www.sib-science.info
Новое в лечении ревматоидного артрита: современные подходы и препараты
Ревматоидный артрит – особое заболевание, за которым следят ревматологи всего мира уже не один десяток лет. Такое пристальное внимание обусловлено его высоким общественным и медицинским значением. Он распространён среди 0,5-2% населения в развитых промышленных странах. У страдающих этим недугом продолжительность жизни уменьшается на 3-7 лет. Огромный ущерб наносится социуму тем, что происходит преждевременная инвалидизация пациентов, наступающая в первые пять лет после начала болезни при отсутствии своевременного лечения. Что нового в лечении ревматоидного артрита придумано? Об этом далее.
Ревматоидный артрит – воспалительное заболевание хронического характера с неясной этиологией, поражающее периартикулярные ткани и периферические синовиальные суставы, характеризующееся аутоиммунными дефектами, приводящее к разрушению суставного хряща и кости.

Происхождение болезни довольно сложно и до сих пор недостаточно изучено. Однако ключевые факторы хорошо известны, и на их основе определяются методы лечения ревматоидного воспаления, в которых в последнее время достигнуты серьёзные успехи.
Чтобы рассмотреть, что нового в лечении ревматоидного артрита открыто, необходимо знать, в чем заключается терапия.
Лечение ревматоидного артрита
Для того чтобы успешно лечить ревматоидный артрит, нужен комплексный подход. В том числе следует помогать больным решать социальные, психологические и бытовые вопросы. Порой немедикаментозные методы способствуют улучшению.
В определённых случаях пользу может принести ограничение нагрузок на воспалённые суставы. Для сохранения их неподвижности используются шины. Улучшить функции сустава и ослабить боль помогают различные ортопедические (и не только) приспособления, которые позволяют его зафиксировать и пресечь смещение поверхностей.
Большую роль играет также лечебная физкультура, сохраняющая силу мышц и объём движений суставов без увеличения воспалительных процессов. Повседневная и профессиональная жизнедеятельность пациентов должна быть перестроена таким образом, чтобы способствовать максимальному повышению качеству жизни и работоспособности без перегрузки суставов. Итак, что нового в лечении ревматоидного артрита?

Современные подходы к терапии
Современное лечение своей главной целью имеет неспецифическое подавление в организме воспалительных реакций и уменьшение иммунных изменений. Однако такие методики позволяют только улучшить общее состояние и продлить ремиссию, снизив при этом все деструктивные процессы в суставах. Полного же излечения не происходит. Современные методы лечения ревматоидного артрита заслуживают рассмотрения.
В настоящее время, когда медицинские технологии становятся всё более продвинутыми, стало известно, что хронический воспалительный процесс развивается в связи с активацией иммунокомпетентных клеток – Т-лимфоцитов и макрофагов. Как следствие, выделяются клеточные медиаторы, провоцирующие рост иммунных комплексов (ревматоидных факторов), в 80% случаев находящихся в крови при анализе. Их возникновению способствует увеличение соединительной ткани в синовиальной суставной оболочке, вызывающее воспаление. Современные методы лечения ревматоидного артрита включают:
- нестероидные противовоспалительные средства;
- синтетические базисные противовоспалительные препараты;
- антибактериальную терапию;
- глюкокортикоидные препараты.
В основе медикаментозного лечения лежат два направления:
- подавление слишком высокой активности иммунной системы;
- блокирование производства медиаторов, которые провоцируют воспаление.
Нестероидные противовоспалительные препараты
Лечение с помощью нестероидных противовоспалительных препаратов (НПВП) даёт хороший результат, так как болевая активность снижается на несколько часов, однако длительного эффекта нет. Препараты значительно облегчают больному жизнь, но вылечить артрит, используя НПВП, не представляется возможным, поскольку отмена их приёма снова возобновляет болезненные ощущения.
Сначала назначаются менее токсичные лекарства, быстро усваиваемые организмом и легко выводимые: «Мовалис», «Ибупрофен», «Наклофен», «Диклофенак». Более тяжёлые препараты – «Кеторолак» и «Индометацин» – назначаются в последнюю очередь, так как, помимо более высокой токсичности и длительного выведения, могут оказать побочное влияние на почки и печень.
Подбирая НПВП, нужно учитывать, что отсутствие эффекта в первые 3-5 дней сигнализирует о необходимости замены препарата другим. Новейшие методы лечения ревматоидного артрита интересуют многих.
Лечение с помощью базисных противовоспалительных средств
Применение базисных противовоспалительных препаратов – важная составляющая лечения артрита всех пациентов, у которых не обнаружены противопоказания к таким средствам. Оптимально назначать подобную терапию вначале, так как эффект в этот период будет наиболее выраженным.

Препараты данной категории способствуют продолжению ремиссии, быстро улучшают лабораторные показатели, снижают клинические проявления болезни и сдерживают разрушение суставов. Наличие большого числа побочных эффектов обусловливает то, что лечение такими средствами должно осуществляться под строгим контролем. Эффект появляется в течение нескольких недель, а результат может быть непродолжительным. Улучшение покажут лабораторные анализы: уровень лейкоцитов, белка в крови и СОЭ снижается.
Выделяются две группы препаратов базисной терапии:
- Наиболее эффективные — «Метотрексат», «Лефлуномид», «Циклофосфамид».
- Менее эффективные и более токсичные.
Какие самые современные препараты для лечения ревматоидного артрита?
Исследования показывают, что высокоэффективным является «Циклоспорин», если принимать его большими дозами, хотя он негативно влияет на желудок и почки. Снижение дозировки делает процесс лечения долгим, но нагрузки на организм при этом незначительны. Использование «Циклоспорина» вместе с «Метотрексатом» имеет больший успех, чем их раздельный приём. Артрит можно излечить, используя базисную терапию в течение двух-трёх лет и более.
Гормональное лечение
Гормональная терапия играет важную роль в лечении артрита, поскольку способна влиять на множество метаболических процессов в организме. Для того чтобы снять воспаление, повсеместно используются гормоны коры надпочечников.
К таким препаратам относятся «Преднизолон» и «Преднизон». Их вводят внутривенно или же в сам сустав. Гормонотерапия применяется при тяжёлых формах ревматоидного артрита.
Выбирать препарат, способ введения и дозировку нужно с учётом индивидуальных характеристик. Стоит помнить, что даже самые новые гормональные средства – это стероиды, подвергающие организм человека значительным изменениям, которые в большинстве случаев имеют необратимый характер. Современные методы в лечении ревматоидного артрита предполагают применение биологических средств.

Биологические агенты
Использование биологических препаратов в отличие от базисных даёт более быстрый эффект, наступающий в течение нескольких недель. Средства, входящие в эту категорию, применяют вместе с нестероидными противовоспалительными и гормонотерапией.
Связыванию фактора роста некроза способствует «Этанерцепт». Препарат «Анакинра» является менее действенным и назначается в редких случаях, если блокаторы не дают положительного результата. «Абатацепт» применяется при тяжёлом протекании ревматоидного артрита: он блокирует функционирование иммунной системы и не даёт Т-клеткам активизироваться в организме. Новые методы лечения ревматоидного артрита в России применяются все чаще.
На сегодняшний день используются следующие биологические агенты: «Кинерет», «Оренция», «Энбрел», «Ритуксан», «Хумира», «Ремикейд». Единственным недостатком этих медицинских препаратов можно назвать их высокую стоимость. Чтобы получить новую терапию артрита в России, можно воспользоваться государственной системой квот.
Биологические препараты следует принимать осторожно, вводить лекарства нужно только под контролем специалистов в условиях стационара. Ввод медикаментов может продолжаться несколько часов. Такие лекарства назначаются больным с угнетённой иммунной системой после предварительного комплексного обследования на туберкулёз, онкологию и венерические болезни. Подобные меры необходимы по той причине, что препараты данной группы серьёзно влияют на иммунитет и ослабляют его.
Своевременная и грамотная терапия ревматоидного артрита помогает достичь высокого результата в минимальные сроки. Во время обострения заболевания нужно увеличить дозировку и пройти госпитализацию в стационарных условиях. Прервать воспалительные процессы и боль можно с помощью гормональных лекарств.
Мы рассмотрели, что есть на сегодняшний день нового в лечении ревматоидного артрита. Надеемся, эта информация будет полезной.
sammedic.ru
Новое лекарство от ревматоидного артрита показало высокую эффективность в клинических испытаниях
Ревматоидный артрит – это тяжёлое аутоиммунное заболевание, поражающее по меньшей мере одного человека из ста во всём мире. По неизвестным пока причинам три четверти, страдающих этой болезнью, – женщины.
Все люди, которым поставлен такой диагноз, вынуждены жить с постоянной болью, их движения скованны, постоянные спутники таких больных – воспаление и прогрессирующая деформация мелких суставов. Но и это ещё не всё: они также подвергаются повышенному риску заболеваний сердца и почек, страдают от нарушения зрения и других воспалительных осложнений.
В настоящее время лечение ревматоидного артрита направлено в основном на облегчение боли, замедление развития заболевания и восстановление уже имеющихся повреждений суставов с помощью хирургического вмешательства. К сожалению, современные препараты малоэффективны для лечения этого аутоиммунного расстройства и чрезвычайно дорогостоящи.
Однако у больных и их родственников появилась надежда на улучшение самочувствия и качества жизни. Учёные из Стэнфордского университета разработали новое лекарство, которое уже показало свою эффективность на начальных этапах клинических испытаний.
Экспериментальное соединение, названное филготиниб, блокирует один из четырёх ферментов, участвующих в развитии воспаления в тканях.

Главный исследователь последнего этапа клинических испытаний Марк Дженовезе возлагает большие надежды на новый препарат от ревматоидного артрита.
Отметим, что в 2012 году в США уже были лицензированы два средства с похожим механизмом действия. Правда, эти лекарства не так избирательны и нарушают работу всех четырёх воспалительных ферментов данной группы. Кроме того, препараты первого поколения обладают массой побочных эффектов и применять их можно только в низких дозах, что далеко не всегда даёт желаемый эффект.
Финальный этап клинических испытаний филготиниба проводился в 114 центрах в 15 странах, в основном в Северной Америке и Европе. В нём приняли участие 449 человек, средний возраст которых составил 56 лет. Около 80% пациентов при этом были женщинами.
Участников исследования случайным образом распределили в три группы. Одни пациенты в течение 24 недель получали 200 миллиграммов филготиниба в сутки, другие – 100, а третья группа принимала плацебо. У всех добровольцев был ревматоидный артрит от умеренной до тяжёлой степени. Кроме того, каждый из пациентов до этого безуспешно лечился различными сочетаниями традиционных препаратов.
Полученные результаты обнадёживают: более 40% участников, принимавших самую высокую дозу филготиниба, сообщили о значительном снижении активности артрита уже через 12 недель.
После 24 недель применения нового лекарства показатель эффективности терапии увеличился почти до 50%. Ещё больше впечатляет то, что 30% людей, которых было прописано 200 миллиграммов филготиниба в сутки, в течение пяти с половиной месяцев достигли полной ремиссии.
«Мы обнаружили, что такая хорошая реакция на терапию филготинибом не зависела от того, какими лекарствами и в каких комбинациях пациента лечили ранее»,– отметил главный исследователь клинических испытаний Марк Дженовезе (Mark Genovese).

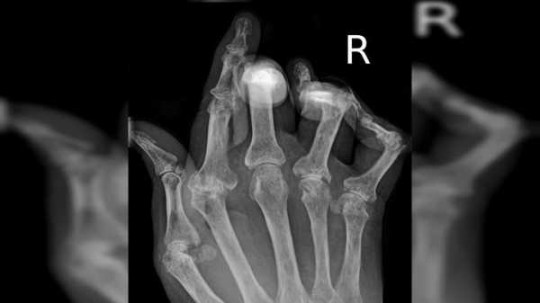
Рентгеновский снимок кисти, поражённой ревматоидным артритом.
По его словам, новый препарат явно превосходит по эффективности другие лекарства с похожим механизмом действия. А тот факт, что новое средство работает исключительно хорошо у пациентов, потерпевших неудачу в традиционной терапии ревматоидного артрита, вселяет в учёного наибольший оптимизм.
Несмотря на явные успехи лечения, в процессе клинических испытаний возникли и кое-какие сложности. Например, в конце 2018 года некоторые специалисты выразили опасения по поводу безопасности нового лекарства.
Тогда исследователи предположили, что препарат может негативно влиять на функции яичек и снижать количество сперматозоидов у мужчин. По этой причине Управление по санитарному надзору за качеством пищевых продуктов и медикаментов США (FDA) попросило провести дополнительные исследования безопасности для оценки этого конкретного риска.
Пока неясно, задержит ли это испытание долгожданный запуск препарата в 2020 году, но фармацевтическая компания Gilead, которая будет выпускать лекарство, в начале этого месяца объявила, что ожидает одобрения FDA в самое ближайшее время.
Результаты клинических испытаний многообещающего лекарства опубликованы в издании JAMA.
Напомним, что авторы «Вести.Наука» (nauka.vesti.ru) ранее писали о разработке вакцины от ревматоидного артрита, а также о том, как с этим заболеванием связана микробиота кишечника. Одно из исследований также показало, как распространённый витамин поможет предотвратить развитие этого серьёзного заболевания.
Оставайтесь в курсе самых важных новостей науки, подписывайтесь на наши группы в социальных сетях: ВК, Facebook, Twitter, «Одноклассники». Есть мы и в Яндекс.Дзене.
nauka.vesti.ru
Новый препарат от ревматоидного артрита успешно прошел клинические испытания
Пациенты с ревматоидным артритом, получающие небольшое или полное облегчение от обычных низкомолекулярных лекарств и инъекционных биологических препаратов, заметили значительное улучшение своего состояния от ежедневного использования экспериментального соединения в большом 24-недельном исследовании.
Документ, описывающий результаты двойного слепого рандомизированного клинического испытания фазы 3, опубликован 23 июля в JAMA.
Ревматоидный артрит является прогрессирующим системным аутоиммунным заболеванием, поражающим по меньшей мере 1 человека на каждые 100 человек во всем мире. По непонятным причинам 3 из каждых 4 человек с расстройством — женщины. Хотя его наиболее заметными признаками являются боль, скованность, воспаление и возможное ухудшение состояния суставов, пациенты также подвергаются повышенному риску сердечно-сосудистых заболеваний и других воспалительных осложнений.
В клинических испытаниях около 70% пациентов с ревматоидным артритом первоначально получали пользу от низкомолекулярной терапии в форме таблеток, такой как метотрексат. Пациенты, которым не годятся обычные низкомолекулярные препараты, переходят на дорогостоящие инъекционные препараты с биоинженерным белком. Но эти лекарства также не эффективны среди половины пациентов с ревматоидным артритом, которые их используют.
Экспериментальное соединение филготиниб является селективным ингибитором JAK-1. Он работает, предпочтительно блокируя 1 набор из 4 близкородственных ферментов, необходимых для определенных воспалительных процессов передачи сигналов внутри клеток.
Испытание проводилось в 114 центрах в 15 странах, в основном в Северной Америке и Европе. Женщины составляли 80% из 449 участников исследования. Они были рандомизированы в 1 из 3 исследуемых групп, в которых они получали суточные дозы 200 мг филготиниба, 100 мг филготиниба или плацебо в течение 24 недель. У всех участников был ревматоидный артрит от умеренной до тяжелой степени выраженности, несмотря на лечение одним или несколькими биологическими методами.
10 фактов об артрите, которые вам стоит знать
Основная цель исследования состояла в том, чтобы наблюдать, было ли улучшение через 12 недель в исследовании, по крайней мере, на 20% в отношении степени отека и болезненности суставов, называемой ACR20, которая была установлена Американским колледжем ревматологии. Важным вторичным результатом была оценка, указывающая на низкую активность заболевания в 28 предварительно определенных суставах в тесте, названном DAS28-CRP.
По сравнению с группой, принимавшей плацебо, значительно большая доля участников, принимавших схемы с высоким и низким дозами филготиниба, достигли первичной конечной точки: улучшение симптомов на 20% по данным ACR20. Шестьдесят шесть процентов участников на 200 миллиграммах филготиниба и 57,5% тех, кто принимал 100 миллиграммов, выполнили этот критерий, по сравнению только с 31,1% тех, кто принимал плацебо.
По словам ученых, такое же или даже более важное значение имело улучшение показателей DAS28-CRP как через 12, так и через 24 недели. К 12 неделям 40,8% из тех, кто принимал дозу филготиниба 200 мг, и 37,3% из тех, кто принимал 100 мг, достигли состояния низкой активности заболевания, измеренного с помощью DAS28-CRP, в отличие от только 15,5% тех, кто принимал плацебо. Эти результаты продолжались или улучшались в течение испытания. К 24 неделям 48,3% потребителей филготиниба в высоких дозах и 37,9% тех, кто получал низкие дозы, достигли статуса низкой активности заболевания.
К 12-й неделе исследования 22,4% пациентов, получавших высокие дозы филготиниба и 25,5% получавших филотиниб, но только 8,1% получавших плацебо, имели показатели DAS28-CRP, свидетельствующие о прямой ремиссии. К 24 неделе реципиенты с высокой дозой имели ремиссию 30,6%; получатели низких доз — 26,1%; и получатели плацебо — 12,2%.
Преимущества препарата для участников стали очевидны вскоре после начала испытания. Также было отмечено существенное различие среди участников исследования в том, сколько из них прошли 24-недельное испытание. Из 148 участников в группе плацебо 51 выбыл до завершения, в отличие от только 20 из 148 получателей высокой дозы и 34 из 153 получателей низкой дозы нового препарата для лечения ревматоидного артрита. Таким образом, специалисты заключили, что новый препарат работает исключительно хорошо у пациентов, которые уже потерпели неудачу при традиционной терапии ревматоидного артрита.
Артрит коленного сустава: причины и диагностика
Лечение ревматоидного артрита ингибиторами JAK-киназ
Читать подробнее:
medicalxpress.com
carence.ru
Ревматоидный артрит, лечение | ЗДОРОВЫЙ ДОМ
Внимание! Статьи на сайте для информации и обсуждения. Лечиться нужно при личном посещении специалиста!
Ревматоидный артрит – серьезное хроническое системное заболевание инфекционно-воспалительного происхождения, поражающее преимущественно мелкие периферические суставы. Недуг характерен процессами разрушения в суставной ткани, нарушения нормального функционирования суставов, их деформации и прогрессирующего развития неподвижности. В дополнение к сказанному, ревматоидный артрит – аутоиммунное заболевание.
Долгие годы ученые пытаются обнаружить и выявить патогенного агента недуга, но пока это не удается. Известно, что он – инфекционный, поскольку на это указывает острое начало заболевания (высокая температура, усиленное потоотделение, «набухание» лимфоузлов). Однако есть критерии и против инфекционного характера. В частности, отсутствуют его сезонность, передача при переливании крови и пересадке органов, эффект от применения антибиотиков, заражение родственников и окружающих.
Приглашаю Вас в группу на Subscribe.ru:Народная Мудрость, Медицина и Опыт
ревматоидный артрит
К причинам появления болезни сегодня относят генетическую предрасположенность (у больных выявлены определенные гены, видоизменяющие поверхностные рецепты клеточных мембран, вследствие чего иммунная система прекращает узнавать свои клетки и начинает бороться с ними), а также заболевания, вызванные вирусами герпеса, краснухи, гепатита В и некоторыми другими (70% людей поражаются в холодное время).
Медикаментозное лечение
Вылечить ревматоидный артрит современная медицина в настоящее время, к сожалению, еще не может, но вот поддерживать больного в состоянии устойчивой ремиссии ей вполне по силам. Только делать это надо не так, как, увы, еще нередко практикуется даже в клиниках столицы, не говоря уже про региональные. Порой все, что предлагает врач таким больным, – это обезболивающие нестероидные препараты и еще пресловутый «Преднизолон». Они, конечно, тоже могут применяться, но лишь в качестве довеска к основному лечению, и об этом – чуть ниже.
Если говорят о ревматоидном артрите, то всегда подразумевают аутоиммунное заболевание, и воздействие на его природу должно быть целенаправленным – бить надо по механизму развития недуга. И такие средства в арсенале современной медицины есть. В первую очередь им является «Метотрексат». Принимают его от 15 до 25–30 мг в неделю. Если больной использует препарат в виде таблеток, то принимать назначенную дозу советуют в течение полутора дней: утром, вечером и следующим утром. А затем – только неделю спустя. Причем, принимать «Метотрексат» надо вместе с фолиевой кислотой, что снизит риск побочных эффектов.
Сейчас этот же препарат под названием «Методжект» появился в виде инъекций. Его достаточно делать по одному уколу в неделю.
У этих лекарств, конечно, есть побочные эффекты, но они, как говорят медицинские специалисты, ожидаемые, а потому их легче всего контролировать. Но нередко случается так, что больные отказываются от них из-за минимальных изменений самочувствия. Например, может возникнуть ощущение тяжести или просто дискомфорт в желудке, правом подреберье.
Надо обязательно отдавать себе отчет в том, что ревматоидный артрит – болезнь, приводящая к инвалидности, ее последствия настолько тяжелы и неприятны, а польза от «Метотрексата» настолько очевидна, что из-за таких незначительных неудобств лишать себя возможности полноценно жить просто нелепо. Тем более что квалифицированный врач всегда подберет лекарства, позволяющие справиться с такими побочными эффектами. Поводов же для отмены, да и то временной, немного. Ими могут стать лишь серьезные инфекции – герпес, грипп, пневмония, а также значительные изменения в анализах крови (общем и биохимическом).
Против ревматоидного артрита «Метотрексат» («Методжект») является базисным лекарством, так называемым препаратом первой очереди. Если по какой-то причине некоторым больным они все же не подходят, можно использовать средства второй очереди – «Сульфасалазин» и «Лефлуномид» («Арава»). Они воздействуют на механизм болезни не менее результативно.
У многих из вышеназванных средств есть такая особенность. Они действуют, как правило, не сразу, а должны как бы накопиться в организме, причем, иногда этот период накопления достигает нескольких месяцев. А человек в это время продолжает испытывать боль. И вот на этот период, чтобы облегчить страдания больному, назначают тот самый «Преднизолон» в малой суточной дозе – не больше 10 мг. Не случайно, за рубежом это лечение назвали «мост-терапией», поскольку оно создает своего рода мостик к результатам основного воздействия на недуг.
Приведенное выше – это (если сказать проще) классическая схема борьбы с ревматоидным артритом. Но медицинская наука постоянно движется вперед, и лет 15 назад у врачей появилось новое средство – так называемые биологические агенты, созданные на основе генной инженерии. Они дошли и до России, а потому применяются все активнее. Больше того, сейчас при крупных больницах по стране создаются кабинеты биологической терапии. Еще эту терапию называют таргетной, то есть (в переводе с английского) – целевой.
Суть в том, что у этих лекарств есть свое узкое место воздействия на болезнь. Они не вообще «бьют» по организму, не различая «своих» и «чужих», а точечно влияют на механизм недуга на клеточном уровне. Кроме всего иного, из сказанного следует, что и побочных эффектов у них еще меньше. Применяются биологические агенты только в виде уколов – от подкожных до внутримышечных (в зависимости от конкретного препарата). Вот некоторые из них: «Ремикейд», «Хумира», «Энбрел», «Симзия», «Симпони», «Мабтера», «Оренсия», «Актемра». К сожалению, стоят они дорого. И не потому, что фармацевтические производители такие жадные. Просто их производство действительно весьма и весьма затратное и сложное. Далеко не многим больным указанные препараты по карману.
Тем не менее, выход есть. Многие из этих средств сейчас включены в действующую у нас в стране систему дополнительного лекарственного обеспечения. И они могут быть выписаны нуждающимся пациентам бесплатно при условии стационарного лечения в профильном медицинском учреждении, что как раз для страдающих ревматоидным артритом – обязательное дело. Конечно, учитывая бюрократизм и иные реалии нашего времени, потребуется определенная степень настойчивости самого больного или его родственников.
Процедура лечения биологическими агентами несложная – максимум 4–5 инъекций, а то и меньше. А вот ремиссия потом долгая – от полугода до нескольких лет. Причем, облегчение наступает очень быстро. Единственная серьезная опасность – больной может стать подверженным разного рода инфекциям. А потому, лечению всегда предшествует тщательная проверка пациента на отсутствие различных инфекций (и туберкулеза в том числе).
Применение народных средств
К сожалению, повлиять на течение этого опасного недуга народные средства не могут. Однако их часто используют для вспомогательного лечения, а именно, снятия (или ослабления) болей, с чем они справляются довольно неплохо. Они улучшают также состояние ремиссии.
Лекарство из каштана
Когда зацветут каштаны, нарвите их цветков, заполните ими литровую банку, немного утрамбуйте и залейте самогоном (допускается водкой) доверху, уберите в темноту. После двухнедельного настоя лекарство будет готово. Смазывайте им больные суставы, помогает хорошо.
Рецепты из подсолнечника
• Когда начинают болеть суставы, треть объема любой емкости заполните цветками подсолнечника, залейте водкой, закупорьте, проведите двухнедельный настой, каждый день взбалтывая. Потом профильтруйте, используйте для компрессов.
• У цветущего подсолнуха срежьте шляпку, измельчите вначале ножом, потом – с помощью мясорубки. Добавьте брусок натертого хозяйственного мыла, залейте 500 мл водки. Смесь качественно перемешайте, переложите в банку из стекла, прикройте полиэтиленовой крышкой, на 15 дней оставьте в тепле, после вновь перемешайте. Немного подогрейте 40 г смеси, натрите очаги боли, оберните вначале тканью, потом – шерстяной материей (часа на полтора). Выполнять желательно на ночь.
Рецепт врача
В аптеке приобретите спирт нашатырный и мазь скипидарную, возьмите поровну, смешайте, добавьте пять капель йода, взболтайте. Втирайте в воспаленные суставы досуха, затем завязывайте чем-нибудь теплым, и не снимайте повязки до утра. Когда боль стихает, процедуры прекращайте. Потом (по мере необходимости) их повторяйте.
Не стоит забывать и полезном применении мази живокост.
Рецепт на основе репейника
Соберите чашечки репейника, обмолотите их и провейте. Залейте 50 г семян репейника полулитром водки. Двухнедельный настой проводите в темноте, часто взбалтывая, после процедите. Смачивайте в настойке многослойную марлю, прикладывайте к суставам. Накрывайте шарфом или теплым платком. Полиэтиленовую пленку накладывать нельзя, иначе будет ожог. Боль быстро уходит.
Лечение цветками картофеля
Заливайте их спиртом в банке (1:1), закрывайте крышкой, 21 день держите в темноте. Этим составом натирайте (лучше в ночь) больные суставы. Лечение – до исчезновения болей.
Рецепт на основе еловой хвои
Принесут пользу ванночки из еловой хвои. Свежесорванные веточки заливайте кипятком, часов 7 настаивайте. В настой температуры 37–39º погружайте на полчаса руки или ноги, затем укутывайте теплой шерстяной тканью, ложитесь в постель. Такое лечение проводите через день (до 10 процедур).
Рецепт из каланхоэ
Измельчите листья и стебель каланхоэ, на треть заполните этой массой пол-литровую бутылку, залейте водкой, проведите недельный настой при ежедневном встряхивании. Растирка очень хорошо снимает суставные боли. Применяйте ее трижды в день.
Лечение чесноком
Из чеснока делают целебное масло: 3 измельченных зубчика чеснока залейте подсолнечным (только нерафинированным!) маслом (стакан), настаивайте, периодически взбалтывая, 5 дней. Лекарство профильтруйте, натирайте им больные суставы. Как правило, боли проходят быстро.
Еще полезная статья — лечение артрита народными средствами.
Действенный рецепт
Приготовьте соль морскую, соду пищевую, горчицу (в порошке), мед. Возьмите поровну (по объему) и смешайте. Смазывайте очаги боли (желательно в ночь), накрывайте полиэтиленовой пленкой, оборачивайте вначале хлопчатобумажной тканью, после – шерстяной материей. Утром смывайте водой (теплой) и укутывайте вновь. Дополнительно утром и вечером пейте смесь из 20 г меда, 1 г корицы и 180 г воды. Дня за три боль утихнет совсем.
Из сказанного в статье видно, что у больных ревматоидным артритом, даже в тяжелых формах, есть перспектива почти нормальной жизни. Недугу, который прежде превращал человека в заведомого инвалида, можно успешно противостоять. Конечно, требуются систематическое лечение, терпение и твердая вера. К тому же медицинская наука постоянно изыскивает новые эффективные методики против коварного заболевания.
А далее — профилактика ревматизма.
Если вы нашли ошибку, пожалуйста, выделите фрагмент текста и нажмите Ctrl+Enter.
ВНИМАНИЕ:
Рецепты народной медицины чаще всего применяются в комплексе с обычным лечением или как дополнение к традиционному лечению. Любой рецепт хорош после консультации со специалистом.Не занимайтесь самолечением!
Поделитесь с друзьями в социальных сетях!
Сайт некоммерческий, развивается на личные средства автора и ваши пожертвования. Вы можете оказать помощь!
(Даже небольшой суммой, можно ввести любую) (картой, с сотового тел, яндекс деньгами — выберите нужное)Спасибо!
Получайте новые статьи с сайта на электронную почту!
sferadoma.ru
Россиянам предложат новый препарат от ревматоидного артрита | Новости
Ревматоидный артрит — хроническое аутоиммунное заболевание, поражающее мелкие суставы. Первые симптомы, как правило, проявляются уже в среднем возрасте: возникает и постепенно усиливается боль в суставах, вокруг них развивается отек, сопровождающийся местным повышением температуры. Подвижность суставов нарушается, что особенно заметно по утрам. В большинстве случаев прогрессирование заболевания приводит к утрате подвижности и инвалидизации, а сопутствующие инфекционные осложнения и почечная недостаточность становятся причиной смерти.
Патогенетической терапии ревматоидного артрита на сегодняшний день не разработано, и лечение направлено на замедление прогрессирования заболевания и купирование уже имеющихся симптомов. Для снижения интенсивности воспалительного процесса назначаются нестероидные противовоспалительные средства и глюкокортикостероиды. Однако основная роль в лечении отводится базисным противоревматическим препаратам и биологическим препаратам — именно они модифицируют активность заболевания.
В мае этого года ассортимент биологических препаратов, доступный российским ревматологам, пополнил сарилумаб — человеческое моноклональное антитело, ингибитор рецептора интерлейкина-6. Сарилумаб показан для лечения взрослых пациентов с ревматоидным артритом умеренной или высокой степени активности при недостаточном ответе или непереносимости терапии базисными противоревматическими препаратами.
Сарилумаб «Кевзара» был изучен в клинических исследованиях как при назначении комбинированной терапии с метотрексатом, так и при назначении монотерапии тем пациентам, у которых метотрексат не дал желаемого результата. Согласно полученным результатам, назначение сарилумаба позволяет добиться купирования симптомов и контроля над течением РА уже через две недели после начала лечения. В комбинации с метотрексатом сарилумаб снижал выраженность симптоматики РА и степень поражения суставов, а также улучшал функциональный статус пациентов.
www.lvrach.ru
Новый ген поможет в лечении ревматоидного артрита
Американские ученые открыли новый ген, который поможет врачам в прогнозе и лечении ревматоидного артрита.

с помощью гена HIP1 можно «успокоить» синовиальные клетки и остановить развитие ревматоидного артрита
Сотрудники Медицинской школы Айкана при Mount Sinai (Нью-Йорк) сообщают, что неизвестный ранее ген связан с особенностями течения аутоиммунного процесса при ревматоидном артрите.
Профессор Персио Гулько (Percio Gulko) и его коллеги в экспериментах на мышах доказали, что ген HIP1 является драйвером воспаления синовиальной оболочки. Это подтверждается и на человеческих моделях.
Данный ген может служить мишенью для новых болезнь модифицирующих лекарственных препаратов (БМАРП). Целенаправленное воздействие на HIP1 сделает терапию ревматоидного артрита более безопасной.
Генетические причины артрита раскрыты?
Ревматоидный артрит (РА) — хроническое воспалительное заболевание, поражающее свыше 250 человек на каждые 100 тысяч населения.
Болезнь часто вызывает искривление суставов, а при неадекватной терапии приводит к утрате трудоспособности в среднем через 10 лет после появления первых признаков воспаления суставов.
Доступные сегодня препараты против РА влияют преимущественно на иммунный ответ. Но они подавляют иммунную систему и делают организм восприимчивым к инфекциям, включая герпес и пневмонию.
«За последние 20 лет достигнуты значительные успехи в лечении ревматоидного артрита, но ремиссия по-прежнему остается редкостью. Большинство лекарств сегодня нацелены на воспаление, но обычно этого недостаточно для борьбы с болезнью», — говорит профессор.
Гулько со своими сотрудниками изучал альтернативные мишени для терапии. Эксперименты привели их к синовиальным фибробластам — клеткам, которые синтезируют внеклеточный «каркас» (матрикс) внутри суставов.
Благодаря новым генетическим методам, таким как конгенное размножение, исследователи вывели предрасположенных к РА грызунов и сумели определить точную область хромосом, где заключен ген виновник болезни.
Хотя рано говорить, что все генетические причины ревматоидного артрита раскрыты, ген HIP1 оказался действительно важным звеном. Он контролирует активность синовиальных фибробластов, отвечающих за выработку внутрисуставной смазки.
У больных РА количество синовиальных фибробластов увеличивается (гиперплазия), а саму синовиальную ткань оккупируют многочисленные лейкоциты, вызывающие отек, воспаление и боль.
Такое инвазивное поведение синовиальных фибробластов коррелирует со степенью повреждения хряща при ревматоидном артрите.
В переводе с сухого научного языка это означает, что с помощью гена HIP1 можно «успокоить» синовиальные клетки и остановить развитие ревматоидного артрита.
И действительно, удаление HIP1 из мышиных хромосом резко снижало активность фибробластов. Они переставали отвечать на свой естественный белок-стимулятор PDGF (тромбоцитарный фактор роста), не могли колонизировать суставы и поддерживать воспаление.
У мышей с отключенным геном HIP1 артрит протекал в легкой форме.
Невероятные возможности для ревматологии
Именно так оценивают удивительное открытие зарубежные эксперты.
Ученые знают, что повышенная экспрессия HIP1 в опухолевых клетках коррелирует с плохим прогнозом у мужчин с раком предстательной железы. Поэтому результаты профессора Гулько могут пригодиться для изучения биологии рака, и в особенности метастазирования.
«Но главное, что теперь мы разработаем количественные анализы HIP1 в крови или синовиальной ткани для прогнозирования исхода. Появятся новые высокоселективные препараты для лечения РА», — уверен Гулько.
Будем надеяться, что новые лекарства не будут затрагивать иммунитет, и окажутся безопасней, чем метотрексат или кортикостероиды.
diartroz.ru