Π―Π·Π²ΠΎΡΠΊΠ° Π½Π° ΠΊΠΎΠ½ΡΠΈΠΊΠ΅ ΡΠ·ΡΠΊΠ° Ρ ΡΠ΅Π±Π΅Π½ΠΊΠ° ΠΈ Π²Π·ΡΠΎΡΠ»ΠΎΠ³ΠΎ
ΠΠΎΠ»Π΅Π·Π½Π΅Π½Π½ΡΠ΅ ΡΡΠΎΠ·ΠΈΠΈ ΠΈ ΡΠ·Π²Ρ Π½Π° ΠΏΠΎΠ²Π΅ΡΡ Π½ΠΎΡΡΠΈ ΠΈ ΠΊΠΎΠ½ΡΠΈΠΊΠ΅ ΡΠ·ΡΠΊΠ° ΠΌΠΎΠ³ΡΡ ΠΏΠΎΡΠ²Π»ΡΡΡΡΡ ΠΏΡΠΈ ΠΌΠ΅Ρ Π°Π½ΠΈΡΠ΅ΡΠΊΠΎΠΌ ΠΏΠΎΠ²ΡΠ΅ΠΆΠ΄Π΅Π½ΠΈΠΈ, ΠΎΠΆΠΎΠ³Π°Ρ , Π²ΠΈΡΡΡΠ½ΡΡ , ΠΈΠ½ΡΠ΅ΠΊΡΠΈΠΎΠ½Π½ΡΡ Π·Π°Π±ΠΎΠ»Π΅Π²Π°Π½ΠΈΡΡ ΡΠΎΡΠΎΠ²ΠΎΠΉ ΠΏΠΎΠ»ΠΎΡΡΠΈ. Π§Π΅Π»ΠΎΠ²Π΅ΠΊ ΠΏΡΠΈ ΡΡΠΎΠΌ ΠΎΡΡΡΠ°Π΅Ρ Π±ΠΎΠ»Ρ, Π·ΡΠ΄, ΠΆΠΆΠ΅Π½ΠΈΠ΅, Π΅ΠΌΡ ΡΡΡΠ΄Π½ΠΎ ΡΠ°Π·Π³ΠΎΠ²Π°ΡΠΈΠ²Π°ΡΡ, ΠΏΠ΅ΡΠ΅ΠΆΠ΅Π²ΡΠ²Π°ΡΡ ΠΏΠΈΡΡ.

ΠΡΠΈΡΠΈΠ½Ρ Π²ΠΎΠ·Π½ΠΈΠΊΠ½ΠΎΠ²Π΅Π½ΠΈΡ ΡΠ·Π²ΠΎΡΠ΅ΠΊ Π½Π° ΠΊΠΎΠ½ΡΠΈΠΊΠ΅ ΡΠ·ΡΠΊΠ° Ρ Π΄Π΅ΡΠ΅ΠΉ ΠΈ Π²Π·ΡΠΎΡΠ»ΡΡ
ΠΠ΅Π±ΠΎΠ»ΡΡΠΈΠ΅ ΡΠ·Π²ΠΎΡΠΊΠΈ Π½Π° ΠΊΠΎΠ½ΡΠΈΠΊΠ΅ ΡΠ·ΡΠΊΠ° ΠΎΠ±ΡΠ°Π·ΡΡΡΡΡ ΠΏΡΠΈ ΡΠ»ΡΡΠ°ΠΉΠ½ΠΎΠΌ ΠΏΡΠΈΠΊΡΡΡΠ²Π°Π½ΠΈΠΈ, ΠΏΠΎΠ²ΡΠ΅ΠΆΠ΄Π΅Π½ΠΈΠΈ ΠΎΠ± ΠΎΡΡΡΡΠ΅ ΠΊΡΠ°Ρ Π·ΡΠ±ΠΎΠ², ΡΠΏΠΎΡΡΠ΅Π±Π»Π΅Π½ΠΈΠΈ ΡΠ»ΠΈΡΠΊΠΎΠΌ Π³ΠΎΡΡΡΠ΅ΠΉ Π΅Π΄Ρ ΠΈΠ»ΠΈ ΠΆΠΈΠ΄ΠΊΠΎΡΡΠΈ. Π’Π°ΠΊΠΈΠ΅ ΡΠ°Π½ΠΊΠΈ Π·Π°ΠΆΠΈΠ²Π°ΡΡ ΡΠ°ΠΌΠΎΡΡΠΎΡΡΠ΅Π»ΡΠ½ΠΎ Π² ΡΠ΅ΡΠ΅Π½ΠΈΠ΅ Π½Π΅ΡΠΊΠΎΠ»ΡΠΊΠΈΡ Π΄Π½Π΅ΠΉ Π±Π΅Π· ΡΠΏΠ΅ΡΠΈΠ°Π»ΡΠ½ΠΎΠ³ΠΎ Π»Π΅ΡΠ΅Π½ΠΈΡ.
ΠΠΎΠ»Π΅Π΅ Π³Π»ΡΠ±ΠΎΠΊΠΈΠ΅ ΡΠ·Π²Ρ, ΠΏΠΎΠΊΡΡΡΡΠ΅ Π½Π°Π»Π΅ΡΠΎΠΌ, Π²ΠΎΠ·Π½ΠΈΠΊΠ°ΡΡ ΠΏΡΠΈ ΡΠ°Π·Π»ΠΈΡΠ½ΡΡ Π²ΠΈΠ΄Π°Ρ ΡΡΠΎΠΌΠ°ΡΠΈΡΠ°. ΠΠΈΡΡΡ ΠΏΡΠΎΡΡΠΎΠ³ΠΎ Π³Π΅ΡΠΏΠ΅ΡΠ° ΠΏΡΠΎΡΠ²Π»ΡΠ΅ΡΡΡ ΡΠΎΡΠΌΠΈΡΠΎΠ²Π°Π½ΠΈΠ΅ΠΌ Π²ΠΎΠ»Π΄ΡΡΠ΅ΠΉ Π² ΠΎΠ±Π»Π°ΡΡΠΈ Π½ΠΎΡΠΎΠ³ΡΠ±Π½ΠΎΠ³ΠΎ ΡΡΠ΅ΡΠ³ΠΎΠ»ΡΠ½ΠΈΠΊΠ° ΠΈ Π½Π° ΠΏΠΎΠ²Π΅ΡΡ Π½ΠΎΡΡΠΈ ΠΌΡΠ³ΠΊΠΈΡ ΡΠΊΠ°Π½Π΅ΠΉ ΡΠΎΡΠΎΠ²ΠΎΠΉ ΠΏΠΎΠ»ΠΎΡΡΠΈ. ΠΠΎΡΠ»Π΅ Π²ΡΠΊΡΡΡΠΈΡ ΠΏΡΠ·ΡΡΡΠΊΠΎΠ² Π½Π° ΡΠ·ΡΠΊΠ΅ ΠΎΡΡΠ°ΡΡΡΡ Π±ΠΎΠ»Π΅Π·Π½Π΅Π½Π½ΡΠ΅ ΡΠ·Π²ΠΎΡΠΊΠΈ.
Π‘ΡΠΏΡ, ΠΎΡΠ΅ΡΠ½ΠΎΡΡΡ, ΠΈΠ·ΡΡΠ·Π²Π»Π΅Π½ΠΈΠ΅ ΡΠ»ΠΈΠ·ΠΈΡΡΡΡ ΠΎΠ±ΠΎΠ»ΠΎΡΠ΅ΠΊ Π½Π°Π±Π»ΡΠ΄Π°Π΅ΡΡΡ ΠΏΡΠΈ ΠΏΠΈΡΠ΅Π²ΠΎΠΉ ΠΈΠ»ΠΈ Ρ ΠΈΠΌΠΈΡΠ΅ΡΠΊΠΎΠΉ Π°Π»Π»Π΅ΡΠ³ΠΈΠΈ. ΠΠΎΠ΄ΠΎΠ±Π½ΡΠ΅ ΡΠΈΠΌΠΏΡΠΎΠΌΡ Π²ΡΠ·ΡΠ²Π°ΡΡ Π½Π΅ΠΊΠΎΡΠΎΡΡΠ΅ ΠΏΡΠΎΠ΄ΡΠΊΡΡ ΠΏΠΈΡΠ°Π½ΠΈΡ, Π·ΡΠ±Π½ΡΠ΅ ΠΏΠ°ΡΡΡ, ΠΎΠΏΠΎΠ»Π°ΡΠΊΠΈΠ²Π°ΡΠ΅Π»ΠΈ, Π½Π΅Π΄Π°Π²Π½ΠΎ ΡΡΡΠ°Π½ΠΎΠ²Π»Π΅Π½Π½ΡΠ΅ ΠΏΡΠΎΡΠ΅Π·Ρ. Π―Π·Π²ΠΎΡΠΊΠΈ ΠΏΡΠΎΡ ΠΎΠ΄ΡΡ ΠΏΠΎΡΠ»Π΅ ΡΡΡΡΠ°Π½Π΅Π½ΠΈΡ Π°Π»Π»Π΅ΡΠ³Π΅Π½Π°, ΠΏΡΠΈΠ½ΡΡΠΈΡ Π°Π½ΡΠΈΠ³ΠΈΡΡΠ°ΠΌΠΈΠ½Π½ΡΡ ΠΏΡΠ΅ΠΏΠ°ΡΠ°ΡΠΎΠ².
Π‘ΡΠΎΠΌΠ°ΡΠΈΡ
Π‘ΡΠΎΠΌΠ°ΡΠΈΡΠ‘ΡΠΎΠΌΠ°ΡΠΈΡΠΎΠΌ Π½Π°Π·ΡΠ²Π°Π΅ΡΡΡ Π²ΠΎΡΠΏΠ°Π»Π΅Π½ΠΈΠ΅ ΡΠ»ΠΈΠ·ΠΈΡΡΡΡ ΠΏΠΎΠ»ΠΎΡΡΠΈ ΡΡΠ°. ΠΡΠ½ΠΎΠ²Π½ΡΠΌ ΡΠΈΠΌΠΏΡΠΎΠΌΠΎΠΌ Π·Π°Π±ΠΎΠ»Π΅Π²Π°Π½ΠΈΡ ΡΠ²Π»ΡΠ΅ΡΡΡ ΠΎΠ±ΡΠ°Π·ΠΎΠ²Π°Π½ΠΈΠ΅ ΡΠ·Π² Π½Π° Π΄Π΅ΡΠ½Π°Ρ , ΡΠ·ΡΠΊΠ΅, Π²Π½ΡΡΡΠ΅Π½Π½Π΅ΠΉ ΠΏΠΎΠ²Π΅ΡΡ Π½ΠΎΡΡΠΈ ΡΠ΅ΠΊ. ΠΠ°ΡΠΎΠ»ΠΎΠ³ΠΈΡ ΠΏΡΠΎΠ³ΡΠ΅ΡΡΠΈΡΡΠ΅Ρ ΠΏΡΠΈ ΠΎΡΠ»Π°Π±Π»Π΅Π½ΠΈΠΈ ΠΎΠ±ΡΠ΅Π³ΠΎ ΠΈΠ»ΠΈ ΠΌΠ΅ΡΡΠ½ΠΎΠ³ΠΎ ΠΈΠΌΠΌΡΠ½ΠΈΡΠ΅ΡΠ°, Π½Π°ΡΡΡΠ΅Π½ΠΈΠΈ Π½ΠΎΡΠΌΠ°Π»ΡΠ½ΠΎΠΉ ΠΌΠΈΠΊΡΠΎΡΠ»ΠΎΡΡ Π²ΠΎ ΡΡΡ.
ΠΡΠΈΡΠΈΠ½Ρ ΡΡΠΎΠΌΠ°ΡΠΈΡΠ°:
- Π±ΠΎΠ»Π΅Π·Π½ΠΈ ΠΏΠΈΡΠ΅Π²Π°ΡΠΈΡΠ΅Π»ΡΠ½ΠΎΠ³ΠΎ ΡΡΠ°ΠΊΡΠ°;
- ΡΠΏΠΎΡΡΠ΅Π±Π»Π΅Π½ΠΈΠ΅ Π»Π΅ΠΊΠ°ΡΡΡΠ²Π΅Π½Π½ΡΡ ΠΏΡΠ΅ΠΏΠ°ΡΠ°ΡΠΎΠ², ΡΠΌΠ΅Π½ΡΡΠ°ΡΡΠΈΡ ΡΠ»ΡΠ½ΠΎΠΎΡΠ΄Π΅Π»Π΅Π½ΠΈΠ΅;
- Π΄Π΅ΡΠΈΡΠΈΡ Π²ΠΈΡΠ°ΠΌΠΈΠ½ΠΎΠ² A, B, C;
- Π³ΠΎΡΠΌΠΎΠ½Π°Π»ΡΠ½ΡΠΉ Π΄ΠΈΡΠ±Π°Π»Π°Π½Ρ;
- ΠΊΡΡΠ΅Π½ΠΈΠ΅;
- Π½Π΅ΡΠ±Π°Π»Π°Π½ΡΠΈΡΠΎΠ²Π°Π½Π½ΠΎΠ΅ ΠΏΠΈΡΠ°Π½ΠΈΠ΅;
- ΠΎΠ±Π΅Π·Π²ΠΎΠΆΠΈΠ²Π°Π½ΠΈΠ΅ ΠΎΡΠ³Π°Π½ΠΈΠ·ΠΌΠ° ΠΏΡΠΈ ΡΠ²ΠΎΡΠ΅, Π΄ΠΈΠ°ΡΠ΅Π΅;
- Π½Π΅ΡΠ΄ΠΎΠ²Π»Π΅ΡΠ²ΠΎΡΠΈΡΠ΅Π»ΡΠ½Π°Ρ Π³ΠΈΠ³ΠΈΠ΅Π½Π° ΡΠΎΡΠΎΠ²ΠΎΠΉ ΠΏΠΎΠ»ΠΎΡΡΠΈ;
- Π·Π»ΠΎΠΊΠ°ΡΠ΅ΡΡΠ²Π΅Π½Π½ΡΠ΅ ΠΎΠΏΡΡ ΠΎΠ»ΠΈ;
- Π½Π΅ΠΊΠ°ΡΠ΅ΡΡΠ²Π΅Π½Π½ΡΠ΅, Π½Π΅ΠΏΡΠ°Π²ΠΈΠ»ΡΠ½ΠΎ ΡΡΡΠ°Π½ΠΎΠ²Π»Π΅Π½Π½ΡΠ΅ Π·ΡΠ±Π½ΡΠ΅ ΠΏΡΠΎΡΠ΅Π·Ρ.
ΠΡΠΈ ΡΡΠΎΠΌΠ°ΡΠΈΡΠ΅ ΠΎΡΠ΅ΠΊΠ°Π΅Ρ, ΠΊΡΠ°ΡΠ½Π΅Π΅Ρ ΠΊΠΎΠ½ΡΠΈΠΊ ΡΠ·ΡΠΊΠ°. Π―Π·Π²ΠΎΡΠΊΠ° ΠΎΠ±ΡΡΠ½ΠΎ ΠΈΠΌΠ΅Π΅Ρ ΠΎΠΊΡΡΠ³Π»ΡΡ ΡΠΎΡΠΌΡ, ΠΌΠΎΠΆΠ΅Ρ Π±ΡΡΡ ΠΏΠΎΠΊΡΡΡΠ° Π±Π΅Π»ΡΠΌ, ΠΆΠ΅Π»ΡΠΎΠ²Π°ΡΡΠΌ ΠΈΠ»ΠΈ ΡΠ΅ΡΡΠΌ Π½Π°Π»Π΅ΡΠΎΠΌ. Π£ Π±ΠΎΠ»ΡΠ½ΠΎΠ³ΠΎ ΡΡΠΈΠ»ΠΈΠ²Π°Π΅ΡΡΡ ΡΠ»ΡΠ½ΠΎΠΎΡΠ΄Π΅Π»Π΅Π½ΠΈΠ΅, Π²ΠΎΠ·Π½ΠΈΠΊΠ°ΡΡ Π½Π΅ΠΏΡΠΈΡΡΠ½ΡΠ΅ ΠΎΡΡΡΠ΅Π½ΠΈΡ ΠΏΡΠΈ ΡΠΏΠΎΡΡΠ΅Π±Π»Π΅Π½ΠΈΠΈ ΠΊΠΈΡΠ»ΠΎΠΉ, ΡΠΎΠ»Π΅Π½ΠΎΠΉ ΠΏΠΈΡΠΈ. ΠΠ·ΠΎ ΡΡΠ° Π½Π΅ΠΏΡΠΈΡΡΠ½ΠΎ ΠΏΠ°Ρ Π½Π΅Ρ, ΡΠ°Π½ΠΊΠΈ ΠΏΡΠΈ ΠΏΠΎΠ²ΡΠ΅ΠΆΠ΄Π΅Π½ΠΈΠΈ ΠΊΡΠΎΠ²ΠΎΡΠΎΡΠ°Ρ. Π Π·Π°ΠΏΡΡΠ΅Π½Π½ΡΡ ΡΠ»ΡΡΠ°ΡΡ ΡΠ·Π²ΠΎΡΠΊΠΈ Π²ΠΎΡΠΏΠ°Π»ΡΡΡΡΡ, Π³Π½ΠΎΡΡΡΡ, Π²ΡΠ·ΡΠ²Π°Ρ ΡΡ ΡΠ΄ΡΠ΅Π½ΠΈΠ΅ ΠΎΠ±ΡΠ΅Π³ΠΎ ΡΠ°ΠΌΠΎΡΡΠ²ΡΡΠ²ΠΈΡ.
ΠΠΎΠ»ΠΎΡΠ½ΠΈΡΠ° (ΠΊΠ°Π½Π΄ΠΈΠ΄ΠΎΠ·)
ΠΠ°Π½Π΄ΠΈΠ΄ΠΎΠ·ΠΡΠΎ Π³ΡΠΈΠ±ΠΊΠΎΠ²ΠΎΠ΅ Π·Π°Π±ΠΎΠ»Π΅Π²Π°Π½ΠΈΠ΅, ΠΊΠΎΡΠΎΡΠΎΠ΅ Ρ Π°ΡΠ°ΠΊΡΠ΅ΡΠΈΠ·ΡΠ΅ΡΡΡ ΠΎΠ±ΡΠ°Π·ΠΎΠ²Π°Π½ΠΈΠ΅ΠΌ Π±Π΅Π»ΠΎΠ³ΠΎ ΡΠ²ΠΎΡΠΎΠΆΠΈΡΡΠΎΠ³ΠΎ Π½Π°Π»Π΅ΡΠ° Π² ΡΠΎΡΠΎΠ²ΠΎΠΉ ΠΏΠΎΠ»ΠΎΡΡΠΈ. ΠΠΎΠ·Π±ΡΠ΄ΠΈΡΠ΅Π»Π΅ΠΌ ΠΌΠΎΠ»ΠΎΡΠ½ΠΈΡΡ ΡΠ²Π»ΡΡΡΡΡ Π³ΡΠΈΠ±ΠΊΠΈ ΡΠΎΠ΄Π° ΠΠ°Π½Π΄ΠΈΠ΄Π°, ΡΡΠΈ ΠΏΡΠΎΡΡΠ΅ΠΉΡΠΈΠ΅ ΠΌΠΈΠΊΡΠΎΠΎΡΠ³Π°Π½ΠΈΠ·ΠΌΡ ΠΎΡΠ½ΠΎΡΡΡΡΡ ΠΊ ΡΡΠ»ΠΎΠ²Π½ΠΎ-ΠΏΠ°ΡΠΎΠ³Π΅Π½Π½ΠΎΠΉ ΠΌΠΈΠΊΡΠΎΡΠ»ΠΎΡΠ΅ ΡΠ»ΠΈΠ·ΠΈΡΡΡΡ ΠΈ Π² Π½ΠΎΡΠΌΠ΅ Π½Π΅ Π²ΡΠ·ΡΠ²Π°ΡΡ ΠΏΠΎΠ²ΡΠ΅ΠΆΠ΄Π΅Π½ΠΈΡ ΠΌΡΠ³ΠΊΠΈΡ ΡΠΊΠ°Π½Π΅ΠΉ.
ΠΠ°ΡΠΎΠ»ΠΎΠ³ΠΈΡ ΠΏΡΠΎΠ³ΡΠ΅ΡΡΠΈΡΡΠ΅Ρ ΠΏΡΠΈ ΠΎΡΠ»Π°Π±Π»Π΅Π½ΠΈΠΈ ΠΈΠΌΠΌΡΠ½ΠΈΡΠ΅ΡΠ°, ΡΠ°ΡΠ΅ Π²ΡΠ΅Π³ΠΎ Π΄ΠΈΠ°Π³Π½ΠΎΡΡΠΈΡΡΠ΅ΡΡΡ Ρ ΠΌΠ°Π»Π΅Π½ΡΠΊΠΈΡ Π΄Π΅ΡΠ΅ΠΉ, ΠΏΠΎΠΆΠΈΠ»ΡΡ Π»ΡΠ΄Π΅ΠΉ, Π»ΠΈΡ, ΡΡΡΠ°Π΄Π°ΡΡΠΈΡ Ρ ΡΠΎΠ½ΠΈΡΠ΅ΡΠΊΠΈΠΌΠΈ ΡΠΈΡΡΠ΅ΠΌΠ½ΡΠΌΠΈ Π·Π°Π±ΠΎΠ»Π΅Π²Π°Π½ΠΈΡΠΌΠΈ, ΠΏΠ΅ΡΠ΅Π½Π΅ΡΡΠΈΠΌΠΈ Ρ ΠΈΠΌΠΈΠΎΡΠ΅ΡΠ°ΠΏΠΈΡ.
ΠΡΠΈ ΠΊΠ°Π½Π΄ΠΈΠ΄ΠΎΠ·Π½ΠΎΠΌ ΡΡΠΎΠΌΠ°ΡΠΈΡΠ΅ Π½Π° ΡΠ·ΡΠΊΠ΅ ΠΈ ΡΠ»ΠΈΠ·ΠΈΡΡΡΡ ΠΎΠ±ΠΎΠ»ΠΎΡΠΊΠ°Ρ ΠΎΠ±ΡΠ°Π·ΡΡΡΡΡ Π±Π΅Π»ΡΠ΅ ΠΏΡΡΠ½Π°, ΠΏΠΎΠΊΡΡΡΡΠ΅ Π½Π°Π»Π΅ΡΠΎΠΌ. ΠΠ³ΠΎ ΠΊΠΎΠ½ΡΠΈΡΡΠ΅Π½ΡΠΈΡ Π½Π°ΠΏΠΎΠΌΠΈΠ½Π°Π΅Ρ ΡΠ²Π΅ΡΠ½ΡΠ²ΡΠ΅Π΅ΡΡ ΠΌΠΎΠ»ΠΎΠΊΠΎ. ΠΠ°ΠΊΡΠ΅ΡΠΈΠ°Π»ΡΠ½ΡΠ΅ ΠΎΡΠ»ΠΎΠΆΠ΅Π½ΠΈΡ Π»Π΅Π³ΠΊΠΎ ΡΠ½ΠΈΠΌΠ°ΡΡΡΡ, Π½Π° ΠΈΡ ΠΌΠ΅ΡΡΠ΅ ΠΎΡΡΠ°ΡΡΡΡ ΠΊΡΠΎΠ²ΠΎΡΠΎΡΠ°ΡΠΈΠ΅ ΡΠ·Π²ΠΎΡΠΊΠΈ. ΠΠΎΠ»ΡΠ½ΡΠ΅ ΠΆΠ°Π»ΡΡΡΡΡ Π½Π° Π½Π΅ΠΏΡΠΈΡΡΠ½ΡΠΉ ΠΌΠ΅ΡΠ°Π»Π»ΠΈΡΠ΅ΡΠΊΠΈΠΉ ΠΏΡΠΈΠ²ΠΊΡΡ Π²ΠΎ ΡΡΡ, Π±ΠΎΠ»Ρ, ΠΆΠΆΠ΅Π½ΠΈΠ΅ ΠΏΡΠΈ ΡΠΏΠΎΡΡΠ΅Π±Π»Π΅Π½ΠΈΠΈ ΠΏΠΈΡΠΈ. ΠΡΠΈ Ρ ΡΠΎΠ½ΠΈΡΠ΅ΡΠΊΠΎΠΌ ΡΠ΅ΡΠ΅Π½ΠΈΠΈ ΡΡΠΎΠΌΠ°ΡΠΈΡΠ° Π³ΡΠΈΠ±ΠΊΠΎΠ²Π°Ρ ΠΈΠ½ΡΠ΅ΠΊΡΠΈΡ ΠΏΡΠΎΠ½ΠΈΠΊΠ°Π΅Ρ Π² Π³ΠΎΡΡΠ°Π½Ρ, ΠΌΠΎΠΆΠ΅Ρ ΠΏΠΎΡΠ°ΠΆΠ°ΡΡ Π΄ΡΡ Π°ΡΠ΅Π»ΡΠ½ΡΠ΅ ΠΏΡΡΠΈ, ΠΏΠΈΡΠ΅Π²Π°ΡΠΈΡΠ΅Π»ΡΠ½ΡΠΉ ΡΡΠ°ΠΊΡ, ΠΌΠΎΡΠ΅ΠΏΠΎΠ»ΠΎΠ²ΡΡ ΡΠΈΡΡΠ΅ΠΌΡ.
Π’ΡΠ°Π²ΠΌΡ ΡΠ·ΡΠΊΠ°
ΠΠΆΠΎΠ³ΠΡΠ½ΠΎΠ²Π½ΡΠ΅ ΠΏΡΠΈΡΠΈΠ½Ρ ΠΌΠ΅Ρ Π°Π½ΠΈΡΠ΅ΡΠΊΠΎΠ³ΠΎ ΠΏΠΎΠ²ΡΠ΅ΠΆΠ΄Π΅Π½ΠΈΡ ΡΠ·ΡΠΊΠ°:
- ΠΏΡΠΈΠΊΡΡΡΠ²Π°Π½ΠΈΠ΅;
- ΡΠ΅ΡΠΌΠΈΡΠ΅ΡΠΊΠΈΠΉ, Ρ ΠΈΠΌΠΈΡΠ΅ΡΠΊΠΈΠΉ ΠΎΠΆΠΎΠ³;
- ΠΏΠΎΡΠ΅Π· ΠΎΠ± ΠΎΡΡΡΡΠ΅ ΠΊΡΠ°Ρ ΡΠ°Π·ΡΡΡΠ΅Π½Π½ΡΡ Π·ΡΠ±ΠΎΠ², ΠΏΠ»ΠΎΠΌΠ±;
- Π½Π°ΡΠΈΡΠ°Π½ΠΈΠ΅ ΠΏΡΠΎΡΠ΅Π·ΠΎΠΌ;
- Π½Π°ΠΊΠΎΠ» ΡΡΠ±Π½ΠΎΠΉ, ΠΌΡΡΠ½ΠΎΠΉ ΠΊΠΎΡΡΡΡ;
- ΠΎΠ±ΠΌΠΎΡΠΎΠΆΠ΅Π½ΠΈΠ΅.
ΠΡΠΈ ΠΏΠΎΠ»ΡΡΠ΅Π½ΠΈΠΈ ΡΡΠ°Π²ΠΌΡ ΠΊΠΎΠ½ΡΠΈΠΊ ΡΠ·ΡΠΊΠ° ΠΎΡΠ΅ΠΊΠ°Π΅Ρ, Π±ΠΎΠ»ΠΈΡ, ΠΌΡΠ³ΠΊΠΈΠ΅ ΡΠΊΠ°Π½ΠΈ ΠΊΡΠ°ΡΠ½Π΅ΡΡ. Π Π·Π°Π²ΠΈΡΠΈΠΌΠΎΡΡΠΈ ΠΎΡ ΠΏΡΠΈΡΠΈΠ½Ρ ΠΏΠΎΠ²ΡΠ΅ΠΆΠ΄Π΅Π½ΠΈΡ Π½Π° ΠΏΠΎΠ²Π΅ΡΡ Π½ΠΎΡΡΠΈ ΡΠ»ΠΈΠ·ΠΈΡΡΡΡ ΠΏΠΎΡΠ²Π»ΡΡΡΡΡ Π²ΠΎΠ»Π΄ΡΡΠΈ, ΡΡΠΎΠ·ΠΈΠΈ, ΡΡΠ΅ΡΠΈΠ½Ρ. ΠΡΠΈ ΡΠΎΠ±Π»ΡΠ΄Π΅Π½ΠΈΠΈ Π³ΠΈΠ³ΠΈΠ΅Π½Ρ, ΠΏΡΠΎΠ²Π΅Π΄Π΅Π½ΠΈΠΈ Π°Π½ΡΠΈΡΠ΅ΠΏΡΠΈΡΠ΅ΡΠΊΠΈΡ ΠΏΡΠΎΡΠ΅Π΄ΡΡ ΡΠ°Π½ΠΊΠΈ Π·Π°ΠΆΠΈΠ²Π°ΡΡ ΡΠ°ΠΌΠΎΡΡΠΎΡΡΠ΅Π»ΡΠ½ΠΎ Π² ΡΠ΅ΡΠ΅Π½ΠΈΠ΅ 3β5 Π΄Π½Π΅ΠΉ.
Π ΡΠ»ΡΡΠ°Π΅ Π²ΡΠΎΡΠΈΡΠ½ΠΎΠ³ΠΎ ΠΈΠ½ΡΠΈΡΠΈΡΠΎΠ²Π°Π½ΠΈΡ ΡΠ°Π·Π²ΠΈΠ²Π°Π΅ΡΡΡ ΡΡΠΎΠΌΠ°ΡΠΈΡ, Π½Π°Π³Π½ΠΎΠ΅Π½ΠΈΠ΅ ΠΊΡΠ°ΡΠ½ΡΡ ΡΠ·Π²ΠΎΡΠ΅ΠΊ, Π²ΠΎΡΠΏΠ°Π»Π΅Π½ΠΈΠ΅ ΠΌΡΡΠ΅ΡΠ½ΡΡ ΡΠΊΠ°Π½Π΅ΠΉ.
ΠΡΡΡ ΠΠ΅Π΄Π½Π°ΡΠ°
ΠΡΡΡ ΠΠ΅Π΄Π½Π°ΡΠ°ΠΠΎΠ΄ΠΎΠ±Π½ΡΠ΅ ΡΠ·Π²Ρ ΠΈΠΌΠ΅ΡΡ ΡΡΠ°Π²ΠΌΠ°ΡΠΈΡΠ΅ΡΠΊΡΡ ΡΡΠΈΠΎΠ»ΠΎΠ³ΠΈΡ, Π²ΡΡΡΠ΅ΡΠ°ΡΡΡΡ Ρ Π½ΠΎΠ²ΠΎΡΠΎΠΆΠ΄Π΅Π½Π½ΡΡ ΠΌΠ»Π°Π΄Π΅Π½ΡΠ΅Π², Π΄Π΅ΡΠ΅ΠΉ ΡΠΊΠΎΠ»ΡΠ½ΠΎΠ³ΠΎ Π²ΠΎΠ·ΡΠ°ΡΡΠ° ΠΈ ΠΏΠΎΠ΄ΡΠΎΡΡΠΊΠΎΠ².
ΠΡΡΡ Π»ΠΎΠΊΠ°Π»ΠΈΠ·ΡΡΡΡΡ Π½Π° ΡΠ·ΡΠΊΠ΅, Π½Π΅Π±Π΅ ΠΈΠ»ΠΈ ΡΠ»ΠΈΠ·ΠΈΡΡΡΡ ΡΠΎΡΠΎΠ²ΠΎΠΉ ΠΏΠΎΠ»ΠΎΡΡΠΈ, Π²ΡΠ³Π»ΡΠ΄ΡΡ ΠΊΠ°ΠΊ ΠΎΠ²Π°Π»ΡΠ½ΡΠ΅ ΡΡΠΎΠ·ΠΈΠΈ, Π½Π΅ΠΏΡΠ°Π²ΠΈΠ»ΡΠ½ΠΎΠΉ ΡΠΎΡΠΌΡ, ΠΏΠΎΠΊΡΡΡΡΠ΅ ΠΆΠ΅Π»ΡΡΠΌ, ΠΏΠ»ΠΎΡ ΠΎ ΡΠ½ΠΈΠΌΠ°ΡΡΠΈΠΌΡΡ Π½Π°Π»Π΅ΡΠΎΠΌ.
ΠΡΠΎΠ·ΠΈΠΈ Π΄ΠΎΠ²ΠΎΠ»ΡΠ½ΠΎ Π±ΠΎΠ»Π΅Π·Π½Π΅Π½Π½Ρ, ΠΌΠΎΠ³ΡΡ ΡΠ»ΠΈΠ²Π°ΡΡΡΡ, ΡΠΎΡΠΌΠΈΡΡΡ ΠΎΠ±ΡΠΈΡΠ½ΡΡ ΡΠ°Π½Π΅Π²ΡΡ ΠΏΠΎΠ²Π΅ΡΡ Π½ΠΎΡΡΡ.
ΠΡΠΈΡΠΈΠ½Ρ ΠΏΠΎΡΠ²Π»Π΅Π½ΠΈΡ Π°ΡΡ ΠΠ΅Π΄Π½Π°ΡΠ°:
- ΡΠΎΡΠ°Π½ΠΈΠ΅ ΡΠΎΡΠΊΠΈ Π½Π΅ΠΏΡΠ°Π²ΠΈΠ»ΡΠ½ΠΎΠΉ ΡΠΎΡΠΌΡ;
- ΠΏΠ»ΠΎΡ Π°Ρ Π³ΠΈΠ³ΠΈΠ΅Π½Π° ΠΏΠΎΠ»ΠΎΡΡΠΈ ΡΡΠ°;
- Π³ΡΡΠ±Π°Ρ ΠΊΠΎΠΆΠ° ΡΠΎΡΠΊΠΎΠ² ΠΌΠ°ΡΠ΅ΡΠΈ;
- Π½Π΅ΡΠΎΠ±Π»ΡΠ΄Π΅Π½ΠΈΠ΅ ΠΏΡΠ°Π²ΠΈΠ» ΡΡΠ΅ΡΠΈΠ»ΠΈΠ·Π°ΡΠΈΠΈ Π΄Π΅ΡΡΠΊΠΎΠΉ ΠΏΠΎΡΡΠ΄Ρ;
- ΡΠΎΡΠ°Π½ΠΈΠ΅ ΠΏΠ°Π»ΡΡΠ°;
- ΠΏΡΠΈΠ²ΡΡΠΊΠ° Π±ΡΠ°ΡΡ Π² ΡΠΎΡ ΠΈΠ³ΡΡΡΠΊΠΈ, Π΄ΡΡΠ³ΠΈΠ΅ ΠΏΡΠ΅Π΄ΠΌΠ΅ΡΡ.
Π―Π·Π²ΠΎΡΠΊΠΈ ΡΠ°ΡΠ΅ Π²ΡΠ΅Π³ΠΎ Π΄ΠΈΠ°Π³Π½ΠΎΡΡΠΈΡΡΠ΅ΡΡΡ Ρ Π½Π΅Π΄ΠΎΠ½ΠΎΡΠ΅Π½Π½ΡΡ , ΠΌΠ°Π»ΡΡΠ΅ΠΉ Π½Π° ΠΈΡΠΊΡΡΡΡΠ²Π΅Π½Π½ΠΎΠΌ Π²ΡΠΊΠ°ΡΠΌΠ»ΠΈΠ²Π°Π½ΠΈΠΈ, ΡΡΡΠ°Π΄Π°ΡΡΠΈΡ Π²ΡΠΎΠΆΠ΄Π΅Π½Π½ΡΠΌΠΈ ΠΏΠ°ΡΠΎΠ»ΠΎΠ³ΠΈΡΠΌΠΈ Π²Π½ΡΡΡΠ΅Π½Π½ΠΈΡ ΠΎΡΠ³Π°Π½ΠΎΠ².
ΠΡΡΠΎΠ· Π‘Π΅ΡΡΠΎΠ½Π°
ΠΡΡΠΎΠ· Π‘Π΅ΡΡΠΎΠ½Π°ΠΠ°Π±ΠΎΠ»Π΅Π²Π°Π½ΠΈΠ΅ ΠΎΡΠ½ΠΎΡΠΈΡΡΡ ΠΊ ΡΠ΅ΡΠΈΠ΄ΠΈΠ²ΠΈΡΡΡΡΠ΅ΠΉ ΡΠ°Π·Π½ΠΎΠ²ΠΈΠ΄Π½ΠΎΡΡΠΈ ΡΡΠΎΠΌΠ°ΡΠΈΡΠ°. ΠΡΠ°ΡΠ΅ΡΠΎΠΎΠ±ΡΠ°Π·Π½ΡΠ΅ Π°ΡΡΡ ΡΠ΅Π·ΠΊΠΎ Π±ΠΎΠ»Π΅Π·Π½Π΅Π½Π½Ρ, Π·Π°ΠΆΠΈΠ²Π°ΡΡ 2β3 Π½Π΅Π΄Π΅Π»ΠΈ, ΠΎΠ±ΠΎΡΡΡΠ΅Π½ΠΈΡ ΠΏΡΠΎΠΈΡΡ ΠΎΠ΄ΡΡ Π΄ΠΎ 5β6 ΡΠ°Π· Π² Π³ΠΎΠ΄.
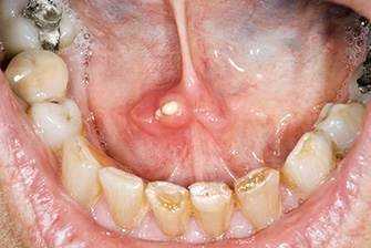
ΠΠΎ ΡΡΡ ΠΎΠ΄Π½ΠΎΠ²ΡΠ΅ΠΌΠ΅Π½Π½ΠΎ ΠΎΠ±Π½Π°ΡΡΠΆΠΈΠ²Π°ΡΡΡΡ Π³Π»ΡΠ±ΠΎΠΊΠΈΠ΅ ΠΈ ΠΏΠΎΠ²Π΅ΡΡ Π½ΠΎΡΡΠ½ΡΠ΅ ΡΠ·Π²ΠΎΡΠΊΠΈ, Π½Π°Π±Π»ΡΠ΄Π°ΡΡΡΡ ΠΏΡΠΈΡΡΡΠΏΠΎΠΎΠ±ΡΠ°Π·Π½ΡΠ΅ Π²ΡΡΡΠΏΠ°Π½ΠΈΡ, ΠΊΠΎΡΠΎΡΡΠ΅ ΠΌΠΎΠ³ΡΡ ΠΏΡΠΎΠ΄ΠΎΠ»ΠΆΠ°ΡΡΡΡ Π΄ΠΎ Π½Π΅ΡΠΊΠΎΠ»ΡΠΊΠΈΡ Π½Π΅Π΄Π΅Π»Ρ. Π Π°Π½ΠΊΠΈ ΡΠ°ΡΠ΅ Π²ΡΠ΅Π³ΠΎ Π»ΠΎΠΊΠ°Π»ΠΈΠ·ΡΡΡΡΡ Π½Π° Π±ΠΎΠΊΠΎΠ²ΠΎΠΉ ΠΏΠΎΠ²Π΅ΡΡ Π½ΠΎΡΡΠΈ ΠΈΠ»ΠΈ ΠΊΠΎΠ½ΡΠΈΠΊΠ΅ ΡΠ·ΡΠΊΠ°, Π²Π½ΡΡΡΠ΅Π½Π½Π΅ΠΉ ΡΡΠΎΡΠΎΠ½Π΅ Π³ΡΠ±, ΡΠ΅ΠΊ.
ΠΠ½Π°ΡΠ°Π»Π΅ Π½Π° ΡΠ·ΡΠΊΠ΅ ΠΏΠΎΡΠ²Π»ΡΠ΅ΡΡΡ ΡΠΏΠ»ΠΎΡΠ½Π΅Π½Π½ΡΠΉ, Π±ΠΎΠ»Π΅Π·Π½Π΅Π½Π½ΡΠΉ ΡΡΠ°ΡΡΠΎΠΊ. ΠΠ°ΡΠ΅ΠΌ ΡΠΎΡΠΌΠΈΡΡΠ΅ΡΡΡ Π°ΡΡΠ°, ΠΏΠΎΠΊΡΡΡΠ°Ρ ΡΠΈΠ±ΡΠΈΠ½ΠΎΠ·Π½ΡΠΌ Π½Π°Π»Π΅ΡΠΎΠΌ. Π―Π·Π²Π° ΠΏΠΎΡΡΠ΅ΠΏΠ΅Π½Π½ΠΎ ΡΠ³Π»ΡΠ±Π»ΡΠ΅ΡΡΡ, ΠΏΡΠΈΠΎΠ±ΡΠ΅ΡΠ°Π΅Ρ Π³ΠΈΠΏΠ΅ΡΠ΅ΠΌΠΈΡΠΎΠ²Π°Π½Π½ΡΠΉ ΠΊΠΎΠ½ΡΡΡ, ΠΎΠΊΡΡΠΆΠ°ΡΡΠΈΠ΅ ΡΠΊΠ°Π½ΠΈ Π²ΠΎΡΠΏΠ°Π»ΡΡΡΡΡ, ΠΎΡΠ΅ΠΊΠ°ΡΡ. Π Π°Π½Ρ ΡΠΏΠΈΡΠ΅Π»ΠΈΠ·ΠΈΡΡΡΡΡΡ ΠΌΠ΅Π΄Π»Π΅Π½Π½ΠΎ, Π½Π°ΠΈΠ±ΠΎΠ»Π΅Π΅ Π³Π»ΡΠ±ΠΎΠΊΠΈΠ΅ ΠΌΠΎΠ³ΡΡ Π·Π°ΡΡΠ³ΠΈΠ²Π°ΡΡΡΡ Π΄ΠΎ 2 ΠΌΠ΅ΡΡΡΠ΅Π², Π½Π° ΠΈΡ ΠΌΠ΅ΡΡΠ΅ ΠΎΡΡΠ°ΡΡΡΡ ΡΡΠ±ΡΡ.
Π―Π·Π²Π΅Π½Π½ΠΎ-Π½Π΅ΠΊΡΠΎΡΠΈΡΠ΅ΡΠΊΠΈΠΉ Π³ΠΈΠ½Π³ΠΈΠ²ΠΎΡΡΠΎΠΌΠ°ΡΠΈΡ
Π―Π·Π²Π΅Π½Π½ΠΎ-Π½Π΅ΠΊΡΠΎΡΠΈΡΠ΅ΡΠΊΠΈΠΉ Π³ΠΈΠ½Π³ΠΈΠ²ΠΎΡΡΠΎΠΌΠ°ΡΠΈΡΠ‘ΡΠΎΠΌΠ°ΡΠΈΡ ΠΠ΅Π½ΡΠ°Π½Π° β ΡΡΠΎ ΠΈΠ½ΡΠ΅ΠΊΡΠΈΠΎΠ½Π½ΠΎΠ΅ ΠΏΠΎΡΠ°ΠΆΠ΅Π½ΠΈΠ΅ ΡΠ»ΠΈΠ·ΠΈΡΡΠΎΠΉ ΠΎΠ±ΠΎΠ»ΠΎΡΠΊΠΈ ΠΏΠΎΠ»ΠΎΡΡΠΈ ΡΡΠ°. ΠΠΎΠ·Π±ΡΠ΄ΠΈΡΠ΅Π»ΡΠΌΠΈ Π·Π°Π±ΠΎΠ»Π΅Π²Π°Π½ΠΈΡ ΡΠ²Π»ΡΡΡΡΡ ΡΡΠ·ΠΎΠ±Π°ΠΊΡΠ΅ΡΠΈΠΈ ΠΈ ΡΠΏΠΈΡΠΎΡ Π΅ΡΡ.
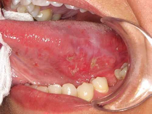
ΠΠ° Π½Π°ΡΠ°Π»ΡΠ½ΠΎΠΌ ΡΡΠ°ΠΏΠ΅ ΠΎΡΠΌΠ΅ΡΠ°Π΅ΡΡΡ ΠΏΠΎΠΊΡΠ°ΡΠ½Π΅Π½ΠΈΠ΅, ΠΊΡΠΎΠ²ΠΎΡΠΎΡΠΈΠ²ΠΎΡΡΡ ΠΌΡΠ³ΠΊΠΈΡ ΡΠΊΠ°Π½Π΅ΠΉ, ΠΏΠ°ΡΠΈΠ΅Π½ΡΡ ΠΆΠ°Π»ΡΡΡΡΡ Π½Π° ΠΎΠ±ΡΠ΅Π΅ Π½Π΅Π΄ΠΎΠΌΠΎΠ³Π°Π½ΠΈΠ΅, ΡΠΌΠ΅Π½ΡΡΠ΅Π½ΠΈΠ΅ ΡΠ°Π±ΠΎΡΠΎΡΠΏΠΎΡΠΎΠ±Π½ΠΎΡΡΠΈ, Π±Π΅ΡΡΠΎΠ½Π½ΠΈΡΡ, ΠΏΠΎΡΠ΅ΡΡ Π°ΠΏΠΏΠ΅ΡΠΈΡΠ°, ΡΡΠΈΠ»Π΅Π½Π½ΠΎΠ΅ ΡΠ»ΡΠ½ΠΎΠΎΡΠ΄Π΅Π»Π΅Π½ΠΈΠ΅, Π³ΠΈΠΏΠ΅ΡΡΠ΅ΡΠΌΠΈΡ.
Π§Π΅ΡΠ΅Π· Π½Π΅ΡΠΊΠΎΠ»ΡΠΊΠΎ Π΄Π½Π΅ΠΉ Π½Π° Π±ΠΎΠΊΡ, ΠΊΠΎΠ½ΡΠΈΠΊΠ΅ ΡΠ·ΡΠΊΠ°, Π΄Π΅ΡΠ½Π°Ρ , ΡΠ΅ΠΊΠ°Ρ ΡΠΎΡΠΌΠΈΡΡΡΡΡΡ Π³Π½ΠΎΠΉΠ½ΡΠ΅ ΡΠ·Π²ΠΎΡΠΊΠΈ Ρ ΡΠ΅ΡΠΎ-Π·Π΅Π»Π΅Π½ΡΠΌ Π½Π°Π»Π΅ΡΠΎΠΌ. ΠΡΠΈ ΠΏΠΎΠΏΡΡΠΊΠ΅ ΡΠ½ΡΡΡ Π±Π°ΠΊΡΠ΅ΡΠΈΠ°Π»ΡΠ½ΡΠ΅ ΠΎΡΠ»ΠΎΠΆΠ΅Π½ΠΈΡ ΠΎΠ±Π½Π°ΠΆΠ°Π΅ΡΡΡ Π³Π»ΡΠ±ΠΎΠΊΠ°Ρ ΠΊΡΠΎΠ²ΠΎΡΠΎΡΠ°ΡΠ°Ρ ΡΠ°Π½Π°. ΠΠ΅Π· ΠΏΡΠΎΠ²Π΅Π΄Π΅Π½ΠΈΡ Π°Π΄Π΅ΠΊΠ²Π°ΡΠ½ΠΎΠ³ΠΎ Π»Π΅ΡΠ΅Π½ΠΈΡ Π½Π΅ΠΊΡΠΎΡΠΈΡΠ΅ΡΠΊΠΈΠΉ ΠΏΡΠΎΡΠ΅ΡΡ ΡΠ°ΡΠΏΡΠΎΡΡΡΠ°Π½ΡΠ΅ΡΡΡ Π½Π° Π±ΠΎΠ»Π΅Π΅ Π³Π»ΡΠ±ΠΎΠΊΠΈΠ΅ ΡΠΊΠ°Π½ΠΈ, ΠΏΠΎΡΠ°ΠΆΠ°Π΅Ρ ΠΌΡΡΡΡ, ΠΊΠΎΡΡΠΈ ΡΠ΅Π»ΡΡΡΠΈ. ΠΠΎΡΠ»Π΅ Π·Π°ΠΆΠΈΠ²Π»Π΅Π½ΠΈΡ ΡΠ·Π² ΠΎΡΡΠ°ΡΡΡΡ ΡΡΠ±ΡΡ.
Π‘ΠΈΡΠΈΠ»ΠΈΡ
Π‘ΠΈΡΠΈΠ»ΠΈΡΠΈΡΠ΅ΡΠΊΠΈΠΉ ΡΠ°Π½ΠΊΡΠΠ΅ΡΠ²ΠΈΡΠ½Π°Ρ ΡΠΈΡΠΈΠ»ΠΈΡΠΈΡΠ΅ΡΠΊΠ°Ρ ΠΈΠ½ΡΠ΅ΠΊΡΠΈΡ Ρ
Π°ΡΠ°ΠΊΡΠ΅ΡΠΈΠ·ΡΠ΅ΡΡΡ ΠΏΠΎΡΠ²Π»Π΅Π½ΠΈΠ΅ΠΌ ΡΠΏΠ»ΠΎΡΠ½Π΅Π½Π½ΠΎΠ³ΠΎ ΡΠ°Π½ΠΊΡΠ° Π½Π° ΠΌΠ΅ΡΡΠ΅ Π²Π½Π΅Π΄ΡΠ΅Π½ΠΈΡ Π±Π»Π΅Π΄Π½ΠΎΠΉ ΡΡΠ΅ΠΏΠΎΠ½Π΅ΠΌΡ. ΠΡΠ»ΠΈ Π·Π°ΡΠ°ΠΆΠ΅Π½ΠΈΠ΅ ΠΏΡΠΎΠΈΠ·ΠΎΡΠ»ΠΎ ΠΎΡΠ°Π»ΡΠ½ΡΠΌ ΠΏΡΡΠ΅ΠΌ, ΡΠΈΡΠΈΠ»ΠΎΠΌΡ ΡΠΎΡΠΌΠΈΡΡΡΡΡΡ Π½Π° ΡΠ·ΡΠΊΠ΅, ΠΊΡΠ°ΡΠ½ΠΎΠΉ ΠΊΠ°ΠΉΠΌΠ΅ Π³ΡΠ± ΠΈΠ»ΠΈ ΡΠ»ΠΈΠ·ΠΈΡΡΡΡ
ΠΎΠ±ΠΎΠ»ΠΎΡΠΊΠ°Ρ
.
Π―Π·Π²ΠΎΡΠΊΠΈ Π±ΡΠ²Π°ΡΡ Π΅Π΄ΠΈΠ½ΠΈΡΠ½ΡΠ΅ ΠΈΠ»ΠΈ ΠΌΠ½ΠΎΠΆΠ΅ΡΡΠ²Π΅Π½Π½ΡΠ΅, ΠΈΠΌΠ΅ΡΡ ΠΎΠΊΡΡΠ³Π»ΡΡ ΡΠΎΡΠΌΡ, Π²ΠΎΠ·Π²ΡΡΠ°ΡΡΡΡ Π½Π°Π΄ ΠΎΠΊΡΡΠΆΠ°ΡΡΠΈΠΌΠΈ ΡΠΊΠ°Π½ΡΠΌΠΈ, Π΄ΠΎΡΡΠΈΠ³Π°ΡΡ 5β10 ΠΌΠΌ Π² Π΄ΠΈΠ°ΠΌΠ΅ΡΡΠ΅. Π¨Π°Π½ΠΊΡ Π±Π΅Π·Π±ΠΎΠ»Π΅Π·Π½Π΅Π½Π½ΡΠΉ, Π΅Π³ΠΎ ΡΠ΅Π½ΡΡΠ°Π»ΡΠ½Π°Ρ ΡΠ°ΡΡΡ ΠΌΠΎΠΆΠ΅Ρ Π½Π΅ΠΊΡΠΎΡΠΈΠ·ΠΈΡΠΎΠ²Π°ΡΡΡΡ, ΡΠΎΡΠΌΠΈΡΡΡ ΠΊΡΠ°ΡΠ΅Ρ ΠΈ ΠΏΠΎΠΊΡΡΠ²Π°ΡΡΡ ΡΠ΅ΡΠΎ-ΠΆΠ΅Π»ΡΡΠΌ, ΠΆΠΈΡΠ½ΡΠΌ Π½Π°Π»Π΅ΡΠΎΠΌ.
Π‘ΠΈΠΌΠΏΡΠΎΠΌΠ°ΡΠΈΠΊΠ° ΡΠΎΡ ΡΠ°Π½ΡΠ΅ΡΡΡ Π΄ΠΎ 6β7 Π΄Π½Π΅ΠΉ. ΠΠΎΠΏΠΎΠ»Π½ΠΈΡΠ΅Π»ΡΠ½ΠΎ Π²ΠΎΡΠΏΠ°Π»ΡΡΡΡΡ ΡΠ΅ΠΉΠ½ΡΠ΅, Π½ΠΈΠΆΠ½Π΅ΡΠ΅Π»ΡΡΡΠ½ΡΠ΅, Π·Π°ΡΡΠ»ΠΎΡΠ½ΡΠ΅ Π»ΠΈΠΌΡΠΎΡΠ·Π»Ρ. ΠΡΠΈ Π½Π΅ΡΠ΄ΠΎΠ²Π»Π΅ΡΠ²ΠΎΡΠΈΡΠ΅Π»ΡΠ½ΠΎΠΉ Π³ΠΈΠ³ΠΈΠ΅Π½Π΅ ΡΠΎΡΠΎΠ²ΠΎΠΉ ΠΏΠΎΠ»ΠΎΡΡΠΈ ΠΏΡΠΈΡΠΎΠ΅Π΄ΠΈΠ½ΡΠ΅ΡΡΡ Π²ΡΠΎΡΠΈΡΠ½Π°Ρ ΠΈΠ½ΡΠ΅ΠΊΡΠΈΡ. Π―Π·Π²ΠΎΡΠΊΠΈ Π²ΠΎΡΠΏΠ°Π»ΡΡΡΡΡ, Π½Π°ΡΠΈΠ½Π°ΡΡ Π³Π½ΠΎΠΈΡΡΡΡ, Π²ΡΠ·ΡΠ²Π°ΡΡ ΡΠ΅Π·ΠΊΠΈΠ΅ Π±ΠΎΠ»Π΅Π·Π½Π΅Π½Π½ΡΠ΅ ΠΎΡΡΡΠ΅Π½ΠΈΡ.
Π’ΡΠ±Π΅ΡΠΊΡΠ»Π΅Π·
Π’ΡΠ±Π΅ΡΠΊΡΠ»Π΅Π·ΠΠΎΡΠ°ΠΆΠ΅Π½ΠΈΠ΅ ΡΠ·ΡΠΊΠ° ΠΏΡΠΈ ΠΌΠΈΠΊΠΎΡΠΈΡΠ΅ΡΠΊΠΎΠΉ ΠΈΠ½ΡΠ΅ΠΊΡΠΈΠΈ Π±ΡΠ²Π°Π΅Ρ ΠΏΠ΅ΡΠ²ΠΈΡΠ½ΡΠΌ ΠΈΠ»ΠΈ Π²ΡΠΎΡΠΈΡΠ½ΡΠΌ Π½Π° ΡΠΎΠ½Π΅ Π·Π°ΠΏΡΡΠ΅Π½Π½ΠΎΠ³ΠΎ ΡΡΠ±Π΅ΡΠΊΡΠ»Π΅Π·Π° Π»Π΅Π³ΠΊΠΈΡ . Π£ Π±ΠΎΠ»ΡΠ½ΡΡ Π½Π°Π±Π»ΡΠ΄Π°Π΅ΡΡΡ ΠΈΠ·ΡΡΠ·Π²Π»Π΅Π½ΠΈΠ΅ ΡΠ·ΡΠΊΠ°, ΡΠ°Π½ΠΊΠΈ ΠΈΠΌΠ΅ΡΡ ΡΠ΅Π»Π΅Π²ΠΈΠ΄Π½ΡΡ ΠΈΠ»ΠΈ ΠΎΠΊΡΡΠ³Π»ΡΡ ΡΠΎΡΠΌΡ Ρ ΡΡΡ Π»ΡΠΌΠΈ ΠΊΡΠ°ΡΠΌΠΈ. Π―Π·Π²ΠΎΡΠΊΠΈ Π±ΠΎΠ»Π΅Π·Π½Π΅Π½Π½Ρ, Π»Π΅Π³ΠΊΠΎ ΠΊΡΠΎΠ²ΠΎΡΠΎΡΠ°Ρ, Π½Π° Π΄Π½Π΅
Π²ΠΈΠ΄Π½Ρ ΡΠ·Π΅Π»ΠΊΠΈ ΡΠ΅ΡΠΎ-ΠΆΠ΅Π»ΡΠΎΠ³ΠΎ ΡΠ²Π΅ΡΠ°.
ΠΠ°ΡΠΎΠ»ΠΎΠ³ΠΈΡΠ΅ΡΠΊΠΈΠ΅ ΠΎΠ±ΡΠ°Π·ΠΎΠ²Π°Π½ΠΈΡ ΠΌΠΎΠ³ΡΡ Π±ΡΡΡ Π΅Π΄ΠΈΠ½ΠΈΡΠ½ΡΠΌΠΈ ΠΈΠ»ΠΈ ΠΌΠ½ΠΎΠΆΠ΅ΡΡΠ²Π΅Π½Π½ΡΠΌΠΈ, Π»ΠΎΠΊΠ°Π»ΠΈΠ·ΠΎΠ²Π°ΡΡΡΡ Π² Π»ΡΠ±ΠΎΠΉ ΡΠ°ΡΡΠΈ ΡΠ·ΡΠΊΠ°, Π½ΠΎ ΡΠ°ΡΠ΅ Π²ΡΠ΅Π³ΠΎ Π²ΡΡΡΠ΅ΡΠ°ΡΡΡΡ Π½Π° ΠΊΠΎΠ½ΡΠΈΠΊΠ΅, ΠΊΠΎΡΠ½Π΅, ΡΠΏΠΈΠ½ΠΊΠ΅ ΠΈΠ»ΠΈ Π±ΠΎΠΊΠΎΠ²ΡΡ ΠΏΠΎΠ²Π΅ΡΡ Π½ΠΎΡΡΡΡ ΠΌΡΡΠ΅ΡΠ½ΠΎΠ³ΠΎ ΠΎΡΠ³Π°Π½Π°. ΠΡΠΈ Π·Π°ΠΏΡΡΠ΅Π½Π½ΠΎΠΌ ΡΠ΅ΡΠ΅Π½ΠΈΠΈ ΡΡΠ±Π΅ΡΠΊΡΠ»Π΅Π·Π° Π½Π° ΠΏΠΎΠ²Π΅ΡΡ Π½ΠΎΡΡΠΈ ΡΠ»ΠΈΠ·ΠΈΡΡΡΡ ΡΠΎΡΠΌΠΈΡΡΡΡΡΡ ΠΌΠ½ΠΎΠΆΠ΅ΡΡΠ²Π΅Π½Π½ΡΠ΅ ΠΌΠΈΠ»ΠΈΠ°ΡΠ½ΡΠ΅ ΡΠ·Π΅Π»ΠΊΠΈ, ΡΠΏΠΎΡΠΎΠ±Π½ΡΠ΅ ΡΠ»ΠΈΠ²Π°ΡΡΡΡ Π² ΠΎΠ±ΡΠΈΡΠ½ΡΠ΅ ΡΠ·Π²Ρ.
ΠΠΠ§
ΠΠΠ§Π£ Π±ΠΎΠ»ΡΠ½ΡΡ , ΡΡΡΠ°Π΄Π°ΡΡΠΈΡ Π²ΠΈΡΡΡΠΎΠΌ ΠΈΠΌΠΌΡΠ½ΠΎΠ΄Π΅ΡΠΈΡΠΈΡΠ°, Π½Π΅ΡΠ΅Π΄ΠΊΠΎ Π²ΡΡΡΠ΅ΡΠ°Π΅ΡΡΡ Π³ΡΠΈΠ±ΠΊΠΎΠ²Π°Ρ ΡΠΎΡΠΌΠ° ΡΡΠΎΠΌΠ°ΡΠΈΡΠ° (ΠΌΠΎΠ»ΠΎΡΠ½ΠΈΡΠ°) Ρ Ρ Π°ΡΠ°ΠΊΡΠ΅ΡΠ½ΡΠΌΠΈ ΡΠΈΠΌΠΏΡΠΎΠΌΠ°ΠΌΠΈ.
Π ΡΠ°ΠΊΠΆΠ΅ Π² ΡΠΎΡΠΎΠ²ΠΎΠΉ ΠΏΠΎΠ»ΠΎΡΡΠΈ ΠΎΠ±ΡΠ°Π·ΡΡΡΡΡ Π³Π΅ΡΠΏΠ΅ΡΠΈΡΠ΅ΡΠΊΠΈΠ΅ Π²ΡΡΡΠΏΠ°Π½ΠΈΡ Π² Π²ΠΈΠ΄Π΅ Π²ΠΎΠ»Π΄ΡΡΠ΅ΠΉ, ΠΏΡΠ΅Π²ΡΠ°ΡΠ°ΡΡΠΈΡ ΡΡ Π² Π±ΠΎΠ»Π΅Π·Π½Π΅Π½Π½ΡΠ΅ ΡΠ·Π²Ρ.
Π¦ΠΈΡΠΎΠΌΠ΅Π³Π°Π»ΠΎΠ²ΠΈΡΡΡΠ½Π°Ρ ΠΈΠ½ΡΠ΅ΠΊΡΠΈΡ Π²ΡΠ·ΡΠ²Π°Π΅Ρ ΠΏΠΎΡΠ²Π»Π΅Π½ΠΈΠ΅ Π½Π΅ΠΊΡΠΎΡΠΈΡΠ΅ΡΠΊΠΈΡ ΡΠ·Π² Π½Π° Π΄Π΅ΡΠ½Π°Ρ ΠΈΠ»ΠΈ ΡΠ·ΡΠΊΠ΅.
ΠΠ±ΡΠ°ΡΠΈΡΠ΅ Π²Π½ΠΈΠΌΠ°Π½ΠΈΠ΅! ΠΠ·-Π·Π° ΠΎΡΡΡΡΡΡΠ²ΠΈΡ ΠΈΠΌΠΌΡΠ½Π½ΠΎΠΉ Π·Π°ΡΠΈΡΡ Ρ ΠΠΠ§-ΠΈΠ½ΡΠΈΡΠΈΡΠΎΠ²Π°Π½Π½ΡΡ ΠΏΠ°ΡΠΈΠ΅Π½ΡΠΎΠ² ΠΎΠ±ΡΡΠ½ΡΠΉ ΡΡΠΎΠΌΠ°ΡΠΈΡ ΠΏΡΠΎΡΠ΅ΠΊΠ°Π΅Ρ Π² ΡΡΠΆΠ΅Π»ΠΎΠΉ ΡΠΎΡΠΌΠ΅, ΡΡΡΠ΄Π½ΠΎ ΠΏΠΎΠ΄Π΄Π°Π΅ΡΡΡ Π»Π΅ΡΠ΅Π½ΠΈΡ, Π²ΡΠ·ΡΠ²Π°Π΅Ρ ΠΎΡΠ»ΠΎΠΆΠ½Π΅Π½ΠΈΡ, ΡΠΎΠΏΡΠΎΠ²ΠΎΠΆΠ΄Π°Π΅ΡΡΡ ΠΏΡΠΈΡΠΎΠ΅Π΄ΠΈΠ½Π΅Π½ΠΈΠ΅ΠΌ Π²ΡΠΎΡΠΈΡΠ½ΠΎΠΉ Π±Π°ΠΊΡΠ΅ΡΠΈΠ°Π»ΡΠ½ΠΎΠΉ ΠΈΠ½ΡΠ΅ΠΊΡΠΈΠΈ.
ΠΠΈΠ°Π³Π½ΠΎΡΡΠΈΠΊΠ°
ΠΠ΅ΡΠ²ΠΈΡΠ½ΡΠΉ ΠΎΡΠΌΠΎΡΡ ΡΠΎΡΠΎΠ²ΠΎΠΉ ΠΏΠΎΠ»ΠΎΡΡΠΈ ΠΏΡΠΎΠ²ΠΎΠ΄ΠΈΡ ΡΡΠΎΠΌΠ°ΡΠΎΠ»ΠΎΠ³. Π Π±ΠΎΠ»ΡΡΠΈΠ½ΡΡΠ²Π΅ ΡΠ»ΡΡΠ°Π΅Π² Π΄Π»Ρ ΡΡΡΠ°Π½ΠΎΠ²ΠΊΠΈ Π΄ΠΈΠ°Π³Π½ΠΎΠ·Π° Π΄ΠΎΡΡΠ°ΡΠΎΡΠ½ΠΎ Π²ΠΈΠ·ΡΠ°Π»ΡΠ½ΠΎΠ³ΠΎ ΠΎΠ±ΡΠ»Π΅Π΄ΠΎΠ²Π°Π½ΠΈΡ. ΠΡΠΈ ΠΏΠΎΠ΄ΠΎΠ·ΡΠ΅Π½ΠΈΠΈ Π½Π° Π·Π°ΡΠ°ΠΆΠ΅Π½ΠΈΠ΅ Π±Π°ΠΊΡΠ΅ΡΠΈΠ°Π»ΡΠ½ΡΠΌΠΈ ΠΈΠ½ΡΠ΅ΠΊΡΠΈΡΠΌΠΈ Π±Π΅ΡΡΡ ΡΠΎΡΠΊΠΎΠ± Ρ ΠΏΠΎΠ²Π΅ΡΡ Π½ΠΎΡΡΠΈ ΡΠ·Π²ΠΎΡΠ΅ΠΊ Π΄Π»Ρ ΠΏΡΠΎΠ²Π΅Π΄Π΅Π½ΠΈΡ Π±Π°ΠΊΠΏΠΎΡΠ΅Π²Π°. ΠΠ»Ρ Π²ΡΡΠ²Π»Π΅Π½ΠΈΡ Π²ΠΈΡΡΡΠ½ΡΡ Π·Π°Π±ΠΎΠ»Π΅Π²Π°Π½ΠΈΠΉ ΠΏΡΠΎΠ²ΠΎΠ΄ΠΈΡΡΡ ΠΠ¦Π -ΠΈΡΡΠ»Π΅Π΄ΠΎΠ²Π°Π½ΠΈΠ΅.
ΠΡΠΈ Π½Π°Π»ΠΈΡΠΈΠΈ ΡΠΎΠΏΡΡΡΡΠ²ΡΡΡΠΈΡ ΡΠΈΡΡΠ΅ΠΌΠ½ΡΡ ΠΏΠ°ΡΠΎΠ»ΠΎΠ³ΠΈΠΉ ΡΡΠ΅Π±ΡΠ΅ΡΡΡ ΠΊΠΎΠ½ΡΡΠ»ΡΡΠ°ΡΠΈΡ Π΄ΡΡΠ³ΠΈΡ ΠΏΡΠΎΡΠΈΠ»ΡΠ½ΡΡ ΡΠΏΠ΅ΡΠΈΠ°Π»ΠΈΡΡΠΎΠ². ΠΠΠ§, ΡΠΈΡΠΈΠ»ΠΈΡ Π΄ΠΈΠ°Π³Π½ΠΎΡΡΠΈΡΡΡΡ ΠΏΠΎ ΡΠ΅Π·ΡΠ»ΡΡΠ°ΡΠ°ΠΌ ΠΈΠΌΠΌΡΠ½ΠΎΡΠ΅ΡΠΌΠ΅Π½ΡΠ½ΠΎΠ³ΠΎ Π°Π½Π°Π»ΠΈΠ·Π° ΠΊΡΠΎΠ²ΠΈ (ΠΠ€Π). Π’ΡΠ±Π΅ΡΠΊΡΠ»Π΅Π·Π½ΡΠ΅ ΡΠ·Π²Ρ ΠΈΠ΄Π΅Π½ΡΠΈΡΠΈΡΠΈΡΡΡΡ ΠΎΡ ΡΠ°ΠΊΠΎΠ²ΡΡ ΠΎΠΏΡΡ ΠΎΠ»Π΅ΠΉ, ΡΠΈΡΠΈΠ»ΠΎΠΌ Ρ ΠΏΠΎΠΌΠΎΡΡΡ Π±ΠΈΠΎΠΏΡΠΈΠΈ ΡΡΠ°Π³ΠΌΠ΅Π½ΡΠ° ΡΠΊΠ°Π½Π΅ΠΉ.
Π‘ΠΎΠΏΡΡΡΡΠ²ΡΡΡΠΈΠ΅ ΡΠΈΠΌΠΏΡΠΎΠΌΡ ΠΈ Π½Π° ΡΡΠΎ ΠΎΠ½ΠΈ ΡΠΊΠ°Π·ΡΠ²Π°ΡΡ
| ΠΠ»ΠΈΠ½ΠΈΡΠ΅ΡΠΊΠΈΠ΅ ΠΏΡΠΎΡΠ²Π»Π΅Π½ΠΈΡ | ΠΠ°Π±ΠΎΠ»Π΅Π²Π°Π½ΠΈΠ΅ |
| ΠΠΎΠ»Ρ, ΠΆΠΆΠ΅Π½ΠΈΠ΅ ΠΊΠΎΠ½ΡΠΈΠΊΠ° ΡΠ·ΡΠΊΠ° | ΠΠ΅ΡΠΏΠ΅Ρ, ΡΡΠ°Π²ΠΌΡ, Π³ΡΠΈΠ±ΠΊΠΎΠ²ΡΠΉ, ΠΈΠ½ΡΠ΅ΠΊΡΠΈΠΎΠ½Π½ΡΠΉ ΡΡΠΎΠΌΠ°ΡΠΈΡ, Π°Π»Π»Π΅ΡΠ³ΠΈΡΠ΅ΡΠΊΠ°Ρ ΡΠ΅Π°ΠΊΡΠΈΡ |
| Π’Π²ΠΎΡΠΎΠΆΠΈΡΡΡΠΉ Π½Π°Π»Π΅Ρ Π½Π° ΡΠ·ΡΠΊΠ΅ | ΠΠΎΠ»ΠΎΡΠ½ΠΈΡΠ° |
| ΠΡΠΎΠ²ΠΎΡΠΎΡΠ°ΡΠΈΠ΅, Π΄ΠΎΠ»Π³ΠΎ Π·Π°ΠΆΠΈΠ²Π°ΡΡΠΈΠ΅ ΡΠ·Π²Ρ | ΠΡΡΠΎΠ· Π‘Π΅ΡΡΠΎΠ½Π°, Π³ΠΈΠ½Π³ΠΈΠ²ΠΎΡΡΠΎΠΌΠ°ΡΠΈΡ ΠΠ΅Π½ΡΠ°Π½Π° |
| ΠΡΠΎΠ·ΠΈΡ ΡΠ±ΠΎΠΊΡ ΡΠ·ΡΠΊΠ° | Π’ΡΠ°Π²ΠΌΡ, ΡΡΠΎΠΌΠ°ΡΠΈΡ, Π»Π΅ΠΉΠΊΠΎΠΏΠ»Π°ΠΊΠΈΡ |
| ΠΠ΅ΡΡΠ΅Π½ΠΈΠ΅, Π±ΠΎΠ»Ρ Π² Π³ΠΎΡΠ»Π΅ | ΠΠΎΠ»ΠΎΡΠ½ΠΈΡΠ°, ΡΡΠ±Π΅ΡΠΊΡΠ»Π΅Π· ΡΠ·ΡΠΊΠ°, Π³ΠΎΡΡΠ°Π½ΠΈ, Π²ΡΠΎΡΠΈΡΠ½ΡΠΉ ΡΡΠ±Π΅ΡΠΊΡΠ»Π΅Π· Π»Π΅Π³ΠΊΠΈΡ |
| ΠΠ΅Π»ΡΡΠΉ, ΡΠ΅ΡΠΎΠ²Π°ΡΡΠΉ Π½Π°Π»Π΅Ρ | ΠΠΈΠ½Π³ΠΈΠ²ΠΎΡΡΠΎΠΌΠ°ΡΠΈΡ ΠΠ΅Π½ΡΠ°Π½Π°, ΠΌΠΈΠΊΠΎΡΠΈΡΠ΅ΡΠΊΠ°Ρ ΠΈΠ½ΡΠ΅ΠΊΡΠΈΡ, Π°ΡΡΠΎΠ· Π‘Π΅ΡΡΠΎΠ½Π°, ΠΠ΅Π΄Π½Π°ΡΠ° |
| ΠΠ»ΡΠ±ΠΎΠΊΠΈΠ΅, ΠΊΡΠ°ΡΠ΅ΡΠΎΠΎΠ±ΡΠ°Π·Π½ΡΠ΅ ΡΠ·Π²Ρ | Π―Π·Π²Π΅Π½Π½ΠΎ-Π½Π΅ΠΊΡΠΎΡΠΈΡΠ΅ΡΠΊΠΈΠΉ, Ρ ΡΠΎΠ½ΠΈΡΠ΅ΡΠΊΠΈΠΉ Π°ΡΡΠΎΠ·Π½ΡΠΉ ΡΡΠΎΠΌΠ°ΡΠΈΡ |
| ΠΠ΅Π·Π±ΠΎΠ»Π΅Π·Π½Π΅Π½Π½ΡΠ΅ ΡΠ·Π²Ρ | Π‘ΠΈΡΠΈΠ»ΠΈΡ ΡΠ·ΡΠΊΠ°, ΡΠ°ΠΊΠΎΠ²ΡΠ΅ ΠΎΠΏΡΡ ΠΎΠ»ΠΈ |
ΠΠ°ΠΊ Π»Π΅ΡΠΈΡΡ
ΠΡΠ»ΠΈ ΠΏΠΎΡΠ²ΠΈΠ»ΠΈΡΡ ΡΠΈΠΌΠΏΡΠΎΠΌΡ, ΡΠ΅ΡΠ°ΠΏΠΈΡ Π½Π°Π·Π½Π°ΡΠ°ΡΡ Ρ ΡΡΠ΅ΡΠΎΠΌ Π²ΠΈΠ΄Π° Π·Π°Π±ΠΎΠ»Π΅Π²Π°Π½ΠΈΡ ΠΈ ΠΏΠ΅ΡΠ²ΠΈΡΠ½ΠΎΠΉ ΠΏΡΠΈΡΠΈΠ½Ρ, Π²ΡΠ·Π²Π°Π²ΡΠ΅ΠΉ ΠΏΠΎΡΠ²Π»Π΅Π½ΠΈΠ΅ ΡΠ·Π²ΠΎΡΠ΅ΠΊ Π½Π° ΠΊΠΎΠ½ΡΠΈΠΊΠ΅ ΡΠ·ΡΠΊΠ°. ΠΡΠΈ ΡΡΠΎΠΌΠ°ΡΠΈΡΠ΅ ΡΠ΄Π΅Π»ΡΡΡ ΠΎΡΠΎΠ±ΠΎΠ΅ Π²Π½ΠΈΠΌΠ°Π½ΠΈΠ΅ ΡΠΊΡΠ΅ΠΏΠ»Π΅Π½ΠΈΡ ΠΈΠΌΠΌΡΠ½ΠΈΡΠ΅ΡΠ°, ΠΏΡΠΎΠ²ΠΎΠ΄ΡΡ Π°Π½ΡΠΈΡΠ΅ΠΏΡΠΈΡΠ΅ΡΠΊΡΡ ΠΎΠ±ΡΠ°Π±ΠΎΡΠΊΡ ΡΠΎΡΠΎΠ²ΠΎΠΉ ΠΏΠΎΠ»ΠΎΡΡΠΈ, ΡΠΌΠ°Π·ΡΠ²Π°ΡΡ ΡΠ°Π½ΠΊΠΈ ΠΏΡΠΎΡΠΈΠ²ΠΎΠ²ΠΎΡΠΏΠ°Π»ΠΈΡΠ΅Π»ΡΠ½ΡΠΌΠΈ, Π·Π°ΠΆΠΈΠ²Π»ΡΡΡΠΈΠΌΠΈ ΠΌΠ°Π·ΡΠΌΠΈ. ΠΠΎΠ»Π΅Π΅ ΡΠ΅ΡΡΠ΅Π·Π½ΠΎΠ΅ Π»Π΅ΡΠ΅Π½ΠΈΠ΅ ΠΏΡΠΎΠ²ΠΎΠ΄ΠΈΡΡΡ ΠΏΡΠΈ ΡΠΈΡΠΈΠ»ΠΈΡΠ΅, ΡΡΠ±Π΅ΡΠΊΡΠ»Π΅Π·Π΅ ΡΠΎΡΠΎΠ²ΠΎΠΉ ΠΏΠΎΠ»ΠΎΡΡΠΈ.
ΠΠ΅Π΄ΠΈΠΊΠ°ΠΌΠ΅Π½ΡΠΎΠ·Π½ΠΎΠ΅ Π»Π΅ΡΠ΅Π½ΠΈΠ΅
Π’Π°Π±Π»Π΅ΡΠΊΠΈ ΠΎΠ±ΡΠ·Π°ΡΠ΅Π»ΡΠ½ΠΎ Π΄ΠΎΠ»ΠΆΠ½Ρ Π±ΡΡΡ Π½Π°Π·Π½Π°ΡΠ΅Π½Ρ Π²ΡΠ°ΡΠΎΠΌ ΠΏΠΎΡΠ»Π΅ ΡΡΡΠ°Π½ΠΎΠ²ΠΊΠΈ ΡΠΎΡΠ½ΠΎΠ³ΠΎ Π΄ΠΈΠ°Π³Π½ΠΎΠ·Π°!ΠΠ΅ΠΊΠ°ΡΡΡΠ²Π΅Π½Π½ΡΠ΅ ΠΏΡΠ΅ΠΏΠ°ΡΠ°ΡΡ Π΄Π»Ρ ΠΏΡΠΈΠ΅ΠΌΠ° Π²Π½ΡΡΡΡ Π½Π°Π·Π½Π°ΡΠ°ΡΡΡΡ ΠΏΡΠΈ Π³Π΅ΡΠΏΠ΅ΡΠΈΡΠ΅ΡΠΊΠΎΠΌ, Π°Π»Π»Π΅ΡΠ³ΠΈΡΠ΅ΡΠΊΠΎΠΌ, Ρ ΡΠΎΠ½ΠΈΡΠ΅ΡΠΊΠΎΠΌ Π³ΡΠΈΠ±ΠΊΠΎΠ²ΠΎΠΌ ΡΡΠΎΠΌΠ°ΡΠΈΡΠ΅:
- Π°Π½ΡΠΈΠ³ΠΈΡΡΠ°ΠΌΠΈΠ½Π½ΡΠ΅ ΡΡΠ΅Π΄ΡΡΠ²Π° β ΠΠΈΠ°Π·ΠΎΠ»ΠΈΠ½, ΠΠ»Π°ΡΠΈΡΠΈΠ½;
- ΠΏΡΠΎΡΠΈΠ²ΠΎΠ²ΠΈΡΡΡΠ½ΡΠ΅ ΠΌΠ΅Π΄ΠΈΠΊΠ°ΠΌΠ΅Π½ΡΡ β ΠΡΠΈΠΊΠ»ΠΎΠ²ΠΈΡ, ΠΠΎΠ²ΠΈΡΠ°ΠΊΡ;
- ΡΠΈΡΡΠ΅ΠΌΠ½ΡΠ΅ Π°Π½ΡΠΈΠΌΠΈΠΊΠΎΡΠΈΠΊΠΈ β ΠΠΈΡΡΠ°ΡΠΈΠ½, ΠΠ΅Π²ΠΎΡΠΈΠ½.
ΠΠ½ΡΠΈΠ±ΠΈΠΎΡΠΈΠΊΠΈ ΠΏΡΠΎΠΏΠΈΡΡΠ²Π°ΡΡ ΠΏΡΠΈ Π½Π°Π³Π½ΠΎΠ΅Π½ΠΈΠΈ Π±ΠΎΠ»ΡΡΠ΅ΠΊ, ΡΡ ΡΠ΄ΡΠ΅Π½ΠΈΠΈ ΠΎΠ±ΡΠ΅Π³ΠΎ ΡΠ°ΠΌΠΎΡΡΠ²ΡΡΠ²ΠΈΡ, ΠΏΠΎΠ²ΡΡΠ΅Π½ΠΈΠΈ ΡΠ΅ΠΌΠΏΠ΅ΡΠ°ΡΡΡΡ ΡΠ΅Π»Π°. ΠΠ»Ρ ΡΠ΅ΡΠ°ΠΏΠΈΠΈ ΡΡΠΆΠ΅Π»ΡΡ ΡΠΎΡΠΌ ΡΡΠΎΠΌΠ°ΡΠΈΡΠ° ΠΈΡΠΏΠΎΠ»ΡΠ·ΡΡΡ ΠΠ°Π½Π°ΠΌΠΈΡΠΈΠ½, ΠΠΌΠΏΠΈΠΎΠΊΡ, ΠΠ΅Π½ΠΈΡΠΈΠ»Π»ΠΈΠ½. Π ΡΠ΅Π»ΡΡ ΡΠΊΡΠ΅ΠΏΠ»Π΅Π½ΠΈΡ ΠΈΠΌΠΌΡΠ½ΠΈΡΠ΅ΡΠ° ΠΏΠ°ΡΠΈΠ΅Π½ΡΡ ΠΏΡΠΈΠ½ΠΈΠΌΠ°ΡΡ ΠΠΌΠΌΡΠ΄ΠΎΠ½, ΠΡ ΠΈΠ½Π°ΡΠ΅Ρ, ΠΠΎΠ»ΠΈΠΎΠΊΡΠΈΠ΄ΠΎΠ½ΠΈΠΉ, Π²ΠΈΡΠ°ΠΌΠΈΠ½Ρ.
ΠΠ°ΠΆΠ½ΠΎ! Π’ΡΠ±Π΅ΡΠΊΡΠ»Π΅Π· ΡΠ·ΡΠΊΠ° Π»Π΅ΡΠ°Ρ ΡΠΎΠ»ΡΠΊΠΎ Π² Π·Π°ΠΊΡΡΡΡΡ Π΄ΠΈΡΠΏΠ°Π½ΡΠ΅ΡΠ°Ρ . ΠΠΎΠ»ΡΠ½ΡΠΌ Π½Π°Π·Π½Π°ΡΠ°ΡΡ ΠΏΡΠΎΡΠΈΠ²ΠΎΡΡΠ±Π΅ΡΠΊΡΠ»Π΅Π·Π½ΡΠ΅, ΠΎΠ±ΡΠ΅ΡΠΊΡΠ΅ΠΏΠ»ΡΡΡΠΈΠ΅ ΠΏΡΠ΅ΠΏΠ°ΡΠ°ΡΡ Π΄Π»ΠΈΡΠ΅Π»ΡΠ½ΡΠΌΠΈ ΠΊΡΡΡΠ°ΠΌΠΈ. Π’Π΅ΡΠ°ΠΏΠΈΡ ΡΠΈΡΠΈΠ»ΠΈΡΠ° ΠΏΡΠΎΠ²ΠΎΠ΄ΡΡ Π°Π½ΡΠΈΠ±ΠΈΠΎΡΠΈΠΊΠ°ΠΌΠΈ ΠΏΠ΅Π½ΠΈΡΠΈΠ»Π»ΠΈΠ½ΠΎΠ²ΠΎΠ³ΠΎ ΡΡΠ΄Π° ΠΏΠΎΠ΄ ΡΡΡΠΎΠ³ΠΈΠΌ ΠΌΠ΅Π΄ΠΈΡΠΈΠ½ΡΠΊΠΈΠΌ ΠΊΠΎΠ½ΡΡΠΎΠ»Π΅ΠΌ.
ΠΠ΅ΡΡΠ½ΠΎΠ΅
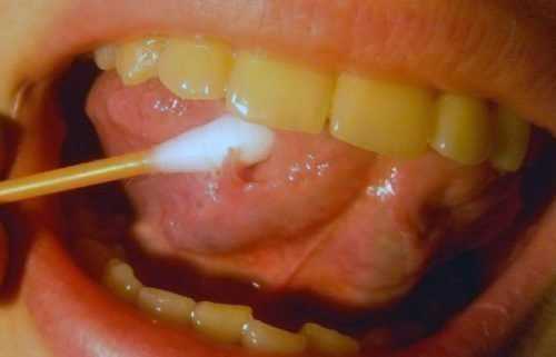
ΠΡΠΈ Π»Π΅ΡΠ΅Π½ΠΈΠΈ ΡΠ·Π²ΠΎΡΠ΅ΠΊ Π½Π° ΠΊΠΎΠ½ΡΠΈΠΊΠ΅ ΡΠ·ΡΠΊΠ° Π½Π°Π·Π½Π°ΡΠ°ΡΡΡΡ Π°Π½ΡΠΈΡΠ΅ΠΏΡΠΈΡΠ΅ΡΠΊΠΈΠ΅ ΠΏΠΎΠ»ΠΎΡΠΊΠ°Π½ΠΈΡ. Π ΠΎΡΠΎΠ²ΡΡ ΠΏΠΎΠ»ΠΎΡΡΡ ΡΠ»Π΅Π΄ΡΠ΅Ρ ΠΎΠ±ΡΠ°Π±Π°ΡΡΠ²Π°ΡΡ ΡΠ°ΡΡΠ²ΠΎΡΠΎΠΌ Π₯Π»ΠΎΡΠ³Π΅ΠΊΡΠΈΠ΄ΠΈΠ½Π°, ΠΠΈΡΠ°ΠΌΠΈΡΡΠΈΠ½Π°, ΠΏΠΈΡΠ΅Π²ΠΎΠΉ ΡΠΎΠ΄Ρ 5β6 ΡΠ°Π· Π² Π΄Π΅Π½Ρ. ΠΡΠΈ ΡΠΈΠ»ΡΠ½ΠΎΠΉ Π±ΠΎΠ»ΠΈ ΠΌΠ΅ΡΡΠ½ΠΎ ΠΏΡΠΈΠΌΠ΅Π½ΡΡΡ ΠΠ½Π΅ΡΡΠ΅Π·ΠΈΠ½, Π³Π΅Π»Ρ ΠΠΈΠ΄ΠΎΡ Π»ΠΎΡ, Π»Π΅Π΄Π΅Π½ΡΡ ΠΠ΅ΠΊΡΠΎΡΠ°Π» ΡΠ°Π±Ρ.
ΠΡΠ΅ΠΏΠ°ΡΠ°ΡΡ, Π·Π°ΠΆΠΈΠ²Π»ΡΡΡΠΈΠ΅ ΡΠ·Π²ΠΎΡΠΊΠΈ:
- Π‘ΠΏΡΠ΅ΠΉ ΠΡΠΎΠΏΠ°ΡΠΎΠ».
- ΠΠ°ΡΠΎΡΠΎΠ»ΠΈΠ½.
- ΠΠ°Π·Ρ Π‘ΠΎΠ»ΠΊΠΎΡΠ΅ΡΠΈΠ».
- ΠΠ°Π»ΡΠ·Π°ΠΌ Π¨ΠΎΡΡΠ°ΠΊΠΎΠ²ΡΠΊΠΎΠ³ΠΎ.
ΠΡΠΈ ΡΡΠΎΠΌΠ°ΡΠΈΡΠ°Ρ Π½Π°Π·Π½Π°ΡΠ°ΡΡ ΠΊΠΎΠΌΠ±ΠΈΠ½ΠΈΡΠΎΠ²Π°Π½Π½ΡΠ΅ ΡΡΠ΅Π΄ΡΡΠ²Π°, ΡΠΎΠ΄Π΅ΡΠΆΠ°ΡΠΈΠ΅ Π°Π½Π΅ΡΡΠ΅ΡΠΈΠΊΠΈ, Π°Π½ΡΠΈΡΠ΅ΠΏΡΠΈΠΊΠΈ ΠΈ ΠΏΡΠΎΡΠΈΠ²ΠΎΠ²ΠΎΡΠΏΠ°Π»ΠΈΡΠ΅Π»ΡΠ½ΡΠ΅ ΠΊΠΎΠΌΠΏΠΎΠ½Π΅Π½ΡΡ: ΠΠ°ΠΌΠΈΡΡΠ°Π΄ Π³Π΅Π»Ρ, Π‘ΡΠΎΠΌΠ°ΡΠΈΠ΄ΠΈΠ½, ΠΠ²ΠΊΠ°Π»ΠΈΠΏΡ Π, ΠΠΊΡΠΎΠ²Π΅Π³ΠΈΠ½.
ΠΠ°ΡΠΎΠ΄Π½ΡΠ΅ ΠΌΠ΅ΡΠΎΠ΄Ρ
ΠΠ°ΡΠΎΠ΄Π½ΡΠ΅ ΠΌΠ΅ΡΠΎΠ΄Ρ Π΄ΠΎΠ»ΠΆΠ½Ρ Π΄ΠΎΠΏΠΎΠ»Π½ΡΡΡ ΠΎΡΠ½ΠΎΠ²Π½ΠΎΠ΅ Π»Π΅ΡΠ΅Π½ΠΈΠ΅, Π½Π°Π·Π½Π°ΡΠ΅Π½Π½ΠΎΠ΅ Π²ΡΠ°ΡΠΎΠΌ, Π° Π½Π΅ Π·Π°ΠΌΠ΅Π½ΡΡΡ Π΅Π³ΠΎ.Π£ΡΠΊΠΎΡΠΈΡΡ Π·Π°ΠΆΠΈΠ²Π»Π΅Π½ΠΈΠ΅ ΡΠ·Π²ΠΎΡΠ΅ΠΊ Π½Π° ΡΠ·ΡΠΊΠ΅ ΠΏΠΎΠΌΠΎΠ³Π°ΡΡ ΠΏΠΎΠ»ΠΎΡΠΊΠ°Π½ΠΈΡ ΡΠΎΡΠΎΠ²ΠΎΠΉ ΠΏΠΎΠ»ΠΎΡΡΠΈ ΠΎΡΠ²Π°ΡΠΎΠΌ ΡΠΎΠΌΠ°ΡΠΊΠΈ, ΠΊΠΎΡΡ Π΄ΡΠ±Π°, Π·Π²Π΅ΡΠΎΠ±ΠΎΡ ΠΏΡΠΎΠ΄ΡΡΡΠ²Π»Π΅Π½Π½ΠΎΠ³ΠΎ.
Π’ΡΠ°Π²Ρ ΠΎΠ±Π»Π°Π΄Π°ΡΡ Π°Π½ΡΠΈΠ±Π°ΠΊΡΠ΅ΡΠΈΠ°Π»ΡΠ½ΡΠΌΠΈ, Π²ΡΠΆΡΡΠΈΠΌΠΈ ΠΈ ΡΠ°Π½ΠΎΠ·Π°ΠΆΠΈΠ²Π»ΡΡΡΠΈΠΌΠΈ ΡΠ²ΠΎΠΉΡΡΠ²Π°ΠΌΠΈ. ΠΡΠΈ Π»Π΅Π³ΠΊΠΈΡ ΡΠΎΡΠΌΠ°Ρ ΡΡΠΎΠΌΠ°ΡΠΈΡΠ° Π°Π½ΡΠΈΡΠ΅ΠΏΡΠΈΡΠ΅ΡΠΊΡΡ ΠΎΠ±ΡΠ°Π±ΠΎΡΠΊΡ Π½Π΅ΠΎΠ±Ρ ΠΎΠ΄ΠΈΠΌΠΎ ΠΏΡΠΎΠ²ΠΎΠ΄ΠΈΡΡ 5β6 ΡΠ°Π· Π² ΡΡΡΠΊΠΈ Π½Π° ΠΏΡΠΎΡΡΠΆΠ΅Π½ΠΈΠΈ Π½Π΅Π΄Π΅Π»ΠΈ.
ΠΠΎΠ»Π΅Π·Π½ΠΎ Π΄Π΅Π»Π°ΡΡ Π°ΠΏΠΏΠ»ΠΈΠΊΠ°ΡΠΈΠΈ ΠΏΡΠΎΠΏΠΎΠ»ΠΈΡΠ° Π½Π° Π²ΠΎΡΠΏΠ°Π»Π΅Π½Π½ΡΡ ΠΎΠ±Π»Π°ΡΡΡ. Π₯ΠΎΡΠΎΡΠΎ ΠΏΠΎΠΌΠΎΠ³Π°Π΅Ρ ΠΈ ΡΠΏΠΈΡΡΠΎΠ²ΠΎΠΉ Π½Π°ΡΡΠΎΠΉ ΠΏΡΠ΅Π»ΠΈΠ½ΠΎΠ³ΠΎ ΠΏΡΠΎΠ΄ΡΠΊΡΠ° (20 Π³ Π½Π° 0,3 ΠΌΠ» Π²ΠΎΠ΄ΠΊΠΈ). Π’Π°ΠΊΠΎΠ΅ ΡΡΠ΅Π΄ΡΡΠ²ΠΎ ΠΏΠΎΠ²ΡΡΠ°Π΅Ρ ΠΌΠ΅ΡΡΠ½ΡΠΉ ΠΈΠΌΠΌΡΠ½ΠΈΡΠ΅Ρ, ΡΠ½ΠΈΠΌΠ°Π΅Ρ Π²ΠΎΡΠΏΠ°Π»Π΅Π½ΠΈΠ΅ ΠΈ ΡΡΠΈΠΌΡΠ»ΠΈΡΡΠ΅Ρ ΡΠ΅Π³Π΅Π½Π΅ΡΠ°ΡΠΈΡ ΠΌΡΠ³ΠΊΠΈΡ ΡΠΊΠ°Π½Π΅ΠΉ.
ΠΡΠΎΡΠΈΠ»Π°ΠΊΡΠΈΡΠ΅ΡΠΊΠΈΠ΅ ΠΌΠ΅ΡΡ
ΠΠ΅ ΠΈΠ³Π½ΠΎΡΠΈΡΡΠΉΡΠ΅ ΡΠ΅Π³ΡΠ»ΡΡΠ½ΡΠΉ ΡΡΠΎΠΌΠ°ΡΠΎΠ»ΠΎΠ³ΠΈΡΠ΅ΡΠΊΠΈΠΉ ΠΎΡΠΌΠΎΡΡ ΠΈ ΡΠ°Π½Π°ΡΠΈΡ ΡΠΎΡΠΎΠ²ΠΎΠΉ ΠΏΠΎΠ»ΠΎΡΡΠΈ!Π§ΡΠΎΠ±Ρ ΠΏΡΠ΅Π΄ΠΎΡΠ²ΡΠ°ΡΠΈΡΡ ΠΏΠΎΡΠ²Π»Π΅Π½ΠΈΠ΅ ΡΠ·Π²ΠΎΡΠ΅ΠΊ Π½Π° ΡΠ·ΡΠΊΠ΅ ΠΈ ΡΠ»ΠΈΠ·ΠΈΡΡΡΡ ΠΎΠ±ΠΎΠ»ΠΎΡΠΊΠ°Ρ ΡΠ»Π΅Π΄ΡΠ΅Ρ ΠΏΡΠΈΠ΄Π΅ΡΠΆΠΈΠ²Π°ΡΡΡΡ ΡΠ»Π΅Π΄ΡΡΡΠΈΡ ΠΏΡΠ°Π²ΠΈΠ»:
- ΠΎΡΠΊΠ°Π· ΠΎΡ Π²ΡΠ΅Π΄Π½ΡΡ ΠΏΡΠΈΠ²ΡΡΠ΅ΠΊ;
- ΡΠΊΡΠ΅ΠΏΠ»Π΅Π½ΠΈΠ΅ ΠΈΠΌΠΌΡΠ½ΠΈΡΠ΅ΡΠ°;
- ΡΠ²ΠΎΠ΅Π²ΡΠ΅ΠΌΠ΅Π½Π½ΠΎΠ΅ Π»Π΅ΡΠ΅Π½ΠΈΠ΅ ΡΠΎΠΏΡΡΡΡΠ²ΡΡΡΠΈΡ Π·Π°Π±ΠΎΠ»Π΅Π²Π°Π½ΠΈΠΉ;
- ΡΠ΅Π³ΡΠ»ΡΡΠ½Π°Ρ Π³ΠΈΠ³ΠΈΠ΅Π½Π° ΡΠΎΡΠΎΠ²ΠΎΠΉ ΠΏΠΎΠ»ΠΎΡΡΠΈ;
- ΠΏΠΎΡΠ΅ΡΠ΅Π½ΠΈΠ΅ ΡΡΠΎΠΌΠ°ΡΠΎΠ»ΠΎΠ³Π° Π½Π΅ ΡΠ΅ΠΆΠ΅ 2-Ρ ΡΠ°Π· Π² Π³ΠΎΠ΄;
- ΡΠ°Π½Π°ΡΠΈΡ ΡΠΎΡΠΎΠ²ΠΎΠΉ ΠΏΠΎΠ»ΠΎΡΡΠΈ;
- ΡΠ±Π°Π»Π°Π½ΡΠΈΡΠΎΠ²Π°Π½Π½ΠΎΠ΅ ΠΏΠΈΡΠ°Π½ΠΈΠ΅;
- ΠΈΡΠΊΠ»ΡΡΠ΅Π½ΠΈΠ΅ ΠΈΠ· ΡΠ°ΡΠΈΠΎΠ½Π° ΠΏΡΠΎΠ΄ΡΠΊΡΠΎΠ²-Π°Π»Π»Π΅ΡΠ³Π΅Π½ΠΎΠ².
Π ΠΏΡΠΎΡΠΈΠ»Π°ΠΊΡΠΈΠΊΠ΅ ΡΠΈΡΠΈΠ»ΠΈΡΠ°, ΠΠΠ§-ΠΈΠ½ΡΠ΅ΠΊΡΠΈΠΈ ΠΎΡΠ½ΠΎΡΠΈΡΡΡ Π³ΡΠ°ΠΌΠΎΡΠ½ΡΠΉ Π²ΡΠ±ΠΎΡ ΠΏΠΎΠ»ΠΎΠ²ΡΡ ΠΏΠ°ΡΡΠ½Π΅ΡΠΎΠ², ΠΈΡΠΏΠΎΠ»ΡΠ·ΠΎΠ²Π°Π½ΠΈΠ΅ ΡΡΠ΅Π΄ΡΡΠ² ΠΊΠΎΠ½ΡΡΠ°ΡΠ΅ΠΏΡΠΈΠΈ. ΠΠ»Ρ Π·Π°ΡΠΈΡΡ ΠΎΡ ΡΡΠ±Π΅ΡΠΊΡΠ»Π΅Π·Π° ΠΏΡΠΎΠ²ΠΎΠ΄ΡΡΡΡ ΠΏΡΠΎΠ±Ρ ΠΠ°Π½ΡΡ, Π² ΠΎΠ±ΡΠ·Π°ΡΠ΅Π»ΡΠ½ΠΎΠΌ ΠΏΠΎΡΡΠ΄ΠΊΠ΅ Π²ΡΠΏΠΎΠ»Π½ΡΠ΅ΡΡΡ ΡΠ΅Π½ΡΠ³Π΅Π½ Π³ΡΡΠ΄Π½ΠΎΠΉ ΠΊΠ»Π΅ΡΠΊΠΈ, ΡΠ»ΡΠΎΡΠΎΠ³ΡΠ°ΡΠΈΡ.
Π―Π·Π²ΠΎΡΠΊΠΈ Π½Π° ΠΊΠΎΠ½ΡΠΈΠΊΠ΅ ΡΠ·ΡΠΊΠ° ΠΌΠΎΠ³ΡΡ Π±ΡΡΡ ΡΠΈΠΌΠΏΡΠΎΠΌΠΎΠΌ ΡΡΠΎΠΌΠ°ΡΠΈΡΠ°, Π±Π°ΠΊΡΠ΅ΡΠΈΠ°Π»ΡΠ½ΠΎΠΉ ΠΈΠ½ΡΠ΅ΠΊΡΠΈΠΈ ΠΈΠ»ΠΈ ΠΏΠΎΡΠ²Π»ΡΡΡΡΡ ΠΏΠΎΡΠ»Π΅ ΠΏΠΎΠ»ΡΡΠ΅Π½ΠΈΡ ΠΌΠ΅Ρ Π°Π½ΠΈΡΠ΅ΡΠΊΠΈΡ ΡΡΠ°Π²ΠΌ, ΡΠΏΠΎΡΡΠ΅Π±Π»Π΅Π½ΠΈΡ ΠΏΡΠΎΠ΄ΡΠΊΡΠΎΠ², Π²ΡΠ·ΡΠ²Π°ΡΡΠΈΡ Π°Π»Π»Π΅ΡΠ³ΠΈΡΠ΅ΡΠΊΡΡ ΡΠ΅Π°ΠΊΡΠΈΡ. ΠΠ»Ρ Π±ΡΡΡΡΠΎΠ³ΠΎ Π·Π°ΠΆΠΈΠ²Π»Π΅Π½ΠΈΡ ΡΠ°Π½ ΠΈΡΠΏΠΎΠ»ΡΠ·ΡΡΡ ΠΌΠ΅ΡΡΠ½ΡΠ΅ ΠΏΡΠΎΡΠΈΠ²ΠΎΠ²ΠΎΡΠΏΠ°Π»ΠΈΡΠ΅Π»ΡΠ½ΡΠ΅ ΠΏΡΠ΅ΠΏΠ°ΡΠ°ΡΡ, ΠΏΡΠΎΠ²ΠΎΠ΄ΡΡ Π°Π½ΡΠΈΡΠ΅ΠΏΡΠΈΡΠ΅ΡΠΊΠΈΠ΅ ΠΏΡΠΎΡΠ΅Π΄ΡΡΡ, Π½Π°Π·Π½Π°ΡΠ°ΡΡ ΠΏΡΠΈΠ΅ΠΌ ΠΈΠΌΠΌΡΠ½ΠΎΠΌΠΎΠ΄ΡΠ»ΡΡΠΎΡΠΎΠ², Π²ΠΈΡΠ°ΠΌΠΈΠ½Π½ΡΡ ΠΊΠΎΠΌΠΏΠ»Π΅ΠΊΡΠΎΠ².
dentoland.com
ΠΠΎΠ»ΡΡΠΊΠ° ΠΏΠΎΠ΄ ΡΠ·ΡΠΊΠΎΠΌ, ΡΠ·Π²ΠΎΡΠΊΠΈ Π½Π° ΡΠ·Π΄Π΅ΡΠΊΠ΅: ΠΏΡΠΈΡΠΈΠ½Ρ, Π»Π΅ΡΠ΅Π½ΠΈΠ΅ Π½Π°ΡΠΎΠ΄Π½ΡΠΌΠΈ ΠΌΠ΅ΡΠΎΠ΄Π°ΠΌΠΈ
.Β
Π―Π·Π²ΠΎΡΠΊΠ° ΠΏΠΎΠ΄ ΡΠ·ΡΠΊΠΎΠΌ β ΡΠ°ΡΡΠΎΠ΅ ΡΠ²Π»Π΅Π½ΠΈΠ΅, ΠΎΡ ΠΊΠΎΡΠΎΡΠΎΠ³ΠΎ Π½Π΅ Π·Π°ΡΡΡΠ°Ρ ΠΎΠ²Π°Π½ Π½ΠΈ ΠΎΠ΄ΠΈΠ½ ΡΠ΅Π»ΠΎΠ²Π΅ΠΊ. ΠΠ½Π° ΠΏΠΎΡΠ²Π»ΡΠ΅ΡΡΡ Π² ΠΌΠ΅ΡΡΠ°Ρ , Π³Π΄Π΅ Π±ΡΠ»Π° ΠΏΠΎΠ²ΡΠ΅ΠΆΠ΄Π΅Π½Π° ΡΠ»ΠΈΠ·ΠΈΡΡΠ°Ρ ΠΎΠ±ΠΎΠ»ΠΎΡΠΊΠ° ΡΠΎΡΠΎΠ²ΠΎΠΉ ΠΏΠΎΠ»ΠΎΡΡΠΈ. ΠΠ±ΡΡΠ½ΠΎ ΡΠ°ΠΊΠ°Ρ Π±ΠΎΠ»ΡΡΠΊΠ° Π·Π°ΠΆΠΈΠ²Π°Π΅Ρ Π·Π° Π½Π΅ΡΠΊΠΎΠ»ΡΠΊΠΎ Π΄Π½Π΅ΠΉ ΠΈ Π½Π΅ ΡΡΠ΅Π±ΡΠ΅Ρ ΡΠΏΠ΅ΡΠΈΠ°Π»ΡΠ½ΠΎΠ³ΠΎ Π»Π΅ΡΠ΅Π½ΠΈΡ. ΠΠΎ ΠΈΠ½ΠΎΠ³Π΄Π° ΡΠ°Π½ΠΊΠ° ΠΏΠΎΠ΄ ΡΠ·ΡΠΊΠΎΠΌ Π½Π°ΡΠΈΠ½Π°Π΅Ρ Π²ΠΎΡΠΏΠ°Π»ΡΡΡΡΡ, ΠΈΠ·-Π·Π° ΡΠ΅Π³ΠΎ ΠΎΠ±ΡΠ°Π·ΡΠ΅ΡΡΡ Π½Π°ΡΡΠ². ΠΠΎΡΡΠΎΠΌΡ ΡΠ΅Π»ΠΎΠ²Π΅ΠΊ ΠΈΡΠΏΡΡΡΠ²Π°Π΅Ρ Π±ΠΎΠ»Ρ ΠΈ ΡΠΈΠ»ΡΠ½ΡΠΉ Π΄ΠΈΡΠΊΠΎΠΌΡΠΎΡΡ. ΠΠΎΠΌΠΎΡΡ ΠΈΠ·Π±Π°Π²ΠΈΡΡΡΡ ΠΎΡ Π½Π΅ΠΏΡΠΈΡΡΠ½ΡΡ ΠΎΡΡΡΠ΅Π½ΠΈΠΉ ΠΈ Π΅ΡΠ΅ Π±ΠΎΠ»ΡΡΠΈΡ ΠΎΡΠ»ΠΎΠΆΠ½Π΅Π½ΠΈΠΉ ΠΏΠΎΠΌΠΎΠΆΠ΅Ρ Π»ΠΈΡΡ ΠΏΡΠ°Π²ΠΈΠ»ΡΠ½ΠΎΠ΅ Π»Π΅ΡΠ΅Π½ΠΈΠ΅.

Π―Π·ΡΠΊΠ° ΠΏΠΎΠ΄ ΡΠ·ΡΠΊΠΎΠΌ β Π²ΠΎΡΠΏΠ°Π»Π΅Π½ΠΈΠ΅ ΡΠ»ΡΠ½Π½ΠΎΠΉ ΠΆΠ΅Π»Π΅Π·Ρ
ΠΠΎΡΠ΅ΠΌΡ ΠΏΠΎΡΠ²Π»ΡΡΡΡΡ ΡΠ·Π²Ρ ΠΏΠΎΠ΄ ΡΠ·ΡΠΊΠΎΠΌ
Π―Π·Π²Π° ΠΏΠΎΠ΄ ΡΠ·ΡΠΊΠΎΠΌ Π²ΠΎΠ·Π½ΠΈΠΊΠ°Π΅Ρ Π²ΡΠ»Π΅Π΄ΡΡΠ²ΠΈΠ΅ Π²ΠΎΡΠΏΠ°Π»ΠΈΡΠ΅Π»ΡΠ½ΠΎΠ³ΠΎ ΠΏΡΠΎΡΠ΅ΡΡΠ° ΡΡΠΎΠ·ΠΈΠΉΠ½ΠΎΠ³ΠΎ Ρ Π°ΡΠ°ΠΊΡΠ΅ΡΠ°. ΠΠ±ΡΡΠ΅ΡΡ ΠΌΠΎΠΆΠ΅Ρ Π±ΡΡΡ Π²ΡΠ·Π²Π°Π½ ΡΠ°Π·Π»ΠΈΡΠ½ΡΠΌΠΈ ΡΠ°ΠΊΡΠΎΡΠ°ΠΌΠΈ. ΠΡΠ΅Π½Ρ Π²Π°ΠΆΠ½ΠΎ Π²ΡΡΠ²ΠΈΡΡ ΠΏΡΠΈΡΠΈΠ½Ρ, ΡΠΏΡΠΎΠ²ΠΎΡΠΈΡΠΎΠ²Π°Π²ΡΡΡ Π½Π΅Π΄ΡΠ³. ΠΠ΅Π΄Ρ ΡΠΎΠ»ΡΠΊΠΎ ΡΠ°ΠΊ Ρ Π²ΡΠ°ΡΠ° Π±ΡΠ΄Π΅Ρ Π²ΠΎΠ·ΠΌΠΎΠΆΠ½ΠΎΡΡΡ Π½Π°Π·Π½Π°ΡΠΈΡΡ ΠΏΠ°ΡΠΈΠ΅Π½ΡΡ ΡΡΡΠ΅ΠΊΡΠΈΠ²Π½ΠΎΠ΅ Π»Π΅ΡΠ΅Π½ΠΈΠ΅.
Π ΡΠΈΡΠ»Ρ Π½Π°ΠΈΠ±ΠΎΠ»Π΅Π΅ ΡΠ°ΡΠΏΡΠΎΡΡΡΠ°Π½Π΅Π½Π½ΡΡ ΠΎΡΠ½ΠΎΡΡΡ ΡΠ»Π΅Π΄ΡΡΡΠΈΠ΅ ΠΏΡΠΈΡΠΈΠ½Ρ Π²ΠΎΠ·Π½ΠΈΠΊΠ½ΠΎΠ²Π΅Π½ΠΈΡ ΡΠ·Π² Π²ΠΎ ΡΡΡ.

ΠΠ΅ΠΉΠΊΠΎΠΏΠ»Π°ΠΊΠΈΡ ΠΏΠΎΠ΄ ΡΠ·ΡΠΊΠΎΠΌ β ΠΏΡΡΠ½ΠΎ Π½Π΅ ΡΠ½ΠΈΠΌΠ°Π΅ΡΡΡ
Π Π°Π·Π²ΠΈΡΠΈΠ΅ ΡΡΠΎΠΌΠ°ΡΠΈΡΠ°
ΠΠ½ ΠΌΠΎΠΆΠ΅Ρ Π±ΡΡΡ ΡΡΠ΅Ρ Π²ΠΈΠ΄ΠΎΠ², Π° ΠΈΠΌΠ΅Π½Π½ΠΎ ΠΊΠ°Π½Π΄ΠΈΠ΄ΠΎΠ·Π½ΡΠΌ, Π°ΡΡΠΎΠ·Π½ΡΠΌ ΠΈ Π³Π΅ΡΠΏΠ΅ΡΠΈΡΠ΅ΡΠΊΠΈΠΌ. Π§Π°ΡΠ΅ Π²ΡΡΡΠ΅ΡΠ°Π΅ΡΡΡ Π²ΡΠΎΡΠΎΠΉ Π²Π°ΡΠΈΠ°Π½Ρ. Π’Π°ΠΊΠΎΠΉ ΡΡΠΎΠΌΠ°ΡΠΈΡ ΠΈΠΌΠ΅Π΅Ρ Ρ ΡΠΎΠ½ΠΈΡΠ΅ΡΠΊΡΡ ΡΠΎΡΠΌΡ, ΠΏΠΎΡΡΠΎΠΌΡ ΠΏΠΎΠ»Π½ΠΎΡΡΡΡ ΠΈΠ·Π»Π΅ΡΠΈΡΡΡΡ ΠΎΡ Π½Π΅Π³ΠΎ Π½Π΅Π»ΡΠ·Ρ. ΠΠΎΡΡΠΎΠΌΡ Π²ΡΠ΅ΠΌΡ ΠΎΡ Π²ΡΠ΅ΠΌΠ΅Π½ΠΈ Ρ Π±ΠΎΠ»ΡΠ½ΠΎΠ³ΠΎ Π±ΡΠ΄Π΅Ρ Π²ΠΎΠ·Π½ΠΈΠΊΠ°ΡΡ Π±ΠΎΠ»ΡΡΠΊΠ° ΠΏΠΎΠ΄ ΡΠ·ΡΠΊΠΎΠΌ ΠΈ Π² Π΄ΡΡΠ³ΠΈΡ ΡΠ°ΡΡΡΡ ΡΠΎΡΠΎΠ²ΠΎΠΉ ΠΏΠΎΠ»ΠΎΡΡΠΈ.
ΠΠ΅Ρ Π°Π½ΠΈΡΠ΅ΡΠΊΠΎΠ΅ ΠΏΠΎΠ²ΡΠ΅ΠΆΠ΄Π΅Π½ΠΈΠ΅ ΡΠ»ΠΈΠ·ΠΈΡΡΠΎΠΉ ΠΎΠ±ΠΎΠ»ΠΎΡΠΊΠΈ ΡΡΠ°
ΠΡΠΎΠΉ ΠΏΡΠΈΡΠΈΠ½ΠΎΠΉ ΡΠ°ΡΡΠΎ ΠΎΠ±ΡΡΡΠ½ΡΡΡ ΠΏΠΎΡΠ²Π»Π΅Π½ΠΈΠ΅ ΡΠ·Π²Ρ Π½Π° ΡΠ·Π΄Π΅ΡΠΊΠ΅ ΡΠ·ΡΠΊΠ° Ρ ΡΠ΅Π±Π΅Π½ΠΊΠ°. ΠΠ½ ΠΌΠΎΠΆΠ΅Ρ ΠΏΠΎΡΠ°Π½ΠΈΡΡΡΡ ΠΎ ΡΡΠΎΠ»ΠΎΠ²ΡΠ΅ ΠΏΡΠΈΠ±ΠΎΡΡ ΠΈΠ»ΠΈ ΠΏΠΎΡΠ°ΡΠ°ΠΏΠ°ΡΡΡΡ ΠΊΠΎΠ½ΡΠ΅ΡΠΎΠΉ. ΠΠΎΡΡΠ°ΡΠΎΡΠ½ΠΎ ΠΏΡΠΎΡΡΠΎ ΠΏΡΠΈΠΊΡΡΠΈΡΡ ΡΠ·ΡΠΊ, ΡΡΠΎΠ±Ρ Π½Π° Π½Π΅ΠΌ ΠΎΠ±ΡΠ°Π·ΠΎΠ²Π°Π»Π°ΡΡ ΡΠ°Π½ΠΊΠ°.

Π’ΡΠ°Π²ΠΌΠ° ΡΠ·Π΄Π΅ΡΠΊΠΈ β ΡΠ°Π·ΡΡΠ²
ΠΡΠ΅Π³ΠΎ ΠΎΠ΄Π½Π° ΠΌΠΈΠΊΡΠΎΡΡΠ΅ΡΠΈΠ½Π° ΠΌΠΎΠΆΠ΅Ρ ΡΡΠ°ΡΡ ΠΏΡΠΈΡΠΈΠ½ΠΎΠΉ ΡΠ΅ΡΡΠ΅Π·Π½ΠΎΠ³ΠΎ Π²ΠΎΡΠΏΠ°Π»Π΅Π½ΠΈΡ Π²ΠΎ ΡΡΡ. ΠΠ½Π° ΠΏΠ΅ΡΠ΅ΡΠ°ΡΡΠ°Π΅Ρ Π² Π³Π½ΠΎΠΉΠ½ΠΈΠΊ ΠΈΠ·-Π·Π° Π°ΠΊΡΠΈΠ²Π½ΠΎΠΉ ΠΆΠΈΠ·Π½Π΅Π΄Π΅ΡΡΠ΅Π»ΡΠ½ΠΎΡΡΠΈ Π±Π°ΠΊΡΠ΅ΡΠΈΠΉ. Π£ΠΆΠ΅ ΡΠ΅ΡΠ΅Π· Π½Π΅ΡΠΊΠΎΠ»ΡΠΊΠΎ ΡΠ°ΡΠΎΠ² Ρ ΡΠ΅Π±Π΅Π½ΠΊΠ° ΠΈΠ»ΠΈ Π²Π·ΡΠΎΡΠ»ΠΎΠ³ΠΎ ΡΠ΅Π»ΠΎΠ²Π΅ΠΊΠ° Π½Π°ΡΠ½ΡΡ ΠΏΡΠΎΡΠ²Π»ΡΡΡΡΡ ΠΏΠ΅ΡΠ²ΡΠ΅ ΡΠΈΠΌΠΏΡΠΎΠΌΡ Π±ΠΎΠ»Π΅Π·Π½ΠΈ. ΠΡΠ»ΠΈ Π½Π΅ ΠΎΠΊΠ°Π·Π°ΡΡ ΠΏΠ΅ΡΠ²ΡΡ ΠΏΠΎΠΌΠΎΡΡ Π±ΠΎΠ»ΡΠ½ΠΎΠΌΡ, ΡΠΎ ΠΈΠ½ΡΠ΅ΠΊΡΠΈΡ ΡΠ°ΡΠΏΡΠΎΡΡΡΠ°Π½ΠΈΡΡΡ ΠΏΠΎ Π²ΡΠ΅ΠΉ ΡΠΎΡΠΎΠ²ΠΎΠΉ ΠΏΠΎΠ»ΠΎΡΡΠΈ.

ΠΠ΅ΠΌΠ°ΡΠΎΠΌΠ° Π½Π° ΡΠ·Π΄Π΅ΡΠΊΠ΅ ΠΏΠΎΡΠ»Π΅ ΠΏΠΎΠ΄ΡΠ΅Π·Π°Π½ΠΈΡ
Π‘ΠΎΠΌΠ°ΡΠΈΡΠ΅ΡΠΊΠΎΠ΅ Π·Π°Π±ΠΎΠ»Π΅Π²Π°Π½ΠΈΠ΅
ΠΠ΅ΡΠ΅Π΄ΠΊΠΎ Π±Π΅Π»Π°Ρ Π±ΠΎΠ»ΡΡΠΊΠ° ΡΠ²Π»ΡΠ΅ΡΡΡ ΠΎΠ΄Π½ΠΈΠΌ ΠΈΠ· ΡΠΈΠΌΠΏΡΠΎΠΌΠΎΠ² ΠΎΠΏΠ°ΡΠ½ΠΎΠ³ΠΎ Π½Π΅Π΄ΡΠ³Π°, ΠΊΠΎΡΠΎΡΡΠΉ ΠΏΠΎΡΠ°ΠΆΠ°Π΅Ρ ΠΈΠΌΠΌΡΠ½Π½ΡΡ ΡΠΈΡΡΠ΅ΠΌΡ ΡΠ΅Π»ΠΎΠ²Π΅ΠΊΠ°. Π ΡΠΈΡΠ»Ρ ΡΠ°ΠΊΠΈΡ Π·Π°Π±ΠΎΠ»Π΅Π²Π°Π½ΠΈΠΉ ΠΎΡΠ½ΠΎΡΡΡ ΡΡΠ±Π΅ΡΠΊΡΠ»Π΅Π· ΠΈ ΠΠΠ§. Π―Π·Π²Ρ Π½Π°ΡΠ½ΡΡ ΠΏΡΠΎΡΠ²Π»ΡΡΡΡΡ ΠΈΠ·-Π·Π° Π½Π΅Π½Π°Π΄Π»Π΅ΠΆΠ°ΡΠ΅Π³ΠΎ ΡΠΎΠ±Π»ΡΠ΄Π΅Π½ΠΈΡ ΠΏΡΠ°Π²ΠΈΠ» Π»ΠΈΡΠ½ΠΎΠΉ Π³ΠΈΠ³ΠΈΠ΅Π½Ρ, Π° ΡΠ°ΠΊΠΆΠ΅ ΡΠ½ΠΈΠΆΠ΅Π½ΠΈΡ ΠΈΠΌΠΌΡΠ½ΠΈΡΠ΅ΡΠ°.

ΠΠ°ΡΠΈΠΊΠΎΠ· Π²Π΅Π½ ΠΏΠΎΠ΄ ΡΠ·ΡΠΊΠΎΠΌ Ρ Π²ΠΎΡΠΏΠ°Π»Π΅Π½ΠΈΠ΅ΠΌ
Π§ΡΠΎΠ±Ρ ΡΠ·Π½Π°ΡΡ, ΠΏΠΎΡΠ΅ΠΌΡ ΡΠ·Π²ΠΎΡΠΊΠΈ ΠΏΠΎΡΠ²ΠΈΠ»ΠΈΡΡ Ρ Π²Π·ΡΠΎΡΠ»ΠΎΠ³ΠΎ ΠΈΠ»ΠΈ ΡΠ΅Π±Π΅Π½ΠΊΠ° ΠΏΠΎΠ΄ ΡΠ·ΡΠΊΠΎΠΌ, Π½ΡΠΆΠ½ΠΎ ΡΠ°ΡΡΠΏΡΠΎΡΠΈΡΡ ΠΏΠ°ΡΠΈΠ΅Π½ΡΠ° ΠΎ Π·Π΄ΠΎΡΠΎΠ²ΡΠ΅ ΠΈ Π²ΡΡΡΠ½ΠΈΡΡ, Π½Π΅ ΡΠ°Π½ΠΈΠ»ΡΡ Π»ΠΈ ΠΎΠ½ Π·Π° Π½Π΅ΡΠΊΠΎΠ»ΡΠΊΠΎ ΡΠ°ΡΠΎΠ² Π΄ΠΎ Π½Π°ΡΠ°Π»Π° Π²ΠΎΡΠΏΠ°Π»ΠΈΡΠ΅Π»ΡΠ½ΠΎΠ³ΠΎ ΠΏΡΠΎΡΠ΅ΡΡΠ°.
ΠΠ΅ΡΠ΅Π½ΠΈΠ΅ ΡΠ·Π²ΠΎΡΠ΅ΠΊ ΠΏΠΎΠ΄ ΡΠ·ΡΠΊΠΎΠΌ
ΠΡΠ»ΠΈ Ρ ΡΠ΅Π±Π΅Π½ΠΊΠ° ΡΠΎΠ΄ΠΈΡΠ΅Π»Ρ ΠΎΠ±Π½Π°ΡΡΠΆΠΈΡ Π±ΠΎΠ»ΡΡΠΊΡ Π² ΠΎΠ±Π»Π°ΡΡΠΈ ΡΠ·ΡΠΊΠ°, ΡΠΎ ΠΎΠ½ ΡΡΡ ΠΆΠ΅ Π΄ΠΎΠ»ΠΆΠ΅Π½ ΠΎΡΠ²Π΅ΡΡΠΈ Π΅Π³ΠΎ Π½Π° ΠΎΡΠΌΠΎΡΡ ΠΊ ΡΡΠΎΠΌΠ°ΡΠΎΠ»ΠΎΠ³Ρ. ΠΠΌΠ΅Π½Π½ΠΎ ΡΡΠΎΡ Π²ΡΠ°Ρ Π·Π°Π½ΠΈΠΌΠ°Π΅ΡΡΡ ΠΏΠΎΠ΄ΠΎΠ±Π½ΡΠΌΠΈ Π·Π°Π±ΠΎΠ»Π΅Π²Π°Π½ΠΈΡΠΌΠΈ. Π’ΠΎΡ ΠΏΡΠΎΠ²Π΅Π΄Π΅Ρ ΠΎΠ±ΡΠ»Π΅Π΄ΠΎΠ²Π°Π½ΠΈΠ΅ ΠΈ ΠΏΡΠΈ Π½Π°Π΄ΠΎΠ±Π½ΠΎΡΡΠΈ ΠΏΠΎΠΏΡΠΎΡΠΈΡ ΠΏΠ°ΡΠΈΠ΅Π½ΡΠ° ΠΏΠΎΠΊΠ°Π·Π°ΡΡΡΡ Π΄ΠΎΠΊΡΠΎΡΡ Π΄ΡΡΠ³ΠΎΠΉ ΡΠΏΠ΅ΡΠΈΠ°Π»ΠΈΠ·Π°ΡΠΈΠΈ.

Π’ΡΠ°Π²ΠΌΠ°ΡΠΈΡΠ΅ΡΠΊΠ°Ρ ΡΠ·Π²Π° ΠΏΡΠΈ ΠΏΡΠΎΡΠ΅Π·ΡΠ²Π°Π½ΠΈΠΈ Π·ΡΠ±ΠΎΠ²
Π§ΡΠΎΠ±Ρ ΠΏΠΎΡΡΠ°Π²ΠΈΡΡ Π΄ΠΈΠ°Π³Π½ΠΎΠ·, Π²ΡΠ°Ρ Π΄ΠΎΠ»ΠΆΠ΅Π½ ΠΏΡΠΎΠ²Π΅ΡΡΠΈ Ρ ΠΏΠ°ΡΠΈΠ΅Π½ΡΠΎΠΌ Π±Π΅ΡΠ΅Π΄Ρ. ΠΡΠΎ ΠΏΠΎΠ·Π²ΠΎΠ»ΠΈΡ ΠΏΠΎΠ½ΡΡΡ Ρ Π°ΡΠ°ΠΊΡΠ΅Ρ ΠΏΠΎΡΠ°ΠΆΠ΅Π½ΠΈΡ ΡΠΎΡΠΎΠ²ΠΎΠΉ ΠΎΠ±Π»Π°ΡΡΠΈ. ΠΠΎΠ½Π°Π΄ΠΎΠ±ΠΈΡΡΡ Π΅ΡΠ΅ ΠΈ ΠΌΠΈΠΊΡΠΎΡΠΊΠΎΠΏΠΈΡΠ΅ΡΠΊΠΎΠ΅ ΠΈΡΡΠ»Π΅Π΄ΠΎΠ²Π°Π½ΠΈΠ΅.
ΠΡΠΎΡΠ΅ Π²ΡΠ΅Π³ΠΎ ΠΏΠΎΠ½ΡΡΡ, ΠΊΠ°ΠΊ Π»Π΅ΡΠΈΡΡ ΡΠ·Π²ΠΎΡΠΊΠΈ, ΠΊΠΎΡΠΎΡΡΠ΅ ΠΏΠΎΡΠ²ΠΈΠ»ΠΈΡΡ Π²ΡΠ»Π΅Π΄ΡΡΠ²ΠΈΠ΅ ΠΌΠ΅Ρ Π°Π½ΠΈΡΠ΅ΡΠΊΠΎΠ³ΠΎ ΠΏΠΎΠ²ΡΠ΅ΠΆΠ΄Π΅Π½ΠΈΡ. ΠΠ°ΠΊ ΠΏΡΠ°Π²ΠΈΠ»ΠΎ, ΠΎΠ½ΠΈ Π·Π°ΠΆΠΈΠ²Π°ΡΡ Π΄ΠΎΡΡΠ°ΡΠΎΡΠ½ΠΎ Π±ΡΡΡΡΠΎ, Π΅ΡΠ»ΠΈ ΠΏΠΎΡΠ°ΠΆΠ΅Π½Π½ΠΎΠΌΡ ΠΌΠ΅ΡΡΡ ΠΎΠ±Π΅ΡΠΏΠ΅ΡΠΈΡΡ ΠΏΠΎΠ΄Ρ ΠΎΠ΄ΡΡΠΈΠΉ ΡΡ ΠΎΠ΄. Π§ΡΠΎΠ±Ρ ΡΠΊΠΎΡΠ΅Π΅ ΠΈΠ·Π±Π°Π²ΠΈΡΡΡΡ ΠΎΡ Π±ΠΎΠ»ΡΡΠΊΠΈ, ΠΎΠ±ΡΠ°Π·ΠΎΠ²Π°Π²ΡΠ΅ΠΉΡΡ ΠΏΠΎΠ΄ ΡΠ·ΡΠΊΠΎΠΌ, Π½Π΅ΠΎΠ±Ρ ΠΎΠ΄ΠΈΠΌΠΎ ΡΡΠ°Π·Ρ ΠΎΠ±ΡΠ°Π±ΠΎΡΠ°ΡΡ Π΅Π΅ Π°Π½ΡΠΈΡΠ΅ΠΏΡΠΈΠΊΠΎΠΌ. ΠΠΎΠΆΠ½ΠΎ ΠΈΡΠΏΠΎΠ»ΡΠ·ΠΎΠ²Π°ΡΡ:
- ΠΏΠ΅ΡΠ΅ΠΊΠΈΡΡ Π²ΠΎΠ΄ΠΎΡΠΎΠ΄Π°;
- Π·Π΅Π»Π΅Π½ΠΊΡ;
- ΡΠΏΡΠ΅ΠΉ ΠΏΡΠΎΠΏΠΎΠ»ΠΈΡΠ°;
- ΡΠΎΠ΄ΠΎΠ²ΡΠΉ ΡΠ°ΡΡΠ²ΠΎΡ.
Π‘ΠΏΡΠ΅ΠΉ ΠΏΡΠΎΠΏΠΎΠ»ΠΈΡΠ° ΡΡΡΠ΅ΠΊΡΠΈΠ²Π½ΠΎ Π·Π°ΠΆΠΈΠ²Π»ΡΠ΅Ρ ΡΠ°Π½Ρ
Π’Π°ΠΊΡΡ ΠΎΠ±ΡΠ°Π±ΠΎΡΠΊΡ Π°Π½ΡΠΈΡΠ΅ΠΏΡΠΈΠΊΠΎΠΌ ΠΏΡΠΈΠ½ΡΡΠΎ Π½Π°Π·Π½Π°ΡΠ°ΡΡ ΠΏΡΠΈ ΡΡΠΎΠΌΠ°ΡΠΈΡΠ΅. ΠΠΎΠΏΠΎΠ»Π½ΠΈΡΠ΅Π»ΡΠ½ΠΎ ΠΏΡΠΎΠΏΠΈΡΡΠ²Π°ΡΡ ΠΏΡΠΈΠ΅ΠΌ Π²ΠΈΡΠ°ΠΌΠΈΠ½Π½ΡΡ ΠΊΠΎΠΌΠΏΠ»Π΅ΠΊΡΠΎΠ².
ΠΠ»Ρ ΠΊΠ°ΠΆΠ΄ΠΎΠ³ΠΎ ΠΏΠ°ΡΠΈΠ΅Π½ΡΠ° Π΄ΠΎΠ»ΠΆΠ½Π° ΠΏΠΎΠ΄Π±ΠΈΡΠ°ΡΡΡΡ ΠΈΠ½Π΄ΠΈΠ²ΠΈΠ΄ΡΠ°Π»ΡΠ½Π°Ρ ΡΠ΅ΡΠ°ΠΏΠΈΡ. ΠΠΎΠΌΠΈΠΌΠΎ ΠΎΠ±ΡΠ°Π±ΠΎΡΠΊΠΈ Π°Π½ΡΠΈΡΠ΅ΠΏΡΠΈΠΊΠΎΠΌ, Π»Π΅ΡΠ°ΡΠΈΠΉ Π²ΡΠ°Ρ ΠΌΠΎΠΆΠ΅Ρ Π½Π°Π·Π½Π°ΡΠΈΡΡ:
ΠΠ±Π΅Π·Π±ΠΎΠ»ΠΈΠ²Π°ΡΡΠΈΠ΅ ΡΡΠ΅Π΄ΡΡΠ²Π°. ΠΠ½ΠΈ ΡΠΎΠ΄Π΅ΡΠΆΠ°Ρ Π² ΡΠ²ΠΎΠ΅ΠΌ ΡΠΎΡΡΠ°Π²Π΅ Π±Π΅Π½Π·Π°ΠΊΠ°ΠΈΠ½ ΠΈΠ»ΠΈ Π»ΠΈΠ΄ΠΎΠΊΠ°ΠΈΠ½. ΠΠ°Π·ΠΈ ΠΈ Π³Π΅Π»ΠΈ Π½Π° ΠΎΡΠ½ΠΎΠ²Π΅ ΠΊΠΎΡΡΠΈΠΊΠΎΡΡΠ΅ΡΠΎΠΈΠ΄ΠΎΠ². ΠΡΠΎΠ±Π΅Π½Π½ΠΎ Π²ΠΎΡΡΡΠ΅Π±ΠΎΠ²Π°Π½ ΡΠ»ΡΡΠΈΠ½ΠΎΡΠΈΠ΄. Π ΠΎΡΠΎΠ±ΠΎ ΡΡΠΆΠ΅Π»ΡΡ ΡΠ»ΡΡΠ°ΡΡ ΠΏΡΠΈΠΌΠ΅Π½ΡΡΡ ΠΊΠΎΡΡΠΈΠΊΠΎΡΡΠ΅ΡΠΎΠΈΠ΄Π½ΡΠ΅ ΠΏΡΠ΅ΠΏΠ°ΡΠ°ΡΡ. ΠΠ½ΠΈ Π½Π΅ΠΎΠ±Ρ ΠΎΠ΄ΠΈΠΌΡ ΠΏΠ°ΡΠΈΠ΅Π½ΡΠ°ΠΌ, ΠΊΠΎΡΠΎΡΡΠ΅ Π±ΠΎΠ»ΡΠ½Ρ Π°ΡΡΠΎΠ·Π½ΡΠΌ ΡΡΠΎΠΌΠ°ΡΠΈΡΠΎΠΌ ΡΠ΅ΡΠΈΠ΄ΠΈΠ²ΠΈΡΡΡΡΠ΅Π³ΠΎ Ρ Π°ΡΠ°ΠΊΡΠ΅ΡΠ°.

ΠΠ»ΠΎΡΠΊΠΎΠΊΠ»Π΅ΡΠΎΡΠ½ΡΠΉ ΡΠ°ΠΊ Π²Π½ΠΈΠ·Ρ ΡΠ·ΡΠΊΠ°
Π ΡΠ»ΡΡΠ°Π΅ Π΅ΡΠ»ΠΈ ΡΠ·Π²Ρ Π±ΡΠ»ΠΈ Π²ΡΠ·Π²Π°Π½Ρ Π³Π΅ΡΠΏΠ΅ΡΠΎΠΌ, ΠΏΠ°ΡΠΈΠ΅Π½ΡΡ Π½Π°Π·Π½Π°ΡΠ°ΡΡ ΠΏΡΠΈΠΌΠ΅Π½Π΅Π½ΠΈΠ΅ ΠΌΠ΅ΡΡΠ½ΡΡ ΠΏΡΠ΅ΠΏΠ°ΡΠ°ΡΠΎΠ², ΡΡΠΎ ΠΌΠΎΠΆΠ΅Ρ Π±ΡΡΡ ΠΌΠ°Π·Ρ Β«ΠΡΠΈΠΊΠ»ΠΎΠ²ΠΈΡΒ». ΠΠ°Π½Π΄ΠΈΠ΄ΠΎΠ·Π½ΡΠΉ ΠΆΠ΅ ΡΡΠΎΠΌΠ°ΡΠΈΡ Π½Π΅Π²ΠΎΠ·ΠΌΠΎΠΆΠ½ΠΎ ΠΏΠΎΠ±Π΅Π΄ΠΈΡΡ Π±Π΅Π· ΠΏΡΠΎΡΠΈΠ²ΠΎΠ³ΡΠΈΠ±ΠΊΠΎΠ²ΡΡ ΠΏΡΠ΅ΠΏΠ°ΡΠ°ΡΠΎΠ², ΠΊΠΎΡΠΎΡΡΠ΅ ΠΈΡΠΏΠΎΠ»ΡΠ·ΡΡΡ ΠΏΡΠΈ ΠΌΠ΅ΡΡΠ½ΠΎΠΌ ΠΈ Π²Π½ΡΡΡΠ΅Π½Π½Π΅ΠΌ Π»Π΅ΡΠ΅Π½ΠΈΠΈ.
ΠΠΎΠ³Π΄Π° ΡΡΠΎΠΌΠ°ΡΠΈΡ ΡΠΎΠΏΡΠΎΠ²ΠΎΠΆΠ΄Π°Π΅ΡΡΡ ΡΡ ΡΠ΄ΡΠ΅Π½ΠΈΠ΅ΠΌ Π·Π΄ΠΎΡΠΎΠ²ΡΡ, Π° ΠΈΠΌΠ΅Π½Π½ΠΎ ΠΏΠΎΠ²ΡΡΠ΅Π½ΠΈΠ΅ΠΌ ΡΠ΅ΠΌΠΏΠ΅ΡΠ°ΡΡΡΡ, Π²ΠΎΡΠΏΠ°Π»Π΅Π½ΠΈΠ΅ΠΌ Π»ΠΈΠΌΡΠΎΡΠ·Π»ΠΎΠ² ΠΈ ΠΎΠ±ΠΎΡΡΡΠ΅Π½ΠΈΠ΅ΠΌ ΡΡΠ΄Π° Π·Π°Π±ΠΎΠ»Π΅Π²Π°Π½ΠΈΠΉ, ΡΠΎΠ³Π΄Π° ΠΏΠ°ΡΠΈΠ΅Π½ΡΠ° Π½Π΅Π·Π°ΠΌΠ΅Π΄Π»ΠΈΡΠ΅Π»ΡΠ½ΠΎ ΠΎΡΠΏΡΠ°Π²Π»ΡΡΡ Π² Π±ΠΎΠ»ΡΠ½ΠΈΡΡ. ΠΡΠ»Π΅ΡΠΈΡΡ Π² Π΄ΠΎΠΌΠ°ΡΠ½ΠΈΡ ΡΡΠ»ΠΎΠ²ΠΈΡΡ Π±ΠΎΠ»ΡΠ½ΠΎΠ³ΠΎ, ΠΎΡΠΎΠ±Π΅Π½Π½ΠΎ ΡΠ΅Π±Π΅Π½ΠΊΠ°, Π² ΡΠ°ΠΊΠΎΠΉ ΡΠΈΡΡΠ°ΡΠΈΠΈ ΠΎΡΠ΅Π½Ρ ΡΠ»ΠΎΠΆΠ½ΠΎ.

ΠΠ΅ΡΠΏΠ΅Ρ ΡΠ·ΡΠΊΠ° Ρ ΡΠ΅Π±Π΅Π½ΠΊΠ° ΠΎΡΠ΅Π½Ρ Π±ΠΎΠ»Π΅Π·Π½Π΅Π½Π½ΡΠΉ
ΠΡΡΠ΅ΠΊΡΠΈΠ²Π½ΡΠ΅ ΡΠΏΠΎΡΠΎΠ±Ρ Π½Π°ΡΠΎΠ΄Π½ΠΎΠΉ ΠΌΠ΅Π΄ΠΈΡΠΈΠ½Ρ
ΠΠΎΠ΄ΡΠΊΠ°Π·Π°ΡΡ, ΡΡΠΎ Π΄Π΅Π»Π°ΡΡ, ΡΡΠΎΠ±Ρ ΠΈΠ·Π»Π΅ΡΠΈΡΡ ΡΠ·Π²ΠΎΡΠΊΠΈ Π²ΠΎ ΡΡΡ ΠΏΠΎΠ΄ ΡΠ·ΡΠΊΠΎΠΌ, ΠΌΠΎΠΆΠ΅Ρ Π½Π΅ ΡΠΎΠ»ΡΠΊΠΎ ΡΡΠ°Π΄ΠΈΡΠΈΠΎΠ½Π½Π°Ρ, Π½ΠΎ ΠΈ Π½Π°ΡΠΎΠ΄Π½Π°Ρ ΠΌΠ΅Π΄ΠΈΡΠΈΠ½Π°. ΠΠ°ΡΠΈ ΠΏΡΠ°Π±Π°Π±ΡΡΠΊΠΈ ΠΈΡΠΏΠΎΠ»ΡΠ·ΠΎΠ²Π°Π»ΠΈ ΡΠ²ΠΎΠΈ ΡΠ΅ΡΠ΅ΠΏΡΡ, ΠΊΠΎΡΠΎΡΡΠ΅ ΠΏΠΎΠΌΠΎΠ³Π°Π»ΠΈ ΠΈΠΌ ΠΏΠΎΠ±Π΅Π΄ΠΈΡΡ ΡΠ°ΠΊΠΎΠΉ Π½Π΅Π΄ΡΠ³.

ΠΡΡΡΠΎΠΊΠΎΠ½Π΅ΡΠ½Π°Ρ ΠΊΠΎΠ½Π΄ΠΈΠ»ΠΎΠΌΠ° ΠΌΠΎΠΆΠ΅Ρ ΠΏΠ΅ΡΠ΅ΡΠΎΠ΄ΠΈΡΡΡΡ Π² ΡΠ°ΠΊ
ΠΠ°ΠΊ ΡΠΎΠ»ΡΠΊΠΎ ΡΠ΅Π»ΠΎΠ²Π΅ΠΊ ΠΎΠ±Π½Π°ΡΡΠΆΠΈΡ ΠΏΠΎΠ΄ ΡΠ·ΡΠΊΠΎΠΌ Π±ΠΎΠ»Π΅Π·Π½Π΅Π½Π½ΠΎΠ΅ Π²ΡΡΡΠΏΠ°Π½ΠΈΠ΅, Π΅ΠΌΡ ΡΡΠ°Π·Ρ ΡΠ»Π΅Π΄ΡΠ΅Ρ ΡΡΠ°ΡΠ΅Π»ΡΠ½ΠΎ ΠΏΡΠΎΠΏΠΎΠ»ΠΎΡΠΊΠ°ΡΡ ΡΠΎΡ. ΠΡΠΎ ΡΠ°ΠΌΡΠΉ ΡΡΡΠ΅ΠΊΡΠΈΠ²Π½ΡΠΉ ΠΌΠ΅ΡΠΎΠ΄ Π±ΠΎΡΡΠ±Ρ Ρ Π½Π΅Π΄ΡΠ³ΠΎΠΌ. ΠΡΠΎΡΠ΅ Π²ΡΠ΅Π³ΠΎ Π² Π΄ΠΎΠΌΠ°ΡΠ½ΠΈΡ ΡΡΠ»ΠΎΠ²ΠΈΡΡ ΠΏΡΠΎΠΏΠΎΠ»ΠΎΡΠΊΠ°ΡΡ ΡΠΎΡΠΎΠ²ΡΡ ΠΏΠΎΠ»ΠΎΡΡΡ ΡΠ°ΡΡΠ²ΠΎΡΠΎΠΌ Π½Π° ΠΎΡΠ½ΠΎΠ²Π΅ ΠΏΠΈΡΠ΅Π²ΠΎΠΉ ΡΠΎΠ΄Ρ. Π§ΡΠΎΠ±Ρ Π΅Π³ΠΎ ΡΠ΄Π΅Π»Π°ΡΡ, Π½Π΅ΠΎΠ±Ρ ΠΎΠ΄ΠΈΠΌΠΎ ΠΏΠ΅ΡΠ΅ΠΌΠ΅ΡΠ°ΡΡ Π² ΡΡΠ°ΠΊΠ°Π½Π΅ ΡΠ΅ΠΏΠ»ΠΎΠΉ Π²ΠΎΠ΄Ρ ΠΎΠ΄Π½Ρ ΡΠ°ΠΉΠ½ΡΡ Π»ΠΎΠΆΠΊΡ ΡΡΠ΅Π΄ΡΡΠ²Π°. ΠΠΎΠΏΠΎΠ»Π½ΠΈΡΠ΅Π»ΡΠ½ΠΎ ΠΌΠΎΠΆΠ½ΠΎ Π½Π°Π½Π΅ΡΡΠΈ Π½Π° ΠΏΠΎΡΠ°ΠΆΠ΅Π½Π½ΠΎΠ΅ ΠΌΠ΅ΡΡΠΎ ΠΏΠ°ΡΡΡ ΠΈΠ· ΡΠΎΠΉ ΠΆΠ΅ ΡΠΎΠ΄Ρ.

ΠΠ΅ΡΠΏΠ΅ΡΠ½ΠΎΠ΅ Π²ΠΎΡΠΏΠ°Π»Π΅Π½ΠΈΠ΅ ΡΠ·ΡΠΊΠ° Ρ Π²Π·ΡΠΎΡΠ»ΠΎΠ³ΠΎ
ΠΠΎΠΊΠ»ΠΎΠ½Π½ΠΈΠΊΠΈ ΡΠ°Π΄ΠΈΠΊΠ°Π»ΡΠ½ΡΡ ΠΌΠ΅ΡΠΎΠ΄ΠΎΠ² ΠΈΠ·Π±Π°Π²Π»Π΅Π½ΠΈΡ ΠΎΡ ΡΠ·Π²ΠΎΡΠ΅ΠΊ Π²ΠΎ ΡΡΡ ΠΌΠΎΠ³ΡΡ ΠΏΠΎΠΏΡΠΎΠ±ΠΎΠ²Π°ΡΡ Π»Π΅ΡΠΈΡΡ ΠΈΡ ΡΠΎΠ»ΡΡ. ΠΡ ΡΠΎΠΆΠ΅ Π½ΡΠΆΠ½ΠΎ ΠΏΡΠΎΠ²ΠΎΠ΄ΠΈΡΡ ΠΏΠΎΠ»ΠΎΡΠΊΠ°Π½ΠΈΠ΅. Π§Π°ΠΉΠ½ΡΡ Π»ΠΎΠΆΠΊΡ ΡΠΎΠ»ΠΈ ΡΠ»Π΅Π΄ΡΠ΅Ρ ΡΠ°Π·ΠΌΠ΅ΡΠ°ΡΡ Π² ΠΎΠ΄Π½ΠΎΠΌ ΡΡΠ°ΠΊΠ°Π½Π΅ Π²ΠΎΠ΄Ρ. Π Π°Π·ΡΠ΅ΡΠ°Π΅ΡΡΡ Π΄Π»Ρ ΡΡΠΈΠ»Π΅Π½ΠΈΡ ΡΡΡΠ΅ΠΊΡΠ° Π΄ΠΎΠ±Π°Π²ΠΈΡΡ Π² Π»Π΅ΡΠ΅Π±Π½ΡΠΉ ΡΠ°ΡΡΠ²ΠΎΡ ΠΏΠ°ΡΡ ΠΊΠ°ΠΏΠ΅Π»Ρ ΠΉΠΎΠ΄Π°.
ΠΠΎΠ»ΠΎΡΠΊΠ°ΡΡ ΡΠΎΡ ΡΠΎΠ»ΡΡ ΠΈΠ»ΠΈ ΡΠΎΠ΄ΠΎΠΉ Π½Π΅ΠΎΠ±Ρ ΠΎΠ΄ΠΈΠΌΠΎ ΠΊΠ°ΠΆΠ΄ΡΠ΅ ΡΡΠΈ-ΡΠ΅ΡΡΡΠ΅ ΡΠ°ΡΠ°.
Π ΡΠ°ΠΊΠΆΠ΅ ΡΠ΅ΠΊΠΎΠΌΠ΅Π½Π΄ΡΠ΅ΡΡΡ ΠΏΡΠΎΠ²ΠΎΠ΄ΠΈΡΡ ΠΏΡΠΎΡΠ΅Π΄ΡΡΡ ΠΏΠΎΡΠ»Π΅ ΠΏΡΠΈΠ΅ΠΌΠ° ΠΏΠΈΡΠΈ. ΠΠΎΠ»ΠΎΡΠΊΠ°Π½ΠΈΠ΅ ΠΌΠΎΠΆΠ½ΠΎ Π½Π°Π·Π½Π°ΡΠΈΡΡ Π΄Π°ΠΆΠ΅ Π΄Π΅ΡΡΠΌ, ΡΠ°ΠΊ ΠΊΠ°ΠΊ ΠΎΠ½ΠΎ ΡΠΎΠ²Π΅ΡΡΠ΅Π½Π½ΠΎ Π±Π΅Π·Π²ΡΠ΅Π΄Π½ΠΎ.

Π‘ΠΎΠ΄Π° ΠΈ ΠΌΠ΅Π΄ β Π½Π°ΡΠΎΠ΄Π½ΡΠ΅ ΡΡΠ΅Π΄ΡΡΠ²Π° Π»Π΅ΡΠ΅Π½ΠΈΡ
ΠΠ±Π΅Π·Π·Π°ΡΠ°Π·ΠΈΡΡ Π²ΠΎΡΠΏΠ°Π»Π΅Π½Π½ΡΡ ΡΠ°Π½ΠΊΡ ΠΈ ΡΡΠΊΠΎΡΠΈΡΡ Π΅Π΅ Π·Π°ΠΆΠΈΠ²Π»Π΅Π½ΠΈΠ΅ ΠΏΠΎΠΌΠΎΠΆΠ΅Ρ Π½Π°ΡΡΡΠ°Π»ΡΠ½ΡΠΉ ΠΌΠ΅Π΄. Π’Π°ΠΊΠΎΠΉ ΠΌΠ΅ΡΠΎΠ΄ ΠΈΠ·Π±Π°Π²Π»Π΅Π½ΠΈΡ ΠΎΡ Π½Π΅ΠΏΡΠΈΡΡΠ½ΡΡ Π²ΡΡΡΠΏΠ°Π½ΠΈΠΉ ΠΏΠΎΠ΄ ΡΠ·ΡΠΊΠΎΠΌ ΠΎΡΠΎΠ±Π΅Π½Π½ΠΎ ΠΏΠΎΠ½ΡΠ°Π²ΠΈΡΡΡ Π΄Π΅ΡΡΠΌ. Π§ΡΠΎΠ±Ρ ΡΠ±ΡΠ°ΡΡ ΡΠ·Π²ΠΎΡΠΊΡ, Π½Π΅ΠΎΠ±Ρ ΠΎΠ΄ΠΈΠΌΠΎ ΠΌΠ΅Π΄Π»Π΅Π½Π½ΠΎ ΡΠ°ΡΡΠ°ΡΡΠ²Π°ΡΡ ΠΊΡΡΠΎΡΠ΅ΠΊ ΠΌΠ΅Π΄Π°. Π ΡΠ°ΠΊΠΆΠ΅ ΡΠ»Π΅Π΄ΡΠ΅Ρ ΠΆΠ΅Π²Π°ΡΡ ΠΌΠ΅Π΄ΠΎΠ²ΡΠ΅ ΡΠΎΡΡ ΠΈΠ»ΠΈ ΠΏΡΠΎΠΏΠΎΠ»ΠΈΡ. ΠΡΠ΅ ΡΡΠΈ ΠΏΡΠΎΠ΄ΡΠΊΡΡ ΠΏΡΠ΅Π»ΠΎΠ²ΠΎΠ΄ΡΡΠ²Π° ΠΎΠΊΠ°Π·ΡΠ²Π°ΡΡ ΠΎΠ΄ΠΈΠ½Π°ΠΊΠΎΠ²ΠΎΠ΅ Π·Π°ΠΆΠΈΠ²Π»ΡΡΡΠ΅Π΅ Π΄Π΅ΠΉΡΡΠ²ΠΈΠ΅.

ΠΠΈΡΡΠ° ΠΏΠΎΠ΄ ΡΠ·ΡΠΊΠΎΠΌ ΡΡΠ΅Π±ΡΠ΅Ρ ΠΎΠΏΠ΅ΡΠ°ΡΠΈΠ²Π½ΠΎΠ³ΠΎ ΡΠ΄Π°Π»Π΅Π½ΠΈΡ
Π§ΡΠΎΠ±Ρ Π±ΡΡΡΡΠΎ ΠΈΠ·Π±Π°Π²ΠΈΡΡΡΡ ΠΎΡ ΡΠ·Π² Π² ΠΎΠ±Π»Π°ΡΡΠΈ ΡΠ·ΡΠΊΠ°, Π½Π΅ΠΎΠ±Ρ ΠΎΠ΄ΠΈΠΌΠΎ ΠΈΡΠΏΠΎΠ»ΡΠ·ΠΎΠ²Π°ΡΡ Π»Π΅ΠΊΠ°ΡΡΡΠ²Π΅Π½Π½ΡΠ΅ ΡΡΠ°Π²Ρ.
ΠΡΠ»ΠΈΡΠ½ΡΠΌΠΈ ΠΏΡΠΎΡΠΈΠ²ΠΎΠ²ΠΎΡΠΏΠ°Π»ΠΈΡΠ΅Π»ΡΠ½ΡΠΌΠΈ ΠΊΠ°ΡΠ΅ΡΡΠ²Π°ΠΌΠΈ ΠΎΠ±Π»Π°Π΄Π°Π΅Ρ ΡΠΎΠΌΠ°ΡΠΊΠ°. Π‘ΡΠΎΠΈΡ ΠΊΡΠΏΠΈΡΡ Π΄Π»Ρ Π΄ΠΎΠΌΠ°ΡΠ½Π΅ΠΉ Π°ΠΏΡΠ΅ΡΠΊΠΈ Π·Π°ΡΡΡΠ΅Π½Π½ΡΠ΅ ΡΠ²Π΅ΡΠΊΠΈ ΠΊΠ°Π»Π΅Π½Π΄ΡΠ»Ρ, ΡΠ°Π»ΡΠ΅ΠΉ, Π΄ΡΠ±ΠΎΠ²ΡΡ ΠΊΠΎΡΡ ΠΈ Π·Π²Π΅ΡΠΎΠ±ΠΎΠΉ. ΠΠ° ΠΎΡΠ½ΠΎΠ²Π΅ ΡΡΠΈΡ ΡΡΠ°Π² Π΄Π΅Π»Π°ΡΡ ΠΎΡΠ²Π°ΡΡ ΠΈ Π½Π°ΡΡΠΎΠΈ Π΄Π»Ρ ΠΏΠΎΠ»ΠΎΡΠΊΠ°Π½ΠΈΡ.

ΠΠ΅ΠΊΠ°ΡΡΡΠ²Π΅Π½Π½ΡΠ΅ ΡΠ°ΡΡΠ΅Π½ΠΈΡ Π΄Π»Ρ ΠΏΠΎΠ»ΠΎΡΠΊΠ°Π½ΠΈΡ ΡΡΠ°
Π§ΡΠΎΠ±Ρ ΠΏΡΠΈΠ³ΠΎΡΠΎΠ²ΠΈΡΡ ΡΡΠ°Π²ΡΠ½ΠΎΠΉ Π½Π°ΡΡΠΎΠΉ ΡΠ»Π΅Π΄ΡΠ΅Ρ Π·Π°Π»ΠΈΡΡ ΡΠ°ΠΉΠ½ΡΡ Π»ΠΎΠΆΠΊΡ Π²ΡΠ±ΡΠ°Π½Π½ΡΡ ΡΠ°ΡΡΠ΅Π½ΠΈΠΉ ΡΡΠ°ΠΊΠ°Π½ΠΎΠΌ Π³ΠΎΡΡΡΠ΅ΠΉ Π²ΠΎΠ΄Ρ. Π ΡΠ°ΠΊΠΎΠΌ Π²ΠΈΠ΄Π΅ ΠΎΠ½ Π΄ΠΎΠ»ΠΆΠ΅Π½ Π½Π°ΡΡΠ°ΠΈΠ²Π°ΡΡΡΡ ΡΠ»Π΅Π΄ΡΡΡΠΈΠ΅ ΠΏΡΡΠ½Π°Π΄ΡΠ°ΡΡ ΠΌΠΈΠ½ΡΡ. ΠΡΠ»ΠΈ Π±ΡΠ»Π° Π²ΡΠ±ΡΠ°Π½Π° Π΄Π»Ρ ΠΏΡΠΈΠ³ΠΎΡΠΎΠ²Π»Π΅Π½ΠΈΡ Π΄ΡΠ±ΠΎΠ²Π°Ρ ΠΊΠΎΡΠ°, ΡΠΎ Π΅Π΅ ΠΏΠ΅ΡΠ΅Π΄ ΡΠ΅ΠΌ, ΠΊΠ°ΠΊ Π·Π°Π»ΠΈΡΡ, ΡΠ΅ΠΊΠΎΠΌΠ΅Π½Π΄ΡΠ΅ΡΡΡ ΠΏΠΎΠ΄Π΅ΡΠΆΠ°ΡΡ ΠΌΠΈΠ½ΡΡ ΠΏΡΡΠ½Π°Π΄ΡΠ°ΡΡ Π½Π° Π²ΠΎΠ΄ΡΠ½ΠΎΠΉ Π±Π°Π½Π΅, ΡΡΠΎΠ±Ρ ΠΎΠ½Π° Π½Π΅ΠΌΠ½ΠΎΠ³ΠΎ ΡΠ²Π°ΡΠΈΠ»Π°ΡΡ.
ΠΠ°ΡΡΠΎΠ΅ΠΌ ΠΈΠ· ΡΡΡΠ΅Π½ΡΡ ΡΡΠ°Π² ΡΠ»Π΅Π΄ΡΠ΅Ρ ΠΏΠΎΠ»ΠΎΡΠΊΠ°ΡΡ ΡΠΎΡΠΎΠ²ΡΡ ΠΏΠΎΠ»ΠΎΡΡΡ ΠΌΠΈΠ½ΠΈΠΌΡΠΌ ΠΏΡΡΡ ΡΠ°Π· Π² Π΄Π΅Π½Ρ. ΠΡΠ»ΠΈ ΡΠ·Π²Π° Π½Π΅Π±ΠΎΠ»ΡΡΠ°Ρ, ΡΠΎ Π²ΠΏΠΎΠ»Π½Π΅ ΠΌΠΎΠΆΠ½ΠΎ ΠΎΠ³ΡΠ°Π½ΠΈΡΠΈΡΡΡΡ Π»ΠΈΡΡ ΡΡΠΎΠΉ ΠΏΡΠΎΡΠ΅Π΄ΡΡΠΎΠΉ. ΠΠΎ Π²ΡΠ΅-ΡΠ°ΠΊΠΈ ΡΡΡΠ΅ΠΊΡΠΈΠ²Π½Π΅Π΅ ΠΈΡΠΏΠΎΠ»ΡΠ·ΠΎΠ²Π°ΡΡ Π΅Π΅ Π²ΠΌΠ΅ΡΡΠ΅ Ρ Π΄ΡΡΠ³ΠΈΠΌΠΈ ΡΠΏΠΎΡΠΎΠ±Π°ΠΌΠΈ ΡΠ΅ΡΠ°ΠΏΠΈΠΈ, ΠΊΠΎΡΠΎΡΡΠ΅ Π±ΡΠ»ΠΈ Π½Π°Π·Π½Π°ΡΠ΅Π½Ρ ΡΠΏΠ΅ΡΠΈΠ°Π»ΠΈΡΡΠΎΠΌ.

Π Π°ΠΊΠΎΠ²Π°Ρ ΠΎΠΏΡΡ ΠΎΠ»Ρ Π² Π½ΠΈΠΆΠ½Π΅ΠΉ ΡΠ°ΡΡΠΈ ΡΠ·ΡΠΊΠ°
ΠΠΎΠ»ΠΎΡΠΊΠ°Π½ΠΈΠ΅ ΡΠ΅ΠΊΠΎΠΌΠ΅Π½Π΄ΡΡΡ ΠΈΡΠΏΠΎΠ»ΡΠ·ΠΎΠ²Π°ΡΡ Π² ΡΠ΅Π»ΡΡ ΠΈΠ·Π±Π°Π²Π»Π΅Π½ΠΈΡ ΠΎΡ ΡΠ·Π²ΠΎΡΠ΅ΠΊ, ΠΊΠΎΡΠΎΡΡΠ΅ ΠΏΠΎΡΠ²ΠΈΠ»ΠΈΡΡ ΠΏΠΎΠ΄ ΡΠ·ΡΠΊΠΎΠΌ ΠΈΠ·-Π·Π° ΡΠΎΠ³ΠΎ, ΡΡΠΎ ΡΠ»ΠΈΠ·ΠΈΡΡΠ°Ρ ΠΎΠ±ΠΎΠ»ΠΎΡΠΊΠ° Π±ΡΠ»Π° ΡΡΠ°Π²ΠΌΠΈΡΠΎΠ²Π°Π½Π°. ΠΠΎ ΡΠ°ΠΊΠΎΠ΅ Π»Π΅ΡΠ΅Π½ΠΈΠ΅ Π½Π΅ ΠΏΠΎΠΌΠΎΠΆΠ΅Ρ Π² ΡΠΎΠΌ ΡΠ»ΡΡΠ°Π΅, Π΅ΡΠ»ΠΈ Π±ΠΎΠ»ΡΡΠΊΠ° ΡΠ²Π»ΡΠ΅ΡΡΡ ΡΠ»Π΅Π΄ΡΡΠ²ΠΈΠ΅ΠΌ ΠΈΠ½ΡΠ΅ΠΊΡΠΈΠΎΠ½Π½ΠΎΠ³ΠΎ ΠΈΠ»ΠΈ Π³ΡΠΈΠ±ΠΊΠΎΠ²ΠΎΠ³ΠΎ Π·Π°Π±ΠΎΠ»Π΅Π²Π°Π½ΠΈΡ ΠΈ ΡΠΎΠΏΡΠΎΠ²ΠΎΠΆΠ΄Π°Π΅ΡΡΡ ΠΏΠΎΠ²ΡΡΠ΅Π½ΠΈΠ΅ΠΌ ΡΠ΅ΠΌΠΏΠ΅ΡΠ°ΡΡΡΡ. Π ΡΠ°ΠΊΠΆΠ΅ ΡΠ»Π΅Π΄ΡΠ΅Ρ Π½Π΅ΠΏΡΠ΅ΠΌΠ΅Π½Π½ΠΎ ΠΏΠΎΠΊΠ°Π·Π°ΡΡΡΡ ΡΠΏΠ΅ΡΠΈΠ°Π»ΠΈΡΡΡ, Π΅ΡΠ»ΠΈ ΠΏΠΎΠ΄ΠΎΠ±Π½ΡΠ΅ Π²ΡΡΡΠΏΠ°Π½ΠΈΡ Π²ΠΎΠ·Π½ΠΈΠΊΠ°ΡΡ ΠΏΠΎΠ΄ ΡΠ·ΡΠΊΠΎΠΌ ΡΠ°ΡΠ΅ ΠΎΠ΄Π½ΠΎΠ³ΠΎ ΡΠ°Π·Π° Π² ΠΌΠ΅ΡΡΡ.

Π’ΡΠ°Π²ΠΌΠ°ΡΠΈΡΠ΅ΡΠΊΠΈΠ΅ ΡΠ·Π²Ρ ΠΏΠΎΡΠ»Π΅ Ρ ΠΈΠΌΠΈΡΠ΅ΡΠΊΠΎΠ³ΠΎ ΠΎΠΆΠΎΠ³Π°
ΠΠ΅ΠΎΠ±Ρ ΠΎΠ΄ΠΈΠΌΠΎ Π±Π΅ΡΠ΅ΠΆΠ½ΠΎ ΠΎΡΠ½ΠΎΡΠΈΡΡΡΡ ΠΊ ΡΠΎΠ±ΡΡΠ²Π΅Π½Π½ΠΎΠΌΡ Π·Π΄ΠΎΡΠΎΠ²ΡΡ, ΠΎΠ±ΡΠ°ΡΠ°ΡΡ Π²Π½ΠΈΠΌΠ°Π½ΠΈΠ΅ Π½Π° Π»ΡΠ±ΡΠ΅ ΠΈΠ·ΠΌΠ΅Π½Π΅Π½ΠΈΡ, ΠΊΠΎΡΠΎΡΡΠ΅ Π½Π΅Π»ΡΠ·Ρ Π½Π°Π·Π²Π°ΡΡ Π½ΠΎΡΠΌΠΎΠΉ.
ΠΡΠ»ΠΈ Π²ΠΎ ΡΡΡ ΠΏΠΎΠ΄ ΡΠ·ΡΠΊΠΎΠΌ ΠΎΠ±ΡΠ°Π·ΠΎΠ²Π°Π»Π°ΡΡ Π±ΠΎΠ»Π΅Π·Π½Π΅Π½Π½Π°Ρ ΡΠ·Π²Π° ΠΈ Π΅Π΅ Π½Π΅ ΠΏΠΎΠ»ΡΡΠΈΠ»ΠΎΡΡ ΠΈΠ·Π»Π΅ΡΠΈΡΡ ΡΡΠ°Π΄ΠΈΡΠΈΠΎΠ½Π½ΡΠΌ ΠΏΠΎΠ»ΠΎΡΠΊΠ°Π½ΠΈΠ΅ΠΌ, ΡΠΎ ΡΠ΅Π»ΠΎΠ²Π΅ΠΊΡ Π½Π΅ΠΏΡΠ΅ΠΌΠ΅Π½Π½ΠΎ ΡΠ»Π΅Π΄ΡΠ΅Ρ Π·Π°ΠΏΠΈΡΠ°ΡΡΡΡ Π½Π° ΠΏΡΠΈΠ΅ΠΌ ΠΊ Π²ΡΠ°ΡΡ.
Π§Π΅ΠΌ Π±ΡΡΡΡΠ΅Π΅ Π±ΡΠ΄Π΅Ρ Π²ΡΡΠ²Π»Π΅Π½ Π½Π΅Π΄ΡΠ³, ΡΠ΅ΠΌ ΠΌΠ΅Π½ΡΡΠ΅ ΡΠΈΡΠΊ ΡΠΎΠ³ΠΎ, ΡΡΠΎΠ±Ρ ΠΎΠ½ ΠΏΠ΅ΡΠ΅ΡΠ°ΡΡΠ΅Ρ Π² Ρ ΡΠΎΠ½ΠΈΡΠ΅ΡΠΊΡΡ ΡΠΎΡΠΌΡ. ΠΡΠΎ ΠΏΠΎΠΌΠΎΠΆΠ΅Ρ ΡΠ²Π΅ΡΡΠΈ Π΄ΠΎ ΠΌΠΈΠ½ΠΈΠΌΡΠΌΠ° Π²ΠΎΠ·ΠΌΠΎΠΆΠ½ΠΎΡΡΡ ΠΏΡΠΎΡΠ²Π»Π΅Π½ΠΈΡ Π½Π΅ΠΏΡΠΈΡΡΠ½ΡΡ ΠΏΠΎΡΠ»Π΅Π΄ΡΡΠ²ΠΈΠΉ, ΠΊ ΠΊΠΎΡΠΎΡΡΠΌ ΠΏΡΠΈΠ²ΠΎΠ΄ΠΈΡ Π½Π΅ΡΠ²ΠΎΠ΅Π²ΡΠ΅ΠΌΠ΅Π½Π½ΠΎ Π²ΡΠ»Π΅ΡΠ΅Π½Π½Π°Ρ ΡΠ·Π²Π° Π½Π° ΡΠ·ΡΠΊΠ΅.
zubnoimir.ru
ΡΡΠΎ ΡΡΠΎ ΡΠ°ΠΊΠΎΠ΅, ΠΊΠ°ΠΊ ΡΠ°ΡΠΏΠΎΠ·Π½Π°ΡΡ Π±ΠΎΠ»Π΅Π·Π½Ρ ΠΈ ΠΊΠ°ΠΊ Π΅Π΅ Π»Π΅ΡΠΈΡΡ
ΠΡ ΡΠ΅Π³ΠΎ ΡΠ·ΡΠΊΠ΅ Π±Π΅Π»Π°Ρ Π±ΠΎΠ»ΡΡΠΊΠ°
ΠΠ° ΡΠ·ΡΠΊΠ΅ Π±Π΅Π»Π°Ρ Π±ΠΎΠ»ΡΡΠΊΠ°? ΠΡ ΡΠ΅Π³ΠΎ ΠΎΠ½Π° ΠΏΠΎΡΠ²ΠΈΠ»Π°ΡΡ?
ΠΡΠΈΡΠΈΠ½Ρ ΠΌΠ½ΠΎΠ³ΠΎΡΠΈΡΠ»Π΅Π½Π½Ρ, Π²Π°ΠΆΠ½ΡΠΌΠΈ ΠΎΡΠ»ΠΈΡΠ°ΡΡΠΈΠΌΠΈ ΠΊΡΠΈΡΠ΅ΡΠΈΡΠΌΠΈ Π½ΡΠΆΠ½ΠΎ ΡΡΠΈΡΠ°ΡΡ Π΅Π΅ Π²ΠΈΠ΄, ΡΠ°Π·ΠΌΠ΅Ρ, ΠΊΠΎΠ»ΠΈΡΠ΅ΡΡΠ²ΠΎ ΠΈ Π΄ΡΡΠ³ΠΈΠ΅ Ρ Π°ΡΠ°ΠΊΡΠ΅ΡΠΈΡΡΠΈΠΊΠΈ.
ΠΠ΅Π»ΡΡ Π±ΠΎΠ»ΡΡΠΊΡ Π² Π½Π°ΡΠΎΠ΄Π΅ Π½Π°Π·ΡΠ²Π°ΡΡ ΡΠΈΠΏΡΠ½ΠΎΠΌ.
Π‘ ΡΡΠΈΠΌ Π½Π°Π·Π²Π°Π½ΠΈΠ΅ΠΌ ΡΠ²ΡΠ·Π°Π½Π° ΠΈΠ½ΡΠ΅ΡΠ΅ΡΠ½Π°Ρ ΠΈΡΡΠΎΡΠΈΡ. ΠΠΎ ΠΎΠ±ΠΎ Π²ΡΠ΅ΠΌ ΠΏΠΎ ΠΏΠΎΡΡΠ΄ΠΊΡ.
ΠΠΎΡΠ΅ΠΌΡ Π²ΡΠΊΠ°ΠΊΠΈΠ²Π°Π΅Ρ Π±ΠΎΠ»ΡΡΠΊΠ° Π½Π° ΡΠ·ΡΠΊΠ΅ ΠΈ ΠΌΠ΅ΡΠΎΠ΄Ρ Π΅Π΅ Π»Π΅ΡΠ΅Π½ΠΈΡ
ΠΡΠΈΡΠΈΠ½Ρ Π² Π±ΠΎΠ»ΡΡΠΈΠ½ΡΡΠ²Π΅ ΡΠ»ΡΡΠ°Π΅Π² ΡΡΠΈΠ²ΠΈΠ°Π»ΡΠ½Ρ: Π² ΡΠΎΡ ΠΏΠΎΠΏΠ°Π»ΠΈ Π±Π°ΠΊΡΠ΅ΡΠΈΠΈ (Π³ΡΡΠ·Ρ, ΠΌΠΈΠΊΡΠΎΠ±Ρ), ΠΊΠΎΡΠΎΡΡΠ΅ Π²ΡΠ·Π²Π°Π»ΠΈ Π½Π΅Π±ΠΎΠ»ΡΡΠΎΠ΅ ΠΏΠΎΡΠ°ΠΆΠ΅Π½ΠΈΠ΅ ΡΠ·ΡΠΊΠ°. Π§ΡΠΎΠ±Ρ ΡΡΠΈ ΠΌΠΈΠΊΡΠΎΠΎΡΠ³Π°Π½ΠΈΠ·ΠΌΡ ΠΏΠΎΠΏΠ°Π»ΠΈ Π² ΠΏΠΎΠ΄Ρ ΠΎΠ΄ΡΡΡΡ Π΄Π»Ρ ΡΠ°Π·ΠΌΠ½ΠΎΠΆΠ΅Π½ΠΈΡ ΡΡΠ΅Π΄Ρ, Π½ΡΠΆΠ½Π° Ρ ΠΎΡΡ Π±Ρ ΠΌΠΈΠΊΡΠΎΡΠΊΠΎΠΏΠΈΡΠ΅ΡΠΊΠ°Ρ ΡΠ°Π½ΠΊΠ°. ΠΡΠΈ ΡΡΠ΅ΡΠ΅Π½ΠΈΠΈ ΡΠΊΠ°Π·Π°Π½Π½ΡΡ Π΄Π²ΡΡ ΠΎΠ±ΡΡΠΎΡΡΠ΅Π»ΡΡΡΠ² Π²ΠΌΠ΅ΡΡΠ΅, Π½Π° ΠΊΠΎΠ½ΡΠΈΠΊΠ΅ ΡΠ·ΡΠΊΡ Π²ΡΠΊΠ°ΠΊΠΈΠ²Π°Π΅Ρ Π±ΠΎΠ»ΡΡΠΊΠ°.
Π’Π°ΠΊΠΆΠ΅ ΡΠΈΠΏΡΠ½ ΠΏΠΎΡΠ²Π»ΡΠ΅ΡΡΡ Ρ Π±ΠΎΠ»ΡΡΠ΅ΠΉ Π²Π΅ΡΠΎΡΡΠ½ΠΎΡΡΡΡ Ρ Π»ΡΠ΄Π΅ΠΉ Ρ ΠΏΠΎΠ½ΠΈΠΆΠ΅Π½Π½ΡΠΌ ΠΈΠΌΠΌΡΠ½ΠΈΡΠ΅ΡΠΎΠΌ. ΠΡΠ»ΠΈ Π·Π°ΡΠΈΡΠ½ΡΠ΅ ΠΈ ΠΎΡΠΈΡΡΠΈΡΠ΅Π»ΡΠ½ΡΠ΅ ΡΠΈΠ»Ρ ΠΎΡΠ³Π°Π½ΠΈΠ·ΠΌΠ° ΠΎΡΠ»Π°Π±Π»Π΅Π½Ρ, ΡΡΠΎ ΡΠ²Π΅Π»ΠΈΡΠΈΠ²Π°Π΅Ρ ΡΠ°Π½ΡΡ Π½Π΅Π±ΠΎΠ»ΡΡΠΎΠΉ Π±Π΅Π»Π΅Π½ΡΠΊΠΎΠΉ Π±ΠΎΠ»ΡΡΠΊΠ΅ Π½Π° ΡΠ°Π·Π²ΠΈΡΠΈΠ΅.
Π ΠΏΡΠΎΡΡΠΎΠΌ ΡΠ»ΡΡΠ°Π΅, ΠΊΠΎΠ³Π΄Π° Π±ΠΎΠ»ΡΡΠΊΠ° ΠΎΠ΄Π½Π°, ΡΠ°Π·ΠΌΠ΅Ρ Π΅Π΅ Π½Π΅Π²Π΅Π»ΠΈΠΊ ΠΈ ΠΌΠ½ΠΎΠ³ΠΎ Π½Π΅ΡΠ΄ΠΎΠ±ΡΡΠ²Π° ΠΎΠ½Π° Π½Π΅ Π΄ΠΎΡΡΠ°Π²Π»ΡΠ΅Ρ, ΠΌΠΎΠΆΠ½ΠΎ ΠΏΠΎΠΌΠΎΡΡ Π΅ΠΉ Π±ΡΡΡΡΠ΅Π΅ ΠΈΡΡΠ΅Π·Π½ΡΡΡ ΠΏΡΠΈ ΠΏΠΎΠΌΠΎΡΠΈ Π½Π°ΡΠΎΠ΄Π½ΡΡ ΡΡΠ΅Π΄ΡΡΠ². Π ΡΠ°ΠΊΠΎΠ²ΡΠΌ ΠΎΡΠ½ΠΎΡΡΡΡΡ Π»Π΅ΡΠ΅Π±Π½ΡΠ΅ ΠΎΡΠ²Π°ΡΡ ΠΈΠ· ΡΠ°Π»ΡΠ΅Ρ, Π±Π°Π·ΠΈΠ»ΠΈΠΊΠ°, ΠΊΠΎΡΠΈΠ°Π½Π΄ΡΠ°, ΡΠΎΠΌΠ°ΡΠΊΠΈ, ΡΠΈΡΡΠΎΡΠ΅Π»Π°.
Π ΠΊΠ°ΡΠ΅ΡΡΠ²Π΅ ΠΊΠΎΠΌΠΏΡΠ΅ΡΡΠΎΠ² Π½Π° ΡΠ·ΡΠΊ ΠΈΡΠΏΠΎΠ»ΡΠ·ΡΡΡ ΠΌΠ°ΡΠ»ΠΎ ΡΠΈΠΏΠΎΠ²Π½ΠΈΠΊΠ°, ΠΎΠ±Π»Π΅ΠΏΠΈΡ ΠΈ, ΠΏΠ΅ΡΡΠΈΠΊΠ°, ΠΏΡΠΎΠΏΠΎΠ»ΠΈΡΠ°. ΠΡΠ΅ΠΊΡΠ°ΡΠ½ΠΎ ΠΏΡΠΈΠ²ΠΎΠ΄ΠΈΡ Π² ΠΏΠΎΡΡΠ΄ΠΎΠΊ ΡΠ·ΡΠΊ, Π²ΡΠ»Π΅ΡΠΈΠ²Π°Π΅Ρ ΡΠΈΠΏΡΠ½ ΠΈ ΡΠ»ΡΡΡΠ°Π΅Ρ ΡΠΎΡΡΠΎΡΠ½ΠΈΠ΅ ΡΠΎΡΠΎΠ²ΠΎΠΉ ΠΏΠΎΠ»ΠΎΡΡΠΈ ΠΎΡΠ²Π°Ρ Π΄ΡΠ±ΠΎΠ²ΠΎΠΉ ΠΊΠΎΡΡ, ΠΊΠΎΡΠΎΡΡΠΌ Π½Π΅ΠΎΠ±Ρ ΠΎΠ΄ΠΈΠΌΠΎ ΠΏΠΎΠ»ΠΎΡΠΊΠ°ΡΡ ΡΠΎΡ ΡΡΠΈ ΡΠ°Π·Π° Π² Π΄Π΅Π½Ρ. Π‘Π°ΠΌΡΠΌ Π΄ΠΎΡΡΡΠΏΠ½ΡΠΌ ΡΡΠ΅Π΄ΡΡΠ²ΠΎΠΌ ΠΎΡ Π±ΠΎΠ»ΡΡΠΊΠΈ Π½Π° ΡΠ·ΡΠΊΠ΅ ΡΠ²Π»ΡΠ΅ΡΡΡ ΠΎΠ±ΡΡΠ½Π°Ρ ΠΏΠΈΡΠ΅Π²Π°Ρ ΡΠΎΠ΄Π°. ΠΠ· Π½Π΅Π΅ Π΄Π΅Π»Π°ΡΡ ΡΠ°ΡΡΠ²ΠΎΡ Π² ΡΠ°ΡΡΠ΅ΡΠ΅: ΡΡΠ°ΠΊΠ°Π½ Π²ΠΎΠ΄Ρ Π½Π° Π»ΠΎΠΆΠΊΡ ΡΠΎΠ΄Ρ.
ΠΡΠ»ΠΈ Π΅ΡΡΡ ΡΠ²Π΅ΡΠ΅Π½Π½ΠΎΡΡΡ Π² ΡΠΎΠΌ, ΡΡΠΎ ΡΠ·Π²ΠΎΡΠΊΠ° Π±Π΅Π·ΠΎΠ±ΠΈΠ΄Π½Π°, ΠΌΠΎΠΆΠ½ΠΎ ΠΏΠΎΠΏΡΠΎΠ±ΠΎΠ²Π°ΡΡ ΠΏΠΎΠ»Π΅ΡΠΈΡΡ Π΅Π΅ Π½Π°ΡΠΎΠ΄Π½ΡΠΌΠΈ ΡΡΠ΅Π΄ΡΡΠ²Π°ΠΌΠΈ.
ΠΡΡΠΎΡΠΈΡ ΡΠ»ΠΎΠ²Π° βΡΠΈΠΏΡΠ½β
Π’ΠΈΠΏΡΠ½ Π½Π° ΡΠ·ΡΠΊΠ΅
ΠΠ·Π½Π°ΡΠ°Π»ΡΠ½ΠΎ ΡΠ΅ΡΠΌΠΈΠ½ βΡΠΈΠΏΡΠ½β ΠΏΡΠΈΠΌΠ΅Π½ΡΠ»ΡΡ ΡΠΎΠ»ΡΠΊΠΎ ΠΊ ΠΏΠΎΡ ΠΎΠΆΠ΅ΠΉ ΠΏΠΎ Π²Π½Π΅ΡΠ½Π΅ΠΌΡ Π²ΠΈΠ΄Ρ Π±ΠΎΠ»Π΅Π·Π½ΠΈ ΠΏΡΠΈΡ.
Π£ Π½ΠΈΡ , ΠΊΠ°ΠΊ ΠΈ Ρ ΡΠ΅Π»ΠΎΠ²Π΅ΠΊΠ°, ΠΌΠΎΠ³ Π²ΡΠΊΠΎΡΠΈΡΡ ΡΠ°ΠΊΠΎΠΉ Π½Π΅Π±ΠΎΠ»ΡΡΠΎΠΉ Π½Π°ΡΠΎΡΡ Π½Π° ΠΊΠΎΠ½ΡΠΈΠΊΠ΅ ΡΠ·ΡΠΊΠ°.
ΠΠΎ Ρ ΡΠ΅ΡΠ΅Π½ΠΈΠ΅ΠΌ Π²ΡΠ΅ΠΌΠ΅Π½ΠΈ ΡΡΠΎ ΡΠ»ΠΎΠ²ΠΎ Π½Π°ΡΠ°Π»ΠΎ ΠΈΡΠΏΠΎΠ»ΡΠ·ΠΎΠ²Π°ΡΡ ΠΏΡΠΈΠΌΠ΅Π½ΠΈΡΠ΅Π»ΡΠ½ΠΎ ΠΊ Π»ΡΠ΄ΡΠΌ.
ΠΡΠΈΡΠ΅ΠΌ ΡΠΏΠΎΡΡΠ΅Π±Π»ΡΠ»ΠΈ Π΅Π³ΠΎ, Π½Π°ΠΏΡΠΈΠΌΠ΅Ρ, ΠΊΠΎΠ³Π΄Π° Π³ΠΎΠ²ΠΎΡΠΈΠ»ΠΈ βΠ’ΠΈΠΏΡΠ½ ΡΠ΅Π±Π΅ Π½Π° ΡΠ·ΡΠΊβ, ΠΏΡΡΠ°ΡΡΡ ΡΠΊΠ°Π·Π°ΡΡ ΡΡΠΈΠΌ, ΡΡΠΎ ΡΠ΅Π»ΠΎΠ²Π΅ΠΊ Π»ΠΆΠ΅Ρ.
ΠΠΎΡΠ½ΠΈ ΡΡΠΎΠΉ ΡΠ°ΠΈΠ½ΡΡΠ²Π΅Π½Π½ΠΎΠΉ ΠΈΡΡΠΎΡΠΈΠΈ Π²ΠΎΠ·Π½ΠΈΠΊΠ½ΠΎΠ²Π΅Π½ΠΈΡ ΡΠ°ΠΊΠΎΠ³ΠΎ ΠΏΠΎΠ²Π΅ΡΡΡ ΡΡ ΠΎΠ΄ΡΡ Π΄Π°Π»Π΅ΠΊΠΎ, ΠΊ ΡΡΠ°ΡΠΎΡΡΡΡΠΊΠΈΠΌ Π²ΡΠ΅ΠΌΠ΅Π½Π°ΠΌ.
Π‘ΡΠΈΡΠ°Π»ΠΎΡΡ, ΡΡΠΎ ΠΈΠΌΠ΅Π½Π½ΠΎ ΠΈΠ·-Π·Π° Π»ΠΆΠΈΠ²ΠΎΡΡΠΈ Ρ Π»ΡΠ±ΠΎΠ³ΠΎ ΠΌΠΎΠΆΠ΅Ρ Π²ΠΎΠ·Π½ΠΈΠΊΠ½ΡΡΡ Π½Π° ΡΠ·ΡΠΊΠ΅ ΡΠΈΠΏΡΠ½. ΠΡΠΎ Π±ΡΠ»ΠΎ Π½Π΅ΠΊΠΈΠΌ ΠΌΠ΅ΡΠΈΠ»ΠΎΠΌ, ΠΎΡΠ΄Π΅Π»ΡΡΡΠΈΠΌ ΡΠ΅ΡΡΠ½ΡΡ Π»ΡΠ΄Π΅ΠΉ ΠΎΡ ΡΠ΅Ρ , ΠΊΡΠΎ ΠΏΠΎΠ·Π²ΠΎΠ»ΠΈΠ» ΡΠ΅Π±Π΅ ΡΠΎΠ²ΡΠ°ΡΡ, ΠΎΠ±ΠΌΠ°Π½ΡΡΡ Π΄ΡΡΠ³ΠΈΡ . Π‘ ΡΠ΅Ρ ΠΏΠΎΡ ΠΈ ΠΎΡΡΠ°Π»Π°ΡΡ ΠΏΠΎΠ³ΠΎΠ²ΠΎΡΠΊΠ°, Ρ ΠΎΡΡ ΡΡΠΎ Π½Π΅ Π·Π½Π°ΡΠΈΡ, ΡΡΠΎ Π²ΡΠ΅ΠΌ ΠΈΠ·Π²Π΅ΡΡΠ½ΠΎ Π΅Π΅ Π½Π°ΡΡΠΎΡΡΠ΅Π΅ Π·Π½Π°ΡΠ΅Π½ΠΈΠ΅.
ΠΡΠ»ΠΈ ΡΠ°ΡΡΠΌΠΎΡΡΠ΅ΡΡ ΡΠ΅ΠΎΡΠΈΡ ΡΡΠ΅Π½ΠΎΠ³ΠΎ, ΡΠΏΠ΅ΡΠΈΠ°Π»ΠΈΠ·ΠΈΡΡΡΡΠ΅Π³ΠΎΡΡ Π½Π° ΠΈΠ·ΡΡΠ΅Π½ΠΈΠΈ ΡΠ·ΡΠΊΠΎΠ² ΠΌΠΈΡΠ°, ΡΠΎΠ΄ΠΎΠ½Π°ΡΠ°Π»ΡΠ½ΠΈΠΊΠΎΠΌ ΠΏΠΎΠ½ΡΡΠΈΡ βΡΠΈΠΏΡΠ½β Π±ΡΠ»ΠΎ ΡΠ»ΠΎΠ²ΠΎ βΠΏΠΈΠΏΠΊΠ°β, ΡΠ²ΡΠ·Π°Π½Π½ΠΎΠ΅ Ρ Π³Π»Π°Π³ΠΎΠ»ΠΎΠΌ βΡΠΈΠΏΠ°ΡΡβ, ΡΡΠΎ ΠΎΠ±ΠΎΠ·Π½Π°ΡΠ°Π»ΠΎ ΡΡΠΈΠΏΠ½ΡΡΡ, ΠΊΠ»ΡΠ½ΡΡΡ. Π Π°Π½Π΅Π΅ Π²ΡΡΠΊΠ°Π·ΡΠ²Π°Π»ΠΎΡΡ ΠΌΠ½Π΅Π½ΠΈΠ΅, ΡΡΠΎ ΠΏΡΠΎΠΈΠ·Π²ΠΎΠ΄ΠΈΡΡΡ ΡΠ°ΠΊΠΎΠ΅ Π½Π°Π·Π²Π°Π½ΠΈΠ΅ ΠΎΡ Π½Π΅ΠΌΠ΅ΡΠΊΠΎΠ³ΠΎ ΡΠ»ΠΎΠ²Π° βΠ ipsβ. ΠΠ±ΠΎΠ·Π½Π°ΡΠ°Π΅Ρ ΡΡΠΎ βΠ½Π΅ Π±ΡΡΡ ΡΠ΄ΠΎΠ²Π»Π΅ΡΠ²ΠΎΡΠΈΡΠ΅Π»ΡΠ½ΡΠΌβ, β ΡΠΎΠ²Π΅ΡΡΠ΅Π½Π½ΠΎ Π΄ΡΡΠ³ΠΎΠ΅ Π·Π½Π°ΡΠ΅Π½ΠΈΠ΅. Π’Π°ΠΊΠΆΠ΅ Π²ΡΡΡΠ΅ΡΠ°Π΅ΡΡΡ ΠΈΠ½ΡΠ΅ΡΠ΅ΡΠ½ΠΎΠ΅ ΡΠ»ΠΎΠ²ΠΎ βΠΎΡΠΈΠΏΡΠ½Π΅ΡΡβ Π² ΡΠ»ΠΎΠ²Π°ΡΠ΅ ΠΠ°Π»Ρ.
ΠΡΠΈΠΌΠΎΠ»ΠΎΠ³ΠΈΡ Π²ΠΎΠ·Π½ΠΈΠΊΠ½ΠΎΠ²Π΅Π½ΠΈΡ ΡΠ»ΠΎΠ²Π° Π½Π΅ ΡΡΠ½Π° Π΄ΠΎ ΠΊΠΎΠ½ΡΠ°, ΠΊΠ°ΠΊ ΡΡΠΎ ΡΠ°ΡΡΠΎ Π±ΡΠ²Π°Π΅Ρ Ρ Π·Π°Π³Π°Π΄ΠΎΡΠ½ΡΠΌΠΈ ΡΠ»ΠΎΠ²Π°ΠΌΠΈ ΠΈ ΠΈΡ Π½Π΅ ΠΌΠ΅Π½Π΅Π΅ Π·Π°Π³Π°Π΄ΠΎΡΠ½ΡΠΌ Π²ΠΎΠ·Π½ΠΈΠΊΠ½ΠΎΠ²Π΅Π½ΠΈΠ΅ΠΌ. Π‘ ΠΎΠ΄Π½ΠΎΠΉ ΡΡΠΎΡΠΎΠ½Ρ ΠΎΠ½ΠΎ ΠΎΠ±ΠΎΠ·Π½Π°ΡΠ°Π΅Ρ ΠΊΠ»ΡΠ½ΡΡΡ, Ρ Π΄ΡΡΠ³ΠΎΠΉ β ΠΊΠΎΡΠ΅Π½Ρ ΠΌΠΎΠΆΠ΅Ρ Π±ΡΡΡ Π΄ΡΡΠ³ΠΎΠΉ. Π ΠΏΠΎΠ²Π΅ΡΡΡΡ ΡΡΠΎ ΠΎΠ±ΠΎΠ·Π½Π°ΡΠ°Π»ΠΎ Π²ΡΠ°ΡΡ, ΡΠ°ΠΊ ΠΊΠ°ΠΊ ΡΠΈΠΏΡΠ½ Π±ΡΠ» βΠΈΠ½Π΄ΠΈΠΊΠ°ΡΠΎΡΠΎΠΌβ Π»ΠΆΠΈ.
ΠΠΎΡΠΏΠ°Π»ΠΈΡΠ΅Π»ΡΠ½ΡΠ΅ ΠΈ Π΄ΡΡΠ³ΠΈΠ΅ Π²ΠΎΠ·ΠΌΠΎΠΆΠ½ΡΠ΅ ΠΏΡΠΈΡΠΈΠ½Ρ Π±ΠΎΠ»ΡΡΠΊΠΈ
ΠΡΠ»ΠΈ Π²ΡΠΊΠΎΡΠΈΠ²ΡΠ΅Π΅ ΠΎΠ±ΡΠ°Π·ΠΎΠ²Π°Π½ΠΈΠ΅ ΡΠ΅ΡΠ΅Π· Π½Π΅ΠΊΠΎΡΠΎΡΠΎΠ΅ Π²ΡΠ΅ΠΌΡ Π½Π΅ ΠΏΡΠΎΡΠ»ΠΎ, Π° Π½Π°ΠΎΠ±ΠΎΡΠΎΡ, ΡΡΠ°Π»ΠΎ Π΄ΠΎΡΡΠ°Π²Π»ΡΡΡ Π±ΠΎΠ»ΡΡΠ΅ Π½Π΅ΡΠ΄ΠΎΠ±ΡΡΠ², ΠΏΡΠΈΡΠΈΠ½Π° ΠΌΠΎΠΆΠ΅Ρ Π±ΡΡΡ Π±ΠΎΠ»Π΅Π΅ ΡΠ΅ΡΡΠ΅Π·Π½ΠΎΠΉ. ΠΠΎΠ³Π΄Π° Π±ΠΎΠ»ΡΡΠ΅ΠΊ ΠΌΠ½ΠΎΠ³ΠΎ, ΠΎΠ½ΠΈ ΡΠ°ΡΠΏΠΎΠ»ΠΎΠΆΠ΅Π½Ρ Π² ΡΠ°Π·Π½ΡΡ ΡΠ°ΡΡΡΡ ΡΠΎΡΠΎΠ²ΠΎΠΉ ΠΏΠΎΠ»ΠΎΡΡΠΈ, ΡΡΠΎ β ΡΡΠΎΠΌΠ°ΡΠΈΡ. Π Π°Π·Π»ΠΈΡΠ°ΡΡ Π½Π΅ΡΠΊΠΎΠ»ΡΠΊΠΎ ΠΏΠΎΠ΄Π²ΠΈΠ΄ΠΎΠ² ΡΡΠΎΠ³ΠΎ Π·Π°Π±ΠΎΠ»Π΅Π²Π°Π½ΠΈΡ. Π‘ΡΠΎΠΌΠ°ΡΠΈΡ Π±ΡΠ²Π°Π΅Ρ:
- ΠΠ΅ΡΠΏΠ΅ΡΠΈΡΠ΅ΡΠΊΠΈΠΉ (ΡΠ½Π°ΡΠ°Π»Π° Π²ΠΎΠ·Π½ΠΈΠΊΠ°ΡΡ Π½Π΅ΡΠΊΠΎΠ»ΡΠΊΠΎ ΠΏΡΠ·ΡΡΡΠΊΠΎΠ², ΠΊΠΎΡΠΎΡΡΠ΅ ΠΏΠΎΡΠ»Π΅ ΠΏΡΠ΅Π²ΡΠ°ΡΠ°ΡΡΡΡ Π² Π±ΠΎΠ»ΡΡΠΊΠΈ, ΠΎΠ±ΡΡΠ½ΠΎ Π·Π°ΠΆΠΈΠ²Π°ΡΡΠΈΠ΅ Π·Π° ΡΠ΅ΠΌΡ-Π΄Π΅ΡΡΡΡ Π΄Π½Π΅ΠΉ).
- ΠΠ°ΡΠ°ΡΠ°Π»ΡΠ½ΡΠΉ.
- ΠΠ°Π½Π΄ΠΈΠ΄ΠΎΠ·Π½ΡΠΉ (Π½Π΅Π±ΠΎΠ»ΡΡΠΈΠ΅ ΡΠ·Π²Ρ, ΠΊΠΎΡΠΎΡΡΠ΅ Π²ΡΠ·ΡΠ²Π°ΡΡΡΡ Π΄ΡΠΎΠΆΠΆΠ΅Π²ΠΈΠ΄Π½ΡΠΌΠΈ Π³ΡΠΈΠ±ΠΊΠ°ΠΌΠΈ ΠΠ°Π½Π΄ΠΈΠ΄Π°ΠΌΠΈ, ΡΠ·ΡΠΊ ΠΏΡΠΈ ΡΡΠΎΠΌ ΠΌΠΎΠΆΠ΅Ρ ΡΡΠ°ΡΡ ΠΆΠ΅Π»ΡΡΠΌ ΠΈΠ·-Π·Π° Π½Π°Π»Π΅ΡΠ°).
- Π―Π·Π²Π΅Π½Π½ΡΠΉ.
- ΠΠ»Π»Π΅ΡΠ³ΠΈΡΠ΅ΡΠΊΠΈΠΉ.
- ΠΠ½ΡΠ΅ΠΊΡΠΈΠΎΠ½Π½ΡΠΉ.
- Π’ΡΠ°Π²ΠΌΠ°ΡΠΈΡΠ΅ΡΠΊΠΈΠΉ.
- ΠΠ°ΠΊΡΠ΅ΡΠΈΠ°Π»ΡΠ½ΡΠΉ.
- ΠΡΡΠΎΠ·Π½ΡΠΉ (Π½Π°Π·ΡΠ²Π°Π΅ΡΡΡ ΡΠ°ΠΊ ΠΆΠ΅, ΠΊΠ°ΠΊ ΠΈ Π²ΡΡΠ²Π»Π΅Π½ΠΈΡ Π½Π° ΡΠ·ΡΠΊΠ΅ β Π°ΡΡΡ, ΠΊΠΎΡΠΎΡΡΠ΅ ΡΠ°ΡΠ΅ Π²ΡΠ΅Π³ΠΎ Π±ΡΠ²Π°ΡΡ Ρ ΡΠΎΠ½ΠΈΡΠ΅ΡΠΊΠΈΠΌΠΈ ΠΈ ΠΌΠΎΠ³ΡΡ, ΠΎΠ΄Π½Π°ΠΆΠ΄Ρ Π²ΠΎΠ·Π½ΠΈΠΊΠ½ΡΠ², ΠΏΠΎΡΠ²Π»ΡΡΡΡΡ ΠΏΠ΅ΡΠΈΠΎΠ΄ΠΈΡΠ΅ΡΠΊΠΈ; Π°ΡΡΡ ΠΈΠΌΠ΅ΡΡ ΡΡΠΊΠΎ Π²ΡΡΠ°ΠΆΠ΅Π½Π½ΡΠ΅ Π³ΡΠ°Π½ΠΈΡΡ, Π·Π°ΠΆΠΈΠ²Π°ΡΡ Π·Π° Π½Π΅Π΄Π΅Π»Ρ ΠΏΡΠΈ ΠΈΠ½ΡΡ Π±Π»Π°Π³ΠΎΠΏΡΠΈΡΡΠ½ΡΡ ΡΡΠ»ΠΎΠ²ΠΈΡΡ ).
ΠΠΎΡΠ»Π΅Π΄Π½ΠΈΠΉ Π²ΠΈΠ΄ Π±ΠΎΠ»Π΅Π·Π½ΠΈ ΠΌΠΎΠΆΠ΅Ρ ΡΠ°ΠΊΠΆΠ΅ ΠΈΠΌΠ΅ΡΡ ΡΠ°Π·Π½ΠΎΠ²ΠΈΠ΄Π½ΠΎΡΡΡ, Π½Π°Π·ΡΠ²Π°Π΅ΠΌΡΡ ΠΏΠΎ ΡΠ°ΠΌΠΈΠ»ΠΈΠΈ Π²ΡΠ°ΡΠ°, ΠΎΡΠΊΡΡΠ²ΡΠ΅Π³ΠΎ ΡΡΠΎ Π·Π°Π±ΠΎΠ»Π΅Π²Π°Π½ΠΈΠ΅ β Π‘Π΅ΡΡΠΎΠ½Π° (Π΅ΡΠ΅ ΠΎΠ΄Π½ΠΎ Π½Π°Π·Π²Π°Π½ΠΈΠ΅ β ΡΠ΅ΡΠΈΠ΄ΠΈΠ²ΠΈΡΡΡΡΠΈΠΉ Π½Π΅ΠΊΡΠΎΡΠΈΡΠ΅ΡΠΊΠΈΠΉ ΠΏΠ΅ΡΠΈΠ°Π΄Π΅Π½ΠΈΡ). ΠΡΠΈ ΡΠ°Π·Π²ΠΈΡΠΈΠΈ ΡΠ°ΠΊΠΎΠ³ΠΎ Π±ΠΎΠ»Π΅Π·Π½Π΅Π½Π½ΠΎΠ³ΠΎ ΡΠΎΡΡΠΎΡΠ½ΠΈΡ ΡΠ·Π²ΠΎΡΠΊΠΈ ΠΌΠΎΠ³ΡΡ ΠΏΠΎΡΠ²ΠΈΡΡΡΡ ΠΈ Π½Π° ΡΠΎΡΠΎΠ²ΠΎΠΉ ΡΠ»ΠΈΠ·ΠΈΡΡΠΎΠΉ ΠΎΠ±ΠΎΠ»ΠΎΡΠΊΠ΅. ΠΠΎΠΊΠ°Π»ΠΈΠ·Π°ΡΠΈΡ Π±ΠΎΠ»ΡΡΠ΅ΠΊ β Π² ΠΎΡΠ½ΠΎΠ²Π½ΠΎΠΌ ΡΠ±ΠΎΠΊΡ.
Π‘Π½Π°ΡΠ°Π»Π° ΠΏΡΠΈ ΡΠ°Π·Π²ΠΈΡΠΈΠΈ ΠΏΠ΅ΡΠΈΠ°Π΄Π΅Π½ΠΈΡΠ° ΠΏΠΎΡΠ²Π»ΡΡΡΡΡ ΡΠΏΠ»ΠΎΡΠ½Π΅Π½ΠΈΡ. ΠΠ°Π»Π΅Π΅ ΠΎΠ½ΠΈ ΠΏΠ΅ΡΠ΅ΡΠ°ΡΡΠ°ΡΡ Π² ΡΠ·Π²Ρ Ρ Π½Π΅ΠΌΠ½ΠΎΠ³ΠΎ ΠΏΡΠΈΠΏΠΎΠ΄Π½ΡΡΡΠΌΠΈ ΠΊΡΠ°ΡΠΌΠΈ. ΠΠ½ΡΡΡΠΈ ΡΡΠΈΡ ΠΎΠ±ΡΠ°Π·ΠΎΠ²Π°Π½ΠΈΠΉ Π½Π°Ρ ΠΎΠ΄ΠΈΡΡΡ Π»ΠΈΠΌΡΠ°ΡΠΈΡΠ΅ΡΠΊΠ°Ρ ΠΆΠΈΠ΄ΠΊΠΎΡΡΡ ΠΈ Π΄ΡΡΠ³ΠΎΠΉ Π²ΠΎΡΠΏΠ°Π»ΠΈΡΠ΅Π»ΡΠ½ΡΠΉ ΠΈΠ½ΡΠΈΠ»ΡΡΡΠ°Ρ, ΡΠΎΡΡΠΎΡΡΠΈΠΉ ΠΈΠ· ΡΠ³ΡΡΡΠΊΠΎΠ² ΠΊΡΠΎΠ²ΠΈ, ΠΊΠ»Π΅ΡΠΎΡΠ½ΡΡ ΡΠΊΠΎΠΏΠ»Π΅Π½ΠΈΠΉ.

ΠΡΡΠΎΠ·Π½ΡΠΉ ΡΡΠΎΠΌΠ°ΡΠΈΡ Ρ ΡΠ΅Π±Π΅Π½ΠΊΠ°
ΠΡΡΠΎΠ·Π½ΡΠΉ ΡΡΠΎΠΌΠ°ΡΠΈΡ ΠΈΠΌΠ΅Π΅Ρ Π΅ΡΠ΅ ΠΎΠ΄Π½Ρ ΡΠ°Π·Π½ΠΎΠ²ΠΈΠ΄Π½ΠΎΡΡΡ β Π°ΡΡΠΎΠ· ΠΠ΅ΡΠ½Π°ΡΠ°.
ΠΠ½ ΡΠ²ΠΎΠΉΡΡΠ²Π΅Π½Π΅Π½ Π² ΠΎΡΠ½ΠΎΠ²Π½ΠΎΠΌ Π΄Π΅ΡΡΠΌ.
ΠΡΠΎΠ±Π΅Π½Π½ΠΎΡΡΡ β Π½Π°Π»ΠΈΡΠΈΠ΅ ΡΠ²Π΅ΡΠ»ΠΎΠ²Π°ΡΠΎ-ΠΆΠ΅Π»ΡΠΎΠ³ΠΎ Π½Π°Π»Π΅ΡΠ° Π½Π° ΡΠ·ΡΡΠΊΠ΅.
ΠΡΠΈΡΠΈΠ½Π° ΡΠ°ΠΊΠΎΠ³ΠΎ Π½Π°ΡΡΡΠ΅Π½ΠΈΡ Π·Π΄ΠΎΡΠΎΠ²ΡΡ ΠΊΡΠΎΠ΅ΡΡΡ Π² Π½Π΅ΡΠΎΠ±Π»ΡΠ΄Π΅Π½ΠΈΠΈ Π»ΠΈΡΠ½ΠΎΠΉ Π³ΠΈΠ³ΠΈΠ΅Π½Ρ.
ΠΠΎΡΠ²Π»ΡΠ΅ΡΡΡ ΡΡΠ° Π±ΠΎΠ»ΡΡΠΊΠ° Ρ Π΄Π΅ΡΠ΅ΠΉ, ΡΠ°ΠΊ ΠΊΠ°ΠΊ ΠΎΠ½ΠΈ ΠΌΠΎΠ³ΡΡ ΠΎΠ±Π»ΠΈΠ·ΡΠ²Π°ΡΡ ΠΊΠ°ΠΊΠΈΠ΅-ΡΠΎ Π²Π΅ΡΠΈ, Π° ΡΠ°ΠΊΠΆΠ΅ Π³ΡΡΠ·Π½ΡΠ΅ ΡΡΠΊΠΈ.
ΠΡΠΈ ΠΏΠΎΡΠ²Π»Π΅Π½ΠΈΠΈ Π±ΠΎΠ»ΡΡΠ΅ΠΊ Π½Π° ΡΠ·ΡΠΊΠ΅ Π² Π·Π°Π²ΠΈΡΠΈΠΌΠΎΡΡΠΈ ΠΎΡ Π΄ΠΈΠ°Π³Π½ΠΎΠ·Π°, ΠΊΠΎΡΠΎΡΡΠΉ Π΄ΠΎΠ»ΠΆΠ΅Π½ ΡΡΠ°Π²ΠΈΡΡ ΠΊΠ²Π°Π»ΠΈΡΠΈΡΠΈΡΠΎΠ²Π°Π½Π½ΡΠΉ ΡΠΏΠ΅ΡΠΈΠ°Π»ΠΈΡΡ, ΠΏΠΎΠ½Π°Π΄ΠΎΠ±ΠΈΡΡΡ ΠΏΡΠΈΠΌΠ΅Π½ΡΡΡ ΠΌΠ΅Π΄ΠΈΠΊΠ°ΠΌΠ΅Π½ΡΠΎΠ·Π½ΠΎΠ΅ Π»Π΅ΡΠ΅Π½ΠΈΠ΅ ΠΈΠ»ΠΈ ΠΏΡΠΎΡΡΠΎ ΡΠΎΠ±Π»ΡΠ΄Π°ΡΡ Π³ΠΈΠ³ΠΈΠ΅Π½Ρ ΠΏΠΎΠ»ΠΎΡΡΠΈ ΡΡΠ°.
ΠΡΠΈΡΠΈΠ½Ρ ΠΎΠ±ΡΠΈΠ΅
ΠΡΠΈ Π²ΠΎΠ·Π½ΠΈΠΊΠ½ΠΎΠ²Π΅Π½ΠΈΠΈ ΠΎΠ΄Π½ΠΎΠΉ ΠΈΠ· ΡΠΊΠ°Π·Π°Π½Π½ΡΡ Π² ΠΏΡΠ΅Π΄ΡΠ΄ΡΡΠ΅ΠΌ ΠΏΡΠ½ΠΊΡΠ΅ Π·Π°Π±ΠΎΠ»Π΅Π²Π°Π½ΠΈΠΉ ΠΏΡΠΈΡΠΈΠ½Π°ΠΌΠΈ Π±ΠΎΠ»ΡΡΠ΅ΠΊ, ΠΊΡΠΎΠΌΠ΅ Π½Π΅Π²Π΅ΡΠ½ΠΎ ΠΏΡΠΎΠ²ΠΎΠ΄ΠΈΠΌΠΎΠΉ Π³ΠΈΠ³ΠΈΠ΅Π½Ρ ΠΏΠΎΠ»ΠΎΡΡΠΈ ΡΡΠ°, ΡΡΠ°Π½ΠΎΠ²ΡΡΡΡ ΡΠ»Π΅Π΄ΡΡΡΠΈΠ΅:
- Π‘ΠΈΠ»ΡΠ½ΠΎΠ΅ Π½Π°ΡΡΡΠ΅Π½ΠΈΠ΅ Π² ΠΏΡΠΎΡΠ΅ΡΡΠ°Ρ ΠΎΠ±ΡΠ΅Π³ΠΎ ΠΎΠ±ΠΌΠ΅Π½Π° Π²Π΅ΡΠ΅ΡΡΠ² ΠΎΡΠ³Π°Π½ΠΈΠ·ΠΌΠ°.
- ΠΡΡΠΈΡΠ°ΡΠ΅Π»ΡΠ½ΠΎΠ΅ Π»ΡΡΠ΅Π²ΠΎΠ΅ (ΡΠ°Π΄ΠΈΠ°ΡΠΈΠΎΠ½Π½ΠΎΠ΅) Π²Π»ΠΈΡΠ½ΠΈΠ΅ (Π² ΡΠΎΠΌ ΡΠΈΡΠ»Π΅ Π²ΠΎ Π²ΡΠ΅ΠΌΡ ΡΠΏΠ΅ΡΠΈΠ°Π»ΠΈΠ·ΠΈΡΠΎΠ²Π°Π½Π½ΠΎΠ³ΠΎ Π»Π΅ΡΠ΅Π½ΠΈΡ).
- ΠΠ°ΡΡΡΠ΅Π½ΠΈΡ Π² ΡΠ°Π±ΠΎΡΠ΅ ΠΎΡΠ³Π°Π½Π° ΠΈΠ»ΠΈ ΡΠΈΡΡΠ΅ΠΌΡ ΠΎΡΠ³Π°Π½ΠΈΠ·ΠΌΠ°.
- ΠΡΠΈΠ±ΠΊΠΈ ΠΏΡΠΎΡΠ΅Π·ΠΈΡΠΎΠ²Π°Π½ΠΈΡ.
- Π Π΅Π°ΠΊΡΠΈΠΈ Π°Π»Π»Π΅ΡΠ³ΠΈΡΠ΅ΡΠΊΠΈΠ΅.
- ΠΠ½ΡΠ΅ΠΊΡΠΈΠΎΠ½Π½ΠΎΠ΅, Π±Π°ΠΊΡΠ΅ΡΠΈΠ°Π»ΡΠ½ΠΎΠ΅ Π²ΠΎΠ·Π΄Π΅ΠΉΡΡΠ²ΠΈΠ΅.
- Π€ΠΈΠ·ΠΈΡΠ΅ΡΠΊΠΈΠ΅, Ρ ΠΈΠΌΠΈΡΠ΅ΡΠΊΠΈΠ΅ (Π² ΡΠΎΠΌ ΡΠΈΡΠ»Π΅ ΠΎΡ ΠΎΡΠΈΠ±ΠΎΡΠ½ΠΎΠ³ΠΎ ΠΏΠΎΠΏΠ°Π΄Π°Π½ΠΈΡ Π² ΠΏΠΎΠ»ΠΎΡΡΡ ΡΡΠ° ΡΠ°Π·ΡΠ΅Π΄Π°ΡΡΠΈΡ Π²Π΅ΡΠ΅ΡΡΠ² ΠΈ Π΄ΡΡΠ³ΠΈΡ Π½Π΅ ΠΏΠΈΡΠ΅Π²ΡΡ ΡΡΠ±ΡΡΠ°Π½ΡΠΈΠΉ), ΠΎΠΆΠΎΠ³ΠΎΠ²ΡΠ΅ ΠΏΡΠΈΡΠΈΠ½Ρ.
- ΠΠ΅Ρ Π°Π½ΠΈΡΠ΅ΡΠΊΠΈΠ΅ ΡΡΠ°Π²ΠΌΡ ΡΠ·ΡΠΊΠ° ΠΎΡ:
- ΠΏΠΎΠ»ΠΎΠΌΠ°Π½Π½ΡΡ Π·ΡΠ±ΠΎΠ²
- Π½Π°Π΄ΠΊΡΡΡΠ²Π°Π½ΠΈΡ ΡΠ·ΡΠΊΠ° Π²ΠΎ Π²ΡΠ΅ΠΌΡ Π΅Π΄Ρ
- ΡΠ΄Π°ΡΠ° Π² Π»ΠΈΡΠΎ
- ΠΏΠΎΡΠ΅Π·Π° ΠΏΠΎΡΡΠΎΡΠΎΠ½Π½ΠΈΠΌ ΠΏΡΠ΅Π΄ΠΌΠ΅ΡΠΎΠΌ
- Π½Π΅ΠΏΡΠ°Π²ΠΈΠ»ΡΠ½ΠΎ ΠΏΡΠΎΠ²Π΅Π΄Π΅Π½Π½ΡΡ ΡΡΠΎΠΌΠ°ΡΠΎΠ»ΠΎΠ³ΠΈΡΠ΅ΡΠΊΠΈΡ ΠΏΡΠΎΡΠ΅Π΄ΡΡ
Π ΠΎΠ΄Π½ΠΎΠΌ ΠΈΠ· ΠΏΠ΅ΡΠ΅ΡΠΈΡΠ»Π΅Π½Π½ΡΡ ΡΠ»ΡΡΠ°Π΅Π² Π½Π΅ΠΎΠ±Ρ ΠΎΠ΄ΠΈΠΌΠΎ ΠΎΠ±ΡΠ°ΡΠ°ΡΡΡΡ ΠΊ Π²ΡΠ°ΡΡ Π·Π° ΡΡΠΎΡΠ½Π΅Π½ΠΈΠ΅ΠΌ Π΄ΠΈΠ°Π³Π½ΠΎΠ·Π°. ΠΠΎΠ·ΠΌΠΎΠΆΠ½ΠΎ, ΠΏΠΎΠ½Π°Π΄ΠΎΠ±ΠΈΡΡΡ ΠΌΠ΅Π΄ΠΈΠΊΠ°ΠΌΠ΅Π½ΡΠΎΠ·Π½Π°Ρ ΠΏΡΠΎΡΠΈΠ²ΠΎΠ²ΠΎΡΠΏΠ°Π»ΠΈΡΠ΅Π»ΡΠ½Π°Ρ ΠΈΠ»ΠΈ ΠΏΡΠΎΡΠΈΠ²ΠΎΠ²ΠΈΡΡΡΠ½Π°Ρ ΡΠ΅ΡΠ°ΠΏΠΈΡ. Π ΡΠ»ΡΡΠ°Π΅ ΡΠΈΠ»ΡΠ½ΠΎΠ³ΠΎ Π²ΠΎΠ·Π΄Π΅ΠΉΡΡΠ²ΠΈΡ (Π½Π°Π½Π΅ΡΠ΅Π½ΠΈΡ Π±ΠΎΠ»Π΅Π΅ Π³Π»ΡΠ±ΠΎΠΊΠΈΡ ΡΠ°Π½) ΠΈΠ· Π±ΠΎΠ»ΡΡΠΊΠΈ ΠΌΠΎΠ³ΡΡ ΡΠ°Π·Π²ΠΈΠ²Π°ΡΡΡΡ ΡΠ»Π΅Π³ΠΌΠΎΠ½Ρ ΠΈΠ»ΠΈ ΠΏΡΠΎΠΈΡΡ ΠΎΠ΄ΠΈΡΡ Π°Π±ΡΡΠ΅ΡΡΡ.
ΠΠΎΠ»ΡΡΠΊΠΈ ΡΡΠ΅Π΄Π½Π΅ΠΉ ΠΈ ΡΡΠΆΠ΅Π»ΠΎΠΉ ΡΠΎΡΠΌΡ
ΠΠ±ΡΠ°Π·ΠΎΠ²Π°Π½ΠΈΠ΅ Π½Π° ΡΠ·ΡΠΊΠ΅ ΠΌΠΎΠΆΠ΅Ρ Π±ΡΡΡ ΠΊΠΈΡΡΠΎΠΉ β ΠΌΠ°Π»Π΅Π½ΡΠΊΠΈΠΌ ΠΌΠ΅ΡΠΎΡΠΊΠΎΠΌ, Π½Π°ΠΏΠΎΠ»Π½Π΅Π½Π½ΡΠΌ ΠΆΠΈΠ΄ΠΊΠΎΡΡΡΡ. ΠΡΠΈΡΠΈΠ½ΠΎΠΉ ΠΎΠ±ΡΠ°Π·ΠΎΠ²Π°Π½ΠΈΡ ΠΏΡΠΈΠΎΠ±ΡΠ΅ΡΠ΅Π½Π½ΡΡ ΠΊΠΈΡΡ ΡΠ»ΡΠΆΠ°Ρ Π·Π°ΡΠ°ΡΡΡΡ Π²Π½Π΅ΡΠ½ΠΈΠ΅ ΡΡΠ°Π²ΠΌΠΈΡΡΡΡΠΈΠ΅ ΡΠ°ΠΊΡΠΎΡΡ. Π‘Π°ΠΌΠ° ΠΊΠΈΡΡΠ° Π½Π΅ Π²ΡΠ·ΡΠ²Π°Π΅Ρ Π±ΠΎΠ»Π΅Π²ΡΡ ΠΎΡΡΡΠ΅Π½ΠΈΠΉ, Π΄Π°ΠΆΠ΅ ΠΏΡΠΈ ΠΊΠΎΠ½ΡΠ°ΠΊΡΠ΅. ΠΡΠΈ ΠΏΠΎΡΠ²Π»Π΅Π½ΠΈΠΈ Ρ ΡΠ΅Π±Π΅Π½ΠΊΠ° ΡΠ°ΠΊΠ°Ρ Π±ΠΎΠ»ΡΡΠΊΠ° ΠΎΡΠ»ΠΎΠΆΠ½ΡΠ΅Ρ Π²Π°ΠΆΠ½ΡΠ΅ ΡΡΠ½ΠΊΡΠΈΠΈ: ΡΠΎΡΠ°ΡΠ΅Π»ΡΠ½ΡΡ, Π΄ΡΡ Π°ΡΠ΅Π»ΡΠ½ΡΡ ΠΈΠ»ΠΈ ΠΌΠ΅ΡΠ°Π΅Ρ ΠΏΡΠΎΠΈΠ·Π½ΠΎΡΠΈΡΡ Π·Π²ΡΠΊΠΈ, ΡΡΠΈΡΡΡΡ Π³ΠΎΠ²ΠΎΡΠΈΡΡ.

Π’Π²Π΅ΡΠ΄ΡΠΉ ΡΠ°Π½ΠΊΡ Π²ΠΎ ΡΡΡ
ΠΡΠ»ΠΈ ΡΠ°Π½ΠΊΠ° ΠΎΠΊΡΡΠ³Π»Π°Ρ, Π° Π΅Π΅ ΠΊΡΠ°Ρ ΠΊΠ°ΠΊ Π±Ρ ΠΏΡΠΈΠΏΠΎΠ΄Π½ΡΡΡ, ΡΡΠΎ ΠΌΠΎΠΆΠ΅Ρ Π±ΡΡΡ ΠΏΡΠΈΠ·Π½Π°ΠΊΠΎΠΌ Π±ΠΎΠ»Π΅Π΅ ΡΠ΅ΡΡΠ΅Π·Π½ΠΎΠΉ Π±ΠΎΠ»Π΅Π·Π½ΠΈ β ΡΠΈΡΠΈΠ»ΠΈΡΠ°.
Π ΡΠ°ΠΊΠΎΠΌ ΡΠ»ΡΡΠ°Π΅ ΡΡΠΈ Π½Π΅Π»ΠΈΡΠ΅ΠΏΡΠΈΡΡΠ½ΡΠ΅ Π±ΠΎΠ»ΡΡΠΊΠΈ Π½Π°Π·ΡΠ²Π°ΡΡ ΡΠ°Π½ΠΊΡΠ°ΠΌΠΈ.
ΠΡ ΡΠ°Π·ΠΌΠ΅Ρ ΠΌΠΎΠΆΠ΅Ρ ΠΊΠΎΠ»Π΅Π±Π°ΡΡΡΡ ΠΏΡΠΈΠΌΠ΅ΡΠ½ΠΎ ΠΎΡ ΠΏΡΡΠΈ Π΄ΠΎ Π΄Π΅ΡΡΡΠΈ ΠΌΠΈΠ»Π»ΠΈΠΌΠ΅ΡΡΠΎΠ².
Π’Π°ΠΊΠΆΠ΅ Π±ΡΠ²Π°Π΅Ρ, ΡΡΠΎ ΠΏΡΠΈ ΡΠ°Π·Π²ΠΈΡΠΈΠΈ ΡΡΠΎΠΉ Π±ΠΎΠ»Π΅Π·Π½ΠΈ ΡΠ°Π·Π²ΠΈΠ²Π°ΡΡΡΡ Π±ΠΎΠ»ΡΡΠΊΠΈ ΠΌΠ΅Π½ΡΡΠ΅Π³ΠΎ Π΄ΠΈΠ°ΠΌΠ΅ΡΡΠ° β Π΄ΠΎ ΡΡΠ΅Ρ ΠΌΠΈΠ»Π»ΠΈΠΌΠ΅ΡΡΠΎΠ².
ΠΡΠ΅ ΠΎΠ΄Π½ΠΎΠΉ ΠΎΡΠ»ΠΈΡΠΈΡΠ΅Π»ΡΠ½ΠΎΠΉ ΠΎΡΠΎΠ±Π΅Π½Π½ΠΎΡΡΡΡ ΡΠ²Π»ΡΠ΅ΡΡΡ ΡΠΏΠ»ΠΎΡΠ½Π΅Π½ΠΈΠ΅ Π² ΡΠ΅Π½ΡΡΠ°Π»ΡΠ½ΠΎΠΉ ΡΠ°ΡΡΠΈ ΠΊΠ°ΠΆΠ΄ΠΎΠΉ ΡΠ·Π²ΠΎΡΠΊΠΈ. ΠΠ±ΡΡΠ½ΠΎ ΠΏΠΎ ΠΏΡΠΎΡΠ΅ΡΡΠ²ΠΈΠΈ Π½Π΅Π΄Π΅Π»ΠΈ Π²Π½Π΅ΡΠ½ΠΈΠΉ Π²ΠΈΠ΄ ΠΏΡΠΎΡΠ²Π»Π΅Π½ΠΈΠΉ ΠΈ ΡΠΎΡΡΠΎΡΠ½ΠΈΠ΅ Π±ΠΎΠ»ΡΠ½ΠΎΠ³ΠΎ ΡΡ ΡΠ΄ΡΠ°Π΅ΡΡΡ. ΠΡΠΎ Π΄ΠΎΠ»ΠΆΠ½ΠΎ Π±ΡΡΡ ΡΠΈΠ³Π½Π°Π»ΠΎΠΌ ΠΊ ΡΡΠΎΡΠ½ΠΎΠΌΡ ΠΏΠΎΡ ΠΎΠ΄Ρ Π² Π±ΠΎΠ»ΡΠ½ΠΈΡΡ.
ΠΡΠΈ ΡΠ°ΠΊΠ΅ ΠΌΠΎΠ³ΡΡ Π²ΠΎΠ·Π½ΠΈΠΊΠ½ΡΡΡ ΡΠ°Π½ΠΊΠΈ Π½Π° ΡΠ·ΡΠΊΠ΅, ΠΊΠ°ΠΊ Π·Π»ΠΎΠΊΠ°ΡΠ΅ΡΡΠ²Π΅Π½Π½ΡΠ΅ ΡΠΎΡΠΌΠΈΡΠΎΠ²Π°Π½ΠΈΡ. ΠΡΠΈΡΠΈΠ½Π°ΠΌΠΈ ΡΠ°ΠΊΠΎΠ³ΠΎ ΡΠΎΡΡΠΎΡΠ½ΠΈΡ ΠΌΠΎΠ³ΡΡ ΡΡΠ°Π½ΠΎΠ²ΠΈΡΡΡΡ ΠΏΠ°ΠΏΠΈΠ»ΠΎΠΌΠ½ΡΠ΅ ΠΎΠ±ΡΠ°Π·ΠΎΠ²Π°Π½ΠΈΡ, ΡΠ°Π±Π°ΠΊΠΎΠΊΡΡΠ΅Π½ΠΈΠ΅, Π±ΠΎΠ»Π΅Π·Π½ΠΈ Ρ ΡΠΎΠ½ΠΈΡΠ΅ΡΠΊΠΎΠ³ΠΎ Ρ Π°ΡΠ°ΠΊΡΠ΅ΡΠ°, ΡΠ΅Π³ΡΠ»ΡΡΠ½ΠΎΠ΅ ΠΎΡΡΠ°Π²Π»Π΅Π½ΠΈΠ΅ ΠΎΡΠ³Π°Π½ΠΈΠ·ΠΌΠ° ΡΠ΅Π»ΠΎΠ²Π΅ΠΊΠ° Π°Π»ΠΊΠΎΠ³ΠΎΠ»Π΅ΠΌ, Π³Π΅ΡΠΏΠ΅ΡΠ½ΡΠΉ Π²ΠΈΡΡΡ. Π Π°ΠΊ ΡΠ·ΡΠΊΠ° ΠΌΠΎΠΆΠ΅Ρ Π±ΡΡΡ Π½Π΅ΡΠΊΠΎΠ»ΡΠΊΠΈΡ Π²ΠΈΠ΄ΠΎΠ²:
- ΠΈΠ½ΡΠΈΠ»ΡΡΡΠ°ΡΠΈΠ²Π½ΡΠΉ (Π½Π° ΡΠ·ΡΠΊΠ΅ Π²ΠΎΠ·Π½ΠΈΠΊΠ°Π΅Ρ ΡΠ°ΡΠΏΠ»ΡΠ²ΡΠ΅Π΅ΡΡ, Π±ΡΠ³ΡΠΈΡΡΠΎΠ΅, ΠΏΠ»ΠΎΡΠ½ΠΎΠ΅ Π½Π΅ΡΡΠΎ Ρ Π±ΠΎΠ»Π΅Π²ΡΠΌΠΈ ΠΎΡΡΡΠ΅Π½ΠΈΡΠΌΠΈ)
- ΡΠ·Π²Π΅Π½Π½ΡΠΉ (ΠΎΠ±ΡΠ°Π·ΠΎΠ²Π°Π½ΠΈΠ΅ ΠΈΠΌΠ΅Π΅Ρ Π½Π΅ΡΠ΅ΡΠΊΠΈΠ΅, ΠΈΠ½ΠΎΠ³Π΄Π° ΠΊΡΠΎΠ²ΠΎΡΠΎΡΠ°ΡΠΈΠ΅ ΠΊΡΠ°Ρ)
- ΠΏΠ°ΠΏΠΈΠ»ΠΎΠΌΠ½ΡΠΉ (Π½ΠΎΠ²ΠΎΠΎΠ±ΡΠ°Π·ΠΎΠ²Π°Π½ΠΈΡ ΡΠ°ΠΊΠΆΠ΅ Π½Π°Π±Π»ΡΠ΄Π°ΡΡΡΡ Π½Π° ΡΠ»ΠΈΠ·ΠΈΡΡΠΎΠΉ ΡΡΠ°)
ΠΡΠ»ΠΈ Π½Π° ΡΠ·ΡΠΊΠ΅ Π±Π΅Π»Π°Ρ Π±ΠΎΠ»ΡΡΠΊΠ°, Π±ΠΎΠ»ΠΈΡ ΡΠ±ΠΎΠΊΡ ΠΈΠ»ΠΈ Π½Π° ΠΊΡΠ°Ρ β ΡΡΠΎ ΠΌΠΎΠΆΠ΅Ρ Π±ΡΡΡ ΡΠ°ΠΊ, Π½ΠΎ ΠΏΡΠΈ ΡΡΠ»ΠΎΠ²ΠΈΠΈ Π½Π°Π»ΠΈΡΠΈΡ Ρ ΠΎΡΡ Π±Ρ ΠΎΠ΄Π½ΠΎΠ³ΠΎ ΠΈΠ· ΡΠΊΠ°Π·Π°Π½Π½ΡΡ ΡΠΈΠΌΠΏΡΠΎΠΌΠΎΠ². ΠΡΠΎΠΌΠ΅ ΡΡΠΎΠ³ΠΎ, Ρ Π°ΡΠ°ΠΊΡΠ΅ΡΠ½ΠΎΠΉ ΡΠ΅ΡΡΠΎΠΉ ΡΠ°ΠΊΠΎΠ²ΠΎΠΉ ΠΎΠΏΡΡ ΠΎΠ»ΠΈ ΡΠ²Π»ΡΠ΅ΡΡΡ ΠΊΡΠΎΠ²ΠΎΡΠ΅ΡΠ΅Π½ΠΈΠ΅ ΠΈ Π±ΡΡΡΡΠΎΠ΅ ΡΠ°Π·Π²ΠΈΡΠΈΠ΅.
ΠΡΠΈ Π²Π½ΠΈΠΌΠ°ΡΠ΅Π»ΡΠ½ΠΎΠΌ Π½Π°Π±Π»ΡΠ΄Π΅Π½ΠΈΠΈ Π·Π° Π±ΠΎΠ»ΡΡΠΊΠΎΠΉ Π²ΠΎ ΡΡΡ ΠΌΠΎΠΆΠ½ΠΎ Π·Π°ΠΌΠ΅ΡΠΈΡΡ ΠΎΡΠ»ΠΈΡΠΈΠ΅ ΠΎΡ ΠΎΠ±ΡΡΠ½ΠΎΠΉ ΠΊΠΈΡΡΡ ΠΈΠ»ΠΈ ΠΏΡΠΎΡΡΠΎΠ³ΠΎ ΡΠΈΠΏΡΠ½Π°, ΡΠ°ΠΊ Π½Π°Π·ΡΠ²Π°Π΅ΠΌΠΎΠ³ΠΎ Π²ΡΠ΅ΠΌΠ΅Π½Π½ΠΎΠ³ΠΎ Π½Π°ΡΠΎΡΡΠ°. ΠΡΠ»ΠΈ ΡΠ°ΠΊΠΈΠ΅ ΠΎΡΠ»ΠΈΡΠΈΡ Π½Π°ΠΉΠ΄Π΅Π½Ρ, ΡΠ΅ΠΊΠΎΠΌΠ΅Π½Π΄ΡΠ΅ΡΡΡ ΠΎΠ±ΡΠ°ΡΠ΅Π½ΠΈΠ΅ Π² Π±ΠΎΠ»ΡΠ½ΠΈΡΡ.
ΠΠΎΠ»ΡΡΠΊΠ°, ΠΊΠ°ΠΊ ΡΠ²ΠΈΠ΄Π΅ΡΠ΅Π»ΡΡΡΠ²ΠΎ Π΄ΡΡΠ³ΠΎΠΉ Π±ΠΎΠ»Π΅Π·Π½ΠΈ
ΠΡΠ΅ ΠΎΠ΄Π½ΠΎΠΉ ΠΏΡΠΈΡΠΈΠ½ΠΎΠΉ Π²ΠΎΠ·Π½ΠΈΠΊΠ½ΠΎΠ²Π΅Π½ΠΈΡ Π±ΠΎΠ»ΡΡΠΊΠΈ Π½Π° ΡΠ·ΡΠΊΠ΅ ΡΠ²Π»ΡΠ΅ΡΡΡ ΡΡΠ±Π΅ΡΠΊΡΠ»Π΅Π·. ΠΠ½ ΠΌΠΎΠΆΠ΅Ρ ΠΏΠΎΡΠ°Π·ΠΈΡΡ ΡΠ΅Π»ΠΎΠ²Π΅ΠΊΠ° ΡΠΎ ΡΠ»Π°Π±ΡΠΌ ΠΈΠΌΠΌΡΠ½ΠΈΡΠ΅ΡΠΎΠΌ, Π° ΠΏΠ°Π»ΠΎΡΠΊΠ° ΠΠΎΡ Π°, Π²ΡΠ·ΡΠ²Π°ΡΡΠ°Ρ ΡΡΠΎ Π·Π°Π±ΠΎΠ»Π΅Π²Π°Π½ΠΈΠ΅ Π»Π΅Π³ΠΊΠΈΡ , ΠΏΠΎΡΠ°ΠΆΠ°Π΅Ρ Π½Π΅ΡΠ΅Π΄ΠΊΠΎ ΠΈ Π΄ΡΡΠ³ΠΈΠ΅ ΠΎΡΠ³Π°Π½Ρ. Π Π΄Π°Π½Π½ΠΎΠΌ ΡΠ»ΡΡΠ°Π΅ β ΡΠ·ΡΠΊ.
ΠΡΠΈ Π½Π°Π»ΠΈΡΠΈΠΈ Π΄ΠΎΠ±Π°Π²ΠΎΡΠ½ΡΡ Π²ΡΠ΅Π΄ΠΎΠ½ΠΎΡΠ½ΡΡ ΡΠ°ΠΊΡΠΎΡΠΎΠ² ΠΌΠΎΠΆΠ΅Ρ ΡΠ°Π·Π²ΠΈΡΡΡΡ ΡΡΠ±Π΅ΡΠΊΡΠ»Π΅Π· Π² ΡΠΎΠΏΡΠΎΠ²ΠΎΠΆΠ΄Π΅Π½ΠΈΠΈ Π±Π΅Π»ΡΡ Π±ΠΎΠ»ΡΡΠ΅ΠΊ Π²ΠΎ ΡΡΡ. Π’Π°ΠΊΠΈΠΌΠΈ ΡΠ°ΠΊΡΠΎΡΠ°ΠΌΠΈ ΡΡΠ°Π½ΠΎΠ²ΡΡΡΡ ΠΈΠ½ΡΠ΅ΠΊΡΠΈΠΈ, ΡΡΠ°Π²ΠΌΡ, Π½Π΅Π΄ΠΎΡΡΠ°ΡΠΎΡΠ½ΠΎΠ΅ ΠΏΠΎΠ»ΡΡΠ΅Π½ΠΈΠ΅ ΠΎΡΠ³Π°Π½ΠΈΠ·ΠΌΠΎΠΌ Π½Π΅ΠΎΠ±Ρ ΠΎΠ΄ΠΈΠΌΡΡ ΠΏΠΈΡΠ°ΡΠ΅Π»ΡΠ½ΡΡ Π²Π΅ΡΠ΅ΡΡΠ², Π½Π΅Π·Π΄ΠΎΡΠΎΠ²ΡΠΉ ΠΎΠ±ΡΠ°Π· ΠΆΠΈΠ·Π½ΠΈ, ΠΎΠ±ΡΠ΅Π½ΠΈΠ΅ Ρ Π±ΠΎΠ»ΡΠ½ΡΠΌ ΡΡΠ±Π΅ΡΠΊΡΠ»Π΅Π·ΠΎΠΌ (ΠΎΡΠΊΡΡΡΠΎΠΉ ΡΠΎΡΠΌΠΎΠΉ) ΡΠ΅Π»ΠΎΠ²Π΅ΠΊΠΎΠΌ, Π½Π°ΡΡΡΠ΅Π½ΠΈΠ΅ ΡΠ»ΠΈΠ·ΠΈΡΡΠΎΠΉ ΠΎΠ±ΠΎΠ»ΠΎΡΠΊΠΈ.
ΠΠ° ΠΏΡΠΈΠ΅ΠΌΠ΅ Ρ Π²ΡΠ°ΡΠ°
Π‘ΠΏΠΎΡΠΎΠ±Ρ Π·Π°ΡΠ°ΠΆΠ΅Π½ΠΈΡ ΠΌΠΎΠ³ΡΡ ΠΎΡΠ»ΠΈΡΠ°ΡΡΡΡ: ΠΈΡ Π΄Π²Π° β Π³Π΅ΠΌΠ°ΡΠΎΠ³Π΅Π½Π½ΡΠΉ ΠΈ ΠΏΠ°ΡΠΎΠ³Π΅Π½Π½ΡΠΉ.
ΠΡΠΈ ΡΡΠΎΠΌ ΡΠ·Π²ΠΎΡΠΊΠ° ΠΎΠ±ΡΡΠ½ΠΎ ΠΊΡΡΠ³Π»Π°Ρ, Π° ΠΊΡΠ°Ρ Π½Π΅ΠΌΠ½ΠΎΠ³ΠΎ ΡΡΡ Π»ΠΎΠ²Π°ΡΡΠ΅.
ΠΠ½ΠΎΠ³Π΄Π° Π²ΡΡΠ²Π»Π΅Π½ΠΈΡ Π±ΡΠ²Π°ΡΡ ΠΏΡΠ·ΡΡΡΠ°ΡΡΠΌΠΈ ΠΈΠ»ΠΈ Π΄Π°ΠΆΠ΅ ΠΊΡΠΎΠ²ΠΎΡΠΎΡΠ°ΡΠΈΠΌΠΈ, Π΅ΡΠ»ΠΈ Π΄ΠΎ Π½ΠΈΡ Π΄ΠΎΡΡΠ°Π³ΠΈΠ²Π°ΡΡΡΡ.
ΠΠ»Ρ ΡΡΠΆΠ΅Π»ΠΎΠΉ ΡΠΎΡΠΌΡ ΡΠ°ΠΊΠΆΠ΅ Ρ Π°ΡΠ°ΠΊΡΠ΅ΡΠ½ΠΎ Π½Π°Π»ΠΈΡΠΈΠ΅ Π±ΠΎΠ»Π΅ΠΉ.
ΠΡΠ»ΠΈ Π΅ΡΡΡ Π½Π΅ΡΠ²Π΅ΡΠ΅Π½Π½ΠΎΡΡΡ ΠΏΠΎ ΠΏΠΎΠ²ΠΎΠ΄Ρ ΠΏΡΠΈΡΠΎΠ΄Ρ Π²ΠΎΠ·Π½ΠΈΠΊΠ½ΠΎΠ²Π΅Π½ΠΈΡ ΡΠ°Π½ΠΊΠΈ Π½Π° ΡΠ·ΡΠΊΠ΅ Π»ΠΈΠ±ΠΎ ΡΠΈΠΌΠΏΡΠΎΠΌΡ ΠΈ Π΅Π΅ Π²Π½Π΅ΡΠ½ΠΈΠΉ Π²ΠΈΠ΄ ΡΠΎΠ²ΠΏΠ°Π΄Π°ΡΡ Ρ ΠΎΠ΄Π½ΠΈΠΌ ΠΈΠ· ΠΎΠΏΠΈΡΠ°Π½ΠΈΠΉ, Π΄Π°Π½Π½ΡΡ Π²ΡΡΠ΅, Π½ΡΠΆΠ½ΠΎ ΡΡΠΎΡΠ½ΡΡΡ Π΄ΠΈΠ°Π³Π½ΠΎΠ· Ρ Π²ΡΠ°ΡΠ°-ΡΠΏΠ΅ΡΠΈΠ°Π»ΠΈΡΡΠ°.
Π Π°ΡΠΏΠΎΠ»ΠΎΠΆΠ΅Π½ΠΈΠ΅ Π±ΠΎΠ»ΡΡΠΊΠΈ
Π Π·Π°Π²ΠΈΡΠΈΠΌΠΎΡΡΠΈ ΠΎΡ Π΄ΠΈΡΠ»ΠΎΠΊΠ°ΡΠΈΠΈ ΠΌΠΎΠΆΠ½ΠΎ ΠΏΡΠ΅Π΄Π²Π°ΡΠΈΡΠ΅Π»ΡΠ½ΠΎ ΠΎΠΏΡΠ΅Π΄Π΅Π»ΠΈΡΡ, ΠΊ ΠΊΠ°ΠΊΠΎΠΉ Π±ΠΎΠ»Π΅Π·Π½ΠΈ ΠΎΡΠ½ΠΎΡΠΈΡΡΡ ΡΠ° ΠΈΠ»ΠΈ ΠΈΠ½Π°Ρ Π±ΠΎΠ»ΡΡΠΊΠ°:
- ΠΡΠ»ΠΈ ΡΠ·Π²Π° Π²ΡΠΊΠΎΡΠΈΠ»Π° Π½Π° ΠΊΠΎΠ½ΡΠΈΠΊΠ΅ ΡΠ·ΡΠΊΠ°, ΡΡΠΎ Π·Π½Π°ΡΠΈΡ, ΡΡΠΎ ΠΏΡΠΈΡΠΈΠ½ΠΎΠΉ ΠΌΠΎΠ³Π»ΠΎ Π±ΡΡΡ Π±Π°Π½Π°Π»ΡΠ½ΠΎΠ΅ ΠΏΡΠΈΠΊΡΡΡΠ²Π°Π½ΠΈΠ΅ Π²ΠΎ Π²ΡΠ΅ΠΌΡ Π΅Π΄Ρ ΠΈΠ»ΠΈ ΡΡΠ°Π²ΠΌΠ°.
- ΠΡΠ»ΠΈ Π±ΠΎΠ»ΡΡΠΊΠ° β Π½Π° ΠΊΡΠ°Π΅ (Π½Π° Π±ΠΎΠΊΡ), ΡΠΎΠ³Π΄Π° ΠΏΠΎΠ²ΡΠ΅ΠΆΠ΄Π΅Π½ΠΈΡ ΠΌΠΎΠ³Π»ΠΈ Π²ΠΎΠ·Π½ΠΈΠΊΠ½ΡΡΡ ΠΎΡ ΡΠ»ΠΎΠΌΠ°Π½Π½ΠΎΠ³ΠΎ Π·ΡΠ±Π° ΠΈΠ»ΠΈ Π½Π΅Π²Π΅ΡΠ½ΠΎ ΡΠ΄Π΅Π»Π°Π½Π½ΠΎΠ³ΠΎ Π»ΠΈΠ±ΠΎ Π½Π΅ΠΏΡΠ°Π²ΠΈΠ»ΡΠ½ΠΎ ΡΡΡΠ°Π½ΠΎΠ²Π»Π΅Π½Π½ΠΎΠ³ΠΎ ΠΏΡΠΎΡΠ΅Π·Π°, Π² Π·Π°Π²ΠΈΡΠΈΠΌΠΎΡΡΠΈ ΠΎΡ ΡΠ²Π΅ΡΠ° ΠΈ ΡΠΎΡΠΌΡ ΡΠ°ΠΊΠΆΠ΅ ΡΡΠΎ ΠΌΠΎΠΆΠ΅Ρ ΡΡΠ°ΡΡ ΡΠΈΠ³Π½Π°Π»ΠΎΠΌ Π΄ΡΡΠ³ΠΎΠΉ Π±ΠΎΠ»Π΅Π·Π½ΠΈ.
- ΠΡΠ»ΠΈ ΡΠ·Π²ΠΎΡΠΊΠ° ΡΠ°ΡΠΏΠΎΠ»Π°Π³Π°Π΅ΡΡΡ Ρ ΠΊΠΎΡΠ½Ρ ΡΠ·ΡΠΊΠ°, ΠΏΠΎΠ±Π»ΠΈΠΆΠ΅ ΠΊ Π³ΠΎΡΠ»Ρ, ΠΈ Π²ΡΠ·ΡΠ²Π°Π΅Ρ ΡΠΈΠ»ΡΠ½ΡΠΉ Π΄ΠΈΡΠΊΠΎΠΌΡΠΎΡΡ ΠΏΡΠΈ Π³Π»ΠΎΡΠ°Π½ΠΈΠΈ, ΠΏΡΠΎΠΈΠ·Π½Π΅ΡΠ΅Π½ΠΈΠΈ ΡΠ»ΠΎΠ² β ΡΡΠΎ ΡΠ²ΠΈΠ΄Π΅ΡΠ΅Π»ΡΡΡΠ²ΡΠ΅Ρ ΠΎ ΡΠΎΠΌ, ΡΡΠΎ ΠΎΡΠ³Π°Π½ΠΈΠ·ΠΌ ΠΏΠΎΡΠ°Π·ΠΈΠ»Π° ΠΈΠ½ΡΠ΅ΠΊΡΠΈΡ.
- ΠΡΠ»ΠΈ Π±ΠΎΠ»ΡΡΠΊΠΈ Π½Π°Ρ ΠΎΠ΄ΡΡΡΡ ΠΏΠΎ Π±ΠΎΠΊΠ°ΠΌ ΠΈ Π² Π΄ΡΡΠ³ΠΈΡ ΠΌΠ΅ΡΡΠ°Ρ ΡΠ·ΡΠΊΠ° β ΡΡΠΎ ΠΌΠΎΠΆΠ΅Ρ Π±ΡΡΡ Π·Π»ΠΎΠΊΠ°ΡΠ΅ΡΡΠ²Π΅Π½Π½ΡΠΌ ΠΎΠ±ΡΠ°Π·ΠΎΠ²Π°Π½ΠΈΠ΅ΠΌ.
- ΠΡΠ»ΠΈ ΡΠ·Π²ΠΎΡΠΊΠ° β Π²Π½ΠΈΠ·Ρ, ΡΡΠΎ ΠΌΠΎΠΆΠ΅Ρ ΠΎΠ±ΠΎΠ·Π½Π°ΡΠ°ΡΡ Π²ΠΎΠ·Π½ΠΈΠΊΠ½ΠΎΠ²Π΅Π½ΠΈΠ΅ Π³Π΅ΡΠΏΠ΅ΡΠ½ΠΎΠ³ΠΎ ΡΡΠΎΠΌΠ°ΡΠΈΡΠ°. ΠΠ»Ρ ΠΏΠΎΠ΄ΠΎΠ±Π½ΠΎΠ³ΠΎ Π±ΠΎΠ»Π΅Π·Π½Π΅Π½Π½ΠΎΠ³ΠΎ ΡΠΎΡΡΠΎΡΠ½ΠΈΡ Ρ Π°ΡΠ°ΠΊΡΠ΅ΡΠ½ΠΎ Π½Π°Π»ΠΈΡΠΈΠ΅ ΡΠ΅Π»ΠΎΠ³ΠΎ ΡΠΊΠΎΠΏΠ»Π΅Π½ΠΈΡ ΡΠ°ΠΊΠΈΡ Π±ΠΎΠ»ΡΡΠ΅ΠΊ.
- ΠΡΠ»ΠΈ ΠΏΠΎΡΠ°ΠΆΠ΅Π½ΠΈΡ β Π½Π° Π²Π΅ΡΡ Π½Π΅ΠΉ ΡΠ°ΡΡΠΈ ΡΠ·ΡΠΊΠ°, ΡΡΠΎ, Π²ΠΎΠ·ΠΌΠΎΠΆΠ½ΠΎ, ΡΠ²Π»ΡΠ΅ΡΡΡ ΡΠ²ΠΈΠ΄Π΅ΡΠ΅Π»ΡΡΡΠ²ΠΎΠΌ ΡΠΎΠ³ΠΎ, ΡΡΠΎ Π²ΠΎΠ·Π½ΠΈΠΊ ΠΊΠ°Π½Π΄ΠΈΠ΄ΠΎΠ·Π½ΡΠΉ ΡΡΠΎΠΌΠ°ΡΠΈΡ.
Π’ΠΎΠ»ΡΠΊΠΎ Π»ΠΈΡΡ ΠΏΠΎ ΡΠ°ΡΠΏΠΎΠ»ΠΎΠΆΠ΅Π½ΠΈΡ Π² ΡΠΎΡΠΎΠ²ΠΎΠΉ ΠΏΠΎΠ»ΠΎΡΡΠΈ Π±ΠΎΠ»ΡΡΠΊΠΈ Π½Π΅Π»ΡΠ·Ρ ΡΠΎΡΠ½ΠΎ ΠΎΠΏΡΠ΅Π΄Π΅Π»ΠΈΡΡ, ΡΡΠΎ Π·Π° ΠΏΡΠΈΡΠΈΠ½Π° Π²ΡΠ·Π²Π°Π»Π° Π±ΠΎΠ»Π΅Π·Π½Π΅Π½Π½ΠΎΠ΅ ΡΠΎΡΡΠΎΡΠ½ΠΈΠ΅.
ΠΠ°ΠΊΠΎΠ΅ Π»Π΅ΡΠ΅Π½ΠΈΠ΅ Π½Π°Π·Π½Π°ΡΠ°ΡΡ Π²ΡΠ°ΡΠΈ
Π Π·Π°Π²ΠΈΡΠΈΠΌΠΎΡΡΠΈ ΠΎΡ ΠΏΠΎΡΡΠ°Π²Π»Π΅Π½Π½ΠΎΠ³ΠΎ Π΄ΠΈΠ°Π³Π½ΠΎΠ·Π° ΠΏΠΎΡΠ»Π΅ ΠΎΡΠΌΠΎΡΡΠ° ΠΈΠ»ΠΈ ΠΏΡΠΎΠ²Π΅Π΄Π΅Π½Π½ΡΡ Π»Π°Π±ΠΎΡΠ°ΡΠΎΡΠ½ΡΡ ΠΈΡΡΠ»Π΅Π΄ΠΎΠ²Π°Π½ΠΈΠΉ, Π²ΡΠ°Ρ Π½Π°Π·Π½Π°ΡΠΈΡ Π»Π΅ΡΠ΅Π½ΠΈΠ΅:
- ΠΎΡΠ°ΡΠ΅ΠΏΡΠΎΠΌ, Ρ Π΅ΠΏΠΈΠ»ΠΎΡΠΎΠΌ, Π°Π½Π³ΠΈΠ»Π΅ΠΊΡΠΎΠΌ, ΠΌΠΈΡΠ°ΠΌΠΈΡΡΠΈΠ½ΠΎΠΌ, Π³ΠΈΠ²Π°Π»Π΅ΠΊΡΠΎΠΌ, ΡΠΎΡΠΎΠΊΠ°Π½ΠΎΠΌ, ΡΡΡΠ΅ΠΏΡΠΈΠ»ΡΠΎΠΌ, Ρ Π»ΠΎΡΠ³Π΅ΠΊΡΠΈΠ΄ΠΈΠ½ΠΎΠΌ, ΡΡΡΠ°ΡΠΈΠ»ΠΈΠ½ΠΎΠΌ, Ρ Π»ΠΎΡΡΠΈΠ»Π»ΠΈΠΏΡΠΎΠΌ Π΄Π»Ρ ΡΠΎΠ³ΠΎ, ΡΡΠΎΠ±Ρ ΡΠ±ΠΈΡΡ Π°Π½ΡΠΈΠ±ΠΈΠΎΡΠΈΠΊΠ°ΠΌΠΈ Π²ΡΠ΅Π΄ΠΎΠ½ΠΎΡΠ½ΡΠ΅ ΠΌΠΈΠΊΡΠΎΠΎΡΠ³Π°Π½ΠΈΠ·ΠΌΡ ΠΈ ΡΠ°ΠΊΠΆΠ΅ ΠΏΡΠΎΠΈΠ·Π²Π΅ΡΡΠΈ ΠΎΡΠΈΡΡΠΊΡ ΡΠΎΡΠΎΠ²ΠΎΠΉ ΠΏΠΎΠ»ΠΎΡΡΠΈ Π°Π½ΡΠΈΡΠ΅ΠΏΡΠΈΠΊΠ°ΠΌΠΈ
- ΠΌΠ°ΠΊΡΠΎΠ»ΠΈΠ΄Π°ΠΌΠΈ, ΠΏΠ΅Π½ΠΈΡΠΈΠ»Π»ΠΈΠ½Π°ΠΌΠΈ, ΡΠ΅ΡΡΠ°ΡΠΈΠΊΠ»ΠΈΠ½Π°ΠΌΠΈ, ΡΡΠΎΡΡ ΠΈΠ½ΠΎΠ»ΠΎΠ½Π°ΠΌΠΈ, ΡΠΏΠΈΡΡΠΎΠΌΠΈΡΠΈΠ½Π°ΠΌΠΈ, ΡΡΠΎΠ±Ρ ΡΠ±ΠΈΡΡ Π±Π°ΠΊΡΠ΅ΡΠΈΠΈ
- ΠΌΠ°Π·ΡΠΌΠΈ Π·ΠΎΠ²ΠΈΡΠ°ΠΊΡ, Π°ΡΠΈΠΊΠ»ΠΎΠ²ΠΈΡΠΎΠΌ, Π³Π΅ΡΠΏΠ΅Π²ΠΈΡΠΎΠΌ ΠΏΡΠΈ Π½Π°Π»ΠΈΡΠΈΠΈ Π³Π΅ΡΠΏΠ΅ΡΠ½ΠΎΠΉ ΠΈΠ½ΡΠ΅ΠΊΡΠΈΠΈ
- Π»ΠΎΡΠ½ΠΎΠΊΡΠΈΠΊΠ°ΠΌΠΎΠΌ, Π²ΠΎΠ»ΡΡΠ°ΡΠ΅Π½ΠΎΠΌ, Ρ ΠΎΠ»ΠΈΡΠ°Π»ΠΎΠΌ, ΠΊΠ΅ΡΠΎΠΏΡΠΎΡΠ΅Π½ΠΎΠΌ Π΄Π»Ρ ΠΈΠ·Π±Π°Π²Π»Π΅Π½ΠΈΡ ΠΎΡ ΡΠ°Π·Π΄ΡΠ°ΠΆΠ΅Π½ΠΈΡ
- ΠΊΠ°ΠΌΠΈΡΡΠ°Π΄ΠΎΠΌ, ΡΡΡΠ΅ΠΏΡΠΈΠ»ΡΠΎΠΌ βΠΠ»ΡΡβ, Π»ΠΈΠ΄ΠΎΠΊΠ°ΠΈΠ½ΠΎΠΌ Π΄Π»Ρ ΡΡΠΎΠ»Π΅Π½ΠΈΡ Π±ΠΎΠ»ΠΈ;
- ΠΌΠΌΡΠ½ΠΎΡΡΠΈΠΌΡΠ»ΡΡΠΎΡΠ°ΠΌΠΈ ΡΠ°ΠΌΠΈΠ»Π°Π΄ΠΎΠΌ, ΠΌΠ΅ΡΠΈΠ»ΡΡΠ°ΡΠΈΠ»ΠΎΠΌ, ΠΏΠΈΡΠΎΠ³Π΅Π½Π°Π»ΠΎΠΌ, Π° ΡΠ°ΠΊΠΆΠ΅ ΠΊΠΎΠΌΠΏΠ»Π΅ΠΊΡΠ½ΡΠΌΠΈ Π²ΠΈΡΠ°ΠΌΠΈΠ½Π½ΡΠΌΠΈ ΡΡΠ΅Π΄ΡΡΠ²Π°ΠΌΠΈ Π΄Π»Ρ ΡΠ»ΡΡΡΠ΅Π½ΠΈΡ ΠΈΠΌΠΌΡΠ½Π½ΠΎΠ³ΠΎ ΠΎΡΠ²Π΅ΡΠ° ΠΎΡΠ³Π°Π½ΠΈΠ·ΠΌΠ°
- ΠΏΠΈΡΠ°Π·ΠΈΠ½Π°ΠΌΠΈΠ΄, ΡΠΈΡΠ°ΠΌΠΏΠΈΡΠΈΠ½ΠΎΠΌ, ΠΈΠ·ΠΎΠ½ΠΈΠ°Π·ΠΈΠ΄ΠΎΠΌ, ΡΡΡΠ΅ΠΏΡΠΎΠΌΠΈΡΠΈΠ½ΠΎΠΌ ΠΏΡΠΈ ΡΡΠ±Π΅ΡΠΊΡΠ»Π΅Π·Π΅
ΠΡΡΠΏΠΏΠΈΡΡΡ Π²ΡΠ΅ Π²ΡΡΠ΅ΡΠΊΠ°Π·Π°Π½Π½ΡΠ΅ ΠΏΡΠ΅ΠΏΠ°ΡΠ°ΡΡ, ΠΌΠΎΠΆΠ½ΠΎ Π²ΡΠ΄Π΅Π»ΠΈΡΡ ΡΠ»Π΅Π΄ΡΡΡΠΈΠ΅ Π²ΠΈΠ΄Ρ ΠΈΡΠΏΠΎΠ»ΡΠ·ΡΠ΅ΠΌΡΡ Π»Π΅ΠΊΠ°ΡΡΡΠ²:
- ΠΠ½ΡΠΈΠ±ΠΈΠΎΡΠΈΠΊΠΈ.
- ΠΡΠΎΡΠΈΠ²ΠΎΠ²ΠΈΡΡΡΠ½ΡΠ΅.
- ΠΠΌΠΌΡΠ½ΠΎΡΡΠΈΠΌΡΠ»ΠΈΡΡΡΡΠΈΠ΅.
- ΠΡΠΎΡΠΈΠ²ΠΎΡΡΠ±Π΅ΡΠΊΡΠ»Π΅Π·Π½ΡΠ΅.
- ΠΡΠΎΡΠΈΠ²ΠΎΠ²ΠΎΡΠΏΠ°Π»ΠΈΡΠ΅Π»ΡΠ½ΡΠ΅.
- ΠΠ½Π΅ΡΡΠ΅ΡΠΈΠΊΠΈ.
- ΠΠ½ΡΠΈΡΠ΅ΠΏΡΠΈΠΊΠΈ.
Π Π·Π°Π²ΠΈΡΠΈΠΌΠΎΡΡΠΈ ΠΎΡ ΡΠ»ΠΎΠΆΠ½ΠΎΡΡΠΈ ΠΈ Ρ Π°ΡΠ°ΠΊΡΠ΅ΡΠ° Π²ΡΡΠ²Π»Π΅Π½ΠΈΡ Π½Π° ΡΠ·ΡΠΊΠ΅, Π° ΡΠ°ΠΊΠΆΠ΅ ΠΎΡ Π½Π°Π»ΠΈΡΠΈΡ ΡΠΎΠΏΡΡΡΡΠ²ΡΡΡΠΈΡ Π±ΠΎΠ»Π΅Π·Π½Π΅ΠΉ Π²ΡΠ°Ρ Π½Π°Π·Π½Π°ΡΠ°Π΅Ρ ΠΊΠΎΠΌΠΏΠ»Π΅ΠΊΡ Π΄Π»Ρ Π»Π΅ΡΠ΅Π½ΠΈΡ.
ΠΠΎΠ³Π΄Π° Π½ΡΠΆΠ½ΠΎ ΠΈΠ΄ΡΠΈ ΠΊ Π΄ΠΎΠΊΡΠΎΡΡ?
Π Π»ΡΠ±ΠΎΠΌ ΡΠ»ΡΡΠ°Π΅ Π½Π΅ΠΎΠ±Ρ ΠΎΠ΄ΠΈΠΌΠΎ ΠΏΠΎΠΊΠ°Π·Π°ΡΡΡΡ Π²ΡΠ°ΡΡ ΠΏΡΠΈ Π²ΠΎΠ·Π½ΠΈΠΊΠ½ΠΎΠ²Π΅Π½ΠΈΠΈ Π±ΠΎΠ»ΡΡΠΊΠΈ Π½Π° ΡΠ·ΡΠΊΠ΅. ΠΡΠΎΠ±Π΅Π½Π½ΠΎ Π²Π°ΠΆΠ½ΠΎ ΡΡΠΎ ΡΠ΄Π΅Π»Π°ΡΡ ΡΠΎΠΌΡ, ΠΊΡΠΎ ΡΠ²ΠΈΠ΄Π΅Π» Ρ ΡΠ΅Π±Ρ Π΅ΡΠ΅ ΠΊΠ°ΠΊΠΈΠ΅-ΡΠΎ ΡΠΈΠΌΠΏΡΠΎΠΌΡ, ΠΊΠΎΡΠΎΡΡΠ΅ ΠΌΠΎΠ³ΡΡ ΡΠ²ΠΈΠ΄Π΅ΡΠ΅Π»ΡΡΡΠ²ΠΎΠ²Π°ΡΡ ΠΎ Π΄ΡΡΠ³ΠΈΡ Π±ΠΎΠ»Π΅Π·Π½ΡΡ . ΠΠ΅ΡΠ΅Π½ΠΈΠ΅ Π½Π°Π·Π½Π°ΡΠ°Π΅Ρ ΡΠΎΠ»ΡΠΊΠΎ ΡΠΏΠ΅ΡΠΈΠ°Π»ΠΈΡΡ ΠΈ ΡΠΎΠ»ΡΠΊΠΎ ΠΏΠΎΡΠ»Π΅ ΠΎΡΠΌΠΎΡΡΠ° ΠΈ ΡΠ΄Π°ΡΠΈ Π½Π΅ΠΎΠ±Ρ ΠΎΠ΄ΠΈΠΌΡΡ Π½Π° Π΅Π³ΠΎ Π²Π·Π³Π»ΡΠ΄ Π°Π½Π°Π»ΠΈΠ·ΠΎΠ². Π’Π΅ΡΠ°ΠΏΠΈΡ, Π½Π°Π·Π½Π°ΡΠ΅Π½Π½Π°Ρ Π²ΡΠ°ΡΠΎΠΌ, Π²ΡΠ΅Π³Π΄Π° ΡΡΠΈΡΡΠ²Π°Π΅Ρ ΡΠ°ΠΊΠΈΠ΅ ΡΠ°ΠΊΡΠΎΡΡ, ΠΊΠ°ΠΊ Π²ΠΎΠ·ΡΠ°ΡΡΠ½ΡΠ΅ ΠΎΡΠΎΠ±Π΅Π½Π½ΠΎΡΡΠΈ, Π²ΠΎΠ·Π½ΠΈΠΊΡΠΈΠ΅ ΠΎΡΠ»ΠΎΠΆΠ½Π΅Π½ΠΈΡ, ΡΠΎΠΏΡΡΡΡΠ²ΡΡΡΠΈΠ΅ Π·Π°Π±ΠΎΠ»Π΅Π²Π°Π½ΠΈΡ, ΡΡΠ΅ΠΏΠ΅Π½Ρ ΡΠ°Π·Π²ΠΈΡΠΈΡ Π²ΡΡΠ²Π»Π΅Π½ΠΈΡ, ΠΏΠ°ΡΠΎΠ»ΠΎΠ³ΠΈΠΈ ΠΎΡΠ³Π°Π½ΠΈΠ·ΠΌΠ°.
ΠΠΎΡΡΠ°Π½ΠΎΠ²ΠΊΠ° Π΄ΠΈΠ°Π³Π½ΠΎΠ·Π° ΡΠ΅Π±Π΅Π½ΠΊΡ
Π§ΡΠΎ ΠΊΠ°ΡΠ°Π΅ΡΡΡ Π»Π΅ΡΠ΅Π½ΠΈΡ Π΄Π΅ΡΠ΅ΠΉ, ΠΊ ΡΡΠΎΠΌΡ Π²ΠΎΠΏΡΠΎΡΡ Π½ΡΠΆΠ½ΠΎ ΠΎΡΠ½ΠΎΡΠΈΡΡΡΡ Π΅ΡΠ΅ Π±ΠΎΠ»Π΅Π΅ Π²Π½ΠΈΠΌΠ°ΡΠ΅Π»ΡΠ½ΠΎ, Π²Π΅Π΄Ρ ΡΠ΅Π±Π΅Π½ΠΎΠΊ ΠΌΠΎΠΆΠ΅Ρ Π½Π΅ΠΊΠΎΡΠΎΡΠΎΠ΅ Π²ΡΠ΅ΠΌΡ Π½Π΅ Π·Π°ΠΌΠ΅ΡΠ°ΡΡ Π½Π΅ Π±Π΅ΡΠΏΠΎΠΊΠΎΡΡΡΡ Π΅Π³ΠΎ Π±ΠΎΠ»ΡΡΠΊΡ ΠΈ ΡΠΎΠΎΠ±ΡΠΈΡΡ ΠΎ Π΅Π΅ Π½Π°Π»ΠΈΡΠΈΠΈ Π² ΡΠΎΡ, ΠΌΠΎΠΌΠ΅Π½Ρ, ΠΊΠΎΠ³Π΄Π° ΠΎΠ½Π° ΡΠ²Π΅Π»ΠΈΡΠΈΡΡΡ ΠΈΠ»ΠΈ Π·Π°Π±ΠΎΠ»ΠΈΡ.
Π£ Π΄Π΅ΡΠ΅ΠΉ ΡΠ°ΡΡΠΎ Π²ΡΡΡΠ΅ΡΠ°Π΅ΡΡΡ ΡΠΈΠΏΡΠ½ Π½Π° ΡΠ·ΡΠΊΠ΅ Π² Π²ΠΈΠ΄Π΅ ΠΊΠΈΡΡ, ΠΊΠΎΡΠΎΡΡΠ΅ ΡΠ°ΠΊΠΆΠ΅ ΠΌΠΎΠ³ΡΡ Π±ΡΡΡ Π»ΠΎΠΊΠ°Π»ΠΈΠ·ΠΎΠ²Π°Π½Ρ Π½Π° ΡΠ»ΠΈΠ·ΠΈΡΡΠΎΠΉ ΠΈΠ»ΠΈ ΠΏΠΎΠ΄ ΡΠ·ΡΠΊΠΎΠΌ.
ΠΡΠ»ΠΈ Π½Π° ΡΠ·ΡΠΊΠ΅ Π±Π΅Π»Π°Ρ Π±ΠΎΠ»ΡΡΠΊΠ°, ΠΊΠ°ΠΊ Π»Π΅ΡΠΈΡΡ Π΅Π΅? Π‘ΡΠΎΠΈΡ Π΅ΡΠ΅ ΡΠ°Π· ΠΎΠ±ΡΠ°ΡΠΈΡΡ Π²Π½ΠΈΠΌΠ°Π½ΠΈΠ΅ Π½Π° ΡΠΎΡ ΡΠ°ΠΊΡ, ΡΡΠΎ ΡΠ°ΠΌΠΎΠ»Π΅ΡΠ΅Π½ΠΈΠ΅ Π½Π΅Π΄ΠΎΠΏΡΡΡΠΈΠΌΠΎ. ΠΠ°ΠΆΠ΅ Π² ΡΠ»ΡΡΠ°Π΅ Π±Π΅Π·ΠΎΠ±ΠΈΠ΄Π½ΠΎΠ³ΠΎ, Π±ΡΡΡΡΠΎ ΠΏΡΠΎΡ ΠΎΠ΄ΡΡΠ΅Π³ΠΎ ΠΎΠ±ΡΠ°Π·ΠΎΠ²Π°Π½ΠΈΡ Π½Π° ΡΠ·ΡΠΊΠ΅ ΠΌΠΎΠΆΠ½ΠΎ ΠΎΠ±ΡΠ°ΡΠΈΡΡΡΡ Π½Π° Π²ΡΡΠΊΠΈΠΉ ΡΠ»ΡΡΠ°ΠΉ ΠΊ Π²ΡΠ°ΡΡ.
ΠΡΠΎΡΠΈΠ»Π°ΠΊΡΠΈΠΊΠ° ΠΏΠΎΡΠ²Π»Π΅Π½ΠΈΡ Π±ΠΎΠ»ΡΡΠ΅ΠΊ Π½Π° ΡΠ·ΡΠΊΠ΅
ΠΡΠ»ΠΈ Π±ΠΎΠ»ΡΡΠΊΠ° Π½Π΅ ΡΠ°Π· ΠΏΠΎΡΠ²Π»ΡΠ»Π°ΡΡ ΠΈ Π½Π΅ΠΎΠ±Ρ ΠΎΠ΄ΠΈΠΌΠΎ ΠΏΡΠΈΠ½ΡΡΡ ΠΏΡΠΎΡΠΈΠ»Π°ΠΊΡΠΈΡΠ΅ΡΠΊΠΈΠ΅ ΠΏΡΠ΅Π΄Π²Π°ΡΠΈΡΠ΅Π»ΡΠ½ΡΠ΅ ΠΌΠ΅ΡΡ, ΡΡΠΎ Π²ΠΏΠΎΠ»Π½Π΅ ΠΎΡΡΡΠ΅ΡΡΠ²ΠΈΠΌΠΎ. ΠΠ»Ρ ΡΡΠΎΠ³ΠΎ Π½ΡΠΆΠ½ΠΎ:
- Π Π΅Π³ΡΠ»ΡΡΠ½ΠΎ ΠΏΡΠΎΡ ΠΎΠ΄ΠΈΡΡ ΠΎΡΠΌΠΎΡΡΡ Ρ Π²ΡΠ΅Ρ ΠΏΡΠΎΡΠΈΠ»ΡΠ½ΡΡ Π²ΡΠ°ΡΠ΅ΠΉ.
- ΠΡΠΊΠ°Π·Π°ΡΡΡΡ ΠΎΡ ΡΠ°Π±Π°ΠΊΠΎΠΊΡΡΠ΅Π½ΠΈΡ ΠΈ ΡΠ°ΡΠΏΠΈΡΠΈΡ Π°Π»ΠΊΠΎΠ³ΠΎΠ»ΡΠ½ΡΡ Π½Π°ΠΏΠΈΡΠΊΠΎΠ².
- Π‘ΠΎΠ±Π»ΡΠ΄Π°ΡΡ ΡΠ±Π°Π»Π°Π½ΡΠΈΡΠΎΠ²Π°Π½Π½ΠΎΠ΅ ΠΏΠΈΡΠ°Π½ΠΈΠ΅.
- ΠΠ΅ΡΡΠΈ Π·Π΄ΠΎΡΠΎΠ²ΡΠΉ ΠΎΠ±ΡΠ°Π· ΠΆΠΈΠ·Π½ΠΈ.
- ΠΡΠΎΡ ΠΎΠ΄ΠΈΡΡ ΡΠ»ΡΠΎΡΠΎΠ³ΡΠ°ΡΠΈΡ.
- ΠΡΡΡΠ΅ΡΡΠ²Π»ΡΡΡ ΡΠ΅Π³ΡΠ»ΡΡΠ½ΡΡ ΠΏΠΎΠ΄Π΄Π΅ΡΠΆΠΊΡ ΠΈΠΌΠΌΡΠ½ΠΈΡΠ΅ΡΠ°.
- ΠΡΠ°Π²ΠΈΠ»ΡΠ½ΠΎ ΡΡ Π°ΠΆΠΈΠ²Π°ΡΡ Π·Π° ΡΠΎΡΠΎΠ²ΠΎΠΉ ΠΏΠΎΠ»ΠΎΡΡΡΡ.
- Π‘ΡΠ°Π·Ρ ΠΆΠ΅ ΠΏΠΎΡΠ»Π΅ ΠΎΠ±Π½Π°ΡΡΠΆΠ΅Π½ΠΈΡ Π½Π΅ΠΏΠΎΠ½ΡΡΠ½ΡΡ Π±ΠΎΠ»ΡΡΠ΅ΠΊ ΠΎΠ±ΡΠ°ΡΠ°ΡΡΡΡ Π² Π±ΠΎΠ»ΡΠ½ΠΈΡΡ.
- ΠΡΠΎΠ²ΠΎΠ΄ΠΈΡΡ ΡΠ°Π½Π°ΡΠΈΠΎΠ½Π½ΡΠ΅ (Π»Π΅ΡΠ΅Π±Π½ΠΎ-ΠΎΠ·Π΄ΠΎΡΠΎΠ²ΠΈΡΠ΅Π»ΡΠ½ΡΠ΅) ΠΏΡΠΎΡΠ΅Π΄ΡΡΡ Π΄Π»Ρ ΠΏΠΎΠ»ΠΎΡΡΠΈ ΡΡΠ° ΠΌΠΈΠ½ΠΈΠΌΡΠΌ Π΄Π²Π°ΠΆΠ΄Ρ Π² Π³ΠΎΠ΄.
ΠΠ°ΠΆΠ½ΠΎ ΠΏΡΠΈ Π²ΠΎΠ·Π½ΠΈΠΊΠ½ΠΎΠ²Π΅Π½ΠΈΠΈ Π±Π΅Π»ΡΡ Π±ΠΎΠ»ΡΡΠ΅ΠΊ Π½Π° ΡΠ·ΡΠΊΠ΅ Π½Π΅ ΡΠΎΠ»ΡΠΊΠΎ ΡΡΠ°Π·Ρ ΠΎΠ±ΡΠ°ΡΠ°ΡΡΡΡ ΠΊ Π²ΡΠ°ΡΡ, Π½ΠΎ ΠΈ Π²ΠΏΠΎΡΠ»Π΅Π΄ΡΡΠ²ΠΈΠΈ Π²Π΅ΡΡΠΈ ΠΏΡΠ°Π²ΠΈΠ»ΡΠ½ΡΠΉ, Π½Π΅ ΡΡΡΠ΅ΡΡΠΎΠ²ΡΠΉ ΠΎΠ±ΡΠ°Π· ΠΆΠΈΠ·Π½ΠΈ Π² ΠΊΠ°ΡΠ΅ΡΡΠ²Π΅ ΠΌΠ΅Ρ ΠΏΡΠΎΡΠΈΠ»Π°ΠΊΡΠΈΠΊΠΈ.
Π ΡΠΎΠΌ, ΡΠ΅ΠΌ Π»Π΅ΡΠΈΡΡ ΡΠ·Π²ΠΎΡΠΊΠΈ Π²ΠΎ ΡΡΡ β ΠΏΡΠ΅Π΄ΡΡΠ°Π²Π»Π΅Π½ΠΎ Π½Π° Π²ΠΈΠ΄Π΅ΠΎ:
ΠΠ°ΠΌΠ΅ΡΠΈΠ»ΠΈ ΠΎΡΠΈΠ±ΠΊΡ? ΠΡΠ΄Π΅Π»ΠΈΡΠ΅ Π΅Π΅ ΠΈ Π½Π°ΠΆΠΌΠΈΡΠ΅ Ctrl+Enter, ΡΡΠΎΠ±Ρ ΡΠΎΠΎΠ±ΡΠΈΡΡ Π½Π°ΠΌ.
β¦ Β Π ΡΠ±ΡΠΈΠΊΠ°: ΠΠΈΠ°Π³Π½ΠΎΡΡΠΈΠΊΠ°.kakzdravie.com
ΠΠ΅Π»ΡΠ΅ ΡΠ·Π²Ρ Π½Π° ΡΠ·ΡΠΊΠ΅ Ρ Π²Π·ΡΠΎΡΠ»ΠΎΠ³ΠΎ β ΠΡΠ±Ρ
ΠΠ΅ΡΠ΅ΠΊΡΡ ΡΡΠΎΠ·ΠΈΠ²Π½ΠΎΠ³ΠΎ Ρ Π°ΡΠ°ΠΊΡΠ΅ΡΠ° ΠΏΠΎΡΠ²Π»ΡΡΡΡΡ Π½Π° ΡΠ»ΠΈΠ·ΠΈΡΡΠΎΠΉ ΠΎΠ±ΠΎΠ»ΠΎΡΠΊΠ΅ ΡΡΠ° ΠΏΠΎ ΡΠ°Π·Π½ΡΠΌ ΠΏΡΠΈΡΠΈΠ½Π°ΠΌ. ΠΡΠΎ ΠΌΠΎΠΆΠ΅Ρ Π±ΡΡΡ ΡΠ»Π΅Π΄ΡΡΠ²ΠΈΠ΅ΠΌ Π±ΠΎΠ»Π΅Π·Π½Π΅ΠΉ ΠΏΠΎΠ»ΠΎΡΡΠΈ ΡΡΠ°, ΡΠ΅Π·ΡΠ»ΡΡΠ°ΡΠΎΠΌ Π²Π½Π΅ΡΠ½Π΅Π³ΠΎ Π²ΠΎΠ·Π΄Π΅ΠΉΡΡΠ²ΠΈΡ ΠΈΠ»ΠΈ ΡΠΈΠΌΠΏΡΠΎΠΌΠΎΠΌ ΠΎΠ±ΡΠ΅Π³ΠΎ Π·Π°Π±ΠΎΠ»Π΅Π²Π°Π½ΠΈΡ ΠΎΡΠ³Π°Π½ΠΈΠ·ΠΌΠ°. Π Π΄Π°Π½Π½ΠΎΠΉ ΡΡΠ°ΡΡΠ΅ ΠΌΡ ΠΎΡΡΠ°Π½ΠΎΠ²ΠΈΠΌΡΡ Π½Π° ΠΊΠ°ΠΆΠ΄ΠΎΠΉ ΠΈΠ· Π½ΠΈΡ ΠΈ ΡΠ·Π½Π°Π΅ΠΌ, ΠΊΠ°ΠΊ ΡΠ·Π²Π° Π½Π° ΡΠ·ΡΠΊΠ΅ Π»Π΅ΡΠΈΡΡΡ Π² Π΄ΠΎΠΌΠ°ΡΠ½ΠΈΡ ΡΡΠ»ΠΎΠ²ΠΈΡΡ .
ΠΡΠΈΡΠΈΠ½Ρ ΠΎΠ±ΡΠ°Π·ΠΎΠ²Π°Π½ΠΈΡ ΡΠ·Π²ΠΎΡΠ΅ΠΊ
ΠΠ΅ΡΠ΅Π½ΠΈΠ΅ Π΄Π°Π΅Ρ ΡΠ΅Π·ΡΠ»ΡΡΠ°Ρ, Π΅ΡΠ»ΠΈ ΡΡΠ°Π·Ρ ΡΡΡΠ°Π½ΠΎΠ²ΠΈΡΡ, ΡΠ΅ΠΌ ΠΎΠ±ΡΡΠ»ΠΎΠ²Π»Π΅Π½Π° Π±ΠΎΠ»Π΅Π·Π½Ρ. ΠΠ°ΡΡΠ²Ρ Π½Π° ΡΠ·ΡΠΊΠ΅ ΡΠΎΠΏΡΠΎΠ²ΠΎΠΆΠ΄Π°ΡΡΡΡ Π²ΠΎΡΠΏΠ°Π»Π΅Π½ΠΈΠ΅ΠΌ ΠΈΒ Π±ΠΎΠ»ΡΡ ΠΈ Π²ΠΎΠ·Π½ΠΈΠΊΠ°ΡΡ ΠΏΠΎ Π½ΠΈΠΆΠ΅ΡΠ»Π΅Π΄ΡΡΡΠΈΠΌ ΠΏΡΠΈΡΠΈΠ½Π°ΠΌ.
ΠΊ ΠΎΠ³Π»Π°Π²Π»Π΅Π½ΠΈΡ β
ΠΠΎΠ»Π΅Π·Π½ΠΈ ΠΏΠΎΠ»ΠΎΡΡΠΈ ΡΡΠ°
Π Π±ΠΎΠ»Π΅Π·Π½ΡΠΌ ΠΏΠΎΠ»ΠΎΡΡΠΈ ΡΡΠ° ΠΎΡΠ½ΠΎΡΡΡΡΡ:
- ΠΡΡΠΎΠ·Π½ΡΠΉ ΡΡΠΎΠΌΠ°ΡΠΈΡ. ΠΠΎΠΆΠ΅Ρ ΠΈΠΌΠ΅ΡΡ Ρ ΡΠΎΠ½ΠΈΡΠ΅ΡΠΊΡΡ ΡΠΎΡΠΌΡ Ρ ΠΏΠ΅ΡΠΈΠΎΠ΄Π°ΠΌΠΈ ΠΎΠ±ΠΎΡΡΡΠ΅Π½ΠΈΡ ΠΈ ΡΠ΅ΠΌΠΈΡΡΠΈΠΈ. ΠΡΠΈ Π·Π°Π±ΠΎΠ»Π΅Π²Π°Π½ΠΈΠΈ Π½Π° ΡΠ·ΡΠΊΠ΅ ΠΈ Π²ΠΎ ΡΡΡ ΠΏΠΎΡΠ²Π»ΡΡΡΡΡ Π½Π΅Π±ΠΎΠ»ΡΡΠΈΠ΅ ΡΠ·Π²ΠΎΡΠΊΠΈ β Β«Π°ΡΡΡΒ». ΠΡ ΠΌΠΎΠΆΠ΅Ρ Π±ΡΡΡ Π½Π΅ΡΠΊΠΎΠ»ΡΠΊΠΎ ΠΈΠ»ΠΈ ΡΠΎΠ»ΡΠΊΠΎ ΠΎΠ΄Π½Π°. ΠΡΠΈ ΠΏΡΠΈΠ΅ΠΌΠ΅ ΠΏΠΈΡΠΈ Π½Π°ΡΡΠ²Ρ Π±ΠΎΠ»ΡΡ ΠΈ Π·Π°ΡΡΡΠ΄Π½ΡΡΡ ΡΠ΅ΡΡ. ΠΠ°ΠΆΠΈΠ²Π°ΡΡ ΠΎΠ½ΠΈ Π·Π° Π½Π΅Π΄Π΅Π»Ρ, Π½ΠΎ ΠΏΡΠΈ ΠΎΡΠ»ΠΎΠΆΠ½ΡΡΡΠΈΡ ΡΠ°ΠΊΡΠΎΡΠ°Ρ ΠΌΠΎΠ³ΡΡ Π½Π΅ Π·Π°ΡΡΠ³ΠΈΠ²Π°ΡΡΡΡ ΠΌΠ΅ΡΡΡ, ΡΠΎΠ³Π΄Π° Π½Π΅ ΠΈΡΠΊΠ»ΡΡΠ°Π΅ΡΡΡ ΠΏΠΎΡΠ²Π»Π΅Π½ΠΈΠ΅ ΡΡΠ±ΡΠΎΠ².
- ΠΠ΅ΡΠΏΠ΅ΡΠΈΡΠ΅ΡΠΊΠΈΠΉ ΡΡΠΎΠΌΠ°ΡΠΈΡ. ΠΠ΅Π»ΠΊΠΈΠ΅ ΡΠ·Π²ΠΎΡΠΊΠΈΒ Π² ΡΡΠΎΠΌ ΡΠ»ΡΡΠ°Π΅ ΠΏΠΎΡ ΠΎΠΆΠΈ Π½Π° Π²ΡΡΡΠΏΠ°Π½ΠΈΡ Π³Π΅ΡΠΏΠ΅ΡΠ°. ΠΡΠ½ΠΎΠ²Π°Π½ΠΈΠ΅ ΡΠ°Π½ΠΎΠΊ ΠΈΠΌΠ΅Π΅Ρ ΡΠ΅ΡΠΎΠ²Π°ΡΡΠΉ ΠΎΡΡΠ΅Π½ΠΎΠΊ, Π° ΠΈΡ Π³ΡΠ°Π½ΠΈΡΡ ΡΠ°Π·ΠΌΡΡΡ. ΠΡΡΡΠΏΠΊΠ°, ΠΏΠΎΡΠ°ΠΆΠ°ΡΡΠ°Ρ Π½ΠΈΠΆΠ½ΡΡ ΡΠ°ΡΡΡ ΡΠ·ΡΠΊΠ°, Π·Π°ΠΆΠΈΠ²Π°Π΅Ρ Π±Π΅Π· ΠΎΠ±ΡΠ°Π·ΠΎΠ²Π°Π½ΠΈΡ ΡΡΠ°ΠΌΠΎΠ² Π·Π° 7-10 Π΄Π½Π΅ΠΉ.
- ΠΡΠΎΡΡΠΎΠΉ ΡΡΠΎΠΌΠ°ΡΠΈΡ. Π₯Π°ΡΠ°ΠΊΡΠ΅ΡΠΈΠ·ΡΠ΅ΡΡΡ ΠΏΠΎΡΠ²Π»Π΅Π½ΠΈΠ΅ΠΌ 1-3 ΡΠ·Π²ΠΎΡΠ΅ΠΊ ΠΎΠ΄Π½ΠΎΠ²ΡΠ΅ΠΌΠ΅Π½Π½ΠΎ. Π‘Π΅ΡΠ΅Π΄ΠΈΠ½Π° ΡΠ°Π½ΠΎΠΊ Π·Π°ΡΡΠ½ΡΡΠ° ΡΠΎΠ½ΠΊΠΎΠΉ Π±Π΅Π»ΠΎΠΉ ΠΈΠ»ΠΈ ΡΠ΅ΡΠΎΠ²Π°ΡΠΎ-ΠΆΠ΅Π»ΡΠΎΠΉ ΠΏΠ»Π΅Π½ΠΊΠΎΠΉ.
- ΠΠ°Π½Π΄ΠΈΠ΄ΠΎΠ·Π½ΡΠΉ (Π³ΡΠΈΠ±ΠΊΠΎΠ²ΡΠΉ) ΡΡΠΎΠΌΠ°ΡΠΈΡ. ΠΠ·-Π·Π° Π³Π½ΠΎΠΉΠ½ΠΈΡΠΊΠΎΠ² Π±Π΅Π»ΠΎΠ³ΠΎ ΡΠ²Π΅ΡΠ° Π΅Π³ΠΎ Π΅ΡΠ΅ Π½Π°Π·ΡΠ²Π°ΡΡ ΠΌΠΎΠ»ΠΎΡΠ½ΠΈΡΠ΅ΠΉ. ΠΠ΅Π»ΡΠΉ Π½Π°Π»Π΅Ρ ΠΏΠΎΠΊΡΡΠ²Π°Π΅Ρ Π²ΡΡ ΡΠ»ΠΈΠ·ΠΈΡΡΡΡ ΡΠΎΡΠΎΠ²ΠΎΠΉ ΠΏΠΎΠ»ΠΎΡΡΠΈ ΠΈ ΡΠ·ΡΠΊ. ΠΠ°Π±ΠΎΠ»Π΅Π²Π°Π½ΠΈΠ΅ΠΌ ΡΠ°ΡΠ΅ ΡΡΡΠ°Π΄Π°ΡΡ ΠΌΠ°Π»Π΅Π½ΡΠΊΠΈΠ΅ Π΄Π΅ΡΠΈ, Π½ΠΎ ΠΈΠΌ Π±ΠΎΠ»Π΅ΡΡ ΠΈ Π²Π·ΡΠΎΡΠ»ΡΠ΅.
- ΠΡΡΡ ΠΠ΅Π΄Π½Π°ΡΠ°. Π‘ΡΠΈΡΠ°Π΅ΡΡΡ Π΄Π΅ΡΡΠΊΠΈΠΌ Π·Π°Π±ΠΎΠ»Π΅Π²Π°Π½ΠΈΠ΅ΠΌ, ΠΏΡΠΈ ΠΊΠΎΡΠΎΡΠΎΠΌ Π½Π°ΡΡΠ²Ρ ΠΏΠΎΠΊΡΡΠ²Π°Π΅Ρ ΡΠ²Π΅ΡΠ»ΠΎ-ΠΆΠ΅Π»ΡΡΠΉ Π½Π°Π»Π΅Ρ. ΠΡΠΈΡΠΈΠ½Ρ ΡΠ·Π²Ρ Π½Π° ΡΠ·ΡΠΊΠ΅ Ρ ΡΠ΅Π±Π΅Π½ΠΊΠ° ΠΎΠ±ΡΡΠ»ΠΎΠ²Π»Π΅Π½Ρ Π½Π΅Π΄ΠΎΡΡΠ°ΡΠΎΡΠ½ΠΎΠΉ Π³ΠΈΠ³ΠΈΠ΅Π½ΠΎΠΉ ΡΠΎΡΠΎΠ²ΠΎΠΉ ΠΏΠΎΠ»ΠΎΡΡΠΈ.
ΠΠ° Π·Π°ΠΌΠ΅ΡΠΊΡ! Π Π°Π·Π½ΠΎΠ²ΠΈΠ΄Π½ΠΎΡΡΡ Π½Π°ΡΡΠ²Π° ΠΎΠΏΡΠ΅Π΄Π΅Π»ΡΠ΅ΡΡΡ Π΅Π³ΠΎ Π²Π½Π΅ΡΠ½Π΅ΠΌΡ Π²ΠΈΠ΄Ρ, ΠΏΠ΅ΡΠΈΠΎΠ΄Ρ Π·Π°ΠΆΠΈΠ²Π»Π΅Π½ΠΈΡ ΠΈ ΠΌΠ΅ΡΠΎΠ΄Π°ΠΌ Π±ΠΎΡΡΠ±Ρ Ρ Π½Π΅Π΄ΡΠ³ΠΎΠΌ. Π Π°Π½ΠΊΠΈ ΠΎΡΠ»ΠΈΡΠ°ΡΡΡΡ ΠΏΠΎ ΡΠΎΡΠΌΠ΅, ΡΠ²Π΅ΡΡ ΠΈ Π³Π»ΡΠ±ΠΈΠ½Π΅ ΠΏΠΎΡΠ°ΠΆΠ΅Π½ΠΈΡ ΡΠ»ΠΈΠ·ΠΈΡΡΠΎΠΉ ΡΠΊΠ°Π½ΠΈ.
ΠΊ ΠΎΠ³Π»Π°Π²Π»Π΅Π½ΠΈΡ β
Π’ΡΠ°Π²ΠΌΡ ΡΠ»ΠΈΠ·ΠΈΡΡΠΎΠΉ ΡΠΊΠ°Π½ΠΈ
Π’ΡΠ°Π²ΠΌΡ ΡΠ»ΠΈΠ·ΠΈΡΡΠΎΠΉ ΠΎΠ±ΡΠ°Π·ΡΡΡΡΡ Π² ΡΠ΅Π·ΡΠ»ΡΡΠ°ΡΠ΅ ΡΠ»Π΅Π΄ΡΡΡΠΈΡ Π΄Π΅ΠΉΡΡΠ²ΠΈΠΉ:
- Π½Π΅ΡΠ°ΡΠ½Π½ΠΎΠ³ΠΎ ΠΏΡΠΈΠΊΡΡΠ° ΡΠ·ΡΠΊΠ° Π·ΡΠ±Π°ΠΌΠΈ;
- ΡΡΠ°Π²ΠΌ, ΠΏΡΠΈΡΠΈΠ½Π΅Π½Π½ΡΡ ΡΠ»ΠΈΡΠΊΠΎΠΌ ΠΆΠ΅ΡΡΠΊΠΎΠΉ Π·ΡΠ±Π½ΠΎΠΉ ΡΠ΅ΡΠΊΠΎΠΉ ΠΈΠ»ΠΈ ΠΎΡΡΡΡΠΌ ΠΊΡΠ°Π΅ΠΌ Π·ΡΠ±Π° ΠΈΠ»ΠΈ ΠΏΠ»ΠΎΠΌΠ±Ρ;
- ΡΠ°Π·Π΄ΡΠ°ΠΆΠ΅Π½ΠΈΡ ΡΠ·ΡΠΊΠ° Π΅Π΄ΠΊΠΈΠΌ Π»Π΅ΠΊΠ°ΡΡΡΠ²ΠΎΠΌ ΠΈΠ»ΠΈ ΠΏΠΈΡΠ΅Π²ΡΠΌ ΠΏΡΠΎΠ΄ΡΠΊΡΠΎΠΌ;
- ΠΈΡΠΏΠΎΠ»ΡΠ·ΠΎΠ²Π°Π½ΠΈΡ Π½Π΅ΠΊΠ°ΡΠ΅ΡΡΠ²Π΅Π½Π½ΠΎ ΡΠ΄Π΅Π»Π°Π½Π½ΡΡ Π·ΡΠ±Π½ΡΡ ΠΏΡΠΎΡΠ΅Π·ΠΎΠ² ΠΈΠ»ΠΈ ΡΠΈΡΡΠ΅ΠΌ ΠΈΡΠΏΡΠ°Π²Π»Π΅Π½ΠΈΡ ΠΏΡΠΈΠΊΡΡΠ°;
- ΠΏΠΎΠ²ΡΠ΅ΠΆΠ΄Π΅Π½ΠΈΡ ΡΠ·ΡΠΊΠ° ΠΈΠ½ΡΡΡΡΠΌΠ΅Π½ΡΠ°ΠΌΠΈ, ΠΊΠΎΡΠΎΡΡΠΌΠΈ ΠΏΠΎΠ»ΡΠ·ΡΠ΅ΡΡΡ ΡΡΠΎΠΌΠ°ΡΠΎΠ»ΠΎΠ³.
Π Π°Π½ΠΊΠΈ ΡΡΠ°Π²ΠΌΠ°ΡΠΈΡΠ΅ΡΠΊΠΎΠ³ΠΎ ΠΏΡΠΎΠΈΡΡ ΠΎΠΆΠ΄Π΅Π½ΠΈΡ Π½Π΅ ΡΠ°ΠΊ Π±ΠΎΠ»Π΅Π·Π½Π΅Π½Π½Ρ, ΠΊΠ°ΠΊ ΠΏΠΎΡΠ²Π»ΡΡΡΠΈΠ΅ΡΡ ΠΏΠΎ ΠΏΡΠΈΡΠΈΠ½Π΅ Π·Π°Π±ΠΎΠ»Π΅Π²Π°Π½ΠΈΠΉ ΡΠΎΡΠΎΠ²ΠΎΠΉ ΠΏΠΎΠ»ΠΎΡΡΠΈ. ΠΡΠ»ΠΈ ΡΡΡΡΠ°Π½ΠΈΡΡ ΡΡΠ°Π²ΠΌΠΈΡΡΡΡΠΈΠΉ ΡΠ°ΠΊΡΠΎΡ ΠΈ ΠΈΠ·Π±Π΅Π³Π°ΡΡ Π³ΠΎΡΡΡΠ΅ΠΉ, ΠΎΡΡΡΠΎΠΉ ΠΈ ΠΊΠΈΡΠ»ΠΎΠΉ ΠΏΠΈΡΠΈ, ΡΠΎ ΠΏΡΠΎΠ±Π»Π΅ΠΌΠ° ΠΈΡΡΠ΅Π·Π°Π΅Ρ Π΄ΠΎΡΡΠ°ΡΠΎΡΠ½ΠΎ Π±ΡΡΡΡΠΎ.
ΠΊ ΠΎΠ³Π»Π°Π²Π»Π΅Π½ΠΈΡ β
ΠΠ±ΡΠΈΠ΅ Π·Π°Π±ΠΎΠ»Π΅Π²Π°Π½ΠΈΡ
ΠΡΠΈΡΠΈΠ½Ρ ΠΏΠΎΡΠ²Π»Π΅Π½ΠΈΡ ΡΠ·Π² Π½Π° ΡΠ·ΡΠΊΠ΅ ΠΈ ΡΠ»ΠΈΠ·ΠΈΡΡΠΎΠΉ ΠΏΠΎΠ»ΠΎΡΡΠΈ ΡΡΠ° ΡΠ»Π΅Π΄ΡΡΡΠΈΠ΅:
- ΠΠ΅ΠΊΡΠΎΡΠΈΡΠ΅ΡΠΊΠΈΠΉ Π³ΠΈΠ½Π³ΠΈΠ²ΠΎΡΡΠΎΠΌΠ°ΡΠΈΡ. ΠΠΎΠ»Π΅Π·Π½Ρ ΡΠ°Π·Π²ΠΈΠ²Π°Π΅ΡΡΡ Π½Π° ΡΠΎΠ½Π΅ ΠΏΠ΅ΡΠ΅ΠΎΡ Π»Π°ΠΆΠ΄Π΅Π½ΠΈΡ, ΡΡΠΎΠΌΠ»Π΅Π½ΠΈΡ, Π°Π»Π»Π΅ΡΠ³ΠΈΡΠ΅ΡΠΊΠΈΡ ΡΡΠΎΠΌΠ°ΡΠΈΡΠΎΠ² ΠΈ Π²ΠΈΡΡΡΠ½ΡΡ ΠΈΠ½ΡΠ΅ΠΊΡΠΈΠΉ. ΠΡΠΎΠΌΠ΅ ΠΏΠΎΡΠ²Π»Π΅Π½ΠΈΡ ΡΠ°Π½ΠΎΠΊ, Π΄Π»Ρ Π½Π΅Π³ΠΎ Ρ Π°ΡΠ°ΠΊΡΠ΅ΡΠ΅Π½ Π½Π΅ΠΏΡΠΈΡΡΠ½ΡΠΉ ΡΠ΅Π·ΠΊΠΈΠΉ Π·Π°ΠΏΠ°Ρ ΠΈΠ·ΠΎ ΡΡΠ°, Π²ΡΡΠΎΠΊΠ°Ρ ΡΠ΅ΠΌΠΏΠ΅ΡΠ°ΡΡΡΠ°, ΠΎΠ±ΠΈΠ»ΡΠ½ΠΎΠ΅ ΡΠ»ΡΠ½ΠΎΠΎΡΠ΄Π΅Π»Π΅Π½ΠΈΠ΅, ΡΠ΅ΡΠΎ-ΠΆΠ΅Π»ΡΡΠΉ Π½Π°Π»Π΅Ρ Π½Π° Π΄Π΅ΡΠ½Π°Ρ . ΠΠ°ΡΡΠ²Ρ ΠΊΡΠΎΠ²ΠΎΡΠΎΡΠ°Ρ, ΠΎΡΠ»ΠΈΡΠ°ΡΡΡΡ Π½Π΅ΡΠΎΠ²Π½ΡΠΌΠΈ ΠΊΡΠ°ΡΠΌΠΈ ΠΈ Π·Π΅Π»Π΅Π½ΠΎΠ²Π°ΡΡΠΌ ΠΎΡΡΠ΅Π½ΠΊΠΎΠΌ.
- Π’ΡΠ±Π΅ΡΠΊΡΠ»Π΅Π· Π»Π΅Π³ΠΊΠΈΡ . ΠΠ½ ΡΠ°ΡΡΠΎ ΡΠΎΠΏΡΠΎΠ²ΠΎΠΆΠ΄Π°Π΅ΡΡΡ ΡΡΠ±Π΅ΡΠΊΡΠ»Π΅Π·ΠΎΠΌ ΡΠΎΡΠΎΠ²ΠΎΠΉ ΠΏΠΎΠ»ΠΎΡΡΠΈ, Π½Π΅Π΄ΠΎΠΌΠΎΠ³Π°Π½ΠΈΠ΅ΠΌ ΠΈ ΠΏΠΎΠ²ΡΡΠ΅Π½Π½ΠΎΠΉ ΡΠ΅ΠΌΠΏΠ΅ΡΠ°ΡΡΡΠΎΠΉ. Π―Π·Π²Ρ ΠΏΡΠΈ ΡΠ°ΠΊΠΎΠΌ Π·Π°Π±ΠΎΠ»Π΅Π²Π°Π½ΠΈΠΈ Π½Π΅ Π³Π»ΡΠ±ΠΎΠΊΠΈΠ΅, ΡΡΡ Π»ΡΠ΅, ΠΊΡΠΎΠ²ΠΎΡΠΎΡΠ°ΡΠΈΠ΅, Ρ Π½Π΅ΡΠΎΠ²Π½ΡΠΌΠΈ ΠΊΡΠ°ΡΠΌΠΈ.
- Π‘ΠΈΡΠΈΠ»ΠΈΡ. ΠΠ°Π½Π½ΠΎΠ΅ ΠΈΠ½ΡΠ΅ΠΊΡΠΈΠΎΠ½Π½ΠΎΠ΅ Π·Π°Π±ΠΎΠ»Π΅Π²Π°Π½ΠΈΠ΅ ΠΏΡΠΎΡΠ΅ΠΊΠ°Π΅Ρ Ρ ΠΎΠ±ΡΠ°Π·ΠΎΠ²Π°Π½ΠΈΠ΅ΠΌ ΡΠ·Π², ΠΊΠΎΡΠΎΡΡΠ΅ ΠΏΠΎΡΠ°ΠΆΠ°ΡΡ ΡΠ΅ΠΊΠΈ, Π³ΡΠ±Ρ, Π½Π΅Π±ΠΎ ΠΈ ΡΠ·ΡΠΊ. ΠΠ°ΠΆΠΈΠ²Π»Π΅Π½ΠΈΠ΅ ΡΠ°Π½ΠΎΠΊ ΠΏΡΠΎΠΈΡΡ ΠΎΠ΄ΠΈΡ Ρ ΠΎΠ±ΡΠ°Π·ΠΎΠ²Π°Π½ΠΈΠ΅ΠΌ ΡΡΠ±ΡΠΎΠ²-Π·Π²Π΅Π·Π΄ΠΎΡΠ΅ΠΊ ΠΈ ΡΡΠ½Π΅ΡΡΡ 3-4 ΠΌΠ΅ΡΡΡΠ°.
- ΠΠΠ§. 30 % Π±ΠΎΠ»ΡΠ½ΡΡ ΠΈΠΌΠ΅ΡΡ Π³Π½ΠΎΠΉΠ½ΠΈΠΊΠΈ Π½Π° Π΄Π΅ΡΠ½Π°Ρ , Π½ΠΎ ΠΈΠ½ΠΎΠ³Π΄Π° ΠΎΠ½ΠΈ ΠΏΠΎΡΠ°ΠΆΠ°ΡΡ ΡΠ·ΡΠΊ, Π³ΡΠ±Ρ, ΡΠ΅ΠΊΠΈ ΠΈ Π½Π΅Π±ΠΎ.
ΠΊ ΠΎΠ³Π»Π°Π²Π»Π΅Π½ΠΈΡ β
ΠΠ΅ΡΠ΅Π½ΠΈΠ΅ ΡΠ·Π² Π½Π° ΡΠ·ΡΠΊΠ΅
ΠΠ΅ΡΠΎΠ΄Ρ ΡΡΡΡΠ°Π½Π΅Π½ΠΈΡ ΠΏΡΠΎΠ±Π»Π΅ΠΌΡ Π·Π°Π²ΠΈΡΡΡ ΠΎΡ ΠΏΡΠ°Π²ΠΈΠ»ΡΠ½ΠΎ ΠΏΠΎΡΡΠ°Π²Π»Π΅Π½Π½ΠΎΠ³ΠΎ Π΄ΠΈΠ°Π³Π½ΠΎΠ·Π°. Π Π·Π°Π²ΠΈΡΠΈΠΌΠΎΡΡΠΈ ΠΎΡ Π½Π΅Π³ΠΎ ΠΏΡΠΈΠΌΠ΅Π½ΡΡΡΡΡ Π½Π΅ΠΎΠ±Ρ ΠΎΠ΄ΠΈΠΌΡΠ΅ Π²Π½ΡΡΡΠ΅Π½Π½ΠΈΠ΅ ΠΏΡΠ΅ΠΏΠ°ΡΠ°ΡΡ ΠΈ Π½Π°ΡΡΠΆΠ½ΡΠ΅ ΡΡΠ΅Π΄ΡΡΠ²Π°.
ΠΠ΅ΡΡΠ½ΠΎΠ΅ Π»Π΅ΡΠ΅Π½ΠΈΠ΅, ΠΊΠΎΡΠΎΡΠΎΠ΅ ΡΠ½ΠΈΠΌΠ°Π΅Ρ Π²ΠΎΡΠΏΠ°Π»Π΅Π½ΠΈΠ΅, Π±ΠΎΠ»Ρ ΠΈ ΡΡΠΈΠΌΡΠ»ΠΈΡΡΠ΅Ρ Π²ΠΎΡΡΡΠ°Π½ΠΎΠ²Π»Π΅Π½ΠΈΠ΅ ΡΠΊΠ°Π½Π΅ΠΉ, ΡΠ²Π»ΡΠ΅ΡΡΡ ΠΎΠ΄ΠΈΠ½Π°ΠΊΠΎΠ²ΡΠΌ Π΄Π»Ρ Π²ΡΠ΅Ρ ΡΠ»ΡΡΠ°Π΅Π².
ΠΠ±ΡΠ°ΡΠΈΡΠ΅ Π²Π½ΠΈΠΌΠ°Π½ΠΈΠ΅! ΠΠ±ΡΠΈΠ΅ ΠΏΡΠΈΠ΅ΠΌΡ Π»Π΅ΡΠ΅Π½ΠΈΡ Π²ΡΠ΅Ρ Π²ΠΈΠ΄ΠΎΠ² ΡΡΠΎΠΌΠ°ΡΠΈΡΠ° Π²ΠΊΠ»ΡΡΠ°ΡΡ ΠΎΠ±ΡΠ°Π±ΠΎΡΠΊΡ ΡΠ»ΠΈΠ·ΠΈΡΡΠΎΠΉ Π°Π½ΡΠΈΠ±Π°ΠΊΡΠ΅ΡΠΈΠ°Π»ΡΠ½ΡΠΌΠΈ ΠΈ Π°Π½ΡΠΈΡΠ΅ΠΏΡΠΈΡΠ΅ΡΠΊΠΈΠΌΠΈ ΠΏΡΠ΅ΠΏΠ°ΡΠ°ΡΠ°ΠΌΠΈ. ΠΠ°Π·Π½Π°ΡΠ°Π΅ΡΡΡ ΠΏΡΠΈΠ΅ΠΌ Π²ΠΈΡΠ°ΠΌΠΈΠ½Π½ΡΡ ΠΊΠΎΠΌΠΏΠ»Π΅ΠΊΡΠΎΠ², ΠΊΠΎΡΠΎΡΡΠ΅ ΠΏΠΎΠΌΠΎΠ³Π°ΡΡ ΠΏΠΎΠ΄Π½ΡΡΡ ΠΈΠΌΠΌΡΠ½ΠΈΡΠ΅Ρ ΠΈ Π²ΠΎΡΡΡΠ°Π½ΠΎΠ²ΠΈΡΡ ΠΏΠΎΠ²ΡΠ΅ΠΆΠ΄Π΅Π½Π½ΡΠ΅ ΡΠΊΠ°Π½ΠΈ. ΠΡΠΈ ΡΠΈΠ»ΡΠ½ΡΡ Π±ΠΎΠ»ΡΡ ΠΏΡΠΈΠΌΠ΅Π½ΡΡΡΡΡ ΠΌΠ΅ΡΡΠ½ΡΠ΅ ΠΎΠ±Π΅Π·Π±ΠΎΠ»ΠΈΠ²Π°ΡΡΠΈΠ΅ ΡΡΠ΅Π΄ΡΡΠ²Π°.
ΠΠ΅Π±ΠΎΠ»ΡΡΠΈΠ΅ ΡΠ°Π½ΠΊΠΈ ΡΡΠ°Π²ΠΌΠ°ΡΠΈΡΠ΅ΡΠΊΠΎΠ³ΠΎ ΠΏΡΠΎΠΈΡΡ ΠΎΠΆΠ΄Π΅Π½ΠΈΡ, ΠΊΠΎΡΠΎΡΡΠ΅ Π½Π΅ Π²ΡΠ·ΡΠ²Π°ΡΡ ΡΠΈΠ»ΡΠ½ΡΡ Π±ΠΎΠ»Π΅ΠΉ, ΠΎΠ±ΡΡΠ½ΠΎ Π·Π°ΠΆΠΈΠ²Π°ΡΡ Π±Π΅Π· ΠΏΠΎΡΡΠΎΡΠΎΠ½Π½Π΅ΠΉ ΠΏΠΎΠΌΠΎΡΠΈ.
ΠΠ»Ρ ΠΎΠ±ΡΠ°Π±ΠΎΡΠΊΠΈ ΡΠ°Π½ΠΎΠΊ ΡΠ»ΠΈΠ·ΠΈΡΡΠΎΠΉ ΡΠ·ΡΠΊΠ° ΠΈΡΠΏΠΎΠ»ΡΠ·ΡΡΡΡΡ ΡΠ»Π΅Π΄ΡΡΡΠΈΠ΅ ΡΡΠ΅Π΄ΡΡΠ²Π°:
- ΠΠ΅ΡΠ΅ΠΊΠΈΡΡ Π²ΠΎΠ΄ΠΎΡΠΎΠ΄Π°. ΠΡ ΠΎΠ±ΡΠ°Π±Π°ΡΡΠ²Π°ΡΡ Π½Π°ΡΡΠ²Ρ Π½Π΅ΡΠΊΠΎΠ»ΡΠΊΠΎ ΡΠ°Π· Π² ΡΠ΅ΡΠ΅Π½ΠΈΠ΅ Π΄Π½Ρ.
- ΠΠ΅Π»Π΅Π½ΠΊΠ°. ΠΡΠ·ΡΠ²Π°Π΅Ρ Π½Π΅Π·Π½Π°ΡΠΈΡΠ΅Π»ΡΠ½ΡΠ΅ Π±ΠΎΠ»Π΅Π·Π½Π΅Π½Π½ΡΠ΅ ΠΎΡΡΡΠ΅Π½ΠΈΡ, Π½ΠΎ ΡΠ»Π°Π²ΠΈΡΡΡ ΠΏΡΠ΅ΠΊΡΠ°ΡΠ½ΡΠΌ Π°Π½ΡΠΈΡΠ΅ΠΏΡΠΈΡΠ΅ΡΠΊΠΈΠΌ Π΄Π΅ΠΉΡΡΠ²ΠΈΠ΅ΠΌ.
- ΠΠ΅ΠΊΡΠΎΠΌΠ΅ΡΠ°Π·ΠΎΠ½ Π² Π²ΠΈΠ΄Π΅ Π³Π΅Π»Ρ ΠΈΠ»ΠΈ ΠΌΠ°Π·ΠΈ.
- ΠΠ΅Π»ΠΈ Ρ Π»ΠΈΠ΄ΠΎΠΊΠ°ΠΈΠ½ΠΎΠΌ.
- Π₯ΠΎΠ»Π΅ΡΠ°Π».
- Π Π°ΡΡΠ²ΠΎΡ ΠΏΠΈΡΠ΅Π²ΠΎΠΉ ΡΠΎΠ΄Ρ.
- Π Π°ΡΡΠ²ΠΎΡ Ρ Π»ΠΎΡΠ³Π΅ΠΊΡΠΈΠ΄ΠΈΠ½Π°, ΠΏΡΠΈΠ³ΠΎΡΠΎΠ²Π»Π΅Π½Π½ΡΠΉ Π΄Π»Ρ ΠΏΠΎΠ»ΠΎΡΠΊΠ°Π½ΠΈΠΉ.
- Π Π°Π·Π²Π΅Π΄Π΅Π½Π½ΡΠΉ Π² Π²ΠΎΠ΄Π΅ ΡΡΡΠ°ΡΠΈΠ»ΠΈΠ½.
Π Π΄ΠΎΠΌΠ°ΡΠ½ΠΈΡ ΡΡΠ»ΠΎΠ²ΠΈΡΡ Π»Π΅ΡΠΈΡΡ ΡΠ·Π²Ρ Π½Π° ΡΠ·ΡΠΊΠ΅ ΠΏΠΎΠΌΠΎΠ³Π°ΡΡ ΠΎΡΠ²Π°ΡΡ ΡΡΠ°Π². ΠΠ½ΡΠΈΡΠ΅ΠΏΡΠΈΡΠ΅ΡΠΊΠΈΠ΅ ΠΈ Π·Π°ΠΆΠΈΠ²Π»ΡΡΡΠΈΠ΅ ΡΠ²ΠΎΠΉΡΡΠ²Π° ΠΏΡΠΈΡΡΡΠΈ ΡΠ°ΠΊΠΈΠΌ ΡΠ°ΡΡΠ΅Π½ΠΈΡΠΌ:
- ΠΊΠ°Π»Π΅Π½Π΄ΡΠ»Π΅ ΠΈ Π°ΠΏΡΠ΅ΡΠ½ΠΎΠΉ ΡΠΎΠΌΠ°ΡΠΊΠ΅;
- ΠΊΠΎΡΠ΅ Π΄ΡΠ±Π° ΠΈ Π·Π²Π΅ΡΠΎΠ±ΠΎΡ;
- ΡΠ°Π»ΡΠ΅Ρ ΠΈ ΡΠ°Π±ΡΠ΅ΡΡ.
ΠΠ°ΠΊ ΡΠΎΠ»ΡΠΊΠΎ Π²Π°ΠΌ ΡΡΠ°Π½Π΅Ρ ΠΈΠ·Π²Π΅ΡΡΠ½Π° ΠΏΡΠΈΡΠΈΠ½Π° ΠΎΠ±ΡΠ°Π·ΠΎΠ²Π°Π½ΠΈΡ ΡΠ·Π² Π½Π° ΡΠ·ΡΠΊΠ΅, Π½Π΅ΠΌΠ΅Π΄Π»Π΅Π½Π½ΠΎ ΠΏΡΠΈΡΡΡΠΏΠ°ΠΉΡΠ΅ ΠΊ Π»Π΅ΡΠ΅Π½ΠΈΡ. Π ΡΠ°ΠΊΠΎΠΌ ΡΠ»ΡΡΠ°Π΅ Π·Π°ΠΆΠΈΠ²Π»Π΅Π½ΠΈΠ΅ ΡΠ°Π½ΠΎΠΊ ΠΏΡΠΎΠΈΠ·ΠΎΠΉΠ΄Π΅Ρ Π±ΡΡΡΡΠ΅Π΅, ΠΈ Π½Π΅ Π±ΡΠ΄Π΅Ρ ΡΠΎΠΏΡΠΎΠ²ΠΎΠΆΠ΄Π°ΡΡΡΡ ΠΎΡΠ»ΠΎΠΆΠ½Π΅Π½ΠΈΡΠΌΠΈ. ΠΠΎΠ»Π΅ΠΉΡΠ΅, ΠΊΠ°ΠΊ ΠΌΠΎΠΆΠ½ΠΎ ΠΌΠ΅Π½ΡΡΠ΅!
3ladies.su
Π‘ΡΠΎΠΌΠ°ΡΠΈΡ
ΠΠ°Π±ΠΎΠ»Π΅Π²Π°Π½ΠΈΠ΅ Π½Π°ΠΈΠ±ΠΎΠ»Π΅Π΅ ΡΠ°ΡΡΠΎ Π²ΡΡΡΠ΅ΡΠ°Π΅ΡΡΡ Ρ Π΄Π΅ΡΠ΅ΠΉ, Π½ΠΎ ΠΎΠ½ΠΎ ΡΠΏΠΎΡΠΎΠ±Π½ΠΎ ΠΏΠΎΡΠ°ΠΆΠ°ΡΡ ΠΈ Π²Π·ΡΠΎΡΠ»ΡΡ . ΠΡΠΈ ΡΡΠΎΠΌΠ°ΡΠΈΡΠ΅ ΠΏΡΠΎΠΈΡΡ ΠΎΠ΄ΠΈΡ ΠΏΠΎΡΠ°ΠΆΠ΅Π½ΠΈΠ΅ ΡΠ·Π²Π°ΠΌΠΈ, ΠΊΠ°ΠΊ ΡΠ·ΡΠΊΠ°, ΡΠ°ΠΊ Π΄Π΅ΡΠ΅Π½ ΠΈ Π²ΡΠ΅ΠΉ ΡΠ»ΠΈΠ·ΠΈΡΡΠΎΠΉ ΡΡΠ°. Π‘ΡΠΎΠΌΠ°ΡΠΈΡΡ Π±ΡΠ²Π°ΡΡ Π½Π΅ΡΠΊΠΎΠ»ΡΠΊΠΈΡ Π²ΠΈΠ΄ΠΎΠ²: Π°ΡΡΠΎΠ·Π½ΡΠ΅, Π±Π°ΠΊΡΠ΅ΡΠΈΠ°Π»ΡΠ½ΡΠ΅, ΠΊΠ°Π½Π΄ΠΈΠ΄ΠΎΠ·Π½ΡΠ΅, ΠΈΠ½ΡΠ΅ΠΊΡΠΈΠΎΠ½Π½ΡΠ΅, Π³Π΅ΡΠΏΠ΅ΡΠΈΡΠ΅ΡΠΊΠΈΠ΅, ΡΠ·Π²Π΅Π½Π½ΡΠ΅, ΡΡΠ°Π²ΠΌΠ°ΡΠΈΡΠ΅ΡΠΊΠΈΠ΅, Π°Π»Π»Π΅ΡΠ³ΠΈΡΠ΅ΡΠΊΠΈΠ΅.
Π‘ΡΠΎΠΌΠ°ΡΠΈΡ Π²ΠΎΠ·Π½ΠΈΠΊΠ°Π΅Ρ ΠΏΠΎ ΡΡΠ΄Ρ ΠΏΡΠΈΡΠΈΠ½, ΡΡΠ΅Π΄ΠΈ ΠΊΠΎΡΠΎΡΡΡ :
- Π²ΠΈΡΡΡΠ½Π°Ρ ΠΏΡΠΈΡΠΎΠ΄Π° ΠΏΠ°ΡΠΎΠ»ΠΎΠ³ΠΈΠΈ;
- ΠΏΠΎΡΠ°ΠΆΠ΅Π½ΠΈΠ΅ Π±Π°ΠΊΡΠ΅ΡΠΈΡΠΌΠΈ, ΠΏΡΠΎΠ±Π»Π΅ΠΌΡ Ρ ΠΈΠΌΠΌΡΠ½ΠΈΡΠ΅ΡΠΎΠΌ;
- Π»Π΅ΡΠ΅Π½ΠΈΠ΅ Π·Π°Π±ΠΎΠ»Π΅Π²Π°Π½ΠΈΠΉ Ρ ΠΏΡΠΈΠΌΠ΅Π½Π΅Π½ΠΈΠ΅ΠΌ ΡΠ°Π΄ΠΈΠ°ΡΠΈΠΎΠ½Π½ΠΎΠΉ ΡΠ΅ΡΠ°ΠΏΠΈΠΈ;
- Π°Π»Π»Π΅ΡΠ³ΠΈΡΠ΅ΡΠΊΠΈΠ΅ ΡΠ΅Π°ΠΊΡΠΈΠΈ ΠΎΡΠ³Π°Π½ΠΈΠ·ΠΌΠ°;
- Π·Π°Π±ΠΎΠ»Π΅Π²Π°Π½ΠΈΠ΅ Π²Π½ΡΡΡΠ΅Π½Π½ΠΈΡ ΠΎΡΠ³Π°Π½ΠΎΠ²;
- ΠΏΡΠΈΠΊΡΡΡΠ²Π°Π½ΠΈΠ΅ ΡΠ·ΡΠΊΠ° ΠΏΡΠΎΡΠ΅Π·Π°ΠΌΠΈ ΠΈΠ»ΠΈ ΡΠΊΠΎΠ»Π°ΠΌΠΈ Π·ΡΠ±ΠΎΠ²;
- ΡΡΠ°Π²ΠΌΡ ΡΠ·ΡΠΊΠ°, ΠΏΠΎΠ»ΡΡΠ΅Π½Π½ΡΠ΅ ΠΎΡ Ρ ΠΈΠΌΠΈΡΠ΅ΡΠΊΠΎΠ³ΠΎ, Π»ΡΡΠ΅Π²ΠΎΠ³ΠΎ ΠΈΠ»ΠΈ ΡΠ΅ΡΠΌΠΈΡΠ΅ΡΠΊΠΎΠ³ΠΎ Π²ΠΎΠ·Π΄Π΅ΠΉΡΡΠ²ΠΈΡ;
- ΠΏΡΠΈ ΡΡΠΎΠΌΠ°ΡΠΎΠ»ΠΎΠ³ΠΈΡΠ΅ΡΠΊΠΈΡ ΠΏΡΠΎΡΠ΅Π΄ΡΡΠ°Ρ ;
- ΠΏΡΠΎΠ±Π»Π΅ΠΌΡ Ρ ΠΎΠ±ΠΌΠ΅Π½ΠΎΠ² Π²Π΅ΡΠ΅ΡΡΠ²;
- ΠΎΡΡΡΡΡΡΠ²ΠΈΠ΅ Π»ΠΈΡΠ½ΠΎΠΉ Π³ΠΈΠ³ΠΈΠ΅Π½Ρ.
ΠΠΎΠ»Π΅Π·Π½Ρ ΠΏΡΠΎΡΠ²Π»ΡΠ΅ΡΡΡ ΠΏΠΎΡΠ²Π»Π΅Π½ΠΈΠ΅ΠΌ Π½Π΅Π±ΠΎΠ»ΡΡΠΈΡ ΡΠ·Π²ΠΎΡΠ΅ΠΊ Ρ Π±Π΅Π»ΡΠΌ Π½Π°Π»Π΅ΡΠΎΠΌ Π² ΠΎΠ±Π»Π°ΡΡΠΈ ΡΡΠ°. ΠΠ½ΠΈ ΠΈΠΌΠ΅ΡΡ Π±Π΅Π»ΡΠΉ Π½Π°Π»Π΅Ρ. ΠΡΠ΅ ΡΡΠΈ ΡΠ²Π»Π΅Π½ΠΈΡ ΡΠΎΠΏΡΠΎΠ²ΠΎΠΆΠ΄Π°ΡΡΡΡ Π±ΠΎΠ»ΡΡ, ΡΡΠ²ΡΡΠ²ΡΠ΅ΡΡΡ ΡΠΈΠ»ΡΠ½ΠΎΠ΅ ΠΆΠΆΠ΅Π½ΠΈΠ΅. ΠΡΠ»ΠΈ Π±Π΅Π»Π°Ρ ΡΠ·Π²ΠΎΡΠΊΠ° ΡΠ°ΡΠΏΠΎΠ»ΠΎΠΆΠ΅Π½Π° ΠΏΠΎΠ΄ ΡΠ·ΡΠΊΠΎΠΌ, ΡΠΎ Π·Π°ΡΡΡΠ΄Π½Π΅Π½ ΡΠ°Π·Π³ΠΎΠ²ΠΎΡ, ΠΈ ΡΡΠ²ΡΡΠ²ΡΠ΅ΡΡΡ Π΄ΠΈΡΠΊΠΎΠΌΡΠΎΡΡ Π² ΠΎΠ±Π»Π°ΡΡΠΈ ΡΡΠ°.
ΠΡΠΈ ΠΏΠΎΡΠ°ΠΆΠ΅Π½ΠΈΠΈ ΡΠ·ΡΠΊΠ° ΡΠ±ΠΎΠΊΡ Π·Π°ΡΡΡΠ΄Π½ΡΡΡΡΡ ΠΆΠ΅Π²Π°ΡΠ΅Π»ΡΠ½ΡΠ΅ ΡΡΠ½ΠΊΡΠΈΠΈ.
Π‘ΡΠ΅Π΄ΠΈ ΠΎΠ±ΡΠΈΡ ΡΠΈΠΌΠΏΡΠΎΠΌΠΎΠ² Π²ΡΠ΄Π΅Π»ΡΡΡ ΡΠ»Π΅Π΄ΡΡΡΠΈΠ΅:
- Π²ΠΎΠ·Π½ΠΈΠΊΠ°Π΅Ρ ΡΠ»Π°Π±ΠΎΡΡΡ;
- ΠΎΡΡΡΡΡΡΠ²ΡΠ΅Ρ Π°ΠΏΠΏΠ΅ΡΠΈΡ;
- ΡΠ΅ΠΌΠΏΠ΅ΡΠ°ΡΡΡΠ° ΠΏΡΠ΅Π²ΡΡΠ°Π΅Ρ 38 Β°Π‘.
ΠΠ»Π°Π³ΠΎΠ΄Π°ΡΡ ΡΠ²ΠΎΠΉΡΡΠ²Ρ ΡΠ»ΠΈΠ·ΠΈΡΡΠΎΠΉ ΠΎΠ±ΠΎΠ»ΠΎΡΠΊΠΈ Π²ΡΠ΅ ΠΏΠΎΡΠ²ΠΈΠ²ΡΠΈΠ΅ΡΡ Π±ΠΎΠ»ΡΡΠΊΠΈ Π±ΡΡΡΡΠΎ Π·Π°ΠΆΠΈΠ²Π°ΡΡ.
Π’ΡΠ°Π²ΠΌΡ
Π‘ΡΠ΅Π΄ΠΈ ΡΡΠ°Π²ΠΌΠ°ΡΠΈΡΠ΅ΡΠΊΠΈΡ ΠΏΠΎΡΠ°ΠΆΠ΅Π½ΠΈΠΉ ΡΠ·ΡΠΊΠ° ΠΎΡΠΌΠ΅ΡΠ°ΡΡ:
- ΠΠ΅Ρ Π°Π½ΠΈΡΠ΅ΡΠΊΠΈΠ΅, Π²ΠΎΠ·Π½ΠΈΠΊΠ°ΡΡΠΈΠ΅ ΠΎΡ ΡΠ΄Π°ΡΠ°, ΠΏΡΠΈΠΊΡΡΡΠ²Π°Π½ΠΈΡ, ΠΏΠΎΠ²ΡΠ΅ΠΆΠ΄Π΅Π½ΠΈΡ ΠΎΡΡΡΡΠΌΠΈ ΠΏΡΠ΅Π΄ΠΌΠ΅ΡΠ°ΠΌΠΈ, ΡΠΈΠΏΠ° Π½ΠΎΠΆΠ° ΠΈΠ»ΠΈ Π²ΠΈΠ»ΠΊΠΈ. Π ΡΠ΅Π·ΡΠ»ΡΡΠ°ΡΠ΅ ΠΏΠΎΡΠ²Π»ΡΡΡΡΡ ΡΠ·Π²Ρ ΠΈΠ»ΠΈ ΠΏΠΎΠ²Π΅ΡΡ Π½ΠΎΡΡΠ½Π°Ρ ΡΡΠΎΠ·ΠΈΡ.
- Π€ΠΈΠ·ΠΈΡΠ΅ΡΠΊΠΈΠ΅ ΡΡΠ°Π²ΠΌΡ ΠΎΠ±ΡΠ°Π·ΡΡΡΡΡ ΠΎΡ Π³ΠΎΡΡΡΠ΅Π³ΠΎ, ΡΠ»Π΅ΠΊΡΡΠΈΡΠ΅ΡΠΊΠΎΠ³ΠΎ ΡΠΎΠΊΠ° ΠΈΠ»ΠΈ ΠΎΠ³Π½Ρ. ΠΠΎΡΠ²Π»ΡΠ΅ΡΡΡ ΡΠΈΠ»ΡΠ½Π°Ρ Π±ΠΎΠ»Ρ, ΠΏΠΎΡΠ²Π»ΡΠ΅ΡΡΡ ΠΎΡΠ΅ΡΠ½ΠΎΡΡΡ. Π Π΄Π°Π»ΡΠ½Π΅ΠΉΡΠ΅ΠΌ Π²ΠΎΠ·ΠΌΠΎΠΆΠ½ΠΎ ΡΠ°Π·Π²ΠΈΡΠΈΠ΅ Π°Π±ΡΡΠ΅ΡΡΠΎΠ² ΠΈΠ»ΠΈ ΡΠ»Π΅Π³ΠΌΠΎΠ½.
- Π₯ΠΈΠΌΠΈΡΠ΅ΡΠΊΠΈΠ΅ ΡΡΠ°Π²ΠΌΡ ΡΠ²Π»ΡΡΡΡΡ ΡΠ΅Π·ΡΠ»ΡΡΠ°ΡΠΎΠΌ Π²ΠΎΠ·Π΄Π΅ΠΉΡΡΠ²ΠΈΡ ΡΠ΄ΠΎΠ²ΠΈΡΡΡ Ρ ΠΈΠΌΠΈΡΠ΅ΡΠΊΠΈΡ ΠΏΡΠ΅ΠΏΠ°ΡΠ°ΡΠΎΠ². ΠΠ±ΡΠ°Π·ΡΡΡΡΡ ΡΠ·Π²Ρ ΠΈ ΠΏΡΠ·ΡΡΠΈ, ΠΊΠΎΡΠΎΡΡΠ΅ ΡΠΎ Π²ΡΠ΅ΠΌΠ΅Π½Π΅ΠΌ ΡΡΠ±ΡΡΡΡΡΡ. ΠΡΠΎ ΠΌΠΎΠΆΠ΅Ρ ΡΡΠ°ΡΡ ΠΏΡΠΈΡΠΈΠ½ΠΎΠΉ ΠΏΠ»ΠΎΡ ΠΎΠΉ Π΄ΠΈΠΊΡΠΈΠΈ.
ΠΠΈΡΡΡ
ΠΠ°Π±ΠΎΠ»Π΅Π²Π°Π½ΠΈΠ΅ Π²ΡΡΡΠ΅ΡΠ°Π΅ΡΡΡ Π½Π΅ ΠΎΡΠ΅Π½Ρ ΡΠ°ΡΡΠΎ. ΠΡΠ»ΠΈ ΠΏΠΎΡΠ°ΠΆΠ°Π΅ΡΡΡ ΠΏΠΎΠ΄Π½ΠΈΠΆΠ½Π΅ΡΠ΅Π»ΡΡΡΠ½ΠΎΠΉ ΠΏΡΠΎΡΠΎΠΊ ΠΆΠ΅Π»Π΅Π·Ρ, ΡΠΎ ΡΡΠΎ ΡΠ²Π»ΡΠ΅ΡΡΡ ΠΏΡΠΈΡΠΈΠ½ΠΎΠΉ Π²ΠΎΠ·Π½ΠΈΠΊΠ½ΠΎΠ²Π΅Π½ΠΈΡ Π²ΡΠΎΠΆΠ΄Π΅Π½Π½ΠΎΠΉ ΠΊΠΈΡΡΡ. ΠΡΠΈΡΠΈΠ½ΠΎΠΉ ΠΏΠΎΡΠ²Π»Π΅Π½ΠΈΡ ΠΏΡΠΈΠΎΠ±ΡΠ΅ΡΠ΅Π½Π½ΠΎΠΉ ΠΊΠΈΡΡΡ ΡΠ²Π»ΡΡΡΡΡ ΡΡΠ°Π²ΠΌΡ ΠΈΠ»ΠΈ Π²ΠΎΡΠΏΠ°Π»Π΅Π½ΠΈΡ ΡΠ·ΡΠΊΠ°. ΠΠΈΡΡΠ° ΠΏΡΠ΅Π΄ΡΡΠ°Π²Π»ΡΠ΅Ρ ΡΠΎΠ±ΠΎΠΉ ΠΎΠ±ΡΠ°Π·ΠΎΠ²Π°Π½ΠΈΠ΅ Π² Π²ΠΈΠ΄Π΅ ΠΊΡΡΠ³Π° ΠΈΠ»ΠΈ ΠΎΠ²Π°Π»Π°. ΠΠ΅ ΡΠ°Π·ΠΌΠ΅ΡΡ Π½Π΅ ΠΌΠ΅Π½ΡΡΠ΅ 3 ΠΌΠΌ. ΠΠ° ΠΎΡΡΠΏΡ ΠΎΠ½Π° ΠΌΡΠ³ΠΊΠ°Ρ ΠΈ Π±Π΅Π·Π±ΠΎΠ»Π΅Π·Π½Π΅Π½Π½Π°Ρ.
ΠΡΠΎΠ±ΡΠ΅ Π½Π΅ΠΏΡΠΈΡΡΠ½ΠΎΡΡΠΈ ΠΊΠΈΡΡΡ Π΄ΠΎΡΡΠ°Π²Π»ΡΡΡ ΠΌΠ°Π»ΡΡΠ°ΠΌ. ΠΠΌ ΡΡΡΠ΄Π½ΠΎ ΡΠΎΡΠ°ΡΡ ΠΈ Π³Π»ΠΎΡΠ°ΡΡ, Π·Π°ΡΡΡΠ΄Π½Π΅Π½ΠΎ Π΄ΡΡ Π°Π½ΠΈΠ΅. ΠΠ΅ΡΡΠΌ ΡΡΠ°ΡΡΠ΅Π³ΠΎ Π²ΠΎΠ·ΡΠ°ΡΡΠ° ΠΊΠΈΡΡΡ Π΄ΠΎΡΡΠ°Π²Π»ΡΡΡ Π΄ΠΈΡΠΊΠΎΠΌΡΠΎΡΡ ΠΏΡΠΈ ΡΠ°Π·Π³ΠΎΠ²ΠΎΡΠ΅, ΡΠ°ΠΊ ΠΊΠ°ΠΊ ΠΏΡΠΎΠΈΡΡ ΠΎΠ΄ΠΈΡ Π½Π°ΡΡΡΠ΅Π½ΠΈΠ΅ ΡΠ΅ΡΠΈ.
Π’ΡΠ±Π΅ΡΠΊΡΠ»Π΅Π·
ΠΠ°Π±ΠΎΠ»Π΅Π²Π°Π½ΠΈΠ΅ ΡΠ΅Π΄ΠΊΠΎΠ΅, ΠΈΠΌ Π·Π°Π±ΠΎΠ»Π΅Π²Π°ΡΡ Π»ΡΠ΄ΠΈ Ρ ΠΎΡΠ»Π°Π±Π»Π΅Π½Π½ΡΠΌ ΠΈΠΌΠΌΡΠ½ΠΈΡΠ΅ΡΠΎΠΌ. ΠΠ°ΡΠ°Π·ΠΈΡΡΡΡ ΡΡΠ±Π΅ΡΠΊΡΠ»Π΅Π·ΠΎΠΌ ΠΌΠΎΠΆΠ½ΠΎ ΠΊΠΎΠ½ΡΠ°ΠΊΡΠΈΡΡΡ Ρ ΠΏΠΎΡΡΠ΄ΠΎΠΉ Π±ΠΎΠ»ΡΠ½ΠΎΠ³ΠΎ ΠΈΠ»ΠΈ ΡΠ΅ΡΠ΅Π· ΠΏΠΎΡΠ΅Π»ΡΠΈ. ΠΠΎΠ·ΠΌΠΎΠΆΠ½ΠΎ Π·Π°ΡΠ°ΠΆΠ΅Π½ΠΈΠ΅ ΡΡΠ±Π΅ΡΠΊΡΠ»Π΅Π·ΠΎΠΌ ΡΠ·ΡΠΊΠ° ΠΎΡ Π²ΡΡΠ²Π»Π΅Π½Π½ΠΎΠ³ΠΎ Ρ Π±ΠΎΠ»ΡΠ½ΠΎΠ³ΠΎ ΡΡΠ±Π΅ΡΠΊΡΠ»Π΅Π·Π° Π»Π΅Π³ΠΊΠΈΡ .
ΠΠΎΡΠ²Π»ΡΡΡΡΡ ΡΠ·Π²Ρ ΠΎΠΊΡΡΠ³Π»ΠΎΠΉ ΡΠΎΡΠΌΡ. ΠΠ° Π΄Π½Π΅ ΡΠ°Π½ΠΊΠΈ ΠΈΠΌΠ΅ΡΡΡΡ Π³ΡΠ°Π½ΡΠ»ΡΡΠΈΠΈ, ΠΊΡΠΎΠ²ΠΎΡΠΎΡΠ°ΡΠΈΠ΅ ΠΏΡΠΈ Π½Π°Π΄Π°Π²Π»ΠΈΠ²Π°Π½ΠΈΠΈ. ΠΠΎΠ»ΡΠ½ΠΎΠΉ ΡΡΠ²ΡΡΠ²ΡΠ΅Ρ ΡΠΈΠ»ΡΠ½ΡΡ Π±ΠΎΠ»Ρ.
Π‘ΠΈΡΠΈΠ»ΠΈΡ
ΠΠ°Π±ΠΎΠ»Π΅Π²Π°Π½ΠΈΠ΅ ΠΏΡΠΎΡΠ²Π»ΡΠ΅ΡΡΡ Π² Π²ΠΈΠ΄Π΅ ΡΠ°Π½ΠΊΡΠ°. ΠΡΠ΅Π΄ΡΡΠ°Π²Π»ΡΠ΅Ρ ΡΠΎΠ±ΠΎΠΉ ΠΊΡΡΠ³Π»ΡΡ ΡΠ·Π²Ρ (ΡΡΠΎΠ·ΠΈΡ). ΠΠ½Π° Π±Π΅Π·Π±ΠΎΠ»Π΅Π·Π½Π΅Π½Π½Π°Ρ, Ρ ΡΠΎΠ²Π½ΡΠΌΠΈ ΠΊΡΠ°ΡΠΌΠΈ. ΠΠ΅ ΡΠ°Π·ΠΌΠ΅ΡΡ Π΄ΠΎΡΡΠΈΠ³Π°ΡΡ 10 ΠΌΠΌ, ΠΈΠ½ΠΎΠ³Π΄Π° Π±ΠΎΠ»ΡΡΠΈΠ΅ ΡΠ°Π½ΠΊΡΡ ΠΈΠΌΠ΅ΡΡ ΡΠ°Π·ΠΌΠ΅ΡΡ Π±ΠΎΠ»Π΅Π΅ 20 ΠΌΠΌ. Π Π°ΡΠΏΠΎΠ»ΠΎΠΆΠ΅Π½Π° ΠΎΠ½Π° ΠΎΠ±ΡΡΠ½ΠΎ Π½Π° ΡΠΏΠΈΠ½ΠΊΠ΅ ΡΠ·ΡΠΊΠ΅. ΠΠ½ΠΎΠ³Π΄Π° ΠΏΠΎΡΠ°ΠΆΠ°Π΅ΡΡΡ ΠΊΠΎΠ½ΡΠΈΠΊ ΡΠ·ΡΠΊΠ° ΠΈΠ»ΠΈ Π΅Π³ΠΎ Π±ΠΎΠΊΠΎΠ²ΡΠ΅ ΡΡΠΎΡΠΎΠ½Ρ. Π§Π΅ΡΠ΅Π· Π½Π΅Π΄Π΅Π»Ρ Π·Π°Π±ΠΎΠ»Π΅Π²Π°Π½ΠΈΠ΅ ΡΡΠ΅Π²Π°ΡΠΎ ΡΠ΅Π³ΠΈΠΎΠ½Π°ΡΠ½ΡΠΌ Π»ΠΈΠΌΡΠ°Π΄Π΅Π½ΠΈΡΠΎΠΌ.
Π Π°ΠΊ
ΠΠ°Π±ΠΎΠ»Π΅Π²Π°Π½ΠΈΠ΅ Π·Π»ΠΎΠΊΠ°ΡΠ΅ΡΡΠ²Π΅Π½Π½ΠΎΠ΅, ΠΎΠ±ΡΠ°Π·ΡΠ΅ΡΡΡ ΠΈΠ· ΡΠΏΠΈΡΠ΅Π»ΠΈΠ°Π»ΡΠ½ΡΡ ΠΊΠ»Π΅ΡΠΎΠΊ. ΠΠΎΠ»Π΅Π·Π½Ρ ΡΠ°ΡΠ΅ ΠΏΠΎΡΠ°ΠΆΠ°Π΅Ρ ΠΌΡΠΆΡΠΊΠΎΠ΅ Π½Π°ΡΠ΅Π»Π΅Π½ΠΈΠ΅. ΠΡΠΈΡΠΈΠ½Π°ΠΌΠΈ Π΅Π³ΠΎ Π²ΠΎΠ·Π½ΠΈΠΊΠ½ΠΎΠ²Π΅Π½ΠΈΡ ΡΠ»ΡΠΆΠ°Ρ Π²ΡΠ΅Π΄Π½ΡΠ΅ ΠΏΡΠΈΠ²ΡΡΠΊΠΈ, ΡΡΠ°Π²ΠΌΡ, Π³Π΅ΡΠΏΠ΅Ρ ΠΈΠ»ΠΈ ΠΏΠ°ΠΏΠΈΠ»Π»ΠΎΠΌΠ°. Π Π°ΠΊ ΡΠ·ΡΠΊΠ° Π±ΡΠ²Π°Π΅Ρ ΡΠ°Π·Π½ΡΡ ΡΠΎΡΠΌ: ΡΠ·Π²Π΅Π½Π½ΠΎΠΉ, ΠΈΠ½ΡΠΈΠ»ΡΡΡΠ°ΡΠΈΠ²Π½ΠΎΠΉ ΠΈΠ»ΠΈ ΠΏΠ°ΠΏΠΈΠ»Π»ΡΡΠ½ΠΎΠΉ.
- ΠΠ½ΡΠΈΠ»ΡΡΡΠ°ΡΠΈΠ²Π½Π°Ρ ΡΠΎΡΠΌΠ° Ρ Π°ΡΠ°ΠΊΡΠ΅ΡΠΈΠ·ΡΠ΅ΡΡΡ Π½Π°Π»ΠΈΡΠΈΠ΅ΠΌ ΡΠΈΠ»ΡΠ½ΡΡ Π±ΠΎΠ»Π΅ΠΉ. ΠΠ° ΡΠ·ΡΠΊΠ΅ ΠΎΠ±ΡΠ°Π·ΡΠ΅ΡΡΡ Π±ΡΠ³ΡΠΈΡΡΡΠΉ ΠΈΠ½ΡΠΈΠ»ΡΡΡΠ°Ρ.
- ΠΡΠΈ ΡΠ·Π²Π΅Π½Π½ΠΎΠΉ ΡΠΎΡΠΌΠ΅ ΡΠ°ΠΊΠ° ΠΎΠ±ΡΠ°Π·ΡΡΡΡΡ ΡΠ·Π²Ρ, ΠΈΠΌΠ΅ΡΡΠΈΠ΅ Π½Π΅ΡΠΎΠ²Π½ΡΠ΅ ΠΊΡΠ°Ρ. ΠΠ½ΠΈ ΡΠΈΠ»ΡΠ½ΠΎ ΠΊΡΠΎΠ²ΠΎΡΠΎΡΠ°Ρ ΠΏΡΠΈ ΠΌΠ°Π»Π΅ΠΉΡΠ΅ΠΌ ΠΏΡΠΈΠΊΠΎΡΠ½ΠΎΠ²Π΅Π½ΠΈΠΈ.
- ΠΠ°ΠΏΠΈΠ»Π»ΡΡΠ½Π°Ρ ΡΠΎΡΠΌΠ° ΡΠ°ΠΊΠ° Ρ Π°ΡΠ°ΠΊΡΠ΅ΡΠΈΠ·ΡΠ΅ΡΡΡ ΠΏΠΎΡΠ²Π»Π΅Π½ΠΈΠ΅ΠΌ ΠΎΠ±ΡΠ°Π·ΠΎΠ²Π°Π½ΠΈΠΉ, Π²ΡΡΡΡΠΏΠ°ΡΡΠΈΡ Π½Π°Π΄ ΡΠ»ΠΈΠ·ΠΈΡΡΠΎΠΉ. ΠΡΠΎΠΌΡ Π·Π°Π±ΠΎΠ»Π΅Π²Π°Π½ΠΈΡ ΠΏΠΎΠ΄Π²Π΅ΡΠ³Π°ΡΡΡΡ Π² ΠΎΡΠ½ΠΎΠ²Π½ΠΎΠΌ Π±ΠΎΠΊΠΎΠ²ΡΠ΅ ΡΠ°ΡΡΠΈ ΡΠ·ΡΠΊΠ°.
ΠΡΠΈΠ·Π½Π°ΠΊΠΎΠΌ ΠΏΠΎΡΠ²Π»Π΅Π½ΠΈΡ Π±ΠΎΠ»Π΅Π·Π½ΠΈ ΡΠ»ΡΠΆΠΈΡ Π΄ΠΈΡΠΊΠΎΠΌΡΠΎΡΡ, ΡΠ·Π²Π° Π½Π° ΡΠ·ΡΠΊΠ΅ ΠΈΠ»ΠΈ ΠΎΠΏΡΡ ΠΎΠ»Ρ. Π₯Π°ΡΠ°ΠΊΡΠ΅ΡΠ½Ρ Π±ΠΎΠ»Π΅Π²ΡΠ΅ ΠΎΡΡΡΠ΅Π½ΠΈΡ, ΡΡΠ²ΡΡΠ²ΠΎ ΠΆΠΆΠ΅Π½ΠΈΡ. ΠΠΈΡΠΎ ΠΈ ΡΠ΅Ρ ΠΎΡΠ΅ΠΊΠ°ΡΡ, ΠΈΠ·ΠΎ ΡΡΠ° ΠΏΠΎΡΠ²Π»ΡΠ΅ΡΡΡ Π½Π΅ΠΏΡΠΈΡΡΠ½ΡΠΉ Π·Π°ΠΏΠ°Ρ . ΠΡΠ»ΠΈ Π±ΠΎΠ»Π΅Π·Π½Ρ ΡΠΈΠ»ΡΠ½ΠΎ Π·Π°ΠΏΡΡΠ΅Π½Π°, ΡΠΎ Π²ΠΎΠ·Π½ΠΈΠΊΠ°ΡΡ ΡΡΡΠ΄Π½ΠΎΡΡΠΈ Ρ ΡΠ΅ΡΡΡ, Π³Π»ΠΎΡΠ°Π½ΠΈΠ΅ΠΌ, ΡΠ°ΡΡΠΎ ΠΈΠ· ΡΠ·ΡΠΊΠ° Π²ΠΎΠ·Π½ΠΈΠΊΠ°ΡΡ ΠΊΡΠΎΠ²ΠΎΡΠ΅ΡΠ΅Π½ΠΈΡ.
ΠΡΠΈ ΡΠ°ΠΊΠΎΠ²ΠΎΠΌ Π·Π°Π±ΠΎΠ»Π΅Π²Π°Π½ΠΈΠΈ ΡΠ·ΡΠΊΠ° ΠΎΠ±ΡΠ°Π·ΠΎΠ²Π°Π½ΠΈΡ ΠΎΡΠ΅Π½Ρ Π±ΡΡΡΡΠΎ ΡΠ²Π΅Π»ΠΈΡΠΈΠ²Π°ΡΡΡΡ Π² ΡΠ°Π·ΠΌΠ΅ΡΠ°Ρ , ΠΈ ΠΏΡΠΎΠΈΡΡ ΠΎΠ΄ΠΈΡ ΠΌΠ΅ΡΠ°ΡΡΠ°Π·ΠΈΡΠΎΠ²Π°Π½ΠΈΠ΅.
ΠΠ΅ΡΠ΅Π½ΠΈΠ΅
ΠΠΎΡΠ²Π»Π΅Π½ΠΈΠ΅ Π² ΠΎΠ±Π»Π°ΡΡΠΈ ΡΠ·ΡΠΊΠ° Π»ΡΠ±ΠΎΠΉ Π±ΠΎΠ»ΡΡΠΊΠΈ ΡΡΠ΅Π±ΡΠ΅Ρ Π½Π΅ΠΌΠ΅Π΄Π»Π΅Π½Π½ΠΎΠ³ΠΎ ΠΎΠ±ΡΠ°ΡΠ΅Π½ΠΈΡ ΠΊ Π²ΡΠ°ΡΡ. ΠΠ°ΠΆΠ΅ Π΅ΡΠ»ΠΈ Π±ΠΎΠ»Π΅Π²ΡΠ΅ ΠΎΡΡΡΠ΅Π½ΠΈΡ ΠΎΡΡΡΡΡΡΠ²ΡΡΡ. ΠΡΠΎ ΠΎΠ±ΡΡΡΠ½ΡΠ΅ΡΡΡ ΡΠ΅ΠΌ, ΡΡΠΎ Π½Π΅ΠΊΠΎΡΠΎΡΡΠ΅ Π½Π΅Π²ΠΈΠ½Π½ΡΠ΅ ΠΎΠ±ΡΠ°Π·ΠΎΠ²Π°Π½ΠΈΡ ΠΌΠΎΠ³ΡΡ ΠΏΡΠ΅Π΄ΡΠ΅ΡΡΠ²ΠΎΠ²Π°ΡΡ ΡΠ°ΠΊΠΎΠ²ΠΎΠΌΡ Π·Π°Π±ΠΎΠ»Π΅Π²Π°Π½ΠΈΡ. ΠΠ΅ΡΠ΅Π½ΠΈΠ΅ Π²ΠΊΠ»ΡΡΠ°Π΅Ρ Π² ΡΠ΅Π±Ρ ΡΠ΅Π»ΡΠΉ ΠΊΠΎΠΌΠΏΠ»Π΅ΠΊΡ ΠΏΡΠΎΡΠ΅Π΄ΡΡ. Π‘ΡΠ΄Π° Π²Ρ ΠΎΠ΄ΠΈΡ: ΠΏΠΎΠ²ΡΡΠ΅Π½ΠΈΠ΅ ΠΈΠΌΠΌΡΠ½Π½ΠΎΠΉ ΡΠΈΡΡΠ΅ΠΌΡ Π±ΠΎΠ»ΡΠ½ΠΎΠ³ΠΎ, ΡΠ΅ΡΠ΅Π½ΠΈΠ΅ ΡΡΠΈΠΎΠ»ΠΎΠ³ΠΈΡΠ΅ΡΠΊΠΈΡ ΠΏΡΠΎΠ±Π»Π΅ΠΌ ΠΈ ΡΠΈΠΌΠΏΡΠΎΠΌΠ°ΡΠΈΡΠ΅ΡΠΊΠΈΡ ΠΏΡΠΎΡΠ²Π»Π΅Π½ΠΈΠΉ. ΠΠ΅Π΄ΠΈΡΠΈΠ½Π° ΡΠ΅ΠΊΠΎΠΌΠ΅Π½Π΄ΡΠ΅Ρ ΠΈΡΠΏΠΎΠ»ΡΠ·ΠΎΠ²Π°ΡΡ Π°Π½ΡΠΈΠ±ΠΈΠΎΡΠΈΠΊΠΈ. ΠΡ ΠΈΡΠΏΠΎΠ»ΡΠ·ΡΡΡ ΠΊΠ°ΠΊ ΠΏΠΎΠ»ΠΎΡΠΊΠ°Π½ΠΈΡ, ΠΌΠ°Π·ΠΈ, Π³Π΅Π»ΠΈ ΠΈΠ»ΠΈ ΡΠΏΡΠ΅ΠΈ.
Π Π±ΠΎΠ»ΡΡΠΈΠ½ΡΡΠ²Π΅ ΡΠ»ΡΡΠ°Π΅Π² Π·Π°Π±ΠΎΠ»Π΅Π²Π°Π½ΠΈΡ ΡΠ·ΡΠΊΠ° ΡΠ΄Π°Π΅ΡΡΡ Π²ΡΠ»Π΅ΡΠΈΡΡ Π±Π΅Π· Ρ ΠΈΡΡΡΠ³ΠΈΡΠ΅ΡΠΊΠΈΡ ΠΎΠΏΠ΅ΡΠ°ΡΠΈΠΉ.
Π’ΡΠ±Π΅ΡΠΊΡΠ»Π΅Π·Π½ΡΠ΅ ΡΠ·Π²Ρ ΡΠ΅ΠΊΠΎΠΌΠ΅Π½Π΄ΡΠ΅ΡΡΡ Π»Π΅ΡΠΈΡΡ ΠΏΡΠΎΠ²Π΅Π΄Π΅Π½ΠΈΠ΅ΠΌ ΠΏΡΠΎΡΠΈΠ²ΠΎΡΡΠ±Π΅ΡΠΊΡΠ»Π΅Π·Π½ΠΎΠΉ Ρ ΠΈΠΌΠΈΠΎΡΠ΅ΡΠ°ΠΏΠΈΠΈ.
ΠΠ΅Π΄ΠΈΠΊΠ°ΠΌΠ΅Π½ΡΠΎΠ·Π½ΠΎΠ΅ Π»Π΅ΡΠ΅Π½ΠΈΠ΅
Π―Π·Π²Ρ Π½Π° ΡΠ·ΡΠΊΠ΅ ΠΈΠ»ΠΈ Π² ΠΎΠ±Π»Π°ΡΡΠΈ ΡΠ·ΡΠΊΠ° Π½Π°ΠΈΠ±ΠΎΠ»Π΅Π΅ ΡΡΡΠ΅ΠΊΡΠΈΠ²Π½ΠΎ Π»Π΅ΡΠΈΡΡ ΠΌΠ΅Π΄ΠΈΠΊΠ°ΠΌΠ΅Π½ΡΠΎΠ·Π½ΡΠΌΠΈ ΡΡΠ΅Π΄ΡΡΠ²Π°ΠΌΠΈ. ΠΠ°ΠΊΠΈΠ΅ ΠΏΡΠ΅ΠΏΠ°ΡΠ°ΡΡ ΠΏΡΠΈΠΌΠ΅Π½ΡΡΡ, ΠΈΡΡ ΠΎΠ΄ΡΡ ΠΈΠ· ΠΏΡΠΈΡΠΈΠ½Ρ Π½Π΅Π΄ΠΎΠΌΠΎΠ³Π°Π½ΠΈΡ ΠΈ Π΅Π³ΠΎ Π²ΠΎΠ·Π±ΡΠ΄ΠΈΡΠ΅Π»Ρ. ΠΠ°ΠΈΠ±ΠΎΠ»Π΅Π΅ ΡΠ°ΡΡΠΎ ΡΠ΅ΠΊΠΎΠΌΠ΅Π½Π΄ΡΡΡ ΠΏΡΠΈΠΌΠ΅Π½Π΅Π½ΠΈΠ΅ Π°Π½ΡΠΈΠ±Π°ΠΊΡΠ΅ΡΠΈΠ°Π»ΡΠ½ΡΡ ΠΏΡΠ΅ΠΏΠ°ΡΠ°ΡΠΎΠ² ΡΠΎΠ²ΠΌΠ΅ΡΡΠ½ΠΎ Ρ Π½Π΅ΠΊΠΎΡΠΎΡΡΠΌΠΈ Π²ΠΈΠ΄Π°ΠΌΠΈ Π°Π½ΡΠΈΡΠ΅ΠΏΡΠΈΠΊΠΎΠ². Π‘ΡΠ΅Π΄ΠΈ Π½ΠΈΡ :
- Ρ Π΅ΠΏΠΈΠ»ΠΎΡ;
- Π³ΠΈΠ²Π°Π»Π΅ΠΊΡ;
- Ρ Π»ΠΎΡΠ³Π΅ΠΊΡΠΈΠ΄ΠΈΠ½;
- Π°Π½Π³ΠΈΠ»Π΅ΠΊΡ;
- ΡΡΡΠ°ΡΠΈΠ»ΠΈΠ½;
- ΡΡΡΠ΅ΠΏΡΠΈΠ»Ρ.
ΠΡ Π²ΡΠΏΡΡΠΊΠ°ΡΡ Π² Π²ΠΈΠ΄Π΅ ΡΠΏΡΠ΅Π΅Π². Π ΡΠ°ΠΊΠΆΠ΅ Π²ΡΠ°ΡΠΈ Π΄Π»Ρ Π»Π΅ΡΠ΅Π½ΠΈΡ Π±Π΅Π»ΡΡ ΡΠ·Π²ΠΎΡΠ΅ΠΊ ΠΎΡΠ΅Π½Ρ ΡΠ°ΡΡΠΎ ΡΠ΅ΠΊΠΎΠΌΠ΅Π½Π΄ΡΡΡ ΠΈΡΠΏΠΎΠ»ΡΠ·ΠΎΠ²Π°ΡΡ ΡΡΠ΅Π΄ΡΡΠ²Π° Π΄Π»Ρ ΠΏΠΎΠ»ΠΎΡΠΊΠ°Π½ΠΈΠΉ.
ΠΡΠ»ΠΈ ΠΏΠ°ΡΠΎΠ»ΠΎΠ³ΠΈΡ ΡΠ·ΡΠΊΠ° Π²ΡΠ·Π²Π°Π½Π° Π±Π°ΠΊΡΠ΅ΡΠΈΡΠΌΠΈ, ΡΠΎ Π±ΠΎΠ»ΡΠ½ΡΡ Π½Π°Π΄ΠΎ Π»Π΅ΡΠΈΡΡ Ρ ΠΈΡΠΏΠΎΠ»ΡΠ·ΠΎΠ²Π°Π½ΠΈΠ΅ΠΌ Π°Π½ΡΠΈΠ±Π°ΠΊΡΠ΅ΡΠΈΠ°Π»ΡΠ½ΡΡ ΡΡΠ΅Π΄ΡΡΠ². Π Π½ΠΈΠΌ ΠΎΡΠ½ΠΎΡΡΡΡΡ:
- Π³ΡΡΠΏΠΏΠ° ΠΏΠ΅Π½ΠΈΡΠΈΠ»Π»ΠΈΠ½ΠΎΠ²;
- Π°ΠΌΠΎΠΊΡΠΈΡΠΈΠ»Π»ΠΈΠ½;
- ΠΌΠ°ΠΊΡΠΎΠ»ΠΈΠ΄Ρ;
- ΡΡΠΈΡΡΠΎΠΌΠΈΡΠΈΠ½;
- ΡΠ΅ΡΡΠ°ΡΠΈΠΊΠ»ΠΈΠ½;
- ΡΡΠΎΡΡ ΠΈΠ½ΠΎΠ»Ρ;
- ΡΠΈΠΏΡΠΎΠ»Π΅Ρ.
ΠΡΠΈ Π³Π΅ΡΠΏΠ΅ΡΠΈΡΠ΅ΡΠΊΠΎΠΌ Π·Π°Π±ΠΎΠ»Π΅Π²Π°Π½ΠΈΠΈ ΡΠ·ΡΠΊΠ° ΠΏΡΠΈΠΌΠ΅Π½ΡΡΡ ΠΏΡΠΎΡΠΈΠ²ΠΎΠ²ΠΈΡΡΡΠ½ΡΠ΅ ΠΏΡΠ΅ΠΏΠ°ΡΠ°ΡΡ. ΠΡΠΎ ΠΡΠΈΠΊΠ»ΠΎΠ²ΠΈΡ, Π° ΡΠ°ΠΊΠΆΠ΅, ΠΠΎΠ²ΠΈΡΠ°ΠΊΡ.
ΠΠ·Π±Π°Π²ΠΈΡΡΡΡ ΠΎΡ ΡΠ°Π·Π΄ΡΠ°ΠΆΠ΅Π½ΠΈΡ ΠΏΠΎΠΌΠΎΠ³Π°ΡΡ ΡΠ°ΠΊΠΈΠ΅ ΠΏΡΠ΅ΠΏΠ°ΡΠ°ΡΡ, ΠΊΠ°ΠΊ:
- Π²ΠΎΠ»ΡΡΠ°ΡΠ΅Π½;
- Ρ ΠΎΠ»ΠΈΡΠ°Π»;
- Π»ΠΎΡΠ½ΠΎΠΊΡΠΈΠΊΠ°ΠΌ;
- ΠΊΠ΅ΡΠΎΠΏΡΠΎΡΠ΅Π½.
ΠΠ±Π΅Π·Π±ΠΎΠ»ΠΈΠ²Π°ΡΡΠ΅Π΅ Π΄Π΅ΠΉΡΡΠ²ΠΈΠ΅ ΠΎΠΊΠ°Π·ΡΠ²Π°ΡΡ ΡΠ»Π΅Π΄ΡΡΡΠΈΠ΅ Π°Π½Π΅ΡΡΠ΅Π·ΠΈΡΡΡΡΠΈΠ΅ ΠΏΡΠ΅ΠΏΠ°ΡΠ°ΡΡ:
- Π»ΠΈΠ΄ΠΎΠΊΠ°ΠΈΠ½ Π°ΡΠ΅ΠΏΡ;
- ΠΊΠ°ΠΌΠΈΡΡΠ°Π΄.
ΠΠΎΠ²ΡΡΠ΅Π½ΠΈΠ΅ ΠΈΠΌΠΌΡΠ½ΠΈΡΠ΅ΡΠ° ΠΏΡΠΎΠ²ΠΎΠ΄ΠΈΡΡΡ ΠΏΠΎΡΡΠ΅Π΄ΡΡΠ²ΠΎΠΌ ΡΠΏΠΎΡΡΠ΅Π±Π»Π΅Π½ΠΈΡ ΠΈΠΌΠΌΡΠ½ΠΎΡΡΠΈΠΌΡΠ»ΡΡΠΎΡΠΎΠ²:
- ΠΌΠ΅ΡΠΈΠ»ΡΡΠ°ΡΠΈΠ»Π°;
- ΠΊΠΎΠΌΠΏΠ»Π΅ΠΊΡΠ° Π²ΠΈΡΠ°ΠΌΠΈΠ½ΠΎΠ²;
- ΡΠΈΠΌΠ°Π»ΠΈΠ΄Π°;
- ΠΏΠΈΡΠΎΠ³Π΅Π½Π°Π»Π°.
ΠΠ΅ΡΠΈΡΡ ΡΡΠ±Π΅ΡΠΊΡΠ»Π΅Π· ΡΠ·ΡΠΊΠ° ΡΠ΅ΠΊΠΎΠΌΠ΅Π½Π΄ΡΠ΅ΡΡΡ Ρ ΠΈΡΠΏΠΎΠ»ΡΠ·ΠΎΠ²Π°Π½ΠΈΠ΅ΠΌ Ρ ΠΈΠΌΠΈΠΎΡΠ΅ΡΠ°ΠΏΠΈΠΈ:
- ΠΏΠΈΡΠ°Π·ΠΈΠ½Π°ΠΌΠΈΠ΄Π°;
- ΠΈΠ·ΠΎΠ½ΠΈΠ°Π·ΠΈΠ΄Π°;
- ΡΡΡΠ΅ΠΏΡΠΎΠΌΠΈΡΠΈΠ½Π°;
- ΡΠΈΡΠ°ΠΌΠΏΠΈΡΠΈΠ½Π°.
ΠΠ±ΡΠ°ΡΠ΅Π½ΠΈΠ΅ Π² ΠΌΠ΅Π΄ΡΡΡΠ΅ΠΆΠ΄Π΅Π½ΠΈΠ΅
ΠΠΈΠ·ΠΈΡ ΠΊ ΡΠΏΠ΅ΡΠΈΠ°Π»ΠΈΡΡΡ Π½Π°Π΄ΠΎ Π½Π°Π½Π΅ΡΡΠΈ ΠΏΠΎΡΠ»Π΅ ΠΎΠ±Π½Π°ΡΡΠΆΠ΅Π½ΠΈΡ Π½ΠΎΠ²ΠΎΠΎΠ±ΡΠ°Π·ΠΎΠ²Π°Π½ΠΈΡ Π½Π° ΡΠ·ΡΠΊΠ΅. ΠΠΎΠ»ΡΠ½ΠΎΠΉ ΠΌΠΎΠΆΠ΅Ρ ΠΏΠΎΠΆΠ°Π»ΠΎΠ²Π°ΡΡΡΡ Π½Π° Π΄ΠΈΡΠΊΠΎΠΌΡΠΎΡΡ Π²ΠΎ ΡΡΡ.
ΠΠ΅ΡΠ΅Π½ΠΈΠ΅ ΠΏΡΠΎΠ²ΠΎΠ΄ΠΈΡΡΡ, Π²ΠΊΠ»ΡΡΠ°Ρ ΡΡΠ΄ ΡΠ°ΠΊΡΠΎΡΠΎΠ²:
- Π²ΠΎΠ·ΡΠ°ΡΡ Π±ΠΎΠ»ΡΠ½ΠΎΠ³ΠΎ;
- Π½Π°Π»ΠΈΡΠΈΠ΅ ΡΠΎΠΏΡΡΡΡΠ²ΡΡΡΠΈΡ Π·Π°Π±ΠΎΠ»Π΅Π²Π°Π½ΠΈΠΉ;
- Π·Π°ΠΏΡΡΠ΅Π½Π½ΠΎΡΡΡ Π±ΠΎΠ»Π΅Π·Π½ΠΈ;
- Π½Π°Π»ΠΈΡΠΈΠ΅ ΠΎΡΠ»ΠΎΠΆΠ½Π΅Π½ΠΈΠΉ;
- ΡΡΠΈΠΎΠ»ΠΎΠ³ΠΈΡ Π·Π°Π±ΠΎΠ»Π΅Π²Π°Π½ΠΈΡ.
ΠΠ°ΠΈΠ±ΠΎΠ»Π΅Π΅ ΡΠ°ΡΡΠΎ Π·Π°Π±ΠΎΠ»Π΅Π²Π°Π½ΠΈΡΠΌ ΡΠ·ΡΠΊΠ° ΠΏΠΎΠ΄Π²Π΅ΡΠΆΠ΅Π½Ρ Π΄Π΅ΡΠΈ. ΠΠ½ΠΈ ΡΠ°ΠΌΡΠ΅ ΡΠ°ΡΡΡΠ΅ ΠΏΠ°ΡΠΈΠ΅Π½ΡΡ ΡΠΎ ΡΡΠΎΠΌΠ°ΡΠΈΡΠΎΠΌ ΠΈ ΡΡΠ°Π²ΠΌΠ°ΠΌΠΈ. ΠΠ΅ΡΠΈΡΡ ΡΡΠΈ Π½Π΅Π΄ΠΎΠΌΠΎΠ³Π°Π½ΠΈΡ ΠΌΠΎΠΆΠ½ΠΎ, ΠΈΡΠΏΠΎΠ»ΡΠ·ΡΡ ΠΏΠΎΠ»ΠΎΡΠΊΠ°Π½ΠΈΡ, ΠΈΡΠΏΠΎΠ»ΡΠ·ΠΎΠ²Π°Π½ΠΈΠ΅ Π°Π½ΡΠΈΡΠ΅ΠΏΡΠΈΡΠ΅ΡΠΊΠΈΡ ΡΠ°ΡΡΠ²ΠΎΡΠΎΠ² ΠΈ ΡΡΠ°Π². ΠΠ»Ρ ΠΌΠ°Π»ΡΡΠ΅ΠΉ Ρ Π°ΡΠ°ΠΊΡΠ΅ΡΠ½ΠΎ ΠΏΠΎΡΠ²Π»Π΅Π½ΠΈΠ΅ ΠΊΠΈΡΡ Π² ΠΎΠ±Π»Π°ΡΡΠΈ ΠΏΠΎΠ΄ΡΡΠ·ΡΡΠ½ΠΎΠΉ ΠΆΠ΅Π»Π΅Π·Ρ. ΠΠ±ΡΡΠ½ΠΎ ΡΡΠΈ Π±ΠΎΠ»ΡΡΠΊΠΈ ΠΈΡΡΠ΅Π·Π°ΡΡ ΠΈΠ»ΠΈ ΡΠ°ΡΡΠ°ΡΡΠ²Π°ΡΡΡΡ ΠΊ ΠΊΠΎΠ½ΡΡ ΠΏΠ΅ΡΠ²ΠΎΠ³ΠΎ Π³ΠΎΠ΄Π° ΠΆΠΈΠ·Π½ΠΈ. ΠΡΠ»ΠΈ ΠΊΠΈΡΡΡ Π΄ΠΎΡΡΠ°ΡΠΎΡΠ½ΠΎ Π±ΠΎΠ»ΡΡΠΈΠ΅ ΠΈ Π³Π½ΠΎΠΉΠ½ΡΠ΅, ΡΠΎ ΠΈΡ ΡΠ°ΡΡΠ΅ΠΊΠ°ΡΡ ΠΈΠ»ΠΈ Π²ΡΠ»ΡΡΠΈΠ²Π°ΡΡ. ΠΡΠΈ Π»Π΅ΡΠ΅Π½ΠΈΠΈ ΠΏΠΈΡΠ°Π½ΠΈΠ΅ Π΄ΠΎΠ»ΠΆΠ½ΠΎ Π±ΡΡΡ Π½Π°ΡΡΡΠ΅Π½ΠΎ ΠΎΠ²ΠΎΡΠ°ΠΌΠΈ ΠΈ ΠΌΠΎΠ»ΠΎΡΠ½ΡΠΌΠΈ ΠΏΡΠΎΠ΄ΡΠΊΡΠ°ΠΌΠΈ.
ΠΠ΅ΡΡΠΌ Π½Π΅ ΡΠ΅ΠΊΠΎΠΌΠ΅Π½Π΄ΡΠ΅ΡΡΡ ΡΠΏΠΎΡΡΠ΅Π±Π»ΡΡΡ ΡΠ»Π°Π΄ΠΊΠΎΠ΅ ΠΈ ΡΠ²Π΅ΡΠ΄ΡΡ ΠΏΠΈΡΡ. ΠΠ·ΡΠΎΡΠ»ΡΠΌ ΡΠ»Π΅Π΄ΡΠ΅Ρ Π²ΠΎΠ·Π΄Π΅ΡΠΆΠ°ΡΡΡΡ ΠΎΡ ΡΠΏΠΎΡΡΠ΅Π±Π»Π΅Π½ΠΈΡ ΡΠΏΠΈΡΡΠ½ΠΎΠ³ΠΎ, Π΄Π°ΠΆΠ΅ ΠΏΠΈΠ²Π°.
ΠΡΠΎΡΠΈΠ»Π°ΠΊΡΠΈΡΠ΅ΡΠΊΠΈΠ΅ ΠΌΠ΅ΡΡ
ΠΠ½ΠΈ Π·Π°ΠΊΠ»ΡΡΠ°ΡΡΡΡ Π²:
- ΡΠ΅Π³ΡΠ»ΡΡΠ½ΠΎΠΌ ΠΏΡΠΎΡ ΠΎΠΆΠ΄Π΅Π½ΠΈΠΈ ΠΏΡΠΎΡΠΎΡΠΌΠΎΡΡΠ° Ρ ΡΡΠΎΠΌΠ°ΡΠΎΠ»ΠΎΠ³Π°;
- ΠΎΠ±ΡΠ·Π°ΡΠ΅Π»ΡΠ½ΠΎ ΡΠ»Π΅Π΄ΡΠ΅Ρ Π»Π΅ΡΠΈΡΡ Π·Π°Π±ΠΎΠ»Π΅Π²Π°Π½ΠΈΡ Π·ΡΠ±ΠΎΠ², ΠΎΡΠΎΠ±Π΅Π½Π½ΠΎ ΠΊΠ°ΡΠΈΠ΅Ρ;
- ΠΏΠΎΡΡΠΎΡΠ½Π½ΠΎ ΠΏΡΠΎΡ ΠΎΠ΄ΠΈΡΡ ΡΠ»ΡΠΎΡΠΎΠ³ΡΠ°ΡΠΈΡΠ΅ΡΠΊΠΎΠ΅ ΠΎΠ±ΡΠ»Π΅Π΄ΠΎΠ²Π°Π½ΠΈΠ΅;
- ΠΏΠΎΠ΄Π΄Π΅ΡΠΆΠΈΠ²Π°ΡΡ ΠΈΠΌΠΌΡΠ½ΠΈΡΠ΅Ρ Π² ΡΡΠ°Π±ΠΈΠ»ΡΠ½ΠΎΠΌ ΡΠΎΡΡΠΎΡΠ½ΠΈΠΈ.
ΠΠ½ΠΎΠ³ΠΈΠ΅ Π±ΠΎΠ»ΡΠ½ΡΠ΅ ΠΏΡΡΠ°ΡΡΡΡ Π»Π΅ΡΠΈΡΡ ΡΠ·Π²Ρ ΡΠ·ΡΠΊΠ° Π½Π°ΡΠΎΠ΄Π½ΡΠΌΠΈ ΡΡΠ΅Π΄ΡΡΠ²Π°ΠΌΠΈ, Π·Π°Π³ΠΎΠ²ΠΎΡΠ°ΠΌΠΈ ΠΈΠ»ΠΈ ΡΡΠ°Π²Π°ΠΌΠΈ. ΠΠ΅Π΄ΠΈΡΠΈΠ½Π° Π½Π΅ ΠΎΡΠ²Π΅ΡΠ³Π°Π΅Ρ Π»Π΅ΡΠ΅Π±Π½ΡΠ΅ ΡΡΡΠ΅ΠΊΡΡ ΡΡΠ°Π²ΡΠ½ΡΡ ΡΠ±ΠΎΡΠΎΠ², Π½ΠΎ ΠΊΠΎΠ½ΡΡΠ»ΡΡΠ°ΡΠΈΡ Π²ΡΠ°ΡΠ° ΠΎΠ±ΡΠ·Π°ΡΠ΅Π»ΡΠ½Π°. ΠΡΠΎ ΠΏΠΎΠΌΠΎΠΆΠ΅Ρ ΠΏΡΠ΅Π΄ΠΎΡΠ²ΡΠ°ΡΠΈΡΡ ΠΏΠ΅ΡΠ΅ΡΠΎΠΆΠ΄Π΅Π½ΠΈΠ΅ Π±ΠΎΠ»Π΅Π·Π½ΠΈ Π² Π±ΠΎΠ»Π΅Π΅ ΡΠ»ΠΎΠΆΠ½ΡΡ ΡΠΎΡΠΌΡ.
zubnoimir.ru
ΠΡΠΈΠΎΠ»ΠΎΠ³ΠΈΡ
ΠΠΎΡΠ²Π»Π΅Π½ΠΈΠ΅ ΡΠ·Π² Π½Π° ΡΠ·ΡΠΊΠ΅ ΠΎΠ±ΡΡΠ»Π°Π²Π»ΠΈΠ²Π°Π΅Ρ ΡΠΈΡΠΎΠΊΠΈΠΉ ΡΠΏΠ΅ΠΊΡΡ ΠΏΡΠ΅Π΄ΡΠ°ΡΠΏΠΎΠ»Π°Π³Π°ΡΡΠΈΡ ΡΠ°ΠΊΡΠΎΡΠΎΠ², ΠΊΠΎΡΠΎΡΡΠ΅ ΠΏΡΠΈΠ½ΡΡΠΎ ΡΠ°Π·Π΄Π΅Π»ΡΡΡ Π½Π° Π΄Π²Π΅ Π±ΠΎΠ»ΡΡΠΈΠ΅ Π³ΡΡΠΏΠΏΡ β ΠΏΠ°ΡΠΎΠ»ΠΎΠ³ΠΈΡΠ΅ΡΠΊΠΈΠ΅ ΠΈ ΡΠΈΠ·ΠΈΠΎΠ»ΠΎΠ³ΠΈΡΠ΅ΡΠΊΠΈΠ΅, Ρ. Π΅. Π½ΠΈΠΊΠ°ΠΊ Π½Π΅ ΡΠ²ΡΠ·Π°Π½Π½ΡΠ΅ Ρ ΠΏΡΠΎΡΠ΅ΠΊΠ°Π½ΠΈΠ΅ΠΌ ΡΠΎΠ³ΠΎ ΠΈΠ»ΠΈ ΠΈΠ½ΠΎΠ³ΠΎ Π·Π°Π±ΠΎΠ»Π΅Π²Π°Π½ΠΈΡ.
ΠΠ°ΠΈΠ±ΠΎΠ»Π΅Π΅ ΡΠ°ΡΡΡΠΌΠΈ ΠΏΡΠΈΡΠΈΠ½Π°ΠΌΠΈ ΠΏΠΎΡΠ²Π»Π΅Π½ΠΈΡ ΡΠ·Π² Π½Π° ΡΠ·ΡΠΊΠ΅ Ρ Π²Π·ΡΠΎΡΠ»ΠΎΠ³ΠΎ ΠΈΠ»ΠΈ ΡΠ΅Π±ΡΠ½ΠΊΠ° ΠΏΡΠΈΠ½ΡΡΠΎ ΡΡΠΈΡΠ°ΡΡ ΡΠ°ΠΊΠΈΠ΅ ΠΏΠ°ΡΠΎΠ»ΠΎΠ³ΠΈΡΠ΅ΡΠΊΠΈΠ΅ ΡΠΎΡΡΠΎΡΠ½ΠΈΡ:
- ΡΡΠΎΠΌΠ°ΡΠΈΡ ΠΈΠ»ΠΈ ΡΠ°Π·Π²ΠΈΡΠΈΠ΅ Π²ΠΎΡΠΏΠ°Π»ΠΈΡΠ΅Π»ΡΠ½ΠΎΠ³ΠΎ ΠΏΡΠΎΡΠ΅ΡΡΠ° Π² ΡΠΎΡΠΎΠ²ΠΎΠΉ ΠΏΠΎΠ»ΠΎΡΡΠΈ, Π² ΡΠ°ΡΡΠ½ΠΎΡΡΠΈ, ΠΏΡΠΎΡΠ΅ΠΊΠ°ΡΡΠΈΠΉ Π² ΡΠ°ΠΊΠΈΡ ΡΠΎΡΠΌΠ°Ρ , ΠΊΠ°ΠΊ Π°ΡΡΠΎΠ·Π½Π°Ρ, Π³Π΅ΡΠΏΠ΅ΡΠΈΡΠ΅ΡΠΊΠ°Ρ, ΠΊΠ°Π½Π΄ΠΈΠ΄ΠΎΠ·Π½Π°Ρ, Π³ΡΠΈΠ±ΠΊΠΎΠ²Π°Ρ, ΠΊΠ°ΡΠ°ΡΠ°Π»ΡΠ½Π°Ρ, ΠΈΠ½ΡΠ΅ΠΊΡΠΈΠΎΠ½Π½Π°Ρ, ΡΡΠ°Π²ΠΌΠ°ΡΠΈΡΠ΅ΡΠΊΠ°Ρ ΠΈ Π°Π»Π»Π΅ΡΠ³ΠΈΡΠ΅ΡΠΊΠ°Ρ. ΠΠΎΠ΄ΠΎΠ±Π½ΡΠΉ ΡΠΈΠΌΠΏΡΠΎΠΌ ΠΌΠΎΠΆΠ΅Ρ ΠΏΠΎΡΠ²ΠΈΡΡΡΡ ΠΊΠ°ΠΊ ΠΏΡΠΈ ΠΎΡΡΡΠΎΠΌ, ΡΠ°ΠΊ ΠΈ ΠΏΡΠΈ Ρ ΡΠΎΠ½ΠΈΡΠ΅ΡΠΊΠΎΠΌ ΡΠ΅ΡΠ΅Π½ΠΈΠΈ Π²ΠΎΡΠΏΠ°Π»Π΅Π½ΠΈΡ;
- ΡΠ΅ΡΠΈΠ΄ΠΈΠ²ΠΈΡΡΡΡΠΈΠΉ Π½Π΅ΠΊΡΠΎΡΠΈΡΠ΅ΡΠΊΠΈΠΉ ΠΏΠ΅ΡΠΈΠ°Π΄Π΅Π½ΠΈΡ;
- ΡΡΠ±Π΅ΡΠΊΡΠ»ΡΠ·Π½ΠΎΠ΅ ΠΏΠΎΡΠ°ΠΆΠ΅Π½ΠΈΠ΅ ΡΠ·ΡΠΊΠ°;
- ΡΠΈΡΠΈΠ»ΠΈΡ;
- Π³ΠΈΠ½Π³ΠΈΠ²ΠΎΡΡΠΎΠΌΠ°ΡΠΈΡ;
- ΠΎΠ½ΠΊΠΎΠ»ΠΎΠ³ΠΈΡ Ρ Π»ΠΎΠΊΠ°Π»ΠΈΠ·Π°ΡΠΈΠ΅ΠΉ Π½Π° ΡΠ·ΡΠΊΠ΅ β ΡΠ°ΠΊΠΎΠΉ ΠΈΡΡΠΎΡΠ½ΠΈΠΊ Π½Π°ΠΈΠ±ΠΎΠ»Π΅Π΅ Ρ Π°ΡΠ°ΠΊΡΠ΅ΡΠ΅Π½ Π΄Π»Ρ ΠΏΡΠ΅Π΄ΡΡΠ°Π²ΠΈΡΠ΅Π»ΡΠ½ΠΈΡ ΠΆΠ΅Π½ΡΠΊΠΎΠ³ΠΎ ΠΏΠΎΠ»Π°. ΠΡΠΈ ΡΠ°ΠΊΠ΅ Π»Π΅ΡΠ΅Π½ΠΈΠ΅ ΡΠΎΠ»ΡΠΊΠΎ Ρ ΠΈΡΡΡΠ³ΠΈΡΠ΅ΡΠΊΠΎΠ΅;
- ΠΠΠ§-ΠΈΠ½ΡΠ΅ΠΊΡΠΈΡ ΠΈ ΠΈΠ½ΡΠ΅ ΠΈΠΌΠΌΡΠ½ΠΎΠ΄Π΅ΡΠΈΡΠΈΡΠ½ΡΠ΅ ΡΠΎΡΡΠΎΡΠ½ΠΈΡ;
- Π°ΡΡΠ° ΠΠ΅Π΄Π½Π°ΡΠ° β ΡΡΠΎ Π΄Π΅ΡΡΠΊΠΈΠΉ Π½Π΅Π΄ΡΠ³, ΠΏΡΠΈΠ²ΠΎΠ΄ΡΡΠΈΠΉ ΠΊ ΠΏΠΎΡΠ²Π»Π΅Π½ΠΈΡ ΠΆΠ΅Π»ΡΠΎΠ²Π°ΡΡΡ ΡΠ·Π²ΠΎΡΠ΅ΠΊ, ΠΊΠΎΡΠΎΡΡΠ΅ Π»ΠΎΠΊΠ°Π»ΠΈΠ·ΡΡΡΡΡ Π½Π° ΡΠ·ΡΠΊΠ΅ ΡΠ±ΠΎΠΊΡ;
- Π°ΡΡΠΎΠ· Π‘Π΅ΡΡΠΎΠ½Π° β ΠΎΡΠ»ΠΈΡΠ°Π΅ΡΡΡ ΠΎΡ ΠΏΡΠ΅Π΄ΡΠ΄ΡΡΠ΅ΠΉ Π±ΠΎΠ»Π΅Π·Π½ΠΈ ΡΠ΅ΠΌ, ΡΡΠΎ ΡΠ·Π²Ρ ΠΎΠ±Π»Π°Π΄Π°ΡΡ Π±Π΅Π»ΡΠΌ ΡΠ²Π΅ΡΠΎΠΌ, Π° ΠΈΡ ΠΎΡΠ°Π³ΠΈ ΡΠ°ΡΠΏΠΎΠ»Π°Π³Π°ΡΡΡΡ ΠΏΠΎΠ΄ ΡΠ·ΡΠΊΠΎΠΌ;
- Π»ΡΠ±ΡΠ΅ Π²ΠΈΡΡΡΠ½ΡΠ΅ ΠΈΠ½ΡΠ΅ΠΊΡΠΈΠΈ.
ΠΠ·ΡΡΠ·Π²Π»Π΅Π½ΠΈΡ Π½Π° ΡΠ·ΡΠΊΠ΅ ΠΌΠΎΠ³ΡΡ ΠΏΠΎΡΠ²ΠΈΡΡΡΡ ΠΈΠ·-Π·Π° Π΅Π³ΠΎ ΡΡΠ°Π²ΠΌ, ΠΊΠΎΡΠΎΡΡΠ΅ Π±ΡΠ²Π°ΡΡ:
- ΠΌΠ΅Ρ Π°Π½ΠΈΡΠ΅ΡΠΊΠΈΠΌΠΈ;
- ΡΠΈΠ·ΠΈΡΠ΅ΡΠΊΠΈΠΌΠΈ;
- Ρ ΠΈΠΌΠΈΡΠ΅ΡΠΊΠΈΠΌΠΈ.
Π ΠΌΠ΅Ρ Π°Π½ΠΈΡΠ΅ΡΠΊΠΈΠΌ ΡΠ°Π·Π΄ΡΠ°ΠΆΠΈΡΠ΅Π»ΡΠΌ ΠΌΠΎΠΆΠ½ΠΎ ΠΎΡΠ½Π΅ΡΡΠΈ:
- ΡΠ»ΡΡΠ°ΠΉΠ½ΠΎΠ΅ ΠΏΡΠΈΠΊΡΡΡΠ²Π°Π½ΠΈΠ΅ ΡΠ·ΡΠΊΠ°;
- ΠΏΠΎΠ²ΡΠ΅ΠΆΠ΄Π΅Π½ΠΈΠ΅ ΡΡΠΎΠ³ΠΎ ΠΎΡΠ³Π°Π½Π° Π·ΡΠ±Π½ΡΠΌΠΈ ΠΏΡΠΎΡΠ΅Π·Π°ΠΌΠΈ ΠΈΠ»ΠΈ ΡΠΊΠΎΠ»Π°ΠΌΠΈ Π·ΡΠ±ΠΎΠ²;
- Π²ΡΠ°ΡΠ΅Π±Π½ΡΠ΅ ΠΌΠ°Π½ΠΈΠΏΡΠ»ΡΡΠΈΠΈ ΡΡΠΎΠΌΠ°ΡΠΎΠ»ΠΎΠ³Π°;
- ΡΠ΄Π°Ρ ΠΏΠΎ Π»ΠΈΡΡ;
- ΠΈΡΠΏΠΎΠ»ΡΠ·ΠΎΠ²Π°Π½ΠΈΠ΅ ΠΆΡΡΡΠΊΠΎΠΉ Π·ΡΠ±Π½ΠΎΠΉ ΡΡΡΠΊΠΈ;
- Π½Π°ΡΡΡΠ΅Π½ΠΈΠ΅ ΡΠ΅Π»ΠΎΡΡΠ½ΠΎΡΡΠΈ ΡΠ·ΡΠΊΠ° ΡΡΠ±ΡΠΈΠΌΠΈ ΠΊΠΎΡΡΠΎΡΠΊΠ°ΠΌΠΈ, ΠΎΡΡΡΡΠΌ Π½ΠΎΠΆΠΎΠΌ ΠΈΠ»ΠΈ Π²ΠΈΠ»ΠΊΠΎΠΉ.
Π’ΡΠ°Π²ΠΌΠ°ΡΠΈΡΠ΅ΡΠΊΠ°Ρ ΡΠ·Π²Π° ΡΠ·ΡΠΊΠ° Ρ ΠΈΠΌΠΈΡΠ΅ΡΠΊΠΎΠ³ΠΎ Ρ Π°ΡΠ°ΠΊΡΠ΅ΡΠ° Π²ΠΎΠ·Π½ΠΈΠΊΠ°Π΅Ρ Π²ΡΠ»Π΅Π΄ΡΡΠ²ΠΈΠ΅:
- ΠΏΡΠΈΡΡΡΠ°ΡΡΠΈΡ ΠΊ ΡΠ°ΠΊΠΎΠΉ Π²ΡΠ΅Π΄Π½ΠΎΠΉ ΠΏΡΠΈΠ²ΡΡΠΊΠ΅, ΠΊΠ°ΠΊ Π²ΡΠΊΡΡΠΈΠ²Π°Π½ΠΈΠ΅ ΡΠΈΠ³Π°ΡΠ΅Ρ;
- Π²Π»ΠΈΡΠ½ΠΈΡ Π²ΠΊΡΡΠΎΠ²ΡΡ Π΄ΠΎΠ±Π°Π²ΠΎΠΊ ΠΈΠ»ΠΈ Π°ΡΠΎΠΌΠ°ΡΠΈΠ·Π°ΡΠΎΡΠΎΠ²;
- Π±Π΅ΡΠΊΠΎΠ½ΡΡΠΎΠ»ΡΠ½ΠΎΠ³ΠΎ ΠΏΡΠΈΡΠΌΠ° ΠΌΠ΅Π΄ΠΈΠΊΠ°ΠΌΠ΅Π½ΡΠΎΠ², Π° ΠΈΠΌΠ΅Π½Π½ΠΎ Π°Π½ΡΠΈΠ±Π°ΠΊΡΠ΅ΡΠΈΠ°Π»ΡΠ½ΡΡ ΠΈΠ»ΠΈ ΠΏΡΠΎΡΠΈΠ²ΠΎΠΌΠΈΠΊΡΠΎΠ±Π½ΡΡ Π²Π΅ΡΠ΅ΡΡΠ²;
- ΠΈΡΠΏΠΎΠ»ΡΠ·ΠΎΠ²Π°Π½ΠΈΡ Π»Π΅ΠΊΠ°ΡΡΡΠ²Π΅Π½Π½ΡΡ ΡΠΏΡΠ΅Π΅Π² ΠΈΠ»ΠΈ ΡΠΎΡΠ°ΡΠ΅Π»ΡΠ½ΡΡ ΡΠ°Π±Π»Π΅ΡΠΎΠΊ.
Π―Π·Π²Ρ Π½Π° ΡΠ·ΡΠΊΠ΅ ΠΌΠΎΠ³ΡΡ Π²ΡΠ·Π²Π°ΡΡ ΡΠ°ΠΊΠΈΠ΅ ΡΠΈΠ·ΠΈΡΠ΅ΡΠΊΠΈΠ΅ ΡΡΠ°Π²ΠΌΡ:
- ΡΠΏΠΎΡΡΠ΅Π±Π»Π΅Π½ΠΈΠ΅ ΡΡΠ΅Π·ΠΌΠ΅ΡΠ½ΠΎ Π³ΠΎΡΡΡΠΈΡ Π±Π»ΡΠ΄ ΠΈΠ»ΠΈ Π½Π°ΠΏΠΈΡΠΊΠΎΠ²;
- Π²ΠΎΠ·Π΄Π΅ΠΉΡΡΠ²ΠΈΠ΅ ΡΠ»Π΅ΠΊΡΡΠΈΡΠ΅ΡΠΊΠΎΠ³ΠΎ ΡΠΎΠΊΠ°;
- Π²Π»ΠΈΡΠ½ΠΈΠ΅ ΠΎΠ³Π½Ρ ΠΈΠ»ΠΈ ΠΈΠΎΠ½ΠΈΠ·ΠΈΡΡΡΡΠ΅ΠΉ ΡΠ°Π΄ΠΈΠ°ΡΠΈΠΈ.
ΠΠ»Π°ΡΡΠΈΡΠΈΠΊΠ°ΡΠΈΡ
ΠΠΎΠ΄ΠΎΠ±Π½ΡΠΉ Π΄Π΅ΡΠ΅ΠΊΡ ΡΠ·ΡΠΊΠ° Π΄Π΅Π»ΠΈΡΡΡ Π½Π°:
- ΡΡΠΎΡΠΈΡΠ΅ΡΠΊΡΡ ΡΠ·Π²Ρ β ΡΡΠΎ ΠΎΠ·Π½Π°ΡΠ°Π΅Ρ, ΡΡΠΎ ΠΈΠ·ΡΡΠ·Π²Π»Π΅Π½ΠΈΡ ΠΏΠΎΡΠ°ΠΆΠ°ΡΡ Π»ΠΈΡΡ Π²Π΅ΡΡ Π½ΠΈΠΉ ΡΠ»ΠΎΠΉ ΡΠΏΠΈΡΠ΅Π»ΠΈΡ ΡΠ·ΡΠΊΠ°. ΠΠ½ΠΈ ΠΈΠΌΠ΅ΡΡ ΡΠ»Π°Π±ΠΎΠ²ΡΡΠ°ΠΆΠ΅Π½Π½ΡΡ ΠΌΠ΅ΡΡΠ½ΡΡ ΡΠΈΠΌΠΏΡΠΎΠΌΠ°ΡΠΈΠΊΡ ΠΈ Π»Π΅Π³ΡΠ΅ ΠΏΠΎΠ΄Π΄Π°ΡΡΡΡ Π»Π΅ΡΠ΅Π½ΠΈΡ;
- Π½Π΅ΠΊΡΠΎΡΠΈΡΠ΅ΡΠΊΡΡ ΡΠ·Π²Ρ β ΠΎΡΠ»ΠΈΡΠ°Π΅ΡΡΡ ΡΠ΅ΠΌ, ΡΡΠΎ ΡΠ°ΡΠΏΡΠΎΡΡΡΠ°Π½ΡΠ΅ΡΡΡ Π½Π° Π±ΠΎΠ»Π΅Π΅ Π³Π»ΡΠ±ΠΎΠΊΠΈΠ΅ ΡΠ»ΠΎΠΈ ΡΡΠΎΠ³ΠΎ ΠΎΡΠ³Π°Π½Π°. Π’Π°ΠΊΠΎΠΉ Π²Π°ΡΠΈΠ°Π½Ρ ΠΏΡΠΈΡΠΈΠ½ΡΠ΅Ρ ΠΌΠ½ΠΎΠΆΠ΅ΡΡΠ²ΠΎ Π΄ΠΈΡΠΊΠΎΠΌΡΠΎΡΡΠ° ΠΈ Π½ΡΠΆΠ΄Π°Π΅ΡΡΡ Π² Π΄Π»ΠΈΡΠ΅Π»ΡΠ½ΠΎΠΉ ΡΠ΅ΡΠ°ΠΏΠΈΠΈ.
Π―Π·Π²Ρ Π½Π° ΡΠ·ΡΠΊΠ΅ Ρ ΡΠ΅Π±ΡΠ½ΠΊΠ° ΠΈΠ»ΠΈ Π²Π·ΡΠΎΡΠ»ΠΎΠ³ΠΎ ΠΌΠΎΠ³ΡΡ ΠΎΡΠ»ΠΈΡΠ°ΡΡΡΡ ΠΏΠΎ ΡΠ²ΠΎΠ΅ΠΌΡ ΠΎΠΊΡΠ°ΡΡ, ΡΡΠΎ ΠΈΠΌΠ΅Π΅Ρ Π΄ΠΎΠ²ΠΎΠ»ΡΠ½ΠΎ Π±ΠΎΠ»ΡΡΡΡ Π΄ΠΈΠ°Π³Π½ΠΎΡΡΠΈΡΠ΅ΡΠΊΡΡ ΡΠ΅Π½Π½ΠΎΡΡΡ. Π’Π°ΠΊΠΈΠΌ ΠΎΠ±ΡΠ°Π·ΠΎΠΌ, ΡΠ°ΠΊΠ°Ρ ΡΠ°Π½ΠΊΠ° Π±ΡΠ²Π°Π΅Ρ:
- Π±Π΅Π»Π°Ρ;
- ΠΆΡΠ»ΡΠ°Ρ;
- ΠΆΡΠ»ΡΠΎ-ΡΠ΅ΡΠ°Ρ;
- ΠΊΡΠ°ΡΠ½Π°Ρ;
- Π·Π΅Π»ΡΠ½Π°Ρ.
ΠΠΎ ΠΌΠ΅ΡΡΡ Π»ΠΎΠΊΠ°Π»ΠΈΠ·Π°ΡΠΈΠΈ ΠΏΠΎΠ΄ΠΎΠ±Π½ΡΠ΅ Π½ΠΎΠ²ΠΎΠΎΠ±ΡΠ°Π·ΠΎΠ²Π°Π½ΠΈΡ Π΄Π΅Π»ΡΡΡΡ Π½Π°:
- ΡΠ·Π²Ρ Π½Π° ΠΊΠΎΡΠ½Π΅ ΡΠ·ΡΠΊΠ°;
- ΡΠ·Π²Ρ Π½Π° ΠΊΠΎΠ½ΡΠΈΠΊΠ΅ ΡΠ·ΡΠΊΠ°;
- ΡΠ·Π²Ρ Ρ ΠΎΠ΄Π½ΠΎΠ³ΠΎ ΠΈΠ»ΠΈ Ρ ΠΎΠ±ΠΎΠΈΡ Π±ΠΎΠΊΠΎΠ² ΡΠ·ΡΠΊΠ°;
- ΡΠ·Π²Ρ ΠΏΠΎ ΡΠ΅Π½ΡΡΡ ΡΠ·ΡΠΊΠ°.
ΠΡΠΎΠΌΠ΅ ΡΡΠΎΠ³ΠΎ, Π΄Π΅ΡΠ΅ΠΊΡΡ ΠΌΠΎΠ³ΡΡ Π±ΡΡΡ Π΅Π΄ΠΈΠ½ΠΈΡΠ½ΡΠΌΠΈ ΠΈ ΠΌΠ½ΠΎΠΆΠ΅ΡΡΠ²Π΅Π½Π½ΡΠΌΠΈ, ΠΏΡΠΈΡΡΠΌ ΠΏΠ΅ΡΠ²ΡΠ΅ ΠΌΠΎΠ³ΡΡ ΡΠ»ΠΈΠ²Π°ΡΡΡΡ ΠΈ ΠΎΠ±ΡΠ°Π·ΠΎΠ²ΡΠ²Π°ΡΡ Π±ΠΎΠ»ΡΡΠΎΠ΅ ΠΏΡΡΠ½ΠΎ.
Π‘ΠΈΠΌΠΏΡΠΎΠΌΠ°ΡΠΈΠΊΠ°
Π―Π·Π²Ρ Π½Π° ΡΠ·ΡΠΊΠ΅ ΠΎΡΠ΅Π½Ρ ΡΠ°ΡΡΠΎ Π²ΡΡΡΡΠΏΠ°ΡΡ Π² ΠΊΠ°ΡΠ΅ΡΡΠ²Π΅ ΠΏΠ΅ΡΠ²ΠΎΠ³ΠΎ, Π½ΠΎ Π½Π΅ Π΅Π΄ΠΈΠ½ΡΡΠ²Π΅Π½Π½ΠΎΠ³ΠΎ ΠΊΠ»ΠΈΠ½ΠΈΡΠ΅ΡΠΊΠΎΠ³ΠΎ ΠΏΡΠΎΡΠ²Π»Π΅Π½ΠΈΡ ΡΠΎΠ³ΠΎ ΠΈΠ»ΠΈ ΠΈΠ½ΠΎΠ³ΠΎ Π½Π΅Π΄ΡΠ³Π°, Π° ΡΠ°ΠΊΠΆΠ΅ ΡΡΠ°Π²ΠΌΠ°ΡΠΈΡΠ΅ΡΠΊΠΎΠ³ΠΎ ΠΏΠΎΡΠ°ΠΆΠ΅Π½ΠΈΡ ΡΠ·ΡΠΊΠ°. Π‘ΡΠ΅Π΄ΠΈ Π½Π°ΠΈΠ±ΠΎΠ»Π΅Π΅ ΡΠ°ΡΠΏΡΠΎΡΡΡΠ°Π½ΡΠ½Π½ΡΡ ΠΌΠ΅ΡΡΠ½ΡΡ ΠΏΡΠΈΠ·Π½Π°ΠΊΠΎΠ² ΡΡΠΎΠΈΡ Π²ΡΠ΄Π΅Π»ΠΈΡΡ:
- Π·Π»ΠΎΠ²ΠΎΠ½Π½ΡΠΉ Π·Π°ΠΏΠ°Ρ ΠΈΠ· ΡΠΎΡΠΎΠ²ΠΎΠΉ ΠΏΠΎΠ»ΠΎΡΡΠΈ;
- Π½Π΅ΠΏΡΠΈΡΡΠ½ΡΠΉ ΠΏΡΠΈΠ²ΠΊΡΡ Π²ΠΎ ΡΡΡ;
- ΠΏΡΠΈΠΎΠ±ΡΠ΅ΡΠ΅Π½ΠΈΠ΅ ΡΠ·ΡΠΊΠΎΠΌ ΡΡΠΊΠΎ-ΠΊΡΠ°ΡΠ½ΠΎΠ³ΠΎ ΠΎΡΡΠ΅Π½ΠΊΠ°;
- ΠΏΠΎΠ²ΡΡΠ΅Π½Π½ΠΎΠ΅ Π²ΡΠ΄Π΅Π»Π΅Π½ΠΈΠ΅ ΡΠ»ΡΠ½Ρ;
- Π·ΡΠ΄ ΠΈ ΠΆΠΆΠ΅Π½ΠΈΠ΅ Π½Π° ΡΠ·ΡΠΊΠ΅;
- Π±ΠΎΠ»Π΅Π²ΠΎΠΉ ΡΠΈΠ½Π΄ΡΠΎΠΌ;
- ΠΎΠ±ΡΠΈΡΠ½ΠΎΠ΅ Π²ΡΡΡΠΏΠ°Π½ΠΈΠ΅ Π² ΠΏΠΎΠ»ΠΎΡΡΠΈ ΡΡΠ°;
- ΠΎΠ±Π»ΠΎΠΆΠ΅Π½Π½ΠΎΡΡΡ ΡΠ·ΡΠΊΠ° Π½Π°Π»ΡΡΠΎΠΌ;
- ΠΊΡΠΎΠ²ΠΎΡΠ΅ΡΠ΅Π½ΠΈΠ΅ Π²ΠΎ ΡΡΡ β ΠΏΠΎΡΠ²Π»ΡΠ΅ΡΡΡ, Π΅ΡΠ»ΠΈ ΡΡΠ°Π²ΠΌΠΈΡΠΎΠ²Π°ΡΡ ΡΠ·Π²ΠΎΡΠΊΡ;
- Π΄ΠΈΡΠΊΠΎΠΌΡΠΎΡΡ Π²ΠΎ Π²ΡΠ΅ΠΌΡ ΡΠ°Π·Π³ΠΎΠ²ΠΎΡΠ° ΠΈΠ»ΠΈ ΡΠΏΠΎΡΡΠ΅Π±Π»Π΅Π½ΠΈΡ ΠΏΠΈΡΠΈ, ΡΡΠΎ Π² Π·Π½Π°ΡΠΈΡΠ΅Π»ΡΠ½ΠΎΠΉ ΡΡΠ΅ΠΏΠ΅Π½ΠΈ ΡΠ½ΠΈΠΆΠ°Π΅Ρ ΠΊΠ°ΡΠ΅ΡΡΠ²ΠΎ ΠΆΠΈΠ·Π½ΠΈ ΡΠ΅Π»ΠΎΠ²Π΅ΠΊΠ°.
ΠΡΠΎΠΌΠ΅ ΡΡΠΎΠ³ΠΎ, ΠΎΡΠ΅Π½Ρ ΡΠ°ΡΡΠΎ Ρ Π΄Π΅ΡΠ΅ΠΉ ΠΈ Π²Π·ΡΠΎΡΠ»ΡΡ ΠΏΡΠΎΠΈΡΡ ΠΎΠ΄ΠΈΡ ΠΎΠ±ΡΠ°Π·ΠΎΠ²Π°Π½ΠΈΠ΅ Π½Π΅ ΡΠΎΠ»ΡΠΊΠΎ ΡΠ·Π²ΠΎΡΠ΅ΠΊ, Π½ΠΎ ΠΈ Π΄ΡΡΠ³ΠΈΡ Π±ΠΎΠ»ΡΡΠ΅ΠΊ, Π½Π°ΠΏΡΠΈΠΌΠ΅Ρ:
- Π±Π΅Π»ΡΡ ΠΏΡΡΡΠ΅ΠΉ Π½Π΅Π±ΠΎΠ»ΡΡΠΎΠ³ΠΎ ΡΠ°Π·ΠΌΠ΅ΡΠ°;
- Π²ΠΎΠ»Π΄ΡΡΠ΅ΠΉ;
- ΠΏΡΠ·ΡΡΡΠΊΠΎΠ²;
- ΠΊΠΈΡΡ;
- ΠΎΠΏΡΡ ΠΎΠ»Π΅ΠΉ, ΠΏΠΎ ΠΎΠ±ΡΡΠΌΠ°ΠΌ Π½Π΅ ΠΏΡΠ΅Π²ΡΡΠ°ΡΡΠΈΡ Π½Π΅Π±ΠΎΠ»ΡΡΡΡ Π³ΠΎΡΠΎΡΠΈΠ½Ρ. Π ΠΏΠΎΠ΄Π°Π²Π»ΡΡΡΠ΅ΠΌ Π±ΠΎΠ»ΡΡΠΈΠ½ΡΡΠ²Π΅ ΡΠ»ΡΡΠ°Π΅Π² ΡΡΠΎ ΡΠΊΠ°Π·ΡΠ²Π°Π΅Ρ Π½Π° ΡΠ°Π·Π²ΠΈΡΠΈΠ΅ ΡΠ°ΠΊΠ° ΡΠ·ΡΠΊΠ°.
ΠΠΎΠΏΠΎΠ»Π½ΠΈΡΠ΅Π»ΡΠ½ΡΠ΅ ΠΊΠ»ΠΈΠ½ΠΈΡΠ΅ΡΠΊΠΈΠ΅ ΠΏΡΠΎΡΠ²Π»Π΅Π½ΠΈΡ Π±ΡΠ΄ΡΡ Π΄ΠΈΠΊΡΠΎΠ²Π°ΡΡΡΡ ΠΎΡΡΡΠΎΠΉ ΠΈΠ»ΠΈ Ρ ΡΠΎΠ½ΠΈΡΠ΅ΡΠΊΠΎΠΉ Π±ΠΎΠ»Π΅Π·Π½ΡΡ ΠΏΡΠΎΠ²ΠΎΠΊΠ°ΡΠΎΡΠΎΠΌ. ΠΠ°ΠΏΡΠΈΠΌΠ΅Ρ, ΠΌΠΎΠ³ΡΡ Π½Π°Π±Π»ΡΠ΄Π°ΡΡΡΡ:
- Π²ΡΡΡΠΏΠ°Π½ΠΈΡ Π½Π° Π²Π΅ΡΡ Π½ΠΈΡ ΠΈ Π½ΠΈΠΆΠ½ΠΈΡ ΠΊΠΎΠ½Π΅ΡΠ½ΠΎΡΡΡΡ , Π° ΡΠ°ΠΊΠΆΠ΅ ΠΈΠ½ΡΡ ΡΠ°ΡΡΡΡ ΡΠ΅Π»Π°;
- ΠΏΠΎΠ²ΡΡΠ΅Π½ΠΈΠ΅ ΡΠ΅ΠΌΠΏΠ΅ΡΠ°ΡΡΡΡ ΡΠ΅Π»Π° Π²ΠΏΠ»ΠΎΡΡ Π΄ΠΎ 40 Π³ΡΠ°Π΄ΡΡΠΎΠ²;
- Π³ΠΎΠ»ΠΎΠ²Π½ΡΠ΅ Π±ΠΎΠ»ΠΈ ΠΈ Π³ΠΎΠ»ΠΎΠ²ΠΎΠΊΡΡΠΆΠ΅Π½ΠΈΡ;
- ΠΊΡΠΎΠ²ΠΎΡΠΎΡΠΈΠ²ΠΎΡΡΡ Π΄ΡΡΠ΅Π½;
- Π·ΡΠ΄ ΠΊΠΎΠΆΠ½ΠΎΠ³ΠΎ ΠΏΠΎΠΊΡΠΎΠ²Π°;
- ΠΏΠΎΠΊΡΠ°ΡΠ½Π΅Π½ΠΈΠ΅ Π³Π»Π°Π·;
- Π²ΠΎΡΠΏΠ°Π»Π΅Π½ΠΈΠ΅ Π³Π΅Π½ΠΈΡΠ°Π»ΠΈΠΉ;
- Π±Π»Π΅Π΄Π½ΠΎΡΡΡ ΠΈΠ»ΠΈ ΡΠΈΠ½ΡΡΠ½ΠΎΡΡΡ ΠΊΠΎΠΆΠΈ;
- Π½Π°ΡΡΡΠ΅Π½ΠΈΠ΅ Π΄ΡΡ Π°ΡΠ΅Π»ΡΠ½ΠΎΠΉ ΡΡΠ½ΠΊΡΠΈΠΈ;
- ΡΠ°ΡΡΡΡΠΎΠΉΡΡΠ²ΠΎ ΡΠ½Π°;
- ΠΎΡΠ²ΡΠ°ΡΠ΅Π½ΠΈΠ΅ ΠΊ ΠΏΠΈΡΠ΅;
- Π½Π΅ΠΎΠ±ΠΎΡΠ½ΠΎΠ²Π°Π½Π½ΠΎΠ΅ ΡΠ΅Π·ΠΊΠΎΠ΅ ΡΠ½ΠΈΠΆΠ΅Π½ΠΈΠ΅ ΠΌΠ°ΡΡΡ ΡΠ΅Π»Π°.
ΠΠ΅ΠΎΠ±Ρ ΠΎΠ΄ΠΈΠΌΠΎ ΡΡΠ΅ΡΡΡ, ΡΡΠΎ Π²ΡΡΠ΅ΡΠΊΠ°Π·Π°Π½Π½ΡΠ΅ ΠΏΡΠΈΠ·Π½Π°ΠΊΠΈ β ΡΡΠΎ Π΄Π°Π»Π΅ΠΊΠΎ Π½Π΅ Π²Π΅ΡΡ ΡΠΏΠ΅ΠΊΡΡ ΡΠΈΠΌΠΏΡΠΎΠΌΠ°ΡΠΈΠΊΠΈ, ΠΊΠΎΡΠΎΡΡΠΉ ΠΌΠΎΠΆΠ΅Ρ ΡΠΎΠΏΡΠΎΠ²ΠΎΠΆΠ΄Π°ΡΡ ΠΊΡΠ°ΡΠ½ΡΠ΅ ΠΈΠ»ΠΈ Π±Π΅Π»ΡΠ΅ ΡΠ·Π²Ρ Π½Π° ΡΠ·ΡΠΊΠ΅.
Π’Π°ΠΊΠΆΠ΅ ΡΡΠΎΠΈΡ Π²ΡΠ΄Π΅Π»ΠΈΡΡ ΡΠΈΠΌΠΏΡΠΎΠΌΡ, ΠΏΡΠΈ Π²ΠΎΠ·Π½ΠΈΠΊΠ½ΠΎΠ²Π΅Π½ΠΈΠΈ ΠΊΠΎΡΠΎΡΡΡ ΡΠ»Π΅Π΄ΡΠ΅Ρ Π½Π΅ΠΌΠ΅Π΄Π»Π΅Π½Π½ΠΎ ΠΎΠ±ΡΠ°ΡΠΈΡΡΡΡ Π·Π° ΠΊΠ²Π°Π»ΠΈΡΠΈΡΠΈΡΠΎΠ²Π°Π½Π½ΠΎΠΉ ΠΏΠΎΠΌΠΎΡΡΡ. Π‘ΡΠ΅Π΄ΠΈ Π½ΠΈΡ :
- ΠΏΠΎΡΠ²Π»Π΅Π½ΠΈΠ΅ ΡΡΠ΅Π·ΠΌΠ΅ΡΠ½ΠΎ Π±ΠΎΠ»ΡΡΠΎΠΉ ΡΠ·Π²Ρ β Π±ΠΎΠ»ΡΡΠ΅ ΠΎΠ΄Π½ΠΎΠ³ΠΎ ΡΠ°Π½ΡΠΈΠΌΠ΅ΡΡΠ° Π² Π΄ΠΈΠ°ΠΌΠ΅ΡΡΠ΅;
- ΡΠΎΡΠΌΠΈΡΠΎΠ²Π°Π½ΠΈΠ΅ Π±ΠΎΠ»ΡΡΠΎΠ³ΠΎ ΠΊΠΎΠ»ΠΈΡΠ΅ΡΡΠ²Π° ΠΏΠΎΠ΄ΠΎΠ±Π½ΡΡ Π½ΠΎΠ²ΠΎΠΎΠ±ΡΠ°Π·ΠΎΠ²Π°Π½ΠΈΠΉ;
- ΠΎΠ±ΡΠ°Π·ΠΎΠ²Π°Π½ΠΈΠ΅ Π½ΠΎΠ²ΡΡ ΡΠ·Π² Π΄ΠΎ ΡΠΎΠ³ΠΎ, ΠΊΠ°ΠΊ ΠΈΡΡΠ΅Π·Π»ΠΈ ΡΡΠ°ΡΡΠ΅;
- ΡΠ°ΡΡΠΎΠ΅ Π²ΠΎΠ·Π½ΠΈΠΊΠ½ΠΎΠ²Π΅Π½ΠΈΠ΅ Π΄Π΅ΡΠΎΡΠΌΠ°ΡΠΈΠΉ, ΠΏΡΠΈΠΌΠ΅ΡΠ½ΠΎ ΡΠ°Π· Π² ΠΌΠ΅ΡΡΡ;
- ΠΏΠΎΡΠ²Π»Π΅Π½ΠΈΠ΅ ΠΎΠ΄Π½ΠΎΠΉ ΡΠ·Π²ΠΎΡΠΊΠΈ Π±Π΅Π»ΠΎΠ³ΠΎ ΠΈΠ»ΠΈ Π»ΡΠ±ΠΎΠ³ΠΎ ΠΈΠ½ΠΎΠ³ΠΎ ΠΎΡΡΠ΅Π½ΠΊΠ°, ΠΊΠΎΡΠΎΡΠ°Ρ Π½Π΅ Π·Π°ΠΆΠΈΠ²Π°Π΅Ρ Π½Π° ΠΏΡΠΎΡΡΠΆΠ΅Π½ΠΈΠΈ Π΄Π»ΠΈΡΠ΅Π»ΡΠ½ΠΎΠ³ΠΎ Π²ΡΠ΅ΠΌΠ΅Π½ΠΈ.
ΠΡΠ΅ Π²ΡΡΠ΅ΡΠΊΠ°Π·Π°Π½Π½ΡΠ΅ ΠΊΠ»ΠΈΠ½ΠΈΡΠ΅ΡΠΊΠΈΠ΅ ΠΏΡΠΎΡΠ²Π»Π΅Π½ΠΈΡ Π½Π°Π±Π»ΡΠ΄Π°ΡΡΡΡ Ρ ΠΏΠ°ΡΠΈΠ΅Π½ΡΠΎΠ² Π² Π½Π΅Π·Π°Π²ΠΈΡΠΈΠΌΠΎΡΡΠΈ ΠΎΡ Π²ΠΎΠ·ΡΠ°ΡΡΠ½ΠΎΠΉ ΠΊΠ°ΡΠ΅Π³ΠΎΡΠΈΠΈ.
ΠΠΈΠ°Π³Π½ΠΎΡΡΠΈΠΊΠ°
ΠΠ°ΠΊ Π»Π΅ΡΠΈΡΡ ΠΈ ΡΡΡΠ°Π½ΠΎΠ²ΠΈΡΡ ΠΏΡΠΈΡΠΈΠ½Ρ ΡΠΎΠ³ΠΎ, ΡΡΠΎ ΡΠ·ΡΠΊ ΠΏΠΎΠΊΡΡΠ²Π°Π΅ΡΡΡ ΡΠ·Π²Π°ΠΌΠΈ, Π·Π½Π°Π΅Ρ Π²ΡΠ°Ρ-ΡΡΠΎΠΌΠ°ΡΠΎΠ»ΠΎΠ³, ΠΊΠΎΡΠΎΡΡΠΉ, ΠΏΡΠ΅ΠΆΠ΄Π΅ Π²ΡΠ΅Π³ΠΎ, Π΄ΠΎΠ»ΠΆΠ΅Π½:
- ΠΈΠ·ΡΡΠΈΡΡ ΠΈΡΡΠΎΡΠΈΡ Π±ΠΎΠ»Π΅Π·Π½ΠΈ ΠΏΠ°ΡΠΈΠ΅Π½ΡΠ° β Π΄Π»Ρ Π²ΡΡΡΠ½Π΅Π½ΠΈΡ, ΠΊΠ°ΠΊΠ°Ρ ΠΎΡΡΡΠ°Ρ ΠΈΠ»ΠΈ Ρ ΡΠΎΠ½ΠΈΡΠ΅ΡΠΊΠ°Ρ ΡΡΠΎΠΌΠ°ΡΠΎΠ»ΠΎΠ³ΠΈΡΠ΅ΡΠΊΠ°Ρ ΠΏΠ°ΡΠΎΠ»ΠΎΠ³ΠΈΡ ΠΌΠΎΠ³Π»Π° ΠΏΡΠΈΠ²Π΅ΡΡΠΈ ΠΊ Π²ΡΡΠ°ΠΆΠ΅Π½ΠΈΡ ΠΎΡΠ½ΠΎΠ²Π½ΠΎΠ³ΠΎ ΡΠΈΠΌΠΏΡΠΎΠΌΠ°;
- ΡΠΎΠ±ΡΠ°ΡΡ ΠΈ ΠΏΡΠΎΠ°Π½Π°Π»ΠΈΠ·ΠΈΡΠΎΠ²Π°ΡΡ Π°Π½Π°ΠΌΠ½Π΅Π· ΠΆΠΈΠ·Π½ΠΈ ΡΠ΅Π»ΠΎΠ²Π΅ΠΊΠ° β ΡΡΠΎ Π½ΡΠΆΠ½ΠΎ Π² ΡΠ΅Ρ ΡΠΈΡΡΠ°ΡΠΈΡΡ , ΠΊΠΎΠ³Π΄Π° ΡΡΠΎΡΠΈΡΠ΅ΡΠΊΠΈΠ΅ ΡΠ·Π²Ρ Π½ΠΎΡΡΡ ΡΡΠ°Π²ΠΌΠ°ΡΠΈΡΠ΅ΡΠΊΠΈΠΉ, Ρ ΠΈΠΌΠΈΡΠ΅ΡΠΊΠΈΠΉ ΠΈΠ»ΠΈ ΡΠΈΠ·ΠΈΡΠ΅ΡΠΊΠΈΠΉ Ρ Π°ΡΠ°ΠΊΡΠ΅Ρ;
- ΠΏΡΠΎΠ²Π΅ΡΡΠΈ ΡΡΠ°ΡΠ΅Π»ΡΠ½ΡΠΉ ΡΠΈΠ·ΠΈΠΊΠ°Π»ΡΠ½ΡΠΉ ΠΎΡΠΌΠΎΡΡ;
- Π΄Π΅ΡΠ°Π»ΡΠ½ΠΎ ΠΎΠΏΡΠΎΡΠΈΡΡ ΠΏΠ°ΡΠΈΠ΅Π½ΡΠ° β Π΄Π»Ρ ΡΡΡΠ°Π½ΠΎΠ²Π»Π΅Π½ΠΈΡ ΡΡΠ΅ΠΏΠ΅Π½ΠΈ Π²ΡΡΠ°ΠΆΠ΅Π½Π½ΠΎΡΡΠΈ Π³Π»Π°Π²Π½ΠΎΠ³ΠΎ ΠΊΠ»ΠΈΠ½ΠΈΡΠ΅ΡΠΊΠΎΠ³ΠΎ ΠΏΡΠΎΡΠ²Π»Π΅Π½ΠΈΡ ΠΈ ΡΠΎΡΡΠ°Π²Π»Π΅Π½ΠΈΡ ΠΏΠΎΠ»Π½ΠΎΠΉ ΡΠΈΠΌΠΏΡΠΎΠΌΠ°ΡΠΈΡΠ΅ΡΠΊΠΎΠΉ ΠΊΠ°ΡΡΠΈΠ½Ρ.
ΠΠ°ΡΠ°ΡΡΡΡ ΡΡΠΎΠ³ΠΎ Π±ΡΠ²Π°Π΅Ρ Π΄ΠΎΡΡΠ°ΡΠΎΡΠ½ΠΎ Π΄Π»Ρ ΡΡΡΠ°Π½ΠΎΠ²Π»Π΅Π½ΠΈΡ ΡΡΠΈΠΎΠ»ΠΎΠ³ΠΈΡΠ΅ΡΠΊΠΎΠ³ΠΎ ΡΠ°ΠΊΡΠΎΡΠ°, ΠΎΠ΄Π½Π°ΠΊΠΎ Π΅ΡΠ»ΠΈ ΡΡΠΎΠ³ΠΎ Π½Π΅ ΠΏΡΠΎΠΈΠ·ΠΎΡΠ»ΠΎ, ΡΡΠΎΠΌΠ°ΡΠΎΠ»ΠΎΠ³ ΠΌΠΎΠΆΠ΅Ρ Π½Π°ΠΏΡΠ°Π²ΠΈΡΡ Π±ΠΎΠ»ΡΠ½ΠΎΠ³ΠΎ Π½Π° Π΄ΠΎΠΏΠΎΠ»Π½ΠΈΡΠ΅Π»ΡΠ½ΡΠ΅ ΠΎΠ±ΡΠ»Π΅Π΄ΠΎΠ²Π°Π½ΠΈΡ ΠΊ:
- Π°Π»Π»Π΅ΡΠ³ΠΎΠ»ΠΎΠ³Ρ-ΠΈΠΌΠΌΡΠ½ΠΎΠ»ΠΎΠ³Ρ;
- ΠΈΠ½ΡΠ΅ΠΊΡΠΈΠΎΠ½ΠΈΡΡΡ;
- ΠΎΠ½ΠΊΠΎΠ»ΠΎΠ³Ρ;
- Π½Π΅Π²ΡΠΎΠ»ΠΎΠ³Ρ;
- ΠΏΡΠ»ΡΠΌΠΎΠ½ΠΎΠ»ΠΎΠ³Ρ.
Π Π·Π°Π²ΠΈΡΠΈΠΌΠΎΡΡΠΈ ΠΎΡ ΡΠΎΠ³ΠΎ, ΠΊ ΠΊΠ°ΠΊΠΎΠΌΡ ΡΠΏΠ΅ΡΠΈΠ°Π»ΠΈΡΡΡ ΠΏΠΎΠΏΠ°Π΄ΡΡ ΠΏΠ°ΡΠΈΠ΅Π½Ρ, Π±ΡΠ΄Π΅Ρ ΠΎΡΠ»ΠΈΡΠ°ΡΡΡΡ ΠΊΠΎΠΌΠΏΠ»Π΅ΠΊΡ Π»Π°Π±ΠΎΡΠ°ΡΠΎΡΠ½ΠΎ-ΠΈΠ½ΡΡΡΡΠΌΠ΅Π½ΡΠ°Π»ΡΠ½ΡΡ Π΄ΠΈΠ°Π³Π½ΠΎΡΡΠΈΡΠ΅ΡΠΊΠΈΡ ΠΌΠ΅ΡΠΎΠΏΡΠΈΡΡΠΈΠΉ.
ΠΠ΅ΡΠ΅Π½ΠΈΠ΅
ΠΠ·Π±Π°Π²ΠΈΡΡΡΡ ΠΎΡ ΡΠ·Π²ΠΎΡΠΊΠΈ ΠΈΠ»ΠΈ Π΄ΡΡΠ³ΠΎΠΉ Π±ΠΎΠ»ΡΡΠΊΠΈ, Π²ΠΎΠ·Π½ΠΈΠΊΡΠ΅ΠΉ Π½Π° ΡΠ·ΡΠΊΠ΅ ΠΌΠΎΠΆΠ½ΠΎ ΠΏΡΠΈ ΠΏΠΎΠΌΠΎΡΠΈ ΠΊΠΎΠ½ΡΠ΅ΡΠ²Π°ΡΠΈΠ²Π½ΡΡ ΠΌΠ΅ΡΠΎΠ΄ΠΎΠ² ΡΠ΅ΡΠ°ΠΏΠΈΠΈ, ΠΊΠΎΡΠΎΡΡΠ΅ ΠΎΡΠ½ΠΎΠ²ΡΠ²Π°ΡΡΡΡ Π½Π° ΠΏΡΠΈΡΠΌΠ΅ Π»Π΅ΠΊΠ°ΡΡΡΠ²Π΅Π½Π½ΡΡ ΠΏΡΠ΅ΠΏΠ°ΡΠ°ΡΠΎΠ² ΠΈ ΠΈΡΠΏΠΎΠ»ΡΠ·ΠΎΠ²Π°Π½ΠΈΠΈ ΡΠ΅ΡΠ΅ΠΏΡΠΎΠ² Π½Π°ΡΠΎΠ΄Π½ΠΎΠΉ ΠΌΠ΅Π΄ΠΈΡΠΈΠ½Ρ.
ΠΠ΅Π΄ΠΈΠΊΠ°ΠΌΠ΅Π½ΡΠΎΠ·Π½ΠΎΠ΅ Π»Π΅ΡΠ΅Π½ΠΈΠ΅ Π·Π°ΠΊΠ»ΡΡΠ°Π΅ΡΡΡ Π²:
- ΠΏΡΠΎΠΌΡΠ²Π°Π½ΠΈΠΈ ΡΠΎΡΠΎΠ²ΠΎΠΉ ΠΏΠΎΠ»ΠΎΡΡΠΈ Π°Π½ΡΠΈΡΠ΅ΠΏΡΠΈΡΠ΅ΡΠΊΠΈΠΌΠΈ ΡΠ°ΡΡΠ²ΠΎΡΠ°ΠΌΠΈ ΠΈΠ»ΠΈ Β«ΠΠΈΠΌΠ΅ΠΊΡΠΈΠ΄ΠΎΠΌΒ», Β«ΠΠΈΡΠ°ΠΌΠΈΡΡΠΈΠ½ΠΎΠΌΒ», Β«Π€ΡΡΠ°ΡΠΈΠ»ΠΈΠ½ΠΎΠΌΒ»;
- ΠΎΠ±ΡΠ°Π±ΠΎΡΠΊΠ΅ ΡΠ·Π²Ρ ΠΏΠ΅ΡΠ΅ΠΊΠΈΡΡΡ Π²ΠΎΠ΄ΠΎΡΠΎΠ΄Π° ΠΈ Π·Π΅Π»ΡΠ½ΠΊΠΎΠΉ;
- ΠΏΡΠΈΠΌΠ΅Π½Π΅Π½ΠΈΠΈ Π³Π΅Π»Π΅ΠΉ Ρ Π»ΠΈΠ΄ΠΎΠΊΠ°ΠΈΠ½ΠΎΠΌ ΠΈ ΠΊΠΎΡΡΠΈΠΊΠΎΡΡΠ΅ΡΠΎΠΈΠ΄Π°ΠΌΠΈ;
- ΠΏΡΠΈΡΠΌΠ΅ Π²Π½ΡΡΡΡ Β«ΠΡΡΠ½ΠΈΠ½Π°Β», Β«ΠΠΈΠΎΠΊΡΠΈΡΠ°Β», Β«Π€Π»ΡΠΊΠΎΠ½Π°Π·ΠΎΠ»Π°Β», Π° ΡΠ°ΠΊΠΆΠ΅ ΠΈΠ½ΡΡ ΠΎΠ±Π΅Π·Π±ΠΎΠ»ΠΈΠ²Π°ΡΡΠΈΡ Π»Π΅ΠΊΠ°ΡΡΡΠ² ΠΈ ΡΡΠ»ΡΡΠ°Π½ΠΈΠ»Π°ΠΌΠΈΠ΄ΠΎΠ²;
- Π½Π°Π½Π΅ΡΠ΅Π½ΠΈΠΈ Π½Π° ΠΏΠΎΡΠ°ΠΆΡΠ½Π½ΡΡ ΠΎΠ±Π»Π°ΡΡΡ Β«Π₯ΠΎΠ»Π΅ΡΠ°Π»Π°Β» ΠΈΠ»ΠΈ Β«ΠΠ΅ΠΊΡΠ°ΠΌΠ΅ΡΠΎΠ·ΠΎΠ½Π°Β».
ΠΠ΅ΡΠ΅ΡΠ΅Π½Ρ ΡΠΎΠ³ΠΎ, ΡΠ΅ΠΌ Π»Π΅ΡΠΈΡΡ ΡΠ·Π²Ρ Π½Π° ΡΠ·ΡΠΊΠ΅ ΠΏΡΠΈ ΠΏΠΎΠΌΠΎΡΠΈ Π°Π»ΡΡΠ΅ΡΠ½Π°ΡΠΈΠ²Π½ΡΡ ΡΠΏΠΎΡΠΎΠ±ΠΎΠ² ΡΠ΅ΡΠ°ΠΏΠΈΠΈ Π²ΠΊΠ»ΡΡΠ°Π΅Ρ Π² ΡΠ΅Π±Ρ:
- ΠΊΠ°Π»Π΅Π½Π΄ΡΠ»Ρ ΠΈ ΡΠΎΠΌΠ°ΡΠΊΡ;
- ΡΠ°Π»ΡΠ΅ΠΉ ΠΈ ΠΊΠΎΡΡ Π΄ΡΠ±Π°;
- ΡΠ°Π±ΡΠ΅Ρ ΠΈ Π·Π²Π΅ΡΠΎΠ±ΠΎΠΉ.
ΠΠ° ΠΎΡΠ½ΠΎΠ²Π΅ ΡΠ°ΠΊΠΈΡ Π»Π΅ΠΊΠ°ΡΡΡΠ²Π΅Π½Π½ΡΡ ΡΡΠ°Π² ΠΈ ΡΠ°ΡΡΠ΅Π½ΠΈΠΉ Π½Π΅ΠΎΠ±Ρ ΠΎΠ΄ΠΈΠΌΠΎ ΠΏΡΠΈΠ³ΠΎΡΠΎΠ²ΠΈΡΡ ΡΠ΅Π»Π΅Π±Π½ΡΠ΅ ΠΎΡΠ²Π°ΡΡ, ΠΈΡΠΏΠΎΠ»ΡΠ·ΡΠ΅ΠΌΡΠ΅ Π΄Π»Ρ ΠΏΠΎΠ»ΠΎΡΠΊΠ°Π½ΠΈΡ ΡΠΎΡΠΎΠ²ΠΎΠΉ ΠΏΠΎΠ»ΠΎΡΡΠΈ. Π‘ΡΠΎΠΈΡ ΠΎΡΠΌΠ΅ΡΠΈΡΡ, ΡΡΠΎ ΡΠ°ΠΊΠΎΠ΅ Π»Π΅ΡΠ΅Π½ΠΈΠ΅ Π² Π΄ΠΎΠΌΠ°ΡΠ½ΠΈΡ ΡΡΠ»ΠΎΠ²ΠΈΡΡ Π΄ΠΎΠ»ΠΆΠ½ΠΎ Π±ΡΡΡ ΠΏΡΠ΅Π΄Π²Π°ΡΠΈΡΠ΅Π»ΡΠ½ΠΎ ΡΠΎΠ³Π»Π°ΡΠΎΠ²Π°Π½ΠΎ Ρ Π»Π΅ΡΠ°ΡΠΈΠΌ Π²ΡΠ°ΡΠΎΠΌ.
ΠΡΠ΅Π½Ρ Π²Π°ΠΆΠ½ΠΎ ΠΏΠΎΠΌΠ½ΠΈΡΡ, ΡΡΠΎ Π²ΡΡΠ΅ΡΠΊΠ°Π·Π°Π½Π½ΡΠ΅ ΡΠΏΠΎΡΠΎΠ±Ρ ΡΠ΅ΡΠ°ΠΏΠΈΠΈ Π½Π°ΠΏΡΠ°Π²Π»Π΅Π½Ρ Π»ΠΈΡΡ Π½Π° ΡΡΡΡΠ°Π½Π΅Π½ΠΈΠ΅ ΡΡΠΎΡΠΈΡΠ΅ΡΠΊΠΈΡ ΠΈ Π½Π΅ΠΊΡΠΎΡΠΈΡΠ΅ΡΠΊΠΈΡ ΡΠ·Π², Π° Π½Π΅ Π½Π° Π»ΠΈΠΊΠ²ΠΈΠ΄Π°ΡΠΈΡ Π±ΠΎΠ»Π΅Π·Π½ΠΈ, ΠΈΠ·-Π·Π° ΠΊΠΎΡΠΎΡΠΎΠΉ ΠΎΠ½ΠΈ ΠΏΠΎΡΠ²ΠΈΠ»ΠΈΡΡ.
ΠΠ΅ΡΠ΅Π½ΠΈΠ΅ ΠΏΡΠΈΡΠΈΠ½Ρ ΡΠ·Π²Ρ Π½Π° ΡΠ·ΡΠΊΠ΅ ΠΏΠΎΠ΄Π±ΠΈΡΠ°Π΅ΡΡΡ ΠΊΠ»ΠΈΠ½ΠΈΡΠΈΡΡΠΎΠΌ ΠΈΠ½Π΄ΠΈΠ²ΠΈΠ΄ΡΠ°Π»ΡΠ½ΠΎ Π΄Π»Ρ ΠΊΠ°ΠΆΠ΄ΠΎΠ³ΠΎ ΠΏΠ°ΡΠΈΠ΅Π½ΡΠ° ΠΈ ΠΌΠΎΠΆΠ΅Ρ Π±ΡΡΡ ΠΊΠΎΠ½ΡΠ΅ΡΠ²Π°ΡΠΈΠ²Π½ΡΠΌ ΠΈΠ»ΠΈ Ρ ΠΈΡΡΡΠ³ΠΈΡΠ΅ΡΠΊΠΈΠΌ, Π½ΠΎ Π·Π°ΡΠ°ΡΡΡΡ ΠΎΠ½ΠΎ Π½ΠΎΡΠΈΡΡ ΠΊΠΎΠΌΠΏΠ»Π΅ΠΊΡΠ½ΡΠΉ Ρ Π°ΡΠ°ΠΊΡΠ΅Ρ.
ΠΡΠΎΡΠΈΠ»Π°ΠΊΡΠΈΠΊΠ° ΠΈ ΠΏΡΠΎΠ³Π½ΠΎΠ·
Π§ΡΠΎΠ±Ρ ΠΈΠ·Π±Π΅ΠΆΠ°ΡΡ Π²ΠΎΠ·Π½ΠΈΠΊΠ½ΠΎΠ²Π΅Π½ΠΈΡ ΠΏΠΎΠ΄ΠΎΠ±Π½ΠΎΠ³ΠΎ Π½Π΅ΠΏΡΠΈΡΡΠ½ΠΎΠ³ΠΎ ΡΠΈΠΌΠΏΡΠΎΠΌΠ° Π»ΡΠ΄ΡΠΌ Π½Π΅ΠΎΠ±Ρ ΠΎΠ΄ΠΈΠΌΠΎ:
- ΡΠ΅Π³ΡΠ»ΡΡΠ½ΠΎ Π²ΡΠΏΠΎΠ»Π½ΡΡΡ ΠΌΠ°Π½ΠΈΠΏΡΠ»ΡΡΠΈΠΈ ΠΏΠΎ Π³ΠΈΠ³ΠΈΠ΅Π½Π΅ ΠΏΠΎΠ»ΠΎΡΡΠΈ ΡΡΠ°;
- ΠΈΡΠΏΠΎΠ»ΡΠ·ΠΎΠ²Π°ΡΡ ΠΌΡΠ³ΠΊΠΈΠ΅ ΡΡΡΠΊΠΈ, Π½Π΅ ΡΡΠ°Π²ΠΌΠΈΡΡΡΡΠΈΠ΅ ΡΠ·ΡΠΊ;
- ΠΏΡΠΈΠ½ΠΈΠΌΠ°ΡΡ ΠΏΠΈΡΡ ΠΊΠΎΠΌΠ½Π°ΡΠ½ΠΎΠΉ ΡΠ΅ΠΌΠΏΠ΅ΡΠ°ΡΡΡΡ;
- Π·Π°Π½ΠΈΠΌΠ°ΡΡΡΡ ΡΠ²ΠΎΠ΅Π²ΡΠ΅ΠΌΠ΅Π½Π½ΡΠΌ Π»Π΅ΡΠ΅Π½ΠΈΠ΅ΠΌ ΡΡΠΎΠΌΠ°ΡΠΎΠ»ΠΎΠ³ΠΈΡΠ΅ΡΠΊΠΈΡ Π·Π°Π±ΠΎΠ»Π΅Π²Π°Π½ΠΈΠΉ ΠΈ ΡΡΡΡΠ°Π½Π΅Π½ΠΈΠ΅ΠΌ Π΄ΡΡΠ³ΠΈΡ ΠΎΡΡΡΡΡ ΠΈ Ρ ΡΠΎΠ½ΠΈΡΠ΅ΡΠΊΠΈΡ Π½Π΅Π΄ΡΠ³ΠΎΠ², ΠΊΠΎΡΠΎΡΡΠ΅ ΠΌΠΎΠ³ΡΡ ΠΏΡΠΈΠ²Π΅ΡΡΠΈ ΠΊ ΠΎΠ±ΡΠ°Π·ΠΎΠ²Π°Π½ΠΈΡ ΠΏΠΎΠ΄ΠΎΠ±Π½ΠΎΠ³ΠΎ Π΄Π΅ΡΠ΅ΠΊΡΠ°;
- ΠΎΡΠΊΠ°Π·Π°ΡΡΡΡ ΠΎΡ Π²ΡΠ΅Π΄Π½ΡΡ ΠΏΡΠΈΠ²ΡΡΠ΅ΠΊ;
- Π½Π΅ Π΄ΠΎΠΏΡΡΠΊΠ°ΡΡ ΠΌΠ΅Ρ Π°Π½ΠΈΡΠ΅ΡΠΊΠΈΡ , Ρ ΠΈΠΌΠΈΡΠ΅ΡΠΊΠΈΡ ΠΈ ΡΠΈΠ·ΠΈΡΠ΅ΡΠΊΠΈΡ ΡΡΠ°Π²ΠΌ ΡΠ·ΡΠΊΠ°;
- ΡΠ°Π· Π² ΡΡΠΈ ΠΌΠ΅ΡΡΡΠ° ΠΏΠΎΡΠ΅ΡΠ°ΡΡ ΡΡΠΎΠΌΠ°ΡΠΎΠ»ΠΎΠ³Π° ΠΈ Π½Π΅ΡΠΊΠΎΠ»ΡΠΊΠΎ ΡΠ°Π· Π² Π³ΠΎΠ΄ ΠΏΡΠΎΡ ΠΎΠ΄ΠΈΡΡ ΠΏΠΎΠ»Π½ΡΠΉ ΠΏΡΠΎΡΠΈΠ»Π°ΠΊΡΠΈΡΠ΅ΡΠΊΠΈΠΉ ΠΎΡΠΌΠΎΡΡ Π² ΠΊΠ»ΠΈΠ½ΠΈΠΊΠ΅.
Π Π½Π΅Π·Π°Π²ΠΈΡΠΈΠΌΠΎΡΡΠΈ ΠΎΡ ΡΠΎΠ³ΠΎ, ΠΏΠΎΡΠ΅ΠΌΡ Π½Π° ΡΠ·ΡΠΊΠ΅ ΠΏΠΎΡΠ²Π»ΡΡΡΡΡ Π±ΠΎΠ»ΡΡΠΈΠ΅ ΠΈΠ»ΠΈ ΠΌΠ°Π»Π΅Π½ΡΠΊΠΈΠ΅ ΡΠ·Π²Ρ, Π° ΡΠ°ΠΊΠΆΠ΅ Π΄ΡΡΠ³ΠΈΠ΅ Π±ΠΎΠ»ΡΡΠΊΠΈ Π² ΠΏΠΎΠ»ΠΎΡΡΠΈ ΡΡΠ°, ΠΏΡΠΎΠ³Π½ΠΎΠ· Π·Π°ΡΠ°ΡΡΡΡ Π±Π»Π°Π³ΠΎΠΏΡΠΈΡΡΠ½ΡΠΉ. ΠΡΠΎ ΠΎΠ±ΡΡΠ»Π°Π²Π»ΠΈΠ²Π°Π΅ΡΡΡ ΡΠ΅ΠΌ, ΡΡΠΎ Π»ΡΠ΄ΠΈ Π½Π΅ ΠΌΠΎΠ³ΡΡ Π΄ΠΎΠ»Π³ΠΎ ΠΈΠ³Π½ΠΎΡΠΈΡΠΎΠ²Π°ΡΡ ΡΠ°ΠΊΠΎΠΉ ΠΏΡΠΈΠ·Π½Π°ΠΊ.
simptomer.ru
ΠΠ±ΡΠ°Π·ΠΎΠ²Π°Π½ΠΈΠ΅ ΡΠ·Π² Π½Π° ΠΏΠΎΠ²Π΅ΡΡ Π½ΠΎΡΡΠΈ ΡΠ·ΡΠΊΠ° β ΠΏΡΠΈΡΠΈΠ½Ρ
Π§ΡΠΎΠ±Ρ Π»Π΅ΡΠ΅Π½ΠΈΠ΅ Π±ΡΠ»ΠΎ ΡΡΡΠ΅ΠΊΡΠΈΠ²Π½ΡΠΌ Π½ΡΠΆΠ½ΠΎ ΠΏΡΠ°Π²ΠΈΠ»ΡΠ½ΠΎ Π²ΡΡΡΠ½ΠΈΡΡ ΠΏΡΠΈΡΠΈΠ½Ρ Π±ΠΎΠ»Π΅Π·Π½ΠΈ. Π ΠΎΡΠ½ΠΎΠ²Π½ΠΎΠΌ Π±ΠΎΠ»Π΅Π·Π½Ρ Π½Π΅ ΠΏΡΠ΅Π΄ΡΡΠ°Π²Π»ΡΠ΅Ρ ΠΎΡΠΎΠ±ΡΡ ΠΏΡΠΎΠ±Π»Π΅ΠΌ, Π½ΠΎ Π±Π΅Π· Π³ΡΠ°ΠΌΠΎΡΠ½ΠΎΠ³ΠΎ Π΄ΠΈΠ°Π³Π½ΠΎΠ·Π° Π½Π΅ ΠΎΠ±ΠΎΠΉΡΠΈΡΡ. ΠΡΠΈ ΡΡΠΎΠΌ Π²ΡΠ°ΡΠΈ Π²ΡΠ΄Π΅Π»ΡΡΡ Π½Π΅ΡΠΊΠΎΠ»ΡΠΊΠΎ ΠΎΡΠ½ΠΎΠ²Π½ΡΡ ΠΏΡΠΈΡΠΈΠ½ ΠΎΠ±ΡΠ°Π·ΠΎΠ²Π°Π½ΠΈΡ ΡΠ·Π².
- Π‘ΡΠΎΠΌΠ°ΡΠΈΡ Π°ΡΡΠΎΠ·Π½ΠΎΠΉ ΡΠΎΡΠΌΡ, ΠΊΠΎΡΠΎΡΠΎΠΌΡ Ρ Π°ΡΠ°ΠΊΡΠ΅ΡΠ½Ρ ΡΠ·Π²ΠΎΡΠΊΠΈ Π½Π° ΠΏΠΎΠ²Π΅ΡΡ Π½ΠΎΡΡΠΈ ΡΠ·ΡΠΊΠ° ΠΈ Π΄ΡΡΠ³ΠΈΡ ΡΡΠ°ΡΡΠΊΠ°Ρ ΡΠΎΡΠΎΠ²ΠΎΠΉ ΠΏΠΎΠ»ΠΎΡΡΠΈ ΠΏΠ°ΡΠΈΠ΅Π½ΡΠ°. ΠΡΠΈ ΡΡΠΎΠΌ ΠΌΠΎΠ³ΡΡ ΠΎΠ±ΡΠ°Π·ΠΎΠ²ΡΠ²Π°ΡΡΡΡ ΠΊΠ°ΠΊ ΠΎΠ΄ΠΈΠ½ΠΎΡΠ½ΡΠ΅ Π°ΡΡΡ, ΡΠ°ΠΊ ΠΈ Π³ΡΡΠΏΠΏΡ ΡΠ·Π²Π΅Π½Π½ΡΡ ΠΎΠ±ΡΠ°Π·ΠΎΠ²Π°Π½ΠΈΠΉ. ΠΠ°Π±ΠΎΠ»Π΅Π²Π°Π½ΠΈΠ΅ ΡΠΎΠΏΡΠΎΠ²ΠΎΠΆΠ΄Π°Π΅ΡΡΡ ΡΠΈΠ»ΡΠ½ΡΠΌΠΈ Π±ΠΎΠ»Π΅Π²ΡΠΌΠΈ ΠΎΡΡΡΠ΅Π½ΠΈΡΠΌΠΈ ΠΈ ΡΡΠ²ΡΡΠ²ΠΎΠΌ Π΄ΠΈΡΠΊΠΎΠΌΡΠΎΡΡΠ°.
- Π‘ΡΠΎΠΌΠ°ΡΠΈΡ Π°Π»Π»Π΅ΡΠ³ΠΈΡΠ΅ΡΠΊΠΎΠΉ ΡΠΎΡΠΌΡ, ΠΊΠΎΡΠΎΡΡΠΉ Π²ΡΠ·ΡΠ²Π°Π΅ΡΡΡ Ρ ΠΈΠΌΠΈΡΠ΅ΡΠΊΠΈΠΌΠΈ Π²Π΅ΡΠ΅ΡΡΠ²Π°ΠΌΠΈ ΠΈΠ»ΠΈ ΠΎΠ±ΡΡΠ½ΠΎΠΉ Π°Π»Π»Π΅ΡΠ³ΠΈΠ΅ΠΉ Π½Π° ΠΏΡΠΎΠ΄ΡΠΊΡΡ.
- ΠΡΠΎΡΡΠ°Ρ ΡΠΎΡΠΌΠ° ΡΡΠΎΠΌΠ°ΡΠΈΡΠ° ΡΠΎΠΏΡΠΎΠ²ΠΎΠΆΠ΄Π°Π΅ΡΡΡ ΠΎΠ±ΡΠ°Π·ΠΎΠ²Π°Π½ΠΈΠ΅ΠΌ ΠΎΠ΄ΠΈΠ½ΠΎΡΠ½ΡΡ ΡΠ·Π². ΠΡΠΈ ΡΡΠΎΠΌ Π² ΡΠ΅Π½ΡΡΠ°Π»ΡΠ½ΠΎΠΉ ΡΠ°ΡΡΠΈ ΡΠ°Π½Ρ ΠΎΠ±ΡΠ°Π·ΡΠ΅ΡΡΡ ΠΏΠ»ΡΠ½ΠΊΠ° Π±Π΅Π»ΠΎ-ΠΆΡΠ»ΡΠΎΠ³ΠΎ ΠΎΡΡΠ΅Π½ΠΊΠ°.
- ΠΠ΅ΡΠΏΠ΅ΡΠ½ΡΠΉ ΡΡΠΎΠΌΠ°ΡΠΈΡ β ΠΎΡ Π°ΡΠ°ΠΊΡΠ΅ΡΠΈΠ·ΠΎΠ²Π°Π½ Π²ΠΎΠ·Π½ΠΈΠΊΠ½ΠΎΠ²Π΅Π½ΠΈΠ΅ΠΌ ΠΌΠ½ΠΎΠΆΠ΅ΡΡΠ²Π° ΠΌΠ΅Π»ΠΊΠΈΡ ΡΠ·Π²Π΅Π½Π½ΡΡ ΠΎΠ±ΡΠ°Π·ΠΎΠ²Π°Π½ΠΈΠΉ, Ρ ΡΠ΅ΡΡΠΌ ΠΎΡΡΠ΅Π½ΠΊΠΎΠΌ Π² ΠΎΡΠ½ΠΎΠ²Π°Π½ΠΈΠΈ ΠΈ ΡΠ°Π·ΠΌΡΡΡΠΌΠΈ Π³ΡΠ°Π½ΠΈΡΠ°ΠΌΠΈ. ΠΠ°ΡΠ°ΡΡΡΡ ΡΠ°ΠΊΠΈΠ΅ Π±ΠΎΠ»ΡΡΠΊΠΈ Π½Π° ΡΠ·ΡΠΊΠ΅ ΠΏΠΎΡΠ°ΠΆΠ°ΡΡ Π΅Π³ΠΎ Π½ΠΈΠΆΠ½ΡΡ ΡΠ°ΡΡΡ ΠΈΠ»ΠΈ Π½ΡΠ±ΠΎ.
- ΠΠΎΠ»ΠΎΡΠ½ΠΈΡΠ° β Π±ΠΎΠ»Π΅Π·Π½Ρ ΡΠΎΠΏΡΠΎΠ²ΠΎΠΆΠ΄Π°ΡΡΠ°ΡΡΡ ΠΏΠΎΡΠ²Π»Π΅Π½ΠΈΠ΅ΠΌ Π±Π΅Π»ΡΡ ΡΠ·Π²ΠΎΡΠ΅ΠΊ. ΠΠ°Π»ΡΡ Π±Π΅Π»ΠΎΠ³ΠΎ ΡΠ²Π΅ΡΠ° ΡΠΎΡΠΌΠΈΡΡΠ΅ΡΡΡ ΠΏΠΎ Π²ΡΠ΅ ΡΠΎΡΠΎΠ²ΠΎΠΉ ΠΏΠΎΠ»ΠΎΡΡΠΈ. Π§Π°ΡΠ΅ Π²ΡΠ΅Π³ΠΎ Π±ΠΎΠ»ΡΡΠΊΠ΅ ΠΏΠΎΠ΄Π²Π΅ΡΠΆΠ΅Π½Ρ Π΄Π΅ΡΠΈ, Π½ΠΎ Π½Π΅ΡΠ΅Π΄ΠΊΠΎ Π·Π°Π±ΠΎΠ»Π΅Π²Π°Π½ΠΈΠ΅ Π²ΠΎΠ·Π½ΠΈΠΊΠ°Π΅Ρ Ρ Π²Π·ΡΠΎΡΠ»ΡΡ .
- Π Π΅ΡΠΈΠ΄ΠΈΠ²ΠΈΡΡΡΡΠ°Ρ ΡΠΎΡΠΌΠ° Π½Π΅ΠΊΡΠΎΡΠΈΡΠ΅ΡΠΊΠΎΠ³ΠΎ ΠΏΠ΅ΡΠΈΠ°Π΄Π΅Π½ΠΈΡΠ° ΠΈΠΌΠ΅Π΅Ρ ΡΠ²ΠΎΠΈ ΠΎΡΠ»ΠΈΡΠΈΡ. Π ΡΠΊΠ°Π½ΠΈ ΡΠΎΡΠΎΠ²ΠΎΠΉ ΠΏΠΎΠ»ΠΎΡΡΠΈ ΡΠ½Π°ΡΠ°Π»Π° ΠΎΠ±ΡΠ°Π·ΡΡΡΡΡ ΡΠΏΠ»ΠΎΡΠ½Π΅Π½ΠΈΡ, ΠΊΠΎΡΠΎΡΡΠ΅ ΠΏΠ΅ΡΠ΅ΡΠ°ΡΡΠ°ΡΡ Π² ΡΠ·Π²ΠΎΡΠΊΠΈ. ΠΡΠΎ ΠΎΡΠ΅Π½Ρ ΡΡΠΆΡΠ»Π°Ρ ΡΠΎΡΠΌΠ° Π·Π°Π±ΠΎΠ»Π΅Π²Π°Π½ΠΈΡ Π² ΠΏΡΠΎΡΠ΅ΡΡΠ΅ ΠΏΡΠΎΡΠ΅ΠΊΠ°Π½ΠΈΡ, ΠΊΠΎΡΠΎΡΠΎΠ³ΠΎ ΡΠ°Π½Ρ Π½Π΅ Π·Π°ΡΡΠ³ΠΈΠ²Π°ΡΡΡΡ ΠΏΠΎ Π½Π΅ΡΠΊΠΎΠ»ΡΠΊΠΎ ΠΌΠ΅ΡΡΡΠ΅Π².
- ΠΡΡΡ ΠΠ΅Π΄Π½Π°ΡΠ° β Π΄Π΅ΡΡΠΊΠΎΠ΅ Π·Π°Π±ΠΎΠ»Π΅Π²Π°Π½ΠΈΠ΅, ΠΎΠ±ΡΡΠ»ΠΎΠ²Π»Π΅Π½Π½ΠΎΠ΅ ΠΏΠΎΡΠ²Π»Π΅Π½ΠΈΠ΅ΠΌ ΡΠ·Π² Ρ Π½Π°Π»ΡΡΠΎΠΌ ΠΆΡΠ»ΡΠΎΠ³ΠΎ ΠΎΡΡΠ΅Π½ΠΊΠ°. ΠΡΠΈΡΠΈΠ½ΠΎΠΉ Π±ΠΎΠ»ΡΡΠΊΠΈ ΡΠ²Π»ΡΠ΅ΡΡΡ Π½Π΅ΠΏΡΠ°Π²ΠΈΠ»ΡΠ½Π°Ρ Π³ΠΈΠ³ΠΈΠ΅Π½Π° ΡΠΎΡΠΎΠ²ΠΎΠΉ ΠΏΠΎΠ»ΠΎΡΡΠΈ.
- Π―Π·Π²ΠΎΡΠΊΠΈ Π½Π° ΡΠ·ΡΠΊΠ΅, Π²ΡΠ·Π²Π°Π½Π½ΡΠ΅ ΠΌΠ΅Ρ Π°Π½ΠΈΡΠ΅ΡΠΊΠΈΠΌΠΈ ΡΡΠ°Π²ΠΌΠ°ΠΌΠΈ Π½Π΅ ΡΠ°ΠΊΠΈΠ΅ Π±ΠΎΠ»Π΅Π·Π½Π΅Π½Π½ΡΠ΅, ΠΊΠ°ΠΊ Π²ΠΎΠ·Π½ΠΈΠΊΡΠΈΠ΅ ΠΏΠΎ ΠΏΡΠΈΡΠΈΠ½Π΅ Π±ΠΎΠ»Π΅Π·Π½ΠΈ. Π’Π°ΠΊΠ°Ρ ΡΠ·Π²Π° ΡΠ°ΡΠ΅ ΡΠ²Π»ΡΠ΅ΡΡΡ ΠΎΠ΄ΠΈΠ½ΠΎΡΠ½ΠΎΠΉ ΡΠ°Π½ΠΊΠΎΠΉ, ΠΊΠΎΡΠΎΡΠ°Ρ Π±ΡΡΡΡΠΎ Π·Π°ΡΡΠ³ΠΈΠ²Π°Π΅ΡΡΡ ΠΈ Π½Π΅ ΠΎΡΡΠ°Π²Π»ΡΠ΅Ρ ΡΡΠ±ΡΠΎΠ².
Π’Π°ΠΊΠΆΠ΅ Ρ ΠΎΡΠ΅ΡΡΡ ΠΎΡΠΌΠ΅ΡΠΈΡΡ ΠΎΠ±ΡΠΈΠ΅ Π±ΠΎΠ»Π΅Π·Π½ΠΈ, ΠΏΡΠΈ ΠΊΠΎΡΠΎΡΡΡ ΠΏΠΎΡΠ²Π»ΡΡΡΡΡ ΡΠ·Π²ΠΎΡΠΊΠΈ Π½Π° ΡΠ·ΡΠΊΠ΅:
- ΠΏΡΠΈ ΠΈΠΌΠΌΡΠ½ΠΎΠ΄Π΅ΡΠΈΡΠΈΡΠ΅ ΠΈΠ»ΠΈ ΠΈΠ½ΡΠ΅ΠΊΡΠΈΡΡ Π²ΠΈΡΡΡΠ½ΠΎΠ³ΠΎ Ρ Π°ΡΠ°ΠΊΡΠ΅ΡΠ°, Π° ΡΠ°ΠΊΠΆΠ΅ Π² ΡΠ»ΡΡΠ°Π΅ Π±Π°Π½Π°Π»ΡΠ½ΠΎΠ³ΠΎ ΠΏΠ΅ΡΠ΅ΠΎΡ Π»Π°ΠΆΠ΄Π΅Π½ΠΈΡ ΠΌΠΎΠΆΠ΅Ρ ΠΎΠ±ΡΠ°Π·ΠΎΠ²Π°ΡΡΡΡ Π½Π΅ΠΊΡΠΎΡΠΈΡΠ΅ΡΠΊΠ°Ρ ΡΠΎΡΠΌΠ° Π³ΠΈΠ½Π³ΠΈΠ²ΠΎΡΡΠΎΠΌΠ°ΡΠΈΡΠ°, ΠΊΠΎΡΠΎΡΠ°Ρ ΡΠΎΠΏΡΠΎΠ²ΠΎΠΆΠ΄Π°Π΅ΡΡΡ Π½Π΅ΠΏΡΠΈΡΡΠ½ΡΠΌ Π°ΡΠΎΠΌΠ°ΡΠΎΠΌ ΠΈΠ· ΡΠΎΡΠΎΠ²ΠΎΠΉ ΠΏΠΎΠ»ΠΎΡΡΠΈ, Π½Π°Π»ΡΡΠΎΠΌ Π½Π° Π΄ΡΡΠ½Π°Ρ , Π²ΡΡΠΎΠΊΠΎΠΉ ΡΠ΅ΠΌΠΏΠ΅ΡΠ°ΡΡΡΠΎΠΉ ΠΈ ΠΏΠΎΠ²ΡΡΠ΅Π½Π½ΡΠΌ ΡΠ»ΡΠ½ΠΎΠΎΡΠ΄Π΅Π»Π΅Π½ΠΈΠ΅ΠΌ;
- ΡΡΠ±Π΅ΡΠΊΡΠ»ΡΠ· Π² ΠΏΠΎΠ»ΠΎΡΡΠΈ ΡΡΠ°, Π²ΡΠ·Π²Π°Π½Π½ΡΠΉ ΠΏΡΠΎΠ½ΠΈΠΊΠ½ΠΎΠ²Π΅Π½ΠΈΠ΅ΠΌ ΠΈΠ½ΡΠ΅ΠΊΡΠΈΠΈ ΠΈΠ· Π»ΡΠ³ΠΊΠΈΡ ;
- ΡΠΈΡΠΈΠ»ΠΈΡΡ β ΠΈΠ½ΡΠ΅ΠΊΡΠΈΠΈ, ΠΊΠΎΡΠΎΡΡΠ΅ ΡΠΎΠΏΡΠΎΠ²ΠΎΠΆΠ΄Π°ΡΡΡΡ ΡΠ·Π²Π΅Π½Π½ΡΠΌΠΈ ΠΎΠ±ΡΠ°Π·ΠΎΠ²Π°Π½ΠΈΡΠΌΠΈ Π½Π° ΡΠ·ΡΠΊΠ΅;
- ΡΠ°ΠΊΠΆΠ΅ Ρ 30% Π·Π°ΡΠ°ΠΆΡΠ½Π½ΡΡ ΠΠΠ§-ΠΈΠ½ΡΠ΅ΠΊΡΠΈΠ΅ΠΉ Π½Π°Π±Π»ΡΠ΄Π°ΡΡΡΡ ΡΠ·Π²Ρ Π²ΠΎ ΡΡΡ.
Π―Π·Π²Ρ Π½Π° ΡΠ·ΡΠΊΠ΅ β ΠΊΠΎΠ³Π΄Π° Π½ΡΠΆΠ½ΠΎ ΠΏΠ΅ΡΠ΅ΠΆΠΈΠ²Π°ΡΡ?
ΠΡΠ»ΠΈ ΠΏΡΠΈ ΡΠ°ΠΌΠΎΠ΄ΠΈΠ°Π³Π½ΠΎΡΡΠΈΠΊΠ΅ Π±ΠΎΠ»ΡΠ½ΡΠΌ Π±ΡΠ΄ΡΡ ΠΎΠ±Π½Π°ΡΡΠΆΠ΅Π½Ρ Π»ΡΠ±ΡΠ΅ ΡΠΈΠΌΠΏΡΠΎΠΌΡ ΠΈΠ· ΠΏΠ΅ΡΠ΅ΡΠΈΡΠ»Π΅Π½Π½ΡΡ Π½ΠΈΠΆΠ΅, Π½ΡΠΆΠ½ΠΎ Π½Π΅Π·Π°ΠΌΠ΅Π΄Π»ΠΈΡΠ΅Π»ΡΠ½ΠΎ ΠΎΠ±ΡΠ°ΡΠΈΡΡΡΡ Π·Π° ΠΌΠ΅Π΄ΠΈΡΠΈΠ½ΡΠΊΠΎΠΉ ΠΏΠΎΠΌΠΎΡΡΡ:
- Π΅ΡΠ»ΠΈ ΠΊΡΠΎΠΌΠ΅ ΡΠ·Π²Π΅Π½Π½ΡΡ ΠΎΠ±ΡΠ°Π·ΠΎΠ²Π°Π½ΠΈΠΉ Π² ΡΠΎΡΠΎΠ²ΠΎΠΉ ΠΏΠΎΠ»ΠΎΡΡΠΈ, ΠΎΠ±ΡΠ°Π·ΡΡΡΡΡ ΠΏΡΠ·ΡΡΡΠΊΠΈ Π½Π° ΠΊΠΎΠΆΠ΅ ΡΡΠΊ, Π½ΠΎΠ³ ΠΈΠ»ΠΈ Π΄ΡΡΠ³ΠΈΡ ΡΠ°ΡΡΡΡ ΡΠ΅Π»Π°;
- ΡΡΠ²ΡΡΠ²ΠΎ ΠΎΠ±ΡΠ΅Π³ΠΎ Π½Π΅Π΄ΠΎΠΌΠΎΠ³Π°Π½ΠΈΡ, ΡΠΎΠΏΡΠΎΠ²ΠΎΠΆΠ΄Π°ΡΡΠ΅Π΅ΡΡ ΡΠ²Π΅Π»ΠΈΡΠ΅Π½ΠΈΠ΅ΠΌ ΡΠ΅ΠΌΠΏΠ΅ΡΠ°ΡΡΡΡ ΡΠ²ΡΡΠ΅ 39Β° C;
- Π΅ΡΠ»ΠΈ ΠΏΠΎΠΌΠΈΠΌΠΎ Π²ΠΎΡΠΏΠ°Π»ΠΈΡΠ΅Π»ΡΠ½ΡΡ ΠΏΡΠΎΡΠ΅ΡΡΠΎΠ² Π² ΡΠΎΡΠΎΠ²ΠΎΠΉ ΠΎΠ±Π»Π°ΡΡΠΈ Π½Π°Π±Π»ΡΠ΄Π°Π΅ΡΡΡ ΠΏΠΎΠΊΡΠ°ΡΠ½Π΅Π½ΠΈΠ΅ Π³Π»Π°Π· ΠΈΠ»ΠΈ Π²ΠΎΡΠΏΠ°Π»Π΅Π½ΠΈΡ Π½Π° Π³Π΅Π½ΠΈΡΠ°Π»ΠΈΡΡ ;
- ΠΏΡΠΈ ΠΎΠ±ΡΠ°Π·ΠΎΠ²Π°Π½ΠΈΠΈ Π²ΡΡΡΠΏΠ°Π½ΠΈΠΉ ΠΏΠΎ ΠΏΡΠΈΡΠΈΠ½Π΅ ΡΠΏΠΎΡΡΠ΅Π±Π»Π΅Π½ΠΈΡ ΠΌΠ΅Π΄ΠΈΠΊΠ°ΠΌΠ΅Π½ΡΠΎΠ²;
- Π΅ΡΠ»ΠΈ ΠΎΠ±ΡΠ°Π·ΠΎΠ²Π°Π½ΠΈΠ΅ ΡΠ·Π² ΡΠΎΠΏΡΠΎΠ²ΠΎΠΆΠ΄Π°Π΅ΡΡΡ Π³ΠΎΠ»ΠΎΠ²Π½ΠΎΠΉ Π±ΠΎΠ»ΡΡ, Π·ΡΠ΄ΠΎΠΌ, ΡΡΠΏΡΡ ΠΈΠ»ΠΈ Π·Π°ΡΡΡΠ΄Π½ΡΠ½Π½ΡΠΌ Π΄ΡΡ Π°Π½ΠΈΠ΅ΠΌ;
- Π½Π΅ΠΎΠ±ΡΡΠ½ΠΎ ΠΊΡΡΠΏΠ½ΡΠ΅ ΡΠ·Π²Π΅Π½Π½ΡΠ΅ ΠΎΠ±ΡΠ°Π·ΠΎΠ²Π°Π½ΠΈΡ Π² ΠΏΠΎΠ»ΠΎΡΡΠΈ ΡΡΠ° ΠΈΠ»ΠΈ ΠΎΠ³ΡΠΎΠΌΠ½ΠΎΠ΅ ΠΈΡ ΠΊΠΎΠ»ΠΈΡΠ΅ΡΡΠ²ΠΎ;
- ΠΏΡΠΈ ΠΎΠ±ΡΠ°Π·ΠΎΠ²Π°Π½ΠΈΠΈ Π½ΠΎΠ²ΡΡ ΡΠ·Π² Π΄ΠΎ Π·Π°ΠΆΠΈΠ²Π»Π΅Π½ΠΈΡ ΡΡΠ°ΡΡΡ ΠΎΡΠ°Π³ΠΎΠ² Π±ΠΎΠ»Π΅Π·Π½ΠΈ;
- ΠΏΠΎΡΠ²Π»Π΅Π½ΠΈΠ΅ ΠΎΠ΄Π½ΠΎΠΉ ΡΠ·Π²Ρ, ΠΊΠΎΡΠΎΡΠ°Ρ Π½Π΅ Π·Π°ΡΡΠ³ΠΈΠ²Π°Π΅ΡΡΡ Π½Π° ΠΏΡΠΎΡΡΠΆΠ΅Π½ΠΈΠΈ Π΄Π»ΠΈΡΠ΅Π»ΡΠ½ΠΎΠ³ΠΎ ΠΏΡΠΎΠΌΠ΅ΠΆΡΡΠΊΠ° Π²ΡΠ΅ΠΌΠ΅Π½ΠΈ.
ΠΠ°ΠΊ Π»Π΅ΡΠΈΡΡ ΡΠ·Π²ΠΎΡΠΊΡ Π½Π° ΡΠ·ΡΠΊΠ΅
ΠΠ° ΠΏΠ΅ΡΠ²ΠΎΠΌ ΡΡΠ°ΠΏΠ΅ Π½ΡΠΆΠ½ΠΎ Π²ΡΡΡΠ½ΠΈΡΡ ΠΏΡΠΈΡΠΈΠ½Ρ ΠΎΠ±ΡΠ°Π·ΠΎΠ²Π°Π½ΠΈΡ ΡΠ·Π²Π΅Π½Π½ΡΡ ΠΎΡΠ°Π³ΠΎΠ² Π½Π° ΠΏΠΎΠ²Π΅ΡΡ Π½ΠΎΡΡΠΈ ΡΠ·ΡΠΊΠ°. ΠΡΠΈ ΡΡΠΎΠΌ Π»Π΅ΡΠ΅Π½ΠΈΠ΅ ΠΏΠΎΠ΄ΠΎΠ±Π½ΠΎΠ³ΠΎ ΡΠΎΠ΄Π° ΡΠ·Π², Π½Π°ΠΏΡΡΠΌΡΡ Π·Π°Π²ΠΈΡΠΈΡ ΠΎΡ ΡΠΎΠΏΡΡΡΡΠ²ΡΡΡΠΈΡ Π·Π°Π±ΠΎΠ»Π΅Π²Π°Π½ΠΈΠΉ, ΠΊΠΎΡΠΎΡΡΠ΅ Π²ΡΠ·Π²Π°Π»ΠΈ ΠΈΡ ΠΎΠ±ΡΠ°Π·ΠΎΠ²Π°Π½ΠΈΠ΅.
-
Π ΡΠ»ΡΡΠ°Π΅ Π΄ΠΈΠ°Π³Π½ΠΎΡΡΠΈΡΠΎΠ²Π°Π½ΠΈΡ Ρ Π±ΠΎΠ»ΡΠ½ΠΎΠ³ΠΎ ΡΡΠΎΠΌΠ°ΡΠΈΡΠ°, Π»Π΅ΡΠ΅Π½ΠΈΠ΅ Π·Π°Π²ΠΈΡΠΈΡ ΠΎΡ ΠΊΠΎΠ½ΠΊΡΠ΅ΡΠ½ΠΎΠΉ Π΅Π³ΠΎ ΡΠ°Π·Π½ΠΎΠ²ΠΈΠ΄Π½ΠΎΡΡΠΈ. ΠΠ΅ΡΠΏΠ΅ΡΠΈΡΠ΅ΡΠΊΡΡ ΡΠΎΡΠΌΡ Π·Π°Π±ΠΎΠ»Π΅Π²Π°Π½ΠΈΡ Π»Π΅ΡΠ°Ρ ΠΏΡΠΎΡΠΈΠ²ΠΎΠ²ΠΈΡΡΡΠ½ΡΠΌΠΈ ΠΏΡΠ΅ΠΏΠ°ΡΠ°ΡΠ°ΠΌΠΈ, ΠΏΡΠΈΡΡΠΏΠ»ΡΡΡΠΈΠΌΠΈ ΡΠ°Π·Π²ΠΈΡΠΈΡ Π³Π΅ΡΠΏΠ΅ΡΠ°. ΠΠ°Π½Π΄ΠΈΠ΄ΠΎΠ·Π½ΡΠΉ ΡΡΠΎΠΌΠ°ΡΠΈΡ ΡΡΠ΅Π±ΡΠ΅Ρ ΠΈΡΠΏΠΎΠ»ΡΠ·ΠΎΠ²Π°Π½ΠΈΡ ΠΏΡΠΎΡΠΈΠ²ΠΎΠ³ΡΠΈΠ±ΠΊΠΎΠ²ΡΡ
ΠΏΡΠ΅ΠΏΠ°ΡΠ°ΡΠΎΠ². ΠΡΡΠΎΠ·Π½Π°Ρ ΡΠΎΡΠΌΠ° ΡΠ·Π²Π΅Π½Π½ΡΡ
ΠΎΠ±ΡΠ°Π·ΠΎΠ²Π°Π½ΠΈΠΉ Π»Π΅ΡΠΈΡΡΡ Π°Π½ΡΠΈΠ±ΠΈΠΎΡΠΈΠΊΠΎΡΠ΅ΡΠ°ΠΏΠΈΠ΅ΠΉ. - ΠΠΌΠ΅ΡΡΡΡ ΠΈ ΠΎΠ±ΡΠΈΠ΅ ΡΠΏΠΎΡΠΎΠ±Ρ Π»Π΅ΡΠ΅Π½ΠΈΡ ΡΡΠΎΠΌΠ°ΡΠΈΡΠ° Π»ΡΠ±ΠΎΠΉ ΡΠΎΡΠΌΡ. ΠΠΎ Π²ΡΠ΅Ρ ΡΠΈΡΡΠ°ΡΠΈΡΡ ΠΏΠΎΠ΄Π΄Π΅ΡΠΆΠΈΠ²Π°ΡΡ ΠΈΠΌΠΌΡΠ½Π½ΡΡ ΡΠΈΡΡΠ΅ΠΌΡ Ρ ΠΏΠΎΠΌΠΎΡΡΡ Π²ΠΈΡΠ°ΠΌΠΈΠ½Π° C, ΠΊΠΎΡΠΎΡΡΠΉ ΡΠ°ΠΊΠΆΠ΅ ΠΏΠΎΠΌΠΎΠ³Π°Π΅Ρ ΠΎΡΠ³Π°Π½ΠΈΠ·ΠΌΡ ΡΠΎΠΏΡΠΎΡΠΈΠ²Π»ΡΡΡΡΡ ΡΠ°Π·Π»ΠΈΡΠ½ΠΎΠ³ΠΎ ΡΠΎΠ΄Π° ΠΏΠ°ΡΠΎΠ»ΠΎΠ³ΠΈΡΠΌ ΠΈ ΠΎΠΊΠ°Π·ΡΠ²Π°Π΅Ρ Π»ΠΎΠΊΠ°Π»ΡΠ½ΠΎΠ΅ Π°Π½ΡΠΈΡΠ΅ΠΏΡΠΈΡΠ΅ΡΠΊΠΎΠ΅ ΠΈ Π°Π½ΡΠΈΠ±Π°ΠΊΡΠ΅ΡΠΈΠ°Π»ΡΠ½ΠΎΠ΅ Π²ΠΎΠ·Π΄Π΅ΠΉΡΡΠ²ΠΈΠ΅.
- ΠΠ΅ΠΊΡΠΎΡΠΈΡΠ΅ΡΠΊΠ°Ρ ΡΠΎΡΠΌΠ° Π³ΠΈΠ½Π³ΠΈΠ²ΠΎΡΡΠΎΠΌΠ°ΡΠΈΡΠ° Π»Π΅ΡΠΈΡΡΡ ΠΏΡΠΈ ΠΏΠΎΠΌΠΎΡΠΈ Π°Π½ΡΠΈΠ±ΠΈΠΎΡΠΈΠΊΠΎΠ². Π’Π°ΠΊΠΆΠ΅ ΠΏΡΠΎΠΏΠΈΡΡΠ²Π°Π΅ΡΡΡ Π²ΠΈΡΠ°ΠΌΠΈΠ½Π½ΡΠΉ ΠΊΠΎΠΌΠΏΠ»Π΅ΠΊΡ ΠΈ Π²ΠΎΡΡΡΠ°Π½Π°Π²Π»ΠΈΠ²Π°ΡΡΠ°Ρ Π΄ΠΈΠ΅ΡΠ°. ΠΠ½ΠΎΠ³Π΄Π° ΠΏΡΠΎΠΏΠΈΡΡΠ²Π°ΡΡΡΡ ΠΏΡΠ΅ΠΏΠ°ΡΠ°ΡΡ Π΄Π»Ρ ΠΏΠΎΠ΄Π΄Π΅ΡΠΆΠ°Π½ΠΈΡ ΡΠ΅ΡΠ΄ΡΠ°. ΠΠ΅ΠΊΡΠΎΡΠΈΡΠ΅ΡΠΊΠ°Ρ ΡΠΊΠ°Π½Ρ ΡΠ΄Π°Π»ΡΠ΅ΡΡΡ Ρ ΠΈΡΠΏΠΎΠ»ΡΠ·ΠΎΠ²Π°Π½ΠΈΠ΅ΠΌ ΠΌΠ΅ΡΡΠ½ΠΎΠΉ Π°Π½Π΅ΡΡΠ΅Π·ΠΈΠΈ, ΡΠ°ΠΊ ΠΊΠ°ΠΊ ΡΠ°ΠΌ ΠΏΡΠΎΡΠ΅ΡΡ Π΄ΠΎΠ²ΠΎΠ»ΡΠ½ΠΎ Π±ΠΎΠ»Π΅Π·Π½Π΅Π½Π½ΡΠΉ.
- Π’ΡΠ°Π²ΠΌΠ°ΡΠΈΡΠ΅ΡΠΊΠΈΠ΅ ΡΠ·Π²Π΅Π½Π½ΡΠ΅ ΠΎΠ±ΡΠ°Π·ΠΎΠ²Π°Π½ΠΈΡ, ΠΊΠΎΡΠΎΡΡΠ΅ Π½Π΅ Π²ΡΠ·ΡΠ²Π°ΡΡ ΡΠΈΠ»ΡΠ½ΠΎΠ³ΠΎ Π΄ΠΈΡΠΊΠΎΠΌΡΠΎΡΡΠ° ΠΈ Π±ΠΎΠ»ΠΈ, Π² Π±ΠΎΠ»ΡΡΠΈΠ½ΡΡΠ²Π΅ ΡΠ»ΡΡΠ°Π΅Π² ΠΏΡΠΎΡ ΠΎΠ΄ΡΡ Π±Π΅Π· Π²ΠΌΠ΅ΡΠ°ΡΠ΅Π»ΡΡΡΠ²Π° Π΄ΠΎΠΊΡΠΎΡΠΎΠ². ΠΠ»Ρ ΡΠΎΠ³ΠΎ ΡΡΠΎΠ±Ρ Π·Π°ΠΆΠΈΠ²Π»Π΅Π½ΠΈΠ΅ ΠΏΡΠΎΡΠ»ΠΎ ΠΌΠ°ΠΊΡΠΈΠΌΠ°Π»ΡΠ½ΠΎ Π±ΡΡΡΡΠΎ, ΠΌΠΎΠΆΠ΅Ρ Π½Π°Π·Π½Π°ΡΠ°ΡΡΡΡ Π»ΠΎΠΊΠ°Π»ΡΠ½Π°Ρ ΡΠ΅ΡΠ°ΠΏΠΈΡ.
- ΠΡΠ»ΠΈ ΠΎΠ±Π½Π°ΡΡΠΆΠ΅Π½Ρ ΠΎΠ±ΡΠΈΠ΅ ΠΏΠ°ΡΠΎΠ»ΠΎΠ³ΠΈΠΈ Π² ΠΎΡΠ³Π°Π½ΠΈΠ·ΠΌΠ΅, Π²ΡΠ°Ρ ΠΌΠΎΠΆΠ΅Ρ Π½Π°Π·Π½Π°ΡΠΈΡΡ ΠΏΡΠΎΡΠΈΠ»ΡΠ½ΠΎΠ΅ Π»Π΅ΡΠ΅Π½ΠΈΠ΅. Π’ΡΠ±Π΅ΡΠΊΡΠ»ΡΠ· ΠΈ ΡΠΈΡΠΈΠ»ΠΈΡ Π»Π΅ΡΠΈΡΡΡ ΡΠΎΠ»ΡΠΊΠΎ Π² ΡΡΠ°ΡΠΈΠΎΠ½Π°ΡΠ΅ ΡΠΏΠ΅ΡΠΈΠ°Π»ΠΈΠ·ΠΈΡΠΎΠ²Π°Π½Π½ΠΎΠ³ΠΎ Π½Π°Π·Π½Π°ΡΠ΅Π½ΠΈΡ. Π ΡΠ»ΡΡΠ°Π΅ Ρ ΠΠΠ§-ΠΈΠ½ΡΠ΅ΠΊΡΠΈΠ΅ΠΉ Π»Π΅ΡΠ΅Π½ΠΈΠ΅ΠΌ Π·Π°Π½ΠΈΠΌΠ°Π΅ΡΡΡ Π²ΡΠ°Ρ-ΠΈΠ½ΡΠ΅ΠΊΡΠΈΠΎΠ½ΠΈΡΡ.
ΠΠ΅ΡΡΠ½ΡΠ΅ ΡΠΏΠΎΡΠΎΠ±Ρ Π»Π΅ΡΠ΅Π½ΠΈΡ ΡΠ·Π²
ΠΠ½Π΅ Π·Π°Π²ΠΈΡΠΈΠΌΠΎΡΡΠΈ ΠΎΡ ΠΏΡΠΈΡΠΈΠ½, ΠΎΠ±ΡΠ°Π·ΠΎΠ²Π°Π½ΠΈΡ ΡΠ·Π² Π½Π° ΠΏΠΎΠ²Π΅ΡΡ
Π½ΠΎΡΡΠΈ ΡΠ·ΡΠΊΠ°, ΡΠΏΠΎΡΠΎΠ±Ρ ΠΌΠ΅ΡΡΠ½ΠΎΠ³ΠΎ Π»Π΅ΡΠ΅Π½ΠΈΡ ΠΌΠΎΠ³ΡΡ Π½ΠΎΡΠΈΡΡ ΠΎΠ΄ΠΈΠ½Π°ΠΊΠΎΠ²ΡΠΉ Ρ
Π°ΡΠ°ΠΊΡΠ΅Ρ, Π½Π°ΠΏΡΠ°Π²Π»Π΅Π½Π½ΡΠΉ Π½Π° ΡΠ½ΡΡΠΈΠ΅ Π²ΠΎΡΠΏΠ°Π»ΠΈΡΠ΅Π»ΡΠ½ΠΎΠ³ΠΎ ΠΏΡΠΎΡΠ΅ΡΡΠ° ΠΈ Π±ΠΎΠ»Π΅Π²ΠΎΠ³ΠΎ ΠΎΡΡΡΠ΅Π½ΠΈΡ Π² ΡΠΎΡΠΎΠ²ΠΎΠΉ ΠΏΠΎΠ»ΠΎΡΡΠΈ ΠΏΠ°ΡΠΈΠ΅Π½ΡΠ°.
Π‘Π»ΠΈΠ·ΠΈΡΡΡΡ ΠΎΠ±ΠΎΠ»ΠΎΡΠΊΡ ΠΎΠ±ΡΠ°Π±Π°ΡΡΠ²Π°ΡΡ ΠΏΡΠ΅ΠΏΠ°ΡΠ°ΡΠ°ΠΌΠΈ Ρ Π°Π½ΡΠΈΡΠ΅ΠΏΡΠΈΡΠ΅ΡΠΊΠΈΠΌ ΠΈ ΠΏΡΠΎΡΠΈΠ²ΠΎΠ²ΠΎΡΠΏΠ°Π»ΠΈΡΠ΅Π»ΡΠ½ΡΠΌ ΡΡΡΠ΅ΠΊΡΠΎΠΌ. ΠΠ»Ρ Π²Π½ΡΡΡΠ΅Π½Π½Π΅Π³ΠΎ ΠΏΡΠΈΡΠΌΠ° ΠΏΡΠΎΠΏΠΈΡΡΠ²Π°ΡΡΡΡ ΠΊΠΎΠΌΠΏΠ»Π΅ΠΊΡΡ Π²ΠΈΡΠ°ΠΌΠΈΠ½ΠΎΠ², ΠΊΠΎΡΠΎΡΡΠ΅ ΡΠΏΠΎΡΠΎΠ±ΡΡΠ²ΡΡΡ Π²ΠΎΡΡΡΠ°Π½ΠΎΠ²Π»Π΅Π½ΠΈΡ ΡΠΊΠ°Π½Π΅ΠΉ Π½Π° ΠΌΠ΅ΡΡΠ΅ Π²ΠΎΡΠΏΠ°Π»ΠΈΡΠ΅Π»ΡΠ½ΠΎΠ³ΠΎ ΠΎΡΠ°Π³Π°. ΠΡΠΈ ΡΠΈΠ»ΡΠ½ΡΡ Π±ΠΎΠ»Π΅Π²ΡΡ ΠΎΡΡΡΠ΅Π½ΠΈΡΡ Π½Π°Π·Π½Π°ΡΠ°ΡΡΡΡ ΠΎΠ±Π΅Π·Π±ΠΎΠ»ΠΈΠ²Π°ΡΡΠΈΠ΅ ΠΏΡΠ΅ΠΏΠ°ΡΠ°ΡΡ ΠΌΠ΅ΡΡΠ½ΠΎΠ³ΠΎ Π΄Π΅ΠΉΡΡΠ²ΠΈΡ. ΠΡΠΈ ΡΡΠΎΠΌ Π²ΡΠ°ΡΠ°ΠΌΠΈ ΠΎΠ΄ΠΎΠ±ΡΡΠ΅ΡΡΡ ΠΈΡΠΏΠΎΠ»ΡΠ·ΠΎΠ²Π°Π½ΠΈΠ΅ ΡΠ»Π΅Π΄ΡΡΡΠΈΡ ΡΡΠ΅Π΄ΡΡΠ² Π΄Π»Ρ ΠΎΠ±ΡΠ°Π±ΠΎΡΠΊΠΈ ΡΠ·Π²ΠΎΡΠ΅ΠΊ Π½Π° ΡΠ·ΡΠΊΠ΅:
- ΠΏΡΠΈΠΌΠ΅Π½Π΅Π½ΠΈΠ΅ Π·Π΅Π»ΡΠ½ΠΊΠΈ ΠΎΠ±Π»Π°Π΄Π°Π΅Ρ Ρ ΠΎΡΠΎΡΠΈΠΌ Π°Π½ΡΠΈΡΠ΅ΠΏΡΠΈΡΠ΅ΡΠΊΠΈΠΌ ΡΡΡΠ΅ΠΊΡΠΎΠΌ, Π½ΠΎ ΡΠ°ΠΌΠ° ΠΏΡΠΎΡΠ΅Π΄ΡΡΠ° Π΄ΠΎΠ²ΠΎΠ»ΡΠ½ΠΎ Π±ΠΎΠ»Π΅Π·Π½Π΅Π½Π½Π°;
- ΠΈΡΠΏΠΎΠ»ΡΠ·ΠΎΠ²Π°Π½ΠΈΠ΅ ΠΏΠ΅ΡΠ΅ΠΊΠΈΡΠΈ Π²ΠΎΠ΄ΠΎΡΠΎΠ΄Π° ΠΏΠΎΠ·Π²ΠΎΠ»ΡΠ΅Ρ ΠΎΠ±ΡΠ°Π±Π°ΡΡΠ²Π°ΡΡ ΡΠ·Π²Ρ ΠΏΠΎ Π½Π΅ΡΠΊΠΎΠ»ΡΠΊΠΎ ΡΠ°Π· Π½Π° ΠΏΡΠΎΡΡΠΆΠ΅Π½ΠΈΠΈ Π΄Π½Ρ;
- Π΄Π»Ρ ΡΠ½ΡΡΠΈΡ Π±ΠΎΠ»Π΅Π²ΡΡ ΠΎΡΡΡΠ΅Π½ΠΈΠΉ ΠΈΡΠΏΠΎΠ»ΡΠ·ΡΡΡ Π»ΠΈΠ΄ΠΎΠΊΠ°ΠΈΠ½ Π² ΡΠΎΡΠΌΠ΅ Π³Π΅Π»Ρ;
- Π΄Π»Ρ ΠΏΠΎΠ»ΠΎΡΠΊΠ°Π½ΠΈΡ Π½Π°Π·Π½Π°ΡΠ°ΡΡ ΡΠ°ΡΡΠ²ΠΎΡ Ρ Π»ΠΎΡΠ³Π΅ΠΊΡΠΈΠ΄ΠΈΠ½Π°;
- ΡΠ°ΠΊΠΆΠ΅ ΡΡΡΠ΅ΠΊΡΠΈΠ²Π½ΡΠΌ ΡΠ²Π»ΡΠ΅ΡΡΡ ΠΈΡΠΏΠΎΠ»ΡΠ·ΠΎΠ²Π°Π½ΠΈΠ΅ ΡΠΎΠ΄ΠΎΠ²ΠΎΠ³ΠΎ ΡΠ°ΡΡΠ²ΠΎΡΠ°;
- Π²ΠΎΠ΄Π½ΡΠΉ ΡΠ°ΡΡΠ²ΠΎΡ ΡΡΡΠ°ΡΠΈΠ»ΠΈΠ½Π° ΡΠ°ΠΊΠΆΠ΅ ΡΡΡΠ΅ΠΊΡΠΈΠ²Π΅Π½ Π² Π±ΠΎΡΡΠ±Π΅ Ρ ΡΠ·Π²ΠΎΡΠΊΠ°ΠΌΠΈ Π½Π° ΡΠ·ΡΠΊΠ΅.
Π’Π°ΠΊΠΆΠ΅ Ρ ΠΎΡΠΎΡΠΎ ΠΏΠΎΠΌΠΎΠ³Π°ΡΡ ΡΡΠ°Π²ΡΠ½ΡΠ΅ Π½Π°ΡΡΠΎΠΈ ΠΈΠ· ΠΊΠ°Π»Π΅Π½Π΄ΡΠ»Ρ, Π½ΠΎΠ³ΠΎΡΠΊΠΎΠ², Π°ΠΏΡΠ΅ΡΠ½ΠΎΠΉ ΡΠΎΠΌΠ°ΡΠΊΠΈ, Π΄ΡΠ±ΠΎΠ²ΠΎΠΉ ΠΊΠΎΡΡ, ΡΠ°Π»ΡΠ΅Ρ, Π·Π²Π΅ΡΠΎΠ±ΠΎΡ ΠΈΠ»ΠΈ ΡΠ°Π±ΡΠ΅ΡΠ°. ΠΡΠΈ ΠΎΠ±Π½Π°ΡΡΠΆΠ΅Π½ΠΈΠΈ ΡΠ·Π²Π΅Π½Π½ΡΡ ΠΎΠ±ΡΠ°Π·ΠΎΠ²Π°Π½ΠΈΠΉ Π½Π΅ΠΎΠ±Ρ ΠΎΠ΄ΠΈΠΌΠΎ Π½Π΅Π·Π°ΠΌΠ΅Π΄Π»ΠΈΡΠ΅Π»ΡΠ½ΠΎ ΠΏΡΠΈΡΡΡΠΏΠΈΡΡ ΠΊ Π»Π΅ΡΠ΅Π½ΠΈΡ.
stoma.guru
ΠΡΠΈΡΠΈΠ½Ρ
ΠΡΠΈΡΠΈΠ½, ΠΏΠΎ ΠΊΠΎΡΠΎΡΡΠΌ Π½Π° ΡΠ·ΡΠΊΠ΅ Π²ΡΠΊΠ°ΠΊΠΈΠ²Π°Π΅Ρ Π±ΠΎΠ»ΡΡΠΊΠ°, ΡΡΡΠ΅ΡΡΠ²ΡΠ΅Ρ Π΄ΠΎΡΡΠ°ΡΠΎΡΠ½ΠΎ ΠΌΠ½ΠΎΠ³ΠΎ. ΠΡΠ½ΠΎΠ²Π½ΠΎΠΉ ΠΏΡΠΈΡΠΈΠ½ΠΎΠΉ ΡΠ²Π»ΡΠ΅ΡΡΡ ΠΈΠ½ΡΠ΅ΠΊΡΠΈΡ ΠΈΠ»ΠΈ Π²ΠΈΡΡΡΡ, ΠΊΠΎΡΠΎΡΡΠ΅ ΠΏΠΎΠΏΠ°Π΄Π°ΡΡ Π² ΡΠΎΡΠΎΠ²ΡΡ ΠΏΠΎΠ»ΠΎΡΡΡ. ΠΠ°ΡΠ°ΡΡΡΡ, ΡΠ°ΠΊΠΈΠ΅ Π±ΠΎΠ»ΡΡΠΊΠΈ ΠΏΡΠΎΡ ΠΎΠ΄ΡΡ ΡΠ°ΠΌΠΎΡΡΠΎΡΡΠ΅Π»ΡΠ½ΠΎ Π±Π΅Π· ΠΊΠ°ΠΊΠΈΡ -Π»ΠΈΠ±ΠΎ ΠΏΠΎΡΠ»Π΅Π΄ΡΡΠ²ΠΈΠΉ ΡΠΏΡΡΡΡ ΠΏΠ°ΡΡ Π΄Π½Π΅ΠΉ.
ΠΠ΅ΠΎΠ±Ρ ΠΎΠ΄ΠΈΠΌΠΎ ΡΡΠΎΡΠ½ΠΈΡΡ, ΡΡΠΎ Π±ΠΎΠ»ΡΡΠΊΠΈ ΠΌΠΎΠ³ΡΡ ΠΈΠΌΠ΅ΡΡ ΡΠ°Π·Π»ΠΈΡΠ½ΡΠ΅ ΡΠ°Π·ΠΌΠ΅ΡΡ ΠΈ ΠΎΡΡΠ΅Π½ΠΊΠΈ, Π° ΡΠ°ΠΊΠΆΠ΅ Π½Π°Ρ ΠΎΠ΄ΠΈΡΡΡΡ Π½Π° ΡΠ°Π·Π½ΡΡ ΡΠ°ΡΡΡΡ ΡΠ·ΡΠΊΠ°. ΠΠΎ ΠΈΡ ΠΏΠΎΠ»ΠΎΠΆΠ΅Π½ΠΈΡ ΠΌΠΎΠΆΠ½ΠΎ ΡΠ΄Π΅Π»Π°ΡΡ Π²ΡΠ²ΠΎΠ΄Ρ ΠΎ ΡΠΎΠΌ, ΡΡΠΎ ΡΡΠ°Π»ΠΎ ΠΏΡΠΈΡΠΈΠ½ΠΎΠΉ ΠΈΡ ΠΏΠΎΡΠ²Π»Π΅Π½ΠΈΡ. Π’Π°ΠΊ, Π±ΠΎΠ»ΡΡΠΊΠ° Π½Π° ΡΠ·ΡΠΊΠ΅ ΡΠ°ΡΠ΅ Π²ΡΠ΅Π³ΠΎ ΠΈΠΌΠ΅Π΅Ρ Π±Π΅Π»ΡΠΉ ΠΈΠ»ΠΈ ΠΊΡΠ°ΡΠ½ΡΠΉ ΡΠ²Π΅Ρ. Π Π΅ΠΆΠ΅ ΠΎΠ½Π° ΠΌΠΎΠΆΠ΅Ρ ΠΏΡΠΈΠΎΠ±ΡΠ΅ΡΠ°ΡΡ ΠΆΠ΅Π»ΡΡΠΉ ΠΈΠ»ΠΈ Π΄Π°ΠΆΠ΅ ΠΊΠΎΡΠΈΡΠ½Π΅Π²ΡΠΉ ΠΎΡΡΠ΅Π½ΠΎΠΊ ΠΈ Π½Π°ΡΠΈΠ½Π°ΡΡ Π³Π½ΠΎΠΈΡΡΡΡ.
Π§ΡΠΎ ΠΊΠ°ΡΠ°Π΅ΡΡΡ ΠΏΠΎΠ»ΠΎΠΆΠ΅Π½ΠΈΡ, ΡΠΎ Π±ΠΎΠ»ΡΡΠΊΠ° ΠΌΠΎΠΆΠ΅Ρ ΠΏΡΠΎΡΠ²ΠΈΡΡ ΡΠ΅Π±Ρ Π² Π°Π±ΡΠΎΠ»ΡΡΠ½ΠΎ Π»ΡΠ±ΠΎΠΉ ΡΠ°ΡΡΠΈ ΡΠΎΡΠΎΠ²ΠΎΠΉ ΠΏΠΎΠ»ΠΎΡΡΠΈ: ΡΠ±ΠΎΠΊΡ Π½Π° ΡΠ·ΡΠΊΠ΅, ΠΏΠΎΠ΄ Π½ΠΈΠΌ ΠΈΠ»ΠΈ Π½Π° Π΅Π³ΠΎ ΠΊΠΎΠ½ΡΠΈΠΊΠ΅, Π° ΡΠ°ΠΊΠΆΠ΅ Π½Π° Π΅Π³ΠΎ ΠΊΠΎΡΠ½Π΅, ΡΠ·Π΄Π΅ΡΠΊΠ΅ ΠΈ Π² Π·ΠΎΠ½Π΅, ΠΊΠΎΡΠΎΡΠ°Ρ Π½Π°Ρ ΠΎΠ΄ΠΈΡΡΡ Π±Π»ΠΈΠΆΠ΅ ΠΊ Π³ΠΎΡΠ»Ρ. ΠΠ΅ΡΠ΅Π΄ΠΊΠΎ ΠΏΡΠΈ ΡΡΠΎΠΌ Π΅ΠΉ ΡΠΎΠΏΡΡΡΡΠ²ΡΡΡ Π±ΠΎΠ»ΡΡΠΊΠΈ Π½Π° ΡΠ΅ΠΊΠ°Ρ ΠΈ Π³ΡΠ±Π°Ρ , Π° ΡΠ°ΠΊΠΆΠ΅ Π½Π° Π³Π»Π°Π½Π΄Π°Ρ ΠΈ Π½Π° Π½Π΅Π±Π΅.
ΠΠ»Ρ Π½Π°ΡΠ°Π»Π° Π΄Π°Π²Π°ΠΉΡΠ΅ ΡΠ°ΡΡΠΌΠΎΡΡΠΈΠΌ ΡΠ»ΡΡΠ°ΠΈ, ΠΏΡΠΈ ΠΊΠΎΡΠΎΡΡΡ ΠΏΠΎΡΠ²Π»Π΅Π½ΠΈΠ΅ Π±ΠΎΠ»ΡΡΠΊΠΈ Π½Π° ΡΠ·ΡΠΊΠ΅ ΠΌΠΎΠΆΠ΅Ρ ΡΠ²Π»ΡΡΡΡΡ ΡΠΈΠ³Π½Π°Π»ΠΎΠΌ ΠΎ ΡΠΎΠΌ, ΡΡΠΎ Π² ΠΎΡΠ³Π°Π½ΠΈΠ·ΠΌΠ΅ ΠΈΠΌΠ΅Π΅ΡΡΡ ΠΊΠ°ΠΊΠΎΠ΅-Π»ΠΈΠ±ΠΎ Π·Π°Π±ΠΎΠ»Π΅Π²Π°Π½ΠΈΠ΅.
ΠΡΠΈΡΠΈΠ½Ρ | ΠΠΏΠΈΡΠ°Π½ΠΈΠ΅ |
Π‘ΡΠΎΠΌΠ°ΡΠΈΡ | ΠΡΠΈ ΡΡΠΎΠΌΠ°ΡΠΈΡΠ΅ Π±ΠΎΠ»ΡΡΠΊΠΈ ΠΌΠΎΠ³ΡΡ Π±ΡΡΡ Π½Π΅ ΡΠΎΠ»ΡΠΊΠΎ Π½Π° ΡΠ·ΡΠΊΠ΅, Π½ΠΎ Π΅ΡΠ΅ ΠΈ Π½Π° Π½Π΅Π±Π΅, Π³Π»Π°Π½Π΄Π°Ρ ΠΈ Π΄Π΅ΡΠ½Π°Ρ . ΠΠΎΠ»ΡΡΠΊΠ° Π²ΡΠ³Π»ΡΠ΄ΠΈΡ ΠΊΠ°ΠΊ Π½Π΅Π±ΠΎΠ»ΡΡΠ°Ρ ΡΠ·Π²ΠΎΡΠΊΠ°, ΠΈΠΌΠ΅Π΅Ρ Π±Π΅Π»ΡΠΉ ΡΠ²Π΅Ρ. Π ΡΠ²ΠΎΡ ΠΎΡΠ΅ΡΠ΅Π΄Ρ, ΡΡΠΎΠΌΠ°ΡΠΈΡ, ΠΊΠΎΡΠΎΡΡΠΉ ΡΠ²Π»ΡΠ΅ΡΡΡ ΠΏΡΠΈΡΠΈΠ½ΠΎΠΉ Π²ΠΎΠ·Π½ΠΈΠΊΠ½ΠΎΠ²Π΅Π½ΠΈΡ Π±ΠΎΠ»ΡΡΠΊΠΈ Π½Π° ΡΠ·ΡΠΊΠ΅, ΠΏΠΎΡΠ²Π»ΡΠ΅ΡΡΡ ΠΏΠΎ ΡΠ»Π΅Π΄ΡΡΡΠΈΠΌ ΠΏΡΠΈΡΠΈΠ½Π°ΠΌ:
ΠΠ½ΠΎΠΉΠ½ΡΠ΅ Π±ΠΎΠ»ΡΡΠΊΠΈ Π½Π° ΡΠ·ΡΠΊΠ΅ ΠΏΡΠΈ ΡΡΠΎΠΌΠ°ΡΠΈΡΠ΅ ΠΈΠ·ΡΠ΅Π΄ΠΊΠ° ΠΌΠΎΠ³ΡΡ Π²ΡΠ·ΡΠ²Π°ΡΡ ΠΏΠΎΠ²ΡΡΠ΅Π½Π½ΡΡ ΡΠ΅ΠΌΠΏΠ΅ΡΠ°ΡΡΡΡ ΡΠ΅Π»Π°, Π° ΡΠ°ΠΊΠΆΠ΅ Π±ΡΡΡΡΡΡ ΡΡΠΎΠΌΠ»ΡΠ΅ΠΌΠΎΡΡΡ ΠΈ ΠΏΠΎΡΡΠΎΡΠ½Π½ΡΡ ΡΡΡΠ°Π»ΠΎΡΡΡ. ΠΡΠΈ ΡΡΠΎΠΌ, ΡΠ΅Π»ΠΎΠ²Π΅ΠΊ, Ρ ΠΊΠΎΡΠΎΡΠΎΠ³ΠΎ Π½Π° ΡΠ·ΡΠΊΠ΅ Π²ΡΡΠΊΠΎΡΠΈΠ»Π° ΡΠ°ΠΊΠ°Ρ Π±ΠΎΠ»ΡΡΠΊΠ°, ΠΈΡΠΏΡΡΡΠ²Π°Π΅Ρ Π·Π½Π°ΡΠΈΡΠ΅Π»ΡΠ½ΡΠ΅ Π·Π°ΡΡΡΠ΄Π½Π΅Π½ΠΈΡ ΠΏΡΠΈ ΡΠ°Π·Π³ΠΎΠ²ΠΎΡΠ΅ ΠΈΠ·-Π·Π° Π±ΠΎΠ»Π΅Π²ΡΡ ΠΎΡΡΡΠ΅Π½ΠΈΠΉ. Π§Π°ΡΠ΅ Π²ΡΠ΅Π³ΠΎ ΡΡΠΎΠΌΠ°ΡΠΈΡ ΡΠ²Π»ΡΠ΅ΡΡΡ ΠΏΡΠΈΡΠΈΠ½ΠΎΠΉ, ΠΏΠΎ ΠΊΠΎΡΠΎΡΠΎΠΉ Π½Π° ΡΠ·ΡΠΊΠ΅ ΠΏΠΎΡΠ²Π»ΡΠ΅ΡΡΡ Π±ΠΎΠ»ΡΡΠΊΠ° Ρ ΡΠ΅Π±Π΅Π½ΠΊΠ°. |
Π’ΡΠ°Π²ΠΌΠ° | Π’ΡΠ°Π²ΠΌΠ° ΡΠ·ΡΠΊΠ° ΡΠΎΠΆΠ΅ ΠΌΠΎΠΆΠ΅Ρ ΡΡΠ°ΡΡ ΠΏΡΠΈΡΠΈΠ½ΠΎΠΉ Π²ΠΎΠ·Π½ΠΈΠΊΠ½ΠΎΠ²Π΅Π½ΠΈΡ Π±ΠΎΠ»ΡΡΠΊΠΈ. ΠΠ°Π²Π΅ΡΠ½ΡΠΊΠ°, ΠΊΠ°ΠΆΠ΄ΡΠΉ ΡΠ΅Π»ΠΎΠ²Π΅ΠΊ Ρ ΠΎΡΡ Π±Ρ Π΅Π΄ΠΈΠ½ΠΎΠΆΠ΄Ρ ΠΎΠ±ΠΆΠΈΠ³Π°Π» ΡΠ·ΡΠΊ Π³ΠΎΡΡΡΠΈΠΌ ΡΠ°Π΅ΠΌ ΠΈΠ»ΠΈ Π΅Π΄ΠΎΠΉ. ΠΠ·-Π·Π° ΠΎΠΆΠΎΠ³Π° ΠΌΠΎΠΆΠ΅Ρ Π²ΡΠΊΠΎΡΠΈΡΡ Π²ΠΎΠ»Π΄ΡΡΡ, ΠΊΠ°ΠΊ ΠΈ Π² ΡΠ»ΡΡΠ°Π΅ ΠΏΡΠΈΠΊΡΡΡΠ²Π°Π½ΠΈΡ ΡΠ·ΡΠΊΠ° ΠΈΠ»ΠΈ ΠΏΠΎΠ²ΡΠ΅ΠΆΠ΄Π΅Π½ΠΈΡ Π΅Π³ΠΎ ΠΌΠ΅ΡΠ°Π»Π»ΠΈΡΠ΅ΡΠΊΠΈΠΌΠΈ ΠΏΡΠ΅Π΄ΠΌΠ΅ΡΠ°ΠΌΠΈ Π²ΠΎ Π²ΡΠ΅ΠΌΡ Π΅Π΄Ρ ΠΈΠ»ΠΈ ΠΏΡΠΎΠ²Π΅Π΄Π΅Π½ΠΈΡ ΡΡΠΎΠΌΠ°ΡΠΎΠ»ΠΎΠ³ΠΈΡΠ΅ΡΠΊΠΈΡ ΠΏΡΠΎΡΠ΅Π΄ΡΡ. ΠΡΠ»ΠΈ ΡΡΠ°Π²ΠΌΠ° Π±ΡΠ»Π° ΡΠ΅ΡΡΠ΅Π·Π½ΠΎΠΉ, ΡΠΎ ΠΊΡΠΎΠΌΠ΅ Π±ΠΎΠ»ΡΡΠΊΠΈ Π½Π° ΡΠ·ΡΠΊΠ΅, ΠΎΠ½ ΠΌΠΎΠΆΠ΅Ρ ΡΠΈΠ»ΡΠ½ΠΎ ΡΠ°ΡΠΏΡΡ Π½ΡΡΡ, ΠΈ ΡΠΎΠ³Π΄Π° Π±ΠΎΠ»ΡΠ½ΠΎΠΌΡ ΠΏΠΎΡΡΠ΅Π±ΡΠ΅ΡΡΡ Π³ΠΎΡΠΏΠΈΡΠ°Π»ΠΈΠ·Π°ΡΠΈΡ. Π¦Π²Π΅Ρ Π±ΠΎΠ»ΡΡΠΊΠΈ Π½Π° ΡΠ·ΡΠΊΠ΅ ΠΏΡΠΈ ΡΡΠ°Π²ΠΌΠ΅ ΠΌΠΎΠΆΠ΅Ρ Π²Π°ΡΡΠΈΡΠΎΠ²Π°ΡΡΡΡ Π² Π·Π°Π²ΠΈΡΠΈΠΌΠΎΡΡΠΈ ΠΎΡ ΡΠΏΠΎΡΠΎΠ±Π° ΡΡΠ°Π²ΠΌΠΈΡΠΎΠ²Π°Π½ΠΈΡ. ΠΠ½Π° ΠΌΠΎΠΆΠ΅Ρ Π±ΡΡΡ ΠΊΡΠ°ΡΠ½ΠΎΠ³ΠΎ, Π±Π΅Π»ΠΎΠ³ΠΎ ΠΈΠ»ΠΈ ΠΆΠ΅Π»ΡΠΎΠ²Π°ΡΠΎΠ³ΠΎ ΡΠ²Π΅ΡΠ°. |
Π‘ΠΈΡΠΈΠ»ΠΈΡ | ΠΡΠΈ ΡΠΈΡΠΈΠ»ΠΈΡΠ΅ Π±ΠΎΠ»ΡΡΠΊΠ° Π½Π° ΡΠ·ΡΠΊΠ΅ ΠΈΠΌΠ΅Π΅Ρ ΠΏΠ»ΠΎΡΠ½ΡΡ ΡΡΡΡΠΊΡΡΡΡ ΠΈ ΡΠ²Π΅ΡΠ»ΠΎ-ΠΌΠΎΠ»ΠΎΡΠ½ΡΠΉ ΠΎΡΡΠ΅Π½ΠΎΠΊ. ΠΠΎΠ»Π΅Π·Π½Π΅Π½Π½ΡΡ ΠΎΡΡΡΠ΅Π½ΠΈΠΉ ΠΏΡΠΈ Π²ΠΎΠ·Π½ΠΈΠΊΠ½ΠΎΠ²Π΅Π½ΠΈΠΈ ΡΠ°ΠΊΠΎΠΉ Π±ΠΎΠ»ΡΡΠΊΠΈ Ρ Π»ΡΠ΄Π΅ΠΉ Π½Π΅ Π½Π°Π±Π»ΡΠ΄Π°Π΅ΡΡΡ, Π° ΡΠ°Π·ΠΌΠ΅Ρ Π²ΠΎΠ»Π΄ΡΡΡ ΠΌΠΎΠΆΠ΅Ρ Π±ΡΡΡ ΡΠ°Π·Π»ΠΈΡΠ½ΡΠΌ, Π½Π°ΡΠΈΠ½Π°Ρ ΠΎΡ ΠΎΠ΄Π½ΠΎΠ³ΠΎ ΠΌΠΈΠ»Π»ΠΈΠΌΠ΅ΡΡΠ°, Π° Π·Π°ΠΊΠ°Π½ΡΠΈΠ²Π°Ρ ΠΎΠ΄Π½ΠΈΠΌ ΡΠ°Π½ΡΠΈΠΌΠ΅ΡΡΠΎΠΌ. ΠΠΎΠ»ΡΡΠΊΠ° Π½Π° ΡΠ·ΡΠΊΠ΅ ΠΏΡΠΈ ΡΠΈΡΠΈΠ»ΠΈΡΠ΅ ΡΠ°ΡΡΠΎ ΡΠΎΠΏΡΠΎΠ²ΠΎΠΆΠ΄Π°Π΅ΡΡΡ ΠΏΠΎΠ±ΠΎΡΠ½ΡΠΌΠΈ Π²ΠΎΠ»Π΄ΡΡΠΈΠΊΠ°ΠΌΠΈ, ΠΊΠΎΡΠΎΡΡΠ΅ Π·Π½Π°ΡΠΈΡΠ΅Π»ΡΠ½ΠΎ ΠΌΠ΅Π½ΡΡΠ΅ ΠΎΡΠ½ΠΎΠ²Π½ΠΎΠ³ΠΎ Π²ΠΎΠ»Π΄ΡΡΡ. |
ΠΠΈΡΡΠ° | ΠΠΈΡΡΠ° Π½Π° ΡΠ·ΡΠΊΠ΅ β ΡΡΠΎ Π΄ΠΎΡΡΠ°ΡΠΎΡΠ½ΠΎ ΡΠ΅Π΄ΠΊΠΎΠ΅ ΡΠ²Π»Π΅Π½ΠΈΠ΅, ΠΊΠΎΡΠΎΡΠΎΠ΅ Π² ΠΎΡΠ½ΠΎΠ²Π½ΠΎΠΌ ΠΏΠΎΡΠ²Π»ΡΠ΅ΡΡΡ ΡΡΠ°Π·Ρ ΠΏΡΠΈ ΡΠΎΠΆΠ΄Π΅Π½ΠΈΠΈ. Π’Π°ΠΊΠ°Ρ Π±ΠΎΠ»ΡΡΠΊΠ° Π½Π° ΡΠ·ΡΠΊΠ΅ Ρ ΡΠ΅Π±Π΅Π½ΠΊΠ° ΠΌΠΎΠΆΠ΅Ρ ΠΏΠΎΡΠΏΠΎΡΠΎΠ±ΡΡΠ²ΠΎΠ²Π°ΡΡ ΡΠ΄ΡΡΡΡ, Π΅ΡΠ»ΠΈ Π²ΠΎΠ²ΡΠ΅ΠΌΡ ΠΎΡ Π½Π΅Π΅ Π½Π΅ ΠΈΠ·Π±Π°Π²ΠΈΡΡΡΡ, ΡΠ°ΠΊ ΠΊΠ°ΠΊ ΠΎΠ½Π° ΠΈΠΌΠ΅Π΅Ρ ΡΠ²ΠΎΠΉΡΡΠ²ΠΎ ΡΠ²Π΅Π»ΠΈΡΠΈΠ²Π°ΡΡΡΡ Π² ΡΠ°Π·ΠΌΠ΅ΡΠ°Ρ . ΠΡΠΈ ΡΡΠΎΠΌ Π±ΠΎΠ»Π΅Π²ΡΡ ΠΎΡΡΡΠ΅Π½ΠΈΠΉ ΠΎΠ½Π° Π½Π΅ Π΄ΠΎΡΡΠ°Π²Π»ΡΠ΅Ρ, ΡΠΎΠ»ΡΠΊΠΎ Π΄ΠΈΡΠΊΠΎΠΌΡΠΎΡΡ ΠΈ ΠΎΠΏΠ°ΡΠ½ΠΎΡΡΡ ΡΠ΄ΡΡΡΡ. |
Π Π°ΠΊ | ΠΠΎΠ»ΡΡΠΊΠ° Π½Π° ΡΠ·ΡΠΊΠ΅ ΠΌΠΎΠΆΠ΅Ρ Π±ΡΡΡ ΡΠ»Π΅Π΄ΡΡΠ²ΠΈΠ΅ΠΌ Π²ΠΎΠ·Π½ΠΈΠΊΠ½ΠΎΠ²Π΅Π½ΠΈΡ ΡΠ°ΠΊΠ°. ΠΠ»ΠΎΠΊΠ°ΡΠ΅ΡΡΠ²Π΅Π½Π½Π°Ρ ΠΎΠΏΡΡ ΠΎΠ»Ρ ΡΠ°ΡΠ΅ Π²ΡΠ΅Π³ΠΎ ΠΎΠ±Π»ΡΠ±ΠΎΠ²ΡΠ²Π°Π΅Ρ ΠΌΠ΅ΡΡΠ° ΠΏΠΎ Π±ΠΎΠΊΠ°ΠΌ ΡΠ·ΡΠΊΠ°, ΠΌΠΎΠΆΠ΅Ρ ΡΠ°ΡΡΠΈ ΠΈ ΠΎΠ±ΡΠ°Π·ΠΎΠ²ΡΠ²Π°ΡΡ ΠΌΠ΅ΡΠ°ΡΡΠ°Π·Ρ. Π Π°ΠΊ ΡΠ·ΡΠΊΠ° ΠΌΠΎΠΆΠ΅Ρ Π²ΠΎΠ·Π½ΠΈΠΊΠ½ΡΡΡ Π½Π° ΠΏΠΎΡΠ²Π΅ ΡΠ°ΠΊΠΈΡ Π·Π°Π±ΠΎΠ»Π΅Π²Π°Π½ΠΈΠΉ, ΠΊΠ°ΠΊ Π³Π΅ΡΠΏΠ΅Ρ, Π²ΠΈΡΡΡ ΠΏΠ°ΠΏΠΈΠ»Π»ΠΎΠΌΡ ΡΠ΅Π»ΠΎΠ²Π΅ΠΊΠ°, Π° ΡΠ°ΠΊΠΆΠ΅ ΠΈΠ·-Π·Π° ΠΊΡΡΠ΅Π½ΠΈΡ ΠΈ ΡΠΏΠΎΡΡΠ΅Π±Π»Π΅Π½ΠΈΡ Π°Π»ΠΊΠΎΠ³ΠΎΠ»Ρ. ΠΠΎΠ»ΡΡΠΊΠ° Π½Π° ΡΠ·ΡΠΊΠ΅, ΠΏΡΠΈΡΠΈΠ½ΠΎΠΉ Π²ΠΎΠ·Π½ΠΈΠΊΠ½ΠΎΠ²Π΅Π½ΠΈΡ ΠΊΠΎΡΠΎΡΠΎΠΉ ΡΡΠ°Π» ΡΠ°ΠΊ ΡΠ·ΡΠΊΠ°, ΠΌΠΎΠΆΠ΅Ρ Π΄ΠΎΡΡΠ°Π²Π»ΡΡΡ ΡΠ΅Π»ΠΎΠ²Π΅ΠΊΡ ΡΠΈΠ»ΡΠ½ΡΡ Π±ΠΎΠ»Ρ, ΠΏΡΠΈ ΡΡΠΎΠΌ Π·Π°ΡΡΡΠ΄Π½ΡΠ΅ΡΡΡ ΡΠΏΠΎΡΠΎΠ±Π½ΠΎΡΡΡ ΡΠ°Π·Π³ΠΎΠ²Π°ΡΠΈΠ²Π°ΡΡ ΠΈ Π³Π»ΠΎΡΠ°ΡΡ. |
Β
Π ΠΎΡΠ΅Π½Ρ ΡΠ΅Π΄ΠΊΠΈΡ ΡΠ»ΡΡΠ°ΡΡ ΠΏΡΠΈΡΠΈΠ½ΠΎΠΉ Π²ΠΎΠ·Π½ΠΈΠΊΠ½ΠΎΠ²Π΅Π½ΠΈΡ Π±ΠΎΠ»ΡΡΠΊΠΈ Π½Π° ΡΠ·ΡΠΊΠ΅ ΠΌΠΎΠΆΠ΅Ρ ΡΡΠ°ΡΡ ΡΡΠ±Π΅ΡΠΊΡΠ»Π΅Π·, Π½ΠΎ ΡΠ°ΠΊΠΈΡ ΡΠ»ΡΡΠ°Π΅Π² Π½Π°ΡΡΠΎΠ»ΡΠΊΠΎ ΠΌΠ°Π»ΠΎ, ΡΡΠΎ ΡΡΠΎ ΡΡΠΈΡΠ°Π΅ΡΡΡ Π½Π΅ Π±ΠΎΠ»Π΅Π΅, ΡΠ΅ΠΌ ΡΠΎΠ²ΠΏΠ°Π΄Π΅Π½ΠΈΠ΅ΠΌ ΠΈΠ»ΠΈ ΡΠ»ΠΈΡΠ½ΠΈΠ΅ΠΌ ΡΠ°ΠΊΠΈΡ Π±ΠΎΠ»Π΅Π·Π½Π΅ΠΉ, ΠΊΠ°ΠΊ ΡΡΠ±Π΅ΡΠΊΡΠ»Π΅Π· ΠΈ ΡΡΠΎΠΌΠ°ΡΠΈΡ.
ΠΡΠΎΠΌΠ΅ Π²ΡΠ΅Π³ΠΎ ΠΏΡΠΎΡΠ΅Π³ΠΎ, ΠΎΡΠ΅Π½Ρ ΡΠ°ΡΡΠΎ Π±ΠΎΠ»ΡΡΠΊΠ° Π½Π° ΡΠ·ΡΠΊΠ΅ ΠΏΠΎΡΠ²Π»ΡΠ΅ΡΡΡ Ρ ΡΠ΅Ρ , ΠΊΡΠΎ Π»ΡΠ±ΠΈΡ ΠΊΡΡΠ°ΡΡ ΠΆΠ°ΡΠ΅Π½Π½ΡΠ΅ ΡΠ΅ΠΌΠ΅ΡΠΊΠΈ. ΠΡΠΎΠ±Π΅Π½Π½ΠΎ ΠΎΠΏΠ°ΡΠ΅Π½ ΠΏΡΠΎΠ΄ΡΠΊΡ Π² ΡΠΏΠ°ΠΊΠΎΠ²ΠΊΠ°Ρ , ΡΠ°ΠΊ ΠΊΠ°ΠΊ Π½Π° ΠΊΠΎΠΆΡΡΠ΅ ΡΠ°ΠΊΠΈΡ ΡΠ΅ΠΌΠ΅ΡΠ΅ΠΊ ΠΎΡΠ΅Π½Ρ ΠΌΠ½ΠΎΠ³ΠΎ ΠΌΠΈΠΊΡΠΎΠ±ΠΎΠ² ΠΈ Π²ΠΈΡΡΡΠΎΠ², ΠΊΠΎΡΠΎΡΡΠ΅, ΠΏΠΎΠΏΠ°Π΄Π°Ρ Π² ΡΠΎΡ, ΡΡΠ°Π½ΠΎΠ²ΡΡΡΡ ΠΏΡΠΈΡΠΈΠ½ΠΎΠΉ Π²ΠΎΠ·Π½ΠΈΠΊΠ½ΠΎΠ²Π΅Π½ΠΈΡ Π±ΠΎΠ»ΡΡΠΊΠΈ.

ΠΠ΅ΡΠ΅Π½ΠΈΠ΅ Π±ΠΎΠ»ΡΡΠΊΠΈ Π½Π° ΡΠ·ΡΠΊΠ΅
ΠΠ»Ρ ΠΏΡΠ°Π²ΠΈΠ»ΡΠ½ΠΎΠ³ΠΎ ΠΈ ΡΡΡΠ΅ΠΊΡΠΈΠ²Π½ΠΎΠ³ΠΎ Π»Π΅ΡΠ΅Π½ΠΈΡ Π±ΠΎΠ»ΡΡΠΊΠΈ Π½Π° ΡΠ·ΡΠΊΠ΅ ΡΠ»Π΅Π΄ΡΠ΅Ρ ΠΏΡΠΎΠΊΠΎΠ½ΡΡΠ»ΡΡΠΈΡΠΎΠ²Π°ΡΡΡΡ Ρ Π²ΡΠ°ΡΠΎΠΌ. ΠΡΠΎΠ±Π΅Π½Π½ΠΎ ΡΠΈΠ»ΡΠ½ΠΎ ΡΡΠΎΠΈΡ ΠΏΠ΅ΡΠ΅ΠΆΠΈΠ²Π°ΡΡ Π² ΡΠΎΠΌ ΡΠ»ΡΡΠ°Π΅, Π΅ΡΠ»ΠΈ ΡΠΏΠ»ΠΎΡΠ½Π΅Π½ΠΈΠ΅ ΠΈΠ»ΠΈ ΡΠ·Π²Π° Π½Π° ΡΠ·ΡΠΊΠ΅ Π½Π΅ ΠΈΡΡΠ΅Π·Π°Π΅Ρ Π·Π° Π½Π΅Π΄Π΅Π»Ρ. ΠΡΠΈ ΡΡΠΎΠΌ, Π»Π΅ΡΠ΅Π½ΠΈΠ΅ Π² Π΄ΠΎΠΌΠ°ΡΠ½ΠΈΡ ΡΡΠ»ΠΎΠ²ΠΈΡΡ ΠΎΠ±ΡΡΠ½ΠΎ ΠΎΠ³ΡΠ°Π½ΠΈΡΠΈΠ²Π°Π΅ΡΡΡ ΠΏΡΠΈΠΌΠ΅Π½Π΅Π½ΠΈΠ΅ΠΌ Π»Π΅ΠΊΠ°ΡΡΡΠ² ΠΈ ΠΌΠ°Π·Π΅ΠΉ, ΠΊΠΎΡΠΎΡΡΠ΅ Π½Π°Π½ΠΎΡΡΡ Π½Π΅ΠΏΠΎΡΡΠ΅Π΄ΡΡΠ²Π΅Π½Π½ΠΎ Π½Π° Π±ΠΎΠ»ΡΡΠΊΡ.
ΠΠ΅Π΄ΠΈΠΊΠ°ΠΌΠ΅Π½ΡΠΎΠ·Π½ΡΠ΅ ΠΏΡΠ΅ΠΏΠ°ΡΠ°ΡΡ Π΄Π»Ρ Π»Π΅ΡΠ΅Π½ΠΈΡ Π±ΠΎΠ»ΡΡΠΊΠΈ Π½Π° ΡΠ·ΡΠΊΠ΅ Π² Π΄ΠΎΠΌΠ°ΡΠ½ΠΈΡ ΡΡΠ»ΠΎΠ²ΠΈΡΡ ΠΌΠΎΠΆΠ½ΠΎ Π·Π°ΠΌΠ΅Π½ΠΈΡΡ Π½Π°ΡΠΎΠ΄Π½ΡΠΌΠΈ ΡΡΠ΅Π΄ΡΡΠ²Π°ΠΌΠΈ. Π‘ΡΡΠ΅ΡΡΠ²ΡΠ΅Ρ Π½Π΅ΡΠΊΠΎΠ»ΡΠΊΠΎ ΡΠ΅ΠΊΠΎΠΌΠ΅Π½Π΄Π°ΡΠΈΠΉ, ΡΠ»Π΅Π΄ΡΡ ΠΊΠΎΡΠΎΡΡΠΌ Π²Ρ ΡΠΌΠΎΠΆΠ΅ΡΠ΅ ΡΠ°ΠΌΠΎΡΡΠΎΡΡΠ΅Π»ΡΠ½ΠΎ ΠΈΠ·Π±Π°Π²ΠΈΡΡΡΡ ΠΎΡ ΡΠ·Π²ΠΎΡΠΊΠΈ, Π΅ΡΠ»ΠΈ ΠΎΠ½Π° Π½Π΅ ΡΠ²Π»ΡΠ΅ΡΡΡ ΡΠΈΠΌΠΏΡΠΎΠΌΠΎΠΌ ΠΊΠ°ΠΊΠΎΠ³ΠΎ-Π»ΠΈΠ±ΠΎ ΡΠ΅ΡΡΠ΅Π·Π½ΠΎΠ³ΠΎ Π·Π°Π±ΠΎΠ»Π΅Π²Π°Π½ΠΈΡ.
- ΠΠΆΠ΅Π΄Π½Π΅Π²Π½ΠΎ ΠΏΠΎ ΡΡΠΈ ΡΠ°Π·Π° Π² Π΄Π΅Π½Ρ ΠΏΠΎΠ»ΠΎΡΠΈΡΠ΅ ΡΠΎΡ ΠΎΡΠ²Π°ΡΠΎΠΌ ΠΈΠ· ΡΠ°ΠΊΠΈΡ ΡΠ°ΡΡΠ΅Π½ΠΈΠΉ, ΠΊΠ°ΠΊ ΠΊΠ°Π»Π°Π½Ρ ΠΎΡ ΠΈ ΡΠΈΠΏΠΎΠ²Π½ΠΈΠΊ.
- Π’Π°ΠΊΠΆΠ΅ ΠΏΠΎΠΌΠΎΠ³Π°Π΅Ρ ΠΏΠΎΠ»ΠΎΡΠΊΠ°Π½ΠΈΠ΅ ΡΡΠ° ΡΠΏΠΈΡΡΠΎΠ²ΡΠΌΠΈ Π½Π°ΡΡΠΎΡΠΌΠΈ ΠΈΠ· ΡΠΎΠΌΠ°ΡΠΊΠΎΠ²ΡΡ ΡΠ²Π΅ΡΠΎΠ², Π° ΡΠ°ΠΊΠΆΠ΅ ΡΠ°Π»ΡΠ΅Ρ ΠΈ ΠΊΠ°Π»ΠΈΠ½Ρ.
- ΠΠ»Ρ ΡΠΎΠ³ΠΎ ΡΡΠΎΠ±Ρ Π²ΡΠ»Π΅ΡΠΈΡΡ Π±ΠΎΠ»ΡΡΠΊΡ Π½Π° ΡΠ·ΡΠΊΠ΅, Π½Π΅ΠΏΠΎΡΡΠ΅Π΄ΡΡΠ²Π΅Π½Π½ΠΎ ΠΊ Π½Π΅ΠΉ ΠΏΡΠΈΠΊΠ»Π°Π΄ΡΠ²Π°ΡΡ ΡΠ°ΠΊΠΈΠ΅ ΠΏΡΠΎΠ΄ΡΠΊΡΡ, ΠΊΠ°ΠΊ ΠΏΡΠΎΠΏΠΎΠ»ΠΈΡ, Π»ΡΠΊ ΠΈΠ»ΠΈ ΠΌΠ΅Π΄. ΠΠ½ΠΈ ΠΎΠ±Π»Π°Π΄Π°ΡΡ Π°Π½ΡΠΈΡΠ΅ΠΏΡΠΈΡΠ΅ΡΠΊΠΈΠΌΠΈ ΡΠ²ΠΎΠΉΡΡΠ²Π°ΠΌΠΈ ΠΈ ΠΏΠΎΠΌΠΎΠ³Π°ΡΡ ΠΈΡΡΡΠ΅Π±ΠΈΡΡ ΠΈΠ½ΡΠ΅ΠΊΡΠΈΡ Π² ΡΠΎΡΠΎΠ²ΠΎΠΉ ΠΏΠΎΠ»ΠΎΡΡΠΈ.
- Π’Π°ΠΊΠΆΠ΅ ΡΠΏΠΎΡΠΎΠ±Π½Ρ ΠΏΠΎΠΌΠΎΡΡ ΠΏΠΎΠ»ΠΎΡΠΊΠ°Π½ΠΈΡ ΡΡΠ° Ρ ΡΠ°ΡΡΠ²ΠΎΡΠΎΠΌ ΡΠΎΠ΄Ρ ΠΈ ΡΠΎΠ»ΠΈ, Π° ΡΠ°ΠΊΠΆΠ΅ ΠΌΠ΅Π΄ΠΈΡΠΈΠ½ΡΠΊΠΎΠ³ΠΎ ΠΉΠΎΠ΄Π°.
ΠΡΠ»ΠΈ ΠΆΠ΅ Π²Ρ ΡΠ²Π»ΡΠ΅ΡΠ΅ΡΡ Π±Π΅Π·ΠΎΠ³ΠΎΠ²ΠΎΡΠΎΡΠ½ΡΠΌ ΠΏΠΎΠΊΠ»ΠΎΠ½Π½ΠΈΠΊΠΎΠΌ ΠΌΠ΅Π΄ΠΈΠΊΠ°ΠΌΠ΅Π½ΡΠΎΠ·Π½ΡΡ ΠΏΡΠ΅ΠΏΠ°ΡΠ°ΡΠΎΠ², ΡΠΎ Π² Π±ΠΎΡΡΠ±Π΅ Ρ Π±ΠΎΠ»ΡΡΠΊΠΎΠΉ Π½Π° ΡΠ·ΡΠΊΠ΅ Π²Π°ΠΌ ΡΠΏΠΎΡΠΎΠ±Π½Ρ ΠΏΠΎΠΌΠΎΡΡ ΡΠ°ΠΊΠΈΠ΅ ΡΡΠ΅Π΄ΡΡΠ²Π°: Β«ΠΡΠ°ΡΠ΅ΠΏΡΒ», Β«Π€ΡΡΠ°ΡΠΈΠ»ΠΈΠ½Β», Β«Π₯Π»ΠΎΡΠ³Π΅ΠΊΡΠΈΠ΄ΠΈΠ½Β» ΠΈ Β«ΠΠΈΡΠ°ΠΌΠΈΡΡΠΈΠ½Β». ΠΠ½ΠΈ ΠΎΡΠΏΡΡΠΊΠ°ΡΡΡΡ Π±Π΅Π· ΡΠ΅ΡΠ΅ΠΏΡΠ° ΠΈ ΠΈΠΌΠ΅ΡΡ Π΄ΠΎΡΡΠ°ΡΠΎΡΠ½ΠΎ Π½ΠΈΠ·ΠΊΡΡ ΡΡΠΎΠΈΠΌΠΎΡΡΡ.
Π ΡΠ»ΡΡΠ°Π΅, Π΅ΡΠ»ΠΈ ΠΏΠΎΠ»ΠΎΡΠΊΠ°Π½ΠΈΡ ΡΡΠ° ΠΈ ΠΈΡΠΏΠΎΠ»ΡΠ·ΠΎΠ²Π°Π½ΠΈΠ΅ ΡΠΏΠ΅ΡΠΈΠ°Π»ΠΈΠ·ΠΈΡΠΎΠ²Π°Π½Π½ΡΡ ΡΡΠ΅Π΄ΡΡΠ² Π½Π΅ Π΄Π°Π»ΠΈ ΡΠΎΠ²Π΅ΡΡΠ΅Π½Π½ΠΎ Π½ΠΈΠΊΠ°ΠΊΠΎΠ³ΠΎ ΡΠ΅Π·ΡΠ»ΡΡΠ°ΡΠ°, ΡΡΠΎ Π·Π½Π°ΡΠΈΡ, ΡΡΠΎ Π²Π°ΠΌ Π½Π΅ΠΎΠ±Ρ ΠΎΠ΄ΠΈΠΌΠΎ ΠΎΠ±ΡΠ°ΡΠΈΡΡΡΡ Π·Π° ΠΏΠΎΠΌΠΎΡΡΡ ΠΊ Π²ΡΠ°ΡΡ, ΠΊΠΎΡΠΎΡΡΠΉ ΠΎΡΠΌΠΎΡΡΠΈΡ Π²Π°Ρ ΠΈ Π½Π°Π·Π½Π°ΡΠΈΡ Π½Π°ΠΈΠ±ΠΎΠ»Π΅Π΅ ΡΡΡΠ΅ΠΊΡΠΈΠ²Π½ΠΎΠ΅ Π»Π΅ΡΠ΅Π½ΠΈΠ΅.

xcook.info
zubi5.ru
ΠΠΎΠ»ΡΡΠΊΠ° Π½Π° ΡΠ·ΡΠΊΠ΅ ΡΠ±ΠΎΠΊΡ: ΠΊΠ°ΠΊ Π»Π΅ΡΠΈΡΡ Π½Π°ΡΠΎΠ΄Π½ΡΠΌΠΈ ΡΡΠ΅Π΄ΡΡΠ²Π°ΠΌΠΈ
.Β
Π―Π·ΡΠΊ β ΠΎΠ΄ΠΈΠ½ ΠΈΠ· ΠΏΡΡΠΈ ΠΎΡΠ³Π°Π½ΠΎΠ² ΡΡΠ²ΡΡΠ² ΡΠ΅Π»ΠΎΠ²Π΅ΠΊΠ°, ΠΏΡΠΎΠ½ΠΈΠ·Π°Π½Π½ΡΠΉ Π±ΠΎΠ»ΡΡΠΈΠΌ ΠΊΠΎΠ»ΠΈΡΠ΅ΡΡΠ²ΠΎΠΌ ΠΊΡΠΎΠ²Π΅Π½ΠΎΡΠ½ΡΡ ΡΠΎΡΡΠ΄ΠΎΠ² ΠΈ ΠΎΡΠ²Π΅ΡΠ°ΡΡΠΈΠΉ Π·Π° ΠΎΠΏΡΠ΅Π΄Π΅Π»Π΅Π½ΠΈΠ΅ Π²ΠΊΡΡΠ° ΠΏΠΈΡΠΈ. ΠΡΠΎ ΡΠ°ΠΌΡΠΉ Π³ΠΈΠ±ΠΊΠΈΠΉ ΠΈ ΠΏΠΎΠ΄Π²ΠΈΠΆΠ½ΡΠΉ ΠΌΡΡΠ΅ΡΠ½ΡΠΉ ΠΎΡΠ³Π°Π½, ΡΠ°ΡΠΏΠΎΠ»ΠΎΠΆΠ΅Π½Π½ΡΠΉ Π² ΡΠΎΡΠΎΠ²ΠΎΠΉ ΠΏΠΎΠ»ΠΎΡΡΠΈ. ΠΠΎΠ»ΠΎΠΆΠ΅Π½ΠΈΠ΅ ΠΈ ΡΠΎΡΠΌΠ° ΡΠ·ΡΠΊΠ° ΠΈΠ·ΠΌΠ΅Π½ΡΠ΅ΡΡΡ Π² Π·Π°Π²ΠΈΡΠΈΠΌΠΎΡΡΠΈ ΠΎΡ Π²ΡΠΏΠΎΠ»Π½ΡΠ΅ΠΌΠΎΠΉ ΡΡΠ½ΠΊΡΠΈΠΈ. Π ΡΠΎΡΡΠΎΡΠ½ΠΈΠΈ ΠΏΠΎΠΊΠΎΡ ΠΎΠ½ ΠΈΠΌΠ΅Π΅Ρ Π»ΠΎΠΏΠ°ΡΠΎΠΎΠ±ΡΠ°Π·Π½ΡΡ ΡΠΎΡΠΌΡ.

ΠΠ½ΠΎΠΉΠ½Π°Ρ ΡΠ·Π²Π° ΡΠ±ΠΎΠΊΡ ΡΠ·ΡΠΊΠ° Π΄ΠΎΡΡΠ°Π²Π»ΡΠ΅Ρ Π±ΠΎΠ»Ρ ΠΈ Π½Π΅ΠΏΡΠΈΡΡΠ½ΡΠ΅ ΠΎΡΡΡΠ΅Π½ΠΈΡ
ΠΠ΅ΠΌΠ½ΠΎΠ³ΠΎ ΠΎ ΠΌΡΡΠ΅ΡΠ½ΠΎΠΌ ΠΎΡΠ³Π°Π½Π΅
Π§Π΅Π»ΠΎΠ²Π΅ΡΠ΅ΡΠΊΠΈΠΉ ΡΠ·ΡΠΊ Π½Π°ΠΈΠ±ΠΎΠ»Π΅Π΅ Π°ΠΊΡΠΈΠ²Π½ΠΎ ΠΏΡΠΈΠ½ΠΈΠΌΠ°Π΅Ρ ΡΡΠ°ΡΡΠΈΠ΅ Π² ΠΏΡΠΎΡΠ΅ΡΡΠ°Ρ , ΠΏΡΠΎΠΈΡΡ ΠΎΠ΄ΡΡΠΈΡ Π² ΠΎΡΠ³Π°Π½ΠΈΠ·ΠΌΠ΅, ΠΏΠΎΠΌΠΎΠ³Π°Ρ ΠΏΡΠΈ ΠΏΡΠΈΠ΅ΠΌΠ΅ ΠΈ ΠΏΠΎΠ³Π»ΠΎΡΠ΅Π½ΠΈΠΈ ΠΏΠΈΡΠΈ, Π²ΡΠΏΠΎΠ»Π½ΡΡ ΠΎΡΠ½ΠΎΠ²ΠΎΠΏΠΎΠ»Π°Π³Π°ΡΡΡΡ ΡΠΎΠ»Ρ Π² ΡΠΎΡΠΌΠΈΡΠΎΠ²Π°Π½ΠΈΠΈ ΡΠ΅ΡΠΈ, Π²ΠΊΡΡΠΎΠ²ΠΎΠ³ΠΎ Π²ΠΎΡΠΏΡΠΈΡΡΠΈΡ ΠΈ ΠΎΠ±ΡΠ°Π·ΠΎΠ²Π°Π½ΠΈΡ ΡΠ»ΡΠ½Ρ. ΠΠ»Π°Π³ΠΎΠ΄Π°ΡΡ Π΅ΠΌΡ Π³ΡΡΠ΄Π½ΠΎΠΉ ΡΠ΅Π±Π΅Π½ΠΎΠΊ ΡΠΏΠΎΡΠΎΠ±Π΅Π½ ΡΠΎΡΠ°ΡΡ ΠΌΠ°ΡΠ΅ΡΠΈΠ½ΡΠΊΠΎΠ΅ ΠΌΠΎΠ»ΠΎΠΊΠΎ.
ΠΡΠΎΠ±Π΅Π½Π½ΠΎΡΡΠΈ ΡΡΡΠΎΠ΅Π½ΠΈΡ ΡΠ°ΠΌΠΎΠΉ ΡΡΠ²ΡΡΠ²ΠΈΡΠ΅Π»ΡΠ½ΠΎΠΉ ΠΌΡΡΡΡ ΠΎΡΠ³Π°Π½ΠΈΠ·ΠΌΠ° ΠΏΠΎΠ·Π²ΠΎΠ»ΡΡΡ ΡΠ΅Π»ΠΎΠ²Π΅ΠΊΡ Π²ΠΎΡΠΏΡΠΈΠ½ΠΈΠΌΠ°ΡΡ Π³ΠΎΡΡΠΊΠΎΠ΅, ΠΊΠΈΡΠ»ΠΎΠ΅, ΡΠ»Π°Π΄ΠΊΠΎΠ΅ ΠΈ ΡΠΎΠ»ΡΠ½ΠΎΠ΅, Π±Π»Π°Π³ΠΎΠ΄Π°ΡΡ Π½Π°Π»ΠΈΡΠΈΡ Π±ΠΎΠ»Π΅Π΅ Π΄Π²ΡΡ ΡΡΡΡΡ Π»ΡΠΊΠΎΠ²ΠΈΡ Π½Π° Π΅Ρ ΠΏΠΎΠ²Π΅ΡΡ Π½ΠΎΡΡΠΈ.
Π―Π·ΡΠΊ ΡΠ²Π»ΡΠ΅ΡΡΡ ΠΏΠΎΠΊΠ°Π·Π°ΡΠ΅Π»Π΅ΠΌ Π·Π΄ΠΎΡΠΎΠ²ΡΡ ΡΠ΅Π»ΠΎΠ²Π΅ΠΊΠ° ΠΈ ΡΡΡΡΠΎΠ΅Π½ ΡΠ°ΠΊ, ΡΡΠΎ ΠΌΠΎΠΆΠ½ΠΎ ΡΠΎΡΠ½ΠΎ ΠΈΠ΄Π΅Π½ΡΠΈΡΠΈΡΠΈΡΠΎΠ²Π°ΡΡ, ΠΎΠΏΡΠ΅Π΄Π΅Π»ΡΡΡ ΡΠΎΡΡΠΎΡΠ½ΠΈΠ΅ Π½Π΅ ΡΠΎΠ»ΡΠΊΠΎ ΠΆΠ΅Π»ΡΠ΄ΠΎΡΠ½ΠΎ-ΠΊΠΈΡΠ΅ΡΠ½ΠΎΠ³ΠΎ ΡΡΠ°ΠΊΡΠ°, Π½ΠΎ ΠΈ Π΄ΡΡΠ³ΠΈΡ Π²Π½ΡΡΡΠ΅Π½Π½ΠΈΡ ΠΎΡΠ³Π°Π½ΠΎΠ².
Π£ Π·Π΄ΠΎΡΠΎΠ²ΠΎΠ³ΠΎ ΡΠ΅Π»ΠΎΠ²Π΅ΠΊΠ° ΡΠ·ΡΠΊ ΡΠΎΠ·ΠΎΠ²ΠΎΠ³ΠΎ ΡΠ²Π΅ΡΠ°, ΡΠΈΡΡΡΠΉ, Π±Π΅Π· Π½Π°Π»ΡΡΠ°, ΠΎΠ±Π»Π°Π΄Π°Π΅Ρ Π½ΠΎΡΠΌΠ°Π»ΡΠ½ΠΎΠΉ ΡΠ²Π»Π°ΠΆΠ½ΡΠ½Π½ΠΎΡΡΡΡ ΠΈ ΡΡΠ²ΡΡΠ²ΠΈΡΠ΅Π»ΡΠ½ΠΎΡΡΡΡ. ΠΡΠ±ΠΎΠΉ Π½Π°Π»Π΅Ρ, ΠΏΡΠΈΠΏΡΡ Π»ΠΎΡΡΠΈ ΠΈ Π²ΠΎΡΠΏΠ°Π»Π΅Π½ΠΈΡ, Π²ΠΎΠ·Π½ΠΈΠΊΠ°ΡΡΠΈΠ΅ Π² ΡΠΎΡΠΎΠ²ΠΎΠΉ ΠΏΠΎΠ»ΠΎΡΡΠΈ, ΡΠΊΠ°Π·ΡΠ²Π°ΡΡ Π½Π° ΠΏΡΠΎΠ±Π»Π΅ΠΌΡ Π² ΠΎΡΠ³Π°Π½ΠΈΠ·ΠΌΠ΅.
ΠΡΠ±ΠΎΠ³ΠΎ ΡΠΎΠ΄Π° Π½Π°Π»ΡΡ ΡΠ²ΠΈΠ΄Π΅ΡΠ΅Π»ΡΡΡΠ²ΡΠ΅Ρ ΠΎ Π·Π°Π±ΠΎΠ»Π΅Π²Π°Π½ΠΈΡΡ : ΠΆΡΠ»ΡΡΠΉ β ΠΆΠ΅Π»ΡΠ΄ΠΊΠ° ΠΈ Π΄Π²Π΅Π½Π°Π΄ΡΠ°ΡΠΈΠΏΠ΅ΡΡΡΠ½ΠΎΠΉ ΠΊΠΈΡΠΊΠΈ, ΠΊΡΠ°ΡΠ½ΡΠΉ β ΡΠ΅ΡΠ΄ΡΠ°, Π±Π΅Π»ΡΠΉ β Π³ΡΠΈΠ±ΠΊΠΎΠ²ΡΡ Π·Π°Π±ΠΎΠ»Π΅Π²Π°Π½ΠΈΡΡ . ΠΡΠ΅ Ρ Π΄ΡΠ΅Π²Π½Π΅ΠΉΡΠΈΡ Π²ΡΠ΅ΠΌΠ΅Π½ Π»ΡΠ΄ΠΈ ΠΏΠΎΠ»ΡΡΠ°Π»ΠΈ ΠΈΠ½ΡΠΎΡΠΌΠ°ΡΠΈΡ ΠΎ ΡΠΎΡΡΠΎΡΠ½ΠΈΠΈ Π·Π΄ΠΎΡΠΎΠ²ΡΡ ΡΠ΅Π»ΠΎΠ²Π΅ΠΊΠ°, ΠΈΡΡΠ»Π΅Π΄ΡΡ ΠΏΠΎΠ²Π΅ΡΡ Π½ΠΎΡΡΡ ΠΎΡΠ³Π°Π½Π° Π²ΠΊΡΡΠ°. Π ΡΠ΅Π³ΠΎΠ΄Π½Ρ ΠΏΡΠΈΠΌΠ΅Π½ΡΡΡΡΡ ΡΡΠΈ Π·Π½Π°Π½ΠΈΡ Π΄Π»Ρ ΠΎΠΏΡΠ΅Π΄Π΅Π»Π΅Π½ΠΈΡ ΠΏΠ΅ΡΠ²ΡΡ ΡΠΈΠΌΠΏΡΠΎΠΌΠΎΠ² Π·Π°Π±ΠΎΠ»Π΅Π²Π°Π½ΠΈΠΉ.
ΠΠΎΠ»ΡΡΠΈΠ½ΡΡΠ²ΠΎ Π±ΠΎΠ»ΡΡΠ΅ΠΊ Π±ΡΡΡΡΠΎ Π·Π°ΠΆΠΈΠ²Π°ΡΡ, Π»Π΅Π³ΠΊΠΎ Π²ΡΠ»Π΅ΡΠΈΠ²Π°ΡΡΡΡ ΠΈ Π½Π΅ ΠΏΡΠ΅Π΄ΡΡΠ°Π²Π»ΡΡΡ ΡΠ΅ΡΡΡΠ·Π½ΠΎΠΉ ΠΎΠΏΠ°ΡΠ½ΠΎΡΡΠΈ Π΄Π»Ρ Π·Π΄ΠΎΡΠΎΠ²ΡΡ, Π½ΠΎ ΠΈΠ½ΠΎΠ³Π΄Π° ΠΌΠΎΠ³ΡΡ ΡΠΊΠ°Π·ΡΠ²Π°ΡΡ Π½Π° Π½Π°Π»ΠΈΡΠΈΠ΅ ΡΡΠΆΠ΅Π»ΡΡ Π½Π΅Π΄ΡΠ³ΠΎΠ² ΠΏΠΎΠ»ΠΎΡΡΠΈ ΡΡΠ° ΠΈ ΡΠ°Π·Π»ΠΈΡΠ½ΡΡ Π²Π½ΡΡΡΠ΅Π½Π½ΠΈΡ ΠΎΡΠ³Π°Π½ΠΎΠ². ΠΠΎΡΡΠΎΠΌΡ, Π΄Π°ΠΆΠ΅ Π΅ΡΠ»ΠΈ Π΄Π°Π½Π½ΡΠ΅ Π²ΠΎΡΠΏΠ°Π»Π΅Π½ΠΈΡ Π²Π°Ρ Π½Π΅ Π±Π΅ΡΠΏΠΎΠΊΠΎΡΡ, Π½Π΅Π»ΡΠ·Ρ ΠΎΡΡΠ°Π²Π»ΡΡΡ ΠΈΡ Π±Π΅Π· Π²Π½ΠΈΠΌΠ°Π½ΠΈΡ ΠΈ ΡΠ±ΠΈΡΠ°ΡΡ ΡΠ΅ΠΌ ΡΠΊΠΎΡΠ΅Π΅.
ΠΡΠΈΠΊΡΡΡΠ²Π°Π½ΠΈΠ΅ ΡΠ·ΡΠΊΠ° β Π±ΠΎΠ»Π΅Π·Π½Π΅Π½Π½ΡΠ΅ ΡΡΠ°Π²ΠΌΡ
Π‘Π»ΠΈΠ·ΠΈΡΡΠ°Ρ ΠΏΠΎΠ»ΠΎΡΡΠΈ ΡΡΠ° ΠΏΠΎΡΡΠΎΡΠ½Π½ΠΎ ΠΏΠΎΠ΄Π²Π΅ΡΠ³Π°Π΅ΡΡΡ Π²ΠΎΠ·Π΄Π΅ΠΉΡΡΠ²ΠΈΡ ΡΠ°Π·Π΄ΡΠ°ΠΆΠ°ΡΡΠΈΡ Π²Π½Π΅ΡΠ½ΠΈΡ ΡΠ°ΠΊΡΠΎΡΠΎΠ². ΠΠΎ Π±Π»Π°Π³ΠΎΠ΄Π°ΡΡ ΡΠΏΠΎΡΠΎΠ±Π½ΠΎΡΡΠΈ ΡΠ»ΡΠ½Π½ΡΡ ΠΆΠ΅Π»Π΅Π· ΡΠ½ΠΈΠΆΠ°ΡΡ ΠΏΡΠΎΠ½ΠΈΡΠ°Π΅ΠΌΠΎΡΡΡ Π²ΠΈΡΡΡΠΎΠ² ΠΈ Π±Π°ΠΊΡΠ΅ΡΠΈΠΉ ΠΈ Π½Π΅ΠΉΡΡΠ°Π»ΠΈΠ·ΠΎΠ²Π°ΡΡ ΠΊΠΈΡΠ»ΠΎΡΡ, ΠΎΠ±ΡΠ°Π·ΡΡΡΡΡΡΡ Π²ΠΎ Π²ΡΠ΅ΠΌΡ ΠΏΡΠΈΠ΅ΠΌΠ° ΠΏΠΈΡΠΈ, Π² Π·Π΄ΠΎΡΠΎΠ²ΠΎΠΌ ΡΠΎΡΡΠΎΡΠ½ΠΈΠΈ ΠΎΡΠ³Π°Π½ΠΈΠ·ΠΌ Π½Π΅ ΡΠ΅Π°Π³ΠΈΡΡΠ΅Ρ Π½Π° Π½ΠΈΡ Π½ΠΈΠΊΠ°ΠΊΠΈΠΌΠΈ Π²Π½Π΅ΡΠ½ΠΈΠΌΠΈ ΠΎΠ±ΡΠ°Π·ΠΎΠ²Π°Π½ΠΈΡΠΌΠΈ Π½Π° ΡΠ·ΡΠΊΠ΅. Π ΡΠ»ΠΈΠ·ΠΈΡΡΠΎΠΉ ΠΏΠΎΠ»ΠΎΡΡΠΈ ΡΡΠ° ΠΏΠΎΡΡΠΎΡΠ½Π½ΠΎ ΠΏΡΠΈΡΡΡΡΡΠ²ΡΠ΅Ρ ΠΎΠΏΡΠ΅Π΄Π΅Π»Π΅Π½Π½ΠΎΠ΅ ΠΊΠΎΠ»ΠΈΡΠ΅ΡΡΠ²ΠΎ Π±ΠΎΠ»Π΅Π·Π½Π΅ΡΠ²ΠΎΡΠ½ΡΡ ΠΌΠΈΠΊΡΠΎΠΎΡΠ³Π°Π½ΠΈΠ·ΠΌΠΎΠ².
ΠΡΠΈ ΡΠ½ΠΈΠΆΠ΅Π½ΠΈΠΈ ΠΈΠΌΠΌΡΠ½ΠΈΡΠ΅ΡΠ° ΠΎΡΠ³Π°Π½ΠΈΠ·ΠΌ Π½Π΅ ΠΌΠΎΠΆΠ΅Ρ ΡΠΏΡΠ°Π²ΠΈΡΡΡΡ Ρ Π²ΠΎΠ·Π±ΡΠ΄ΠΈΡΠ΅Π»ΡΠΌΠΈ Π±ΠΎΠ»Π΅Π·Π½ΠΈ ΠΈ ΡΠ΅Π°Π³ΠΈΡΡΠ΅Ρ Π½Π° ΠΈΠ·ΠΌΠ΅Π½Π΅Π½ΠΈΡ ΡΠ°Π·Π»ΠΈΡΠ½ΠΎΠ³ΠΎ ΡΠΎΠ΄Π° ΠΎΡΠ°Π³Π°ΠΌΠΈ Π²ΠΎΡΠΏΠ°Π»Π΅Π½ΠΈΡ, Π²ΡΠ·ΡΠ²Π°ΡΡΠΈΠΌΠΈ Π΄ΠΈΡΠΊΠΎΠΌΡΠΎΡΡ, Π·ΡΠ΄, Π±ΠΎΠ»Π΅Π·Π½Π΅Π½Π½ΡΠ΅ ΠΎΡΡΡΠ΅Π½ΠΈΡ, Π·Π°ΡΡΡΠ΄Π½ΡΡΡΠΈΠΌΠΈ ΠΏΡΠΎΡΠ΅ΡΡ ΠΏΡΠΈΠ΅ΠΌΠ° ΠΏΠΈΡΠΈ, Π½Π°ΡΡΡΠ°ΡΡΠΈΠΌΠΈ Π΄ΠΈΠΊΡΠΈΡ. ΠΠΎ Π±Π»Π°Π³ΠΎΠ΄Π°ΡΡ Ρ ΠΎΡΠΎΡΠ΅ΠΉ Π²ΡΠ°ΡΡΠ²Π°ΡΠ΅Π»ΡΠ½ΠΎΠΉ ΡΠΏΠΎΡΠΎΠ±Π½ΠΎΡΡΠΈ Π»Π΅ΠΊΠ°ΡΡΡΠ²ΠΎ, ΠΏΠΎΠΏΠ°Π΄Π°ΡΡΠ΅Π΅ Π² ΡΠΎΡΠΎΠ²ΡΡ ΠΏΠΎΠ»ΠΎΡΡΡ, Π±ΡΡΡΡΠΎ ΠΏΠΎΡΡΡΠΏΠ°Π΅Ρ Π² ΠΊΡΠΎΠ²ΠΎΡΠΎΠΊ.

ΠΠ°Π½Π΄ΠΈΠ΄ΠΎΠ·Π½ΡΠΉ Π½Π°Π»Π΅Ρ ΠΏΠΎ Π±ΠΎΠΊΠ°ΠΌ ΡΠ·ΡΠΊΠ°
Π ΡΡΠΌ Π³ΠΎΠ²ΠΎΡΡΡ ΡΠ·Π²ΠΎΡΠΊΠΈ
ΠΠΎΠΊΠ°Π»ΠΈΠ·Π°ΡΠΈΡ, Ρ Π°ΡΠ°ΠΊΡΠ΅Ρ ΠΈ ΡΠ²Π΅Ρ Π±ΠΎΠ»ΡΡΠΊΠΈ ΠΌΠΎΠΆΠ΅Ρ Β«ΡΠ°ΡΡΠΊΠ°Π·Π°ΡΡΒ» ΠΎΠ± ΠΈΡΡΠΎΡΠ½ΠΈΠΊΠ°Ρ Π·Π°Π±ΠΎΠ»Π΅Π²Π°Π½ΠΈΡ. Π§Π΅ΡΠ΅Π· Π½Π΅ΠΊΠΎΡΠΎΡΠΎΠ΅ Π²ΡΠ΅ΠΌΡ ΠΏΠΎΡΠ»Π΅ ΠΏΠΎΠΏΠ°Π΄Π°Π½ΠΈΡ Π±Π°ΠΊΡΠ΅ΡΠΈΠΈ Π½Π° ΡΠ°Π½ΠΊΡ, ΠΎΠ±ΡΠ°Π·ΠΎΠ²Π°Π½Π½ΡΡ Π½Π° ΠΏΠΎΠ²Π΅ΡΡ Π½ΠΎΡΡΠΈ ΡΠ·ΡΠΊΠ°, ΠΌΠΎΠΆΠ΅Ρ ΠΏΠΎΡΠ²ΠΈΡΡΡ Π±Π΅Π»ΡΠΉ ΠΏΡΡΡΠΈΠΊ ΠΈΠ»ΠΈ ΡΠΈΡΠ΅ΡΠΊΠ°. Π Π°ΡΠΏΠΎΠ»ΠΎΠΆΠ΅Π½ΠΈΠ΅ ΡΠ·Π²ΠΎΡΠ΅ΠΊ ΡΠΎΠ·ΠΎΠ²ΠΎΠ³ΠΎ, Π±Π΅Π»ΠΎΠ³ΠΎ ΠΈΠ»ΠΈ ΠΊΡΠ°ΡΠ½ΠΎΠ²Π°ΡΠΎΠ³ΠΎ ΡΠ²Π΅ΡΠ° ΠΏΠΎΠ±Π»ΠΈΠ·ΠΎΡΡΠΈ ΠΊ Π³ΠΎΡΠ»Ρ ΠΈΠ»ΠΈ ΡΠ±ΠΎΠΊΡ Π²ΠΊΡΡΠΎΠ²ΠΎΠ³ΠΎ Π°Π½Π°Π»ΠΈΠ·Π°ΡΠΎΡΠ° ΡΠ²Π»ΡΠ΅ΡΡΡ ΡΠ»Π΅Π΄ΡΡΠ²ΠΈΠ΅ΠΌ ΡΠΎΠ³ΠΎ, ΡΡΠΎ Ρ Π²Π°Ρ ΡΡΠΎΠΌΠ°ΡΠΈΡ β Π±ΠΎΠ»Π΅Π·Π½Ρ, ΠΏΠΎΡΠ°ΠΆΠ°ΡΡΠ°Ρ ΡΠ»ΠΈΠ·ΠΈΡΡΡΡ ΠΎΠ±ΠΎΠ»ΠΎΡΠΊΡ ΡΠΎΡΠΎΠ²ΠΎΠΉ ΠΏΠΎΠ»ΠΎΡΡΠΈ.

ΠΠ΅ΡΠΏΠ΅ΡΠ½ΡΠ΅ Π²ΡΡΡΠΏΠ°Π½ΠΈΡ Π½Π° ΡΠ·ΡΠΊΠ΅
ΠΡΡΡΠΏΠ°Π½ΠΈΡ ΠΈ Π½Π°Π»ΡΡ Π±Π΅Π»ΠΎΠ³ΠΎ ΡΠ²Π΅ΡΠ° ΠΎΠ±ΡΠ°Π·ΡΡΡΡΡ ΠΏΡΠΈ ΡΠ°Π·Π²ΠΈΡΠΈΠΈ ΡΡΠΎΠΌΠ°ΡΠΈΡΠ° ΠΈ ΠΊΠ°Π½Π΄ΠΈΠ΄ΠΎΠ·Π°. Π―Π·Π²ΠΎΡΠΊΠΈ ΡΠ²Π΅ΡΠ»ΠΎ-ΡΠΎΠ·ΠΎΠ²ΠΎΠ³ΠΎ ΠΈ ΠΊΡΠ°ΡΠ½ΠΎΠ³ΠΎ ΡΠ²Π΅ΡΠ° Π½Π°Π±Π»ΡΠ΄Π°ΡΡΡΡ ΠΏΡΠΈ ΠΎΠΆΠΎΠ³Π°Ρ ΡΠ°Π·Π½ΡΡ ΡΠ°ΡΡΠ΅ΠΉ Π²ΠΊΡΡΠΎΠ²ΠΎΠ³ΠΎ Π°Π½Π°Π»ΠΈΠ·Π°ΡΠΎΡΠ°, Π°Π»Π»Π΅ΡΠ³ΠΈΡΠ΅ΡΠΊΠΈΡ ΡΠ΅Π°ΠΊΡΠΈΡΡ , Π³Π΅ΡΠΏΠ΅ΡΠ΅. ΠΡΠΈ ΠΏΠΎΠ΄ΠΊΠΎΠΆΠ½ΡΡ ΠΊΡΠΎΠ²ΠΎΠΈΠ·Π»ΠΈΡΠ½ΠΈΡΡ , ΠΏΠΎΡΠ°ΠΆΠ΅Π½ΠΈΡΡ ΡΠΎΡΡΠ΄ΠΎΠ² ΠΈ ΡΡΠ°Π²ΠΌΠ°Ρ ΠΏΠΎΠ²Π΅ΡΡ Π½ΠΎΡΡΠΈ ΠΎΡΠ³Π°Π½Π° Π²ΠΊΡΡΠ° Π½Π°Π±Π»ΡΠ΄Π°ΡΡΡΡ Π²ΡΡΡΠΏΠ°Π½ΠΈΡ Π΄Π°ΠΆΠ΅ ΡΡΡΠ½ΠΎΠ³ΠΎ ΡΠ²Π΅ΡΠ°.
Π―Π·Π²ΠΎΡΠΊΠ° ΠΌΠΎΠΆΠ΅Ρ ΠΏΠΎΡΠ²ΠΈΡΡΡΡ Π½Π° ΡΠ·ΡΠΊΠ΅, ΡΠ΅ΠΆΠ΅ Π½Π° Π½ΡΠ±Π΅ ΠΈ Π΄Π΅ΡΠ½Π°Ρ . Π’Π°ΠΊΠΎΠ΅ ΠΎΠ±ΡΠ°Π·ΠΎΠ²Π°Π½ΠΈΠ΅ Π»ΡΠ΄ΠΈ Π½Π°Π·ΡΠ²Π°ΡΡ ΠΏΡΡΡΠΈΠΊ, ΡΠ°ΠΊ ΠΊΠ°ΠΊ ΠΎΠ½ΠΎ ΠΎΡΠ΅Π½Ρ Π½Π° Π½ΠΈΡ ΠΏΠΎΡ ΠΎΠΆΠ΅. ΠΠΎ ΡΠ°ΠΊΠΎΠ΅ Π½Π°Π·Π²Π°Π½ΠΈΠ΅ Π½Π΅ ΡΠΎΠ²ΡΠ΅ΠΌ Π²Π΅ΡΠ½ΠΎ ΠΈΠ·-Π·Π° ΡΠΎΠ³ΠΎ, ΡΡΠΎ Π½Π° ΡΠ·ΡΠΊΠ΅ ΠΎΡΡΡΡΡΡΠ²ΡΡΡ ΡΠ°Π»ΡΠ½ΡΠ΅ ΠΆΠ΅Π»Π΅Π·Ρ.
ΠΠ½ΠΎΠ³ΠΈΠ΅ Π»ΡΠ΄ΠΈ Π½Π΅ Π·Π½Π°ΡΡ, ΡΡΠΎ Π΄Π΅Π»Π°ΡΡ, Π΅ΡΠ»ΠΈ Π²ΠΎΠ·Π½ΠΈΠΊΠ»Π° Π±ΠΎΠ»ΡΡΠΊΠ° Π½Π° ΡΠ·ΡΠΊΠ΅. ΠΠ»Ρ ΡΡΡΡΠ°Π½Π΅Π½ΠΈΡ Π·Π°Π±ΠΎΠ»Π΅Π²Π°Π½ΠΈΡ Π½ΡΠΆΠ½ΠΎ Π·Π½Π°ΡΡ ΠΏΡΠΈΡΠΈΠ½Ρ ΠΈ Π»Π΅ΡΠ΅Π½ΠΈΠ΅. Π ΡΠΎΠ»ΡΠΊΠΎ Π²ΡΡΡΠ½ΠΈΠ² ΠΏΡΠΈΡΠΈΠ½Ρ ΠΏΠΎΡΠ²Π»Π΅Π½ΠΈΡ Π²ΠΎΡΠΏΠ°Π»ΠΈΡΠ΅Π»ΡΠ½ΡΡ ΠΎΠ±ΡΠ°Π·ΠΎΠ²Π°Π½ΠΈΠΉ, Π½Π΅ΠΎΠ±Ρ ΠΎΠ΄ΠΈΠΌΠΎ Π²ΡΠ±ΡΠ°ΡΡ ΡΠ°ΠΌΠΎΠ΅ Π΄Π΅ΠΉΡΡΠ²Π΅Π½Π½ΠΎΠ΅ ΡΡΠ΅Π΄ΡΡΠ²ΠΎ ΡΠ±ΡΠ°ΡΡ, Π²ΡΠ»Π΅ΡΠΈΡΡ ΠΈ ΠΏΡΠ΅Π΄ΡΠΏΡΠ΅Π΄ΠΈΡΡ ΠΈΡ ΠΏΠΎΠ²ΡΠΎΡΠ½ΠΎΠ΅ ΠΏΠΎΡΠ²Π»Π΅Π½ΠΈΠ΅.
ΠΡΠΈΡΠΈΠ½Ρ, ΠΏΠΎ ΠΊΠΎΡΠΎΡΡΠΌ Π²ΠΎΠ·Π½ΠΈΠΊΠ°ΡΡ Π·Π°Π±ΠΎΠ»Π΅Π²Π°Π½ΠΈΡ
Π ΡΠ°ΡΡΡΠΌ ΠΏΡΠΈΡΠΈΠ½Π°ΠΌ ΠΎΡΠ½ΠΎΡΡΡ:
- ΠΠ΅Ρ Π°Π½ΠΈΡΠ΅ΡΠΊΠΈΠ΅ ΠΏΠΎΠ²ΡΠ΅ΠΆΠ΄Π΅Π½ΠΈΡ ΡΠ»ΠΈΠ·ΠΈΡΡΠΎΠΉ, ΠΊΠΎΡΠΎΡΡΠ΅ ΠΏΠΎΠ»ΡΡΠ΅Π½Ρ ΠΏΡΠΈ ΡΠΏΠΎΡΡΠ΅Π±Π»Π΅Π½ΠΈΠΈ ΠΏΠΈΡΠΈ ΠΈ Π²ΡΠ·Π²Π°Π½Π½ΡΠ΅ Π΅Π³ΠΎ ΠΏΡΠΈΠΊΡΡΡΠ²Π°Π½ΠΈΠ΅ΠΌ, Π½Π΅ΠΏΡΠ°Π²ΠΈΠ»ΡΠ½ΡΠΌ ΡΡΡΠΎΠ΅Π½ΠΈΠ΅ΠΌ Π·ΡΠ±Π½ΡΡ ΠΏΡΠΎΡΠ΅Π·ΠΎΠ², ΡΠΊΠΎΠ»Π°ΠΌΠΈ Π·ΡΠ±ΠΎΠ², ΠΈΡΠΏΠΎΠ»ΡΠ·ΠΎΠ²Π°Π½ΠΈΠ΅ ΠΆΠ΅ΡΡΠΊΠΎΠΉ Π·ΡΠ±Π½ΠΎΠΉ ΡΠ΅ΡΠΊΠΈ, ΠΎΠΆΠΎΠ³ Π³ΠΎΡΡΡΠ΅ΠΉ ΠΏΠΈΡΠ΅ΠΉ ΠΈΠ»ΠΈ ΠΏΠΈΡΡΠ΅ΠΌ. ΠΡΠΎ ΠΏΠΎΠ²ΡΠ΅ΠΆΠ΄Π΅Π½ΠΈΠ΅ ΠΌΠΎΠΆΠ΅Ρ ΠΏΡΠΈΠ²Π΅ΡΡΠΈ ΠΊ ΠΏΠΎΡΠ²Π»Π΅Π½ΠΈΡ ΠΎΠ΄Π½ΠΎΠΉ Π±ΠΎΠ»ΡΡΠΊΠΈ ΠΈΠ»ΠΈ ΡΠΏΡΠΎΠ²ΠΎΡΠΈΡΠΎΠ²Π°ΡΡ Ρ ΡΠΎΠ½ΠΈΡΠ΅ΡΠΊΠΈΠΉ ΡΡΠΎΠΌΠ°ΡΠΈΡ, ΠΏΡΠΈ ΠΊΠΎΡΠΎΡΠΎΠΌ Π²ΡΡΡΠΏΠ°Π½ΠΈΡ ΠΏΠΎΡΠ²Π»ΡΡΡΡΡ Π² Π±ΠΎΠ»ΡΡΠΎΠΌ ΠΊΠΎΠ»ΠΈΡΠ΅ΡΡΠ²Π΅.
- ΠΠ°ΡΡΡΠ΅Π½ΠΈΠ΅ ΡΠ°Π±ΠΎΡΡ Π²Π½ΡΡΡΠ΅Π½Π½ΠΈΡ ΠΎΡΠ³Π°Π½ΠΎΠ². ΠΠΎΡΠ²Π»Π΅Π½ΠΈΠ΅ Π²ΡΡΡΠΏΠ°Π½ΠΈΠΉ Π½Π° ΠΏΠΎΠ²Π΅ΡΡ Π½ΠΎΡΡΠΈ Π²ΠΊΡΡΠΎΠ²ΠΎΠ³ΠΎ Π°Π½Π°Π»ΠΈΠ·Π°ΡΠΎΡΠ° ΠΌΠΎΠΆΠ΅Ρ Π³ΠΎΠ²ΠΎΡΠΈΡΡ ΠΎ Π½Π°Π»ΠΈΡΠΈΠΈ Ρ ΡΠΎΠ½ΠΈΡΠ΅ΡΠΊΠΈΡ ΠΈΠ»ΠΈ ΠΈΠ½ΡΠ΅ΠΊΡΠΈΠΎΠ½Π½ΡΡ Π·Π°Π±ΠΎΠ»Π΅Π²Π°Π½ΠΈΠΉ. ΠΠ΅Π·Π°ΠΆΠΈΠ²Π°ΡΡΠΈΠ΅ ΡΠ·Π²Ρ Π² ΠΏΠΎΠ»ΠΎΡΡΠΈ ΡΡΠ° ΠΌΠΎΠ³ΡΡ Π±ΡΡΡ ΠΏΡΠΈΠ·Π½Π°ΠΊΠ°ΠΌΠΈ ΡΡΠ±Π΅ΡΠΊΡΠ»Π΅Π·Π°, ΠΠΠ§-ΠΈΠ½ΡΠ΅ΠΊΡΠΈΠΈ, ΡΠΈΡΠΈΠ»ΠΈΡΠ° ΠΈ Π΄Π°ΠΆΠ΅ ΡΠ°ΠΊΠ°.
- Π‘ΡΠΎΠΌΠ°ΡΠΈΡΡ, Π²ΠΎΠ·Π½ΠΈΠΊΠ°ΡΡΠΈΠ΅ ΠΏΠΎ ΠΏΡΠΈΡΠΈΠ½Π΅ Π½Π΅Π΄ΠΎΡΡΠ°ΡΠΎΡΠ½ΠΎΠΉ Π³ΠΈΠ³ΠΈΠ΅Π½Ρ. Π§Π°ΡΠ΅ Π²ΡΠ΅Π³ΠΎ ΠΈΠΌΠΈ Π±ΠΎΠ»Π΅ΡΡ Π΄Π΅ΡΠΈ, ΡΠ°ΠΊ ΠΊΠ°ΠΊ ΠΌΠ½ΠΎΠ³ΠΈΠ΅ ΠΈΡ Π½ΠΈΡ ΠΈΠΌΠ΅ΡΡ ΠΏΡΠΈΠ²ΡΡΠΊΡ ΡΡΠ½ΡΡΡ Π½Π΅ ΠΌΡΡΡΠ΅ ΡΡΠΊΠΈ Π² ΡΠΎΡ.
ΠΠ΅ΡΠΊΠ²Π°ΠΌΠ°ΡΠΈΠ²Π½ΡΠΉ ΡΡΠΎΠΌΠ°ΡΠΈΡ Π½Π° ΡΠ·ΡΠΊΠ΅
- ΠΠ΅ΡΠΏΠ΅ΡΡ ΠΌΠΎΠ³ΡΡ ΠΏΠΎΡΠ²Π»ΡΡΡΡΡ Π½Π° ΡΠ»ΠΈΠ·ΠΈΡΡΠΎΠΉ ΡΠΎΡΠΎΠ²ΠΎΠΉ ΠΏΠΎΠ»ΠΎΡΡΠΈ. ΠΠ± ΡΡΠΎΠΌ Π³ΠΎΠ²ΠΎΡΠΈΡ Π²ΠΎΠ·Π½ΠΈΠΊΠ½ΠΎΠ²Π΅Π½ΠΈΠ΅ Π²ΠΎΠ΄ΡΠ½ΠΈΡΡΡΡ ΡΠ·Π²ΠΎΡΠ΅ΠΊ Π½Π° Π²Π½ΡΡΡΠ΅Π½Π½Π΅ΠΉ ΠΏΠΎΠ²Π΅ΡΡ Π½ΠΎΡΡΠΈ ΡΡΠΊ ΠΈ ΡΠ·ΡΠΊΠ΅.
- ΠΠ΅ΠΏΡΠ°Π²ΠΈΠ»ΡΠ½ΠΎΠ΅ ΠΏΠΈΡΠ°Π½ΠΈΠ΅, Π²ΡΠ΅Π΄Π½ΡΠ΅ ΠΏΡΠΈΠ²ΡΡΠΊΠΈ. ΠΡΡΠ΅Π½ΠΈΠ΅, ΡΠΏΠΎΡΡΠ΅Π±Π»Π΅Π½ΠΈΠ΅ Π±ΠΎΠ»ΡΡΠΎΠ³ΠΎ ΠΊΠΎΠ»ΠΈΡΠ΅ΡΡΠ²Π° ΠΎΡΡΡΠΎΠΉ, ΠΊΠΈΡΠ»ΠΎΠΉ ΠΈ Π³ΠΎΡΡΡΠ΅ΠΉ ΠΏΠΈΡΠ΅ΠΉ, Π° ΡΠ°ΠΊΠΆΠ΅ Π°Π»ΠΊΠΎΠ³ΠΎΠ»Ρ ΠΎΠ±Π»Π°Π΄Π°ΡΡ ΡΠ°Π·Π΄ΡΠ°ΠΆΠ°ΡΡΠΈΠΌ Π΄Π΅ΠΉΡΡΠ²ΠΈΠ΅ΠΌ Π½Π° ΡΠΎΡΠΎΡΠΊΠΈ, ΡΠ°ΡΠΏΠΎΠ»ΠΎΠΆΠ΅Π½Π½ΡΠ΅ Π½Π° ΡΠΏΠΈΠ½ΠΊΠ΅ ΡΠ·ΡΠΊΠ°, ΡΠ΅Π·ΡΠ»ΡΡΠ°ΡΠΎΠΌ ΡΠ΅Π³ΠΎ ΡΠ²Π»ΡΠ΅ΡΡΡ ΡΠΎΡΠΌΠΈΡΠΎΠ²Π°Π½ΠΈΠ΅ Π²ΠΎΡΠΏΠ°Π»Π΅Π½ΠΈΡ. ΠΡΠ»ΠΈ ΠΎΠ΄ΠΈΠ½ ΠΈΠ· Π°Π»Π»Π΅ΡΠ³Π΅Π½ΠΎΠ², ΠΏΠ΅ΡΠ΅ΡΠΈΡΠ»Π΅Π½Π½ΡΡ Π²ΡΡΠ΅, ΠΏΠΎΡΡΠΎΡΠ½Π½ΠΎ ΠΏΡΠΈΡΡΡΡΡΠ²ΡΠ΅Ρ Π² ΠΏΠΈΡΠ΅ ΡΠ΅Π»ΠΎΠ²Π΅ΠΊΠ°, ΡΠΎ Π²ΠΎΡΠΏΠ°Π»ΠΈΡΠ΅Π»ΡΠ½ΡΠΉ ΠΏΡΠΎΡΠ΅ΡΡ ΠΌΠΎΠΆΠ΅Ρ ΡΡΠ°ΡΡ Ρ ΡΠΎΠ½ΠΈΡΠ΅ΡΠΊΠΈΠΌ.
- ΠΠ²ΠΈΡΠ°ΠΌΠΈΠ½ΠΎΠ·, ΠΊΠΎΡΠΎΡΡΠΉ ΠΏΡΠΎΡΠ²Π»ΡΠ΅ΡΡΡ Π² Π²ΠΈΠ΄Π΅ Π½Π΅ΡΠΎΠ²Π½ΠΎΡΡΠ΅ΠΉ, Π±ΠΎΠ»Π΅Π·Π½Π΅Π½Π½ΡΡ ΠΏΡΡΠ΅Π½ ΠΈ Π²ΡΡΡΠΏΠ°Π½ΠΈΠΉ Π½Π° ΡΠ·ΡΠΊΠ΅.
- ΠΠΎΠ½ΠΈΠΆΠ΅Π½Π½ΡΠΉ ΠΈΠΌΠΌΡΠ½ΠΈΡΠ΅Ρ ΠΏΡΠΎΡΠ²Π»ΡΠ΅ΡΡΡ Π² ΠΏΠΎΠΊΡΠ°ΡΠ½Π΅Π½ΠΈΠΈ ΡΠΏΠΈΠ½ΠΊΠΈ ΠΎΡΠ³Π°Π½Π° Π²ΠΊΡΡΠ° ΠΈ ΠΏΠΎΡΠ²Π»Π΅Π½ΠΈΠΈ Π±ΠΎΠ»Π΅Π·Π½Π΅Π½Π½ΡΡ ΡΠ°Π½ ΠΈ ΡΠ·Π².
- ΠΠ»Π»Π΅ΡΠ³ΠΈΡΠ΅ΡΠΊΠ°Ρ ΡΠ΅Π°ΠΊΡΠΈΡ Π½Π° ΠΊΠΎΡΠΌΠ΅ΡΠΈΡΠ΅ΡΠΊΠΈΠ΅ ΡΡΠ΅Π΄ΡΡΠ²Π°.
ΠΡΠ±ΠΎΡ Π»Π΅ΡΠ΅Π½ΠΈΡ Π±ΠΎΠ»ΡΡΠΊΠΈ Π·Π°Π²ΠΈΡΠΈΡ ΠΎΡ Ρ Π°ΡΠ°ΠΊΡΠ΅ΡΠ° ΠΈ ΠΏΡΠΈΡΠΈΠ½Ρ Π΅Ρ ΠΏΠΎΡΠ²Π»Π΅Π½ΠΈΡ. ΠΡΠΈ Π½Π°Π»ΠΈΡΠΈΠΈ Π² ΠΎΡΠ³Π°Π½ΠΈΠ·ΠΌΠ΅ Π²ΠΈΡΡΡΠ° Π³Π΅ΡΠΏΠ΅ΡΠ° Π½Π΅ΠΎΠ±Ρ ΠΎΠ΄ΠΈΠΌΠΎ ΠΎΠ±ΡΠ°ΡΠΈΡΡΡΡ ΠΊ Π²ΡΠ°ΡΡ, ΡΠ°ΠΊ ΠΊΠ°ΠΊ ΠΏΡΠΈ ΠΎΡΡΡΡΡΡΠ²ΠΈΠΈ ΡΠΏΠ΅ΡΠΈΠ°Π»ΡΠ½ΠΎΠ³ΠΎ Π»Π΅ΡΠ΅Π½ΠΈΡ ΡΡΠΎΡ Π²ΠΈΡΡΡ ΠΌΠΎΠΆΠ΅Ρ ΠΏΠΎΡΠ°ΠΆΠ°ΡΡ Π²Π½ΡΡΡΠ΅Π½Π½ΠΈΠ΅ ΠΎΡΠ³Π°Π½Ρ ΡΠ΅Π»ΠΎΠ²Π΅ΠΊΠ°.
ΠΠ°ΡΠΎΠ΄Π½ΡΠ΅ ΡΡΠ΅Π΄ΡΡΠ²Π° ΠΈ Π»Π΅ΠΊΠ°ΡΡΡΠ²Π΅Π½Π½ΡΠ΅ ΠΏΡΠ΅ΠΏΠ°ΡΠ°ΡΡ
ΠΠ±Π»Π΅Π³ΡΠΈΡΡ Π±ΠΎΠ»Π΅Π·Π½Π΅Π½Π½ΠΎΡΡΡ ΠΈ Π·ΡΠ΄ ΠΌΠΎΠΆΠ½ΠΎ Ρ ΠΏΠΎΠΌΠΎΡΡΡ ΡΡΠ΅Π΄ΡΡΠ² Π½Π°ΡΠΎΠ΄Π½ΠΎΠΉ ΠΌΠ΅Π΄ΠΈΡΠΈΠ½Ρ ΠΈ ΡΠ°ΡΡΠ²ΠΎΡΠΎΠ² ΠΉΠΎΠ΄Π°, ΡΠΎΠ»ΠΈ ΠΈΠ»ΠΈ ΡΠΎΠ΄Ρ. ΠΡ ΠΌΠΎΠΆΠ½ΠΎ ΠΈΡΠΏΠΎΠ»ΡΠ·ΠΎΠ²Π°ΡΡ ΡΠΎΠ²ΠΌΠ΅ΡΡΠ½ΠΎ Ρ Π»Π΅ΡΠ΅Π½ΠΈΠ΅ΠΌ ΠΈΠ»ΠΈ Π΄ΠΎ ΠΏΡΠΈΡΠΌΠ° Π²ΡΠ°ΡΠ°. Π¦Π΅Π»Π΅Π±Π½ΡΠΌΠΈ Π°Π½ΡΠΈΡΠ΅ΠΏΡΠΈΡΠ΅ΡΠΊΠΈΠΌΠΈ ΠΈ Π·Π°ΠΆΠΈΠ²Π»ΡΡΡΠΈΠΌΠΈ ΡΠ²ΠΎΠΉΡΡΠ²Π°ΠΌΠΈ ΠΎΠ±Π»Π°Π΄Π°ΡΡ ΠΎΡΠ²Π°ΡΡ, Π½Π°ΡΡΠΎΠΈ, ΠΌΠ°ΡΠ»Π°, ΠΏΠΎΠ»ΡΡΠ΅Π½Π½ΡΠ΅ ΠΈΠ· ΡΠ²Π΅ΡΠΊΠΎΠ², Π»ΠΈΡΡΡΠ΅Π², ΠΏΠΎΡΠ΅ΠΊ ΠΈ Π΄ΡΡΠ³ΠΈΡ ΡΠ°ΡΡΠ΅ΠΉ ΡΠ°ΡΡΠ΅Π½ΠΈΠΉ.
ΠΠ΅Π΄ ΠΈ ΠΏΡΠΎΠΏΠΎΠ»ΠΈΡ β Π½Π°ΡΠΎΠ΄Π½ΠΎΠ΅ ΡΡΠ΅Π΄ΡΡΠ²ΠΎ
Π ΠΊΠ°ΡΠ΅ΡΡΠ²Π΅ Π°Π½ΡΠΈΡΠ΅ΠΏΡΠΈΠΊΠ° ΠΏΡΠΈΠΌΠ΅Π½ΡΡΡ ΠΏΠ»ΠΎΠ΄Ρ ΠΊΠ°Π»ΠΈΠ½Ρ, ΠΎΡΠ²Π°ΡΡ ΠΈ ΠΏΡΠΈΠΌΠΎΡΠΊΠΈ ΠΈΠ· ΡΡΠ°Π² Π·Π²Π΅ΡΠΎΠ±ΠΎΡ, ΡΡΡΡΡΠ΅Π»ΠΈΡΡΠ½ΠΈΠΊΠ°, ΡΠΎΠΌΠ°ΡΠΊΠΈ ΠΈΠ»ΠΈ ΡΠ°Π»ΡΠ΅Ρ. ΠΠ»Π°Π³ΠΎΠ΄Π°ΡΡ Π·Π°ΠΆΠΈΠ²Π»ΡΡΡΠΈΠΌ ΡΠ²ΠΎΠΉΡΡΠ²Π°ΠΌ ΠΊΠ°Π»Π΅Π½Π΄ΡΠ»Ρ, ΡΠΎΠΊΠ° Π°Π»ΠΎΡ, ΠΌΠ°ΡΠ»Π° ΡΠΈΠΏΠΎΠ²Π½ΠΈΠΊΠ° ΠΈ ΠΎΠ±Π»Π΅ΠΏΠΈΡ ΠΈ Π΄Π°Π½Π½ΡΠ΅ ΡΡΠ΅Π΄ΡΡΠ²Π° ΡΠΈΡΠΎΠΊΠΎ ΠΏΡΠΈΠΌΠ΅Π½ΡΡΡΡΡ Π΄Π»Ρ Π΄Π΅Π·ΠΈΠ½ΡΠ΅ΠΊΡΠΈΠΈ ΠΏΠΎΠ»ΠΎΡΡΠΈ ΡΡΠ°.
Π‘ΠΎΠΊ Π°Π»ΠΎΡ ΠΈ ΠΌΠ°ΡΠ»ΠΎ ΠΎΠ±Π»Π΅ΠΏΠΈΡ ΠΈ ΠΏΡΠΈΠΌΠ΅Π½ΡΡΡ Π΄Π»Ρ Π°ΠΏΠΏΠ»ΠΈΠΊΠ°ΡΠΈΠΉ
ΠΡΠΈ Π»Π΅ΡΠ΅Π½ΠΈΠΈ Π·Π°Π±ΠΎΠ»Π΅Π²Π°Π½ΠΈΠΉ ΡΠΎΡΠΎΠ²ΠΎΠΉ ΠΏΠΎΠ»ΠΎΡΡΠΈ ΠΈΡΠΏΠΎΠ»ΡΠ·ΡΡΡ ΡΠ΅Π»Π΅Π±Π½ΡΠ΅ ΡΠ²ΠΎΠΉΡΡΠ²Π° ΠΊΠΎΡΡ Π΄ΡΠ±Π°, ΠΏΡΠΎΠΏΠΎΠ»ΠΈΡΠ°, ΠΌΡΠ΄Π°, Π»ΡΠΊΠ°, ΡΠ²Π΅ΡΠΎΠ² ΡΠ°ΠΉΠ½ΠΎΠΉ ΡΠΎΠ·Ρ.
ΠΠΎ ΡΡΡΠ΅ΠΊΡΠΈΠ²Π½ΠΎΡΡΠΈ Π΄Π΅ΠΉΡΡΠ²ΠΈΡ Π½Π°ΡΠΎΠ΄Π½ΡΠ΅ ΡΠΏΠΎΡΠΎΠ±Ρ Π½Π΅ ΡΡΠ°Π²Π½ΡΡΡΡ Ρ Π»Π΅ΡΠ΅Π½ΠΈΠ΅ΠΌ ΠΌΠ΅Π΄ΠΈΠΊΠ°ΠΌΠ΅Π½ΡΠ°ΠΌΠΈ, Π° ΡΠ°ΠΊΠΆΠ΅ ΡΡΡΡΠ°Π½Π΅Π½ΠΈΠ΅ΠΌ ΠΈΡΡΠΎΡΠ½ΠΈΠΊΠ° Π±ΠΎΠ»Π΅Π·Π½ΠΈ. ΠΠΎ Π² ΠΊΠΎΠΌΠΏΠ»Π΅ΠΊΡΠ½ΠΎΠΉ ΡΠ΅ΡΠ°ΠΏΠΈΠΈ Ρ Π½Π°Π·Π½Π°ΡΠ΅Π½Π½ΡΠΌΠΈ Π²ΡΠ°ΡΠΎΠΌ Π»Π΅ΠΊΠ°ΡΡΡΠ²Π΅Π½Π½ΡΠΌΠΈ ΠΏΡΠ΅ΠΏΠ°ΡΠ°ΡΠ°ΠΌΠΈ ΡΡΠΊΠΎΡΡΡΡ ΠΏΡΠΎΡΠ΅Π΄ΡΡΡ Π·Π°ΠΆΠΈΠ²Π»Π΅Π½ΠΈΡ.
Π Π°ΠΏΡΠ΅ΠΊΠ°Ρ Π½Π° ΠΏΡΠΈΠ»Π°Π²ΠΊΠ°Ρ ΠΈΠΌΠ΅Π΅ΡΡΡ ΠΎΠ³ΡΠΎΠΌΠ½ΠΎΠ΅ ΠΊΠΎΠ»ΠΈΡΠ΅ΡΡΠ²ΠΎ ΡΡΠ΅Π΄ΡΡΠ², ΠΏΠΎΠΌΠΎΠ³Π°ΡΡΠΈΡ ΠΈΠ·Π±Π°Π²ΠΈΡΡΡΡ ΠΎΡ Π²ΠΎΡΠΏΠ°Π»Π΅Π½ΠΈΡ Π½Π° ΡΠ·ΡΠΊΠ΅. ΠΠΎΠ»ΡΡΠΈΠ½ΡΡΠ²ΠΎ ΠΈΠ· Π½ΠΈΡ ΠΏΡΠΎΠ΄Π°ΡΡΡΡ Π±Π΅Π· ΡΠ΅ΡΠ΅ΠΏΡΠ° ΠΈ Π½Π°Ρ ΠΎΠ΄ΡΡΡΡ Π² ΡΠ²ΠΎΠ±ΠΎΠ΄Π½ΠΎΠΉ ΠΏΡΠΎΠ΄Π°ΠΆΠ΅ Π΄Π»Ρ Π»ΡΠ±ΠΎΠ³ΠΎ, ΠΊΡΠΎ ΠΆΠ΅Π»Π°Π΅Ρ ΡΠΏΡΠ°Π²ΠΈΡΡΡΡ Ρ ΡΡΠΎΠΉ ΠΏΡΠΎΠ±Π»Π΅ΠΌΠΎΠΉ.

Π₯Π»ΠΎΡΠ³Π΅ΠΊΡΠΈΠ΄ΠΈΠ½ ΠΈ ΠΠΈΡΠ°ΠΌΠΈΡΡΠΈΠ½ β Π°Π½ΡΠΈΡΠ΅ΠΏΡΠΈΡΠ΅ΡΠΊΠΈΠ΅ ΡΡΠ΅Π΄ΡΡΠ²Π°
Π Π·Π°Π²ΠΈΡΠΈΠΌΠΎΡΡΠΈ ΠΎΡ ΠΏΡΠΈΡΠΈΠ½ ΠΈ Π²ΠΎΠ·Π±ΡΠ΄ΠΈΡΠ΅Π»Π΅ΠΉ, Π²ΡΠ·ΡΠ²Π°ΡΡΠΈΡ ΡΠ·Π²Ρ Π½Π° ΡΠ·ΡΠΊΠ΅, ΠΏΡΠΈΠΌΠ΅Π½ΡΡΡΡΡ Π°Π½ΡΠΈΡΠ΅ΠΏΡΠΈΡΠ΅ΡΠΊΠΈΠ΅, Π°Π½ΡΠΈΠ±Π°ΠΊΡΠ΅ΡΠΈΠ°Π»ΡΠ½ΡΠ΅, ΠΏΡΠΎΡΠΈΠ²ΠΎΠ²ΠΈΡΡΡΠ½ΡΠ΅ ΠΈΠ»ΠΈ ΠΏΡΠΎΡΠΈΠ²ΠΎΠ²ΠΎΡΠΏΠ°Π»ΠΈΡΠ΅Π»ΡΠ½ΡΠ΅ ΠΏΡΠ΅ΠΏΠ°ΡΠ°ΡΡ. ΠΡΠΈ ΠΌΠ΅Π΄ΠΈΠΊΠ°ΠΌΠ΅Π½ΡΡ Π±ΡΠ²Π°ΡΡ ΠΌΠ΅ΡΡΠ½ΠΎΠ³ΠΎ, ΠΏΡΡΠΌΠΎΠ³ΠΎ ΠΈ ΠΎΠ±ΡΠ΅Π³ΠΎ Π΄Π΅ΠΉΡΡΠ²ΠΈΡ. ΠΠ΅ΠΎΠ±Ρ ΠΎΠ΄ΠΈΠΌΠΎ ΠΏΠΎΠΌΠ½ΠΈΡΡ ΠΎ ΡΠΎΠΌ, ΡΡΠΎ ΠΏΡΠΈΠΌΠ΅Π½Π΅Π½ΠΈΠ΅ Π»Π΅ΠΊΠ°ΡΡΡΠ² Π±Π΅Π· Π½Π°Π·Π½Π°ΡΠ΅Π½ΠΈΡ Π½Π΅ ΡΠ΅ΠΊΠΎΠΌΠ΅Π½Π΄ΡΠ΅ΡΡΡ.
Π‘Π°ΠΌΠΎΠ»Π΅ΡΠ΅Π½ΠΈΠ΅ ΠΎΠΏΠ°ΡΠ½ΠΎ ΡΠ΅ΠΌ, ΡΡΠΎ Π²ΡΠ±ΠΎΡ Π½Π΅ΠΏΡΠ°Π²ΠΈΠ»ΡΠ½ΠΎΠ³ΠΎ ΡΡΠ΅Π΄ΡΡΠ²Π° ΠΈΠ»ΠΈ Π΅Π³ΠΎ Π½Π΅ΠΏΡΠ°Π²ΠΈΠ»ΡΠ½ΠΎΠΉ Π΄ΠΎΠ·ΠΈΡΠΎΠ²ΠΊΠΈ ΠΏΡΠΈΠ²Π΅Π΄ΡΡ ΠΊ ΠΏΠΎΡΠ²Π»Π΅Π½ΠΈΡ ΠΎΡΡΡΠΎΠΉ Π°Π»Π»Π΅ΡΠ³ΠΈΡΠ΅ΡΠΊΠΎΠΉ ΡΠ΅Π°ΠΊΡΠΈΠΈ, Π° ΡΠ°ΠΊΠΆΠ΅ ΡΡΡΠ³ΡΠ±Π»Π΅Π½ΠΈΡ ΠΏΡΠΎΠ±Π»Π΅ΠΌ, ΠΊΠΎΡΠΎΡΡΠ΅ ΡΠΆΠ΅ ΠΈΠΌΠ΅ΡΡΡΡ. ΠΠΎΡΡΠΎΠΌΡ ΠΏΠ΅ΡΠ΅Π΄ ΠΏΡΠΈΠΌΠ΅Π½Π΅Π½ΠΈΠ΅ΠΌ Π»Π΅ΠΊΠ°ΡΡΡΠ²Π° Π½Π΅ΠΎΠ±Ρ ΠΎΠ΄ΠΈΠΌΠΎ ΠΎΠ±ΡΠ°ΡΠΈΡΡΡΡ ΠΊ Π²ΡΠ°ΡΡ Π½Π° ΠΊΠΎΠ½ΡΡΠ»ΡΡΠ°ΡΠΈΡ.

ΠΠ°ΠΌΠΈΡΡΠ°Π΄ ΠΈ ΠΠΈΠ΄ΠΎΠΊΠ°ΠΈΠ½ ΠΏΡΠΈΠΌΠ΅Π½ΡΡΡ. ΡΡΠΎΠ±Ρ ΡΠ½ΡΡΡ Π±ΠΎΠ»Ρ
ΠΡΠΈ ΠΏΠΎΡΠ²Π»Π΅Π½ΠΈΠΈ ΡΠ·Π²ΠΎΡΠΊΠΈ Π½Π° ΡΠ·ΡΠΊΠ΅ Π±Π°ΠΊΡΠ΅ΡΠΈΠ°Π»ΡΠ½ΠΎΠ³ΠΎ ΠΏΡΠΎΠΈΡΡ ΠΎΠΆΠ΄Π΅Π½ΠΈΡ ΠΏΡΠΈΠΌΠ΅Π½ΡΡΡΡΡ Π°Π½ΡΠΈΠ±Π°ΠΊΡΠ΅ΡΠΈΠ°Π»ΡΠ½ΡΠ΅ ΠΏΡΠ΅ΠΏΠ°ΡΠ°ΡΡ ΠΎΠ±ΡΠ΅Π³ΠΎ ΠΈΠ»ΠΈ ΠΌΠ΅ΡΡΠ½ΠΎΠ³ΠΎ Π΄Π΅ΠΉΡΡΠ²ΠΈΡ. Π Π°Π½ΡΠΈΠ±Π°ΠΊΡΠ΅ΡΠΈΠ°Π»ΡΠ½ΡΠΌ ΠΈ Π°Π½ΡΠΈΡΠ΅ΠΏΡΠΈΡΠ΅ΡΠΊΠΈΠΌ ΠΏΡΠ΅ΠΏΠ°ΡΠ°ΡΠ°ΠΌ ΠΌΠ΅ΡΡΠ½ΠΎΠ³ΠΎ Π΄Π΅ΠΉΡΡΠ²ΠΈΡ ΠΎΡΠ½ΠΎΡΡΡΡΡ ΡΠ°ΡΡΠ²ΠΎΡΡ Π΄Π»Ρ ΠΏΠΎΠ»ΠΎΡΠΊΠ°Π½ΠΈΡ, ΡΠΏΡΠ΅ΠΈ ΠΈ Π»Π΅Π΄Π΅Π½ΡΡ Π΄Π»Ρ ΡΠ°ΡΡΠ°ΡΡΠ²Π°Π½ΠΈΡ. Π Π°Π½ΡΠΈΠ±Π°ΠΊΡΠ΅ΡΠΈΠ°Π»ΡΠ½ΡΠΌ ΠΈ ΠΏΡΠΎΡΠΈΠ²ΠΎΠ²ΠΈΡΡΡΠ½ΡΠΌ ΡΡΠ΅Π΄ΡΡΠ²Π°ΠΌ ΠΎΠ±ΡΠ΅Π³ΠΎ Π΄Π΅ΠΉΡΡΠ²ΠΈΡ ΠΎΡΠ½ΠΎΡΡΡΡΡ Π°Π½ΡΠΈΠ±ΠΈΠΎΡΠΈΠΊΠΈ.
ΠΡΠΎΡΠΈΠ²ΠΎΠ²ΠΎΡΠΏΠ°Π»ΠΈΡΠ΅Π»ΡΠ½ΡΠ΅ ΡΡΠ΅Π΄ΡΡΠ²Π° Π½Π°Π·Π½Π°ΡΠ°Π΅Ρ Π²ΡΠ°Ρ
ΠΡΠ·Π΄ΠΎΡΠΎΠ²Π»Π΅Π½ΠΈΠ΅ ΠΏΠ°ΡΠΈΠ΅Π½ΡΠ° Π·Π°Π²ΠΈΡΠΈΡ ΠΎΡ ΠΌΠ½ΠΎΠ³ΠΈΡ ΡΠ°ΠΊΡΠΎΡΠΎΠ²: Π²Π΅ΡΠ½ΠΎΠΉ ΠΏΠΎΡΡΠ°Π½ΠΎΠ²ΠΊΠΈ Π΄ΠΈΠ°Π³Π½ΠΎΠ·Π°, ΠΊΠΎΠΌΠΏΠ΅ΡΠ΅Π½ΡΠ½ΠΎΡΡΠΈ Π²ΡΠ°ΡΠ°, Π³ΡΠ°ΠΌΠΎΡΠ½ΠΎ ΠΏΠΎΠ΄ΠΎΠ±ΡΠ°Π½Π½ΡΡ ΠΌΠ΅Π΄ΠΈΠΊΠ°ΠΌΠ΅Π½ΡΠΎΠ², ΡΠ»Π΅Π΄ΠΎΠ²Π°Π½ΠΈΡ ΠΏΠ°ΡΠΈΠ΅Π½ΡΠΎΠΌ ΡΠ΅ΠΊΠΎΠΌΠ΅Π½Π΄Π°ΡΠΈΡΠΌ Π²ΡΠ°ΡΠ°, ΡΠΎΠ±Π»ΡΠ΄Π΅Π½ΠΈΡ Π³ΠΈΠ³ΠΈΠ΅Π½Ρ ΠΏΠΎΠ»ΠΎΡΡΠΈ ΡΡΠ°. ΠΡΠ°ΠΌΠΎΡΠ½Π°Ρ ΡΠΈΡΡΠΊΠ° Π·ΡΠ±ΠΎΠ² Π΄Π²Π° ΡΠ°Π·Π° Π² Π΄Π΅Π½Ρ ΠΈ ΠΏΠΎΠ»ΠΎΡΠΊΠ°Π½ΠΈΠ΅ ΡΠΎΡΠΎΠ²ΠΎΠΉ ΠΏΠΎΠ»ΠΎΡΡΠΈ ΠΏΠΎΡΠ»Π΅ ΡΠΏΠΎΡΡΠ΅Π±Π»Π΅Π½ΠΈΡ ΠΏΠΈΡΠΈ ΠΏΠΎΠ·Π²ΠΎΠ»ΠΈΡ ΠΏΡΠ΅Π΄ΡΠΏΡΠ΅Π΄ΠΈΡΡ ΡΠ°Π·ΠΌΠ½ΠΎΠΆΠ΅Π½ΠΈΡ Π±ΠΎΠ»Π΅Π·Π½Π΅ΡΠ²ΠΎΡΠ½ΡΡ ΠΌΠΈΠΊΡΠΎΠΎΡΠ³Π°Π½ΠΈΠ·ΠΌΠΎΠ² ΠΈ ΠΏΠΎΠΏΠ°Π΄Π°Π½ΠΈΠ΅ ΠΈΡ Π² ΡΠ°Π½ΠΊΠΈ ΠΈ ΠΌΠΈΠΊΡΠΎΡΡΠ΅ΡΠΈΠ½Ρ, ΡΠ°ΠΊΠΆΠ΅ ΠΏΠΎΡΠ²Π»Π΅Π½ΠΈΠ΅ ΡΠ·Π², Π³Π½ΠΎΠΉΠ½ΠΈΡΠΊΠΎΠ², Π½Π°ΡΡΠ²ΠΎΠ².
ΠΡΠΎΡΠΈΠ²ΠΎΠ²ΠΈΡΡΡΠ½ΡΠ΅ ΠΏΡΠ΅ΠΏΠ°ΡΠ°ΡΡ ΠΏΡΠΈΠΌΠ΅Π½ΡΡΡ ΠΏΡΠΈ Π³Π΅ΡΠΏΠ΅ΡΠ΅
ΠΠ°ΡΠΎΠ³Π΅Π½Π½ΡΠ΅ Π±Π°ΠΊΡΠ΅ΡΠΈΠΈ ΠΏΠΎΠΏΠ°Π΄Π°ΡΡ Π² ΠΎΡΠ³Π°Π½ΠΈΠ·ΠΌ ΡΠ΅Π»ΠΎΠ²Π΅ΠΊΠ° ΡΠ΅ΡΠ΅Π· ΡΠ΅ΡΠΌΠΈΡΠ΅ΡΠΊΠΈ Π½Π΅ ΠΎΠ±ΡΠ°Π±ΠΎΡΠ°Π½Π½ΡΠ΅ ΠΏΠΈΡΠ΅Π²ΡΠ΅ ΠΏΡΠΎΠ΄ΡΠΊΡΡ, Π½Π΅ΠΌΡΡΡΠ΅ ΠΎΠ²ΠΎΡΠΈ ΠΈ ΡΡΡΠΊΡΡ ΠΈ ΠΏΠΎΡΠ΅Π»ΡΡΡΡΡ Π½Π° ΡΡΠΊΠ°Ρ .
ΠΠΎΡΡΠΎΠΌΡ ΠΌΡΡΡΡ ΡΡΠΊ ΠΏΠΎΡΠ»Π΅ ΠΏΡΠΎΠ³ΡΠ»ΠΎΠΊ Π½Π° ΡΠ»ΠΈΡΠ΅, ΠΏΠΎΡΠ΅ΡΠ΅Π½ΠΈΡ ΡΡΠ°Π»Π΅ΡΠ° ΠΈ ΠΏΠ΅ΡΠ΅Π΄ ΠΊΠ°ΠΆΠ΄ΡΠΌ ΠΏΡΠΈΡΠΌΠΎΠΌ ΠΏΠΈΡΠΈ ΠΈ ΡΠΏΠΎΡΡΠ΅Π±Π»Π΅Π½ΠΈΠ΅ Π² ΠΏΠΈΡΡ ΡΠΎΠ»ΡΠΊΠΎ ΠΌΡΡΡΡ ΠΎΠ²ΠΎΡΠ΅ΠΉ ΠΈ ΡΡΡΠΊΡΠΎΠ² ΠΈ ΡΠ΅ΡΠΌΠΈΡΠ΅ΡΠΊΠΈ ΠΎΠ±ΡΠ°Π±ΠΎΡΠ°Π½Π½ΡΡ ΠΏΡΠΎΠ΄ΡΠΊΡΠΎΠ² Π΄ΠΎΠ»ΠΆΠ½ΠΎ ΡΡΠ°ΡΡ Π½ΠΎΡΠΌΠΎΠΉ.

ΠΠΈΡΠ°ΠΌΠΈΠ½ Π β ΡΡΡΠ΅ΠΊΡΠΈΠ²Π½ΠΎΠ΅ ΡΡΠ΅Π΄ΡΡΠ²ΠΎ Π² Π»Π΅ΡΠ΅Π½ΠΈΠΈ ΡΠ·ΡΠΊΠ°
ΠΠΎ ΠΈΠ·Π±Π΅ΠΆΠ°Π½ΠΈΠ΅ Π²ΡΡΡΠΏΠ°Π½ΠΈΠΉ Π½Π° ΡΠ·ΡΠΊΠ΅ Π½Π΅ΠΎΠ±Ρ ΠΎΠ΄ΠΈΠΌΠΎ ΠΎΡΠΊΠ°Π·Π°ΡΡΡΡ ΠΈΠ»ΠΈ ΡΠΌΠ΅Π½ΡΡΠΈΡΡ Π΄Π΅ΠΉΡΡΠ²ΠΈΠ΅ Π°Π»Π»Π΅ΡΠ³Π΅Π½ΠΎΠ² ΠΈ ΡΠ°Π·Π΄ΡΠ°ΠΆΠΈΡΠ΅Π»Π΅ΠΉ, ΡΠ°ΠΊΠΈΡ ΠΊΠ°ΠΊ ΠΎΡΡΡΠ°Ρ, ΠΊΠΈΡΠ»Π°Ρ ΠΈ Π³ΠΎΡΡΡΠ°Ρ ΠΏΠΈΡΠ°, Π°Π»ΠΊΠΎΠ³ΠΎΠ»Ρ, ΡΠΈΠ³Π°ΡΠ΅ΡΡ, ΠΊΠΎΡΠΌΠ΅ΡΠΈΠΊΠ°, Π³Π°Π·ΠΈΡΠΎΠ²Π°Π½Π½ΡΠ΅ Π½Π°ΠΏΠΈΡΠΊΠΈ, ΠΊΠΎΠ½ΡΡΠ°ΡΡΠ½ΡΠ΅ ΡΠ΅ΠΌΠΏΠ΅ΡΠ°ΡΡΡΡ.
zubnoimir.ru
Π»Π΅ΡΠ΅Π½ΠΈΠ΅ Π² Π΄ΠΎΠΌΠ°ΡΠ½ΠΈΡ ΡΡΠ»ΠΎΠ²ΠΈΡΡ ΠΈ ΠΏΡΠΈΡΠΈΠ½Ρ ΠΏΠΎΡΠ²Π»Π΅Π½ΠΈΡ
ΠΠ΅ΡΠ΅ΠΊΡΡ ΡΡΠΎΠ·ΠΈΠ²Π½ΠΎΠ³ΠΎ Ρ Π°ΡΠ°ΠΊΡΠ΅ΡΠ° ΠΏΠΎΡΠ²Π»ΡΡΡΡΡ Π½Π° ΡΠ»ΠΈΠ·ΠΈΡΡΠΎΠΉ ΠΎΠ±ΠΎΠ»ΠΎΡΠΊΠ΅ ΡΡΠ° ΠΏΠΎ ΡΠ°Π·Π½ΡΠΌ ΠΏΡΠΈΡΠΈΠ½Π°ΠΌ. ΠΡΠΎ ΠΌΠΎΠΆΠ΅Ρ Π±ΡΡΡ ΡΠ»Π΅Π΄ΡΡΠ²ΠΈΠ΅ΠΌ Π±ΠΎΠ»Π΅Π·Π½Π΅ΠΉ ΠΏΠΎΠ»ΠΎΡΡΠΈ ΡΡΠ°, ΡΠ΅Π·ΡΠ»ΡΡΠ°ΡΠΎΠΌ Π²Π½Π΅ΡΠ½Π΅Π³ΠΎ Π²ΠΎΠ·Π΄Π΅ΠΉΡΡΠ²ΠΈΡ ΠΈΠ»ΠΈ ΡΠΈΠΌΠΏΡΠΎΠΌΠΎΠΌ ΠΎΠ±ΡΠ΅Π³ΠΎ Π·Π°Π±ΠΎΠ»Π΅Π²Π°Π½ΠΈΡ ΠΎΡΠ³Π°Π½ΠΈΠ·ΠΌΠ°. Π Π΄Π°Π½Π½ΠΎΠΉ ΡΡΠ°ΡΡΠ΅ ΠΌΡ ΠΎΡΡΠ°Π½ΠΎΠ²ΠΈΠΌΡΡ Π½Π° ΠΊΠ°ΠΆΠ΄ΠΎΠΉ ΠΈΠ· Π½ΠΈΡ ΠΈ ΡΠ·Π½Π°Π΅ΠΌ, ΠΊΠ°ΠΊ ΡΠ·Π²Π° Π½Π° ΡΠ·ΡΠΊΠ΅ Π»Π΅ΡΠΈΡΡΡ Π² Π΄ΠΎΠΌΠ°ΡΠ½ΠΈΡ ΡΡΠ»ΠΎΠ²ΠΈΡΡ .
ΠΡΠΈΡΠΈΠ½Ρ ΠΎΠ±ΡΠ°Π·ΠΎΠ²Π°Π½ΠΈΡ ΡΠ·Π²ΠΎΡΠ΅ΠΊ
ΠΠ΅ΡΠ΅Π½ΠΈΠ΅ Π΄Π°Π΅Ρ ΡΠ΅Π·ΡΠ»ΡΡΠ°Ρ, Π΅ΡΠ»ΠΈ ΡΡΠ°Π·Ρ ΡΡΡΠ°Π½ΠΎΠ²ΠΈΡΡ, ΡΠ΅ΠΌ ΠΎΠ±ΡΡΠ»ΠΎΠ²Π»Π΅Π½Π° Π±ΠΎΠ»Π΅Π·Π½Ρ. ΠΠ°ΡΡΠ²Ρ Π½Π° ΡΠ·ΡΠΊΠ΅ ΡΠΎΠΏΡΠΎΠ²ΠΎΠΆΠ΄Π°ΡΡΡΡ Π²ΠΎΡΠΏΠ°Π»Π΅Π½ΠΈΠ΅ΠΌ ΠΈΒ Π±ΠΎΠ»ΡΡ ΠΈ Π²ΠΎΠ·Π½ΠΈΠΊΠ°ΡΡ ΠΏΠΎ Π½ΠΈΠΆΠ΅ΡΠ»Π΅Π΄ΡΡΡΠΈΠΌ ΠΏΡΠΈΡΠΈΠ½Π°ΠΌ.
ΠΊ ΠΎΠ³Π»Π°Π²Π»Π΅Π½ΠΈΡ βΠΠΎΠ»Π΅Π·Π½ΠΈ ΠΏΠΎΠ»ΠΎΡΡΠΈ ΡΡΠ°
Π Π±ΠΎΠ»Π΅Π·Π½ΡΠΌ ΠΏΠΎΠ»ΠΎΡΡΠΈ ΡΡΠ° ΠΎΡΠ½ΠΎΡΡΡΡΡ:
- ΠΡΡΠΎΠ·Π½ΡΠΉ ΡΡΠΎΠΌΠ°ΡΠΈΡ. ΠΠΎΠΆΠ΅Ρ ΠΈΠΌΠ΅ΡΡ Ρ ΡΠΎΠ½ΠΈΡΠ΅ΡΠΊΡΡ ΡΠΎΡΠΌΡ Ρ ΠΏΠ΅ΡΠΈΠΎΠ΄Π°ΠΌΠΈ ΠΎΠ±ΠΎΡΡΡΠ΅Π½ΠΈΡ ΠΈ ΡΠ΅ΠΌΠΈΡΡΠΈΠΈ. ΠΡΠΈ Π·Π°Π±ΠΎΠ»Π΅Π²Π°Π½ΠΈΠΈ Π½Π° ΡΠ·ΡΠΊΠ΅ ΠΈ Π²ΠΎ ΡΡΡ ΠΏΠΎΡΠ²Π»ΡΡΡΡΡ Π½Π΅Π±ΠΎΠ»ΡΡΠΈΠ΅ ΡΠ·Π²ΠΎΡΠΊΠΈ β Β«Π°ΡΡΡΒ». ΠΡ ΠΌΠΎΠΆΠ΅Ρ Π±ΡΡΡ Π½Π΅ΡΠΊΠΎΠ»ΡΠΊΠΎ ΠΈΠ»ΠΈ ΡΠΎΠ»ΡΠΊΠΎ ΠΎΠ΄Π½Π°. ΠΡΠΈ ΠΏΡΠΈΠ΅ΠΌΠ΅ ΠΏΠΈΡΠΈ Π½Π°ΡΡΠ²Ρ Π±ΠΎΠ»ΡΡ ΠΈ Π·Π°ΡΡΡΠ΄Π½ΡΡΡ ΡΠ΅ΡΡ. ΠΠ°ΠΆΠΈΠ²Π°ΡΡ ΠΎΠ½ΠΈ Π·Π° Π½Π΅Π΄Π΅Π»Ρ, Π½ΠΎ ΠΏΡΠΈ ΠΎΡΠ»ΠΎΠΆΠ½ΡΡΡΠΈΡ ΡΠ°ΠΊΡΠΎΡΠ°Ρ ΠΌΠΎΠ³ΡΡ Π½Π΅ Π·Π°ΡΡΠ³ΠΈΠ²Π°ΡΡΡΡ ΠΌΠ΅ΡΡΡ, ΡΠΎΠ³Π΄Π° Π½Π΅ ΠΈΡΠΊΠ»ΡΡΠ°Π΅ΡΡΡ ΠΏΠΎΡΠ²Π»Π΅Π½ΠΈΠ΅ ΡΡΠ±ΡΠΎΠ².
- ΠΠ΅ΡΠΏΠ΅ΡΠΈΡΠ΅ΡΠΊΠΈΠΉ ΡΡΠΎΠΌΠ°ΡΠΈΡ. ΠΠ΅Π»ΠΊΠΈΠ΅ ΡΠ·Π²ΠΎΡΠΊΠΈΒ Π² ΡΡΠΎΠΌ ΡΠ»ΡΡΠ°Π΅ ΠΏΠΎΡ ΠΎΠΆΠΈ Π½Π° Π²ΡΡΡΠΏΠ°Π½ΠΈΡ Π³Π΅ΡΠΏΠ΅ΡΠ°. ΠΡΠ½ΠΎΠ²Π°Π½ΠΈΠ΅ ΡΠ°Π½ΠΎΠΊ ΠΈΠΌΠ΅Π΅Ρ ΡΠ΅ΡΠΎΠ²Π°ΡΡΠΉ ΠΎΡΡΠ΅Π½ΠΎΠΊ, Π° ΠΈΡ Π³ΡΠ°Π½ΠΈΡΡ ΡΠ°Π·ΠΌΡΡΡ. ΠΡΡΡΠΏΠΊΠ°, ΠΏΠΎΡΠ°ΠΆΠ°ΡΡΠ°Ρ Π½ΠΈΠΆΠ½ΡΡ ΡΠ°ΡΡΡ ΡΠ·ΡΠΊΠ°, Π·Π°ΠΆΠΈΠ²Π°Π΅Ρ Π±Π΅Π· ΠΎΠ±ΡΠ°Π·ΠΎΠ²Π°Π½ΠΈΡ ΡΡΠ°ΠΌΠΎΠ² Π·Π° 7-10 Π΄Π½Π΅ΠΉ.
- ΠΡΠΎΡΡΠΎΠΉ ΡΡΠΎΠΌΠ°ΡΠΈΡ. Π₯Π°ΡΠ°ΠΊΡΠ΅ΡΠΈΠ·ΡΠ΅ΡΡΡ ΠΏΠΎΡΠ²Π»Π΅Π½ΠΈΠ΅ΠΌ 1-3 ΡΠ·Π²ΠΎΡΠ΅ΠΊ ΠΎΠ΄Π½ΠΎΠ²ΡΠ΅ΠΌΠ΅Π½Π½ΠΎ. Π‘Π΅ΡΠ΅Π΄ΠΈΠ½Π° ΡΠ°Π½ΠΎΠΊ Π·Π°ΡΡΠ½ΡΡΠ° ΡΠΎΠ½ΠΊΠΎΠΉ Π±Π΅Π»ΠΎΠΉ ΠΈΠ»ΠΈ ΡΠ΅ΡΠΎΠ²Π°ΡΠΎ-ΠΆΠ΅Π»ΡΠΎΠΉ ΠΏΠ»Π΅Π½ΠΊΠΎΠΉ.
- ΠΠ°Π½Π΄ΠΈΠ΄ΠΎΠ·Π½ΡΠΉ (Π³ΡΠΈΠ±ΠΊΠΎΠ²ΡΠΉ) ΡΡΠΎΠΌΠ°ΡΠΈΡ. ΠΠ·-Π·Π° Π³Π½ΠΎΠΉΠ½ΠΈΡΠΊΠΎΠ² Π±Π΅Π»ΠΎΠ³ΠΎ ΡΠ²Π΅ΡΠ° Π΅Π³ΠΎ Π΅ΡΠ΅ Π½Π°Π·ΡΠ²Π°ΡΡ ΠΌΠΎΠ»ΠΎΡΠ½ΠΈΡΠ΅ΠΉ. ΠΠ΅Π»ΡΠΉ Π½Π°Π»Π΅Ρ ΠΏΠΎΠΊΡΡΠ²Π°Π΅Ρ Π²ΡΡ ΡΠ»ΠΈΠ·ΠΈΡΡΡΡ ΡΠΎΡΠΎΠ²ΠΎΠΉ ΠΏΠΎΠ»ΠΎΡΡΠΈ ΠΈ ΡΠ·ΡΠΊ. ΠΠ°Π±ΠΎΠ»Π΅Π²Π°Π½ΠΈΠ΅ΠΌ ΡΠ°ΡΠ΅ ΡΡΡΠ°Π΄Π°ΡΡ ΠΌΠ°Π»Π΅Π½ΡΠΊΠΈΠ΅ Π΄Π΅ΡΠΈ, Π½ΠΎ ΠΈΠΌ Π±ΠΎΠ»Π΅ΡΡ ΠΈ Π²Π·ΡΠΎΡΠ»ΡΠ΅.
- ΠΡΡΡ ΠΠ΅Π΄Π½Π°ΡΠ°. Π‘ΡΠΈΡΠ°Π΅ΡΡΡ Π΄Π΅ΡΡΠΊΠΈΠΌ Π·Π°Π±ΠΎΠ»Π΅Π²Π°Π½ΠΈΠ΅ΠΌ, ΠΏΡΠΈ ΠΊΠΎΡΠΎΡΠΎΠΌ Π½Π°ΡΡΠ²Ρ ΠΏΠΎΠΊΡΡΠ²Π°Π΅Ρ ΡΠ²Π΅ΡΠ»ΠΎ-ΠΆΠ΅Π»ΡΡΠΉ Π½Π°Π»Π΅Ρ. ΠΡΠΈΡΠΈΠ½Ρ ΡΠ·Π²Ρ Π½Π° ΡΠ·ΡΠΊΠ΅ Ρ ΡΠ΅Π±Π΅Π½ΠΊΠ° ΠΎΠ±ΡΡΠ»ΠΎΠ²Π»Π΅Π½Ρ Π½Π΅Π΄ΠΎΡΡΠ°ΡΠΎΡΠ½ΠΎΠΉ Π³ΠΈΠ³ΠΈΠ΅Π½ΠΎΠΉ ΡΠΎΡΠΎΠ²ΠΎΠΉ ΠΏΠΎΠ»ΠΎΡΡΠΈ.
ΠΠ° Π·Π°ΠΌΠ΅ΡΠΊΡ! Π Π°Π·Π½ΠΎΠ²ΠΈΠ΄Π½ΠΎΡΡΡ Π½Π°ΡΡΠ²Π° ΠΎΠΏΡΠ΅Π΄Π΅Π»ΡΠ΅ΡΡΡ Π΅Π³ΠΎ Π²Π½Π΅ΡΠ½Π΅ΠΌΡ Π²ΠΈΠ΄Ρ, ΠΏΠ΅ΡΠΈΠΎΠ΄Ρ Π·Π°ΠΆΠΈΠ²Π»Π΅Π½ΠΈΡ ΠΈ ΠΌΠ΅ΡΠΎΠ΄Π°ΠΌ Π±ΠΎΡΡΠ±Ρ Ρ Π½Π΅Π΄ΡΠ³ΠΎΠΌ. Π Π°Π½ΠΊΠΈ ΠΎΡΠ»ΠΈΡΠ°ΡΡΡΡ ΠΏΠΎ ΡΠΎΡΠΌΠ΅, ΡΠ²Π΅ΡΡ ΠΈ Π³Π»ΡΠ±ΠΈΠ½Π΅ ΠΏΠΎΡΠ°ΠΆΠ΅Π½ΠΈΡ ΡΠ»ΠΈΠ·ΠΈΡΡΠΎΠΉ ΡΠΊΠ°Π½ΠΈ.

Π―Π·Π²ΠΎΡΠΊΠΈ Π½Π° ΡΠ·ΡΠΊΠ΅ Ρ ΡΠ΅Π±Π΅Π½ΠΊΠ° ΠΌΠΎΠ³ΡΡ Π±ΡΡΡ ΡΠ»Π΅Π΄ΡΡΠ²ΠΈΠ΅ΠΌ ΠΏΠ»ΠΎΡ ΠΎΠΉ Π³ΠΈΠ³ΠΈΠ΅Π½Ρ
ΠΊ ΠΎΠ³Π»Π°Π²Π»Π΅Π½ΠΈΡ βΠ’ΡΠ°Π²ΠΌΡ ΡΠ»ΠΈΠ·ΠΈΡΡΠΎΠΉ ΡΠΊΠ°Π½ΠΈ
Π’ΡΠ°Π²ΠΌΡ ΡΠ»ΠΈΠ·ΠΈΡΡΠΎΠΉ ΠΎΠ±ΡΠ°Π·ΡΡΡΡΡ Π² ΡΠ΅Π·ΡΠ»ΡΡΠ°ΡΠ΅ ΡΠ»Π΅Π΄ΡΡΡΠΈΡ Π΄Π΅ΠΉΡΡΠ²ΠΈΠΉ:
- Π½Π΅ΡΠ°ΡΠ½Π½ΠΎΠ³ΠΎ ΠΏΡΠΈΠΊΡΡΠ° ΡΠ·ΡΠΊΠ° Π·ΡΠ±Π°ΠΌΠΈ;
- ΡΡΠ°Π²ΠΌ, ΠΏΡΠΈΡΠΈΠ½Π΅Π½Π½ΡΡ ΡΠ»ΠΈΡΠΊΠΎΠΌ ΠΆΠ΅ΡΡΠΊΠΎΠΉ Π·ΡΠ±Π½ΠΎΠΉ ΡΠ΅ΡΠΊΠΎΠΉ ΠΈΠ»ΠΈ ΠΎΡΡΡΡΠΌ ΠΊΡΠ°Π΅ΠΌ Π·ΡΠ±Π° ΠΈΠ»ΠΈ ΠΏΠ»ΠΎΠΌΠ±Ρ;
- ΡΠ°Π·Π΄ΡΠ°ΠΆΠ΅Π½ΠΈΡ ΡΠ·ΡΠΊΠ° Π΅Π΄ΠΊΠΈΠΌ Π»Π΅ΠΊΠ°ΡΡΡΠ²ΠΎΠΌ ΠΈΠ»ΠΈ ΠΏΠΈΡΠ΅Π²ΡΠΌ ΠΏΡΠΎΠ΄ΡΠΊΡΠΎΠΌ;
- ΠΈΡΠΏΠΎΠ»ΡΠ·ΠΎΠ²Π°Π½ΠΈΡ Π½Π΅ΠΊΠ°ΡΠ΅ΡΡΠ²Π΅Π½Π½ΠΎ ΡΠ΄Π΅Π»Π°Π½Π½ΡΡ Π·ΡΠ±Π½ΡΡ ΠΏΡΠΎΡΠ΅Π·ΠΎΠ² ΠΈΠ»ΠΈ ΡΠΈΡΡΠ΅ΠΌ ΠΈΡΠΏΡΠ°Π²Π»Π΅Π½ΠΈΡ ΠΏΡΠΈΠΊΡΡΠ°;
- ΠΏΠΎΠ²ΡΠ΅ΠΆΠ΄Π΅Π½ΠΈΡ ΡΠ·ΡΠΊΠ° ΠΈΠ½ΡΡΡΡΠΌΠ΅Π½ΡΠ°ΠΌΠΈ, ΠΊΠΎΡΠΎΡΡΠΌΠΈ ΠΏΠΎΠ»ΡΠ·ΡΠ΅ΡΡΡ ΡΡΠΎΠΌΠ°ΡΠΎΠ»ΠΎΠ³.
Π Π°Π½ΠΊΠΈ ΡΡΠ°Π²ΠΌΠ°ΡΠΈΡΠ΅ΡΠΊΠΎΠ³ΠΎ ΠΏΡΠΎΠΈΡΡ ΠΎΠΆΠ΄Π΅Π½ΠΈΡ Π½Π΅ ΡΠ°ΠΊ Π±ΠΎΠ»Π΅Π·Π½Π΅Π½Π½Ρ, ΠΊΠ°ΠΊ ΠΏΠΎΡΠ²Π»ΡΡΡΠΈΠ΅ΡΡ ΠΏΠΎ ΠΏΡΠΈΡΠΈΠ½Π΅ Π·Π°Π±ΠΎΠ»Π΅Π²Π°Π½ΠΈΠΉ ΡΠΎΡΠΎΠ²ΠΎΠΉ ΠΏΠΎΠ»ΠΎΡΡΠΈ. ΠΡΠ»ΠΈ ΡΡΡΡΠ°Π½ΠΈΡΡ ΡΡΠ°Π²ΠΌΠΈΡΡΡΡΠΈΠΉ ΡΠ°ΠΊΡΠΎΡ ΠΈ ΠΈΠ·Π±Π΅Π³Π°ΡΡ Π³ΠΎΡΡΡΠ΅ΠΉ, ΠΎΡΡΡΠΎΠΉ ΠΈ ΠΊΠΈΡΠ»ΠΎΠΉ ΠΏΠΈΡΠΈ, ΡΠΎ ΠΏΡΠΎΠ±Π»Π΅ΠΌΠ° ΠΈΡΡΠ΅Π·Π°Π΅Ρ Π΄ΠΎΡΡΠ°ΡΠΎΡΠ½ΠΎ Π±ΡΡΡΡΠΎ.

ΠΠ΅ΡΠ΅Π½ΠΈΠ΅ ΡΠ°Π½ΠΎΠΊ Π½Π° ΡΠ»ΠΈΠ·ΠΈΡΡΠΎΠΉ ΡΡΠ° Π·Π°Π²ΠΈΡΠΈΡ ΠΎΡ ΠΏΡΠΈΡΠΈΠ½Ρ ΠΏΠΎΡΠ²Π»Π΅Π½ΠΈΡ Π±ΠΎΠ»Π΅Π·Π½ΠΈ
ΠΊ ΠΎΠ³Π»Π°Π²Π»Π΅Π½ΠΈΡ βΠΠ±ΡΠΈΠ΅ Π·Π°Π±ΠΎΠ»Π΅Π²Π°Π½ΠΈΡ
ΠΡΠΈΡΠΈΠ½Ρ ΠΏΠΎΡΠ²Π»Π΅Π½ΠΈΡ ΡΠ·Π² Π½Π° ΡΠ·ΡΠΊΠ΅ ΠΈ ΡΠ»ΠΈΠ·ΠΈΡΡΠΎΠΉ ΠΏΠΎΠ»ΠΎΡΡΠΈ ΡΡΠ° ΡΠ»Π΅Π΄ΡΡΡΠΈΠ΅:
- ΠΠ΅ΠΊΡΠΎΡΠΈΡΠ΅ΡΠΊΠΈΠΉ Π³ΠΈΠ½Π³ΠΈΠ²ΠΎΡΡΠΎΠΌΠ°ΡΠΈΡ. ΠΠΎΠ»Π΅Π·Π½Ρ ΡΠ°Π·Π²ΠΈΠ²Π°Π΅ΡΡΡ Π½Π° ΡΠΎΠ½Π΅ ΠΏΠ΅ΡΠ΅ΠΎΡ Π»Π°ΠΆΠ΄Π΅Π½ΠΈΡ, ΡΡΠΎΠΌΠ»Π΅Π½ΠΈΡ, Π°Π»Π»Π΅ΡΠ³ΠΈΡΠ΅ΡΠΊΠΈΡ ΡΡΠΎΠΌΠ°ΡΠΈΡΠΎΠ² ΠΈ Π²ΠΈΡΡΡΠ½ΡΡ ΠΈΠ½ΡΠ΅ΠΊΡΠΈΠΉ. ΠΡΠΎΠΌΠ΅ ΠΏΠΎΡΠ²Π»Π΅Π½ΠΈΡ ΡΠ°Π½ΠΎΠΊ, Π΄Π»Ρ Π½Π΅Π³ΠΎ Ρ Π°ΡΠ°ΠΊΡΠ΅ΡΠ΅Π½ Π½Π΅ΠΏΡΠΈΡΡΠ½ΡΠΉ ΡΠ΅Π·ΠΊΠΈΠΉ Π·Π°ΠΏΠ°Ρ ΠΈΠ·ΠΎ ΡΡΠ°, Π²ΡΡΠΎΠΊΠ°Ρ ΡΠ΅ΠΌΠΏΠ΅ΡΠ°ΡΡΡΠ°, ΠΎΠ±ΠΈΠ»ΡΠ½ΠΎΠ΅ ΡΠ»ΡΠ½ΠΎΠΎΡΠ΄Π΅Π»Π΅Π½ΠΈΠ΅, ΡΠ΅ΡΠΎ-ΠΆΠ΅Π»ΡΡΠΉ Π½Π°Π»Π΅Ρ Π½Π° Π΄Π΅ΡΠ½Π°Ρ . ΠΠ°ΡΡΠ²Ρ ΠΊΡΠΎΠ²ΠΎΡΠΎΡΠ°Ρ, ΠΎΡΠ»ΠΈΡΠ°ΡΡΡΡ Π½Π΅ΡΠΎΠ²Π½ΡΠΌΠΈ ΠΊΡΠ°ΡΠΌΠΈ ΠΈ Π·Π΅Π»Π΅Π½ΠΎΠ²Π°ΡΡΠΌ ΠΎΡΡΠ΅Π½ΠΊΠΎΠΌ.
- Π’ΡΠ±Π΅ΡΠΊΡΠ»Π΅Π· Π»Π΅Π³ΠΊΠΈΡ . ΠΠ½ ΡΠ°ΡΡΠΎ ΡΠΎΠΏΡΠΎΠ²ΠΎΠΆΠ΄Π°Π΅ΡΡΡ ΡΡΠ±Π΅ΡΠΊΡΠ»Π΅Π·ΠΎΠΌ ΡΠΎΡΠΎΠ²ΠΎΠΉ ΠΏΠΎΠ»ΠΎΡΡΠΈ, Π½Π΅Π΄ΠΎΠΌΠΎΠ³Π°Π½ΠΈΠ΅ΠΌ ΠΈ ΠΏΠΎΠ²ΡΡΠ΅Π½Π½ΠΎΠΉ ΡΠ΅ΠΌΠΏΠ΅ΡΠ°ΡΡΡΠΎΠΉ. Π―Π·Π²Ρ ΠΏΡΠΈ ΡΠ°ΠΊΠΎΠΌ Π·Π°Π±ΠΎΠ»Π΅Π²Π°Π½ΠΈΠΈ Π½Π΅ Π³Π»ΡΠ±ΠΎΠΊΠΈΠ΅, ΡΡΡ Π»ΡΠ΅, ΠΊΡΠΎΠ²ΠΎΡΠΎΡΠ°ΡΠΈΠ΅, Ρ Π½Π΅ΡΠΎΠ²Π½ΡΠΌΠΈ ΠΊΡΠ°ΡΠΌΠΈ.
- Π‘ΠΈΡΠΈΠ»ΠΈΡ. ΠΠ°Π½Π½ΠΎΠ΅ ΠΈΠ½ΡΠ΅ΠΊΡΠΈΠΎΠ½Π½ΠΎΠ΅ Π·Π°Π±ΠΎΠ»Π΅Π²Π°Π½ΠΈΠ΅ ΠΏΡΠΎΡΠ΅ΠΊΠ°Π΅Ρ Ρ ΠΎΠ±ΡΠ°Π·ΠΎΠ²Π°Π½ΠΈΠ΅ΠΌ ΡΠ·Π², ΠΊΠΎΡΠΎΡΡΠ΅ ΠΏΠΎΡΠ°ΠΆΠ°ΡΡ ΡΠ΅ΠΊΠΈ, Π³ΡΠ±Ρ, Π½Π΅Π±ΠΎ ΠΈ ΡΠ·ΡΠΊ. ΠΠ°ΠΆΠΈΠ²Π»Π΅Π½ΠΈΠ΅ ΡΠ°Π½ΠΎΠΊ ΠΏΡΠΎΠΈΡΡ ΠΎΠ΄ΠΈΡ Ρ ΠΎΠ±ΡΠ°Π·ΠΎΠ²Π°Π½ΠΈΠ΅ΠΌ ΡΡΠ±ΡΠΎΠ²-Π·Π²Π΅Π·Π΄ΠΎΡΠ΅ΠΊ ΠΈ ΡΡΠ½Π΅ΡΡΡ 3-4 ΠΌΠ΅ΡΡΡΠ°.
- ΠΠΠ§. 30 % Π±ΠΎΠ»ΡΠ½ΡΡ ΠΈΠΌΠ΅ΡΡ Π³Π½ΠΎΠΉΠ½ΠΈΠΊΠΈ Π½Π° Π΄Π΅ΡΠ½Π°Ρ , Π½ΠΎ ΠΈΠ½ΠΎΠ³Π΄Π° ΠΎΠ½ΠΈ ΠΏΠΎΡΠ°ΠΆΠ°ΡΡ ΡΠ·ΡΠΊ, Π³ΡΠ±Ρ, ΡΠ΅ΠΊΠΈ ΠΈ Π½Π΅Π±ΠΎ.

ΠΠΈΠ³ΠΈΠ΅Π½Π° ΡΠΎΡΠΎΠ²ΠΎΠΉ ΠΏΠΎΠ»ΠΎΡΡΠΈ β ΡΠΈΡΡΠΊΠ° ΡΠ·ΡΠΊΠ°
ΠΊ ΠΎΠ³Π»Π°Π²Π»Π΅Π½ΠΈΡ βΠΠ΅ΡΠ΅Π½ΠΈΠ΅ ΡΠ·Π² Π½Π° ΡΠ·ΡΠΊΠ΅
ΠΠ΅ΡΠΎΠ΄Ρ ΡΡΡΡΠ°Π½Π΅Π½ΠΈΡ ΠΏΡΠΎΠ±Π»Π΅ΠΌΡ Π·Π°Π²ΠΈΡΡΡ ΠΎΡ ΠΏΡΠ°Π²ΠΈΠ»ΡΠ½ΠΎ ΠΏΠΎΡΡΠ°Π²Π»Π΅Π½Π½ΠΎΠ³ΠΎ Π΄ΠΈΠ°Π³Π½ΠΎΠ·Π°. Π Π·Π°Π²ΠΈΡΠΈΠΌΠΎΡΡΠΈ ΠΎΡ Π½Π΅Π³ΠΎ ΠΏΡΠΈΠΌΠ΅Π½ΡΡΡΡΡ Π½Π΅ΠΎΠ±Ρ ΠΎΠ΄ΠΈΠΌΡΠ΅ Π²Π½ΡΡΡΠ΅Π½Π½ΠΈΠ΅ ΠΏΡΠ΅ΠΏΠ°ΡΠ°ΡΡ ΠΈ Π½Π°ΡΡΠΆΠ½ΡΠ΅ ΡΡΠ΅Π΄ΡΡΠ²Π°.
ΠΠ΅ΡΡΠ½ΠΎΠ΅ Π»Π΅ΡΠ΅Π½ΠΈΠ΅, ΠΊΠΎΡΠΎΡΠΎΠ΅ ΡΠ½ΠΈΠΌΠ°Π΅Ρ Π²ΠΎΡΠΏΠ°Π»Π΅Π½ΠΈΠ΅, Π±ΠΎΠ»Ρ ΠΈ ΡΡΠΈΠΌΡΠ»ΠΈΡΡΠ΅Ρ Π²ΠΎΡΡΡΠ°Π½ΠΎΠ²Π»Π΅Π½ΠΈΠ΅ ΡΠΊΠ°Π½Π΅ΠΉ, ΡΠ²Π»ΡΠ΅ΡΡΡ ΠΎΠ΄ΠΈΠ½Π°ΠΊΠΎΠ²ΡΠΌ Π΄Π»Ρ Π²ΡΠ΅Ρ ΡΠ»ΡΡΠ°Π΅Π².
ΠΠ±ΡΠ°ΡΠΈΡΠ΅ Π²Π½ΠΈΠΌΠ°Π½ΠΈΠ΅! ΠΠ±ΡΠΈΠ΅ ΠΏΡΠΈΠ΅ΠΌΡ Π»Π΅ΡΠ΅Π½ΠΈΡ Π²ΡΠ΅Ρ Π²ΠΈΠ΄ΠΎΠ² ΡΡΠΎΠΌΠ°ΡΠΈΡΠ° Π²ΠΊΠ»ΡΡΠ°ΡΡ ΠΎΠ±ΡΠ°Π±ΠΎΡΠΊΡ ΡΠ»ΠΈΠ·ΠΈΡΡΠΎΠΉ Π°Π½ΡΠΈΠ±Π°ΠΊΡΠ΅ΡΠΈΠ°Π»ΡΠ½ΡΠΌΠΈ ΠΈ Π°Π½ΡΠΈΡΠ΅ΠΏΡΠΈΡΠ΅ΡΠΊΠΈΠΌΠΈ ΠΏΡΠ΅ΠΏΠ°ΡΠ°ΡΠ°ΠΌΠΈ. ΠΠ°Π·Π½Π°ΡΠ°Π΅ΡΡΡ ΠΏΡΠΈΠ΅ΠΌ Π²ΠΈΡΠ°ΠΌΠΈΠ½Π½ΡΡ ΠΊΠΎΠΌΠΏΠ»Π΅ΠΊΡΠΎΠ², ΠΊΠΎΡΠΎΡΡΠ΅ ΠΏΠΎΠΌΠΎΠ³Π°ΡΡ ΠΏΠΎΠ΄Π½ΡΡΡ ΠΈΠΌΠΌΡΠ½ΠΈΡΠ΅Ρ ΠΈ Π²ΠΎΡΡΡΠ°Π½ΠΎΠ²ΠΈΡΡ ΠΏΠΎΠ²ΡΠ΅ΠΆΠ΄Π΅Π½Π½ΡΠ΅ ΡΠΊΠ°Π½ΠΈ. ΠΡΠΈ ΡΠΈΠ»ΡΠ½ΡΡ Π±ΠΎΠ»ΡΡ ΠΏΡΠΈΠΌΠ΅Π½ΡΡΡΡΡ ΠΌΠ΅ΡΡΠ½ΡΠ΅ ΠΎΠ±Π΅Π·Π±ΠΎΠ»ΠΈΠ²Π°ΡΡΠΈΠ΅ ΡΡΠ΅Π΄ΡΡΠ²Π°.

ΠΠ΅ΠΊΠΎΡΠΎΡΡΠ΅ ΡΡΠ°Π²Ρ ΠΈΠΌΠ΅ΡΡ Π°Π½ΡΠΈΡΠ΅ΠΏΡΠΈΡΠ΅ΡΠΊΠΎΠ΅ ΠΈ Π·Π°ΠΆΠΈΠ²Π»ΡΡΡΠ΅Π΅ ΡΠ²ΠΎΠΉΡΡΠ²ΠΎ
ΠΠ΅Π±ΠΎΠ»ΡΡΠΈΠ΅ ΡΠ°Π½ΠΊΠΈ ΡΡΠ°Π²ΠΌΠ°ΡΠΈΡΠ΅ΡΠΊΠΎΠ³ΠΎ ΠΏΡΠΎΠΈΡΡ ΠΎΠΆΠ΄Π΅Π½ΠΈΡ, ΠΊΠΎΡΠΎΡΡΠ΅ Π½Π΅ Π²ΡΠ·ΡΠ²Π°ΡΡ ΡΠΈΠ»ΡΠ½ΡΡ Π±ΠΎΠ»Π΅ΠΉ, ΠΎΠ±ΡΡΠ½ΠΎ Π·Π°ΠΆΠΈΠ²Π°ΡΡ Π±Π΅Π· ΠΏΠΎΡΡΠΎΡΠΎΠ½Π½Π΅ΠΉ ΠΏΠΎΠΌΠΎΡΠΈ.
Π·Π°Π³ΡΡΠ·ΠΊΠ°…
ΠΠ»Ρ ΠΎΠ±ΡΠ°Π±ΠΎΡΠΊΠΈ ΡΠ°Π½ΠΎΠΊ ΡΠ»ΠΈΠ·ΠΈΡΡΠΎΠΉ ΡΠ·ΡΠΊΠ° ΠΈΡΠΏΠΎΠ»ΡΠ·ΡΡΡΡΡ ΡΠ»Π΅Π΄ΡΡΡΠΈΠ΅ ΡΡΠ΅Π΄ΡΡΠ²Π°:
- ΠΠ΅ΡΠ΅ΠΊΠΈΡΡ Π²ΠΎΠ΄ΠΎΡΠΎΠ΄Π°. ΠΡ ΠΎΠ±ΡΠ°Π±Π°ΡΡΠ²Π°ΡΡ Π½Π°ΡΡΠ²Ρ Π½Π΅ΡΠΊΠΎΠ»ΡΠΊΠΎ ΡΠ°Π· Π² ΡΠ΅ΡΠ΅Π½ΠΈΠ΅ Π΄Π½Ρ.
- ΠΠ΅Π»Π΅Π½ΠΊΠ°. ΠΡΠ·ΡΠ²Π°Π΅Ρ Π½Π΅Π·Π½Π°ΡΠΈΡΠ΅Π»ΡΠ½ΡΠ΅ Π±ΠΎΠ»Π΅Π·Π½Π΅Π½Π½ΡΠ΅ ΠΎΡΡΡΠ΅Π½ΠΈΡ, Π½ΠΎ ΡΠ»Π°Π²ΠΈΡΡΡ ΠΏΡΠ΅ΠΊΡΠ°ΡΠ½ΡΠΌ Π°Π½ΡΠΈΡΠ΅ΠΏΡΠΈΡΠ΅ΡΠΊΠΈΠΌ Π΄Π΅ΠΉΡΡΠ²ΠΈΠ΅ΠΌ.
- ΠΠ΅ΠΊΡΠΎΠΌΠ΅ΡΠ°Π·ΠΎΠ½ Π² Π²ΠΈΠ΄Π΅ Π³Π΅Π»Ρ ΠΈΠ»ΠΈ ΠΌΠ°Π·ΠΈ.
- ΠΠ΅Π»ΠΈ Ρ Π»ΠΈΠ΄ΠΎΠΊΠ°ΠΈΠ½ΠΎΠΌ.
- Π₯ΠΎΠ»Π΅ΡΠ°Π».
- Π Π°ΡΡΠ²ΠΎΡ ΠΏΠΈΡΠ΅Π²ΠΎΠΉ ΡΠΎΠ΄Ρ.
- Π Π°ΡΡΠ²ΠΎΡ Ρ Π»ΠΎΡΠ³Π΅ΠΊΡΠΈΠ΄ΠΈΠ½Π°, ΠΏΡΠΈΠ³ΠΎΡΠΎΠ²Π»Π΅Π½Π½ΡΠΉ Π΄Π»Ρ ΠΏΠΎΠ»ΠΎΡΠΊΠ°Π½ΠΈΠΉ.
- Π Π°Π·Π²Π΅Π΄Π΅Π½Π½ΡΠΉ Π² Π²ΠΎΠ΄Π΅ ΡΡΡΠ°ΡΠΈΠ»ΠΈΠ½.
Π Π΄ΠΎΠΌΠ°ΡΠ½ΠΈΡ ΡΡΠ»ΠΎΠ²ΠΈΡΡ Π»Π΅ΡΠΈΡΡ ΡΠ·Π²Ρ Π½Π° ΡΠ·ΡΠΊΠ΅ ΠΏΠΎΠΌΠΎΠ³Π°ΡΡ ΠΎΡΠ²Π°ΡΡ ΡΡΠ°Π². ΠΠ½ΡΠΈΡΠ΅ΠΏΡΠΈΡΠ΅ΡΠΊΠΈΠ΅ ΠΈ Π·Π°ΠΆΠΈΠ²Π»ΡΡΡΠΈΠ΅ ΡΠ²ΠΎΠΉΡΡΠ²Π° ΠΏΡΠΈΡΡΡΠΈ ΡΠ°ΠΊΠΈΠΌ ΡΠ°ΡΡΠ΅Π½ΠΈΡΠΌ:
- ΠΊΠ°Π»Π΅Π½Π΄ΡΠ»Π΅ ΠΈ Π°ΠΏΡΠ΅ΡΠ½ΠΎΠΉ ΡΠΎΠΌΠ°ΡΠΊΠ΅;
- ΠΊΠΎΡΠ΅ Π΄ΡΠ±Π° ΠΈ Π·Π²Π΅ΡΠΎΠ±ΠΎΡ;
- ΡΠ°Π»ΡΠ΅Ρ ΠΈ ΡΠ°Π±ΡΠ΅ΡΡ.
ΠΠ°ΠΊ ΡΠΎΠ»ΡΠΊΠΎ Π²Π°ΠΌ ΡΡΠ°Π½Π΅Ρ ΠΈΠ·Π²Π΅ΡΡΠ½Π° ΠΏΡΠΈΡΠΈΠ½Π° ΠΎΠ±ΡΠ°Π·ΠΎΠ²Π°Π½ΠΈΡ ΡΠ·Π² Π½Π° ΡΠ·ΡΠΊΠ΅, Π½Π΅ΠΌΠ΅Π΄Π»Π΅Π½Π½ΠΎ ΠΏΡΠΈΡΡΡΠΏΠ°ΠΉΡΠ΅ ΠΊ Π»Π΅ΡΠ΅Π½ΠΈΡ. Π ΡΠ°ΠΊΠΎΠΌ ΡΠ»ΡΡΠ°Π΅ Π·Π°ΠΆΠΈΠ²Π»Π΅Π½ΠΈΠ΅ ΡΠ°Π½ΠΎΠΊ ΠΏΡΠΎΠΈΠ·ΠΎΠΉΠ΄Π΅Ρ Π±ΡΡΡΡΠ΅Π΅, ΠΈ Π½Π΅ Π±ΡΠ΄Π΅Ρ ΡΠΎΠΏΡΠΎΠ²ΠΎΠΆΠ΄Π°ΡΡΡΡ ΠΎΡΠ»ΠΎΠΆΠ½Π΅Π½ΠΈΡΠΌΠΈ. ΠΠΎΠ»Π΅ΠΉΡΠ΅, ΠΊΠ°ΠΊ ΠΌΠΎΠΆΠ½ΠΎ ΠΌΠ΅Π½ΡΡΠ΅!
3ladies.su
ΠΏΡΠΈΡΠΈΠ½Ρ ΠΈ Π»Π΅ΡΠ΅Π½ΠΈΠ΅, ΡΠΎΡΠΎ Ρ Π²Π·ΡΠΎΡΠ»ΡΡ

Π―Π·ΡΠΊ β ΡΡΠΎ ΠΎΡΠ³Π°Π½, ΠΊΠΎΡΠΎΡΡΠΉ ΠΏΠ΅ΡΠ²ΡΠΌ ΡΠΈΠ³Π½Π°Π»ΠΈΠ·ΠΈΡΡΠ΅Ρ ΠΎ ΠΏΠΎΡΠ²Π»Π΅Π½ΠΈΠΈ ΠΊΠ°ΠΊΠΎΠ³ΠΎ-Π»ΠΈΠ±ΠΎ Π·Π°Π±ΠΎΠ»Π΅Π²Π°Π½ΠΈΡ Ρ ΡΠ΅Π»ΠΎΠ²Π΅ΠΊΠ°. Π Π·Π°Π²ΠΈΡΠΈΠΌΠΎΡΡΠΈ ΠΎΡ Ρ Π°ΡΠ°ΠΊΡΠ΅ΡΠ° Π½Π΅Π΄ΡΠ³Π° ΠΎΠ½ ΠΌΠΎΠΆΠ΅Ρ ΠΌΠ΅Π½ΡΡΡ ΡΠ²Π΅Ρ, ΡΠ΅ΠΊΡΡΡΡΡ, ΠΏΠΎΡΠ²Π»ΡΠ΅ΡΡΡ ΡΡΡ ΠΎΡΡΡ, Π° ΡΠ°ΠΊΠΆΠ΅ ΡΠ°Π·Π½ΠΎΠ³ΠΎ ΡΠΎΠ΄Π° ΡΠ°Π½ΠΊΠΈ. ΠΠ°ΠΊ ΠΆΠ΅ ΠΏΠΎΡΠ²Π»ΡΡΡΡΡ ΡΠ·Π²Ρ Π½Π° ΡΠ·ΡΠΊΠ΅, ΠΊΠ°ΠΊΠΎΠ²Ρ ΠΈΡ ΠΏΡΠΈΡΠΈΠ½Ρ ΠΈ Π»Π΅ΡΠ΅Π½ΠΈΠ΅, Π½Π°Π³Π»ΡΠ΄Π½ΠΎ ΠΌΠΎΠΆΠ½ΠΎ ΡΠ²ΠΈΠ΄Π΅ΡΡ Π½Π° ΡΠΎΡΠΎ, Π·Π°Π±ΠΎΠ»Π΅Π²Π°Π½ΠΈΠ΅ ΠΌΠΎΠΆΠ΅Ρ ΠΏΠΎΡΠ²ΠΈΡΡΡΡ ΠΊΠ°ΠΊ Ρ Π΄Π΅ΡΠ΅ΠΉ, ΡΠ°ΠΊ ΠΈ Ρ Π²Π·ΡΠΎΡΠ»ΡΡ .
Π‘ΠΎΠ΄Π΅ΡΠΆΠ°Π½ΠΈΠ΅:
Π‘ΡΠ°ΡΡΠΈ ΠΏΠΎ ΡΠ΅ΠΌΠ΅:ΠΡΠΈΡΠΈΠ½Ρ ΠΏΠΎΡΠ²Π»Π΅Π½ΠΈΡ ΡΠ·Π²Ρ Π½Π° ΡΠ·ΡΠΊΠ΅ Ρ Π²Π·ΡΠΎΡΠ»ΡΡ
Π―Π·Π²Π° Π½Π° ΡΠ·ΡΠΊΠ΅ β ΡΡΠΎ ΡΠΏΠ΅ΡΠΈΡΠΈΡΠ΅ΡΠΊΠΈΠΉ Π΄Π΅ΡΠ΅ΠΊΡ ΠΏΠΎΠ²Π΅ΡΡ Π½ΠΎΡΡΠΈ ΡΠ»ΠΈΠ·ΠΈΡΡΠΎΠΉ ΠΎΠ±ΠΎΠ»ΠΎΡΠΊΠΈ. ΠΠ½ΠΎΠ³ΠΈΡ Π»ΡΠ΄Π΅ΠΉ, ΠΊΠΎΡΠΎΡΡΠ΅ ΠΊΠΎΠ³Π΄Π°-Π»ΠΈΠ±ΠΎ ΡΡΠ°Π»ΠΊΠΈΠ²Π°Π»ΠΈΡΡ Ρ Π΄Π°Π½Π½ΡΠΌ Π·Π°Π±ΠΎΠ»Π΅Π²Π°Π½ΠΈΠ΅ΠΌ, ΠΈΠ½ΡΠ΅ΡΠ΅ΡΡΠ΅Ρ Π²ΠΎΠΏΡΠΎΡ: ΠΊΠ°ΠΊΠΎΠ²Π° ΠΆΠ΅ ΠΏΡΠΈΡΠΈΠ½Π° Π²ΠΎΠ·Π½ΠΈΠΊΠ½ΠΎΠ²Π΅Π½ΠΈΡ ΡΠ·Π² Π½Π° ΡΠ·ΡΠΊΠ΅? ΠΠ΅Π΄Ρ ΡΠ°ΡΠ΅ Π²ΡΠ΅Π³ΠΎ Π½Π΅Π΄ΡΠ³ΠΎΠΌ ΡΡΡΠ°Π΄Π°ΡΡ ΠΌΠ°Π»Π΅Π½ΡΠΊΠΈΠ΅ Π΄Π΅ΡΠΈ, ΠΊΠΎΡΠΎΡΡΠ΅ ΡΡΠ½ΡΡ Π² ΡΠΎΡ ΠΏΠΎΡΡΠΎΡΠΎΠ½Π½ΠΈΠ΅ ΠΏΡΠ΅Π΄ΠΌΠ΅ΡΡ. ΠΠ±ΡΠ°Π·ΠΎΠ²Π°Π²ΡΠΈΠ΅ΡΡ ΡΠ°Π½ΠΊΠΈ Π·Π°ΡΠ°ΡΡΡΡ ΡΠ²Π»ΡΡΡΡΡ ΠΎΠ΄Π½ΠΈΠΌ ΠΈΠ· ΠΏΠΎΡΠ»Π΅Π΄ΡΡΠ²ΠΈΠΉ ΠΏΡΠ΅Π΄ΡΠ΅ΡΡΠ²ΡΡΡΠ΅Π³ΠΎ Π·Π°Π±ΠΎΠ»Π΅Π²Π°Π½ΠΈΡ ΠΈΠ»ΠΈ ΡΡΠ°Π²ΠΌΠ°ΡΠΈΠ·ΠΌΠ°. ΠΡΠΈΡΠΈΠ½Ρ, ΡΠΏΠΎΡΠΎΠ±ΡΡΠ²ΡΡΡΠΈΠ΅ Π²ΠΎΠ·Π½ΠΈΠΊΠ½ΠΎΠ²Π΅Π½ΠΈΡ ΡΠ·Π²:
- Π₯ΡΠΎΠ½ΠΈΡΠ΅ΡΠΊΠΈΠΉ ΡΡΠΎΠΌΠ°ΡΠΈΡ. ΠΠ°Π±ΠΎΠ»Π΅Π²Π°Π½ΠΈΠ΅ Ρ Π°ΡΠ°ΠΊΡΠ΅ΡΠΈΠ·ΡΠ΅ΡΡΡ ΠΏΠ΅ΡΠΈΠΎΠ΄ΠΈΡΠ΅ΡΠΊΠΈΠΌΠΈ ΡΠ΅ΡΠΈΠ΄ΠΈΠ²Π°ΠΌΠΈ. Π―Π·Π²Ρ ΠΏΠΎΡΠ²Π»ΡΡΡΡΡ ΠΈ ΠΌΠΎΠ³ΡΡ Π½Π°Ρ ΠΎΠ΄ΠΈΡΡΡΡ Π²ΠΎ ΡΡΡ Π³ΠΎΠ΄Π°ΠΌΠΈ, Π²ΡΠ»Π΅Π΄ΡΡΠ²ΠΈΠ΅ ΡΠ΅Π³ΠΎ ΠΎΠ±ΡΠ°Π·ΡΡΡΡΡ ΡΡΠ±ΡΡ. Π Π°Π½ΠΊΠΈ ΠΎΡΠ΅Π½Ρ Π±ΠΎΠ»Π΅Π·Π½Π΅Π½Π½Ρ, ΡΠ΅ΠΌ Π²ΡΠ·ΡΠ²Π°ΡΡ Π΄ΠΈΡΠΊΠΎΠΌΡΠΎΡΡ Π²ΠΎ Π²ΡΠ΅ΠΌΡ ΡΠΏΠΎΡΡΠ΅Π±Π»Π΅Π½ΠΈΡ ΠΏΠΈΡΠΈ. Π§Π°ΡΠ΅ Π²ΡΠ΅Π³ΠΎ ΠΏΠΎΡΠ²Π»ΡΠ΅ΡΡΡ ΠΎΠ΄Π½Π° ΡΠ°Π½ΠΊΠ°.
- ΠΠ΅ΡΠΏΠ΅ΡΠΈΡΠ΅ΡΠΊΠΈΠΉ ΡΡΠΎΠΌΠ°ΡΠΈΡ. ΠΠ° ΡΠ·ΡΠΊΠ΅ ΠΏΠΎΡΠ²Π»ΡΠ΅ΡΡΡ Π±ΠΎΠ»ΡΡΠΎΠ΅ ΠΊΠΎΠ»ΠΈΡΠ΅ΡΡΠ²ΠΎ ΠΌΠ΅Π»ΠΊΠΈΡ ΡΠ·Π², ΠΈΠΌΠ΅ΡΡΠΈΡ ΡΡ ΠΎΠΆΠ΅ΡΡΡ Ρ ΠΎΠ±ΡΡΠ½ΡΠΌ Π³Π΅ΡΠΏΠ΅ΡΠΎΠΌ Π½Π° Π³ΡΠ±Π°Ρ . Π§Π°ΡΠ΅ Π²ΡΠ΅Π³ΠΎ Π»ΠΎΠΊΠ°Π»ΠΈΠ·ΡΡΡΡΡ ΠΏΠΎΠ΄ ΡΠ·ΡΠΊΠΎΠΌ.
- ΠΡΠΈΠ±ΠΊΠΎΠ²ΡΠΉ ΡΡΠΎΠΌΠ°ΡΠΈΡ, Π΅Π³ΠΎ ΠΏΡΠΈΠ½ΡΡΠΎ Π½Π°Π·ΡΠ²Π°ΡΡ ΠΌΠΎΠ»ΠΎΡΠ½ΠΈΡΠ΅ΠΉ. ΠΠΎΡΠ²Π»ΡΡΡΡΡ Π±Π΅Π»ΡΠ΅ ΡΠ·Π²Ρ Π½Π° ΡΠ·ΡΠΊΠ΅ Ρ Π²Π·ΡΠΎΡΠ»ΠΎΠ³ΠΎ. Π’Π°ΠΊΠΆΠ΅ Π½Π° Π½Π΅ΠΌ ΠΎΠ±ΡΠ°Π·ΡΠ΅ΡΡΡ Π½Π°Π»Π΅Ρ.
- ΠΠ΅ΠΊΡΠΎΡΠΈΡΠ΅ΡΠΊΠΈΠΉ ΠΏΠ΅ΡΠΈΠ°Π΄Π΅Π½ΠΈΡ. ΠΠ° ΡΠ·ΡΠΊΠ΅ ΡΠ½Π°ΡΠ°Π»Π° ΠΎΠ±ΡΠ°Π·ΡΡΡΡΡ Π½Π΅Π±ΠΎΠ»ΡΡΠΈΠ΅ ΡΠΏΠ»ΠΎΡΠ½Π΅Π½ΠΈΡ, ΠΊΠΎΡΠΎΡΡΠ΅ ΡΠΎ Π²ΡΠ΅ΠΌΠ΅Π½Π΅ΠΌ ΠΏΡΠ΅ΠΎΠ±ΡΠ°Π·ΡΡΡΡΡ Π² ΡΠ·Π²Ρ. ΠΠ±ΡΠ°Π·ΠΎΠ²Π°Π½Π½ΡΠ΅ ΡΠ°Π½ΠΊΠΈ ΠΎΡΠ΅Π½Ρ Π±ΠΎΠ»Π΅Π·Π½Π΅Π½Π½Ρ, ΠΎΡΠΎΠ±Π΅Π½Π½ΠΎ ΠΏΠΎΡΠ²Π»ΡΠ΅ΡΡΡ Π΄ΠΈΡΠΊΠΎΠΌΡΠΎΡΡ ΠΏΡΠΈ ΡΠΏΠΎΡΡΠ΅Π±Π»Π΅Π½ΠΈΠΈ ΠΏΠΈΡΠΈ ΠΈ Π² ΠΌΠΎΠΌΠ΅Π½Ρ Π³Π»ΠΎΡΠ°Π½ΠΈΡ. ΠΠΎΡΡΠ°ΡΠΎΡΠ½ΠΎ ΡΠ»ΠΎΠΆΠ½ΠΎΠ΅ Π·Π°Π±ΠΎΠ»Π΅Π²Π°Π½ΠΈΠ΅, ΠΊΠΎΡΠΎΡΠΎΠ΅ ΠΌΠΎΠΆΠ΅Ρ ΠΏΡΠΎΠ΄Π»ΠΈΡΡΡΡ Π΄ΠΎΠ»Π³ΠΎΠ΅ Π²ΡΠ΅ΠΌΡ.

Π‘ΡΡΠ΅ΡΡΠ²ΡΡΡ ΡΠ°ΠΊΠΆΠ΅ Π±ΠΎΠ»Π΅Π·Π½ΠΈ, Π½Π΅ ΡΠ²ΡΠ·Π°Π½Π½ΡΠ΅ Ρ ΠΏΠΎΠ»ΠΎΡΡΡΡ ΡΡΠ°. ΠΠΎ ΠΏΠΎΡΠ²Π»Π΅Π½ΠΈΠ΅ ΡΠ·Π² Π½Π° ΡΠ·ΡΠΊΠ΅ ΡΠ²Π»ΡΠ΅ΡΡΡ ΠΈΡ ΠΏΠΎΡΠ»Π΅Π΄ΡΡΠ²ΠΈΠ΅ΠΌ ΠΈΠ»ΠΈ ΡΠΈΠΌΠΏΡΠΎΠΌΠΎΠΌ:
- Π’ΡΠ±Π΅ΡΠΊΡΠ»Π΅Π·. ΠΠΎΠ³ΡΡ ΠΏΡΠΎΡΠ²ΠΈΡΡΡΡ Π² ΠΌΠΎΠΌΠ΅Π½Ρ ΠΏΠΎΠΏΠ°Π΄Π°Π½ΠΈΡ Π±Π°ΠΊΡΠ΅ΡΠΈΠΉ ΠΈΠ· Π»Π΅Π³ΠΊΠΈΡ Π² ΡΠΎΡ. Π’Π°ΠΊΠΈΠ΅ ΡΠ·Π²Ρ Π²ΡΠ·ΡΠ²Π°ΡΡ ΡΠΈΠ»ΡΠ½ΡΠ΅ Π±ΠΎΠ»Π΅Π²ΡΠ΅ ΠΎΡΡΡΠ΅Π½ΠΈΡ ΠΈ ΡΠΎ Π²ΡΠ΅ΠΌΠ΅Π½Π΅ΠΌ ΡΠ²Π΅Π»ΠΈΡΠΈΠ²Π°ΡΡΡΡ Π² ΡΠ°Π·ΠΌΠ΅ΡΠ°Ρ .
- Π‘ΠΈΡΠΈΠ»ΠΈΡ. Π―Π·Π²Ρ β ΠΎΠ΄ΠΈΠ½ ΠΈΠ· ΠΏΠ΅ΡΠ²ΡΡ ΠΏΡΠΈΠ·Π½Π°ΠΊΠΎΠ² Π·Π°ΡΠ°ΠΆΠ΅Π½ΠΈΡ ΠΎΡΠ³Π°Π½ΠΈΠ·ΠΌΠ° ΡΠ΅Π»ΠΎΠ²Π΅ΠΊΠ° ΡΠΈΡΠΈΠ»ΠΈΡΠΎΠΌ. ΠΠ±ΡΠ°Π·ΠΎΠ²Π°Π²ΡΠΈΠ΅ΡΡ ΡΠ°Π½ΠΊΠΈ Π½Π΅ ΠΏΡΠΈΠ½ΠΎΡΡΡ Π΄ΠΈΡΠΊΠΎΠΌΡΠΎΡΡΠ°, Π½ΠΎ Π·Π°ΠΆΠΈΠ²Π°ΡΡ ΠΎΡΠ΅Π½Ρ ΠΌΠ΅Π΄Π»Π΅Π½Π½ΠΎ ΠΈ ΠΌΠΎΠ³ΡΡ ΠΎΡΡΠ°Π²Π»ΡΡΡ ΡΡΠ±ΡΡ.
- ΠΠ½ΡΠ΅ΠΊΡΠΈΠΎΠ½Π½ΡΠ΅ Π·Π°Π±ΠΎΠ»Π΅Π²Π°Π½ΠΈΡ. Π Π°Π½ΠΊΠΈ Π² ΡΠ°ΠΊΠΎΠΌ ΡΠ»ΡΡΠ°Π΅ ΠΏΠΎΡΠ°ΠΆΠ°ΡΡ Π²ΡΡ ΠΏΠΎΠ»ΠΎΡΡΡ ΡΡΠ°, Π΄Π°ΠΆΠ΅ ΠΌΠΈΠ½Π΄Π°Π»ΠΈΠ½Ρ.
Π§ΡΠΎ ΠΊΠ°ΡΠ°Π΅ΡΡΡ ΠΎΠ±ΡΠΈΡ ΠΏΡΠΈΡΠΈΠ½ ΠΏΠΎΡΠ²Π»Π΅Π½ΠΈΡ Π·Π°Π±ΠΎΠ»Π΅Π²Π°Π½ΠΈΡ, ΡΠΎ ΡΠ°ΠΊΠΎΠ²ΡΠΌΠΈ ΠΌΠΎΠ³ΡΡ Π±ΡΡΡ:
- ΡΠΈΠ»ΡΠ½ΠΎΠ΅ ΡΠ½ΠΈΠΆΠ΅Π½ΠΈΠ΅ ΠΈΠΌΠΌΡΠ½ΠΈΡΠ΅ΡΠ°; ΠΌΠ΅Ρ Π°Π½ΠΈΡΠ΅ΡΠΊΠΎΠ΅ ΠΏΠΎΠ²ΡΠ΅ΠΆΠ΄Π΅Π½ΠΈΠ΅ ΠΈΠ»ΠΈ ΠΎΠΆΠΎΠ³ ΡΠ»ΠΈΠ·ΠΈΡΡΠΎΠΉ ΠΎΠ±ΠΎΠ»ΠΎΡΠΊΠΈ ΡΠ·ΡΠΊΠ°;
- Ρ ΡΠΎΠ½ΠΈΡΠ΅ΡΠΊΠΈΠ΅ Π±ΠΎΠ»Π΅Π·Π½ΠΈ Π·ΡΠ±ΠΎΠ²;
- ΡΡΠ΅Π·ΠΌΠ΅ΡΠ½ΠΎΠ΅ ΡΠΏΠΎΡΡΠ΅Π±Π»Π΅Π½ΠΈΠ΅ ΡΠΏΠΈΡΡΠ½ΡΡ Π½Π°ΠΏΠΈΡΠΊΠΎΠ², ΠΊΡΡΠ΅Π½ΠΈΠ΅;
- Π·Π°Π±ΠΎΠ»Π΅Π²Π°Π½ΠΈΡ ΠΆΠ΅Π»ΡΠ΄ΠΎΡΠ½ΠΎ-ΠΊΠΈΡΠ΅ΡΠ½ΠΎΠ³ΠΎ ΡΡΠ°ΠΊΡΠ°.
Π Π½Π΅ΠΊΠΎΡΠΎΡΡΡ ΡΠ»ΡΡΠ°ΡΡ ΡΠ·Π²Ρ ΡΠΎΠΏΡΠΎΠ²ΠΎΠΆΠ΄Π°ΡΡΡΡ ΡΠΈΠ»ΡΠ½ΡΠΌ ΠΎΡΠ΅ΠΊΠΎΠΌ ΡΠ·ΡΠΊΠ°.
ΠΠ°ΠΆΠ½ΠΎ ΠΏΠΎΠΌΠ½ΠΈΡΡ! ΠΠ½Π΅ Π·Π°Π²ΠΈΡΠΈΠΌΠΎΡΡΠΈ ΠΎΡ ΠΏΡΠΈΡΠΈΠ½Ρ ΠΏΠΎΡΠ²Π»Π΅Π½ΠΈΡ Π·Π°Π±ΠΎΠ»Π΅Π²Π°Π½ΠΈΡ, ΡΠ»Π΅Π΄ΡΠ΅Ρ ΠΎΠ±ΡΠ°ΡΠΈΡΡΡΡ ΠΊ Π²ΡΠ°ΡΡ! ΠΠΎΠ·ΠΌΠΎΠΆΠ½ΠΎ ΡΠ·Π²Ρ β ΡΡΠΎ ΠΏΠ΅ΡΠ²ΡΠΉ ΠΏΡΠΈΠ·Π½Π°ΠΊ ΡΠ΅ΡΡΠ΅Π·Π½ΠΎΠΉ Π±ΠΎΠ»Π΅Π·Π½ΠΈ.
Π€ΠΎΡΠΎ Π·Π°Π±ΠΎΠ»Π΅Π²Π°Π½ΠΈΡ



Π‘ΠΈΠΌΠΏΡΠΎΠΌΡ ΡΠ·Π² Π½Π° ΡΠ·ΡΠΊΠ΅
ΠΠ°Π½Π½Π°Ρ Π±ΠΎΠ»Π΅Π·Π½Ρ ΠΏΡΠ΅Π΄ΡΡΠ°Π²Π»ΡΠ΅Ρ ΡΠΎΠ±ΠΎΠΉ Π½Π΅Π±ΠΎΠ»ΡΡΠΈΠ΅ ΡΠ°Π½ΠΊΠΈ Π½Π° ΡΠ·ΡΠΊΠ΅, Π²Π½ΡΡΡΠ΅Π½Π½Π΅ΠΉ ΠΏΠΎΠ²Π΅ΡΡ Π½ΠΎΡΡΠΈ ΡΠ΅ΠΊ, Π½Π΅Π±Π΅. ΠΠ½ΠΈ ΠΌΠΎΠ³ΡΡ Π±ΡΡΡ ΡΠ°Π·Π»ΠΈΡΠ½ΡΡ ΡΠ²Π΅ΡΠΎΠ² ΠΈ ΡΠΎΡΠΌ. ΠΠ΅ Π²ΡΠ΅Π³Π΄Π° ΠΈΠΌΠ΅ΡΡ ΡΠ΅ΡΠΊΠΎΠ΅ ΠΎΡΠ΅ΡΡΠ°Π½ΠΈΠ΅. ΠΠΎΠ»Π΅Π·Π½Π΅Π½Π½ΡΠ΅ ΠΎΡΡΡΠ΅Π½ΠΈΡ Π²ΡΠ·ΡΠ²Π°ΡΡ Π½Π΅ Π²ΡΠ΅Π³Π΄Π°, ΠΌΠΎΠ³ΡΡ Π½Π΅ Π΄ΠΎΡΡΠ°Π²Π»ΡΡΡ Π΄ΠΈΡΠΊΠΎΠΌΡΠΎΡΡΠ°.
ΠΠ½ΠΎΠ³Π΄Π° ΡΠΎΠΏΡΠΎΠ²ΠΎΠΆΠ΄Π°Π΅ΡΡΡ ΡΠΏΠ»ΠΎΡΠ½Π΅Π½ΠΈΠ΅ΠΌ ΠΈ ΠΎΡΠ΅ΠΊΠΎΠΌ ΡΠ·ΡΠΊΠ°. ΠΠΎΡΠΏΠ°Π»ΠΈΡΠ΅Π»ΡΠ½ΡΠΉ ΠΏΡΠΎΡΠ΅ΡΡ ΡΠΎΠΏΡΠΎΠ²ΠΎΠΆΠ΄Π°Π΅ΡΡΡ ΡΠΈΠ»ΡΠ½ΡΠΌ ΠΏΠΎΠΊΡΠ°ΡΠ½Π΅Π½ΠΈΠ΅ΠΌ. ΠΠΎΡΠ²ΠΈΠ²ΡΠΈΠ΅ΡΡ ΡΠ°Π½ΠΊΠΈ ΠΌΠΎΠ³ΡΡ ΠΏΡΠΎΠ³ΡΠ΅ΡΡΠΈΡΠΎΠ²Π°ΡΡ ΠΈ ΡΠ²Π΅Π»ΠΈΡΠΈΠ²Π°ΡΡΡΡ Π² ΡΠ°Π·ΠΌΠ΅ΡΠ°Ρ . Π Π»ΡΠ±ΠΎΠΌ ΡΠ»ΡΡΠ°Π΅, ΠΎΠ±ΡΠ°ΡΠΈΡΡΡΡ ΠΊ Π΄ΠΎΠΊΡΠΎΡΡ ΡΠ»Π΅Π΄ΡΠ΅Ρ ΠΎΠ±ΡΠ·Π°ΡΠ΅Π»ΡΠ½ΠΎ.
ΠΠΈΠ°Π³Π½ΠΎΡΡΠΈΠΊΠ° Π·Π°Π±ΠΎΠ»Π΅Π²Π°Π½ΠΈΡ
Π’Π°ΠΊ ΠΊΠ°ΠΊ ΡΠ·Π²Ρ ΡΠ°Ρ Π²ΡΠ΅Π³ΠΎ ΡΠΎΠΏΡΠΎΠ²ΠΎΠΆΠ΄Π°ΡΡΡΡ Π±ΠΎΠ»Π΅Π²ΡΠΌΠΈ ΠΎΡΡΡΠ΅Π½ΠΈΡΠΌΠΈ ΠΈ ΡΠ»Π°Π±ΠΎΡΡΡΡ ΠΎΡΠ³Π°Π½ΠΈΠ·ΠΌΠ°, ΡΠ»Π΅Π΄ΡΠ΅Ρ ΠΎΠ±ΡΠ°ΡΠΈΡΡΡΡ Π·Π° ΠΊΠΎΠ½ΡΡΠ»ΡΡΠ°ΡΠΈΠ΅ΠΉ ΡΠΏΠ΅ΡΠΈΠ°Π»ΠΈΡΡΠ°. ΠΡΠ°Ρ Π²Π½ΠΈΠΌΠ°ΡΠ΅Π»ΡΠ½ΠΎ ΠΎΡΠΌΠ°ΡΡΠΈΠ²Π°Π΅Ρ ΡΠΎΡΠΎΠ²ΡΡ ΠΏΠΎΠ»ΠΎΡΡΡ ΠΈ ΠΏΡΠΎΠ²ΠΎΠ΄ΠΈΡ Π΄Π΅ΡΠ°Π»ΡΠ½ΡΠΉ ΠΎΠΏΡΠΎΡ ΠΏΠ°ΡΠΈΠ΅Π½ΡΠ°. ΠΠ»Ρ ΡΡΡΠ°Π½ΠΎΠ²Π»Π΅Π½ΠΈΡ Π΄ΠΈΠ°Π³Π½ΠΎΠ·Π° Π²Π°ΠΆΠ½Π° ΡΠ°ΠΊΠ°Ρ ΠΈΠ½ΡΠΎΡΠΌΠ°ΡΠΈΡ:
- ΡΠ΅Π³ΡΠ»ΡΡΠ½ΠΎΡΡΡ ΠΏΠΎΡΠ²Π»Π΅Π½ΠΈΡ ΠΎΠ±ΡΠ°Π·ΠΎΠ²Π°Π½ΠΈΠΉ Π½Π° ΡΠ·ΡΠΊΠ΅;
- Π΄Π»ΠΈΡΠ΅Π»ΡΠ½ΠΎΡΡΡ Π½Π°Π»ΠΈΡΠΈΡ ΡΠ·Π²Ρ;
- Π³Π΅Π½Π΅ΡΠΈΡΠ΅ΡΠΊΠ°Ρ ΠΏΡΠ΅Π΄ΡΠ°ΡΠΏΠΎΠ»ΠΎΠΆΠ΅Π½Π½ΠΎΡΡΡ;
- Π²ΡΠ΅Π΄Π½ΡΠ΅ ΠΏΡΠΈΠ²ΡΡΠΊΠΈ;
- ΠΎΠΏΡΠ΅Π΄Π΅Π»Π΅Π½ΠΈΠ΅ Π΄ΠΎΠΏΠΎΠ»Π½ΠΈΡΠ΅Π»ΡΠ½ΡΡ ΡΠΈΠΌΠΏΡΠΎΠΌΠΎΠ² Π² ΠΏΠ΅ΡΠΈΠΎΠ΄ ΠΏΠΎΡΠ²Π»Π΅Π½ΠΈΡ ΡΠ·Π² Π½Π° ΡΠ·ΡΠΊΠ΅.

ΠΡΠ²Π°ΡΡ ΡΠΈΡΡΠ°ΡΠΈΠΈ, ΠΊΠΎΠ³Π΄Π° Π½Π΅ΠΎΠ±Ρ ΠΎΠ΄ΠΈΠΌΠΎ ΡΠ΄Π°ΡΡ ΠΎΠ±ΡΠΈΠΉ Π°Π½Π°Π»ΠΈΠ· ΠΊΡΠΎΠ²ΠΈ Π΄Π»Ρ ΠΎΠ±Π½Π°ΡΡΠΆΠ΅Π½ΠΈΡ Π²ΠΎΡΠΏΠ°Π»ΠΈΡΠ΅Π»ΡΠ½ΠΎΠ³ΠΎ ΠΏΡΠΎΡΠ΅ΡΡΠ° Π² ΠΎΡΠ³Π°Π½ΠΈΠ·ΠΌΠ΅, Π° ΡΠ°ΠΊΠΆΠ΅ Π½Π°Π»ΠΈΡΠΈΠ΅ ΠΈΠ»ΠΈ ΠΈΡΠΊΠ»ΡΡΠ΅Π½ΠΈΠ΅ ΠΈΠ½ΡΠ΅ΠΊΡΠΈΠΉ. ΠΡΠ»ΠΈ Ρ Π΄ΠΎΠΊΡΠΎΡΠ° Π²ΠΎΠ·Π½ΠΈΠΊΠ½Π΅Ρ ΠΏΠΎΠ΄ΠΎΠ·ΡΠ΅Π½ΠΈΠ΅ Π½Π° Π·Π°Π±ΠΎΠ»Π΅Π²Π°Π½ΠΈΠ΅ Π²Π½ΡΡΡΠ΅Π½Π½ΠΈΡ ΠΎΡΠ³Π°Π½ΠΎΠ², ΡΠΎ ΠΎΠ½ Π½Π°ΠΏΡΠ°Π²ΠΈΡ ΠΏΠ°ΡΠΈΠ΅Π½ΡΠ° ΠΊ Π΄ΡΡΠ³ΠΈΠΌ ΡΠΏΠ΅ΡΠΈΠ°Π»ΠΈΡΡΠ°ΠΌ.
Π―Π·Π²Ρ Π½Π° ΡΠ·ΡΠΊΠ΅: Π»Π΅ΡΠ΅Π½ΠΈΠ΅ Ρ Π²Π·ΡΠΎΡΠ»ΡΡ
Π§Π΅ΠΌ Π»Π΅ΡΠΈΡΡ ΡΠ·Π²Ρ Π½Π° ΡΠ·ΡΠΊΠ΅ Ρ Π²Π·ΡΠΎΡΠ»ΠΎΠ³ΠΎ? ΠΠ΅ΡΠΌΠΎΡΡΡ Π½Π° ΡΠΎ, ΠΏΠΎ ΠΊΠ°ΠΊΠΈΠΌ ΠΏΡΠΈΡΠΈΠ½Π°ΠΌ ΠΏΠΎΡΠ²ΠΈΠ»ΠΈΡΡ ΡΠ°Π½ΠΊΠΈ, ΠΎΡ Π½ΠΈΡ ΡΠ»Π΅Π΄ΡΠ΅Ρ ΠΈΠ·Π±Π°Π²Π»ΡΡΡΡΡ Ρ ΠΏΠΎΠΌΠΎΡΡΡ ΠΌΠ΅ΡΡΠ½ΠΎΠ³ΠΎ Π»Π΅ΡΠ΅Π½ΠΈΡ. ΠΠ½ΠΎ ΡΠ²Π»ΡΠ΅ΡΡΡ ΠΊΠΎΠΌΠΏΠ»Π΅ΠΊΡΠ½ΡΠΌ ΠΈ Π²ΠΊΠ»ΡΡΠ°Π΅Ρ Π² ΡΠ΅Π±Ρ ΡΠ°ΠΊΠΈΠ΅ ΡΡΠ°ΠΏΡ:
- Π‘ΠΎΠ±Π»ΡΠ΄Π΅Π½ΠΈΠ΅ Π΄ΠΈΠ΅ΡΡ. ΠΠ½ΠΎΠ³ΠΈΠ΅ ΠΏΡΠΎΠ΄ΡΠΊΡΡ ΠΌΠΎΠ³ΡΡ Π²ΡΠ·ΡΠ²Π°ΡΡ Π±ΠΎΠ»Π΅Π²ΡΠ΅ ΠΎΡΡΡΠ΅Π½ΠΈΡ Π² ΠΌΠΎΠΌΠ΅Π½Ρ ΡΠΏΠΎΡΡΠ΅Π±Π»Π΅Π½ΠΈΡ ΠΏΠΈΡΠΈ, ΡΠ°Π·Π΄ΡΠ°ΠΆΠ°Ρ ΡΠ»ΠΈΠ·ΠΈΡΡΡΡ ΠΎΠ±ΠΎΠ»ΠΎΡΠΊΡ. ΠΠΎΡΡΠΎΠΌΡ Π² ΠΏΠ΅ΡΠΈΠΎΠ΄ Π»Π΅ΡΠ΅Π½ΠΈΡ ΡΠ»Π΅Π΄ΡΠ΅Ρ Π²ΠΎΠ·Π΄Π΅ΡΠΆΠ°ΡΡΡΡ ΠΎΡ ΡΠΎΠ»Π΅Π½ΡΡ , ΠΎΡΡΡΡΡ , ΠΊΠΈΡΠ»ΡΡ ΠΈ ΡΠΈΠ»ΡΠ½ΠΎ Π³ΠΎΡΡΡΠΈΡ Π±Π»ΡΠ΄. ΠΡΠΈΠ½ΠΈΠΌΠ°ΡΡ ΠΏΠΈΡΡ Π»ΡΡΡΠ΅ Π² ΡΠ΅ΠΏΠ»ΠΎΠΌ Π²ΠΈΠ΄Π΅. Π ΡΡΠΆΠ΅Π»ΡΡ ΡΠ»ΡΡΠ°ΡΡ ΡΠ΅ΠΊΠΎΠΌΠ΅Π½Π΄ΡΠ΅ΡΡΡ Π΅Π΄Π° ΠΏΠΎ ΠΊΠΎΠ½ΡΠΈΡΡΠ΅Π½ΡΠΈΠΈ ΠΆΠΈΠ΄ΠΊΠΎΠ³ΠΎ ΠΏΡΡΠ΅.
- ΠΡΠΎΠΌΡΠ²Π°Π½ΠΈΠ΅ ΠΏΠΎΠ»ΠΎΡΡΠΈ ΡΡΠ°. ΠΠ±ΡΠ·Π°ΡΠ΅Π»ΡΠ½ΠΎ ΠΏΠΎΡΠ»Π΅ ΠΊΠ°ΠΆΠ΄ΠΎΠ³ΠΎ ΠΏΡΠΈΠ΅ΠΌΠ° ΠΏΠΈΡΠΈ ΡΡΠ΅Π±ΡΠ΅ΡΡΡ ΠΏΠΎΠ»ΠΎΡΠΊΠ°ΡΡ ΡΠΎΡ ΡΠΏΠ΅ΡΠΈΠ°Π»ΡΠ½ΡΠΌΠΈ Π»Π΅ΠΊΠ°ΡΡΡΠ²Π΅Π½Π½ΡΠΌΠΈ ΠΏΡΠ΅ΠΏΠ°ΡΠ°ΡΠ°ΠΌΠΈ. ΠΠ»Ρ ΡΡΠΎΠ³ΠΎ ΠΈΡΠΏΠΎΠ»ΡΠ·ΡΡΡΡΡ ΡΠ°ΠΊΠΈΠ΅ ΠΌΠ΅Π΄ΠΈΠΊΠ°ΠΌΠ΅Π½ΡΡ: ΡΠ°ΡΡΠ²ΠΎΡ Π€ΡΡΠ°ΡΠΈΠ»ΠΈΠ½Π°, Π·Π΅Π»Π΅Π½ΠΊΠ°, ΠΏΠ΅ΡΠ΅ΠΊΠΈΡΡ Π²ΠΎΠ΄ΠΎΡΠΎΠ΄Π°, ΡΠ°ΡΡΠ²ΠΎΡ ΡΠΎΠ΄Ρ.
- ΠΠ±ΡΠ°Π±ΠΎΡΠΊΠ° ΠΏΠΎΡΠ°ΠΆΠ΅Π½Π½ΡΡ ΡΡΠ°ΡΡΠΊΠΎΠ² Π³Π΅Π»ΡΠΌΠΈ ΠΈ ΠΌΠ°Π·ΡΠΌΠΈ. ΠΡΠΎ ΡΠΏΠΎΡΠΎΠ±ΡΡΠ²ΡΠ΅Ρ Π±ΠΎΠ»Π΅Π΅ Π±ΡΡΡΡΠΎΠΌΡ Π·Π°ΠΆΠΈΠ²Π»Π΅Π½ΠΈΡ ΡΠ°Π½ Π²ΠΎ ΡΡΡ. ΠΠ°Π·ΠΈ, ΠΊΠΎΡΠΎΡΡΠ΅ ΡΡΡΠ΅ΠΊΡΠΈΠ²Π½ΠΎ ΠΈΡΠΏΠΎΠ»ΡΠ·ΠΎΠ²Π°ΡΡ: Π₯ΠΎΠ»Π΅ΡΠ°Π», ΠΠ΅ΠΊΡΠ°ΠΌΠ°ΡΠ°Π·ΠΎΠ½, Π° ΡΠ°ΠΊΠΆΠ΅ Π»Π΅ΠΊΠ°ΡΡΡΠ²Π° Ρ Π°Π½Π°Π»ΠΎΠ³ΠΈΡΠ½ΡΠΌ ΡΠΎΡΡΠ°Π²ΠΎΠΌ.
ΠΠ°ΠΆΠ½ΠΎ ΠΏΠΎΠΌΠ½ΠΈΡΡ! Π‘Ρ Π΅ΠΌΠ° Π΄Π°Π½Π½ΠΎΠ³ΠΎ Π»Π΅ΡΠ΅Π½ΠΈΡ ΠΈΠ·Π±Π°Π²ΠΈΡ ΡΠΎΠ»ΡΠΊΠΎ ΠΎΡ ΡΠ·Π² Π½Π° ΡΠ·ΡΠΊΠ΅! ΠΡΠΈΡΠΈΠ½Ρ ΠΈΡ ΠΏΠΎΡΠ²Π»Π΅Π½ΠΈΡ ΡΠ»Π΅Π΄ΡΠ΅Ρ ΠΈΡΠΊΠΎΡΠ΅Π½ΡΡΡ Π΄ΡΡΠ³ΠΈΠΌΠΈ ΠΌΠ΅ΡΠΎΠ΄Π°ΠΌΠΈ.

ΠΠ΅ΡΠ΅Π½ΠΈΠ΅ Π½Π°ΡΠΎΠ΄Π½ΡΠΌΠΈ ΡΡΠ΅Π΄ΡΡΠ²Π°ΠΌΠΈ
ΠΠ°ΡΠΎΠ΄Π½ΡΠ΅ ΡΡΠ΅Π΄ΡΡΠ²Π° ΠΌΠ΅Π΄ΠΈΡΠΈΠ½Ρ ΠΎΠ±Π»Π°Π΄Π°ΡΡ ΠΏΡΠΎΡΠΈΠ²ΠΎΠ²ΠΎΡΠΏΠ°Π»ΠΈΡΠ΅Π»ΡΠ½ΡΠΌΠΈ ΠΈ Π°Π½ΡΠΈΡΠ΅ΠΏΡΠΈΡΠ΅ΡΠΊΠΈΠΌΠΈ ΡΠ²ΠΎΠΉΡΡΠ²Π°ΠΌΠΈ. Π‘ ΠΈΡ ΠΏΠΎΠΌΠΎΡΡΡ ΠΌΠΎΠΆΠ½ΠΎ ΠΏΡΠΈΠ³ΠΎΡΠΎΠ²ΠΈΡΡ Π»Π΅ΠΊΠ°ΡΡΡΠ²Π° Π² Π΄ΠΎΠΌΠ°ΡΠ½ΠΈΡ ΡΡΠ»ΠΎΠ²ΠΈΡΡ . ΠΡΠΎ Π΄ΠΎΡΡΠ°ΡΠΎΡΠ½ΠΎ Π»Π΅Π³ΠΊΠΎ ΡΠ΄Π΅Π»Π°ΡΡ, Π²Π΅Π΄Ρ ΠΎΡΠ½ΠΎΠ²Π½Π°Ρ ΠΌΠ°ΡΡΠ° ΠΈΠ½Π³ΡΠ΅Π΄ΠΈΠ΅Π½ΡΠΎΠ² Π½Π°Ρ ΠΎΠ΄ΠΈΡΡΡ ΠΏΠΎΠ΄ ΡΡΠΊΠΎΠΉ. Π‘ΡΡΠ΅ΡΡΠ²ΡΠ΅Ρ ΠΌΠ½ΠΎΠΆΠ΅ΡΡΠ²ΠΎ ΡΠ΅ΡΠ΅ΠΏΡΠΎΠ² Π΄Π»Ρ Π±ΠΎΡΡΠ±Ρ Ρ ΡΠ·Π²Π°ΠΌΠΈ Π½Π° ΡΠ·ΡΠΊΠ΅.
ΠΠΈΠ½Π΄Π°Π»Ρ ΠΈ ΠΌΠ΅Π΄
ΠΠ»Ρ ΠΏΡΠΈΠ³ΠΎΡΠΎΠ²Π»Π΅Π½ΠΈΡ ΡΠ°ΠΊΠΎΠ³ΠΎ Π»Π΅ΠΊΠ°ΡΡΡΠ²Π° ΠΏΠΎΡΡΠ΅Π±ΡΠ΅ΡΡΡ Π½Π°ΡΠ΅ΡΠ΅ΡΡ Π½Π° ΡΠ΅ΡΠΊΠ΅ Π³ΠΎΡΡΡΡ ΠΌΠΈΠ½Π΄Π°Π»Ρ, Π΄ΠΎΠ±Π°Π²ΠΈΡΡ ΠΌΠ΅Π΄ Π² ΠΏΡΠΎΠΏΠΎΡΡΠΈΠΈ 1:1. Π’ΡΠ°ΡΠ΅Π»ΡΠ½ΠΎ ΠΏΠ΅ΡΠ΅ΠΌΠ΅ΡΠ°ΡΡ ΠΈΠ½Π³ΡΠ΅Π΄ΠΈΠ΅Π½ΡΡ. ΠΠ±ΡΠ°Π±Π°ΡΡΠ²Π°ΡΡ ΠΏΠΎΠ»ΡΡΠ΅Π½Π½ΠΎΠΉ ΡΠΌΠ΅ΡΡΡ ΠΏΠΎΡΠ°ΠΆΠ΅Π½Π½ΡΠ΅ ΡΡΠ°ΡΡΠΊΠΈ.

ΠΠ°Π»Π΅Π½Π΄ΡΠ»Π°
Π‘Π»Π΅Π΄ΡΠ΅Ρ Π²Π·ΡΡΡ 1 ΡΡ. Π». Π»ΠΈΡΡΡΠ΅Π² Π΄Π°Π½Π½ΠΎΠ³ΠΎ ΡΠ°ΡΡΠ΅Π½ΠΈΡ, Π·Π°Π»ΠΈΡΡ 1 ΡΡΠ°ΠΊΠ°Π½ΠΎΠΌ ΠΊΠΈΠΏΡΡΠΊΠ°. ΠΠΎΡΡΠ°Π²ΠΈΡΡ ΡΠΎΠΌΠΈΡΡΡΡ Π½Π° ΠΌΠ΅Π΄Π»Π΅Π½Π½ΡΠΉ ΠΎΠ³ΠΎΠ½Ρ ΠΎΠΊΠΎΠ»ΠΎ 10 ΠΌΠΈΠ½ΡΡ. ΠΠΎΠ»ΡΡΠ΅Π½Π½ΡΠΉ ΠΎΡΠ²Π°Ρ ΠΏΡΠΎΡΠ΅Π΄ΠΈΡΡ, ΠΏΡΠΈΠΌΠ΅Π½ΡΡΡ Π΄Π»Ρ ΠΏΠΎΠ»ΠΎΡΠΊΠ°Π½ΠΈΡ ΠΏΠΎΠ»ΠΎΡΡΠΈ ΡΡΠ° ΠΏΠΎΡΠ»Π΅ ΡΠΏΠΎΡΡΠ΅Π±Π»Π΅Π½ΠΈΡ ΠΏΠΈΡΠΈ.
ΠΠ΅Π²ΡΡΠΈΠ»
ΠΠΎΡΡΠ΅Π±ΡΠ΅ΡΡΡ 50 Π³ Π΄Π΅Π²ΡΡΠΈΠ»Π° ΠΈ 0,5 Π» ΠΎΡΠΈΡΠ΅Π½Π½ΠΎΠΉ Π²ΠΎΠ΄Ρ. ΠΠΎΡΡΠ°Π²ΠΈΡΡ Π½Π° ΠΎΠ³ΠΎΠ½Ρ Π΄ΠΎ Π·Π°ΠΊΠΈΠΏΠ°Π½ΠΈΡ, Π΄Π°ΡΡ Π½Π°ΡΡΠΎΡΡΡΡΡ ΠΎΠΊΠΎΠ»ΠΎ 2 ΡΠ°ΡΠΎΠ². ΠΠΎΠ»ΡΡΠ΅Π½Π½ΡΠΌ ΠΎΡΠ²Π°ΡΠΎΠΌ ΠΏΠΎΠ»ΠΎΡΠΊΠ°ΡΡ ΡΠΎΡ 2 ΡΠ°Π·Π° Π² Π΄Π΅Π½Ρ. ΠΠ°Π½Π½ΠΎΠ΅ Π»Π΅ΠΊΠ°ΡΡΡΠ²ΠΎ ΠΎΠ±Π»Π°Π΄Π°Π΅Ρ ΡΠΈΠ»ΡΠ½ΡΠΌ Π°Π½ΡΠΈΡΠ΅ΠΏΡΠΈΡΠ΅ΡΠΊΠΈΠΌ ΡΡΡΠ΅ΠΊΡΠΎΠΌ.
Π’ΠΈΠΌΡΡΠ½
1 ΡΡ. Π». ΡΡΠ°Π²Ρ Π΄Π°Π½Π½ΠΎΠ³ΠΎ ΡΠ°ΡΡΠ΅Π½ΠΈΡ ΡΡΠ΅Π±ΡΠ΅ΡΡΡ Π·Π°Π»ΠΈΡΡ 1 ΡΡΠ°ΠΊΠ°Π½ΠΎΠΌ ΠΊΠΈΠΏΡΡΠΊΠ°. ΠΠ°ΠΊΡΡΡΡ ΠΊΡΡΡΠΊΠΎΠΉ ΠΈ Π½Π°ΡΡΠ°ΠΈΠ²Π°ΡΡ ΠΎΠΊΠΎΠ»ΠΎ 1 ΡΠ°ΡΠ°. ΠΠΎΡΠ»Π΅ ΡΠ΅Π³ΠΎ ΠΏΡΠΎΡΠ΅Π΄ΠΈΡΡ ΠΈ ΠΏΡΠΈΠΌΠ΅Π½ΡΡΡ Π² ΠΊΠ°ΡΠ΅ΡΡΠ²Π΅ ΠΏΠΎΠ»ΠΎΡΠΊΠ°Π½ΠΈΡ ΡΡΠ°.

Π’ΡΡΡΡΠ΅Π»ΠΈΡΡΠ½ΠΈΠΊ
Π‘Π»Π΅Π΄ΡΠ΅Ρ Π²ΡΠ΄Π°Π²ΠΈΡΡ ΠΈΠ· Π»ΠΈΡΡΡΠ΅Π² ΡΡΠΎΠ³ΠΎ ΡΠ°ΡΡΠ΅Π½ΠΈΡ ΡΠΎΠΊ, Π΄ΠΎΠ±Π°Π²ΠΈΡΡ ΠΌΠ΅Π΄Π° Π² ΠΏΡΠΎΠΏΠΎΡΡΠΈΠΈ 1:1. Π’ΡΠ°ΡΠ΅Π»ΡΠ½ΠΎ ΠΏΠ΅ΡΠ΅ΠΌΠ΅ΡΠ°ΡΡ ΠΈΠ½Π³ΡΠ΅Π΄ΠΈΠ΅Π½ΡΡ Π΄ΠΎ ΠΏΠΎΠ»ΡΡΠ΅Π½ΠΈΡ ΠΎΠ΄Π½ΠΎΡΠΎΠ΄Π½ΠΎ ΠΊΠ°ΡΠΈΡΡ. ΠΡΠΈΠ³ΠΎΡΠΎΠ²Π»Π΅Π½Π½ΠΎΠ΅ Π»Π΅ΠΊΠ°ΡΡΡΠ²ΠΎ ΠΏΡΠΈΠ½ΠΈΠΌΠ°ΡΡ Π²Π½ΡΡΡΡ ΠΏΠΎ 3 ΡΡ. Π». 1 ΡΠ°Π· Π² Π΄Π΅Π½Ρ. ΠΠ±Π»Π°Π΄Π°Π΅Ρ ΠΏΡΠΎΡΠΈΠ²ΠΎΠ²ΠΎΡΠΏΠ°Π»ΠΈΡΠ΅Π»ΡΠ½ΡΠΌ ΡΠ²ΠΎΠΉΡΡΠ²ΠΎΠΌ.
ΠΡΡΠΈΠ½ΠΎΠ΅ ΡΠΉΡΠΎ
ΠΠ»Ρ ΠΏΡΠΈΠ³ΠΎΡΠΎΠ²Π»Π΅Π½ΠΈΡ ΠΏΠΎΡΡΠ΅Π±ΡΠ΅ΡΡΡ ΡΠΈΡΠ½ΡΠΉ ΠΆΠ΅Π»ΡΠΎΠΊ, ΠΊΠΎΡΠΎΡΡΠΉ ΡΠ»Π΅Π΄ΡΠ΅Ρ ΡΠΌΠ΅ΡΠ°ΡΡ Ρ 100 ΠΌΠ» ΠΌΠΎΠ»ΠΎΠΊΠ° ΠΈ 1 Ρ. Π». ΠΌΠ΅Π΄Π°. Π₯ΠΎΡΠΎΡΠΎ ΠΏΠ΅ΡΠ΅ΠΌΠ΅ΡΠ°ΡΡ Π²ΡΠ΅ ΠΊΠΎΠΌΠΏΠΎΠ½Π΅Π½ΡΡ Π΄ΠΎ ΠΏΠΎΠ»ΡΡΠ΅Π½ΠΈΡ ΠΎΠ΄Π½ΠΎΡΠΎΠ΄Π½ΠΎΠΉ ΠΌΠ°ΡΡΡ. ΠΠ±ΡΠ°Π±Π°ΡΡΠ²Π°ΡΡ ΠΏΠΎΡΠ°ΠΆΠ΅Π½Π½ΡΠ΅ ΠΌΠ΅ΡΡΠ° Ρ ΠΏΠΎΠΌΠΎΡΡΡ Π²Π°ΡΠ½ΠΎΠ³ΠΎ ΡΠ°ΠΌΠΏΠΎΠ½Π°, ΠΎΠΊΡΠ½Π°Ρ Π΅Π³ΠΎ Π² ΠΏΡΠΈΠ³ΠΎΡΠΎΠ²Π»Π΅Π½Π½ΠΎΠ΅ Π»Π΅ΠΊΠ°ΡΡΡΠ²ΠΎ. Π’Π°ΠΊΠΆΠ΅ ΠΌΠΎΠΆΠ½ΠΎ ΠΏΡΠΈΠ³ΠΎΡΠΎΠ²ΠΈΡΡ ΡΡΠ΅Π΄ΡΡΠ²ΠΎ ΠΈΠ· ΠΊΡΡΠΈΠ½ΠΎΠ³ΠΎ Π±Π΅Π»ΠΊΠ°. ΠΠ»Ρ ΡΡΠΎΠ³ΠΎ Π½Π΅ΠΎΠ±Ρ ΠΎΠ΄ΠΈΠΌΠΎ ΠΈΡΡ ΠΎΠ΄Π½ΡΠΉ ΠΈΠ½Π³ΡΠ΅Π΄ΠΈΠ΅Π½Ρ Ρ ΠΎΡΠΎΡΠΎ ΡΠΌΠ΅ΡΠ°ΡΡ Ρ 100 ΠΌΠ» ΡΠ΅ΠΏΠ»ΠΎΠΉ Π²ΠΎΠ΄Ρ. Π’Π°ΠΊΠΎΠΉ ΡΠΌΠ΅ΡΡΡ Π½ΡΠΆΠ½ΠΎ ΠΏΠΎΠ»ΠΎΡΠΊΠ°ΡΡ ΡΠΎΡΠΎΠ²ΡΡ ΠΏΠΎΠ»ΠΎΡΡΡ 2 ΡΠ°Π·Π° Π² Π΄Π΅Π½Ρ.

Π§Π΅ΡΠ½ΠΎΠΊ
ΠΠΎΡΡΠ΅Π±ΡΠ΅ΡΡΡ 1 Π½Π΅Π±ΠΎΠ»ΡΡΠΎΠΉ Π·ΡΠ±ΡΠΈΠΊ ΠΈΠ·ΠΌΠ΅Π»ΡΡΠ΅Π½Π½ΠΎΠ³ΠΎ ΡΠ΅ΡΠ½ΠΎΠΊΠ°, ΠΊ ΠΊΠΎΡΠΎΡΠΎΠΌΡ Π΄ΠΎΠ±Π°Π²ΠΈΡΡ 1 ΡΡ. Π». ΠΏΡΠΎΡΡΠΎΠΊΠ²Π°ΡΠΈ. Π₯ΠΎΡΠΎΡΠΎ ΠΏΠ΅ΡΠ΅ΠΌΠ΅ΡΠ°ΡΡ, ΡΡΠΎΠ±Ρ ΠΏΠΎΠ»ΡΡΠΈΠ»Π°ΡΡ ΠΎΠ΄Π½ΠΎΡΠΎΠ΄Π½Π°Ρ ΠΊΠ°ΡΠΈΡΠ°. ΠΡΠΈΠΌΠ΅Π½ΡΡΡ Π² ΠΊΠ°ΡΠ΅ΡΡΠ²Π΅ ΠΌΠ°Π·ΠΈ, Π½Π°ΠΊΠ»Π°Π΄ΡΠ²Π°Ρ Π½Π° ΠΏΠΎΡΠ°ΠΆΠ΅Π½Π½ΡΠ΅ ΡΡΠ°ΡΡΠΊΠΈ Π²ΠΎ ΡΡΡ. ΠΠ΅ΡΠΆΠ°ΡΡ Π»Π΅ΠΊΠ°ΡΡΡΠ²ΠΎ ΡΡΠ΅Π±ΡΠ΅ΡΡΡ 5 ΠΌΠΈΠ½ΡΡ. ΠΠΎ ΠΈΡΡΠ΅ΡΠ΅Π½ΠΈΠΈ Π²ΡΠ΅ΠΌΠ΅Π½ΠΈ ΠΏΡΠΎΠΏΠΎΠ»ΠΎΡΠΊΠ°ΡΡ ΡΠΎΡ ΡΠ΅ΠΏΠ»ΠΎΠΉ ΠΎΡΠΈΡΠ΅Π½Π½ΠΎΠΉ Π²ΠΎΠ΄ΠΎΠΉ.
ΠΠ»ΠΈΠ²ΠΊΠΎΠ²ΠΎΠ΅ ΠΌΠ°ΡΠ»ΠΎ
ΠΡΡ ΠΎΠ΄Π½ΡΠΉ ΠΏΡΠΎΠ΄ΡΠΊΡ, 1 ΡΡ. Π». ΠΌΠ΅Π΄Π° ΠΈ 1 Π±Π΅Π»ΠΎΠΊ ΠΊΡΡΠΈΠ½ΠΎΠ³ΠΎ ΡΠΉΡΠ° ΠΏΠΎΡΡΠ°Π²ΠΈΡΡ Π½Π° Π²ΠΎΠ΄ΡΠ½ΡΡ Π±Π°Π½Ρ. ΠΡΠΎΠ³ΡΠ΅Π²Π°ΡΡ ΠΎΠΊΠΎΠ»ΠΎ 15 ΠΌΠΈΠ½ΡΡ, ΠΏΠ΅ΡΠΈΠΎΠ΄ΠΈΡΠ΅ΡΠΊΠΈ ΠΏΠΎΠΌΠ΅ΡΠΈΠ²Π°Ρ. ΠΠΎΠ»ΡΡΠ΅Π½Π½ΠΎΠΉ ΡΠΌΠ΅ΡΡΡ ΠΎΠ±ΡΠ°Π±Π°ΡΡΠ²Π°ΡΡ ΡΠ·Π²Ρ Π½Π° ΡΠ·ΡΠΊΠ΅ Ρ ΠΏΠΎΠΌΠΎΡΡΡ Π²Π°ΡΠ½ΠΎΠΉ ΠΏΠ°Π»ΠΎΡΠΊΠΈ. ΠΠ»ΠΈΠ²ΠΊΠΎΠ²ΠΎΠ΅ ΠΌΠ°ΡΠ»ΠΎ ΠΌΠΎΠΆΠ½ΠΎ Π·Π°ΠΌΠ΅Π½ΠΈΡΡ ΠΏΠΎΠ΄ΡΠΎΠ»Π½Π΅ΡΠ½ΡΠΌ ΡΠ°ΡΠΈΠ½ΠΈΡΠΎΠ²Π°Π½Π½ΡΠΌ ΠΌΠ°ΡΠ»ΠΎΠΌ.
ΠΠ°ΡΡΠΎΡΠ΅Π»Ρ
1 Π½Π΅Π±ΠΎΠ»ΡΡΠΎΠΉ ΠΊΠ»ΡΠ±Π΅Π½Ρ ΠΊΠ°ΡΡΠΎΡΠ΅Π»Ρ ΡΠ»Π΅Π΄ΡΠ΅Ρ Π½Π°ΡΠ΅ΡΠ΅ΡΡ Π½Π° ΠΌΠ΅Π»ΠΊΠΎΠΉ ΡΠ΅ΡΠΊΠ΅, ΡΠ»Π΅Π³ΠΊΠ° ΠΎΡΠΆΠ°ΡΡ ΠΈ Π΄ΠΎΠ±Π°Π²ΠΈΡΡ 0,5 Ρ. Π». ΡΠ°ΡΠΈΠ½ΠΈΡΠΎΠ²Π°Π½Π½ΠΎΠ³ΠΎ ΠΏΠΎΠ΄ΡΠΎΠ»Π½Π΅ΡΠ½ΠΎΠ³ΠΎ ΠΌΠ°ΡΠ»Π°. ΠΠΎΠ»ΡΡΠ΅Π½Π½ΡΡ ΠΊΠ°ΡΠΈΡΡ Π½Π°ΠΊΠ»Π°Π΄ΡΠ²Π°ΡΡ Π½Π° ΡΠ°Π½ΠΊΠΈ. ΠΠ΅ΡΠΆΠ°ΡΡ ΠΎΠΊΠΎΠ»ΠΎ 10 ΠΌΠΈΠ½ΡΡ.

ΠΠ»ΠΎΡ-Π²Π΅ΡΠ°
ΠΠΎΡΡΠ΅Π±ΡΡΡΡΡ Π»ΠΈΡΡΡΡ Π΄Π°Π½Π½ΠΎΠ³ΠΎ ΡΠ΅Π»Π΅Π±Π½ΠΎΠ³ΠΎ ΡΠ°ΡΡΠ΅Π½ΠΈΡ, ΠΊΠΎΡΠΎΡΡΠ΅ ΡΠ»Π΅Π΄ΡΠ΅Ρ ΠΏΡΠΎΠΏΡΡΡΠΈΡΡ ΡΠ΅ΡΠ΅Π· ΠΌΡΡΠΎΡΡΠ±ΠΊΡ. Π ΠΏΠΎΠ»ΡΡΠ΅Π½Π½ΠΎΠ΅ ΠΏΡΡΠ΅ Π΄ΠΎΠ±Π°Π²ΠΈΡΡ 1 Ρ. Π». ΠΎΠ»ΠΈΠ²ΠΊΠΎΠ²ΠΎΠ³ΠΎ ΠΌΠ°ΡΠ»Π°. ΠΡΠΈΠΌΠ΅Π½ΡΡΡ Π² ΠΊΠ°ΡΠ΅ΡΡΠ²Π΅ ΠΌΠ°Π·ΠΈ, ΠΎΠ±ΡΠ°Π±Π°ΡΡΠ²Π°Ρ ΡΠ°Π½ΠΊΠΈ Π½Π° ΡΠ·ΡΠΊΠ΅.
ΠΠΎΠΏΡΡ
Π‘Π»Π΅Π΄ΡΠ΅Ρ Π²Π·ΡΡΡ ΠΈΠ·ΠΌΠ΅Π»ΡΡΠ΅Π½Π½ΡΠΉ ΠΊΠΎΡΠ΅Π½Ρ Π»ΠΎΠΏΡΡ Π° ΠΈ Π»ΠΈΡΡΡΡ ΡΠΈΠΊΠΎΡΠΈΡ Π² ΠΏΡΠΎΠΏΠΎΡΡΠΈΠΈ 2:1. ΠΠ°Π»ΠΈΡΡ 2 ΡΡΠ°ΠΊΠ°Π½Π°ΠΌΠΈ Π²ΠΎΠ΄Ρ ΠΈ ΠΏΠΎΡΡΠ°Π²ΠΈΡΡ Π²Π°ΡΠΈΡΡΡΡ ΠΏΡΠΈΠΌΠ΅ΡΠ½ΠΎ Π½Π° 40 ΠΌΠΈΠ½ΡΡ. ΠΡΡΡΠ²ΡΠΈΠΉ ΠΎΡΠ²Π°Ρ ΠΏΡΠΎΡΠ΅Π΄ΠΈΡΡ ΠΈ ΠΏΠΎΠ»ΠΎΡΠΊΠ°ΡΡ ΡΠΎΡ 3 ΡΠ°Π·Π° Π² Π΄Π΅Π½Ρ.
Π’Π°ΠΊΠΈΠΌΠΈ Π½Π΅ΡΠ»ΠΎΠΆΠ½ΡΠΌΠΈ ΠΌΠ΅ΡΠΎΠ΄Π°ΠΌΠΈ ΠΌΠΎΠΆΠ½ΠΎ ΠΈΠ·Π±Π°Π²ΠΈΡΡΡΡ ΠΎΡ ΠΏΠΎΡΠ²ΠΈΠ²ΡΠΈΡ ΡΡ Π½Π΅ΠΏΡΠΈΡΡΠ½ΡΡ ΠΎΠ±ΡΠ°Π·ΠΎΠ²Π°Π½ΠΈΠΉ Π² ΠΏΠΎΠ»ΠΎΡΡΠΈ ΡΡΠ°.
ΠΠ°ΠΆΠ½ΠΎ ΠΏΠΎΠΌΠ½ΠΈΡΡ! ΠΡΠΈ Π²ΡΠ±ΠΎΡΠ΅ ΠΎΠΏΡΠ΅Π΄Π΅Π»Π΅Π½Π½ΠΎΠ³ΠΎ ΡΠ΅ΡΠ΅ΠΏΡΠ°, ΡΠ»Π΅Π΄ΡΠ΅Ρ ΡΡΠΈΡΡΠ²Π°ΡΡ ΠΈΠ½Π΄ΠΈΠ²ΠΈΠ΄ΡΠ°Π»ΡΠ½ΡΡ Π½Π΅ΠΏΠ΅ΡΠ΅Π½ΠΎΡΠΈΠΌΠΎΡΡΡ Π½Π΅ΠΊΠΎΡΠΎΡΡΡ ΠΈΠ½Π³ΡΠ΅Π΄ΠΈΠ΅Π½ΡΠΎΠ²! ΠΠ΅Π΄Ρ Π°Π»Π»Π΅ΡΠ³ΠΈΡΠ΅ΡΠΊΠ°Ρ ΡΠ΅Π°ΠΊΡΠΈΡ ΠΌΠΎΠΆΠ΅Ρ Π²ΡΠ·Π²Π°ΡΡ ΠΎΠ±ΡΠ°ΡΠ½ΡΠΉ ΡΡΡΠ΅ΠΊΡ.
ΠΡΠΎΡΠΈΠ»Π°ΠΊΡΠΈΠΊΠ° ΡΠ·Π² Π½Π° ΡΠ·ΡΠΊΠ΅
ΠΠ»Ρ ΡΠΎΠ³ΠΎ ΡΡΠΎΠ±Ρ ΠΈΠ·Π±Π΅ΠΆΠ°ΡΡ ΠΏΠΎΡΠ²Π»Π΅Π½ΠΈΡ ΡΠ°Π½ΠΎΠΊ Π² ΠΏΠΎΠ»ΠΎΡΡΠΈ ΡΡΠ°, ΡΠ»Π΅Π΄ΡΠ΅Ρ ΠΏΡΠΎΠ²ΠΎΠ΄ΠΈΡΡ ΡΠ°ΠΊΠΈΠ΅ ΠΏΡΠΎΡΠΈΠ»Π°ΠΊΡΠΈΡΠ΅ΡΠΊΠΈΠ΅ ΠΌΠ΅ΡΠΎΠΏΡΠΈΡΡΠΈΡ:
- ΡΠ΅Π³ΡΠ»ΡΡΠ½ΠΎΠ΅ ΠΏΠΎΡΠ΅ΡΠ΅Π½ΠΈΠ΅ ΡΡΠΎΠΌΠ°ΡΠΎΠ»ΠΎΠ³Π° Π΄Π»Ρ ΠΏΡΠΎΡΠΈΠ»Π°ΠΊΡΠΈΡΠ΅ΡΠΊΠΎΠ³ΠΎ ΠΎΡΠΌΠΎΡΡΠ°;
- ΡΠΎΠ±Π»ΡΠ΄Π΅Π½ΠΈΠ΅ ΠΏΡΠ°Π²ΠΈΠ» Π³ΠΈΠ³ΠΈΠ΅Π½Ρ ΡΠΎΡΠΎΠ²ΠΎΠΉ ΠΏΠΎΠ»ΠΎΡΡΠΈ;
- ΡΠ²ΠΎΠ΅Π²ΡΠ΅ΠΌΠ΅Π½Π½ΠΎΠ΅ Π»Π΅ΡΠ΅Π½ΠΈΠ΅ Π·Π°Π±ΠΎΠ»Π΅Π²Π°Π½ΠΈΠΉ, ΠΊΠΎΡΠΎΡΡΠ΅ ΠΌΠΎΠ³ΡΡ Π²ΡΠ·Π²Π°ΡΡ ΡΠ·Π²Ρ;
- Π»Π΅ΡΠ΅Π½ΠΈΠ΅ Π±ΠΎΠ»Π΅Π·Π½Π΅ΠΉ Π·ΡΠ±ΠΎΠ² ΠΈ Π΄Π΅ΡΠ΅Π½;
- ΠΏΡΠΈΠ΅ΠΌ Π²ΠΈΡΠ°ΠΌΠΈΠ½ΠΎΠ², ΠΏΠΎΠ²ΡΡΠ΅Π½ΠΈΠ΅ ΠΈΠΌΠΌΡΠ½Π½ΠΎΠΉ ΡΠΈΡΡΠ΅ΠΌΡ;
- ΠΎΡΠΊΠ°Π· ΠΎΡ ΡΡΠ΅Π·ΠΌΠ΅ΡΠ½ΠΎΠ³ΠΎ ΡΠΏΠΎΡΡΠ΅Π±Π»Π΅Π½ΠΈΡ ΡΠΏΠΈΡΡΠ½ΡΡ Π½Π°ΠΏΠΈΡΠΊΠΎΠ² ΠΈ ΠΊΡΡΠ΅Π½ΠΈΡ;
ΠΠ΄ΠΎΡΠΎΠ²ΡΠΉ ΠΎΠ±ΡΠ°Π· ΠΆΠΈΠ·Π½ΠΈ β Π³Π»Π°Π²Π½ΡΠΉ ΠΌΠ΅ΡΠΎΠ΄ ΠΏΡΠΎΡΠΈΠ»Π°ΠΊΡΠΈΠΊΠΈ Π²ΡΠ΅Ρ Π·Π°Π±ΠΎΠ»Π΅Π²Π°Π½ΠΈΠΉ, Π² ΡΠΎΠΌ ΡΠΈΡΠ»Π΅ ΠΈ ΡΠ·Π² Π½Π° ΡΠ·ΡΠΊΠ΅. ΠΠΎΡΡΠΎΠΌΡ ΠΏΡΠ°Π²ΠΈΠ»ΡΠ½ΠΎΠ΅ ΠΏΠΈΡΠ°Π½ΠΈΠ΅, ΡΠΎΠ±Π»ΡΠ΄Π΅Π½ΠΈΠ΅ ΡΠ΅ΠΆΠΈΠΌΠ° Π΄Π½Ρ, ΠΏΡΠΎΠ³ΡΠ»ΠΊΠΈ Π½Π° ΡΠ²Π΅ΠΆΠ΅ΠΌ Π²ΠΎΠ·Π΄ΡΡ Π΅ ΠΌΠΎΠ³ΡΡ ΠΈΠ·Π±Π°Π²ΠΈΡΡ ΠΎΡ ΠΌΠ½ΠΎΠΆΠ΅ΡΡΠ²Π° ΠΏΡΠΎΠ±Π»Π΅ΠΌ.
lechim-prosto.ru
Π ΡΠ»ΡΡΠ°Π΅ Π΄ΠΈΠ°Π³Π½ΠΎΡΡΠΈΡΠΎΠ²Π°Π½ΠΈΡ Ρ Π±ΠΎΠ»ΡΠ½ΠΎΠ³ΠΎ ΡΡΠΎΠΌΠ°ΡΠΈΡΠ°, Π»Π΅ΡΠ΅Π½ΠΈΠ΅ Π·Π°Π²ΠΈΡΠΈΡ ΠΎΡ ΠΊΠΎΠ½ΠΊΡΠ΅ΡΠ½ΠΎΠΉ Π΅Π³ΠΎ ΡΠ°Π·Π½ΠΎΠ²ΠΈΠ΄Π½ΠΎΡΡΠΈ. ΠΠ΅ΡΠΏΠ΅ΡΠΈΡΠ΅ΡΠΊΡΡ ΡΠΎΡΠΌΡ Π·Π°Π±ΠΎΠ»Π΅Π²Π°Π½ΠΈΡ Π»Π΅ΡΠ°Ρ ΠΏΡΠΎΡΠΈΠ²ΠΎΠ²ΠΈΡΡΡΠ½ΡΠΌΠΈ ΠΏΡΠ΅ΠΏΠ°ΡΠ°ΡΠ°ΠΌΠΈ, ΠΏΡΠΈΡΡΠΏΠ»ΡΡΡΠΈΠΌΠΈ ΡΠ°Π·Π²ΠΈΡΠΈΡ Π³Π΅ΡΠΏΠ΅ΡΠ°. ΠΠ°Π½Π΄ΠΈΠ΄ΠΎΠ·Π½ΡΠΉ ΡΡΠΎΠΌΠ°ΡΠΈΡ ΡΡΠ΅Π±ΡΠ΅Ρ ΠΈΡΠΏΠΎΠ»ΡΠ·ΠΎΠ²Π°Π½ΠΈΡ ΠΏΡΠΎΡΠΈΠ²ΠΎΠ³ΡΠΈΠ±ΠΊΠΎΠ²ΡΡ
ΠΏΡΠ΅ΠΏΠ°ΡΠ°ΡΠΎΠ². ΠΡΡΠΎΠ·Π½Π°Ρ ΡΠΎΡΠΌΠ° ΡΠ·Π²Π΅Π½Π½ΡΡ
ΠΎΠ±ΡΠ°Π·ΠΎΠ²Π°Π½ΠΈΠΉ Π»Π΅ΡΠΈΡΡΡ Π°Π½ΡΠΈΠ±ΠΈΠΎΡΠΈΠΊΠΎΡΠ΅ΡΠ°ΠΏΠΈΠ΅ΠΉ.