Страница не найдена |
Страница не найдена |404. Страница не найдена
Архив за месяц
ПнВтСрЧтПтСбВс
21222324252627
28
12
12
1
3031
12
15161718192021
25262728293031
123
45678910
12
17181920212223
31
2728293031
1
1234
567891011
12
891011121314
11121314151617
28293031
1234
12
12345
6789101112
567891011
12131415161718
19202122232425
3456789
17181920212223
24252627282930
12345
13141516171819
20212223242526
2728293031
15161718192021
22232425262728
2930
Архивы
Мар
Апр
Май
Июн
Июл
Авг
Сен
Окт
Ноя
Дек
Метки
Настройки
для слабовидящих
ГБУЗ Чернышковская ЦРБ — Туберкулез
Форма туберкулеза бывает разной.
В зависимости от нее различают и симптомы болезни. Как правило, туберкулезная симптоматика у взрослых и детей схожа. Но на течение болезни влияет обычно индивидуальные особенности организма больного и состояние его иммунной системы. Кроме того, признаки туберкулеза у взрослого человека выявить гораздо сложнее, так как их очень просто спутать с симптомами множества других заболеваний, характерных для людей зрелого возраста.
Общие признаки туберкулеза
Болезнь чаще всего поражает легкие. В последующем инфекция с потоком крови может распространиться в другие органы. Одним из первых признаков туберкулеза у взрослого человека является снижение аппетита. Человек отказывается от пищи, чувствуя себя не в состоянии есть ее. На фоне отсутствия аппетита появляются другие признаки — повышенное потоотделение, учащенный пульс, незначительное повышение температуры тела. Общий анализ крови в таких случаях показывает наличие воспалительного процесса. В результате обследования выявляются так называемые туберкулы — творожистые комочки в пораженных местах.
Специфические признаки у взрослых
При туберкулезе появляется хронический кашель с кровью — так называемое кровохарканье. Лицо при этом бледнеет, черты заостряются. Человек постепенно теряет вес.
При туберкулезе центральной нервной системы и мозга в первую неделю заболевания наблюдается повышенная раздражительность, сильное нарушение сна. Практически сразу же появляются головные боли, рвота, боли в спине, напряжение в области шейного отдела позвоночника. Если лежа попытаться вытянуть ноги или в этом положении наклонить голову, возникает характерная боль в спине.
При туберкулезе костной ткани уменьшается подвижность суставов, возникает боль в пораженных участках.
При туберкулезе пищеварительного тракта появляются боли в животе, запоры и диарея, выделение крови с калом.
При туберкулезе кожных покровов на коже возникают бугорки, узелки, которые постепенно увеличиваются в размерах и вскрываются.
При туберкулезе мочеполовой системы происходит задержка мочеиспускания, моча идет с кровью, ощущается боль в спине.
Что делать?
На этот вопрос ответ однозначный: при возникновении даже только общих признаков нужно сдавать анализы и проходить обследование. Для начала необходимо пройти флюорографическое обследование, которое может показать наличие или отсутствие отклонений туберкулезного характера. Туберкулез — не приговор, в наше время это заболевание лечится. Не подвергайте себя риску и не жалейте время на выявление болезни и ее своевременное лечение.
Туберкулез кишечника
Авторы: Т.Д. Звягинцева, д.м.н., профессор, Л.А. Мирзоева, Харьковская медицинская академия последипломного образования
Научно-технический прогресс и существенные достижения фтизиатрической науки, к сожалению, не приостановили эпидемии туберкулеза во многих странах мира, в том числе и в Украине. Если в 2002 г. заболеваемость туберкулезом в Украине составляла 75,6, то на начало 2006 г.
– 84,1 на 100 тыс. населения.
Наибольшему риску заболеть этой патологией подвергаются лица, ранее не инфицированные туберкулезом и не имевшие к нему иммунитета – дети, молодые мужчины и женщины. При этом официальный показатель заболеваемости населения не отражает реальной заболеваемости туберкулезом.
В настоящее время туберкулез наряду с ВИЧ-инфекцией и вирусными гепатитами определяет высокую смертность населения от инфекционных заболеваний. Заболеваемость и смертность от туберкулеза как легочной, так и внелегочной локализации продолжает увеличиваться. Это относится и к абдоминальному туберкулезу, для которого в отличие от туберкулеза легких не существует методов массового выявления и ранних клинических диагностических критериев.
Постепенное и малосимптомное течение абдоминального туберкулеза обусловливает развитие запущенных форм патологии и позднюю диагностику. Как правило, заболевание диагностируют при лапаротомии по поводу острого живота или посмертно.
Знание современной семиотики абдоминального туберкулеза позволит улучшить диагностику и адекватное лечение данного заболевания. Бесспорно, эффективность диагностического поиска и своевременное распознавание абдоминального туберкулеза во многом зависит от уровня подготовки врачей общей лечебной сети.
Патогенез и клиника
Туберкулез кишечника (ТК) – хроническая инфекционная болезнь, вызываемая микобактерией туберкулеза. Независимо от места поражения цикл воспаления одинаков: очаг (гранулема) – его расплавление (казеоз) – образование полости распада (каверна) – возникновение фиброза при санировании (склерозирование).
Начальные проявления заболевания при минимальных поражениях дают картину интоксикации организма: нарушается аппетит, отмечаются слабость, недомогание, субфебрильная температура, повышенная потливость. По мере распространения процесса симптоматика будет зависеть от нарушений, присущих пораженному органу.
Туберкулез кишечника, как и мезентериальных лимфатических узлов, может иметь первичный характер – как проявление первичного кишечного туберкулезного комплекса и вторичный – в случае лимфогенной или гематогенной диссеминации при туберкулезе легких или других органов, при заглатывании мокроты, содержащей микобактерии туберкулеза, алиментарном заражении (употреблении сырого молока, инфицированного Mycobacterium bovis).
В патогенезе ТК в качестве источника лимфогенной диссеминации имеют значение мезентериальные лимфоузлы (туберкулезный мезаденит). Поражаясь в период первичной инфекции, в последующем они сами могут становиться источником диссеминации. Развитию ТК способствуют факторы, ослабляющие общую и местную резистентность.
Выделяют три формы ТК: язвенную, гипертрофическую и язвенно-гипертрофическую.
Развитие клинических проявлений возможно в различные сроки с момента первичного инфицирования. ТК, как правило, развивается медленно. В пораженных участках кишки под эпителиальным покровом слизистой образуются туберкулезные бугорки (гранулемы). При прогрессировании бугорки подвергаются казеозному распаду, в процесс вовлекается поверхностный слой слизистой оболочки, что приводит к прорыву в просвет кишки казеозно-некротических масс, образованию кровоточащих сливающихся язв.
Характерной особенностью язв при ТК является их поперечное расположение к продольной оси кишки по ходу лимфатических сосудов. В связи с этим при заживлении язв отмечается не только сужение просвета кишки, но и ее укорочение. При разрушении в ходе язвенного процесса мышечного слоя возникает перфорация кишки с развитием ограниченного или разлитого перитонита. Патологический процесс преимущественно (85-90%) локализуется в дистальном отделе тонкой кишки (в местах сосредоточения пейеровых бляшек) или в слепой кишке. Реже язвенно-деструктивные поражения возникают в восходящей и поперечно-ободочной кишках, очень редко – в прямой кишке, аноректальной области. Встречается туберкулез червеобразного отростка с клинической картиной аппендицита.
Вовлеченные в патологический процесс мезентериальные лимфоузлы вызывают тупые, изнурительные боли в животе с преимущественной локализацией вокруг пупка, усиливающиеся при физических напряжениях, ходьбе, наклонах туловища. Прогрессирование мезентериального лимфаденита, продолжающееся образование в кишечнике специфических воспалительных изменений приводит к усилению болей в животе, в основном в правой подвздошной области, на фоне нарастания слабости, недомогания, симптомов интоксикации. При пальпации живота в правой подвздошной области можно обнаружить плотное малоболезненное образование с гладкой или бугристой поверхностью, смещаемое или малоподвижное.
При язвенно-деструктивном поражении кишечника появляются симптомы раздражения брюшины, усиливается лихорадка, увеличивается разница между утренней и вечерней температурой тела.
Осложнения ТК:
• перфорация;
• кишечное кровотечение;
• кишечная непроходимость;
• наружные кишечные свищи;
• перитонит.
Туберкулез брюшины развивается при переходе процесса на брюшину или вследствие лимфогенного и гематогенного обсеменения. Туберкулезный перитонит следует заподозрить при сочетании боли в животе с лихорадкой и асцитом. Различают следующие формы туберкулезного перитонита:
экссудативную;
слипчивую;
язвенную.
Форма перитонита зависит от глубины поражения брюшины.
При локализации туберкулезных бугорков в поверхностном слое стенки брюшины воспалительный процесс протекает с превалированием экссудативной фазы. При поражении более глубоких слоев, где расположена соединительная ткань, преобладает продуктивная фаза воспаления с развитием слипчивого перитонита, образованием спаек между брюшиной и прилегающими к ней органами брюшной полости (печень, селезенка).
Заболевание развивается постепенно: появляются неопределенные боли в животе, неустойчивый стул, субфебрильная температура, диспепсические расстройства на фоне выраженных симптомов интоксикации, образования экссудата в брюшной полости.
При осмотре живот значительно увеличен в объеме, видны расширенные вены в области передней брюшной стенки, при пальпации болезненный, но симптомы раздражения брюшины сглажены, определяется свободная жидкость в брюшной полости. Экссудативная форма перитонита в большинстве случаев протекает благоприятно, с полным рассасыванием экссудата.Для слипчивой формы перитонита характерна волнообразность течения. Больные жалуются на приступообразные боли в животе, вздутие живота, тошноту, иногда рвоту, выраженную общую слабость. Преобладают запоры. При объективном обследовании отмечаются увеличение размеров живота, напряжение брюшной стенки, резкая болезненность по всему животу. Могут прощупываться плотные малоподвижные опухолевидные образования различной формы.
Если милиарные бугорки при экссудативной и слипчивой формах перитонита подвергаются творожистому расплавлению, на париетальной и висцеральной брюшине образуются казеозно-некротические язвы. Заболевание при этом протекает тяжело: отмечаются высокая температура и частая рвота.
При осмотре черты лица заострены, глаза запавшие. Кожа и видимые слизистые бледные, с цианотичным оттенком. Язык сухой. Живот вздут, болезненный при пальпации. Наблюдаются осложнения в виде свищей во внутренние органы и наружу через брюшную стенку.
Диагностика
Обследование больных с подозрением на ТК следует проводить целенаправленно и комплексно с использованием общеклинических исследований крови, мочи и кала, биохимического исследования сыворотки крови (общий белок и протеинограмма, показатели функционального состояния печени, почек), определения микобактерий в кале и асцитической жидкости. Исследуют мазок и проводят посев материала из асцитической жидкости (считают, что использование для посева большого объема асцитической жидкости повышает вероятность обнаружения микобактерий туберкулеза).
Проводятся:
• обзорная рентгенография органов брюшной полости;
• ультразвуковое исследование (УЗИ) и компьютерная томография (КТ) органов брюшной полости;
• ирригоскопия;
• рентгеноскопия органов брюшной полости;
• колоноскопия с биопсией;
• лапароскопия с биопсией брюшины;
• туберкулиновые пробы.
Диагноз в начале заболевания затруднен. Важное место отводится туберкулиновым пробам, преимущественно пробе Манту, которая может проводиться практически у всех пациентов, за исключением больных с кожными и аллергическими заболеваниями, острыми инфекциями, обострением соматических болезней. Туберкулиновые пробы дают положительный эффект менее чем в 50% случаев.
При клиническом исследовании крови можно обнаружить эозинофилию, нейтрофильный сдвиг влево, лимфопению, сниженный уровень гемоглобина и ускоренную СОЭ.
Копрологическое исследование позволяет установить лишь характер нарушения пищеварения. Микобактерии туберкулеза в кале обнаруживают крайне редко.
В сыворотке крови выявляют диспротеинемию, снижение альбумино-глобулинового коэффициента за счет увеличения
α2— и β-фракций глобулинов. В далеко зашедших случаях отмечается гипопротеинемия. Более информативными являются инструментальные методы диагностики.
Выявление кальцинированных лимфоузлов брюшной полости при обзорной рентгенографии практически всегда свидетельствует о наличии туберкулезного мезаденита.
При рентгенологическом исследовании кишечника с контрастированием выявляются разнообразные изменения. Рентгенологически различают язвенную, гипертрофическую, или опухолевидную, стенозирующую и смешанную формы туберкулезного поражения кишки. Наиболее часто встречается язвенная «ниша». Язвенный инфильтрат не имеет четких границ, поверхность его мелкобугристая. Для первичного ТК более характерны опухолевидные образования кишечной стенки. Пораженный отдел кишки деформирован, имеет неровные зубчатые контуры, при этом нормальная картина рельефа слизистой оболочки отсутствует. Складки неравномерно утолщены, прерывисты, местами сглажены или, наоборот, имеют вид полиповидных и подушкообразных возвышений, придающих рельефу ячеистый или пятнистый рисунок. Илеоцекальный клапан неравномерно утолщен или разрушен, илеоцекальный переход обычно зияет. Слепая кишка причудливо деформирована. При ТК отмечаются патологическое укорочение слепой и восходящей кишок, изъеденность стенок и рельефа слизистой оболочки, сужение и изъязвление терминального отдела подвздошной кишки.
По ходу пораженной кишки видны отдельные перетяжки и сужения. Кишка становится ригидной и при тугом заполнении и раздувании газом полностью не расправляется. Вследствие перитонеальных сращений смещаемость кишки ограничена. Длинник кратера туберкулезной язвы располагается обычно перпендикулярно продольной оси кишки, однако эти язвы редко бывают циркулярными.
Картина изменений при туберкулезе имеет много общего с неспецифическим язвенным колитом (НЯК), поэтому рентгенологически их не всегда возможно различить. Однако при ТК отмечаются сегментарные поражения со сменой пораженных и непораженных участков, а при НЯК процесс захватывает большие отрезки кишки и без резкой границы переходит к нормальным структурам.
На ранних стадиях язвенного поражения при ТК слепая и восходящая кишки спастически сокращаются, быстро изгоняя введенную бариевую взвесь (симптом Штирлина), что связано со спастическим дефектом наполнения пораженного туберкулезом илеоцекального отдела кишечника.
Этот признак не является безусловно патогномоничным: невыявляемость симптома Штирлина не означает отсутствие туберкулеза, в то же время определяемость симптома в большинстве случаев соответствует наличию туберкулезного процесса.
Гипертрофическую форму ТК, сопровождающуюся утолщением стенки кишки, очень трудно отличить от терминального илеита (болезни Крона). Однако при туберкулезе толстая кишка вовлекается в процесс значительно больше, чем терминальный отдел подвздошной кишки. Кроме того, складки слизистой оболочки грубее и язвы более крупные, чем при терминальном илеите. В отличие от болезни Крона, стеноз илеоцекального перехода при ТК, как правило, не наблюдается. При ТК рентгенологическое исследование позволяет обнаружить парадоксальную задержку бария в слепой кишке при освобождении других отделов и выявить псевдополипозные разрастания.
Данные УЗИ, КТ и магнитно-резонансной томографии, как правило, не имеют самостоятельного значения при ТК и могут учитываться в комплексе с результатами классического рентгенологического исследования и эндоскопии.
УЗИ позволяет выявить сегментарное поражение кишки, увеличенные регионарные лимфатические узлы и осумкованный асцит.
Эндоскопическая картина при ТК разнообразна, хотя изменения не являются специфичными. Могут наблюдаться язвы овальной или округлой формы, псевдополипы, сужение просвета, ригидность стенок кишки. Для распознавания ТК и проведения дифференциальной диагностики (с болезнью Крона, НЯК, опухолями кишечника, амебной дизентерией, аппендицитом) очень важны результаты гистологического исследования: при ТК наряду с саркоидоподобными гранулемами появляются очаги казеозного некроза. В ряде случаев в биопсийном материале обнаруживается картина неспецифического воспаления, а микобактерии и эпителиоидные гранулемы с клетками Пирогова-Лангханса, составляющие основу гистологических изменений при туберкулезе, обнаружить не удается. Это может быть обусловлено недостаточной глубиной биопсии или преимущественно подслизистой локализацией патологического процесса. В таких случаях диагноз ставят на основании совокупности клинических, лабораторных и инструментальных данных.
При вероятном диагнозе ТК показано проведение пробной противотуберкулезной терапии (ex juvantibus), диагностической лапароскопии или лапаротомии.
Туберкулезное поражение кишечника считается установленным при выявлении в ткани или биологических жидкостях микобактерий туберкулеза. Хотя современные методы культивирования микобактерий туберкулеза позволяют провести специфическую идентификацию выделенных микроорганизмов, однако этот процесс достаточно длительный. Время размножения микобактерий составляет 20-24 ч, а первичное выделение возбудителя из клинического материала требует от 4 до 8 нед.
Вторичный ТК характеризуется наличием первичного очага туберкулезного поражения легких или других органов. При обнаружении туберкулеза легких постановка диагноза ТК существенно облегчается. У таких пациентов туберкулиновые пробы, как правило, положительные.
Основные особенности клинического течения туберкулеза кишечной локализации:
• склонность к экссудативным процессам;
• вовлечение в процесс нескольких органов брюшной полости;
• сочетание с другими локализациями туберкулезного поражения;
• сочетание с неспецифическими заболеваниями (хроническими воспалительными заболеваниями органов брюшной полости, мочевыводящих путей и др.
).
Этиологическая диагностика абдоминального туберкулеза является одним из труднейших разделов фтизиатрии. На материалах аутопсий неспециализированных стационаров показано, что даже в странах с высоким уровнем развития медицины более половины случаев туберкулеза этой локализации при жизни не распознаются.
Несвоевременная диагностика абдоминального туберкулеза, в том числе ТК, может быть обусловлена как субъективными, так и объективными факторами, в частности:
• недостаточной фтизиатрической настороженностью врачей общей лечебной сети;
• особенностями патоморфоза туберкулеза органов брюшной полости – увеличением числа больных с острым началом абдоминального туберкулеза;
• отсутствием микобактерий в кале, асцитической жидкости, в биоптате при исследованиях бактериоскопическим и бактериологическим методами;
• неадекватной трактовкой полученных данных при эндоскопическом и гистологическом исследованиях, отсутствием исследований в динамике;
• наличием фоновых абдоминальных заболеваний;
• недостаточным учетом факторов риска возникновения абдоминального туберкулеза (употребление инфицированного M.
bovis молока, контакт с больным активным туберкулезом).
Лечение и профилактика
Лечение больных ТК должно проводиться туберкулостатическими средствами в специализированных противотуберкулезных диспансерах. При развитии осложнений – кишечной непроходимости, кровотечений, перфорации кишки с развитием перитонита – проводится срочное оперативное вмешательство.
Прогноз при абдоминальном туберкулезе довольно серьезный, но при поражении толстой кишки возможна обширная резекция.
Профилактическое лечение должны получать лица, находящиеся в бытовых контактах с больными активным туберкулезом, а также положительно реагирующие на туберкулин. Это относится и к лицам, регулярно получающим иммуносупрессивные, кортикостероидные препараты, а также пациентам, страдающим иммунодефицитами различного происхождения и контактирующим с больным активным туберкулезом. Предупреждает заболевание туберкулезом вакцинация бациллой Кальметта-Герена (BCG, БЦЖ), эффективность которой отмечена более чем в 80% случаев.
В районах с высокой распространенностью туберкулеза вакцинацию необходимо проводить каждому человеку моложе 20 лет без предварительной постановки туберкулиновых проб.
В заключение следует отметить, что для своевременной диагностики абдоминального туберкулеза необходимо конструктивное взаимодействие врачей лечебного профиля, эндоскопистов, рентгенологов, морфологов и микробиологов.
Список литературы находится в редакции.
СТАТТІ ЗА ТЕМОЮ
15.02.2022 Неврологія Роль рівня ліпідів крові та ліпідознижувальної терапії у пацієнтів з інсультом і різними ураженнями мозкових артерійГіперліпідемія є важливим фактором ризику ішемічного інсульту.
За даними досліджень, статини мають переваги у пацієнтів із перенесеним інсультом, а досягнення низького цільового рівня холестерину (ХС) ліпопротеїнів низької щільності (ЛПНЩ) може максимізувати цю користь. У нещодавніх рекомендаціях з інсульту особливу увагу було приділено застосуванню високоінтенсивної статинотерапії та стратегії зниження концентрації ХС ЛПНЩ до цільової в осіб з інсультом. Однак роль ліпідів крові як фактора ризику та ефективність ліпідознижувальної терапії (ЛЗТ) у пацієнтів з різними ураженнями церебральних артерій варіює. Зокрема, ЛЗТ може бути корисною для деяких пацієнтів із хворобою дрібних судин (ХДС), але високоінтенсивну статинотерапію та стратегію зниження ЛПНЩ застосовувати не можна. І навпаки, зазначені методики мають переваги в осіб з атеросклерозом екстракраніального відділу внутрішньої сонної артерії (ВСА). J. S. Kim здійснив огляд останніх рекомендацій з інсульту, щоб краще розібратися у ролі рівня ліпідів крові як чинника ризику при некардіоемболічних інсультах та відмінностях в ефективності ЛЗТ за різних підтипів інсульту.
Пропонуємо до вашої уваги основні положення цієї роботи, опублікованої у виданні Journal of Stroke (2021; 23 (2): 149‑161).
…
Транзиторна ішемічна атака (ТІА), особливо в гостру фазу, підвищує ризик інсульту: приблизно у чверті пацієнтів перед цією подією спостерігається ТІА. Отже, ТІА надає вузьке вікно можливостей щодо зниження довгострокових ризиків. Мета нової настанови Європейської організації з вивчення інсульту (ESO, 2021) – надати клініцистам основані на доказах рекомендації щодо розподілу пацієнтів із ТІА за пріоритетом надання допомоги, обстеження та вторинної профілактики, особливо в гострій фазі.
…
Серед усіх неврологічних захворювань у дорослому віці інсульт посідає перше місце за частотою та інвалідизувальними наслідками. Після ішемічної хвороби серця інсульт є другою найпоширенішою причиною смерті у всьому світі, забираючи більш ніж 5 млн життів на рік. Основною метою терапії пацієнтів з інсультом є не лише запобігання повторному епізоду, але й нівелювання наявного неврологічного дефіциту.
У цьому аспекті нейропротектори відіграють вирішальну роль.
…
Інсульт є провідною причиною інвалідизації та смерті в усьому світі, а рівень захворюваності на цереброваскулярні патології в популяції літніх хворих продовжує зростати. Моторні, когнітивні й емоційні порушення, які можуть розвинутися внаслідок інсульту, негативно впливають на процес відновлення пацієнтів. Постінсультна депресія (ПІД) також може ускладнювати нейрореабілітацію хворих і підвищувати ризик смертності від інсульту, особливо в осіб старших вікових груп.
X.-W. Yao et al. провели дослідження з метою вивчити ефективність та безпеку агомелатину, сертраліну й есциталопраму в пацієнтів зі старечою ПІД. На тлі лікування даними препаратами автори виявили суттєве поліпшення стану хворих. Отримані результати, огляд яких ми пропонуємо до вашої уваги, розміщені у виданні Clinical Neurology and Neurosurgery (2021; 205 (106651): 1‑6).
…
Мифы и факты о туберкулезе
МИФ: Туберкулез — это болезнь прошлого.
ФАКТ: Каждую секунду один человек в мире инфицируется микобактериями туберкулеза.
В настоящее время инфицирована одна треть населения мира (около 2-х миллиардов человек). Ежегодно 9 миллионов людей заболевают туберкулезом, почти 2 миллиона умирает от этого заболевания.
МИФ: Туберкулезом можно инфицироваться в транспорте, взявшись за поручень после больного человека.
ФАКТ: Возбудитель туберкулеза передается от больного активной формой туберкулеза легких человека другому человеку воздушно-капельным путем, когда больной человек кашляет, чихает, кричит или поет, выделяя в воздух капельки с микобактериями туберкулеза, а другой человек их вдыхает. Это происходит с большей вероятностью при продолжительном контакте с больным, и в странах с высокой распространенностью туберкулеза, к которым относится Россия.
МИФ: Достаточно инфицироваться туберкулезными микобактериями, чтобы заболеть.
ФАКТ: Заболевает активным туберкулезом только один из десяти человек, инфицированных микобактериями туберкулеза. Здоровая иммунная система человека успешно контролирует эту инфекцию. Однако при ослаблении иммунитета контроль снижается и развивается заболевание — активная форма туберкулеза.
МИФ: Флюорографическое обследование опасно для здоровья.
ФАКТ: Флюорография не оказывает отрицательного влияния на здоровье и позволяет обнаружить такие заболевания, как туберкулез и онкологические заболевания легких на ранних стадиях, когда их лечение более эффективно.
Для подтверждения диагноза может быть назначено микробиологическое исследование мокроты и рентгенологическое обследование.
МИФ: Болеют только бедные и социально неблагополучные.
ФАКТ: Туберкулез поражает людей независимо от их социального статуса. Для развития активной формы туберкулеза решающее значение имеет состояние иммунитета человека, который может снижаться при воздействии различных факторов, к которым относятся: курение, чрезмерное употребление алкоголя, употребление наркотиков, постоянные стрессы или чрезмерный стресс, несбалансированное питание, малоподвижный образ жизни, проживание или работа в сырых, непроветриваемых помещениях, скученность проживания или на работе. Повышают риск также хронические заболевания, такие как диабет, язвенная болезнь желудка, ВИЧ-инфекция и другие.
МИФ: Туберкулез неизлечим.
ФАКТ: Практически все пациенты с впервые выявленным туберкулезом, своевременно начавшие и полностью закончившие назначенный курс лечения, могут быть излечены.
Главное — при первых признаках заболевания, к которым относится длительный кашель (более 2-3-х недель), общее недомогание и слабость, периодическое повышение температуры тела, повышенная потливость (особенно ночью), потеря аппетита, снижение массы тела при обычном питании, появление крови в мокроте, боли в грудной клетке, обратиться к врачу — участковому терапевту.
МИФ: Человек с туберкулезом долго остается опасным для окружающих.
ФАКТ: Больной туберкулезом легких человек является источником инфекции, пока не начнет интенсивное лечение. Через 2-3 недели после начала лечения опасность инфицирования окружающих снижается при условии, что человек принимает назначенные лекарства и выполняет предписания врача. Он может вернуться в привычный круг общения после контрольного обследования. При этом важно продолжать курс лечения непрерывно и довести его до конца.
МИФ: Микобактерия туберкулеза поражает только легкие.
ФАКТ: Наиболее часто микобактерия туберкулеза, действительно, поражает легкие и бронхи (более 90% случаев активного туберкулеза).
Однако существует туберкулез почек, кожи, костей, желудочно-кишечного тракта, центральной нервной системы и даже половых органов. Известная из литературных произведений «золотуха» — туберкулез лимфатических узлов. Эти формы туберкулеза встречаются относительно редко и в плане инфицирования окружающих не опасны.
МИФ: Туберкулезом болеют только люди.
ФАКТ: Животные и птицы тоже болеют туберкулезом. Для человека представляет опасность только возбудитель туберкулеза коров (M. Bovis). Инфицирование человека может произойти при употреблении некипяченого или не пастеризованного молока. Коровам, как и людям, проводят туберкулинодиагностику (пробу Манту) для контроля инфекции.
Не пренебрегайте своим здоровьем! Обязательно 1 раз в год проходите флюорографию легких!
Теперь у Вас есть возможность пройти флюорографию в удобное для Вас время, без очередей, в филиале ЕМЦ по адресу Шевченко,9!
Запись на флюорографию по тел.: 8 (343) 379-07-70 или через сайт клиники.
Имеются противопоказания. Ознакомьтесь с инструкцией или проконсультируйтесь у специалиста.
Туберкулез (ТБ) Клиническая картина: анамнез, физикальное обследование
Автор
Томас Э. Херчлайн, доктор медицины профессор медицины, Государственный университет Райта, Медицинская школа Бунсхофта; Медицинский консультант, общественное здравоохранение, Туберкулезная клиника округа Дейтон и Монтгомери (Огайо)
Томас Э. Херчлайн, доктор медицинских наук, является членом следующих медицинских обществ: Alpha Omega Alpha, Общество инфекционных заболеваний Америки, Общество инфекционных заболеваний штата Огайо
Раскрытие информации: Получен исследовательский грант от: Regeneron.
Соавтор (ы)
Джудит К. Амороза, доктор медицины, FACR Клинический профессор радиологии и заместитель председателя по развитию факультета и медицинскому образованию, Медицинская школа имени Роберта Вуда Джонсона в Рутгерсе
Джудит К.
Амороза, доктор медицины, FACR является членом следующих медицинских обществ: Американский колледж радиологии, Американское общество рентгеновских лучей, Ассоциация университетских рентгенологов, Радиологическое общество Северной Америки, Общество торакальной радиологии
Раскрытие информации: Нечего раскрывать.
Главный редактор
Майкл Стюарт Бронз, доктор медицинских наук Дэвид Росс Бойд Профессор и заведующий кафедрой медицины Стюарта Дж. Вольфа Заведующий кафедрой внутренних болезней медицинского факультета Центра медицинских наук Университета Оклахомы; магистр Американского колледжа врачей; член Американского общества инфекционистов; Член Королевского колледжа врачей, Лондон,
Майкл Стюарт Бронз, доктор медицинских наук, является членом следующих медицинских обществ: Альфа-Омега-Альфа, Американский колледж врачей, Американская медицинская ассоциация, Ассоциация профессоров медицины, Американское общество инфекционистов, Медицинская ассоциация штата Оклахома, Южное общество клинических исследований
Раскрытие информации: Нечего раскрывать.
Благодарности
Erica Bang Университет штата Нью-Йорк Медицинский центр Даунстейт Медицинский колледж
Раскрытие информации: Нечего раскрывать.
Диана Брейнард, доктор медицины Консультирующий персонал, отделение инфекционных заболеваний, Массачусетская больница общего профиля
Раскрытие информации: Нечего раскрывать.
Памела С. Чавис, доктор медицины Профессор кафедры офтальмологии и неврологии Медицинского колледжа Медицинского университета Южной Каролины
Памела С. Чавис, доктор медицинских наук, является членом следующих медицинских обществ: Американской академии неврологии, Американской академии офтальмологии и Североамериканского общества нейроофтальмологии
.
Раскрытие информации: Нечего раскрывать.
Дирк М. Элстон, доктор медицинских наук Директор Академии дерматопатологии Аккермана, Нью-Йорк
Дирк М. Элстон, доктор медицинских наук, является членом следующих медицинских обществ: Американская академия дерматологии
.Раскрытие информации: Нечего раскрывать.
Теодор Дж. Гаэта, DO, MPH, FACEP Клинический адъюнкт-профессор, отделение неотложной медицины, Медицинский колледж Вейла Корнелла; заместитель председателя и программный директор резидентуры по неотложной медицинской помощи, отделение неотложной медицинской помощи, Нью-Йоркская методистская больница; Академический председатель, адъюнкт-профессор, отделение неотложной медицины, Медицинский факультет Университета Святого Георгия
webmd.com»> Теодор Дж. Гаэта, DO, MPH, FACEP является членом следующих медицинских обществ: Альянс за клиническое образование, Американский колледж врачей скорой помощи, Директора клерков по неотложной медицине, Совет директоров резидентур по неотложной медицине, Нью-Йоркская медицинская академия и Общество академической неотложной медициныРаскрытие информации: Нечего раскрывать.
Аарон Глатт, доктор медицины Профессор клинической медицины Нью-Йоркского медицинского колледжа; Президент и главный исполнительный директор, бывший главный врач отделения медицины и инфекционных заболеваний больницы Св. Иосифа (бывшая больница Нью-Айленд)
Аарон Глатт, доктор медицинских наук, является членом следующих медицинских обществ: Американского колледжа пульмонологов, Американского колледжа врачей-руководителей, Американского колледжа врачей, Американского колледжа врачей-Американского общества внутренних болезней, Американской медицинской ассоциации, Американского общества микробиологии.
, Американское торакальное общество, Американская ассоциация венерических заболеваний, Американское общество инфекционных заболеваний, Международное общество по СПИДу и Американское общество медицинской эпидемиологии
Раскрытие информации: Нечего раскрывать.
Simon K Law, MD, PharmD Клинический профессор медицинских наук, кафедра офтальмологии, Глазной институт Жюля Штейна, Калифорнийский университет, Лос-Анджелес, Медицинская школа Дэвида Геффена
Simon K Law, MD, PharmD является членом следующих медицинских обществ: Американской академии офтальмологии, Американского общества глаукомы и Ассоциации исследований зрения и офтальмологии
.Раскрытие информации: Нечего раскрывать.
John M Leedom, MD Почетный профессор медицины Медицинской школы Кека Университета Южной Калифорнии
webmd.com»> John M Leedom, MD, является членом следующих медицинских обществ: Alpha Omega Alpha, Американский колледж врачей-Американское общество внутренних болезней, Американское общество микробиологии, Американское общество инфекционных заболеваний, Международное общество по СПИДу и Phi Beta KappaРаскрытие информации: Нечего раскрывать.
Джеймс Ли, доктор медицины Бывший доцент отделения неотложной медицины Гарвардской медицинской школы; Совет директоров, Дистанционная медицина
Раскрытие информации: Нечего раскрывать.
Джеффри Мефферт, MD Ассистент клинического профессора дерматологии Медицинской школы Техасского университета в Сан-Антонио
Джеффри Мефферт, доктор медицинских наук, является членом следующих медицинских обществ: Американской академии дерматологии, Американской медицинской ассоциации, Ассоциации военных дерматологов и Техасского дерматологического общества
.
Раскрытие информации: Нечего раскрывать.
Монте С. Мельцер, доктор медицины Начальник дерматологической службы, Мемориальный госпиталь Юнион
Монте С. Мельцер, доктор медицинских наук, является членом следующих медицинских обществ: Alpha Omega Alpha и Американской академии дерматологии
.Раскрытие информации: Нечего раскрывать.
Susannah K Mistr, MD Врач-резидент, отделение офтальмологии, Медицинский центр Университета Мэриленда
Susannah K Mistr, MD, является членом следующих медицинских обществ: Американская академия офтальмологии, Американский колледж хирургов, Американская медицинская ассоциация, Американская ассоциация студентов-медиков/Фонд, Американское общество катарактальной и рефракционной хирургии и Медицинская ассоциация Южной Каролины
webmd.com»> Раскрытие информации: Нечего раскрывать.Кэрол А. Нэйси, доктор философии Адъюнкт-профессор кафедры биологии Католического университета Америки; Адъюнкт-профессор кафедры тропической медицины и микробиологии Университета Джорджа Вашингтона
Кэрол Нэйси, доктор философии, является членом следующих медицинских обществ: Американской академии микробиологии и Американского общества микробиологии
.Раскрытие информации: Sequella, Inc. Доля участия Занятость; Sequella, Inc. Долевой инвестор
Дж. Джеймс Роуси, доктор медицины , бывший директор службы роговицы, Институт катаракты и лазера Святого Луки
J James Rowsey, MD, является членом следующих медицинских обществ: Американская академия офтальмологии, Американская ассоциация развития науки, Американская медицинская ассоциация, Ассоциация исследований в области зрения и офтальмологии, Медицинская ассоциация Флориды, Панамериканская ассоциация офтальмологов.
, Sigma Xi и Южная медицинская ассоциация
Раскрытие информации: Нечего раскрывать.
Hampton Roy Sr, MD Адъюнкт-профессор, кафедра офтальмологии, Арканзасский университет медицинских наук
Хэмптон Рой старший, доктор медицинских наук, является членом следующих медицинских обществ: Американской академии офтальмологии, Американского колледжа хирургов и Панамериканской ассоциации офтальмологов
.Раскрытие информации: Нечего раскрывать.
John D Sheppard Jr, MD, MMSc Профессор офтальмологии, микробиологии и молекулярной биологии, клинический директор Центра офтальмологической фармакологии Томаса Р. Ли, ординатура по офтальмологии, директор исследовательской программы Медицинской школы Восточной Вирджинии; Президент Virginia Eye Consultants
webmd.com»> John D Sheppard Jr, MD, MMSc является членом следующих медицинских обществ: Американская академия офтальмологии, Американское общество микробиологии, Американское общество катарактальной и рефракционной хирургии, Американское общество увеита и Ассоциация исследований зрения и офтальмологииРаскрытие информации: Нечего раскрывать.
Ричард Х. Синерт, DO Профессор неотложной медицины, клинический ассистент профессор медицины, директор по исследованиям, Медицинский колледж Государственного университета Нью-Йорка; Консультирующий персонал, отделение неотложной медицины, Больничный центр округа Кингс
Richard H Sinert, DO является членом следующих медицинских обществ: Американский колледж врачей и Общество академической неотложной медицины
Раскрытие информации: Нечего раскрывать.
Франсиско Талавера, PharmD, PhD Адъюнкт-профессор, Фармацевтический колледж Медицинского центра Университета Небраски; Главный редактор Medscape Drug Reference
Раскрытие информации: Заработная плата Medscape
Кит Цанг, MD Врач-резидент, клинический ассистент инструктора, отделение неотложной медицины, Государственный университет штата Нью-Йорк, больница округа Кингс
Кит Цанг, доктор медицинских наук, является членом следующих медицинских обществ: Американского колледжа врачей скорой помощи, Ассоциации резидентов скорой помощи и Общества академической неотложной медицины
.Раскрытие информации: Нечего раскрывать.
Шьям Верма, MBBS, DVD, FAAD Клинический адъюнкт-профессор, отделение дерматологии, Университет Вирджинии; Адъюнкт-профессор кафедры дерматологии Государственного университета Нью-Йорка в Стонибруке, адъюнкт-профессор кафедры дерматологии Пенсильванского университета
webmd.com»> Шьям Верма, MBBS, DVD, FAAD является членом следующих медицинских обществ: Американская академия дерматологииРаскрытие информации: Нечего раскрывать.
Ричард П. Винсон, доктор медицины Ассистент клинического профессора, кафедра дерматологии, Центр медицинских наук Техасского технологического университета, Медицинская школа Пола Л. Фостера; Консультант, дерматология Маунтин-Вью, PA
Ричард П. Винсон, доктор медицинских наук, является членом следующих медицинских обществ: Американской академии дерматологии, Ассоциации военных дерматологов, Техасского дерматологического общества и Техасской медицинской ассоциации
.Раскрытие информации: Нечего раскрывать.
Эрик Л. Вайс, доктор медицинских наук, DTM&H Медицинский директор, Управление непрерывности обслуживания и планирования бедствий, директор по стипендиям, стипендия Медицинского центра Стэнфордского университета по медицине катастроф, председатель, SUMC и LPCH Целевая группа по биотерроризму и готовности к чрезвычайным ситуациям, клинический младший преподаватель, Департамент Хирургия (неотложная медицинская помощь), Медицинский центр Стэнфордского университета
webmd.com»> Эрик Л. Вайс, доктор медицинских наук, DTM&H, является членом следующих медицинских обществ: Американский колледж врачей скорой помощи, Американский колледж медицины труда и окружающей среды, Американская медицинская ассоциация, Американское общество тропической медицины и гигиены, Врачи за социальную ответственность, Юго-восточное хирургическое общество. Конгресс, Южная ассоциация онкологии, Южное клиническое неврологическое общество и Медицинское общество дикой природыРаскрытие информации: Нечего раскрывать.
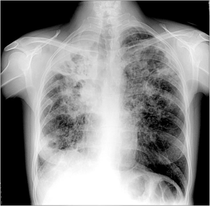
Двусторонняя боль в боку и эпигастралгия у молодого мужчины с туберкулезом легких | QJM: Международный медицинский журнал
28-летний ранее здоровый мужчина обратился с жалобами на двустороннюю боль в боку и эпигастралгию в течение 10 дней, которые постепенно нарастали по тяжести и частоте. Боль располагалась на уровне чуть выше пупка и не была связана с дыханием, активными движениями или приемом пищи.
Рентгенография грудной клетки выявила инфильтраты над двусторонними верхними долями (рис. 1).Были подозрения на туберкулез легких (ТБ). Однако три набора экспресс-окрашивания мокроты кислотой были отрицательными. Для дальнейшей оценки поражений легких компьютерная томография грудной клетки (КТ) (рис. 2) неожиданно показала остеолитические поражения на теле девятого позвонка. Магнитно-резонансная томография (МРТ) позвоночника продемонстрировала повышенный сигнал в тех же позвонках с фокальной эрозией нижней замыкательной пластинки и образованием абсцесса над правым нижним углом тела позвонка, что указывает на спондилодисцит (рис. 3А и В).Было подозрение на компрессию нервных корешков. Были выполнены хирургические процедуры, включая ламинэктомию, дискэктомию и костную пластику. Боль постепенно прошла после операции. При гистологическом исследовании в образце обнаружены кислые бациллы, поэтому были назначены противотуберкулезные препараты. Позднее при посеве мокроты и спинномозговой ткани было получено микобактерий туберкулеза .
Рисунок 1.
Рентгенография органов грудной клетки, выявляющая инфильтраты над верхними долями с обеих сторон.
Рисунок 1.
Рентгенография органов грудной клетки, выявляющая инфильтраты над верхними долями с обеих сторон.
Рис. 2.
КТ, показывающая остеолитическое поражение тела 9-го позвонка (стрелка).
Рис. 2.
КТ, показывающая остеолитическое поражение тела 9-го позвонка (стрелка).
Рис. 3.
МРТ грудного отдела позвоночника. ( A ) Сагиттальное Т1-взвешенное быстрое эхо-изображение позвоночника показало повышенный сигнал в теле позвонка Т9 с фокальной эрозией нижней замыкательной пластинки (стрелка).( B ) На аксиальном Т1-взвешенном постконтрастном изображении показано образование абсцесса над правым нижним углом тела позвонка Т9 (указатели стрелок). Все эти данные были совместимы со спондилодисцитом.
Рисунок 3.
МРТ грудного отдела позвоночника. ( A ) Сагиттальное Т1-взвешенное быстрое эхо-изображение позвоночника показало повышенный сигнал в теле позвонка Т9 с фокальной эрозией нижней замыкательной пластинки (стрелка).
( B ) На аксиальном Т1-взвешенном постконтрастном изображении показано образование абсцесса над правым нижним углом тела позвонка Т9 (указатели стрелок).Все эти данные были совместимы со спондилодисцитом.
Туберкулез позвоночника может развиваться изолированно или в сочетании с туберкулезом легких. Боль в спине является наиболее частым симптомом туберкулеза позвоночника 1– 3 , но может отсутствовать на ранней стадии, когда разрушение тел позвонков малозаметно, как у этого пациента. Корешковая боль может быть единственным проявлением и, как правило, ошибочно принимается за миофасциальную боль, язвенную болезнь, желчную колику или панкреатит, если заболевание ограничено нижнегрудным отделом позвоночника.Таким образом, мы должны поднять подозрение на туберкулез позвоночника, если у пациента сопутствуют поражения верхних отделов легких и боль в спине или корешковая боль.
Конфликт интересов: Не объявлено.
Каталожные номера
1, , , , , , и др.
Клинические признаки и исходы туберкулеза позвоночника на юге Тайваня
,J Microbiol Immunol Infect
,2010
, vol.43
(стр.291
—300
)2, , , , , , и др.Туберкулезный остеомиелит позвоночника в новом тысячелетии: все еще проблема диагностики и лечения
23
(стр.477
—83
)3, , , , , , и др.Туберкулезный спондилит: анализ 69 случаев из Саудовской Аравии
26
(стр.E565
—70
)© Автор 2012.Опубликовано Oxford University Press от имени Ассоциации врачей. Все права защищены. Для получения разрешений отправьте электронное письмо по адресу: [email protected]
.Внелегочный туберкулез (ТБ) — инфекционные заболевания
Кислотоустойчивое окрашивание, микроскопический анализ и культура микобактерий образцов жидкостей и тканей и, при наличии, тестирование на основе нуклеиновых кислот ТКП) или анализ высвобождения гамма-интерферона (IGRA)
Тестирование аналогично тестированию на туберкулез легких (см.
Диагноз Диагноз Туберкулез (ТБ) — это хроническая, прогрессирующая микобактериальная инфекция, часто с латентным периодом после первоначального инфицирования.Туберкулез чаще всего поражает легкие. Симптомы включают продуктивные… читать далее), в том числе рентген грудной клетки, ТКП или IGRA, а также микроскопический анализ (с соответствующим окрашиванием) и микобактериальные культуры пораженных жидкостей организма (ЦСЖ, моча, плевральная, перикардиальная или суставная жидкость) и ткани для микобактерий. Тестирование на основе нуклеиновых кислот можно проводить на свежей жидкости или образцах биопсии, а также на фиксированной ткани (например, если ТБ не подозревался во время хирургической процедуры и не выполнялся посев). Результаты посева крови положительны примерно у 50% больных диссеминированным туберкулезом; такие пациенты часто имеют ослабленный иммунитет, часто из-за ВИЧ-инфекции.Однако посевы и мазки биологических жидкостей и тканей часто отрицательны, поскольку присутствует небольшое количество организмов; в таких случаях могут быть полезны тесты амплификации нуклеиновых кислот (МАНК).
Как правило, лимфоцитоз присутствует в биологических жидкостях. Очень подозрительной находкой в спинномозговой жидкости является уровень глюкозы
Если все тесты отрицательны, а милиарный туберкулез все еще вызывает беспокойство, делают биопсию костного мозга и печени. Если ТБ подозревается на основании других признаков (например, гранулемы, обнаруженной при биопсии, положительных результатов ТКП или IGRA плюс необъяснимого лимфоцитоза в плевральной жидкости или спинномозговой жидкости), лечение обычно следует продолжать, несмотря на невозможность выявления возбудителей ТБ.
Рентген грудной клетки и другие методы визуализации, TST и IGRA также могут предоставить полезную диагностическую информацию. Рентген грудной клетки может выявить признаки первичного или активного туберкулеза; при милиарном туберкулезе обнаруживаются тысячи интерстициальных узелков размером от 2 до 3 мм, равномерно распределенных по обоим легким.
Другие визуализирующие исследования проводятся на основании клинических данных.
Поражение брюшной полости или ГУ обычно требует КТ или УЗИ; часто видны поражения почек. Поражение костей и суставов требует КТ или МРТ; МРТ предпочтительнее при заболеваниях позвоночника.
TST и IGRA изначально могут быть отрицательными, но повторный тест через несколько недель, скорее всего, будет положительным. Если это не так, следует подвергнуть сомнению диагноз туберкулеза или выяснить причины анергии.
Пациенты и службы здравоохранения задерживают диагностику туберкулеза легких в Эфиопии | BMC Public Health
Это исследование показывает, что существует значительная задержка между появлением симптомов и обращением в медицинское учреждение для пациентов с легочным туберкулезом. Около 90% общей задержки происходит по вине пациента, который определяет возможную область вмешательства.
Продолжительность симптомов до лечения должна быть как можно короче. Однако, учитывая местную ситуацию, мы установили предельный срок в 30 дней для задержки пациентов и 15 дней для задержки оказания медицинской помощи.
В исследование были включены все центры общественного здравоохранения города, чтобы сделать выборку репрезентативной. Для измерения продолжительности задержки пациента мы зависели от ответа пациента. Поэтому некоторые пациенты могут не помнить точное начало симптомов. Тем не менее, мы специально спросили о появлении основных легочных симптомов и через какое время после этих текущих симптомов они обратились в медицинский центр.Как было показано ранее, у 95% пациентов был кашель, который пациенты, вероятно, помнят.
В этом исследовании средняя задержка пациента (78 дней) была короче, чем ранее описано в сельской местности Эфиопии (средняя продолжительность задержки пациента 179 дней) [7], в Гане (89,6 дня) [11], в Танзании (161,7) дней (12). Средняя общая задержка (88 дней) также была ниже, чем в Гане и Австралии, которые показали около 240 и 104 дней соответственно [11–13]. Эти различия могут быть связаны с выбором исследуемой популяции.В наше исследование были включены пациенты, обращающиеся в учреждения здравоохранения первого уровня.
Другие исследования включали пациентов, обращающихся в больницы. Поскольку большинство пациентов, поступающих в больницы, направляются из других медицинских учреждений более низкого уровня, у них, вероятно, будет более длительная продолжительность болезни. С другой стороны, очень низкий охват услугами здравоохранения в сельских районах Эфиопии затрудняет сравнение с Аддис-Абебой, столицей Эфиопии.
Задержка предоставления услуг здравоохранения, зафиксированная в этом исследовании, была незначительной по сравнению с данными, полученными в других африканских странах.В Гане медиана задержки оказания медицинской помощи в два раза превышала задержку пациентов [11]. Отчеты из Ботсваны и Южной Африки также показывают, что задержка медицинских услуг больше, чем задержка пациентов [14, 15]. В нашем исследовании медиана задержки оказания медицинской помощи составила одну десятую от задержки пациента (6 дней против 60). Для пассивного выявления случаев заболевания требуется мотивированный медицинский персонал.
Некоторые исследования показывают, что у пациентов с признаками и симптомами, указывающими на туберкулез, диагноз может не диагностироваться, несмотря на неоднократное посещение клиник.Отсутствие диагностической осведомленности среди медицинских работников и атипичные проявления могут привести к задержке диагностики [16–18]. Тем не менее, в нашем исследовании 90% зарегистрированных пациентов были диагностированы менее чем за пятнадцать дней, и у пациентов с положительным мазком меньше шансов столкнуться с отсроченным диагнозом после того, как они поступят в медицинское учреждение. Эта низкая задержка в оказании медицинской помощи может быть связана с высокой степенью готовности медицинских работников к подозрению и диагностике туберкулеза; поскольку распространенность туберкулеза в Эфиопии очень высока.Длительная задержка пациента может также облегчить диагностику туберкулеза, поскольку пациенты обращаются на более поздних стадиях. С другой стороны, у 54,3% пациентов в исследовании были случаи с отрицательным результатом мазка, а медиана задержки оказания медицинской помощи составила 6 дней, что может свидетельствовать о возможности гипердиагностики случаев с отрицательным результатом мазка.
Процедура, рекомендованная Национальной программой (см. Методы), предполагает, что для диагностики ТБ с отрицательным мазком требуется как минимум две недели. Однако более 85% пациентов с отрицательным мазком были диагностированы менее чем за 15 дней, что ясно указывает на то, что процедуры диагностики ТБ с отрицательным результатом мазка не соблюдаются строго.Отчеты Национальной противотуберкулезной программы также показывают очень низкую положительную реакцию мазка: среди зарегистрированных новых пациентов с легочным ТБ только 39%, 38%, 28%, 24% и 22% были положительными по мазку в период с 1993 по 1997 год[20]. Таким образом, это открытие указывает на необходимость пересмотра диагностических процедур, которым следуют медицинские учреждения при диагностике легочного ТБ с отрицательным мазком.
Несколько медицинских центров несут ответственность за очень длительную задержку медицинского обслуживания. В основном это было связано с нехваткой медицинских работников, особенно лаборантов.
Это показывает влияние низкого качества медицинских услуг на эффективность выявления случаев заболевания. Это также указывает на необходимость регулярного надзора и обеспечения наличия основных ресурсов в медицинских учреждениях для подтверждения их надлежащего функционирования и соблюдения определенного уровня качества услуг.
Недостаток знаний о лечении туберкулеза и большое расстояние до дома пациентов были факторами более длительной задержки лечения пациентов с отрицательным мазком. Большинство больных (70%) считали, что их болезнь исчезнет сама собой.Это согласуется с находками в южной Эфиопии и Вьетнаме [7, 21]. У пациентов с кровохарканьем также была более длительная задержка как у пациентов с положительным, так и с отрицательным мазком. Аналогичное наблюдение было сделано на юге Эфиопии; пациенты с тяжелым течением заболевания имели более длительный предлечебный период [7], это говорит о том, что больные длительное время остаются дома, пока не заметят тревожный симптом, например, кровохарканье.
Расстояние от дома пациента до медицинского центра имеет большое значение, поскольку оно влияет на обращение за медицинской помощью и последующее диагностическое обследование.Хотя все наши пациенты были из Аддис-Абебы, расстояние между их домом и медицинским учреждением способствовало задержке в постановке диагноза. Это должно стать основной задачей программы борьбы с туберкулезом. Если у пациента есть проблемы с обращением за медицинской помощью в первый раз (для диагностики), он или она также могут столкнуться с трудностями при регулярном посещении программы лечения и впоследствии могут прервать лечение.
Период до постановки диагноза и начала лечения важен, так как в это время происходит большая часть случаев передачи болезни.Доля контактов, инфицированных на момент постановки диагноза положительного индекса мазка мокроты, составляет около 30–40% [22]. Мы считаем, что длительный период до постановки диагноза вносит большой вклад в усиление передачи болезни в стране, и его необходимо сократить за счет улучшения качества и охвата программы контроля.
Пассивное выявление случаев рекомендовано ВОЗ в качестве основной стратегии выявления туберкулеза [3]. К сожалению, на пассивное выявление случаев заболевания влияют такие факторы, как охват услугами здравоохранения, предполагаемая тяжесть заболевания, знания, социальные и культурные убеждения [23, 24].С другой стороны, активное выявление случаев является более дорогим, имеет более низкий результат и, возможно, низкую приверженность пациентов [25]. Результаты этого исследования предполагают, что, возможно, пришло время подумать о включении в рутинную программу некоторых мероприятий по активному выявлению случаев, таких как отслеживание контактов. Хотя доступ к современной медицинской помощи в Аддис-Абебе относительно лучше, чем в остальной части страны, удаленность от медицинской помощи оказала значительное влияние на задержку пациентов. Поэтому следует рассмотреть возможность дальнейшей децентрализации служб диагностики и лечения ТБ.Также важно способствовать быстрому обращению за медицинской помощью путем повышения осведомленности населения об этом заболевании.
Что нужно знать пульмонологам о внелегочном туберкулезе
По данным Всемирной организации здравоохранения, заболевание туберкулезом было наиболее частой причиной смерти от инфекционного агента в 2019 г. [1]. Заболеваемость туберкулезом во всем мире составляет 10 миллионов человек в год, причем 90% случаев приходится на 30 стран с высоким бременем. Кроме того, около 25% (2.7 миллиардов человек) населения земного шара имеют латентную туберкулезную инфекцию и, таким образом, подвержены риску развития туберкулеза. Доля внелегочного туберкулеза (ВЛТ) сильно различается в разных странах. С 2002 по 2011 г. в Европейском союзе на ЭЛТ без поражения легких приходилось 19% всех новых случаев туберкулеза, от 6% до 44%; тогда как EPT с вовлечением легких составлял 6%. Таким образом, доля новых зарегистрированных случаев туберкулеза с поражением легких составила 75% [2].Относительная заболеваемость ЭПЛ увеличивается: доля новых внелегочных случаев в Европейском Союзе увеличилась с 16,4% всех случаев туберкулеза в 2002 г.
до 22,4% в 2011 г. [2]. Это, вероятно, связано с ростом его факторов риска, особенно ВИЧ-инфекции [3] и использованием терапии против фактора некроза опухоли α [4, 5].
ЭПТ потенциально может поражать все органы. Туберкулез, вызывающий перикардит или поражающий центральную нервную систему, а также милиарный туберкулез могут представлять собой потенциально опасные для жизни неотложные состояния.Туберкулез периферических лимфатических узлов и желудочно-кишечный тракт являются распространенными локализациями EPT, тогда как костно-суставной и урогенитальный туберкулез могут иметь серьезные функциональные последствия.
Диагностика ЭЛТ, особенно при отсутствии туберкулеза легких, часто затруднена. В 19% случаев ЭТЛ не связана с туберкулезом легких [2, 6]. В странах с низкой заболеваемостью туберкулезом врачи могут не знать ЭПТ. Неинвазивные диагностические тесты часто имеют более низкую чувствительность в нелегочных образцах, и могут потребоваться инвазивные диагностические процедуры [7].
В этом обзоре мы представляем клинические характеристики, диагностические инструменты и лечебные последствия различных проявлений ЭПТ. Мы фокусируемся на проявлениях EPT, с которыми специалисты по респираторным заболеваниям, вероятно, менее знакомы, поэтому в этой статье мы не останавливаемся на туберкулезе плевры и туберкулезной лимфаденопатии средостения.
Информация в статье основана на поиске в PubMed с использованием ключевых слов «внелегочный-туберкулез», а затем ключевого слова каждой локализации ( e.г. «туберкулезный перикардит»). Мы также искали последние рекомендации профессиональных организаций (, например, Американского торакального общества, Европейского респираторного общества).
Диагностика ЭПТ
При подозрении на ЭПТ всегда следует искать туберкулез легких. При поражении легких исследование мокроты на Mycobacterium tuberculosis является простым неинвазивным тестом с хорошей диагностической ценностью при прямом микроскопическом исследовании, молекулярном тестировании и посеве.
Кроме того, поражение легких может сделать пациента заразным и иметь значение для изоляции пациента, защитных мер и отслеживания контактов.
Микробиологический посев является золотым стандартом для выделения M.tuberculosis из образца тела, что также позволяет проводить тесты на чувствительность к лекарственным средствам. Для выращивания организма в культуре требуется от двух (на жидкой питательной среде) до 4 недель (на твердой питательной среде на основе яиц или агара), но окончательные отрицательные отчеты выдаются только через 8 недель, чтобы обеспечить достаточно длительный срок. период наблюдения [8].Обнаружение кислотоустойчивых бацилл (КУБ) при прямом микроскопическом исследовании (мазок КУМ) образца тела является быстрым и недорогим, но имеет переменную чувствительность, требует обученного персонала и не может дифференцировать комплекс M. tuberculosis от нетуберкулезных микобактерий. Молекулярное тестирование позволяет быстро обнаружить ДНК комплекса M.
tuberculosis с помощью ПЦР, в зависимости от теста, менее чем за 2 часа. Некоторые тесты на основе ПЦР также могут обнаруживать мутации, связанные с лекарственной устойчивостью (амплифицированный M.tuberculosis Direct [9] и GeneXpert MTB/RIF [10]).Чувствительность и специфичность тестов различаются, а тесты на основе ПЦР не заменяют культуры золотого стандарта. Тесты мочи на антиген туберкулеза используются в странах с высокой заболеваемостью ВИЧ и туберкулезом для диагностики милиарного туберкулеза у больных с ВИЧ.
Туберкулиновая кожная проба и тесты на высвобождение гамма-интерферона используются для диагностики латентной туберкулезной инфекции. Хотя они могут быть полезны, их не следует использовать при диагностике активного туберкулеза, так как отрицательный результат не исключает туберкулез с уверенностью [7].
В зависимости от локализации туберкулеза в организме другие тесты, такие как визуализация или цитология биологических жидкостей и биохимия, могут подтвердить диагноз туберкулеза, но результаты этих исследований не являются патогномоничными.
Например, в лимфоцитарных плевральных, перикардиальных, перитонеальных и суставных выпотах уровень аденозиндезаминазы (АДА) >40 г·л -1 имеет высокую положительную прогностическую ценность для диагностики туберкулеза у пациента с высоким претестовым вероятность туберкулеза, тогда как уровень АДА<40 г·л -1 исключает туберкулез с высокой степенью уверенности у пациента с низкой дотестовой вероятностью [7].В спинномозговой жидкости (ЦСЖ) уровень АДА>10 Ед·л -1 можно интерпретировать аналогичным образом [7].
Уровни свободного интерферона-γ в перитонеальной жидкости имеют чувствительность 93% и специфичность 99%; в плевральной жидкости их чувствительность составляет 89%, а специфичность — 97% [7].
Увеличение времени оседания эритроцитов (СЭР) при нормальном уровне С-реактивного белка в крови соответствует туберкулезу, но неспецифично.
Биопсия ткани, показывающая казеозное гранулематозное воспаление, в высокой степени свидетельствует о туберкулезе, но также может быть вызвана другими инфекционными микроорганизмами.
Если М.tuberculosis выделить не удается, не исключены другие диагнозы. Однако саркоидоз и лимфома обычно проявляются неказеозными гранулемами, а не казеозными гранулемами, как при туберкулезе.
Лечение ЭПТ
Стандартная медикаментозная терапия ЭПТ такая же, как и при туберкулезе легких, то есть рифампицин, изониазид, этамбутол и пиразинамид в течение первых 2 месяцев, а затем рифампицин и изониазид в течение следующих 4 месяцев [11]. Схему лечения необходимо адаптировать при наличии резистентности к одному или нескольким препаратам первого ряда, но эта тема выходит за рамки нашей статьи.
В некоторых местах требуется внутривенное введение лекарств, более продолжительное лечение, добавление стероидов, хирургическое вмешательство или экстренное эмпирическое лечение [11]. Подробно рассмотрим эти вопросы в статье.
Внелегочный туберкулез грудной клетки и дыхательных путей
Специалисты по респираторным заболеваниям обычно знакомы с туберкулезным плевритом, туберкулезной эмпиемой и медиастинальным туберкулезным лимфаденитом.
В этой статье основное внимание уделяется проявлениям EPT, с которыми специалисты по респираторным заболеваниям, вероятно, менее знакомы, поэтому в этой статье мы не останавливаемся на туберкулезе плевры и туберкулезной лимфаденопатии средостения.
Специалисты по респираторным заболеваниям могут столкнуться с редкими очагами туберкулеза верхних дыхательных путей [12] во время бронхоскопии. Эти поражения носоглотки или гортани могут выглядеть злокачественными. Дисфония является основным симптомом туберкулеза гортани, который проявляется язвенно-пролиферативным или инфильтративным поражением гортани. Туберкулез полости носа обычно проявляется хронической односторонней заложенностью носа с гнойным отделяемым, носовым кровотечением и увеличением шейных лимфатических узлов. Одинофагия с односторонним изъязвлением или гипертрофией миндалин является обычным признаком ротоглоточного туберкулеза.В редких случаях туберкулез ушной раковины проявляется хроническим гнойным средним отитом, резистентным к обычным антибиотикам, с множественными перфорациями барабанной перепонки.
Туберкулезный паротит обычно проявляется медленно прогрессирующим отеком околоушной железы без конституциональных симптомов, таких как потеря веса или лихорадка. Основным диагностическим исследованием в вышеописанных локализациях является тонкоигольная аспирационная биопсия (ТАБ) для цитологии, мазка КУМ, посевов и молекулярных тестов [13].
Потенциально опасные для жизни неотложные состояния
Туберкулезный перикардит, милиарный туберкулез и туберкулез центральной нервной системы потенциально опасны для жизни и требуют быстрой диагностики и лечения.
Туберкулезный перикардит
Туберкулезный перикардит, который поражает только 1–2% больных туберкулезом, может привести к тампонаде сердца (потенциально смертельной). Редко у больных развивается констриктивный перикардит. У пациентов с ВИЧ более вероятно развитие гемодинамической нестабильности и сопутствующего миокардита [14].
Выпотной туберкулезный перикардит
Выпотной туберкулезный перикардит проявляется как подострый перикардит с конституциональными симптомами, такими как потеря веса и лихорадка, обычно предшествующими появлению одышки при физической нагрузке и боли в груди.
На рентгенограмме грудной клетки силуэт сердца имеет колбообразную форму и увеличен в размерах (рис. 1), могут присутствовать признаки туберкулеза легких, плевры или средостения.
Туберкулезный перикардит: рентгенограмма грудной клетки. а) Тяжелый перикардиальный выпот. Силуэт сердца (красный) увеличен (кардио-грудной коэффициент >50%), с симметричным расширением по отношению к позвоночнику (зеленый): «фляжкообразный» или «фляжка» или «курица на заборе». Угол между правым и левым главными бронхами (синий) >90°: признак «расширение каринального угла».б) тот же пациент после перикардиоцентеза. Рисунок изменен и воспроизведен с разрешения Пьера Л’Эра (HIA Percy, Clamart, Франция).
Эхокардиография показывает утолщенный перикард, содержащий различное количество гипоэхогенной жидкости с фибринозными тяжами (рис. 2) [15] и выявляет тампонаду сердца, если она имеется. Компьютерная томография грудной клетки является лучшим методом визуализации для выявления поражения плевры и легких и средостения, тогда как магнитно-резонансная томография (МРТ) сердца может выявить перикардиальный абсцесс.
Туберкулезный перикардит: эхокардиография . Эхокардиография, показывающая типичный туберкулезный выпотной перикардит с выпотом (E), толщиной перикарда (P) и перпендикулярными тяжами перикарда (черные стрелки). RV: правый желудочек, LV: левый желудочек, RA: правое предсердие, LA; левое предсердие. Рисунок изменен и воспроизведен с разрешения Жоржа Клоатра.
Экстренный перикардиоцентез следует проводить при тампонаде сердца. Перикардиальная жидкость обычно окрашена кровью, лимфоцитарная и экссудативная с уровнем АДА выше 40 г·л -1 [7, 16].Мазок и культура КУМ обладают низкой чувствительностью: 0–42% и 50–65% соответственно [7]. Данные о молекулярном тестировании перикардиальной жидкости ограничены. Биопсия перикарда имеет чувствительность 73–100% [7]. Для лечения выпотного туберкулезного перикардита, не требующего экстренного перикардиоцентеза, следует рассмотреть возможность нижней перикардиотомии с установкой дренажа, чтобы избежать тампонады сердца.
Он также позволяет визуализировать перикард (напоминающий семена проса), перикардиальную жидкость и биопсию.Основными дифференциальными диагнозами выпотного туберкулезного перикардита являются перикардиты, вызванные другими инфекционными микроорганизмами, злокачественными новообразованиями и гемоперикардом.
Особенности лечения туберкулезного выпотного перикардита: добавление кортикостероидов (дозировка: 1 мг·кг -1 в день) следует применять не рутинно, а выборочно у пациентов с высоким риском прогрессирования констриктивного перикардита [11, 17]. При поступлении может потребоваться срочная перикардиотомия для получения диагностических образцов и предотвращения тампонады.
Констриктивный перикардит
Констриктивный перикардит встречается редко и обычно проявляется прогрессирующей одышкой при нагрузке с признаками правожелудочковой недостаточности [18].
Рентгенография грудной клетки может показать кольцо кальцификации вокруг сердца. Эхокардиография демонстрирует увеличение толщины перикарда и признаки констрикции с аномальным движением перегородки, респираторными вариациями желудочкового заполнения, биатриальным расширением и дилатацией нижней полой вены и печеночных вен [19].
Катетеризация правых отделов сердца позволяет провести гемодинамическую оценку констриктивного перикардита с повышенным давлением в правом предсердии и характером провалов и плато на кривой давления в правом желудочке [20]. Компьютерная томография сердца и МРТ предоставляют подробную информацию о степени утолщения и кальцификации перикарда [21].
Основные дифференциальные диагнозы: осложнение после лучевой терапии, заболевания соединительной ткани, констриктивный перикардит на фоне саркоидоза, злокачественных новообразований и других инфекционных причин.
Перикардэктомия, часто необходимая для лечения сердечной недостаточности, позволяет проводить биопсию перикарда в диагностических целях.
Милиарный туберкулез
Милиарный туберкулез возникает в результате лимфогематогенного распространения M.tuberculosis при первичной инфекции или реактивации. Это летальная форма диссеминированного туберкулеза (инфекция , т. е. , которая поражает кровоток, костный мозг, печень или два или более несмежных участка тела) [22, 23].
Клинические проявления могут быть подострыми с лихорадкой, дисфункцией одного или нескольких органов и ночными потами или молниеносными с полиорганной недостаточностью, септическим шоком и острым респираторным дистресс-синдромом.Легкие имеют милиарный аспект (как семена проса), и чаще всего вовлекаются также лимфатическая система, кости, суставы, печень, центральная нервная система и надпочечники [24].
Рентгенография грудной клетки показывает двустороннее равномерное распределение милиарных узелков диаметром 1–3 мм. Этот аспект лучше всего виден на компьютерной томографии грудной клетки. Коррелируя с клинической картиной, эти визуализирующие данные в высокой степени свидетельствуют о милиарном туберкулезе. Милиарный туберкулез часто сочетается с гематологическими аномалиями, диссеминированным внутрисосудистым свертыванием крови, повышенным ERS, гипонатриемией (из-за синдрома неадекватной секреции антидиуретического гормона (SIADH)), гиперкальциемией и асептической пиурией [24].
Рентгенограмма грудной клетки и компьютерная томография грудной клетки демонстрируют многочисленные билатерально диссеминированные микроузелки (рис. 3) [24]. Обнаружение хориоидальных бугорков (бугорков Бушю) при офтальмоскопии является патогномоничным для милиарного туберкулеза [24].
Милиарный туберкулез. а) рентгенограмма грудной клетки и б) компьютерная томограмма грудной клетки 40-летнего африканца, ВИЧ-отрицательного, с подострым началом с высокой температурой (40°С), одышкой и общим недомоганием. Визуализирующие исследования показали двусторонние микронодулярные инфильтраты в легких, напоминающие семена проса.В этом случае поражения были преимущественно слева. Мазки мокроты на кислотоустойчивые бациллы (КУБ) были отрицательными. Диагноз устанавливали по положительному мазку КУМ из бронхиальных смывов, взятых во время бронхоскопии. Рисунок изменен и воспроизведен с разрешения Пьера Л’Эра (HIA Percy, Clamart, Франция).
Взятие образцов пораженных органов для мазка КУМ, посева, молекулярного тестирования и цитологического/гистологического исследования обычно позволяет поставить диагноз [24].
У пациентов с ВИЧ недорогой тест на антиген в моче (анализ липоарабиноманнана в моче с латеральным потоком: обнаружение гликолипида липоарабиноманнана в клеточной стенке микобактерий) обладает хорошей чувствительностью, особенно если размер клеток CD4 <100 мм -3 , и результаты могут быть получено менее чем за 1 ч [25–27].
Милиарный туберкулез требует неотложной медицинской помощи, и эмпирическое лечение следует начинать незамедлительно. Продолжительность и режим лечения должны быть адаптированы к пораженным органам.
Туберкулезный менингит и энцефалит
Начало туберкулезного менингита часто подострое [28], с лихорадкой, скованностью, рвотой, нарушением сознания и параличами черепных нервов (особенно VI, III, IV и VII черепных нервов) [29, 30] ). В далеко зашедшей стадии у больных наблюдаются параличи, ступор, кома и судороги.Часто встречаются такие осложнения, как гидроцефалия, гипонатриемия и потеря зрения. Если болезнь не лечить, смерть наступает в течение 5–8 недель.
Компьютерная томография или МРТ головного мозга могут выявить густые базилярные экссудаты, церебральные инфаркты, гидроцефалию и оптохиазматический арахноидит [31]. Сочетание гидроцефалии, базального усиления и инфаркта имеет специфичность 95–100% для диагностики туберкулезного менингита [29].
Исследование ЦСЖ показывает высокое давление открытия (25 см H 2 O) в 50% случаев [29], лимфоцитарный плейоцитоз, повышенную концентрацию белка и отношение ЦСЖ к глюкозе плазмы <0.5 в 95% случаев [32]. Уровни ADA более 8 UI·L -1 подтверждают диагноз туберкулезного менингита [7, 33]. Мазки на КУМ положительны только у 10–30% пациентов, но остаются положительными через несколько дней после начала противотуберкулезного лечения [7]. Выход диагностики увеличивается с увеличением объема СМЖ (до 10–15 мл) и количества (до четырех) проб СМЖ. Чувствительность посева ЦСЖ составляет 45–70% [7]. ПЦР (обнаружение только ДНК M.tuberculosis ) имеет чувствительность 62% и специфичность 98% [7, 34], тогда как GeneXpert (ПЦР в реальном времени, обнаруживающая как ДНК M.
tuberculosis и мутация гена rpoB , что свидетельствует об устойчивости к рифампицину) имеет чувствительность 59–66% [35, 36].
Дифференциальные диагнозы туберкулезного менингита включают грибковый, бактериальный или вирусный менингит, нейробруцеллез, нейросифилис и неопластический менингит.
При подозрении на туберкулезный менингит следует незамедлительно начать эмпирическое противотуберкулезное лечение [11]. Однако диагностика менингеального туберкулеза может быть сложной задачей, так как 90–205 M.tuberculosis часто не обнаруживается в спинномозговой жидкости. При отсутствии эталонного диагностического стандарта с высокой точностью эмпирическое лечение противотуберкулезными препаратами при туберкулезном менингите и традиционными антибиотиками при гнойном менингите является разумным подходом в случаях, когда причина менингита неясна. После начальной 2-месячной фазы изониазида, рифампицина, пиразинамида и этамбутола рекомендуется дополнительная 7–10-месячная вторая фаза изониазида и рифампицина [11].
Кортикостероидная терапия снижает риск смерти и инвалидизирующего неврологического дефицита у ВИЧ-негативных больных туберкулезным менингитом [37]. При противотуберкулезном лечении может наблюдаться парадоксальное ухудшение течения туберкулезного менингита, которое можно лечить кортикостероидами.
Туберкулемы головного мозга
Пациенты с туберкулемами головного мозга часто протекают бессимптомно или могут иметь судороги [38]. Туберкулемы головного мозга могут быть связаны с туберкулезным менингитом [39].
Компьютерная томография с контрастом и МРТ головного мозга показывают единичные или множественные усиливающие кольцевидные очаги с окружающим отеком, неотличимые от усиливающих кольцевидные поражения головного мозга по причинам, отличным от туберкулеза [31].
Если другие органы не поражены туберкулезом, диагностика туберкулем головного мозга затруднена. Их следует заподозрить у больных с одним или несколькими объемными поражениями головного мозга и факторами риска туберкулеза.
Люмбальную пункцию следует проводить с осторожностью у пациентов с большими туберкуломами из-за риска грыжи ствола мозга. Игольная биопсия очага поражения головного мозга для мазка КУМ, посева, молекулярного исследования и патологии показана, если нет возможности получить образцы из других вовлеченных органов [38, 40].В условиях низкой заболеваемости туберкулезом перед проведением пункционной биопсии следует рассмотреть возможность эмпирического лечения токсоплазмоза у пациентов с ВИЧ.
Основными дифференциальными диагнозами туберкулем головного мозга являются нейроцистицеркоз, криптококкома, токсоплазмоз, абсцесс головного мозга, лимфома и первичные или вторичные опухоли головного мозга.
Информация о факторах риска туберкулеза или злокачественных новообразований ( например, иммуносупрессия, злокачественные новообразования в анамнезе) важна для постановки диагноза.
При туберкуломах головного мозга протокол лечения такой же, как при туберкулезном менингите.
Глюкокортикоиды применяют при тяжелом отеке головного мозга с масс-эффектом, внутричерепной гипертензии и сопутствующем менингите. Может возникнуть парадоксальная реакция на противотуберкулезное лечение, и туберкулемы головного мозга могут сохраняться, несмотря на адекватное лечение антибиотиками.
Туберкулезный спинальный арахноидит
Туберкулезный спинальный арахноидит поражает спинной мозг, мозговые оболочки и нервные корешки на любом уровне в различных сочетаниях.Это является следствием разрушения гранулем внутри этих структур, которые затем постепенно покрываются туберкулезным экссудатом, образуя фиброзную массу. Основным фактором риска спинального арахноидита является туберкулёзный спондилит (болезнь Потта), особенно если спондилоартрит является длительным и начало противотуберкулезного лечения отсрочено. Клинические проявления разнообразны: от симптомов, вызванных поражением верхних и/или нижних мотонейронов, до радикуломиелита с парапарезом, корешковой болью и дисфункцией мочевого пузыря.
МРТ позвоночника показывает узловой арахноидит. В спинномозговой жидкости уровни белка обычно высокие с плейоцитозом или без него. Мазок на КУМ, посев и молекулярное исследование спинномозговой жидкости облегчают диагностику туберкулеза в случаях сопутствующего менингита. При отсутствии менингита или туберкулеза в других органах для постановки точного диагноза необходима биопсия очага поражения позвоночника [38].
Основными дифференциальными диагнозами туберкулезного спинального арахноидита являются цитомегаловирусная инфекция и сифилис.
Нет убедительных доказательств эффективности лечения спинального арахноидита. Эксперты предлагают продлить лечение до 12 месяцев и рассмотреть возможность использования кортикостероидов [41]. Хирургия показана отдельным пациентам с плохой реакцией на адекватное медикаментозное лечение.
Частые локализации ЭПТ
Наиболее частыми локализациями ЭПТ после туберкулезного плеврита являются туберкулезный лимфаденит, костно-суставной туберкулез, урогенитальный туберкулез и туберкулез желудочно-кишечного тракта.
Туберкулезный лимфаденит
У пациентов, не инфицированных ВИЧ, туберкулезный периферический лимфаденит часто проявляется в виде отека одной группы лимфатических узлов в одном месте, в основном в шейной, подчелюстной или надключичной областях, прогрессирует в течение 1–2 месяцев, без конституциональные симптомы [42]. При физикальном осмотре лимфатические узлы безболезненны, плотны, неподвижны, а кожа над ними может быть утолщенной или красной. Могут наблюдаться такие осложнения, как образование язв, свищей или абсцессов (рис. 4).Сопутствующее активное поражение легких встречается редко [43]. Напротив, у пациентов с ВИЧ часто наблюдаются такие симптомы, как лихорадка, ночная потливость и потеря веса, часто поражается более одного лимфатического узла и часто встречается сопутствующий туберкулез легких.
Рисунок 4 Клиническая картина туберкулезного периферического лимфаденита. Шейный туберкулезный лимфаденит, осложненный скрофулодермией, у пациента без ВИЧ (Берег Слоновой Кости).
Рисунок изменен и воспроизведен с разрешения Пьера Л’Эра (HIA Percy, Clamart, Франция) и Филиппа Оветта.
Ультрасонография — это простой, неинвазивный, недорогой и широко доступный метод визуализации, позволяющий лучше охарактеризовать периферические лимфатические узлы (рис. 5) [44]. Компьютерная томография (рис. 5) или МРТ шеи могут помочь охарактеризовать лимфатические узлы, но обычно в этом нет необходимости.
Рисунок 5 Визуализация туберкулезного периферического лимфаденита. Компьютерная томография и УЗИ 8-летнего ВИЧ-отрицательного вьетнамского мальчика с 1-месячной историей образования правой шейки матки, которое первоначально было ошибочно диагностировано как осложнение абсцесса зуба.Сопутствующего туберкулеза легких у него не было. Мазок на кислотоустойчивые бациллы (КУБ) тонкоигольной аспирационной биопсии лимфатического узла был положительным. а) Компьютерная томография шейки матки. Туберкулезный лимфатический узел увеличен с центральными казеозными участками низкой плотности.
б) УЗИ шейки матки. Туберкулезный лимфатический узел гипоэхогенный, с тонкими слоями, матированием и отеком окружающих мягких тканей. Рисунок изменен и воспроизведен с разрешения Пьера Вердаля и До Ван Ту (отделение радиологии, французская больница Ханоя, Ханой, Вьетнам).
Материал из периферических лимфатических узлов можно легко, безопасно и недорого получить с помощью FNAB под ультразвуковым контролем. Однако мазок КУМ имеет низкую чувствительность (20%), а посев с чувствительностью 60% требует времени. Дополнительные молекулярные тесты повышают диагностическую ценность мазка: ПЦР имеет чувствительность 20–50%, а GeneXpert 26–73% [45–47]. Обнаружение типичной патологии казеозного гранулематозного воспаления при FNAB обычно бывает достаточным для начала эмпирического лечения туберкулеза.Эксцизионная биопсия для выявления патологии, мазок и посев КУМ, а также молекулярное тестирование в целом имеют более высокую чувствительность (80%) и могут быть рассмотрены, если результаты FNAB неубедительны или если дифференциальный диагноз более вероятен.
Гистиоцитарно-некротический лимфаденит (болезнь Кикучи), злокачественные новообразования и лимфомы, нетуберкулезные микобактериальные инфекции, болезнь кошачьих царапин и бактериальный лимфаденит являются наиболее частыми дифференциальными диагнозами, которые можно исключить путем исследования лимфатических узлов.
Туберкулезная лимфаденопатия может также поражать медиастинальные или абдоминальные лимфатические узлы либо путем лимфатического, либо гематогенного распространения. Брюшные лимфатические узлы имеют те же особенности визуализации, что и периферические лимфатические узлы. Симптомы зависят от расположения лимфатических узлов. Печеночные лимфатические узлы могут привести к желтухе, тромбозу воротной вены и портальной гипертензии. Компрессия почечной артерии туберкулезной лимфаденопатией может вызвать реноваскулярную гипертензию. Кишечная непроходимость может возникать в случае поражения мезентериальных лимфатических узлов (рис. 6).FNAB или эксцизионная биопсия для цитологии или патологии, мазок и культура КУМ, а также молекулярное тестирование имеют те же преимущества и ограничения, что и в периферических лимфатических узлах. Игольная аспирация лимфатических узлов с помощью эндобронхиального УЗИ (EBUS-TBNA) и/или УЗИ пищевода (EUS-FNA) является методом выбора при диагностическом исследовании как медиастинальных, так и абдоминальных лимфатических узлов [48, 49].
Рисунок 6Туберкулезный мезентериальный лимфаденит: парадоксальная реакция. 23-летний вьетнамский мужчина с историей закрытия межпредсердных перегородок, ВИЧ-отрицательный, поступил с потерей веса на 30 кг за 1 год.а) На компьютерной томографии органов грудной клетки выявлены изменения, характерные для туберкулеза легких. Мазок мокроты на кислотоустойчивые бациллы (КУБ) был положительным. Через 10 дней после начала противотуберкулезного лечения он поступил в отделение неотложной помощи с сильными эпигастральными болями без стула или газов в течение 48 часов. б) Рентгенограмма брюшной полости показала околопупочный водянистый уровень, свидетельствующий о кишечной непроходимости. в) При УЗИ органов брюшной полости выявлены увеличенные мезентериальные лимфатические узлы, сдавливающие кишку.Пациент полностью выздоровел после гидратации, назогастральной аспирации и противотуберкулезного лечения. Рисунок изменен и воспроизведен с разрешения Дельфины Натали и Нгуен Хунг (отделение радиологии, французская больница Ханоя, Ханой, Вьетнам).
При периферическом туберкулезном лимфадените во время лечения может возникнуть парадоксальная реакция, обусловленная иммунным ответом на умирание M. tuberculosis . Проявляется либо увеличением размеров ранее существовавших увеличенных лимфатических узлов и/или появлением новых лимфатических узлов и/или спонтанными выделениями.Наблюдения может быть достаточно, но для улучшения симптомов пациента могут потребоваться аспирация, хирургическое иссечение, нестероидные противовоспалительные препараты или кортикостероиды. Новое исследование лимфатического узла не требуется, если был поставлен микробиологический диагноз туберкулеза и известна лекарственная чувствительность. Другие случаи должны оцениваться в индивидуальном порядке.
Туберкулезный спондилит или болезнь Потта
Клиницисты должны знать о проявлении этого заболевания, поскольку оно может быть связано с тяжелыми осложнениями (рис. 7–9).Инфекция обычно локализуется в нижнегрудном и верхнепоясничном отделах. Он начинается в межпозвонковых суставах, распространяется на соседнее тело позвонка, а затем на соседнее пространство межпозвонкового диска, приводя к коллапсу позвонков и деформации горба, а также к риску компрессии мозгового вещества с последующей параплегией или тетраплегией. Образование холодных абсцессов вокруг очагов инфекции является обычным явлением, и эти абсцессы могут стекать в свищи на кожу. Поражения костей, возникающие более чем на одном уровне, являются характерной чертой туберкулезного спондилита.
Рисунок 7Туберкулезный спондилит (болезнь Потта) на верхнем поясничном уровне. Этой 29-летней ивуарийке в течение 2 лет ошибочно диагностировали люмбаго. У нее не было лихорадки и конституциональных симптомов. Она была ВИЧ-отрицательной. При тонкоигольной аспирационной биопсии под контролем компьютерной томографии диагностирован туберкулез. а) Деформация поясничного отдела позвоночника. б) дренирование пазух с выделением жидкости; искривление поясничного отдела позвоночника. в) компьютерная томография поясничного отдела позвоночника, показывающая остеолитические поражения и деструкцию тел позвонков на поясничном (L) уровне (L1, L2, L3).Рисунок изменен и воспроизведен с разрешения Филиппа Ховетта.
Рисунок 8Туберкулезный спондилит (болезнь Потта) на грудном уровне. Типичная деформация горба с кифозом: а) у камбоджийского мальчика и б) у ивуарийского мальчика. в) Паравертебральный абсцесс у мальчика из Камбоджи. Рисунок изменен и воспроизведен с разрешения Пьера Л’Эра (HIA Percy, Clamart, Франция) и Филиппа Оветта.
Рисунок 9Туберкулезный спондилит (болезнь Потта) визуализация. а) Рентгенограмма грудного отдела позвоночника.Остеолитические поражения тел позвонков и потеря высоты диска. б) Соответствующая компьютерная томография грудного отдела позвоночника. в–д) магнитно-резонансная томография позвоночника. Туберкулезный спондилит с паравертебральным абсцессом (стрелка) на уровне D5-D6. Рисунок изменен и воспроизведен с разрешения Пьера Л’Эра, профессора Филиппа Ховетта и Кристиана Броссе.
Хроническая и прогрессивно нарастающая (от недель до месяцев) локализованная боль часто является симптомом заболевания [50–52].Больные ходят с запрокинутой назад головой и грудью, выпяченным животом и широко расставленными ногами, делая короткие шаги, чтобы избежать сотрясения позвоночника (походка Олдермана). Конституциональные симптомы и поражение легких встречаются редко.
Рентгенограмма позвоночника обычно показывает деминерализацию позвонков, паравертебральные абсцессы и облитерацию дисковых пространств с передним заклиниванием и ангуляцией. Компьютерная томография позвоночника может показать деструкцию тел позвонков, потерю высоты диска, эрозию замыкательных пластинок, субхондральные кисты и паравертебральные абсцессы [53].МРТ позвоночника является методом выбора для оценки распространения инфекции на мягкие ткани, компрессии спинного мозга или ассоциированного спинального арахноидита. [54]. Инфекция межпозвонкового диска приводит к остеомиелиту позвоночника с разрушением двух или более соседних позвонков и соприкасающихся концевых пластинок. Вовлечение позвонков приводит к остеонекрозу позвонков, подсвязочному абсцессу и коллапсу позвонков. Прилегающая диссеминация мягких тканей вызывает образование паравертебрального или подвздошно-поясничного абсцесса.
При отсутствии сопутствующего туберкулеза легких диагностика туберкулезного спондилита часто затруднена.FNAB под контролем компьютерной томографии позволяет брать пробы для мазка КУМ, посева, молекулярного тестирования и патологии. Тестирование GeneXpert на образцах тканей может улучшить диагностическую ценность [55, 56]. Может быть полезен посев жидкости, отделяемой из дренирующих пазух; однако этот материал часто заселен гноеродными бактериями или грибками.
Дифференциальные диагнозы многочисленны: спондилоартропатия, коллапс тел позвонков из-за остеопении, спондилиты, вызванные другими возбудителями, гнойные инфекции позвоночника и злокачественные новообразования.
При туберкулезном спондилите продолжительность лечения может быть увеличена до 9–12 месяцев [11]. Хирургическое вмешательство необходимо в случаях с тяжелым неврологическим дефицитом, или если неврологические симптомы ухудшаются во время соответствующего лечения, или если у пациента на момент поступления имеется кифоз >40°. При возникновении туберкулезного артрита в протезированном суставе требуется удаление искусственного сустава.
Туберкулезный остеомиелит
Туберкулезный остеомиелит может поражать любую кость. Он развивается медленно с течением времени, обычно в одном месте.Клиническая картина зависит от локализации, например, холодный абсцесс грудной стенки может быть следствием туберкулезного остеомиелита ребра (рис. 10) или дактилит может быть следствием туберкулеза костей пальцев рук или ног.
Рисунок 10Холодный абсцесс грудной стенки. Холодный абсцесс третьего ребра слева у 28-летнего вьетнамского мужчины, ВИЧ-отрицательного, с безболезненной массой левой грудной клетки в течение 1 месяца. а) УЗИ грудной клетки показало гипоэхогенное гетерогенное образование.б) компьютерная томография грудной клетки подтвердила это поражение, черная стрелка) с в) вовлечение третьего ребра, белая стрелка). При хирургическом исследовании пораженного участка обнаружена густая жидкость желтого цвета с присутствием Mycobacterium tuberculosis . Рисунок изменен и воспроизведен с разрешения Do Van Tu и Nguyen The Hung Hung (отделение радиологии, французская больница Ханоя, Ханой, Вьетнам).
Рентгенограмма пораженной кости показывает кистозные изменения; компьютерная томография и МРТ помогают определить протяженность поражений.
Диагноз ставится с помощью FNAB с образцами, обработанными для мазка КУМ, посева, молекулярных тестов и патологии.
Туберкулезный артрит
Туберкулез может поражать суставы двумя путями: он может вызывать инфекцию собственного или протезированного сустава (туберкулезный артрит) или иммунно-опосредованное воспаление сустава (болезнь Понсе).
Туберкулезный артрит (рис. 11) обычно развивается в одном месте, либо в бедре, либо в колене, и проявляется в виде подострого болезненного отека с потерей функции сустава.При физикальном осмотре сустав кажется холодным, иногда с дренирующими синусами на кожу или суставным выпотом. В самых запущенных случаях могут быть деформации суставов. Конституциональные симптомы встречаются редко. Рентгенограмма сустава показывает локальный отек мягких тканей и кальцификацию, остеопороз, эрозию кости и коллапс сустава [57]. Компьютерная томография или МРТ пораженного сустава поможет определить степень и тяжесть поражений. Анализ синовиальной жидкости имеет низкую диагностическую ценность, тогда как синовиальная биопсия для мазка КУМ, посева, молекулярного тестирования и патологии имеет очень хорошую диагностическую ценность [7].Посев жидкости, поступающей из дренирующих пазух, потенциально может облегчить диагностику туберкулеза; однако эти образцы часто колонизированы гноеродными бактериями и грибками. Дифференциальный диагноз проводится с дегенеративным и бактериальным или грибковым артритом.
Рисунок 11Туберкулезный артрит коленного сустава. 14-летний мальчик из Камбоджи хромает из-за туберкулезного артрита правого колена со скрофулодермией и фистулами на коже. Физикальное обследование выявило также шейную лимфаденопатию со скрофулодермой, а рентгенограмма грудной клетки (здесь не показана) продемонстрировала двусторонний активный туберкулез легких.Рисунок изменен и воспроизведен с разрешения Пьера Л’Эра (HIA Percy, Clamart, Франция).
Болезнь Понсе — иммуноопосредованный острый симметричный олиго- или полиартрит с поражением крупных и мелких суставов, ассоциированный с туберкулезом [58]. Туберкулезной инфекции в суставах нет, поэтому для установления диагноза требуются образцы из других органов (при их наличии). Прогноз при противотуберкулезном лечении благоприятный, отсутствие разрушения суставов.
Туберкулез брюшины
Обычной клинической картиной туберкулеза брюшины является медленное накопление асцитической жидкости в течение недель или месяцев, иногда сопровождающееся болями в животе и лихорадкой [59].
Исследовательский парацентез является первым этапом диагностики [60]. Жидкость соломенного цвета, лимфоцитарная, с сывороточно-асцитным градиентом альбумина ниже 1 и повышенным уровнем АДА [7]. Мазок КУМ, культуры и GeneXpert имеют низкую чувствительность, <5%, 45-69% и 18% соответственно [7]. Для установления диагноза может потребоваться перитонеальная биопсия с помощью лапароскопии (мазок на КУМ, посев, молекулярные и патологические тесты) [61]. Брюшина имеет вид семян проса.
Дифференциальные диагнозы включают терминальную стадию заболевания печени, бактериальный или грибковый перитонит и злокачественные новообразования.
Туберкулез печени
Туберкулез печени чаще наблюдается при милиарном туберкулезе, чем при изолированной местной форме заболевания. В последнем случае у больного часто отмечаются боли в животе, конституциональные симптомы и желтуха из-за сдавления желчевыводящих путей увеличенными лимфатическими узлами. Основная проблема заключается в том, чтобы начать потенциально гепатотоксическое противотуберкулезное лечение, несмотря на печеночную дисфункцию (повышенный уровень трансаминаз). Если туберкулез печени является основной причиной повышения уровня трансаминаз, следует ожидать улучшения функции печени при противотуберкулезном лечении.
Ультразвук, компьютерная томография и МРТ показывают печеночные узлы с кальцификациями и периферическим усилением и печеночные лимфатические узлы [62, 63].
Если печень является единственной локализацией заболевания, диагноз устанавливается с помощью биопсии печени на КУМ (чувствительность 25%), ПЦР (чувствительность 86%) и патологии [64, 65].
Основными дифференциальными диагнозами являются рак печени или его метастазы и абсцесс печени.
Туберкулез желудочно-кишечного тракта
Туберкулез может поражать весь пищеварительный тракт, но наиболее часто локализуется в илеоцекальной области.У пациента обычно наблюдается вздутие живота, диарея, тошнота, рвота, желудочно-кишечное кровотечение, асцит и конституциональные симптомы [66].
Визуализирующие исследования (компьютерная томография и УЗИ) могут выявить утолщение стенки в илеоцекальной области и лимфаденопатии с центральной низкой плотностью.
Колоноскопия (рис. 12) показывает язвы, узелки, деформированный илеоцекальный клапан, стриктуры, псевдополипы и фиброзные тяжи и позволяет взять образец для биопсии.
Рисунок 12Результаты колоноскопии при туберкулезе желудочно-кишечного тракта.40-летняя кореянка, ВИЧ-отрицательная, прошла колоноскопию во время систематического медицинского осмотра для получения разрешения на работу. а) Слепая кишка имела множественные круговые стриктуры. Имелись б) воспалительные и поверхностные изъязвления в правом углу ободочной кишки и в) рубец прошлого изъязвления в прямой кишке. Сопутствующего туберкулеза легких не было. Биопсия изъязвления восходящей ободочной кишки показала казеозное гранулематозное воспаление с отрицательными результатами мазка и посева на кислотоустойчивые бациллы (КУБ), но положительными на GeneXpert без резистентности к рифампицину.Рисунок изменен и воспроизведен с разрешения Annie Lion (Gastro-enterology, CH Fougères, Fougères, France).
Мазок КУМ и посев кишечной биопсии имеют низкую чувствительность; таким образом, молекулярное тестирование и патология облегчают диагностику.
Наиболее важным дифференциальным диагнозом является болезнь Крона [67], которая обычно показывает неказеозные гранулемы при биопсии кишечника.
Внутривенное лечение иногда требуется у пациентов с сильной рвотой или пациентов с непроходимостью кишечника из-за абдоминального туберкулеза.Хирургическое вмешательство может потребоваться при осложнениях, таких как перфорация желудочно-кишечного тракта, абсцесс, свищ, кровотечение или тяжелая непроходимость. Внутривенное лечение туберкулеза всеми препаратами первого ряда может быть затруднено из-за трудностей с приобретением препаратов для внутривенного введения и/или сложностей с введением внутривенных препаратов в условиях амбулаторного лечения.
Почечный и урологический туберкулез
Туберкулез мочевыводящих путей (почек, мочеточников, мочевого пузыря и уретры) обычно проявляется асептической пиурией и/или микроскопической гематурией с низким рН [68].Частое мочеиспускание, дизурия и боль в пояснице обычны, в то время как системные симптомы встречаются редко. На поздних стадиях могут возникать почечная недостаточность и высокое кровяное давление. Пациенты с ВИЧ склонны к абсцессам почек или предстательной железы. Компьютерная томография брюшной полости и таза показывает сопутствующее поражение верхних и нижних мочевых путей со стриктурами на всем протяжении мочевыводящих путей, асимметричным калиэктазом, кальцификациями, гидронефрозом, сужением мочевого пузыря и повреждением почек [69]. Мазок и посев мочи на КУМ имеют чувствительность 14–39% и 45–70% соответственно [7].Биопсия почек или мочевого пузыря имеет чувствительность 86–94% [7]. Дифференциальные диагнозы включают злокачественное новообразование и цистит Mycobacterium bovis , возникающий после внутрипузырной инстилляции Bacillus Calmette-Guérin для лечения рака мочевого пузыря.
Реже туберкулез может привести к поражению почечной паренхимы. Гломерулонефрит может возникнуть из-за туберкулезной инфекции почек. Интерстициальный нефрит может быть обусловлен развитием туберкулезной гранулемы или иммунологической реакцией на рифампицин [70].Амилоидоз может развиться и при туберкулезной инфекции вследствие хронического воспаления, которое вызывает отложение амилоидного вещества в клубочках.
Туберкулез мужских половых органов
Все мужские половые пути (предстательная железа, семенные пузырьки, семявыводящие протоки, придатки яичек, яички, куперовы железы и половой член) могут быть поражены туберкулезом. Хронический орхи-эпидидимит является наиболее частой формой мужского генитального туберкулеза, обычно проявляющейся мошоночным узлом, уплотнением придатка яичка, мошоночным свищом, водянкой яичка или мужским бесплодием.Туберкулез полового члена встречается очень редко и проявляется в виде генитальной язвы. Диагноз часто бывает сложным, опираясь на биопсию пораженного участка при отсутствии сопутствующего легочного или урологического туберкулеза.
Туберкулез женских половых органов
Туберкулез женских половых органов является частой причиной бесплодия в странах с высокой заболеваемостью туберкулезом. Он обычно не затрагивает миометрий и проявляется хроническим сальпингитом или эндометритом. Другие клинические проявления включают хроническую тазовую или абдоминальную боль и нарушения менструального цикла.
Гистеросальпингограмма показывает непроходимость или сужение фаллопиевых труб и/или сращение или деформацию полости матки. Диагноз ставится посредством биопсии вовлеченных структур или посева менструальной жидкости.
При туберкулезе мочеполовой системы в каждом конкретном случае может потребоваться хирургическое вмешательство, включая, например, стентирование или чрескожную нефростомию, хирургическую нефрэктомию, дилатацию или реконструкцию стриктур.
Другие формы ЭПТ
Недостаточность надпочечников
Туберкулез может привести к недостаточности надпочечников (болезнь Аддисона) в результате постепенного двустороннего разрушения надпочечников после гематогенного распространения инфекции в другие части тела.
В начале заболевания компьютерная томография или МРТ брюшной полости показывают увеличение надпочечников. Позже ткань надпочечников замещается казеозными узелками и фиброзом. Таким образом, через 2 года надпочечники выглядят нормально или меньше, с кальцификациями или без них [71, 72].
Клиническими признаками хронической недостаточности надпочечников являются недомогание, утомляемость, слабость, анорексия, потеря веса, артериальная гипотензия, нарушения электролитного баланса (гипонатриемия, гиперкалиемия) и гиперпигментация. Острая надпочечниковая недостаточность с шоком может возникнуть при тяжелой инфекции или остром сильном стрессовом событии.
Низкий уровень кортизола в 08:00 и после стимуляции адренокортикотропным гормоном (АКТГ) свидетельствует о недостаточности надпочечников.
Добавка гидрокортизона рекомендуется при недостаточности надпочечников. Восстановление функции надпочечников происходит только в 50% случаев после противотуберкулезного лечения и может потребоваться длительная заместительная терапия кортикостероидами.
Туберкулез кожи
Туберкулез кожи (рис. 13) встречается редко, и ни одно из поражений не является специфичным [73].Как показано в таблице 1, его можно классифицировать на основе пути заражения (система 1) или бактериальной нагрузки (система 2). Клинические проявления многочисленны и представлены в таблице 2. Средства диагностики зависят от типа поражения. Действительно, при туберкулёзных поражениях, возникающих из-за кожной иммунологической реакции, вызванной инфекцией M.tuberculosis в других частях тела, клиницист должен искать другую локализацию туберкулёза для оценки диагноза туберкулёза. Напротив, биопсия кожи для выявления патологии, мазок на КУМ и посев полезны для диагностики кожных туберкулезных поражений, содержащих бациллы.
Рисунок 13Туберкулез кожи. а) Туберкулез кожи. б) Туберкулезы: папулезные поражения лба. в) Туберкулезный холодный абсцесс кожи. г) Келоидный рубец перенесенной скрофулодермии. Рисунок изменен и воспроизведен с разрешения Фабриса Симона (Инфекционные и тропические болезни, Валь-де-Грас, Париж, Франция) и Филиппа Оветта.
Таблица 1Классификация туберкулеза кожи
Таблица 2Клинические аспекты туберкулеза кожи
Туберкулез глаз
Туберкулез глаз может возникать вследствие прямой инвазии M.туберкулез . Наиболее частым проявлением туберкулеза глаз является увеит. Пациент обычно жалуется на прогрессирующую нечеткость зрения, чувствительность к свету, покраснение глаз или мушки в глазах. При осмотре глаз чаще всего выявляют задний увеит, но возможны передний, промежуточный и панувеит.
Диагноз затруднен из-за отсутствия пораженных органов и основывается на биопсии радужной оболочки или ретинохориоидеи с помощью ПЦР.
Бугорки Бушю патогномоничны для милиарного туберкулеза и выявляются при осмотре глазного дна.
Активный ТБ (туберкулез) Болезнь – Департамент здравоохранения штата Миннесота
В этом информационном бюллетене содержится общая информация об активной форме туберкулеза, включая симптомы, осложнения, анализы и лечение.
На этой странице:
Факты об активном туберкулезе
Как я заболел туберкулезом?
Как туберкулез влияет на мой организм?
Как врачи проверяют на туберкулез?
Как мне стать лучше?
Что произойдет, если я не приму лекарство?
Могу ли я заразить туберкулезом других людей?
Что еще нужно знать о туберкулезе?
Что нужно знать о противотуберкулезных препаратах?
Факты об активном туберкулезе
Если ваши анализы показывают, что у вас активная форма туберкулеза или туберкулеза, вам следует знать следующие факты:
- Туберкулез — серьезное заболевание, которое можно вылечить с помощью правильного лечения и лекарств.
- Некоторые больные туберкулезом могут заразить других людей.
Как я заболел туберкулезом?
Каждый может заболеть туберкулезом. Когда больной туберкулезом легких кашляет, чихает, или разговаривает, микробы туберкулеза могут распыляться в воздухе. Любой рядом может дышать микробы в легкие. Вы не можете заразиться туберкулезом от рукопожатия или от еду, посуду, постельное белье или другие предметы.
Когда микробы туберкулеза попадают в ваше тело, они «засыпают».» «Спящие» туберкулезные микробы не причиняют вреда вашему телу и не вызывают у вас болезни. Это называется «латентная туберкулезная инфекция» или « LTBI ». LTBI может длиться в течение короткого времени или многих лет. Вы заболели туберкулезом, когда микробы «проснулись» и начали расти и причинять вред вашему телу. Это называется «активное заболевание туберкулезом».
Как туберкулез влияет на мой организм?
Заболевание ТБ обычно поражает легкие (легочный ТБ).Туберкулез может повредить другим части вашего тела тоже.
У больных ТБ может быть 1 или более из этих симптомов :
- Кашель в течение 3 недель или дольше
- Похудение
- Плохой аппетит
- Потливость ночью
- Лихорадка
- Озноб
- Чувство усталости или слабости
- Боль в груди
- Кашель с кровью или коричневым материалом из легких
Как врачи проверяют на туберкулез?
Вам может потребоваться более 1 теста на туберкулез:
- Кожная проба Манту может определить, есть ли у вас туберкулез микробов в вашем теле, даже если они «спят».
- Рентген грудной клетки может сказать, причинили ли микробы боль ваши легкие.
- Посев мокроты может определить, растет в ваших легких.
Как я могу поправиться?
- Вам необходимо обратиться к врачу и принять специальные противотуберкулезные препараты для уничтожения туберкулезных микробов.
- Бактерии туберкулеза сильны и живут долго.Ты будешь почувствуйте себя лучше через несколько недель после начала приема противотуберкулезных препаратов. К убедитесь, что все туберкулезные микробы уничтожены, вы должны продолжать принимать Противотуберкулезные препараты не менее 6-9 месяцев.
- Важно посещать врача каждый месяц до Ваше лечение туберкулеза завершено. Врач проведет анализы, чтобы убедиться, что вы становится лучше, спросите, есть ли у вас проблемы с лекарствами, и ответьте на ваши вопросы.
Что произойдет, если я не приму лекарство?
БактерииТБ очень сильны. Если вы не принимаете все свои лекарства правильно можно было снова заболеть и распространиться ТБ другим людям.
Вы должны принимать все лекарства точно так, как вам врач говорит вам, чтобы вылечиться. Если вы не принимаете лекарство правильно, ваш туберкулез может стать еще сильнее.Вы должны были бы взять более сильные лекарства в течение более длительного времени.
Что такое DOT? «DOT» означает «Терапия под непосредственным наблюдением». DOT делает легко принять ваши таблетки. DOT — это когда медсестра или медицинский работник работник принимает вас каждый день, чтобы дать вам противотуберкулезное лекарство. Это лучший способ убедиться, что вы получаете все необходимые лекарства и лечение работает.Если есть проблемы с вашим лекарством это можно исправить сразу. DOT лечит туберкулез! |
Могу ли я заразить туберкулезом других людей?
Если туберкулез у вас в легких, вы должны быть осторожны, чтобы защитить других людей от ваших туберкулезных микробов. Если ТБ находится в других частях вашего тела, микробы ТБ обычно не может распространяться на других людей.
Спросите своего врача или медсестру, может ли ваш туберкулез передаваться другим людям (заразен ли он).Они расскажут вам, что делать, чтобы защитить близких вам людей.
После того, как вы принимали лекарства в течение нескольких недель и чувствуете себя лучше, вы больше не можете распространять микробы туберкулеза. Ваш врач скажет вам, когда вы можете вернуться к работе, учебе или другим занятиям.
Что еще нужно знать о туберкулезе?
- Спросите своего врача или медсестру о получении противотуберкулезных препаратов в Министерство здравоохранения Миннесоты.
- Сообщите своему врачу или медсестре, если вы планируете переехать в другой город или государство. Они могут помочь убедиться, что вы получите противотуберкулезное лекарство после переезда.
- Если у вас туберкулез, попросите своего врача пройти тест на ВИЧ . Люди с ВИЧ могут сильно заболеть туберкулезом. Вам может понадобиться другой ТБ лекарства, если у вас ВИЧ.
Помните, что туберкулез можно вылечить! |
Что следует ли мне знать о противотуберкулезных препаратах?
|
| Ваша клиника/врач/медсестра: |
| Номер телефона: (_____) |
| Ваши противотуберкулезные таблетки: | |
| ______ | Изониазид («INH») |
| ______ | Рифампин |
| ______ | Пиразинамид («PZA») |
| ______ | Этамбутол |
| ______ | Витамин B6 |
| ______ | _______________________________________________________________ |
| ______ | _______________________________________________________________ |
Туберкулез — Дыхательные пути — UCL Респираторный
Можно ли вылечить или предотвратить туберкулез?
Хорошая новость для больных туберкулезом! Его почти всегда можно вылечить лекарствами.Но лекарство нужно принимать так, как скажет вам врач или медсестра. Основная причина неэффективности лечения заключается в том, что пациенты не принимают лекарства точно по назначению, что называется «несоблюдением режима лечения».
Сегодня лечение включает четыре различных вида антибиотиков, которые назначаются в комбинации в течение первых двух месяцев. После этого два препарата прекращают, предполагая хороший клинический прогресс, а остальные антибиотики продолжают принимать до конца лечения (обычно 6 месяцев). Чтобы предотвратить появление резистентности, которая привела бы к неудаче лечения и кошмару множественных устойчивых к лекарствам организмов, необходимы множественные лекарства.
Те пациенты, у которых при кашле выделяются микобактерии с мокротой (положительный результат мазка), являются заразными и, по возможности, должны избегать контакта с другими людьми в течение как минимум двух недель.
Пациентам не требуется госпитализация для начала лечения. У пациентов микобактерии могут быть не видны в их мокроте (мазок отрицательный), но микобактерии могут вырасти из их мокроты через несколько дней или недель. Эти пациенты не так заразны, но все же должны получать терапию в соответствии с обычными методами.
Если у вас диагностирован латентный ТБ, вам будет предложено лечение для уничтожения всех микобактерий, чтобы предотвратить активный ТБ в будущем. Это называется химиопрофилактикой и состоит либо из одного антибиотика в течение 6 месяцев, либо из двух антибиотиков в течение 3 месяцев.
Микобактерии, вызывающие туберкулез, могут стать устойчивыми к обычным противотуберкулезным препаратам, а некоторые штаммы устойчивы к нескольким различным препаратам. Эти штаммы могут вызывать очень серьезное заболевание, называемое туберкулезом с множественной лекарственной устойчивостью (МЛУ-ТБ), и могут передаваться другим.МЛУ-ТБ обычно можно успешно лечить после определения того, к каким препаратам все еще чувствительны микроорганизмы.