Диагностика опухоли головного мозга | МРТ и КТ мозга
В наше время благодаря развитию медицины стало намного проще производить диагностику опухоли головного мозга. Существует довольно много способов подобной диагностики, однако наиболее распространенными и точными являются МРТ (магнитно-резонансная томография) и КТ (компьютерная томография).
Они дают возможность врачу-онкологу определить стадию заболевания, ее течение и другие данные. МРТ и КТ проводятся, не причиняя дискомфорта пациенту. Цена подобной диагностики опухолей головного мозга не является низкой, однако она соответствует качеству.
Магнитно-резонансная томография
МРТ диагностика опухолей головного мозга является решающим этапом в данном исследовании. Она дает возможность сделать снимки под разными углами, которые помогают специалистам-онкологам составить изображение опухоли в 3D. Снимки, полученные при помощи МРТ, позволяют получить очень четкое изображение новообразований, расположенных рядом с костями, а также небольших и находящихся на ранних стадиях развития опухолей, в том числе и опухолей ствола головного мозга.
МРТ дает максимально детальное изображение сложных структур мозга. Благодаря этому можно получить снимок головного мозга в 3D, что позволяет специалистам точно определить местонахождение новообразования или аневризмы.
Проведение МРТ предполагает выполнение определенных предписаний. Пациенту следует снять с себя все металлические предметы, в том числе украшения. Если же у него в организме имеются какие-либо искусственные металлические имплантаты:
- кардиостимулятор,
- искусственный сустав,
- порт для внутривенного введения препаратов,
он должен сообщить об этом специалисту. В подобных случаях МРТ пациенту противопоказано. Ему могут назначить другую диагностику опухоли головного мозга, например, лучевую.
При МРТ пациент помещается в специальную камеру, где подвергается облучению электромагнитными волнами. Подобная диагностика не только безболезненна, но и не вызывает никакого дискомфорта.
Компьютерная томография
КТ диагностика опухолей головного мозга представляет собой современный способ рентгенологического исследования организма, позволяющий исследовать послойно его новообразования и обработать полученную информацию на компьютере.
При КТ для получения максимально детальных снимков используются рентгеновское оборудование и компьютерное обеспечение, отличающиеся не только точностью, но и сложностью. КТ не так чувствительна к обнаружению маленьких и находящихся на ранних стадиях развития опухолей, а также опухолей ствола мозга, как МРТ. Но и такое исследование имеет свои преимущества, например, при введении в организм пациента контрастного вещества для обнаружения патологических образований. В данном случае компьютерная томография помогает определить расположение опухоли, а иногда — и ее вид.
Диагностика опухолей головного мозга при помощи компьютерной томографии, в том числе и ранняя, выглядит следующим образом. Пациент вводится в специальную камеру, постепенно, лежа на специальном столе. В этот момент вокруг него движется аппарат, излучающий рентгеновский луч. Это дает возможность получить снимки под разными углами и обработать информацию на компьютере. После этого пациент в камере снова смещается на определенное расстояние. В конечном итоге врач получает послойное изображение органа или ткани организма больного и может судить о размерах опухоли, глубине ее залегания и отношении к соседним органам и системам.
КТ обладает гораздо более чувствительной методикой, чем рентгенологическое обследование. Она позволяет получить снимки высокого разрешения, как костных структур организма, так и его мягких тканей, дает четкое изображение:
- головного мозга,
- суставов,
- вен,
- артерий,
что нужно при диагностике патологических образований — опухолей и кровоизлияний.
Данное исследование в некоторых ситуациях проводится с использованием контрастного вещества.
Диагностика при помощи КТ абсолютно безболезненна и не вызывает никаких неприятных ощущений у пациента. Доза рентгеновского облучения, которую он получает во время исследования, минимальна и не вызывает никаких побочных эффектов. Стоит отметить, что иногда у больного может проявиться реакция на контрастное вещество, которое применяется для диагностики с помощью КТ.
КиберНож
После диагностики опухоли головного мозга вы можете обратиться в клинику «Онкостоп» для дальнейшего лечения. Мы используем радиохирургический метод терапии – систему КиберНож. Данная система имеет множество преимуществ. Лечение с ее помощью проходит абсолютно безболезненно, не требует длительного нахождения пациента в стационаре, не предполагает осложнений в послеоперационный период. Также оно не вызывает осложнений, возникающих после хирургического вмешательства. К ним относятся в первую очередь кровотечение и риск инфицирования.
Лечение больного при помощи системы КиберНож проводится при условии отсутствия у него определенных хронических заболеваний или стабилизации основного заболевания. Она успешно применятся для лечения неоперабельных пациентов, а также тех, кто самостоятельно отказался от операции.
Подробную информацию о лечении опухолей головного мозга на системе «КиберНож» Вы можете получить у наших специалистов центра лучевой терапии «Онкостоп» по телефону +7 (499) 322-31-85
лечение, симптомы, диагностика опухоли — клиника ЛИСОД в Киеве, Украине
В клетках наиболее агрессивной опухоли головного мозга выявили фермент, который и обуславливает ее агрессивность. Сегодня ведутся работы над тем, чтобы заблокировать клеточные рецепторы к этому ферменту, что позволит существенно затормозить развитие и рост опухоли.
Читать полностью
Ученые обнаружили, что вакцина от полиомиелита может предупредить рецидив глиобластомы – злокачественной опухоли головного мозга.
Скрыть
Опухоль головного мозга значительно отличается от других новообразований. Эти отличия состоят в гистогенезе, клинических проявлениях, возможностях лечения. Специфичность опухолей головного мозга определяет наличие гематоэнцефалического барьера. Гематоэнцефалический барьер ограничивает проникновение многих веществ (в том числе, и лекарственных) из кровеносного русла в ткань мозга.
Диагностика
Неинвазивные методы
- Неврологическое исследование.

- Патопсихологическое исследование.
- Нейроофтальмологическое исследование.
- Отоневрологическое исследование.
- Компьютерная томография.
- Эхоэнцефалография (ультразвук).
- Электроэнцефалография.
Инвазивные методы
- Исследование ликвора: давление ликвора, содержание белка в ликворе, цитологическое исследование, цитоскопия ликвора, исследование ликвора на предмет активности В- глюкуронидазы, исследование изоферментного состава ликвора.
- КТ с внутривенным контрастированием
- Эндоскопическое исследование (вентрикулоскопия + операции)
- Иммуногистохимическая диагностика
- Пункционная биопсия непосредственно перед операцией для окончательного уточнения диагноза.
Лечение
Полную информацию о диагностике и лечении этого вида рака Вам предоставят консультанты Информационной службы LISOD:
- 0-800-500-110 (бесплатно для звонков
со стационарных телефонов по Украине) - или +38 044 520 94 00 – ежедневно
с 08:00 до 20:00.
Лечение опухолей головного мозга является одной из наиболее сложных задач. Глиомы лечатся хирургическим удалением, постоперационной лучевой терапией и применением различных схем химиотерапии. Анапластическая астроцитома и мультиформная глиобластома отличаются значительно большей радио- и химиорезистентностью по сравнению с другими опухолями.
Значение хирургического вмешательства переоценить сложно, однако не всегда есть возможность его осуществить. Ввиду отсутствия четких границ между опухолью и мозговым веществом макроскопически полное удаление злокачественных опухолей можно выполнить с помощью уточненной предоперационной диагностики их распространения и расположения с использованием современных методов диагностики (КТ, АГ, предоперационное окрашивание опухоли).
Эффективность лечения большинства злокачественных опухолей головного мозга достигается за счет комбинированного хирургического, лучевого (лучевая терапия опухолей головного мозга) и химиотерапевтического (химиотерапия опухолей головного мозга) методов лечения.
При некоторых опухолях основными методами лечения являются облучение головного мозга или химиотерапия опухолей головного мозга. Метастатические опухоли головного мозга – злокачественные новообразования, которые формируются в раковых клетках, возникающих в различных областях или органах тела. Такие онкологические заболевания, как рак легкого, молочной железы, рак кожи и почек являются наиболее частой причиной метастатических опухолей головного мозга. Лечение метастазов головного мозга проходит по правилам лечения того вида рака, который эти метастазы и породил.
Симптомы
В зависимости от локализации опухоли мозга и ее размеров рак головного мозга может давать самые разнообразные симптомы. Клинические проявления опухолей головного мозга обычно усиливаются с развитием заболевания.
Это может выражаться в нарастании очаговых, общемозговых и общесоматических симптомов. Если опухоль мозга доброкачественная, заболевание развивается обычно постепенно, медленно и мягко на протяжении нескольких лет. Развитие опухоли мозга может протекать скрыто длительное время, с периодическими обострениями клинических проявлений. При злокачественных опухолях заболевание обычно начинается остро, иногда инсультообразно, наподобие сосудистого заболевания головного мозга или инфекционного вирусного менинго-энцефалита.
Головная боль является одним из основных, частых и ранних общемозговых симптомов развивающихся опухолей. Характер головной боли может зависеть от локализации опухоли и ее гистоструктуры.
Как общемозговой симптом рвота встречается часто и имеет ряд характерных черт: внезапный, рефлекторный, фонтанирующий характер. Возникновение рвоты не зависит от приема пищи, бывает часто натощак и без предварительной тошноты, отрыжки и болей в животе.
Головокружение наступает под влиянием острого повышения внутричерепного и ликворного давления. Обычно головокружение сопровождается шумом в ушах, снижением слуха, а также головной болью, рвотой.
Психические симптомы возникают постепенно вместе с другими общемозговыми симптомами в результате нарастающего повышения внутричерепного давления, расстройства крово- и лимфообращения, гипоксии, отека мозга и дистрофии клеточных структур коры больших полушарий. Интоксикация также может вызывать психические симптомы. Наиболее типичные расстройства психики: оглушенность, ослабление внимания, притупление восприятия и памяти, замедление ассоциативных процессов, снижение критического отношения к себе, к своей болезни и окружающим, общая вялость, безучастность, безынициативность.
Существуют также психические синдромы, которые имеют топикодиагностическое значение.
При опухолях лобной доли:
- общая вялость, инертность, безынициативность, апатия, снижение памяти и интеллекта;
- психическое возбуждение, агрессивность, которые сменяются благодушием и эйфорией;
- легкомысленность, некритичность, странности в поведении, неопрятность с мочой и калом.

При опухолях височной доли: обонятельные, вкусовые и слуховые галлюцинации.
При локализации опухоли на стыке височной и затылочной долей: зрительные галлюцинации.
При поражении теменной доли: боли в конечностях.
Менингеальные симптомы могут развиваться в результате повышения внутричерепного давления, а также вследствие местного воздействия на оболочки мозга. Эпилептический синдром часто возникает на ранних стадиях заболевания до появления внутричерепной гипертензии (в 36,7% случаев проявляется в первую очередь).
Факторы риска
К сожалению, до сих пор не известны причины возникновения опухолей мозга. Большая вероятность, по мнению многих исследователей, может быть отдана черепно-мозговой травме, наследственности и неблагоприятному влиянию окружающей среды.
Вопросы и ответы
В разделе публикуются вопросы пациентов и ответы наших специалистов.
Вопрос каждого человека касается конкретной проблемы, связанной с его заболеванием. Пациентам отвечают израильские клинические онкологи и главный врач LISOD, д.м. н., профессор Алла Винницкая.
Ответы специалистов основаны на знаниях принципов доказательной медицины и профессиональном опыте. Ответы соответствуют исключительно предоставленным сведениям, имеют ознакомительный характер и не являются врачебной рекомендацией.
Основная цель раздела – дать информацию пациенту и его семье, чтобы вместе с лечащим врачом принять решение о виде лечения. Предложенная Вам тактика лечения может отличаться от принципов, изложенных в ответах наших специалистов. Не стесняйтесь задать лечащему врачу вопрос о причинах отличий. Вы должны быть уверены, что получаете правильное лечение.
Добрый день, доктор! Помогите! Брату 25 лет сделали операцию в 2011 году по удалению протоплазматической астроцитомы левой височной доли головного мозга.
Выписали с заключением: Ликворно-гипертенвионный, судорожный синдром. Правосторонняя пирамидная недостаточность. Делаем повторное МРТ ежегодно наблюдается изменение опухоли, признаки продолжения роста образования левой лобно-высочной области, отрицательная динамика с 2013 в сторону появления кисты в лобной области слева. Судорожные и приступы рвоты не прекращаются. Принимает карбомазепин по назначению доктора. Какие Вы можете дать прогнозы? Мы в растерянности не знаем что делать и как поступить. Спасибо огромное!
Следует проконсультироваться с нейрохирургами по вопросу повторного оперативного вмешательства (даже частичного удаления при выраженном т.
н. масс-эффекте) и после гистологического исследования решить о необходимости дополнительного онкологического лечения (лучевая, химиотерапия или их сочетание). Если операция в принципе невозможна, следует провести стереотактическую биопсию опухоли (она, как правило, меняет свою природу со временем – становится более агрессивной) и затем решать вопрос о виде лечения.
Здравствуйте, сможет ли ваша клиника нам помочь? Моему мужу 28 лет. У него опухоль в головном мозге, диагноз следующий: многоузловая внутримозговая глиальная опухоль с распространением в хиазмально-селлярною область, паравентрикулярно с двух сторон, атрофия зрительных нервов.
Сам он болеет уже 2 года несахарным диабетом. Два месяца назад у него начались такие симптомы: ухудшение зрения, нарушение памяти и координации, боли в спине и ногах. У нас в больнице мы сделали МРТ, заключение: На серии полученных МР-томограмм в сагиттальной, аксиальной и коронарной проекции в Т1ВИ режиме в супраселлярной области определяется объемное образование размерами 39х32х32 мм, неравномерно интенсивно накапливающее парамагнетик, прорастающее в третий и боковые желудочки.
Желудочки мозга и подпаутинные пространства расширены. Желудочки мозга неравномерно деформированы. Срединные структуры не смещены. Что нужно делать? Благодарю!
Основной метод лечения подобных опухолей — хирургический, с последующим решением вопроса о необходимости лучевой терапии или лучевой терапии совмещенной с химотерапией в соответствии с гистологическим диагнозом и объемом оперативного вмешательства.
Если случай признан неоперабельным — проводится биопсия (предпочтительно — стереотактическая) с последующим решением решением о консервативной терапии (лучевая +/- химиотерапия).
Здравствуйте, доктор! Моему брату (27 лет) удалили в Одессе опухоль головного мозга. Сначала говорили, что она доброкачественная, после гистологии оказалась мультиформная глиобластома. Подскажите, какие прогнозы и что в данном случае можно сделать? Спасибо!
Следует провести ревизию гистологических препаратов (в таком возрасте глиобластома — достаточно редкое заболевание) и решить о необходимости профилактического лечения ( лучевая терапия +/- химиотерапия либо одна из двух опций).
Здравствуйте! Женщине 67 лет. С ней случился инсульт неделю назад. На данный момент находится в больнице. Состояние плохое. МРТ: объемное поражение височно-лобно -теменной области слева (глиобластома?) с признаками правосторонней латеральной и аксиальной дислокации срединных структур и компрессией левого бокового желудочка, дифференцировать с внутримозговой гематомой в стадии обратного развития. Отек вещества мозга левой гемисферы. Остеохондроз С4-5, С5-6, С6-7 дисков ШОП.
Доктор сказал, что в мозгу три очага метастаз. Предполагают распространение метастаз еще в организме. И тем не менее предлагают оперировать.
Спасет ли это больную. Готовы от Вас услышать любой вариант ответа.
Первичные опухоли головного мозга, а глиобластома – это первичная опухоль мозга, как правило не дают метастазов в другие органы. Они, правда, могут быть мультицентрическими (несколько отдельных очагов), что иногда затрудняет дифференциальную диагностику первичных опухолей мозга и метастазов в мозг опухолей других органов. Оптимальная диагностика — это биопсия и гистологическое исследование, а если это не возможно (по различным причинам),- в некоторых случаях может помочь МРТ с контрастированием. Оперируются как первичные опухоли мозга таки метастатические. В первом случае — это основной метод лечения (в зависимости от типа опухоли в последующем проводится лучевая +/- химиотерапия), во втором – операция показана при больших, оказывающих объемный эффект, метастазах, как правило, единичных при хорошем общем состоянии пациента и ожидаемой выживаемости более 3-4 месяцев.
В зависимости от размеров и локализации метастазов также может быть эффективна так называемая стереотактическая лучевая терапия (точное, прицельное облучение метастаза в большой дозе в один-три приема) которая уже доступна и в Украине.
Добрый день, доктор! Помогите! Диагноз — анапластическая астроцитома в правой гемосфере, в 2010 году проведена лучевая терапия в Израиле, динамика была отличная. Размер уменшился с 7-8 мм до 3мм. В феврале 2013 года удалили вновь выросшую опухоль. МРТ от июля 2013 показало отрицательную динамику. Какой Ваш совет?
Возможно взвесить стереотактическую реиррадиацию опухоли (на аппарате Кибер-нож или Гамма-нож) и, если речь идет об анапластической астроцитоме, возможна также химиотерапия Темодалом.
Здравствуйте! Моей маме (63 года) 21.03.2013 сделали операцию по удалению опухоли головного мозга. Диагноз — глиобластома 4 стадии. После операции произошел неврологический дефицит правых конечностей. Возможно ли дальнейшее лечение химией? На сколько можно продлить жизнь при таком диагнозе? Спасибо за ответ.
Стандартным лечением после проведенной операции по удалению глиобластомы, является лучевая терапия совместно с химиотерапией Темодалом. Средняя двухлетняя выживаемость всей этой группы больных составляет около 20-25%.
Здравствуйте! У моего дяди МРТ показало опухоль примерно 3 на 2,5 см в левой височно-теменной области.
У него наблюдалось онемение правой руки и ноги, головные боли и потеря сознания два раза. На консультации в НИИ нейрохирургии отказали в операции из-за расположения опухоли в глубинных слоях мозга, рекомендовали сделать биопсию. Помогите, пожалуйста, с приблизительным прогнозом, поскольку дядя не верит в излечении, а боится, что лечение возможно принесет даже ухудшение состояния. Какова статистика выживаемости с таким диагнозом? Каковы варианты лечения могут назначить после биопсии и принесёт ли вообще лечение какие-то результаты. Заранее спасибо за ответ!
Диагноза-то, к сожалению, и нет. По приведенным данным ничего сказать невозможно. Необходима стереотактическая биоспия опухоли, после чего можно будет говорить о тактике лечения и прогнозе.
Добрий день! Моїй мамі зробили КТ (вік 49 років — втрата зору на ліве око), на якій наймовірніше виявлена доброякісна менінгіома.
Результати обстеження: Об’ємний утвір ГМ (найімовірніше менінгеома).
Знаходиться у складному місці для оперування. Найімовірніше вона доброякісна. Чи є якісь можливості зупинки росту пухлини, або ж можливості із застосуванням радіохірургії (променева терапія)?
Применение радиохирургии по эффективности сопоставимо с результатами хирургического удаление менингиомы и широко используется в практике. При невозможности, по разным причинам (включая экономические) использовать этот вид облучения («Кибернож», «Гамманож»), возможно применить и конформальную трехмерную фракционированную радиотерапию – это, в отличии от первого, длительное ежедневное лечение и поля несколько больше, но эффект практически тот же.
Доктор, добрый день! Мужу сделали операцию по удалению глиобластомы в декабре 2011.
В феврале 2011 проведена лучевая терапия 60 Грей и два цикла химиотерапии (первая — препаратом Темодал 1800мг, вторая препаратом Темонат 1800мг). Через 7 месяцев провели компьютерную томографию и обнаружили опухоль такой же величины в том же части, что и до операции. Предлагают опять хирургическое вмешательство. Что делать? Нужно ли после операции опять проходить облучение и химиотерапию? Сколько раз опухоль может появляться еще?
Рецидивы (возврат) глиобластом одна из основных их биологических особенностей и хорошо известна. Повторное вмешательство предпочтительно (если оно возможно без значительных функциональных последствий). Затем возобновить химиотерапию Темозоламидом. Повторное облучение с учетом полученной дозы, сроков проведенного лечения и возможных осложнений, менее приемлемая опция. Надо понимать, что все это не гарантирует отсутствие очередного рецидива в дальнейшем.
лечение, симптомы, диагностика опухоли — клиника ЛИСОД в Киеве, Украине
В клетках наиболее агрессивной опухоли головного мозга выявили фермент, который и обуславливает ее агрессивность. Сегодня ведутся работы над тем, чтобы заблокировать клеточные рецепторы к этому ферменту, что позволит существенно затормозить развитие и рост опухоли.
Читать полностью
Ученые обнаружили, что вакцина от полиомиелита может предупредить рецидив глиобластомы – злокачественной опухоли головного мозга.
Эта вакцина является модифицированной (измененной) формой вируса полиомиелита. Она смертельна для раковой клетки и абсолютно безвредна для здоровых клеток. Введенная непосредственно в опухоль вакцина стимулирует иммунную систему организма для выработки естественных иммунных клеток-киллеров, атакующих опухоль. Этот метод действенный еще и потому, что нет необходимости преодолевать гематоэнцефалический барьер (естественный защитный барьер между мозгом и кровеносной системой). Когда метод будет полностью отработан, откроются новые возможности, и лечение рака головного мозга станет более эффективным.
Скрыть
Опухоль головного мозга значительно отличается от других новообразований. Эти отличия состоят в гистогенезе, клинических проявлениях, возможностях лечения. Специфичность опухолей головного мозга определяет наличие гематоэнцефалического барьера. Гематоэнцефалический барьер ограничивает проникновение многих веществ (в том числе, и лекарственных) из кровеносного русла в ткань мозга.
Опухоль головного мозга может встречаться в любом возрасте. Злокачественные астроцитарные опухоли, такие как анапластическая астроцитома и мультиформная глиобластома, составляют около 60% всех образований головного мозга и относятся к злокачественным глиомам. Астроцитома располагается обычно в белом веществе головного мозга. Рак головного мозга встречается относительно редко – около 1,5 % среди всех видов опухолей.
Диагностика
Основанием для предположительного диагноза опухоли мозга и направления больного на консультацию к онкологу являются появление и прогрессивное нарастание выраженности тех или иных неврологических симптомов. В LISOD применяют современные методы диагностики опухолей мозга.
Неинвазивные методы
- Неврологическое исследование.

- Патопсихологическое исследование.
- Нейроофтальмологическое исследование.
- Отоневрологическое исследование.
- Компьютерная томография.
- Эхоэнцефалография (ультразвук).
- Электроэнцефалография.
Инвазивные методы
- Исследование ликвора: давление ликвора, содержание белка в ликворе, цитологическое исследование, цитоскопия ликвора, исследование ликвора на предмет активности В- глюкуронидазы, исследование изоферментного состава ликвора.
- КТ с внутривенным контрастированием
- Эндоскопическое исследование (вентрикулоскопия + операции)
- Иммуногистохимическая диагностика
- Пункционная биопсия непосредственно перед операцией для окончательного уточнения диагноза.
Лечение
Полную информацию о диагностике и лечении этого вида рака Вам предоставят консультанты Информационной службы LISOD:
- 0-800-500-110 (бесплатно для звонков
со стационарных телефонов по Украине) - или +38 044 520 94 00 – ежедневно
с 08:00 до 20:00.
Лечение опухолей головного мозга является одной из наиболее сложных задач. Глиомы лечатся хирургическим удалением, постоперационной лучевой терапией и применением различных схем химиотерапии. Анапластическая астроцитома и мультиформная глиобластома отличаются значительно большей радио- и химиорезистентностью по сравнению с другими опухолями.
Значение хирургического вмешательства переоценить сложно, однако не всегда есть возможность его осуществить. Ввиду отсутствия четких границ между опухолью и мозговым веществом макроскопически полное удаление злокачественных опухолей можно выполнить с помощью уточненной предоперационной диагностики их распространения и расположения с использованием современных методов диагностики (КТ, АГ, предоперационное окрашивание опухоли).
Эффективность лечения большинства злокачественных опухолей головного мозга достигается за счет комбинированного хирургического, лучевого (лучевая терапия опухолей головного мозга) и химиотерапевтического (химиотерапия опухолей головного мозга) методов лечения.
При некоторых опухолях основными методами лечения являются облучение головного мозга или химиотерапия опухолей головного мозга. Метастатические опухоли головного мозга – злокачественные новообразования, которые формируются в раковых клетках, возникающих в различных областях или органах тела. Такие онкологические заболевания, как рак легкого, молочной железы, рак кожи и почек являются наиболее частой причиной метастатических опухолей головного мозга. Лечение метастазов головного мозга проходит по правилам лечения того вида рака, который эти метастазы и породил.
Симптомы
В зависимости от локализации опухоли мозга и ее размеров рак головного мозга может давать самые разнообразные симптомы. Клинические проявления опухолей головного мозга обычно усиливаются с развитием заболевания.
Это может выражаться в нарастании очаговых, общемозговых и общесоматических симптомов. Если опухоль мозга доброкачественная, заболевание развивается обычно постепенно, медленно и мягко на протяжении нескольких лет. Развитие опухоли мозга может протекать скрыто длительное время, с периодическими обострениями клинических проявлений. При злокачественных опухолях заболевание обычно начинается остро, иногда инсультообразно, наподобие сосудистого заболевания головного мозга или инфекционного вирусного менинго-энцефалита.
Головная боль является одним из основных, частых и ранних общемозговых симптомов развивающихся опухолей. Характер головной боли может зависеть от локализации опухоли и ее гистоструктуры.
Как общемозговой симптом рвота встречается часто и имеет ряд характерных черт: внезапный, рефлекторный, фонтанирующий характер. Возникновение рвоты не зависит от приема пищи, бывает часто натощак и без предварительной тошноты, отрыжки и болей в животе.
Головокружение наступает под влиянием острого повышения внутричерепного и ликворного давления. Обычно головокружение сопровождается шумом в ушах, снижением слуха, а также головной болью, рвотой.
Психические симптомы возникают постепенно вместе с другими общемозговыми симптомами в результате нарастающего повышения внутричерепного давления, расстройства крово- и лимфообращения, гипоксии, отека мозга и дистрофии клеточных структур коры больших полушарий. Интоксикация также может вызывать психические симптомы. Наиболее типичные расстройства психики: оглушенность, ослабление внимания, притупление восприятия и памяти, замедление ассоциативных процессов, снижение критического отношения к себе, к своей болезни и окружающим, общая вялость, безучастность, безынициативность.
Существуют также психические синдромы, которые имеют топикодиагностическое значение.
При опухолях лобной доли:
- общая вялость, инертность, безынициативность, апатия, снижение памяти и интеллекта;
- психическое возбуждение, агрессивность, которые сменяются благодушием и эйфорией;
- легкомысленность, некритичность, странности в поведении, неопрятность с мочой и калом.

При опухолях височной доли: обонятельные, вкусовые и слуховые галлюцинации.
При локализации опухоли на стыке височной и затылочной долей: зрительные галлюцинации.
При поражении теменной доли: боли в конечностях.
Менингеальные симптомы могут развиваться в результате повышения внутричерепного давления, а также вследствие местного воздействия на оболочки мозга. Эпилептический синдром часто возникает на ранних стадиях заболевания до появления внутричерепной гипертензии (в 36,7% случаев проявляется в первую очередь).
Факторы риска
К сожалению, до сих пор не известны причины возникновения опухолей мозга. Большая вероятность, по мнению многих исследователей, может быть отдана черепно-мозговой травме, наследственности и неблагоприятному влиянию окружающей среды.
Вопросы и ответы
В разделе публикуются вопросы пациентов и ответы наших специалистов.
Вопрос каждого человека касается конкретной проблемы, связанной с его заболеванием. Пациентам отвечают израильские клинические онкологи и главный врач LISOD, д.м. н., профессор Алла Винницкая.
Ответы специалистов основаны на знаниях принципов доказательной медицины и профессиональном опыте. Ответы соответствуют исключительно предоставленным сведениям, имеют ознакомительный характер и не являются врачебной рекомендацией.
Основная цель раздела – дать информацию пациенту и его семье, чтобы вместе с лечащим врачом принять решение о виде лечения. Предложенная Вам тактика лечения может отличаться от принципов, изложенных в ответах наших специалистов. Не стесняйтесь задать лечащему врачу вопрос о причинах отличий. Вы должны быть уверены, что получаете правильное лечение.
Добрый день, доктор! Помогите! Брату 25 лет сделали операцию в 2011 году по удалению протоплазматической астроцитомы левой височной доли головного мозга.
Выписали с заключением: Ликворно-гипертенвионный, судорожный синдром. Правосторонняя пирамидная недостаточность. Делаем повторное МРТ ежегодно наблюдается изменение опухоли, признаки продолжения роста образования левой лобно-высочной области, отрицательная динамика с 2013 в сторону появления кисты в лобной области слева. Судорожные и приступы рвоты не прекращаются. Принимает карбомазепин по назначению доктора. Какие Вы можете дать прогнозы? Мы в растерянности не знаем что делать и как поступить. Спасибо огромное!
Следует проконсультироваться с нейрохирургами по вопросу повторного оперативного вмешательства (даже частичного удаления при выраженном т.
н. масс-эффекте) и после гистологического исследования решить о необходимости дополнительного онкологического лечения (лучевая, химиотерапия или их сочетание). Если операция в принципе невозможна, следует провести стереотактическую биопсию опухоли (она, как правило, меняет свою природу со временем – становится более агрессивной) и затем решать вопрос о виде лечения.
Здравствуйте, сможет ли ваша клиника нам помочь? Моему мужу 28 лет. У него опухоль в головном мозге, диагноз следующий: многоузловая внутримозговая глиальная опухоль с распространением в хиазмально-селлярною область, паравентрикулярно с двух сторон, атрофия зрительных нервов.
Сам он болеет уже 2 года несахарным диабетом. Два месяца назад у него начались такие симптомы: ухудшение зрения, нарушение памяти и координации, боли в спине и ногах. У нас в больнице мы сделали МРТ, заключение: На серии полученных МР-томограмм в сагиттальной, аксиальной и коронарной проекции в Т1ВИ режиме в супраселлярной области определяется объемное образование размерами 39х32х32 мм, неравномерно интенсивно накапливающее парамагнетик, прорастающее в третий и боковые желудочки.
Желудочки мозга и подпаутинные пространства расширены. Желудочки мозга неравномерно деформированы. Срединные структуры не смещены. Что нужно делать? Благодарю!
Основной метод лечения подобных опухолей — хирургический, с последующим решением вопроса о необходимости лучевой терапии или лучевой терапии совмещенной с химотерапией в соответствии с гистологическим диагнозом и объемом оперативного вмешательства.
Если случай признан неоперабельным — проводится биопсия (предпочтительно — стереотактическая) с последующим решением решением о консервативной терапии (лучевая +/- химиотерапия).
Здравствуйте, доктор! Моему брату (27 лет) удалили в Одессе опухоль головного мозга. Сначала говорили, что она доброкачественная, после гистологии оказалась мультиформная глиобластома. Подскажите, какие прогнозы и что в данном случае можно сделать? Спасибо!
Следует провести ревизию гистологических препаратов (в таком возрасте глиобластома — достаточно редкое заболевание) и решить о необходимости профилактического лечения ( лучевая терапия +/- химиотерапия либо одна из двух опций).
Здравствуйте! Женщине 67 лет. С ней случился инсульт неделю назад. На данный момент находится в больнице. Состояние плохое. МРТ: объемное поражение височно-лобно -теменной области слева (глиобластома?) с признаками правосторонней латеральной и аксиальной дислокации срединных структур и компрессией левого бокового желудочка, дифференцировать с внутримозговой гематомой в стадии обратного развития. Отек вещества мозга левой гемисферы. Остеохондроз С4-5, С5-6, С6-7 дисков ШОП.
Доктор сказал, что в мозгу три очага метастаз. Предполагают распространение метастаз еще в организме. И тем не менее предлагают оперировать.
Спасет ли это больную. Готовы от Вас услышать любой вариант ответа.
Первичные опухоли головного мозга, а глиобластома – это первичная опухоль мозга, как правило не дают метастазов в другие органы. Они, правда, могут быть мультицентрическими (несколько отдельных очагов), что иногда затрудняет дифференциальную диагностику первичных опухолей мозга и метастазов в мозг опухолей других органов. Оптимальная диагностика — это биопсия и гистологическое исследование, а если это не возможно (по различным причинам),- в некоторых случаях может помочь МРТ с контрастированием. Оперируются как первичные опухоли мозга таки метастатические. В первом случае — это основной метод лечения (в зависимости от типа опухоли в последующем проводится лучевая +/- химиотерапия), во втором – операция показана при больших, оказывающих объемный эффект, метастазах, как правило, единичных при хорошем общем состоянии пациента и ожидаемой выживаемости более 3-4 месяцев.
В зависимости от размеров и локализации метастазов также может быть эффективна так называемая стереотактическая лучевая терапия (точное, прицельное облучение метастаза в большой дозе в один-три приема) которая уже доступна и в Украине.
Добрый день, доктор! Помогите! Диагноз — анапластическая астроцитома в правой гемосфере, в 2010 году проведена лучевая терапия в Израиле, динамика была отличная. Размер уменшился с 7-8 мм до 3мм. В феврале 2013 года удалили вновь выросшую опухоль. МРТ от июля 2013 показало отрицательную динамику. Какой Ваш совет?
Возможно взвесить стереотактическую реиррадиацию опухоли (на аппарате Кибер-нож или Гамма-нож) и, если речь идет об анапластической астроцитоме, возможна также химиотерапия Темодалом.
Здравствуйте! Моей маме (63 года) 21.03.2013 сделали операцию по удалению опухоли головного мозга. Диагноз — глиобластома 4 стадии. После операции произошел неврологический дефицит правых конечностей. Возможно ли дальнейшее лечение химией? На сколько можно продлить жизнь при таком диагнозе? Спасибо за ответ.
Стандартным лечением после проведенной операции по удалению глиобластомы, является лучевая терапия совместно с химиотерапией Темодалом. Средняя двухлетняя выживаемость всей этой группы больных составляет около 20-25%.
Здравствуйте! У моего дяди МРТ показало опухоль примерно 3 на 2,5 см в левой височно-теменной области.
У него наблюдалось онемение правой руки и ноги, головные боли и потеря сознания два раза. На консультации в НИИ нейрохирургии отказали в операции из-за расположения опухоли в глубинных слоях мозга, рекомендовали сделать биопсию. Помогите, пожалуйста, с приблизительным прогнозом, поскольку дядя не верит в излечении, а боится, что лечение возможно принесет даже ухудшение состояния. Какова статистика выживаемости с таким диагнозом? Каковы варианты лечения могут назначить после биопсии и принесёт ли вообще лечение какие-то результаты. Заранее спасибо за ответ!
Диагноза-то, к сожалению, и нет. По приведенным данным ничего сказать невозможно. Необходима стереотактическая биоспия опухоли, после чего можно будет говорить о тактике лечения и прогнозе.
Добрий день! Моїй мамі зробили КТ (вік 49 років — втрата зору на ліве око), на якій наймовірніше виявлена доброякісна менінгіома.
Результати обстеження: Об’ємний утвір ГМ (найімовірніше менінгеома).
Знаходиться у складному місці для оперування. Найімовірніше вона доброякісна. Чи є якісь можливості зупинки росту пухлини, або ж можливості із застосуванням радіохірургії (променева терапія)?
Применение радиохирургии по эффективности сопоставимо с результатами хирургического удаление менингиомы и широко используется в практике. При невозможности, по разным причинам (включая экономические) использовать этот вид облучения («Кибернож», «Гамманож»), возможно применить и конформальную трехмерную фракционированную радиотерапию – это, в отличии от первого, длительное ежедневное лечение и поля несколько больше, но эффект практически тот же.
Доктор, добрый день! Мужу сделали операцию по удалению глиобластомы в декабре 2011.
В феврале 2011 проведена лучевая терапия 60 Грей и два цикла химиотерапии (первая — препаратом Темодал 1800мг, вторая препаратом Темонат 1800мг). Через 7 месяцев провели компьютерную томографию и обнаружили опухоль такой же величины в том же части, что и до операции. Предлагают опять хирургическое вмешательство. Что делать? Нужно ли после операции опять проходить облучение и химиотерапию? Сколько раз опухоль может появляться еще?
Рецидивы (возврат) глиобластом одна из основных их биологических особенностей и хорошо известна. Повторное вмешательство предпочтительно (если оно возможно без значительных функциональных последствий). Затем возобновить химиотерапию Темозоламидом. Повторное облучение с учетом полученной дозы, сроков проведенного лечения и возможных осложнений, менее приемлемая опция. Надо понимать, что все это не гарантирует отсутствие очередного рецидива в дальнейшем.
лечение, симптомы, диагностика опухоли — клиника ЛИСОД в Киеве, Украине
В клетках наиболее агрессивной опухоли головного мозга выявили фермент, который и обуславливает ее агрессивность. Сегодня ведутся работы над тем, чтобы заблокировать клеточные рецепторы к этому ферменту, что позволит существенно затормозить развитие и рост опухоли.
Читать полностью
Ученые обнаружили, что вакцина от полиомиелита может предупредить рецидив глиобластомы – злокачественной опухоли головного мозга.
Эта вакцина является модифицированной (измененной) формой вируса полиомиелита. Она смертельна для раковой клетки и абсолютно безвредна для здоровых клеток. Введенная непосредственно в опухоль вакцина стимулирует иммунную систему организма для выработки естественных иммунных клеток-киллеров, атакующих опухоль. Этот метод действенный еще и потому, что нет необходимости преодолевать гематоэнцефалический барьер (естественный защитный барьер между мозгом и кровеносной системой). Когда метод будет полностью отработан, откроются новые возможности, и лечение рака головного мозга станет более эффективным.
Скрыть
Опухоль головного мозга значительно отличается от других новообразований. Эти отличия состоят в гистогенезе, клинических проявлениях, возможностях лечения. Специфичность опухолей головного мозга определяет наличие гематоэнцефалического барьера. Гематоэнцефалический барьер ограничивает проникновение многих веществ (в том числе, и лекарственных) из кровеносного русла в ткань мозга.
Опухоль головного мозга может встречаться в любом возрасте. Злокачественные астроцитарные опухоли, такие как анапластическая астроцитома и мультиформная глиобластома, составляют около 60% всех образований головного мозга и относятся к злокачественным глиомам. Астроцитома располагается обычно в белом веществе головного мозга. Рак головного мозга встречается относительно редко – около 1,5 % среди всех видов опухолей.
Диагностика
Основанием для предположительного диагноза опухоли мозга и направления больного на консультацию к онкологу являются появление и прогрессивное нарастание выраженности тех или иных неврологических симптомов. В LISOD применяют современные методы диагностики опухолей мозга.
Неинвазивные методы
- Неврологическое исследование.

- Патопсихологическое исследование.
- Нейроофтальмологическое исследование.
- Отоневрологическое исследование.
- Компьютерная томография.
- Эхоэнцефалография (ультразвук).
- Электроэнцефалография.
Инвазивные методы
- Исследование ликвора: давление ликвора, содержание белка в ликворе, цитологическое исследование, цитоскопия ликвора, исследование ликвора на предмет активности В- глюкуронидазы, исследование изоферментного состава ликвора.
- КТ с внутривенным контрастированием
- Эндоскопическое исследование (вентрикулоскопия + операции)
- Иммуногистохимическая диагностика
- Пункционная биопсия непосредственно перед операцией для окончательного уточнения диагноза.
Лечение
Полную информацию о диагностике и лечении этого вида рака Вам предоставят консультанты Информационной службы LISOD:
- 0-800-500-110 (бесплатно для звонков
со стационарных телефонов по Украине) - или +38 044 520 94 00 – ежедневно
с 08:00 до 20:00.
Лечение опухолей головного мозга является одной из наиболее сложных задач. Глиомы лечатся хирургическим удалением, постоперационной лучевой терапией и применением различных схем химиотерапии. Анапластическая астроцитома и мультиформная глиобластома отличаются значительно большей радио- и химиорезистентностью по сравнению с другими опухолями.
Значение хирургического вмешательства переоценить сложно, однако не всегда есть возможность его осуществить. Ввиду отсутствия четких границ между опухолью и мозговым веществом макроскопически полное удаление злокачественных опухолей можно выполнить с помощью уточненной предоперационной диагностики их распространения и расположения с использованием современных методов диагностики (КТ, АГ, предоперационное окрашивание опухоли).
Эффективность лечения большинства злокачественных опухолей головного мозга достигается за счет комбинированного хирургического, лучевого (лучевая терапия опухолей головного мозга) и химиотерапевтического (химиотерапия опухолей головного мозга) методов лечения.
При некоторых опухолях основными методами лечения являются облучение головного мозга или химиотерапия опухолей головного мозга. Метастатические опухоли головного мозга – злокачественные новообразования, которые формируются в раковых клетках, возникающих в различных областях или органах тела. Такие онкологические заболевания, как рак легкого, молочной железы, рак кожи и почек являются наиболее частой причиной метастатических опухолей головного мозга. Лечение метастазов головного мозга проходит по правилам лечения того вида рака, который эти метастазы и породил.
Симптомы
В зависимости от локализации опухоли мозга и ее размеров рак головного мозга может давать самые разнообразные симптомы. Клинические проявления опухолей головного мозга обычно усиливаются с развитием заболевания.
Это может выражаться в нарастании очаговых, общемозговых и общесоматических симптомов. Если опухоль мозга доброкачественная, заболевание развивается обычно постепенно, медленно и мягко на протяжении нескольких лет. Развитие опухоли мозга может протекать скрыто длительное время, с периодическими обострениями клинических проявлений. При злокачественных опухолях заболевание обычно начинается остро, иногда инсультообразно, наподобие сосудистого заболевания головного мозга или инфекционного вирусного менинго-энцефалита.
Головная боль является одним из основных, частых и ранних общемозговых симптомов развивающихся опухолей. Характер головной боли может зависеть от локализации опухоли и ее гистоструктуры.
Как общемозговой симптом рвота встречается часто и имеет ряд характерных черт: внезапный, рефлекторный, фонтанирующий характер. Возникновение рвоты не зависит от приема пищи, бывает часто натощак и без предварительной тошноты, отрыжки и болей в животе.
Головокружение наступает под влиянием острого повышения внутричерепного и ликворного давления. Обычно головокружение сопровождается шумом в ушах, снижением слуха, а также головной болью, рвотой.
Психические симптомы возникают постепенно вместе с другими общемозговыми симптомами в результате нарастающего повышения внутричерепного давления, расстройства крово- и лимфообращения, гипоксии, отека мозга и дистрофии клеточных структур коры больших полушарий. Интоксикация также может вызывать психические симптомы. Наиболее типичные расстройства психики: оглушенность, ослабление внимания, притупление восприятия и памяти, замедление ассоциативных процессов, снижение критического отношения к себе, к своей болезни и окружающим, общая вялость, безучастность, безынициативность.
Существуют также психические синдромы, которые имеют топикодиагностическое значение.
При опухолях лобной доли:
- общая вялость, инертность, безынициативность, апатия, снижение памяти и интеллекта;
- психическое возбуждение, агрессивность, которые сменяются благодушием и эйфорией;
- легкомысленность, некритичность, странности в поведении, неопрятность с мочой и калом.

При опухолях височной доли: обонятельные, вкусовые и слуховые галлюцинации.
При локализации опухоли на стыке височной и затылочной долей: зрительные галлюцинации.
При поражении теменной доли: боли в конечностях.
Менингеальные симптомы могут развиваться в результате повышения внутричерепного давления, а также вследствие местного воздействия на оболочки мозга. Эпилептический синдром часто возникает на ранних стадиях заболевания до появления внутричерепной гипертензии (в 36,7% случаев проявляется в первую очередь).
Факторы риска
К сожалению, до сих пор не известны причины возникновения опухолей мозга. Большая вероятность, по мнению многих исследователей, может быть отдана черепно-мозговой травме, наследственности и неблагоприятному влиянию окружающей среды.
Вопросы и ответы
В разделе публикуются вопросы пациентов и ответы наших специалистов.
Вопрос каждого человека касается конкретной проблемы, связанной с его заболеванием. Пациентам отвечают израильские клинические онкологи и главный врач LISOD, д.м. н., профессор Алла Винницкая.
Ответы специалистов основаны на знаниях принципов доказательной медицины и профессиональном опыте. Ответы соответствуют исключительно предоставленным сведениям, имеют ознакомительный характер и не являются врачебной рекомендацией.
Основная цель раздела – дать информацию пациенту и его семье, чтобы вместе с лечащим врачом принять решение о виде лечения. Предложенная Вам тактика лечения может отличаться от принципов, изложенных в ответах наших специалистов. Не стесняйтесь задать лечащему врачу вопрос о причинах отличий. Вы должны быть уверены, что получаете правильное лечение.
Добрый день, доктор! Помогите! Брату 25 лет сделали операцию в 2011 году по удалению протоплазматической астроцитомы левой височной доли головного мозга.
Выписали с заключением: Ликворно-гипертенвионный, судорожный синдром. Правосторонняя пирамидная недостаточность. Делаем повторное МРТ ежегодно наблюдается изменение опухоли, признаки продолжения роста образования левой лобно-высочной области, отрицательная динамика с 2013 в сторону появления кисты в лобной области слева. Судорожные и приступы рвоты не прекращаются. Принимает карбомазепин по назначению доктора. Какие Вы можете дать прогнозы? Мы в растерянности не знаем что делать и как поступить. Спасибо огромное!
Следует проконсультироваться с нейрохирургами по вопросу повторного оперативного вмешательства (даже частичного удаления при выраженном т.
н. масс-эффекте) и после гистологического исследования решить о необходимости дополнительного онкологического лечения (лучевая, химиотерапия или их сочетание). Если операция в принципе невозможна, следует провести стереотактическую биопсию опухоли (она, как правило, меняет свою природу со временем – становится более агрессивной) и затем решать вопрос о виде лечения.
Здравствуйте, сможет ли ваша клиника нам помочь? Моему мужу 28 лет. У него опухоль в головном мозге, диагноз следующий: многоузловая внутримозговая глиальная опухоль с распространением в хиазмально-селлярною область, паравентрикулярно с двух сторон, атрофия зрительных нервов.
Сам он болеет уже 2 года несахарным диабетом. Два месяца назад у него начались такие симптомы: ухудшение зрения, нарушение памяти и координации, боли в спине и ногах. У нас в больнице мы сделали МРТ, заключение: На серии полученных МР-томограмм в сагиттальной, аксиальной и коронарной проекции в Т1ВИ режиме в супраселлярной области определяется объемное образование размерами 39х32х32 мм, неравномерно интенсивно накапливающее парамагнетик, прорастающее в третий и боковые желудочки.
Желудочки мозга и подпаутинные пространства расширены. Желудочки мозга неравномерно деформированы. Срединные структуры не смещены. Что нужно делать? Благодарю!
Основной метод лечения подобных опухолей — хирургический, с последующим решением вопроса о необходимости лучевой терапии или лучевой терапии совмещенной с химотерапией в соответствии с гистологическим диагнозом и объемом оперативного вмешательства.
Если случай признан неоперабельным — проводится биопсия (предпочтительно — стереотактическая) с последующим решением решением о консервативной терапии (лучевая +/- химиотерапия).
Здравствуйте, доктор! Моему брату (27 лет) удалили в Одессе опухоль головного мозга. Сначала говорили, что она доброкачественная, после гистологии оказалась мультиформная глиобластома. Подскажите, какие прогнозы и что в данном случае можно сделать? Спасибо!
Следует провести ревизию гистологических препаратов (в таком возрасте глиобластома — достаточно редкое заболевание) и решить о необходимости профилактического лечения ( лучевая терапия +/- химиотерапия либо одна из двух опций).
Здравствуйте! Женщине 67 лет. С ней случился инсульт неделю назад. На данный момент находится в больнице. Состояние плохое. МРТ: объемное поражение височно-лобно -теменной области слева (глиобластома?) с признаками правосторонней латеральной и аксиальной дислокации срединных структур и компрессией левого бокового желудочка, дифференцировать с внутримозговой гематомой в стадии обратного развития. Отек вещества мозга левой гемисферы. Остеохондроз С4-5, С5-6, С6-7 дисков ШОП. Доктор сказал, что в мозгу три очага метастаз. Предполагают распространение метастаз еще в организме. И тем не менее предлагают оперировать. Спасет ли это больную. Готовы от Вас услышать любой вариант ответа.
Первичные опухоли головного мозга, а глиобластома – это первичная опухоль мозга, как правило не дают метастазов в другие органы. Они, правда, могут быть мультицентрическими (несколько отдельных очагов), что иногда затрудняет дифференциальную диагностику первичных опухолей мозга и метастазов в мозг опухолей других органов. Оптимальная диагностика — это биопсия и гистологическое исследование, а если это не возможно (по различным причинам),- в некоторых случаях может помочь МРТ с контрастированием. Оперируются как первичные опухоли мозга таки метастатические. В первом случае — это основной метод лечения (в зависимости от типа опухоли в последующем проводится лучевая +/- химиотерапия), во втором – операция показана при больших, оказывающих объемный эффект, метастазах, как правило, единичных при хорошем общем состоянии пациента и ожидаемой выживаемости более 3-4 месяцев. В зависимости от размеров и локализации метастазов также может быть эффективна так называемая стереотактическая лучевая терапия (точное, прицельное облучение метастаза в большой дозе в один-три приема) которая уже доступна и в Украине.
Добрый день, доктор! Помогите! Диагноз — анапластическая астроцитома в правой гемосфере, в 2010 году проведена лучевая терапия в Израиле, динамика была отличная. Размер уменшился с 7-8 мм до 3мм. В феврале 2013 года удалили вновь выросшую опухоль. МРТ от июля 2013 показало отрицательную динамику. Какой Ваш совет?
Возможно взвесить стереотактическую реиррадиацию опухоли (на аппарате Кибер-нож или Гамма-нож) и, если речь идет об анапластической астроцитоме, возможна также химиотерапия Темодалом.
Здравствуйте! Моей маме (63 года) 21.03.2013 сделали операцию по удалению опухоли головного мозга. Диагноз — глиобластома 4 стадии. После операции произошел неврологический дефицит правых конечностей. Возможно ли дальнейшее лечение химией? На сколько можно продлить жизнь при таком диагнозе? Спасибо за ответ.
Стандартным лечением после проведенной операции по удалению глиобластомы, является лучевая терапия совместно с химиотерапией Темодалом. Средняя двухлетняя выживаемость всей этой группы больных составляет около 20-25%.
Здравствуйте! У моего дяди МРТ показало опухоль примерно 3 на 2,5 см в левой височно-теменной области. У него наблюдалось онемение правой руки и ноги, головные боли и потеря сознания два раза. На консультации в НИИ нейрохирургии отказали в операции из-за расположения опухоли в глубинных слоях мозга, рекомендовали сделать биопсию. Помогите, пожалуйста, с приблизительным прогнозом, поскольку дядя не верит в излечении, а боится, что лечение возможно принесет даже ухудшение состояния. Какова статистика выживаемости с таким диагнозом? Каковы варианты лечения могут назначить после биопсии и принесёт ли вообще лечение какие-то результаты. Заранее спасибо за ответ!
Диагноза-то, к сожалению, и нет. По приведенным данным ничего сказать невозможно. Необходима стереотактическая биоспия опухоли, после чего можно будет говорить о тактике лечения и прогнозе.
Добрий день! Моїй мамі зробили КТ (вік 49 років — втрата зору на ліве око), на якій наймовірніше виявлена доброякісна менінгіома. Результати обстеження: Об’ємний утвір ГМ (найімовірніше менінгеома). Знаходиться у складному місці для оперування. Найімовірніше вона доброякісна. Чи є якісь можливості зупинки росту пухлини, або ж можливості із застосуванням радіохірургії (променева терапія)?
Применение радиохирургии по эффективности сопоставимо с результатами хирургического удаление менингиомы и широко используется в практике. При невозможности, по разным причинам (включая экономические) использовать этот вид облучения («Кибернож», «Гамманож»), возможно применить и конформальную трехмерную фракционированную радиотерапию – это, в отличии от первого, длительное ежедневное лечение и поля несколько больше, но эффект практически тот же.
Доктор, добрый день! Мужу сделали операцию по удалению глиобластомы в декабре 2011. В феврале 2011 проведена лучевая терапия 60 Грей и два цикла химиотерапии (первая — препаратом Темодал 1800мг, вторая препаратом Темонат 1800мг). Через 7 месяцев провели компьютерную томографию и обнаружили опухоль такой же величины в том же части, что и до операции. Предлагают опять хирургическое вмешательство. Что делать? Нужно ли после операции опять проходить облучение и химиотерапию? Сколько раз опухоль может появляться еще?
Рецидивы (возврат) глиобластом одна из основных их биологических особенностей и хорошо известна. Повторное вмешательство предпочтительно (если оно возможно без значительных функциональных последствий). Затем возобновить химиотерапию Темозоламидом. Повторное облучение с учетом полученной дозы, сроков проведенного лечения и возможных осложнений, менее приемлемая опция. Надо понимать, что все это не гарантирует отсутствие очередного рецидива в дальнейшем.
как выявить рак головного мозга
Информативная диагностика опухолей головного мозга – гарантия их эффективного лечения. Современные методы исследования позволяют максимально точно определить характер заболевания и локализацию новообразования.
Как обнаружить опухоль головного мозга – решает врач. Для ее выявления проводится комплексное обследование. Перечень и последовательность диагностических процедур определяются лечащим врачом. При необходимости, он обсуждает с рентгенологами и другими профильными специалистами, как лучше провериться на наличие новообразования.
Задача пациента – полностью доверять докторам, не стараясь «назначить» себе дополнительное обследование и не сомневаясь в целесообразности проведения каких-либо манипуляций.
Решая, как выявить опухоль головного мозга, онколог ориентируется на симптомы, анамнез, результаты неврологического осмотра, состояние больного и особенности планируемого лечения.
Как правило, первичная диагностика опухолей головного мозга включает ряд базовых исследований. По их результатам принимается решение о необходимости дальнейшего обследования, его характере и объеме.
Методы исследования опухолей головного мозга
Диагностика рака головного мозга (так для простоты восприятия нередко называют новообразования этого отдела нервной системы) включает сканирование, анализы биологических жидкостей и функциональные пробы.
Сканирование различными методами
Наиболее информативны в диагностике опухолей центральной нервной системы магнитно-резонансная томография (МРТ) и компьютерная томография (КТ). Эти исследования часто проводятся с контрастированием.
Магнитно-резонансная томография (МРТ)Если больному поставлен диагноз «опухоль головного мозга», специальные виды МРТ (потоко-чувствительные последовательности) могут быть полезны при планировании хирургического удаления новообразования в основании черепа или вызывающего гидроцефалию (скопление жидкости в полостях мозга).
Перед операцией или непосредственно во время операции может проводиться функциональная МРТ, позволяющая оценить насыщение кислородом различных участков мозга.
Динамическая КТ или МРТ дает возможность исследовать мозговой кровоток.
По показаниям также назначаются ангиография и МРТ-ангиография, магнитно-резонансная спектроскопия, позитронно-эмиссионная томография (ПЭТ), ПЭТ/КТ исследование, однофотонная эмиссионная компьютерная томография (ОФЭКТ) и магнитоэнцефалография.
Обследование опухоли головного мозга с помощью вышеперечисленных технологий позволяет дифференцировать с ее высокой точностью. Это иногда дает врачу возможность отказаться от травмирующих диагностических манипуляций.
Диагностическая операция и стереотаксическая биопсия
В некоторых случаях для постановки точного диагноза и назначения эффективного лечения необходимо получить фрагмент ткани новообразования.
В таких ситуациях диагностика опухоли головного мозга делается с помощью:
- полномасштабной операции – диагностической трепанации черепа;
- инновационного малотравматичного метода – стереотаксической биопсии, для выполнения которой необходимо специальное оборудование.
Определение уровня онкомаркеров рака головного мозга и другие лабораторные анализы
В качестве материала для лабораторных исследований используется ликвор, кровь и другие биологические жидкости, в которых определяется наличие опухолевых клеток, уровень гормонов и онкомаркеров рака головного мозга.
Ликвором называется жидкость, заполняющая полости головного и спинного мозга. Материал для анализа получают с помощью люмбальной (спинномозговой) пункции. Для этого под местной анестезией прокалывают толстой иглой кожу, мышцы и оболочку спинного мозга в поясничной области, после чего отбирают небольшое количество жидкости с помощью шприца.
Исследование ликвора на наличие опухолевых клеток особенно информативно при подозрении на лимфому, опухоли шишковидной железы и мозговых оболочек. Оно может быть назначено не только в рамках первичного обследования, когда стоит задача обнаружить опухоль головного мозга, но и для контроля результатов лечения после операции, химиотерапии или лучевой терапии.
Ликвор и другие биологические жидкости также могут использоваться для определения специфических микро-фрагментов генетического материала, называемых биомаркерами или онкомаркерами. Диагностика опухолей головного мозга с помощью онкомаркеров интенсивно внедряется в клиническую практику. Однако диагностическая ценность таких анализов и практическое использование их результатов пока остаются предметом врачебных дискуссий.
Функциональные исследования
Диагноз «рак головного мозга» всегда нуждается в уточнениях. В том числе, врачу необходимо установить характер и интенсивность функциональных нарушений, вызванных заболеванием. Для этого используются различные методики, с помощью которых определяется острота слуха, исследуются зрительные поля, вызванные потенциалы и др.
На основании результатов проведенных исследований врач составляет индивидуальный план лечения с учетом особенностей болезни и состояния больного.
Если вам требуется второе мнение для уточнения диагноза или плана лечения, отправьте нам заявку и документы для консультации, или запишитесь на очную консультацию по телефону.
+7 499 490-24-13
Экспертное мнение
Ласков Михаил Савельевич
Научная степень: кандидат медицинских наук
Специализация: онколог, гематолог, химиотерапевт
Должность: главврач
Место работы: «Клиника амбулаторной онкологии и гематологии»
Город: Москва
Работал в ведущих онкоцентрах США и Великобритании. Стажировался по медицинскому менеджменту в Канаде, Германии, Сингапуре. Автор ряда публикаций, участвует в научных программах в качестве главного исследователя. Приглашенный эксперт тематических радио- и теле-эфиров на ТВ-каналах «Дождь», «Мир», «РБК» и др., радио «Свобода», «Эхо Москвы», «Маяк» и др. Публикует статьи и дает интервью журналистам популярных изданий «АИФ», «Женское здоровье» и др.
Диагностика и лечение рака головного мозга в Москве, цены на лечение опухоли головного мозга
Опухоль головного мозга считается довольно опасным заболеваем, которое трудно поддаётся лечению. Связано это в первую очередь с бессимптомностью течения заболевания на начальной стадии. Вообще данный тип новообразований встречается редко и в общей сложности составляет 1,5 % от всего числа опухолей. Но данный факт никак не уменьшает опасности для пациентов с подобным диагнозом.
Лечение опухоли головного мозга
Согласно общепринятой классификации, рак данного вида включает все злокачественные опухоли, образовавшиеся внутри черепа или в спинномозговом канале. Появляются они в результате неконтролируемого деления клеток. Но чем конкретно может быть вызвано такое деление, учёные так до сих пор и не установили.
Опухоли головного мозга имеют 4 стадии, и для каждой из них характерны свои симптомы. Как уже было отмечено выше, чаще всего пациент узнаёт о заболевании лишь на последней стадии. Стоит обратиться за квалифицированной консультацией, если наблюдаются следующие симптомы:
- частые головные боли;
- головокружение;
- резкая потеря веса;
- постоянное чувство усталости.
Своевременное диагностирование опухоли увеличивает вероятность выздоровления.
Для выявления опухолей используются наиболее эффективные методы диагностики: биопсия, ангиография, ПЭТ/КТ-исследование, магнитоэнцефалография, спинномозговая пункция. Онкоцентр SOFIA располагает самым современным оборудованием для выявления злокачественных новообразований. В клинике работают опытные онкологи, прошедшие стажировку в США, Израиле и Германии. Они сделают всё возможное, чтобы справиться с болезнью.
Лечение опухоли головного мозга требует участия специалистов разного профиля: онкологов, терапевтов, невропатологов, нейрохирургов, реабилитологов. В зависимости от стадии и течения болезни выбирается один из способов лечения: оперативное вмешательство, химиотерапия и лучевая терапия. План лечения во многом зависит от возраста пациента и общего состояния его здоровья.
Хирургическое удаление новообразования с большой степенью вероятности принесёт положительный результат. Однако операция не всегда возможна из-за неудобного расположения опухоли. Лучевая терапия применяется в качестве альтернативы хирургическому вмешательству или сразу же после него. Химиотерапия не является основным методом лечения рака, но назначается в качестве дополнительной процедуры.
Есть ещё один метод борьбы с раком – эндоскопическое лечение. Он менее травматичен, чем обычное хирургическое вмешательство, так как воздействие осуществляется через небольшие разрезы, при помощи специального оборудования. В любом случае лечение рака головного мозга назначается после тщательно проведённого обследования с учётом всех сопутствующих факторов.
До недавнего времени считалось, что лечение опухоли головного мозга – задача бесперспективная. Связано это с тем, что при попытке уничтожить раковые клетки часто страдают здоровые ткани. А так как речь идёт о головном мозге, это может привести к целому ряду осложнений. Сегодня появились инновационные методы борьбы с раком. Применение эффективных методик и высокотехнологичного оборудования повышает шансы на выздоровление.
Свяжитесь с нашими специалистами по телефону в Москве, и они ответят на все интересующие вас вопросы.
лечение и диагностика причин, симптомов в Москве
Пурикова Светлана Геннадьевна
19 Июня 2021
Выражаю огромную благодарность и признательность нейрохирургу Александру Сергеевичу Ильиных за высококлассную операцию РЧД в 2018 году, которая избавила меня от неоднократно повторявшихся приступов боли в поясничном отделе позвоночника. Через полгода я перенесла обширный инфаркт …
ПодробнееПарфенов Константин Алексеевич
17 Июня 2021
Признателен нейрохирургу Бочарову Андрею Александровичу.
Высококлассный специалист. Профессионал своего дела.
Плюс к этим качествам внимательное, чуткое отношение к людям. Несмотря на большую занятость, всегда уделит время своим пациентам. Спокойный, рассудительный…
Карнюшкина Ольга Валентиновна
14 Июня 2021
2 июня доктором Дуровым О. В. мне была проведена операция: декомпрессивная ламинэктомия L4 позвонка, удаление грыжи диска L4-L5 слева, L5-S1 справа, транспедикулярной фиксации L4-L5 позвонков системой XIA, аутоспондилез кейджем на указанном уровне.
Хочу выразить благодарность…
Кочков-Филатов Александр Витальевич
2 Июня 2021
Проблема с позвоночником у меня очень давно, больше двадцати лет. Мой диагноз (Поясничный остеохондроз. Спондилолизный антеролистез L4 позвонка 2 й степени, 10 мм смещение. Обращался к мануальным терапевтам, помогало максимум на пол года. Но последние пять лет они мне ни чем …
ПодробнееКузнецова Ольга Юрьевна
24 Мая 2021
Большое спасибо, Дурову Олегу Владимировичу! Удалял мне грыжу. При первом же посещении сложилось приятное впечатление как о «Мастере своего дела», объяснил какую предлагает операцию, в чем разница между остальными, все доступно и понятно. Было две операции на том же мес…
ПодробнееАничкина Наталья Валерьевна
6 Мая 2021
Хочу выразить огромную благодарность выдающемуся нейрохирургу Дурову Олегу Владимировичу!
21.04.2021 была произведена операция удаление 3-х секвестрированных грыж межпозвоночного диска с установкой кейджа. Операция выполнена на высочайшем уровне!
Что поразило в Олеге Владимировиче, …
Петрова Полина Ивановна
27 Апреля 2021
Хочу выразить теплые слова благодарности медсестрам Отделения Нейрохирургии.
Работа организована четко, грамотно. Каждый на своем месте. Каждый строго выполняет свою процедуру.
Но сколько внимания, чуткого отношения у каждой сотрудницы!
Однажды я чувствовала себя неважно. Лежала….
Петрова Полина Ивановна
27 Апреля 2021
Огромная симпатия и уважение администратору по сопровождению пациентов Степанову Александру Егоровичу.
Увидела его отношение к своей работе. Ответственный, аккуратный, тактичный. Удивительно уважительное отношение ко всем. К врачам, к коллегам, к пациентам. И все относятся к нему…
Петрова П.И.
27 Апреля 2021
Признательна нейрохирургу Бочарову Андрею Александровичу.
Высококлассный специалист. Профессионал своего дела.
Плюс к этим качествам внимательное, чуткое отношение к людям. Несмотря на большую занятость, всегда уделит время своим пациентам. Подержит, найдет…
Багдасаров Владимир Николаевич
18 Апреля 2021
Выражаю огромную благодарность врачу нейрохирургу ФНКЦ ФМБА России Дурову Олегу Владимировичу за проведённую мне операцию на позвоночнике. Я очень доволен результатом. После операции я могу ходить, у меня исчезли боли. Олег Владимирович очень внимательный, г…
ПодробнееОпухоль головного мозга: диагноз | Cancer.Net
НА ЭТОЙ СТРАНИЦЕ: Вы найдете список общих тестов, процедур и сканирований, которые врачи используют для поиска причины медицинской проблемы. Используйте меню для просмотра других страниц.
Врачи используют множество тестов для обнаружения или диагностики опухоли головного мозга и определения типа опухоли головного мозга. Они также проводят тесты, чтобы выяснить, распространился ли он на другую часть тела, откуда он начался. Это называется метастазированием и встречается редко при первичной опухоли головного мозга.Врачи также могут провести тесты, чтобы узнать, какое лечение лучше всего.
Для большинства типов опухолей взятие образца возможной опухоли — единственный надежный способ для врача узнать, есть ли опухоль на каком-либо участке тела. Это можно сделать с помощью процедуры, называемой биопсией, или путем хирургического удаления части или всей опухоли. При биопсии врач берет небольшой образец ткани для исследования в лаборатории. Если это невозможно, врач может предложить другие тесты, которые помогут поставить диагноз.
Визуализирующие тесты могут помочь врачам выяснить, является ли опухоль первичной опухолью головного мозга или это рак, распространившийся на мозг из других частей тела. Визуальные тесты показывают изображения внутренней части тела. Ваш врач может учитывать следующие факторы при выборе диагностического теста:
Предполагаемый тип опухоли
Ваши признаки и симптомы
Ваш возраст и общее состояние здоровья
Результаты ранее проведенных медицинских обследований
Большинство опухолей головного мозга диагностируются только после появления симптомов.Часто опухоль головного мозга первоначально диагностирует терапевт или невролог. Терапевт — это врач, специализирующийся на лечении взрослых. Невролог — это врач, специализирующийся на проблемах с мозгом и центральной нервной системой.
В дополнение к запросу пациента о подробном медицинском анамнезе и проведении физического обследования врач может порекомендовать тесты, описанные ниже. Эти тесты призваны помочь выяснить наличие, а иногда и тип или степень опухоли головного мозга.
Обычно диагностика опухоли головного мозга начинается с магнитно-резонансной томографии (МРТ).Как только МРТ показывает, что в головном мозге есть опухоль, наиболее распространенный способ определить тип опухоли головного мозга — это посмотреть на результаты образца ткани после биопсии или операции. Эти тесты и процедуры описаны ниже более подробно.
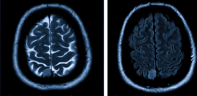
Магнитно-резонансная томография (МРТ). МРТ использует магнитные поля, а не рентгеновские лучи, для получения подробных изображений тела. МРТ можно использовать для измерения размера опухоли. Перед сканированием наносится специальный краситель, называемый контрастным веществом, для создания более четкого изображения.Этот краситель можно вводить пациенту в вену или давать в виде таблетки или жидкости для проглатывания. МРТ создают более подробные изображения, чем КТ (см. Ниже), и являются предпочтительным способом диагностики опухоли головного мозга. МРТ может касаться головного, спинного мозга или того и другого, в зависимости от типа подозреваемой опухоли и вероятности ее распространения в ЦНС. Есть разные виды МРТ. Результаты нейроанализа, проведенного терапевтом или неврологом, помогают определить, какой тип МРТ использовать.
Внутривенное (в / в) МРТ с усилением гадолиния обычно используется для создания более четкой картины опухоли головного мозга.Это когда пациенту сначала делают обычную МРТ, а затем через капельницу вводят специальный тип контрастного вещества, называемого гадолинием. Затем делается вторая МРТ, чтобы получить еще одну серию снимков с использованием красителя.
Метод МРТ, называемый «диффузионно-взвешенная визуализация», помогает показать клеточную структуру мозга. Другой метод, называемый «перфузионная визуализация», показывает, сколько крови достигает опухоли. Эти методы могут помочь врачам спрогнозировать эффективность лечения.
МРТ позвоночника может использоваться для диагностики опухоли на позвоночнике или рядом с ним.
Функциональная МРТ (фМРТ) предоставляет информацию о расположении определенных областей мозга, отвечающих за движение мышц и речь. Во время фМРТ пациента просят выполнить определенные задачи, которые вызывают изменения в головном мозге и которые можно увидеть на фМРТ-изображении. Этот тест используется для планирования операции, чтобы хирург мог избежать повреждения функциональных частей мозга при удалении опухоли.
Магнитно-резонансная спектроскопия (MRS) — это тест с использованием МРТ, который предоставляет информацию о химическом составе мозга. Это может помочь определить разницу между любой мертвой тканью, вызванной предыдущим лучевым лечением, и новыми опухолевыми клетками в головном мозге.
Забор ткани / биопсия / хирургическое удаление опухоли. Обычно для постановки окончательного диагноза требуется образец ткани опухоли. Биопсия — это удаление небольшого количества ткани для исследования под микроскопом и единственный окончательный способ диагностики опухоли головного мозга.Затем патологоанатом анализирует образец (ы). Патолог — это врач, который специализируется на интерпретации лабораторных тестов и оценке клеток, тканей и органов для диагностики заболеваний. Биопсия может быть сделана как часть операции по удалению всей опухоли. Или операция может быть проведена как отдельная процедура, если полное удаление опухоли невозможно из-за ее местоположения или состояния здоровья пациента.
Ваша медицинская бригада также может порекомендовать другие тесты, чтобы помочь поставить диагноз или узнать, насколько эффективно лечение.Не все тесты, перечисленные ниже, будут использоваться для каждого человека.
Компьютерная томография. Компьютерная томография позволяет делать снимки внутренней части тела с использованием рентгеновских лучей, сделанных под разными углами. Компьютер объединяет эти изображения в подробное трехмерное изображение, на котором видны любые аномалии или опухоли. КТ может помочь обнаружить кровотечение и увеличение заполненных жидкостью пространств в головном мозге, называемых желудочками. Изменения в кости черепа также можно увидеть на компьютерной томографии, и ее можно использовать для измерения размера опухоли.КТ также можно использовать, если у пациента нет возможности сделать МРТ, например, если у человека есть кардиостимулятор для сердца. Иногда перед сканированием используется контрастное вещество, чтобы улучшить детализацию изображения. Этот краситель можно вводить пациенту в вену или давать в виде таблетки или жидкости для проглатывания.
Позитронно-эмиссионная томография (ПЭТ) или ПЭТ-КТ. ПЭТ-сканирование используется сначала, чтобы узнать больше об опухоли во время лечения пациента. Его также можно использовать, если опухоль возвращается после лечения.ПЭТ-сканирование обычно сочетается с компьютерной томографией (см. Выше), называемой ПЭТ-КТ-сканированием. Однако вы можете услышать, что ваш врач называет эту процедуру просто ПЭТ-сканированием. ПЭТ-сканирование — это способ создания изображений органов и тканей внутри тела с использованием различных веществ, таких как сахар или белки. В организм пациента вводится небольшое количество радиоактивного вещества. Это вещество поглощается активно делящимися клетками. Поскольку опухолевые клетки более склонны к активному делению, они поглощают больше радиоактивного вещества.Затем сканер обнаруживает это вещество и создает изображения внутренней части тела.
Церебральная артериограмма, также называемая церебральной ангиограммой. Церебральная артериограмма — это рентгеновский снимок или серия рентгеновских снимков головы, на котором видны артерии в головном мозге. Рентген делается после того, как специальный краситель, называемый контрастным веществом, вводится в основные артерии головы пациента.
Люмбальная пункция или спинномозговая пункция. Люмбальная пункция — это процедура, при которой с помощью иглы берут образец спинномозговой жидкости (CSF) для поиска опухолевых клеток, крови или опухолевых маркеров.Онкомаркеры или биомаркеры — это вещества, которые обнаруживаются в более высоких, чем обычно, количествах в крови, моче, спинномозговой жидкости, плазме или других жидкостях организма людей с определенными типами опухолей. Как правило, перед процедурой пациенту вводят местный анестетик, чтобы обезболить поясницу.
Миелограмма. Врач может порекомендовать миелограмму, чтобы выяснить, распространилась ли опухоль на спинномозговую жидкость, другие части головного мозга или спинной мозг. Миелограмма использует краситель, вводимый в спинномозговую жидкость, окружающую спинной мозг.Краситель отображается на луче x – и может очертить спинной мозг, чтобы помочь врачу найти опухоль. Это делается редко; люмбальная пункция (см. выше) встречается чаще.
Молекулярное исследование опухоли. Ваш врач может порекомендовать провести лабораторные тесты на образце опухоли, чтобы определить специфические гены, белки и другие факторы, такие как опухолевые маркеры, уникальные для опухоли. Некоторые биомаркеры могут помочь врачам определить прогноз пациента, который является шансом на выздоровление (см. Оценки и факторы прогноза).Исследователи изучают биомаркеры, чтобы найти способы диагностировать опухоль головного мозга до появления симптомов. Результаты этих тестов могут помочь определить варианты лечения. Маркеры, на которые чаще всего обращаются при опухолях головного мозга, включают:
Для олигодендроглиомы потеря p-плеча хромосомы 1 и потеря q-плеча хромосомы 19. Это называется ко-делецией 1p / 19q. Это связано с более успешным лечением, особенно с химиотерапией. Его можно использовать для планирования лечения, особенно при анапластической олигодендроглиоме.
Мутация в гене изоцитратдегидрогеназы ( IDH ), который обнаруживается примерно в 70–80% глиом низкой степени злокачественности у взрослых. Опухоли более высокой степени злокачественности также могут иметь мутации гена IDH , что позволяет предположить, что эти опухоли начинались как опухоли более низкого уровня, которые затем стали более высокими. Эта мутация связана с лучшим прогнозом при опухолях как низкой, так и высокой степени злокачественности.
При глиобластоме изменение гена под названием метилгуанинметилтрансфераза ( MGMT) может помочь врачу понять прогноз пациента и насколько эффективно лечение.Его роль в определении пользы лечения проходит клинические испытания.
Неврологические тесты, проверки зрения и слуха. Эти тесты помогают определить, влияет ли опухоль на работу мозга. При обследовании глаз можно обнаружить изменения зрительного нерва, а также изменения в поле зрения человека.
Нейрокогнитивная оценка. Состоит из детальной оценки всех основных функций мозга, таких как хранение и извлечение памяти, выразительные и восприимчивые языковые способности, расчет, ловкость и общее состояние пациента. –.Эти тесты проводятся лицензированным клиническим нейропсихологом. Этот специалист напишет официальный отчет, чтобы сравнить его с будущими оценками или определить конкретные проблемы, которые можно решить с помощью лечения.
Электроэнцефалография (ЭЭГ). ЭЭГ — это неинвазивный тест, в котором электроды прикрепляются к внешней стороне головы человека для измерения электрической активности мозга. Он используется для отслеживания возможных судорог (см. «Симптомы и признаки»).
Вызванные потенциалы. Вызванные потенциалы включают использование электродов для измерения электрической активности нервов и часто позволяют обнаружить акустическую шванному, доброкачественную опухоль головного мозга. Этот тест можно использовать в качестве руководства при удалении опухоли, растущей вокруг важных нервов.
Результаты испытаний
После того, как диагностические тесты будут выполнены, ваш врач вместе с вами ознакомится с результатами всех тестов. Если диагноз — опухоль головного мозга, будут проведены дополнительные тесты, чтобы узнать больше об опухоли.Результаты помогают врачу описать опухоль и спланировать лечение.
Следующий раздел в этом руководстве — Оценки и факторы прогноза . Он объясняет систему, которую используют врачи для описания опухоли головного мозга. Используйте меню, чтобы выбрать другой раздел для чтения в этом руководстве.
Могли бы вы иметь один? Симптомы, предупреждающие знаки и диагностика
Что такое опухоль головного мозга?
Опухоль головного мозга — это скопление аномальных клеток, которое бесконтрольно растет в вашем мозгу.Некоторые опухоли головного мозга доброкачественные, что означает, что клетки не раковые. Другие злокачественные, то есть рак.
Опухоли головного мозга называются первичными, если они возникли в вашем мозгу. Они считаются вторичными, если зародились где-то в другом месте вашего тела и распространились на ваш мозг.
Типы опухолей головного мозга
Первичные опухоли головного мозга возникают из клеток, составляющих головной мозг и центральную нервную систему. Они названы в честь той клетки, в которой они впервые сформировались. Существует более 100 видов опухолей головного мозга.Наиболее распространенными типами у взрослых являются:
- Глиомы. Эти опухоли возникают в глиальных клетках, которые помогают поддерживать здоровье нервов. Чаще всего это рак. Есть несколько категорий глиом, в зависимости от того, на какие конкретные клетки они нацелены. Астроцитомы чаще всего встречаются у взрослых. Глиобластома — наиболее агрессивный тип глиальной опухоли.
- Менингиомы. Они образуют в мозговых оболочках тонкий слой ткани, покрывающий головной и спинной мозг.Это не рак, но они могут вызывать проблемы, давя на ваш мозг.
- Шванномас. Повреждают защитное покрытие нервных клеток. Это не рак, но они часто вызывают потерю слуха или проблемы с равновесием.
- Аденомы гипофиза. Они образуются в гипофизе, который находится в основании вашего мозга. Он вырабатывает важные гормоны. Эти опухоли обычно не являются раком и растут медленно.
Сравнение доброкачественных и злокачественных опухолей головного мозга
Доброкачественные опухоли головного мозга не агрессивны и обычно не распространяются на окружающие ткани, хотя могут быть серьезными и даже опасными для жизни.Доброкачественные опухоли головного мозга обычно имеют четко очерченные границы и обычно не укореняются глубоко в мозговой ткани. Это упрощает их удаление хирургическим путем, если они находятся в области мозга, где безопасно работать. Но они могут вернуться. Доброкачественные опухоли реже возвращаются, чем раковые.
Даже доброкачественная опухоль головного мозга может стать серьезной проблемой для здоровья. Опухоли головного мозга могут повредить клетки вокруг себя, вызывая воспаление и оказывая повышенное давление на близлежащие ткани, а также внутри черепа.
Злокачественные первичные опухоли головного мозга — это злокачественные опухоли, которые начинаются в вашем мозгу, обычно растут быстрее, чем доброкачественные опухоли, и быстро поражают окружающие ткани. Хотя рак мозга редко распространяется на другие органы, он может распространиться на другие части вашего мозга и центральную нервную систему.
Вторичные опухоли головного мозга — это рак. Они происходят от рака, который зародился где-то в другом месте вашего тела и распространился или метастазировал в ваш мозг. Примерно у 1 из 4 больных раком развивается вторичная опухоль головного мозга.
Симптомы опухоли головного мозга
Симптомы опухолей головного мозга различаются в зависимости от типа опухоли и локализации. Поскольку разные области мозга контролируют разные функции организма, то место, где находится опухоль, влияет на симптомы, которые вы получаете.
Некоторые опухоли не имеют симптомов, пока не станут большими, а затем вызывают серьезное и быстрое ухудшение здоровья. Другие опухоли могут иметь симптомы, которые развиваются медленно.
Общие симптомы включают:
- Головные боли, которые могут не исчезнуть с помощью обычных средств от головной боли.Вы можете заметить, что получаете их чаще или хуже, чем обычно.
- Приступы, особенно у человека, у которого в анамнезе не было припадков
- Изменения речи или слуха
- Изменения зрения
- Проблемы с равновесием
- Проблемы с ходьбой
- Онемение или покалывание в руках или ногах
- Проблемы с памятью
- Изменения личности
- Неспособность сконцентрироваться
- Слабость в одной части тела
- Утренняя рвота без тошноты
Эти симптомы могут быть результатом многих состояний.Не думайте, что у вас опухоль головного мозга только потому, что у вас есть некоторые из симптомов. Посоветуйтесь со своим врачом.
В большинстве случаев врачи не могут сказать, что вызывает опухоль головного мозга. Есть лишь несколько известных факторов риска опухолей головного мозга у взрослых.
- Воздействие радиации. Дети, получившие облучение в голову, имеют более высокий риск развития опухоли головного мозга во взрослом возрасте.
- Семейный анамнез. Некоторые опухоли головного мозга связаны с некоторыми редкими генетическими заболеваниями, такими как нейрофиброматоз или синдром Ли-Фраумени.
- Возраст. Люди в возрасте от 65 до 79 лет составляют группу населения, у которой чаще всего диагностируется опухоль головного мозга.
- Ветряной оспы в анамнезе нет. Одно исследование показало, что люди, переболевшие ветряной оспой, реже болеют глиомами.
Диагностика опухоли головного мозга
Чтобы диагностировать опухоль головного мозга, ваш врач сначала задаст вопросы о ваших симптомах, общем состоянии здоровья и семейном анамнезе. Затем они проведут медицинский осмотр, включая неврологический осмотр.Если есть основания подозревать опухоль головного мозга, врач может запросить один или несколько из следующих тестов:
- Визуализирующие исследования, такие как компьютерная томография или МРТ, чтобы увидеть подробные изображения головного мозга
- Ангиограмма или МРА с использованием красителя и X -излучения кровеносных сосудов в головном мозге для поиска признаков опухоли или аномальных кровеносных сосудов
Врач также может попросить биопсию, чтобы определить, является ли опухоль раком. Они возьмут образец ткани из вашего мозга. Они могут сделать это во время операции по удалению опухоли.Или они могут вставить иглу в небольшое отверстие, просверленное в вашем черепе. Они отправят образец в лабораторию для тестирования.
Лечение опухоли головного мозга
При принятии решения о лечении опухоли головного мозга врач рассмотрит несколько факторов, в том числе:
- Местоположение опухоли
- Размер опухоли
- Тип опухоли
- Распространилась ли опухоль
- Ваше общее состояние здоровья
- Возможные осложнения
Операция по удалению опухоли, как правило, является первым вариантом после диагностики опухоли головного мозга.Но некоторые опухоли нельзя удалить хирургическим путем из-за их расположения в головном мозге. В этих случаях химиотерапия и лучевая терапия могут быть вариантами для уничтожения и уменьшения опухоли.
Иногда после операции вы получаете химиотерапию или лучевую терапию, чтобы убить оставшиеся раковые клетки. Ваш врач может лечить опухоли, которые находятся глубоко в головном мозге или в труднодоступных местах, с помощью терапии гамма-ножом, одной из форм высокофокусированной лучевой терапии.
Поскольку лечение рака может повредить здоровые ткани, вам следует обсудить с врачом возможные долгосрочные последствия любого лечения.Они могут объяснить риск и возможность потери определенных способностей. Врач также может объяснить важность планирования реабилитации после лечения. Реабилитация может включать работу с несколькими разными терапевтами, такими как:
- Физиотерапевты для восстановления сил и равновесия
- Логопеды за помощью в разговоре, выражении мыслей или глотании
- Трудотерапевт, который помогает управлять повседневными действиями, такими как пользование туалетом , купание и одевание
10 вопросов, которые следует задать врачу по поводу опухолей головного мозга
Если вам недавно поставили диагноз опухоль головного мозга, задайте врачу эти вопросы при следующем посещении.
1. Какой у меня тип опухоли головного мозга и какова ее степень?
2. Каковы симптомы рака мозга?
3. Какая часть моего мозга поражена опухолью и что делает эта область мозга?
4. Можно ли будет удалить опухоль хирургическим путем?
5. Если вы не можете удалить опухоль хирургическим путем, понадобятся ли мне другие методы лечения, такие как химиотерапия или лучевая терапия после операции?
6. Каковы возможные побочные эффекты этих методов лечения?
7.Кто может входить в мою терапевтическую бригаду и как долго я буду с ними встречаться?
8. Существуют ли альтернативные методы лечения моего состояния?
9. Будут ли какие-либо длительные проблемы от этого заболевания или его лечения?
10. Есть ли поблизости группы поддержки, с которыми я могу связаться?
А можно было бы? Симптомы, предупреждающие знаки и диагностика
Что такое опухоль головного мозга?
Опухоль головного мозга — это скопление аномальных клеток, которое бесконтрольно растет в вашем мозгу.Некоторые опухоли головного мозга доброкачественные, что означает, что клетки не раковые. Другие злокачественные, то есть рак.
Опухоли головного мозга называются первичными, если они возникли в вашем мозгу. Они считаются вторичными, если зародились где-то в другом месте вашего тела и распространились на ваш мозг.
Типы опухолей головного мозга
Первичные опухоли головного мозга возникают из клеток, составляющих головной мозг и центральную нервную систему. Они названы в честь той клетки, в которой они впервые сформировались. Существует более 100 видов опухолей головного мозга.Наиболее распространенными типами у взрослых являются:
- Глиомы. Эти опухоли возникают в глиальных клетках, которые помогают поддерживать здоровье нервов. Чаще всего это рак. Есть несколько категорий глиом, в зависимости от того, на какие конкретные клетки они нацелены. Астроцитомы чаще всего встречаются у взрослых. Глиобластома — наиболее агрессивный тип глиальной опухоли.
- Менингиомы. Они образуют в мозговых оболочках тонкий слой ткани, покрывающий головной и спинной мозг.Это не рак, но они могут вызывать проблемы, давя на ваш мозг.
- Шванномас. Повреждают защитное покрытие нервных клеток. Это не рак, но они часто вызывают потерю слуха или проблемы с равновесием.
- Аденомы гипофиза. Они образуются в гипофизе, который находится в основании вашего мозга. Он вырабатывает важные гормоны. Эти опухоли обычно не являются раком и растут медленно.
Сравнение доброкачественных и злокачественных опухолей головного мозга
Доброкачественные опухоли головного мозга не агрессивны и обычно не распространяются на окружающие ткани, хотя могут быть серьезными и даже опасными для жизни.Доброкачественные опухоли головного мозга обычно имеют четко очерченные границы и обычно не укореняются глубоко в мозговой ткани. Это упрощает их удаление хирургическим путем, если они находятся в области мозга, где безопасно работать. Но они могут вернуться. Доброкачественные опухоли реже возвращаются, чем раковые.
Даже доброкачественная опухоль головного мозга может стать серьезной проблемой для здоровья. Опухоли головного мозга могут повредить клетки вокруг себя, вызывая воспаление и оказывая повышенное давление на близлежащие ткани, а также внутри черепа.
Злокачественные первичные опухоли головного мозга — это злокачественные опухоли, которые начинаются в вашем мозгу, обычно растут быстрее, чем доброкачественные опухоли, и быстро поражают окружающие ткани. Хотя рак мозга редко распространяется на другие органы, он может распространиться на другие части вашего мозга и центральную нервную систему.
Вторичные опухоли головного мозга — это рак. Они происходят от рака, который зародился где-то в другом месте вашего тела и распространился или метастазировал в ваш мозг. Примерно у 1 из 4 больных раком развивается вторичная опухоль головного мозга.
Симптомы опухоли головного мозга
Симптомы опухолей головного мозга различаются в зависимости от типа опухоли и локализации. Поскольку разные области мозга контролируют разные функции организма, то место, где находится опухоль, влияет на симптомы, которые вы получаете.
Некоторые опухоли не имеют симптомов, пока не станут большими, а затем вызывают серьезное и быстрое ухудшение здоровья. Другие опухоли могут иметь симптомы, которые развиваются медленно.
Общие симптомы включают:
- Головные боли, которые могут не исчезнуть с помощью обычных средств от головной боли.Вы можете заметить, что получаете их чаще или хуже, чем обычно.
- Приступы, особенно у человека, у которого в анамнезе не было припадков
- Изменения речи или слуха
- Изменения зрения
- Проблемы с равновесием
- Проблемы с ходьбой
- Онемение или покалывание в руках или ногах
- Проблемы с памятью
- Изменения личности
- Неспособность сконцентрироваться
- Слабость в одной части тела
- Утренняя рвота без тошноты
Эти симптомы могут быть результатом многих состояний.Не думайте, что у вас опухоль головного мозга только потому, что у вас есть некоторые из симптомов. Посоветуйтесь со своим врачом.
В большинстве случаев врачи не могут сказать, что вызывает опухоль головного мозга. Есть лишь несколько известных факторов риска опухолей головного мозга у взрослых.
- Воздействие радиации. Дети, получившие облучение в голову, имеют более высокий риск развития опухоли головного мозга во взрослом возрасте.
- Семейный анамнез. Некоторые опухоли головного мозга связаны с некоторыми редкими генетическими заболеваниями, такими как нейрофиброматоз или синдром Ли-Фраумени.
- Возраст. Люди в возрасте от 65 до 79 лет составляют группу населения, у которой чаще всего диагностируется опухоль головного мозга.
- Ветряной оспы в анамнезе нет. Одно исследование показало, что люди, переболевшие ветряной оспой, реже болеют глиомами.
Диагностика опухоли головного мозга
Чтобы диагностировать опухоль головного мозга, ваш врач сначала задаст вопросы о ваших симптомах, общем состоянии здоровья и семейном анамнезе. Затем они проведут медицинский осмотр, включая неврологический осмотр.Если есть основания подозревать опухоль головного мозга, врач может запросить один или несколько из следующих тестов:
- Визуализирующие исследования, такие как компьютерная томография или МРТ, чтобы увидеть подробные изображения головного мозга
- Ангиограмма или МРА с использованием красителя и X -излучения кровеносных сосудов в головном мозге для поиска признаков опухоли или аномальных кровеносных сосудов
Врач также может попросить биопсию, чтобы определить, является ли опухоль раком. Они возьмут образец ткани из вашего мозга. Они могут сделать это во время операции по удалению опухоли.Или они могут вставить иглу в небольшое отверстие, просверленное в вашем черепе. Они отправят образец в лабораторию для тестирования.
Лечение опухоли головного мозга
При принятии решения о лечении опухоли головного мозга врач рассмотрит несколько факторов, в том числе:
- Местоположение опухоли
- Размер опухоли
- Тип опухоли
- Распространилась ли опухоль
- Ваше общее состояние здоровья
- Возможные осложнения
Операция по удалению опухоли, как правило, является первым вариантом после диагностики опухоли головного мозга.Но некоторые опухоли нельзя удалить хирургическим путем из-за их расположения в головном мозге. В этих случаях химиотерапия и лучевая терапия могут быть вариантами для уничтожения и уменьшения опухоли.
Иногда после операции вы получаете химиотерапию или лучевую терапию, чтобы убить оставшиеся раковые клетки. Ваш врач может лечить опухоли, которые находятся глубоко в головном мозге или в труднодоступных местах, с помощью терапии гамма-ножом, одной из форм высокофокусированной лучевой терапии.
Поскольку лечение рака может повредить здоровые ткани, вам следует обсудить с врачом возможные долгосрочные последствия любого лечения.Они могут объяснить риск и возможность потери определенных способностей. Врач также может объяснить важность планирования реабилитации после лечения. Реабилитация может включать работу с несколькими разными терапевтами, такими как:
- Физиотерапевты для восстановления сил и равновесия
- Логопеды за помощью в разговоре, выражении мыслей или глотании
- Трудотерапевт, который помогает управлять повседневными действиями, такими как пользование туалетом , купание и одевание
10 вопросов, которые следует задать врачу по поводу опухолей головного мозга
Если вам недавно поставили диагноз опухоль головного мозга, задайте врачу эти вопросы при следующем посещении.
1. Какой у меня тип опухоли головного мозга и какова ее степень?
2. Каковы симптомы рака мозга?
3. Какая часть моего мозга поражена опухолью и что делает эта область мозга?
4. Можно ли будет удалить опухоль хирургическим путем?
5. Если вы не можете удалить опухоль хирургическим путем, понадобятся ли мне другие методы лечения, такие как химиотерапия или лучевая терапия после операции?
6. Каковы возможные побочные эффекты этих методов лечения?
7.Кто может входить в мою терапевтическую бригаду и как долго я буду с ними встречаться?
8. Существуют ли альтернативные методы лечения моего состояния?
9. Будут ли какие-либо длительные проблемы от этого заболевания или его лечения?
10. Есть ли поблизости группы поддержки, с которыми я могу связаться?
А можно было бы? Симптомы, предупреждающие знаки и диагностика
Что такое опухоль головного мозга?
Опухоль головного мозга — это скопление аномальных клеток, которое бесконтрольно растет в вашем мозгу.Некоторые опухоли головного мозга доброкачественные, что означает, что клетки не раковые. Другие злокачественные, то есть рак.
Опухоли головного мозга называются первичными, если они возникли в вашем мозгу. Они считаются вторичными, если зародились где-то в другом месте вашего тела и распространились на ваш мозг.
Типы опухолей головного мозга
Первичные опухоли головного мозга возникают из клеток, составляющих головной мозг и центральную нервную систему. Они названы в честь той клетки, в которой они впервые сформировались. Существует более 100 видов опухолей головного мозга.Наиболее распространенными типами у взрослых являются:
- Глиомы. Эти опухоли возникают в глиальных клетках, которые помогают поддерживать здоровье нервов. Чаще всего это рак. Есть несколько категорий глиом, в зависимости от того, на какие конкретные клетки они нацелены. Астроцитомы чаще всего встречаются у взрослых. Глиобластома — наиболее агрессивный тип глиальной опухоли.
- Менингиомы. Они образуют в мозговых оболочках тонкий слой ткани, покрывающий головной и спинной мозг.Это не рак, но они могут вызывать проблемы, давя на ваш мозг.
- Шванномас. Повреждают защитное покрытие нервных клеток. Это не рак, но они часто вызывают потерю слуха или проблемы с равновесием.
- Аденомы гипофиза. Они образуются в гипофизе, который находится в основании вашего мозга. Он вырабатывает важные гормоны. Эти опухоли обычно не являются раком и растут медленно.
Сравнение доброкачественных и злокачественных опухолей головного мозга
Доброкачественные опухоли головного мозга не агрессивны и обычно не распространяются на окружающие ткани, хотя могут быть серьезными и даже опасными для жизни.Доброкачественные опухоли головного мозга обычно имеют четко очерченные границы и обычно не укореняются глубоко в мозговой ткани. Это упрощает их удаление хирургическим путем, если они находятся в области мозга, где безопасно работать. Но они могут вернуться. Доброкачественные опухоли реже возвращаются, чем раковые.
Даже доброкачественная опухоль головного мозга может стать серьезной проблемой для здоровья. Опухоли головного мозга могут повредить клетки вокруг себя, вызывая воспаление и оказывая повышенное давление на близлежащие ткани, а также внутри черепа.
Злокачественные первичные опухоли головного мозга — это злокачественные опухоли, которые начинаются в вашем мозгу, обычно растут быстрее, чем доброкачественные опухоли, и быстро поражают окружающие ткани. Хотя рак мозга редко распространяется на другие органы, он может распространиться на другие части вашего мозга и центральную нервную систему.
Вторичные опухоли головного мозга — это рак. Они происходят от рака, который зародился где-то в другом месте вашего тела и распространился или метастазировал в ваш мозг. Примерно у 1 из 4 больных раком развивается вторичная опухоль головного мозга.
Симптомы опухоли головного мозга
Симптомы опухолей головного мозга различаются в зависимости от типа опухоли и локализации. Поскольку разные области мозга контролируют разные функции организма, то место, где находится опухоль, влияет на симптомы, которые вы получаете.
Некоторые опухоли не имеют симптомов, пока не станут большими, а затем вызывают серьезное и быстрое ухудшение здоровья. Другие опухоли могут иметь симптомы, которые развиваются медленно.
Общие симптомы включают:
- Головные боли, которые могут не исчезнуть с помощью обычных средств от головной боли.Вы можете заметить, что получаете их чаще или хуже, чем обычно.
- Приступы, особенно у человека, у которого в анамнезе не было припадков
- Изменения речи или слуха
- Изменения зрения
- Проблемы с равновесием
- Проблемы с ходьбой
- Онемение или покалывание в руках или ногах
- Проблемы с памятью
- Изменения личности
- Неспособность сконцентрироваться
- Слабость в одной части тела
- Утренняя рвота без тошноты
Эти симптомы могут быть результатом многих состояний.Не думайте, что у вас опухоль головного мозга только потому, что у вас есть некоторые из симптомов. Посоветуйтесь со своим врачом.
В большинстве случаев врачи не могут сказать, что вызывает опухоль головного мозга. Есть лишь несколько известных факторов риска опухолей головного мозга у взрослых.
- Воздействие радиации. Дети, получившие облучение в голову, имеют более высокий риск развития опухоли головного мозга во взрослом возрасте.
- Семейный анамнез. Некоторые опухоли головного мозга связаны с некоторыми редкими генетическими заболеваниями, такими как нейрофиброматоз или синдром Ли-Фраумени.
- Возраст. Люди в возрасте от 65 до 79 лет составляют группу населения, у которой чаще всего диагностируется опухоль головного мозга.
- Ветряной оспы в анамнезе нет. Одно исследование показало, что люди, переболевшие ветряной оспой, реже болеют глиомами.
Диагностика опухоли головного мозга
Чтобы диагностировать опухоль головного мозга, ваш врач сначала задаст вопросы о ваших симптомах, общем состоянии здоровья и семейном анамнезе. Затем они проведут медицинский осмотр, включая неврологический осмотр.Если есть основания подозревать опухоль головного мозга, врач может запросить один или несколько из следующих тестов:
- Визуализирующие исследования, такие как компьютерная томография или МРТ, чтобы увидеть подробные изображения головного мозга
- Ангиограмма или МРА с использованием красителя и X -излучения кровеносных сосудов в головном мозге для поиска признаков опухоли или аномальных кровеносных сосудов
Врач также может попросить биопсию, чтобы определить, является ли опухоль раком. Они возьмут образец ткани из вашего мозга. Они могут сделать это во время операции по удалению опухоли.Или они могут вставить иглу в небольшое отверстие, просверленное в вашем черепе. Они отправят образец в лабораторию для тестирования.
Лечение опухоли головного мозга
При принятии решения о лечении опухоли головного мозга врач рассмотрит несколько факторов, в том числе:
- Местоположение опухоли
- Размер опухоли
- Тип опухоли
- Распространилась ли опухоль
- Ваше общее состояние здоровья
- Возможные осложнения
Операция по удалению опухоли, как правило, является первым вариантом после диагностики опухоли головного мозга.Но некоторые опухоли нельзя удалить хирургическим путем из-за их расположения в головном мозге. В этих случаях химиотерапия и лучевая терапия могут быть вариантами для уничтожения и уменьшения опухоли.
Иногда после операции вы получаете химиотерапию или лучевую терапию, чтобы убить оставшиеся раковые клетки. Ваш врач может лечить опухоли, которые находятся глубоко в головном мозге или в труднодоступных местах, с помощью терапии гамма-ножом, одной из форм высокофокусированной лучевой терапии.
Поскольку лечение рака может повредить здоровые ткани, вам следует обсудить с врачом возможные долгосрочные последствия любого лечения.Они могут объяснить риск и возможность потери определенных способностей. Врач также может объяснить важность планирования реабилитации после лечения. Реабилитация может включать работу с несколькими разными терапевтами, такими как:
- Физиотерапевты для восстановления сил и равновесия
- Логопеды за помощью в разговоре, выражении мыслей или глотании
- Трудотерапевт, который помогает управлять повседневными действиями, такими как пользование туалетом , купание и одевание
10 вопросов, которые следует задать врачу по поводу опухолей головного мозга
Если вам недавно поставили диагноз опухоль головного мозга, задайте врачу эти вопросы при следующем посещении.
1. Какой у меня тип опухоли головного мозга и какова ее степень?
2. Каковы симптомы рака мозга?
3. Какая часть моего мозга поражена опухолью и что делает эта область мозга?
4. Можно ли будет удалить опухоль хирургическим путем?
5. Если вы не можете удалить опухоль хирургическим путем, понадобятся ли мне другие методы лечения, такие как химиотерапия или лучевая терапия после операции?
6. Каковы возможные побочные эффекты этих методов лечения?
7.Кто может входить в мою терапевтическую бригаду и как долго я буду с ними встречаться?
8. Существуют ли альтернативные методы лечения моего состояния?
9. Будут ли какие-либо длительные проблемы от этого заболевания или его лечения?
10. Есть ли поблизости группы поддержки, с которыми я могу связаться?
Опухоли головного мозга — Классификация, симптомы, диагностика и лечение
Типы опухолей головного мозга
Опухоль головного мозга, известная как внутричерепная опухоль, представляет собой аномальную массу ткани, в которой клетки бесконтрольно растут и размножаются, по-видимому, не контролируемые механизмами, контролирующими нормальные клетки.Было зарегистрировано более 150 различных опухолей головного мозга, но две основные группы опухолей головного мозга называются первичными и метастатическими .
Первичные опухоли головного мозга включают опухоли, происходящие из тканей головного мозга или его непосредственного окружения. Первичные опухоли подразделяются на глиальные (состоящие из глиальных клеток ), неглиальные (развивающиеся на или в структурах мозга, включая нервы, кровеносные сосуды и железы) и доброкачественные или злокачественные .
Метастатические опухоли головного мозга включают опухоли, которые возникают в других частях тела (например, в груди или легких) и мигрируют в мозг, обычно через кровоток. Метастатические опухоли считаются злокачественными.
Метастатические опухоли в мозг поражают почти каждого четвертого пациента, страдающего раком, или примерно 150 000 человек в год. До 40 процентов людей с раком легких разовьются метастатические опухоли головного мозга. В прошлом исход для пациентов с диагнозом этих опухолей был очень плохим, с типичной выживаемостью всего несколько недель.Более сложные диагностические инструменты в дополнение к инновационным хирургическим и лучевым подходам помогли увеличить выживаемость до нескольких лет; а также позволили улучшить качество жизни пациентов после постановки диагноза.
Типы доброкачественных опухолей головного мозга
- Хордомы — это доброкачественные медленнорастущие опухоли, которые наиболее распространены у людей в возрасте от 50 до 60 лет. Их наиболее частые локализации — основание черепа и нижняя часть позвоночника.Хотя эти опухоли доброкачественные, они могут поражать соседнюю кость и оказывать давление на соседнюю нервную ткань. Это редкие опухоли, составляющие всего 0,2 процента всех первичных опухолей головного мозга.
- Краниофарингиомы обычно доброкачественные, но их трудно удалить из-за их расположения рядом с критическими структурами глубоко в головном мозге. Обычно они возникают из части гипофиза (структура, которая регулирует многие гормоны в организме), поэтому почти всем пациентам потребуется примерно заместительная гормональная терапия .
- Ганглиоцитомы , ганглиомы и анапластические ганглиоглиомы — это редкие опухоли, которые включают неопластических нервных клеток, которые относительно хорошо дифференцированы и встречаются в основном у молодых людей.
- Glomus jugulare Опухоли чаще всего являются доброкачественными и обычно располагаются непосредственно под основанием черепа, в верхней части яремной вены. Они представляют собой наиболее частую форму опухоли гломус . Однако гломусные опухоли, как правило, вносят вклад только в 0.6 процентов новообразований головы и шеи.
- Менингиомы являются наиболее распространенными доброкачественными внутричерепными опухолями, составляющими от 10 до 15 процентов всех новообразований головного мозга, хотя очень небольшой процент являются злокачественными. Эти опухоли происходят из мозговых оболочек , мембраноподобных структур, окружающих головной и спинной мозг.
- Пинеоцитомы обычно представляют собой доброкачественные образования, которые возникают из клеток эпифиза и встречаются преимущественно у взрослых.Чаще всего они четко выражены, неинвазивны, однородны и медленно растут.
- Аденомы гипофиза являются наиболее частыми внутричерепными опухолями после глиом, менингиом и шванном. Подавляющее большинство аденом гипофиза доброкачественные и довольно медленно растут. Даже злокачественные опухоли гипофиза редко распространяются на другие части тела. Аденомы — одно из самых распространенных заболеваний гипофиза. Обычно они поражают людей в возрасте от 30 до 40 лет, хотя диагностируются и у детей.Большинство этих опухолей можно успешно лечить.
- Шванномы — распространенные доброкачественные опухоли головного мозга у взрослых. Они возникают вдоль нервов и состоят из клеток, которые обычно обеспечивают «электрическую изоляцию» нервных клеток. Шванномы часто смещают остаток нормального нерва вместо того, чтобы вторгаться в него. Акустические невриномы — наиболее распространенная шваннома, возникающая из восьмого черепного нерва или вестибулярно-улиткового нерва , который проходит от мозга к уху.Хотя эти опухоли доброкачественные, они могут вызвать серьезные осложнения и даже смерть, если они растут и оказывают давление на нервы и, в конечном итоге, на мозг. Другие места включают позвоночник и, реже, нервы, идущие к конечностям.
Типы злокачественных опухолей головного мозга
Глиомы являются наиболее распространенным типом опухолей головного мозга у взрослых, на их долю приходится 78 процентов злокачественных опухолей головного мозга. Они возникают из поддерживающих клеток головного мозга, называемых глия .Эти клетки подразделяются на астроцитов , эпендимных клеток и олигодендроглиальных клеток (или олигонуклеотидов). Глиальные опухоли включают следующие:
- Астроцитомы являются наиболее распространенными глиомами, составляющими около половины всех первичных опухолей головного и спинного мозга. Астроцитомы развиваются из звездчатых глиальных клеток, называемых астроцитами, которые являются частью поддерживающей ткани мозга. Они могут возникать во многих частях мозга, но чаще всего в головном мозге.У людей любого возраста могут развиться астроцитомы, но они чаще встречаются у взрослых, особенно у мужчин среднего возраста. Астроцитомы в основании головного мозга чаще встречаются у детей и молодых людей и составляют большинство опухолей головного мозга у детей. У детей большинство этих опухолей считаются низкозлокачественными, в то время как у взрослых большинство — высокозлокачественными.
- Эпендимомы происходят из неопластической трансформации эпендимных клеток, выстилающих желудочковую систему , и составляют от двух до трех процентов всех опухолей головного мозга.Большинство из них четко определены, но некоторые нет.
- Мультиформная глиобластома (GBM) — наиболее инвазивный тип глиальной опухоли. Эти опухоли имеют тенденцию к быстрому росту, распространению на другие ткани и неблагоприятному прогнозу. Они могут состоять из нескольких различных типов клеток, таких как астроциты и олигодендроциты. ГБМ чаще встречается у людей в возрасте от 50 до 70 лет и чаще встречается у мужчин, чем у женщин.
- Медуллобластомы обычно возникают в мозжечке , чаще всего у детей.Это опухоли высокой степени злокачественности, но они обычно поддаются лечению и химиотерапии .
- Олигодендроглиомы происходят из клеток, которые производят миелин , который является изоляцией для проводки мозга.
Другие типы опухолей головного мозга
- Гемангиобластомы — это медленнорастущие опухоли, обычно локализующиеся в мозжечке. Они берут начало из кровеносных сосудов, могут быть большого размера и часто сопровождаются кистой.Эти опухоли чаще всего встречаются у людей в возрасте от 40 до 60 лет и чаще встречаются у мужчин, чем у женщин.
- Рабдоидные опухоли — это редкие, очень агрессивные опухоли, которые имеют тенденцию распространяться по центральной нервной системе. Они часто появляются в разных частях тела, особенно в почках. Они чаще встречаются у маленьких детей, но могут встречаться и у взрослых.
Детские опухоли головного мозга
Опухоли головного мозга у детей обычно возникают из тканей, отличных от тканей, поражающих взрослых.Лечение, которое достаточно хорошо переносится мозгом взрослого человека (например, лучевая терапия), может препятствовать нормальному развитию мозга ребенка, особенно у детей младше пяти лет.
По данным фонда Pediatric Brain Tumor Foundation , примерно у 4200 детей в США диагностирована опухоль головного мозга. Семьдесят два процента детей, у которых диагностирована опухоль головного мозга, моложе 15 лет. Большинство этих опухолей головного мозга растут в задней черепной ямке. (или задняя часть) мозга.У детей часто наблюдается гидроцефалия (скопление жидкости в головном мозге), либо лицо или тело не работают должным образом.
Некоторые типы опухолей головного мозга чаще встречаются у детей, чем у взрослых. Наиболее распространенными типами детских опухолей являются медуллобластомы, астроцитомы низкой степени злокачественности (пилоцитарные), эпендимомы, краниофарингиомы и глиомы ствола головного мозга .
Всемирная организация здравоохранения (ВОЗ) разработала систему классификации для определения злокачественности или доброкачественности опухоли на основе ее гистологических характеристик под микроскопом.
- Наиболее злокачественные
- Быстрый рост, агрессивный
- Широко проникающий
- Быстрое повторение
- Некроз склонность
Причины опухолей головного мозга
Считается, что опухоли головного мозга возникают, когда определенные гены на хромосомах клетки повреждены и больше не функционируют должным образом. Эти гены обычно регулируют скорость деления клетки (если она вообще делится) и восстанавливают гены, которые исправляют дефекты других генов, а также гены, которые должны вызывать самоуничтожение клетки, если повреждение не подлежит восстановлению.В некоторых случаях человек может родиться с частичными дефектами одного или нескольких из этих генов. В этом случае факторы окружающей среды могут привести к дальнейшему ущербу. В других случаях единственной причиной может быть экологическое повреждение генов. Неизвестно, почему у некоторых людей в «окружающей среде» развиваются опухоли головного мозга, а у других — нет.
Когда клетка быстро делится и внутренние механизмы, сдерживающие ее рост, повреждены, клетка может в конечном итоге вырасти в опухоль. Другой линией защиты может быть иммунная система организма, которая оптимально обнаружит аномальную клетку и убьет ее.Опухоли могут производить вещества, которые блокируют распознавание иммунной системой аномальных опухолевых клеток и в конечном итоге подавляют все внутренние и внешние факторы, сдерживающие их рост.
Для быстро растущей опухоли может потребоваться больше кислорода и питательных веществ, чем может обеспечить местное кровоснабжение нормальных тканей. Опухоли могут продуцировать вещества, называемые факторами ангиогенеза , которые способствуют росту кровеносных сосудов. Новые сосуды, которые растут, увеличивают снабжение опухоли питательными веществами, и, в конечном итоге, опухоль становится зависимой от этих новых сосудов.В этой области проводятся исследования, но необходимы более обширные исследования, чтобы воплотить эти знания в потенциальных методах лечения.
Лечение опухолей головного мозга
Опухоли головного мозга (первичные или метастатические, доброкачественные или злокачественные) обычно лечат с помощью хирургического вмешательства, лучевой терапии и / или химиотерапии — отдельно или в различных комбинациях. Хотя верно, что лучевая и химиотерапия чаще используется при злокачественных, резидуальных или рецидивирующих опухолях, решения о том, какое лечение использовать, принимаются в каждом конкретном случае и зависят от ряда факторов.С каждым типом терапии связаны риски и побочные эффекты.
Хирургия
Принято считать, что полное или почти полное хирургическое удаление опухоли головного мозга полезно для пациента. Задача нейрохирурга — удалить как можно больше опухоли, не повреждая ткани мозга, важные для неврологической функции пациента (например, способности говорить, ходить и т. Д.). Традиционно нейрохирурги вскрывают череп с помощью краниотомии , чтобы убедиться, что они могут получить доступ к опухоли и удалить как можно большую ее часть.Дренаж (EVD) может оставаться в полостях для жидкости мозга во время операции, чтобы слить нормальную мозговую жидкость, когда мозг восстанавливается после операции.
Другая процедура, которая обычно выполняется, иногда перед трепанацией черепа, называется стереотаксической биопсией . Эта небольшая операция позволяет врачам получить ткани для постановки точного диагноза. Обычно к голове пациента прикрепляется рама, выполняется сканирование, а затем пациента доставляют в операционную зону, где в черепе просверливают небольшое отверстие для доступа к аномальной области.В зависимости от местоположения поражения некоторые больницы могут выполнять эту же процедуру без использования каркаса. Берут небольшой образец для исследования под микроскопом.
В начале 1990-х были представлены компьютеризированные устройства, называемые хирургическими навигационными системами. Эти системы помогали нейрохирургу определять, определять местонахождение и ориентировать опухоли. Эта информация снизила риски и улучшила степень удаления опухоли. Во многих случаях хирургические навигационные системы позволяли удалять ранее неоперабельные опухоли с приемлемым риском.Некоторые из этих систем также можно использовать для биопсии без прикрепления каркаса к черепу. Одним из ограничений этих систем является то, что они используют сканирование (КТ или МРТ), полученное до операции, чтобы направлять нейрохирурга. Таким образом, они не могут учитывать движения мозга, которые могут происходить во время операции. Исследователи разрабатывают методы с использованием ультразвука и проводят операции на МРТ-сканерах, чтобы обновлять данные навигационной системы во время операции.
Интраоперационное картирование языка рассматривается некоторыми как критически важный метод для пациентов с опухолями, влияющими на речевую функцию, такими как большие глиомы доминантного полушария.Эта процедура включает в себя операцию на сознательном пациенте и отображение анатомии его языковой функции во время операции. Затем врач решает, какие части опухоли можно безопасно удалить. Недавние исследования определили, что картирование коркового языка может использоваться в качестве безопасного и эффективного дополнения для оптимизации резекции глиомы при сохранении основных языковых участков.
Вентрикулоперитонеальное шунтирование может потребоваться некоторым пациентам с опухолями головного мозга. У каждого человека имеется спинномозговой жидкости (CSF) в головном мозге и позвоночнике, которая постоянно медленно циркулирует.Если этот поток блокируется, мешочки, содержащие жидкость (желудочки), могут увеличиваться, создавая повышенное давление внутри головы, что приводит к состоянию, называемому гидроцефалией. Если не лечить, гидроцефалия может вызвать повреждений головного мозга и даже смерть. Нейрохирург может решить использовать шунт , чтобы отвести спинномозговую жидкость от мозга и, следовательно, снизить давление. Полостью тела, в которую отводится спинномозговая жидкость, обычно является брюшная полость (область, окружающая органы брюшной полости).Шунт обычно постоянный. Если он блокируется, симптомы аналогичны исходному состоянию гидроцефалии и могут включать, среди прочего, головные боли, рвоту, проблемы со зрением и / или спутанность сознания или летаргию. Другой метод, который можно использовать для контроля обструкции путей отвода жидкости в головном мозге, называется эндоскопической третьей вентрикулостомией. Это помогает отвести мозговую жидкость вокруг препятствия без шунтирования.
Лучевая терапия
Лучевая терапия использует высокоэнергетические рентгеновские лучи для уничтожения раковых клеток и аномальных клеток мозга, а также для уменьшения размеров опухолей.Лучевая терапия может быть вариантом, если опухоль не может быть эффективно вылечена хирургическим путем.
- Стандартная внешняя лучевая терапия использует различные пучки излучения для создания конформного покрытия опухоли, ограничивая при этом дозу до окружающих нормальных структур. Риск долгосрочного лучевого поражения при современных методах доставки очень низок. Более новые методы доставки, помимо 3-мерной конформной лучевой терапии (3DCRT) , включают лучевую терапию с модуляцией интенсивности (IMRT) .
- Proton Beam Treatment использует особый тип излучения, при котором протоны, одна из форм радиоактивности, направляются конкретно на опухоль. Преимущество состоит в том, что меньшее количество тканей, окружающих опухоль, вызывает повреждение.
- Стереотаксическая радиохирургия (например, гамма-нож, Novalis и Cyberknife) — это метод, который фокусирует излучение с помощью множества различных лучей на ткани-мишени. Это лечение, как правило, меньше повреждает ткани, прилегающие к опухоли.В настоящее время нет данных, позволяющих предположить, что одна система доставки превосходит другую с точки зрения клинического исхода, и каждая имеет свои преимущества и недостатки.
Химиотерапия
Химиотерапия обычно считается эффективной при определенных детских опухолях, лимфомах и некоторых олигодендроглиомах. Хотя было доказано, что химиотерапия улучшает общую выживаемость у пациентов с наиболее злокачественными первичными опухолями головного мозга, она делает это только примерно у 20 процентов всех пациентов, и врачи не могут легко предсказать, какие пациенты получат пользу до лечения.Таким образом, некоторые врачи предпочитают не использовать химиотерапию из-за потенциальных побочных эффектов ( рубцевание легких, , подавление иммунной системы, тошнота и т. Д.).
Химиотерапия работает, вызывая повреждение клеток, которое лучше восстанавливается нормальной тканью, чем опухолевой тканью. Устойчивость к химиотерапии может включать выживание опухолевой ткани, которая не может реагировать на лекарство, или неспособность лекарства проходить из кровотока в мозг. Между кровотоком и тканью мозга существует особый барьер, называемый гематоэнцефалическим барьером .Некоторые исследователи пытались улучшить эффект химиотерапии, разрушив этот барьер или введя лекарство в опухоль или мозг. Целью другого класса лекарств является не уничтожение опухолевых клеток, а, скорее, блокирование дальнейшего роста опухоли. В некоторых случаях модификаторы роста (такие как препарат для лечения рака груди Тамоксифен ) использовались, чтобы попытаться остановить рост опухолей, устойчивых к другим методам лечения.
В 1996 году Управление по контролю за продуктами и лекарствами США одобрило использование вафель, пропитанных химиотерапией, которые нейрохирург может применять во время операции.Пластинки медленно выделяют лекарство в опухоль, и пациент получает химиотерапию с системными побочными эффектами лечения.
Лазерная интерстициальная термотерапия (LITT)
Лазерная термоабляция — это новая методика, которую некоторые центры используют для лечения небольших опухолей, особенно в областях, которые могут быть более труднодоступными при использовании предыдущих открытых хирургических процедур. Это включает в себя размещение крошечного катетера внутри поражения, возможно, завершение биопсии, а затем использование лазера для термической абляции поражения.Этот метод используется для лечения опухолей головного мозга совсем недавно, поэтому долгосрочная эффективность не установлена.
Исследовательские методы лечения
В настоящее время изучаются многие типы новых методов лечения, особенно в отношении опухолей, для которых прогноз обычно неблагоприятный при использовании существующих традиционных методов лечения. Неизвестно, подействуют ли эти методы лечения. Такие методы лечения назначаются в соответствии с протоколом и включают различные формы иммунотерапии, терапию с использованием целевых токсинов, терапию против ангиогенеза, генную терапию и терапию дифференцировки.Комбинации процедур также могут улучшить прогноз для пациентов, уменьшив при этом побочные эффекты.
AANS не одобряет какие-либо виды лечения, процедуры, продукты или врачей, упомянутые в этих информационных бюллетенях о пациентах. Эта информация предоставляется в качестве образовательной услуги и не предназначена для использования в качестве медицинской консультации. Любой, кому нужен конкретный нейрохирургический совет или помощь, должен проконсультироваться со своим нейрохирургом или найти его в своем районе с помощью онлайн-инструмента AANS «Найди сертифицированного нейрохирурга».
Как тестировать, диагностировать и обнаруживать рак мозга
Тщательный и точный диагноз — это первый шаг в разработке плана лечения рака мозга. Многопрофильная группа экспертов использует различные тесты и инструменты для диагностики рака мозга, оценки заболевания и составления плана лечения в зависимости от болезни и ситуации каждого отдельного пациента. На протяжении всего лечения визуализирующие тесты отслеживают размер опухоли (опухолей) и реакцию на лечение, поэтому план лечения может быть изменен по мере необходимости.
Общие инструменты, используемые для диагностики рака мозга, включают:
Биопсия
По возможности выполняется полная хирургическая резекция раковой ткани. Если такая резекция угрожает неврологической функции, выполняется меньшая резекция или простая биопсия.
Биопсия при раке головного мозга включает удаление небольшого количества раковой ткани головного мозга. Это помогает оценить опухоль и разработать план лечения. Игольная биопсия может выполняться при опухолях в труднодоступных или критических областях мозга.
Лабораторные испытания
Основным лабораторным тестом на рак мозга является расширенное геномное тестирование, при котором анализируется геномный профиль опухоли для выявления изменений ДНК, которые могут вызывать рост рака. Выявив мутации (изменения) в геноме раковой клетки, врачи могут лучше понять поведение опухоли и подобрать лечение на основе этих результатов.
Сканирование костей для ядерной медицины
Получая изображения костей на компьютере, сканирование костей с помощью ядерной медицины может выявить, распространился ли рак мозга на кости.Для выполнения сканирования небольшая доза радиоактивного материала вводится в кровеносный сосуд, где он проходит через кровоток, собирается в костях и обнаруживается сканером с помощью ядерной визуализации.
Ангиография
Эта процедура использует рентгеновские лучи для получения множественных подробных изображений кровеносных сосудов головного мозга. Ангиография может использоваться для планирования хирургической резекции опухоли вблизи области мозга с большим количеством кровеносных сосудов. Иногда этот тест используется для эмболизации (закрытия) кровеносных сосудов, питающих опухоль, перед операцией.
Другие методы визуализации
Визуализирующие тесты на рак головного мозга позволяют получить изображения головного мозга для определения местоположения и степени опухоли головного мозга. Контрастное вещество можно использовать для различения нормальной и патологической ткани головного мозга.
Визуализирующие тесты, используемые для диагностики рака головного мозга, включают:
МРТ (магнитно-резонансная томография): МРТ используются для поиска опухолей головного и спинного мозга, потому что они, как правило, предоставляют более подробную информацию, чем компьютерная томография. Однако для костей и черепа МРТ не обеспечивает такого же качества изображения, как компьютерная томография, и, следовательно, может не показать влияние опухолей на череп.МРА обычно используется для оценки сосудистой сети головного мозга путем трехмерной оценки.
КТ (компьютерная томография): КТ создают подробные изображения мягких тканей тела и могут выполняться, когда МРТ не подходит, например, с пациентами с избыточным весом или клаустрофобией. КТ также показывает более подробную информацию о костных структурах около опухоли. КТА обычно используется для оценки сосудистой сети головного мозга, позволяя трехмерную оценку кровеносных сосудов.
ПЭТ (позитронно-эмиссионная томография): ПЭТ-сканирование можно использовать для быстрорастущих опухолей высокой степени злокачественности. После лечения может быть проведено ПЭТ-сканирование, чтобы определить, остается ли опухолевая ткань.
Следующая тема: Как лечится рак мозга?
Диагностика опухолей головного мозга | Онкологический совет Виктории
Многие люди с диагнозом опухоль головного или спинного мозга сначала обращаются к врачу из-за плохого самочувствия. Иногда опухоль головного мозга обнаруживается во время сканирования на предмет чего-то не связанного, например, травмы головы или посещения оптометрии.У некоторых людей возникают внезапные симптомы, и они сразу попадают в больницу.
Врач спросит вас о ваших симптомах и истории болезни и проведет медицинский осмотр. Если ваш врач подозревает, что у вас опухоль головного или спинного мозга, вас направят на дополнительные тесты и сканирование для подтверждения диагноза.
Ваш путеводитель по лучшему лечению рака
Многое может случиться в спешке, когда у вас диагностируют рак. Руководство по лучшему лечению рака при опухолях головного мозга (глиома высокой степени) может помочь вам понять, что должно произойти.Он поможет вам с вопросами, которые следует задать вашим специалистам в области здравоохранения, чтобы убедиться, что вы получаете наилучшее обслуживание на каждом этапе.
Обратите внимание: в настоящее время ведется работа по обновлению руководства по лучшему лечению рака при опухолях головного мозга (глиома высокой степени).
Прочитать руководство
Медицинский осмотр
Ваш врач оценит вашу нервную систему, чтобы проверить, как работают различные части вашего мозга и тела, включая вашу речь, слух, зрение и движение.Это называется неврологическим обследованием и может включать:
- проверка рефлексов (например, коленные рефлексы)
- проверка силы мышц конечностей
- ходьба, чтобы показать равновесие и координацию
- тестирование ощущений (например, вашей способности чувствовать легкое прикосновение или уколы булавками)
- упражнений для мозга, таких как простые арифметические тесты или тесты памяти.
Врач также может проверить движения вашего глаза и зрачка и может посмотреть вам в глаза с помощью инструмента, называемого офтальмоскопом.Это позволяет врачу видеть ваш зрительный нерв, который передает визуальную информацию от глаз в мозг. Отек зрительного нерва может быть ранним признаком повышенного давления внутри черепа.
Анализы крови
Скорее всего, вам нужно будет сдать анализ крови, чтобы проверить ваше общее состояние здоровья. Анализы крови также можно использовать, чтобы проверить, вырабатывает ли опухоль необычный уровень гормонов, что может означать поражение гипофиза.
МРТ
МРТ (магнитно-резонансная томография) использует мощный магнит и компьютер, чтобы сделать снимки поперечного сечения вашего тела.Это займет 30-45 минут.
Изображения с МРТ обычно более детализированы, чем изображения с компьютерной томографии. Вам могут ввести краситель (контраст), который подчеркнет любые отклонения в вашем мозгу.
Тест безболезненный, но аппарат может быть шумным, и некоторые люди испытывают беспокойство или клаустрофобию в трубке. Обычно вам предлагают наушники или беруши и кнопку бедствия, которую вы можете нажать, если вы в какой-то момент беспокоитесь.
Компьютерная томография
КТ (компьютерная томография) использует рентгеновские лучи для получения множества снимков внутренней части тела, а затем компилирует их в подробные снимки поперечного сечения.
Контраст может быть введен в вену, чтобы сделать сканированные изображения более четкими. Это может вызвать жар во всем и оставить горький привкус во рту. Вы также можете почувствовать потребность в мочеиспускании. Эти побочные эффекты обычно проходят в течение нескольких минут.
Подготовка к сканированию может занять около 30 минут, но сам тест занимает всего около 10 минут и проходит безболезненно.
Дополнительные испытания
У вас могут быть дополнительные тесты, чтобы оценить, насколько быстро растет опухоль (степень) и распространилась ли она на близлежащие ткани.Эта информация поможет вашему врачу спланировать лечение.
- MRS scan — специализированный вид МРТ. Это можно сделать одновременно со стандартной МРТ. Он ищет изменения в химических веществах в мозге.
- МРТ трактография — помогает показать пути сообщения (тракты) в головном мозге. Это может помочь спланировать лечение глиом.
- МРТ-сканер перфузии — показывает количество крови, поступающей в различные части головного мозга. Его также можно использовать для определения типа опухоли.
- SPET или SPECT — показывает кровоток в головном мозге. Области с повышенным кровотоком, такие как опухоль, будут отображаться на сканировании ярче.
- ПЭТ-сканирование — вам введут небольшое количество радиоактивного раствора, который помогает раковым клеткам более ярко проявляться на снимке.
- Люмбальная пункция — также называемая спинномозговой пункцией, при люмбальной пункции с помощью иглы забирается образец спинномозговой жидкости из позвоночного столба, который затем проверяется на наличие раковых клеток.
- Хирургическая биопсия — если сканирование показывает аномалию, которая выглядит как опухоль, часть или вся ткань может быть удалена для исследования. В некоторых случаях нейрохирург делает небольшое отверстие в черепе и вводит иглу, чтобы взять образец. В других случаях биопсия проводится во время операции по удалению опухоли головного мозга.
- Генетические тесты — любой вид рака, включая опухоль головного мозга, изменяет гены пораженных клеток. Эти генные дефекты — это не то же самое, что гены, передаваемые через семьи.Ошибка только в структуре опухолевых клеток, а не в нормальных клетках. Патолог может провести специальные тесты на опухолевых клетках, чтобы выявить эти генные изменения, которые могут помочь вашим врачам подобрать лечение.
Классификация опухолей
Оценка рака будет основываться на том, как раковые клетки выглядят по сравнению с нормальными клетками. Это говорит о том, насколько быстро может расти рак. Система оценки, наиболее часто используемая для опухолей головного мозга, разработана Всемирной организацией здравоохранения.
Опухолям головного и спинного мозга обычно присваивается оценка от 1 до 4.
- Уровень 1 — Эти опухоли низкосортные и медленно растут.
- Уровень 2 — Эти опухоли низкосортные и обычно медленно растут. Они с большей вероятностью вернутся после лечения и могут перерасти в опухоль более высокого уровня.
- 3 и 4 степени — эти опухоли высокой степени злокачественности, быстрее растут и называются злокачественными. Они могут распространяться на другие части мозга и иметь тенденцию повторяться, часто в более высокой степени.
Другим типам рака дается стадия, чтобы описать степень распространения рака в организме.Первичные опухоли головного и спинного мозга не имеют такой стадии, поскольку большинство из них не распространяется на другие части тела.
Прогноз
Прогноз означает ожидаемый исход болезни. Вы можете обсудить свой прогноз и варианты лечения со своим врачом, но никто не может предсказать точное течение болезни.
Несколько факторов могут повлиять на ваш прогноз, включая тип опухоли, местоположение, степень и генетический состав, ваш возраст, общее состояние здоровья и семейный анамнез, а также то, насколько хорошо опухоль реагирует на лечение.Опухоли низкой и высокой степени злокачественности могут быть опасными для жизни, но прогноз может быть лучше, если опухоль низкой степени злокачественности или если хирург удастся удалить опухоль целиком.
Некоторые опухоли головного или спинного мозга, особенно глиомы, могут вернуться и превратиться в опухоль более высокого уровня. В этом случае можно использовать такие методы лечения, как хирургическое вмешательство, лучевая терапия или химиотерапия, чтобы как можно дольше контролировать рост опухоли, облегчить симптомы и сохранить качество жизни.
Общие сведения об опухолях головного мозга
Загрузите буклет «Общие сведения об опухолях головного мозга», чтобы узнать больше.
Загрузить сейчасЭксперты-рецензенты:
A / Профессор Эндрю Дэвидсон, нейрохирург, Университетская больница Маккуори, Новый Южный Уэльс; Д-р Люси Гейтли, онколог, онкологическая клиника Виктории, и Институт медицинских исследований Уолтера и Элизы Холл, Виктория; Мелисса Харрисон, менеджер по здравоохранению и старший неврологический физиотерапевт, Центр усовершенствованной реабилитации, Новый Южный Уэльс; Скотт Джонс, потребитель; Энн Кинг, координатор медицинских сестер по неврологии, Департамент здравоохранения, Вашингтон; Д-р Тони Линдси, старший клинический психолог и менеджер по здравоохранению, Крис О’Брайен Лайфхаус, Новый Южный Уэльс; Элисса МакВей, потребитель; Катрина Ниенабер, 13 11 20, консультант, Онкологический совет, Вашингтон; Д-р Клэр Филлипс, заместитель директора отделения радиационной онкологии, Онкологический центр Питера МакКаллума, ВМЦ.




