что это и как правильно лечить?
ЧТО ТАКОЕ ЭНДОМЕТРИОЗ?
Эндометриоз– это патологическая ситуация, при которой клетки эндометрия (внутреннего слизистого слоя, выстилающего матку), находясь за ее пределами, трансформируются в патологическую ткань. Эндометрий, так же, как и яичники, меняется в зависимости от дня менструального цикла: постепенно нарастает в толщине и ежемесячно отторгается – вызывая кровянистые выделение – менструацию. Если этот процесс происходит со сбоем – может развиться эндометриоз.
Различают три основных вида эндометриоза.
- Первый – типичный или поверхностный, когда эндометриозная ткань появляется на тонкой оболочке, которая выстилает брюшную полость, огибая практически все внутренние органы.
- Второй вариант эндометриоза – кистозный. В этом случае пораженный орган – это яичники, в которых появляются, так называемые, эндометриомы или эндометроидные кисты (О том, как лечить кисты можно прочесть здесь).

- В третьем случае, когда эндометрий врастает под брюшину в близлежащие органы – кишечник, мочевой пузырь, послеоперационный шрамы – речь идет о глубоком инфильтративном эндометриозе.
- Отдельно можно выделить очень редкие виды эндометриоза – когда поражаются легкие или, например, головной мозг.
ПОЧЕМУ ПОЯВИЛСЯ ЭНДОМЕТРИОЗ?
Нельзя с уверенностью сказать – являются ли ткани, которые находят при эндометриозе, тем эндометрием, который есть в матке, так как клеточный состав немного отличается. Но есть версия, что эндометрий, попадая «не туда» под воздействием внешней среды, меняется. Второй вариант – уже изначально это другая ткань, похожая на эндометрий.
Одна из версий, как развивается болезнь: у всех женщин во время менструации происходит «обратный» заброс крови через маточные трубы в брюшину. И, под воздействием определенного набора факторов – генетической предрасположенности, влияния внешней среды, иммунитета – клетки мутируют, меняются и становятся «эндометриозными», порождая очаги эндометриоза.
У каждого из типов эндометриоза свой механизм развития или патогенез. Предсказать, как будет развиваться эндометриоз у каждой конкретной пациентки нельзя.
КАКИЕ МОГУТ БЫТЬ СИМПТОМЫ?
Только 10-15% женщин подвержены эндометриозу, но, учитывая, что в половине случаев эндометриоз не вызывает никаких симптомов, реальная цифра может быть намного больше. Главные клинические проявления эндометриоза, если есть симптомы – бесплодие и боль, чаще всего предменструальная и менструальная (из-за связи с менструальным циклом).
Так же могут быть хронические тазовые боли, боли при мочеиспускании, при половом акте – в зависимости от локации очагов поражения.
Почему возникает бесплодие? Причина в постоянных хронических воспалениях и токсичной для яичника жидкости, которой они наполнены. На фоне хронического воспаления образуются спайки – «нити» из соединительных тканей, которые как бы «склеивают» яичники с окружающими тканями, втягивают окружающие органы, не позволяя яйцеклетке «дойти» до маточной трубы.
При поверхностном эндометриозе роль играет хроническое воспаление, изменение окружающий среды из-за воспалительных факторов, вследствие чего яйцеклетка или плод не выживает.
КАК НАЙТИ ЭНДОМЕТРИОЗ?
Процесс длительный: от появления первых симптомов до постановки диагноза проходит в среднем 5-7 лет. Все дело в неспецифичности симптомов – болезненная менструация может быть единственной вещью, которая беспокоит молодую девушку, и может приниматься за нормальное состояние. Выявление причин требует много времени.
Диагностика зависит от типа эндометриоза.
- Поверхностный эндометриоз возможно обнаружить только с помощью лапароскопии – при которой под общим наркозом пациентке в животе делается 3-4 маленьких разреза (не больше сантиметра в диаметре), через которые в брюшную полость вводятся камера и инструменты.
Этот метод имеет особое значение, поскольку с его помощью можно не только обнаружить очаги эндометриоза, но и сразу же от них избавиться, проведя оперативное лечение. Иногда возможно поставить диагноз с помощью магнитного резонанса (МРТ), но это вопрос очень высокой квалификации специалиста.
- В случае кистозного эндометриоза – эндометриомы, основной метод диагностики –
ультрасонография (УЗИ). Это поможет понять размеры кисты, необходимость делать дополнительные обследования в случае, если есть подозрение на онкологию.
- При инфильтративном эндометриозе основные методы диагностики — это УЗИ и МРТ. Но, так как для постановления диагноза с помощью УЗИ, важна высокая квалификация специалиста – для диагностики, как правило, все же применятся МРИ, чтобы точнее увидеть размеры и расположение эндометроизного узла.
КАК ЛЕЧИТЬ ЭНДОМЕТРИОЗ?
Варианта лечения два – медикаментозное и хирургическое.
При медикаментозном цель – постараться избавиться от болей, используя медикаменты. Так как боли, чаще всего, связаны с менструальным циклом, суть такого лечения – «выключить» органы, отвечающие за выделение женских гормонов.
Существуют две группы таких препаратов: первая – аналог гонадотропин-релизинг гормонов, например ацетат бусерилина действует на уровне головного мозга, прекращая производство гормонов менструального цикла, таким образом «вводя» женщину в искусственную менопаузу. Очаги гормонозависимого эндометриоза уменьшаются, симптомы пропадают или становятся слабее.
Но есть два минуса – после отмены препарата постепенно проявления эндометриоза возвращаются, а также вместе с менопаузой приходят ее последствия – остеопороз, приливы потливости, избыточный вес и так далее. Поэтому такие препараты не рекомендуется употреблять больше полугода.
Второй вариант – гормональная контрацепция в непрерывном режиме.
Таким образом яичники «выключаются» из работы, а рост эндометрия подавляется непрерывным приемом препарата. Но в случае, если поражение очень объемное – это может не избавить от болей.
Поэтому основным методом лечения остается оперативное вмешательство. Самый результативный вариант – иссечение пораженной ткани (эксцизия). Есть еще опция коагуляции – прижигания очагов, но статистически, эксцизия показывает лучшие результаты. Сказать, насколько сложной будет предстоящая операция, как правило, сложно – это может быть просто выделение одного очага и рассечение спаек, а возможно, придется оперировать кишечник, мочеточник или мочевой пузырь, если именно туда «прицепится» эндометриоз.
Говоря про эндометриому, стоит быть аккуратными с показаниями к операции. Если киста меньше 4 см, ее не стоит трогать вообще, поскольку при операции высок риск повреждения яичника с его резервами яйцеклеток. Тем самым будет достигнут обратный эффект – при лечении бесплодия, его же и получим.
При таком виде эндометриоза тактика ведения зависит от жалоб и репродуктивных планов пациентки.
В случае, если операция все же необходима, то, перед ее проведением, если пациентка планирует в дальнейшем беременность, врач так же может взять анализ крови на антимюллеровый гормон – этакий маркер запаса яйцеклеток. И по результатам такого исследования будет решаться вопрос о предварительном заборе и хранении яйцеклеток перед проведением операции – чтобы даже несмотря на то, что яичник может быть травмирован, пациентка сохранила бы свой репродуктивный потенциал.
ЧЕГО ЖДАТЬ ПОСЛЕ ЛЕЧЕНИЯ?
Оставляя эндометриоз на медикаментозном лечении, стоит учитывать: это не исключает возвращение симптомов после отмены медикаментов. Если женщина планирует «вылечить» эндометриоз беременностью – нет никакой возможности предугадать, как поведет себя болезнь – симптомы могут уменьшиться, но не исключено, что болезнь начнет прогрессировать.
Говоря о рецидивах эндометриоза – вопрос к проведенной операции.
Как правило, если операция прошла успешно – рецидивов эндометриоза нет.
Киста яичника
Киста яичника – это доброкачественная опухоль, которая развивается в яичнике и может вызвать различные осложнения. Киста яичника – это небольшой, заполненный жидкостью мешочек, который образуется в яичнике. Жидкость может быть разной – серозной, геморрагической, т.е. это кровь. Бывают такие кисты как дермоидные, которые формируются эмбриологического зачатка, они содержат в себе волосы, ногти, жир.Причины появления? Какие факторы связаны с появлением кисты яичника:
- нерегулярный менструальный цикл
- гормональный дисбаланс
- генетические проблемы
- инфекционные заболевания
- скрытые инфекции
- воспалительный процесс
Какие кисты бывают?
Функциональные кисты
- фолликулярные развиваются из фолликулов, которые содержатся в яичнике.
В каждом менструальном цикле при овуляции должна выйти яйцеклетка. Если яйцеклетка не вышла, фолликул остается и начинает расти, вот тогда формируется фолликулярная киста; - кисты желтого тела – когда овуляция уже прошла, на месте фолликула образуется желтое тело. Если беременность не наступает, желтое тело разрушается. В некоторых случаях оно может заполниться кровью или жидкостью и на некоторое время остаться в яичнике. Так формируется киста желтого тела.
Они развиваются при заболевании эндометриоза, при нем клетки эндометрия (внутренней оболочки матки) появляются в тех участках организма, где их в норме не бывает – например, на брюшине, яичниках, кишечнике, мочевом пузыре, в легких и других органах.
Дермоидные кисты
Это один из видов доброкачественных опухолей.
Она содержит волосы, волосяные фолликулы и сальные железы, заключенные в слизеобразную массу, и покрытые плотной толстостенной капсулой. В диаметре дермоидная киста может достигать 15 см.
Возникает дермоидная киста в местах соединения развивающихся участков тела эмбриона. Иногда появление дермоидной кисты бывает связано с травмой. Дермоидная киста яичника обычно бывает односторонней, обусловлена медленным ростом и высокой вероятностью воспаления. Как правило, дермоидная киста возникает у молодых женщин и девушек в периоде полового созревания.
Дермоидные и эндометриоидные кисты самостоятельно не рассасываются, их можно только прооперировать.
Кисты яичников — интервью с репродуктологом Юрием Геревичем в Киеве
Мы взяли интервью с акушером-гинекологом, репродуктологом, кандидатом медицинских наук — Геревичем Юрием Иосифовичем.
Сегодня мы поговорим о кистах яичников, применительно к вопросам репродуктивной медицины.
Чем опасна киста у женщин?
Кисты у женщин опасны тем, что иногда они могут приводить и быть причиной тяжёлых заболеваний.
Прежде всего онкологических заболеваний. Киста яичника может быть раком, поэтому это очень опасно. Вторая причина. Дело в том, что кисты яичников могут быть предраковыми состояниями. То есть в этой кисте через некоторое время может развиться онкологическое заболевание. Естественно и очевидно, что это тоже очень опасно. Лучше об этом знать как можно ранее, чтобы предотвратить это тяжёлое заболевание. Вообще, кист бывает очень много разных видов. Следующий вид, например, эндометриоидные кисты. Они опасны тем, что ухудшают качество жизни, вызывают болевой синдром, могут приводить к снижению фертильности. То есть к развитию бесплодности у некоторых женщин. Также бывают врожденные так называемые дермоидные кисты, которые являются результатом нарушения закладки органов во внутриутробном периоде, и в яичнике появляются те ткани, которых там не должно быть. Наиболее часто жировая ткань, ткань волосяных фолликулов, ткань зубов и так далее. Эти кисти медленно растут с возрастом и тоже со временем могут вызывать боли, могут изредка озлакачествляться, нарушать качество жизни.
Ну и наиболее распространенные кисты – это так называемые функциональные кисты, которые временно возникают и потом самостоятельно исчезают. Они могут быть вредны, если мы говорим о репродуктивной медицине. Они также могут быть причиной болевого синдрома, быть причиной разрыва яичника. То, что может привести к кровотечению, к оперативному вмешательству в реагентном порядке. Поэтому кисты могут приводить к большому количеству неприятностей.
Почему важно убрать кисту перед пункцией?
Значит, почему важно убрать кисты? Мы в предыдущем вопросе обсудили, какие опасности есть у кисты. Очевидно, что если не дай Бог есть рак, то нужно лечить. Конечно, если даже предраковое состояние, это нужно решить до начала репродуктивных технологий — до пункции. Если в результате их наступит беременность, мы длительное время не сможем вмешаться. Это может привести к печальным последствиям, тем более, что во время беременности онкологические, предонкологические процессы, как правило, ускоряют своё развитие.
Также, если речь идет об эндометриоидной кисте, здесь вопрос сложный, дискутабельный. Но всё-таки если есть возможности удалить кисту, не нарушив, не уменьшив существенно реальный резерв, если реальный резерв достаточно хороший изначально, то в принципе, да, есть смысл убрать кисту, уменьшить негативное влияние эндометриоидной кисты. А это хроническое воспаление, которое влияет на все звенья, которые важны для наступления беременности, то эта операция тоже будет полезной и будет улучшать результаты репродуктивных технологий. Если же изначально резерв овариальный очень низкий, может были уже операции или длительно развивается эндометриоз, а развитие эндометриоза и эндометриоидных кист приводит к снижение овариального резерва, то я, например, тогда рекомендую сначала сделать стимуляцию, получить яйцеклетки, заморозить эмбрионы, а потом уже оперироваться и готовиться к переносу. То есть сделать такой сегментированный лечебные цикл. Потому что, если мы идём на операцию, нужно отдавать себе отчет, что всё-таки мы авреальный резерв уменьшим, удаляя эту эндометриоидную кисту.
Если же мы говорим о функциональных кистах, то они могут мешать чисто механически при начале стимуляции. То есть яичник уже увеличен за счет кисты, возникает повышенный риск осложнения во время стимуляции: разрыв яичника, перекрут яичника. Поэтому от такой кисты лучше перед стимуляцией избавиться. Если же эта киста еще является гормонально активной в этот период, то конечно это будет мешать нормальной стимуляции и адекватному роста фолликулов. Вообще считается, что нужно начинать стимуляции тогда, когда в яичниках нет кистозных образований более чем 9 мм в диаметре.
Влияет ли киста на качество фолликулов?
Если мы говорим об эндометриоидных кистах, то да. Установлено в результате исследований, что при эндометриозе качество клеток получаемых и их количество ухудшается. Во всех остальных случаях такой прямой связи нет. Но если мы будем начинать стимуляцию на фоне гормонально активной функциональной кисты, наша стимуляция может быть не очень успешной. Мы можем получить меньшее количество и хуже качество клеток, чем могли бы получить у этой же женщине при отсутствии кисты.
Что приводит к образованию кист?
Это сложный вопрос, так как разновидности кист очень много. Если мы говорим об эндометриозе, то это попадание ткани похожих на эндометрий и их развития вне организма в данном случае в яичнике. Если мы говорим о терато дермоидных, я уже говорил, что это попадание во время закладки ткани, которые должны попасть в другое место, попадание в яичнике и тогда там развиваются ткани, которых там не должно быть. Если же мы говорим об огромном количестве разновидности других кист, то это нарушение процессов в эпителии. То есть киста-это полость. Внутренняя поверхность кисты выслана эпителиальной тканью. Эпителиальная ткань — это быстро делящиеся ткань и в этих тканях часто возникают определенные нарушения развития деление этих клеток, их специализации. Эти процессы, если они нарушаются, могут приводить к различным нарушениям, к развитию постоянных кист, а не временных, развитию предраковых и раковых заболеваний. Поэтому причины здесь сложные, это и генетическая предрасположенность, нарушение иммунитета, возможно воздействие внешней среды.
До конца никто точно Вам не скажет.
Как лечить кисту?
Кисты лечатся, если мы говорим о постоянных кистах, то единственный метод — это хирургический метод. Если же мы говорим о функциональных кистах, то они должны уходить самостоятельно. Можно способствовать этому, создавать благоприятные условия с помощью медикаментозной поддержки, применение оральных контрацептивов для того, чтобы остановить процесс развития и роста выборов доминантного фолликула. Также считается, что добавление прогистероновых аппаратов способствует изменению в сосудах в стенках кист, которые способствуют их вскрытию. И таким образом киста может уйти. Но конечно же единственный метод лечения это хирургический.
Переводят ли кисты к бесплодию?
Если же мы говорим об эндометриоидных, то я уже сказал, что эндометриоз ассоциируется со снижением фертильности. По другим кистам прямой связи нет. Но кисты могут приводить к нарушениям, которые вынуждают идти на оперативное лечение – допустим, перекрут яичника и женщина может в результате операции потерять яичник, и различные другие операции, которые выполняются при наличии кист, тоже снижают овариальный резерв и влияют на фертильность.
Так что прямо влияют эндометриоидные кисты, остальные последовательно могут иметь негативное влияние.
Какие вы можете дать рекомендации нашим клиентам? Стоит ли сразу обращаться в клинику? Или же можно просто зайти в аптеку и купить какое-то лекарство и так лечить?
Конечно же с кистами нужно быть осторожными. Прежде всего, вы с врачом должны определиться о какой кисте идёт речь: о постоянной или о функциональной? Какой вид кисты? Какова её опасность с точки зрения потенциальной онкологической опасности. Поэтому для того, чтобы не иметь с этим проблем, нужно регулярно обращаться к врачу. Если у вас вывели какую-то кисту, то за ней нужно наблюдать, или до тех пор, пока она уйдет и это будет понятно, что она функциональная киста, или же определиться что она постоянная. Установить тогда какого она вида? Хотя окончательно покажет, конечно же, только гистологическое обследование. Но установив, что она постоянная, сделав с высокой точностью предположения, к какому классу относится киста, дальше уже в зависимости от индивидуальных особенностей женщины, можно уже выбрать тактику.
Киста шейки матки: симптомы, диагностика и лечение
Гинеколог участковый
Лукьянова
Яна Сергеевна
Врач акушер-гинеколог, эндохирург Член Европейского общества эндоскопический гинекологии (European Society of Gynaecological Endoscopy) Член Европейского Общества Репродукции Человека и Эмбриологии (European Society of Human Reproduction and Embryology)
Записаться на прием
Киста представляет собой полость патологического характера, которая развивается в органах или тканях и имеет стенку и содержимое. Что это такое? Киста шейки матки представляет собой доброкачественную полость, в которой находится жидкость.
Такие образования не редки у женщин детородного возраста. 10 процентов пациенток сталкиваются с этим неожиданным для себя диагнозом, поскольку симптомы развития патологического процесса часто никак не проявляются или попросту отсутствуют. Наиболее частыми причинами образований являются воспаления органов репродуктивной системы женского организма, а также нарушения гормонального баланса в организме женщины.
Матка – главный репродуктивный орган женщины. Шейка матки – ее важная часть. Это плотное тело, имеющее овальную форму и канал посередине. Этот канал выполняет роль соединительного элемента между полостью матки и влагалищем. При этом в маточную полость смотрит внутренний зев. А отверстие, которое стремится во влагалище, называется наружным зевом. Влагалище обладает плоским многослойным эпителием. Часть шейки матки во влагалище чаще всего подвержена образованию кист. Эндоцервикс состоит из слизистых клеток в форме цилиндра. Слизистая оболочка представлена большим количеством складок, которые необходимы для растягивания шейки в родах.
Цервикальный канал вырабатывает слизь, наделенную бактерицидными свойствами и являющуюся прекрасной защитой матки от инфекций. Наружный зев находится в окружении отверстий трубчатых желез. Врачами они называются наботовы железы. Если эти железы закупориваются и слизь скапливается в протоках, формируются так называемые ретенционные или наботовы кисты шейки матки.
Киста шейки матки может возникать на поверхности вдоль всего канала.
Если образования появляются во влагалищной части в шейке матки в окружении цервикального канала, они называются парацервикальные.
Когда киста шейки матки развивается внутри канала – это эндоцервикальные кисты шейки матки.
Чаще в ходе диагностики обнаруживают множественные небольшие кисты шейки матки. Эти кисты не лечат, они считаются допустимыми. Их присутствие часто протекает без признаков и симптомов долгое время.
Самыми опасными считают единичные кисты шейки матки.
Они характеризуются крупными размерами, в результате чего зачастую перекрывают канал, что грозит обострением некоторых состояний. Патологический процесс требует тщательной диагностики. Признаки такого новообразования: нерегулярные месячные, сильные боли во время менструации, нарушение репродуктивной функции организма. Единичные кисты в матке, размер которых более одного сантиметра в диаметре, принято удалять.
Симптомы и признаки
Какие симптомы имеются при данном недуге? Зачастую болезнь характеризуется бессимптомностью. Пациентка не ощущает симптомов и изменений в менструальном цикле, характере выделений и прочем. Чаще всего множественную или единичную кисту в шейке матки можно выявить только во время гинекологического осмотра. Признаки образования заметны при проведении кольпоскопии и других обследований.
Наботова киста шейки матки, требующая лечения, представляет собой круглое образование белого или бело-желтого цвета, имеет плотную консистенцию, ее размер не более 3 мм.
Существует ряд признаков, по которым женщина должна понять, что откладывать посещение гинекологии нельзя и стоит воспользоваться самыми эффективными методами устранения образования, которые сегодня предлагает современная медицина. Симптомы и показания к обращению за медицинской помощью следующие:
- Сбои в менструальном цикле, потому что крупные кисты шейки матки нередко сужают цервикальный канал.
- Невозможность забеременеть по той же причине – из-за сужения канала.
- Несильные кровотечения после осмотра гинеколога или половых контактов. Подобные симптомы возможны, когда образование находится на задней губе канала.
- Ощущение дискомфорта. Наличие такого симптома возможно только при крупных кистах матки.
- Проявление у женщины кровавых выделений между менструациями.
- Может болеть нижняя часть живота – это еще один симптом кисты шейке матки.
При любом имеющемся симптоме следует посетить врача и после получения результатов анализа приступить к назначенному доктором лечению.
У вас появились симптомы кисты шейки матки?
Точно диагностировать заболевание может только врач. Не откладывайте консультацию — позвоните по телефону +7 (495) 775-73-60Диагностика
Перед лечением нужно пройти ряд диагностических мероприятий. Какие анализы нужно сдавать при подозрении на кисты шейке матки, что необходимо проверить? Диагноз кисты шейки матки ставится в больнице во время гинекологического осмотра, и подтверждается необходимыми обследованиями. Новообразование диагностируется посредством влагалищных зеркал.
Ретенционная киста – это белесое или желтоватое выпуклое новообразование. Эндометриоидная киста представляет собой очаг темно-красного или багрового оттенка, который кровоточит во время прикосновения. Образования малого размера диагностируют при выполнении кольпоскопии, а эндоцервикальные образования – посредством трансвагинального УЗИ или гистероскопии.
С целью выявления урогенитальных инфекций выполняется:
- анализ гинекологического мазка на флору,
- ПЦР-диагностика.

- Может понадобиться сдача дополнительных анализов:
- общий анализ крови, мочи,
- биохимический анализ крови,
- анализ на ВИЧ,
- выполнение анализа на RW, HBS, HCV,
- анализы на другие инфекции, которые передаются половым путем.
Для исключения онкологии лечащим врачом назначается цитологическое исследование соскобов шейки матки. Иногда проводят дифференциальную диагностику, для уточнения диагноза выполняют прицельную биопсию с гистологией полученной ткани. По результатам диагностических мероприятий доктор дает рекомендации по лечению болезни, цены различаются в зависимости от класса и оснащения медицинского центра.
Причины
Определить причины, которыми была спровоцирована киста шейки матки, сложно, но существует ряд факторов, которые могут повлиять на возникновение проблемы:
- Рождение ребенка. Эту причину называют, поскольку во время родов у женщин повреждается шейка.
Ее восстановление начинается очень быстро. Именно чрезмерная скорость процесса заживления нарушает нормальную работу желез, в результате чего закупориваются их протоки, возникает патология. - Аборт. Болезнь возникает из-за непрофессионального подхода к манипуляции или возникновения осложнений во время или после таковой.
- Период менопаузы у женщин связан с повышенным риском. Причина в выходе из репродуктивного возраста сопровождается истончением маточной оболочки, уязвимостью желез и другими симптомами. Все они остро реагируют на любые раздражения, вырабатывая слизь в больших объемах.
- Причиной недуга называют инфекции. Провериться на которые предложат в первую очередь. Болезнь поражает половые органы, способствует образованию онкогенных опухолей.
- Использование внутриматочной спирали.
- Сбои в обменных процессах.
- Причины кисты маточной шейки видят и в нарушении гормонального фона.
В любом случае, какой бы причиной не было вызвано развитие новообразования, больной необходимо обратиться в клинику или медицинский центр, специалисты которого владеют новейшими методами терапии этого недуга.
Лечение
Как лечить этот недуг – актуальный вопрос для каждой представительницы женского пола, услышавшей от врача данный диагноз. Болеть никому не хочется. Принципы лечения недуга разные в каждом отдельном случае. При обнаружении небольшого по размерам образования лечение обычно не проводится. В случае выявления множественных кист в шейке матки или их нагноения проводят терапию в обязательном порядке.
В некоторых случаях справиться с заболеванием и вылечить пациентку можно только при помощи оперативного вмешательства. Например, лечение ретенционных кист в матке врачами проводится только хирургическим методом, с сопутствующей санацией влагалища.
Методы удаления кист в шейке матки:
- Лазерное удаление кисты.
- Радиоволновое иссечение – один из наименее травматичных методов по отношению к тканям. Проводят данную процедуру с использованием специального оборудования.
При помощи бесконтактных датчиков воздействуют на зону локализации кисты, под действием высокочастотных радиоволн осуществляется ее коагуляция и выпаривание. Методика характеризуется отсутствием рубцов на ткани, такая терапия ретенционных новообразований подходит не рожавшим пациенткам. - Криодеструкция кисты шейки матки выполняется по показаниям посредством жидкого азота. За счет действия низких температур на ткань образование в шейке разрушается. Процедура осуществляется амбулаторно сразу после окончания менструации.
- Диатермокоагуляция – этот способ сегодня практически не применяется. Это один из неактуальных методов лечения. Суть метода заключается в том, что ток высокой частоты воздействует на шейку, вызывая при этом некроз ткани. Через некоторое время на этом месте формируется корочка, которая со временем отторгается и зарубцовывается, что в последующем, в родах, отрицательно сказывается на эластичности и раскрытии шейки матки.
Врач может назначить и другой, менее травматичный метод терапии при болезни – химический (солковагин).
Применяется у не рожавших пациенток. При небольших и неглубоких образованиях. Под действием препарата, в состав которого включены кислоты, происходит разрушение кисты, рубца нет, а слизистая восстанавливается.
Кисты шейки матки не опасны, если их своевременно обнаружить и вместе с гинекологом наблюдать за ними.
Врачи занимающиеся лечением этой болезни
Какой врач вылечит подобное состояние? Известно, что всеми женскими болезнями, их диагностикой и лечением занимается гинеколог. Поэтому при подозрении на кисту необходимо записаться к врачу-гинекологу в женскую консультацию или в частный медицинский центр. Специалист проведет мероприятия по диагностике, расскажет, какие есть методы лечения, и подберет для вас наиболее оптимальный вариант решения проблемы. Цена приема указана на сайте.
Показания при заболевании
При кисте в шейке матки женщине не требуется соблюдать особых ограничений в питании, физических нагрузках, половых контактах.
Также с кистой разрешается купание в открытых водоемах, посещение бани и бассейна.
Но с целью предупреждения развития подобных заболеваний и стабильности гормонального фона у женщин в числе показаний – полноценное здоровое питание, употребление витаминов и микроэлементов.
Еще одной рекомендацией специалистов при таком недуге является лечебная диета № 15. Витамины показаны в повышенном количестве. Допустимы все виды кулинарной обработки блюд. Исключается острая и трудно перевариваемая пища.
Противопоказания при заболевании
Ряд противопоказаний при такой болезни позволяет пациентке облегчить свое состояние:
- Со SPA и физиотерапевтическими процедурами придется повременить до окончания лечения.
- Запрещены сауны, бани, горячие ванны.
- Противопоказано чрезмерное пребывание под солнцем.
- Любой врач не рекомендует поднимать тяжести, выполнять упражнения, в которых задействованы мышцы пресса.

- Не стоит прибегать к средствам народной медицины. Дело в том, что разнообразные примочки из трав, настои и другие рецепты времен наших бабушек могут не только оказаться бесполезными, но и принести вред.
Имеется много продуктов, стимулирующих рост кист. Поэтому надо исключить из употребления все продукты, содержащие дрожжи или созданные при помощи брожения. Под запрет попадают хлеб, квашеная капуста, соленые огурцы, непастеризованное пиво, плодово-ягодные вина, красное мясо. Вместе с тем рекомендовано регулярно употреблять желтки вареных яиц, семена тыквы и подсолнечное масло.
С развитием технического прогресса и популярности Интернета пациентки зачастую ищут способы избавления от своего недуга на страницах многочисленных форумов и сайтов, не обращаясь при этом к врачу, занимаются самолечением, принимают гормональные препараты. Это в принципе недопустимо, поскольку таким образом можно только осложнить течение недуга.
Стоимость приема
Стоимость лечения кисты шейки матки в АО «Медицина» (Москва) представлена в таблице ниже.
Обратите внимание, что цены указаны по категориям для облегчения поиска необходимой вам услуги. Из таблицы, приведенной ниже, вы узнаете цену на приемы к врачу, обследования, анализы и прочие медицинские манипуляции как для взрослых, так и для детей. Стоимость первичного приема отличается от вторичного. Если возникли вопросы, можно позвонить по телефону в нашу справочную и уточнить цены на лечение.
Преимущества лечения в клинике АО «Медицина»
АО «Медицина» – высокотехнологичное медицинское учреждение, обеспечивающее полный спектр медицинских услуг и сервиса по современным мировым стандартам.
Клиника работает и принимает пациентов с 1990 года, гарантируя абсолютную надежность, высокое качество сервиса и инновационные технологии. В своей деятельности мы воплощаем революционные достижения мирового здравоохранения.
На базе АО «Медицина» успешно работает многопрофильный медицинский центр, в состав которого входят консультативная поликлиника, комфортный стационар, круглосуточная скорая медицинская помощь и современный онкологический центр Sofia.
У нас трудятся более 300 врачей 67 специальностей. В клинике ведется работа, приемы и консультации по 69 медицинским направлениям, среди которых – диагностика, терапия, педиатрия, поликлиническая и хирургическая гинекология, вспомогательные репродуктивные методики, в том числе ЭКО, кардиология и кардиохирургия, оториноларингология, офтальмология и офтальмохирургия, урология, андрология и нефрология, эндокринология и диетология, травматология и ортопедия, онкология (диагностика, лучевая и химиотерапия, оперативное лечение), дерматология, косметология, стоматология, реабилитация и восстановительная медицина, диспансеризация и профилактика, неврология, нейрохирургия, нейрореабилитация, скорая помощь, семейная медицина и прочие.
У нас действует принцип преемственности этапов медицинской помощи: врач-куратор лечит пациента как семейный врач, терапевт или педиатр, координирует лечение, которое было назначено узкими специалистами, а также принимает участие в лечении своих пациентов в условиях стационара.
Мы оказываем услуги по высоким российским и международным стандартам. АО «Медицина» – первый российский медицинский центр, который был аккредитован по самым надежным международным стандартам качества медпомощи Joint Commission International. АО «Медицина» первым из российских клиник получило свидетельство Всероссийской организации качества.
Мы гарантируем безупречное качество медицинской помощи, предоставляя пациентам услуги по высоким критериям качества. Если клиент имеет обоснованную жалобу, мы готовы выплатить компенсацию.
Высококвалифицированные врачи. Специалисты в АО «Медицина» проходят повышение квалификации и обмениваются опытом с лучшими клиниками мира. Многие медицинские направления, включая лабораторию сна, центр травматологии и ортопедии, отделения химиотерапии и лучевой терапии – были созданы в сотрудничестве с известными зарубежными коллегами. Мы гордимся своими врачами. Консультантами клиники являются ведущие иностранные и отечественные специалисты с мировым признанием.
Информацию о наших врачах, их рабочем стаже, образовании и опыте можно узнать на ресурсе нашего медицинского центра.
Университетская клиника. АО «Медицина» является многопрофильной университетской клиникой, мы разрабатываем клинические и научные решения по различным медицинским направлениям. Консультации проводят академики и члены-корреспонденты РАН, профессора и ведущие специалисты в различных областях медицины. Учебно-лабораторная база кафедры находится в здании клиники.
Мы используем в работе передовую IT-инфраструктуру. Для обеспечения высококачественного сервиса и комфорта пациентов и сотрудников мы разработали электронную историю болезни с системой проверки медикаментозных назначений, внедрили решения цифровых архивов, дающих возможность обеспечивать хранение результатов медицинских исследований, получаемых с различной техники (компьютерного томографа, магнитно-резонансного томографа, рентгеновских установок, оборудования для ультразвуковых исследований, эндоскопической аппаратуры).
АО «Медицина» действует по проекту smart-клиники. Работу нашего медицинского учреждения координирует центр обработки данных (ЦОД), при разработке которого были учтены высокие требования по критериям надежности, безопасности и отказоустойчивости. Современная сеть передачи данных способна обработать колоссальный объем информации и удовлетворить требования безопасности, диктуемые действующим законодательством. Пациенты могут записываться на прием и просматривать актуальную для них информацию посредством удобных сервисов: мобильного приложения, личного кабинета на сайте, бота в Telegram. Результаты анализов могут быть переписаны на диск и выданы для получения «второго мнения» специалистов других медицинских учреждений. При согласии пациентов стационара их родственники могут получать смс-оповещения об этапах хирургического вмешательства и наблюдать больницу и палату в режиме реального времени, каждый раз убеждаясь в непревзойденном качестве сервиса и программ осуществляемого лечения в нашей клинике.
Лечение эндометриоза
Описание
Хирургическое лечение эндометриоза включает прижигание и удаление очагов заболевания.
Что такое эндометриоз
У каждой женщины есть эндометрий – ткань, которая покрывает полость матки, служит питательной средой для эмбриона и отторгается во время месячных. Иногда ткань, похожая на эндометрий, начинает расти за пределами матки: на маточных трубах, мочевом пузыре, кишечнике или яичниках. Это заболевание называется эндометриоз. Точные причины развития эндометриоза до сих пор не установлены, однако последствия этого заболевания могут испортить жизнь каждой.
Бесплодие и боль
У эндометриоза два основных симптома: бесплодие и боль. Маточная труба, пораженная эндометриозом, становится неподвижной и непроходимой. Она не может нормально забирать из яичников яйцеклетки, и доставлять их в матку оплодотворенными.
Распространенный признак заболевания – болезненные месячные. Врастая в заднюю стенку влагалища очаги эндометриоза вызывают болезненный половой акт. Боли, учащенное мочеиспускание и прожилки крови в кале – если эндометриоз на мочевом пузыре и кишечнике.
Почему нельзя диагностировать без хирурга
Диагностическая лапароскопия – единственный надёжный способ выявить эндометриоз. Очаги заболевания не видно на МРТ и УЗИ (исключение –эндометриоидная киста на яичнике или большой эндметриоидный узел за маткой). Многие пациентки привыкают к боли и считают это состояние нормой. В среднем, от проявления первых клинических симптомов до установления диагноза проходит 5-7 лет. Распространенный случай, когда женщина испытывала характерные для эндометриоза ощущения с первых месячных, но узнала о заболевании в уже после 30 лет, когда занялась проблемой бесплодия.
Когда очаги прижигают, а когда удаляют
Еще одна особенность заболевания заключается в том, что внешние проявления не обязательно совпадают со степенью тяжести.
Тяжелый эндометриоз может протекать почти безболезненно, а легкая степень – заметно портить качество жизни. Выделяют 4 степени тяжести эндометриоза. В зависимости от тяжести есть 2 метода хирургического лечения:
— легкие степени эндометриоза, когда неглубокие очаги локализуются на брюшине, лечится прижиганием.
— глубокий инфильтративный эндометриоз, когда очаги проросли во внутренние органы (кишечник, мочевой пузырь, мочеточник и др.), требуется иссекать очаги.
Как проходит операция
Все операции по прижиганию и удалению очагов эндометриоза в Клинике Нуриевых проводятся лапароскопическим методом – без больших разрезов и с ускоренным восстановлением. На животе делаются проколы для инструментов размером от 0,5 до 1 см. Один прокол нужен для камеры, изображение с которой выводится на экран. Для удобства хирургических манипуляций живот надувают углекислым газом. После проведения операции на животе не остается заметных следов.
Для закрытия ранок используют хирургический клей, в этом случае не нужно обрабатывать ранку или снимать швы. В день операции можно возвращаться домой.
Эндометриоз и беременность
Если заболевание несущественно затронуло внутренние органы беременеть естественным путем или с помощью ЭКО можно уже на следующем цикле. В более сложных случаях следует обговорить ваши планы с хирургом. В ряде случаев, когда глубокий эндометриоз привел к непроходимости маточной труды, вместе с очагами удаляют саму трубу. При удалении одной трубы сохраняется вероятность естественной беременности, а если пришлось удалить обе трубы – показано ЭКО. В любом случае, хирургическое лечение эндометриоза – многократно увеличивает шансы на наступление беременности.
Услуги оказываются в Клинике Нуриевых по адресам г. Казань, ул. Братьев Касимовых, 40а, ул. Серова, 48 или в клинике-партнере.
Эндометриомы — глубокий эндометриоз яичников
Эндометриоз может проявляться в виде классических имплантатов, расположенных на поверхности одного или обоих яичников, но также может быть обнаружен глубоко внутри них.
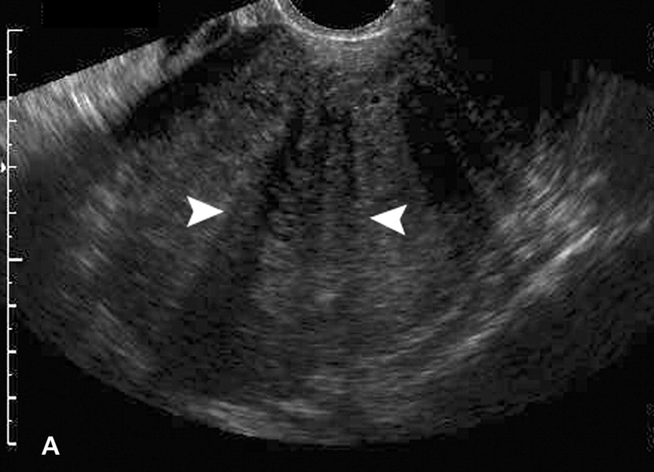
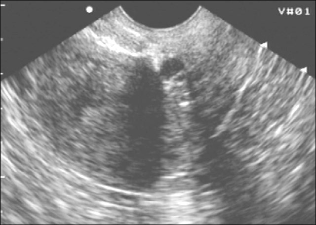
При глубоком эндометриозе яичников образуются заполненные темной жидкостью полости, которые могут различаться по размеру, известные как эндометриомы или «шоколадные кисты». Диагноз эндометриомы можно заподозрить на основании ультразвукового исследования таза, но окончательный диагноз должен быть основан на микроскопическом исследовании самой кисты.(см. ниже).
Эндометриомы могут рассматриваться как наиболее серьезная угроза репродуктивному потенциалу женщины, за исключением раковых опухолей репродуктивного тракта. Эти поражения очень плохо поддаются лечению и могут разрушить всю здоровую ткань яичников, что приведет к преждевременной или ранней недостаточности яичников, проблемам с овуляцией или снижению функции яичников. Эндометриомы также могут привести к инвазивным и деструктивным операциям на тазовых органах, что может вызвать частичную или полную преждевременную потерю функции яичников.Эти кисты могут представлять собой медицинскую дилемму, даже когда женщины получают лечение бесплодия, такое как вспомогательные репродуктивные технологии (ВРТ).
Клинические последствия эндометриом (у женщин репродуктивного возраста)
Эндометриомы могут:
- Повысить риск рака яичников для женщин репродуктивного возраста
- Причина тазовой боли
- Способствуют бесплодию
- Снижение функции яичников
- Нарушение вспомогательных репродуктивных технологий
Варианты лечения эндометриом (у женщин репродуктивного возраста)
Не все поставщики медицинских услуг соглашаются на единый метод лечения эндометриом; однако большинство экспертов считают, что женщин репродуктивного возраста должны лечить специалисты по репродуктивным заболеваниям.
- Наблюдение за симптомами
- Ультразвук
- Лечение
- Хирургическое лечение — биопсия, дренирование и коагуляция кисты; удаление кисты из яичника; частичное удаление кисты и лазерная абляция
Хирургия
Овариэктомия (удаление яичника, содержащего эндометриому) — это , никогда не вариант для женщин репродуктивного возраста с симптомами, указывающими на эндометриому.
Хотя менее одного процента кист яичников, диагностированных как вероятные эндометриомы при УЗИ у женщин репродуктивного возраста, оказываются злокачественными опухолями, такая возможность все еще существует.Как правило, если киста яичника выглядит как эндометриома на УЗИ, сохраняется и превышает 4 см (по действующим стандартам), операция необходима для исключения злокачественной опухоли. Операция также показана при сильной хронической тазовой боли.
Наблюдение и лечение обычно неэффективны для облегчения симптомов, связанных с эндометриомами. С другой стороны, консервативная хирургия очень эффективна в обеспечении длительного облегчения на 9109.Хирургическое «иссечение» или удаление эндометриомы (эндометриом) также является эффективной операцией по увеличению фертильности у молодых женщин, страдающих бесплодием без какой-либо другой видимой причины (и которые не привержены вспомогательной репродуктивной технологии). В крупном исследовании сообщается, что частота наступления беременности превышает 50 процентов в течение двух лет после операции по удалению эндометриомы у женщин, участвовавших в исследовании.
Удаление эндометриом не рекомендуется женщинам, планирующим АРТ ( экстракорпоральное оплодотворение ).Хирургическое удаление не оказывает положительного влияния на частоту наступления беременности и может снизить выход яйцеклеток из яичников в этом случае (в зависимости от используемой хирургической техники). Однако в редких случаях рекомендуется операция на эндометриоме даже женщинам, получающим АРТ. К ним относятся следующие:
- Эндометриома существенно затрудняет извлечение яйцеклеток
- Эндометриома разорвана или инфицирована во время извлечения яйцеклеток
- Адекватная стимуляция яичников для ВРТ вызывает сильную боль
- Эндометриома имеет подозрительные рентгенологические признаки (подозрение на злокачественное новообразование)
Хирургия остается основой современного лечения эндометриом.Тем не менее, количество операций (какая техника используется) и когда она предлагается, может существенно повлиять на конечный успех лечения.
Нет сомнений в том, что даже минимально инвазивные, консервативные, стандартные методы удаления эндометриомы могут привести к необратимому повреждению яичника. Бостонский центр эндометриоза — это узкоспециализированный многопрофильный центр и лидер в области технологических инноваций для изучения новых способов лечения этого сложного состояния (см. Также наш раздел, посвященный репродуктивной хирургии с помощью компьютера).Наша цель в лечении эндометриом — сохранить фертильность, обеспечивая при этом безопасное и качественное лечение, которое повысит репродуктивный успех.
Эндометриома — StatPearls — Книжная полка NCBI
Непрерывное обучение
Эндометриомы — это кистозные образования, возникающие в результате болезненного процесса эндометриоза. Эндометриомы чаще всего встречаются в яичниках. Они заполнены темно-коричневой жидкостью эндометрия и иногда называются «шоколадными кистами».«Наличие эндометриом указывает на более тяжелую стадию эндометриоза. Эндометриомы могут приводить к хронической тазовой боли и бесплодию и часто требуют хирургического вмешательства для лечения.
В этом упражнении рассматривается оценка и лечение эндометриом и подчеркивается роль межпрофессиональной группы в оценке и лечение пациентов с этим заболеванием.
Цели:
Опишите этиологию эндометриом.
Просмотрите типичное представление пациента с эндометриомой.
Опишите варианты лечения эндометриом и способы их лечения.
Обобщите важность сотрудничества и координации между межпрофессиональной командой для улучшения оказания помощи пациентам с эндометриомами.
Введение
Эндометриоз — это распространенный эстроген-зависимый воспалительный гинекологический процесс, при котором нормальная ткань эндометрия аномально присутствует за пределами полости матки.Эндометриомы — это кистозные образования, возникающие в результате эндометриоза. Эндометриомы чаще всего встречаются в яичниках. Эндометриоз, поражающий примерно 10% женщин репродуктивного возраста, является частой причиной хронической боли, диспареунии, дисменореи и бесплодия.
Чаще всего эндометриоз обнаруживается в тазу, особенно в яичниках. [1] Эндометриомы — наиболее частое проявление эндометриоза яичников. Однако имплантаты также можно найти по всей брюшной полости, например, в кишечнике, в пределах предшествующих хирургических разрезов и даже в редких случаях в удаленных частях тела, таких как мозжечок.[2] Примерно у 17–44% женщин с диагнозом эндометриоз развивается эндометриома. Эти поражения обычно называют шоколадными кистами из-за густой темно-коричневой жидкости, содержащейся в них. [3] Эндометриомы указывают на более тяжелое заболевание у пациентов с эндометриозом и могут привести к определенным проблемам у этих пациентов, таким как снижение резерва яичников [4].
Этиология
Считается, что эндометриомы чаще всего возникают при посеве эктопической ткани эндометрия, чаще всего присутствующей на яичнике, кровотечениях, вызывающих гематому.Это обычно происходит с естественным менструальным циклом женщины из-за того, что эктопическая ткань эндометрия все еще гормонально активна.
Следовательно, эта ткань будет естественным образом отслаиваться при выводе прогестерона после разрушения желтого тела. [5] Однако, в отличие от нормальных гематом, таких как гематомы яичников при овуляции, они выстланы липкой стромой и железами эндометрия и содержат больше фиброзной ткани. Следовательно, они чаще наблюдаются при наличии спаек на прилегающих участках, которые могут вызывать значительную боль у пациента и могут создавать различные проблемы для хирурга во время хирургической резекции эндометриомы.[6]
Обсуждая этиологию эндометриом, всегда уместно упомянуть и этиологию эндометриоза, поскольку это предшествующее состояние эндометриомы. Однако этиология эндометриоза вызывает споры в медицинском сообществе. Самая старая и наиболее широко распространенная теория развития эндометриоза — ретроградная менструация. Эта теория предполагает, что эндометриоз развивается из ткани эндометрия, ретроградно перемещающейся через маточные трубы в таз во время естественного менструального цикла женщины.
Затем эта ткань перемещается и распространяется в разных областях, создавая очаги эндометриоза. Некоторые из этих поражений могут распространяться на яичник и запускать процесс развития эндометриомы, как обсуждалось выше. [7]
Эта теория ретроградной менструации, вероятно, является фактором, способствующим развитию эндометриоза. Однако большинство людей в медицинском сообществе считают, что это скорее многофакторное развитие. Например, трудно поверить в эту теорию женщинам с отдаленными поражениями эндометриоза или женщинам с эндометриозом в предполовозрелом возрасте.Следовательно, другие теории, которые были предложены, включают теорию метаплазии. Эта теория предполагает, что внематочные клетки претерпевают метаплазию и трансдифференцируются в клетки эндометрия. Другая известная теория заключается в том, что жизнеспособные клетки эндометрия засеваются через гематогенное и лимфатическое распространение. Ни одна теория не была полностью доказана, и, вероятно, это комбинация этих теорий, упомянутых выше. [8]
Эпидемиология
Было обнаружено, что эндометриоз в целом поражает примерно 10% женщин репродуктивного возраста.Однако только около 3% женщин репродуктивного возраста имеют клинически значимое заболевание [9]. Среди этих 3% есть особые группы населения, в которых эндометриоз широко распространен. Например, эндометриоз был обнаружен почти у 50% женщин, страдающих бесплодием, и почти у 70% женщин с тазовой болью. [10] [11]
Данные о распространенности эндометриом ограничены. Однако, по оценкам, 17-44% женщин с эндометриозом страдают эндометриомой [12] [13], а у 28% этих женщин будут двусторонние эндометриомы.[14] В особой популяции с недостаточной фертильностью примерно у 17% этих женщин обнаруживаются эндометриомы. [15]
Имеются также ограниченные данные, позволяющие предположить конкретные факторы риска только для эндометриом. [16] Однако есть известные факторы риска развития эндометриоза в целом.
К ним относятся:
Неспособность
- Ранняя менархе (обычно до 11-13 лет) [17]
- Поздняя менопауза, короткие менструальные циклы (менее 27 дней) [18]
- Обильные менструальные кровотечения [ 18]
- Рост более 68 дюймов [20]
- Низкий индекс массы тела (ИМТ) [18]
- Потребление большого количества транс-ненасыщенных жиров [21]
- Воздействие диэтилстильбэстрола в утробе матери [22]
В дополнение к факторам риска эндометриоза, есть также определенные факторы, по которым эндометриоз подвергает пациента повышенному риску.Многие из них уже обсуждались ранее, например, бесплодие, хроническая тазовая боль, дисхезия, диспареуния и дисменорея. Однако также было обнаружено, что женщины с эндометриозом имеют повышенный риск определенных типов рака яичников. Общий риск рака яичников остается низким. Однако многочисленные исследования показали, что женщины с эндометриозом чаще страдают светлоклеточным и эндометриоидным раком яичников. [23] В частности, было одно исследование из Финляндии, которое обнаружило этот повышенный риск только у женщин с эндометриомами.[24]
Патофизиология
Патофизиология эндометриом такая же, как и эндометриоз в целом, из-за того, что эндометриомы являются частью этого более крупного заболевания. Путь этого болезненного процесса происходит за счет гормональной реакции эктопической ткани эндометрия. Эта ткань реагирует на циклические гормональные изменения менструального цикла женщины точно так же, как и внутриутробный эндометрий. Он станет пролиферативным, секреторным и отшелушивающимся, как если бы он находился внутри матки.С этими колебаниями возникают различные концентрации цитокинов и молекул простагландинов.
Цитокины и простагландины являются сигнальными молекулами для создания воспалительной реакции и, таким образом, вызывают воспаление в области имплантации эндометриоза. Этот воспалительный ответ закладывает основу для образования новой васкуляризации и образования новой фиброзной ткани. Этот эффект снежного кома затем вызывает спайки и боль, которые обычно связаны с этим болезненным процессом.Эти проблемы также приводят к основным осложнениям этого заболевания, таким как бесплодие и хроническая тазовая боль. Пациенты с эндометриомами имеют более тяжелое болезненное состояние и, следовательно, обычно испытывают его в более значительных масштабах, чем пациенты с эндометриозом первой или второй стадии. [9] [25] [26]
Гистопатология
Единственный способ подтвердить диагноз эндометриоза, включая эндометриомы, — это диагностировать его хирургическим путем с помощью прямой визуализации и образцов тканей. Чтобы подтвердить наличие эндометриоза в ткани, биопсия должна содержать как железы эндометрия, так и строму.[27]
История и физические данные
История
Обычно пациенты с симптоматическим эндометриозом — это нерожавшие женщины репродуктивного возраста с основной жалобой на обильные или болезненные менструации. Их менструация часто длится более семи дней. Они могут жаловаться на хроническую тазовую боль, боль при половом акте или дефекации (см. Полный список симптомов ниже). Менструальный цикл у них обычно регулярный, хотя менструальный цикл у них может быть короче (менее 27 дней).Начало боли у этих пациентов обычно происходит за 2-3 дня до начала менструации, и боль обычно начинает исчезать через пару дней после начала менструации. [1]
Эндометриомы могут вызывать сильную боль. Чаще всего они обнаруживаются на яичниках, и боль обычно изолирована сбоку от поражения. Однако, в зависимости от степени заболевания и латеральности поражения, пациенты могут испытывать двустороннюю или генерализованную боль. При разрыве эндометриомы яичника густая жидкость эндометрия может разлиться по брюшной полости и вызвать сильную боль и воспаление.Эти пациенты часто обращаются с острым хирургическим заболеванием брюшной полости. [28]
Хотя эндометриомы чаще всего обнаруживаются на яичниках, важно сохранять бдительность в отношении пациентов, которые обращаются с жалобами на боль. Эндометриомы были обнаружены в других ничего не подозревающих местах. Например, существует множество задокументированных случаев наличия эндометриом в рубцах после хирургических разрезов брюшной полости. Имплантаты эндометрия также были зарегистрированы в паренхиме легких и головном мозге. Следовательно, если пациентка жалуется на боль, которая носит циклический характер в зависимости от менструального цикла, следует помнить об эндометриозе, независимо от того, где находится боль.[2] [29]
Симптомы
Боль в области таза
Обильные менструации
Болезненные менструации
Боль в спине
Болезненный половой акт (диспареуния)
- Болезненная дефекация 130002 дизурия)
Частота мочеиспускания
Тошнота / рвота
Физические
Эндометриоз, в том числе с эндометриомами, обычно имеет минимальные результаты при физикальном осмотре.Эндометриомы, если они достаточно большие, могут быть обнаружены при бимануальном исследовании. Однако, помимо этого, у этих пациентов есть несколько отклонений от нормы. Вы часто обнаруживаете общую болезненность таза или болезненность пораженного участка. Однако это также может зависеть от времени обследования в зависимости от менструального цикла пациентки. Пациентка часто будет испытывать более сильную боль, если обследование будет завершено непосредственно перед началом ее менструации, по сравнению с тем, если оно было проведено сразу после ее завершения.Другие возможные результаты бимануального исследования включают фиксированную или ретровертированную матку, что указывает на вторичное рубцевание эндометриоза. Иногда можно также пальпировать узелки маточно-крестцовых связок. [31] [32] [33]
Однако, если пациент обращается после разрыва эндометриомы, при обследовании у пациента может быть острый живот. Эти данные включают перитонеальные признаки, которые обычно проявляются в виде ригидности живота, отскока боли и непроизвольной защиты. [28]
Оценка
Эндометриомы часто можно визуализировать при визуализации.Однако при визуализации они кажутся похожими на другие кистозные поражения, и окончательная патология обнаруживается только при хирургическом вмешательстве. Если эти данные не видны на изображениях, диагноз становится еще более неуловимым. Важно помнить, что окончательный диагноз эндометриоза ставится путем хирургической визуализации поражений. Следовательно, не существует диагностического теста, который можно было бы сделать. Однако существует ограниченное количество тестов, которые можно использовать в качестве инструмента для диагностики.
Лабораторные исследования, которые могут быть рассмотрены для этих пациентов, включают общий анализ крови (CBC), рак на антиген (CA) -125, CCR1, общий анализ мочи и тестирование на инфекции, передаваемые половым путем (ИППП).Общий анализ крови может помочь решить проблему инфекции и анемии. Если есть повышенное количество лейкоцитов, подозрение на инфекционную причину боли в тазу пациента будет выше. Гемоглобин также может помочь вам определить уровень кровопотери, поскольку у таких пациентов обычно более тяжелые периоды, и в результате у них может развиться анемия. CA-125 может быть повышен у женщин с эндометриозом. Однако это неспецифический маркер, и его обычно не заказывают. [1] CCR1 — новый лабораторный маркер, который, как было показано, выше в лейкоцитах периферической крови женщин с эндометриозом.Это еще не принято в качестве стандартной практики, но может быть проверкой, которую следует учитывать у этих пациентов при завершении их обследования. [34] Также важно выполнить полный анализ мочи, чтобы исключить инфекцию мочевыводящих путей из дифференциальной диагностики, а также тестирование на ЗППП, такое как посев из шейки матки на гонорею и хламидиоз, чтобы исключить эти инфекции.
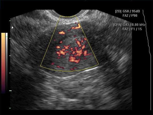
Когда дело доходит до визуализации, этим пациентам обычно назначают трансвагинальное ультразвуковое исследование, чтобы определить, есть ли причина боли в области таза, которую можно визуализировать.Поверхностные имплантаты эндометриоза нельзя увидеть ни на УЗИ, ни на каком-либо другом методе визуализации. Однако эндометриомы часто обнаруживают на УЗИ. Эндометриомы обычно выглядят как простые кисты. Однако их также можно рассматривать как множественные кисты или кистозно-солидные образования. Типичный вид этих поражений на УЗИ демонстрирует низкоуровневые однородные эхо-сигналы, иначе описываемые как внешний вид матового стекла. Это согласуется со старым геморрагическим мусором. Эти поражения также обычно лишены какой-либо васкулярности при исследовании с использованием допплеровского потока.[35] [36]
Другими методами визуализации, которые могут быть рассмотрены, являются магнитно-резонансная томография (МРТ) и компьютерная томография (КТ). Фактически было показано, что МРТ имеет более высокую чувствительность для определения массы таза, чем ультразвуковое исследование. Однако из-за стоимости МРТ выгода не перевешивает финансовое бремя, и поэтому чаще используется ультразвук. Как и ультразвук, МРТ ограничена в обнаружении диффузного тазового эндометриоза и может быть полезна только для обнаружения эндометриом.[36] Компьютерная томография подвергает пациента воздействию радиации, и, хотя она может идентифицировать образование в тазу, характеристики образования на компьютерной томографии действительно дают хорошие подсказки относительно типа опухоли. Таким образом, компьютерная томография не является идеальным методом визуализации для таких пациентов.
Золотым стандартом диагностики эндометриоза является лапароскопия. В связи с тем, что визуализация и лабораторные исследования имеют ограниченную пользу при диагностике эндометриоза, стандартным является прямая визуализация во время операции.Во время лапароскопии очаги эндометриоза обычно имеют синий или черный цвет. Однако они могут выглядеть как красные, белые или непигментированные поражения. В это время также можно оценить степень тяжести заболевания. Если имеются значительные спайки, дефекты брюшины или эндометриомы, это свидетельствует о более тяжелом заболевании. Затем визуализированные поражения можно исследовать на биопсию и оценить патологию желез и стромы эндометрия [37]. Если пациент также страдает бесплодием, в это время также можно завершить хромотубацию для оценки проходимости маточных труб.
Лапароскопия — важная процедура у пациентов с эндометриозом, потому что, хотя она является диагностической, она также терапевтическая, особенно в случаях с эндометриомами. Это важная часть лечения пациентов с рефрактерным эндометриозом или пациентов с симптоматическими эндометриомами.
Лечение / ведение
Лечение эндометриоза в основном состоит из гормональных препаратов или хирургического лечения. Более легкие формы эндометриоза можно лечить с помощью оральных противозачаточных таблеток, различных форм прогестерона (пероральные таблетки, внутриматочная спираль), агонистов гонадотропин-рилизинг-гормона (ГнРГ) (таких как лейпролид) или андрогенов (таких как даназол).[38] [39] [40] Однако, как только эндометриоз пациента становится достаточно серьезным, чтобы появиться эндометриома, обычно предпочтительнее хирургическое лечение. Было показано, что агонисты ГнРГ уменьшают размер эндометриом. Однако пациенты не сообщали о каких-либо различиях в их боли. [41] [42] [43] [44] Поэтому от этого варианта обычно отказываются пациенты с эндометриомами.
Хирургическое лечение эндометриоза может варьироваться от более консервативных подходов до более радикальных подходов, основанных на симптомах пациента и стремлении к бесплодию в будущем.Консервативная хирургия состоит из разрушения очагов эндометрия (обычно с помощью лазера или прижигания), дренирования эндометриомы и удаления кистозной капсулы [45]. Однако, если у пациента сильная боль и он не желает зачатия в будущем, некоторым пациентам выполняется полная гистерэктомия с двусторонней сальпингоофорэктомией в качестве более окончательного лечения.
Операции, особенно консервативные, обычно выполняются лапароскопически. При хирургической резекции эндометриомы важно удалить стенку кисты во время процедуры, а не просто дренировать кисту.Было показано, что это снижает частоту рецидивов. [45] Если у пациентки возникают проблемы с фертильностью, резекция эндометриомы улучшает показатели естественной беременности [46].
Основной проблемой хирургической резекции эндометриомы, особенно у женщин, страдающих бесплодием и рассматривающих возможность экстракорпорального оплодотворения (ЭКО), является вопрос о том, влияет ли это на объем яичникового резерва. Было показано, что у женщин после цистэктомии уровень АМГ (антимюллерова гормона) ниже, это гормон, используемый специалистами по фертильности для измерения резерва яичников.[47] Сообщалось также, что у 2-3% пациентов наблюдается недостаточность функции яичников после резекции двусторонних эндометриом. [48] Следовательно, это важные риски, которые следует учитывать при выборе того, подходит ли операция для каждого пациента с учетом его желаний фертильности. Из-за этих ограниченных данных, если пациентов уже осматривает специалист по фертильности и рассматривается возможность ЭКО, лечение эндометриом чаще всего проводится выжидательно. Исключение составляют случаи серьезных симптомов или проблем с извлечением яйцеклеток, вызванных эндометриомой.[49]
После операции некоторые врачи направляют пациентов на медикаментозную терапию, чтобы попытаться предотвратить рецидив. Были исследования, которые показывают, что 6-месячный курс приема оральных противозачаточных таблеток помогает предотвратить рецидив. Однако этот вариант лечения снова зависит от пациента и от того, пытается ли он забеременеть. [50] [51]
Дифференциальная диагностика
При обследовании пациентов с подозрением на эндометриомы важно учитывать все возможные состояния.Учитывая неоднозначную картину эндометриом и эндометриоза в целом, он может проявляться так же, как и другие состояния [18].
Часто эти пациенты испытывают неоднозначную тазовую боль. Следовательно, важными условиями для сохранения дифференциала являются другие источники тазовой боли. К ним относятся:
Внематочная беременность
Аппендицит
Воспалительное заболевание тазовых органов
Перекрут яичника
Дивертикулит
)Инфекции, передающиеся половым путем (гонорея, хламидиоз)
Если опухоль придатков присутствует и известна из изображений, есть характеристики массы, которые могут указать, что это за образование придатков.Эндометриомы, как обсуждалось в разделе оценки выше, имеют характерный вид матового стекла на УЗИ. Эти результаты также наблюдаются при геморрагических кистах, и часто диагноз между ними не устанавливается до момента операции. Поэтому, имея дело с визуализацией эндометриом, важно учитывать геморрагические кисты при дифференциальном диагнозе. [52]
Кроме того, когда у пациента острый живот и есть опасения по поводу разрыва эндометриомы, наиболее важными вещами, о которых следует помнить, являются разрыв внематочной беременности и перекрут яичника.Все это неотложные хирургические операции, которые необходимо как можно скорее доставить в операционную.
Хирургическая онкология
Эндометриомы несут небольшой риск перехода в злокачественные новообразования, особенно в эпителиальный рак яичников. Однако этот риск кажется низким. Метаанализ 13 исследований с участием примерно 9000 женщин с эпителиальным раком яичников показал, что количество случаев эндометриоза в анамнезе было в три раза выше [53]. Может иметь место активация генов KRAS и PI3K, связанная с раком яичников и эндометриомами в анамнезе.Кроме того, такие гены, как PTEN и ARID1A, также участвуют в патогенезе рака при таких поражениях. [54] Однако сами по себе эти поражения не считаются предраковыми и не требуют промежуточного обследования или скрининга.
Стадия
Американское общество репродуктивной медицины описало четыре стадии эндометриоза. Стадии бывают минимальными, легкими, средними и тяжелыми. Определение стадии выполняется хирургическим путем, чаще всего с помощью лапароскопии. [25] [26]
Стадия I (минимальная): Небольшие одиночные поражения без значительных спаек
Стадия II (легкая): Поверхностные поражения менее 5 см, без значительных спаек
Стадия III (умеренная): Множественные глубокие имплантаты, небольшие эндометриомы односторонне или двусторонне на яичниках и тонкие спайки
Стадия IV (тяжелая): множественные глубокие имплантаты, большие эндометриомы односторонне или двусторонне на яичниках, толстые спайки
Как видно из этих описаний, если имеется эндометриома, пациент уже 3 или 4 стадия.У большинства пациентов обнаруживается эндометриоз 1 или 2 стадии. Однако стадия не всегда совпадает с тяжестью симптомов [26].
Прогноз
Общий прогноз для больных эндометриозом благоприятный. Это доброкачественное заболевание. Однако это хроническое заболевание, которое может прогрессировать. Пациенты с эндометриомами относятся к пациентам с более тяжелым заболеванием и, следовательно, могут иметь более долгосрочные осложнения от болезни. Даже если лечение является эффективным для пациентов какое-то время, это, к сожалению, часто повторяется.Таким образом, основная проблема этого заболевания — отсутствие действительно окончательного лечения и, следовательно, может вызвать долгосрочные проблемы, такие как боль и бесплодие. К счастью, симптомы у большинства женщин улучшаются после наступления менопаузы из-за отсутствия циклических гормональных сигналов. [1]
Осложнения
Два основных осложнения эндометриом аналогичны эндометриозу в целом. Эти осложнения, как обсуждалось ранее в этой статье, включают хроническую тазовую боль и бесплодие.Кроме того, если эндометриома составляет 6 см или больше, это подвергает пациентку повышенному риску перекрута яичника, который требует неотложной хирургической помощи и может привести к потере яичника [9]. Женщины с эндометриозом имеют повышенный риск определенных типов рака яичников, а эндометриомы несут небольшой риск перехода в злокачественное новообразование, хотя этот риск очень низок.
Сдерживание и обучение пациентов
При уходе за пациентами с эндометриомами важно обсудить ожидания в отношении лечения и возможные осложнения эндометриоза.Эндометриомы лечат с помощью лапароскопической хирургии. Поэтому важно, чтобы пациент был осведомлен о рисках и преимуществах лапароскопической хирургии до проведения лапароскопической цистэктомии. Также важно, чтобы пациент понимал, что эндометриомы развиваются из-за эндометриоза, который является хроническим заболеванием. Пациенту следует сообщить, что примерно у 25% женщин возникает рецидив эндометриомы. Помимо рецидива, пациент может также испытывать проблемы с фертильностью и хронической тазовой болью, связанной с основным эндометриозом, и эти проблемы могут потребовать дальнейшего лечения.
Улучшение результатов команды здравоохранения
В связи с тем, что эндометриоз и эндометриомы являются частью хронического состояния, которое может широко распространяться в организме, важен межпрофессиональный командный подход. Для пациентов с более легкими формами эндометриоза, у которых еще нет кистозного компонента заболевания или которые не хотят хирургического вмешательства, лекарственные препараты являются важной частью лечения. Важно обсудить эти методы лечения с фармацевтом, который может помочь определить идеальную продолжительность и методологию, чтобы обеспечить этим пациентам наилучшее облегчение.[38]
При первоначальном обследовании этих пациентов чаще всего проводят ультразвуковое исследование органов малого таза. При взгляде на любые придаточные образования очень важно правильно их описать. Есть определенные характеристики, которыми обладают эндометриомы, которые могут усилить ваше подозрение при оценке изображений. Поэтому радиологи играют важную роль в диагностике. Это также помогает ответить на вопрос, подходит ли операция для каждого пациента. Радиологи также могут помочь определить, задействованы ли другие структуры, что чрезвычайно важно, если операция действительно происходит.[36]
Эндометриоз может привести к множественным спаечным процессам и имплантатам эндометриоза. Эти поражения могут иногда затрагивать кишечник или мочевой пузырь. При тяжелом течении болезни может наблюдаться непроходимость кишечника или поражение мочеточника. [55] [56] В этих случаях может потребоваться общая хирургия или урология, чтобы завершить необходимые хирургические процедуры.
Если пациенты все же выбирают хирургическое лечение, что часто бывает при эндометриомах, есть дополнительные члены команды, которые собираются вместе, чтобы обеспечить пациенту надлежащий уход.Оценка пациента анестезиологом на предмет соответствующей анестезии важна для облегчения операции и хорошего контроля послеоперационной боли. Медсестринский уход как в предоперационный, так и в послеоперационный периоды важен, чтобы пациенту давали соответствующие лекарства в нужное время. Наконец, помощь аптеки для надлежащего послеоперационного обезболивания также играет важную роль в обеспечении идеального ухода за пациентом.
Рисунок
Пример эндометриомы яичника или «шоколадной кисты».». Предоставлено Яной Пакетт, MD
Ссылки
- 1.
- Vercellini P, Viganò P, Somigliana E, Fedele L. Эндометриоз: патогенез и лечение. Nat Rev Endocrinol. 2014 May; 10 (5): 261- 75. [PubMed: 24366116]
- 2.
- Meggyesy M, Friese M, Gottschalk J, Kehler U. Отчет о болезни церебеллярного эндометриоза. J Neurol Surg A Cent Eur Neurosurg.2020 Jul; 81 (4): 372-376 . [PubMed: 32221961]
- 3.
- Exacoustos C, De Felice G, Pizzo A, Morosetti G, Lazzeri L, Centini G, Piccione E, Zupi E.Изолированная эндометриома яичников: история между мифом и реальностью. J Minim Invasive Gynecol. 2018 июль — август; 25 (5): 884-891. [PubMed: 29353008]
- 4.
- Hwu YM, Wu FS, Li SH, Sun FJ, Lin MH, Lee RK. Влияние эндометриомы и лапароскопической цистэктомии на уровни антимюллерова гормона в сыворотке. Репрод Биол Эндокринол. 2011 июн 09; 09:80. [Бесплатная статья PMC: PMC3135531] [PubMed: 21651823]
- 5.
- Brosens IA, Puttemans PJ, Deprest J. Эндоскопическая локализация эндометриальных имплантатов в шоколадной кисте яичника.Fertil Steril. 1994 июн; 61 (6): 1034-8. [PubMed: 8194613]
- 6.
- Кавагути Т., Кусибе К., Кимура М., Такахама М., Тодзё Т., Эномото Y, Нономура А., Танигучи С. Результат хирургического вмешательства по поводу изолированного метастаза внутригрудных лимфатических узлов в результате инфрадиафрагмального злокачественного новообразования: отчет из двух случаев. Ann Thorac Cardiovasc Surg. 2006 Октябрь; 12 (5): 358-61. [PubMed: 17095980]
- 7.
- Лю Д.Т., Хичкок А. Эндометриоз: его связь с ретроградной менструацией, дисменореей и патологией маточных труб.Br J Obstet Gynaecol. 1986 август; 93 (8): 859-62. [PubMed: 3741813]
- 8.
- Rizner TL. Метаболизм и действие эстрогенов при эндометриозе. Mol Cell Endocrinol. 2009 13 августа; 307 (1-2): 8-18. [PubMed: 19524121]
- 9.
- Bulun SE. Эндометриоз. N Engl J Med. 2009 15 января; 360 (3): 268-79. [PubMed: 1
42]
- 10.
- Эскенази Б., Уорнер М.Л. Эпидемиология эндометриоза. Obstet Gynecol Clin North Am. 1997 июн; 24 (2): 235-58. [PubMed: 9163765]
- 11.
- Laufer MR, Goitein L, Bush M, Cramer DW, Emans SJ. Распространенность эндометриоза у девочек-подростков с хронической тазовой болью, не отвечающей на традиционную терапию. J Pediatr Adolesc Gynecol. 1997 ноя; 10 (4): 199-202. [PubMed: 9391902]
- 12.
- Дженкинс С., Олив Д.Л., Хейни А.Ф. Эндометриоз: патогенетические последствия анатомического распределения. Obstet Gynecol. 1986 Март; 67 (3): 335-8. [PubMed: 3945444]
- 13.
- Redwine DB. Эндометриоз яичников: маркер более обширного заболевания органов малого таза и кишечника.Fertil Steril. 1999 Август; 72 (2): 310-5. [PubMed: 10439002]
- 14.
- Верчеллини П., Айми Г., Де Джорджи О., Маддалена С., Каринелли С., Крозиньяни П.Г. Кистозный эндометриоз яичников — асимметричное заболевание? Br J Obstet Gynaecol. 1998 сентябрь; 105 (9): 1018-21. [PubMed: 9763055]
- 15.
- Барнхарт К., Дансмур-Су Р., Кутифарис С. Влияние эндометриоза на оплодотворение in vitro. Fertil Steril. 2002 июн; 77 (6): 1148-55. [PubMed: 12057720]
- 16.
- Кавусси С.К., Оденвальд К.С., Ас-Сани С., Лебович Д.И.Заболеваемость эндометриомой яичников среди женщин с перитонеальным эндометриозом с использованием гормональных контрацептивов и без них. Eur J Obstet Gynecol Reprod Biol. 2017 Август; 215: 220-223. [PubMed: 28651149] ,
- , 17. ,
- Treloar SA, Bell TA, Nagle CM, Purdie DM, Green AC. Ранние менструальные особенности, связанные с последующим диагнозом эндометриоза. Am J Obstet Gynecol. 2010 июн; 202 (6): 534.e1-6. [PubMed: 20022587]
- 18.
- Баллард К.Д., Моряк Х.Э., де Фрис К.С., Райт Дж. Т..Может ли симптоматика помочь в диагностике эндометриоза? Результаты национального исследования случай-контроль — Часть 1. BJOG. Октябрь 2008 г .; 115 (11): 1382-91. [PubMed: 18715240]
- 19.
- Missmer SA, Hankinson SE, Spiegelman D, Barbieri RL, Malspeis S, Willett WC, Hunter DJ. Репродуктивный анамнез и эндометриоз у женщин в пременопаузе. Obstet Gynecol. 2004 ноябрь; 104 (5, п.1): 965-74. [PubMed: 15516386]
- 20.
- Hediger ML, Hartnett HJ, Louis GM. Связь эндометриоза с размером тела и фигурой.Fertil Steril. 2005 ноя; 84 (5): 1366-74. [Бесплатная статья PMC: PMC1343487] [PubMed: 16275231]
- 21.
- Missmer SA, Chavarro JE, Malspeis S, Bertone-Johnson ER, Hornstein MD, Spiegelman D, Barbieri RL, Willett WC, Hankinson SE. Проспективное исследование потребления жиров с пищей и риска эндометриоза. Hum Reprod. 2010 июн; 25 (6): 1528-35. [Бесплатная статья PMC: PMC2873173] [PubMed: 20332166]
- 22.
- Missmer SA, Hankinson SE, Spiegelman D, Barbieri RL, Michels KB, Hunter DJ.Внутриутробное воздействие и заболеваемость эндометриозом. Fertil Steril. 2004 декабрь; 82 (6): 1501-8. [PubMed: 15589850]
- 23.
- Пирс К.Л., Темплман С., Россинг М.А., Ли А., Около утра, Уэбб П.М., Нэгл С.М., Доэрти Дж. А., Кушинг-Хауген К.Л., Виклунд К.Г., Чанг-Клод Дж., Хайн Р. , Lurie G, Wilkens LR, Carney ME, Goodman MT, Moysich K, Kjaer SK, Hogdall E, Jensen A, Goode EL, Fridley BL, Larson MC, Schildkraut JM, Palmieri RT, Cramer DW, Terry KL, Vitonis AF, Titus LJ, Ziogas A, Брюстер W, Антон-Калвер H, Джентри-Махарадж A, Ramus SJ, Anderson AR, Brueggmann D, Fasching PA, Gayther SA, Huntsman DG, Menon U, Ness RB, Pike MC, Risch H, Wu AH , Берчук А., Консорциум ассоциации рака яичников. Связь между эндометриозом и риском гистологических подтипов рака яичников: объединенный анализ исследований случай-контроль. Ланцет Онкол. 2012 Апрель; 13 (4): 385-94. [Бесплатная статья PMC: PMC3664011] [PubMed: 22361336]
- 24.
- Saavalainen L, Lassus H, But A, Tiitinen A, Härkki P, Gissler M, Pukkala E, Heikinheimo O. Риск гинекологического рака в зависимости от типа эндометриоза. Obstet Gynecol. 2018 июн; 131 (6): 1095-1102. [PubMed: 29742675]
- 25.
- Schliep KC, Chen Z, Stanford JB, Xie Y, Mumford SL, Hammoud AO, Boiman Johnstone E, Dorais JK, Varner MW, Buck Louis GM, Peterson CM. Диагностика и постановка эндометриоза оперирующим хирургом и экспертным обзором с использованием нескольких диагностических инструментов: исследование соглашения между экспертами. BJOG. 2017 Янв; 124 (2): 220-229. [Бесплатная статья PMC: PMC4821828] [PubMed: 26435386]
- 26.
- Пересмотренная классификация эндометриоза Американского общества репродуктивной медицины: 1996. Fertil Steril.1997 Май; 67 (5): 817-21. [PubMed: 84]
- 27.
- Clement PB. Патология эндометриоза: исследование многих лиц общей болезни с упором на диагностические ошибки и необычные и недавно оцененные аспекты. Adv Anat Pathol. 2007 июл; 14 (4): 241-60. [PubMed: 17592255]
- 28.
- Пратт Дж. Х., Шамблин В. Р.. Самопроизвольный разрыв кисты эндометрия яичника, проявляющийся как неотложное состояние брюшной полости. Am J Obstet Gynecol. 1970 сентября 01; 108 (1): 56-62. [PubMed: 5465884]
- 29.
- Санада Т., Парк Дж., Хагивара М., Икеда Н., Нагаи Т., Мацубаяши Дж., Сайто К. Результаты КТ и МРТ бронхолегочного эндометриоза: презентация случая. Acta Radiol Open. 2018 сентябрь; 7 (10): 2058460118801164. [Бесплатная статья PMC: PMC6168730] [PubMed: 30288301]
- 30.
- Hansen KE, Kesmodel US, Baldursson EB, Kold M, Forman A. Висцеральный синдром у пациентов с эндометриозом. Eur J Obstet Gynecol Reprod Biol. 2014 Август; 179: 198-203. [PubMed: 24999078]
- 31.
- Маунси А.Л., Вилгус А., Слоусон, округ Колумбия.Диагностика и лечение эндометриоза. Я семейный врач. 2006 15 августа; 74 (4): 594-600. [PubMed: 16939179]
- 32.
- Kennedy S, Bergqvist A, Chapron C, D’Hooghe T., Dunselman G, Greb R, Hummelshoj L, Prentice A, Saridogan E., ESHRE Special Interest Group for Endometriosis and Endometrium Guideline Группа развития. Руководство ESHRE по диагностике и лечению эндометриоза. Hum Reprod. 2005 Октябрь; 20 (10): 2698-704. [PubMed: 15980014]
- 33.
- Kingsberg SA, Janata JW.Женские сексуальные расстройства: оценка, диагностика и лечение. Urol Clin North Am. 2007 ноябрь; 34 (4): 497-506, v-vi. [PubMed: 17983890]
- 34.
- Agic A, Djalali S, Wolfler MM, Halis G, Diedrich K, Hornung D. Комбинация измерений мРНК CCR1, MCP1 и CA125 в периферической крови в качестве диагностического теста на эндометриоз. Reprod Sci. 2008 ноя; 15 (9): 906-11. [PubMed: 1
- 23]
- 35.
- Янг С.В., Гросманн Ю., Дахия Н., Казерта М., Йи Дж., Уоссон М., Патель, доктор медицины. Протокол ультразвукового исследования глубокого эндометриоза, приобретенный сонографом.Abdom Radiol (Нью-Йорк). 2020 июн; 45 (6): 1659-1669. [PubMed: 31820046]
- 36.
- Новента М., Скиоша М., Шинкариол М., Каваллин Ф., Понтрелли Дж., Вирджилио Б., Витале С.Г., Лагана А.С., Дессоле Ф., Косми Э., Д’Антона Д., Андрисани А., Саккарди C, Vitagliano A, Ambrosini G. Методы визуализации для диагностики глубокого тазового эндометриоза: сравнение трансвагинальной сонографии, ректальной эндоскопической сонографии и магнитно-резонансной томографии. Прямой метаанализ. Диагностика (Базель). 17 декабря 2019 г .; 9 (4) [Бесплатная статья PMC: PMC6963762] [PubMed: 31861142]
- 37.
- Даффи Дж.М., Арамбаж К., Корреа Ф.Дж., Олив Д., Фаркуар С., Гарри Р., Барлоу Д.Х., Якобсон Т.З. Лапароскопическая хирургия эндометриоза. Кокрановская база данных Syst Rev.2014, апрель 3; (4): CD011031. [PubMed: 24696265]
- 38.
- Guzick DS, Huang LS, Broadman BA, Nealon M, Hornstein MD. Рандомизированное испытание лейпролида в сравнении с непрерывными пероральными контрацептивами при лечении боли в области таза, связанной с эндометриозом. Fertil Steril. 2011 Апрель; 95 (5): 1568-73. [Бесплатная статья PMC: PMC4271794] [PubMed: 21300339]
- 39.
- Hull ME, Moghissi KS, Magyar DF, Hayes MF. Сравнение различных методов лечения эндометриоза у бесплодных женщин. Fertil Steril. 1987 Янв; 47 (1): 40-4. [PubMed: 2947817]
- 40.
- Schlaff WD, Dugoff L, Damewood MD, Rock JA. Мегестрола ацетат для лечения эндометриоза. Obstet Gynecol. 1990 апр; 75 (4): 646-8. [PubMed: 2314784]
- 41.
- Практический комитет Американского общества репродуктивной медицины. Лечение тазовой боли, связанной с эндометриозом: мнение комитета.Fertil Steril. 2014 Апрель; 101 (4): 927-35. [PubMed: 24630080]
- 42.
- Dunselman GA, Vermeulen N, Becker C, Calhaz-Jorge C., D’Hooghe T., De Bie B, Heikinheimo O, Horne AW, Kiesel L, Nap A, Prentice A, Saridogan E, Сориано Д., Нелен В., Европейское общество репродукции человека и эмбриологии. Руководство ESHRE: ведение женщин с эндометриозом. Hum Reprod. 2014 Март; 29 (3): 400-12. [PubMed: 24435778]
- 43.
- Chapron C, Vercellini P, Barakat H, Vieira M, Dubuisson JB.Лечение эндометриом яичников. Обновление Hum Reprod. 2002 ноябрь-декабрь; 8 (6): 591-7. [PubMed: 12498427]
- 44.
- Альборзи С., Зарей А., Альборзи С., Альборзи М. Лечение эндометриомы яичников. Clin Obstet Gynecol. 2006 сентябрь; 49 (3): 480-91. [PubMed: 16885655]
- 45.
- Hayasaka S, Ugajin T, Fujii O, Nabeshima H, Utsunomiya H, Yokomizo R, Yuki H, Terada Y, Murakami T, Yaegashi N. Факторы риска рецидива и повторения эндометриомы яичников после лапароскопического иссечения.J Obstet Gynaecol Res. 2011 июн; 37 (6): 581-5. [PubMed: 21159045]
- 46.
- Porpora MG, Pallante D, Ferro A, Crisafi B, Bellati F, Benedetti Panici P. Боль и рецидив эндометриомы яичников после лапароскопического лечения эндометриоза: долгосрочное проспективное исследование. Fertil Steril. 2010 Февраль; 93 (3): 716-21. [PubMed: 197]
- 47.
- Раффи Ф., Метвалли М., Амер С. Влияние удаления эндометриомы яичника на овариальный резерв: систематический обзор и метаанализ.J Clin Endocrinol Metab. 2012 сентябрь; 97 (9): 3146-54. [PubMed: 22723324]
- 48.
- Busacca M, Riparini J, Somigliana E, Oggioni G, Izzo S, Vignali M, Candiani M. Постхирургическая недостаточность яичников после лапароскопического иссечения двусторонних эндометриом. Am J Obstet Gynecol. 2006 Август; 195 (2): 421-5. [PubMed: 16681984]
- 49.
- Hart RJ, Hickey M, Maouris P, Buckett W. Эксцизионная хирургия по сравнению с абляционной операцией при эндометриомах яичников. Кокрановская база данных Syst Rev., 16 апреля 2008 г .; (2): CD004992.[PubMed: 18425908]
- 50.
- Vercellini P, DE Matteis S, Somigliana E, Buggio L, Frattaruolo MP, Fedele L. Долгосрочная адъювантная терапия для предотвращения послеоперационного рецидива эндометриомы: систематический обзор и метаанализ . Acta Obstet Gynecol Scand. 2013 Янв; 92 (1): 8-16. [PubMed: 22646295]
- 51.
- Seracchioli R, Mabrouk M, Manuzzi L, Vicenzi C, Frascà C, Elmakky A, Venturoli S. Послеоперационное использование оральных контрацептивов для предотвращения анатомического рецидива или рецидива симптомов после консервативная хирургия эндометриоза.Hum Reprod. 2009 Ноябрь; 24 (11): 2729-35. [PubMed: 19625310]
- 52.
- Пател М.Д., Фельдштейн В.А., Фили Р.А. Отношение правдоподобия результатов сонографии для диагностики геморрагических кист яичников. J Ultrasound Med. 2005 May; 24 (5): 607-14; quiz 615. [PubMed: 15840791]
- 53.
- Ван К., Лян З., Лю X, Чжан К., Ли С. Связь между эндометриозом, перевязкой маточных труб, гистерэктомией и эпителиальным раком яичников: метаанализы. Int J Environ Res Public Health. 2016, 14 ноября; 13 (11) [Бесплатная статья PMC: PMC5129348] [PubMed: 27854255]
- 54.
- Прат Дж., Д’Анджело Э., Эспиноза I. Карциномы яичников: не менее пяти различных заболеваний с различными гистологическими особенностями и молекулярной генетикой. Hum Pathol. 2018 Октябрь; 80: 11-27. [PubMed: 29944973]
- 55.
- Endo Y, Akatsuka J, Obayashi K, Takeda H, Hayashi T., Nakayama S, Suzuki Y, Hamasaki T., Kondo Y. Эффективность лапароскопической частичной цистэктомии с трансуретральной резекцией Эндометриоз мочевого пузыря: методика прозрачности. Urol Int. 2020; 104 (7-8): 546-550.[Бесплатная статья PMC: PMC7592933] [PubMed: 32191941]
- 56.
- Лам К., Ланг Э. Эндометриоз как редкая причина непроходимости тонкой кишки. ANZ J Surg. 2020 Ноябрь; 90 (11): E137-E138. [PubMed: 32339367]
Киста яичника — Причины — NHS
Типы кисты яичника
Существует много различных типов кисты яичника, которые можно разделить на следующие категории:
- кисты функциональные
- кисты патологические
Функциональные кисты
Функциональные кисты яичников связаны с менструальным циклом.Они случаются, если у вас не было менопаузы, и они очень распространены.
Каждый месяц из яичников выделяется яйцеклетка, которая перемещается по фаллопиевым трубам, где она может быть оплодотворена спермой.
Каждая яйцеклетка формируется внутри яичника в структуре, известной как фолликул. Фолликул содержит жидкость, которая защищает яйцо по мере его роста, и он лопается, когда яйцеклетка выпускается.
Но иногда фолликул не выпускает яйцеклетку или не выделяет свою жидкость и сжимается после выхода яйцеклетки.Если это произойдет, фолликул может набухнуть и превратиться в кисту.
Функциональные кисты не являются злокачественными (доброкачественными) и обычно безвредны, хотя иногда могут вызывать такие симптомы, как боль в области таза.
Большинство из них исчезнет через несколько месяцев без необходимости лечения.
Патологические кисты
Патологические кисты возникают в результате аномального роста клеток и не связаны с менструальным циклом. Они могут развиваться до и после менопаузы.
Патологические кисты развиваются либо из клеток, используемых для создания яиц, либо из клеток, покрывающих внешнюю часть яичника.
Иногда они могут лопнуть или вырасти очень большими и заблокировать кровоснабжение яичников.
Патологические кисты, как правило, не являются злокачественными, но некоторые из них являются злокачественными (злокачественными) и часто удаляются хирургическим путем.
Заболевания, вызывающие кисты яичников
В некоторых случаях кисты яичников вызваны основным заболеванием, например эндометриозом.
Эндометриоз возникает, когда части ткани, выстилающей матку (эндометрий), обнаруживаются вне матки в маточных трубах, яичниках, мочевом пузыре, кишечнике, влагалище или прямой кишке.Иногда в этой ткани могут образовываться кисты, наполненные кровью.
Синдром поликистозных яичников (СПКЯ) — это заболевание, при котором на яичниках развивается множество небольших безвредных кист.
Кисты представляют собой фолликулы небольших яиц, которые не развиваются до овуляции и вызваны изменением уровня гормонов.
Шоколадная киста — симптомы
Шоколадная киста с медицинской точки зрения известна как эндометриоз. Если мы сравним матку с розовым яблоком, эндометрий (слизистая оболочка матки) — это мягкая мякоть на внутренней стороне яблока; мякоть и клетчатка.Во время менструации этот тонкий слой отслаивается и соединяется с менструальной кровью, которая вытекает из влагалища. Однако часть крови, которая не выходит, а течет обратно по фаллопиевым трубам, застревает в эндометрии. Клетки эндометрия похожи на семена, они постепенно увеличиваются в размерах и превращаются в кисты. В какую бы часть они ни врезались, кисты будут расти там; например, в области тазового дна, маточных труб, кишечника, влагалища, матки и т. д.
Чаще всего киста растет на яичниках.Это потому, что в них самое большое количество гормона эстрогена, что обеспечивает идеальные условия для роста. Во время менструации эндометрий всегда отслаивается и выделяет кровь, но как только эндометрий достигает яичников и выделяет кровь, ему некуда идти. Это вызывает постепенное накопление крови, и, как воздушный шар, который медленно наполняется водой, киста медленно наполняется кровью. Если кровь находится в кисте долгое время, она станет коричневой и будет напоминать шоколад, отсюда и название «шоколадная киста».Если с каждым месяцем боль постепенно усиливается, не позволяя вам выходить на работу, вы должны подозревать, что у вас шоколадная киста.
Лучше всего как можно скорее обратиться к врачу, чтобы пройти обследование. Если обнаружится, что у вас шоколадная киста, лучший вариант — как можно раньше начать лечение. В случаях, когда симптомы не слишком серьезны, врач может попросить пациента следить за собой и возвращаться на регулярные осмотры. В случаях, когда симптомы более серьезны, врач может лечить шоколадную кисту с помощью лекарств или, если пациент уже принимает лекарство, а оно не было эффективным, может принять решение об операции.В настоящее время врачи выбирают лапароскопическую операцию, поскольку это стандартная процедура с использованием современного оборудования. Это форма малоинвазивной хирургии, или MIS, и очень эффективный хирургический метод. У пациента будет только небольшой хирургический разрез, минимальная боль и короткое время восстановления. Это совсем не страшно!
В Samitivej лапароскопические операционные оснащены технологией 3D-4K, обеспечивающей максимальную точность и безопасность. Что такое 3D-4K? Дополнительное разрешение медицинских мониторов 4K (в четыре раза больше разрешения Full HD) и трехмерное изображение означает более четкое изображение мелких деталей и большее восприятие глубины; обеспечение более реалистичной визуализации сложных хирургических процедур.Он также позволяет увеличивать изображение без пикселизации для увеличения изображения.
Эндометриоз: основы практики, предпосылки, патофизиология
Бухвайц О., Поэль Т., Дидрих К., Малик Э. Диагностическая дилемма минимального и легкого эндометриоза в обычных условиях. J Am Assoc Gynecol Laparosc . 2003 Февраль 10 (1): 85-9. [Медлайн].
Shepard MK, Mancini MC, Campbell GD Jr, George R. Правосторонний гемоторакс и периодические боли в животе у 34-летней женщины. Сундук . 1993 апр. 103 (4): 1239-40. [Медлайн].
Маунси А.Л., Вилгус А., Слоусон, округ Колумбия. Диагностика и лечение эндометриоза. Ам Фам Врач . 2006 15 августа. 74 (4): 594-600. [Медлайн].
Кеннеди С., Бергквист А., Шапрон С., Д’Хуг Т., Дунсельман Г., Греб Р. и др. Руководство ESHRE по диагностике и лечению эндометриоза. Репродукция Человека . 2005 20 октября (10): 2698-704. [Медлайн].
Kingsberg SA, Janata JW.Женские сексуальные расстройства: оценка, диагностика и лечение. Урол Клин Норт Ам . 2007, ноябрь 34 (4): 497-506, v-vi. [Медлайн].
Namnoum AB, Hickman TN, Goodman SB, Gehlbach DL, Rock JA. Частота рецидивов симптомов после гистерэктомии по поводу эндометриоза. Фертил Стерил . 1995, ноябрь 64 (5): 898-902. [Медлайн].
Лобо РА. Эндометриоз: этиология, патология, диагностика, лечение. Комплексная гинекология .Филадельфия, Пенсильвания: Мосби; 5-е изд. 2007: глава 19.
Markham SM, Carpenter SE, Rock JA. Внезапный эндометриоз. Акушерский гинекол Clin North Am . 1989 16 марта (1): 193-219. [Медлайн].
Jubanyik KJ, Comite F. Внезапный эндометриоз. Акушерский гинекол Clin North Am . 1997 июня, 24 (2): 411-40. [Медлайн].
Практический бюллетень № 114: лечение эндометриоза. Акушерский гинекол .2010 июл.116 (1): 223-36. [Медлайн].
Лю Д.Т., Хичкок А. Эндометриоз: его связь с ретроградной менструацией, дисменореей и патологией маточных труб. Br J Obstet Gynaecol . 1986 августа 93 (8): 859-62. [Медлайн].
Kruitwagen RF, Poels LG, Willemsen WN, de Ronde IJ, Jap PH, Rolland R. Эпителиальные клетки эндометрия в перитонеальной жидкости во время ранней фолликулярной фазы. Фертил Стерил . 1991 Февраль 55 (2): 297-303.[Медлайн].
Scott RB, Te Linde RW, Wharton LR Jr. Дальнейшие исследования экспериментального эндометриоза. Am J Obstet Gynecol . 1953; 66: 1082:
D’Hooghe TM, Bambra CS, Raeymaekers BM, Koninckx PR. Повышенная распространенность и рецидив ретроградной менструации у бабуинов со спонтанным эндометриозом. Репродукция Человека . 1996 Сентябрь 11 (9): 2022-5. [Медлайн].
Mathur S, Peress MR, Williamson HO, Youmans CD, Maney SA, Garvin AJ, et al.Аутоиммунитет к эндометрию и яичникам при эндометриозе. Клин Эксперимент Иммунол . 1982, ноябрь 50 (2): 259-66. [Медлайн]. [Полный текст].
Асьен П., Веласко И., Гутьеррес М., Мартинес-Бельтран М. Экспрессия ароматазы в эндометриоидных тканях и ее связь с клиническими и аналитическими данными. Фертил Стерил . 2007 июль 88 (1): 32-8. [Медлайн].
Matsuzaki S, Canis M, Pouly JL, Wattiez A, Okamura K, Mage G. Экспрессия циклооксигеназы-2 при глубоком эндометриозе и соответствовала эутопическому эндометрию. Фертил Стерил . 2004 ноябрь 82 (5): 1309-15. [Медлайн].
Вёльфлер М.М., Нагеле Ф., Колбус А., Зайдл С., Шнайдер Б., Хубер Дж. С. и др. Прогностическая модель эндометриоза. Репродукция Человека . 2005 июн.20 (6): 1702-8. [Медлайн].
Zeitoun KM, Bulun SE. Ароматаза: ключевая молекула в патофизиологии эндометриоза и терапевтическая мишень. Фертил Стерил . 1999 декабрь 72 (6): 961-9. [Медлайн].
Shippen ER, West WJ Jr.Успешное лечение тяжелого эндометриоза у двух женщин в пременопаузе с помощью ингибитора ароматазы. Фертил Стерил . 2004 г., май. 81 (5): 1395-8. [Медлайн].
Ailawadi RK, Jobanputra S, Kataria M, Gurates B, Bulun SE. Лечение эндометриоза и хронической тазовой боли летрозолом и ацетатом норэтиндрона: пилотное исследование. Фертил Стерил . 2004 Февраль 81 (2): 290-6. [Медлайн].
Suginami H. Переоценка теории целомической метаплазии путем рассмотрения эндометриоза, встречающегося в необычных местах и случаях. Am J Obstet Gynecol . 1991 июл.165 (1): 214-8. [Медлайн].
Мецгер Д.А., Лесси Б.А., Сопер Дж.Т., Маккарти К.С. младший, Хейни А.Ф. Гормонорезистентный эндометриоз после тотальной абдоминальной гистерэктомии и двусторонней сальпингоофорэктомии: корреляция с гистологией и содержанием стероидных рецепторов. Акушерский гинекол . 1991, ноябрь 78 (5, часть 2): 946-50. [Медлайн].
Schrodt GR, Alcorn MO, Ibanez J. Эндометриоз мужской мочевыделительной системы: клинический случай. Дж Урол . 1980 ноябрь 124 (5): 722-3. [Медлайн].
Ueki M. Гистологическое исследование эндометриоза и исследование лимфатического дренажа в и из матки. Am J Obstet Gynecol . 1991 июл.165 (1): 201-9. [Медлайн].
Kadan Y, Fiascone S, McCourt C, et al. Факторы прогнозирования наличия злокачественной трансформации тазового эндометриоза. евро J Obstet Gynecol Reprod Biol . 2014 2 декабря. 185C: 23–27.[Медлайн].
Rawson JM. Распространенность эндометриоза у бессимптомных женщин. Дж Репрод Мед . 1991 июл.36 (7): 513-5. [Медлайн].
Strathy JH, Molgaard CA, Coulam CB, Melton LJ 3rd. Эндометриоз и бесплодие: лапароскопическое исследование эндометриоза среди фертильных и бесплодных женщин. Фертил Стерил . 1982 Декабрь 38 (6): 667-72. [Медлайн].
Verkauf BS. Заболеваемость, симптомы и признаки эндометриоза у фертильных и бесплодных женщин. Дж. Фла Мед Ассо . 1987 Сентябрь 74 (9): 671-5. [Медлайн].
Картер Дж. Комбинированные результаты гистероскопии и лапароскопии у пациентов с хронической тазовой болью. J Am Assoc Gynecol Laparosc . 1994, 2 (1): 43-7. [Медлайн].
Kontoravdis A, Hassan E, Hassiakos D, Botsis D, Kontoravdis N, Creatsas G. Лапароскопическая оценка и лечение хронической тазовой боли в подростковом возрасте. Clin Exp Obstet Gynecol .1999. 26 (2): 76-7. [Медлайн].
Уильямс Т.Дж., Пратт Дж. Эндометриоз в 1000 последовательных целотомиях: частота и лечение. Am J Obstet Gynecol . 1977 Октябрь 1. 129 (3): 245-50. [Медлайн].
Хирш М., Диллон-Смит Р., Катнер А.С., Яп М., Крейтон С.М. Распространенность эндометриоза у подростков с тазовой болью: систематический обзор. Дж. Педиатр-Адолеск-Гинеколь . 2020 Декабрь 33 (6): 623-30. [Медлайн].
Линч П.Эндометриоз чаще встречается у девочек-подростков, чем считалось ранее. Medscape News UK . 2020, 4 сентября. Доступно по адресу https://www.medscape.com/viewarticle/936906.
Крамер DW. Эпидемиология эндометриоза. Уилсон Э.А., изд. Эндометриоз . Нью-Йорк, штат Нью-Йорк: Алан Р. Лисс; 1987: 5-22.
Hadfield RM, Mardon HJ, Barlow DH, Kennedy SH. Эндометриоз у монозиготных близнецов. Фертил Стерил . 1997 ноябрь 68 (5): 941-2.[Медлайн].
Эскенази Б, Уорнер МЛ. Эпидемиология эндометриоза. Акушерский гинекол Clin North Am . 1997 июн. 24 (2): 235-58. [Медлайн].
Harrison RF, Barry-Kinsella C. Эффективность лечения медроксипрогестероном у бесплодных женщин с эндометриозом: проспективное рандомизированное плацебо-контролируемое исследование. Фертил Стерил . 2000 июл.74 (1): 24-30. [Медлайн].
Tu FF, Du H, Goldstein GP, Beaumont JL, Zhou Y, Brown WJ.Влияние предшествующего использования оральных контрацептивов на риск эндометриоза зависит от паритета. Фертил Стерил . 2014 22 марта. [Medline].
Фарланд Л.В., Прескотт Дж., Сасамото Н. и др. Эндометриоз и риск неблагоприятных исходов беременности. Акушерский гинекол . 2019 Сентябрь 134 (3): 527-36. [Медлайн]. [Полный текст].
Льюис Р. Эндометриоз, связанный с неблагоприятными исходами беременности. Медицинские новости Medscape . 2019 авг 08.Доступно на https://www.medscape.com/viewarticle/916633.
Demco L. Картирование источника и характера боли при эндометриозе с помощью лапароскопии с участием пациента. J Am Assoc Gynecol Laparosc . 1998 5 августа (3): 241-5. [Медлайн].
Koninckx PR, Мартин, округ Колумбия. Глубокий эндометриоз: следствие инфильтрации или ретракции или, возможно, внешнего аденомиоза ?. Фертил Стерил . 1992 ноябрь 58 (5): 924-8. [Медлайн].
Koninckx PR, Oosterlynck D, D’Hooghe T, Meuleman C.Глубоко инфильтрирующий эндометриоз — это заболевание, тогда как легкий эндометриоз можно рассматривать как не заболевание. Энн Н. И Акад. Наук . 1994 30 сентября. 734: 333-41. [Медлайн].
Ferrero S, Esposito F, Abbamonte LH, Anserini P, Remorgida V, Ragni N. Качество половой жизни у женщин с эндометриозом и глубокой диспареунией. Фертил Стерил . 2005 марта 83 (3): 573-9. [Медлайн].
Пересмотренная классификация эндометриоза Американского общества репродуктивной медицины: 1996. Фертил Стерил . 1997 Май. 67 (5): 817-21. [Медлайн].
Hornstein MD, Gleason RE, Orav J, Haas ST, Friedman AJ, Rein MS, et al. Воспроизводимость пересмотренной классификации эндометриоза Американского общества фертильности. Фертил Стерил . 1993 Май. 59 (5): 1015-21. [Медлайн].
Koninckx PR, Meuleman C, Demeyere S, Lesaffre E, Cornillie FJ. Предполагаемое свидетельство того, что тазовый эндометриоз является прогрессирующим заболеванием, тогда как глубоко инфильтрирующий эндометриоз связан с тазовой болью. Фертил Стерил . 1991 апр. 55 (4): 759-65. [Медлайн].
Барбати А., Косми Е.В., Спазиани Р., Вентура Р., Монтанино Г. Уровни СА-125 в сыворотке и перитонеальной жидкости у пациентов с эндометриозом. Фертил Стерил . 1994 г., 61 (3): 438-42. [Медлайн].
Chen FP, Soong YK, Lee N, Lo SK. Использование сыворотки CA-125 в качестве маркера эндометриоза у пациентов с дисменореей для мониторинга терапии и рецидива эндометриоза. Acta Obstet Gynecol Scand . 1998 июл.77 (6): 665-70. [Медлайн].
Йеман Г. Р., Коллинз Дж. Э., Ланг Г. А.. Ответы аутоантител на углеводные эпитопы при эндометриозе. Энн Н. И Акад. Наук . 2002, март 955: 174–82; обсуждение 199-200, 396-406. [Медлайн].
Agic A, Djalali S, Wolfler MM, Halis G, Diedrich K, Hornung D. Комбинация измерений мРНК CCR1, MCP1 и CA125 в периферической крови в качестве диагностического теста на эндометриоз. Репродукция науки . 2008 15 ноября (9): 906-11. [Медлайн].
Mukund J. Сонография придаточных масс. УЗИ . Январь 2007 г .; 2 (1): 133-53:
Kinkel K, Chapron C, Balleyguier C, Fritel X, Dubuisson JB, Moreau JF. Характеристики магнитно-резонансной томографии глубокого эндометриоза. Репродукция Человека . 1999 г., 14 (4): 1080-6. [Медлайн].
Takeuchi H, Kuwatsuru R, Kitade M, Sakurai A, Kikuchi I, Shimanuki H, et al.Новый метод с использованием желе для магнитно-резонансной томографии для оценки ректовагинального эндометриоза. Фертил Стерил . 2005 Февраль 83 (2): 442-7. [Медлайн].
Стюарт CJ, Люнг Y, Уолш MD, Уолтерс RJ, Янг JP, Бьюкенен DD. Мутации KRAS при эндометриоидной аденокарциноме низкой степени злокачественности: связь с сопутствующим эндометриозом. Хум Патол . 1 февраля 2012 г. [Medline].
Sutton CJ, Pooley AS, Ewen SP, Haines P.Отчет о результатах рандомизированного контролируемого исследования лазерной лапароскопии при лечении тазовой боли, связанной с эндометриозом от минимальной до умеренной. Фертил Стерил . 1997 декабрь 68 (6): 1070-4. [Медлайн].
Уоллер КГ, Шоу RW. Аналоги гонадотропин-рилизинг-гормона для лечения эндометриоза: длительное наблюдение. Фертил Стерил . 1993 Март 59 (3): 511-5. [Медлайн].
Рив Л., Лашен Х., Пейси А.А. Эндометриоз влияет на взаимодействие сперматозоидов с эндосальпингией. Репродукция Человека . 2005 20 февраля (2): 448-51. [Медлайн].
Бадави С.З., ЭльБакри М.М., Самуэль Ф., Дайзер М. Кумулятивные показатели беременности у бесплодных женщин с эндометриозом. Дж Репрод Мед . 1988 сентябрь 33 (9): 757-60. [Медлайн].
Marcoux S, Maheux R, Bérubé S. Лапароскопическая хирургия у бесплодных женщин с минимальным или легким эндометриозом. Канадская совместная группа по эндометриозу. N Engl J Med . 1997 24 июля. 337 (4): 217-22.[Медлайн].
Букулмез О, Ярали Х., Гурган Т. Наличие и степень эндометриоза не влияют на клиническую беременность и частоту имплантации у пациентов, которым вводят внутрицитоплазматическую инъекцию спермы. евро J Obstet Gynecol Reprod Biol . 2001 Май. 96 (1): 102-7. [Медлайн].
Hughes E, Brown J, Collins JJ, Farquhar C, Fedorkow DM, Vandekerckhove P. Подавление овуляции при эндометриозе. Кокрановская база данных Syst Rev .18 июля 2007 г. CD000155. [Медлайн].
Benschop L, Farquhar C, van der Poel N, Heineman MJ. Вмешательства для женщин с эндометриомой до вспомогательных репродуктивных технологий. Кокрановская база данных Syst Rev . 10 ноября 2010 г. CD008571. [Медлайн].
Hamdan M, Omar SZ, Dunselman G, Cheong Y. Влияние эндометриоза на результаты вспомогательных репродуктивных технологий: систематический обзор и метаанализ. Акушерский гинекол .2015 Январь 125 (1): 79-88. [Медлайн].
Vercammen EE, D’Hooghe TM. Эндометриоз и повторное невынашивание беременности. Семин Репрод Мед . 2000. 18 (4): 363-8. [Медлайн].
Аллен С., Хоупвелл С., Прентис А., Грегори Д. Нестероидные противовоспалительные препараты от боли у женщин с эндометриозом. Кокрановская база данных Syst Rev . 2009 15 апреля. CD004753. [Медлайн].
Nawathe A, Patwardhan S, Yates D, Harrison GR, Khan KS.Систематический обзор эффектов ингибиторов ароматазы на боль, связанную с эндометриозом. БЖОГ . 2008 июн. 115 (7): 818-22. [Медлайн].
Guzick DS, Huang LS, Broadman BA, Nealon M, Hornstein MD. Рандомизированное испытание лейпролида в сравнении с непрерывными пероральными контрацептивами при лечении боли в области таза, связанной с эндометриозом. Фертил Стерил . 2011 апр. 95 (5): 1568-73. [Медлайн].
Modugno F, Ness RB, Allen GO, Schildkraut JM, Davis FG, Goodman MT.Использование оральных контрацептивов, репродуктивный анамнез и риск эпителиального рака яичников у женщин с эндометриозом и без него. Am J Obstet Gynecol . 2004 Сентябрь 191 (3): 733-40. [Медлайн].
Hull ME, Moghissi KS, Magyar DF, Hayes MF. Сравнение различных методов лечения эндометриоза у бесплодных женщин. Фертил Стерил . 1987 Январь 47 (1): 40-4. [Медлайн].
Кауппила А. Меняющиеся концепции лечения эндометриоза. Acta Obstet Gynecol Scand . 1993 июл.72 (5): 324-36. [Медлайн].
Schlaff WD, Dugoff L, Damewood MD, Rock JA. Мегестрола ацетат для лечения эндометриоза. Акушерский гинекол . 1990 апр. 75 (4): 646-8. [Медлайн].
Varma R, Sinha D, Gupta JK. Неконтрацептивное использование системы левоноргестрел-рилизинг-гормона (ЛНГ-ВМС) — систематическое исследование и обзор. евро J Obstet Gynecol Reprod Biol . 2006 г. 1 марта.125 (1): 9-28. [Медлайн].
Anpalagan A, Condous G. Есть ли роль внутриматочной системы левоноргестрела у женщин с хронической тазовой болью ?. J Минимально инвазивный гинекол . 2008 ноябрь-декабрь. 15 (6): 663-6. [Медлайн].
Hughes E, Fedorkow D, Collins J, Vandekerckhove P. Подавление овуляции при эндометриозе. Кокрановская база данных Syst Rev . 2000. CD000155. [Медлайн].
Винкель CA, Scialli AR.Медикаментозные и хирургические методы лечения боли, связанной с эндометриозом. J Womens Health Gend Based Med . 2001 марта, 10 (2): 137-62. [Медлайн].
Паолетти AM, Серра GG, Cagnacci A, Vacca AM, Guerriero S, Solla E, et al. Спонтанная обратимость потери костной массы, вызванной лечением аналогами гонадотропин-рилизинг-гормона. Фертил Стерил . 1996 апр. 65 (4): 707-10. [Медлайн].
Тейлор Х.С., Джудис Л.С., Лесси Б.А., Абрао М.С., Котарски Дж., Арчер Д.Ф. и др.Лечение боли, связанной с эндометриозом, с помощью Elagolix, орального антагониста гонадолиберина. N Engl J Med . 2017 июл 6. 377 (1): 28-40. [Медлайн]. [Полный текст].
Фридман AJ, Хорнштейн MD. Агонист гонадотропин-рилизинг-гормона плюс эстроген-прогестиновая «дополнительная» терапия для лечения тазовой боли, связанной с эндометриозом. Фертил Стерил . 1993 августа 60 (2): 236-41. [Медлайн].
Таскин О., Ялчиноглу А.И., Кучук С., Урян И., Бухур А., Бурак Ф.Эффективность тиболона в отношении гипоэстрогенных симптомов, вызванных лечением гозерелином у пациентов с эндометриозом. Фертил Стерил . 1997 Январь 67 (1): 40-5. [Медлайн].
Surrey ES, Voigt B, Fournet N, Judd HL. Длительное лечение симптоматического эндометриоза агонистами гонадотропин-рилизинг-гормона: роль циклического этидроната натрия и низких доз норэтиндрона «дополнительной» терапии. Фертил Стерил . 1995 апр. 63 (4): 747-55. [Медлайн].
Lane N, Baptista J, Snow-Harter C.Минеральная плотность костей поясничного отдела позвоночника у пациентов с эндометриозом по сравнению с контрольной группой аналогичного возраста. Дж Клин Эндокринол Метаб . 1991 Февраль 72 (2): 510-4. [Медлайн].
Surrey E, Hornstein M. Длительная терапия агонистом ГнРГ с добавлением дополнительной терапии для пациентов с симптоматическим эндометриозом: Долгосрочное наблюдение за 12-месячным клиническим испытанием. Фертил Стерил . 1999; 72: S80.
Ling FW. Рандомизированное контролируемое исследование депо лейпролида у пациентов с хронической тазовой болью и клиническим подозрением на эндометриоз.Группа изучения тазовой боли. Акушерский гинекол . 1999, январь 93 (1): 51-8. [Медлайн].
Espaulella J, Armengol J, Bella F, Lain JM, Calaf J. Легочный эндометриоз: консервативное лечение агонистами GnRH. Акушерский гинекол . 1991 сентябрь 78 (3, часть 2): 535-7. [Медлайн].
Браун Дж., Пан А, Харт Р.Дж. Аналоги гонадотропин-рилизинг-гормона при боли, связанной с эндометриозом. Кокрановская база данных Syst Rev . 2010 декабрь 8.CD008475. [Медлайн].
Telimaa S, Puolakka J, Rönnberg L, Kauppila A. Плацебо-контролируемое сравнение даназола и высоких доз медроксипрогестерона ацетата в лечении эндометриоза. Гинекол эндокринол . 1987 марта, 1 (1): 13-23. [Медлайн].
Dmowski WP, Kapetanakis E, Scommegna A. Различные эффекты даназола на эндометриоз при 4 уровнях низких доз. Акушерский гинекол . 1982 апр. 59 (4): 408-15. [Медлайн].
Razzi S, Luisi S, Calonaci F, Altomare A, Bocchi C, Petraglia F.Эффективность вагинального лечения даназолом у женщин с рецидивирующим глубоко инфильтрирующим эндометриозом. Фертил Стерил . 2007 Октябрь 88 (4): 789-94. [Медлайн].
Al Kadri H, Hassan S, Al-Fozan HM, Hajeer A. Гормональная терапия эндометриоза и хирургической менопаузы. Кокрановская база данных Syst Rev . 2009 21 января. CD005997. [Медлайн].
Cook AS, Rock JA. Роль лапароскопии в лечении эндометриоза. Фертил Стерил .1991 апр. 55 (4): 663-80. [Медлайн].
Saidi MH, Vancaillie TG, White AJ, Sadler RK, Akright BD, Farhart SA. Осложнения серьезной оперативной лапароскопии. Рассмотрены 452 дела. Дж Репрод Мед . 1996 июл.41 (7): 471-6. [Медлайн].
Revelli A, Modotti M, Ansaldi C, Massobrio M. Рецидивирующий эндометриоз: обзор биологических и клинических аспектов. Obstet Gynecol Surv . 1995 Октябрь 50 (10): 747-54. [Медлайн].
Джонс К.Д., Саттон К.Удовлетворенность пациентов и изменение показателей боли после абляционной лапароскопической операции по поводу эндометриоза III-IV стадии и эндометриоидных кист. Фертил Стерил . 2003 май. 79 (5): 1086-90. [Медлайн].
Beretta P, Franchi M, Ghezzi F, Busacca M, Zupi E, Bolis P. Рандомизированное клиническое испытание двух лапароскопических методов лечения эндометриом: цистэктомия в сравнении с дренированием и коагуляцией. Фертил Стерил . 1998 Dec. 70 (6): 1176-80. [Медлайн].
Alborzi S, Momtahan M, Parsanezhad ME, Dehbashi S, Zolghadri J, Alborzi S.Проспективное рандомизированное исследование, сравнивающее лапароскопическую цистэктомию яичников с фенестрацией и коагуляцией у пациентов с эндометриомами. Фертил Стерил . 2004 декабрь 82 (6): 1633-7. [Медлайн].
Donnez J, Nisolle M, Clerckx F. Оценка предоперационного использования даназола, гестринона, линестрола, спрея бусерелина и имплантата бусерелина при лечении бесплодия, связанного с эндометриозом. Chadha DR, Buttram VC Jr, ред. Современные концепции эндометриоза .Нью-Йорк, штат Нью-Йорк: Алан Р. Лисс; 1990: 427-42;
Верчеллини П., Кросиньяни П.Г., Аббьяти А., Сомильяна Е., Вигано П., Феделе Л. Эффект хирургического вмешательства при симптоматическом эндометриозе: обратная сторона истории. Обновление Hum Reprod . 2009 март-апрель. 15 (2): 177-88. [Медлайн].
Джонсон Н.П. Обзор использования промывки липиодолом при бесплодии необъяснимого характера. Лечить эндокринолом . 2005. 4 (4): 233-43. [Медлайн].
Уилсон М.Л., Фаркуар С.М., Синклер О.Дж., Джонсон Н.П.Хирургическое прерывание тазовых нервных путей при первичной и вторичной дисменорее. Кокрановская база данных Syst Rev . 2000. CD001896. [Медлайн].
Проктор М.Л., Латт ПМ, Фаркуар С.М., Хан К.С., Джонсон Н.П. Хирургическое прерывание тазовых нервных путей при первичной и вторичной дисменорее. Кокрановская база данных Syst Rev . 2005 19 октября. CD001896. [Медлайн].
Prentice A, Deary AJ, Bland E. Прогестагены и антипрогестагены от боли, связанной с эндометриозом. Кокрановская база данных Syst Rev . 2000. CD002122. [Медлайн].
Прентис А., Уважаемый А.Дж., Голдбек-Вуд С., Фаркуар С., Смит С.К. Аналоги гонадотропин-рилизинг-гормона при боли, связанной с эндометриозом. Кокрановская база данных Syst Rev . 2000. CD000346. [Медлайн].
Селак В., Фаркуар С., Прентис А., Сингла А. Даназол от тазовой боли, связанной с эндометриозом. Кокрановская база данных Syst Rev . 2001. CD000068.[Медлайн].
Мур Дж., Кеннеди С., Прентис А. Современные комбинированные оральные контрацептивы от боли, связанной с эндометриозом. Кокрановская база данных Syst Rev . 2000. CD001019. [Медлайн].
Vercellini P, Cortesi I, Crosignani PG. Прогестины при симптоматическом эндометриозе: критический анализ доказательств. Фертил Стерил . 1997 Сентябрь 68 (3): 393-401. [Медлайн].
Общество акушеров и гинекологов Канады.Канадская конференция по консенсусу по заявлениям о консенсусе по эндометриозу. J SOGC . 1999; 21: 471-3.
Redwine DB. Эндометриоз, персистирующий после кастрации: клиническая характеристика и результаты хирургического лечения. Акушерский гинекол . 1994 г., 83 (3): 405-13. [Медлайн].
Hickman TN, Namnoum AB, Hinton EL, Zacur HA, Rock JA. Сроки заместительной терапии эстрогенами после гистерэктомии с овариэктомией по поводу эндометриоза. Акушерский гинекол . 1998 Май. 91 (5 Пет 1): 673-7. [Медлайн].
Фарланд Л.В., Элиассен А.Х., Тамими Р.М., Шпигельман Д., Михельс КБ, Миссмер С.А. История грудного вскармливания и риск развития эндометриоза: проспективное когортное исследование. BMJ . 2017 29 августа. 358: j3778. [Медлайн].
Mu F, Rich-Edwards J, Rimm EB, Spiegelman D, Missmer SA. Эндометриоз и риск ишемической болезни сердца. Результаты Circ Cardiovasc Qual .2016 29 марта. [Medline].
Вендлинг П. Исследование ставит эндометриоз в поле зрения кардиологов. Heartwire от Medscape. Доступно на http://www.medscape.com/viewarticle/861301. 31 марта 2016 г .; Доступ: 25 апреля 2016 г.
Джонсон КМ. Эндометриоз. Аргументы в пользу раннего агрессивного лечения. Дж Репрод Мед . 1998, 43 марта (3 доп.): 309-15. [Медлайн].
Уиллер JM. Эпидемиология бесплодия, связанного с эндометриозом. Дж Репрод Мед . 1989, январь, 34 (1): 41-6. [Медлайн].
Уменьшение размера эндометриомы с трехмесячным ингибированием ароматазы и добавлением прогестина
Целью этого исследования было оценить влияние трехмесячного ингибирования ароматазы вместе с добавлением прогестина на размер эндометриомы яичника. Это проспективное когортное исследование было проведено в Университетском медицинском центре (Калифорнийский университет в Сан-Диего). Женщины, пытающиеся зачать ребенка, были исключены. После получения информированного согласия все женщины лечились ингибитором ароматазы летрозолом (5 мг / сут) с добавлением норэтиндронацетата (5 мг / сут) в течение 3 месяцев.Оценка размеров эндометриомы до и после лечения проводилась с помощью ультразвука. Влияние лечения на боль определяли с использованием конечных точек, оцениваемых пациентом по шкале Бибероглу и Бермана. Они включали оценку дисменореи, диспареунии и неменструальной тазовой боли по шкале от 0 до 3. Первичной конечной точкой этого исследования было изменение размера эндометриомы, документированного ультразвуком. Четырнадцать эндометриом у 8 женщин подряд лечили на протяжении 3 мес. Средний диаметр эндометриомы уменьшился на 50% с 4.От 6 ± 1,6 см до 2,3 ± 1,6 см (среднее ± стандартное отклонение). Это представляет собой уменьшение объема эндометриомы на 75%. Симптомы эндометриоза в виде дисменореи, диспареунии и неменструальной тазовой боли также улучшились. В заключение следует отметить, что трехмесячный курс ингибирования высоких доз ароматазы с добавлением прогестина значительно уменьшает размер эндометриомы яичников и требует дальнейшего исследования.
1. Введение
Эндометриоз — это наличие ткани эндометрия вне матки. Как и в случае с нормальным эндометрием, эндометриоз также чувствителен к эстрогену.Он подвергается разрастанию в присутствии эстрогена и атрофии в его отсутствие. Хотя очаги эндометриоза обычно представляют собой небольшие имплантаты, обычно обнаруживаемые на структурах таза, таких как мочевой пузырь, яичники и тупик, иногда они могут образовывать более крупные кистозные поражения, которые называются эндометриомами. Безусловно, наиболее частым местом расположения эндометриом являются яичники. Хотя неясно, почему эндометриомы преимущественно развиваются в этом месте, предполагается, что это происходит, по крайней мере частично, потому, что яичник является основным местом производства эстрадиола.
Считается, что эндометриомы не регрессируют самопроизвольно. Поэтому, чтобы предотвратить возможность перекрута яичника или разрыва кисты, эндометриомы обычно лечат хирургическим вмешательством, которое является дорогостоящим и инвазивным. Более того, хотя риск, связанный с хирургическим вмешательством, минимален, осложнения, связанные с операцией, потенциально серьезны. Кроме того, было показано, что иссечение эндометриомы снижает резерв яичников, о чем свидетельствует повышение уровня ФСГ (Ferrero et al.2012) и снижение АМГ [1, 2], количества антральных фолликулов [3] и количества ооцитов, извлеченных для последующего ЭКО [4]. Хотя хирургическое удаление эндометриом может иметь пагубные последствия для тех, кто планирует беременность, наличие эндометриом яичников во время извлечения ооцитов для экстракорпорального оплодотворения создает риск тазовой инфекции после забора ооцитов и заражения культуры ооцитов эндометриотической жидкостью [5-7]. Следовательно, женщины с эндометриомами, подвергающиеся ЭКО, и их медицинские работники сталкиваются с уникальной и тревожной ситуацией, когда иссечение эндометриомы снижает овариальный резерв, таким образом ставя под угрозу как естественную, так и вспомогательную фертильность, но оставляя эндометриомы на месте до ЭКО, угрожает увеличить риск инфекции органов малого таза и заражения. система культивирования, тем самым ставя под угрозу результаты этого дорогостоящего лечения.
Эндометриоз содержит фермент ароматазу [8], ингибирование которого уменьшает очаги эндометриоза у женщин в постменопаузе [9]. Расположение этого фермента, по-видимому, преобладает при эндометриомах. Действительно, недавнее исследование показало, что экспрессия ароматазы и концентрация эстрогенов в тканях значительно выше в эндометриомах по сравнению с перитонеальными и глубоко инфильтрирующими эндометриоидными поражениями [10]. Первое успешное применение ингибитора ароматазы было зарегистрировано у женщины в постменопаузе с устойчивым эндометриоидным поражением [11].В этом случае ингибирование ароматазы снижает концентрацию циркулирующего эстрадиола и вызывает регресс эндометриоидного имплантата. Хотя окончательно не доказано, что никакая медикаментозная терапия уменьшает эндометриомы, одно исследование с участием 5 женщин действительно продемонстрировало уменьшение рецидивирующих эндометриом с 6-метровым курсом ингибирования ароматазы [12]. Из-за снижения уровней циркулирующего эстрадиола использование ингибитора ароматазы было связано с симптомами менопаузы. Использование дополнительных средств в настоящее время является распространенной стратегией для предотвращения гипоэстрогенных симптомов, которые в противном случае возникли бы при подавлении эстрогена.В этом исследовании для этой цели использовалось 30 мкг орального контрацептива.
Основная цель этого исследования заключалась в том, чтобы определить, может ли трехмесячный курс ингибитора ароматазы летрозол (5 мг в день) вместе с добавкой, одобренной FDA для использования с GnRHa, 5 мг норэтиндрона ацетата в день, может снизить размер эндометриомы у женщин в пременопаузе. Вторичные цели включали изменения в сообщаемых пациентами конечных точках дисменореи, диспареунии и неменструальной тазовой боли (NMPP) при лечении.
2. Материалы и методы
Это исследование было одобрено IRB Калифорнийского университета в Сан-Диего и проводилось в Центре исследований и лечения эндометриоза Калифорнийского университета в Сан-Диего в отделении репродуктивной медицины.
В исследование были включены восемь женщин, желающих попробовать летрозол не по назначению. У этих женщин было обследовано 14 эндометриом. Критерии включения в список для предложения этой недоказанной терапии включали нежелание зачать ребенка в течение следующих 6 месяцев, ультразвуковое исследование, соответствующее эндометриомам, по крайней мере, одну эндометриому> 3.Средний диаметр 0 см, а также возраст от 18 до 45 лет. Критерии исключения: женщины, желающие забеременеть, противопоказания к применению летрозола или норэтиндрона ацетата, а также те, у кого есть сомнения относительно наличия эндометриомы. Все женщины в этом исследовании хотели сохранить фертильность. После получения информированного согласия на применение внепрограммной и бездоказательной терапии для возможного уменьшения размера эндометриом каждая женщина получала 3-месячный курс лечения 5 мг летрозола в день с добавлением 5 мг норэтиндрона ацетата в течение 3 месяцев.Из-за относительно короткого курса терапии использовалась более высокая суточная доза летрозола 5 мг, а не более типичная суточная доза 2,5 мг. И, как это обычно бывает, добавка была предназначена для минимизации негативных эффектов индуцированной гипоэстрогенемии и, таким образом, для повышения переносимости лечения летрозолом. Всех женщин попросили использовать барьерные контрацептивы. Оценка размеров эндометриомы до и после лечения проводилась с помощью трансвагинального ультразвукового исследования с использованием аппаратов GE Voluson.Регистрировали среднее значение двух наибольших перпендикулярных диаметров каждой эндометриомы. Влияние этого лечения на боль определяли с использованием трех конечных точек, указанных пациентами, по стандартной шкале Бибероглу и Бермана [13]. Они включали оценку дисменореи, диспареунии и неменструальной тазовой боли по шкале от 0 до 3, что позволило получить общий балл симптомов тазовой боли от 0 до 9. Оценки боли регистрировались до начала лечения и после 3 месяцев терапии.
2.1. Статистические методы. Для анализа использовалось статистическое программное обеспечение JMP
и Microsoft Excel. Из-за ненормального распределения размеров эндометриом непараметрический двусторонний знаковый ранговый критерий Вилкоксона использовался для сравнения парных размеров эндометриом до и после лечения. Если не указано иное, данные представлены как среднее ± стандартное отклонение. Значение ≤ 0,05 считалось значимым.
3. Результаты и обсуждение
В исследование были включены восемь женщин с 14 эндометриомами подряд.Их демографические данные показаны в таблице 1.
| |||||||||||||||||||||||||||||
За три месяца лечения средний диаметр эндометриомы уменьшился на 50% с 4,6 ± 1,6 см, диапазон от 1,7 до 7,4 см, до 2,3 ± 1,6 см, диапазон 0–4,3 см ( ) (Рисунок 1).Изменение диаметра соответствует среднему уменьшению объема эндометриомы на 75% с 60,1 ± 58,7 см 3 , диапазон 2,6–212,2 см 3 , до 15,0 ± 16,4 см 3 , диапазон 0–51 см 3 ( ). Ингибирование ароматазы вызывало уменьшение индивидуального объема имплантата (рис. 2).
При лечении наблюдалось снижение конечных точек симптомов по шкале Бибероглу и Бермана, сообщаемых пациентами, при этом средний балл диспареунии уменьшился с 2 до 0, а средний балл диспареунии и неменструальной тазовой боли снизился с 1 до 0.
К настоящему времени имеется минимальное количество данных, показывающих, что пременопаузальные эндометриомы яичников можно лечить с помощью гормональных манипуляций. Текущее пилотное исследование впервые показывает, что 3-метровый курс ингибирования ароматазы с добавлением прогестина может привести к уменьшению объема эндометриомы в среднем на 75%. Результаты этого исследования подчеркивают возможность уменьшения эндометриом яичников с помощью относительно короткого 3-месячного курса ежедневного приема ингибитора ароматазы летрозола (5 мг) и прогестина норэтиндрона ацетата (5 мг).
Ароматаза, по-видимому, является ключевым ферментом при эндометриозе. В очагах поражения это приводит к выработке эстрогена, который, в свою очередь, стимулирует циклооксигеназу-2, что приводит к увеличению образования простагландинов. В свою очередь, PGE 2 стимулирует экспрессию и активность ароматазы, тем самым создавая петлю положительной обратной связи [14, 15]. Это нарушение регуляции ароматазы особенно характерно для эндометриом [10].
Хотя эндометриоз влияет на фертильность через несколько механизмов, возможно, что женщины с эндометриомами яичников представляют собой уникальную подгруппу.Например, было высказано предположение, что простое присутствие эндометриоидных кист на яичниках приводит к усилению воспаления яичников и микроскопическим структурным изменениям в коре яичников, так что плотность фолликулов снижается [16]. Авторы предлагают рассмотреть возможность хирургического вмешательства даже на ранней стадии образования кисты для защиты яичникового резерва. Основываясь на наших выводах и накопленных данных, указывающих на то, что хирургическое вмешательство на эндометриомах еще больше снижает резерв яичников, мы предлагаем также всесторонне оценить влияние медикаментозного лечения эндометриоидных кист с учетом параметров резерва яичников.
Экономические затраты на лечение эндометриоза могут быть значительными. Например, ежегодные долларовые расходы здравоохранения на эндометриоз [17, 18] сопоставимы с расходами на другие хронические заболевания, такие как болезнь Крона, ревматоидный артрит и астма. Эти расходы, вероятно, связаны как с хроническим характером заболевания, так и с хирургическим лечением, которое часто требуется. За счет уменьшения потребности в хирургическом вмешательстве следует снизить общие затраты на лечение эндометриоза.В общем, замена хирургического лечения медицинским является естественным и желаемым развитием здравоохранения по мере лучшего понимания патофизиологии.
Хотя наши результаты обнадеживают, для проверки этих предварительных результатов потребуются более крупные двойные слепые плацебо-контролируемые рандомизированные исследования. Также необходимо ответить на дополнительные важные вопросы, включая оптимальную дозу и продолжительность терапии, а также определение влияния на овариальный резерв. Также было бы полезно определить продолжительность эффекта.Кроме того, в качестве стратегии перед ЭКО с целью снижения риска инфекции органов малого таза после извлечения ооцитов и загрязнения среды для культивирования гамет было бы полезно оценить влияние этой стратегии на осложнения ЭКО и исходы беременности.
4. Выводы
В заключение мы впервые показываем, что 3-метровый курс ингибирования ароматазы плюс прогестин значительно уменьшает размер эндометриомы яичника. Основными последствиями этого открытия для здравоохранения являются (1) снижение затрат и инвазивность лечения этих распространенных кист яичников за счет возможного преобразования хирургического лечения в медицинское и (2) перспективы повышения безопасности и лучших результатов для женщин. с эндометриомами при экстракорпоральном оплодотворении.
Конфликт интересов
Авторы заявляют об отсутствии конфликта интересов в отношении публикации данной статьи.
Благодарности
Это исследование было поддержано грантом Центра исследований и лечения эндометриоза Калифорнийского университета в Сан-Диего и представлено на совместном заседании Международной федерации обществ фертильности и Американского общества репродуктивной медицины, Бостон (16 октября 2013 г.) .
Лечение и хирургия эндометриоза
Обзор
Как диагностируется эндометриоз?
Эндометриоз диагностируется хирургическим путем при лапароскопии.Во время лапароскопии тонкий зонд (называемый лапароскопом) пропускается через небольшой разрез в брюшной полости. Второй разрез может быть сделан в нижней части живота, чтобы обеспечить дополнительное отверстие для хирургических инструментов. Используя лапароскоп, врач может осмотреть внешнюю поверхность матки, яичников, маточных труб и близлежащих органов. Лапароскоп также может быть оснащен хирургическими устройствами для взятия образцов ткани или удаления рубцовой ткани.
Что такое эндометриома?
Эндометриома — это масса ткани (доброкачественная киста или опухоль), которая содержит фрагменты ткани эндометрия.Эндометриомы чаще всего возникают в яичнике, в части брюшины (мешочек вокруг внутренних органов) между прямой кишкой и маткой, на стенке (перегородке) между прямой кишкой и влагалищем и на внешней стороне матки.
Детали процедуры
Как лечится эндометриоз?
Эндометриоз можно вылечить на момент постановки диагноза. Эндометриоз диагностируется с помощью хирургической процедуры, называемой лапароскопией. Поражения эндометрия (имплантаты ткани эндометрия за пределами эндометрия) могут быть вырезаны (иссечены) или сожжены с помощью источника тепла высокой энергии, такого как лазер (абляция).Лапароскопия сложнее при запущенном заболевании, которое затрагивает большие участки прямой кишки или более крупные поражения.
Как лечат эндометриомы?
Существует несколько вариантов хирургического лечения эндометриом. Их:
Простая пункция: Эта процедура завершается сливом жидкости из кисты. Было показано, что эндометриомы рецидивируют более чем у 50 процентов пациентов, получавших простую пункцию. Однако более агрессивный хирургический подход, такой как удаление образования, может вызвать обширные спайки (рубцовую ткань), которые могут помешать яичнику выпустить яйцеклетку.Поэтому для предотвращения повреждений требуется опыт.
Абляция: Другой подход — дренировать кисту и удалить ее основание с помощью лазера или электрохирургии. Однако тепло также может повредить яичник.
Отсечение стенки кисты: Это процедура выбора для уменьшения рецидивов заболевания. Эта процедура также может повредить внешний слой яичника, содержащий яйца.
Дренаж, медикаментозная терапия и хирургия: Эндометриомы также можно дренировать, лечить лекарствами, а затем удалить хирургическим путем.
Результаты нескольких различных проспективных исследований показали, что частота наступления беременности составляет 50% в течение 3 лет. Нет рандомизированных клинических испытаний, сравнивающих эти различные методы лечения.
Как лечится запущенный эндометриоз?
Самая сложная операция с помощью лапароскопии или лапаротомии (традиционная абдоминальная хирургия, требующая большего разреза) — это лечение запущенного эндометриоза в полости таза, прямой кишки и влагалища. В нескольких исследованиях сообщалось, что частота беременностей в течение 2 лет составляет от 50% до 60% случаев, леченных хирургическим путем.По некоторым данным, в 20% случаев эндометриоз может рецидивировать.
Риски / преимущества
Улучшает ли хирургическое лечение фертильность?
Лечение эндометриоза на ранней стадии для улучшения фертильности является спорным вопросом. Предыдущие исследования показывают, что лапароскопическая хирургия эффективна для увеличения частоты наступления беременности. Недавнее исследование Канадской совместной группы по эндометриозу демонстрирует, что использование лапароскопии для удаления пораженных тканей при минимальном и легком эндометриозе увеличивает плодовитость (фертильность) у бесплодных женщин.
Пациенты в это исследование были набраны из большого количества канадских медицинских центров. Было 348 пациентов, у которых не было других причин бесплодия и болезни стадии I и II (ранние стадии). Каждый пациент в исследовании был рандомизирован в одну из двух групп: лечение лапароскопией или отсутствие лечения лапароскопией. Затем пациенты наблюдались в течение 36 недель и не получали дальнейшего лечения фертильности.
Кумулятивная вероятность беременности в группе, получавшей лечение, составила 30% по сравнению с 17% в группе, не получавшей лечения.Показатели фертильности для обработанной группы составляли 4,7% по сравнению с 2,4% для необработанной группы.
Исследования не показали, лучше ли удаление эндометриоза по сравнению с аблацией с использованием других источников энергии. У значительного числа пациентов с эндометриозом и бесплодием есть глубокие поражения (более 10 миллиметров или 0,4 дюйма), особенно если они связаны с тазовой болью. Коагуляция (принуждение кровеносных сосудов к свертыванию) или лазерная вапоризация не рекомендуются пациентам с поражениями глубиной более 5 миллиметров.
Уменьшает ли боль хирургическое лечение?
Большинство пациентов получат облегчение боли при простом удалении эндометриоза. Однако 20% пациентов не реагируют на операцию и нуждаются в дальнейшем лечении или у специалистов по обезболиванию. Из тех, кто отвечает, со временем боль может повторяться. Гистерэктомия имеет наименьшее количество повторений симптомов, но является наиболее инвазивным методом лечения.
Действительно ли лапароскопия эффективнее лапаротомии?
Лапароскопия и лапаротомия одинаково эффективны для облегчения боли и улучшения фертильности.При обеих процедурах эндометриоз рецидивирует примерно в 20-30% случаев в течение 5 лет. Однако пациенты, перенесшие лапароскопию, выздоравливают быстрее и менее болезненно. Решение о том, какую хирургическую процедуру использовать, должно основываться на предпочтениях пациента и опыте врача с этой техникой.
Восстановление и Outlook
Что можно сделать, чтобы снизить вероятность образования новых спаек?
Спайки — это волокнистые ленты, соединяющие структуры, которые обычно являются отдельными.Спайки развиваются как реакция нормальной ткани на какой-либо тип травмы или травмы (как при хирургическом вмешательстве). В большинстве случаев у пациентов, перенесших операцию по поводу эндометриоза, на месте операции образуются новые спайки. Образование спаек может вызвать бесплодие из-за нарушения функции яичников и маточных труб. Спайки также могут вызывать тазовую боль и непроходимость тонкого кишечника.
Есть несколько новых профилактических методов лечения, которые можно использовать во время операции, чтобы предотвратить образование спаек.К ним относятся промывание полости таза специальными растворами и помещение в область таза кусочка защитного материала (например, ADEPT®), который служит барьером. Барьер предохраняет поверхности от трения друг о друга после операции, что может привести к образованию спаек. Барьер растворяется и поглощается, когда он больше не нужен.
В некоторых случаях женщине придется перенести дополнительную операцию по удалению спаек, образовавшихся в результате предыдущей операции. К счастью, развитие лапароскопической хирургии и разработка этих новых профилактических методов лечения могут снизить вероятность образования спаек.
Каковы перспективы лечения эндометриоза?
В то время как многие женщины добиваются успеха с помощью современных методов лечения эндометриоза, лекарства и хирургия имеют побочные эффекты и работают не для всех.

В каждом менструальном цикле при овуляции должна выйти яйцеклетка. Если яйцеклетка не вышла, фолликул остается и начинает расти, вот тогда формируется фолликулярная киста;
Ее восстановление начинается очень быстро. Именно чрезмерная скорость процесса заживления нарушает нормальную работу желез, в результате чего закупориваются их протоки, возникает патология.
При помощи бесконтактных датчиков воздействуют на зону локализации кисты, под действием высокочастотных радиоволн осуществляется ее коагуляция и выпаривание. Методика характеризуется отсутствием рубцов на ткани, такая терапия ретенционных новообразований подходит не рожавшим пациенткам.