Как быстро убрать флюс на десне? Лечение в домашних условиях
Зубной флюс – это гнойное заболевание, поразившее поддесневую и поднакостичную челюстную область. Причиной появления флюса считается воспалительный процесс корня зуба, проявляется он в виде небольшого мешочка с гноем на десне. Если вовремя не обратиться к специалисту с данной проблемой, то в итоге это может закончиться удалением зуба и протезированием. Но можно ли самостоятельно убрать флюс на десне, как лечить в домашних условиях его?
Почему появляется флюс?
Причины, ведущие к появлению гнойного мешочка на десне, разнообразны. Он может стать последствием неправильного лечения кариеса или осложнений после него, ушиба зуба или воспалительного процесса, поразившего карман, расположенный между зубом и десной.

Также он может развиться после инфекции, появившейся в результате процесса гниения остатков пищи в полости зуба. В результате гной проделывает канал, чтобы попасть наружу, появляется бугорок — это и есть флюс на десне. Лечение в домашних условиях поможет незначительно уменьшить отечность, но не всегда сможет полностью справиться с гноем, хотя если не запускать, то шансы есть.
Флюс на десне: симптомы, последствия
Как только появились первые признаки того, что начинает развиваться флюс на десне, лечение в домашних условиях в этот период будет эффективным. Проявляется патология в виде ноющей боли, которая может усиливаться, если затронуть больной зуб даже языком или во время приема пищи. Боль может быть пульсирующей.

Если больной не начинает лечение и не обращается за квалифицированной помощью, то в результате появляется отечность и покраснение на десне в области гнойного мешка, болевой синдром становится более выраженным и уже не отпускает. Если и в этот период не предпринимается никаких мер, то отечность распространяется на область лица и наблюдается повышение температуры.
Если флюс на десне (лечение в домашних условиях в этот период будет уже малоэффективным) поразил верхний зуб, то сильно опухает губа, щека, а боль может отдавать в область глаза, виска или даже уха. Если же он появился на нижней челюсти, то отек опускается на нижнюю часть щеки, направляясь к подбородку. Рядом проходящие лимфоузлы увеличиваются, таким образом, они реагируют на воспалительный процесс. Боль может чувствоваться в ухе, горле, больному становится больно глотать, поворачивать головой, да и вообще разговаривать.
Бывают случаи, когда может самостоятельно вскрыться флюс на десне. Быстрое и эффективное лечение в домашних условиях в данном случае поможет полностью убрать гной. Когда гнойный мешок вскрывается, пациент сразу чувствует облегчение, но если упустить момент и не убрать воспаление, то в результате флюс может появиться снова. Последствия в этом случае могут быть печальными, это уже не абсцесс, а флегмона, которая может грозить заражением крови, а воспалительный процесс может затронуть оболочки мозга.
Если появился флюс на десне, лечение в домашних условиях не дало результатов, то тянуть с посещением стоматолога не стоит. Ведь, как было сказано выше, последствия могут быть намного серьезнее и опасными для здоровья. Лечение у специалиста может проходить несколькими способами.
Консервативное лечение даст хорошие результаты только на начальной стадии и подразумевает прием антибиотиков. При этом в большинстве случаев удается сохранить зуб, но все манипуляции с ним будут возможны только в том случае, если получится устранить воспаление.

А вот запущенное воспаление без хирургического вмешательства вылечить не удастся, зуб придется удалить. Гнойник вскрывают и тщательно чистят полость от гноя и обрабатывают сильнейшими антисептиками. После этого в разрез вставляют дренаж, чтобы гной мог выходить наружу, дополнительно доктор прописывает прием антибиотиков и анальгетиков. Самочувствие улучшается только через сутки после удаления и чистки гнойного мешка. После хирургического вмешательства доктор советует следовать нескольким основным правилам:
- не греть больное место;
- не принимать аспирин, который провоцирует появление кровотечения;
- не принимать антибиотики и обезболивающие препараты, которые не были прописаны лечащим врачом.
Советы специалистов
Кроме того, что описано выше, также специалисты категорически запрещают пациенту с флюсом использовать такие методы:
- если рана еще открыта и кровоточит, ни в коем случае нельзя использовать марлевые повязки, так как можно занести инфекцию;
- болевой синдром может быть различной интенсивности, дети его переносят очень тяжело, ведь им противопоказан прием антибиотиков;
- для детей специалисты советуют применять препараты только на основе трав, препараты с шалфеем, ромашкой и корой дуба будут как нельзя кстати, их используют в качестве отваров для полоскания;
- также спровоцировать боль может употребление горячей или холодной пищи.

Но чем можно помочь больному, если у него появился флюс на десне? Правильное лечение в домашних условиях что собой представляет?
Лечим флюс дома
Очень часто мы сталкиваемся с такой проблемой, когда совсем нет времени посетить стоматолога, а тут появилась боль, отек на десне. В этом случае, если данное состояние на запущено, можно попробовать самостоятельно вылечить флюс на десне. Быстрое лечение в домашних условиях поможет только в том случае, если не запускать недуг, а при первом дискомфорте использовать народные методы.
Полоскание лекарственными травами
Растительные помощники могут оказать существенную помощь в борьбе с флюсом, целители рекомендуют использовать следующие составы:
- Очень хорошо помогают при флюсе полоскания с отварами лечебных трав: коры дуба, зверобоя и шалфея. Необходимо взять каждой из описанных выше трав по 2 столовые ложки и залить 1 литром кипящей воды. Использовать только в теплом виде, слишком горячая вода может спровоцировать усиление боли, да и отек не любит, когда его греют. Полоскать полость рта этим отваром можно до 8 раз на сутки.
- Также отлично помогает снять отек и боль отвар из шалфея и зеленного чая. Их необходимо взять в равных пропорциях по 50 грамм и залить литром воды, смесь настаивается и процеживается. Перед тем как полоскать, следует добавить хорошую щепотку соли. Этот отвар поможет быстро снять болевой синдром, да и покраснение.
- Очень хорошо помогут настои из ромашки, мелиссы, бузины и руты.
- Если ничего под рукой нет, то подойдет аптечная спиртовая настойка календулы. 5 капель на стакан теплой воды. Процедура делается как можно чаще, настойка поможет быстро снять воспалительный процесс.

Если лекарственные травы не помогли убрать проявления, которые вызвал флюс на десне, эффективное лечение в домашних условиях в этом случае можно провести раствором «Хлорофиллипта». Он поможет не только уменьшить болевой синдром, но и снимет воспаление, кроме того, он обладает антисептическими свойствами.
Приготовить с ним раствор очень легко, одну столовую ложку развести в 200 мл теплой воды и полоскать в течение дня раз до восьми, и уже к вечеру можно заметить кардинальные изменения в самочувствии.
Первым методом лечения могут стать соль и сода. Смешав их с водой, поласкают рот, и уже спустя пару процедур снимается отечность, покраснение и боль.
Все эти методы эффективно снимают все симптомы, которые вызвал флюс на десне. Лечение в домашних условиях у детей и взрослых также можно проводить с использованием компрессов.
Компрессы при флюсе
Эффективно помогают справиться с флюсом компрессы. Главное условие в том, что они обязательно должны быть холодными. Если использовать горячие компрессы, то они эффективно справляются с болевым синдромом, а вот воспаление при нагревании, наоборот, еще больше обостряется, что в итоге приводит к размножению бактерий.
Компресс можно делать с любым из растворов для полоскания рта. Необходимо смочить салфетку и приложить к больному месту.
- Очень эффективно помогает компресс с соленой водой. Его необходимо держать между щекой и десной не менее двух часов. Также можно использовать листок капусты, который предварительно отваривают и остужают.
- Отличным антисептиком считается лук, именно поэтому его часто используют при лечении многих патологий. Луковым соком надо смочить салфетку и приложить к флюсу. Также можно луковый сок смешать с яичным желтком, предварительно растертым с сахаром. К такому составу добавляют немного растительного масла.
- Хорошо снимает отечность и воспаление кусочек льда, приложенный к тому месту, где образовался флюс на десне.
Лечение в домашних условиях (фото это подтверждают) можно проводить и мазями.
Какие мази помогут при флюсе?
Есть один мало кому понятный метод лечения флюса, но его использовали наши предки в далеком прошлом. И говорят, что он отлично помогает. Необходимо взять ржавый гвоздь, нагреть его и опустить горячим в мед. В итоге ржавчина остается в меде, именно этим составом и смазывают флюс, чтобы он прорвал, а после надо полоскать рот настойкой календулы.

Также очень хорошо помогает прополис. Необходимо взять его небольшой кусочек, горошинки будет достаточно, опустить в горячее подсолнечное масло и этой мазью смазывать опухшую десну.
Другие методы лечения
Очень хорошо снимает воспалительный процесс мед, лимон и земляника. Но стоит помнить, что земляника должна быть только свежей. Ягоды смешивают с измельченным лимоном, а потом добавляют мед. Этот коктейль богат витаминами, принимать его лучше ежедневно.
Очень хорошо при флюсе помогают ванночки с ромашкой. Для приготовления лечебного раствора необходимо взять столовую ложку цветков, залить кипятком (200 мл) и отставить на 20 минут, делать ванночки нужно теплым раствором, горячий может вызвать сильнейшую боль.
Чтобы не допускать появление флюса, важно соблюдать рекомендации доктора касательно профилактики.
Профилактика флюса
Чтобы кариес и флюс не стали частыми гостями, необходимо придерживаться нескольких основных правил:
- если ежедневно чистить зубы не менее 2 раз в день, то можно не допустить развитие кариеса, а именно он и может стать виновником развития флюса;
- пополоскать рот специальными жидкостями после еды, это правило, конечно, не всегда удается соблюдать, но по мере возможности так нужно делать;
- обязательно включить в рацион свежие овощи и фрукты, особенно яблоки и морковь, они отлично очищают поверхность зубов;
- употребление сладкого свести к минимуму;
- каждые три месяца менять зубную щетку;
- раз в полгода посещать стоматолога.

Флюс на десне: лечение в домашних условиях, отзывы
По отзывам врачей, нельзя самостоятельно справиться с флюсом в домашних условиях. Хотя, если начать лечение сразу, как только появился первый симптом, то народные методы отлично помогают облегчить состояние.
Многие пациенты положительно отзываются о применении лекарственных трав и компрессов. Но даже если в течение нескольких дней терапии в домашних условиях облегчение все же наступило, все равно не стоит затягивать с посещением стоматолога, иначе последствия могут быть куда серьезнее.
fb.ru
лечение в домашних условиях народными средствами!
Одним из самых болезненных и неприятных стоматологических заболеваний является флюс. Патология характеризуется острым воспалением надкостницы – соединительной ткани, окружающей альвеолярные челюстные отростки, в которых находится зуб. Эта ткань называется периостом, поэтому медицинское название флюса – периостит. Главным симптомом периостита является сильное опухание десны и тканей лица. Припухлость обычно появляется на щеке, но, в зависимости от тяжести и локализации воспаления, в патологический процесс также могут вовлекаться губы, нижние веки и даже боковые крылья носа. На фоне воспаления у больного повышается температура (обычно выше 38°С) и появляются признаки общей интоксикации.

Флюс на десне
Таблица. Основные виды флюса, их особенности и описание.
| Наименование, фото | Краткое описание |
|---|---|
Острый | Проходит с высокой температурой и сильной болезненностью в челюсти. Болезненные ощущения могут отдавать в шею, так как она чаще всего бывает пульсирующая. Также характерным признаком флюса может: резко ухудшится самочувствие, появиться лихорадочное состояние, ноющая головная боль и припухлость щеки. |
Хронический | При хроническом флюсе острая боль затихает и делается ноющей. Температура может подниматься не выше 38,5 градусов. Отёк щеки может увеличиться вплоть до виска, или, наоборот, опуститься, захватив область шеи. Очень часто заболевший человек может испытывать неудобства при глотании или при разговоре. |
Лечением периостита челюсти должен заниматься врач-стоматолог. Некоторые пытаются вылечить флюс народными методами, но сделать это невозможно из-за активного скопления гноя в тканях надкостницы. Домашние методы лечения способным лишь снять воспаление, нормализовать общее состояние и уменьшить интенсивность болевого синдрома, но обеспечить отток гноя и установить дренаж можно только в условиях стоматологического кабинета. Если вовремя не обратиться за помощью к врачу, гнойная инфекция может попасть в общий кровоток и вызвать заражение крови, острая форма которого почти в 35% случаев заканчивается смертью больного.

Симптомы

Флюс зубной: лечение в домашних условиях
Компрессы для снятия воспаления
Содержание статьи
Основная задача при периостите, с которой можно справиться в домашних условиях – купирование воспалительного процесса. С этой целью отлично справляются лечебные компрессы, которые можно приготовить из средств и продуктов, всегда имеющихся под рукой. Самыми популярными рецептами являются средства на основе лука и капусты, но вместо них можно использовать свекольный сок или сок из свежего картофеля. Для уменьшения воспаления необходимо обильно смочить тампон из ваты или марли соком и приложить его к уплотнению на 15-20 минут. Если для компресса используется луковый сок, желательно добавлять в него сахар (на 50 мл сока – 0,5 десертной ложки сахара).

Картофельный сок
Чтобы сделать компресс с капустой, необходимо свежий капустный лист ошпарить кипятком и хорошенько размять, чтобы из него пошел сок. Приложить лист к больному месту на 15 минут, после чего смазать десну картофельным или луковым соком.
Обратите внимание! Все компрессы нужно делать 3-4 раза на протяжении 5 дней. Если на второй-третий день лечения улучшений не наблюдается, необходимо срочно обратиться к врачу.

Компрессы при флюсе
Содовый компресс
Содовые компрессы при периостите – один из самых быстрых и эффективных способов справиться с сильной болью, уменьшить воспаление и уничтожить патогенные микроорганизмы, в результате жизнедеятельности которых в пораженных тканях начинает скапливаться гной. Плюс таких компрессов в том, что сода отлично справляется не только с представителями грамположительной и грамотрицательной флоры, но различными видами грибка, среди которых в полости рта чаще всего размножаются плесневые и дрожжевые грибы (в частности, грибок рода Candida).

Пищевая сода
Чтобы вылечить флюс при помощи соды, необходимо:
- чайную ложку карбоната натрия смешать с 4-5 каплями воды для придания кашицеобразной консистенции;
- завернуть кашицу в тонкий слой марли и приложить к опухшему месту на 30 минут;
- через полчаса прополоскать рот слабым солевым раствором комнатной температуры (на стакан воды – пол-ложки соли).

Приготовление содового компресса
Повторять такую процедуру нужно 3 раза в день. Если все делать по инструкции, интенсивность воспаления снизится уже на второй день терапии. Общая продолжительность лечения содой не должна превышать 7 дней.
Лечение периостита травами
Лечебные сборы из трав и растений также могут помочь в борьбе с периоститом, так как обладают ранозаживляющим, дезинфицирующим, противомикробным и противовоспалительным действием. Использовать их для местного и наружного лечения можно в любом возрасте, так как при данном способе использования они не имеют противопоказаний, за исключением аллергии или индивидуальной непереносимости.

Травы для лечения флюса
Ниже перечислены самые эффективные рецепты для быстрой борьбы с симптомами флюса в домашних условиях, но важно помнить, что они не заменяют стоматологическое лечение, а лишь временно облегчают состояние больного.
Отвар из цветков липы
Липовый цвет – одно из самых сильных противовоспалительных и антисептических средств природного происхождения. В готовый отвар можно добавить немного натурального меда и 5 капель настойки ромашки или календулы – это повысит эффективность лечения, поможет улучшить состояние десен и укрепить местные защитные функции.

Липовый цвет
Готовится отвар очень просто:
- 4 ложки липового цвета засыпать в эмалированную неглубокую емкость;
- залить 500 мл кипятка;
- варить 25 минут на медленном огне.
Перед полосканием отвар необходимо процедить и удалить из него все сырье. Использовать средство нужно 3-4 раза в день в промежутках между приемами пищи. Длительность лечения – 10 дней.

Отвар липы
Настойка календулы на спирту
Такую настойку можно приготовить самостоятельно или купить в аптеке. Чтобы приготовить настойку дома, необходимо:
- 2 ложки сушеных ноготков залить 200 мл водки;
- перемешать и убрать в холодное место;
- настоять в течение семи дней.
Готовую настойку используют для полоскания. Для этого нужно столовую ложку настойки развести в стакане теплой воды (температура готового раствора должна быть не более 30°С). Полоскать рот таким составом нужно 4 раза в день. При сильном воспалении, сопровождающемся гнойными процессами, количество полосканий в острый период может доходить до 8-10 раз в сутки. Начиная с третьего дня лечения, количество процедур нужно уменьшить до 4-5 раз в день. Общая продолжительность терапии – 10 дней.

Настойка календулы
Отвар шалфея
Шалфей – растение с противовоспалительными и антиоксидантными свойствами, которое широко используется в косметологии, народной медицине и кулинарии. При периостите отвар из шалфея считается одним из самых действенных средств, поэтому при склонности к стоматологическим заболеваниям и частых воспалениях тканей пародонта и периодонта данную траву лучше всегда иметь в домашней аптечке.
Шалфей лекарственный
Чтобы повысить эффективность лечения, к шалфею можно добавить мяту или мелиссу – эти растения содержат много бактерицидных компонентов, обеспечивают дезинфекцию полости рта и способствуют уменьшению выработки гноя. Для приготовления отвара необходимо:
- по 2 ложки перечной мяты и шалфея смешать в кастрюле;
- добавить 400 мл кипятка и поставить на огонь;
- варить 30 минут.
Полученный отвар использовать для полосканий от трех до шести раз вдень в течение недели. Особое внимание во время полосканий стоит уделять той стороне, с которой находится воспалительный процесс.

Отвар шалфея
Важно! Если флюс вызывает сильные болевые ощущения, усиливающиеся во время полоскания, отвар из шалфея можно применять в виде ротовых ванночек продолжительностью не менее 2-3 минут.
Другие рецепты
Народная медицина знает около 800 рецептов лечения флюса в домашних условиях. Вот те из них, эффективность которых доказана многими поколениями пациентов, перенесших данную патологию.
Настой из семян льна
Семена льна обладают обволакивающим, заживляющим и противовоспалительным действием, а также содержат природные обезболивающие вещества, поэтому после использования данного способа удается довольно быстро добиться улучшения самочувствия больного.

Семена льна
Чтобы приготовить настой, нужно ложку семян залить стаканом горячей воды и настоять в течение 2 часов. Получившимся настоем смочить ватный тампон и приложить к больному месту на 20-30 минут. Процедуру нужно повторять 1-2 раза в день в течение 5-7 дней. После компресса нельзя полоскать рот и принимать пищу и напитки в течение 40-60 минут.
Отвар из бузины
В природе насчитывается более 25 видов бузины, но в народной медицине используются только две разновидности — бузина красная или бузина сибирская. Купить сушеные ягоды можно в специализированных кулинарных отделах, некоторых магазинах, торгующих специями и пряностями, а также фито-аптеках.

Бузина
Для приготовления отвара необходимо:
- горсть ягод залить кипятком и оставить на 5 минут томиться под крышкой;
- через 5 минут воду слить, а ягоды переложить в кастрюлю и добавить 600 мл кипятка;
- варить около 15-20 минут.
Отвар бузины применяется для полосканий или ротовых ванночек 4 раза в день. Последняя процедура должна проводиться после вечерних гигиенических мероприятий перед отходом ко сну. Если соблюдать советы по приготовлению и использованию, вылечить флюс можно 3-5 дней, но для профилактики рецидивов рекомендуется продолжить лечение до 10 дней.

Отвар бузины черной
Прополис
Прополис – это клейкое смолистое вещество, которое пчелы используют для замазывания щелей между ячейками. Прополис содержит большое количество бактерицидных и противовоспалительных компонентов. Во многих рецептах для лечения стоматологических заболеваний прополис применяется в виде спиртовой настойки, но для борьбы с симптомами периостита лучше использовать свежий прополис.

Прополис
Небольшой кусочек прополиса необходимо тщательно разжевывать в течение 30-40 минут. При сильном воспалении или болевом синдроме высокой интенсивности жевать средство стоит на протяжении всего дня. Во время жевания прополис выделяет активные вещества с высокой биодоступностью, которые быстро всасываются слизистыми оболочками и оказывают лечебное действие.
Обратите внимание! Если свежий прополис найти не удалось, можно использовать для лечения спиртовой настой прополиса (концентрация 5%). Несколько капель настойки нужно нанести на ватный диск и приложить к опухшей десне на 20 минут. Процедуру повторять 2-3 раза в день. Длительность лечения – 7-10 дней. Во время использования необходимо следить за реакцией организма, особенно у лиц со склонностью к аллергии.

Настойка прополиса
Перечисленные рецепты и способы лечения флюса в домашних условиях достаточно эффективны для борьбы с симптомами заболевания, но они не могут заменить хирургическое и медикаментозное лечение, поэтому после купирования острого процесса необходимо обратиться к врачу. Если этого не сделать, возможно развитие серьезных осложнений, например, образование свищевых каналов. В особо тяжелых случаях инфекция может распространиться в кровь и привести к сепсису, поэтому единственным эффективным способом лечения периостита является вскрытие гнойного нарыва и последующая медикаментозная терапия.
Видео — Как лечить флюс народными средствами
expertdent.net
Флюс — периостит зуба
В народе «флюсом» называют периостит челюсти. Это воспаление надкостницы, сопровождающееся возникновением шишки на десне. Как диагностировать флюс? Чем грозит такое заболевание? Почему оно развивается? И как лечится?
Флюс (в медицинской терминологии «периостит зуба») – гнойный воспалительный процесс, локализированный в области зубного корня. Пациенты с таким диагнозом жалуются на острую сильную боль. Если вовремя не получить медицинскую помощь, гнойный мешочек разорвется, а гной распространиться по всему организму пациенту и станет причиной возникновения новых более серьезных заболеваний.
Краткое описание
Как образуется?
Инфекция полости рта, вызванная разными причинами (чаще всего – кариес), постепенно пробирается до пульпы, проходя через кариозную полость. Затем она воспаляет область, вызывая болевые ощущения. По мере отмирания пульпы боль постепенно ослабевает. Однако несмотря на отступление боли, воспаление продолжает прогрессировать, но уже в скрытой форме. В результате запущенная инфекция скапливается в основании корня зуба. И очаг активизируется, провоцируя образование флюса. Скопленный гной начинает прорываться наружу, пробивая путь через костную ткань, а затем через ткань десны.
Чем грозит откладывание лечения флюса?
Медицинская помощь необходима как можно раньше. В противном случае гнойник начнет надрываться. Это снимет боль на определенное время, однако воспаление внутри костной ткани и зуба будет только прогрессировать.
Периостит челюсти может перерасти в абсцесс – тяжелое гнойное воспаление. Кроме того, он иногда провоцирует развитие флегмоны (разлитое гнойное заболевание), которая является уже угрозой для жизни пациента. И, наконец, главное, чем опасен флюс, — заражением крови. Заражение может привести даже к летальному исходу.
Почему образуется флюс: главные причины
- возникновение и развитие инфекции: с остатками еды в полость рта могут попадать так называемые частицы «глинистого распада». Во время приема пищи они постепенно накапливаются, прорезают канал в костной ткани, чтобы прорываться через нее наружу. В результате образуется флюс.
- травма или ушиб зубных тканей или зуба. Речь идет о внутренней гематоме или воспалении ткани.
- кариес. Запущенные стадии развития кариеса приводят к поражению корня зуба. Это причина самая распространенная.
- воспаление кармана десны. Десневой карман – это пространство между десной, которая закрывает основание зуба, и, собственно, самим основанием.
- неправильный уход за полостью рта. Эта причина – еще одна из основных. Поэтому, кстати, лучшая профилактика флюса – бережный и регулярный уход за зубами и полостью рта и своевременные визиты к стоматологу.
- имеющиеся у пациента инфекционные заболевания: ангина, фурункулез.
Признаки флюса
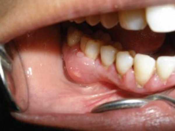
Что касается симптоматики, то у пожилых людей и детей она выражена слабо. Это связано с ослабленным иммунитетом пациентов таких возрастных категорий. Симптомы флюса зуба начинаются с опухания десны и боли. Постепенно боль усиливается, а отек – увеличивается.
Шишка – характерный симптом флюса.
Наблюдаются еще (но не всегда) следующие симптомы:
- боль в области воспаленного зуба и/или челюсти, шеи, головы;
- отек щеки на стороне больного зуба;
- острая боль во время жевания и при разговоре;
- покраснения в области десны;
- повышенная температура тела;
- асимметрия лица;
- увеличение лимфатических узлов;
- отеки нижнего века, губы и/или крыльев носа;
- чувство слабости.
Виды
Острый флюс (или острый гнойный периостит)
Сопровождается повышенной температурой тела и острой болью. Болевые ощущения в основном пульсирующие, зачастую отдающие в область шеи. При остром флюсе также значительно ухудшается общее состояние организма. Появляются головные боли и даже лихорадка.
Хронический флюс
Здесь боль уже не пульсирующая, а ноющая. Отечность наблюдается в области виска или шеи. При любых нагрузках на челюсть (во время глотания или разговоре) пациент чувствует боль.
Как вылечить флюс?
Лечение периостита назначает исключительно врач-стоматолог. После диагностика эксперт определяет стадию развития заболевания.
- Стадия: ранняя (нет гнойника). Проводится медикаментозное лечение. Обезболивающие препараты и антибиотики против воспаления. Антибактериальные лекарства приостановят процесс развития и распространения гноя. Очень важно также полоскание при флюсе. Часто врач рекомендует хлоргексидин. Это средство уничтожает бактерии и оказывает противовоспалительное воздействие.
- Стадия: гнойная (или острая). Назначается хирургическое лечение.
Процедура проходит в несколько этапов:
- анестезия;
- разрез десны в области больного зуба и разрезы в костной ткани (при необходимости) и выпуск гноя наружу;
- антисептическое воздействие;
- накладывание дренажа. Резиновая полоска накладывается для того, чтобы обеспечить полный выход гноя из полости.
- прием антибиотиков. Медицинские препараты снимают воспаление и восстанавливают иммунитет пациента.
- снятие дренажа. Как только гной полностью вышел, полоску снимают. В результате костная ткань восстанавливается, а десна – заживает. Если десна не зажила самостоятельно, ее зашивают.
- удаление зуба. Можно ли удалять зуб при флюсе, решает врач. Зуб удаляется в случаях, когда он не подлежит восстановлению: то есть, сильно поврежден кариесом.
Со временем разрез полностью заживает, припухлость и боль – исчезают.
Особые случаи
Флюс и беременность
Особые рекомендации врач выписывает беременным пациенткам. Дело в том, что флюс при беременности предполагает прием антибиотиков, которые для будущей мамы нежелательны. Поэтому вместо них доктор может прописать поливитамины и /или физиотерапию.
Флюс на десне у ребенка
Часто образуется флюс у ребенка на молочном зубе. Особенно в возрасте от 3 до 5 лет, когда иммунная система еще не может противостоять подобным заболеваниям. Отличие лечение периостита у детей от периостита у взрослых заключается в дозировке препаратов, которые нужно принимать.
Врачи по направлению
11102, 11106, 11103, 11101, 11108, 11114, 11111, 11162, 11128, 11112, 11116ЖигуноваСветлана Юрьевна
Главный врач клиники на Коломяжском пр., 20
Пародонтолог

ДубинскаяАнна Яковлевна
Стоматолог-терапевт
Детский стоматолог
ИванинаВера Рашидовна
Стоматолог-терапевт
ТихановаАлла Михайловна
Стоматолог-терапевт
Детский стоматолог
ЦарьковаТатьяна Владимировна
Стоматолог-терапевт

ФилинаОльга Викторовна
Стоматолог-терапевт

ШашоринаДарина Геннадьевна
Стоматолог-терапевт

БатюковаОксана Ивановна
Стоматолог-терапевт
Детский стоматолог

БелолюбскаяСветлана Викторовна
Стоматолог-терапевт
Детский стоматолог
ЖивотовскаяНина Артуровна
Стоматолог- терапевт
Пародонтолог

КомароваЕлена Валерьевна
Стоматолог-терапевт
Детский стоматолог
Диагностика периостита
При обнаружении признаков флюса необходимо немедленно обратиться к специалисту. Для видения общей картины и постановки диагноза могут понадобиться результаты общего анализа крови и рентгенографии челюсти.
Используемое оборудование




Стоимость услуг стоматологии
Ценовая политика разнится в зависимости от стоимости услуг стоматолога. В целом, прайс формируется из количества необходимых анализов (рентген и проч.), цены за прием (осмотр, консультация, выбор стратегии лечения), необходимости удаления зуба, стоимости анестезии. На итоговый прайс влияет и применяемые технологии, а также используемое медицинское оборудование. Например, удаление зуба с помощью лазера – инновационной технологии в области стоматологии – обойдется дороже.
Записаться на прием
kdc-spb.ru
Как вылечить флюс на десне без дальнейших осложнений?
Содержание статьи:
- Почему появляется флюс
- Симптомы флюса на десне
- Как лечить флюс в домашних условиях
- Как лечить флюс народными средствами
- Лечение флюса на десне в стоматологии
- Что будет, если откладывать лечение
- Профилактика
Зубной флюс (одонтогенный периостит) – воспалительный процесс надкостницы, быстро распространяющийся на ткани, окружающие корень зуба. Характеризуется сильными болями, повышением температуры тела, ознобом.
В большинстве случаев на начальной стадии можно обойтись без удаления зуба и даже без хирургического вмешательства. При своевременном обращении к врачу будет устранена причина недомогания и назначено необходимое консервативное лечение.

Если потерять время и понадеяться на исконно русское «авось», процесс может закончиться возникновением остеомиелита или флегмоны. А это уже – стационар и хирургические манипуляции совершенно иного уровня.
Почему появляется флюс
Одна из основных причин – невылеченный (запущенный) кариес. Инфекция проникает в мягкие ткани зуба (пульпу), достигает нерва и практически молниеносно переходит на ткани вокруг корня зуба.
Также флюс может возникнуть:
- при некачественном пломбировании зубов, в частности – при неполном прохождении каналов;
- при воспалении зубнодесневого кармана при пародонтозах и пародонтитах;
- при механических травмах десны.
С течением времени гной накапливается в костной ткани, возникает отек и впоследствии – болезненный гнойный мешок на десне.
Чтобы избежать появления флюса требуется всего лишь один раз в полгода посетить стоматолога. Ваши временные затраты на визит к врачу будут компенсированы удовлетворительным состоянием полости рта и отсутствием очагов инфекции.
Симптомы флюса на десне
Первые признаки возникновения флюса – ноющая или пульсирующая боль, которая усиливается при надавливании на зуб. Это как раз та стадия, когда еще можно обойтись без хирургического вмешательства.
При отсутствии лечения процесс начинает быстро развиваться. Боль становится практически невыносимой и постоянной, появляется отек и покраснение в месте нахождения гнойника, напухает щека, температура поднимается до 38,0-38,5°.

При поражении нижнего зуба увеличиваются расположенные подчелюстные лимфатические узлы, становится больно глотать, поворачивать голову и даже разговаривать. Опухоль в этом случае формируется в нижней части лица.
Если поврежден верхний зуб, боль отдает в глаз, висок или ухо. Опухоль локализуется в верхней части лица, затрагивая при этом верхнюю губу, щеку, подглазничную область.
Основной признак появления флюса – нестерпимая боль. Человек теряет способность думать, заниматься какими-либо делами. Вся его жизнь и ощущения сосредотачиваются именно на боли. Вот почему так важно не допустить его возникновения.
Как лечить флюс в домашних условиях
Первое и основное правило – не греть. В противном случае возможны серьезные осложнения, грозящие не просто потерей зуба, а распространением гнойной инфекции на мозговые оболочки. Правило второе – не принимать аспирин, так как может возникнуть кровотечение, которое будет трудно остановить.
При обнаружении начальных признаков флюса можно попробовать замедлить его развитие медикаментозными препаратами. Способ можно рассматривать лишь, как временную меру, способствующую облегчить состояние и немного снять боль.
Важно помнить, что самостоятельно вылечить флюс нельзя. Домашние процедуры приносят лишь временное облегчение. Затягивание с визитом к врачу грозит опасными осложнениями. Чем раньше обратиться за медицинской помощью, тем быстрее наступит выздоровление.
Какие фармсредства можно использовать:
- Раствор хлорофиллипта. Недорогой препарат, обладающий хорошими антисептическими характеристиками. Одну столовую ложку препарата разводят в стакане теплой воды и полощут рот как можно чаще.
- Хлоргексидин. Эффективное противовоспалительное средство, оказывает выраженное антибактериальное действие. Продается в аптеках в готовом к применению виде. Число полосканий – не менее трех и не более пяти в сутки. Не имеет противопоказаний, подходит для использования в любом возрасте.
- Малавит. Препарат, созданный на основе натуральных компонентов. Содержит микроэлементы, способствующие уничтожению патогенных микроорганизмов. Быстро избавляет от симптомов флюса. Способ применения – в виде полосканий, в дозировке несколько капель на стакан воды.
- Раствор перманганата калия (марганцовка). Показан в тех случаях, когда гнойник вышел на поверхность и вот-вот прорвется.
Будьте осторожны. В интернете появились рекомендации об использовании мази Вишневского и ихтиоловой мази для лечения флюсов. Препараты предназначены для исключительно наружного применения на кожных покровах, но никак не на слизистых оболочках.
Лечение антибиотиками
Назначается врачом после выявления очага воспаления. Антибиотики помогут быстро снять отечность, снизить температуру тела, прекратить распространение инфекции в ротовой полости.
Как правило, для лечения назначают антибиотики широкого спектра действия – амоксициллин, линкомицин, ампиокс, амоксиклав, ципрофлокасацин, доксициллин. В тех случаях, когда вы решили самостоятельно пропить антибиотики и не наблюдаете результата, курс необходимо прекратить и обратиться к стоматологу, не оттягивая визит.
К наиболее часто назначаемым препаратам относятся:
- Амоксиклав. Противовоспалительный препарат, активно воздействующий на стафилококковую и стрептококковую флору. Применяют для быстрого лечения стоматологических заболеваний и инфекций. Можно применять в форме таблеток, для местного применения в случае снятия отека используют порошок.
- Линкомицин. Эффективное противовоспалительное средство, отличающееся высокой скоростью воздействия. Назначается только врачом.
Применение антибиотиков поможет снять воспаление на слизистой, замедлит воспалительные процессы, но не устранит очаг инфекции.
Пожалуйста, помогите сделать эту статью лучше. Ответьте всего на 3 вопроса.

Как лечить флюс народными средствами
Если у вас появились признаки флюса и при этом нет возможности обратиться к стоматологу, можно попробовать применить народные средства, которые помогут немного отвлечься и притупить боль.
Один из первых шагов – прохладный компресс, который прикладывают ненадолго со стороны щеки на больное место. Он поможет снять отек и слегка снизить болевые ощущения. Не стоит в данном случае доводить дело до фанатизма – вытащенные из морозилки и приложенные к щеке куски мяса могут лишь усугубить ситуацию.
Лечение содой
Самый известный и распространенный метод – приготовить раствор соды и соли. На стакан теплой воды берут по одной чайной ложке соли и соды, и тщательно прополаскивают рот этим раствором ежечасно. При этом стараются, чтобы раствор находился со стороны гнойника.
Также можно попробовать приложить к воспаленному месту примочки и компрессы из соды. Порошок насыпают на смоченный ватный диск или заворачивают в вату, прикладывают на отек. Через два-три часа становится немного легче.

Самые эффективные народные средства
Народная медицина предлагает веками проверенные средства, которые могут помочь при флюсе. Еще раз напоминаем, что они не устраняют очаг инфекции, а лишь помогают пережить время до визита к врачу.
- Отвар шалфея. Две столовые ложки подсушенной травы залить 0,5 литра кипятка, настаивать на водяной бане в течение часа. Остудить до комнатной температуры. Полоскать рот каждые 20-30 минут.
- Взять по две столовые ложки шалфея и коры дуба, три столовые ложки зверобоя. Заварить кипятком (1 литр). Настоять в течение получаса, отфильтровать. Полоскать горячим раствором 6-7 раз в день (практически каждый час).
- Полстакана мелиссы заварить одним литра кипятка. Настаивать под укрытием один час, процедить. Полоскать рот каждые часа.
- Заварить зеленый чай с шалфеем, добавить в чашку 0,5 чайной ложки соли. Полоскать рот горячим раствором как можно чаще.
- Две столовые ложки дубовой коры залить 0,5 литра кипятка. Настаивать 30 минут, процедить. Полоскать каждые полтора-два часа. Раствор для полоскания, приготовленный таким образом, хорошо снимает боль.
- Две столовые ложки травы иссопа залить стаканом кипятка. Остудить, добавить 10 капель столового уксуса (не эссенции). Применять в качестве полоскания каждые час-полтора.
- Настойка прополиса, готовится заранее. 90 граммов прополиса измельчают, заливают 0,5 литра водки. Настаивают в темном месте в течение дух недель, периодически взбалтывая. При необходимости ватный тампон смачивают в полученном растворе, прикладывают меду десной и щекой на ночь.
- Спиртовая настойка календулы, продается в аптеке. Одну чайную ложку растворить в стакане воды, полоскать каждые два часа.
- Горсть ягод сибирской или красной бузины заварить 3-мя стаканами кипятка. Варить 15 минут, настаивать 2 часа. Употреблять в качестве раствора для полоскания каждые два часа.
- Сок репчатого лука. Смочить тампон, приложить к гнойнику. Особенно хорошо помогает при сильной пульсирующей боли. Лук является природным антисептиком, быстро снимает инфицирование.
- Шалфей, синеголовник, горичник. Смешать по одной столовой ложке. Залить 1,5 стаканами водки или горячей воды. Дать настояться два часа в темном месте. Использовать как раствор для полоскания каждые 1,5-2 часа или для примочек к больному месту.
- Кора дуба, шалфей, мелисса. Взять все в равных пропорциях. Залить кипятком так, чтобы полностью покрыть траву. После остывания можно полоскать рот каждый час.
- Смешать мяту, дудник, березовые почки и барвинок в соотношении 2:1:1:1, залить кипятком так, чтобы полностью закрыть траву. Настаивать около часа, полоскать каждые полтора часа.
- Избавиться от флюса помогут также отвары ромашки, календулы донника лекарственного, аира и даже капусты.
Народные средства помогут вам «дожить до утра» и за это время собраться с силами, чтобы идти к стоматологу. Даже если гнойник вскроется самостоятельно (такое тоже может случиться) и вам станет немного легче, визит к врачу откладывать не стоит. Открытая рана быстро затянется, боли возобновятся с новой силой.
Лечение флюса на десне в стоматологии
Если вы вдруг заметили, что у вас подозрительно опухла щека и даже если при этом нет никаких болевых ощущений, необходимо немедленно обратиться к специалисту-стоматологу, не дожидаясь, пока абсцесс разовьется в полную силу. Врач определит причину возникновения флюса и назначит требуемое лечение.
На ранних стадиях, когда гнойник еще зреет, есть возможность сохранить зуб. Для этого необходимо обеспечить отток некротических масс. Врач под местной анестезией разрезает десну, чтобы получить доступ к надкостнице. Затем промывает полость антисептиками и устанавливает дренаж. В некоторых случаях просверливают пораженные твердые ткани и прочищают корневые каналы.
Если удается добиться выхода гноя, острые симптомы сразу спадают. Пациент чувствует облегчение уже через 12 часов. Остается лишь небольшой отек, который сходит примерно через 3 дня. До этого момента дренажная трубка остается в десне.
В сложных случаях периостита, если коронка разрушена более, чем на 50%, и не поддается восстановлению, не обойтись без удаления зуба. Также показанием для процедуры является рецидив флюса. Если ранее был проведен дренаж, но он не дал результатов, или нагноение возобновилось, зуб сохранять не станут. Чаще всего стоматологи предлагают безболезненное удаление зуба.
Для лечения дополнительно назначают физиотерапевтические процедуры. Это воздействие током, ультразвуком, электромагнитным полем или лазером. Манипуляции направлены на снятие воспаления. Для наилучшего результата требуется 5-7 сеансов. Общий срок лечения периостита составляет около недели с момента обращения за медицинской помощью.
Записаться на прием к опытному стоматологу в Москве можно здесь. Согласовать время визита можно по телефону или непосредственно на сайте в режиме онлайн.
Не стоит ждать, когда боль станет нестерпимой. Идти все равно придется, так лучше сделать это раньше. И, конечно, не стоит бояться. Все манипуляции проводятся под местной анестезией. Ваше дело – прийти в поликлинику.
Что будет, если откладывать лечение
Если вы по каким-либо причинам не можете попасть к доктору, будьте готовы к тому, что с каждым часом ваше положение будет усугубляться. Если первое время боль можно будет сбить анальгетиками и другими обезболивающими препаратами, то вскоре они перестанут вам помогать.
Следующее, что вы заметите – распухшая щека и иррадирующие боли в область глаза, уха, виска, горла. Главное же, инфекция начнет стремительно распространяться в полости рта, захватывая все новые участки тканей вокруг корня зуба.
Самые печальный итог в данном случае – остеомиелит, флегмона и отделение челюстно-лицевой хирургии (когда даже потеря зуба покажется пустячным эпизодом в вашей жизни). Пожалуй, не стоит так рисковать.

Профилактика
Меры профилактики флюса предельно просты. Следует регулярно ухаживать за полостью рта и один-два раза в год посещать стоматолога.
Если же вдруг произошла такая неприятная ситуация, когда зуб оказался недолеченным или инфекция попала в результате механического повреждения десны, следует также как можно быстрее записаться на прием к врачу.
Таким образом вы сумеете избежать неприятных последствий и возможных осложнений.
Пожалуйста, помогите сделать эту статью лучше. Ответьте всего на 3 вопроса.
Автор: Елена Копылова
Врач стоматолог-терапевт, эндодонтист. Стаж работы более 8 лет.
Информация носит справочный характер. Перед лечением необходима консультация врача.
shabdent.ru
Флюс на десне | Симптомы и лечение флюса на десне
Что делать, если на десне лопнул флюс?
Многие люди, которые сталкивались с воспалительными заболеваниями в ротовой полости, отмечали, что лопнул флюс на десне. Если гнойник лопнул и гнойные массы вышли наружу, то на время больной ощущает облегчение и уменьшение болезненной симптоматики. Из-за этого, у пациентов складывается ошибочное мнение, будто заболевание прошло, и отказываются идти к стоматологу.
Но такое поведение неправильное и довольно опасно для здоровья. Так как патогенная микрофлора периостита остается на тканях десны. А это говорит о том, что в будущем могут быть рецидивы флюса на десне и это только вопрос времени. Поэтому, если лопнул флюс на десне, не стоит откладывать поход к стоматологу, так как периостит – это серьезное заболевание, которое может повлечь за собой множество осложнений.
Лечение флюса на десне
Лечение флюса на десне – это длительный процесс, который состоит из нескольких этапов. Первоочередная задача стоматолога – устранить болезнетворные бактерии в местах их локализации. Поэтому в процессе лечения, больному назначают медикаменты и местную дезинфекцию, то есть полоскания полости рта. Давайте детальнее рассмотрим особенности лечения флюса на десне.
На приеме стоматолога
Врач, используют анестезию, чистит десна и костную ткань. Если при обращении к стоматологу флюс уже прорвал, то врач делает разрез десны и вычищает гнойные массы.
Если нарыв еще не вскрылся, то врач устанавливает специальный дренаж, который будет выводить гной. Пораженный участок десны обрабатывается антибактериальными средствами для дезинфекции. Если зуб в запущенном состоянии, то врач удаляет его, так как он является источником бактерий. Если доктор устанавливает дренаж, то через пару дней гной выходит, доктор удаляет его и зашивает десну.
[23]
Медикаментозное лечение флюса на десне
Антибиотики, противовоспалительные и антигистаминные препараты используют для лечения острой и хронической формы флюса, которые провоцирует сильную отечность. Лекарственные препараты назначаются врачом после осмотра флюса. То есть даже при данном виде лечения, поход к стоматологу обязателен.
Врач составляет схему лечения и дает рецепт на препараты. Для каждого пациента подбирается индивидуальная схема лечения. Как правило, стоматолог назначает Цифран, Амоксиклав, Линкомицин или Ампиокс. Из противовоспалительных препаратов назначают средства, которые содержат в своем составе ибупрофен или нимесудил – Имеет, Нимесил. Из антигистаминных лекарственных средств, особую эффективность показали – Кларитине и Цетиризине.
Местная обработка
В качестве местного лечения воспаления, используют полоскания ротовой полости. Обязательным условием является поддержание чистоты полости рта, для того, чтобы бактериальные микроорганизмы не проникли в уязвимое место. Для полосканий используют лекарственный настой ромашки, шалфея и перекись водорода. Жидкость для полосканий должна быть оптимальной температуры, то есть ни холодной, ни горячей.
Лечение флюса на десне в домашних условиях
Вылечить флюс в домашних условиях невозможно, поэтому посещение стоматолога – одно из обязательных условий выздоровления. Но в домашних условиях, можно проводить полоскания, которые снимут боль и отечность. Принимать антибиотики или пытаться проколоть гнойную шишку флюса, категорически запрещено. При периостите нельзя прикладывать горячее, так как это усилит боль и ускорит развитие заболевания.
Существуют и народные методы лечения флюса, но они не излечивают периостит, а только снимают боль, отечность и способствуют скорейшему заживлению раны на десне после удаления нарыва.
- Смешайте две ложки коры дуба с третями ложками шалфея и зверобоя. Травы необходимо залить кипятком и проварить на паровой бане 10-15 минут. Отваром полоскать полость рта, до 10-12 процедур в сутки.
- Корень касатика и шалфей залейте водой и прокипятите. Травы рекомендуется брать в равных пропорциях. Как только отвар остынет, его необходимо процедить и можно использовать для полосканий.
- Справиться с болью и отечностью при флюсе помогает настой из горичника, синеголовника и шалфея. Возьмите по две столовые ложки каждой травы, залейте двумя стаканами кипятка и дайте настояться. Через 1-2 часа можно приступать к полосканиям. При острой боли, рекомендуется смочить ватный тампон в настое и прикладывать к больному зубу.
Флюс – это серьезное заболевание, лечением которого должен заниматься стоматолог. Без лечения, периостит принимает острую или хроническую форму. Гнойные массы вместе с кровью начинают распространяться по организму и вызывают нарушения в работе органов. При первых симптомах флюса, обращайтесь к стоматологу, так как самолечение не поможет устранить заболевание, а отказ от медицинской помощи может привести к весьма плачевным последствиям.
ilive.com.ua
Флюс на десне симптомы: лечение в домашних условиях
Что такое флюс – это воспалительный процесс надкостницы с образованием гнойного мешочка над/под зубами, в официальной медицине данная патология называется периостит. Дергающая (стреляющая) боль и возникновение отека, вот главные признаки возникновения флюса, каждый второй житель земного шара знаком с этим явлением.

Простой флюс
Этиология заболевания
Патология возникает в результате запущенного воспаления периодонта, кариозного поражении и пульпита.В некоторых случаях периостит развивается в результате повреждения челюсти и слизистой оболочки рта, а также как осложнение, возникающее после воспаления уха, горла и носа.Начало болезни происходит с незначительной опухлости десны, позже рост опухоли возрастает, появляются болевые ощущения, через несколько дней образуется абсцесс, который и является главной причиной отечности лица.Главная опасность образования свища заключается в возможности развития вероятности хронического заболевания, то есть флюс будет образовывать вновь и вновь.Развитие инфекционного процесса необходимо останавливать, запущенное состояние вызывает осложнение в виде гнойных образований и остеомиелита.
Существует несколько форм периостита:
- Простой флюс.Воспалительный процесс, протекающий в острой форме с развитием утолщения и гиперемии слизистой ткани.Развитие данного вида происходит на фоне перелома, ушиба, а также воспалительных процессов происходящих в челюсти и мышечной ткани рта.Воспаление всегда сопутствуют болевые ощущения и опухоль воспаленного участка десны.Болевые ощущения, как и опухоль чаще всего спадают, но бывает, что приводят к фиброзным образованиям, отложениям соли и развитием остеофита (новообразование костной ткани).

Фиброзный флюс
- Фиброзный флюс.Данное воспаление развивается медленно и является хроническим. Фиброзный флюс (периостит) возникает в результате невылеченного простого и гнойного периостита.Проявляется патология в виде мозолистого фиброзного утолщения надкостного участка, с хроническим повреждением (язвы) поверхности ткани.Длительное течение заболевания приводит к разрушению костной структуры.
- Гнойный флюс.Возникновение гнойного флюса происходит по причине заражением стафилококками и стрептококками, а также некоторыми разновидностями грамположительных/грамотрицательных палочек и гнилостных инфекций.Гнойный флюс зуба появляется как осложнение периодонтита, также воспаление может образовываться при сложном появлении зубов и нагноением ретикулярных кист.Также флюс на десне может развиться после некачественного лечения или удаления зубов.
Симптомы и диагностирование флюса
Каждый вид флюса имеет свою специфическую картину диагностики, может быть отек на верхней или нижней челюсти.Как выглядит флюс на десне и существует ли возможность предотвратить развитие болезненных симптомов?Общие факторы, предшествующие появлению флюса:

Гнойный флюс.
- появляется отечность различных размеров;
- происходит покраснение слизистой оболочки рта;
- возникают свищи.
- Сопутствующие признаки появления флюса:
- отсутствие аппетита;
- повышение температуры тела до 38 градусов Цельсия.
Распространенные причины появления флюса также имеют различную этиологию:
- Кариес в запущенном состоянии.
- Пульпит.
- Периодонтит.
- Воспалительный процесс десневого кармана.
- Занесение инфекции в процессе лечения зуба.
- Некачественно запломбированные каналы зубов.
- Инфекционные заболевания различного характера.
- Непрофессионально удаленный зуб.
- Травматические повреждения.

Симптомы
Диагностирование флюса это легкая процедура, даже не профессионал может определить наличие опухоли на лице или образование фурункула/свища во рту. При осмотре ротовой полости наблюдаются ярко выраженные признаки возникновения периостита.
Лечение флюса
При возникновении периостита производят комплексное лечение: лечение по вскрытию гнойничка, лекарственная терапия консервативным методом.Чтобы вылечить флюс на начальном этапе заболевания, желательно немедленно обратиться к врачу для проведения операции по вскрытию зубной полости, в процессе которой удаляют гнойные образования.
Когда флюс на десне лечение происходит следующим образом:
- Обкалывание анестезинами участков рядом с пораженную область (в основном используется Ледокаин).
- Вскрывается рядом стоящий зуб с помощью бормашины.
- Открываются зубные каналы, для выведения гноя.
- Очищается вся полость зуба.
- Разрезается десна и вставляется специальный резиновый дренаж, для предотвращения заживления разреза до момента выведения всего гноя.
Комплексное лечение периостита требует обязательное лечение консервативным методом, поэтому назначаются противовоспалительные и антибиотические препараты:
- Для лечения от инфекции назначается Метронидозол, Линкомицин и Ципрофлоксацин.
- Для снятия болевого синдрома – Кетанов и Кеторолак.
- Профилактика дезинфекции рта производят при помощи Хлоргексидина или Миромистина.

Комплексное лечение
Важно! «Применение антибиотиков – это необходимость при лечении флюса, без данных препаратов может возникнуть осложнение, которое приведет к заражению крови».
Лечение флюса в домашних условиях
Проводить столь серьезное заболевание в домашних условиях крайне не рекомендуется, при некорректном применении каких либо средств можно добиться прямо противоположного эффекта.Но ситуации бывают разные, поэтому необходимо знать некоторые правила что делать и как лечить заболевания в домашних условиях, вернее снятие болевых синдромов.
Первое, что надо помнить – нельзя разогревать места воспаления, можно добиться таким образом разрыв гнойника и попадание гнойной массы непосредственно в ткань и кровь.Зубные каналы закрыты, прорези в десне нет, поэтому гною некуда будет вытекать кроме как оставаться на месте воспаления.Пораженную область необходимо охлаждать, делаются специальные ледяные компрессы для снижения активности гнойного воспаления.Также необходимо принимать меры для обеззараживания пораженного участка в домашних условиях, для этого можно полоскать рот прохладным .Ромашка имеет идеальные антибактериальные и противовоспалительные свойства, к тому же она практически не вызывает аллергию и не имеет никаких побочных эффектов.

Ципрофлоксацин
Крайне не рекомендуется лечить флюс в домашних условиях – чесноком и горячим раствором соды, боль может уменьшаться, но болезнь не пройдет, и флюс будет появляться снова и снова, пока не поразит все соседние участки.Можно использовать раствор с холодной/охлажденной содой: чайную ложку соды на стакан кипятка, потом остудить до холодного состояния, только после этого можно полоскать рот.Холодный содовый раствор снизит порог воспалительного синдрома (но не вылечит).Можно использовать мяту, она уменьшает боль благодаря своим охлаждающим эффектам, также масло мяты способствует уменьшению воспаления. Самое оптимальное средство при гнойных воспалениях – это антибиотики, поэтому дома всегда необходимо иметь пару пачек подобных лекарств и предварительно советоваться с врачом о приеме антибиотиков при возникновении абсцесса.
Важно! «Нельзя греть больной участок, никаких грелок и горячих полосканий на больной зуб, это может привести к заражению крови или (в лучшем случае) к хроническому периоститу».Что делать чтобы сохранить зуб и благополучно вылечить заболевание? Необходимо при первой же возможности обратиться к стоматологу для профессионального лечения.
Возможные осложнения
Гнойное поражение слизистых тканей и зубного корня при ненадлежащем лечении, а также в запущенном состоянии приведет к многочисленным осложнениям.Это может быть, как и потеря зубов, так и переход в гнойную ангину, отит, (воспаление среднего уха), конъюнктивит (с последующим ухудшением зрения – миопией), разрушение ткани челюсти и общей интоксикации организма.Не вылеченный флюс провоцирует появление самого распространенного осложнения – это абсцесса, хроническое скопление гнойной массы в мешочке из плотной ткани.

раствор из цветков Ромашки
Начало развития абсцесса выражается сильными болевыми синдромами, особенно при прикосновении к пораженной области рта.Со временем абсцесс изменяет внешнюю область – лицо становится не симметричным, появляется постоянная опухоль, говорить становиться сложно, нарушается дикция человека.Общее состояние при заболевании выражается в слабости, сонливости нарушением аппетита и повышением температуры тела.Бывают случаи, что гнойная масса самопроизвольно выходит наружу, в таком случае, при благоприятных обстоятельствах (исключить заражение крови) состояние человека улучшается.Но, как правило, самоизлечение не наступает, абсцесс переходит в хроническую форму, что выражается постоянной интоксикацией организма и приводит к развитию различных патологий внутренних органов человека.
Еще одна разновидность осложнения периостита – это флегмона.Флегмона мягких тканей очень опасное заболевание, отличие флегмоны от абсцесса заключается в более тонких стенках мешочка, в котором скопляются гной.Стенки гнойного мешка не препятствуют постоянному проникновению гноя в организм, начинается сильная интоксикация организма, повышается температура тела до 40 градусов Цельсия, затрудняется дыхание и начинается обильное потов деление.

Флегмона мягких тканей
Если не принять срочные меры по лечению, начинается заражение крови (сепсис) и возможен летальный исход.При любых признаках появления флегмоны необходимо обратиться в стационар, чтобы предотвратить крайне негативные последствия.Важно! «Повышение температуры выше 38,5 всегда говорит о наличие крайне неблагоприятного процесса в организме, поэтому в таком случае необходимо срочно вызывать скорую помощь».
Профилактика образования флюса
Профилактические процедуры по предотвращению появления флюса намного целесообразнее, чем последующего терпения болей, медикаментозное лечение и возникновение осложнения.Самое важное в профилактике любых заболеваний зубных и около зубных полостей – это регулярный осмотр врача.Профилактическое обследование у стоматолога раз в полгода, предотвратит многочисленные возможные проблемы с зубами.Необходимо лечение кариеса и других зубных болезней в самом начале появления, даже если заболевание еще не дало болевые синдромы и какое-либо состояние дискомфорта.Не стоит пренебрегать элементарными способами гигиены полости рта: чистить зубы необходимо минимум два раза в день, при этом тщательно подбирая зубную пасту именно под свои биологические особенности (больше фтора/кальция, травяные/ ментоловые и тд.).

Профилактика
Все рекомендации по индивидуальному уходу можно получить у стоматолога, который осмотрит состояние структуры эмали, возможные повреждение ткани зубов и десен и даст заключительный анамнез по оптимальным средствам для ухода.Также необходимо как можно чаще менять зубную щетку, так как при долгом использовании щетка сама может стать источником бактерий.Щетку необходимо постоянно обеззараживать в кипятке или специальным раствором (Хлоргексидин), после лечения какого либо заболевания – зубную щетку надо менять, даже если она была использована незначительное количество времени.
Так же требуется удалять зубной камень с эмали, для этой процедуры необходимо обратиться к стоматологу.
А самое важное – это правильное и полноценное питание, употребление в пищу как можно больше овощей и фруктов, желательно в сыром виде и сезонный прием витаминных комплексов. Правильное питание самый важный аспект в сохранении и восстановлении здоровья.
zubpro.ru
Как лечить флюс в домашних условиях
Почти каждый человек в своей жизни сталкивался с таким неприятным заболеванием, как флюс. Сегодня мы расскажем Вам, как лечить флюс в домашних условиях. Речь пойдет о самых эффективных и доступных методах лечения этого заболевания.
Зубная боль – одно из самых мучительных недомоганий. К сожалению, образ жизни современного человека не способствует стабильному состоянию зубов, поэтому для поддержания порядка во рту необходимо регулярно показываться стоматологу.
Однако заводить тесную дружбу с зубоврачебным креслом многие из нас не спешат – мешает страх перед болезненными процедурами, да и время выбрать в плотном рабочем графике трудно. Вот и оттягиваем визит к зубному доктору – тем более, если ничего не болит.
Но отсутствие выраженных болевых ощущений отнюдь не означает, что с вашими зубами и деснами все благополучно. Разрушительные процессы в зубодесневом аппарате начинаются абсолютно бессимптомно, и обнаружить их может только внимательный взгляд специалиста, вооруженного современным инструментарием.
Пренебрегая регулярными осмотрами у дантиста, мы рискуем заполучить обострения, чреватые, помимо нестерпимой боли, серьезными осложнениями вплоть до полной потери зуба и воспалений прилегающих органов и тканей.
Зубной флюс лечение
Одним из таких грозных осложнений является одонтогенный периостит, в просторечии — зубной флюс, лечение которого является достаточно сложным и болезненным. Периостит – это воспаление надкостницы, спровоцированное, в свою очередь, не вылеченными воспалительными заболеваниями зубов.
Кариозный процесс, постепенно разрушая зуб, открывает двери всевозможным инфекциям. Проникая во внутренние, мягкие ткани зуба (пульпу) и пожирая их, воспаление, наконец, добирается до нерва, и тут начинаются адские боли. Как правило, в этот момент человеку уже не до страхов, и он бегом бежит к стоматологу, лишь бы унять жгучую боль.
Но нередко с помощью обезболивающих лекарств боль удается приглушить. А вскоре она и сама становится все меньше и, наконец, исчезает вовсе. Но радоваться тут нечему. Боль прошла потому, что инфекция убила нерв, и зуб потерял чувствительность.
Обратите внимание!
Но воспалительный процесс продолжает набирать силу, он проникает все глубже и распространяется на ткани, окружающие корень зуба. В толще надкостницы образуется гнойник. Гнойный процесс развивается, захватывая десну, а затем и щеку.Помимо невылеченного кариеса флюс может возникнуть по следующим причинам:
- некачественная пломбировка зубов, в частности, прохождение каналов не до конца;
- воспаление зубодесневого кармана при пародонтитах и парадонтозе;
- нарушения правил антисептики при лечении;
- механические повреждения.
Флюс: симптомы, течение, последствия

На начальной стадии флюс обозначает себя ноющей болью, которая усиливается при надавливании или надкусывании на больной зуб. Боль может быть пульсирующей (зуб словно «дергает»). Затем, если пациент не получает лечения, возникает отечность и покраснение десны в области гнойника, боль усиливается, становится постоянной.
Если меры и тут не принимаются, болезненная отечность распространяется на ткани лица, температура тела подскакивает до 38 – 38,5°С.
При поражении верхнего зуба опухает верхняя губа и щека вплоть до подглазничной области, боль может иррадиировать в висок и в глаз. Если же флюс образовался на нижней челюсти, то раздувается нижняя часть щеки по направлению к подбородку.
Расположенные поблизости лимфоузлы увеличиваются – так они реагируют на воспаление. Боль может «отдавать» в ухо и горло – становится больно глотать, поворачивать голову и двигать челюстью даже при разговоре.
Случается, что флюс вскрывается самопроизвольно. Часть гноя вытекает, больной испытывает некоторое облегчение. Однако воспалительный процесс на этом не прекращается, и в скором времени флюс оказывается на своем привычном месте.
Это опасно!
А последствия могут оказаться весьма печальными – вместо абсцесса (замкнутая полость, наполненная гноем) образуется флегмона (гнойный инфильтрат, или пропитывание окружающих тканей гноем), грозящая заражением крови. Гнойный процесс также может перекинуться на мозговые оболочки.Флюс: лечение у стоматолога
Надеемся, нам удалось убедить вас при первых признаках одонтогенного периостита немедленно мчаться к доктору, который точно знает, как лечить флюс на десне. Лечение может проводиться разными методами.
Консервативная методика эффективна на ранней стадии болезни и подразумевает терапевтическое воздействие с помощью курса антибиотиков. При этом иногда даже удается сохранить и залечить больной зуб, правда, все манипуляции с ним будут допустимы только после того, как спадет воспаление.
Запущенный флюс, увы, будут лечить хирургическим путем, при этом, скорее всего, придется попрощаться с зубом – его удалят. Гнойник вскроют, тщательно очистят полость от накопившегося гноя и обработают сильными антисептиками.
Затем в разрез вставят дренажную трубку для обеспечения оттока вновь возникающего гноя. Параллельно больному назначат анальгетики и антибиотики. Улучшения самочувствия можно ожидать приблизительно через 12 – 15 часов после операции.
Послеоперационное поведение пациента должно быть подчинено определенным правилам:
- не прикладывать к больному месту грелку, не делать согревающих компрессов;
- не принимать аспирин во избежание усиления кровотечения;
- не принимать антибиотики и обезболивающие средства без консультации с врачом.
Флюс: лечение народными средствами
Поскольку флюс чреват грозными осложнениями, о которых было рассказано выше, заниматься самолечением мы категорически не рекомендуем. Однако, если нет возможности немедленно попасть в умелые руки стоматолога, можно в качестве временной доврачебной помощи воспользоваться средствами народной медицины.
На протяжении столетий страдальцы с опухшими щеками усердно размышляли о том, как лечить флюс в домашних условиях. Целителями и потомственными знахарями были испробованы многие методы. Сейчас можно сказать с полной уверенностью, что народное лечение флюса является весьма успешным и востребованным в наше время.
Пальма первенства среди народных рецептов принадлежит всевозможным полосканиям на основе целебных трав.
- Приготовьте травяной сбор из измельченных и высушенных шалфея, зверобоя и коры дуба, взяв по две столовые ложки каждого растения. Перемешайте, полученную смесь сложите в стеклянную банку и плотно закройте. Для приготовления полоскания возьмите две столовые ложки сбора и залейте литром крутого кипятка. Дайте настояться. Полученное количество настоя разделите на 10 порций и полощите в течение дня.
- Травяной сбор из дудника лесного, мяты перечной, березовых почек и барвинка малого (по три столовых ложки каждой травки) тщательно перемешайте и залейте водкой в количестве 800 мл. Настаивайте сутки, затем процедите. Готовым настоем полощите рот каждые два часа в течение дня.
- Две столовые ложки зеленого чая смешайте с двумя столовыми ложками шалфея, залейте литром кипятка и добавьте две чайные ложки соли. Дайте настояться, затем полощите рот каждые два часа в течение дня.
- Шалфей заваривать, как чай и полоскать рот настоем как можно чаще.
- Столовую ложку препарата «Хлорофиллипт» растворите в стакане теплой воды и полощите рот этим раствором.
- Для обезболивания смочите ватный тампон свежеприготовленным соком репчатого лука и приложите к воспаленной десне.
- Приготовьте гипертонический раствор поваренной соли: чайная ложка соли на 0,5 стакана теплой воды. Тщательно размешайте соль. Наберите в рот порцию раствора и держите на стороне флюса в течение 5 – 7 минут. Затем сплюньте и наберите новую порцию. Повторяйте процедуру, пока раствор не кончится. В течение дня проведите еще несколько подобных «сеансов». Этот раствор прекрасно вытягивает гной из глубоких слоев десны к поверхности, позволяя в некоторых случаях обойтись без хирургического вмешательства.
- Если гнойник вышел на поверхность и вот-вот лопнет или уже лопнул, целесообразно полоскать рот ярко-розовым раствором перманганата калия (в просторечии марганцовкой).
Профилактика возникновения флюса
Избежать знакомства с неприятностью по имени флюс достаточно просто. Для этого нужно придерживаться несложных правил:
- тщательно и грамотно чистить зубы;
- регулярно, не реже одного раза в год, посещать дантиста;
- придерживаться здорового питания с достаточным количеством овощей, фруктов и кисломолочных изделий; конфеты и прочие сладости, напротив, лучше ограничить.
Следите за своими зубами, не запускайте болезни зубов и десен, и ваша улыбка всегда будет лучезарной и привлекательной.
Будьте здоровы!
Автор статьи
Образование: Гродненский государственный медицинский университет. Специальность: Врач терапевт.
Дополнительно окончил ГБОУ СПО ВО Борисоглебское медицинское училище, по специальности «Стоматология», квалификация «Зубной врач».
Ведущий специалист, по подготовке профессиональных кадров в ГБОУ СПО ВО Борисоглебское медицинское училище. В 2008 году окончил ГОУ ВПО Борисоглебский педагогический институт по специальности педагогика и психология, квалификация педагог-психолог.
Написано статей
Отличная статья 1
ibeauty-health.com

