Эрозивно-геморрагический гастрит: причины, симптомы, лечение, диета
Эрозивно-геморрагический гастрит — это заболевание, сопровождающееся поражением слизистой оболочки желудка. Недуг характеризуется возникновением поверхностных эрозий. Стенки органа не затрагиваются, но теряют свою функциональность. Размер эрозии редко превышает 3 мм, но из-за их многочисленности самочувствие больного существенно ухудшается. Различаются острая и хроническая форма гастрита желудка эрозивного типа. Если лечение начинается на ранней стадии, то болезнь купируется в течение нескольких недель, без образования рубцов на стенках желудка. При выявлении у пациента хронической формы геморрагического гастрита врачи более осторожны в прогнозах. В особо тяжелых случаях может потребоваться хирургическое лечение.
На сегодняшний день связь эрозивного гастрита с возрастом, полом или национальностью больных точно не установлена. На основе клинических наблюдений выявлен ряд факторов, способствующих возникновению и развитию этой разновидности гастрита.

Причины возникновения недуга
Гастроэнтерология относит эрозивный гастрит к категории полиэтиологических заболеваний. В медицинской практике практически отсутствуют случаи передачи недуга по наследству или возникновения его по причине каких-либо возрастных изменений в организме.
Начало заболевания могут спровоцировать такие факторы:
- Злоупотребление алкоголем и курение. Слизистая оболочка желудка под воздействием неприродных веществ теряет свою функциональность и утрачивает защитный слой. Ослабленная ткань покрывается эрозиями, которые доставляют человеку массу неприятных ощущений.
- Бактериальная инфекция. Болезнетворные микроорганизмы попадают в желудок через пищевод и кровь. Хеликобактерии, сальмонеллы и дифтерийная палочка способны вызвать геморрагическую болезнь слизистой оболочки.
- Нерегулярное питание или неправильно составленная диета. Желудочный сок является сильной кислотой. При отсутствии пищи она начинает воздействовать на слизистую. Со временем развиваются гастриты, в том числе и в эрозивной форме.
- Употребление острой, пряной и горячей пищи. Попадая в желудок, она вызывает ожог и воспаление слизистой. В некоторых местах образуются характерные повреждения, называемые эрозиями.
- Длительный прием некоторых противовоспалительных и болеутоляющих лекарственных препаратов. Как правило, такое случается, когда лечение пациенты назначают себе лечение сами, плохо представляя последствии такого поступка.
- Нервный стресс или хронические нервные перегрузки. В минуты сильного волнения происходит изменение гормонального фона и выброс в кровь адреналина. Больше всего от этого страдает желудок, что ведет к образованию эрозийного гастрита.
- Отравление сильнодействующими химическими жидкостями. Как правило, подобное случается по неосторожности и ошибке. Даже своевременное промывание желудка не всегда спасает пациента от ожога и повреждения слизистой.

Довольно часто геморрагическая форма гастрита является следствием или осложнением других заболеваний желудочно-кишечного тракта.
Симптомы геморрагического гастрита
Больные геморрагическим гастритом могут испытывать разные по силе, интенсивности и продолжительности симптомы. Во многом это зависит от того, какой формой заболевания они страдают. Кроме того, учитывается и то, что болевой порог у людей может сильно различаться.
У больных эрозивным гастритом могут возникать такие симптомы:
- тяжесть в животе, которая усиливается сразу после приема пищи или употреблении большого количества жидкости;
- резь, возникающая от горячей и острой еды, алкоголя и газированных сладких напитков;
- диарея, которая может внезапно смениться продолжительными запорами;
- тошнота, рвота не полностью переваренной пищей, иногда с кровяными вкраплениями;
- потеря аппетита, снижение веса, нарушение сна и общее ухудшение самочувствия;
- желудочные кровотечения, постепенно приобретающие все более затяжной характер;
- постоянная отрыжка, изжога, неприятный запах тухлых яиц изо рта;
- сильная слабость, приступы дурноты, заканчивающиеся потерей сознания;
- снижение кровяного давления, скачки частоты пульса.

При эрозивном гастрите существенно изменяется и внешность больного. Из-за хронических кровотечений он слабеет, становится бледным. Вокруг губ и на кончиках пальцев появляется синева. Волосы и ногти постепенно истончаются, становясь хрупкими и ломкими. Несколько облегчить состояние помогает щадящая диета. Однако полного избавления от болезни лечение диетой дать не может. Чтобы вернуть больного к нормальной жизни, требуется квалифицированная врачебная помощь.
Лечение геморрагического гастрита
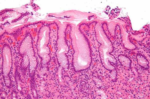
Для того чтобы назначить пациенту грамотное лечение, проводится тщательная диагностика. Этот процесс начинается с опроса больного и осмотра. На первичном приеме врач выявляет симптомы заболевания и его возможные причины. Проводится клинический анализ крови, мочи и кала. Для постановки точного диагноза в желудок вводится зонд с видеокамерой и подсветкой. Эзофагогастродуоденоскопия позволяет получить четкую картину состояния слизистой желудка, выявляются язвы, участки воспаления и кровотечения. Делается биопсия, чтобы определить наличие онкологической патологии.

Чтобы ускорить процесс выздоровления, пациенту создаются оптимальные условия для лечения. На начальной стадии заболевания оно проводится в домашних условиях. Запущенные формы недуга врачи рекомендуют лечить в больнице. Все время больному требуется должен быть на специальной диете. Она предполагает дробное питание небольшими порциями по 100–150 г. Пища перетирается до состояния пюре, в ней полностью отсутствуют усилители вкуса, соль, сахар и специи. Из меню полностью исключается алкоголь, чай и кофе, жирные и копченые продукты. Правильное питание и диета являются половиной залога успеха в борьбе с эрозией желудка.
Медикаментозный метод применяется с учетом особенностей течения заболевания в каждом конкретном случае. Длительность приема препаратов может варьироваться от недели до полугода.
Больному назначаются:
- Корректоры кислотности (блокаторы Н2-гистаминовых рецепторов — Циметидин, Ранитидин; М-холинолитики — Пирензепин, ингибиторы протонного насоса — Омепразол, Пантопразол, антациды — гидроксид алюминия + гидроксид магния, алюминия фосфат).
- Вяжущие лекарственные средства обволакивающего действия (висмута субцитрат, гидроксид алюминия + октасульфит сахарозы),
- Антибиотики (в случае бактериальной этиологии заболевания). Виды препаратов определяются лечащим врачом после проведения тестов на совместимость и отсутствие аллергических реакций.
- Слизеобразователи (экстракт корня солодки, ликуразид + кверцетин) и репаранты (метилурацил, облепиховое масло). Используются для защиты слизистой от разрушительного влияния кислоты.
- Гемостатики. Применяются при кровотечениях. Больному назначаются Викасол и Этамзилат внутримышечно и внутривенно, раствор аминокапроновой кислоты с адреналином внутрь, транексамовая кислота.
Активно используются народные средства. Пациенту рекомендуется употребление внутрь различных растительных масел: облепихового, каротинового и масла шиповника. Эти препараты хорошо снимают воспаление и обволакивают эрозии. Рекомендуется употребление отваров из семян льна, тысячелистника, подорожника, зверобоя и цветков ромашки. На стадии заживления назначается мед и прополис.
В запущенных случаях, когда консервативные методы лечения оказались безрезультатными, назначается хирургическая операция. Объем проводимой резекции определяется непосредственно после вскрытия брюшной полости.
Профилактика геморрагического гастрита
Основой профилактики заболевания является здоровый образ жизни, размеренный распорядок дня, правильное и регулярное питание. Необходимо избегать стрессов, физических и психологических перегрузок. Следует решительно отказаться от курения и употребления алкоголя. Все инфекционные заболевания нужно излечивать до конца. При первых признаках эрозии желудка необходимо сразу обращаться к врачу.
Прогноз жизни при геморрагическом гастрите благоприятный даже после операции.
kiwka.ru
что это такое и как происходит лечение
Одним из наиболее тяжелых, распространённых, но в то же время недостаточно изученных недугов считается острый геморрагический гастрит. Он представляет собой воспаление слизистой оболочки желудка и сопровождается единичными либо множественными кровоточащими поверхностными эрозиями, не превышающими по диаметру трёх миллиметров, и плоскими изъявлениями. Процесс заживления происходит без рубцевания.
По мере прогрессирования недуга часто образовывается желудочное кровотечение, потому данную разновидность гастрита считают одной из тяжелейших и трудно поддающихся лечению. Ведущие специалисты уверены, что данное заболевание приобрело популярность за последнее десятилетие, а количество пациентов увеличилось более чем в десяток раз.

Острый геморрагический гастрит — один из наиболее тяжелых видов расстройства
Почему может образоваться геморрагический гастрит в желудке?
Ответив на вопрос о том, что это такое – геморрагическая форма гастрита, следует остановиться на разборе доминантных провоцирующих причин и факторов её образования. Возникая в первый раз либо имея молниеносное течение, недуг называется острым. Его отличают ярко выраженные клинические симптомы и серьёзные воспаления, несмотря на то, что кровотечения в желудке открываются довольно редко.
На возникновение и прогрессирование этой формы могут повлиять следующие факторы:
- Приём недоброкачественной пищи. В основном, речь идёт об употреблении испорченных из-за долгого хранения блюд и продуктах, которые были загрязнены токсинами;
- Воздействие промышленных ядов, солей, химикатов, которые проникают в желудок во время работы или при преднамеренном приёме. Чтобы отличить влияние химикатов, достаточно диагностировать наличие химического ожога, который и становится причиной эрозивного либо геморрагического гастрита;
- Чрезмерный приём алкогольной продукции либо употребление вредных продуктов;
- Наличие сопутствующих заболеваний и тяжелых отравлений организма из-за тех или иных недугов. Подобные факторы нарушают микроциркуляторные процессы ЖКТ;
- Наличие закрытых тупых травм живота, в особенности, когда речь идёт об ушибах либо повреждениях, возникших на фоне диагностических исследований.
Острая форма геморрагического гастрита, возникающая на фоне любого из факторов, свидетельствует о достаточно быстром прогрессировании болезни, однако не нарушает секреторные механизмы.
В целом, развитие недуга связывают с вредными факторами, исходящими из окружающей среды человека.
Отличительные характеристики геморрагического гастрита
Что касается симптомов, то они различаются, в зависимости от формы гастрита. При острой форме длительность проявлений не превышает 10 дней, а при хронической – существует на протяжении более длительного периода времени (иногда несколько месяцев-лет). Кроме того, гастрит разделяют на первичную и вторичную разновидность. Первая может образоваться у каждого человека, имеющего интактную (непораженную) слизистую оболочку, а вторичная разновидность – у пациентов, давно страдающих желудочными заболеваниями. Геморрагический процесс, преимущественно, поражает дно, тело и антрум органа.
Пациенты отмечают наличие неинтенсивных диспепсических нарушений. Иногда не выдающиеся симптомы сопровождаются желудочным кровотечением. Наиболее встречаемыми признаками являются: ухудшенный либо отсутствующий аппетит, тупая боль верхней части живота, ощущение распирания и давления органа, тошнота, рвотные позывы, внезапная колющая боль живота, кислая отрыжка, неприятный запах и привкус во рту. Возникновение боли приходится на период после употребления еды.
В некоторых случаях больные сталкиваются с непостоянным стулом, черным калом, головокружением, рвотой целыми кусочками пищи либо кровянистыми массами. Если дотронуться до живота, то начинает болеть его верхняя часть. Острое либо хроническое желудочное кровотечение считается специфическим симптомом для данного недуга. По ходу развития острой формы заболевания, все пациенты отмечают наличие головокружения, тошноты и общей слабости. Характерным признаком считается приобретение рвотными массами чёрного цвета.
Во время диагностики гастроэнтеролог обнаруживает явное ухудшение состояния кожи, появление белого налёта на языке, болезненные ощущения во время прикасания к желудку, пониженное артериальное давление, учащенный пульс.
Несмотря на то, что многие симптомы не являются особенными и встречаются в период прогрессирования многих желудочных заболеваний, проявление любого из них должно способствовать дальнейшему посещению специалиста.
Гастрит с геморрагическим компонентом: как происходит диагностика?
Чтобы диагностировать недуг, применяется фиброгастродуоденоскопия. Данный метод способствует качественной визуальной оценке состояния желудка, определяет место расположения патологий, отражает, насколько они распространены и есть ли кровотечения. ФГДС считают единственным поистине достоверным способом диагностики. Благодаря процедуре, можно выявить, кровоточат ли эрозии.

Иногда во время диагностики проводят:
- Прицельную биопсию, которая направлена на исключение онкологической природы патологий и определение характерных симптомов воспаления;
- pH-метрию, направленную на то, чтобы определить кислотообразующую функцию;
- Дыхательный уреазный тест– для того, чтобы выявить хеликобактер;
- Общий анализ крови на предмет анемии.
Профессиональная диагностика является лучшим способом быстрого и точного выявления геморрогического гастрита.
О лечении геморрагического гастрита
Терапия заболевания должна проводиться комплексно и состоять из медикаментозных препаратов, действующих на основные факторы, провоцирующие развитие недуга. Традиционно назначают употребление:
- Антисекреторных средств, которые уменьшают желудочную секрецию и соляную кислоту, создавая тем самым благоприятную среду, уничтожающую воспалительные изменения. Уместным станет приём Омепразола, Кваматела, Нольпазы, Ранитидина, Даларгина;
- Ферментных препаратов, которые облегчают пищеварительные процессы. Подойдёт употребление Панкреатина, Мезима, Креона;
- Гастроцитопротекторов, направленных на защиту слизистой от агрессивного воздействия внешних факторов и желудочного сока. К гастроцитопротекторам относят Вентер, Алмагель, Фосфалюгель;
- Препаратов, останавливающих кровотечение, в том числе, желудочное. Уместно и необходимо использование аминокапроновой кислоты, Викасола, Этамзилата;
- Общеукрепляющих средств: витаминов, минеральных комплексов, Актовегина, Плазмола.
Помните, что самостоятельный выбор того или иного лекарства недопустим. Самолечение может привести к серьёзным осложнениям, а иногда и летальному исходу.
Геморрагический гастрит, лечение которого возможно также народными методами, требует детального обследования, перед применением нетрадиционных методов терапии.
Важно! Чтобы избавиться от болей в желудке навсегда нужно добавлять в воду всего пару капель…>>>Читать далее…
Поддержание диеты при геморроидальном гастрите
Приём медикаментов – далеко не единственный метода лечения. Каждый человек, страдающий от гастрита, должен поддерживать диетическое питание, дабы предостеречь себя от рецидивов и повторных болезненных проявлений. Диетическое питание составляется по правилам Стола№1, касаемо острой формы, и по правилам Стола№5, если речь идёт о периоде утихания воспаления. Несмотря на индивидуальные особенности, которые должен предусмотреть гастроэнтеролог, диета должна соответствовать следующим принципам:
- Важно полностью отказаться от употребления острых, копченых, жаренных, жирных блюд, острой и приправленной пищи, свежих хлебобулочных и сдобных изделий, цитрусов, бобовых, огурцов, помидоров, алкоголя, кофе и мороженого;
- Отдать предпочтение стоит лёгким жидким либо полужидким супам, пюре, киселям и прочим блюдам. Недопустимо есть горячую или чересчур холодную пищу – только тёплые блюда;
- Говоря о термической обработке и способе приготовления, нельзя не отметить, что продукты должны либо вариться, либо обрабатываться паром;
- Необходимо перейти на дробное питание (до 6 раз в день). Порции должны быть небольшими, а их употребление стоит осуществлять в один и тот же промежуток времени. Переедание провоцирует обострение;
- Сделать упор необходимо на употребление:
- черствого хлеба;
- отрубей;
- гречки;
- рисовой и овсяной каши;
- диетического мяса;
- легких бульонов и паровых блюд;
- яиц;
- нежирного кефира;
- сыворотки, молока;
- отварных овощей;
- натуральных травяных отваров и свежевыжатых не кислых соков.
Качественное лечение геморрагического гастрита, ведение здорового образа жизни, исключение вредных привычек и поддержание профилактических мер способно обезопасить человека от возникновения столь серьёзного недуга.
Помните, что даже малейшие симптомы заболеваний ЖКТ должны стать тревожным сигналом для человека. Своевременное посещение гастроэнтеролога позволит остановить прогрессирование болезни и устранить жизнеугрожающие осложнения.
zhkt.expert
что это такое, лечение, острый, диета
Острый геморрагический гастрит является серьезным заболеванием, с которым регулярно сталкивается огромное количество людей. Само заболевание представляет собой воспаление слизистой оболочки желудка. Особенность недуга заключается в том, что на первичных этапах происходит не само воспаление, а нарушение сосудов в подслизистом слое. Результатом тех самых нарушений являются кровоизлияния, которые приводят к образованию тромбов или пропитыванию кровью слизистой оболочки всего желудка. В результате слизистая покрывается визуально заметной коррозией.

В связи с такими визуальными дефектами часто возникает заблуждение, и геморрагический гастрит называют эрозивным. Это утверждение не совсем верно, ведь оба эти заболевания могут протекать вместе или поражать организм совершенно по отдельности.
Важно, что в некоторых источниках можно встретить такой термин, как геморроидальный гастрит. Эти термины являются синонимами и говорят об одном и том же отклонении в организме.
Основные симптомы
Нужно обратить внимание, что геморрагического гастрита симптомы не отличаются какой-либо спецификой. Ведь основные проявления такие же, как и при всех других видах этого заболевания.
Проявления недуга можно спутать с язвой. Однако существуют и более редкие, специфические симптомы, которые присущи лишь этой разновидности заболевания.
Все проявления можно разделить на 3 категории в зависимости от способа их выявления: жалобы больного, результат осмотра и данные диагностической проверки. Рассмотрим каждый из видов более подробно.
К наиболее распространенным жалобам относятся:
- Боли в районе желудка и эпигастральной области.
- Возникновение или усиление болевых ощущений во время или после приема пищи.
- Появление необоснованной тошноты, отрыжки или тяжести в области желудка.
- Основные признаки кровотечения в желудке. Среди них: рвота, при которой цвет содержимого имеет коричневый цвет, или явное содержание кровеносных частиц, сильное головокружение, насыщенный черный цвет кала.
К результатам осмотра можно отнести:
- Бледный цвет кожи, в особенности лица.
- Наличие налета на языке.
- Проявление болевых ощущений при пальпации желудка.
- Снижения постоянного артериального давления и замедление пульса.
В результате медицинского осмотра и диагностики могут быть выявлены:
- Большое количество эрозий, которые кровоточат. Определяется это путем фиброгастродуоденоскопии. Это единственный достоверный способ, который полностью подтверждает наличие заболевания.
- Повышенный уровень кислотности в желудке.
- Проведение теста на наличие хеликобактерной инфекции.
- Проведение общего анализа крови, в результате которого будет выявлена анемия, известная как малокровие.
Все эти признаки по отдельности могут свидетельствовать о наличии недуга, однако их сочетание позволяет точно установить вид заболевания.
Диета при заболевании
Диета при геморрагическом гастрите является практически основным курсом лечения, который приводит к подавлению недуга. Диета является весьма сдержанной, однако дает весьма внушительные изменения в положительную сторону. Бывают крайние формы заболевания, при которых диетическое питание не поможет устранить недуг, но даже после прохождения полного курса лечения придерживаться правильного питания просто необходимо. К основным аспектам правильного питания при обострении гастрита относятся:
- Исключение из рациона всей жирной, жареной, копченой и острой пищи. Отказ от всевозможных специй. Исключение цитрусовых, бобовых, огурцов и помидоров. Кроме того, к списку запрещенного относится практически весь хлеб и сдоба.
- Все приемы пищи должны быть основаны на употреблении продуктов в мягком или жидком виде. Употреблять рекомендуется супы, бульоны, пюре и т.д. Но стоит помнить, что во всех этих продуктах должны отсутствовать запрещенные компоненты. Вся еда должна быть умеренно теплой. Прием слишком горячей или холодной пищи категорически запрещен и может только навредить организму.
- Все блюда должны быть вареными или приготовленными на пару.
- К списку разрешенных продуктов можно отнести отрубной хлеб, всевозможные каши, диетическое мясо (курица, индейка, кролик), различные способы приготовления блюд из яиц, кисломолочные продукты и отварные овощи, за исключением запрещенных. Пить рекомендуется компоты и морсы из натуральных фруктов и ягод.
- Стоит отметить и количество приемов пищи. При остром заболевании их количество должно составлять 5-6 раз в день. Порции должны быть умеренными, нельзя допускать как недоедания, так и переедания.
Ни в коем случае нельзя пренебрегать этими правилами. При геморрагическом гастрите диета играет важную роль в процессе лечения, кроме того, предотвращает повторное появление недуга. Придерживаясь этой программы питания, можно значительно улучшить здоровье.
Способы лечения недуга
Геморрагического гастрита лечение является сложным и долгим, применяется немалое количество лекарственных препаратов, на некоторые из них у пациента может быть аллергическая реакция. Именно поэтому на приеме у врача стоит правдиво отвечать на все вопросы о всевозможных аллергиях, в противном случае курс лечения может только усугубить общее самочувствие пациента.
Как и практически со всеми желудочными заболеваниями, курс лечения направлен на устранение всех причин заболевания.
К основным методам лечения можно отнести:
- Антисекреторные средства. Они направлены на то, чтобы снизить уровень выделения желудочного сока. В результате создаются благоприятные условия для снятия воспаления желудка. К перечню основных препаратов, которые имеют такой спектр воздействия, можно отнести: Омепразол, Квамател, Нольпаза, Ранитидин, Даларгин.
- Применение гастроцитопротекоторов. Эти лекарства направлены на защиту слизистой оболочки от различных факторов окружающей среды, а также от агрессивного воздействия желудочного сока.
- При наличии уже упомянутых кровотечений назначают препараты, которые борются с кровоизлияниями.
- Ферментные препараты. Их основная задача направлена на то, чтобы упростить процесс пищеварения, тем самым облегчить работу желудку и дать ему возможность побороть недуг.
- Комплекс витаминов. Они крайне необходимы организму в повседневной жизни, а при возникновении недуга потребность в них возрастает в несколько раз.
Полный перечень названий лекарственных средств не был раскрыт для того, чтобы люди не занимались самолечением. Гастрит с геморрагическим компонентом является серьезным недугом, который требует постоянного контроля со стороны врача и назначения определенных препаратов.
Процесс самолечения может не только не дать результатов, но и серьезно усугубить ситуацию.
Поверхностный гастрит на сегодняшний день является распространенным заболеванием, с которым сталкивается огромное количество людей.
Однако если четко понимать, что это такое, и вовремя обратиться к специалисту, а затем придерживаться правильного приема препаратов и диеты, то заболевание можно побороть. Главное, не усугублять ситуацию и не заниматься самолечением.
medicalok.ru
особенности болезни, лечение и диагностика
Геморрагический гастрит – наиболее тяжелая форма заболевания, при которой наблюдаются нарушения кровеносно-сосудистой системы в подслизистом слое оболочки желудка. По этой причине происходят кровоизлияния непосредственно в полость органа, лейкоцитный инфильтрат постоянно пропитывает стенки желудка, образуются эрозии и воспаление. Как правило, принято отдельно выделять эрозивный гастрит, поскольку это патология возникает не в каждом случае. Опасность геморрагического гастрита в вероятности обширного кровотечения, при котором потребуется незамедлительная госпитализация.
Особенности заболевания
Под геморрагическим гастритом понимают хронический воспалительный процесс в полости желудка, вызванный единичным или многократным случаем кровотечения слизистой оболочки органа. Патология всегда образуется на слизистой и никогда не переходит в мышечную ткань. Нередко кровотечения прекращаются сами по себе, без всякого медицинского вмешательства, особенно если дефектная область не превышает 3 мм.
Болезнь является самым тяжелым видом гастрита желудка за счет большой вероятности обширного кровоизлияния в полость органа. При этом недуг встречается не так уж и редко, по данным ВОЗ, количество пациентов с данной патологией в последние годы выросло в 10 раз. Среди группы риска находятся люди, принимающие кортикостероидные средства в качестве лечения, а также лица, злоупотребляющие алкоголем.
Причины
Наиболее распространенная причина геморрагической формы гастрита – длительное употребление противовоспалительных препаратов, глюкокортикостероидов и анальгетиков. Есть и ряд других причины, вызывающих гастрит с кровотечениями:
- Употребление некачественной пищи, а также чрезмерно горячих, соленых и острых продуктов;
- Заражение бактериями типа Helicobacter pylori, сальмонеллой и дифтерией;
- Нарушение микроциркуляции сосудов, а также их повышенная проницаемость и клеточные дисфункции;
- Стресс и сильные эмоциональные потрясения редко бывают основной причиной возникновения недуга, но они часто выступают в роли усугубляющего фактора;
- Злоупотребление алкоголем, кофе и курение более 7 сигарет в день.
Симптомы
Эрозивный тип гастрита характеризуется схожими для всей группы патологий признаки, но есть ряд специфических симптомов.
Тупая боль и спазмы в эпигастральной части живота, которая усиливается после приема пищи;- Наличие синдрома желудочной диспепсии – ощущение тошноты после еды, отрыжка со специфичным кислым или тухлым вкусом и тяжесть в животе;
- Признаки желудочной апоплексии, рвота с кровью или застойным инфильтратом коричневого цвета, вкрапления крови в кале;
- Снижение артериального давления, особенно при хронической форме заболевания, нерегулярный пульс;
- Во время пальпации органов брюшины возникает боль, при острой форме наблюдается напряженность мышц живота;
- Бледность кожи, изменения цвета слизистой оболочки языка, металлический привкус во рту;
- При обильных кровотечениях может произойти потеря сознания.
Геморрагический гастрит может быть в острой или хронической форме. При этом после обострения нередко рубцы заживают сами собой в течение 10 дней. Кроме того, может быть первичный гастрит на фоне интактной слизистой оболочки органа, а также вторичный, если уже имелись заболевания желудка и пищеварительной системы.
Диагностика
При первичном обращении к специалисту оценивается состояние кожи и языка, а также производится пальпация живота. Только после сбора первичного анамнеза назначаются дополнительные методы диагностики:
- Исследования кала и клинический анализ крови. Позволяют выявить наличие анемии, характерной для данной формы гастрита, а также определить наличие крови в каловых массах, общее состояние здоровья и зараженность бактериями;
- ФГДС – самый информативный метод диагностики, с помощью него можно оценить наличие эрозий на слизистой желудка и их локализацию, а также оценить уровень пропитывания кровью внутренних стенок органа;
- Для определения кислотности желудочного сока назначается pH-метрия;
- Рентген желудка назначается не всегда. Как правило, он нужен в качестве дополнительного диагностического материала перед проведением операции. Кроме того, процедура позволяет дифференцировать геморрагический гастрит от других форм болезни.

Диагностика направлена в первую очередь для уточнения формы гастрита при хронической форме. Острая форма болезни чаще всего приводит к срочной госпитализации и оперативному вмешательству.
Стратегия лечения
Терапия при геморрагическом гастрите напрямую зависит от формы протекания заболевания. При сильном кровотечении всегда требуются меры по его устранению, обычно это хирургическая операция. При хроническом эрозивном гастрите назначают комплексное лечение, которое включает в себя:
- Средства по снижению выработки желудочного сока и ее кислотности. Это важное требование для предупреждения воспалительных процессов. Наиболее распространенные препараты – квамател, ранитидин и даларгин;
- При наличии эрозий и мелких кровотечений необходим прием кровоостанавливающих препаратов – этамзилат или аминокапроновая кислота;
- Для облегчения процессов пищеварения необходимы ферментные средства, например, Мезим или панкреатин;
- При любых проявлениях геморрагического гастрита необходимы медикаменты, защищающие стенки желудка (гастроцитопротекторы) – алмагель, маалокс или фосфалюгель;
- Витамины и укрепляющие добавки особенно важны после перенесенных сильных кровотечениях желудка, а также для усиления иммунитета.
Важнейшую роль в лечении геморрагического гастрита отводится диете. Только грамотно составленное меню и сбалансированное питание поможет избежать рецидивов недуга. При острой форме заболевания назначается диета стола №1, а при ремиссии – диета стола №5. Плюс к этому, обязательно исключение острой, горячей, соленой, маринованной и копченой пищи. Всю еду желательно готовить на пару и включить в рацион как можно больше зерновых и кисломолочных продуктов, а также некоторые фрукты и овощи. Режим питания играет немаловажную роль, так требуется увеличить количество приемов пищи до 5-6, при этом уменьшить размер порций.
Геморрагический гастрит является наиболее опасной для жизни и здоровья формой заболевания. Только грамотная профилактика и соблюдение правильного питания, снижение употребления вредных продуктов и алкоголя способны предупредить болезнь. При любых характерных признаках необходимо незамедлительно обратиться к специалисту, чтобы избежать обильного кровотечения, которое может привести к самым тяжелым последствиям.
Статьи по теме
zheludokinfo.ru
Геморрагический гастрит — причины, симптомы и лечение
Такое заболевание как геморрагический гастрит встречается довольно часто, в основном у взрослых людей, ведущих не очень правильный образ жизни. Такой гастрит еще называют эрозивным, именно под таким названием он встречается чаще всего.
Для данного заболевания характерно поражение слизистой оболочки желудка, иногда воспалительный процесс может переходить и в верхние части пищеварительного тракта, при этом мышцы обычно не бывают пораженными, после лечения на органах нет рубцов.
Геморрагический гастрит: причины
Причины появления болезни довольно характерны, в первую очередь это плохое питание и неправильный образ жизни, как и при любой другой форме гастрита. Но для геморрагического (эрозивного) гастрита характерны некоторые свои причины, которые и отличают данное заболевание от любой другой формы.
У геморрагического гастрита, как и у любого другого, есть острая и хроническая форма, и каждая из них имеет свои причины появления, вот они:
- острый геморрагический гастрит
Данная форма заболевания обычно появляется на фоне сильного шока, поражения головного мозга, сильных травм и ожогов, сепсиса, печеночной или почечной недостаточности, сильной кровопотери по тем или иным причинам. Иногда выявить данную форму заболевания бывает очень сложно, очень характерным признаком на уже запущенной стадии заболевания является дегтеобразный стул и рвота с кровяными сгустками
- хронический геморрагический гастрит
Лечить хронический геморрагический гастрит очень сложно, так как оно имеет свойство на какое-то время «успокаиваться», а потом снова дает о себе знать. Данная форма болезни обычно возникает на фоне длительного приема некоторых препаратов (в частности, нестероидных противовоспалительных препаратов), а также на фоне болезни Крона, вирусного заболевания, на фоне алкоголизма
Советуем прочитать статью про очаговый гастрит
Симптомы геморрагического гастрита
Чаще всего симптомы геморрагического гастрита на ранней стадии весьма схожи с симптомами гастрита с повышенным уровнем кислотности, но на более поздних стадиях появления болезни появляются и другие, более тяжелые, симптомы. Вот некоторые из них:
- желудочное кровотечение
Данный симптом обычно проявляется на уже запущенных стадиях болезни, иногда заболевание может проходить вообще бессимптомно, но только до той поры, пока как раз и не наступит желудочное кровотечение, оно очень опасно, нужно немедленно обратиться к врачу
Также довольно распространенное явление при данном заболевании, которое может быть на фоне желудочного кровотечения
- рвота, плохой стул
На запущенной стадии болезни могут появиться и такие симптомы, но зачастую это не просто проблемы со стулом и рвота. В рвоте пациент может обнаружить сгустки крови, стул бывает густым и дегтеобразным. Если у больного проявляются уже такие симптомы, то ему необходима госпитализация
- общая слабость
Помимо вышеперечисленных симптомов у больного также проявляются сильная слабость, головокружение, повышенная утомляемость, головокружение, сильное сердцебиение
Геморрагический гастрит: лечение
Лечение геморрагического гастрита чаще всего протекает в амбулаторных условиях, но в редких случаях (при кровотечении или других осложнениях) может понадобиться срочная госпитализация.
Так какие же основные методики применяются для лечения данного заболевания? Вот они:
Диета показана в первую же очередь при абсолютно любых формах гастрита, но для каждой формы нужен свой принцип питания. Что касается данного случая, то обязательно на какое-то время следует забыть о поваренной соли и простых углеводах (сдобные изделия, шоколад, другие сладости), отдать предпочтение стоит белковым и «легким» продуктам, например, нежирным бульонам или кашам. Естественно, что следует на долгое время забыть о жареной, копченой и маринованной пище
Также в некоторых случаях лечащий врач может назначить и медикаментозное лечение, это в первую очередь препараты-антациды, облегчающие боль, препараты для снижения уровня кислоты в желудке и т.д, ведь лечащий врач будет первостепенно исходить из каждого конкретного случая и самого пациента
- народные средства
Очень часто многие пациенты используют различные народные средства, которые могут помочь не хуже, чем дорогостоящие лекарства из аптеки, но нужно только очень ответственно подойти к выбору того или иного средства. Так, например, строго запрещено использовать любые рецепты, в составе которых есть любые раздражающие слизистую компоненты, это спирт, уксус, специи, сода и т.д. Отлично помогут простые травяные настои из мяты, ромашки или чистотела, делать их нужно из растений и обычной воды, но иногда с применением некоторых дополнительных вспомогательных компонентов
oboleznjah.ru
Геморрагический гастрит — причины, симптомы и лечение
Геморрагический гастрит представляет собой воспалительное поражение слизистого покрова желудка, которое характеризуется появлением эрозий и кровотечений. Данная патология может иметь острое или хроническое протекание и сопровождается тупым дискомфортом в подложечной зоне. Чтобы справиться с недугом, важно своевременно обратиться к специалисту.
Причины

Эрозивный геморрагический гастрит относится к самым сложным заболеваниям воспалительного характера. Обычно патологический процесс начинается с антрального отдела. Затем он распространяется все сильнее.
Хотя это нарушение встречается довольно часто, причины геморрагического гастрита до конца не установлены.
Обычно специалисты выделяют такие факторы, которые приводят к появлению недуга:
- Бесконтрольный прием лекарственных средств – особенно опасны тяжелые препараты. К ним относят обезболивающие средства, кортикостероидные гормоны, антибактериальные вещества;
- Инфекционные патологии пищеварительной системы;
- Алкоголизм;
- Нарушения в питании;
- Частое потребление чересчур горячих продуктов;
- Нарушение обменных процессов;
- Постоянные отравления – очень вредны токсические вещества и химические элементы;
- Чрезмерное употребление копченостей, солений, жареных блюд.

Помимо этого, гастрит с геморрагическим компонентом может развиваться у людей, которые находятся в состоянии стресса или столкнулись со сложным нервным потрясением. Важно учитывать, что ни один из перечисленных факторов не является стопроцентной гарантией развития воспаления. Чаще всего болезнь возникает на фоне ослабления иммунитета.
Клиническая картина
Патология может иметь острое или хроническое течение. Симптомы геморрагического гастрита имеют разную степень выраженности. Все зависит от уровня повреждения тканей.
Острый геморрагический гастрит имеет явно выраженные проявления. Приступ развивается на протяжении нескольких часов. Однако проявления кровотечения могут возникать не сразу. Это особенно актуально при поражении антральной зоны желудка.
Для хронического гастрита характерна смазанная клиническая картина. В течение долгого времени пациент не может распознать признаки, а потому даже не подозревает о наличии болезни.
В этот период в процессе задействуются глубокие ткани и образуются внушительные участки эрозии. Отдельные фрагменты разъедают стенки желудка. Иногда это грозит развитием перфорации. В результате возникает кровотечение в желудке. Также есть риск попадания крови в брюшную полость.
Обе формы патологии требуют принятия срочных мер. Потому лечение геморрагического гастритаосуществляется в стационарных условиях. Домашние методы терапии в данном случае лишь усугубят клиническую картину.
Существуют определенные признаки, которые должны стать поводом для срочного обращения к специалисту:
- Выраженные болевые ощущения в районе эпигастрия, которые нарастают после приема пищи;
- Признаки несварения – к ним относят ощущение тяжести в желудке, чрезмерное газообразование, общую слабость;
- Диспепсические проявления – в данном случае возникают тошнота, метеоризм;
- Признаки внутреннего кровотечения – в эту категорию входят слабость, головокружение, учащение сердцебиения, рвота с кровянистыми примесями.

Диагностика
Чтобы выявить патологию и подобрать терапию, нужно изучить анамнез патологии, выполнить осмотр и пальпацию.
По результатам предварительного обследования врач назначает дополнительные процедуры:
- Исследование мочи;
- Общий и биохимический анализ крови;
- Анализы кала.
Также может возникать необходимость в проведении инструментальных исследований:
- Гастроскопия с выполнением биопсии. Для проведения процедуры через желудок вводят зонд, оснащенный камерой и осветительными приборами. Также выполняется осмотр стенок, определяются особенности и степень тяжести повреждений, локализация эрозивных дефектов. Из самого пораженного участка берут пробу и отправляют на гистологию.
- Ультразвуковая диагностика. Она применяется для оценки состояния органов брюшной полости. Очень пристально изучают печень, желчный пузырь, поджелудочную железу. Поражения этих органов могут привести к геморрагическому воспалению. Также данная методика позволяет своевременно обнаружить опухоль.
- Электрогастроэнтерография. Процедура проводится для оценки моторно-эвакуаторной функции пораженного органа. Для этого анализируют процесс перемещения пищи по желудочно-кишечному тракту. Благодаря данной процедуре удается оценить качество функционирования желудка.
- Рентгенография. Методика позволяет отличить гастрит от язвенной болезни и рака. Однако данная процедура не дает возможности определить степень развития гастрита.

Методы лечения
Терапия патологии может осуществляться в условиях амбулатории или стационара. Если у человека имеются симптомы кровотечения, его обязательно госпитализируют.
Медикаментозная терапия
В первые несколько дней пациенту назначают жесткое голодание и применение специальных препаратов для устранения воспаления и восстановления пораженных зон слизистых покровов.
Принимать лекарственные препараты самостоятельно строго запрещено. Лечение эрозивного геморрагического гастрита, который имеет острое протекание, осуществляется в стационаре.
Курс терапии патологии подбирают индивидуально. Чаще всего выписывают такие средства:
- Антациды – гавискон, маалокс;
- Препараты, которые блокируют синтез кислоты, – пантопразол, омепразол;
- М-холинолитики – гастроцепин;
- Блокаторы Н2-гистаминовых рецепторов – ранитидин, циметидин;
- Антибиотики – требуются при выявлении инфекции;
- Слизеобразующие средства – флокарбин, ликвиритон;
- Обволакивающие препараты – сукральфат, де-нол;
- Репаранты – метилурацил, облепиховое масло.

При развитии кровотечения возникает необходимость в проведении гемостатической терапии. Она подразумевает выполнение следующих действий:
- Введение адреналина, аминокапроновой кислоты, транексама внутривенно;
- Использование этамзилата, викасола, дицинона внутривенно или внутримышечно.
Если развивается геморрагический шок, возникает необходимость в применении противошоковых кровезаменителей. Также могут использоваться препараты крови и плазма.
Особенности питания
Диета при геморрагическом гастрите требует соблюдения целого ряда рекомендаций:
- Питание должно быть частым и дробным. Важно, чтобы все порции были небольшими. Еда должна иметь полужидкую консистенцию. Не стоит использовать продукты, имеющие грубую консистенцию. Пищу следует есть теплой. Горячие продукты категорически запрещены.

- Из рациона следует убрать жирные продукты, острую пищу, соления, копчености, жареные блюда.
- Из напитков рекомендуется выбирать отвары сухофруктов или шиповника, чай из ромашки, некрепкий зеленый чай.
- Не стоит употреблять спиртные напитки, кофе, шоколад. Также под запретом находятся любые сладости.
- Нежелательно есть бобовые, квашеную капусту, свежую выпечку.
- В меню обязательно должны быть каши, хлеб с отрубями, кисломолочные продукты.
- Мясо должно быть нежирных сортов. Его следует измельчать с помощью блендера или мясорубки.

Народные средства
В дополнение к традиционным методам лечения можно использовать эффективные народные рецепты:
- Взять 25 г измельченных листьев латука, добавить 1 стакан кипятка и оставить на пару часов. Принимать дважды в сутки по 100 мл.
- Смешать в равных частях трилистник, мяту, золототысячник и тысячелистник. К 25 г смеси добавить 250 мл кипятка. Варить состав на слабом огне в течение 15 минут. Принимать по 75 мл 3 раза в сутки.
- Взять 100 г травы чабреца, добавить 1 л сухого белого вина. Оставить на 1 неделю, затем довести до кипения и подержать 6 часов в тепле. Принимать по 50 мл до еды. Делать это необходимо трижды в сутки.
- Употреблять каждый день по небольшому кусочку прополиса. Лечиться таким образом нужно 1 месяц.
- Взять сок алоэ и довести его до кипения. Охладить и принимать по 5 г за полчаса до еды. Делать это нужно 2 раза в день. В средство можно положить немного меда.

Хирургическое лечение
В отдельных ситуациях не удастся обойтись без оперативной терапии геморрагического гастрита. Однако даже при использовании инновационных методов лечения летальность при таком диагнозе остается довольно высокой. Помимо этого, примерно 20-30 % людей сталкивается с рецидивом кровотечения.
Операция проводится только в том случае, если остальные методы лечения не дают результатов. К довольно эффективным способам терапии относят следующее:
- Эндоскопическое обкалывание спирт-адреналиновым средством;
- Электрокоагуляция кровоточащей зоны;
- Пролонгированный гемостаз с использованием барий-тромбиновой смеси.

Прогноз
При своевременном лечении геморрагического гастрита прогноз для жизни является благоприятным, а для выздоровления – сомнительным. Эта патология требует достаточно длительного лечения и может обостряться даже после оперативного лечения.
Если вовремя не принять меры, есть риск развития опасных патологий:
- Хронизация процесса;
- Развитие язвенной болезни;
- Кровотечение в желудке;
- Опухолевая трансформация при хроническом протекании такого гастрита.

Методы профилактики
Профилактика болезни заключается в ведении здорового образа жизни, соблюдении режима дня, правильном питании. Немаловажное значение имеет исключение стрессовых ситуаций и своевременная терапия патологий желудка. Врачи настоятельно рекомендуют людям отказаться от курения и употребления спиртных напитков.
Геморрагический гастрит является достаточно серьезным заболеванием, которое с трудом поддается излечению. Если появляются какие-либо признаки поражения желудка, следует сразу обратиться к врачу. Только своевременная и адекватная терапия поможет избежать негативных последствий.
gastritguru.ru
Геморрагический гастрит: лечение, диета, виды
Геморрагический гастрит – это гастрит, который сопровождается повышенной кровоточивостью слизистой оболочки. Основная причина этого состояния — эрозирование ее поверхности. Эрозии не распространяются дальше подслизистого слоя; при правильно назначенном лечении заживают без образования рубцов.

Острый геморрагический гастрит
Это состояние развивается не так часто, но является достаточно серьезным. Как правило, это следствие более тяжелого заболевания, и в данном случае острый геморрагический гастрит выступает как синдром, а не самостоятельная болезнь. Например:
- Поражение желудка при острой лучевой болезни – сопровождается резким ухудшением свертываемости крови, а тяжелая рвота ведет к воспалению слизистой. Образуются множественные кровоизлияния в слизистую оболочку, которые в дальнейшем усугубляются эрозиями и кровоточивостью.
- Эрозирование и изъязвление слизистой желудка и кишечника при развитии острой почечной недостаточности. Возникает при тяжелых отравлениях, массивных отморожениях и ожогах, синдроме длительного сдавления, когда человек долго находится под завалом (в шахте, при землетрясении). В кровь в огромных количествах поступают ядовитые продукты распада из омертвевших тканей организма, с которыми не справляются почки и печень. Это приводит к развитию эрозивно-геморрагического гастрита, эзофагита (воспалению пищевода), поражению всех отделов кишечника.
- Острый геморрагический гастрит, развивающийся при тотальном химическом ожоге пищевода и желудка (при случайном или намеренном проглатывании едких кислот или щелочей), часто – состояние, несовместимое с жизнью.
- Некоторые заболевания крови, при которых снижена свертываемость – острый лейкоз, гемофилия, тромбоцитопения (резко сниженное количество тромбоцитов).
- Последствия химиотерапии и лучевой терапии при онкологических заболеваниях: больных мучает сильная тошнота и рвота, раздражающие желудок. Побочным действием лечения является повышенная кровоточивость из-за снижения количества тромбоцитов, т.е. картина напоминает острую лучевую болезнь.
- Лекарственный эрозивно-геморрагический гастрит может возникнуть за считанные дни при бесконтрольном приеме аспирина в больших дозах и других обезболивающих средств из группы НПВС (ибупрофен, нимесулид, вольтарен).
Проявления геморрагического гастрита
Существует два главных, характерных для геморрагического гастрита признака:
- рвота «кофейной гущей» — когда кровь в просвете желудка вступает в реакцию с соляной кислотой, сворачивается и становится темно-коричневой, напоминая крупинки кофейной гущи;
- черный дегтеобразный стул, чаще всего жидкого характера. Характерную окраску приобретает из-за крови, попавшей из желудка в кишечник и подвергшейся воздействию желчи и ферментов в двенадцатиперстной кишке.
Другие признаки – боль в области желудка, тошнота, тяжесть, отрыжка, изжога – могут присутствовать, а могут и не проявиться. Острый геморрагический гастрит – это, как правило, катастрофа в желудке, иногда развивающаяся очень быстро, за считанные часы. Поэтому больному бывает трудно описать свои жалобы и понять, что с ним происходит, а вот на характерную рвоту и изменения стула он обязательно обратит внимание.
Диагностика заболевания
Главный метод диагностики при данном состоянии – это фиброгастроскопия, позволяющая рассмотреть слизистую желудка, эрозии и язвы на ней, источник кровотечения. Кроме того, позволяет исключить опухоль желудка, при которой также может быть кровотечение.
Лечение геморрагического гастрита
Проводится исключительно в стационаре, под наблюдением врача-хирурга, поскольку существует угроза желудочного кровотечения. Больному на 2-3 дня назначают голод и парентеральное питание (питательные вещества вводят внутривенно капельно).
При продолжающемся кровотечении назначают кровоостанавливающие препараты – аминокапроновую кислоту, этамзилат, транексамовую кислоту; тяжелые случаи требуют переливания свежезамороженной плазмы и одногруппной крови (по жизненным показаниям).
После снятия геморрагического синдрома лечение эрозивного гастрита проводят по стандартной схеме: диета + эрадикация Helicobacter pylori + обезболивающие + антациды.
pischevod.com
Тупая боль и спазмы в эпигастральной части живота, которая усиливается после приема пищи;








