Дерматит у взрослых: причины, симптомы, лечение, фото
- Виды дерматита у взрослых
- Симптомы дерматита у взрослых
- Причины дерматита у взрослых
- Диагностика дерматита у взрослых
- Лечение дерматита у взрослых
- Осложнения при дерматите у взрослых
- Профилактика дерматита у взрослых

Виды дерматита у взрослых
Различают больше двадцати видов дерматита у взрослых, но чаще всего диагностируется несколько:
- Сухой. Развивается в холодное время года, диагностируется у пациентов старшего (пожилого) возраста. Локализуется на стопах и очень редко – на других участках тела. Проявляется как зуд и покраснение, растрескивание и шелушение, слишком сухая кожа стоп.
Отличительная черта – длительное течение и четкая сезонность обострений. - Аллергический. Развивается при воздействии на организм аллергенов. Проявляется как зуд и покраснение, отёчность и высыпания. Отличительная черта – для излечения достаточно исключить контакт с аллергеном, через 2-3 дня симптомы исчезнут.
- Контактный. Разновидность аллергического дерматита, причиной является воздействие на кожу внешних факторов (холод, косметика, гигиенические средства, одежда и т. д.). Сопровождается покраснением, лёгким зудом и шелушением, при отсутствии лечения появляется сыпь, она лопается, переходит в язвы.
- Себорейный. Развивается при нарушении работы сальных желез, чаще всего локализуется на лице и волосистой части головы. Различают сухой и жирный тип. В первом случае кожа краснеет, шелушится, покрывается белыми и коричневатыми чешуйками. Во втором случае образуются высыпания в виде папул (гнойничков), кожа становится чрезмерно жирной и блестит.
- Пероральный (периоральный). Диагностируется у пациенток в возрасте 20-40 лет, но ограничений по возрасту и полу нет. Проявляется как покраснения и сыпь вокруг губ, иногда распространяется на область вокруг носа, переносицу и веки. Пятна могут быть любого оттенка – от бледно-розового до ярко-красного. Для излечения приходится отказываться от косметики, привычных гигиенических средств, гормональных кремов.
- Атопический. В большинстве случаев развивается после неправильного лечения аллергического дерматита, но может передаваться по наследству. Длительное время никак не проявляется, а потом возникают покраснения, сильный зуд, жжение, сыпь, сухие корочки. При отсутствии лечения переходит в хроническую форму и диагностируется, как экзема.
- Инфекционный. Развивается в верхнем слое эпидермиса, при отсутствии лечения поражает более глубокие слои. Сопровождается характерными симптомами – гнойничковой сыпью, абсцессами, фурункулами и карбункулами.
- Грибковый. Развивается на фоне грибкового поражения кожи, симптомы не имеют чёткой локализации. Лечение предусматривает приём антимикотических препаратов, витаминов. Допускается использование местных средств и рецептов народной медицины.
- Ушной. Локализуется внутри ушных раковин и за ушами, сопровождается сильным зудом, наблюдается шелушение, сыпь, сухие корочки. Протекает в острой или хронической форме, диагностируется у женщин и мужчин разного возраста. Самолечение недопустимо, требуется наблюдение у дерматолога.
Дерматит у взрослых протекает в двух формах:
- Острая. Первая стадия заболевания, начинается с зуда и покраснений отдельных участков кожи. Иногда немного повышается температура, закладывает нос. Уже через 5-6 часов появляется сыпь в виде пустул и папул – маленьких пузырьков с прозрачным содержимым.
- Хроническая. Развивается при отсутствии лечения или неправильной терапии. На этом этапе гнойнички лопаются, поражённая кожа мокреет, образуются корочки, под ними – труднозаживляемые язвы. Периоды ремиссии сменяются периодами обострения.
Как выглядят различные виды дерматита у взрослых в острой и хронической форме, можно рассмотреть на представленных ниже фото.

Симптомы дерматита у взрослых
Каждый из перечисленных видов дерматита имеет определённые признаки, но есть и общие симптомы, характерные для большинства дерматологических заболеваний:
- Зуд. Ощущения могут быть разной силы, всё зависит от степени раздражения нервных волокон в кожном покрове. В некоторых случаях – это реакция организма на аллергены или внешние раздражители (аллергический, атопический, контактный дерматит).
- Покраснения. Характерны для острой стадии, в хронической форме наблюдаются редко, являются первым признаком дерматологического заболевания.
Высыпания. Могут выглядеть как небольшие красные пятна или чётко локализованные гнойнички (папулы) с прозрачной (полупрозрачной) жидкостью внутри. Чаще всего появляются на лице, в местах сгибов конечностей, на подвижных участках – шее, суставах. - Шелушение. Характерно для слишком сухой кожи, в зависимости от вида дерматита может проявляться или отсутствовать.
- Экссудация. Намокание кожи от жидкости, выделяемой при вскрытии гнойничковых высыпаний типично для хронической формы, через некоторое время мокрые участки покрываются бляшками, корочками.

Признаки дерматита у взрослых чаще всего исчезают после приёма лекарственных препаратов и использования специальных мазей. Но избавиться от симптомов – ещё не значит – вылечиться. Нужно устранить причину заболевания, а для этого требуется полноценная диагностика и квалифицированная медицинская помощь.
Причины дерматита у взрослых
В зависимости от вида заболевания выделяют различные причины дерматита у взрослых. Если дерматит:
- Сухой – наследственность, нарушения работы внутренних органов и систем, стрессы, хронические болезни, воздействие холода, сухого воздуха.
- Аллергический – косметика, лекарства, гигиенические средства, продукты питания, животные, пыль, пыльца, бытовая химия и другие аллергены.
- Контактный – непосредственное воздействие раздражителя на кожу: синтетическая одежда, тесное нижнее бельё, трение инструментов и спортивных снарядов, солнечные лучи (фотодерматит).
- Себорейный – нарушение работы сальных желез, изменение свойств секрета, активное размножение сапрофитовой флоры.
- Пероральный – зубные пасты с содержанием фтора, губные помады, гели, гормональные кремы и др. Дополнительные факторы – ослабленный иммунитет, нарушение обмена веществ, работы нервной или пищеварительной системы.
- Атопический – нервное перенапряжение, нарушение гормонального фона, неправильно подобранная косметика для ухода за кожей, отсутствие лечения или неэффективная терапия аллергического дерматита.
- Инфекционный – оспа, скарлатина, корь, механические повреждения кожного покрова, заражение стрептококковой или стафилококковой инфекцией во время операции.
- Грибковый – ослабленная иммунная система, низкая сопротивляемость или повышенная влажность кожи.
- Ушной – механическое раздражение внутренней поверхности уха, расчёсы, травмы, грибковые инфекции.
Диагностика дерматита у взрослых
Внешних признаков дерматита у взрослых недостаточно для того, чтобы точно определить вид болезни. Поэтому дерматолог назначает:
- Анализ мочи и крови.
- Исследование крови на количество иммуноглобулинов.
- Аллергические пробы.
- Микроскопическое исследование соскобов.
- Биопсию.
Для диагностики сопутствующих заболеваний может понадобиться консультация аллерголога, иммунолога, терапевта, гастроэнтеролога и других врачей.
Лечение дерматита у взрослых
Лечение дерматита у взрослых направлено на снятие симптомов и устранение причин заболевания. Для этого назначаются:
- Антигистаминные препараты.
- Гормональные мази.
- Антибактериальные средства.
- Физиотерапевтические процедуры.
- Диета.
В качестве дополнения можно использовать народные средства, но только по согласованию с врачом:
- Чистотел. Свежесобранное растение измельчите, отожмите сок, разведите водой в пропорции 1:2. Смачивайте марлю, прикладывайте к поражённым участкам кожи на 3-5 минут.
- Череда. 1 ст. ложку травы залейте 150 мл кипятка, оставьте на 3 часа. Процедите, добавляйте в воду при купании, жмых прикладывайте к местам локализации.
- Барвинок. 300 г листьев залейте 1 л кипятка, оставьте на огне на 10 минут. Добавляйте в ванную при купании, жмых используйте для компрессов.
- Масло герани. Наполните посуду ёмкостью 0,5 л цветками, залейте растительным маслом, оставьте на 5 дней в тёмном прохладном месте, потом ещё на 1,5 месяца – на свете и в тепле. Смазывайте маслом повреждённые участки – оно снимает воспаление и увлажняет кожу.
Осложнения при дерматите у взрослых
Самолечение, неправильное лечение или его отсутствие могут привести к различным осложнениям. На коже могут остаться пятна, шрамы и рубцы, может наблюдаться утолщение или истончение, через повреждённые места в организм может проникнуть вторичная инфекция. При лечении не забывайте о профилактических мерах, которых ускорят процесс выздоровления и уберегут от осложнений.

Профилактика дерматита у взрослых
Профилактические меры предполагают соблюдение простых правил:
- Укрепляйте иммунитет.
- Занимайтесь спортом.
- Чаще бывайте на свежем воздухе.
- Исключите из рациона продукты, способные вызвать аллергию.
- Сведите к минимуму воздействие внешних раздражителей.
- Правильно ухаживайте за кожей.
- Регулярно проходите медицинские осмотры.
Чтобы быстро излечиться и навсегда забыть о дерматите, не перегревайтесь, не переохлаждайтесь, проветривайте помещения, пользуйтесь качественной косметикой и хорошо отдыхайте. Но главное – при первых же признаках дерматита у взрослых или детей обращайтесь к врачу и не занимайтесь самолечением.
dermatit.su
виды средств при проявлении симптомов на теле
Патологии кожи аллергического характера доставляют пациенту внутренний дискомфорт и косметический дефект. Лечение дерматита у взрослых возможно официальными медицинскими препаратами и народными средствами против всех кожных проявлений болезни. Подход к проблеме со здоровьем комплексный. Изначально определить главный аллерген, устранить патогенный фактор. Потом можно использовать по назначению мази при атопическом дерматите у взрослых.
Статьи по темеКак лечить дерматит у взрослых
Заболевание имеет аллергическую природу, поэтому любое лечение начинается с диеты и полного исключения потенциального аллергена и дополнительного приема антигистаминных средств. Врач внимательно изучает внешнюю симптоматику дерматита, рекомендует пройти клиническое и лабораторное обследование для уточнения формы недуга, особенностей интенсивной терапии. При дерматит вид больного оставляет желать лучшего, поэтому действовать рекомендуется незамедлительно.
Лечение атопического дерматита у взрослых
Дерматит – это следствие интоксикации организма, поэтому его лечение у взрослых пациентов и детей должно быть комплексным. Действие аллергена врачи подавляют антигистаминными средствами, но их перорального приема порой не хватает, чтобы окончательно исцелиться. Вот какие лекарственные средства требуется включить в лечение дерматита у взрослых:
- Антигистаминные средства от дерматита: Кларитин, Фенистил, Супрастин, Л-Цет, Цетрин, Зиртек, Телфаст, Лоратадин.
- Не гормональные мази: Протопик, Эплан, Фенистил, Элидел, Лостерин, Дестин, Тимоген, Нафтадерм, Видестим, Айсида.
- Гормональные мази для эффективного лечения осложненной формы дерматита у взрослых: Элоком, Акридерм, Целестодерм.
- Местные антисептики для снятия симптомов воспаления у взрослых: Линкомициновая и Эритромициновая мазь, Целестодерм.
- Антибиотики для применения внутрь при осложнениях дерматита: Ровамицин, Доксициклин, Сумамед, Зитролид, Эритромицин.
- Пробиотики: Бифидобактерин, Линекс, Лактобактерин, Аципол для восстановления микрофлоры кишечника у взрослых при дерматите.


Фотодерматит
Основным раздражителем в такой клинической картине являются солнечные лучи и повышенная чувствительность организма к таковым. Кожа после заражения будет выглядеть неоднородной, бугристой, а пациент испытывает острое ощущение зуда, жжение, жалуется на повышенную отечность воспаленной кожи. В качестве эффективного лечения рекомендовано использование таких медицинских препаратов:
- Для устранения провоцирующего фактора показано использовать средства с метилурацилом или цинком.
- Для продуктивного восстановления поврежденной дермы предписан спрей Пантенол наружно на очаги патологи.
- Для укрепления ослабленного иммунитета уместны витамины групп С, Е, А, В и препараты с х содержанием.
Лечение контактного дерматита
Фотодерматит – это атипичная форма контактного дерматита, который связан непосредственным взаимодействием с провоцирующим фактором из окружающей среды. Основная задача пациента – исключить контакт с раздражителем, медикаментозно убрать внешние симптомы заболевания, устранить их зависимость в будущем. Врач может назначить следующие лекарственные средства:
- Кортикостероиды: крема Адвантан, Элоком, Локоид.
- Антигистаминные средства: Цетрин, Эриус, Кларитин, Зиртек.
- Местные антисептики: жидкость Бурова.
Себорейный дерматит
Когда на голове появляются жирные чешуйки, которые периодически зудят и чешутся, возникает подозрение на себорейный дерматит. Это следствие повышенной активности в организме дрожжевого грибка, который питается кожным салом. Себорейный дерматит преобладает у детей первых дней жизни, крайне редко встречается у взрослых. Очаги патологии у взрослых наблюдаются на веках, во всех складках на коже.
Чтобы скорее вылечиться от себорейного дерматита, характерные чешуйки положено ежедневно обрабатывать оливковым маслом, чтобы быстро и безболезненно они отпадали. Дополнительно показано пересмотреть питание, исключить из суточного рациона жирные, острые и копченые продукты питания. Можно использовать специальные лечебные шампуни, чтобы увлажнять сухую кожу, склонную к шелушению.


Лечение аллергического дерматита
При поражении кожных покровов возникает подозрение на аллергическую реакцию организма. Это одна из форм дерматита у взрослых, которая для устранения патологического процесса требует пересмотра повседневного питания. Синтетические компоненты в еде, полуфабрикаты и консерванты положено полностью вывести из суточного меню, поскольку чаще они становятся теми самыми раздражителями. Лечебное питание включает растительную пищу, как источник антиоксидантов и природной клетчатки.
Пищевой дерматит у взрослых
Такая форма дерматита является хронической, а пациент переходит в категорию вечных «аллергиков». Чтобы поддерживать общее состояние здоровья, необходимо регулярно выполнять лечебные и профилактические мероприятия. Компоненты блюд должны быть гипоаллергенными, иначе характерная сыпь на разных участках дермы будет беспокоить пациента все чаще и чаще. Аллергенами чаще являются красные овощи и фрукты, полуфабрикаты и консерванты, цитрусовые и ягоды.
Как лечить токсидермию
Правильное лечение дерматита начинается с продуктивного устранения опасного аллергена, который проник в организм с пищей или через дыхательные пути с дальнейшим распространением по системному кровотоку. Кроме того, заражение токсическим веществом может проходить инъекционно. Для продуктивного лечения требуется однозначно гипоаллергенная диета, прием витаминов. Имеется постоянная схема интенсивной терапии для взрослых, которая на практике предусматривает следующие направления:
- домашнее применение очистительных клизм для продуктивного выведения продуктов интоксикации;
- внутренний прием энтеросорбентов, диуретиков, которые тоже выводят из крови и других биологических жидкостей токсины;
- введение раствора тиосульфата натрия, хлористого кальция внутривенно с целью укрепить ослабленный иммунитет;
- прием антигистаминных препаратов перорально: Цетиризин, Тавегил, Лоратадин, Кларитин, Хлоропирамин;
- употребление глюкокортикостероидов в виде Преднизолона и его производных в тяжелых клинических картинах.


Чем лечить дерматит на теле у взрослого
Если болезнь выявлена на ранней стадии, использования антигистаминных средств внутрь и наружно – этого лечения вполне хватает. В осложненных клинических картинах с появлением гнойных ран и экссудативной сыпи необходим пероральный прием антибиотиков в форме таблеток, использование кортикостероидов наружно. Если признакам дерматита предшествует повышенная активность грибковой инфекции, лечение должно проходить с участием противогрибковых средств.
Медикаментозное лечение
Гормоны пить или антибиотики – решает лечащий врач, исходя из особенностей клинической картины. Если осложнения отсутствуют, взрослому пациенту перорально назначают антигистаминные средства. Это таблетки Кларитин, Лоратадин, Цетрин, Супрастин, Фенистил, Л-Цет, Тавегил и прочие. Курс интенсивной терапии варьируется в пределах 7-14 дней, корректируется врачом в индивидуальном порядке. Если одно лекарство от аллергии не подходит, его необходимо заменить, учитывая совместимость организма с активными компонентами.
Дополнительно обратить внимание на представителей следующих фармакологических групп:
- сорбенты: Энтеросгель, активированный уголь;
- пробиотики: Линекс, Бифидумбактерин, Хилак Форте;
- антибиотики: Ровамицин, Доксициклин, Сумамед, Зитролид, Эритромицин;
- противовирусные препараты: Ацикловир, Фамвир, Валтрекс, Алпизарин;
- поливитаминные комплексы от дерматита.


Местное лечение
Дерматит появляется не только на лице, присутствие характерной сыпи не исключено на спине, ягодицах и других частях тела. Если прием таблеток убивает болезнетворную инфекцию изнутри, то наружное использование кремов и мазей помогает продуктивно устранить косметический дефект, сократить интенсивность неприятных ощущений, полностью исключить дискомфорт из своей повседневной жизни. Вот, какие медикаменты врачи назначают при лечении дерматита у взрослых:
- противовоспалительные препараты: Элоком, Дипросалик или Акридерм;
- местные средства для регенерации кожных покровов: Солкосерил, Д-пантенол, Бепантен;
- кортикостероидные препараты: Элоком, Афлодерм, Локоид, Адвантан.
- противогрибковые средства: Тридерм, Пимафукорт;
- местные антибиотики: эритромициновая мазь;
- противомикробные составы: Фукорцин;
- местные антисептики.
Гомеопатия
Использование препаратов растительного происхождения уместно в составе комплексного лечения, поскольку их самостоятельное применение для взрослых дает, скорее, посредственный результат. При дерматите положительную динамику обеспечивают фитопрепараты с ромашкой, чередой, мелиссой и зверобоем. Хорошо зарекомендовали себя такие медикаменты, как мазь на основе календулы, экстракт лекарственной ромашки, эфир из примулы вечерней, крапива двудомная.
Физиотерапевтические процедуры
Чтобы ускорить лечение дерматита у взрослых, необходимо пройти курс специальных процедур в условиях стационара. Такие сеансы назначает лечащий врач, он же оговаривает количество процедур для достижения желаемого эффекта. Вот, о чем необходимо знать каждому потенциальному аллергику:
- Электрофорез с инталом, димедролом, хлористым кальцием уменьшает ощущение зуда кожи, снимает отечность.
- Ультрафиолетовое облучение кожи для расслабления нервной системы и устранения неприятных симптомов дерматита.
- Аппликации с парафином или озокеритом для предотвращения массового шелушения пересушенной дермы.
- Электросон при нестабильности нервной системы и выраженных признакам хронической бессонницы при дерматите у взрослых.


Лечение дерматита у взрослых народными средствами
Устранить болезнь можно альтернативными методами, но на ранней стадии патологического процесса. Лечение дерматита успешно, если регулярно обрабатывать очаги патологии отварами ромашки аптечной, крапивы двудомной, череды. Состав готовится классическим методом – 1 ст. л. сырья на стакан воды, но количество готового лекарства зависит от обильности очагов патологии. Взрослый должен ежедневно выполнять домашние процедуры, дополнять их официальными методами.
Диета
Основная цель – устранить аллергены из суточного меню. При дерматите у взрослых и не только питание должно быть гипоаллергенным. Чтобы своевременно выявить раздражителя, во время очередного приступа дерматита для успешного лечения рекомендуется сдать анализ крови на исследование патогенной флоры. В суточном меню должна присутствовать растительная клетчатка, натуральные антиоксиданты, природные витамины.
Видео: Как вылечить атопический дерматит у взрослых
Атопический дерматит у взрослых. Симптомы, причины и лечение.
Отзывы
Марина, 27 летУ меня пожизненный аллергический дерматит. Как только цветет амброзия, так на коже появляется мелкая сыпь, которая лишает покоя. В качестве лечения использую по 1 таблетке Кларитина трижды за сутки, дополнительно мажу высыпания Эколомом. Мне становится легче, всем взрослым рекомендую.
Алина, 35 летОт дерматита принимаю таблетки Супрастин. Пару дней и пятна на коже вместе с зудом незаметно исчезают. Такое привычное для себя лечение провожу по несколько раз в год, поскольку за несколько лет аллергии так и не смогла определить, от чего она у меня регулярно появляется.
Внимание!Иформация представленная в статье носит ознакомительный характер. Материалы статьи не призывают к самостоятельному лечению. Только квалифицированный врач может поставить диагноз и дать рекомендации по лечению исходя из индивидуальных особенностей конкретного пациента.
Нашли в тексте ошибку? Выделите её, нажмите Ctrl + Enter и мы всё исправим!Рассказать друзьям:Статья обновлена: 22.05.2019
sovets.net
фото, симптомы и лечение у взрослых
Дерматит – это болезнь, связанная с кожей и её поверхностью, вызванная реакцией организма на различные факторы (аллергены, патогены), зачастую передается наследственно.
Под определением Дерматит могут пониматься разные виды болезней кожи.
Болезнь обычно поражает функционирование кожи и нарушает гомеостаз человека.
Давайте ниже более подробно рассмотрим симптомы и лечение различного вида дерматита.
Факторы патогенеза
Имеются различные факторы патогенеза:
- Стресс. На фоне стресса обычно иммунная система человека снижается, и может повлиять на адаптивно-приспособительные реакции.
- При контакте с некоторыми факторами, например какие-либо ожоги или при обморожении кожного покрова.
- Если патоген проникает в организм через пищу, вдыхаемый воздух или парентерально.
Симптомы дерматита.

Дерматиты очень похожи на аллергии и различные воспаления, отличить их бывает трудно.
Отличается болезнь упорством прохождения заболевания и сезонным проявлением.
- Зудит кожный покров. Проявление этого симптома зависит от степени раздражения нервов кожи. Если зуд проявляется сильно, а на коже мало повреждений это аллергическая реакция на фоне атопического дерматита. Если же зуд и повреждения одинаковы это контактный дерматит.
- Красный цвет кожного покрова. Эритема – высокое наполнение кровью дермальных капилляров. На более острых стадиях выявляется покраснение с размытыми гранями и опухает кожа в месте поражения. Если нажать пальцем на красный участок, место окрасится в бледноватый цвет. Эритема никак не связана с диатезной гемморагией.
- Появление сыпи. Часто, виды сыпи относятся к определённому дерматиту, что помогает выявить диагноз заболевания кожи. Появление сыпи поражает кожный покров в подвижных местах тела, на лице, где есть волосяной покров, подмышки и в паху.
- Экссудация. Под данным термином понимают сильные воспаления с отслоением эпидермиса. Данный симптом может вызвать трещины кожи и саморасчёсы.
- Шелушится кожа. При расположенности кожного покрова к сухости поверхности и малым количеством сальных желез появляется данный симптом. Обычно этот симптом при хроническом течении болезни.
Причины возникновения дерматита
Причины делятся на два типа: отдалённые и близкие. К отдалённым причинам относятся:
- Болезнь, передаваемая по наследству, генетически. Наукой не изучены причины передачи зараженных генов. Обычно дерматит у ребенка появляется, если его родители расположены к аллергиям. У взрослых болезнь может быть не связана с родителями и их предрасположенностью к подобным болезням, что затрудняет поставить правильный диагноз.
- Болезнь приобретённая. 70% больных атопическим дерматитом не имеют отношения к генетической передаче дерматита. Доказано, что большинство заражается из-за ослабленного иммунитета, несоблюдение гигиены, отсутствие закалки.
- Неправильный образ жизни, физическая неразвитость, частые стрессы, плохие социальные условия проживания.
- Хронические болезни, сопровождающие человека всю жизнь, или когда организм переболеет инфекционным либо инвазионным заболеванием.
Близкие причины возникают из-за:
- Стресса. Стресс провоцирует нарушение баланса предрасположенности к данной болезни. В результате стресса истощаются защитные силы, и поражается иммунитет.
- Контакта с источником данной заразы или каким-то способом поступление зараженных инородных тел в кровь, после чего следует реакция кожи. Это могут быть солнечные лучи, холодная погода или наоборот жаркая, различная химия бытовая, кварцевая лампа, радиоактивное излучение, щёлочи, кислоты. У людей с гиперчувствительностью возможна реакция на еду, лекарственные средства, животные, насекомые. Очень важно определить причину возникновения дерматита!
Часто путают дерматит с псориазом, который показан на фото ниже.
ПсориазПсориаз не передается и связан с аутоиммунными болезнями. Отличают эту болезнь по особенностям папул, и симптому в итоге, которого при псориазе кровь выходит из капилляров.
Виды дерматита
1. Сухой дерматит. В холодное время, у людей в возрасте или у кого предрасположенность к сухой коже, часто возникают проблемы с дерматитом. Его причинами являются также сухая погода, переданные гены от родителей, психоматическая причина. Проявляется этот вид в большинстве случаев на стопах, иногда поражает другие части кожи. Сухой дерматит выражается сезонностью, хроническим протеканием, высокой сухостью кожного покрова, трещинами на больных участках, зудом, покраснением.

2. Зудящий дерматит. Проявляется ответом организма на небольшие частые раздражители, воздействующие на нервные окончания. Раздражение сопутствуется расчесыванием и нервозностью. Акцентируют популярный (на всём туловище) и местный зуд. Популярным раздражением считается результатом вследствие диабета, атопических дерматитов, болезнями почек и печени, функциональных и базисных дефектов мозга головы, нестабильность работы сальных желез, гиперчувствительность. Местный зуд проявляется из-за различных жуков, дерматитов, связанных с аллергией и характерен на нежной коже, на активных местах тела.

Классифицируется данный дерматит на:
- Строфулюс, появляется у грудных детей. Ребенка высыпает розовыми папулами, покрывая почти весь кожный покров. Если болезнь прогрессирует, на папулах могут появляться небольшие пузырьки.
- Почесуха у старшего поколения. Является продолжением строфулюса, но может быть и самостоятельной болезнью.
3. Инфекционный дерматит.Причинами данного заболевания могут быть такие болезни как: ветрянка, скарлатина или дерматиты с сыпью, раны на коже после операций, вызванные микроорганизмами вызывающие гноение. На кожном покрове осложнения после операций выделяют в виде гнойничков на поверхности кожи, абсцессов, фурункулов, чирьев, флегмоны.

4. Грибковый дерматит.Этот вид характерен индивидуальными высыпаниями – микидами. Микиды возможно найти только в случае грибковой инфекции. Проявляется в виде папул, пустул, корочек на фоне поражения иммунитета человека, плохого состояния защитной системы кожи, предрасположенность к увлажнённой коже.

5. Дерматит, связанный с ушами.Различается на острую и затяжную форму, проходит в сопровождении с зудом. На фоне острой формы присутствуют покраснения, первичные сыпи наподобие крапивницы.
Хроническое протекание болезни сопровождается отшелушиванием кожи, влажными корочками, кажется, что в ушах пробка. Намокшие покровы легко уязвимы для различных инфекций.
Возбудителями этого вида могут быть расчесыванием ушей, зудом кожного покрова возле ушей, грибковые заболевания в ушном проходе, различные повреждения кожи. Если болезнь будет прогрессировать, возможно, попадание инфекции на внутреннее ухо. Этот дерматит протекает упорно и почти всегда появляется заново.

6. Дерматит с буллами.Буллы – это пузыри, проявляются в виде сыпи на коже, развиваются вследствие течения акантолиза. Буллы создают эрозии, после того как лопаются.
Содержимое буллы обычно заполнено экссудатом. Данный дерматит поражает участки волосяного покрова на теле, на слизистых рта и на губах.
Вследствие хода этой болезни в ротовой полости, при масштабных поражениях слизистой и неправильного лечения может быть летальный исход!

7. Красный дерматит.Дерматит, проявляемый в хронической форме, характеризуется обильным зудом и появлением папул. Папулы в данной форме болезни имеют светло-красный цвет, может быть присутствие фиолетового тона.
Интересное определяемое свойство красного дерматита – вдавливаемые поверхности папул. Созревшие папулы масштабно увеличиваются и образуют бляшки. Бляшки принимают серовато-красный оттенок и становятся толще.
После лечения данной болезни, на пораженных бляшками участках остаются следы от гиперпигментации. Локализуются папулы обычно в местах сгибания туловища, по бокам тела, в слизистых покровах ротовой полости и половых органах.

8. Дерматит, вследствие пищевой аллергии. Этот вид проявляется с рождения и зачастую протекает всю жизнь, но излечить в некоторых случаях возможно.
Пищевой дерматит может стать причиной возникновения астмы у взрослого поколения и у детей. Проявляется данная болезнь у новорожденных краснотой на щеках или ягодичных мышцах, на голове, в местах опрелости.
Лучше с рождения у ребёнка выяснить причину (аллерген), из-за которого появляется данное заболевание.

У детей пищевую аллергию могут вызвать:
- Плохая экология
- Передалось от родителей
- Продукты питания, в которых аллергены
У взрослых симптомы выражаются в других видах:
- Может быть ощущение жжения в пищеводе, газообразование, плохое пищеварение
- Кожный зуд
- Насморк, конъюнктивит
- Частое состояние усталости, отеки рук и ног
- Высокая температура (не часто встречается)
Еще пример пищевого дерматита у ребенка на фото ниже:

Формы дерматита
- Острое течение болезни. При начальной стадии заболевания возникает зуд, маленькая температура, может воспалиться слизистая носа. Симптомами могут быть небольшие покраснения, опухшие участки кожи, нарушаются функции, проявляются папулами, везикулами, буллами.
- Затяжной дерматит. При течении этой формы воспаления отсутствуют, могут быт только вторичные высыпания.
Лечение дерматита
Пошаговое лечение атопического дерматита у детей:
- В первую очередь нужно выявить и избавиться от провоцирующих факторов. К таким факторам можно отнести атмосферу в спальне ребёнка, постоянное использование при купании малыша химической косметики, условия содержания и многое другое. Всё это влияет на защитную среду кожи малыша и в итоге поражается кожный покров. Нужно для предотвращения заболевания проводит профилактику атопического дерматита, как раз для устранения вышеупомянутых факторов.
- Нужно увлажнить кожу ребёнка эмолентами. Эмоленты – это мази, средства для мытья и ванны на основе жиров и жиросоставляющих веществ, они не проникают глубже рогового слоя кожного покрова. Функцией эмолентов считается сделать мягче кожу малыша и увлажнить её. Для того чтобы узнать какое средство подходит к организму ребёнка, нужно обязательно узнать у врача! Не стоит экономить на мазях и лучше купить больше для малыша.
- Лечение с помощью кортикостероидов. Кортикостероиды – это гормоны, которые способствуют противовоспалительному процессу. Данный процесс лечения может назначаться только врачом, самостоятельно выбирать гормоны нельзя!
- Небольшому проценту детей, у которых более тяжелые формы дерматита, нужны более сильные процедуры. Обычно врачи в таких случаях назначают антигистаминные лекарства, сорбенты, облучение и иммуномодуляторы.
При комплексном применении данных методов вероятность излечить ребёнка повышается на большие проценты.
Лечение дерматита у взрослых
У взрослых процесс лечения более сложный, вследствие осложнённости протекания болезни. Основными методами лечения являются:
- Лечение антигистаминными лекарствами, они помогают снизить раздражение кожи. К примеру, подойдёт Супрастин, Кларитин, но лучше спросить у врача.
- Выяснить на какой аллерген реагирует организм, и перестать как-либо, контактировать с ним. Возможно, придётся отказаться от какого-нибудь фактора на всю жизнь.
- Соблюдать гипоаллергенную диету.
- Прочистка желудочно-кишечного тракта с помощью специальных лекарств, например активированный уголь или Полисорб.
- Врачи зачастую назначают гормональные крема и мази, но слишком частое их использование может пагубно повлиять на здоровье. Используют такие мази как Акридерм, Элоком.
- Использование негормональных лекарств. Таких лекарств есть большой ассортимент в аптеке, и они не влияют негативно на организм.
- Для уничтожения воспаления используют антисептики и противомикробные мази.
- При лечении грибковых заболеваний используют естественно противогрибковые лекарства.
- Психосоматическое состояние человека тоже влияет на заболевания кожи, поэтому стоит принимать успокоительные таблетки.
Профилактика
- используйте различные лосьоны, крема, увлажняйте кожу и следите за ней;
- не расчесывайте пораженные участки кожи;
- соблюдайте атмосферный климат в помещении;
- снижайте потоотделение;
- соблюдайте диету;
- избегайте перепадов температур;
- отдыхайте на курортах;
- принимайте лечебные ванны;
- избегайте контакта с животными.
Видеозаписи по теме
tvojajbolit.ru
Правильное лечение дерматита у взрослых лечение
Дерматит у взрослого – имеет самые разные причины возникновения. При таком дерматологическом недуге происходит воспаление и поражение кожного покрова. Стоит отметить, лечение дерматитов у взрослых будет разное, все зависит от формы заболевания, от места поражения, а также от степени тяжести.
Прежде чем приступить к лечению, необходимо знать основные причины возникновения каждого типа, а также какие симптомы появляются у человека при этом недуге.
Причины дерматита у взрослых и их симптомы
Разберем основные характерные черты и причины проявления каждого типа заболевания.
Атопический дерматит
Носит хронический характер, передается генетически. Часты причины возникновения атопического дерматита – аллергическая реакция на пищевой или же на контактный раздражитель. Местом локализации служат: подкожные складки, лоб, вокруг глаз, лицо и шея. Также заболевание может поражать кожный покров на плечах, стопах и руках.
У взрослого человека при таком типе заболевания возникает шелушащиеся папулы и бляшки. Кожа становится сухой, при тяжелом течении болезни возникает эритематоз.
Помимо этого атопический дерматит у детей так и у взрослых сопровождается сильным зудом. Эпидермис начинает утолщаться, могут появляться пузырьки. Такие пузырьки могут самостоятельно вскрываться, область начинает мокнуть, затем постепенно подсыхает и образуется желто-грубая корочка.
Себорейный дерматит
Второе название заболевания – себорейная экзема. Чаще всего возникает у лиц старше 40-ка лет. Возникает поражение кожного покрова на голове, носу, грудине. Поражаться может лобная часть и межлопаточная область.
Основные симптомы заболевания это возникновение раздражительности на коже, появляется шелушение, чешуйки. При тяжелом течении возникает боль и угревая сыпь.
Пероральный дерматит
Появляется раздражение в области вокруг рта. Поэтому заболевание приносит не только дискомфорт, но и психологическое расстройство. Возникает преимущественно в детском возрасте и у мужчин старше 30 лет.
Причинами такого недуга могут стать гигиенические средства, лосьон, мыто, тоник или увлажняющий крем. Также было отмечено, что заболевание возникает на фоне соприкосновения кожного покрова на лице с кортикостероидами. Например, некоторые гормональные препараты могут входить в ингаляторы, которые человек может использовать для снятия приступов бронхиальной астмы или при аллергии.
Варикозный дерматит
Возникает у взрослого человека из-за застоя венозной крови, непосредственно в нижних конечностях. На фоне этого, у больного возникает воспаление, появляется сильный зуд, отек нижних конечностей. Кожный покров повреждается и может возникать сильное шелушение.
Ушной дерматит
Причины дерматита – воздействие химических веществ, снижение иммунитета, симптомы общей интоксикации. Также заболевание возникает на фоне проходящего дерматоза, а также при нарушении обменных процессов.
Первый признак недуга – отечность кожи ушных раковин. Помимо этого возникает отек в околоушной области. Больной также испытывает сильный зуд и боль в ушах.
Стафилококковый дерматит
Причинами возникновения служат разнообразные травмы кожного покрова, переохлаждение, нарушение иммунитета и углеводородного обмена. У больного возникают тяжелые симптомы, и лечение должно проводиться при этом комплексное. На коже начинают появляться узелки красного цвета, а также гнойнички полушаровидной формы.
Теперь вы знаете, какие бывают виды, и какие возникают симптомы дерматита. Перед тем как врач назначит необходимое лечение, для начала проводится тщательная диагностика и полное обследование больно. Только после этого, врач назначает необходимое лечение.
Лечение дерматита у взрослых
При каждом виде заболевание, лечение будет разное. Помимо этого, подбор лекарственного средства, а также дополнительные мер, будет зависеть от степени тяжести болезни, от места локализации, а также от индивидуальных особенностей организма больного.
При атопической форме недуга в обязательном порядке назначается диета. Поэтому больному необходимо исключить из рациона все аллергены.
Например:
- Кофе.
- Молоко (цельное).
- Цитрусовые продукты.
- Крупы глюконосодержащие.
Диета не строгая, главное исключить все аллергены, чтобы не возникало на теле дополнительных симптомов, которые смогут отяготить течение болезни.
Помимо диеты, больному назначают увлажняющий крем. Ведь при таком недуге происходит сильное поражение кожа, она сильно сухая, поэтому ее необходимо хорошо увлажнить. В качестве лечения можно использовать лосьон или эмульсии.
Например:
- Топикрем.
- Мустела.
- Лостерин.
В комплексную терапию лечение дерматита у взрослых входит и местное применение препаратов. Назначают кортикостероидные мази, крема.
Чаще всего:
- Адвантан.
- Целестодерм.
- Локоид.
- Элидел.
Для устранения симптомов, врачи прописывают антиаллергические лекарственные средства. Это может быть: Супрастин, Зодак или Фенистил.
Препараты от дерматита для взрослого человека
При себорейной форме болезни, врачи назначают антимикотические шампуни, например Низорал, Биодерма Sensibio DS. Для того чтобы подсушить кожу, можно использовать несколько групп препаратов.
Противогрибковые средства: Флуконазол, Кетоназол.
Стероидные препараты: Тридерм, Пимафукорт. Такие лекарственные средства помогут устранить и воспалительный процесс на кожном покрове больного.
Часто назначают отшелушивающие препараты, например Скин-кап или Салициловая кислота.
Если у больного возникает экзематозный дерматит в области век, то назначается кортикостероидная терапия и глазные капли.
- Флуцинар.
- Целестодерм В.
- Преднизолон.
- Капли:
- Гистимет.
- Пренацид.
При необходимости назначают средства для закладывания под веко, например: Эмульсия гидрокортизона.
Чтобы улучшить общее состояние у взрослого на момент болезни, врачи прописывают десенбилизирующие препараты. Это могут быть капли или таблетированый препарат Цетиризин, Кларитин. Такие средства облагают хорошим антигистаминным спектром действия, поэтому помогут устранить практически все признаки.
При перианальном дерматите также назначается диета. Помимо этого врачи прописывают противозудные и противовоспалительные лекарственные ректальные свечи.
Назначают: Олестезин. Препарат не только помогает справиться с дерматитом, но и оказывает ранозаживляющее действие. Без мази крема с таким недугом не справиться. Для устранения сильного жжения, используется простой препарат Ауробин. Он быстро действует, а также содержит глюкокортикостероидный компонент, а именно преднизолон. Поэтому средства на такой основе обладает анестезирующим эффектом.
Если на кожном покрове у больного возникает грибок, необходимо использовать в лечении антимикотические мази.
Например:
- Клотримазол.
- Микосептин.
- Тридерм.
Лекарственные средства помогают устранить признаки грибкового поражения, а также снять воспалительный процесс.
Если же у больного возникает периоральный дерматит, то в обязательном порядке назначается нулевая терапия. Основная цель такой терапии – устранить внешние признаки заболевания. Поэтому необходимо в комплексной терапии использовать препараты широкого спектра действия.
Чаще всего назначают:
- Супрастин.
- Зодак.
- Лоратадин.
В обязательном порядке прописывается антибактериальная терапия и прием негормональных препаратов. В качестве местного лечения применяется гель Эритромицин или крем на основе метронидазола. Препараты нужно наносить на пораженную область, используют до полного выздоровления. Для улучшения общего состояния, из негормональных средств, прописывают Элидел.
Обратите внимание! Это новое импортное лекарственное средство, поэтому побочные эффекты на данный момент не до конца изучены. Рекомендовано перед применением проконсультироваться с доктором.
Варикозный дерматит возникает у взрослого часто. Поэтому для начала необходимо использовать в лечении препараты, для улучшения кровотока в нижних конечностях. Такие препараты называются венотоники, они помогают улучшить не только кровоток, но и эластичность стенок вен.
Назначают:
- Актовегин.
- Венозол.
- Венарус.
Как и при других видах данного дерматологического недуга, лечить нужно начинать, непосредственно с применения кортикостероидных и увлажняющих средств. Поэтому, в этом случае, можно использовать: Акридерм, Тридерм, Целестодерм. Увлажняющие крема помогают восстановить повреждённый сухой эпидермис. Лучше использовать натуральные и питательные средства, которые имеют малый список противопоказаний и побочных действий.
Увлажняющие препараты для наружного применения:
- Топикрем.
- Локобейз.
- Авен Трикзера.
Особенности лечения ушного дерматита. Клиническую картину можно посмотреть на фото (ушной дерматит у взрослых) поэтому терапия носит не только комплексное и системное течение.
В обязательном порядке доктор прописывает наружные средства, особенно в первый период заболевания (когда возникают признаки сыпи). Все симптомы и лечение обсуждаются строго индивидуально.
Используется:
- Раствор Азиатского серебра.
- Борная кислота.
- Цинковая мазь.
- Ушные капли:
- Софрадекс.
- Полидекса.
Как и при всех иных видах этого недуга, больному придется придерживаться гиппоаллергейной диеты, принимать необходимый витаминный комплекс, для поддержания иммунной системы.
Стоит отметить, что витаминотерапия при таких недугах помогает улучить и регенерацию кожного покрова.
Конечно же, чтобы лечить дерматит правильно и быстро, не осложняя течение болезни, необходимо вести здоровый образ жизни. Использовать только натуральные средства для гигиены и правильно питаться.
В любом случае, при возникновении первых симптомов, необходимо немедленно обриться к доктору. Только врач сможет поставить вам правильный диагноз и назначить необходимо лечение.
Видео про лечение дерматита у взрослого
medoderm.ru
Аллергический дерматит у взрослых: симптомы, причины, фото, лечение
Аллергический дерматит – заболевание эпидермиса, возникающее из-за нетипичной реакции организма на влияние аллергенов и протекающее с воспалительным процессом.
Заболевание характеризуется возникновением высыпаний на эпидермисе. Обычно проявляется в детском возрасте и остается до конца жизни. Избежать рецидива поможет только правильно проведенная терапия и соблюдение определенных правил питания.
Виды аллергического дерматита
Важно уметь различать аллергический и простой дерматит. Причиной возникновения первой патологии являются аллергены. Простой дерматит появляется под воздействием высоких и низких температур.
Оба заболевания имеют неинфекционный характер, поэтому не передаются от человека к человеку. Аллергический дерматит, в свою очередь, бывает следующих разновидностей:
- Контактный. В этом случае патология возникает из-за контакта эпидермиса с продуктом – возбудителем нетипичной реакции организма. При этом высыпания могут появляться не в месте соприкосновения кожи с аллергеном, а в другой области кожного покрова. Возбудителями нетипичной реакции обычно являются моющие и чистящие средства, ядовитые растения, некачественная косметика;
- Токсико-аллергический. Такая патология возникает из-за попадания в организм аллергенов через эпидермис, органы пищеварения, дыхания или в результате введения инъекций. Возбудителями заболевания являются продукты питания, моющие и чистящие средства, косметические и медицинские препараты, а также ультрафиолетовое излучение. Характерная симптоматика – возникновение крапивнице на эпидермисе. При отсутствии соответствующей терапии может появиться отек Квинке. Такое состояние может стать причиной летального исхода, если не оказана своевременная медицинская помощь;
- Нейродерматит. Другое название – атопический дерматит. Эта патология имеет наследственный характер. Заболевание относится к хроническим, поэтому при обнаружении болезни важно соблюдать определенные правила питания на протяжении всей жизни.
Независимо от разновидностей, появляется аллергический дерматит на руках, на лице или теле. Обычно возникают высыпания, сопровождающиеся сыпью. Большего всего дискомфорта причиняет аллергический дерматит на лице.
Здесь высыпания отрицательно влияют на внешний вид, поэтому доставляют эстетический дискомфорт. Только правильная терапия способствует схождению образований, не оставляя следов на эпидермисе.
Если диагностирован острый аллергический дерматит, то требуется срочная медицинская помощь. Отсутствие терапии может привести к отеку Квинке или анафилактическому шоку. Такие состояния становятся причиной летального исхода без своевременного лечения.
Аллергический дерматит: симптомы и лечение у взрослых
Аллергический дерматит – это такое заболевание, которое возникает под действием аллергенов. При их проникновении в организм начинают вырабатываться антитела. Они пытаются уничтожить вещества, которые воспринимают, как враждебные.
Антитела провоцируют синтез гистамина, который и является причиной возникновения высыпаний на эпидермисе. По этой причине не имеет значения, сколько именно поступило аллергенов в организм. Главное – сколько при этом выработалось гистамина.
У взрослых симптомы аллергического дерматита зависят от стадий развития патологии, если болезнь протекает в острой форме:
- Эритематозная стадия. В этом случае на эпидермисе появляется пятно красного оттенка, которое возвышается над эпидермисом;
- Везикулярная стадия. На кожном покрове образуются узелки, которые также называют пузырьками. Такие высыпания могут быть маленьких или больших габаритов. Пузырьки имеют жидкий центр, поэтому после схождения образований на эпидермисе остается корка или эрозия;
- Некротическая стадия. Здесь происходит разрушение мягких тканей. В результате на эпидермисе возникают трофические язвы.
Важно! Образования при аллергическом дерматите обычно появляются на верхних конечностях, в том числе на ладонях, а также сыпь появляется на лице и теле. Терапия проводится, независимо от места локализации образований.
Аллергический дерматит: причины возникновения
Причиной аллергического дерматита является влияние возбудителей заболевания на организм. Обычно нетипическая реакция появляется на следующие раздражители:
- Физические. В их число входят пониженные и повышенные температуры, ультрафиолетовое излучение, домашние любимцы, растения;
- Химические. Частой причиной аллергии становится прием некоторых лекарственных продуктов, использование средств косметики и бытовой химии, а также парфюмерии;
- Растительные. Это продукты, приготовленные на основе лекарственных трав. Нестандартную реакцию организма провоцируют народные средства для приема внутрь и наружного использования;
- Экологические. Аллергия может возникнуть у людей, проживающих в регионах с неблагоприятными условиями окружающей среды. В этом случае проводимая терапия может не дать желаемого эффекта, поэтому пациентам врачи часто советуют сменить регион проживания;
- Пищевые. В этом случае организм нетипично реагирует на употребление некоторых продуктов. В их число входит мед, шоколад, цитрусовые фрукты и иная еда;
- Психологические. Возникновение аллергического дерматита может спровоцировать нестабильный эмоциональный фон.
Аллергический дерматит также появляется из-за генетической предрасположенности.
Заразен или нет аллергический дерматит? Это не инфекционная патология, поэтому не передается воздушно-капельным путем.
Симптомы проявления контактного и токсического аллергического дерматита
Аллергический контактный дерматит имеет следующую симптоматику:
- экзема на кистях рук, которая усугубляется после контакта с моющими и чистящими средствами, причем перед возникновением этой проблемы на эпидермисе появляется пятно, возвышающиеся над кожей, которое трансформируется в высыпание с жидкостью внутри;
- белые пятна на эпидермисе лица;
- высыпания различных видов: мелкая сыпь, пузырьки, папулы и другие;
- покраснение кожного покрова;
- отечность мягких тканей;
- зуд и жжение на пораженных участках эпидермиса.
Токсический аллергический дерматит также имеет дополнительную симптоматику:
- увеличение температуры тела;
- головные боли;
- болевой синдром в суставах и мышцах.
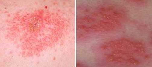
Как выглядит дерматит аллергической природы контактной разновидности продемонстрировано на фото ниже.
Как лечить аллергический дерматит у взрослых
Существует несколько способов того, как лечить аллергический дерматит у взрослых. Чтобы избавиться от признаков патологии, назначают комплексную терапию. Однако перед началом лечения следует выявить аллерген и ограничить контакт с возбудителем патологии.
Только это гарантирует положительный эффект от проводимой терапии. Для лечения аллергического дерматита на лице или теле назначают прием медикаментозных препаратов внутрь и использование продуктов для наружного применения.
Системное лечение
Системное лечение аллергического дерматита у взрослых основывается на употребление антигистаминных медикаментозных средств. Чаще всего врачи назначают Лоратадин, Супрастин, Кларитин, Зодак и иные подобные аптечные препараты. Такие продукты избавляют от признаков патологии. Средства снимают зуд, устраняют покраснение и отечность мягких тканей, а также способствуют схождению высыпаний.
Как долго длится такая терапия, зависит от характера заболевания и времени начала лечения. Если начать прием препаратов сразу после возникновения признаков болезни, то терапия быстро даст положительный результат.
Местное лечение
Лечение аллергического дерматита не будет эффективным без использования средств для местного использования. В этом случае назначают такие продукты:
- Антигистаминные препараты. Эти средства быстро снимают зуд при аллергическом дерматите, избавляют от покраснения, отечности мягких тканей и высыпаний. Продуктом обрабатывают пораженный участок эпидермиса несколько раз в день. Врачи рекомендуют использовать такие препараты, как Кларитин, Зодак и другие;
- Глюкокортикостероидные средства. Такие препараты изготовлены на основе гормонов. Продукты имеют большое количество противопоказаний и побочных эффектов. По этой причине гормональные мази назначают только в том случае, если антигистаминные средства доказали свою неэффективность. Использовать глюкокортикостероидные продукты можно только по назначению врача. Препараты избавляют от покраснения, зуда, сыпи, крапивницы и иных высыпаний. Специалисты рекомендуют использовать Гидрокортизон и Преднизолон. Продолжительность терапии определяет врач;
- Препараты, в состав которых входят антибиотики. Это мази назначают в том случае, если к аллергическому дерматиту присоединилась инфекция. Врачи рекомендуют использовать Тетрациклиновую, Гелеомициновую и Эритромициновую мазь. Такие средства следует использовать и для предотвращения возникновения и при уже появившемся воспалительном процессе.
Лечение дерматита на лице и руках
Когда возникает аллергический дерматит на лице, важно не допустить присоединения инфекции и начать своевременное лечение, чтобы быстро избавиться от высыпаний, поскольку образования в этом случае приносят не только физический, но и эстетический дискомфорт.
Для терапии рекомендуются использовать средства для местного применения. В их число входит Флуцинар и Лоринден. Такие препараты избавляют от зуда и высыпаний, а также препятствуют возникновению воспалительного процесса. Средства наносят на пораженные участки эпидермиса несколько раз в день.
Аллергический дерматит на руках можно лечить такими препаратами, как Скин-кап, Пантенол или Бепантен. Эти средства не только помогут избавиться от дискомфортных ощущений, которые сопровождают заболевание, а также высыпаний, покраснения и отечности, но и защитят кожный покров от внешнего негативного воздействия. Пантенол рекомендуется использовать в том случае, если аллергическая реакция возникает на повышенные температуры, например, горячую воду или ультрафиолетовое излучение.
Если появились симптомы аллергического дерматита у взрослых, и лечение не дало желаемого эффекта, рекомендуется обратиться с этой проблемой к профессионалу. Это может означать, что был неправильно определен аллерген или назначенные препараты не могут справиться с симптоматикой патологии.
Лечение дерматита при беременности
Если аллергический дерматит возник у женщины в период вынашивания младенца, возникает вопрос, чем лечить патологию. Дело в том, что при беременности прием многих медикаментозных препаратов находится под запретом из-за негативного воздействия на малыша.
Обычно в период вынашивания младенца женщинам рекомендуется использовать средства народной медицины, но только по рекомендации врача, а также Супрастин. Другие препараты назначают только в том случае, если патология причиняет ребенку больший вред, чем прием медикаментозных средств.
Диета при аллергическом дерматите
Если диагностирован аллергический дерматит, то рекомендуется придерживаться определенных правил питания. Важно исключить из рациона все продукты, которые могут спровоцировать нетипичную реакцию организма или усугубить патологию. В их число входит:
- цитрусовые фрукты;
- мед;
- орехи;
- шоколад;
- овощи, ягоды и фрукты красных и желтых оттенков;
- подсолнечное масло и семена подсолнечника;
- концентрированные мясные бульоны;
- жирное мясо и рыба;
- речная птица; субпродукты;
- морепродукты.
Вместе с тем, питание больного должно быть разнообразным. В меню рекомендуется включить:
- нежирные сорта рыбы;
- диетическое мясо и птицу;
- свежие фрукты, овощи, ягоды за исключением запрещенных;
- зелень;
- каши.
Рекомендуется также придерживаться таких правил питания:
- Употреблять пищу в небольшом количестве 6 раз в день. Рекомендуется за один раз принимать 200 гр продукта и 200 мл жидкости;
- Соблюдать питьевой режим. В день следует выпивать от 1,5 литров жидкости. При этом можно употреблять чистую воду без газа, компоты и морсы, приготовленные и незапрещенных ягод и фруктов. Нельзя пить сладкие газированные напитки, соки с консервантами, а также спиртные напитки;
- Готовить блюда рекомендуется только на пару, в духовке или путем отваривания. Нельзя жарить или коптить пищу.
Если не соблюдать правила питания при атопическом дерматите, то лечение не дает положительного результата.
Аллергический дерматит: лечение народными средствами у взрослых
Как вылечить аллергический дерматит народными средствами подскажет специалист. Врач может включить использование препаратов нетрадиционной медицины в комплексную терапию.
Мазь на основе облепихового масла
Чтобы приготовить такой продукт, потребуется:
- облепиховое масло – 2 маленькие ложки;
- детский крем – 2 большие ложки.
Оба продукта соединяют и размешивают. Полученную мазь наносят на проблемные участки эпидермиса. Манипуляцию выполняют несколько раз в день.
Отвар на основе лекарственных растений
Для приготовления отвара потребуется:
- измельченная кора дуба – 1 большая ложка;
- цветки календулы – 1 большая ложка;
- цветки багульника – 1 большая ложка;
- хвощ полевой – 1 большая ложка;
- мелисса – 1 большая ложка;
- измельченный корень лопуха – 1 большая ложка;
- растительное масло – 1 стакан.
Для данного рецепта подходит любое растительное масло, но специалисты рекомендуют отдавать предпочтение масло оливы. Все растения соединяют и от общей массы отделяют 1 большую ложку. Сбор добавляют в масло, и средство кипятят в течение четверти часа.
Далее отвар оставляют для охлаждения. Средство фильтруют, после чего в масле смачивают ватный тампон и препаратом обрабатывают проблемные участки. Манипуляцию выполняют несколько раз в день.
Отвар на основе багульника
Чтобы приготовить такое средство, берут:
- багульник – 2 большие ложки;
- вода – 1 литр.
Растение заливают кипятком и ставят варить. Препарат кипятят в течение 15 минут, после чего оставляют для охлаждения и настаивания. Отвар фильтруют и добавляют в ванну, которую рекомендуется принимать четверть часа. Процедуру проводят 2 раза в 7 дней.
Настой на основе анютиных глазок
Необходимые компоненты:
- анютины глазки – 2 большие ложки;
- вода – 1 литр.
Растение заливают кипящей водой. После этого средство оставляют для настаивания на 15 минут. Настой фильтруют и добавляют в ванну, которую рекомендуется принимать четверть часа. Процедуру проводят 2 раза в неделю.
На видео специалисты рассказывают о том, что такое аллергический дерматит и как бороться с данной патологией.
Фото аллергического дерматита
Диагностировать заболевание по внешним признакам нельзя. Для этого требуется проведение определенных исследований. Однако следует знать, как наглядно выглядит аллергический дерматит и фото ниже это демонстрируют.
Итог
Аллергический дерматит – патология, которая при отсутствии должного лечения может спровоцировать возникновение отека Квинке и анафилактического шока. Эти состояния приводят к смерти пациента, если не оказаться своевременную медицинскую помощь.
Однако легче всего предупредить их возникновение. По этой причине при первых признаках аллергического дерматита рекомендуется посетить профессионала, чтобы выявить возбудителя заболевания и получить назначение лечения.
syponline.ru
виды, фото на ногах и теле, пероральный, перианальный, герпетиформный, эксфолиативный, варикозный

Всевозможные раздражители вызывают заболевания эпидермиса. В зависимости от действия, эти раздражители определяют виды дерматита. Несмотря на общее название, дерматит на теле, в зависимости от аллергена, имеет личные симптомы и проявления.

Кожный дерматит на теле фото
Заболевание имеет сложную классификацию. Кожный дерматит (фото 2) любого проявления имеет общие проявления: гнойнички, расчесы, зуд, шелушение, краснота. По характеру заболевания различают определенные виды. Только дерматолог может диагностировать дерматит на теле и точно определить его вид. Любые разновидности болезни должны наблюдаться специалистом.

Дерматит на ногах фото
Признак и течение недуга зависит от вызвавшей его причины. Дерматит на ногах (см. фото 3) всегда сопровождается отечностью. На проблемных участках ощущается жжение, нетерпимый зуд. Небольшие пузырьки, образовавшиеся в зоне поражения, вскоре лопаются. Поздние стадии недуга характерны образованием эрозий. Иногда дерматит на ногах может образовывать пересушенные участки, покрытые чешуйками.

Варикозный дерматит фото
Голень человека наиболее подвержена такому недугу, как варикозный дерматит (фото 4), поскольку именно в ней возникают застои крови. Базовыми причинами, вызывающими дерматит нижних конечностей можно назвать:
- нервные расстройства;
- экологию;
- генетическую предрасположенность;
- повышенную чувствительность.
Варикозный вид заболевания бывает 2 типов: аллергический и раздражительный. Наиболее часто подобный дерматит у взрослых вызывает обувь и одежда из резины, латекса.

Пероральный дерматит
Поражение кожного покрова носит патологический процесс. Пероральный дерматит (на фото 5) проявляется папулезно-пятнистой сыпью вокруг рта и смежной области. Клиническая картина недуга очень специфична. Пероральный вид имеет симптомы только местного проявления и характеризуется полиморфизмом.

Перианальный дерматит
Этот вид недуга поражает кожный покров вокруг ануса. Перианальный дерматит (фото 6) характеризуется появлением возле ануса красноты, пузырьков. Более поздняя стадия может иметь образовавшиеся эрозии, покрытые корками. Такую патологию имеет в основном дерматит у детей, при нарушении гигиены. Перианальный дерматит может быть вызван также дисбактериозом, хроническими заболеваниями кишечника.

Герпетиформный дерматит
Аутоиммунное заболевание характерно плотным скоплением пузырей с сильным зудом. Герпетиформный дерматит (см. фото 7) имеет большой возрастной диапазон. Недуг поражает, в основном, локти, затылок, ягодицы, колени. Дерматит Дюринга носит хронический характер, который отличается истинным полиморфизмом. Данный вид заболевания часто называют параонкологическим дерматозом.

Эксфолиативный дерматит
Инфекционное заболевание поражает пузырчатку новорожденных, вызывая злокачественную форму. Эксфолиативный дерматит (на фото 8) часто начинается с покраснения около рта, постепенно распространяясь по всему телу. Эксфолиативный вид – болезнь недоношенных, слабых детей. Его развитие выпадает на первый месяц жизни младенца. Наблюдались случаи, когда патологический дерматит у грудничков развивался за 3 дня, полностью поражая все тело.

Другие разновидности дерматита
В зависимости от места локализации, выделяют дерматиты, виды которых встречаются реже остальных либо в комплексе с иным видом. Особенно если речь идет о дерматите на лице или руках. К таковым относят ушной дерматит (см. фото 9), который вызывают химические средства. А также нервный дерматит (на нервной почве), который проявляется при любом недомогании. Но его особенность в том, что при нормализации психоэмоционального состояния симптомы недуга исчезают самостоятельно.
- Инфекционный.
Кожное поражение возникает от инфекции. Таким образом, инфекционный дерматит (на фото 10) выступает скорее в роли симптома основного заболевания. Помимо этого, он обладает характерными особенностями: спровоцировать его появление могут грибы candida. В таком случае дерматит уже сам может спровоцировать инфекционное заболевание. - Солнечный.
Заболевание на теле проявляется под действием лучей солнца. Солнечный дерматит (фото 11) поражает людей, страдающих гиперактивностью фотосенсибилизаторов. У смуглых людей намного реже можно наблюдать данный вид, симптомы которого проявляются у белокожих в первые часы. - Буллезный.
Имея аллергическое происхождение, дерматит на руках проявляется в первую очередь. Буллезный дерматит (см. фото 12) покрывает кожу водянистыми пузырьками. Иногда его могут вызвать эндокринные нарушения. В таком случае пузырьки охватывают область щитовидки – главного эндокринного органа, вызывая дерматит на шее. Провоцируют данный вид внешние и внутренние факторы. - Мокнущий.
У этого недуга есть несколько разновидностей. Мокнущий дерматит (фото 13) характеризуется наличием трещин с гнойными выделениями. Данный вид заболевания имеет очень много схожестей с экземой. - Экзематозный.
Единственное место, где можно обнаружить экзематозный дерматит (см. фото 14) – на лице, поскольку он поражает только веки. Он имеет острую и хроническую формы. Причиной возникновения могут послужить некоторые мази, крема, некорректное использование медикаментов. - Грибковый.
Наиболее часто локализуется грибковидный дерматит на голове, так как поражает в основном волосистую часть. Часто грибковый дерматит (на фото 15) сопровождает иное заболевание. В зависимости от патологии он имеет несколько типов и различное внешнее проявление.






Все фотографии видов дерматита
Еще кое-что интересное:
simptomy-foto.ru
Симптомы и признаки дерматита у взрослых на руках, ногах, фото
Дерматит – это заболевание кожных покровов, сопровождающееся воспалительным процессом, на которое влияют внутренние или внешние факторы. Страдать от этого недуга могут как взрослые, так и дети.
Симптомы и признаки дерматита
Это заболевание может иметь острую и хроническую форму. Хронический дерматит склонен к сезонному проявлению. Симптомы дерматита имеют похожие симптомы, что не зависит от причин его возникновения.
- Сыпь. Экзема проявляется на разных участках кожных покровов, в зависимости от вида дерматита. Может иметь вид папул, язв, бляшек, прыщиков, пятен и т. д.
- Нестерпимый зуд. Может быть более, или менее выражен, зависит от стадии болезни.
- Эритема. Краснота кожи имеет нечеткие края и припухлость, надавливая на покраснение, оно становится бледным. Данный симптом может и отсутствовать.
- Шелушение кожных покровов. Чаще всего именно хронический дерматит склонен к десквамации (шелушению), сухая кожа страдает больше всего.
- Экссудативные выделения. Наблюдается в острой или запущенной форме, при сильных расчесах.
Присутствовать могут все или некоторые симптомы, зависит это от тяжести заболевания и его вида.
Имейте в виду! При возникновении заболевания, не обязательно присутствие всех симптомов.
Причины дерматита
Дерматит бывает облигатным (условным), к нему относятся внешние раздражители и факультативным (безусловным), ему подвержены люди с сильной чувствительностью.
Природа возникновения болезни бывает физической, механической, медикаментозной, биологической или химической.
- Биологические раздражители — цветы, трава, шерсть животных, насекомые, пыльца, рыбная чешуя, мед и т. д.
- Физические – ожоги, реакция на солнечные лучи или холод, укусы насекомых, следствие электротравм.
- Химические – действие кислот и щелочей, синтетики, моющих средств, красок, духов, лаков, красителей, полимеров и других химических препаратов.
- Механические – опрелости, потертости.
- Медикаментозные – реакция на новокаин, лидокаин, серу, кислоты, и другие лекарственные препараты.
Видео про причины дерматита
403 Forbiddennginx
Виды и признаки дерматита
Дерматиты классифицируют по характеру реакций, величине сыпи, локализации, характеру течения заболевания, ведущим симптомам, клиническому проявлению.
Следует выделить самые распространенные виды дерматитов:
- Инфекционный;
- Атопический;
- Пероральный;
- Сухой;
- Грибковый;
- Зудящий;
- Пищевой;
- Красный;
- Ушной;
- Буллезный.
Инфекционный дерматит и его симптомы
Возникать может как отдельное заболевание, или как следствие других болезней. Например: корь, скарлатина, краснуха, чесотка, ветряная оспа и другие. Наличие стрептококка, стафилококка или сифилиса вызывает сыпь, а также последствие хирургического вмешательства (осложнения).
Симптомы и признаки дерматита, специфические для каждой инфекции
| Наименование болезни | Симптомы |
| Краснуха | Розовая округленная мелкая сыпь, сначала сыпет лицо и шею, а потом все тело. Чешется. Симптомы дерматита у детей отягощаются повышением температуры, увеличением лимфатических узлов. |
| Корь | Изначально появляются сыпь в виде бугорков в области лица, далее переходит на все кожные покровы, сопровождается зудом. Со временем образования становятся сливными и шелушатся. |
| Ветряная оспа | Прыщи розового цвета, крупных размеров, чешутся. Возникают на голове и потом на всем теле. Все прыщики на второй день перерастают в пузырьки, в которых имеется прозрачная жидкость. При расчесывании их целостность нарушается, они мокнут. В дальнейшем образуется корочка и отпадает. У взрослых протекает с повышенной температурой тела. |
| Скарлатина | Сыпь располагается в паховой зоне, в подмышках, потом страдает спина, живот, бедра и сгибы локтей. Покраснения через несколько дней шелушатся. Сопровождается зудом. |
| Чесотка | Характеризуется возникновением зуда, узелковых и пузырьковых образований между пальцами, внизу живота, на ладошках и стопах. |
| Энтеровирусные инфекции | Пятнистые высыпания на ногах, руках, туловище и лице. На протяжении нескольких дней становятся бледными и исчезают. |
| Стафилококк | Возникают гнойные пузырьки. |
| Стрептококк | Рожистые воспаления с сильной гиперемией. |
| Сифилис | Появляются красные пятна и узелковые образования, сначала на коже в зоне половых органов, а потом распространяются по всему телу. |
Все высыпания инфекционного дерматита ярко выражены, и распознать заболевание дерматологу не составит труда.
Атопический дерматити его симптомы
Может передаваться по наследству или появиться после невылеченного аллергического дерматита. Также влияют стрессы, гормональные всплески, плохой уход за кожей.
Симптоматика заболевания:
- появление ярких красных пятен на кожных покровах;
- зуд в местах локализации сыпи;
- появление корочек.
Запомните! Если не лечить болезнь, она быстро приобретает хроническую форму.
Пероральный дерматит и его симптомы
Проявляется у молодых людей возрастом 20-35 лет. Возникает при пониженном иммунитете, стрессовых ситуациях, после использования некачественных зубных паст, губных помад или средств для бритья.
Характеризуется появлением пятен около губ, на веках, переносице – красного, багряного или розового цвета.
Чтобы избавиться от этого недостатка, нужно убрать средство, которое вызывает изменения на кожных покровах.
Сухой дерматит и его симптомы
Страдают от этого заболевания люди с сухой кожей, а также те, кто предрасположен к аллергическим реакциям, люди преклонного возраста.
Запомните! Сухой дерматит очень часто возникает в холодное время года или в сильную засуху.
Причиной возникновения может быть холод или засуха, сухой воздух в помещении, наследственный фактор, пыль, шерсть животных, парфюмерия, грибки, аллергическая реакция на пищевые продукты.
Симптоматика заболевания:
Симптомы дерматита у взрослых и детей не отличаются. К ним относится:
- отеки кожных покровов;
- зуд;
- краснота;
- шелушение;
- образование прыщей, пузырей или волдырей;
- повышение температуры.
Проявляется чаще всего на кожных покровах стоп, возникает в определенное время года.
Запомните! Оставлять без лечения заболевание категорически запрещено. Это приведет к ухудшению состояния и осложнениям.
Грибковый дерматит и его симптомы
Может быть острый и хронический. Поражать способен все тело, с разной глубиной поражения кожи.
Причины возникновения – это гормональный сбой, сниженный иммунитет, поврежденная кожа, прием антибиотиков, неправильная работа ЖКТ.
Симптоматика заболевания:
- мокнущая эритема;
- шелушение;
- видна четкая граница круглой формы;
- зуд;
- гнойные пустулы;
- отек.
Возникновение грибкового дерматита у детей связано с дисбактериозами, слабым иммунитетом, пеленочным дерматитом. В совокупности с плохим уходом ребенок может находиться в зоне риска.
Зудящий дерматит и его симптомы
Сильные стрессы или нервное напряжение вызывает зудящий дерматит. Провоцирует его возникновение плохая гигиена и различные аллергены.
Симптоматика заболевания:
- гнойная, в виде пузырьков, сливная или папулообразная сыпь;
- пониженная чувствительность в местах локализации;
- повышение температуры тела;
- зуд.
У детей встречается редко. Проявление дерматита у взрослых наблюдается на разных участках тела. Кожные покровы очень сильно чешутся, вследствие чего кожа расчесывается до образования ранок.
Пищевой дерматит и его симптомы
Вызывает этот недуг — пищевой продукт, который попал в организм. К сильным аллергенам относят : шоколад, мед, цитрусовые, молоко, яйца, орехи, морепродукты. Подвержены больше всего беременные женщины, грудные дети, люди с неправильной работой ЖКТ.
Симптоматика заболевания:
- краснота;
- отеки;
- высыпания в виде мелких пузырьков;
- образование корок;
- зуд.
Людям, склонным к аллергической реакции на продукты, необходимо всегда придерживаться правильного питания, исключив из своего рациона продукты вызывающие аллергию.
Внимание! Если ребенок стал жертвой пищевого дерматита, нужно немедленно убрать аллерген из рациона и безотлагательно обратиться в больницу.
Красный дерматит или красный плоский лишай
Возникнуть может на фоне нарушения работы нервной системы, следствие вирусных заболеваний, после травмы слизистой оболочки рта, передается по наследству, после приема некоторых лекарств, влияют заболевания ЖКТ.
Симптоматика заболевания:
- сильный зуд;
- появление белых бляшек на языке;
- возникновение малиново-красных или розово-фиолетовых узелков на кожных покровах;
- бляшки и узелки склонны к покрытию чешуйками;
- локализация высыпаний на половом члене и в преддверии влагалища;
- возникновение фиолетовых бляшек на губах, которые шелушатся и имеют серовато-белую сетку.
Обычно этот вид дерматита поражает запястья, подмышечные впадины, область паха, сгибы предплечий и внутреннюю поверхность бедер.
Обратите внимание! Любой признак, указывающий на заболевание – это повод обратиться к специалисту.
Ушной дерматит и его симптомы
Если наружный слуховой проход был раздражен химическими веществами или из уха на протяжении длительного времени выходило гнойное содержимое – это напрямую может повлиять на возникновение ушного дерматита. Помимо этого влияет сниженный иммунитет, интоксикация, хронические заболевания или предрасположенность к аллергиям.
Симптоматика заболевания:
- отек и воспаление ушной раковины;
- зуд;
- шелушение;
- мокнущие раны;
- твердые корки;
- пузырьки;
- выделение клейкой жидкости.
Не затягивайте с лечением, потому что инфекция распространится на ткани внутреннего уха и среднего. Заболевание на тяжелой стадии лечится намного дольше и может вызвать серьезные осложнения.
Буллезный дерматит и его симптомы
Буллезный дерматит возникает от большого количества ультрафиолета, резкой смены температуры, лекарственных мазей, кремов, гелей и любого агрессивного вещества, с которым люди сталкиваются в жизни.
Заболевание может быть 6 типов, в каждом и них своя симптоматика:
- Химический – наблюдается отек шейного отдела и области лица, иногда поражаются веки, появляются водянистые образования разных размеров.
- Солнечный – присутствует зуд, чувство жжения, недомогание, гипертермия кожных покровов, водянки.
- Диабетический – проявляется у больных сахарным диабетом, пузыри возникают на ногах и руках.
- Температурный – связан с перепадами температур, водянистые папулы, пузыри, водянки.
- Энтеропатический – при нехватке цинка появляется в области губ, рта, конечностей, около глаз.
- Наследственный – появление водянок происходит после различных травм кожного покрова.
В интернете можно увидеть дерматит на фото, где четко выражены симптомы этого недуга. Неважно у кого возникло заболевание, ребенок это или взрослый – посещение больницы является необходимостью. Самолечение приведет к нежелательным последствиям.
Лечение дерматита
Если замечен дерматит кожи и все симптомы указывают на это, начинать лечение нужно незамедлительно.
Все дерматиты отличаются своей формой и течением, соответственно лечение отличается. Врач назначает лекарства и физиотерапию, зависит от симптомов.
Комплексное лечение должно:
- убрать симптомы;
- нейтрализовать патоген;
- восстановить и укрепить иммунитет.
Имейте в виду! Лечение может затянуться до месяца и более, зависит от вида заболевания и его тяжести.
Видео, касаемо лечения симптомов дерматита
403 Forbiddennginx
Народные средства в лечении симптомов дерматита
Дополнительно к медикаментозному лечению можно добавить народные средства лечения. Отвары из некоторых растений помогут снять воспаление, уберут красноту и зуд, к таковым относятся: череда, чистотел, герань, софора японская и барвинок.
Оздоровительная диета
При лечении болезни, нужно обязательно придерживаться правильного питания, исключить продукты, которые вызывают аллергию, а именно:
- сладкое: мед, шоколад, карамель, мармелад;
- растительного происхождения: цитрусовые, фрукты тропиков, грибы, маринованное, бобы, квашеная капуста, изюм, орехи, курага, ягоды, финики;
- белковое: жирное мясо, рыба, куриные яйца, цельное молоко, икра, тушенка, морепродукты;
- Консерванты, соусы, майонезы;
- Приправы, полуфабрикаты.
Желательно употреблять низкоаллергенные продукты:
- телятину;
- треску;
- морского окуня;
- овсянка;
- манка;
- печень;
- обезжиренный творог;
- свежую капусту;
- рис;
- огурцы;
- груши;
- крыжовник;
- белую смородину;
- черешню;
- шпинат;
- кабачки;
- негазированную воду;
- компоты;
- кисломолочное;
- чернослив.
Вся пища должна быстро и легко усваиваться. Без правильного питания вылечить дерматит будет сложно и займет это в два раза больше времени.
Видео про симптомы дерматита
Чтобы дерматит не перерос в хроническую форму, необходимо своевременно обратиться к специалисту и начать лечение. Придерживайтесь диеты, выполняйте все назначенные врачом процедуры и все симптомы вместе с заболеванием исчезнут раз и навсегда.
medoderm.ru
