Геморрагический инсульт (гематома) головного мозга- что это такое?
Доброго времени суток, гости и читатели нашего блога о нейрореабилитации. Сегодня наша речь пойдет об одном из самых серьезных осложнений сосудистых заболеваний головного мозга- о геморрагическом инсульте (ГИ).
В структуре всех инсультов ГИ составляет 15-20%
Геморрагический инсульт= ОНМК по геморрагическому типу
Геморрагический инсульт– это острое нарушение кровообращения головного мозга, причиной которого послужило кровоизлияние в вещество и пространства головного мозга нетравматического характера.
В клинической практике ГИ сокращается аббревиатурой “ОНМК по геморрагическому типу”
В результате кровоизлияния, отдел головного мозга, который питает этот сосуд перестает получать достаточный кровоток и нервная ткань этой зоны гибнет. Кровь излившаяся из повреждённого сосуда сдавливает ткани головного мозга, что приводит к отёку и смещению отделов головного мозга.
Отек и сдавление ткани головного мозга гематомой- одно из самых опасных осложнений такого нарушения мозгового кровообращения, а высокий уровень инвалидизации и летальности связан именно с этим осложнением.
Само кровоизлияние протекает по-разному. Дело в том, что объем излившейся крови зависит от диаметра сосуда и его расположения.
Объем излившейся крови и расположение гематомы определяет тяжесть течения инсульта
Кровоизлияния из крупных сосудов протекают очень быстро и объемы внутримозговой гематомы бывают достаточно велики- такой геморрагический инсульт головного мозга нередко бывает фатальным для человека и способен уже в первые часы после кровоизлияния привести к гибели.
Такое состояние происходит, зачастую, внезапно и человек очень быстро может впасть в кому и состояние человека в этот момент будет являться тяжелым, иногда, угрожающем жизни. Причиной комы в данном случае часто является отек головного мозга.
Геморрагический инсульт- это в большинстве своем результат уже имеющихся фоновых заболеваний у человека
, предрасполагающих к развитию нарушения кровообращения с развитием гематомы головного мозга.Самым распространенным таким заболеванием является гипертоническая болезнь. При гипертонии и, особенно, гипертоническом кризе очень велик риск кровоизлияния. Даже минимальные изменения сосудистой стенки в виде атеросклероза в купе с гипертоническим кризом увеличивают риск разрыва мозговой артерии.
В ряде случаев, это происходит при ухудшении течения гипертонии. Когда артериальное давление становится неконтроллируемым- с колебаниями до высоких цифр. На высоте одного из таких подъемов и происходит нередко внутримозговое кровоизлияние.
Очень важно где располагается этот сосуд, от него зависит куда будет “устремляться” излившаяся кровь и чем, в последствии, внутримозговая гематома ограничится.
Если это кровоизлияние в мозговую ткань- это одно, если в полости мозга и ликворные пространства- это другое. Про ликвор подробнее читайте вот здесь
Кровь, излившаяся из поврежденного сосуда может скапливаться в тканях головного мозга или “изливаться” в окружающее пространство, которое называется субарахноидальным, а так же с прорывом в систему желудочков- внутренних полостей головного мозга. Такое состояние, нередко, имеет угрожающий для жизни характер.
Симптомы
ГИ сопровождается бурной картиной симптомов, к которым относятся:
- резкая (невыносимая) внезапная головная боль
- рвота, тошнота
- внезапная потеря сознания
- нарастание слабости в конечностях
- нарушение или потеря чувствительности
- головокружение и нарушение координации движений
- нарушение зрения, нарушение аккомодации, двоение в глазах
- психо- эмоциональное возбуждение
Что ухудшает прогноз течения ГИ
Особенно опасность для жизни увеличивается в случае:
- Образования в результате инсульта внутримозговой гематомы со сдавлением головного мозга и смещением его срединных структур.
- Сопутствующего отека головного мозга.
- Прорыва кровоизлияния в ликворные пути, с заполнением кровью желудочков мозга (тампонадой).
- Локализацией внутримозговой гематомы близ жизнено важных нервных центров головного мозга.
Самым тяжелым внутримозговым кровоизлиянием считается то, которое сопровождается прорывом гематомы и кровоизлияния в систему сообщающихся между собой желудочков, с заполнением их кровью- так называемая тампонада желудочков. Почему самое тяжелое…- потому что в этом случае объем излившейся крови может быть очень большим, так как нет практически ничего, что ограничивало бы .
Кровоизлияние в наружное окружающее головной мозг пространство- это субарахноидальное кровоизлияние, подробнее об этом виде кровоизлияния читайте в статье “САК“. А изолированное внутримозговое кровоизлияние- это в случае образования гематомы в тканях головного мозга, без прорыва во внутреннее и наружное пространство.
Диагностика
Диагностируется внутримозговое кровоизлияние в стационаре – врачами неврологами и нейрохирургами, установить диагноз или заподозрить геморрагический инсульт головного мозга им позволяет картина начала заболевания и дополнительные методы исследования. О том, как начинается это нарушение мозгового кровообращения подробнее описано в статье как начинается инсульт.
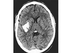
С точностью распознать геморрагический инсульт помогают информативные спиральная (СКТ) или мультиспиральная (МСКТ). Суть её заключается в послойных рентгеновских снимках головного мозга, на которых кровоизлияние достаточно хорошо видно см. рисунок.
кровоизлияние на КТ головного мозгаДругой метод, позволяющий диагностировать ГИ магнитно-резонансная томография или МРТ. Этот метод диагностики более точен, в сравнении с компьютерной томографией.
У МРТ есть существенные минусы по сравнению с КТ: исследование занимает больше времени-около 30 минут, КТ- до 5 минут (в это время не входит включение и подготовка аппарата к исследованию), а это в свою очередь большое упущение важного времени.
МРТ более дорогостоящее исследование, чем КТ. В редкой больнице есть МРТ, КТ-все таки более распространено. МРТ-диагностикой, как правило, занимаются коммерческие центры, где доступно выполнение этого исследования за свои деньги или за счет полиса ДМС- дополнительного медицинского страхования, а есть он далеко не у всех.
Лечение пациентов с ОНМК по геморрагическому типу- это прерогатива отделений неврологии, реанимации и нейрохирургии- если потребуется. При наличии показаний- возможно проведение оперативного лечения нейрохирургом, однако, это не всегда возможно по тем или иным причинам и не всегда обосновано. Хирургическое вмешательство- тоже “удар” по головному мозгу и решение о его проведении должно быть обусловлено учётом всех “за и против”, которое оценивают врач нейрохирург, невролог и реаниматолог.
Итак, кратко о геморрагическом инсульте- что это это и в результате чего он возникает мы выяснили. Теперь идем дальше.
Лечение
При подтвержденном диагнозе, лечение в больнице может длится общим курсом от недель до месяцев, после чего, зачастую необходима бывает реабилитация. Геморрагический инсульт головного мозга самый опасный и угрожаюший жизни вид инсульта, приводит к высокой инвалидизации людей, выживших после него, что обусловлено стойкими нарушениями функций тела, подробнее о которых читайте в статье последствия инсульта .
Еще он опасен и частым возникновением тяжёлых осложнений, таких как застойная- гипостатическая пневмония, причиной которой зачастую является внутрибольничная инфекция. Такая внутрибольничная пневмония бывает невосприимчива к основным используемым в таком случае антибактериальным препаратам, поэтому течение её часто более тяжелое, а лечение долгое и рутинное. Другим опасным осложнением является возможное возникновение пролежней, которые возникают у больных, долго находящихся в лежачем положении, подробнее о причинах возникновения и мерах их профилактики таких осложнений читайте в статье пролежни.
Таким образом, внутримозговое кровоизлияние, лечение которого, в итоге, сводится не только к предотвращению роста гематомы, возникновению отека головного мозга, но и развитию осложнений (внутрибольничной пневмонии, инфекций мочевыводящих путей и пролежней).
Клиническое течение
Развитие заболевания бурное и внезапное. Высокий риск осложнений и опасность летального исхода наблюдается в течение первой недели со дня инсульта. После несколько снижается, но все равно остается высоким в течение месяца.
Бурное начало этого инсульта обусловлено внезапным эпизодом кровоизлияния. Все происходит быстро. Как правило, людей с подозрением на геморрагический инсульт доставляет скорая помощь уже с нарушенным сознанием, иногда в коме- без возможности речевого контакта. К категории лиц с повышенным риском такого инсульта относятся:
- страдающие
гипертонической болезнью с артериальной гипертензией (повышением артериального давления) 3 степени- выше 180/100 мм.рт.ст. - с сопутствующим атеросклерозом мозговых сосудов, а также те, у кого среди близких родственников были случаи внутримозговых кровоизлияний
- нарушением процессов свертывания крови (коагулопатии),в том числе вызванные приемом антикоагулянтов (варфарин, гепарин)
- лица с аномалиями строения мозговых сосудов (сосудистые мальформации)
- лица, страдающие алкоголизмом и/или наркоманией– длительный прием токсических веществ также оказывает негативное влияние на стенку сосуда, меняется её проницаемость и особенности регуляции сосудистого тонуса
- лица, с диагностированными онкологическими заболеваниями центральной нервной системы
Факторы риска
- Малоподвижный образ жизни
- Избыточная масса тела
- Гипертоническая болезнь
- Курение и злоупотребление алкоголем
- Возраст старше 50 лет
- Если в роду у близких родственников были эпизоды летальных случаев после инсульта (не дифференцированного) или достоверно известна причина- кровоизлияние в головной мозг
Пациенты с подозрением на ОНМК по геморрагическому типу, зачастую, прямиком едут в отделение реанимации для прохождения курса интенсивной терапии.
Их обязательно должен консультировать нейрохирург, допускается телефонная консультация с докладом подробного анамнеза, результатов осмотра и данными нейровизуализации (СКТ, МРТ головного мозга) дежурным врачом неврологом или реаниматологом. Согласовывается тактика что делать дальше- план обследования и лечения.
В части случаев лечение нейрохирургическое- удалением гематомы, если это доступно и клинически обосновано. Порой, операция выполняется как крайняя мера для спасения жизни человека.
Тяжесть состояния при ГИ обусловлена повышенной частотой таких осложнений как:
- отек головного мозга, риск дислокации и вклинения ствола мозга
- повторное внутримозговое кровоизлияние
- вторичные инфекционные осложнения дыхательных и мочевыводящих путей
- тромбоэмболические осложнения (тромбоэмболия легочной артерии и ее ветвей, инфаркт миокарда, ишемический инсульт)
Длительность прохождения лечения в больнице от 3х недель до нескольких месяцев.
Длительное пребывание в бессознательном состоянии (комы) увеличивает срок лечения и реабилитации.
Кома
Кома- это глубокая степень утраты сознания. Кома имеет разные причины и ОНМК- одна из наиболее частых причин нарушения сознания разной степени.
Из-за чего возникает кома при геморрагическом инсульте? Из-за величины гематомы и степени отека головного мозга. Гипоксия (нарушение дыхания в клетках головного мозга), которая является следствием этих процессов нарушает работу всего головного мозга. Клетки коры больших полушарий, отвечающие за бодрствование и ясное сознание, в конечном итоге, перестают выполнять свою функцию. Утрачивается их связь с другими структурами мозга, отвечающими за сохранение ясного сознания (ретикулярная формация, лимбическая система).
Стабилизация общего состояния пациента и его улучшение находится в прямой связи с уровнем сознания. Кома- это индикатор степени нарушения мозговой функции. Чем глубже кома, в которой находится человек после внутримозгового кровоизлияния- тем тяжелее он из нее выходит и тем длительнее будет интенсивная терапия при этом.
В состоянии комы человек нуждается в респираторной поддержке- помощи при дыхании. Эта функция возложена на аппараты ИВЛ (искусственной вентиляции легких). Насколько долго человеку потребуется помощь при дыхании аппарата ИВЛ зависит от времени нахождения в бессознательном состоянии.
После возвращения сознания, как правило, возвращается и способность самостоятельно дышать. Исключения составляют случаи грубого повреждения дыхательного центра и проводящих нервных путей, ответственных за передачу нервных импульсов для осуществления акта вдоха и выдоха.
Нарушение сознания, в некоторых случаях, может затянуться на месяцы и, даже, годы. В таких случаях человека могут переводить на длительный уход, не проводя реабилитацию- до возвращения сознания.
Реабилитация
Реабилитация после геморрагического инсульта головного мозга мало чем отличается от других видов ОНМК. Последствия, нуждающиеся в восстановлении после внутримозгового кровоизлияния бывают более грубыми. Обусловлено это более тяжелым течением ГИ.
Последствия ОНМК по геморрагическому типу, нуждающиеся в реабилитации:
- Снижение мышечной силы в половине тела- гемипарез
- Нарушения речи
- Нарушения чувствительности
- Вестибулярные нарушения и нарушение координации движений
- Когнитивный дефицит- затруднение при выполнении высших умственных функции (мышление, память, внимание и т.д)
- Нарушения глотания- дисфагия
- Постинсультная эпилепсия- судорожные припадки (генерализованные- во всем теле и парциальные- в отдельных частях тела)
- Постинсультная депрессия
После внутримозгового кровоизлияния бывает более выраженное повышение мышечного тонуса (спастика),иногда, снимающаяся только применением ботулинотерапии.
Реабилитации должна начинаться уже в первые недели лечения в стационаре, наряду с курсом лекарственной терапии. Справедливо это при сохранении ясного сознания и стабильном общем состоянии. Важно не упустить время.
Максимально эффективный для восстановления период-в первый годом со дня возникновения нарушений неврологических функций, при этом самый плодотворный для реабилитации период- первые 6 месяцев с момента ГИ.
Это время нужно максимально полезно использовать для восстановления, а её, нередко, нужно начинать у постели человека. Первые движения, первые упражнения лечебной физкультуры, а также физиотерапия и занятия с логопедом (если есть нарушения речи- все это проводится спустя первые недели с момента заболевания).
Подробнее о мерах восстановления кровоизлияния в мозг, и других ключевых и важных вопросов, таких как геморрагический инсульт- реабилитация, методы восстановления и главные проблемы, с которыми сталкиваются близкие и родные человека, перенесшего ОНМК по геморрагическому типу читайте на странице реабилитация после инсульта.
insultu-net.ru
Геморрагический инсульт что это такое
В статье мы поговорим про геморрагический инсульт что это такое, лечение и диагностика, симптомы и последствия. А также его виды и классификация. Еще вы узнаете, сколько живут после такого инсульта.
Геморрагический инсульт головного мозгаСтоит сказать, что болезни сосудов головного мозга стоят на первом месте среди всех причин смертности и инвалидности пациентов старше 40 лет. Заболеваемость у женщин достигает с 30 до 49 лет, у мужчин – с 70 до 75 лет. Знания о профилактике и лечения геморрагического инсульта позволяют избежать тяжелых осложнений.
Геморрагический инсульт что это такое
Геморрагический инсульт это клинический вариант нарушения кровоснабжения головного мозга. Протекает оно остро. Сопровождается разрывом сосудов и проникновением крови в мозг. Это приводит к очаговым и общемозговым симптомам.
Классификация
Вот основная классификация геморрагического инсульта:
- Паренхиматозный — повреждения сосудов из-за паренхимы. Очень тяжелое заболевание. Делится на следующие типы:
- правосторонний — повреждение правого полушария мозга
- левосторонний — повреждение левого полушария
- мозжечковый
- мостовой
- стволовой
- субкортикальный — часто проявляется в месте соприкосновения теменных и височных долей. Возникает в результате длительной гипертонии.
- Субарахноидальный — возникает из-за разрыва аневризмы сосудов. Частыми случаями служат черепно-мозговые травмы.
- Арахноидальный — такой же, как и предыдущий, только отличается лишь причиной кровоизлияния. В основном из-за разрыва доброкачественных кистозных опухолей.
Существует определенные стадии геморрагического инсульта. Все они отличаются длительностью протекания.
| Стадии | Длительность |
|---|---|
| Острейшая | Первые 24 часа с начала инсульта |
| Острая | От 24 ч. до 3 недель |
| Подострая | От 3 недель до 3 месяцев |
| Ранняя восстановительная | От 3 до 6 месяцев |
| Поздняя восстановительная | От 6 месяцев и до 1 года |
| Отдаленные последствия | От года и выше |
С целью проведения профилактических мероприятий, целесообразно выявить к какой группе риска относится человек, и подобрать индивидуальные предупредительные мероприятия.
| Группы риска | Описание |
|---|---|
| Низкий | Изолированное повышение артериального давления до 140—159/90—99 мм. рт. ст. |
| Средний | Повышение артериального давления до 160—179/100—109 мм. рт. ст. при сердечной аритмии |
| Высокий | Повышение артериального давления до 180—110 мм. рт. ст. при сердечной аритмии и стенозе артерий |
| Очень высокий | Повышение артериального давления до 180—110 мм. рт. ст. при сердечной аритмии, сахарном диабете и стенозе артерий |
Причины геморрагического инсульта
Давайте рассмотрим основные причины геморрагического инсульта головного мозга:
- Повышенное артериальное давление (гипертоническая болезнь, заболевания почек и так далее).
- Атеросклероз
- Аневризмы сосудов
- Заболевания крови
- Травма черепа
- Передозировка лекарств
- Нервно-психические расстройства
- Перегревание
- Отравление алкоголем и сигаретами
- Повышенное физическое напряжение
Может быть еще и разрыв аневризмы. Чаще мешотчатого строения. Особенно располагающихся на основании черепа. Этим страдают в основном молодые мужчины.
Проявляется оно при повышении артериального давления и физической нагрузке. А также во время занятий спортом, сексом и из-за повышенной массы тела.
Боль сначала появляется в затылочной области, а затем разливается по всей голове. Носит она нестерпимый и раздирающий характер. Может стрелять в шею и между лопаток. Иногда у пациента возникает ощущение, что у него течет горячая жидкость в голове.
Далее развивается затуманивание сознания и начинает раздражать яркий свет. Возникает тошнота и рвота.
Периодически бывают симптомы возбуждения, судороги, гипертермия 40, учащение дыхания и работы сердца. Изредка, бывают головокружения, «летают» мушки перед глазами и шумит в голове.
Геморрагический инсульт и симптомы
Ниже рассмотрим геморрагический инсульт и его симптомы. Речь будет идти о различных видах гематом. Это скопление крови при различных повреждениях органов и тканей с разрывом сосудов. В результате возникает полость, наполненная жидкостью или кровью.
Внутримозговая гематома
Зависит от зоны скопления крови. Проявляется нарушением тонуса мышц и их слабостью на другой стороне от внутримозговой гематомы. Возникают зрительные симптомы и страдает речь.
Внутримозговая гематомаМогут быть различные вегетативные предвестники инсульта. Например, прилив крови к лицу, расплывчатые изображения и изменение цвета привычных предметов.
Бывают генерализованные судорожные припадки или психомоторное возбуждение. Также развивается угнетение уровня сознания. Большие кровоизлияния осложняются угнетением дыхания, работы сердца, тонуса мышц и сознания.
При глубинных кровоизлияниях — гемиплегия, гемианестезия на другой стороне. Нарушены зрительные функции, речь, парализовано лицо.
При поражении не доминантного полушария (левого для левшей), нарушается восприятие тела. Возникают ложные представления о размере и форме отдельных частей тела. У пациента отсутствует критика к своей болезни. Он не ощущает у себя имеющегося речевого и двигательного дефицита.
При кровоизлиянии в заднюю черепную ямку страдают функции координации, память и внимание. Есть головокружение, апатия, сонливость, тошнота и рвота, боль в голове и шее.
Стволовые инсульты проявляются нарушением жизненно важных функций, зрительными и глотательными расстройствами.
Объем образующихся гематом бывает от 5 до 150 мл. Их форма обычно в виде шара или эллипса с отеками вокруг. Свежие гематомы представляют собой кровь в сгустках, которая через 2-3 недели рассасывается. А через 1-2 месяца образуется киста, с условием, если пациент выжил.
Субдуральная и эпидуральная гематома
Скопление крови в субдуральном или эпидуральном пространстве, которым не предшествовала травма обусловлено осложнением антикоагулянтного лечения.
Эпидуральная и субдуральная гематомаКлиническая картина этих кровоизлияний не разнится от таковой при травматических гематомах аналогичной локализации.
Геморрагический инсульт у детей
Геморрагический инсульт у детей бывает только с 28 недели внутриутробной жизни и до 7 суток после рождения. Все последующие случаи объясняются наличием артериовенозных мальформаций и эндокардитов.
При рождении ребенка, кровоизлияния развиваются при разрыве сосудов и классифицируются, как у взрослых. Наиболее тяжело протекает прорыв крови в желудочки. Они встречаются с частотой обратно пропорциональной возрасту возникновения.
Имеется клиническая картина периода мнимого благополучия. У детей внутрижелудочковое кровоизлияние – это достаточно редкое явление. При этой патологии очень высокая смертность — в первые сутки до 90% случаев.
Инсульт геморрагический левая сторона последствия и сколько живут
Теперь затронем такую подтему, как инсульт геморрагический левая сторона последствия и сколько живут. Такой инсульт более острый чем остальные. Около 60% пациентов доходят до летального исхода. А тем, кому повезло больше, на всю жизнь становятся инвалидами.
Левосторонний инсультСама проблема появляется из-за разрыва стенок кровеносных сосудов. В результате возникает большое кровоизлияние в тканях левого полушария головы с последующим образованием гематом.
Последствия левостороннего инсульта
Все последствия геморрагического инсульта зависят от очага поражения. Вот основные последствия:
- стресс и подавленность человека — читайте, как помочь человеку выйти из депрессии
- отказывают конечности, мимические и дыхательные мышцы
- сильная боль
- паралич или порез правой стороны с различными нарушениями (трудное глотание, очень малый уровень общей чувствительности и низкий тонус мускулатуры)
- невозможно логически мыслить
- ограничена работа лицевых мышц
- трудно соорентироваться в пространстве
Сколько живут после геморрагического инсульта
У многих может возникнуть такой вопрос, а сколько живут после геморрагического инсульта головного мозга. Стоит сразу сказать, что статистика здесь не утешительная.
Буквально в первый месяц после инсульта умирает около 35 % пациентов. А еще больше (это 50 %) умирает в течении года.
Стоит отметить, что очень большому риску подвержены пенсионеры и те, у кого имеются хронические болезни сердечно-сосудистой системы.
Инсульт геморрагический правая сторона последствия и сколько живут
Теперь разберем такую проблему, как инсульт геморрагический правая сторона последствия и сколько живут. Как и в предыдущем типе, этот тоже протекает не самым лучшим образом. Единственные различия — это последствия.
Правосторонний инсультЕсли при поражении левой стороны у человека возникают проблемы с мышлением и речью. То при поражении правой стороны, будут проблемы с восприятием и проработкой информации из окружающей среды.
Последствия после правостороннего инсульта
Ниже я хочу перечислить вам основные последствия после правостороннего геморрагического инсульта. Как правило, все они очень плохо сказываются на левой части всего тела человека. Вот эти последствия:
- высокое артериальное давление
- отсутствие координации
- потеря сознания и обморок
- судороги в левой стороне тела
- онемение
- слабая активность левых конечностей
- потеря зрения на левом глазу
- наклон взгляда и головы в левую сторону
- отсутствует чувствительность левой стороны тела
Сколько живут
Как правило, правосторонний инсульт чаще всего возникает у людей в возрасте 35 — 50 лет. Очень часто такой болезни подвержены люди, страдающие гипертонией.
Сколько живут после правостороннего геморрагического инсульта?
Да, примерно, так же, как и при левостороннем. Прогнозы тут тоже не утешительные. Около 60 % случаев заканчиваются смертью. Те, кто выжил, живут после инсульта около года — полтора. Причем, 70 % выживших — это уже инвалиды на всю жизнь.
Диагностика геморрагического инсульта
Давайте рассмотрим, какие мероприятия проводят для диагностики геморрагического инсульта у человека:
- ЭКГ для оценки эффективности работы мышц сердца
- Рентгенография позвоночника
- Анализ крови на глюкозу и холестерин, уровень эритроцитов, лейкоцитов, тромбоцитов, СОЭ, лейкоцитарной формулы
- Контроль артериального давления
- Дуплекс сосудов

Также врачи проводят и другие мероприятия.
УЗ допплерография — методика, позволяющая диагностировать наличие, либо отсутствие спазмирования артерий. Ввиду простоты выполнения и безопасности, выполняется в динамике для оценки состояния мозгового кровотока.
Спиральная компьютерная томография (СКТ) — обладает достойной специфичностью. Благодаря СКТ врач видит скопление крови, его распространенность и есть ли кровь в ликворопроводящих путях. При подозрении на аневризму с кровоизлиянием выполняется СКТ с введением контраста внутривенно, либо СКТ-ангиографическое дообследование.
Магнитно-резонансная томография (МРТ) — информативна для поиска источников кровоизлияния, небольших, скрыто протекающих или глубоко находящихся гематом. А также для дифференциальной диагностики первичного кровоизлияния или опухолевой природы.
Больше всего информации предоставляет селективная церебральная ангиография (СЦАГ). Но она выполняется только как предоперационный метод обследования. Обычно для уточнения локализации аневризмы или артериовенозной мальформации.
Выполнение рентгенографии черепа, если нет указания на факт травмы.
Как заподозрить кровоизлияние? Вот несколько вариантов:
- общемозговая симптоматика
- угнетенное сознание
- брадикардия или повышение частоты сердечных сокращений
- нарушение дыхательных движений
- неукротимая рвота
- икота
- специфические рефлексы и синкинезии (содружественные движения конечностями)
- горметонические судороги, появляющиеся чаще со 2-го дня
Геморрагический инсульт лечение и восстановление
Теперь поговорим про геморрагический инсульт лечение и восстановление. Ведь быстрота оказания помощи очень сильно влияет на продолжительность жизни человека.

Доврачебная помощь
При любых серьезных подозрениях на инсульт, надо вызывать скорую помощь. После чего нужно провести ряд мероприятий по доврачебной помощи:
- уложить человека на спину с приподнятой головой
- раскрыть окно для поступления свежего воздуха
- повернуть голову на бок, чтобы в случае возникновения рвоты не произошло аспирации желудочного содержимого в верхние дыхательные пути
- контролировать артериальное давление и пульс
Когда заподозрен инсульт, пациента надо сразу класть в специализированный стационар, в реанимационное отделение или в отделения ангионеврологии с блоком интенсивного лечения. В таких условиях должно проводится дообследование и лечение.
Первоначальное лечение геморрагического инсульта
Как проходит лечение геморрагического инсульта головного мозга? Вообще, перед врачом стоит несколько задач. Для начала — это борьба с кровотечением.

Первоначально при лечении необходимо уделить основное внимание жизненно-важным функциям организма и провести следующие мероприятия:
- Восстановление дыхания, ИВЛ, дыхание увлажненным кислородом
- Нормализация сердечного ритма
- При эпилептических припадках внутривенно вводятся противосудорожные препараты (реланиум, седуксен). Опасность развития судорог сохраняется на протяжении 24 часов после инсульта. При длительно не купирующихся припадках дают наркоз. Причем противосудорожная терапия продолжается на протяжении месяца после выписки больного из стационара под контролем электроэнцефалографии.
- Частичное снижение давления не более чем на 10-15% от исходного, т.к. при непривычно низком давлении гипоксия в головном мозге развивается еще быстрее.
- При нарушении глотания ставится зонд, через который больного кормят.
- Контроль за давлением в полости черепа — мочегонные средства (Маннитол, Диакарб).
- Обязательно ставят катетер в мочевой пузырь для контроля над выделительной функцией почек.
- Обработка области крестца камфорным спиртом во избежания пролежней.
- Специфические мероприятия, нейропротекторы (Энцефабол), антиоксиданты (Актовегин, Лубелузол), блокаторы кальциевых каналов (Нимодипин), ноотропные вещества (Ноотропил, Церебролизин, Семакс), вазоактивные средства (Кавинтон).
- Тромбоэмболия легочной артерии – для профилактики обязательно эластическое бинтование ног.
Операция при инсульте
Операция при геморрагическом инсульте направлена на удаление гематомы и спасение жизни больного. Хирургическое лечение внутримозговых кровоизлияний является одной из наиболее обсуждаемых и спорных областей нейрохирургии. Проводится с учетом возраста, неврологического статуса, локализации и объема гематомы.
Существуют следующие разновидности хирургических вмешательств:
- Классическая трепанация черепа при внутримозговых гематомах. К сожалению, она дополнительно травмирует ткани головного мозга и отрицательно влияет на функциональные исходы лечения.
- Удаление сгустка крови с минимальными побочными эффектами распространено на малоинвазивные вмешательства и удаление гематомы через маленькое отверстие с применением видео эндоскопической техники.
Реабилитация после геморрагического инсульта
Следующая не менее важная задача медицинского персонала при лечении пациента — это его реабилитация после геморрагического инсульта в домашних условиях и в стационаре.
В настоящее время существует большое количество роботизированных реабилитационных систем, которые значительно улучшают эффективность работы врачей-реабилитологов и инструкторов лечебной физкультуры.
Обычное восстановительное занятие длится порядка 30 минут. Во время него пациент делает около 4 — 5 шагов. А с помощью роботизированных реабилитационных систем за это же занятие пациент делает порядка 500 шагов.
Хорошие средства
После выписки из стационара хороший эффект показывают следующие средства:
- Препараты, улучшающие кровоснабжение мозга и его когнитивные функции (пирацетам, фенотропил, ноопепт).
- Энцефабол – нормализует процессы обмена веществ, происходящие в тканях головного мозга. Усиливает захват глюкозы и ее использование тканями. Способствует освобождению ацетилхолина в районе синоптической связи и нормализует обмен нуклеинов.
- Холин, актовегин, цитофлавин – нормализуют метаболические процессы. Наделены антиоксидантным эффектом.
Программы восстановительно-реабилитационного лечения
Все восстановительное лечение индивидуально. Поэтому целесообразно его начинать именно в стационаре. Тогда у пациента будет хороший результат. Продолжать такое лечение нужно и после выписки из стационара.
Вот перечень реабилитационных и восстановительных мероприятий, которым надо уделить особое внимание при геморрагическом инсульте:
- Научить самостоятельно обслуживать себя, кушать и пить
- Лечебная физкультура
- Кинезотерапия
- Специальные костюмы для воссоздания рефлексов
- Восстановительные речевые занятия с логопедом
- Бальнеотерапия
- Массаж
- Мануальная терапия
- Физиотерапия
- Занятия с психоневрологом для быстрой социальной адаптации
Еще одной составляющей успеха является помощь родственников и близких людей. Они должны поддерживать настроение пациента и следить за его регулярным и правильным исполнением рекомендаций врача.
Для возвращения человека к полноценной жизни нужно чтобы выполнялись особые условия. А именно: вовремя обратиться к врачу, лечиться в стационаре с применением современных средств в сочетании с реабилитационной терапией.
Серьезные, инвалидизирующие осложнения развиваются в 75-80 % случаев. К сожалению, у большого количества больных остаются функциональные нарушения разной степени выраженности.
Если правильно проводить весь комплекс мероприятий, то у больного возможно продолжение полноценной жизни с полным восстановлением функции.
Послеоперационное ведение больных в пожилом возрасте
После окончания операции и до возвращения пациента к труду, нужно пройти послеоперационный период. Он может быть ближайшим и отдаленным. Первый период начинается сразу после хирургического вмешательства и длится до выписки пациента из стационара.
Второй продолжается вне стен лечебного учреждения до тех пор, пока не пройдут все общие и местные расстройства.
Главная особенность у больных пожилого возраста – это выраженное снижение функции дыхательной и сердечно-сосудистой систем. А также понижение сопротивляемости организма инфекции.
Плюс ко всему, наблюдается ухудшение репаративных процессов при заживлении послеоперационных ран. Это значительно утяжеляет течение послеоперационного периода у пожилых людей по сравнению с молодыми пациентами.
В пожилом возрасте отмечается снижение жизненной емкости легких, уменьшение их максимальной вентиляции и нарушение дренажной функции бронхиального дерева. Это в свою очередь ведет к пневмонии.
Поэтому большое внимание надо уделять дыхательной гимнастике, массажу, ранней активизации больных и использованию бронхолитиков.
Практически у абсолютного большинства пациентов в пожилом возрасте есть атеросклероз и кардиосклероз. С возрастом наблюдается тенденция к гиперкоагуляци, которая нарастает после оперативного вмешательства. Поэтому большое внимание надо уделять сердечной патологии, разжижению крови и активизации пациентов.
Учитывая сниженную кислотноферментативную и моторную функцию желудочно-кишечного тракта, пациентам данной группы целесообразно назначать легкоусвояемую, щадящую и высококалорийную пищу.
Также в пожилом возрасте более часто развиваются гнойные осложнения, поэтому нужно внимательно контролировать все раны.
Профилактика геморрагического инсульта
Теперь затронем такой вопрос, как хорошая профилактика геморрагического инсульта у человека. Ведь не зря, в одной из задач по лечению входят различные профилактические мероприятия, направленные на предотвращение рецидива инсульта.

Стоит сказать, что при наличии фибрилляции предсердий необходимо принимать антикоагулянты по назначению врача. А при гипертонии и нарушении липидного обмена, не пренебрегать назначением гиполипидемических средств.
Также соблюдайте основную профилактику:
Особое внимание нужно обратить на последний пункт. Вредный эффект того же алкоголя объясняется расширением сосудистого русла и потом быстрым его спазмом. Это увеличивает вероятность повторного заболевания.
Запомните, что повторный инсульт не позволяет вернуться к социально-активной жизни и часто заканчивается летальным исходом.
Никотин – это сосудистый яд. Под его воздействием и других токсичных веществ, содержащихся в табачном дыме, изменяются реологические свойства крови и повышается вязкость. Все это приводит к стазу форменных элементов крови и прогрессированию заболевания.
Само курение провоцирует спазм сосудистого русла на периферии и повышение давления. Это также является великолепным посредником в рецидивах.
Геморрагический инсульт и последствия
Под конец давайте немного затронем такую проблему, как геморрагический инсульт и последствия. Печальная статистика в наши дни такова, что 35 – 45% пациентов переносят повторный инсульт в течение ближайшего календарного года.
Сам инсульт очень предсказуем. Абсолютное большинство больных после него прощаются с жизнью. А те, кто выжил, страдают грубыми неврологическими выпадениями.
Основной критерий исхода заболевания – это своевременное и качественное оказание медицинской помощи. Стоит отметить, что после кровоизлияния дефектов в жизни больного больше, чем после ишемии. И они очень грубые.
Последствия геморрагического инсульта головного мозга:
- двигательные нарушения
- минимальная мозговая дисфункция
- резистентные формы эпилепсии
- умственная отсталость
Лечение народными средствами
Немного стоит упомянуть про геморрагический инсульт и лечение народными средствами. Использование растительных средств допустимо только тогда, когда угрожающий период миновал и состоянию пациента ничто не вредит.
Точки приложения лекарств будут последствиями самого инсульта. Они стимулируют нервную ткань и регенерацию в клетках.
Великолепный результат дают монастырские сборы отца Георгия:
- Крапива – обладает антитоксическим, противовоспалительным, кровеостанавливающим эффектом.
- Шалфей — его противовоспалительный и антимикробный эффект связаны с большим количеством микроэлементов. Является растительным антибиотиком. Содержит хром, цинк, марганец, никель и магний.
- Бессмертник – желчегонное средство. Защищает печень и снижает холестерин крови.
- Шиповник – иммуностимулирующий эффект. Содержит витамины и микроэлементы.
- Череда – нормализует свертывающие свойства крови.
- Толокнянка – великолепный природный антиоксидант.
- Тысячелистник и сухоцвет – противовоспалительный, желчегонный и восстановительный эффект.
- Полынь, чабрец и березовые почки – противовоспалительный и противомикробный эффект.
- Крушина – хорошо влияет на работу щитовидной железы, нормализует давление.
- Цветы липы, сушеница топяная, ромашка и пустырник – участвует в кроветворении и тормозит действие неблагоприятных факторов на нервную систему. Благотворно сказывается на гипофизе, иммунной и сердечно-сосудистой системах.
Вышеперечисленные средства улучшают результаты лечения последствий нарушения кровоснабжения и восстанавливают утраченные способности человека.
Заключение
Теперь вы знаете все про геморрагический инсульт что это такое, как он лечится, какие бывают последствия и сколько живут. Рассмотрели мы его классификацию, а также причины и симптомы этой болезни. Еще много было сказано про диагностику и восстановление.
Не нужно забывать и о том, что профилактические мероприятия, направленные на предупреждение болезни служат наилучшим способом превентивных мероприятий.
Ведь геморрагический инсульт влечет за собой негативные изменения в жизни. И чтобы этого избежать, постарайтесь вести здоровый образ жизни и почаще обследоваться у врача. В общем, будьте здоровы!
znahars.ru
Геморрагический инсульт | Симптомы и лечение геморрагического инсульта
Лечение геморрагического инсульта
Лечение больных с внутримозговой гематомой может быть консервативным и хирургическим.
Вопрос о тактике лечения необходимо решать на основании результатов комплексной клинико-инструментальной оценки больного и обязательной консультации нейрохирурга.
Медикаментозное лечение геморрагического инсульта
Принципы консервативного лечения больных с внутримозговыми гематомами соответствуют общим принципам лечения больных с любым видом инсульта. Мероприятия по лечению больного с подозрением на внутримозговую гематому нужно начинать на догоспитальном этапе, где следует в первую очередь оценить адекватность внешнего дыхания и сердечно-сосудистой деятельности. При признаках дыхательной недостаточности необходима интубация с подключением ИВЛ. В коррекции состояния сердечно-сосудистой системы наибольшее значение имеет нормализация артериального давления: как правило, у больных с геморрагическим инсультом оно резко повышено.
В стационаре следует продолжить мероприятия по обеспечению адекватного внешнего дыхания и оксигенации крови, нормализации функций сердечно-сосудистой системы, поддержанию водно-электролитного баланса. Важнейшее мероприятие — проведение терапии, направленной на уменьшение отёка мозга. Рекомендуют применение гемостатических препаратов и препаратов, уменьшающих проницаемость сосудистой стенки. Необходима профилактика тромбоэмболии. Большое значение имеет тщательный уход за больным.
При коррекции артериального давления следует избегать его резкого и значительного снижения, так как это может привести к снижению перфузионного давления, особенно в условиях внутричерепной гипертензии. Рекомендуют поддерживать среднее артериальное давление на уровне 130 мм рт.ст. Для снижения внутричерепного давления используют осмо-диуретики в сочетании с салуретиками при условии контроля электролитов крови не реже 2 раз в сут, барбитураты, внутривенное ведение коллоидных растворов. Использование глюкокортикоидов неэффективно. Медикаментозную терапию необходимо проводить в условиях мониторинга основных показателей, характеризующих состояние цереброваскулярной системы и жизненно важных функций. Объём мониторинга зависит от степени тяжести больного.
При лечении больного с внутримозговой гематомой необходимо учитывать, что гипертоническая болезнь приводит к поражению не только сосудистой системы мозга, но и других органов и систем. Больные с гипертонической болезнью часто имеют различные сопутствующие заболевания (сахарный диабет, атеросклероз, ожирение), поэтому для больных с внутримозговой гематомой характерно быстрое присоединение различных соматических осложнений.
Хирургическое лечение геморрагического инсульта
Решение вопроса о показаниях к хирургическому вмешательству по поводу внутримозговой гематомы зависит от многих факторов, наиболее важные из них — объём, локализация излившейся крови и состояние больного. Несмотря на многочисленные исследования, касающиеся целесообразности хирургического лечения внутримозговых гематом, единого мнения по этому вопросу нет. Рандомизированные исследования не смогли доказать преимущества того или иного метода. Нерандомизированные исследования свидетельствуют об эффективности операции при определённых условиях и в определённых группах больных.
При обосновании операции основная цель — спасение жизни больного, поэтому большинство вмешательств выполняют в ближайшие сроки после кровоизлияния. В некоторых случаях удалять гематомы можно для того, чтобы эффективнее устранить очаговые неврологические нарушения. Подобные операции могут быть отсроченными.
Сравнительный анализ результатов консервативного и хирургического лечения показал, что при супратенториальных гематомах объёмом до 30 мл хирургическое лечение нецелесообразно независимо от локализации гематомы, так как гематомы небольшого объёма редко бывают причиной витальных нарушений. При гематомах объёмом более 60 мл исход в целом хуже при консервативном лечении. У больных с гематомами среднего объёма (30-60 мл) наиболее сложно определить показания к операции и выбрать способ хирургического вмешательства. В этих случаях прогностически значимыми бывают степень нарушения сознания, выраженность дислокационных симптомов, локализация гематомы, выраженность перифокального отёка мозга, наличие сопутствующего вентрикулярного кровоизлияния. Противопоказанием к операции считают коматозное состояние, особенно с выраженным нарушением стволовых функций, так как при попытках оперировать таких больных летальность достигает 100%. Неблагоприятна локализация гематом в глубинных структурах.
При гематомах мозжечка показания к операции шире, так как гематомы этой локализации могут приводить к быстрому нарушению витальных функций.
Таким образом, хирургические вмешательства, направленные на удаление внутримозговой гематомы, показаны преимущественно больным с лобарными или латеральными гематомами объёмом более 50 мл, а также больным с гематомами мозжечка.
Выбор метода операции зависит прежде всего от локализации и размеров гематомы. Лобарные и латеральные гематомы лучше удалять прямым способом. В последние годы довольно широко применяют также пункционно-аспирационный метод с локальным фибринолизом. При медиальных и смешанных инсультах более щадящим считают стереотаксическое удаление гематом. Вместе с тем при стереотаксическом удалении рецидивы кровотечения возникают чаще, так как в ходе операции невозможно проведение тщательного гемостаза.
Помимо удаления гематом при геморрагическом инсульте может возникнуть необходимость в дренировании желудочков. Наложение наружных вентрикулярных дренажей показано при массивном вентрикулярном кровоизлиянии, окклюзионной водянке у больных с гематомами мозжечка, а также для контроля внутричерепного давления.
ilive.com.ua
гематома при инсульте, ответы врачей, консультация
Health-ua.org — медицинский портал онлайн консультации детских и взрослых врачей всех специальностей. Вы можете задать вопрос на тему ‘гематома при инсульте’ и получить бесплатно онлайн консультацию врача.
2009-06-01 21:04:39
Спрашивает Наташа:
Здравствуйте, моему дяде 72 года, четыре дня назад у него произошел повторный инсульт. Парализована левая часть тела, отнялась речь, КТ показала гематому диаметром 5,5 см. От трепанации мы отказались, поскольку вероятность положительного исхода не более 20%, по словам нейрохирурга. Может ли рассосаться такая большая гематома при медикаментозном лечении? Может ли его состояние улучшиться?
02 июня 2009 года
Отвечает Бурик Владислав Манольевич:
Наташа!
Состояние вашего дяди серьезное. Трудно судить о возможности оперативного вмешательства, не видя сами снимки, однако судя по диаметру гематомы, проведение операции желательно. После ее удаления, такие больные обычно быстрее и лучше восстанавливаются, чем те у которых гематома не удалялась. В принципе состояние дяди может улучшиться, однако будет оставаться выраженый неврологический дефицит. Кроме того будет наростать возможность повторного кровоизлияния (50-70% больных в первый год после инсульта), которое может привести к летальному исходу. Попробуйте проконсультироваться ив Институте нейрохирургии в г. Киев
2012-08-24 14:54:57
Спрашивает Сергей:
день добрый! вопрос:10 лет назад у моего брата случился инсульт с внутренним кровоизлиянием. трепанация, удаление гематомы, пластина, вообщем все стало на свои места. но года 2 назад произошла первая потеря сознания (минут 30, без конвульсий, пены и т.д. как это бывает при эпилепсии). год назад ситуация повторилась, шел помутнение сознания, упал, очнулся через пол часа. сейчас происходят кратковременные (2-3мин.раз в 2-3 дня) помутнение сознания. подскажите, что это может быть и как его лечить. спасибо.
28 августа 2012 года
Отвечает Синельник Андрей Аркадьевич:
Добрий день, Сергій.
Ви описуєте картину яка схожа на епілепсію.
Наголошую! Це дуже небезпечний стан для Вашого брата, який необхідно як найшвидше лікувати.
Щоб казати більш конкретно необхідно пройти обстеження і визначитися з діагнозом. Для цього зробіть:
1. Загальний аналіз крові
2. Цукор крові
3. МРТ-головного мозку
4. Доплерографію судин шиї та голови
5. ЕЕГ
6. ЄКГ
Після обстеження зверніться до невролога. По результатам лікар повинен встановити діагноз та призначити адекватне лікування.
Якщо виникли питання по відповіді Ви можете зателефонувати мені на робочий телефон.
2011-10-11 10:44:39
Спрашивает Оксана:
Добрый день! У моей мамы (61 год) 1.03.2011 случился геморрагический инсульт (медиальная гематома с прорывом в подкорковую область). В реанимации находилась 9 суток, еще 2 недели в стационаре на интенсивном лечении. Сразу была поражена речь, сознание, память, парализована правая часть тела. На нынешний момент, прошло более 7 месяцев, речь, память, мышление, сознание восстановились полностью, давление стабильно в норме, но рука и нога практически неподвижны. В течение всего времени ежедневно проводим массаж и физкультуру. Скажите, пожалуйста, есть ли шанс на восстановление (хотя бы частичное) движений, ходьбы, что можно делать для этого дополнительно. P.S. Лечащие врачи практически никакой помощи не оказывают. В стационаре говорили, что выжила и радуйтесь, участковый невропатолог посещала несколько раз в самом начале, говорила, что все правильно делаем, удивлялась, как быстро восстанавливаются функции (кроме двигательных), сейчас ссылается на огромное количество больных и нехватку времени для посещений. Практически со скандалом выбиваю следующую схему лечения, когда заканчивается предыдущая (при этом врач больную не видит). Потому вынуждена обратиться за советом к вам. Спасибо.
14 октября 2011 года
Отвечает Качанова Виктория Геннадиевна:
Здравствуйте, Оксана. Объем восстановления зависит не только от вас. Если во время инсульта погибли клетки мозга, отвечающие за движения конечностей, а обходные пути не сформировались, то восстановление будет длительным и минимальным. Сами дома, кроме массажа Вы не проведете никакую реабилитацию. Необходимо посещать центры, которые специализируются по проведению реабилитационных мероприятий и у них есть аппаратура. Но даже при посещении этих центров в Вашем случае, если за 7 месяцев не произошло никакого восстановления движений, рассчитывать на большие результаты не приходится.
2008-07-17 10:42:09
Спрашивает Леся:
Добрый день! У моей мамы 26.06.08 случился гепертонический инсульт, при этом спарализовало правую сторону, отобрало речь и память. Позавчера сделали отсасывание отека и жидкости так как гематома рассосалась. В даный момент у мамы давление стабильно, но небольшая температура 37,5 и она очень нервно сибя видет. Подскажити возможно ли востановление всех функций, а особенно меня волнует память, возможно ли востановление памяти.Спасибо
22 июля 2008 года
Отвечает Майкова Татьяна Николаевна:
Леся, все зависит от возможностей мозга Вашей мамы, насколько он способен к восстановлению. Реабилитация происходит наиболее интенсивно в первые полгода, но и потом не опускайте руки, работайте по восстановлению 2 года (ЛФК, логопед). Если речь восстанавливается, то память параллельно будет улучшаться тоже. Прогнозы могут давать более точно врачи, которые ее наблюдают или будут наблюдать потом. Все варианты восстановления функций возможны.
Читать дальше
Детский инсультДетский инсульт считается гетерогенным по этиопатогенезу и клиническому течению, поэтому усовершенствование знаний в области детского инсульта необходимо для оказания качественной лечебно-профилактической помощи.
Читать дальше
Синдром обструктивного сонного апноэНарушения дыхания во сне: определение, классификация, исторический экскурс Согласно классификации основных нарушений сна, в понятие диссомний, в частности во внутренние нарушения сна, включен синдром сонных апноэ (ССА), при котором во время сна у…
www.health-ua.org
Геморрагический инсульт головного мозга: последствия, прогноз, лечение
Известно, что инсульт – одно из самых тяжёлых заболеваний сердечно-сосудистой системы, поскольку он ведёт либо к летальному исходу, либо к инвалидизации больного. Это острое нарушение мозгового кровообращения, приводящее к повреждению ткани головного мозга. Различают два типа: геморрагический, возникающий вследствие кровоизлияния в мозг и ишемический, возникающий вследствие внезапного прекращения кровоснабжения определённого участка мозга по причине спазма сосуда или его закупорки тромбом.
Причины
Основной причиной геморрагического инсульта является стойкая артериальная гипертензия, приводящая к морфологическим изменениям в сосудистой стенке и появлению аневризм. В молодом возрасте их появление, как правило, обусловлено врождёнными аномалиями строения сосудистой стенки, которые развиваются вследствие генетической поломки.
После кровоизлияния образуется внутричерепная гематома, сдавливающая окружающие ткани. Она вызывает перифокальный отёк мозга и гибель нейронов.
Геморрагический инсульт характеризуется появлением внутричерепной гематомы, которая оказывает давление на окружающие ткани и возникает отёк и гибель нервных клеток.
Такой тип инсульта возникает не только в артериальном русле, достаточно высокий процент возникают в венозном русле.
Признаки
Симптоматика геморрагического инсульта отличается от ишемического. Геморрагический приступ возникает, как правило, внезапно. На стороне противоположной кровоизлиянию отмечается нарушение рефлексов и мышечного тонуса. Часто наблюдаются непроизвольные рефлексы мочеиспускания, тошнота, рвота.
- Внезапная слабость в руках и ногах, особенно на одной стороне тела
- Внезапные проблемы с речью и пониманием речи
- Внезапные проблемы со зрением
- Внезапные проблемы с равновесием и координацией движения
- Внезапная беспричинная головная боль
Все эти симптомы развиваются в течение нескольких минут. Как таковой первой медицинской помощи при инсульте нет, нужно срочно вызвать скорую. Терапевтическое окно — это три часа, когда можно спасти человека и вернуть к нормальной жизни.
Как диагностировать приступ у других людей
- Попросите улыбнуться, если улыбка ассиметрична, то велика вероятность инсульта.
- Поднимите руки человека и попросите их удерживать перед собой, если одна рука опускается, то тоже есть риск случившегося приступа.
- Задайте простейший вопрос – если речь изменена, то это тоже признак инсульта.
Здесь подробнее о первых признаках инсульта у мужчин и женщин.
Наличие хотя бы одного признака свидетельствует об инсульте
Инсульт не болит, поэтому часто проблема недооценивается. А помочь человеку можно, только оказав медицинскую помощь в течение первых 3 часов.
Для окончательной постановки диагноза и правильного выбора тактики лечения необходимо провести компьютерную томографию (КТ) или магнитно-оезонансную томаграфию (МРТ). Эти исследования помогают точно установить объём и локализацию повреждения мозга. Ещё очень важным диагностическим критерием является взятие ликвора. При наличии в нём крови можно стопроцентно подтвердить диагноз.
На фото вы видите женщину с опустившейся левой частью лица. Ниже лицо мужчины в расслабленном состоянии и при попытке улыбнуться:

Последствия
Последствия как геморрагического, так и ишемического инсульта тяжелы и зависят от локализации в мозге. При мозжечковом поражении, к примеру, будет нарушена координация движений. Паралич (полная обездвиженность) или парез (частичное нарушение движения) руки или ноги возникают на стороне противоположной очагу поражения.
Как правило, при локализации очага в левом полушарии головного мозга нарушается речь вплоть до её полной потери. После мозговой катастрофы могут возникать нарушения в психоэмоциональной сфере. Зачастую нарушается память и письмо.
Лечебная терапия
Все мероприятия направлены на:
- восстановление мозгового кровообращения;
- улучшение реологических свойств крови;
- устранение отёка мозга;
- стимуляцию репаративных процессов в повреждённых тканях;
- стимуляцию нейрогенеза;
- поддержание нормального функционирования жизненно важных систем органов.
Со стороны сердечно-сосудистой системы все лечебные мероприятия направлены в первую очередь на поддержание нормального артериального давления. Цифры его должны на 15– 25 мм рт. ст. превышать привычные для больного. Зачастую необходимо восстанавливать и коронарное кровообращение. При необходимости больного переводят на искусственное дыхание. Если отёк лёгких все-таки наступает, то вводят сердечные гликозиды и мочегонные лекарственные препараты.
С целью профилактики застойных явлений в легких необходимо, в максимально ранние сроки, начинать активную и пассивную (включая переворачивание с бока на бок) дыхательную гимнастику.
Деятельность кишечника регулируют специальной диетой, а при необходимости – применяют слабительные препараты и очистительные клизмы. С первых суток лежачим больным необходимо регулярно обрабатывать кожные покровы антисептическими препаратами для предупреждения пролежней. Требуется правильное позиционирование больного в постели во избежание мышечных контрактур и уменьшении спастичности парализованных мышц.
В некоторых тяжелых случаях может потребоваться операция для устранения последствий кровоизлияния.
Реабилитация
Восстановление – это длительный процесс и он требует как от больного, так и от его близких родственников, терпения, выдержки, настойчивости и веры. Чтобы восстановились двигательные функции, используется комплекс мероприятий, включающий лечебную физкультуру, массаж, занятия на специальных тренажёрах. Для восстановления речи необходимы занятия с логопедом и психологом.
У 20-25% больных отмечаются депрессии, которые необходимо корректировать с помощью специальных фармакологических средств. На протяжении всего периода реабилитации больным необходимо применять препараты, улучшающие метаболизм нейронов, нормализующих мозговое кровообращение и психоэмоциональное состояние.
Период реабилитации зависит от степени тяжести поражения мозга. Как правило, при обширном инсульте реабилитация занимает несколько лет. Зачастую больные сохраняют двигательные нарушения до конца жизни. По данным статистики только 15-20% больных возвращаются к полноценной жизни.
Ранняя реабилитация, по данным неврологов, включает в себя первые два года после мозговой катастрофы. Далее, на протяжении всей оставшейся жизни, восстановительные процессы тоже идут, но очень медленно. В основе восстановительных процессов лежит нейропластичность. Это способность нервных клеток к перестройке своей функциональной активности. Это происходит за счёт установления новых нервных связей под воздействием информации от рецепторов организма человека. Поэтому, чем быстрее больному начнут передавать информацию от рецепторов парализованных периферических мышц, тем быстрее движения будут восстанавливаться. Этот феномен называется биологической обратной связью, и он лежит в основе восстановительных процессов после инсульта.
Одним из развивающихся новых направлений в лечении постинсультных последствий является клеточная терапия. Немногочисленными клиническими исследованиями было показано, что стволовые клетки, введенные внутривенно, проникают в головной мозг и мигрируют в очаг повреждения. Там они растут и дифференцируются в тот тип нейронов, которые погибли. Таким образом, регуляция утраченной функции восстанавливается. Лечение стволовыми клетками способно вернуть больного к нормальной жизни! Вот почему надо иметь свой банк стволовых клеток на всякий случай.
Прогноз и последствия
В нашей стране инвалидизация людей, перенесших инсульт, достигает 75%. Если не выявлена причина и не было своевременно подобрано правильное лечение, то высока вероятность повторного инсульта.
Эта болезнь всегда оказывает довольно серьезные последствия. При поражении тканей мозга развивается паралич, потеря памяти, нарушение речи, способность мыслить логически, кома и смерть. Кома после геморрагического инсульта развивается значительно чаще, чем после ишемического.
Одним словом – лечение инсульта стволовыми клетками будет одним из самых приоритетных направлений в неврологии. Но пока этот метод широко не внедрен, и современная медицина использует в своём лечебном арсенале огромную группу химических препаратов (ноотропы) и физическую реабилитацию. Но они не могут дать стопроцентный результат восстановления без желания, веры и надежды больного.
Скорость и полнота восстановления во многом зависит от грамотного и своевременного лечения и от желания самого больного выздороветь. Необходимо успеть оказать медицинскую помощь во время, так называемого, терапевтического окна. Это первые четыре часа после мозговой катастрофы.
Также необходимо отметить, кто же входит в группу риска. Вот перечень факторов, которые повышают вероятность появления такой проблемы:
- Возраст. С годами риск возникновения инсульта повышается. Это обусловлено тем, что при старении происходит снижение метаболических процессов, изменение мозгового кровообращения и нейро-гуморальной регуляции.
- Наследственность. В группу риска входят люди, имеющие в родословной больных с инсультом. Особенно высок риск заболевания у лиц, страдающих артериальной гипертензией, сахарным диабетом, кардиальной патологией.
- Стресс, поскольку он сопровождается повышением артериального давления и усилением механизмов свёртывания крови.
- Курение нарушает метаболизм нейронов и нарушает гемодинамику.
- Алкоголь приводит к мозговой атрофии, повышает давление артериальное, ухудшает мозговое кровообращение, поэтому также является фактором риска.
- Ожирение, которое тесно связано с гипертензией, атеросклерозом и сахарным диабетом и тоже может привести к мозговой катастрофе.
- Гиподинамия негативно влияет на обменные процессы в сердце и мозге, снижает уровень энергообразования и кровоснабжения, способствует ожирению.
Профилактика инсульта направлена на устранение этих факторов.
В связи с таким перечнем факторов риска необходимо выработать стратегию поведения, которая помогла бы резко снизить риск инсульта. Кроме этого, ежегодно следует проходить медицинские исследования, информирующие о функциональном состоянии головного мозга, сердца и крови. К ним относятся: электроэнцефалография, доплерография сосудов головного мозга, электрокардиография, клинический и биохимический анализ крови. На основании результатов этих обследований можно определить степень риска и своевременно принять необходимые меры для его предупреждения.
Следите за своим здоровьем и пусть болезни обойдут вас стороной.
www.neuroplus.ru