом
Гарантия
качества
Локализация и причины развития гранулемы
Чаще всего образования располагаются в области верхушки корня зуба.
Зачастую они возникают как осложнения запущенного пульпита. Инфекция при наличии кариозной полости проникает в пульпу, вызывая ее воспаление – пульпит. Позже, если пульпит не лечить, она проникает глубже, вызывая осложнение в виде образования мешочка у корня.
Второй по частоте причиной является периодонтит. Это воспаление мягких тканей, которые окружают зуб. Также гранулема может возникнуть после травмы, перелома корня, вследствие некорректного лечения каналов, их неполной пломбировки или недостаточного использования антисептика.
Спровоцировать острые проявления патологии могут: переохлаждение, простудные заболевания, стрессы, напряжение в физическом плане, а также резкая смена климата.
Как проявляется гранулема
Это ограниченный элемент с тонкими стенками, наполненное гноем.
Разрастание происходит за счет того, что образование заполняет собой место, оставшееся после гибели клеток под действием инфекции. Образование постепенно растет, зачастую оставаясь абсолютно незаметным и неощутимым. Проявления начинаются тогда, когда гранулема становится большой, вызывает воспаление, покраснение, боль. Образование может нагнивать, что проявляется острой болью, припухлостью, потемнением зуба. Могут наблюдаться выделения гноя, исходящие из-под десны и межзубного пространства, флюс, повышение температуры, головная боль.
Если гранулема не проявляет себя никакими симптомами, со временем на ее месте образуется челюстная киста, ограниченная плотной капсулой с некротическими массами внутри.
Чем опасна гранулема
Гранулема десны или корня зуба влечет сразу несколько негативных последствий:
- При разрастании образования может разрушиться корень зуба, что приведет к его потере.

- При распространении инфекции и сопровождающего ее воспаления может привести к образованию гнойника – абсцесса околочелюстной зоны.
- Может образоваться разлитое поражение гноем – флегмона.
- Появляется опасность остеомиелита.
- Могут страдать не только зубы и десны, но и весь организм. Распространение инфекции вызывает гайморит, пиелонефрит, сепсис, инфекционный миокардит.
Как проходит диагностика
Выявление гранулем на обычных профилактических осмотрах происходит очень редко. Чаще всего это происходит:
- Когда образование начало причинять боль и дискомфорт, перешло в острую стадию.
- При проведении панорамных и других снимков в процессе лечения других зубов.

На снимке гранулема видна как затемненный участок у зубного корня. Также возможна диагностика с помощью радиовизиографии.
Гарантии ЗАДАТЬ ВОПРОСМетоды лечения гранулемы зуба
Когда диагностирована гранулема, лечение необходимо начинать незамедлительно. Чем более запущенный случай – тем меньше вероятность сохранения зуба. Практикуется консервативный и хирургический подходы.
- Консервативное лечение гранулемы. В основе метода – заполнение полости образования различными препаратами, пломбировочным материалом в комбинации с приемом антибиотиков. Вещества вводятся через канал зуба.
- Лечение хирургическими методами включает:
- Резекцию верхушки корня зуба – иссечение гранулемы, удаление образования вместе с небольшим участком пораженного корня.

- Гемисекцию зуба – удаление одного из корней вместе с частью коронки зуба.
Если гранулема сопровождается непроходимостью каналов, трещиной или перфорацией корня, спасти зуб не удается.
Лечение гранулемы лазером
Гранулема зуба лазером лечится относительно недавно. Этот метод позволяет при бесконтактном воздействии, без боли и вероятности инфицирования избавиться от образования и сохранить зуб пациента. При этом не требуется анестезия, нет крови и долгого восстановления.
Профилактика гранулемы
В основе профилактических действий – тщательный контроль здоровья ротовой полости и внимательное отношение к гигиене.
- Так как образование возникает из-за проникновения инфекции, важно обеспечить отсутствие кариозных полостей.
- Лечение корневых каналов должно быть своевременным и правильным.

- Пациентам, которые перенесли пульпит, стоит проявлять особое внимание к зубам.
- При наличии иммунных заболеваний могут рекомендоваться дополнительные методы предотвращения патологии, которые назначаются врачом.
Гранулема зуба: симптомы, методы лечения
Если вы думаете, что стоматологи не устают повторять о важности профилактических осмотров и своевременном лечении кариеса и воспалений десен только ради рекламы своей профессии — вы ошибаетесь. Невнимательность к здоровью собственных зубов, напрасные страхи перед стоматологическим лечением могут привести в итоге к возникновению осложнений, лечение которых будет и сложным, и дорогим.
Ярким примером такого осложнения является гранулема зуба — патологическое образование, возникающее в корневой части зуба.
На ранних стадиях своего развития гранулема не выдает себя никакими заметными симптомами, но при росте и воспаления новообразования может появиться сильная боль в зубе, снять которую невозможно таблетками из аптеки. Удалить гранулему и спасти больной зуб можно только в стоматологии и тянуть с обращением к врачу не нужно, потому что невылеченная гранулема может привести к развитию тяжелых осложнений, в числе которых – остеомиелит, общие инфекции организма и даже онкологические заболевания.
В этой статье мы вам расскажем:
- От чего образуется гранулема зуба;
- Симптомы гранулемы зуба;
- Как лечат гранулему зуба.
Также в статье вы найдете информацию по профилактике гранулемы зуба и по ценам на лечение/удаление гранулемы зуба в Москве.
Что такое гранулема зуба, причины появления образования
Гранулема зуба — это патологическое новообразование из пораженных воспалением тканей периодонта, появляющееся в верхней части зубного корня.
Внешне гранулема похожа на плотный узелок небольшого размера (до 0,5 см в диаметре). Если не провести срочное лечение гранулемы зуба, то она продолжит развиваться и деформируется в радикулярную кисту — капсулу, которая заполнена не только клетками мертвой ткани, но также гноем и бактериями.
Некоторые люди считают, что киста и гранулема зуба – это одно и тоже. Но это разные заболевания. Киста зуба больше по размеру и дольше не проявляет себя никакими симптомами. При развитии гранулемы зуб будет сильно болеть.
От чего образуется гранулема зуба? Есть ряд причин, способствующих возникновению патологического образования на верхушке зубного корня:
1. Гранулема под зубом может возникать как осложнение кариеса, пульпита, периодонтита, лечение которых не было проведено вовремя. Важно понимать, что само по себе не проходит ни одно стоматологическое заболевание! Если вы не лечите зубы — они будут продолжать разрушаться, а воспалительный процесс — переходить во внутренние ткани зуба и к его корню!
2.
К появлению гранулемы на корне зуба может привести низкое качество лечения зубов. Если при лечении кариеса или другого стоматологического заболевания были допущены ошибки, например — некачественно очищены и обработаны каналы зуба, то в будущем высоки риски возникновения разных осложнений и в том числе — образование на корне зуба гранулемы.
3. Сильные травмы зуба, приводящие к проникновению инфекции к корню.
Это основные причины, которые способны спровоцировать рост и развитие на корнях зуба гранулем. Если вы не хотите столкнуться с таким неприятным заболеванием — никогда не тяните с лечением зубов, пройти которое без боли и стресса можно в нашей стоматологической клинике в Москве — «Firadent».
Стоит узнать и запомнить, что гранулема может появиться и после удаления зуба. Чаще всего это происходит тогда, когда зуб удален неправильно или же после операции пациентом не соблюдались рекомендации врача по гигиене. В открытую лунку, которая остается после извлечения зуба из десны легко попадают бактерии и в результате их активного размножения начинается воспалительный процесс и формируется гранулема.
Какие симптомы указывают на появление гранулемы на корне зуба?
В течение долгого времени гранулема на корне зуба способна развиваться бессимптомно и это крайне затрудняет диагностику заболевания на ранних стадиях развития. Впрочем, некоторые признаки могут присутствовать и при начальных фазах гранулематоза.
В их числе:
- Появление гиперчувствительности зубов к внешним раздражителям: горячей/холодной, сладкой/кислой пище;
- Распирающие ощущения в десне рядом с зубом, на корне которого образовалась гранулема;
- Незначительная ноющая боль, чаще всего возникающая при надкусывании;
- Изменение цвета эмали больного зуба.
Если вы наблюдаете у себя подобные признаки — самое время обратиться к стоматологу, для диагностики и начала лечения гранулемы! В нашей клинике передовой стоматологии в Москве — «Firadent» применяются современные диагностические методики и инновационное оборудование, помогающие выявлять сложные заболевания зубов на ранних стадиях и проводить эффективное лечение!
Хроническая апикальная гранулема зуба рано или поздно перейдет в острую фазу развития, на которой заболевание приобретает яркие признаки:
- Острая боль, усиливающаяся во время надкусывания и пережевывания пищи;
- Ощущения как будто зуб стал больше или растет;
- Отек десны и щеки.

Если проигнорировать и эти симптомы и не обратиться к врачу для удаления гранулемы зуба — интенсивность болевых ощущений возрастет, увеличатся отек десны и припухлость лица, из десны могут начаться гнойные выделения, может проявиться сильная мигрень, общая слабость, высокая температура. Пытаться перетерпеть подобную симптоматику не нужно – срочно обращайтесь за профессиональной стоматологической помощью!
Как лечат гранулему корня зуба в стоматологии: все современные методы лечения/удаления гранулем
Что делать, если вы отметили у себя симптомы гранулемы? Конечно, обращаться за помощью к стоматологу, потому что в домашних условиях гранулематоз не лечится: не помогут ни антибиотики, ни народные средства. Лечение начнется с диагностики в ходе которой делается рентгенография или радиовизиография. Если у вас гранулема — на снимке, на корне больного зуба будет видно затемнение. Диагностика позволит установить форму гранулемы (апикальную или периапикальную), оценить стадию развития новообразования и выбрать наиболее эффективную методику лечения гранулематоза.
Лечение гранулемы может быть:
- 1. Консервативным (медикаментозным).
- 2. Хирургическим, предполагающим удаление гранулемы корня зуба.
Все эти методики, их особенности, мы будем подробно рассматривать ниже.
Консервативное (медикаментозное) лечение гранулемы зуба
Эта методика применяется только для тех случаев, в которых развитие гранулемы не успело зайти далеко. Суть консервативной терапии гранулемы корня зуба будет заключаться в приеме и использовании различных препаратов — антибиотиков, антисептиков, лекарств, обладающих противовоспалительным действием. Все препараты назначаются терапевтом-стоматологом и лечебный процесс проходит под строгим контролем специалиста. Этот вариант лечения гранулемы эффективен при ранней диагностике заболевания и, если вы будете четко следовать указаниям врача — уже через 1-2 недели произойдет рассасывание гранулемы.
В некоторых случаях консервативное лечение гранулемы дополняется терапией каналов зуба.
Работа с каналами зуба при гранулеме корня показана:- При постоянных зубных болях, интенсивность которых не спадает от приема обезболивающих препаратов;
- Отечности десны, распространившаяся на щеку и челюсть;
- Обработка каналов зуба однозначно показана при выявлении гранулем большого размера — от пяти миллиметров.
Схема лечения гранулемы при необходимости обработки зубных каналов будет выглядеть следующим образом:
1. Область лечения обязательно обезболивается местным анестетиком. Процедура обработки каналов достаточно неприятная и болезненная и анестезия делается как раз для того, чтобы избавить пациента от неприятных ощущений.
2. После того, как анестетик подействует — врач изолирует область лечения коффердамом и вскроет бормашиной зуб, чтобы получить доступ к зубным каналам.
3. Специальным инструментом стоматолог расширит и прочистит внутреннее пространство зубных каналов и затем промоет его антисептическим раствором.
4. После очистки каналов в гранулему, расположенную на корне зуба врач введет лекарство, которое будет способствовать рассасыванию патологического образования.
5. Полости каналов зуба заполняются временным пломбировочным материалом.
На этом первый этап лечения гранулемы заканчивается, стоматолог отпускает пациента домой, назначив ему к приему лекарства, а также время следующего визита в клинику. При повторном визите в кабинет стоматолога – каналы зуба вскрываются, очищаются и в корневую часть зуба вводится лекарство на базе кальция, способствующему ускоренной регенерации твердых тканей зуба. Каналы зуба пломбируются на постоянной основе, коронка зуба реставрируется фотополимерным композитом.
Практика показывает, что лечение гранулемы корня зуба с обработкой каналов дает быстрый положительный эффект, однако нужно знать, что данная методика позволит избавиться навсегда от образования только в том случае, если весь процесс лечения будет проведен точно, без ошибок.
В нашей клинике «Firadent» лечение зубов проводится под увеличением области лечения дентальным микроскопом, врач будет видеть мельчайшие особенности анатомии каналов и сумеет провести их обработку с безупречным качеством!
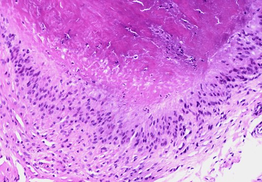
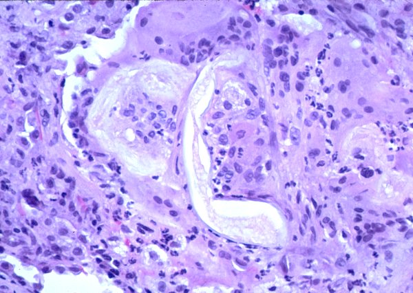
Кольцевидная гранулема — СПБ ГБУЗ «Кожно-венерологический диспансер № 4»
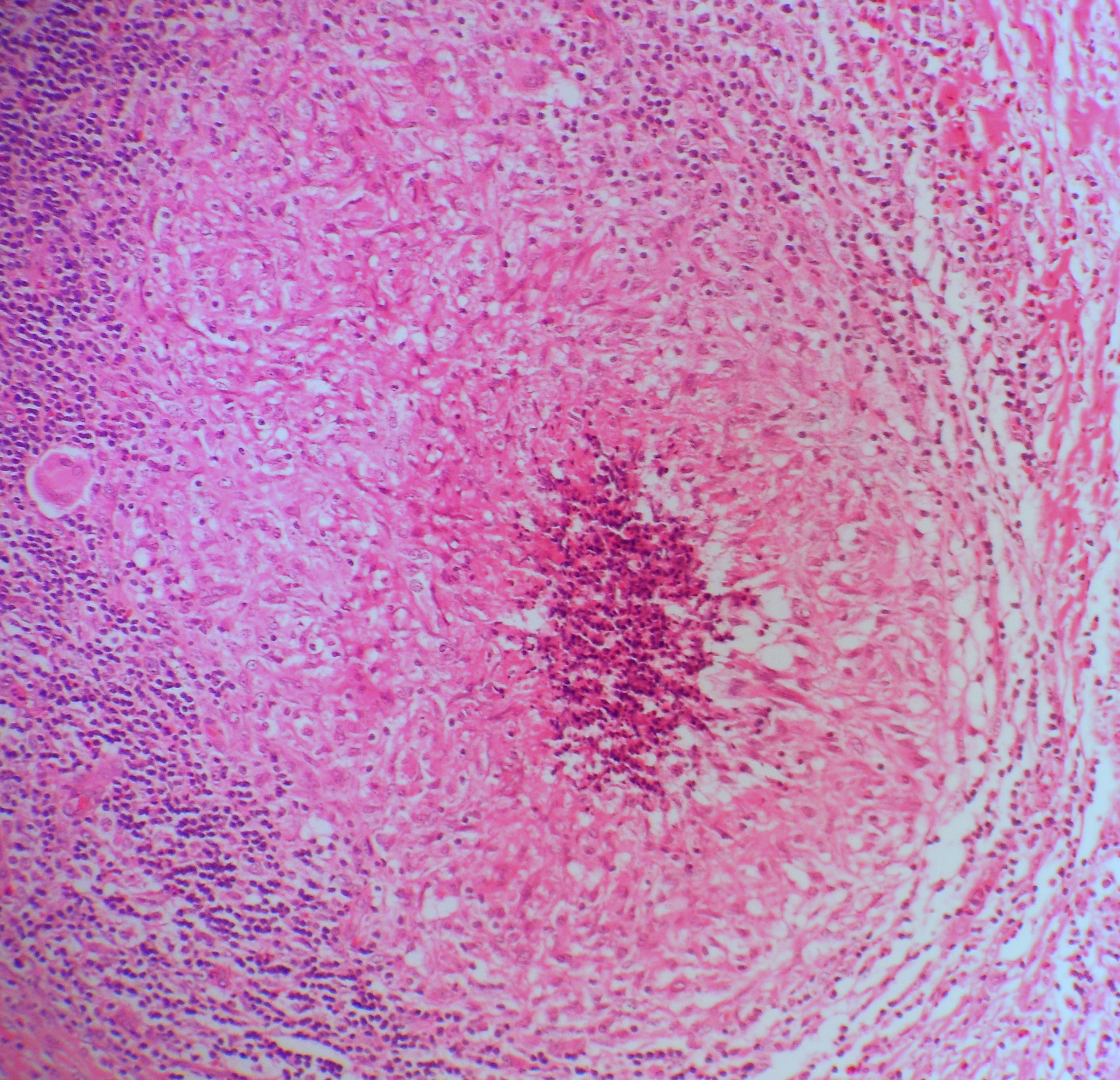
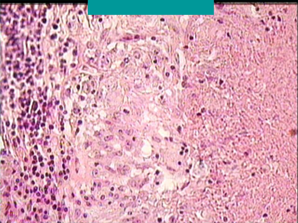
Кольцевидная гранулема – это хроническое доброкачественное заболевание кожи, клинически проявляющееся кольцевидно расположенными папулами (узелками), а патоморфологически – гранулематозным воспалением.
Этиология и эпидемиология. Причина заболевания неизвестна, при этом определенная роль отводится хронической инфекции (туберкулез, ревматизм, хронические инфекции респираторной системы), саркоидозу, эндокринным нарушениям, сахарному диабету (чаще при генерализованной форме заболевания), длительному приему лекарственных средств (витамин D). Иногда обнаруживают связь с аутоиммунным тиреоидитом. Провоцирующую роль в возникновении кольцевидной гранулемы может играть травма.
Описана ассоциация кольцевидной гранулемы с проведением туберкулиновой кожной пробы и вакцинацией БЦЖ. Вирусные инфекции (ВИЧ-инфекция, вирус Эпштейна-Барр, вирус простого герпеса и вирус ветряной оспы) также могут способствовать развитию заболевания. Кольцевидная гранулема, ассоциированная с иммунодефицитом (ВИЧ-инфекция, состояние после трансплантации печени), чаще бывает генерализованной. Заболеваемость кольцевидной гранулемой оценивается в 0,1–0,4% от общего количества пациентов с дерматологической патологий. Чаще всего встречается у детей школьного возраста и молодых людей, хотя может наблюдаться и у взрослых. У женщин встречается в 2 раза чаще, чем у мужчин.
Клинические проявления. Мелкие плотные узелки, слегка возвышающиеся над уровнем кожи группируются в кольца или полукольца разной величины, чаще в виде множественных фигур. Центральная часть колец несколько западает. Элементы имеют цвет нормальной кожи, иногда с бледно-розовым, серовато-красным оттенком.
Преимущественная локализация — тыльная поверхность кистей и стоп, часто около суставов. У детей нередко наблюдается атипичная локализация — на лице, туловище, ягодицах. Очаги поражения могут быть как единичными, так и множественными. В некоторых случаях кожный процесс может носить распространенный и генерализованный характер. Кольцевидная гранулема обычно не имеет чешуек (шелушения) на поверхности и субъективно не беспокоит.
Кольцевидная гранулема может проявляться в виде подкожных очагов (чаще встречается у детей), представляющих собой плотные узлы, безболезненные при пальпации. Типичная локализация — передняя поверхность голеней, пальцы кистей и волосистая часть головы. Кожа над узлами не изменена.
Диагностика. Диагноз кольцевидной гранулемы обычно устанавливается на основании данных клинической картины, но может быть подтвержден при биопсии кожи.
Лечение. Обычно используют сильнодействующие топические (местные) кортикостероиды, препараты такролимуса.
Иногда лечение не требуется, может наблюдаться спонтанный регресс высыпаний. У больных с более распространенными или беспокоящими высыпаниями можно ускорить регресс путем наружного применения активных местнодействующих кортикостероидов под окклюзионную повязку на ночь. Есть сообщения об успешности использования ПУВА-терапии (терапия псораленом с облучением ультрафиолетом А), изотретиноина, дапсона и циклоспорина в лечении распространенного заболевания. В публикациях последних лет появились указания на эффективность ингибиторов ФНО-альфа (например, инфликсимаба, адалимумаба), импульсного и эксимерного лазеров и фракционного фототермолиза при лечении диссеминированных и резистентных высыпаний.
Поставить правильный диагноз, определить необходимый объем обследования, а также назначить адекватную терапию при кожных заболеваниях, Вам помогут специалисты СПб ГБУЗ КВД №4.
Колова И.С.
Лечение гранулемы на корне зуба – что это такое, чем она опасна и как лечить зубной ряд: фото (снимки), симптомы
Как лечить гранулему на корне зуба
Лечение подбирается специалистом в зависимости от нескольких факторов:
- На какой стадии в данный момент находится воспалительный процесс.

- Затронуло ли поражение соседние участки.
- Какие состояния сопровождают патологию (защемление нерва, стоматит, множественный кариес и пр.).
В результате выбирается медикаментозная терапия, либо хирургическое вмешательство. Второй метод более радикальный, он позволяет справиться с проблемой, когда поврежден корень, пульпа или образовалась трещина.
Консервативный способ
Чтобы исключить бактериальную инфекцию (именно она приводит к нагноению), назначаются антибактериальные препараты, избавляющие от отечности, воспаления, покраснения и сильной боли. Больной зуб санируется. Он вскрывается, дантист просверливает отверстие вплоть до корневых каналов, чтобы убрать все пораженные тканевые клетки. Затем в образованную полость закладывается лекарство. К сожалению, это не дает 100%-ой гарантии, что не произойдет рецидива.
Физиотерапевтический метод
Можно воздействовать на гранулему, но при этом не повреждать мягкие ткани.
Это делается с помощью:
- Депофореза. При этом в зубные каналы, предварительно очищенные изнутри, закладывается специальный медицинский состав. Такая смесь отлично устраняет инфекции и предотвращает повторное инфицирование.
- Лазера. Это очень эффективная методика на начальной стадии развития. Лазерный луч, воздействующий на корневую систему, полностью обеззараживает ее.
Отметим, что после всех вышеприведенных способов устанавливается временная пломба. Это позволяет доктору затем повторно вскрыть и осмотреть состояние тканей. Если там все отлично, то он пломбирует санируемый участок.
Хирургическое лечение гранулемы десны
Вмешательство необходимо в тех случаях, когда консервативная медицина не оказала должного эффекта. Оно требуется при диагностировании процессов разрушения в острой стадии. Для операции может быть применен местный или общий наркоз. Самый простой вариант – десневое иссечение для оголения гнойного мешка. Гной вытекает, образуемая полость промывается и в нее закладывается лекарство для обеззараживания, обезболивания.
Резекция корня
Во время процедуры стоматолог-хирург действует следующим образом:
- Ткани десен отслаиваются, чтобы получить доступ к верхушке корневой системы.
- Зубные каналы вскрываются и очищаются.
- Образованные проходы наполняются препаратами.
- Гранулема иссекается вместе с верхней частью зуба.
- Место, где раньше был воспаленный узел, заполняется специальным костным заменителем.
- Проводится пломбирование.
Межкорневая гемисекция корня
Необходимо при сильном поражении, когда уже нет возможности отсечь только верхушку, сохранив основную величину. Ключевые шаги операции:
- Удаление участка, находящегося внутри альвеолы, при этом сама пластина может быть сохранена.
- Очищение околозубных тканей.
- Заполнение полости специальным составом.
- Установка импланта.
В целях профилактики требуется наблюдать за оперируемой областью, регулярно делая рентгенографию.
Это эффективный и достаточно простой метод, который позволяет сохранить живую зубную пластину, а на оставшиеся зоны в дальнейшем можно установить аккуратную коронку.
Как вылечить гранулему на корне зуба цистотомией
Это поэтапное устранение крупного очага воспаления. Чтобы вывести весь гнойный экссудат, создается искусственный канал, который соединяет воспаленный узел с ротовой полостью напрямую. После удаления инфицированной жидкости, место обрабатывается антибиотиками, а ранка – зашивается. Образованные отверстия могут быть заполнены искусственным биоматериалом – костными клетками. Это длительная операция, но проводится она, как правило, без осложнений.
Удаление
Назначается в крайнем случае, если остальные процедуры показали свою неэффективность, например, когда:
- Возникают осложнения, запущенная стадия.
- На десне начал формироваться наружный гнойный карман.
- Образуется продольная трещина – зубная пластина просто раскалывается на две части.

- Разрушается костная ткань (зуб крошится).
- Происходиь перфорации корня.
- Каналы разрушены.
В ходе операции корневая система убирается полностью, а в пародонте остается лунка. Она заполнена гноем, который необходимо вымывать. Через 2-3 месяца после хирургического вмешательства на заживший участок уже можно ставить штифт для постановки имплантата. Дополнительно врачом назначаются растворы для полоскания (например, «Хлоргексидин»), гели для местного обезболивания и обеззараживания («Холисал»), а также антибиотики против бактериальной инфекции и обезболивающие в таблетках или уколах.
Гранулема зуба — причины и лечение ▷ Симптомы гранулемы
Главной опасностью заболевания является то, что протекает оно без ярко выраженных симптомов, причем продолжительное время.
Лечение гранулемы зуба
Обнаружить гранулему на ранних стадиях практически невозможно, поэтому лечение обычно начинается, когда воспаление переходит в более активную фазу, сопровождающуюся покраснением, опухолью десны и гнойными выделениями.
Из-за острого воспалительного процесса образуется свищ, через который вытекает гной.
Виды гранулемы зуба
В зависимости от формы гранулема бывает:
- прикорневая гранулема. Находится рядом с корнем зуба;
- межкорневая гранулема. Располагается между зубными корнями;
- апикальная гранулема. Патология развивается рядом с апикальным отверстием зуба.
Но чаще всего гранулема появляется у верхушки зубного корня.
Причины возникновения заболевания
Гранулема зуба – это маленькая капсула размером около 8 мм, в которой скапливается инфицированная жидкость. Ее образование проходит в несколько этапов: вначале из-за запущенных кариозных поражений в пульпу попадают патогенные микробы, которые провоцируют воспаление, и пульпа погибает.
Затем активно размножающиеся микроорганизмы заполняют каналы корней и происходит поражение верхушки корня зуба, этот процесс может длиться от нескольких месяцев до 2-3 лет.
Причины возникновения гранулемы зуба:
- Периодонтит – воспалительный процесс, поражающий ткани, которые находятся вокруг зуба;
- Осложненный пульпит. Инфекция начинает распространяться от воспаленного нерва, находящегося в зубном корне;
- Травмированные и сломанные зубы, через которые открыт доступ инфекции к корням зубов;
- Некачественно проведенное лечение с несоблюдением антисептических процедур;
- Осложнения, возникшие в результате эндодонтических манипуляций.
Образование гранулемы могут спровоцировать некоторые внешние факторы, оказывающие негативное воздействие на организм: стрессовые ситуации, простудные заболевания, переохлаждение, физические перегрузки, смена климатических условий.
Симптомы гранулемы зуба
Из-за того, что начинающееся заболевание протекает без симптомов, выявить его может только стоматолог при осмотре.
Но пока гранулема не приобретет значительные размеры, о ее наличии может не знать и пациент, и не обнаружить врач.
Однако, с увеличением патологического образования возникают такие симптомы, как покраснение, припухлость десны и болезненные ощущения в этой области.
При нагноении гранулемы десна начинает опухать и появляется зубная боль, усиливающаяся при пережевывании пищи. При этом возможно вытекание гноя из отверстия между десной и зубом.
Нагноение гранулемы может спровоцировать возникновение флюса, на фоне которого у пациента повышается температура тела, болит голова и он чувствует общее недомогание и усиление зубной боли. Хроническое и бессимптомное течение заболевания может привести и к образованию кисты, из-за которой гранулема отграничивается от тканей вокруг нее и формируется капсула плотной структуры, наполненная бактериями.
Диагностика гранулемы
На начальной стадии выявить гранулему не представляется возможным. Обычно она диагностируется только после нагноения или возникновения определенных симптомов, сигнализирующих о ее разрастании.
Без дополнительных исследований даже стоматолог не может распознать это заболевание. Выявляется патология чаще всего случайно при проведении радиовизиографии, которая назначается по совершенно другим причинам.
Чтобы подтвердить наличие гранулемы, необходимо сделать рентгеновский снимок, который позволит дифференцировать ее от других заболеваний с похожими признаками. При наличии зубной гранулемы на снимке будет видно темное округлое пятно, расположенное рядом с зубным корнем.
Лечение и профилактика гранулемы зуба
При возникновении нагноения и увеличения гранулемы, которые сопровождаются появлением опухоли и покраснений на десне, зубной болью или гнойными выделениями, следует немедленно посетить стоматолога. Иначе можно получить очень серьезные проблемы со здоровьем, вплоть до заражения крови.
Лечение гранулемы осуществляется следующими методами:
- Терапевтический. Эта методика эффективна лишь при обнаружении гранулемы на начальной стадии и заключается в назначении антибиотиков и лечении корневых каналов.
Если начать такое лечение своевременно, то можно устранить инфекцию и начинающееся воспаление достаточно эффективно, в короткий срок и сохранить пораженный зуб. - Хирургический. На более поздних стадиях, когда гранулема приобретает значительные размеры, терапия медикаментами не приносит результатов. В этом случае применяют хирургическое вмешательство.
Чтобы предотвратить возникновение гранулемы зуба, следует строго соблюдать правила профилактики, то есть дважды в день осуществлять гигиенические процедуры полости рта, регулярно менять зубную щетку и раз в полгода посещать стоматолога клиники “Дент Лайн” в Киеве для осмотра.
особенности заболевания и методы лечения
Гранулемой называют расположенную в периодонте капсулу, наполненную гноем и напоминающую кисту. Капсула наполнена грануляционной тканью и спаяна с зубным корнем. Гранулема может долгое время не проявлять себя болезненными ощущениями, но при этом оказывать серьезное негативное воздействие на здоровье человека, угнетая сердечную деятельность, вызывая почечную недостаточность и даже становясь причиной женского бесплодия.
Главные симптомы
В течение длительного времени заболевание может вообще не проявляться, а в какой-то момент возникнет отек десны и появится острая непереносимая боль. Выявить наличие гранулемы способен лишь опытный дантист с помощью рентгеновского исследования.
К основным признакам гранулемы относятся:
- Явная или слабо выраженная болезненность при жевании;
- Отекание десны;
- Потемнение эмали зубов;
- Иногда, в острой фазе, повышенная температура тела.
В основном перечисленные симптомы возникают достаточно поздно, когда болезнь уже зашла далеко. Поэтому в большинстве случае стоматолог замечает гранулему случайно после рентгена зубов, назначенного с совершенно иными целями.
Методы диагностики
Как уже было сказано, диагностируется заболевание в основном случайно во время лечения других болезней зубов. На рентгеновском снимке гранулема выглядит как округлая область разреженной костной ткани.
Обнаружив заболевание, дантист также нередко отмечает десневые выбухания напротив гранулемы и костные – напротив вершины корня.
Профилактические мероприятия
К сожалению, не существует какой-то специальной профилактики для предотвращения гранулемы. Пациентам, как обычно, рекомендовано следить за чистотой полости рта и своевременно обращаться к врачу при возникновении любых зубных болезней. Полезно также совершать регулярные визиты к стоматологу с периодичностью раз в 6 месяцев, даже если нет никаких явных причин для беспокойства. Это поможет своевременно выявить заболевание и предотвратить его развитие.
Причины болезни
Как правило, гранулема является следствием запущенного или же не до конца вылеченного кариеса или пульпита. В этом случае микроорганизмы попадают в зубную пульпу, которая воспаляется и погибает. Микробы проникают далее, в костную ткань, которая постепенно уступает место соединительной, которая задерживает бактерии, изолируя их в своеобразной капсуле – гранулеме.
В некоторых случаях гранулема образуется после пломбирования канала, если последний был не до конца запломбирован или недостаточно очищен от микробов. Обломки инструмента, которые начинающие дантисты оставляют в каналах зуба тоже могут вызвать гранулему.
Удалять или нет?
Если гранулема обнаружена на ранней стадии развития, зуб еще можно спасти. Принять точное решение может только лечащий врач-стоматолог на основании проведенного исследования зуба, включая анализ рентгенограммы.
Методы лечения
Вылечить гранулему возможно двумя способами, каждый из которых имеет свои особенности:
- При терапевтическом методе, который возможен на ранней стадии болезни, доктор применяет антибиотики, препятствующие развитию воспаления. Это позволяет сохранить здоровые зубные ткани и в дальнейшем осуществить реконструкцию зуба.
-
При хирургическом методе стоматолог разрезает десну, выпуская скопившийся в ней гной.
В раневую полость ставится дренаж, пациенту назначаются антибактериальные, противовоспалительные и антисептические средства. - В наиболее сложных случаях зуб удаляется, после чего гной вытекает через ранку, и гранулема исчезает.
Возможные осложнения
Нелеченая гранулема может перерасти в кисту, справиться с которой будет еще сложнее. К тому же и сама гранулема может оказаться рассадником инфекции, вызывающей серьезные болезни. Чтобы избежать этого, своевременно обращайтесь к стоматологу. Специалисты стоматологической клиники «Дентвилль» обладают богатым опытом работы и глубокими знаниями, что позволяет им эффективно справиться с любыми заболеваниями полости рта.
Гранулема: что это значит?
Моей свекрови недавно сделали рентген грудной клетки, и ей сказали, что у нее гранулема в легком. Что это обозначает?
Гранулема — это небольшой очаг воспаления. Гранулемы часто случайно обнаруживаются на рентгеновском снимке или другом визуализирующем обследовании, сделанном по другой причине.
Обычно гранулемы доброкачественные (доброкачественные).
Гранулемы часто возникают в легких, но могут возникать и в других частях тела и головы.Гранулемы, кажется, являются защитным механизмом, который заставляет организм «отгородить» чужеродных захватчиков, таких как бактерии или грибки, чтобы они не распространялись. Общие причины включают воспалительное состояние, называемое саркоидозом, и инфекции, такие как гистоплазмоз или туберкулез.
Гранулемы у людей без симптомов почти никогда не требуют лечения или даже последующих визуализационных исследований.
с
Притиш К. Тош, доктор медицины
3 ноября 2020 г. Показать ссылки- Ohshimo S, et al.Дифференциальный диагноз гранулематозной болезни легких: ключи и подводные камни. Европейский респираторный обзор. http://err.ersjournals.com/content/26/145/170012. По состоянию на 7 сентября 2018 г.
- Nwawka OK, et al. Гранулематозная болезнь головы и шеи: разработка дифференциального диагноза.
RadioGraphics. 2014; 34: 1240. - Mukhopadhyay S, et al. Причины легочных гранулем: ретроспективное исследование 500 случаев из семи стран. Журнал клинической патологии. 2012; 65: 51.
- AskMayoExpert.Легочные узелки. Рочестер, Миннесота: Фонд Мейо медицинского образования и исследований; 2017.
- Orm IM, et al. Формирование гранулемы при туберкулезной инфекции. Семинары по иммунологии. 2014; 26: 601.
- Mukhopadhyay S, et al. Легочные некротические гранулемы неизвестной причины. Грудь. 2013; 144: 813.
- Информация о гистоплазмозе для медицинских работников. Центры по контролю и профилактике заболеваний. https://www.cdc.gov/fungal/diseases/histoplasmosis/health-professionals.html. По состоянию на 7 сентября 2018 г.
.
Что такое гранулемы легких?
Гранулемы — это небольшие комочки иммунных клеток, которые образуются в вашем теле в областях, где есть инфекция или воспаление.
Чаще всего они находятся в легких, но могут быть и в других областях головы и тела. Врачи считают, что они блокируют распространение по вашему телу таких организмов, как бактерии и грибки.
Гранулемы обычно случайно обнаруживаются с помощью рентгеновских лучей или других тестов, когда врачи ищут другие проблемы со здоровьем. Сначала они могут выглядеть опасными при визуализации, но обычно они не являются злокачественными.
Симптомы гранулем легких
Сами по себе гранулемы обычно не имеют заметных симптомов. Но условия, вызывающие их, такие как саркоидоз, туберкулез, гистоплазмоз и другие, могут вызывать симптомы. Некоторые из них включают:
В некоторых случаях у вас могут быть гранулемы легких, которые не проявляют никаких аномальных признаков.Обычно они не нуждаются в лечении или другом обследовании.
Причины гранулем легких
Причины гранулем в легких включают:
- Саркоидоз. Это заболевание, которое может поражать ваши легкие и другие органы.
Исследователи не знают точной причины, но они считают, что гранулемы образуются, когда ваша иммунная система пытается бороться с вредными инфекциями, химическими веществами, а иногда и собственными белками вашего тела. Лекарства нет, но обычно вы можете справиться с этим с минимальным лечением или без него. - Туберкулез. Бактерия под названием Mycobacterium tuberculosis может поражать легкие и вызывать это заболевание. Гранулемы могут образовываться в легких и останавливать рост бактерий. Но они также могут позволить бактериям жить и распространяться позже.
- Гистоплазмоз. Грибок, который часто встречается в помете птиц и летучих мышей, может вызвать эту легочную инфекцию, если вы вдыхаете его. Формируются гранулемы, чтобы остановить распространение грибка. Если у вас гистоплазмоз, симптомы могут никогда не появиться.Но для людей со слабой иммунной системой это может быть серьезно.
- Гранулематоз с полиангиитом.
Это состояние вызывает воспаление легких и других частей тела. Это заболевание кровеносных сосудов, которое замедляет приток крови к вашим органам. Как только это происходит, ткани вокруг этой области набухают и образуют гранулемы. Эти гранулемы могут препятствовать нормальной работе пораженных органов. - Ревматоидный артрит. Это аутоиммунное заболевание, вызывающее воспаление, которое может нанести вред здоровым клеткам.Это может повлиять на ткани по всему телу.
Диагностика гранулем легких
Гранулемы обычно обнаруживаются во время посещения врача по другому поводу. Если ваш врач считает, что у вас могут быть гранулемы легких, он изучит вашу историю болезни, чтобы узнать, есть ли какие-либо условия, которые могут вызвать воспаление. Возможно, вам потребуется компьютерная томография или рентген. Эти снимки покажут, образовались ли на вашем теле наросты в легких.
Лечение гранулемы легких
В редких случаях гранулема не заживает, и легочная ткань вокруг нее может образовывать рубцы (легочный фиброз).
Или воздушные трубки в легких (бронхах) могут образовывать карманы и инфицироваться. Когда это происходит, лекарства нет, но есть методы лечения, которые могут облегчить ваши симптомы.
Гранулемы в легких обычно заживают сами по себе и проходят. Лучший способ контролировать гранулемы легких — устранять проблемы со здоровьем, которые их вызывают.
Гранулема — виды, диагностика и лечение
На этой странице
Что такое гранулема?
Гранулема — это крошечный кластер лейкоцитов и других тканей, который у некоторых людей может быть обнаружен в легких, голове, коже или других частях тела.Гранулемы не являются злокачественными. Они образуются как реакция на инфекции, воспаление, раздражители или посторонние предметы.
Какие бывают типы гранулем?
Гранулемы инородного тела
Гранулема этого типа развивается, когда иммунная система организма реагирует на предмет или раздражитель, проникающий через кожу, глаза или тело. Они могут образоваться в ответ на:
- посторонние предметы, например, осколки
- укусы пчел и пауков с оставленными частями тела насекомого
- вещества, раздражающие человека, в том числе красные чернила для тату и кремнезем в тальке
- инъекций, включая кортикостероиды и кожные наполнители, такие как коллаген
- швы хирургические
Гранулемы кожи
Несколько типов гранулемы могут поражать кожу.
Наиболее распространенным является кольцевидная гранулема, безвредное состояние кожи, при котором под кожей появляются бугорки розового или телесного цвета. Шишки обычно находятся на костных участках, таких как локоть, и могут иметь характерную форму кольца. Они часто поражают кисти рук, но могут также поражать ноги, ступни, туловище или лицо.
Что вызывает гранулемы?
Гранулемы образуются, когда иммунные клетки слипаются и образуют крошечные узелки на месте инфекции или воспаления.
Гранулема — выход тела:
- , чтобы ограничить область бактериальной, вирусной или грибковой инфекции, чтобы попытаться предотвратить ее распространение; или
- для изоляции раздражителей или посторонних предметов
Гранулемы чаще всего образуются в легких, но также могут быть обнаружены в печени, глазах или под кожей.Они могут ощущаться как шишка или обнаруживаться на рентгеновских снимках и во время других исследований.
Гранулемы, вызванные другими заболеваниями
Гранулемы могут быть частью таких состояний, как:
- саркоидоз — неинфекционное заболевание, которое может вызывать множественные гранулемы в разных частях тела, но особенно в легких
- хроническая гранулематозная болезнь — наследственное иммунодефицитное состояние, которое начинается в детстве и приводит к повторяющимся бактериальным и грибковым инфекциям
- Болезнь Крона и воспалительные заболевания кишечника
- Ревматоидный артрит
Как диагностируются гранулемы?
Ваш врач или специалист изучит вашу историю болезни и осмотрит вас, если они подозревают, что у вас могут быть гранулемы.
Они могут попросить сделать такие анализы, как анализ крови, рентген или компьютерную томографию, генетические тесты или игольную биопсию.
Сканирование может показать многочисленные мельчайшие гранулемы в таком органе, как легкие. Это может помочь диагностировать основную причину.
В случае гранулем кожи вашему врачу может потребоваться только физическое обследование для подтверждения диагноза.
Как лечат гранулемы?
Некоторым людям с гранулемой требуется лечение, другим — нет. Это зависит от типа гранулемы.
Например, людям с хронической гранулематозной болезнью могут назначать антибиотики и другие методы лечения, чтобы попытаться предотвратить дальнейшие инфекции. Узнайте больше о лечении хронической гранулематозной болезни здесь.
Более половины всех людей, пораженных саркоидозом, выздоравливают без лечения в течение 3 лет. Узнайте здесь о лечении саркоидоза.
Большинство форм кольцевидной гранулемы проходят без лечения.
Однако иногда люди хотят лечиться по косметическим причинам, и им могут назначить кортикостероиды или фототерапию.Узнайте больше о лечении кольцевидной гранулемы здесь.
Являются ли гранулемы злокачественными?
Хотя гранулемы могут казаться злокачественными, это не так — они доброкачественные.
Однако иногда гранулемы обнаруживаются у людей, у которых также есть определенные виды рака, такие как лимфомы кожи. Поэтому важно проконсультироваться с врачом, если вы заметили стойкие шишки на коже или у вас появились другие симптомы болезни.
Симптомы гранулемы и связанные с ними состояния
Гранулема — это крошечный комок воспаленной ткани в теле, который получил свое название от того, что выглядит как песчинка или сахар.Иногда гранулемы затвердевают и видны на рентгеновском снимке. Чтобы подтвердить диагноз, образец ткани берется с помощью биопсии и исследуется под микроскопом.
Тело производит гранулемы как способ блокировать определенные раздражители, которые оно не может предотвратить, и эти комки могут образовываться в тканях по всему телу, влияя на работу органов, таких как легкие или глаза.
Некоторые заболевания характеризуются образованием гранулем.
Саркоидоз
Саркоидоз — редкое заболевание, которое возникает, когда многие гранулемы образуются в результате воспаления в организме и слипаются, влияя на функцию органа.Эксперты считают, что гранулемы формируются в результате реакции иммунной системы на что-то в окружающей среде, но не ясно, что именно.
Симптомы саркоидоза зависят от органов, в которых сформировались гранулемы, хотя многие люди будут иметь только легкие симптомы или вообще не иметь симптомов. У некоторых людей с саркоидозом развивается синдром Лофгрена, острая форма заболевания, характеризующаяся лихорадкой, болью в суставах, увеличенными лимфатическими узлами и узловатой эритемой (красная или красновато-пурпурная сыпь на лодыжках и голенях).
Узловатая эритема.DermNet / CC BY-NC-ND
Легкие будут вовлечены в более чем 90% случаев саркоидоза, проявляясь одышкой, кашлем, стеснением в груди или дискомфортом.
Лечение саркоидоза зависит от того, какие органы поражены гранулемами. Для лечения саркоидоза могут быть назначены местные методы лечения и лекарства. Однако не всем людям с саркоидозом потребуется лечение.
Другие гранулематозные состояния
Саркоидоз — это всего лишь одно заболевание, при котором в организме присутствуют гранулемы.Доктора часто наблюдают и другие гранулематозные состояния:
Кольцевидная гранулема
Кольцевидная гранулема возникает, когда в виде колец образуются выпуклые, красные или телесного цвета бугорки. Эти шишки, называемые высыпаниями, обычно появляются на руках и ногах. Состояние обычно не вызывает болезненных ощущений или зуда и обычно проходит само по себе без лечения в течение двух лет. Эксперты не уверены, что вызывает образование этих гранулем.
Кольцевидная гранулема. DermNet / CC BY-NC-NDБолезнь Крона
Гранулемы, образующиеся в кишечнике или толстой кишке, являются отличительной чертой болезни Крона.
Их нельзя найти во время колоноскопии, но можно увидеть при биопсии. Наличие гранулем может помочь врачам поставить диагноз, поскольку гранулемы не образуются у людей с язвенным колитом, другой основной формой воспалительного заболевания кишечника (ВЗК). Болезнь Крона также может вызывать раздражения кожи, такие как узловатая эритема и гангренозная пиодермия.
DermNet / CC BY-NC-ND
Гранулематоз с полиангиитом
Гранулемы, образующиеся в легких, почках и мелких кровеносных сосудах, характерны для гранулематоза с полиангиитом (ранее известного как гранулематоз Вегенера), редкого аутоиммунного заболевания.Симптомы заболевания зависят от того, где образовались гранулемы.
В зависимости от пораженных органов, гранулематоз с полиангиитом может вызывать одышку, усталость, потерю веса, образование корок гноя из носа и онемение ног, рук, пальцев рук или ног.
Хроническая гранулематозная болезнь: MedlinePlus Genetics
Хроническая гранулематозная болезнь — это заболевание, которое вызывает сбои в работе иммунной системы, что приводит к форме иммунодефицита.
Иммунодефицитные состояния — это состояния, при которых иммунная система не может защитить организм от чужеродных захватчиков, таких как бактерии и грибки. Люди с хронической гранулематозной болезнью могут иметь рецидивирующие бактериальные и грибковые инфекции. У людей с этим заболеванием также могут быть очаги воспаления (гранулемы) в различных тканях, что может привести к повреждению этих тканей. Признаки хронической гранулематозной болезни обычно впервые проявляются в детстве, хотя у некоторых людей симптомы проявляются только в более зрелом возрасте.
Люди с хронической гранулематозной болезнью обычно имеют по крайней мере одну серьезную бактериальную или грибковую инфекцию каждые 3-4 года. Легкие — наиболее частая область заражения; пневмония — частый признак этого состояния. У людей с хронической гранулематозной болезнью может развиться тип грибковой пневмонии, называемый мульчирующим пневмонитом, который вызывает лихорадку и одышку после воздействия разлагающихся органических материалов, таких как мульча, сено или мертвые листья.
Воздействие этих органических материалов и многочисленных грибов, участвующих в их разложении, вызывает у людей с хронической гранулематозной болезнью грибковые инфекции в легких.Другие распространенные области инфекции у людей с хронической гранулематозной болезнью включают кожу, печень и лимфатические узлы.
Воспаление может возникать во многих различных частях тела у людей с хронической гранулематозной болезнью. Чаще всего гранулемы возникают в желудочно-кишечном тракте и мочеполовых путях. Во многих случаях стенка кишечника воспаляется, вызывая форму воспалительного заболевания кишечника, которая может различаться по степени тяжести, но может приводить к боли в желудке, диарее, кровянистому стулу, тошноте и рвоте.Другие распространенные области воспаления у людей с хронической гранулематозной болезнью включают желудок, толстую и прямую кишку, а также рот, горло и кожу. Кроме того, гранулемы в желудочно-кишечном тракте могут привести к разрушению тканей и образованию гноя (абсцессы).
Воспаление желудка может препятствовать прохождению пищи в кишечник (обструкция выходного отверстия желудка), что приводит к неспособности переваривать пищу. Эти проблемы с пищеварением вызывают рвоту после еды и потерю веса.В мочеполовых путях воспаление может возникать в почках и мочевом пузыре. Воспаление лимфатических узлов (лимфаденит) и костного мозга (остеомиелит), которые продуцируют иммунные клетки, может привести к дальнейшему нарушению иммунной системы.
В редких случаях у людей с хронической гранулематозной болезнью развиваются аутоиммунные нарушения, которые возникают, когда иммунная система нарушает работу и атакует собственные ткани и органы тела.
Повторяющиеся эпизоды инфекции и воспаления сокращают продолжительность жизни людей с хронической гранулематозной болезнью; однако при лечении большинство пораженных людей доживают до среднего и позднего возраста.
Кольцевидная гранулема: типы, причины и методы лечения
Обзор
Что такое кольцевидная гранулема?
Кольцевидная гранулема — доброкачественное (не рак), часто хроническое (длительное) заболевание кожи, при котором воспаление кожи вызывает выпуклую, обесцвеченную сыпь или комочки под кожей.
В большинстве случаев высыпания образуются на кистях, стопах и предплечьях.
У кого, вероятно, будет кольцевидная гранулема?
Кольцевидная гранулема чаще всего встречается у детей и молодых людей, хотя может поражать людей любого возраста.Женщины страдают чаще, чем мужчины.
Один тип кольцевидной гранулемы, перфорирующая кольцевидная гранулема, чаще встречается на Гавайях.
Какие бывают типы кольцевидной гранулемы?
Существует пять основных типов кольцевидной гранулемы. Одновременно возможно развитие более одного типа кольцевидной гранулемы.
- Локализованная кольцевидная гранулема: Наиболее распространенная форма заболевания, локализованная кольцевидная гранулема, вызывает на коже круговую сыпь, которая может начинаться с небольших кругов, которые позже сливаются вместе.Вы можете заметить несколько небольших бугорков на коже, прежде чем у вас появится сыпь. Области обычно обесцвечиваются. Сыпь может быть красной, розовой, пурпурной или телесного цвета.

- Генерализованная кольцевидная гранулема: Бугорки появляются на большей площади, например, на всем предплечье, вместо более мелкой и концентрированной сыпи. В конечном итоге шишки соединяются, образуя большие обесцвеченные участки.
- Подкожная кольцевидная гранулема: Этот тип кольцевидной гранулемы вызывает образование комков под кожей.Шишки обычно твердые и круглые. Они безболезненны. В большинстве случаев комочки остаются небольшими, но могут быстро расти. Шишки бывают красного, розового или телесного цвета.
- Кольцевидная перфорирующая гранулема: На руках и пальцах образуются маленькие болезненные чешуйчатые бугорки. В некоторых случаях шишки зудят или болезненны, и из них вытекает жидкость. У некоторых людей появляются обширные шишки, которые соединяются, а затем образуют более крупные высыпания.
- Пятно кольцевидной гранулемы : Красные, красновато-коричневые или фиолетовые плоские участки сыпи на коже.
У людей может появиться один или несколько таких участков кожи.
Симптомы и причины
Что вызывает кольцевидную гранулему?
Врачи не знают точную причину кольцевидной гранулемы. Некоторые исследования показывают, что ваша иммунная система может играть роль в развитии этого состояния.
Врачи также считают, что кольцевидная гранулема связана с триггерами, такими как:
У некоторых людей кольцевидная гранулема развивается после воздействия факторов внешней среды, таких как долгое пребывание на солнце.
Каковы симптомы кольцевидной гранулемы?
У большинства людей кольцевидная гранулема не вызывает никаких симптомов, за исключением сыпи или шишки под кожей. Однако некоторые люди испытывают зуд или легкую боль.
Диагностика и тесты
Как диагностируется кольцевидная гранулема?
Ваш врач осмотрит вашу кожу, чтобы диагностировать кольцевидную гранулему. Ваш врач также может взять образец вашей кожи (биопсия кожи), чтобы подтвердить ваш диагноз и исключить другие заболевания или состояния.
Ведение и лечение
Как лечится кольцевидная гранулема?
У большинства людей кольцевидная гранулема проходит сама по себе без лечения. Состояние обычно полностью исчезает в течение двух лет. Однако у некоторых пациентов сыпь может повторяться после того, как рассосалась.
Если гранулема вызывает появление больших участков сыпи на коже или глубоких больших бугорков под кожей, врач может порекомендовать лечение. Цель лечения — помочь контролировать зуд или боль.Лечение потенциально может ускорить исчезновение сыпи, хотя это не всегда заметно.
- Лекарства: Некоторые лекарства могут помочь очистить кожу, уменьшив воспаление. Ваш врач может порекомендовать сильные кортикостероиды, изотретиноин (Absorica®, Zenatane®) или такролимус (Protopic®). Лекарства можно наносить непосредственно на кожу или вводить в виде инъекций. Другие препараты, например те, которые используются для лечения малярии, могут помочь уменьшить появление сыпь на коже.

- ПУВА-терапия: В этом типе световой терапии используется препарат псорален, который принимают внутрь или принимают в виде ванны или замачивания. Затем врачи подвергают вашу кожу воздействию УФА-лучей. Псорален делает вашу кожу более чувствительной к свету. Ультрафиолетовый свет может замедлить рост клеток кожи, что, в свою очередь, может остановить рост кольцевой гранулемы. ПУВА-терапию иногда называют фотохимиотерапией.
- Криотерапия: С помощью специального оборудования ваш врач заморозит участок кожи, пораженный кольцевой гранулемой.Эта процедура пытается остановить рост кожных пятен.
- Лазерная терапия: Ваш врач использует специальный лазер для нацеливания и нагрева кожи. Считается, что это уменьшает воспаление на коже и предотвращает дальнейшее распространение сыпи.
У некоторых людей кольцевидная гранулема трудно поддается лечению. Вы можете попробовать несколько методов лечения, прежде чем найдете то, что вам больше всего подходит.![]()
Профилактика
Можно ли предотвратить кольцевидную гранулему?
Невозможно предотвратить кольцевидную гранулему.
Перспективы / Прогноз
Каков прогноз (перспективы) для людей с кольцевидной гранулемой?
В большинстве случаев кольцевидная гранулема проходит сама по себе, без лечения, не оставляя следов. Большинство участков сыпи исчезают в течение двух лет.
Однако, поскольку кольцевидная гранулема является хроническим заболеванием, поражения часто возвращаются. Высыпания обычно возвращаются на то же место. Повторяющиеся проблемные участки часто исчезают быстрее, чем первые высыпания.
Жить с
Когда мне следует позвонить своему врачу?
Если вы заметили сыпь или глубокую шишку на коже или под ней, обратитесь к врачу для тщательного обследования.Также важно связаться с врачом, если вы заметили сыпь на коже, которая кровоточит, увеличивается в размерах, вызывает зуд или боль или каким-либо образом меняет внешний вид.
Саркоидоз: причины, симптомы и лечение
Обзор
Понимание саркоидоза и его влияния на людей.Что такое саркоидоз?
Саркоидоз — воспалительное заболевание, которое поражает один или несколько органов, но чаще всего поражает легкие и лимфатические узлы. В результате воспаления в одном или нескольких органах тела образуются аномальные уплотнения или узелки (называемые гранулемами).Эти гранулемы могут изменить нормальную структуру и, возможно, функцию пораженного органа (ов).
Как прогрессирует состояние?
Хотя никто не может предсказать, как саркоидоз будет прогрессировать у отдельного пациента, некоторые подсказки относительно течения болезни могут быть получены из симптомов пациента, результатов физических и лабораторных исследований и расы пациентов. Например, внезапное появление общих симптомов — таких как потеря веса, усталость, лихорадка или просто общее плохое самочувствие — обычно означает, что течение саркоидоза будет относительно коротким и легким по степени тяжести.
Симптомы одышки и некоторых типов поражения кожи означают, что саркоидоз будет более длительным и тяжелым.
У кавказцев заболевание часто возникает внезапно, что обычно указывает на более легкую форму заболевания, которая носит непродолжительный характер. С другой стороны, афроамериканцы и пуэрториканцы склонны к более длительной и тяжелой форме заболевания.
В Соединенных Штатах легкие часто являются наиболее частым местом начальных симптомов у тех, кто переживает постепенное начало длительного заболевания.Симптомы со стороны легких распространены у афроамериканцев, пуэрториканцев и скандинавов. Постоянный сухой кашель, утомляемость и одышка — наиболее частые начальные жалобы, связанные с легкими.
Какие системы тела поражены саркоидозом?
Помимо легких и лимфатических узлов, органов или систем организма, пораженных саркоидозом, которые связаны с наиболее заметными симптомами, являются кожа, глаза, опорно-двигательный аппарат, нервная система, сердце, печень и почки в указанном порядке.
Пациенты могут иметь симптомы, связанные с конкретным пораженным органом, или могут иметь общие симптомы, или могут не иметь никаких симптомов (например, лабораторные данные часто показывают, что печень поражена саркоидозом, но пациенты обычно не сообщают о каких-либо симптомах, связанных с печенью. ).
Симптомы отдельного пациента также могут варьироваться в зависимости от того, как долго продолжается болезнь, где формируются гранулемы, сколько ткани поражено, и остается ли образование гранулемы активным или превратилось в рубец.
Некоторые пациенты, у которых внезапно развивается болезнь, страдают синдромом Лофгрена, формой саркоидоза, которая поражает лимфатические узлы и сопровождается кожным заболеванием, которое вызывает появление красных узелков под кожей, а также лихорадку и боль при артрите. Пациенты с синдромом Лофгрена обычно могут рассчитывать на хороший результат; болезнь проходит сама по себе у 85–90% людей.
Как прогрессирует саркоидоз: что происходит на тканевом уровне
На тканевом или клеточном уровне прогрессирование болезни саркоидоза можно разделить на три фазы:
- Первое видимое изменение — воспаление.

- На второй стадии формируются гранулемы. Гранулемы представляют собой образования или узелки в хронически воспаленной ткани и являются классическим признаком саркоидоза. Гранулемы — это попытка организма отгородить или изолировать организмы и другие инородные частицы, которые иммунной системе трудно уничтожить или избавиться от них.
- В третьей фазе происходит фиброз (рубцевание) тканей или органов. Если рубцы обширны в жизненно важном органе, саркоидоз иногда приводит к летальному исходу.
У некоторых людей болезнь переходит от одной фазы к другой в тканях пораженного органа.В других случаях разные фазы тканевых изменений происходят в одном и том же органе одновременно. У многих пациентов с саркоидозом гранулемы проходят сами по себе через 2–3 года, при этом пациент ничего не знает и ничего не предпринимает. В других случаях гранулемы прогрессируют до необратимого фиброза. Изменения иммунной системы, которые позволяют заболеванию одного человека прогрессировать, в то время как болезнь другого человека проходит, недостаточно изучены и продолжают изучаться.
Передается ли саркоидоз в семье?
Хотя последние исследования, похоже, указывают на генетическую предрасположенность к болезни, необходимы дополнительные исследования, чтобы четко идентифицировать и подтвердить вовлеченные гены.Однако многочисленные сообщения выявили случаи расового / этнического и семейного происхождения, в том числе следующие:
- Ирландские иммигранты в Лондоне имеют трехкратную вероятность развития саркоидоза по сравнению с коренными лондонцами.
- У уроженцев Мартиники, живущих во Франции, вероятность развития болезни в восемь раз выше, чем у коренного населения Франции. Для
- афроамериканцев риск заболевания в 4–17 раз выше, чем для жителей европеоидной расы.
- В отдельных семьях наличие заболевания у родственника первой или второй степени родства увеличивает риск почти в пять раз.
Были выявлены и другие типы кластеров болезней, включая сезонные и профессиональные кластеры. Исследователи из Греции, Испании и Японии сообщили о кластеризации диагнозов саркоидоза с марта по май, с апреля по июнь и с июня по июль.
В США более высокий процент случаев саркоидоза был зарегистрирован у медицинских работников, военнослужащих морской авиации и пожарных.
Каковы симптомы саркоидоза при поражении легких?
Легкие поражены более чем у 90% людей с саркоидозом. Даже у людей, заболевание которых в первую очередь поражает другие органы, обычно также поражаются легкие. Одышка, кашель и дискомфорт в груди являются наиболее распространенными симптомами, связанными с легкими. У пациентов могут отсутствовать симптомы со стороны грудной клетки, несмотря на аномальный рентген грудной клетки и подтвержденный биопсией саркоидоз. Иногда у пациентов возникает боль в груди, которую обычно описывают как нечеткое сжатие в груди, но иногда боль может быть сильной и похожей на сердечную.
Считается, что саркоидоз легких начинается с альвеолита. Альвеолит — это воспаление альвеол, которые представляют собой крошечные воздушные пространства в легких, похожие на мешочки, в которых происходит обмен углекислого газа и кислорода.
Альвеолит либо проходит сам по себе, либо прогрессирует до образования гранулемы. Образцы легочной ткани могут показать наличие гранулем.
Гранулемы в легких могут привести к сужению дыхательных путей, увеличению лимфатических узлов в грудной клетке, а также к воспалению и рубцеванию (фиброзу) легочной ткани.Рубцевание приводит к тому, что легочная ткань становится жесткой и разрушает воздушные мешочки, затрудняя дыхание.
Каковы симптомы саркоидоза при поражении кожи?
Около 25% пациентов с саркоидозом развивают хотя бы один кожный симптом. Нежные, болезненные, красноватые бугорки или пятна на коже (узловатая эритема), обычно на голенях, сопровождаются опухшими и болезненными суставами. Окрашенная волчанка (хроническое заболевание кожи, характеризующееся пурпурными поражениями на щеках, губах, носу и ушах) часто встречается у пожилых афроамериканцев и женщин из Западной Индии с давними заболеваниями.
Другие кожные признаки у пациентов с хроническим заболеванием включают бляшки, пятна (с цветом и без цвета), узелки и выпадение волос.
Диапазон появления кожных повреждений — от тонких безболезненных высыпаний до глубоких шрамов — часто коррелирует с тяжестью саркоидоза внутренних органов. Кожные изменения могут быть видимыми или под кожей.
Каковы симптомы саркоидоза при поражении глаз?
Около 25% людей с саркоидозом имеют глазные симптомы.Воспаление может возникнуть практически в любой части глаза, включая оболочки век, роговицу, внешнюю оболочку глазного яблока (склеры), радужную оболочку глаза, сетчатку и хрусталик. Наиболее распространенный глазной симптом — острый передний увеит (воспаление слоя глаза), который приводит к быстрому появлению нечеткости зрения, слезотечения и светочувствительности. При длительном заболевании может развиться глаукома, катаракта и слепота. Сухие глаза очень часты при длительном саркоидозе, даже если воспаление не осталось.Их можно лечить глазными каплями.
Поскольку некоторые связанные с саркоидом проблемы с глазами не вызывают симптомов, важно, чтобы все пациенты с саркоидозом хотя бы раз в год посещали офтальмолога.
Каковы симптомы саркоидоза при поражении опорно-двигательного аппарата?
Примерно от 10% до 15% пациентов могут иметь симптомы со стороны костей и мышц, приводящие к артриту, изменениям в структуре костей или мышечному дискомфорту и боли.
Каковы симптомы саркоидоза при поражении нервной системы?
Неврологические заболевания возникают у 5-10% пациентов, часто без симптомов со стороны других органов.Симптомы неврологического поражения включают головные боли, менингит, судороги и дегенерацию или воспаление нервной ткани, что приводит к мышечной слабости, боли, онемению или покалыванию в лице, руках и ногах.
Недавно обнаруженный тип нейросаркоидоза — невропатия мелких волокон (SFN). SFN вызывает потерю некоторых типов нервных волокон и требует специального тестирования для ее выявления. Пациенты с SFN часто отмечают жгучую боль, чувствительность к прикосновению, сердцебиение, потоотделение, приливы крови к лицу, головокружение, желудочно-кишечные расстройства и сексуальную дисфункцию.
Каковы симптомы саркоидоза при поражении сердца?
Болезнь сердца присутствует у 28% пациентов с саркоидозом, хотя только около 5% пациентов сообщают о каких-либо сердечных симптомах. Формирование гранулемы может повлиять на любую часть структуры сердца. Наиболее часто диагностируемые проблемы с сердцем включают боль в груди, легочное сердце (увеличение правой части сердца в результате заболевания легких или его кровеносных сосудов), кардиомиопатию (заболевание самой сердечной мышцы) и аномалии сердца. электрическая система, что может привести к блокаде сердца, аритмиям и внезапной смерти.Если у вас началось учащенное сердцебиение или приступы головокружения, жизненно важно немедленно сообщить об этом врачу, поскольку это может быть первым признаком поражения сердца. Каждый человек с диагнозом саркоидоз должен пройти базовую ЭКГ (кардиограмму).
Каковы симптомы саркоидоза при поражении печени?
Гранулемы присутствуют в печени у 50-80% пациентов с саркоидозом.
Однако пациенты обычно не замечают симптомов из-за поражения печени. В редких случаях заболевание печени может прогрессировать до гипертонии печени (так называемая портальная гипертензия) или цирроза (заболевание, вызывающее широко распространенное нарушение функции печени).
Каковы симптомы саркоидоза при поражении почек и эндокринной системы?
Нарушения в усвоении кальция организмом. Например, гиперкальциемия (избыток кальция в крови) встречается у 2-10% пациентов. Гиперкальциурия (избыточное количество кальция в моче) встречается примерно у 21% пациентов. Также может произойти образование камней в почках, повреждение структуры самой почки и почечная недостаточность. Другая эндокринная аномалия, наблюдаемая при саркоидозе, — это гипопитуитаризм.Гипофиз находится в основании мозга и вырабатывает восемь различных гормонов. Признаки и симптомы гипопитуитаризма различаются в зависимости от того, какие гормоны не секретируются. Иногда наблюдается снижение секреции всех гормонов, и это называется пангипопитуитаризмом.
Диабет может возникать как осложнение терапии саркоидоза.
Каковы симптомы саркоидоза при поражении репродуктивной системы?
Саркоидоз может повлиять на мужскую репродуктивную систему, особенно на яички, и может вызвать мужское бесплодие и эректильную дисфункцию.Заболевание редко поражает женскую репродуктивную систему. Саркоидоз не увеличивает частоту осложнений у плода или матери во время беременности, если только он не вызвал серьезное поражение сердца или легких. Однако после родов болезнь может обостриться.
Каковы симптомы саркоидоза, когда он поражает такие органы, как селезенка?
Цитопения (недостаток количества определенных клеток крови) — наиболее распространенный «разноплановый» симптом. Поражение селезенки или костного мозга может привести к анемии и другим аномалиям крови.Эти состояния обычно не имеют клинического значения. Истончение костей (остеопения) также часто встречается при саркоидозе в результате болезни или как побочный эффект терапии преднизоном.
Некоторые очень распространенные состояния, наблюдаемые у людей с саркоидозом, — это депрессия, усталость и обструктивное апноэ во сне. Часто это самые серьезные проблемы, влияющие на качество жизни. Депрессия может возникать у 2/3 пациентов с саркоидозом и может вызывать большую часть усталости, которую испытывают люди с саркоидозом.Апноэ во сне подозревают у людей, страдающих усталостью, чрезмерной дневной сонливостью или ощущением неосвежения при пробуждении утром. Большинство людей храпят или испытывают приступы удушья или удушья по ночам. Саркоидоз носовых пазух или носа, увеличение веса от стероидов и ознобленная волчанка — три фактора, которые увеличивают вероятность обструктивного апноэ во сне. Если ваш врач подозревает апноэ во сне, его можно диагностировать с помощью ночного мониторинга в лаборатории сна. Этот тест сна называется полисомнограммой.
Ведение и лечение
Как лечится саркоидоз?
Нет лекарства от саркоидоза, но болезнь может вылечиться сама по себе со временем.
Многие люди с саркоидозом имеют легкие симптомы и вообще не нуждаются в лечении. Лечение, когда оно необходимо, обычно делится на две категории — поддержание надлежащей практики здоровья и лечение от наркозависимости. Надлежащая практика охраны здоровья включает:
- Регулярные осмотры у поставщика медицинских услуг.
- Соблюдайте сбалансированную диету с разнообразными свежими фруктами и овощами.
- Выпивать от 8 до 10 стаканов воды по 8 унций в день.
- Спать от 6 до 8 часов каждую ночь.
- Регулярные упражнения, контроль и поддержание веса.
- Бросить курить.
- Избегайте воздействия пыли, химикатов, паров, газов, токсичных вдыхаемых и других веществ, которые могут нанести вред вашим легким.
- Избегайте чрезмерного количества продуктов, богатых кальцием (например, молочных продуктов, апельсинов, консервированного лосося с костями), витамина D и солнечного света.Ежедневные солнечные ванны — это пример чрезмерного солнечного света, и их следует избегать; солнечный свет, получаемый от повседневной деятельности, является приемлемым.
(Рекомендации в этом пункте предназначены только для пациентов с высоким уровнем кальция в крови или моче.)
Медикаментозное лечение используется для облегчения симптомов, уменьшения воспаления пораженных тканей, уменьшения влияния развития гранулемы и предотвращения развития фиброза легких и других необратимых повреждений органов.
Кортикостероиды особенно эффективны в уменьшении воспаления и обычно являются первыми лекарствами, используемыми при лечении саркоидоза.Пероральный кортикостероид преднизон является наиболее часто используемым кортикостероидом.
Для пациентов без симптомов или с очень легкими симптомами побочные эффекты терапии преднизоном могут перевешивать возможные преимущества, поэтому лечение на этой стадии заболевания обычно не рекомендуется. Кортикостероиды чаще назначают пациентам с заболеванием средней степени тяжести. Симптомы, особенно кашель и одышка, обычно улучшаются при терапии стероидами.
Лечение кортикостероидами контролирует заболевание, а не лечит его.
Симптомы поддаются лечению у большинства пациентов. Обычно сначала назначают относительно высокую дозу, а затем постепенно снижают ее до самой низкой эффективной дозы. К счастью, рецидивы болезни — если они возникают — обычно поддаются повторному лечению стероидами. У пациентов, состояние которых улучшается и сохраняется стабильное состояние более одного года после прекращения лечения, частота рецидивов невысока.
Результаты некоторых долгосрочных исследований показывают, что пациенты могут ожидать улучшения симптомов примерно на 10% в течение пяти лет после прекращения лечения кортикостероидами.Доктора обсуждают, является ли это достаточно большим преимуществом, чтобы перевесить риски лечения кортикостероидами. Если прописаны стероиды, пациент должен регулярно посещать своего врача, чтобы можно было контролировать заболевание и побочные эффекты лечения. Общие побочные эффекты кортикостероидов включают:
Есть ли лечение, альтернативное кортикостероидам?
Другие методы лечения доступны для пациентов, которые не переносят стероиды либо потому, что они противопоказаны, либо потому, что они не переносят побочные эффекты.
Пациенты, заболевание которых не поддается лечению стероидами, или которые хотят снизить дозу стероидов и использовать другой препарат в комбинации, также имеют дополнительные варианты лечения.
Важно помнить, что все следующие методы лечения использовались и изучались гораздо меньше, чем кортикостероиды. Врачи со специальными знаниями в области саркоидоза должны вести пациентов, которые получают регулярную терапию преднизоном или любую из следующих альтернатив:
Метотрексат, лефлуномид или азатиоприн : Эти лекарства, наиболее часто используемые при ревматоидном артрите, использовались вместо или дополнительно. на кортикостероиды для лечения легочного саркоидоза и хронического саркоидоза.Метотрексат можно принимать в виде таблеток или инъекций под кожу один раз в неделю. Все эти лекарства могут подавлять иммунную систему и потенциально вызывать токсическое воздействие на печень, поэтому анализ крови необходимо контролировать каждые 4-8 недель. Кроме того, эти препараты могут нанести вред плоду (нерожденному ребенку), поэтому следует избегать беременности. Пациентам, принимающим метотрексат, нельзя употреблять алкоголь.
Гидроксихлорохин и хлорохин : Эти пероральные противомалярийные препараты использовались для лечения саркоидоза кожи, легких и нервной системы.Они используются для лечения гиперкальциемии, наблюдаемой при саркоидозе. Пациенты, принимающие эти препараты, время от времени нуждаются в наблюдении за глазами у офтальмолога.
Циклофосфамид или хлорамбуцил : Эти лекарства обычно используются при заболевании, которое достигло тяжелой стадии и после того, как другие методы лечения оказались безуспешными. Циклофосфамид связан со многими серьезными побочными эффектами, включая подавление костного мозга и повреждение почек.
Пентоксифиллин и талидомид : Недавние исследования показали положительные эффекты этих препаратов при устойчивой к лечению ознобенной волчанке.
Инфликсимаб или адалимумаб : Эти лекарства, которые вводятся в виде внутривенных инъекций каждые 4-8 недель или под кожу (подкожные инъекции) каждые 1-2 недели, недавно использовались для пациентов с тяжелым саркоидозом. Обычно они используются после того, как другие варианты не увенчались успехом или были недопустимы. Они значительно увеличивают риск заражения.
Различные НПВП (нестероидные противовоспалительные препараты [такие как ибупрофен или аспирин]) : Эти препараты могут помочь уменьшить острое воспаление и снять артрит и жар.
Кортикостероиды для местного применения : Эти агенты могут использоваться в нескольких препаратах (например, глазных каплях, кремах для кожи и респираторных спреях) для легких местных симптомов саркоидоза. Хотя они намного безопаснее, чем стероидные таблетки, они также менее эффективны.
Трансплантация органов : этот вариант редко рассматривается у пациентов с терминальной стадией заболевания, когда отказали почки или легкие.
Когда начинается лечение?
Существует много вопросов относительно подходящего времени и продолжительности лечения саркоидоза.Решение о начале лечения обычно зависит от пораженной системы органов и тяжести заболевания.
Однако есть несколько ситуаций, при которых обычно назначается та или иная форма лечения. К ним относятся пациенты с неврологическими, сердечными и угрожающими зрению заболеваниями; пациенты с серьезными легочными симптомами и / или ухудшением функции легких; и пациенты с поражением почек, в частности, с гиперкальциемией. Из-за серьезных последствий, которые могут возникнуть при задействовании этих систем, лечение начинают даже при легких симптомах.
Другие показания, при которых может рассматриваться лечение, включают неспособность работать в результате лихорадки, слабости, утомляемости, боли в суставах, изменений нервной системы, респираторных симптомов (особенно одышки и кашля) и уродующих кожных заболеваний.
Что может произойти по мере прогрессирования болезни?
У многих людей с саркоидозом болезнь появляется ненадолго, а затем исчезает, даже если человек даже не подозревает, что он болен. Когда саркоидоз серьезно влияет на способность легких нормально функционировать, пациентам может потребоваться дополнительный кислород (подаваемый в небольшом переносном кислородном баллоне и вводимый через пластиковую трубку, прикрепленную к носу), чтобы помочь им дышать.
У 20-30% людей есть необратимые повреждения легких. Для 10-30% саркоидоз является хроническим заболеванием с прогрессированием симптомов, несмотря на лечение, которое продолжалось более двух лет. У некоторых людей заболевание может привести к ухудшению состояния пораженного органа.
Когда гранулемы или фиброз серьезно влияют на функцию жизненно важного органа — такого как легкие, сердце, нервная система, печень или почки — саркоидоз может быть фатальным. Смерть наступает у 1-6% всех пациентов с саркоидозом и у 5-10% пациентов с хроническим прогрессирующим заболеванием.Основной причиной смерти, связанной с саркоидозом, в США является необратимый фиброз легких.
..jpg)
В первом случае в канал зуба вводят лекарственный препарат, который купирует воспаление и препятствует повторному появлению заболевания. Во втором случае на корень зуба воздействуют лазером, который убивает бактерии и оказывает антисептическое действие.





В раневую полость ставится дренаж, пациенту назначаются антибактериальные, противовоспалительные и антисептические средства.
RadioGraphics. 2014; 34: 1240.
Исследователи не знают точной причины, но они считают, что гранулемы образуются, когда ваша иммунная система пытается бороться с вредными инфекциями, химическими веществами, а иногда и собственными белками вашего тела. Лекарства нет, но обычно вы можете справиться с этим с минимальным лечением или без него.
Это состояние вызывает воспаление легких и других частей тела. Это заболевание кровеносных сосудов, которое замедляет приток крови к вашим органам. Как только это происходит, ткани вокруг этой области набухают и образуют гранулемы. Эти гранулемы могут препятствовать нормальной работе пораженных органов.
У людей может появиться один или несколько таких участков кожи.
