Прогноз жизни для людей с эмфиземой легких
При диагнозе эмфизема легких прогноз жизни больного зависит от эффективного и своевременного лечения. Многие пациенты теряют трудоспособность в случае отсутствия качественной терапии. В связи с высоким риском развития осложнений со стороны легких и сердца, возможен летальный исход.
Изменения в дыхательной системе при неблагоприятном прогнозе
Разные причины приводят к повреждению кровеносных сосудов и структуры легочной ткани. Нередко наблюдается нарушение вентиляции, а стенки капилляров теряют тонус, спадаются, образуя массивные воздушные пузырьки — буллы. У пациента развивается дыхательная недостаточность, т. к. значительно уменьшается площадь легких. Постепенно утолщается правый желудочек сердца, увеличивается давление в легких. Развиваются отеки на нижних конечностях, увеличивается селезенка и печень, скапливается жидкость в области живота.
В некоторых случаях воздух проникает в плевральную полость, и возникает опасное для жизни состояние — пневмоторакс. Чтобы избежать неблагоприятного исхода, необходимо держать под контролем все изменения в клинической картине болезни и данные лабораторных исследований. Сколько проживет пациент, если не лечить эмфизему легких, зависит от индивидуальных особенностей организма и стадии воспалительного процесса.
Предпосылки летального исхода
Вследствие прогрессирования хронической легочной инфекции у больного нередко появляются признаки эмфиземы легких. Респираторные вирусы способствуют возникновению функциональных нарушений в бронхах. Возбудитель вызывает появление обширных очагов инфекции, у больного развивается токсический синдром.
Значительно ухудшает состояние пациента хронический бронхит, проявляющийся одышкой, посинением носогубного треугольника. Кашель способствует разрыву легочных сосудов, у больного нарастает сердечная недостаточность. На поздних стадиях буллезной формы возможен летальный исход.
Некоторые пациенты долго живут с хроническим бронхитом и эмфиземой легких, но сопутствующие болезни, например, цирроз печени, хронический гепатит B, ишемическая болезнь сердца, вызывают ухудшение состоян.
Эмфизема с трудом поддается терапии, т. к. часто развиваются необратимые изменения в легких. Ухудшает прогноз курение и злоупотребление алкоголем.

Исход при буллезной форме эмфиземы
Ослабленные участки легочной ткани во время болезни вентилируются не в полном объеме, образуются воздушные пространства, разделенные на отдельные ячейки. Необходима срочная операция, если появляются следующие признаки, указывающие на ухудшение состояния пациента:
- нарушение дыхания;
- образование соединительной ткани в легких;
- кровохарканье;
- злокачественная опухоль.
Нередко возможен неблагоприятный исход буллезной формы эмфиземы легких. Прогноз жизни зависит от своевременного проведения реанимационных мероприятий.
Хирургическое лечение необходимо для удаления пораженного легкого или его трансплантации. Большое значение для увеличения продолжительности жизни имеет возраст пациента. Врач обращает внимание на степень повреждения легких, настаивает на полном отказе от табачных изделий и алкоголя. Очень сильно страдают больные люди, имеющие высокое кровяное давление на фоне эмфиземы легких.
Часто больной погибает от острой тромбоэмболии легочной артерии или воспаления легких.
Как увеличить продолжительность жизни
Пациент с эмфиземой легких должен постоянно заботиться о состоянии своего здоровья, избегать контакта с больными гриппом или респираторно-вирусной инфекцией. В начале заболевания он принимает меры, направленные на предотвращение развития эмфиземы. В первую очередь пациент ограждает себя от действия неблагоприятных факторов окружающей среды, избегает пассивного курения, налаживает полноценное питание, отказывается от приема лекарств, разрушающих легкие.
Изменение образа жизни оказывает положительное влияние на общее состояние больного, снижает вероятность появления осложнений со стороны сердца и сосудов. Лечение должно быть длительным. В противном случае заболевание чревато появлением серьезных осложнений.
Пациенту нельзя посещать баню или сауну, т. к. при высокой температуре сердце может не выдержать возросшей нагрузки. Необходимо отказаться от работы, связанной с вредными веществами, иначе болезнь будет неуклонно прогрессировать. Регулярные упражнения для тренировки дыхательных мышц улучшают состояние легких.

Сердечная недостаточность
Вследствие развития повышенного легочного давления возникает патологическое состояние, сопровождающееся увеличением правого желудочка сердца. Отсутствие эффективных компенсаторных механизмов приводит к появлению сердечной недостаточности.
На начальном этапе развития болезни пациент не предъявляет жалобы на ухудшение самочувствия. На II и III этапе развития эмфиземы ЭКГ регистрирует изменения, указывающие на увеличение размеров правого желудочка сердца. Давление в легочном стволе составляет 51-75 мм рт. ст.
Пациент жалуется на одышку, ощущение недостатка кислорода, сухой кашель. Наблюдаются отеки ног, кровохарканье, нарушение кровообращения, набухание слизистой оболочки бронхов.
Быстрое развитие клинической картины сердечной недостаточности сопровождается тромбоэмболией легочной артерии, приступами астмы, воспалением легких и скоплением жидкости в плевральной полости. При выстукивании легких выявляют легочный коробочный звук.
Прогноз острого нарушения мозгового кровообращения у пациента с эмфиземой всегда серьезный. В этом случае появляются следующие симптомы:
- обморок;
- затруднение речи;
- головная боль.
Как проявляется нарушение дыхания
Во многих случаях эмфизема осложняется развитием легочной недостаточности. Человек жалуется на одышку, отсутствие аппетита, ослабленное дыхание, кашель с мокротой. У маленьких детей часто возникают тяжелые приступы бронхиальной астмы, развивается острая дыхательная недостаточность.
На раннем этапе болезни появляются нарушение фазы выдоха, резкие движения ребер. Сложность в том, что начальные симптомы эмфиземы совпадают с признаками обычного бронхита. Однако появление рецидивов особенно характерно для эмфиземы легких — прогноз благоприятный, если вовремя принимать меры для ликвидации патологического состояния бронхов.
В случае развития хронической формы болезни пациент жалуется на кашель, появление скудного слизисто-гнойного отделяемого. У человека изменяется внешний вид, появляются следующие признаки:
- бочкообразная грудная клетка;
- набухшие подключичные вены;
- посинение губ;
- приподнятые плечи.

В случае развития врожденной лобарной эмфиземы у детей раннего возраста появляются следующие симптомы:
- спазм мышц гортани;
- набухание слизистой оболочки бронхов;
- сужение просвета крупных сосудов.
В легочной ткани задерживается воздух, повышается внутригрудное давление, возникает одышка, кашель, спазм бронхов.
Ингаляции — лучшее средство для терапии легких
Для улучшения состояния здоровья больной использует народные методы лечения. Ингаляции можно проводить часто, но при этом необходимо быть последовательным в выполнении всех процедур. Оздоровительного эффекта можно добиться лишь в том случае, если регулярно проводить физиотерапевтические сеансы.
Необходимо соблюдать определенные правила при выполнении ингаляции. Сеанс начинают через 1-1,5 часа после приема пищи. Во время процедуры нельзя разговаривать и смеяться. Мощным оздоровительным эффектом обладают натуральные эфирные масла сосны, кедра, сандала, мяты, лаванды.
Если пациент не может использовать для ингаляций ароматические вещества, применяют обыкновенную соль и соду. Для проведения процедуры можно использовать картофель. Помогут укрепить здоровье и снабдить организм витаминами ингаляции с хвоей ели или пихты.
При эмфиземе легких рекомендуется проводить процедуру с настоем багульника болотного. Однако следует помнить о том, что растение ядовито.
Прожить с эмфиземой легких можно долго, если проводить лечение регулярно, используя растительные средства для укрепления здоровья.
Спонтанный пневмоторакс при буллезной эмфиземе
В результате разрыва воздушных пузырьков возникает тяжелое осложнение — пневмоторакс. Заболевание развивается у больных в возрасте 25-35 лет после продолжительного лечения в стационаре. Часто патологический процесс появляется на фоне воспаления легких. Воздух накапливается в плевральной полости, а больной жалуется на одышку, колющую боль в груди, сухой кашель, поверхностное дыхание. При отсутствии эффективного лечения развиваются следующие осложнения:
- кровотечение;
- острая дыхательная недостаточность.
Если в плевральной полости много воздуха, больной ощущает интенсивную боль, похожую на удар кинжалом, частое сердцебиение, слабость, дискомфорт в эпигастральной области. В некоторых случаях развивается полный спонтанный пневмоторакс, сопровождающийся повышением внутригрудного давления, опущением диафрагмы.
Прогноз зависит от того, насколько квалифицированно была оказана помощь в первые часы заболевания. При инфицировании плевральной жидкости развивается гнойный процесс — эмпиема плевры. В некоторых случаях спасти жизнь пациенту помогает лишь своевременно проведенное хирургическое вмешательство.
Народное лечение для здоровья легких
Быстро справиться с проявлениями эмфиземы легких помогают растительные лекарственные средства. Настой горицвета весеннего избавляет от одышки. Для увеличения диуреза пациенту назначают прием лекарственного сбора из ягод можжевельника и листьев березы повислой.
При заболеваниях легких рекомендуется пить морковный сок, смешанный с медом. Эффективно использование отвара корней девясила, экстракта плодов аниса.
Большую пользу больному приносят чай с чабрецом и душицей, витаминный напиток из хвои. Не следует забывать о легком массаже грудной клетки и спины, улучшающем отхождение мокроты.
Врач рекомендует для лечения препараты корня солодки. Уникальное растение обладает противовоспалительным и мочегонным действием.
Силы больного эмфиземой легких поддерживает не только медикаментозное лечение, но и применение лекарственных растений, позволяющих справиться с множеством осложнений.
Вконтакте
Google+
vashilegkie.ru
Эмфизема легких: лечение и прогноз
Что это такое эмфизема легких? Симптомы и лечение данного заболевания довольно серьезны. Оно сопровождается одышкой, тяжелым кашлем, дыхательной недостаточностью. Болезнь поражает сердце и легкие, поэтому при отсутствии лечения высока вероятность летального исхода.

Описание заболевания
Эмфиземой легких называется заболевание, при котором альвеолы, находящиеся в легких, начинают расширяться. Стенки данного органа разрушаются. Поэтому легочная ткань полностью изменяется в структуре. Данную болезнь можно отнести к обструктивным заболеваниям, точно так же как бронхит с астматическим синдромом и астму.
С греческого языка слово “эмфизема” переводится как “вздутие”. Чаще всего она поражает пожилых людей, а также мужчин. Болезнь не имеет острого течения, она является хронической. Нужно отметить также то, что она всегда быстро и сильно прогрессирует.
Из-за того что воспаление длится довольно долго, а также сужаются дыхательные пути, легочная ткань не растягивается, поэтому после выдоха остается воздух, который должен был бы выйти.
Виды эмфиземы
Перед тем как рассматривать методы лечения эмфиземы легких, необходимо обратить внимание на то, какими видами ее могут страдать люди. Заболевание может быть локализованным и диффузным. В первом случае будут поражены все легкие, во втором — только некоторые части. Если рассматривать диффузный тип, то поражается вся ткань, поэтому у человека может возникать бронхит.
Помимо этого также известны некоторые другие формы эмфиземы.
- Различают старческую, которая развивается из-за возраста человека. При этом ткани не разрушаются, а лишь немного деформируются.
- Самой распространенной формой являются везикулярная. Нужно отметить, что она одна из опасных форм, так как при ней все изменения необратимы. Поэтому лечение эмфиземы легких в этом случае будет довольно затруднительным.
- Интерстициальная форма характеризуется тем, что при ней скапливается воздух под плеврой. Это связано с тем, что бронхи начинают разрываться. Нередко вздувается легочная ткань после того, как у человека удаляют легкое, либо же после приступа астмы.
- Викарная форма отличается тем, что один участок легкого увеличивается, а второй остается в норме, при этом альвеолы тоже в полном порядке.
- Последняя форма — это синдром Маклауда. Отличается он тем, что у человека появляется воспаление, причину которого выявить невозможно. Поражаются сосуды и ткани только с одной стороны.
Причины заболевания
Причинами развития эмфиземы можно назвать астму и любые другие заболевания, которые имеют обструктивный тип. Нередко подобные болезни может вызывать курение, при этом пассивное тоже. Если человек находится постоянно под воздействием каких-либо токсинов, то вероятность развития эмфиземы также огромна. Если нарушена микроциркуляция в легочной ткани, то, скорее всего, у человека возникает эмфизема. Под влиянием подобных факторов легкие начинают повреждаться, соответственно, им сложно наполняться воздухом и выводить его. Заболевание постоянно прогрессирует, поэтому со временем разветвления бронхов будут слипаться. В этом случае лечат эмфизему легких хирургическим путем. Могут образовываться кисты, а легочная ткань вздувается. Когда первые разрываются, у человека развивается пневмоторакс. У больных, которые страдают подобным заболеванием, легкие напоминают губку с крупными порами.
Симптоматика
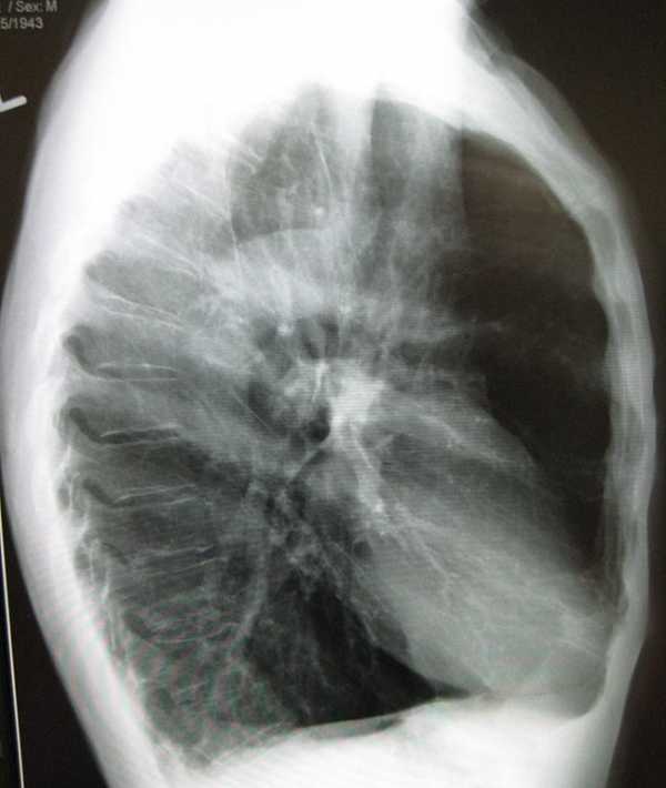
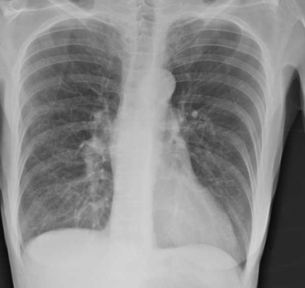
Среди симптомов эмфиземы следует отметить снижение веса, сутулость, выпячивание ямочек, которые находятся над ключицами, проблемы с прослушиванием дыхания, бочкообразную форму груди, сильную одышку. Если речь идет о развитии диффузной эмфиземы легких у взрослых (лечение ее довольно сложное), то на рентгене можно заметить, что диафрагма расположена слишком низко, а зона легких чересчур прозрачная. Сердце меняет свое положение, оно становится более вертикальным, а также возникает сильная дыхательная недостаточность. Симптоматика локализованной эмфиземы связано с тем, что травмированные участки легких давят на здоровые, поэтому у человека могут возникать даже приступы удушья.

Прогноз
Если отказаться от лечения эмфиземы легких (в Германии — лучшие клиники, которые принимают пациентов с данной патологией), то она начинает сильно прогрессировать. У человека развивается сердечная и дыхательная недостаточность. Поэтому пациент может остаться инвалидом. Развивается нетрудоспособность. К сожалению, при эмфиземе летальный исход неизбежен, он может наступить даже ранее трех-четырех лет. Соответственно, прогноз неблагоприятный.
Если терапия проводится регулярно, а также делаются ингаляции, то качество жизни можно повысить, срок ее увеличить. Благоприятным прогнозом уже считается продолжительность жизни до 5 лет с данным заболеванием, однако при хорошей терапии и при правильном соблюдении всех рекомендаций врача этот срок увеличивается до 10-20 лет.

Можно ли полностью вылечиться?
Лечить эмфизему можно как традиционной медициной, так и народной. Однако нужно заметить, что второй вариант является не сильно действенным и им можно лишь устранить симптоматику. В обязательном порядке следует обращаться к врачу. Это связано с тем, что именно он сможет назначить действенное лечение. В зависимости от состояния больного будет решаться, где проводить терапию: в амбулаторных условиях или же в стационаре. Из-за того что изменение легочной ткани обратить нельзя, нужно сделать вывод, что эмфизема полностью не излечивается. Однако если вовремя начать эффективное лечение, то можно препятствовать развитию патологии. В некоторых случаях при терапии эмфиземы легких хирургическое лечение — единственный верный вариант.

Лекарственные препараты, которые назначаются, должны улучшать проходимость бронхов. Для этого также назначают ингаляции. Если дома есть небулайзер, то это можно сделать непосредственно в домашних условиях, разрешается приходить в стационар.
Обязательно нужно принимать глюкокортикоидные гормоны. Также врач будет назначать препараты, которые позволяют разжижать мокроту и отхаркивать ее. Чаще всего используются те препараты, которые назначаются при бронхите.
Если причиной является хронический бронхит, то приходится принимать и антибиотики. При этом необходимо будет выявить возбудителя первичной болезни, и только в таком случае можно подобрать специальный препарат, который позволит полностью избавиться от симптоматики.
Если имеется дыхательная недостаточность, то придется использовать оксигенотерапию. Народной медициной можно пользоваться без паузы, а вот медикаментозная терапия должна продолжаться не более месяца. Ниже опишем более подробно методы традиционной медицины, а также народной.
Методы лечения
При лечении эмфиземы легких терапия должна быть направлена на то, чтобы у человека полностью ликвидировалась дыхательная недостаточность, также следует минимизировать причину развития болезни. Если больной курит, то ему в первую очередь необходимо отказаться от этой вредной привычки. При этом использовать можно специальные препараты и разрешается прибегнуть к помощи психолога.
Если у больного эмфизема развивается вследствие какого-то первичного заболевания, то изначально необходимо лечить именно его. Нередко используют антибиотики, муколитики, которые необходимо подбирать индивидуально. Для того чтобы облегчить дыхание, можно использовать специальные физические упражнения. Вывести мокроту помогает массаж. Некоторые препараты позволят расширить бронхи.

Также больным назначают подачу воздуха в легких. Как правило, в зависимости от симптоматики используется раствор либо с низким, либо с обычным содержанием кислорода. Курс подобной терапии длится не более 3 недель. Если у человека выраженный сбой дыхательного процесса, то необходимо делать ингаляцию при помощи чистого кислорода. Если ситуация совсем запущенная, то используют вентиляцию легких.
Лечение эмфиземы легких буллезного типа проводится при помощи хирургического вмешательства. При этом врачу необходимо удалить все имеющиеся кисты. Операция проводится при помощи эндоскопа либо же классическим способом. Если провести ее вовремя, то можно избежать развития пневмоторакса.
Народная медицина
Лечение эмфиземы легких народными средствами позволяет улучшить процесс дыхания, укрепить организм, некоторые методы с легкостью выводят мокроту, а также расширяют бронхи.
В первую очередь необходимо обратить внимание на настои и отвары. При помощи них можно делать ингаляции, их также можно принимать внутрь. Перед тем как начинать использовать народную медицину, нужно задумываться о том, что неудачная попытка приема каких-либо лекарственных трав может стоить человеку либо здоровья, либо же жизни. Можно использовать лук, чеснок, мед из сот, алоэ, каланхоэ и так далее. Рассмотрим некоторые другие варианты, которые являются наиболее популярными.
Нередко при лечении эмфиземы легких народными средствами используют молоко, в которое добавляется морковный сок. Первое должно быть подогретыми, а также быть высокой жирности. В него нужно добавить одну столовую ложку сока моркови. Принимать данное снадобье необходимо 3 недели перед приемом пищи.
Багульник также хорошо лечит симптоматику. Необходимо засыпать высушенный препарат в кипяток, настаивать час. Пить нужно по 50 мл. Не принимать более двух раз в день.
Настойка хвоща и фенхеля — также неплохой вариант. Необходимо в банку в равных пропорциях засыпать данные растения и влить крутой кипяток. Настои нужно выдерживать не менее 60 минут. Пить три раза в день по 100 мл.
Можно заваривать чай из чабреца, мяты и шалфея. Их также следует смешать в равных пропорциях, измельчить, засыпать в термос и залить кипятком. Пить нужно после каждого приема пищи по 70 мл.
Сок черной редьки будет эффективным способом. Данный овощ необходимо помыть и очистить от кожуры. Далее следует отжать из него сок, смешать с ложкой меда. Необходимо принимать дважды в день по две столовые ложки. Нужно делать это перед приемом пищи.
Дыхательные упражнения
Лечение эмфиземы легких по методу доктора Бубновского предполагает занятия специальной гимнастикой. Этот врач считает, что организм сам способен побороть все проблемы с дыхательными мышцами. Поэтому можно использовать дыхательную гимнастику.
Необходимо просто заставить мышцы ребер работать. Растянуть грудь довольно сложно, но это возможно. Необходимо использовать упражнение, которое называется “Пуловер”. Для того чтобы его выполнить, нужно рядом иметь гантели и скамейку. Необходимо согнуть в коленях ноги, лежа на скамье. Следует взять руками гантель, которая должна быть весом не более 2 кг, опустить за голову, при этом сделать вдох. Делать его нужно только через нос. Гантель следует поднять над головой и при выдохе опустить вниз. Должен получиться звук “ха”. Растягивается диафрагма, также сокращаются межреберные мышцы. Необходимо каждый день все дальше заводить руки за голову.
Когда у человека начинает увеличиваться амплитуда движений, межреберные мышцы растягиваются. Таким образом также задействуется и грудной отдел позвоночника. Данный эффект довольно ощутим. Отзывы о лечении эмфиземы легких по методу Бубновского позволяют понять, что упражнение действительно во многих случаях помогает. Заниматься им необходимо до приема пищи. Повторять следует около 15 раз, разбив на два подхода. С каждым месяцем нужно увеличивать вес гантелей.
Первое время могут наблюдаться дискомфорт и напряжение мышц, но со временем эти симптомы исчезают. Данное упражнение поможет и при других заболеваниях, а также оно влияет на работу кишечника. Если использовать данное упражнение в комплексной терапии вместе с медикаментами, то эффект не заставит себя ждать.
Возможные осложнения
Если человек не проводит лечение эмфиземы легких либо же патология слишком быстро прогрессирует, то могут возникать различные осложнения. Среди них следует назвать проблемы с вентиляцией легких и гипертензию, а также недостаточность, вследствие которой развиваются отек ног, гепатомегалия и так далее.
Самым опасным осложнением следует назвать пневмоторакс, который развивается спонтанно. При его развитии необходимо дренировать плевральную полость и проводить аспирацию воздуха.

Профилактика
Для того чтобы никогда не узнать что это такое — эмфизема легких (симптомы, лечение довольно тяжелые), необходимо проводить профилактические меры. В первую очередь нужно всегда лечить бронхит и другие заболевания, связанные с органами дыхания. Также, если человек курит, то ему необходимо раз и навсегда резко отказаться от данной вредной привычки.

Лучшая профилактика патологий дыхательной системы — прогулки на свежем воздухе, а также спорт. Необходимо обязательно следить за своей иммунной системой. Можно использовать различные народные средства, которые позволят улучшить защитные силы организма, а также иммуностимуляторы. Тогда и не придется задумываться о лечении эмфиземы легких.
fb.ru
Эмфизема легких — что это такое, причины её развития, диагностика и лечение, МедОбоз, последние новости здоровья, Обозреватель Здоровье 7 августа
Патология легких, при которой отмечается избыточное скопление воздуха в легких, вследствие разрушения структуры альвеол.
Причины эмфиземы легких
Стать причиной развития данной патологии могут генетические дефекты, профессиональные вредности, например длительное влияние опасных химических веществ, загрязненный воздух и проблемы с окружающей средой, курение также является одним из ключевых факторов негативного влияния на здоровье легких. Различные болезни органов дыхания, такие как: обструктивный хронический бронхит, хроническая обструктивная болезнь легких, пневмонии, травматические повреждения легких, удаление легкого или его части.
Симптомы эмфиземы легких
Ключевыми симптоматическими проявлениями эмфиземы легких являются: появление одышки, затрудненный выдох, который сначала наблюдается только при физических нагрузках, однако по мере прогрессирования процесса он наблюдается и в состоянии покоя; сухой кашель или с незначительным количеством мокроты, со слизистым отделяемым, кожные покровы синеют, масса тела падает, отмечается набухание шейных вен.
Диагностика эмфиземы легких
Проводится сбор жалоб, анамнеза заболевания и анамнеза жизни пациента. Выполняется общий осмотр, прослушивание легких, общий анализ крови, рентгенография органов грудной клетки как один из ключевых методов диагностирования патологических изменений в легких. Проводится также компьютерная томография органов грудной клетки, спирометрия, исследование газового состава крови. Необходима консультация пульмонолога.
Лечение эмфиземы легких
В ходе лечения чрезвычайно важно устранить влияние провоцирующих факторов — полный отказ от курения и работы на вредных производствах. Больному необходимо каждодневно выполнять дыхательную гимнастику для тренировки дыхательных мышц. В ходе заместительной терапии альфа-1-антитрипсином в том случае, когда причиной болезни стал генетический дефект. Специфической терапии вторичного типа эмфиземы не существует, все лечению сводится к симптоматической терапии. В ходе симптоматичекой терапии назначается прием бронхолитических средств, кислородотерапия. В особо тяжелых случаях, выполняют хирургическое удаление участков легких или их трансплантацию.
Профилактика эмфиземы легких
Полный отказ от курения, исключения действия токсических веществ и газов, ранняя диагностика и своевременное лечение болезней органов дыхания.
www.obozrevatel.com
Эмфизема легких — что это такое? Причины, симптомы и методы лечения
Эмфиземой легких называют хроническое заболевание, которое сопровождается изменением свойств и структуры альвеол. Подобная болезнь крайне опасна. Почему же возникает эмфизема легких, что это такое и каковы ее основные симптомы? Какие методы лечения используются современной медициной? Можно ли избежать осложнений? Эти вопросы весьма актуальны.
Эмфизема легких: что это такое и каковы ее причины?

Как уже упоминалось, эта болезнь связана с изменением структуры альвеол, в результате чего они перерастягиваются и утрачивают способность к сокращению. Действительно, это весьма опасное заболевание легких. Эмфизема развивается медленно и незаметно, но ведет к одному и тому же — развитию дыхательной недостаточности.
Что же касается причин подобных патологических изменений, то они могут быть совершенно разными. В первую очередь стоит отметить, что эмфизема часто является результатом других заболеваний, в частности, туберкулеза, астмы и хронического бронхита. С другой стороны, от недуга страдают курильщики, так как сигаретный дым постепенно разрушает структуру альвеол.
К факторам риска можно отнести и особенности некоторых профессий. В частности, эмфизема нередко обнаруживается у работников производств, строителей, ремонтников и т. д. Постоянное вдыхание дыма, строительной пыли и цемента, химически агрессивных веществ — все это со временем ведет к деструкции легочных тканей. В настоящее время к перечню причин рассматриваемой болезни относят и неблагоприятную среду обитания.
Эмфизема легких: что это такое и каковы ее симптомы?

Растяжение альвеол, утрата эластичности и сократительных способностей ведут к нарушению нормальной работы дыхательной системы. Поэтому самым первым симптомом эмфиземы является одышка. Пациенты жалуются на недостаток воздуха и ощущение удушья. И если сначала одышка появляется лишь при физических нагрузках, то со временем проблемы с дыханием становятся привычным спутником больного человека. Нередко глубокие вдохи или выдохи сопровождаются хрипами.
По мере развития заболевания наблюдаются даже изменения человеческого тела, в частности, грудная клетка приобретает бочкообразную форму, а пальцы рук утолщаются по типу барабанных палочек.
Из-за недостатка кислорода развивается хроническая усталость — пациенты жалуются на сонливость, быструю утомляемость, снижение работоспособности. Одним из симптомов болезни считается и резкая потеря веса.
Эмфизема легких: что это такое и как ее лечить?
Как уже упоминалось, заболевание чревато серьезными осложнениями. Именно поэтому лечение в данном случае просто необходимо. Безусловно, в первую очередь стоит определить, что же вызвало изменения легочных тканей и устранить первопричину. Например, курильщикам необходимо как можно скорее отказаться от губительной привычки, а работникам, подвергающимся воздействию опасных веществ, стоит тщательно следить за защитой, используя респираторные маски и прочие приспособления.
Медикаментозное лечение сводится к приему препаратов, устраняющий спазм бронхов. Хорошим терапевтическим эффектом является точечный массаж. Дыхательная гимнастика при эмфиземе легких помогает устранить основные симптомы и предупредить дальнейшие изменения альвеол. Эффективной считается и кислородотерапия, при которой пациент поочередно вдыхает нормальный воздух, а затем дышит воздухом со сниженным количеством этого газа.
Стоит отметить, что при правильно подобранной терапии многие люди ведут вполне нормальный образ жизни.
fb.ru
Опасность эмфиземы легких — Развитие болезни
Эмфизема легких представляет собой сложное и коварное заболевание, с понятными и простыми в определении причинами. В основном, эмфизема представляет собой следствие заболеваний органов дыхания – хронического бронхита, пневмонии при их частых обострениях.
Опасность заболевания заключается в его медленном прогрессировании, незаметном нарастании симптомов и незначительном беспокойстве для больного. Появляющийся кашель с выделением мокроты не вызывает беспокойства.
Человек по-прежнему проявляет физическую активность и даже не думает обращаться к врачу. Этим болезнь и опасна, что она распознается в большинстве случаев в запущенном состоянии и помочь пациенту достаточно сложно.
Процесс заболевания сопровождается вздутостью легких, наполнением их избыточным количеством кислорода, что обусловлено поражением альвеол, их перегородок, а также мышечных волокон мелких бронхов.
В процессе прогрессирования болезни образуются буллы – слившиеся альвеолы. Часто, одни буллы находят над другими. Это явление называется буллезная эмфизема легких. Опасность булл заключается в вероятности их разрыва при физических нагрузках.
Достаточно кашля или резких движений, чтобы спровоцировать разрыв булл. Это приводит к нарастанию одышки и резкой боли в области грудной клетки, что обусловлено попаданием воздуха в полость плевры. При наступлении данного явления пациенту требуется срочная медицинская помощь.
Статистика свидетельствует о том, что половина случаев заболевания эмфиземой легких относится к курильщикам с острыми формами бронхита. Провоцирующим фактором может быть и пассивное курение. Механизм негативного воздействия табачного дыма заключается в активизации выработки клетками альвеол специальных ферментов, которые разрушают их эластичные волокна.
К развитию болезни могут привести бронхиты вирусного происхождения. Это происходит путем проникновения вирусов глубоко в структуру легких, что приводит к нарушению защитной функции легочной ткани и слизистой оболочки бронхов. За счет повышения активности бактерий, начинается их болезнетворное действие.
В результате воздействия холода и в условиях повышенной влажности в бронхах обостряются воспалительные процессы. Негативное воздействие на эластические волокна альвеол оказывают выхлопные газы автотранспорта и пары автомобильного топлива.
По внешним признакам болезни не сложно определить человека, страдающего эмфиземой. Лицо становится отечным, глазные яблоки слегка выпирают вперед, глазные сосуды налиты кровью, что вызвано постоянным напряжением во время кашля.
Грудная клетка приобретает бочкообразную форму. Больной жалуется на сильную одышку, а также сердечную боль. Плохое самочувствие больного особенно выражено в зимний и осенний период.
Лечение эмфиземы представляет собой продолжительный процесс, направленный на мобилизацию всех сил организма для борьбы с этим недугом. Высокой эффективностью обладает комплекс физических упражнений, который подбирается для каждого больного индивидуально. Улучшает работу легких диафрагменное дыхание. Упражнение рекомендуется проводить два-три раза в день.
При лечении эмфиземы полезно заниматься лыжным спортом или ходить пешком, что позволяет тренировать дыхательную систему. Во время занятий, необходимо следить, чтобы вдох был продолжительней выдоха.
Существует достаточно примеров позитивного влияния физических упражнений на работу дыхательной системы при данном заболевании. В процессе лечения следует обратить внимание на качество отхождения мокроты.
bronhi.com
симптомы, причины появления и как лечить
Болезнь возникает в два раза чаще у мужчин, чем у женщин. Причем люди пенсионного возраста подвержены заболеванию сильнее. В связи с этим людям из группы риска необходимо заниматься диагностикой и профилактикой данного заболевания.
Эмфизема – что за болезнь

Общие положения эмфиземы легких
Название произошло от греческого «надувать». Врачи называют эмфиземой такое заболевание легких, когда расширены воздушные пространства у дистальных бронхиол, с возникновением деструкции альвеолярных стенок. Другими словами, в легких происходит повышенное газообразование в альвеолярной ткани, причем в легких накапливается не кислород, а углекислый газ и другие примеси, которые нарушают кровоток в органах дыхания и приводят к деструкции. А это, в свою очередь, негативно влияет на сердце. Повышается давление внутри легких, из-за этого сдавливаются внутренние артерии, что вызывает нагрузку на сердечную мышцу и возникает болезнь – хроническое легочное сердце.
У больных эмфиземой воздух в легких накапливается в большом количестве и никак не участвует в процессе дыхания. Из-за этого ткань органа перерастягивается и становится неспособна работать как раньше. Как следствие сократительная способность легких теряется, и человек получает кислородное голодание. Соединительная ткань разрастается в легких и бронхах, замещая воздушные участки легких, и возникает бронхоспазм. Из-за этих изменений возникают воздушные мешки в легких разнообразного размера.
Из данного определения видно, что эмфизема – болезнь опасная. Она приводит к недостаточности дыхания за счет поражения легких, потери трудоспособности, инвалидности, плюс ко всему, нарушает работу сердца.
Раньше болезнь являлась сопутствующей патологией при таких заболеваниях органов дыхания, как туберкулез, пневмония, онкология. Но сейчас выявление эмфиземы легких как самостоятельной болезни возникает все чаще.
Причины возникновения эмфиземы
Эмфизема легких подразделяется на первичную диффузную – вызванную потерей эластичности и прочности легких. При таком состоянии бронхиальная проходимость не нарушается. И вторичную, вызванную различными заболеваниями, которые приводят к повышению давления в альвеолах.

Курение способно спровоцировать недуг
Факторы, вызывающие первичную эмфизему можно выделить следующие:
- Врожденные патологии ферментной системы.
- Различные травмы и операции на органе.
- Курение – наиболее частая причина возникновения первичной эмфиземы. Страдают болезнью в основном курильщики со стажем более 5 лет. Из-за табачного дыма происходит разрушение перегородки между легочными клетками.
- Патологическая микроциркуляция.
- Вдыхаемая с воздухом пыль – наиболее часто страдают болезнью шахтеры и рабочие на строительном производстве.
Причины появления вторичной эмфиземы:
- Наличие хронического обструктивного бронхита – наиболее частая причина развития вторичной эмфиземы. Именно при нем идет перерастяжение альвеол.
- Бронхиальная астма.
- Хронический аутоиммунный бронхиолит.
- Туберкулез.
- Онкологические заболевания легких.
- Пневмония.
Также существует викарная эмфизема. Она возникает как ответ здорового легкого на поражение второго. Оно увеличивается в размерах, чтобы компенсировать недостаток кислорода в больном органе. При этом проходимость бронхов значительно повышается.
Как видно, причин развития заболевания много, в связи с этим нужно тщательно следить за своим здоровьем – вести здоровый образ жизни, при работе на вредных производствах ежегодно обследоваться, а после тяжелых инфекционных заболеваний легких проходить полный курс восстановления.
Симптомы эмфиземы легких

Сильная одышка, сопровождающаяся прерывистым дыханием
Коварность болезни в том, что она возникает постепенно. В начальной стадии заболевания симптомы отсутствуют и возникают только при значительном поражении органа. Итак, какие основные симптомы эмфиземы:
- Одышка – первый признак, который можно заметить у больных. Изначально появляется при физических нагрузках, затем и в состоянии покоя. Во время приступа пациент обычно сидит, наклонившись вперед, тем самым пытаясь облегчить состояние. Вдох хватательный рыбий, а при выдохе больной сжимает зубы, надувает щеки и шумно, долго выдыхает. Кожа в эти моменты приобретает розовый цвет. Потому больных эмфиземой во время приступа называют «розовыми пыхтельщиками».
- Снижение артериального давления.
- Кашель – возникает после появления отдышки. Он несильный со скудной прозрачной мокротой.
- Потливость.
- Боль, локализующаяся в одной из половин грудной клетки либо за ней.
- Потеря массы тела – выраженное проявление данного симптома говорит о неблагоприятном прогнозе заболевания.
- Человек теряет работоспособность – ему трудно делать даже самые простые повседневные вещи.
- Грудная клетка меняет свою форму – она расширяется, поднимается, как будто застывает на вдохе и становится цилиндрической формы.
- Межреберные промежутки и надключичные области расширяются.
- Пальцы рук становятся похожи на барабанные палочки – концевые фаланги утолщаются, что говорит о длительном кислородном голодании.
- Появляется синюшность лица.
При эмфиземе поражаются многие органы, так, при поражении кишечника могут наблюдаться такие признаки, как боль в животе, вздутие, урчание при работе желудка, жидкий кал с кровью. При поражении почек наблюдается скудное мочеиспускание красного цвета. При поражении сердца нарушается его ритм, развивается тахикардия, а сам орган расширяется вправо.
Эмфизема проявляет себя уже на поздней стадии заболевания, чем сильнее повреждения легких, тем будет ярче симптоматика.
Диагностика и прогноз заболевания
Как определить наличие заболевания
Диагностика эмфиземы проводится с помощью клинического анализа крови, специальных приборов, препаратов, рентгенологического обследования и компьютерной томографии.
Для исследования функции дыхания используются такие медицинские приборы, как пикфлоуметр и спирограф. В пикфлоуметр пациент должен произвести выдох в состоянии покоя после двух вдохов. Устройство позволяет оценить уровень сужения бронхов и отличить эмфизему от других легочных заболеваний.
Спирограф способен определить жизненную емкость легких, изменение дыхательного объема, максимальную вентиляцию и степень дыхательной недостаточности. Для проведения теста больному необходимо плотно прижаться ртом к мундштуку, произвести глубокий вдох и затем медленный выдох. После этого процесс повторяется, только с максимальным усилием. И это все необходимо выполнить три раза. По данным результатам врач будет расшифровывать спирометрию.
Также для того чтобы отличить различные заболевания легких и эффективность лечения применяют тесты с бронхорасширяющими препаратами.
При эмфиземе взятый анализ крови покажет увеличенное количество красных кровяных телец – эритроцитоз.
Рентген легких имеет большое значение при диагностике заболевания. У пациента с эмфиземой он покажет расширенные полости в различных отделах легких.
Компьютерная томография позволяет увидеть повышенную воздушность легких.
Какой же прогноз у данного заболевания? Восстановить разрушенные альвеолы невозможно, в связи с этим полностью выздороветь невозможно. От того насколько запущена болезнь до начала лечения, зависит скорость возникновения сердечной и легочной недостаточности. Но эмфизема в конечном итоге приводит к инвалидности.
Лечение эмфиземы

Обязательное правило: верно подобранная диета
Все лечение данного заболевания сводится к тому, чтобы убрать причину такой патологии и снизить прогрессирование дыхательной недостаточности. Проводится обычно амбулаторно под наблюдением терапевта и пульмонолога. Стационарное лечение проводится только при тяжелых формах заболевания.
Больным эмфиземой назначают сбалансированную диету богатым содержанием витаминов и минералов. Обязательно употреблять сырые овощи и фрукты. Ограничивают углеводную пищу, которая может усугубить проявление дыхательной недостаточности.
Необходимо полностью отказаться от курения как активного, так и пассивного.
При инфекционных осложнениях назначают антибактериальные средства, препараты для расширения бронхов и муколитики. При развитии «легочного сердца» назначают мочегонные средства и лекарства, улучшающие работу сердца.
На начальной стадии заболевания хороший успех в лечении имеет кислородотерапия. При этом пациент в течение пяти минут вдыхает воздух со сниженным количеством кислорода, а затем в течение такого же времени обычный воздух.
Для расширения бронхов и наилучшему отхождению мокроты используются массажи – точечный, классический и сегментный.
Также обязательно проводится лечебная дыхательная гимнастика. Она учит пациента правильно дышать с максимальным привлечением в процесс диафрагмы и межреберных мышц.
В комплексе с дыхательными упражнениями назначается лечебная физкультура, как пример – ходьба на короткие расстояния, а после улучшения состояния – ходьба по лестницам до 3 этажа с контролем дыхания.
Необходимо исключить резкие движения, сильные вдохи с большим объемом воздуха, интенсивные упражнения. Правильно подобранные упражнения улучшают кровообращение и увеличивают активность работы сохранившихся альвеол.
Наряду с медицинским лечением, можно применять и народные средства. Для поддержания организма используют различные травы с бронхолитическим действием, которые выводят мокроту, снижают воспаления. А также травы для поддержания иммунитета. К ним можно отнести – шалфей, мяту и мелиссу, листья эвкалипта, корень солодки, хвощ полевой, анис и другие.
Следует помнить, что полагаться на одни народные средства нельзя. Необходимо комплексное лечение, только так возможно поддерживать органы дыхания в рабочем состоянии.
Из данной статьи видно, что такая болезнь, как эмфизема легких тяжелая, коварная. Выявляется уже на поздней стадии заболевания и приводит к инвалидности. Потому необходимо проходить ежегодно диагностику тем, кто находится в группе риска, а это – мужчины пенсионного возраста, рабочие вредных производств, курильщики со стажем более 5 лет, а также людям, переболевшим инфекционными заболеваниями легких.
Заметили ошибку? Выделите ее и нажмите Ctrl+Enter, чтобы сообщить нам.
Виолетта Лекарь
vselekari.com
Эмфизема легких. Описание, классификация, симптомы и лечение заболевания
Эмфизема легких свела в могилу гениального творца русской литературы Федора Достоевского. Во времена «пещерной» медицины эта болезнь всегда приводила к смертельному исходу, однако сегодня она поддается эффективному лечению
Термином «эмфизема легких» обозначают группу патологических процессов в легких, для которых свойственно повышенное содержание воздуха в легочных тканях. Это хроническое заболевание легких, сопровождающееся нарушением дыхания и процессов газообмена в этих органах, что приводит к повышенной воздушности и сниженной подвижности легочной ткни. Название болезни связано с греческим словом «emphysao», означающим в переводе «раздувать» или «вздувать».
Наряду с бронхиальной астмой и хроническим обструктивным бронхитом эмфизема легких относится к ряду с «закодированным» названием ХОБЛ (т.е. хронические обструктивные болезни легких). Для всех трех заболеваний свойственно нарушение бронхиальной проходимости, чем и обусловлено некоторое сходство их симптоматики, Однако каждому заболеванию из группы ХОБЛ характерны и свои специфические особенности. Так, при эмфиземе под влиянием хронического воспаления или продолжительного сужения дыхательных путей начинаются необратимые изменения в стенках легких и бронхов. Нарушаются их эластические свойства: в легких после выдоха накапливается намного больше воздуха, чем при нормальном цикле дыхания, что приводит к перерастяжению (раздуванию) легких.
Избыточный воздух не принимает участия в дыхательном процессе, а раздутая легочная ткань не функционирует полноценно. Из-за этого пропадает способность к достаточному сокращению и появляются затрудненные выдохи, вследствие чего нарушаются процессы поступления в кровь кислорода и выведения из нее углекислого газа. По этой причине возникает отдышка.
Параллельно в легких и бронхах стремительно вырастает соединительная ткань, которая якобы «замещает» воздушные сегменты легочной ткани и способствует продолжительному сужению бронхов вне зависимости от имеющегося воспаления. Вследствие таких изменений в легких появляются многочисленные воздушные мешки различных размеров, которые рассеиваются по всему легкому или соединяются с его нормальной тканью.
Эмфизема, как правило, развивается на фоне хронического бронхита, подразумевающего под собой хроническую инфекцию. Не последнюю роль в возникновении этого неприятнейшего заболевания играют наследственные связи, различные перенесенные болезни легких (как например, туберкулез) и курение, особенно если оно пристрастное. Среди факторов, приводящих к заболеванию, выделяют также неблагополучную экологию и вредные условия труда, связанные, к примеру, с частым вдыханием частиц кремния, асбеста или угольной пыли.
Игнорировать эмфизему не получится. Запущенная форма этой болезни стремительно трансформируется в различные осложнения (дыхательная и сердечная непроходимость, пневмоторакс), каждое из которых может привести к инвалидности пациента.
Классификация
Эмфизема легких может как появиться на основе других легочных заболеваний (это вторичная эмфизема), так и развиться самостоятельно, без содействия подобных «помощников» (первичная). В некоторых случаях она охватывает практически всю площадь легочной ткани (диффузная форма), а в других — лишь отдельные участки легких (очаговая, или локальная форма). Иногда раздутые сегменты легких соединяются с нормальной тканью этих органов — такие образования размером более 1 см называются буллами, а эмфизема, соответственно, — буллезной.
Клиническая картина
На начальной стадии эмфиземы легких главным проявлением болезни служит одышка при физических нагрузках. На первых порах она не постоянна и зачастую проявляется в холодные месяцы года, позже беспокоит уже в любые сезоны. В дальнейшем одышка появляется при минимальных физических усилиях и даже отмечается в состоянии покоя. У пациентов наблюдается «острый», короткий и «хватающий» вдох, за которым следует удлиненный выдох. Причем последний больные осуществляют сомкнутыми губами, непроизвольно надувая при этом щеки (словно «пыхтят»). Поскольку дыхательные движения грудной клетки у такого пациента уменьшаются, в процесс дыхания вынуждены включаться дополнительные мышцы шеи и груди. Исподволь прогрессирующая одышка на данном этапе уже подводит больного к состоянию, угрожающему его жизни.
Люди с этим диагнозом на ранних стадиях болезни для облегчения состояния ложатся на живот и опускают вниз голову и плечевой пояс. Но при тяжелых формах эмфиземы с утомлением дыхательных мышц и характерными изменениями грудной клетки горизонтальное положение уже вызывает напряжение в работе диафрагмы — по этой причине пациенты вынуждены даже спать в сидячей позе. Они часто принимают положение сидя с чуть наклоненным вперед торсом, при этом опираются руками о край кровати или свои колени, что позволяет зафиксировать плечевой пояс и «втянуть» в акт дыхания дополнительную мускулатуру.
В сильно запущенных случаях больной эмфиземой «укрывается» цианозом: его ногти, губы и язык приобретают синеватый оттенок (особенно после физической работы). Такого человека постоянно мучает неслабый кашель с незначительным количеством отделяемой мокроты. Больного эмфиземой несложно узнать по неким внешним очертаниям: у него сутулая спина, а выпершая грудная клетка напоминает бочку; при этом он устойчиво теряет вес, а его плечи всегда приподняты, словно он постоянно находится в состоянии вдоха.
Лечение эмфиземы легких
Патологические сбои, которые наблюдаются в легких при данном заболевании, отличаются необратимым характером. Все действия специалистов направлены, главным образом, на лечение инфекции, замедление развития болезни, укрепление иммунитета и устранение приступов дыхательной недостаточности.
Очень важно, чтоб сам пациент не оставался в стороне от лечебного процесса, довольствуясь только приемом назначенных медикаментов и выполнением других врачебных рекомендаций. Во-первых, если Вы курите, необходимо тут же дисциплинировать свою силу воли и распрощаться с этой свирепой привычкой. Причем искоренять ее нужно сразу, в один момент прекратив тянуться в карман за дозой никотина и зажигалкой, а не постепенно снижать количество выкуриваемых в день сигарет. Во-вторых, если Вы работаете в неблагополучной с точки зрения чистоты воздуха среде, которая насыщает Ваши легкие частицами опасных для здоровья металлов и других веществ, то придется всерьез задуматься о смене места работы. Иначе все старания отечественных эскулапов пойдут насмарку.
Помимо лечения медикаментами, пациентам с эмфиземой легких назначают на довольно продолжительный период кислородную терапию. Она представляет собой сеансы ингаляции воздуха с повышенным уровнем кислорода, которые, к слову, можно проводить даже в домашних условиях. Кроме того, пациенты обязательно должны выполнять дыхательную гимнастику, упражнения которой нацелены на тренировку диафрагмального дыхания, улучшающего выдох. Из даров природы специалисты не отрекаются от поливитаминных чаев и настоя плодов лимонника, которые отлично стимулируют дыхательный центр.
При буллезной эмфиземе наиболее вероятно хирургическое лечение, суть которого заключается в удалении буллы. Такие манипуляции выполняют и с помощью традиционного доступа, то есть со вскрытием грудной клетки, и эндоскопически (используя специальные инструменты и делая проколы грудной клетки). Второй вариант более предпочтительный: восстановительный период после операции гораздо короче, к тому же на теле пациента отсутствует обширный рубец.
Статья защищена законом об авторских и смежных правах. При использовании и перепечатке материала активная ссылка на портал о здоровом образе жизни hnb.com.ua обязательна!
hnb.com.ua