причины, чем лечить белые язвы
Белую или красную болячку, появившуюся на губе с внутренней или внешней стороны, нужно лечить после грамотной диагностики, так как разновидностей таких образований и причин, по которым они формируются, множество. Нужно обратить внимание на локализацию язвы или пузыря, сопутствующие им симптомы и обязательно проконсультироваться с врачом, поскольку только он может верно определить природу патологии.

Виды болячек на губах и их описание
Разновидностей болячек на губах много, но они вполне легко диагностируются по локализации и внешнему виду. Язвы внутри и снаружи ротовой полости являются симптомами определенных заболеваний. Обычно они сопровождаются болезненными ощущениями, жжением, зудом, дискомфортом.
Наиболее распространенными заболеваниями, при которых образуются язвочки внутри и снаружи губ, являются:
- Многочисленные болезненные зудящие язвы, которые появляются на губах снаружи, свидетельствуют об активизации вируса герпеса. Язвенные герпесные пузырьки могут локализоваться не только внутри ротовой полости, но и на слизистой оболочке носа, коже лица.
- Ранки в уголках рта, расположенные как снаружи, так и внутри, многие называют заедами. Официальное название такого заболевания – ангулярный стоматит.
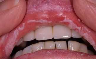
- Белые язвочки и гнойнички на внутренней стороне губы чаще всего указывают на кандидозный или афтозный стоматит. Данное стоматологическое заболевание характеризуется выраженным болевым синдромом, неприятным запахом изо рта, повышенным слюноотделением.
- Поражение наружных кожных покровов губ чешуйчатыми образованиями, при удалении которых образуются кровоточащие ранки, называется хейлитом.
- Язва на внутренней или внешней стороне губы может появиться в результате химического или механического травмирования.
- Болячки на губе, похожие на герпес, могут являться следствием аллергической реакции. Аллергены способны спровоцировать отек и болезненность слизистой оболочки полости рта, возникновение эрозивных поражений и волдырей.
- Трещинки и ранки на наружных покровах и слизистой оболочке губ являются благоприятной средой для размножения патогенных микроорганизмов. В большинстве случаев язвочки появляются из-за инфицирования ранок во рту стафилококками и стрептококками.
Характерные проявления
Болячки на губах могут появиться через некоторое время после проявления иных симптомов вышеперечисленных заболеваний – выраженного болевого синдрома, зуда, жжения, припухлости. При травмировании болячки внутри или снаружи губы во время приема пищи (грубая, острая, горячая еда) боль усиливается и может распространяться на близлежащие ткани.
Язвы внутри и снаружи губ нужно лечить в соответствии с их разновидностью, выявить которую можно по своеобразным симптомам.
| Как называется болезнь | Описание симптомов |
|---|---|
| Ангулярный стоматит | В уголках рта появляются трещинки, покрывающиеся корочкой, которые, отпадая, вызывают болезненные ощущения. При снятии чешуйки открытая ранка быстро преобразуется в язвочку. |
| Кандидозный или афтозный стоматит | При стоматите язвы могут иметь красный или белый оттенок. Иногда они покрыты белесоватым налетом. Болезнь сопровождается резкой болью, отсутствием аппетита, раздражением и покраснением слизистой оболочки полости рта. |
| Герпес или герпетический стоматит | Появлению язв на внутренней и внешней стороне губы, спровоцированных активизацией вируса герпеса, предшествуют зуд, дискомфорт, отечность. Пузырьки могут сливаться. Через некоторое время они лопаются, а на их месте появляется герпетическая язва, покрытая корочкой. |
| Аллергия | Эрозиям, являющимся следствием аллергической реакции, в большинстве случаев предшествуют отечность, зуд, жжение. |
Фото

На фото хейлит

На фото кандидозный стоматит

На фото герпес

На фото афтозный стоматит

На фото ангулярный стоматит

На фото стрептококковый стоматит
Общие причины появления болячек на губах
Язвочки на губах могут быть следствием внутренних патологий или воздействия негативных внешних факторов. Среди наиболее распространенных заболеваний, провоцирующих их возникновение, выделяют нарушения в работе органов ЖКТ, сбои в работе пищеварительной, эндокринной, сердечно-сосудистой систем.
Эрозивные образования снаружи и внутри ротовой полости могут быть следствием сильного ослабления иммунитета или инфекционных заболеваний: ОРВИ, гриппа, ОРЗ. Однако формирование гнойников на внутренней стороне губы может начаться и из-за банальной аллергической реакции.
Язвы на губах могут появиться по причине негативного внешнего воздействия:
- Несоблюдение гигиены полости рта. Попустительское отношение к уходу за зубами и деснами может способствовать распространению патогенной микрофлоры в ротовой полости и развитию воспаления.
- Недостаток витаминов и минералов. Дисбаланс полезных веществ в организме может спровоцировать формирование эрозивных образований во рту. К примеру, нехватка витамина B2 способствует возникновению заед, особенно в детском возрасте.
- Травмы и ожоги. Через микротрещины в кожных покровах и слизистой оболочке губ легко проникают патогенные бактерии, в результате чего ранки воспаляются.
- Причиной появления ранок и эрозий могут стать стрессовые состояния и неврозы.
- Обветривание губ приводит к их сухости и шелушению, что чревато образованием трещин и болячек.
Почему появляются язвочки на губах у ребенка
Болячки на губах у ребенка – явление нередкое. Малыши постоянно тянут в рот игрушки, особенно когда у них прорезываются зубки. Из-за этого они могут легко травмировать слизистую оболочку полости рта.
Лечение вавок во рту у детей – процесс небыстрый. Нужно избегать травмирования и раздражения ранки, которая воспалилась и саднит. Ребенок стремится почесать ее или содрать. Когда в болячку попадает инфекция, она начинает мокнуть и болеть, не заживает долгое время. Малыш становится нервным и капризным.
Язве во рту могут сопутствовать:
- Отек воспаленной области.
- Гиперемия, покраснение пораженных участков.
- Появление гноя, формирование нарыва.
- Пузырьковые вавки, которые могут сливаться воедино и превращаться в крупную язву.
Ранка на внутренней стороне нижней губы у ребенка свидетельствует о развитии стоматита. При данном заболевании ребенок становится раздражительным и капризным, отказывается от еды. Необходимо скорректировать рацион малыша. Еда должна быть мягкой или перетертой, без выраженного вкуса, теплой. Соблюдение этих правил позволит предупредить травмирование язвочки, из-за которого ранка во рту может воспалиться еще сильнее.
Прежде чем начать лечение ребенка на дому, необходимо проконсультироваться у детского стоматолога. Специалист определит природу эрозивного образования на внутренней или внешней стороне губы малыша и назначит оптимальное лечение. Самостоятельные попытки убрать язвочку могут привести к прогрессированию воспаления и развитию серьезных осложнений.
Медикаментозное лечение болячек на губах
Язвы на губах внутри и снаружи нужно лечить под контролем специалиста. Только врач может правильно выявить причину возникновения болячки и назначить максимально эффективное лечение.
Медикаменты подбираются в соответствии с природой эрозивных образований. Если причиной появления болячек стала аллергическая реакция, лечиться нужно антигистаминными препаратами. Для устранения воспалительных процессов назначаются противовоспалительные средства, а также противовирусные, антибактериальные или противогрибковые препараты в зависимости от типа возбудителя.
Устранить боль, снять отек, избавиться от воспаления можно с помощью препаратов местного применения. Болячки на губах проходят быстрее, если использовать лечебные мази, гели, растворы, крема. Бороться с заболеванием помогает:
- Смазывание эрозий мазями с дексаметазоном и ледокаином.
- Полоскание ротовой полости антисептическими растворами.
- Обрабатывание гнойничков мазями с ферментами.
- Прижигание болячек перекисью водорода, Хлоргексидином, раствором Фурацилина.
- Смазывание образований бальзамом (для заживления ранок у детей эффективен бальзам Шостаковского).
- Прикладывание к пораженным участкам компрессов со смесью из Нистатина, витамина В12, Дексаметазона.
Наиболее распространенные препараты, используемые при лечении болячек во рту:
- Ацикловир.
- Зовиракс.
- Мирамистин.
- Метрогил дента.
- Клотримазол.
- Оксолиновая мазь.
Данные препараты позволяют облегчить состояние, вылечить болезнь и устранить ее симптоматику: жжение, зуд, болезненность, стягивание и сухость кожных покровов.
Лечение болячек на губах народными средствами
Медикаментозное лечение язв, которые образовались на внутренней стороне нижней или верхней губы, можно проводить в комплексе с применением народных средств. Однако прежде чем использовать рецепты нетрадиционной медицины, стоит проконсультироваться с врачом.
Ранка заживает быстрее, если использовать следующие народные средства:
- Для скорейшего избавления от болячек применяется пищевая сода. Рецепт приготовления раствора прост: чайная ложка соды разводится в стакане теплой кипяченой воды. Раствор используется для проведения ежедневных полосканий и прикладывания компрессов на пораженные участки.
- Гнойная язва на губе снаружи или изнутри быстро заживет, если смачивать ее соком каланхоэ. Для этого используется свежий, только срезанный лист, разрезанный пополам. Он прикладывается к болячке мокрой частью. Сок каланхоэ эффективно «вытягивает» гной, обезболивает, очищает и заживляет ранку.
- Настоящий «спаситель» от ран и язв во рту – отвар или настойка коры дуба. Средства можно использовать в виде полосканий и компрессов. Вяжущие и дубильные вещества, содержащиеся в коре дерева, позволяют вылечить воспаление, ускоряют заживление. Отвар используется для ежедневных полосканий ротовой полости. Настойка – для примочек, когда берется кусочек ваты или марли, смачивается настоем коры дуба и прикладывается к воспаленному участку.
- Язвенные образования пройдут быстрее, если использовать травяные отвары из цветов ромашки, календулы. Полоскание рта отварами из трав поможет избавиться от воспаления. Указанные растения снимают боль, дезинфицируют пораженный участок. Рецепт приготовления: нужно взять 2 столовые ложки цветов, залить стаканом крутого кипятка, дать настояться 10–15 минут. Остывший отвар надо использовать дважды в день.
Язвочки на губах внутри проходят быстрее, если натирать очаги воспаления природными маслами.
Профилактические меры
Предотвратить возникновение болячек на губах, независимо от причины их возникновения, поможет следующий комплекс профилактических мер:
- Соблюдение правил гигиены. Гигиена полости рта включает обязательную двухразовую чистку зубов и языка, использование зубной нити. Рекомендуется ополаскивать ротовую полость после каждого приема пищи. Личная гигиена включает использование индивидуального полотенца. Посуда и кухонные принадлежности должны содержаться в чистоте.
- Полноценное и рациональное питание. Витамины и минеральные вещества поддерживают иммунитет, усиливают способность организма противостоять инфекционным поражениям.
- Прием витаминно-минеральных комплексов. Нужно постоянно восполнять недостаток в организме необходимых элементов и веществ. Если гнойник уже появился, показано употребление витаминов групп B и E.
- Соблюдение режима труда и отдыха. Необходим полноценный отдых, спокойный крепкий сон, позволяющий восстановить затраченную энергию. Нужно адекватно реагировать на стрессовые ситуации, не допускать возникновения неврозов, нервных срывов. Нормированные физические нагрузки способствуют укреплению иммунитета, дают необходимую энергию, оздоравливают организм.
- Минимальный контакт с зараженными людьми. Нужно минимизировать, а по возможности и вовсе прекратить контактирование с болеющими или недавно перенесшими инфекционные заболевания людьми.
- Регулярные посещения стоматолога. Врач может вовремя выявить и предотвратить развитие многих стоматологических заболеваний.
- Консультации терапевта. Специалист может вовремя выявить и купировать патологии, провоцирующие появление болячек во рту.
Язвочки в области рта – это симптом, причину возникновения которого может выяснить только специалист. Поэтому появление эрозивных образований на внутренней или внешней стороне губы – весомый повод для незамедлительного обращения к стоматологу или терапевту.
stomaget.ru
Болезни губ. Фото, их названия и лечение
В современном мире достаточно часто встречаются заболевания на губах. Они могут возникать на фоне внешних и внутренних провоцирующих факторов.
При появлении первых симптомов заболеваний пациент должен обратиться за помощью к доктору, который сможет правильно поставить диагноз и назначить рациональное лечение.
Причины появления патологий
- Заболевания губ у человека в большинстве случаев наблюдаются при ослабленной иммунной системе человека, которая не справляется с вирусами и бактериями, атакующими организм.
- Если в рационе не хватает витаминов, это может привести к возникновению патологического процесса.
- Губы человека насыщенны нервными окончаниями. При нервном перенапряжении наблюдается переполнение их кровью, что создает неэстетичный внешний вид.
- Болезни губ наблюдаются при частом переохлаждении или перегреве.
- Если у пациента есть аллергические реакции на косметические средства или продукты питания, то на фоне этого могут возникать повреждения.
- Неправильная установка брекетов или виниров создает раздражения кожи, что приводит к возникновению патологического состояния.
- Болезни губ также могут быть вызваны бактериями и грибками.
Для обеспечения адекватного лечения заболеваний на губах необходимо установить их причину.

Развитие хейлитов
Хейлит является доброкачественным воспалительным заболеванием, развивающимся на губах. Патологическое состояние имеет ярко выраженные признаки, что дает возможность его своевременно обнаружить.
Особенности эксфолиативного хейлита
Снижение защитных сил иммунной системы, стрессовая ситуация, а также наличие наследственной предрасположенности и психических нарушений может стать причиной болезни губ.
Если форма болезни сухая, то на кайме губ появляются корочки белого цвета, которые легко снимаются руками. Часто губы краснеют и шелушатся.
Экссудативная форма болезни сопровождается покраснением, жжением и отечностью губ. Большинство пациентов жалуется на появление болезненности. Корки при этой форме болезни имеют серо-желтый цвет.

Терапия болезни должна проводиться с применением успокаивающих лекарств. Для смазывания губ рекомендуется использовать интерферентные средства. С целью снятия корочек — борную кислоту. Большинству больных назначают препараты для повышения реактивности организма, например, Пирогенал.
Особенности актинического хейлита
Данная форма болезни наблюдается при чрезмерной чувствительности к ультрафиолетовому излучению. Если человек длительное время пребывает на солнце, это приводит к обострению заболевания. Симптоматика ярко выражена:
- При появлении этого патологического состояния пациент ощущает сухость губ. Их поверхность краснеет.
- На губах появляются чешуйки и трещины.
- Если терапия болезни проводится несвоевременно, это приводит к появлению эрозий, которые не заживают длительное время.
- У некоторых пациентов диагностировалось появление язв и уплотненных участков.
- Если заболевание протекает в хронической форме, то может привести к предраковому состоянию.
Для устранения хейлита в обязательном порядке необходимо использовать фотозащитные кремы при выходе на улицу. Также больным назначают кортикостероидные мази. Достаточно эффективными в данном случае являются Преднизолоновая мазь, а также Флуцинар.
Для торможения патологического процесса необходим прием витаминов и никотиновой кислоты. При возникновении необходимости рекомендуется применение противомалярийных препаратов, например, Делагила.
Течение атопического хейлита
Атопический хейлит – симптом таких заболеваний, как нейродермит и атопический дерматит. Оно возникает при воздействии на организм человека разнообразных аллергенов – пыльцы растений, бытовой пыли, медикаментозных препаратов, пищевых продуктов, бактерий и микроорганизмов.
При атопическом хейлите кайма губ приобретает ярко-красный оттенок, наблюдается сухость и шелушение кожи. У большинства пациентов диагностируется появление трещин. Некоторые больные жалуются на ощущение жжения и зуда, может сопровождаться болезненностью.

Для устранения заболевания в обязательном порядке выписывают прием противоаллергенных препаратов. Как правило:
- Кларитина
- Супрастина
- Фенкалора.
Для укрепления иммунной системы рекомендуется прием витаминов, которые относятся к группе В. Если болезнь протекает продолжительный период, то необходим прием кортикостероидных мазей. Наносить их на высыпания рекомендуется от 4 до 6 раз в день.
В некоторых случаях пациентам назначают пограничные лучи Букки, которые характеризуются высоким уровнем эффективности.
На период терапии в обязательном порядке из пищи убираются все возможные аллергены. Углеводы должны приниматься больным в ограниченном количестве.
Протекание болезни Фордайса
При появлении заболевания Фордайса на губах увеличиваются сальные железы. По своему внешнему виду становятся на гнойнички. Возникновение патологического процесса достаточно часто наблюдается на фоне гиперплазии сальных желез.

Для лечения кист рекомендуется использовать ретинолсодержащие мази. Чтобы скрыть косметологические дефекты, используют перманентный макияж.
Для удаления застарелых высыпаний должно осуществляться применение лазера, иногда прибегают к криодеструкции или электрокоагуляции. К сожалению, не все средства лечения являются высокоэффективными, поэтому рецидивы наблюдаются у 80% населения.
Рак губ
Раком на губах являются новообразования, которые имеют злокачественный характер. На ранних стадиях болезнь проявляет себя в виде язвочек, которые постоянно кровоточат. По своему внешнему виду они похожи на герпес. Также может наблюдаться появление уплотнений и повышенное слюноотделение.
Внимание! Если при использовании медикаментозных препаратов язвочки не проходят, то пациенту необходимо обратиться за помощью к доктору.
Схема терапии напрямую зависит от степени его развития, а также от клинической картины. В большинстве случаев лечение проводится с применением криотерапии, лучевого метода или оперативного вмешательства. Также пациентам рекомендовано проведение химиотерапии с применением специальных препаратов.
Герпес
Одно из самых распространенных заболеваний на губах. В организме человека наблюдается постоянное присутствие вируса герпеса. Если резко снижаются защитные силы иммунной системы, то заболевание проявляется пузырьками на губах.
При несвоевременном лечении патологии наблюдается регулярное увеличение их количества, затем пузырьки лопаются и на их месте появляются язвочки. В некоторых случаях у пациентов повышается температура тела и наблюдается озноб.
Лечение болезни проводится с применением противовирусной терапии. С этой целью пациентам рекомендуется использовать специальную мазь, например, Ацикловир. Также помогают средства народной медицины — эфирные масла, настой ромашки, облепиховое масло.
Развитие заед
Практически у каждого человека хотя бы раз в жизни наблюдались заеды. Они проявляются в виде трещинок в уголках губ. При несвоевременном лечении возникают эрозии больших размеров. Больные жалуются на появление дискомфорта, болезненности и кровоточивости. Часто становится сложно открывать рот и принимать пищу.
Появление данного патологического процесса часто диагностируется на фоне дефицита витамина В, поражения грибками, стрептококками или стафилококками. Если человеку неправильно подобрали зубной протез, это также может привести к возникновению болезни.

Лечение заед назначается пациенту только после проведения всех обследований. В большинстве случаев с этой целью применяют антибактериальную терапию и противогрибковые препараты.
Для обеспечения максимально эффективного лечения больному необходимо придерживаться диеты — включить авокадо, зеленые овощи, яйца, орехи и свести к минимуму мучные продукты.
Как видите, болезни губ могут быть достаточно разнообразными, но все они характеризуются наличием явно выраженных признаков. При их появлении пациентам необходимо сразу же начинать лечение.
beautimy.ru
Появилась болячка на губе: причины, лечение, фото
Появившаяся болячка на губе обычно доставляет человеку много дискомфорта. Причем место ее локализации может быть разным. Часто такая проблема проходит сама по себе. Но иногда она может не заживать в течение долгого периода, становясь причиной развивающегося воспаления. Чтобы эффективно устранить такую проблему, необходимо установить причину появления болячки в области губ.
Причины
Чаще всего неприятная, болезненная болячка, возникшая в области лица вблизи губ, может появиться вследствие следующих причин:
- заеды;
- герпес;
- стоматит.
Под заедами скрываются небольшие эрозии, которые локализуются в уголках рта. Внешне они напоминают маленькие пузырьки. Они провоцируют появление сильного зуда, тем самым вызывая неприятнейший дискомфорт. Однако ситуация еще больше ухудшается, когда такие пузырьки разрываются, а на их месте начинают образовываться ранки, которые в последующем начинают кровоточить.
Сверху такие ранки затягиваются корочкой, но во время приема пищи либо во время разговора они снова трескаются. Это вызывает сильную боль, еще больше усугубляя ситуацию. Появиться заеды могут по нескольким причинам. Провоцирующим фактором может стать гиповитаминоз, наличие сахарного диабета, протекающая анемия, грибковая инфекция. Из-за таких разных факторов, вызывающих такую проблему, как болячка на губе в углу, диагностика усложняется.
Герпесом является вирусная инфекция, с которой может столкнуться каждый. Особенностью такой болячки является то, что окончательно она не вылечивается, но ее можно держать в пассивном состоянии, не давая недугу возможность активизироваться.
При герпесе появляется высыпание, сопровождающееся зудом. При этом температура тела может немного повышаться, снижается работоспособность, ощущается общая вялость. Причиной появления герпеса может стать:
- воздействие сильного стресса;
- сильное переохлаждение или перегревание организма;
- спад иммунитета;
- перенесенные простуды, которые не были вылечены до конца.
Герпес может передаваться от больного человеку к здоровому и это следует обязательно учитывать. Проявляться такая болячка на губе может два раза в год. И это, в принципе, будет считаться нормой. Но вот если такая болячка на губе не заживает очень долго и дает о себе знать более шести раз за двенадцать месяцев, тогда речь идет о существенном снижении иммунной системы.
Стоматит в некоторых случаях может затрагивать внутреннюю сторону губы. В этом случае заболевание выглядит как язва небольшого размера красного, белого или серого цвета. В этом случае человек испытывает дискомфорт при употреблении пищи и болезненные ощущения во время чистки зубов.
Появиться стоматит может из-за несоблюдения элементарных правил гиены, на фоне сбоя эндокринной системы, из-за механического повреждения слизистой оболочки полости рта, а также из-за заболеваний, связанных с дисфункцией желудочного и кишечного тракта.
Способы лечения
Методика лечения такой проблемы, как болячка на губе, будет зависеть от того, какая основная причина спровоцировала эту проблему. Если речь идет о заедах, тогда придется соблюдать определенные рекомендации:
- Нельзя часто облизывать губы, поддерживая тем самым влажность.
- Надо будет отказаться от такой вредной привычки, как курение.
- Из рациона нужно исключить все кислое, острое.
В течение дня такую болячку трижды следует обрабатывать Фукорцином либо маслом чайного дерева. Если заеды появились на фоне вирусной инфекции, тогда врач может прописать такие мази, как Ацикловир или Герпевир. А вот при грибковом поражении назначаются такие препараты, как Стоматидин, Клотримазол. Устранить инфекцию бактериального характера поможет Тримистин, Тетрациклин. Также к лечению обязательно подключается прием витамина E и Аскорутин.
Лечение гереса будет зависеть от регулярности такого высыпания. Если болячка появляется раз в год, тогда можно воспользоваться рецептами народной медицины. А вот при более частых случаях назначается медикаментозная терапия. Как только при герпесе появляется самый первый зуд, область поражения необходимо смазать соком каланхоэ, чесночным концентратом либо маслом чайного дерева. Если народные рецепты не дают нужного результата, тогда можно воспользоваться такими лекарственными препаратами, как Валтрекс, Ацикловир, Теброфен.
Стоматит на внутренней стороне губы нужно обрабатывать Фурацилином. Повторять такую процедуру следует дважды в сутки. Также утром и вечером полость рта рекомендуется полоскать ромашковым отваром либо календулой.
Когда появляется болячка на губе после стоматолога либо на фоне авитаминоза, необходимо в любом случае показаться врачу. Эффективность и результативность лечения будет зависеть от правильной постановки диагноза.
infektsii.com
Болячка на губе. 14 причин возникновения. Чем лечить ранки и язвочки
Здравствуйте, дорогие читатели. Губы являются весьма уязвимой частью тела человека. Поэтому возникновение здесь повреждений и высыпаний явление нередкое. Появление на губах симптомов какого-либо заболевания вызывает дискомфорт и болезненные ощущения. Да и визуально привлекательными эти образования никак не назовешь. Но нельзя воспринимать появление болячки на губах как досадную неприятность. В первую очередь это сигнал о наличии проблем со здоровьем, который нельзя оставлять без внимания. Поэтому нужно незамедлительно приступить к выявлению причин появления повреждений и к лечению болезни. Повреждения могут появляться на поверхности губ, в их уголках или на внутренней части. Это могут быть трещинки, вздутия, мелкие язвы, высыпания.
Болячка на губе — причины возникновения
Данный перечень является неполным. Есть и другие, менее распространенные, причины появления на губах болячек, например, ощутимое снижение уровня гемоглобина у женщин.
Вот возможные причины их возникновения:
— Травмирование кожи или слизистой поверхности (к примеру, заостренным предметом, ногтем, щеткой во время чистки зубов), химический либо термический ожог, обветривание.
— Повреждения из-за привычки облизывать губы.
— Злоупотребление сладким.
— Безответственное отношение к правилам гигиены полости рта и стоматологические проблемы.
— Нехватка В-витаминов и некоторых других соединений (железо, фолиевая кислота и др.).
— Сбои в обменных процессах.
— Кишечно-желудочные заболевания (гастрит, дуоденит, колит) и проблемы с эндокринной системой.
— Токсичное воздействие на организм.
— Снижение иммунной защиты, в том числе и в результате лечения некоторыми препаратами (антибиотики, кортикостероиды, цитостатики).
— Реагирование организма аллергического характера.
— Стресс может сказываться на состоянии здоровья достаточно неожиданно, в том числе и появлением язвочек на губах.
Если возникла болячка на губе — что это? Симптомы
Болячка на губе — это может быть одним из симптомов развития какого-то заболевания.
Чаще всего эти повреждения связаны:
— Со стоматитом.
— С заедой (ангулярный стоматит).
— С герпесом.
Заеды
Повреждения локализуются по углам рта. Они могут появляться вследствие пересыхания и истончения кожных покровов, например, из-за частого смачивания слюной и других факторов.
Все начинается с растрескивания кожи или появления вздутия, затем образуются язвы, которые покрываются коркой или белесоватым налетом.
При разговоре или принятии пищи возникают болевые ощущения в поврежденных местах. Причиной появления заед (ангул) может быть как дрожжевой грибок Кандида, так и стрептококковые поражения.

Часто заболевание появляется у детей, а также больных диабетом. Оно может иметь хронический характер.
Нехватка вит. В2 и неправильный прикус, при котором складки в углах рта очень глубоки (характерно для пожилого возраста и при утрате зубов), благоприятствует появлению заед.
Стоматит
Это заболевание поражает слизистую поверхность внутри рта, его уголки, а также внутренние части губ. Характеризуется оно появлением белесых, желтоватых или сероватых язвенных образований.
При этом наблюдаются отеки слизистой в полости рта, повышение слюноотделения, кровоточивость десен.
Все это сопровождается болью и снижением аппетита. Может быть жар. Механизм развития стоматита до конца выявить не удалось.
Среди возможных причин его появления называют иммунологические реакции, в том числе аллергии, вирусное поражение (везикулярный стоматит), недостаточный или чрезмерный уход за зубами и ротовой полостью, наличие проблем с органами пищеварения, вредные привычки, глистные инвазии, авитаминоз, обезвоживание.
Герпес
Сперва возникает неприятное ощущение в одной или нескольких точках на губах. Появляется зуд, жжение, чувство распирания, достаточно сильные болевые ощущения. Возможно покраснение и воспаление пораженного участка.
Через некоторое время (3-4 дня) появляется болезненная мокрая язвочка, накрытая желтоватой или беловатой коркой.
Болезнь может прогрессировать: ранка расползается в стороны, появляются новые язвы, которые могут сходиться в одну.
Герпес — самая распространенная причина появления болячек на губах. Ему подвержены и дети, и взрослые. Поражения могут затрагивать не только губную поверхность.
Характерные образования могут появляться также в области носа и просто на коже лица. Герпетическое поражение может стать толчком для развития стоматита или заед.
Данное заболевание имеет вирусное происхождение. Вирус герпеса постоянно присутствует в теле человека, но активизируется при определенном стечении благоприятных для него обстоятельств.
Как правило, импульсом для этого служит ослабление иммунной защиты. Ранки нередко появляются при респираторных заболеваниях, поэтому их в народе называют «простудой».

Также причиной возникновения герпеса на губах может стать курс лечения, чаще всего антибиотиками.
Болячка на губе. Чем лечить ранки и язвочки
Чтобы быстро вылечить болячку на губе или внутри рта и избежать рецидивов (повторного появления вскоре после излечения), действовать нужно при обнаружении первых признаков ее возникновения.
Не стоит пренебрегать врачебной консультацией и медикаментозными средствами. В случае появления болячек во рту и на губах нужно обращаться к терапевту или стоматологу.
Грамотное комбинирование традиционного подхода и средств народной медицины будет залогом быстрого выздоровления.
Чтобы лечение было действенным, нужно придерживаться следующих рекомендаций.
Необходимо помнить о личной гигиене и старательно придерживаться ее норм.
Из пищи следует исключить все жареное, соленое, острое и жирное. Специи тоже желательно отложить в сторону. Нужно всячески избегать раздражения слизистых поверхностей во рту (при стоматите) и язв непосредственно.
Зудящие повреждения нельзя расчесывать. Можно попробовать унять зуд, используя местное охлаждение или осторожное поглаживание прилегающих областей. Снимать корку с ранок не следует.
Не нужно ждать, что все само пройдет. Надо проводить лечение заболевания, вызвавшего появление болячек. Также нельзя исключать возможность подхватить вторичную инфекцию, например, стоматит при герпесе.
Если болячка на губе мокреет, то для того, чтобы подсушить ранку и ускорить ее заживление, используют стрептоцидовую мазь, которая обладает сильным противомикробным действием. Или можно взять истолченную в порошок таблетку стрептоцида и ею присыпать язву.
Во время лечения нужно поддерживать организм, активизируя и укрепляя его защитные механизмы. Рекомендованы поливитаминные средства и иммуностимулирующие приемы.
Как и всегда, комплексный подход поможет поскорее избавиться от возникшей проблемы, предупредит развитие острой формы болезни, предотвратит возможность появления различных осложнений.
Лечение заеды
Лечение заеды проводится в зависимости от причины, которая вызвала ее появление. Если эрозия кожных покровов вызвана грибковым поражением, то назначаются противомикотические мази (на основе нистатина и леворина).
При стрептококковой природе заед они обрабатываются средствами антибиотической направленности (метилурациловая мазь, камистад, левомиколь).
Чтобы ранки не появились повторно, врачи советуют не прекращать лечение после исчезновения симптомов еще дней десять.
Рекомендуется обрабатывать зону вокруг заед дезинфицирующими средствами. Для умягчения пораженных участков используют растительные масла: оливковое, облепиховое, чайного дерева, шиповника.
Они также обладают успокаивающим и противовоспалительным действием. Масло не должно быть холодным. Хорошие результаты дает использование прополисовой мази.
Ее готовят из натурального сливочного масла и прополиса (10:1), продержав смесь на водяной бане порядка 10 мин и дав ей затем настояться пару дней в прохладном темном месте.
Полученным средством смазывают пораженные участки по несколько раз на день. Осторожно! На прополис может быть аллергия.
Лечение стоматита
Назначение лечения стоматита также определяется его разновидностью. Легкая форма заболевания может пройти сама собой.
Неправильный подход в лечении болезни способен привести к осложнениям и распространению инфекции на весь организм.
Во время лечения стоматита следует придерживаться щадящего диетического рациона. Ротовую полость нужно регулярно полоскать.
Для этого используются антисептические растворы, ополаскиватели для полости рта, разбавленные спиртовые и водные настойки антибактериальной направленности.
Хорошо зарекомендовало также применение полосканий, приготовленных самостоятельно на основе отваров зверобоя, цветков ромашки и календулы. Сюда можно добавлять пищевую соду.
При поражении губ делают примочки из целебных отваров с добавлением борной кислоты. При сильной болезненности назначают средства, дающие местный анестетический эффект (например, камистад).
Составы на основе спирта следует использовать с осторожностью, чтобы не вызвать ожоги слизистой.
Лечение герпеса
Необходимо отметить, что поражение вирусом герпеса может передаваться как при непосредственном контакте с больным, так и опосредованно (через предметы), а также капельно-воздушным способом.
Вирус попадает в тело через слизистые оболочки (рот, дыхательные ходы, половые органы). На сегодня нет эффективного средства избавления от этого заболевания.
Поэтому лечение сводится к профилактическим мерам, снятию симптомов, угнетению активности патогена.
Рекомендуемые медикаменты:
— Тубосан (изофон, кристафон)– иммуностимулирующие капсулы.
— Ацикловир (зовиракс, виролекс, ацивир, герперакс) и его производные – эффективное противовирусное средство, выпускается в виде мази, таблеток или инъекционной жидкости.
— Оксолиновая мазь – антивирусное наружное средство.
— Тетрациклин – антибиотик широкого спектра.
— Тромантадин – гель для наружного применения противовирусного действия.
— Мирамистин – дезинфицирующий раствор, который не всасывается через поверхность кожи или слизистые при точечном применении.
— Флуцинар – гель для лечения воспалений на коже неинфекционного характера.
Для избавления от проявлений герпеса можно использовать примочки из ромашкового отвара или настоя из березовых почек.
Натуральные масла, особенно лавандовое и эвкалиптовое, позволяют снять воспаление, убрать сухость и ускорить выздоровление.
Что делать, если появилась болячка на губе — народные средства
Сок подорожника. Эрозии и трещины можно смазывать соком подорожника. Эффективным, но несколько болезненным, будет применение выжимки из чеснока.
Огуречный сок. Увлажняющее и успокаивающее действие оказывает огуречный сок, которым нужно многократно смазывать губы в течение дня.
Свежее яблоко. Свежее яблочное пюре поможет прижечь имеющиеся язвы, но при этом увлажнит прилегающие неповрежденные участки кожи.
Трава череда. Широко известно лечебное действие череды. Ее отвар используют в качестве примочек. А можно сделать ванночку, опуская на некоторое время губы в емкость с теплым настоем череды.

Сок чистотела. Неплохой результат дает также смазывание ранок соком чистотела. Можно использовать также и отвар из этого целебного растения.
Витамины. Не следует забывать и о необходимости получать усиленную дозу натуральных витаминов, макро- и микроэлементов (овощи, соки, ягоды, фрукты, зелень).
Особенности лечения детей
При лечении болячек на губах у ребенка используются те же принципы, что и для взрослых. Изменяется только дозировка некоторых препаратов.
Заживление ранок – процесс достаточно длительный. Особенно когда речь идет о малышах. Кроме того, есть опасность слизывания мази, предназначенной исключительно для наружного использования. А эти зудящие вздутия, которые нельзя чесать!
Малыш не может нормально спать, есть, он становится беспокойным и капризным. По возможности, следует использовать обезболивающие и снимающие зуд составы.
Также особое внимание (и осторожность) нужно уделять гигиеническим процедурам. В ранки не должна попасть инфекция, иначе может произойти нагноение. Не все заболевания, при которых появляется болячка на губе, заразны.
Но стоит принять меры, чтобы, в случае инфекционной природы болезни, ее не подхватили другие дети, имеющиеся в доме, а также сами родители.
При стоматите негрибкового происхождения удобно использовать различные леденцы, желательно аптечные, с лечебным эффектом. Они активизируют продуцирование слюны, что улучшает смазывание ею ранок во рту и на губах.
Как известно, в слюне содержатся естественные бактерицидные вещества, которые ускорят процесс заживления. Кроме этого, рассасывание леденцов отвлечет малыша от неприятных ощущений и поможет успокоиться.
Антисептическим действием славится также мед. Но это вкусное лекарство можно использовать только в тех случаях, если у ребенка отсутствует аллергия на пчеловодческие продукты.
Все применяемые аптечные средства не должны быть противопоказаны детям. Нельзя исключать возможность индивидуальной непереносимости некоторых лекарств и бурного развития побочных эффектов.
В этом случае требуется незамедлительное прекращение приема препарата или использования мази либо полоскания и обращение за врачебной консультацией.
Профилактические меры
Для того чтобы предупредить появление болячек на губах, нужно придерживаться гигиенических требований и ограничить контакты с больными.
Нужно помнить, что не только некачественный, но и слишком тщательный уход за полостью рта может вызвать ненужные повреждения, в которые может попасть инфекция.
Должное внимание нужно уделять общему укреплению здоровья и активизации иммунной защиты.
Особенно в период принятия антибиотиков и при наличии хронических инфекционных заболеваний.
Сбалансированное питание играет также далеко не последнюю роль.
Активный, здоровый образ жизни и избавление от различных вредных зависимостей тоже важен в комплексе профилактически мер.
Причиной появления болячек на губах могут стать косметические средства. Поэтому ни в коем случае не стоит использовать низкокачественные или сомнительные средства по уходу за лицом, а также элементы декоративной косметики.
А в период лечения лучше вовсе отказаться от наложения макияжа, хотя бы на пораженные участки.
Читайте на блоге интересные статьи:
Как избавиться от заедов. Что делать если трескаются уголки губ.
Симптомы и причины герпеса на губах.
Почему заеды в уголках рта.
Чем мазать и как лечить герпес на губах. Быстрое лечение в домашних условиях.
Чем лечить герпес на губах.
Автор статьи Анжелика Молчанова,
медицинский консультант.
Прием всех препаратов согласуйте с лечащим врачом.
Берегите себя и свое здоровье. Будьте здоровы!
narodnayamedicina.com
Болячка на губе. Виды и как лечить?
Болезненные проявления, выступающие на губах, беспокоят многих жителей нашей страны. Болячка на губе может проявляться в разных вариантах, и причины ее появления могут отличаться. В большинстве случаев так проявляются заеды, герпес, стоматит, хотя возможны и другие причины такого негативного нароста. Рассмотрим, какие симптомы говорят о надвигающейся болезни, как проводится само лечение, возможно ли проведение профилактики.
В чем основная проблема?
Причин появления заболеваний масса, но пальму первенства среди всех существующих вариантов занимает герпес. Вирус находится в организме каждого человека, проявиться может в любое время, особенно когда для него создаются благоприятные условия. Подвержены ему как взрослые люди, так и дети. Если лечение заболевания было начато своевременно, избавиться от него будет проще, чем от осложнений, которые могут возникнуть в результате.
Что является причиной появления болезни?
Есть несколько основных причин, из-за которых может наблюдаться само заболевание. Рассмотрим основные из них:
- Недостаток в организме минералов либо витаминов, относящихся к группе В. Для того, чтобы насытить организм недостающими элементами, необходимо употреблять отруби, рис, капусту, авокадо, листовые овощи.
- Часто ранки появляются из-за проблем гигиены ротовой полости, а также отказа посещать стоматолога.
- Появляются язвочки из-за большого количества употребления сладких продуктов, а также постоянного облизывания или обветривания губ.
- Нервы, перенапряжение, масса негативных эмоций не лучшим образом могут сказаться на внешности, в результате чего появятся ранки и другие болезни на губах.
- Проблемы с обменом веществ. Чаще всего проявления на губах возникают из-за заболеваний желудочно-кишечного тракта.
- Нехватка железа в организме. Для решения проблемы необходимо тщательно пересмотреть и распланировать свой дневной рацион.
- Предметы гигиены, которые используются всеми членами семьи – посуда, полотенца. Они могут быть переносчиками инфекции.
- Аллергия, непереносимость прямых солнечных лучей, низкий уровень гемоглобина в крови.
- Наличие кишечной палочки в организме. На губах язвочки могут возникать в случае, когда в организме идет большое скопление токсинов. Как итог – боль и ранки на нежной коже.

Рекомендуем почитать: Ламинирование ресниц: что говорят отзывы?
Какие виды ран бывают?
Болячки на губах различаются по определенным признакам. Основными проявлениями бывают заеды, герпес, стоматит. Необходимо точно знать, какая болезнь настигла вас для того, чтобы своевременно начать ее лечение и полностью искоренить негативное проявление.
- Что такое заеды? Это небольшие трещины, возникающие в уголках губ. На губы полностью болезнь не переходит. Чаще всего встречается у детей. Первопричина проявления болезни – недостаточное количество в организме человека витамина B2. За счет его нехватки будут пересыхать и трескаться кожные покровы, в результате чего на губах появятся ранки, которые сопровождаются болезненными ощущениями.
- Герпес. Его часто путают с простудой, однако развитие этого вируса происходит из-за появления стоматита и заед. Отличить заболевание просто, ведь на губах появляются небольшие пузыри, которые после видоизменяются, становятся похожими на язвы. Локализация и проявление возможно не только на внешней стороне губы, но еще и внутри ротовой полости. Болезнь может также поражать слизистую носа.
- Стоматит. Это болезнь, при которой происходит поражение слизистой оболочки рта, а по внутренней стороне щек, на губах начинают образовываться легкие гнойнички. Болезни является весьма неприятной, поскольку со временем ранки начинают кровоточить, вызывают массу неприятных симптомов.
Существует несколько разновидностей болезни. Стоматит бывает аллергический, афтозный, грибковый, герпетический. Исходя из того, какова этиология заболевания, будет выбираться оптимальный вариант проведения лечения. Отметим, что герпес и стоматит отличаются. Дело в том, что во время стоматита пузырек будет единичным, а не в виде скоплений, как это бывает при герпесе. Размера стоматита больше тех бугорков, которые наблюдается во время заболевания герпесом. Поэтому если на губе болячка возникла совсем неожиданно, внимательно рассмотрите ее для того, чтобы определить, какое именно заболевание проявилось на губах.
Каковы симптомы герпеса?
- Без видимых на то причин начинается жжение, а также зуд на губе.
- Кожа начинает краснеть, нарастает воспалительный процесс.
- Место, которое ранее чесалось, начинает покрываться небольшими волдырями. Чаще всего это наблюдается спустя несколько дней после появления первых симптомов. Волдыри могут отличаться по диаметру, и чем больше они становятся, тем больше дискомфорта вызывают.
- Спустя 4 дня пузырьки начинают лопаться, на месте, где они были, получаются раны, покрывающиеся плотной коркой. Если лечить проявление правильно, то спустя неделю оно полностью отступит. Если остались факторы, провоцирующие развитие болезни, скоро она повторно напомнить о себе.

Рекомендуем почитать: Пухлые губы: как сделать себя сексуальнее?
Как предотвратить появление болезни?
Проводить профилактику и своевременно посещать докторов. Чаще всего склонности и предпосылки проявления заболевания определяют следующие исследования:
- Проведение осмотра у стоматолога. Он сможет узнать необходимую информацию об имеющихся вредных привычках, аллергии, а также медикаментах, которые были приняты пациентом.
- Проводится полное исследование кожи лица, ротовой полости рта, зубов, лимфоузлов.
- Необходимо провести как цитологический, так и бактериальный анализ ранок.
- Дополнительно проводится иммунологические и серологические исследования. Кроме этого может помочь посещения прочих специалистов – дерматолога, косметолога.
Как вылечить недуг?
Стандартное лечение можно разделить на традиционное и нетрадиционное. К традиционному относятся препараты, которые реализуются в аптеках. Они помогают исключить развитие язвочек, если заболевание уже проявило себя, помогут быстро его искоренить. Популярностью пользуются такие препараты: Мирамистин, Тетрациклин, оксолиновая мазь, Зовиракс, Ацикловир, Герпферон.
Использование препарата весьма простое – необходимо нанести его на участки кожи, которые были повреждены. Для максимально быстрого выздоровления нужно использовать мазь как можно чаще. Медикаменты помогают устранить имеющиеся неприятные симптомы, такие как боль, зуд и жжение.
С целью экономии средств, а также для получения максимального результата во время лечения можно прибегать к известным рецептам, относящимся к народной медицине. Перед их использованием нужно убедиться, что на компоненты нет аллергии, и ситуация не будет ухудшаться из-за непереносимости некоторых веществ.
Популярные народные рецепты
- Необходимо как можно чаще смазывать появившиеся ранки соком подорожника, чеснока.
- Хорошим средством для лечения становится ушная сера, поскольку она обладает заживляющим эффектом.
- Используется рыбий жир для обработки поврежденных участков кожи.
- Хорошим свойством обладает огуречный сок. Им необходимо несколько раз на протяжении дня протирать раны.
- Можно проварить на молоке яблоко, натереть его на терке и накладывать маску на кожу губ.
- Хорошо действует масло льна, авокадо, шиповника.
- Можно протирать поврежденные участки губ отваром из чистотела, череды, шалфея, ромашки.
Профилактика появления заболевания – употребление аскорбиновой кислоты, витамина C, комплекса «Аевит».

Рекомендуем почитать: Пирсинг губы. Можно ли проколоть губу в домашних условиях?
Что стоит знать о профилактике?
Даже такое негативное проявление, как ранки на губах, можно избежать, если придерживаться определенного свода правил. Нижеуказанные рекомендации минимизируют вероятность проявления заболевания:
- Внимательно относитесь к людям, с которыми вы тесно общаетесь. Возможно, ими недавно было перенесено вирусное заболевание. Актуален вопрос для маленьких детей, которые не в состоянии противостоять вирусам и бактериям, ведь они имеют слабый иммунитет.
- Необходимо пересмотреть рацион питания, должное внимание уделять физической активности.
- Если предстоит первый половой контакт с новым партнером, важно быть максимально осторожным, поскольку вирус герпеса передается половым путем.
- Болезни, возникающие дополнительно с герпесом, нельзя откладывать на потом. Они могут стать предпосылкой его дальнейшего развития. Необходимо как можно быстрее обратиться за медицинской помощью.
- Постарайтесь сделать так, чтобы каждый член семьи имел свое полотенце. Оно используется после приема ванны либо душа, полотенце другого человека брать нельзя. Посуда, кухонные предметы должны полностью обрабатываться от микробов и тщательно мыться, чтобы бактерии не распространялись.
Остерегаться вируса не стоит только в случае, если было проведено современное лечение, и осложнений не было. Если пытаться вылечить болезнь самостоятельно, то заметно увеличатся шансы возникновения дополнительных патологий, на решение и искоренение которых придется потратить намного больше времени.
Сократить время на лечение можно только одним способом – если правильно определить вирус, который стал возбудителем болезни. Встречаются случаи, когда проводится лечение без посещения доктора, а после оказывается, что препараты были подобраны неверно. В этом случае организм получает определенную нагрузку, ведь используются средства, которые не дали должного эффекта. Болезнь в это время может прогрессировать, продолжится быстрое ее развитие. Специалисты советуют при малейших подозрениях на такой недуг обращаться за помощью в клиники – там смогут определить оптимальный вариант искоренения проявления, а также его негативных симптомов.
Помните, что ранки и язвы на губах – проблема не только биологическая, но еще и эстетическая. Особенно она актуальна для представительниц прекрасного пола. Отсутствует возможность хорошо накрасить губы, сделать отменный макияж. Ситуация осложняется в канун важных мероприятий, к которым была длительная подготовка.
Необходимо иметь в виду, что многие люди сознательно минимизируют общение с человеком, у которого на губах есть выступы герпеса. Это вполне нормальная защитная реакция человека на раздражители, которые могут повлиять на него извне. Не стоит стесняться, желательно просто находиться отдаленно от такого человека, исключить с ним контакт. Это самый простой способ уберечь себя.
Проще проводить профилактику, чем лечить болезнь. Если проблема дала о себе знать, то желательно взяться за ее решение на первых этапах, когда на губе только появилось покраснение. Тогда недуг отступит намного быстрее, не придется переживать дискомфорт при лечении.
beautimy.ru
виды, причины, лечение и фото, симптомы, разновидности
Не все знают про существование такого заболевания, как хейлит, но оно встречается в течение жизни практически у каждого.
Чтобы своевременно оказать меры по лечению, необходимо выяснить причины и симптомы разных видов воспалительного процесса на губах.
Что за напасть такая?
Хейлит – это заболевание, характеризующееся воспалительным процессом на губах. Оно встречается довольно часто, так как губы по своей природе подвержены влиянию внешних факторов. Эта часть лица не имеет защитного слоя. Из-за погодных условий, особенно низкой температуры, кожа сильно сушится, может трескаться и шелушиться. Все это способствует развитию воспаления.
Использование косметических средств и неправильная гигиена также могут стать причиной развития заболевания, которому в равной степени подвержены мужчины и женщины, зафиксированы случаи возникновения симптомов болезни у детей.
Хейлит может быть как самостоятельным заболеванием, так и симптомом более серьезного. Но в любом случае к его лечению следует подходить серьезно, так как частое повреждение эпителия губ может спровоцировать развитие опухолевых клеток, в том числе и злокачественного характера.
Существует большое количество различных форм заболевания, рассмотрим основные из них.
Контактный аллергический — присмотритесь к вашим губам
Возникновение контактного аллергического хейлита на губах связано с воздействием химических веществ на поверхность губ.
Наиболее частыми реагентами являются зубная паста, губная помада, материал, из которого изготовлен зубной протез. Наибольшее распространение болезни замечено у женщин старше 20 лет.
Симптомы заболевания локализуются в месте соприкосновения аллергена с губами, покраснение может появиться не только на красной кайме, но также на коже вокруг губ или на слизистой оболочке. Эта форма хейлита проявляется эритемой, появлением мелких водянистых пузырьков. При отсутствии лечения кожа сушится, появляются мелкие бороздки и трещинки.
В ходе лечения бывает непросто выявить источник аллергической реакции. Для устранения симптомов назначают курс антигистаминных препаратов, таких как Тавегил, Супрастин, Фенкарол.
Для местного воздействия прописывают кортикостероиды в форме мази, например, Лоринден. Его наносят на красную кайму губ не чаще 6 раз в день.
Метеорологический — все в имени моем
Причинами возникновения метеорологического хейлита на губах являются погодные условия. Чем более выраженные условия окружающей среды, тем выше риск появления симптомов этой формы болезни.
К негативным факторам относят: слишком низкую или высокую температуру, повышенную или пониженную влажность воздуха, солнечную радиацию, ветер, запыленность воздуха.
Этой форме болезни подвержены все люди, проводящие много времени на свежем воздухе, но страдают от нее чаще мужчины, так как женщины, используя губную помаду, защищают губы от воздействия климатических условий.
Первыми признаками метеорологического хейлита является выраженная сухость нижней губы, чувство стягивания кожи. Нижняя губа становится насыщенно красного цвета, видна заметная разница по сравнению с верхней, появляется отечность.
После этого кожа постепенно отмирает, образуются чешуйки, которые легко снимаются.
Заболевание носит хронический характер, поэтому время от времени симптомы повторяются.
Метеорологический хейлит нередко путают с другими формами заболевания, поэтому перед постановкой диагноза врач проводит тщательный опрос. Для лечения необходимо, насколько возможно, сократить влияние природных условий.
Перед выходом на улицу обязательно использовать гигиеническую помаду. При затяжной форме назначают гормональные мази Элоком, Адвантан и комплекс витаминов.
Атопический хейлит
На фото атопический хейлит у ребенка
Возникает в случае атопического дерматита или нейродермита, часто заболевание является единственным симптомом упомянутых болезней.
Часто причиной является наличие атонической аллергии, вызываемой реакцией на продукты питания, косметические средства, пыль, лекарства, микроорганизмы. Воспалительному процессу такого типа подвержены дети в возрасте от 7 до 17 лет независимо от пола с генетической предрасположенностью.
Симптомами заболевания является слабовыраженная отечность каймы губ, жжение и зуд в этой области, повышенная сухость.
Впоследствии губы и прилегающая часть кожи начинают шелушиться, появляются чешуйки ороговевшей кожи. Данный вид хейлита характеризуется интенсивным поражением в районе уголков губ, а также повышенной сухостью лица. Болезнь лечится долго, симптомы ярко выражены осенью и зимой.
Пациентам назначают антигистаминные препараты, например, Эриус, Тавегил, Кларитин и витамины группы В. Допускается введение кортикостероидных препаратов в случае затяжной формы заболевания, но курс лечения ими не должен превышать трех недель. Для местного лечения могут прописать мази Флуцинар, Лоринден.
Обязательным условием является соблюдение диеты, в соответствии с которой необходимо исключить выраженные аллергены, такие как кофе, шоколад, цитрусовые, клубнику.
Рекомендуется отказаться от сильно соленой, острой, сладкой и кислой пищи, сократить потребление углеводов.
Гландулярный чаще бьет по мужчинам
Причиной воспаления преимущественно нижней губы при грандулярном хейлите является гиперплазия, гиперфункция или гетеротопия мелких слюнных желез.
Различают первичную и вторичную формы заболевания, первая связана с генетической патологией слюнных желез, а вторая развивается на почве других заболеваний, например, при красной волчанке, лейкоплакии, красном плоском лишае.
Болезни подвержены люди старше 50 лет, у мужчин он встречается гораздо чаще, чем у женщин.
Симптомы заболевания проявляются в области расположения мелких слюнных желез, при переходе красной каймы губы в слизистую оболочку. На слюнных железах образуются капельки, которые смачивают преимущественно нижнюю губу. Из-за чрезмерного слюноотделения она начинает сохнуть, могут образоваться трещинки и эрозии.
В некоторых случаях в слюнные железы может попасть инфекция, в результате чего внутри будет скапливаться гной. На губах появится желто-коричневая корка, лечение будет затяжным. Длительное протекание грандулярного хейлита может привести к предраковой форме.
Если заболевание вызвано генетической предрасположенностью, то при лечении применяют противовоспалительные мази: Гидрокортизоновую, Преднизолоновую. Гипертрофированные слюнные железы подвергают иссечению или электрокоагуляции. Вторичную форму нарушения возможно вылечить в комплексной терапии основного заболевания.
Эксфолиативный — где искать его причины?
Эксфолиативный хейлит пока не изучен в полной мере, поэтому врачи только предполагают то, что причины появления симптомов кроются в нейрогенных факторах.
Больные этой формой нарушения характеризуются наличием психических расстройств. Существует две разновидности заболевания: сухая и экссудативная.
При первой — больным свойственны депрессии, при второй – повышенная тревожность. Ученые отмечают, что риск патологии увеличивается у людей с генетической предрасположенностью и заболеваниями щитовидной железы.
Процесс локализован, симптомы проявляются только на красной кайме губ, при этом не переходят на кожу и слизистую оболочку. При сухой форме нарушается кровоснабжение поверхности губ, в результате чего образуются сухие чешуйки серого цвета, которые напоминают слюду.
В центре они прикреплены к коже губ, а по краям немного отстают.Чешуйки легко снять с поверхности, на их месте останется покраснение, но уже через неделю появятся новые.
На фото сухая форма эксфолиативного хейлита на губах
Гораздо более болезненно протекает экссудативная форма. Область каймы губ отекает, воспаляется, чешуйкам свойственен желто-коричневый цвет. Корочка настолько выраженная, что кажется будто она распространена по всей красной части губ. Когда корочки отваливаются, становится видно насыщенную красноту, связанную с гиперемией губ, но при этом кожный покров не подвергается эрозии.
Больные жалуются на сильные боли и жжения, в результате чего сложно кушать и разговаривать. Часто при этой форме рот оставляют приоткрытым.
При лечении эксфолиативного хейлита необходимо сначала устранить причину заболевания. Больным назначаются транквилизаторы, нейролептики или антидепрессанты в зависимости от формы заболевания.
Для местного лечения используют гигиенические губные помады, ультразвуковое введение гормональных препаратов, лучевую терапию. В комплексной терапии назначают Пирогенал, витамины С и группы В, иммуностимуляторы, аутогемотерапию.
Воспаление губ, вызванное ультрафиолетом
Актинический хейлит – это воспалительное заболевание губ, вызванное повышенной чувствительностью к ультрафиолетовому излучению. Это одно из проявлений аллергической реакции. Чаще всего заболевание проявляется у детей из-за длительного нахождения на солнце в весенне-летний период.
Также эта форма встречается у мужчин 30-60 лет. Заболевание имеет выраженный сезонный характер, весной и летом обостряется, а в осенне-зимний период симптомы исчезают.
Встречается в двух формах: 
- Сухая форма напоминает по симптомам сухой эксфолиативный хейлит, только проявляется заболевание на нижней губе.
- При экссудативной форме наблюдается отечность красной каймы нижней губы, некоторые участки становятся выражено красными. В особых случаях на губах появляются пузырьки, которые со временем лопаются и покрываются сухой коркой. В ходе лечения эпителий восстанавливается, и корочка отпадает.
В особо запущенных случаях губы сильно сохнут, появляются глубокие трещинки, которые могут перерасти в язвочки или бородавки. Такая форма опасна с точки зрения риска развития рака нижней губы.
Люди, подверженные влиянию ультрафиолета, должны избегать прямого попадания солнечных лучей и пользоваться гигиеническими помадами с высоким уровнем защиты от УФ. Курс лечения включает комплекс витаминов и противовоспалительные мази Афлодерм, Синодерм. В период ремиссии рекомендуется использовать защитные крема и бальзамы в профилактических целях.
Кандидоз на губах
Вызывается чрезмерным размножением дрожжеподобных грибков рода Candida. Чаще всего этой формой хейлита страдают дети, пожилые люди, женщины детородного возраста.
Наибольшее распространение заболеваемости зафиксировано в местах с теплым климатом и высокой влажностью, например, вблизи с морским побережьем.
Основной причиной является сниженный иммунитет, который может быть вызван сезонным характером, перенесенными заболеваниями, неправильным образом жизни.
Кандидозный хейлит начинается с покраснения внешней поверхности губ и слизистой оболочки внутри, появляется отечность и пленка серо-белого цвета. На слизистой оболочке образуется белый творожистый налет, который при очищении открывает воспаленные участки.
Поверхность губ сильно сохнет, образуются трещинки, из-за стянутости кожи рот больно открывать, в уголках губ образуются заеды. При несвоевременном лечении заболевание осложняется кандидозным стоматитом.
При лечении грибка на губах назначают противогрибковые мази на основе нистатина или клотрималоза. Обязательно полоскание полости рта содой или слабым раствором марганцовки.
Если местное лечение в домашних условиях не оказывает эффекта, врач назначает противогрибковые препараты (Дифлюкан) для приема внутрь. Обязательно стоит принимать иммуностимулирующие препараты и витаминные комплексы.
Подробнее о разных видах заболевания расскажет врач-дерматолог:
Ангулярный хейлит
Форма ангулярного хейлита поражает кожу в уголках губ. Воспалительный процесс вызывается грибками рода Candida или стрептококками. Причин болезни выделяют несколько, среди них:
- частое облизывание и прикусывание губ и их уголков;
- сосание пальцев;
- антибиотикотерапия;
- неправильный прикус;
- сухость во рту;
- инфекция в ротовой полости;
- нехватка витаминов.
На начальной стадии заболевания уголки рта еле заметно воспаляются, чувствуется жжение при открывании рта, в процессе разговора, образуются трещинки.
Впоследствии на месте поражения кожи можно увидеть белый налет, который легко снимается, оголяя воспаленную поверхность. Эта форма болезни может перерасти в хроническую.
Кроме того, при отсутствии своевременного лечения признаки заболевания распространятся на губы и слизистую оболочку.
Лечение проводят в домашних условиях, используя противогрибковые препараты (Флуконазол, Кандид) или антибактериальные мази (Фузидерм). Не разрешается употреблять раздражающую пищу, рекомендуется тщательно следить за гигиеной.
Болезнь Манганотти

Считается предраковым состоянием, поэтому при его лечении необходимо тщательно отслеживать динамику и постоянно проводить анализы за наличие злокачественных клеток. Чаще всего страдает при этом заболевании нижняя губа.
Максимальному риску подвержены мужчины после 55 лет. Хейлит Манганотти развивается при атрофии и нарушении обменных процессов внутри слизистой губы.
Спровоцировать процесс могут многочисленные факторы: травмы, солнечное воздействие, химические и температурные раздражители, проблемы с желудочно-кишечным трактом.
Эта форма болезни проявляется возникновением эрозии красного цвета, которая окружена воспалением. Спустя некоторое время поражение покроется гладкой полированной корочкой, после удаления которой откроется кровотечение. Заболевание хроническое, поэтому при появлении первых симптомов необходимо принять соответствующие меры.

При лечении устраняют причину его появления, проводят санацию полости рта. Для заживления эрозий используют: Метилурациловую мазь, Солкосерил и витамин A.
Для снятия воспаления назначают кортикостероидные средства. Если положительной динамики не наблюдается или обнаруживают злокачественные клетки, назначают хирургическое вмешательство. Оперативным методом удаляется вся поврежденная часть до здорового эпителия.
Хейлит – это воспалительное заболевание губ, но его разновидностей столько, что самостоятельно понять, симптомы какой формы проявились, невозможно. Диагноз может поставить только опытный специалист, и чем быстрее будет назначено лечение, тем лучше для пациента.
dentazone.ru
виды, диагностика, лечение и профилактика
Заболевания губ – это не эстетичная проблема, вызывающая дискомфорт и боль во время открывания рта, разговора, поцелуев, приема пищи. Некоторые из них являются предраковыми состояниями, одним из симптомов патологий внутренних органов.

Как могут проявляться заболевания
Внешние проявления болезни губ разнообразны и зависят причины возникновения. Симптоматика патологических процессов в области лица:
- трещинки – продольные, поперечные, в уголках рта;
- везикулы, наполненные жидкостью или гнойным содержимым;
- сухость, шелушение кожных покровов;
- появление белых точек, узелков, корочек;
- гиперемия эпителия губ, близлежащей области;
- белый налет на ранке;
- избыточное слюноотделение;
- синюшность покровов;
- наличие мелких пузырьков и прыщиков;
- появление шариков, кист на внутренней части губы.
Кроме внешних изменений, при заболеваниях поражена слизистая оболочка ротовой полости.

Виды болезней губ
Болезни различной этиологии на губах имеют сходную симптоматику. Задачей врача является поставить правильный диагноз. Есть существенные различия в методах ведения пациента.
Виды заболеваний:
- Хейлиты – поражение красного края губы. Без должного лечения воспалительный процесс распространяется на слизистую оболочку ротовой полости. Различают:
- Метеорическую форму.
- Аллергическую.
- Гландулярную разновидность.
- Атопическую форму.
- Заеды.
- Хейлит Манганотти – предраковое состояние.
- Хроническая трещина губы.
- Гранулы Фордайса – доброкачественные кисты в протоках сальных желез.
- Герпес – вирусное заболевание.
- Рак губы.
- Стоматиты различной этиологии.

Внутренние проявления
Болезни имеют внешние (видимые) и внутренние (незаметные глазу) признаки.
Симптомы заболеваний.
| Заболевания | Внутренние признаки |
| Травма | Повреждение языка, десен, зубов. |
| Эксфолиативный хейлит | У 80% пациентов наблюдается гиперфункция щитовидной железы. |
| Метеорологический хейлит | Зачастую больной страдает нейродермитом, себореей, ихтиозом. |
| Гландулярный хейлит | Пациенты с волчанкой, лейкоплакией, пародонтозом находятся в группе риска. |
| Аллергический и атопический хейтлит | В анализе крови может быть повышен уровень эозинофилов. |
| Заеды | Поражение стрептококком или грибком рода Кандида, авитаминоз. |
| Актиническая форма | В анализе крови может быть повышен уровень эозинофилов. |
| Хейлит Манганотти | Гиповитаминоз, наличие вируса герпеса в организме, заболевания системы ЖКТ. |
| Хроническая трещина | Недостаток витаминов А, В2, В6. |
| Гранулы Фордайса | Гормональный дисбаланс, способствующий гиперпродукции секрета сальных желез. |
| Герпес | Присутствие вируса в нервной ткани. |
| Рак | Метастазы на 1 стадии. Путь передачи лимфогенный, редко – вторичные опухоли в легких. |
Заболевания не отличаются характерными симптомами, свидетельствующими о поражении внутренних органов. При диагностике следует опираться на клинический осмотр.
Внешние
Внешние проявления болячек отличаются сходной симптоматикой. Каждая имеет особенности, что помогает установить правильный диагноз.
Внешние проявления
| Заболевания | Внешняя симптоматика |
| Эксфолиативный хейлит | Чешуйки крепятся к середине уст. Шелушение, болевые ощущения. |
| Метеорологический хейлит | Сухость, стягивание кожи, образование чешуек на нижней губе. |
| Гландулярный хейлит | Опухлые уста, шелушение, трещины, выделение капель слюны и липкой слизи. Кожа постоянно сохнет. |
| Аллергический и атопический хейтлит | Шелушение, эритрема, зуд. |
| Заеды | Трещины продольные на внешней стороне. Болезненны, кровоточат. |
| Актиническая форма | Поражена нижняя часть рта. Наблюдаются белые чешуйки по красной линии. |
| Хейлит Манганотти | Эрозии, но не более 3 одновременно. Язвы могут покраснеть, но не кровоточат, имеют гладкую поверхность. |
| Хроническая трещина | Располагается горизонтально посередине губы. За ночь небольшие ранки могут затягиваться, утром – трескаются. |
| Гранулы Фордайса | При нажатии безболезненны. Появляются в местах выхода протоков сальных желез. |
| Герпес | Рот начинает чесаться и через некоторое время образуется везикула, наполненная жидкостью. |
| Рак | Снаружи — выпуклость с язвой в центре. Покрыта пленкой, под которой находятся бугристые разрастания. Может распространяться на десны, ткани челюсти. |
О чем может свидетельствовать жжение
Жжение губ возникает из-за раздражения болевых и прочих рецепторов.
Действие поражающего фактора достаточно для формирования болевого синдрома.
Зуд, жжение, красноту слизистой оболочки ротовой полости и губ вызывают:
- аллергические реакции – на пищу, лекарственные препараты, курение, соприкосновения с одеждой, действия прочих раздражителей, инъекции гиалуроновой кислоты в область рта, краску для татуажа;
- укус насекомого;
- инфекционные заболевания с образованием участков эрозии;
- метаболический дисбаланс – авитаминоз, железодефицитная анемия;
- сухость в ротовой полости – может быть следствием приема некоторых лекарственных препаратов, заболеваний системы ЖКТ;
- изжога – заброс соляной кислоты из желудка в гортань, ротовую полость;
- возбуждение в структурах головного мозга – симптоматику вызывают опухоли нервной ткани, нарушение мозгового кровообращения, эпилепсия;
- астено-вегетативный синдром – присутствие различных жалоб на состояние здоровья без признаков физической патологии.
Если незначительный симптом не проходит самостоятельно в течение короткого промежутка времени, то следует обратиться в стоматологию, пройти комплексное обследование, лечение.

Возможные осложнения и прогноз
Риск развития осложнений и прогноз зависит от причины болезни, от качества лечения, реакции организма на лекарственную терапию или хирургическое вмешательство.
Осложнения и прогнозы
| Диагноз | Осложнения | Прогноз |
| Травма | Зависят от силы удара – рассечения, повреждение языка, уздечки, зубов. | Зависит от разновидности травмы. Но в целом – благоприятный. |
| Эксфолиативный хейлит | Присоединение бактериальной инфекции. Неврологические расстройства. | Благоприятный, перерождение в злокачественную форму маловероятно. |
| Метеорологический хейлит | Инфицирование ранок. | При исключении факторов, способствующих рецидиву заболевания прогноз благоприятный. Но может стать предраковым состоянием. |
| Гландулярный хейлит | Гноетечение из слюнных желез | Благоприятный при иссечении пораженных протоков. |
| Аллергический и атопический хейтлит | Эритрема, шелушение, вторичное инфицирование. | Благоприятный при выявлении аллергена. |
| Заеды | Увеличение площади трещинок. Инфицирование бактериальной и грибковой флорой. | Благоприятный. |
| Актиническая форма | Появление широких, болезненных трещин, бактериальная инвазия, озлокачествление тканей. | Благоприятный при исключении контакта с ультрафиолетом. |
| Хейлит Манганотти | Рак губы. | В 50% случаев без лечения происходит перерождение в злокачественные опухоли. |
| Хроническая трещина | Инфицирование, депрессия, развитие карциномы. | Благоприятный при постоянном лечении. |
| Гранулы Фордайса | Увеличение в размерах. | Благоприятный. |
| Герпес | Инфицирование везикул патогенной флорой. | Благоприятный при сильной иммунной защите. |
| Рак | Метастазирование в ближайшие и отдаленные лимфоузлы, прочие органы и системы. | На ранних стадиях – излечение наступает у 95–100% пациентов. На поздних стадиях – пятилетняя выживаемость составляет 55%. |
Заболевание слизистой оболочки полости рта может быть опасным. И просто помазать болячку заживляющей мазью для лечения недостаточно.
Появление язвочек, прыщей и прочих неприятностей не списывайте на простудное заболевание. Это повод для обращения к врачу. Если болят губы с внутренней стороны, то качественная диагностика позволит выявить причину заболевания и вылечить его.
Статья проверена редакциейproguby.ru