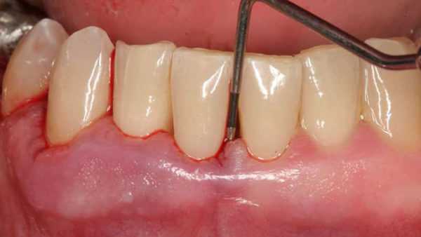
Десна кровоточат — чем полоскать? Обзор эффективных средств!
Кровоточивость десен – это актуальная проблема, доставляющая людям много неудобств. Наличие кровоточивости может говорить о серьезных патологиях полости рта. Большинство пациентов связывают возникшую кровоточивость с использованием жесткой зубной щетки, употреблением твердой пищи, стараясь решить этот вопрос самостоятельно. Но если десны начали кровоточить, это уже веская причина посетить кабинет стоматолога, поскольку во рту пациента возник воспалительный процесс.

Десна кровоточат — чем полоскать
Чем это может быть опасно?
Содержание статьи
Несвоевременное обращение к стоматологу при первых проявлениях кровоточивости в деснах может привести к неприятным последствиям. Если десна начали кровоточить в результате механического повреждения зубочисткой или зубной щеткой с жесткой щетиной, это одно, но совсем другое, если к кровоточивости привело активно развивающаяся болезнь.

Кровоточивость десен
Несильный воспалительный процесс, который проявляется лишь кровоточивостью десен, зачастую приводит к разным заболеваниям полости рта. К примеру, среди всех осложнений стоит выделить сильное поражение тканей десны, нагноение. Нередко пациенты сталкиваются с такими последствиями, как выпадение зубов, гингивит или пародонтит. Все эти осложнения носят серьезный характер, поэтому игнорировать появление кровоточивости десен нельзя.

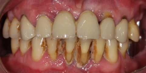
Почему кровоточат десна
Причины кровоточивости
Существует достаточно много факторов, способных вызвать кровоточивость, среди которых стоит выделить следующие:
- пренебрежение правилами гигиены. Десны могут травмироваться и по вине человека, если он будет неправильно ухаживать за зубами. В первую очередь, это касается слишком активной чистки зубов и применения чрезмерно жесткой щетки. Как результат — из-за полученных травм десны начинают кровоточить;
- недостаточная гигиена. Многие люди уделяют чистке зубов не более 30 секунд, хотя оптимальное время – 2-3 минуты. Плохая чистка не позволяет полностью удалить остатки пищи и налет с поверхности зубов, в результате чего может образоваться камень. Если она возникает под десной, это, в свою очередь, может вызвать шаткость зубов. Как результат — десны начинают кровоточить;

Причиной кровотечения может быть плохая чистка зубов
- наличие других заболеваний. Некоторые патологии могут сопровождаться незначительным кровотечением. К самым распространенным из них относятся пародонтоз и гингивит. В редких случаях спровоцировать кровотечение может гемофилия, сахарный диабет, рак крови и так далее;
- применение медикаментов. Активные вещества некоторых медицинских препаратов могут привести к разжижению крови, а такое явление, как кровоточивость десен, относится к их побочным эффектам. К таким препаратам относится аспирин, поэтому, если прекратить его принимать, это позволит остановить кровотечение;
- неправильное питание. В результате нехватки некоторых витаминов в организме сильно страдают зубы и десны. Это касается витаминов Е и С;
- вызвать кровотечение могут и некоторые стоматологические процедуры. Например, установка низкокачественных зубных протезов может травмировать десны, а профессиональная чистка зубов от налета вызывает кратковременную кровоточивость, которая, как правило, проходит очень быстро.

Чистка зубов
На заметку! Избыток углеводов в пище может привести к появлению зубного камня, что провоцирует развитие пародонтита. Необходимо пересмотреть свой рацион для предотвращения проблем с ротовой полостью. Также следует избегать сильных стрессов, которые ослабляют иммунную систему человека.
При возникновении кровоточивости десен нужно обратиться к врачу за помощью, который, выявив причины патологии, назначит соответствующее лечение. В редких случаях только специалист сможет определить причину и вылечить недуг.
Желательно сразу обратиться к стоматологу
Характерные симптомы
Кровоточивость десен говорит о наличии сопутствующих проблем, но также это явление может сопровождаться некоторыми симптомами. Как правило, пациенты с кровоточивостью замечают образование зубного налета, повышенное слюноотделение, покраснение и увеличение слизистой оболочки. Нередко возникают болевые ощущения даже при легком прикосновении к пораженной десне.
Образование зубного налета и камня на зубах
Если хоть один из этих симптомов появится, нужно сразу посетить стоматолога, ведь все они говорят о наличии проблемы.
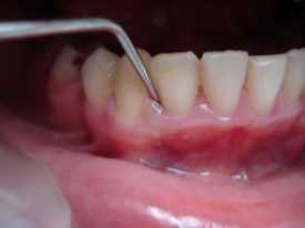
Что делать, если десна начали кровоточить?
Шаг 1. Холодный компресс позволит замедлить кровотечение в деснах. Замотайте несколько кубиков льда в полотенце и аккуратно приложите к пораженному участку. Если льда не оказалось под рукой, тогда можно взять что-нибудь холодное из холодильника.

Есть несколько способов замедлить кровотечение
Шаг 2. Поменяйте зубную щетку, отдавая предпочтение изделию с мягкой щетиной. Механические повреждения десны нередко возникают из-за жесткой щетины. Также нужно пересмотреть свою технику чистки зубов и при необходимости сменить ее. Все движения должны быть плавными и аккуратными, без сильного давления на зубы и десны.

Чистить зубы нужно правильно
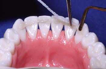
Шаг 3. Зубная нить хорошо помогает очистить межзубное пространство от налета, но использовать ее нужно правильно. Во-первых, чистить зубы нитью нужно раз в день, так как частое использование может привести к неприятным последствиям. Во-вторых, движения должны быть плавными, чтобы не повредить десна.

Зубная нить
Шаг 4. Откажитесь от использования средств для полоскания рта, в состав которых входит спирт. Они уничтожают микробы и хорошо освежают дыхание, но также спиртосодержащие средства негативно сказываются на здоровье десен, высушивая их.

Ополаскиватель для рта
Шаг 5. Избавьтесь от вредных привычек. Многие не знают, но курение вредит не только внутренним органам, но и деснам. В состав табака входит много токсинов, которые сильно ослабляют десны, в результате чего они становятся уязвимыми к разным заболеваниям.

Откажитесь от вредных привычек
Полоскание рта народными средствами
Вылечить различные заболевания ротовой полости, в том числе и кровоточивость десен, можно и с помощью рецептов народной медицины. Стоит отметить, что сами по себе нетрадиционные методы редко помогают справиться с проблемой, но в сочетании с медицинскими препаратами они более эффективные. Самолечением заниматься не рекомендуется, это чревато неприятным последствиям. Перед применением народных средств обязательно нужно проконсультироваться у врача. Ниже представлены некоторые народные рецепты, используемые при кровоточивости.
Таблица. Применение народной медицины при кровоточивости десен.
| Народное средство | Приготовление |
|---|---|
Настой ромашки | Для приготовления настоя нужно залить 500 мл кипятка 3 ст. л. цветков ромашки аптечной и настаивать на протяжении 2-3 часов. Процедите средство, затем используйте для полоскания рта дважды в неделю. |
Отвар из коры дуба | Поставьте на слабый огонь смесь, приготовленную из 200 г дубовой коры и 400 мл воды. Доведите до кипения, затем снимите отвар с плиты и настаивайте 20-30 минут. Процедив средство, полощите им рот 2-3 раза в день. |
Настой из цветков календулы | Залейте 200 мл воды 2 ст. л. сухих цветков растения и варите на слабом огне 10 минут, не доводя до кипения. Процедите настой через марлю, затем используйте в качестве средства для полоскания рта 2 раза в день. |
Настой шалфея | Приготовление этого средства практически не отличается от других рецептов, за исключением емкости для настаивания. Желательно использовать термос для этой цели. Просто залейте 200 мл кипятка 20 г травы и настаивайте 40 минут. |
Настойка зверобоя | Доведите до кипения 30 г травы, залитой 200 мл воды, затем настаивайте 30 минут. Применять настойку нужно следующим образом: на 200 мл чистой и теплой воды добавьте 50 капель приготовленной настойки. Полоскать рот 2-3 раза в день. |
Черничный настой | Чтобы приготовить средство, залейте 400 мл кипятка 1 ст. л. сухих листьев черники и настаивайте на протяжении часа. Процедив настой через несколько слоев марли, полощите им рот трижды в день. |
Лечение солью
В народной медицине морская соль используется часто благодаря высокому содержанию йода. Применяется она и для остановки различных кровотечений. Приобрести ее можно в ближайшей аптеке, тем более, соль стоит немного. Чтобы приготовить лекарственный раствор для полоскания, разбавьте в 200 мл теплой воды 1 ч. л. морской соли. Полощите полость рта после каждой чистки зубов. Это позволит снять воспаление и остановить кровоточивость десен. К тому же морская соль – это отличное профилактическое средство, позволяющее предотвратить многие стоматологические заболевания.

Морская соль
Самолечение – это увлекательное, но довольно опасное занятие, если не соблюдать рекомендаций врача. Лечение народными средствами, безусловно, эффективное. Но если улучшений не наблюдается 5 и более дней, то нужно обратиться к стоматологу. Специалист проведет осмотр и назначит соответствующее лечение.
Если десны кровоточат в период беременности
Не секрет, что при вынашивании ребенка у женщины наблюдаются нарушения гормонального фона. Это состояние может быть как временным, так и постоянным. При беременности повышается чувствительность десен, они становятся отечными и рыхлыми, из-за чего даже незначительные механические воздействия могут их повредить. В медицине существует специальный термин для этого отклонения – гингивит беременных.

Лечение кровоточивости десен при беременности
При беременности такое неприятное явление, как кровоточивость, можно лечить, но при этом врач должен учитывать состояние организма будущей мамы и срок беременности. Терапия должна проходить исключительно под контролем доктора, чтобы избежать неприятных последствий. Как правило, кровоточивость проходит сама после рождения малыша.
Меры профилактики
Для сохранения здоровья десен и зубов необходимо соблюдать правила ухода. Чистите зубы не меньше двух раз в день, выделяя по 2-3 минуты на процедуру. Никогда не экономьте на зубной пасте и щетке, покупайте только качественную продукцию. О внутренней стороне щек и поверхности языка забывать не стоит, ведь там скапливается большая часть микробов. После чистки зубов прополощите рот ополаскивателем. Если есть такая необходимость, воспользуйтесь зубной нитью.

Профилактика кровоточивости десен
Если кровоточивость прошла, это не значит, что проблема уже не вернется, поэтому приложите максимум усилий для предотвращения рецидивов. Пересмотрите свой рацион, добавив в него при необходимости морковь, черную редьку и лимон. Эти продукты помогают удалить зубной камень и уменьшить его образование. На фоне ослабленной иммунной системы во рту могут развиться воспалительные заболевания, среди которых гингивит и пародонтит. Занимайтесь укреплением иммунитета, употребляйте здоровую пищу, посещайте бассейн или тренажерный зал.
В качестве дополнения принимайте поливитаминные препараты, способствующие быстрому выздоровлению. Также витаминный комплекс позволит улучшить общее состояние вашего организма.
Видео – Что делать, если кровоточат десна
expertdent.net
Кровоточат Десна: Чем Полоскать, Лечение, Профилактика
Часто пациенты замечают, что и них кровоточат десна, «чем полоскать?» при этом является естественным вопросом. Прежде чем дать рекомендации по лечению врач должен обследовать ротовую полость и провести тщательную диагностику заболевания. В большинстве случаев данный симптом свидетельствует о заболевании пародонта.

Гингивит и пародонтит
Препараты от кровоточивости десен при воспалительном поражении слизистой оболочки назначаются в составе комплексной медикаментозной терапии.
Составление плана лечебных мероприятий при воспалительных заболеваниях пародонта
Составить план лечения возможно после полного обследования пациента и установки предварительного диагноза. По ходу терапии и особенностях клинического течения болезни специалисты определяют окончательный диагноз.
Прогноз и определение эффективности лечения
Успех терапии зависит от следующих факторов:
- общее отношение человека к заболеванию;
- возраст пациента;
- наличие и тяжесть течения сопутствующих общесоматических патологий;
- состояние иммунитета;
- индивидуальные особенности строения зубо-десневой системы;
- полноценная функция зубных рядов;
- предпочтение больного в носовом или ротовом типе дыхания;
- наличие вредных привычек;
- особенности условий проживания и работы человека;
- соблюдение пациентом правил личной гигиены ротовой полости.
По статистике гингивит и пародонтит у пациентов с хроническим поражением органов пищеварения и сахарным диабетом протекает в тяжелой форме и требует общего медикаментозного лечения.

Тяжелая степень пародонтита
Следует учитывать, что нередко попытки стоматолога вылечит заведомо бесперспективный зуб приводит к усугублению общего состояния, а иногда к потере соседних зубов.
Сложно составить прогноз пациентам с хроническим поражением пародонта. Предугадать результат лечения можно только после 1-3 курсов специфической терапии. В таком случае врач отчетливо видит реакцию организма на проведенные лечебные мероприятия.
Диагностика заболевания
Все препараты при кровоточивости десен назначаются после полной диагностики, которая включает следующий комплекс мероприятий:
| Диагностическая процедура | Клиническая картина |
| Опрос пациента | ![]() Сбор анамнеза |
| Осмотр ротовой полости | ![]() Инструментальный осмотр полости рта |
| Пальпация лимфоузлов | Ощупывание подчелюстных лимфатических узлов |
| Определение подвижности зубов | ![]() Исследование подвижности зубов |
| Измерение глубины пародонтального кармана | ![]() Вычисление размера пародонтального кармана |
| Рентгенография | ![]() Ортопантомограмма |
Принципы лечения пародонтологических заболеваний
Существуют следующие принципы оказания стоматологической помощи:
Комплексность лечения
Врач-стоматолог осуществляет местную и общую терапию. При этом желательно использовать методики различных направлений (консервативное, ортопедическое, хирургическое и ортодонтическое).
Часто стоматологи-терапевты прибегают к консультации специалистов других специальностей.
Индивидуальный подход к пациенту
Каждый клинический случай подлежит детальному анализу, в ходе которого стоматолог обращает внимание на следующие характеристики:
- форма и распространенность заболевания;
- особенности течения болезни;
- наличие сопутствующей общесоматической патологии;
- уровень сопротивляемости на уровне ротовой полости и целого организма.
Последовательность процедур
Современная инструкция по оказанию стоматологической помощи предусматривает поэтапность терапии. В этой связи, выбор лечебных процедур специфичен для каждого этапа воспалительного поражения пародонта.
В стоматологической практике последовательность терапевтических мероприятий сформулирована в специальных протоколах, согласно которых врач проводит лечение.
Систематичность терапии
В большинстве случаев после купирования острого периода стоматолог назначает больному курс поддерживающей терапии. Это считается отличным способом профилактики рецидивов заболевания.
Интервал между такими курсами индивидуален и определяется тяжестью воспалительного процесса и интенсивностью первичного курса лечения.
Взвешенность и сбалансированность терапевтического подхода
Этот момент в работе врача-стоматолога включает адекватный подход к лечению заболевания. Современная медицина обладает огромным потенциалом средств и методов восстановления здоровья ротовой полости.
В зависимости от сложности клинической ситуации специалист может предложить больному медикаментозную терапию, ортопедическое, хирургическое вмешательство или установление имплантата.
Имплантация зубов
Способы медикаментозного воздействия на воспаленные мягкие ткани полости рта
Полоскание при кровоточивости десен не является единственным способом воздействия на патологическую область пародонта.
В стоматологии существуют еще такие методы местной терапии:
| Способы введения лекарственных веществ | Клиническая картина |
| Ротовые ванночки | ![]() Полоскания ротовой полости |
| Аппликации | ![]() Установление лекарства на поверхность десны |
| Инъекции | Внутридесневые инъекции |
| Лечебные повязки | Десенная повязка |
| Инстиляции | ![]() Инстиляция препарата в пародонтальный карман |
| Физпроцедуры | ![]() Электрофорез в пародонтологии |
| Традиционные методики введения препаратов | ![]() Внутривенный способ введения медикамента |
Этапы лечения пародонтологических пациентов
На сегодняшний день стоматологи выделяют три ключевых этапа терапии заболеваний пародонта.
Начальное лечение
На данном этапе терапия осуществляется по следующим направлениям:
| Экстренная помощь | Этиотропное лечение | Патогенетическое воздействие | Симптоматическая терапия |
![]() Вскрытие абсцессов | ![]() Удаление твердых зубных отложений | ![]() Местная противовоспалительная терапия | ![]() Прием обезболивающих средств |
![]() Удаление зубов с неблагоприятным прогнозом | ![]() Обучение правилам гигиены ротовой полости | ![]() Общая антибиотикотерапия | ![]() Шинирование зубов |
Эндодонтическое лечение | Устранение травмирующих факторов | ![]() Реминерализация чувствительных зубов |
Начальное лечение, как правило, направлено на ликвидацию всех травмирующих факторов, которые поддерживают и провоцируют воспалительный процесс. Следует отметить, что правильное планирование начальной стадии терапии оказывает существенное влияние на прогноз заболевания. Цена таких мероприятий зависит от сложности и распространенности патологии.
Основное лечение
В современной стоматологии основное лечение пародонтита предусматривает проведение хирургического вмешательства, цель которого – ликвидация пародонтального кармана. Такие вмешательства создают благоприятные условия для восстановления связочного аппарата зуба и регенерации костной ткани. При этом вопрос: «Чем полоскать рот при кровоточивости десен?» решается на начальном этапе терапии.
Перед планированием радикального вмешательства специалист учитывает следующие моменты:
- глубина патологического кармана;
- размер преддверия полости рта;
- наличие сопутствующих общесоматических болезней;
- гигиеническое состояние ротовой полости.
Хирургические операции при пародонтитах выполняются следующим образом:
- Закрытый кюретаж. Хирург-стоматолог с помощью специальной кюретажой ложки вычищает пародонтальные карманы. Данная манипуляция эффективна при глубине зубодесневого соединения 4-5 мм.
- Открытый кюретаж. Процедура показана при более глубоких патологических карманах. Пациенту проводят местную анестезию и выскабливают грануляции из промежутка между десной и корнем зуба. При этом специалист не отделяет т кости десневую ткань.
- Гингивэктомия. Операция осуществляется для иссечения патологически разросшейся слизистой оболочки. Эту процедуру можно провести посредством скальпеля, лазера или диатермокоагуляции.
- Лоскутные операции. Тяжелые нарушения структуры альвеолярного отростка подлежат радикальной коррекции с отслоением костно-десневого лоскута. В ходе операции утраченную часть кости врач восстанавливает посредством искусственного аутотрансплантата.

Схематическое изображение лоскутной операции
Поддерживающая терапия
Многочисленные клинические наблюдения показали, что положительный эффект оперативного лечения хронической формы пародонтита недолговременный. У большинства пациентов в скором времени происходит обострение пародонтита. Данный факт обосновывает необходимость проведения поддерживающей терапии.
Сохранение позитивного результата терапии пародонтита реализуется следующим образом:
- постоянный мониторинг истории болезни и анализ рентгенологических исследований;
- прохождение пациентом регулярных профилактических стоматологических обследований;
- контроль медицинским персоналом уровня личной гигиены полости рта;
- своевременное удаление всех форм зубного налета;
- повторное антисептическое и противовоспалительное лечение участков десны, где ранее наблюдалась воспалительная реакция;
- применение аппликаций и примочек с фторсодержащими препаратами;
- мотивирование больного к соблюдению им гигиены зубных рядов.
Позитивный прогноз воспалительного поражения пародонта возможен только при условии полноценного проведения всех этапов лечения и надлежащего выполнения пациентом рекомендаций врача-стоматолога.
Гели и зубные пасты при кровоточивости
Выбирать пасту для чистки зубов следует исходя из того, что стало причиной кровоточивости десен. В составе могут быть разные компоненты: хлорид калия, сульфат натрия, витамины, лекарственные растения и прочее.
Самые эффективные и популярные средства, позволяющие решить проблему:
- SPLAT Professional Active – российская зубная паста, отличительная черта – окраска черного цвета. Обладает сразу несколькими действиями – антисептическим, кровоостанавливающим. Главные компоненты, входящие в состав – шлемник, вытяжка спирулины, экстракт бадана.
- Lacalut Activ – это целый комплекс, в который входит зубная щетка, паста и ополаскиватель. За основу взяты катионы алюминия.
- Parodontax Classic – в составе вытяжки из лекарственных трав. Производится паста не в нашей стране, а в Великобритании.
- Лесной бальзам – это еще одно отечественное средство, в составе которого много компонентов растительного происхождения. Есть облепиховое эфирное масло, зверобой, аптечная ромашка и прочее.

Рекомендуемая зубная паста для лечения
Стоматологические гели проявляют не меньшую результативность. Рекомендуется пользоваться Холисалом, Пародиумом, Солкосерилом, Метрогилом Дента и прочее.
Интересно! Периодически рекомендуется менять зубные пасты, таким образом можно добиться комплексного ухода.
Отбеливающие пасты при кровоточивости десен применять ни в коем случае нельзя. Все дело в том, что они могут раздражать десна, тем самым еще сильнее усугубляя положение. На видео в этой статье можно более подробно узнать о том, какие зубные пасты и гели полезны при такой проблеме.
Антисептики для полоскания

Средство, используемое для полоскания ротовой полости
Для полоскания ротовой полости следует брать средства с антибактериальным и противовоспалительным действием. Для того, чтобы повысить общее лечение, их обычно используют в качестве дополнения.
Итак, что же рекомендуют стоматологи:
- Мирамистин 0,01%. Препарат особенно эффективен при герпетической инфекции, обладает успокаивающим и антимикробным действием.
- Стоматофит – в составе лекарственные травы и спирт. Рекомендуется использовать при развитии гингивита и пародонтоза.
- Полиминерол – останавливает кровотечение, укоряет процессы регенерации.
- Хлоргексидин, концентрация не более 0,05%. Это антибактериальное средство, используемое при воспалительных процессах. К тому же стоматологи рекомендуют полоскать им ротовую полость после удаления зубов.
- Хлорофиллипт – в основе экстракт эвкалиптовых листиков. Назначается тогда, когда ротовая полость поражена патогенными стафилококками.
- Мараславин. В составе трава полыни, чабер, черный перец. Помогает снять боль, устраняет симптомы аллергии.
- Пародонтоцид. В составе большое количество лекарственных трав, за счет этого оказывается хорошее противовоспалительное действие.
Для достижения желаемого результата применять ополаскиватели следует курсом. Причем один продукт применять более месяца нельзя. Все дело в том, что у многих бактерий может вырабатываться устойчивость.
Лечение антибиотиками
Зачастую десна начинают кровоточить из-за присутствия патогенных микроорганизмов в ротовой полости. Часто они скапливаются в зубных отложениях, особенно если человек уделяет недостаточное количество времени гигиене ротовой полости.

Препарат для лечения
Антибиотики при кровоточивости десен может назначать только лечащий врач, после проведения осмотра и установления точного диагноза. При этом, такие препараты иногда могут стать основой лечения, а все остальные средства лишь вспомогательными.
Список подобных препаратов широк, но чаще всего назначается следующее:
- Эритромицин – это бактериостатический препарат, его действие можно сравнить с действием пенициллина. Препарат особенно активен против гонококков, пневмококков, стрептококков и прочее. Примерная длительность такого лечения – около двух недель.
- Амоксициллин – по своему действию схож с предыдущим препаратом, однако действие распространяется на кишечную палочку, клебсиеллу, сальмонеллу. Длительность лечения до двух недель.
- Метронидазол – препарат уничтожает штаммы многих бактерий. При такой проблеме в день выпивается по две таблетки, курс лечения составляет десять дней.
- Ампициллин – это еще один антибиотик, обладающий широким спектром действия. Терапия длится не менее одной недели.
Препараты при кровоточивости десен назначаются не так часто, в большинстве случаев больным ставятся инъекции внутримышечно.
Народные методы лечения

В морковном соке содержится большое количество витаминов
Профессионалы занимаются лечением только при наличии зубного камня или острого пародонта. Во всех остальных случаях проводить терапевтические мероприятия можно и в домашних условиях. В первую очередь нужны витамины при кровоточивости десен.
Получить их можно из правильного питания:
- Главные витамины, благодаря которым нормализуется обмен веществ и укрепляется слизистая оболочка десен – С и Р. Ежедневно рекомендуется пить хотя бы по стакану морковного сока.
- Помните про сезонные овощи и фрукты, употреблять их рекомендуется в свежем виде. Таким образом можно добиться того, чтобы в организм поступало необходимое количество микроэлементов и витаминов. Улучшится не только состояние десен, но и состояние здоровья в целом.
- Для предупреждения воспалительного процесса в деснах полезно употреблять кунжут, васаби, имбирь. Хотя бы несколько раз в неделю добавляйте их в еду.
- Организм каждого человека нуждается в таких витаминах как РР, К, В, а также фосфоре. Для этого в ежедневном меню должны быть орехи, рыба, а также нежирное мясо.
- Отдельное внимание стоит уделить фруктам и овощам, а точнее их структуре. Они обязательно должны быть твердыми, таким образом выполняется массаж десны, улучшаются обменные процессы.
- Полезен чеснок при кровоточивости десен. Использовать его можно как в чистом виде, так и в виде отвара, приготовленного из него. В больное место можно втирать чеснок, предварительно разрезав.

В продукты питания полезно добавлять васаби и имбирь
В период, когда в магазине не продаются свежие овощи или фрукты, можно принимать витаминные комплексы, купить которые легко в аптеке.
Лекарственные травы для лечения
Травы при кровоточивости десен применяются часто. По эффективности они чуть не хуже, чем аптечные препараты, но несмотря на это, они могут быть только дополнением к традиционному лечению.
Самые распространенные рецепты:
- Эффективна кора дуба при кровоточивости десен. На двести миллилитров кипятка возьмите столовую ложку травы. В течении пяти минут варите отвар на медленном огне, затем дайте настояться три часа и процедите. В течении двух недель, по несколько раз в день полощите полученным средством ротовую полость.
- Полезны такие лекарственные травы – календула, шалфей, ромашка. На стакан горячей воды возьмите ложку любого растения, прикройте крышкой и дайте немного времени настояться. После того как процедите средство его можно использовать для полоскания рта.
- Залейте двухсот миллилитрами двадцать грамм сухой травы зверобоя, неделю настаивайте в темном месте. Затем разводите с водой и выполняйте полоскания.
- Черника себя также смогла хорошо зарекомендовать. Пол литрами кипяченой воды залейте двадцать ягод, в течении десяти минут варите. В чистом виде выполняйте полоскания раз в час.
- Хорошо помогает алоэ при кровоточивости десен. Листик очищается от кожуры, затем прикладывается на больные или проблемные места. Для достижения желаемого результата нужно пройти курс лечения длительностью минимум в десять дней.

Сок растения очень полезен для десен
Таким образом видно, что своими руками можно приготовить много средств для лечения десен и устранения их кровоточивости.
Дополнительные методы лечения
Для избавления от кровоточивости десен можно использовать и другие простые средства, например:
- сок из черной редьки – избавляет зубы от налета, разрушает образовавшиеся камни;
- в стакане красного вина разведите две ложки сока хрена, выпейте;
- для чистки зубов применяйте морскую соль, движения должны быть мягкими, чтобы не травмировать слизистую оболочку десен.
Каждый раз после приема пищи в течении пятнадцати минут жуйте жевательную резинку, благодаря ней будут устранены все оставшиеся частички пищи. На фото ниже можно посмотреть, как выглядит рекомендуемая щетка для чистки зубов.

Мягкие и небольшие щетинки не травмируют десна
Профилактика кровоточивости десен
Для того, чтобы не столкнуться с кровоточивостью десен, необходимо соблюдать простые правила профилактики, к которым относят:
- Полощите ротовую полость после каждого приема пищи. Использовать для этого можно простую воду или специальные ополаскиватели. Полезны также полоскания солевыми растворами, приготовить их можно следующим образом: в стакане кипяченой воды разведите ложку морской соли, несколько раз в день полощите рот.
- Зубы чистите два раза в день, используйте для этого мягкую зубную щетку. В составе зубной пасты должен быть фтор и кальций.
- После еды пользуйтесь зубной ниткой. Благодаря ней можно избавиться от остатков пищи.
- Раз в год обращайтесь к стоматологу для удаления зубных камней. Самый распространенный метод – применение ультразвука.

Жвачка полезна только после еды
В целом же посещать стоматолога нужно раз в полгода. Старайтесь лечить все заболевания на ранней стадии их развития, так вы сможете избежать опасных последствий.
Частые вопросы к врачу
Лечение кровоточивости
Скажите, помогает ли аскорутин при кровоточивости десен?
Препарат относят скорее к витаминам, ведь в его составе есть витамин Р – рутин, и С – аскорбиновая кислота. Благодаря нему стенки кровеносных сосудов укрепляются, а значит уменьшается кровоточивость.
Массаж для десен
Скажите, помогает ли для укрепления десен массаж?
Десна – это достаточно нежная ткань, именно поэтому обращаться с ней нужно крайне аккуратно чтобы не травмировать. С помощью массажа можно улучшить кровообращение, а также ускорить процессы регенерации.
Предварительно следует помыть руки и обработать их Хлоргексидином. От центра в стороны выполняйте круговые движения, воздействовать более пяти минут не нужно. Если вдруг появляется боль, то в дальнейшем подобные мероприятия проводить не рекомендуется.
denta.help
Кровоточат десна, чем полоскать | Все о зубах
Категория: ГигиенаЧем полоскать десна, если они кровоточат?
Причин для возникновения кровоточивости в дёснах очень много. Это может быть воспалительный процесс, который, если развивается в тканях десны, называется гингивитом. К кровоточивости десны может привести также соматическая патология или банальная травма десны. Вид крови обычно пугает людей, и они начинают задаваться вопросом, чем полоскать рот, если кровоточат дёсна. Домашних средств для полоскания много, но все они лишь борются с симптомокомплексом, но не устраняют причину.
Поэтому, если главным мотивирующим фактором является здоровье ротовой полости и целостность зубного ряда на долгие годы, лучше обратиться за консультацией к врачу-стоматологу.
Стоматологи отмечают, что чаще всего десневой край кровоточит у людей подвергшихся гингивиту. Основной причиной его возникновения является патогенная микрофлора, обитающая в ротовой полости. При определённых условиях микробные клетки начинают свой активный жизненный цикл. Они быстрыми темпами размножаются, выделяя токсины. Именно токсины и приводят к воспалительному процессу.
Штаммы микроорганизмов увеличиваются при:
- Плохом уровне гигиены за ротовой полостью.
- Ослабленной иммунной системы.
- Авитаминозе и др.
Из этого следует, что воспалительного процесса можно избежать, тогда не придётся искать ответ на вопрос: «Чем полоскать рот, если кровоточат дёсна?» Однако не все люди придерживаются правил профилактики. Они должны ориентироваться в проблеме когда кровоточат дёсны, чем полоскать в домашних условиях.
В первую очередь нужно удалить все зубные отложения. Для этого лучше воспользоваться процедурой профессиональной гигиены ротовой полости. Ведь чистка зубов домашними средствами убирает лишь мягкий налёт и остатки пищи. С минерализированными отложениями может в полной мере справиться лишь ультразвуковой скейлер. Для удаления зубного камня стоматологи используют и ручные инструменты, но они с большой вероятностью могут травмировать твёрдые зубные ткани и мягкие ткани ротовой полости.
Чем же полоскать дёсна
Для полоскания можно использовать фармакологические средства: раствор фурацилина или хлоргексидина. Плюсом этих средств является действие непосредственно на бактериальную клетку. Эти средства незаменимы, в терапии запушенных случает воспалительных процессов в десне.
Из средств фитотерапии для полоскания используют настои из следующих трав: ромашка, календула, кора дуба.
Лекарственный сбор готовить самостоятельно, если есть знания в травах. Однако, когда возникает кровоточивость в десне, действовать нужно незамедлительно, поэтому уже готовые травы можно купить в аптеке. Они есть в ассортименте практически любой аптечной сети. Готовится отвар следующим образом: в емкость с водой температуры кипения помещают необходимое количество травы (это можно почитать в инструкции к лекарственному сбору), дают отвару настояться и одновременно остыть. Затем отвар процедить и использовать.Из средств для полоскания, когда нет необходимости посещать аптеку, можно назвать сода-солевой раствор. Он готовится крайне просто. Для этого нужно в стакане тёплой воды растворить 1 чайную ложку пищевой соды и столько же соли. Всё тщательно перемешать и сразу же использовать. Эффективность будет заметна, если полость рта данным средством будет полоскаться не реже 5 раз в день. Плюсом данного средства, является также возможность использования его при ангине и при запущенных случаях периодонтита (пародонтоза), когда наблюдается выделение гноя.
Видео по теме: Как лечить кровоточивость десен
Рекомендуемые материалы
Загрузка…zubolel.ru
лечение в домашних условиях, рецепты народной медицины
Кровоточивость десен доставляет человеку немалый дискомфорт и болевые ощущения во время приема пищи и в процессе чистки зубов. Такие проявления нельзя игнорировать, так как в большинстве случаев они являются симптомом серьезного заболевания. Чтобы не допустить развития опасной патологии и разрушения зубов, необходимо своевременно ее лечить. Сделать это можно не только в стоматологии, но и в домашних условиях при помощи лекарственных препаратов или народных средств.
1
Причины кровоточивости
Прежде чем принимать какие-либо меры по устранению проблемы, необходимо выяснить причину кровоточивости десны. Чаще всего это может быть:
- Отсутствие должной гигиены полости рта или ее неправильно осуществление. Пренебрежение чисткой зубов приводит к размножению патогенной микрофлоры. В ротовой полости она возникает в виде налета, который при несвоевременном удалении способствует возникновению запаха изо рта. Кровь появляется и в случае, если неправильно подобрана зубная щетка или паста.
- Заболевания зубов. Кровотечение может быть симптомом наличия зубного камня и таких болезней, как кариес, пародонтит, пародонтоз.
- Авитаминоз. Нехватка витаминов приводит к воспалению десен и их повреждению, из-за чего они и начинают кровоточить. Зачастую причиной авитаминоза является отсутствие полноценного питания.
- Злоупотребление вредными привычками. Отрицательно на состоянии зубов сказывается чрезмерное увлечение курением и алкоголем.
- Гормональный сбой. Наблюдается у подростков в период полового созревания и у женщин во время менструации, беременности и климакса.
В некоторых случаях кровоточат десна при наличии скрытого заболевания внутренних органов. Определить причину патологии самостоятельно не представляется возможным, поэтому, если кровят десна, необходимо обратиться к врачу.
Как избавиться от кариеса в домашних условиях народными средствами?
2
Народные средства лечения
Вылечить кровоточивость десен с разрешения стоматолога можно в домашних условиях. Терапия предполагает комплекс определенных процедур и применение препаратов. Сегодня аптеки реализуют множество различных средств, использование которых позволяет значительно укрепить десна и зубы. В их числе лечебные мази и гели, зубные пасты и жидкости для полоскания. Такие средства рекомендуется использовать только после посещения стоматолога. Если причина кровоточивости десен – авитаминоз, то врач может посоветовать пропить комплекс витаминов.
Ускорить процесс восстановления десен можно, прибегнув к использованию рецептов народной медицины. Избавиться от кровоточивости можно при помощи следующих средств:
- Пищевая сода. Из нее готовят раствор. Для его приготовления нужно растворить в стакане теплой кипяченой воды 1 столовую ложку соды. Полученным средством рекомендуется полоскать ротовую полость трижды в день. Содовый раствор поможет снять воспаление и ускорит процесс заживления мелких повреждений десен.
- Соль. Ее применение также снимет раздражение. Для приготовления раствора следует использовать морскую или йодированную соль: 1 столовую ложку необходимо растворить в стакане воды. Готовую жидкость следует использовать для полоскания рта 3-4 раза в день.
- Мед и соль. Компоненты смешивают в равном соотношении. Полученное средство нужно наносить на воспаленные десны массажирующими движениями. Соль рекомендуется использовать морскую или йодированную, и обязательно мелкую, чтобы не повредить слизистую. Процедуру следует выполнять перед сном в течение 7-10 дней.
- Черная редька. Ее нужно измельчить при помощи терки или блендера, отжать из полученной массы сок и использовать для полоскания ротовой полости 3-4 раза в сутки.
Важно: терапию народными средствами необходимо согласовать со стоматологом. Самолечение может привести к увеличению очага воспаления и к обострению имеющегося заболевания.
Лечение пародонтоза народными средствами в домашних условиях
3
Терапия лекарственными растениями
Устранить кровоточивость можно при помощи лекарственных растений:
| Травы | Способ применение и действие | |
| Кора дуба | Из нее готовят отвар, применяют в качестве жидкости для полоскания рта. Для его приготовления нужно залить 1 столовую ложку сухой коры 1 стаканом воды, довести до кипения на слабом огне, настоять в течение получаса и процедить. Готовым отваром рекомендуется полоскать ротовую полость 2 раза в день после выполнения гигиенических процедур щеткой и пастой. Средство поможет защитить эмаль от воздействия грубой пищи | |
| Корень аира | Его применение позволит устранить кровоточивость и неприятный запах изо рта. Для приготовления настоя 1 столовую ложку измельченного корня нужно заварить 1 стаканом кипящей воды, настоять в течение часа и процедить. Готовым средством рекомендуется полоскать ротовую полость, каждый раз задерживая его во рту на 2-3 минуты | |
| Аптечная ромашка | Из нее готовят жидкость для полоскания. Для приготовления настоя необходимо залить 1 столовую ложку высушенных соцветий ромашки 1 стаканом кипятка, настоять под закрытой крышкой 20 минут и процедить. Полученным средством нужно полоскать ротовую полость 2-3 раза в день после чистки зубов | |
| Шиповник | Из цветков растения делают настойку. Для ее приготовления 5 столовых ложек высушенных соцветий заливают 0,5 л спирта и настаивают 2 недели. Готовую настойку применяют в качестве средства для полоскания трижды в день, разбавляя 1 чайную ложку в стакане кипяченой теплой воды | |
| Алоэ | Для приготовления лекарственного средства листья растения необходимо тщательно измельчить до состояния кашицы. Полученную массу нужно настаивать под крышкой не менее часа. Затем смесь необходимо прокипятить в эмалированной кастрюле, процедить и перелить для хранения в стеклянную банку. Готовое средство следует хранить в сухом, темном, прохладном месте. Применять целебную жидкость рекомендуется для полоскания при воспалении слизистой оболочки ротовой полости 2-3 раза в сутки | |
| Календула | Ее настой поможет снять раздражение. Для приготовления лекарственного средства нужно залить 1 столовую ложку соцветий стаканом кипящей воды, настаивать полчаса и процедить. Полученным настоем рекомендуется проводить полоскания не менее 2-х раз в день по 3-4 минуты после чистки зубов | |
| Крапива | Из растения готовят отвар для полоскания. Для его приготовления 1 столовую ложку сухой крапивы заваривают 1 стаканом кипящей воды, с момента закипания варят 5 минут на слабом огне и настаивают до остывания. Готовый отвар процеживают и применяют трижды в день после чистки зубов | |
| Шалфей | Растение обладает ранозаживляющими свойствами. Чтобы приготовить шалфейный настой, нужно заварить 1 столовую ложку 0,5 л кипящей воды и настаивать под крышкой не менее 15 минут. Готовое средство следует процедить и использовать для полоскания рта утром после пробуждения и вечером перед сном. Его применение будет способствовать заживлению мелких ранок и трещин на деснах. | |
| Подорожник | Его используют в качестве компресса. Листья растения необходимо промыть под проточной водой и прикладывать к воспаленным деснам на 15-20 минут. Повторять такую процедуру рекомендуется через каждые 2 часа (6-7 раз в день) | |
Применение вышеперечисленных способов позволит устранить кровоточивость, укрепить эмаль и слизистую десен, предупредить развитие серьезного зубного заболевания. Для приготовления жидкости для полоскания можно применять также растительные сборы, соединяя травы в равных количествах. Важно: травяные настои, чаи и отвары сохраняют свои полезные свойства не более суток, поэтому рекомендуется ежедневно готовить свежее средство.
Лечение камней в почках народными средствами
4
Профилактика зубных заболеваний
Чтобы предупредить не только возникновение кровоточивости, но и других зубных патологий в дальнейшем, необходимо придерживаться следующих рекомендаций:
- Соблюдать на должном уровне гигиену ротовой полости. Чистить зубы при помощи зубной щетки с использованием пасты следует не менее 3-х раз в день – после каждого приема еды. Важно выполнять процедуру правильно, очищая даже труднодоступные места. Длительность чистки должна составлять не менее 2-х минут. На завершающем этапе нужно тщательно прополоскать рот теплой водой, не допуская, чтобы зубная паста оставалась на зубах и деснах. При необходимости следует пользоваться зубной нитью. Если нет возможности почистить зубы после приема пищи, то нужно использовать жидкость для полоскания рта или жевательную резинку.
- Тщательно выбирать средства и предметы гигиены для ухода за зубами. Важно приобретать зубные пасты и жидкости для полоскания высокого качества. Щетка при кровоточивости десен должна быть средней жесткости. Слишком жесткая будет способствовать повреждению воспаленной слизистой, а мягкая не сможет на должном уровне очистить эмаль и пространство между зубами. Зубную пасту при склонности к кровоточивости следует приобретать в аптеке, желательно чтобы в ней содержался большой процент фтора. Укрепляюще воздействуют средства с экстрактами целебных трав. От паст с отбеливающим эффектом следует воздержаться.
- Следить за питанием. В ежедневном рационе должны присутствовать рыба и птичье мясо, крупы, молочные продукты, орехи, овощи и фрукты. Их употребление позволит предупредить авитаминоз, восполнит нехватку полезных микроэлементов, кальция и белка, меди и железа, что будет препятствовать возникновению проблем с зубами. Важно контролировать количество жирной, острой и соленой пищи.
- Отказаться от курения и алкоголя. Увлечение вредными привычками со временем приведет к обострению зубной болезни и в итоге – к полному выпадению зубов.
- Выполнять упражнения для укрепления зубов. Следует периодически напрягать мышцы ротовой полости, сильно зажимая челюсти. Полезны вращательные движения, вверх и вниз, в стороны. Такие занятия следует проводить не менее получаса в день – 3 раза по 10 минут. Укрепить зубы можно, употребляя свежую морковь и яблоки.
Важно: посещать стоматолога необходимо не реже 1 раза в полгода. Это позволит предупредить заболевание, а при его наличии – начать лечение на ранней стадии развития. Также следует прибегнуть к помощи специалиста при появлении налета, который не удаляется при помощи зубной щетки, и твердых отложений между зубами. Стоматологи при наличии таких образований применяют профессиональную чистку.
В большинстве случаев избавиться от кровоточивости десен можно самостоятельно, не прибегая к средствам официальной медицины.
celebnic.net
как остановить кровотечение, методы лечения и народная медицина
Кровоточивость десен – серьезная проблема многих людей, которая является одним из симптомов серьезного заболевания зубов. Когда десна кровоточат, открывается путь бактериям и болезнетворным организмам к основанию зуба. В этом случае требуется лечения под присмотром стоматолога. Ведь именно специалист сможет оценить всю серьезность ситуации, и расскажет, как остановить кровь и навсегда избавится от этой проблемы.Причины кровоточивости десен
- Зубной камень. Это образование развивается на поверхности зуба и соединяется с десной. Камень имеет острые края, которые и повреждают десну.
- Неправильный уход за ротовой полостью. Эта причина кровоточивости десен встречается очень часто. Иногда травмировать десна можно слишком жесткой зубной щеткой или неправильно подобранной зубной пастой.
- Заболевания десен. К таким воспалительным процессам относят пародонтоз, гингивит, пародонтит. Если причина заложена в этом, то в человека, беспокоит неприятный запах из рта. Если вовремя не заняться лечением, пациент может потерять зуб.
- Гормональные сбои у женщин и беременность. Гормональная перестановка организма может негативно повлиять на сосуды, которые находятся в деснах. Это приводит к рыхлости и слабости десен. Иногда кровь возникает даже при обычном прикосновении.
- Травмы ротовой полости.
- Доброкачественное образование – пиогенная гранулема. Эта опухоль развивается на деснах, что и провоцирует выделение крови. Заболевание можно успешно и быстро вылечить, если вовремя обратится к стоматологу.
- Дефицит витаминов в организме.
- Ослабленный иммунитет.
- Лечение некоторым лекарствами. Не многие знают, что обычный аспирин может привести к выделению крови из десен.
Симптомы
Выделение крови само по себе уже свидетельствует о наличии проблемы, но заболевание также сопровождается и другими симптомами:
- боль при любых прикосновениях;
- отечность и покраснения слизистой рта;
- повышенное слюноотделение;
- зубной налет.
Все эти симптомы свидетельствуют о наличии проблемы, но стоит обязательно посетить зубного врача.
Средства для остановки кровоточивости десен
Чтобы остановить кровь понадобится:- витамин С;
- зубная нить;
- поливитамины;
- ополаскиватель для полости рта;
- гель «Метрогил-Дента» (продается в аптеке).
Инструкция по лечению:
- В первую очередь необходимо исключить из рациона хлебные изделия и сладости или же уменьшить их количество. Причина в том, что именно они способствуют развитию бактерий во рту.
- Необходимо пройти курс лечения поливитаминами. Обязательно стоит принимать витамин С.
- Для чистки зубов необходимо использовать мягкую зубную щетку с закругленными краями. Менять этот предмет гигиены необходимо раз в 2–3 месяца. После и до чистки, щетку необходимо обдавать кипятком.
- Не использовать отбеливающие зубные пасты.
- Помимо обычной чистки, стоит использовать зубную нить.
- После каждой очистки зубов следует применять ополаскиватель. Его можно приобрести в аптеке или приготовить самостоятельно. Для этого в стакан теплой воды добавить чайную ложку соды. Отличными кровоостанавливающими свойствами обладает кора дуба и шалфей.
- Если после каждой чистки все равно наблюдается кровь, можно вылечить проблему с помощью геля «Метрогил-Дента». Его нужно наносить после гигиены рта 2 раза в день, на протяжении 2 недель. Если самолечение не помогает, нужно обратиться к стоматологу.
Лечение кровотечений с десен
Чаще всего люди останавливают кровь при помощи лечебных зубных паст и гелей. Эти средства можно приобрести в аптеке или в супермаркете. Большой популярностью пользуются такие зубные пасты, как «Лакалут Актив», «Лакалут Фитоформула», «Парадонтакс». Все они имеют в своем составе хлоргексидин, фториды и растительные компоненты, которые останавливают кровь и снимают воспалительный процесс. В дополнении можно использовать и народную медицину.
В каждой аптеке можно приобрести специальную пенку для зубов, но больше она годится для профилактики, так как восстанавливает естественный рН-баланс. Стоимость этого средства зависит от производителя.В аптеке можно купить лечебные гели, применяемые как для лечения кровоточивости, так и для профилактики этой проблемы. Наносить гели нужно три раза в день, прополоскав перед этим рот. Такие средства безопасны, и некоторые из них, можно применять беременным.
Народная медицина
Не стоит списывать со счетов народную медицину, так как ее рецепты очень часто назначают стоматологи. Многие рецепты просты в приготовлении и дают хороший результат, к тому же компоненты нередко можно встретить в каждой аптечке.
Один из самых популярных отваров готовиться из коры дуба. Он обладает противовоспалительным и вяжущим эффектом. После первого полоскания такой жидкостью можно заметить, что количество крови уменьшилось. Для лечения нужно полоскать таким отваров ротовую полость несколько раз в день. Курс лечения составляет 2–3 недели.
Особой популярностью пользуется ромашка лечебная. Настои из этого цветка не только обладают противомикробными свойствами, но и отлично залечивают ранки. Для приготовления настоя необходимо взять 2 столовые ложки смели, залить стаканом крутого кипятка, и оставить настаивать 30 минут. Полоскать ротовую полость отваром необходимо 2 раза в день.Немногие знают, что крапива останавливает кровь. Для приготовления настоя применяют свежие листики. Еще одно средство для полоскания можно приготовить с водяного перца, приобретенного в аптеке. Неплохой результат можно получить, приготовив настой из подорожника или сосновых почек.
Солевая терапия
Морская соль часто используется в местном лечении, в том числе для остановки кровотечений. Купить соль можно в любой аптеке. К тому же стоит она недорого. Для приготовления жидкости необходимо 1 чайную ложку смеси и разбавить ее в стакане теплой воды. Таким раствором нужно полоскать ротовую полость 2 раза в день после чистки зубов.
Чтобы повысить эффект можно добавить морскую соль в отвар крапивы, ромашки, коры дуба.
Лечение у стоматолога
Лечение кровоточивости десен проводится в несколько этапов.
Для начала нужно посетить стоматолога, чтобы он смог поставить правильный диагноз. Затем врач назначает лечение. Обычно лечебная терапия состоит из антибиотиков, противовоспалительных средств – настои, отвары, мази. Обязательно нужно полечить все зубы и очистить их от зубного камня. На заключительном этапе пациент должен снова пройти осмотр у стоматолога, чтобы убедиться, что проблема исчезла.
Обычно процесс лечения кровоточивости десен занимает несколько недель.
stoma.guru
Почему кровоточат дёсны и что делать?
Почему кровоточат дёсны?
Выяснить, почему кровоточат дёсны, можно только при проведении комплексной диагностики, учитывая все сопутствующие симптомы заболевания. К ним могут относиться отёчность и зуд в дёснах, образование пародонтальных карманов, появление неприятного запаха изо рта, зубных отложений, болезненных ощущений в дёснах при надкусывании твердой пищи. К причинам, почему кровоточат дёсны, могут относиться различные системные заболевания организма, инфекционные патологии, скопление микроорганизмов в полости рта вследствие неправильного ухода, некачественное пломбирование зубов, дефекты прикуса.
Отчего кровоточат дёсны?
При нарушении норм гигиены ротовой полости, образовании зубного камня или влиянии других неблагоприятных факторов могут развиваться заболевания дёсен, такие как пародонтит, гингивит, пародонтоз. При этих заболеваниях может возникать ряд схожих симптомов – болезненность дёсен, их отёчность, покраснение, кровоточивость, запах изо рта, зубной налёт. Отчего кровоточат дёсны, можно разобраться, лишь посетив стоматолога и пройдя полное обследование. Если на дёснах образуются патологические карманы, из них выделяется гной, вероятнее всего, имеет место развитие пародонтита. При пародонтозе зубодеснёвые карманы не образуются, отсутствуют выраженные признаки воспаления, дёсны приобретают бледный оттенок, на зубах скапливается налёт. При гингивите дёсны воспаляются без нарушения их целостности. Однако если заболевание не лечить, оно может перейти в пародонтит.
При каких заболеваниях кровоточат дёсны?
При появлении следов крови на зубной щётке, стоит незамедлительно обратить внимание на состояние дёсен и полости рта и обратиться за консультацией в стоматологическую клинику. Несомненно, первым вопросом, который возникает в данной ситуации, является: «При каких заболеваниях кровоточат дёсны?» Существует несколько заболеваний дёсен, при которых они могут кровоточить. Это прежде всего гингивит, пародонтит или пародонтоз. Воспалительный процесс, развивающийся при гингивите под воздействием скопившихся в ротовой полости бактерий, может приводить не только к кровоточивости дёсен, но и к их болезненности, отёчности, появлению неприятного запаха изо рта. При пародонтите в зависимости от стадии заболевания образуются зубодеснёвые карманы от небольших до очень крупных размеров, из дёсен выделяется гной, при запущенной форме зубы начинают расшатываться, что впоследствии приводит к их выпадению. Поэтому крайне важно начинать лечение дёсен при появлении малейших признаков развития заболевания: кровоточивости, изменении цвета и формы дёсен, образовании зубного налёта.
Когда сильно кровоточат дёсны?
Если у вас обильно кровоточат дёсны, сильно затрудняя при этом процесс чистки зубов или пережёвывания пищи, следует безотлагательно обратиться за помощью к стоматологу, пока воспалительный процесс не принял более масштабные обороты и не привёл к расшатыванию и выпадению зубов.
Сильная кровоточивость дёсен характерна для таких заболеваний таких гингивит или пародонтит. При катаральном гингивите у больного нарушаются вкусовые ощущения, зудят и воспаляются дёсны, отмечается их кровоточивость. При обострении заболевания боль становится интенсивнее при чистке зубов или воздействии других внешних факторов. При катаральном гингивите общее самочувствие, как правило, не нарушено, однако в острой фазе заболевания может возникать слабость, наблюдается температурная реакция. Как правило, такая форма гингивита возникает, когда зубы начинают прорезываться или меняться на постоянные. При хроническом катаральном гингивите симптомы заболевания притупляются, воспалительный процесс уменьшается. Язвенный гингивит может развиваться как осложнение острого катарального гингивита. К первым симптомам данной формы заболевания относят гиперемию, зуд и отёчность дёсен, наличие изъязвлений на дёснах и их кровоточивость, возникающую даже при очень осторожной чистке зубов или прикусывании твёрдой пищи. В любом случае сильная кровоточивость дёсен требует незамедлительного визита к врачу и срочного лечения.
Когда десна опухла и кровоточит?
Ситуация, когда десна опухла и кровоточит, свидетельствует о развитии воспалительного процесса и возникновении таких болезней дёсен, как гингивит или пародонтит.
Для предотвращения развития заболеваний дёсен следует неукоснительно соблюдать нормы гигиены ротовой полости, регулярно чистить зубы лечебно-профилактической пастой (длительность применения указана на упаковке). Процедура чистки зубов должна занимать не менее двух минут минимум два раза в сутки — утром и перед сном. После каждого приёма пищи полость рта рекомендуется обрабатывать ополаскивателем или, если такая возможность отсутствует, подсоленной тёплой водой. Полоскать ротовую полость следует в течение одной-двух минут. Для удаления пищи, оставшейся между зубами, можно использовать зубную нить.
Когда десна кровоточит между зубами?
Если кровоточит десна между зубами, это может быть связано как с механическим повреждением, вызванным неосторожными движениями в процессе чистки зубов, так и с началом развития воспалительного процесса в дёснах. В первом случае следует использовать зубную щётку с мягкой щетиной, некоторое время избегать употребления в пищу твёрдых продуктов, таких как яблоки, морковь и др. Если же причиной кровоточивости является воспалительный процесс, следует прибегнуть к помощи стоматолога. Наиболее распространённой причиной кровоточивости дёсен является гингивит, развивающийся вследствие скопления зубного налёта и размножения в ротовой полости микроорганизмов. Также причиной, по которой кровоточит десна между зубами, может стать пародонтит. В таком случае следы крови появляются не только в процессе чистки зубов, но и спонтанно, сопровождаясь при этом припухлостью и болезненностью дёсен. Поспособствовать размножению бактерий в ротовой полости может нарушение норм гигиены, употребление большого количества сладкого, злоупотребление никотином.
Когда десны кровоточат ночью?
Если при развитии воспалительного процесса в ротовой полости кровоточат дёсны ночью, это может свидетельствовать о возникновении пародонтита. Данное заболевание имеет несколько стадий. На начальных этапах, помимо кровоточивости дёсен, отмечается ослабевание зубных связок, возникновение налёта на зубах, выделение вязкой слюны. При прогрессировании или обострении заболевания симптомы усиливаются, сопровождаясь образованием патологических зубодеснёвых карманов, выделением из них гноя, расшатыванием зубов. На дёснах могут появляться свищи, болезненные припухлости, также болевые ощущения могут возникать в подчелюстных лимфатических узлах.
Когда десны кровоточат при чистке зубов?
В случаях когда кровоточат дёсны при чистке зубов, может иметь место их механическое травмирование зубной щёткой. Причиной тому может быть слишком жёсткая щетина или же неосторожные резкие движения и, как результат, травмирование дёсен.
При выборе зубной щётки следует учитывать, что щетина из натуральных материалов в большей мере способствует размножению микроорганизмов, чем искусственная, что в свою очередь также может оказать негативное влияние на состояние дёсен, в особенности при появившихся признаках воспаления. Когда кровоточат дёсны при чистке зубов, следует также обратить внимание на жёсткость зубной щётки. Если вы используете щётку с жёсткой щетиной, имеет смысл сменить её на более мягкую. Оптимальным вариантом считаются щётки средней степени жёсткости. Они в достаточной степени очищают промежутки между зубами и деснёвую борозду от налета и оставшихся кусочков пищи. При заболеваниях дёсен к использованию рекомендованы щётки с мягкой щетиной. Срок использования зубной щётки составляет примерно три месяца, после чего её необходимо сменить на новую.
Кровоточивость дёсен после того, как бросили курить
Несомненно, что при наличии такой вредной привычки, как табакокурение, зубы и дёсны также претерпевают на себе её негативное влияние. Меняется их окраска, появляется налёт, теряется свежесть дыхания. Однако случается и так, что человек бросил курить и лишь после этого появились проблемы с дёснами. Это может быть вызвано изменениями в системе кровообращения, так как у курящих и у не имеющих табачной зависимости людей эта система может функционировать с определёнными различиями. Изначальной же причиной, предрасполагающей к развитию воспалительного процесса в дёснах, может быть непосредственно никотиновая зависимость. Итак, если вы бросилы курить и у вас начали кровоточить дёсны, нужно в первую очередь принять необходимые меры. К ним относится использование растительных отваров для полоскания полости рта (из ромашки, зверобоя, коры дубы и др.), лекарственных препаратов для полоскания (стоматидин, гивалекс), лечебно-профилатической зубной пасты (лакалут, сенсодин), исключение из рациона горячей или очень холодной пищи и воды. Если признаки воспаления не уменьшаются, решить проблему поможет квалифицированный специалист.
[1], [2], [3]
Почему кровоточит десна после удаления зуба?
Если кровоточит десна после удаления зуба, это может быть вызвано естественными причинами, связанными с процессом хирургического вмешательства. Десна после удаления зуба может кровоточить в течение нескольких часов. В первые несколько часов после процедуры удаления зуба пациенту рекомендовано воздерживаться от употребления пищи, также нельзя полоскать повреждённое место. В противном случае может развиться воспаление зубной лунки.
Если же кровотечение из десны возникает не сразу, а по прошествии некоторого времени после удаления зуба, это может свидетельствовать о сниженной свёртываемости крови или может быть спровоцировано приёмом медикаментозных препаратов. Для нейтрализации умеренной кровоточивости на область десны накладывают стерильный тампон из марли на двадцать-тридцать минут.
Развитие интенсивного кровотечения, которое не проходит в течение нескольких часов, может быть вызвано повреждением сосуда в процессе удаления зуба и требует осмотра врача. Для снятия припухлости и остановки кровотечения на лицевую область с поражённой стороны можно приложить лёд.
Высокое кровяное давление также может стать причиной открытия сильного деснёвого кровотечения. Для предупреждения такой ситуации пациентам, предрасположенным к повышению кровяного давления, перед процедурой удаления зуба могут быть введены седативные средства.
Почему при беременности кровоточат десны?
Нередки ситуации, когда при беременности кровоточат дёсны. Это может быть связано, в первую очередь, с гормональной перестройкой в организме женщины, которая происходит в этот период. В таких случаях кровоточивость, как правило, исчезает после наступления родов. Однако не всегда такие симптомы связаны только с гормональной перестройкой организма. Часто причиной кровоточивости дёсен при беременности является такое заболевание как гингивит. К его основным симптомам относятся отёчность и покраснение дёсен, их болезненность и повышенная чувствительность. На зубах скапливается налёт, изо рта появляется неприятный запах, возникают трудности при пережёвывании пищи.
Любые симптомы заболевания дёсен нельзя оставлять без внимания, так как в запущенной стадии эффективность лечения гораздо ниже, чем при появлении первых признаков заболевания. Лечение гингивита при беременности направлено на снятие воспаления и нейтрализацию зубного налёта. Для того чтобы минимизировать негативные последствия, лечение нужно начинать незамедлительно, даже при незначительной кровоточивости дёсен или их припухлости. При планировании беременности рекомендуется провести комплексное обследование у стоматолога и принять необходимые профилактические меры по предотвращению развития заболевания в дальнейшем.
Почему у ребенка кровоточат десны?
Если у ребенка кровоточат дёсны, это может быть связано с целым рядом причин, среди которых следующие:
- Прорезывание зубов. Во время этого процесса растущие зубы могут оказывать давление на дёсны, тем самым провоцируя их кровоточивость;
- Нехватка витаминов в организме ребёнка;
- Снижение защитных сил организма;
- Некачественный уход за зубами и дёснами, скопление зубного налёта;
- Инфекционные заболевания или патологии другого характера.
Влияние таких неблагоприятных факторов приводит к развитию воспалительного процесса в дёснах и их кровоточивости. Наиболее распространённым заболевание дёсен у детей является гингивит. При развитии острого процесса отмечается болезненность дёсен, изо рта ощущается неприятный запах, дёсны начинают кровоточить, становятся припухшими и покрасневшими, на зубах образуются отложения. Среди различных видов заболевания чаще остальных встречается катаральный гингивит.
При лечении гингивита у детей в составе комплексной терапии рекомендуется отказаться от употребления горячей или слишком холодной пищи и воды. Для укрепления организма назначаются витаминно-минеральные комплексы и сбалансированное питание. Местное лечение включает в себя обработку ротовой полости антисептическими растворами. При визите к стоматологу проводится профессиональное очищение зубов, снятие зубного налёта. Для профилактики развития гингивита следует придерживаться норм по уходу за ротовой полостью, чистить зубы дважды в день не менее двух-трёх минут. Также тщательно следует подходить к выбору зубной щётки с целью исключить механическое травмирование дёсен слишком жёсткой щетиной. При появлении кровоточивости дёсен у ребенка следует обращаться за помощью к детскому стоматологу.
ilive.com.ua
Как лечить кровоточивость десен в домашних условиях: 20 лучших средств
Как избавиться от кровоточивости десен при помощи домашних средств?
Воспаление и кровоточивость десен также известны как гингивит. Это начальная стадия некоторых заболеваний десен, которую пока еще можно контролировать и лечить в домашних условиях. Однако, если не заниматься этой проблемой, то гингивит может развиться в более серьезные и опасные заболевания.
Кровоточивость десен является очень распространенным явлением, и многие люди страдают от этого. Лучший совет — вовремя посещать своего стоматолога, который диагностирует проблему и даст консультацию по ее решению. Однако простые домашние средства также могут эффективно работать. Большинство способов натурального домашнего лечения безопасны, если подходить разумно к их применению. Вот некоторые из них.
1. Цитрусовые
Недостаток витамина С может стать причиной некоторых заболеваний десен, в том числе и гингивита. Лучшими источниками витамина С являются такие фрукты и овощи, как лимон, апельсин, брокколи и капуста. Потребляйте их в пищу, чтобы восполнить дефицит. Также вы можете использовать специальные добавки, содержащие витамин С.
2. Молоко
Если у вас нет непереносимости лактозы или других проблем, связанных с возможностью потребления молока, то оно может стать одним из лучших домашних средств, которое поможет вам избавиться от кровоточивости. Молоко богато кальцием и, следовательно, может быть использовано для лечения кровоточивости десен. Однако имейте в виду, что молоко является источником жира. Когда вы пьете молоко, жир будет скапливаться на ваших деснах, что может причинить им вред. Поэтому после потребления молока очень важно чистить зубы. Стоматологи советуют не принимать молоко в течение часа перед сном.
3. Гвоздичное масло
Это одно из самых эффективных средств для лечения гингивита и некоторых других заболеваний десен. Протрите десна гвоздичным маслом или просто пожуйте гвоздику. Помните, что вы можете испытывать жжение, но это является процессом лечения десен.
Совет стоматолога
Употребляйте в пищу больше молочных продуктов — естественный источник кальция; речную и морскую рыбу, кукурузу, гречку, петрушку — богатые источники фтора; апельсины, грейпфруты, киви, капусту, смородину, чернику — источники витамина С, укрепляющего стенки сосудов и повышающего иммунитет. Не забывайте, что кальций усваивается организмом только при наличии витамина Д, поэтому не пренебрегайте орехами, желтком куриного яйца и сливочным маслом.
4. Полоскание рта соленой водой
Это самое простое из всех домашних средств. Соль есть практически на любой кухне. Просто возьмите стакан теплой воды, добавьте немного соли и полощите рот три раза в день. Будьте осторожны и не используйте горячую воду, чтобы избежать ожогов.
5. Полоскание рта трифалой
Добавьте в теплую воду вместо соли трифалу и также прополощите рот.
6. Используйте пищевую соду или бикарбонат натрия

Пищевая сода является еще одним простым и доступным домашним методом избавления от кровоточивости десен. Нанесите соду на свою зубную щетку и почистите зубы так, как вы бы это делали с зубной пастой. Также вы можете растворить соду в воде и прополоскать рот пару раз.
7. Физраствор
Его использование улучшает кровообращение в полости рта и устраняет отеки. Применение физраствора для полоскания рта утром и вечером поможет эффективно вылечить и предотвратить кровоточивость десен.
8. Сырые овощи
Свежие и сырые овощи полезны для общего оздоровления. Овощи богаты витаминами и содержат мало жиров и калорий. Жевание сырых овощей помогает улучшить циркуляцию крови в деснах, что может способствовать лечению и предотвращению их кровоточивости.
9. Клюквенный сок
Клюквенный сок обладает противовоспалительным и антибактериальным действием и может оказать помощь в борьбе с кровоточивостью десен. Имейте в виду, что клюквенный сок продается в магазинах либо слишком разбавленный, либо с большим количеством сахара. Лучше всего выжать сок самому.
10. Масло шалфея и перечной мяты
Некоторые жидкости для полоскания рта содержат масло шалфея, масло перечной мяты или ромашковую настойку. Зубная паста или жидкость для полоскания рта, содержащие эти масла, будут очень полезны для здоровья зубов и десен.
11. Масло чайного дерева
Масло чайного дерева обладает антибактериальным эффектом и убивает вредные бактерии во рту. Добавьте 1-2 капли масла в стакан теплой воды и прополощите рот после чистки зубов. В качестве альтернативы поместите каплю масла на зубную пасту при чистке зубов.
12. Оливковое масло первого отжима
Оливковое масло первого отжима содержит олеиновую кислоту и другие флавоноиды, которые являются антиоксидантами и обладают противовоспалительным эффектом. Если ваши десна воспалены, то это масло будет одним из лучших средств для их лечения. Возьмите столовую ложку оливкового масла и прополощите им рот в течение нескольких секунд, а затем выплюньте. Это поможет смыть все токсины. Для достижения наилучших результатов повторяйте эту процедуру три раза в день.
13. Масло черного тмина
Оно также известно как чудодейственное средство для лечения любых заболеваний. Масло обладает антимикробным эффектом и борется с вредными бактериями. После чистки зубов помассируйте десна с использованием нескольких капель масла черного тмина. Вы также можете прополоскать рот и выплюнуть. Чтобы обеспечить наиболее эффективную гигиену полости рта, используйте несколько капель масла, разбавленные в стакане теплой воды.
14. Мед
Мед сладкий, но он полезен для десен благодаря своему антибактериальному эффекту. Он также богат витаминами и минералами и обеспечивает организм необходимыми питательными веществами для здоровья десен. Возьмите немного органического меда или меда мануки и втирайте в десна два раза в день.
15. Квасцы
Гингивит вызывает покраснение и боль в деснах. Квасцы могут эффективно с этим бороться. Растворите немного квасцов в стакане теплой воды и полощите рот три раза в день.
16. Кайенский порошок
Посыпьте немного кайенского порошка на зубную щетку и почистите зубы. Это средство избавит вас от вредных бактерий. При первой чистке вы можете почувствовать небольшое жжение.
17. Алоэ вера
Это очень полезное средство против воспаления десен. Оно убивает бактерии, вызывающие гингивит, и ускоряет процесс заживления. Массируйте десна с использованием геля с алоэ вера.
18. Смесь масел
Возьмите полстакана оливкового масла и добавьте в него 5 капель масла черного тмина, 7 капель масла чайного дерева, 5 капель масла мирры, 3 капли лимонного масла и 3 капли масла перечной мяты. Используйте смесь для массирования десен после чистки зубов. Это прекрасное средство, которое поможет вам быстро остановить кровоточивость десен.
19. Чесночная и медовая паста
Чеснок является очень сильным антибиотиком. Если его смешать с медом мануки, то получится очень мощное антибактериальное средство. Натирайте десна чесночно-медовой пастой. Обратите внимание, что вы можете почувствовать жжение. Для создания пасты смешайте измельченную половину зубчика чеснока и столовую ложку меда.
20. Антибиотики
Синтетические антибиотики не являются натуральным средством и могут вызвать множество побочных эффектов. Мы не рекомендуем употреблять антибиотики в виде таблеток. Тем не менее, ваш стоматолог может прописать вам их применение в качестве лечебного средства.
Вышеперечисленные средства являются самыми проверенными и эффективными способами избавиться от кровоточивости десен в домашних условиях.
esli-bolit-zub.ru



















