Π Π΅Π°ΠΊΡΠΈΠ²Π½ΡΠ΅ Π°ΡΡΡΠΈΡΡ — ΠΏΡΠΈΡΠΈΠ½Ρ, ΡΠΈΠΌΠΏΡΠΎΠΌΡ, Π΄ΠΈΠ°Π³Π½ΠΎΡΡΠΈΠΊΠ° ΠΈ Π»Π΅ΡΠ΅Π½ΠΈΠ΅
Π Π΅Π°ΠΊΡΠΈΠ²Π½ΡΠ΅ Π°ΡΡΡΠΈΡΡ β Π°ΡΠ΅ΠΏΡΠΈΡΠ΅ΡΠΊΠΎΠ΅ Π²ΠΎΡΠΏΠ°Π»Π΅Π½ΠΈΠ΅, ΠΏΠΎΡΠ°ΠΆΠ°ΡΡΠ΅Π΅ ΡΡΡΡΠ°Π²Ρ, ΠΎΠ΄Π½ΠΎΠ²ΡΠ΅ΠΌΠ΅Π½Π½ΠΎ ΠΈΠ»ΠΈ Π²ΡΠ»Π΅Π΄ Π·Π° ΠΏΠ΅ΡΠ΅Π½Π΅ΡΠ΅Π½Π½ΠΎΠΉ Π²Π½Π΅ΡΡΡΡΠ°Π²Π½ΠΎΠΉ ΠΈΠ½ΡΠ΅ΠΊΡΠΈΠ΅ΠΉ (Π½ΠΎΡΠΎΠ³Π»ΠΎΡΠΎΡΠ½ΠΎΠΉ, ΠΊΠΈΡΠ΅ΡΠ½ΠΎΠΉ, ΡΡΠΎΠ³Π΅Π½ΠΈΡΠ°Π»ΡΠ½ΠΎΠΉ). Π Π΅Π°ΠΊΡΠΈΠ²Π½ΡΠ΅ Π°ΡΡΡΠΈΡΡ Ρ Π°ΡΠ°ΠΊΡΠ΅ΡΠΈΠ·ΡΡΡΡΡ Π°ΡΠΈΠΌΠΌΠ΅ΡΡΠΈΡΠ½ΡΠΌ ΠΏΠΎΡΠ°ΠΆΠ΅Π½ΠΈΠ΅ΠΌ ΡΡΡΡΠ°Π²ΠΎΠ², ΡΡΡ ΠΎΠΆΠΈΠ»ΠΈΠΉ, ΡΠ»ΠΈΠ·ΠΈΡΡΡΡ ΠΎΠ±ΠΎΠ»ΠΎΡΠ΅ΠΊ (ΠΊΠΎΠ½ΡΡΠ½ΠΊΡΠΈΠ²ΠΈΡ, ΡΠ΅Π²ΠΈΡ, ΡΡΠΎΠ·ΠΈΠΈ Π² ΠΏΠΎΠ»ΠΎΡΡΠΈ ΡΡΠ°, ΡΡΠ΅ΡΡΠΈΡ, ΡΠ΅ΡΠ²ΠΈΡΠΈΡ, Π±Π°Π»Π°Π½ΠΈΡ), ΠΊΠΎΠΆΠΈ (ΠΊΠ΅ΡΠ°ΡΠΎΠ΄Π΅ΡΠΌΠΈΡ), Π½ΠΎΠ³ΡΠ΅ΠΉ, Π»ΠΈΠΌΡΠΎΡΠ·Π»ΠΎΠ², ΡΠΈΡΡΠ΅ΠΌΠ½ΡΠΌΠΈ ΡΠ΅Π°ΠΊΡΠΈΡΠΌΠΈ. ΠΠΈΠ°Π³Π½ΠΎΡΡΠΈΠΊΠ° ΡΠ΅Π°ΠΊΡΠΈΠ²Π½ΡΡ Π°ΡΡΡΠΈΡΠΎΠ² ΠΎΡΠ½ΠΎΠ²ΡΠ²Π°Π΅ΡΡΡ Π½Π° Π΄ΠΎΡΡΠΎΠ²Π΅ΡΠ½ΡΡ ΠΊΠ»ΠΈΠ½ΠΈΡΠ΅ΡΠΊΠΈΡ ΠΏΡΠΈΠ·Π½Π°ΠΊΠ°Ρ , ΠΏΠΎΠ΄ΡΠ²Π΅ΡΠΆΠ΄Π΅Π½Π½ΡΡ Π»Π°Π±ΠΎΡΠ°ΡΠΎΡΠ½ΠΎ. ΠΠ΅ΡΠ΅Π½ΠΈΠ΅ Π½Π°ΠΏΡΠ°Π²Π»Π΅Π½ΠΎ Π½Π° ΡΡΡΡΠ°Π½Π΅Π½ΠΈΠ΅ ΠΈΠ½ΡΠ΅ΠΊΡΠΈΠΈ ΠΈ Π»ΠΈΠΊΠ²ΠΈΠ΄Π°ΡΠΈΡ Π²ΠΎΡΠΏΠ°Π»Π΅Π½ΠΈΡ. Π Π΅Π°ΠΊΡΠΈΠ²Π½ΡΠΉ Π°ΡΡΡΠΈΡ ΠΈΠΌΠ΅Π΅Ρ ΠΏΡΠΎΠ³Π½ΠΎΡΡΠΈΡΠ΅ΡΠΊΠΈ Π±Π»Π°Π³ΠΎΠΏΡΠΈΡΡΠ½ΠΎΠ΅ ΡΠ΅ΡΠ΅Π½ΠΈΠ΅, Π²ΠΎΠ·ΠΌΠΎΠΆΠ½ΠΎ ΠΏΠΎΠ»Π½ΠΎΠ΅ Π²ΡΠ·Π΄ΠΎΡΠΎΠ²Π»Π΅Π½ΠΈΠ΅.
ΠΠ±ΡΠΈΠ΅ ΡΠ²Π΅Π΄Π΅Π½ΠΈΡ
ΠΠ°ΠΈΠ±ΠΎΠ»Π΅Π΅ ΡΠ°ΡΡΠΎΠΉ ΠΏΡΠΈΡΠΈΠ½ΠΎΠΉ ΡΠ΅Π°ΠΊΡΠΈΠ²Π½ΠΎΠ³ΠΎ Π°ΡΡΡΠΈΡΠ° ΡΠ²Π»ΡΠ΅ΡΡΡ ΡΡΠΎΠ³Π΅Π½ΠΈΡΠ»ΡΠ½Π°Ρ ΠΈΠ»ΠΈ ΠΊΠΈΡΠ΅ΡΠ½Π°Ρ ΠΈΠ½ΡΠ΅ΠΊΡΠΈΡ. ΠΠ΄Π½Π°ΠΊΠΎ ΠΌΠ°Π½ΠΈΡΠ΅ΡΡΠ°ΡΠΈΡ ΡΠ΅Π°ΠΊΡΠΈΠ²Π½ΠΎΠ³ΠΎ Π°ΡΡΡΠΈΡΠ° Π½Π°ΠΏΡΡΠΌΡΡ Π½Π΅ ΡΠ²ΡΠ·Π°Π½Π° Ρ ΠΏΠΎΠΏΠ°Π΄Π°Π½ΠΈΠ΅ΠΌ ΠΈΠ½ΡΠ΅ΠΊΡΠΈΠΈ Π² ΡΡΡΡΠ°Π², Π° Π²ΡΠΎΡΠΈΡΠ½ΠΎΠ΅ Π²ΠΎΡΠΏΠ°Π»Π΅Π½ΠΈΠ΅ ΡΡΡΡΠ°Π²ΠΎΠ² ΡΠ°Π·Π²ΠΈΠ²Π°Π΅ΡΡΡ Π½Π΅ Ρ Π²ΡΠ΅Ρ ΠΏΠ°ΡΠΈΠ΅Π½ΡΠΎΠ², ΠΏΠ΅ΡΠ΅Π½Π΅ΡΡΠΈΡ ΠΈΠ½ΡΠ΅ΠΊΡΠΈΠΎΠ½Π½ΠΎΠ΅ Π·Π°Π±ΠΎΠ»Π΅Π²Π°Π½ΠΈΠ΅.
ΠΠΎΠ΄ΠΎΠ±Π½Π°Ρ ΠΈΠ·Π±ΠΈΡΠ°ΡΠ΅Π»ΡΠ½ΠΎΡΡΡ, Ρ ΡΠΎΡΠΊΠΈ Π·ΡΠ΅Π½ΠΈΡ ΠΈΠΌΠΌΡΠ½ΠΎΠ³Π΅Π½Π΅ΡΠΈΡΠ΅ΡΠΊΠΎΠΉ ΡΠ΅ΠΎΡΠΈΠΈ, ΠΎΠ±ΡΡΡΠ½ΡΠ΅ΡΡΡ ΠΏΡΠ΅Π΄ΡΠ°ΡΠΏΠΎΠ»ΠΎΠΆΠ΅Π½Π½ΠΎΡΡΡΡ ΠΊ ΡΠ΅Π°ΠΊΡΠΈΠ²Π½ΠΎΠΌΡ Π°ΡΡΡΠΈΡΡ Π»ΠΈΡ Ρ Π³ΠΈΠΏΠ΅ΡΡΠ΅Π°ΠΊΡΠΈΠ΅ΠΉ ΠΈΠΌΠΌΡΠ½Π½ΠΎΠΉ ΡΠΈΡΡΠ΅ΠΌΡ Π½Π° ΠΌΠΈΠΊΡΠΎΠ±Π½ΡΡ Π°Π³Π΅Π½ΡΠΎΠ², ΡΠΈΡΠΊΡΠ»ΠΈΡΡΡΡΠΈΡ Π² ΠΊΡΠΎΠ²ΠΈ ΠΈ ΠΏΠ΅ΡΡΠΈΡΡΠΈΡΡΡΡΠΈΡ Π² ΡΡΡΡΠ°Π²Π½ΠΎΠΉ ΠΆΠΈΠ΄ΠΊΠΎΡΡΠΈ ΠΈ ΡΠΊΠ°Π½ΡΡ . ΠΡΠ»Π΅Π΄ΡΡΠ²ΠΈΠ΅ ΠΌΠΈΠΊΡΠΎΠ±Π½ΠΎΠΉ ΠΌΠΈΠΌΠΈΠΊΡΠΈΠΈ β ΡΡ ΠΎΠ΄ΡΡΠ²Π° Π°Π½ΡΠΈΠ³Π΅Π½ΠΎΠ² ΠΈΠ½ΡΠ΅ΠΊΡΠΈΠΎΠ½Π½ΠΎΠ³ΠΎ Π²ΠΎΠ·Π±ΡΠ΄ΠΈΡΠ΅Π»Ρ ΠΈ ΡΡΡΡΠ°Π²Π½ΡΡ ΡΠΊΠ°Π½Π΅ΠΉ β ΠΈΠΌΠΌΡΠ½Π½ΡΠΉ Π³ΠΈΠΏΠ΅ΡΠΎΡΠ²Π΅Ρ ΠΎΠ±ΡΠ°ΡΠ΅Π½ Π½Π΅ ΡΠΎΠ»ΡΠΊΠΎ Π½Π° ΠΌΠΈΠΊΡΠΎΠΎΡΠ³Π°Π½ΠΈΠ·ΠΌΡ, Π½ΠΎ ΠΈ Π½Π° Π°ΡΡΠΎΡΠΊΠ°Π½ΠΈ ΡΡΡΡΠ°Π²Π°. Π ΡΠ΅Π·ΡΠ»ΡΡΠ°ΡΠ΅ ΡΠ»ΠΎΠΆΠ½ΡΡ ΠΈΠΌΠΌΡΠ½ΠΎΡ ΠΈΠΌΠΈΡΠ΅ΡΠΊΠΈΡ ΠΏΡΠΎΡΠ΅ΡΡΠΎΠ² Π² ΡΡΡΡΠ°Π²Π°Ρ ΡΠ°Π·Π²ΠΈΠ²Π°Π΅ΡΡΡ Π°ΡΠ΅ΠΏΡΠΈΡΠ΅ΡΠΊΠΎΠ΅ (Π½Π΅Π³Π½ΠΎΠΉΠ½ΠΎΠ΅) ΡΠ΅Π°ΠΊΡΠΈΠ²Π½ΠΎΠ΅ Π²ΠΎΡΠΏΠ°Π»Π΅Π½ΠΈΠ΅.
Π Π΅Π°ΠΊΡΠΈΠ²Π½ΡΠ΅ Π°ΡΡΡΠΈΡΡ
ΠΠ»Π°ΡΡΠΈΡΠΈΠΊΠ°ΡΠΈΡ ΡΠ΅Π°ΠΊΡΠΈΠ²Π½ΡΡ Π°ΡΡΡΠΈΡΠΎΠ²
Π‘ ΡΡΠ΅ΡΠΎΠΌ ΡΡΠΈΠΎΠ»ΠΎΠ³ΠΈΡΠ΅ΡΠΊΠΎΠΉ ΠΎΠ±ΡΡΠ»ΠΎΠ²Π»Π΅Π½Π½ΠΎΡΡΠΈ Π²ΡΠ΄Π΅Π»ΡΡΡ ΡΠ»Π΅Π΄ΡΡΡΠΈΠ΅ Π³ΡΡΠΏΠΏΡ ΡΠ΅Π°ΠΊΡΠΈΠ²Π½ΡΡ Π°ΡΡΡΠΈΡΠΎΠ²:
Π‘ΠΈΠΌΠΏΡΠΎΠΌΡ ΡΠ΅Π°ΠΊΡΠΈΠ²Π½ΡΡ Π°ΡΡΡΠΈΡΠΎΠ²
ΠΠ»Π°ΡΡΠΈΡΠ΅ΡΠΊΠ°Ρ ΡΡΠΈΠ°Π΄Π° ΠΏΡΠΈΠ·Π½Π°ΠΊΠΎΠ² ΡΠ΅Π°ΠΊΡΠΈΠ²Π½ΠΎΠ³ΠΎ Π°ΡΡΡΠΈΡΠ° Π²ΠΊΠ»ΡΡΠ°Π΅Ρ ΡΠ°Π·Π²ΠΈΡΠΈΠ΅ ΠΊΠΎΠ½ΡΡΠ½ΠΊΡΠΈΠ²ΠΈΡΠ°, ΡΡΠ΅ΡΡΠΈΡΠ° ΠΈ ΡΠΎΠ±ΡΡΠ²Π΅Π½Π½ΠΎ Π°ΡΡΡΠΈΡΠ°. Π‘ΠΈΠΌΠΏΡΠΎΠΌΠ°ΡΠΈΠΊΠ° ΡΠ΅Π°ΠΊΡΠΈΠ²Π½ΠΎΠ³ΠΎ Π°ΡΡΡΠΈΡΠ° ΠΎΠ±ΡΡΠ½ΠΎ ΠΏΠΎΡΠ²Π»ΡΠ΅ΡΡΡ ΡΠΏΡΡΡΡ 2-4 Π½Π΅Π΄Π΅Π»ΠΈ ΠΏΠΎΡΠ»Π΅ ΠΊΠ»ΠΈΠ½ΠΈΠΊΠΈ Π²Π΅Π½Π΅ΡΠΈΡΠ΅ΡΠΊΠΎΠΉ ΠΈΠ»ΠΈ ΠΊΠΈΡΠ΅ΡΠ½ΠΎΠΉ ΠΈΠ½ΡΠ΅ΠΊΡΠΈΠΈ. ΠΠ½Π°ΡΠ°Π»Π΅ ΡΠ°Π·Π²ΠΈΠ²Π°Π΅ΡΡΡ ΡΡΠ΅ΡΡΠΈΡ, Ρ Π°ΡΠ°ΠΊΡΠ΅ΡΠΈΠ·ΡΡΡΠΈΠΉΡΡ ΡΡΠ°ΡΠ΅Π½Π½ΡΠΌ ΠΌΠΎΡΠ΅ΠΈΡΠΏΡΡΠΊΠ°Π½ΠΈΠ΅ΠΌ Ρ Π±ΠΎΠ»ΡΠΌΠΈ ΠΈ ΠΆΠΆΠ΅Π½ΠΈΠ΅ΠΌ. Π‘Π»Π΅Π΄ΠΎΠΌ ΠΏΠΎΡΠ²Π»ΡΡΡΡΡ ΠΏΡΠΈΠ·Π½Π°ΠΊΠΈ ΠΊΠΎΠ½ΡΡΠ½ΠΊΡΠΈΠ²ΠΈΡΠ° β ΡΠ»Π΅Π·ΠΎΡΠ΅ΡΠ΅Π½ΠΈΠ΅, ΠΏΠΎΠΊΡΠ°ΡΠ½Π΅Π½ΠΈΠ΅ ΠΈ ΡΠ΅Π·ΠΈ Π² Π³Π»Π°Π·Π°Ρ . Π ΡΠΈΠΏΠΈΡΠ½ΡΡ ΡΠ»ΡΡΠ°ΡΡ ΠΏΡΠΈΠ·Π½Π°ΠΊΠΈ ΡΡΠ΅ΡΡΠΈΡΠ° ΠΈ ΠΊΠΎΠ½ΡΡΠ½ΠΊΡΠΈΠ²ΠΈΡΠ° Π²ΡΡΠ°ΠΆΠ΅Π½Ρ ΡΠ»Π°Π±ΠΎ.
ΠΠΎΡΠ»Π΅Π΄Π½ΠΈΠΌ ΠΌΠ°Π½ΠΈΡΠ΅ΡΡΠΈΡΡΠ΅Ρ Π°ΡΡΡΠΈΡ, ΠΏΡΠΎΡΠ²Π»ΡΡΡΠΈΠΉΡΡ Π°ΡΡΡΠ°Π»Π³ΠΈΡΠΌΠΈ, ΠΎΡΠ΅ΠΊΠΎΠΌ, Π»ΠΎΠΊΠ°Π»ΡΠ½ΠΎΠΉ Π³ΠΈΠΏΠ΅ΡΡΠ΅ΡΠΌΠΈΠ΅ΠΉ, ΠΏΠΎΠΊΡΠ°ΡΠ½Π΅Π½ΠΈΠ΅ΠΌ ΠΊΠΎΠΆΠΈ ΡΡΡΡΠ°Π²ΠΎΠ². ΠΠ°ΡΠ°Π»ΠΎ Π°ΡΡΡΠΈΡΠ° ΠΎΡΡΡΠΎΠ΅ Ρ ΡΡΠ±ΡΠ΅Π±ΡΠΈΠ»ΠΈΡΠ΅ΡΠΎΠΌ, ΡΡ ΡΠ΄ΡΠ΅Π½ΠΈΠ΅ΠΌ ΡΠ°ΠΌΠΎΡΡΠ²ΡΡΠ²ΠΈΡ, Π²ΠΎΠ²Π»Π΅ΡΠ΅Π½ΠΈΠ΅ΠΌ 1-2-Ρ ΡΡΡΡΠ°Π²ΠΎΠ² Π½ΠΈΠΆΠ½ΠΈΡ ΠΊΠΎΠ½Π΅ΡΠ½ΠΎΡΡΠ΅ΠΉ (ΠΌΠ΅ΠΆΡΠ°Π»Π°Π½Π³ΠΎΠ²ΡΡ , ΠΏΠ»ΡΡΠ½Π΅ΡΠ°Π»Π°Π½Π³ΠΎΠ²ΡΡ , Π³ΠΎΠ»Π΅Π½ΠΎΡΡΠΎΠΏΠ½ΡΡ , ΠΏΡΡΠΎΡΠ½ΡΡ , ΠΊΠΎΠ»Π΅Π½Π½ΡΡ ), ΡΠ΅ΠΆΠ΅ — ΡΡΡΡΠ°Π²ΠΎΠ² ΡΡΠΊ. ΠΠ²ΠΈΠ΄Ρ Π²ΡΡΠ°ΠΆΠ΅Π½Π½ΠΎΠ³ΠΎ ΠΎΡΠ΅ΠΊΠ° ΠΈ Π±ΠΎΠ»Π΅ΠΉ ΡΡΡΠ°Π΄Π°ΡΡ ΡΡΠ½ΠΊΡΠΈΠΈ ΡΡΡΡΠ°Π²ΠΎΠ², Π½Π΅ΡΠ΅Π΄ΠΊΠΎ ΠΎΡΠΌΠ΅ΡΠ°ΡΡΡΡ Π²Π΅ΡΡΠ΅Π±ΡΠ°Π»Π³ΠΈΠΈ.
Π‘ΠΈΠΌΠΏΡΠΎΠΌΠ°ΡΠΈΠΊΠ° ΡΠ΅Π°ΠΊΡΠΈΠ²Π½ΠΎΠ³ΠΎ Π°ΡΡΡΠΈΡΠ° ΡΠΎΡ ΡΠ°Π½ΡΠ΅ΡΡΡ Π² ΡΠ΅ΡΠ΅Π½ΠΈΠ΅ 3-12 ΠΌΠ΅ΡΡΡΠ΅Π², Π·Π°ΡΠ΅ΠΌ ΠΏΡΠΎΠΈΡΡ ΠΎΠ΄ΠΈΡ ΠΏΠΎΠ»Π½ΠΎΠ΅ ΠΎΠ±ΡΠ°ΡΠ½ΠΎΠ΅ ΡΠ°Π·Π²ΠΈΡΠΈΠ΅ ΠΊΠ»ΠΈΠ½ΠΈΠΊΠΈ. ΠΠΏΠ°ΡΠ½ΠΎΡΡΡ ΡΠ΅Π°ΠΊΡΠΈΠ²Π½ΠΎΠ³ΠΎ Π°ΡΡΡΠΈΡΠ° Π·Π°ΠΊΠ»ΡΡΠ°Π΅ΡΡΡ Π² Π²ΡΡΠΎΠΊΠΎΠΉ Π²Π΅ΡΠΎΡΡΠ½ΠΎΡΡΠΈ ΡΠ΅ΡΠΈΠ΄ΠΈΠ²ΠΈΡΠΎΠ²Π°Π½ΠΈΡ ΠΈ Ρ ΡΠΎΠ½ΠΈΠ·Π°ΡΠΈΠΈ Π²ΠΎΡΠΏΠ°Π»Π΅Π½ΠΈΡ Ρ ΠΏΠΎΡΡΠ΅ΠΏΠ΅Π½Π½ΡΠΌ ΠΏΠΎΡΠ°ΠΆΠ΅Π½ΠΈΠ΅ΠΌ Π²ΡΠ΅ Π±ΠΎΠ»ΡΡΠ΅Π³ΠΎ ΠΊΠΎΠ»ΠΈΡΠ΅ΡΡΠ²Π° ΡΡΡΡΠ°Π²ΠΎΠ². Π ΡΠΈΠΏΠΈΡΠ½ΡΠΌ ΡΠΎΡΠΌΠ°ΠΌ ΡΠ΅Π°ΠΊΡΠΈΠ²Π½ΠΎΠ³ΠΎ Π°ΡΡΡΠΈΡΠ° ΠΎΡΠ½ΠΎΡΠΈΡΡΡ Π±ΠΎΠ»Π΅Π·Π½Ρ Π Π΅ΠΉΡΠ΅ΡΠ°, ΡΠΎΡΠ΅ΡΠ°ΡΡΠ°Ρ, Π²ΠΎΡΠΏΠ°Π»ΠΈΡΠ΅Π»ΡΠ½ΡΠ΅ ΠΈΠ·ΠΌΠ΅Π½Π΅Π½ΠΈΡ ΡΡΡΡΠ°Π²ΠΎΠ², Π³Π»Π°Π· ΠΈ ΠΌΠΎΡΠ΅ΠΏΠΎΠ»ΠΎΠ²ΡΡ ΠΏΡΡΠ΅ΠΉ.
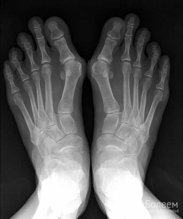
Π ΡΠ²ΡΠ·ΠΈ Ρ ΠΏΠ΅ΡΠ΅Π½Π΅ΡΠ΅Π½Π½ΡΠΌ ΡΠ΅Π°ΠΊΡΠΈΠ²Π½ΡΠΌ Π°ΡΡΡΠΈΡΠΎΠΌ Ρ ΡΠ°ΡΡΠΈ ΠΏΠ°ΡΠΈΠ΅Π½ΡΠΎΠ² (ΠΎΠΊΠΎΠ»ΠΎ 12%) ΡΠ°Π·Π²ΠΈΠ²Π°Π΅ΡΡΡ Π΄Π΅ΡΠΎΡΠΌΠ°ΡΠΈΡ ΡΡΠΎΠΏ. Π’ΡΠΆΠ΅Π»ΡΠ΅ ΡΠΎΡΠΌΡ Π²ΠΎΡΠΏΠ°Π»Π΅Π½ΠΈΡ ΠΌΠΎΠ³ΡΡ Π²ΡΠ·ΡΠ²Π°ΡΡ Π΄Π΅ΡΡΡΡΠΊΡΠΈΡ ΠΈ Π½Π΅ΠΏΠΎΠ΄Π²ΠΈΠΆΠ½ΠΎΡΡΡ (Π°Π½ΠΊΠΈΠ»ΠΎΠ·) ΡΡΡΡΠ°Π²Π°. Π Π΅ΡΠΈΠ΄ΠΈΠ²ΠΈΡΡΡΡΠΈΠΉ ΠΈΠ»ΠΈ Π½Π΅Π»Π΅ΡΠ΅Π½Π½ΡΠΉ ΡΠ²Π΅ΠΈΡ ΡΠΏΠΎΡΠΎΠ±ΡΡΠ²ΡΠ΅Ρ ΡΡΡΠ΅ΠΌΠΈΡΠ΅Π»ΡΠ½ΠΎΠΌΡ ΡΠ°Π·Π²ΠΈΡΠΈΡ ΠΊΠ°ΡΠ°ΡΠ°ΠΊΡΡ.
ΠΠΈΠ°Π³Π½ΠΎΡΡΠΈΠΊΠ° ΡΠ΅Π°ΠΊΡΠΈΠ²Π½ΡΡ Π°ΡΡΡΠΈΡΠΎΠ²
ΠΠ·ΠΌΠ΅Π½Π΅Π½ΠΈΡ Π² ΠΏΠ΅ΡΠΈΡΠ΅ΡΠΈΡΠ΅ΡΠΊΠΎΠΉ ΠΊΡΠΎΠ²ΠΈ ΠΏΡΠΈ ΡΠ΅Π°ΠΊΡΠΈΠ²Π½ΠΎΠΌ Π°ΡΡΡΠΈΡΠ΅ ΠΏΡΠΎΡΠ²Π»ΡΡΡΡΡ ΠΏΠΎΠ²ΡΡΠ΅Π½ΠΈΠ΅ΠΌ ΡΠΊΠΎΡΠΎΡΡΠΈ ΠΎΡΠ΅Π΄Π°Π½ΠΈΡ ΡΡΠΈΡΡΠΎΡΠΈΡΠΎΠ²; Π² Π²Π΅Π½ΠΎΠ·Π½ΠΎΠΉ ΠΊΡΠΎΠ²ΠΈ ΠΎΠ±Π½Π°ΡΡΠΆΠΈΠ²Π°Π΅ΡΡΡ ΡΠΎΡΡ Π‘-ΡΠ΅Π°ΠΊΡΠΈΠ²Π½ΠΎΠ³ΠΎ Π±Π΅Π»ΠΊΠ° Π½Π° ΡΠΎΠ½Π΅ ΠΎΡΡΠΈΡΠ°ΡΠ΅Π»ΡΠ½ΡΡ ΡΠ΅ΡΡΠΎΠ² ΡΠ΅Π²ΠΌΠ°ΡΠΎΠΈΠ΄Π½ΠΎΠ³ΠΎ ΡΠ°ΠΊΡΠΎΡΠ° (Π Π€) ΠΈ Π°Π½ΡΠΈΠ½ΡΠΊΠ»Π΅Π°ΡΠ½ΠΎΠ³ΠΎ ΡΠ°ΠΊΡΠΎΡΠ° (ΠΠΠ€). Π‘ΠΏΠ΅ΡΠΈΡΠΈΡΠ΅ΡΠΊΠΈΠΌ ΠΌΠ°ΡΠΊΠ΅ΡΠΎΠΌ, ΡΠ²ΠΈΠ΄Π΅ΡΠ΅Π»ΡΡΡΠ²ΡΡΡΠΈΠΌ ΠΎ Π½Π°Π»ΠΈΡΠΈΠΈ ΡΠ΅Π°ΠΊΡΠΈΠ²Π½ΠΎΠ³ΠΎ Π°ΡΡΡΠΈΡΠ°, ΡΠ²Π»ΡΠ΅ΡΡΡ ΠΎΠ±Π½Π°ΡΡΠΆΠ΅Π½ΠΈΠ΅ Π°Π½ΡΠΈΠ³Π΅Π½Π° HLA 27. ΠΠ»Ρ Π΄ΠΈΡΡΠ΅ΡΠ΅Π½ΡΠΈΠ°Π»ΡΠ½ΠΎΠΉ Π΄ΠΈΠ°Π³Π½ΠΎΡΡΠΈΠΊΠΈ ΡΠ΅Π°ΠΊΡΠΈΠ²Π½ΠΎΠ³ΠΎ Π°ΡΡΡΠΈΡΠ° ΠΎΡ Π°ΡΡΡΠΈΡΠΎΠ² ΡΠ΅Π²ΠΌΠ°ΡΠΈΡΠ΅ΡΠΊΠΎΠ³ΠΎ ΠΏΡΠΎΠΈΡΡ ΠΎΠΆΠ΄Π΅Π½ΠΈΡ Π½Π΅ΠΎΠ±Ρ ΠΎΠ΄ΠΈΠΌΠ° ΠΊΠΎΠ½ΡΡΠ»ΡΡΠ°ΡΠΈΡ ΡΠ΅Π²ΠΌΠ°ΡΠΎΠ»ΠΎΠ³Π°. Π Π·Π°Π²ΠΈΡΠΈΠΌΠΎΡΡΠΈ ΠΎΡ ΠΈΠ½ΡΠ΅ΠΊΡΠΈΠΈ, Π²ΡΠ·Π²Π°Π²ΡΠ΅ΠΉ ΡΠ΅Π°ΠΊΡΠΈΠ²Π½ΡΠΉ Π°ΡΡΡΠΈΡ, ΠΏΠ°ΡΠΈΠ΅Π½Ρ Π½Π°ΠΏΡΠ°Π²Π»ΡΠ΅ΡΡΡ Π΄Π»Ρ ΠΎΠ±ΡΠ»Π΅Π΄ΠΎΠ²Π°Π½ΠΈΡ ΠΊ ΡΡΠΎΠ»ΠΎΠ³Ρ ΠΈΠ»ΠΈ Π²Π΅Π½Π΅ΡΠΎΠ»ΠΎΠ³Ρ.
ΠΠ¦Π -ΠΈΡΡΠ»Π΅Π΄ΠΎΠ²Π°Π½ΠΈΠ΅ Π±ΠΈΠΎΠ»ΠΎΠ³ΠΈΡΠ΅ΡΠΊΠΎΠ³ΠΎ ΠΌΠ°ΡΠ΅ΡΠΈΠ°Π»Π° (ΠΊΡΠΎΠ²ΠΈ, ΠΌΠ°Π·ΠΊΠ° ΠΈΠ· ΠΏΠΎΠ»ΠΎΠ²ΡΡ ΠΏΡΡΠ΅ΠΉ, ΠΊΠ°Π»Π°) ΠΏΠΎΠ·Π²ΠΎΠ»ΡΠ΅Ρ ΠΏΡΠ΅Π΄ΠΏΠΎΠ»ΠΎΠΆΠΈΡΡ Π²Π΅ΡΠΎΡΡΠ½ΠΎΠ³ΠΎ Π²ΠΎΠ·Π±ΡΠ΄ΠΈΡΠ΅Π»Ρ ΠΈΠ½ΡΠ΅ΠΊΡΠΈΠΈ ΠΈ ΠΏΡΠΈΡΠΈΠ½Ρ ΡΠ΅Π°ΠΊΡΠΈΠ²Π½ΠΎΠ³ΠΎ Π°ΡΡΡΠΈΡΠ°. ΠΡΠΈ ΡΡΠΎΠΌ Π² ΠΏΠΎΡΠ΅Π²Π΅ ΡΡΡΡΠ°Π²Π½ΠΎΠΉ ΠΆΠΈΠ΄ΠΊΠΎΡΡΠΈ Π²ΠΎΠ·Π±ΡΠ΄ΠΈΡΠ΅Π»ΠΈ ΠΎΡΡΡΡΡΡΠ²ΡΡΡ, ΡΡΠΎ ΠΏΠΎΠ·Π²ΠΎΠ»ΡΠ΅Ρ Π΄ΠΈΡΡΠ΅ΡΠ΅Π½ΡΠΈΡΠΎΠ²Π°ΡΡ Π΄ΠΈΠ°Π³Π½ΠΎΠ· Ρ Π±Π°ΠΊΡΠ΅ΡΠΈΠ°Π»ΡΠ½ΡΠΌ Π°ΡΡΡΠΈΡΠΎΠΌ. ΠΡΠΈ ΡΠ΅Π°ΠΊΡΠΈΠ²Π½ΠΎΠΌ Π°ΡΡΡΠΈΡΠ΅ ΡΠ΅Π½ΡΠ³Π΅Π½ΠΎΠ³ΡΠ°ΡΠΈΡ ΡΡΡΡΠ°Π²ΠΎΠ² Π½Π΅ ΠΈΠΌΠ΅Π΅Ρ ΡΠ΅ΡΠ°ΡΡΠ΅Π³ΠΎ Π΄ΠΈΠ°Π³Π½ΠΎΡΡΠΈΡΠ΅ΡΠΊΠΎΠ³ΠΎ Π·Π½Π°ΡΠ΅Π½ΠΈΡ, ΠΎΠ΄Π½Π°ΠΊΠΎ Π½Π΅ΡΠ΅Π΄ΠΊΠΎ Π²ΡΡΠ²Π»ΡΠ΅Ρ Π½Π°Π»ΠΈΡΠΈΠ΅ ΠΏΡΡΠΎΡΠ½ΡΡ ΡΠΏΠΎΡ, ΠΏΠ°ΡΠ°Π²Π΅ΡΡΠ΅Π±ΡΠ°Π»ΡΠ½ΠΎΠΉ ΠΎΡΡΠΈΡΠΈΠΊΠ°ΡΠΈΠΈ, ΠΏΠ΅ΡΠΈΠΎΡΡΠΈΡΠ° ΠΊΠΎΡΡΠ΅ΠΉ ΡΡΠΎΠΏ. ΠΡΠΎΠ²Π΅Π΄Π΅Π½ΠΈΠ΅ ΠΏΡΠ½ΠΊΡΠΈΠΈ ΡΡΡΡΠ°Π²Π° ΠΈΠ»ΠΈ Π°ΡΡΡΠΎΡΠΊΠΎΠΏΠΈΠΈ ΠΎΠ±ΡΡΠ½ΠΎ Π½Π΅ ΡΡΠ΅Π±ΡΠ΅ΡΡΡ.
ΠΠ΅ΡΠ΅Π½ΠΈΠ΅ ΡΠ΅Π°ΠΊΡΠΈΠ²Π½ΡΡ Π°ΡΡΡΠΈΡΠΎΠ²
ΠΡΠ½ΠΎΠ²Π½ΡΠΌ ΠΏΡΠΈΠ½ΡΠΈΠΏΠΎΠΌ ΡΠ΅ΡΠ°ΠΏΠΈΠΈ ΡΠ΅Π°ΠΊΡΠΈΠ²Π½ΠΎΠ³ΠΎ Π°ΡΡΡΠΈΡΠ° ΡΠ²Π»ΡΠ΅ΡΡΡ ΡΡΡΡΠ°Π½Π΅Π½ΠΈΠ΅ ΠΏΠ΅ΡΠ²ΠΈΡΠ½ΠΎΠ³ΠΎ ΠΈΠ½ΡΠ΅ΠΊΡΠΈΠΎΠ½Π½ΠΎΠ³ΠΎ ΠΎΡΠ°Π³Π° Π² ΡΡΠΎΠ³Π΅Π½ΠΈΡΠ°Π»ΡΠ½ΠΎΠΌ ΠΈΠ»ΠΈ ΠΊΠΈΡΠ΅ΡΠ½ΠΎΠΌ ΡΡΠ°ΠΊΡΠ΅. ΠΠ°Π·Π½Π°ΡΠ°Π΅ΡΡΡ ΡΡΠΈΠΎΠ»ΠΎΠ³ΠΈΡΠ΅ΡΠΊΠΈ ΠΎΠ±ΠΎΡΠ½ΠΎΠ²Π°Π½Π½Π°Ρ ΠΏΡΠΎΡΠΈΠ²ΠΎΠΌΠΈΠΊΡΠΎΠ±Π½Π°Ρ ΡΠ΅ΡΠ°ΠΏΠΈΡ Π² ΠΎΠΏΡΠΈΠΌΠ°Π»ΡΠ½ΡΡ Π΄ΠΎΠ·ΠΈΡΠΎΠ²ΠΊΠ°Ρ ΡΡΠΎΠΊΠΎΠΌ Π½Π΅ ΠΌΠ΅Π½Π΅Π΅ 4-Ρ Π½Π΅Π΄Π΅Π»Ρ. ΠΡΠΈ ΡΠ΅Π°ΠΊΡΠΈΠ²Π½ΠΎΠΌ Π°ΡΡΡΠΈΡΠ΅, ΠΎΠ±ΡΡΠ»ΠΎΠ²Π»Π΅Π½Π½ΠΎΠΌ Ρ Π»Π°ΠΌΠΈΠ΄ΠΈΠΉΠ½ΠΎΠΉ ΠΈΠ½ΡΠ΅ΠΊΡΠΈΠ΅ΠΉ, ΠΈΡΠΏΠΎΠ»ΡΠ·ΡΡΡΡΡ ΠΏΡΠ΅ΠΏΠ°ΡΠ°ΡΡ Π³ΡΡΠΏΠΏ ΠΌΠ°ΠΊΡΠΎΠ»ΠΈΠ΄ΠΎΠ², ΡΠ΅ΡΡΠ°ΡΠΈΠΊΠ»ΠΈΠ½ΠΎΠ², ΡΡΠΎΡΡ ΠΈΠ½ΠΎΠ»ΠΎΠ½ΠΎΠ². ΠΠ΄Π½ΠΎΠΌΠΎΠΌΠ΅Π½ΡΠ½ΠΎΠΌΡ Π»Π΅ΡΠ΅Π½ΠΈΡ ΠΏΠΎΠ΄Π»Π΅ΠΆΠ°Ρ ΠΏΠΎΠ»ΠΎΠ²ΡΠ΅ ΠΏΠ°ΡΡΠ½Π΅ΡΡ Π΄Π°ΠΆΠ΅ ΠΏΡΠΈ ΠΎΡΡΠΈΡΠ°ΡΠ΅Π»ΡΠ½ΡΡ Π°Π½Π°Π»ΠΈΠ·Π°Ρ Π½Π° Ρ Π»Π°ΠΌΠΈΠ΄ΠΈΠΎΠ·. Π ΡΠ»ΡΡΠ°Π΅ ΠΎΡΡΡΡΡΡΠ²ΠΈΡ Π΄ΠΈΠ½Π°ΠΌΠΈΠΊΠΈ ΠΏΠΎΡΠ»Π΅ ΠΏΡΠΎΠ²Π΅Π΄Π΅Π½Π½ΠΎΠ³ΠΎ Π°Π½ΡΠΈΠ±Π°ΠΊΡΠ΅ΡΠΈΠ°Π»ΡΠ½ΠΎΠ³ΠΎ ΠΊΡΡΡΠ° ΠΏΠΎΠ²ΡΠΎΡΠ½ΠΎ Π½Π°Π·Π½Π°ΡΠ°ΡΡ ΠΏΡΠ΅ΠΏΠ°ΡΠ°ΡΡ Π΄ΡΡΠ³ΠΎΠΉ Π³ΡΡΠΏΠΏΡ.
ΠΠ»Ρ Π»ΠΈΠΊΠ²ΠΈΠ΄Π°ΡΠΈΠΈ Π²ΠΎΡΠΏΠ°Π»ΠΈΡΠ΅Π»ΡΠ½ΠΎΠΉ ΡΠ΅Π°ΠΊΡΠΈΠΈ Π² ΡΡΡΡΠ°Π²Π°Ρ ΠΏΡΠΎΠ²ΠΎΠ΄ΠΈΡΡΡ Π»Π΅ΡΠ΅Π½ΠΈΠ΅ ΠΠΠΠ‘; ΠΏΡΠΈ ΡΡΠΆΠ΅Π»ΠΎΠΌ ΡΠ΅ΡΠ΅Π½ΠΈΠΈ Π°ΡΡΡΠΈΡΠ° — ΠΊΠΎΡΡΠΈΠΊΠΎΡΡΠ΅ΡΠΎΠΈΠ΄Π°ΠΌΠΈ (ΠΏΡΠ΅Π΄Π½ΠΈΠ·ΠΎΠ»ΠΎΠ½ΠΎΠΌ), ΠΊΠ°ΠΊ ΡΠΈΡΡΠ΅ΠΌΠ½ΠΎ, ΡΠ°ΠΊ ΠΈ Ρ ΠΏΠΎΠΌΠΎΡΡΡ Π²Π½ΡΡΡΠΈΡΡΡΡΠ°Π²Π½ΡΡ ΠΈ ΠΏΠ΅ΡΠΈΠ°ΡΡΠΈΠΊΡΠ»ΡΡΠ½ΡΡ ΠΈΠ½ΡΠ΅ΠΊΡΠΈΠΉ. ΠΠ²Π΅Π΄Π΅Π½ΠΈΠ΅ ΠΊΠΎΡΡΠΈΠΊΠΎΡΡΠ΅ΡΠΎΠΈΠ΄ΠΎΠ² Π² ΠΎΠ±Π»Π°ΡΡΡ ΠΊΡΠ΅ΡΡΡΠΎΠ²ΠΎ-ΠΏΠΎΠ΄Π²Π·Π΄ΠΎΡΠ½ΡΡ ΡΡΡΡΠ°Π²ΠΎΠ² ΠΎΡΡΡΠ΅ΡΡΠ²Π»ΡΠ΅ΡΡΡ ΠΏΠΎΠ΄ ΠΊΠΎΠ½ΡΡΠΎΠ»Π΅ΠΌ ΠΠ’. ΠΠ°ΡΡΠΆΠ½ΠΎΠ΅ ΡΠ΅ΡΠ΅Π½ΠΈΠ΅ ΡΠ΅Π°ΠΊΡΠΈΠ²Π½ΠΎΠ³ΠΎ Π°ΡΡΡΠΈΡΠ° ΠΌΠΎΠΆΠ΅Ρ ΠΏΠΎΡΡΠ΅Π±ΠΎΠ²Π°ΡΡ Π½Π°Π·Π½Π°ΡΠ΅Π½ΠΈΡ ΠΏΡΠΎΡΠΈΠ²ΠΎΠ²ΠΎΡΠΏΠ°Π»ΠΈΡΠ΅Π»ΡΠ½ΠΎΠΉ ΡΠ΅ΡΠ°ΠΏΠΈΠΈ Π±Π°Π·ΠΈΡΠ½ΡΠΌΠΈ ΠΏΡΠ΅ΠΏΠ°ΡΠ°ΡΠ°ΠΌΠΈ β ΡΡΠ»ΡΡΠ°ΡΠ°Π»Π°Π·ΠΈΠ½ΠΎΠΌ, ΠΌΠ΅ΡΠΎΡΡΠ΅ΠΊΡΠ°ΡΠΎΠΌ.
Π‘ ΠΏΠΎΠΌΠΎΡΡΡ ΠΏΡΠ΅ΠΏΠ°ΡΠ°ΡΠΎΠ²-ΠΈΠ½Π³ΠΈΠ±ΠΈΡΠΎΡΠΎΠ² Π€ΠΠ (ΡΡΠ°Π½Π΅ΡΡΠ΅ΠΏΡΠ°, ΠΈΠ½ΡΠ»ΠΈΠΊΡΠΈΠΌΠ°Π±Π°) ΠΏΠΎΠ΄Π΄Π°ΡΡΡΡ Π»Π΅ΡΠ΅Π½ΠΈΡ Π΄Π°ΠΆΠ΅ ΡΠ΅Π·ΠΈΡΡΠ΅Π½ΡΠ½ΡΠ΅ ΠΊ ΡΠ΅ΡΠ°ΠΏΠΈΠΈ ΡΠΎΡΠΌΡ Π±ΠΎΠ»Π΅Π·Π½ΠΈ, ΠΊΡΠΏΠΈΡΡΡΡΡΡ ΠΏΡΠΈΠ·Π½Π°ΠΊΠΈ Π°ΡΡΡΠΈΡΠ°, ΡΠΏΠΎΠ½Π΄ΠΈΠ»ΠΈΡΠ°, ΠΎΡΡΡΠΎΠ³ΠΎ ΡΠ²Π΅ΠΈΡΠ°. ΠΠ²Π΅Π΄Π΅Π½ΠΈΠ΅ ΡΡΠ²ΠΎΠ»ΠΎΠ²ΡΡ ΠΊΠ»Π΅ΡΠΎΠΊ ΠΏΡΠΈ ΡΠ΅Π°ΠΊΡΠΈΠ²Π½ΠΎΠΌ Π°ΡΡΡΠΈΡΠ΅ ΠΏΠΎΠΌΠΎΠ³Π°Π΅Ρ Π²ΠΎΡΡΡΠ°Π½ΠΎΠ²ΠΈΡΡ ΡΡΡΡΠΊΡΡΡΡ ΠΏΠΎΠ²ΡΠ΅ΠΆΠ΄Π΅Π½Π½ΠΎΠ³ΠΎ Ρ ΡΡΡΠ°, Π½ΠΎΡΠΌΠ°Π»ΠΈΠ·ΠΎΠ²Π°ΡΡ ΠΌΠ΅ΡΠ°Π±ΠΎΠ»ΠΈΠ·ΠΌ, Π»ΠΈΠΊΠ²ΠΈΠ΄ΠΈΡΠΎΠ²Π°ΡΡ Π²ΠΎΡΠΏΠ°Π»Π΅Π½ΠΈΠ΅ Π² ΡΡΡΡΠ°Π²Π΅.
ΠΡΠΈ ΠΎΠ±ΡΠ°Π·ΠΎΠ²Π°Π½ΠΈΠΈ Π²ΠΎΡΠΏΠ°Π»ΠΈΡΠ΅Π»ΡΠ½ΠΎΠ³ΠΎ Π²ΡΠΏΠΎΡΠ° ΠΏΡΠΎΠΈΠ·Π²ΠΎΠ΄ΡΡ Π΅Π³ΠΎ ΡΠ²Π°ΠΊΡΠ°ΡΠΈΡ ΠΈΠ· ΠΏΠΎΠ»ΠΎΡΡΠΈ ΡΡΡΡΠ°Π²Π°. ΠΠΎΠΊΠ°Π»ΡΠ½ΠΎ ΠΈΡΠΏΠΎΠ»ΡΠ·ΡΡΡΡΡ ΠΏΡΠΎΡΠΈΠ²ΠΎΠ²ΠΎΡΠΏΠ°Π»ΠΈΡΠ΅Π»ΡΠ½ΡΠ΅ ΠΊΡΠ΅ΠΌΡ, ΠΌΠ°Π·ΠΈ, Π³Π΅Π»ΠΈ, Π°ΠΏΠΏΠ»ΠΈΠΊΠ°ΡΠΈΠΈ Π΄ΠΈΠΌΠ΅ΠΊΡΠΈΠ΄Π°. ΠΠ· ΠΌΠ΅ΡΠΎΠ΄ΠΎΠ² ΡΠΈΠ·ΠΈΠΎΡΠ΅ΡΠ°ΠΏΠΈΠΈ ΠΏΡΠΈ ΡΠ΅Π°ΠΊΡΠΈΠ²Π½ΠΎΠΌ Π°ΡΡΡΠΈΡΠ΅ ΠΏΡΠ΅Π΄ΠΏΠΎΡΡΠ΅Π½ΠΈΠ΅ ΠΎΡΠ΄Π°Π΅ΡΡΡ ΡΠΎΠ½ΠΎΡΠΎΡΠ΅Π·Ρ Π³ΠΈΠ΄ΡΠΎΠΊΠΎΡΡΠΈΠ·ΠΎΠ½Π°, ΡΠΈΠ½ΡΡΠΎΠΈΠ΄Π°Π»ΡΠ½ΠΎ-ΠΌΠΎΠ΄ΡΠ»ΠΈΡΡΡΡΠΈΠΌ ΡΠΎΠΊΠ°ΠΌ (Π‘ΠΠ’), ΠΊΡΠΈΠΎΡΠ΅ΡΠ°ΠΏΠΈΠΈ, ΠΠ€Π. ΠΠΎΡΠ»Π΅ ΠΊΡΠΏΠΈΡΠΎΠ²Π°Π½ΠΈΡ ΠΎΡΡΡΠΎΠΉ ΡΡΠ΅ΠΏΠ΅Π½ΠΈ Π²ΠΎΡΠΏΠ°Π»Π΅Π½ΠΈΡ Π½Π°Π·Π½Π°ΡΠ°ΡΡΡΡ ΠΏΡΠΎΡΠ΅Π΄ΡΡΡ, Π½Π°ΠΏΡΠ°Π²Π»Π΅Π½Π½ΡΠ΅ Π½Π° Π²ΠΎΡΡΡΠ°Π½ΠΎΠ²Π»Π΅Π½ΠΈΠ΅ ΡΡΠ½ΠΊΡΠΈΠΉ ΡΡΡΡΠ°Π²ΠΎΠ² — Π»Π΅ΡΠ΅Π±Π½ΡΠ΅ Π²Π°Π½Π½Ρ (Ρ ΡΠΎΠ»ΡΠΌΠΈ ΠΠ΅ΡΡΠ²ΠΎΠ³ΠΎ ΠΌΠΎΡΡ, ΡΠ΅ΡΠΎΠ²ΠΎΠ΄ΠΎΡΠΎΠ΄Π½ΡΠ΅, ΡΠ΅ΡΠ½ΠΈΡΡΠΎΠ²ΠΎΠ΄ΠΎΡΠΎΠ΄Π½ΡΠ΅), Π³ΡΡΠ·Π΅Π»Π΅ΡΠ΅Π½ΠΈΠ΅.
ΠΡΠΎΠ³Π½ΠΎΠ· ΠΈ ΠΏΡΠΎΡΠΈΠ»Π°ΠΊΡΠΈΠΊΠ° ΡΠ΅Π°ΠΊΡΠΈΠ²Π½ΡΡ Π°ΡΡΡΠΈΡΠΎΠ²
ΠΡΠ΄Π°Π»Π΅Π½Π½ΡΠΉ ΠΏΡΠΎΠ³Π½ΠΎΠ· ΡΠ΅Π°ΠΊΡΠΈΠ²Π½ΠΎΠ³ΠΎ Π°ΡΡΡΠΈΡΠ° Π²Π°ΡΠΈΠ°Π±Π΅Π»Π΅Π½. Π£ 35% ΠΏΠ°ΡΠΈΠ΅Π½ΡΠΎΠ² Π²ΠΎΡΠΏΠ°Π»ΠΈΡΠ΅Π»ΡΠ½ΡΠ΅ ΠΏΡΠΈΠ·Π½Π°ΠΊΠΈ ΠΈΡΡΠ΅Π·Π°ΡΡ Π² ΡΠ΅ΡΠ΅Π½ΠΈΠ΅ ΠΏΠΎΠ»ΡΠ³ΠΎΠ΄Π°, ΠΈ Π² ΠΏΠΎΡΠ»Π΅Π΄ΡΡΡΠ΅ΠΌ Π±ΠΎΠ»Π΅Π·Π½Ρ Π½Π΅ Π²ΠΎΠ·ΠΎΠ±Π½ΠΎΠ²Π»ΡΠ΅ΡΡΡ. Π£ ΡΠ°ΠΊΠΎΠ³ΠΎ ΠΆΠ΅ ΠΊΠΎΠ»ΠΈΡΠ΅ΡΡΠ²Π° ΠΏΠ°ΡΠΈΠ΅Π½ΡΠΎΠ² ΠΎΡΠΌΠ΅ΡΠ°ΡΡΡΡ ΡΠ΅ΡΠΈΠ΄ΠΈΠ²Ρ Ρ ΡΠ²Π»Π΅Π½ΠΈΡΠΌΠΈ Π°ΡΡΡΠΈΡΠ°, ΡΠ½ΡΠ΅ΡΠΈΡΠ°, ΡΠΈΡΡΠ΅ΠΌΠ½ΡΠΌΠΈ ΡΠ΅Π°ΠΊΡΠΈΡΠΌΠΈ. Π 25% ΡΠ»ΡΡΠ°Π΅Π² ΡΠ΅ΡΠ΅Π½ΠΈΠ΅ Π°ΡΡΡΠΈΡΠ° ΠΏΡΠΈΠΎΠ±ΡΠ΅ΡΠ°Π΅Ρ ΠΏΠ΅ΡΠ²ΠΈΡΠ½ΠΎ Ρ ΡΠΎΠ½ΠΈΡΠ΅ΡΠΊΠΈΠΉ Ρ Π°ΡΠ°ΠΊΡΠ΅Ρ Ρ ΡΠ΅Π½Π΄Π΅Π½ΡΠΈΠ΅ΠΉ ΠΊ Π½Π΅Π·Π½Π°ΡΠΈΡΠ΅Π»ΡΠ½ΠΎΠΌΡ ΠΏΡΠΎΠ³ΡΠ΅ΡΡΠΈΡΠΎΠ²Π°Π½ΠΈΡ. ΠΡΠ΅ Ρ 5% Π±ΠΎΠ»ΡΠ½ΡΡ Π½Π°Π±Π»ΡΠ΄Π°Π΅ΡΡΡ ΡΡΠΆΠ΅Π»Π°Ρ ΡΠΎΡΠΌΠ° ΡΠ΅Π°ΠΊΡΠΈΠ²Π½ΠΎΠ³ΠΎ Π°ΡΡΡΠΈΡΠ°, ΠΏΡΠΈΠ²ΠΎΠ΄ΡΡΠ°Ρ ΡΠΎ Π²ΡΠ΅ΠΌΠ΅Π½Π΅ΠΌ ΠΊ Π΄Π΅ΡΡΡΡΠΊΡΠΈΠ²Π½ΡΠΌ ΠΈ Π°Π½ΠΊΠΈΠ»ΠΎΠ·ΠΈΡΡΡΡΠΈΠΌ ΠΈΠ·ΠΌΠ΅Π½Π΅Π½ΠΈΡΠΌ ΡΡΡΡΠ°Π²ΠΎΠ² ΠΈ ΠΏΠΎΠ·Π²ΠΎΠ½ΠΎΡΠ½ΠΈΠΊΠ°.
ΠΡΠ½ΠΎΠ²Π½ΠΎΠΉ ΠΌΠ΅ΡΠΎΠΉ ΠΏΡΠ΅Π΄ΡΠΏΡΠ΅ΠΆΠ΄Π΅Π½ΠΈΡ ΡΠ΅Π°ΠΊΡΠΈΠ²Π½ΠΎΠ³ΠΎ Π²ΠΎΡΠΏΠ°Π»Π΅Π½ΠΈΡ ΡΡΡΡΠ°Π²ΠΎΠ² ΡΠ²Π»ΡΠ΅ΡΡΡ ΠΏΡΠΎΡΠΈΠ»Π°ΠΊΡΠΈΠΊΠ° ΠΏΠ΅ΡΠ²ΠΈΡΠ½ΡΡ ΠΊΠΈΡΠ΅ΡΠ½ΡΡ (ΡΠ°Π»ΡΠΌΠΎΠ½Π΅Π»Π»Π΅Π·Π°, ΠΈΠ΅ΡΡΠΈΠ½ΠΈΠΎΠ·Π°, ΠΊΠ°ΠΌΠΏΠΈΠ»ΠΎΠ±Π°ΠΊΡΠ΅ΡΠΈΠΎΠ·Π°, Π΄ΠΈΠ·Π΅Π½ΡΠ΅ΡΠΈΠΈ) ΠΈ ΠΌΠΎΡΠ΅ΠΏΠΎΠ»ΠΎΠ²ΡΡ (Ρ Π»Π°ΠΌΠΈΠ΄ΠΈΠΎΠ·Π°) ΠΈΠ½ΡΠ΅ΠΊΡΠΈΠΉ.
www.krasotaimedicina.ru
ΡΠΈΠΌΠΏΡΠΎΠΌΡ ΠΈ Π»Π΅ΡΠ΅Π½ΠΈΠ΅, ΠΏΡΠΈΡΠΈΠ½Ρ Π·Π°Π±ΠΎΠ»Π΅Π²Π°Π½ΠΈΡ
Π Π΅Π°ΠΊΡΠΈΠ²Π½ΡΠΉ Π°ΡΡΡΠΈΡ ΡΠ°Π·Π²ΠΈΠ²Π°Π΅ΡΡΡ Ρ 3% ΠΏΠ°ΡΠΈΠ΅Π½ΡΠΎΠ², ΠΏΠ΅ΡΠ΅Π½Π΅ΡΡΠΈΡ Ρ Π»Π°ΠΌΠΈΠ΄ΠΈΠΉΠ½ΡΡ ΡΡΠΎΠ³Π΅Π½ΠΈΡΠ°Π»ΡΠ½ΡΡ ΠΈΠ½ΡΠ΅ΠΊΡΠΈΡ. ΠΠ½ Π΄ΠΈΠ°Π³Π½ΠΎΡΡΠΈΡΡΠ΅ΡΡΡ Ρ 4% Π±ΠΎΠ»ΡΠ½ΡΡ ΠΊΠΈΡΠ΅ΡΠ½ΡΠΌΠΈ ΠΈΠ½ΡΠ΅ΠΊΡΠΈΠΎΠ½Π½ΡΠΌΠΈ Π·Π°Π±ΠΎΠ»Π΅Π²Π°Π½ΠΈΡΠΌΠΈ. Π£ Π΄Π΅ΡΠ΅ΠΉ ΠΏΠ°ΡΠΎΠ»ΠΎΠ³ΠΈΡ ΠΎΠ±Π½Π°ΡΡΠΆΠΈΠ²Π°Π΅ΡΡΡ ΠΈΡΠΊΠ»ΡΡΠΈΡΠ΅Π»ΡΠ½ΠΎ ΡΠ΅Π΄ΠΊΠΎ. ΠΠ°ΠΈΠ±ΠΎΠ»Π΅Π΅ ΡΠ°ΡΡΠΎ ΡΠ΅Π°ΠΊΡΠΈΠ²Π½ΡΠΉ Π°ΡΡΡΠΈΡ ΠΏΠΎΡΠ°ΠΆΠ°Π΅Ρ ΠΌΡΠΆΡΠΈΠ½ 20-40 Π»Π΅Ρ, Ρ ΠΆΠ΅Π½ΡΠΈΠ½ ΠΎΠ½ Π²ΡΡΠ²Π»ΡΠ΅ΡΡΡ Π² 20 ΡΠ°Π· ΡΠ΅ΠΆΠ΅. Π Π΅Π³ΠΎ Π»Π΅ΡΠ΅Π½ΠΈΠΈ ΠΈΡΠΏΠΎΠ»ΡΠ·ΡΡΡΡΡ ΠΊΠΎΠ½ΡΠ΅ΡΠ²Π°ΡΠΈΠ²Π½ΡΠ΅ ΠΌΠ΅ΡΠΎΠ΄Ρ β ΠΏΡΠΈΠ΅ΠΌ Π°Π½ΡΠΈΠ±ΠΈΠΎΡΠΈΠΊΠΎΠ² ΠΈ Π°Π½Π°Π»ΡΠ³Π΅ΡΠΈΠΊΠΎΠ², ΠΏΡΠΎΠ²Π΅Π΄Π΅Π½ΠΈΠ΅ ΡΠΈΠ·ΠΈΠΎΡΠ΅ΡΠ°ΠΏΠ΅Π²ΡΠΈΡΠ΅ΡΠΊΠΈΡ ΠΈ ΠΌΠ°ΡΡΠ°ΠΆΠ½ΡΡ ΠΏΡΠΎΡΠ΅Π΄ΡΡ, ΠΠ€Π.
ΠΠ±ΡΠΈΠ΅ ΡΠ²Π΅Π΄Π΅Π½ΠΈΡ ΠΎ ΡΠ΅Π°ΠΊΡΠΈΠ²Π½ΠΎΠΌ Π°ΡΡΡΠΈΡΠ΅
ΠΠ°ΠΆΠ½ΠΎ Π·Π½Π°ΡΡ! ΠΡΠ°ΡΠΈ Π² ΡΠΎΠΊΠ΅: «ΠΡΡΠ΅ΠΊΡΠΈΠ²Π½ΠΎΠ΅ ΠΈ Π΄ΠΎΡΡΡΠΏΠ½ΠΎΠ΅ ΡΡΠ΅Π΄ΡΡΠ²ΠΎ ΠΎΡ ΠΠ Π’Π ΠΠ’Π ΡΡΡΠ΅ΡΡΠ²ΡΠ΅Ρ…» Π§ΠΈΡΠ°ΡΡ Π΄Π°Π»Π΅Π΅…
Π Π΅Π°ΠΊΡΠΈΠ²Π½ΡΠΉ Π°ΡΡΡΠΈΡ β Π²ΠΎΡΠΏΠ°Π»ΠΈΡΠ΅Π»ΡΠ½ΠΎΠ΅ Π·Π°Π±ΠΎΠ»Π΅Π²Π°Π½ΠΈΠ΅ ΠΊΡΡΠΏΠ½ΡΡ ΠΈ ΠΌΠ΅Π»ΠΊΠΈΡ ΡΡΡΡΠ°Π²ΠΎΠ². ΠΠ½ ΡΠ°Π·Π²ΠΈΠ²Π°Π΅ΡΡΡ Π½Π° ΡΠΎΠ½Π΅ ΡΡΠΎΠ³Π΅Π½ΠΈΡΠ°Π»ΡΠ½ΠΎΠΉ, ΠΊΠΈΡΠ΅ΡΠ½ΠΎΠΉ ΠΈΠ½ΡΠ΅ΠΊΡΠΈΠΈ ΠΈΠ»ΠΈ ΡΠΏΡΡΡΡ Π½Π΅ΠΊΠΎΡΠΎΡΠΎΠ΅ Π²ΡΠ΅ΠΌΡ ΠΏΠΎΡΠ»Π΅ Π΅Π΅ ΠΈΠ·Π»Π΅ΡΠ΅Π½ΠΈΡ. ΠΠ»Ρ ΠΏΠ°ΡΠΎΠ»ΠΎΠ³ΠΈΠΈ Ρ Π°ΡΠ°ΠΊΡΠ΅ΡΠ½ΠΎ ΠΏΠΎΡΠ»Π΅Π΄ΠΎΠ²Π°ΡΠ΅Π»ΡΠ½ΠΎΠ΅ Π²ΠΎΠ²Π»Π΅ΡΠ΅Π½ΠΈΠ΅ Π² Π²ΠΎΡΠΏΠ°Π»ΠΈΡΠ΅Π»ΡΠ½ΡΠΉ ΠΏΡΠΎΡΠ΅ΡΡ ΠΎΡΠ³Π°Π½ΠΎΠ² ΠΌΠΎΡΠ΅ΠΏΠΎΠ»ΠΎΠ²ΠΎΠΉ ΡΠΈΡΡΠ΅ΠΌΡ, Π³Π»Π°Π·, ΡΡΡΡΠ°Π²ΠΎΠ². ΠΠ΅ Ρ Π²ΡΠ΅Ρ Π»ΡΠ΄Π΅ΠΉ, Π² ΡΠ΅ΠΉ ΠΎΡΠ³Π°Π½ΠΈΠ·ΠΌ ΠΏΡΠΎΠ½ΠΈΠΊΠ»ΠΈ ΠΈΠ½ΡΠ΅ΠΊΡΠΈΠΎΠ½Π½ΡΠ΅ Π²ΠΎΠ·Π±ΡΠ΄ΠΈΡΠ΅Π»ΠΈ, Π²ΠΎΠ·Π½ΠΈΠΊΠ°Π΅Ρ ΡΠ΅Π°ΠΊΡΠΈΠ²Π½ΡΠΉ Π°ΡΡΡΠΈΡ. Π£ΡΡΠ°Π½ΠΎΠ²Π»Π΅Π½Π° Π²Π·Π°ΠΈΠΌΠΎΡΠ²ΡΠ·Ρ ΠΌΠ΅ΠΆΠ΄Ρ Π²ΠΎΡΠΏΠ°Π»ΠΈΡΠ΅Π»ΡΠ½ΡΠΌ ΠΏΠΎΡΠ°ΠΆΠ΅Π½ΠΈΠ΅ΠΌ ΡΡΡΡΠ°Π²ΠΎΠ² ΠΈ Π½ΠΎΡΠΈΡΠ΅Π»ΡΡΡΠ²ΠΎΠΌ Π°Π½ΡΠΈΠ³Π΅Π½Π° ΠLA-B27. Π ΡΡΠΎΠΌ ΡΠ»ΡΡΠ°Π΅ Π²Π΅ΡΠΎΡΡΠ½ΠΎΡΡΡ ΡΠ°Π·Π²ΠΈΡΠΈΡ Π°ΡΡΠΎΠΈΠΌΠΌΡΠ½Π½ΠΎΠ³ΠΎ Π·Π°Π±ΠΎΠ»Π΅Π²Π°Π½ΠΈΡ Π²ΡΡΠ΅ Π² 50 ΡΠ°Π·.
ΠΡΠΈΡΠΈΠ½Ρ Π²ΠΎΠ·Π½ΠΈΠΊΠ½ΠΎΠ²Π΅Π½ΠΈΡ ΠΏΠ°ΡΠΎΠ»ΠΎΠ³ΠΈΠΈ
ΠΠ·Π±ΠΈΡΠ°ΡΠ΅Π»ΡΠ½ΠΎΡΡΡ ΡΠ΅Π°ΠΊΡΠΈΠ²Π½ΠΎΠ³ΠΎ Π°ΡΡΡΠΈΡΠ° ΠΎΠ±ΡΡΠ»ΠΎΠ²Π»Π΅Π½Π° Π³Π΅Π½Π΅ΡΠΈΡΠ΅ΡΠΊΠΎΠΉ ΠΏΡΠ΅Π΄ΡΠ°ΡΠΏΠΎΠ»ΠΎΠΆΠ΅Π½Π½ΠΎΡΡΡΡ. ΠΠΎΡΠ»Π΅ Π²Π½Π΅Π΄ΡΠ΅Π½ΠΈΡ Π² ΠΎΡΠ³Π°Π½ΠΈΠ·ΠΌ Π²ΠΎΠ·Π±ΡΠ΄ΠΈΡΠ΅Π»Π΅ΠΉ ΡΡΠΎΠ³Π΅Π½ΠΈΡΠ°Π»ΡΠ½ΡΡ ΠΈ ΠΊΠΈΡΠ΅ΡΠ½ΡΡ ΠΈΠ½ΡΠ΅ΠΊΡΠΈΠΉ ΠΎΠ½ΠΈ Π³Π΅ΠΌΠ°ΡΠΎΠ³Π΅Π½Π½ΡΠΌ ΠΏΡΡΠ΅ΠΌ ΠΏΡΠΎΠ½ΠΈΠΊΠ°ΡΡ Π² ΡΠΈΠ½ΠΎΠ²ΠΈΠ°Π»ΡΠ½ΡΡ ΠΆΠΈΠ΄ΠΊΠΎΡΡΡ. Π ΡΠ΅Π·ΡΠ»ΡΡΠ°ΡΠ΅ ΠΈΡ ΠΊΠΎΠ½ΡΠ°ΠΊΡΠ° Ρ Π°Π½ΡΠΈΠ³Π΅Π½Π°ΠΌΠΈ ΠLA-B27 ΠΎΠ±ΡΠ°Π·ΡΡΡΡΡ ΡΠ»ΠΎΠΆΠ½ΡΠ΅ Π±Π΅Π»ΠΊΠΎΠ²ΡΠ΅ ΠΊΠΎΠΌΠΏΠ»Π΅ΠΊΡΡ, ΡΡ ΠΎΠ΄Π½ΡΠ΅ ΠΏΠΎ ΡΡΡΡΠΊΡΡΡΠ΅ Ρ ΠΊΠ»Π΅ΡΠΊΠ°ΠΌΠΈ ΡΡΡΡΠ°Π²Π½ΡΡ ΡΠΊΠ°Π½Π΅ΠΉ. ΠΠΌΠΌΡΠ½Π½ΠΎΠΉ ΡΠΈΡΡΠ΅ΠΌΠΎΠΉ Π²ΡΡΠ°Π±Π°ΡΡΠ²Π°ΡΡΡΡ Π°Π½ΡΠΈΡΠ΅Π»Π° Π΄Π»Ρ ΡΠ½ΠΈΡΡΠΎΠΆΠ΅Π½ΠΈΡ ΡΡΠΆΠ΅ΡΠΎΠ΄Π½ΡΡ Π±Π΅Π»ΠΊΠΎΠ², Π½ΠΎ Π°ΡΠ°ΠΊΡΡΡ ΠΎΠ½ΠΈ ΡΠΎΠ±ΡΡΠ²Π΅Π½Π½ΡΠ΅ ΠΊΠ»Π΅ΡΠΊΠΈ ΠΎΡΠ³Π°Π½ΠΈΠ·ΠΌΠ°, ΡΡΠΎ ΠΏΡΠΈΠ²ΠΎΠ΄ΠΈΡ ΠΊ ΡΠ°Π·Π²ΠΈΡΠΈΡ Π°ΡΠ΅ΠΏΡΠΈΡΠ΅ΡΠΊΠΎΠ³ΠΎ Π²ΠΎΡΠΏΠ°Π»ΠΈΡΠ΅Π»ΡΠ½ΠΎΠ³ΠΎ ΠΏΡΠΎΡΠ΅ΡΡΠ°.
Π₯Π»Π°ΠΌΠΈΠ΄ΠΈΠΎΠ·
Π₯Π»Π°ΠΌΠΈΠ΄ΠΈΠΈ β ΡΠ°ΡΠΎΠ²ΠΈΠ΄Π½ΡΠ΅ Π±ΠΎΠ»Π΅Π·Π½Π΅ΡΠ²ΠΎΡΠ½ΡΠ΅ Π±Π°ΠΊΡΠ΅ΡΠΈΠΈ, ΠΏΠ°ΡΠ°Π·ΠΈΡΠΈΡΡΡΡΠΈΠ΅ Π² ΠΎΡΠ³Π°Π½ΠΈΠ·ΠΌΠ΅ ΡΠ΅Π»ΠΎΠ²Π΅ΠΊΠ° Π² ΡΠΎΡΠΌΠ΅ ΡΠΈΡΠΎΠΏΠ»Π°Π·ΠΌΠ°ΡΠΈΡΠ΅ΡΠΊΠΈΡ Π²ΠΊΠ»ΡΡΠ΅Π½ΠΈΠΉ. ΠΠΎΠ·Π±ΡΠ΄ΠΈΡΠ΅Π»Π΅ΠΌ ΡΡΠΎΠ³Π΅Π½ΠΈΡΠ°Π»ΡΠ½ΠΎΠ³ΠΎ ΡΠ΅Π°ΠΊΡΠΈΠ²Π½ΠΎΠ³ΠΎ Π°ΡΡΡΠΈΡΠ° ΡΡΠ°Π½ΠΎΠ²ΡΡΡΡ C. trachomatis. Π Π±ΠΎΠ»ΡΡΠΈΠ½ΡΡΠ²Π΅ ΡΠ»ΡΡΠ°Π΅Π² Π·Π°ΡΠ°ΠΆΠ΅Π½ΠΈΠ΅ ΠΏΡΠΎΠΈΡΡ ΠΎΠ΄ΠΈΡ ΠΏΡΠΈ Π½Π΅Π·Π°ΡΠΈΡΠ΅Π½Π½ΠΎΠΌ ΠΏΠΎΠ»ΠΎΠ²ΠΎΠΌ ΠΊΠΎΠ½ΡΠ°ΠΊΡΠ΅. Π Π΅ΠΆΠ΅ Ρ Π»Π°ΠΌΠΈΠ΄ΠΈΠΈ ΠΏΠ΅ΡΠ΅Π΄Π°ΡΡΡΡ ΠΎΡ ΡΠ΅Π»ΠΎΠ²Π΅ΠΊΠ° ΠΊ ΡΠ΅Π»ΠΎΠ²Π΅ΠΊΡ Π±ΡΡΠΎΠ²ΡΠΌ ΠΏΡΡΠ΅ΠΌ, Π½Π°ΠΏΡΠΈΠΌΠ΅Ρ, ΡΠ΅ΡΠ΅Π· ΠΏΠΎΡΡΠ΅Π»ΡΠ½ΡΠ΅ ΠΈ ΡΡΠ°Π»Π΅ΡΠ½ΡΠ΅ ΠΏΡΠΈΠ½Π°Π΄Π»Π΅ΠΆΠ½ΠΎΡΡΠΈ. ΠΠΎΠ·ΠΌΠΎΠΆΠ½ΠΎ ΡΠ°ΠΊΠΆΠ΅ Π·Π°ΡΠ°ΠΆΠ΅Π½ΠΈΠ΅ ΡΠ΅Π±Π΅Π½ΠΊΠ° Π²ΠΎ Π²ΡΠ΅ΠΌΡ Π΅Π³ΠΎ ΠΏΡΠΎΡ ΠΎΠΆΠ΄Π΅Π½ΠΈΡ ΠΏΠΎ ΡΠΎΠ΄ΠΎΠ²ΡΠΌ ΠΏΡΡΡΠΌ.

Π₯Π»Π°ΠΌΠΈΠ΄ΠΈΠΈ ΠΏΠΎΠ΄ ΠΌΠΈΠΊΡΠΎΡΠΊΠΎΠΏΠΎΠΌ.
ΠΡΡΠ³ΠΈΠ΅ ΠΌΠΎΡΠ΅ΠΏΠΎΠ»ΠΎΠ²ΡΠ΅ ΠΈΠ½ΡΠ΅ΠΊΡΠΈΠΈ
Π Π΅ΠΆΠ΅ Π² ΡΠΎΠ»ΠΈ ΡΡΠΈΠΎΡΠ°ΠΊΡΠΎΡΠΎΠ² ΡΠ΅Π°ΠΊΡΠΈΠ²Π½ΠΎΠ³ΠΎ Π°ΡΡΡΠΈΡΠ° Π²ΡΡΡΡΠΏΠ°ΡΡ Π²ΠΎΠ·Π±ΡΠ΄ΠΈΡΠ΅Π»ΠΈ ΡΡΠ΅Π°ΠΏΠ»Π°Π·ΠΌΠΎΠ·Π° ΠΈ ΠΌΠΈΠΊΠΎΠΏΠ»Π°Π·ΠΌΠΎΠ·Π°. ΠΡΠΎ ΠΌΠ΅Π»ΡΡΠ°ΠΉΡΠΈΠ΅ ΠΌΠΈΠΊΡΠΎΠΎΡΠ³Π°Π½ΠΈΠ·ΠΌΡ ΡΠ΅ΠΌΠ΅ΠΉΡΡΠ²Π° ΠΌΠΈΠΊΠΎΠΏΠ»Π°Π·ΠΌ β ΠΏΡΠΎΠΌΠ΅ΠΆΡΡΠΎΡΠ½ΠΎΠ΅ Π·Π²Π΅Π½ΠΎ ΠΌΠ΅ΠΆΠ΄Ρ Π²ΠΈΡΡΡΠ°ΠΌΠΈ ΠΈ Π±Π°ΠΊΡΠ΅ΡΠΈΡΠΌΠΈ (Π½Π΅ ΠΈΠΌΠ΅ΡΡ ΠΠΠ ΠΈ ΠΊΠ»Π΅ΡΠΎΡΠ½ΠΎΠΉ ΠΎΠ±ΠΎΠ»ΠΎΡΠΊΠΈ). Π 70-80% ΡΠ»ΡΡΠ°Π΅Π² Π·Π°Π±ΠΎΠ»Π΅Π²Π°Π½ΠΈΠ΅ ΠΏΡΠΎΡΠ΅ΠΊΠ°Π΅Ρ Π² ΡΠΎΡΠΌΠ΅ Π±Π΅ΡΡΠΈΠΌΠΏΡΠΎΠΌΠ½ΠΎΠ³ΠΎ Π½ΠΎΡΠΈΡΠ΅Π»ΡΡΡΠ²Π°. ΠΠΎ ΠΏΡΠΈ Π½Π΅ΠΊΠΎΡΡΠ΅ΠΊΡΠ½ΠΎΠΉ ΡΠ°Π±ΠΎΡΠ΅ ΠΈΠΌΠΌΡΠ½Π½ΠΎΠΉ ΡΠΈΡΡΠ΅ΠΌΡ ΠΏΠΎΡΠ»Π΅ ΠΏΡΠΎΠ½ΠΈΠΊΠ½ΠΎΠ²Π΅Π½ΠΈΡ Π±Π°ΠΊΡΠ΅ΡΠΈΠΉ Π² ΠΎΡΠ³Π°Π½ΠΈΠ·ΠΌ Π·Π°ΠΏΡΡΠΊΠ°Π΅ΡΡΡ Π²ΠΎΡΠΏΠ°Π»ΠΈΡΠ΅Π»ΡΠ½ΡΠΉ ΠΏΡΠΎΡΠ΅ΡΡ Π² ΡΡΡΡΠ°Π²Π°Ρ .
ΠΠΈΡΠ΅ΡΠ½ΡΠ΅ ΠΈΠ½ΡΠ΅ΠΊΡΠΈΠΈ
Π‘ΠΏΡΠΎΠ²ΠΎΡΠΈΡΠΎΠ²Π°ΡΡ ΡΠ°Π·Π²ΠΈΡΠΈΠ΅ ΡΠ΅Π°ΠΊΡΠΈΠ²Π½ΠΎΠ³ΠΎ Π°ΡΡΡΠΈΡΠ° ΡΠΏΠΎΡΠΎΠ±Π½Ρ Π²ΠΎΠ·Π±ΡΠ΄ΠΈΡΠ΅Π»ΠΈ ΠΊΠΈΡΠ΅ΡΠ½ΡΡ ΠΈΠ½ΡΠ΅ΠΊΡΠΈΠΉ β ΠΈΠ΅ΡΡΠΈΠ½ΠΈΠΈ, ΡΠ°Π»ΡΠΌΠΎΠ½Π΅Π»Π»Ρ, Π΄ΠΈΠ·Π΅Π½ΡΠ΅ΡΠΈΠΉΠ½Π°Ρ ΠΏΠ°Π»ΠΎΡΠΊΠ°, ΠΊΠ°ΠΌΠΏΠΈΠ»ΠΎΠ±Π°ΠΊΡΠ΅ΡΠΈΠΈ, ΠΊΠ»ΠΎΡΡΡΠΈΠ΄ΠΈΠΈ. ΠΡΠΈ Π±ΠΎΠ»Π΅Π·Π½Π΅ΡΠ²ΠΎΡΠ½ΡΠ΅ Π±Π°ΠΊΡΠ΅ΡΠΈΠΈ ΠΏΠ΅ΡΠ΅Π΄Π°ΡΡΡΡ ΠΎΡ ΡΠ΅Π»ΠΎΠ²Π΅ΠΊΠ° ΠΊ ΡΠ΅Π»ΠΎΠ²Π΅ΠΊΡ ΠΎΠ±ΡΡΠ½ΠΎ Π±ΡΡΠΎΠ²ΡΠΌ ΠΏΡΡΠ΅ΠΌ, ΠΏΠΎΠΏΠ°Π΄Π°ΡΡ Π² ΠΎΡΠ³Π°Π½ΠΈΠ·ΠΌ Π²ΠΌΠ΅ΡΡΠ΅ Ρ ΠΏΡΠΎΠ΄ΡΠΊΡΠ°ΠΌΠΈ ΠΏΠΈΡΠ°Π½ΠΈΡ. Π ΠΈΡΠΊ Π·Π°ΡΠ°ΠΆΠ΅Π½ΠΈΡ ΠΊΠΈΡΠ΅ΡΠ½ΡΠΌΠΈ ΠΈΠ½ΡΠ΅ΠΊΡΠΈΡΠΌΠΈ ΠΏΠΎΠ²ΡΡΠ°Π΅ΡΡΡ ΠΏΡΠΈ ΡΠΏΠΎΡΡΠ΅Π±Π»Π΅Π½ΠΈΠΈ ΠΏΠΈΡΠΈ, Π½Π΅ ΠΏΠΎΠ΄Π²Π΅ΡΠ³ΡΠ΅ΠΉΡΡ ΡΠ΅ΡΠΌΠΈΡΠ΅ΡΠΊΠΎΠΉ ΠΎΠ±ΡΠ°Π±ΠΎΡΠΊΠ΅.
ΠΡΡ Π°ΡΠ΅Π»ΡΠ½ΡΠ΅ ΠΈΠ½ΡΠ΅ΠΊΡΠΈΠΈ
ΠΠΎΠ·Π±ΡΠ΄ΠΈΡΠ΅Π»ΠΈ ΠΈΠ½ΡΠ΅ΠΊΡΠΈΠΉ, ΠΏΠΎΡΠ°ΠΆΠ°ΡΡΠΈΡ Π²Π΅ΡΡ Π½ΠΈΠ΅ ΠΈ Π½ΠΈΠΆΠ½ΠΈΠ΅ Π΄ΡΡ Π°ΡΠ΅Π»ΡΠ½ΡΠ΅ ΠΏΡΡΠΈ, ΠΊΡΠ°ΠΉΠ½Π΅ ΡΠ΅Π΄ΠΊΠΎ ΡΡΠ°Π½ΠΎΠ²ΡΡΡΡ ΠΏΡΠΈΡΠΈΠ½ΠΎΠΉ ΡΠ°Π·Π²ΠΈΡΠΈΡ ΡΠ΅Π°ΠΊΡΠΈΠ²Π½ΠΎΠ³ΠΎ Π°ΡΡΡΠΈΡΠ°. Π’Π΅ΠΌ Π½Π΅ ΠΌΠ΅Π½Π΅Π΅, Π² ΠΌΠ΅Π΄ΠΈΡΠΈΠ½ΡΠΊΠΎΠΉ Π»ΠΈΡΠ΅ΡΠ°ΡΡΡΠ΅ ΠΎΠΏΠΈΡΠ°Π½Ρ ΠΏΠΎΠ΄ΠΎΠ±Π½ΡΠ΅ ΡΠ»ΡΡΠ°ΠΈ. ΠΠ°ΠΈΠ±ΠΎΠ»Π΅Π΅ ΡΠ°ΡΡΠΎ Π² ΡΠΎΠ»ΠΈ ΡΡΠΈΠΎΡΠ°ΠΊΡΠΎΡΠΎΠ² Π²ΡΡΡΡΠΏΠ°ΡΡ Π²ΠΈΡΡΡΡ. ΠΠ½ΠΈ ΡΠΎΠ΄Π΅ΡΠΆΠ°Ρ ΠΎΡΠΎΠ±ΡΠ΅ Π±Π΅Π»ΠΊΠΈ, ΡΡ ΠΎΠ΄Π½ΡΠ΅ ΠΏΠΎ ΡΡΡΡΠΊΡΡΡΠ΅ Ρ ΠΊΠ»Π΅ΡΠΊΠ°ΠΌΠΈ ΡΠΈΠ½ΠΎΠ²ΠΈΠ°Π»ΡΠ½ΡΡ ΠΎΠ±ΠΎΠ»ΠΎΡΠ΅ΠΊ. ΠΠΎΡΡΠΎΠΌΡ ΠΈΠΌΠΌΡΠ½Π½Π°Ρ ΡΠΈΡΡΠ΅ΠΌΠ° Π°ΡΠ°ΠΊΡΠ΅Ρ Π½Π΅ ΡΠΎΠ»ΡΠΊΠΎ Π²ΠΈΡΡΡΡ, Π½ΠΎ ΠΈ ΡΡΡΡΠ°Π²Π½ΡΠ΅ ΡΡΡΡΠΊΡΡΡΡ.
ΠΡΡΠ³ΠΈΠ΅ ΠΈΠ½ΡΠ΅ΠΊΡΠΈΠΎΠ½Π½ΡΠ΅ Π±ΠΎΠ»Π΅Π·Π½ΠΈ
ΠΡΠ΅Π΄ΠΏΠΎΡΡΠ»ΠΊΠΎΠΉ ΠΊ ΡΠ΅Π°ΠΊΡΠΈΠ²Π½ΠΎΠΌΡ Π°ΡΡΡΠΈΡΡ ΠΌΠΎΠ³ΡΡ ΡΡΠ°ΡΡ Π²ΠΈΡΡΡΠ½ΡΠ΅ Π³Π΅ΠΏΠ°ΡΠΈΡΡ, ΠΠΠ§ ΠΈ Π΄ΡΡΠ³ΠΈΠ΅ Π±Π°ΠΊΡΠ΅ΡΠΈΠ°Π»ΡΠ½ΡΠ΅ ΠΈ Π²ΠΈΡΡΡΠ½ΡΠ΅ ΠΈΠ½ΡΠ΅ΠΊΡΠΈΠΈ. ΠΡΠ½ΠΎΠ²Π½ΠΎΠ΅ ΠΎΡΠ»ΠΈΡΠΈΠ΅ ΠΏΠ°ΡΠΎΠ³Π΅Π½Π΅Π·Π° β ΠΎΡΡΡΡΡΡΠ²ΠΈΠ΅ Π²ΠΎΠ·Π±ΡΠ΄ΠΈΡΠ΅Π»Π΅ΠΉ Π½Π΅ΠΏΠΎΡΡΠ΅Π΄ΡΡΠ²Π΅Π½Π½ΠΎ Π² ΡΡΡΡΠ°Π²Π°Ρ . Π’ΠΎΠ»ΡΠΊΠΎΠΌ ΠΊ ΡΠ°Π·Π²ΠΈΡΠΈΡ Π²ΠΎΡΠΏΠ°Π»Π΅Π½ΠΈΡ ΡΡΠ°Π½ΠΎΠ²ΡΡΡΡ ΠΈΡΠΊΠ»ΡΡΠΈΡΠ΅Π»ΡΠ½ΠΎ ΠΏΡΠΎΠ΄ΡΡΠΈΡΡΠ΅ΠΌΡΠ΅ ΠΈΠΌΠΌΡΠ½Π½ΠΎΠΉ ΡΠΈΡΡΠ΅ΠΌΠΎΠΉ Π°Π½ΡΠΈΡΠ΅Π»Π°. ΠΠΎΡΡΠΎΠΌΡ Π΅ΡΡΡ Π²Π΅ΡΠΎΡΡΠ½ΠΎΡΡΡ ΠΏΠΎΡΡΠ°Π½ΠΎΠ²ΠΊΠΈ Π½Π΅ΠΏΡΠ°Π²ΠΈΠ»ΡΠ½ΠΎΠ³ΠΎ Π΄ΠΈΠ°Π³Π½ΠΎΠ·Π°. ΠΡΠΎΠ²ΠΎΠ΄ΠΈΡΡΡ ΠΊΠΎΠΌΠΏΠ»Π΅ΠΊΡΠ½ΠΎΠ΅ Π»Π΅ΡΠ΅Π½ΠΈΠ΅ ΠΈΠ½ΡΠ΅ΠΊΡΠΈΠΎΠ½Π½ΠΎΠ³ΠΎ Π°ΡΡΡΠΈΡΠ°, Π² ΡΠΎ Π²ΡΠ΅ΠΌΡ ΠΊΠ°ΠΊ Π½Π΅ΠΎΠ±Ρ ΠΎΠ΄ΠΈΠΌΠΎ ΠΈΡΠΏΠΎΠ»ΡΠ·ΠΎΠ²Π°Π½ΠΈΠ΅ ΠΈΠΌΠΌΡΠ½ΠΎΠΌΠΎΠ΄ΡΠ»ΡΡΠΎΡΠΎΠ².
Π₯Π°ΡΠ°ΠΊΡΠ΅ΡΠ½ΡΠ΅ ΠΏΡΠΈΠ·Π½Π°ΠΊΠΈ ΠΈ ΡΠΈΠΌΠΏΡΠΎΠΌΡ ΠΏΠ°ΡΠΎΠ»ΠΎΠ³ΠΈΠΈ
ΠΠ»Ρ ΡΠ΅Π°ΠΊΡΠΈΠ²Π½ΠΎΠ³ΠΎ Π°ΡΡΡΠΈΡΠ° Ρ Π°ΡΠ°ΠΊΡΠ΅ΡΠ½Π° ΠΊΠ»Π°ΡΡΠΈΡΠ΅ΡΠΊΠ°Ρ ΡΡΠΈΠ°Π΄Π° ΠΊΠ»ΠΈΠ½ΠΈΡΠ΅ΡΠΊΠΈΡ ΠΏΡΠΎΡΠ²Π»Π΅Π½ΠΈΠΉ β ΠΏΠΎΡΠ»Π΅Π΄ΠΎΠ²Π°ΡΠ΅Π»ΡΠ½ΠΎΠ΅ ΠΏΠΎΡΠ°ΠΆΠ΅Π½ΠΈΠ΅ Π³Π»Π°Π·, ΡΡΠΎΠ³Π΅Π½ΠΈΡΠ°Π»ΡΠ½ΠΎΠ³ΠΎ ΡΡΠ°ΠΊΡΠ° ΠΈ ΡΡΡΡΠ°Π²ΠΎΠ². ΠΠ΅ΡΠ²ΡΠ΅ ΠΏΡΠΈΠ·Π½Π°ΠΊΠΈ Π²ΠΎΠ·Π½ΠΈΠΊΠ°ΡΡ ΠΏΡΠΈΠΌΠ΅ΡΠ½ΠΎ ΡΠ΅ΡΠ΅Π· 2-4 Π½Π΅Π΄Π΅Π»ΠΈ ΠΏΠΎΡΠ»Π΅ ΡΠΈΠΌΠΏΡΠΎΠΌΠΎΠ² ΠΈΠ½ΡΠ΅ΠΊΡΠΈΠΈ. ΠΠ»ΠΈΠ½ΠΈΠΊΠ° ΡΠΎΡ ΡΠ°Π½ΡΠ΅ΡΡΡ Π½Π° ΠΏΡΠΎΡΡΠΆΠ΅Π½ΠΈΠΈ 3-12 ΠΌΠ΅ΡΡΡΠ΅Π². ΠΠ°ΡΠ΅ΠΌ Π²ΡΡΠ°ΠΆΠ΅Π½Π½ΠΎΡΡΡ ΡΠΈΠΌΠΏΡΠΎΠΌΠΎΠ² Π½Π°ΡΠΈΠ½Π°Π΅Ρ ΠΏΠΎΡΡΠ΅ΠΏΠ΅Π½Π½ΠΎ ΠΎΡΠ»Π°Π±Π΅Π²Π°ΡΡ, Π²ΠΏΠ»ΠΎΡΡ Π΄ΠΎ ΠΈΡ ΠΏΠΎΠ»Π½ΠΎΠ³ΠΎ ΠΈΡΡΠ΅Π·Π½ΠΎΠ²Π΅Π½ΠΈΡ. ΠΡΠΎ Π½Π΅ ΠΎΠ·Π½Π°ΡΠ°Π΅Ρ, ΡΡΠΎ ΡΠ΅Π»ΠΎΠ²Π΅ΠΊ ΠΏΠΎΠ»Π½ΠΎΡΡΡΡ Π²ΡΠ·Π΄ΠΎΡΠΎΠ²Π΅Π». ΠΠΎΠ΄ Π΄Π΅ΠΉΡΡΠ²ΠΈΠ΅ΠΌ ΠΏΡΠΎΠ²ΠΎΡΠΈΡΡΡΡΠΈΡ Π²Π½Π΅ΡΠ½ΠΈΡ ΠΈΠ»ΠΈ Π²Π½ΡΡΡΠ΅Π½Π½ΠΈΡ ΡΠ°ΠΊΡΠΎΡΠΎΠ² ΠΌΠΎΠΆΠ΅Ρ Π²ΠΎΠ·Π½ΠΈΠΊΠ½ΡΡΡ ΡΠ΅ΡΠΈΠ΄ΠΈΠ² ΡΠ΅Π°ΠΊΡΠΈΠ²Π½ΠΎΠ³ΠΎ Π°ΡΡΡΠΈΡΠ° Ρ Π²ΠΎΠ²Π»Π΅ΡΠ΅Π½ΠΈΠ΅ΠΌ Π² Ρ ΡΠΎΠ½ΠΈΡΠ΅ΡΠΊΠΈΠΉ Π²ΠΎΡΠΏΠ°Π»ΠΈΡΠ΅Π»ΡΠ½ΡΠΉ ΠΏΡΠΎΡΠ΅ΡΡ Π·Π΄ΠΎΡΠΎΠ²ΡΡ ΡΡΡΡΠ°Π²ΠΎΠ².
Π‘ΡΡΡΠ°Π²Π½ΡΠ΅
Π Π΅Π°ΠΊΡΠΈΠ²Π½ΡΠΉ Π°ΡΡΡΠΈΡ Π²ΡΠ΅Π³Π΄Π° ΠΌΠ°Π½ΠΈΡΠ΅ΡΡΠΈΡΡΠ΅Ρ ΠΎΡΡΡΠΎ, Ρ ΠΏΠΎΡΠ°ΠΆΠ΅Π½ΠΈΠ΅ΠΌ Π½Π΅ΡΠΊΠΎΠ»ΡΠΊΠΈΡ ΡΡΡΡΠ°Π²ΠΎΠ² Π½ΠΎΠ³. Π§Π°ΡΠ΅ Π²ΡΠ΅Π³ΠΎ Π² Π²ΠΎΡΠΏΠ°Π»ΠΈΡΠ΅Π»ΡΠ½ΡΠΉ ΠΏΡΠΎΡΠ΅ΡΡ Π²ΠΎΠ²Π»Π΅ΠΊΠ°ΡΡΡΡ ΠΌΠ΅ΠΆΡΠ°Π»Π°Π½Π³ΠΎΠ²ΡΠ΅, ΠΏΠ»ΡΡΠ½Π΅ΡΠ°Π»Π°Π½Π³ΠΎΠ²ΡΠ΅, ΠΏΡΡΠΎΡΠ½ΡΠ΅, ΠΊΠΎΠ»Π΅Π½Π½ΡΠ΅, Π³ΠΎΠ»Π΅Π½ΠΎΡΡΠΎΠΏΠ½ΡΠ΅ ΡΠΎΡΠ»Π΅Π½Π΅Π½ΠΈΡ. ΠΠΎΠ·Π½ΠΈΠΊΠ°ΡΡ Π½ΠΎΡΡΠΈΠ΅, Π΄Π°Π²ΡΡΠΈΠ΅ Π±ΠΎΠ»ΠΈ, ΡΡΠΈΠ»ΠΈΠ²Π°ΡΡΠΈΠ΅ΡΡ ΠΏΡΠΈ Ρ ΠΎΠ΄ΡΠ±Π΅. Π‘ΡΡΡΠ°Π²Ρ ΡΠ²Π΅Π»ΠΈΡΠΈΠ²Π°ΡΡΡΡ Π² ΡΠ°Π·ΠΌΠ΅ΡΠ°Ρ , ΠΊΠΎΠΆΠ° Π½Π°Π΄ Π½ΠΈΠΌΠΈ ΠΎΡΠ΅ΠΊΠ°Π΅Ρ, ΠΊΡΠ°ΡΠ½Π΅Π΅Ρ, ΡΡΠ°Π½ΠΎΠ²ΠΈΡΡΡ Π³ΠΎΡΡΡΠ΅ΠΉ Π½Π° ΠΎΡΡΠΏΡ. Π’Π΅ΠΌΠΏΠ΅ΡΠ°ΡΡΡΠ° ΡΠ΅Π»Π° ΠΏΠΎΠ²ΡΡΠ°Π΅ΡΡΡ Π΄ΠΎ 37-38 Π³ΡΠ°Π΄ΡΡΠΎΠ², ΠΏΠΎΡΠ²Π»ΡΡΡΡΡ ΡΠ»Π°Π±ΠΎΡΡΡ, Π½Π΅Π΄ΠΎΠΌΠΎΠ³Π°Π½ΠΈΠ΅, Π±ΡΡΡΡΠ°Ρ ΡΡΠΎΠΌΠ»ΡΠ΅ΠΌΠΎΡΡΡ.
ΠΠ½Π΅ΡΡΡΡΠ°Π²Π½ΡΠ΅
ΠΠ½Π΅ΡΡΡΡΠ°Π²Π½ΡΠ΅ ΠΏΡΠΈΠ·Π½Π°ΠΊΠΈ ΡΠ΅Π°ΠΊΡΠΈΠ²Π½ΠΎΠ³ΠΎ Π°ΡΡΡΠΈΡΠ° Π²ΠΎΠ·Π½ΠΈΠΊΠ°ΡΡ ΠΏΠ΅ΡΠ΅Π΄ ΡΡΡΡΠ°Π²Π½ΡΠΌΠΈ. ΠΠ½Π°ΡΠ°Π»Π΅ ΡΠ°Π·Π²Π΅Π²Π°Π΅ΡΡΡ ΡΡΠ΅ΡΡΠΈΡ β Π²ΠΎΡΠΏΠ°Π»Π΅Π½ΠΈΠ΅ ΡΡΠ΅Π½ΠΎΠΊ ΠΌΠΎΡΠ΅ΠΈΡΠΏΡΡΠΊΠ°ΡΠ΅Π»ΡΠ½ΠΎΠ³ΠΎ ΠΊΠ°Π½Π°Π»Π°. ΠΠ»Ρ ΠΏΠ°ΡΠΎΠ»ΠΎΠ³ΠΈΠΈ Ρ Π°ΡΠ°ΠΊΡΠ΅ΡΠ½Ρ Π±ΠΎΠ»Π΅Π·Π½Π΅Π½Π½ΡΠ΅ ΠΎΡΡΡΠ΅Π½ΠΈΡ, ΠΆΠΆΠ΅Π½ΠΈΠ΅, Π·ΡΠ΄ ΠΏΡΠΈ ΠΎΠΏΠΎΡΠΎΠΆΠ½Π΅Π½ΠΈΠΈ ΠΌΠΎΡΠ΅Π²ΠΎΠ³ΠΎ ΠΏΡΠ·ΡΡΡ. Π£ΡΠ°ΡΠ°ΡΡΡΡ ΠΏΠΎΠ·ΡΠ²Ρ ΠΊ ΠΌΠΎΡΠ΅ΠΈΡΠΏΡΡΠΊΠ°Π½ΠΈΡ, ΠΏΡΠΈ ΡΡΠΎΠΌ ΠΎΡΠ΄Π΅Π»ΡΠ΅ΡΡΡ Π½Π΅Π·Π½Π°ΡΠΈΡΠ΅Π»ΡΠ½ΠΎΠ΅ ΠΊΠΎΠ»ΠΈΡΠ΅ΡΡΠ²ΠΎ ΠΌΠΎΡΠΈ.
ΠΡΠΊΠΎΡΠ΅ ΠΊ ΡΡΠ΅ΡΡΠΈΡΡ ΠΏΡΠΈΡΠΎΠ΅Π΄ΠΈΠ½ΡΠ΅ΡΡΡ ΠΊΠΎΠ½ΡΡΠ½ΠΊΡΠΈΠ²ΠΈΡ. ΠΠ΅ΠΊΠΈ ΠΊΡΠ°ΡΠ½Π΅ΡΡ, ΠΎΡΠ΅ΠΊΠ°ΡΡ, Π²ΠΎΡΠΏΠ°Π»ΡΠ΅ΡΡΡ ΡΠ»ΠΈΠ·ΠΈΡΡΠ°Ρ, ΠΏΠΎΡΠ²Π»ΡΡΡΡΡ ΡΠ²Π΅ΡΠΎΠ±ΠΎΡΠ·Π½Ρ, Π·ΡΠΈΡΠ΅Π»ΡΠ½ΡΠ΅ ΡΠ°ΡΡΡΡΠΎΠΉΡΡΠ²Π°, ΠΏΠ΅ΡΠ΅Π΄ Π³Π»Π°Π·Π°ΠΌΠΈ ΠΌΠ΅Π»ΡΠΊΠ°ΡΡ ΡΠ΅ΡΠ½ΡΠ΅ ΡΠΎΡΠΊΠΈ, ΡΠ²Π΅ΡΠ½ΡΠ΅ ΠΏΡΡΠ½Π°.
Π ΠΊΠ°ΠΊΠΎΠΌΡ Π²ΡΠ°ΡΡ ΠΎΠ±ΡΠ°ΡΠΈΡΡΡΡ
ΠΠ΅ΡΠ΅Π½ΠΈΠ΅ΠΌ ΡΠ΅Π°ΠΊΡΠΈΠ²Π½ΠΎΠ³ΠΎ Π°ΡΡΡΠΈΡΠ° Π·Π°Π½ΠΈΠΌΠ°Π΅ΡΡΡ ΡΠ΅Π²ΠΌΠ°ΡΠΎΠ»ΠΎΠ³. ΠΠΎ ΡΠ°ΠΊ ΠΊΠ°ΠΊ ΡΠ°ΠΌΠΎΡΡΠΎΡΡΠ΅Π»ΡΠ½ΠΎ ΡΡΡΠ°Π½ΠΎΠ²ΠΈΡΡ ΠΏΡΠΈΡΠΈΠ½Ρ Π±ΠΎΠ»Π΅ΠΉ Π² ΡΡΡΡΠ°Π²Π°Ρ ΠΌΠ°Π»ΠΎΠ²Π΅ΡΠΎΡΡΠ½ΠΎ, ΡΠΎ ΡΠ΅Π»Π΅ΡΠΎΠΎΠ±ΡΠ°Π·Π½ΠΎ ΠΎΠ±ΡΠ°ΡΠΈΡΡΡΡ ΠΊ Π²ΡΠ°ΡΡ ΠΎΠ±ΡΠ΅Π³ΠΎ ΠΏΡΠΎΡΠΈΠ»Ρ β ΡΠ΅ΡΠ°ΠΏΠ΅Π²ΡΡ. ΠΠ½ Π½Π°Π·Π½Π°ΡΠΈΡ Π½Π΅ΠΎΠ±Ρ ΠΎΠ΄ΠΈΠΌΡΠ΅ Π΄ΠΈΠ°Π³Π½ΠΎΡΡΠΈΡΠ΅ΡΠΊΠΈΠ΅ ΠΌΠ΅ΡΠΎΠΏΡΠΈΡΡΠΈΡ, Π° ΠΏΠΎΡΠ»Π΅ ΠΈΠ·ΡΡΠ΅Π½ΠΈΡ ΠΈΡ ΡΠ΅Π·ΡΠ»ΡΡΠ°ΡΠΎΠ² Π½Π°ΠΏΡΠ°Π²ΠΈΡ ΠΏΠ°ΡΠΈΠ΅Π½ΡΠ° ΠΊ ΡΠ΅Π²ΠΌΠ°ΡΠΎΠ»ΠΎΠ³Ρ. Π ΠΎΠ±ΡΠ»Π΅Π΄ΠΎΠ²Π°Π½ΠΈΠΈ, Π° ΡΠ°ΠΊΠΆΠ΅ Π΄Π°Π»ΡΠ½Π΅ΠΉΡΠ΅ΠΌ Π»Π΅ΡΠ΅Π½ΠΈΠΈ ΠΌΠΎΠ³ΡΡ ΠΏΡΠΈΠ½ΠΈΠΌΠ°ΡΡ ΡΡΠ°ΡΡΠΈΠ΅ ΠΈΠ½ΡΠ΅ΠΊΡΠΈΠΎΠ½ΠΈΡΡΡ, Π²Π΅Π½Π΅ΡΠΎΠ»ΠΎΠ³ΠΈ, ΡΡΠΎΠ»ΠΎΠ³ΠΈ, Π³ΠΈΠ½Π΅ΠΊΠΎΠ»ΠΎΠ³ΠΈ, ΠΎΡΠΎΠ»Π°ΡΠΈΠ½Π³ΠΎΠ»ΠΎΠ³ΠΈ, Π³Π°ΡΡΡΠΎΡΠ½ΡΠ΅ΡΠΎΠ»ΠΎΠ³ΠΈ.
ΠΠ΅ΡΠΎΠ΄Ρ Π΄ΠΈΠ°Π³Π½ΠΎΡΡΠΈΠΊΠΈ Π±ΠΎΠ»Π΅Π·Π½ΠΈ
ΠΠΎΠ΄ ΡΠΈΠΌΠΏΡΠΎΠΌΡ ΡΠ΅Π°ΠΊΡΠΈΠ²Π½ΠΎΠ³ΠΎ Π°ΡΡΡΠΈΡΠ° ΠΌΠΎΠ³ΡΡ ΠΌΠ°ΡΠΊΠΈΡΠΎΠ²Π°ΡΡΡΡ Π΄ΡΡΠ³ΠΈΠ΅ ΠΏΠ°ΡΠΎΠ»ΠΎΠ³ΠΈΠΈ, ΠΏΠΎΡΠ°ΠΆΠ°ΡΡΠΈΠ΅ ΡΡΡΡΠ°Π²Ρ Π½ΠΎΠ³. ΠΡΠΎ Π΄Π΅ΡΠΎΡΠΌΠΈΡΡΡΡΠΈΠΉ ΠΎΡΡΠ΅ΠΎΠ°ΡΡΡΠΎΠ·, Π² ΡΠΎΠΌ ΡΠΈΡΠ»Π΅ Π³ΠΎΠ½Π°ΡΡΡΠΎΠ·, ΠΈΠ½ΡΠ΅ΠΊΡΠΈΠΎΠ½Π½ΡΠΉ, ΡΠ΅Π²ΠΌΠ°ΡΠΎΠΈΠ΄Π½ΡΠΉ, ΠΏΠΎΠ΄Π°Π³ΡΠΈΡΠ΅ΡΠΊΠΈΠΉ Π°ΡΡΡΠΈΡ, Π±ΡΡΡΠΈΡ, ΡΠ΅Π½Π΄ΠΎΠ²Π°Π³ΠΈΠ½ΠΈΡ, ΡΠΈΠ½ΠΎΠ²ΠΈΡ. ΠΠΎΡΡΠΎΠΌΡ ΠΏΡΠΎΠ²ΠΎΠ΄ΠΈΡΡΡ ΡΡΠ°ΡΠ΅Π»ΡΠ½Π°Ρ Π΄ΠΈΡΡΠ΅ΡΠ΅Π½ΡΠΈΠ°Π»ΡΠ½Π°Ρ Π΄ΠΈΠ°Π³Π½ΠΎΡΡΠΈΠΊΠ° Π΄Π»Ρ ΠΈΡΠΊΠ»ΡΡΠ΅Π½ΠΈΡ ΡΡΠΈΡ Π·Π°Π±ΠΎΠ»Π΅Π²Π°Π½ΠΈΠΉ, Π° ΡΠ°ΠΊΠΆΠ΅ Π΄Π»Ρ Π²ΡΡΠ²Π»Π΅Π½ΠΈΡ ΠΏΡΠΈΡΠΈΠ½Ρ ΡΡ ΡΠ΄ΡΠ΅Π½ΠΈΡ ΡΠ°ΠΌΠΎΡΡΠ²ΡΡΠ²ΠΈΡ ΠΏΠ°ΡΠΈΠ΅Π½ΡΠ°.
Π‘Π±ΠΎΡ Π°Π½Π°ΠΌΠ½Π΅Π·Π°
ΠΠ΅ΡΠ²ΠΈΡΠ½ΡΠΉ Π΄ΠΈΠ°Π³Π½ΠΎΠ· ΠΌΠΎΠΆΠ΅Ρ Π±ΡΡΡ Π²ΡΡΡΠ°Π²Π»Π΅Π½ Π½Π° ΠΎΡΠ½ΠΎΠ²Π°Π½ΠΈΠΈ ΡΠΎΡΠ΅ΡΠ°Π½Π½ΠΎΠ³ΠΎ ΠΏΠΎΡΠ°ΠΆΠ΅Π½ΠΈΡ Π³Π»Π°Π·, ΠΌΠ΅Π»ΠΊΠΈΡ ΠΈ ΠΊΡΡΠΏΠ½ΡΡ ΡΡΡΡΠ°Π²ΠΎΠ² Π½ΠΎΠ³, ΡΡΠ΅ΡΡΡ. ΠΠ½Π°ΡΠ΅Π½ΠΈΠ΅ ΡΠ°ΠΊΠΆΠ΅ ΠΈΠΌΠ΅ΡΡ Π΄Π°Π½Π½ΡΠ΅ Π°Π½Π°ΠΌΠ½Π΅Π·Π°. ΠΠ° ΡΠ°Π·Π²ΠΈΡΠΈΠ΅ ΡΠ΅Π°ΠΊΡΠΈΠ²Π½ΠΎΠ³ΠΎ Π°ΡΡΡΠΈΡΠ° ΡΠΊΠ°Π·ΡΠ²Π°ΡΡ Π½Π΅Π΄Π°Π²Π½ΠΎ ΠΏΠ΅ΡΠ΅Π½Π΅ΡΠ΅Π½Π½ΡΠ΅ ΠΈΠ»ΠΈ Π΅ΡΠ΅ ΠΏΡΠΎΡΠ΅ΠΊΠ°ΡΡΠΈΠ΅ ΡΡΠΎΠ³Π΅Π½ΠΈΡΠ°Π»ΡΠ½ΡΠ΅, ΠΊΠΈΡΠ΅ΡΠ½ΡΠ΅, ΡΠ΅ΡΠΏΠΈΡΠ°ΡΠΎΡΠ½ΡΠ΅ ΠΈΠ½ΡΠ΅ΠΊΡΠΈΠΈ. ΠΡΠ°Ρ ΡΠ°ΡΡΠΏΡΠ°ΡΠΈΠ²Π°Π΅Ρ ΠΏΠ°ΡΠΈΠ΅Π½ΡΠ° ΠΎ Π½Π°Π»ΠΈΡΠΈΠΈ Π°ΡΡΠΎΠΈΠΌΠΌΡΠ½Π½ΡΡ ΠΏΠ°ΡΠΎΠ»ΠΎΠ³ΠΈΠΉ Ρ ΡΠΎΠ΄ΡΡΠ²Π΅Π½Π½ΠΈΠΊΠΎΠ², Π½Π°ΠΏΡΠΈΠΌΠ΅Ρ, ΠΏΡΠΎΡΠΈΠ°Π·Π° ΠΈΠ»ΠΈ Π°Π½ΠΊΠΈΠ»ΠΎΠ·ΠΈΡΡΡΡΠ΅Π³ΠΎ ΡΠΏΠΎΠ½Π΄ΠΈΠ»ΠΎΠ°ΡΡΡΠΈΡΠ°.
ΠΠ°Π±ΠΎΡΠ°ΡΠΎΡΠ½ΡΠ΅ ΠΈΡΡΠ»Π΅Π΄ΠΎΠ²Π°Π½ΠΈΡ
ΠΡΠΎΡΠ΅ΠΊΠ°ΡΡΠΈΠΉ Π² ΠΎΡΠ³Π°Π½ΠΈΠ·ΠΌΠ΅ Π²ΠΎΡΠΏΠ°Π»ΠΈΡΠ΅Π»ΡΠ½ΡΠΉ ΠΏΡΠΎΡΠ΅ΡΡ ΠΎΠ±Π½Π°ΡΡΠΆΠΈΠ²Π°Π΅ΡΡΡ Π½Π° ΡΡΠ°ΠΏΠ΅ ΠΏΡΠΎΠ²Π΅Π΄Π΅Π½ΠΈΡ ΠΎΠ±ΡΠ΅ΠΊΠ»ΠΈΠ½ΠΈΡΠ΅ΡΠΊΠΈΡ Π°Π½Π°Π»ΠΈΠ·ΠΎΠ² ΠΏΠΎ ΡΠ²Π΅Π»ΠΈΡΠ΅Π½ΠΈΡ ΡΡΠΎΠ²Π½Ρ Π»Π΅ΠΉΠΊΠΎΡΠΈΡΠΎΠ², ΠΏΠΎΠ²ΡΡΠ΅Π½Π½ΠΎΠΉ ΡΠΊΠΎΡΠΎΡΡΠΈ ΠΎΡΠ΅Π΄Π°Π½ΠΈΡ ΡΡΠΈΡΡΠΎΡΠΈΡΠΎΠ². Π Π±ΠΈΠΎΡ ΠΈΠΌΠΈΡΠ΅ΡΠΊΠΎΠΉ ΠΈ ΡΠ΅ΡΠΎΠ»ΠΎΠ³ΠΈΡΠ΅ΡΠΊΠΎΠΉ Π΄ΠΈΠ°Π³Π½ΠΎΡΡΠΈΠΊΠ΅ ΡΠ΅Π°ΠΊΡΠΈΠ²Π½ΠΎΠ³ΠΎ Π°ΡΡΡΠΈΡΠ° Π½Π°ΠΈΠ±ΠΎΠ»Π΅Π΅ Π²ΠΎΡΡΡΠ΅Π±ΠΎΠ²Π°Π½ ΠΌΠ΅ΡΠΎΠ΄ ΠΏΠΎΠ»ΠΈΠΌΠ΅ΡΠ°Π·Π½ΠΎΠΉ ΡΠ΅ΠΏΠ½ΠΎΠΉ ΡΠ΅Π°ΠΊΡΠΈΠΈ, ΠΏΠΎΠ·Π²ΠΎΠ»ΡΡΡΠΈΠΉ ΡΡΡΠ°Π½ΠΎΠ²ΠΈΡΡ Π²ΠΈΠ΄ΠΎΠ²ΡΡ ΠΏΡΠΈΠ½Π°Π΄Π»Π΅ΠΆΠ½ΠΎΡΡΡ ΠΈΠ½ΡΠ΅ΠΊΡΠΈΠΎΠ½Π½ΡΡ Π°Π³Π΅Π½ΡΠΎΠ².
ΠΠΎΠΏΠΎΠ»Π½ΠΈΡΠ΅Π»ΡΠ½ΠΎ ΠΈΡΡΠ»Π΅Π΄ΡΠ΅ΡΡΡ ΡΠΈΠ½ΠΎΠ²ΠΈΠ°Π»ΡΠ½Π°Ρ ΠΆΠΈΠ΄ΠΊΠΎΡΡΡ. ΠΡΠΈΠ·Π½Π°ΠΊΠ°ΠΌΠΈ ΠΏΠ°ΡΠΎΠ»ΠΎΠ³ΠΈΠΈ ΡΡΠ°Π½ΠΎΠ²ΡΡΡΡ Π΅Π΅ Π½ΠΈΠ·ΠΊΠ°Ρ Π²ΡΠ·ΠΊΠΎΡΡΡ, ΠΏΠΎΠ²ΡΡΠ΅Π½Π½ΡΠΉ ΡΡΠΎΠ²Π΅Π½Ρ Π»Π΅ΠΉΠΊΠΎΡΠΈΡΠΎΠ², ΠΏΠ»ΠΎΡ ΠΎΠ΅ ΡΠΎΡΠΌΠΈΡΠΎΠ²Π°Π½ΠΈΠ΅ ΠΌΡΡΠΈΠ½ΠΎΠ²ΡΡ ΡΠ³ΡΡΡΠΊΠΎΠ².
ΠΠ½ΡΡΡΡΠΌΠ΅Π½ΡΠ°Π»ΡΠ½ΡΠ΅ ΠΈΡΡΠ»Π΅Π΄ΠΎΠ²Π°Π½ΠΈΡ
Π‘ ΠΏΠΎΠΌΠΎΡΡΡ ΡΠ΅Π½ΡΠ³Π΅Π½ΠΎΠ³ΡΠ°ΡΠΈΠΈ ΠΌΠΎΠΆΠ½ΠΎ Π²ΡΡΠ²ΠΈΡΡ ΠΏΡΠΈΠ·Π½Π°ΠΊΠΈ ΠΏΠΎΡΠ°ΠΆΠ΅Π½ΠΈΡ ΡΡΡΡΠ°Π²ΠΎΠ² β ΡΡΠΆΠ΅Π½ΠΈΠ΅ ΡΡΡΡΠ°Π²Π½ΠΎΠΉ ΡΠ΅Π»ΠΈ, ΡΡΠΎΠ·ΠΈΠΈ ΠΊΠΎΡΡΠ½ΡΡ ΠΏΠΎΠ²Π΅ΡΡ Π½ΠΎΡΡΠ΅ΠΉ. ΠΠ° Π²ΡΠΏΠΎΠ»Π½Π΅Π½Π½ΡΡ Π² Π΄Π²ΡΡ ΠΏΡΠΎΠ΅ΠΊΡΠΈΡΡ ΡΠ½ΠΈΠΌΠΊΠ°Ρ Π²ΠΈΠ·ΡΠ°Π»ΠΈΠ·ΠΈΡΡΡΡΡΡ ΠΏΡΡΠΎΡΠ½ΡΠ΅ ΡΠΏΠΎΡΡ, ΠΏΠ°ΡΠ°Π²Π΅ΡΡΠ΅Π±ΡΠ°Π»ΡΠ½Π°Ρ ΠΎΡΡΠΈΡΠΈΠΊΠ°ΡΠΈΡ, ΠΏΠ΅ΡΠΈΠΎΡΡΠΈΡ ΠΊΠΎΡΡΠ΅ΠΉ ΡΡΠΎΠΏ. Π Π±ΠΎΠ»ΡΡΠΈΠ½ΡΡΠ²Π΅ ΡΠ»ΡΡΠ°Π΅Π² Π½Π΅ ΡΡΠ΅Π±ΡΠ΅ΡΡΡ ΠΏΡΠΎΠ²Π΅Π΄Π΅Π½ΠΈΠ΅ Π°ΡΡΡΠΎΡΠΊΠΎΠΏΠΈΠΈ.
ΠΠ»Ρ Π±ΠΎΠ»Π΅Π΅ Π΄Π΅ΡΠ°Π»ΡΠ½ΠΎΠ³ΠΎ ΠΈΠ·ΡΡΠ΅Π½ΠΈΡ ΡΡΡΡΠ°Π²Π½ΡΡ ΡΡΡΡΠΊΡΡΡ ΠΈΠ½ΠΎΠ³Π΄Π° Π½Π°Π·Π½Π°ΡΠ°Π΅ΡΡΡ ΠΠ Π’, ΠΏΠΎΠ·Π²ΠΎΠ»ΡΡΡΠ°Ρ ΠΎΡΠ΅Π½ΠΈΡΡ ΡΠΎΡΡΠΎΡΠ½ΠΈΠ΅ Ρ ΡΡΡΠ΅ΠΉ, ΠΌΡΡΡ, ΡΠ²ΡΠ·ΠΎΡΠ½ΠΎ-ΡΡΡ ΠΎΠΆΠΈΠ»ΡΠ½ΠΎΠ³ΠΎ Π°ΠΏΠΏΠ°ΡΠ°ΡΠ°, Π½Π΅ΡΠ²Π½ΡΡ ΡΡΠ²ΠΎΠ»ΠΎΠ², ΠΊΡΠΎΠ²Π΅Π½ΠΎΡΠ½ΡΡ ΡΠΎΡΡΠ΄ΠΎΠ².
ΠΠ°ΠΊ ΠΏΡΠΎΡ ΠΎΠ΄ΠΈΡ Π»Π΅ΡΠ΅Π½ΠΈΠ΅ ΡΠ΅Π°ΠΊΡΠΈΠ²Π½ΠΎΠ³ΠΎ Π°ΡΡΡΠΈΡΠ°
ΠΠ°ΡΠΈΠ΅Π½ΡΠ°ΠΌ ΠΏΠΎΠΊΠ°Π·Π°Π½Π° ΠΊΠΎΠΌΠΏΠ»Π΅ΠΊΡΠ½Π°Ρ ΡΠ΅ΡΠ°ΠΏΠΈΡ ΠΏΠ°ΡΠΎΠ»ΠΎΠ³ΠΈΠΈ. ΠΠ΄Π½ΠΎΠ²ΡΠ΅ΠΌΠ΅Π½Π½ΠΎ ΠΏΡΠΎΠ²ΠΎΠ΄ΠΈΡΡΡ Π»Π΅ΡΠ΅Π½ΠΈΠ΅ ΠΈΠ½ΡΠ΅ΠΊΡΠΈΠΈ, ΡΠΏΡΠΎΠ²ΠΎΡΠΈΡΠΎΠ²Π°Π²ΡΠ΅ΠΉ ΡΠ°Π·Π²ΠΈΡΠΈΠ΅ Π°ΡΡΡΠΈΡΠ°, ΡΡΡΡΠ°Π½Π΅Π½ΠΈΠ΅ ΡΠΈΠΌΠΏΡΠΎΠΌΠΎΠ² ΠΏΠΎΡΠ°ΠΆΠ΅Π½ΠΈΡ ΡΡΠ΅ΡΡΡ, ΡΠ»ΠΈΠ·ΠΈΡΡΠΎΠΉ Π³Π»Π°Π· ΠΈ ΡΡΡΡΠ°Π²ΠΎΠ². ΠΡΠ½ΠΎΠ²Π½Π°Ρ Π·Π°Π΄Π°ΡΠ° ΡΠ΅ΡΠ°ΠΏΠΈΠΈ β Π΄ΠΎΡΡΠΈΠΆΠ΅Π½ΠΈΠ΅ ΡΡΡΠΎΠΉΡΠΈΠ²ΠΎΠΉ ΡΠ΅ΠΌΠΈΡΡΠΈΠΈ.
ΠΠ΅Π΄ΠΈΠΊΠ°ΠΌΠ΅Π½ΡΡ
Π Π»Π΅ΡΠ΅Π±Π½ΡΠ΅ ΡΡ Π΅ΠΌΡ Π²ΠΊΠ»ΡΡΠ°ΡΡΡΡ Π°Π½ΡΠΈΠ±ΠΈΠΎΡΠΈΠΊΠΈ, ΠΊ ΠΊΠΎΡΠΎΡΡΠΌ ΠΏΠ°ΡΠΎΠ³Π΅Π½Π½ΡΠ΅ ΠΌΠΈΠΊΡΠΎΠΎΡΠ³Π°Π½ΠΈΠ·ΠΌΡ Π½Π°ΠΈΠ±ΠΎΠ»Π΅Π΅ ΡΡΠ²ΡΡΠ²ΠΈΡΠ΅Π»ΡΠ½Ρ. Π§Π°ΡΠ΅ Π²ΡΠ΅Π³ΠΎ ΠΈΡΠΏΠΎΠ»ΡΠ·ΡΡΡΡΡ ΡΠ΅ΡΡΠ°ΡΠΈΠΊΠ»ΠΈΠ½Ρ, ΠΌΠ°ΠΊΡΠΎΠ»ΠΈΠ΄Ρ, ΡΡΠΎΡΡ ΠΈΠ½ΠΎΠ»ΠΎΠ½Ρ, ΡΠ΅ΡΠ°Π»ΠΎΡΠΏΠΎΡΠΈΠ½Ρ, ΠΏΠΎΠ»ΡΡΠΈΠ½ΡΠ΅ΡΠΈΡΠ΅ΡΠΊΠΈΠ΅ ΠΏΠ΅Π½ΠΈΡΠΈΠ»Π»ΠΈΠ½Ρ. ΠΠ»Ρ ΠΏΡΠΎΡΠΈΠ»Π°ΠΊΡΠΈΠΊΠΈ ΠΎΡΠ»ΠΎΠΆΠ½Π΅Π½ΠΈΠΉ Π°Π½ΡΠΈΠ±ΠΈΠΎΡΠΈΠΊΠΎΡΠ΅ΡΠ°ΠΏΠΈΠΈ ΠΏΡΠΈΠΌΠ΅Π½ΡΡΡΡΡ ΠΏΡΠΎΡΠΈΠ²ΠΎΠ³ΡΠΈΠ±ΠΊΠΎΠ²ΡΠ΅ ΡΡΠ΅Π΄ΡΡΠ²Π°, Π³Π΅ΠΏΠ°ΡΠΎΠΏΡΠΎΡΠ΅ΠΊΡΠΎΡΡ, ΡΡΠ±ΠΈΠΎΡΠΈΠΊΠΈ, ΡΠ±Π°Π»Π°Π½ΡΠΈΡΠΎΠ²Π°Π½Π½ΡΠ΅ ΠΊΠΎΠΌΠΏΠ»Π΅ΠΊΡΡ Π²ΠΈΡΠ°ΠΌΠΈΠ½ΠΎΠ² ΠΈ ΠΌΠΈΠΊΡΠΎΡΠ»Π΅ΠΌΠ΅Π½ΡΠΎΠ².
ΠΡΡΠΏΠΏΠ° ΠΏΡΠ΅ΠΏΠ°ΡΠ°ΡΠΎΠ² Π΄Π»Ρ Π»Π΅ΡΠ΅Π½ΠΈΡ ΡΠ΅Π°ΠΊΡΠΈΠ²Π½ΠΎΠ³ΠΎ Π°ΡΡΡΠΈΡΠ° | ΠΠ°ΠΈΠΌΠ΅Π½ΠΎΠ²Π°Π½ΠΈΡ Π»Π΅ΠΊΠ°ΡΡΡΠ²Π΅Π½Π½ΡΡ ΡΡΠ΅Π΄ΡΡΠ² |
ΠΠΌΠΌΡΠ½ΠΎΡΡΠΏΡΠ΅ΡΡΠΎΡΡ | ΠΠ·Π°ΡΠΈΠΎΠΏΡΠΈΠ½, Π‘ΡΠ»ΡΡΠ°ΡΠ°Π»Π°Π·ΠΈΠ½, ΠΠ΅ΡΠΎΡΡΠ΅ΠΊΡΠ°Ρ |
ΠΠ½Π³ΠΈΠ±ΠΈΡΠΎΡΡ Π€ΠΠ | ΠΡΠ°Π½Π΅ΡΡΠ΅ΠΏΡ, ΠΠ½ΡΠ»ΠΈΠΊΡΠΈΠΌΠ°Π± |
ΠΠ»ΡΠΊΠΎΠΊΠΎΡΡΠΈΠΊΠΎΡΡΠ΅ΡΠΎΠΈΠ΄Ρ | ΠΠ΅ΡΠΈΠ»ΠΏΡΠ΅Π΄Π½ΠΈΠ·ΠΎΠ»ΠΎΠ½, ΠΠΈΠΏΡΠΎΡΠΏΠ°Π½, Π€Π»ΠΎΡΡΠ΅ΡΠΎΠ½, ΠΠ΅ΠΊΡΠ°ΠΌΠ΅ΡΠ°Π·ΠΎΠ½ |
ΠΠ΅ΡΡΠ΅ΡΠΎΠΈΠ΄Π½ΡΠ΅ ΠΏΡΠΎΡΠΈΠ²ΠΎΠ²ΠΎΡΠΏΠ°Π»ΠΈΡΠ΅Π»ΡΠ½ΡΠ΅ ΡΡΠ΅Π΄ΡΡΠ²Π° | ΠΠΈΠΊΠ»ΠΎΡΠ΅Π½Π°ΠΊ, ΠΠ½Π΄ΠΎΠΌΠ΅ΡΠ°ΡΠΈΠ½, ΠΠ΅Π»ΠΎΠΊΡΠΈΠΊΠ°ΠΌ, ΠΠ΅ΡΠΎΡΠΎΠ»Π°ΠΊ, ΠΠΈΠΌΠ΅ΡΡΠ»ΠΈΠ΄, ΠΠΎΡΠ½ΠΎΠΊΡΠΈΠΊΠ°ΠΌ, ΠΠ±ΡΠΏΡΠΎΡΠ΅Π½, ΠΡΠΎΡΠΈΠΊΠΎΠΊΡΠΈΠ±, Π¦Π΅Π»Π΅ΠΊΠΎΠΊΡΠΈΠ±, Π ΠΎΡΠ΅ΠΊΠΎΠΊΡΠΈΠ± |
ΠΡΠ΅ΠΏΠ°ΡΠ°ΡΡ Π΄Π»Ρ Π»ΠΎΠΊΠ°Π»ΡΠ½ΠΎΠ³ΠΎ Π½Π°Π½Π΅ΡΠ΅Π½ΠΈΡ | ΠΠΈΠΌΠ΅ΠΊΡΠΈΠ΄, ΠΠΎΠ»ΡΡΠ°ΡΠ΅Π½, ΠΡΡΠΎΡΠ΅Π½, ΠΠ°ΠΉΠ·, ΠΠ΅ΡΠΎΡΠΎΠ», ΠΡΡΠΎΡΠ΅Π½, ΠΠΎΠ»Π³ΠΈΡ, ΠΡΡΡΡΡΠΌΠ³Π΅Π»Ρ |
Π€ΠΈΠ·ΠΈΠΎΠ»Π΅ΡΠ΅Π½ΠΈΠ΅
Π ΡΠΈΠ·ΠΈΠΎΡΠ΅ΡΠ°ΠΏΠΈΠΈ ΡΠ΅Π°ΠΊΡΠΈΠ²Π½ΠΎΠ³ΠΎ Π°ΡΡΡΠΈΡΠ° ΠΏΡΠΈΠΌΠ΅Π½ΡΡΡΡΡ ΠΌΠ°Π³Π½ΠΈΡΠΎΡΠ΅ΡΠ°ΠΏΠΈΡ, ΡΠΈΠ½ΡΡΠΎΠΈΠ΄Π°Π»ΡΠ½ΠΎ-ΠΌΠΎΠ΄ΡΠ»ΠΈΡΡΡΡΠΈΠ΅ ΡΠΎΠΊΠΈ, ΠΊΡΠΈΠΎΡΠ΅ΡΠ°ΠΏΠΈΡ, Π»Π°Π·Π΅ΡΠΎΡΠ΅ΡΠ°ΠΏΠΈΡ, ΠΎΠ·ΠΎΠΊΠ΅ΡΠΈΡΠΎΠ»Π΅ΡΠ΅Π½ΠΈΠ΅, Π°ΠΏΠΏΠ»ΠΈΠΊΠ°ΡΠΈΠΈ Ρ ΠΏΠ°ΡΠ°ΡΠΈΠ½ΠΎΠΌ, Π£ΠΠ§-ΡΠ΅ΡΠ°ΠΏΠΈΡ.
ΠΠ»Ρ ΠΊΡΠΏΠΈΡΠΎΠ²Π°Π½ΠΈΡ Π²ΡΡΠ°ΠΆΠ΅Π½Π½ΡΡ Π±ΠΎΠ»Π΅ΠΉ ΠΏΡΠΎΠ²ΠΎΠ΄ΠΈΡΡΡ ΡΠΎΠ½ΠΎΡΠΎΡΠ΅Π· ΠΈΠ»ΠΈ ΡΠ»Π΅ΠΊΡΡΠΎΡΠΎΡΠ΅Π· Ρ Π³Π»ΡΠΊΠΎΠΊΠΎΡΡΠΈΠΊΠΎΡΡΠ΅ΡΠΎΠΈΠ΄Π°ΠΌΠΈ, Π°Π½Π΅ΡΡΠ΅ΡΠΈΠΊΠ°ΠΌΠΈ, Π²ΠΈΡΠ°ΠΌΠΈΠ½Π°ΠΌΠΈ Π³ΡΡΠΏΠΏΡ B, Ρ ΠΎΠ½Π΄ΡΠΎΠΏΡΠΎΡΠ΅ΠΊΡΠΎΡΠ°ΠΌΠΈ.
ΠΠΏΠ΅ΡΠ°ΡΠΈΠ²Π½ΠΎΠ΅ Π»Π΅ΡΠ΅Π½ΠΈΠ΅
ΠΠ΅ΠΎΠ±Ρ ΠΎΠ΄ΠΈΠΌΠΎΡΡΠΈ Π² Ρ ΠΈΡΡΡΠ³ΠΈΡΠ΅ΡΠΊΠΎΠΌ Π»Π΅ΡΠ΅Π½ΠΈΠΈ ΠΏΠ°ΡΠΈΠ΅Π½ΡΠΎΠ² Π½Π΅ Π²ΠΎΠ·Π½ΠΈΠΊΠ°Π΅Ρ. Π Π½Π΅ΠΊΠΎΡΠΎΡΡΡ ΡΠ»ΡΡΠ°ΡΡ Ρ ΠΏΠΎΠΌΠΎΡΡΡ ΠΏΡΠ½ΠΊΡΠΈΠΈ ΠΈΠ· ΡΡΡΡΠ°Π²Π° ΠΈΠ·Π²Π»Π΅ΠΊΠ°Π΅ΡΡΡ ΡΠΊΡΡΡΠ΄Π°Ρ, Π° Π΅Π³ΠΎ ΠΏΠΎΠ»ΠΎΡΡΡ ΠΎΠ±ΡΠ°Π±Π°ΡΡΠ²Π°Π΅ΡΡΡ ΡΠ°ΡΡΠ²ΠΎΡΠ°ΠΌΠΈ Ρ ΠΏΡΠΎΡΠΈΠ²ΠΎΠΌΠΈΠΊΡΠΎΠ±Π½ΠΎΠΉ ΠΈ Π°Π½ΡΠΈΡΠ΅ΠΏΡΠΈΡΠ΅ΡΠΊΠΎΠΉ Π°ΠΊΡΠΈΠ²Π½ΠΎΡΡΡΡ.
ΠΠ΅ΡΠ΅Π±Π½Π°Ρ Π³ΠΈΠΌΠ½Π°ΡΡΠΈΠΊΠ° ΠΈ ΠΌΠ°ΡΡΠ°ΠΆ
ΠΠ°Π½ΡΡΠΈΡ Π»Π΅ΡΠ΅Π±Π½ΠΎΠΉ ΡΠΈΠ·ΠΊΡΠ»ΡΡΡΡΠΎΠΉ ΠΏΡΠΎΠ²ΠΎΠ΄ΡΡΡΡ ΠΏΠΎΠ΄ ΡΡΠΊΠΎΠ²ΠΎΠ΄ΡΡΠ²ΠΎΠΌ Π²ΡΠ°ΡΠ° ΠΠ€Π ΡΡΠ°Π·Ρ ΠΏΠΎΡΠ»Π΅ ΠΊΡΠΏΠΈΡΠΎΠ²Π°Π½ΠΈΡ ΡΠΈΠ»ΡΠ½ΡΡ Π±ΠΎΠ»Π΅ΠΉ ΠΈ ΠΎΡΡΡΠΎΠ³ΠΎ Π²ΠΎΡΠΏΠ°Π»Π΅Π½ΠΈΡ. Π¦Π΅Π»ΡΠΌΠΈ Π΅ΠΆΠ΅Π΄Π½Π΅Π²Π½ΠΎΠ³ΠΎ Π²ΡΠΏΠΎΠ»Π½Π΅Π½ΠΈΡ ΡΠΏΡΠ°ΠΆΠ½Π΅Π½ΠΈΠΉ ΡΡΠ°Π½ΠΎΠ²ΡΡΡΡ ΡΠΊΡΠ΅ΠΏΠ»Π΅Π½ΠΈΠ΅ ΠΌΡΡΡ, ΡΠ»ΡΡΡΠ΅Π½ΠΈΠ΅ ΠΊΡΠΎΠ²ΠΎΠΎΠ±ΡΠ°ΡΠ΅Π½ΠΈΡ, ΠΏΠΎΠ²ΡΡΠ΅Π½ΠΈΠ΅ ΠΎΠ±ΡΠ΅ΠΌΠ° Π΄Π²ΠΈΠΆΠ΅Π½ΠΈΠΉ Π² ΡΡΡΡΠ°Π²Π°Ρ . ΠΠ°ΡΠΈΠ΅Π½ΡΠ°ΠΌ ΠΏΠΎΠΊΠ°Π·Π°Π½Ρ Π½Π΅Π³Π»ΡΠ±ΠΎΠΊΠΈΠ΅ Π²ΡΠΏΠ°Π΄Ρ ΠΈ ΠΏΡΠΈΡΠ΅Π΄Π°Π½ΠΈΡ, ΠΈΠΌΠΈΡΠ°ΡΠΈΡ Π΅Π·Π΄Ρ Π½Π° Π²Π΅Π»ΠΎΡΠΈΠΏΠ΅Π΄Π΅ Π² ΠΏΠΎΠ»ΠΎΠΆΠ΅Π½ΠΈΠΈ Π»Π΅ΠΆΠ°.
ΠΠ΅ΡΠ΅Π±Π½Π°Ρ Π³ΠΈΠΌΠ½Π°ΡΡΠΈΠΊΠ° Π²ΡΠ΅Π³Π΄Π° ΡΠΎΡΠ΅ΡΠ°Π΅ΡΡΡ Ρ ΡΠ΅Π°Π½ΡΠ°ΠΌΠΈ ΠΊΠ»Π°ΡΡΠΈΡΠ΅ΡΠΊΠΎΠ³ΠΎ, Π²Π°ΠΊΡΡΠΌΠ½ΠΎΠ³ΠΎ, Π°ΠΊΡΠΏΡΠ½ΠΊΡΡΡΠ½ΠΎΠ³ΠΎ ΠΌΠ°ΡΡΠ°ΠΆΠ°. ΠΠΎ Π²ΡΠ΅ΠΌΡ ΠΏΡΠΎΡΠ΅Π΄ΡΡ ΠΌΠ°ΡΡΠ°ΠΆΠΈΡΡ Π²ΠΎΠ·Π΄Π΅ΠΉΡΡΠ²ΡΠ΅Ρ Π½Π° Π½Π°ΠΏΡΡΠΆΠ΅Π½Π½ΡΠ΅ ΠΌΡΡΡΡ, Π²ΡΠΏΠΎΠ»Π½ΡΡ ΡΠ°Π·ΠΌΠΈΠ½Π°Π½ΠΈΡ, ΠΏΠΎΠ³Π»Π°ΠΆΠΈΠ²Π°Π½ΠΈΡ, Π²ΠΈΠ±ΡΠ°ΡΠΈΠΈ. ΠΠΎΡΠ»Π΅ ΠΏΡΠΎΠ²Π΅Π΄Π΅Π½ΠΈΡ 10-20 ΡΠ΅Π°Π½ΡΠΎΠ² ΡΡΡΡΠ°Π½ΡΡΡΡΡ Π±ΠΎΠ»Π΅Π·Π½Π΅Π½Π½ΡΠ΅ ΠΎΡΡΡΠ΅Π½ΠΈΡ, Π½Π°ΡΡΡΠ΅Π½ΠΈΡ ΡΡΠ²ΡΡΠ²ΠΈΡΠ΅Π»ΡΠ½ΠΎΡΡΠΈ, ΡΡΠ³ΠΎΠΏΠΎΠ΄Π²ΠΈΠΆΠ½ΠΎΡΡΡ, ΠΌΡΡΠ΅ΡΠ½ΡΠ΅ ΡΠΏΠ°Π·ΠΌΡ.
ΠΠ°ΡΠΎΠ΄Π½ΡΠ΅ ΠΌΠ΅ΡΠΎΠ΄Ρ
ΠΠ° ΡΡΠ°Π΄ΠΈΠΈ ΡΠ΅ΠΌΠΈΡΡΠΈΠΈ Π²ΡΠ°ΡΠΈ ΡΠ°Π·ΡΠ΅ΡΠ°ΡΡ ΠΏΠ°ΡΠΈΠ΅Π½ΡΠ°ΠΌ ΠΈΠ·Π±Π°Π²Π»ΡΡΡΡΡ ΠΎΡ ΠΎΡΡΠ°ΡΠΎΡΠ½ΡΡ Π΄ΠΈΡΠΊΠΎΠΌΡΠΎΡΡΠ½ΡΡ ΠΎΡΡΡΠ΅Π½ΠΈΠΉ Ρ ΠΏΠΎΠΌΠΎΡΡΡ Π½Π°ΡΠΎΠ΄Π½ΡΡ ΡΡΠ΅Π΄ΡΡΠ². ΠΡΠΏΠΎΠ»ΡΠ·ΡΡΡΡΡ ΠΌΠ°Π·ΠΈ Π΄ΠΎΠΌΠ°ΡΠ½Π΅Π³ΠΎ ΠΏΡΠΈΠ³ΠΎΡΠΎΠ²Π»Π΅Π½ΠΈΡ, Π½Π°ΡΡΠΎΠΈ ΠΈ ΠΎΡΠ²Π°ΡΡ Π»Π΅ΠΊΠ°ΡΡΡΠ²Π΅Π½Π½ΡΡ ΡΡΠ°Π², Π²ΠΎΠ΄ΠΎΡΠ½ΡΠ΅ ΠΈ ΠΌΠ°ΡΠ»ΡΠ½ΡΠ΅ Π½Π°ΡΡΠΎΠΉΠΊΠΈ, ΠΊΠΎΠΌΠΏΡΠ΅ΡΡΡ. ΠΡ ΡΠ»Π°Π±ΡΠΉ ΡΠ΅ΡΠ°ΠΏΠ΅Π²ΡΠΈΡΠ΅ΡΠΊΠΈΠΉ ΡΡΡΠ΅ΠΊΡ ΠΎΠ±ΡΡΠ»ΠΎΠ²Π»Π΅Π½ ΠΌΠ΅ΡΡΠ½ΠΎΡΠ°Π·Π΄ΡΠ°ΠΆΠ°ΡΡΠΈΠΌ, ΡΠΎΠ³ΡΠ΅Π²Π°ΡΡΠΈΠΌ, ΠΎΡΠ²Π»Π΅ΠΊΠ°ΡΡΠΈΠΌ Π΄Π΅ΠΉΡΡΠ²ΠΈΠ΅ΠΌ.
ΠΠΈΠ΅ΡΠ°
ΠΠ΅ΡΠ΅Π±Π½Π°Ρ Π΄ΠΈΠ΅ΡΠ° Π½Π΅ ΡΠ²Π»ΡΠ΅ΡΡΡ ΡΠ°ΠΌΠΎΡΡΠΎΡΡΠ΅Π»ΡΠ½ΡΠΌ ΠΌΠ΅ΡΠΎΠ΄ΠΎΠΌ ΡΠ΅ΡΠ°ΠΏΠΈΠΈ ΡΠ΅Π°ΠΊΡΠΈΠ²Π½ΠΎΠ³ΠΎ Π°ΡΡΡΠΈΡΠ°. ΠΠ΅ ΡΠΎΠ±Π»ΡΠ΄Π΅Π½ΠΈΠ΅ Π½Π΅ ΠΏΠΎΠ·Π²ΠΎΠ»ΡΠ΅Ρ ΡΠ½ΠΈΠΆΠ°ΡΡ Π²ΡΡΠ°ΠΆΠ΅Π½Π½ΠΎΡΡΡ ΡΠΈΠΌΠΏΡΠΎΠΌΠ°ΡΠΈΠΊΠΈ, ΠΎΡΠ»Π°Π±Π»ΡΡΡ Π²ΠΎΡΠΏΠ°Π»ΠΈΡΠ΅Π»ΡΠ½ΡΠ΅ ΠΏΡΠΎΡΠ΅ΡΡΡ. Π Π΅Π²ΠΌΠ°ΡΠΎΠ»ΠΎΠ³ΠΈ ΡΠ΅ΠΊΠΎΠΌΠ΅Π½Π΄ΡΡΡ ΡΠΎΠ»ΡΠΊΠΎ ΠΈΡΠΊΠ»ΡΡΠΈΡΡ ΠΈΠ· ΡΠ°ΡΠΈΠΎΠ½Π° ΠΏΡΠΎΠ΄ΡΠΊΡΡ Ρ Π²ΡΡΠΎΠΊΠΈΠΌ ΡΠΎΠ΄Π΅ΡΠΆΠ°Π½ΠΈΠ΅ΠΌ ΠΆΠΈΡΠΎΠ² ΠΈ Π°Π»ΠΊΠΎΠ³ΠΎΠ»Ρ, ΠΏΡΠΎΠ²ΠΎΡΠΈΡΡΡΡΠΈΠ΅ ΠΎΠ±ΠΎΡΡΡΠ΅Π½ΠΈΠ΅ Π·Π°Π±ΠΎΠ»Π΅Π²Π°Π½ΠΈΡ.
ΠΠΎΠ·ΠΌΠΎΠΆΠ½ΡΠ΅ ΠΏΠΎΡΠ»Π΅Π΄ΡΡΠ²ΠΈΡ
Π£ ΠΊΠ°ΠΆΠ΄ΠΎΠ³ΠΎ Π΄Π΅ΡΡΡΠΎΠ³ΠΎ ΠΏΠ°ΡΠΈΠ΅Π½ΡΠ° ΠΏΠΎΡΠ»Π΅ ΠΏΠ΅ΡΠ΅Π½Π΅ΡΠ΅Π½Π½ΠΎΠ³ΠΎ ΡΠ΅Π°ΠΊΡΠΈΠ²Π½ΠΎΠ³ΠΎ Π°ΡΡΡΠΈΡΠ° Π½Π°Π±Π»ΡΠ΄Π°Π΅ΡΡΡ Π΄Π΅ΡΠΎΡΠΌΠ°ΡΠΈΡ ΡΡΠΎΠΏ, ΡΠ°Π·Π²ΠΈΠ²Π°Π΅ΡΡΡ ΠΏΠ»ΠΎΡΠΊΠΎΡΡΠΎΠΏΠΈΠ΅. ΠΡΠΈ ΠΎΡΡΡΡΡΡΠ²ΠΈΠΈ Π²ΡΠ°ΡΠ΅Π±Π½ΠΎΠ³ΠΎ Π²ΠΌΠ΅ΡΠ°ΡΠ΅Π»ΡΡΡΠ²Π° Ρ ΡΠΎΠ½ΠΈΡΠ΅ΡΠΊΠΈΠΉ Π²ΠΎΡΠΏΠ°Π»ΠΈΡΠ΅Π»ΡΠ½ΡΠΉ ΠΏΡΠΎΡΠ΅ΡΡ ΠΏΡΠΈΠ²ΠΎΠ΄ΠΈΡ ΠΊ ΠΏΠΎΡΡΠ΅ΠΏΠ΅Π½Π½ΠΎΠΌΡ ΡΠ°Π·ΡΡΡΠ΅Π½ΠΈΡ Ρ ΡΡΡΠ΅Π²ΡΡ ΠΈ ΠΊΠΎΡΡΠ½ΡΡ ΡΡΡΡΠΊΡΡΡ, ΠΏΡΠΎΠ²ΠΎΡΠΈΡΡΠ΅Ρ ΠΏΠΎΡΠ²Π»Π΅Π½ΠΈΡ Π΄Π΅ΡΠΎΡΠΌΠΈΡΡΡΡΠ΅Π³ΠΎ Π°ΡΡΡΠΎΠ·Π°. Π ΡΠ΅Π·ΡΠ»ΡΡΠ°ΡΠ΅ ΡΠ°ΡΡΠΈΡΠ½ΠΎΠ³ΠΎ ΠΈΠ»ΠΈ ΠΏΠΎΠ»Π½ΠΎΠ³ΠΎ ΡΡΠ°ΡΠ΅Π½ΠΈΡ ΡΡΡΡΠ°Π²Π½ΠΎΠΉ ΡΠ΅Π»ΠΈ Π²ΠΎΠ·Π½ΠΈΠΊΠ°Π΅Ρ Π°Π½ΠΊΠΈΠ»ΠΎΠ·, ΠΈΠ»ΠΈ ΠΎΠ±Π΅Π·Π΄Π²ΠΈΠΆΠΈΠ²Π°Π½ΠΈΠ΅ ΡΡΡΡΠ°Π²Π°.
ΠΡΠΎΠ³Π½ΠΎΠ· Π·Π°Π±ΠΎΠ»Π΅Π²Π°Π½ΠΈΡ
Π’ΠΎΠ»ΡΠΊΠΎ Π² 35% Π΄ΠΈΠ°Π³Π½ΠΎΡΡΠΈΡΠΎΠ²Π°Π½Π½ΡΡ ΡΠ»ΡΡΠ°Π΅Π² ΠΌΠΎΠΆΠ½ΠΎ Π³ΠΎΠ²ΠΎΡΠΈΡΡ ΠΎ ΠΏΠΎΠ»Π½ΠΎΠΌ ΠΈΠ·Π»Π΅ΡΠ΅Π½ΠΈΠΈ. Π‘ΠΈΠΌΠΏΡΠΎΠΌΡ ΠΏΠ°ΡΠΎΠ»ΠΎΠ³ΠΈΠΈ ΠΈΡΡΠ΅Π·Π°ΡΡ Π² ΡΠ΅ΡΠ΅Π½ΠΈΠ΅ 5-6 ΠΌΠ΅ΡΡΡΠ΅Π² ΠΈ Π±ΠΎΠ»ΡΡΠ΅ Π½Π΅ ΠΏΠΎΡΠ²Π»ΡΡΡΡΡ. ΠΡΠΈΠΌΠ΅ΡΠ½ΠΎ Ρ ΡΠ°ΠΊΠΎΠ³ΠΎ ΠΆΠ΅ ΠΊΠΎΠ»ΠΈΡΠ΅ΡΡΠ²Π° Π±ΠΎΠ»ΡΠ½ΡΡ ΠΎΡΠΌΠ΅ΡΠ΅Π½Ρ ΡΠ΅ΡΠΈΠ΄ΠΈΠ²Ρ Π°ΡΡΡΠΈΡΠ° ΡΠΏΡΡΡΡ Π½Π΅ΡΠΊΠΎΠ»ΡΠΊΠΎ Π»Π΅Ρ. Π£ 25% ΠΏΠ°ΡΠΈΠ΅Π½ΡΠΎΠ² ΠΏΠ°ΡΠΎΠ»ΠΎΠ³ΠΈΡ ΠΌΠ΅Π΄Π»Π΅Π½Π½ΠΎ, Π½ΠΎ ΡΠΏΠΎΡΠ½ΠΎ ΠΏΡΠΎΠ³ΡΠ΅ΡΡΠΈΡΡΠ΅Ρ. Π ΡΡΠΆΠ΅Π»ΠΎΠΌΡ ΠΏΠΎΡΠ°ΠΆΠ΅Π½ΠΈΡ ΡΡΡΡΠ°Π²ΠΎΠ² ΠΈ ΠΏΠΎΠ·Π²ΠΎΠ½ΠΎΡΠ½ΠΎΠ³ΠΎ ΡΡΠΎΠ»Π±Π° ΡΠ΅ΡΠ΅Π½ΠΈΠ΅ ΡΠ΅Π°ΠΊΡΠΈΠ²Π½ΠΎΠ³ΠΎ Π°ΡΡΡΠΈΡΠ° ΠΏΡΠΈΠ²ΠΎΠ΄ΠΈΡ Π² 5% ΡΠ»ΡΡΠ°Π΅Π².
ΠΠ΅ΡΡ ΠΏΡΠΎΡΠΈΠ»Π°ΠΊΡΠΈΠΊΠΈ
ΠΡΠ½ΠΎΠ²Π½Π°Ρ ΠΏΡΠΎΡΠΈΠ»Π°ΠΊΡΠΈΠΊΠ° Π·Π°Π±ΠΎΠ»Π΅Π²Π°Π½ΠΈΡ ΠΈΡΠΊΠ»ΡΡΠ°Π΅ΡΡΡ Π² ΠΏΡΠ΅Π΄ΡΠΏΡΠ΅ΠΆΠ΄Π΅Π½ΠΈΠΈ ΡΠ°Π·Π²ΠΈΡΠΈΡ ΡΡΠΎΠ³Π΅Π½ΠΈΡΠ°Π»ΡΠ½ΡΡ ΠΈΠ»ΠΈ ΠΊΠΈΡΠ΅ΡΠ½ΡΡ ΠΈΠ½ΡΠ΅ΠΊΡΠΈΠΉ. ΠΡΠ»ΠΈ Π½Π΅ ΡΠ΄Π°Π»ΠΎΡΡ ΠΈΠ·Π±Π΅ΠΆΠ°ΡΡ Π·Π°ΡΠ°ΠΆΠ΅Π½ΠΈΡ, ΡΠΎ Π½Π΅ΠΎΠ±Ρ ΠΎΠ΄ΠΈΠΌΠΎ ΠΎΠ±ΡΠ°ΡΠΈΡΡΡΡ Π·Π° ΠΌΠ΅Π΄ΠΈΡΠΈΠ½ΡΠΊΠΎΠΉ ΠΏΠΎΠΌΠΎΡΡΡ ΠΏΡΠΈ ΠΏΠ΅ΡΠ²ΡΡ ΠΏΡΠΈΠ·Π½Π°ΠΊΠ°Ρ ΠΏΠ°ΡΠΎΠ»ΠΎΠ³ΠΈΠΈ. ΠΡΠ°ΡΠΈ ΡΠ΅ΠΊΠΎΠΌΠ΅Π½Π΄ΡΡΡ ΡΠ°ΠΊΠΆΠ΅ 1-2 ΡΠ°Π·Π° Π² Π³ΠΎΠ΄ ΠΏΡΠΎΡ ΠΎΠ΄ΠΈΡΡ ΠΏΠΎΠ»Π½ΠΎΠ΅ ΠΎΠ±ΡΠ»Π΅Π΄ΠΎΠ²Π°Π½ΠΈΠ΅, ΠΎΡΠΎΠ±Π΅Π½Π½ΠΎ ΠΏΡΠΈ Π½Π°Π»ΠΈΡΠΈΠΈ Ρ ΡΠΎΠ΄ΡΡΠ²Π΅Π½Π½ΠΈΠΊΠΎΠ² ΠΊΠ°ΠΊΠΈΡ -Π»ΠΈΠ±ΠΎ Π°ΡΡΠΎΠΈΠΌΠΌΡΠ½Π½ΡΡ Π·Π°Π±ΠΎΠ»Π΅Π²Π°Π½ΠΈΠΉ.
ΠΠ°ΠΊ Π·Π°Π±ΡΡΡ ΠΎ Π±ΠΎΠ»ΡΡ Π² ΡΡΡΡΠ°Π²Π°Ρ ΠΈ Π°ΡΡΡΠΈΡΠ΅?
- ΠΠΎΠ»ΠΈ Π² ΡΡΡΡΠ°Π²Π°Ρ ΠΎΠ³ΡΠ°Π½ΠΈΡΠΈΠ²Π°ΡΡ ΠΠ°ΡΠΈ Π΄Π²ΠΈΠΆΠ΅Π½ΠΈΡ ΠΈ ΠΏΠΎΠ»Π½ΠΎΡΠ΅Π½Π½ΡΡ ΠΆΠΈΠ·Π½Ρβ¦
- ΠΠ°Ρ Π±Π΅ΡΠΏΠΎΠΊΠΎΠΈΡ Π΄ΠΈΡΠΊΠΎΠΌΡΠΎΡΡ, Ρ ΡΡΡΡ ΠΈ ΡΠΈΡΡΠ΅ΠΌΠ°ΡΠΈΡΠ΅ΡΠΊΠΈΠ΅ Π±ΠΎΠ»ΠΈβ¦
- ΠΠΎΠ·ΠΌΠΎΠΆΠ½ΠΎ, ΠΡ ΠΏΠ΅ΡΠ΅ΠΏΡΠΎΠ±ΠΎΠ²Π°Π»ΠΈ ΠΊΡΡΡ Π»Π΅ΠΊΠ°ΡΡΡΠ², ΠΊΡΠ΅ΠΌΠΎΠ² ΠΈ ΠΌΠ°Π·Π΅ΠΉβ¦
- ΠΠΎ ΡΡΠ΄Ρ ΠΏΠΎ ΡΠΎΠΌΡ, ΡΡΠΎ ΠΡ ΡΠΈΡΠ°Π΅ΡΠ΅ ΡΡΠΈ ΡΡΡΠΎΠΊΠΈ — Π½Π΅ ΡΠΈΠ»ΡΠ½ΠΎ ΠΎΠ½ΠΈ ΠΠ°ΠΌ ΠΏΠΎΠΌΠΎΠ³Π»ΠΈβ¦
ΠΠΎ ΠΎΡΡΠΎΠΏΠ΅Π΄ ΠΠ°Π»Π΅Π½ΡΠΈΠ½ ΠΠΈΠΊΡΠ»Ρ ΡΡΠ²Π΅ΡΠΆΠ΄Π°Π΅Ρ, ΡΡΠΎ Π΄Π΅ΠΉΡΡΠ²ΠΈΡΠ΅Π»ΡΠ½ΠΎ ΡΡΡΠ΅ΠΊΡΠΈΠ²Π½ΠΎΠ΅ ΡΡΠ΅Π΄ΡΡΠ²ΠΎ ΠΎΡ ΠΠ Π’Π ΠΠ’Π ΡΡΡΠ΅ΡΡΠ²ΡΠ΅Ρ!Β Π§ΠΈΡΠ°ΡΡ Π΄Π°Π»Π΅Π΅ >>>
Π·Π°Π³ΡΡΠ·ΠΊΠ°…
sustavlive.ru
Π Π΅Π°ΠΊΡΠΈΠ²Π½ΡΠΉ Π°ΡΡΡΠΈΡ Ρ Π²Π·ΡΠΎΡΠ»ΡΡ | ΠΠΎΠΌΠΏΠ΅ΡΠ΅Π½ΡΠ½ΠΎ ΠΎ Π·Π΄ΠΎΡΠΎΠ²ΡΠ΅ Π½Π° iLive
Π Π΅Π°ΠΊΡΠΈΠ²Π½ΡΠΉ Π°ΡΡΡΠΈΡ: ΡΠΈΠΌΠΏΡΠΎΠΌΡ
ΠΠ±ΡΠΈΠ΅ ΡΠΈΠΌΠΏΡΠΎΠΌΡ ΡΠ΅Π°ΠΊΡΠΈΠ²Π½ΠΎΠ³ΠΎ Π°ΡΡΡΠΈΡΠ° Π²ΠΊΠ»ΡΡΠ°ΡΡ ΠΎΡΡΡΠΎΠ΅ Π½Π°ΡΠ°Π»ΠΎ, ΠΎΠ³ΡΠ°Π½ΠΈΡΠ΅Π½Π½ΠΎΠ΅ ΡΠΈΡΠ»ΠΎ Π²ΠΎΡΠΏΠ°Π»ΡΠ½ ΠΏΡΡ ΡΡΡΡΠ°Π²ΠΎΠ², ΠΏΡΠ΅ΠΈΠΌΡΡΠ΅ΡΡΠ²Π΅Π½Π½ΠΎ Π½ΠΈΠΆΠ½ΠΈΡ ΠΊΠΎΠ½Π΅ΡΠ½ΠΎΡΡΠ΅ΠΉ, Π°ΡΠΈΠΌΠΌΠ΅ΡΡΠΈΡΠ½ΠΎΡΡΡ ΠΏΠΎΡΠ°ΠΆΠ΅Π½ΠΈΡ ΡΡΡΡΠ°Π²ΠΎΠ² ΠΈ ΠΎΡΠ΅Π²ΠΎΠ³ΠΎ ΡΠΊΠ΅Π»Π΅ΡΠ°, Π²ΠΎΠ²Π»Π΅ΡΠ΅Π½ΠΈΠ΅ ΡΡΡ ΠΎΠΆΠΈΠ»ΡΠ½ΠΎ-ΡΠ²ΡΠ·ΠΎΡΠ½ΡΡ ΡΡΡΡΠΊΡΡΡ Π½Π°Π»ΠΈΡΠΈΠ΅ Π²Π½Π΅ΡΡΡΡΠ°Π²Π½ΡΡ ΠΏΡΠΎΡΠ²Π»Π΅Π½ΠΈΠΉ (Π°ΡΡΠΎΠ·Π½ΡΠΉ ΡΡΠΎΠΌΠ°ΡΠΈΡ, ΠΊΠ΅ΡΠ°ΡΠΎΠ΄Π΅ΡΠΌΠΈΡ, ΡΠΈΡΡΠΈΠ½Π°ΡΠ½ΡΠΉ Π±Π°Π»Π°Π½ΠΈΡ, ΡΠ·Π»ΠΎΠ²Π°ΡΠ°Ρ ΡΡΠΈΡΠ΅ΠΌΠ°, Π²ΠΎΡΠΏΠ°Π»ΠΈΡΠ΅Π»ΡΠ½ΠΎΠ΅ ΠΏΠΎΡΠ°ΠΆΠ΅Π½ΠΈΠ΅ Π³Π»Π°Π·), ΡΠ΅ΡΠΎΠ½Π΅Π³Π°ΡΠΈΠ²Π½ΠΊΠΎΡΡΡ ΠΏΠΎ Π Π€, ΠΎΡΠ½ΠΎΡΠΈΡΠ΅Π»ΡΠ½ΠΎ Π΄ΠΎΠ±ΡΠΎΠΊΠ°ΡΠ΅ΡΡΠ²Π΅Π½Π½ΠΎΠ΅ ΡΠ΅ΡΠ΅Π½ΠΈΠ΅ Ρ ΠΏΠΎΠ»Π½ΡΠΌ ΠΎΠ±ΡΠ°ΡΠ½ΡΠΌ ΡΠ°Π·Π²ΠΈΡΠΈΠ΅ΠΌ Π²ΠΎΡΠΏΠ°Π»Π΅Π½ΠΈΡ, Π²ΠΎΠ·ΠΌΠΎΠΆΠ½ΠΎΡΡΡ ΡΠ΅ΡΠΈΠ΄ΠΈΠ²ΠΎΠ² Π·Π°Π±ΠΎΠ»Π΅Π²Π°Π½ΠΈΡ, Π° Π² Π½Π΅ΠΊΠΎΡΠΎΡΡΡ ΡΠ»ΡΡΠ°ΡΡ ΠΈ Ρ ΡΠΎΠ½ΠΈΠ·Π°ΡΠΈΡ Π²ΠΎΡΠΏΠ°Π»ΠΈΡΠ΅Π»ΡΠ½ΠΎΠ³ΠΎ ΠΏΡΠΎΡΠ΅ΡΡΠ° Ρ Π»ΠΎΠΊΠ°Π»ΠΈΠ·Π°ΡΠΈΠ΅ΠΉ Π² ΠΏΠ΅ΡΠΈΡΠ΅ΡΠΈΡΠ΅ΡΠΊΠΈΡ ΡΡΡΡΠ°Π²Π°Ρ ΠΈ ΠΏΠΎΠ·Π²ΠΎΠ½ΠΎΡΠ½ΠΈΠΊΠ΅.
Π Π΅Π°ΠΊΡΠΈΠ²Π½ΡΠΉ Π°ΡΡΡΠΈΡ ΡΠΈΠΌΠΏΡΠΎΠΌΡ ΠΏΡΠΎΡΠ²Π»ΡΠ΅Ρ ΠΏΠΎΡΠ»Π΅ ΠΊΠΈΡΠ΅ΡΠ½ΠΎΠΉ ΠΈΠ»ΠΈ ΠΌΠΎΡΠ΅ΠΏΠΎΠ»ΠΎΠ²ΠΎΠΉ ΠΈΠ½ΡΠ΅ΠΊΡΠΈΠΈ, ΠΏΡΠΈ ΡΡΠΎΠΌ ΠΏΠ΅ΡΠΈΠΎΠ΄ ΠΎΡ Π΅Π΅ Π½Π°ΡΠ°Π»ΠΈ Π΄ΠΎ ΠΏΠΎΡΠ²Π»Π΅Π½ΠΈΡ ΠΏΠ΅ΡΠ²ΡΡ ΡΠΈΠΌΠΏΡΠΎΠΌΠΎΠ² ΡΠΎΡΡΠ°Π²Π»ΡΠ΅Ρ ΠΎΡ 3 Π΄Π½Π΅ΠΉ Π΄ΠΎ 1,5-2 ΠΌΠ΅ΡΡΡΠ°. ΠΡΠΈΠΌΠ΅ΡΠ½ΠΎ 25% ΠΌΡΠΆΡΠΈΠ½ ΠΈ ΠΆΠ΅Π½ΡΠΈΠ½ Π½Π΅ Π°ΠΊΡΠ΅Π½ΡΠΈΡΡΡΡ Π²Π½ΠΈΠΌΠ°Π½ΠΈΠ΅ Π½Π° ΡΠ°Π½Π½ΠΈΡ ΡΠΈΠΌΠΏΡΠΎΠΌΠ°Ρ ΡΡΠΎΠ³ΠΎ Π·Π°Π±ΠΎΠ»Π΅Π²Π°Π½ΠΈΡ.
ΠΠ»ΠΈ ΠΏΠΎΡΠ°ΠΆΠ΅Π½ΠΈΡ ΡΡΡΡΠ°Π²ΠΎΠ² Ρ Π°ΡΠ°ΠΊΡΠ΅ΡΠ½Ρ ΠΎΡΡΡΠΎΠ΅ ΡΠ΅ΡΠ΅Π½ΠΈΠ΅ ΠΈ ΠΎΠ³ΡΠ°Π½ΠΈΡΠ΅Π½Π½ΠΎΠ΅ ΡΠΈΡΠ»ΠΎ ΠΏΠΎΡΠ°ΠΆΠ΅Π½Π½ΡΡ ΡΡΡΡΠ°Π²ΠΎΠ². Π£ 85% Π±ΠΎΠ»ΡΠ½ΡΡ Π½Π°Π±Π»ΡΠ΄Π°ΡΡ ΠΌΠΎΠ½ΠΎ- ΠΈ ΠΎΠ»ΠΈΠ³ΠΎΠ°ΡΡΡΠΈΡ. Π’ΠΈΠΏΠΈΡΠ½ΡΠΌ ΡΡΠΈΡΠ°ΡΡ Π°ΡΠΈΠΌΠΌΠ΅ΡΡΠΈΡΠ½ΡΠΉ Ρ Π°ΡΠ°ΠΊΡΠ΅Ρ ΠΏΠΎΡΠ°ΠΆΠ΅Π½ΠΈΡ ΡΡΡΡΠ°Π²ΠΎΠ². ΠΠΎ Π²ΡΠ΅Ρ ΡΠ»ΡΡΠ°ΡΡ Π½Π°Π±Π»ΡΠ΄Π°ΡΡ ΠΏΠΎΡΠ°ΠΆΠ΅Π½ΠΈΠ΅ ΡΡΡΡΠ°Π²ΠΎΠ² Π½ΠΈΠΆΠ½ΠΈΡ ΠΊΠΎΠ½Π΅ΡΠ½ΠΎΡΡΠ΅ΠΉ, Π·Π° ΠΈΡΠΊΠ»ΡΡΠ΅Π½ΠΈΠ΅ΠΌ ΡΠ°Π·ΠΎΠ±Π΅Π΄ΡΠ΅Π½Π½ΡΡ ΡΡΡΡΠ°Π²ΠΎΠ². Π ΡΠ°ΠΌΠΎΠΌ Π½Π°ΡΠ°Π»Π΅ Π·Π°Π±ΠΎΠ»Π΅Π²Π°Π½ΠΈΡ ΡΠ°Π·Π²ΠΈΠ²Π°Π΅ΡΡΡ Π²ΠΎΡΠΏΠ°Π»Π΅Π½ΠΈΠ΅ ΠΊΠΎΠ»Π΅Π½Π½ΡΡ , Π³ΠΎΠ»Π΅Π½ΠΎΡΡΠΎΠΏΠ½ΡΡ ΠΈ ΠΏΠ»ΡΡΠ½ΠΎΡΠ°Π»Π°Π½Π³ΠΎΠ²ΡΡ ΡΡΡΡΠ°Π²ΠΎΠ². ΠΠΎΠ·ΠΆΠ΅ ΠΌΠΎΠΆΠ΅Ρ ΡΠ°Π·Π²ΠΈΠ²Π°ΡΡΡΡ ΠΏΠΎΡΠ°ΠΆΠ΅Π½ΠΈΠ΅ ΡΡΡΡΠ°Π²ΠΎΠ² Π²Π΅ΡΡ Π½ΠΈΡ ΠΊΠΎΠ½Π΅ΡΠ½ΠΎΡΡΠ΅ΠΉ ΠΈ ΠΏΠΎΠ·Π²ΠΎΠ½ΠΎΡΠ½ΠΈΠΊΠ°. ΠΠ·Π»ΡΠ±Π»Π΅Π½Π½ΠΎΠΉ Π»ΠΎΠΊΠ°Π»ΠΈΠ·Π°ΡΠΈΠ΅ΠΉ ΠΏΠ°ΡΠΎΠ»ΠΎΠ³ΠΈΡΠ΅ΡΠΊΠΎΠ³ΠΎ ΠΏΡΠΎΡΠ΅ΡΡΠ° ΡΡΠΈΡΠ°ΡΡ ΠΏΠ»ΡΡΠ½Π΅ΡΠ°Π»Π°Π½Π³ΠΎΠ²ΡΠ΅ ΡΡΡΡΠ°Π²Ρ Π±ΠΎΠ»ΡΡΠΈΡ ΠΏΠ°Π»ΡΡΠ΅Π² ΡΡΠΎΠΏ, ΡΡΠΎ Π½Π°Π±Π»ΡΠ΄Π°ΡΡ Π² ΠΏΠΎΠ»ΠΎΠ²ΠΈΠ½Π΅ ΡΠ»ΡΡΠ°Π΅Π². Π Π΅ΠΆΠ΅ Π²ΡΡΠ²Π»ΡΡΡ ΠΏΠΎΡΠ°ΠΆΠ΅Π½ΠΈΠ΅ Π΄ΡΡΠ³ΠΈΡ ΠΏΠ»ΡΡΠ½Π΅ΡΠ°Π»Π°Π½Π³ΠΎΠ²ΡΡ ΡΡΡΡΠ°Π²ΠΎΠ² ΠΈ ΠΌΠ΅ΠΆΡΠ°Π»Π°Π½Π³ΠΎΠ²ΡΡ ΡΡΡΡΠ°Π²ΠΎΠ² ΠΏΠ°Π»ΡΡΠ΅Π² ΡΡΠΎΠΏ, ΡΡΡΡΠ°Π²ΠΎΠ² ΠΏΡΠ΅Π΄ΠΏΠ»ΡΡΠ½Ρ, Π³ΠΎΠ»Π΅Π½ΠΎΡΡΠΎΠΏΠ½ΡΡ ΠΈ ΠΊΠΎΠ»Π΅Π½Π½ΡΡ ΡΡΡΡΠ°Π²ΠΎΠ². ΠΡΠΈ ΡΡΠΎΠΌ Π·Π°Π±ΠΎΠ»Π΅Π²Π°Π½ΠΈΠΈ Π½Π΅ΡΠ΅Π΄ΠΊΠΎ ΡΠ°Π·Π²ΠΈΠ²Π°ΡΡΡΡ Π΄Π°ΠΊΡΠΈΠ»ΠΈΡΡ ΠΎΠ΄Π½ΠΎΠ³ΠΎ ΠΈΠ»ΠΈ Π½Π΅ΡΠΊΠΎΠ»ΡΠΊΠΈΡ ΠΏΠ°Π»ΡΡΠ΅Π² ΡΡΠΎΠΏ, ΡΠ°ΡΠ΅ Π²ΡΠ΅Π³ΠΎ ΠΏΠ΅ΡΠ²ΡΡ , Ρ ΡΠΎΡΠΌΠΈΡΠΎΠ²Π°Π½ΠΈΠ΅ΠΌ ΡΠΎΡΠΈΡΠΊΠΎΠΎΠ±ΡΠ°Π·Π½ΠΎΠΉ Π΄Π΅ΡΠΎΡΠΌΠ°ΡΠΈΠΈ, ΠΊΠΎΡΠΎΡΡΠ΅ ΡΠ²Π»ΡΡΡΡΡ ΡΠ΅Π·ΡΠ»ΡΡΠ°ΡΠΎΠΌ Π²ΠΎΡΠΏΠ°Π»ΠΈΡΠ΅Π»ΡΠ½ΡΡ ΠΈΠ·ΠΌΠ΅Π½Π΅Π½ΠΈΠΉ Π΅ ΠΏΠ΅ΡΠΈΠ°ΡΡΠΈΠΊΡΠ»ΡΡΠ½ΡΡ ΡΡΡΡΠΊΡΡΡΠ°Ρ ΠΈ ΠΏΠ΅ΡΠΈΠΎΡΡΠ°Π»ΡΠ½ΠΎΠΉ ΠΊΠΎΡΡΠΈ.
ΠΠ°ΠΈΠ½ΡΠ΅ΡΠ΅ΡΠΎΠ²Π°Π½Π½ΠΎΡΡΡ ΡΡΡΡΠ°Π²ΠΎΠ² ΠΏΡΠ΅Π΄ΠΏΠ»ΡΡΠ½Ρ ΠΈ Π²ΠΎΡΠΏΠ°Π»ΠΈΡΠ΅Π»ΡΠ½ΡΠΉ ΠΏΡΠΎΡΠ΅ΡΡ Π² ΡΠ²ΡΠ·ΠΎΡΠ½ΠΎΠΌ Π°ΠΏΠΏΠ°ΡΠ°ΡΠ΅ ΡΡΠΎΠΏ Π±ΡΡΡΡΠΎ ΠΏΡΠΈΠ²ΠΎΠ΄ΡΡ ΠΊ ΡΠ°Π·Π²ΠΈΡΠΈΡ Π²ΡΡΠ°ΠΆΠ΅Π½Π½ΠΎΠ³ΠΎ ΠΏΠ»ΠΎΡΠΊΠΎΡΡΠΎΠΏΠΈΡ (Β«Π³ΠΎΠ½ΠΎΡΠ΅ΠΉΠ½Π°Ρ ΡΡΠΎΠΏΠ°Β»). ΠΠ½Π°ΡΠΈΡΠ΅Π»ΡΠ½ΠΎ ΡΠ΅ΠΆΠ΅ Π½Π°Π±Π»ΡΠ΄Π°ΡΡ Π»ΠΎΠΊΠ°Π»ΠΈΠ·Π°ΡΠΈΡ Π²ΠΎΡΠΏΠ°Π»ΠΈΡΠ΅Π»ΡΠ½ΠΎΠ³ΠΎ ΠΏΡΠΎΡΠ΅ΡΡΠ° Π² ΡΡΡΡΠ°Π²Π°Ρ Π²Π΅ΡΡ Π½ΠΈΡ ΠΊΠΎΠ½Π΅ΡΠ½ΠΎΡΡΠ΅ΠΉ Ρ Π·Π°ΠΈΠ½ΡΠ΅ΡΠ΅ΡΠΎΠ²Π°Π½Π½ΠΎΡΡΡΡ ΠΌΠ΅ΠΆΡΠ°Π»Π°Π½Π³ΠΎΠ²ΡΡ , ΠΏΡΡΡΠ½ΠΎ-ΡΠ°Π»Π°Π½Π³ΠΎΠ²ΡΡ ΠΈ Π»ΡΡΠ΅Π·Π°ΠΏΡΡΡΠ½ΡΡ ΡΡΡΡΠ°Π²ΠΎΠ². ΠΠ΄Π½Π°ΠΊΠΎ ΡΡΠΎΠΉΠΊΠΎΠ³ΠΎ ΠΏΡΠΎΡΠ΅ΡΡΠ° ΡΡΠΎΠΉ Π»ΠΎΠΊΠ°Π»ΠΈΠ·Π°ΡΠΈΠΈ ΠΈ ΡΠ΅ΠΌ Π±ΠΎΠ»Π΅Π΅ Π΄Π΅ΡΡΡΡΠΊΡΠΈΠΈ ΡΡΡΡΠ°Π²Π½ΡΡ ΠΏΠΎΠ²Π΅ΡΡ Π½ΠΎΡΡΠ΅ΠΉ Π½Π΅ Π½Π°Π±Π»ΡΠ΄Π°ΡΡ.
ΠΠ΄Π½ΠΈΠΌ ΠΈΠ· Ρ Π°ΡΠ°ΠΊΡΠ΅ΡΠ½ΡΡ ΡΠΈΠΌΠΏΡΠΎΠΌΠΎΠ² ΡΠ΅Π°ΠΊΡΠΈΠ²Π½ΠΎΠ³ΠΎ Π°ΡΡΡΠΈΡΠ° ΡΡΠΈΡΠ°ΡΡ ΡΠ½ΡΠ΅Π·ΠΎΠΏΠ°ΡΠΈΠΈ, Π½Π°Π±Π»ΡΠ΄Π°Π΅ΠΌΡΠ΅ Ρ ΠΊΠ°ΠΆΠ΄ΠΎΠ³ΠΎ ΡΠ΅ΡΠ²Π΅ΡΡΠΎΠ³ΠΎ-ΠΏΡΡΠΎΠ³ΠΎ Π±ΠΎΠ»ΡΠ½ΠΎΠ³ΠΎ. ΠΡΠΎΡ ΠΏΡΠΈΠ·Π½Π°ΠΊ ΡΠΈΠΏΠΈΡΠ΅Π½ Π΄Π»Ρ Π²ΡΠ΅ΠΉ Π³ΡΡΠΏΠΏΡ ΡΠΏΠΎΠ½Π΄ΠΈΠ»ΠΎΠ°ΡΡΡΠΈΡΠΎΠ², Π½ΠΎ Π½Π°ΠΈΠ±ΠΎΠ»Π΅Π΅ ΡΡΠΊΠΎ ΠΏΡΠ΅Π΄ΡΡΠ°Π²Π»Π΅Π½ ΠΈΠΌΠ΅Π½Π½ΠΎ ΠΏΡΠΈ ΡΡΠΎΠΉ Π±ΠΎΠ»Π΅Π·Π½ΠΈ. ΠΠ»ΠΈΠ½ΠΈΡΠ΅ΡΠΊΠΈΠΈ ΡΠ½ΡΠ΅Π·ΠΎΠΏΠ°ΡΠΈΡ ΡΠΎΠΏΡΠΎΠ²ΠΎΠΆΠ΄Π°Π΅ΡΡΡ Π±ΠΎΠ»ΡΡ ΠΏΡΠΈ Π°ΠΊΡΠΈΠ²Π½ΡΡ Π΄Π²ΠΈΠΆΠ΅Π½ΠΈΡΡ Π² ΠΎΠ±Π»Π°ΡΡΠΈ ΠΏΠΎΡΠ°ΠΆΠ΅Π½Π½ΡΡ ΡΠ½ΡΠ΅Π·ΠΈΡΠΎΠ² Ρ Π»ΠΎΠΊΠ°Π»ΡΠ½ΠΎΠΉ ΠΏΡΠΈΠΏΡΡ Π»ΠΎΡΡΡΡ ΠΈΠ»ΠΈ Π±Π΅Π· ΡΠ°ΠΊΠΎΠ²ΠΎΠΉ.
Π ΠΊΠ°ΡΠ΅ΡΡΠ²Π΅ Π½Π°ΠΈΠ±ΠΎΠ»Π΅Π΅ Ρ Π°ΡΠ°ΠΊΡΠ΅ΡΠ½ΡΡ Π΅Ρ Π²Π°ΡΠΈΠ°Π½ΡΠΎΠ² ΡΠ°ΡΡΠΌΠ°ΡΡΠΈΠ²Π°ΡΡ ΠΏΠΎΠ΄ΠΎΡΠ²Π΅Π½Π½ΡΠΉ Π°ΠΏΠΎΠ½Π΅Π²ΡΠΎΠ·ΠΈΡ (Π±ΠΎΠ»Ρ Π² ΠΎΠ±Π»Π°ΡΡΠΈ ΠΏΡΠΈΠΊΡΠ΅ΠΏΠ»Π΅Π½ΠΈΡ ΠΏΠΎΠ΄ΠΎΡΠ²Π΅Π½Π½ΠΎΠ³ΠΎ Π°ΠΏΠΎΠ½Π΅Π²ΡΠΎΠ·Π° ΠΊ Π½ΠΈΠΆΠ½Π΅ΠΉ ΠΏΠΎΠ²Π΅ΡΡ Π½ΠΎΡΡΠΈ ΠΏΡΡΠΎΡΠ½ΠΎΠΉ ΠΊΠΎΡΡΠΈ), Π°Ρ ΠΈΠ»Π»ΠΎΠ±ΡΡΡΠΈΡ, ΡΠΎΡΠΈΡΠΊΠΎΠΎΠ±ΡΠ°Π·Π½ΡΡ Π΄Π΅ΡΠΈΠ³ΡΡΠ°ΡΠΈΡ ΠΏΠ°Π»ΡΡΠ΅Π² ΡΡΠΎΠΏ, ΡΡΠΎΡ Π°Π½ΡΠ΅ΡΠΈΡ (Π±ΠΎΠ»Ρ Π² ΠΎΠ±Π»Π°ΡΡΠΈ Π±ΠΎΠ»ΡΡΠΈΡ Π²Π΅ΡΡΠ΅Π»ΠΎΠ² Π±Π΅Π΄ΡΠ΅Π½Π½ΠΎΠΉ ΠΊΠΎΡΡΠΈ ΠΏΡΠΈ ΠΎΡΠ²Π΅Π΄Π΅Π½ΠΈΠΈ Π±Π΅Π΄ΡΠ°). ΠΠ½ΡΠ΅Π·ΠΎΠΏΠ°ΡΠΈΡ Π΄Π°Π΅Ρ ΠΊΠ»ΠΈΠ½ΠΈΠΊΡ ΡΠΈΠΌΡΠΈΠ·ΠΈΡΠ°, ΡΡΠΎΡ Π°Π½ΡΠ΅ΡΠΈΡΠ°, ΡΠΈΠ½Π΄ΡΠΎΠΌΠ° ΠΏΠ΅ΡΠ΅Π΄Π½Π΅ΠΉ Π³ΡΡΠ΄Π½ΠΎΠΉ ΠΊΠ»Π΅ΡΠΊΠΈ ΠΈΠ·-Π·Π° Π·aΠΈΠ½ΡΠ΅ΡΠ΅ΡΠΎΠ²Π°Π½Π½ΠΎΡΡΠΈ Π³ΡΡΠ΄ΠΈΠ½ΠΎ-ΡΡΠ±Π΅ΡΠ½ΡΡ ΡΠΎΡΠ»Π΅Π½Π΅Π½ΠΈΠΉ.
ΠΡΠ΅Π΄ΡΡΠ°Π²Π»Π΅Π½Π½Π°Ρ ΠΊΠ»ΠΈΠ½ΠΈΡΠ΅ΡΠΊΠ°Ρ ΠΊΠ°ΡΡΠΈΠ½Π° ΠΏΠΎΡΠ°ΠΆΠ΅Π½ΠΈΡ ΡΡΡΡΠ°Π²ΠΎΠ² Ρ Π°ΡΠ°ΠΊΡΠ΅ΡΠ½Π° Π΄Π»Ρ ΠΎΡΡΡΠΎΠ³ΠΎ ΡΠ΅ΡΠ΅Π½ΠΈΡ ΡΠ΅Π°ΠΊΡΠΈΠ²Π½ΠΎΠ³ΠΎ Π°ΡΡΡΠΈΡΠ°, ΠΎΠ½Π° Π½Π°Π±Π»ΡΠ΄Π°Π΅ΡΡΡ Π² ΠΏΠ΅ΡΠ²ΡΠ΅ 6 ΠΌΠ΅Ρ Π·Π°Π±ΠΎΠ»Π΅Π²Π°Π½ΠΈΡ. ΠΡΠΎΠ±Π΅Π½Π½ΠΎΡΡΡΠΌΠΈ Ρ ΡΠΎΠ½ΠΈΡΠ΅ΡΠΊΠΎΠ³ΠΎ ΡΠ΅ΡΠ΅Π½ΠΈΡ Π·Π°Π±ΠΎΠ»Π΅Π²Π°Π½ΠΈΡ, ΠΊΠΎΡΠΎΡΡΠΉ Π΄Π»ΠΈΡΡΡ Π±ΠΎΠ»Π΅Π΅ 12 ΠΌΠ΅Ρ, ΡΡΠΈΡΠ°ΡΡ ΠΏΡΠ΅ΠΈΠΌΡΡΠ΅ΡΡΠ²Π΅Π½Π½ΡΡ Π»ΠΎΠΊΠ°Π»ΠΈΠ·Π°ΡΠΈΡ ΠΏΠΎΡΠ°ΠΆΠ΅Π½ΠΈΡ Π° ΡΡΡΡΠ°Π²Π°Ρ Π½ΠΈΠΆΠ½ΠΈΡ ΠΊΠΎΠ½Π΅ΡΠ½ΠΎΡΡΠ΅ΠΉ ΠΈ ΡΠ΅Π½Π΄Π΅Π½ΡΠΈΡ ΠΈ ΡΠΌΠ΅Π½ΡΡΠ΅Π½ΠΈΡ ΠΈΡ ΡΠΈΡΠ»Π΅Π½Π½ΠΎΡΡΠΈ, Π½Π°ΡΠ°ΡΡΠ°Π½ΠΈΠ΅ Π²ΡΡΠ°ΠΆΠ΅Π½Π½ΠΎΡΡΠΈ ΡΠ°ΠΊΡΠΎΠΈΠ»Π΅ΠΈΡΠ°, ΡΡΠΎΠΉΠΊΠΈΠ΅ ΠΈ ΡΠ΅Π·ΠΈΡΡΠ΅Π½ΡΠ½ΡΠ΅ ΠΊ Π»Π΅ΡΠ΅Π½ΠΈΡ ΡΠ½ΡΠ΅Π·ΠΎΠΏΠ°ΡΠΈΠΈ.
Π Π΄Π΅Π±ΡΡΠ΅ Π±ΠΎΠ»Π΅Π·Π½ΠΈ ΡΠΈΠΌΠΏΡΠΎΠΌΡ ΡΠ΅Π°ΠΊΡΠΈΠ²Π½ΠΎΠ³ΠΎ Π°ΡΡΡΠΈΡΠ° ΠΈ ΠΏΠΎΡΠ°ΠΆΠ΅Π½ΠΈΡ ΠΎΡΠ΅Π²ΠΎΠ³ΠΎ ΡΠΊΠ΅Π»Π΅ΡΠ°, Π²ΡΡΠ²Π»ΡΠ΅ΠΌΡΠ΅ Ρ 50% Π±ΠΎΠ»ΡΠ½ΡΡ , ΠΏΡΠΎΡΠ²Π»ΡΡΡΡΡ Π±ΠΎΠ»ΡΠΌΠΈ Π² ΠΎΠ±Π»Π°ΡΡΠΈ ΠΏΡΠΎΠ΅ΠΊΡΠΈΠΈ ΠΊΡΠ΅ΡΡΡΠΎΠ²ΠΎ-ΠΏΠΎΠ΄Π²Π·Π΄ΠΎΡΠ½ΡΡ ΡΠΎΡΠ»Π΅Π½Π΅Π½ΠΈΠΈ ΠΈ/ΠΈΠ»ΠΈ Π½ΠΈΠΆΠ½Π΅ΠΉ ΡΠ°ΡΡΠΈ ΠΏΠΎΠ·Π²ΠΎΠ½ΠΎΡΠ½ΠΈΠΊΠ°, ΠΎΠ³ΡΠ°Π½ΠΈΡΠ΅Π½ΠΈΠ΅ΠΌ Π΅Π³ΠΎ ΠΏΠΎΠ΄Π²ΠΈΠΆΠ½ΠΎΡΡΠΈ. ΠΠΎΠ»ΠΈ Π² ΠΏΠΎΠ·Π²ΠΎΠ½ΠΎΡΠ½ΠΈΠΊΠ΅ ΡΠΎΠΏΡΠΎΠ²ΠΎΠΆΠ΄Π°ΡΡ ΡΡΡΠ΅Π½Π½ΡΡ ΡΠΊΠΎΠ²Π°Π½Π½ΠΎΡΡΡ ΠΈ ΡΠΏΠ°Π·ΠΌ ΠΏΠ°ΡΠ°Π²Π΅ΡΡΠ΅Π±ΡΠ°Π»ΡΠ½ΡΡ ΠΌΡΡΡ. ΠΠ΄Π½Π°ΠΊΠΎ ΡΠ΅Π½ΡΠ³Π΅Π½ΠΎΠ»ΠΎΠ³ΠΈΡΠ΅ΡΠΊΠΈΠ΅ ΠΈΠ·ΠΌΠ΅Π½Π΅Π½ΠΈΡ Π² ΠΎΡΠ΅Π²ΠΎΠΌ ΡΠΊΠ΅Π»Π΅ΡΠ΅ Π½Π΅ΡΠΈΠΏΠΈΡΠ½Ρ, ΠΈΡ Π²ΡΡΡΠ΅ΡΠ°ΡΡ ΡΠΎΠ»ΡΠΊΠΎ Π² 20% ΡΠ»ΡΡΠ°Π΅Π².
ΠΠ΄Π½ΠΎ- ΠΈ Π΄Π²ΡΡΡΠΎΡΠΎΠ½Π½ΠΈΠΉ ΡΠ°ΠΊΡΠΎΠΈΠ»Π΅ΠΈΡ ΠΎΠ±Π½Π°ΡΡΠΆΠΈΠ²Π°ΡΡ Ρ 35-45% Π±ΠΎΠ»ΡΠ½ΡΡ , ΡΠ°ΡΡΠΎΡΠ° Π΅Π³ΠΎ Π²ΡΡΠ²Π»Π΅Π½ΠΈΡ ΠΏΡΡΠΌΠΎ ΠΊΠΎΡΡΠ΅Π»ΠΈΡΡΠ΅Ρ Ρ Π΄Π»ΠΈΡΠ΅Π»ΡΠ½ΠΎΡΡΡΡ Π±ΠΎΠ»Π΅Π·Π½ΠΈ. Π₯ΠΎΡΡ Ρ Π°ΡΠ°ΠΊΡΠ΅ΡΠ½ΠΎ Π΄Π²ΡΡΡΠΎΡΠΎΠ½Π½Π΅Π΅ ΠΏΠΎΡΠ°ΠΆΠ΅Π½ΠΈΠ΅ ΠΊΡΠ΅ΡΡΡΠΎΠ²ΠΎ-ΠΏΠΎΠ΄Π²Π·Π΄ΠΎΡΠ½ΡΡ ΡΡΡΡΠ°Π²ΠΎΠ², Π½Π΅ΡΠ΅Π΄ΠΊΠΎ Π½Π°Π±Π»ΡΠ΄Π°ΡΡ ΠΈ ΠΎΠ΄Π½ΠΎΡΡΠΎΡΠΎΠ½Π½Π΅Π΅, ΠΎΡΠΎΠ±Π΅Π½Π½ΠΎ Π² ΡΠ°Π½Π½Π΅ΠΉ ΡΡΠ°Π΄ΠΈΠΈ Π·Π°Π±ΠΎΠ»Π΅Π²Π°Π½ΠΈΡ. Π 10-15% ΡΠ»ΡΡΠ°Π΅Π² Π²Π΅ΡΡΠ΅ ΡΠ°ΡΡ ΡΠΏΠΎΠ½Π΄ΠΈΠ»ΠΈΡ, Π΄Π»Ρ ΠΊΠΎΡΠΎΡΠΎΠ³ΠΎ Ρ Π°ΡΠ°ΠΊΡΠ΅ΡΠ½Ρ ΡΠ΅Π½ΡΠ³Π΅Π½ΠΎΠ»ΠΎΠ³ΠΈΡΠ΅ΡΠΊΠΈΠ΅ ΠΏΡΠΈΠ·Π½Π°ΠΊΠΈ Π² Π²ΠΈΠ΄Π΅ Β«ΠΏΠ΅ΡΠ΅ΡΠΊΠ°ΠΊΠΈΠ²Π°ΡΡΠ΅Π³ΠΎΒ» ΡΠΈΠΏΠ° ΡΠ°ΡΠΏΠΎΠ»ΠΎΠΆΠ΅Π½ΠΈΡ Π°ΡΡΠΈΠΌΠ΅ΡΡΠΈΡΠ½ΡΡ ΡΠΈΠ½Π΄Π΅ΡΠΌΠΎΡΠΈΡΠΎΠ² ΠΈ ΠΏΠ°ΡΠ°ΡΠΏΠΈΠ½Π°Π»ΡΠ½ΡΡ ΠΎΡΡΠΈΡΠΈΠΊΠ°ΡΠΎΠ².
ΠΠ»Π΅Π½ΠΎΡΡΠ°Π³ΠΈΡΠ΅ΡΠΊΠ°Ρ ΠΊΠ΅ΡΠ°ΡΠΎΠ΄Π΅ΡΠΌΠΈΡ — Π½Π°ΠΈΠ±ΠΎΠ»Π΅Π΅ Ρ Π°ΡΠ°ΠΊΡΠ΅ΡΠ½ΡΠ΅ ΠΊΠΎΠΆΠ½ΡΠ΅ ΡΠΈΠΌΠΏΡΠΎΠΌΡ ΡΠ΅Π°ΠΊΡΠΈΠ²Π½ΠΎΠ³ΠΎ Π°ΡΡΡΠΈΡΠ°; Π΄Π»Ρ Π½Π΅Π³ΠΎ Ρ Π°ΡΠ°ΠΊΡΠ΅ΡΠ½Ρ Π±Π΅Π·Π±ΠΎΠ»Π΅Π·Π½Π΅Π½Π½ΡΠ΅ ΠΏΠ°ΠΏΡΠ»ΠΎΡΠΊΠ²Π°ΠΌΠΎΠ·Π½ΡΠ΅ Π²ΡΡΡΠΏΠ°Π½ΠΈΡ, ΡΠ°ΡΠ΅ Π½Π° Π»Π°Π΄ΠΎΠ½ΡΡ ΠΈ ΠΏΠΎΠ΄ΠΎΡΠ²Π°Ρ , Ρ ΠΎΡΡ ΠΎΠ½ΠΈ ΠΌΠΎΠ³ΡΡ Π»ΠΎΠΊΠ°Π»ΠΈΠ·ΠΎΠ²Π°ΡΡΡΡ Π½Π° ΡΡΠ»ΠΎΠ²ΠΈΡΠ΅, ΠΏΡΠΎΠΊΡΠΈΠΌΠ°Π»ΡΠ½ΡΡ ΠΎΡΠ΄Π΅Π»Π°Ρ ΠΊΠΎΠ½Π΅ΡΠ½ΠΎΡΡΠ΅ΠΉ, Π²ΠΎΠ»ΠΎΡΠΈΡΡΠΎΠΉ ΡΠ°ΡΡΠΈ Π³ΠΎΠ»ΠΎΠ²Ρ. ΠΠΈΡΡΠΎΠ»ΠΎΠ³ΠΈΡΠ΅ΡΠΊΠΈ ΡΡΠΎΡ Π²ΠΈΠ΄ ΠΏΠΎΡΠ°ΠΆΠ΅Π½ΠΈΡ ΠΊΠΎΠΆΠΈ Π½Π΅ΠΎΡΠ»ΠΈΡΠΈΠΌ ΠΎΡ ΠΏΡΡΡΡΠ»ΡΠ·Π½ΠΎΠ³ΠΎ ΠΏΡΠΎΡΠΈΠ°Π·Π°. ΠΠ½ΠΈΡ ΠΎΠ΄ΠΈΡΡΡΠΎΡΠΈΡ Ρ Π°ΡΠ°ΠΊΡΠ΅ΡΠ½Π° Π΄Π»Ρ Ρ ΡΠΎΠ½ΠΈΡΠ΅ΡΠΊΠΎΠ³ΠΎ ΡΠ΅ΡΠ΅Π½ΠΈΡ ΠΈ Π²ΠΊΠ»ΡΡΠ°Π΅Ρ ΠΏΠΎΠ΄Π½ΠΎΠ³ΡΠ΅Π²ΠΎΠΉ Π³ΠΈΠΏΠ΅ΡΠΊΠ΅ΡΠ°ΡΠΎΠ·, ΠΈΠ·ΠΌΠ΅Π½Π΅Π½ΠΈΠ΅ ΡΠ²Π΅ΡΠ° Π½ΠΎΠ³ΡΠ΅Π²ΡΡ ΠΏΠ»Π°ΡΡΠΈΠ½ΠΎΠΊ, ΠΎΠ½ΠΈΡ ΠΎΠ»ΠΈΠ·ΠΈΡ ΠΈ ΠΎΠ½ΠΈΡ ΠΎΠ³ΡΠΈΡΠΎΠ·.
ΠΠ°Π±Π»ΡΠ΄Π°ΡΡ ΠΈ Π΄ΡΡΠ³ΠΈΠ΅ ΡΠΈΡΡΠ΅ΠΌΠ½ΡΠ΅ ΡΠΈΠΌΠΏΡΠΎΠΌΡ ΡΠ΅Π°ΠΊΡΠΈΠ²Π½ΠΎΠ³ΠΎ Π°ΡΡΡΠΈΡΠ°. ΠΠΈΡ ΠΎΡΠ°Π΄ΠΊΠ° — ΠΎΠ΄Π½ΠΎ ΠΈΠ· Ρ Π°ΡΠ°ΠΊΡΠ΅ΡΠ½ΡΡ ΠΏΡΠΎΡΠ²Π»Π΅Π½ΠΈΠΉ ΡΡΠΎΠ³ΠΎ Π·Π°Π±ΠΎΠ»Π΅Π²Π°Π½ΠΈΡ. ΠΠ½ΠΎΠ³Π΄Π° ΠΎΠ½Π° Π½ΠΎΡΠΈΡ Π³Π΅ΠΊΡΠΈΡΠ΅ΡΠΊΠΈΠΉ Ρ Π°ΡΠ°ΠΊΡΠ΅Ρ, Π½Π°ΠΏΠΎΠΌΠΈΠ½Π°Ρ ΡΠ΅ΠΏΡΠΈΡΠ΅ΡΠΊΠΈΠΉ ΠΏΡΠΎΡΠ΅ΡΡ. ΠΠΎΠ³ΡΡ Π±ΡΡΡ Π°Π½ΠΎΡΠ΅ΠΊΡΠΈΡ, ΡΠ½ΠΈΠΆΠ΅Π½ΠΈΠ΅ ΠΌΠ°ΡΡΡ ΡΠ΅Π»Π°, ΠΏΠΎΠ²ΡΡΠ΅Π½Π½Π°Ρ ΡΡΠΎΠΌΠ»ΡΠ΅ΠΌΠΎΡΡΡ. ΠΠΎΡΠ°ΠΆΠ΅Π½ΠΈΠ΅ ΡΠ΅ΡΠ΄ΡΠ° Π²ΡΡΡΠ΅ΡΠ°ΡΡ ΠΏΡΠΈΠΌΠ΅ΡΠ½ΠΎ Ρ 6-10% Π±ΠΎΠ»ΡΠ½ΡΡ , ΠΏΡΠΎΡΠ΅ΠΊΠ°Π΅Ρ ΠΎΠ½ΠΎ ΡΠΎ ΡΠΊΡΠ΄Π½ΠΎΠΉ ΠΊΠ»ΠΈΠ½ΠΈΡΠ΅ΡΠΊΠΎΠΉ ΡΠΈΠΌΠΏΡΠΎΠΌΠ°ΡΠΈΠΊΠΎΠΉ, ΠΈ Π²ΡΡΠ²Π»ΡΡΡ Π΅Π³ΠΎ, ΠΊΠ°ΠΊ ΠΏΡΠ°Π²ΠΈΠ»ΠΎ, Ρ ΠΏΠΎΠΌΠΎΡΡΡ ΠΈΠ½ΡΡΡΡΠΌΠ΅Π½ΡΠ°Π»ΡΠ½ΡΡ ΠΌΠ΅ΡΠΎΠ΄ΠΎΠ² ΠΎΠ±ΡΠ»Π΅Π΄ΠΎΠ²Π°Π½ΠΈΡ. ΠΠ° ΠΠΠ Π½Π°Ρ ΠΎΠ΄ΡΡ Π½Π°ΡΡΡΠ΅Π½ΠΈΠ΅ Π°ΡΡΠΈΠΎΠ²Π΅Π½ΡΡΠΈΠΊΡΠ»ΡΡΠ½ΠΎΠΉ ΠΏΡΠΎΠ²ΠΎΠ΄ΠΈΠΌΠΎΡΡΠΈ Π²ΠΏΠ»ΠΎΡΡ Π΄ΠΎ ΡΠ°Π·Π²ΠΈΡΠΈΡ ΠΏΠΎΠ»Π½ΠΎΠΉ Π°ΡΡΠΈΠΎΠ²Π΅Π½ΡΡΠΈΠΊΡΠ»ΡΡΠ½ΠΎΠΉ Π±Π»ΠΎΠΊΠ°Π΄Ρ Π΄Π΅Π²ΠΈΠ°ΡΠΈΠΈ ΡΠ΅Π³ΠΌΠ΅Π½ΡΠ° ST. ΠΠΎΠ·ΠΌΠΎΠΆΠ½ΠΎ ΡΠ°Π·Π²ΠΈΡΠΈΠ΅ Π°ΠΎΡΡΠΈΡΠ°, ΠΊΠ°ΡΠ΄ΠΈΡΠ°, Π²Π°Π»ΡΠ²ΡΠ»ΠΈΡΠ° Ρ ΡΠΎΡΠΌΠΈΡΠΎΠ²Π°Π½ΠΈΠ΅ΠΌ Π°ΠΎΡΡΠ°Π»ΡΠ½ΠΎΠΉ Π½Π΅Π΄ΠΎΡΡΠ°ΡΠΎΡΠ½ΠΎΡΡΠΈ. Π Π΅Π΄ΠΊΠΎ Π²ΡΡΡΠ΅ΡΠ°ΡΡ Π°ΠΏΠΈΠΊΠ°Π»ΡΠ½ΡΠΉ ΡΠΈΠ±ΡΠΎΠ· Π»ΡΠ³ΠΊΠΈΡ , Π°Π΄Π³Π΅Π·ΠΈΠ²Π½ΡΠΉ ΠΏΠ»Π΅Π²ΡΠΈΡ, Π³Π»ΠΎΠΌΠ΅ΡΡΠ»ΠΎΠ½Π΅ΡΡΠΈΡ Ρ ΠΏΡΠΎΡΠ΅ΠΈΠ½ΡΡΠΈΠ΅ΠΉ ΠΈ ΠΌΠΈΠΊΡΠΎΠ³Π΅ΠΌΠ°ΡΡΡΠΈΠ΅ΠΉ, Π°ΠΌΠΈΠ»ΠΎΠΈΠ΄ΠΎΠ· ΠΏΠΎΡΠ΅ΠΊ, ΡΡΠΎΠΌΠ±ΠΎΡΠ»Π΅Π±ΠΈΡ Π½ΠΈΠΆΠ½ΠΈΡ ΠΊΠΎΠ½Π΅ΡΠ½ΠΎΡΡΠ΅ΠΉ, ΠΏΠ΅ΡΠΈΡΠ΅ΡΠΈΡΠ΅ΡΠΊΠΈΠΉ Π½Π΅Π²ΡΠΈΡ, ΠΏΡΠΈΡΡΠΌ ΡΡΠΈ ΠΈΠ·ΠΌΠ΅Π½Π΅Π½ΠΈΡ ΡΠ°ΡΠ΅ Π²ΡΡΠ²Π»ΡΡΡ Ρ Π±ΠΎΠ»ΡΠ½ΡΡ Ρ Ρ ΡΠΎΠ½ΠΈΡΠ΅ΡΠΊΠΈΠΌ ΡΠ΅ΡΠ΅Π½ΠΈΠ΅ΠΌ.
ΠΠΎΡΠ°ΠΆΠ΅Π½ΠΈΠ΅ Π³Π»Π°Π· Π²ΡΡΡΠ΅ΡΠ°ΡΡ Ρ Π±ΠΎΠ»ΡΡΠΈΠ½ΡΡΠ²Π° Π±ΠΎΠ»ΡΠ½ΡΡ . ΠΠΎΠ½ΡΡΠ½ΠΊΡΠΈΠ²ΠΈΡ Π²ΡΡΠ²Π»ΡΡΡ Ρ 70-75% Π±ΠΎΠ»ΡΠ½ΡΡ . ΠΠ³ΠΎ ΡΡΠΈΡΠ°ΡΡ ΠΎΠ΄Π½ΠΈΠΌ ΠΈΠ· ΡΠ°ΠΌΡΡ ΡΠ°Π½Π½ΠΈΡ ΠΏΡΠΈΠ·Π½Π°ΠΊΠΎΠ² ΡΠ΅Π°ΠΊΡΠΈΠ²Π½ΠΎΠ³ΠΎ Π°ΡΡΡΠΈΡΠ° ΠΈ Π²ΠΊΠ»ΡΡΠ°ΡΡ Π½Π°ΡΡΠ΄Ρ Ρ ΡΡΠ΅ΡΡΠΈΡΠΎΠΌ ΠΈ ΡΡΡΡΠ°Π²Π½ΡΠΌ ΡΠΈΠ½Π΄ΡΠΎΠΌΠΎΠΌ Π² ΠΊΠ»Π°ΡΡΠΈΡΠ΅ΡΠΊΡΡ ΡΡΠΈΠ°Π΄Ρ ΡΡΠΎΠ³ΠΎ Π·Π°Π±ΠΎΠ»Π΅Π²Π°Π½ΠΈΡ. ΠΠΎΠ½ΡΡΠ½ΠΊΡΠΈΠ²ΠΈΡ Π±ΡΠ²Π°Π΅Ρ ΠΎΠ΄Π½ΠΎ- ΠΈ Π΄Π²ΡΡΡΠΎΡΠΎΠ½Π½ΠΈΠΌ ΠΈ ΠΌΠΎΠΆΠ΅Ρ ΡΠΎΠΏΡΠΎΠ²ΠΎΠΆΠ΄Π°ΡΡΡΡ Π±ΠΎΠ»ΡΡ ΠΈ ΠΆΠΆΠ΅Π½ΠΈΠ΅ΠΌ Π² Π³Π»Π°Π·Π°Ρ , ΠΈΠ½ΡΠ΅ΠΊΡΠΈΠ΅ΠΉ ΡΠΎΡΡΠ΄ΠΎΠ² ΡΠΊΠ»Π΅Ρ. ΠΠΎΠ½ΡΡΠ½ΠΊΡΠΈΠ²ΠΈΡ, ΠΊΠ°ΠΊ ΠΈ ΡΡΠ΅ΡΡΠΈΡ, ΠΌΠΎΠΆΠ΅Ρ ΠΏΡΠΎΡΠ΅ΠΊΠ°ΡΡ ΡΠΎ ΡΡΡΡΡΠΎΠΉ ΠΊΠ»ΠΈΠ½ΠΈΡΠ΅ΡΠΊΠΎΠΉ ΠΊΠ°ΡΡΠΈΠ½ΠΎΠΉ ΠΈ Π΄Π»ΠΈΡΡΡΡ Π½Π΅ Π±ΠΎΠ»Π΅Π΅ 1-2 Π΄Π½Π΅ΠΉ.
ΠΠΎ Π½Π΅ΡΠ΅Π΄ΠΊΠΎ ΠΎΠ½ Π½ΠΎΡΠΈΡ Π·Π°ΡΡΠΆΠ½ΠΎΠΉ Ρ Π°ΡΠ°ΠΊΡΠ΅Ρ ΠΈ ΠΏΡΠΎΠ΄ΠΎΠ»ΠΆΠ°Π΅ΡΡΡ ΠΎΡ Π½Π΅ΡΠΊΠΎΠ»ΡΠΊΠΈΡ Π΄Π½Π΅ΠΉ Π΄ΠΎ Π½Π΅ΡΠΊΠΎΠ»ΡΠΊΠΈΡ Π½Π΅Π΄Π΅Π»Ρ. ΠΡΡΡΡΠΉ ΠΏΠ΅ΡΠ΅Π΄Π½ΠΈΠΉ ΡΠ²Π΅ΠΈΡ — ΡΠΈΠΏΠΈΡΠ½ΠΎΠ΅ ΠΏΡΠΎΡΠ²Π»Π΅Π½ΠΈΠ΅ ΡΠΏΠΎΠ½Π΄ΠΈΠ»ΠΎΠ°ΡΡΡΠΎΠΏΠ°ΡΠΈΠΉ — Π²ΡΡΡΠ΅ΡΠ°ΡΡ ΠΈ ΠΏΡΠΈ ΡΠ΅Π°ΠΊΡΠΈΠ²Π½ΠΎΠΌ Π°ΡΡΡΠΈΡΠ΅, ΠΏΡΠΈΡΡΠΌ ΡΠ°ΡΠ΅, ΡΠ΅ΠΌ ΠΏΡΠΈ Π±ΠΎΠ»Π΅Π·Π½ΠΈ ΠΠ΅Ρ ΡΠ΅ΡΠ΅Π²Π°. ΠΠ°ΠΊ ΠΏΡΠ°Π²ΠΈΠ»ΠΎ, ΠΎΡΡΡΡΠΉ ΠΏΠ΅ΡΠ΅Π΄Π½ΠΈΠΉ ΡΠ²Π΅ΠΈΡ Π½ΠΎΡΠΈΡ ΠΎΠ΄Π½ΠΎΡΡΠΎΡΠΎΠ½Π½ΠΈΠΉ Ρ Π°ΡΠ°ΠΊΡΠ΅Ρ, Π΅Π³ΠΎ Π°ΡΡΠΎΡΠΈΠΈΡΡΡΡ Ρ Π½ΠΎΡΠΈΡΠ΅Π»ΡΡΡΠ²ΠΎΠΌ HLA-B27 ΠΈ ΡΡΠΈΡΠ°ΡΡ ΠΎΡΡΠ°ΠΆΠ΅Π½ΠΈΠ΅ΠΌ ΡΠ΅ΡΠΈΠ΄ΠΈΠ²ΠΈΡΡΡΡΠ΅Π³ΠΎ ΠΈΠ»ΠΈ Ρ ΡΠΎΠ½ΠΈΡΠ΅ΡΠΊΠΎΠ³ΠΎ ΡΠ΅ΡΠ΅Π½ΠΈΠΈ Π·Π°Π±ΠΎΠ»Π΅Π²Π°Π½ΠΈΡ, ΠΏΡΠΈΠ²ΠΎΠ΄ΡΡΠΈΠΌ ΠΊ Π·Π½Π°ΡΠΈΡΠ΅Π»ΡΠ½ΠΎΠΌΡ ΡΠ½ΠΈΠΆΠ΅Π½ΠΈΡ ΠΎΡΡΡΠΎΡΡ Π·ΡΠ΅Π½ΠΈΡ. ΠΠΎΠ·ΠΌΠΎΠΆΠ½ΠΎ paΠ·Π²ΠΈΡΠΈΠ΅ ΠΊΠ΅ΡΠ°ΡΠΈΡΠ°, ΡΠ·Π² ΡΠΎΠ³ΠΎΠ²ΠΈΡΡ ΠΈ Π·Π°Π΄Π½Π΅Π³ΠΎ ΡΠ²Π΅ΠΈΡΠ°.
ilive.com.ua
ΡΡΠΎ Π·Π° Π±ΠΎΠ»Π΅Π·Π½Ρ, Π²ΠΈΠ΄Ρ, ΠΏΡΠΈΡΠΈΠ½Ρ, ΡΠ°Π·Π½ΠΎΠ²ΠΈΠ΄Π½ΠΎΡΡΠΈ Π»Π΅ΡΠ΅Π½ΠΈΡ
Π‘ΠΎΠ΄Π΅ΡΠΆΠ°Π½ΠΈΠ΅ ΡΡΠ°ΡΡΠΈ
ΠΡΡΡΠΈΡ β ΠΎΠ±ΠΎΠ±ΡΠ΅Π½Π½ΠΎΠ΅ ΠΏΠΎΠ½ΡΡΠΈΠ΅ Π²ΡΠ΅Ρ Π·Π°Π±ΠΎΠ»Π΅Π²Π°Π½ΠΈΠΉ ΡΡΡΡΠ°Π²ΠΎΠ². ΠΠ½ ΠΌΠΎΠΆΠ΅Ρ Π±ΡΡΡ ΠΊΠ°ΠΊ ΠΎΡΠ½ΠΎΠ²Π½ΡΠΌ Π·Π°Π±ΠΎΠ»Π΅Π²Π°Π½ΠΈΠ΅ΠΌ, ΡΠ°ΠΊ ΠΈ ΠΏΠΎΠ±ΠΎΡΠ½ΡΠΌ ΠΎΡΠ»ΠΎΠΆΠ½Π΅Π½ΠΈΠ΅ΠΌ ΡΠ΅Π»ΠΎΠ³ΠΎ ΡΡΠ΄Π° Π½Π΅Π΄ΡΠ³ΠΎΠ². Π‘Π»ΠΎΠΆΠ½Π°Ρ Π΄ΠΈΠ°Π³Π½ΠΎΡΡΠΈΠΊΠ° ΠΈ Π΄ΠΎΠ»Π³ΠΎΠ΅ Π»Π΅ΡΠ΅Π½ΠΈΠ΅ Π΄Π΅Π»Π°ΡΡ Π°ΡΡΡΠΈΡ ΡΡΡΡΠ°Π²ΠΎΠ² ΠΎΠ΄Π½ΠΎΠΉ ΠΈΠ· ΡΠ°ΠΌΡΡ ΡΡΠΆΡΠ»ΡΡ Π±ΠΎΠ»Π΅Π·Π½Π΅ΠΉ. Π’Π΅ΠΌ Π½Π΅ ΠΌΠ΅Π½Π΅Π΅, Π±ΠΎΠ»ΡΡΠΎΠΉ ΠΏΡΠΎΡΠ΅Π½Ρ ΠΈΠ·Π»Π΅ΡΠΈΠ²ΡΠΈΡ ΡΡ, Π΄Π°ΡΡ Π²ΠΎΠ·ΠΌΠΎΠΆΠ½ΠΎΡΡΡ Π²ΡΠ°ΡΠ°ΠΌ Π΄Π°Π²Π°ΡΡ Π±Π»Π°Π³ΠΎΠΏΡΠΈΡΡΠ½ΡΠΉ ΠΏΡΠΎΠ³Π½ΠΎΠ·.
ΠΠ°ΠΆΠ΄ΡΠΉ ΡΠ΅ΡΡΠΎΠΉ Π·Π°Π±ΠΎΠ»Π΅Π²ΡΠΈΠΉ ΡΡΠ°Π½ΠΎΠ²ΠΈΡΡΡ ΠΈΠ½Π²Π°Π»ΠΈΠ΄ΠΎΠΌ. ΠΠ΅ΠΆΠ΄Ρ ΡΠ΅ΠΌ, Π·Π°Π±ΠΎΠ»Π΅Π²Π°Π½ΠΈΠ΅ Π»Π΅Π³ΠΊΠΎ ΠΏΠΎΠ΄Π΄Π°ΡΡΡΡ ΠΏΡΠΎΡΠΈΠ»Π°ΠΊΡΠΈΠΊΠ΅, Π΄ΠΈΠ°Π³Π½ΠΎΡΡΠΈΠΊΠ° Π½Π° ΡΠ°Π½Π½ΠΈΡ ΡΡΠ°Π΄ΠΈΡΡ Π³Π°ΡΠ°Π½ΡΠΈΡΡΠ΅Ρ ΠΏΠΎΠ»Π½ΠΎΠ΅ ΠΈΠ·Π»Π΅ΡΠ΅Π½ΠΈΠ΅. Π‘ΡΠΎΠΈΡ ΡΠΎΠ»ΡΠΊΠΎ ΠΏΠ΅ΡΠ΅ΡΠΌΠΎΡΡΠ΅ΡΡ ΡΠ²ΠΎΠΉ ΠΎΠ±ΡΠ°Π· ΠΆΠΈΠ·Π½ΠΈ ΠΈ Π½Π΅ ΠΏΡΠ΅Π½Π΅Π±ΡΠ΅Π³Π°ΡΡ ΡΡΠ΅Π²ΠΎΠΆΠ½ΡΠΌΠΈ ΡΠΈΠΌΠΏΡΠΎΠΌΠ°ΠΌΠΈ.
Β
Β
Π Π°Π·Π½ΠΎΠ²ΠΈΠ΄Π½ΠΎΡΡΠΈ Π°ΡΡΡΠΈΡΠ°
ΠΡΠ°ΠΊΡΠΈΠΊΡΡΡΠΈΠ΅ ΡΠ΅Π²ΠΌΠ°ΡΠΎΠ»ΠΎΠ³ΠΈ ΠΈ ΠΎΡΡΠΎΠΏΠ΅Π΄Ρ Π² ΡΠ°Π±ΠΎΡΠ΅ ΠΈΡΠΏΠΎΠ»ΡΠ·ΡΡΡ ΡΡΠ°Π·Ρ Π½Π΅ΡΠΊΠΎΠ»ΡΠΊΠΎ ΠΊΠ»Π°ΡΡΠΈΡΠΈΠΊΠ°ΡΠΈΠΉ Π²ΠΎΡΠΏΠ°Π»ΠΈΡΠ΅Π»ΡΠ½ΡΡ Π·Π°Π±ΠΎΠ»Π΅Π²Π°Π½ΠΈΠΉ ΡΡΡΡΠ°Π²ΠΎΠ². ΠΠ΄Π½Π°ΠΊΠΎ ΡΠ°ΠΌΠΎΠΉ ΠΎΠ±ΡΠΈΡΠ½ΠΎΠΉ ΡΠ²Π»ΡΠ΅ΡΡΡ ΠΊΠ»Π°ΡΡΠΈΡΠΈΠΊΠ°ΡΠΈΡ, ΡΠ°ΡΡΠΈΡΠ½ΠΎ ΠΏΡΠ΅Π΄ΡΡΠΌΠ°ΡΡΠΈΠ²Π°ΡΡΠ°Ρ ΠΏΡΠΈΡΠΈΠ½Ρ Π²ΠΎΠ·Π½ΠΈΠΊΠ½ΠΎΠ²Π΅Π½ΠΈΡ Π΄Π°Π½Π½ΠΎΠΉ Π±ΠΎΠ»Π΅Π·Π½ΠΈ. Π‘ΠΎΠ³Π»Π°ΡΠ½ΠΎ ΠΊΠΎΡΠΎΡΠΎΠΉ, Π°ΡΡΡΠΈΡΡ Π΄Π΅Π»ΡΡΡΡ Π½Π° ΠΎΡΠ½ΠΎΠ²Π½ΡΠ΅ ΠΈ ΠΏΠΎΠ±ΠΎΡΠ½ΡΠ΅, (ΠΎΡΠ»ΠΎΠΆΠ½Π΅Π½ΠΈΡΠΌΠΈ Π΄ΡΡΠ³ΠΈΡ Π·Π°Π±ΠΎΠ»Π΅Π²Π°Π½ΠΈΠΉ).
Β
Π’Π΅ΡΠΌΠΈΠ½ Β«Π°ΡΡΡΠΈΡΒ», Π²Π²Π΅Π΄Π΅Π½Π½ΡΠΉ Π΅ΡΠ΅ ΠΠΈΠΏΠΏΠΎΠΊΡΠ°ΡΠΎΠΌ, Π² ΠΏΠΎΡΠ»Π΅Π΄ΡΡΡΠΈΠ΅ ΡΡΠΎΠ»Π΅ΡΠΈΡ ΠΈΡΠΏΠΎΠ»ΡΠ·ΠΎΠ²Π°Π»ΠΈ Π΄Π»Ρ ΠΎΠ±ΠΎΠ·Π½Π°ΡΠ΅Π½ΠΈΡ Π»ΡΠ±ΠΎΠΉ ΡΡΡΡΠ°Π²Π½ΠΎΠΉ ΠΏΠ°ΡΠΎΠ»ΠΎΠ³ΠΈΠΈ. ΠΠ°ΡΠΈΠ½Π°Ρ Ρ ΠΊΠΎΠ½ΡΠ° 15 Π²Π΅ΠΊΠ° Π½Π°ΡΡΠ½ΡΠ΅ ΠΌΠ΅Π΄ΠΈΡΠΈΠ½ΡΠΊΠΈΠ΅ ΡΠ²Π΅ΡΠΈΠ»Π° ΡΡΠ°Π»ΠΈ ΠΏΠΎΡΡΠ΅ΠΏΠ΅Π½Π½ΠΎ Π²ΡΠ΄Π΅Π»ΡΡΡ ΠΎΡΠ΄Π΅Π»ΡΠ½ΡΠ΅ ΡΠΎΡΠΌΡ Π·Π°Π±ΠΎΠ»Π΅Π²Π°Π½ΠΈΡ.
Π’Π°ΠΊ, ΠΠ°ΠΉΡ Π²ΡΠ΄Π΅Π»ΠΈΠ» ΡΡΠ΅Π΄ΠΈ Π°ΡΡΡΠΈΡΠΎΠ² ΡΠ΅Π²ΠΌΠ°ΡΠΈΠ·ΠΌ. Π Π½Π°ΡΠ°Π»Π΅ 17 Π²Π΅ΠΊΠ° Π‘ΠΈΠ΄Π΅Π½Π³Π°ΠΌ ΠΎΠΏΠΈΡΠ°Π» ΠΊΠ°ΠΊ ΡΠ°ΠΌΠΎΡΡΠΎΡΡΠ΅Π»ΡΠ½ΡΠ΅ ΡΠΎΡΠΌΡ ΠΏΠΎΠ΄Π°Π³ΡΡ ΠΈ ΡΠ΅Π²ΠΌΠ°ΡΠΎΠΈΠ΄Π½ΡΠΉ Π°ΡΡΡΠΈΡ. ΠΠ΅ΡΠΊΠΎΠ»ΡΠΊΠΎ Π΄Π΅ΡΡΡΠΈΠ»Π΅ΡΠΈΠΉ ΡΠΏΡΡΡΡ, ΠΈΠ½ΡΠ΅ΠΊΡΠΈΠΎΠ½Π½ΡΠ΅ ΡΠΏΠ΅ΡΠΈΡΠΈΡΠ΅ΡΠΊΠΈΠ΅ Π°ΡΡΡΠΈΡΡ Π±ΡΠ»ΠΈ ΠΎΠ±ΡΠ΅Π΄ΠΈΠ½Π΅Π½Ρ ΠΡΡΠ°ΡΠΎΠΌ ΠΏΠΎΠ΄ ΠΎΠ±ΡΠΈΠΌ Π½Π°Π·Π²Π°Π½ΠΈΠ΅ΠΌ Β«ΠΈΠ½ΡΠ΅ΠΊΡΠΈΠΎΠ½Π½ΡΠΉ ΠΏΡΠ΅Π²Π΄ΠΎΡΠ΅Π²ΠΌΠ°ΡΠΈΠ·ΠΌΒ». Π 19 Π²Π΅ΠΊΠ΅ ΠΡΠ»Π»Π΅Ρ, ΡΠ΄Π΅Π»Π°Π» ΠΏΠ΅ΡΠ²ΡΡ ΠΏΠΎΠΏΡΡΠΊΡ ΠΊΠ»Π°ΡΡΠΈΡΠΈΡΠΈΡΠΎΠ²Π°ΡΡ ΠΏΠ°ΡΠΎΠ»ΠΎΠ³ΠΈΡ ΡΡΡΡΠ°Π²ΠΎΠ². ΠΠ½ ΡΠ΅ΡΠΊΠΎ ΠΎΡΠ³ΡΠ°Π½ΠΈΡΠΈΠ» Π²ΠΎΡΠΏΠ°Π»ΠΈΡΠ΅Π»ΡΠ½ΡΠ΅ Π·Π°Π±ΠΎΠ»Π΅Π²Π°Π½ΠΈΡ ΡΡΡΡΠ°Π²ΠΎΠ² (Π°ΡΡΡΠΈΡΡ) ΠΎΡ Π΄ΠΈΡΡΡΠΎΡΠΈΡΠ΅ΡΠΊΠΈΡ (Π°ΡΡΡΠΎΠ·ΠΎΠ²). ΠΡΠΎ ΠΏΠΎΠ΄ΡΠ°Π·Π΄Π΅Π»Π΅Π½ΠΈΠ΅ ΡΠΎΡ ΡΠ°Π½ΡΠ΅Ρ ΡΠ²ΠΎΠ΅ Π·Π½Π°ΡΠ΅Π½ΠΈΠ΅ ΠΈ ΠΏΠΎ Π½Π°ΡΡΠΎΡΡΠ΅Π΅ Π²ΡΠ΅ΠΌΡ.
Β
Β
ΠΠ΅ΡΠ²ΠΈΡΠ½ΡΠ΅ ΡΠΎΡΠΌΡ
- ΠΡΡΠ΅ΠΎΠ°ΡΡΡΠΎΠ· β ΠΏΠΎΡΠ°ΠΆΠ°ΡΡΡΡ Ρ ΡΡΡΠ΅Π²ΡΠ΅ ΡΠΊΠ°Π½ΠΈ ΡΡΡΡΠ°Π²ΠΎΠ², Π² ΡΠ΅Π·ΡΠ»ΡΡΠ°ΡΠ΅ ΠΏΡΠΎΠΈΡΡ ΠΎΠ΄ΠΈΡ ΠΏΠΎΠ»Π½Π°Ρ Π΄Π΅ΡΠΎΡΠΌΠ°ΡΠΈΡ.
- Π Π΅Π²ΠΌΠ°ΡΠΎΠΈΠ΄Π½ΡΠΉ Π°ΡΡΡΠΈΡ β Π·Π°Π±ΠΎΠ»Π΅Π²Π°Π½ΠΈΠ΅ ΡΠΎΠ΅Π΄ΠΈΠ½ΠΈΡΠ΅Π»ΡΠ½ΠΎΠΉ ΡΠΊΠ°Π½ΠΈ, Ρ ΠΏΠΎΡΠ°ΠΆΠ΅Π½ΠΈΠ΅ΠΌ ΠΌΠ΅Π»ΠΊΠΈΡ ΡΡΡΡΠ°Π²ΠΎΠ².
- Π‘Π΅ΠΏΡΠΈΡΠ΅ΡΠΊΠΈΠΉ Π°ΡΡΡΠΈΡ (ΠΈΠ½ΡΠ΅ΠΊΡΠΈΠΎΠ½Π½ΡΠΉ) β Π³ΡΠΈΠ±ΠΊΠΎΠ²Π°Ρ ΠΈΠ»ΠΈ Π±Π°ΠΊΡΠ΅ΡΠΈΠ°Π»ΡΠ½Π°Ρ ΠΈΠ½ΡΠ΅ΠΊΡΠΈΡ ΠΏΠΎΡΠ°ΠΆΠ°Π΅Ρ ΠΊΡΡΠΏΠ½ΡΠ΅ ΡΡΡΡΠ°Π²Ρ, ΠΊΠΎΠ»Π΅Π½Π½ΡΠΉ ΠΈΠ»ΠΈ ΡΠ°Π·ΠΎΠ±Π΅Π΄ΡΠ΅Π½Π½ΡΠΉ. ΠΠ°ΡΠ΅ΠΌ Π² Π²ΠΎΡΠΏΠ°Π»ΠΈΡΠ΅Π»ΡΠ½ΡΠΉ ΠΏΡΠΎΡΠ΅ΡΡ Π²ΠΎΠ²Π»Π΅ΠΊΠ°ΡΡΡΡ Π²ΡΠ΅ ΡΡΡΡΠ°Π²Ρ.
- ΠΠΎΠ΄Π°Π³ΡΠ° β ΠΌΠ΅ΡΠ°Π±ΠΎΠ»ΠΈΡΠ΅ΡΠΊΠΎΠ΅ Π·Π°Π±ΠΎΠ»Π΅Π²Π°Π½ΠΈΠ΅, Ρ Π°ΡΠ°ΠΊΡΠ΅ΡΠΈΠ·ΡΡΡΠ΅Π΅ΡΡ Π½Π°ΡΠΎΡΡΠ°ΠΌΠΈ ΡΠΎΠ»Π΅ΠΉ ΠΌΠΎΡΠ΅Π²ΠΎΠΉ ΠΊΠΈΡΠ»ΠΎΡΡ. Π¨ΠΈΡΠΊΠ° Π²ΠΎΠ·Π»Π΅ Π±ΠΎΠ»ΡΡΠΎΠ³ΠΎ ΠΏΠ°Π»ΡΡΠ° ΠΈ Π΅ΡΡΡ ΠΏΡΠΎΡΠ²Π»Π΅Π½ΠΈΠ΅ ΡΡΠΎΠ³ΠΎ Π²ΠΈΠ΄Π° Π°ΡΡΡΠΈΡΠ°.
- ΠΠΎΠ»Π΅Π·Π½Ρ Π‘ΡΠΈΠ»Π»Π° β ΠΎΠ΄Π½Π° ΠΈΠ· ΡΠΎΡΠΌ ΡΠ΅Π²ΠΌΠ°ΡΠΎΠΈΠ΄Π½ΠΎΠ³ΠΎ Π°ΡΡΡΠΈΡΠ°, ΠΎΡΠ΅Π½Ρ Π·Π°ΡΡΡΠ΄Π½Π΅Π½Π° Π² Π΄ΠΈΠ°Π³Π½ΠΎΡΡΠΈΡΠΎΠ²Π°Π½ΠΈΠΈ. Π ΠΏΠΎΠ΄Π°Π²Π»ΡΡΡΠ΅ΠΌ Π±ΠΎΠ»ΡΡΠΈΠ½ΡΡΠ²Π΅ ΡΠ»ΡΡΠ°Π΅Π² Π½Π°Π±Π»ΡΠ΄Π°Π΅ΡΡΡ Ρ Π΄Π΅ΡΠ΅ΠΉ Π² Π²ΠΎΠ·ΡΠ°ΡΡΠ΅ Π΄ΠΎ 16 Π»Π΅Ρ.
- Π‘ΠΏΠΎΠ½Π΄ΠΈΠ»ΠΈΡ β ΠΈΠ½ΡΠ΅ΠΊΡΠΈΡ Π² ΠΏΠΎΠ·Π²ΠΎΠ½ΠΊΠ°Ρ , Π²ΠΎΠ·Π½ΠΈΠΊΠ°Π΅Ρ Π² ΠΎΡΠ½ΠΎΠ²Π½ΠΎΠΌ ΠΈΠ·-Π·Π° Π±Π°ΠΊΡΠ΅ΡΠΈΠΉ. Π‘ΡΡΠ΅ΡΡΠ²ΡΠ΅Ρ Π½Π΅ΡΠΊΠΎΠ»ΡΠΊΠΎ ΡΠΎΡΠΌ Π·Π°Π±ΠΎΠ»Π΅Π²Π°Π½ΠΈΡ β ΠΎΡΡΠ΅ΠΎΠΌΠΈΠ΅Π»ΠΈΡ ΠΏΠΎΠ·Π²ΠΎΠ½ΠΎΡΠ½ΠΈΠΊΠ° ΠΈ ΡΡΠ±Π΅ΡΠΊΡΠ»Π΅Π·Π½ΡΠΉ ΡΠΏΠΎΠ½Π΄ΠΈΠ»ΠΈΡ.
Β
ΠΡΡΡΠΈΡΡ, ΡΠ²Π»ΡΡΡΠΈΠ΅ΡΡ ΠΎΡΠ»ΠΎΠΆΠ½Π΅Π½ΠΈΠ΅ΠΌ Π΄ΡΡΠ³ΠΈΡ Π·Π°Π±ΠΎΠ»Π΅Π²Π°Π½ΠΈΠΉ
ΠΡΠ΄Π΅Π»ΡΠ½ΠΎΠΉ Π΄ΠΈΠ°Π³Π½ΠΎΡΡΠΈΠΊΠΈ ΡΡΠ΅Π±ΡΠ΅Ρ Π°ΡΡΡΠΈΡ ΡΡΡΡΠ°Π²ΠΎΠ², ΡΠ°Π·Π²ΠΈΠ²Π°ΡΡΠΈΠΉΡΡ Π²ΡΠΎΡΠΈΡΠ½ΠΎ ΠΏΡΠΈ Π΄ΡΡΠ³ΠΈΡ Π·Π°Π±ΠΎΠ»Π΅Π²Π°Π½ΠΈΡΡ , Π²Π΅Π΄Ρ Π½Π° ΠΏΠ΅ΡΠ²ΡΠΉ ΠΏΠ»Π°Π½ Π² ΡΠ°ΠΊΠΎΠΌ ΡΠ»ΡΡΠ°Π΅ Π²ΡΡ ΠΎΠ΄ΡΡ ΠΈΠΌΠ΅Π½Π½ΠΎ ΠΈΡ ΡΠΈΠΌΠΏΡΠΎΠΌΡ.
ΠΠ°ΠΏΡΠΈΠΌΠ΅Ρ, Π΄Π»Ρ ΡΠΈΡΡΠ΅ΠΌΠ½ΠΎΠΉ ΠΊΡΠ°ΡΠ½ΠΎΠΉ Π²ΠΎΠ»ΡΠ°Π½ΠΊΠΈ ΠΊΡΠΎΠΌΠ΅ ΠΏΠΎΡΠ°ΠΆΠ΅Π½ΠΈΡ ΠΌΠ΅Π»ΠΊΠΈΡ ΡΡΡΡΠ°Π²ΠΎΠ² Ρ Π°ΡΠ°ΠΊΡΠ΅ΡΠ½Π° Π»ΠΈΡ ΠΎΡΠ°Π΄ΠΊΠ° ΠΈ ΡΠΈΠΌΠΏΡΠΎΠΌ Β«Π±Π°Π±ΠΎΡΠΊΠΈΒ»: ΠΏΠΎΠΊΡΠ°ΡΠ½Π΅Π½ΠΈΠ΅ ΠΊΠΎΠΆΠΈ Π»ΠΈΡΠ° Π² ΠΎΠ±Π»Π°ΡΡΠΈ ΡΠ΅ΠΊ ΠΈ Π½ΠΎΡΠ°, ΠΏΠΎ ΡΠΎΡΠΌΠ΅ Π½Π°ΠΏΠΎΠΌΠΈΠ½Π°ΡΡΠ΅Π΅ ΠΊΡΡΠ»ΡΡ Π±Π°Π±ΠΎΡΠΊΠΈ.
- Π‘ΠΈΡΡΠ΅ΠΌΠ½Π°Ρ ΠΊΡΠ°ΡΠ½Π°Ρ Π²ΠΎΠ»ΡΠ°Π½ΠΊΠ° β Π·Π°Π±ΠΎΠ»Π΅Π²Π°Π½ΠΈΠ΅ ΡΠΎΠ΅Π΄ΠΈΠ½ΠΈΡΠ΅Π»ΡΠ½ΠΎΠΉ ΡΠΊΠ°Π½ΠΈ ΠΈ Π΅Ρ ΠΏΡΠΎΠΈΠ·Π²ΠΎΠ΄Π½ΡΡ .
- ΠΡΡΠΏΡΡΠ° — ΠΌΠ΅Π»ΠΊΠΎΠΏΡΡΠ½ΠΈΡΡΡΠ΅ ΠΊΠ°ΠΏΠΈΠ»Π»ΡΡΠ½ΡΠ΅ ΠΊΡΠΎΠ²ΠΎΠΈΠ·Π»ΠΈΡΠ½ΠΈΡ Π² ΠΊΠΎΠΆΡ, ΠΏΠΎΠ΄ ΠΊΠΎΠΆΡ ΠΈΠ»ΠΈ Π² ΡΠ»ΠΈΠ·ΠΈΡΡΡΠ΅ ΠΎΠ±ΠΎΠ»ΠΎΡΠΊΠΈ.
- ΠΡΠΎΡΠΈΠ°ΡΠΈΡΠ΅ΡΠΊΠΈΠΉ Π°ΡΡΡΠΈΡ — Ρ ΡΠΎΠ½ΠΈΡΠ΅ΡΠΊΠΎΠ΅ ΠΏΡΠΎΠ³ΡΠ΅ΡΡΠΈΡΡΡΡΠ΅Π΅ Π·Π°Π±ΠΎΠ»Π΅Π²Π°Π½ΠΈΠ΅ ΡΡΡΡΠ°Π²ΠΎΠ², ΠΏΡΠΎΠΈΡΡ ΠΎΠ΄ΡΡΠΈΠ΅ Π² ΡΠ΅ΡΠ΅Π½ΠΈΠ΅ ΠΏΡΠΎΡΠΈΠ°Π·Π°.
- Π Π΅Π°ΠΊΡΠΈΠ²Π½ΡΠΉ Π°ΡΡΡΠΈΡ — Π²ΠΎΡΠΏΠ°Π»ΠΈΡΠ΅Π»ΡΠ½ΠΎΠ΅ Π·Π°Π±ΠΎΠ»Π΅Π²Π°Π½ΠΈΠ΅ Ρ ΠΏΠΎΡΠ°ΠΆΠ΅Π½ΠΈΠ΅ΠΌ ΡΡΡΡΠ°Π²ΠΎΠ², ΡΠ°Π·Π²ΠΈΠ²Π°ΡΡΠ΅Π΅ΡΡ ΠΏΠΎΡΠ»Π΅ ΠΏΠ΅ΡΠ΅Π½Π΅ΡΠ΅Π½ΠΈΡ Π½Π΅ΠΊΠΎΡΠΎΡΡΡ ΠΈΠ½ΡΠ΅ΠΊΡΠΈΠΉ (ΠΌΠΎΡΠ΅ΠΏΠΎΠ»ΠΎΠ²ΡΠ΅, ΠΊΠΈΡΠ΅ΡΠ½ΡΠ΅, Π½ΠΎΡΠΎΠ³Π»ΠΎΡΠΎΡΠ½ΡΠ΅).
- ΠΠ΅ΠΌΠΎΡ ΡΠΎΠΌΠ°ΡΠΎΠ· — Π½Π°ΡΠ»Π΅Π΄ΡΡΠ²Π΅Π½Π½ΠΎΠ΅, Π³Π΅Π½Π΅ΡΠΈΡΠ΅ΡΠΊΠΈ ΠΎΠ±ΡΡΠ»ΠΎΠ²Π»Π΅Π½Π½ΠΎΠ΅ Π·Π°Π±ΠΎΠ»Π΅Π²Π°Π½ΠΈΠ΅, ΠΏΡΠΎΡΠ²Π»ΡΠ΅ΡΡΡ Π½Π°ΡΡΡΠ΅Π½ΠΈΠ΅ΠΌ ΠΎΠ±ΠΌΠ΅Π½Π° ΠΆΠ΅Π»Π΅Π·Π° Ρ Π½Π°ΠΊΠΎΠΏΠ»Π΅Π½ΠΈΠ΅ΠΌ Π΅Π³ΠΎ Π² ΡΠΊΠ°Π½ΡΡ ΠΈ ΠΎΡΠ³Π°Π½Π°Ρ .
- ΠΠ΅ΠΏΠ°ΡΠΈΡ — Π²ΠΎΡΠΏΠ°Π»ΠΈΡΠ΅Π»ΡΠ½ΡΠ΅ Π·Π°Π±ΠΎΠ»Π΅Π²Π°Π½ΠΈΡ ΠΏΠ΅ΡΠ΅Π½ΠΈ, ΠΊΠ°ΠΊ ΠΏΡΠ°Π²ΠΈΠ»ΠΎ, Π²ΠΈΡΡΡΠ½ΠΎΠ³ΠΎ ΠΏΡΠΎΠΈΡΡ ΠΎΠΆΠ΄Π΅Π½ΠΈΡ, ΡΠ°ΡΡΠΎ ΡΠ°ΡΠΏΡΠΎΡΡΡΠ°Π½ΡΡΡΠΈΠ΅ΡΡ Π½Π° ΡΡΡΡΠ°Π²Ρ.
- ΠΡΠ°Π½ΡΠ»Π΅ΠΌΠ°ΡΠΎΠ· — Π²ΠΎΡΠΏΠ°Π»Π΅Π½ΠΈΠ΅, ΠΊΠΎΡΠΎΡΠΎΠ΅ Ρ Π°ΡΠ°ΠΊΡΠ΅ΡΠΈΠ·ΡΠ΅ΡΡΡ ΠΎΠ±ΡΠ°Π·ΠΎΠ²Π°Π½ΠΈΠ΅ΠΌ Π³ΡΠ°Π½ΡΠ»ΡΠΌ (ΡΠ·Π΅Π»ΠΊΠΎΠ²), Π²ΠΎΠ·Π½ΠΈΠΊΠ°ΡΡΠΈΡ Π² ΡΠ΅Π·ΡΠ»ΡΡΠ°ΡΠ΅ ΡΡΠ°Π½ΡΡΠΎΡΠΌΠ°ΡΠΈΠΈ ΡΠΏΠΎΡΠΎΠ±Π½ΡΡ ΠΊ ΡΠ°Π³ΠΎΡΠΈΡΠΎΠ·Ρ ΠΊΠ»Π΅ΡΠΎΠΊ.
- ΠΠΎΡΡΠ΅Π»ΠΈΠΎΠ· — ΡΠ°ΠΌΠ°Ρ ΡΠ°ΡΠΏΡΠΎΡΡΡΠ°Π½ΡΠ½Π½Π°Ρ Π±ΠΎΠ»Π΅Π·Π½Ρ, ΠΏΠ΅ΡΠ΅Π΄Π°Π²Π°Π΅ΠΌΠ°Ρ ΠΊΠ»Π΅ΡΠ°ΠΌΠΈ Π² Π‘Π΅Π²Π΅ΡΠ½ΠΎΠΌ ΠΏΠΎΠ»ΡΡΠ°ΡΠΈΠΈ. ΠΠ°ΠΊΡΠ΅ΡΠΈΠΈ ΠΏΠ΅ΡΠ΅Π΄Π°ΡΡΡΡ ΡΠ΅Π»ΠΎΠ²Π΅ΠΊΡ ΠΏΡΠΈ ΡΠΊΡΡΠ΅ ΠΈΠ½ΡΠΈΡΠΈΡΠΎΠ²Π°Π½Π½ΡΡ ΠΈΠΊΡΠΎΠ΄ΠΎΠ²ΡΡ ΠΊΠ»Π΅ΡΠ΅ΠΉ. Π ΠΏΠ΅ΡΠ²ΡΡ ΠΎΡΠ΅ΡΠ΅Π΄Ρ ΠΏΠΎΡΠ°ΠΆΠ°Π΅ΡΡΡ ΠΎΠΏΠΎΡΠ½ΠΎ-Π΄Π²ΠΈΠ³Π°ΡΠ΅Π»ΡΠ½ΡΠΉ Π°ΠΏΠΏΠ°ΡΠ°Ρ.
Β
Π’ΠΎΡΠ½Π°Ρ ΠΊΠ»Π°ΡΡΠΈΡΠΈΠΊΠ°ΡΠΈΡ ΠΎΡΠ΅Π½Ρ ΠΎΠ±Π»Π΅Π³ΡΠ°Π΅Ρ ΠΏΡΠ°Π²ΠΈΠ»ΡΠ½ΡΡ ΠΏΠΎΡΡΠ°Π½ΠΎΠ²ΠΊΡ Π΄ΠΈΠ°Π³Π½ΠΎΠ·Π° ΠΈ Π΄Π°Π»ΡΠ½Π΅ΠΉΡΡΡ ΡΠ΅ΡΠ°ΠΏΠΈΡ.
Β
Β
ΠΡΠΈΡΠΈΠ½Ρ Π·Π°Π±ΠΎΠ»Π΅Π²Π°Π½ΠΈΡ
ΠΡΡΡΠΈΡ ΡΠ»ΠΎΠΆΠ½ΠΎΠ΅ ΠΈ ΠΌΠ½ΠΎΠ³ΠΎΠΎΠ±ΡΠ°Π·Π½ΠΎΠ΅ Π·Π°Π±ΠΎΠ»Π΅Π²Π°Π½ΠΈΠ΅. ΠΠ³ΠΎ ΡΠ°Π·Π²ΠΈΡΠΈΠ΅ ΠΎΠ±ΡΡΠ»ΠΎΠ²Π»Π΅Π½ΠΎ ΠΌΠ½ΠΎΠΆΠ΅ΡΡΠ²ΠΎΠΌ ΠΏΡΠΈΡΠΈΠ½. Π ΠΌΠ΅Π΄ΠΈΡΠΈΠ½ΡΠΊΠΎΠΉ ΠΊΠ»Π°ΡΡΠΈΡΠΈΠΊΠ°ΡΠΈΠΈ ΠΏΡΠΈΠ½ΡΡΠΎ Π²ΡΠ΄Π΅Π»ΡΡΡ Π½Π΅ΡΠΊΠΎΠ»ΡΠΊΠΎ ΠΎΡΠ½ΠΎΠ²Π½ΡΡ Π³ΡΡΠΏΠΏ:
- ΠΠ½ΡΠ΅ΠΊΡΠΈΠΎΠ½Π½ΡΠ΅ ΠΏΡΠΎΠ²ΠΎΠΊΠ°ΡΠΎΡΡ β Π½Π°Π»ΠΈΡΠΈΠ΅ Π²ΠΈΡΡΡΠ½ΡΡ ΠΈ Π±Π°ΠΊΡΠ΅ΡΠΈΠ°Π»ΡΠ½ΡΡ Π·Π°Π±ΠΎΠ»Π΅Π²Π°Π½ΠΈΠΉ.
- Π’ΡΠ°Π²ΠΌΠ°ΡΠΈΡΠ΅ΡΠΊΠΈΠ΅ ΠΏΡΠΈΡΠΈΠ½Ρ β ΠΏΠΎΠ²ΡΠ΅ΠΆΠ΄Π΅Π½Π½ΡΠΉ ΡΡΡΡΠ°Π² Π±ΡΠ» Π½Π΅ Π΄ΠΎ ΠΊΠΎΠ½ΡΠ° Π²ΠΎΡΡΡΠ°Π½ΠΎΠ²Π»Π΅Π½, ΡΡΠΎ Π² Π΄Π°Π»ΡΠ½Π΅ΠΉΡΠ΅ΠΌ Π²ΡΠ·Π²Π°Π»ΠΎ Π²ΠΎΡΠΏΠ°Π»ΠΈΡΠ΅Π»ΡΠ½ΡΠΉ ΠΏΡΠΎΡΠ΅ΡΡ.
- ΠΠΌΠΌΡΠ½ΠΎΠ»ΠΎΠ³ΠΈΡΠ΅ΡΠΊΠΈΠ΅ ΡΠ°ΠΊΡΠΎΡΡ β Π½Π΅ΠΏΡΠ°Π²ΠΈΠ»ΡΠ½ΠΎΠ΅ ΠΏΠΈΡΠ°Π½ΠΈΠ΅, Π½Π΅Ρ Π²Π°ΡΠΊΠ° Π²ΠΈΡΠ°ΠΌΠΈΠ½ΠΎΠ², Π²ΡΠ΅Π΄Π½ΡΠ΅ ΠΏΡΠΈΠ²ΡΡΠΊΠΈ, Π²ΠΊΠ»ΡΡΠ°Ρ Π·Π»ΠΎΡΠΏΠΎΡΡΠ΅Π±Π»Π΅Π½ΠΈΠ΅ ΠΊΠΎΡΠ΅ΠΈΠ½ΠΎΡΠΎΠ΄Π΅ΡΠΆΠ°ΡΠΈΠΌΠΈ Π½Π°ΠΏΠΈΡΠΊΠ°ΠΌΠΈ, ΠΏΠΎΠ²ΡΡΠ°ΡΡ ΡΠΈΡΠΊ Π·Π°Π±ΠΎΠ»Π΅Π²Π°Π½ΠΈΡ.
- ΠΠ΅Π½Π΅ΡΠΈΡΠ΅ΡΠΊΠ°Ρ ΠΏΡΠ΅Π΄ΡΠ°ΡΠΏΠΎΠ»ΠΎΠΆΠ΅Π½Π½ΠΎΡΡΡ. ΠΠ°Π±ΠΎΠ»Π΅Π²Π°Π½ΠΈΠ΅ ΠΌΠΎΠΆΠ΅Ρ ΠΏΠ΅ΡΠ΅Π΄Π°Π²Π°ΡΡΡΡ ΠΏΠΎ Π½Π°ΡΠ»Π΅Π΄ΡΡΠ²Ρ. ΠΡΠ»ΠΈ Π² ΠΊΡΡΠ³Ρ Π±Π»ΠΈΠΆΠ°ΠΉΡΠΈΡ ΡΠΎΠ΄ΡΡΠ²Π΅Π½Π½ΠΈΠΊΠΎΠ² Π΅ΡΡΡ ΡΡΡΠ°Π΄Π°ΡΡΠΈΠ΅ Π²ΠΎΡΠΏΠ°Π»Π΅Π½ΠΈΠ΅ΠΌ ΡΡΡΡΠ°Π²ΠΎΠ², ΡΠΎ ΡΠ°Π½ΡΡ Π·Π°Π±ΠΎΠ»Π΅ΡΡ ΡΠ²Π΅Π»ΠΈΡΠΈΠ²Π°ΡΡΡΡ.
ΠΠ»Π°Π²Π½ΡΠΉ ΠΎΡΡΠΎΠΏΠ΅Π΄: «ΠΡΠ»ΠΈ Π½Π°ΡΠ°Π»ΠΈ Π±ΠΎΠ»Π΅ΡΡ ΠΊΠΎΠ»Π΅Π½ΠΈ, Π»ΠΎΠΊΡΠΈ ΠΈΠ»ΠΈ ΠΏΠ»Π΅ΡΠΈ, ΡΡΠΎΡΠ½ΠΎ ΡΠ±Π΅ΡΠΈΡΠ΅ ΠΈΠ· ΡΠ°ΡΠΈΠΎΠ½Π° ΡΡΡΠΎΠΉ…Β
Β
Β
Β
ΠΡΠ΅Π½Ρ ΡΠΈΡΠΎΠΊΠΈΠΉ ΠΊΡΡΠ³ Π»ΡΠ΄Π΅ΠΉ Π½Π°Ρ ΠΎΠ΄ΡΡΡΡ Π² Π·ΠΎΠ½Π΅ ΡΠΈΡΠΊΠ°. ΠΠΎΠΌΠΈΠΌΠΎ ΠΎΡΠ΅Π²ΠΈΠ΄Π½ΡΡ ΠΏΡΠΈΡΠΈΠ½, ΡΡΡΠ΅ΡΡΠ²ΡΡΡ ΠΎΠ±ΡΡΠΎΡΡΠ΅Π»ΡΡΡΠ²Π°, Π΄Π°ΡΡΠΈΠ΅ ΠΌΠΎΡΠ½ΡΠΉ ΡΠΎΠ»ΡΠΎΠΊ Π±ΠΎΠ»Π΅Π·Π½ΠΈ:
- ΠΠ΅Π½ΡΠΊΠΈΠΉ ΠΏΠΎΠ». Π‘ΡΠ°ΡΠΈΡΡΠΈΡΠ΅ΡΠΊΠΈΠ΅ Π΄Π°Π½Π½ΡΠ΅ ΠΏΠΎΠΊΠ°Π·ΡΠ²Π°ΡΡ, ΡΡΠΎ ΠΆΠ΅Π½ΡΠΈΠ½Ρ Π½Π°ΠΌΠ½ΠΎΠ³ΠΎ ΡΠ°ΡΠ΅ ΠΌΡΠΆΡΠΈΠ½ ΠΎΠ±ΡΠ°ΡΠ°ΡΡΡΡ Π·Π° ΠΏΠΎΠΌΠΎΡΡΡ ΠΊ ΡΠ΅Π²ΠΌΠ°ΡΠΎΠ»ΠΎΠ³Π°ΠΌ. ΠΡΠΎΠΌΡ Π΅ΡΡΡ Π²ΠΏΠΎΠ»Π½Π΅ Π»ΠΎΠ³ΠΈΡΠ΅ΡΠΊΠΎΠ΅ ΠΎΠ±ΡΡΡΠ½Π΅Π½ΠΈΠ΅. ΠΡΠΈΡΠΎΠ΄Π½ΡΠΉ, Π½ΠΎ ΡΡΠΆΠ΅Π»ΡΠΉ ΠΏΡΠΎΡΠ΅ΡΡ Π±Π΅ΡΠ΅ΠΌΠ΅Π½Π½ΠΎΡΡΠΈ ΠΈ ΡΠΎΠ΄ΠΎΠ² Π»ΠΈΡΠ°Π΅Ρ ΠΎΡΠ³Π°Π½ΠΈΠ·ΠΌ ΠΌΠ½ΠΎΠΆΠ΅ΡΡΠ²Π° ΠΏΠΎΠ»Π΅Π·Π½ΡΡ Π²ΠΈΡΠ°ΠΌΠΈΠ½ΠΎΠ² ΠΈ ΠΌΠΈΠ½Π΅ΡΠ°Π»ΠΎΠ². ΠΡΠ½Π°ΡΠΈΠ²Π°Π½ΠΈΠ΅ ΡΠ΅Π±ΡΠ½ΠΊΠ° β ΡΡΠΎ ΠΏΠΎΠ²ΡΡΠ΅Π½Π½Π°Ρ Π½Π°Π³ΡΡΠ·ΠΊΠ° Π½Π° Π²Π΅ΡΡ ΠΎΠΏΠΎΡΠ½ΠΎ-Π΄Π²ΠΈΠ³Π°ΡΠ΅Π»ΡΠ½ΡΠΉ Π°ΠΏΠΏΠ°ΡΠ°Ρ ΠΈ Π²ΠΎΠ·ΠΌΠΎΠΆΠ½ΡΠ΅ ΠΎΡΠ»ΠΎΠΆΠ½Π΅Π½ΠΈΡ Π² Π²ΠΈΠ΄Π΅ Π°ΡΡΡΠΈΡΠ½ΡΡ Π·Π°Π±ΠΎΠ»Π΅Π²Π°Π½ΠΈΠΉ.
- Π₯ΡΠΎΠ½ΠΈΡΠ΅ΡΠΊΠΈΠ΅ Π±ΠΎΠ»Π΅Π·Π½ΠΈ.
- ΠΠ΅ΡΠ΅Π»ΠΎΠΌΡ, ΡΠ°ΡΡΡΠΆΠ΅Π½ΠΈΡ, Π²ΡΠ²ΠΈΡ ΠΈ ΠΈ Π΄ΡΡΠ³ΠΈΠ΅ ΡΡΠ°Π²ΠΌΡ.
- Π₯ΠΈΡΡΡΠ³ΠΈΡΠ΅ΡΠΊΠΈΠ΅ ΠΎΠΏΠ΅ΡΠ°ΡΠΈΠΈ ΠΏΠΎΠ΄ ΠΎΠ±ΡΠΈΠΌ Π½Π°ΡΠΊΠΎΠ·ΠΎΠΌ.
- ΠΡΠ±ΡΠ΅ Π²ΠΈΠ΄Ρ Π°Π»Π»Π΅ΡΠ³ΠΈΠΈ.
- ΠΡΠ»ΠΎΠΆΠ½Π΅Π½ΠΈΡ ΠΎΡ Π²Π°ΠΊΡΠΈΠ½Π°ΡΠΈΠΈ.
- ΠΡΡΠ³ΠΈΠ΅ Π·Π°Π±ΠΎΠ»Π΅Π²Π°Π½ΠΈΡ ΡΡΡΡΠ°Π²ΠΎΠ². ΠΠ°ΠΏΡΠΈΠΌΠ΅Ρ, Π°ΡΡΡΠΎΠ·, Π±ΡΡΡΠΈΡ, ΠΊΠΈΡΡΠ° ΠΠ΅ΠΊΠ΅ΠΉΡΠ° ΠΏΠΎΡΡΠΈ Π²ΡΠ΅Π³Π΄Π° Π΄Π°ΡΡ ΠΎΡΠ»ΠΎΠΆΠ½Π΅Π½ΠΈΡ.
- ΠΡΠ΅ΠΊΠ»ΠΎΠ½Π½ΡΠΉ Π²ΠΎΠ·ΡΠ°ΡΡ. Π‘ΠΎ Π²ΡΠ΅ΠΌΠ΅Π½Π΅ΠΌ ΡΡΡΡΠ°Π²Ρ ΠΈΠΌΠ΅ΡΡ ΡΠ²ΠΎΠΉΡΡΠ²ΠΎ ΠΈΠ·Π½Π°ΡΠΈΠ²Π°ΡΡΡΡ, Π΅ΡΠ»ΠΈ Π½Π΅ ΠΎΡΡΡΠ΅ΡΡΠ²Π»ΡΡΡ ΠΊΠΎΠΌΠΏΠ»Π΅ΠΊΡ ΠΌΠ΅ΡΠΎΠΏΡΠΈΡΡΠΈΠΉ.
Β
ΠΠΎΠ΄Π²ΠΎΠ΄Ρ ΠΈΡΠΎΠ³ΠΈ, ΠΌΠΎΠΆΠ½ΠΎ ΡΡΠ²Π΅ΡΠΆΠ΄Π°ΡΡ, ΡΡΠΎ Π² Π·ΠΎΠ½Π΅ ΡΠΈΡΠΊΠ° ΠΌΠΎΠΆΠ΅Ρ ΠΎΠΊΠ°Π·Π°ΡΡΡΡ Π»ΡΠ±ΠΎΠΉ ΡΠ΅Π»ΠΎΠ²Π΅ΠΊ, Π²ΠΊΠ»ΡΡΠ°Ρ ΠΌΠ°Π»Π΅Π½ΡΠΊΠΈΡ Π΄Π΅ΡΠ΅ΠΉ.
Β
Β
Π‘ΠΈΠΌΠΏΡΠΎΠΌΠ°ΡΠΈΠΊΠ°
ΠΠ»Π°Π²Π½ΡΠΉ ΠΏΠΎΠΊΠ°Π·Π°ΡΠ΅Π»Ρ Π·Π°Π±ΠΎΠ»Π΅Π²Π°Π½ΠΈΡ β Π±ΠΎΠ»Π΅Π²ΡΠ΅ ΠΎΡΡΡΠ΅Π½ΠΈΡ Π² ΠΎΠ΄Π½ΠΎΠΌ ΠΈΠ»ΠΈ Π½Π΅ΡΠΊΠΎΠ»ΡΠΊΠΈΡ ΡΡΡΡΠ°Π²Π°Ρ . ΠΠ½ΠΎΠ³ΠΈΠ΅ Π»ΡΠ΄ΠΈ Π½Π΅ Π²ΠΎΡΠΏΡΠΈΠ½ΠΈΠΌΠ°ΡΡ ΡΡΠΎ ΡΠ΅ΡΡΠ΅Π·Π½ΠΎ. ΠΠ΅ΠΏΡΠΎΠ΄ΠΎΠ»ΠΆΠΈΡΠ΅Π»ΡΠ½ΡΠΉ Π΄ΠΈΡΠΊΠΎΠΌΡΠΎΡΡ Π½Π΅ ΠΏΡΠΈΡΠΈΠ½ΡΠ΅Ρ ΠΎΡΠΎΠ±ΡΡ Π½Π΅ΡΠ΄ΠΎΠ±ΡΡΠ². ΠΠ΅ΠΏΡΠΈΡΡΠ½ΡΠ΅ ΡΠΈΠΌΠΏΡΠΎΠΌΡ Π±ΡΡΡΡΠΎ ΡΠ½ΠΈΠΌΠ°ΡΡΡΡ ΠΌΠ°ΡΡΠ°ΠΆΠ΅ΠΌ ΠΈΠ»ΠΈ ΠΏΡΠΈΠ½ΡΡΠΈΠ΅ΠΌ ΠΏΡΠΎΡΡΡΡ Π±ΠΎΠ»Π΅ΡΡΠΎΠ»ΡΡΡΠΈΡ ΠΏΡΠ΅ΠΏΠ°ΡΠ°ΡΠΎΠ².
Β
Π‘ΠΎ Π²ΡΠ΅ΠΌΠ΅Π½Π΅ΠΌ ΠΈΠ³Π½ΠΎΡΠΈΡΠΎΠ²Π°ΡΡ ΡΠΈΠΌΠΏΡΠΎΠΌΡ ΡΡΠ°Π½ΠΎΠ²ΠΈΡΡΡΡ ΡΡΡΠ΄Π½Π΅Π΅. ΠΠΎΠ»ΠΈ ΡΡΠΈΠ»ΠΈΠ²Π°ΡΡΡΡ, ΠΏΡΠΈΠΎΠ±ΡΠ΅ΡΠ°ΡΡ Π²ΠΎΠ»Π½ΠΎΠΎΠ±ΡΠ°Π·Π½ΡΠΉ Ρ Π°ΡΠ°ΠΊΡΠ΅Ρ. ΠΡΠΈ Π΄Π²ΠΈΠΆΠ΅Π½ΠΈΠΈ ΠΈ Π² Π½ΠΎΡΠ½ΠΎΠ΅ Π²ΡΠ΅ΠΌΡ Π·Π°Π±ΠΎΠ»Π΅Π²Π°Π½ΠΈΠ΅ ΠΎΠ±ΠΎΡΡΡΡΠ΅ΡΡΡ.
Β
Π ΡΡΠΎΡ ΠΏΠ΅ΡΠΈΠΎΠ΄ ΠΏΠΎΡΠ²Π»ΡΡΡΡΡ ΠΎΡΠ΅Π²ΠΈΠ΄Π½ΡΠ΅ ΡΠΈΠΌΠΏΡΠΎΠΌΡ:
- Π£ΡΡΠ΅Π½Π½ΡΡ ΡΠΊΠΎΠ²Π°Π½Π½ΠΎΡΡΡ;
- ΠΡΠ΅ΡΠ½ΠΎΡΡΡ, ΡΠΎΠΏΡΠΎΠ²ΠΎΠΆΠ΄Π°ΡΡΠ°ΡΡΡ ΠΏΠΎΠΊΡΠ°ΡΠ½Π΅Π½ΠΈΠ΅ΠΌ ΠΊΠΎΠΆΠΈ;
- ΠΠΎΠ²ΡΡΠ΅Π½Π½Π°Ρ ΡΠ΅ΠΌΠΏΠ΅ΡΠ°ΡΡΡΠ° Π² Π·ΠΎΠ½Π΅ Π²ΠΎΡΠΏΠ°Π»Π΅Π½ΠΈΡ;
- ΠΠ³ΡΠ°Π½ΠΈΡΠ΅Π½ΠΈΠ΅ ΠΏΠΎΠ΄Π²ΠΈΠΆΠ½ΠΎΡΡΠΈ ΠΈΠ·-Π·Π° ΡΠΈΠ»ΡΠ½ΡΡ Π±ΠΎΠ»Π΅ΠΉ;
- ΠΠ°ΠΌΠ΅ΡΠ½Π°Ρ Π½Π΅Π²ΠΎΠΎΡΡΠΆΠ΅Π½Π½ΡΠΌ Π³Π»Π°Π·ΠΎΠΌ Π΄Π΅ΡΠΎΡΠΌΠ°ΡΠΈΡ ΡΡΡΡΠ°Π²ΠΎΠ².
Β
Π‘ΠΈΠΌΠΏΡΠΎΠΌΡ ΠΌΠΎΠ³ΡΡ Π±ΡΡΡ ΡΠ°Π·Π½ΡΠΌΠΈ, Π² Π·Π°Π²ΠΈΡΠΈΠΌΠΎΡΡΠΈ ΠΎΡ Π²ΠΈΠ΄ΠΎΠ². ΠΠ° ΠΏΡΠΈΠΌΠ΅ΡΠ΅ ΡΠ°ΠΌΡΡ ΡΠ°ΡΠΏΡΠΎΡΡΡΠ°Π½Π΅Π½Π½ΡΡ Π·Π°Π±ΠΎΠ»Π΅Π²Π°Π½ΠΈΠΉ, ΠΌΠΎΠΆΠ½ΠΎ ΡΠΎΠ·Π΄Π°ΡΡ ΠΎΠ±ΡΡΡ ΠΊΠ°ΡΡΠΈΠ½Ρ ΠΏΡΠΈΠ·Π½Π°ΠΊΠΎΠ²:
- Π Π΅Π²ΠΌΠ°ΡΠΎΠΈΠ΄Π½ΡΠΉ Π°ΡΡΡΠΈΡ- Ρ Π°ΡΠ°ΠΊΡΠ΅ΡΠΈΠ·ΡΠ΅ΡΡΡ ΡΠΈΠΌΠΌΠ΅ΡΡΠΈΡΠ½ΡΠΌ ΠΏΠΎΡΠ°ΠΆΠ΅Π½ΠΈΠ΅ΠΌ ΡΡΡΡΠ°Π²ΠΎΠ², Π² ΠΌΠ΅ΡΡΠ°Ρ ΡΠ³ΠΈΠ±Π° ΠΏΠΎΡΠ²Π»ΡΡΡΡΡ Π·Π°ΠΌΠ΅ΡΠ½ΡΠ΅ ΡΠ·Π΅Π»ΠΊΠΈ. ΠΠ±ΠΎΡΡΡΠ΅Π½ΠΈΠ΅ Π±ΠΎΠ»Π΅Π·Π½ΠΈ Π½Π°Π±Π»ΡΠ΄Π°Π΅ΡΡΡ ΡΠ°Π½Π½ΠΈΠΌ ΡΡΡΠΎΠΌ, ΠΊΠΎ Π²ΡΠΎΡΠΎΠΉ ΠΏΠΎΠ»ΠΎΠ²ΠΈΠ½Π΅ Π΄Π½Ρ ΡΠΈΠΌΠΏΡΠΎΠΌΡ ΠΏΡΠ°ΠΊΡΠΈΡΠ΅ΡΠΊΠΈ ΠΈΡΡΠ΅Π·Π°ΡΡ. ΠΡΠ»ΠΈ Π±ΠΎΠ»Π΅Π·Π½Ρ Π½Π°Ρ ΠΎΠ΄ΠΈΡΡΡ Π² ΠΎΡΡΡΠΎΠΉ ΡΡΠ°Π΄ΠΈΠΈ, Π±ΠΎΠ»ΡΠ½ΠΎΠ³ΠΎ ΡΠΈΠ»ΡΠ½ΠΎ Π»ΠΈΡ ΠΎΡΠ°Π΄ΠΈΡ, ΠΊΠΎΠ½Π΅ΡΠ½ΠΎΡΡΠΈ Π½Π΅ΠΌΠ΅ΡΡ, ΠΏΡΠΈ Π²Π΄ΠΎΡ Π΅ ΠΏΠΎΡΠ²Π»ΡΠ΅ΡΡΡ ΡΠΈΠ»ΡΠ½Π°Ρ Π±ΠΎΠ»Ρ, ΡΠ²Π΅Π»ΠΈΡΠΈΠ²Π°ΡΡΡΡ Π»ΠΈΠΌΡΠΎΡΠ·Π»Ρ, ΠΌΠΎΡΠ³Π°Π½ΠΈΠ΅ ΡΠΎΠΏΡΠΎΠ²ΠΎΠΆΠ΄Π°Π΅ΡΡΡ ΡΠ΅Π·ΠΊΠΎΠΉ Π±ΠΎΠ»ΡΡ.
- Π Π΅Π°ΠΊΡΠΈΠ²Π½ΡΠΉ Π°ΡΡΡΠΈΡβ Π½Π° ΡΠΎΠ½Π΅ ΠΎΠ±ΡΠΈΡ ΡΠΈΠΌΠΏΡΠΎΠΌΠΎΠ², Π½Π°Π±Π»ΡΠ΄Π°ΡΡΡΡ Π²ΠΎΡΠΏΠ°Π»Π΅Π½ΠΈΠ΅ ΠΌΠΎΡΠ΅Π²ΡΠ²ΠΎΠ΄ΡΡΠΈΡ ΠΏΡΡΠ΅ΠΉ, ΠΏΠΎΡΠ²Π»Π΅Π½ΠΈΠ΅ ΡΠΈΡΡΠΈΡΠ°, ΡΡΠ΅ΡΡΠΈΡΠ°. ΠΠΎΠ²ΡΡΠ΅Π½Π½Π°Ρ ΡΠ»Π΅Π·ΠΎΡΠΎΡΠΈΠ²ΠΎΡΡΡ, ΡΠ΅Π·ΠΈ Π² Π³Π»Π°Π·Π°Ρ , ΠΎΡΠ»ΠΎΠΆΠ½Π΅Π½ΠΈΡ Π² Π²ΠΈΠ΄Π΅ ΠΊΠΎΠ½ΡΡΠ½ΠΊΡΠΈΠ²ΠΈΡΠ°.
- ΠΠ½ΡΠ΅ΠΊΡΠΈΠΎΠ½Π½ΡΠΉ β ΠΎΠ·Π½ΠΎΠ±, Π»ΠΈΡ ΠΎΡΠ°Π΄ΠΊΠ°, ΡΠΈΠ»ΡΠ½ΡΠ΅ Π³ΠΎΠ»ΠΎΠ²Π½ΡΠ΅ Π±ΠΎΠ»ΠΈ, ΠΎΠ±ΡΠ°Ρ ΡΠ»Π°Π±ΠΎΡΡΡ, ΠΎΡΡΡΠ½ΠΎΡΡΡ ΡΠΊΠ°Π½Π΅ΠΉ Π² ΠΌΠ΅ΡΡΠ°Ρ ΠΏΠΎΡΠ°ΠΆΠ΅Π½Π½ΡΡ ΡΡΡΡΠ°Π²ΠΎΠ². ΠΠΈΠ΄ ΠΈΠ½ΡΠ΅ΠΊΡΠΈΠΈ, ΡΠΏΡΠΎΠ²ΠΎΡΠΈΡΠΎΠ²Π°Π²ΡΠ΅ΠΉ Π±ΠΎΠ»Π΅Π·Π½Ρ, ΠΎΠΏΡΠ΅Π΄Π΅Π»ΡΠ΅ΡΡΡ ΠΏΡΠΈ ΠΏΠΎΠΌΠΎΡΠΈ Π°Π½Π°Π»ΠΈΠ·ΠΎΠ².
- ΠΠΎΠ΄Π°Π³ΡΠΈΡΠ΅ΡΠΊΠΈΠΉ β ΡΡΡΡΠ°Π²Ρ ΡΡΠΊ ΠΈ Π½ΠΎΠ³ ΡΠΈΠ»ΡΠ½ΠΎ ΡΠ°ΡΠΏΡΡ Π°ΡΡ. Π§Π°ΡΠ΅ Π²ΡΠ΅Π³ΠΎ ΠΏΠΎΡΠ°ΠΆΠ°ΡΡΡΡ ΠΏΠ΅ΡΠ²ΡΠ΅ ΡΡΡΡΠ°Π²Ρ Π±ΠΎΠ»ΡΡΠΈΡ ΠΏΠ°Π»ΡΡΠ΅Π² Π½ΠΎΠ³. ΠΠΎ, ΠΏΠΎΠ΄Π°Π³ΡΠΈΡΠ΅ΡΠΊΠΈΠΉ Π°ΡΡΡΠΈΡ ΠΌΠΎΠΆΠ΅Ρ ΠΏΠΎΡΠ²ΠΈΡΡΡΡ Π² Π»ΠΎΠΊΡΡΡ , Π² ΠΊΠΎΠ»Π΅Π½ΡΡ , Π½Π° ΠΏΠ°Π»ΡΡΠ°Ρ ΡΡΠΊ. ΠΠ΅ΡΡΠ° Π²ΠΎΡΠΏΠ°Π»Π΅Π½ΠΈΡ ΠΊΡΠ°ΡΠ½Π΅ΡΡ. ΠΠΎΠ»Π΅Π²ΠΎΠΉ ΡΠΈΠ½Π΄ΡΠΎΠΌ ΡΡ Π²Π°ΡΠΊΠΎΠΎΠ±ΡΠ°Π·Π½ΡΠΉ β ΠΎΡ ΠΎΡΠ΅Π½Ρ ΡΠΈΠ»ΡΠ½ΠΎΠ³ΠΎ, Π΄ΡΡΠ³Π°ΡΡΠ΅Π³ΠΎ, Π΄ΠΎ ΡΠ»Π°Π±ΠΎΠ³ΠΎ, ΡΠ°ΡΡΠ΅ΠΊΠ°ΡΡΠ΅Π³ΠΎΡΡ.
- ΠΡΠΎΡΠΈΠ°ΡΠΈΡΠ΅ΡΠΊΠΈΠΉ β ΠΌΠ΅Π»ΠΊΠΈΠ΅ ΡΡΡΡΠ°Π²Ρ ΠΏΠ°Π»ΡΡΠ΅Π² Π½Π° Π½ΠΎΠ³Π°Ρ ΠΈ ΡΡΠΊΠ°Ρ ΡΠ²Π΅Π»ΠΈΡΠΈΠ²Π°ΡΡΡΡ Π² ΡΠ°Π·ΠΌΠ΅ΡΠ°Ρ , Π²ΡΠ·ΡΠ²Π°Ρ ΠΎΠ±ΡΡΡ ΠΎΡΠ΅ΡΠ½ΠΎΡΡΡ ΠΊΠΎΠ½Π΅ΡΠ½ΠΎΡΡΠ΅ΠΉ. ΠΠΎΡΠΈΡ Π½Π΅ ΡΠΈΠΌΠΌΠ΅ΡΡΠΈΡΠ½ΡΠΉ Ρ Π°ΡΠ°ΠΊΡΠ΅Ρ, Π² ΠΎΡΠ»ΠΈΡΠΈΠ΅ ΠΎΡ ΡΠ΅Π²ΠΌΠ°ΡΠΎΠΈΠ΄Π½ΠΎΠ³ΠΎ. ΠΠΎΠΆΠ° ΠΏΠΎΡΠ°ΠΆΠ΅Π½Π½ΡΡ ΠΏΠ°Π»ΡΡΠ΅Π² ΠΏΡΠΈΠΎΠ±ΡΠ΅ΡΠ°Π΅Ρ Π±Π°Π³ΡΠΎΠ²ΠΎ-ΡΠΈΠ½ΡΡΠ½ΡΠΉ ΠΎΡΡΠ΅Π½ΠΎΠΊ, ΠΊΠ°ΠΊ ΠΏΠΎΡΠ»Π΅ ΡΠ΄Π°ΡΠ°. ΠΠΎΠ»Π½ΠΎΠ΅ ΠΈΠ»ΠΈ ΡΠ°ΡΡΠΈΡΠ½ΠΎΠ΅ ΠΎΡΡΡΡΡΡΠ²ΠΈΠ΅ ΠΏΠΎΠ΄Π²ΠΈΠΆΠ½ΠΎΡΡΠΈ. ΠΠΎΠ»ΠΈ ΠΎΡΠ΅Π½Ρ ΡΠΈΠ»ΡΠ½ΡΠ΅. ΠΠ΅Π· ΠΏΡΠΈΡΠΌΠ° ΡΠΈΠ»ΡΠ½ΡΡ Π°Π½Π΅ΡΡΠ΅ΡΠΈΠΊΠΎΠ² ΠΎΠ±ΠΎΠΉΡΠΈΡΡ Π½Π΅Π²ΠΎΠ·ΠΌΠΎΠΆΠ½ΠΎ.
- ΠΡΡΠ΅ΠΎΠ°ΡΡΡΠΈΡ β ΡΠΈΠΌΠΏΡΠΎΠΌΡ ΠΏΡΠΎΡΠ²Π»ΡΡΡΡΡ ΠΌΠ΅Π΄Π»Π΅Π½Π½ΠΎ, ΠΏΠΎΡΡΠ΅ΠΏΠ΅Π½Π½ΠΎ, ΠΏΠΎ ΠΌΠ΅ΡΠ΅ ΡΠ°Π·Π²ΠΈΡΠΈΡ Π±ΠΎΠ»Π΅Π·Π½ΠΈ. ΠΠ΅ΡΠ²ΡΠΌ ΡΡΠ΅Π²ΠΎΠΆΠ½ΡΠΌ ΠΏΡΠΈΠ·Π½Π°ΠΊΠΎΠΌ ΡΠ²Π»ΡΠ΅ΡΡΡ Ρ ΡΡΡΡ ΠΊΠΎΠ½Π΅ΡΠ½ΠΎΡΡΠ΅ΠΉ ΠΈ ΠΏΠΎΠ·Π²ΠΎΠ½ΠΎΡΠ½ΠΈΠΊΠ°. Π Π·Π°Π²ΠΈΡΠΈΠΌΠΎΡΡΠΈ ΠΎΡ ΡΠΎΡΠΌΡ ΡΠ΅ΡΠ΅Π½ΠΈΡ, ΠΌΠΎΠΆΠ΅Ρ Π½Π°Ρ ΠΎΠ΄ΠΈΡΡΡΡ Π² ΡΡΠ°Π΄ΠΈΠΈ ΡΠ΅Π³ΡΠ΅ΡΡΠ° ΠΌΠ½ΠΎΠ³ΠΎ Π»Π΅Ρ. ΠΡΠ°ΠΉΠ½Π΅ ΠΎΠΏΠ°ΡΠ΅Π½ ΠΌΠ°Π»ΠΎΠΉ ΡΠΈΠΌΠΏΡΠΎΠΌΠ°ΡΠΈΠΊΠΎΠΉ ΠΏΡΠΈ Π±ΠΎΠ»ΡΡΠΎΠΌ ΠΌΠ°ΡΡΡΠ°Π±Π΅ ΠΏΠΎΡΠ°ΠΆΠ΅Π½ΠΈΡ.
- Π’ΡΠ°Π²ΠΌΠ°ΡΠΈΡΠ΅ΡΠΊΠΈΠΉ β Π²ΠΎΡΠΏΠ°Π»ΠΈΡΠ΅Π»ΡΠ½ΡΠΉ ΠΏΡΠΎΡΠ΅ΡΡ Π΄Π°ΡΡ ΠΎ ΡΠ΅Π±Π΅ Π·Π½Π°ΡΡ ΠΏΠΎΡΠ²Π»Π΅Π½ΠΈΠ΅ΠΌ Ρ ΡΡΡΡΠ° Π² ΠΏΠΎΠ²ΡΠ΅ΠΆΠ΄Π΅Π½Π½ΡΡ ΡΡΡΡΠ°Π²Π°Ρ , ΠΊΠ°ΠΊ ΠΈ ΠΏΡΠΈ ΠΎΡΡΠ΅ΠΎΠ°ΡΡΡΠΈΡΠ΅. ΠΠΎΠ»Ρ ΠΈ ΠΎΡΠ΅ΡΠ½ΠΎΡΡΡ ΠΌΠΎΠ³ΡΡ ΠΏΠΎΡΠ²ΠΈΡΡΡΡ Π½Π΅ΡΠΊΠΎΡΠΎ. ΠΠΎΡΡΠΎΠΌΡ Π½Π΅ ΡΡΠΎΠΈΡ ΠΎΡΡΠ°Π²Π»ΡΡΡ Π±Π΅Π· Π²Π½ΠΈΠΌΠ°Π½ΠΈΡ ΠΏΠ΅ΡΠ²ΠΈΡΠ½ΡΠ΅ ΠΏΡΠΈΠ·Π½Π°ΠΊΠΈ.
Β
Β
ΠΠΈΠ°Π³Π½ΠΎΡΡΠΈΠΊΠ°
ΠΠΎΠ»ΡΡΠΎΠ΅ ΠΊΠΎΠ»ΠΈΡΠ΅ΡΡΠ²ΠΎ ΠΏΡΠΈΡΠΈΠ½ ΠΈ ΡΠΈΠΌΠΏΡΠΎΠΌΠΎΠ² Π΄Π΅Π»Π°ΡΡ Π΄ΠΈΠ°Π³Π½ΠΎΡΡΠΈΠΊΡ Π°ΡΡΡΠΈΡΠ° ΡΡΡΡΠ°Π²ΠΎΠ² ΡΠ»ΠΎΠΆΠ½ΠΎΠΉ Π·Π°Π΄Π°ΡΠ΅ΠΉ. Π’ΠΎΠ»ΡΠΊΠΎ ΠΎΠΏΡΡΠ½ΡΠΉ ΠΈ Π²ΡΡΠΎΠΊΠΎΠΊΠ²Π°Π»ΠΈΡΠΈΡΠΈΡΠΎΠ²Π°Π½Π½ΡΠΉ Π²ΡΠ°Ρ ΡΠΌΠΎΠΆΠ΅Ρ ΡΠΎΠ±ΡΠ°ΡΡ Π²ΡΠ΅ ΡΠΎΡΡΠ°Π²Π»ΡΡΡΠΈΠ΅ Π±ΠΎΠ»Π΅Π·Π½ΠΈ Π² Π΅Π΄ΠΈΠ½ΡΡ ΠΊΠ°ΡΡΠΈΠ½Ρ. ΠΡΠ»ΠΈ ΡΠ°ΡΠΏΡΠΎΡΡΡΠ°Π½Π΅Π½Π½ΡΠ΅ Π²ΠΈΠ΄Ρ ΠΌΠΎΠΆΠ½ΠΎ Π΄ΠΈΠ°Π³Π½ΠΎΡΡΠΈΡΠΎΠ²Π°ΡΡ Π΄ΠΎΡΡΠ°ΡΠΎΡΠ½ΠΎ Π±ΡΡΡΡΠΎ, ΡΠΎ ΡΠ΅Π΄ΠΊΠΈΠ΅ ΡΠΈΠΏΡ, Π²ΡΠ·Π²Π°Π½Π½ΡΠ΅ Π΄ΡΡΠ³ΠΈΠΌΠΈ Ρ ΡΠΎΠ½ΠΈΡΠ΅ΡΠΊΠΈΠΌΠΈ ΠΏΠ°ΡΠΎΠ»ΠΎΠ³ΠΈΡΠΌΠΈ, ΠΎΠ±Π½Π°ΡΡΠΆΠΈΡΡ Π½Π΅ΠΏΡΠΎΡΡΠΎ. ΠΠ°ΠΏΡΠΈΠΌΠ΅Ρ, ΡΠ΅Π²ΠΌΠ°ΡΠΎΠΈΠ΄Π½ΡΠΉ Π°ΡΡΡΠΈΡ ΡΡΡΡΠ°Π²ΠΎΠ², Π΄ΠΎ Π½Π°ΡΡΠΎΡΡΠ΅Π³ΠΎ Π²ΡΠ΅ΠΌΠ΅Π½ΠΈ ΠΎΡΡΠ°Π΅ΡΡΡ Π·Π°Π³Π°Π΄ΠΊΠΎΠΉ Π΄Π»Ρ ΡΠ΅Π²ΠΌΠ°ΡΠΎΠ»ΠΎΠ³ΠΎΠ² β ΠΏΡΠΈΡΠΈΠ½Ρ ΠΏΠΎΡΠ²Π»Π΅Π½ΠΈΡ Π½Π΅ Π΄ΠΎΡΡΠ°ΡΠΎΡΠ½ΠΎ ΠΎΠ±ΠΎΡΠ½ΠΎΠ²Π°Π½Ρ.
ΠΠ΅ Π³ΡΠ±ΠΈΡΠ΅ Π±ΠΎΠ»ΡΠ½ΡΠ΅ ΡΡΡΡΠ°Π²Ρ ΠΌΠ°Π·ΡΠΌΠΈ ΠΈ ΡΠΊΠΎΠ»Π°ΠΌΠΈ! ΠΡΡΡΠΈΡ ΠΈ Π°ΡΡΡΠΎΠ· Π»Π΅ΡΠΈΡΡΡ…Β
Β
Β
Β
ΠΡΡΠΎΠΏΠ΅Π΄: «ΠΡΠ»ΠΈ Π½ΠΎΠ΅Ρ ΡΠ°Π·ΠΎΠ±Π΅Π΄ΡΠ΅Π½Π½ΡΠΉ ΡΡΡΡΠ°Π² ΠΈ ΠΊΠΎΠ»Π΅Π½ΠΈ, ΡΡΠΎΡΠ½ΠΎ ΡΠ±Π΅ΡΠΈΡΠ΅ ΠΈΠ· ΠΏΡΠΈΠ²ΡΡΠΊΠΈ…Β
Β
Β
Β
ΠΠ»Ρ Π½Π°Π·Π½Π°ΡΠ΅Π½ΠΈΡ ΡΡΡΠ΅ΠΊΡΠΈΠ²Π½ΠΎΠ³ΠΎ ΠΊΡΡΡΠ° ΡΠ΅ΡΠ°ΠΏΠΈΠΈ, ΠΎΠΊΠΎΠ½ΡΠ°ΡΠ΅Π»ΡΠ½ΡΠΉ Π΄ΠΈΠ°Π³Π½ΠΎΠ· ΡΡΠ°Π²ΠΈΡΡΡ Π²ΠΌΠ΅ΡΡΠ΅ Ρ ΡΠΊΠ°Π·Π°Π½ΠΈΠ΅ΠΌ ΠΏΠ΅ΡΠ²ΠΎΠΏΡΠΈΡΠΈΠ½.
Β
ΠΠ»Ρ ΡΡΠΎΠ³ΠΎ ΠΏΡΠΎΠ²ΠΎΠ΄ΠΈΡΡΡ ΡΠΈΡΠΎΠΊΠΈΠΉ ΠΊΠΎΠΌΠΏΠ»Π΅ΠΊΡ ΠΌΠ΅Π΄ΠΈΡΠΈΠ½ΡΠΊΠΈΡ ΠΌΠ΅ΡΠΎΠΏΡΠΈΡΡΠΈΠΉ:
- Π‘ΠΎΠ±ΠΈΡΠ°Π΅ΡΡΡ ΠΏΠΎΠ»Π½ΡΠΉ Π°Π½Π°ΠΌΠ½Π΅Π· Π·Π°Π±ΠΎΠ»Π΅Π²Π°Π½ΠΈΡ;
- ΠΡΠΎΠ²ΠΎΠ΄ΡΡΡΡ Π»Π°Π±ΠΎΡΠ°ΡΠΎΡΠ½ΡΠ΅ ΠΈΡΡΠ»Π΅Π΄ΠΎΠ²Π°Π½ΠΈΡ (ΠΎΠ±ΡΠ°Ρ Π±ΠΈΠΎΡ ΠΈΠΌΠΈΡ ΠΊΡΠΎΠ²ΠΈ, ΠΎΠΏΡΠ΅Π΄Π΅Π»Π΅Π½ΠΈΠ΅ ΡΡΠΎΠ²Π½Ρ ΡΠ°Ρ Π°ΡΠ°, ΠΈΡΡΠ»Π΅Π΄ΠΎΠ²Π°Π½ΠΈΠ΅ ΠΌΠ΅ΡΠΎΠ΄ΠΎΠΌ ΠΠ¦Π , Π°Π½Π°Π»ΠΈΠ· ΠΌΠΎΡΠΈ ΠΈ Π΄Ρ.).
- ΠΡΠΊΠ»ΡΡΠ°ΡΡΡΡ ΠΈΠ½ΡΠ΅ΠΊΡΠΈΠΎΠ½Π½ΡΠ΅, Π°Π»Π»Π΅ΡΠ³ΠΈΡΠ΅ΡΠΊΠΈΠ΅, ΡΡΠ°Π²ΠΌΠ°ΡΠΈΡΠ΅ΡΠΊΠΈΠ΅, Π±Π°ΠΊΡΠ΅ΡΠΈΠ°Π»ΡΠ½ΡΠ΅ ΠΈ Π΄ΡΡΠ³ΠΈΠ΅ ΡΠ²ΡΠ·ΠΈ, Π΄ΠΎ ΠΎΠΏΡΠ΅Π΄Π΅Π»Π΅Π½ΠΈΡ ΠΏΡΠΎΠ²ΠΎΠΊΠ°ΡΠΈΠΎΠ½Π½ΠΎΠΉ;
- ΠΡΡΠ»Π΅Π΄ΠΎΠ²Π°Π½ΠΈΡ Ρ ΠΏΠΎΠΌΠΎΡΡΡ Π΄ΠΈΠ°Π³Π½ΠΎΡΡΠΈΡΠ΅ΡΠΊΠΎΠ³ΠΎ ΠΎΠ±ΠΎΡΡΠ΄ΠΎΠ²Π°Π½ΠΈΡ β ΡΠ΅Π½ΡΠ³Π΅Π½ΠΎΠ³ΡΠ°ΡΠΈΡ, Π£ΠΠ, ΠΠ Π’;
- ΠΠΈΠΎΠΏΡΠΈΡ ΡΠΈΠ½ΠΎΠ²ΠΈΠ°Π»ΡΠ½ΠΎΠΉ ΠΆΠΈΠ΄ΠΊΠΎΡΡΠΈ, Π·Π°ΠΏΠΎΠ»Π½ΡΡΡΠ΅ΠΉ ΠΏΠΎΠ»ΠΎΡΡΡ ΡΡΡΡΠ°Π²ΠΎΠ².
- ΠΡΡΡΠΎΡΠΊΠΎΠΏΠΈΡ. ΠΠΎΠ»Π΅Π΅ ΡΠΎΠ²ΡΠ΅ΠΌΠ΅Π½Π½ΡΠΉ ΡΠΏΠΎΡΠΎΠ± ΠΈΡΡΠ»Π΅Π΄ΠΎΠ²Π°Π½ΠΈΡ ΡΡΡΡΠ°Π²ΠΎΠ² ΠΈ Π·Π°Π±ΠΎΡΠ° ΡΠΈΠ½ΠΎΠ²ΠΈΠ°Π»ΡΠ½ΠΎΠΉ ΠΆΠΈΠ΄ΠΊΠΎΡΡΠΈ. ΠΠ΅ΡΠΎΠ΄ Π΄Π°ΡΡ ΡΠΎΡΠ½ΡΠ΅ Π΄Π°Π½Π½ΡΠ΅ ΠΈ, ΠΊΠ°ΠΊ ΠΏΡΠ°Π²ΠΈΠ»ΠΎ, Π½Π΅ ΡΡΠ΅Π±ΡΡΡ ΠΏΡΠΎΠ²Π΅Π΄Π΅Π½ΠΈΡ ΠΏΠΎΠ²ΡΠΎΡΠ½ΡΡ ΠΏΡΠΎΡΠ΅Π΄ΡΡ.
- Π‘ΠΎΡΡΠ°Π²Π»ΡΠ΅ΡΡΡ ΠΏΠΎΠ»Π½Π°Ρ ΠΊΠ»ΠΈΠ½ΠΈΡΠ΅ΡΠΊΠ°Ρ ΠΊΠ°ΡΡΠΈΠ½Π° Π·Π°Π±ΠΎΠ»Π΅Π²Π°Π½ΠΈΡ.
Β
ΠΡΠ΅ ΠΏΠΎΡΠ»Π΅Π΄ΠΎΠ²Π°ΡΠ΅Π»ΡΠ½ΡΠ΅ Π΄Π΅ΠΉΡΡΠ²ΠΈΡ Π΄ΠΈΠ°Π³Π½ΠΎΡΡΠΈΠΊΠΈ ΠΊΡΠ°ΠΉΠ½Π΅ Π²Π°ΠΆΠ½Ρ Π΄Π»Ρ ΠΎΠΏΡΠ΅Π΄Π΅Π»Π΅Π½ΠΈΡ Π·Π°Π±ΠΎΠ»Π΅Π²Π°Π½ΠΈΡ ΡΡΡΡΠ°Π²ΠΎΠ². ΠΠΎΠΌΠΏΠ»Π΅ΠΊΡΠ½ΡΠ΅ Π°ΠΏΠΏΠ°ΡΠ°ΡΠ½ΡΠ΅ ΠΈΡΡΠ»Π΅Π΄ΠΎΠ²Π°Π½ΠΈΡ Π½Π΅ ΠΈΡΠΊΠ»ΡΡΠ°ΡΡ, Π° Π΄ΠΎΠΏΠΎΠ»Π½ΡΡΡ Π΄ΡΡΠ³ Π΄ΡΡΠ³Π°.
ΠΠ°ΠΊ Π±ΡΠ»ΠΎ ΠΎΡΠΌΠ΅ΡΠ΅Π½ΠΎ Π²ΡΡΠ΅, ΠΏΠΎΡΡΠ°Π½ΠΎΠ²ΠΊΠ° ΠΏΡΠ°Π²ΠΈΠ»ΡΠ½ΠΎΠ³ΠΎ Π΄ΠΈΠ°Π³Π½ΠΎΠ·Π°, ΡΠ»ΠΎΠΆΠ½Π°Ρ Π·Π°Π΄Π°ΡΠ°. ΠΠΎΡΡΠΎΠΌΡ ΠΈΠ³Π½ΠΎΡΠΈΡΠΎΠ²Π°ΡΡ ΠΈΠ»ΠΈ Π·Π°ΠΌΠ΅Π½ΡΡΡ ΠΊΠ°ΠΊΠΈΠ΅-Π»ΠΈΠ±ΠΎ ΠΌΠ΅ΡΠΎΠ΄Ρ Π΄ΠΈΠ°Π³Π½ΠΎΡΡΠΈΠΊΠΈ Π½Π΅Π»ΡΠ·Ρ. ΠΡ ΡΡΠΎΠ³ΠΎ ΠΏΠΎΠ»Π½ΠΎΡΡΡΡ Π·Π°Π²ΠΈΡΠΈΡ ΡΠ΅ΡΠ°ΠΏΠΈΡ ΠΈ Π΄Π°Π»ΡΠ½Π΅ΠΉΡΠΈΠΉ ΠΏΡΠΎΠ³Π½ΠΎΠ· Π·Π°Π±ΠΎΠ»Π΅Π²Π°Π½ΠΈΡ.
Β
Β
ΠΠ΅ΡΠ΅Π½ΠΈΠ΅ Π°ΡΡΡΠΈΡΠ°
ΠΠ΅ΡΠ΅Π½ΠΈΠ΅ Π°ΡΡΡΠΈΡΠΎΠ² ΠΏΡΠΎΡ ΠΎΠ΄ΠΈΡ Π² Π½Π΅ΡΠΊΠΎΠ»ΡΠΊΠΎ ΡΡΠ°ΠΏΠΎΠ². ΠΠ° ΠΊΠ°ΠΆΠ΄ΠΎΠΌ ΠΈΠ· Π½ΠΈΡ , ΠΏΠ΅ΡΠ΅Π΄ ΡΠ΅ΡΠ°ΠΏΠΈΠ΅ΠΉ ΡΡΠ°Π²ΡΡΡΡ ΡΠ²ΠΎΠΈ ΡΠ΅Π»ΠΈ ΠΈ Π·Π°Π΄Π°ΡΠΈ, ΠΊΠΎΡΠΎΡΡΠ΅ ΡΠ΅Π°Π»ΠΈΠ·ΡΡΡΡΡ ΠΏΡΠΈ ΠΏΠΎΠΌΠΎΡΠΈ ΠΎΠΏΡΠ΅Π΄Π΅Π»Π΅Π½Π½ΡΡ ΠΌΠ΅ΡΠΎΠ΄ΠΈΠΊ. ΠΡΠ»ΠΈ Π½Π° Π½Π°ΡΠ°Π»ΡΠ½ΡΡ ΡΡΠ°ΠΏΠ°Ρ ΠΈΡΠΏΠΎΠ»ΡΠ·ΡΡΡΡΡ ΠΊΠΎΠ½ΡΠ΅ΡΠ²Π°ΡΠΈΠ²Π½ΡΠ΅, ΡΡΠ°Π½Π΄Π°ΡΡΠ½ΡΠ΅ ΡΡ Π΅ΠΌΡ, ΡΠΎ Π½Π° ΠΏΠΎΡΠ»Π΅Π΄ΡΡΡΠΈΡ ΡΡΠ°Π΄ΠΈΡΡ ΡΠΆΠ΅ ΠΏΠΎΠΊΠ°Π·Π°Π½ΠΎ Ρ ΠΈΡΡΡΠ³ΠΈΡΠ΅ΡΠΊΠΎΠ΅ Π²ΠΌΠ΅ΡΠ°ΡΠ΅Π»ΡΡΡΠ²ΠΎ, Π²ΠΏΠ»ΠΎΡΡ Π΄ΠΎ ΡΠ΄Π°Π»Π΅Π½ΠΈΡ ΠΏΠΎΡΠ°ΠΆΠ΅Π½Π½ΡΡ ΡΡΡΡΠ°Π²ΠΎΠ².
Β
Π¦Π΅Π»ΠΈ Π»ΡΠ±ΠΎΠΉ ΡΠ΅ΡΠ°ΠΏΠΈΠΈ ΠΎΠ΄ΠΈΠ½Π°ΠΊΠΎΠ²Ρ:
- Π‘Π½ΡΡΡ Π±ΠΎΠ»Π΅Π²ΠΎΠΉ ΡΠΈΠ½Π΄ΡΠΎΠΌ;
- ΠΡΡΠ°Π½ΠΎΠ²ΠΈΡΡ ΠΏΡΠΎΠ³ΡΠ΅ΡΡ Π·Π°Π±ΠΎΠ»Π΅Π²Π°Π½ΠΈΡ;
- ΠΠΎΡΡΡΠ°Π½ΠΎΠ²ΠΈΡΡ ΡΠ°Π±ΠΎΡΠΎΡΠΏΠΎΡΠΎΠ±Π½ΠΎΡΡΡ ΡΡΡΡΠ°Π²Π°;
- ΠΡΠΊΠ»ΡΡΠΈΡΡ Π²ΠΎΠ·ΠΌΠΎΠΆΠ½ΡΠ΅ ΠΎΡΠ»ΠΎΠΆΠ½Π΅Π½ΠΈΡ.
Β
ΠΠ»Ρ Π΄ΠΎΡΡΠΈΠΆΠ΅Π½ΠΈΡ ΡΠ΅Π·ΡΠ»ΡΡΠ°ΡΠΎΠ² ΠΏΡΠΈΠΌΠ΅Π½ΡΡΡΡΡ:
- ΠΠ΅Π΄ΠΈΠΊΠ°ΠΌΠ΅Π½ΡΠΎΠ·Π½Π°Ρ ΡΠ΅ΡΠ°ΠΏΠΈΡ. ΠΡΠ΅ΠΆΠ΄Π΅ Π²ΡΠ΅Π³ΠΎ, Π½Π°ΠΏΡΠ°Π²Π»Π΅Π½Π° Π½Π° ΡΠ½ΡΡΠΈΠ΅ ΠΌΡΡΠΈΡΠ΅Π»ΡΠ½ΠΎΠΉ Π±ΠΎΠ»ΠΈ ΠΈ Π²ΠΎΠ·ΠΎΠ±Π½ΠΎΠ²Π»Π΅Π½ΠΈΠ΅ Π½ΠΎΡΠΌΠ°Π»ΡΠ½ΠΎΠ³ΠΎ ΠΎΠ±ΡΠ°Π·Π° ΠΆΠΈΠ·Π½ΠΈ β ΡΠΎΠ½, ΡΠ°Π±ΠΎΡΠ°, Π΄Π²ΠΈΠΆΠ΅Π½ΠΈΠ΅, Π²ΡΠΏΠΎΠ»Π½Π΅Π½ΠΈΠ΅ ΠΏΠΎΠ²ΡΠ΅Π΄Π½Π΅Π²Π½ΡΡ Π΄Π΅ΠΉΡΡΠ²ΠΈΠΉ. ΠΠ°Π·Π½Π°ΡΠ°ΡΡ ΠΏΡΠΎΡΠΈΠ²ΠΎΠ²ΠΎΡΠΏΠ°Π»ΠΈΡΠ΅Π»ΡΠ½ΡΠ΅ ΠΈ ΠΎΠ±Π΅Π·Π±ΠΎΠ»ΠΈΠ²Π°ΡΡΠΈΠ΅ ΠΏΡΠ΅ΠΏΠ°ΡΠ°ΡΡ (Π½Π°ΠΏΡΠΈΠΌΠ΅Ρ, ΠΠΈΠΊΠ»ΠΎΡΠ΅Π½Π°ΠΊ, ΠΠ°ΡΠ°Π»Π³ΠΈΠ½, ΠΠ΅ΡΠΎΡΠΎΠ»), ΠΊΠΎΡΠΎΡΡΠ΅ Π½Π΅ ΡΠΌΠΎΠ³ΡΡ ΠΈΠ·Π±Π°Π²ΠΈΡΡ ΠΎΡ Π·Π°Π±ΠΎΠ»Π΅Π²Π°Π½ΠΈΡ, Π½ΠΎ ΡΡΡΡΠ°Π½ΡΡ Π±ΠΎΠ»Π΅Π²ΠΎΠΉ ΡΠΈΠ½Π΄ΡΠΎΠΌ. Π₯ΠΎΠ½Π΄ΡΠΎΠΏΡΠΎΡΠ΅ΠΊΡΠΎΡΡ, ΠΊΠΎΡΠΎΡΡΠ΅ ΡΠΏΠΎΡΠΎΠ±Π½Ρ Π²ΠΎΡΡΡΠ°Π½Π°Π²Π»ΠΈΠ²Π°ΡΡ Ρ ΡΡΡΠ΅Π²ΡΡ ΡΠΊΠ°Π½Ρ. ΠΠ½ΡΠΈΠ±ΠΈΠΎΡΠΈΠΊΠΈ ΡΠ°Π·Π½ΠΎΠ³ΠΎ ΡΠΏΠ΅ΠΊΡΡΠ° Π΄Π΅ΠΉΡΡΠ²ΠΈΡ, Π΄Π»Ρ ΡΠ½ΡΡΠΈΡ ΡΠΈΠ»ΡΠ½ΠΎΠ³ΠΎ Π²ΠΎΡΠΏΠ°Π»Π΅Π½ΠΈΡ ΠΈ Π°Π±ΡΡΠ΅ΡΡΠ°.
- Π€ΠΈΠ·ΠΈΠΎΡΠ΅ΡΠ°ΠΏΠ΅Π²ΡΠΈΡΠ΅ΡΠΊΠΈΠ΅ ΠΌΠ΅ΡΠΎΠΏΡΠΈΡΡΠΈΡ. ΠΠΊΠ»ΡΡΠ°ΡΡ Π² ΡΠ΅Π±Ρ Π£Π€Π, ΡΠ»Π΅ΠΊΡΡΠΎΡΠΎΡΠ΅Π· Ρ ΠΎΠ±Π΅Π·Π±ΠΎΠ»ΠΈΠ²Π°ΡΡΠΈΠΌΠΈ ΡΡΠ΅Π΄ΡΡΠ²Π°ΠΌΠΈ, ΡΠΎΠ½ΠΎΡΠΎΡΠ΅Π·, ΠΌΠ°ΡΡΠ°ΠΆ, Π³ΡΡΠ·Π΅Π»Π΅ΡΠ΅Π½ΠΈΠ΅, ΠΏΡΠΎΠ³ΡΠ΅Π²Π°Π½ΠΈΠ΅, ΠΎΠ±Π΅ΡΡΡΠ²Π°Π½ΠΈΡ, Π³ΠΈΠ΄ΡΠΎΠΌΠ°ΡΡΠ°ΠΆ, Π»Π΅ΡΠ΅Π±Π½ΡΠ΅ Π²Π°Π½Π½Ρ. Π£ΠΆΠ΅ ΠΏΠΎΡΠ»Π΅ Π½Π΅Π΄Π΅Π»ΡΠ½ΠΎΠ³ΠΎ ΠΊΡΡΡΠ° ΡΠΎΡΡΠΎΡΠ½ΠΈΠ΅ Π±ΠΎΠ»ΡΠ½ΠΎΠ³ΠΎ ΡΡΡΠ΅ΡΡΠ²Π΅Π½Π½ΠΎ ΡΠ»ΡΡΡΠ°Π΅ΡΡΡ. Π ΡΠΎΠ²ΠΎΠΊΡΠΏΠ½ΠΎΡΡΠΈ Ρ ΠΌΠ΅Π΄ΠΈΠΊΠ°ΠΌΠ΅Π½ΡΠΎΠ·Π½ΡΠΌ Π»Π΅ΡΠ΅Π½ΠΈΠ΅ΠΌ Π»ΡΠ±ΠΎΠΉ Π²ΠΈΠ΄ Π°ΡΡΡΠΈΡΠ° ΠΏΡΠΈΠΎΠ±ΡΠ΅ΡΠ°Π΅Ρ, ΠΏΡΠ°ΠΊΡΠΈΡΠ΅ΡΠΊΠΈ, Π±Π΅ΡΡΠΈΠΌΠΏΡΠΎΠΌΠ½ΡΠΉ Ρ Π°ΡΠ°ΠΊΡΠ΅Ρ. ΠΠ°ΡΠ΅ΡΡΠ²ΠΎ ΠΆΠΈΠ·Π½ΠΈ ΠΏΠ°ΡΠΈΠ΅Π½ΡΠ° ΠΏΠΎΠ²ΡΡΠ°Π΅ΡΡΡ, ΠΈ ΠΎΠ½ ΡΠΆΠ΅ ΡΠΌΠΎΠΆΠ΅Ρ ΠΏΡΠΈΡΡΡΠΏΠΈΡΡ ΠΊ ΠΏΠΎΠ²ΡΠ΅Π΄Π½Π΅Π²Π½ΡΠΌ ΠΎΠ±ΡΠ·Π°Π½Π½ΠΎΡΡΡΠΌ.
- ΠΠ΅ΡΠ΅Π±Π½Π°Ρ ΡΠΈΠ·ΠΊΡΠ»ΡΡΡΡΠ° ΠΈ ΡΠ±Π°Π»Π°Π½ΡΠΈΡΠΎΠ²Π°Π½Π½ΠΎΠ΅ ΠΏΠΈΡΠ°Π½ΠΈΠ΅. ΠΠ΅ΡΠ΅Π½ΠΈΠ΅ Π°ΡΡΡΠΈΡΠ° ΡΡΠ΅Π±ΡΠ΅Ρ ΠΏΠΎΠ»Π½ΠΎΠ³ΠΎ ΠΏΠ΅ΡΠ΅ΡΠΌΠΎΡΡΠ° ΠΏΠΈΡΠ΅Π²ΠΎΠ³ΠΎ ΡΠ΅ΠΆΠΈΠΌΠ°. Π ΡΠ°ΡΠΈΠΎΠ½ Π² ΠΎΠ±ΡΠ·Π°ΡΠ΅Π»ΡΠ½ΠΎΠΌ ΠΏΠΎΡΡΠ΄ΠΊΠ΅ Π²Π²ΠΎΠ΄ΠΈΡΡΡ Π±ΠΎΠ»ΡΡΠΎΠ΅ ΠΊΠΎΠ»ΠΈΡΠ΅ΡΡΠ²ΠΎ ΡΠ²Π΅ΠΆΠΈΡ ΠΎΠ²ΠΎΡΠ΅ΠΉ ΠΈ ΡΡΡΠΊΡΠΎΠ², ΠΆΠΈΡΠ½ΠΎΠ΅ ΠΌΡΡΠΎ Π·Π°ΠΌΠ΅Π½ΡΠ΅ΡΡΡ ΡΡΠ±ΠΎΠΉ ΠΈ ΠΌΠΎΡΠ΅ΠΏΡΠΎΠ΄ΡΠΊΡΠ°ΠΌΠΈ, ΠΏΠΎΠ»Π½ΠΎΡΡΡΡ ΠΈΡΠΊΠ»ΡΡΠ°ΡΡΡΡ ΠΆΠ°ΡΠ΅Π½ΡΠ΅, ΡΠΎΠ»Π΅Π½ΡΠ΅, ΠΎΡΡΡΡΠ΅ Π±Π»ΡΠ΄Π° ΠΈ Π²ΡΠ΅Π²ΠΎΠ·ΠΌΠΎΠΆΠ½ΡΠ΅ ΠΏΡΠΈΠΏΡΠ°Π²Ρ. ΠΡΡ ΠΏΠΈΡΠ° ΡΠΎΠ»ΡΠΊΠΎ Π²Π°ΡΠΈΡΡΡ ΠΈ ΡΡΡΠΈΡΡΡ Π±Π΅Π· Π΄ΠΎΠ±Π°Π²Π»Π΅Π½ΠΈΡ ΠΌΠ°ΡΠ»Π°. ΠΠΈΠ΅ΡΠΈΡΠ΅ΡΠΊΠΎΠ΅ ΠΏΠΈΡΠ°Π½ΠΈΠ΅ ΠΎΠ±Π΅ΡΠΏΠ΅ΡΠΈΡ ΠΏΠΎΡΡΡΠΏΠ»Π΅Π½ΠΈΠ΅ Π½Π΅ΠΎΠ±Ρ ΠΎΠ΄ΠΈΠΌΡΡ ΠΌΠΈΠ½Π΅ΡΠ°Π»ΠΎΠ² ΠΈ Π²ΠΈΡΠ°ΠΌΠΈΠ½ΠΎΠ² Π² ΠΎΡΠ³Π°Π½ΠΈΠ·ΠΌ ΠΈ, Π² ΡΠ°ΡΡΠ½ΠΎΡΡΠΈ, ΠΏΠΎΡΠ°ΠΆΠ΅Π½Π½ΡΠ΅ ΡΡΡΡΠ°Π²Ρ.
Β
Β
Π€ΠΈΠ·ΠΈΡΠ΅ΡΠΊΠ°Ρ Π°ΠΊΡΠΈΠ²Π½ΠΎΡΡΡ ΡΠ°ΠΊΠΆΠ΅ ΠΏΠΎΠ΄Π»Π΅ΠΆΠΈΡ ΠΊΠΎΡΡΠ΅ΠΊΡΠΈΡΠΎΠ²ΠΊΠ΅. Π‘ΠΎΡΡΠΎΡΠ½ΠΈΠ΅ ΠΏΠΎΠΊΠΎΡ ΠΈ ΠΏΠΎΡΡΠΎΡΠ½Π½ΡΠΉ ΠΏΠΎΡΡΠ΅Π»ΡΠ½ΡΠΉ ΡΠ΅ΠΆΠΈΠΌ ΡΠΎΠ»ΡΠΊΠΎ ΡΡΡΠ³ΡΠ±ΡΡ ΡΠΎΡΡΠΎΡΠ½ΠΈΠ΅ Π±ΠΎΠ»ΡΠ½ΠΎΠ³ΠΎ. Π Π·Π°Π²ΠΈΡΠΈΠΌΠΎΡΡΠΈ ΠΎΡ ΡΡΠΆΠ΅ΡΡΠΈ Π·Π°Π±ΠΎΠ»Π΅Π²Π°Π½ΠΈΡ, ΠΠ€Π Π½Π°Π·Π½Π°ΡΠ°Π΅ΡΡΡ ΠΈΠ½Π΄ΠΈΠ²ΠΈΠ΄ΡΠ°Π»ΡΠ½ΠΎ, Π»Π΅ΡΠ°ΡΠΈΠΌ Π²ΡΠ°ΡΠΎΠΌ. ΠΡΠΏΠΎΠ»Π½ΡΡΡ ΠΊΠΎΠΌΠΏΠ»Π΅ΠΊΡ ΡΠ»Π΅Π΄ΡΠ΅Ρ ΡΠ΅Π³ΡΠ»ΡΡΠ½ΠΎ, Π±Π΅Π· ΠΏΡΠΎΠΏΡΡΠΊΠΎΠ², ΡΡΠΈΡΡΠ²Π°Ρ Π²ΡΠ΅ ΠΌΠ΅Π΄ΠΈΡΠΈΠ½ΡΠΊΠΈΠ΅ ΡΠ΅ΠΊΠΎΠΌΠ΅Π½Π΄Π°ΡΠΈΠΈ.
Β
Π ΠΊΠ°ΡΠ΅ΡΡΠ²Π΅ ΠΏΡΠΈΠΌΠ΅ΡΠ° ΠΌΠΎΠΆΠ½ΠΎ ΠΏΡΠΈΠ²Π΅ΡΡΠΈ ΡΡΠ΄ ΡΠΏΡΠ°ΠΆΠ½Π΅Π½ΠΈΠΉ ΠΏΡΠΈ Π°ΡΡΡΠΈΡΠ΅ Π³ΠΎΠ»Π΅Π½ΠΎΡΡΠΎΠΏΠ½ΠΎΠ³ΠΎ ΡΡΡΡΠ°Π²Π°:
- ΠΏΠ»Π°Π²Π½ΠΎΠ΅ ΠΏΠ΅ΡΠ΅ΠΊΠ°ΡΡΠ²Π°Π½ΠΈΠ΅ Ρ Π½ΠΎΡΠΊΠ° Π½Π° ΠΏΡΡΠΎΡΠΊΡ;
- Ρ ΠΎΠΆΠ΄Π΅Π½ΠΈΠ΅ Π½Π° Π²Π½ΡΡΡΠ΅Π½Π½Π΅ΠΉ ΡΠ°ΡΡΠΈ ΡΡΠΎΠΏΡ;
- ΠΏΡΡΠΆΠΊΠΈ Π½Π° ΠΏΠ°Π»ΡΡΠ°Ρ Π½ΠΎΠ³;
- Ρ ΠΎΠΆΠ΄Π΅Π½ΠΈΠ΅ Π½Π° ΠΏΡΡΠΊΠ°Ρ ;
- Π² ΠΏΠΎΠ»ΠΎΠΆΠ΅Π½ΠΈΠ΅ ΡΠΈΠ΄Ρ, Π½Π°ΡΡΠ³ΠΈΠ²Π°Π½ΠΈΠ΅ ΠΏΠ°Π»ΡΡΠ΅Π² Π½ΠΎΠ³ Π½Π° ΡΠ΅Π±Ρ.
Β
ΠΠ»Ρ ΡΡΠΆΠ΅Π»ΡΡ ΡΠ»ΡΡΠ°Π΅Π², ΠΌΠ½ΠΎΠ³ΠΈΠ΅ ΡΠΏΡΠ°ΠΆΠ½Π΅Π½ΠΈΡ ΠΌΠΎΠΆΠ½ΠΎ Π²ΡΠΏΠΎΠ»Π½ΡΡΡ Π² Π²ΠΎΠ΄Π΅, Π³Π΄Π΅ Π½Π°Π³ΡΡΠ·ΠΊΠ° ΡΠ½ΠΈΠΆΠ°Π΅ΡΡΡ ΠΈ ΠΠ€Π ΠΏΡΠΎΡ ΠΎΠ΄ΠΈΡ Π±ΠΎΠ»Π΅Π΅ ΠΊΠΎΠΌΡΠΎΡΡΠ½ΠΎ. Π’Π°ΠΊΠΆΠ΅ ΠΏΠΎΠΊΠ°Π·Π°Π½ΠΎ ΠΈΡΠΏΠΎΠ»ΡΠ·ΠΎΠ²Π°Π½ΠΈΠ΅ Π²Π΅Π»ΠΎΡΡΠ΅Π½Π°ΠΆΠ΅ΡΠ°.
ΠΠ΅ΡΠ΅Π±Π½ΡΠΉ ΠΌΠ°ΡΡΠ°ΠΆ ΡΠ½ΠΈΠΆΠ°Π΅Ρ Π½Π°ΠΏΡΡΠΆΠ΅Π½ΠΈΠ΅ ΠΈ ΠΎΡΠ΅ΡΠ½ΠΎΡΡΡ ΡΡΡΡΠ°Π²ΠΎΠ². ΠΠ±ΡΠ·Π°ΡΠ΅Π»ΡΠ½ΠΎ Π²Ρ ΠΎΠ΄ΠΈΡ Π² ΠΎΠ±ΡΠΈΠΉ ΠΏΡΠΎΡΠ΅ΡΡ Π»Π΅ΡΠ΅Π½ΠΈΡ Π°ΡΡΡΠΈΡΠ°. ΠΠΎΡΠ΅ΡΠ΅Π½ΠΈΠ΅ ΡΠ°Π½Π°ΡΠΎΡΠ½ΠΎ-ΠΊΡΡΠΎΡΡΠ½ΠΎΠ³ΠΎ Π·Π°Π²Π΅Π΄Π΅Π½ΠΈΡ ΠΏΠΎΠΌΠΎΠΆΠ΅Ρ Π΄ΠΎΠ±ΠΈΡΡΡΡ ΠΌΠ°ΠΊΡΠΈΠΌΠ°Π»ΡΠ½ΠΎΠ³ΠΎ ΡΠ΅Π·ΡΠ»ΡΡΠ°ΡΠ°.
Β
Β
Π Π»ΡΠ±ΠΎΠΌ ΡΠ»ΡΡΠ°Π΅, Π²ΡΠ΅ ΡΠ΅ΡΠ°ΠΏΠ΅Π²ΡΠΈΡΠ΅ΡΠΊΠΈΠ΅ ΠΌΠ΅ΡΠΎΠΏΡΠΈΡΡΠΈΡ, ΡΠΏΡΠ°ΠΆΠ½Π΅Π½ΠΈΡ Π»Π΅ΡΠ΅Π±Π½ΠΎΠΉ ΡΠΈΠ·ΠΊΡΠ»ΡΡΡΡΡ ΠΈ ΠΌΠ΅Π΄ΠΈΠΊΠ°ΠΌΠ΅Π½ΡΠΎΠ·Π½ΡΠ΅ ΠΏΡΠ΅ΠΏΠ°ΡΠ°ΡΡ Π½Π°Π·Π½Π°ΡΠ°ΡΡΡΡ ΡΠΎΠ»ΡΠΊΠΎ Π»Π΅ΡΠ°ΡΠΈΠΌ Π²ΡΠ°ΡΠΎΠΌ, ΠΈΡΡ ΠΎΠ΄Ρ ΠΈΠ· Π΄ΠΈΠ°Π³Π½ΠΎΠ·Π°.
Β
ΠΠ°ΡΠΎΠ΄Π½ΡΠ΅ ΠΌΠ΅ΡΠΎΠ΄Ρ Π»Π΅ΡΠ΅Π½ΠΈΡ Π°ΡΡΡΠΈΡΠ°
Π Π±ΠΎΡΡΠ±Π΅ Ρ Π±ΠΎΠ»Π΅Π·Π½ΡΡ Π²ΡΠ΅ ΡΠΏΠΎΡΠΎΠ±Ρ Ρ ΠΎΡΠΎΡΠΈ. ΠΠ°ΡΠΎΠ΄Π½Π°Ρ ΠΌΠ΅Π΄ΠΈΡΠΈΠ½Π° ΠΏΡΠ΅Π΄Π»Π°Π³Π°Π΅Ρ ΠΌΠ½ΠΎΠΆΠ΅ΡΡΠ²ΠΎ ΡΠ΅ΡΠ΅ΠΏΡΠΎΠ², ΠΏΡΠΎΠ²Π΅ΡΠ΅Π½Π½ΡΡ Π½ΠΈ Π½Π° ΠΎΠ΄Π½ΠΎΠΌ ΡΠ΅Π»ΠΎΠ²Π΅ΠΊΠ΅. Π‘Π°ΠΌΡΠ΅ ΠΏΠΎΠΏΡΠ»ΡΡΠ½ΡΠ΅ ΠΈΠ· Π½ΠΈΡ :
Π₯Π²ΠΎΠΉΠ½ΡΠ΅ Π²Π°Π½Π½Ρ. ΠΠ΅ΡΠ²ΠΈ Π΅Π»ΠΈ Π·Π°Π»ΠΈΡΡ ΠΊΡΡΡΡΠΌ ΠΊΠΈΠΏΡΡΠΊΠΎΠΌ, Π½Π°ΡΡΠΎΡΡΡ 10 ΠΌΠΈΠ½ΡΡ, ΠΎΠΏΡΡΡΠΈΡΡ Π½ΠΎΠ³ΠΈ Π² Π΅ΠΌΠΊΠΎΡΡΡ Ρ Ρ Π²ΠΎΠ΅ΠΉ Π½Π° 30 ΠΌΠΈΠ½ΡΡ. ΠΠΎΡΠ»Π΅ ΠΏΡΠΎΡΠ΅Π΄ΡΡΡ ΡΡΠ°Π·Ρ ΠΆΠ΅ Π»Π΅ΡΡ Π² ΠΏΠΎΡΡΠ΅Π»Ρ. ΠΠΎΠΆΠ½ΠΎ ΠΏΠΎΠ²ΡΠΎΡΡΡΡ Π΅ΠΆΠ΅Π΄Π½Π΅Π²Π½ΠΎ, Π΄ΠΎ Π½Π°ΡΡΡΠΏΠ»Π΅Π½ΠΈΡ ΠΎΠ±Π»Π΅Π³ΡΠ΅Π½ΠΈΡ.
Π‘Π΅ΠΌΠ΅Π½Π° Π»ΡΠ½Π° ΡΠ°Π·ΠΎΠ³ΡΠ΅ΡΡ Π² Π΄ΡΡ ΠΎΠ²ΠΎΠΌ ΡΠΊΠ°ΡΡ ΠΈΠ»ΠΈ Π½Π° ΡΡΡ ΠΎΠΉ ΡΠΊΠΎΠ²ΠΎΡΠΎΠ΄Π΅, ΠΏΠΎΠΌΠ΅ΡΡΠΈΡΡ Π² ΡΠΊΠ°Π½Π΅Π²ΡΠΉ ΠΌΠ΅ΡΠΎΡΠ΅ΠΊ ΠΈ ΠΏΡΠΈΠΊΠ»Π°Π΄ΡΠ²Π°ΡΡ ΠΊ Π±ΠΎΠ»ΡΠ½ΠΎΠΌΡ ΡΡΡΡΠ°Π²Ρ.
Π‘Π²Π΅ΠΆΠ°Ρ ΠΊΠ°ΠΏΡΡΡΠ° ΡΠ»Π°Π²ΠΈΡΡΡ ΡΠ²ΠΎΠΈΠΌΠΈ ΠΏΡΠΎΡΠΈΠ²ΠΎΠ²ΠΎΡΠΏΠ°Π»ΠΈΡΠ΅Π»ΡΠ½ΡΠΌΠΈ Π΄Π΅ΠΉΡΡΠ²ΠΈΡΠΌΠΈ. Π’Π΅ΠΏΠ»ΡΠ΅ Π»ΠΈΡΡΡ ΠΏΡΠΈΠΊΠ»Π°Π΄ΡΠ²Π°ΡΡ Π½Π° ΠΏΠΎΡΠ°ΠΆΠ΅Π½Π½ΡΠ΅ Π°ΡΡΡΠΈΡΠΎΠΌ ΠΌΠ΅ΡΡΠ°, ΠΏΡΠ΅Π΄Π²Π°ΡΠΈΡΠ΅Π»ΡΠ½ΠΎ ΡΠΌΠ°Π·Π°Π½Π½ΡΠ΅ Π»ΡΠ±ΡΠΌ Π²ΠΈΠ΄ΠΎΠΌ ΠΌΠ΅Π΄Π°. ΠΠΎΠΌΠΏΡΠ΅ΡΡ ΠΎΠ±ΠΌΠΎΡΠ°ΡΡ ΠΏΠΈΡΠ΅Π²ΠΎΠΉ ΠΏΠ»ΡΠ½ΠΊΠΎΠΉ ΠΈ ΡΠ΅ΠΏΠ»ΡΠΌ ΡΠ°ΡΡΠΎΠΌ. ΠΠ΅Π»Π°ΡΠ΅Π»ΡΠ½ΠΎ ΡΡΠΎ Π΄Π΅Π»Π°ΡΡ Π½Π° Π½ΠΎΡΡ.
Β
Β
Π‘ΡΡΠΎΠ΅ ΠΊΡΡΠΈΠ½ΠΎΠ΅ ΡΠΉΡΠΎ ΡΡΠ°ΡΠ΅Π»ΡΠ½ΠΎ ΠΏΠ΅ΡΠ΅ΠΌΠ΅ΡΠ°ΡΡ Ρ Π΄Π²ΡΠΌΡ ΡΡΠΎΠ»ΠΎΠ²ΡΠΌΠΈ Π»ΠΎΠΆΠΊΠ°ΠΌΠΈ ΠΏΠΎΠ²Π°ΡΠ΅Π½Π½ΠΎΠΉ ΡΠΎΠ»ΠΈ, Π½Π°Π½Π΅ΡΡΠΈ ΡΠΎΡΡΠ°Π² Π½Π° ΡΠΈΡΡΡΡ Ρ Π»ΠΎΠΏΠΊΠΎΠ²ΡΡ ΡΠΊΠ°Π½Ρ ΠΈ ΠΎΠ±ΠΌΠΎΡΠ°ΡΡ Π±ΠΎΠ»ΡΠ½ΠΎΠ΅ ΠΌΠ΅ΡΡΠΎ. ΠΠΎ ΠΌΠ΅ΡΠ΅ Π²ΡΡΡΡ Π°Π½ΠΈΡ, Π½Π°Π½ΠΎΡΠΈΡΡ Π½ΠΎΠ²ΡΡ ΠΏΠΎΡΡΠΈΡ ΡΠΌΠ΅ΡΠΈ.
ΠΠ΅ΡΠΈΡ ΡΠΌΠ΅ΡΠ°ΡΡ Ρ ΠΈΠ·ΠΌΠ΅Π»ΡΡΠ΅Π½Π½ΡΠΌ ΠΌΠ΅Π»ΠΎΠΌ Π΄ΠΎ ΡΠΎΡΡΠΎΡΠ½ΠΈΡ Π³ΡΡΡΠΎΠΉ ΡΠΌΠ΅ΡΠ°Π½Ρ. ΠΠΎΠΌΠΏΡΠ΅ΡΡ ΡΡΠ°Π²ΠΈΡΡ Π½Π° Π½ΠΎΡΡ. ΠΠ±Π»Π΅Π³ΡΠ΅Π½ΠΈΠ΅ Π½Π΅ Π·Π°ΡΡΠ°Π²ΠΈΡ ΡΠ΅Π±Ρ ΠΆΠ΄Π°ΡΡ.
ΠΠ΅ΡΠΌΠΎΡΡΡ Π½Π° ΡΡΡΠ΅ΠΊΡΠΈΠ²Π½ΠΎΡΡΡ Π½Π°ΡΠΎΠ΄Π½ΡΡ ΠΌΠ΅ΡΠΎΠ΄ΠΎΠ², ΡΠ»Π΅Π΄ΡΠ΅Ρ ΠΏΠΎΠΌΠ½ΠΈΡΡ, ΡΡΠΎ ΡΠ°ΠΌΠΎΡΡΠΎΡΡΠ΅Π»ΡΠ½ΠΎΠ΅ Π»Π΅ΡΠ΅Π½ΠΈΠ΅ ΠΌΠΎΠΆΠ΅Ρ Π·Π°ΠΊΠΎΠ½ΡΠΈΡΡΡΡ ΠΎΡΠ΅Π½Ρ ΠΏΠ»Π°ΡΠ΅Π²Π½ΠΎ. ΠΠ΅Π· ΡΡΠ°Π΄ΠΈΡΠΈΠΎΠ½Π½ΡΡ ΡΠΏΠΎΡΠΎΠ±ΠΎΠ², ΠΏΠΎΠ»ΠΎΠΆΠΈΡΠ΅Π»ΡΠ½ΡΠΉ ΡΠ΅Π·ΡΠ»ΡΡΠ°Ρ Π±ΡΠ΄Π΅Ρ Π²ΡΠ΅ΠΌΠ΅Π½Π½ΡΠΌ, ΠΈ Π°ΡΡΡΠΈΡ Π²Π΅ΡΠ½Π΅ΡΡΡ ΠΎΡΠ΅Π½Ρ ΡΠΊΠΎΡΠΎ.
Π‘ΠΎΠ²ΠΌΠ΅ΡΠ΅Π½ΠΈΠ΅ Π½Π΅ΡΠΊΠΎΠ»ΡΠΊΠΈΡ ΠΌΠ΅ΡΠΎΠ΄ΠΈΠΊ, Π½Π°ΡΠΎΠ΄Π½ΠΎΠΉ ΠΈ ΡΡΠ°Π΄ΠΈΡΠΈΠΎΠ½Π½ΠΎΠΉ ΠΌΠ΅Π΄ΠΈΡΠΈΠ½Ρ Π΄Π°ΡΡ ΡΡΡΠΎΠΉΡΠΈΠ²ΡΠΉ, Π΄Π»ΠΈΡΠ΅Π»ΡΠ½ΡΠΉ ΡΡΡΠ΅ΠΊΡ ΠΈ ΡΠ½ΠΈΠΆΠ°Π΅Ρ ΡΠΈΡΠΊ ΡΠ΅ΡΠΈΠ΄ΠΈΠ²ΠΎΠ².
Β
Β
ΠΡΠΎΡΠΈΠ»Π°ΠΊΡΠΈΠΊΠ°
ΠΡΠΎΠ³Π½ΠΎΠ· Π΄Π»Ρ Π²ΡΠ΅Ρ Π²ΠΈΠ΄ΠΎΠ² Π°ΡΡΡΠΈΡΠΎΠ², ΠΊΠ°ΠΊ ΠΏΡΠ°Π²ΠΈΠ»ΠΎ, Π±Π»Π°Π³ΠΎΠΏΡΠΈΡΡΠ½ΡΠΉ. Π Π±ΠΎΠ»ΡΡΠΈΠ½ΡΡΠ²Π΅ ΡΠ»ΡΡΠ°Π΅Π² Π·Π°Π±ΠΎΠ»Π΅Π²Π°Π½ΠΈΠ΅ ΠΏΠΎΠ»Π½ΠΎΡΡΡΡ ΠΈΠ·Π»Π΅ΡΠΈΠΌΠΎ Π² ΡΠ΅ΡΠ΅Π½ΠΈΠ΅ 6-9 ΠΌΠ΅ΡΡΡΠ΅Π². Π ΡΡΠΎΡ ΠΏΠ΅ΡΠΈΠΎΠ΄ Π²Π°ΠΆΠ½ΠΎ Π½Π΅ ΠΎΡΠΊΠ°Π·ΡΠ²Π°ΡΡΡΡ ΠΎΡ ΠΏΠΎΠ»Π½ΠΎΡΠ΅Π½Π½ΠΎΠΉ ΠΆΠΈΠ·Π½ΠΈ, Π° ΠΌΠ°ΠΊΡΠΈΠΌΠ°Π»ΡΠ½ΠΎ ΠΊ Π½Π΅ΠΉ ΠΏΡΠΈΡΠΏΠΎΡΠΎΠ±ΠΈΡΡΡΡ. ΠΡΠΏΠΎΠ»Π½Π΅Π½ΠΈΠ΅ ΠΏΡΠΎΡΡΡΡ ΡΠ΅ΠΊΠΎΠΌΠ΅Π½Π΄Π°ΡΠΈΠΉ ΠΈ ΠΏΡΠ°Π²ΠΈΠ» ΠΏΠΎΠ·Π²ΠΎΠ»ΡΡ ΡΠ»ΡΡΡΠΈΡΡ ΠΎΠ±ΡΠ΅Π΅ ΡΠΎΡΡΠΎΡΠ½ΠΈΠ΅ Π±ΠΎΠ»ΡΠ½ΠΎΠ³ΠΎ:
- Π‘Π½ΠΈΠ·ΠΈΡΡ Π½Π°Π³ΡΡΠ·ΠΊΡ Π½Π° ΡΡΡΡΠ°Π²Ρ;
- ΠΡΠΏΠΎΠ»Π½ΡΡΡ ΡΠΏΡΠ°ΠΆΠ½Π΅Π½ΠΈΡ Π½Π° ΡΠ°ΡΡΡΠΆΠΊΡ;
- ΠΠ΅ΡΠΊΠΎΡΠ½ΠΈΡΠ΅Π»ΡΠ½ΠΎΠ΅ Π²ΡΠΏΠΎΠ»Π½Π΅Π½ΠΈΠ΅ Π²ΡΠ΅Ρ ΡΠ΅ΠΊΠΎΠΌΠ΅Π½Π΄Π°ΡΠΈΠΉ Π»Π΅ΡΠ°ΡΠ΅Π³ΠΎ Π²ΡΠ°ΡΠ°;
- ΠΠΎΠ»Π½ΠΎΡΠ΅Π½Π½ΡΠΉ ΡΠΎΠ½;
- Π‘ΠΎΠ±Π»ΡΠ΄Π΅Π½ΠΈΠ΅ Π΄ΠΈΠ΅ΡΡ ΡΠ±Π°Π»Π°Π½ΡΠΈΡΠΎΠ²Π°Π½Π½ΠΎΠΉ Π΄ΠΈΠ΅ΡΡ.
Β
ΠΠ΄ΠΎΡΠΎΠ²ΡΠ΅ ΠΏΠΎΠ»Π½ΠΎΡΡΡΡ Π·Π°Π²ΠΈΡΠΈΡ ΠΎΡ ΡΠ°ΠΌΠΎΠΊΠΎΠ½ΡΡΠΎΠ»Ρ ΠΈ ΡΠΎΠ±Π»ΡΠ΄Π΅Π½ΠΈΡ ΠΏΡΠ°Π²ΠΈΠ». ΠΡΠΎ Π½Π΅Π±ΠΎΠ»ΡΡΠ°Ρ ΡΠ΅Π½Π° Π·Π° ΠΏΠΎΠ»Π½ΠΎΠ΅ ΠΈΠ·Π»Π΅ΡΠ΅Π½ΠΈΠ΅ ΠΎΡ Π°ΡΡΡΠΈΡΠ°. Π’ΠΎΠ»ΡΠΊΠΎ Π²Π°ΠΆΠ½ΠΎ ΠΏΡΠΈΠ΄Π΅ΡΠΆΠΈΠ²Π°ΡΡΡΡ ΠΈ ΠΏΡΠΎΡΠΈΠ»Π°ΠΊΡΠΈΡΠ΅ΡΠΊΠΈΡ ΠΌΠ΅Ρ, ΡΡΠΎΠ±Ρ Π½Π΅ Π΄ΠΎΠΏΡΡΡΠΈΡΡ ΡΠ΅ΡΠΈΠ΄ΠΈΠ²Π°.
- ΠΠ΄ΠΎΡΠΎΠ²ΠΎΠ΅ ΠΈ ΠΏΡΠ°Π²ΠΈΠ»ΡΠ½ΠΎΠ΅ ΠΏΠΈΡΠ°Π½ΠΈΠ΅ Π΄ΠΎΠ»ΠΆΠ½ΠΎ ΡΡΠ°ΡΡ Ρ ΠΎΡΠΎΡΠ΅ΠΉ ΠΏΡΠΈΠ²ΡΡΠΊΠΎΠΉ Π½Π° Π²ΡΡ ΠΆΠΈΠ·Π½Ρ. ΠΡΠΎ ΠΏΠΎΠΌΠΎΠΆΠ΅Ρ Π½Π΅ ΡΠΎΠ»ΡΠΊΠΎ ΠΏΡΠ΅Π΄ΠΎΡΠ²ΡΠ°ΡΠΈΡΡ Π²ΠΎΠ·Π²ΡΠ°ΡΠ΅Π½ΠΈΠ΅ Π°ΡΡΡΠΈΡΠ°, Π½ΠΎ ΠΈ Π±Π»Π°Π³ΠΎΠΏΡΠΈΡΡΠ½ΠΎ ΡΠΊΠ°ΠΆΠ΅ΡΡΡ Π½Π° ΠΎΠ±ΡΠ΅ΠΌ ΡΠΎΡΡΠΎΡΠ½ΠΈΠΈ ΠΎΡΠ³Π°Π½ΠΈΠ·ΠΌΠ°.
- ΠΠΎΠ»Π½ΠΎΡΡΡΡ ΠΈΡΠΊΠ»ΡΡΠΈΡΡ Π°Π»ΠΊΠΎΠ³ΠΎΠ»Ρ ΠΈ ΠΊΡΡΠ΅Π½ΠΈΠ΅. ΠΡΠ΅Π΄Π½ΡΠ΅ ΠΏΡΠΈΠ²ΡΡΠΊΠΈ Π½ΠΈΠΊΠΎΠ³Π΄Π° Π½Π΅ ΡΠΏΠΎΡΠΎΠ±ΡΡΠ²ΠΎΠ²Π°Π»ΠΈ Ρ ΠΎΡΠΎΡΠ΅ΠΌΡ Π·Π΄ΠΎΡΠΎΠ²ΡΡ.
- ΠΠ΅ Π΄ΠΎΠΏΡΡΠΊΠ°ΡΡ ΠΈΠ½ΡΠ΅ΠΊΡΠΈΠΎΠ½Π½ΡΡ Π·Π°Π±ΠΎΠ»Π΅Π²Π°Π½ΠΈΠΉ. ΠΠ»Ρ ΡΡΠΎΠ³ΠΎ ΠΏΡΠΈΠ½ΠΈΠΌΠ°ΡΡ ΠΈΠΌΠΌΡΠ½ΠΎΠΌΠΎΠ΄ΡΠ»ΠΈΡΡΡΡΠΈΠ΅ ΠΏΡΠ΅ΠΏΠ°ΡΠ°ΡΡ ΠΈ ΡΡΠ°ΡΠ΅Π»ΡΠ½ΠΎ ΠΏΡΠΎΠ»Π΅ΡΠΈΠ²Π°ΡΡ Π΄Π°ΠΆΠ΅ Π½Π°ΡΠΌΠΎΡΠΊ.
- ΠΠ΅ΡΡΠΈ Π°ΠΊΡΠΈΠ²Π½ΡΠΉ ΠΎΠ±ΡΠ°Π· ΠΆΠΈΠ·Π½ΠΈ. ΠΠ»ΠΈΡΠ΅Π»ΡΠ½ΡΠ΅ ΠΏΡΠΎΠ³ΡΠ»ΠΊΠΈ, ΠΏΠΎΡΠΈΠ»ΡΠ½ΡΠ΅ Π·Π°Π½ΡΡΠΈΡ ΡΠΏΠΎΡΡΠΎΠΌ Π΄ΠΎΠ»ΠΆΠ½Ρ ΡΡΠ°ΡΡ Π΅ΠΆΠ΅Π΄Π½Π΅Π²Π½ΠΎΠΉ ΠΎΠ±ΡΠ·Π°Π½Π½ΠΎΡΡΡΡ.
- ΠΠ·Π±Π΅Π³Π°ΡΡ ΡΡΠΆΠ΅Π»ΡΡ ΡΠΈΠ·ΠΈΡΠ΅ΡΠΊΠΈΡ Π½Π°Π³ΡΡΠ·ΠΎΠΊ, ΡΡΠΎΠ±Ρ ΡΠ²Π΅ΡΡΠΈ ΠΊ ΠΌΠΈΠ½ΠΈΠΌΡΠΌΡ ΡΠΈΡΠΊ ΡΡΠ°Π²ΠΌΡ.
- ΠΠ΅ΡΠ΅Π΄ ΡΠ½ΠΎΠΌ Π΄Π΅Π»Π°ΡΡ ΠΏΡΠΎΡΠΈΠ»Π°ΠΊΡΠΈΡΠ΅ΡΠΊΠΈΠΉ ΠΌΠ°ΡΡΠ°ΠΆ.
Β
Π’ΠΎΠ»ΡΠΊΠΎ ΠΏΠΎΠ»Π½ΠΎΡΡΡΡ ΠΏΠ΅ΡΠ΅ΡΠΌΠΎΡΡΠ΅Π² ΡΠ²ΠΎΠΉ ΠΎΠ±ΡΠ°Π· ΠΆΠΈΠ·Π½ΠΈ ΠΌΠΎΠΆΠ½ΠΎ ΠΈΠ·Π±Π΅ΠΆΠ°ΡΡ ΡΠ΅ΡΠΈΠ΄ΠΈΠ²Π° ΠΈ Π½Π΅ Π΄ΠΎΠΏΡΡΡΠΈΡΡ ΡΠ°Π·Π²ΠΈΡΠΈΠ΅ Π°ΡΡΡΠΈΡΠ° Ρ Π½ΠΎΠ²ΠΎΠΉ ΡΠΈΠ»ΠΎΠΉ. ΠΡΠ»ΠΈ ΠΆΠ΅ Π·Π°Π±ΠΎΠ»Π΅Π²Π°Π½ΠΈΠ΅ Π²Π΅ΡΠ½ΡΠ»ΠΎΡΡ, ΠΎΡΡΠ°Π²Π»ΡΡΡ Π±Π΅Π· Π²Π½ΠΈΠΌΠ°Π½ΠΈΡ Π΄Π°ΠΆΠ΅ Π½Π΅Π·Π½Π°ΡΠΈΡΠ΅Π»ΡΠ½ΡΠ΅, Π½Π° ΠΏΠ΅ΡΠ²ΡΠΉ Π²Π·Π³Π»ΡΠ΄, ΡΠΈΠΌΠΏΡΠΎΠΌΡ β ΠΏΡΡΠΌΠΎΠΉ ΠΏΡΡΡ Π½Π° Ρ ΠΈΡΡΡΠ³ΠΈΡΠ΅ΡΠΊΠΈΠΉ ΡΡΠΎΠ» ΠΈ Π²ΠΎΠ·ΠΌΠΎΠΆΠ½Π°Ρ ΠΈΠ½Π²Π°Π»ΠΈΠ΄Π½ΠΎΡΡΡ.
ΠΡΠ»ΠΈ Π½Π°ΡΠ°Π»ΠΈ Π±ΠΎΠ»Π΅ΡΡ ΡΡΡΡΠ°Π²Ρ ΡΡΠΊ ΠΈ Π½ΠΎΠ³, Π½Π΅ΠΌΠ΅Π΄Π»Π΅Π½Π½ΠΎ ΡΠ±ΠΈΡΠ°ΠΉΡΠ΅ ΠΈΠ· ΡΠ°ΡΠΈΠΎΠ½Π°…Β
Β
Β
Β
ΠΡΡΠΎΠΏΠ΅Π΄: «ΠΡΠ»ΠΈ Π½Π°ΡΠ°Π»ΠΈ Π±ΠΎΠ»Π΅ΡΡ ΠΊΠΎΠ»Π΅Π½ΠΈ ΠΈ ΠΏΠΎΡΡΠ½ΠΈΡΠ°, Π·Π°ΠΏΠΎΠΌΠ½ΠΈΡΠ΅, Π½ΠΈΠΊΠΎΠ³Π΄Π° Π½Π΅ ΠΏΡΠΈΠΊΠ°ΡΠ°ΠΉΡΠ΅ΡΡ ΠΊ…Β
Β
Β
Β
ΠΡΠΈ Π±ΠΎΠ»ΠΈ Π² ΡΡΡΡΠ°Π²Π°Ρ
, ΡΠ΅ΠΈ ΠΈΠ»ΠΈ ΡΠΏΠΈΠ½Π΅, Π² ΠΎΡΠ³Π°Π½ΠΈΠ·ΠΌΠ΅ ΡΠΈΠ»ΡΠ½Π΅ΠΉΡΠ°Ρ Π½Π΅Ρ
Π²Π°ΡΠΊΠ°…Β
Β
Β
Β
Β
artosustav.ru
ΠΡΡΡΠΈΡ β ΡΠΈΠΌΠΏΡΠΎΠΌΡ, Π»Π΅ΡΠ΅Π½ΠΈΠ΅, Π΄ΠΈΠ΅ΡΠ°, ΠΏΡΠΈΡΠΈΠ½Ρ, ΠΏΡΠΈΠ·Π½Π°ΠΊΠΈ, Π΄ΠΈΠ°Π³Π½ΠΎΡΡΠΈΠΊΠ°
Π‘ΠΎΠ΄Π΅ΡΠΆΠ°Π½ΠΈΠ΅ ΡΡΠ°ΡΡΠΈ:
ΠΡΡΡΠΈΡ (ΠΎΡ Π»Π°Ρ. arthritis β Π»ΠΎΠΌΠΎΡΠ° Π² ΡΡΡΡΠ°Π²Π°Ρ ) β ΡΡΠΎ ΠΎΠ±ΡΠ΅Π΅ ΠΎΠ±ΠΎΠ·Π½Π°ΡΠ΅Π½ΠΈΠ΅ Π²ΡΠ΅Ρ Π²ΠΈΠ΄ΠΎΠ² Π²ΠΎΡΠΏΠ°Π»ΠΈΡΠ΅Π»ΡΠ½ΡΡ ΠΏΡΠΎΡΠ΅ΡΡΠΎΠ² Π² ΡΡΡΡΠ°Π²Π°Ρ , Π²ΡΡΡΡΠΏΠ°ΡΡΠΈΡ Π² ΡΠΎΠ»ΠΈ ΡΠ°ΠΌΠΎΡΡΠΎΡΡΠ΅Π»ΡΠ½ΡΡ Π½ΠΎΠ·ΠΎΠ»ΠΎΠ³ΠΈΡΠ΅ΡΠΊΠΈΡ ΡΠΎΡΠΌ ΠΈΠ»ΠΈ ΠΏΡΠΎΡΠ²Π»Π΅Π½ΠΈΠΉ ΡΠΈΡΡΠ΅ΠΌΠ½ΠΎΠΉ ΠΏΠ°ΡΠΎΠ»ΠΎΠ³ΠΈΠΈ. ΠΡΠΈ ΠΏΡΠΎΠ³ΡΠ΅ΡΡΠΈΡΡΡΡΠ΅ΠΌ Π·Π°Π±ΠΎΠ»Π΅Π²Π°Π½ΠΈΠΈ Π²ΠΎΡΠΏΠ°Π»Π΅Π½ΠΈΠ΅ ΡΠ°ΡΠΏΡΠΎΡΡΡΠ°Π½ΡΠ΅ΡΡΡ Π½Π° ΠΏΡΠΈΠ»Π΅Π³Π°ΡΡΠΈΠ΅ ΡΠΊΠ°Π½ΠΈ: ΡΠΈΠ½ΠΎΠ²ΠΈΠ°Π»ΡΠ½ΡΡ ΠΎΠ±ΠΎΠ»ΠΎΡΠΊΡ, Π±ΡΡΡΡ, ΡΠ²ΡΠ·ΠΊΠΈ, ΡΡΡ ΠΎΠΆΠΈΠ»ΠΈΡ, ΠΌΡΡΡΡ ΠΈ ΠΊΠΎΡΡΠΈ.

ΠΡΠΈΡΠΈΠ½Ρ Π°ΡΡΡΠΈΡΠ° ΠΈ ΡΠ°ΠΊΡΠΎΡΡ ΡΠΈΡΠΊΠ°
ΠΡΠΈΡΠΈΠ½Ρ ΡΠ°Π·Π²ΠΈΡΠΈΡ Π²ΠΎΡΠΏΠ°Π»ΠΈΡΠ΅Π»ΡΠ½ΡΡ ΠΏΡΠΎΡΠ΅ΡΡΠΎΠ² Π² ΡΡΡΡΠ°Π²Π°Ρ ΠΌΠΎΠ³ΡΡ Π±ΡΡΡ ΡΠ°ΠΌΡΠΌΠΈ ΡΠ°Π·Π½ΠΎΠΎΠ±ΡΠ°Π·Π½ΡΠΌΠΈ. ΠΡΡΡΠΎΠ΅ Π²ΠΎΡΠΏΠ°Π»Π΅Π½ΠΈΠ΅ ΠΌΠΎΠΆΠ΅Ρ Π±ΡΡΡ Π²ΡΠ·Π²Π°Π½ΠΎ ΡΡΠ°Π²ΠΌΠΎΠΉ, ΠΈΠ½ΡΠ΅ΠΊΡΠΈΠ΅ΠΉ, Π°Π»Π»Π΅ΡΠ³ΠΈΡΠ΅ΡΠΊΠΎΠΉ ΡΠ΅Π°ΠΊΡΠΈΠ΅ΠΉ ΠΈΠ»ΠΈ ΠΏΠΎΠΏΠ°Π΄Π°Π½ΠΈΠ΅ΠΌ ΡΠΎΠΊΡΠΈΡΠ½ΡΡ Π²Π΅ΡΠ΅ΡΡΠ² Π² ΡΡΡΡΠ°Π²Π½ΡΡ ΠΏΠΎΠ»ΠΎΡΡΡ ΠΏΡΠΈ ΡΠΊΡΡΠ°Ρ Π·ΠΌΠ΅ΠΉ, ΠΏΠ°ΡΠΊΠΎΠ² ΠΈ ΡΠ΄ΠΎΠ²ΠΈΡΡΡ Π½Π°ΡΠ΅ΠΊΠΎΠΌΡΡ . Π₯ΡΠΎΠ½ΠΈΡΠ΅ΡΠΊΠ°Ρ ΡΠΎΡΠΌΠ° ΡΠ°ΡΡΠΎ ΡΠ°Π·Π²ΠΈΠ²Π°Π΅ΡΡΡ Π½Π° ΡΠΎΠ½Π΅ ΡΠ°Π·Π»ΠΈΡΠ½ΡΡ Π½Π°ΡΡΡΠ΅Π½ΠΈΠΉ Π² ΡΠ°Π±ΠΎΡΠ΅ Π²Π½ΡΡΡΠ΅Π½Π½ΠΈΡ ΠΎΡΠ³Π°Π½ΠΎΠ² ΠΈ ΡΠΈΡΡΠ΅ΠΌ:
- ΡΠ½Π΄ΠΎΠΊΡΠΈΠ½Π½ΡΠ΅ ΡΠ°ΡΡΡΡΠΎΠΉΡΡΠ²Π°;
- Π·Π°Π±ΠΎΠ»Π΅Π²Π°Π½ΠΈΡ Π½Π΅ΡΠ²Π½ΠΎΠΉ ΡΠΈΡΡΠ΅ΠΌΡ;
- Π°ΡΡΠΎΠΈΠΌΠΌΡΠ½Π½ΡΠ΅, Π°Π»Π»Π΅ΡΠ³ΠΈΡΠ΅ΡΠΊΠΈΠ΅ ΠΈ Π°ΡΠΎΠΏΠΈΡΠ΅ΡΠΊΠΈΠ΅ ΡΠΎΡΡΠΎΡΠ½ΠΈΡ;
- Π²ΡΠΎΠΆΠ΄Π΅Π½Π½ΡΠ΅ Π°Π½ΠΎΠΌΠ°Π»ΠΈΠΈ ΡΡΡΠΎΠ΅Π½ΠΈΡ ΠΎΠΏΠΎΡΠ½ΠΎ-Π΄Π²ΠΈΠ³Π°ΡΠ΅Π»ΡΠ½ΠΎΠ³ΠΎ Π°ΠΏΠΏΠ°ΡΠ°ΡΠ° ΠΈ ΡΠΎΠ΄ΠΎΠ²ΡΠ΅ ΡΡΠ°Π²ΠΌΡ β Π½Π°ΠΏΡΠΈΠΌΠ΅Ρ, Π΄ΠΈΡΠΏΠ»Π°Π·ΠΈΡ Π³ΠΎΠ»ΠΎΠ²ΠΊΠΈ ΡΠ°Π·ΠΎΠ±Π΅Π΄ΡΠ΅Π½Π½ΠΎΠ³ΠΎ ΡΡΡΡΠ°Π²Π°;
- Π½Π°Π»ΠΈΡΠΈΠ΅ Π² ΠΎΡΠ³Π°Π½ΠΈΠ·ΠΌΠ΅ ΠΏΠ΅ΡΡΠΈΡΡΠΈΡΡΡΡΠΈΡ ΠΈΠ½ΡΠ΅ΠΊΡΠΈΠΎΠ½Π½ΡΡ ΠΎΡΠ°Π³ΠΎΠ².
ΠΠΎΠ·Π½ΠΈΠΊΠ½ΠΎΠ²Π΅Π½ΠΈΠ΅ ΡΠ΅Π°ΠΊΡΠΈΠ²Π½ΠΎΠ³ΠΎ Π°ΡΡΡΠΈΡΠ° ΡΠ°ΡΠ΅ Π²ΡΠ΅Π³ΠΎ ΡΠ²ΡΠ·ΡΠ²Π°ΡΡ Ρ ΡΠ½ΡΠ΅ΡΠΎΠ±Π°ΠΊΡΠ΅ΡΠΈΡΠΌΠΈ, Ρ Π»Π°ΠΌΠΈΠ΄ΠΈΡΠΌΠΈ ΠΈ ΠΌΠΈΠΊΠΎΠΏΠ»Π°Π·ΠΌΠ°ΠΌΠΈ. Π ΡΠ»ΡΡΠ°Π΅ ΡΠ΅Π²ΠΌΠ°ΡΠΎΠΈΠ΄Π½ΠΎΠ³ΠΎ Π°ΡΡΡΠΈΡΠ° ΠΏΠ΅ΡΠ²ΠΎΡΡΠ΅ΠΏΠ΅Π½Π½ΠΎΠ΅ Π·Π½Π°ΡΠ΅Π½ΠΈΠ΅ ΠΈΠΌΠ΅Π΅Ρ Π³Π΅Π½Π΅ΡΠΈΡΠ΅ΡΠΊΠ°Ρ ΠΏΡΠ΅Π΄ΡΠ°ΡΠΏΠΎΠ»ΠΎΠΆΠ΅Π½Π½ΠΎΡΡΡ.
Π‘ΡΠ΅Π΄ΠΈ ΡΡΠ°ΡΠΈΡΡΠΈΡΠ΅ΡΠΊΠΈ Π·Π½Π°ΡΠΈΠΌΡΡ ΡΠ°ΠΊΡΠΎΡΠΎΠ² ΡΠΈΡΠΊΠ° ΡΠ°Π·Π²ΠΈΡΠΈΡ Π°ΡΡΡΠΈΡΠ° ΠΠΠ Π½Π°Π·ΡΠ²Π°Π΅Ρ Π²ΠΎΠ·ΡΠ°ΡΡ ΡΡΠ°ΡΡΠ΅ 65 Π»Π΅Ρ, ΠΈΠ·Π±ΡΡΠΎΡΠ½ΡΠΉ Π²Π΅Ρ, Π°ΡΡΠ΅ΡΠΈΠ°Π»ΡΠ½ΡΡ Π³ΠΈΠΏΠ΅ΡΡΠ΅Π½Π·ΠΈΡ, Π·Π°Π±ΠΎΠ»Π΅Π²Π°Π½ΠΈΡ ΠΏΠΎΡΠ΅ΠΊ ΠΈ ΠΏΡΠΈΠ½Π°Π΄Π»Π΅ΠΆΠ½ΠΎΡΡΡ ΠΊ ΠΆΠ΅Π½ΡΠΊΠΎΠΌΡ ΠΏΠΎΠ»Ρ: Π² ΡΠΈΠ»Ρ ΡΠ΅Π·ΠΊΠΈΡ ΠΈΠ·ΠΌΠ΅Π½Π΅Π½ΠΈΠΉ Π³ΠΎΡΠΌΠΎΠ½Π°Π»ΡΠ½ΠΎΠ³ΠΎ ΡΠΎΠ½Π° Π² ΠΏΠ΅ΡΠΈΠΎΠ΄ ΠΌΠ΅Π½ΠΎΠΏΠ°ΡΠ·Ρ ΠΆΠ΅Π½ΡΠΈΠ½Ρ Π·Π°Π±ΠΎΠ»Π΅Π²Π°ΡΡ ΡΠ°ΡΠ΅ ΠΌΡΠΆΡΠΈΠ½. Π Π ΠΎΡΡΠΈΠΈ Π²ΠΎΡΠΏΠ°Π»Π΅Π½ΠΈΠ΅ ΡΡΡΡΠ°Π²ΠΎΠ² ΠΎΡΠΌΠ΅ΡΠ°Π΅ΡΡΡ ΠΏΡΠΈΠΌΠ΅ΡΠ½ΠΎ Ρ 60% Π»ΠΈΡ ΠΏΠ΅Π½ΡΠΈΠΎΠ½Π½ΠΎΠ³ΠΎ Π²ΠΎΠ·ΡΠ°ΡΡΠ° Π½Π° ΡΠΎΠ½Π΅ ΡΠ΅Π½Π΄Π΅Π½ΡΠΈΠΈ ΠΊ ΡΠ²Π΅Π»ΠΈΡΠ΅Π½ΠΈΡ Π·Π°Π±ΠΎΠ»Π΅Π²Π°Π΅ΠΌΠΎΡΡΠΈ ΠΈ ΡΠ½ΠΈΠΆΠ΅Π½ΠΈΡ Π²ΠΎΠ·ΡΠ°ΡΡΠ° ΠΏΠ΅ΡΠ²ΠΎΠΉ ΠΌΠ°Π½ΠΈΡΠ΅ΡΡΠ°ΡΠΈΠΈ Π·Π°Π±ΠΎΠ»Π΅Π²Π°Π½ΠΈΡ. ΠΠΈΠ°Π³Π½ΠΎΡΡΠΈΠΊΠ° Π½Π΅ΡΠ²Π½ΠΎ-Π°ΡΡΡΠΈΡΠΈΡΠ΅ΡΠΊΠΎΠ³ΠΎ Π΄ΠΈΠ°ΡΠ΅Π·Π° Π² Π΄Π΅ΡΡΡΠ²Π΅ ΡΠ²Π΅Π»ΠΈΡΠΈΠ²Π°Π΅Ρ Π²Π΅ΡΠΎΡΡΠ½ΠΎΡΡΡ Π²ΠΎΠ·Π½ΠΈΠΊΠ½ΠΎΠ²Π΅Π½ΠΈΡ Π°ΡΡΡΠΈΡΠ° Π² Π·ΡΠ΅Π»ΠΎΠΌ Π²ΠΎΠ·ΡΠ°ΡΡΠ΅.

ΠΠ΅ΡΠ΅Π΄ΠΊΠΎ ΠΏΡΠΈΡΠΈΠ½ΠΎΠΉ Π°ΡΡΡΠΈΡΠ° ΠΎΠΊΠ°Π·ΡΠ²Π°Π΅ΡΡΡ ΠΏΠΎΡΡΠΎΡΠ½Π½Π°Ρ ΠΌΠΈΠΊΡΠΎΡΡΠ°Π²ΠΌΠ° ΡΡΡΡΠ°Π²Π½ΡΡ ΡΡΡΡΠΊΡΡΡ ΠΏΡΠΈ ΠΏΡΠΎΡΠ΅ΡΡΠΈΠΎΠ½Π°Π»ΡΠ½ΡΡ Π·Π°Π½ΡΡΠΈΡΡ ΡΠΏΠΎΡΡΠΎΠΌ ΠΈ ΡΡΠΆΠ΅Π»ΠΎΠΌ ΡΠΈΠ·ΠΈΡΠ΅ΡΠΊΠΎΠΌ ΡΡΡΠ΄Π΅, ΠΊΠΎΠ³Π΄Π° ΠΈΠΌΠ΅Π΅Ρ ΠΌΠ΅ΡΡΠΎ ΠΈΠ½ΡΠ΅Π½ΡΠΈΠ²Π½Π°Ρ Π½Π°Π³ΡΡΠ·ΠΊΠ° Π½Π° ΠΎΠ΄Π½ΠΈ ΠΈ ΡΠ΅ ΠΆΠ΅ Π³ΡΡΠΏΠΏΡ ΠΌΡΡΡ. Π‘ Π΄ΡΡΠ³ΠΎΠΉ ΡΡΠΎΡΠΎΠ½Ρ, ΠΌΠ°Π»ΠΎΠΏΠΎΠ΄Π²ΠΈΠΆΠ½ΡΠΉ ΠΎΠ±ΡΠ°Π· ΠΆΠΈΠ·Π½ΠΈ ΡΠ°ΠΊΠΆΠ΅ ΡΠΏΠΎΡΠΎΠ±ΡΡΠ²ΡΠ΅Ρ ΡΠ°Π·Π²ΠΈΡΠΈΡ Π²ΠΎΡΠΏΠ°Π»ΠΈΡΠ΅Π»ΡΠ½ΡΡ ΠΏΡΠΎΡΠ΅ΡΡΠΎΠ² Π² ΡΡΡΡΠ°Π²Π°Ρ , ΠΎΡΠΎΠ±Π΅Π½Π½ΠΎ ΠΊΠΎΠ³Π΄Π° ΠΊ Π³ΠΈΠΏΠΎΠ΄ΠΈΠ½Π°ΠΌΠΈΠΈ ΠΏΡΠΈΠΌΠ΅ΡΠΈΠ²Π°Π΅ΡΡΡ Π·Π»ΠΎΡΠΏΠΎΡΡΠ΅Π±Π»Π΅Π½ΠΈΠ΅ Π°Π»ΠΊΠΎΠ³ΠΎΠ»Π΅ΠΌ, Π½Π΅ΡΠ±Π°Π»Π°Π½ΡΠΈΡΠΎΠ²Π°Π½Π½ΠΎΠ΅ ΠΏΠΈΡΠ°Π½ΠΈΠ΅ ΠΈ Π½Π΅Ρ Π²Π°ΡΠΊΠ° Π²ΠΈΡΠ°ΠΌΠΈΠ½ΠΎΠ² Π² ΡΠ°ΡΠΈΠΎΠ½Π΅.
Π€ΠΎΡΠΌΡ
Π ΡΠΈΠ»Ρ ΠΌΠ½ΠΎΠ³ΠΎΠΎΠ±ΡΠ°Π·ΠΈΡ ΠΏΡΠΎΡΠ²Π»Π΅Π½ΠΈΠΉ Π°ΡΡΡΠΈΡΠ° Π² ΠΊΠ»ΠΈΠ½ΠΈΡΠ΅ΡΠΊΠΎΠΉ ΠΏΡΠ°ΠΊΡΠΈΠΊΠ΅ ΠΏΡΠΈΠ½ΡΡΠΎ Π²ΡΠ΄Π΅Π»ΡΡΡ ΡΠ°Π·Π½ΡΠ΅ ΡΠΎΡΠΌΡ Π·Π°Π±ΠΎΠ»Π΅Π²Π°Π½ΠΈΡ, ΠΊΠΎΡΠΎΡΡΠ΅ ΠΎΡΠ»ΠΈΡΠ°ΡΡΡΡ ΡΠΏΠ΅ΡΠΈΡΠΈΠΊΠΎΠΉ ΠΊΠ»ΠΈΠ½ΠΈΡΠ΅ΡΠΊΠΎΠΉ ΠΊΠ°ΡΡΠΈΠ½Ρ ΠΈ ΡΠ΅ΡΠ°ΠΏΠ΅Π²ΡΠΈΡΠ΅ΡΠΊΠΈΡ ΠΌΠ΅ΡΠΎΠΏΡΠΈΡΡΠΈΠΉ. Π Π·Π°Π²ΠΈΡΠΈΠΌΠΎΡΡΠΈ ΠΎΡ Ρ Π°ΡΠ°ΠΊΡΠ΅ΡΠ° ΠΏΡΠΎΡΠ΅ΠΊΠ°Π½ΠΈΡ ΡΠ°Π·Π»ΠΈΡΠ°ΡΡ ΠΎΡΡΡΡΠΉ ΠΈ Ρ ΡΠΎΠ½ΠΈΡΠ΅ΡΠΊΠΈΠΉ Π°ΡΡΡΠΈΡ, Π° ΠΏΠΎ ΠΊΠΎΠ»ΠΈΡΠ΅ΡΡΠ²Ρ ΠΏΠΎΡΠ°ΠΆΠ΅Π½Π½ΡΡ ΡΡΡΡΠ°Π²ΠΎΠ² Π΄ΠΈΡΡΠ΅ΡΠ΅Π½ΡΠΈΡΡΡΡ ΡΡΠΈ ΡΠΎΡΠΌΡ Π·Π°Π±ΠΎΠ»Π΅Π²Π°Π½ΠΈΡ:
- ΠΌΠΎΠ½ΠΎΠ°ΡΡΡΠΈΡ β Π²ΠΎΡΠΏΠ°Π»Π΅Π½ΠΈΠ΅ ΠΎΠ΄Π½ΠΎΠ³ΠΎ ΡΡΡΡΠ°Π²Π°;
- ΠΎΠ»ΠΈΠ³ΠΎΠ°ΡΡΡΠΈΡ β Π²ΠΎΡΠΏΠ°Π»Π΅Π½ΠΈΠ΅ΠΌ Π·Π°ΡΡΠΎΠ½ΡΡΠΎ ΠΎΡ Π΄Π²ΡΡ Π΄ΠΎ ΡΠ΅ΡΡΡΠ΅Ρ ΡΡΡΡΠ°Π²ΠΎΠ²;
- ΠΏΠΎΠ»ΠΈΠ°ΡΡΡΠΈΡ β Π²ΠΎΡΠΏΠ°Π»Π΅Π½ΠΈΠ΅ ΠΏΡΡΠΈ ΠΈ Π±ΠΎΠ»Π΅Π΅ ΡΡΡΡΠ°Π²ΠΎΠ².
ΠΡΡ ΠΎΠ΄Ρ ΠΈΠ· ΠΏΡΠ΅Π²Π°Π»ΠΈΡΡΡΡΠ΅Π³ΠΎ ΡΡΠΈΠΎΠ»ΠΎΠ³ΠΈΡΠ΅ΡΠΊΠΎΠ³ΠΎ ΡΠ°ΠΊΡΠΎΡΠ°, ΡΠ°Π·Π»ΠΈΡΠ°ΡΡ ΠΏΠ΅ΡΠ²ΠΈΡΠ½ΡΠΉ Π°ΡΡΡΠΈΡ Ρ Π½Π΅Π·Π°Π²ΠΈΡΠΈΠΌΡΠΌ ΠΏΠ°ΡΠΎΠ³Π΅Π½Π΅Π·ΠΎΠΌ ΠΈ Π²ΡΠΎΡΠΈΡΠ½ΡΠΉ Π°ΡΡΡΠΈΡ ΠΊΠ°ΠΊ ΡΠ»Π΅Π΄ΡΡΠ²ΠΈΠ΅ ΡΠΎΠ½ΠΎΠ²ΠΎΠ³ΠΎ Π·Π°Π±ΠΎΠ»Π΅Π²Π°Π½ΠΈΡ. Π ΠΏΠ΅ΡΠ²ΠΈΡΠ½ΡΠΌ ΡΠΎΡΠΌΠ°ΠΌ ΠΎΡΠ½ΠΎΡΡΡ ΠΈΠ½ΡΠ΅ΠΊΡΠΈΠΎΠ½Π½ΡΠΉ, ΡΡΠ°Π²ΠΌΠ°ΡΠΈΡΠ΅ΡΠΊΠΈΠΉ ΠΈ ΡΠ΅Π²ΠΌΠ°ΡΠΎΠΈΠ΄Π½ΡΠΉ Π°ΡΡΡΠΈΡ, ΡΠ²Π΅Π½ΠΈΠ»ΡΠ½ΡΠΉ ΠΈΠ΄ΠΈΠΎΠΏΠ°ΡΠΈΡΠ΅ΡΠΊΠΈΠΉ Π°ΡΡΡΠΈΡ, Π±ΠΎΠ»Π΅Π·Π½Ρ Π‘ΡΠΈΠ»Π»Π°, Π° ΡΠ°ΠΊΠΆΠ΅ Π²ΠΎΡΠΏΠ°Π»Π΅Π½ΠΈΠ΅ ΡΡΡΡΠ°Π²ΠΎΠ² ΠΏΡΠΈ ΠΎΡΡΠ΅ΠΎΠ°ΡΡΡΠΎΠ·Π΅ ΠΈ ΡΠΏΠΎΠ½Π΄ΠΈΠ»ΠΈΡΠ΅.

ΠΡΠΎΡΠΈΡΠ½ΡΠΉ Π°ΡΡΡΠΈΡ Π²ΠΎΠ·Π½ΠΈΠΊΠ°Π΅Ρ Π½Π° ΡΠΎΠ½Π΅ ΡΡΠ΄Π° Π·Π°Π±ΠΎΠ»Π΅Π²Π°Π½ΠΈΠΉ, ΠΈΠ· ΠΊΠΎΡΠΎΡΡΡ Π½Π°ΠΈΠ±ΠΎΠ»Π΅Π΅ ΠΈΠ·Π²Π΅ΡΡΠ½Ρ Π΄ΠΈΠ·Π΅Π½ΡΠ΅ΡΠΈΡ, ΡΡΠ±Π΅ΡΠΊΡΠ»Π΅Π·, ΠΏΠΎΠ΄Π°Π³ΡΠ°, ΡΠ°Ρ Π°ΡΠ½ΡΠΉ Π΄ΠΈΠ°Π±Π΅Ρ, ΡΠΈΡΡΠ΅ΠΌΠ½Π°Ρ ΠΊΡΠ°ΡΠ½Π°Ρ Π²ΠΎΠ»ΡΠ°Π½ΠΊΠ°, Π³ΠΎΠ½ΠΎΡΠ΅Ρ, Π±ΠΎΡΡΠ΅Π»ΠΈΠΎΠ·, ΠΏΡΠΎΡΠΈΠ°Π·, ΠΏΡΡΠΏΡΡΠ°, Π³Π΅ΠΏΠ°ΡΠΈΡ, Π³ΡΠ°Π½ΡΠ»Π΅ΠΌΠ°ΡΠΎΠ·, Π³Π΅ΠΌΠΎΡ ΡΠΎΠΌΠ°ΡΠΎΠ·, ΡΠΈΠ½Π΄ΡΠΎΠΌ Π Π΅ΠΉΡΠ΅ΡΠ° ΠΈ ΠΏΡΠΎΡΠΈΠ΅. ΠΠΎΡΠΏΠ°Π»Π΅Π½ΠΈΠ΅ ΡΡΡΡΠ°Π²ΠΎΠ², ΡΠ°Π·Π²ΠΈΠ²ΡΠ΅Π΅ΡΡ ΠΏΠΎΡΠ»Π΅ ΠΏΠ΅ΡΠ΅Π½Π΅ΡΠ΅Π½ΠΈΡ Π½ΠΎΡΠΎΠ³Π»ΠΎΡΠΎΡΠ½ΡΡ , ΠΊΠΈΡΠ΅ΡΠ½ΡΡ ΠΈ ΠΌΠΎΡΠ΅ΠΏΠΎΠ»ΠΎΠ²ΡΡ ΠΈΠ½ΡΠ΅ΠΊΡΠΈΠΉ, Π½ΠΎΡΠΈΡ Π½Π°Π·Π²Π°Π½ΠΈΠ΅ ΡΠ΅Π°ΠΊΡΠΈΠ²Π½ΠΎΠ³ΠΎ Π°ΡΡΡΠΈΡΠ°.
ΠΠ° ΡΠ°Π½Π½ΠΈΡ ΡΡΠ°Π΄ΠΈΡΡ ΠΎΡΡΡΡΠΉ ΠΈΠ½ΡΠ΅ΠΊΡΠΈΠΎΠ½Π½ΡΠΉ Π°ΡΡΡΠΈΡ Ρ ΠΎΡΠΎΡΠΎ ΠΏΠΎΠ΄Π΄Π°Π΅ΡΡΡ Π»Π΅ΡΠ΅Π½ΠΈΡ Π²ΠΏΠ»ΠΎΡΡ Π΄ΠΎ ΠΏΠΎΠ»Π½ΠΎΠ³ΠΎ Π²ΠΎΡΡΡΠ°Π½ΠΎΠ²Π»Π΅Π½ΠΈΡ ΡΡΠ½ΠΊΡΠΈΠΉ ΡΡΡΡΠ°Π²Π°.
Π‘ΡΠ°Π΄ΠΈΠΈ
Π Π΄ΠΈΠ½Π°ΠΌΠΈΠΊΠ΅ ΠΏΠ°ΡΠΎΠ»ΠΎΠ³ΠΈΡΠ΅ΡΠΊΠΎΠ³ΠΎ ΠΏΡΠΎΡΠ΅ΡΡΠ° ΠΏΡΠΈ Π°ΡΡΡΠΈΡΠ΅ Π²ΡΠ΄Π΅Π»ΡΡΡ ΡΠ΅ΡΡΡΠ΅ ΡΡΠ°Π΄ΠΈΠΈ:
- ΠΠ»ΠΈΠ½ΠΈΡΠ΅ΡΠΊΠΈ Π·Π°Π±ΠΎΠ»Π΅Π²Π°Π½ΠΈΠ΅ Π½Π΅ ΠΏΡΠΎΡΠ²Π»ΡΠ΅Ρ ΡΠ΅Π±Ρ, ΠΎΠ΄Π½Π°ΠΊΠΎ Π½Π° ΡΠ΅Π½ΡΠ³Π΅Π½ΠΎΠ²ΡΠΊΠΈΡ ΡΠ½ΠΈΠΌΠΊΠ°Ρ ΡΡΡΡΠ°Π²ΠΎΠ² ΠΏΡΠΈΡΡΡΡΡΠ²ΡΡΡ ΠΏΠ΅ΡΠ²ΡΠ΅ ΠΏΡΠΈΠ·Π½Π°ΠΊΠΈ Π²ΠΎΡΠΏΠ°Π»Π΅Π½ΠΈΡ. ΠΠ½ΠΎΠ³Π΄Π° ΠΎΡΡΡΠ°Π΅ΡΡΡ Π½Π΅Π·Π½Π°ΡΠΈΡΠ΅Π»ΡΠ½Π°Ρ ΡΠΊΠΎΠ²Π°Π½Π½ΠΎΡΡΡ Π΄Π²ΠΈΠΆΠ΅Π½ΠΈΠΉ ΠΈ ΠΏΠ΅ΡΠΈΠΎΠ΄ΠΈΡΠ΅ΡΠΊΠΈΠ΅ Π±ΠΎΠ»ΠΈ ΠΏΡΠΈ ΡΠΈΠ·ΠΈΡΠ΅ΡΠΊΠΈΡ Π½Π°Π³ΡΡΠ·ΠΊΠ°Ρ .
- ΠΡΠΎΠ³ΡΠ΅ΡΡΠΈΡΡΡΡΠΈΠΉ Π²ΠΎΡΠΏΠ°Π»ΠΈΡΠ΅Π»ΡΠ½ΡΠΉ ΠΏΡΠΎΡΠ΅ΡΡ ΠΏΡΠΈΠ²ΠΎΠ΄ΠΈΡ ΠΊ ΠΈΡΡΠΎΠ½ΡΠ΅Π½ΠΈΡ ΡΠΊΠ°Π½Π΅ΠΉ ΡΡΡΡΠ°Π²Π½ΡΡ ΡΡΡΡΠΊΡΡΡ ΠΈ ΡΡΠΎΠ·ΠΈΠΈ Π³ΠΎΠ»ΠΎΠ²ΠΎΠΊ ΠΊΠΎΡΡΠ΅ΠΉ. Π ΠΎΠ±Π»Π°ΡΡΠΈ ΠΏΠΎΡΠ°ΠΆΠ΅Π½Π½ΡΡ ΡΡΡΡΠ°Π²ΠΎΠ² ΠΏΠΎΡΠ²Π»ΡΡΡΡΡ ΠΏΡΠΈΠΏΡΡ Π»ΠΎΡΡΠΈ; ΡΠ°ΡΡΠΎ Π½Π°Π±Π»ΡΠ΄Π°ΡΡΡΡ Π»ΠΎΠΊΠ°Π»ΡΠ½ΠΎΠ΅ ΠΏΠΎΠ²ΡΡΠ΅Π½ΠΈΠ΅ ΡΠ΅ΠΌΠΏΠ΅ΡΠ°ΡΡΡΡ ΠΈ ΠΏΠΎΠΊΡΠ°ΡΠ½Π΅Π½ΠΈΠ΅ ΠΊΠΎΠΆΠΈ, Π΄Π²ΠΈΠΆΠ΅Π½ΠΈΡ ΡΠΎΠΏΡΠΎΠ²ΠΎΠΆΠ΄Π°ΡΡΡΡ Ρ ΡΡΡΡΠΎΠΌ.
- ΠΠΎΡΡΠ΅ΠΏΠ΅Π½Π½ΠΎΠ΅ ΡΠ°Π·ΡΡΡΠ΅Π½ΠΈΠ΅ ΡΡΡΡΠ°Π²Π½ΡΡ ΡΡΡΡΠΊΡΡΡ ΠΏΡΠΈΠ²ΠΎΠ΄ΠΈΡ ΠΊ Π·Π½Π°ΡΠΈΡΠ΅Π»ΡΠ½ΠΎΠΉ Π΄Π΅ΡΠΎΡΠΌΠ°ΡΠΈΠΈ ΡΡΡΡΠ°Π²ΠΎΠ², ΠΎΠ³ΡΠ°Π½ΠΈΡΠ΅Π½ΠΈΡ ΠΏΠΎΠ΄Π²ΠΈΠΆΠ½ΠΎΡΡΠΈ, ΠΏΠΎΡΡΠΎΡΠ½Π½ΠΎΠΉ Π±ΠΎΠ»ΠΈ ΠΈ ΡΠ°ΡΡΠΈΡΠ½ΠΎΠΉ ΠΏΠΎΡΠ΅ΡΠ΅ ΡΡΠ½ΠΊΡΠΈΠΉ ΡΡΡΡΠ°Π²Π°, ΠΊΠΎΡΠΎΡΡΠ΅ ΠΎΡΡΠ°ΡΡΠΈ ΠΊΠΎΠΌΠΏΠ΅Π½ΡΠΈΡΡΡΡΡΡ Π½Π°ΠΏΡΡΠΆΠ΅Π½ΠΈΠ΅ΠΌ ΠΌΡΡΡ.
- ΠΠ°ΡΠΎΠ»ΠΎΠ³ΠΈΡΠ΅ΡΠΊΠΈΠ΅ ΠΈΠ·ΠΌΠ΅Π½Π΅Π½ΠΈΡ ΡΡΡΡΠ°Π²Π½ΡΡ ΡΠΊΠ°Π½Π΅ΠΉ ΠΏΡΠΈΠ½ΠΈΠΌΠ°ΡΡ Π½Π΅ΠΎΠ±ΡΠ°ΡΠΈΠΌΡΠΉ Ρ Π°ΡΠ°ΠΊΡΠ΅Ρ; Π±ΠΎΠ»ΡΠ½ΠΎΠΉ ΡΡΡΡΠ°Π² ΠΏΠΎΠ»Π½ΠΎΡΡΡΡ ΠΎΠ±Π΅Π·Π΄Π²ΠΈΠΆΠ΅Π½. ΠΡΠΈ ΠΏΠΎΡΠ°ΠΆΠ΅Π½ΠΈΠΈ ΠΊΠΎΠ»Π΅Π½Π½ΡΡ ΡΡΡΡΠ°Π²ΠΎΠ² ΠΎΠ±ΡΠ°Π·ΡΡΡΡΡ ΠΊΠΎΠ½ΡΡΠ°ΠΊΡΡΡΡ, Π² ΡΠ°Π·ΠΎΠ±Π΅Π΄ΡΠ΅Π½Π½ΡΡ ΡΡΡΡΠ°Π²Π°Ρ ΡΠ°Π·Π²ΠΈΠ²Π°Π΅ΡΡΡ Π°Π½ΠΊΠΈΠ»ΠΎΠ· β ΡΡΠ°ΡΠ΅Π½ΠΈΠ΅ Π³ΠΎΠ»ΠΎΠ²ΠΎΠΊ ΡΡΡΡΠ°Π²Π½ΡΡ ΠΊΠΎΡΡΠ΅ΠΉ Π²ΡΠ»Π΅Π΄ΡΡΠ²ΠΈΠ΅ Π·Π°ΠΏΠΎΠ»Π½Π΅Π½ΠΈΡ ΡΡΡΡΠ°Π²Π½ΠΎΠΉ ΠΊΠ°ΠΏΡΡΠ»Ρ Π·Π°ΠΌΠ΅ΡΡΠΈΡΠ΅Π»ΡΠ½ΠΎΠΉ ΠΊΠΎΡΡΠ½ΠΎΠΉ ΠΈΠ»ΠΈ ΡΠΈΠ±ΡΠΎΠ·Π½ΠΎΠΉ ΡΠΊΠ°Π½ΡΡ.

Π‘ΠΈΠΌΠΏΡΠΎΠΌΡ Π°ΡΡΡΠΈΡΠ°
Π‘ΠΈΠΌΠΏΡΠΎΠΌΠ°ΡΠΈΠΊΠ° Π°ΡΡΡΠΈΡΠ° Π·Π°Π²ΠΈΡΠΈΡ ΠΎΡ ΡΡΠ°Π΄ΠΈΠΈ ΠΈ ΡΠΎΡΠΌΡ Π·Π°Π±ΠΎΠ»Π΅Π²Π°Π½ΠΈΡ. ΠΠ±ΡΠΈΠ΅ ΠΏΡΠΈΠ·Π½Π°ΠΊΠΈ Π²ΠΎΡΠΏΠ°Π»Π΅Π½ΠΈΡ ΡΡΡΡΠ°Π²ΠΎΠ² Π½Π΅ΡΠΏΠ΅ΡΠΈΡΠΈΡΠ½Ρ: Π½Π° ΡΠ°Π½Π½ΠΈΡ ΡΡΠ°Π΄ΠΈΡΡ ΠΏΠ°ΡΠΎΠ»ΠΎΠ³ΠΈΡΠ΅ΡΠΊΠΎΠ³ΠΎ ΠΏΡΠΎΡΠ΅ΡΡΠ° ΡΠΌΠ΅ΡΠ΅Π½Π½ΡΡ Π±ΠΎΠ»Ρ ΠΈ ΡΠΊΠΎΠ²Π°Π½Π½ΠΎΡΡΡ Π² ΡΡΡΡΠ°Π²Π°Ρ ΡΠ°ΡΡΠΎ ΠΎΡΠ½ΠΎΡΡΡ Π½Π° ΡΡΠ΅Ρ ΡΡΡΠ°Π»ΠΎΡΡΠΈ, ΠΏΠ΅ΡΠ΅ΠΎΡ Π»Π°ΠΆΠ΄Π΅Π½ΠΈΡ ΠΈ Π²ΠΎΠ·ΡΠ°ΡΡΠ½ΡΡ ΠΈΠ·ΠΌΠ΅Π½Π΅Π½ΠΈΠΉ. ΠΡΠΈ Π²ΠΎΡΠΏΠ°Π»Π΅Π½ΠΈΠΈ Π½Π΅ΠΊΠΎΡΠΎΡΡΡ ΡΡΡΡΠ°Π²ΠΎΠ² ΠΌΠΎΠ³ΡΡ ΠΏΠΎΡΠ²ΠΈΡΡΡΡ Π½Π°ΡΡΠΎΡΠ°ΠΆΠΈΠ²Π°ΡΡΠΈΠ΅ ΡΠΈΠ³Π½Π°Π»Ρ:
- ΠΎΡΠ΅ΠΊΠΈ ΡΡΡΠΏΠ½Π΅ΠΉ ΠΈ ΠΏΠΎΠ²ΡΡΠ΅Π½Π½Π°Ρ ΡΡΠΎΠΌΠ»ΡΠ΅ΠΌΠΎΡΡΡ ΠΏΡΠΈ Ρ ΠΎΠ΄ΡΠ±Π΅ ΠΏΡΠΈ ΠΏΠΎΡΠ°ΠΆΠ΅Π½ΠΈΠΈ Π³ΠΎΠ»Π΅Π½ΠΎΡΡΠΎΠΏΠ½ΡΡ ΡΡΡΡΠ°Π²ΠΎΠ²;
- Β«ΡΠΈΠΌΠΏΡΠΎΠΌ ΠΏΠ΅ΡΡΠ°ΡΠΎΠΊΒ» ΠΏΡΠΈ Π²ΠΎΡΠΏΠ°Π»Π΅Π½ΠΈΠΈ ΡΡΡΡΠ°Π²ΠΎΠ² ΠΊΠΈΡΡΠΈ;
- Ρ ΡΠΎΠΌΠΎΡΠ° ΠΈ Π±ΠΎΠ»ΠΈ, ΠΎΡΠ΄Π°ΡΡΠΈΠ΅ Π² ΠΊΠΎΠ»Π΅Π½ΠΎ, ΠΏΡΠΈ Π°ΡΡΡΠΈΡΠ΅ ΡΠ°Π·ΠΎΠ±Π΅Π΄ΡΠ΅Π½Π½ΠΎΠ³ΠΎ ΡΡΡΡΠ°Π²Π°;
- Π·Π°ΡΡΡΠ΄Π½Π΅Π½Π½ΡΠΉ ΠΏΠΎΠ΄ΡΠ΅ΠΌ ΠΈ ΠΎΡΠ²Π΅Π΄Π΅Π½ΠΈΠ΅ ΠΊΠΎΠ½Π΅ΡΠ½ΠΎΡΡΠΈ ΠΏΡΠΈ ΠΏΠΎΡΠ°ΠΆΠ΅Π½ΠΈΠΈ ΠΏΠ»Π΅ΡΠ°.

ΠΠΎΠ»ΡΡΠΈΠ½ΡΡΠ²ΠΎ ΠΏΠ°ΡΠΈΠ΅Π½ΡΠΎΠ² ΠΎΠ±ΡΠ°ΡΠ°Π΅ΡΡΡ ΠΊ Π²ΡΠ°ΡΡ Π½Π° II ΡΡΠ°Π΄ΠΈΠΈ Π·Π°Π±ΠΎΠ»Π΅Π²Π°Π½ΠΈΡ. ΠΠΎΡΡΠΎΡΠ½Π½ΡΠΉ Π΄ΠΈΡΠΊΠΎΠΌΡΠΎΡΡ Π² ΠΎΠ±Π»Π°ΡΡΠΈ ΡΡΡΡΠ°Π²ΠΎΠ², ΠΏΠΎΡΠ²Π»Π΅Π½ΠΈΠ΅ ΡΡΠ²ΡΡΠ²ΠΈΡΠ΅Π»ΡΠ½ΡΡ ΠΏΡΠΈΠΏΡΡ Π»ΠΎΡΡΠ΅ΠΉ, Π²ΡΠ·Π²Π°Π½Π½ΡΡ ΠΈΠ·Π±ΡΡΠΎΡΠ½ΠΎΠΉ ΠΏΡΠΎΠ΄ΡΠΊΡΠΈΠ΅ΠΉ ΡΠΈΠ½ΠΎΠ²ΠΈΠ°Π»ΡΠ½ΠΎΠΉ ΠΆΠΈΠ΄ΠΊΠΎΡΡΠΈ, Ρ Π°ΡΠ°ΠΊΡΠ΅ΡΠ½ΡΠΉ Ρ ΡΡΡΡ, ΡΡΠΈΡΠ΅ΠΌΠ° ΠΈ ΠΎΡΠ΅ΡΠ½ΠΎΡΡΡ ΠΏΡΠΎΠ±Π»Π΅ΠΌΠ½ΡΡ ΡΡΠ°ΡΡΠΊΠΎΠ² β ΡΠ²Π½ΡΠ΅ ΠΏΡΠΈΠ·Π½Π°ΠΊΠΈ Π²ΠΎΡΠΏΠ°Π»Π΅Π½ΠΈΡ. ΠΡΠ½ΡΠΆΠ΄Π΅Π½Π½ΠΎΠ΅ ΠΏΠΎΠ»ΠΎΠΆΠ΅Π½ΠΈΠ΅ ΡΠ΅Π»Π° ΠΈ ΠΊΠΎΠ½Π΅ΡΠ½ΠΎΡΡΠ΅ΠΉ ΠΌΠΎΠ³ΡΡ ΡΠΊΠ°Π·ΡΠ²Π°ΡΡ Π½Π° ΡΠΈΠ»ΡΠ½ΡΠ΅ ΠΌΡΡΠ΅ΡΠ½ΡΠ΅ ΡΠΏΠ°Π·ΠΌΡ Π½Π° ΡΠΎΠ½Π΅ ΠΏΠΎΡΠ΅ΡΠΈ ΠΏΠΎΠ΄Π²ΠΈΠΆΠ½ΠΎΡΡΠΈ ΡΡΡΡΠ°Π²ΠΎΠ².
Π‘ΠΏΠ΅ΡΠΈΡΠΈΡΠ΅ΡΠΊΠΈΠ΅ ΡΠΈΠΌΠΏΡΠΎΠΌΡ ΠΏΡΠΈΡΡΡΠΈ Π»ΠΈΡΡ Π½Π΅ΠΊΠΎΡΠΎΡΡΠΌ ΡΠΎΡΠΌΠ°ΠΌ Π·Π°Π±ΠΎΠ»Π΅Π²Π°Π½ΠΈΡ. ΠΠ»Ρ ΡΠ΅Π°ΠΊΡΠΈΠ²Π½ΠΎΠ³ΠΎ Π°ΡΡΡΠΈΡΠ° Ρ Π°ΡΠ°ΠΊΡΠ΅ΡΠ½ΠΎ Π½Π΅ΡΠΈΠΌΠΌΠ΅ΡΡΠΈΡΠ½ΠΎΠ΅ Π²ΠΎΡΠΏΠ°Π»Π΅Π½ΠΈΠ΅ ΡΡΡΡΠ°Π²ΠΎΠ² ΠΊΠΎΠ½Π΅ΡΠ½ΠΎΡΡΠ΅ΠΉ Π½Π° ΡΠΎΠ½Π΅ Π»ΠΈΡ ΠΎΡΠ°Π΄ΠΊΠΈ, Π³ΠΎΠ»ΠΎΠ²Π½ΠΎΠΉ Π±ΠΎΠ»ΠΈ ΠΈ ΠΊΠΎΠ½ΡΡΠ½ΠΊΡΠΈΠ²ΠΈΡΠ°. Π Π½Π΅ΠΊΠΎΡΠΎΡΡΡ ΡΠ»ΡΡΠ°ΡΡ Π΄ΠΎΠ±Π°Π²Π»ΡΡΡΡΡ ΠΏΡΠΈΠ·Π½Π°ΠΊΠΈ ΠΈΠ½ΡΠ΅ΠΊΡΠΈΠΈ ΠΌΠΎΡΠ΅ΠΏΠΎΠ»ΠΎΠ²ΡΡ ΠΏΡΡΠ΅ΠΉ. ΠΠ°Π»ΡΠ³ΡΡΠ½ΡΠ΅ Π΄Π΅ΡΠΎΡΠΌΠ°ΡΠΈΠΈ Π±ΠΎΠ»ΡΡΠΈΡ ΠΏΠ°Π»ΡΡΠ΅Π² ΡΡΠΊ ΠΈ Π½ΠΎΠ³ Π΄Π°ΡΡ ΠΎΡΠ½ΠΎΠ²Π°Π½ΠΈΠ΅ Π·Π°ΠΏΠΎΠ΄ΠΎΠ·ΡΠΈΡΡ ΠΏΠΎΠ΄Π°Π³ΡΠΈΡΠ΅ΡΠΊΠΈΠΉ Π°ΡΡΡΠΈΡ, Π° Π² ΡΠ»ΡΡΠ°Π΅ ΠΏΡΠΎΡΠΈΠ°ΡΠΈΡΠ΅ΡΠΊΠΎΠ³ΠΎ Π°ΡΡΡΠΈΡΠ° ΡΠΈΠ»ΡΠ½ΠΎ Π΄Π΅ΡΠΎΡΠΌΠΈΡΡΡΡΡΡ ΠΈ ΡΡΠΎΠ»ΡΠ°ΡΡΡΡ ΡΡΡΡΠ°Π²Ρ ΠΊΠΈΡΡΠΈ.
ΠΡΠΈ ΡΠ΅Π²ΠΌΠ°ΡΠΎΠΈΠ΄Π½ΠΎΠΌ Π°ΡΡΡΠΈΡΠ΅ ΡΡΡΡΠ°Π²Ρ ΠΏΠΎΡΠ°ΠΆΠ°ΡΡΡΡ ΡΠΈΠΌΠΌΠ΅ΡΡΠΈΡΠ½ΠΎ, Π° Π² ΠΌΠ΅ΡΡΠ°Ρ ΡΠ³ΠΈΠ±ΠΎΠ² ΠΎΠ±ΡΠ°Π·ΡΡΡΡΡ ΠΏΠ»ΠΎΡΠ½ΡΠ΅ ΡΠ·Π΅Π»ΠΊΠΈ. Π ΠΏΠ΅ΡΠΈΠΎΠ΄ ΡΠ΅ΠΌΠΈΡΡΠΈΠΈ Π΄ΠΈΡΠΊΠΎΠΌΡΠΎΡΡ ΠΎΡΡΡΠ°Π΅ΡΡΡ ΠΏΡΠ΅ΠΈΠΌΡΡΠ΅ΡΡΠ²Π΅Π½Π½ΠΎ ΠΏΠΎ ΡΡΡΠ°ΠΌ ΠΈ ΠΏΡΠ°ΠΊΡΠΈΡΠ΅ΡΠΊΠΈ ΠΈΡΡΠ΅Π·Π°Π΅Ρ ΠΊΠΎ Π²ΡΠΎΡΠΎΠΉ ΠΏΠΎΠ»ΠΎΠ²ΠΈΠ½Π΅ Π΄Π½Ρ. ΠΠ±ΠΎΡΡΡΠ΅Π½ΠΈΡ ΡΠΎΠΏΡΠΎΠ²ΠΎΠΆΠ΄Π°ΡΡΡΡ Π»ΠΈΡ ΠΎΡΠ°Π΄ΠΎΡΠ½ΡΠΌ ΡΠΎΡΡΠΎΡΠ½ΠΈΠ΅ΠΌ, ΠΎΠ½Π΅ΠΌΠ΅Π½ΠΈΠ΅ΠΌ ΠΊΠΎΠ½Π΅ΡΠ½ΠΎΡΡΠ΅ΠΉ, Π±ΠΎΠ»ΡΡ ΠΏΡΠΈ Π²Π΄ΠΎΡ Π΅, Π²ΠΎΡΠΏΠ°Π»Π΅Π½ΠΈΠ΅ΠΌ Π»ΠΈΠΌΡΠΎΡΠ·Π»ΠΎΠ² ΠΈ ΡΠ»ΡΠ½Π½ΡΡ ΠΆΠ΅Π»Π΅Π·, ΡΠ²Π΅ΡΠΎΠ±ΠΎΡΠ·Π½ΡΡ ΠΈ ΡΠ΅Π·ΡΡ Π² Π³Π»Π°Π·Π°Ρ .

ΠΡΠΎΠ±Π΅Π½Π½ΠΎΡΡΠΈ ΠΏΡΠΎΡΠ΅ΠΊΠ°Π½ΠΈΡ Π°ΡΡΡΠΈΡΠ° Ρ Π΄Π΅ΡΠ΅ΠΉ
Π‘ΡΡΠ΅ΡΡΠ²ΡΡΡ Π΄Π²Π΅ ΡΠΎΡΠΌΡ Π°ΡΡΡΠΈΡΠ°, ΠΊΠΎΡΠΎΡΡΠ΅ Π΄ΠΈΠ°Π³Π½ΠΎΡΡΠΈΡΡΡΡΡΡ ΠΈΡΠΊΠ»ΡΡΠΈΡΠ΅Π»ΡΠ½ΠΎ Π² Π΄Π΅ΡΡΠΊΠΎΠΌ Π²ΠΎΠ·ΡΠ°ΡΡΠ΅ β ΡΠ²Π΅Π½ΠΈΠ»ΡΠ½ΡΠΉ ΠΈΠ΄ΠΈΠΎΠΏΠ°ΡΠΈΡΠ΅ΡΠΊΠΈΠΉ Π°ΡΡΡΠΈΡ ΠΈ ΡΠ²Π΅Π½ΠΈΠ»ΡΠ½ΡΠΉ ΡΠ΅Π²ΠΌΠ°ΡΠΎΠΈΠ΄Π½ΡΠΉ Π°ΡΡΡΠΈΡ, ΠΈΠ»ΠΈ Π±ΠΎΠ»Π΅Π·Π½Ρ Π‘ΡΠΈΠ»Π»Π°. ΠΠ»Ρ ΠΎΠ±ΠΎΠΈΡ Π·Π°Π±ΠΎΠ»Π΅Π²Π°Π½ΠΈΠΉ Ρ Π°ΡΠ°ΠΊΡΠ΅ΡΠ½ΠΎ ΠΏΠ΅ΡΡΠΈΡΡΠΈΡΡΡΡΠ΅Π΅ ΡΠ΅ΡΠ΅Π½ΠΈΠ΅ ΠΈ ΡΠ»Π°Π±ΡΠΉ ΠΎΡΠ²Π΅Ρ Π½Π° ΡΠ΅ΡΠ°ΠΏΠΈΡ, ΠΏΡΠΈ Π±ΠΎΠ»Π΅Π·Π½ΠΈ Π‘ΡΠΈΠ»Π»Π° ΠΊΡΠΎΠΌΠ΅ ΡΡΡΡΠ°Π²ΠΎΠ² ΡΠ°ΡΡΠΎ ΠΏΠΎΡΠ°ΠΆΠ°ΡΡΡΡ Π²Π½ΡΡΡΠ΅Π½Π½ΠΈΠ΅ ΠΎΡΠ³Π°Π½Ρ.
ΠΠΈΠ°Π³Π½ΠΎΡΡΠΈΠΊΠ° Π½Π΅ΡΠ²Π½ΠΎ-Π°ΡΡΡΠΈΡΠΈΡΠ΅ΡΠΊΠΎΠ³ΠΎ Π΄ΠΈΠ°ΡΠ΅Π·Π° Π² Π΄Π΅ΡΡΡΠ²Π΅ ΡΠ²Π΅Π»ΠΈΡΠΈΠ²Π°Π΅Ρ Π²Π΅ΡΠΎΡΡΠ½ΠΎΡΡΡ Π²ΠΎΠ·Π½ΠΈΠΊΠ½ΠΎΠ²Π΅Π½ΠΈΡ Π°ΡΡΡΠΈΡΠ° Π² Π·ΡΠ΅Π»ΠΎΠΌ Π²ΠΎΠ·ΡΠ°ΡΡΠ΅.
Π’Π°ΠΊΠΆΠ΅ Π΄Π΅ΡΡΠΌ ΡΠ²ΠΎΠΉΡΡΠ²Π΅Π½Π½ΠΎ Π±ΠΎΠ»Π΅Π΅ ΠΎΡΡΡΠΎΠ΅ ΡΠ΅ΡΠ΅Π½ΠΈΠ΅ ΠΈΠ½ΡΠ΅ΠΊΡΠΈΠΎΠ½Π½ΠΎΠ³ΠΎ Π°ΡΡΡΠΈΡΠ° ΠΏΠΎ ΡΡΠ°Π²Π½Π΅Π½ΠΈΡ Ρ Π²Π·ΡΠΎΡΠ»ΡΠΌΠΈ ΠΏΠ°ΡΠΈΠ΅Π½ΡΠ°ΠΌΠΈ. ΠΠΎΠ»Π΅Π·Π½Π΅Π½Π½ΠΎΡΡΡ ΠΈ Π²ΡΡΠ°ΠΆΠ΅Π½Π½ΡΠ΅ Π΄Π΅ΡΠΎΡΠΌΠ°ΡΠΈΠΈ ΡΡΡΡΠ°Π²ΠΎΠ² ΡΠΎΠΏΡΠΎΠ²ΠΎΠΆΠ΄Π°ΡΡΡΡ Π²ΡΡΠΎΠΊΠΎΠΉ ΡΠ΅ΠΌΠΏΠ΅ΡΠ°ΡΡΡΠΎΠΉ ΠΈ Π²ΡΡΠ°ΠΆΠ΅Π½Π½ΠΎΠΉ ΠΈΠ½ΡΠΎΠΊΡΠΈΠΊΠ°ΡΠΈΠ΅ΠΉ ΠΎΡΠ³Π°Π½ΠΈΠ·ΠΌΠ° β ΡΠΈΠ»ΡΠ½ΠΎΠΉ Π³ΠΎΠ»ΠΎΠ²Π½ΠΎΠΉ ΠΈ ΠΌΡΡΠ΅ΡΠ½ΠΎΠΉ Π±ΠΎΠ»ΡΡ, ΡΠΏΡΡΠ°Π½Π½ΠΎΡΡΡΡ ΡΠΎΠ·Π½Π°Π½ΠΈΡ, ΡΠΎΡΠ½ΠΎΡΠΎΠΉ ΠΈ ΡΠ²ΠΎΡΠΎΠΉ.
Π§ΠΈΡΠ°ΠΉΡΠ΅ ΡΠ°ΠΊΠΆΠ΅:12 ΡΠ°ΡΠΏΡΠΎΡΡΡΠ°Π½Π΅Π½Π½ΡΡ Π·Π°Π±ΠΎΠ»Π΅Π²Π°Π½ΠΈΠΉ ΡΡΠΎΠΏ
8 ΠΏΡΠΎΠ΄ΡΠΊΡΠΎΠ², ΡΠΎΡ ΡΠ°Π½ΡΡΡΠΈΡ Π·Π΄ΠΎΡΠΎΠ²ΡΠ΅ ΡΡΡΡΠ°Π²ΠΎΠ²
7 ΠΌΠ΅ΡΠΎΠ΄ΠΈΠΊ ΡΠ°Π΄ΡΡΠ΅ΠΉ ΡΠΈΠ·ΠΈΡΠ΅ΡΠΊΠΎΠΉ Π½Π°Π³ΡΡΠ·ΠΊΠΈ
ΠΠΈΠ°Π³Π½ΠΎΡΡΠΈΠΊΠ° Π°ΡΡΡΠΈΡΠ°
Π₯ΠΎΡΡ ΠΏΡΠΈΠ·Π½Π°ΠΊΠΈ Π²ΠΎΡΠΏΠ°Π»Π΅Π½ΠΈΡ ΡΡΡΡΠ°Π²ΠΎΠ² Ρ ΠΎΡΠΎΡΠΎ Π·Π°ΠΌΠ΅ΡΠ½Ρ Π΄Π°ΠΆΠ΅ Π½Π΅ΡΠΏΠ΅ΡΠΈΠ°Π»ΠΈΡΡΡ, ΡΠΎΡΠ½ΠΎ ΠΎΠΏΡΠ΅Π΄Π΅Π»ΠΈΡΡ ΡΠΎΡΠΌΡ ΠΈ ΡΡΠ°Π΄ΠΈΡ Π°ΡΡΡΠΈΡΠ°, ΡΠ°Π²Π½ΠΎ ΠΊΠ°ΠΊ ΠΈ Π²ΡΡΠ°Π±ΠΎΡΠ°ΡΡ ΠΏΡΠ°Π²ΠΈΠ»ΡΠ½ΡΡ ΡΡΡΠ°ΡΠ΅Π³ΠΈΡ ΡΠ΅ΡΠ°ΠΏΠΈΠΈ, ΠΎΡΠ½ΠΎΠ²ΡΠ²Π°ΡΡΡ ΠΈΡΠΊΠ»ΡΡΠΈΡΠ΅Π»ΡΠ½ΠΎ Π½Π° Π΄Π°Π½Π½ΡΡ Π°Π½Π°ΠΌΠ½Π΅Π·Π° ΠΈ ΡΠΈΠ·ΠΈΠΊΠ°Π»ΡΠ½ΠΎΠ³ΠΎ ΠΎΡΠΌΠΎΡΡΠ°, Π½Π΅ ΠΏΡΠ΅Π΄ΡΡΠ°Π²Π»ΡΠ΅ΡΡΡ Π²ΠΎΠ·ΠΌΠΎΠΆΠ½ΡΠΌ.
ΠΡΠΈ ΠΏΠΎΡΡΠ°Π½ΠΎΠ²ΠΊΠ΅ ΠΏΡΠ΅Π΄Π²Π°ΡΠΈΡΠ΅Π»ΡΠ½ΠΎΠ³ΠΎ Π΄ΠΈΠ°Π³Π½ΠΎΠ·Π° Π²ΡΠ°Ρ ΠΎΠ±ΡΠ°ΡΠ°Π΅Ρ Π²Π½ΠΈΠΌΠ°Π½ΠΈΠ΅ Π½Π° ΡΠ°Π·ΠΌΠ΅Ρ, ΡΠΎΡΠΌΡ ΠΈ ΡΡΠ²ΡΡΠ²ΠΈΡΠ΅Π»ΡΠ½ΠΎΡΡΡ ΠΈ ΠΏΠΎΠ΄Π²ΠΈΠΆΠ½ΠΎΡΡΡ ΡΡΡΡΠ°Π²ΠΎΠ², ΡΠ²Π΅Ρ ΠΈ ΡΠ΅ΠΌΠΏΠ΅ΡΠ°ΡΡΡΡ ΠΊΠΎΠΆΠ½ΡΡ ΠΏΠΎΠΊΡΠΎΠ²ΠΎΠ², ΡΠΎΠ½ΡΡ ΠΌΡΡΡ; ΠΏΡΠΎΠ²ΠΎΠ΄ΠΈΡ ΡΡΠ½ΠΊΡΠΈΠΎΠ½Π°Π»ΡΠ½ΡΠ΅ ΠΏΡΠΎΠ±Ρ. Π‘Π»Π΅Π΄ΡΡΡΠΈΠΌ ΡΡΠ°ΠΏΠΎΠΌ Π΄ΠΈΠ°Π³Π½ΠΎΡΡΠΈΡΠ΅ΡΠΊΠΎΠ³ΠΎ ΠΏΠΎΠΈΡΠΊΠ° Π΄ΠΎΠ»ΠΆΠ½Ρ ΡΡΠ°ΡΡ ΠΈΠ½ΡΡΡΡΠΌΠ΅Π½ΡΠ°Π»ΡΠ½ΡΠ΅ ΠΌΠ΅ΡΠΎΠ΄ΠΈΠΊΠΈ, Π²ΠΈΠ·ΡΠ°Π»ΠΈΠ·ΠΈΡΡΡΡΠΈΠ΅ Ρ Π°ΡΠ°ΠΊΡΠ΅ΡΠ½ΡΠ΅ ΠΏΡΠΈΠ·Π½Π°ΠΊΠΈ Π°ΡΡΡΠΈΡΠ°:
- ΡΡΠΎΠ»ΡΠ΅Π½ΠΈΠ΅ ΠΈ ΡΠΏΠ»ΠΎΡΠ½Π΅Π½ΠΈΠ΅ ΠΏΡΠΈΠ»Π΅Π³Π°ΡΡΠΈΡ ΠΌΡΠ³ΠΊΠΈΡ ΡΠΊΠ°Π½Π΅ΠΉ;
- ΠΊΠ°Π»ΡΡΠΈΡΠΈΠΊΠ°ΡΡ;
- ΡΠ΅Π½Π΄ΠΈΠ½ΠΈΡΡ ΠΈ ΡΠ΅Π½Π΄ΠΎΡΠΈΠ½ΠΎΠ²ΠΈΡΡ;
- ΠΎΠΊΠΎΠ»ΠΎΡΡΡΡΠ°Π²Π½ΠΎΠΉ ΠΎΡΡΠ΅ΠΎΠΏΠΎΡΠΎΠ·;
- ΠΊΠΈΡΡΠΎΠ²ΠΈΠ΄Π½ΡΠ΅ ΠΏΡΠΎΡΠ²Π΅ΡΠ»Π΅Π½ΠΈΡ ΠΊΠΎΡΡΠ½ΠΎΠΉ ΡΠΊΠ°Π½ΠΈ;
- ΡΠ΅ΡΠΎΡ ΠΎΠ²Π°ΡΠΎΡΡΠΈ ΡΡΡΡΠ°Π²Π½ΡΡ ΠΏΠΎΠ²Π΅ΡΡ Π½ΠΎΡΡΠ΅ΠΉ;
- ΠΊΠΎΡΡΠ½ΡΠ΅ ΡΡΠΎΠ·ΠΈΠΈ;
- ΡΡΠΆΠ΅Π½ΠΈΠ΅ ΡΡΡΡΠ°Π²Π½ΠΎΠΉ ΡΠ΅Π»ΠΈ;
- ΠΎΡΡΠ΅ΠΎΡΠΈΡΡ ΠΈ Ρ. Π΄.
ΠΡΠΎΡ ΠΎΠΆΠ΄Π΅Π½ΠΈΠ΅ ΠΠ Π’ Π³Π°ΡΠ°Π½ΡΠΈΡΡΠ΅Ρ ΠΌΠ°ΠΊΡΠΈΠΌΠ°Π»ΡΠ½ΡΡ ΡΠΎΡΠ½ΠΎΡΡΡ Π΄ΠΈΠ°Π³Π½ΠΎΡΡΠΈΠΊΠΈ ΡΡΡΡΠ°Π²Π½ΡΡ ΠΏΠ°ΡΠΎΠ»ΠΎΠ³ΠΈΠΉ Π·Π° ΡΡΠ΅Ρ ΠΊΠ°ΡΠ΅ΡΡΠ²Π΅Π½Π½ΠΎΠΉ Π²ΠΈΠ·ΡΠ°Π»ΠΈΠ·Π°ΡΠΈΠΈ ΡΠ²Π΅ΡΠ΄ΡΡ ΠΈ ΠΌΡΠ³ΠΊΠΈΡ ΡΠΊΠ°Π½Π΅ΠΉ. Π Π΅Π½ΡΠ³Π΅Π½ΠΎΠ³ΡΠ°ΡΠΈΡ ΠΈ ΠΠ’ ΡΡΡΡΠ°Π²Π° Π² ΠΏΡΡΠΌΠΎΠΉ, Π±ΠΎΠΊΠΎΠ²ΠΎΠΉ ΠΈ ΠΊΠΎΡΠΎΠΉ ΠΏΡΠΎΠ΅ΠΊΡΠΈΠΈ ΠΏΠΎΠ·Π²ΠΎΠ»ΡΡΡ Π²ΡΡΠ²ΠΈΡΡ ΠΈΠ·ΠΌΠ΅Π½Π΅Π½ΠΈΡ ΡΠΎ ΡΡΠΎΡΠΎΠ½Ρ ΠΊΠΎΡΡΠ½ΠΎΠ³ΠΎ Π°ΠΏΠΏΠ°ΡΠ°ΡΠ°. ΠΠ»Ρ ΠΎΡΠ΅Π½ΠΊΠΈ ΡΠΎΡΡΠΎΡΠ½ΠΈΡ Ρ ΡΡΡΠ°, ΡΡΡ ΠΎΠΆΠΈΠ»ΠΈΠΉ, ΡΠ²ΡΠ·ΠΎΠΊ, ΠΌΡΡΡ ΠΈ Π½Π΅ΡΠ²ΠΎΠ² Π΄ΠΎΠΏΠΎΠ»Π½ΠΈΡΠ΅Π»ΡΠ½ΠΎ Π½Π°Π·Π½Π°ΡΠ°ΡΡ Π£ΠΠ ΠΊΡΡΠΏΠ½ΡΡ ΡΡΡΡΠ°Π²ΠΎΠ². ΠΡΠΈ ΠΏΠΎΠ²ΡΠ΅ΠΆΠ΄Π΅Π½ΠΈΠΈ ΠΊΠΎΠ»Π΅Π½Π½ΠΎΠ³ΠΎ ΡΡΡΡΠ°Π²Π° ΠΌΠΎΠΆΠ΅Ρ ΠΏΠΎΡΡΠ΅Π±ΠΎΠ²Π°ΡΡΡΡ Π°ΡΡΡΠΎΡΠΊΠΎΠΏΠΈΡ Ρ ΠΎΡΠ±ΠΎΡΠΎΠΌ ΡΠΈΠ½ΠΎΠ²ΠΈΠ°Π»ΡΠ½ΠΎΠΉ ΠΆΠΈΠ΄ΠΊΠΎΡΡΠΈ ΠΈ Π±ΠΈΠΎΠΏΡΠ°ΡΠ°. Π ΡΠ΅Π»ΡΡ ΠΎΡΡΠ»Π΅ΠΆΠΈΠ²Π°Π½ΠΈΡ Π΄ΠΈΠ½Π°ΠΌΠΈΠΊΠΈ ΠΏΡΠΎΡΠ΅ΡΡΠ° Π² ΠΎΡΡΡΡΡΡΠ²ΠΈΠ΅ ΠΎΠ±ΠΎΡΡΡΠ΅Π½ΠΈΠΉ ΠΌΠΎΠΆΠ΅Ρ Π±ΡΡΡ ΡΠ΅Π»Π΅ΡΠΎΠΎΠ±ΡΠ°Π·Π½Π° ΠΊΠΎΠ½ΡΡΠ°ΡΡΠ½Π°Ρ Π°ΡΡΡΠΎΠ³ΡΠ°ΡΠΈΡ.

ΠΠ°Π±ΠΎΡΠ°ΡΠΎΡΠ½Π°Ρ Π΄ΠΈΠ°Π³Π½ΠΎΡΡΠΈΠΊΠ° Π°ΡΡΡΠΈΡΠ° ΠΏΡΠ΅Π΄ΡΡΠΌΠ°ΡΡΠΈΠ²Π°Π΅Ρ ΠΏΡΠΎΠ²Π΅Π΄Π΅Π½ΠΈΠ΅ ΠΎΠ±ΡΠ΅Π³ΠΎ, Π±ΠΈΠΎΡ ΠΈΠΌΠΈΡΠ΅ΡΠΊΠΎΠ³ΠΎ ΠΈ ΠΈΠΌΠΌΡΠ½ΠΎΠ»ΠΎΠ³ΠΈΡΠ΅ΡΠΊΠΎΠ³ΠΎ Π°Π½Π°Π»ΠΈΠ·Π° ΠΊΡΠΎΠ²ΠΈ. ΠΡΡΠΎΠΊΠ°Ρ ΡΠΊΠΎΡΠΎΡΡΡ ΠΎΡΠ΅Π΄Π°Π½ΠΈΡ ΡΡΠΈΡΡΠΎΡΠΈΡΠΎΠ² ΠΈ ΠΏΠΎΠ²ΡΡΠ΅Π½Π½Π°Ρ ΠΊΠΎΠ½ΡΠ΅Π½ΡΡΠ°ΡΠΈΡ ΡΠΈΠ±ΡΠΈΠ½ΠΎΠ³Π΅Π½Π° ΠΏΠΎΠ΄ΡΠ²Π΅ΡΠΆΠ΄Π°Π΅Ρ Π½Π°Π»ΠΈΡΠΈΠ΅ Π²ΠΎΡΠΏΠ°Π»ΠΈΡΠ΅Π»ΡΠ½ΠΎΠ³ΠΎ ΠΏΡΠΎΡΠ΅ΡΡΠ°; ΡΠ²Π΅Π»ΠΈΡΠ΅Π½Π½ΠΎΠ΅ ΠΊΠΎΠ»ΠΈΡΠ΅ΡΡΠ²ΠΎ Π»Π΅ΠΉΠΊΠΎΡΠΈΡΠΎΠ² β Π±Π°ΠΊΡΠ΅ΡΠΈΠ°Π»ΡΠ½ΡΡ ΠΈΠ½ΡΠ΅ΠΊΡΠΈΡ. ΠΡΠΈ ΡΠΎΠ·ΠΈΠ½ΠΎΡΠΈΠ»ΠΈΠΈ Π²ΡΡΠΎΠΊΠ° Π²Π΅ΡΠΎΡΡΠ½ΠΎΡΡΡ Π°Π»Π»Π΅ΡΠ³ΠΈΡΠ΅ΡΠΊΠΎΠΉ ΡΠ΅Π°ΠΊΡΠΈΠΈ. ΠΠ±Π½Π°ΡΡΠΆΠ΅Π½ΠΈΠ΅ Π² ΡΡΠ²ΠΎΡΠΎΡΠΊΠ΅ ΠΊΡΠΎΠ²ΠΈ ΡΠ΅Π²ΠΌΠ°ΡΠΎΠΈΠ΄Π½ΠΎΠ³ΠΎ ΡΠ°ΠΊΡΠΎΡΠ° Π½Π°ΡΡΠ΄Ρ Ρ ΠΏΡΠ΅Π²ΡΡΠ΅Π½ΠΈΠ΅ΠΌ Π΄ΠΎΠΏΡΡΡΠΈΠΌΠΎΠ³ΠΎ ΡΡΠΎΠ²Π½Ρ Π°Π½ΡΠΈΡΠ΅Π» ΠΈ ΡΠΈΡΠΊΡΠ»ΠΈΡΡΡΡΠΈΡ ΠΈΠΌΠΌΡΠ½Π½ΡΡ ΠΊΠΎΠΌΠΏΠ»Π΅ΠΊΡΠΎΠ² ΡΠ΅ΡΠΊΠΎ ΡΠΊΠ°Π·ΡΠ²Π°Π΅Ρ Π½Π° ΡΠ΅Π²ΠΌΠ°ΡΠΎΠΈΠ΄Π½ΡΠΉ Π°ΡΡΡΠΈΡ. ΠΡΠΈ ΠΏΠΎΠ΄Π°Π³ΡΠΈΡΠ΅ΡΠΊΠΎΠΌ Π°ΡΡΡΠΈΡΠ΅ ΠΏΠΎΠ²ΡΡΠ°ΡΡΡΡ ΠΏΠΎΠΊΠ°Π·Π°ΡΠ΅Π»ΠΈ ΡΠΈΠ°Π»ΠΎΠ²ΠΎΠΉ ΠΈ ΠΌΠΎΡΠ΅Π²ΠΎΠΉ ΠΊΠΈΡΠ»ΠΎΡΡ.
Π Π ΠΎΡΡΠΈΠΈ Π²ΠΎΡΠΏΠ°Π»Π΅Π½ΠΈΠ΅ ΡΡΡΡΠ°Π²ΠΎΠ² ΠΎΡΠΌΠ΅ΡΠ°Π΅ΡΡΡ ΠΏΡΠΈΠΌΠ΅ΡΠ½ΠΎ Ρ 60% Π»ΠΈΡ ΠΏΠ΅Π½ΡΠΈΠΎΠ½Π½ΠΎΠ³ΠΎ Π²ΠΎΠ·ΡΠ°ΡΡΠ° Π½Π° ΡΠΎΠ½Π΅ ΡΠ΅Π½Π΄Π΅Π½ΡΠΈΠΈ ΠΊ ΡΠ²Π΅Π»ΠΈΡΠ΅Π½ΠΈΡ Π·Π°Π±ΠΎΠ»Π΅Π²Π°Π΅ΠΌΠΎΡΡΠΈ ΠΈ ΡΠ½ΠΈΠΆΠ΅Π½ΠΈΡ Π²ΠΎΠ·ΡΠ°ΡΡΠ° ΠΏΠ΅ΡΠ²ΠΎΠΉ ΠΌΠ°Π½ΠΈΡΠ΅ΡΡΠ°ΡΠΈΠΈ Π·Π°Π±ΠΎΠ»Π΅Π²Π°Π½ΠΈΡ.
ΠΠ΅ΡΠ΅Π½ΠΈΠ΅ Π°ΡΡΡΠΈΡΠ°
ΠΡΠ±ΠΎΡ ΡΠ΅ΡΠ°ΠΏΠ΅Π²ΡΠΈΡΠ΅ΡΠΊΠΎΠΉ ΡΡΡΠ°ΡΠ΅Π³ΠΈΠΈ Π·Π°Π²ΠΈΡΠΈΡ ΠΎΡ ΡΠΎΡΠΌΡ, ΡΡΠΈΠΎΠ»ΠΎΠ³ΠΈΠΈ ΠΈ ΡΡΠ°Π΄ΠΈΠΈ Π·Π°Π±ΠΎΠ»Π΅Π²Π°Π½ΠΈΡ, Π»ΠΎΠΊΠ°Π»ΠΈΠ·Π°ΡΠΈΠΈ Π²ΠΎΡΠΏΠ°Π»Π΅Π½ΠΈΡ, Π° ΡΠ°ΠΊΠΆΠ΅ Π²ΠΎΠ·ΡΠ°ΡΡΠ°, ΡΠΎΡΡΠΎΡΠ½ΠΈΡ Π·Π΄ΠΎΡΠΎΠ²ΡΡ ΠΈ ΠΊΠΎΠ½ΡΡΠΈΡΡΡΠΈΠΎΠ½Π°Π»ΡΠ½ΡΡ ΠΎΡΠΎΠ±Π΅Π½Π½ΠΎΡΡΠ΅ΠΉ ΠΏΠ°ΡΠΈΠ΅Π½ΡΠ°. ΠΠ»Ρ ΠΊΡΠΏΠΈΡΠΎΠ²Π°Π½ΠΈΡ Π²ΠΎΡΠΏΠ°Π»ΠΈΡΠ΅Π»ΡΠ½ΠΎΠ³ΠΎ ΠΏΡΠΎΡΠ΅ΡΡΠ° ΠΈ Π±ΠΎΠ»Π΅Π²ΠΎΠ³ΠΎ ΡΠΈΠ½Π΄ΡΠΎΠΌΠ° ΠΏΠΎΠ΄Π±ΠΈΡΠ°ΡΡ ΠΊΠΎΠΌΠΏΠ»Π΅ΠΊΡ Π½Π΅ΡΡΠ΅ΡΠΎΠΈΠ΄Π½ΡΡ ΠΏΡΠΎΡΠΈΠ²ΠΎΠ²ΠΎΡΠΏΠ°Π»ΠΈΡΠ΅Π»ΡΠ½ΡΡ ΡΡΠ΅Π΄ΡΡΠ², ΠΌΠΈΠΎΡΠ΅Π»Π°ΠΊΡΠ°Π½ΡΠΎΠ² ΠΈ ΠΎΠ±Π΅Π·Π±ΠΎΠ»ΠΈΠ²Π°ΡΡΠΈΡ ΠΏΡΠ΅ΠΏΠ°ΡΠ°ΡΠΎΠ² Π² ΡΠΎΡΠ΅ΡΠ°Π½ΠΈΠΈ Ρ ΡΠΈΠ·ΠΈΠΎΡΠ΅ΡΠ°ΠΏΠ΅Π²ΡΠΈΡΠ΅ΡΠΊΠΈΠΌΠΈ ΠΏΡΠΎΡΠ΅Π΄ΡΡΠ°ΠΌΠΈ. Π₯ΠΎΡΠΎΡΠΈΠΉ ΡΡΡΠ΅ΠΊΡ Π΄Π°ΡΡ ΡΠ»Π΅ΠΊΡΡΠΎΡΠΎΡΠ΅Π· ΠΈ ΡΠ»ΡΡΡΠ°ΡΠΎΠ½ΠΎΡΠΎΡΠ΅Π·, Π₯ΠΈΠ»Ρ-ΡΠ΅ΡΠ°ΠΏΠΈΡ, Π°ΠΌΠΏΠ»ΠΈΠΏΡΠ»ΡΡ-ΡΠ΅ΡΠ°ΠΏΠΈΡ, ΠΌΠ°Π³Π½ΠΈΡΠΎΡΠ΅ΡΠ°ΠΏΠΈΡ ΠΈ Π‘ΠΠ’-ΡΠ΅ΡΠ°ΠΏΠΈΡ (Π»Π΅ΡΠ΅Π½ΠΈΠ΅ ΡΠΈΠ½ΡΡΠΎΠΈΠ΄Π°Π»ΡΠ½ΡΠΌΠΈ ΠΌΠΎΠ΄ΡΠ»ΠΈΡΠΎΠ²Π°Π½Π½ΡΠΌΠΈ ΡΠΎΠΊΠ°ΠΌΠΈ).
ΠΠ°ΠΆΠ½ΡΠΌ ΠΊΠΎΠΌΠΏΠΎΠ½Π΅Π½ΡΠΎΠΌ ΠΊΠΎΠΌΠΏΠ»Π΅ΠΊΡΠ½ΠΎΠ³ΠΎ Π»Π΅ΡΠ΅Π½ΠΈΡ ΡΠ²Π»ΡΠ΅ΡΡΡ ΠΏΡΠΈΠ΅ΠΌ Ρ ΠΎΠ½Π΄ΡΠΎΠΏΡΠΎΡΠ΅ΠΊΡΠΎΡΠΎΠ² β Π½Π°ΠΏΡΠΈΠΌΠ΅Ρ, ΠΏΡΠ΅ΠΏΠ°ΡΠ°ΡΠ° ΠΠ»ΡΠ»ΡΡΠΎΠΏ. ΠΠ½ΡΠ΅ΠΊΡΠΈΠΎΠ½Π½Π°Ρ ΡΠΎΡΠΌΠ° ΠΎΠ±Π΅ΡΠΏΠ΅ΡΠΈΠ²Π°Π΅Ρ ΠΌΠ°ΠΊΡΠΈΠΌΠ°Π»ΡΠ½ΡΡ Π±ΠΈΠΎΠ΄ΠΎΡΡΡΠΏΠ½ΠΎΡΡΡ ΠΈ Π±ΡΡΡΡΠΎΡΡ Π΄Π΅ΠΉΡΡΠ²ΠΈΡ ΠΏΡΠ΅ΠΏΠ°ΡΠ°ΡΠ°, ΠΊΠΎΡΠΎΡΡΠΉ ΠΏΠΎΠΌΠΎΠ³Π°Π΅Ρ ΠΎΡΡΠ°Π½ΠΎΠ²ΠΈΡΡ ΠΏΡΠΎΠ³ΡΠ΅ΡΡΠΈΡΡΡΡΠ΅Π΅ ΡΠ°Π·ΡΡΡΠ΅Π½ΠΈΠ΅ Ρ ΡΡΡΠ°, ΡΠ½ΠΈΠΌΠ°Π΅Ρ Π²ΠΎΡΠΏΠ°Π»Π΅Π½ΠΈΠ΅ ΠΈ ΡΡΠΈΠΌΡΠ»ΠΈΡΡΠ΅Ρ ΡΠΈΠ½ΡΠ΅Π· Π³ΠΈΠ°Π»ΡΡΠΎΠ½ΠΎΠ²ΠΎΠΉ ΠΊΠΈΡΠ»ΠΎΡΡ. ΠΠ»Π°Π³ΠΎΠ΄Π°ΡΡ Π±ΡΡΡΡΠΎΠΌΡ Π½Π°ΡΡΡΠΏΠ»Π΅Π½ΠΈΡ ΡΡΡΠ΅ΠΊΡΠ° Π½Π΅Ρ Π½ΡΠΆΠ΄Ρ Π² Π΄Π»ΠΈΡΠ΅Π»ΡΠ½ΡΡ ΠΊΡΡΡΠ°Ρ ΠΏΡΠ΅ΠΏΠ°ΡΠ°ΡΠ°. ΠΠΎΠΏΠΎΠ»Π½Π΅Π½ΠΈΠ΅ ΠΈΠΌ Π»Π΅ΡΠ΅Π½ΠΈΡ Π°ΡΡΡΠΈΡΠ° ΠΏΠΎΠ·Π²ΠΎΠ»ΡΠ΅Ρ ΡΠΎΠΊΡΠ°ΡΠΈΡΡ Π΄ΠΎΠ·ΠΈΡΠΎΠ²ΠΊΡ ΠΈ Π΄Π»ΠΈΡΠ΅Π»ΡΠ½ΠΎΡΡΡ ΠΏΡΠΈΠΌΠ΅Π½Π΅Π½ΠΈΡ ΠΠΠΠ.

ΠΠΎΡΡΠΈΠΊΠΎΡΡΠ΅ΡΠΎΠΈΠ΄Ρ Π² ΡΠ΅Π²ΠΌΠ°ΡΠΎΠ»ΠΎΠ³ΠΈΡΠ΅ΡΠΊΠΎΠΉ ΠΏΡΠ°ΠΊΡΠΈΠΊΠ΅ ΠΏΡΠΈΠΌΠ΅Π½ΡΡΡ Ρ Π±ΠΎΠ»ΡΡΠΎΠΉ ΠΎΡΡΠΎΡΠΎΠΆΠ½ΠΎΡΡΡΡ, ΠΎΠ³ΡΠ°Π½ΠΈΡΠΈΠ²Π°ΡΡΡ ΠΈΠ½ΡΠ΅ΠΊΡΠΈΡΠΌΠΈ Π² ΠΏΠΎΡΠ°ΠΆΠ΅Π½Π½ΡΠΉ ΡΡΡΡΠ°Π² ΠΏΡΠΈ ΠΎΡΡΡΡΡΡΠ²ΠΈΠΈ ΡΠ΅Π°ΠΊΡΠΈΠΈ Π½Π° ΡΠ°Π΄ΡΡΠΈΠ΅ ΠΌΠ΅ΡΠΎΠ΄Ρ Π»Π΅ΡΠ΅Π½ΠΈΡ. Π ΡΠ»ΡΡΠ°Π΅ Π½Π°Π»ΠΈΡΠΈΡ ΠΈΠ½ΡΠ΅ΠΊΡΠΈΠΎΠ½Π½ΠΎΠ³ΠΎ Π°ΡΡΡΠΈΡΠ° Π½Π°Π·Π½Π°ΡΠ°ΡΡΡΡ ΠΊΡΡΡΡ Π°Π½ΡΠΈΠ±ΠΈΠΎΡΠΈΠΊΠΎΠ² ΠΈΠ»ΠΈ ΠΏΡΠΎΡΠΈΠ²ΠΎΠ²ΠΈΡΡΡΠ½ΡΡ ΠΏΡΠ΅ΠΏΠ°ΡΠ°ΡΠΎΠ², Π° ΠΏΡΠΈ ΡΠ΅Π²ΠΌΠ°ΡΠΎΠΈΠ΄Π½ΠΎΠΌ Π°ΡΡΡΠΈΡΠ΅ β ΠΈΠΌΠΌΡΠ½ΠΎΡΡΠΏΡΠ΅ΡΡΠΎΡΡ ΠΈ ΠΈΠΌΠΌΡΠ½ΠΎΠΌΠΎΠ΄ΡΠ»ΡΡΠΎΡΡ. ΠΡΠΈ Π²ΠΎΠ·Π½ΠΈΠΊΠ½ΠΎΠ²Π΅Π½ΠΈΠΈ Π³Π½ΠΎΠΉΠ½ΡΡ ΠΎΡΠ»ΠΎΠΆΠ½Π΅Π½ΠΈΠΉ Π΅ΠΆΠ΅Π΄Π½Π΅Π²Π½ΠΎ ΠΏΡΠΎΠ²ΠΎΠ΄ΠΈΡΡΡ Π°ΡΡΡΠΎΡΠ΅Π½ΡΠ΅Π·.
ΠΠ΅ΡΠ΅Π±Π½Π°Ρ Π΄ΠΈΠ΅ΡΠ° ΠΏΡΠΈ Π°ΡΡΡΠΈΡΠ΅ ΠΏΡΠ΅Π΄ΠΏΠΎΠ»Π°Π³Π°Π΅Ρ ΠΎΡΠΊΠ°Π· ΠΎΡ Π²ΡΡΠΎΠΊΠΎΠΊΠ°Π»ΠΎΡΠΈΠΉΠ½ΡΡ ΠΏΡΠΎΠ΄ΡΠΊΡΠΎΠ², ΠΊΡΠ°ΡΠ½ΠΎΠ³ΠΎ ΠΌΡΡΠ° ΠΈ ΠΌΡΡΠ½ΡΡ ΡΡΠ±ΠΏΡΠΎΠ΄ΡΠΊΡΠΎΠ², Π·Π΅ΡΠ½ΠΎΠ±ΠΎΠ±ΠΎΠ²ΡΡ , ΡΠΎΠ»ΠΈ, ΡΠΏΠ΅ΡΠΈΠΉ ΠΈ ΡΠΏΠΈΡΡΠ½ΠΎΠ³ΠΎ. ΠΡΠΈ ΡΠ΅Π²ΠΌΠ°ΡΠΎΠΈΠ΄Π½ΠΎΠΌ Π°ΡΡΡΠΈΡΠ΅ ΡΠ»Π΅Π΄ΡΠ΅Ρ ΡΠ°ΠΊΠΆΠ΅ ΠΎΡΠΊΠ°Π·Π°ΡΡΡΡ ΠΎΡ ΠΏΠΎΠΌΠΈΠ΄ΠΎΡΠΎΠ², ΠΊΠ°ΡΡΠΎΡΠ΅Π»Ρ, Π±Π°ΠΊΠ»Π°ΠΆΠ°Π½ΠΎΠ² ΠΈ Π΄ΡΡΠ³ΠΈΡ ΠΎΠ²ΠΎΡΠ½ΡΡ ΠΊΡΠ»ΡΡΡΡ ΡΠ΅ΠΌΠ΅ΠΉΡΡΠ²Π° ΠΏΠ°ΡΠ»Π΅Π½ΠΎΠ²ΡΡ , ΡΠΎΠ΄Π΅ΡΠΆΠ°ΡΠΈΡ ΡΠΎΠ»Π°Π½ΠΈΠ½. Π ΡΠ°ΡΠΈΠΎΠ½Π΅ Π±ΠΎΠ»ΡΠ½ΠΎΠ³ΠΎ Π΄ΠΎΠ»ΠΆΠ½Ρ ΠΏΡΠΈΡΡΡΡΡΠ²ΠΎΠ²Π°ΡΡ ΠΏΡΠΎΠ΄ΡΠΊΡΡ, Π±ΠΎΠ³Π°ΡΡΠ΅ ΠΊΠ»Π΅ΡΡΠ°ΡΠΊΠΎΠΉ ΠΈ Π²ΠΈΡΠ°ΠΌΠΈΠ½Π°ΠΌΠΈ, Π° ΡΠ°ΠΊΠΆΠ΅ ΠΈΡΡΠΎΡΠ½ΠΈΠΊΠΈ Π»Π΅Π³ΠΊΠΎΡΡΠ²ΠΎΡΠ΅ΠΌΠΎΠ³ΠΎ Π±Π΅Π»ΠΊΠ° β ΠΌΡΡΠΎ ΠΏΡΠΈΡΡ ΠΈ ΠΊΠΈΡΠ»ΠΎΠΌΠΎΠ»ΠΎΡΠ½ΡΠ΅ ΠΏΡΠΎΠ΄ΡΠΊΡΡ.
ΠΠ»Ρ Π·Π°ΠΊΡΠ΅ΠΏΠ»Π΅Π½ΠΈΡ ΡΠ΅ΡΠ°ΠΏΠ΅Π²ΡΠΈΡΠ΅ΡΠΊΠΎΠ³ΠΎ ΡΡΡΠ΅ΠΊΡΠ° ΡΠ΅ΠΊΠΎΠΌΠ΅Π½Π΄ΡΠ΅ΡΡΡ ΠΌΠ°ΡΡΠ°ΠΆ, Π·Π°Π½ΡΡΠΈΡ Π² Π³ΡΡΠΏΠΏΠ΅ ΠΠ€Π ΠΈ ΠΊΡΡΡ Π±Π°Π»ΡΠ½Π΅ΠΎΡΠ΅ΡΠ°ΠΏΠΈΠΈ Π² ΠΏΡΠΎΡΠΈΠ»ΡΠ½ΠΎΠΌ ΡΠ°Π½Π°ΡΠΎΡΠΈΠΈ. ΠΠ±ΡΠ°ΡΠ°ΡΡΡΡ ΠΊ Π½Π°ΡΠΎΠ΄Π½ΡΠΌ ΡΡΠ΅Π΄ΡΡΠ²Π°ΠΌ ΠΈ Π½Π΅ΡΡΠ°Π΄ΠΈΡΠΈΠΎΠ½Π½ΡΠΌ ΠΌΠ΅ΡΠΎΠ΄ΠΈΠΊΠ°ΠΌ Π΄ΠΎΠΏΡΡΡΠΈΠΌΠΎ ΡΠΎΠ»ΡΠΊΠΎ ΠΏΠΎΡΠ»Π΅ ΠΊΠΎΠ½ΡΡΠ»ΡΡΠ°ΡΠΈΠΈ Ρ Π»Π΅ΡΠ°ΡΠΈΠΌ Π²ΡΠ°ΡΠΎΠΌ.
ΠΡΠ»ΠΎΠΆΠ½Π΅Π½ΠΈΡ ΠΈ Π²ΠΎΠ·ΠΌΠΎΠΆΠ½ΡΠ΅ ΠΏΠΎΡΠ»Π΅Π΄ΡΡΠ²ΠΈΡ
Π Π°Π½Π½ΠΈΠ΅ ΠΎΡΠ»ΠΎΠΆΠ½Π΅Π½ΠΈΡ Π² Π²ΠΈΠ΄Π΅ ΠΏΠ°Π½Π°ΡΡΡΠΈΡΠΎΠ², ΡΠ»Π΅Π³ΠΌΠΎΠ½ ΠΈ Π΄ΡΡΠ³ΠΈΡ Π³Π½ΠΎΠΉΠ½ΡΡ ΠΏΡΠΎΡΠ΅ΡΡΠΎΠ² ΡΠ°Π·Π²ΠΈΠ²Π°ΡΡΡΡ Π³Π»Π°Π²Π½ΡΠΌ ΠΎΠ±ΡΠ°Π·ΠΎΠΌ ΠΏΡΠΈ ΠΈΠ½ΡΠ΅ΠΊΡΠΈΠΎΠ½Π½ΠΎΠΌ Π°ΡΡΡΠΈΡΠ΅. Π ΠΏΠΎΠ·Π΄Π½ΠΈΠΌ ΠΎΡΠ»ΠΎΠΆΠ½Π΅Π½ΠΈΡΠΌ ΠΎΡΠ½ΠΎΡΡΡ ΠΊΠΎΠ½ΡΡΠ°ΠΊΡΡΡΡ, ΠΏΠ°ΡΠΎΠ»ΠΎΠ³ΠΈΡΠ΅ΡΠΊΠΈΠ΅ Π²ΡΠ²ΠΈΡ ΠΈ, ΠΎΡΡΠ΅ΠΎΠΌΠΈΠ΅Π»ΠΈΡ, ΠΎΡΡΠ΅ΠΎΠ»ΠΈΠ·, Π½Π΅ΠΊΡΠΎΠ· ΠΊΠΎΡΡΠ½ΡΡ ΡΠΊΠ°Π½Π΅ΠΉ ΠΈ Π³Π΅Π½Π΅ΡΠ°Π»ΠΈΠ·ΠΎΠ²Π°Π½Π½ΡΠΉ ΡΠ΅ΠΏΡΠΈΡ. Π ΠΎΡΡΡΡΡΡΠ²ΠΈΠ΅ Π°Π΄Π΅ΠΊΠ²Π°ΡΠ½ΠΎΠ³ΠΎ Π»Π΅ΡΠ΅Π½ΠΈΡ ΠΏΡΠΎΠ³ΡΠ΅ΡΡΠΈΡΡΡΡΠΈΠΉ Ρ ΡΠΎΠ½ΠΈΡΠ΅ΡΠΊΠΈΠΉ Π°ΡΡΡΠΈΡ ΠΌΠΎΠΆΠ΅Ρ ΠΏΡΠΈΠ²Π΅ΡΡΠΈ ΠΊ ΠΈΠ½Π²Π°Π»ΠΈΠ΄Π½ΠΎΡΡΠΈ: Π±ΠΎΠ»ΡΠ½ΠΎΠΉ ΡΡΡΠ°ΡΠΈΠ²Π°Π΅Ρ ΡΠΏΠΎΡΠΎΠ±Π½ΠΎΡΡΡ ΠΊ ΡΠ°ΠΌΠΎΠΎΠ±ΡΠ»ΡΠΆΠΈΠ²Π°Π½ΠΈΡ ΠΈ ΡΠ²ΠΎΠ±ΠΎΠ΄Π½ΠΎΠΌΡ ΠΏΠ΅ΡΠ΅Π΄Π²ΠΈΠΆΠ΅Π½ΠΈΡ.
ΠΡΠΎΠ³Π½ΠΎΠ·
ΠΠ° ΡΠ°Π½Π½ΠΈΡ ΡΡΠ°Π΄ΠΈΡΡ ΠΎΡΡΡΡΠΉ ΠΈΠ½ΡΠ΅ΠΊΡΠΈΠΎΠ½Π½ΡΠΉ Π°ΡΡΡΠΈΡ Ρ ΠΎΡΠΎΡΠΎ ΠΏΠΎΠ΄Π΄Π°Π΅ΡΡΡ Π»Π΅ΡΠ΅Π½ΠΈΡ Π²ΠΏΠ»ΠΎΡΡ Π΄ΠΎ ΠΏΠΎΠ»Π½ΠΎΠ³ΠΎ Π²ΠΎΡΡΡΠ°Π½ΠΎΠ²Π»Π΅Π½ΠΈΡ ΡΡΠ½ΠΊΡΠΈΠΉ ΡΡΡΡΠ°Π²Π°. ΠΡΠ»ΠΈ ΡΠ°Π·Π²ΠΈΡΠΈΠ΅ Π²ΠΎΡΠΏΠ°Π»ΠΈΡΠ΅Π»ΡΠ½ΠΎΠ³ΠΎ ΠΏΡΠΎΡΠ΅ΡΡΠ° ΡΠ²ΡΠ·Π°Π½ΠΎ Ρ ΡΠ½Π΄ΠΎΠ³Π΅Π½Π½ΡΠΌΠΈ ΡΠ°ΠΊΡΠΎΡΠ°ΠΌΠΈ, Π΄ΠΎΠ±ΠΈΡΡΡΡ Π²ΡΠ·Π΄ΠΎΡΠΎΠ²Π»Π΅Π½ΠΈΡ ΡΠ»ΠΎΠΆΠ½Π΅Π΅, ΠΎΠ΄Π½Π°ΠΊΠΎ Π²ΠΎΠ·ΠΌΠΎΠΆΠ½ΠΎ Π·Π°ΠΌΠ΅Π΄Π»ΠΈΡΡ ΡΠ΅ΠΌΠΏΡ ΠΏΡΠΎΠ³ΡΠ΅ΡΡΠΈΡΠΎΠ²Π°Π½ΠΈΡ Π·Π°Π±ΠΎΠ»Π΅Π²Π°Π½ΠΈΡ, ΠΏΡΠ΅Π΄ΠΎΡΠ²ΡΠ°ΡΠΈΡΡ ΡΠ°Π·Π²ΠΈΡΠΈΠ΅ ΠΎΡΠ»ΠΎΠΆΠ½Π΅Π½ΠΈΠΉ ΠΈ ΠΈΠ·Π±Π΅ΠΆΠ°ΡΡ ΠΈΠ½Π²Π°Π»ΠΈΠ΄ΠΈΠ·Π°ΡΠΈΠΈ.
ΠΡΠΎΡΠΈΠ»Π°ΠΊΡΠΈΠΊΠ°
ΠΡΠΎΡΠΈΠ»Π°ΠΊΡΠΈΠΊΠ° Π°ΡΡΡΠΈΡΠΎΠ² Π½Π΅ ΠΏΡΠ΅Π΄ΡΡΠ°Π²Π»ΡΠ΅Ρ ΠΎΡΠΎΠ±ΠΎΠΉ ΡΠ»ΠΎΠΆΠ½ΠΎΡΡΠΈ. ΠΠΎΡΡΠ°ΡΠΎΡΠ½ΠΎ Π²Π΅ΡΡΠΈ ΡΠΌΠ΅ΡΠ΅Π½Π½ΠΎ Π°ΠΊΡΠΈΠ²Π½ΡΠΉ ΠΎΠ±ΡΠ°Π· ΠΆΠΈΠ·Π½ΠΈ, ΠΎΡΠΊΠ°Π·Π°ΡΡΡΡ ΠΎΡ Π²ΡΠ΅Π΄Π½ΡΡ ΠΏΡΠΈΠ²ΡΡΠ΅ΠΊ, ΠΏΡΠΈΠ΄Π΅ΡΠΆΠΈΠ²Π°ΡΡΡΡ ΡΠ±Π°Π»Π°Π½ΡΠΈΡΠΎΠ²Π°Π½Π½ΠΎΠ³ΠΎ ΡΠ°ΡΠΈΠΎΠ½Π° ΠΈ ΠΊΠΎΠ½ΡΡΠΎΠ»ΠΈΡΠΎΠ²Π°ΡΡ Π²Π΅Ρ. ΠΡΠΈ ΠΈΠ½ΡΠ΅ΠΊΡΠΈΠΎΠ½Π½ΡΡ Π·Π°Π±ΠΎΠ»Π΅Π²Π°Π½ΠΈΡΡ ΠΈ ΡΡΠ°Π²ΠΌΠ°Ρ ΡΡΡΡΠ°Π²ΠΎΠ² ΡΠ»Π΅Π΄ΡΠ΅Ρ ΠΎΠ±ΡΠ°ΡΠ°ΡΡΡΡ ΠΊ Π²ΡΠ°ΡΡ, Π½Π΅ ΡΠΏΠΎΠ²Π°Ρ Π½Π° Π΄ΠΎΠΌΠ°ΡΠ½ΠΈΠ΅ ΡΡΠ΅Π΄ΡΡΠ²Π°. ΠΠ»Ρ ΠΏΡΠ΅Π΄ΠΎΡΠ²ΡΠ°ΡΠ΅Π½ΠΈΡ ΠΎΠ±ΠΎΡΡΡΠ΅Π½ΠΈΠΉ Ρ ΡΠΎΠ½ΠΈΡΠ΅ΡΠΊΠΎΠ³ΠΎ Π°ΡΡΡΠΈΡΠ° Π²Π°ΠΆΠ½ΠΎ ΡΠΎΠ±Π»ΡΠ΄Π°ΡΡ Π΄ΠΈΠ΅ΡΡ, ΠΈΠ·Π±Π΅Π³Π°ΡΡ ΠΏΠ΅ΡΠ΅ΠΎΡ Π»Π°ΠΆΠ΄Π΅Π½ΠΈΠΉ, Π½Π΅ ΠΏΠΎΠ΄Π½ΠΈΠΌΠ°ΡΡ ΡΡΠΆΠ΅Π»ΡΠ΅ Π³ΡΡΠ·Ρ ΠΈ ΠΏΡΠΎΡ ΠΎΠ΄ΠΈΡΡ ΡΠ°Π½Π°ΡΠΎΡΠ½ΠΎ-ΠΊΡΡΠΎΡΡΠ½ΠΎΠ΅ Π»Π΅ΡΠ΅Π½ΠΈΠ΅ ΠΏΠΎ ΠΏΡΠΎΡΠΈΠ»Ρ ΠΊΠ°ΠΊ ΠΌΠΈΠ½ΠΈΠΌΡΠΌ ΡΠ°Π· Π² Π΄Π²Π° Π³ΠΎΠ΄Π°.
ΠΠΈΠ΄Π΅ΠΎ Ρ YouTube ΠΏΠΎ ΡΠ΅ΠΌΠ΅ ΡΡΠ°ΡΡΠΈ:
www.neboleem.net
Π Π΅Π°ΠΊΡΠΈΠ²Π½ΡΠΉ Π°ΡΡΡΠΈΡ — ΠΏΡΠΈΡΠΈΠ½Ρ, ΡΠΈΠΌΠΏΡΠΎΠΌΡ, Π΄ΠΈΠ°Π³Π½ΠΎΡΡΠΈΠΊΠ°, Π»Π΅ΡΠ΅Π½ΠΈΠ΅, ΠΏΡΠΎΡΠΈΠ»Π°ΠΊΡΠΈΠΊΠ°
Π Π΅Π°ΠΊΡΠΈΠ²Π½ΡΠΌ Π°ΡΡΡΠΈΡΠΎΠΌ Π½Π°Π·ΡΠ²Π°Π΅ΡΡΡ Π²ΠΎΡΠΏΠ°Π»ΠΈΡΠ΅Π»ΡΠ½ΡΠΉ ΠΏΡΠΎΡΠ΅ΡΡ Π² ΡΡΡΡΠ°Π²Π΅, Π²ΠΎΠ·Π½ΠΈΠΊΠ°ΡΡΠΈΠΉ Π½Π° ΡΠΎΠ½Π΅ ΠΈΠ»ΠΈ ΠΏΠΎΡΠ»Π΅ ΠΏΠ΅ΡΠ΅Π½Π΅ΡΠ΅Π½Π½ΠΎΠΉ ΠΎΡΡΡΠΎΠΉ ΠΈΠ½ΡΠ΅ΠΊΡΠΈΠΈ. Π§Π°ΡΠ΅ Π²ΡΠ΅Π³ΠΎ ΡΠΎΠΏΡΡΡΡΠ²ΡΠ΅Ρ ΠΌΠΎΡΠ΅ΠΏΠΎΠ»ΠΎΠ²ΡΠΌ, ΠΊΠΈΡΠ΅ΡΠ½ΡΠΌ ΠΈΠ»ΠΈ ΠΈΠ½ΡΠ΅ΠΊΡΠΈΠΎΠ½Π½ΡΠΌ Π·Π°Π±ΠΎΠ»Π΅Π²Π°Π½ΠΈΡΠΌ Π½ΠΎΡΠΎΠ³Π»ΠΎΡΠΊΠΈ. ΠΡΠ½ΠΎΡΠΈΡΡΡ ΠΊ ΡΠ΅ΡΠΎΠ½Π΅Π³Π°ΡΠΈΠ²Π½ΡΠΌ ΡΠΏΠΎΠ½Π΄ΠΈΠ»ΠΎΠ°ΡΡΡΠΈΡΠ°ΠΌ, Ρ.Π΅. Π°ΡΡΡΠΈΡΠ°ΠΌ, ΠΏΡΠΈ Π²ΠΎΠ·Π½ΠΈΠΊΠ½ΠΎΠ²Π΅Π½ΠΈΠΈ ΠΊΠΎΡΠΎΡΡΡ
Π² Π±ΠΈΠΎΡ
ΠΈΠΌΠΈΡΠ΅ΡΠΊΠΎΠΌ Π°Π½Π°Π»ΠΈΠ·Π΅ ΠΊΡΠΎΠ²ΠΈ Π½Π΅ ΠΎΠΏΡΠ΅Π΄Π΅Π»ΡΠ΅ΡΡΡ ΡΠ΅Π²ΠΌΠΎΡΠ°ΠΊΡΠΎΡ.
Π§Π°ΡΡΠΎΡΠ° Π²ΠΎΠ·Π½ΠΈΠΊΠ½ΠΎΠ²Π΅Π½ΠΈΡ ΠΏΡΠΈ ΡΠ°Π·Π»ΠΈΡΠ½ΡΡ ΠΏΠ°ΡΠΎΠ»ΠΎΠ³ΠΈΡΡ Π½Π΅ ΠΎΠ΄ΠΈΠ½Π°ΠΊΠΎΠ²Π°. ΠΠ°ΠΈΠ±ΠΎΠ»Π΅Π΅ ΡΠ°ΡΡΠΎ Π²ΡΠ·ΡΠ²Π°ΡΡ Π°ΡΡΡΠΈΡΡ ΡΠ»Π΅Π΄ΡΡΡΠΈΠ΅ Π²ΠΎΠ·Π±ΡΠ΄ΠΈΡΠ΅Π»ΠΈ: ΡΠ½ΡΠ΅ΡΠΎΠ±Π°ΠΊΡΠ΅ΡΠΈΠΈ, Ρ Π»Π°ΠΌΠΈΠ΄ΠΈΠΈ, ΠΌΠΈΠΊΠΎΠΏΠ»Π°Π·ΠΌΡ, ΡΠ°Π»ΡΠΌΠΎΠ½Π΅Π»Π»Ρ, ΡΠΈΠ³Π΅Π»Π»Ρ, Π½Π΅ΠΊΠΎΡΠΎΡΡΠ΅ ΠΏΠ°ΡΠ°Π·ΠΈΡΡ.
Π‘ΠΎΡΠ΅ΡΠ°Π½ΠΈΠ΅ Π°ΡΡΡΠΈΡΠ°, ΡΡΠ΅ΡΡΠΈΡΠ° (ΡΠ΅ΡΠ²ΠΈΡΠΈΡΠ°), ΠΊΠΎΠ½ΡΡΠ½ΠΊΡΠΈΠ²ΠΈΡΠ° Π½ΠΎΡΠΈΡ Π½Π°Π·Π²Π°Π½ΠΈΠ΅ ΡΠΈΠ½Π΄ΡΠΎΠΌΠ° Π Π΅ΠΉΡΠ΅ΡΠ°.
Π Π΅Π°ΠΊΡΠΈΠ²Π½ΡΠΉ Π°ΡΡΡΠΈΡ ΡΠ°ΡΠ΅ Π²ΠΎΠ·Π½ΠΈΠΊΠ°Π΅Ρ Ρ ΠΌΡΠΆΡΠΈΠ½. ΠΡΠ΄ΠΈ Π² Π²ΠΎΠ·ΡΠ°ΡΡΠ΅ 20-40 Π»Π΅Ρ Π±ΠΎΠ»Π΅ΡΡ ΠΈΠΌ ΡΠ°ΡΠ΅, ΡΠ΅ΠΌ Π»ΠΈΡΠ° Π±ΠΎΠ»Π΅Π΅ ΡΡΠ°ΡΡΠ΅Π³ΠΎ Π²ΠΎΠ·ΡΠ°ΡΡΠ°.Β ΠΠΎΡΡΠ°ΡΠΎΡΠ½ΠΎ ΡΠ°ΡΡΠΎ Π²ΡΡΡΠ΅ΡΠ°ΡΡΡΡ ΡΠ΅Π°ΠΊΡΠΈΠ²Π½ΡΠ΅ Π°ΡΡΡΠΈΡΡ Ρ Π΄Π΅ΡΠ΅ΠΉ.
ΠΡΠΈΡΠΈΠ½Π° ΡΠ°Π·Π²ΠΈΡΠΈΡ ΡΠ΅Π°ΠΊΡΠΈΠ²Π½ΡΡ Π°ΡΡΡΠΈΡΠΎΠ²
Π Π±ΠΎΠ»ΡΡΠΈΠ½ΡΡΠ²Π΅ ΡΠ»ΡΡΠ°Π΅Π² ΡΠ΅Π°ΠΊΡΠΈΠ²Π½ΡΠ΅ Π°ΡΡΡΠΈΡΡ Π²ΠΎΠ·Π½ΠΈΠΊΠ°ΡΡ Π²ΡΠ»Π΅Π΄ΡΡΠ²ΠΈΠ΅ ΠΎΡΠΎΠ±ΠΎΠΉ ΠΈΠΌΠΌΡΠ½Π½ΠΎΠΉ ΡΠ΅Π°ΠΊΡΠΈΠΈ: ΠΏΠ΅ΡΠ΅ΠΊΡΠ΅ΡΡΠ½ΠΎΠ³ΠΎ ΡΠ΅Π°Π³ΠΈΡΠΎΠ²Π°Π½ΠΈΡ. Π ΡΡΠΎΠΌ ΡΠ»ΡΡΠ°Π΅ ΠΊΠ»Π΅ΡΠΊΠΈ ΡΠΎΠ±ΡΡΠ²Π΅Π½Π½ΠΎΠ³ΠΎ ΠΎΡΠ³Π°Π½ΠΈΠ·ΠΌΠ° ΡΠ°ΡΠΏΠΎΠ·Π½Π°ΡΡΡΡ ΠΈΠΌΠΌΡΠ½Π½ΠΎΠΉ ΡΠΈΡΡΠ΅ΠΌΠΎΠΉ, ΠΊΠ°ΠΊ ΡΡΠΆΠ΅ΡΠΎΠ΄Π½ΡΠ΅ ΠΈ Π½Π° Π½ΠΈΡ Π½Π°ΠΏΡΠ°Π²Π»ΡΠ΅ΡΡΡ Π°Π²ΡΠΎΠ°Π³ΡΠ΅ΡΡΠΈΡ β Π²ΠΎΠ·Π½ΠΈΠΊΠ°Π΅Ρ Π²ΠΎΡΠΏΠ°Π»ΠΈΡΠ΅Π»ΡΠ½ΡΠΉ ΠΏΡΠΎΡΠ΅ΡΡ. ΠΡΠΎ ΠΏΡΠΎΠΈΡΡ ΠΎΠ΄ΠΈΡ Π² ΡΠΎΠΌ ΡΠ»ΡΡΠ°Π΅, ΠΊΠΎΠ³Π΄Π° ΠΊΠ»Π΅ΡΠΊΠΈ ΠΎΡΠ³Π°Π½ΠΈΠ·ΠΌΠ° ΠΈ Π²ΠΎΠ·Π±ΡΠ΄ΠΈΡΠ΅Π»Ρ ΠΈΠΌΠ΅ΡΡ ΡΡ ΠΎΠΆΡΡ Π³Π΅Π½Π½ΡΡ ΡΡΡΡΠΊΡΡΡΡ ΠΈ, Π³ΡΡΠ±ΠΎ Π³ΠΎΠ²ΠΎΡΡ, ΠΈΠΌΠΌΡΠ½Π½Π°Ρ ΡΠΈΡΡΠ΅ΠΌΠ° ΠΏΡΠΎΡΡΠΎ Β«ΠΏΡΡΠ°Π΅ΡΒ» ΡΠΎΠ±ΡΡΠ²Π΅Π½Π½ΡΠ΅ ΡΠΊΠ°Π½ΠΈ Ρ ΠΈΠ½ΡΠ΅ΠΊΡΠΈΠΎΠ½Π½ΡΠΌ Π°Π³Π΅Π½ΡΠΎΠΌ.
Π‘ΠΈΠΌΠΏΡΠΎΠΌΡ ΡΠ΅Π°ΠΊΡΠΈΠ²Π½ΠΎΠ³ΠΎ Π°ΡΡΡΠΈΡΠ°
Π Π΅Π°ΠΊΡΠΈΠ²Π½ΡΠΉ Π°ΡΡΡΠΈΡ ΡΠ°ΡΠ΅ Π²ΠΎΠ·Π½ΠΈΠΊΠ°Π΅Ρ ΡΠ΅ΡΠ΅Π· 1-3 Π½Π΅Π΄Π΅Π»ΠΈ ΠΏΠΎΡΠ»Π΅ ΠΏΠ΅ΡΠ΅Π½Π΅ΡΠ΅Π½Π½ΠΎΠΉ ΠΎΡΡΡΠΎΠΉ ΠΈΠ½ΡΠ΅ΠΊΡΠΈΠΈ, ΠΊΠΎΠ³Π΄Π°, ΡΠΎΠ±ΡΡΠ²Π΅Π½Π½ΠΎ, ΡΠΈΠΌΠΏΡΠΎΠΌΡ Π·Π°Π±ΠΎΠ»Π΅Π²Π°Π½ΠΈΡ ΡΠΆΠ΅ ΠΏΡΠΎΡΠ»ΠΈ. ΠΠΎΠ·Π½ΠΈΠΊΠ°ΡΡ ΠΎΠ±ΡΠ΅ΠΈΠ½ΡΠ΅ΠΊΡΠΈΠΎΠ½Π½ΡΠ΅ ΡΠΈΠΌΠΏΡΠΎΠΌΡ: ΠΏΠΎΠ²ΡΡΠ°Π΅ΡΡΡ ΡΠ΅ΠΌΠΏΠ΅ΡΠ°ΡΡΡΠ° ΡΠ΅Π»Π°, ΠΏΠΎΡΠ²Π»ΡΠ΅ΡΡΡ ΠΎΠ·Π½ΠΎΠ±, ΠΎΠ±ΡΠ°Ρ ΡΠ»Π°Π±ΠΎΡΡΡ, ΡΡ ΡΠ΄ΡΠ°Π΅ΡΡΡ ΡΠ°ΠΌΠΎΡΡΠ²ΡΡΠ²ΠΈΠ΅. ΠΠ° ΡΡΠΎΠΌ ΡΠΎΠ½Π΅ Π²ΠΎΠ·Π½ΠΈΠΊΠ°Π΅Ρ Π²ΠΎΡΠΏΠ°Π»Π΅Π½ΠΈΠ΅ ΡΡΡΡΠ°Π²ΠΎΠ².
Π§Π°ΡΠ΅ ΠΏΠΎΡΠ°ΠΆΠ°ΡΡΡΡ ΡΡΡΡΠ°Π²Ρ Π½ΠΈΠΆΠ½ΠΈΡ ΠΊΠΎΠ½Π΅ΡΠ½ΠΎΡΡΠ΅ΠΉ, ΠΎΡΠΎΠ±Π΅Π½Π½ΠΎ ΠΌΠ΅Π»ΠΊΠΈΠ΅ ΡΡΡΡΠ°Π²Ρ ΠΏΠ°Π»ΡΡΠ΅Π². ΠΠΎΡΠ°ΠΆΠ°ΡΡΡΡ ΠΌΠΎΠΆΠ΅Ρ ΠΊΠ°ΠΊ ΠΎΠ΄ΠΈΠ½ ΡΡΡΡΠ°Π², ΡΠ°ΠΊ ΠΈ Π½Π΅ΡΠΊΠΎΠ»ΡΠΊΠΎ ΡΡΠ°Π·Ρ.
ΠΡΠΈ ΡΠ΅Π°ΠΊΡΠΈΠ²Π½ΠΎΠΌ Π°ΡΡΡΠΈΡΠ΅ ΡΡΡΡΠ°Π² ΡΡΠ°Π½ΠΎΠ²ΠΈΡΡΡ ΠΎΡΠ΅ΡΠ½ΡΠΌ. ΠΡΠ΅ΠΊ ΠΌΠΎΠΆΠ΅Ρ Π±ΡΡΡ Π²Π΅ΡΡΠΌΠ° ΡΠ°ΡΠΏΡΠΎΡΡΡΠ°Π½Π΅Π½Π½ΡΠΌ: ΠΏΠ°Π»ΡΡΡ ΡΡΠ°Π½ΠΎΠ²ΡΡΡΡ ΠΏΠΎΡ ΠΎΠΆΠΈ Π½Π° Π²Π°Π»ΠΈΠΊ ΠΈΠ»ΠΈ ΡΠΎΡΠΈΡΠΊΡ. ΠΠΎΠΆΠ° Π½Π°Π΄ ΡΡΡΡΠ°Π²ΠΎΠΌ Π³ΠΈΠΏΠ΅ΡΠ΅ΠΌΠΈΡΠΎΠ²Π°Π½Π°, ΠΏΡΠΈ ΠΏΠ°Π»ΡΠΏΠ°ΡΠΈΠΈ ΡΠ΅ΠΏΠ»Π΅Π΅, ΡΠ΅ΠΌ Π½Π΅ΠΈΠ·ΠΌΠ΅Π½Π΅Π½Π½ΡΠ΅ ΡΠΊΠ°Π½ΠΈ.
ΠΡΠ΅Π½Ρ ΡΠ°ΡΡΠΎ ΡΠΈΠΌΠΏΡΠΎΠΌΡ ΡΠ΅Π°ΠΊΡΠΈΠ²Π½ΠΎΠ³ΠΎ Π°ΡΡΡΠΈΡΠ° ΡΠΎΠΏΡΠΎΠ²ΠΎΠΆΠ΄Π°ΡΡΡΡ ΡΠΈΠΌΠΏΡΠΎΠΌΠ°ΠΌΠΈ Π²ΠΎΡΠΏΠ°Π»Π΅Π½ΠΈΡ ΡΡΡ ΠΎΠΆΠΈΠ»ΠΈΠΉ. ΠΡΠΎΡΠ²Π»ΡΡΡΡΡ ΠΎΠ½ΠΈ Π² Π²ΠΈΠ΄Π΅ Π±ΠΎΠ»Π΅ΠΉ, ΠΏΡΠΎΠ΅ΡΠΈΡΡΡΡΠΈΡ ΡΡ Π½Π° ΠΌΠ΅ΡΡΠΎ ΠΏΡΠΈΠΊΡΠ΅ΠΏΠ»Π΅Π½ΠΈΡ ΡΡΡ ΠΎΠΆΠΈΠ»ΠΈΡ ΠΊ ΠΊΠΎΡΡΠΈ.
Π§Π°ΡΡΠΎ ΡΠ΅Π°ΠΊΡΠΈΠ²Π½ΡΠΉ Π°ΡΡΡΠΈΡ ΡΠΎΠΏΡΠΎΠ²ΠΎΠΆΠ΄Π°Π΅ΡΡΡ ΠΊΠΎΠ½ΡΡΠ½ΠΊΡΠΈΠ²ΠΈΡΠΎΠΌ, ΡΠΏΠ΅ΡΠΈΡΠΈΡΠ΅ΡΠΊΠΈΠΌ ΠΏΠΎΡΠ°ΠΆΠ΅Π½ΠΈΠ΅ΠΌ ΠΊΠΎΠΆΠΈ Π² ΡΠΎΡΠΌΠ΅ ΡΡΠΏΠΈ (ΠΏΠ°ΠΏΡΠ»Ρ ΠΈΠ»ΠΈ Π±Π»ΡΡΠΊΠΈ), ΠΈΠ·ΠΌΠ΅Π½Π΅Π½ΠΈΠ΅ΠΌ ΡΠ²Π΅ΡΠ° ΠΈ ΡΡΡΡΠΊΡΡΡΡ Π½ΠΎΠ³ΡΠ΅Π²ΠΎΠΉ ΠΏΠ»Π°ΡΡΠΈΠ½Ρ. ΠΠΎΠ³ΡΡ Π±ΡΡΡ ΡΠΈΡΡΠ΅ΠΌΠ½ΡΠ΅ ΠΏΡΠΈΠ·Π½Π°ΠΊΠΈ Π²ΠΎΡΠΏΠ°Π»Π΅Π½ΠΈΡ: ΡΠ²Π΅Π»ΠΈΡΠ΅Π½ΠΈΠ΅ ΡΠ΅Π³ΠΈΠΎΠ½Π°ΡΠ½ΡΡ Π»ΠΈΠΌΡΠΎΡΠ·Π»ΠΎΠ², Π° ΡΠ°ΠΊΠΆΠ΅ ΠΏΠ΅ΡΠΈΠΊΠ°ΡΠ΄ΠΈΡ, ΠΌΠΈΠΎΠΊΠ°ΡΠ΄ΠΈΡ, ΠΏΠ»Π΅Π²ΡΠΈΡ, Π³Π»ΠΎΠΌΠ΅ΡΡΠ»ΠΎΠ½Π΅ΡΡΠΈΡ.
Π Π±ΠΎΠ»ΡΡΠΈΠ½ΡΡΠ²Π΅ ΡΠ»ΡΡΠ°Π΅Π² ΡΠ΅Π°ΠΊΡΠΈΠ²Π½ΡΠ΅ Π°ΡΡΡΠΈΡΡ Π½Π΅ Π½Π΅ΡΡΡ ΠΎΠΏΠ°ΡΠ½ΠΎΡΡΠΈ Π΄Π»Ρ ΠΆΠΈΠ·Π½ΠΈ Π² Π²ΠΈΠ΄Π΅ ΠΌΠΎΠ½ΠΎΡΠΈΠΌΠΏΡΠΎΠΌΠ°. ΠΠ΄Π½Π°ΠΊΠΎ ΡΠΎΠΏΡΡΡΡΠ²ΡΡΡΠΈΠ΅ ΠΈΠΌ ΠΌΠΈΠΎΠΊΠ°ΡΠ΄ΠΈΡ, ΠΊΠ°ΡΠ΄ΠΈΡ ΠΈ Ρ.ΠΏ. Π·Π°Π±ΠΎΠ»Π΅Π²Π°Π½ΠΈΡ ΠΌΠΎΠ³ΡΡ ΠΏΡΠΈΠ²Π΅ΡΡΠΈ ΠΊ ΠΈΠ½Π²Π°Π»ΠΈΠ΄ΠΈΠ·Π°ΡΠΈΠΈ ΠΈ Π΄Π°ΠΆΠ΅ Π»Π΅ΡΠ°Π»ΡΠ½ΠΎΠΌΡ ΠΈΡΡ ΠΎΠ΄Ρ. ΠΠΎΡΡΠΎΠΌΡ ΠΏΡΠΈ Π²ΠΎΠ·Π½ΠΈΠΊΠ½ΠΎΠ²Π΅Π½ΠΈΠΈ Π΄Π°ΠΆΠ΅ Π½Π΅Π·Π½Π°ΡΠΈΡΠ΅Π»ΡΠ½ΠΎΠ³ΠΎ ΠΏΠΎ ΠΊΠ»ΠΈΠ½ΠΈΠΊΠ΅ ΡΠ΅Π°ΠΊΡΠΈΠ²Π½ΠΎΠ³ΠΎ Π°ΡΡΡΠΈΡΠ° Π½Π΅ΠΎΠ±Ρ ΠΎΠ΄ΠΈΠΌΠΎ ΡΡΠ°ΡΠ΅Π»ΡΠ½ΠΎΠ΅ ΠΎΠ±ΡΠ»Π΅Π΄ΠΎΠ²Π°Π½ΠΈΠ΅ ΠΏΠ°ΡΠΈΠ΅Π½ΡΠ° ΠΈ ΡΠ²ΠΎΠ΅Π²ΡΠ΅ΠΌΠ΅Π½Π½ΠΎΠ΅ Π»Π΅ΡΠ΅Π½ΠΈΠ΅.
ΠΠΈΠ°Π³Π½ΠΎΡΡΠΈΠΊΠ° ΡΠ΅Π°ΠΊΡΠΈΠ²Π½ΠΎΠ³ΠΎ Π°ΡΡΡΠΈΡΠ°
Π‘ΡΠ°Π²ΠΈΡΡΡ Π΄ΠΈΠ°Π³Π½ΠΎΠ· Β«Π°ΡΡΡΠΈΡΒ» Π½Π° ΠΎΡΠ½ΠΎΠ²Π°Π½ΠΈΠΈ ΠΎΡΠΌΠΎΡΡΠ°. ΠΠ΄Π½Π°ΠΊΠΎ, Π΄Π»Ρ ΡΠΎΠ³ΠΎ ΡΡΠΎΠ±Ρ ΠΏΠΎΠ½ΡΡΡ, ΡΠ²Π»ΡΠ΅ΡΡΡ Π»ΠΈ ΠΎΠ½ ΡΠ΅Π°ΠΊΡΠΈΠ²Π½ΡΠΌ ΠΈΠ»ΠΈ ΠΏΡΠΎΡΠ΅ΠΊΠ°Π΅Ρ Π² Π²ΠΈΠ΄Π΅ ΠΊΠ°ΠΊΠΎΠ³ΠΎ-ΡΠΎ ΡΠ°ΠΌΠΎΡΡΠΎΡΡΠ΅Π»ΡΠ½ΠΎΠ³ΠΎ Π·Π°Π±ΠΎΠ»Π΅Π²Π°Π½ΠΈΡ, Π½Π΅ΠΎΠ±Ρ ΠΎΠ΄ΠΈΠΌΠΎ Π΄Π΅ΡΠ°Π»ΡΠ½ΠΎΠ΅ ΠΎΠ±ΡΠ»Π΅Π΄ΠΎΠ²Π°Π½ΠΈΠ΅.
ΠΡΠ΅ΠΆΠ΄Π΅ Π²ΡΠ΅Π³ΠΎ, ΠΏΡΠΎΠ²ΠΎΠ΄ΡΡ ΠΎΠ±ΡΠΈΠ΅ Π°Π½Π°Π»ΠΈΠ·Ρ: ΠΊΡΠΎΠ²ΠΈ, ΠΌΠΎΡΠΈ, ΠΊΠ°Π»Π°, Π±ΠΈΠΎΡ ΠΈΠΌΠΈΡΠ΅ΡΠΊΠΎΠ΅ ΠΈΡΡΠ»Π΅Π΄ΠΎΠ²Π°Π½ΠΈΠ΅.Β ΠΠ±ΡΠ·Π°ΡΠ΅Π»ΡΠ½ΡΠΌΠΈ ΠΎΠ±ΡΠ»Π΅Π΄ΠΎΠ²Π°Π½ΠΈΡΠΌΠΈ ΡΠ²Π»ΡΡΡΡΡ Π°Π½Π°Π»ΠΈΠ·Ρ ΠΊΡΠΎΠ²ΠΈ Π½Π° Π²ΠΎΠ·ΠΌΠΎΠΆΠ½ΠΎΠ³ΠΎ Π²ΠΎΠ·Π±ΡΠ΄ΠΈΡΠ΅Π»Ρ ΠΈΠ½ΡΠ΅ΠΊΡΠΈΠΈ: ΠΎΠΏΡΠ΅Π΄Π΅Π»Π΅Π½ΠΈΠ΅ Π°Π½ΡΠΈΡΠ΅Π» ΠΊ Π³ΠΎΠ½ΠΎΠΊΠΎΠΊΠΊΠ°ΠΌ, Ρ Π»Π°ΠΌΠΈΠ΄ΠΈΡΠΌ. Π’Π°ΠΊΠΆΠ΅ Π½Π΅ΠΎΠ±Ρ ΠΎΠ΄ΠΈΠΌΠΎ ΠΏΡΠΎΠ²Π΅ΡΡΠΈ ΡΠ΅Π½ΡΠ³Π΅Π½ΠΎΠ³ΡΠ°ΡΠΈΡ Π²ΡΠ΅Ρ ΠΏΠΎΡΠ°ΠΆΠ΅Π½Π½ΡΡ ΡΡΡΡΠ°Π²ΠΎΠ².
Π ΡΠ²ΡΠ·ΠΈ Ρ ΡΠ΅ΠΌ, ΡΡΠΎ ΡΠ΅Π°ΠΊΡΠΈΠ²Π½ΡΠ΅ Π°ΡΡΡΠΈΡΡ ΡΠ°ΡΡΠΎ ΡΠΎΠΏΡΠΎΠ²ΠΎΠΆΠ΄Π°ΡΡΡΡ ΠΏΠΎΡΠ°ΠΆΠ΅Π½ΠΈΠ΅ΠΌ Π΄ΡΡΠ³ΠΈΡ ΠΎΡΠ³Π°Π½ΠΎΠ² ΠΈ ΡΠΈΡΡΠ΅ΠΌ, Π½Π΅ΠΎΠ±Ρ ΠΎΠ΄ΠΈΠΌΡ ΠΊΠΎΠ½ΡΡΠ»ΡΡΠ°ΡΠΈΠΈ ΡΠΏΠ΅ΡΠΈΠ°Π»ΠΈΡΡΠΎΠ²: ΡΡΠΎΠ»ΠΎΠ³Π°, Π³ΠΈΠ½Π΅ΠΊΠΎΠ»ΠΎΠ³Π°, ΠΎΠΊΡΠ»ΠΈΡΡΠ°, ΠΊΠ°ΡΠ΄ΠΈΠΎΠ»ΠΎΠ³Π°, ΡΠ΅Π²ΠΌΠ°ΡΠΎΠ»ΠΎΠ³Π°, Π° ΡΠ°ΠΊΠΆΠ΅ ΠΏΡΠΎΠ²Π΅Π΄Π΅Π½ΠΈΠ΅ ΠΎΠ±ΡΠ»Π΅Π΄ΠΎΠ²Π°Π½ΠΈΠ΅ ΡΠ΅ΡΠ΄ΡΠ°, Π³Π»Π°Π· ΠΈ ΠΏΡΠΎΡΠΈΡ Π²Π½ΡΡΡΠ΅Π½Π½ΠΈΡ ΠΎΡΠ³Π°Π½ΠΎΠ².
ΠΠ΅ΡΠ΅Π½ΠΈΠ΅ ΡΠ΅Π°ΠΊΡΠΈΠ²Π½ΠΎΠ³ΠΎ Π°ΡΡΡΠΈΡΠ°
ΠΡΠ΅ Π»Π΅ΡΠ΅Π½ΠΈΠ΅ ΡΠ΅Π°ΠΊΡΠΈΠ²Π½ΠΎΠ³ΠΎ Π°ΡΡΡΠΈΡΠ° ΠΌΠΎΠΆΠ½ΠΎ ΡΠ°Π·Π΄Π΅Π»ΠΈΡΡ Π½Π° ΠΌΠ΅Π΄ΠΈΠΊΠ°ΠΌΠ΅Π½ΡΠΎΠ·Π½ΠΎΠ΅ ΠΈ Π½Π΅ΠΌΠ΅Π΄ΠΈΠΊΠ°ΠΌΠ΅Π½ΡΠΎΠ·Π½ΠΎΠ΅.
ΠΠ΅ΠΌΠ΅Π΄ΠΈΠΊΠ°ΠΌΠ΅Π½ΡΠΎΠ·Π½ΠΎΠ΅ Π²ΠΊΠ»ΡΡΠ°Π΅Ρ ΠΎΠ³ΡΠ°Π½ΠΈΡΠ΅Π½ΠΈΠ΅ Π΄Π²ΠΈΠ³Π°ΡΠ΅Π»ΡΠ½ΠΎΠΉ Π°ΠΊΡΠΈΠ²Π½ΠΎΡΡΠΈ, ΠΏΡΠΈ ΡΠ΅ΡΡΠ΅Π·Π½ΠΎΠΌ ΠΏΠΎΡΠ°ΠΆΠ΅Π½ΠΈΠΈ Π²ΠΏΠ»ΠΎΡΡ Π΄ΠΎ ΠΏΠΎΡΡΠ΅Π»ΡΠ½ΠΎΠ³ΠΎ ΡΠ΅ΠΆΠΈΠΌΠ°. ΠΠΎΠ·ΠΌΠΎΠΆΠ½Π° ΡΠΈΠΊΡΠ°ΡΠΈΡ ΡΡΡΡΠ°Π²Π°, ΠΎΠ΄Π½Π°ΠΊΠΎ ΡΡΠΎ ΠΌΠ΅ΡΠΎΠΏΡΠΈΡΡΠΈΠ΅ Π½Π΅ ΠΎΠ±ΡΠ·Π°ΡΠ΅Π»ΡΠ½ΠΎ ΠΈ ΠΏΡΠΎΠ²ΠΎΠ΄ΠΈΡΡΡ ΠΈΡΠΊΠ»ΡΡΠΈΡΠ΅Π»ΡΠ½ΠΎ Π΄Π»Ρ ΡΠΌΠ΅Π½ΡΡΠ΅Π½ΠΈΡ Π±ΠΎΠ»Π΅Π²ΠΎΠ³ΠΎ ΡΠΈΠ½Π΄ΡΠΎΠΌΠ°. ΠΠΎΠΆΠ½ΠΎ ΠΏΡΠΈΠΊΠ»Π°Π΄ΡΠ²Π°ΡΡ Ρ ΠΎΠ»ΠΎΠ΄ Π½Π° ΠΏΠΎΡΠ°ΠΆΠ΅Π½Π½ΡΠΉ ΡΡΡΡΠ°Π². ΠΡΠΈ ΡΡΠΈΡ Π°Π½ΠΈΠΈ Π²ΠΎΡΠΏΠ°Π»Π΅Π½ΠΈΡ Π½Π°Π·Π½Π°ΡΠ°ΡΡ Π½Π΅ΠΊΠΎΡΠΎΡΡΠ΅ ΡΠΈΠ·ΠΈΠΎΠΏΡΠΎΡΠ΅Π΄ΡΡΡ ΠΈ ΠΠ€Π.
ΠΠ΅Π΄ΠΈΠΊΠ°ΠΌΠ΅Π½ΡΠΎΠ·Π½ΠΎΠ΅ Π»Π΅ΡΠ΅Π½ΠΈΠ΅ ΡΠ΅Π°ΠΊΡΠΈΠ²Π½ΠΎΠ³ΠΎ Π°ΡΡΡΠΈΡΠ° ΡΠ°ΡΠ΅ Π²ΡΠ΅Π³ΠΎ Π½Π°ΡΠΈΠ½Π°ΡΡ Ρ Π½Π°Π·Π½Π°ΡΠ΅Π½ΠΈΡ Π°Π½ΡΠΈΠ±ΠΈΠΎΡΠΈΠΊΠΎΡΠ΅ΡΠ°ΠΏΠΈΠΈ ΠΏΠΎΡΠ»Π΅ ΠΏΡΠ΅Π΄Π²Π°ΡΠΈΡΠ΅Π»ΡΠ½ΠΎΠ³ΠΎ ΠΎΠΏΡΠ΅Π΄Π΅Π»Π΅Π½ΠΈΡ Π²ΠΎΠ·Π±ΡΠ΄ΠΈΡΠ΅Π»Ρ. ΠΠΌΠ΅Π½Π½ΠΎ ΠΎΡ ΡΠΎΡΠ½ΠΎΡΡΠΈ Π΄ΠΈΠ°Π³Π½ΠΎΡΡΠΈΠΊΠΈ Π·Π°Π²ΠΈΡΠΈΡ ΠΏΡΠΎΠ³Π½ΠΎΠ· Π»Π΅ΡΠ΅Π½ΠΈΡ ΡΠ΅Π°ΠΊΡΠΈΠ²Π½ΠΎΠ³ΠΎ Π°ΡΡΡΠΈΡΠ°.
Π ΠΊΠ°ΡΠ΅ΡΡΠ²Π΅ Π²ΡΠΏΠΎΠΌΠΎΠ³Π°ΡΠ΅Π»ΡΠ½ΠΎΠΉ ΡΠ΅ΡΠ°ΠΏΠΈΠΈ Π½Π°Π·Π½Π°ΡΠ°ΡΡ Π½Π΅ΡΡΠ΅ΡΠΎΠΈΠ΄Π½ΡΠ΅ ΠΏΡΠΎΡΠΈΠ²ΠΎΠ²ΠΎΡΠΏΠ°Π»ΠΈΡΠ΅Π»ΡΠ½ΡΠ΅ ΠΏΡΠ΅ΠΏΠ°ΡΠ°ΡΡ (ΠΠΠΠ‘): Π΄ΠΈΠΊΠ»ΠΎΡΠ΅Π½Π°ΠΊ, ΠΈΠ±ΡΠΏΡΠΎΡΠ΅Π½, Π½ΠΈΠΌΠ΅ΡΡΠ»ΠΈΠ΄ ΠΈ ΠΏΡΠΎΡΠΈΠ΅. ΠΠ½ΠΈ ΡΠ½ΠΈΠΌΡΡ Π²ΠΎΡΠΏΠ°Π»Π΅Π½ΠΈΠ΅ ΠΈ Π±ΠΎΠ»Ρ.
ΠΡΠΈ ΡΡΠΆΠ΅Π»ΠΎΠΌ ΠΈ ΠΊΡΠ°ΠΉΠ½Π΅ ΡΡΠΆΠ΅Π»ΠΎΠΌ ΡΠΎΡΡΠΎΡΠ½ΠΈΠΈ Π½Π΅ ΠΎΠ±ΠΎΠΉΡΠΈΡΡ Π±Π΅Π· Π³ΠΎΡΠΌΠΎΠ½Π°Π»ΡΠ½ΠΎΠΉ ΡΠ΅ΡΠ°ΠΏΠΈΠΈ. ΠΠ΅ ΠΌΠΎΠ³ΡΡ Π½Π°Π·Π½Π°ΡΠΈΡΡ ΡΠΈΡΡΠ΅ΠΌΠ½ΠΎ ΠΈ ΠΌΠ΅ΡΡΠ½ΠΎ (Π²Π½ΡΡΡΠΈΡΡΡΡΠ°Π²Π½ΠΎΠ΅ Π²Π²Π΅Π΄Π΅Π½ΠΈΠ΅ ΠΏΡΠ΅ΠΏΠ°ΡΠ°ΡΠ°).
ΠΡΠΈ Π·Π°ΡΡΠΆΠ½ΠΎΠΌ ΡΠ΅ΡΠ΅Π½ΠΈΠΈ ΠΈ Π²ΡΡΠΎΠΊΠΎΠΉ Π°ΠΊΡΠΈΠ²Π½ΠΎΡΡΠΈ ΠΏΡΠΎΡΠ΅ΡΡΠ° Π½Π°Π·Π½Π°ΡΠ°ΡΡ ΠΈΠΌΠΌΡΠ½ΠΎΡΡΠΏΡΠ΅ΡΡΠΎΡΡ: ΠΌΠ΅ΡΠΎΡΡΠ΅ΠΊΡΠ°Ρ, ΡΡΠ»ΡΡΠ°ΡΠ°Π»Π°Π·ΠΈΠ½, Π°Π·Π°ΡΠΈΠΎΠΏΡΠΈΠ½. ΠΠ½ΠΈ ΡΠ½ΠΈΠΆΠ°ΡΡ Π°ΠΊΡΠΈΠ²Π½ΠΎΡΡΡ ΠΈΠΌΠΌΡΠ½Π½ΠΎΠ³ΠΎ ΠΎΡΠ²Π΅ΡΠ°.
ΠΡΠΎΠ±Π΅Π½Π½ΠΎ Π²Π°ΠΆΠ½ΠΎ ΡΠ²ΠΎΠ΅Π²ΡΠ΅ΠΌΠ΅Π½Π½ΠΎ Π½Π°ΡΠ°ΡΠΎΠ΅ Π»Π΅ΡΠ΅Π½ΠΈΠ΅ ΡΠ΅Π°ΠΊΡΠΈΠ²Π½ΠΎΠ³ΠΎ Π°ΡΡΡΠΈΡΠ° Ρ Π΄Π΅ΡΠ΅ΠΉ Π² ΡΠ²ΡΠ·ΠΈ Ρ Π½Π΅ΡΡΠΎΡΠΌΠΈΡΠΎΠ²Π°Π½Π½ΠΎΡΡΡΡ ΠΈΠΌΠΌΡΠ½Π½ΠΎΠ³ΠΎ ΠΎΡΠ²Π΅ΡΠ° ΠΈ ΡΠ°ΡΡΠΎΡΠΎΠΉ Π²ΠΎΠ·Π½ΠΈΠΊΠ½ΠΎΠ²Π΅Π½ΠΈΡ ΠΎΡΠ»ΠΎΠΆΠ½Π΅Π½ΠΈΠΉ.
ΠΡΠΎΡΠΈΠ»Π°ΠΊΡΠΈΠΊΠ° ΡΠ΅Π°ΠΊΡΠΈΠ²Π½ΠΎΠ³ΠΎ Π°ΡΡΡΠΈΡΠ°
ΠΡΠΎΡΠΈΠ»Π°ΠΊΡΠΈΠΊΠ° ΡΠ΅Π°ΠΊΡΠΈΠ²Π½ΠΎΠ³ΠΎ Π°ΡΡΡΠΈΡΠ° ΡΠ²ΠΎΠ΄ΠΈΡΡΡ ΠΊ ΠΏΡΠΎΡΠΈΠ»Π°ΠΊΡΠΈΠΊΠ΅ ΠΈΠ½ΡΠ΅ΠΊΡΠΈΠΎΠ½Π½ΡΡ Π·Π°Π±ΠΎΠ»Π΅Π²Π°Π½ΠΈΠΉ: Π³ΠΈΠ³ΠΈΠ΅Π½ΠΈΡΠ΅ΡΠΊΠΈΠΌ ΠΏΡΠΎΡΠ΅Π΄ΡΡΠ°ΠΌ, ΠΏΡΠ°Π²ΠΈΠ»ΡΠ½ΠΎΠΌΡ ΠΏΡΠΈΠ³ΠΎΡΠΎΠ²Π»Π΅Π½ΠΈΡ ΠΏΠΈΡΠΈ, ΡΠΎΠ±Π»ΡΠ΄Π΅Π½ΠΈΡ ΡΡΠΎΠΊΠΎΠ² Π³ΠΎΠ΄Π½ΠΎΡΡΠΈ ΠΏΠΈΡΠΈ.
ΠΡΠΈ Π²ΠΎΠ·Π½ΠΈΠΊΠ½ΠΎΠ²Π΅Π½ΠΈΠΈ Π·Π°Π±ΠΎΠ»Π΅Π²Π°Π½ΠΈΠΉ Π½Π΅ΠΎΠ±Ρ ΠΎΠ΄ΠΈΠΌΠΎ Π°Π΄Π΅ΠΊΠ²Π°ΡΠ½ΠΎΠ΅ Π»Π΅ΡΠ΅Π½ΠΈΠ΅, Π½Π°Π·Π½Π°ΡΠ΅Π½Π½ΠΎΠ΅ ΡΠΏΠ΅ΡΠΈΠ°Π»ΠΈΡΡΠΎΠΌ. Π ΡΠ΅ΡΠ΅Π½ΠΈΠ΅ ΠΏΠΎΡΠ»Π΅Π΄ΡΡΡΠΈΡ 1-3 Π½Π΅Π΄Π΅Π»Ρ ΡΡΠΎΠΈΡ ΡΠΎΠ±Π»ΡΠ΄Π°ΡΡ ΠΎΡ ΡΠ°Π½ΠΈΡΠ΅Π»ΡΠ½ΡΠΉ ΡΠ΅ΠΆΠΈΠΌ ΠΈ ΠΈΠ·Π±Π΅Π³Π°ΡΡ ΠΏΠΎΠ²ΡΠΎΡΠ½ΠΎΠ³ΠΎ ΠΈΠ½ΡΠΈΡΠΈΡΠΎΠ²Π°Π½ΠΈΡ.
ΠΠΈΠ΄Π΅ΠΎ Ρ YouTube ΠΏΠΎ ΡΠ΅ΠΌΠ΅ ΡΡΠ°ΡΡΠΈ:
www.neboleem.net
Π Π΅Π°ΠΊΡΠΈΠ²Π½ΡΠΉ Π°ΡΡΡΠΈΡ — ΡΠΈΠΌΠΏΡΠΎΠΌΡ, Π»Π΅ΡΠ΅Π½ΠΈΠ΅, ΠΏΡΠΎΡΠΈΠ»Π°ΠΊΡΠΈΠΊΠ°, ΠΏΡΠΈΡΠΈΠ½Ρ, ΠΏΠ΅ΡΠ²ΡΠ΅ ΠΏΡΠΈΠ·Π½Π°ΠΊΠΈ
ΠΠ±ΡΠΈΠ΅ ΡΠ²Π΅Π΄Π΅Π½ΠΈΡ
ΠΠ½ Π²ΠΎΠ·Π½ΠΈΠΊΠ°Π΅Ρ ΠΊΠ°ΠΊ ΡΠ΅Π°ΠΊΡΠΈΡ Π½Π° ΠΈΠ½ΡΠ΅ΠΊΡΠΈΠΎΠ½Π½ΠΎΠ΅ Π·Π°Π±ΠΎΠ»Π΅Π²Π°Π½ΠΈΠ΅, Π½Π°ΠΏΡΠΈΠΌΠ΅Ρ, Π² ΠΏΠΎΠ»ΠΎΠ²ΡΡ ΠΎΡΠ³Π°Π½Π°Ρ , Π² ΠΌΠΎΡΠ΅Π²ΡΠ΄Π΅Π»ΠΈΡΠ΅Π»ΡΠ½ΠΎΠΉ ΡΠΈΡΡΠ΅ΠΌΠ΅ ΠΈΠ»ΠΈ ΠΆΠ΅Π»ΡΠ΄ΠΎΡΠ½ΠΎ-ΠΊΠΈΡΠ΅ΡΠ½ΠΎΠΌ ΡΡΠ°ΠΊΡΠ΅.Β ΠΠ±ΡΡΠ½ΠΎ Π°ΡΡΡΠΈΡ ΡΠ°Π·Π²ΠΈΠ²Π°Π΅ΡΡΡ ΡΠ΅ΡΠ΅Π· 2-4 Π½Π΅Π΄Π΅Π»ΠΈ ΠΏΠΎΡΠ»Π΅ Π²ΠΎΠ·Π½ΠΈΠΊΠ½ΠΎΠ²Π΅Π½ΠΈΡ ΠΈΠ½ΡΠ΅ΠΊΡΠΈΠΈ.
ΠΠΎΠ²ΠΎΡΡΠΈ ΠΏΠΎ ΡΠ΅ΠΌΠ΅
ΠΡΠΈΡΠΈΠ½Ρ ΡΠ΅Π°ΠΊΡΠΈΠ²Π½ΠΎΠ³ΠΎ Π°ΡΡΡΠΈΡΠ°
Π Π΅Π°ΠΊΡΠΈΠ²Π½ΡΠΉ Π°ΡΡΡΠΈΡ ΠΌΠΎΠΆΠ΅Ρ Π±ΡΡΡ Π²ΡΠ·Π²Π°Π½ ΡΠ°Π·Π»ΠΈΡΠ½ΡΠΌΠΈ Π±Π°ΠΊΡΠ΅ΡΠΈΠ°Π»ΡΠ½ΡΠΌΠΈ ΠΈΠ½ΡΠ΅ΠΊΡΠΈΡΠΌΠΈ, ΡΠ°ΡΠ΅ Π²ΡΠ΅Π³ΠΎ ΠΈΠ½ΡΠ΅ΠΊΡΠΈΡΠΌΠΈ ΠΌΠΎΡΠ΅ΠΏΠΎΠ»ΠΎΠ²ΠΎΠΉ ΡΠΈΡΡΠ΅ΠΌΡ ΠΈΠ»ΠΈ ΠΆΠ΅Π»ΡΠ΄ΠΎΡΠ½ΠΎ-ΠΊΠΈΡΠ΅ΡΠ½ΠΎΠ³ΠΎ ΡΡΠ°ΠΊΡΠ°.
ΠΡΠΈ ΡΠ΅Π°ΠΊΡΠΈΠ²Π½ΠΎΠΌ Π°ΡΡΡΠΈΡΠ΅, Π²ΡΠ·Π²Π°Π½Π½ΠΎΠΌ ΠΈΠ½ΡΠ΅ΠΊΡΠΈΠ΅ΠΉ ΠΌΠΎΡΠ΅ΠΏΠΎΠ»ΠΎΠ²ΠΎΠΉ ΡΠΈΡΡΠ΅ΠΌΡ, ΡΠΏΡΡΠΊΠΎΠ²ΡΠΌ ΡΠ°ΠΊΡΠΎΡΠΎΠΌ ΡΠ²Π»ΡΡΡΡΡ ΠΈΠ½ΡΠ΅ΠΊΡΠΈΠΎΠ½Π½ΡΠ΅ ΠΏΡΠΎΡΠ΅ΡΡΡ Π² ΠΏΠΎΠ»ΠΎΠ²ΠΎΠΌ ΠΎΡΠ³Π°Π½Π°Ρ , ΠΌΠΎΡΠ΅Π²ΠΎΠΌ ΠΏΡΠ·ΡΡΠ΅ ΠΈΠ»ΠΈ ΡΡΠ΅ΡΡΠ΅.
ΠΡΠ»ΠΈ ΠΈΠ½ΡΠ΅ΠΊΡΠΈΠΎΠ½Π½ΡΠΉ ΠΏΡΠΎΡΠ΅ΡΡ ΡΠ²ΡΠ·Π°Π½ Ρ ΠΏΠΈΡΠ΅Π²ΡΠΌ ΠΎΡΡΠ°Π²Π»Π΅Π½ΠΈΠ΅ΠΌ, ΡΠΎ ΡΠ°ΠΊΠΎΠ΅ ΡΠΎΡΡΠΎΡΠ½ΠΈΠ΅ Π½Π°Π·ΡΠ²Π°Π΅ΡΡΡ ΡΠ½ΡΠ΅ΡΠΎΠ°ΡΡΡΠΈΡ. Π£ 1 Π΄ΠΎ 2% Π»ΡΠ΄Π΅ΠΉ Ρ ΠΏΠΈΡΠ΅Π²ΡΠΌΠΈ ΠΎΡΡΠ°Π²Π»Π΅Π½ΠΈΡΠΌΠΈ ΠΌΠΎΠ³ΡΡ Π² ΡΠ΅ΡΠ΅Π½ΠΈΠ΅ Π½Π΅ΡΠΊΠΎΠ»ΡΠΊΠΈΡ Π½Π΅Π΄Π΅Π»Ρ ΡΠ°Π·Π²ΠΈΡΡΡΡ Π²ΠΎΡΠΏΠ°Π»Π΅Π½ΠΈΠ΅ ΡΡΡΡΠ°Π²ΠΎΠ².
ΠΠ΅Π½Π΅ΡΠΈΡΠ΅ΡΠΊΠ°Ρ ΠΏΡΠ΅Π΄ΡΠ°ΡΠΏΠΎΠ»ΠΎΠΆΠ΅Π½Π½ΠΎΡΡΡ ΡΠ°ΠΊΠΆΠ΅ ΠΈΠ³ΡΠ°Π΅Ρ ΠΎΠΏΡΠ΅Π΄Π΅Π»Π΅Π½Π½ΡΡ ΡΠΎΠ»Ρ Π² ΡΠ°Π·Π²ΠΈΡΠΈΠΈ Π·Π°Π±ΠΎΠ»Π΅Π²Π°Π½ΠΈΡ (Ρ Π±ΠΎΠ»ΡΡΠΈΠ½ΡΡΠ²Π° Π»ΡΠ΄Π΅ΠΉ Ρ ΡΠ΅Π°ΠΊΡΠΈΠ²Π½ΡΠΌΠΈ Π°ΡΡΡΠΈΡΠ°ΠΌΠΈ ΠΈΠΌΠ΅Π΅ΡΡΡ Π³Π΅Π½ HLA-B27).
ΠΡΠΎ Π·Π°Π±ΠΎΠ»Π΅Π²Π°Π΅Ρ ΡΠ΅Π°ΠΊΡΠΈΠ²Π½ΡΠΌ Π°ΡΡΡΠΈΡΠΎΠΌ?
Π Π΅Π°ΠΊΡΠΈΠ²Π½ΡΠΉ Π°ΡΡΡΠΈΡ ΡΠ°ΡΠ΅ Π²ΡΠ΅Π³ΠΎ Π²ΠΎΠ·Π½ΠΈΠΊΠ°Π΅Ρ Π² Π²ΠΎΠ·ΡΠ°ΡΡΠ΅ ΠΎΡ 20 Π΄ΠΎ 40 Π»Π΅Ρ. ΠΡΠΆΡΠΈΠ½Ρ Π³ΠΎΡΠ°Π·Π΄ΠΎ ΡΠ°ΡΠ΅, ΡΠ΅ΠΌ ΠΆΠ΅Π½ΡΠΈΠ½Ρ, Π·Π°Π±ΠΎΠ»Π΅Π²Π°ΡΡ ΡΠ΅Π°ΠΊΡΠΈΠ²Π½ΡΠΌ Π°ΡΡΡΠΈΡΠΎΠΌ, ΡΠ²ΡΠ·Π°Π½Π½ΡΠΌ Ρ ΠΈΠ½ΡΠ΅ΠΊΡΠΈΡΠΌΠΈ, ΠΏΠ΅ΡΠ΅Π΄Π°ΡΡΠΈΠΌΠΈΡΡ ΠΏΠΎΠ»ΠΎΠ²ΡΠΌ ΠΏΡΡΠ΅ΠΌ (Ρ Π»Π°ΠΌΠΈΠ΄ΠΈΠΎΠ· ΠΈΠ»ΠΈ Π³ΠΎΠ½ΠΎΡΠ΅Ρ). Π Π΅Π°ΠΊΡΠΈΠ²Π½ΡΠΉ Π°ΡΡΡΠΈΡ ΠΏΡΠΈ ΠΏΠΈΡΠ΅Π²ΡΡ ΠΎΡΡΠ°Π²Π»Π΅Π½ΠΈΡΡ ΠΎΠ΄ΠΈΠ½Π°ΠΊΠΎΠ²ΠΎ ΡΠ°ΡΡΠΎ Π²ΡΡΡΠ΅ΡΠ°Π΅ΡΡΡ Ρ ΠΌΡΠΆΡΠΈΠ½ ΠΈ Ρ ΠΆΠ΅Π½ΡΠΈΠ½.
Π‘ΠΈΠΌΠΏΡΠΎΠΌΡ ΡΠ΅Π°ΠΊΡΠΈΠ²Π½ΠΎΠ³ΠΎ Π°ΡΡΡΠΈΡΠ°
ΠΠΎΠ»Ρ ΠΈ ΠΎΠΏΡΡ Π°Π½ΠΈΠ΅ ΡΠ°ΡΠ΅ Π²ΡΠ΅Π³ΠΎ ΠΊΠΎΠ»Π΅Π½Π½ΠΎΠ³ΠΎ, Π»ΠΎΠΊΡΠ΅Π²ΠΎΠ³ΠΎ ΡΡΡΡΠ°Π²ΠΎΠ² ΠΈ ΡΡΡΡΠ°Π²ΠΎΠ² ΠΏΠ°Π»ΡΡΠ΅Π² Π½Π° Π½ΠΎΠ³Π°Ρ , ΠΎΠ±ΡΡΠ½ΠΎ ΡΠ²Π»ΡΡΡΡΡ ΠΏΠ΅ΡΠ²ΡΠΌΠΈ ΠΏΡΠΈΠ·Π½Π°ΠΊΠ°ΠΌΠΈ ΡΠ΅Π°ΠΊΡΠΈΠ²Π½ΠΎΠ³ΠΎ Π°ΡΡΡΠΈΡΠ°. ΠΡΡΠ³ΠΈΠ΅ ΡΡΡΡΠ°Π²Ρ (Π·Π°ΠΏΡΡΡΠ½ΡΠΉ, Π»ΠΎΠΊΡΠ΅Π²ΠΎΠΉ, ΡΡΡΡΠ°Π²Ρ ΠΏΠΎΠ·Π²ΠΎΠ½ΠΎΡΠ½ΠΈΠΊΠ° ΠΈ ΠΏΠ°Π»ΡΡΠ΅Π² Π½Π° ΡΡΠΊΠ°Ρ ) ΡΠΎΠΆΠ΅ ΠΌΠΎΠ³ΡΡ Π±ΡΡΡ Π²ΠΎΡΠΏΠ°Π»Π΅Π½Ρ.
Π Π΅Π°ΠΊΡΠΈΠ²Π½ΡΠΉ Π°ΡΡΡΠΈΡ ΠΏΡΠΈ ΠΈΠ½ΡΠ΅ΠΊΡΠΈΡΡ ΠΌΠΎΡΠ΅ΠΏΠΎΠ»ΠΎΠ²ΠΎΠΉ ΡΠΈΡΡΠ΅ΠΌΡ ΡΠ°ΡΡΠΎ ΡΠΎΠΏΡΠΎΠ²ΠΎΠΆΠ΄Π°Π΅ΡΡΡ ΠΏΡΠΈΠ·Π½Π°ΠΊΠ°ΠΌΠΈ Π²ΠΎΡΠΏΠ°Π»Π΅Π½ΠΈΡ ΠΏΡΠΎΡΡΠ°ΡΡ ΠΈ ΡΡΠ΅ΡΡΡ Ρ ΠΌΡΠΆΡΠΈΠ½, ΠΌΠΎΡΠ΅Π²ΠΎΠ³ΠΎ ΠΏΡΠ·ΡΡΡ, ΠΌΠ°ΡΠΊΠΈ ΠΈΠ»ΠΈ Π²Π»Π°Π³Π°Π»ΠΈΡΠ° Ρ ΠΆΠ΅Π½ΡΠΈΠ½. ΠΡΠΈ ΡΡΠΎΠΌ ΠΌΠΎΠ³ΡΡ Π±ΡΡΡ ΡΠ°ΡΡΡΠ΅ ΠΏΠΎΠ·ΡΠ²Ρ Π½Π° ΠΌΠΎΡΠ΅ΠΈΡΠΏΡΡΠΊΠ°Π½ΠΈΠ΅ (ΠΎΡΡΡΠ΅Π½ΠΈΠ΅ ΡΡΠΎΡΠ½ΠΎΠΉ ΠΏΠΎΡΡΠ΅Π±Π½ΠΎΡΡΠΈ ΠΏΠΎΠΌΠΎΡΠΈΡΡΡΡ), Π° ΡΠ°ΠΊΠΆΠ΅ ΠΆΠΆΠ΅Π½ΠΈΠ΅ Π²ΠΎ Π²ΡΠ΅ΠΌΡ ΠΌΠΎΡΠ΅ΠΈΡΠΏΡΡΠΊΠ°Π½ΠΈΡ. ΠΠΎΠ»Ρ, ΡΠ°Π·Π΄ΡΠ°ΠΆΠ΅Π½ΠΈΠ΅ ΠΈ ΠΏΠΎΠΊΡΠ°ΡΠ½Π΅Π½ΠΈΠ΅ Π³Π»Π°Π·, Π½Π°ΡΡΡΠ΅Π½ΠΈΠ΅ Π·ΡΠ΅Π½ΠΈΡ ΡΠ²ΡΠ·Π°Π½Ρ Ρ Π²ΠΎΠ·Π½ΠΈΠΊΠ½ΠΎΠ²Π΅Π½ΠΈΠ΅ΠΌ ΠΊΠΎΠ½ΡΡΠ½ΠΊΡΠΈΠ²ΠΈΡΠ° (Π²ΠΎΡΠΏΠ°Π»Π΅Π½ΠΈΠ΅ ΡΠ»ΠΈΠ·ΠΈΡΡΠΎΠΉ ΠΎΠ±ΠΎΠ»ΠΎΡΠΊΠΈ, Π·Π°ΠΊΡΡΠ²Π°ΡΡΠ΅ΠΉ Π³Π»Π°Π·Π½ΠΎΠ΅ ΡΠ±Π»ΠΎΠΊΠΎ ΠΈ Π²Π΅ΠΊΠΎ), ΠΊΠΎΡΠΎΡΡΠΉ ΠΌΠΎΠΆΠ΅Ρ Π²ΠΎΠ·Π½ΠΈΠΊΠ°ΡΡ Π΄ΠΎ ΡΠ°Π·Π²ΠΈΡΠΈΡ Π°ΡΡΡΠΈΡΠ° ΠΈΠ»ΠΈ ΠΎΠ΄Π½ΠΎΠ²ΡΠ΅ΠΌΠ΅Π½Π½ΠΎ Ρ ΠΏΠΎΡΠ°ΠΆΠ΅Π½ΠΈΠ΅ΠΌ ΡΡΡΡΠ°Π²ΠΎΠ².
ΠΠΈΠ°Π³Π½ΠΎΡΡΠΈΠΊΠ°
ΠΠΎΡΠΊΠΎΠ»ΡΠΊΡ Π΄Π»Ρ ΡΠ΅Π°ΠΊΡΠΈΠ²Π½ΠΎΠ³ΠΎ Π°ΡΡΡΠΈΡΠ° Π½Π΅Ρ ΡΠΏΠ΅ΡΠΈΡΠΈΡΠ΅ΡΠΊΠΈΡ ΠΏΡΠΈΠ·Π½Π°ΠΊΠΎΠ², ΡΠ°ΡΠ΅ Π²ΡΠ΅Π³ΠΎ ΡΠ°ΠΊΠΎΠΉ Π΄ΠΈΠ°Π³Π½ΠΎΠ· ΡΡΠ°Π²ΠΈΡΡΡ ΠΏΡΡΠ΅ΠΌ ΠΈΡΠΊΠ»ΡΡΠ΅Π½ΠΈΡ Π΄ΡΡΠ³ΠΈΡ ΠΏΡΠΈΡΠΈΠ½ Π²ΠΎΡΠΏΠ°Π»Π΅Π½ΠΈΡ ΡΡΡΡΠ°Π²ΠΎΠ². ΠΠ»Ρ ΠΏΡΠ°Π²ΠΈΠ»ΡΠ½ΠΎΠΉ ΠΏΠΎΡΡΠ°Π½ΠΎΠ²ΠΊΠΈ Π΄ΠΈΠ°Π³Π½ΠΎΠ·Π° Π²ΡΠ°ΡΡ Π²Π°ΠΆΠ½ΠΎ ΠΏΠΎΠ΄ΡΠΎΠ±Π½ΠΎ ΡΠ°ΡΡΠΏΡΠΎΡΠΈΡΡ Π±ΠΎΠ»ΡΠ½ΠΎΠ³ΠΎ, Π²Π½ΠΈΠΌΠ°ΡΠ΅Π»ΡΠ½ΠΎ ΠΎΡΠΌΠΎΡΡΠ΅ΡΡ Π΅Π³ΠΎ ΠΈ ΠΏΡΠΎΠ°Π½Π°Π»ΠΈΠ·ΠΈΡΠΎΠ²Π°ΡΡ Π΄Π°Π½Π½ΡΠ΅ Π»Π°Π±ΠΎΡΠ°ΡΠΎΡΠ½ΡΡ ΠΎΠ±ΡΠ»Π΅Π΄ΠΎΠ²Π°Π½ΠΈΠΉ (Π² Ρ.Ρ. Π°Π½Π°Π»ΠΈΠ· ΠΊΡΠΎΠ²ΠΈ ΠΈ ΠΌΠΎΡΠΈ).
Π’Π΅ΡΠ°ΠΏΠΈΡ
ΠΡΠ°Ρ ΠΌΠΎΠΆΠ΅Ρ Π½Π°Π·Π½Π°ΡΠΈΡΡ ΡΠ°Π·Π»ΠΈΡΠ½ΡΠ΅ Π»Π΅ΠΊΠ°ΡΡΡΠ²Π΅Π½Π½ΡΠ΅ ΡΡΠ΅Π΄ΡΡΠ²Π°. ΠΡΠΈ ΡΡΠΎΠΌ Π½Π΅ΠΎΠ±Ρ ΠΎΠ΄ΠΈΠΌΠΎ Π»Π΅ΡΠΈΡΡ ΠΊΠ°ΠΊ ΠΏΠΎΡΠ°ΠΆΠ΅Π½ΠΈΠ΅ ΡΡΡΡΠ°Π²ΠΎΠ², ΡΠ°ΠΊ ΠΈ ΡΠ°ΠΌΠΎ ΠΈΠ½ΡΠ΅ΠΊΡΠΈΠΎΠ½Π½ΠΎΠ΅ Π·Π°Π±ΠΎΠ»Π΅Π²Π°Π½ΠΈΠ΅. ΠΡΠ±ΠΎΡ Π°Π½ΡΠΈΠ±Π°ΠΊΡΠ΅ΡΠΈΠ°Π»ΡΠ½ΡΡ ΡΡΠ΅Π΄ΡΡΠ² Π΄Π»Ρ Π»Π΅ΡΠ΅Π½ΠΈΡ Π±Π°ΠΊΡΠ΅ΡΠΈΠ°Π»ΡΠ½ΠΎΠΉ ΠΈΠ½ΡΠ΅ΠΊΡΠΈΠΈ, Π²ΡΠ·Π²Π°Π²ΡΠ΅ΠΉ ΡΠ΅Π°ΠΊΡΠΈΠ²Π½ΡΠΉ Π°ΡΡΡΠΈΡ, ΠΎΠΏΡΠ΅Π΄Π΅Π»ΡΠ΅ΡΡΡ Π²ΠΎΠ·Π±ΡΠ΄ΠΈΡΠ΅Π»Π΅ΠΌ ΠΈΠ½ΡΠ΅ΠΊΡΠΈΠΈ. ΠΠ΅ΠΎΠ±Ρ ΠΎΠ΄ΠΈΠΌΠΎ ΠΏΡΠΎΠΏΠΈΡΡ ΠΏΠΎΠ»Π½ΡΠΉ ΠΊΡΡΡ, ΠΏΡΠΎΠΏΠΈΡΠ°Π½Π½ΡΠΉ Π²ΡΠ°ΡΠΎΠΌ. ΠΠΠΠ‘ ΠΈΡΠΏΠΎΠ»ΡΠ·ΡΡΡ Π΄Π»Ρ ΡΠΌΠ΅Π½ΡΡΠ΅Π½ΠΈΡ Π±ΠΎΠ»ΠΈ ΠΈ Π²ΠΎΡΠΏΠ°Π»Π΅Π½ΠΈΡ Π² ΡΡΡΡΠ°Π²Π°Ρ . Π§ΡΠΎΠ±Ρ Π΄ΠΎΡΡΠΈΡΡ Ρ ΠΎΡΠΎΡΠ΅Π³ΠΎ ΡΡΡΠ΅ΠΊΡΠ° ΠΈΡ ΡΠ»Π΅Π΄ΡΠ΅Ρ ΠΏΡΠΈΠ½ΠΈΠΌΠ°ΡΡ ΡΠ΅Π³ΡΠ»ΡΡΠ½ΠΎ. ΠΡΠΈ ΡΡΠΆΠ΅Π»ΡΡ ΠΏΠΎΡΠ°ΠΆΠ΅Π½ΠΈΡΡ ΡΡΡΡΠ°Π²ΠΎΠ² ΠΏΡΠΎΠ²ΠΎΠ΄ΡΡ ΠΈΠ½ΡΠ΅ΠΊΡΠΈΡ Π³Π»ΡΠΊΠΎΠΊΠΎΡΡΠΈΠΊΠΎΡΡΠ΅ΡΠΎΠΈΠ΄ΠΎΠ² Π½Π΅ΠΏΠΎΡΡΠ΅Π΄ΡΡΠ²Π΅Π½Π½ΠΎ Π² Π²ΠΎΡΠΏΠ°Π»Π΅Π½Π½ΡΠΉ ΡΡΡΡΠ°Π². Π Π½Π΅ΠΊΠΎΡΠΎΡΡΡ ΡΠ»ΡΡΠ°ΡΡ , ΠΏΡΠΈ ΠΎΡΠ΅Π½Ρ ΡΡΠΆΠ΅Π»ΡΡ Π°ΡΡΡΠΈΡΠ°Ρ , Π½Π΅ ΡΠ΅Π°Π³ΠΈΡΡΡΡΠΈΡ Π½Π° ΠΏΡΠΈΠΌΠ΅Π½Π΅Π½ΠΈΠ΅ ΠΠΠΠ‘ ΠΈ ΠΊΠΎΡΡΠΈΠΊΠΎΡΡΠ΅ΡΠΎΠΈΠ΄ΠΎΠ², Π½Π°Π·Π½Π°ΡΠ°ΡΡ ΠΏΡΠ΅ΠΏΠ°ΡΠ°ΡΡ, Π²Π»ΠΈΡΡΡΠΈΠ΅ Π½Π° ΠΈΠΌΠΌΡΠ½Π½ΡΡ ΡΠΈΡΡΠ΅ΠΌΡ.
ΠΠΎΠ±ΠΎΡΠ½ΡΠ΅ ΡΡΡΠ΅ΠΊΡΡ Π»Π΅ΠΊΠ°ΡΡΡΠ²Π΅Π½Π½ΠΎΠΉ ΡΠ΅ΡΠ°ΠΏΠΈΠΈΒ
ΠΡΠ±ΠΎΠΉ ΠΏΡΠ΅ΠΏΠ°ΡΠ°Ρ ΠΌΠΎΠΆΠ΅Ρ ΠΈΠΌΠ΅ΡΡ ΠΏΠΎΠ±ΠΎΡΠ½ΡΠ΅ ΡΡΡΠ΅ΠΊΡΡ. ΠΠ°ΠΆΠ½ΠΎ ΠΎΠ±ΡΡΠ΄ΠΈΡΡ Ρ Π²ΡΠ°ΡΠΎΠΌ, ΠΊΠ°ΠΊΠΈΠ΅ ΡΡΡΠ΅ΠΊΡΡ ΠΌΠΎΠ³ΡΡ Π±ΡΡΡ, Π½Π°ΡΠΊΠΎΠ»ΡΠΊΠΎ Π²Π΅ΡΠΎΡΡΠ½ΠΎ ΠΈΡ ΠΏΡΠΎΡΠ²Π»Π΅Π½ΠΈΠ΅ ΠΈ Π½Π°ΡΠΊΠΎΠ»ΡΠΊΠΎ ΡΠ΅ΡΡΠ΅Π·Π½ΠΎ ΠΎΠ½ΠΈ ΠΌΠΎΠ³ΡΡ ΠΎΡΡΠ°Π·ΠΈΡΡΡΡ Π½Π° Π²Π°ΡΠ΅ΠΌ ΡΠΎΡΡΠΎΡΠ½ΠΈΠΈ.
ΠΠ°ΠΊ Π΄ΠΎΠ»Π³ΠΎ ΠΏΡΠΎΠ΄ΠΎΠ»ΠΆΠ°Π΅ΡΡΡ ΡΠ΅Π°ΠΊΡΠΈΠ²Π½ΡΠΉ Π°ΡΡΡΠΈΡ?
Π‘ΠΈΠΌΠΏΡΠΎΠΌΡ ΡΠ΅Π°ΠΊΡΠΈΠ²Π½ΠΎΠ³ΠΎ Π°ΡΡΡΠΈΡΠ° ΠΎΠ±ΡΡΠ½ΠΎ ΠΏΡΠΎΠ΄ΠΎΠ»ΠΆΠ°ΡΡΡΡ ΠΎΡ 3 Π΄ΠΎ 12 ΠΌΠ΅ΡΡΡΠ΅Π², Π½ΠΎ Π»ΠΈΡΡ Ρ Π½Π΅Π±ΠΎΠ»ΡΡΠΎΠ³ΠΎ ΠΏΡΠΎΡΠ΅Π½ΡΠ° ΠΏΠ°ΡΠΈΠ΅Π½ΡΠΎΠ² ΡΠΈΠΌΠΏΡΠΎΠΌΡ ΠΌΠΎΠ³ΡΡ Π²Π΅ΡΠ½ΡΡΡΡΡ ΠΈΠ»ΠΈ ΡΠΎΡΡΠΎΡΠ½ΠΈΠ΅ ΠΌΠΎΠΆΠ΅Ρ Π·Π°ΡΡΠ½ΡΡΡΡΡ.
ΠΠ±Π½Π°ΡΡΠΆΠΈΠ»ΠΈ ΠΎΡΠΈΠ±ΠΊΡ? ΠΡΠ΄Π΅Π»ΠΈΡΠ΅ Π΅Π΅ ΠΈ Π½Π°ΠΆΠΌΠΈΡΠ΅ Ctrl+Enter.
health.mail.ru