развитие эмбриона, ощущения женщины ~ Блог о детях
Содержание:Пятая акушерская неделя беременности равняется третьей недели беременности от зачатия. Именно на этом сроке большинство женщин узнают о своем интересном положении. И конечно же, им всем хочется узнать, как развивается малыш на данном сроке, какие изменения происходят с ним и на что нужно обратить внимание. Обо всем, что происходит на этой неделе, поговорим в этой статье.
5 недель, сколько это месяцев? 5 неделя — это начало 2 акушерского месяца (5 недель — 1 месяц и 5 дней). Вы на первом триместре.
к содержанию ↑Какие изменения в организме происходят на 5 неделе?
Женский организм привыкает к тому, что он теперь не не один. Эмбрион проходит этап закрепления в матке с помощью пуповины. Образуется слизистая пробка, закрывающая проход в матку. На этой неделе беременности женщина может заметить небольшое повышение температуры до 37-37.5 градусов. Это может быть вызвано прикреплением околоплодного яйца к матке, а если температура поднялась выше и сопровождается насморком и кашлем, боль в горле, общим недомоганием и отсутствием аппетита, стоит бить тревогу.
Возможно, это признаки ранней простуды или гриппа, что противопоказано на таком сроке беременности. Ни в коем случае нельзя болеть, особенно на ранних стадиях беременности, это может перерасти в хронические заболевания у ребенка. Необходима срочная консультация лечащего врача-гинеколога, только доктор может назначить соответствующее медикаментозное лечение. Без рекомендаций врача заниматься самолечением в период пяти недель беременности ни в коем случае нельзя. В связи с увеличившейся выработкой эстрогена начинают расти как на дрожжах груди, набухают соски. Они становятся немного коричневатого оттенка, таким образом уже заранее подготавливая будущую мамочку к кормлению. к содержанию ↑Что происходит с эмбрионом?
Размер ребёнка составляет 2-3 мм, а вес меньше половины грамма.
У эмбриона начинают формироваться органы. Изо дня в день развитие усложняется. В начале недели у ребёнка сформируется нервная трубка — основа для процесса развития центральной нервной системы. Она находится по длине всего организма эмбриона и даёт возможность развиться головному и спинному мозгу.
Эмбрион на 5 неделеНачинает развиваться сердечно-сосудистая система. В передней части эмбриона, в выпуклой стороне, формируется сердце и начинает биться. К концу 5 недели сердце имеет левую и правую камеру, которые сокращаются в два раза сильнее, чем у взрослого человека. К концу недели устанавливается циркуляция крови, сформируются глазные впадины, пуповина и ушные проходы. Развитие кровеносной системы ведет отсчет с клубка тканей, который в будущем будет сердцем. Далее, с центра эмбриона начнут развиваться дыхательные органы – гортань, трахея. Пищеварительная система пока слабо выражена.
Появятся зачатки рук и ног. Произойдёт закладка важных органов для ребёнка: печени, почек, органов пищеварения и выделительных органов. Форма эмбриона напоминает грушу и при детальном рассмотрении можно увидеть различные части тела. Положение плода напоминает букву С, в ней он пробудет ближайшие месяцы. В эту неделю активно расширяется нервная трубка, она будет формировать головной мозг и нервную систему. За 5 недель беременности успевает развиться специальный так называемый желточный мешок с жидкостью внутри. Его функцией на данном этапе является формирование кровяных клеток.
Первые признаки беременности, ощущения беременной
Наряду с задержкой месячных, большинство женщин отметит у себя целый ряд изменений, вызванных гормональной перестройкой. Чаще всего на 5 неделе появляется токсикоз в начальной стадии, чувствительность к запахам, появляются проблемы с желудочно-кишечным трактом. Вышеперечисленные недуги связаны с процессами, начавшими происходить в организме женщины после оплодотворения сперматозоидом яйцеклетки. Мышцы матки расслаблены, так как идет усиленное вырабатывание прогестерона.

Для безопасности плодного яйца этот самый прогестерон снижает частоту прохождения пищи по кишечнику, отчего и возникают проблемы с ЖКТ в виде метеоризма, вздутия, запора и т.д. Начинает проявляться сонливость, больше хочется отдыхать, характерна повышенная утомляемость для беременных. Женщина начинает слишком остро реагировать на запахи, возникает рвотный рефлекс на некоторые запахи и виды продуктов. Может полностью пропасть аппетит.
к содержанию ↑Боли внизу живота и выделения на 5 неделе
Болезненные ощущения в нижней части живота, которые напоминают предменструальные, могут указывать на повышенный маточный тонус. Это является серьезной угрозой беременности, так как может спровоцировать самопроизвольный выкидыш.
Подобные ощущения встречаются достаточно часто на ранних сроках вынашивания, поэтому будущей маме не следует паниковать, следует обратиться к специалисту, который сможет точно установить причину таких болей. Если у будущей мамы болевые ощущения дополняются кровотечением, то это явный признак начинающегося выкидыша. Женщине необходимо срочно обратиться в стационар, шанс при этом сохранить беременность — составляет 50%. Другой причиной кровотечений на ранних сроках являются традиционные месячные, которые могут регулярно проходить первые несколько месяцев вынашивания. С этим могут столкнуться около 5% женщин в положении, при этом они вовсе не вызывают угрозу прерывания. Более того, женщина может не знать о своем положении, а узнать о нем, лишь на 3-4 месяце беременности, когда наступит задержка.

Что касается нормальных выделений, то на ранних сроках они должны быть полупрозрачного цвета, умеренной консистенции, без запаха и примеси крови. Очень часто, в виду ослабленной иммунной системы у женщин начинает обостряться молочница. При этом выделения приобретают белый цвет, а их консистенция становится более вязкой хлопьеобразной. Наружные половые органы будут заметно отечны и раздражены, будет присутствовать зуд и жжение. Заболевание требует своевременного и квалифицированного лечения.
к содержанию ↑
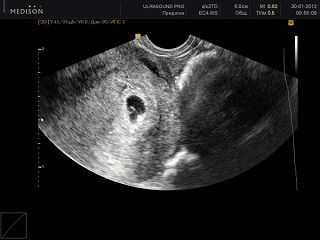
УЗИ на 5 неделе беременности
Чаще всего УЗИ на этой неделе делают с целью подтверждения беременности. Как правило, исследование проводят трансвагинальным способом, так как плод еще совсем крохотный, а данная методика позволяет провести более детальный осмотр.
Одной из важных задач УЗИ в это время является оценка развития сердца ребенка:
- во время осмотра врач замеряет частоту сердечных сокращений малыша, которая должна быть 150-160 ударов в минуту;
- врач фиксирует размеры плода, чтобы установить точный срок беременности, а также вероятную дату зачатия, к сожалению, эти данные при УЗИ на 5 эмбриональной неделе беременности часто не совсем достоверны;
- специалист сможет точно определить, будет ли у вас один ребенок или же двойня, или даже тройня.
Еще одной причиной для данного обследования является подозрение на внематочную беременность. Это осложнение можно заподозрить из-за кровянистых выделений и сильных болей внизу живота, либо же по результатам анализов крови на гормон ХГЧ. Обычно в таких случаях содержание этого гормона бывает ниже нормы.
к содержанию ↑Питание на 5 неделе беременности
Питание на 5 неделе беременности чаще всего осложняется ранним токсикозом. В таком случае следует попробовать заменить белковые продукты животного происхождения (яйца, мясо и др.) растительными белками – соевыми, бобовыми или орехами. Рекомендуется увеличить потребление моркови, абрикосов, манго, а при неприятии молока следует заменить его сыром или йогуртом. Если еда не приносит удовольствия, не стоит мучить себя и есть насильно, ‒ продукты, вызывающие отвращение, необходимо полностью исключить из рациона.
Если токсикоз и прочие неприятные симптомы изнуряют беременную женщину, вызывая отторжение пищи, рекомендуется начать дополнительный прием пиридоксина (витамина В6), который положительно воздействует на усвоение белков, а, следовательно, облегчает проявления токсикоза. Кроме того, на ранних сроках беременности помогает дробное питание: принимать пищу следует часто и понемногу, ‒ это поможет избежать неприятных приступов тошноты. Если никакие рекомендации не помогают, и организм отторгает все съеденное, будущей маме следует лечь в стационар. В такой сложный период ей будут необходимы инъекции витаминных препаратов, а также внутривенное введение глюкозы.
child-blog.ru
ощущения боли и тянет живот, что происходит в развитии плода на УЗИ.

Содержание:
5 неделя беременности — это начало 2 месяца или 1 триместр
5 неделя беременности, характерна изменением как внешней оболочки зародыша так и внутренней. Сейчас он напоминает вытянутую фигуру, где примерно можно просматривать позвоночник, ножки, ручки и даже можно различить голову плода. На данном этапе идет усильное развитие нервной системы, которой необходимо обильный поток витаминов, минералов, макро и микроэлементов, а особенно витамин В9.
Расти и развиваться начинают сразу все системы одновременно, дыхательная, сердечно-сосудистая, мышечные ткани и все внутренние органы также не отстают от развития. Эмбрион начинает расти и увеличиваться, что отражается на поведении матери.
На 5 неделе беременности к женщине приходит, самые ужасные ощущения, а именно тошнота и головная боль, из-за этого у женщины меняется поведение и настроение. Она может начать плакать, смеяться, ее психологическое поведение нестабильное и лучше в этот момент ее не раздражать. Что касается ее сна, то женщина в положении будет спать везде, она постоянно сонная, у нее нет сил чем-то заняться, хочется только одного, спать.
Если жизнь совсем превращается в ад, обратитесь за помощью к своему гинекологу, он точно вам поможет и все расскажет. Назначит вам медикаменты, которые помогут Вам успокоится.
Что происходит с ребенком

Этот период очень важен для вашего будущего малыша, развиваются многие органы и системы.
На 5 неделе желательно не нервничать и принимать витамины, так как происходит формирование центральной нервной системы, спинного и головного мозга, кровеносная система, которая приводит к начало работы сердца. Именно в этот период закладывается строительный материал в вашего ребеночка.
Амниотическая жидкость окружает эмбрион, в которой происходит обмен веществ между мамой и ее ребенком. Теперь мама и будущий ребенок, это одно целое, они связаны общим образом жизни, питанием и на это у них будет еще целых 35 недель.
Размер эмбриона на 5 неделе крошечный около 4-7 мм, а вес 3,5 г. Образуется половая система, дыхательная система, поджелудочная, а также формируется печень. Вы уже можете рассмотреть крошечные руки, ноги, пальцы, ушки, глаза и многое другое. Сложно представить, что через пару месяцев, этот эмбрион превратится в маленького и долгожданного малыша.
Матка
Матка – это полый орган, который предназначен для вынашивания плода. Матка пока не сильно выделяется, она имеет вытянутую форму, но постепенно растет. На данном сроке врач может уже с точностью сказать, что вы в положении. В дальнейшем матка будет, очень активно и быстро расти. Пусть вас это не пугает, все это естественно. С каждым днем вы будете ее чувствовать все сильнее.
Ультразвуковое исследование
Именно на этой неделе начинает работу сердце, врач, сравнивая активность плода, сердечный ритм и в конце составит заключение. Даже размер плода пока измеряется как маленькое коричневое пятно.
УЗИ на 5 неделе


Больше фото УЗИ на 5 неделе >>>
Симптомы и признаки
Первое что вы замечаете, отсутствие менструального цикла, второе, часто бегаете в туалет, так как мочевой пузырь увеличился за счет того, что он должен выполнять двойную работу. Грудь увеличивается в два раза, иногда даже, в три. А дальше начинается самое «веселое»: тошнота, рвота, нет аппетита, странная реакция.
Работа гормонов, приводит к усталости, головным болям и головокружениям. Но все эти признаки индивидуальны, у одной женщины они могут проявляться, а у другой нет ничего такого. На 5 неделе, беременная пока толком ничего сказать не может, из-за маленького размера эмбриона.
Боли в области живота
Боль в животе может говорить, о том, что вы долго сидели в неудобной позе, при этом вы сдавили все внутренние органы живота, в том числе и кишечника. Другим вариантом может быть растягивание матки, которое сопровождается странным ощущением. Но если у вас боль внизу живота, необходимо перестать вести половую жизнь, носить туфли на высоком каблуке, больше времени отдыхать лежа.
Так как, это может быть гипертонус матки, а если появились пятно красного цвета, то с этим шутить не стоит, потому что может привести к выкидышу. Гипертонус матки — это не исключение, и этим страдают многие женщины, независимо от возраста. При любой угрозе необходимо ехать в больницу, чтобы избежать трагедии.
Фото животика на 5 неделе


Больше фото животиков на 5 неделе >>>
Грудь
С самого начала беременности грудь начинает увеличивать свой размер, да это понравится вашему мужу, окружающие тоже на это обращает внимание. Грудь становится большой как наливное яблочко. А с другой стороны увеличение груди, приводит к дополнительным нагрузкам на грудную клетку, становится особо неудобно дышать периодически. При этом грудь становится очень чувствительная, она чешется, покалывает, но это временное явление. Через некоторое время эти признаки уйдут, особое внимание обратите на соски, которым необходима гигиена для вашего будущего малыша.
Единственное, теперь, ваша грудь может начать мешать во сне, необходимо принять и выбрать ту позу, которая будет удобная для вас. Необходимо приобрести специальное нижнее белье, которое должно поддерживать грудь. Правильное белье, сохранит вашу грудь, даже после родов.
Ощущения на 5 неделе

Женщина в положении, может вести себя очень странно и непредсказуемо сейчас она добрая и красивая, а через минуту грубая и недовольная. Сонливость, утомление, резкая смена настроения и даже вкус еды, теперь меняются. В такой период вы должны больше отдыхать, спать, желательно даже в обед или хотя бы просто лежать в горизонтальном положении.
Температура тела
На 5 неделе беременности температура меняется и может достигать 37, 3 градусов. Обычно такая температура сопровождается ломотой в теле, сонливостью, женщина становится очень ленивая, нет сил, что-то делать, даже элементарное. Не надо путать беременность с простудой. Если к температуре подключается кашель и насморк, тогда точно у вас простуда. На первом этапе врачи запрещают, что-либо делать без их одобрения, тем более принимать неизвестные медикаменты. И ни в коем случае не обращаться к народным способам, помните в ваших руках жизнь маленького человечка.
Секс
Во время беременности любая женщина пропитана насквозь гормонами, они у нее играют и она воспринимает все по-другому, даже секс оказывается другим, как для вас, так и для вашего мужа. Если у вас нет проблем, нет никакой угрозы, нет странных выделений, но есть большое желание заниматься сексом. Не стоит на таком раннем сроке уже себя ограждать от секса. Помешать вам может только токсикоз, так как при токсикозе нет желания не то чтобы вести половую жизнь, а даже нет желания покушать. Ну и конечно не перетрудится в этом деле, и знать предел, когда надо остановиться. Наслаждайтесь, этими моментами наедине, может они больше не когда не повторяться.
Боли в области поясницы
На 5 неделе женщина, еще может даже и не подозревать, что она беременная, и чувствовать боли в пояснице. Но при этом думать на наступление месячных, часто боли в с пояснице, очень похожи между собой. Вдобавок могут быть выделения коричневого цвета, которые мажутся, и тогда женщина уверена, что у нее наступают месячные. Но если вы знаете, что должны забеременеть, а боль долгое время не уходить, обязательно запишитесь на прием к гинекологу, так как под этой болью может скрываться что-то другое. Старайтесь держать осанку, меньше нагружать свою поясницу, так как из-за этого могут появиться боли.
Кровотечение
Кровотечении может произойти параллельно с болями в животе и пояснице, это очень плохой знак. Кровотечении свидетельствует о возможности выкидыша, поэтому вам необходимо ехать в больницу и ложится на сохранение. Если вовремя не предпринять какие либо меры, итог может быть трагическим. Зачастую такие случаи встречаются у женщин крупного телосложения, с большим количеством волос на теле, так как у них большое количество мужских гормонов. Именно такие женщины должны относиться к беременности особенно осторожно, и становится на учет раньше 10-12 недель, врача можно посетить уже на 8 неделе.
Менструальные выделения
Отсутствие менструального цикла, является первым признаком беременности. В порядке вещей у женщин не могут идти месячные, но у 20% женщин продолжаются месячные даже во время беременности. Называется “омывание плода”, это скорее исключение из правил, из-за этого женщины долгое время не понимают свой организм и что с ним происходит. Бывают случаи когда, женщины долгое время даже не подозревают, что у них будет малыш. Поэтому полезно иногда, пройти обследование и сдать анализы.
Выделение при менструации отличается от кровотечения, а именно продолжительностью и консистенцией. Будьте внимательны к себе и своему организму, если происходит, что-то не так, то организм вам сам об этом скажет.
Выделения на 5 неделе
Выделение на 5 неделе беременности, не чем не отличается от предыдущих выделениях, они просто становятся более обильными. Ведь вы в положении и ваш гормональный фонд меняется. Но само понятие беременность, подразумевает, следить за всем, что происходит у вас в организме и в окружающей среде. Бить тревогу надо в том случае, если у вас выделения красного или коричневого цвета, тогда у вас угроза преждевременных родов. Немедленно ехать в больницу.
Но плохие выделения могут быть не только красного цвета, но и зеленого, глинистого, творожного, с очень неприятным рыбным или пивным запахом. Часто может присутствовать зуд, жжение, и неприятное чувство при мочеиспускании. Все эти признаки свидетельствуют об инфекции, которая попала, в половые органы. Только врач сможет назначить вам необходимые медикаменты и анализы. В любом случае, необходимо проводить правильно гигиену половых органов, и в период беременности выбирать только натуральные средства, так как вся остальная химия может навредить и вызвать у вас раздражение и зуд.
Простуда
Во время первых недель беременности в организме женщины все меняется, слабеет иммунитет, и можно подхватить любую инфекцию, вирус или просто простудится. На 5 неделе формируется все важные органы и системы, и желательно беречь себя, тепло одеваться, принимать витамины, много гулять на свежем воздухе, полоскать горло, промывать нос, пить теплую воду.
Так как, заболев или подхватив какую-либо инфекцию, придется принимать медикаменты, а на этом сроке беременности лучше обходится без лекарственных препаратов. Простуда может дать осложнения, при которых вас даже положат на сохранение. Они могут пагубно повлиять на развитие и рост вашего малыша.
Употребления алкоголя
Если женщина решает завести ребенка, она должна заранее отказаться от вредной привычки, приема алкоголя. На пятой неделе беременности, так же как и прием лекарств, алкоголь также пагубно может влиять на развивающийся организм будущего ребенка. Даже необходимо исключить некоторые лекарственные препараты, которые основаны на спирте. Алкоголь может повлиять на остановку развития малыша и приведет к трагическому концу. На этом сроке мать и эмбрион связываются как единое целое, и все что вы принимаете, получает и ваш малыш.
Питание на пятой неделе беременности
Да 5 неделя, это начало вашего правильного и здорового питания. Вы должны каждый день кушать свежие овощи, фрукты, мясо, рыба, каши, молочные и кисломолочные продукты, сыры, орехи. Всегда с собой имейте яблоко или йогурт, чтобы вы могли перекусить, на 5 неделе нельзя сдерживать голод.
Питание должно быть сбалансированным и прием пищи разделите не на три раза, а например на пять раз, но маленькими порциями.
А продукты, которые содержат много жиров, сахара, которые соленые или жаренные убрать из вашего рациона. Лучше всего, пищу запекать, тушить, варить.
Решить эту проблему сможет покупка пароварки, она станет вашим помощником на кухню, во время беременности, и после родов, и даже когда вы начнете приучать вашего малыша к взрослой еде. На 5 неделе вы можете совмещать некоторые продукты, которые, совсем не совмещаются, и окружающие вас люди могут не понимать.
Что касается питья, оно должно быть таким которое будет утолять вашу жажду, пить нужно, так как человек состоит из воды, насыщенные соки лучше убрать из своего рациона, так как они тяжелые для вашего желудка. Помимо воды необходимо принимать витамины, минералы, железо, кальций и фолиевую кислоту.
Анализы на 5 неделе
Многим женщинам хочется как можно скорее узнать беременная или нет, для этого вы можете пройти первый анализ, на уровень хорионического гонадотропина человека в крови. Этот гормон в крови может показать вам результат, от двенадцатого дня после предполагаемого зачатия. Самый надежный и проверенный анализ при беременности.
Еще одним из анализов может стать стандартный тест на беременность, анализ проводится с помощью мочи. Тест на беременность показывает положительный результат на 99,9%.
Необязательно на 5 неделе беременности бежать к гинекологу, если вас ничего не беспокоит, вы прекрасно себя чувствуете. Стать можно на учет, начиная с 12 недели, но если вы чего остерегаетесь, можете это сделать раньше. Соответственно и анализы будете сдавать раньше. Каждая женщина сдает общий анализ мочи, общий анализ крови, анализы на гормоны, на свертывание крови и многие другие анализы.
Полезный совет
Необходимо точно узнать в положении вы или нет, если вы не уверены, лучше пройти, соответствующий анализ, и не затягивайте с результатом.
На данном сроке, начинайте приучать себя и вашего будущего ребенка к здоровой еде, кушать необходимо маленькими порциями. Не допускайте голода, помните, что вы должны кушать за двоих.
Начинайте больше времени проводить на свежем воздухе и ходить пешком.
Рекомендации
Посетить своего гинеколога, что определится со сроком вашей беременностью, так как на ранних сроках может произойти выкидыш.
Вы должны знать генетику своих родственников, чтобы не допустить заболевание вашего будущего малыша.
Питание должно быть здоровым и полезным. Если в период токсикоза вы не можете кушать, сбалансируйте свое питание, сделайте его более легким.
Меньше нервничайте и не волнуйтесь, помните ваше спокойствие, это спокойствие вашего малыша.
Прием витаминов и занятие гимнастикой, хорошо влияет на общие состояние организма, и в дальнейшем вам будет легче при родах, и даже после родов ваша фигура быстро восстановится.
Необходимо вести здоровый образ жизни, отказаться от вредных привычек, такие как алкоголь, курение, прием наркотиков, все эти привычки приведут вас и вашего ребенка, к патологии и дефектам, помните о вашем ребенке и об его будущем.
Берегите себя во время холодных периодов, тепло одевайтесь, пейте только теплые напитки, так как заболевание может негативно отразиться на вашем малыше.
Посещайте своего врача по графику, консультируйтесь с ним, не стесняйтесь ему задавать вопросы, помните ваш лечащий врач — это ваш друг.
Календарь анализов и обследований на 5 неделе

Беременность двойней на 5 неделе
Беременность на сроке 5 недель уже может говорить о себе задержкой менструального цикла. Уже заметны и другие признаки многоплодной беременности, хотя отличить их от беременности одним плодом пока что трудно.
Беременность двойней на 5 неделе (фото)

Если у вас двойня, то признаки беременности появятся раньше, в отличии от одно плодной. Причиной тому служит выделение будущей плацентой хорионического гонадотропина в два раза больше, чем при одно плодной. Поэтому с первого дня задержки тест на беременность при многоплодной беременности покажет две полоски быстрее и четче.
Понедельный календарь беременности стоит начать вести уже сейчас. Это своеобразный путь развития ваших деток, хотя вы можете и не догадываться о том, что беременны двойней. Но если это так, то к концу 5 неделе на УЗИ уже будет четко видно, что вы ожидаете близнецов. Если такая беременность наступила с помощью ЭКО, то УЗИ проведут сразу, чтобы убедиться в успешном процессе. Для многих будущих мамочек 5 неделя является или показателем того, что они станут родителями двойняшек, или же дальнейшим ожиданием долгожданной новости, если эта неделька уже прошла.
nedeli-beremennosti.com
5 неделя беременности: симптомы и ощущения
5 неделя беременности — это время, когда женщина догадывается о начавшихся в организме изменениях. Скорее всего, уже произошла задержка менструации, поэтому самое время сделать тест. Как протекает 5 неделя беременности и что происходит с малышом? Узнаете из статьи.

Фото: pexels.com
5 неделя беременности: признаки
Многих девушек интересует, как распознать беременность на маленьком сроке. Конечно же, наиболее достоверный показатель — это тест, анализ крови на ХГЧ или ультразвуковое исследование. Однако часто женщины сталкиваются с симптомами, сигнализирующими о наступившей беременности.
Беременность 5 недель по акушерскому методу — это около 14 дней после зачатия. Об интересном положении свидетельствуют такие признаки:
- Прекращение регулярного кровотечения.
На пятой неделе большинство женщин ожидают менструацию, которая никак не приходит. Это первый и наиболее точный признак наступившей беременности. Однако помните, что задержка не всегда говорит о зачатии. Поэтому сделайте специальный тест или сдайте анализ.

Фото: pixabay.com
Бывает, что задержка и беременность есть, а тест этого не показывает. Это связано с маленьким уровнем гормона ХГЧ. В этом случае рекомендуем посетить доктора или отправиться на УЗИ.
- Ранний токсикоз.
Героини многих книг и фильмов не догадываются о беременности, пока их не начинает тошнить. Часто так происходит и в реальной жизни. Поэтому, если ощущаете тошноту по утрам или после приема пищи, отвращение к некоторым запахам, задумайтесь о своем положении. Также девушка может столкнуться с необоснованной рвотой.
- Изменение в молочных железах.
Беременные женщины отмечают, что грудь начинает реагировать на интересное положение практически сразу. Она становится чувствительной и увеличивается в размерах. Также можно наблюдать потемнение ареол и небольшие прозрачные выделения из сосков. Не стоит пугаться такого состояния: это абсолютно нормально в таком положении.
- Боли в низу живота.
В период 5 недель беременности женщины ждут менструацию, поскольку сталкиваются с болью в низу живота, тянущими ощущениями в области поясницы. Эти симптомы очень напоминают предвестников регулярного кровотечения. Женщины иногда замечают кровянистые выделения и путают их с менструацией. Однако боль проходит, а месячные так и не наступают.
На самом деле эти ощущения связаны с имплантацией эмбриона в стенку матки. Обычно боли кратковременны и не доставляют неудобств. Главное, чтобы они не были чересчур сильными, а кровотечение — обильным.
- Изменение настроения.
Сорвались на мужа из-за пустяка? Ощущаете жалость к себе? Стали сентиментальной и слезливой? Возможно, пора купить текст на беременность. Гормональная перестройка организма влияет на настроение. Поэтому женщина может становиться капризной и раздражительной.

Фото: pexels.com
- Проблемы с кишечником.
Беременные девушки часто страдают от запоров, вздутия живота или диареи, хоть и не связывают это с интересным положением. Симптомы возникают из-за того, что продвижение пищи по органам происходит медленнее, а организм старается извлечь из продуктов максимум полезных веществ. Из-за вздутия живот может увеличиваться в размерах, и любимые джинсы не застегиваются или не сходятся в талии.
Если заметили один или несколько признаков, припомните, не случилась ли задержка менструации. Возможно, совсем скоро обрадуетесь радостной новости. Однако если ничего не чувствуете, не расстраивайтесь: многие девушки даже не знают, что такое токсикоз.
5 неделя беременности: симптомы и ощущения
5 акушерская неделя беременности — это еще очень маленький срок. Поэтому во внешности женщины трудно заметить изменения. Некоторые отмечают увеличение груди и небольшую припухлость лица или рук. Однако живот по-прежнему остается плоским.
Тем временем внутри организма происходят колоссальные изменения. Эндокринная система усиленно работает, выделяя эстроген и прогестерон. Эти гормоны помогают сохранить беременность, готовят грудь к лактации и расслабляют мышцы матки. Прогестерон может немного замедлять работу всех органов. Из-за этого многие девушки чувствуют сонливость и упадок сил.

Фото: pexels.com
Ощущения на 5 неделе беременности в основном связаны с изменением настроения, ранним токсикозом, чувствительностью груди. Также беременная женщина может наблюдать такие симптомы:
- Частое мочеиспускание. Заметили, что ходите в туалет чаще, чем обычно? Это связано с тем, что увеличившаяся матка давит на мочевой пузырь.
- Головная боль. Под влиянием гормонов сосуды расширяются или сужаются, вследствие чего женщина испытывает болезненные ощущения.
- Обморок. Из-за перепадов давления и гормонов беременная девушка может терять сознание.
- Повышение температуры тела. Из-за эмбриона организм полностью меняет свою работу. Он вырабатывает много гормона ХГЧ, что вызывает небольшое повышение температуры тела и усталость.
- Проблемы с аппетитом. Многие девушки с удивлением отмечают, что у них изменились вкусовые пристрастия. Пища, которая раньше нравилась, может вызывать отвращение и наоборот.
- Увеличение веса. Уже на первых неделях женщина замечает, что немного поправилась. Правда, узнать об этом можно, только если весы показывают граммы, поскольку прибавка в весе не значительная.
Читайте также: Первая неделя беременности: симптомы, признаки, ощущения
На пятой неделе беременности женщина обычно отмечает изменение состояния. Однако она может списывать это на погодные условия, перепады давления, нарушение режима сна и бодрствования, загруженность на работе.
Существует опасность прерывания беременности или нарушений в развитии плода. Поэтому беременной необходимо больше отдыхать, правильно питаться и гулять на свежем воздухе.
5 неделя беременности: что происходит с плодом
Чтобы узнать, как развивается плод на пятой неделе, нужно снова вернуться к вопросу о том, как считают срок беременности. Почему это необходимо? Дело в том, что разница в развитии плода между акушерскими и эмбриональными неделями составляет около 14 дней.
Рассмотрим, что происходит на пятой неделе в соответствии с разными способами подсчета:
- Акушерский метод.
На сроке пятая неделя беременности зачатие уже осуществилось. Плодное яйцо по трубам переместилось в матку и прикрепилось к стенке. Теперь начинается активный рост и развитие плода.
Эмбрион еще очень маленький: всего около 2 мм в длину, а вес его меньше грамма. Несмотря на размеры, плод уже немного подтягивает будущие ножки к голове и становится похожим на букву С.
На 5 неделе активно развивается нервная трубка — зачаток будущей нервной системы. Она проходит недалеко от позвоночника, а ее концы идут в головной и спинной мозг.
У малыша активно формируется сердечно-сосудистая система. К концу пятой недели беременности на УЗИ уже можно услышать сердцебиение плода. Правда, один из главных органов еще похож на трубку. Также активно развиваются сосуды.
Пока еще малыш совсем не похож на ребенка, однако у него уже есть зачатки ручек и ножек. На сроке в пять недель они практически незаметны и больше похожи на плавники. На голове ребенка формируются отверстия, в которых будут располагаться глаза и уши.
Кроху уже видно на УЗИ. Правда, будущая мама сможет разглядеть лишь небольшую точку, больше похожую на зернышко.

Фото: pexels.com
- Эмбриональный метод.
Плод все больше напоминает человека. У него активно развиваются ткани и органы, а еще он заметно подрос. Уже можно рассмотреть зачатки лица, у малыша сформировались руки и ноги. Плод немного распрямился и скоро сможет двигать конечностями.
Сердце эмбриона стало четырехкамерным, появились важные вены и артерии. Активно развивается головной мозг и его отделы. Также окончательно сформировалась пуповина.
Малыш еще совсем маленький, однако развивается и растет каждый день. Поэтому берегите себя и не стесняйтесь обращаться к врачу, если что-то беспокоит: от самочувствия мамы зависит здоровье ребенка.
Вы узнали всю информацию о пятой неделе беременности. Наслаждайтесь чудесным временем.
Читайте также: 3 неделя беременности: признаки и ощущения, что нужно знать
www.nur.kz
признаки, ощущения, УЗИ, вес и рост плода, обследования, рекомендации
На пятой неделе беременности женщина может даже не подозревать о своем положении. Но уже появляются первые признаки беременности, такие как тошнота, задержка менструации, сонливость, быстрая утомляемость.

Организм женщины перестраивается, а плод – растет и развивается. Поэтому если вы уже знаете о наличии беременности, то проявите крайнюю осторожность и относитесь к своему здоровью с особым вниманием. Ведь именно в этот период происходит закладка систем и органов малыша.
Ваш малыш по размерам как…
Маленькая рисинкаРазвитие плода
Внешний вид плода сильно изменяется, активно формируется нервная система и позвоночник, у плода появляются ножки, ручки и пальчики. Развивается дыхательная и сердечно-сосудистая системы, растет мышечная ткань и внутренние органы. Эмбрион увеличивается в размерах.
На пятой неделе беременности у плода начинает биться сердце! В печени развиваются лимфоидные ткани, которые положат начало для развития иммунной системы, а также на 5 неделе начинают развиваться почки малыша.
Фото плода на 5 неделе
Плод окружается амниотической жидкостью, которая необходима для обмена веществ между мамой и малышом. В этот период маме необходимо следить за своим образом жизни, так как на пятой неделе формируется зависимость плода от питания, образа жизни и настроения будущей мамы.
На этом сроке начинает формироваться и половая система, просматриваются зачатки глаз, ушных раковин, носовой и ротовой полостей. И это все происходит у совсем крошечного эмбриона!
Желточный мешок увеличивается в размерах, и теперь его диаметр составляет 3 – 4 мм. Желточный мешок выполняет важную роль, он обеспечивает дыхание и питание эмбриона, более того, он является важным элементом системы кроветворения эмбриона.
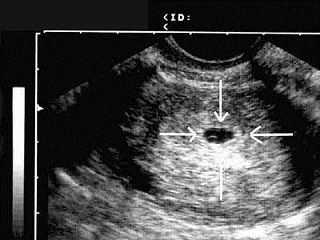
УЗИ на 5 неделе беременности
Если на таком раннем сроке доктор не уверен в наличии беременности, возможно прибегнуть к помощи УЗИ. Ультразвуковое исследование покажет количество плодных яиц, локализацию плода в полости матки, размеры матки. На УЗИ обследовании уже можно увидеть место формирования ручек и ножек вашего будущего ребенка.
В яичниках все еще визуализируется желтое тело, которое обеспечивает гармоничное протекание и развитие беременности, при увеличенных размерах желтого тела проводят дополнительные обследования для выявления кисты желтого тела.
В полости матки просматривается несколько увеличенный в размерах желточный мешок, на 5 неделе беременности его размеры составляют 3 – 4 мм. Увеличение или уменьшение размеров желточного мешка говорит о возможной патологии развития беременности. Именно по этой причине на ультразвуковом исследовании оценка состояния желточного мешка является важной составляющей.
Что происходит в твоём организме на 5 неделе?
Организм продолжает перестраиваться. Матка имеет вытянутую форму, но постепенно начинает увеличиваться в размерах, приобретая округлую форму. На данный момент матка размером с кулак. Грудь также увеличивается в размерах, и может немного побаливать, достаточно часто беременные на пятой неделе беременности наблюдают выделение молозива. Происходит гормональная перестройка организма, это обусловлено работой желтого тела, которое подготавливает организм и тело будущей мамочки к вынашиванию беременности.
Все гормоны тесно работают друг с другом. Эстроген активно поддерживает уровень ХГЧ и прогестерона. Прогестерон в свою очередь стимулирует развитие молочных желез и обеспечивает развитие плаценты, расслабляет в матке мышечные волокна. ХГЧ контролирует адекватную работу желтого тела, которое вырабатывает прогестерон. Иными словами все гормоны взаимосвязаны.
Фото животиков на 5 неделе
Твои ощущения на 5 неделе
На этом сроке беременности обостряются эмоции, вследствие чего будущая мамочка может сделать из мухи слона, это вполне нормально и вызвано в первую очередь изменением гормонального фона, ведь организм женщины готовиться к вынашиванию плода. Вас может начать беспокоить недомогание, вы можете наблюдать быстрое утомление. Утро может сопровождаться тошнотой и рвотой, головными болями, обостряется обоняние, изменяется вкус. Частое мочеиспускание также является постоянным симптомом.
Пятая неделя беременности полна сюрпризов для всех членов семьи, так как будущая мама в 3 часа ночи может внезапно захотеть клубники, или чего-нибудь другого. Так что члены семьи должны быть к этому готовы, ведь эта прихоть обусловлена в первую очередь гормональными и эмоциональными изменениями женского организма.
Температура тела продолжает держаться в пределах субфебрильной, а именно отметки 37-37,2 С. Это нормальное явление и связано это с работой гормонов.
Выделения из половых путей
На пятой неделе беременности по выделениям предопределяют ее дальнейшее течение. Вызваны они перестройкой женского организма. Прозрачные или светлые выделения говорят о нормальном развитии малыша и беременности.
Когда следует немедленно обратиться к врачу:
- коричневые выделения, сопровождающиеся болью внизу живота, свидетельствуют об увеличении вероятности выкидыша, поэтому при их появлении необходимо срочно вызывать скорую, так как может развиться кровотечение.
- зеленоватые и желтоватые выделения с неприятным запахом, вызывающиеся дискомфорт, сопровождающиеся зудом. В основном это связано с наличием инфекции, и без вмешательства врача здесь никак не обойтись.
- коричневые выделения, которые закончились, но на пятой неделе вновь появились, могут свидетельствовать о наличии “замершей беременности”.
- светло-коричневые выделения на пятой неделе являются симптомами внематочной беременности.
При наличии нетипичных выделений не нужно паниковать, следует просто обратиться к врачу, который выяснит причину и предпримет необходимые действия.
Незначительные коричнево-розовые выделения могут быть после секса, они вызваны изменениями структуры влагалища, в таких случаях консультация гинеколога не будет лишней.
Фото животиков на 5 неделе
Риски на 5-й неделе беременности
Огромное количество женщин на ранних сроках беременности беспокоятся о выкидыше, особенно если беременность планировалась. Если вас что-то беспокоит, то сразу обращайтесь к врачу, который назначит необходимые обследования и сделает выводы.
Факторы риска выкидыша:
- возраст более 35 лет;
- женские заболевания;
- неправильный образ жизни;
- наличие инфекции.
Помните, вам нужны только позитивные эмоции, вследствие этого просто выполняйте все рекомендации врача и не игнорируйте плановые посещения врача.
Обследования на 5 неделе
Уровень ХГЧ повышается до 1110 — 31500, вследствие этого тест на беременность уже покажет ее наличие.
Тесты на беременность бывают нескольких видов:
- струйные тесты являются наиболее эффективными, но и самыми дорогими. В них содержаться голубые частицы, которые надежно присоединяются к ХГЧ, если конечно он содержится в моче. Через минуту оцениваются результаты теста.
- тесты планшеты. Изделие представляет собой пластинку с двумя окошками, в первое окошко попадает моча, а во втором вы видите результат. Данный вариант менее качественный, в сравнении со струйными тестами.
- тест-полоски. Это недорогой способ определения беременности, который доступен практически каждому человеку. Для определения беременности необходимо опустить тест-полоску в мочу, при появлении двух полосок тест считается положительным. Однако тест-полоски достаточно часто показывают ложно отрицательный результат.
На пятой неделе беременности сдаются:
- общий анализ крови
- общий анализ мочи
- определение резус-фактора и группы крови
- анализ на свертывание крови
- анализы на выявление инфекций (ВИЧ, сифилиса, гепатита)
- при существующей угрозе назначается количественный анализ мочи на ХГЧ.
Врач может назначить и другие анализы и исследования, показания для которых являются индивидуальными, это зависит от результатов осмотра и жалоб будущей мамы.
Важное на 5 неделе
Если вы еще не обратились в женскую консультацию, то это нужно обязательно сделать, врач произведет осмотр, подтвердит наличие беременности, возьмет необходимые анализы, даст рекомендации. Постановка на учет производится, как правило, чуть позже, ближе к 8-й неделе.
С походом к врачу лучше не затягивать, особенно если будущая мамочка работает во вредных условиях, так как при подтверждении беременности врач выпишет справку, согласно которой работодатель должен будет перевести вас на безвредные работы.
Забудьте о диетах, и ешьте все то, что просит ваш организм. Если вас тошнит по утрам, то нужно выпить несколько глотков прохладной воды не вставая с постели. Принимать еду следует небольшими порциями.
При наличии раннего токсикоза не нужно заниматься самолечением, просто проинформируйте своего врача об этом.
Вы должны больше отдыхать и соблюдать режим.
Будущая мамочка должна полностью отказаться от приема алкоголя и курения. Вредные привычки отрицательно сказываются на формировании нервной системы и внутренних органов плода.
В обязательном порядке следует принимать витамины для беременных, в состав которых входит фолиевая кислота, необходимая для формирования нервной системы плода.
Питание на 5 неделе
От газированных напитков нужно полностью отказаться. В рационе питания должны преобладать овощи, фрукты и зелень, как свежие, так и термически приготовленные. В обязательном порядке должна присутствовать рыба, нежирное мясо, кисломолочные и молочные продукты. По максимуму следует исключить жареное, соленое и жирное. Отличным вариантом является пища, приготовленная на пару.
Режим
Не подвергайте свой организм стрессам, побольше гуляйте на свежем воздухе и при необходимости делайте перерывы между работой, не перегружайте свой организм.
Полезно знать на 5 неделе беременности
23 января 2019
Беременность: что такое сильная утренняя слабость?На пятой неделе беременности женщина может даже не подозревать о своем положении. Но уже появляются первые признаки беременности, такие как тошнота, задержка менструации, сонливость, быстрая …
7 декабря 2018
Вредны ли при беременности красные помидоры?На пятой неделе беременности женщина может даже не подозревать о своем положении. Но уже появляются первые признаки беременности, такие как тошнота, задержка менструации, сонливость, быстрая …
10 ноября 2018
Беременность и работа в офисе: как совместить с минимальным ущербом для здоровья?На пятой неделе беременности женщина может даже не подозревать о своем положении. Но уже появляются первые признаки беременности, такие как тошнота, задержка менструации, сонливость, быстрая …
www.mapapama.ru
5 недель беременности – признаки и ощущения
Каждая будущая мамочка мечтает точно знать, что происходит на каждой неделе беременности, какие ощущения и признаки, а также как выглядит будущий малыш на столь раннем сроке. Пятая неделя беременности в этом смысле выглядит весьма интересно и становится определенным «переломным» моментом в развитии беременности. Рассмотрим более детально все моменты этого замечательного периода.
5 недель беременности
Беременность 5-6 недель характеризуется активным развитием эмбриона. На этом сроке эмбрион имеет форму небольшой дуги длиной около 3-5 мм и весом не более 3,5 г. В силуэте эмбриона уже можно заметить зачатки будущих рук и ног, позвоночника и головы, а также сердца, которое на 5 неделе беременности выглядит в форме сгустка темного цвета. Поразительно, но именно на этом раннем сроке сердечко уже стучит!
На 5-6 неделе беременности закладываются основы кровеносной системы, печени, а также всего скелета.
Именно на этом сроке закладывается система обмена веществ между беременной женщиной и ребенком – с этого момента он начинает получать все питательные вещества непосредственно из крови матери. С 5 недели беременности следует чрезвычайно внимательно относиться к своему питанию и образу жизни, стремясь сделать их максимально гармоничными и сбалансированными.
5 неделя беременности ощущения в животе
На протяжении 5 недели беременности у женщины могут проявляться самые разные ощущения, которые зависят, в первую очередь, от индивидуальных особенностей женского организма. Некоторые беременные дамы уже на таком раннем сроке могут чувствовать все проявления токсикоза – утреннюю тошноту, частые позывы к рвоте, изменение вкусовых пристрастий. Многие продукты питания, которые были горячо любыми будущей мамой, могут вызывать у нее приступы тошноты.

Также может появиться сильная чувствительность к резким запахам. 5 неделя беременности ощущения часто связаны с тем, что именно в этот период согласно законам анатомии у женщины должна начаться очередная менструация. Конечно же, за счет беременности месячные не начинаются, что может сопровождаться неприятными, тянущими болями в области живота. Не стоит паниковать – такие боли являются результатом гормональной перестройки женского организма. Но если боли приобретают ярко выраженный острый характер, а болевой синдром доставляет заметный дискомфорт, следует обязательно обратиться за консультацией к гинекологу.
У многих женщин на 5 неделе беременности могут появляться необильные прозрачные выделения – это естественный процесс, который не требует врачебного вмешательства. Поводом для тревоги могут стать выделения с коричневым оттенком, а также появление сильных болей в животе. В этом случае не стоит медлить с визитом к специалисту, так как выделения коричневого цвета могут свидетельствовать о многих патологических процессах, которые грозят прерыванием беременности. Внимательно соблюдайте все советы своего гинеколога, в случае необходимости – соблюдайте строгий постельный режим, что поможет вам сохранить желанную беременность.
Признаки беременности на 5 неделе
5 неделя беременности симптомы могут быть самыми разными. Остановимся более детально на самых распространенных признаках «интересного положения».
- Самый основной признак 5 недели беременности – это отсутствие очередной меструации, которая должна начинаться именно в это время. В этот период тесты на беременность показывают максимально достоверные результаты, выявляя беременность даже тогда, когда эмбрион еще не видно при проведении ультразвукового исследования. Это связано с увеличением количества хорионического гонадотропина в крови – вещества, которое вырабатывается непосредственно оболочкой эмбриона. Именно на выявлении этого вещества в крови женщины и основывается принцип работы всех тестов на беременность.
- Появление прозрачных или белесых выделений из половых путем, связанных с гормональной перестройкой в женском организме. Обычно такие выделения считаются естественным физиологическим явлением, не доставляющим женщине какого-либо дискомфорта.
- Многие женщины уже на 5 неделе беременности чувствуют проявления раннего токсикоза – тошноту, особенно, в утреннее время суток, изжогу, частые позывы к рвоте.
- На 5 неделе беременности может изменяться аппетит – усиливаться или полностью пропадать. Также у будущих мамочек могут существенно измениться вкусовые пристрастия и появиться гиперчувствительность к различным запахам.
- Так как на этом сроке матка начинает увеличиваться в своих размерах и немного давить на мочевой пузырь, беременная женщина может чувствовать позывы к мочеиспусканию намного чаще.
- У некоторых дам 5 неделя беременности сопровождается увеличением и набуханием молочных желез, а также повышенной чувствительностью сосков, впоследствии которой даже обычная ткань может вызвать сильный дискомфорт.
- В частых случаях этот период беременности сопровождается хронической усталостью, слабостью, сонливостью.
Живот на 5 неделе беременности фото
Стоит отметить, что на таком раннем сроке беременности говорить о каких-либо изменениях во внешности женщины еще очень рано. Но даже на 5 неделе беременности у некоторых женщин живот может немного увеличиться в своих объемах. Конечно же, это никак не связано с развитием и ростом эмбриона.
Причиной увеличения объемов живота является задержка жидкости в организме и снижение тонуса брюшной стенки, впоследствии чего живот визуально выглядит больше. В это случае следует обратить пристальное внимание на свой рацион, существенно ограничив потребление сахара и соли, так как именно они провоцируют нарушение нормального оттока жидкости в организме. Ни в коем случае не стоит принимать лекарственные препараты с мочегонным эффектом – обратитесь к своему гинекологу, который назначит вам щадящие препараты.
Предыдущая статья: Причины выделений на четвертой неделе беременности Следующая статья: Развитие плода на 5 неделе беременности
ladymsk.com
Основные признаки беременности: 5 неделя
На начальных этапах беременности, особенно если речь идет о первом месяце, каких-то достоверных признаков, по которым можно наверняка определить беременность, практически нет. А вот дальше…
Если говорить про пятую неделю с момента зачатия, нельзя не сказать о том, что потенциальный малыш уже существенно преобразился за столь короткий срок своего существования. И 5 неделя беременности, признаки которой немного более очевидны, чем раньше, характеризуется рядом изменений, которые практически невозможно не заметить.
Именно с пятой недели «интересного положения», беременность может быть подтверждена анализами или просто осмотром гинеколога.
Если женщина чувствует себя слабой, при этом у нее болит грудь, периодически поднимается температура, ее состояние сопровождает тошнота – вполне очевидно, что у нее наступила 5 неделя беременности. Симптомы, если можно так назвать признаки, заметны и внешне: у женщины увеличивается грудь, она может немного прибавить в весе, а за счет активной деятельности женских гормонов возникает удивительно женственный образ.
Многие женщины опрометчиво считают, что живот начинает расти, чуть ли ни с первой секунды после оплодотворения. На самом же деле, живот на 5 неделе может даже и не появиться еще, так как плод совсем крохотный и размер матки еще не поменялся.
Основные признаки беременности
Если до 5 недели своего интересного положения женщина так и не поняла, что в ней начала свое развитие новая жизнь, то стоит отметить основные симптомы беременности, кроме задержки менструального цикла, которые проявляются уже на 5 неделе. Среди них:
За счет явных гормональных изменений у женщин нередко возникает определенная слабость и головная боль. Представительницы прекрасного пола чувствуют себя уставшими, не всегда понимая, что так на них может влиять беременность. По неделям симптомы данного положения рассматривать крайне непросто, так как на самом деле все слишком индивидуально.
Нередко женщину, на фоне усталости (или даже упадка сил), сопровождает безумная сонливость или банальное желание лежать на диване и абсолютно ни-че-го не делать! Хотя, и у не беременных женщин такое тоже бывает.
Среди прочих признаков, которые проявляются приблизительно на 5 неделе беременности, нельзя не отметить и возможное наличие тошноты и, чаще всего как следствие, утрата аппетита.
У некоторых женщин наоборот – тошноты нет, и по тому, как они едят, создается такое впечатление, словно у них появился еще один желудок для такого количества еды, которую они способны съесть.
На 5 неделе «интересного положения» живот не выглядит беременным, и присматриваться к нему нет смысла. А вот частые позывы «по маленькой нужде», вполне легко могут свидетельствовать о наличии беременности.
Последним, среди так называемых симптомов, определяющих беременность, можно обозначить возможное наличие дискомфорта: это тянущие боли внизу живота, болезненность груди и так далее. Но у каждой женщины все настолько индивидуально, что подобное может и не произойти.
Что происходит в это время с плодом?
В то время как женский организм претерпевает безумный шок и стресс, несмотря на то, что состояние беременности для женщины – это вполне нормально и природно, будущий малыш развивается не по дням, а по часам. Хотя принято рассматривать беременность по неделям при этом симптомы матери, а развитие малыша могут меняться чуть ли не поминутно. Сейчас плод вполне можно называть эмбрионом и, несмотря на то, что он вырос, он все еще удивительно мал и приобрел форму цилиндра. Именно сейчас будущий ребеночек начинает свое развитие… И от того, сколько «вложит» будущая мама в его состояния здоровья и его непосредственное развитие будет зависеть то, каким малыш появится на свет.
На этой стадии 5 недель беременности, у будущего малыша появляются характерные признаки активного развития. У него начинает формироваться желудочно-кишечный тракт, происходит формирование нервной системы, и даже появляется нечто, что в скором времени будет называться сердечком.
Ощущения будущей мамы
Симптомы женщины, которая беременна 5 недель, стали весьма очевидными. И вот тут стоит обратить внимание на неоднозначность ее психологического состояния, так как с физиологией все понятно. Женщина превращается в совокупность противоречий. Сейчас будущая мама легко может обращать внимание на те продукты питания, на которые в своем обычном состоянии и видеть не хотела бы. И в то же время ее реакция на какие-то любимые блюда может быть крайне непредсказуемой. Несмотря на то, что живота на 5 неделе все еще не видно, но если она узнает о факте своей беременности – это и счастье и печаль одновременно. С одной стороны материнские инстинкты берут верх, и женщина действительно испытывает радость от своего положения, а с другой – возникает множество страхов. Среди этих страхов могут быть: страх потерять ребенка, страх быть плохой мамой, страх перед ответственностью и многое другое. Узнав по симптомам о наличии беременности, женщина в любом случае испытывает стресс, и в борьбе с ним ей поможет справиться семья и (или) хороший психолог.
Узнала о беременности на 5 неделе – что делать?
Как только подтвердился факт наличия беременности, женщина может по неделям прислушиваться к своим симптомам. На самом же деле нужно:
Расслабиться и наслаждаться тем фактом, что внутри растет новая жизнь, которая была сотворена в любви и страсти.
Перестать переживать по мелочам и концентрироваться на каких-то проблемах внешнего мира.
Не обращать особого внимания на то, что где-то что-то лишний раз укололо или на секунду заболело – организм перестраивается и это нормально. Хотя если это повторяется слишком часто – стоит обратиться к доктору.
Пересмотреть свой образ жизни и рацион, принимать как можно больше полезной пищи и витаминов.
Заботиться о своем состоянии здоровье и о здоровье будущего малыша.
www.pinetka.com
5 неделя беременности: фото, ощущения, развитие плода
Как растет малыш, размер и вес ребенка на 5 неделе беременности
Человек внутри тебя не сильно прибавил за неделю – его размер около 1,25 мм. Но посмотри на фото – в 5 недель твоей беременности он уже прекрасен!
На 5 неделе беременности происходит одно очень важное событие: тело зародыша обособляется от внезародышевых частей. Оно уже имеет свою пространственную ориентацию: передний конец (будущая голова) и задний конец (будущий таз и нижние конечности). На 5 неделе беременности появляются зачатки всех основных функциональных систем и органов человеческого организма.
В центре эмбриона есть клубок ткани – начинается закладка сердца (вместе с закладкой верхних дыхательных путей гортани и трахеи). Постепенно начинают формироваться и кровеносные сосуды. Появляются зачатки печени и поджелудочной железы. На 5 неделе беременности зародыш изогнут в форме буквы «С». Вдоль нервной трубки формируются сегменты ткани (сомиты). Из них в дальнейшем возникает мышечная ткань и другие тканевые структуры. На 5 неделе беременности также происходит частичное смыкание (закрытие) нервной трубки (пока еще только в средних ее отделах). Нервная трубка это прообраз центральной нервной системы, поэтому ее своевременное закрытие является событием немалой важности.Большую роль в этом событии играет принимаемаятобой фолиевая кислота (в составе мультивитаминов или отдельно).
Как меняешься ты, твои ощущения в организме
➔5 недель беременности еще слишком рано, чтобы ты изменилась внешне. Но если ты уже знаешь о своем состоянии, то, возможно, тебя просто распирает рассказать об этом всему свету, а, может, наоборот ты стала задумчивой и умиротворенной. В любом случае, коллеги и родственники что-то подозревают :))
Многие беременные жалуются, что живот в 5 недель беременности выглядит «как на 5 месяцев беременности». Увеличение живота (кстати, один из косвенных признаков беременности) наранних сроках беременности может быть обусловлено задержкой жидкости иснижением тонуса мышц брюшной стенки.
На 5 неделе беременности могут появиться первые признаки и симптомы беременности. Непереносимость многих запахов (особенно туалетной воды мужа с утра пораньше :)), повышенное слюноотделение, «тяжесть» груди. Один из неприятнейших – утренняя тошнота. Токсикозу беременных подвержены около 70% всех беременных. Тошнота беспокоит не обязательно утром, а в любое время в течение дня, но, как правило, не беспокоит, пока ты активна днем. К сожалению, все это -следствия изменения твоего гормонального фона: организм подстраивается под нужды твоей детки, а потому нужно просто смириться с этими временными неприятностями. И самое ободряющее – к 13-ти неделям беременности тошнота обычно полностью проходит (ха! каких-то 8 недель осталось!).
Победи токсикоз!
➔- ешь чаще, но небольшими порциями
- ешь пищу богатую белком, а именно: сыр, яйца, арахисовую пасту (последнюю, только если у тебя нет на арахис аллергии)
- не забывай про жидкость, особенно если тошнота переходит в рвоту, которая обезвоживает организм
- береги себя, избегая стрессов и давая себе достаточно отдыха. Ты и малыш теперь центр вселенной, и пошли они все…
Внематочная беременность
➔Как ты знаешь, оплодотворение происходит в маточной трубе. Оплодотворенное яйцо проходит по трубе к полости матки и имплантируется в ней. Внематочная беременность имеет место, когда имплантация происходит вне пределов матки, обычно в маточной трубе. До 95 процентов внематочной беременности приходится на трубную беременность, в остальных случаях местом имплантации может стать яичник, рудиментарный рог или шейка матки. Когда плодное яйцо выходит (выпадает) из трубы в брюшную полость, происходит так называемый трубный аборт.
Внематочная беременность имеет место в одном случае из ста. Причинами внематочной беременности могут стать воспаление тазовых органов или иные инфекционные заболевания, такие как воспаление аппендикса. Если ранее у тебя уже была внематочная беременность, вероятность рецидива составляет 12 процентов. Применение внутриматочной спирали увеличивает риск внематочной беременности.
Диагностика внематочной беременности
➔Диагностика внематочной беременности сейчас основана на методе тонкой хирургии лапароскопии. Через маленький надрез в пупке и нижней части брюшной полости внутрь вводится эндоскоп, позволяющий осмотреть тазовые органы и увидеть внематочную беременность.
Выявить трубную беременность необходимо до того, как произойдет разрыв и повреждение маточной трубы, что может вызвать необходимость ее полного удаления. Ранняя диагностика внематочной беременности помогает также снизить риск внутреннего кровотечения из поврежденной маточной трубы.
При внематочной беременности тест на беременность дает положительный результат несмотря на то, что эмбрион развивается вне пределов матки, поскольку он выявляет гормоны, вырабатываемые на ранней стадии беременности хорионический гонадотропин человека (ХГ). Эти гормоны можно обнаружить в крови или моче.
Выявление внематочной беременности лабораторными методами
➔Тест на беременность дает положительный результат (женщина беременна) или отрицательный (не беременна). ХГ может быть измерен также и количественно, что важно для диагностики внематочной беременности или выкидыша. Уровень ХГ повышается очень быстро в условиях нормальной беременности удваивается примерно каждые два дня. Если количественного роста не происходит, это дает основания заподозрить осложненную беременность.
Ультразвуковое обследование (УЗИ) часто помогает выявить внематочную беременность. Трубную беременность можно буквально увидеть на УЗИ. Следует отметить, что при внематочной беременности у женщины может наблюдаться довольно высокое содержание ХГ без всяких признаков беременности внутри матки, которую легко выявить с помощью УЗИ. При внематочной беременности можно заметить кровотечение в брюшной полости или сгустки крови в районе фаллопиевой трубы или яичника.
В случае внематочной беременности цель врача удалить эмбрион, сохранив при этом фертильность (плодовитость) женщины. Обычно это очень трудная задача, поскольку выявить внематочную беременность на ранней стадии достаточно сложно. Распространенные симптомы влагалищное кровотечение, боли в брюшной полости, повышение чувствительности груди, тошнота являются также симптомами нормальной беременности. В большинстве случаев внематочную беременность удается обнаружить на 6-8-й неделе беременности, хотя иногда несколько раньше или позже. Ключ к ранней диагностике в твоих руках: постарайся описать врачу как можно подробнее все свои симптомы и степень их «тяжести». Внематочная беременность очень опасна внутренним кровотечением и возможным дальнейшим бесплодием.
Чем заняться на 5 неделе беременности Выбери себе гинеколога, который будет наблюдать твою беременность, и договорись о визите. Чтобы быть во всеоружии, точно вспомни дату начала последних месячных, чем болели твои и партнера ближайшие родственники (они же родители), и запиши все уже возникшие вопросы на листок бумаги.
Вопрос врачу на 5 неделе беременности:
➔Как вычислить предполагаемую дату родов?
Беременность длится в среднем 281 – 282 дня, согласно большинству исследований нормальной беременности. Правило Негеле это математическая формула, которая делает подсчет даты родов легким. Определите первый день последней менструации, добавьте 7 дней и вычтите 3 месяца. Это будет день и месяц ожидаемых родов. Эта формула достаточна точно предсказывает дату родов у женщин с регулярным циклом. Если известен точно день зачатия, то срок беременности отсчитывают от него, добавляя 2 недели к полученной цифре. Первый триместр заканчивается 14й неделей, второй триместр заканчивается 28й неделей. Если на 5 неделе беременности тянет или болит живот, покажитесь своему врачу, чтобы он исключил возможный тонус матки. Тянущие боли на 5 неделе беременности также могут означать, что вам следует избегать нагрузок. Имейте в виду, на 5 неделе беременности выделения могут приобрести более явный характер. Это вполне характерно для начала беременности, а перед самими родами это могут быть воды – будьте особенно внимательны. На странице 5 неделя беременности фото плода помогут вам понять, на какой стадии развития находится ребенок. На 5 неделе беременности кровь нужно будет сдать на анализ, чтобы удостовериться – ребенок абсолютно здоров. Также мы рекомендуем посетить форум, который поможет узнать еще больше информации о 5 неделе беременности.
Из книги У. и М. Сирс «Вся необходимая информация для будущей мамы от рождения замысла до рождения ребенка»
Когда следует беспокоиться из-за обильной рвоты? Не повредит ли тошнота и рвота моему ребенку?
Нет. Хорошая новость: ваши страдания не распространяются на ребенка. Иногда младенца в утробе матери называют «совершенным паразитом», хотя слова эти не стоит понимать буквально. В отношении большинства питательных веществ справедливо следующее: если этого вещества недостаточно для двоих, ребенок получает столько, сколько ему нужно, а потребности матери остаются неудовлетворенными.
В большинстве случаев «утреннего недомогания» химия организма остается неизменной, и со временем состояние беременной улучшается. Менее 1 процента женщин страдают тяжелой формой постоянной рвоты, которая получила название «hyperemesis-gravidarum» (в переводе с латыни — чрезмерная рвота при беременности). При этом состоянии организм не способен компенсировать потери от постоянной рвоты. Организм теряет важные соли, которые называются «электролитами», а также жидкость; другими словами, наступает обезвоживание. Если hyperemesis-gravidarum не распознать и не лечить, постоянная и обильная рвота может привести к тяжелому состоянию, что отрицательно скажется на ребенке. При соответствующем лечении и мать, страдающая от hyperemesis-gravidarum, и ребенок остаются абсолютно здоровыми.
Ниже приводятся симптомы начинающегося обезвоживания, при появлении которых следует обратиться к врачу:
- Рвота не прекращается.
- Количество мочи уменьшается, и она приобретает более темный цвет.
- Рот, глаза и кожа становятся сухими.
- Вы ощущаете все большую усталость.
- Снижается быстрота мышления.
- Усиливается слабость, возникают обмороки.
- Организм не удерживает еду и питье в течение двадцати четырех часов.
Помимо предотвращения обезвоживания организма, следует принять меры, чтобы не допустить состояния, которое носит название «голодный кетоз». Когда организму не хватает каких-либо веществ, и особенно углеводов, его ткани начинают расщепляться, и при этом в крови накапливается избыточное количество кетоновых тел (органических соединений), которые усиливают тошноту. Чтобы предотвратить развитие этого состояния, пейте соленые жидкости, например куриный бульон, или принимайте специальные растворы электролитов, которые продаются в аптеке без рецепта. Из-за неуверенности в безопасности противорвотных препаратов большинство врачей для борьбы с обезвоживанием предпочитают назначать (а большинство женщин с радостью соглашаются) внутривенную терапию в течение двадцати четырех или сорока восьми часов. Потеря жидкости и солей восполняется, и хорошее самочувствие быстро восстанавливается. Если степень обезвоживания не слишком высокая, то беременные женщины, страдающие от обезвоживания или кетоза, могут проходить курс внутривенной терапии в домашних условиях.
…Воспринимайте утреннее недомогание как защитный механизм, заставляющий вас сторониться определенных веществ или ситуаций, которые могут неблагоприятно сказаться на вас или на вашем ребенке. Наиболее показательным в этом отношении может быть повышенная чувствительность к потенциально опасным запахам, таким, как краска, выхлопные газы и табачный дым. … Тошноту и отвращение к запахам можно считать способом, при помощи которого природа предупреждает будущую мать, чтобы та внимательно следила за тем, что она вдыхает или ест. Некоторые будущие матери называют это обостренное обоняние «нослокатор». Биологи выдвигают предположение, что обостренное обоняние позволяет беременным самкам животных чуять опасность еще до того, как они увидят ее. Беременные женщины, конечно, не всегда радуются этой особенности. Создается впечатление, что иногда организм будущей матери перестраховывается.
Если вашим страданиям требуется научное обоснование, то вам, наверное, будет полезно узнать, что высокий уровень гормонов беременности в крови, который вызывает тошноту, свидетельствует также о надежной имплантации эмбриона. И действительно, статистика свидетельствует, что чем сильнее приступы тошноты у будущей матери, тем выше вероятность рождения здорового ребенка. На акушерском жаргоне это звучит так: «Чем хуже чувствует себя мать, тем лучше результат». У некоторых женщин низкий уровень гормонов беременности может свидетельствовать об аномалиях в развитии беременности и о повышенном риске выкидыша. Однако это не означает, что если вы чувствуете себя нормально, то ребенок не будет здоровым. Многие женщины, у которых «утреннее недомогание» было выражено в легкой форме, рожали абсолютно здоровых детей.
Что почитать?
Чем опасен тонус матки во время беременности?
Резус-фактор и резус-конфликт при беременности
Как читать анализы мочи и крови, сдаваемые во время беременности
УЗИ во время беременности
Алла Пасенко педиатр-неонатолог, опыт работы: 15 лет Образование: высшее медицинское, постуниверситетское;
pregnancycalendar.ru