Виды туберкулеза
В мире давно уже известно такое неприятное заболевание, как туберкулез, с которым борются многие медики со всего мира. Именно туберкулезная палочка является распространителем этого заболевания – она вместе с лимфой и кровью распространяется по организму.
Что такое туберкулез и его признаки

Что такое туберкулез и его признаки
Туберкулез ― инфекционное заболевание, при котором у больного развивается клеточная аллергия, а в органах и тканях образуются специфические гранулы.
Заболеть туберкулезом могут люди самого различного возраста. Инфекция может передаться от больного человека, молочных и мясных продуктов, зараженных животных. Чаще всего инфекция передается через воздух, порой ― через пищу или от матери к ребенку.
Количество больных туберкулезом в мире за последние годы существенно увеличилось. Это связано, в первую очередь, с ухудшением уровня жизни людей. Люди, проживающие в районах эпидемиологического распространения вируса, мигрируют в другие места жительства, унося инфекцию вместе с собой.
И хотя туберкулез нельзя назвать заразной болезнью для человека с хорошим иммунитетом, часто почти половина людей, которые долго контактируют с носителем инфекции, заражаются.
А больной туберкулезом человек заражает около 15 людей из своего окружения.
Что такое туберкулез и его признаки
Несмотря на то, что количество зараженных людей возрастает с каждым годом, количество мероприятий, направленных на обнаружения туберкулеза у населения, все время уменьшается, что дает болезни еще один толчок для укрепления своих позиций в мире.
Необходимо знать признаки данного заболевания, чтобы вовремя начать лечение. Основными признаками туберкулеза считаются воспалительные процессы глаз, несколько повышенная температура, пропавший интерес к еде, увеличенные лимфоузлы, небольшие легочные хрипы, учащенное сердцебиение.
Заболевают этой болезнью чаще те, у кого в семье кто-то уже болел туберкулезом. Также в зоне риска находятся люди, имеющие заболевания иммунной системы (ВИЧ и т. д.), не имеющие возможность проходить медицинские обследования (наркоманы, бездомные, алкоголики), а также те, кто побывал в странах, где наблюдаются случаи заражения активной формой туберкулеза. Степень риска зависит от устойчивости организма, от возраста, от образа жизни, от качества бронхов, а также от иммунитета организма.
Формы туберкулеза
Формы туберкулеза
Формы туберкулеза бывают самые разнообразные. Несмотря на то, что туберкулез является инфекционным заболеванием, больные пациенты могут быть распространителями инфекции, а могут не представлять никакой опасности для окружающих их людей. В отличие от других инфекционных болезней, которые передаются носителем на протяжении всего периода заболевания, туберкулез может иметь открытую и закрытую формы, которые зависят от стадии заболевания и проводимого лечения.
При открытой форме туберкулеза в мазке мокроты больного можно обнаружить бактерии, которые являются возбудителями туберкулеза (туберкулезная палочка или бацилла Коха).
Закрытая форма более распространена, чем открытая. В этом случае больной туберкулезом не является заразным для окружающих и не выделяет инфекцию в воздух.
Выделяют первичный туберкулез, который часто проявляется творожистым некрозом ивоспалением лимфоузлов. Возникает эта форма туберкулеза у детей из-за контакта с переносчиком инфекции. При этом в легких воспаления еще может не быть. Симптомы не проявляются в течение нескольких дней или недель, потому как у малыша изменения внутренних органов проявляются настолько незначительно, что его нельзя определить даже при помощи рентгена.

Формы туберкулеза
Одним из главных показателей инфицирования является положительная туберкулиновая проба Манту. После первичного заражения болезнь концентрируется во внутригрудных лимфатических узлах, образуя небольшие очаги поражения. Они могут не проявлять себя никаким образом или же проходить у детей в очень тяжелой форме, сопровождаясь проблемами с дыханием и лающим кашлем.
Развитие вторичного туберкулеза возникает вследствие активизации остатков инфекции в старых очагах. Обострение течения заболевания вызвано наличием благоприятных окружающих условий и никак не связано с возрастом больного. Течение болезни на протяжении долгого времени может проходить бессимптомно, однако чаще всего человек теряет аппетит и вес, жалуется на повышенную температуру и быструю утомляемость.
Вначале заболевания в период обострения наблюдается сухой кашель, который затем сменяется фазой затихания. В это время очаги инфекции в легких успевают зажить, что создает видимость улучшения самочувствия, которое продолжается несколько недель. Затем вновь возвращается фаза обострения, во время которой симптомы выглядят тяжелее, чем в прошлый раз. Только благодаря эффективному незамедлительному лечению можно избежать появления необратимых изменений в легких человека.
Также бывает рассеянный или диссеминированный туберкулез. Само рассеивание происходит посредством крови или лимфы. Поражать этот вид туберкулеза может не только легкие, но и другие не менее важные органы. При этом в легких нередко образовываются каверны.
Самым распространенным видом туберкулеза считается очаговый вид. Связан этот вид с переноса через лимфу туберкулезной палочки с самых первых очагов воспаления.
Также бывает проникающий или инфильтративный туберкулез, при котором заболевание может разрастаться на все легкое. С этой формой туберкулеза нередко сочетается пневмония.
И конечно нельзя не вспомнить про туберкулему легких, при которой возникают творожистые участки, окруженные уплотнением.
Виды туберкулеза
Туберкулез лимфоузлов
Виды туберкулеза
Туберкулезный бронхоаденит или туберкулез внутригрудных лимфоузлов ― самая популярная форма локального первичного туберкулеза. Вследствие увеличения лимфатических узлов происходит сдавливание трахеобронхиального дерева. Это вызывает такие симптомы, как осиплый голос, звонкий кашель (как при коклюше), а также симптомы хронической интоксикации.
Также увеличение лимфатических узлов приводит к появлению ярковыраженной венозной сетки на теле, особенно в области груди. Для того чтобы убедиться в наличии туберкулеза лимфоузлов, проводят бронхоскопию или рентгенологическое исследование.
У людей, болеющих туберкулезом лимфоузов, могут возникнуть такие осложнения, как плеврит, закупорка или туберкулез бронхов, спадание легочной ткани и др.
Туберкулез мочеполовой системы
Этот вид туберкулеза является сегодня самым распространенным среди внелегочных. Область поражения в этом случае приходится на почки. Симптомы этого заболевания легко можно спутать с симптомами воспаления мочеполовой системы: с мочой выделяется гной, в моче могут быть обнаружены эритроциты.
Для подтверждения диагноза необходимо проводить модифицированные туберкулиновые пробы и бактериологический посев мочи. Также не лишним будет проведение УЗИ почек и мочевых путей с введением контраста.
Своевременно начатое лечение позволяет говорить о благоприятном исходе туберкулеза мочеполовой системы. В случаях запущенной формы болезнь дает множество осложнений, которые в конечном итоге могут потребовать удаления почки.
Диссеминированный туберкулез легких

Виды туберкулеза
Эта форма туберкулеза наблюдается у больных крайне редко. Но в случае заболевания течение болезни происходит в острой форме. Симптомами болезни выступают фебрильная лихорадка, интоксикация, одышка и сухой кашель. Пробы на туберкулез довольно часто могут быть отрицательными, однако на рентгене все легкие покрыты небольшими тенями.
Для окончательного подтверждения диагноза требуется проведение трансбронхиальной биопсии.
В ходе течения болезни у людей возникают такие осложнения, как анемия, сердечно-легочная недостаточность и т. д. Эта форма туберкулеза является очень опасной и требует быстрого и своевременного диагностирования на ранних этапах. В противном случае летальный исход для пациента наступает не позднее трех месяцев.
Туберкулез костей и суставов
Этот вид туберкулеза наиболее распространен среди детей в раннем возрасте. Областью поражения являются средние отделы позвоночника, что приводит к развитию кифоза, при котором, однако, не наблюдается сколиоз. Также можно выделить такие симптомы болезни, как ограниченность подвижности, боль и отеки в пораженных отделах позвоночника.
В ходе течения болезни поражения распространяется вниз, на другие отделы позвоночника, далее поражает тазобедренный и коленный суставы.
Туберкулезный артрит можно успешно лечить при помощи специфической терапии. В случае успешного обнаружения первичного очага инфекции на ранних сроках можно также говорить об успешном ходе лечения. В противном случае пациенту грозит формирование горба, ограниченность движения пораженных суставов, а также инвалидность.
Туберкулезный менингит

Виды туберкулеза
Один из наиболее неблагоприятных видов туберкулеза, который в основном возникает у детей или людей, инфицированных ВИЧ. Течение болезни происходит постепенно, начинаясь с несерьезных симптомов: общего недомогания и длительного повышения температуры. В дальнейшем симптомы дополняются головной болью, сонливостью, судорогами, светобоязнью, поражением нервов черепа, нарушением психики, спутанностью сознания и комой.
Для проведения точной диагностики у пациента берут поясничную пункцию.
Успешное лечение этой болезни возможно только на ранних этапах. Позднее туберкулезный менингит заканчивается летальным исходом. Однако порой даже своевременной терапии может быть недостаточно для того, чтобы устранить все симптомы и осложнения после болезни.
Милиарный туберкулез
Этот вид туберкулеза поражает практически все ткани и органы, поскольку его распространение происходит через кровь. Очаги поражения представляют собой небольшие гранулемы ― бугорки 1-2 см в диаметре, которые очень похожи на просяные зерна. Симптомы милиарного туберкулеза схожи с симптоматикой туберкулеза легких. Однако эта болезнь поражает не только легкие, но и оболочки головного мозга, печень, почки, глаза и т. д.
Специфика течения болезни
Для разных возрастных категорий было выявлено, что течение туберкулеза имеет свои особенности, что в итоге способствует формированию разных остаточных симптомов.
В детском возрасте болезнь более неблагоприятна для младенцев и маленьких детей. Наиболее часто наблюдается тенденция распространения инфекции по всему организму через лимфоток. При этом вне легких формируются многочисленные очаги заболевания. Для младенческого возраста наиболее характерными видами туберкулеза являются первичный туберкулезный комплекс, милиарная форма и менингит.
У детей дошкольного и школьного возраста течение болезни выглядит более благоприятно. Болезнь крайне редко распространяется по всему организму, тогда как наиболее часто наблюдаются слабовыраженные туберкулезные формы, которые поражают внутригрудные и периферические лимфоузлы.
Наиболее критически заболевание выглядит у детей подросткового возраста. Течение болезни вызывает образование инфильтратов в легких, а также поражение серозных оболочек. Чаще всего проявляются такие виды заболевания, как диссеминированный и инфильтративный туберкулез легких.
Лечение туберкулеза
Для лечения туберкулеза у детей проводят курс химиотерапии, а также назначают прием специальных препаратов, призванных побороть возбудитель болезни. Лечение туберкулеза должно быть тщательно спланированным и комбинированным. Это позволяет избежать перехода инфекции в лекарственно-устойчивую форму, для которой благоприятные прогнозы становятся весьма далекими.
Заметили ошибку? Выделите ее и нажмите Ctrl+Enter, чтобы сообщить нам.
♦ Рубрика: Заболевания.kakzdravie.com
виды, симптомы, причины, лечение, диагностика и профилактика

Туберкулез
Туберкулезом именуют болезнь инфекционную, возникшую в результате возбуждения микобактерий туберкулеза. Во время развития этого рода заболевания, явна аллергия клеточная, специальные гранулемы в органах и тканях, и также клиническая полиморфная картина.
Туберкулез известен с самых древних времен. И сегодня его стремительное распространение представляет собой очень серьезную проблему со стороны медицины, и также социальной позиции. Согласно существующей статистике, ежегодно на планете заболевают туберкулезом, приблизительно, 8 млн человек, среди них 3 млн умирают. Общая заболеваемость значительно увеличилась в последние несколько лет. Эксперты в области медицины называют некоторое число причин, вызвавших сложившуюся ситуацию. Это понижение уровня жизнедеятельности людей, оно, в свою очередь, оказывает негативное влияние на качество общественного питания; сильное ухудшение общего качества и также уменьшение числа мероприятий, которые были бы направлены на противостояние туберкулезу; и также образование штаммов, проявляющих повышенную устойчивость к терапии специфического характера.
Причины

Причины
Причины туберкулеза формируются как последствие действия на организм человека микобактерий. Согласно общей статистике, приблизительно, в 92% ситуаций, болезнь вызывает бактерия под названием Mycobacterium tuberculosis, а в оставшихся случаях возникает при действии М. bovis. Характеризующей особенностью данного возбудителя есть форма палочки. Эта бактерия является аэробным организмом. Наиболее благоприятные температурные условия для ее жизни — это +38 °С. Бактерия идеально растет в среде, которая имеет картофель, яйцо, глицерин, молоко. Возбудитель болезни выявляет повышенную устойчивость к влиянию разнообразных стрессоров, он не умирает при действии спирта, кислоты и щелочей. Но под действием прямых солнечных и ультрафиолетовых лучей возбудители погибают сразу, через считанные минуты. При фактической температуре около 70 °С отмирание наступает уже через полчаса, а при кипячении возбудитель погибает через 5 минут. Ещё уничтожающее действие оказывает ряд определенных средств, употребляемых для дезинфицирования: это 5 % состав формалина, также 5 %состав кислоты карболовой, и 2 % состав извести хлорной.
Основные признаки недуга выражаются также часто у представителей различной возрастной категории, как у младенцев, и у пациентов старшего возраста. Главными рассадниками распространения опасной инфекции, становятся заболевшие люди, и также молоко и мясо тех животных, которые заболели туберкулезом. Часто болезнь передается при помощи воздушно-капельного пути. В наиболее редких ситуациях может присутствовать алиментарный способ передачи. Есть ещё возможности заражения путем трансплацентарным, когда частицы инфекции передаются плоду беременной. Как факторы, способствующие передаче опасной инфекции, надо назвать длительный контакт с явными носителями бактерий, пребывание в неприемлемых бытовых обстоятельствах, неважное питание, перепады в функционировании системы иммунитета. Контагиозность невысокая, и полностью зависит от состояния охранных сил человеческого организма. Туберкулезу абсолютно не мешают для обильного распространения периодичность и сезонность.
Заразиться болезнью рискуют конкретные группы среди населения. Конечно, это распространители инфекции ВИЧ, и люди, страдающие иными недугами, которые ослабляют человеческий иммунитет. Также обладают высоким риском заражения, где производится тесный контакт с заболевшими, у людей, которые не проходят вовремя обследование в больницах, у алкоголиков, наркоманов, людей, не имеющих стабильного места проживания. Риск получения заражения существует также у тех граждан, которые посетили страны, где наблюдается высокий процент случаев болезни, протекающей в активной фазе.
Хотя туберкулез и не относят к высоко контагиозным недугам, приблизительно 50% людей, имеющих тесное общение с выделителями бактерий, оказываются зараженными инфекцией. Но инфицирование туберкулезом не означает, что болезнь будет прогрессировать. Манифестная туберкулёзная форма явна лишь в 5-15% случаях, в иного рода случаях инфицирования у людей случается формирование иммунитета нестерильного.
Часто рассадник инфекции не получается определить. Еще есть свойство туберкулеза у маленьких детей: чем меньше инфицированный ребенок, тем больше повышается риск прогрессирования туберкулеза.
Туберкулез внелегочный и также туберкулез в легких формируется в трёх фазах. Вначале случается инфицирование, далее в конкретном органе прогрессирует начальный очаг недуга, после этого болезнь стремительно распространяется, и тогда у человека возникают новые признаки туберкулеза.
Вследствие инфицирования, активный возбудитель проникает в кровеносные и лимфатические сосуды, затем распределяется по человеческому организму. Через 4-8 недель инфицирования, при обследовании у человека очевидны туберкулиновые пробы положительного характера.
Основной характерной особенностью инфекции туберкулезной является наличие возможности сохранить способного к жизнедеятельности возбудителя заболевания в начальном очаге. В приспособленном к жизни состоянии он вполне может находиться множество лет, а иногда и до окончания человеческой жизни. Также, после значительного понижения иммунитета из-за ряда недугов, очаги способны переместиться в активную фазу, и тогда у человека очевидно присутствие туберкулеза.
Симптомы
Явность симптомов туберкулеза зависима от того, в каком участке организма поселились микобактерии, есть ли осложнения, и ещё от иных стрессоров. Туберкулез прогрессирует довольно медленно, в некоторых ситуациях, недуг способен длиться десятилетиями.
Симптомы туберкулеза не заметны у тех людей, которые страдают скрытым туберкулезом. Следовательно, они болезнь не насаждают. У пациентов с активным видом болезни признаки зависимы от местонахождения инфекции – или в легких или в иных участках тела. Заболевание легких становится явным постепенно и способно прогрессировать в течение некоторого числа недель и месяцев. В этой ситуации, человек хотя и замечает появление некоторых показателей болезни, но даже и не догадываться, что она развивается. При такой форме недомогания один из основных показателей болезни — кашель, при нем отхаркивается слизь, иной раз, с примесью крови. Кашель длится больше, чем 2 недели. Кроме этого, показателями туберкулеза в легких считается жар и озноб и в вечернее время, лихорадка. Больной постоянно ощущает себя слабым и утомленным, теряется аппетит, и, соответственно, очень быстро снижается вес тела. Помимо этого, его беспокоит
Туберкулезное заболевание у маленьких детей и также подростков, проявляется в начальной форме и продолжается после проведения инфицирования туберкулезными бактериями в организме, раньше не подвергавшегося инфицированию. Более часто, в среде форм начального туберкулеза встречают туберкулез лимфатических внутригрудных узлов. Во время течения туберкулеза часто происходит поражаемость в легких у больного. Одновременно, внелегочные виды недуга очевидны как последствие диссеминации гематогенной инфекции из начального очага. Тогда у больного присутствуют преимущественно, показатели интоксикации в организме, а локальные показатели процесса воспаления, выражены в небольшой стадии.
И чем меньше ребенок, тем больше повышается риск образования тяжелых генерализованных и локальных форм недуга.
Виды
Виды легких
Более часто имеют свойство проявляться следующие виды туберкулеза легких у взрослых и детей.
Интоксикация туберкулезная. Данный вид часто выявляется у маленьких детей и подростков.В основном, болезнь бывает у детей возраста дошкольного и также у начальных школьников. В период болезни проявляется раздражительность, утомляемость, проблемы с аппетитом и также сном. При осмотре доктор обращает главное внимание понижение веса, бледную кожу, микрополиадению. Иной раз, при данном виде болезни реально проявление эритемы узловатой, воспалительного действия роговицы и конъюнктивы, артрита реактивного и пр. При анализе здесь более важным считается разоблачение виража проб туберкулиновых. Процесс расширения пределов инфекции способен длится годами, в волнообразном порядке. Иногда можно лечить самостоятельно, чтобы формировался иммунитет.
Туберкулезный первичный комплекс. Этот вид туберкулеза до того как начнется распространение осложнений проходит без особых показателей. Его обнаруживают исключительно в ходе анализа с вмешательством рентгена. Но как осложнения болезни, развивается пневмония и пр. Если протекание недуга весьма благоприятно, у пациента проявляется некая кальцификация очага казеозного легких и узлов лимфатических. Если ход болезни осложнен, то способна образоваться диссеминация гематогенная, диссеминация лимфогенная, а ещё сформироваться каверна.
Бронхаденит туберкулезный. Данный вид болезни именуется ещё туберкулезом лимфатических внутригрудных узлов. Он является наиболее часто проявляемым локальным видом начального туберкулеза у маленьких детей. Из-за увеличенных лимфоузлов, сильно сдавливается дерево трахеобронхиальне. Если пациент страдает выраженным бронхаденитом, то показателем заболевания станет голососиплый, кашель, похожий на коклюшный, станут присутствовать показатели хронической или острой интоксикации. Во время развития недомогания увеличены узлы лимфатические, расширяется сеть венозная под кожей в области груди и пр. Чтобы утвердить диагноз, следует провести рентгенологический анализ и бронхоскопию. Осложнение такого состояния сопровождается нарушением проходимостью бронхов, развитием плеврита, туберкулезом бронхов. Но если течение недуга весьма благоприятно, пациент имеет кальцификацию узлов лимфатических. Если протекание осложнено, может сформироваться диссеминация гематогенная, диссеминация лимфогенная, и также появится каверна.
Диссеминированное туберкулезное заболевание легких. Заболевание появляется как последствие широкого гематогенного расширения туберкулезной инфекции. Началом недуга, в основном, есть лихорадка фебрильная, после неё быстро проявляется интоксикация. Человек страдает наличием сухого кашля и одышки. Анализ туберкулеза в легких осуществляется способом рентгенографии. Одновременно, анализ мокроты не дает результатов по причине отсутствия в ней микобактерий. Ещё о диагнозе свидетельствует биопсия трансбронхиальная. Осложнениями такого состояния способны стать сердечно-легочный недостаток, анемия, отсевы гематогенные в различные органы и пр.
Туберкулез половых и мочевых органов. Сегодня именно данный вид туберкулеза внелегочного считается наиболее сильно распространенной. Заболевание ещё называется туберкулезом почек, потому что именно данные органы в этом случае поражаемы чаще. Показатели такого туберкулеза схожи с показателями обычного воспалительного процесса мочевика. Диагноз определяется методом анализа, заключающегося в бактериологическом посеве мочи, туберкулиновых модифицированных пробах, анализе крови и иных анализах почек и путей мочевых. Если произошло осложнение, то может сформироваться стриктура мочеточников и туберкулез кавернозный. Если терапия проведена вовремя, то исход болезни будет иметь благоприятный характер. В ситуации с неадекватной терапией может быть прогрессирование пионефроза и, в результате, при наличии туберкулеза почек, необходимо устранение почки.
Туберкулез суставов и костей. Часто туберкулез суставов и костей поражает маленьких детей. При существовании туберкулеза костей часто случается поражаемость средних отделений позвоночника. По причине эрозии передней плоскости тел отдельных позвонков, они понемногу спадают, тогда формируется явный кифоз без наличия сколиоза. Туберкулез костей вызывает видимое ограничение движений, боль, отекание пораженных отделений позвоночника. Если данный туберкулез в костях и суставах прогрессирует, то затем процесс патологический переходит к нижележащим отделениям позвоночника. Более часто заболевание поражает тазобедренный и коленный суставы. Отличительной особенностью такого туберкулеза является более позднее проявление имеющейся деструкции хрящевой и костной тканей. Следовательно, в ходе рентгенологического анализа, перемен суставов и позвоночника можно и не увидеть. Поэтому во время анализа важно определить начальный очаг инфицирования. Вследствие этого заболевания у пациента часто формируется горб, контрактура сустава пораженного, и фиксируется ранняя инвалидность.
Менингит туберкулезный. Этот вид редко можно встретить, но он часто появляется у маленьких детей. Изначально у детей начинает изменяться поведение, выявляется ряд признаков общих недомоганий, лихорадка субфебрильная. В ходе развития недомогания дети страдают от боязни света, боли головной, судорог, сонливости. Позже происходит поражение черепных нервов, наступает кома. При существовании туберкулезного менингита возможно образование гипертензионно-гидроцефального синдрома, отека мозга. И если не производить терапию этого заболевания, то летальные последствия наступят неизбежно.
Кожный туберкулез. Заболевание начинается как последствие попадания в кожу микобактерий туберкулезных. Кожный туберкулез имеет свойство проявляться как заболевание эндогенное вторичное. Обычно, возбудитель проникает в кожу из присутствующих очагов заболевания лимфогематогенным способом. Через какое-либо повреждение кожи инфекция попадает крайне редко. Кожный туберкулез способен обладать очаговыми и диссеминированными формами. Анализ кожного туберкулеза осуществляется путем исследования анамнеза, выполнения проб туберкулиновых, выделения микобактерий туберкулезных и иных анализов, назначаемых в личном порядке. Есть ещё виды туберкулеза, которые поражают иные человеческие органы.
Диагностика
Чтобы максимально качественно осуществить анализ активного туберкулеза в легких эксперт, вначале изучает всю историю заболевания пациента, осуществляет обследование физического характера. Диагностика туберкулеза предусматривает детальный анализ признаков: присутствие кашля, усталости, лихорадки и т.д. Также исследуется посев мокроты. Здесь детальный анализ туберкулеза производится именно в ходе изучения итогов такого рода исследования. Для того, чтобы избрать более действенные препараты, предназначенные для излечения туберкулеза, надо сделать тестовую проверку на бактериях.
Помимо этого, при явном подозрении на факт туберкулеза производится рентгенография грудного отделения. Такое обследование назначается, если кожная туберкулиновая проба имеет положительный показатель, или очевидна явная реакция на данную пробу, и также, в случае, если у больного присутствуют признаки туберкулеза активного типа.
При явном подозрении на легочную латентную форму болезни, её наличие выявит кожная туберкулиновая проба. Ещё анализ туберкулеза в этой ситуации предусматривает осуществление специального исследования крови.
Для того, чтобы поставить диагноз при факте внелегочного туберкулеза, надо выполнить множество разных исследований и анализов. Зависимо от конкретного случая, диагностика болезни может содержать выполнение мочевого посева, биопсии, обследование жидкости цереброспинальной, компьютерной томографии и МРТ.
Ещё в ходе обследования туберкулеза в легких и имеющихся внелегочных видов, часто врачи назначают осуществление тестовой проверки на присутствие инфекции ВИЧ и анализ на присутствие гепатита.
Много добавочных анализов выполняется на протяжении всего лечения туберкулезного заболевания.
Кроме этого, выполнение обследований регулярного характера, на факт заболевания советуют делать для той категории людей, у которой имеется повышенность риска заражения туберкулезным заболеванием.
Раннее обнаружение туберкулеза у маленьких детей базируется на подробном обзоре степени специальной сенсибилизации, которая развивается вследствие заражаемости микобактериями. Поэтому, выполняются пробы туберкулиновые — это пробы внутрикожные, именуемые Манту. Обычный состав туберкулина вводят вовнутрь поверхности предплечья. По происшествии нескольких суток на имеющейся мечте, куда ввели туберкулин, становится заметной гиперемия с наличием папулы в центре. Ожидаемую реакцию Манту вычисляют по выявленной величине данной папулы. Выполнение реакции на Манту может делаться детям возрастом, начиная от 1 года и до 18 лет каждый наступающий год. И если реакция на Манту обладает положительным показателем, то ребенку следует пройти полное обследование у доктора фтизиатра.
Лечение

Лечение таблетками
Лечение туберкулезной болезни осуществляет врачом-фтизиатром вместе с врачами иных специальностей. Главным способом излечения туберкулезных заболеваний в настоящее время является химиотерапия этиотропная. При выполнении такого рода терапии в обязательном порядке учитывают возраст пациента, форму данного заболевания, активность проходящего процесса. Крайне важно в ходе излечения туберкулеза сфокусироваться на правильном режиме питания, физических нагрузках, образе жизни, в общем. Лечение туберкулеза – является процессом весьма длительным, поэтому потребует максимум терпения. Все предполагаемые этапы излечения этого тяжелого недуга способны занять,приблизительно,18 целых месяцев.
Когда выполняется химиотерапия, в большинстве случаев, назначается два и больше препарата. Есть определенное классифицирование таких препаратов с действием противотуберкулезного характера: опираясь на эффективность воздействия, они подразделяются на три основные группы.
Такие препараты, как рифампицин и изониазид являются высокоэффективными; стрептомицин, канамицин, этионамид, биомицин, пиразинамид, этамбутол, протионамид – это препараты со средней эффективностью; кислота аминосалициловая представляет собой средство, обладающее относительной эффективностью.
Во время лечения доктор должен учитывать, что всякие средства, оказывающие противотуберкулезное действие обладают массой побочных нежелательных эффектов, это значит, что их принимать необходимо строго по установленному режиму.
Существующие оперативные способы лечения употребляются, в большинстве ситуаций, больным с наличием костно-суставного туберкулеза, и также ещё больным с туберкулезом почек. Помимо этого излечение туберкулеза предполагает использование ряда специальных мероприятий, направленных на укрепление защитных сил организма.
Профилактика
Профилактика данного заболевания предполагает, как правило, защиту от инфицирования в активной форме. Поэтому, нежелательно долгое время быть в одном помещении с теми людьми, кто болеет активным туберкулезным заболеванием. Людям, которые находятся в тех местах, где наблюдается скопление больных, для профилактики заболевания надо носить маски защитные для лица и четко соблюдать имеющиеся правила личной гигиены. Ни в коем случае, нельзя допускать превращения латентной формы болезни в активную. Профилактические действия для детей предусматривают охрану от опасного инфицирования. Чтобы это осуществить, регулярно проводятся обследования всех тех, кто трудится в детских больничных заведениях.
Профилактические процедуры для детей включают обязательное выполнение БЦЖ вакцинации, и химио профилактики болезни.
Кроме этого, для осуществления профилактики туберкулезного заболевания проводят массовые исследования всего населения способом выполнения флюорографии. Если показатели туберкулеза выявлены быстро, есть возможность начать излечение на первичных этапах и попытаться сделать его как можно эффективнее.
Ещё считается важным выполнить нужные действия, направление на укрепление иммунитета. В этом случае необходим здоровый рациональный образ жизнедеятельности, регулярное и правильное питание, отказ от наркотиков, курения и злоупотребления напитками, содержащими спирт.
Туберкулез
simptomlecheniye.ru
Виды туберкулеза легких, стадии и формы заболевания
Виды туберкулеза легких имеют свои разновидности и степени заболевания, при которых назначают определенное лечение. Терапия зависит полностью от индивидуального случая пациента.
Посмотрите видео, в котором специалист рассказывает о видах туберкулёза на реальных снимках рентгена пациентов.
Виды туберкулеза легких отличаются симптомами и тяжестью протекания болезни. Чтобы иметь представление о патологии, необходимо знать весь комплекс её симптомов и уметь дифференцировать разные виды туберкулёза лёгких.
Диагностируемая туберкулезная форма:
Разновидности

Палочка Коха при многократном увеличении.
Патология носит инфекционный характер, то есть заболевший может быть активным носителем инфекции, легко передаваемой другим. Бывает патология другого вида туберкулеза легких, которая не несет никакой опасности для здоровых людей.
Рассмотрим каждую из них:
- Закрытая. Форма протекания заболевания диагностируется часто. Характерность ее в том, что пациент не представляет угрозы для окружающих.
- Открытая. Определяется легко – с помощью мазка выделяющейся мокроты, диагностируемого лабораторией. Небольшое количество взятого материала имеет признаки бактерий – активных возбудителей заболевания.
Начало развития туберкулеза
При начальной стадии развития, патология имеет первичный характер, называется так, потому что инфицирование происходит первично и чаще всего в юные годы. Эта стадия развития имеет предрасположенность к гиперергическим (аллергия) и гематогенным реакциям (передача болезни через кровь), параспецифическим изменениям. Определенная форма заболевания влияет на лимфатические узлы, поражая их, плевру, различные органы, оставляя там туберкулезные изменения.
Важно! Достаточно пообщаться с заразившимся человеком, когда после некоторого времени можно ощутить острую форму развития патологии. Особенно страдают люди, без наличия иммунитета к возбудителю.

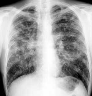
Зараженные лёгкие взрослого человека.
Зачастую при первичном приобретении болезни, организм справляется с инфекцией сам, без дополнительной терапии. После победы над инфекцией, в организме остаются отпечатки в виде петрификатов (рубцы), где продолжают жить микробактерии вируса.
Вторичная форма инфицирования – случай обострения первичного заражения. На данной стадии наблюдается бронхогенное и лимфогенное разрастание. Симптоматика вторичного проявления заболевания диагностируется в виде других нарушений, таких как:
- Потеря аппетита.
- Резкое похудание.
- Нестабильная и чаще всего повышенная температура.
- Непонятная слабость и утомляемость.
Симптомы форм туберкулёза зависят от:
- Возможностей возбудителей;
- иммунитета организма к противостоянию развития патологии;
- способов распространения и получения инфекции.
Помимо форм есть другие виды туберкулеза легких со своими отличиями. Особенности заболевания в симптоматике, протекании и назначенного индивидуального лечения.
Острый милиарный туберкулез
Вид развития инфекционного заболевания, встречающегося как при первичной, так и вторичной фазе. Инфицирование и развитие заболевания происходит за счет попадания вредных микроорганизмов из очага в кровь, после чего начинается интенсивное проявление симптомов.
Воспалительный процесс проявляется постепенно, первые симптомы можно диагностировать спустя несколько дней, недель.
Важно! Иногда сделанный рентген может показать отсутствие инфицирования, поэтому часто врачи назначают комплексное диагностирование и даже проба Манту чаще всего показывает верный результат.
Легочный гематогенный диссеминированный туберкулез
Может возникать в обеих формах заражения, обнаруживается в виде очаговой инфекции в сосудах, расположенных в органах дыхания. Поражаются симметричные сосудистые ветви органа.
Очаговый вид инфицирования
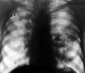
Внешний вид очага на рентгене.
Проявляется у пациентов при вторичной форме заражения. Чаще всего обнаруживается в одном легком, где очаги имеют размеры от миллиметра до сантиметра. Симптоматика очагового туберкулеза явно не выражена. Обнаружить его можно только на рентгенологическом исследовании. Бывает двух типов: мягко очаговый и фиброзно очаговый клинического характера. Первый тип наиболее устойчив к проводимому лечению.
Инфильтративно-пневмонический туберкулез
Обостренный тип инфицирования очагов при вторичной форме проявления.
Туберкулема или казеозный туберкулез легкого
Имеет вид опухоли при диагностике на рентгеновском снимке. Тяжесть заболевания пациент может ощутить как первичного, так и вторичного вида туберкулеза легких в момент инфицирования. Отличается быстрым смертельным действием на легочные клетки органа, образовывая специфический вид пневмонии с большой вероятностью образования и расплавлению каверн.
Кавернозная форма
Развитие болезни наблюдается при противостоянии клеток всех перечисленных видов инфицирования выше. Противостояние против инфекции приводит к появлению каверны.
Фиброзно-кавернозный туберкулез
Заключительный этап активного прогресса болезни. Анализируется после диагностики с обнаружением:
- Каверн (пустота в органе в следствии болезни) с имеющейся фиброзной капсулой;
- Рубцовое изменения ткани лёгкого;
- Изменяющихся бронхогенных метастаз.
Плеврит
Этот вид туберкулеза делится на сухой и экссудативный (мгновенно начинающийся) с чего можно определить серозный и гнойный характер протекания патологии. Плевритом врачи называют осложнение после инфицирования. Происхождение данной стадии может произойти через контакт, лимфогенно и гематогенно. Боль при дыхании и постоянный кашель – основные и явные признаки плеврита. При своевременной постановке диагноза терапия этого заболевания имеет очень большие шансы на абсолютный успех.
Классификация туберкулеза легких проводится согласно результатам анализа мокроты. В зависимости от вида туберкулеза лечащий врач выбирает схему лечения.
tuberkulez-legkikh.ru
Формы и лечение туберкулеза — Первый по туберкулезу
Оглавление: [скрыть]
- Происхождение туберкулеза: история
- Возбудитель туберкулеза
- Информация о туберкулезе: основные формы
- Основные клинические формы
- Симптомы и диагностирование недуга
- Лечение недуга и возможные осложнения
- Профилактика заболевания
История туберкулеза насчитывает уже многие тысячелетия. Этот недуг унес миллионы жизней. Многочисленные формы туберкулеза поражают различные органы и ткани человеческого организма, вызывая нарушение функций и рубцовые новообразования. Заболевание на протяжении долгого времени продолжает оставаться одним из самых опасных.

Среди факторов, повышающих у человека восприимчивость к заболеванию, следует особо отметить ВИЧ, курение, диабет. В основном заболевают люди в возрасте 17-28 лет. Однако эта болезнь опасна для человека любого возраста. Степень риска заметно повышается для детей младшего возраста, для людей, много курящих, плохо питающихся, мало бывающих на свежем воздухе, находящихся в тесном контакте с заболевшими.
Происхождение туберкулеза: история
Древнейшее происхождение туберкулеза доказывается туберкулезными поражениями, обнаруженными при раскопках у египетских мумий. Заболевание было известно и в Древней Греции, где его называли phtisis, то есть «чахотка», «истощение». Поэтому наука, занимающаяся изучением туберкулеза, получила название фтизиатрия. Специалисты, работающие в этой области, называются фтизиатрами.
История туберкулеза показывает, что на протяжении долгих веков недуг был неизлечим. Только в конце XIX века, в 1882 году, Роберт Кох установил, что возбудителем этого заболевания является не вирус, а бактерия Mycobacterium tuberculosis, называемая также палочкой Коха. Это открытие стало первым шагом на пути развития способов лечения.
Вернуться к оглавлению
Возбудитель туберкулеза
Палочка Коха способна существовать в суровых условиях и не реагировать на действие противомикробных средств, что повышает риск заражения заболеванием и затрудняет его лечение. Диагностировать недуг трудно потому, что его возбудитель размножается очень медленно.
Для обнаружения в организме человека палочки Коха проводится проба Манту. Этот анализ необходимо проводить регулярно не только людям, входящим в группы риска, но и всем, кто заботится о своем здоровье.
Вернуться к оглавлению
Информация о туберкулезе: основные формы
Фтизиатры различают открытый и закрытый тип. При открытой форме больной является заразным, т.к. выделяет в окружающую среду палочку Коха во время кашля и чихания. Закрытый туберкулез не опасен для окружающих, т.к. больной не является заразным.
Помимо этого существует деление на первичный и вторичный туберкулез. Первичный туберкулез развивается непосредственно после попадания в организм палочки Коха. При этом образуется первичный очаг, который может зажить без лечения или превратиться в первичную каверну. После этого происходит проникновение микробактерий туберкулеза в кровь зараженного и оседание их в различных органах, где образуются туберкулезные гранулемы.
Основные формы первичного туберкулеза:
- Туберкулезная интоксикация.
- Туберкулез внутригрудных лимфатических узлов.
- Первичный туберкулезный комплекс.
- Хронически текущий первичный туберкулез.
Вторичный туберкулез — следствие повторной активации ранее полученной инфекции или повторного заражения. Вследствие этого образуются новые очаги и каверны, приводящие к выраженной интоксикации и обширным поражениям. Без лечения болезнь становится затяжной или приводит к летальному исходу. Однако известны случаи спонтанного стихания болезни. По данным практической фтизиатрии, вторичная форма туберкулеза является более распространенной.
Основные формы вторичного туберкулеза:
- Острый очаговый.
- Инфильтративный.
- Фиброзно-очаговый.
- Туберкулема.
- Казеозная пневмония.
- Острый кавернозный.
- Фиброзно-кавернозный.
- Цирротический.
Вернуться к оглавлению
Основные клинические формы
Основные клинические формы туберкулеза — легочная и внелегочная. Легочная, как правило, является первичной, т.к. болезнь передается воздушно-капельным путем, поражая в первую очередь верхние дыхательные пути.
Из легких туберкулезные бактерии, проходя через бронхи, попадают в конечную часть последних — альвеолы, откуда, проникая в кровь, распространяются по всему организму. До недавнего времени легочной формой патологии страдали до 80% заболевших. С появлением ВИЧ-инфекции участились случаи внелегочного туберкулеза. Причиной этого служит снижение иммунитета при СПИДе.
По степени распространенности легочный туберкулез делится на диссеминированный, латентный, милиарный, ограниченный, инфильтративный, кавернозный, фиброзно-кавернозный, цирротический туберкулез и казеозную пневмонию. Изредка недуг поражает плевру, гортань, трахею.
Внелегочная форма поражает различные внутренние органы, поэтому формы болезни классифицируются по области ее локализации.
Различают туберкулезы:
- Пищеварительной системы и желудочно-кишечного тракта.
- Мочеполовой системы.
- Суставов и костей.
- Центральной нервной системы.
- Глаз.
- Кожных покровов.
Вернуться к оглавлению
Симптомы и диагностирование недуга
Основным симптомом заболевания является кашель. Кашель наблюдается у всех пациентов. Сначала он бывает сухим, усиливаясь в ночное и утреннее время. Затем кашель становится влажным с выделением мокроты, которая бывает гнойной. Может начаться кровохарканье. Больного лихорадит, он слабеет, теряет аппетит, заметно худеет. Возникает одышка и усиливающиеся при дыхании боли в груди.
Если легочный туберкулез осложняется поражением верхних дыхательных путей, голос становится сиплым, глотание затрудняется. При туберкулезном лимфадените увеличиваются лимфоузлы.
Диагностирование заболевания проводится с помощью рентгенологического исследования легких, флюорографии, микробиологического исследования биологического материала, компьютерной томографии органов и систем, кожной пробы Манту (туберкулиновой реакции), молекулярно-генетического анализа и т.д. Анализ крови заболевших или обсемененных туберкулезной микобактерией показывает снижение числа эритроцитов и лейкоцитов и пониженное содержание гемоглобина.
Вернуться к оглавлению
Лечение недуга и возможные осложнения
Сколько живут больные? Все зависит от правильного лечения. Курс длится не менее полугода. Он составляется для каждого заболевшего индивидуально в зависимости от формы и степени тяжести заболевания, возраста и других индивидуальных показателей. Период интенсивного лечения ставит целью прекращение размножения палочки Коха в организме и восстановление поврежденных тканей.
Основными противотуберкулезными препаратами первой линии на данный момент считаются рифампицин, пиразинамид, изониазид, этамбутол, ципрофлоксацин. Циклосерин, капреомицин и некоторые другие препараты применяют только в экстренных случаях из-за их токсичности для человеческого организма.
В период проведения курса противотуберкулезной терапии больному необходимо полноценное питание, щадящий режим, здоровый образ жизни, избавление от вредных привычек. Санаторно-курортное лечение наиболее плодотворно на горных курортах. Разреженность горного воздуха способствует интенсификации дыхания. Вследствие этого улучшается вентилирование легких, бактерии туберкулеза теряют жизнеспособность.
Заболевание может вызвать такие осложнения, как легочное кровотечение, пневмоторакс, дыхательная или сердечная недостаточность, амилоидоз внутренних органов, снижение или утрата функции зараженных суставов. Официальная статистика, основанная на данных Всемирной организации здравоохранения, говорит о высоких показателях заболеваемости туберкулезом в мире, особенно в странах Азии и Африки. Статистика показывает, что достаточно высоким остается и уровень смертности среди больных туберкулезом.
Вернуться к оглавлению
Профилактика заболевания
Для уменьшения риска заболевания туберкулезом необходимо соблюдать основные санитарно-гигиенические нормы, полноценно питаться, отказаться от табакокурения, чаще бывать на свежем воздухе, избегать по возможности контакта с больными открытой формой заболевания.
Регулярная флюорография, вакцинация и ревакцинация БЦЖ значительно повышают возможность избежать заражения или выявить болезнь на ранней стадии, когда недуг легче поддается лечению. Следует помнить, что вакцинация БЦЖ в ряде случаев может быть противопоказана. Поэтому делать ее без проведения медицинского обследования нельзя.
1tuberkulez.ru
Симптомы туберкулеза и первые признаки
ОБЩЕЕ
Данная инфекция известна достаточно давно. Ранее оно называлось чахоткой или же бугорчаткой. Термин туберкулез пришел из латыни от слова tuberculum – бугорок. Впервые об инфекции стало известно в 1882 году, открыл ее немецкий ученый Роберт Кох, поэтому микобактерию туберкулеза еще называют палочкой Коха.
Характеристика возбудителя:
- МБТ представляют собой несколько изогнутые палочки, размер которых может варьироваться. Возбудитель кислотоустойчив и окрашивается в мазках по методу Циля–Нильсена в красно-розовый цвет. Это аэроб, для жизнеспособности и размножения которого обязательно нужен кислород.

- Для возбудителя характерен полиморфизм – способность изменять форму под воздействием неблагоприятных факторов. Часто такое явление встречается при микроскопии мазка пациента, длительно принимающего противотуберкулезные препараты, тогда говорят о появлении L-форм. Такой вид МБТ не так патогенен, как типичные микобактерии, и может долго находиться в организме, способствуя выработке противотуберкулезных антител. Главная опасность L-форм МБТ заключается в их способности трансформироваться при определенных условиях в исходный патогенный тип. Поэтому так много рецидивов болезни и скрытых форм течения.
Возбудитель туберкулеза хорошо приспосабливается к изменениям условий существования и обладает повышенной жизнеспособностью.
Устойчивость МБТ во внешней среде:
- При воздействии низких температур – до -23оС – возбудитель сохраняет свою жизнеспособность около 7 лет.
- При температуре 55оС гибнет только через 12 часов, при 70оС – через 1 час.
- Особенно устойчивы микобактерии в высохшей мокроте больного человека. Погибает возбудитель через час при нагревании до 95–100оС.
- На МБТ губительно действуют ультрафиолетовые лучи, для инактивации палочек достаточно 3–5 минут облучения, а под действием прямых солнечных лучей – 4 часа. В темном же помещении микобактерии в мокроте сохраняют свою активность до года.
ПРИЧИНЫ
По данным ВОЗ, примерно треть населения планеты инфицирована МБК. Эта инфекция социально обусловлена и затрагивает, в первую очередь, слои населения, имеющие низкий уровень жизни и культуры. Но в последнее время отмечается подъем заболеваемости туберкулезом даже среди людей, проживающих в удовлетворительных социально-бытовых условиях.
Ежегодно от туберкулеза в мире погибает более 1,5 миллионов человек с активными формами болезни, еще 8 миллионов больных выявляется каждый год.
По абсолютному количеству темп распространения среди взрослых больше, чем среди детей, что объясняется снижением профилактических мер и ослаблением иммунитета после давней вакцинации взрослого населения по сравнению с детьми.
Основным источником распространения инфекции является больной человек с открытой формой туберкулеза, выделяющий во внешнюю среду микобактерии. Опасность заражения от больного человека в 10 раз выше, чем риск инфицирования другим способом.
Пути передачи инфекции:

- Аэрогенный (воздушно-капельный и воздушно-пылевой) – самый распространенный путь инфицирования. Таким способом заболевают около 95% пациентов. Заражение происходит во время контакта с больным человеком, выделяющим МБТ в окружающую среду вместе со слюной и мокротой при разговоре, кашле, чихании. Взвесь инфицированного биологического материала в воздухе может находиться до 2 часов и распространяться на расстояние около 2 метров. При оседании ее на пол или землю и высыхании включается воздушно-пылевой путь передачи туберкулеза. Это особенно актуально для мест с большим скоплением людей – общественный транспорт, вокзалы и т. д.
- Алиментарный – инфицирование осуществляется при употреблении продуктов питания от животных, больных туберкулезом. Чаше всего источником заражения является больная корова и молочные продукты, полученные от нее, без достаточной термической обработки. Также заразиться можно от больного туберкулезом человека при несоблюдении правил личной гигиены.
- Внутриутробный – передача инфекции от матери к ребенку. Такой путь передачи достаточно редко встречается.
Развитию туберкулеза способствуют воздействие неблагоприятных внешних обстоятельств и снижение резистентности организма.
Причины, способствующие инфицированию:
- Контакт с бактериовыделителем МБТ.
- Снижение иммунитета.
- Частые респираторные инфекции, болезни бронхолегочной системы.
- Стрессы, нерациональное питание, отсутствие полноценного сна.
- Употребление домашних молочных продуктов, прошедших недостаточную термообработку.
- Отказ от плановой вакцинации.
КЛАССИФИКАЦИЯ
Болезнь классифицируется по этиологическому признаку и клиническим симптомам.
По этиологическому признаку туберкулез разделяется на:
- Первичный тип – впервые возникшее заболевание туберкулезом, более характерно для детей и подростков. Развивается обычно на фоне виража туберкулиновой пробы и отличается гиперреакцией организма на антигены микобактерий. При таком типе заболевания чаще всего поражаются лимфатические узлы грудной клетки с последующим образованием в них кальцификатов – рубцового уплотнения тканей с отложением солей (очаги Гона). Болезнь хорошо поддается лечению, возможно полное выздоровление.
- Вторичный тип – чаще встречается у взрослого населения и пожилых людей после ранее перенесенного заболевания или при активации скрытого течения туберкулеза. Преимущественно поражает легочную систему с образованием крупных очагов, течение процесса тяжелое, злокачественное, нередко вовлекающее оба легких.
Клиническая классификация достаточно обширна и сложна. В ее основе лежит локализация патологического процесса, тяжесть течения, рентгенологические признаки поражения, наличие бактериовыделения и т.д.
По клиническим формам туберкулезную инфекцию подразделяют:
- Туберкулез детей и подростков. Инфицирование может произойти в любом возрасте. Но пиком болезни считается интервал 10–14 лет, в это время снижается иммунная защита от плановой вакцинации и значительно расширяется круг общения детей. Гормональная перестройка организма в подростковом возрасте также способствует снижению общей резистентности к микобактериям.
- Туберкулез органов дыхания. Эта категория содержит множество клинических вариаций в зависимости от тяжести, обширности и наличия гистологических изменений при поражении бронхолегочной системы.
- Туберкулез других органов. В этом случае поражаются любые органы и системы организма. Например, кожа, кишечник, половая система, суставы и т. д.
Критерии оценки течения туберкулеза:
- Расположение поражения и его распространенность.
- Фаза активности воспалительного процесса.
- Бактериовыделение.
- Осложнения болезни.
- Остаточные явления после полного излечения.
Классификация по категориям больных туберкулезом:
- Первичные больные с легочной формой туберкулеза, а также поражением других органов. Бактериовыделение может иметь место или отсутствовать.
- Пациенты в стадии обострения имеющегося туберкулеза, а также лица из первой группы, прошедшие курс лечения, но не получившие положительного результата.
- Больные с первично выявленной инфекцией без легочных проявлений, бактериовыделения и деструкции ткани. Также к этой группе относятся пациенты с вялотекущими формами.
- Пациенты с устойчивыми формами туберкулеза, не поддающимися лечению медикаментами, с хроническим течением процесса и его прогрессированием.
СИМПТОМЫ
Инкубационный период туберкулеза занимает от нескольких месяцев до полугода, чаще всего 1,5–2 месяца. В зависимости от входных ворот инфекции и пораженного органа, будут наблюдаться те или иные проявления.

Для туберкулеза характерно специфическое воспаление – воспалительные реакции, присущие только данному виду болезни. На начальных этапах патологический процесс имеет схожие признаки с типичным воспалением. При прогрессировании инфекции появляются специфические воспалительные поражения тканей – бугорки (гранулемы), осложненные деструкцией (некрозом).
Образование гранулем носит продуктивный характер при сохранении морфологии пораженной ткани. При наступления некроза происходят необратимые изменения, наступает гибель клеток.
Туберкулез у взрослых
Проявления туберкулеза многообразны, так как инфекцией может быть поражен практически любой орган. Симптомы наиболее часто встречаемой легочной формы туберкулеза:
- Резкое снижение массы тела, повышенная утомляемость, отсутствие аппетита.
- Периодическое или постоянное повышение температуры тела до субфебрильных отметок — 37,5оС.
- Усиленное потоотделение в ночное или утреннее время.
- Кашель в течение нескольких недель или месяцев, не поддающийся лечению.
- Отхождение мокроты, кровохарканье, одышка, изнуряющий кашель на поздних стадиях.
- Боли в грудной клетке.
При рентген-исследовании выявляются воспалительные поражения легких, очаги некроза и рубцовые изменения.
При прогрессировании туберкулеза возникает серьезная сердечно-легочная недостаточность и кровотечения из легких.
Туберкулез у детей
Симптомы у детей аналогичны вышеупомянутым. Более склонны к инфекции дети с внутриутробным инфицированием, наличием врожденных болезней, недоношенные. Чаще всего в детском возрасте туберкулез протекает в следующей клинической форме:
- Заболевание проявляется в период виража туберкулиновой реакции или в течение последующего года.
- Отмечаются изменения в поведении ребенка: слабость, раздражительность, сонливость, отсутствие аппетита, бледность кожных покровов, периодическое повышение температуры, потливость, кашель.
- При осмотре: увеличение периферических лимфоузлов, аускультативные признаки бронхита, наличие шумов на верхушке сердца.
- На рентген-пленке можно обнаружить признаки поражения легких в активной стадии и рубцовые изменения после излечения, а также участки кальцификации в грудных лимфоузлах.

ДИАГНОСТИКА
Для постановки диагноза необходимо дифференцировать туберкулез с другими болезнями, имеющими системный характер и бронхолегочные проявления.
Главным признаком, подтверждающим инфекцию, является выявление микобактерии туберкулеза у больного.
Диагностические методы:
- Рентгенография грудной клетки.
- Бактериоскопия мазка мокроты по Цилю-Нильсену. При необходимости производится биопсия легких.
- Микробиологическая идентификация возбудителя с посевом мокроты или биоптата на питательные среды.
- Иммунологические исследования: ПЦР, ИФА.
- Общий и биохимический анализы крови. Такие исследования не являются специфическими, но с их помощью можно контролировать уровень активности воспаления и состояние внутренних органов.
Огромное значение для постановки диагноза имеет санитарно-эпидемиологическая обстановка в семье больного, а также выявление контактов с больными туберкулезом.
Для диагностики заболеваемости туберкулезом у детей используется туберкулиновая проба (реакция Манту), которая показывает наличие специфической реакции на антигены микобактерий. Положительная реакция указывает на вираж и возможное инфицирование организма.
ЛЕЧЕНИЕ
Лечение туберкулеза осуществляется стационарно и исключительно в специализированных противотуберкулезных диспансерах. Тактика ведения и уровень ограничения социальных контактов определяет врач, исходя из тяжести болезни. В период ремиссии и отсутствия бактериовыделения возможно лечение в домашних условиях. В среднем длительность терапии составляет 1–1,5 года.
Консервативное лечение:
- Для терапии туберкулеза используют различные схемы из нескольких антибактериальных препаратов. Микобактерии туберкулеза очень часто являются полирезистентными ко многим группам антибиотиков. Тогда схема лечения корректируется. Для подбора подходящего препарата используют метод определения чувствительности конкретного типа микобактерии к антибиотикам с помощью бактериологического исследования.
- Дезинтоксикационная терапия используется в связи с высокой токсической активностью противотуберкулезных препаратов.
- Иммуномодуляторы для повышения сопротивляемости организма инфекции.
- Гепатопротекторы для защиты клеток печени от лекарственной нагрузки.
- Кортикостероиды применяются с осторожностью в связи с их иммуносупрессивным действием.
- Интенсивная витаминотерапия.
Кроме медикаментозного лечения, рекомендуется усиленное питание с преобладанием калорийной пищи для набора утраченной массы тела, полноценный отдых, солнечные ванны. В период ремиссии и выздоровления необходимо санаторно-курортное лечение соответствующего профиля.
Оперативное лечение
В случае длительного хронического течения болезни, образования массивных участков некроза, кровотечений рекомендовано хирургическое лечение. Объем операции зависит от степени тяжести поражения легких: от ушивания кровоточащих сосудов до удаления части или всего легкого.
ОСЛОЖНЕНИЯ
На запущенной стадии возможно возникновение тяжелых осложнений:
- Ателектаз – полное спадение альвеол легких с невозможностью осуществления дыхательных движений.
- Образование свищей из ткани легких в соседние соединительнотканные образования.
- Рубцовые изменения легочной ткани с уменьшением дыхательной экскурсии вплоть до фиброза и цирроза легких.
Кроме вышеперечисленных осложнений могут возникнуть острые состояния, угрожающие жизни больного:
- легочные кровотечения;
- эмпиема легких и сепсис;
- острая сердечно-легочная недостаточность.
ПРОФИЛАКТИКА
Своевременная профилактика эффективно предотвращает возникновение туберкулеза.
Предпринимаемые меры:
- Плановая вакцинация детей, проведение реакции Манту.
- Своевременное прохождение медицинских осмотров, в частности, флюорографии 1 раз в год.
- Ограничение контактов с потенциально зараженными людьми.
- Соблюдение правил личной гигиены.
- Полноценное питание, нормализация режима труда и отдыха.
- В случае подтвержденного контакта с больным туберкулезом обращение к фтизиатру и профилактический курс антибиотикотерапии.
ПРОГНОЗ НА ВЫЗДОРОВЛЕНИЕ
Прогноз на выздоровление и жизнь зависит от многих факторов: локализации, распространенности процесса, тяжести состояния, чувствительности возбудителя к антибиотикотерапии, сопутствующих болезней, возраста. Учитывая тяжесть болезни, чаще всего прогноз условно неблагоприятный.
Трудоспособность в связи с болезнью утрачивается на срок лечения. Даже после полного выздоровления существует ряд ограничений по профессиональной деятельности в связи с перенесенным заболеванием.
Нашли ошибку? Выделите ее и нажмите Ctrl + Enter
Полезная статья Гепатит АБолезнь Боткина, или гепатит А – это острое вирусное заболевание, протекающее с преимущественным поражением печени. Сопровождается интоксикацией организма и повышением…
pillsman.org
Основные причины туберкулёза и их профилактика
Туберкулёз – это безумно опасное лёгочное заболевание, которое передаётся разнообразными способами (в большинстве случаев воздушно-капельным путём).
Данное заболевание широко распространено в мире и является очень опасным, так как без лечения может привести к смерти. Причины заражения туберкулезом могут быть разнообразными.
Возбудитель заболевания был открыт Робертом Кохом 24 марта 1882 года, поэтому возбудитель и называют палочкой Коха или бациллой.
Эпидемия туберкулёза в мире

Туберкулёз является действительно опасным заболеванием для населения Земли, так как ей уже болеют треть населения. Каждый год от туберкулёза лёгких умирают около двух миллионов людей (каждый день около пяти тысяч), а заболевают более десяти миллионов, так что действительно важно знать причины туберкулеза.
Существует несколько причин заражения и увеличения численности больных туберкулёзом:
- Переселение людей из малоразвитых стран, где болеют туберкулёзом лёгких чаще из-за низкого уровня здравоохранения, в высокоразвитые способствует распространению болезни.
- Возбудитель заболевания, палочка Коха, хорошо устойчив к препаратам, что затрудняет лечение.
- Благодаря распространению СПИДа в мире, болезнь активнее распространяется, так как иммунная система ослабевает.
Инфицирование туберкулёзом

Туберкулёз имеет некоторые причины, способствующие его возникновению, а также проникновению возбудителя в организм:
Воздушно-капельный способ заражения.
Основная причина заражения палочкой Коха. Во время разговора, при кашле или чихании в воздухе появляется около миллиона частиц, которые способствуют заражению. Если человек не имеет проблем с бронхами, мерцательный эпителий помогает выводить частицы, попавшие в дыхательные пути. В группу риска заболеть также попадают больные бронхитом и курильщики, так как у них нарушена работа реснитчатого эпителия.
Пищевой путь.
Иногда инфекция может передаться через животное. Это может случиться при уходе за животным, или же при употреблении животных продуктов питания. Такой способ инфицирования очень редко встречается, так как для него нужно намного больше микроорганизмов для заражения.
Заражение плода от матери.
В некоторых случаях происходит внутриутробное заражение, которое также редко встречается.
Контактный путь.
Такое заражение происходит через повреждённые участки кожи или слизистой. Такое бывает также довольно редко, в основном у врачей.
Основные симптомы туберкулёза

Причины заболевания очень разнообразны, при том что оно является очень опасным для организма заболеванием, так как повреждает огромное количество систем человека. Именно поэтому симптомы могут быть разными, что затрудняет определение заболевания.
Выделяют основные симптомы туберкулёза:
- у больного при начале деятельности бактерии начинается сильный и продолжительный сухой кашель. Проявляется он в течение трёх недель, пробуждая больного ночью. С течением времени проявляется кашель с мокротой, а в последствие и с кровью;
- так как при лёгочной форме туберкулёза повреждаются альвеолы, у больного проявляется кровохарканье;
- у больного также начинает повышаться температура на пару градусов выше нормы. Но чаще всего это происходит ближе к вечеру, в течение дня же она остаётся нормальной. Больной также начинает чувствовать слабость, озноб. Продолжается это в течение недели;
- из-за повреждения лёгочной ткани, при физической нагрузке у больного проявляется сильная и частая одышка;
- также при кашле появляются довольно сильные боли в грудной клетке;
- одним из самых наиболее встречающихся симптомов является повышенная потливость, которая чаще всего проявляется ночью;
- больной в общем чувствует себя устало и слабо, также в некоторых случаях происходит потеря веса, которая происходит в короткий срок в значительных размерах.
Другие виды туберкулёза

Кроме наиболее встречающейся лёгочной формы туберкулёза, бывают и другие формы, появлению которых соответствуют свои симптомы.
Туберкулёз нервной системы
При данной форме заболевания происходит повреждения мозговых оболочек, что сопровождается болью в спине, голове, рвота, психозы, нарушения сна и общее недомогание.
Туберкулёз кишечника
Повреждается ЖКТ, из-за чего проявляются следующие симптомы — повышение температуры, у больного проявляется частое вздутие живота и боли, проблемы со стулом, а в каловых массах появляется кровь.
Туберкулёз костей
В этом случае повреждаются суставы и кости конечностей, а также позвоночник. Это сопровождается пониженной прочностью костей, из-за чего бывают переломы. Также сильные боли при движении, общие проблемы с передвижением, нарушение осанки.
Туберкулёз мочеполовой системы
Чаще всего нарушается фильтрационная способность почек, с чем проявляются следующие симптомы: в поясничной области начинаются боли, появление крови в моче, повышение температуры и бесплодие.
Выявление туберкулёза

Приведённые выше симптомы являются следствием уже развитой формы заболевания, при которой лечение происходит намного тяжелее. И дабы не допустить этого, нужно выявить нахождение инфекции в организме как можно раньше.
Основным способом определения наличия возбудителя в организме является проба Манту. Данная проба позволяет запустить череду воспалительных реакций, благодаря которым есть возможность определить наличие возбудителя в организме.
Пробу манту чаще всего делают детям, но она также применяется для тех, у кого повышенный риск заболевания туберкулёзом, а также ВИЧ-инфицированным людям.
Как определить по пробе Манту наличие заболевания
Если папула на месте вакцинации имеет небольшие размеры (4 мм в диаметре для тех, кто уже ставил Манту, и 9 мм для тех, кто не ставил), то возбудителя в организме, как правило, нет.
Если же папула от 5 и до 16 мм для детей (от 10 мм до 20 мм для взрослых), то принято считать, что человек болен.
Но также важно помнить, что реакции на пробу Манту субъективны для каждого организма, поэтому данный тест не всегда может быть точным.
Диагностика рентгенографией
Рентгенография грудной клетки позволяет определить, какую область лёгких поразила палочка Коха, и насколько далеко зашла болезнь. Данный метод принято считать точным, но не стоит основываться на нём одном.
Анализы при диагностике туберкулёза
При диагностике туберкулёза проводятся стандартные тесты мочи и крови, которые позволяют определить наличие белка в моче, а также проявления анемии.
Лечение туберкулёза

Некоторые больные при выявлении у себя туберкулёза думают, что болезнь неизлечима. На самом деле это совсем не так. Лечение проводится в несколько стадий, чем меньше запущена болезнь, тем быстрее и легче её вылечить.
Основой для лечения являются антитуберкулёзные препараты, такие как Рифмапицин, Изониазид и другие. Но важно помнить, что кроме них нужно также соблюдать порядок правил:
- при тяжёлом состоянии больного он должен соблюдать постельный режим;
- при среднем же состоянии больной не должен испытывать стрессов и физических нагрузок;
- также важно отказаться от вредных привычек, таких как курение;
- не употреблять алкоголь;
- тщательной следить за личной гигиеной.
Очень важно производить лечение под тщательным надзором врача. Только он выпишет вам нужные правила лечения, благодаря которым вы справитесь с болезнью.
Профилактика туберкулёза

Важную роль в профилактике туберкулёза играет вакцина БЦЖ, которая состоит из полумиллиона ослабленных тел бацилл туберкулёза. Данная вакцинация проводится на третий день жизни ребёнка, при отсутствии данных противопоказаний: послеродовые травмы, такие как конвульсии у ребёнка, повышенная температура и тяжёлое состояние, повреждения кожи и аллергия.
Данная вакцина позволяет ребёнку выработать иммунитет на первые годы жизни. Повторная вакцинация проводится в семь лет.
Для взрослых же людей, которым не ставят вакцины, существуют свои правила профилактики туберкулёза. Очень важно следить за личной гигиеной, а также быть осторожным при контакте с заражёнными. Не пренебрегать походом в больницу при подозрениях на заболевание, своевременно лечить заболевание, при его выявлении, не запускать его.
Туберкулёз – действительно опасное заболевание. Причин его появления также может быть множество. Не смотря на то, что медицина сейчас очень развита, эпидемии имеют место в мире, заболевание ежегодно забирает множество человеческих жизней. Медицине до сих пор не получается полностью справиться с данной инфекцией.
Наша страна находится на 22 месте по заболеваемости туберкулёзом, что действительно грустно.
Конечно, успехи в лечении туберкулёза огромны, но до сих пор нельзя говорить о победе над заболеванием. Именно поэтому каждому человеку стоить знать о данном заболевании как можно больше. Причины возникновения лёгочной формы туберкулеза, симптомы, последствия и меры предосторожности.
Это действительно поможет избежать заражения или вылечить болезнь, что может помочь сократить численность больных на Земле и победить эпидемию.
medtub.ru
