ΠΠ΅ΡΠ΅Π»ΠΎΠΌ ΡΠ΅Π»ΡΡΡΠΈ Π½ΠΈΠΆΠ½Π΅ΠΉ: ΡΠΈΠΌΠΏΡΠΎΠΌΡ, Π»Π΅ΡΠ΅Π½ΠΈΠ΅
ΠΠ΅ΡΠ΅Π»ΠΎΠΌ ΡΠ΅Π»ΡΡΡΠΈ ΠΏΡΠΈΠ²ΠΎΠ΄ΠΈΡ ΠΊ Π½Π°ΡΡΡΠ΅Π½ΠΈΡ ΡΠ΅Π»ΠΎΡΡΠ½ΠΎΡΡΠΈ Π»ΠΈΡΠ΅Π²ΡΡ ΠΊΠΎΡΡΠ΅ΠΉ. Π Π°Π·Π»ΠΈΡΠ°ΡΡ ΠΏΠ΅ΡΠ΅Π»ΠΎΠΌΡ Π²Π΅ΡΡ Π½Π΅ΠΉ ΠΈ Π½ΠΈΠΆΠ½Π΅ΠΉ ΡΠ΅Π»ΡΡΡΠΈ. Π§Π°ΡΠ΅ Π²ΡΠ΅Π³ΠΎ, ΠΏΡΠΎΠΈΡΡ ΠΎΠ΄ΠΈΡ ΠΏΠΎΠ²ΡΠ΅ΠΆΠ΄Π΅Π½ΠΈΠ΅ ΠΈΠΌΠ΅Π½Π½ΠΎ Π½ΠΈΠΆΠ½Π΅ΠΉ ΡΠ΅Π»ΡΡΡΠΈ, ΠΊΠΎΡΠΎΡΠ°Ρ ΠΌΠΎΠΆΠ΅Ρ ΡΠ»ΠΎΠΌΠ°ΡΡΡΡ Π² Π½Π΅ΡΠΊΠΎΠ»ΡΠΊΠΈΡ ΠΌΠ΅ΡΡΠ°Ρ ΠΎΠ΄Π½ΠΎΠ²ΡΠ΅ΠΌΠ΅Π½Π½ΠΎ. ΠΠ±ΡΡΡΠ½ΡΠ΅ΡΡΡ ΡΡΠΎ Π΅Π΅ ΡΡΡΠΎΠ΅Π½ΠΈΠ΅ΠΌ ΠΈ ΡΡΠ½ΠΊΡΠΈΡΠΌΠΈ, ΠΊΠΎΡΠΎΡΡΠ΅ ΠΎΠ½Π° Π²ΡΠΏΠΎΠ»Π½ΡΠ΅Ρ.

Π ΠΌΠ΅Π΄ΠΈΡΠΈΠ½Π΅ ΡΡΡΠ΅ΡΡΠ²ΡΠ΅Ρ ΠΊΠ»Π°ΡΡΠΈΡΠΈΠΊΠ°ΡΠΈΡ ΠΏΠ΅ΡΠ΅Π»ΠΎΠΌΠ° ΡΠ΅Π»ΡΡΡΠΈ, ΠΏΠΎΡΡΠΎΠΌΡ ΡΠ°ΡΠΏΠΎΠ·Π½Π°ΡΡ ΠΊΠ°ΠΆΠ΄ΡΠΉ ΡΠΈΠΏ ΠΏΠΎΠΌΠΎΠ³Π°ΡΡ ΠΏΡΠΈΠ·Π½Π°ΠΊΠΈ ΡΡΠ°Π²ΠΌΡ ΡΠ΅Π»ΡΡΡΠΈ. ΠΠ°ΠΈΠ±ΠΎΠ»Π΅Π΅ ΡΠ°ΡΡΠΎ Π²ΠΎ Π²ΡΠ΅ΠΌΡ ΠΏΠΎΠ²ΡΠ΅ΠΆΠ΄Π΅Π½ΠΈΡ ΡΡΠ°Π²ΠΌΠΈΡΡΠ΅ΡΡΡ ΡΡΡΡΠ°Π²Π½ΡΠΉ ΠΎΡΡΠΎΡΡΠΎΠΊ, Π½ΠΎ ΡΠ°ΠΊΠΆΠ΅ ΠΌΠΎΠΆΠ½ΠΎ Π²ΡΡΡΠ΅ΡΠΈΡΡ ΠΈ ΡΡΠ°Π²ΠΌΡ Π² Π΄ΡΡΠ³ΠΈΡ Π·ΠΎΠ½Π°Ρ Π½ΠΈΠΆΠ½Π΅ΠΉ ΡΠ΅Π»ΡΡΡΠΈ.
ΠΠ½Π°ΡΠΎΠΌΠΈΡ
Π£ ΡΠ΅Π»ΠΎΠ²Π΅ΠΊΠ° ΡΠ΅ΡΠ΅ΠΏ ΡΠΎΡΡΠΎΠΈΡ ΠΈΠ· Π½Π΅ΠΏΠΎΠ΄Π²ΠΈΠΆΠ½ΡΡ ΠΊΠΎΡΡΠ΅ΠΉ, ΠΈΡΠΊΠ»ΡΡΠ΅Π½ΠΈΠ΅ ΡΠΎΡΡΠ°Π²Π»ΡΠ΅Ρ ΡΠΎΠ»ΡΠΊΠΎ Π½ΠΈΠΆΠ½ΡΡ ΡΠ΅Π»ΡΡΡΡ. ΠΠΎ ΡΠΎΡΠΌΠ΅ ΠΎΠ½Π° Π½Π°ΠΏΠΎΠΌΠΈΠ½Π°Π΅Ρ ΠΏΠΎΠ΄ΠΊΠΎΠ²Ρ ΠΈ ΡΠΎΡΡΠΎΠΈΡ ΠΈΠ·:
- ΠΠ΅Π²Π°ΡΠ΅Π»ΡΠ½ΡΡ ΠΌΡΡΡ.
- ΠΠΈΡΠ°ΡΡΠΈΡ Π΅Π΅ Π½Π΅ΡΠ²ΠΎΠ² ΠΈ ΡΠΎΡΡΠ΄ΠΎΠ².
- ΠΠΈΡΠΎΡΠ½ΠΎ-Π½ΠΈΠΆΠ½Π΅ΡΠ΅Π»ΡΡΡΠ½ΠΎΠ³ΠΎ ΡΡΡΡΠ°Π²Π°.
- ΠΠΎΡΡΠΈ Π½ΠΈΠΆΠ½Π΅ΠΉ ΡΠ΅Π»ΡΡΡΠΈ.

ΠΠ°Π½Π½Π°Ρ ΠΊΠΎΡΡΡ, ΡΠ°ΠΊΠΆΠ΅ ΡΠΎΡΡΠΎΠΈΡ ΠΈΠ· ΡΠ΅Π»Π° ΠΈ Π²Π΅ΡΠ²Π΅ΠΉ. ΠΠΊΡΡΠΆΠ°ΡΡ Π΅Π΅ ΡΠ΅ΡΡΡΠ΅ ΠΌΡΡΡΡ β ΠΆΠ΅Π²Π°ΡΠ΅Π»ΡΠ½Π°Ρ, ΠΊΡΡΠ»ΠΎΠ²ΠΈΠ΄Π½Π°Ρ ΠΌΠΈΠ½Π΄Π°Π»ΡΠ½Π°Ρ, Π²ΠΈΡΠΎΡΠ½Π°Ρ ΠΈ ΠΊΡΡΠ»ΠΎΠ²ΠΈΠ΄Π½Π°Ρ Π»ΠΈΡΠ΅ΡΠ°Π»ΡΠ½Π°Ρ. Π Π΄Π°Π½Π½ΡΡ ΠΌΡΡΡΠ°Ρ Π½Π°Ρ ΠΎΠ΄ΡΡΡΡ ΡΠΎΡΡΠ΄Ρ β Π°ΡΡΠ΅ΡΠΈΠΈ Π»ΠΈΡΠ΅Π²ΡΠ΅ ΠΈ Π½ΠΈΠΆΠ½ΠΈΠ΅ Π°Π»ΡΠ²Π΅ΠΎΠ»ΡΡΠ½ΡΠ΅. ΠΠΈΡΠΎΡΠ½ΠΎ-Π½ΠΈΠΆΠ½Π΅ΡΠ΅Π»ΡΡΡΠ½ΠΎΠΉ ΡΡΡΡΠ°Π² ΠΎΡΠ²Π΅ΡΠ°Π΅Ρ Π·Π° ΠΏΠΎΠ΄Π²ΠΈΠΆΠ½ΠΎΡΡΡ ΡΠ΅Π»ΡΡΡΠΈ, Π·Π° Π²ΠΎΠ·ΠΌΠΎΠΆΠ½ΠΎΡΡΡ ΡΠΌΠ΅ΡΠ°ΡΡ Π΅Π΅ Π²ΠΏΠ΅ΡΠ΅Π΄ β Π½Π°Π·Π°Π΄, Π° ΡΠ°ΠΊΠΆΠ΅ Π²ΠΏΡΠ°Π²ΠΎ ΠΈ Π»Π΅Π²ΠΎ.
ΠΠΈΠ΄Ρ ΠΏΠΎΠ²ΡΠ΅ΠΆΠ΄Π΅Π½ΠΈΡ
ΠΠΎ ΡΡΠ΅ΠΏΠ΅Π½ΠΈ ΠΏΠΎΠ²ΡΠ΅ΠΆΠ΄Π΅Π½ΠΈΡ Π§ΠΠ, ΠΌΠΎΠΆΠ΅Ρ Π±ΡΡΡ Π·Π°ΠΊΡΡΡΡΠΉ ΠΈΠ»ΠΈ ΠΎΡΠΊΡΡΡΡΠΉ ΠΏΠ΅ΡΠ΅Π»ΠΎΠΌ. ΠΡΠΈ ΠΎΡΠΊΡΡΡΠΎΠΌ Β ΠΎΡΠΊΠΎΠ»ΠΊΠΈ ΠΊΠΎΡΡΠΈ ΠΏΠΎΠ²ΡΠ΅ΠΆΠ΄Π°ΡΡ Π΄Π΅ΡΠ½Π°, ΡΠ»ΠΈΠ·ΠΈΡΡΡΡ ΠΎΠ±ΠΎΠ»ΠΎΡΠΊΡ ΠΈ ΠΊΠΎΠΆΡ ΠΏΠΎΡΡΡΠ°Π΄Π°Π²ΡΠ΅Π³ΠΎ, Π·Π°ΠΊΡΡΡΡΠΉ ΠΏΠ΅ΡΠ΅Π»ΠΎΠΌ Ρ Π°ΡΠ°ΠΊΡΠ΅ΡΠΈΠ·ΡΠ΅ΡΡΡ ΠΎΡΡΡΡΡΡΠ²ΠΈΠ΅ΠΌ ΠΏΠΎΠ²ΡΠ΅ΠΆΠ΄Π΅Π½ΠΈΠ΅ΠΌ ΡΠΊΠ°Π½Π΅ΠΉ Π»ΠΈΡΠ°.
Π ΠΎΡΠΊΡΡΡΡΠΌ ΡΡΠ°Π²ΠΌΠ°ΠΌ ΡΠ°ΡΠ΅ Π²ΡΠ΅Π³ΠΎ ΠΎΡΠ½ΠΎΡΡΡ ΠΏΠ΅ΡΠ΅Π»ΠΎΠΌ Π½ΠΈΠΆΠ½Π΅ΠΉ ΡΠ΅Π»ΡΡΡΠΈ ΡΠΎ ΡΠΌΠ΅ΡΠ΅Π½ΠΈΠ΅ΠΌ, ΡΡΠ°Π²ΠΌΠ° ΡΠ°ΠΊΠΎΠ³ΠΎ Π²ΠΈΠ΄Π° Π·Π°ΠΆΠΈΠ²Π°Π΅Ρ Π½Π°ΠΌΠ½ΠΎΠ³ΠΎ Π΄ΠΎΠ»ΡΡΠ΅, ΡΠ΅ΠΌ, Π±Π΅Π· ΡΠΌΠ΅ΡΠ΅Π½ΠΈΡ. Π’Π°ΠΊ ΠΆΠ΅ ΠΌΠΎΠ³ΡΡ Π±ΡΡΡ ΠΈ Π½Π΅ΠΏΠΎΠ»Π½ΡΠ΅ ΠΏΠ΅ΡΠ΅Π»ΠΎΠΌΡ Π½ΠΈΠΆΠ½Π΅ΠΉ ΡΠ΅Π»ΡΡΡΠΈ ΠΈΠ»ΠΈ ΡΡΠ΅ΡΠΈΠ½Ρ.
ΠΠ»Ρ ΠΎΠΏΡΠ΅Π΄Π΅Π»Π΅Π½ΠΈΡ Π²ΠΈΠ΄ΠΎΠ² ΠΏΠΎΠ²ΡΠ΅ΠΆΠ΄Π΅Π½ΠΈΡ ΡΡΡΠ΅ΡΡΠ²ΡΠ΅Ρ ΡΠ°ΠΊΠ°Ρ ΠΊΠ»Π°ΡΡΠΈΡΠΈΠΊΠ°ΡΠΈΡ ΠΏΠ΅ΡΠ΅Π»ΠΎΠΌΠΎΠ² ΡΠ΅Π»ΡΡΡΠΈ, ΠΊΠ°ΠΊ:
- ΠΠ΅ΡΠ΅Π»ΠΎΠΌ Π½ΠΈΠΆΠ½Π΅ΠΉ ΡΠ΅Π»ΡΡΡΠΈ Ρ Π΄Π΅ΡΠ΅ΠΉ ΠΈ Π²Π·ΡΠΎΡΠ»ΡΡ ΠΌΠΎΠΆΠ΅Ρ Π±ΡΡΡ ΠΊΠΎΡΡΠΌ, Π·ΠΈΠ³Π·Π°Π³ΠΎΠΎΠ±ΡΠ°Π·Π½ΡΠΌ ΠΈ ΠΏΡΡΠΌΡΠΌ. ΠΠ°Π²ΠΈΡΠΈΡ ΡΡΠΎ ΠΎΡ Π»ΠΈΠ½ΠΈΠΈ ΡΡΠ°Π²ΠΌΡ.
- ΠΡ ΠΌΠ΅ΡΡΠ°, ΠΊΡΠ΄Π° ΠΏΡΠΈΡΠ΅Π»ΡΡ ΡΠ΄Π°Ρ, ΠΈΠ·Π»ΠΎΠΌ ΠΌΠΎΠΆΠ΅Ρ Π±ΡΡΡ ΠΏΡΡΠΌΡΠΌ β ΠΊΠΎΡΡΡ Π»ΠΎΠΌΠ°Π΅ΡΡΡ ΠΈΠΌΠ΅Π½Π½ΠΎ ΡΠ°ΠΌ, ΠΊΡΠ΄Π° ΠΏΡΠΈΠ»ΠΎΠΆΠΈΠ»ΠΈ ΡΠΈΠ»Ρ, ΠΈΠ»ΠΈ Π½Π΅ΠΏΡΡΠΌΡΠΌ β ΠΊΠΎΡΡΡ Π»ΠΎΠΌΠ°Π΅ΡΡΡ Ρ ΠΏΡΠΎΡΠΈΠ²ΠΎΠΏΠΎΠ»ΠΎΠΆΠ½ΠΎΠΉ ΡΡΠΎΡΠΎΠ½Ρ ΠΎΡ ΡΠ΄Π°ΡΠ°.
- Π Π·Π°Π²ΠΈΡΠΈΠΌΠΎΡΡΠΈ ΠΎΡ ΠΊΠΎΠ»ΠΈΡΠ΅ΡΡΠ²Π° ΠΈΠΌΠ΅ΡΡΠΈΡ ΡΡ ΠΎΠ±Π»ΠΎΠΌΠΊΠΎΠ² ΠΊΠΎΡΡΠΈ, Π±ΡΠ²Π°Π΅Ρ Π΄Π²ΠΎΠΉΠ½ΠΎΠΉ ΠΏΠ΅ΡΠ΅Π»ΠΎΠΌ Π½ΠΈΠΆΠ½Π΅ΠΉ ΡΠ΅Π»ΡΡΡΠΈ β ΡΠ°Π·Π»ΠΎΠΌ Π² ΠΎΠ΄Π½ΠΎΠΌ ΠΌΠ΅ΡΡΠ΅, ΠΌΠ½ΠΎΠΆΠ΅ΡΡΠ²Π΅Π½Π½ΡΠΉ β Π½Π΅ ΠΌΠ΅Π½Π΅Π΅ ΡΡΠ΅Ρ Π±ΠΎΠ»ΡΡΠΈΡ ΠΎΡΠ»ΠΎΠΌΠΊΠΎΠ², ΠΎΡΠΊΠΎΠ»ΡΡΠ°ΡΡΠΉ β ΠΈΠΌΠ΅Π΅ΡΡΡ ΠΌΠ½ΠΎΠΆΠ΅ΡΡΠ²ΠΎ ΠΌΠ΅Π»ΠΊΠΈΡ ΠΊΠΎΡΡΠ½ΡΡ ΠΎΡΠ»ΠΎΠΌΠΊΠΎΠ².

ΠΠΈΠ΄ ΠΏΠΎΠ²ΡΠ΅ΠΆΠ΄Π΅Π½ΠΈΡ Π·Π°Π²ΠΈΡΠΈΡ ΠΈ ΠΎΡ ΡΠΎΠ³ΠΎ, Π² ΠΊΠ°ΠΊΠΎΠΌ ΠΈΠΌΠ΅Π½Π½ΠΎ ΠΌΠ΅ΡΡΠ΅ ΠΏΡΠΎΠΈΠ·ΠΎΡΠ»ΠΎ ΡΡΠ°Π²ΠΌΠΈΡΠΎΠ²Π°Π½ΠΈΠ΅:
- Π‘Π΅ΡΠ΅Π΄ΠΈΠ½Π½ΡΠΉ β ΡΡΠΎ, ΠΊΠΎΠ³Π΄Π° Π»ΠΈΠ½ΠΈΡ ΡΠ°Π·Π»ΠΎΠΌΠ° ΠΏΡΠΎΡ ΠΎΠ΄ΠΈΡ ΠΌΠ΅ΠΆΠ΄Ρ Π·ΡΠ±ΠΎΠ², ΡΠ°ΡΠΏΠΎΠ»ΠΎΠΆΠ΅Π½Π½ΡΡ Π²ΠΏΠ΅ΡΠ΅Π΄ΠΈ.
- Π Π΅Π·ΡΠΎΠ²ΡΠΉ βΠ»ΠΈΠ½ΠΈΡ ΡΠ°Π·Π»ΠΎΠΌΠ° Π½Π°Ρ ΠΎΠ΄ΠΈΡΡΡ ΠΌΠ΅ΠΆΠ΄Ρ ΠΏΠ΅ΡΠ΅Π΄Π½ΠΈΠΌ ΠΈ Π±ΠΎΠΊΠΎΠ²ΡΠΌ ΡΠ΅Π·ΡΠΎΠΌ.
- ΠΡΠΈ ΠΊΠ»ΡΠΊΠΎΠ²ΠΎΠΌ β ΠΏΠΎΠ²ΡΠ΅ΠΆΠ΄Π΅Π½ΠΈΠ΅ Π½Π°Ρ ΠΎΠ΄ΠΈΡΡΡ Π² ΠΎΠ±Π»Π°ΡΡΠΈ ΠΊΠ»ΡΠΊΠ°.
- ΠΠ΅Π½ΡΠ°Π»ΡΠ½ΡΠΉ Π»ΠΎΠΊΠ°Π»ΠΈΠ·ΠΎΠ²Π°Π½ Π½Π°ΠΏΡΠΎΡΠΈΠ² ΠΏΠΎΠ΄Π±ΠΎΡΠΎΠ΄ΠΊΠ°.
- ΠΡΠ»ΠΈ ΠΏΠ΅ΡΠ΅Π»ΠΎΠΌΡ Π½ΠΈΠΆΠ½Π΅ΠΉ ΡΠ΅Π»ΡΡΡΠΈ ΠΏΡΠΎΠΈΠ·ΠΎΡΠ»ΠΈ Π² Π·ΠΎΠ½Π΅ ΡΠΎΠ΅Π΄ΠΈΠ½Π΅Π½ΠΈΡ ΠΎΡ 5 β 8 Π·ΡΠ±ΠΎΠ², ΡΠΎ Π΅Π³ΠΎ Π½Π°Π·ΡΠ²Π°ΡΡ ΠΏΠ΅ΡΠ΅Π»ΠΎΠΌΠΎΠΌ ΡΠ΅Π»Π° ΡΠ΅Π»ΡΡΡΠΈ.
- ΠΠ΅ΡΠ΅Π»ΠΎΠΌ, Π½Π°Ρ ΠΎΠ΄ΡΡΠΈΠΉΡΡ ΠΏΠΎΡΠ»Π΅ Π²ΠΎΡΡΠΌΠΎΠ³ΠΎ Π·ΡΠ±Π°, ΠΈΠΌΠ΅Π½ΡΠ΅ΡΡΡ ΡΠ³Π»ΠΎΠ²ΡΠΌ.
- ΠΡΠ»ΠΈ ΡΡΠ°Π²ΠΌΠΈΡΠΎΠ²Π°Π½ΠΈΠ΅ ΠΏΡΠΎΠΈΠ·ΠΎΡΠ»ΠΎ Π² Π²Π΅ΡΡ Π½Π΅ΠΉ ΡΡΠ΅ΡΠ΅ΠΉ ΡΠ°ΡΡΠΈ, ΡΠΎ ΡΡΠΎ ΠΏΠ΅ΡΠ΅Π»ΠΎΠΌ ΡΠ΅Π»ΡΡΡΠ½ΠΎΠΉ Π²Π΅ΡΠ²ΠΈ.
- ΠΠ΅ΡΠ΅Π»ΠΎΠΌΡ Π½ΠΈΠΆΠ½Π΅ΠΉ ΡΠ΅Π»ΡΡΡΠΈ, ΠΏΡΠΎΠΈΠ·ΠΎΡΠ΅Π΄ΡΠΈΠ΅ ΡΡΠ΄ΠΎΠΌ Ρ ΠΌΡΡΠ΅ΡΠ½ΡΠΌ ΠΎΡΡΠΎΡΡΠΊΠΎΠΌ ΠΎΡΠ½ΠΎΡΡΡΡΡ ΠΊ ΡΠ΅ΡΠ²ΠΈΠΊΠ°Π»ΡΠ½ΡΠΌ. Π’Π°ΠΊΠΆΠ΅ Π±ΡΠ²Π°ΡΡ ΠΏΠ΅ΡΠ΅Π»ΠΎΠΌΡ Π² ΠΎΡΠ½ΠΎΠ²Π°Π½ΠΈΠΈ ΠΌΡΡΠ΅ΡΠ½ΠΎΠ³ΠΎ ΠΎΡΡΠΎΡΡΠΊΠ°.
- Π’ΡΠ°Π²ΠΌΠ° Π²ΠΎΠ·Π»Π΅ Π²Π΅Π½Π΅ΡΠ½ΠΎΠ³ΠΎ ΠΎΡΡΠΎΡΡΠΊΠ° Π½ΠΎΡΠΈΡ Π½Π°Π·Π²Π°Π½ΠΈΠ΅ β ΠΊΠΎΡΠΎΠ½Π°ΡΠ½ΡΠΉ.
ΠΠ»Π°ΡΡΠΈΡΠΈΠΊΠ°ΡΠΈΡ ΠΏΠ΅ΡΠ΅Π»ΠΎΠΌΠΎΠ² Π½ΠΈΠΆΠ½Π΅ΠΉ ΡΠ΅Π»ΡΡΡΠΈ ΠΎΡΠ΅Π½Ρ ΠΎΠ±ΡΠΈΡΠ½Π°. Π‘Π»ΠΎΠΌΠ°Π½Π½Π°Ρ ΡΠ΅Π»ΡΡΡΡ, Π½Π΅Π·Π°Π²ΠΈΡΠΈΠΌΠΎ ΠΎΡ ΡΠΎΠ³ΠΎ, ΠΊΠ°ΠΊΠΎΠ³ΠΎ ΡΠΈΠΏΠ° ΠΏΠΎΠ²ΡΠ΅ΠΆΠ΄Π΅Π½ΠΈΠ΅, ΠΎΡΠ½ΠΎΡΠΈΡΡΡ ΠΊ ΡΠ΅ΡΡΠ΅Π·Π½ΡΠΌ ΠΈ ΠΎΠΏΠ°ΡΠ½ΡΠΌ ΡΡΠ°Π²ΠΌΠ°ΠΌ, ΠΊΠΎΡΠΎΡΡΠ΅ ΡΡΠ΅Π±ΡΠ΅Ρ Π½Π΅Π·Π°ΠΌΠ΅Π΄Π»ΠΈΡΠ΅Π»ΡΠ½ΠΎΠ³ΠΎ ΠΎΠ±ΡΠ°ΡΠ΅Π½ΠΈΡ ΠΊ ΡΠΏΠ΅ΡΠΈΠ°Π»ΠΈΡΡΡ.
ΠΠ»Π°ΡΡΠΈΡΠΈΠΊΠ°ΡΠΈΡ ΠΏΠ΅ΡΠ΅Π»ΠΎΠΌΠΎΠ² Π²Π΅ΡΡ Π½Π΅ΠΉ ΡΠ΅Π»ΡΡΡΠΈ ΠΏΡΠ΅Π΄ΡΡΠ°Π²Π»Π΅Π½Π° ΡΠ»Π΅Π΄ΡΡΡΠΈΠΌΠΈ Π²ΠΈΠ΄Π°ΠΌΠΈ:
- ΠΠΈΠΆΠ½ΠΈΠΉ β Π»ΠΈΠ½ΠΈΡ ΡΡΠ°Π²ΠΌΠΈΡΠΎΠ²Π°Π½ΠΈΡ ΠΊΠΎΡΡΠ½ΡΡ ΡΠΊΠ°Π½Π΅ΠΉ ΠΏΡΠΎΡ ΠΎΠ΄ΠΈΡ ΠΏΠΎ Π²Π΅ΡΡ Π½Π΅ΠΌΡ ΡΠΎΠ΅Π΄ΠΈΠ½Π΅Π½ΠΈΡ Π·ΡΠ±ΠΎΠ΄Π΅ΡΠ½Π΅Π²ΠΎΠ³ΠΎ ΠΎΡΡΠΎΡΡΠΊΠ° ΠΈ ΡΠ²Π΅ΡΠ΄ΠΎΠ³ΠΎ Π½Π΅Π±Π° ΠΈ ΠΎΡΠ½ΠΎΡΠΈΡΡΡ ΠΊ ΠΏΠ΅ΡΠ²ΠΎΠΌΡ ΡΠΈΠΏΡ ΠΏΠΎΠ²ΡΠ΅ΠΆΠ΄Π΅Π½ΠΈΡ.
- Π‘ΡΠ΅Π΄Π½ΠΈΠΉ ΠΏΠ΅ΡΠ΅Π»ΠΎΠΌ β ΡΠ°Π·Π»ΠΎΠΌ Π»ΠΎΠΊΠ°Π»ΠΈΠ·ΡΠ΅ΡΡΡ Ρ ΠΊΠΎΡΠ½Ρ Π½ΠΎΡΠ°, ΠΎΡΠ½ΠΎΠ²Π°Π½ΠΈΠΈ Π³Π»Π°Π·Π½ΠΈΡΡ ΠΈ ΡΠΏΡΡΠΊΠ°Π΅ΡΡΡ ΠΏΠΎ ΡΠΊΡΠ»Π΅. Π‘ΡΠ΅Π΄Π½ΠΈΠ΅ ΠΏΠ΅ΡΠ΅Π»ΠΎΠΌΡ Π²Π΅ΡΡ Π½Π΅ΠΉ ΡΠ΅Π»ΡΡΡΠΈ Ρ Π΄Π΅ΡΠ΅ΠΉ ΠΈ Π²Π·ΡΠΎΡΠ»ΡΡ ΠΎΡΠ½ΠΎΡΡΡΡΡ ΠΊΠΎ Π²ΡΠΎΡΠΎΠΌΡ Π²ΠΈΠ΄Ρ ΡΡΠ°Π²ΠΌΠΈΡΠΎΠ²Π°Π½ΠΈΡ.
- ΠΠ΅ΡΡ Π½ΠΈΠΉ β Ρ Π°ΡΠ°ΠΊΡΠ΅ΡΠΈΠ·ΡΠ΅ΡΡΡ ΠΎΡΡΡΠ²ΠΎΠΌ Π²Π΅ΡΡ Π½Π΅ΠΉ ΡΠ΅Π»ΡΡΡΠΈ ΠΈ ΡΠΊΡΠ»ΠΎΠ²ΠΎΠΉ ΠΊΠΎΡΡΠΈ ΠΈ Π½ΠΎΡΠΈΡ ΡΡΠ΅ΡΠΈΠΉ ΡΠΈΠΏ ΠΏΠΎΠ²ΡΠ΅ΠΆΠ΄Π΅Π½ΠΈΡ.

Π€Π°ΠΊΡΠΎΡΡ Π²ΠΎΠ·Π½ΠΈΠΊΠ½ΠΎΠ²Π΅Π½ΠΈΡ ΡΡΠ°Π²ΠΌΡ
ΠΠΎΡΠ²ΠΈΡΡΡΡ ΠΏΠ΅ΡΠ΅Π»ΠΎΠΌ ΡΠ΅Π»ΡΡΡΠΈ ΡΠΎ ΡΠΌΠ΅ΡΠ΅Π½ΠΈΠ΅ΠΌ ΠΈΠ»ΠΈ Π±Π΅Π·, ΠΎΡΠΊΡΡΡΡΠΉ ΠΈΠ»ΠΈ Π·Π°ΠΊΡΡΡΡΠΉ ΠΌΠΎΠΆΠ΅Ρ ΠΏΡΠΎΡΡΠΎ ΠΎΡ ΡΠΈΠ»ΡΠ½ΠΎΠ³ΠΎ Π½Π°Π΄Π°Π²Π»ΠΈΠ²Π°Π½ΠΈΡ Π² Π΄Π°Π½Π½ΠΎΠΉ ΠΎΠ±Π»Π°ΡΡΠΈ. Π§Π°ΡΠ΅ Π²ΡΡΡΠ΅ΡΠ°ΡΡΡΡ ΠΏΠ΅ΡΠ΅Π»ΠΎΠΌΡ ΡΠ΅Π»ΡΡΡΠΈ Π² Π·ΠΎΠ½Π΅ ΠΊΠ»ΡΠΊΠΎΠ², ΡΠ΅ΠΆΠ΅ ΡΡΠ°Π²ΠΌΠΈΡΠΎΠ²Π°Π½ΠΈΠ΅ Π²Π΅Π½Π΅ΡΠ½ΠΎΠ³ΠΎ ΠΎΡΡΠΎΡΡΠΊΠ°. ΠΡΠ½ΠΎΠ²Π½ΠΎΠ΅ ΠΌΠ΅ΡΡΠΎ ΠΎΠ±Π»Π°ΡΡΠΈ ΠΏΠΎΡΠ°ΠΆΠ΅Π½ΠΈΠΉ β ΡΡΠΎ Π½ΠΈΠΆΠ½ΡΡ ΡΠ΅Π»ΡΡΡΡ.
ΠΠ΅ΡΠ΅Π»ΠΎΠΌΡ ΡΠ΅Π»ΡΡΡΠ΅ΠΉ Π½ΠΎΡΡΡ ΠΏΠ°ΡΠΎΠ»ΠΎΠ³ΠΈΡΠ΅ΡΠΊΠΈΠΉ ΠΈ ΡΡΠ°Π²ΠΌΠ°ΡΠΈΡΠ΅ΡΠΊΠΈΠΉ Ρ Π°ΡΠ°ΠΊΡΠ΅Ρ.
ΠΡΠΈ ΠΏΠ°ΡΠΎΠ»ΠΎΠ³ΠΈΡΠ΅ΡΠΊΠΈΡ ΡΡΠ°Π²ΠΌΠ°Ρ Π²Π΅ΡΡ Π½Π΅ΠΉ ΠΈΠ»ΠΈ Π½ΠΈΠΆΠ½Π΅ΠΉ ΡΠ΅Π»ΡΡΡΠΈ Ρ Π±ΠΎΠ»ΡΠ½ΠΎΠ³ΠΎ Π²ΡΡΡΠ΅ΡΠ°ΡΡΡΡ Π·Π°Π±ΠΎΠ»Π΅Π²Π°Π½ΠΈΡ, ΠΏΡΠΈ ΠΊΠΎΡΠΎΡΡΡ Π΄Π°ΠΆΠ΅ ΠΌΠ°Π»Π΅ΠΉΡΠ°Ρ Π½Π°Π³ΡΡΠ·ΠΊΠ° Π½Π° Π·ΡΠ±Π½ΠΎΠΉ ΡΡΠ΄ ΠΌΠΎΠΆΠ΅Ρ ΠΏΡΠΈΠ²Π΅ΡΡΠΈ ΠΊ ΠΏΠΎΠ²ΡΠ΅ΠΆΠ΄Π΅Π½ΠΈΡ. Π Π΄Π°Π½Π½ΡΠΌ ΠΏΠ°ΡΠΎΠ»ΠΎΠ³ΠΈΡΠΌ ΠΎΡΠ½ΠΎΡΠΈΡΡΡ ΠΎΡΡΠ΅ΠΎΠΌΠΈΠ΅Π»ΠΈΡ, ΡΡΠ±Π΅ΡΠΊΡΠ»Π΅Π· ΠΊΠΎΡΡΠ΅ΠΉ, ΠΎΠΏΡΡ ΠΎΠ»Π΅Π²ΡΠ΅ ΠΎΠ±ΡΠ°Π·ΠΎΠ²Π°Π½ΠΈΡ Π² ΠΎΠ±Π»Π°ΡΡΠΈ ΡΠ΅Π»ΡΡΡΠΈ. Π’ΡΠ°Π²ΠΌΠ°ΡΠΈΡΠ΅ΡΠΊΠΈΠ΅ ΠΏΠΎΠ²ΡΠ΅ΠΆΠ΄Π΅Π½ΠΈΡ ΠΌΠΎΠ³ΡΡ ΠΏΡΠΎΠΈΠ·ΠΎΠΉΡΠΈ ΠΏΠΎ ΠΏΡΠΈΡΠΈΠ½Π΅:
- ΠΠ°Π΄Π΅Π½ΠΈΡ.
- ΠΠ’Π.
- ΠΠΎ Π²ΡΠ΅ΠΌΡ Π·Π°Π½ΡΡΠΈΡ ΡΠΏΠΎΡΡΠΎΠΌ.
- Π ΠΌΠΎΠΌΠ΅Π½Ρ Π΄ΡΠ°ΠΊΠΈ.
ΠΡ ΡΠ°ΠΊΠΈΡ ΠΏΠΎΠ²ΡΠ΅ΠΆΠ΄Π΅Π½ΠΈΠΉ Π½Π΅ Π·Π°ΡΡΡΠ°Ρ ΠΎΠ²Π°Π½ Π½ΠΈΠΊΡΠΎ, Π½ΠΎ Π±ΠΎΠ»ΡΡΠ΅ Π²ΡΠ΅Π³ΠΎ ΠΈΠΌ ΠΏΠΎΠ΄Π²Π΅ΡΠΆΠ΅Π½Ρ ΠΌΡΠΆΡΠΈΠ½Ρ Π² Π²ΠΎΠ·ΡΠ°ΡΡΠ΅ ΠΎΡ 20 Π΄ΠΎ 45 Π»Π΅Ρ.
Π€Π°ΠΊΡΠΎΡΡ, ΠΏΡΠΈ Π΄Π°Π½Π½ΡΡ ΡΡΠ°Π²ΠΌΠ°Ρ ΡΠ»Π΅Π΄ΡΡΡΠΈΠ΅:
- ΠΡΠΎΠ±ΠΎΠ΅ ΡΡΡΠΎΠ΅Π½ΠΈΠ΅ ΠΊΠΎΡΡΠ΅ΠΉ β ΠΏΠΎΠ΄Π²ΠΈΠΆΠ½Π°Ρ Π΄ΡΠ³Π°, Π·Π°ΠΊΡΠ΅ΠΏΠ»Π΅Π½Π½Π°Ρ Π² ΠΊΡΠ°ΠΉΠ½ΠΈΡ ΡΠΎΡΠΊΠ°Ρ .
- ΠΡΠ΄Π²ΠΈΠ½ΡΡΡΠΉ Π²ΠΏΠ΅ΡΠ΅Π΄ ΠΏΠΎΠ΄Π±ΠΎΡΠΎΠ΄ΠΎΠΊ β ΠΎΡΠ½ΠΎΠ²Π½ΠΎΠΉ ΡΠ΄Π°Ρ ΠΏΡΠΈΡ ΠΎΠ΄ΠΈΡΡΡ Π½Π° ΡΡΡ ΡΠ°ΡΡΡ.
- ΠΠ°Π΄Π΅Π½ΠΈΡ, ΡΠ΄Π°ΡΡ.
ΠΠ΅ΡΠ΅Π»ΠΎΠΌ Π²Π΅ΡΡ Π½Π΅ΠΉ ΡΠ΅Π»ΡΡΡΠΈ ΠΎΡΠ½ΠΎΡΠΈΡΡΡ ΠΊ ΠΎΠΏΠ°ΡΠ½ΡΠΌ ΡΡΠ°Π²ΠΌΠ°ΠΌ, ΡΠ°ΠΊ ΠΊΠ°ΠΊ ΠΈΠ·-Π·Π° ΡΠΌΠ΅ΡΠ΅Π½ΠΈΡ ΠΊΠΎΡΡΠ΅ΠΉ ΠΈ ΠΈΡ ΠΎΠ±Π»ΠΎΠΌΠΊΠΎΠ² Π΅ΡΡΡ Π²Π΅ΡΠΎΡΡΠ½ΠΎΡΡΡ, ΡΡΠΎ ΠΌΠΎΠ³ΡΡ ΠΏΠ΅ΡΠ΅ΠΊΡΡΡΡΡΡ Π΄ΡΡ Π°ΡΠ΅Π»ΡΠ½ΡΠ΅ ΠΏΡΡΠΈ, ΠΏΠΎΠ²ΡΠ΅Π΄ΠΈΡΡΡΒ ΡΠΎΡΡΠ΄Ρ, Π½Π΅ΡΠ²Ρ Π³ΠΎΠ»ΠΎΠ²Ρ, ΡΠ΅ΠΈ ΠΈ Π΄Π°ΠΆΠ΅ ΡΡΠ²ΠΎΠ» ΠΌΠΎΠ·Π³Π°. ΠΠΎ Π²ΡΠ΅ΠΌΡ ΡΡΠ°Π²ΠΌΡ Π²ΠΎΠ·ΠΌΠΎΠΆΠ½Ρ ΠΈΠ½ΡΠ΅ΠΊΡΠΈΠΎΠ½Π½ΡΠ΅ ΠΎΡΠ»ΠΎΠΆΠ½Π΅Π½ΠΈΡ ΠΎΡ Π±ΠΎΠ»ΡΠ½ΡΡ Π·ΡΠ±ΠΎΠ², ΠΊΠΎΡΠΎΡΡΠ΅ ΠΌΠΎΠ³ΡΡ ΡΠΏΡΠΎΠ²ΠΎΡΠΈΡΠΎΠ²Π°ΡΡ Π²ΠΎΠ·Π½ΠΈΠΊΠ½ΠΎΠ²Π΅Π½ΠΈΠ΅ ΠΎΡΡΠ΅ΠΎΠΌΠΈΠ΅Π»ΠΈΡΠ°.
Π’Π°ΠΊΠΆΠ΅ ΠΏΠ΅ΡΠ΅Π»ΠΎΠΌΡ Π½ΠΈΠΆΠ½Π΅ΠΉ ΡΠ΅Π»ΡΡΡΠΈ ΠΌΠΎΠ³ΡΡ ΠΏΠΎΠ²Π»Π΅ΡΡ Π·Π° ΡΠΎΠ±ΠΎΠΉ Π»Π΅ΡΠ°Π»ΡΠ½ΡΠΉ ΠΈΡΡ ΠΎΠ΄. ΠΠ°Π½Π½Π°Ρ ΠΎΠΏΠ°ΡΠ½ΠΎΡΡΡ Π²ΠΎΠ·Π½ΠΈΠΊΠ°Π΅Ρ ΠΏΡΠΈ ΡΡΠΆΠ΅Π»ΡΡ ΠΏΠ΅ΡΠ΅Π»ΠΎΠΌΠ°Ρ , ΠΊΠΎΡΠΎΡΡΠ΅ Π²ΡΠ·ΡΠ²Π°ΡΡ Π΄ΡΡΠ³ΠΈΠ΅ ΡΠ΅ΡΡΠ΅Π·Π½ΡΠ΅ Π½Π°ΡΡΡΠ΅Π½ΠΈΡ ΠΈ ΡΠΎΠΏΡΠΎΠ²ΠΎΠΆΠ΄Π°ΡΡΡΡ ΡΠΎΠΏΡΡΡΡΠ²ΡΡΡΠΈΠΌΠΈ Π°Π½ΠΎΠΌΠ°Π»ΠΈΡΠΌΠΈ.
ΠΡΠΈΠ·Π½Π°ΠΊΠΈ ΠΈ ΡΠΈΠΌΠΏΡΠΎΠΌΡ ΠΏΠ΅ΡΠ΅Π»ΠΎΠΌΠ°
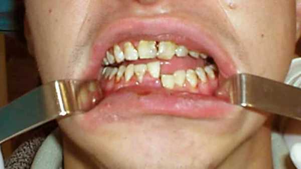
ΠΡΠΈΠ·Π½Π°ΠΊΠΈ ΠΏΠ΅ΡΠ΅Π»ΠΎΠΌΠ° ΡΠ΅Π»ΡΡΡΠΈ ΠΎΡΠ»ΠΈΡΠ°ΡΡΡΡ Π΄ΡΡΠ³ ΠΎΡ Π΄ΡΡΠ³Π° Π² Π·Π°Π²ΠΈΡΠΈΠΌΠΎΡΡΠΈ ΠΎΡ Π²ΠΈΠ΄Π° ΡΡΠ°Π²ΠΌΡ, Π½ΠΎ ΠΏΡΠΈ ΠΏΠ΅ΡΠ΅Π»ΠΎΠΌΠ΅ Π½ΠΈΠΆΠ½Π΅ΠΉ ΡΠ΅Π»ΡΡΡΠΈ ΡΠΈΠΌΠΏΡΠΎΠΌΡ ΠΌΠΎΠ³ΡΡ Π±ΡΡΡ ΠΎΠ±ΡΠΈΠ΅. ΠΠ½ΠΈ Π²ΠΎΠ·Π½ΠΈΠΊΠ°ΡΡ ΠΏΡΠΈ Π»ΡΠ±ΠΎΠΌ Π²ΠΈΠ΄Π΅ ΠΏΠΎΠ²ΡΠ΅ΠΆΠ΄Π΅Π½ΠΈΡ:
- ΠΊΠΎΡΡΡ ΡΡΠ°Π½ΠΎΠ²ΠΈΡΡΡ Π°Π½ΠΎΠΌΠ°Π»ΡΠ½ΠΎ ΠΏΠΎΠ΄Π²ΠΈΠΆΠ½ΠΎΠΉ;
- Π»ΡΠ±ΠΎΠ΅ Π΄Π²ΠΈΠΆΠ΅Π½ΠΈΠ΅ Π²ΡΠ·ΡΠ²Π°Π΅Ρ ΡΠΈΠ»ΡΠ½ΡΠΉ Π±ΠΎΠ»Π΅Π²ΠΎΠΉ ΡΠΈΠ½Π΄ΡΠΎΠΌ;
- ΠΏΡΠΎΠΈΡΡ ΠΎΠ΄ΠΈΡ ΡΠΌΠ΅ΡΠ΅Π½ΠΈΠ΅ Π·ΡΠ±ΠΎΠ², ΠΌΠ΅ΠΆΠ΄Ρ Π½ΠΈΠΌΠΈ Π²ΠΎΠ·Π½ΠΈΠΊΠ°Π΅Ρ ΡΠ΅Π»Ρ;
- Π½Π΅Π²ΠΎΠ·ΠΌΠΎΠΆΠ½ΠΎ ΡΠΎΠΌΠΊΠ½ΡΡΡ ΡΠ΅Π»ΡΡΡΡ;
- ΡΠ»ΡΠ½ΠΎΠΎΡΠ΄Π΅Π»Π΅Π½ΠΈΠ΅ ΡΡΠΈΠ»ΠΈΠ²Π°Π΅ΡΡΡ;
- ΠΌΠΎΠΆΠ΅Ρ ΠΏΡΠΎΠΈΠ·ΠΎΠΉΡΠΈ Π·Π°ΠΏΠ°Π΄Π°Π½ΠΈΠ΅ ΡΠ·ΡΠΊΠ°;
- Π²ΠΎΠ·Π½ΠΈΠΊΠ°Π΅Ρ ΡΠ°Π·ΡΡΠ² ΡΠ»ΠΈΠ·ΠΈΡΡΠΎΠΉ;
- ΠΊΡΠΎΠ²ΠΎΡΠΎΡΠΈΠ²ΠΎΡΡΡ ΡΠ°Π½;
- Π»ΠΈΡΠΎ Π΄Π΅ΡΠΎΡΠΌΠΈΡΡΠ΅ΡΡΡ ΠΈ ΠΎΡΠ΅ΠΊΠ°Π΅Ρ;
- ΠΏΠΎΡΠ²Π»ΡΠ΅ΡΡΡ Π³ΠΎΠ»ΠΎΠ²ΠΎΠΊΡΡΠΆΠ΅Π½ΠΈΠ΅ ΠΈ ΡΠΎΠΊΠΎΠ²ΠΎΠ΅ ΡΠΎΡΡΠΎΡΠ½ΠΈΠ΅ Ρ ΠΏΠΎΡΡΡΠ°Π΄Π°Π²ΡΠ΅Π³ΠΎ;
- ΠΎΡΠΊΡΡΠ²Π°Π΅ΡΡΡ ΠΊΡΠΎΠ²ΠΎΡΠ΅ΡΠ΅Π½ΠΈΠ΅ ΠΈΠ· Π½ΠΎΡΠ° ΠΈΠ»ΠΈ ΡΡΠ΅ΠΉ, ΠΌΠΎΠΆΠ΅Ρ ΡΠΎΠΏΡΠΎΠ²ΠΎΠΆΠ΄Π°ΡΡΡΡ Π²ΡΡΠ΅ΠΊΠ°Π½ΠΈΠ΅ΠΌ ΡΠΏΠΈΠ½Π½ΠΎΠΌΠΎΠ·Π³ΠΎΠ²ΠΎΠΉ ΠΆΠΈΠ΄ΠΊΠΎΡΡΠΈ, ΠΊΠΎΡΠΎΡΡΡ ΠΌΠΎΠΆΠ½ΠΎ ΡΠ²ΠΈΠ΄Π΅ΡΡ ΠΏΡΠΈ ΠΏΠΎΠΌΠΎΡΠΈ ΡΠ°Π»ΡΠ΅ΡΠΊΠΈ, ΠΏΡΠΈΠ»ΠΎΠΆΠ΅Π½Π½ΠΎΠΉ ΠΊ Π½ΠΎΡΡ β Π½Π° Π½Π΅ΠΉ ΠΏΠΎΡΠ²Π»ΡΠ΅ΡΡΡ ΠΆΠ΅Π»ΡΠΎΠ²Π°ΡΠΎΠ΅ ΠΏΡΡΠ½ΠΎ;
- Π»ΠΈΡΠΎ ΡΡΠ°Π½ΠΎΠ²ΠΈΡΡΡ Π½Π΅ Π²ΠΎΡΠΏΡΠΈΠΈΠΌΡΠΈΠ²ΠΎ ΠΊ ΡΠ°Π·Π΄ΡΠ°ΠΆΠΈΡΠ΅Π»ΡΠΌ ΠΈΠ·-Π·Π° ΡΠΎΠ³ΠΎ, ΡΡΠΎ ΠΏΠΎΠ²ΡΠ΅ΠΆΠ΄Π°ΡΡΡΡ Π½Π΅ΡΠ²Π½ΡΠ΅ ΠΎΡΡΠΎΡΡΠΊΠΈ.

ΠΠ°ΠΆΠ½ΠΎ! ΠΠ²ΠΎΠΉΠ½ΠΎΠΉ ΠΏΠ΅ΡΠ΅Π»ΠΎΠΌ ΡΠ΅Π»ΡΡΡΠΈ Ρ Π°ΡΠ°ΠΊΡΠ΅ΡΠΈΠ·ΡΠ΅ΡΡΡ ΡΠ΅ΠΌ, ΡΡΠΎ ΠΎΠ½Π° ΠΌΠΎΠΆΠ΅Ρ ΡΠ°Π·ΠΎΠΉΡΠΈΡΡ Π² ΡΡΠΈ ΡΡΠΎΡΠΎΠ½Ρ β ΡΡΠ΅Π΄Π½ΡΡ ΡΠ°ΡΡΡ Π½Π°ΠΏΡΠ°Π²Π»Π΅Π½Π° Π²Π½ΠΈΠ·, Π±ΠΎΠΊΠΎΠ²ΡΠ΅ ΠΎΡΡ ΠΎΠ΄ΡΡ Π²ΠΎΠ²Π½ΡΡΡΡ ΠΈ Π²Π²Π΅ΡΡ .
ΠΠ°Π½Π½Π°Ρ ΡΡΠ°Π²ΠΌΠ° ΠΎΠΏΠ°ΡΠ½Π° ΡΠ΅ΠΌ, ΡΡΠΎ ΠΏΠΎΡΠ»Π΅ Π΅Π΅ ΠΏΠΎΠ»ΡΡΠ΅Π½ΠΈΡ Π±ΠΎΠ»ΡΠ½ΠΎΠΉ ΠΌΠΎΠΆΠ΅Ρ ΠΏΠΎΠ³ΠΈΠ±Π½ΡΡΡ ΠΎΡ Π°ΡΡΠΈΠΊΡΠΈΠΈ, ΠΊΠΎΡΠΎΡΠ°Ρ Π²ΠΎΠ·Π½ΠΈΠΊΠ½Π΅Ρ Π² ΡΠ΅Π·ΡΠ»ΡΡΠ°ΡΠ΅ Π·Π°ΠΏΠ°Π΄Π°Π½ΠΈΡ ΡΠ·ΡΠΊΠ°. ΠΠΎΡΡΠΎΠΌΡ ΡΠ»Π΅Π΄ΡΠ΅Ρ ΠΎΡΠ΅Π½Ρ ΡΡΠ°ΡΠ΅Π»ΡΠ½ΠΎ ΡΠ»Π΅Π΄ΠΈΡΡ Π·Π° Π΅Π³ΠΎ ΡΠΎΡΡΠΎΡΠ½ΠΈΠ΅ΠΌ.
ΠΠ»Ρ ΠΏΠΎΡΡΠ°Π½ΠΎΠ²ΠΊΠΈ ΡΠΎΡΠ½ΠΎΠ³ΠΎ Π΄ΠΈΠ°Π³Π½ΠΎΠ·Π°, ΡΠΏΠ΅ΡΠΈΠ°Π»ΠΈΡΡ ΠΈΠ·ΡΡΠ°Π΅Ρ ΡΠΈΠΌΠΏΡΠΎΠΌΡ ΠΏΠ΅ΡΠ΅Π»ΠΎΠΌΠ° Π½ΠΈΠΆΠ½Π΅ΠΉ ΡΠ΅Π»ΡΡΡΠΈ, Π½Π°Π·Π½Π°ΡΠ°Π΅Ρ Π΄ΠΎΠΏΠΎΠ»Π½ΠΈΡΠ΅Π»ΡΠ½ΡΠ΅ ΠΎΠ±ΡΠ»Π΅Π΄ΠΎΠ²Π°Π½ΠΈΡ, ΠΊΠΎΡΠΎΡΡΠ΅ ΠΏΠΎΠ·Π²ΠΎΠ»ΡΡΡ Π²ΡΡΠ²ΠΈΡΡ ΡΡΠ΅ΠΏΠ΅Π½Ρ ΡΡΠΆΠ΅ΡΡΠΈ ΡΡΠ°Π²ΠΌΡ ΠΈ Π²ΠΎΠ·ΠΌΠΎΠΆΠ½ΡΠ΅ ΠΎΡΠ»ΠΎΠΆΠ½Π΅Π½ΠΈΡ, ΡΠΎΠΏΡΡΡΡΠ²ΡΡΡΠΈΠ΅ ΠΏΠ΅ΡΠ΅Π»ΠΎΠΌΡ. ΠΠ»Ρ ΡΡΠΎΠ³ΠΎ ΠΏΠΎΡΡΡΠ°Π΄Π°Π²ΡΠ΅Π³ΠΎ Π½Π°ΠΏΡΠ°Π²Π»ΡΡΡ Π½Π° ΡΠ΅Π½ΡΠ³Π΅Π½, ΠΏΠ°Π½ΠΎΡΠ°ΠΌΠ½ΡΠΉ ΡΠ½ΠΈΠΌΠΎΠΊ, ΠΠ’, ΠΠ Π’.
ΠΠ΅ΡΠ²Π°Ρ ΠΏΠΎΠΌΠΎΡΡ
Π§ΡΠΎ Π΄Π΅Π»Π°ΡΡ ΠΏΡΠΈ Π΄Π°Π½Π½ΠΎΠΌ ΠΏΠΎΠ²ΡΠ΅ΠΆΠ΄Π΅Π½ΠΈΠΈ? Π§Π΅Π»ΡΡΡΡ ΠΏΠΎΡΠ»Π΅ ΠΏΠ΅ΡΠ΅Π»ΠΎΠΌΠ° Π½ΡΠΆΠ΄Π°Π΅ΡΡΡ Π² ΡΡΠ°ΡΠΈΠΎΠ½Π°ΡΠ½ΠΎΠΉ ΡΠ΅ΡΠ°ΠΏΠΈΠΈ. ΠΠΎ Π΄ΠΎ ΡΠΎΠ³ΠΎ ΠΊΠ°ΠΊ ΠΏΠΎΠ΄ΠΎΡΠΏΠ΅Π΅Ρ Π±ΡΠΈΠ³Π°Π΄Π° Β«Π½Π΅ΠΎΡΠ»ΠΎΠΆΠ½ΠΎΠΉ ΠΌΠΎΡΠΈΒ» ΠΏΠΎΡΡΡΠ°Π΄Π°Π²ΡΠ΅ΠΌΡ Π½Π΅ΠΎΠ±Ρ ΠΎΠ΄ΠΈΠΌΠΎ ΠΎΠΊΠ°Π·Π°ΡΡ Π΄ΠΎΠ²ΡΠ°ΡΠ΅Π±Π½ΡΡ ΠΏΠΎΠΌΠΎΡΡ.
ΠΠ΅ΡΠ²Π°Ρ ΠΏΠΎΠΌΠΎΡΡ ΠΏΡΠΈ ΠΏΠ΅ΡΠ΅Π»ΠΎΠΌΠ΅ ΡΠ΅Π»ΡΡΡΠΈ ΠΎΡΠ½ΠΎΠ²Π°Π½Π° Π½Π° ΠΎΡΡΠ°Π½ΠΎΠ²ΠΊΠ΅ ΠΊΡΠΎΠ²ΠΎΡΠ΅ΡΠ΅Π½ΠΈΡ, ΠΎΠ±Π΅Π·Π±ΠΎΠ»ΠΈΠ²Π°Π½ΠΈΠΈ ΠΈ ΠΈΠΌΠΌΠΎΠ±ΠΈΠ»ΠΈΠ·Π°ΡΠΈΠΈ ΡΠ΅Π»ΡΡΡΠΈ. ΠΠΎ, ΠΏΡΠ΅ΠΆΠ΄Π΅ ΡΠ΅ΠΌ ΠΏΡΠΈΡΡΡΠΏΠΈΡΡ ΠΊ ΠΏΡΠΎΡΠ΅Π΄ΡΡΠ΅, Π½Π΅ΠΎΠ±Ρ ΠΎΠ΄ΠΈΠΌΠΎ ΠΏΠΎΠ½ΠΈΠΌΠ°ΡΡ, ΡΡΠΎ ΠΏΡΠΎΠΈΠ·ΠΎΡΠ»ΠΎ ΠΈ Π·Π½Π°ΡΡ Π°Π»Π³ΠΎΡΠΈΡΠΌ Π½Π΅ΠΎΠ±Ρ ΠΎΠ΄ΠΈΠΌΡΡ Π΄Π΅ΠΉΡΡΠ²ΠΈΠΉ.
ΠΡΡΠ°Π½ΠΎΠ²ΠΊΠ° ΠΊΡΠΎΠ²ΠΎΡΠ΅ΡΠ΅Π½ΠΈΡ
ΠΠ»Ρ ΡΠΎΠ³ΠΎ ΡΡΠΎΠ±Ρ ΠΎΡΡΠ°Π½ΠΎΠ²ΠΈΡΡ ΠΊΡΠΎΠ²Ρ, ΡΠ»Π΅Π΄ΡΠ΅Ρ ΡΠ°ΠΌΠΏΠΎΠ½ΠΈΡΠΎΠ²Π°ΡΡ ΡΠ°Π½Ρ ΠΏΡΠΈ ΠΏΠΎΠΌΠΎΡΠΈ ΡΡΠ΅ΡΠΈΠ»ΡΠ½ΠΎΠ³ΠΎ Π±ΠΈΠ½ΡΠ°, ΡΠ°ΠΊΠΆΠ΅ ΠΏΠΎΠΌΠΎΠ³Π°Π΅Ρ ΠΊΡΠΏΠΈΡΠΎΠ²Π°ΡΡ ΠΊΡΠΎΠ²ΠΎΡΠ΅ΡΠ΅Π½ΠΈΠ΅ Ρ ΠΎΠ»ΠΎΠ΄Π½ΡΠΉ ΠΊΠΎΠΌΠΏΡΠ΅ΡΡ, ΠΏΡΠΈΠ»ΠΎΠΆΠ΅Π½Π½ΡΠΉ ΠΊ ΠΌΠ΅ΡΡΡ ΡΡΠ°Π²ΠΌΡ. ΠΠ½ Π½Π΅ ΡΠΎΠ»ΡΠΊΠΎ ΡΠΏΠΎΡΠΎΠ±Π΅Π½ ΠΎΡΡΠ°Π½ΠΎΠ²ΠΈΡΡ ΠΊΡΠΎΠ²ΠΎΡΠ΅ΡΠ΅Π½ΠΈΠ΅, Π½ΠΎ ΠΈ ΡΠΌΠ΅Π½ΡΡΠΈΡΡ Π±ΠΎΠ»Π΅Π²ΠΎΠΉ ΡΠΈΠ½Π΄ΡΠΎΠΌ ΠΈ ΡΠ½ΡΡΡ Π²ΠΎΡΠΏΠ°Π»ΠΈΡΠ΅Π»ΡΠ½ΡΠΉ ΠΏΡΠΎΡΠ΅ΡΡ.
ΠΡΠΏΠΈΡΠΎΠ²Π°Π½ΠΈΠ΅ Π±ΠΎΠ»ΠΈ
ΠΠ»Π°Π³ΠΎΠ΄Π°ΡΡ ΠΎΠ±Π΅Π·Π±ΠΎΠ»ΠΈΠ²Π°ΡΡΠΈΠΌ ΠΏΡΠ΅ΠΏΠ°ΡΠ°ΡΠ°ΠΌ ΡΠΎΡΡΠΎΡΠ½ΠΈΠ΅ ΠΏΠΎΡΡΡΠ°Π΄Π°Π²ΡΠ΅Π³ΠΎ ΡΡΠ°Π±ΠΈΠ»ΠΈΠ·ΠΈΡΡΠ΅ΡΡΡ, ΠΈ ΠΎΠ½ Π² ΡΠΎΡΡΠΎΡΠ½ΠΈΠΈ ΡΠΏΠΎΠΊΠΎΠΉΠ½ΠΎ Π΄ΠΎΠΆΠ΄Π°ΡΡΡΡ ΡΠΊΠΎΡΡΡ ΠΏΠΎΠΌΠΎΡΡ ΠΈ ΠΏΠ΅ΡΠ΅Π½Π΅ΡΡΠΈ ΡΠΈΠΊΡΠ°ΡΠΈΡ ΠΏΠΎΠ²ΡΠ΅ΠΆΠ΄Π΅Π½Π½ΠΎΠΉ ΠΎΠ±Π»Π°ΡΡΠΈ, ΡΡΠΎ Π±Ρ Π½ΠΈ Π΄Π°ΡΡ Π΅ΠΉ ΡΠΌΠ΅ΡΠ°ΡΡΡΡ Π² ΠΌΠΎΠΌΠ΅Π½Ρ ΡΡΠ°Π½ΡΠΏΠΎΡΡΠΈΡΠΎΠ²ΠΊΠΈ. ΠΠ»Ρ ΡΡΡΡΠ°Π½Π΅Π½ΠΈΡ Π±ΠΎΠ»ΠΈ Π»ΡΡΡΠ΅ ΡΠ΄Π΅Π»Π°ΡΡ ΠΈΠ½ΡΠ΅ΠΊΡΠΈΡ, ΡΠ°ΠΊ ΠΊΠ°ΠΊ ΠΏΠ΅ΡΡΠΎΡΠ°Π»ΡΠ½ΡΠΉ ΠΏΡΠΈΠ΅ΠΌ Π»Π΅ΠΊΠ°ΡΡΡΠ²Π° ΠΌΠΎΠΆΠ΅Ρ Π±ΡΡΡ ΠΏΡΠΎΠ±Π»Π΅ΠΌΠ°ΡΠΈΡΠ½ΡΠΌ. ΠΡΠ»ΠΈ ΠΆΠ΅ Π² Π½Π°Π»ΠΈΡΠΈΠΈ ΠΈΠΌΠ΅ΡΡΡΡ ΡΠΎΠ»ΡΠΊΠΎ ΡΠ°Π±Π»Π΅ΡΠΊΠΈ, ΡΠΎ ΠΈΡ Π½Π΅ΠΎΠ±Ρ ΠΎΠ΄ΠΈΠΌΠΎ ΡΠ°ΡΡΠΎΠ»ΠΎΡΡ Π² ΠΏΠΎΡΠΎΡΠΎΠΊ, ΡΠ°Π·Π±Π°Π²ΠΈΡΡ Π²ΠΎΠ΄ΠΎΠΉ ΠΈ Π²Π»ΠΈΡΡ Π² ΡΠΎΡ ΠΏΠΎΡΡΡΠ°Π΄Π°Π²ΡΠ΅ΠΌΡ ΠΏΡΠΈ ΠΏΠΎΠΌΠΎΡΠΈ ΡΠΏΡΠΈΡΠ° Π±Π΅Π· ΠΈΠ³Π»Ρ. ΠΠΎ ΠΏΠ΅ΡΠ΅Π΄ ΡΡΠΈΠΌ ΠΆΠ΅Π»Π°ΡΠ΅Π»ΡΠ½ΠΎ ΠΎΡΠΈΡΡΠΈΡΡ ΡΠΎΡΠΎΠ²ΡΡ ΠΏΠΎΠ»ΠΎΡΡΡ ΠΎΡ ΠΊΡΠΎΠ²ΡΠ½ΡΡ ΡΠ³ΡΡΡΠΊΠΎΠ², Π²ΡΠ±ΠΈΡΡΡ Π·ΡΠ±ΠΎΠ² ΠΈΠ»ΠΈ Π»ΡΠ±ΡΡ Π΄ΡΡΠ³ΠΈΡ ΠΈΠ½ΠΎΡΠΎΠ΄Π½ΡΡ ΡΠ΅Π».
Π€ΠΈΠΊΡΠ°ΡΠΈΡ
Π’ΡΠ°Π½ΡΠΏΠΎΡΡΠΈΡΠΎΠ²Π°ΡΡ ΠΏΠΎΡΡΡΠ°Π΄Π°Π²ΡΠ΅Π³ΠΎ Π² Π±ΠΎΠ»ΡΠ½ΠΈΡΡ Π½Π΅ΠΎΠ±Ρ ΠΎΠ΄ΠΈΠΌΠΎ Ρ ΠΈΠΌΠΌΠΎΠ±ΠΈΠ»ΠΈΠ·ΠΎΠ²Π°Π½Π½ΠΎΠΉ ΡΠ΅Π»ΡΡΡΡΡ. ΠΠ»Ρ ΡΡΠΎΠ³ΠΎ ΡΠ»Π΅Π΄ΡΠ΅Ρ ΠΏΠ΅ΡΠ΅Π»ΠΎΠΌΠ°Π½Π½ΡΠ΅ ΠΊΠΎΡΡΠΈ ΡΠΈΠΊΡΠΈΡΠΎΠ²Π°ΡΡ ΡΠΏΠ΅ΡΠΈΠ°Π»ΡΠ½ΡΠΌΠΈ ΡΠΈΠ½Π°ΠΌΠΈ, Π½ΠΎ Ρ ΠΎΠ±ΡΡΠ½ΠΎΠ³ΠΎ ΡΠ΅Π»ΠΎΠ²Π΅ΠΊΠ° Π΄Π°Π½Π½ΡΡ ΠΏΡΠΈΡΠΏΠΎΡΠΎΠ±Π»Π΅Π½ΠΈΠΉ Π΄ΠΎΠΌΠ° Π½Π΅ Π±ΡΠ΄Π΅Ρ, ΠΏΠΎΡΡΠΎΠΌΡ ΡΡΠΎΠ± Π·Π°ΡΠΈΠΊΡΠΈΡΠΎΠ²Π°ΡΡ ΠΌΠ΅ΡΡΠΎ ΠΏΠ΅ΡΠ΅Π»ΠΎΠΌΠ° Π² Π½Π΅ΠΏΠΎΠ΄Π²ΠΈΠΆΠ½ΠΎΠΌ ΡΠΎΡΡΠΎΡΠ½ΠΈΠΈ, Π½Π΅ΠΎΠ±Ρ ΠΎΠ΄ΠΈΠΌΠΎ ΠΏΠΎΠ΄Π»ΠΎΠΆΠΈΡΡ Π² Π·ΠΎΠ½Ρ ΡΡΠ°Π²ΠΌΠΈΡΠΎΠ²Π°Π½ΠΈΡ Π»ΠΈΠ½Π΅ΠΉΠΊΡ ΠΈΠ»ΠΈ ΡΠΈΡΠΎΠΊΡΡ ΠΏΠ°Π»ΠΊΡ, ΠΈ Π·Π°ΡΠΈΠΊΡΠΈΡΠΎΠ²Π°ΡΡ Π±ΠΈΠ½ΡΠΎΠΌ ΠΊ Π³ΠΎΠ»ΠΎΠ²Π΅. ΠΡΠ»ΠΈ ΠΏΠΎΡΠ΅ΡΠΏΠ΅Π²ΡΠΈΠΉ Π½Π°Ρ ΠΎΠ΄ΠΈΡΡΡ Π±Π΅Π· ΡΠΎΠ·Π½Π°Π½ΠΈΡ, ΡΠΎ ΠΈΠΌΠΌΠΎΠ±ΠΈΠ»ΠΈΠ·Π°ΡΠΈΡ ΠΏΡΠΎΠ²ΠΎΠ΄ΠΈΡΡ Π·Π°ΠΏΡΠ΅ΡΠ°Π΅ΡΡΡ, ΡΠ°ΠΊ ΠΊΠ°ΠΊ Π±ΠΎΠ»ΡΠ½ΠΎΠΉ ΠΌΠΎΠΆΠ΅Ρ Π²Π΄ΠΎΡ Π½ΡΡΡ ΡΠ²ΠΎΡΠ½ΡΠ΅ ΠΌΠ°ΡΡΡ ΠΈΠ»ΠΈ Ρ Π½Π΅Π³ΠΎ ΠΏΡΠΎΠΈΠ·ΠΎΠΉΠ΄Π΅Ρ Π·Π°ΠΏΠ°Π΄Π°Π½ΠΈΠ΅ ΡΠ·ΡΠΊΠ°.

ΠΠ°ΠΆΠ½ΠΎ! ΠΠ΅ΡΠ²Π°Ρ ΠΏΠΎΠΌΠΎΡΡ ΠΌΠΎΠΆΠ΅Ρ ΡΠΏΠ°ΡΡΠΈ ΠΏΠΎΡΡΡΠ°Π΄Π°Π²ΡΠ΅ΠΌΡ ΠΆΠΈΠ·Π½Ρ. ΠΡΠΎΠ±Π΅Π½Π½ΠΎ ΡΡΠΎ ΠΎΡΠ½ΠΎΡΠΈΡΡΡ ΠΊ ΠΎΡΠΊΡΡΡΡΠΌ ΠΏΠ΅ΡΠ΅Π»ΠΎΠΌΠ°ΠΌ Π½ΠΈΠΆΠ½Π΅ΠΉ ΡΠ΅Π»ΡΡΡΠΈ ΡΠΎ ΡΠΌΠ΅ΡΠ΅Π½ΠΈΠ΅ΠΌ ΠΈ ΡΡΠ°Π²ΠΌΠ°ΠΌ Π³ΠΎΠ»ΠΎΠ²Ρ. ΠΠ΅ΡΠ²Π°Ρ ΠΌΠΈΠ½ΡΡΡ Π²Π°ΠΆΠ½Ρ Π΄Π»Ρ ΠΎΡΡΠ°Π½ΠΎΠ²ΠΊΠΈ ΠΊΡΠΎΠ²ΠΎΡΠ΅ΡΠ΅Π½ΠΈΡ ΠΈ ΡΠ΅Π°Π½ΠΈΠΌΠ°ΡΠΈΠΎΠ½Π½ΡΡ Π΄Π΅ΠΉΡΡΠ²ΠΈΠΉ ΠΏΠΎ ΡΠ΅Π³ΡΠ»ΠΈΡΠΎΠ²Π°Π½ΠΈΡ ΡΠ΅ΡΠ΄Π΅ΡΠ½ΠΎΠ³ΠΎ ΡΠΈΡΠΌΠ° ΠΈ Π΄ΡΡ Π°Π½ΠΈΡ.
ΠΠ΅ΡΠ΅Π½ΠΈΠ΅
ΠΠΎΠ»ΡΡΠΈΠ² ΠΏΠ΅ΡΠ΅Π»ΠΎΠΌ ΡΠ΅Π»ΡΡΡΠΈ, Π±ΠΎΠ»ΡΠ½ΠΎΠ³ΠΎ Π²ΠΎΠ»Π½ΡΠ΅Ρ Π²ΠΎΠΏΡΠΎΡ β ΠΊΠ°ΠΊ Π»Π΅ΡΠΈΡΡ Π΄Π°Π½Π½ΡΡ ΡΡΠ°Π²ΠΌΡ, ΠΊΠ°ΠΊΠΎΠ΅ ΠΎΡΠ»ΠΎΠΆΠ½Π΅Π½ΠΈΠ΅ ΠΌΠΎΠΆΠ΅Ρ ΡΠ°Π·Π²ΠΈΡΡΡΡ Π±Π΅Π· Π½Π΅ΠΎΠ±Ρ ΠΎΠ΄ΠΈΠΌΠΎΠΉ ΡΠ΅ΡΠ°ΠΏΠΈΠΈ, Π»Π΅ΡΠ΅Π½ΠΈΠ΅ ΠΏΠ΅ΡΠ΅Π»ΠΎΠΌΠΎΠ² Π²Π΅ΡΡ Π½Π΅ΠΉ ΡΠ΅Π»ΡΡΡΠΈ ΠΎΡΠ»ΠΈΡΠ°Π΅ΡΡΡ ΠΎΡ ΡΠ΅ΡΠ°ΠΏΠΈΠΈ ΠΏΠΎΠ²ΡΠ΅ΠΆΠ΄Π΅Π½ΠΈΠΉ Π½ΠΈΠΆΠ½Π΅ΠΉ ΡΠ΅Π»ΡΡΡΠΈ.
ΠΠ΅ΡΠ΅Π½ΠΈΠ΅ ΠΏΠ΅ΡΠ΅Π»ΠΎΠΌΠΎΠ² Π½ΠΈΠΆΠ½Π΅ΠΉ Β ΡΠ΅Π»ΡΡΡΠΈ ΠΏΡΠΎΡ ΠΎΠ΄ΠΈΡ Π² Π½Π΅ΡΠΊΠΎΠ»ΡΠΊΠΎ ΡΡΠ°ΠΏΠΎΠ², ΠΊΠ°ΠΆΠ΄ΡΠΉ ΠΈΠ· ΠΊΠΎΡΠΎΡΡΡ ΡΠ²Π»ΡΠ΅ΡΡΡ Π²Π°ΠΆΠ½ΡΠΌ Π΄Π»Ρ ΡΠΎΠ³ΠΎ ΡΡΠΎΠ±Ρ ΠΈΡΠΊΠ»ΡΡΠΈΡΡ ΠΎΡΠ»ΠΎΠΆΠ½Π΅Π½ΠΈΡ ΠΈ ΠΏΠΎΡΠ»Π΅Π΄ΡΡΠ²ΠΈΡ. ΠΠ΅ΡΠ΅Π½ΠΈΠ΅ ΠΏΠ΅ΡΠ΅Π»ΠΎΠΌΠ° ΡΠ΅Π»ΡΡΡΠΈ Π·Π°ΠΊΠ»ΡΡΠ°Π΅ΡΡΡ Π² ΡΠ»Π΅Π΄ΡΡΡΠΈΡ ΠΌΠ΅ΡΠΎΠΏΡΠΈΡΡΠΈΡΡ :
- ΠΠ²Π΅Π΄Π΅Π½ΠΈΠ΅ Π°Π½ΡΠΈΡΠ΅ΠΏΡΠΈΡΠ΅ΡΠΊΠΈΡ ΠΏΡΠ΅ΠΏΠ°ΡΠ°ΡΠΎΠ² Π² ΠΎΠ±Π»Π°ΡΡΡ ΡΡΠ°Π²ΠΌΡ.
- ΠΠ»Ρ ΠΎΡΡΠ°Π½ΠΎΠ²ΠΊΠΈ ΠΊΡΠΎΠ²ΠΎΡΠ΅ΡΠ΅Π½ΠΈΡ ΡΠ»Π΅Π΄ΡΠ΅Ρ Π½Π°Π»ΠΎΠΆΠΈΡΡ ΡΠ²Ρ.
- ΠΡΠ»ΠΈ ΡΠΌΠ΅ΡΠ°ΡΡΡΡ ΠΊΠΎΡΡΠΈ, ΡΠΎ ΡΠΏΠ΅ΡΠΈΠ°Π»ΠΈΡΡ ΠΏΡΠΎΠ²ΠΎΠ΄ΠΈΡ Π°Π½Π°ΡΠΎΠΌΠΈΡΠ΅ΡΠΊΡΡ ΠΏΠΎΡΡΠ°Π½ΠΎΠ²ΠΊΡ ΠΊΠΎΡΡΠ΅ΠΉ. ΠΠ»Ρ ΡΡΠΎΠ³ΠΎ ΠΊΠΎΡΡΠ½ΡΠ΅ ΡΠ²Ρ Π½Π°ΠΊΠ»Π°Π΄ΡΠ²Π°ΡΡΡΡ ΠΏΡΠΈ ΠΏΠΎΠΌΠΎΡΠΈ ΡΠΏΠ΅ΡΠΈΠ°Π»ΡΠ½ΠΎΠΉ ΠΏΡΠΎΠ²ΠΎΠ»ΠΎΠΊΠΈ, ΠΌΠ΅ΡΠ°Π»Π»ΠΈΡΠ΅ΡΠΊΠΈΡ ΡΠΊΠΎΠ± ΠΈΠ»ΠΈ ΠΏΠ»Π°ΡΡΠΈΠ½. ΠΡΠ»ΠΈ ΡΠ»ΠΎΠΌΠ°Π½Π° ΡΠ΅Π»ΡΡΡΡ Π² Π΄Π²ΡΡ ΠΈΠ»ΠΈ Π±ΠΎΠ»Π΅Π΅ ΠΌΠ΅ΡΡΠ°Ρ , ΡΠΎ Π²ΡΠ°ΡΠΈ ΠΈΡΠΏΠΎΠ»ΡΠ·ΡΡΡ ΡΠΏΠ΅ΡΠΈΠ°Π»ΡΠ½ΡΠ΅ ΡΠΈΠΊΡΠΈΡΡΡΡΠΈΠ΅ Π°ΠΏΠΏΠ°ΡΠ°ΡΡ. Π ΡΠ»ΡΡΠ°Π΅ Π΅ΡΠ»ΠΈ Π²ΠΎΡΡΡΠ°Π½ΠΎΠ²ΠΈΡΡ ΠΊΠΎΡΡΡ Π½Π΅Π²ΠΎΠ·ΠΌΠΎΠΆΠ½ΠΎ, ΡΠΎ Π±ΠΎΠ»ΡΠ½ΠΎΠΌΡ ΡΡΠ°Π²ΡΡ ΠΈΠΌΠΏΠ»Π°Π½ΡΠ°ΡΡ ΠΈΠ· Π½Π°ΡΡΡΠ°Π»ΡΠ½ΠΎΠ³ΠΎ ΠΈΠ»ΠΈ ΠΈΡΠΊΡΡΡΡΠ²Π΅Π½Π½ΠΎΠ³ΠΎ ΠΌΠ°ΡΠ΅ΡΠΈΠ°Π»Π°.
- ΠΠΎΡΠ»Π΅ ΡΠΎΠ³ΠΎ ΠΊΠ°ΠΊ Π²ΡΠ°Ρ Π²ΠΎΡΡΡΠ°Π½ΠΎΠ²ΠΈΠ» ΠΊΠΎΡΡΠΈ ΠΈ ΡΠΎΠ΅Π΄ΠΈΠ½ΠΈΠ» ΠΎΠ±Π»ΠΎΠΌΠΊΠΈ, ΠΎΠ½ ΡΠΈΠΊΡΠΈΡΡΠ΅Ρ ΡΠ΅Π»ΡΡΡΡ Π² Π½Π΅ΠΏΠΎΠ΄Π²ΠΈΠΆΠ½ΠΎΠΌ ΡΠΎΡΡΠΎΡΠ½ΠΈΠΈ ΠΏΡΠΈ ΠΏΠΎΠΌΠΎΡΠΈ ΡΠΈΠ½ ΠΈΠ· ΠΏΡΠΎΠ²ΠΎΠ»ΠΎΠΊΠΈ, ΠΏΠ»Π°ΡΡΠΌΠ°ΡΡΡ, ΠΈΠ»ΠΈ Π΄Π΅Π»Π°Π΅Ρ ΡΠΈΠΊΡΠ°ΡΠΈΡ ΠΎΠ±ΡΡΠ½ΠΎΠΉ ΡΠΊΠ°Π½Π΅Π²ΠΎΠΉ ΠΏΠΎΠ²ΡΠ·ΠΊΠΎΠΉ.
- ΠΡΠ»ΠΈ ΠΏΠ΅ΡΠ΅Π»ΠΎΠΌ Π½Π΅ ΡΠΌΠ΅ΡΠ°Π΅ΡΡΡ ΠΈ ΠΎΡΠ½ΠΎΡΠΈΡΡΡ ΠΊ ΠΎΡΠΊΡΡΡΡΠΌ, ΠΈΠ»ΠΈ ΠΏΡΠΎΡ ΠΎΠ΄ΡΡΠΈΠΌ ΡΠ΅ΡΠ΅Π· ΠΎΡΠ½ΠΎΠ²Π°Π½ΠΈΠ΅ Π·ΡΠ±Π°, ΡΠΎ Π»Π΅ΡΠ°Ρ Π΅Π³ΠΎ Π°Π½ΡΠΈΠ±Π°ΠΊΡΠ΅ΡΠΈΠ°Π»ΡΠ½ΡΠΌΠΈ ΠΏΡΠ΅ΠΏΠ°ΡΠ°ΡΠ°ΠΌΠΈ.
- ΠΠΈΡΠ°, Π½Π° ΠΌΠΎΠΌΠ΅Π½Ρ Π»Π΅ΡΠ΅Π±Π½ΠΎΠ³ΠΎ ΠΏΠ΅ΡΠΈΠΎΠ΄Π°, Π΄ΠΎΠ»ΠΆΠ½Π° Π±ΡΡΡ ΠΏΠΎΠ»ΡΠΆΠΈΠ΄ΠΊΠΎΠΉ ΠΈΠ»ΠΈ ΠΆΠΈΠ΄ΠΊΠΎΠΉ ΠΊΠΎΠ½ΡΠΈΡΡΠ΅Π½ΡΠΈΠΈ, ΡΡΠΎΠ±Ρ ΠΌΠΎΠΆΠ½ΠΎ Π±ΡΠ»ΠΎ ΠΏΡΠΈΠ½ΠΈΠΌΠ°ΡΡ Π΅Π΅ ΡΠ΅ΡΠ΅Π· ΡΡΡΠ±ΠΎΡΠΊΡ. ΠΠΎΠ²ΠΎΠ»ΡΠ½ΠΎ ΡΠ°ΡΡΠΎ ΠΏΠ°ΡΠΈΠ΅Π½ΡΡ Ρ Π΄Π°Π½Π½ΠΎΠΉ ΡΡΠ°Π²ΠΌΠΎΠΉ ΠΏΠ»ΠΎΡ ΠΎ ΠΏΠΈΡΠ°ΡΡΡΡ ΠΈΠ·-Π·Π° ΡΠΈΠ»ΡΠ½ΠΎΠΉ Π±ΠΎΠ»ΠΈ, Π² ΡΠ°ΠΊΠΎΠΌ ΡΠ»ΡΡΠ°Π΅ ΠΈΠΌ Π½Π°Π·Π½Π°ΡΠ°ΡΡ Π΄ΠΎΠΏΠΎΠ»Π½ΠΈΡΠ΅Π»ΡΠ½ΡΠΉ ΠΏΡΠΈΠ΅ΠΌ Π²ΠΈΡΠ°ΠΌΠΈΠ½ΠΎΠ². ΠΠΈΡΠ°Π½ΠΈΠ΅ ΠΏΡΠΈ ΠΏΠ΅ΡΠ΅Π»ΠΎΠΌΠ΅ Π½ΠΈΠΆΠ½Π΅ΠΉ ΡΠ΅Π»ΡΡΡΠΈ Π΄ΠΎΠ»ΠΆΠ½ΠΎ Π±ΡΡΡ Π»Π΅Π³ΠΊΠΎ ΡΡΠ²Π°ΠΈΠ²Π°Π΅ΠΌΡΠΌ ΠΈ ΠΊΠ°Π»ΠΎΡΠΈΠΉΠ½ΡΠΌ. ΠΡΠ»ΠΈ ΠΏΠΎΡΡΡΠ°Π΄Π°Π²ΡΠΈΠΉ ΠΏΠΈΡΠ°Π΅ΡΡΡ Π½Π΅ΠΏΠΎΠ»Π½ΠΎΡΠ΅Π½Π½ΠΎ, Π·Π°ΠΆΠΈΠ²Π»Π΅Π½ΠΈΠ΅ ΠΏΡΠΎΡ ΠΎΠ΄ΠΈΡ Π½Π°ΠΌΠ½ΠΎΠ³ΠΎ Π΄ΠΎΠ»ΡΡΠ΅, ΡΠ΅ΠΌ ΠΎΠ±ΡΡΠ½ΠΎ.
- ΠΠΎΡΠ»Π΅Π΄Π½ΠΈΠΌ ΡΡΠ°ΠΏΠΎΠΌ Π² ΡΠ΅ΡΠ°ΠΏΠΈΠΈ ΠΏΠ΅ΡΠ΅Π»ΠΎΠΌΠ° ΡΠ²Π»ΡΡΡΡΡ ΡΠΈΠ·ΠΈΠΎΡΠ΅ΡΠ°ΠΏΠ΅Π²ΡΠΈΡΠ΅ΡΠΊΠΈΠ΅ ΠΏΡΠΎΡΠ΅Π΄ΡΡΡ. ΠΠ΅Π»Π°ΡΡ ΠΈΡ ΡΠ°Π·ΡΠ΅ΡΠ°Π΅ΡΡΡ ΡΠΎΠ»ΡΠΊΠΎ ΠΏΠΎΡΠ»Π΅ ΡΠ½ΡΡΠΈΡ ΡΠΈΠ½ ΠΈΠ»ΠΈ Π΄ΡΡΠ³ΠΈΡ ΠΊΡΠ΅ΠΏΠ»Π΅Π½ΠΈΠΉ.
ΠΠΎΡΠ»Π΅ ΠΏΠΎΠ»ΡΡΠ΅Π½ΠΈΡ ΡΡΠ°Π²ΠΌΡ Π»ΡΠ΄Π΅ΠΉ Π²ΠΎΠ»Π½ΡΠ΅Ρ Π²ΠΎΠΏΡΠΎΡ, ΠΊΠ°ΠΊ Π΄ΠΎΠ»Π³ΠΎ ΠΏΡΠΎΡ ΠΎΠ΄ΠΈΡ Π»Π΅ΡΠ΅Π½ΠΈΠ΅ ΠΏΠ΅ΡΠ΅Π»ΠΎΠΌΠ° ΡΠ΅Π»ΡΡΡΠΈ ΠΈ ΡΠΊΠΎΠ»ΡΠΊΠΎ Π·Π°ΠΆΠΈΠ²Π°Π΅Ρ ΡΡΠ°Π²ΠΌΠ°. ΠΠ°ΠΆΠΈΠ²Π°Π΅Ρ ΠΏΠ΅ΡΠ΅Π»ΠΎΠΌ ΡΠ΅Π»ΡΡΡΠΈ Π² Π»Π΅Π³ΠΊΠΎΠΉ ΡΠΎΡΠΌΠ΅ Β Π² ΡΠ΅ΡΠ΅Π½ΠΈΠ΅ ΠΎΠ΄Π½ΠΎΠ³ΠΎ ΠΌΠ΅ΡΡΡΠ°, ΠΎΡΠ»ΠΎΠΆΠ½Π΅Π½Π½ΡΠ΅ ΡΡΠ°Π²ΠΌΡ ΠΌΠΎΠ³ΡΡ ΡΡΠ°ΡΡΠ°ΡΡΡΡ Π½Π°ΠΌΠ½ΠΎΠ³ΠΎ Π΄ΠΎΠ»ΡΡΠ΅. Π Π²ΠΎΡΡΡΠ°Π½ΠΎΠ²ΠΈΡΠ΅Π»ΡΠ½ΡΠΉ ΠΏΠ΅ΡΠΈΠΎΠ΄ ΡΠ»Π΅Π΄ΡΠ΅Ρ ΡΠ°Π·ΡΠ°Π±Π°ΡΡΠ²Π°ΡΡ ΡΠ΅Π»ΡΡΡΡ, ΡΡΠΎΠ±Ρ ΠΊ Π½Π΅ΠΉ Π²Π΅ΡΠ½ΡΠ»Π°ΡΡ Π΅Π΅ ΡΠΈΠ·ΠΈΠΎΠ»ΠΎΠ³ΠΈΡΠ΅ΡΠΊΠ°Ρ ΠΏΠΎΠ΄Π²ΠΈΠΆΠ½ΠΎΡΡΡ.
ΠΡΠΈ ΠΏΠΎΠ²ΡΠ΅ΠΆΠ΄Π΅Π½ΠΈΠΈ Π²Π΅ΡΡ Π½Π΅ΠΉ ΡΠ΅Π»ΡΡΡΠΈ, Π»Π΅ΡΠ΅Π½ΠΈΠ΅ ΠΏΡΠΎΠ²ΠΎΠ΄ΠΈΡΡΡ Π°Π½Π°Π»ΠΎΠ³ΠΈΡΠ½ΠΎ ΡΡΠ°Π²ΠΌΠ΅ Π½ΠΈΠΆΠ½Π΅ΠΉ.
ΠΠΈΡΠ°Π½ΠΈΠ΅ ΠΏΡΠΈ ΠΏΠ΅ΡΠ΅Π»ΠΎΠΌΠ΅ ΡΠ΅Π»ΡΡΡΠΈ
ΠΠ°ΡΡΡΠ΅Π½ΠΈΠ΅ ΡΠ΅Π»ΠΎΡΡΠ½ΠΎΡΡΠΈ ΠΊΠΎΡΡΠΈ ΡΠ΅Π»ΡΡΡΠΈ Ρ Π²Π·ΡΠΎΡΠ»ΠΎΠ³ΠΎ ΠΈ ΡΠ΅Π±Π΅Π½ΠΊΠ°, ΠΈ Π²ΡΠ΅ ΠΏΠ΅ΡΠ΅ΡΠΈΡΠ»Π΅Π½Π½ΡΠ΅ Π²ΡΡΠ΅ ΠΌΠ°Π½ΠΈΠΏΡΠ»ΡΡΠΈΠΈ, Π½Π°ΠΏΡΠ°Π²Π»Π΅Π½Π½ΡΠ΅ Π½Π° Π΅Π΅ Π²ΠΎΡΡΡΠ°Π½ΠΎΠ²Π»Π΅Π½ΠΈΠ΅, Π²Π»Π΅ΠΊΡΡ Π·Π° ΡΠΎΠ±ΠΎΠΉ Π½Π΅ΠΌΠ°Π»ΡΠ΅ ΡΡΡΠ΄Π½ΠΎΡΡΠΈ Π² ΠΎΡΡΡΠ΅ΡΡΠ²Π»Π΅Π½ΠΈΠΈ Π΅ΡΡΠ΅ΡΡΠ²Π΅Π½Π½ΡΡ ΠΏΡΠΎΡΠ΅ΡΡΠΎΠ². ΠΠΈΡΠ°Π½ΠΈΠ΅ Π² ΡΡΠΎ Π²ΡΠ΅ΠΌΡ Π΄ΠΎΠ»ΠΆΠ½ΠΎ Π±ΡΡΡ ΠΆΠΈΠ΄ΠΊΠΈΠΌ, Π½ΠΎ ΡΠΎΠ΄Π΅ΡΠΆΠ°ΡΡ Π²ΡΠ΅ Π½Π΅ΠΎΠ±Ρ ΠΎΠ΄ΠΈΠΌΡΠ΅ Π±ΠΎΠ»ΡΠ½ΠΎΠΌΡ Π²Π΅ΡΠ΅ΡΡΠ²Π°. ΠΡΡΡ ΡΠ°Π·ΡΠ΅ΡΠ°Π΅ΡΡΡ ΡΠΎΠ»ΡΠΊΠΎ ΠΏΡΠΎΡΠ΅ΡΡΡΡ ΠΈ ΡΠ°Π·Π±Π°Π²Π»Π΅Π½Π½ΡΡ Π΄ΠΎ ΠΆΠΈΠ΄ΠΊΠΎΠ³ΠΎ ΡΠΎΡΡΠΎΡΠ½ΠΈΡ ΠΏΠΈΡΡ. ΠΠΈΡΠ°Π½ΠΈΠ΅ ΠΏΡΠΎΠ²ΠΎΠ΄ΠΈΡΡΡ ΡΠ»Π΅Π΄ΡΡΡΠΈΠΌΠΈ ΠΌΠ΅ΡΠΎΠ΄Π°ΠΌΠΈ:
- Π ΠΆΠ΅Π»ΡΠ΄ΠΎΠΊ Π²Π²ΠΎΠ΄ΡΡ ΡΠΏΠ΅ΡΠΈΠ°Π»ΡΠ½ΡΠΉ ΠΏΠΎΠΈΠ»ΡΠ½ΠΈΠΊ Ρ ΡΠ΅Π·ΠΈΠ½ΠΎΠ²ΠΎΠΉ ΡΡΡΠ±ΠΊΠΎΠΉ. ΠΡΠΏΠΎΠ»ΡΠ·ΠΎΠ²Π°ΡΡ Π΅Π³ΠΎ ΠΌΠΎΠΆΠ½ΠΎ ΠΈ Π² Π΄ΠΎΠΌΠ°ΡΠ½ΠΈΡ ΡΡΠ»ΠΎΠ²ΠΈΡΡ .
- ΠΡΠΈ ΠΏΠΎΠΌΠΎΡΠΈ ΠΆΠ΅Π»ΡΠ΄ΠΎΡΠ½ΠΎΠ³ΠΎ Π·ΠΎΠ½Π΄Π°, ΠΊΠΎΡΠΎΡΡΠΉ ΡΡΡΠ°Π½Π°Π²Π»ΠΈΠ²Π°ΡΡ Π² Π±ΠΎΠ»ΡΠ½ΠΈΡΠ΅.
- ΠΡΠ»ΠΈ ΠΏΠ°ΡΠΈΠ΅Π½Ρ Π½Π°Ρ ΠΎΠ΄ΠΈΡΡΡ Π² Π±Π΅ΡΡΠΎΠ·Π½Π°ΡΠ΅Π»ΡΠ½ΠΎΠΌ ΡΠΎΡΡΠΎΡΠ½ΠΈΠΈ, ΡΠΎ ΠΏΠΈΡΠ°Π½ΠΈΠ΅ Π΅ΠΌΡ Π΄ΠΎΡΡΠ°Π²Π»ΡΡΡ ΠΏΡΠΈ ΠΏΠΎΠΌΠΎΡΠΈ ΠΊΠ°ΠΏΠ΅Π»ΡΠ½ΠΈΡΡ.
- ΠΡΠΈ ΡΡΠΆΠ΅Π»ΡΡ ΡΡΠ°Π²ΠΌΠ°Ρ , ΠΊΠΎΠ³Π΄Π° Π±ΠΎΠ»ΡΠ½ΠΎΠΉ Π½Π°Ρ ΠΎΠ΄ΠΈΡΡΡ Π±Π΅Π· ΡΠΎΠ·Π½Π°Π½ΠΈΡ ΠΈ Π²Π΅Π½Ρ Π½Π΅Π²ΠΎΠ·ΠΌΠΎΠΆΠ½ΠΎ ΠΎΠ±Π½Π°ΡΡΠΆΠΈΡΡ, ΡΠΎ Π΅ΠΌΡ ΡΡΠ°Π²ΡΡ ΠΏΠΈΡΠ°ΡΠ΅Π»ΡΠ½ΡΠ΅ ΠΊΠ»ΠΈΠ·ΠΌΡ.
ΠΠ΅Π½Ρ ΠΏΠΎΡΡΡΠ°Π΄Π°Π²ΡΠ΅Π³ΠΎ Π½Π° ΠΏΠ΅ΡΠΈΠΎΠ΄ Π»Π΅ΡΠ΅Π½ΠΈΡ Π΄ΠΎΠ»ΠΆΠ½Π° ΡΠΎΡΡΠΎΡΡΡ ΠΈΠ· Π΄ΠΎΠΏΡΡΡΠΈΠΌΡΡ Π²ΡΠ°ΡΠΎΠΌ ΠΏΡΠΎΠ΄ΡΠΊΡΠΎΠ². ΠΠΎΠ»ΡΠ½ΠΎΠΌΡ Π΄Π»Ρ Π²ΠΎΡΡΡΠ°Π½ΠΎΠ²Π»Π΅Π½ΠΈΡ ΠΏΠΎΠ»Π΅Π·Π½ΠΎ ΠΏΡΠΈΠ½ΠΈΠΌΠ°ΡΡ ΠΎΡΠ²Π°ΡΠ½ΠΎΠ΅ ΠΌΡΡΠΎ, ΠΌΠΎΠ»ΠΎΡΠ½ΡΠ΅ ΠΏΡΠΎΠ΄ΡΠΊΡΡ, ΠΎΠ²ΠΎΡΠΈ ΠΈ ΡΡΡΠΊΡΡ. ΠΡΠ΅ Π΄ΠΎΠ»ΠΆΠ½ΠΎ Π±ΡΡΡ ΠΏΡΠΎΡΠ΅ΡΡΠΎ Π΄ΠΎ ΡΠΎΡΡΠΎΡΠ½ΠΈΡ ΠΊΠ°ΡΠΈ ΠΈ ΡΠ°Π·Π²Π΅Π΄Π΅Π½ΠΎ ΠΆΠΈΠ΄ΠΊΠΎΡΡΡΡ. ΠΠΈΡΠ° Π΄ΠΎΠ»ΠΆΠ½Π° Π±ΡΡΡ Π½Π΅ ΠΌΠ΅Π½ΡΡΠ΅ 40-45Β°. ΠΡΠΈΠ΅ΠΌ Π°Π»ΠΊΠΎΠ³ΠΎΠ»Ρ Π·Π°ΠΏΡΠ΅ΡΠ΅Π½.
ΠΠ°ΠΆΠ½ΠΎ! ΠΠΎΠ³Π΄Π° ΡΠΈΠΊΡΠ°ΡΠΎΡΡ Π±ΡΠ΄ΡΡ ΡΠ½ΡΡΡ, ΡΠΎ Π½Π΅ ΡΠ»Π΅Π΄ΡΠ΅Ρ ΡΡΠ°Π·Ρ ΠΏΠ΅ΡΠ΅Ρ ΠΎΠ΄ΠΈΡΡ Π½Π° ΡΠ²Π΅ΡΠ΄ΡΡ Π΅Π΄Ρ. ΠΠ΅ ΡΠ»Π΅Π΄ΡΠ΅Ρ Π²Π²ΠΎΠ΄ΠΈΡΡ ΠΏΠΎΡΡΠ΅ΠΏΠ΅Π½Π½ΠΎ. ΠΡΠΎ Π²Π°ΠΆΠ½ΠΎ Π½Π΅ ΡΠΎΠ»ΡΠΊΠΎ Π΄Π»Ρ Π²ΠΎΡΡΡΠ°Π½ΠΎΠ²Π»Π΅Π½ΠΈΡ Π½ΠΎΡΠΌΠ°Π»ΡΠ½ΠΎΠ³ΠΎ ΡΡΠ½ΠΊΡΠΈΠΎΠ½ΠΈΡΠΎΠ²Π°Π½ΠΈΡ ΡΠ΅Π»ΡΡΡΠΈ, Π½ΠΎ ΠΈ Π΄Π»Ρ ΠΏΡΠ΅Π΄ΡΠΏΡΠ΅ΠΆΠ΄Π΅Π½ΠΈΡ ΠΏΠ΅ΡΠ΅Π±ΠΎΠ΅Π² Π² ΡΠ°Π±ΠΎΡΠ΅ ΠΠΠ’. ΠΡΠ»ΠΈ Π±ΠΎΠ»ΡΠ½ΠΎΠΉ Ρ ΠΎΡΠ΅Ρ Π²ΠΎΡΡΡΠ°Π½ΠΎΠ²ΠΈΡΡ ΡΠ²ΠΎΠ΅ Π·Π΄ΠΎΡΠΎΠ²ΡΠ΅ Π±Π΅Π· Π½Π΅Π³Π°ΡΠΈΠ²Π½ΡΡ ΠΏΠΎΡΠ»Π΅Π΄ΡΡΠ²ΠΈΠΉ, ΡΠΎ Π΅ΠΌΡ Π½Π΅ΠΎΠ±Ρ ΠΎΠ΄ΠΈΠΌΠΎ ΠΏΠΎΠ½ΡΡΡ ΠΈ ΠΏΡΠΈΠ½ΡΡΡ Π²ΡΠ΅ ΡΠ΅ΠΊΠΎΠΌΠ΅Π½Π΄Π°ΡΠΈΠΈ ΡΠΏΠ΅ΡΠΈΠ°Π»ΠΈΡΡΠ°.
ΠΠΎΡΠ»Π΅Π΄ΡΡΠ²ΠΈΡ
ΠΠΎΡΠ»Π΅Π΄ΡΡΠ²ΠΈΡ ΠΏΠ΅ΡΠ΅Π»ΠΎΠΌΠ° ΡΠ΅Π»ΡΡΡΠΈ ΠΈΠΌΠ΅ΡΡ ΡΠ»Π΅Π΄ΡΡΡΠΈΠ΅ ΠΏΠΎΠΊΠ°Π·Π°ΡΠ΅Π»ΠΈ:
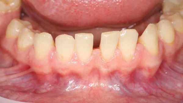
- Π‘ΠΌΠ΅ΡΠ΅Π½ΠΈΠ΅ Π·ΡΠ±Π½ΠΎΠ³ΠΎ ΡΡΠ΄Π°.
- ΠΠ΅ΠΆΠ΄Ρ Π·ΡΠ±Π°ΠΌΠΈ ΠΎΠ±ΡΠ°Π·ΡΡΡΡΡ ΠΏΡΠΎΠΌΠ΅ΠΆΡΡΠΊΠΈ, ΠΊΠΎΡΠΎΡΡΠ΅ ΡΠ°ΡΠΏΠΎΠ»ΠΎΠΆΠ°ΡΡΡ Π½Π° ΠΌΠ΅ΡΡΠ΅ ΠΏΠ΅ΡΠ΅Π»ΠΎΠΌΠ°.
- ΠΠ΅ΡΠΎΡΠΌΠ°ΡΠΈΠ΅ΠΉ Π»ΠΈΡΠ°.
- Π‘ΠΌΠ΅ΡΠ΅Π½ΠΈΠ΅ Π·ΡΠ±ΠΎΠ² ΠΏΡΠΎΠ²ΠΎΡΠΈΡΡΠ΅Ρ Π°Π½ΠΎΠΌΠ°Π»ΡΠ½ΡΠΉ ΠΏΡΠΈΠΊΡΡ.
- ΠΠ΅Π½ΠΈΠ½Π³ΠΈΡ.
- ΠΡΡΠ΅ΠΎΠΌΠΈΠ΅Π»ΠΈΡ.
ΠΠ΅ΡΠΈΡΡ ΠΏΠ΅ΡΠ΅Π»ΠΎΠΌ Π½ΠΈΠΆΠ½Π΅ΠΉ ΡΠ΅Π»ΡΡΡΠΈ Π΄ΠΎΠ»ΠΆΠ΅Π½ ΡΠΎΠ»ΡΠΊΠΎ ΠΏΡΠΎΡΠ΅ΡΡΠΈΠΎΠ½Π°Π»ΡΠ½ΡΠΉ Π»ΠΈΡΠ΅Π²ΠΎΠΉ Ρ ΠΈΡΡΡΠ³, ΠΊΠΎΡΠΎΡΡΠΉ ΠΌΠΎΠΆΠ΅Ρ ΠΏΡΠ°Π²ΠΈΠ»ΡΠ½ΠΎ ΠΏΡΠΎΠ²Π΅ΡΡΠΈ Π΄ΠΈΠ°Π³Π½ΠΎΡΡΠΈΠΊΡ, ΡΠΎΠ±ΡΠ°ΡΡ ΠΏΠΎΠ²ΡΠ΅ΠΆΠ΄Π΅Π½Π½ΡΡ ΡΠ΅Π»ΡΡΡΡ, ΡΡΠΎ Π² ΡΠ²ΠΎΡ ΠΎΡΠ΅ΡΠ΅Π΄Ρ ΠΏΠΎΠ·Π²ΠΎΠ»ΠΈΡ Π½Π΅ ΡΠΎΠ»ΡΠΊΠΎ Π²ΠΎΡΡΡΠ°Π½ΠΎΠ²ΠΈΡΡ Π΅Π΅ ΡΡΠ½ΠΊΡΠΈΠΈ, Π½ΠΎ ΠΈ ΡΠΎΡ ΡΠ°Π½ΠΈΡΡ ΡΠΎΡΠΌΡ Π»ΠΈΡΠ΅Π²ΠΎΠΉ ΡΠ°ΡΡΠΈ Π³ΠΎΠ»ΠΎΠ²Ρ. Π ΡΠ»ΡΡΠ°Π΅ ΡΠ°ΠΌΠΎΡΡΠΎΡΡΠ΅Π»ΡΠ½ΠΎ Π»Π΅ΡΠ΅Π½ΠΎΠ³ΠΎ ΠΏΠΎΠ²ΡΠ΅ΠΆΠ΄Π΅Π½ΠΈΡ ΠΏΠΎΡΠ»Π΅Π΄ΡΡΠ²ΠΈΡ ΠΌΠΎΠ³ΡΡ Π±ΡΡΡ ΡΠ°ΠΌΡΠΌΠΈ Π½Π΅Π³Π°ΡΠΈΠ²Π½ΡΠΌΠΈ, ΠΏΠΎΡΡΠΎΠΌΡ ΠΏΡΠΎΠ²ΠΎΠ΄ΠΈΡΡ Π»Π΅ΡΠ΅Π½ΠΈΠ΅ Π² Π΄ΠΎΠΌΠ°ΡΠ½ΠΈΡ ΡΡΠ»ΠΎΠ²ΠΈΡΡ Π±Π΅Π· ΠΊΠΎΠ½ΡΡΠ»ΡΡΠ°ΡΠΈΠΈ Ρ Π²ΡΠ°ΡΠΎΠΌ ΠΊΠ°ΡΠ΅Π³ΠΎΡΠΈΡΠ΅ΡΠΊΠΈ Π·Π°ΠΏΡΠ΅ΡΠ°Π΅ΡΡΡ.
ΠΠ΅ ΡΡΠΎΠΈΡ ΡΡΠ½ΡΡΡ Ρ Π΄ΠΈΠ°Π³Π½ΠΎΡΡΠΈΠΊΠΎΠΉ ΠΈ Π»Π΅ΡΠ΅Π½ΠΈΠ΅ΠΌ Π·Π°Π±ΠΎΠ»Π΅Π²Π°Π½ΠΈΡ!
ΠΠ°ΠΏΠΈΡΠΈΡΠ΅ΡΡ Π½Π° ΠΎΠ±ΡΠ»Π΅Π΄ΠΎΠ²Π°Π½ΠΈΠ΅ Ρ Π²ΡΠ°ΡΠ°!
potravmam.ru
ΡΠΈΠΌΠΏΡΠΎΠΌΡ ΠΈ Π»Π΅ΡΠ΅Π½ΠΈΠ΅ ΡΠ»ΠΎΠΌΠ°Π½Π½ΠΎΠΉ Π½ΠΈΠΆΠ½Π΅ΠΉ ΠΈ Π²Π΅ΡΡ Π½Π΅ΠΉ ΡΠ΅Π»ΡΡΡΠΈ
ΠΠ΅ΡΠ΅Π»ΠΎΠΌ ΡΠ΅Π»ΡΡΡΠΈ β ΡΡΠΎ ΡΡΠ°Π²ΠΌΠ° Π²ΠΈΡΠΎΡΠ½ΠΎ-ΡΠ΅Π»ΡΡΡΠ½ΡΡ
ΡΡΡΡΠ°Π²ΠΎΠ², ΡΠΎΠ΅Π΄ΠΈΠ½ΡΡΡΠΈΡ
Π½ΠΈΠΆΠ½ΡΡ ΡΠ΅Π»ΡΡΡΡ Ρ ΡΠ΅ΡΠ΅ΠΏΠΎΠΌ. Π Π·Π°Π²ΠΈΡΠΈΠΌΠΎΡΡΠΈ ΠΎΡ ΡΡΠ΅ΠΏΠ΅Π½ΠΈ ΡΡΠΆΠ΅ΡΡΠΈ Π²ΠΎΠ·ΠΌΠΎΠΆΠ½Ρ ΡΡΠ΅ΡΠΈΠ½Ρ, ΡΠ°ΡΠΊΠΎΠ»Ρ ΠΈ Π²ΡΠ²ΠΈΡ
ΠΈ.
Π’ΡΠ°Π²ΠΌΠΈΡΠΎΠ²Π°Π½Π½Π°Ρ ΡΠ΅Π»ΡΡΡΡ Π²ΡΠ·ΡΠ²Π°Π΅Ρ ΠΏΡΠΎΠ±Π»Π΅ΠΌΡ Ρ ΠΏΡΠΈΠ½ΡΡΠΈΠ΅ΠΌ ΠΏΠΈΡΠΈ ΠΈ ΠΏΡΠ΅ΠΏΡΡΡΡΠ²ΡΠ΅Ρ Π΄ΡΡ Π°ΡΠ΅Π»ΡΠ½ΡΠΌ ΡΡΠ½ΠΊΡΠΈΡΠΌ. ΠΠ΅ΡΠ²ΠΎΠ΅Π²ΡΠ΅ΠΌΠ΅Π½Π½ΠΎΠ΅ Π»Π΅ΡΠ΅Π½ΠΈΠ΅ ΠΌΠΎΠΆΠ΅Ρ ΠΏΡΠΈΠ²Π΅ΡΡΠΈ ΠΊ ΡΠ΅ΡΡΡΠ·Π½ΡΠΌ ΠΏΠΎΡΠ»Π΅Π΄ΡΡΠ²ΠΈΡΠΌ Π² Π²ΠΈΠ΄Π΅ Π΄Π΅ΡΠΎΡΠΌΠ°ΡΠΈΠΈ ΡΠ΅ΡΠ΅ΠΏΠ° ΠΈ Π²ΡΠΏΠ°Π΄Π΅Π½ΠΈΡ Π·ΡΠ±ΠΎΠ².
Π‘ΠΈΠΌΠΏΡΠΎΠΌΡ ΠΈ Π΄ΠΈΠ°Π³Π½ΠΎΡΡΠΈΠΊΠ° ΠΏΠ΅ΡΠ΅Π»ΠΎΠΌΠΎΠ² Π½ΠΈΠΆΠ½Π΅ΠΉ ΡΠ΅Π»ΡΡΡΠΈ
ΠΠ΅ΡΠ²ΡΠ΅ ΠΆΠ°Π»ΠΎΠ±Ρ ΠΎΡ ΠΏΠ°ΡΠΈΠ΅Π½ΡΠΎΠ² ΠΏΠΎΡΡΡΠΏΠ°ΡΡ Π½Π° Π½Π΅ΡΡΠ΅ΡΠΏΠΈΠΌΡΡ Π±ΠΎΠ»Ρ ΠΈ ΠΈΡΠΊΡΠΈΠ²Π»Π΅Π½ΠΈΠ΅ ΠΏΡΠΈΠΊΡΡΠ°. ΠΠ°ΠΆΠ΅ Π½Π΅Π±ΠΎΠ»ΡΡΠΎΠ΅ ΠΈΠ·ΠΌΠ΅Π½Π΅Π½ΠΈΠ΅ Π² ΡΠ°ΡΠΏΠΎΠ»ΠΎΠΆΠ΅Π½ΠΈΠΈ Π·ΡΠ±ΠΎΠ² ΡΠΎΠ·Π΄Π°ΡΡ ΠΎΡΡΡΠ΅Π½ΠΈΠ΅ Π΄ΠΈΡΠΊΠΎΠΌΡΠΎΡΡΠ°. ΠΡΠΈΠΊΠΎΡΠ½ΠΎΠ²Π΅Π½ΠΈΡ ΠΊ ΡΠ΅Π»ΡΡΡΠΈ Π²ΡΠ·ΡΠ²Π°ΡΡ Π½Π΅ΠΏΡΠΈΡΡΠ½ΡΠ΅ ΠΎΡΡΡΠ΅Π½ΠΈΡ, ΡΠ°ΡΡΠΎ Π±ΠΎΠ»Ρ ΠΎΡΠ΄Π°ΡΡ Π² ΡΡΠΈ ΠΈ Π³ΠΎΠ»ΠΎΠ²Ρ.
ΠΠΈΠ°Π³Π½ΠΎΡΡΠΈΠΊΠ° ΠΏΡΠΎΠΈΡΡ ΠΎΠ΄ΠΈΡ ΠΏΡΡΡΠΌ ΡΠΈΠ·ΠΈΡΠ΅ΡΠΊΠΎΠ³ΠΎ ΠΎΡΠΌΠΎΡΡΠ° ΠΈ ΡΠ΅Π½ΡΠ³Π΅Π½ΠΎΠ³ΡΠ°ΡΠΈΠΈ. ΠΡΠ³ΠΊΠΈΠΉ Π²ΡΠ²ΠΈΡ ΠΏΠΎΠ΄Π»Π΅ΠΆΠΈΡ Π΄ΠΈΠ°Π³Π½ΠΎΡΡΠΈΠΊΠ΅ Π² ΡΡΠΎΠΌΠ°ΡΠΎΠ»ΠΎΠ³ΠΈΡΠ΅ΡΠΊΠΎΠΌ ΠΊΠ°Π±ΠΈΠ½Π΅ΡΠ΅.
Π’ΡΠ°Π²ΠΌΠ°ΡΠΈΡΠ΅ΡΠΊΠΈΠ΅ ΠΏΠΎΠ²ΡΠ΅ΠΆΠ΄Π΅Π½ΠΈΡ
Π’ΡΠ°Π²ΠΌΠ° ΡΠ΅Π»ΡΡΡΠ½ΠΎ-Π»ΠΈΡΠ΅Π²ΠΎΠΉ ΠΎΠ±Π»Π°ΡΡΠΈ ΠΌΠΎΠΆΠ΅Ρ Π±ΡΡΡ ΠΎΠ΄Π½ΠΎΡΡΠΎΡΠΎΠ½Π½Π΅ΠΉ ΠΈΠ»ΠΈ Π΄Π²ΠΎΠΉΠ½ΠΎΠΉ, ΡΡΠΎ Π²ΡΠ·ΡΠ²Π°Π΅Ρ Π΄ΠΈΡΠΊΠΎΠΌΡΠΎΡΡ ΠΈ Π±ΠΎΠ»Ρ ΠΏΡΠΈ Π΄Π²ΠΈΠΆΠ΅Π½ΠΈΠΈ. ΠΡΠΈ ΡΠ΅ΡΡΡΠ·Π½ΠΎΠΌ ΠΏΠ΅ΡΠ΅Π»ΠΎΠΌΠ΅ ΡΠΎ ΡΠΌΠ΅ΡΠ΅Π½ΠΈΠ΅ΠΌ Π»ΠΈΡΠ΅Π²Π°Ρ ΠΎΠ±Π»Π°ΡΡΡ ΠΎΡΠ΅ΠΊΠ°Π΅Ρ, ΠΈΠ½ΠΎΠ³Π΄Π° Π½Π°Π±Π»ΡΠ΄Π°Π΅ΡΡΡ ΡΡΠ½ΠΎΠ΅ ΠΊΡΠΎΠ²ΠΎΡΠ΅ΡΠ΅Π½ΠΈΠ΅ ΠΈΠ·-Π·Π° ΡΠ°Π·ΡΡΠ²ΠΎΠ² Π½Π°ΡΡΠΆΠ½ΠΎΠ³ΠΎ ΡΠ»ΡΡ ΠΎΠ²ΠΎΠ³ΠΎ ΠΏΡΠΎΡ ΠΎΠ΄Π°. ΠΠ΅ΠΌΠ°ΡΠΎΠΌΠ° ΡΠ°ΡΠΏΡΠΎΡΡΡΠ°Π½ΡΠ΅ΡΡΡ Π½Π° ΡΡ ΠΎ ΠΈ Π·Π°ΡΡΠ»ΠΎΠΊ.
ΠΠ²ΡΡΡΠΎΡΠΎΠ½Π½Π΅Π΅ ΠΏΠΎΠ²ΡΠ΅ΠΆΠ΄Π΅Π½ΠΈΠ΅ β ΠΎΠΏΠ°ΡΠ½Π°Ρ ΡΡΠ°Π²ΠΌΠ°, ΡΠΏΠΎΡΠΎΠ±Π½Π°Ρ Π²ΡΠ·Π²Π°ΡΡ ΠΎΠ±ΡΡΡΡΠΊΡΠΈΡ Π²Π΅ΡΡ Π½ΠΈΡ Π΄ΡΡ Π°ΡΠ΅Π»ΡΠ½ΡΡ ΠΏΡΡΠ΅ΠΉ ΠΈ Π·Π°ΠΏΠ°Π΄Π°Π½ΠΈΠ΅ ΡΠ·ΡΠΊΠ°. ΠΡΠΈ ΡΡΠ°Π²ΠΌΠΈΡΠΎΠ²Π°Π½ΠΈΠΈ ΡΠ΅Π»ΡΡΡΠ½ΠΎ-Π»ΠΈΡΠ΅Π²ΠΎΠΉ ΠΎΠ±Π»Π°ΡΡΠΈ ΡΠ°ΡΠΊΠΎΠ»Ρ ΡΠ΅ΡΠ΅ΠΏΠ° Π²ΡΡΡΠ΅ΡΠ°ΡΡΡΡ ΠΊΡΠ°ΠΉΠ½Π΅ ΡΠ΅Π΄ΠΊΠΎ.
ΠΠ»ΠΈΠ½ΠΈΡΠ΅ΡΠΊΠ°Ρ Π΄ΠΈΠ°Π³Π½ΠΎΡΡΠΈΠΊΠ°
ΠΠ»Ρ Π²Π΅ΡΠ½ΠΎΠΉ ΠΏΠΎΡΡΠ°Π½ΠΎΠ²ΠΊΠΈ Π΄ΠΈΠ°Π³Π½ΠΎΠ·Π° ΠΎΠ΄Π½ΠΎΠ³ΠΎ ΡΠΈΠ·ΠΈΡΠ΅ΡΠΊΠΎΠ³ΠΎ ΠΎΡΠΌΠΎΡΡΠ° Π½Π΅Π΄ΠΎΡΡΠ°ΡΠΎΡΠ½ΠΎ. Π§ΡΠΎΠ±Ρ Π²ΡΡΠ²ΠΈΡΡ Ρ Π°ΡΠ°ΠΊΡΠ΅Ρ ΠΏΠΎΠ²ΡΠ΅ΠΆΠ΄Π΅Π½ΠΈΡ Π½ΠΈΠΆΠ½Π΅ΠΉ ΡΠ΅Π»ΡΡΡΠΈ ΠΈ Π·ΡΠ±ΠΎΠ², Π½Π°Π·Π½Π°ΡΠ°Π΅ΡΡΡ ΡΠ΅Π½ΡΠ³Π΅Π½ΠΎΠ³ΡΠ°ΡΠΈΡ. ΠΠΈΠ°Π³Π½ΠΎΡΡΠΈΠΊΠ° Π±ΠΎΠ»ΡΠ½ΡΡ Ρ ΠΏΠ΅ΡΠ΅Π»ΠΎΠΌΠΎΠΌ Π²Π΅ΡΡ Π½Π΅ΠΉ ΡΠ΅Π»ΡΡΡΠΈ ΠΏΡΠΎΠ²ΠΎΠ΄ΠΈΡΡΡ ΠΏΡΡΡΠΌ ΠΊΠΎΠΌΠΏΡΡΡΠ΅ΡΠ½ΠΎΠΉ ΡΠΎΠΌΠΎΠ³ΡΠ°ΡΠΈΠΈ (ΠΠ’). Π§Π°ΡΡΠΎ Π½Π°Π·Π½Π°ΡΠ°ΡΡ ΡΠ΅Π½ΡΠ³Π΅Π½ ΡΠ΅ΠΉΠ½ΠΎΠ³ΠΎ ΠΎΡΠ΄Π΅Π»Π°, ΡΡΠΎΠ±Ρ ΠΈΡΠΊΠ»ΡΡΠΈΡΡ ΠΏΠΎΠ²ΡΠ΅ΠΆΠ΄Π΅Π½ΠΈΠ΅ ΠΏΠΎΠ·Π²ΠΎΠ½ΠΎΡΠ½ΠΈΠΊΠ°. ΠΡΠ»ΠΈ Ρ ΡΠ΅Π»ΠΎΠ²Π΅ΠΊΠ° Π΅ΡΡΡ ΡΠΈΠΌΠΏΡΠΎΠΌΡ ΡΠ΅ΡΠ΅ΠΏΠ½ΠΎ-ΠΌΠΎΠ·Π³ΠΎΠ²ΠΎΠΉ ΡΡΠ°Π²ΠΌΡ, Π΄ΠΎΠΏΠΎΠ»Π½ΠΈΡΠ΅Π»ΡΠ½ΠΎ Π΄Π΅Π»Π°Π΅ΡΡΡ ΠΠ’ ΠΌΠΎΠ·Π³Π° ΠΈ ΠΎΠ±ΡΠ»Π΅Π΄ΠΎΠ²Π°Π½ΠΈΠ΅ Π³Π»Π°Π·.
Π’ΡΠ΅ΡΠΈΠ½Ρ
ΠΠΎΠΏΠΎΠ»Π½ΠΈΡΠ΅Π»ΡΠ½ΡΠ΅ ΡΡΠ΅ΡΠΈΠ½Ρ Π² Π·ΡΠ±Π°Ρ ΠΈ ΡΠ΅Π»ΡΡΡΠ½ΡΡ ΡΡΡΡΠ°Π²Π°Ρ ΡΡΠ»ΠΎΠΆΠ½ΡΡΡ Π΄ΠΈΠ°Π³Π½ΠΎΡΡΠΈΠΊΡ ΠΈ Π»Π΅ΡΠ΅Π½ΠΈΠ΅ ΡΡΠ°Π²ΠΌΡ. ΠΡΠΈ ΡΠ΅ΡΡΡΠ·Π½ΠΎΠΌ ΡΠΌΠ΅ΡΠ΅Π½ΠΈΠΈ ΠΈΡΠΏΠΎΠ»ΡΠ·ΡΡΡ Π±ΡΠ΅ΠΊΠ΅ΡΡ, ΡΡΠΎΠ±Ρ Π·Π°ΡΠΈΠΊΡΠΈΡΠΎΠ²Π°ΡΡ ΠΏΠΎΠ»ΠΎΠΆΠ΅Π½ΠΈΠ΅ Π·ΡΠ±Π½ΠΎΠ³ΠΎ ΡΡΠ΄Π°.
ΠΠΎΠ²ΡΠ΅ΠΆΠ΄Π΅Π½ΠΈΠ΅ Π·ΡΠ±ΠΎΠ² ΡΠ²Π΅Π»ΠΈΡΠΈΠ²Π°Π΅Ρ ΡΠΈΡΠΊ ΠΊΡΠΎΠ²ΠΎΡΠ΅ΡΠ΅Π½ΠΈΡ ΠΏΡΠΈ Π½Π°Π»ΠΎΠΆΠ΅Π½ΠΈΠΈ ΡΠΈΠ½Ρ.
ΠΠ°ΠΊΡΡΡΡΠΉ ΠΏΠ΅ΡΠ΅Π»ΠΎΠΌ Ρ Π΄Π²ΡΡΡΠΎΡΠΎΠ½Π½ΠΈΠΌΠΈ ΡΡΠ΅ΡΠΈΠ½Π°ΠΌΠΈ ΡΠ»ΠΎΠΆΠ½ΠΎ ΠΏΠΎΠ΄Π΄Π°ΡΡΡΡ Π΄ΠΈΠ°Π³Π½ΠΎΡΡΠΈΠΊΠ΅ ΠΈ Π΄Π°Π»ΡΠ½Π΅ΠΉΡΠ΅ΠΉ ΡΠ΅ΡΠ°ΠΏΠΈΠΈ. ΠΡΠΈ ΠΎΡΠΈΠ±ΠΎΡΠ½ΠΎΠΉ ΠΏΠΎΡΡΠ°Π½ΠΎΠ²ΠΊΠ΅ Π΄ΠΈΠ°Π³Π½ΠΎΠ·Π° ΠΏΠ°ΡΠΈΠ΅Π½Ρ ΡΠΈΡΠΊΡΠ΅Ρ ΠΏΠΎΡΠ΅ΡΡΡΡ ΡΠ°ΡΡΡ Π·ΡΠ±ΠΎΠ² Π² ΠΏΠ΅ΡΠΈΠΎΠ΄ ΡΡΡΠ°Π½ΠΎΠ²Π»Π΅Π½Π½ΠΎΠ³ΠΎ Π»Π΅ΡΠ΅Π½ΠΈΡ.
ΠΠ°ΠΊ Π²ΡΠ³Π»ΡΠ΄ΡΡ ΠΎΡΠ½ΠΎΠ²Π½ΡΠ΅ ΡΠΈΠΌΠΏΡΠΎΠΌΡ
Π£Π·Π½Π°ΡΡ ΠΏΠ΅ΡΠ΅Π»ΠΎΠΌ ΡΠ΅Π»ΡΡΡΠΈ ΠΌΠΎΠΆΠ½ΠΎ ΠΏΠΎ ΡΠ»Π΅Π΄ΡΡΡΠΈΠΌ ΡΠΈΠΌΠΏΡΠΎΠΌΠ°ΠΌ:
- Π±ΠΎΠ»Ρ Π² ΠΌΠ΅ΡΡΠ΅ ΡΡΠ°Π²ΠΌΡ;
- ΠΎΡΠ΅ΠΊ Π»ΠΈΡΠ°;
- ΠΊΡΠΎΠ²ΠΎΡΠ΅ΡΠ΅Π½ΠΈΠ΅ ΠΈΠ·ΠΎ ΡΡΠ°;
- Π΄ΠΈΡΠΊΠΎΠΌΡΠΎΡΡ ΠΏΡΠΈ ΠΆΠ΅Π²Π°Π½ΠΈΠΈ ΠΈ Π΄ΡΡ Π°Π½ΠΈΠΈ;
- Π·Π°ΡΡΡΠ΄Π½Π΅Π½ΠΈΡ ΠΏΡΠΈ Π΄Π²ΠΈΠΆΠ΅Π½ΠΈΠΈ ΡΠ΅Π»ΡΡΡΡΡ;
- ΠΎΠ½Π΅ΠΌΠ΅Π½ΠΈΠ΅ Π»ΠΈΡΠ°;
- Π±ΠΎΠ»Ρ Π² Π·ΡΠ±Π°Ρ .
ΠΠΠ ΠΠ’ΠΠ’Π ΠΠΠΠΠΠΠΠ! ΠΠ°Π»ΠΈΡΠΈΠ΅ ΡΡΡΡ ΡΠΈΠΌΠΏΡΠΎΠΌΠΎΠ² ΠΏΠΎΡΠ»Π΅ ΠΏΠΎΠ»ΡΡΠ΅Π½ΠΈΡ ΡΡΠ°Π²ΠΌΡ ΡΠ»ΡΠΆΠΈΡ Π±Π΅Π·ΠΎΡΠ»Π°Π³Π°ΡΠ΅Π»ΡΠ½ΡΠΌ ΠΏΠΎΠ²ΠΎΠ΄ΠΎΠΌ ΠΎΠ±ΡΠ°ΡΠΈΡΡΡΡ ΠΊ Π²ΡΠ°ΡΡ.
ΠΠΎΠ»Ρ, ΠΎΠΏΡΡ ΠΎΠ»Ρ ΠΈ ΠΊΡΠΎΠ²ΠΎΡΠ΅ΡΠ΅Π½ΠΈΠ΅ β ΡΠ°ΠΌΡΠ΅ ΡΠ°ΡΠΏΡΠΎΡΡΡΠ°Π½ΡΠ½Π½ΡΠ΅ ΠΏΡΠΈΠ·Π½Π°ΠΊΠΈ ΡΠ»ΠΎΠΌΠ°Π½Π½ΠΎΠΉ ΡΠ΅Π»ΡΡΡΠΈ. ΠΡΡ Π»ΠΈΡΠΎ ΠΏΠΎΡΡΠ΅ΠΏΠ΅Π½Π½ΠΎ ΠΎΠΏΡΡ Π°Π΅Ρ, ΠΏΠ΅ΡΠ΅ΠΆΡΠ²ΡΠ²Π°Π½ΠΈΠ΅ ΠΏΠΈΡΠΈ ΡΡΠ°Π½ΠΎΠ²ΠΈΡΡΡ Π½Π΅Π²ΠΎΠ·ΠΌΠΎΠΆΠ½ΡΠΌ, ΡΠ΅ΡΡ Π·Π°ΡΡΡΠ΄Π½ΡΠ΅ΡΡΡ, ΠΊΡΠΎΠ²Ρ ΠΈΠ·ΠΎ ΡΡΠ° Π±Π»ΠΎΠΊΠΈΡΡΠ΅Ρ Π΄ΡΡ Π°ΡΠ΅Π»ΡΠ½ΡΠ΅ ΠΏΡΡΠΈ. Π‘ΠΈΠ½ΡΠΊΠΈ Π½Π° Π»ΠΈΡΠ΅, ΠΎΠ½Π΅ΠΌΠ΅Π½ΠΈΠ΅ ΡΠ·ΡΠΊΠ° ΠΈ Π±ΠΎΠ»Π΅Π·Π½Π΅Π½Π½ΠΎΡΡΡ Π΄ΡΡΠ΅Π½ ΡΠΈΠ³Π½Π°Π»ΠΈΠ·ΠΈΡΡΠ΅Ρ ΠΎ ΡΠ΅ΡΡΡΠ·Π½ΠΎΠΌ ΡΠΌΠ΅ΡΠ΅Π½ΠΈΠΈ. Π’ΡΠ°Π²ΠΌΠΈΡΠΎΠ²Π°Π½ΠΈΠ΅ ΡΡΡΡΠ°Π²ΠΎΠ² Π²ΡΠ·ΡΠ²Π°Π΅Ρ Π²ΡΠ΅ΠΌΠ΅Π½Π½ΡΡ Π΄Π΅ΡΠΎΡΠΌΠ°ΡΠΈΡ Π»ΠΈΡΠ° ΠΈ ΡΠ΅ΡΠ΅ΠΏΠ°.
ΠΠΈΠ΄Ρ
| ΠΠΈΠ΄ ΠΏΠ΅ΡΠ΅Π»ΠΎΠΌΠ° ΡΠ΅Π»ΡΡΡΠΈ | ΠΠΏΠΈΡΠ°Π½ΠΈΠ΅ |
| ΠΡΠΊΡΡΡΡΠΉ | ΠΠ°ΡΡΡΠ΅Π½ΠΈΠ΅ ΡΠ΅Π»ΠΎΡΡΠ½ΠΎΡΡΠΈ Π»ΠΈΡΠ΅Π²ΡΡ ΠΊΠΎΠΆΠ½ΡΡ ΠΏΠΎΠΊΡΠΎΠ²ΠΎΠ² |
| ΠΠ°ΠΊΡΡΡΡΠΉ | Π’ΡΠ°Π²ΠΌΠΈΡΠΎΠ²Π°Π½Π½ΡΠ΅ ΡΡΡΡΠ°Π²Ρ ΠΈ ΠΊΠΎΡΡΠΈ ΡΠΊΡΡΡΡ ΠΏΠΎΠ΄ ΠΊΠΎΠΆΠ½ΡΠΌ ΠΏΠΎΠΊΡΠΎΠ²ΠΎΠΌ |
| Π Π°Π·Π΄ΡΠΎΠ±Π»Π΅Π½Π½ΡΠΉ | Π§Π΅Π»ΡΡΡΠ½ΠΎ-Π»ΠΈΡΠ΅Π²ΡΠ΅ ΠΊΠΎΡΡΠΈ ΡΠ°Π·Π΄ΡΠΎΠ±Π»Π΅Π½Ρ Π½Π° Π±ΠΎΠ»ΡΡΠΈΠ΅ ΠΈ ΠΌΠ°Π»Π΅Π½ΡΠΊΠΈΠ΅ ΠΎΡΠΊΠΎΠ»ΠΊΠΈ |
| ΠΠ°ΡΠΎΠ»ΠΎΠ³ΠΈΡΠ΅ΡΠΊΠΈΠΉ | Π’ΡΠ°Π²ΠΌΠ°, Π²ΡΠ·Π²Π°Π½Π½Π°Ρ Π΄ΡΡΠ³ΠΈΠΌ Π·Π°Π±ΠΎΠ»Π΅Π²Π°Π½ΠΈΠ΅ΠΌ |
| ΠΠ½ΠΎΠΆΠ΅ΡΡΠ²Π΅Π½Π½ΠΎΠ΅ ΡΠ°Π·Π΄ΡΠΎΠ±Π»Π΅Π½ΠΈΠ΅ | ΠΠΎΡΡΡ ΡΠ°Π·Π΄ΡΠΎΠ±Π»Π΅Π½Π° Π² Π½Π΅ΡΠΊΠΎΠ»ΡΠΊΠΈΡ ΠΌΠ΅ΡΡΠ°Ρ |
| ΠΡΡΠΎΡΠΈΡΠ΅ΡΠΊΠΈΠΉ | Π’ΡΠ°Π²ΠΌΠ°, Π²ΡΠ·Π²Π°Π½Π½Π°Ρ Π°ΡΡΠΎΡΠΈΠ΅ΠΉ ΠΊΠΎΡΡΠΈ |
| ΠΡΠ²ΠΈΡ | Π‘ΠΌΠ΅ΡΠ΅Π½ΠΈΠ΅ ΡΠ΅Π»ΡΡΡΠ½ΠΎ-Π»ΠΈΡΠ΅Π²ΡΡ ΡΡΡΡΠ°Π²ΠΎΠ² |
ΠΡΠΈΡΠΈΠ½Ρ
Π‘Π°ΠΌΡΠΌΠΈ ΡΠ°ΡΠΏΡΠΎΡΡΡΠ°Π½ΡΠ½Π½ΡΠΌΠΈ ΠΏΡΠΈΡΠΈΠ½Π°ΠΌΠΈ ΠΏΠ΅ΡΠ΅Π»ΠΎΠΌΠΎΠ² ΠΈ Π²ΡΠ²ΠΈΡ ΠΎΠ² ΡΠ΅Π»ΡΡΡΠΈ ΡΠ²Π»ΡΡΡΡΡ:
- ΡΠΏΠΎΡΡΠΈΠ²Π½ΡΠ΅ ΡΡΠ°Π²ΠΌΡ;
- Π°Π²ΡΠΎΠΌΠΎΠ±ΠΈΠ»ΡΠ½ΡΠ΅ Π°Π²Π°ΡΠΈΠΈ;
- ΡΠ»ΡΡΠ°ΠΉΠ½ΡΠ΅ ΠΏΠ°Π΄Π΅Π½ΠΈΡ Π² Π΄ΠΎΠΌΠ΅;
- Π½Π΅ΡΡΠ°ΡΡΠ½ΡΠ΅ ΡΠ»ΡΡΠ°ΠΈ Π½Π° ΠΏΡΠΎΠΈΠ·Π²ΠΎΠ΄ΡΡΠ²Π΅.
ΠΠ»Π°ΡΡΠΈΡΠΈΠΊΠ°ΡΠΈΡ
Π’ΡΠ°Π²ΠΌΠ°ΡΠΈΡΠ΅ΡΠΊΠΈΠΉ. ΠΠ°ΠΈΠ±ΠΎΠ»Π΅Π΅ ΡΠ°ΡΡΠΎ Π²ΡΡΡΠ΅ΡΠ°ΡΡΠΈΠΉΡΡ ΡΠΈΠΏ ΠΏΠΎΠ²ΡΠ΅ΠΆΠ΄Π΅Π½ΠΈΡ, ΠΏΠΎΠ»ΡΡΠ΅Π½Π½ΡΠΉ ΠΏΡΡΡΠΌ Π²ΠΎΠ·Π΄Π΅ΠΉΡΡΠ²ΠΈΡ Π²Π½Π΅ΡΠ½Π΅ΠΉ ΡΠΈΠ»Ρ. ΠΠΈΠ°Π³Π½ΠΎΡΡΠΈΠΊΠ° ΠΈ Π»Π΅ΡΠ΅Π½ΠΈΠ΅ Π·Π°Π²ΠΈΡΡΡ ΠΎΡ ΠΌΠ΅ΡΡΠΎΠΏΠΎΠ»ΠΎΠΆΠ΅Π½ΠΈΡ ΠΏΠΎΠ²ΡΠ΅ΠΆΠ΄Π΅Π½ΠΈΡ.
ΠΠ»ΡΠ²Π΅ΠΎΠ»ΡΡΠ½ΡΠΉ. Π’ΠΈΠΏ ΡΡΠ°Π²ΠΌΡ, ΠΏΡΠΈ ΠΊΠΎΡΠΎΡΠΎΠΉ ΡΡΠ°Π²ΠΌΠΈΡΠΎΠ²Π°Π½ Π°Π»ΡΠ²Π΅ΠΎΠ»ΡΡΠ½ΡΠΉ ΠΎΡΡΠΎΡΡΠΎΠΊ.
ΠΠΎΠ²ΡΠ΅ΠΆΠ΄Π΅Π½ΠΈΠ΅ ΡΠΊΡΠ»ΠΎΠ²ΡΡ ΠΊΠΎΡΡΠ΅ΠΉ. Π‘Π»ΠΎΠΆΠ½ΡΠΉ ΡΠΈΠΏ ΡΡΠ°Π²ΠΌΡ, ΠΏΡΠΈ ΠΊΠΎΡΠΎΡΠΎΠΌ ΠΏΡΠΎΠΈΡΡ ΠΎΠ΄ΠΈΡ ΡΠΌΠ΅ΡΠ΅Π½ΠΈΠ΅ Π½ΠΎΡΠΎΠ²ΡΡ ΠΈ ΡΠΊΡΠ»ΠΎΠ²ΡΡ ΠΊΠΎΡΡΠ΅ΠΉ.
Π£Π³Π»ΠΎΠ²ΠΎΠΉ. ΠΠΎΠ²ΡΠ΅ΠΆΠ΄Π΅Π½ΠΈΠ΅, Ρ Π°ΡΠ°ΠΊΡΠ΅ΡΠΈΠ·ΡΡΡΠ΅Π΅ΡΡ ΡΠ°ΡΠΊΠΎΠ»ΠΎΠΌ Π² ΠΎΠ±Π»Π°ΡΡΠΈ Π·ΡΠ±ΠΎΠ² ΠΌΡΠ΄ΡΠΎΡΡΠΈ. ΠΠΎΠΆΠ΅Ρ Π±ΡΡΡ ΠΊΠ°ΠΊ ΠΎΠ΄Π½ΠΎΡΡΠΎΡΠΎΠ½Π½ΠΈΠΌ, ΡΠ°ΠΊ ΠΈ Π΄Π²ΡΡΡΠΎΡΠΎΠ½Π½ΠΈΠΌ.
ΠΠ΅ΡΠ΅Π»ΠΎΠΌ ΡΠ΅Π»Π°. Π Π°ΡΠΊΠΎΠ»Ρ ΡΠ΅Π»Π° Π½ΠΈΠΆΠ½Π΅ΠΉ ΡΠ΅Π»ΡΡΡΠΈ ΡΠ°ΡΡΠΎ Π΄ΠΈΠ°Π³Π½ΠΎΡΡΠΈΡΡΡΡΡΡ ΠΊΠ°ΠΊ ΠΎΡΠΊΡΡΡΡΠ΅, ΡΠ°ΠΊ ΠΊΠ°ΠΊ ΡΠ»ΠΈΠ·ΠΈΡΡΠ°Ρ Π΄ΡΡΠ΅Π½ ΠΏΠ»ΠΎΡΠ½ΠΎ ΠΏΡΠΈΠ»Π΅Π³Π°Π΅Ρ ΠΊ Π·ΡΠ±Π°ΠΌ.
ΠΡΠΎΡΡΠΎΠΉ. ΠΡΠΎΡΡΠΎΠΉ ΡΠ°ΡΠΊΠΎΠ» ΠΎΡΠ»ΠΈΡΠ°Π΅ΡΡΡ ΠΎΠ΄Π½ΠΎΡΡΠΎΡΠΎΠ½Π½ΠΈΠΌ ΠΏΠΎΠ²ΡΠ΅ΠΆΠ΄Π΅Π½ΠΈΠ΅ΠΌ Π±Π΅Π· ΠΎΡΠ»ΠΎΠΆΠ½Π΅Π½ΠΈΠΉ Π² Π²ΠΈΠ΄Π΅ ΡΠ°Π·Π΄ΡΠΎΠ±Π»Π΅Π½Π½ΡΡ ΡΡΠ°ΡΡΠΊΠΎΠ² ΠΈ ΡΠΌΠ΅ΡΠ΅Π½ΠΈΠΉ.
ΠΠΎΠΌΠ±ΠΈΠ½ΠΈΡΠΎΠ²Π°Π½Π½ΡΠΉ. Π₯Π°ΡΠ°ΠΊΡΠ΅ΡΠΈΠ·ΡΠ΅ΡΡΡ ΠΏΠ΅ΡΠ΅Π»ΠΎΠΌΠΎΠΌ ΠΎΠ±Π΅ΠΈΡ
ΡΠ΅Π»ΡΡΡΠ΅ΠΉ ΠΈ ΡΠ°Π·Π΄ΡΠΎΠ±Π»Π΅Π½ΠΈΠ΅ΠΌ (ΡΠ°ΡΠΊΠΎΠ»ΠΎΠΌ) Π·ΡΠ±ΠΎΠ². ΠΠ΅ΡΠ΅Π΄ΠΊΠΎ ΡΡΠ°Π²ΠΌΠΈΡΡΡΡΡΡ ΡΠΊΡΠ»ΠΎΠ²ΡΠ΅ ΠΈ Π½ΠΎΡΠΎΠ²ΡΠ΅ ΠΊΠΎΡΡΠΈ.
Π‘ΠΎ ΡΠΌΠ΅ΡΠ΅Π½ΠΈΠ΅ΠΌ. Π‘ΠΌΠ΅ΡΠ΅Π½ΠΈΠ΅ Π½Π΅ΡΠΊΠΎΠ»ΡΠΊΠΈΡ
ΡΠ΅Π³ΠΌΠ΅Π½ΡΠΎΠ². Π§Π΅ΠΌ Π±ΠΎΠ»ΡΡΠ΅ ΡΠ΅Π³ΠΌΠ΅Π½ΡΠΎΠ² Π·Π°ΡΡΠΎΠ½ΡΡΠΎ, ΡΠ΅ΠΌ ΡΠ»ΠΎΠΆΠ½Π΅Π΅ ΠΏΡΠΎΡΠ΅ΡΡ Π²ΠΎΡΡΡΠ°Π½ΠΎΠ²Π»Π΅Π½ΠΈΡ.
ΠΠ΅ΡΠ΅Π»ΠΎΠΌΡ Π²Π΅ΡΡ Π½Π΅ΠΉ ΡΠ΅Π»ΡΡΡΠΈ ΠΏΠΎ ΠΠ΅ΡΠΎΡ
ΠΠ΅ΡΠΎΡ 1
- Π³ΠΎΡΠΈΠ·ΠΎΠ½ΡΠ°Π»ΡΠ½ΡΠΉ Π²Π΅ΡΡ Π½Π΅ΡΠ΅Π»ΡΡΡΠ½ΠΎΠΉ ΠΏΠ΅ΡΠ΅Π»ΠΎΠΌ, ΠΏΡΠΈ ΠΊΠΎΡΠΎΡΠΎΠΌ Π·ΡΠ±Ρ ΠΎΡΠ΄Π΅Π»Π΅Π½Ρ ΠΎΡ Π΄ΡΡΠ΅Π½;
- Π»ΠΈΠ½ΠΈΡ ΠΏΠ΅ΡΠ΅Π»ΠΎΠΌΠ° ΠΏΡΠΎΡ ΠΎΠ΄ΠΈΡ ΡΠ΅ΡΠ΅Π· Π°Π»ΡΠ²Π΅ΠΎΠ»ΡΡΠ½ΡΠΉ ΠΎΡΡΠΎΡΡΠΎΠΊ, Π½ΠΎΡΠΎΠ²ΡΡ ΠΊΠΎΡΡΡ ΠΈ Π½ΠΈΠΆΠ½ΡΡ ΡΡΠ΅Π½ΠΊΡ Π²Π΅ΡΡ Π½Π΅ΡΠ΅Π»ΡΡΡΠ½ΠΎΠΉ ΠΏΠ°Π·ΡΡ ΠΈ.
ΠΠ΅ΡΠΎΡ 2
- ΠΏΠΈΡΠ°ΠΌΠΈΠ΄Π°Π»ΡΠ½ΡΠΉ ΠΏΠ΅ΡΠ΅Π»ΠΎΠΌ Ρ ΡΠ°ΡΡΠΈΡΠ½ΡΠΌ ΠΏΠΎΠ²ΡΠ΅ΠΆΠ΄Π΅Π½ΠΈΠ΅ΠΌ Π·ΡΠ±ΠΎΠ²;
- Π»ΠΈΠ½ΠΈΡ ΠΏΠ΅ΡΠ΅Π»ΠΎΠΌΠ° ΠΏΡΠΎΡ ΠΎΠ΄ΠΈΡ ΡΠ΅ΡΠ΅Π· Π·Π°Π΄Π½ΠΈΠΉ Π°Π»ΡΠ²Π΅ΠΎΠ»ΡΡΠ½ΡΠΉ ΠΎΡΡΠΎΡΡΠΎΠΊ, Π±ΠΎΠΊΠΎΠ²ΡΠ΅ ΡΡΠ΅Π½ΠΊΠΈ Π²Π΅ΡΡ Π½Π΅ΡΠ΅Π»ΡΡΡΠ½ΡΡ ΠΏΠ°Π·ΡΡ , Π½ΡΠ±ΠΎ ΠΈ Π½ΠΎΡΠΎΠ²ΡΠ΅ ΠΊΠΎΡΡΠΈ;
- Π»ΠΈΠ½ΠΈΡ ΡΠ°Π·Π»ΠΎΠΌΠ° ΠΌΠΎΠΆΠ΅Ρ ΠΏΡΠΎΡ ΠΎΠ΄ΠΈΡΡ ΡΠ΅ΡΠ΅Π· Π½ΠΎΡΠΎΠ²ΠΎΠΉ ΠΏΡΠΎΡ ΠΎΠ΄ ΠΈΠ»ΠΈ ΠΏΠ΅ΡΠ΅Π΄Π½ΡΡ ΡΠ°ΡΡΡ Π²Π΅ΡΡ Π½Π΅ΠΉ ΡΠ΅Π»ΡΡΡΠΈ.
ΠΠ΅ΡΠΎΡ 3 (Π‘ΡΠ±Π±Π°Π·Π°Π»ΡΠ½ΡΠΉ ΡΠΈΠΏ)
- Π»ΠΈΠ½ΠΈΡ ΠΏΠ΅ΡΠ΅Π»ΠΎΠΌΠ° ΠΏΡΠΎΡ ΠΎΠ΄ΠΈΡ ΡΠ΅ΡΠ΅Π· Π½Π°Π·ΠΎΡΡΠΎΠ½ΡΠ°Π»ΡΠ½ΡΠΉ ΡΠΎΠ²;
- ΡΠΎΡΠΌΠ° Π»ΠΈΡΠ° Π΄Π΅ΡΠΎΡΠΌΠΈΡΡΠ΅ΡΡΡ.
ΠΠ΅ΡΠ²Π°Ρ ΠΏΠΎΠΌΠΎΡΡ
ΠΡΠΈ ΠΏΠ΅ΡΠ²ΡΡ ΠΏΡΠΈΠ·Π½Π°ΠΊΠ°Ρ ΠΏΠ΅ΡΠ΅Π»ΠΎΠΌΠ° Π½Π΅ΠΌΠ΅Π΄Π»Π΅Π½Π½ΠΎ ΠΎΠ±ΡΠ°ΡΠΈΡΠ΅ΡΡ ΠΊ ΡΠΏΠ΅ΡΠΈΠ°Π»ΠΈΡΡΡ. ΠΡΠ»ΠΈ Π½Π°Π±Π»ΡΠ΄Π°Π΅ΡΡΡ ΠΊΡΠΎΠ²ΠΎΡΠ΅ΡΠ΅Π½ΠΈΠ΅, Π½Π΅ΠΎΠ±Ρ ΠΎΠ΄ΠΈΠΌΠΎ Π΅Π³ΠΎ ΡΠΊΠΎΡΠ΅ΠΉΡΠ΅Π΅ ΡΡΡΡΠ°Π½Π΅Π½ΠΈΠ΅.
Π§ΡΠΎ Π΄Π΅Π»Π°ΡΡ?
Π£Π΄Π΅ΡΠΆΠΈΠ²Π°ΠΉΡΠ΅ ΡΠ΅Π»ΡΡΡΡ ΡΡΠΊΠΎΠΉ ΠΈΠ»ΠΈ ΡΠ°ΠΌΠΎΠ΄Π΅Π»ΡΠ½ΠΎΠΉ ΠΏΠΎΠ²ΡΠ·ΠΊΠΎΠΉ, ΠΎΠ±Π²ΡΠΆΠΈΡΠ΅ Π΅ΠΉ ΡΡΠ°Π²ΠΌΠΈΡΠΎΠ²Π°Π½Π½ΠΎΠ΅ ΠΌΠ΅ΡΡΠΎ Π΄ΠΎ ΠΏΡΠΈΠ΅Π·Π΄Π° ΠΌΠ΅Π΄ΠΈΡΠΈΠ½ΡΠΊΠΈΡ ΡΠ°Π±ΠΎΡΠ½ΠΈΠΊΠΎΠ². ΠΠ΅ ΠΏΡΡΠ°ΠΉΡΠ΅ΡΡ ΡΠ°Π·Π³ΠΎΠ²Π°ΡΠΈΠ²Π°ΡΡ, Π΅ΡΡΡ ΠΈΠ»ΠΈ Π΄Π²ΠΈΠ³Π°ΡΡ ΡΠ΅Π»ΡΡΡΡΡ, ΡΡΠΎΠ±Ρ Π½Π΅ Π²ΡΠ·Π²Π°ΡΡ ΠΎΡΠ»ΠΎΠΆΠ½Π΅Π½ΠΈΠ΅ ΡΡΠ°Π²ΠΌΡ Π² Π²ΠΈΠ΄Π΅ ΡΠ°Π·ΡΡΡΠ΅Π½ΠΈΡ Π·ΡΠ±ΠΎΠ² ΠΈ Π΄ΠΎΠΏΠΎΠ»Π½ΠΈΡΠ΅Π»ΡΠ½ΡΡ ΡΠΌΠ΅ΡΠ΅Π½ΠΈΠΉ. ΠΡΠ»ΠΈ Π΅ΡΡΡ Π²ΠΎΠ·ΠΌΠΎΠΆΠ½ΠΎΡΡΡ, ΠΏΡΠΈΠΌΠΈΡΠ΅ ΠΎΠ±Π΅Π·Π±ΠΎΠ»ΠΈΠ²Π°ΡΡΠΈΠ΅ ΡΡΠ΅Π΄ΡΡΠ²Π°.
ΠΠ°ΠΊ Π»Π΅ΡΠΈΡΡ?
ΠΡΠ²ΠΈΡ
ΠΠ΅ΡΠ²ΡΠΌ Π΄Π΅Π»ΠΎΠΌ Π΄ΠΎΠΊΡΠΎΡ ΠΏΡΠΈΠ²ΠΎΠ΄ΠΈΡ ΡΠ΅Π»ΡΡΡΡ Π² Π΅ΡΡΠ΅ΡΡΠ²Π΅Π½Π½ΠΎΠ΅ ΠΏΠΎΠ»ΠΎΠΆΠ΅Π½ΠΈΠ΅. Π§Π°ΡΠ΅ Π²ΡΠ΅Π³ΠΎ ΡΡΠΎ Π΄Π΅Π»Π°Π΅ΡΡΡ Π²ΡΡΡΠ½ΡΡ. Π§ΡΠΎΠ±Ρ ΡΠ²Π΅ΡΡΠΈ Π±ΠΎΠ»Ρ ΠΊ ΠΌΠΈΠ½ΠΈΠΌΡΠΌΡ ΠΈ ΠΏΠΎΠΌΠΎΡΡ ΠΌΡΡΡΠ°ΠΌ ΡΠ°ΡΡΠ»Π°Π±ΠΈΡΡΡΡ, ΡΠ΅ΠΊΠΎΠΌΠ΅Π½Π΄ΡΠ΅ΡΡΡ ΠΈΡΠΏΠΎΠ»ΡΠ·ΠΎΠ²Π°ΡΡ Π°Π½Π΅ΡΡΠ΅ΡΠΈΠΊΠΈ. ΠΡΠΈ ΡΠ»ΠΎΠΆΠ½ΡΡ Π²ΡΠ²ΠΈΡ Π°Ρ ΡΡΠ΅Π±ΡΠ΅ΡΡΡ Ρ ΠΈΡΡΡΠ³ΠΈΡΠ΅ΡΠΊΠ°Ρ ΠΎΠΏΠ΅ΡΠ°ΡΠΈΡ ΠΏΠΎ Π²ΠΏΡΠ°Π²Π»Π΅Π½ΠΈΡ. ΠΠΎΠ»Π΅Π΅ ΠΏΠΎΠ΄ΡΠΎΠ±Π½Π°Ρ ΠΈΠ½ΡΠΎΡΠΌΠ°ΡΠΈΡ ΠΎ Π²ΡΠ²ΠΈΡ Π΅ ΡΠ΅Π»ΡΡΡΠΈ ΠΏΡΠ΅Π΄ΠΎΡΡΠ°Π²Π»Π΅Π½Π° Π² Π½Π°ΡΠ΅ΠΉ ΡΡΠ°ΡΡΠ΅ Β«Π‘ΠΈΠΌΠΏΡΠΎΠΌΡ Π²ΡΠ²ΠΈΡ Π° Π½ΠΈΠΆΠ½Π΅ΠΉ ΡΠ΅Π»ΡΡΡΠΈ. ΠΠ°ΠΊ Π΅Π΅ Π²ΠΏΡΠ°Π²Π»ΡΡΡ?Β»
ΠΠ΅ΡΠ΅Π½ΠΈΠ΅ ΡΠ»ΠΎΠΌΠ°Π½Π½ΠΎΠΉ ΡΠ΅Π»ΡΡΡΠΈ
ΠΠ°ΡΠΈΠ°Π½ΡΡ Π»Π΅ΡΠ΅Π½ΠΈΡ Π²Π°ΡΡΠΈΡΡΡΡΡΡ Π² Π·Π°Π²ΠΈΡΠΈΠΌΠΎΡΡΠΈ ΠΎΡ ΡΡΠ΅ΠΏΠ΅Π½ΠΈ ΡΡΠΆΠ΅ΡΡΠΈ ΠΏΠΎΠ²ΡΠ΅ΠΆΠ΄Π΅Π½ΠΈΡ. ΠΡΠΎΡΡΡΠ΅ ΠΏΠ΅ΡΠ΅Π»ΠΎΠΌΡ Π½Π΅ ΡΡΠ΅Π±ΡΡΡ ΠΎΠΏΠ΅ΡΠ°ΡΠΈΠΈ ΠΈ ΠΏΠΎΠ΄Π»Π΅ΠΆΠ°Ρ ΡΡΠ°Π½Π΄Π°ΡΡΠ½ΠΎΠΌΡ Π»Π΅ΡΠ΅Π½ΠΈΡ ΠΏΠΎΡΡΠ΅Π΄ΡΡΠ²ΠΎΠΌ Π½Π°ΠΊΠ»Π°Π΄ΡΠ²Π°Π½ΠΈΡ ΡΠΈΠ½Ρ Π½Π° ΠΌΠΈΠ½ΠΈΠΌΠ°Π»ΡΠ½ΡΠΉ ΡΡΠΎΠΊ ΡΡΠ°ΡΠ΅Π½ΠΈΡ ΠΊΠΎΡΡΠ΅ΠΉ. ΠΠ½ΠΎΠΆΠ΅ΡΡΠ²Π΅Π½Π½ΡΠ΅ ΠΏΠ΅ΡΠ΅Π»ΠΎΠΌΡ ΡΠ΅Π»ΡΡΡΠ½ΠΎΠΉ ΠΊΠΎΡΡΠΈ ΠΈ ΡΠΌΠ΅ΡΠ΅Π½Π½ΡΠ΅ ΡΠ°Π·ΡΡΠ²Ρ ΠΎΡΠ΄Π΅Π»ΡΠ½ΡΡ ΡΠ΅Π³ΠΌΠ΅Π½ΡΠΎΠ² Π½ΡΠΆΠ΄Π°ΡΡΡΡ Π² ΡΠΊΠΎΡΠ΅ΠΉΡΠ΅ΠΌ Ρ ΠΈΡΡΡΠ³ΠΈΡΠ΅ΡΠΊΠΎΠΌ Π²ΠΌΠ΅ΡΠ°ΡΠ΅Π»ΡΡΡΠ²Π΅.
ΠΠ°ΠΊΡΡΡΡΠΉ ΠΏΠ΅ΡΠ΅Π»ΠΎΠΌ
ΠΡΠΈ Π·Π°ΠΊΡΡΡΠΎΠΌ ΠΏΠ΅ΡΠ΅Π»ΠΎΠΌΠ΅ ΡΠ°ΡΡΠΎ Π½Π°Π±Π»ΡΠ΄Π°ΡΡΡΡ ΠΏΠ»ΠΎΡΠ½ΠΎ Π·Π°ΠΆΠ°ΡΡΠ΅ ΡΠ΅Π»ΡΡΡΠΈ. Π ΡΡΠΎΠΌ ΡΠ»ΡΡΠ°Π΅ ΡΠ΅Π»ΡΡΡΡ ΡΠ»Π΅Π΄ΡΠ΅Ρ Π·Π°ΡΠΈΠΊΡΠΈΡΠΎΠ²Π°ΡΡ ΡΠΏΠ΅ΡΠΈΠ°Π»ΡΠ½ΠΎΠΉ ΠΏΠΎΠ²ΡΠ·ΠΊΠΎΠΉ, ΡΡΠΎΠ±Ρ Π½Π΅ ΡΡΠ°Π²ΠΌΠΈΡΠΎΠ²Π°ΡΡ Π·ΡΠ±Ρ ΠΈ ΡΠΊΡΠ»Ρ. ΠΠ»Ρ ΡΠΌΠ΅Π½ΡΡΠ΅Π½ΠΈΡ Π±ΠΎΠ»ΠΈ ΠΌΠΎΠΆΠ½ΠΎ ΠΈΡΠΏΠΎΠ»ΡΠ·ΠΎΠ²Π°ΡΡ ΡΠ°ΠΊΠΈΠ΅ ΠΏΡΠΎΡΠΈΠ²ΠΎΠ²ΠΎΡΠΏΠ°Π»ΠΈΡΠ΅Π»ΡΠ½ΡΠ΅ ΠΏΡΠ΅ΠΏΠ°ΡΠ°ΡΡ, ΠΊΠ°ΠΊ ΠΠ±ΡΠΏΡΠΎΡΠ΅Π½ ΠΈΠ»ΠΈ ΠΡΡΠΎΡΠ΅Π½.
ΠΠ°ΠΆΠ½ΠΎ! ΠΡΠ°ΡΠΈ Π½Π΅ ΡΠ΅ΠΊΠΎΠΌΠ΅Π½Π΄ΡΡΡ Π»Π΅ΡΠ΅Π½ΠΈΠ΅ ΠΏΠ΅ΡΠ΅Π»ΠΎΠΌΠ° ΡΠ΅Π»ΡΡΡΠΈ Π² Π΄ΠΎΠΌΠ°ΡΠ½ΠΈΡ ΡΡΠ»ΠΎΠ²ΠΈΡΡ , ΡΠ°ΠΊ ΠΊΠ°ΠΊ ΡΡΠΎ ΡΡΠ΅Π²Π°ΡΠΎ ΠΏΠΎΡΠ»Π΅Π΄ΡΡΠ²ΠΈΡΠΌΠΈ Π² Π²ΠΈΠ΄Π΅ Π½Π΅ΠΏΡΠ°Π²ΠΈΠ»ΡΠ½ΠΎΠ³ΠΎ ΡΡΠ°ΡΡΠ°Π½ΠΈΡ ΠΊΠΎΡΡΠ΅ΠΉ ΠΈ ΠΈΡΠΊΡΠΈΠ²Π»Π΅Π½ΠΈΡ ΠΏΡΠΈΠΊΡΡΠ°.
Π Π΅Π°Π±ΠΈΠ»ΠΈΡΠ°ΡΠΈΡ
ΠΠΎΡΠ»Π΅ Π²ΠΎΡΡΡΠ°Π½ΠΎΠ²Π»Π΅Π½ΠΈΡ ΡΠ΅Π»ΡΡΡΠ½ΠΎ-Π»ΠΈΡΠ΅Π²ΡΠ΅ ΠΊΠΎΡΡΠΈ Π½Π° Π½Π΅ΠΊΠΎΡΠΎΡΠΎΠ΅ Π²ΡΠ΅ΠΌΡ ΠΎΡΡΠ°ΡΡΡΡ Ρ ΡΡΠΏΠΊΠΈΠΌΠΈ ΠΈ ΡΡΠ·Π²ΠΈΠΌΡΠΌΠΈ. ΠΡΠΎ ΡΠΎΡΡΠΎΡΠ½ΠΈΠ΅ Π½Π°Π·ΡΠ²Π°Π΅ΡΡΡ ΡΠ°ΡΡΡΡΠΎΠΉΡΡΠ²ΠΎΠΌ Π²ΠΈΡΠΎΡΠ½ΠΎ-Π½ΠΈΠΆΠ½Π΅ΡΠ΅Π»ΡΡΡΠ½ΠΎΠ³ΠΎ ΡΡΡΡΠ°Π²Π°. ΠΡΠ΄ΠΈ, ΠΎΠ΄Π½Π°ΠΆΠ΄Ρ ΠΏΠΎΠ²ΡΠ΅Π΄ΠΈΠ²ΡΠΈΠ΅ ΡΠ΅Π»ΡΡΡΡ, ΠΈΠΌΠ΅ΡΡ ΠΏΠΎΠ²ΡΡΠ΅Π½Π½ΡΠΉ ΡΠΈΡΠΊ ΠΏΠΎΠ²ΡΠΎΡΠ½ΠΎΠ³ΠΎ ΡΡΠ°Π²ΠΌΠΈΡΠΎΠ²Π°Π½ΠΈΡ.
ΠΠ±ΡΠ°ΡΠΈΡΠ΅ Π²Π½ΠΈΠΌΠ°Π½ΠΈΠ΅. ΠΠΎΡΠ»Π΅ ΡΠ½ΡΡΠΈΡ ΡΠΈΠ½Ρ Π½Π΅ Π·Π»ΠΎΡΠΏΠΎΡΡΠ΅Π±Π»ΡΠΉΡΠ΅ ΡΠ²ΡΡΠ΄ΡΠΌΠΈ ΠΈ ΠΆΡΡΡΠΊΠΈΠΌΠΈ ΠΏΡΠΎΠ΄ΡΠΊΡΠ°ΠΌΠΈ Π²ΠΎ ΠΈΠ·Π±Π΅ΠΆΠ°Π½ΠΈΠ΅ ΡΠΌΠ΅ΡΠ΅Π½ΠΈΡ ΡΡΠ·Π²ΠΈΠΌΡΡ ΡΠ΅Π³ΠΌΠ΅Π½ΡΠΎΠ².
Π‘ΠΊΠΎΠ»ΡΠΊΠΎ Π·Π°ΠΆΠΈΠ²Π°Π΅Ρ?
ΠΡΠΈ Π½Π°Π΄Π»Π΅ΠΆΠ°ΡΠ΅ΠΌ Π»Π΅ΡΠ΅Π½ΠΈΠΈ ΡΠ΅Π°Π±ΠΈΠ»ΠΈΡΠ°ΡΠΈΡ ΠΏΡΠΎΡ
ΠΎΠ΄ΠΈΡ Π±Π΅Π· ΠΎΡΠ»ΠΎΠΆΠ½Π΅Π½ΠΈΠΉ. Π§ΡΠΎΠ±Ρ ΠΏΠΎΠ½ΡΡΡ, ΡΠΊΠΎΠ»ΡΠΊΠΎ Π²ΡΠ΅ΠΌΠ΅Π½ΠΈ Π±ΡΠ΄Π΅Ρ Π·Π°ΠΆΠΈΠ²Π°ΡΡ ΡΡΠ°Π²ΠΌΠ° ΠΈ ΠΊΠ°ΠΊ Π΄ΠΎΠ»Π³ΠΎ ΠΏΡΠΈΠ΄ΡΡΡΡ Π½ΠΎΡΠΈΡΡ ΡΠΈΠ½Ρ, Π½Π΅ΠΎΠ±Ρ
ΠΎΠ΄ΠΈΠΌΠΎ ΠΎΡΡΠ°Π»ΠΊΠΈΠ²Π°ΡΡΡΡ ΠΎΡ ΡΡΠ΅ΠΏΠ΅Π½ΠΈ ΡΡΠΆΠ΅ΡΡΠΈ. Π§Π΅ΠΌ ΡΠ΅ΡΡΡΠ·Π½Π΅Π΅ ΠΏΠΎΠ²ΡΠ΅ΠΆΠ΄Π΅Π½ΠΈΠ΅, ΡΠ΅ΠΌ Π΄ΠΎΠ»ΡΡΠ΅ Π΄Π»ΠΈΡΡΡ ΠΏΠ΅ΡΠΈΠΎΠ΄ Π²ΠΎΡΡΡΠ°Π½ΠΎΠ²Π»Π΅Π½ΠΈΡ. ΠΡΠ²ΠΈΡ
ΠΈ ΠΈ ΡΠΌΠ΅ΡΠ΅Π½ΠΈΡ Π·Π°ΠΆΠΈΠ²Π°ΡΡ Π² ΡΠ΅ΡΠ΅Π½ΠΈΠ΅ 4-8 Π½Π΅Π΄Π΅Π»Ρ Ρ ΠΌΠΎΠΌΠ΅Π½ΡΠ° ΠΏΠΎΠ»ΡΡΠ΅Π½ΠΈΡ ΡΡΠ°Π²ΠΌΡ. ΠΠΎΡΠ»Π΅ Ρ
ΠΈΡΡΡΠ³ΠΈΡΠ΅ΡΠΊΠΎΠ³ΠΎ Π²ΠΌΠ΅ΡΠ°ΡΠ΅Π»ΡΡΡΠ²Π° Ρ
ΠΎΠ΄ΠΈΡΡ Ρ Π½Π°Π»ΠΎΠΆΠ΅Π½Π½ΠΎΠΉ ΡΠΈΠ½ΠΎΠΉ ΡΠ΅ΠΊΠΎΠΌΠ΅Π½Π΄ΡΠ΅ΡΡΡ Π½Π΅ ΠΌΠ΅Π½Π΅Π΅ 2 ΠΌΠ΅ΡΡΡΠ΅Π².
ΠΠ½Π΄ΠΈΠ²ΠΈΠ΄ΡΠ°Π»ΡΠ½ΠΎΠ΅ ΡΠΈΠ½ΠΈΡΠΎΠ²Π°Π½ΠΈΠ΅
ΠΡΠΈ ΠΏΠ΅ΡΠ΅Π»ΠΎΠΌΠ΅ Π½ΠΈΠΆΠ½Π΅ΠΉ ΡΠ΅Π»ΡΡΡΠΈ ΠΎΡΡΡΠ΅ΡΡΠ²Π»ΡΠ΅ΡΡΡ ΡΠ°Π·ΠΌΠ΅ΡΠ΅Π½ΠΈΡ ΡΠΈΠ½, ΠΏΡΠΈΠΊΡΠ΅ΠΏΠ»Π΅Π½Π½ΡΡ ΠΊ Π·ΡΠ±Π°ΠΌ Π½Π° Π²Π΅ΡΡ Π½Π΅ΠΉ ΠΈ Π½ΠΈΠΆΠ½Π΅ΠΉ ΡΠ΅Π»ΡΡΡΡΡ . Π‘ΡΡΠ΅ΡΡΠ²ΡΠ΅Ρ ΠΌΠ½ΠΎΠΆΠ΅ΡΡΠ²ΠΎ Π°Π»ΡΡΠ΅ΡΠ½Π°ΡΠΈΠ² Π΄Π»Ρ ΡΠΈΠΊΡΠ°ΡΠΈΠΈ Π² Π·Π°Π²ΠΈΡΠΈΠΌΠΎΡΡΠΈ ΠΎΡ ΠΊΠ»Π°ΡΡΠΈΡΠΈΠΊΠ°ΡΠΈΠΈ ΠΈ ΠΎΠ±Π»Π°ΡΡΠΈ ΡΡΠ°Π²ΠΌΡ, Π²ΠΊΠ»ΡΡΠ°Ρ Π°ΡΠΌΠ°ΡΡΡΠ½ΡΠ΅ ΡΡΠ΅ΡΠΆΠ½ΠΈ Ρ ΠΏΠΎΠ»ΠΈΠΌΠ΅ΡΠ½ΡΠΌΠΈ ΡΠ²ΡΠ·ΡΠΌΠΈ ΠΈ ΠΎΡΡΠΎΠ΄ΠΎΠ½ΡΠΈΡΠ΅ΡΠΊΠΈΠ΅ Π»Π΅Π½ΡΡ ΠΈ Π²ΠΈΠ½ΡΡ, Π²ΠΊΡΡΡΠΈΠ²Π°ΡΡΠΈΠ΅ΡΡ Π² Π±Π°Π·Π°Π»ΡΠ½ΡΡ ΠΊΠΎΡΡΡ. Π ΠΎΡΠ»ΠΎΠΆΠ½ΡΠ½Π½ΡΡ ΡΠ»ΡΡΠ°ΡΡ ΠΈΡΠΏΠΎΠ»ΡΠ·ΡΠ΅ΡΡΡ ΡΡΠ½ΡΠΈΡΠΎΠ²Π°Π½ΠΈΠ΅ ΡΡΠ°Π³ΠΌΠ΅Π½ΡΠΎΠ² ΠΊΠΎΡΡΠΈ, ΡΡΠΎΠ±Ρ ΡΠ½ΠΈΠ·ΠΈΡΡ Π½Π°Π³ΡΡΠ·ΠΊΡ Π½Π° ΡΡΠ°Π²ΠΌΠΈΡΠΎΠ²Π°Π½Π½ΡΠΉ ΡΡΠ°ΡΡΠΎΠΊ.
Π£Π³Π»ΠΎΠ²ΡΠ΅ ΠΏΠ΅ΡΠ΅Π»ΠΎΠΌΡ ΡΠΎ ΡΠΌΠ΅ΡΠ΅Π½ΠΈΠ΅ΠΌ ΠΏΠΎΠ΄Π²Π΅ΡΠΆΠ΅Π½Ρ Π±ΠΎΠ»Π΅Π΅ Π΄Π΅ΡΠ°Π»ΡΠ½ΠΎΠΌΡ ΡΠΈΠ½ΠΈΡΠΎΠ²Π°Π½ΠΈΡ. ΠΡΠΈ Π½Π°Π»ΠΈΡΠΈΠΈ ΡΠ°ΠΊΠΈΡ ΡΠΈΠΌΠΏΡΠΎΠΌΠΎΠ², ΠΊΠ°ΠΊ ΡΠ°Π·Π΄ΡΠΎΠ±Π»Π΅Π½ΠΈΠ΅ Π·ΡΠ±ΠΎΠ², ΡΠΈΠΊΡΠ°ΡΠΎΡΡ Π²Π²ΠΈΠ½ΡΠΈΠ²Π°ΡΡΡΡ Π² ΡΠΊΡΠ»Ρ ΠΈ Π΄ΡΡΠ½Ρ, ΡΠ΅ΠΌ ΡΠ°ΠΌΡΠΌ Π²ΠΎΠ·Π²ΡΠ°ΡΠ°Ρ ΡΠ΅Π»ΡΡΡΠΈ ΠΈ ΠΏΡΠΈΠΊΡΡ Π² Π΅ΡΡΠ΅ΡΡΠ²Π΅Π½Π½ΠΎΠ΅ ΠΏΠΎΠ»ΠΎΠΆΠ΅Π½ΠΈΠ΅.
Π€ΠΈΠΊΡΠ°ΡΠΈΡ ΠΎΡΠΊΡΡΡΡΡ ΠΏΠ΅ΡΠ΅Π»ΠΎΠΌΠΎΠ² ΡΠ΅Π»ΡΡΡΠΈ Ρ Π°ΡΠ°ΠΊΡΠ΅ΡΠΈΠ·ΡΠ΅ΡΡΡ ΡΠΈΠ½ΠΈΡΠΎΠ²Π°Π½ΠΈΠ΅ΠΌ ΠΏΠΎΠ²ΡΠ΅ΠΆΠ΄ΡΠ½Π½ΡΡ ΡΡΠ°ΡΡΠΊΠΎΠ² ΠΏΡΠΈ ΠΏΠΎΠΌΠΎΡΠΈ Π²ΠΈΠ½ΡΠΎΠ², ΡΠΏΠΈΡ ΠΈ ΠΏΠ»Π°ΡΡΠΈΠ½, ΡΠΎΠ΅Π΄ΠΈΠ½ΡΠ½Π½ΡΡ ΠΌΠ΅Π΄ΠΈΡΠΈΠ½ΡΠΊΠΎΠΉ ΠΏΡΠΎΠ²ΠΎΠ»ΠΎΠΊΠΎΠΉ. Π‘ΡΡΠ΅ΡΡΠ²ΡΠ΅Ρ Π½Π΅ΡΠΊΠΎΠ»ΡΠΊΠΎ Π²ΠΈΠ΄ΠΎΠ² ΠΏΠ»Π°ΡΡΠΈΠ½ ΠΈ Π²ΠΈΠ½ΡΠΎΠ², Π²ΠΊΠ»ΡΡΠ°Ρ ΠΊΠΎΠΌΠΏΡΠ΅ΡΡΠΈΠΎΠ½Π½ΡΠ΅ Π±ΠΈΠΎΡΠ°Π·Π»Π°Π³Π°Π΅ΠΌΡΠ΅ ΠΏΠ»Π°ΡΡΠΈΠ½Ρ ΠΈ ΡΠ΅Π·ΠΈΠ½ΠΊΠΈ. ΠΠ΅ ΠΏΡΡΠ°ΠΉΡΠ΅ΡΡ ΡΠ°ΠΌΠΎΡΡΠΎΡΡΠ΅Π»ΡΠ½ΠΎ ΡΠ΄Π°Π»ΠΈΡΡ ΡΠΈΠΊΡΠ°ΡΠΎΡΡ, ΡΠ½ΠΈΠΌΠ°ΡΡ ΠΈΡ Π΄ΠΎΠ»ΠΆΠ΅Π½ ΡΠΎΠ»ΡΠΊΠΎ Π»Π΅ΡΠ°ΡΠΈΠΉ Π²ΡΠ°Ρ. ΠΠΎΡΠΎΠ²Π΅ΡΡΠΉΡΠ΅ΡΡ Ρ Π΄ΠΎΠΊΡΠΎΡΠΎΠΌ Π½Π°ΡΡΡΡ ΡΠΎΠ³ΠΎ, ΠΊΠΎΠ³Π΄Π° ΠΌΠΎΠΆΠ½ΠΎ ΠΈΠ·Π±Π°Π²ΠΈΡΡΡΡ ΠΎΡ ΡΠ΅Π·ΠΈΠ½ΠΎΠΊ, ΠΎΠ±ΡΡΠ½ΠΎ ΡΡΠΎΠΊ ΠΈΡ Π½ΠΎΡΠ΅Π½ΠΈΡ Π½Π΅ ΠΏΡΠ΅Π²ΡΡΠ°Π΅Ρ 10 Π΄Π½Π΅ΠΉ.
ΠΠΈΡΠ°Π½ΠΈΠ΅ ΠΈ Π΄ΠΈΠ΅ΡΠ°
ΠΠ° ΠΏΡΠΎΡΡΠΆΠ΅Π½ΠΈΠΈ Π²ΡΠ΅Π³ΠΎ ΠΏΠ΅ΡΠΈΠΎΠ΄Π° Π²ΠΎΡΡΡΠ°Π½ΠΎΠ²Π»Π΅Π½ΠΈΡ ΡΠ΅ΠΊΠΎΠΌΠ΅Π½Π΄ΡΠ΅ΡΡΡ ΠΏΡΠΈΠ½ΠΈΠΌΠ°ΡΡ ΡΠΎΠ»ΡΠΊΠΎ ΠΌΡΠ³ΠΊΡΡ ΠΏΠΈΡΡ, Π½Π΅ ΡΡΠ΅Π±ΡΡΡΡΡ ΡΡΠ°ΡΠ΅Π»ΡΠ½ΠΎΠ³ΠΎ ΠΏΠ΅ΡΠ΅ΠΆΡΠ²ΡΠ²Π°Π½ΠΈΡ. ΠΠ·Π±Π΅Π³Π°ΠΉΡΠ΅ ΡΠ²ΡΡΠ΄ΡΡ ΠΈ Π²ΡΠ·ΠΊΠΈΡ ΠΏΡΠΎΠ΄ΡΠΊΡΠΎΠ². Π’Π°ΠΊΠ°Ρ ΠΏΠΈΡΠ°, ΠΊΠ°ΠΊ ΠΌΡΡΠΎ, ΡΡΡΡ ΠΈΠ»ΠΈ ΡΡΡ Π°ΡΠΈΠΊΠΈ ΠΌΠΎΠ³ΡΡ Π²ΡΠ·Π²Π°ΡΡ ΠΈΠ·Π»ΠΈΡΠ½Π΅Π΅ Π½Π°ΠΏΡΡΠΆΠ΅Π½ΠΈΠ΅ ΠΈ Π±ΠΎΠ»Ρ.
ΠΡΠΈΠ΄Π΅ΡΠΆΠΈΠ²Π°ΠΉΡΠ΅ΡΡ ΠΎΠΏΡΠ΅Π΄Π΅Π»ΡΠ½Π½ΠΎΠΉ Π΄ΠΈΠ΅ΡΡ, Π²ΠΊΠ»ΡΡΠ°ΡΡΠ΅ΠΉ Π² ΡΠ΅Π±Ρ:
- ΠΊΠΎΠ½ΡΠ΅ΡΠ²ΠΈΡΠΎΠ²Π°Π½Π½ΡΠ΅ ΠΌΡΡΠΎ ΠΈ ΡΡΠ±Ρ;
- ΠΌΠ°ΠΊΠ°ΡΠΎΠ½Ρ;
- ΡΠΈΡ;
- ΡΡΠΏΡ;
- ΠΊΠΎΠ½ΡΠ΅ΡΠ²ΠΈΡΠΎΠ²Π°Π½Π½ΡΠ΅ ΡΡΡΠΊΡΡ.
ΠΠ°ΠΊΡΡΡΡΠΉ ΠΏΠ΅ΡΠ΅Π»ΠΎΠΌ ΡΠΎ ΡΠΆΠ°ΡΠΎΠΉ ΡΠ΅Π»ΡΡΡΡΡ ΡΡΠ΅Π±ΡΠ΅Ρ Π±ΠΎΠ»Π΅Π΅ ΡΡΠ°ΡΠ΅Π»ΡΠ½ΠΎΠ³ΠΎ ΠΏΠΎΠ΄Ρ ΠΎΠ΄Π° ΠΊ Π²ΡΠ±ΠΎΡΡ ΠΏΠΈΡΠΈ. Π ΡΡΠΎΠΌ ΡΠ»ΡΡΠ°Π΅ ΠΏΠΎΠ΄ΠΎΠΉΠ΄ΡΡ ΡΠΌΠ΅ΡΠΈ, Π±ΠΎΠ³Π°ΡΡΠ΅ ΠΌΠΈΠ½Π΅ΡΠ°Π»Π°ΠΌΠΈ ΠΈ Π²ΠΈΡΠ°ΠΌΠΈΠ½Π°ΠΌΠΈ. ΠΠ΄Π΅Π°Π»ΡΠ½ΡΠΉ Π²Π°ΡΠΈΠ°Π½Ρ β Π΄Π΅ΡΡΠΊΠΎΠ΅ ΠΏΠΈΡΠ°Π½ΠΈΠ΅. ΠΠ»Ρ ΠΏΡΠΈΠ½ΡΡΠΈΡ ΠΏΠΈΡΠΈ ΠΈΡΠΏΠΎΠ»ΡΠ·ΡΠ΅ΡΡΡ ΡΠΏΠ΅ΡΠΈΠ°Π»ΡΠ½Π°Ρ ΡΠΎΠ»ΠΎΠΌΠΈΠ½ΠΊΠ°. ΠΠΎΠ»ΡΡΠ΅Π½ΠΈΠ΅ Π΄ΠΎΡΡΠ°ΡΠΎΡΠ½ΠΎΠ³ΠΎ ΠΊΠΎΠ»ΠΈΡΠ΅ΡΡΠ²Π° ΠΊΠ°Π»ΠΎΡΠΈΠΉ Π±ΠΎΠ»ΡΡΠ°Ρ ΠΏΡΠΎΠ±Π»Π΅ΠΌΠ° Π΄Π»Ρ Π½Π΅ΠΊΠΎΡΠΎΡΡΡ Π»ΡΠ΄Π΅ΠΉ Ρ ΠΏΠΎΠ΄ΠΎΠ±Π½ΡΠΌΠΈ ΡΡΠ°Π²ΠΌΠ°ΠΌΠΈ. ΠΡΠΎΠ΄ΡΠΊΡΡ Π½Π° ΠΎΡΠ½ΠΎΠ²Π΅ ΠΌΠΎΠ»ΠΎΠΊΠ° ΠΈΠ»ΠΈ ΡΠ»ΠΈΠ²ΠΎΠΊ ΠΏΠΎΠΌΠΎΠ³ΡΡ ΠΈΡΠΏΡΠ°Π²ΠΈΡΡ ΡΡΡ ΡΠΈΡΡΠ°ΡΠΈΡ. Π€ΡΡΠΊΡΡ, ΠΎΠ²ΠΎΡΠΈ ΠΈ Ρ ΠΎΡΠΎΡΠΎ ΠΏΡΠΈΠ³ΠΎΡΠΎΠ²Π»Π΅Π½Π½ΠΎΠ΅ ΠΌΡΡΠΎ Π²ΠΎΡΠΏΠΎΠ»Π½ΡΡ Π΄Π΅ΡΠΈΡΠΈΡ Π±Π΅Π»ΠΊΠ° ΠΈ Π΄ΡΡΠ³ΠΈΡ ΠΏΠΈΡΠ°ΡΠ΅Π»ΡΠ½ΡΡ Π²Π΅ΡΠ΅ΡΡΠ², Π½Π΅ΠΎΠ±Ρ ΠΎΠ΄ΠΈΠΌΡΡ Π΄Π»Ρ ΠΏΠΎΠ΄Π΄Π΅ΡΠΆΠ°Π½ΠΈΡ Π·Π΄ΠΎΡΠΎΠ²ΡΡ. ΠΠ° Π΄Π»ΠΈΡΠ΅Π»ΡΠ½ΠΎΠ΅ Π²ΡΠ΅ΠΌΡ ΠΏΡΠΈΠ΄ΡΡΡΡ Π·Π°Π±ΡΡΡ ΠΎ ΡΠΈΠΏΡΠ°Ρ ΠΈ ΠΆΠ°ΡΠ΅Π½ΡΡ Π±Π»ΡΠ΄Π°Ρ .
ΠΠΎ ΠΌΠΎΠΌΠ΅Π½ΡΠ° Π²ΡΠ·Π΄ΠΎΡΠΎΠ²Π»Π΅Π½ΠΈΡ ΠΏΡΠΈΡΠΌ ΠΏΠΈΡΠΈ Π΄ΠΎΠ»ΠΆΠ΅Π½ ΠΎΡΡΡΠ΅ΡΡΠ²Π»ΡΡΡΡΡ Π½Π΅ ΠΌΠ΅Π½Π΅Π΅ ΡΠ΅ΡΡΡΡΡ ΡΠ°Π· Π² Π΄Π΅Π½Ρ Π΄Π»Ρ Π±ΠΎΠ»ΡΡΠΈΡ ΠΏΠΎΡΡΠΈΠΉ ΠΈΠ»ΠΈ Π²ΠΎΡΠ΅ΠΌΡ Π΄Π»Ρ ΠΌΠ°Π»Π΅Π½ΡΠΊΠΈΡ . Π£ΠΏΠΎΡΡΠ΅Π±Π»Π΅Π½ΠΈΠ΅ ΠΌΠ°Π»Π΅Π½ΡΠΊΠΈΡ ΠΏΠΎΡΡΠΈΠΉ ΠΏΠΈΡΠΈ Π² ΡΠ΅ΡΠ΅Π½ΠΈΠ΅ Π΄Π½Ρ ΠΏΠΎΠ·Π²ΠΎΠ»ΠΈΡ ΠΏΠΎΠ»ΡΡΠΈΡΡ Π½Π΅ΠΎΠ±Ρ ΠΎΠ΄ΠΈΠΌΠΎΠ΅ ΠΊΠΎΠ»ΠΈΡΠ΅ΡΡΠ²ΠΎ ΠΊΠ°Π»ΠΎΡΠΈΠΉ. Π ΡΠΎΠΌΡ ΠΆΠ΅ ΡΡΠΎ ΡΠ°Π·Π½ΠΎΠΎΠ±ΡΠ°Π·ΠΈΡ ΠΏΠΈΡΡ ΠΈ Π½Π΅ ΠΏΠΎΠ·Π²ΠΎΠ»ΠΈΡ ΠΏΠΎΡΠ΅ΡΡΡΡ Π²Π΅Ρ Π² ΠΏΠ΅ΡΠΈΠΎΠ΄ ΡΠ΅Π°Π±ΠΈΠ»ΠΈΡΠ°ΡΠΈΠΈ.
ΠΠΎΡΠ»Π΅ ΠΊΠ°ΠΆΠ΄ΠΎΠ³ΠΎ ΠΏΡΠΈΡΠΌΠ° ΠΏΠΈΡΠΈ Π²ΡΠΏΠΈΠ²Π°ΠΉΡΠ΅ ΠΏΠΎ ΡΡΠ°ΠΊΠ°Π½Ρ ΡΠ²Π΅ΠΆΠ΅Π³ΠΎ ΡΠΎΠΊΠ° ΠΈΠ»ΠΈ ΠΌΠΎΠ»ΠΎΠΊΠ°. Π‘ΠΎΠΊΡΠ°ΡΠΈΡΠ΅ ΠΏΠΎΡΡΠ΅Π±Π»Π΅Π½ΠΈΠ΅ ΠΊΠΎΡΠ΅, ΡΠ°Ρ ΠΈ Π³Π°Π·ΠΈΡΠΎΠ²Π°Π½Π½ΠΎΠΉ Π²ΠΎΠ΄Ρ. ΠΡΠΈ Π½Π°ΠΏΠΈΡΠΊΠΈ Π½Π΅ ΡΠΎΠ΄Π΅ΡΠΆΠ°Ρ ΠΊΠ°Π»ΠΎΡΠΈΠΉ. ΠΠ½ΠΈ Π½Π΅ ΠΏΠΎΠΌΠΎΠ³ΡΡ ΠΏΠΎΠ΄Π΄Π΅ΡΠΆΠΈΠ²Π°ΡΡ Π²Π΅Ρ, ΠΏΠΎΠΊΠ° Π²Ρ Π½Π°Ρ ΠΎΠ΄ΠΈΡΠ΅ΡΡ Π½Π° ΡΡΡΠΎΠ³ΠΎΠΉ Π΄ΠΈΠ΅ΡΠ΅. Π‘ΡΠ°ΡΠ°ΠΉΡΠ΅ΡΡ Π΅ΡΡΡ ΡΡΠΏΠ»ΡΠ΅ (Π½ΠΎ Π½Π΅ Π³ΠΎΡΡΡΠΈΠ΅) ΠΏΡΠΎΠ΄ΡΠΊΡΡ ΠΈ Π±Π»ΡΠ΄Π°. ΠΠΎΡΠ»Π΅ ΡΡΠ°Π²ΠΌΡ Π·ΡΠ±Ρ Π±ΠΎΠ»Π΅Π΅ ΡΡΠ²ΡΡΠ²ΠΈΡΠ΅Π»ΡΠ½Ρ, ΡΠ΅ΠΌ ΠΎΠ±ΡΡΠ½ΠΎ, ΠΈ ΡΠΊΡΡΡΠ΅ΠΌΠ°Π»ΡΠ½ΡΠ΅ ΠΏΠ΅ΡΠ΅ΠΏΠ°Π΄Ρ ΡΠ΅ΠΌΠΏΠ΅ΡΠ°ΡΡΡΡ ΠΌΠΎΠ³ΡΡ ΡΠ΅ΡΡΡΠ·Π½ΠΎ Π½Π°Π²ΡΠ΅Π΄ΠΈΡΡ ΠΈΠΌ.
Π‘ΠΎΠ²Π΅Ρ. ΠΡΠ»ΠΈ ΠΏΡΠΎΠ΄ΡΠΊΡΡ ΡΠ»ΠΈΡΠΊΠΎΠΌ ΡΠ²ΡΡΠ΄ΡΠ΅, ΡΠ°Π·Π±Π°Π²Π»ΡΠΉΡΠ΅ ΠΈΡ
Π²ΠΎΠ΄ΠΎΠΉ ΠΈΠ»ΠΈ ΠΌΠΎΠ»ΠΎΠΊΠΎΠΌ, ΡΡΠΎΠ±Ρ ΠΎΠ½ΠΈ ΡΡΠ°Π»ΠΈ ΠΌΡΠ³ΡΠ΅ ΠΈ ΠΈΡ
ΠΌΠΎΠΆΠ½ΠΎ Π±ΡΠ»ΠΎ ΡΠΏΠΎΡΡΠ΅Π±Π»ΡΡΡ ΠΏΡΠΈ ΠΏΠΎΠΌΠΎΡΠΈ ΡΠΎΠ»ΠΎΠΌΠΈΠ½ΠΊΠΈ.
ΠΠ°ΠΊΠ»ΡΡΠ΅Π½ΠΈΠ΅
ΠΠ΅ΡΠ΅Π»ΠΎΠΌ ΡΠ΅Π»ΡΡΡΠΈ β ΠΎΠ΄Π½Π° ΠΈΠ· ΡΠ°ΠΌΡΡ Π½Π΅ΠΏΡΠΈΡΡΠ½ΡΡ ΠΈ Π±ΠΎΠ»Π΅Π·Π½Π΅Π½Π½ΡΡ ΡΡΠ°Π²ΠΌ, ΡΡΠ΅Π±ΡΡΡΠ°Ρ ΠΎΡΠΌΠΎΡΡΠ° ΠΏΡΠΎΡΠ΅ΡΡΠΈΠΎΠ½Π°Π»ΠΎΠΌ ΠΈ Π½Π°Π·Π½Π°ΡΠ΅Π½ΠΈΡ ΠΏΡΠ°Π²ΠΈΠ»ΡΠ½ΠΎΠ³ΠΎ Π»Π΅ΡΠ΅Π½ΠΈΡ. ΠΠ΅ΠΌΠ°Π»ΡΡ ΡΠΎΠ»Ρ ΠΈΠ³ΡΠ°Π΅Ρ ΠΏΠ΅ΡΠΈΠΎΠ΄ ΡΠ΅Π°Π±ΠΈΠ»ΠΈΡΠ°ΡΠΈΠΈ, ΠΊΠΎΠ³Π΄Π° ΠΎΡΠ³Π°Π½ΠΈΠ·ΠΌ ΡΠ»Π°Π± ΠΏΠΎΡΠ»Π΅ ΡΡΡΠΎΠ³ΠΎΠΉ Π΄ΠΈΠ΅ΡΡ, Π° ΡΠ΅Π»ΡΡΡΡ ΡΡΠ·Π²ΠΈΠΌΠ° ΠΊ Π²Π½Π΅ΡΠ½ΠΈΠΌ ΡΡΠ°Π²ΠΌΠ°ΠΌ.
ΠΡΠΈ Π½Π΅ΡΠΎΠ±Π»ΡΠ΄Π΅Π½ΠΈΠΈ ΡΠ΅ΠΊΠΎΠΌΠ΅Π½Π΄Π°ΡΠΈΠΉ ΡΠΏΠ΅ΡΠΈΠ°Π»ΠΈΡΡΠ° ΠΈΠ»ΠΈ Π½Π΅Π²Π΅ΡΠ½ΠΎΠΉ Π΄ΠΈΠ°Π³Π½ΠΎΡΡΠΈΠΊΠ΅ Π²ΠΎΠ·ΠΌΠΎΠΆΠ½Ρ ΠΎΡΠ»ΠΎΠΆΠ½Π΅Π½ΠΈΡ Π² Π²ΠΈΠ΄Π΅ Π·Π°ΡΠ΅ΠΌΠ»Π΅Π½ΠΈΡ Π½ΠΈΠΆΠ½Π΅ΡΠ΅Π»ΡΡΡΠ½ΠΎΠ³ΠΎ Π½Π΅ΡΠ²Π°, ΠΈΡΠΊΡΠΈΠ²Π»Π΅Π½ΠΈΡ ΠΏΡΠΈΠΊΡΡΠ° ΠΈ ΠΏΠΎΡΠ΅ΡΠΈ Π·ΡΠ±ΠΎΠ² Π² ΠΏΠΎΠ²ΡΠ΅ΠΆΠ΄ΡΠ½Π½ΠΎΠΉ Π»ΠΈΠ½ΠΈΠΈ. Π§Π΅ΠΌ ΡΠ»ΠΎΠΆΠ½Π΅Π΅ ΡΡΠ°Π²ΠΌΠ°, ΡΠ΅ΠΌ Π²ΡΡΠ΅ ΡΠΈΡΠΊ ΠΏΠΎΡΠ²Π»Π΅Π½ΠΈΡ ΠΎΡΠ»ΠΎΠΆΠ½Π΅Π½ΠΈΠΉ.
ΠΠ΅ΡΠ΅Π»ΠΎΠΌΡ ΡΠΎ ΡΠΌΠ΅ΡΠ΅Π½ΠΈΠ΅ΠΌ ΠΈΠΌΠ΅ΡΡ Π±ΠΎΠ»Π΅Π΅ Π²ΡΡΠΎΠΊΠΈΠ΅ ΡΠΈΡΠΊΠΈ ΡΠ΅ΡΡΡΠ·Π½ΡΡ ΠΏΠΎΡΠ»Π΅Π΄ΡΡΠ²ΠΈΠΉ, ΠΊΠΎΡΠΎΡΡΠ΅, Π² ΡΠ²ΠΎΡ ΠΎΡΠ΅ΡΠ΅Π΄Ρ, Π·Π°Π²ΠΈΡΡΡ ΠΎΡ ΡΡΠ΅ΠΏΠ΅Π½ΠΈ ΡΠΌΠ΅ΡΠ΅Π½ΠΈΡ.
ΠΠΎΠ»Π΅Π΅ ΠΏΠΎΠ΄ΡΠΎΠ±Π½Π°Ρ ΠΈΠ½ΡΠΎΡΠΌΠ°ΡΠΈΡ ΠΏΠΎ ΡΠ΅ΠΌΠ΅:
Π‘ΡΡΠΎΠ΅Π½ΠΈΠ΅ ΠΈ Π°Π½Π°ΡΠΎΠΌΠΈΡ Π½ΠΈΠΆΠ½Π΅ΠΉ ΠΈ Π²Π΅ΡΡ
Π½Π΅ΠΉ ΡΠ΅Π»ΡΡΡΠΈ ΡΠ΅Π»ΠΎΠ²Π΅ΠΊΠ°
Π§ΡΠΎ Π΄Π΅Π»Π°ΡΡ, Π΅ΡΠ»ΠΈ ΠΎΠΏΡΡ
Π»Π° ΠΈ Π±ΠΎΠ»ΠΈΡ Π΄Π΅ΡΠ½Π° Π² ΠΊΠΎΠ½ΡΠ΅ Π½ΠΈΠΆΠ½Π΅ΠΉ ΠΈΠ»ΠΈ Π²Π΅ΡΡ
Π½Π΅ΠΉ ΡΠ΅Π»ΡΡΡΠΈ
ΠΠΎΡΠ΅ΠΌΡ ΡΠ²ΠΎΠ΄ΠΈΡ ΡΠ΅Π»ΡΡΡΡ?
ΠΡΠ΅ ΠΏΡΠΎ ΠΏΡΠΎΡΠ΅Π΄ΡΡΡ ΡΠ΄Π°Π»Π΅Π½ΠΈΡ Π·ΡΠ±Π° ΠΌΡΠ΄ΡΠΎΡΡΠΈ
Π‘ΠΊΠΎΠ»ΡΠΊΠΎ Π·Π°ΠΆΠΈΠ²Π°Π΅Ρ ΠΏΠ΅ΡΠ΅Π»ΠΎΠΌ ΡΠ΅Π»ΡΡΡΠΈ? Π‘ΠΈΠΌΠΏΡΠΎΠΌΡ ΠΈ Π»Π΅ΡΠ΅Π½ΠΈΠ΅ ΡΠ»ΠΎΠΌΠ°Π½Π½ΠΎΠΉ Π½ΠΈΠΆΠ½Π΅ΠΉ ΡΠ΅Π»ΡΡΡΠΈ
ΠΡΠ΅Π½ΠΊΠ°:5, Π²ΡΠ΅Π³ΠΎ Π³ΠΎΠ»ΠΎΡΠΎΠ²: 19ΠΠΊΠΎΠ½ΡΠ°ΠΊΡΠ΅
Google+
LiveJournal
ΠΠ΄Π½ΠΎΠΊΠ»Π°ΡΡΠ½ΠΈΠΊΠΈ
ΠΠΎΠΉ ΠΌΠΈΡ
foodra.org
ΠΠ°ΠΊ ΠΏΠΎΠ½ΡΡΡ, ΡΡΠΎ Ρ Π²Π°Ρ ΡΠ»ΠΎΠΌΠ°Π½Π° ΡΠ΅Π»ΡΡΡΡ?
Π£Π·Π½Π°ΠΉΡΠ΅, ΠΊΠ°ΠΊΠΎΠ²Ρ ΠΏΠ΅ΡΠ²ΡΠ΅ ΡΠΈΠΌΠΏΡΠΎΠΌΡ ΡΠ»ΠΎΠΌΠ°Π½Π½ΠΎΠΉ ΡΠ΅Π»ΡΡΡΠΈ ΠΈ ΠΊΠΎΠ³Π΄Π° ΡΡΠΎΠΈΡ ΠΎΠ±ΡΠ°ΡΠΈΡΡΡΡ Π·Π° ΠΏΠΎΠΌΠΎΡΡΡ ΠΊ Π²ΡΠ°ΡΡ.
Π£ Π±ΠΎΠ»ΡΡΠΈΠ½ΡΡΠ²Π° ΠΏΠ°ΡΠΈΠ΅Π½ΡΠΎΠ² ΠΏΡΠΈΠ·Π½Π°ΠΊΠΈ ΠΈ ΡΠΈΠΌΠΏΡΠΎΠΌΡ ΠΏΠ΅ΡΠ΅Π»ΠΎΠΌΠ° ΡΠ΅Π»ΡΡΡΠ½ΠΎΠΉ ΠΊΠΎΡΡΠΈ Π½Π°ΡΠΈΠ½Π°ΡΡ ΡΠ°Π·Π²ΠΈΠ²Π°ΡΡΡΡ ΡΡΠ°Π·Ρ ΠΏΠΎΡΠ»Π΅ ΡΡΠ°Π²ΠΌΡ ΡΠ΅Π»ΡΡΡΠΈ. ΠΡΠΎ ΠΌΠΎΠΆΠ΅Ρ Π±ΡΡΡ Π΄ΠΎΡΡΠ°ΡΠΎΡΠ½ΠΎ ΡΠΈΠ»ΡΠ½ΡΠΉ ΡΠ΄Π°Ρ Π² ΡΠ΅Π»ΡΡΡΡ ΠΈΠ»ΠΈ ΠΏΠ°Π΄Π΅Π½ΠΈΠ΅ Π½Π° Π°ΡΡΠ°Π»ΡΡ Π»ΠΈΡΠΎΠΌ.
Β
Π Π±ΠΎΠ»ΡΡΠΈΠ½ΡΡΠ²Π΅ ΡΠ»ΡΡΠ°Π΅Π² Π²ΠΎΠ·Π½ΠΈΠΊΠ°ΡΡ ΠΏΠ΅ΡΠ΅Π»ΠΎΠΌΡ Π½ΠΈΠΆΠ½Π΅ΠΉ ΡΠ΅Π»ΡΡΡΠΈ. Π§Π°ΡΠ΅ Π²ΡΠ΅Π³ΠΎ ΠΏΠ΅ΡΠ΅Π»ΠΎΠΌ ΠΏΡΠΎΠΈΡΡ ΠΎΠ΄ΠΈΡ:
β Π² ΠΎΠ±Π»Π°ΡΡΠΈ ΡΠ³Π»Π° Π½ΠΈΠΆΠ½Π΅ΠΉ ΡΠ΅Π»ΡΡΡΠΈ;
β Π² ΠΏΡΠΎΠ΅ΠΊΡΠΈΠΈ ΠΌΠ΅Π½ΡΠ°Π»ΡΠ½ΠΎΠ³ΠΎ ΠΎΡΠ²Π΅ΡΡΡΠΈΡ;
β Π² ΡΠ΅ΡΠ΅Π΄ΠΈΠ½Π΅ ΡΠ΅Π»Π° Π½ΠΈΠΆΠ½Π΅ΠΉ ΡΠ΅Π»ΡΡΡΠΈ;
β ΠΏΠ΅ΡΠ΅Π»ΠΎΠΌ ΡΡΡΡΠ°Π²Π½ΠΎΠ³ΠΎ ΠΎΡΡΠΎΡΡΠΊΠ°.
ΠΠ°ΠΈΠ±ΠΎΠ»Π΅Π΅ ΡΠ°ΡΠΏΡΠΎΡΡΡΠ°Π½Π΅Π½Π½ΡΠΌ ΡΠΈΠΌΠΏΡΠΎΠΌΠΎΠΌ ΡΠ²Π»ΡΠ΅ΡΡΡ Π±ΠΎΠ»Ρ Π² ΡΠ΅Π»ΡΡΡΠΈ. ΠΠΎΠΆΠ΅Ρ Π½Π°Π±Π»ΡΠ΄Π°ΡΡΡΡ ΡΠ»ΡΠ½ΠΎΡΠ΅ΡΠ΅Π½ΠΈΠ΅ ΠΈ Π½Π΅Π²ΠΎΠ·ΠΌΠΎΠΆΠ½ΠΎΡΡΡ Π·Π°ΠΊΡΡΡΡ ΡΠΎΡ.
ΠΡΠ΄ΠΈ ΠΌΠΎΠ³ΡΡ ΡΡΠ²ΡΡΠ²ΠΎΠ²Π°ΡΡ, ΡΡΠΎ Π·ΡΠ±Ρ ΡΠΎΠ²ΠΌΠ΅ΡΠ°ΡΡΡΡ Π½Π΅ΠΏΡΠ°Π²ΠΈΠ»ΡΠ½ΠΎ (ΡΡΠΎ Π½Π°Π·ΡΠ²Π°Π΅ΡΡΡ Π½Π΅ΠΏΡΠ°Π²ΠΈΠ»ΡΠ½ΡΠΌ ΠΏΡΠΈΠΊΡΡΠΎΠΌ). ΠΠ½ΠΈ ΠΌΠΎΠ³ΡΡ Π±ΡΡΡ Π½Π΅ΡΠΏΠΎΡΠΎΠ±Π½Ρ ΡΠ°ΡΠΊΡΡΡΡ ΡΠ΅Π»ΡΡΡΡ Π΄ΠΎ ΠΊΠΎΠ½ΡΠ°, ΠΌΠΎΠ³ΡΡ Π±ΡΡΡ ΠΏΡΠΎΠ±Π»Π΅ΠΌΡ Ρ ΡΠ΅ΡΡΡ ΠΈΠ»ΠΈ ΠΏΠ΅ΡΠ΅ΠΆΠ΅Π²ΡΠ²Π°Π½ΠΈΠ΅ΠΌ ΠΏΠΈΡΠΈ, ΠΎΡΠΌΠ΅ΡΠ°ΡΡΡΡ ΠΏΡΠΈΠΏΡΡ Π»ΠΎΡΡΡ ΠΈΠ»ΠΈ ΡΠΌΠ΅ΡΠ΅Π½ΠΈΠ΅ ΡΠ΅Π»ΡΡΡΠΈ.
ΠΠΎΠ΄Π±ΠΎΡΠΎΠ΄ΠΎΠΊ ΠΈΠ»ΠΈ Π½ΠΈΠΆΠ½ΡΡ Π³ΡΠ±Π° ΠΌΠΎΠ³ΡΡ ΠΎΠ½Π΅ΠΌΠ΅ΡΡ ΠΈΠ·-Π·Π° ΠΏΠΎΠ²ΡΠ΅ΠΆΠ΄Π΅Π½ΠΈΡ Π½Π΅ΡΠ²Π°, ΠΊΠΎΡΠΎΡΡΠΉ ΠΏΡΠΎΡ ΠΎΠ΄ΠΈΡ ΡΠ΅ΡΠ΅Π· Π½ΠΈΠΆΠ½ΡΡ ΡΠ΅Π»ΡΡΡΡ. ΠΡΠΈ ΠΏΠ΅ΡΠ΅Π»ΠΎΠΌΠ΅ Π²Π΅ΡΡ Π½Π΅ΠΉ ΡΠ΅Π»ΡΡΡΠΈ ΠΌΠΎΠΆΠ΅Ρ ΠΏΡΠΎΠΈΡΡ ΠΎΠ΄ΠΈΡΡ Π΄Π²ΠΎΠ΅Π½ΠΈΠ΅ Π² Π³Π»Π°Π·Π°Ρ , ΡΠ°ΠΊ ΠΊΠ°ΠΊ Π²Π±Π»ΠΈΠ·ΠΈ Π½Π΅Π΅ ΡΠ°ΡΠΏΠΎΠ»ΠΎΠΆΠ΅Π½Ρ Π³Π»Π°Π·Π½ΡΠ΅ ΠΌΡΡΡΡ.
ΠΠΎ ΡΡΡ ΠΏΡΠΈΠ·Π½Π°ΠΊΠ°ΠΌΠΈ ΠΏΠ΅ΡΠ΅Π»ΠΎΠΌΠ° ΡΠ΅Π»ΡΡΡΠΈ ΠΌΠΎΠ³ΡΡ Π±ΡΡΡ ΠΊΡΠΎΠ²ΠΎΡΠ΅ΡΠ΅Π½ΠΈΠ΅ ΠΈΠ»ΠΈ ΠΈΠ·ΠΌΠ΅Π½Π΅Π½ΠΈΠ΅ Π² Π½ΠΎΡΠΌΠ°Π»ΡΠ½ΠΎΠΉ Π»ΠΈΠ½ΠΈΠΈ Π·ΡΠ±ΠΎΠ². Π’Π°ΠΊΠΆΠ΅ ΠΌΠΎΠ³ΡΡ Π±ΡΡΡ ΠΊΡΠΎΠ²ΠΎΠΏΠΎΠ΄ΡΠ΅ΠΊΠΈ ΠΏΠΎΠ΄ ΡΠ·ΡΠΊΠΎΠΌ ΠΈΠ»ΠΈ Π΄Π°ΠΆΠ΅ ΡΠ°ΡΡΠ΅ΡΠ΅Π½ΠΈΠ΅ Π² ΡΡΠ½ΠΎΠΌ ΠΊΠ°Π½Π°Π»Π΅ ΠΈΠ·-Π·Π° ΡΠΌΠ΅ΡΠ΅Π½ΠΈΡ ΡΠ»ΠΎΠΌΠ°Π½Π½ΠΎΠΉ ΡΠ΅Π»ΡΡΡΠΈ Π½Π°Π·Π°Π΄.
Β
ΠΠΎΠ³Π΄Π° ΠΎΠ±ΡΠ°ΡΠΈΡΡΡΡ ΠΊ Π²ΡΠ°ΡΡ
β ΠΡΠΈ Π±ΠΎΠ»Π΅Π·Π½Π΅Π½Π½ΠΎΡΡΠΈ ΠΈ ΠΈΠ·ΠΌΠ΅Π½Π΅Π½ΠΈΠΈ ΠΏΡΠΈΠΊΡΡΠ° ΠΏΠΎΡΠ»Π΅ ΡΡΠ°Π²ΠΌΡ, ΡΠ΄Π°ΡΠ° Π² ΡΠ΅Π»ΡΡΡΡ.
β ΠΡΠΈ Π½Π΅Π²ΠΎΠ·ΠΌΠΎΠΆΠ½ΠΎΡΡΠΈ ΡΠΈΡΠΎΠΊΠΎ ΠΎΡΠΊΡΡΡΡ ΡΠΎΡ, Π΅ΡΠ»ΠΈ ΠΏΡΠΈ ΠΎΡΠΊΡΡΠ²Π°Π½ΠΈΠΈ ΠΈ Π·Π°ΠΊΡΡΠ²Π°Π½ΠΈΠΈ ΡΡΠ° ΡΠ΅Π»ΡΡΡΡ ΡΠΌΠ΅ΡΠ°Π΅ΡΡΡ Π² ΡΡΠΎΡΠΎΠ½Ρ.
β ΠΡΠΈ Π΄Π²ΠΎΠ΅Π½ΠΈΠΈ Π² Π³Π»Π°Π·Π°Ρ , ΠΎΠ½Π΅ΠΌΠ΅Π½ΠΈΠΈ ΠΊΠΎΠΆΠΈ ΠΏΠΎΠ΄ Π³Π»Π°Π·ΠΎΠΌ, ΠΈΠ·ΠΌΠ΅Π½Π΅Π½ΠΈΠΈ ΡΠΎΡΠΌΡ ΡΠΊΡΠ»ΠΎΠ²ΠΎΠΉ Π΄ΡΠ³ΠΈ.
β ΠΡΠΈ Π½Π°ΡΡΡΠ΅Π½ΠΈΠΈ ΡΠ΅ΡΠΈ, ΠΆΠ΅Π²Π°Π½ΠΈΡ, ΠΎΠ±ΠΈΠ»ΡΠ½ΠΎΠΌ ΡΠ»ΡΠ½ΠΎΡΠ΅ΡΠ΅Π½ΠΈΠΈ ΠΏΠΎΡΠ»Π΅ ΡΡΠ°Π²ΠΌΡ.
Β
Π ΠΏΡΠΎΠ±Π»Π΅ΠΌΠ°Ρ Ρ ΡΠ΅Π»ΡΡΡΡΡ Π³ΠΎΠ²ΠΎΡΠΈΠΌ Ρ ΡΠ΅Π»ΡΡΡΠ½ΠΎ-Π»ΠΈΡΠ΅Π²ΡΠΌ Ρ ΠΈΡΡΡΠ³ΠΎΠΌ, ΡΡΠΎΠΌΠ°ΡΠΎΠ»ΠΎΠ³ΠΎΠΌ ΠΠ΅ΡΠΎΠ½ΠΈΠΊΠΎΠΉ Π ΡΠΆΠΎΠ²ΠΎΠΉ Π² ΠΏΡΠΎΠ³ΡΠ°ΠΌΠΌΠ΅ Β«Π‘ΠΈΠΌΠΏΡΠΎΠΌΡΒ» Π½Π° ΡΠ΅Π»Π΅ΠΊΠ°Π½Π°Π»Π΅ Β«ΠΠΎΠΊΡΠΎΡΒ», Π²ΠΈΠ΄Π΅ΠΎ:
doc-tv.ru
ΠΠ΅ΡΠ΅Π»ΠΎΠΌ ΡΠ΅Π»ΡΡΡΠΈ: Π»Π΅ΡΠ΅Π½ΠΈΠ΅, ΡΠΈΠΌΠΏΡΠΎΠΌΡ, ΡΠΎΡΠΎ, ΠΏΠΎΡΠ»Π΅Π΄ΡΡΠ²ΠΈΡ
ΠΠ΅ΡΠ΅Π»ΠΎΠΌΠΎΠΌ ΡΠ΅Π»ΡΡΡΠΈ Π½Π°Π·ΡΠ²Π°Π΅ΡΡΡ ΡΠ°ΡΡΠΈΡΠ½ΠΎΠ΅ Π»ΠΈΠ±ΠΎ ΠΏΠΎΠ»Π½ΠΎΠ΅ ΠΏΠΎΡΠ°ΠΆΠ΅Π½ΠΈΠ΅ ΠΊΠΎΡΡΠΈ Π½Π° ΡΠΎΠ½Π΅ ΠΌΠ΅Ρ Π°Π½ΠΈΡΠ΅ΡΠΊΠΎΠ³ΠΎ Π²ΠΎΠ·Π΄Π΅ΠΉΡΡΠ²ΠΈΡ Π»ΠΈΠ±ΠΎ ΠΏΠΎΠ΄ Π²Π»ΠΈΡΠ½ΠΈΠ΅ΠΌ ΠΎΠ±ΡΠΈΡ ΠΏΠ°ΡΠΎΠ»ΠΎΠ³ΠΈΡΠ΅ΡΠΊΠΈΡ ΡΠΎΡΡΠΎΡΠ½ΠΈΠΉ. ΠΡΠ²Π°ΡΡ ΡΠ°ΠΊΠΆΠ΅ ΠΏΠ΅ΡΠ΅Π»ΠΎΠΌΡ Π΄Π²ΠΎΠΉΠ½ΠΎΠ³ΠΎ ΠΈ ΡΡΠΎΠΉΠ½ΠΎΠ³ΠΎ ΡΠΈΠΏΠ°.Β Π‘Π°ΠΌΠΎ ΠΏΠΎ ΡΠ΅Π±Π΅ ΡΠ²Π»Π΅Π½ΠΈΠ΅ ΠΏΡΠ΅Π΄ΡΡΠ°Π²Π»ΡΠ΅Ρ ΡΠΎΠ±ΠΎΠΉ ΡΡΠΆΠ΅Π»ΡΡ ΡΡΠ°Π²ΠΌΡ, ΠΏΡΠΈ ΠΊΠΎΡΠΎΡΠΎΠΉ Π½Π΅ΠΎΠ±Ρ ΠΎΠ΄ΠΈΠΌΠΎ ΠΎΠ±ΡΠ·Π°ΡΠ΅Π»ΡΠ½ΠΎ ΠΏΠΎΡΠ΅ΡΠΈΡΡ Π΄ΠΎΠΊΡΠΎΡΠ°. ΠΠ°ΠΊΠΈΠ΅ ΠΌΠΎΠ³ΡΡ Π±ΡΡΡ ΠΏΠΎΡΠ»Π΅Π΄ΡΡΠ²ΠΈΡ, Π΅ΡΠ»ΠΈ ΡΠ»ΠΎΠΌΠ°Π½Π° ΡΠ΅Π»ΡΡΡΡ, ΡΡΠΎ Π΄Π΅Π»Π°ΡΡ? ΠΡΠΎΠ²ΠΎΠ΄ΠΈΡΡ ΡΠ΅ΡΠ°ΠΏΠΈΡ ΠΏΠΎΠ΄ΠΎΠ±Π½ΡΡ ΡΠ»ΡΡΠ°Π΅Π² ΡΠ°ΠΌΠΎΡΡΠΎΡΡΠ΅Π»ΡΠ½ΠΎ Π½Π΅Π΄ΠΎΠΏΡΡΡΠΈΠΌΠΎ, ΡΠ°ΠΊ ΠΊΠ°ΠΊ ΠΈΠ·-Π·Π° ΡΡΠΎΠ³ΠΎ ΠΌΠΎΠΆΠ΅Ρ ΠΏΡΠΎΠΈΠ·ΠΎΠΉΡΠΈ ΠΌΠ½ΠΎΠΆΠ΅ΡΡΠ²ΠΎ ΠΏΡΠΎΠ±Π»Π΅ΠΌ, ΠΊΠΎΡΠΎΡΡΠ΅ ΠΏΠΎΠ²Π»Π΅ΠΊΡΡ Π·Π° ΡΠΎΠ±ΠΎΠΉ ΠΏΠΎΡΠ΅ΡΡ Π·ΡΠ±ΠΎΠ², Π° ΡΠ°ΠΊΠΆΠ΅ ΠΏΠΎΡΠ°ΠΆΠ΅Π½ΠΈΠ΅ ΠΊΠΎΡΡΠΈ.
Π Π°Π·Π½ΠΎΠ²ΠΈΠ΄Π½ΠΎΡΡΠΈ ΠΈ ΡΠΎΡΠΌΡ ΠΏΠ΅ΡΠ΅Π»ΠΎΠΌΠΎΠ²
Π£ΡΠΈΡΡΠ²Π°ΡΡ ΡΠ»Π΅Π΄ΡΡΡΠΈΠ΅ Π²ΠΈΠ΄Ρ ΠΈΡΡ ΠΎΠ΄Ρ ΠΈΠ· ΠΏΡΠΈΡΠΈΠ½Ρ:
- ΡΡΠ°Π²ΠΌΠ°ΡΠΈΡΠ΅ΡΠΊΠΎΠ³ΠΎ Ρ Π°ΡΠ°ΠΊΡΠ΅ΡΠ° Π² ΡΠ΅Π·ΡΠ»ΡΡΠ°ΡΠ΅ ΡΠΈΠ·ΠΈΡΠ΅ΡΠΊΠΎΠ³ΠΎ Π²ΠΎΠ·Π΄Π΅ΠΉΡΡΠ²ΠΈΡ Π½Π° ΠΊΠΎΡΡΠ½ΡΡ ΡΠΊΠ°Π½Ρ. Π§Π°ΡΡΠΎ Π²ΡΡΡΠ΅ΡΠ°Π΅ΡΡΡ ΠΏΡΠΈ ΠΠ’Π, Π½Π°ΡΠΈΠ»ΠΈΠΈ Π½Π°Π΄ ΡΠ΅Π»ΠΎΠ²Π΅ΠΊΠΎΠΌ;
- ΠΏΠ°ΡΠΎΠ»ΠΎΠ³ΠΈΡΠ΅ΡΠΊΠΈΠ΅ Π²ΡΠ·Π²Π°Π½Ρ Π±ΠΎΠ»Π΅Π·Π½ΡΠΌΠΈ ΠΊΠΎΡΡΠΈ: ΠΎΠΏΡΡ ΠΎΠ»ΠΈ, ΠΎΡΡΠ΅ΠΎΡ ΠΎΠ½Π΄ΡΠΎΠ· ΠΈ ΠΏΡΠΎΡΠ΅Π΅.
ΠΡΡ ΠΎΠ΄Ρ ΠΈΠ· ΡΡΠ΅ΠΏΠ΅Π½ΠΈ ΠΏΠΎΡΠ°ΠΆΠ΅Π½ΠΈΡ:
- ΠΎΡΠΊΡΡΡΡΠΉ ΠΏΠ΅ΡΠ΅Π»ΠΎΠΌ ΡΠ΅Π»ΡΡΡΠΈ, ΠΊΠΎΠ³Π΄Π° ΠΎΡΠΊΠΎΠ»ΠΊΠΈ Π²ΡΡ ΠΎΠ΄ΡΡ Π·Π° Π³ΡΠ°Π½ΠΈΡΡ Π΄Π΅ΡΠ΅Π½ ΠΈ Π² ΡΠ²ΡΠ·ΠΈ Ρ ΡΡΠΈΠΌ ΡΠ°Π·ΡΡΠ²Π°Π΅ΡΡΡ ΡΠ»ΠΈΠ·ΠΈΡΡΠ°Ρ;
- Π·Π°ΠΊΡΡΡΡΠΉ, ΠΏΡΠΈ ΠΊΠΎΡΠΎΡΠΎΠΌ ΡΠΊΠ°Π½ΠΈ Π»ΠΈΡΠ° ΠΎΡΡΠ°ΡΡΡΡ Π½Π΅ΠΏΠΎΠ²ΡΠ΅ΠΆΠ΄Π΅Π½Π½ΡΠΌΠΈ.

ΠΡΠΈ ΠΏΠΎΠ»ΡΡΠ΅Π½ΠΈΠΈ ΡΡΠ°Π²ΠΌΡ Π½Π΅ΠΎΠ±Ρ ΠΎΠ΄ΠΈΠΌΠΎ ΠΎΠ±ΡΠ°ΡΠΈΡΡΡΡ ΠΊ Π²ΡΠ°ΡΡ
ΠΠΈΠΆΠ½ΡΡ ΡΠ΅Π»ΡΡΡΡ Π±ΠΎΠ»Π΅Π΅ ΡΠΊΠ»ΠΎΠ½Π½Π° ΠΊ ΡΡΠ°Π²ΠΌΠ°ΡΠΈΠ·Π°ΡΠΈΠΈ, Π²Π΅Π΄Ρ ΠΎΠ½Π° ΡΠ²Π»ΡΡΡΡΡ ΠΏΠΎΠ΄Π²ΠΈΠΆΠ½ΠΎΠΉ. ΠΠΎΡΠ»Π΅ ΠΏΠΎΠ»ΡΡΠ΅Π½ΠΈΡ ΡΡΠ°Π²ΠΌΡ Π½Π΅ΠΎΠ±Ρ ΠΎΠ΄ΠΈΠΌΠΎ ΡΡΠΎΡΠ½ΠΎ ΠΎΠ±ΡΠ°ΡΠΈΡΡΡΡ ΠΊ Π΄ΠΎΠΊΡΠΎΡΡ Π΄Π»Ρ ΠΏΡΠ°Π²ΠΈΠ»ΡΠ½ΠΎΠ³ΠΎ ΠΈΡΡΠ»Π΅Π΄ΠΎΠ²Π°Π½ΠΈΡ ΠΏΠΎΡΠ°ΠΆΠ΅Π½ΠΈΡ.
ΠΡΠΈΠ·Π½Π°ΠΊΠΈ ΠΏΠ΅ΡΠ΅Π»ΠΎΠΌΠ°
- ΠΠ½ΡΠ΅Π½ΡΠΈΠ²Π½Π°Ρ ΠΏΠΎΠ΄Π²ΠΈΠΆΠ½ΠΎΡΡΡ ΡΠ΅Π»ΡΡΡΠΈ.
- Π‘ΠΈΠ»ΡΠ½Π°Ρ Π±ΠΎΠ»Π΅Π·Π½Π΅Π½Π½ΠΎΡΡΡ Π² ΡΠ΅Π·ΡΠ»ΡΡΠ°ΡΠ΅ Π»ΡΠ±ΠΎΠ³ΠΎ Π΄Π²ΠΈΠΆΠ΅Π½ΠΈΡ.
- ΠΠ΅ΡΠ΅ΠΌΠ΅ΡΠ΅Π½ΠΈΠ΅ Π·ΡΠ±ΠΎΠ², Π²ΠΎΠ·Π½ΠΈΠΊΠ½ΠΎΠ²Π΅Π½ΠΈΠ΅ ΠΌΠ΅ΠΆΠ΄Ρ Π½ΠΈΠΌΠΈ ΡΠ΅Π»Π΅ΠΉ.
- ΠΡΠΈ ΡΠΌΡΠΊΠ°Π½ΠΈΠΈ ΡΡΠ° Π²ΠΎΠ·Π½ΠΈΠΊΠ°ΡΡ ΡΠ»ΠΎΠΆΠ½ΠΎΡΡΠΈ.
- Π£ΡΠΈΠ»Π΅Π½Π½ΠΎΠ΅ ΡΠ»ΡΠ½ΠΎΠΎΡΠ΄Π΅Π»Π΅Π½ΠΈΠ΅.
- Π―Π·ΡΠΊ Π·Π°ΠΏΠ°Π΄Π°Π΅Ρ Π»ΠΈΠ±ΠΎ ΠΏΠΎΠ²ΡΠ΅ΠΆΠ΄Π°Π΅ΡΡΡ ΠΊΠΎΡΡΡ.
- Π‘ΠΈΠ»ΡΠ½ΠΎ ΡΠ°Π·ΡΡΠ²Π°Π΅ΡΡΡ ΡΠ»ΠΈΠ·ΠΈΡΡΠ°Ρ ΡΠ°ΡΡΡ.
- Π Π°Π½Ρ ΠΊΡΠΎΠ²ΠΎΡΠΎΡΠ°Ρ.
- ΠΠΈΡΠΎ ΡΡΠ°Π½ΠΎΠ²ΠΈΡΡΡ Π°ΡΡΠΈΠΌΠ΅ΡΡΠΈΡΠ½ΡΠΌ, Π²ΠΎΠ·Π½ΠΈΠΊΠ°Π΅Ρ ΠΎΡΠ΅ΡΠ½ΠΎΡΡΡ.
- ΠΠΎΡΠ²Π»ΡΡΡΡΡ ΡΡΡΠ΄Π½ΠΎΡΡΠΈ ΡΠ΅ΡΠΈ, ΠΆΠ΅Π²Π°Π½ΠΈΡ, Π³Π»ΠΎΡΠ°Π½ΠΈΡ.
- Π‘Π½ΠΈΠΆΠ°Π΅ΡΡΡ Π²ΠΎΡΠΏΡΠΈΠΈΠΌΡΠΈΠ²ΠΎΡΡΡ Π»ΠΈΡΠ° ΠΈΠ·-Π·Π° ΠΏΠΎΡΠ°ΠΆΠ΅Π½ΠΈΡ Π½Π΅ΡΠ²ΠΎΠ².
- ΠΠΎΠ»ΡΠ½ΠΎΠΉ ΠΈΡΠΏΡΡΡΠ²Π°Π΅Ρ ΡΠΎΠΊ, Π³ΠΎΠ»ΠΎΠ²ΠΎΠΊΡΡΠΆΠ΅Π½ΠΈΡ.

ΠΠΎΠ΄Π²ΠΈΠΆΠ½ΠΎΡΡΡ ΡΠ΅Π»ΡΡΡΠΈ ΠΊΠ°ΠΊ ΠΏΡΠΈΠ·Π½Π°ΠΊ ΠΏΠ΅ΡΠ΅Π»ΠΎΠΌΠ°
ΠΡΠΈΡΠΈΠ½Ρ ΡΡΠ°Π²ΠΌΡ
ΠΠ΅ΡΠ΅Π»ΠΎΠΌ ΠΌΠΎΠΆΠ΅Ρ Π±ΡΡΡ Π²ΡΠ·Π²Π°Π½ ΡΠ»Π΅Π΄ΡΡΡΠΈΠΌΠΈ ΠΏΡΠΈΡΠΈΠ½Π°ΠΌΠΈ:
- ΠΈΠ½ΡΠ΅Π½ΡΠΈΠ²Π½Π°Ρ Π½Π°Π³ΡΡΠ·ΠΊΠ° Π² Π±ΡΡΡ, ΠΏΡΠΈ ΠΏΠ°Π΄Π΅Π½ΠΈΠΈ, Π²ΡΠΏΠΎΠ»Π½Π΅Π½ΠΈΠΈ ΡΠΏΠΎΡΡΠΈΠ²Π½ΡΡ ΡΠΏΡΠ°ΠΆΠ½Π΅Π½ΠΈΠΉ, ΠΠ’Π;
- ΠΏΠ°ΡΠΎΠ»ΠΎΠ³ΠΈΠΈ ΠΊΠΎΡΡΠ΅ΠΉ, ΠΎΠ±ΡΠ°Π·ΠΎΠ²Π°Π½ΠΈΡ ΠΈ ΠΊΠΈΡΡΡ;
- Π½Π΅ΠΏΡΠ°Π²ΠΈΠ»ΡΠ½ΠΎΠ΅ ΡΠ΄Π°Π»Π΅Π½ΠΈΠ΅ Π·ΡΠ±ΠΎΠ².

Π‘ΠΏΠΎΡΡ ΠΊΠ°ΠΊ ΠΏΡΠΈΡΠΈΠ½Π° ΠΏΠ΅ΡΠ΅Π»ΠΎΠΌΠ° ΡΠ΅Π»ΡΡΡΠΈ
ΠΡΠΈ ΠΏΠΎΡΠ°ΠΆΠ΅Π½ΠΈΠΈ ΡΠ΅Π»ΡΡΡΠΈ ΡΠΌΠ΅ΡΠ΅Π½ΠΈΠ΅ ΠΌΠΎΠΆΠ΅Ρ ΠΏΡΠΎΠΈΡΡ ΠΎΠ΄ΠΈΡ ΠΏΠΎ ΡΡΠ΅ΠΌ ΡΠΈΠΏΠ°ΠΌ:
- ΡΠ°Π³Π³ΠΈΡΠ°Π»ΡΠ½ΠΎΠΌΡ;
- Π²Π΅Π³ΠΈΡΠ°Π»ΡΠ½ΠΎΠΌΡ;
- ΡΡΠ°Π½ΡΠ²Π΅ΡΠ·Π°Π»ΡΠ½ΠΎΠΌΡ.
ΠΡΠΎ ΠΈΠ³ΡΠ°Π΅Ρ ΠΎΡΠ΅Π½Ρ Π²Π°ΠΆΠ½ΡΡ ΡΠΎΠ»Ρ Π² Π²ΡΡΠ²Π»Π΅Π½ΠΈΠΈ ΠΏΡΠ°Π²ΠΈΠ»ΡΠ½ΠΎΠΉ ΡΡ Π΅ΠΌΡ ΡΠ΅ΡΠ°ΠΏΠΈΠΈ, Π²ΡΠ±ΠΎΡΠ΅ ΠΎΠ±ΠΎΡΡΠ΄ΠΎΠ²Π°Π½ΠΈΡ, ΠΊΠΎΡΠΎΡΠΎΠ΅ Π±ΡΠ΄Π΅Ρ ΠΏΡΠΈΠΌΠ΅Π½Π΅Π½ΠΎ Π΄Π»Ρ ΠΈΡΠΏΡΠ°Π²Π»Π΅Π½ΠΈΡ. ΠΠ°ΠΊ ΠΏΡΠ°Π²ΠΈΠ»ΠΎ, ΠΏΡΠΈ ΠΏΠ΅ΡΠ΅Π»ΠΎΠΌΠ΅ ΡΠ΅Π»ΡΡΡΠΈ ΡΠΎ ΡΠΌΠ΅ΡΠ΅Π½ΠΈΠ΅ΠΌ, Π»Π΅ΡΠ΅Π½ΠΈΠ΅ ΡΠΈΠΌΠΏΡΠΎΠΌΡ ΡΠΎΡΠΎ ΠΏΠΎΡΠ»Π΅Π΄ΡΡΠ²ΠΈΡ ΡΡΠΎ ΠΊΡΡΠ°ΡΡ ΡΡΠΎ ΡΠΏΠ΅ΡΠΈΠ°Π»ΡΠ½ΡΠ΅ ΡΠΈΠ½Ρ, ΠΊΠΎΡΠΎΡΡΠ΅ ΡΠΈΠΊΡΠΈΡΡΡΡΡΡ Π½Π° Π·ΡΠ±Π°Ρ . ΠΠΎΠΊΡΠΎΡ ΡΠΎΠ±ΠΈΡΠ°Π΅Ρ ΠΊΠΎΡΡΠΈ ΡΡΠΊΠ°ΠΌΠΈ. Π§Π΅Π»ΠΎΠ²Π΅ΠΊ Π² ΡΡΠΎΡ ΠΌΠΎΠΌΠ΅Π½Ρ Π½Π°Ρ ΠΎΠ΄ΠΈΡΡΡ ΠΏΠΎΠ΄ ΠΌΠ΅ΡΡΠ½ΡΠΌ Π»ΠΈΠ±ΠΎ ΠΏΠΎΠ΄ ΠΎΠ±ΡΠΈΠΌ Π½Π°ΡΠΊΠΎΠ·ΠΎΠΌ. ΠΡΠ»ΠΎΠΌΠΊΠΈ ΠΌΠΎΠ³ΡΡ ΡΠΈΠΊΡΠΈΡΠΎΠ²Π°ΡΡΡΡ ΠΏΡΠΈ ΠΏΠΎΠΌΠΎΡΠΈ ΠΊΠ°ΠΏΡΠΎΠ½ΠΎΠ²ΡΡ ΠΏΡΠΈΡΠΏΠΎΡΠΎΠ±Π»Π΅Π½ΠΈΠΉ. Π§Π΅Π»ΡΡΡΡ ΠΌΠΎΠΆΠ΅Ρ ΠΏΡΠΈΡΠΎΠ΅Π΄ΠΈΠ½ΡΡΡΡΡ ΡΠΏΠ΅ΡΠΈΠ°Π»ΡΠ½ΡΠΌΠΈ ΡΠΏΠΈΡΠ°ΠΌΠΈ ΠΈΠ· ΠΌΠ΅ΡΠ°Π»Π»Π°, ΠΊΠΎΡΠΎΡΡΠ΅ ΡΡΡΠ°Π½Π°Π²Π»ΠΈΠ²Π°ΡΡΡΡ ΡΠ½Π°ΡΡΠΆΠΈ. ΠΠΎΡΠ»Π΅ ΡΠ΅Π³ΡΠ»ΠΈΡΠΎΠ²ΠΊΠΈ, Π±ΠΎΠ»ΡΠ½ΠΎΠΌΡ ΡΡΠ΅Π±ΡΠ΅ΡΡΡ ΡΠΏΠΎΠΊΠΎΠΉΡΡΠ²ΠΈΠ΅ Ρ ΠΎΠ±ΡΠ·Π°ΡΠ΅Π»ΡΠ½ΡΠΌΠΈ ΠΏΡΠΎΡΠΈΠ²ΠΎΠΌΠΈΠΊΡΠΎΠ±Π½ΡΠΌΠΈ Π΄Π΅ΠΉΡΡΠ²ΠΈΡΠΌΠΈ.
ΠΡ ΠΏΠΎΠ΄ΡΠΎΠ±Π½ΠΎ ΡΠ°ΡΡΠΌΠ°ΡΡΠΈΠ²Π°Π΅ΠΌ Π²ΡΠ΅ Π°ΡΠΏΠ΅ΠΊΡΡ ΡΠ°ΠΊΠΎΠΉ ΡΠ»ΠΎΠΆΠ½ΠΎΠΉ Π»ΠΈΡΠ΅Π²ΠΎΠΉ ΡΡΠ°Π²ΠΌΡ, ΠΊΠ°ΠΊ ΠΏΠ΅ΡΠ΅Π»ΠΎΠΌ ΡΠ΅Π»ΡΡΡΠΈ ΡΠΎ ΡΠΌΠ΅ΡΠ΅Π½ΠΈΠ΅ΠΌ: Π»Π΅ΡΠ΅Π½ΠΈΠ΅, ΡΠΈΠΌΠΏΡΠΎΠΌΡ, ΠΏΠΎΡΠ»Π΅Π΄ΡΡΠ²ΠΈΡ, ΡΠΎΡΠΎ. Π§ΡΠΎ ΠΊΡΡΠ°ΡΡ β ΠΎΡΠ΄Π΅Π»ΡΠ½ΡΠΉ Π²ΠΎΠΏΡΠΎΡ, Π²Π΅Π΄Ρ Π² ΠΏΠΎΡΠ»Π΅ΠΎΠΏΠ΅ΡΠ°ΡΠΈΠΎΠ½Π½ΡΠΉ ΠΏΠ΅ΡΠΈΠΎΠ΄ Π½Π΅ΠΎΠ±Ρ ΠΎΠ΄ΠΈΠΌΠ° ΡΠΈΠΊΡΠ°ΡΠΈΡ ΡΠ΅Π»ΡΡΡΠ΅ΠΉ, ΠΏΠ°ΡΠΈΠ΅Π½ΡΡ Π½Π°ΠΊΠ»Π°Π΄ΡΠ²Π°ΡΡΡΡ ΡΠΈΠ½Ρ. Π ΠΊΠΎΠ½ΡΠΈΡΡΠ΅Π½ΡΠΈΡ ΠΏΠΈΡΠΈ ΠΏΠΎ ΠΏΠΎΠ½ΡΡΠ½ΡΠΌ ΠΏΡΠΈΡΠΈΠ½Π°ΠΌ ΠΈΡΠΊΠ»ΡΡΠΈΡΠ΅Π»ΡΠ½ΠΎ ΠΆΠΈΠ΄ΠΊΠ°Ρ.
ΠΠΎΠ»ΡΠ½ΡΠΌ ΠΎΠ±ΡΠ·Π°ΡΠ΅Π»ΡΠ½ΠΎ Π½Π°Π·Π½Π°ΡΠ°Π΅ΡΡΡ ΠΎΡΠΎΠ±Π°Ρ Π΄ΠΈΠ΅ΡΠ°. ΠΡΠΎ Π½Π΅ΠΎΠ±Ρ ΠΎΠ΄ΠΈΠΌΠΎ ΡΠ΄Π΅Π»Π°ΡΡ ΠΈΠ·-Π·Π° ΡΠΎΠ³ΠΎ, ΡΡΠΎ ΠΏΠ°ΡΠΈΠ΅Π½Ρ Π½Π΅ ΡΠΌΠΎΠΆΠ΅Ρ ΠΏΠΎΠ»Π½ΠΎΡΠ΅Π½Π½ΠΎ Π΄Π²ΠΈΠ³Π°ΡΡ ΡΠ΅Π»ΡΡΡΡΠΌΠΈ.
ΠΠΎΡΡΠΈ ΡΡΠ°ΡΠΈΠ²Π°ΡΡΡΡ ΠΊΠ°ΠΊ ΠΌΠΈΠ½ΠΈΠΌΡΠΌ Π·Π° ΠΌΠ΅ΡΡΡ, ΠΏΠΎΡΡΠΎΠΌΡ Π² ΡΠ΅ΡΠ΅Π½ΠΈΠΈ Π΄Π°Π½Π½ΠΎΠ³ΠΎ ΠΏΠ΅ΡΠΈΠΎΠ΄Π° Π±ΠΎΠ»ΡΠ½ΠΎΠΉ Π΄ΠΎΠ»ΠΆΠ΅Π½ Π±ΡΠ΄Π΅Ρ ΠΊΡΡΠ°ΡΡ ΡΠΎΠ»ΡΠΊΠΎ ΠΆΠΈΠ΄ΠΊΠΈΠ΅ Π±Π»ΡΠ΄Π°.
ΠΠΎΠ½ΡΠΈΡΡΠ΅Π½ΡΠΈΡ Π²ΡΠ΅ΠΉ ΠΏΠΈΡΠΈ Π΄ΠΎΠ»ΠΆΠ½Π° Π±ΡΡΡ ΠΏΡΡΠ΅ΠΎΠ±ΡΠ°Π·Π½ΠΎΠΉ, ΠΏΠΎΡΡΠΎΠΌΡ ΡΠ΅Π»ΠΎΠ²Π΅ΠΊ Π΄ΠΎΠ»ΠΆΠ΅Π½ ΡΠΏΠΎΡΡΠ΅Π±Π»ΡΡΡ ΡΡΠΏΡ, Π±ΡΠ»ΡΠΎΠ½Ρ, ΡΡΡΠΊΡΡ ΠΈ ΠΎΠ²ΠΎΡΠΈ, ΠΏΡΠΎΠΌΠΎΠ»ΠΎΡΡΠ΅ ΡΠ΅ΡΠ΅Π· ΠΌΡΡΠΎΡΡΠ±ΠΊΡ.
ΠΠ°ΠΊ ΠΏΡΠΎΠ²ΠΎΠ΄ΠΈΡΡΡ Π»Π΅ΡΠ΅Π½ΠΈΠ΅
ΠΠ΅Π΄ΠΈΠΊΠ°ΠΌΠ΅Π½ΡΠΎΠ·Π½ΡΡ ΠΊΠ²Π°Π»ΠΈΡΠΈΡΠΈΡΠΎΠ²Π°Π½Π½ΡΡ ΠΏΠΎΠΌΠΎΡΡ ΠΌΠΎΠ³ΡΡ ΠΎΠΊΠ°Π·Π°ΡΡ Π»ΠΈΡΡ ΠΌΠ΅Π΄ΠΈΡΠΈΠ½ΡΠΊΠΈΠ΅ ΡΠ°Π±ΠΎΡΠ½ΠΈΠΊΠΈ. ΠΠΎ ΡΠΎΠ³ΠΎ, ΠΊΠ°ΠΊ ΠΎΠ½ΠΈ ΠΏΡΠΈΠ΅Π΄ΡΡ Π½Π° ΠΌΠ΅ΡΡΠΎ ΠΏΡΠΎΠΈΡΡΠ΅ΡΡΠ²ΠΈΡ, ΠΏΠΎΡΠ΅ΡΠΏΠ΅Π²ΡΠ΅ΠΌΡ ΡΡΠΎΠΈΡ Π½Π°Ρ ΠΎΠ΄ΠΈΡΡΡ Π² ΠΏΠΎΠ»Π½ΠΎΠΌ ΡΠΏΠΎΠΊΠΎΠΉΡΡΠ²ΠΈΠΈ, ΡΡΠΎΠ±Ρ ΠΎΠ±Π΅ΡΠΏΠ΅ΡΠΈΡΡ Π½Π΅ΠΏΠΎΠ΄Π²ΠΈΠΆΠ½ΠΎΡΡΡ ΠΊΠΎΠ½Π΅ΡΠ½ΠΎΡΡΠ΅ΠΉ. Π£Π»ΡΡΡΠΈΡΡ ΡΠΎΡΡΠΎΡΠ½ΠΈΠ΅ Π·Π΄ΠΎΡΠΎΠ²ΡΡ ΡΠΌΠΎΠ³ΡΡ Π°Π½Π°Π»ΡΠ³Π΅ΡΠΈΠΊΠΈ. Π‘ΡΠΎΠΈΡ ΠΏΠΎΠΌΠ½ΠΈΡΡ, ΡΡΠΎ Π½Π΅Π²ΠΎΠ·ΠΌΠΎΠΆΠ½ΠΎ ΠΏΡΠΈ ΠΏΠ΅ΡΠ΅Π»ΠΎΠΌΠ΅ Π½ΠΈΠΆΠ½Π΅ΠΉ ΠΈΒ Π²Π΅ΡΡ Π½Π΅ΠΉ ΡΠ΅Π»ΡΡΡΠΈ Π»Π΅ΡΠ΅Π½ΠΈΠ΅ Π² Π΄ΠΎΠΌΠ°ΡΠ½ΠΈΡ ΡΡΠ»ΠΎΠ²ΠΈΡΡ . Π‘ ΡΠΈΠΌΠΏΡΠΎΠΌΠ°ΠΌΠΈ, ΡΠΎΡΠΎ ΠΈ ΠΏΡΠΈΠ·Π½Π°ΠΊΠ°ΠΌΠΈ ΠΌΠΎΠΆΠ½ΠΎ ΠΎΠ·Π½Π°ΠΊΠΎΠΌΠΈΡΡΡΡ Π½ΠΈΠΆΠ΅.
Π§Π΅ΠΌ Π±ΡΡΡΡΠ΅Π΅ Π±ΡΠ΄Π΅Ρ ΠΏΡΠΎΠ²Π΅Π΄Π΅Π½ΠΎ Π»Π΅ΡΠ΅Π½ΠΈΠ΅, ΡΠ΅ΠΌ Π±ΡΠ΄Π΅Ρ Π»ΡΡΡΠ΅ Π΄Π»Ρ Π±ΠΎΠ»ΡΠ½ΠΎΠ³ΠΎ.
ΠΠ΅ΡΠ΅Π±Π½ΡΠ΅ ΠΌΠ΅ΡΠΎΠΏΡΠΈΡΡΠΈΡ ΠΏΠΎΠ΄ΡΠ°Π·ΡΠΌΠ΅Π²Π°ΡΡ ΡΠ°ΠΊΠΈΠ΅ Π΄Π΅ΠΉΡΡΠ²ΠΈΡ:
- Π΄Π΅Π·ΠΈΠ½ΡΠ΅ΠΊΡΠΈΡ ΡΠ°Π½Ρ;
- Π²ΡΡΠ°Π²Π½ΠΈΠ²Π°Π½ΠΈΠ΅ ΠΏΠ΅ΡΠ΅Π³ΠΎΡΠΎΠ΄ΠΊΠΈ Π½ΠΎΡΠ°, Π΅ΡΠ»ΠΈ ΡΠ°ΠΊΠΎΠ΅ ΠΏΡΠΈΡΡΡΡΡΠ²ΡΠ΅Ρ;
- ΡΠΎΠΏΠΎΡΡΠ°Π²Π»Π΅Π½ΠΈΠ΅ ΠΎΡΠ»ΠΎΠΌΠΊΠΎΠ² ΠΈ ΡΠΎΠ²ΠΌΠ΅ΡΠ΅Π½ΠΈΠ΅ ΠΊΠΎΡΡΠ΅ΠΉ;
- ΠΏΡΠ°Π²ΠΈΠ»ΡΠ½Π°Ρ ΡΠ΅Π³ΡΠ»ΠΈΡΠΎΠ²ΠΊΠ° ΡΠ΅Π»ΡΡΡΠΈ Ρ ΠΈΡΠΏΠΎΠ»ΡΠ·ΠΎΠ²Π°Π½ΠΈΠ΅ΠΌ ΡΠΏΠ΅ΡΠΈΠ°Π»ΡΠ½ΠΎΠΉ ΡΠΈΠ½Ρ. ΠΠ΅ ΠΏΠΎΠ»Π½ΠΎΡΡΡΡ ΠΎΠ±Π΅Π·Π΄Π²ΠΈΠΆΠΈΠ²Π°ΡΡ, ΠΏΡΠΈΡΠΏΠΎΡΠΎΠ±Π»Π΅Π½ΠΈΠ΅ Π΄Π΅ΡΠΆΠΈΡΡΡ ΠΎΠΊΠΎΠ»ΠΎ ΠΏΠΎΠ»ΡΠΎΡΠ° ΠΌΠ΅ΡΡΡΠ°, ΠΏΠΎΠΊΠ° ΠΊΠΎΡΡΠΈ Π½Π΅ ΡΡΠ°ΡΡΡΡΡΡ. ΠΠ½ΠΎΠ³Π΄Π° ΡΠΏΠ΅ΡΠΈΠ°Π»ΠΈΡΡΡ ΠΎΠΏΠ΅ΡΠ°ΡΠΈΠ²Π½ΡΠΌ ΠΌΠ΅ΡΠΎΠ΄ΠΎΠΌ Π²ΡΡΠ°Π²Π»ΡΡΡ Π² ΡΠ΅Π»ΡΡΡΡ ΡΠΏΠ΅ΡΠΈΠ°Π»ΡΠ½ΡΠ΅ ΠΏΠ»Π°ΡΡΠΈΠ½Ρ ΠΏΡΠΈ ΠΏΠΎΠΌΠΎΡΠΈ Π²ΠΈΠ½ΡΠΎΠ²;
- ΠΏΡΠΎΡΠΈΠ²ΠΎΠ²ΠΎΡΠΏΠ°Π»ΠΈΡΠ΅Π»ΡΠ½ΠΎΠ΅ Π»Π΅ΡΠ΅Π½ΠΈΠ΅. ΠΠΎ ΠΎΠΊΠΎΠ½ΡΠ°Π½ΠΈΡ ΠΎΡΠ½ΠΎΠ²Π½ΠΎΠ³ΠΎ ΠΊΡΡΡΠ° ΡΠ΅ΡΠ°ΠΏΠΈΠΈ ΠΏΡΠΈΡΡΡΠΏΠ°ΡΡ ΠΊ ΡΡΠ°Π΄ΠΈΡ Π²ΠΎΡΡΡΠ°Π½ΠΎΠ²Π»Π΅Π½ΠΈΡ. Π Π΅Π°Π±ΠΈΠ»ΠΈΡΠ°ΡΠΈΡ Π΄ΠΎΠ»ΠΆΠ½Π° Π±ΡΡΡ Π½Π°ΡΠ΅Π»Π΅Π½Π° Π½Π° Π²ΠΎΠ·ΠΎΠ±Π½ΠΎΠ²Π»Π΅Π½ΠΈΠ΅ ΠΆΠΈΠ·Π½Π΅Π½Π½ΠΎ Π²Π°ΠΆΠ½ΡΡ
ΡΠΏΠΎΡΠΎΠ±Π½ΠΎΡΡΠ΅ΠΉ.

ΠΡΠ»ΠΎΠΆΠ½Π΅Π½ΠΈΠ΅ ΠΏΠ΅ΡΠ΅Π»ΠΎΠΌΠ° Π² Π²ΠΈΠ΄Π΅ ΠΏΠΎΡΠ²Π»Π΅Π½ΠΈΡ ΡΠ°ΡΡΡΠΎΡΠ½ΠΈΠΉ ΠΌΠ΅ΠΆΠ΄Ρ Π·ΡΠ±Π°ΠΌΠΈ
ΠΠ΅ΡΡ Π½ΡΡ ΡΠ΅Π»ΡΡΡΡ Π»ΠΎΠΌΠ°Π΅ΡΡΡ Π½Π°ΠΌΠ½ΠΎΠ³ΠΎ ΡΠ΅ΠΆΠ΅, ΡΠ΅ΠΌ Π½ΠΈΠΆΠ½ΡΡ.
Π Π°Π·Π΄Π΅Π»ΡΡΡ ΡΠ»Π΅Π΄ΡΡΡΠΈΠ΅ ΠΏΡΠΈΠ·Π½Π°ΠΊΠΈ:
- Ρ Π±ΠΎΠ»ΡΠ½ΡΡ ΠΎΡΠ΅ΠΊΠ°ΡΡ ΡΠ΅ΠΊΠΈ, Π²ΠΎΠ·Π½ΠΈΠΊΠ°Π΅Ρ ΠΎΠ±ΠΈΠ»ΡΠ½ΠΎΠ΅ ΠΊΡΠΎΠ²ΠΎΡΠ΅ΡΠ΅Π½ΠΈΠ΅ ΠΌΠ΅ΠΆΠ΄Ρ Π·ΡΠ±Π°ΠΌΠΈ;
- Π²ΠΎΠ·ΠΌΠΎΠΆΠ½ΠΎ ΠΎΠ½Π΅ΠΌΠ΅Π½ΠΈΠ΅ Π² Π·ΠΎΠ½Π΅ ΠΏΠΎΠ΄ Π³Π»Π°Π·Π°ΠΌΠΈ, ΠΏΠΎΡΠ²Π»ΡΡΡΡΡ ΡΠ°ΠΊΠΆΠ΅ Π³Π΅ΠΌΠ°ΡΠΎΠΌΡ, ΠΈΠ· Π½ΠΎΡΠ° Π²ΡΠ΄Π΅Π»ΡΠ΅ΡΡΡ ΠΊΡΠΎΠ²Ρ, ΠΏΡΠΎΠΈΡΡ ΠΎΠ΄ΠΈΡ ΡΠΈΠ»ΡΠ½ΠΎΠ΅ Π²ΡΠ΄Π΅Π»Π΅Π½ΠΈΠ΅ ΡΠ»ΡΠ½Ρ, ΠΎΡΡΡΡΡΡΠ²ΡΠ΅Ρ ΠΎΠ±ΠΎΠ½ΡΠ½ΠΈΠ΅;
- Π² ΡΡΠΆΠ΅Π»ΡΡ ΡΠ»ΡΡΠ°ΡΡ Π»ΡΠ΄ΠΈ ΡΠ΅ΡΡΡΡ Π·ΡΠ΅Π½ΠΈΠ΅, Π½Π΅ ΠΌΠΎΠ³ΡΡ ΠΎΡΠΊΡΡΡΡ ΡΠΎΡ.
Π§Π°ΡΡΠΎ Π±ΠΎΠ»ΡΠ½ΡΠ΅ ΠΆΠ°Π»ΡΡΡΡΡ Π½Π° ΡΠΈΠ»ΡΠ½ΡΡ ΡΠΎΡΠ½ΠΎΡΡ ΠΈ ΡΠΈΠ»ΡΠ½ΠΎ Π²ΡΡΠ°ΠΆΠ΅Π½Π½ΡΡ Π±ΠΎΠ»Π΅Π·Π½Π΅Π½Π½ΠΎΡΡΡ. ΠΠΈΠ·Π½Π΅Π½Π½ΡΠ΅ ΡΡΠ½ΠΊΡΠΈΠΈ ΠΎΡΠ»ΠΎΠΆΠ½Π΅Π½Ρ. Π§Π΅Π»ΠΎΠ²Π΅ΠΊΡ ΡΠ»ΠΎΠΆΠ½ΠΎ ΡΠ°Π·Π³ΠΎΠ²Π°ΡΠΈΠ²Π°ΡΡ, Π΄ΡΡΠ°ΡΡ, Π΅ΡΡΡ. ΠΠ°ΡΠ°Π»Π»Π΅Π»ΡΠ½ΠΎ Ρ ΠΏΠΎΠ²ΡΠ΅ΠΆΠ΄Π΅Π½ΠΈΠ΅ΠΌ ΡΠ΅Π»ΡΡΡΠΈ Ρ Π±ΠΎΠ»ΡΠ½ΡΡ Π΄ΠΈΠ°Π³Π½ΠΎΡΡΠΈΡΡΡΡ ΡΠΎΡΡΡΡΠ΅Π½ΠΈΠ΅ ΠΌΠΎΠ·Π³Π°.
ΠΡΠΈ ΠΎΠΊΠ°Π·Π°Π½ΠΈΠΈ ΠΏΠ΅ΡΠ²ΠΎΠΉ ΠΏΠΎΠΌΠΎΡΠΈ Π±ΠΎΠ»ΡΠ½ΠΎΠΌΡ Π½ΡΠΆΠ½ΠΎ Π²ΠΎΡΡΡΠ°Π½ΠΎΠ²ΠΈΡΡ Π΄ΡΡ Π°Π½ΠΈΠ΅. ΠΠ· ΠΏΠΎΠ»ΠΎΡΡΠΈ ΡΡΠ° ΡΡΡΡΠ°Π½ΡΡΡΡΡ Π²ΡΠ΅ Π»ΠΈΡΠ½ΠΈΠ΅ ΠΏΡΠ΅Π΄ΠΌΠ΅ΡΡ. ΠΠ°ΠΊ Π²ΡΠ³Π»ΡΠ΄ΠΈΡ ΡΠ»ΠΎΠΌΠ°Π½Π½Π°Ρ ΡΠ΅Π»ΡΡΡΡ Π½Π° ΡΠΎΡΠΎ Π²ΠΈΠ΄Π½ΠΎ Ρ ΠΎΡΠΎΡΠΎ.
ΠΠ΅ΡΠΎΠ΄ ΡΠΈΠ½ΠΈΡΠΎΠ²Π°Π½ΠΈΡ
ΠΠ΄Π½ΠΈΠΌ ΠΈΠ· Π³Π»Π°Π²Π½ΡΡ ΠΌΠ΅ΡΠΎΠ΄ΠΈΠΊ Π»Π΅ΡΠ΅Π½ΠΈΡ ΡΠ²Π»ΡΠ΅ΡΡΡ ΡΠΈΠ½ΠΈΡΠΎΠ²Π°Π½ΠΈΠ΅. ΠΠ΅ΡΠΎΠΏΡΠΈΡΡΠΈΠ΅ ΠΏΠΎΠ΄ΡΠ°Π·ΡΠΌΠ΅Π²Π°Π΅Ρ ΡΠ΅Π³ΡΠ»ΠΈΡΠΎΠ²ΠΊΡ ΠΎΡΠ»ΠΎΠΌΠΊΠΎΠ² ΡΠΎ ΡΠΌΠ΅ΡΠ΅Π½ΠΈΠ΅ΠΌ ΠΏΠ»Π°ΡΡΠΌΠ°ΡΡΠΎΠ²ΠΎΠ³ΠΎ ΠΏΡΠΈΡΠΏΠΎΡΠΎΠ±Π»Π΅Π½ΠΈΡ.
Π Π°Π·Π½ΠΎΠ²ΠΈΠ΄Π½ΠΎΡΡΡ ΠΌΠ΅ΡΠΎΠΏΡΠΈΡΡΠΈΡ Π±ΡΠ΄Π΅Ρ Π·Π°Π²ΠΈΡΠ΅ΡΡ ΠΎΡ ΡΠΈΠΏΠ° ΠΏΠΎΠ²ΡΠ΅ΠΆΠ΄Π΅Π½ΠΈΡ:
- ΠΏΡΠΈ ΠΎΠ΄Π½ΠΎΡΡΠΎΡΠΎΠ½Π½Π΅ΠΌ ΠΏΠ΅ΡΠ΅Π»ΠΎΠΌΠ΅ ΠΏΡΠΈΡΠΏΠΎΡΠΎΠ±Π»Π΅Π½ΠΈΠ΅ Π½Π°ΠΊΠ»Π°Π΄ΡΠ²Π°ΡΡ Ρ ΠΎΠ΄Π½ΠΎΠΉ ΡΡΠΎΡΠΎΠ½Ρ;
- ΠΎΠ±ΠΎΡΡΠ΄ΠΎΠ²Π°Π½ΠΈΠ΅ Π±ΠΎΠ»Π΅Π΅ ΠΆΠ΅ΡΡΠΊΠΎΠΉ ΡΠΎΡΠΌΡ Π½Π°ΠΊΠ»Π°Π΄ΡΠ²Π°ΡΡ Ρ ΠΎΠ±Π΅ΠΈΡ ΡΡΠΎΡΠΎΠ½. Π Π΄ΠΎΠ±Π°Π²ΠΎΠΊ ΠΊ Π½Π΅ΠΌΡ ΡΡΡΠ°Π½Π°Π²Π»ΠΈΠ²Π°ΡΡ ΡΠΏΠ΅ΡΠΈΠ°Π»ΡΠ½ΡΠ΅ ΠΊΠΎΠ»ΡΡΠ° ΠΈ ΠΊΡΡΠΊΠΈ;
- ΠΏΡΠΈ ΠΏΠ΅ΡΠ΅Π»ΠΎΠΌΠ΅ Π²Π΅ΡΡ Π½Π΅ΠΉ ΠΈ Π½ΠΈΠΆΠ½Π΅ΠΉ ΡΠ΅Π»ΡΡΡΠΈ ΡΠΎ ΡΠΌΠ΅ΡΠ΅Π½ΠΈΠ΅ΠΌ Π½Π΅ΠΎΠ±Ρ ΠΎΠ΄ΠΈΠΌΠΎ ΠΏΡΠΈΠΌΠ΅Π½ΡΡΡ Π΄Π²ΡΡ ΡΠ΅Π»ΡΡΡΠ½ΡΡ ΠΌΠ΅ΡΠΎΠ΄ΠΈΠΊΡ.

Π€ΠΈΠΊΡΠ°ΡΠΈΡ ΠΏΡΠΈ ΠΎΠ΄Π½ΠΎΡΡΠΎΡΠΎΠ½Π½Π΅ΠΌ ΠΏΠ΅ΡΠ΅Π»ΠΎΠΌΠ΅
ΠΡΠ»ΠΈ ΠΏΡΠΈΠΌΠ΅Π½ΡΠ΅ΡΡΡ ΠΎΠ±ΠΎΡΡΠ΄ΠΎΠ²Π°Π½ΠΈΠ΅ ΠΈΠ· ΠΏΠ»Π°ΡΡΠΌΠ°ΡΡΡ, ΡΠΎ Π΅Π³ΠΎ ΡΡΡΠ°Π½Π°Π²Π»ΠΈΠ²Π°ΡΡ Π±ΠΎΠ»ΡΠ½ΠΎΠΌΡ ΠΏΠΎΠ΄ ΠΏΠΎΠ΄Π±ΠΎΡΠΎΠ΄ΠΎΠΊ ΠΈ Π½Π°ΠΌΠ°ΡΡΠ²Π°ΡΡ Π±ΠΈΠ½Ρ. ΠΠ΄Π½Π°ΠΊΠΎ ΡΠ°ΠΊΡΡ ΠΏΡΠΎΡΠ΅Π΄ΡΡΡ Π²ΡΠΏΠΎΠ»Π½ΡΡΡ, ΠΊΠΎΠ³Π΄Π° ΠΏΠΎΠΌΠΎΡΡ Π½ΡΠΆΠ½ΠΎ ΠΎΠΊΠ°Π·Π°ΡΡ Π½Π΅Π·Π°ΠΌΠ΅Π΄Π»ΠΈΡΠ΅Π»ΡΠ½ΠΎ, ΡΡΠΎΠ±Ρ ΠΏΠΎΡΠ΅ΡΠΏΠ΅Π²ΡΠ΅Π³ΠΎ Π΄ΠΎΡΡΠ°Π²ΠΈΡΡ Π² ΡΡΠ°Π²ΠΌΠΏΡΠ½ΠΊΡ.
ΠΠΎΡΠ»Π΅Π΄ΡΡΠ²ΠΈΡ ΠΏΠ΅ΡΠ΅Π»ΠΎΠΌΠ°
Π§ΡΠΎΠ±Ρ ΠΈΡΠΊΠ»ΡΡΠΈΡΡ Π½Π΅ΠΏΡΠΈΡΡΠ½ΡΡ ΠΏΠΎΡΠ»Π΅Π΄ΡΡΠ²ΠΈΠΉ, Π½Π΅ΠΎΠ±Ρ ΠΎΠ΄ΠΈΠΌΠΎ Π²ΠΎΠ²ΡΠ΅ΠΌΡ ΠΎΠ±ΡΠ°ΡΠΈΡΡΡΡ Π·Π° ΠΏΡΠΎΡΠ΅ΡΡΠΈΠΎΠ½Π°Π»ΡΠ½ΠΎΠΉ ΠΏΠΎΠΌΠΎΡΡΡ. ΠΠΎΠ·ΠΌΠΎΠΆΠ½Ρ ΡΠ»Π΅Π΄ΡΡΡΠΈΠ΅ ΠΎΡΠ»ΠΎΠΆΠ½Π΅Π½ΠΈΡ:
- ΠΏΠ΅ΡΠ΅ΠΌΠ΅ΡΠ΅Π½ΠΈΠ΅ Π·ΡΠ±ΠΎΠ²;
- ΠΏΠΎΡΠ²Π»Π΅Π½ΠΈΠ΅ ΡΠ°ΡΡΡΠΎΡΠ½ΠΈΠΉ ΠΌΠ΅ΠΆΠ΄Ρ Π·ΡΠ±Π°ΠΌΠΈ;
- Π΄Π΅ΡΠΎΡΠΌΠΈΡΠΎΠ²Π°Π½ΠΈΠ΅ Π»ΠΈΡΠ°;
- ΠΏΠΎΡΠ²Π»Π΅Π½ΠΈΠ΅ Π½Π΅ΠΏΡΠ°Π²ΠΈΠ»ΡΠ½ΠΎΠ³ΠΎ ΠΏΡΠΈΠΊΡΡΠ°.
Π ΡΠ»ΡΡΠ°Π΅ Π½Π΅ΠΎΠ±Ρ ΠΎΠ΄ΠΈΠΌΠΎΡΡΠΈ ΠΌΠΎΠΆΠ΅Ρ ΠΏΠΎΠ½Π°Π΄ΠΎΠ±ΠΈΡΡΡΡ ΠΎΠΏΠ΅ΡΠ°ΡΠΈΡ ΠΏΠΎ Π²ΠΎΡΡΡΠ°Π½ΠΎΠ²Π»Π΅Π½ΠΈΡ ΠΏΠΎΡΠ°ΠΆΠ΅Π½Π½ΡΡ ΡΡΠ°ΡΡΠΊΠΎΠ² Π»ΠΈΡΠ°. ΠΡΠΈ ΠΏΠ΅ΡΠ΅Π»ΠΎΠΌΠ°Ρ Π»Π΅Π³ΠΊΠΎΠΉ ΡΠΎΡΠΌΡ ΠΈ ΡΠ²ΠΎΠ΅Π²ΡΠ΅ΠΌΠ΅Π½Π½ΠΎΠΌ ΠΎΠ±ΡΠ°ΡΠ΅Π½ΠΈΠΈ ΠΊ Π΄ΠΎΠΊΡΠΎΡΡ, ΡΠΎΠ±Π»ΡΠ΄Π΅Π½ΠΈΠΈ Π²ΡΠ΅Ρ Π΅Π³ΠΎ ΡΠ΅ΠΊΠΎΠΌΠ΅Π½Π΄Π°ΡΠΈΠΉ, ΠΏΠΎΠ΄Π²ΠΈΠΆΠ½ΠΎΡΡΡ Π²ΠΎΠ·ΠΎΠ±Π½ΠΎΠ²Π»ΡΠ΅ΡΡΡ Π² ΡΠ΅ΡΠ΅Π½ΠΈΠΈ ΠΌΠ΅ΡΡΡΠ°.
vashyzuby.ru
ΠΠ΅ΡΠ΅Π»ΠΎΠΌ Π½ΠΈΠΆΠ½Π΅ΠΉ ΠΈ Π²Π΅ΡΡ Π½Π΅ΠΉ ΡΠ΅Π»ΡΡΡΠΈ, ΡΠΈΠΌΠΏΡΠΎΠΌΡ, Π»Π΅ΡΠ΅Π½ΠΈΠ΅
ΠΠ΅ ΡΠ°ΠΌΠΎΠΉ ΡΠ°ΡΠΏΡΠΎΡΡΡΠ°Π½Π΅Π½Π½ΠΎΠΉ, Π½ΠΎ Π΄ΠΎΠ²ΠΎΠ»ΡΠ½ΠΎ ΡΠ»ΠΎΠΆΠ½ΠΎΠΉ ΡΡΠ°Π²ΠΌΠΎΠΉ ΡΡΠ΅Π΄ΠΈ ΠΏΡΠΎΡΠΈΡ Π²ΠΈΠ΄ΠΎΠ² ΡΠ²Π»ΡΠ΅ΡΡΡ ΠΏΠ΅ΡΠ΅Π»ΠΎΠΌ ΡΠ΅Π»ΡΡΡΠΈ. ΠΠΎΠ΄ΠΎΠ±Π½ΠΎΠ΅ ΠΏΠΎΠ²ΡΠ΅ΠΆΠ΄Π΅Π½ΠΈΠ΅ ΡΠ»ΡΡΠ°Π΅ΡΡΡ Π² 5% ΡΠ»ΡΡΠ°Π΅Π² ΡΡΠ°Π²ΠΌΠΈΡΠΎΠ²Π°Π½ΠΈΡ ΠΊΠΎΡΡΠ΅ΠΉ. Π‘Π»ΠΎΠΌΠ°Π½Π½Π°Ρ ΡΠ΅Π»ΡΡΡΡ Π²Ρ ΠΎΠ΄ΠΈΡ Π² Π΄Π΅ΡΡΡΠΊΡ ΡΡΠ΅Π΄ΠΈ ΡΠ΅Π»ΠΎΠ²Π΅ΡΠ΅ΡΠΊΠΈΡ ΠΊΠΎΡΡΠ΅ΠΉ, Π½Π°ΠΈΠ±ΠΎΠ»Π΅Π΅ ΡΠ°ΡΠ΅ ΠΏΠΎΠ΄Π΄Π°ΡΡΠΈΡ ΡΡ ΠΏΠΎΠ²ΡΠ΅ΠΆΠ΄Π΅Π½ΠΈΡ.

ΠΠΎΠ΄ΠΎΠ±Π½ΡΠΉ Π²ΠΈΠ΄ Π½Π°ΡΡΡΠ΅Π½ΠΈΠΉ ΠΏΡΠΎΠΈΡΡ ΠΎΠ΄ΠΈΡ ΠΊΠ°ΠΊ ΡΠ»Π΅Π΄ΡΡΠ²ΠΈΠ΅ ΡΡΠ°Π²ΠΌΡ ΡΠ΅Π»ΡΡΡΠΈ Π»ΠΈΠ±ΠΎ ΡΡΠΈΠ»Π΅Π½Π½ΠΎΠΉ Π½Π°Π³ΡΡΠ·ΠΊΠΈ Π½Π° Π½Π΅Π΅. ΠΠ»Π°Π²Π½ΡΠΌΠΈ ΠΏΡΠΈΡΠΈΠ½Π°ΠΌΠΈ ΡΠ²Π»ΡΡΡΡΡ: ΠΠ’Π, ΡΠΈΠ·ΠΈΡΠ΅ΡΠΊΠΎΠ΅ Π½Π°ΡΠΈΠ»ΠΈΠ΅, ΠΏΠ°Π΄Π΅Π½ΠΈΠ΅ ΠΈ Π΄ΡΡΠ³ΠΎΠ΅.
Π‘Π»Π΅Π΄ΡΠ΅Ρ ΠΎΡΠΌΠ΅ΡΠΈΡΡ, ΡΡΠΎ ΡΠ°ΡΠ΅ Π²ΡΠ΅Π³ΠΎ (ΠΏΠΎΡΡΠΈ Π² 3 ΡΠ°Π·Π°) ΠΏΠΎΠ΄ΠΎΠ±Π½Π°Ρ ΡΡΠ°Π²ΠΌΠ° Π½Π°Π±Π»ΡΠ΄Π°Π΅ΡΡΡ Ρ ΠΌΡΠΆΡΠΈΠ½, ΠΎΡΠΎΠ±Π΅Π½Π½ΠΎ ΠΏΠ΅ΡΠ΅Π»ΠΎΠΌ Π½ΠΈΠΆΠ½Π΅ΠΉ ΡΠ΅Π»ΡΡΡΠΈ. ΠΠ°ΡΠ°ΡΠ΅Π»ΡΠ½ΠΎ Π²ΠΎΠ·ΡΠ°ΡΡΠ½ΠΎΠ³ΠΎ ΠΏΡΠΈΠ·Π½Π°ΠΊΠ°, ΡΠΎ Π±ΠΎΠ»ΡΡΠ΅ Π²ΡΠ΅Π³ΠΎ ΠΏΠΎΡΡΡΠ°Π΄Π°Π²ΡΠΈΡ Π½Π°Π±Π»ΡΠ΄Π°ΡΡ ΡΡΠ΅Π΄ΠΈ ΠΌΠΎΠ»ΠΎΠ΄Π΅ΠΆΠΈ Π»Π΅Ρ ΠΏΡΠΈΠΌΠ΅ΡΠ½ΠΎ 20-29.
Π Π°Π·Π΄Π΅Π»Π΅Π½ΠΈΠ΅ Π½Π° Π²ΠΈΠ΄Ρ
ΠΡΡ ΡΡΠ°Π²ΠΌΡ ΠΏΡΠΈΠ½ΡΡΠΎ Π΄Π΅Π»ΠΈΡΡ Π½Π° Π΄Π²Π° Π²ΠΈΠ΄Π°: ΠΏΠ΅ΡΠ΅Π»ΠΎΠΌ Π²Π΅ΡΡ Π½Π΅ΠΉ ΡΠ΅Π»ΡΡΡΠΈ ΠΈ Π½ΠΈΠΆΠ½Π΅ΠΉ. ΠΡΠΈΡΠΈΠ½Π° ΡΠ°ΠΊΠΎΠ³ΠΎ ΡΠ°Π·Π΄Π΅Π»Π΅Π½ΠΈΡ Π²ΠΎ ΠΌΠ½ΠΎΠΆΠ΅ΡΡΠ²Π΅ ΠΎΡΠ»ΠΈΡΠΈΠΉ ΠΌΠ΅ΠΆΠ΄Ρ ΠΈΡ ΡΡΡΠΎΠ΅Π½ΠΈΠ΅ΠΌ.
Π’ΡΠ°Π²ΠΌΠ° Π½ΠΈΠΆΠ½Π΅ΠΉ ΡΠ΅Π»ΡΡΡΠΈ ΠΎΠ±ΡΠΊΠ½ΠΎΠ²Π΅Π½Π½ΠΎ ΡΠ²Π»ΡΠ΅ΡΡΡ ΡΠ»Π΅Π΄ΡΡΠ²ΠΈΠ΅ΠΌ ΡΠ°ΡΡΠΈΡΠ½ΠΎΠ³ΠΎ ΠΈΠ»ΠΈ ΠΏΠΎΠ»Π½ΠΎΠ³ΠΎ ΡΠ°Π·ΡΡΡΠ΅Π½ΠΈΡ ΡΠΊΠ°Π½Π΅ΠΉ ΠΊΠΎΡΡΠ΅ΠΉ. Π’Π°ΠΊΠΎΠ΅ ΠΏΠΎΠ²ΡΠ΅ΠΆΠ΄Π΅Π½ΠΈΠ΅ Π²ΠΎΠ·Π½ΠΈΠΊΠ°Π΅Ρ ΠΏΠΎΠ΄ Π²ΠΎΠ·Π΄Π΅ΠΉΡΡΠ²ΠΈΠ΅ΠΌ ΠΌΠ΅Ρ Π°Π½ΠΈΡΠ΅ΡΠΊΠΎΠ³ΠΎ Π²ΠΎΠ·Π΄Π΅ΠΉΡΡΠ²ΠΈΡ β Π°Π²Π°ΡΠΈΡ, ΡΠΏΠΎΡΡΠΈΠ²Π½Π°Ρ ΡΡΠ°Π²ΠΌΠ°, ΠΏΠ°Π΄Π΅Π½ΠΈΠ΅ ΠΈ Ρ.ΠΏ. ΠΠΎΡΠ°Π·Π΄ΠΎ ΡΠ΅ΠΆΠ΅ Π½Π°Π±Π»ΡΠ΄Π°Π΅ΡΡΡ ΡΠ°ΠΌΠΎΠΏΡΠΎΠΈΠ·Π²ΠΎΠ»ΡΠ½ΡΠΉ ΠΏΠ΅ΡΠ΅Π»ΠΎΠΌ: Π΅Π³ΠΎ Π²ΠΎΠ·Π½ΠΈΠΊΠ½ΠΎΠ²Π΅Π½ΠΈΠ΅ ΠΎΠ±ΡΡΡΠ½ΡΠ΅ΡΡΡ Π½Π°Π»ΠΈΡΠΈΠ΅ΠΌ ΡΠΎΠΏΡΡΡΡΠ²ΡΡΡΠΈΡ Π·Π°Π±ΠΎΠ»Π΅Π²Π°Π½ΠΈΠΉ, ΠΊ ΠΏΡΠΈΠΌΠ΅ΡΡ, ΠΎΡΡΠ΅ΠΎΠΌΠΈΠ΅Π»ΠΈΡ, ΠΎΠΏΡΡ ΠΎΠ»Ρ ΠΊΠΎΡΡΠΈ. ΠΡΠ΅Π½Ρ ΠΎΠΏΠ°ΡΠ½ΡΠΌ, ΠΊΠ°ΠΊ ΠΈ Π² Π»ΡΠ±ΠΎΠΌ ΡΠ»ΡΡΠ°Π΅ Ρ ΡΡΠ°Π²ΠΌΠΎΠΉ, ΡΠ²Π»ΡΠ΅ΡΡΡ ΡΠ»ΠΎΠΌ ΡΠΎ ΡΠΌΠ΅ΡΠ΅Π½ΠΈΠ΅ΠΌ ΠΎΡΠ»ΠΎΠΌΠΊΠΎΠ² ΠΊΠΎΡΡΠΈ.
ΠΠΎΠ²ΡΠ΅ΠΆΠ΄Π΅Π½ΠΈΠ΅ Π²Π΅ΡΡ Π½Π΅ΠΉ ΡΠ΅Π»ΡΡΡΠΈ Ρ Π°ΡΠ°ΠΊΡΠ΅ΡΠΈΠ·ΠΈΡΡΠ΅ΡΡΡ ΡΠ΅ΠΌ, ΡΡΠΎ Π²ΡΠ·Π²Π°ΡΡ ΠΏΠΎΠ΄ΠΎΠ±Π½ΠΎΠ΅ ΠΌΠΎΠΆΠ΅Ρ ΠΈ ΠΏΠ΅ΡΠ΅Π»ΠΎΠΌ Π½ΠΎΡΠ° β Π²Π΅ΡΡ Π½ΡΡ ΡΠ°ΡΡΡ ΡΠ΅Π»ΡΡΡΠΈ ΠΌΠΎΠΆΠ΅Ρ Π±ΡΡΡ ΠΎΡΠΎΡΠ²Π°Π½Π° ΡΠ°ΠΊΠΆΠ΅ ΠΈ Ρ ΠΊΡΡΠΎΡΠΊΠΎΠΌ ΠΊΠΎΡΡΠΈ Π½ΠΎΡΠ°. Π’Π°ΠΊΠΈΠΌ ΠΎΠ±ΡΠ°Π·ΠΎΠΌ, Π»ΠΈΠ½ΠΈΡ Π½Π°Π΄Π»ΠΎΠΌΠ° Π±ΡΠ΄Π΅Ρ ΠΏΡΠΎΡ ΠΎΠ΄ΠΈΡΡ Π²Π΄ΠΎΠ»Ρ Π²Π½ΡΡΡΠ΅Π½Π½Π΅ΠΉ ΡΡΠ΅Π½ΠΊΠΈ Π½ΠΎΡΠ° ΠΈ Π³Π»Π°Π·Π½ΠΈΡΡ. ΠΠ΅ΠΊΠΎΡΠΎΡΡΠ΅, ΠΎΡΠΎΠ±ΠΎ ΡΡΠΆΠ΅Π»ΡΠ΅ ΡΠ»ΡΡΠ°ΠΈ ΠΈΠΌΠ΅ΡΡ ΠΏΠΎΡΠ»Π΅Π΄ΡΡΠ²ΠΈΠ΅ΠΌ ΡΠ°Π·Π²ΠΈΡΠΈΠ΅ ΠΏΠ΅ΡΠ΅Π»ΠΎΠΌΠ° ΡΠ΅ΡΠ΅ΠΏΠ° Π² Π΅Π³ΠΎ ΠΎΡΠ½ΠΎΠ²Π°Π½ΠΈΠΈ.
ΠΠ»Π°ΡΡΠΈΡΠΈΠΊΠ°ΡΠΈΡ ΠΏΠ΅ΡΠ΅Π»ΠΎΠΌΠΎΠ² Π² Π·Π°Π²ΠΈΡΠΈΠΌΠΎΡΡΠΈ ΠΏΠΎΠ²ΡΠ΅ΠΆΠ΄Π΅Π½ΠΈΡ:
- ΠΠΎΠ»Π½ΡΠΉ ΡΠΎ ΡΠΌΠ΅ΡΠ΅Π½ΠΈΠ΅ΠΌ ΠΊΠΎΡΡΠ½ΡΡ ΠΎΡΠ»ΠΎΠΌΠΊΠΎΠ². ΠΠΎΠ΄ΠΎΠ±Π½ΡΠ΅ ΠΏΠ΅ΡΠ΅Π»ΠΎΠΌΡ, Π² ΡΠ²ΠΎΡ ΠΎΡΠ΅ΡΠ΅Π΄Ρ, Π±ΡΠ²Π°ΡΡ ΠΊΠΎΡΡΠΌΠΈ, ΠΏΠΎΠΏΠ΅ΡΠ΅ΡΠ½ΡΠΌΠΈ, ΠΌΠ½ΠΎΠΆΠ΅ΡΡΠ²Π΅Π½Π½ΡΠΌΠΈ, Π΄Π²ΠΎΠΉΠ½ΡΠΌΠΈ, ΠΎΠ΄ΠΈΠ½Π°ΡΠ½ΡΠΌΠΈ ΠΈ ΠΎΡΠΊΠΎΠ»ΡΡΠ°ΡΡΡΠΌΠΈ.
- Π§Π°ΡΡΠΈΡΠ½ΡΠΉ (Π½Π΅ΠΏΠΎΠ»Π½ΡΠΉ) β ΠΏΠΎΠ²ΡΠ΅ΠΆΠ΄Π΅Π½ΠΈΠ΅ ΡΠ΅Π»ΡΡΡΠΈ, Π½Π΅ ΠΈΠΌΠ΅Π²ΡΠ΅Π΅ ΡΠ»Π΅Π΄ΡΡΠ²ΠΈΠ΅ΠΌ ΡΠΌΠ΅ΡΠ΅Π½ΠΈΡ ΠΎΡΠ»ΠΎΠΌΠΊΠΎΠ² ΠΊΠΎΡΡΠΈ. Π’Π°ΠΊΠΆΠ΅ ΠΎΡΠ»ΠΈΡΠ°Π΅ΡΡΡ Π½Π΅ ΠΎΡΠ΅Π½Ρ ΡΠ΅ΡΡΠ΅Π·Π½ΡΠΌΠΈ ΠΏΠΎΡΠ»Π΅Π΄ΡΡΠ²ΠΈΡΠΌΠΈ.
- ΠΡΠΊΡΡΡΡΠΉ β Π²ΡΠ»Π΅Π΄ΡΡΠ²ΠΈΠ΅ ΠΊΠΎΡΠΎΡΠΎΠ³ΠΎ ΠΏΡΠΎΠΈΡΡ ΠΎΠ΄ΠΈΡ ΡΠ°Π·ΡΡΠ² ΡΠΊΠ°Π½Π΅ΠΉ Π»ΠΈΡΠ°, ΠΊΠΎΠΆΠΈ, ΡΠ»ΠΈΠ·ΠΈΡΡΠΎΠΉ ΡΡΠ°.
- ΠΠ°ΠΊΡΡΡΡΠΉ β ΠΏΠΎΠ²ΡΠ΅ΠΆΠ΄Π΅Π½ΠΈΡ ΠΌΡΠ³ΠΊΠΈΡ ΡΠΊΠ°Π½Π΅ΠΉ Π½Π΅ ΠΏΡΠΎΠΈΡΡ ΠΎΠ΄ΠΈΡ, Π½Π°Π΄Π»ΠΎΠΌ Π²ΠΈΠ·ΡΠ°Π»ΡΠ½ΠΎ Π½Π΅ Π·Π°ΠΌΠ΅ΡΠ΅Π½.
ΠΠ»Π°Π²Π½ΡΠ΅ ΡΠΈΠΌΠΏΡΠΎΠΌΡ ΠΈ ΠΏΡΠΈΠ·Π½Π°ΠΊΠΈ
Π Π½ΠΈΠΆΠ½ΡΡ ΠΈ Π²Π΅ΡΡ Π½ΡΡ ΡΠ°ΡΡΡ Π»ΠΈΡΠ° ΠΈΠΌΠ΅ΡΡ ΠΎΡΠΎΠ±ΡΠ΅ ΡΠΈΠΌΠΏΡΠΎΠΌΡ ΡΡΠ°Π²ΠΌΠΈΡΠΎΠ²Π°Π½ΠΈΡ, Π½ΠΎ Π΅ΡΡΡ ΠΈ ΠΎΠ±ΡΠΈΠ΅, ΠΊΠΎΡΠΎΡΡΠ΅, Π² ΠΏΠ΅ΡΠ²ΡΡ ΠΎΡΠ΅ΡΠ΅Π΄Ρ, Π΄ΠΎΠ»ΠΆΠ½Ρ ΡΡΠΈΡΡΠ²Π°ΡΡΡΡ:
- Π² ΠΎΠ±Π»Π°ΡΡΠΈ ΡΡΠ°Π²ΠΌΡ Π²ΠΎΠ·Π½ΠΈΠΊΠ°Π΅Ρ ΡΠ΅Π·ΠΊΠ°Ρ Π±ΠΎΠ»Ρ;
- ΠΊΠΎΡΡΠ½ΡΠΉ ΠΎΡΠ»ΠΎΠΌΠΎΠΊ ΡΡΠ°Π½ΠΎΠ²ΠΈΡΡΡ Π½Π°ΠΌΠ½ΠΎΠ³ΠΎ ΠΏΠΎΠ΄Π²ΠΈΠΆΠ½Π΅Π΅;
- Π² ΠΎΠ±Π»Π°ΡΡΠΈ Π²Π΅ΡΡ Π½Π΅ΠΉ ΠΈ Π½ΠΈΠΆΠ½Π΅ΠΉ ΡΠ°ΡΡΠΈ Π»ΠΈΡΠ° ΠΏΡΠΎΡΠ²Π»ΡΡΡΡΡ Π³Π΅ΠΌΠ°ΡΠΎΠΌΡ ΠΈ ΡΠΈΠ½ΡΠΊΠΈ;
- ΠΏΡΠΈ ΡΠ΅ΡΡΠ΅Π·Π½ΠΎΠΉ ΡΡΠ°Π²ΠΌΠ΅ Π²ΠΎΠ·ΠΌΠΎΠΆΠ½Ρ ΠΊΡΠΎΠ²ΠΎΠΈΠ·Π»ΠΈΡΠ½ΠΈΡ ΠΈΠ· Π³Π»Π°Π·Π½ΠΈΡ;
- ΠΈΠΌΠ΅Π΅Ρ ΠΌΠ΅ΡΡΠΎ ΡΠ΅ΡΡΠ΅Π·Π½ΠΎΠ΅ Π½Π°ΡΡΡΠ΅Π½ΠΈΠ΅ ΡΡΠ½ΠΊΡΠΈΠΎΠ½Π°Π»ΡΠ½ΡΡ ΠΎΡΠΎΠ±Π΅Π½Π½ΠΎΡΡΠ΅ΠΉ Π΄ΡΡ Π°ΡΠ΅Π»ΡΠ½ΠΎΠ³ΠΎ, ΡΠ΅ΡΠ΅Π²ΠΎΠ³ΠΎ ΠΈ ΠΆΠ΅Π²Π°ΡΠ΅Π»ΡΠ½ΠΎΠ³ΠΎ Π°ΠΏΠΏΠ°ΡΠ°ΡΠΎΠ² ΠΎΡΠ³Π°Π½ΠΈΠ·ΠΌΠ°;
- Π² ΠΌΠ΅ΡΡΠ΅ ΠΏΠ΅ΡΠ΅Π»ΠΎΠΌΠ° Π²ΡΡΡΡΠΏΠ°Π΅Ρ ΡΡΠΊΠΎ Π²ΡΡΠ°ΠΆΠ΅Π½Π½ΡΠΉ ΠΎΡΠ΅ΠΊ;
- Π½Π°ΡΡΡΠ°Π΅ΡΡΡ ΠΏΡΠΈΠΊΡΡ;
- ΠΏΠΎΡΠ²Π»ΡΠ΅ΡΡΡ ΡΠΎΡΠ½ΠΎΡΠ° ΠΈ Π³ΠΎΠ»ΠΎΠ²ΠΎΠΊΡΡΠΆΠ΅Π½ΠΈΠ΅;
- Π·Π°ΠΌΠ΅ΡΠ½Π° ΡΠ»Π°Π±ΠΎΡΡΡ ΠΈ Π½Π΅Π΄ΠΎΠΌΠΎΠ³Π°Π½ΠΈΠ΅.
Π‘ ΡΠ°ΠΌΠΎΠ³ΠΎ Π½Π°ΡΠ°Π»Π° Π²ΠΎΠ·Π½ΠΈΠΊΠ°Π΅Ρ ΡΠΈΠ»ΡΠ½Π°Ρ Π±ΠΎΠ»Ρ. ΠΠΎΡΠΎΠΌ ΡΠ΅Π»ΠΎΠ²Π΅ΠΊ Π½Π°ΡΠΈΠ½Π°Π΅Ρ Π·Π°ΠΌΠ΅ΡΠ°ΡΡ Π½Π΅ΡΠΎΠΎΡΠ²Π΅ΡΡΡΠ²ΠΈΠ΅ Π·ΡΠ±ΠΎΠ² Π²Π΅ΡΡ Π½Π΅ΠΉ ΠΈ Π½ΠΈΠΆΠ½Π΅ΠΉ ΡΠ΅Π»ΡΡΡΠ΅ΠΉ, ΡΠΎ Π΅ΡΡΡ, ΠΏΠΎΡΠ²Π»ΡΠ΅ΡΡΡ Π½Π΅ΠΏΡΠ°Π²ΠΈΠ»ΡΠ½ΡΠΉ ΠΏΡΠΈΠΊΡΡ. ΠΠΎΡΡΡΠ°Π΄Π°Π²ΡΠΈΠΉ Π½Π΅ ΠΌΠΎΠΆΠ΅Ρ ΠΎΡΠΊΡΡΡΡ ΡΠΎΡ ΠΏΠΎΠ»Π½ΠΎΡΡΡΡ, Π½Π΅ ΠΌΠΎΠΆΠ΅Ρ Π³ΠΎΠ²ΠΎΡΠΈΡΡ, Π° ΠΏΠΎΠ΄Π±ΠΎΡΠΎΠ΄ΠΎΠΊ Π½Π°ΡΠΈΠ½Π°Π΅Ρ ΠΎΡΠ΅ΠΊΠ°ΡΡ. ΠΠΎΠ·ΠΌΠΎΠΆΠ½ΠΎ ΡΠ°ΠΊΠΆΠ΅ ΠΎΠ½Π΅ΠΌΠ΅Π½ΠΈΠ΅ Π½ΠΈΠΆΠ½Π΅ΠΉ Π³ΡΠ±Ρ ΠΈ ΠΏΠΎΠ΄Π±ΠΎΡΠΎΠ΄ΠΊΠ°, ΡΡΠΎ ΠΎΠ±ΡΡΡΠ½ΡΠ΅ΡΡΡ ΠΏΠΎΠ²ΡΠ΅ΠΆΠ΄Π΅Π½ΠΈΠ΅ΠΌ Π½Π΅ΡΠ²Π°.

ΠΠ°Π³Π»ΡΠ½ΡΠ² Π² ΡΠΎΡΠΎΠ²ΡΡ ΠΏΠΎΠ»ΠΎΡΡΡ ΠΏΠΎΡΡΡΠ°Π΄Π°Π²ΡΠ΅Π³ΠΎ, ΠΌΠΎΠΆΠ½ΠΎ ΠΎΠ±Π½Π°ΡΡΠΆΠΈΡΡ ΠΊΡΠΎΠ²ΠΎΡΠ΅ΡΠ΅Π½ΠΈΠ΅ ΠΈ ΠΈΡΠΊΡΠΈΠ²Π»Π΅Π½ΠΈΠ΅ Π»ΠΈΠ½ΠΈΠΈ Π·ΡΠ±ΠΎΠ². Π§Π°ΡΡΠΎ ΠΏΠΎΠ΄ ΡΠ·ΡΠΊΠΎΠΌ ΠΏΠΎΡΠ²Π»ΡΠ΅ΡΡΡ Π³Π΅ΠΌΠ°ΡΠΎΠΌΠ°, ΠΊΠΎΡΠΎΡΠ°Ρ, Π²ΡΠ»Π΅Π΄ΡΡΠ²ΠΈΠ΅ Π΄Π²ΠΈΠΆΠ΅Π½ΠΈΡ ΡΡΠΎΠΌ, Π²ΠΊΠ»ΠΈΠ½ΠΈΠ²Π°Π΅ΡΡΡ Π² ΡΠ»ΡΡ ΠΎΠ²ΠΎΠΉ ΠΏΡΠΎΡ ΠΎΠ΄, ΡΡΠΎ Π½Π΅Π³Π°ΡΠΈΠ²Π½ΠΎ ΡΠΊΠ°Π·ΡΠ²Π°Π΅ΡΡΡ ΠΈ Π½Π° ΡΠ»ΡΡ ΠΎΠ²ΠΎΠΉ ΡΡΠ½ΠΊΡΠΈΠΈ. Π’Π°ΠΊΠΆΠ΅ ΠΏΡΠΈ ΡΡΠ°Π²ΠΌΠ΅ ΠΌΠΎΠ³ΡΡ ΠΈΠΌΠ΅ΡΡ ΠΌΠ΅ΡΡΠΎ ΡΡΠΈΠ± Π½ΠΎΡΠ° ΠΈ ΡΡΠΈΠ± Π³Π»Π°Π·Π°.
ΠΡΠ»ΠΈ Ρ ΡΠ΅Π»ΠΎΠ²Π΅ΠΊΠ° ΠΎΠ±Π½Π°ΡΡΠΆΠΈΠ²Π°ΡΡΡΡ ΡΡΠΈ ΡΠΈΠΌΠΏΡΠΎΠΌΡ, Π΅Π³ΠΎ ΡΠ»Π΅Π΄ΡΠ΅Ρ Π½Π΅ΠΌΠ΅Π΄Π»Π΅Π½Π½ΠΎ Π΄ΠΎΡΡΠ°Π²ΠΈΡΡ Π½Π° ΠΎΡΠΌΠΎΡΡ ΠΊ Π²ΡΠ°ΡΡ. ΠΠΎΠ²ΠΎΠ»ΡΠ½ΠΎ ΠΏΡΠΎΡΡΠΎ ΡΠ°ΠΌΠΎΡΡΠΎΡΡΠ΅Π»ΡΠ½ΠΎ ΡΠ°ΡΠΏΠΎΠ·Π½Π°ΡΡ ΠΏΠ΅ΡΠ΅Π»ΠΎΠΌ ΠΊΠ°ΠΊ Π²Π΅ΡΡ Π½Π΅ΠΉ, ΡΠ°ΠΊ ΠΈ Π½ΠΈΠΆΠ½Π΅ΠΉ ΡΠ΅Π»ΡΡΡΠ΅ΠΉ. ΠΠ»Π°Π³ΠΎΠ΄Π°ΡΡ ΠΎΠ±ΡΠ΅ΠΉ ΠΊΠ»ΠΈΠ½ΠΈΡΠ΅ΡΠΊΠΎΠΉ ΡΠΈΠΌΠΏΡΠΎΠΌΠ°ΡΠΈΠΊΠ΅ ΠΏΠΎΠ²ΡΠ΅ΠΆΠ΄Π΅Π½ΠΈΡ, ΡΡΠ°Π²ΠΌΠ°ΡΠΎΠ»ΠΎΠ³ Π΄Π°ΠΆΠ΅ Π±Π΅Π· Π½Π°Π»ΠΈΡΠΈΡ ΡΠ΅Π·ΡΠ»ΡΡΠ°ΡΠ° ΡΠ΅Π½ΡΠ³Π΅Π½ΠΎΠ³ΡΠ°ΡΠΈΠΈ ΡΠΌΠΎΠΆΠ΅Ρ Π±Π΅Π· ΠΎΡΠΈΠ±ΠΊΠΈ Π΄ΠΈΠ°Π³Π½ΠΎΡΡΠΈΡΠΎΠ²Π°ΡΡ. Π Π΄Π°ΠΆΠ΅ ΡΠ΄Π΅Π»Π°Π² ΡΠ΅Π½ΡΠ³Π΅Π½, Π²ΡΠ°Ρ Π½Π΅ Π΄ΠΎΠ»ΠΆΠ΅Π½ ΠΎΡΠΊΠ°Π·ΡΠ²Π°ΡΡΡΡ ΠΎΡ ΠΏΠΎΠ»Π½ΠΎΠΉ Π΄ΠΈΠ°Π³Π½ΠΎΡΡΠΈΠΊΠΈ, ΠΏΠΎΡΠΊΠΎΠ»ΡΠΊΡ ΡΠ½ΠΈΠΌΠΎΠΊ ΡΠ²Π»ΡΠ΅ΡΡΡ Π»ΠΈΠ±ΠΎ ΠΏΠΎΠ΄ΡΠ²Π΅ΡΠΆΠ΄Π΅Π½ΠΈΠ΅ΠΌ, Π»ΠΈΠ±ΠΎ ΠΎΠΏΡΠΎΠ²Π΅ΡΠΆΠ΅Π½ΠΈΠ΅ΠΌ ΠΏΠ΅ΡΠ²ΠΈΡΠ½ΠΎΠ³ΠΎ Π΄ΠΈΠ°Π³Π½ΠΎΠ·Π°.
Π£ΡΡΠ°Π½ΠΎΠ²Π»Π΅Π½ΠΈΠ΅ Π½Π°ΡΡΡΠ΅Π½ΠΈΡ ΡΠ΅Π»ΠΎΡΡΠ½ΠΎΡΡΠΈ ΠΊΠΎΡΡΠΈ
ΠΠ΅ΡΠ΅Π½ΠΈΠ΅ ΠΏΠ΅ΡΠ΅Π»ΠΎΠΌΠ° ΡΠ΅Π»ΡΡΡΠΈ, ΠΊΠ°ΠΊ ΠΈ Π»ΡΠ±ΠΎΠ΅ ΠΏΠΎΠ²ΡΠ΅ΠΆΠ΄Π΅Π½ΠΈΠ΅, Π½Π°ΡΠΈΠ½Π°ΡΡ Ρ Π΅Π³ΠΎ Π΄ΠΈΠ°Π³Π½ΠΎΡΡΠΈΠΊΠΈ, Π²Π΅Π΄Ρ Π²ΠΎΠ·ΠΌΠΎΠΆΠ½ΠΎ Ρ Π²Π°Ρ ΠΏΡΠΎΡΡΠΎ Π²ΡΠ²ΠΈΡ ΡΠ΅Π»ΡΡΡΠΈ ΠΈ ΠΏΡΠΎΡΡΠΎΠΉ ΡΡΠΈΠ±. ΠΠΎΠ΄ΠΎΠ±Π½ΡΡ ΡΡΠ°Π²ΠΌΡ Π»ΡΡΡΠ΅ Π²ΡΠ΅Π³ΠΎ Π΄ΠΈΠ°Π³Π½ΠΎΡΡΠΈΡΠΎΠ²Π°ΡΡ Π² Π±ΠΎΠ»ΡΠ½ΠΈΡΠ΅. ΠΠ΅ΡΠ°ΡΠΈΠΉ Π²ΡΠ°Ρ, ΠΊΠΎΠ½Π΅ΡΠ½ΠΎ, ΠΌΠΎΠΆΠ΅Ρ Π΄Π°ΡΡ ΡΠΎΠ²Π΅Ρ ΠΎΡΠΏΡΠ°Π²ΠΈΡΡΡ Π² ΡΠΊΠΎΡΡΡ ΠΏΠΎΠΌΠΎΡΡ, Π½ΠΎ ΠΎΠ±ΡΠ°ΡΠ΅Π½ΠΈΠ΅ Π² ΡΡΠΎ ΠΎΡΠ΄Π΅Π»Π΅Π½ΠΈΠ΅ ΠΌΠΎΠΆΠ΅Ρ ΠΏΡΠΈΠ²Π΅ΡΡΠΈ ΠΊ ΠΊΡΠ΄Π° Π±ΠΎΠ»Π΅Π΅ ΡΠ΅ΡΡΡΠ·Π½ΡΠΌ ΠΏΠΎΡΠ»Π΅Π΄ΡΡΠ²ΠΈΡΠΌ, Π° ΠΈΠΌΠ΅Π½Π½ΠΎ, ΠΏΡΠΎΠ±Π»Π΅ΠΌ Ρ Π΄ΡΡ Π°Π½ΠΈΠ΅ΠΌ. Π’Π°ΠΊΠΎΠ΅ ΠΎΡΠ»ΠΎΠΆΠ½Π΅Π½ΠΈΠ΅ ΡΠ²Π»ΡΠ΅ΡΡΡ ΡΠ»Π΅Π΄ΡΡΠ²ΠΈΠ΅ΠΌ ΠΏΠΎΡΠ΅ΡΠΈ ΠΏΠΎΠ΄Π΄Π΅ΡΠΆΠΊΠΈ ΡΠ·ΡΠΊΠ°. Π’ΠΎ Π΅ΡΡΡ, ΠΏΡΠΈ ΠΏΠ΅ΡΠ²ΡΡ ΠΆΠ΅ ΠΏΡΠΎΡΠ²Π»Π΅Π½ΠΈΡΡ ΠΏΡΠΈΠ·Π½Π°ΠΊΠΎΠ² ΠΏΡΠΎΠ±Π»Π΅ΠΌ Ρ Π΄ΡΡ Π°ΡΠ΅Π»ΡΠ½ΠΎΠΉ ΡΡΠ½ΠΊΡΠΈΠ΅ΠΉ, Π½Π°Π΄ΠΎ, Π½Π΅ ΠΌΠ΅Π΄Π»Ρ, Π·Π²ΠΎΠ½ΠΈΡΡ Π² Π½Π΅ΠΎΡΠ»ΠΎΠΆΠ½ΡΡ ΠΌΠ΅Π΄ΠΈΡΠΈΠ½ΡΠΊΡΡ ΠΏΠΎΠΌΠΎΡΡ.
Π Π΄ΡΡΠ³ΠΈΡ ΡΠ»ΡΡΠ°ΡΡ Π² ΠΌΠ΅Π΄ΠΈΡΠΈΠ½ΡΠΊΠΎΠ΅ ΡΡΡΠ΅ΠΆΠ΄Π΅Π½ΠΈΠ΅ Π»ΡΡΡΠ΅ ΠΎΠ±ΡΠ°ΡΠ°ΡΡΡΡ ΡΠ°ΠΌΠΎΡΡΠΎΡΡΠ΅Π»ΡΠ½ΠΎ. ΠΠ΅ ΡΠ»Π΅Π΄ΡΠ΅Ρ Π·Π°Π±ΡΠ²Π°ΡΡ, ΡΡΠΎ Π»ΡΠ΄ΡΠΌ Ρ ΠΏΠΎΠ²ΡΠ΅ΠΆΠ΄Π΅Π½ΠΈΠ΅ΠΌ Π½Π΅ ΡΠ°Π·ΡΠ΅ΡΠ°Π΅ΡΡΡ ΡΠ°Π΄ΠΈΡΡΡΡ Π·Π° ΡΡΠ»Ρ.
ΠΠΎΡΡΠ°Π½ΠΎΠ²ΠΊΠ° Π΄ΠΈΠ°Π³Π½ΠΎΠ·Π° Π½Π°ΡΠΈΠ½Π°Π΅ΡΡΡ Ρ ΠΎΠ±ΡΠ΅Π³ΠΎ ΠΎΡΠΌΠΎΡΡΠ° Π²ΡΠ°ΡΠ°. ΠΠΎΡΠΎΠΌ Π΄Π΅Π»Π°Π΅ΡΡΡ ΡΠ΅Π½ΡΠ³Π΅Π½. ΠΠ½Π°Π»ΠΈΠ· ΠΊΡΠΎΠ²ΠΈ Π½Π΅ Π½Π°Π·Π½Π°ΡΠ°Π΅ΡΡΡ. Π€ΠΈΠ·ΠΈΡΠ΅ΡΠΊΠΈΠΉ ΠΎΡΠΌΠΎΡΡ ΡΠΎΡΡΠΎΠΈΡ Ρ ΠΎΠ±ΡΠ»Π΅Π΄ΠΎΠ²Π°Π½ΠΈΡ Π»ΠΈΡΠ° Ρ ΡΠ΅Π»ΡΡ ΠΎΠΏΡΠ΅Π΄Π΅Π»ΠΈΡΡ Π½Π°Π»ΠΈΡΠΈΠ΅ ΠΊΠ°ΠΊΠΈΡ -Π»ΠΈΠ±ΠΎ Π΄Π΅ΡΠΎΡΠΌΠ°ΡΠΈΠΉ, ΠΎΡΠ΅ΠΊΠΎΠ² Π»ΠΈΡΠ° ΠΈΠ»ΠΈ ΠΊΡΠΎΠ²ΠΎΠΏΠΎΠ΄ΡΠ΅ΠΊΠΎΠ². ΠΠΎΡΠΎΠΌ ΡΠ΅ΡΠ΅Π· ΠΊΠΎΠΆΡ Π΄Π΅Π»Π°Π΅ΡΡΡ ΠΏΠ°Π»ΡΠΏΠ°ΡΠΈΡ. Π’ΡΠ°Π²ΠΌΠ°ΡΠΎΠ»ΠΎΠ³ ΠΏΡΠΎΠ²Π΅ΡΡΠ΅Ρ ΠΏΠΎΠ΄Π²ΠΈΠΆΠ½ΠΎΡΡΡ.
ΠΠΎΡΠ»Π΅ Π²Π½Π΅ΡΠ½Π΅Π³ΠΎ ΠΎΠ±ΡΠ»Π΅Π΄ΠΎΠ²Π°Π½ΠΈΡ ΠΏΡΠΎΠΈΡΡ ΠΎΠ΄ΠΈΡ ΠΏΡΠΎΠ²Π΅ΡΠΊΠ° ΡΠΎΡΠΎΠ²ΠΎΠΉ ΠΏΠΎΠ»ΠΎΡΡΠΈ. ΠΠ°ΡΠΈΠ΅Π½Ρ ΡΠΆΠΈΠΌΠ°Π΅Ρ Π·ΡΠ±Ρ, ΡΡΠΎΠ±Ρ Π²ΡΠ°Ρ ΡΠΌΠΎΠ³ ΠΏΠΎΡΠΌΠΎΡΡΠ΅ΡΡ, Π½Π°ΡΠΊΠΎΠ»ΡΠΊΠΎ Π½Π°ΡΡΡΠ΅Π½ ΠΏΡΠΈΠΊΡΡ ΠΈ Π½Π°ΡΡΡΠ΅Π½ Π»ΠΈ Π²ΠΎΠΎΠ±ΡΠ΅. Π’Π°ΠΊΠΆΠ΅ ΠΏΡΠΎΠ²Π΅ΡΡΠ΅ΡΡΡ ΡΡΠ°Π±ΠΈΠ»ΡΠ½ΠΎΡΡΡ ΡΠ΅Π»ΡΡΡΠΈ. ΠΠ΅ΠΆΠ΄Ρ Π·ΡΠ±ΠΎΠ² Π²ΡΡΠ°Π²Π»ΡΠ΅ΡΡΡ ΠΏΡΡΠΌΠ°Ρ ΠΏΠΎΠ²Π΅ΡΡ Π½ΠΎΡΡΡ ΡΠΏΠ°ΡΠ΅Π»Ρ ΠΈΠ»ΠΈ ΠΏΠ»ΠΎΡΠΊΠΎΠΉ Π΄Π΅ΡΠ΅Π²ΡΠ½Π½ΠΎΠΉ ΠΏΠ°Π»ΠΎΡΠΊΠΈ, ΡΡΠΎΠ±Ρ ΠΏΡΠΎΠ²Π΅ΡΠΈΡΡ, ΡΠΌΠΎΠΆΠ΅Ρ Π»ΠΈ ΠΏΠΎΡΡΡΠ°Π΄Π°Π²ΡΠΈΠΉ ΡΠ΄Π΅ΡΠΆΠ°ΡΡ ΠΈΠ½ΡΡΡΡΠΌΠ΅Π½Ρ Π·ΡΠ±Π°ΠΌΠΈ.
ΠΠ°Π½ΠΎΡΠ°ΠΌΠ½Π°Ρ ΡΠ΅Π½ΡΠ³Π΅Π½ΠΎΠ³ΡΠ°ΡΠΈΡ β ΡΠ°ΠΌΡΠΉ Π»ΡΡΡΠΈΠΉ ΡΠΏΠΎΡΠΎΠ± ΠΏΡΠ°Π²ΠΈΠ»ΡΠ½ΠΎ Π΄ΠΈΠ°Π³Π½ΠΎΡΡΠΈΡΠΎΠ²Π°ΡΡ Π²ΠΈΠ΄ ΡΡΠ°Π²ΠΌΡ. ΠΠ½Π° ΠΎΡ Π²Π°ΡΡΠ²Π°Π΅Ρ Π²ΡΡ ΠΎΠ±Π»Π°ΡΡΡ ΡΠ΅Π»ΡΡΡΠΈ. ΠΠΎΠ½Π΅ΡΠ½ΠΎ, Π½Π΅ ΠΊΠ°ΠΆΠ΄ΠΎΠ΅ ΠΌΠ΅Π΄ΠΈΡΠΈΠ½ΡΠΊΠΎΠ΅ ΡΡΡΠ΅ΠΆΠ΄Π΅Π½ΠΈΠ΅ ΠΈΠΌΠ΅Π΅Ρ Π½Π΅ΠΎΠ±Ρ ΠΎΠ΄ΠΈΠΌΡΠ΅ ΡΠ΅ΡΡΡΡΡ Π½Π° ΠΏΠ°Π½ΠΎΡΠ°ΠΌΠ½ΡΡ ΡΠ΅Π½ΡΠ³Π΅Π½ΠΎΠ³ΡΠ°ΠΌΠΌΡ, ΠΏΠΎΡΡΠΎΠΌΡ Π΅Π΅ ΠΈ Π·Π°ΠΌΠ΅Π½ΡΡΡ Π΄ΡΡΠ³ΠΈΠΌΠΈ ΠΌΠ΅ΡΠΎΠ΄Π°ΠΌΠΈ ΠΈΡΡΠ»Π΅Π΄ΠΎΠ²Π°Π½ΠΈΡ.
ΠΡΠ²Π°Π΅Ρ ΡΠ°ΠΊ, ΡΡΠΎ ΡΠ΅Π½ΡΠ³Π΅Π½ΠΎΠ²ΡΠΊΠΈΠΉ ΡΠ½ΠΈΠΌΠΎΠΊ ΠΏΠΎΠ΄ΡΠ²Π΅ΡΠΆΠ΄Π°Π΅Ρ ΠΎΡΡΠΈΡΠ°ΡΠ΅Π»ΡΠ½ΡΠΉ ΡΠ΅Π·ΡΠ»ΡΡΠ°Ρ, Π½ΠΎ Π²ΡΠ°Ρ Π½Π°ΡΡΠ°ΠΈΠ²Π°Π΅Ρ Π½Π° Π΄Π°Π»ΡΠ½Π΅ΠΉΡΠ΅ΠΌ ΠΎΠ±ΡΠ»Π΅Π΄ΠΎΠ²Π°Π½ΠΈΠΈ. Π ΡΠ°ΠΊΠΎΠΌ ΡΠ»ΡΡΠ°Π΅ Π½Π°Π·Π½Π°ΡΠ°Π΅ΡΡΡ ΠΊΠΎΠΌΠΏΡΡΡΠ΅ΡΠ½Π°Ρ ΡΠΎΠΌΠΎΠ³ΡΠ°ΡΠΈΡ.
ΠΠ°Π·Π½Π°ΡΠ°Π΅ΠΌΠΎΠ΅ Π»Π΅ΡΠ΅Π½ΠΈΠ΅
ΠΡΠ»ΠΈ Π΅ΡΡΡ ΠΏΡΠΈΠ·Π½Π°ΠΊΠΈ, ΡΠ»Π΅Π΄ΡΠ΅Ρ Π½Π΅ΠΌΠ΅Π΄Π»Π΅Π½Π½ΠΎ ΠΎΠ±ΡΠ°ΡΠΈΡΡΡΡ ΠΊ Π΄Π°Π½ΡΠΈΡΡΡ ΠΈΠ»ΠΈ Π²ΡΠ°ΡΡ, ΡΠΏΠ΅ΡΠΈΠ°Π»ΠΈΠ·ΠΈΡΡΡΡΠ΅ΠΌΡΡΡ Π½Π° ΡΠ΅Π»ΡΡΡΠ½ΠΎ-Π»ΠΈΡΠ΅Π²ΠΎΠΉ Ρ ΠΈΡΡΡΠ³ΠΈΠΈ. ΠΠΎ ΠΏΡΠΈΠΊΠ»Π°Π΄ΡΠ²Π°Π΅ΡΡΡ Π»Π΅Π΄, ΡΡΠΎΠ±Ρ ΠΏΡΠ΅Π΄ΠΎΡΠ²ΡΠ°ΡΠΈΡΡ ΠΏΠΎΡΠ²Π»Π΅Π½ΠΈΠ΅ ΠΎΡΠ΅ΠΊΠ°. Π‘Π»Π΅Π΄ΡΠ΅Ρ ΠΏΡΠΈΡ Π²Π°ΡΠΈΡΡ Ρ ΡΠΎΠ±ΠΎΠΉ ΠΏΠ°ΠΊΠ΅Ρ, ΠΈΠ»ΠΈ Π±ΡΠΌΠ°ΠΆΠ½ΡΠΉ ΡΡΠ°ΠΊΠ°Π½ΡΠΈΠΊ, ΡΡΠΎΠ±Ρ ΡΠΏΠ»Π΅Π²ΡΠ²Π°ΡΡ ΠΊΡΠΎΠ²Ρ ΠΈΠ»ΠΈ ΡΠ»ΡΠ½Ρ.
ΠΠΎΡΡΡΠ°Π΄Π°Π²ΡΠ΅ΠΌΡ ΠΎΠΊΠ°Π·ΡΠ²Π°Π΅ΡΡΡ Π½Π΅ΠΎΠ±Ρ ΠΎΠ΄ΠΈΠΌΠ°Ρ ΠΌΠ΅Π΄ΠΈΡΠΈΠ½ΡΠΊΠ°Ρ ΠΏΠΎΠΌΠΎΡΡ: ΠΎΠ±Π΅Π·Π΄Π²ΠΈΠΆΠΈΠ²Π°Π½ΠΈΠ΅ ΡΠ΅Π»ΡΡΡΠΈ, ΠΎΡΡΠ°Π½ΠΎΠ²ΠΊΠ° ΠΊΡΠΎΠ²ΠΎΡΠ΅ΡΠ΅Π½ΠΈΡ, ΡΠΈΠΊΡΠΈΡΠΎΠ²Π°Π½ΠΈΠ΅ ΡΠ·ΡΠΊΠ° ΠΈ ΠΎΠ±Π΅ΡΠΏΠ΅ΡΠ΅Π½ΠΈΠ΅ ΠΎΠ±ΡΠ·Π°ΡΠ΅Π»ΡΠ½ΠΎΠ³ΠΎ ΠΏΠΎΠΊΠΎΡ. Π Π±ΠΎΠ»ΡΠ½ΠΈΡΡ Π΅Π³ΠΎ ΡΡΠ°Π½ΡΠΏΠΎΡΡΠΈΡΡΡΡ Π² ΡΠΈΠ΄ΡΡΠ΅ΠΌ ΠΏΠΎΠ»ΠΎΠΆΠ΅Π½ΠΈΠΈ, Π° Π΅ΡΠ΅ Π»ΡΡΡΠ΅ Π²Π½ΠΈΠ· Π»ΠΈΡΠΎΠΌ ΠΈΠ»ΠΈ Π½Π° Π±ΠΎΠΊΡ. ΠΡΠ»ΠΈ ΠΆΠ΅ ΠΎΠ½ Π½Π°Ρ ΠΎΠ΄ΠΈΡΡΡ Π±Π΅Π· ΡΠΎΠ·Π½Π°Π½ΠΈΡ, ΡΠΎ Π»Π΅ΠΆΠ° Π½Π° ΡΠΏΠΈΠ½Π΅, Π° Π³ΠΎΠ»ΠΎΠ²Ρ ΠΏΠΎΠ²Π΅ΡΠ½ΡΡΡ Π²Π±ΠΎΠΊ.
ΠΠ΅ ΠΊΠ°ΠΆΠ΄ΡΠΉ ΠΏΠ°ΡΠΈΠ΅Π½Ρ, ΠΎΠ±ΡΠ°ΡΠΈΠ²ΡΠΈΠΉΡΡ Π² Π±ΠΎΠ»ΡΠ½ΠΈΡΡ, Π΄ΠΈΠ°Π³Π½ΠΎΡΡΠΈΡΡΠ΅ΡΡΡ ΠΊΠ°ΠΊ ΠΏΠΎΡΡΡΠ°Π΄Π°Π²ΡΠΈΠΉ ΠΎΡ ΠΏΠ΅ΡΠ΅Π»ΠΎΠΌΠ°. Π ΠΏΠ΅ΡΠ²ΡΡ ΠΎΡΠ΅ΡΠ΅Π΄Ρ, Π½Π°Π·Π½Π°ΡΠ°Π΅ΡΡΡ ΠΎΠ±Π΅Π·Π±ΠΎΠ»ΠΈΠ²Π°ΡΡΠ°Ρ ΠΈΠ½ΡΠ΅ΠΊΡΠΈΡ, Π΄ΠΈΠ΅ΡΠ° Ρ ΠΌΡΠ³ΠΊΠΎΠΉ ΠΏΠΈΡΠΈ ΠΈ ΡΠ΅ΠΊΠΎΠΌΠ΅Π½Π΄Π°ΡΠΈΠΈ Π²ΡΠ°ΡΠ°, ΠΊΠΎΡΠΎΡΡΠΌ Π½Π°Π΄ΠΎ ΡΠ»Π΅Π΄ΠΎΠ²Π°ΡΡ.
ΠΠ°ΡΠΈΠ΅Π½ΡΡ, Ρ ΠΊΠΎΡΠΎΡΡΡ ΡΡΡΠ°Π½ΠΎΠ²Π»Π΅Π½ Π½Π°Π΄Π»ΠΎΠΌ, ΠΏΡΠΎΡ ΠΎΠ΄ΡΡ Π΄ΠΎΠΏΠΎΠ»Π½ΠΈΡΠ΅Π»ΡΠ½ΠΎΠ΅ ΠΎΠ±ΡΠ»Π΅Π΄ΠΎΠ²Π°Π½ΠΈΠ΅. ΠΠΎΠ»ΡΡΠΈΠ½ΡΡΠ²ΠΎ ΠΏΠ΅ΡΠ΅Π»ΠΎΠΌΠΎΠ² Π·Π°ΡΠ°ΡΡΡΡ ΠΏΠΎΡΠ²Π»ΡΡΡΡΡ ΠΎΡ ΠΏΡΠΎΠ±Π»Π΅ΠΌ Ρ Π΄Π΅ΡΠ½Π°ΠΌΠΈ ΠΈΠ»ΠΈ ΠΏΠΎΠ²ΡΠ΅ΠΆΠ΄Π΅Π½ΠΈΠΉ ΡΠΊΠ°Π½Π΅ΠΉ, ΠΏΠΎΡΡΠΎΠΌΡ ΠΈΡ ΡΠ°ΡΡΠΌΠ°ΡΡΠΈΠ²Π°ΡΡ, ΠΊΠ°ΠΊ ΠΎΡΠΊΡΡΡΡΠ΅. ΠΠΎΠ΄ΠΎΠ±Π½ΡΠ΅ ΡΡΠ°Π²ΠΌΡ Π»Π΅ΡΠ°Ρ Π°Π½ΡΠΈΠ±ΠΈΠΎΡΠΈΠΊΠ°ΠΌΠΈ. ΠΠ½ΠΎΠ³Π΄Π° Π½Π°Π·Π½Π°ΡΠ°ΡΡΡΡ ΠΏΡΠΈΠ²ΠΈΠ²ΠΊΠΈ ΠΎΡ ΡΡΠΎΠ»Π±Π½ΡΠΊΠ°. ΠΠ»Ρ ΡΠ½ΡΡΠΈΡ Π±ΠΎΠ»Π΅Π²ΡΡ ΠΎΡΡΡΠ΅Π½ΠΈΠΉ ΠΈΡΠΏΠΎΠ»ΡΠ·ΡΡΡ ΠΌΠ΅Π΄ΠΈΡΠΈΠ½ΡΠΊΠΈΠ΅ ΠΏΡΠ΅ΠΏΠ°ΡΠ°ΡΡ.
ΠΠ΅ΡΠ΅Π»ΠΎΠΌ Π½ΠΈΠΆΠ½Π΅ΠΉ ΡΠ΅Π»ΡΡΡΠΈ Π·Π°ΡΠ°ΡΡΡΡ ΡΠ²Π»ΡΠ΅ΡΡΡ ΡΡΠ°Π±ΠΈΠ»ΡΠ½ΡΠΌ, ΠΏΠΎΡΡΠΎΠΌΡ Π»Π΅ΡΠ΅Π½ΠΈΠ΅ ΠΎΡΡΡΠ΅ΡΡΠ²Π»ΡΠ΅ΡΡΡ Ρ ΠΏΠΎΠΌΠΎΡΡΡ ΡΠΈΠΊΡΠ°ΡΠΈΠΈ Π²ΠΌΠ΅ΡΡΠ΅ Π²Π΅ΡΡ Π½ΠΈΡ Π·ΡΠ±ΠΎΠ² ΠΈ Π½ΠΈΠΆΠ½ΠΈΡ . ΠΡΠ΅ΠΈΠΌΡΡΠ΅ΡΡΠ²Π΅Π½Π½ΠΎ ΠΏΠΎΠ΄ΠΎΠ±Π½ΡΠΌ Π»Π΅ΡΠ΅Π½ΠΈΠ΅ΠΌ Π·Π°Π½ΠΈΠΌΠ°Π΅ΡΡΡ ΡΠ΅Π»ΡΡΡΠ½ΠΎ-Π»ΠΈΡΠ΅Π²ΠΎΠΉ Ρ ΠΈΡΡΡΠ³.
ΠΠ΅ Π²ΡΠ΅ ΠΏΠΎΠ²ΡΠ΅ΠΆΠ΄Π΅Π½ΠΈΡ Π»Π΅ΡΠ°Ρ ΠΊΠΎΠ½ΡΠ΅ΡΠ²Π°ΡΠΈΠ²Π½ΡΠΌΠΈ ΠΌΠ΅ΡΠΎΠ΄Π°ΠΌΠΈ. ΠΡΠ»ΠΈ ΡΡΠ°Π²ΠΌΠ° Π½Π΅ΡΡΠ°Π±ΠΈΠ»ΡΠ½Π°, ΡΠΎ ΡΡΠ΅Π±ΡΠ΅ΡΡΡ ΠΎΠ±ΡΠ·Π°ΡΠ΅Π»ΡΠ½ΠΎΠ΅ Ρ ΠΈΡΡΡΠ³ΠΈΡΠ΅ΡΠΊΠΎΠ΅ Π²ΠΌΠ΅ΡΠ°ΡΠ΅Π»ΡΡΡΠ²ΠΎ. Π₯ΠΈΡΡΡΠ³ΠΈΡΠ΅ΡΠΊΠΎΠ΅ Π»Π΅ΡΠ΅Π½ΠΈΠ΅ ΠΏΡΠ΅Π΄ΡΡΠΌΠ°ΡΡΠΈΠ²Π°Π΅Ρ Π½Π° ΠΌΠ΅ΡΡΠ΅ ΠΏΠ΅ΡΠ΅Π»ΠΎΠΌΠ° ΠΈΡΠΏΠΎΠ»ΡΠ·ΠΎΠ²Π°Π½ΠΈΠ΅ ΠΏΠ»Π°ΡΡΠΈΠ½, ΠΊΠΎΡΠΎΡΡΠ΅ ΠΏΠΎΠ·Π²ΠΎΠ»ΡΡ ΠΏΠΎΡΡΡΠ°Π΄Π°Π²ΡΠ΅ΠΌΡ ΠΈΡΠΏΠΎΠ»ΡΠ·ΠΎΠ²Π°ΡΡ ΡΠ΅Π»ΡΡΡΠΈ, ΠΈ Π΅ΡΡΡ ΡΠΆΠ΅ ΡΠ΅ΡΠ΅Π· Π½Π΅ΠΊΠΎΡΠΎΡΠΎΠ΅ Π²ΡΠ΅ΠΌΡ ΠΏΠΎΡΠ»Π΅ ΠΎΠΏΠ΅ΡΠ°ΡΠΈΠΈ.
Π₯Π°ΡΠ°ΠΊΡΠ΅Ρ ΠΈ ΠΌΠ΅ΡΡΠΎ ΠΏΠΎΠ²ΡΠ΅ΠΆΠ΄Π΅Π½ΠΈΡ, Π² ΠΏΠ΅ΡΠ²ΡΡ ΠΎΡΠ΅ΡΠ΅Π΄Ρ, Π²Π»ΠΈΡΡΡ Π½Π° Π²ΡΠ±ΠΎΡ ΠΌΠ΅ΡΠΎΠ΄ΠΎΠ² Π»Π΅ΡΠ΅Π½ΠΈΡ. ΠΡΠ΅Π΄ΡΡΠΌΠ°ΡΡΠΈΠ²Π°Π΅Ρ ΠΈΠ·ΠΌΠ΅Π½Π΅Π½ΠΈΠ΅ ΠΏΠΈΡΠ°Π½ΠΈΡ ΠΈ ΠΏΠΎΡΡΠΎΡΠ½Π½ΠΎΠ΅ ΠΎΠ±Π΅Π·Π±ΠΎΠ»ΠΈΠ²Π°Π½ΠΈΠ΅. ΠΠ΅ΠΊΠΎΡΠΎΡΡΡ ΠΏΠΎΡΡΡΠ°Π΄Π°Π²ΡΠΈΡ Ρ Π±ΠΎΠ»Π΅Π΅ ΡΡΠΆΠ΅Π»ΡΠΌΠΈ ΠΏΠΎΠ²ΡΠ΅ΠΆΠ΄Π΅Π½ΠΈΡΠΌΠΈ Π½Π΅ΠΎΠ±Ρ ΠΎΠ΄ΠΈΠΌΠΎ Π³ΠΎΡΠΏΠΈΡΠ°Π»ΠΈΠ·ΠΈΡΠΎΠ²Π°ΡΡ.
ΠΠΎΡΠ»Π΅Π΄ΡΡΡΠ°Ρ ΡΠ΅Π°Π±ΠΈΠ»ΠΈΡΠ°ΡΠΈΡ
ΠΠ½ΠΎΠ³ΠΈΠ΅ ΡΡΠ°Π²ΠΌΡ ΡΠ΅Π»ΡΡΡΠΈ, ΠΎΡΠΎΠ±Π΅Π½Π½ΠΎ ΡΠΎ ΡΠΌΠ΅ΡΠ΅Π½ΠΈΠ΅ΠΌ ΠΊΠΎΡΡΠ½ΡΡ ΠΎΡΠ»ΠΎΠΌΠΊΠΎΠ², ΡΡΠ΅Π±ΡΡΡ ΡΡΠ°ΡΠ΅Π»ΡΠ½ΠΎΠ³ΠΎ ΠΏΠΎΡΠ»Π΅Π΄ΡΡΡΠ΅Π³ΠΎ Π½Π°Π±Π»ΡΠ΄Π΅Π½ΠΈΠ΅ Π»Π΅ΡΠ°ΡΠ΅Π³ΠΎ Π²ΡΠ°ΡΠ°. Π§ΡΠΎΠ±Ρ ΡΡΠΊΠΎΡΠΈΡΡ ΠΏΡΠΎΡΠ΅ΡΡ Π²ΡΠ·Π΄ΠΎΡΠΎΠ²Π»Π΅Π½ΠΈΡ, Π½Π°Π΄ΠΎ Π²ΡΠΏΠΎΠ»Π½ΡΡΡ Π²ΡΠ΅ ΡΠ΅ΠΊΠΎΠΌΠ΅Π½Π΄Π°ΡΠΈΠΈ Ρ ΠΈΡΡΡΠ³Π°, ΠΏΡΠΈΠ½ΠΈΠΌΠ°ΡΡ Π°Π½ΡΠΈΠ±ΠΈΠΎΡΠΈΠΊΠΈ ΡΡΡΠΎΠ³ΠΎ ΠΏΠΎ Π½Π°Π·Π½Π°ΡΠ΅Π½ΠΈΡ. ΠΠ±ΡΠ·Π°ΡΠ΅Π»ΡΠ½ΡΠΌ ΠΌΠΎΠΌΠ΅Π½ΡΠΎΠΌ ΡΠ²Π»ΡΠ΅ΡΡΡ ΡΠ°ΠΊΠΆΠ΅ ΡΠΎΠ±Π»ΡΠ΄Π΅Π½ΠΈΠ΅ ΡΠΏΠ΅ΡΠΈΠ°Π»ΡΠ½ΠΎΠ³ΠΎ ΡΠ°ΡΠΈΠΎΠ½Π° ΠΏΠΈΡΠ°Π½ΠΈΡ.
ΠΠΎΠ³ΡΡ Π»ΠΈ Π±ΡΡΡ ΠΏΠΎΡΠ»Π΅Π΄ΡΡΠ²ΠΈΡ
ΠΠΎΠ²ΡΠ΅ΠΆΠ΄Π΅Π½ΠΈΠ΅ ΡΠ΅Π»ΡΡΡΠΈ β ΠΎΡΠ΅Π½Ρ ΡΠ΅ΡΡΠ΅Π·Π½Π°Ρ ΡΡΠ°Π²ΠΌΠ°, ΠΈ ΡΠ°ΡΡΠΎ Π½Π΅ΡΠΎΠΎΡΠ²Π΅ΡΡΡΠ²Π΅Π½Π½ΠΎΠ΅ ΠΎΡΠ½ΠΎΡΠ΅Π½ΠΈΠ΅ ΠΊ Π½Π΅ΠΉ ΠΌΠΎΠΆΠ΅Ρ Π²ΡΠ·Π²Π°ΡΡ Π΄ΠΎΠ²ΠΎΠ»ΡΠ½ΠΎ ΡΡΠΆΠ΅Π»ΡΠ΅ ΠΏΠΎΡΠ»Π΅Π΄ΡΡΠ²ΠΈΡ, Π° ΠΈΠΌΠ΅Π½Π½ΠΎ: Π΄Π΅ΡΠΎΡΠΌΠ°ΡΠΈΡ ΠΎΠ΄Π½ΠΎΠΉ ΡΠ°ΡΡΠΈ Π·ΡΠ±Π½ΠΎΠ³ΠΎ ΡΡΠ΄Π° ΠΊΠ°ΡΠ°ΡΠ΅Π»ΡΠ½ΠΎ Π΄ΡΡΠ³ΠΎΠΉ, ΠΏΠΎ Π»ΠΈΠ½ΠΈΠΈ ΠΏΠ΅ΡΠ΅Π»ΠΎΠΌΠ° ΠΎΠ±ΡΠ°Π·ΠΎΠ²Π°Π½ΠΈΠ΅ ΠΏΡΠΎΠΌΠ΅ΠΆΡΡΠΊΠΎΠ² ΠΌΠ΅ΠΆΠ΄Ρ Π·ΡΠ±Π°ΠΌΠΈ, ΡΠΌΠ΅ΡΠ΅Π½ΠΈΠ΅ ΡΠ΅Π»ΡΡΡΠ½ΡΡ ΠΎΡΠ»ΠΎΠΌΠΊΠΎΠ², ΡΠΌΠ΅ΡΠ΅Π½ΠΈΠ΅ Π·ΡΠ±ΠΎΠ², Π²ΠΎΠ·Π½ΠΈΠΊΠ½ΠΎΠ²Π΅Π½ΠΈΠ΅ Π°Π½ΠΎΠΌΠ°Π»ΠΈΠΉ ΠΏΡΠΈΠΊΡΡΠ°.
ΠΠΎΡΠ²Π»ΡΡΡΡΡ, ΠΈ Π·Π°ΡΠ°ΡΡΡΡ ΠΎΡΡΠ°ΡΡΡΡ ΡΠΈΠ»ΡΠ½ΡΠ΅ ΠΏΠΎΡΡΠΎΡΠ½Π½ΡΠ΅ Π±ΠΎΠ»ΠΈ Π² ΠΎΠ±Π»Π°ΡΡΠΈ, Π½Π°ΡΡΡΠ΅Π½ΠΈΠ΅ ΡΡΠ½ΠΊΡΠΈΠΎΠ½Π°Π»ΡΠ½ΡΡ ΡΠΏΠΎΡΠΎΠ±Π½ΠΎΡΡΠ΅ΠΉ Π΄ΡΡ Π°ΡΠ΅Π»ΡΠ½ΠΎΠ³ΠΎ, ΡΠ΅ΡΠ΅Π²ΠΎΠ³ΠΎ Π°ΠΏΠΏΠ°ΡΠ°ΡΠΎΠ², Π° ΡΠ°ΠΊΠΆΠ΅ Π³Π»ΠΎΡΠ°ΡΠ΅Π»ΡΠ½ΠΎΠΉ ΠΈ ΠΆΠ΅Π²Π°ΡΠ΅Π»ΡΠ½ΠΎΠΉ ΡΡΠ½ΠΊΡΠΈΠΉ. ΠΠΎΡΠ»Π΅Π΄ΡΡΠ²ΠΈΠ΅ΠΌ ΠΌΠΎΠΆΠ΅Ρ Π±ΡΡΡ ΠΈ ΠΎΠ½Π΅ΠΌΠ΅Π½ΠΈΠ΅ Π»ΠΈΡΠ° Π² ΠΎΠ±Π»Π°ΡΡΠΈ Π³ΡΠ± ΠΈ ΠΏΠΎΠ΄Π±ΠΎΡΠΎΠ΄ΠΊΠ°, ΠΏΠΎΡΠ»Π΅ Π΄Π²ΠΎΠΉΠ½ΠΎΠ³ΠΎ ΠΏΠ΅ΡΠ΅Π»ΠΎΠΌΠ° β Π·Π°ΠΏΠ°Π΄Π΅Π½ΠΈΠ΅ ΡΠ·ΡΠΊΠ°, ΠΎΠ±ΡΠΈΠ΅ ΠΏΡΠΎΠ±Π»Π΅ΠΌΡ ΡΠΎ Π·Π΄ΠΎΡΠΎΠ²ΡΠ΅ΠΌ, Π²ΠΊΠ»ΡΡΠ°ΡΡΠΈΠ΅ Π³ΠΎΠ»ΠΎΠ²ΠΎΠΊΡΡΠΆΠ΅Π½ΠΈΠ΅, ΡΠΎΡΠ½ΠΎΡΡ, Π³ΠΎΠ»ΠΎΠ²Π½ΡΡ Π±ΠΎΠ»Ρ.
ΠΠ°ΡΠ°ΡΡΡΡ ΠΏΠ΅ΡΠ΅Π»ΠΎΠΌ Π½ΠΈΠΆΠ½Π΅ΠΉ ΡΠ΅Π»ΡΡΡΠΈ ΠΏΡΠΈΠ²ΠΎΠ΄ΠΈΡ ΠΊ ΡΠΎΡΡΡΡΠ΅Π½ΠΈΡ Π³ΠΎΠ»ΠΎΠ²Π½ΠΎΠ³ΠΎ ΠΌΠΎΠ·Π³Π°, ΠΈ Π² ΡΠ΅Π·ΡΠ»ΡΡΠ°ΡΠ΅ β ΠΊ ΠΏΠΎΡΠ΅ΡΠ΅ ΡΠΎΠ·Π½Π°Π½ΠΈΡ, ΡΠ°ΡΡΡΠΌ ΠΊΡΠΎΠ²ΠΎΡΠ΅ΡΠ΅Π½ΠΈΡΠΌ ΠΈΠ· ΡΡΠ΅ΠΉ. Π’Π°ΠΊΠΆΠ΅ ΠΌΠΎΠ³ΡΡ ΡΠ°Π·Π²ΠΈΡΡΡΡ ΡΠ°ΠΊΠΈΠ΅ Π·Π°Π±ΠΎΠ»Π΅Π²Π°Π½ΠΈΡ ΠΊΠ°ΠΊ ΠΎΡΡΠ΅ΠΎΠΌΠΈΠ΅Π»ΠΈΡ ΠΈ ΠΌΠ΅Π½ΠΈΠ½Π³ΠΈΡ.
medikmy.ru
Π‘Π»ΠΎΠΌΠ°Π½Π½Π°Ρ ΡΠ΅Π»ΡΡΡΡ: ΡΠΈΠΌΠΏΡΠΎΠΌΡ ΠΈ Π»Π΅ΡΠ΅Π½ΠΈΠ΅.
ΠΠ΅ΡΡ Π½ΡΡ ΠΈ Π½ΠΈΠΆΠ½ΡΡ ΡΠ΅Π»ΡΡΡΠΈ Π²Ρ ΠΎΠ΄ΡΡ Π² ΡΠΎΡΡΠ°Π² ΠΊΠΎΡΡΠ΅ΠΉ Π»ΠΈΡΠ° ΠΈ Π²ΡΠΏΠΎΠ»Π½ΡΡΡ ΠΎΡΠ½ΠΎΠ²Π½ΡΡ ΡΡΠ½ΠΊΡΠΈΡ ΠΊΡΠ΅ΠΏΠ»Π΅Π½ΠΈΡ Π·ΡΠ±ΠΎΠ². Π‘ΠΎΠ΅Π΄ΠΈΠ½Π΅Π½ΠΈΠ΅ ΡΠ΅Π»ΡΡΡΠ΅ΠΉ ΠΌΠ΅ΠΆΠ΄Ρ ΡΠΎΠ±ΠΎΠΉ ΠΏΡΠΎΠΈΠ·Π²ΠΎΠ΄ΠΈΡΡΡ Ρ ΠΏΠΎΠΌΠΎΡΡΡ ΡΠ²ΡΠ·ΠΎΡΠ½ΠΎβΠΌΡΡΠ΅ΡΠ½ΠΎΠ³ΠΎ Π°ΠΏΠΏΠ°ΡΠ°ΡΠ°. Π’ΡΠ°Π²ΠΌΡ ΠΈΡ ΠΏΡΠΎΠΈΡΡ ΠΎΠ΄ΡΡ Π΄ΠΎΠ²ΠΎΠ»ΡΠ½ΠΎ ΡΠ°ΡΡΠΎ, ΠΏΡΠΈΡΠ΅ΠΌ ΡΠ°ΡΠ΅ Π²ΡΠ΅Π³ΠΎ β Ρ Π½ΠΈΠΆΠ½Π΅ΠΉ ΡΠ΅Π»ΡΡΡΡΡ.
Π‘Π»ΠΎΠΌΠ°Π½Π½Π°Ρ ΡΠ΅Π»ΡΡΡΡ β ΡΡΠΎ ΡΠ»Π΅Π΄ΡΡΠ²ΠΈΠ΅ ΠΏΡΡΠΌΡΡ ΡΠ΄Π°ΡΠΎΠ² ΠΏΠΎ Π»ΠΈΡΡ, Π΄ΠΎΡΠΎΠΆΠ½ΠΎβΡΡΠ°Π½ΡΠΏΠΎΡΡΠ½ΡΡ ΠΏΡΠΎΠΈΡΡΠ΅ΡΡΠ²ΠΈΠΉ, ΡΠΏΠΎΡΡΠΈΠ²Π½ΡΡ ΡΡΠ°Π²ΠΌ. ΠΠ°ΠΊΠ»ΡΡΠ°Π΅ΡΡΡ Π² ΠΏΠΎΠ²ΡΠ΅ΠΆΠ΄Π΅Π½ΠΈΠΈ ΡΠ΅Π»ΡΡΡΠ½ΠΎΠΉ ΠΊΠΎΡΡΠΈ ΠΏΡΡΠ΅ΠΌ Π½Π°ΡΡΡΠ΅Π½ΠΈΡ Π΅Π΅ ΡΠ΅Π»ΠΎΡΡΠ½ΠΎΡΡΠΈ.
ΠΡΠ»ΠΈ Ρ Π²Π°Ρ ΠΏΠ΅ΡΠ΅Π»ΠΎΠΌ ΡΠ΅Π»ΡΡΡΠΈ, ΡΠΈΠΌΠΏΡΠΎΠΌΡ ΡΠΎΠ³Π΄Π° ΠΎΡΠ΅Π½Ρ ΡΠ°Π·Π½ΠΎΠΎΠ±ΡΠ°Π·Π½ΡΠ΅ ΠΈ ΡΠ°Π·Π»ΠΈΡΠ°ΡΡΡΡ Π² Π·Π°Π²ΠΈΡΠΈΠΌΠΎΡΡΠΈ ΠΎΡ ΡΡΠ°Π²ΠΌΡ ΠΈ ΡΡΠ΅ΠΏΠ΅Π½ΠΈ Π΅Π΅ ΡΡΠΆΠ΅ΡΡΠΈ. Π ΠΏΠ΅ΡΠ²ΡΡ ΠΎΡΠ΅ΡΠ΅Π΄Ρ, ΠΈΡΠΊΠ°ΠΆΠ°Π΅ΡΡΡ ΠΊΠΎΠ½ΡΠΈΠ³ΡΡΠ°ΡΠΈΡ Π»ΠΈΡΠ°, ΠΏΠΎΡΠ²Π»ΡΡΡΡΡ ΠΏΠΎΠ΄Π²ΠΈΠΆΠ½ΡΠ΅ ΠΎΡΠ»ΠΎΠΌΠΊΠΈ, ΠΈΠ·ΠΌΠ΅Π½ΡΠ΅ΡΡΡ ΠΏΡΠΈΠΊΡΡ. ΠΡΠΎΠ±ΠΎ ΠΎΠΏΠ°ΡΠ½ΡΠΌΠΈ ΠΎΡΠ»ΠΎΠΆΠ½Π΅Π½ΠΈΡΠΌΠΈ ΡΡΠΈΡΠ°ΡΡΡΡ Π½Π°ΡΡΡΠ΅Π½ΠΈΠ΅ Π΄ΡΡ Π°Π½ΠΈΡ, ΠΊΡΠΎΠ²ΠΎΡΠ΅ΡΠ΅Π½ΠΈΠ΅, Π±ΠΎΠ»Π΅Π²ΠΎΠΉ ΡΠΎΠΊ. Π‘Π²ΠΎΠ΅Π²ΡΠ΅ΠΌΠ΅Π½Π½Π°Ρ ΡΠ΅Π½ΡΠ³Π΅Π½ΠΎΠ³ΡΠ°ΠΌΠΌΠ° ΠΏΠΎΠ·Π²ΠΎΠ»ΡΠ΅Ρ ΡΠΎΡΠ½ΠΎ ΠΎΠΏΡΠ΅Π΄Π΅Π»ΠΈΡΡ Π»ΠΎΠΊΠ°Π»ΠΈΠ·Π°ΡΠΈΡ ΠΈ Ρ Π°ΡΠ°ΠΊΡΠ΅Ρ ΠΏΠ΅ΡΠ΅Π»ΠΎΠΌΠ°.
ΠΡΠΈ ΠΏΠ΅ΡΠ΅Π»ΠΎΠΌΠ°Ρ Π²Π΅ΡΡ Π½Π΅ΠΉ ΡΠ΅Π»ΡΡΡΠΈ ΠΏΡΠΎΠΈΡΡ ΠΎΠ΄ΠΈΡ ΡΠΌΠ΅ΡΠ΅Π½ΠΈΠ΅ ΡΡΠ°Π³ΠΌΠ΅Π½ΡΠΎΠ² ΡΠ΅Π»ΡΡΡΠΈ Π²Π½ΠΈΠ·. Π‘ΡΠ°Π½ΠΎΠ²ΠΈΡΡΡ Π½Π΅Π²ΠΎΠ·ΠΌΠΎΠΆΠ½ΠΎ Π·Π°ΠΊΡΡΡΡ ΡΠΎΡ, ΡΠΎΠΌΠΊΠ½ΡΡΡ Π·ΡΠ±Ρ. ΠΠ°Π±Π»ΡΠ΄Π°Π΅ΡΡΡ ΠΏΠΎΡΠ΅ΡΡ ΡΡΠ²ΡΡΠ²ΠΈΡΠ΅Π»ΡΠ½ΠΎΡΡΠΈ ΠΊΠΎΠΆΠΈ Π² ΠΎΠ±Π»Π°ΡΡΠΈ ΡΠ΅ΠΊ, ΡΠ»Π΅Π·ΠΎΡΠ΅ΡΠ΅Π½ΠΈΠ΅, ΠΎΡΠ΅ΠΊ Π²Π΅ΠΊ. ΠΠ΅ΡΡΠΎΠ·Π½Π°ΡΠ΅Π»ΡΠ½ΠΎΠ΅ ΡΠΎΡΡΠΎΡΠ½ΠΈΠ΅ β ΠΏΠ΅ΡΠ²ΡΠΉ ΠΏΡΠΈΠ·Π½Π°ΠΊ ΡΠΎΡΡΡΡΠ΅Π½ΠΈΡ ΠΌΠΎΠ·Π³Π°.
ΠΡΠ»ΠΈ ΡΠ»ΠΎΠΌΠ°Π½Π½Π°Ρ ΡΠ΅Π»ΡΡΡΡ ΠΏΠΎΠ²ΡΠ΅ΠΆΠ΄Π΅Π½Π° Π² Π½ΠΈΠΆΠ½Π΅ΠΉ ΡΠ°ΡΡΠΈ, ΡΠΎ ΠΏΠΎΡΠ²Π»ΡΠ΅ΡΡΡ Π°ΡΠΈΠΌΠΌΠ΅ΡΡΠΈΡ Π»ΠΈΡΠ°, ΠΏΠΎΠ΄Π±ΠΎΡΠΎΠ΄ΠΎΠΊ ΡΠΌΠ΅ΡΠ°Π΅ΡΡΡ, ΠΊΠΎΡΡΠ½ΡΠ΅ ΠΎΡΠ»ΠΎΠΌΠΊΠΈ ΠΏΠΎΠ΄Π²ΠΈΠΆΠ½Ρ, ΠΎΡΠΊΡΡΠ²Π°Π½ΠΈΠ΅ ΡΡΠ° Π·Π°ΡΡΡΠ΄Π½Π΅Π½ΠΎ, ΡΡΡΠ΄Π½ΠΎ ΠΆΠ΅Π²Π°ΡΡ ΠΈ Π³Π»ΠΎΡΠ°ΡΡ. Π ΡΠ»ΡΡΠ°Π΅ ΡΠΈΠ»ΡΠ½ΠΎΠΉ Π±ΠΎΠ»ΠΈ ΠΌΠΎΠΆΠ΅Ρ Π½Π°ΡΡΡΠΏΠΈΡΡ ΡΠΎΠΊΠΎΠ²ΠΎΠ΅ ΡΠΎΡΡΠΎΡΠ½ΠΈΠ΅. ΠΠΎΠ·ΠΌΠΎΠΆΠ½Π° ΠΎΠΏΠ°ΡΠ½Π°Ρ ΡΠΈΡΡΠ°ΡΠΈΡ ΠΏΡΠΈ Π·Π°ΠΌΡΠΊΠ°Π½ΠΈΠΈ ΠΎΡΠ»ΠΎΠΌΠΊΠΎΠΌ Π²Ρ ΠΎΠ΄Π° Π² Π³ΠΎΡΡΠ°Π½Ρ. Π ΡΠ°ΠΊΠΎΠΌ ΡΠ»ΡΡΠ°Π΅ Π±ΡΡΡΡΠΎ ΡΠ°Π·Π²ΠΈΠ²Π°Π΅ΡΡΡ Π°ΡΡΠΈΠΊΡΠΈΡ, Π·Π°ΠΊΠ°Π½ΡΠΈΠ²Π°ΡΡΠ°ΡΡΡ, Π² Π±ΠΎΠ»ΡΡΠΈΠ½ΡΡΠ²Π΅ ΡΠ»ΡΡΠ°Π΅Π², Π»Π΅ΡΠ°Π»ΡΠ½ΡΠΌ ΠΈΡΡ ΠΎΠ΄ΠΎΠΌ. Π‘ΡΡΠΎΠ΅Π½ΠΈΠ΅ Π½ΠΈΠΆΠ½Π΅ΠΉ ΡΠ΅Π»ΡΡΡΠΈ ΠΈΠΌΠ΅Π΅Ρ ΡΠ²ΠΎΠΈ ΠΎΡΠΎΠ±Π΅Π½Π½ΠΎΡΡΠΈ, ΠΏΠΎΡΡΠΎΠΌΡ ΠΏΡΠΈ ΡΡΠ°Π²ΠΌΠ°Ρ ΠΌΠΎΠ³ΡΡ ΠΏΡΠΎΠΈΠ·ΠΎΠΉΡΠΈ ΠΌΠ½ΠΎΠ³ΠΎΡΠΈΡΠ»Π΅Π½Π½ΡΠ΅ ΠΏΠ΅ΡΠ΅Π»ΠΎΠΌΡ β Π΄Π²ΠΎΠΉΠ½ΡΠ΅, ΡΡΠΎΠΉΠ½ΡΠ΅. Π ΠΎΡΠΎΠ±ΠΎ ΡΡΠΆΠ΅Π»ΡΡ ΡΠ»ΡΡΠ°ΡΡ Π½ΠΈΠΆΠ½ΡΡ ΡΠ΅Π»ΡΡΡΡ ΠΌΠΎΠΆΠ΅Ρ ΠΎΡΠΎΡΠ²Π°ΡΡΡΡ ΠΎΡ Π²Π΅ΡΡ Π½Π΅ΠΉ ΡΠ°ΡΡΠΈ ΡΠΊΠ΅Π»Π΅ΡΠ° Π»ΠΈΡΠ°. ΠΠ½ΠΎΠ³Π΄Π° Π½Π°Π±Π»ΡΠ΄Π°Π΅ΡΡΡ ΡΠ°Π·ΡΡΠ² ΠΌΡΠ³ΠΊΠΈΡ ΡΠΊΠ°Π½Π΅ΠΉ Π½Π° Π»ΠΈΡΠ΅ Ρ ΠΎΠ΄Π½ΠΎΠ²ΡΠ΅ΠΌΠ΅Π½Π½ΡΠΌ Π²ΠΎΠ·Π½ΠΈΠΊΠ½ΠΎΠ²Π΅Π½ΠΈΠ΅ΠΌ ΠΊΡΠΎΠ²ΠΎΡΠ΅ΡΠ΅Π½ΠΈΡ.
Π‘Π»ΠΎΠΌΠ°Π½Π½Π°Ρ ΡΠ΅Π»ΡΡΡΡ Π»Π΅ΡΠΈΡΡΡ ΠΏΠΎ-ΡΠ°Π·Π½ΠΎΠΌΡ, ΠΏΠΎΡΠΊΠΎΠ»ΡΠΊΡ Π»Π΅ΡΠ΅Π½ΠΈΠ΅ ΠΏΠ΅ΡΠ΅Π»ΠΎΠΌΠ° ΡΠ΅Π»ΡΡΡΠΈ Π²ΠΎ ΠΌΠ½ΠΎΠ³ΠΎΠΌ Π·Π°Π²ΠΈΡΠΈΡ ΠΎΡ ΠΎΠΊΠ°Π·Π°Π½ΠΈΡ ΠΏΠΎΡΡΡΠ°Π΄Π°Π²ΡΠ΅ΠΌΡ ΠΏΠ΅ΡΠ²ΠΎΠΉ ΠΌΠ΅Π΄ΠΈΡΠΈΠ½ΡΠΊΠΎΠΉ ΠΏΠΎΠΌΠΎΡΠΈ.
ΠΠ΅ΡΠ²Π°Ρ ΠΏΠΎΠΌΠΎΡΡ Π² ΡΠ»ΡΡΠ°Π΅ ΡΡΠ°Π²ΠΌ Π²Π΅ΡΡ Π½Π΅ΠΉ ΠΈΠ»ΠΈ Π½ΠΈΠΆΠ½Π΅ΠΉ ΡΠ΅Π»ΡΡΡΠΈ ΠΏΡΠ΅Π΄ΡΡΠΌΠ°ΡΡΠΈΠ²Π°Π΅Ρ ΠΌΠ΅ΡΠΎΠΏΡΠΈΡΡΠΈΡ, Π½Π°ΠΏΡΠ°Π²Π»Π΅Π½Π½ΡΠ΅ Π½Π° ΠΏΡΠΈΠ²Π΅Π΄Π΅Π½ΠΈΠ΅ ΡΡΠ°Π²ΠΌΠΈΡΠΎΠ²Π°Π½Π½ΠΎΠ³ΠΎ ΡΡΠ°ΡΡΠΊΠ° Π² ΡΠΏΠΎΠΊΠΎΠΉΠ½ΠΎΠ΅ ΡΠΎΡΡΠΎΡΠ½ΠΈΠ΅, Π²ΡΠ²Π΅Π΄Π΅Π½ΠΈΠ΅ Π±ΠΎΠ»ΡΠ½ΠΎΠ³ΠΎ ΠΈΠ· ΡΠΎΠΊΠΎΠ²ΠΎΠ³ΠΎ ΡΠΎΡΡΠΎΡΠ½ΠΈΡ, ΠΎΡΡΠ°Π½ΠΎΠ²ΠΊΡ ΠΊΡΠΎΠ²ΠΎΡΠ΅ΡΠ΅Π½ΠΈΡ. ΠΡΠΈ ΠΏΠ΅ΡΠ΅Π»ΠΎΠΌΠ°Ρ Π²Π΅ΡΡ Π½Π΅ΠΉ ΡΠ΅Π»ΡΡΡΠΈ, Π½ΠΈΠΆΠ½ΡΡ ΠΌΠ°ΠΊΡΠΈΠΌΠ°Π»ΡΠ½ΠΎ, Π²ΠΏΠ»ΠΎΡΠ½ΡΡ, ΠΏΡΠΈΠ±Π»ΠΈΠΆΠ°ΡΡ ΠΊ Π²Π΅ΡΡ Π½Π΅ΠΉ ΠΈ ΠΎΡΡΡΠ΅ΡΡΠ²Π»ΡΡΡ ΡΠΈΠΊΡΠ°ΡΠΈΡ Π»ΡΠ±ΡΠΌΠΈ, ΠΈΠΌΠ΅ΡΡΠΈΠΌΠΈΡΡ ΠΏΠΎΠ΄ ΡΡΠΊΠΎΠΉ ΡΡΠ΅Π΄ΡΡΠ²Π°ΠΌΠΈ. Π ΡΠ»ΡΡΠ°Π΅ ΠΏΠ΅ΡΠ΅Π»ΠΎΠΌΠ° Π½ΠΈΠΆΠ½Π΅ΠΉ ΡΠ΅Π»ΡΡΡΠΈ ΠΏΡΠΎΠΈΠ·Π²ΠΎΠ΄ΡΡΡΡ ΡΠ°ΠΊΠΈΠ΅ ΠΆΠ΅ ΠΌΠ°Π½ΠΈΠΏΡΠ»ΡΡΠΈΠΈ: ΠΏΠΎΠ²ΡΠ΅ΠΆΠ΄Π΅Π½Π½ΡΠΉ ΡΡΠ°ΡΡΠΎΠΊ Π»ΠΈΡΠ΅Π²ΠΎΠ³ΠΎ ΡΠΊΠ΅Π»Π΅ΡΠ° ΡΠΈΠΊΡΠΈΡΡΠ΅ΡΡΡ ΠΏΡΠΈ ΠΏΠΎΠΌΠΎΡΠΈ ΠΏΠΎΠ΄Π΄Π΅ΡΠΆΠΈΠ²Π°ΡΡΠ΅ΠΉ ΠΏΠΎΠ²ΡΠ·ΠΊΠΈ. Π ΡΠ»ΡΡΠ°Π΅ Π·Π°ΠΏΠ°Π΄Π°Π½ΠΈΡ ΡΠ·ΡΠΊΠ°, Π΅Π³ΠΎ Π½Π΅ΠΎΠ±Ρ ΠΎΠ΄ΠΈΠΌΠΎ ΠΎΡΡΠΎΡΠΎΠΆΠ½ΠΎ Π²ΡΡΡΠ½ΡΡΡ Π·Π° ΠΊΠΎΠ½ΡΠΈΠΊ, ΠΏΠΎΡΠ»Π΅ ΡΠ΅Π³ΠΎ ΠΏΠ΅ΡΠ΅Π²Π΅ΡΠ½ΡΡΡ Π±ΠΎΠ»ΡΠ½ΠΎΠ³ΠΎ Π»ΠΈΡΠΎΠΌ Π²Π½ΠΈΠ·, ΡΡΠΎΠ±Ρ Π½Π΅ ΠΏΡΠΎΠΈΠ·ΠΎΡΠ»ΠΎ ΡΠ΄ΡΡΠ΅Π½ΠΈΠ΅. Π ΡΠ»ΡΡΠ°Π΅ Π»Π΅Π³ΠΊΠΈΡ ΡΡΠ°Π²ΠΌ, Π³ΠΎΡΠΏΠΈΡΠ°Π»ΠΈΠ·Π°ΡΠΈΡ ΠΏΠΎΡΡΡΠ°Π΄Π°Π²ΡΠ΅Π³ΠΎ ΠΏΡΠΎΠΈΠ·Π²ΠΎΠ΄ΠΈΡΡΡ Π² ΡΠΈΠ΄ΡΡΠ΅ΠΌ ΠΏΠΎΠ»ΠΎΠΆΠ΅Π½ΠΈΠΈ. ΠΠ°ΠΏΡΠ°Π²Π»Π΅Π½ΠΈΠ΅ Π² ΡΠΏΠ΅ΡΠΈΠ°Π»ΡΠ½ΡΠΉ ΡΡΠ°ΡΠΈΠΎΠ½Π°Ρ ΡΠ²Π»ΡΠ΅ΡΡΡ Π²ΡΠ½ΡΠΆΠ΄Π΅Π½Π½ΠΎΠΉ ΠΌΠ΅ΡΠΎΠΉ Ρ ΡΠ΅Π»ΡΡ Π½ΠΎΡΠΌΠ°Π»ΡΠ½ΠΎΠ³ΠΎ Π²ΠΏΡΠ°Π²Π»Π΅Π½ΠΈΡ ΠΎΡΠ»ΠΎΠΌΠΊΠΎΠ² ΠΊΠΎΡΡΠ΅ΠΉ.
Π‘Π»ΠΎΠΌΠ°Π½Π½Π°Ρ ΡΠ΅Π»ΡΡΡΡ ΠΏΠΎΠ΄Π²Π΅ΡΠ³Π°Π΅ΡΡΡ Π»Π΅ΡΠ΅Π½ΠΈΡ Π² ΡΡΠ°ΡΠΈΠΎΠ½Π°ΡΠ½ΡΡ ΡΡΠ»ΠΎΠ²ΠΈΡΡ . ΠΡΠ»ΠΎΠΌΠΊΠΈ ΠΊΠΎΡΡΠ΅ΠΉ ΡΠΎΠΏΠΎΡΡΠ°Π²Π»ΡΡΡΡΡ ΠΈ ΡΠΈΠΊΡΠΈΡΡΡΡΡΡ, Ρ ΠΏΠΎΠΌΠΎΡΡΡ ΠΏΡΠΎΠ²ΠΎΠ»ΠΎΡΠ½ΡΡ Π½Π°Π·ΡΠ±Π½ΡΡ ΡΠΈΠ½ ΠΎΠ±Π΅ΡΠΏΠ΅ΡΠΈΠ²Π°Π΅ΡΡΡ ΠΈΠΌΠΌΠΎΠ±ΠΈΠ»ΠΈΠ·Π°ΡΠΈΡ. Π’Π°ΠΊΠΆΠ΅ ΠΏΡΠΈΠΌΠ΅Π½ΡΡΡ ΠΏΠΎΠ»ΠΈΠΌΠ΅ΡΠ½ΡΠ΅ ΠΈΠ»ΠΈ ΠΏΡΠΎΠ²ΠΎΠ»ΠΎΡΠ½ΡΠ΅ Π½ΠΈΡΠΈ, ΠΎΡΡΠ΅ΠΎΡΠΈΠ½ΡΠ΅Π· ΠΈΠ· ΠΌΠ΅ΡΠ°Π»Π»ΠΈΡΠ΅ΡΠΊΠΈΡ ΡΡΠ΅ΡΠΆΠ½Π΅ΠΉ. ΠΡΠΈ Π½Π΅ΠΎΠ±Ρ ΠΎΠ΄ΠΈΠΌΠΎΡΡΠΈ ΡΠ°Π½Ρ ΡΡΠΈΠ²Π°ΡΡΡΡ, ΠΏΡΠΈ ΠΌΠ½ΠΎΠ³ΠΎΡΠΈΡΠ»Π΅Π½Π½ΡΡ Π΄Π΅ΡΠ΅ΠΊΡΠ°Ρ Π½Π°ΠΊΠ»Π°Π΄ΡΠ²Π°ΡΡΡΡ ΠΏΠ»Π°ΡΡΠΈΠ½ΠΎΡΠ½ΡΠ΅ ΠΏΡΠΎΠ²ΠΎΠ»ΠΎΡΠ½ΡΠ΅ ΡΠ²Ρ. Π€ΠΈΠΊΡΠ°ΡΠΈΡ ΠΏΠΎΠ²ΡΠ΅ΠΆΠ΄Π΅Π½Π½ΡΡ ΡΡΠ°ΡΡΠΊΠΎΠ² ΠΎΡΡΠ°Π΅ΡΡΡ Π΄ΠΎ ΠΈΡ ΠΏΠΎΠ»Π½ΠΎΠ³ΠΎ ΡΡΠ°ΡΠΈΠ²Π°Π½ΠΈΡ.
Π ΡΠ»ΡΡΠ°Π΅ ΠΏΡΠ°Π²ΠΈΠ»ΡΠ½ΠΎΠ³ΠΎ ΡΠΎΠ²ΠΌΠ΅ΡΠ΅Π½ΠΈΡ ΠΎΡΠ»ΠΎΠΌΠΊΠΎΠ², ΠΎΡΡΡΡΡΡΠ²ΠΈΠΈ Π²ΠΎΡΠΏΠ°Π»Π΅Π½ΠΈΡ ΠΏΠ΅ΡΠ΅Π»ΠΎΠΌ Π·Π°ΠΆΠΈΠ²Π°Π΅Ρ ΠΏΡΠΈΠΌΠ΅ΡΠ½ΠΎ 1-2 ΠΌΠ΅ΡΡΡΠ°. Π¨ΠΈΠ½Ρ ΡΠ΄Π°Π»ΡΡΡΡΡ ΠΏΠΎΡΠ»Π΅ ΠΎΠ±ΡΠ°Π·ΠΎΠ²Π°Π½ΠΈΡ Π½Π° ΠΌΠ΅ΡΡΠ΅ ΠΏΠΎΠ²ΡΠ΅ΠΆΠ΄Π΅Π½ΠΈΡ ΠΏΠ»ΠΎΡΠ½ΠΎΠΉ ΠΊΠΎΡΡΠ½ΠΎΠΉ ΠΌΠΎΠ·ΠΎΠ»ΠΈ. ΠΠ° ΠΎΠΊΠΎΠ½ΡΠ°ΡΠ΅Π»ΡΠ½ΡΡ ΡΠ΅Π°Π±ΠΈΠ»ΠΈΡΠ°ΡΠΈΡ ΠΈ Π²ΠΎΡΡΡΠ°Π½ΠΎΠ²Π»Π΅Π½ΠΈΠ΅ Π²ΡΠ΅Ρ ΡΡΠ½ΠΊΡΠΈΠΉ ΡΡΠ΅Π±ΡΠ΅ΡΡΡ Π΅ΡΠ΅ Π΄ΠΎΠΏΠΎΠ»Π½ΠΈΡΠ΅Π»ΡΠ½ΠΎΠ΅ Π²ΡΠ΅ΠΌΡ. ΠΠΎΠ½ΡΡΠΎΠ»Ρ Π½Π°Π΄ Ρ ΠΎΠ΄ΠΎΠΌ Π·Π°ΠΆΠΈΠ²Π»Π΅Π½ΠΈΡ ΠΏΡΠΎΠΈΠ·Π²ΠΎΠ΄ΠΈΡΡΡ Ρ ΠΏΠΎΠΌΠΎΡΡΡ ΠΏΠ΅ΡΠΈΠΎΠ΄ΠΈΡΠ΅ΡΠΊΠΎΠ³ΠΎ ΡΠ΅Π½ΡΠ³Π΅Π½ΠΎΠ»ΠΎΠ³ΠΈΡΠ΅ΡΠΊΠΎΠ³ΠΎ ΠΎΠ±ΡΠ»Π΅Π΄ΠΎΠ²Π°Π½ΠΈΡ.
fb.ru
ΠΠ΅ΡΠ΅Π»ΠΎΠΌ ΡΠ΅Π»ΡΡΡΠΈ (Π²Π΅ΡΡ Π½Π΅ΠΉ ΠΈ Π½ΠΈΠΆΠ½Π΅ΠΉ): ΡΠΈΠΌΠΏΡΠΎΠΌΡ, Π»Π΅ΡΠ΅Π½ΠΈΠ΅, ΠΏΠΎΡΠ»Π΅Π΄ΡΡΠ²ΠΈΡ
ΠΠ°ΠΆΠ΄ΡΠΉ ΡΠ΅Π»ΠΎΠ²Π΅ΠΊ ΡΡΡΠ΅ΠΌΠΈΡΡΡ ΠΊ ΡΠΎΠΌΡ, ΡΡΠΎΠ±Ρ Π΅Π³ΠΎ Π»ΠΈΡΠΎ Π²ΡΠ³Π»ΡΠ΄Π΅Π»ΠΎ Π±Π΅Π·ΡΠΏΡΠ΅ΡΠ½ΠΎ β Π»ΡΠ±ΠΎΠ΅ ΡΠ°Π·Π΄ΡΠ°ΠΆΠ΅Π½ΠΈΠ΅, Π²ΠΎΡΠΏΠ°Π»Π΅Π½ΠΈΠ΅, Π° ΡΠ΅ΠΌ Π±ΠΎΠ»Π΅Π΅ ΡΡΠ°Π²ΠΌΠ° ΠΌΠΎΠΆΠ΅Ρ ΠΈΡΠΏΠΎΡΡΠΈΡΡ Π΅Π³ΠΎ. ΠΠ΄Π½ΠΎΠΉ ΠΈΠ· Π½Π°ΠΈΠ±ΠΎΠ»Π΅Π΅ ΡΡΠΆΠ΅Π»ΡΡ ΡΡΠ°Π²ΠΌ Π»ΠΈΡΠ΅Π²ΠΎΠΉ ΡΠ°ΡΡΠΈ Π³ΠΎΠ»ΠΎΠ²Ρ, ΡΡΠΈΡΠ°Π΅ΡΡΡ ΠΏΠ΅ΡΠ΅Π»ΠΎΠΌ ΡΠ΅Π»ΡΡΡΠΈ: Π½ΠΈΠΆΠ½Π΅ΠΉ ΠΈΠ»ΠΈ Π²Π΅ΡΡ Π½Π΅ΠΉ. Π’ΡΠ°Π²ΠΌΠ° ΠΏΡΠ΅Π΄ΠΏΠΎΠ»Π°Π³Π°Π΅Ρ ΠΏΠΎΠ²ΡΠ΅ΠΆΠ΄Π΅Π½ΠΈΠ΅ ΡΠ΅Π»ΠΎΡΡΠ½ΠΎΡΡΠΈ ΠΊΠΎΡΡΠ΅ΠΉ Π² ΡΠ²ΡΠ·ΠΈ Ρ Π²ΠΎΠ·Π΄Π΅ΠΉΡΡΠ²ΠΈΠ΅ΠΌ ΡΡΠ°Π²ΠΌΠ°ΡΠΈΡΠ΅ΡΠΊΠΎΠ³ΠΎ ΡΠ°ΠΊΡΠΎΡΠ°, ΠΊΠΎΡΠΎΡΡΠΉ ΠΏΡΠ΅Π²ΠΎΡΡ ΠΎΠ΄ΠΈΡ ΠΈΡ ΠΏΡΠΎΡΠ½ΠΎΡΡΡ.

Π§Π°ΡΠ΅ Π²ΡΠ΅Π³ΠΎ ΠΏΠΎΠ΄ΠΎΠ±Π½ΡΠ΅ ΡΠ²Π΅ΡΡΡ ΡΠ»ΡΡΠ°ΡΡΡΡ ΠΎΡ ΠΏΡΡΠΌΠΎΠ³ΠΎ ΡΠ΄Π°ΡΠ° Π² ΠΎΠ±Π»Π°ΡΡΡ ΡΠ΅Π»ΡΡΡΠΈ ΠΈΠ»ΠΈ Π² ΡΠ΅Π·ΡΠ»ΡΡΠ°ΡΠ΅ ΠΏΠ°Π΄Π΅Π½ΠΈΡ. Π‘ΠΈΠΌΠΏΡΠΎΠΌΡ ΠΏΠ΅ΡΠ΅Π»ΠΎΠΌΠ° Π΄ΠΎΡΡΠ°ΡΠΎΡΠ½ΠΎ ΠΏΡΠΎΡΡΠΎ Π²ΡΡΠ²ΠΈΡΡ, ΡΠ°ΠΊ ΠΊΠ°ΠΊ ΠΏΠΎΡΡΡΠ°Π΄Π°Π²ΡΠΈΠΉ Π½Π΅ Π² ΡΠΎΡΡΠΎΡΠ½ΠΈΠΈ ΡΠΈΡΠΎΠΊΠΎ ΠΎΡΠΊΡΡΡΡ ΡΠΎΡ, Ρ Π½Π΅Π³ΠΎ ΠΌΠ΅Π½ΡΠ΅ΡΡΡ ΠΏΡΠΈΠΊΡΡ, Π° Π² ΠΌΠΎΠΌΠ΅Π½Ρ Π·Π°Π³ΠΎΠ²ΠΎΡΠΈΡΡ ΠΎΠ½ ΠΈΡΠΏΡΡΡΠ²Π°Π΅Ρ ΡΠΈΠ»ΡΠ½ΡΡ Π±ΠΎΠ»Ρ. ΠΡΠΈ Π΄Π°Π½Π½ΠΎΠΉ ΡΡΠ°Π²ΠΌΠ΅ ΠΎΡΠ΅Π½Ρ Π²Π°ΠΆΠ½ΠΎ ΡΠΌΠ΅ΡΡ ΠΏΡΠ°Π²ΠΈΠ»ΡΠ½ΠΎ ΠΎΠΊΠ°Π·Π°ΡΡ ΠΏΠ΅ΡΠ²ΡΡ ΠΏΠΎΠΌΠΎΡΡ, Π° Π»Π΅ΡΠ΅Π½ΠΈΠ΅ ΠΏΠ΅ΡΠ΅Π»ΠΎΠΌΠ° Π΄ΠΎΠ»ΠΆΠ½ΠΎ ΠΏΡΠΎΠ²ΠΎΠ΄ΠΈΡΡΡΡ ΡΠΎΠ»ΡΠΊΠΎ ΠΊΠ²Π°Π»ΠΈΡΠΈΡΠΈΡΠΎΠ²Π°Π½Π½ΠΎΠ΅.
ΠΠΈΠ΄Ρ ΠΈ ΠΏΡΠΈΡΠΈΠ½Ρ ΡΠ»ΠΎΠΌΠ°Π½Π½ΠΎΠΉ ΡΠ΅Π»ΡΡΡΠΈ
ΠΠ΅ΡΠ΅Π»ΠΎΠΌΡ ΡΠ΅Π»ΡΡΡΠ΅ΠΉ ΠΎΡΠ½ΠΎΡΡΡΡΡ ΠΊ Π½Π°ΠΈΠ±ΠΎΠ»Π΅Π΅ ΡΠ°ΡΡΡΠΌ ΡΡΠ°Π²ΠΌΠ°ΠΌ Π»ΠΈΡΠ΅Π²ΠΎΠ³ΠΎ ΡΠΊΠ΅Π»Π΅ΡΠ°. ΠΠ° ΠΏΠ΅ΡΠ΅Π»ΠΎΠΌ Π½ΠΈΠΆΠ½Π΅ΠΉ ΡΠ΅Π»ΡΡΡΠΈ ΠΏΡΠΈΠΏΠ°Π΄Π°Π΅Ρ ΠΏΠΎ ΡΡΠ°ΡΠΈΡΡΠΈΠΊΠ΅ ΠΎΠΊΠΎΠ»ΠΎ 70% Π²ΡΠ΅Ρ ΡΠ»ΡΡΠ°Π΅Π² ΠΏΠ΅ΡΠ΅Π»ΠΎΠΌΠΎΠ² ΠΊΠΎΡΡΠ½ΠΎΠ³ΠΎ ΡΠΊΠ΅Π»Π΅ΡΠ° Π»ΠΈΡΠ° ΡΠ΅Π»ΠΎΠ²Π΅ΠΊΠ°. Π ΡΠ²ΡΠ·ΠΈ Ρ Π°Π½Π°ΡΠΎΠΌΠΈΡΠ΅ΡΠΊΠΈΠΌΠΈ ΠΎΡΠΎΠ±Π΅Π½Π½ΠΎΡΡΡΠΌΠΈ ΠΊΠΎΡΡΠΈ Π½ΠΈΠΆΠ½Π΅ΠΉ ΡΠ΅Π»ΡΡΡΠΈ, ΠΊΠΎΡΠΎΡΠ°Ρ ΠΏΠΎ ΡΠΎΡΠΌΠ΅ Π½Π°ΠΏΠΎΠΌΠΈΠ½Π°Π΅Ρ ΠΏΠΎΠ΄ΠΊΠΎΠ²Ρ, ΠΌΠΎΠ³ΡΡ ΠΈΠΌΠ΅ΡΡ ΠΌΠ΅ΡΡΠΎ ΠΎΠ΄ΠΈΠ½ΠΎΡΠ½ΡΠ΅, Π΄Π²ΠΎΠΉΠ½ΡΠ΅ ΠΈ Π΄Π°ΠΆΠ΅ ΠΌΠ½ΠΎΠΆΠ΅ΡΡΠ²Π΅Π½Π½ΡΠ΅ ΠΏΠ΅ΡΠ΅Π»ΠΎΠΌΡ. ΠΠ°ΡΠ°ΡΡΡΡ ΡΡΠ°Π²ΠΌΠ° ΡΠΎΠΏΡΠΎΠ²ΠΎΠΆΠ΄Π°Π΅ΡΡΡ ΡΠΎΡΡΡΡΠ΅Π½ΠΈΠ΅ΠΌ Π³ΠΎΠ»ΠΎΠ²Π½ΠΎΠ³ΠΎ ΠΌΠΎΠ·Π³Π°. ΠΠ΅ΡΡΠΎΠΌ Π»ΠΎΠΊΠ°Π»ΠΈΠ·Π°ΡΠΈΠΈ ΠΏΠ΅ΡΠ΅Π»ΠΎΠΌΠΎΠ² ΡΠ°ΡΠ΅ Π²ΡΠ΅Π³ΠΎ ΡΡΠ°Π½ΠΎΠ²ΠΈΡΡΡ ΠΎΠ±Π»Π°ΡΡΡ ΠΊΠ»ΡΠΊΠΎΠ² (ΠΊΠ»ΡΠΊΠΎΠ²ΡΠΉ ΠΏΠ΅ΡΠ΅Π»ΠΎΠΌ), ΡΠ΅Π·ΡΠΎΠ² (ΡΠ΅ΡΠ΅Π΄ΠΈΠ½Π½ΡΠΉ ΠΈΠ»ΠΈ ΡΠ΅Π·ΡΠΎΠ²ΡΠΉ ΠΏΠ΅ΡΠ΅Π»ΠΎΠΌ), ΠΎΠ±Π»Π°ΡΡΠΈ ΠΏΠΎΠ΄Π±ΠΎΡΠΎΠ΄ΠΊΠ° (ΠΌΠ΅Π½ΡΠ°Π»ΡΠ½ΡΠΉ ΠΏΠ΅ΡΠ΅Π»ΠΎΠΌ), Π΄Π°Π»ΡΡΠ΅ 8-Π³ΠΎ Π·ΡΠ±Π° (ΡΠ³Π»ΠΎΠ²ΠΎΠΉ ΠΏΠ΅ΡΠ΅Π»ΠΎΠΌ), Ρ ΠΎΡΠ½ΠΎΠ²Π°Π½ΠΈΡ ΠΌΡΡΠ΅Π»ΠΊΠΎΠ²ΠΎΠ³ΠΎ ΠΎΡΡΠΎΡΡΠΊΠ°, ΠΎΠΊΠΎΠ»ΠΎ Π²Π΅Π½Π΅ΡΠ½ΠΎΠ³ΠΎ ΠΎΡΡΠΎΡΡΠΊΠ° (ΡΠ΅ΡΠ²ΠΈΠΊΠ°Π»ΡΠ½ΡΠΉ ΠΏΠ΅ΡΠ΅Π»ΠΎΠΌ) ΠΈ Ρ.Π΄.
ΠΡΠ½ΠΎΠ²Π½ΡΠΌΠΈ ΠΏΡΠΈΡΠΈΠ½Π°ΠΌΠΈ ΡΡΠ°Π²ΠΌΠΈΡΠΎΠ²Π°Π½ΠΈΡ ΠΌΠΎΠΆΠ½ΠΎ Π½Π°Π·Π²Π°ΡΡ ΠΏΡΡΠΌΡΠ΅ ΡΠ΄Π°ΡΡ, ΠΊΠΎΠ³Π΄Π° Π½Π΅ΠΏΠΎΡΡΠ΅Π΄ΡΡΠ²Π΅Π½Π½ΠΎ Π² ΠΎΠ±Π»Π°ΡΡΡ ΡΠ΅Π»ΡΡΡΠΈ ΠΏΡΠΈΠΊΠ»Π°Π΄ΡΠ²Π°Π΅ΡΡΡ ΡΡΠ°Π²ΠΌΠΈΡΡΡΡΠ°Ρ ΡΠΈΠ»Π°, ΠΈΠ»ΠΈ ΠΎΡΡΠ°ΠΆΠ΅Π½Π½ΡΠ΅ ΡΠ΄Π°ΡΡ, ΠΏΠΎΠ»ΡΡΠ΅Π½Π½ΡΠ΅ Π² ΡΠ΅Π·ΡΠ»ΡΡΠ°ΡΠ΅ ΠΈΠ·Π³ΠΈΠ±Π°. ΠΠ΅ΡΠ΅Π»ΠΎΠΌΡ Π² ΠΎΠ±Π»Π°ΡΡΠΈ Π·ΡΠ±Π½ΠΎΠ³ΠΎ ΡΡΠ΄Π°, ΠΊΠ°ΠΊ ΠΏΡΠ°Π²ΠΈΠ»ΠΎ, ΡΠ²Π»ΡΡΡΡΡ ΠΎΡΠΊΡΡΡΡΠΌΠΈ.
ΠΠ΅ΡΠ΅Π»ΠΎΠΌ Π½ΠΈΠΆΠ½Π΅ΠΉ ΡΠ΅Π»ΡΡΡΠΈ ΠΌΠΎΠΆΠ½ΠΎ ΠΊΠ»Π°ΡΡΠΈΡΠΈΡΠΈΡΠΎΠ²Π°ΡΡ Π½Π° ΡΠ»Π΅Π΄ΡΡΡΠΈΠ΅ Π²ΠΈΠ΄Ρ:
- ΠΏΠΎΠ»Π½ΡΠΉ β ΡΠΎ ΡΠΌΠ΅ΡΠ΅Π½ΠΈΠ΅ΠΌ ΠΎΡΠ»ΠΎΠΌΠΊΠΎΠ² ΠΊΠΎΡΡΠ΅ΠΉ ΠΈ ΡΠ°ΠΌΠΎΠΉ ΡΠ΅Π»ΡΡΡΠΈ;
- Π½Π΅ΠΏΠΎΠ»Π½ΡΠΉ β Π±Π΅Π· ΡΠΌΠ΅ΡΠ΅Π½ΠΈΡ;
- ΠΎΡΠΊΡΡΡΡΠΉ β ΠΏΡΠΈ ΠΊΠΎΡΠΎΡΠΎΠΌ ΠΏΠΎΠ²ΡΠ΅ΠΆΠ΄Π°Π΅ΡΡΡ ΡΠ»ΠΈΠ·ΠΈΡΡΠ°Ρ ΠΎΠ±ΠΎΠ»ΠΎΡΠΊΠ° ΡΠΎΡΠΎΠ²ΠΎΠΉ ΠΏΠΎΠ»ΠΎΡΡΠΈ, Π° ΡΠ°ΠΊΠΆΠ΅ ΠΌΡΠ³ΠΊΠΈΠ΅ ΡΠΊΠ°Π½ΠΈ Π² ΠΎΠ±Π»Π°ΡΡΠΈ Π»ΠΈΡΠ°;
- Π·Π°ΠΊΡΡΡΡΠΉ β ΠΊΠΎΠ³Π΄Π° ΡΠ»ΠΎΠΌΠ°Π½Π½Π°Ρ ΠΊΠΎΡΡΡ ΠΎΡΡΠ°Π΅ΡΡΡ Π²Π½ΡΡΡΠΈ ΠΈ Π½Π΅ ΠΏΡΠΎΡΡΠ²Π°Π΅Ρ ΠΌΡΠ³ΠΊΠΈΠ΅ ΡΠΊΠ°Π½ΠΈ Π»ΠΈΡΠ°;
- ΠΎΡΠΊΠΎΠ»ΡΡΠ°ΡΡΠΉ β ΠΊΠΎΡΠΎΡΡΠΉ Π²ΠΎΠ·Π½ΠΈΠΊΠ°Π΅Ρ ΡΠΎΠ»ΡΠΊΠΎ Π² ΡΠ΅Π·ΡΠ»ΡΡΠ°ΡΠ΅ Π²ΠΎΠ·Π΄Π΅ΠΉΡΡΠ²ΠΈΡ ΠΎΡΠ΅Π½Ρ Π±ΠΎΠ»ΡΡΠΎΠΉ ΡΠΈΠ»Ρ ΠΈ ΡΡΠ΅Π±ΡΠ΅Ρ ΠΎΠ±ΡΠ·Π°ΡΠ΅Π»ΡΠ½ΠΎΠ³ΠΎ Ρ ΠΈΡΡΡΠ³ΠΈΡΠ΅ΡΠΊΠΎΠ³ΠΎ Π²ΠΌΠ΅ΡΠ°ΡΠ΅Π»ΡΡΡΠ²Π°.
ΠΠ΅ΡΠ΅Π»ΠΎΠΌ Π²Π΅ΡΡ Π½Π΅ΠΉ ΡΠ΅Π»ΡΡΡΠΈ ΡΠΎΡΡΠ°Π²Π»ΡΠ΅Ρ ΠΏΠΎ Π΄Π°Π½Π½ΡΠΌ ΠΌΠ΅Π΄ΠΈΡΠΈΠ½ΡΠΊΠΎΠΉ ΡΡΠ°ΡΠΈΡΡΠΈΠΊΠΈ ΠΏΠΎΡΡΠ΄ΠΊΠ° 30% Π²ΡΠ΅Ρ ΡΠ»ΡΡΠ°Π΅Π² ΠΏΠΎΠ²ΡΠ΅ΠΆΠ΄Π΅Π½ΠΈΠΉ ΡΠ΅Π»ΡΡΡΠΈ. ΠΠ°ΠΊ ΠΏΡΠ°Π²ΠΈΠ»ΠΎ, ΡΡΠ°Π²ΠΌΠ° ΠΊΠ»Π°ΡΡΠΈΡΠΈΡΠΈΡΡΠ΅ΡΡΡ Π² Π·Π°Π²ΠΈΡΠΈΠΌΠΎΡΡΠΈ ΠΎΡ Π»ΠΈΠ½ΠΈΠΈ ΠΏΠ΅ΡΠ΅Π»ΠΎΠΌΠ°.
ΠΠ° ΠΏΡΠ°ΠΊΡΠΈΠΊΠ΅ ΡΡΠΎ ΠΌΠΎΠΆΠ΅Ρ Π±ΡΡΡ:
- Π½ΠΈΠΆΠ½ΡΡ Π»ΠΈΠ½ΠΈΡ, ΠΊΠΎΠ³Π΄Π° ΠΏΠ΅ΡΠ΅Π»ΠΎΠΌ ΠΈΠΌΠ΅Π΅Ρ Π½Π°ΠΏΡΠ°Π²Π»Π΅Π½ΠΈΠ΅ ΠΎΡ Π³ΡΡΡΠ΅Π²ΠΈΠ΄Π½ΠΎΠΉ Π°ΠΏΠ΅ΡΡΡΡ (Π΅Π΅ Π½Π°ΡΠ°Π»Π°) Π΄ΠΎ ΠΎΡΡΠΎΡΡΠΊΠ° ΠΊΠ»ΠΈΠ½ΠΎΠ²ΠΈΠ΄Π½ΠΎΠΉ ΠΊΠΎΡΡΠΈ;
- ΡΡΠ΅Π΄Π½ΡΡ Π»ΠΈΠ½ΠΈΡ, ΠΊΠΎΠ³Π΄Π° ΠΏΠ΅ΡΠ΅Π»ΠΎΠΌ ΠΏΡΠΎΠΈΡΡ ΠΎΠ΄ΠΈΡ Π²Π΄ΠΎΠ»Ρ ΠΊΠΎΡΡΠΈ Π½ΠΎΡΠ°, Π·Π°Ρ Π²Π°ΡΡΠ²Π°Ρ Π΄Π½ΠΎ Π³Π»Π°Π·Π½ΠΈΡΡ ΠΈ ΠΊΡΡΠ»ΠΎΠ²ΠΈΠ΄Π½ΡΠΉ ΠΎΡΡΠΎΡΡΠΎΠΊ;
- Π²Π΅ΡΡ Π½ΡΡ Π»ΠΈΠ½ΠΈΡ, ΠΏΡΠΈ ΠΊΠΎΡΠΎΡΠΎΠΉ ΠΏΠ΅ΡΠ΅Π»ΠΎΠΌ Π½Π°ΠΏΡΠ°Π²Π»ΡΠ΅ΡΡΡ ΠΊ ΠΎΠ±Π»Π°ΡΡΠΈ ΡΠΊΡΠ»Ρ, ΡΠ΅ΡΠ΅Π· ΠΊΠΎΡΡΠΈ Π½ΠΎΡΠ°.
Π‘ΠΈΠΌΠΏΡΠΎΠΌΡ ΡΠ»ΠΎΠΌΠ°Π½Π½ΠΎΠΉ ΡΠ΅Π»ΡΡΡΠΈ
ΠΠ»Ρ ΠΏΠ΅ΡΠ΅Π»ΠΎΠΌΠΎΠ² Π½ΠΈΠΆΠ½Π΅ΠΉ ΡΠ΅Π»ΡΡΡΠΈ ΠΌΠΎΠΆΠ½ΠΎ ΠΎΡΠΌΠ΅ΡΠΈΡΡ ΡΠ°ΠΊΠΈΠ΅ ΡΠΈΠΌΠΏΡΠΎΠΌΡ, ΠΊΠ°ΠΊ ΡΠΈΠ»ΡΠ½Π°Ρ ΠΈ ΡΠ΅Π·ΠΊΠ°Ρ Π±ΠΎΠ»Ρ, ΠΊΠΎΡΠΎΡΠ°Ρ Π±ΡΠ΄Π΅Ρ ΡΡΠΈΠ»ΠΈΠ²Π°ΡΡΡΡ ΠΏΡΠΈ ΠΏΠΎΠΏΡΡΠΊΠ°Ρ
Π΄Π²ΠΈΠ³Π°ΡΡ ΡΠ΅Π»ΡΡΡΡΡ, Π³ΠΎΠ²ΠΎΡΠΈΡΡ ΠΈΠ»ΠΈ ΠΏΡΠΈ ΠΏΠ°Π»ΡΠΏΠ°ΡΠΈΠΈ ΠΌΠ΅ΡΡΠ° ΡΡΠ°Π²ΠΌΠΈΡΠΎΠ²Π°Π½ΠΈΡ, ΠΏΡΠΈΠΎΡΠΊΡΡΡΠΎΠ΅ ΠΏΠΎΠ»ΠΎΠΆΠ΅Π½ΠΈΠ΅ ΡΡΠ°, Π½Π°ΡΡΡΠ΅Π½ΠΈΠ΅ Π΅ΡΡΠ΅ΡΡΠ²Π΅Π½Π½ΠΎΠ³ΠΎ ΡΠΎΠΎΡΠ½ΠΎΡΠ΅Π½ΠΈΡ Π·ΡΠ±ΠΎΠ² ΠΌΠ΅ΠΆΠ΄Ρ Π²Π΅ΡΡ
Π½Π΅ΠΉ ΠΈ Π½ΠΈΠΆΠ½Π΅ΠΉ ΡΠ΅Π»ΡΡΡΡΡ, ΡΠ»ΡΠ½ΠΎΡΠ΅ΡΠ΅Π½ΠΈΠ΅ Ρ ΠΏΡΠΈΠΌΠ΅ΡΡΡ ΠΊΡΠΎΠ²ΠΈ, ΠΎΠ±ΡΠ°Π·ΠΎΠ²Π°Π½ΠΈΠ΅ ΠΎΡΠ΅ΡΠ½ΠΎΡΡΠΈ, ΠΊΡΠΎΠ²ΠΎΠΈΠ·Π»ΠΈΡΠ½ΠΈΡ, ΠΊΠΎΡΠΎΡΠΎΠ΅ ΠΏΡΠΎΠ²ΠΎΡΠΈΡΡΠ΅Ρ Π°ΡΡΠΈΠΌΠ΅ΡΡΠΈΡ Π»ΠΈΡΠ°.
Π‘ΠΈΠΌΠΏΡΠΎΠΌΡ ΡΠ°ΠΊΠΆΠ΅ ΠΌΠΎΠ³ΡΡ Π±ΡΡΡ Π΄ΠΎΠΏΠΎΠ»Π½Π΅Π½Ρ ΠΏΠΎΠ²ΡΡΠ΅Π½ΠΈΠ΅ΠΌ ΡΡΠ²ΡΡΠ²ΠΈΡΠ΅Π»ΡΠ½ΠΎΡΡΠΈ Π·ΡΠ±ΠΎΠ². ΠΡΠΈ ΠΎΡΠΎΠ±Π΅Π½Π½ΠΎ ΡΡΠΆΠ΅Π»ΡΡ ΡΡΠ°Π²ΠΌΠ°Ρ ΠΌΠΎΠΆΠ΅Ρ ΠΈΠΌΠ΅ΡΡ ΠΌΠ΅ΡΡΠΎ Π±ΠΎΠ»Π΅Π²ΠΎΠΉ ΡΠΎΠΊ, ΡΠΈΠ»ΡΠ½ΠΎΠ΅ ΠΊΡΠΎΠ²ΠΎΡΠ΅ΡΠ΅Π½ΠΈΠ΅, ΡΠ°ΡΡΡΡΠΎΠΉΡΡΠ²ΠΎ Π΄ΡΡ Π°ΡΠ΅Π»ΡΠ½ΠΎΠΉ ΡΡΠ½ΠΊΡΠΈΠΈ.
ΠΡΠ»ΠΈ ΡΡΠ°Π²ΠΌΠ° ΡΠΎΠΏΡΠΎΠ²ΠΎΠΆΠ΄Π°Π΅ΡΡΡ ΠΌΠ°ΡΡΠΎΠ²ΡΠΌ ΡΠΌΠ΅ΡΠ΅Π½ΠΈΠ΅ΠΌ ΠΎΡΠ»ΠΎΠΌΠΊΠΎΠ², ΡΡΠΎ ΡΠ°ΡΠ΅ Π²ΡΠ΅Π³ΠΎ ΡΠ»ΡΡΠ°Π΅Ρ ΠΏΡΠΈ ΠΠ’Π, ΡΠΎ Π²ΠΎΠ·ΠΌΠΎΠΆΠ΅Π½ Π΄Π°ΠΆΠ΅ Π»Π΅ΡΠ°Π»ΡΠ½ΡΠΉ ΠΈΡΡ ΠΎΠ΄. ΠΡΠΎ ΡΠ²ΡΠ·Π°Π½ΠΎ Ρ ΠΏΠΎΠΏΠ°Π΄Π°Π½ΠΈΠ΅ΠΌ Π² Π΄ΡΡ Π°ΡΠ΅Π»ΡΠ½ΡΠ΅ ΠΏΡΡΠΈ ΠΊΡΠΎΠ²ΠΈ, Π° ΡΠ°ΠΊΠΆΠ΅ Π² ΡΠ΅Π·ΡΠ»ΡΡΠ°ΡΠ΅ ΠΏΠΎΠ²ΡΠ΅ΠΆΠ΄Π΅Π½ΠΈΠΉ Π³ΠΎΠ»ΠΎΠ²Π½ΠΎΠ³ΠΎ ΠΌΠΎΠ·Π³Π°.
ΠΡΠΈ ΠΏΠ΅ΡΠ΅Π»ΠΎΠΌΠ΅ Π²Π΅ΡΡ Π½Π΅ΠΉ ΡΠ΅Π»ΡΡΡΠΈ, ΠΌΠΎΠ³ΡΡ Π½Π°Π±Π»ΡΠ΄Π°ΡΡΡΡ ΡΠ»Π΅Π΄ΡΡΡΠΈΠ΅ ΡΠΈΠΌΠΏΡΠΎΠΌΡ:
- ΠΏΠΎΡΠ²Π»Π΅Π½ΠΈΠ΅ ΠΎΡΠ΅ΡΠ½ΠΎΡΡΠΈ Π³ΡΠ±, Π½ΠΎΡΠ°, ΡΠ΅ΠΊ ΠΈ ΠΊΡΠΎΠ²ΠΎΡΠ΅ΡΠ΅Π½ΠΈΡ Π² ΠΎΠ±Π»Π°ΡΡΠΈ ΠΌΠ΅ΠΆΠ΄Ρ Π·ΡΠ±Π°ΠΌΠΈ ΠΈ Π³ΡΠ±ΠΎΠΉ, ΡΡΠΎ ΡΠ°ΡΠ΅ Π²ΡΠ΅Π³ΠΎ ΠΈΠΌΠ΅Π΅Ρ ΠΌΠ΅ΡΡΠΎ ΠΏΡΠΈ ΡΠ°Π·Π»ΠΎΠΌΠ°Ρ ΠΏΠΎΠ΄ ΡΠ²ΠΎΠ΄ΠΎΠΌ Π½Π΅Π±Π°, Ρ ΠΏΠ΅ΡΠ΅Π»ΠΎΠΌΠΎΠΌ Π½ΠΎΡΠ° ΠΈ ΠΎΡΠ»ΠΎΠΌΠΎΠΌ Π³Π°ΠΉΠΌΠΎΡΠΎΠ²ΠΎΠΉ ΠΏΠ°Π·ΡΡ ΠΈ;
- ΠΎΡΡΡΠ΅Π½ΠΈΠ΅ ΠΎΠ½Π΅ΠΌΠ΅Π½ΠΈΡ ΠΈ ΠΎΠ±ΡΠ°Π·ΠΎΠ²Π°Π½ΠΈΠ΅ Π³Π΅ΠΌΠ°ΡΠΎΠΌΡ Π² ΠΎΠ±Π»Π°ΡΡΠΈ ΠΏΠΎΠ΄ Π³Π»Π°Π·Π°ΠΌΠΈ, Π½Π°Π·Π°Π»ΡΠ½ΠΎΠ΅ ΠΊΡΠΎΠ²ΠΎΡΠ΅ΡΠ΅Π½ΠΈΠ΅ ΠΈ ΡΠ»ΡΠ½ΠΎΡΠ΅ΡΠ΅Π½ΠΈΠ΅ ΠΈΠ·ΠΎ ΡΡΠ°, ΠΎΡΡΡΡΡΡΠ²ΠΈΠ΅ ΠΎΠ±ΠΎΠ½ΡΠ½ΠΈΡ Π»ΠΈΠ±ΠΎ Π΅Π³ΠΎ Π½Π°ΡΡΡΠ΅Π½ΠΈΠ΅, ΡΡΠΎ ΡΠ°ΡΡΠΎ ΠΏΡΠΎΠΈΡΡ ΠΎΠ΄ΠΈΡ ΠΏΡΠΈ ΠΎΡΡΡΠ²Π΅ Π²Π΅ΡΡ Π½Π΅ΠΉ ΡΠ΅Π»ΡΡΡΠΈ ΠΎΡ ΠΎΡΠ½ΠΎΠ²Π°Π½ΠΈΡ ΡΠ΅ΡΠ΅ΠΏΠ½ΠΎΠΉ ΠΊΠΎΡΠΎΠ±ΠΊΠΈ ΠΈ ΠΏΡΠΈ ΠΏΠ΅ΡΠ΅ΡΠ΅ΡΠ΅Π½ΠΈΠΈ Π»ΠΈΠ½ΠΈΠΈ ΡΠ°Π·Π»ΠΎΠΌΠ° ΠΏΠ΅ΡΠ΅Π½ΠΎΡΠΈΡΡ ΠΈ Π³Π»Π°Π·Π½ΠΈΡΡ;
- Π½Π°ΡΡΡΠ΅Π½ΠΈΠ΅ Π·ΡΠΈΡΠ΅Π»ΡΠ½ΠΎΠΉ ΡΡΠ½ΠΊΡΠΈΠΈ, ΠΎΡΡΡΡΡΡΠ²ΠΈΠ΅ Π²ΠΎΠ·ΠΌΠΎΠΆΠ½ΠΎΡΡΠΈ ΠΎΡΡΡΡΡ ΡΠΎΡ, Π·Π°ΠΌΠ΅ΡΠ½Π°Ρ Π°ΡΡΠΈΠΌΠ΅ΡΡΠΈΡ Π»ΠΈΡΠ° Ρ ΠΎΠ±ΡΠ°Π·ΠΎΠ²Π°Π½ΠΈΠ΅ΠΌ Π³Π΅ΠΌΠ°ΡΠΎΠΌ Π²ΠΎΠΊΡΡΠ³ Π³Π»Π°Π·, Π° ΡΠ°ΠΊΠΆΠ΅ ΠΎΠΏΡΡΠ΅Π½Π½ΡΠ΅ Π²Π½ΠΈΠ· Π³Π»Π°Π·Π½ΡΠ΅ ΡΠ±Π»ΠΎΠΊΠΈ, ΡΡΠΎ Ρ Π°ΡΠ°ΠΊΡΠ΅ΡΠ½ΠΎ Π΄Π»Ρ ΡΡΠ°Π²ΠΌΡ Ρ ΠΎΡΡΡΠ²ΠΎΠΌ ΡΠ΅Π»ΡΡΡΠΈ ΠΈ ΠΏΠ΅ΡΠ΅Π»ΠΎΠΌΠΎΠΌ ΠΎΡΠ½ΠΎΠ²Π°Π½ΠΈΡ ΡΠ΅ΡΠ΅ΠΏΠ°.
ΠΠ΅Π·Π°Π²ΠΈΡΠΈΠΌΠΎΡΡΠΈ ΠΎΡ Π²ΠΈΠ΄Π° ΠΏΠ΅ΡΠ΅Π»ΠΎΠΌΠ° ΠΈ ΠΌΠ΅ΡΡΠ° Π΅Π³ΠΎ Π»ΠΎΠΊΠ°Π»ΠΈΠ·Π°ΡΠΈΠΈ ΠΏΠΎΡΡΡΠ°Π΄Π°Π²ΡΠΈΠΉ Π±ΡΠ΄Π΅Ρ ΠΎΡΡΡΠ°ΡΡ ΡΠΈΠ»ΡΠ½ΡΠ΅ Π±ΠΎΠ»ΠΈ, ΡΠΎΡΠ½ΠΎΡΡ (ΠΏΠΎΡΠΎΠΉ Ρ Π²ΠΎΠ·Π½ΠΈΠΊΠ½ΠΎΠ²Π΅Π½ΠΈΠ΅ΠΌ ΡΠ²ΠΎΡΠ½ΠΎΠ³ΠΎ ΡΠ΅ΡΠ»Π΅ΠΊΡΠ°). ΠΠΈΠ·Π½Π΅Π½Π½ΠΎ Π²Π°ΠΆΠ½ΡΠ΅ ΡΡΠ½ΠΊΡΠΈΠΈ, Π²ΠΊΠ»ΡΡΠ°Ρ ΠΆΠ΅Π²Π°ΡΠ΅Π»ΡΠ½ΡΡ, Π΄ΡΡ Π°ΡΠ΅Π»ΡΠ½ΡΡ ΠΈ ΡΠ΅ΡΠ΅Π²ΡΡ Π±ΡΠ΄ΡΡ ΡΡΠ»ΠΎΠΆΠ½Π΅Π½Ρ. Π ΡΡΠΎΠΉ ΡΠ²ΡΠ·ΠΈ, ΠΎΡΠ΅Π½Ρ Π²Π°ΠΆΠ½ΠΎ ΡΠΌΠ΅ΡΡ ΠΏΡΠ°Π²ΠΈΠ»ΡΠ½ΠΎ ΠΈ ΡΠ²ΠΎΠ΅Π²ΡΠ΅ΠΌΠ΅Π½Π½ΠΎ ΠΎΠΊΠ°Π·Π°ΡΡ ΠΏΠΎΡΡΡΠ°Π΄Π°Π²ΡΠ΅ΠΌΡ ΠΏΠ΅ΡΠ²ΡΡ ΠΏΠΎΠΌΠΎΡΡ.
ΠΠ°ΠΊ ΠΎΠΊΠ°Π·ΡΠ²Π°ΡΡ ΠΏΠ΅ΡΠ²ΡΡ ΠΏΠΎΠΌΠΎΡΡ?
ΠΡΠ»ΠΈ Ρ ΠΏΠΎΡΡΡΠ°Π΄Π°Π²ΡΠ΅Π³ΠΎ Π½Π΅Π·Π½Π°ΡΠΈΡΠ΅Π»ΡΠ½ΡΠ΅ ΠΏΠΎΠ²ΡΠ΅ΠΆΠ΄Π΅Π½ΠΈΡ ΡΠ΅Π»ΡΡΡΠΈ, Π° ΡΠΈΠΌΠΏΡΠΎΠΌΡ ΡΡΠ°Π²ΠΌΡ Π²ΡΡΠ°ΠΆΠ΅Π½Ρ Π½Π΅ Π·Π½Π°ΡΠΈΡΠ΅Π»ΡΠ½ΠΎ, ΡΠΎ ΠΌΠΎΠΆΠ½ΠΎ ΠΎΠ³ΡΠ°Π½ΠΈΡΠΈΡΡΡΡ ΠΏΠ΅ΡΠ²ΠΎΠΉ ΠΏΠΎΠΌΠΎΡΡΡ, ΠΊΠΎΡΠΎΡΠ°Ρ ΠΏΡΠ΅Π΄ΠΏΠΎΠ»Π°Π³Π°Π΅Ρ ΡΠΎΠ·Π΄Π°Π½ΠΈΠ΅ ΠΌΠ°ΠΊΡΠΈΠΌΠ°Π»ΡΠ½ΠΎΠ³ΠΎ ΠΏΠΎΠΊΠΎΡ Π΄ΠΎ ΠΏΡΠΈΠ΅Π·Π΄Π° ΡΠΊΠΎΡΠΎΠΉ ΠΏΠΎΠΌΠΎΡΠΈ. ΠΠ±Π΅ ΡΠ΅Π»ΡΡΡΠΈ ΡΡΠ°Π²ΠΌΠΈΡΠΎΠ²Π°Π½Π½ΠΎΠ³ΠΎ ΡΠ΅Π»ΠΎΠ²Π΅ΠΊΠ° ΠΌΠΎΠΆΠ½ΠΎ Π°ΠΊΠΊΡΡΠ°ΡΠ½ΠΎ Π·Π°ΡΠΈΠΊΡΠΈΡΠΎΠ²Π°ΡΡ Π²ΠΌΠ΅ΡΡΠ΅, Ρ ΠΏΠΎΠΌΠΎΡΡΡ Π±ΠΈΠ½ΡΠ° ΠΈΠ»ΠΈ Π΄ΡΡΠ³ΠΎΠΉ ΠΏΠΎΠ²ΡΠ·ΠΊΠΈ. ΠΠΎ ΠΏΡΠΈΠ΅Π·Π΄Π° ΡΠΊΠΎΡΠΎΠΉ ΠΏΠΎΠΌΠΎΡΠΈ Π±ΠΎΠ»ΡΠ½ΠΎΠΉ Π΄ΠΎΠ»ΠΆΠ΅Π½ Π½Π°Ρ ΠΎΠ΄ΠΈΡΡΡΡ Π² Π»Π΅ΠΆΠ°ΡΠ΅ΠΌ ΠΏΠΎΠ»ΠΎΠΆΠ΅Π½ΠΈΠΈ Π½Π° ΡΠΏΠΈΠ½Π΅.
ΠΡΠ»ΠΈ ΠΏΠΎΠ²ΡΠ΅ΠΆΠ΄Π΅Π½ΠΈΡ Π±ΠΎΠ»Π΅Π΅ ΡΠ»ΠΎΠΆΠ½ΡΠ΅ ΠΈ ΠΈΠΌΠ΅Π΅Ρ ΠΌΠ΅ΡΡΠΎ Π±ΡΡΡ Π½Π°ΡΡΡΠ΅Π½ΠΈΠ΅ Π΄ΡΡ Π°ΡΠ΅Π»ΡΠ½ΠΎΠΉ ΡΡΠ½ΠΊΡΠΈΠΈ, Π·Π½Π°ΡΠΈΡΠ΅Π»ΡΠ½Π°Ρ ΠΊΡΠΎΠ²ΠΎΠΏΠΎΡΠ΅ΡΡ ΠΈ ΠΈΠ½ΡΠ΅Π½ΡΠΈΠ²Π½Π°Ρ Π³ΠΎΠ»ΠΎΠ²Π½Π°Ρ Π±ΠΎΠ»Ρ, ΡΠΎ Π½Π΅ΠΎΠ±Ρ ΠΎΠ΄ΠΈΠΌΠΎ Π΄Π΅ΠΉΡΡΠ²ΠΎΠ²Π°ΡΡ Π±ΠΎΠ»Π΅Π΅ ΡΠ΅ΡΠΈΡΠ΅Π»ΡΠ½ΠΎ. Π Π΄Π°Π½Π½ΠΎΠΉ ΡΠΈΡΡΠ°ΡΠΈΠΈ Π½ΡΠΆΠ½ΠΎ ΠΏΠΎΠΏΡΡΠ°ΡΡΡΡ ΠΎΡΡΠ°Π½ΠΎΠ²ΠΈΡΡ ΠΊΡΠΎΠ²ΠΎΡΠ΅ΡΠ΅Π½ΠΈΠ΅, ΠΈΡΠΏΠΎΠ»ΡΠ·ΡΡ Π΄Π»Ρ ΡΡΠΎΠ³ΠΎ ΠΏΠΎΠ΄ΡΡΡΠ½ΡΠ΅ ΡΡΠ΅Π΄ΡΡΠ²Π° ΠΈΠ»ΠΈ ΠΏΡΠΎΡΡΠΎ ΠΏΡΠΈΠΆΠΈΠΌΠ°Ρ ΡΠ°Π½Ρ ΠΏΠ°Π»ΡΡΠ°ΠΌΠΈ. ΠΠ°Π»Π΅Π΅ ΡΠ»Π΅Π΄ΡΠ΅Ρ ΡΡΡΡΠ°Π½ΠΈΡΡ ΡΠ°ΠΊΡΠΎΡΡ, ΠΊΠΎΡΠΎΡΡΠ΅ ΠΎΡΠ»ΠΎΠΆΠ½ΡΡΡ Π΄ΡΡ Π°Π½ΠΈΠ΅. ΠΠ»Ρ ΡΡΠΎΠ³ΠΎ ΠΏΠΎΡΡΡΠ°Π΄Π°Π²ΡΠ΅Π³ΠΎ ΠΌΠΎΠΆΠ½ΠΎ ΡΠ°Π·ΠΌΠ΅ΡΡΠΈΡΡ Π»ΠΈΡΠΎΠΌ Π²Π½ΠΈΠ· ΠΈΠ»ΠΈ ΡΠΌΠ΅ΡΡΠΈΡΡ ΡΠ·ΡΠΊ Π²ΠΏΠ΅ΡΠ΅Π΄. Π ΠΏΠΎΠ»ΠΎΡΡΠΈ ΡΡΠ° Π½Π΅ Π΄ΠΎΠ»ΠΆΠ½ΠΎ ΠΏΡΠΈΡΡΡΡΡΠ²ΠΎΠ²Π°ΡΡ Π½ΠΈΠΊΠ°ΠΊΠΈΡ Π½Π°ΠΏΠΎΠ»Π½ΠΈΡΠ΅Π»Π΅ΠΉ, Π½Π°ΠΏΡΠΈΠΌΠ΅Ρ, ΡΠ²ΠΎΡΠ½ΡΡ ΠΌΠ°ΡΡ ΠΈΠ»ΠΈ ΡΠ³ΡΡΡΠΊΠΎΠ² ΠΊΡΠΎΠ²ΠΈ. ΠΡΠ»ΠΈ Ρ Π±ΠΎΠ»ΡΠ½ΠΎΠ³ΠΎ ΠΈΠΌΠ΅ΡΡΡΡ ΠΏΡΠΈΠ·Π½Π°ΠΊΠΈ ΠΎΡΡΡΡΡΡΠ²ΠΈΡ Π΄ΡΡ Π°Π½ΠΈΡ, ΡΠΎ Π½Π΅ΠΎΠ±Ρ ΠΎΠ΄ΠΈΠΌΠΎ ΠΏΡΠΎΠ²Π΅Π΄Π΅Π½ΠΈΠ΅ ΠΈΡΠΊΡΡΡΡΠ²Π΅Π½Π½ΠΎΠ³ΠΎ. Π‘ΠΊΠΎΡΠ°Ρ ΠΏΠΎΠΌΠΎΡΡ Π΄ΠΎΠ»ΠΆΠ½Π° Π±ΡΡΡ Π²ΡΠ·Π²Π°Π½Π° Π½Π΅Π·Π°ΠΌΠ΅Π΄Π»ΠΈΡΠ΅Π»ΡΠ½ΠΎ.
ΠΠΎΡΡΡΠ°Π΄Π°Π²ΡΠ΅ΠΌΡ ΠΌΠΎΠΆΠ½ΠΎ ΠΏΡΠ΅Π΄Π»ΠΎΠΆΠΈΡΡ ΠΏΡΠΈΠ½ΡΡΡ ΠΎΠ±Π΅Π·Π±ΠΎΠ»ΠΈΠ²Π°ΡΡΠ΅Π΅, Π½Π°ΠΏΡΠΈΠΌΠ΅Ρ, Π°Π½Π°Π»ΡΠ³ΠΈΠ½. ΠΡΠ»ΠΈ ΠΏΡΠΈΠ½ΡΡΡ ΡΠ°Π±Π»Π΅ΡΠΊΡ Π½Π΅ ΠΏΡΠ΅Π΄ΡΡΠ°Π²Π»ΡΠ΅ΡΡΡ Π²ΠΎΠ·ΠΌΠΎΠΆΠ½ΡΠΌ, ΡΠΎ Π΅Π΅ Π½Π΅ΠΎΠ±Ρ ΠΎΠ΄ΠΈΠΌΠΎ ΡΠ°ΡΡΠ²ΠΎΡΠΈΡΡ Π² Π²ΠΎΠ΄Π΅ ΠΈ Π΄Π°ΡΡ Π²ΡΠΏΠΈΡΡ ΠΈΠ»ΠΈ ΡΠ΄Π΅Π»Π°ΡΡ ΠΈΠ½ΡΠ΅ΠΊΡΠΈΡ. ΠΠ»Ρ ΡΠΌΠ΅Π½ΡΡΠ΅Π½ΠΈΡ Π±ΠΎΠ»Π΅Π²ΠΎΠ³ΠΎ ΡΠΈΠ½Π΄ΡΠΎΠΌΠ°, ΡΡΠΆΠ΅Π½ΠΈΡ ΡΠΎΡΡΠ΄ΠΎΠ² ΠΈ ΡΠ½ΡΡΠΈΡ ΠΎΡΠ΅ΡΠ½ΠΎΡΡΠΈ ΠΌΠΎΠΆΠ½ΠΎ ΠΈΡΠΏΠΎΠ»ΡΠ·ΠΎΠ²Π°ΡΡ Ρ ΠΎΠ»ΠΎΠ΄, Π½Π°ΠΏΡΠΈΠΌΠ΅Ρ, Π»Π΅Π΄, ΠΎΠ±Π²Π΅ΡΠ½ΡΡΡΠΉ Π»ΡΠ±ΠΎΠΉ ΡΠΊΠ°Π½ΡΡ.
ΠΠ΅ΡΠ΅Π½ΠΈΠ΅ ΠΈ Π΅Π³ΠΎ ΠΎΡΠΎΠ±Π΅Π½Π½ΠΎΡΡΠΈ
ΠΠ΅ΡΠ΅Π½ΠΈΠ΅ ΠΏΠ΅ΡΠ΅Π»ΠΎΠΌΠ° ΡΠ΅Π»ΡΡΡΠΈ ΠΏΠΎΡΠ»Π΅ ΠΏΠΎΡΡΡΠΏΠ»Π΅Π½ΠΈΡ ΠΏΠΎΡΡΡΠ°Π΄Π°Π²ΡΠ΅Π³ΠΎ Π² Π±ΠΎΠ»ΡΠ½ΠΈΡΡ, Π½Π°ΡΠΈΠ½Π°Π΅ΡΡΡ Ρ Π΅Π³ΠΎ ΡΡΠ°ΡΠ΅Π»ΡΠ½ΠΎΠ³ΠΎ ΠΎΠ±ΡΠ»Π΅Π΄ΠΎΠ²Π°Π½ΠΈΡ.

ΠΠ°ΠΊ ΠΏΡΠ°Π²ΠΈΠ»ΠΎ, Π΄ΠΈΠ°Π³Π½ΠΎΡΡΠΈΡΠ΅ΡΠΊΠΈΠ΅ ΠΌΠ΅ΡΠΎΠΏΡΠΈΡΡΠΈΡ Π² Π΄Π°Π½Π½ΠΎΠΌ ΡΠ»ΡΡΠ°Π΅ ΠΏΡΠ΅Π΄ΠΏΠΎΠ»Π°Π³Π°ΡΡ:
- Π²ΠΈΠ·ΡΠ°Π»ΡΠ½ΡΠΉ ΠΈ ΡΡΡΠ½ΠΎΠΉ ΠΎΡΠΌΠΎΡΡ Π½Π° ΠΏΡΠ΅Π΄ΠΌΠ΅Ρ Π½Π°Π»ΠΈΡΠΈΡ Π΄Π΅ΡΠΎΡΠΌΠ°ΡΠΈΠΈ Π»ΠΈΡΠ°, Π±ΠΎΠ»Π΅Π·Π½Π΅Π½Π½ΠΎΡΡΠΈ ΠΏΡΠΈ ΠΏΠ°Π»ΡΠΏΠ°ΡΠΈΠΈ, ΡΠ΅Π»ΠΎΡΡΠ½ΠΎΡΡΡ Π·ΡΠ±Π½ΠΎΠΉ Π΄ΡΠ³ΠΈ, ΠΏΡΠΈΡΡΡΡΡΠ²ΠΈΠ΅ Π³Π΅ΠΌΠ°ΡΠΎΠΌΡ Π² ΠΏΠΎΠ΄ΡΡΠ·ΡΡΠ½ΠΎΠΉ ΠΎΠ±Π»Π°ΡΡΠΈ.
- ΡΠ΅Π½ΡΠ³Π΅Π½ΠΎΠ»ΠΎΠ³ΠΈΡΠ΅ΡΠΊΠΎΠ΅ ΠΈΡΡΠ»Π΅Π΄ΠΎΠ²Π°Π½ΠΈΠ΅ ΡΠ΅Π»ΡΡΡΠΈ Π² Π½Π΅ΡΠΊΠΎΠ»ΡΠΊΠΈΡ ΡΠ°Π·Π½ΡΡ ΠΏΡΠΎΠ΅ΠΊΡΠΈΡΡ ΠΈΠ»ΠΈ ΠΎΠ±Π·ΠΎΡΠ½ΡΠΉ ΡΠ½ΠΈΠΌΠΎΠΊ, ΡΡΠΎ ΠΏΠΎΠ·Π²ΠΎΠ»ΡΠ΅Ρ ΠΎΠΏΡΠ΅Π΄Π΅Π»ΠΈΡΡ ΠΌΠ΅ΡΡΠΎ Π»ΠΎΠΊΠ°Π»ΠΈΠ·Π°ΡΠΈΠΈ ΠΏΠ΅ΡΠ΅Π»ΠΎΠΌΠ° ΠΈ Π½Π°Π»ΠΈΡΠΈΠ΅ ΡΠΌΠ΅ΡΠ΅Π½ΠΈΠΉ.
ΠΠ΅ΡΠ΅Π½ΠΈΠ΅ ΠΏΠ΅ΡΠ²ΡΠΌ Π΄ΠΎΠ»Π³ΠΎΠΌ Π±ΡΠ΄Π΅Ρ Π½Π°ΠΏΡΠ°Π²Π»Π΅Π½ΠΎ Π½Π° ΡΠΎΠΏΠΎΡΡΠ°Π²Π»Π΅Π½ΠΈΠ΅ ΠΊΠΎΡΡΠ½ΡΡ ΠΎΡΠ»ΠΎΠΌΠΊΠΎΠ², ΠΏΡΠΎΠ²Π΅Π΄Π΅Π½ΠΈΠ΅ ΠΈΠΌΠΌΠΎΠ±ΠΈΠ»ΠΈΠ·Π°ΡΠΈΠΈ ΠΏΠΎ ΡΡΠ΅Π΄ΡΡΠ²Ρ ΡΠΏΠ΅ΡΠΈΠ°Π»ΡΠ½ΠΎΠΉ ΡΠΈΠ½Ρ, ΡΠΈΠ½ΠΈΡΠΎΠ²Π°Π½ΠΈΠ΅ ΠΏΡΡΠ΅ΠΌ Π½Π°Π»ΠΎΠΆΠ΅Π½ΠΈΡ ΠΏΡΠΎΠ²ΠΎΠ»ΠΎΡΠ½ΡΡ Π·ΡΠ±Π½ΡΡ ΡΠΈΠ½, Π½ΠΈΡΠ΅ΠΉ ΠΈΠ»ΠΈ ΠΌΠ΅ΡΠ°Π»Π»ΠΈΡΠ΅ΡΠΊΠΈΡ ΡΡΠ΅ΡΠΆΠ½Π΅ΠΉ. Π Π΄Π°Π»ΡΠ½Π΅ΠΉΡΠ΅ΠΌ ΠΏΡΠΎΠΈΠ·Π²ΠΎΠ΄ΠΈΡΡΡ ΡΡΠΈΠ²Π°Π½ΠΈΠ΅ ΡΠ°Π½, Π° ΠΏΡΠΈ ΡΠ΅ΡΡΠ΅Π·Π½ΡΡ ΠΏΠΎΠ²ΡΠ΅ΠΆΠ΄Π΅Π½ΠΈΡΡ Π½Π°ΠΊΠ»Π°Π΄ΡΠ²Π°ΡΡΡΡ ΠΏΠ»Π°ΡΡΠΈΠ½ΠΎΡΠ½ΡΠ΅ ΡΠ²Ρ. ΠΠ»Ρ ΠΏΡΠΎΡΠΈΠ»Π°ΠΊΡΠΈΠΊΠΈ ΡΡΠ°Π²ΠΌΠ°ΡΠΈΡΠ΅ΡΠΊΠΎΠ³ΠΎ ΠΎΡΡΠ΅ΠΎΠΌΠΈΠ΅Π»ΠΈΡΠ° ΠΏΡΠΎΠ²ΠΎΠ΄ΠΈΡΡΡ ΠΊΡΡΡ Π°Π½ΡΠΈΠ±ΠΈΠΎΡΠΈΠΊΠΎΡΠ΅ΡΠ°ΠΏΠΈΠΈ. ΠΠ΅ΡΡ ΠΏΡΠΎΡΠ΅ΡΡ Π»Π΅ΡΠ΅Π½ΠΈΡ ΠΌΠΎΠΆΠ΅Ρ Π·Π°Π½ΠΈΠΌΠ°ΡΡ Π² Π·Π°Π²ΠΈΡΠΈΠΌΠΎΡΡΠΈ ΠΎΡ ΡΡΠΆΠ΅ΡΡΠΈ ΠΏΠΎΠ»ΡΡΠ΅Π½Π½ΡΡ ΡΠ²Π΅ΡΠΈΠΉ ΠΎΡ 1-Π³ΠΎ ΠΌΠ΅ΡΡΡΠ° Π΄ΠΎ 2-Ρ .
ΠΡΠΈ ΡΡΠ°Π²ΠΌΠ°Ρ ΡΠ΅Π»ΡΡΡΠΈ ΠΎΡΠ΅Π½Ρ Π²Π°ΠΆΠ½ΠΎ ΠΎΠ±Π΅ΡΠΏΠ΅ΡΠΈΡΡ Π±ΠΎΠ»ΡΠ½ΠΎΠΌΡ ΠΏΠΎΠ»Π½ΠΎΡΠ΅Π½Π½ΠΎΠ΅ ΠΏΠΈΡΠ°Π½ΠΈΠ΅, ΡΠ°ΠΊ ΠΊΠ°ΠΊ ΠΏΡΠΈΠ΅ΠΌ ΠΏΠΈΡΠΈ Π²ΠΎ ΠΌΠ½ΠΎΠ³ΠΈΡ ΡΠ»ΡΡΠ°ΡΡ ΠΌΠΎΠΆΠ΅Ρ Π±ΡΡΡ Π·Π°ΡΡΡΠ΄Π½Π΅Π½. Π Π°ΡΠΈΠΎΠ½ ΠΏΠΈΡΠ°Π½ΠΈΡ Π΄ΠΎΠ»ΠΆΠ΅Π½ ΡΠΎΡΡΠΎΡΡΡ ΠΈΠ· Π²ΡΡΠΎΠΊΠΎΠΊΠ°Π»ΠΎΡΠΈΠΉΠ½ΠΎΠΉ ΠΏΠΈΡΠΈ, Π° Π΅Π΅ ΠΏΡΠΈΠ΅ΠΌ ΠΌΠΎΠΆΠ΅Ρ ΠΏΡΠΎΠΈΡΡ ΠΎΠ΄ΠΈΡΡ ΠΈΠ· ΡΠΏΠ΅ΡΠΈΠ°Π»ΡΠ½ΠΎΠ³ΠΎ ΠΏΠΎΠΈΠ»ΡΠ½ΠΈΠΊΠ° ΠΈΠ»ΠΈ ΠΏΠΎ ΡΡΠ΅Π΄ΡΡΠ²Ρ ΠΊΠΎΡΠΌΠ»Π΅Π½ΠΈΡ ΠΈΠ· ΡΠ°ΠΉΠ½ΠΎΠΉ Π»ΠΎΠΆΠΊΠΈ.
ΠΠΎΠ³ΡΡ Π»ΠΈ Π±ΡΡΡ ΠΏΠΎΡΠ»Π΅Π΄ΡΡΠ²ΠΈΡ
ΠΠΎ Π²ΡΠ΅ΠΌΡ Π΄ΠΈΠ°Π³Π½ΠΎΡΡΠΈΠΊΠΈ ΡΡΠ°Π²ΠΌ ΡΠ΅Π»ΡΡΡΠΈ Π½Π΅ΠΎΠ±Ρ ΠΎΠ΄ΠΈΠΌΠΎ ΠΈΡΠΊΠ»ΡΡΠΈΡΡ ΡΠΎΠΏΡΡΡΡΠ²ΡΡΡΠ΅Π΅ ΠΏΠΎΡΠ°ΠΆΠ΅Π½ΠΈΠ΅ ΠΏΠΎΠ·Π²ΠΎΠ½ΠΎΡΠ½ΠΎΠ³ΠΎ ΡΡΠΎΠ»Π±Π°. ΠΠ»Ρ ΡΡΠΎΠ³ΠΎ Π΄ΠΎΠΏΠΎΠ»Π½ΠΈΡΠ΅Π»ΡΠ½ΠΎ ΠΏΡΠΎΠ²ΠΎΠ΄ΠΈΡΡΡ ΡΠ΅Π½ΡΠ³Π΅Π½ΠΎΠ»ΠΎΠ³ΠΈΡΠ΅ΡΠΊΠΎΠ΅ ΠΈΡΡΠ»Π΅Π΄ΠΎΠ²Π°Π½ΠΈΠ΅ ΡΠ΅ΠΉΠ½ΠΎΠ³ΠΎ ΠΎΡΠ΄Π΅Π»Π° ΠΏΠΎΠ·Π²ΠΎΠ½ΠΎΡΠ½ΠΈΠΊΠ°. Π’Π°ΠΊΠΆΠ΅ ΠΎΠ±ΡΠ·Π°ΡΠ΅Π»ΡΠ½ΠΎ Π½Π΅ΠΎΠ±Ρ ΠΎΠ΄ΠΈΠΌΠΎ ΠΈΡΠΊΠ»ΡΡΠΈΡΡ Π½Π°Π»ΠΈΡΠΈΠ΅ Π²Π½ΡΡΡΠΈΡΠ΅ΡΠ΅ΠΏΠ½ΠΎΠ³ΠΎ ΠΊΡΠΎΠ²ΠΎΡΠ΅ΡΠ΅Π½ΠΈΡ ΠΈ ΡΠΎΡΡΡΡΠ΅Π½ΠΈΡ Π³ΠΎΠ»ΠΎΠ²Π½ΠΎΠ³ΠΎ ΠΌΠΎΠ·Π³Π°. ΠΡΠΈ ΡΡΠ°Π²ΠΌΡ Π»Π΅ΡΠ°ΡΡΡ ΠΏΠ°ΡΠ°Π»Π»Π΅Π»ΡΠ½ΠΎ.
ΠΡΠ½ΠΎΠ²Π½ΡΠΌΠΈ ΠΈ ΠΎΡΠ΅Π½Ρ ΠΎΠΏΠ°ΡΠ½ΡΠΌΠΈ ΠΏΠΎΡΠ»Π΅Π΄ΡΡΠ²ΠΈΡΠΌΠΈ Π½Π΅ΠΏΡΠ°Π²ΠΈΠ»ΡΠ½ΠΎΠ³ΠΎ ΠΈ Π½Π΅ΠΊΠ²Π°Π»ΠΈΡΠΈΡΠΈΡΠΎΠ²Π°Π½Π½ΠΎΠ³ΠΎ Π»Π΅ΡΠ΅Π½ΠΈΡ ΠΏΠ΅ΡΠ΅Π»ΠΎΠΌΠ° ΡΠ΅Π»ΡΡΡΠΈ, ΠΌΠΎΠΆΠ΅Ρ ΡΡΠ°ΡΡ ΡΠΌΠ΅ΡΠ΅Π½ΠΈΠ΅ Π·ΡΠ±Π½ΠΎΠ³ΠΎ ΡΡΠ΄Π°, ΠΎΠ±ΡΠ°Π·ΠΎΠ²Π°Π½ΠΈΠ΅ ΠΌΠ΅ΠΆΠ·ΡΠ±Π½ΡΡ ΠΏΡΠΎΠΌΠ΅ΠΆΡΡΠΊΠΎΠ², ΠΎΠ±ΡΠ°Π·ΠΎΠ²Π°Π½ΠΈΠ΅ Π½Π΅ΠΏΡΠ°Π²ΠΈΠ»ΡΠ½ΠΎΠ³ΠΎ ΠΏΡΠΈΠΊΡΡΠ° Π² ΡΠ΅Π·ΡΠ»ΡΡΠ°ΡΠ΅ ΡΠΌΠ΅ΡΠ΅Π½ΠΈΡ Π·ΡΠ±ΠΎΠ², ΡΠ°Π·Π²ΠΈΡΠΈΠ΅ ΠΌΠ΅Π½ΠΈΠ½Π³ΠΈΡΠ°, ΠΎΡΡΠ΅ΠΎΠΌΠΈΠ΅Π»ΠΈΡΠ°. Π’Π°ΠΊΠΈΠΌ ΠΎΠ±ΡΠ°Π·ΠΎΠΌ, ΡΠ΅ΠΌ ΡΠ°Π½ΡΡΠ΅ Π±ΡΠ΄Π΅Ρ Π½Π°ΡΠ°ΡΠΎ Π»Π΅ΡΠ΅Π½ΠΈΠ΅ ΡΡΠ°Π²ΠΌΡ ΠΈ ΡΠ΅ΠΌ ΠΊΠ²Π°Π»ΠΈΡΠΈΡΠΈΡΠΎΠ²Π°Π½Π½Π΅Π΅ ΠΎΠ½ΠΎ Π±ΡΠ΄Π΅Ρ, ΡΠ΅ΠΌ Π±ΠΎΠ»ΡΡΠ΅ Ρ ΠΏΠ°ΡΠΈΠ΅Π½ΡΠ° ΡΠ°Π½ΡΠΎΠ² ΠΈΠ·Π±Π΅ΠΆΠ°ΡΡ Π½Π΅ΠΏΡΠΈΡΡΠ½ΡΡ ΠΏΠΎΡΠ»Π΅Π΄ΡΡΠ²ΠΈΠΉ ΠΈ Π²Π΅ΡΠ½ΡΡΡΡΡ ΠΊ ΠΏΠΎΠ»Π½ΠΎΡΠ΅Π½Π½ΠΎΠΉ ΠΆΠΈΠ·Π½ΠΈ.
sustavko.ru
